We use cookies to enhance the usability of our website. If you continue, we'll assume that you are happy to receive all cookies. More information. Don't show this again.
TRADD
HPA
RESOURCES
  • TISSUE
  • BRAIN
  • SINGLE CELL
  • SUBCELLULAR
  • CANCER
  • BLOOD
  • CELL LINE
  • STRUCTURE & INTERACTION
ABOUT
  • INTRODUCTION
  • HISTORY
  • ORGANIZATION
  • PUBLICATIONS
  • ANTIBODY SUBMISSION
  • ANTIBODY AVAILABILITY
  • ACKNOWLEDGMENTS
  • CONTACT
NEWS
  • NEWS ARTICLES
  • PRESS ROOM
LEARN
  • DICTIONARY
  • PROTEIN CLASSES
  • PROTEIN EVIDENCE
  • METHODS
  • EDUCATIONAL VIDEOS
DATA
  • DOWNLOADABLE DATA
  • PUBLICATION DATA
  • RELEASE HISTORY
HELP
  • ANTIBODY VALIDATION
  • ASSAYS & ANNOTATION
  • DISCLAIMER
  • HELP & FAQ
  • PRIVACY STATEMENT
  • LICENCE & CITATION
Fields »
Search result

Field
Term
Gene name
Class
Subclass
Class
Keyword
Chromosome
External id
Tissue
Cell type
Expression
Antibody panel
Tissue
Main location
Patient ID
Annotation
Tissue
Category
Tau score
Cluster
Reliability
Brain region
Category
Tau score
Brain region
Category
Tau score
Brain region
Category
Tau score
Cluster
Reliability
Tissue
Cell type
Enrichment
Cell type
Category
Tau score
Cell type
Category
Tau score
Cell type
Category
Tau score
Cell lineage
Category
Tau score
Cluster
Cluster
Location
Searches
Location
Cell line
Class
Type
Phase
Reliability
Cancer
Prognosis
Cancer
Category
Cancer
Category
Tau score
Cluster
Variants
Interacting gene (ensg_id)
Type
Number of interactions
Pathway
Category
Score
Score
Score
Validation
Validation
Validation
Validation
Antibodies
Data type
Column


  • SUMMARY

  • TISSUE

  • BRAIN

  • SINGLE CELL

  • SUBCELL

  • CANCER

  • BLOOD

  • CELL LINE

  • STRUCT & INT

  • TRADD
TISSUE PRIMARY DATA PANCREAS Show tissue menu
ADIPOSE TISSUE ADRENAL GLAND AMYGDALA APPENDIX BASAL GANGLIA BONE MARROW BREAST BRONCHUS CEREBELLUM CEREBRAL CORTEX CERVIX CHOROID PLEXUS COLON DUODENUM
ENDOMETRIUM EPIDIDYMIS ESOPHAGUS FALLOPIAN TUBE GALLBLADDER HEART MUSCLE HIPPOCAMPAL FORMATION HYPOTHALAMUS KIDNEY LIVER LUNG LYMPH NODE MIDBRAIN NASOPHARYNX
ORAL MUCOSA OVARY PANCREAS PARATHYROID GLAND PITUITARY GLAND PLACENTA PROSTATE RECTUM RETINA SALIVARY GLAND SEMINAL VESICLE SKELETAL MUSCLE SKIN SMALL INTESTINE
SMOOTH MUSCLE SOFT TISSUE SPINAL CORD SPLEEN STOMACH TESTIS THYMUS THYROID GLAND TONGUE TONSIL URINARY BLADDER VAGINA
ANTIBODIES
AND
VALIDATION
Dictionary
Pancreas
Tissue proteome
Pancreas
PANCREAS - Expression summary
Protein expression
Pancreasi

On the top, protein expression in current human tissue, based on all annotated cell types, is reported with the units not detected (n), low (l), medium (m) and high (h). Underneath, protein expression in each annotated cell type are reported using the same units.

