We use cookies to enhance the usability of our website. If you continue, we'll assume that you are happy to receive all cookies. More information. Don't show this again.
RBM3
HPA
RESOURCES
  • TISSUE
  • BRAIN
  • SINGLE CELL
  • SUBCELLULAR
  • CANCER
  • BLOOD
  • CELL LINE
  • STRUCTURE & INTERACTION
ABOUT
  • INTRODUCTION
  • HISTORY
  • ORGANIZATION
  • PUBLICATIONS
  • ANTIBODY SUBMISSION
  • ANTIBODY AVAILABILITY
  • ACKNOWLEDGMENTS
  • CONTACT
NEWS
  • NEWS ARTICLES
  • PRESS ROOM
LEARN
  • DICTIONARY
  • PROTEIN CLASSES
  • PROTEIN EVIDENCE
  • METHODS
  • EDUCATIONAL VIDEOS
DATA
  • DOWNLOADABLE DATA
  • PUBLICATION DATA
  • RELEASE HISTORY
HELP
  • ANTIBODY VALIDATION
  • ASSAYS & ANNOTATION
  • DISCLAIMER
  • HELP & FAQ
  • PRIVACY STATEMENT
  • LICENCE & CITATION
Fields »
Search result

Field
Term
Gene name
Class
Subclass
Class
Keyword
Chromosome
External id
Tissue
Cell type
Expression
Antibody panel
Tissue
Main location
Patient ID
Annotation
Tissue
Category
Tau score
Cluster
Reliability
Brain region
Category
Tau score
Brain region
Category
Tau score
Brain region
Category
Tau score
Cluster
Reliability
Tissue
Cell type
Enrichment
Cell type
Category
Tau score
Cell type
Category
Tau score
Cell type
Category
Tau score
Cell lineage
Category
Tau score
Cluster
Cluster
Location
Searches
Location
Cell line
Class
Type
Phase
Reliability
Cancer
Prognosis
Cancer
Category
Cancer
Category
Tau score
Cluster
Variants
Interacting gene (ensg_id)
Type
Number of interactions
Pathway
Category
Score
Score
Score
Validation
Validation
Validation
Validation
Antibodies
Data type
Column


  • SUMMARY

  • TISSUE

  • BRAIN

  • SINGLE CELL

  • SUBCELL

  • CANCER

  • BLOOD

  • CELL LINE

  • STRUCT & INT

  • RBM3
TISSUE PRIMARY DATA SKIN Show tissue menu
ADIPOSE TISSUE ADRENAL GLAND AMYGDALA APPENDIX BASAL GANGLIA BONE MARROW BREAST BRONCHUS CEREBELLUM CEREBRAL CORTEX CERVIX CHOROID PLEXUS COLON DUODENUM
ENDOMETRIUM EPIDIDYMIS ESOPHAGUS FALLOPIAN TUBE GALLBLADDER HEART MUSCLE HIPPOCAMPAL FORMATION HYPOTHALAMUS KIDNEY LIVER LUNG LYMPH NODE MIDBRAIN NASOPHARYNX
ORAL MUCOSA OVARY PANCREAS PARATHYROID GLAND PITUITARY GLAND PLACENTA PROSTATE RECTUM RETINA SALIVARY GLAND SEMINAL VESICLE SKELETAL MUSCLE SKIN SMALL INTESTINE
SMOOTH MUSCLE SOFT TISSUE SPINAL CORD SPLEEN STOMACH TESTIS THYMUS THYROID GLAND TONGUE TONSIL URINARY BLADDER VAGINA
ANTIBODIES
AND
VALIDATION
Dictionary
Skin
Tissue proteome
Skin
SKIN - Expression summary
Protein expression
Skini

On the top, protein expression in current human tissue, based on all annotated cell types, is reported with the units not detected (n), low (l), medium (m) and high (h). Underneath, protein expression in each annotated cell type are reported using the same units.

Protein expression data is based on knowledge-based annotation. For genes where more than one antibody has been used, a collective score is set.

If knowledge-based annotation could not be performed for a gene, no data is displayed here. View antibody staining data further down this page.

h
m
l
n
Epidermal cells: Low
Fibroblasts: Medium
Keratinocytes: Medium
Langerhans: Medium
Melanocytes: Medium
RNA expressioni

A summary of mRNA expression data available for current tissue based on several datasets. The mRNA expression levels in human tissues are based on RNA-seq data generated by the Human Protein Atlas (HPA), Genotype-Tissue Expression (GTEx) portal and CAGE data generated by the FANTOM5 consortium. Consensus normalized expression levels for human tissues was created by combining the data from HPA and GTEx datasets.

The mRNA expression levels in pig are based on RNA-seq data generated by the Human Protein Atlas (HPA), and for mouse, HPA data and in situ hybridization generated by the Allen brain atlas are reported.

Scroll down to view mRNA expression data in more detail.
Consensus:189.0 nTPM
HPA:137.1 nTPM
GTEx:189.0 nTPM

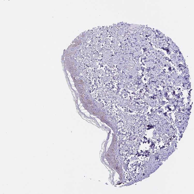
SKIN 1 - Antibody stainingi

Antibody staining in the annotated cell types in the current human tissue is reported as not detected, low, medium, or high, based on conventional immunohistochemistry profiling in selected tissues. This score is based on the combination of the staining intensity and fraction of stained cells.

Each image is clickable and will lead to virtual microscopy that enables deeper exploration of all samples and also displays staining intensity scores, fraction scores and subcellular localization as well as patient and tissue information for each sample.

Antibody HPA003624Antibody CAB062559
Langerhans MediumMedium
Fibroblasts MediumMedium
Keratinocytes MediumMedium
Melanocytes MediumMedium




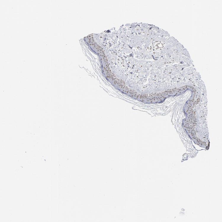
SKIN 2 - Antibody stainingi

Antibody staining in the annotated cell types in the current human tissue is reported as not detected, low, medium, or high, based on conventional immunohistochemistry profiling in selected tissues. This score is based on the combination of the staining intensity and fraction of stained cells.

Each image is clickable and will lead to virtual microscopy that enables deeper exploration of all samples and also displays staining intensity scores, fraction scores and subcellular localization as well as patient and tissue information for each sample.

Antibody HPA003624Antibody CAB062559
Epidermal cells Not detectedLow
  
  
  



SKIN - HPA RNA-seqi

The RNA-seq details section shows detailed information about the individual samples used for the transcript profiling and results of the RNA-seq analysis.

Information about each individual sample is listed below, including gender, age, a tissue section image and estimated fractions of cell types. nTPM (normalized transcripts per million) values give a quantification of the gene abundance which is comparable between different genes and samples.
Average nTPMi

Max subtype nTPM is the value for the subtype with the largest average nTPM across the subtype samples.

137.1
overview
Female, age 34
Skin sample 225
nTPM: 141.6
Cell types%
Keratinocytes:
60

Other cell types:
40

overview
Female, age 30
Skin sample 226
nTPM: 111.1
Cell types%
Keratinocytes:
55

Other cell types:
45

N/A
Male, age 57
Skin sample 227
nTPM: 158.6

SKIN - GTEx RNA-seqi

RNA-Seq data generated by the Genotype-Tissue Expression (GTEx) project from human tissues is reported as mean nTPM. More information can be found on the GTEx portal.

Distribution across the dataset is visualized with box plots, shown as median and 25th and 75th percentiles. Points are displayed as outliers if they are above or below 1.5 times the interquartile range. nTPM values of the individual samples are presented next to the box plot.
Max subtype nTPMi

Max subtype nTPM is the value for the subtype with the largest average nTPM across the subtype samples.

