We use cookies to enhance the usability of our website. If you continue, we'll assume that you are happy to receive all cookies. More information. Don't show this again.
EMD
HPA
RESOURCES
  • TISSUE
  • BRAIN
  • SINGLE CELL
  • SUBCELLULAR
  • CANCER
  • BLOOD
  • CELL LINE
  • STRUCTURE & INTERACTION
ABOUT
  • INTRODUCTION
  • HISTORY
  • ORGANIZATION
  • PUBLICATIONS
  • ANTIBODY SUBMISSION
  • ANTIBODY AVAILABILITY
  • ACKNOWLEDGMENTS
  • CONTACT
NEWS
  • NEWS ARTICLES
  • PRESS ROOM
LEARN
  • DICTIONARY
  • PROTEIN CLASSES
  • PROTEIN EVIDENCE
  • METHODS
  • EDUCATIONAL VIDEOS
DATA
  • DOWNLOADABLE DATA
  • PUBLICATION DATA
  • RELEASE HISTORY
HELP
  • ANTIBODY VALIDATION
  • ASSAYS & ANNOTATION
  • DISCLAIMER
  • HELP & FAQ
  • PRIVACY STATEMENT
  • LICENCE & CITATION
Fields »
Search result

Field
Term
Gene name
Class
Subclass
Class
Keyword
Chromosome
External id
Tissue
Cell type
Expression
Antibody panel
Tissue
Main location
Patient ID
Annotation
Tissue
Category
Tau score
Cluster
Reliability
Brain region
Category
Tau score
Brain region
Category
Tau score
Brain region
Category
Tau score
Cluster
Reliability
Tissue
Cell type
Enrichment
Cell type
Category
Tau score
Cell type
Category
Tau score
Cell type
Category
Tau score
Cell lineage
Category
Tau score
Cluster
Cluster
Location
Searches
Location
Cell line
Class
Type
Phase
Reliability
Cancer
Prognosis
Cancer
Category
Cancer
Category
Tau score
Cluster
Variants
Interacting gene (ensg_id)
Type
Number of interactions
Pathway
Category
Score
Score
Score
Validation
Validation
Validation
Validation
Antibodies
Data type
Column


  • SUMMARY

  • TISSUE

  • BRAIN

  • SINGLE CELL

  • SUBCELL

  • CANCER

  • BLOOD

  • CELL LINE

  • STRUCT & INT

  • EMD
BRAIN BASAL GANGLIA Show tissue menu
AMYGDALA BASAL GANGLIA CEREBELLUM CEREBRAL CORTEX CHOROID PLEXUS HIPPOCAMPAL FORMATION HYPOTHALAMUS MEDULLA OBLONGATA
MIDBRAIN OLFACTORY BULB PITUITARY GLAND PONS RETINA SPINAL CORD THALAMUS WHITE MATTER
ANTIBODIES
AND
VALIDATION
Brain proteome
Basal ganglia
BASAL GANGLIA - Expression summary
Protein expression
Caudatei

On the top, protein expression in current human tissue, based on all annotated cell types, is reported with the units not detected (n), low (l), medium (m) and high (h). Underneath, protein expression in each annotated cell type are reported using the same units.

Protein expression data is based on knowledge-based annotation. For genes where more than one antibody has been used, a collective score is set.

If knowledge-based annotation could not be performed for a gene, no data is displayed here. View antibody staining data further down this page.

h
m
l
n
Glial cells: Low
Neuronal cells: Low
RNA expressioni

A summary of mRNA expression data available for current tissue based on several datasets. The mRNA expression levels in human tissues are based on RNA-seq data generated by the Human Protein Atlas (HPA), Genotype-Tissue Expression (GTEx) portal and CAGE data generated by the FANTOM5 consortium. Consensus normalized expression levels for human tissues was created by combining the data from HPA and GTEx datasets.

The mRNA expression levels in pig are based on RNA-seq data generated by the Human Protein Atlas (HPA), and for mouse, HPA data and in situ hybridization generated by the Allen brain atlas are reported.

Scroll down to view mRNA expression data in more detail.
Consensus:28.8 nTPM
HPA Brain:33.6 nTPM
GTEx:28.8 nTPM
FANTOM5:85.7 Scaled Tags Per Million
Pig:62.7 nTPM
Mouse:39.1 nTPM
Allen mouse:1.9 Expression energy

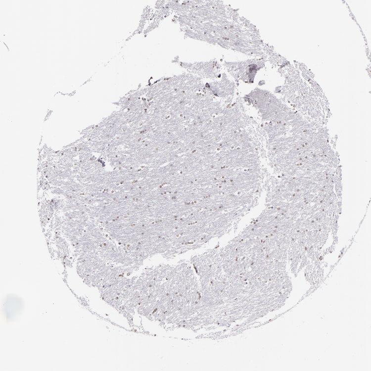
CAUDATE - Antibody stainingi

Antibody staining in the annotated cell types in the current human tissue is reported as not detected, low, medium, or high, based on conventional immunohistochemistry profiling in selected tissues. This score is based on the combination of the staining intensity and fraction of stained cells.

Each image is clickable and will lead to virtual microscopy that enables deeper exploration of all samples and also displays staining intensity scores, fraction scores and subcellular localization as well as patient and tissue information for each sample.

Antibody HPA000609Antibody CAB001545Antibody CAB002029Antibody CAB062552
Glial cells LowNot detectedMediumLow
Neuronal cells LowNot detected-Not detected








BASAL GANGLIA - HPA Brain RNA-seq
Max subtype nTPMi

Max subtype nTPM is the value for the subtype with the largest average nTPM across the subtype samples.

33.6
Sample id Sample description nTPM
Caudate nucleus
nTPM: 32.3
2481 Female, age 94, left hemisphere 42.3
2290 Female, age 72, unknown 35.3
2289 Male, age 61, right hemisphere 32.1
2288 Male, age 75, left hemisphere 31.5
2846 Female, age 79, unknown 30.8
1857 Female, age 85, left hemisphere 30.3
1854 Male, age 80, left hemisphere 28.6
1781 Male, age 74, unknown 27.8
Globus pallidus, externus
nTPM: 32.0
2646 Male, age 61, right hemisphere 41.9
2772 Female, age 79, unknown 37.2
1996 Male, age 80, right hemisphere 36.6
2395 Male, age 75, both hemispheres 25.7
2567 Female, age 72, unknown 18.9
Globus pallidus, internus
nTPM: 33.6
2483 Female, age 94, right hemisphere 48.4
2287 Male, age 75, right hemisphere 36.6
2778 Female, age 91, both hemispheres 35.9
1818 Male, age 74, unknown 31.1
2037 Male, age 80, right hemisphere 28.5
2566 Female, age 72, unknown 28.4
2111 Female, age 85, right hemisphere 26.7
Nucleus accumbens
nTPM: 33.0
2698 Female, age 72, unknown 41.2
2286 Male, age 75, left hemisphere 33.7
2732 Male, age 80, right hemisphere 33.6
1783 Male, age 74, unknown 33.4
2824 Male, age 61, right hemisphere 31.3
1856 Female, age 91, right hemisphere 31.1
1806 Female, age 85, left hemisphere 30.1
2391 Female, age 94, left hemisphere 29.4
Nucleus basalis of Meynert
nTPM: 32.0
2569 Male, age 61, both hemispheres 44.8
2484 Female, age 94, left hemisphere 29.3
2821 Male, age 75, both hemispheres 29.2
2393 Male, age 80, right hemisphere 24.8
Nucleus of the diagonal band
nTPM: 30.6
2195 Female, age 85, both hemispheres 35.7
1979 Male, age 74, unknown 34.3
1812 Female, age 91, both hemispheres 32.2
2775 Male, age 80, right hemisphere 30.5
2029 Male, age 61, right hemisphere 20.5
Putamen
nTPM: 29.0
2482 Female, age 94, left hemisphere 38.0
1937 Female, age 91, right hemisphere 28.8
1838 Male, age 80, right hemisphere 28.5
2466 Female, age 79, unknown 28.4
2647 Male, age 75, left hemisphere 27.9
2489 Female, age 72, unknown 26.0
1829 Male, age 74, unknown 25.3
Septal nuclei
nTPM: 30.3
1960 Male, age 74, unknown 36.9
2031 Female, age 72, unknown 33.2
2629 Female, age 94, right hemisphere 30.8
2199 Male, age 80, right hemisphere 30.1
2059 Female, age 85, both hemispheres 29.4
2009 Female, age 91, both hemispheres 28.4
2394 Male, age 61, left hemisphere 23.1
Stria terminalis, bed nucleus
nTPM: 31.3
1974 Female, age 91, both hemispheres 33.2
2201 Male, age 74, unknown 32.7
2486 Female, age 94, both hemispheres 28.0

BASAL GANGLIA - GTEx RNA-seqi

RNA-Seq data generated by the Genotype-Tissue Expression (GTEx) project from human tissues is reported as mean nTPM. More information can be found on the GTEx portal.

Distribution across the dataset is visualized with box plots, shown as median and 25th and 75th percentiles. Points are displayed as outliers if they are above or below 1.5 times the interquartile range. nTPM values of the individual samples are presented next to the box plot.
Max subtype nTPMi

Max subtype nTPM is the value for the subtype with the largest average nTPM across the subtype samples.