Protein expression data is based on knowledge-based annotation. For genes where more than one antibody has been used, a collective score is set.

If knowledge-based annotation could not be performed for a gene, no data is displayed here. View antibody staining data further down this page.

h
m
l
n
Exocrine glandular cells: Medium
Pancreatic endocrine cells: Medium
RNA expressioni

A summary of mRNA expression data available for current tissue based on several datasets. The mRNA expression levels in human tissues are based on RNA-seq data generated by the Human Protein Atlas (HPA), Genotype-Tissue Expression (GTEx) portal and CAGE data generated by the FANTOM5 consortium. Consensus normalized expression levels for human tissues was created by combining the data from HPA and GTEx datasets.

The mRNA expression levels in pig are based on RNA-seq data generated by the Human Protein Atlas (HPA), and for mouse, HPA data and in situ hybridization generated by the Allen brain atlas are reported.

Scroll down to view mRNA expression data in more detail.
Consensus:17.3 nTPM
HPA:5.3 nTPM
GTEx:17.3 nTPM
FANTOM5:26.4 Scaled Tags Per Million

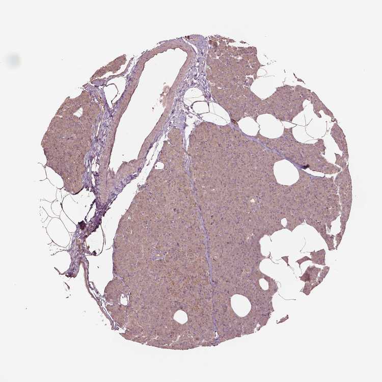
PANCREAS - Antibody stainingi

Antibody staining in the annotated cell types in the current human tissue is reported as not detected, low, medium, or high, based on conventional immunohistochemistry profiling in selected tissues. This score is based on the combination of the staining intensity and fraction of stained cells.

Each image is clickable and will lead to virtual microscopy that enables deeper exploration of all samples and also displays staining intensity scores, fraction scores and subcellular localization as well as patient and tissue information for each sample.

Antibody HPA071341Antibody CAB004602
Exocrine glandular cells MediumNot detected
Pancreatic endocrine cells MediumNot detected




PANCREAS - HPA RNA-seqi

The RNA-seq details section shows detailed information about the individual samples used for the transcript profiling and results of the RNA-seq analysis.

Information about each individual sample is listed below, including gender, age, a tissue section image and estimated fractions of cell types. nTPM (normalized transcripts per million) values give a quantification of the gene abundance which is comparable between different genes and samples.
Average nTPMi

Max subtype nTPM is the value for the subtype with the largest average nTPM across the subtype samples.

5.3
overview
Female, age 59
Pancreas sample 194
nTPM: 5.7
Cell types%
Exocrine glandular cells:
75

Pancreatic endocrine cells:
10

Ductal cells:
5

Other cell types:
10

overview
Male, age 60
Pancreas sample 195
nTPM: 4.9
Cell types%
Exocrine glandular cells:
90

Pancreatic endocrine cells:
5

Ductal cells:
5


PANCREAS - GTEx RNA-seqi

RNA-Seq data generated by the Genotype-Tissue Expression (GTEx) project from human tissues is reported as mean nTPM. More information can be found on the GTEx portal.

Distribution across the dataset is visualized with box plots, shown as median and 25th and 75th percentiles. Points are displayed as outliers if they are above or below 1.5 times the interquartile range. nTPM values of the individual samples are presented next to the box plot.
Max subtype nTPMi

Max subtype nTPM is the value for the subtype with the largest average nTPM across the subtype samples.