189.0
GTEx sample id Sample description nTPM
Skin - Not Sun Exposed (Suprapubic)
Average nTPM: 157.1
Samples: 604

Max nTPM: 444.1
Min nTPM: 34.1
Std nTPM: 56.8
Median nTPM: 152.6
GTEX-14XAO-1226-SM-6EU1C 60-69 years, female 444.1
GTEX-1CB4J-1326-SM-7P8RX 60-69 years, male 394.0
GTEX-ZY6K-1426-SM-5GZX2 50-59 years, male 383.4
GTEX-14DAR-1226-SM-73KYV 50-59 years, male 375.6
GTEX-1H1ZS-2726-SM-9WG75 70-79 years, male 366.6
GTEX-13X6H-0926-SM-5SIB2 50-59 years, female 335.7
GTEX-WH7G-2026-SM-3NMBL 40-49 years, male 329.8
GTEX-Y5LM-0926-SM-6LLJG 40-49 years, female 326.9
GTEX-YEC4-1826-SM-4W1YP 40-49 years, male 325.9
GTEX-13X6K-0626-SM-5LU5D 60-69 years, female 324.8
GTEX-1ICLZ-0326-SM-ARL82 60-69 years, male 294.0
GTEX-ZYW4-0626-SM-59HJR 60-69 years, male 292.7
GTEX-1HBPI-2126-SM-ARL9K 50-59 years, male 287.4
GTEX-1GTWX-2026-SM-9YFLM 60-69 years, male 279.2
GTEX-14ICL-1626-SM-5YYAO 30-39 years, male 277.9
GTEX-ZPIC-0526-SM-DO91W 40-49 years, female 266.1
GTEX-1B996-0426-SM-7EWF8 60-69 years, male 262.9
GTEX-1C6WA-2626-SM-7MKGM 60-69 years, male 262.6
GTEX-13QBU-1226-SM-5LU4G 40-49 years, female 261.5
GTEX-17HII-1426-SM-7EPGG 50-59 years, male 259.3
GTEX-Y9LG-1126-SM-4VBQ7 30-39 years, male 258.4
GTEX-1AX9J-1326-SM-731BJ 60-69 years, male 258.3
GTEX-12696-0126-SM-5EQ4L 60-69 years, male 258.1
GTEX-ZF3C-0626-SM-DO92O 50-59 years, female 258.1
GTEX-1IKJJ-2226-SM-CJI4C 60-69 years, male 255.7
GTEX-13112-0126-SM-5P9IU 50-59 years, male 254.9
GTEX-1497J-0226-SM-5QGPU 60-69 years, male 253.6
GTEX-11EQ9-1626-SM-5PNY8 30-39 years, male 252.7
GTEX-145MG-1526-SM-5Q5EM 50-59 years, male 252.1
GTEX-1HCUA-0826-SM-ADEHM 50-59 years, female 251.9
GTEX-17F98-1326-SM-7DUEP 40-49 years, female 251.6
GTEX-1HUB1-1426-SM-CGQF5 60-69 years, male 249.2
GTEX-Y3IK-1626-SM-4YCF5 50-59 years, female 249.0
GTEX-13OVG-1626-SM-5J1NF 60-69 years, male 247.4
GTEX-1J8Q3-0526-SM-ARL8U 60-69 years, male 246.8
GTEX-144GM-0526-SM-79OJO 20-29 years, male 246.6
GTEX-1PPH8-0126-SM-EWRN8 20-29 years, male 245.6
GTEX-1JMQK-1226-SM-D4P2S 60-69 years, male 245.2
GTEX-1I1GU-0926-SM-ACKVS 40-49 years, male 245.0
GTEX-1N5O9-0926-SM-E9J3C 60-69 years, male 244.5
GTEX-14E6C-2426-SM-5S2NF 40-49 years, male 243.2
GTEX-ZF29-0926-SM-4WKFZ 60-69 years, female 242.7
GTEX-131XG-0326-SM-5L3DX 50-59 years, female 241.7
GTEX-11ZU8-0126-SM-5EQ58 60-69 years, male 240.8
GTEX-1I6K7-1926-SM-B2LXR 40-49 years, male 240.1
GTEX-X8HC-0626-SM-4E3HQ 50-59 years, female 238.6
GTEX-12ZZZ-0726-SM-5GCNZ 60-69 years, male 236.5
GTEX-U8XE-0226-SM-4E3J3 30-39 years, male 236.1
GTEX-1GN1U-0626-SM-9MQL9 50-59 years, female 235.6
GTEX-15DYW-2726-SM-6EU2I 60-69 years, female 234.7
GTEX-1I1GS-2626-SM-B2LY3 60-69 years, male 233.1
GTEX-1E1VI-0326-SM-793D1 50-59 years, male 232.4
GTEX-13D11-0926-SM-5J2NC 50-59 years, female 231.9
GTEX-13113-1626-SM-5EQ4I 60-69 years, female 229.3
GTEX-1HCU6-2526-SM-ADEHL 60-69 years, female 229.3
GTEX-13FH7-1126-SM-5K7UG 50-59 years, female 229.1
GTEX-1GZHY-0626-SM-9KNVC 50-59 years, female 228.1
GTEX-Y5V6-2326-SM-4VDSA 60-69 years, male 225.8
GTEX-1GF9W-1426-SM-7PBYM 60-69 years, male 225.8
GTEX-1HKZK-0726-SM-ACKW2 40-49 years, male 225.5
GTEX-15RIG-0726-SM-7KUM7 40-49 years, male 225.2
GTEX-1PIIG-2326-SM-DTXFR 30-39 years, male 224.4
GTEX-131XF-2626-SM-5EQ6K 60-69 years, male 223.5
GTEX-1211K-1526-SM-5FQU4 60-69 years, female 223.4
GTEX-WFG8-2126-SM-3GIKQ 20-29 years, male 223.4
GTEX-1QP9N-1226-SM-E76QN 30-39 years, male 223.4
GTEX-1EH9U-2826-SM-7DUGT 60-69 years, male 223.3
GTEX-13OVK-1426-SM-6PAN7 40-49 years, male 223.0
GTEX-1RAZQ-1326-SM-E9TK6 30-39 years, male 222.7
GTEX-1B8KZ-0326-SM-73KY4 50-59 years, male 221.5
GTEX-X5EB-1926-SM-4E3IW 40-49 years, male 220.1
GTEX-ZF2S-1626-SM-57WES 50-59 years, female 220.0
GTEX-ZPCL-1126-SM-4WWFE 60-69 years, female 219.8
GTEX-1LVA9-2626-SM-EVYD4 50-59 years, male 219.7
GTEX-WFON-1926-SM-3LK7L 40-49 years, male 219.6
GTEX-1GN2E-0226-SM-9WG6K 60-69 years, male 219.4
GTEX-17MFQ-1526-SM-7KFRR 20-29 years, male 219.3
GTEX-15G1A-1626-SM-7KUKN 30-39 years, male 219.0
GTEX-1J8QM-2426-SM-A9SLS 60-69 years, female 218.5
GTEX-W5X1-2526-SM-3GILC 40-49 years, female 218.0
GTEX-16BQI-1326-SM-6M486 30-39 years, female 217.7
GTEX-1CB4I-0126-SM-7RHGG 50-59 years, male 216.4
GTEX-14PKV-1126-SM-6LLJ1 20-29 years, female 215.9
GTEX-1C6VQ-1226-SM-73KYD 50-59 years, male 215.9
GTEX-1LB8K-0726-SM-D5OV2 50-59 years, male 215.9
GTEX-1M4P7-0726-SM-E6CJ3 60-69 years, male 215.2
GTEX-111VG-1626-SM-5EGIO 60-69 years, male 214.9
GTEX-1HFI7-2326-SM-CGQFS 50-59 years, female 214.9
GTEX-WHSB-1326-SM-3LK6W 50-59 years, male 214.7
GTEX-WI4N-2726-SM-3LK7Y 40-49 years, female 214.6
GTEX-XAJ8-1426-SM-47JYM 40-49 years, male 214.5
GTEX-1GF9V-0826-SM-9KNUV 60-69 years, male 214.3
GTEX-1H4P4-2126-SM-9WYSL 50-59 years, male 213.5
GTEX-1H11D-1826-SM-9QEHM 40-49 years, male 213.2
GTEX-12WSK-2126-SM-5CVNC 40-49 years, female 213.1
GTEX-13FTY-2126-SM-5IFFB 40-49 years, female 211.6
GTEX-14PJ4-0226-SM-5YY92 60-69 years, male 211.2
GTEX-1S3DN-2126-SM-E9TIN 50-59 years, male 210.5
GTEX-WEY5-2326-SM-3GIKK 40-49 years, female 210.4
GTEX-1O9I2-0226-SM-EYYXD 50-59 years, male 210.3
GTEX-13X6J-0626-SM-5LU5F 50-59 years, male 210.1
GTEX-12ZZY-0726-SM-5EQ66 60-69 years, male 210.0
GTEX-1122O-1026-SM-9WYSF 60-69 years, female 210.0
GTEX-11ZTT-2126-SM-5CVLO 60-69 years, female 209.9
GTEX-1C2JI-1026-SM-73KY1 50-59 years, male 209.5
GTEX-1B8KE-1126-SM-7EPHI 50-59 years, male 209.4
GTEX-1B97I-0626-SM-73KUZ 40-49 years, male 209.0
GTEX-1E2YA-2126-SM-7MXUO 50-59 years, male 208.1
GTEX-ZLFU-1826-SM-4WWBV 40-49 years, male 207.7
GTEX-1QW4Y-1126-SM-DTXE3 30-39 years, male 207.1
GTEX-14PHX-2226-SM-6EU2P 50-59 years, male 207.0
GTEX-11LCK-2226-SM-5HL4Q 30-39 years, male 205.8
GTEX-1A3MW-0626-SM-731CB 60-69 years, female 205.8
GTEX-1GMRU-2126-SM-7P8RA 50-59 years, male 205.7
GTEX-13N11-2326-SM-5IJBF 50-59 years, female 205.2
GTEX-13VXU-0626-SM-5L3F9 50-59 years, male 205.0
GTEX-1QPFJ-1926-SM-EVYBD 30-39 years, female 204.8
GTEX-14ABY-2026-SM-62LDL 50-59 years, male 204.6
GTEX-1HSKV-1226-SM-ADEI4 60-69 years, male 203.7
GTEX-ZZPU-0826-SM-5GZX5 50-59 years, female 203.1
GTEX-1LG7Z-1626-SM-CXKYR 30-39 years, male 203.1
GTEX-1JN76-0626-SM-CKZOQ 20-29 years, female 202.7
GTEX-11UD2-2526-SM-5CVNU 50-59 years, male 200.6
GTEX-13O3O-2326-SM-5IJD6 60-69 years, female 200.5
GTEX-1C475-1326-SM-7SB73 40-49 years, female 200.5
GTEX-1B8SF-0126-SM-7DUG3 60-69 years, male 199.8
GTEX-1QCLY-0226-SM-EWRNH 30-39 years, male 199.0
GTEX-1RLM8-2926-SM-E8VON 50-59 years, male 198.7
GTEX-13OVJ-0826-SM-5J1OK 50-59 years, female 198.0
GTEX-11TUW-0626-SM-5LU9M 60-69 years, male 197.5
GTEX-14PKU-0126-SM-6LLHV 40-49 years, female 196.9
GTEX-Y8LW-1526-SM-5IFHL 50-59 years, female 196.6
GTEX-1A32A-0626-SM-731AQ 50-59 years, female 196.5
GTEX-1GN1V-2826-SM-9JGIA 60-69 years, male 196.1
GTEX-ZA64-1026-SM-5HL8R 20-29 years, male 195.7
GTEX-ZVT2-0126-SM-5GIDQ 50-59 years, female 195.2
GTEX-V1D1-2026-SM-3GAF4 50-59 years, male 195.0
GTEX-1S82U-1026-SM-E6CJK 30-39 years, female 195.0
GTEX-18A67-1626-SM-7LT9T 50-59 years, male 194.6
GTEX-1F5PL-0926-SM-7PC2W 40-49 years, female 194.4
GTEX-YECK-0326-SM-4W1YS 60-69 years, male 194.0
GTEX-1AYD5-2626-SM-7PBXY 50-59 years, male 193.5
GTEX-1JMQJ-0826-SM-CNPP7 50-59 years, male 193.4
GTEX-YB5K-2026-SM-4VDT3 40-49 years, female 192.8
GTEX-ZDYS-2426-SM-4WKGI 50-59 years, male 192.7
GTEX-1I1GV-0626-SM-ARL7M 60-69 years, male 192.4
GTEX-13W3W-0726-SM-5IJDQ 60-69 years, female 192.3
GTEX-15FZZ-0526-SM-7KUGD 30-39 years, female 192.2
GTEX-13PVR-0426-SM-5RQK2 60-69 years, female 192.1
GTEX-1IDJC-1526-SM-B2LW4 50-59 years, male 191.8
GTEX-1I1GT-1026-SM-ARZLV 60-69 years, female 191.1
GTEX-15CHQ-0326-SM-69LQD 60-69 years, male 191.0
GTEX-12BJ1-0926-SM-5EQ62 60-69 years, male 190.9
GTEX-ZTTD-2826-SM-4YCFA 50-59 years, male 190.8
GTEX-1HC8U-1326-SM-9YFMJ 40-49 years, female 190.8
GTEX-ZVT4-2426-SM-5GIEI 50-59 years, female 190.1
GTEX-1J8Q2-2626-SM-ACKWQ 60-69 years, male 189.4
GTEX-131YS-2826-SM-5EQ47 60-69 years, female 189.3
GTEX-1KWVE-1026-SM-D3L9O 30-39 years, male 189.2
GTEX-17MF6-2626-SM-79OKQ 40-49 years, male 188.9
GTEX-1GPI6-1926-SM-9KNV7 60-69 years, male 188.1
GTEX-1F48J-0726-SM-7RHGS 50-59 years, female 187.0
GTEX-11EM3-1226-SM-5N9DD 20-29 years, female 186.9
GTEX-133LE-2326-SM-5K7W3 20-29 years, female 186.9
GTEX-148VJ-0626-SM-5LUAW 70-79 years, male 186.8
GTEX-14B4R-1326-SM-5Q5EZ 30-39 years, male 184.0
GTEX-13RTJ-0126-SM-5S2NN 60-69 years, male 183.9
GTEX-1N2EE-0626-SM-E76PW 60-69 years, male 183.6
GTEX-1R46S-2426-SM-E76QA 60-69 years, female 182.9
GTEX-Z93S-1626-SM-5CVMB 50-59 years, male 182.6
GTEX-ZT9W-1126-SM-57WDR 50-59 years, male 182.4
GTEX-13N1W-2426-SM-5IJD1 70-79 years, male 182.3
GTEX-17EVP-2626-SM-7IGMA 40-49 years, male 182.3
GTEX-XPVG-2126-SM-4B667 50-59 years, male 182.2
GTEX-16MT8-2926-SM-7DUFO 60-69 years, female 182.0
GTEX-1JJ6O-2726-SM-CNPOG 60-69 years, male 181.7
GTEX-1LGOU-1326-SM-D3L8M 20-29 years, female 181.2
GTEX-14PJ6-2626-SM-6EU2T 60-69 years, female 180.9
GTEX-18A7B-2726-SM-7LG56 70-79 years, male 179.9
GTEX-Y3I4-1726-SM-4TT89 50-59 years, male 179.7
GTEX-1212Z-0126-SM-59HK4 60-69 years, male 179.4
GTEX-1QP29-1826-SM-DTX9S 50-59 years, male 179.4
GTEX-1I4MK-0126-SM-CY8G6 50-59 years, female 179.3
GTEX-1CAMS-2226-SM-7PBXQ 40-49 years, female 179.1
GTEX-16NPX-0726-SM-7KULC 50-59 years, male 178.7
GTEX-ZU9S-1826-SM-5NQ9E 30-39 years, male 177.8
GTEX-1GN73-0726-SM-7P8TJ 60-69 years, male 177.1
GTEX-1QP2A-1726-SM-E76QC 50-59 years, male 176.9
GTEX-X3Y1-2026-SM-3P5YM 40-49 years, male 176.8
GTEX-1IDJH-0126-SM-D3L92 70-79 years, male 176.8
GTEX-1A3MV-1826-SM-731CD 30-39 years, male 176.5
GTEX-13U4I-2226-SM-5LU5H 40-49 years, female 176.3
GTEX-12WSF-1626-SM-7KUG5 70-79 years, male 176.2
GTEX-1JK1U-0226-SM-ARZMX 60-69 years, male 175.1
GTEX-131XW-0626-SM-5PNVD 50-59 years, female 175.0
GTEX-UPJH-0226-SM-3GADV 50-59 years, male 174.6
GTEX-YJ8O-2526-SM-5HL85 40-49 years, female 174.4
GTEX-139UW-0326-SM-5J1ML 60-69 years, male 173.8
GTEX-15EU6-2226-SM-6EU2L 50-59 years, male 173.3