28.8
GTEx sample id Sample description nTPM
Brain - Caudate (basal ganglia)
Average nTPM: 25.4
Samples: 246

Max nTPM: 62.5
Min nTPM: 8.8
Std nTPM: 6.7
Median nTPM: 24.8
GTEX-1B996-0011-R5a-SM-7P8PN 60-69 years, male 62.5
GTEX-1HCU6-0011-R5a-SM-ARU76 60-69 years, female 59.3
GTEX-139T8-0011-R5b-SM-5J1MO 60-69 years, male 47.3
GTEX-1C6VS-0011-R5a-SM-7MXU9 60-69 years, male 45.7
GTEX-1JMPZ-0011-R5b-SM-EYYWY 30-39 years, male 45.2
GTEX-14JIY-0011-R5b-SM-62LE7 60-69 years, male 42.1
GTEX-1F75B-0011-R5a-SM-9QEHC 50-59 years, male 42.1
GTEX-13JVG-0011-R5a-SM-5MR4O 60-69 years, male 38.2
GTEX-16NPV-0011-R5a-SM-7EPGK 50-59 years, female 37.5
GTEX-11TTK-0011-R5a-SM-DNZZV 60-69 years, female 37.5
GTEX-1RNSC-0011-R5a-SM-EZ6N5 60-69 years, male 37.2
GTEX-13FHO-0011-R5b-SM-5LZZ3 60-69 years, male 37.0
GTEX-1H1ZS-0011-R5b-SM-CL53L 70-79 years, male 36.6
GTEX-1I1GS-0011-R5a-SM-CKZPC 60-69 years, male 36.6
GTEX-13OVJ-0011-R5a-SM-5P9H7 50-59 years, female 36.5
GTEX-14C39-0011-R5b-SM-5ZZV1 40-49 years, male 36.4
GTEX-1EH9U-0011-R5a-SM-CJI2K 60-69 years, male 36.4
GTEX-13NYS-0011-R5a-SM-5MR4D 60-69 years, male 35.1
GTEX-1I19N-0011-R5b-SM-ARU6X 70-79 years, male 34.9
GTEX-1GN73-0011-R5a-SM-9QEIM 60-69 years, male 34.1
GTEX-1J8JJ-0011-R5a-SM-D4P2G 60-69 years, female 34.1
GTEX-1HB9E-0011-R5b-SM-ARU78 50-59 years, male 34.0
GTEX-11PRG-0011-R5b-SM-DNZZS 50-59 years, male 33.7
GTEX-1C6WA-0011-R5a-SM-9WG5X 60-69 years, male 33.5
GTEX-1CAV2-0011-R5b-SM-9QEH4 40-49 years, female 33.1
GTEX-17HG3-0011-R5a-SM-7DUEW 30-39 years, female 32.6
GTEX-11H98-0011-R5b-SM-57WCF 50-59 years, male 32.4
GTEX-139TU-0011-R5b-SM-5L3E1 60-69 years, male 32.2
GTEX-1A8G6-0011-R5b-SM-7IGQG 60-69 years, male 32.1
GTEX-RVPV-0011-R5A-SM-2TF69 60-69 years, male 32.1
GTEX-1GTWX-0011-R5b-SM-CKZO6 60-69 years, male 32.0
GTEX-1F6I4-0011-R5b-SM-9QEHA 60-69 years, male 31.3
GTEX-1EN7A-0011-R5a-SM-9QEH6 40-49 years, male 31.2
GTEX-13CZV-0011-R5a-SM-5K7XA 60-69 years, male 31.1
GTEX-1F7RK-0011-R5b-SM-9WG5S 20-29 years, female 30.9
GTEX-1N2DW-0011-R5a-SM-EYYX3 50-59 years, male 30.9
GTEX-13NYB-0011-R5a-SM-5MR45 40-49 years, male 30.7
GTEX-11DYG-0011-R5a-SM-DO928 60-69 years, male 30.7
GTEX-1HUB1-0011-R5a-SM-CKZOY 60-69 years, male 30.7
GTEX-1J8EW-0011-R5b-SM-ARU8B 60-69 years, female 30.7
GTEX-12ZZW-0011-R5a-SM-5DUVN 50-59 years, male 30.4
GTEX-OXRO-0011-R5A-SM-2I5EG 60-69 years, female 30.1
GTEX-11DXW-0011-R5b-SM-DO11D 40-49 years, male 29.8
GTEX-1EX96-0011-R5a-SM-ARU83 50-59 years, male 29.7
GTEX-1H23P-0011-R5a-SM-CKZOI 60-69 years, male 29.7
GTEX-14PJO-0011-R5a-SM-6AJBZ 60-69 years, male 29.6
GTEX-1HT8W-0011-R5b-SM-CJI3P 30-39 years, male 29.6
GTEX-18464-0011-R5b-SM-718A6 50-59 years, male 29.5
GTEX-TSE9-0011-R5A-SM-3DB7J 60-69 years, female 29.5
GTEX-1LG7Y-0011-R5a-SM-EZ6MU 50-59 years, male 29.4
GTEX-14JG1-0011-R5a-SM-62LED 40-49 years, male 29.3
GTEX-1GZ4I-0011-R5a-SM-9OSWQ 50-59 years, male 29.1
GTEX-1GPI6-0011-R5a-SM-CJI2W 60-69 years, male 28.9
GTEX-13X6K-0011-R5b-SM-5PNUE 60-69 years, female 28.8
GTEX-1H3O1-0011-R5b-SM-ADEH8 60-69 years, male 28.8
GTEX-ZE7O-0011-R5a-SM-57WBO 50-59 years, female 28.7
GTEX-1F48J-0011-R5b-SM-9OSVZ 50-59 years, female 28.7
GTEX-1IKOH-0011-R5a-SM-ARU8C 60-69 years, female 28.7
GTEX-12WSA-0011-R5b-SM-5GU5I 60-69 years, male 28.6
GTEX-1C6VR-0011-R5a-SM-9QEH1 60-69 years, male 28.4
GTEX-1F75W-0011-R5b-SM-9QEGV 60-69 years, male 28.4
GTEX-ZE9C-0011-R5a-SM-5EGLO 60-69 years, male 28.3
GTEX-1IKK5-0011-R5b-SM-CL55B 60-69 years, male 28.3
GTEX-13CF2-0011-R5a-SM-5LZWS 60-69 years, male 28.1
GTEX-1H1DG-0011-R5b-SM-CJI33 70-79 years, male 28.1
GTEX-1IL2U-0011-R5a-SM-CE6SN 60-69 years, male 28.1
GTEX-13VXU-0011-R5a-SM-5O9D7 50-59 years, male 28.0
GTEX-ZV68-0011-R5a-SM-4YCDW 50-59 years, female 28.0
GTEX-1HBPH-0011-R5b-SM-A9G1R 40-49 years, female 28.0
GTEX-11DZ1-0011-R5a-SM-DO11J 50-59 years, male 27.9
GTEX-1GZ2Q-0011-R5a-SM-A96RQ 40-49 years, male 27.8
GTEX-1R9K4-0011-R5b-SM-EZ6N8 60-69 years, male 27.7
GTEX-13O3O-0011-R5b-SM-5KM44 60-69 years, female 27.6
GTEX-14ASI-0011-R5b-SM-6EU2M 60-69 years, male 27.6
GTEX-1EKGG-0011-R5a-SM-9OSVQ 60-69 years, male 27.5
GTEX-1H3VE-0011-R5a-SM-CKZOU 40-49 years, male 27.5
GTEX-1I1GV-0011-R5b-SM-CKZPD 60-69 years, male 27.4
GTEX-1GF9V-0011-R5a-SM-9QEI8 60-69 years, male 27.3
GTEX-1GN2E-0011-R5b-SM-CJI2M 60-69 years, male 27.3
GTEX-14DAQ-0011-R5b-SM-5YYAK 60-69 years, female 27.2
GTEX-1B933-0011-R5b-SM-7P8SA 50-59 years, female 27.2
GTEX-ZVT3-0011-R5a-SM-51MSI 60-69 years, female 27.1
GTEX-13FLW-0011-R5a-SM-5LZX6 50-59 years, male 26.9
GTEX-13FHP-0011-R5b-SM-5LZY2 50-59 years, male 26.8
GTEX-13PVQ-0011-R5b-SM-5O9DI 50-59 years, male 26.8
GTEX-17HII-0011-R5a-SM-7LG51 50-59 years, male 26.8
GTEX-1J8Q2-0011-R5b-SM-A9SKH 60-69 years, male 26.8
GTEX-1R9PO-0011-R5a-SM-EZ6NA 60-69 years, female 26.8
GTEX-1GMRU-0011-R5a-SM-CKZNS 50-59 years, male 26.6
GTEX-14LZ3-0011-R5b-SM-5ZZV8 60-69 years, female 26.5
GTEX-13JUV-0011-R5a-SM-5LZY5 40-49 years, female 26.4
GTEX-13SLX-0011-R5a-SM-5O9BV 50-59 years, female 26.4
GTEX-1J1OQ-0011-R5a-SM-D3L8K 40-49 years, female 26.4
GTEX-12WSC-0011-R5b-SM-5CVNS 50-59 years, male 26.3
GTEX-132Q8-0011-R5a-SM-5IJDM 60-69 years, male 26.2
GTEX-13RTJ-0011-R5a-SM-5P9HR 60-69 years, male 26.2
GTEX-17HHY-0011-R5b-SM-79OMZ 50-59 years, male 26.1
GTEX-NPJ7-0011-R5a-SM-33HBK 60-69 years, female 26.1
GTEX-1I1GQ-0011-R5a-SM-CMKHJ 50-59 years, male 26.1
GTEX-16Z82-0011-R5a-SM-7EPGB 60-69 years, male 26.0
GTEX-T5JC-0011-R5A-SM-32PLK 20-29 years, male 26.0
GTEX-13N1W-0011-R5b-SM-5MR5Q 70-79 years, male 25.9
GTEX-14753-0011-R5a-SM-5S2VW 60-69 years, male 25.9
GTEX-1E1VI-0011-R5b-SM-9WG5V 50-59 years, male 25.9
GTEX-11DXY-0011-R5b-SM-DNZZL 60-69 years, male 25.8
GTEX-11O72-0011-R5a-SM-DO922 40-49 years, male 25.8
GTEX-1H1CY-0011-R5a-SM-CM2SN 60-69 years, female 25.8
GTEX-12ZZX-0011-R5a-SM-5HL89 40-49 years, female 25.7
GTEX-13NZA-0011-R5b-SM-5KM4K 60-69 years, male 25.7
GTEX-12WSM-0011-R5a-SM-5EQ4Y 60-69 years, male 25.5
GTEX-1445S-0011-R5a-SM-5PNUS 60-69 years, male 25.5
GTEX-1CB4G-0011-R5a-SM-CKZNM 60-69 years, male 25.5
GTEX-NPJ8-0011-R5a-SM-2HMJY 40-49 years, male 25.4
GTEX-1HFI6-0011-R5a-SM-A9G1J 40-49 years, male 25.4
GTEX-1313W-0011-R5b-SM-5L3EP 50-59 years, female 25.3
GTEX-1F75A-0011-R5a-SM-ARZMJ 50-59 years, male 25.3
GTEX-1IY9M-0011-R5a-SM-A9SLX 60-69 years, male 25.1
GTEX-1I1HK-0011-R5b-SM-ARU6S 60-69 years, male 25.0
GTEX-12WSD-0011-R5b-SM-5CVNG 60-69 years, female 24.9
GTEX-17EVQ-0011-R5a-SM-7LT92 70-79 years, male 24.9
GTEX-1E2YA-0011-R5a-SM-9QEGT 50-59 years, male 24.9
GTEX-12WSF-0011-R5a-SM-5HL8K 70-79 years, male 24.8