17.3
GTEx sample id Sample description nTPM
Pancreas
Average nTPM: 17.3
Samples: 328

Max nTPM: 34.2
Min nTPM: 9.5
Std nTPM: 4.0
Median nTPM: 16.7
GTEX-1R46S-1426-SM-EXOJD 60-69 years, female 34.2
GTEX-N7MT-1626-SM-3LK71 60-69 years, female 30.9
GTEX-16Z82-1726-SM-7MGX3 60-69 years, male 29.8
GTEX-14PN4-1626-SM-6AJB5 50-59 years, male 29.1
GTEX-11XUK-0626-SM-5N9ES 40-49 years, female 28.4
GTEX-1A3MW-1926-SM-7IGM8 60-69 years, female 28.3
GTEX-WI4N-1826-SM-4OOSF 40-49 years, female 28.0
GTEX-1K2DU-1026-SM-DHXKC 20-29 years, male 27.9
GTEX-Y3I4-0826-SM-4TT2A 50-59 years, male 27.8
GTEX-1O97I-1726-SM-EXOIP 60-69 years, male 27.3
GTEX-13W3W-1026-SM-5IFG4 60-69 years, female 26.7
GTEX-14PKV-0926-SM-6AJB4 20-29 years, female 26.3
GTEX-NPJ8-2126-SM-3MJGK 40-49 years, male 26.2
GTEX-ZYT6-1326-SM-5E453 30-39 years, male 26.1
GTEX-ZC5H-0826-SM-5N9FH 40-49 years, female 25.3
GTEX-1QAET-1326-SM-E9U64 50-59 years, male 25.0
GTEX-15UKP-1326-SM-6LPI8 20-29 years, male 24.9
GTEX-S33H-1226-SM-4AD69 30-39 years, male 24.6
GTEX-14PJO-1826-SM-69LPR 60-69 years, male 24.4
GTEX-WY7C-1026-SM-4OND3 50-59 years, male 24.0
GTEX-QEL4-1326-SM-447AD 50-59 years, male 23.9
GTEX-V955-0326-SM-4JBGV 60-69 years, male 23.9
GTEX-14PKU-0626-SM-6EU1Q 40-49 years, female 23.8
GTEX-WRHK-0226-SM-4MVOH 20-29 years, female 23.7
GTEX-15UF6-1826-SM-6LLI9 70-79 years, female 23.4
GTEX-YF7O-1326-SM-4W1ZR 50-59 years, male 23.3
GTEX-1OKEX-1726-SM-E9U4F 60-69 years, male 23.2
GTEX-Q2AI-0426-SM-48U13 40-49 years, male 23.1
GTEX-S32W-0826-SM-4AD5Z 50-59 years, female 23.0
GTEX-PSDG-1526-SM-48TCY 50-59 years, male 22.9
GTEX-12WSL-0426-SM-5GCNX 50-59 years, male 22.7
GTEX-OHPM-1026-SM-3LK74 50-59 years, male 22.5
GTEX-WHWD-0726-SM-4OORX 50-59 years, male 22.5
GTEX-13SLX-1326-SM-5S2QS 50-59 years, female 22.4
GTEX-144FL-1526-SM-5Q5CA 50-59 years, male 22.4
GTEX-1CAMS-1926-SM-7DUEU 40-49 years, female 22.4
GTEX-1PWST-1526-SM-EXOIT 70-79 years, male 22.4
GTEX-1GMR3-1226-SM-7MGY1 40-49 years, male 22.3
GTEX-XUW1-1726-SM-4BOOZ 50-59 years, female 22.1
GTEX-TKQ2-0426-SM-4DXUO 50-59 years, male 22.0
GTEX-1N2DV-1726-SM-DPRYR 40-49 years, male 21.8
GTEX-S95S-0726-SM-4B64H 60-69 years, male 21.6
GTEX-XBED-0226-SM-47JY8 60-69 years, male 21.6
GTEX-13O61-2126-SM-5IJEO 60-69 years, male 21.4