GTEX-1JMPY-0226-SM-CKZOK 30-39 years, male 172.9
GTEX-1RB15-1326-SM-E76Q9 60-69 years, male 172.8
GTEX-1F6IF-0926-SM-7SB7M 60-69 years, male 172.7
GTEX-ZGAY-1826-SM-DO91Q 40-49 years, female 172.5
GTEX-ZYFC-0426-SM-5GICQ 50-59 years, male 172.4
GTEX-14C38-0726-SM-5SI6M 50-59 years, male 172.3
GTEX-1EN7A-2426-SM-793DB 40-49 years, male 171.7
GTEX-12WSM-1926-SM-5BC65 60-69 years, male 171.6
GTEX-YF7O-1526-SM-5IFI6 50-59 years, male 171.6
GTEX-1J1OQ-0126-SM-D4P2N 40-49 years, female 171.6
GTEX-14BMV-2826-SM-5TDED 50-59 years, male 171.4
GTEX-139TT-2126-SM-5LZWC 60-69 years, male 171.3
GTEX-1CAV2-0126-SM-7IGN7 40-49 years, female 171.0
GTEX-11DXX-2126-SM-5PNYR 60-69 years, female 170.9
GTEX-1KXAM-1626-SM-D3LAD 60-69 years, male 170.8
GTEX-1QMI2-2526-SM-E8VNZ 60-69 years, male 170.6
GTEX-1JKYR-0626-SM-ARL8R 20-29 years, male 170.3
GTEX-18D9A-1426-SM-7LT8M 30-39 years, female 170.0
GTEX-ZYFD-0626-SM-5E44E 50-59 years, male 169.8
GTEX-ZPU1-1126-SM-4YCF3 40-49 years, male 169.7
GTEX-17HHE-1326-SM-7EWDZ 50-59 years, male 169.6
GTEX-13PVQ-0626-SM-5LU47 50-59 years, male 169.4
GTEX-1B933-2426-SM-7DHMD 50-59 years, female 169.4
GTEX-1RAZR-2126-SM-E9U6T 40-49 years, male 169.1
GTEX-11TT1-1826-SM-5EQLV 20-29 years, male 169.0
GTEX-14A5H-0826-SM-5QGPJ 60-69 years, male 168.1
GTEX-15D1Q-2826-SM-6LLH7 40-49 years, male 168.0
GTEX-ZVZP-1226-SM-5GID7 50-59 years, male 166.9
GTEX-17F9E-2326-SM-79OKD 50-59 years, male 166.7
GTEX-12WSL-2026-SM-5GCML 50-59 years, male 166.4
GTEX-13SLX-2226-SM-62LEP 50-59 years, female 166.1
GTEX-18D9B-0926-SM-7LG4U 60-69 years, male 166.1
GTEX-14PJN-1826-SM-6AJ98 30-39 years, male 165.9
GTEX-1IDJI-0126-SM-CMKHS 50-59 years, female 165.7
GTEX-1JJE9-2626-SM-ARZMT 70-79 years, male 165.0
GTEX-111YS-1526-SM-5GZYW 60-69 years, male 164.6
GTEX-1I1GP-1326-SM-A9G28 50-59 years, male 164.5
GTEX-ZDTS-0826-SM-4WKHL 60-69 years, male 164.2
GTEX-1ICG6-1226-SM-A9SLN 70-79 years, female 164.2
GTEX-13OW7-0426-SM-5K7VK 50-59 years, male 163.9
GTEX-145ME-1726-SM-5Q5EU 40-49 years, female 163.7
GTEX-1HCU9-0426-SM-9WYSD 20-29 years, male 163.3
GTEX-ZZ64-1026-SM-5GZXG 20-29 years, male 163.2
GTEX-1GL5R-1326-SM-7RHHF 50-59 years, male 163.1
GTEX-1LGRB-0926-SM-COH3K 50-59 years, female 163.0
GTEX-1AX8Z-0726-SM-73KTS 60-69 years, male 162.9
GTEX-1JMOU-1026-SM-CYPSS 60-69 years, female 162.9
GTEX-XUW1-0926-SM-4BONX 50-59 years, female 162.8
GTEX-1EKGG-0626-SM-7DUGJ 60-69 years, male 162.4
GTEX-178AV-1726-SM-7KUL8 40-49 years, male 162.2
GTEX-1EU9M-1426-SM-793AI 60-69 years, male 162.2
GTEX-X4EO-2926-SM-4E3JH 60-69 years, female 161.9
GTEX-11GSP-2326-SM-5HL63 60-69 years, female 161.5
GTEX-147F4-0726-SM-5TDDD 50-59 years, male 161.5
GTEX-18465-2826-SM-7LT9J 50-59 years, male 161.5
GTEX-1QAET-0326-SM-EVR3U 50-59 years, male 161.3
GTEX-17KNJ-2126-SM-718AM 50-59 years, male 161.1
GTEX-1GMR2-0826-SM-7PC3V 50-59 years, male 161.1
GTEX-14JG6-1426-SM-9WG7C 30-39 years, female 160.7
GTEX-1CB4F-1026-SM-7DUH1 60-69 years, male 160.4
GTEX-13OVH-0526-SM-5L3E6 70-79 years, male 160.1
GTEX-1HSMP-0926-SM-A9SKX 70-79 years, male 160.1
GTEX-XQ8I-0926-SM-4BOOF 50-59 years, male 159.7
GTEX-1JMPZ-0726-SM-CY8HZ 30-39 years, male 159.6
GTEX-145MH-2826-SM-5RQJF 50-59 years, male 159.5
GTEX-1PPGY-1626-SM-EVYBL 60-69 years, male 159.2
GTEX-1GPI7-1826-SM-9KNU1 20-29 years, male 158.7
GTEX-1LKK1-2626-SM-DKPQE 50-59 years, female 158.5
GTEX-1PIGE-1826-SM-E8VOU 20-29 years, male 158.5
GTEX-11P82-1426-SM-DTXFY 20-29 years, male 158.3
GTEX-11NSD-0626-SM-5A5LU 20-29 years, male 158.2
GTEX-1NSGN-0726-SM-DTXEF 50-59 years, male 157.7
GTEX-1RAZA-2226-SM-E9U4X 20-29 years, male 157.6
GTEX-1AX9I-2226-SM-73KUO 60-69 years, male 157.5
GTEX-ZYVF-0926-SM-5E44J 50-59 years, female 157.5
GTEX-Y8E4-2026-SM-5IFJB 40-49 years, male 157.3
GTEX-1OJC3-1226-SM-DTXER 20-29 years, male 156.8
GTEX-12WSD-0626-SM-5GCMW 60-69 years, female 156.1
GTEX-1JN6P-2926-SM-CL54D 60-69 years, male 156.0
GTEX-1OJC4-2726-SM-E76PJ 50-59 years, female 155.7
GTEX-WRHU-2826-SM-3MJG8 50-59 years, female 155.6
GTEX-1QCLZ-2426-SM-EVYBW 60-69 years, female 155.6
GTEX-WYJK-0526-SM-3NM8Z 50-59 years, male 155.5
GTEX-147JS-0226-SM-5S2U9 60-69 years, male 155.4
GTEX-14JG1-1526-SM-5YY9X 40-49 years, male 155.4
GTEX-1CAMR-1326-SM-7PC1F 20-29 years, male 155.4
GTEX-1QEPI-2626-SM-DTXF4 60-69 years, female 155.4
GTEX-YEC3-1326-SM-DO92X 50-59 years, male 155.4
GTEX-11VI4-1126-SM-5EQMD 40-49 years, female 155.2
GTEX-13FTW-0326-SM-5K7UW 40-49 years, male 154.9
GTEX-1JN1M-2726-SM-CY8I4 60-69 years, female 154.6
GTEX-11O72-0626-SM-5PNYE 40-49 years, male 153.9
GTEX-1S831-1826-SM-EWROF 20-29 years, male 153.8
GTEX-ZYFG-1526-SM-5GZYM 60-69 years, female 153.4
GTEX-12C56-1526-SM-5FQUQ 20-29 years, male 153.3
GTEX-1399U-1126-SM-5L3DB 50-59 years, female 153.3
GTEX-18D9U-0126-SM-731BM 40-49 years, male 153.2
GTEX-ZDXO-3126-SM-5IJDF 60-69 years, male 153.2
GTEX-11NUK-2726-SM-5A5MC 50-59 years, male 153.0
GTEX-14C5O-0326-SM-5ZZUX 60-69 years, male 153.0
GTEX-17HGU-2326-SM-7DUFE 50-59 years, male 153.0
GTEX-15RJE-2826-SM-7KUM9 40-49 years, male 152.8
GTEX-12WSA-0426-SM-5EQ5X 60-69 years, male 152.6
GTEX-ZTX8-1326-SM-4YCEL 20-29 years, male 152.6
GTEX-ZT9X-1526-SM-5DUXD 40-49 years, male 152.4
GTEX-ZE7O-2726-SM-51MT5 50-59 years, female 151.8
GTEX-XQ3S-1426-SM-4BOPR 20-29 years, male 151.6
GTEX-1F5PK-2226-SM-7SB6N 50-59 years, male 151.4
GTEX-ZLV1-1526-SM-DO91J 60-69 years, female 151.4
GTEX-15UF6-1926-SM-7KUDV 70-79 years, female 151.3
GTEX-131XH-0126-SM-5LZUY 50-59 years, male 150.9
GTEX-15CHC-1126-SM-6LLHQ 60-69 years, female 150.8
GTEX-WXYG-2026-SM-4E3IY 50-59 years, female 150.4
GTEX-XBED-1926-SM-47JYP 60-69 years, male 150.4
GTEX-16MTA-0926-SM-6M47Z 50-59 years, male 150.3
GTEX-1313W-0626-SM-5EQ4H 50-59 years, female 150.0
GTEX-YFCO-1226-SM-5LUAT 40-49 years, male 149.9
GTEX-11DXY-0126-SM-5H11Q 60-69 years, male 149.6
GTEX-16GPK-0626-SM-7KFSF 60-69 years, male 149.5
GTEX-18A6Q-0626-SM-7KFRP 60-69 years, male 149.0
GTEX-13VXT-1926-SM-5K7UO 20-29 years, female 148.7
GTEX-11ZUS-2626-SM-5FQUR 30-39 years, male 148.6
GTEX-1S83E-1326-SM-E6CJM 40-49 years, male 148.5
GTEX-Y114-2126-SM-4TT8B 50-59 years, female 148.4
GTEX-1QP28-1126-SM-EVYC4 50-59 years, female 148.3
GTEX-1JKYN-0826-SM-ARU8S 30-39 years, male 147.9
GTEX-14BIN-1126-SM-5RQJZ 50-59 years, female 147.8
GTEX-WK11-2726-SM-3NMAQ 50-59 years, male 147.3
GTEX-1J8JJ-0626-SM-ARZMQ 60-69 years, female 147.3
GTEX-1GF9U-2026-SM-7SB92 40-49 years, female 147.0
GTEX-147F3-1726-SM-5SIAW 50-59 years, female 146.8
GTEX-ZYT6-2326-SM-5GZY3 30-39 years, male 146.7
GTEX-1HBPN-0126-SM-CGQEF 50-59 years, male 145.9
GTEX-1BAJH-2426-SM-7IGP8 70-79 years, male 145.8
GTEX-16NGA-0726-SM-731AO 40-49 years, female 145.7
GTEX-1IDJU-1726-SM-CMKHU 60-69 years, female 145.7
GTEX-1LSNL-2726-SM-E9TKJ 50-59 years, male 145.2
GTEX-1PDJ9-1226-SM-EXUSX 20-29 years, male 145.1
GTEX-1IOXB-2726-SM-CM2RI 50-59 years, male 144.7
GTEX-1A3MX-2626-SM-7PC24 60-69 years, male 144.6
GTEX-1LG7Y-2526-SM-EWRO7 50-59 years, male 144.6
GTEX-ZDTT-0426-SM-4WKFL 60-69 years, male 144.5
GTEX-Y111-0626-SM-4SOIT 50-59 years, male 144.2
GTEX-13NYC-0126-SM-5L3F4 60-69 years, male 144.1
GTEX-1H23P-0626-SM-9WG6T 60-69 years, male 144.1
GTEX-1399S-0126-SM-5IJCF 30-39 years, female 144.0
GTEX-17HHY-0426-SM-7DHLC 50-59 years, male 143.9
GTEX-1CB4E-0926-SM-7EPHT 60-69 years, male 143.1
GTEX-1C64N-2626-SM-7PC2N 50-59 years, male 142.9
GTEX-1GZ4I-2626-SM-9KNU3 50-59 years, male 142.9
GTEX-11OF3-0126-SM-5PNYF 60-69 years, male 142.7
GTEX-1H1CY-0126-SM-9YFLY 60-69 years, female 142.5
GTEX-1I6K6-1726-SM-CGQFD 30-39 years, male 142.5
GTEX-13NYB-0126-SM-5J1MD 40-49 years, male 142.4
GTEX-15RJ7-2126-SM-6PAMD 40-49 years, male 142.4
GTEX-1EMGI-2326-SM-7PBYA 60-69 years, male 142.2
GTEX-1IY9M-2826-SM-ARU8H 60-69 years, male 142.1
GTEX-11DYG-1526-SM-5A5JS 60-69 years, male 142.0
GTEX-XBEC-0726-SM-4QARZ 50-59 years, male 141.6
GTEX-1KANA-1326-SM-DIPFA 20-29 years, male 140.9
GTEX-XV7Q-1826-SM-4BRUV 40-49 years, female 140.7
GTEX-1R7EU-1626-SM-DTXG3 60-69 years, male 140.7
GTEX-14753-0726-SM-5QGQO 60-69 years, male 140.6
GTEX-WHSE-0126-SM-3NMBT 20-29 years, male 140.5
GTEX-145MN-1526-SM-5SI9T 30-39 years, male 140.4
GTEX-11EI6-2826-SM-5H11D 60-69 years, male 139.9
GTEX-ZTSS-1426-SM-5985P 40-49 years, male 139.8
GTEX-1J1R8-2026-SM-CL53Y 40-49 years, male 139.8
GTEX-1GMR3-0126-SM-A9SLW 40-49 years, male 139.7
GTEX-145LU-1926-SM-79OJN 50-59 years, male 138.7
GTEX-XBEW-1126-SM-4QARW 40-49 years, male 138.6
GTEX-1HSGN-0826-SM-ACKW3 40-49 years, female 138.4
GTEX-ZAJG-1526-SM-5CVML 50-59 years, female 137.7
GTEX-1F75A-0726-SM-7RHHD 50-59 years, male 137.5
GTEX-1H1DG-2426-SM-9QEHJ 70-79 years, male 137.0
GTEX-ZYY3-2926-SM-5GIEB 60-69 years, female 136.9
GTEX-XMD2-2126-SM-4YCF8 60-69 years, female 136.8
GTEX-1LSVX-2526-SM-DIPEU 60-69 years, male 136.1
GTEX-ZLWG-0826-SM-59888 50-59 years, female 136.0
GTEX-1RAZS-2526-SM-E6CHT 50-59 years, male 136.0
GTEX-14PK6-0226-SM-62LF5 70-79 years, female 135.9
GTEX-1AMFI-1326-SM-7939R 50-59 years, female 135.8
GTEX-1B8L1-2226-SM-7P8PT 60-69 years, male 135.5
GTEX-145MF-0926-SM-5Q5EA 50-59 years, male 135.2
GTEX-1KANC-1226-SM-CYPT7 50-59 years, female 135.0
GTEX-13FHO-0426-SM-5L3F5 60-69 years, male 134.8
GTEX-16Z82-2626-SM-7KULU 60-69 years, male 134.8
GTEX-11WQC-1826-SM-5GU59 60-69 years, male 134.3
GTEX-1117F-2926-SM-5GZYI 60-69 years, female 133.3
GTEX-14PJO-2526-SM-6AJBQ 60-69 years, male 133.3
GTEX-1477Z-0326-SM-7IGLA 60-69 years, male 133.1
GTEX-1C6VR-0126-SM-7RHGB 60-69 years, male 133.1
GTEX-15ER7-0626-SM-6PANF 20-29 years, female 133.0
GTEX-1F75W-2726-SM-7SB8H 60-69 years, male 132.9
GTEX-1QP66-1226-SM-DTX7U 50-59 years, male 132.6
GTEX-1GN1W-2426-SM-9KNUU 50-59 years, female 132.5
GTEX-ZUA1-2626-SM-5NQ92 40-49 years, male 132.4
GTEX-15EO6-2426-SM-6PALZ 50-59 years, male 132.2
GTEX-1H1DE-1326-SM-9KNUG 20-29 years, male 131.9
GTEX-183WM-0326-SM-72D5V 70-79 years, female 131.6
GTEX-15SHW-0226-SM-7LTAT 60-69 years, male 131.5
GTEX-145LT-0526-SM-5LUB2 40-49 years, male 131.2
GTEX-1MJK3-0726-SM-E6CJC 20-29 years, male 130.9