GTEX-1F6IF-0011-R5b-SM-CM2RH 60-69 years, male 24.8
GTEX-1HCVE-0011-R5b-SM-CKZP7 50-59 years, male 24.8
GTEX-183WM-0011-R5a-SM-718A4 70-79 years, female 24.7
GTEX-T6MN-0011-R5A-SM-32QPD 50-59 years, male 24.7
GTEX-1H3NZ-0011-R5a-SM-CM2SP 60-69 years, male 24.7
GTEX-12ZZY-0011-R5a-SM-5EGL9 60-69 years, male 24.6
GTEX-1477Z-0011-R5b-SM-5PNUO 60-69 years, male 24.6
GTEX-1HR9M-0011-R5a-SM-ARU72 60-69 years, male 24.6
GTEX-11UD1-0011-R5b-SM-5P9FP 40-49 years, female 24.5
GTEX-13PL6-0011-R5b-SM-5O9BI 40-49 years, female 24.5
GTEX-ZDXO-0011-R5a-SM-4WKG5 60-69 years, male 24.5
GTEX-11OF3-0011-R5a-SM-57WB4 60-69 years, male 24.4
GTEX-13FXS-0011-R5b-SM-5LZYE 50-59 years, male 24.4
GTEX-13SLW-0011-R5b-SM-5SI6Z 70-79 years, male 24.4
GTEX-17MF6-0011-R5a-SM-731BA 40-49 years, male 24.3
GTEX-1GN1U-0011-R5a-SM-9QEIS 50-59 years, female 24.3
GTEX-1399T-0011-R5b-SM-5IJDK 60-69 years, male 24.2
GTEX-14BMV-0011-R5b-SM-62LFT 50-59 years, male 24.2
GTEX-139TT-0011-R5b-SM-5K7W8 60-69 years, male 24.0
GTEX-1HR98-0011-R5a-SM-A9G1V 60-69 years, male 24.0
GTEX-ZF28-0011-R5a-SM-4WWCZ 60-69 years, male 23.9
GTEX-RU72-0011-R5A-SM-2TF6U 50-59 years, female 23.8
GTEX-13OW7-0011-R5b-SM-5O9DM 50-59 years, male 23.7
GTEX-S7SE-0011-R5A-SM-2XCDA 50-59 years, male 23.6
GTEX-1HBPI-0011-R5a-SM-CKZOW 50-59 years, male 23.6
GTEX-15ER7-0011-R5b-SM-6M46T 20-29 years, female 23.5
GTEX-ZXG5-0011-R5b-SM-57WBN 60-69 years, male 23.3
GTEX-14ABY-0011-R5b-SM-5SI7B 50-59 years, male 23.2
GTEX-1HGF4-0011-R5b-SM-CM2ST 60-69 years, male 23.2
GTEX-14LLW-0011-R5b-SM-5ZZU6 70-79 years, female 23.1
GTEX-Q2AG-0011-R5A-SM-2HMJH 40-49 years, female 23.1
GTEX-1192X-0011-R5a-SM-DNZZA 50-59 years, male 23.0
GTEX-1GF9W-0011-R5a-SM-CKZO4 60-69 years, male 23.0
GTEX-13CIG-0011-R5b-SM-5L3F2 50-59 years, male 22.9
GTEX-ZVZQ-0011-R5b-SM-57WDC 60-69 years, female 22.9
GTEX-13G51-0011-R5a-SM-5L3EB 60-69 years, male 22.8
GTEX-145MH-0011-R5a-SM-5P9JT 50-59 years, male 22.8
GTEX-11NV4-0011-R5a-SM-5NQ88 60-69 years, male 22.6
GTEX-WL46-0011-R5A-SM-3LK6V 50-59 years, male 22.6
GTEX-14E6D-0011-R5b-SM-69LQR 50-59 years, male 22.5
GTEX-17EVP-0011-R5b-SM-7DHKW 40-49 years, male 22.5
GTEX-139TS-0011-R5b-SM-5J2MZ 60-69 years, male 22.4
GTEX-14BIN-0011-R5b-SM-5SI78 50-59 years, female 22.3
GTEX-16YQH-0011-R5b-SM-7938U 30-39 years, male 22.3
GTEX-1H2FU-0011-R5b-SM-CL552 60-69 years, female 22.3
GTEX-P44G-0011-R5A-SM-2I3FA 30-39 years, male 22.1
GTEX-Y8DK-0011-R5B-SM-4RTW6 60-69 years, male 22.1
GTEX-1CB4H-0011-R5b-SM-9QEGN 60-69 years, female 22.1
GTEX-WZTO-0011-R5B-SM-3NMC5 40-49 years, male 21.8
GTEX-1B8SF-0011-R5a-SM-79OOO 60-69 years, male 21.7
GTEX-1JMQJ-0011-R5a-SM-EYYXO 50-59 years, male 21.7
GTEX-OXRN-0011-R5A-SM-2I5EF 50-59 years, male 21.6
GTEX-11ONC-0011-R5b-SM-DO93I 60-69 years, male 21.6
GTEX-12WSH-0011-R5b-SM-5P9F3 50-59 years, male 21.5
GTEX-11NUK-0011-R5a-SM-DO93N 50-59 years, male 21.5
GTEX-15DCD-0011-R5a-SM-CXZKZ 70-79 years, female 21.5
GTEX-1IGQW-0011-R5b-SM-CJI44 60-69 years, male 21.3
GTEX-13PLJ-0011-R5a-SM-5O9BG 60-69 years, female 21.2
GTEX-13X6J-0011-R5b-SM-5PNWT 50-59 years, male 21.2
GTEX-1GMR8-0011-R5b-SM-9QEIH 50-59 years, female 21.2
GTEX-1IKJJ-0011-R5b-SM-CE6SL 60-69 years, male 21.2
GTEX-131YS-0011-R5b-SM-5K7YB 60-69 years, female 21.1
GTEX-ZUA1-0011-R5b-SM-51MTG 40-49 years, male 21.1
GTEX-14PN4-0011-R5a-SM-686ZV 50-59 years, male 21.0
GTEX-15DYW-0011-R5a-SM-6M46W 60-69 years, female 21.0
GTEX-13OW6-0011-R5a-SM-5O9BK 50-59 years, male 20.6
GTEX-N7MS-0011-R5a-SM-2HMK8 60-69 years, male 20.5
GTEX-12ZZZ-0011-R5a-SM-5EQ4M 60-69 years, male 20.4
GTEX-1IDJH-0011-R5a-SM-CE6SR 70-79 years, male 20.4
GTEX-11GSP-0011-R5a-SM-57WBE 60-69 years, female 20.3
GTEX-144GL-0011-R5b-SM-5PNUJ 50-59 years, male 20.3
GTEX-144GO-0011-R5a-SM-5PNUR 60-69 years, male 20.3
GTEX-15G19-0011-R5b-SM-6M46P 60-69 years, male 20.3
GTEX-S7PM-0011-R5A-SM-3NM8G 60-69 years, male 20.3
GTEX-13O3Q-0011-R5b-SM-5P9H4 50-59 years, male 20.2
GTEX-14PQA-0011-R5b-SM-6AJC2 50-59 years, female 20.1
GTEX-1IL2V-0011-R5a-SM-ARL78 70-79 years, male 20.1
GTEX-PWO3-0011-R5A-SM-2I5EZ 60-69 years, female 20.0
GTEX-13OVH-0011-R5b-SM-5KM4L 70-79 years, male 19.8
GTEX-13S7M-0011-R5b-SM-5P9HS 60-69 years, female 19.7
GTEX-1I1GR-0011-R5a-SM-CMKHD 60-69 years, male 19.7
GTEX-15EO6-0011-R5b-SM-7KUDZ 50-59 years, male 19.6
GTEX-X261-0011-R5A-SM-3NMB4 50-59 years, male 19.6
GTEX-N7MT-0011-R5a-SM-2I3G6 60-69 years, female 19.5
GTEX-RNOR-0011-R5A-SM-2TF4J 50-59 years, female 19.5
GTEX-YFC4-0011-R5a-SM-4RGLR 40-49 years, female 19.2
GTEX-Z93S-0011-R5b-SM-4RGNI 50-59 years, male 19.2
GTEX-17F97-0011-R5a-SM-7LG4Z 50-59 years, male 19.0
GTEX-NL3H-0011-R5a-SM-2I3GB 60-69 years, male 18.9
GTEX-13OW8-0011-R5b-SM-5L3FQ 60-69 years, male 18.8
GTEX-15CHQ-0011-R5b-SM-6AJAN 60-69 years, male 18.6
GTEX-ZAB4-0011-R5a-SM-4SOKC 40-49 years, male 18.6
GTEX-1EMGI-0011-R5a-SM-CJI2E 60-69 years, male 18.6
GTEX-13OW5-0011-R5b-SM-5L3FR 60-69 years, male 18.5
GTEX-WVLH-0011-R5A-SM-3MJFW 50-59 years, male 18.5
GTEX-13X6I-0011-R5a-SM-5PNWW 60-69 years, male 18.3
GTEX-1AX9I-0011-R5b-SM-793DI 60-69 years, male 18.3
GTEX-15SHU-0011-R5a-SM-7938Q 40-49 years, female 18.2
GTEX-P44H-0011-R5A-SM-2XCEX 40-49 years, male 17.9
GTEX-R55E-0011-R5A-SM-2TC5N 20-29 years, male 17.9
GTEX-18465-0011-R5a-SM-72D5J 50-59 years, male 17.8
GTEX-YJ89-0011-R5a-SM-4V6GM 60-69 years, male 17.7
GTEX-13112-0011-R5b-SM-5DUV8 50-59 years, male 17.6
GTEX-13OVL-0011-R5b-SM-5L3FU 50-59 years, male 17.6
GTEX-NL4W-0011-R5a-SM-2I3GD 50-59 years, male 17.6
GTEX-T2IS-0011-R5A-SM-32QP4 20-29 years, female 17.4
GTEX-XMD1-0011-R5A-SM-4AT47 60-69 years, male 17.4
GTEX-QDT8-0011-R5A-SM-32PKN 30-39 years, female 17.2
GTEX-145MG-0011-R5b-SM-5S2VU 50-59 years, male 16.9
GTEX-WWYW-0011-R5A-SM-3NB3E 50-59 years, female 16.9
GTEX-145LS-0011-R5a-SM-5SI65 60-69 years, female 16.8
GTEX-11WQC-0011-R5a-SM-5BC74 60-69 years, male 16.7
GTEX-1F52S-0011-R5a-SM-CJI22 60-69 years, female 16.4
GTEX-13FLV-0011-R5a-SM-5LZWT 50-59 years, male 16.3
GTEX-X585-0011-R5A-SM-46MVI 50-59 years, male 16.0
GTEX-1HSKV-0011-R5b-SM-ARZLN 60-69 years, male 16.0
GTEX-QVJO-0011-R5A-SM-2S1QM 60-69 years, female 15.9
GTEX-UTHO-0011-R5A-SM-3GIJD 60-69 years, male 15.9
GTEX-1A3MX-0011-R5a-SM-79OM5 60-69 years, male 15.5
GTEX-QMR6-0011-R5A-SM-32PKT 50-59 years, male 14.7
GTEX-X4XX-0011-R5A-SM-46MWN 60-69 years, male 14.7
GTEX-1B8L1-0011-R5a-SM-7DHN5 60-69 years, male 14.3
GTEX-14BIM-0011-R5b-SM-5S2RM 60-69 years, female 13.9
GTEX-PVOW-0011-R5A-SM-32PL7 40-49 years, male 8.8
Show allShow less
Brain - Nucleus accumbens (basal ganglia)
Average nTPM: 28.8
Samples: 246