GTEX-1POEN-2326-SM-E9J2L 30-39 years, female 130.7
GTEX-18QFQ-1826-SM-72D52 30-39 years, male 130.6
GTEX-14E6E-0526-SM-793DN 30-39 years, male 130.3
GTEX-11DXZ-2026-SM-5987S 50-59 years, male 129.8
GTEX-17EVQ-0126-SM-7IGLR 70-79 years, male 129.7
GTEX-144GO-2026-SM-5O99P 60-69 years, male 129.6
GTEX-12WSJ-1126-SM-5LZVJ 40-49 years, female 129.5
GTEX-1LSNM-0826-SM-DIPG8 50-59 years, male 129.4
GTEX-1PPH7-1126-SM-DTX9A 40-49 years, male 129.1
GTEX-13YAN-0226-SM-5TDC6 60-69 years, male 128.9
GTEX-1LVAN-0626-SM-CNPOQ 50-59 years, female 128.9
GTEX-VJYA-1526-SM-3GIJV 60-69 years, male 128.7
GTEX-1EWIQ-0326-SM-7DHMQ 70-79 years, female 128.6
GTEX-1HCVE-2726-SM-CL54F 50-59 years, male 128.4
GTEX-XOT4-0626-SM-4B66L 60-69 years, female 128.2
GTEX-13G51-1826-SM-5KLZH 60-69 years, male 127.8
GTEX-1S82P-2126-SM-E6CI5 60-69 years, female 127.8
GTEX-1H2FU-0926-SM-9WPPT 60-69 years, female 127.6
GTEX-13OW8-1026-SM-5J1NQ 60-69 years, male 127.5
GTEX-16YQH-2226-SM-7IGM2 30-39 years, male 127.2
GTEX-1ICLY-0826-SM-CMKG1 50-59 years, male 127.2
GTEX-ZVTK-0226-SM-51MRG 20-29 years, male 127.0
GTEX-139TU-0726-SM-5L3EK 60-69 years, male 126.9
GTEX-1I1CD-0626-SM-CE6SW 60-69 years, female 126.9
GTEX-111CU-1126-SM-5EGIM 50-59 years, male 126.8
GTEX-1K2DA-1026-SM-CGQGF 50-59 years, male 126.4
GTEX-1A8FM-0626-SM-7PC25 50-59 years, female 126.2
GTEX-12KS4-2126-SM-5FQUT 30-39 years, male 125.9
GTEX-145MI-0626-SM-5SI8S 60-69 years, female 125.6
GTEX-WHPG-2626-SM-3NMBR 50-59 years, male 125.3
GTEX-12WSH-1526-SM-5BC5W 50-59 years, male 125.1
GTEX-1PBJJ-1026-SM-E76OS 30-39 years, male 124.5
GTEX-144GL-0626-SM-5LU4D 50-59 years, male 124.4
GTEX-11WQK-1026-SM-5EQLX 50-59 years, male 124.3
GTEX-1HBPM-0726-SM-9YFL7 60-69 years, female 124.3
GTEX-ZAK1-0626-SM-5HL8E 50-59 years, female 124.2
GTEX-18A7A-0126-SM-731AH 50-59 years, female 123.6
GTEX-1R9PN-0426-SM-DTXDT 40-49 years, female 123.6
GTEX-146FQ-2126-SM-5RQHU 30-39 years, male 123.2
GTEX-1IDJE-1426-SM-ADEIW 50-59 years, female 123.1
GTEX-1JMQL-2226-SM-CNPP4 50-59 years, female 123.0
GTEX-13O3Q-0126-SM-5KM34 50-59 years, male 122.8
GTEX-1LBAC-0826-SM-CY8IJ 20-29 years, male 122.2
GTEX-11GS4-0226-SM-5HL77 60-69 years, male 122.0
GTEX-Y5V5-0126-SM-5S2NW 60-69 years, female 121.9
GTEX-14PJ3-1126-SM-5ZZVX 50-59 years, male 121.4
GTEX-13O61-1426-SM-5KM3D 60-69 years, male 121.1
GTEX-144FL-0626-SM-5LU43 50-59 years, male 120.9
GTEX-111FC-2526-SM-5GZXU 60-69 years, male 120.8
GTEX-ZP4G-1426-SM-4WWCL 20-29 years, female 120.8
GTEX-ZAB4-2126-SM-5HL8U 40-49 years, male 120.2
GTEX-WYVS-1626-SM-3NM9R 40-49 years, female 120.0
GTEX-1IE54-1126-SM-A9G2Z 40-49 years, female 120.0
GTEX-13OVL-0126-SM-5L3GJ 50-59 years, male 119.9
GTEX-145MO-2826-SM-5LU96 60-69 years, male 119.8
GTEX-WFG7-2026-SM-5SI7P 20-29 years, male 119.7
GTEX-12126-0826-SM-5FQTZ 20-29 years, male 119.5
GTEX-1L5NE-1126-SM-D3L9P 50-59 years, male 119.3
GTEX-13QJC-0126-SM-5ZZWJ 60-69 years, female 119.1
GTEX-17JCI-2926-SM-7DUFF 60-69 years, female 118.8
GTEX-1HSMO-0626-SM-ACKXC 60-69 years, male 118.8
GTEX-1JMLX-0626-SM-ARL8T 50-59 years, male 118.5
GTEX-1R9K4-2826-SM-DTX8F 60-69 years, male 118.3
GTEX-14A6H-2026-SM-5Q5DD 30-39 years, male 118.2
GTEX-1KAFJ-0126-SM-DIPEK 50-59 years, male 118.2
GTEX-15RIE-1926-SM-7KUKJ 60-69 years, male 118.0
GTEX-14PHY-1226-SM-5ZZWK 60-69 years, female 117.8
GTEX-1F6I4-2326-SM-7RHGL 60-69 years, male 117.5
GTEX-12WSC-2826-SM-5BC5Y 50-59 years, male 117.3
GTEX-1MCYP-0526-SM-E9U6Q 20-29 years, female 117.2
GTEX-14JFF-0626-SM-5ZZVT 60-69 years, male 117.1
GTEX-1269C-0126-SM-5EQ5L 60-69 years, female 116.6
GTEX-1IDJD-2326-SM-ACKWX 30-39 years, male 116.3
GTEX-ZVP2-0326-SM-57WBP 50-59 years, male 116.2
GTEX-1A8G6-2726-SM-731AR 60-69 years, male 115.8
GTEX-12584-0726-SM-5FQTK 40-49 years, male 115.6
GTEX-117YX-1926-SM-5GIEC 50-59 years, male 115.5
GTEX-13OW6-2726-SM-5J2OE 50-59 years, male 114.9
GTEX-1I1HK-2326-SM-CKZOH 60-69 years, male 114.3
GTEX-183FY-1026-SM-7939A 20-29 years, male 113.3
GTEX-WHWD-1826-SM-3LK6I 50-59 years, male 113.2
GTEX-11PRG-0726-SM-5EGL1 50-59 years, male 112.8
GTEX-1F75I-2226-SM-7SB8U 40-49 years, male 112.1
GTEX-1IDJF-2026-SM-CL53V 20-29 years, male 111.4
GTEX-11DZ1-2426-SM-5GZZX 50-59 years, male 110.8
GTEX-1MCC2-1826-SM-DIPEX 30-39 years, female 110.6
GTEX-WYBS-0626-SM-3NMAS 60-69 years, female 110.4
GTEX-1GZ4H-0526-SM-9KNU9 50-59 years, female 110.3
GTEX-16XZZ-0726-SM-7KUF2 60-69 years, male 109.6
GTEX-1LVAO-2726-SM-E9TJ8 60-69 years, male 109.3
GTEX-14E1K-2026-SM-7DUEI 50-59 years, male 109.2
GTEX-1F88F-0126-SM-9WYSZ 60-69 years, female 108.8
GTEX-1HFI6-0126-SM-CNPPI 40-49 years, male 108.6
GTEX-1HT8W-0626-SM-A9G2H 30-39 years, male 108.3
GTEX-14PJ5-1526-SM-6LLIL 60-69 years, female 108.2
GTEX-1JJEA-1826-SM-ARU8P 60-69 years, male 107.9
GTEX-1399R-1326-SM-5PNYS 30-39 years, male 107.7
GTEX-17HG3-2626-SM-7DUF2 30-39 years, female 107.0
GTEX-13FLV-0126-SM-5K7WT 50-59 years, male 106.7
GTEX-1B932-2326-SM-79OL5 40-49 years, female 106.1
GTEX-1R9PM-1926-SM-EVR3O 20-29 years, male 106.0
GTEX-1IKOE-1426-SM-CE6T7 30-39 years, female 105.9
GTEX-1N2DV-1526-SM-DTXEP 40-49 years, male 105.9
GTEX-147GR-2426-SM-5ZZWQ 60-69 years, male 105.7
GTEX-1H3O1-1326-SM-9MQLD 60-69 years, male 104.9
GTEX-1GMR8-0626-SM-7RHI7 50-59 years, female 104.5
GTEX-X4EP-0626-SM-3P621 60-69 years, female 104.3
GTEX-1CAMQ-1326-SM-7P8RV 40-49 years, male 104.3
GTEX-1K2DU-1226-SM-CYPT4 20-29 years, male 102.9
GTEX-11DXW-0826-SM-5H118 40-49 years, male 102.7
GTEX-139TS-2126-SM-5K7XC 60-69 years, male 102.4
GTEX-15CHR-1126-SM-7EWF4 50-59 years, male 101.9
GTEX-1EX96-1026-SM-7MKG2 50-59 years, male 101.8
GTEX-1LVAM-0726-SM-E6CIL 50-59 years, female 101.5
GTEX-XXEK-1626-SM-4BRUZ 50-59 years, male 101.0
GTEX-WY7C-2126-SM-3NB2R 50-59 years, male 100.7
GTEX-1KD5A-0126-SM-E9U54 50-59 years, male 100.4
GTEX-14BMU-1226-SM-5S2OR 20-29 years, female 99.8
GTEX-14PII-0726-SM-6EU2B 60-69 years, male 99.7
GTEX-1H3VE-0726-SM-9YFL5 40-49 years, male 99.7
GTEX-1H1E6-0426-SM-9WYUS 30-39 years, male 99.4
GTEX-1J8EW-2726-SM-CY8HR 60-69 years, female 99.4
GTEX-ZXG5-2126-SM-59HKD 60-69 years, male 99.3
GTEX-1C64O-1326-SM-7MGWR 60-69 years, male 98.8
GTEX-18A66-0626-SM-7LT8Z 60-69 years, male 98.7
GTEX-1AMEY-0826-SM-72D65 30-39 years, female 97.7
GTEX-1HSMQ-2626-SM-A9SML 50-59 years, male 97.7
GTEX-13FTX-1526-SM-5K7VJ 20-29 years, female 97.4
GTEX-ZVE2-2826-SM-5GU51 50-59 years, male 97.3
GTEX-1S5ZU-2526-SM-E6CIF 20-29 years, female 97.1
GTEX-1K9T9-1526-SM-DIPFR 50-59 years, female 96.8
GTEX-13X6I-1826-SM-5SIAO 60-69 years, male 96.2
GTEX-1HR9M-2226-SM-CNPPY 60-69 years, male 96.2
GTEX-XK95-0226-SM-4AT58 40-49 years, male 95.9
GTEX-13JVG-0726-SM-5KM16 60-69 years, male 95.3
GTEX-11P81-2226-SM-5PNYI 30-39 years, female 93.8
GTEX-13OW5-2326-SM-5L3HO 60-69 years, male 93.1
GTEX-1RMOY-1326-SM-E9TIH 50-59 years, male 93.0
GTEX-13SLW-0626-SM-5Q5ER 70-79 years, male 92.4
GTEX-1A8G7-1326-SM-73KVM 60-69 years, male 92.3
GTEX-132AR-0326-SM-5KM2C 50-59 years, female 91.0
GTEX-1KANB-2826-SM-CY8I6 50-59 years, male 90.6
GTEX-12ZZX-2426-SM-5GCOE 40-49 years, female 90.3
GTEX-17F97-2626-SM-7IGM5 50-59 years, male 90.2
GTEX-14C39-1726-SM-5RQIL 40-49 years, male 90.0
GTEX-145LS-0626-SM-7EPG7 60-69 years, female 89.9
GTEX-139YR-1026-SM-5LZYN 50-59 years, male 89.2
GTEX-1H3NZ-2726-SM-9WYTQ 60-69 years, male 89.1
GTEX-14AS3-1526-SM-5Q5ED 40-49 years, female 89.0
GTEX-1IL2V-1926-SM-B2LW8 70-79 years, male 88.7
GTEX-14LLW-2626-SM-62LDZ 70-79 years, female 88.1
GTEX-1I19N-0126-SM-CYPSF 70-79 years, male 88.1
GTEX-13NZ9-2626-SM-5L3FK 50-59 years, male 87.5
GTEX-1HB9E-0126-SM-CM2S5 50-59 years, male 87.3
GTEX-1H1DF-1126-SM-9WG7G 40-49 years, female 86.0
GTEX-139T8-0626-SM-5KLZX 60-69 years, male 85.1
GTEX-UPK5-0426-SM-3GAEK 40-49 years, male 84.0
GTEX-VUSG-2326-SM-4KL1U 50-59 years, male 83.9
GTEX-1CB4H-1126-SM-7MKGL 60-69 years, female 83.8
GTEX-13NYS-0626-SM-5L3F1 60-69 years, male 81.9
GTEX-1192X-2726-SM-5N9DN 50-59 years, male 81.0
GTEX-17F96-0126-SM-7EWDU 70-79 years, male 80.7
GTEX-1HGF4-0126-SM-CNPPX 60-69 years, male 79.9
GTEX-14DAQ-0626-SM-793DS 60-69 years, female 78.9
GTEX-XYKS-1426-SM-4BRUO 60-69 years, female 77.7
GTEX-13N2G-0226-SM-5K7VF 60-69 years, male 77.4
GTEX-11P7K-1126-SM-5HL4L 30-39 years, male 76.3
GTEX-1HCU8-2526-SM-CE6RX 60-69 years, female 75.4
GTEX-ZC5H-1526-SM-5HL9Y 40-49 years, female 74.6
GTEX-1F75B-0726-SM-7PC3R 50-59 years, male 74.6
GTEX-1GZ2Q-0126-SM-9WG6M 40-49 years, male 71.1
GTEX-1JMQI-1726-SM-ARL93 50-59 years, male 70.3
GTEX-1NV5F-0626-SM-DTXEG 60-69 years, female 69.9
GTEX-ZE9C-2526-SM-5IJDR 60-69 years, male 69.7
GTEX-14PJ2-0626-SM-6LLII 50-59 years, male 67.5
GTEX-1F88E-1626-SM-7SB8Z 60-69 years, female 67.1
GTEX-1HCU7-0726-SM-A9SL1 50-59 years, male 66.4
GTEX-1IDJV-0126-SM-COH3Y 60-69 years, male 65.6
GTEX-16AAH-0626-SM-793C9 50-59 years, male 63.7
GTEX-ZVE1-0726-SM-51MRN 50-59 years, female 63.6
GTEX-13PL6-1126-SM-5L3IE 40-49 years, female 61.9
GTEX-1HR98-2226-SM-ADEI2 60-69 years, male 59.9
GTEX-13JUV-2026-SM-5K7UA 40-49 years, female 56.9
GTEX-14LZ3-0126-SM-69LPM 60-69 years, female 55.5
GTEX-1GF9X-1326-SM-7PC2Y 40-49 years, female 54.8
GTEX-15DDE-2926-SM-6LLJ3 50-59 years, female 54.7
GTEX-139D8-1126-SM-5LU8W 30-39 years, female 52.9
GTEX-15G19-2426-SM-7KUMR 60-69 years, male 52.1
GTEX-1399Q-2326-SM-5KM2X 40-49 years, male 51.6
GTEX-1IDFM-0326-SM-ARL7V 60-69 years, male 50.2
GTEX-ZWKS-0626-SM-5GIDV 30-39 years, male 49.1
GTEX-16MT9-0126-SM-7EPI8 60-69 years, female 49.0
GTEX-15SKB-2826-SM-6PAMH 60-69 years, male 47.1
GTEX-1F6RS-2026-SM-7RHHC 60-69 years, female 46.8
GTEX-13NZ8-1226-SM-5KM4A 60-69 years, female 42.1
GTEX-1F52S-2926-SM-7MKGA 60-69 years, female 39.3
GTEX-11EQ8-0926-SM-5H12V 60-69 years, male 38.8
GTEX-X585-2426-SM-46MW2 50-59 years, male 36.9
GTEX-17F9Y-0126-SM-79OKX 70-79 years, female 36.6
GTEX-1314G-1326-SM-5BC6E 30-39 years, male 35.4
GTEX-13IVO-0726-SM-5LZYV 70-79 years, male 34.1
GTEX-13PDP-0726-SM-5L3HP 60-69 years, male 34.1
Show allShow less
Skin - Sun Exposed (Lower leg)
Average nTPM: 189.0
Samples: 701