Max nTPM: 76.1
Min nTPM: 10.9
Std nTPM: 8.6
Median nTPM: 27.6
GTEX-1LC47-0011-R6b-SM-EZ6MI 60-69 years, male 76.1
GTEX-1RLM8-0011-R6a-SM-EYYXS 50-59 years, male 64.4
GTEX-16XZZ-0011-R6a-SM-7IGNE 60-69 years, male 59.6
GTEX-1H3VE-0011-R6b-SM-A9G1M 40-49 years, male 57.0
GTEX-1F75B-0011-R6a-SM-ARZMI 50-59 years, male 53.0
GTEX-13OVJ-0011-R6b-SM-5L3GH 50-59 years, female 50.8
GTEX-13JVG-0011-R6a-SM-5MR3E 60-69 years, male 49.5
GTEX-1H1ZS-0011-R6b-SM-A9G1F 70-79 years, male 49.0
GTEX-12584-0011-R6a-SM-5NQ7C 40-49 years, male 46.7
GTEX-12ZZW-0011-R6a-SM-5DUVZ 50-59 years, male 45.8
GTEX-14PHW-0011-R6b-SM-5YYAR 60-69 years, female 45.1
GTEX-13FHO-0011-R6b-SM-5LZX1 60-69 years, male 44.3
GTEX-1CB4J-0011-R6b-SM-9WG7B 60-69 years, male 43.6
GTEX-14753-0011-R6b-SM-5S2UD 60-69 years, male 42.5
GTEX-1A8G6-0011-R6b-SM-7P8PE 60-69 years, male 41.9
GTEX-17EVQ-0011-R6a-SM-7189U 70-79 years, male 41.3
GTEX-1B996-0011-R6b-SM-793AQ 60-69 years, male 41.2
GTEX-11O72-0011-R6a-SM-DNZZQ 40-49 years, male 40.9
GTEX-1I1GS-0011-R6b-SM-CMKHE 60-69 years, male 40.9
GTEX-13OW5-0011-R6b-SM-5O9BW 60-69 years, male 40.7
GTEX-11TTK-0011-R6b-SM-DNZZW 60-69 years, female 40.4
GTEX-13IVO-0011-R6b-SM-5K7X9 70-79 years, male 39.7
GTEX-X4XY-0011-R6B-SM-46MVB 60-69 years, male 38.9
GTEX-1GMRU-0011-R6b-SM-A9G3B 50-59 years, male 38.9
GTEX-1F75W-0011-R6a-SM-9QEI5 60-69 years, male 38.2
GTEX-1HUB1-0011-R6b-SM-ARU6W 60-69 years, male 38.1
GTEX-1BAJH-0011-R6b-SM-7MXT2 70-79 years, male 37.6
GTEX-1J1OQ-0011-R6a-SM-ARU86 40-49 years, female 37.5
GTEX-1IKOH-0011-R6b-SM-A9G1W 60-69 years, female 37.3
GTEX-15EO6-0011-R6a-SM-7KULK 50-59 years, male 37.0
GTEX-1HBPM-0011-R6b-SM-ARU73 60-69 years, female 37.0
GTEX-14PQA-0011-R6b-SM-6AJAM 50-59 years, female 36.8
GTEX-1LVAO-0011-R6b-SM-EZ6MX 60-69 years, male 36.7
GTEX-1GN2E-0011-R6b-SM-9QEII 60-69 years, male 36.6
GTEX-X4EP-0011-R6A-SM-3P629 60-69 years, female 36.5
GTEX-1C6VR-0011-R6a-SM-7MXU8 60-69 years, male 36.5
GTEX-1EWIQ-0011-R6a-SM-ARU8G 70-79 years, female 36.5
GTEX-1GF9W-0011-R6b-SM-9QEIE 60-69 years, male 36.5
GTEX-13QJC-0011-R6a-SM-5S2VI 60-69 years, female 36.2
GTEX-1F88E-0011-R6a-SM-CKZNW 60-69 years, female 36.1
GTEX-13N2G-0011-R6b-SM-5MR3P 60-69 years, male 35.5
GTEX-1EX96-0011-R6a-SM-9OSVV 50-59 years, male 35.4
GTEX-1F75A-0011-R6b-SM-9QEHD 50-59 years, male 35.1
GTEX-1IGQW-0011-R6a-SM-CM2TC 60-69 years, male 35.1
GTEX-1GN73-0011-R6b-SM-CJI2T 60-69 years, male 34.9
GTEX-13N1W-0011-R6a-SM-5MR43 70-79 years, male 34.6
GTEX-1MA7X-0011-R6a-SM-EYYWR 60-69 years, male 34.6
GTEX-ZVT3-0011-R6a-SM-51MSU 60-69 years, female 33.9
GTEX-1ICLZ-0011-R6b-SM-A9G3A 60-69 years, male 33.9
GTEX-1R46S-0011-R6a-SM-EZ6N6 60-69 years, female 33.9
GTEX-147F4-0011-R6b-SM-5S2UP 50-59 years, male 33.8
GTEX-ZV68-0011-R6a-SM-51MSR 50-59 years, female 33.8
GTEX-1IKK5-0011-R6b-SM-A9SLY 60-69 years, male 33.8
GTEX-1B8SF-0011-R6b-SM-7MXUD 60-69 years, male 33.7
GTEX-13NYS-0011-R6b-SM-5MR3R 60-69 years, male 33.6
GTEX-13PL6-0011-R6a-SM-5O9C5 40-49 years, female 33.6
GTEX-11DZ1-0011-R6b-SM-DNZZG 50-59 years, male 33.5
GTEX-1CB4H-0011-R6b-SM-CKZNK 60-69 years, female 33.5
GTEX-1GZ2Q-0011-R6a-SM-9OSWM 40-49 years, male 33.5
GTEX-1HBPI-0011-R6b-SM-A9G1T 50-59 years, male 33.3
GTEX-1JJEA-0011-R6a-SM-EXUS1 60-69 years, male 33.2
GTEX-13FHP-0011-R6b-SM-5LZY6 50-59 years, male 33.1
GTEX-1AX9I-0011-R6a-SM-7P8PK 60-69 years, male 33.0
GTEX-XMD1-0011-R6A-SM-4AT5K 60-69 years, male 32.8
GTEX-15DCD-0011-R6b-SM-6M46L 70-79 years, female 32.4
GTEX-11DXY-0011-R6a-SM-DNZZF 60-69 years, male 32.3
GTEX-1CB4G-0011-R6b-SM-9QEGO 60-69 years, male 32.3
GTEX-1GZHY-0011-R6a-SM-9OSWL 50-59 years, female 32.2
GTEX-18464-0011-R6a-SM-731CA 50-59 years, male 32.1
GTEX-12WSF-0011-R6b-SM-5HL8W 70-79 years, male 32.0
GTEX-13O3Q-0011-R6a-SM-5KM2V 50-59 years, male 32.0
GTEX-1H3NZ-0011-R6b-SM-A9G1N 60-69 years, male 31.7
GTEX-1HB9E-0011-R6b-SM-A9G1P 50-59 years, male 31.6
GTEX-1E2YA-0011-R6b-SM-CE6R2 50-59 years, male 31.2
GTEX-11DXW-0011-R6a-SM-DO11N 40-49 years, male 31.0
GTEX-1N2DW-0011-R6a-SM-EZ6MW 50-59 years, male 31.0
GTEX-12ZZZ-0011-R6b-SM-5EQ5B 60-69 years, male 30.8
GTEX-13FLV-0011-R6a-SM-5KLZ4 50-59 years, male 30.8
GTEX-1EMGI-0011-R6a-SM-9OSVR 60-69 years, male 30.8
GTEX-17F97-0011-R6a-SM-7EPGS 50-59 years, male 30.7
GTEX-14E7W-0011-R6b-SM-5ZZV3 70-79 years, male 30.6
GTEX-1F6I4-0011-R6a-SM-CE6R4 60-69 years, male 30.5
GTEX-12WSC-0011-R6b-SM-5LU99 50-59 years, male 30.4
GTEX-12WSD-0011-R6b-SM-5P9JU 60-69 years, female 30.3
GTEX-14BIN-0011-R6a-SM-5S2RH 50-59 years, female 30.2
GTEX-X261-0011-R6B-SM-4E3J8 50-59 years, male 30.2
GTEX-1F7RK-0011-R6b-SM-ARZMG 20-29 years, female 30.1
GTEX-WHSE-0011-R6A-SM-3P5ZP 20-29 years, male 30.0
GTEX-1IY9M-0011-R6a-SM-D4P28 60-69 years, male 30.0
GTEX-13NYB-0011-R6b-SM-5MR51 40-49 years, male 29.8
GTEX-16Z82-0011-R6a-SM-7IGLV 60-69 years, male 29.8
GTEX-12ZZX-0011-R6a-SM-5HL8L 40-49 years, female 29.7
GTEX-13O3O-0011-R6b-SM-5P9GY 60-69 years, female 29.7
GTEX-1EN7A-0011-R6b-SM-9QEHW 40-49 years, male 29.6
GTEX-15CHQ-0011-R6b-SM-69LOX 60-69 years, male 29.4
GTEX-1H4P4-0011-R6a-SM-ARZLR 50-59 years, male 29.4
GTEX-1EH9U-0011-R6a-SM-CJI2C 60-69 years, male 29.3
GTEX-17MF6-0011-R6b-SM-7LG6G 40-49 years, male 29.2
GTEX-1E1VI-0011-R6a-SM-9OSVJ 50-59 years, male 29.1
GTEX-11NV4-0011-R6a-SM-57WD5 60-69 years, male 28.8
GTEX-17HG3-0011-R6b-SM-79OK8 30-39 years, female 28.8
GTEX-XLM4-0011-R6A-SM-4AT4B 60-69 years, male 28.8
GTEX-18A6Q-0011-R6a-SM-7LG6R 60-69 years, male 28.7
GTEX-1B933-0011-R6b-SM-79OOQ 50-59 years, female 28.7
GTEX-1B8L1-0011-R6b-SM-7P8SU 60-69 years, male 28.7
GTEX-1HR9M-0011-R6a-SM-ARU6Z 60-69 years, male 28.7
GTEX-13VXU-0011-R6a-SM-5SI71 50-59 years, male 28.6
GTEX-13X6J-0011-R6a-SM-5PNUB 50-59 years, male 28.5
GTEX-1HGF4-0011-R6a-SM-A96S1 60-69 years, male 28.4
GTEX-1OJC4-0011-R6a-SM-EXOIM 50-59 years, female 28.4
GTEX-144GO-0011-R6b-SM-5S2V7 60-69 years, male 28.3
GTEX-1H23P-0011-R6b-SM-A9G1H 60-69 years, male 28.2
GTEX-1H1CY-0011-R6b-SM-CE6RP 60-69 years, female 28.1
GTEX-1LVA9-0011-R6a-SM-EYYWH 50-59 years, male 28.1
GTEX-ZDXO-0011-R6a-SM-4WWCT 60-69 years, male 28.0
GTEX-1GTWX-0011-R6a-SM-A96RN 60-69 years, male 28.0
GTEX-1313W-0011-R6a-SM-5K7XO 50-59 years, female 27.8
GTEX-14ASI-0011-R6a-SM-5S2UZ 60-69 years, male 27.8
GTEX-T5JC-0011-R6A-SM-D3L87 20-29 years, male 27.8
GTEX-12WSH-0011-R6b-SM-5P9F4 50-59 years, male 27.7
GTEX-15ER7-0011-R6a-SM-6M46M 20-29 years, female 27.7
GTEX-1192X-0011-R6a-SM-DNZZB 50-59 years, male 27.7
GTEX-1GF9V-0011-R6b-SM-CJI2Q 60-69 years, male 27.6