Max nTPM: 495.8
Min nTPM: 42.9
Std nTPM: 66.3
Median nTPM: 185.0
GTEX-1HSMO-0126-SM-CL547 60-69 years, male 495.8
GTEX-1C6VQ-0126-SM-7P8RI 50-59 years, male 419.1
GTEX-11H98-0126-SM-5EGHG 50-59 years, male 417.1
GTEX-X5EB-2226-SM-46MW4 40-49 years, male 393.7
GTEX-14PN4-0126-SM-6EU2V 50-59 years, male 392.8
GTEX-17HII-0226-SM-7LG4E 50-59 years, male 388.8
GTEX-15UF6-0826-SM-6PALJ 70-79 years, female 387.5
GTEX-14XAO-2326-SM-6EU1B 60-69 years, female 381.1
GTEX-OXRO-0126-SM-2YUN4 60-69 years, female 373.4
GTEX-13OVI-1426-SM-5L3EY 60-69 years, female 362.2
GTEX-17EVQ-0226-SM-7LG4P 70-79 years, male 362.0
GTEX-13X6H-2126-SM-7EWD5 50-59 years, female 361.0
GTEX-U8T8-0126-SM-3DB94 60-69 years, male 355.6
GTEX-1A3MW-0126-SM-73KXX 60-69 years, female 350.1
GTEX-S32W-2126-SM-2XCB1 50-59 years, female 349.2
GTEX-1H1ZS-0426-SM-9WG6G 70-79 years, male 347.5
GTEX-131XE-2326-SM-5PNZ2 50-59 years, male 343.3
GTEX-SN8G-0126-SM-32PLI 50-59 years, female 343.1
GTEX-14A5I-0126-SM-5TDEA 50-59 years, female 341.6
GTEX-ZPIC-1726-SM-DHXIU 40-49 years, female 338.3
GTEX-14BIL-0126-SM-5SI92 50-59 years, male 337.5
GTEX-1PWST-0226-SM-E76QJ 70-79 years, male 336.6
GTEX-1H1DE-2126-SM-9WG6R 20-29 years, male 326.7
GTEX-16XZZ-0126-SM-793DV 60-69 years, male 325.5
GTEX-1GTWX-0126-SM-9YFLK 60-69 years, male 324.7
GTEX-1HGF4-2426-SM-ACKXM 60-69 years, male 324.3
GTEX-146FH-0126-SM-5QGPP 50-59 years, female 321.7
GTEX-POMQ-2226-SM-2I5FK 20-29 years, female 317.8
GTEX-1JMOU-1526-SM-CL54I 60-69 years, female 317.4
GTEX-1JN1M-0326-SM-CYPT3 60-69 years, female 315.9
GTEX-1N2EF-0226-SM-EYYXB 60-69 years, male 313.9
GTEX-VJWN-0126-SM-3GIK7 50-59 years, female 312.7
GTEX-1B8KE-2126-SM-73KYX 50-59 years, male 312.1
GTEX-1B8SG-0126-SM-73KZ3 50-59 years, male 311.6
GTEX-145LT-1726-SM-5QGP3 40-49 years, male 308.3
GTEX-148VI-1626-SM-5SI6E 60-69 years, female 306.6
GTEX-14E6C-0126-SM-5RQIP 40-49 years, male 304.3
GTEX-1JMQK-0226-SM-CL543 60-69 years, male 303.3
GTEX-1B8SF-1426-SM-7DUGL 60-69 years, male 302.8
GTEX-13OVH-0126-SM-5MR4B 70-79 years, male 301.0
GTEX-S7PM-0126-SM-4AD6S 60-69 years, male 298.0
GTEX-14753-0426-SM-5NQAM 60-69 years, male 295.1
GTEX-16MT8-0426-SM-7KUEY 60-69 years, female 294.7
GTEX-U8XE-0326-SM-3DB8P 30-39 years, male 294.0
GTEX-1GF9W-0326-SM-9KNUN 60-69 years, male 292.3
GTEX-13X6J-0126-SM-5QGOU 50-59 years, male 291.6
GTEX-ZYW4-0126-SM-5E44A 60-69 years, male 290.9
GTEX-15SB6-1726-SM-6PAME 50-59 years, female 289.0
GTEX-1C475-1826-SM-73KWA 40-49 years, female 288.8
GTEX-1GN1U-0126-SM-7PBZK 50-59 years, female 288.2
GTEX-P44H-0226-SM-2XCEU 40-49 years, male 288.1
GTEX-1GF9V-0326-SM-7RHI5 60-69 years, male 287.0
GTEX-1RLM8-2326-SM-EWRN4 50-59 years, male 286.4
GTEX-R55G-2526-SM-2TC6D 40-49 years, female 283.1
GTEX-1A3MX-0126-SM-731BR 60-69 years, male 280.6
GTEX-11GSO-2426-SM-5A5LY 60-69 years, male 280.0
GTEX-ZYY3-0126-SM-5GZY5 60-69 years, female 277.9
GTEX-1JMPZ-0226-SM-CNPP1 30-39 years, male 277.4
GTEX-1R9K4-0126-SM-DTX9X 60-69 years, male 277.0
GTEX-1JMQJ-0526-SM-CYPSU 50-59 years, male 276.0
GTEX-WI4N-1026-SM-3LK7N 40-49 years, female 275.1
GTEX-15SHW-0326-SM-6PAML 60-69 years, male 274.1
GTEX-X8HC-0126-SM-4E3JW 50-59 years, female 273.7
GTEX-13O1R-0126-SM-5L3EH 60-69 years, male 273.0
GTEX-1IKJJ-0126-SM-CNPQB 60-69 years, male 272.8
GTEX-12696-2426-SM-5EQ6H 60-69 years, male 272.5
GTEX-11ZU8-2526-SM-5EQKI 60-69 years, male 271.9
GTEX-1JN76-0126-SM-CNPPE 20-29 years, female 271.2
GTEX-1AX9J-0226-SM-73KXM 60-69 years, male 269.6
GTEX-17MF6-0126-SM-7LG4F 40-49 years, male 268.6
GTEX-11EMC-2926-SM-5EQ4F 60-69 years, female 268.3
GTEX-15D1Q-0126-SM-7KUG6 40-49 years, male 267.6
GTEX-ZAB4-0226-SM-5N9F5 40-49 years, male 267.0
GTEX-18A7B-0126-SM-7LG64 70-79 years, male 266.7
GTEX-169BO-1326-SM-9MQK2 50-59 years, male 266.6
GTEX-11TT1-2526-SM-5EGIB 20-29 years, male 266.5
GTEX-13RTJ-2426-SM-5S2Q2 60-69 years, male 266.1
GTEX-1PIIG-0226-SM-EWRN6 30-39 years, male 266.1
GTEX-13OVG-1926-SM-5L3DK 60-69 years, male 265.0
GTEX-Q2AH-1626-SM-3GAF8 40-49 years, male 265.0
GTEX-14DAR-2026-SM-5S2O3 50-59 years, male 264.6
GTEX-1QMI2-0226-SM-EVYBX 60-69 years, male 264.3
GTEX-1MCQQ-0826-SM-DLHC2 60-69 years, male 264.0
GTEX-1CB4J-0626-SM-7DHMP 60-69 years, male 263.8
GTEX-ZVT2-2526-SM-51MT1 50-59 years, female 263.6
GTEX-12WSA-0226-SM-5BC5V 60-69 years, male 262.7
GTEX-1H1DG-0126-SM-9WYU2 70-79 years, male 262.5
GTEX-11DYG-0126-SM-59883 60-69 years, male 261.9
GTEX-1HFI7-1826-SM-ACKXH 50-59 years, female 261.9
GTEX-W5X1-3026-SM-EAZAX 40-49 years, female 261.8
GTEX-1HB9E-0226-SM-E9U4R 50-59 years, male 261.7
GTEX-QESD-1426-SM-2S1R9 20-29 years, male 260.2
GTEX-145MO-0326-SM-5Q5B3 60-69 years, male 259.4
GTEX-X4XY-0226-SM-4E3IZ 60-69 years, male 259.2
GTEX-1HCU6-0126-SM-CL54K 60-69 years, female 258.9
GTEX-ZU9S-0226-SM-5E441 30-39 years, male 257.5
GTEX-1LH75-2426-SM-E9TJE 50-59 years, female 256.8
GTEX-P4PQ-0126-SM-2S1NM 60-69 years, male 256.7
GTEX-1HCVE-0126-SM-CGQEU 50-59 years, male 256.2
GTEX-12584-0126-SM-5EGKQ 40-49 years, male 256.0
GTEX-131XH-2226-SM-5DUXJ 50-59 years, male 255.8
GTEX-1E2YA-0126-SM-9KNUC 50-59 years, male 254.6
GTEX-12WSG-2826-SM-E9J4H 50-59 years, female 253.9
GTEX-15DYW-0126-SM-7KULE 60-69 years, female 253.2
GTEX-13OVJ-0126-SM-5KM36 50-59 years, female 252.6
GTEX-13YAN-0326-SM-5O9DF 60-69 years, male 251.3
GTEX-S7SE-0126-SM-2XCD5 50-59 years, male 251.1
GTEX-1HBPN-0226-SM-9YFM1 50-59 years, male 251.1
GTEX-SIU8-0126-SM-2XCDT 50-59 years, male 250.8
GTEX-1HUB1-0426-SM-E9U4U 60-69 years, male 250.7
GTEX-11ZVC-2526-SM-5FQTE 50-59 years, female 250.5
GTEX-11LCK-1026-SM-5A5KB 30-39 years, male 249.9
GTEX-1LGOU-2026-SM-DIPFF 20-29 years, female 249.4
GTEX-RTLS-0126-SM-447CA 60-69 years, female 249.3
GTEX-14JIY-0126-SM-6LLH6 60-69 years, male 248.7
GTEX-1HSKV-0226-SM-A9SKJ 60-69 years, male 248.3
GTEX-ZF29-2326-SM-DO92K 60-69 years, female 248.2
GTEX-P4QT-0126-SM-2I3FL 50-59 years, female 247.9
GTEX-117YW-2626-SM-5GZZH 50-59 years, male 247.3
GTEX-1A8FM-0226-SM-7SB7Q 50-59 years, female 247.1
GTEX-145LS-0126-SM-5QGP1 60-69 years, female 247.0
GTEX-ZVZO-0126-SM-5A5L9 40-49 years, male 246.9
GTEX-1EN7A-0126-SM-7SB81 40-49 years, male 246.9
GTEX-1H4P4-0726-SM-9YFLR 50-59 years, male 245.8
GTEX-13N1W-0126-SM-5K7VT 70-79 years, male 245.2
GTEX-Y5V6-2426-SM-4VDSB 60-69 years, male 245.2
GTEX-X4EO-0326-SM-3P5YO 60-69 years, female 245.1
GTEX-1212Z-2526-SM-5EGKP 60-69 years, male 244.9
GTEX-RWSA-0126-SM-2XCBB 40-49 years, male 244.7
GTEX-11GSP-2526-SM-5N9BP 60-69 years, female 244.6
GTEX-148VJ-0126-SM-5TDDN 70-79 years, male 244.0
GTEX-ZGAY-0526-SM-4WWBB 40-49 years, female 243.7
GTEX-17EVP-0326-SM-7DHLG 40-49 years, male 242.8
GTEX-1O97I-0326-SM-EYYX7 60-69 years, male 242.8
GTEX-131XG-2626-SM-5KM17 50-59 years, female 240.9
GTEX-RU72-0926-SM-2TF6B 50-59 years, female 240.2
GTEX-U3ZH-2026-SM-3DB78 30-39 years, male 240.1
GTEX-13CF3-2426-SM-5IFGX 60-69 years, female 240.0
GTEX-1AX8Z-0126-SM-7DHM6 60-69 years, male 239.6
GTEX-1RDX4-0126-SM-E9J4P 50-59 years, female 238.9
GTEX-T2IS-0126-SM-4DM6O 20-29 years, female 237.8
GTEX-XQ3S-1526-SM-4BOOC 20-29 years, male 237.8
GTEX-13U4I-0126-SM-5LU38 40-49 years, female 237.7
GTEX-RVPV-0126-SM-EAZAW 60-69 years, male 237.7
GTEX-14PJM-0226-SM-62LF1 50-59 years, female 237.6
GTEX-ZVT4-0126-SM-DTXFN 50-59 years, female 237.6
GTEX-15DDE-0126-SM-6LPKH 50-59 years, female 237.5
GTEX-1LB8K-0226-SM-EWRNW 50-59 years, male 237.0
GTEX-17KNJ-2326-SM-7DHLQ 50-59 years, male 236.8
GTEX-13O3O-0126-SM-E9J49 60-69 years, female 236.1
GTEX-WFG8-2226-SM-3GIL9 20-29 years, male 236.0
GTEX-QDT8-0126-SM-48TZ1 30-39 years, female 235.7
GTEX-1LG7Y-0526-SM-DKPQC 50-59 years, male 235.5
GTEX-15ER7-0326-SM-7KUEV 20-29 years, female 234.9
GTEX-1JMLX-0226-SM-CM2RO 50-59 years, male 234.6
GTEX-1269C-2526-SM-5EGJ3 60-69 years, female 234.3
GTEX-1F7RK-0126-SM-7PC2S 20-29 years, female 234.2
GTEX-1EWIQ-0126-SM-7RHH2 70-79 years, female 233.7
GTEX-UPJH-0326-SM-3GADU 50-59 years, male 233.3
GTEX-U412-0426-SM-3DB9O 60-69 years, male 233.1
GTEX-1HBPI-1526-SM-C1YQ1 50-59 years, male 233.0
GTEX-139TU-0126-SM-5K7WH 60-69 years, male 232.9
GTEX-1GMRU-0126-SM-9YFLV 50-59 years, male 232.6
GTEX-145ME-1826-SM-5SI9G 40-49 years, female 232.4
GTEX-1CAMQ-0226-SM-7IGPK 40-49 years, male 232.4
GTEX-ZYT6-0226-SM-5NQ6T 30-39 years, male 232.2
GTEX-1192W-2626-SM-5Q5AF 60-69 years, male 232.1
GTEX-Y8DK-0126-SM-4TT3L 60-69 years, male 232.1
GTEX-13113-5016-SM-7EPIP 60-69 years, female 231.0
GTEX-11TUW-2726-SM-E9J4M 60-69 years, male 231.0
GTEX-1POEN-0126-SM-EYYXJ 30-39 years, female 230.4
GTEX-O5YW-0126-SM-3LK6D 50-59 years, male 230.1
GTEX-WH7G-2326-SM-3NMBC 40-49 years, male 230.0
GTEX-15RIG-0226-SM-7KFTL 40-49 years, male 229.9
GTEX-11DXZ-2326-SM-5EGGV 50-59 years, male 229.8
GTEX-12WSC-0126-SM-5EQ4P 50-59 years, male 228.9
GTEX-T6MN-0126-SM-32PLP 50-59 years, male 228.8
GTEX-12WSL-2526-SM-5GCNJ 50-59 years, male 228.7
GTEX-144GL-0126-SM-5TDE2 50-59 years, male 228.6
GTEX-OXRP-0126-SM-3NB32 60-69 years, female 228.0
GTEX-PWCY-1826-SM-DHXIZ 20-29 years, female 228.0
GTEX-13FHO-0226-SM-5IFGY 60-69 years, male 227.9
GTEX-ZAJG-0126-SM-5HL94 50-59 years, female 227.7
GTEX-1PPH7-2326-SM-EVYB8 40-49 years, male 227.6
GTEX-1ICLZ-0126-SM-CKZPO 60-69 years, male 227.5
GTEX-17HGU-0226-SM-7DHKV 50-59 years, male 227.4
GTEX-11DXW-0226-SM-5H122 40-49 years, male 227.2
GTEX-11UD1-0126-SM-5PNYG 40-49 years, female 227.0
GTEX-13RTL-0126-SM-7LG5S 40-49 years, male 227.0
GTEX-X585-0226-SM-4QAS2 50-59 years, male 227.0
GTEX-PLZ6-1426-SM-DKPOT 30-39 years, male 226.9
GTEX-Z93S-0126-SM-5HL7M 50-59 years, male 226.5
GTEX-ZDYS-2026-SM-5HL5L 50-59 years, male 226.5
GTEX-1CB4G-0226-SM-7PC3O 60-69 years, male 226.4
GTEX-PX3G-0126-SM-2I3EN 20-29 years, female 225.6
GTEX-111VG-2426-SM-5GZXD 60-69 years, male 225.5
GTEX-1122O-2126-SM-5EGIR 60-69 years, female 225.4
GTEX-13OW8-1326-SM-5J1OW 60-69 years, male 225.3
GTEX-1KXAM-2226-SM-CYPTC 60-69 years, male 225.3
GTEX-13S7M-0126-SM-5SI6A 60-69 years, female 223.9
GTEX-1A32A-0126-SM-718B1 50-59 years, female 223.7
GTEX-XUYS-0126-SM-47JWZ 50-59 years, male 223.6
GTEX-1GZHY-0326-SM-9QEHI 50-59 years, female 223.6
GTEX-1B996-0226-SM-7RHGO 60-69 years, male 223.2
GTEX-1I1GU-2226-SM-CGQFA 40-49 years, male 223.1
GTEX-X4XX-0126-SM-3NMC2 60-69 years, male 222.8
GTEX-13IVO-0126-SM-5J1NG 70-79 years, male 222.4
GTEX-1QEPI-0126-SM-EWRMQ 60-69 years, female 222.1
GTEX-1C4CL-0526-SM-73KVK 30-39 years, male 222.0
GTEX-1F48J-0126-SM-7P8TT 50-59 years, female 221.7
GTEX-13OW7-0126-SM-5MR3B 50-59 years, male 221.6
GTEX-1GN2E-0426-SM-9MQKX 60-69 years, male 220.6
GTEX-12WSE-0526-SM-793B2 20-29 years, male 220.5
GTEX-1JN6P-0126-SM-D3L98 60-69 years, male 220.4
GTEX-WOFL-0126-SM-3MJG2 60-69 years, male 220.3
GTEX-139TT-0126-SM-5K7Y5 60-69 years, male 219.3
GTEX-P4PP-0126-SM-3LK69 30-39 years, female 219.1
GTEX-1R46S-0626-SM-E9J41 60-69 years, female 219.1
GTEX-1C6WA-0126-SM-7PC2B 60-69 years, male 218.9
GTEX-1I1CD-0126-SM-CM2TK 60-69 years, female 218.9
GTEX-12ZZY-0226-SM-5LZVE 60-69 years, male 218.6
GTEX-1H1CY-2826-SM-9MQM3 60-69 years, female 218.2
GTEX-16YQH-0126-SM-7DUFJ 30-39 years, male 217.9
GTEX-18A6Q-0126-SM-731BZ 60-69 years, male 216.5
GTEX-13112-2826-SM-5DUWH 50-59 years, male 216.4
GTEX-UJHI-1526-SM-3DB99 50-59 years, female 216.0
GTEX-1313W-0126-SM-5LZUN 50-59 years, female 215.9
GTEX-1OJC4-0126-SM-E9J2E 50-59 years, female 215.9
GTEX-1ICLY-0126-SM-D4P36 50-59 years, male 215.8
GTEX-S95S-1226-SM-4GICG 60-69 years, male 215.4
GTEX-1RAZQ-0726-SM-EAZ43 30-39 years, male 215.3
GTEX-131XF-5016-SM-7MGWE 60-69 years, male 214.9
GTEX-1I1GT-0626-SM-CGQER 60-69 years, female 214.8
GTEX-14PJ6-2126-SM-6EU1V 60-69 years, female 214.3
GTEX-1H23P-0126-SM-ADEJ3 60-69 years, male 214.1
GTEX-1H3O1-0426-SM-9YFKY 60-69 years, male 214.1
GTEX-1KD5A-0226-SM-D5OV3 50-59 years, male 214.1
GTEX-16BQI-0226-SM-7KUEX 30-39 years, female 213.3
GTEX-1HT8W-0126-SM-CNPPP 30-39 years, male 213.2
GTEX-1JJEA-0326-SM-CNPOT 60-69 years, male 213.2
GTEX-11TTK-0126-SM-5987B 60-69 years, female 212.4
GTEX-TML8-1926-SM-32QOS 40-49 years, female 212.3
GTEX-Y8LW-1826-SM-5S2MV 50-59 years, female 212.2
GTEX-ZF3C-0126-SM-DO92D 50-59 years, female 212.0
GTEX-ZYFC-0226-SM-5NQ75 50-59 years, male 211.7
GTEX-11EI6-0126-SM-5985R 60-69 years, male 211.1
GTEX-13NZA-0226-SM-5K7Z7 60-69 years, male 211.0
GTEX-131YS-0126-SM-5KM1M 60-69 years, female 210.9
GTEX-1IKOH-0226-SM-COH4E 60-69 years, female 210.5
GTEX-1QAET-0926-SM-E76QM 50-59 years, male 210.4
GTEX-ZYFD-0126-SM-5GIDL 50-59 years, male 210.3
GTEX-1J8Q2-0526-SM-CM2RW 60-69 years, male 210.3
GTEX-1MJK2-0426-SM-DTXE5 50-59 years, male 209.9
GTEX-1IDJH-0326-SM-A9SLQ 70-79 years, male 209.3
GTEX-14E6D-0126-SM-62LDV 50-59 years, male 209.1
GTEX-R55E-0126-SM-2TC5Y 20-29 years, male 208.6
GTEX-ZTSS-1926-SM-57WEW 40-49 years, male 208.2
GTEX-QDVN-2026-SM-3GAEP 50-59 years, male 207.9
GTEX-11UD2-0226-SM-5EQKY 50-59 years, male 207.1
GTEX-17HHY-0126-SM-7LG5D 50-59 years, male 205.8
GTEX-O5YT-0126-SM-48TBW 20-29 years, male 205.4
GTEX-QLQ7-1626-SM-2S1R8 60-69 years, male 205.3
GTEX-ZDTS-0126-SM-4WAY5 60-69 years, male 205.3
GTEX-1GPI6-0126-SM-9WG69 60-69 years, male 205.3
GTEX-Y3I4-2126-SM-4TT7C 50-59 years, male 204.7
GTEX-13VXU-0126-SM-5SI9F 50-59 years, male 204.6
GTEX-1CAV2-2226-SM-7P8P2 40-49 years, female 204.6
GTEX-117XS-2726-SM-5N9BL 60-69 years, male 204.5
GTEX-145MI-0526-SM-5O9A8 60-69 years, female 204.3
GTEX-1B933-0126-SM-7PC29 50-59 years, female 203.8
GTEX-12ZZZ-0626-SM-5DUXI 60-69 years, male 203.5
GTEX-15SHU-0126-SM-7KUEH 40-49 years, female 202.9
GTEX-YFC4-0126-SM-5CVLY 40-49 years, female 202.4
GTEX-ZXES-1826-SM-5E43S 30-39 years, female 202.3
GTEX-1IY9M-0126-SM-D3L8S 60-69 years, male 202.3
GTEX-11EQ9-2426-SM-5HL5T 30-39 years, male 202.2
GTEX-TSE9-0126-SM-3DB83 60-69 years, female 202.1
GTEX-1I1GS-0126-SM-B2LVW 60-69 years, male 202.1
GTEX-1S82Y-2026-SM-EVYCM 40-49 years, male 201.9
GTEX-13N11-2526-SM-5K7UE 50-59 years, female 201.6
GTEX-14JG1-0426-SM-6ETZZ 40-49 years, male 201.5
GTEX-1KWVE-1426-SM-E9TJO 30-39 years, male 201.5
GTEX-1AX9I-0126-SM-7SB74 60-69 years, male 201.3
GTEX-11DZ1-0126-SM-5985Q 50-59 years, male 200.9
GTEX-ZVTK-0426-SM-51MRS 20-29 years, male 200.7
GTEX-1H3VY-0126-SM-ACKXD 50-59 years, male 200.6
GTEX-1HCUA-2426-SM-ADEIS 50-59 years, female 200.6
GTEX-1I1GQ-0126-SM-COH3H 50-59 years, male 200.5
GTEX-R3RS-0126-SM-3GIJL 40-49 years, female 200.4
GTEX-OIZG-0726-SM-33HBL 50-59 years, male 200.3
GTEX-13PVR-2326-SM-5QGR1 60-69 years, female 200.1
GTEX-TMZS-0126-SM-3DB9Q 60-69 years, male 200.1
GTEX-13JUV-2726-SM-5LZZ8 40-49 years, female 199.4
GTEX-1GN73-0226-SM-9WG67 60-69 years, male 199.3
GTEX-1EU9M-0226-SM-7P8SP 60-69 years, male 198.9
GTEX-1HSMP-0126-SM-E6CJS 70-79 years, male 198.7
GTEX-17HG3-2226-SM-7938L 30-39 years, female 198.6
GTEX-YJ89-0126-SM-4TT3X 60-69 years, male 198.6
GTEX-147F3-0526-SM-5SI98 50-59 years, female 198.5
GTEX-1R7EV-2426-SM-EVYBG 40-49 years, male 198.4
GTEX-13CF2-2526-SM-5LZYX 60-69 years, male 198.1
GTEX-147F4-0226-SM-5QGPW 50-59 years, male 197.9
GTEX-WYVS-2126-SM-3NMA3 40-49 years, female 197.8
GTEX-OHPL-0126-SM-2HMJ7 60-69 years, female 197.6
GTEX-ZUA1-0126-SM-5GU76 40-49 years, male 197.5
GTEX-WQUQ-0426-SM-3MJFU 60-69 years, male 197.4
GTEX-X638-0126-SM-47JZ8 70-79 years, female 196.2
GTEX-1S5ZA-0126-SM-EVYCV 20-29 years, male 196.2
GTEX-1H3VE-0326-SM-9YFLH 40-49 years, male 196.0
GTEX-1MA7W-2026-SM-E9TJ6 20-29 years, female 195.9
GTEX-1ICG6-2526-SM-CGQFZ 70-79 years, female 195.6
GTEX-1I1GR-0126-SM-CL55F 60-69 years, male 195.3
GTEX-1R9PO-2126-SM-E9J4O 60-69 years, female 195.1
GTEX-XBED-2226-SM-47JYQ 60-69 years, male 194.8
GTEX-113JC-2326-SM-5EQ4E 50-59 years, female 194.7
GTEX-14BMV-0126-SM-5S2PO 50-59 years, male 194.4
GTEX-14C5O-0126-SM-5SI6N 60-69 years, male 194.3
GTEX-1GN1V-0126-SM-9WPOS 60-69 years, male 194.1
GTEX-1KANC-1526-SM-D3LAB 50-59 years, female 194.1
GTEX-11ZTT-2426-SM-5EQLS 60-69 years, female 193.6
GTEX-Q2AG-0126-SM-33HBV 40-49 years, female 193.6
GTEX-13SLX-0526-SM-5S2ON 50-59 years, female 193.5
GTEX-1I1GP-2226-SM-CGQFK 50-59 years, male 192.8
GTEX-Y111-0126-SM-4SOIV 50-59 years, male 192.3
GTEX-11WQC-2526-SM-5CVLE 60-69 years, male 192.2
GTEX-11GS4-2726-SM-5A5LE 60-69 years, male 192.0
GTEX-1I4MK-2226-SM-ACKWD 50-59 years, female 191.9
GTEX-Z93T-0126-SM-5HL5N 50-59 years, male 191.6
GTEX-1N2DW-0226-SM-E9TK2 50-59 years, male 191.5
GTEX-1OFPY-2426-SM-DTXEJ 60-69 years, male 191.5
GTEX-139UW-2826-SM-5L3E7 60-69 years, male 191.2
GTEX-1F75A-0126-SM-7RHGM 50-59 years, male 191.1
GTEX-1F6IF-0726-SM-7P8TW 60-69 years, male 190.9
GTEX-1JMPY-1326-SM-ARL8Y 30-39 years, male 189.4
GTEX-1MGNQ-0126-SM-EVYCJ 40-49 years, male 189.0
GTEX-X4EP-0126-SM-3P5YV 60-69 years, female 188.9
GTEX-11ZTS-0126-SM-5EQ6M 60-69 years, female 188.3
GTEX-12WSD-0126-SM-59HKN 60-69 years, female 188.3
GTEX-1J8EW-0126-SM-CJI4F 60-69 years, female 188.2
GTEX-13QJ3-0326-SM-5S2RA 50-59 years, male 187.7
GTEX-NFK9-0226-SM-2HMKQ 40-49 years, male 187.3
GTEX-1JJ6O-0126-SM-E6CI8 60-69 years, male 187.1
GTEX-14PK6-1926-SM-6ETZU 70-79 years, female 186.9
GTEX-13O21-1426-SM-5K7XI 50-59 years, male 186.6
GTEX-T8EM-1026-SM-3DB7M 40-49 years, male 186.6
GTEX-13PDP-0126-SM-5L3HD 60-69 years, male 186.4
GTEX-18465-0126-SM-731BN 50-59 years, male 185.3
GTEX-1LC47-0326-SM-E9TJP 60-69 years, male 185.2
GTEX-11NUK-0126-SM-5A5L3 50-59 years, male 185.1
GTEX-15UKP-0426-SM-7KUFQ 20-29 years, male 185.0
GTEX-1F88F-2726-SM-7PBZZ 60-69 years, female 185.0
GTEX-U3ZM-1526-SM-3DB9D 40-49 years, male 184.8