GTEX-1GN1U-0011-R6a-SM-CKZNO 50-59 years, female 27.6
GTEX-1445S-0011-R6b-SM-5PNUF 60-69 years, male 27.5
GTEX-1H3O1-0011-R6b-SM-CL54U 60-69 years, male 27.5
GTEX-1J8Q2-0011-R6a-SM-CKZPG 60-69 years, male 27.3
GTEX-16YQH-0011-R6b-SM-7938T 30-39 years, male 27.2
GTEX-1A3MX-0011-R6a-SM-7P8S9 60-69 years, male 27.1
GTEX-ZE9C-0011-R6a-SM-4WWCW 60-69 years, male 27.0
GTEX-ZXG5-0011-R6a-SM-57WBZ 60-69 years, male 27.0
GTEX-11OF3-0011-R6b-SM-57WBG 60-69 years, male 26.9
GTEX-ZE7O-0011-R6a-SM-57WCI 50-59 years, female 26.9
GTEX-1F6IF-0011-R6a-SM-9QEIO 60-69 years, male 26.9
GTEX-12WSM-0011-R6b-SM-5EQ6N 60-69 years, male 26.8
GTEX-139TT-0011-R6b-SM-5J2ON 60-69 years, male 26.8
GTEX-13X6K-0011-R6a-SM-5P9K6 60-69 years, female 26.6
GTEX-1IDJH-0011-R6a-SM-A9SLZ 70-79 years, male 26.6
GTEX-OHPN-0011-R6A-SM-2I5FH 60-69 years, female 26.5
GTEX-12ZZY-0011-R6b-SM-5EGLA 60-69 years, male 26.4
GTEX-1MJK2-0011-R6a-SM-EXUS3 50-59 years, male 26.4
GTEX-13PDP-0011-R6b-SM-5O9D5 60-69 years, male 26.3
GTEX-Z93S-0011-R6b-SM-4RGNJ 50-59 years, male 26.3
GTEX-11GSP-0011-R6b-SM-57WBQ 60-69 years, female 26.1
GTEX-1GMR8-0011-R6b-SM-CE6RC 50-59 years, female 26.1
GTEX-14JG1-0011-R6b-SM-5YYAU 40-49 years, male 26.0
GTEX-139TS-0011-R6a-SM-5J2OB 60-69 years, male 25.9
GTEX-11ONC-0011-R6a-SM-DO12A 60-69 years, male 25.9
GTEX-1EKGG-0011-R6a-SM-CL538 60-69 years, male 25.9
GTEX-13S7M-0011-R6b-SM-5O9D8 60-69 years, female 25.8
GTEX-QVUS-0011-R6A-SM-3GACX 60-69 years, female 25.8
GTEX-1GZ4I-0011-R6b-SM-9WG77 50-59 years, male 25.8
GTEX-13112-0011-R6b-SM-5DUVK 50-59 years, male 25.7
GTEX-1F48J-0011-R6a-SM-CJI2F 50-59 years, female 25.7
GTEX-X585-0011-R6A-SM-46MVJ 50-59 years, male 25.6
GTEX-132Q8-0011-R6a-SM-5K7YN 60-69 years, male 25.5
GTEX-1I1CD-0011-R6b-SM-CJI3Y 60-69 years, female 25.4
GTEX-12WSE-0011-R6b-SM-5LZV5 20-29 years, male 25.3
GTEX-144GL-0011-R6a-SM-5P9HW 50-59 years, male 25.3
GTEX-1LB8K-0011-R6a-SM-EXURT 50-59 years, male 25.3
GTEX-14BMV-0011-R6b-SM-5YY9I 50-59 years, male 25.2
GTEX-14JIY-0011-R6b-SM-68714 60-69 years, male 25.2
GTEX-NPJ8-0011-R6a-SM-2HMKB 40-49 years, male 25.2
GTEX-1H1DG-0011-R6a-SM-A9SK8 70-79 years, male 25.2
GTEX-S7PM-0011-R6A-SM-3NM8F 60-69 years, male 25.1
GTEX-WL46-0011-R6A-SM-3LK6X 50-59 years, male 25.1
GTEX-1I1HK-0011-R6b-SM-CM2T9 60-69 years, male 25.1
GTEX-1I1GR-0011-R6a-SM-CMKHI 60-69 years, male 24.9
GTEX-145MI-0011-R6a-SM-5PNZA 60-69 years, female 24.8
GTEX-131XW-0011-R6b-SM-5K7XY 50-59 years, female 24.7
GTEX-11PRG-0011-R6b-SM-DO923 50-59 years, male 24.7
GTEX-145MH-0011-R6a-SM-5PNZ7 50-59 years, male 24.2
GTEX-N7MS-0011-R6a-SM-2HMJ4 60-69 years, male 24.1
GTEX-1C6WA-0011-R6a-SM-7PBYP 60-69 years, male 24.1
GTEX-15G19-0011-R6b-SM-7KUM3 60-69 years, male 24.0
GTEX-15RJE-0011-R6a-SM-7DHL8 40-49 years, male 23.8
GTEX-1I19N-0011-R6b-SM-CY8GC 70-79 years, male 23.8
GTEX-145LU-0011-R6a-SM-5S2V6 50-59 years, male 23.7
GTEX-14BIM-0011-R6b-SM-5S2VB 60-69 years, female 23.7
GTEX-ZF28-0011-R6a-SM-4WKHI 60-69 years, male 23.7
GTEX-11NUK-0011-R6a-SM-DO93O 50-59 years, male 23.7
GTEX-1399T-0011-R6b-SM-5K7YL 60-69 years, male 23.6
GTEX-13SLW-0011-R6a-SM-5O9BH 70-79 years, male 23.6
GTEX-TSE9-0011-R6A-SM-3DB7L 60-69 years, female 23.5
GTEX-1HBPH-0011-R6a-SM-CKZOV 40-49 years, female 23.5
GTEX-1C64N-0011-R6a-SM-7IGO9 50-59 years, male 23.4
GTEX-13FLW-0011-R6b-SM-5L3EN 50-59 years, male 23.2
GTEX-N7MT-0011-R6a-SM-2I3G3 60-69 years, female 23.1
GTEX-NPJ7-0011-R6a-SM-2I3G7 60-69 years, female 23.1
GTEX-147GR-0011-R6b-SM-5S2RO 60-69 years, male 22.9
GTEX-14C5O-0011-R6a-SM-5YYB6 60-69 years, male 22.9
GTEX-17EVP-0011-R6b-SM-7LT99 40-49 years, male 22.7
GTEX-13FXS-0011-R6b-SM-5L3F7 50-59 years, male 22.6
GTEX-13OVL-0011-R6a-SM-5L3G4 50-59 years, male 22.6
GTEX-18465-0011-R6a-SM-7LG6M 50-59 years, male 22.6
GTEX-13OW6-0011-R6b-SM-5L3GR 50-59 years, male 22.5
GTEX-145LS-0011-R6b-SM-5PNWL 60-69 years, female 22.5
GTEX-13RTJ-0011-R6a-SM-5SI74 60-69 years, male 22.4
GTEX-11WQC-0011-R6a-SM-5BC77 60-69 years, male 22.3
GTEX-13JUV-0011-R6b-SM-5LZYG 40-49 years, female 22.3
GTEX-14LZ3-0011-R6a-SM-D3L8C 60-69 years, female 22.2
GTEX-1I1GQ-0011-R6b-SM-CE6SE 50-59 years, male 22.2
GTEX-1I1GV-0011-R6b-SM-ARU6Q 60-69 years, male 22.2
GTEX-1IL2U-0011-R6a-SM-ARZLG 60-69 years, male 22.1
GTEX-1HT8W-0011-R6a-SM-CM2SY 30-39 years, male 22.0
GTEX-14PJM-0011-R6a-SM-6872G 50-59 years, female 21.9
GTEX-14ABY-0011-R6a-SM-5PNWR 50-59 years, male 21.8
GTEX-13OW8-0011-R6b-SM-5L3I3 60-69 years, male 21.7
GTEX-1LH75-0011-R6a-SM-EXURS 50-59 years, female 21.6
GTEX-RU72-0011-R6A-SM-2TF71 50-59 years, female 21.3
GTEX-17JCI-0011-R6a-SM-72D6D 60-69 years, female 21.2
GTEX-183WM-0011-R6b-SM-72D66 70-79 years, female 21.2
GTEX-WZTO-0011-R6B-SM-4E3J6 40-49 years, male 21.0
GTEX-14PN4-0011-R6b-SM-69LQU 50-59 years, male 20.9
GTEX-NL4W-0011-R6a-SM-2I3GA 50-59 years, male 20.7
GTEX-13OVH-0011-R6b-SM-5LUAX 70-79 years, male 20.6
GTEX-PWO3-0011-R6A-SM-2I5F3 60-69 years, female 20.3
GTEX-15DYW-0011-R6b-SM-6PALA 60-69 years, female 20.2
GTEX-13SLX-0011-R6a-SM-5PNX4 50-59 years, female 20.1
GTEX-131XH-0011-R6a-SM-5KM2G 50-59 years, male 19.8
GTEX-Q2AG-0011-R6A-SM-2HML7 40-49 years, female 19.7
GTEX-T2IS-0011-R6A-SM-32QP2 20-29 years, female 19.7
GTEX-R55E-0011-R6A-SM-2TC5T 20-29 years, male 19.6
GTEX-ZVZQ-0011-R6b-SM-57WAY 60-69 years, female 19.4
GTEX-ZAB4-0011-R6a-SM-4SOKD 40-49 years, male 19.2
GTEX-S7SE-0011-R6A-SM-2XCD9 50-59 years, male 19.1
GTEX-P44H-0011-R6A-SM-2XCF3 40-49 years, male 19.0
GTEX-1HFI6-0011-R6b-SM-CM2SR 40-49 years, male 18.8
GTEX-17HHY-0011-R6b-SM-7189Z 50-59 years, male 18.7
GTEX-Y8DK-0011-R6A-SM-4V6EG 60-69 years, male 18.5
GTEX-13G51-0011-R6b-SM-5LZX4 60-69 years, male 18.2
GTEX-QVJO-0011-R6A-SM-2S1QN 60-69 years, female 18.1
GTEX-1JMLX-0011-R6b-SM-EXUT9 50-59 years, male 18.1
GTEX-ZUA1-0011-R6b-SM-4YCDD 40-49 years, male 17.9
GTEX-QDT8-0011-R6A-SM-32PKI 30-39 years, female 16.8
GTEX-WVLH-0011-R6A-SM-3MJFZ 50-59 years, male 16.3
GTEX-YJ89-0011-R6a-SM-4V6GN 60-69 years, male 15.9
GTEX-X4XX-0011-R6B-SM-46MWP 60-69 years, male 15.1
GTEX-QMR6-0011-R6A-SM-32PKP 50-59 years, male 14.8
GTEX-T6MN-0011-R6A-SM-32QP8 50-59 years, male 14.7
GTEX-11DYG-0011-R6a-SM-DO936 60-69 years, male 14.6
GTEX-YFC4-0011-R6b-SM-4V6E1 40-49 years, female 14.4
GTEX-P44G-0011-R6A-SM-2XCD3 30-39 years, male 14.3
GTEX-NL3H-0011-R6a-SM-2I3G8 60-69 years, male 13.4
GTEX-WWYW-0011-R6A-SM-3NB3G 50-59 years, female 12.7
GTEX-UTHO-0011-R6A-SM-3GIJW 60-69 years, male 10.9
Show allShow less
Brain - Putamen (basal ganglia)
Average nTPM: 26.2
Samples: 205