GTEX-11ZUS-0626-SM-59885 30-39 years, male 184.1
GTEX-1S3DN-2226-SM-EVYCD 50-59 years, male 184.0
GTEX-1KD4Q-0226-SM-E9TJ9 40-49 years, male 183.3
GTEX-R45C-0126-SM-EAZ2R 60-69 years, female 183.2
GTEX-16NGA-1726-SM-731B4 40-49 years, female 183.1
GTEX-1E1VI-0126-SM-7DHMZ 50-59 years, male 182.8
GTEX-1HKZK-0326-SM-9WYUH 40-49 years, male 182.1
GTEX-1GMR3-1926-SM-9KNUZ 40-49 years, male 181.6
GTEX-Y3IK-2426-SM-4WWDU 50-59 years, female 180.9
GTEX-15EU6-0426-SM-6PAN5 50-59 years, male 180.4
GTEX-13FH7-2026-SM-E9J4I 50-59 years, female 180.4
GTEX-13W46-0226-SM-5SIAG 50-59 years, male 180.2
GTEX-RN64-0126-SM-2TC68 50-59 years, male 179.6
GTEX-1BAJH-0526-SM-793CQ 70-79 years, male 179.5
GTEX-1QCLY-0326-SM-E8VOG 30-39 years, male 179.4
GTEX-1R7EU-0226-SM-EVR4G 60-69 years, male 179.4
GTEX-1EKGG-0226-SM-9WYTH 60-69 years, male 179.3
GTEX-13G51-2526-SM-5LZYK 60-69 years, male 178.6
GTEX-SSA3-0126-SM-32QPU 60-69 years, male 178.2
GTEX-X261-0126-SM-3NMD6 50-59 years, male 177.5
GTEX-1AYD5-2426-SM-73KXR 50-59 years, male 177.2
GTEX-QCQG-1726-SM-3GIJ9 50-59 years, female 177.2
GTEX-17F96-1626-SM-7DUFL 70-79 years, male 177.1
GTEX-14E7W-0126-SM-6LLJ9 70-79 years, male 176.9
GTEX-1J8Q3-1626-SM-CMKGC 60-69 years, male 176.7
GTEX-13O3Q-2426-SM-5IJBR 50-59 years, male 176.5
GTEX-1C64N-0126-SM-793D7 50-59 years, male 176.4
GTEX-139TS-2826-SM-5J1OO 60-69 years, male 175.9
GTEX-QEG4-0226-SM-2S1PY 30-39 years, male 175.8
GTEX-XAJ8-0826-SM-47JY6 40-49 years, male 175.5
GTEX-1C6VS-0526-SM-7DUEN 60-69 years, male 174.9
GTEX-13OVL-0226-SM-5L3E9 50-59 years, male 174.8
GTEX-ZQUD-1426-SM-57WER 30-39 years, male 174.8
GTEX-18A66-0226-SM-718BD 60-69 years, male 174.7
GTEX-13W3W-2426-SM-5LU5B 60-69 years, female 174.6
GTEX-1J8JJ-0226-SM-CL53I 60-69 years, female 174.2
GTEX-1F5PL-0326-SM-7P8PQ 40-49 years, female 174.0
GTEX-1399T-2826-SM-5KLYZ 60-69 years, male 173.7
GTEX-17HHE-2026-SM-79OKF 50-59 years, male 173.2
GTEX-12WSN-5019-SM-79OM6 40-49 years, male 173.1
GTEX-18D9B-0526-SM-7LTAS 60-69 years, male 173.1
GTEX-1B8L1-2526-SM-9WYTF 60-69 years, male 172.9
GTEX-1IOXB-0126-SM-ARL8G 50-59 years, male 172.9
GTEX-15ETS-0126-SM-7KUMW 40-49 years, female 172.8
GTEX-17JCI-0126-SM-7LG5G 60-69 years, female 172.6
GTEX-1EMGI-0126-SM-9KNUE 60-69 years, male 172.6
GTEX-XPVG-2626-SM-4B669 50-59 years, male 172.5
GTEX-17GQL-2026-SM-718BA 60-69 years, male 172.2
GTEX-13NZB-2526-SM-5J1OM 30-39 years, male 171.9
GTEX-WYJK-0126-SM-3NMAB 50-59 years, male 171.9
GTEX-ZDXO-3026-SM-5J1N5 60-69 years, male 171.9
GTEX-1IGQW-0126-SM-COH42 60-69 years, male 171.9
GTEX-Y5V5-2326-SM-4V6GA 60-69 years, female 171.6
GTEX-1JKYR-0126-SM-CNPOJ 20-29 years, male 171.4
GTEX-1K2DA-1826-SM-CGQGT 50-59 years, male 171.4
GTEX-1A3MV-1926-SM-718BT 30-39 years, male 170.8
GTEX-1LG7Z-1726-SM-D3LA4 30-39 years, male 170.5
GTEX-13NYB-2526-SM-5K7Z6 40-49 years, male 170.1
GTEX-1QP67-1626-SM-EAZ3X 40-49 years, female 169.8
GTEX-1IL2V-0126-SM-CM2TX 70-79 years, male 169.6
GTEX-ZQG8-1626-SM-DHXIT 60-69 years, female 169.6
GTEX-14BIN-0626-SM-793DP 50-59 years, female 169.2
GTEX-1NHNU-1026-SM-E9J2A 50-59 years, male 169.2
GTEX-RNOR-0126-SM-E9J4R 50-59 years, female 169.2
GTEX-14PHX-2326-SM-62LEM 50-59 years, male 168.9
GTEX-17F98-0626-SM-79OMX 40-49 years, female 168.8
GTEX-ZVZP-2426-SM-59HKJ 50-59 years, male 168.8
GTEX-15DCD-0126-SM-7KUEK 70-79 years, female 168.7
GTEX-PVOW-0126-SM-2XCFA 40-49 years, male 168.7
GTEX-1I1HK-0126-SM-COH49 60-69 years, male 168.6
GTEX-11VI4-1726-SM-5CVLH 40-49 years, female 168.1
GTEX-1I1GV-0526-SM-A9G29 60-69 years, male 167.6
GTEX-132NY-0326-SM-5IJBL 60-69 years, male 166.4
GTEX-13FTY-0526-SM-5L3EV 40-49 years, female 166.0
GTEX-1S83E-0126-SM-EWRO4 40-49 years, male 165.9
GTEX-145MN-2226-SM-5SIAU 30-39 years, male 165.8
GTEX-WZTO-0126-SM-3NM95 40-49 years, male 165.8
GTEX-15CHC-2126-SM-6EU21 60-69 years, female 165.6
GTEX-1128S-2326-SM-5GZZY 60-69 years, female 164.8
GTEX-1AYCT-2426-SM-7IGQ3 50-59 years, male 164.8
GTEX-T5JW-1626-SM-3GADZ 20-29 years, female 164.7
GTEX-T5JC-0426-SM-32PLO 20-29 years, male 164.3
GTEX-1K2DU-2326-SM-E9TIV 20-29 years, male 163.5
GTEX-1RB15-2126-SM-E9TIM 60-69 years, male 163.3
GTEX-12126-0326-SM-5PNW3 20-29 years, male 163.2
GTEX-1PBJI-0526-SM-E8VNK 20-29 years, female 163.2
GTEX-146FR-1326-SM-E9J48 60-69 years, female 162.6
GTEX-WRHK-1426-SM-3MJF9 20-29 years, female 162.4
GTEX-WFON-2126-SM-3LK7O 40-49 years, male 162.1
GTEX-QDVJ-1726-SM-2I5FX 50-59 years, male 162.0
GTEX-18D9A-1926-SM-7LG6P 30-39 years, female 161.8
GTEX-1IKK5-0626-SM-ARL8A 60-69 years, male 161.8
GTEX-14JG6-2226-SM-6EU2G 30-39 years, female 161.6
GTEX-13FXS-0226-SM-5IJCK 50-59 years, male 161.3
GTEX-S33H-1026-SM-EZ6L6 30-39 years, male 161.3
GTEX-ZE7O-0126-SM-57WC1 50-59 years, female 161.1
GTEX-1PPH8-0226-SM-E8VND 20-29 years, male 160.9
GTEX-14PII-0226-SM-6EU1T 60-69 years, male 160.7
GTEX-1M4P7-0226-SM-DIPEV 60-69 years, male 160.5
GTEX-146FQ-0126-SM-5NQA9 30-39 years, male 160.4
GTEX-14ABY-0226-SM-5TDCQ 50-59 years, male 160.0
GTEX-131XW-0426-SM-5LZWP 50-59 years, female 159.5
GTEX-1F75B-0126-SM-9KNVL 50-59 years, male 159.5
GTEX-1HCU9-1526-SM-A9SL7 20-29 years, male 159.3
GTEX-WXYG-2326-SM-4E3I6 50-59 years, female 158.9
GTEX-113IC-0126-SM-5HL6T 60-69 years, male 158.6
GTEX-YB5K-2126-SM-4WWDJ 40-49 years, female 158.5
GTEX-ZV68-0126-SM-59HKS 50-59 years, female 158.5
GTEX-14DAQ-0126-SM-5S2MQ 60-69 years, female 158.3
GTEX-13111-1626-SM-5EGJY 50-59 years, male 158.0
GTEX-12C56-1726-SM-5EQ61 20-29 years, male 157.9
GTEX-145MF-0626-SM-5LUAI 50-59 years, male 157.9
GTEX-ZVT3-0126-SM-5GU6I 60-69 years, female 157.7
GTEX-1C6VR-2426-SM-79OLD 60-69 years, male 157.4
GTEX-14A6H-0126-SM-5QGPK 30-39 years, male 157.0
GTEX-QV44-1926-SM-2S1RF 50-59 years, male 157.0
GTEX-14A5H-0426-SM-5QGQF 60-69 years, male 156.1
GTEX-XXEK-2226-SM-4BRUM 50-59 years, male 155.9
GTEX-1QW4Y-1526-SM-EAZ3Z 30-39 years, male 155.8
GTEX-111FC-0126-SM-5N9DL 60-69 years, male 155.7
GTEX-YJ8A-0426-SM-5IFID 20-29 years, male 155.6
GTEX-ZAK1-0126-SM-5IJD3 50-59 years, female 155.1
GTEX-1IDJU-2626-SM-CM2RT 60-69 years, female 154.3
GTEX-11DXY-2626-SM-5GIE7 60-69 years, male 154.0
GTEX-1HBPH-0426-SM-B2LW5 40-49 years, female 153.9
GTEX-OOBJ-0126-SM-E6CJW 60-69 years, male 153.8
GTEX-18A7A-0226-SM-718BH 50-59 years, female 153.7
GTEX-1GF9U-2126-SM-7SB7L 40-49 years, female 153.7
GTEX-11NSD-2226-SM-5986V 20-29 years, male 152.3
GTEX-1HBPM-0226-SM-ARL9F 60-69 years, female 152.0
GTEX-1CAMS-0426-SM-7P8T2 40-49 years, female 151.3
GTEX-1JK1U-2026-SM-CM2RZ 60-69 years, male 151.3
GTEX-13OW6-0426-SM-5L3HM 50-59 years, male 150.8
GTEX-15SDE-2226-SM-7IGLO 50-59 years, female 150.7
GTEX-16GPK-0126-SM-7DHLE 60-69 years, male 150.7
GTEX-16XZY-2126-SM-79OK1 70-79 years, male 150.4
GTEX-147GR-0526-SM-5S2MY 60-69 years, male 150.1
GTEX-17MFQ-1726-SM-793C7 20-29 years, male 150.0
GTEX-11OC5-0126-SM-5HL6A 60-69 years, male 149.8
GTEX-RM2N-1426-SM-2TF4H 50-59 years, male 149.5
GTEX-TMMY-0226-SM-33HBA 40-49 years, female 149.5
GTEX-PLZ5-2026-SM-2S1O4 50-59 years, male 149.2
GTEX-1314G-1526-SM-5EGK2 30-39 years, male 149.0
GTEX-11EM3-2426-SM-59861 20-29 years, female 148.2
GTEX-PW2O-1526-SM-7RHHB 20-29 years, male 148.2
GTEX-1J1R8-1726-SM-ARL8M 40-49 years, male 148.1
GTEX-PSDG-0226-SM-DKPOZ 50-59 years, male 148.1
GTEX-1CB4I-0226-SM-79OLH 50-59 years, male 147.8
GTEX-1CB4E-2226-SM-793DC 60-69 years, male 147.6
GTEX-1CAMR-1926-SM-7EPI2 20-29 years, male 147.5
GTEX-VJYA-1126-SM-3GIJU 60-69 years, male 147.4
GTEX-1MUQO-0126-SM-EAZ58 60-69 years, male 147.3
GTEX-1OJC3-0126-SM-E76QX 20-29 years, male 147.1
GTEX-1B97I-1626-SM-73KYO 40-49 years, male 146.5
GTEX-17EUY-0426-SM-793BD 20-29 years, male 145.4
GTEX-1HCU8-0626-SM-A9SM9 60-69 years, female 145.3
GTEX-1J1OQ-0226-SM-CYPSH 40-49 years, female 145.2
GTEX-OXRL-0126-SM-2YUMP 50-59 years, male 145.1
GTEX-ZTPG-0326-SM-5O9AX 20-29 years, female 145.1
GTEX-1IL2U-0226-SM-CE6T8 60-69 years, male 145.1
GTEX-1399R-2726-SM-5IJBA 30-39 years, male 144.8
GTEX-ZXG5-0126-SM-5GIEU 60-69 years, male 144.6
GTEX-14ICK-0226-SM-6EU25 40-49 years, male 144.3
GTEX-1RQEC-0426-SM-E6CHU 60-69 years, male 144.3
GTEX-QVJO-1626-SM-2S1QW 60-69 years, female 143.0
GTEX-1IDJF-0126-SM-CM2RS 20-29 years, male 142.8
GTEX-12KS4-0326-SM-5EQ41 30-39 years, male 142.6
GTEX-1211K-2026-SM-5EQ4Z 60-69 years, female 142.5
GTEX-1GL5R-1826-SM-9KNUY 50-59 years, male 142.5
GTEX-13SLW-0126-SM-5SI6C 70-79 years, male 142.1
GTEX-144GN-2326-SM-5LU4F 50-59 years, male 142.0
GTEX-1CB4H-0226-SM-7PBXM 60-69 years, female 142.0
GTEX-1QP2A-0126-SM-E9J43 50-59 years, male 141.8
GTEX-133LE-1826-SM-5J1MV 20-29 years, female 141.6
GTEX-14PHW-0126-SM-6LLJI 60-69 years, female 141.5
GTEX-QLQW-1126-SM-2S1Q8 30-39 years, male 141.4
GTEX-1H3NZ-0126-SM-ACKX7 60-69 years, male 141.3