Max nTPM: 69.2
Min nTPM: 13.1
Std nTPM: 7.7
Median nTPM: 25.0
GTEX-13N2G-0011-R7a-SM-5MR42 60-69 years, male 69.2
GTEX-1I1GS-0011-R7a-SM-CM2T6 60-69 years, male 65.8
GTEX-1H1ZS-0011-R7a-SM-CL54P 70-79 years, male 60.8
GTEX-1H3VE-0011-R7b-SM-CE6S9 40-49 years, male 49.7
GTEX-1B996-0011-R7b-SM-7IGNT 60-69 years, male 45.0
GTEX-132Q8-0011-R7b-SM-5N9F1 60-69 years, male 43.1
GTEX-13JVG-0011-R7b-SM-5MR3Q 60-69 years, male 41.7
GTEX-1EX96-0011-R7a-SM-9OSVW 50-59 years, male 40.2
GTEX-NPJ8-0011-R7a-SM-2HMJV 40-49 years, male 39.5
GTEX-1EH9U-0011-R7a-SM-9QEGU 60-69 years, male 39.3
GTEX-14PJO-0011-R7a-SM-664NR 60-69 years, male 39.1
GTEX-13FHO-0011-R7b-SM-5LZXD 60-69 years, male 38.8
GTEX-13PVQ-0011-R7a-SM-5L3G3 50-59 years, male 37.4
GTEX-1IKK5-0011-R7b-SM-A9G39 60-69 years, male 36.4
GTEX-1H1DG-0011-R7b-SM-A96RR 70-79 years, male 36.1
GTEX-1GF9W-0011-R7b-SM-9QEIF 60-69 years, male 35.8
GTEX-13N1W-0011-R7b-SM-5MR4F 70-79 years, male 35.6
GTEX-12ZZW-0011-R7a-SM-5DUWC 50-59 years, male 35.3
GTEX-1IKOH-0011-R7b-SM-CKZPH 60-69 years, female 35.3
GTEX-1HCU6-0011-R7b-SM-ARL77 60-69 years, female 34.6
GTEX-1LSNL-0011-R7a-SM-EYYWI 50-59 years, male 34.2
GTEX-ZVT3-0011-R7a-SM-57WCO 60-69 years, female 34.1
GTEX-13OVJ-0011-R7a-SM-5L3G1 50-59 years, female 33.6
GTEX-16Z82-0011-R7a-SM-7MKGJ 60-69 years, male 33.6
GTEX-1HCVE-0011-R7b-SM-A9G1I 50-59 years, male 33.6
GTEX-17EVQ-0011-R7a-SM-7EWDA 70-79 years, male 33.3
GTEX-17HII-0011-R7a-SM-79OMS 50-59 years, male 33.0
GTEX-17MF6-0011-R7b-SM-7LG6J 40-49 years, male 33.0
GTEX-1LVAO-0011-R7a-SM-EYYWZ 60-69 years, male 32.9
GTEX-NPJ7-0011-R7a-SM-EV79B 60-69 years, female 32.7
GTEX-13X6K-0011-R7b-SM-5P9K7 60-69 years, female 32.5
GTEX-ZV68-0011-R7a-SM-51MT4 50-59 years, female 32.1
GTEX-1F75B-0011-R7a-SM-ARU84 50-59 years, male 32.0
GTEX-1MA7X-0011-R7b-SM-EYYWS 60-69 years, male 31.9
GTEX-1EN7A-0011-R7b-SM-9QEHX 40-49 years, male 31.5
GTEX-1GN73-0011-R7a-SM-CJI2U 60-69 years, male 31.4
GTEX-1HB9E-0011-R7b-SM-A9G1Q 50-59 years, male 31.1
GTEX-13O3O-0011-R7b-SM-5P9GZ 60-69 years, female 30.9
GTEX-S7SE-0011-R7A-SM-2XCDI 50-59 years, male 30.9
GTEX-1C6WA-0011-R7b-SM-7P8S8 60-69 years, male 30.5
GTEX-1F48J-0011-R7a-SM-CJI2G 50-59 years, female 30.5
GTEX-TSE9-0011-R7A-SM-3DB7P 60-69 years, female 30.4
GTEX-11TTK-0011-R7b-SM-DNZZZ 60-69 years, female 30.3
GTEX-1A8G6-0011-R7b-SM-7MXTV 60-69 years, male 30.0
GTEX-1H23P-0011-R7b-SM-CKZP2 60-69 years, male 29.8
GTEX-11DXW-0011-R7b-SM-DO119 40-49 years, male 29.6
GTEX-11DYG-0011-R7b-SM-EXUS6 60-69 years, male 29.4
GTEX-11PRG-0011-R7a-SM-DNZZT 50-59 years, male 29.4
GTEX-1GN2E-0011-R7b-SM-9QEIJ 60-69 years, male 29.4
GTEX-17HG3-0011-R7b-SM-7EPGR 30-39 years, female 29.2
GTEX-1LH75-0011-R7a-SM-EXOIF 50-59 years, female 29.0
GTEX-13FHP-0011-R7b-SM-5LZYI 50-59 years, male 28.9
GTEX-145MG-0011-R7b-SM-5P9JY 50-59 years, male 28.9
GTEX-WHSE-0011-R7A-SM-3P5YZ 20-29 years, male 28.8
GTEX-1GMRU-0011-R7b-SM-A96TJ 50-59 years, male 28.8
GTEX-1IY9M-0011-R7a-SM-D4P49 60-69 years, male 28.8
GTEX-1J8Q2-0011-R7a-SM-CKZPF 60-69 years, male 28.7
GTEX-16YQH-0011-R7a-SM-79ON1 30-39 years, male 28.6
GTEX-139TS-0011-R7a-SM-5K7X7 60-69 years, male 28.5
GTEX-15G19-0011-R7b-SM-6M479 60-69 years, male 28.5
GTEX-13CZV-0011-R7b-SM-5LZXH 60-69 years, male 28.4
GTEX-1CB4H-0011-R7b-SM-CJI27 60-69 years, female 28.4
GTEX-15DYW-0011-R7a-SM-7KULG 60-69 years, female 28.3
GTEX-12WSF-0011-R7b-SM-5HL99 70-79 years, male 28.2
GTEX-1R46S-0011-R7b-SM-EXUTH 60-69 years, female 28.1
GTEX-13O3Q-0011-R7a-SM-5KM38 50-59 years, male 27.9
GTEX-1EU9M-0011-R7b-SM-9OSVU 60-69 years, male 27.8
GTEX-1AX9I-0011-R7b-SM-7P8Q3 60-69 years, male 27.7
GTEX-1J1OQ-0011-R7b-SM-ARU87 40-49 years, female 27.6
GTEX-17F97-0011-R7b-SM-7MGVY 50-59 years, male 27.3
GTEX-1B8SF-0011-R7b-SM-9OSVM 60-69 years, male 27.1
GTEX-13CF2-0011-R7b-SM-5K7UV 60-69 years, male 26.9
GTEX-11DXY-0011-R7a-SM-DO11L 60-69 years, male 26.8
GTEX-1E2YA-0011-R7a-SM-CJI1Z 50-59 years, male 26.6
GTEX-12WSC-0011-R7b-SM-5LU9L 50-59 years, male 26.5
GTEX-12ZZX-0011-R7b-SM-5DUVV 40-49 years, female 26.5
GTEX-1GTWX-0011-R7a-SM-A96RO 60-69 years, male 26.5
GTEX-X261-0011-R7A-SM-4E3JJ 50-59 years, male 26.4
GTEX-1H3NZ-0011-R7a-SM-A9SKD 60-69 years, male 26.4
GTEX-13G51-0011-R7b-SM-5LZXG 60-69 years, male 26.3
GTEX-17EVP-0011-R7a-SM-7LTAN 40-49 years, male 26.3
GTEX-1ICLZ-0011-R7a-SM-ARZLU 60-69 years, male 26.2
GTEX-13QJC-0011-R7b-SM-5PNUM 60-69 years, female 26.0
GTEX-13112-0011-R7b-SM-5DUVW 50-59 years, male 25.9
GTEX-1GZ4I-0011-R7b-SM-ARU71 50-59 years, male 25.9
GTEX-139TT-0011-R7b-SM-5J2MN 60-69 years, male 25.8
GTEX-15DCD-0011-R7b-SM-6LPID 70-79 years, female 25.8
GTEX-1B8L1-0011-R7b-SM-9OSVK 60-69 years, male 25.8
GTEX-1HGF4-0011-R7a-SM-A96S2 60-69 years, male 25.8
GTEX-1F75A-0011-R7b-SM-9QEHE 50-59 years, male 25.7
GTEX-1F6I4-0011-R7a-SM-CJI24 60-69 years, male 25.5
GTEX-13OW6-0011-R7b-SM-5L3H4 50-59 years, male 25.4
GTEX-14PJM-0011-R7a-SM-6AJBX 50-59 years, female 25.4
GTEX-1E1VI-0011-R7b-SM-9QEGR 50-59 years, male 25.4
GTEX-1H4P4-0011-R7b-SM-ARU77 50-59 years, male 25.4
GTEX-13OW8-0011-R7a-SM-5L3FP 60-69 years, male 25.2
GTEX-13X6J-0011-R7b-SM-5PNUC 50-59 years, male 25.2
GTEX-1F75W-0011-R7a-SM-9QEI6 60-69 years, male 25.2
GTEX-12WSD-0011-R7b-SM-5PNWE 60-69 years, female 25.1
GTEX-12WSI-0011-R7b-SM-5GU78 50-59 years, male 25.1
GTEX-14BIN-0011-R7b-SM-5S2RI 50-59 years, female 25.1
GTEX-11NV4-0011-R7a-SM-57WDH 60-69 years, male 25.0
GTEX-131YS-0011-R7a-SM-5IJDA 60-69 years, female 25.0
GTEX-15RJE-0011-R7a-SM-7DHL9 40-49 years, male 24.9
GTEX-1I1CD-0011-R7a-SM-CMKHA 60-69 years, female 24.9
GTEX-13OW5-0011-R7a-SM-5O9C9 60-69 years, male 24.8
GTEX-ZE7O-0011-R7a-SM-57WCU 50-59 years, female 24.8
GTEX-15CHQ-0011-R7b-SM-D4P1Q 60-69 years, male 24.8
GTEX-14C5O-0011-R7b-SM-5YYAH 60-69 years, male 24.7
GTEX-ZDXO-0011-R7a-SM-4WWCU 60-69 years, male 24.7
GTEX-1GZ2Q-0011-R7b-SM-9OSWN 40-49 years, male 24.7
GTEX-T5JC-0011-R7A-SM-32PME 20-29 years, male 24.6
GTEX-ZE9C-0011-R7a-SM-4WWCX 60-69 years, male 24.6
GTEX-1IOXB-0011-R7b-SM-CE6SM 50-59 years, male 24.6
GTEX-14E7W-0011-R7b-SM-5ZZV4 70-79 years, male 24.5
GTEX-OHPN-0011-R7A-SM-2I5FI 60-69 years, female 24.4
GTEX-13FLV-0011-R7b-SM-5K7WW 50-59 years, male 24.2
GTEX-14PN4-0011-R7b-SM-69LQQ 50-59 years, male 24.0
GTEX-1C64N-0011-R7a-SM-7IGOI 50-59 years, male 24.0
GTEX-1HT8W-0011-R7b-SM-CMKH8 30-39 years, male 24.0
GTEX-11DZ1-0011-R7a-SM-DNZZH 50-59 years, male 23.9
GTEX-1F52S-0011-R7b-SM-9QEH8 60-69 years, female 23.9
GTEX-11ONC-0011-R7b-SM-DO93J 60-69 years, male 23.8
GTEX-1EMGI-0011-R7b-SM-9QEH5 60-69 years, male 23.8
GTEX-144GL-0011-R7b-SM-5P9HX 50-59 years, male 23.7
GTEX-11GSP-0011-R7b-SM-57WC3 60-69 years, female 23.6
GTEX-1IDJH-0011-R7a-SM-A9SM1 70-79 years, male 23.3
GTEX-T6MN-0011-R7A-SM-32QP5 50-59 years, male 23.1
GTEX-12WSM-0011-R7b-SM-5EGLD 60-69 years, male 23.0
GTEX-12ZZZ-0011-R7b-SM-5EGLE 60-69 years, male 23.0
GTEX-15EO6-0011-R7a-SM-6M46Q 50-59 years, male 22.9
GTEX-13RTJ-0011-R7b-SM-5P9JS 60-69 years, male 22.8
GTEX-1445S-0011-R7b-SM-5PNUG 60-69 years, male 22.8
GTEX-145LS-0011-R7a-SM-5PNWM 60-69 years, female 22.8
GTEX-N7MT-0011-R7a-SM-2I3FZ 60-69 years, female 22.8
GTEX-ZUA1-0011-R7b-SM-4YCDP 40-49 years, male 22.8
GTEX-1192X-0011-R7b-SM-DNZZC 50-59 years, male 22.8
GTEX-1I1GQ-0011-R7a-SM-CJI41 50-59 years, male 22.8
GTEX-11OF3-0011-R7a-SM-57WCG 60-69 years, male 22.7
GTEX-XLM4-0011-R7A-SM-4AT5L 60-69 years, male 22.7
GTEX-13NYB-0011-R7a-SM-5MR5D 40-49 years, male 22.6
GTEX-13FLW-0011-R7b-SM-5L3EZ 50-59 years, male 22.4
GTEX-18464-0011-R7b-SM-731CM 50-59 years, male 22.4
GTEX-13S7M-0011-R7a-SM-5O9DK 60-69 years, female 22.2
GTEX-15ER7-0011-R7a-SM-6M46N 20-29 years, female 22.2
GTEX-183WM-0011-R7b-SM-731AX 70-79 years, female 22.1
GTEX-N7MS-0011-R7a-SM-2HMKN 60-69 years, male 22.1
GTEX-1EKGG-0011-R7a-SM-CKZNN 60-69 years, male 22.1
GTEX-17HHY-0011-R7a-SM-718A1 50-59 years, male 22.0
GTEX-1CB4G-0011-R7b-SM-9QEGP 60-69 years, male 22.0
GTEX-11NUK-0011-R7a-SM-DO93P 50-59 years, male 21.9
GTEX-1313W-0011-R7b-SM-5DUWL 50-59 years, female 21.6
GTEX-1LVA9-0011-R7a-SM-EYYWG 50-59 years, male 21.6
GTEX-18465-0011-R7b-SM-7LG6V 50-59 years, male 21.5
GTEX-145MH-0011-R7a-SM-5PNWH 50-59 years, male 21.4
GTEX-WZTO-0011-R7B-SM-4E3IS 40-49 years, male 21.4
GTEX-RU72-0011-R7A-SM-2TF5U 50-59 years, female 21.3
GTEX-1A3MX-0011-R7a-SM-7DUEM 60-69 years, male 21.2
GTEX-1JMQK-0011-R7b-SM-EXUTF 60-69 years, male 21.1
GTEX-1OJC4-0011-R7a-SM-EYYX4 50-59 years, female 21.1
GTEX-13OVL-0011-R7a-SM-5P9GW 50-59 years, male 20.9
GTEX-12WSA-0011-R7b-SM-5GU5U 60-69 years, male 20.8
GTEX-13VXU-0011-R7b-SM-5SI72 50-59 years, male 20.7
GTEX-R55E-0011-R7A-SM-2TC5Z 20-29 years, male 20.6
GTEX-ZVZQ-0011-R7b-SM-57WBB 60-69 years, female 20.5
GTEX-14BMV-0011-R7b-SM-5YY9J 50-59 years, male 20.4
GTEX-QVJO-0011-R7A-SM-2S1QO 60-69 years, female 20.4
GTEX-1H3O1-0011-R7a-SM-CE6SJ 60-69 years, male 20.4
GTEX-14ASI-0011-R7b-SM-5YY9G 60-69 years, male 20.3
GTEX-Q2AG-0011-R7A-SM-2HMJP 40-49 years, female 20.3
GTEX-ZAB4-0011-R7a-SM-4SOKE 40-49 years, male 20.3
GTEX-1IKJJ-0011-R7a-SM-ARZLH 60-69 years, male 20.3
GTEX-1B933-0011-R7a-SM-7DUGX 50-59 years, female 20.2
GTEX-ZXG5-0011-R7b-SM-57WCC 60-69 years, male 20.2
GTEX-13JUV-0011-R7b-SM-5LZZG 40-49 years, female 20.1
GTEX-P44G-0011-R7A-SM-2I3F9 30-39 years, male 20.1
GTEX-QMR6-0011-R7A-SM-32PKL 50-59 years, male 19.9
GTEX-12ZZY-0011-R7a-SM-5EGLB 60-69 years, male 19.8
GTEX-YJ89-0011-R7a-SM-4V6GO 60-69 years, male 19.5
GTEX-1HFI6-0011-R7b-SM-CM2SS 40-49 years, male 19.5
GTEX-11WQC-0011-R7b-SM-5BC7A 60-69 years, male 19.4
GTEX-1MJK2-0011-R7a-SM-EXUS4 50-59 years, male 19.1
GTEX-14ABY-0011-R7b-SM-5PNWS 50-59 years, male 19.0
GTEX-13X6I-0011-R7b-SM-5PNWP 60-69 years, male 18.9
GTEX-12WSE-0011-R7a-SM-5PNWF 20-29 years, male 18.2
GTEX-1GMR8-0011-R7b-SM-CJI2I 50-59 years, female 18.2
GTEX-144GO-0011-R7b-SM-5S2TT 60-69 years, male 18.0
GTEX-14JG1-0011-R7b-SM-5YYAV 40-49 years, male 17.9
GTEX-Y8DK-0011-R7A-SM-4SOJZ 60-69 years, male 17.9
GTEX-Z93S-0011-R7b-SM-4RGNK 50-59 years, male 17.7
GTEX-1H1CY-0011-R7a-SM-CJI32 60-69 years, female 17.7
GTEX-ZF28-0011-R7a-SM-4WKF5 60-69 years, male 17.6
GTEX-1I1GV-0011-R7a-SM-ARU6R 60-69 years, male 17.4
GTEX-147GR-0011-R7a-SM-5S2RP 60-69 years, male 17.3
GTEX-RNOR-0011-R7A-SM-2TF4V 50-59 years, female 17.3
GTEX-WL46-0011-R7A-SM-3LK7X 50-59 years, male 16.9
GTEX-QDT8-0011-R7A-SM-32PKF 30-39 years, female 16.8
GTEX-1JJ6O-0011-R7b-SM-EXUTB 60-69 years, male 16.8
GTEX-13FXS-0011-R7a-SM-5L3FC 50-59 years, male 16.3
GTEX-1GF9V-0011-R7a-SM-CJI2R 60-69 years, male 16.0
GTEX-WVLH-0011-R7A-SM-3MJFB 50-59 years, male 15.9
GTEX-WWYW-0011-R7A-SM-3NB3H 50-59 years, female 15.3
GTEX-14LZ3-0011-R7a-SM-69LQN 60-69 years, female 15.1
GTEX-NL3H-0011-R7a-SM-2I3G5 60-69 years, male 14.5
GTEX-YFC4-0011-R7b-SM-4V6E2 40-49 years, female 13.1
Show allShow less