GTEX-1B8KZ-2026-SM-7DHMB 50-59 years, male 141.2
GTEX-Y114-2426-SM-4TT8A 50-59 years, female 140.7
GTEX-1QP29-0626-SM-EWRMX 50-59 years, male 140.5
GTEX-12ZZX-0126-SM-5EGK9 40-49 years, female 140.2
GTEX-ZYFG-2326-SM-5E44B 60-69 years, female 139.7
GTEX-ZDTT-2726-SM-4WKF8 60-69 years, male 139.6
GTEX-1AMFI-2026-SM-731BH 50-59 years, female 138.2
GTEX-1QP66-1726-SM-E8VO1 50-59 years, male 137.9
GTEX-1MA7X-2226-SM-E6CIY 60-69 years, male 137.8
GTEX-1JJE9-0326-SM-CL53Z 70-79 years, male 137.2
GTEX-X62O-0126-SM-4E3JN 50-59 years, male 136.7
GTEX-1HFI6-0226-SM-ADEHZ 40-49 years, male 136.6
GTEX-1MCYP-1926-SM-E9J2R 20-29 years, female 136.2
GTEX-U3ZN-2326-SM-3DB7W 30-39 years, female 136.0
GTEX-1GN1W-0526-SM-9MQJQ 50-59 years, female 135.6
GTEX-1I19N-0326-SM-ACKVX 70-79 years, male 135.6
GTEX-1LGRB-2526-SM-CNPPQ 50-59 years, female 135.4
GTEX-SUCS-1926-SM-32PM3 70-79 years, male 135.2
GTEX-ZF28-0126-SM-4WKGK 60-69 years, male 135.0
GTEX-18QFQ-0126-SM-731BE 30-39 years, male 134.9
GTEX-ZV6S-2326-SM-4YCEY 40-49 years, female 134.9
GTEX-V1D1-2226-SM-3NMAX 50-59 years, male 134.5
GTEX-1JMQL-0226-SM-CNPP5 50-59 years, female 134.5
GTEX-1KANB-0526-SM-E6CJH 50-59 years, male 134.3
GTEX-1QPFJ-0226-SM-E76PB 30-39 years, female 134.3
GTEX-12WSJ-1826-SM-5GCNY 40-49 years, female 133.7
GTEX-1N2DV-0226-SM-E6CJ6 40-49 years, male 133.3
GTEX-SJXC-0126-SM-2XCFF 60-69 years, male 132.4
GTEX-14LLW-0126-SM-6LLIO 70-79 years, female 132.3
GTEX-1LNCM-1126-SM-E9U5E 50-59 years, female 132.1
GTEX-139T4-0226-SM-5HL5S 50-59 years, female 131.9
GTEX-13D11-2426-SM-5KM1V 50-59 years, female 131.9
GTEX-14PJ3-1826-SM-62LEX 50-59 years, male 131.8
GTEX-1I6K6-0126-SM-A9SLE 30-39 years, male 131.5
GTEX-13RTK-1426-SM-5QGQJ 20-29 years, male 131.1
GTEX-13X6I-0626-SM-5QGP9 60-69 years, male 131.0
GTEX-14PN3-2426-SM-6LLHS 60-69 years, female 130.9
GTEX-13FTW-2626-SM-5K7WL 40-49 years, male 130.5
GTEX-144FL-0126-SM-5TDC8 50-59 years, male 130.5
GTEX-1QP9N-1426-SM-DTXFL 30-39 years, male 130.5
GTEX-1C2JI-1826-SM-73KXC 50-59 years, male 130.4
GTEX-1EX96-1626-SM-7PBXR 50-59 years, male 130.1
GTEX-1HSGN-0226-SM-CGQFV 40-49 years, female 129.7
GTEX-11XUK-2026-SM-5EQLF 40-49 years, female 129.3
GTEX-11P81-2326-SM-59875 30-39 years, female 129.1
GTEX-18A67-0126-SM-7LG5P 50-59 years, male 128.7
GTEX-1399U-2326-SM-5K7WY 50-59 years, female 128.1
GTEX-1L5NE-2526-SM-E6CIE 50-59 years, male 127.7
GTEX-145LU-0126-SM-5TDCB 50-59 years, male 127.1
GTEX-15EOM-0126-SM-7KUGG 20-29 years, female 127.1
GTEX-1HSEH-0126-SM-ACKXN 60-69 years, male 126.8
GTEX-14BIM-0226-SM-7IGLD 60-69 years, female 126.6
GTEX-1F6I4-0126-SM-9MQL2 60-69 years, male 125.3
GTEX-OIZH-0126-SM-2HMIS 50-59 years, male 124.7
GTEX-14BMU-2226-SM-5TDE9 20-29 years, female 124.1
GTEX-YB5E-2026-SM-5IFIS 40-49 years, male 123.7
GTEX-1J8QM-2126-SM-CYPSJ 60-69 years, female 123.3
GTEX-1HR98-0126-SM-B2LWI 60-69 years, male 123.0
GTEX-13VXT-0126-SM-5LU4I 20-29 years, female 122.8
GTEX-1GPI7-0126-SM-9MQL8 20-29 years, male 122.6
GTEX-1K9T9-0126-SM-EVYCF 50-59 years, female 122.5
GTEX-OOBK-0126-SM-2YUND 40-49 years, male 122.2
GTEX-1PIGE-0126-SM-EVYBJ 20-29 years, male 122.1
GTEX-TKQ1-1026-SM-4GICL 30-39 years, male 122.0
GTEX-11P82-1626-SM-59879 20-29 years, male 121.9
GTEX-1F75I-0326-SM-9YFLU 40-49 years, male 121.7
GTEX-13FHP-0126-SM-5IJBG 50-59 years, male 121.6
GTEX-XUW1-0426-SM-4BOOT 50-59 years, female 121.4
GTEX-11O72-0126-SM-59887 40-49 years, male 120.9
GTEX-YEC4-2126-SM-5IFJH 40-49 years, male 120.9
GTEX-RWS6-2026-SM-2XCB5 60-69 years, female 120.8
GTEX-1CB4F-0426-SM-9KNV4 60-69 years, male 120.8
GTEX-ZY6K-1826-SM-5GZXK 50-59 years, male 119.7
GTEX-VUSG-2526-SM-4KL1V 50-59 years, male 119.6
GTEX-NPJ8-0126-SM-2YUNR 40-49 years, male 119.4
GTEX-1HSMQ-1226-SM-CGQFX 50-59 years, male 119.2
GTEX-17F97-0326-SM-7LG5B 50-59 years, male 119.0
GTEX-1RAZA-0126-SM-E6CI3 20-29 years, male 118.6
GTEX-16NPX-0226-SM-79OMT 50-59 years, male 118.5
GTEX-ZE9C-2726-SM-57WB5 60-69 years, male 117.7
GTEX-ZVE2-0226-SM-59HJB 50-59 years, male 117.3
GTEX-RUSQ-1526-SM-2TF62 50-59 years, male 117.1
GTEX-11OF3-2626-SM-5GU7F 60-69 years, male 116.8
GTEX-XMD2-0126-SM-4YCDU 60-69 years, female 116.4
GTEX-U4B1-1826-SM-4DXSU 40-49 years, male 116.2
GTEX-1KANA-0726-SM-D3L9I 20-29 years, male 115.5
GTEX-183FY-0126-SM-7LT9P 20-29 years, male 115.2
GTEX-1AMEY-1326-SM-73KYK 30-39 years, female 114.9
GTEX-1JMQI-2226-SM-CM2SD 50-59 years, male 114.3
GTEX-SNMC-1226-SM-2XCFP 20-29 years, male 114.0
GTEX-1M5QR-1226-SM-EWROB 40-49 years, male 113.2
GTEX-Q2AI-1326-SM-2S1PL 40-49 years, male 113.1
GTEX-XUZC-1726-SM-4BRWS 30-39 years, female 112.8
GTEX-OIZF-0126-SM-7SB8I 60-69 years, male 112.8
GTEX-13O3P-0126-SM-5KM4S 50-59 years, male 112.6
GTEX-1KAFJ-2026-SM-CY8ID 50-59 years, male 112.5
GTEX-13OW5-0126-SM-DTXFS 60-69 years, male 111.6
GTEX-145LV-2126-SM-5LU8N 50-59 years, male 111.4
GTEX-PWO3-1526-SM-48TCM 60-69 years, female 111.3
GTEX-1PDJ9-0326-SM-DTX95 20-29 years, male 111.2
GTEX-1S82Z-0826-SM-E6CHY 30-39 years, female 111.2
GTEX-1GZ4H-1726-SM-7PBZJ 50-59 years, female 111.0
GTEX-139D8-0226-SM-5KLZO 30-39 years, female 110.2
GTEX-1AX9K-2326-SM-73KWU 50-59 years, male 109.5
GTEX-18D9U-0226-SM-718BP 40-49 years, male 108.3
GTEX-ZF2S-2326-SM-4WWCE 50-59 years, female 106.9
GTEX-ZZ64-1726-SM-5GZYB 20-29 years, male 106.9
GTEX-1JKYN-1326-SM-CGQG9 30-39 years, male 106.9
GTEX-11DXX-2426-SM-5GZZW 60-69 years, female 106.2
GTEX-WY7C-2326-SM-3NB2U 50-59 years, male 106.2
GTEX-1LVAN-0226-SM-COH3S 50-59 years, female 106.2
GTEX-Z9EW-1626-SM-5CVMN 40-49 years, male 105.5
GTEX-1LBAC-0126-SM-DIPEZ 20-29 years, male 103.9
GTEX-11WQK-0526-SM-5EQLD 50-59 years, male 103.2
GTEX-SE5C-1626-SM-2XCE3 40-49 years, female 102.7
GTEX-Y5LM-1926-SM-5RQJH 40-49 years, female 102.0
GTEX-15F5U-1526-SM-6PANO 40-49 years, male 101.7
GTEX-1C64O-0126-SM-7SB8P 60-69 years, male 101.3
GTEX-1GZ2Q-0226-SM-7P8TL 40-49 years, male 101.1
GTEX-12WSK-2326-SM-5GCOH 40-49 years, female 99.5
GTEX-Q734-1926-SM-2I5EV 40-49 years, female 99.4
GTEX-ZEX8-2426-SM-4WKG4 50-59 years, male 97.9
GTEX-X88G-0126-SM-47JZ3 30-39 years, male 97.8
GTEX-1R9PM-2026-SM-E76OY 20-29 years, male 97.5
GTEX-XQ8I-0426-SM-4BOPO 50-59 years, male 97.4
GTEX-Y8E4-0626-SM-4WWDL 40-49 years, male 97.1
GTEX-13OVK-2026-SM-7KUEO 40-49 years, male 96.6
GTEX-1LSNM-1926-SM-E6CII 50-59 years, male 96.1
GTEX-1F52S-0126-SM-9MQJU 60-69 years, female 95.6
GTEX-1H11D-0226-SM-9WG6Z 40-49 years, male 95.5
GTEX-1F5PK-2426-SM-7RHHY 50-59 years, male 94.2
GTEX-13FTX-1826-SM-5J1NX 20-29 years, female 94.1
GTEX-13NYC-0326-SM-E9J4S 60-69 years, male 92.4
GTEX-1192X-0226-SM-5H12D 50-59 years, male 91.9
GTEX-T2YK-0526-SM-32QPJ 50-59 years, male 91.8
GTEX-T6MO-1626-SM-32QOM 40-49 years, female 91.7
GTEX-13NZ8-0826-SM-5MR3I 60-69 years, female 91.1
GTEX-14LZ3-0226-SM-62LET 60-69 years, female 90.8
GTEX-PLZ4-0126-SM-5SI8O 50-59 years, female 90.7
GTEX-W5WG-1826-SM-4KL2Y 50-59 years, female 90.6
GTEX-1IDFM-0126-SM-COH2V 60-69 years, male 88.3
GTEX-1HCU7-0226-SM-CL545 50-59 years, male 87.7
GTEX-OHPM-0126-SM-2YUN9 50-59 years, male 86.5
GTEX-XBEW-0626-SM-4QASP 40-49 years, male 82.8
GTEX-183WM-0126-SM-7LTAB 70-79 years, female 82.5
GTEX-XV7Q-2526-SM-4BRV9 40-49 years, female 82.4
GTEX-OXRK-0226-SM-3NB2G 50-59 years, female 81.0
GTEX-14E6E-1826-SM-5S2R7 30-39 years, male 80.1
GTEX-13N2G-2626-SM-5J1OT 60-69 years, male 77.3
GTEX-1H2FU-0126-SM-9WYSI 60-69 years, female 76.9
GTEX-1IE54-0126-SM-CMKHW 40-49 years, female 76.5
GTEX-1NV5F-0226-SM-E8VNY 60-69 years, female 76.4
GTEX-1PFEY-1526-SM-E76PP 30-39 years, male 76.2
GTEX-ZC5H-0226-SM-4WAY9 40-49 years, female 75.1
GTEX-13NYS-0126-SM-5MR3W 60-69 years, male 74.7
GTEX-11P7K-2126-SM-5GU7G 30-39 years, male 73.0
GTEX-ZAB5-1826-SM-5HL7C 50-59 years, male 72.0
GTEX-139T8-0126-SM-5K7XZ 60-69 years, male 71.9
GTEX-OXRN-0126-SM-48TDM 50-59 years, male 71.7
GTEX-ZWKS-0126-SM-5SIAA 30-39 years, male 70.1
GTEX-ZTX8-1426-SM-5DUVO 20-29 years, male 67.3
GTEX-16AAH-1726-SM-7939C 50-59 years, male 66.3
GTEX-117YX-2326-SM-5H12W 50-59 years, male 66.0
GTEX-1497J-2426-SM-7IGNX 60-69 years, male 65.5
GTEX-XYKS-2126-SM-4E3IB 60-69 years, female 61.9
GTEX-1H1E6-1726-SM-ACKVK 30-39 years, male 58.9
GTEX-1GF9X-2026-SM-7PC3A 40-49 years, female 58.3
GTEX-WVJS-0126-SM-4MVOT 50-59 years, male 57.9
GTEX-1GMR8-0126-SM-9WYTM 50-59 years, female 54.7
GTEX-ZZPT-0226-SM-5E43X 50-59 years, male 54.5
GTEX-15G19-0126-SM-6PANQ 60-69 years, male 48.8
GTEX-1F6RS-0126-SM-9MQKZ 60-69 years, female 42.9
Show allShow less

Contact

  • NEWS ARTICLES
  • PRESS ROOM

The Project

  • INTRODUCTION
  • ORGANIZATION
  • PUBLICATIONS

The Human Protein Atlas

  • DOWNLOADABLE DATA
  • LICENCE & CITATION
  • HELP & FAQ
The Human Protein Atlas project is funded
by the Knut & Alice Wallenberg Foundation.


contact@proteinatlas.org