BASAL GANGLIA - FANTOM5 CAGEi

RNA expression in human tissues obtained through Cap Analysis of Gene Expression (CAGE) generated by the FANTOM5 project are reported as Scaled Tags Per Million.

Max subtype Scaled Tags Per Millioni

Max subtype Scaled Tags Per Million is the value for the subtype with the largest average Scaled Tags Per Million across the subtype samples.

85.7
FANTOM5 sample id Sample description Scaled Tags Per Million
Caudate nucleus
Scaled Tags Per Million: 72.9
FF:10164-103B2 76 years, female 72.9
Nucleus accumbens
Scaled Tags Per Million: 74.4
FF:10037-101F1 23-56 years, mixed 74.4
Putamen
Scaled Tags Per Million: 85.7
FF:10176-103C5 60 years, female 85.7
Globus pallidus
Scaled Tags Per Million: 79.5
FF:10175-103C4 60 years, female 102.8
FF:10161-103A8 76 years, female 56.3

BASAL GANGLIA - Pig RNA-seqi

RNA-seq data obtained from pig brain is reported as nTPM .

Normal distribution across the dataset is visualized with box plots, shown as median and 25th and 75th percentiles. Points are displayed as outliers if they are above or below 1.5 times the interquartile range. nTPM values of the individual samples are presented next to the box plot.
Max subtype nTPMi

Max subtype nTPM is the value for the subtype with the largest average nTPM across the subtype samples.

62.7
Pig sample Sample description nTPM
Caudate
nTPM: 62.7
Samples: 4

Max nTPM: 72.9
Min nTPM: 55.9
Sample A Female 55.9
Sample B Female 65.3
Sample C Male 72.9
Sample D Male 56.8
Putamen
nTPM: 59.6
Samples: 4

Max nTPM: 70.9
Min nTPM: 48.0
Sample A Female 50.9
Sample B Female 48.0
Sample C Male 70.9
Sample D Male 68.5
Septum
nTPM: 56.9
Samples: 4

Max nTPM: 60.2
Min nTPM: 52.3
Sample A Female 59.3
Sample B Female 55.9
Sample C Male 52.3
Sample D Male 60.2
Ventral pallidum
nTPM: 54.5
Samples: 4

Max nTPM: 57.5
Min nTPM: 49.5
Sample A Female 56.4
Sample B Female 54.6
Sample C Male 49.5
Sample D Male 57.5

BASAL GANGLIA - Mouse RNA-seqi

RNA-seq data obtained from mouse brain is reported as nTPM .

Normal distribution across the dataset is visualized with box plots, shown as median and 25th and 75th percentiles. Points are displayed as outliers if they are above or below 1.5 times the interquartile range. nTPM values of the individual samples are presented next to the box plot.
Max subtype nTPMi

Max subtype nTPM is the value for the subtype with the largest average nTPM across the subtype samples.

39.1
Mouse sample Sample description nTPM
Caudate putamen
nTPM: 35.1
Samples: 4

Max nTPM: 38.1
Min nTPM: 31.9
Sample A Male 38.1
Sample B Male 35.2
Sample C Female 31.9
Sample D Female 35.3
Septum
nTPM: 39.1
Samples: 4

Max nTPM: 40.5
Min nTPM: 37.9
Sample A Male 38.9
Sample B Male 39.0
Sample C Female 40.5
Sample D Female 37.9
Ventral forebrain
nTPM: 36.9
Samples: 4

Max nTPM: 38.6
Min nTPM: 33.4
Sample A Male 37.1
Sample B Male 38.4
Sample C Female 38.6
Sample D Female 33.4

BASAL GANGLIA - Allen Mouse ISHi

In situ hybridization (ISH) data generated by the Allen brain atlas from mouse brain is reported as expression energy. For more details about a particular experiment, click on the corresponding Allen experiment ID.

Max subtype Expression energyi

Max subtype Expression energy is the value for the subtype with the largest average Expression energy across the subtype samples.

1.9
Allen experiment id Experiment description Expression energy
Striatum
Expression energy: 1.6
69672001 Antisense, RP_050428_02_G10, Mouse strain C57BL/6J (56 days, male) 1.6
Pallidum
Expression energy: 1.9
69672001 Antisense, RP_050428_02_G10, Mouse strain C57BL/6J (56 days, male) 1.9

Contact

  • NEWS ARTICLES
  • PRESS ROOM

The Project

  • INTRODUCTION
  • ORGANIZATION
  • PUBLICATIONS

The Human Protein Atlas

  • DOWNLOADABLE DATA
  • LICENCE & CITATION
  • HELP & FAQ
The Human Protein Atlas project is funded
by the Knut & Alice Wallenberg Foundation.


contact@proteinatlas.org