GTEX-WQUQ-2126-SM-4OOSO 60-69 years, male 21.4
GTEX-XBEW-1626-SM-4SOJP 40-49 years, male 21.4
GTEX-QDVJ-1226-SM-48U1V 50-59 years, male 21.3
GTEX-QV31-0226-SM-447BO 30-39 years, male 21.2
GTEX-1I1GU-0326-SM-AHZ2K 40-49 years, male 21.2
GTEX-12WSN-0826-SM-5GCOF 40-49 years, male 21.1
GTEX-ZTPG-1026-SM-5DUWP 20-29 years, female 21.1
GTEX-1HSMO-2026-SM-CNNQO 60-69 years, male 21.1
GTEX-1L5NE-0826-SM-DHXKU 50-59 years, male 20.9
GTEX-1128S-0826-SM-5GZZI 60-69 years, female 20.8
GTEX-1339X-1026-SM-5IFH5 40-49 years, male 20.8
GTEX-TMMY-1326-SM-4DXU9 40-49 years, female 20.8
GTEX-1H1DG-1426-SM-9OSXP 70-79 years, male 20.8
GTEX-T8EM-0826-SM-4DM76 40-49 years, male 20.7
GTEX-YB5K-1826-SM-5IFJC 40-49 years, female 20.7
GTEX-1M5QR-0926-SM-DHXK8 40-49 years, male 20.7
GTEX-132AR-1826-SM-5EGHR 50-59 years, female 20.6
GTEX-1AYD5-0326-SM-7EWEO 50-59 years, male 20.6
GTEX-1C64O-1426-SM-7EWER 60-69 years, male 20.6
GTEX-14AS3-0326-SM-5Q5DB 40-49 years, female 20.5
GTEX-1B933-1726-SM-731FC 50-59 years, female 20.5
GTEX-1C6VQ-1726-SM-7IGLQ 50-59 years, male 20.5
GTEX-RWS6-1126-SM-47JXC 60-69 years, female 20.5
GTEX-X15G-0726-SM-4PQZ5 50-59 years, female 20.5
GTEX-ZZPU-0726-SM-5N9C8 50-59 years, female 20.5
GTEX-1PBJI-2126-SM-DPRYG 20-29 years, female 20.5
GTEX-139YR-1526-SM-5IFJ1 50-59 years, male 20.4
GTEX-R55G-0326-SM-48FDM 40-49 years, female 20.4
GTEX-1MUQO-1426-SM-DPRYJ 60-69 years, male 20.4
GTEX-Q2AH-0926-SM-48TZK 40-49 years, male 20.3
GTEX-ZG7Y-0326-SM-4WWEY 50-59 years, male 20.3
GTEX-13N11-0226-SM-5KM3C 50-59 years, female 20.2
GTEX-WFON-0626-SM-4LVLX 40-49 years, male 20.2
GTEX-1QEPI-1626-SM-EAZ3I 60-69 years, female 20.2
GTEX-1H23P-2026-SM-9OSXY 60-69 years, male 20.1
GTEX-1CAMQ-1626-SM-7MGXG 40-49 years, male 20.0
GTEX-145ME-0326-SM-5S2QO 40-49 years, female 19.8
GTEX-XMK1-0326-SM-4B652 40-49 years, male 19.8
GTEX-ZF3C-2026-SM-4WWB5 50-59 years, female 19.8
GTEX-VJYA-0826-SM-4KL1M 60-69 years, male 19.6
GTEX-ZPIC-0926-SM-4WWFK 40-49 years, female 19.6
GTEX-1IDJD-0126-SM-C1YQZ 30-39 years, male 19.6
GTEX-13FLV-0626-SM-5IFEY 50-59 years, male 19.5
GTEX-17HGU-2026-SM-79OKS 50-59 years, male 19.5
GTEX-V1D1-0726-SM-4JBH7 50-59 years, male 19.3
GTEX-13YAN-2126-SM-5Q5C4 60-69 years, male 19.2
GTEX-XQ8I-1926-SM-4BOOK 50-59 years, male 19.2
GTEX-XXEK-1726-SM-4BRVB 50-59 years, male 19.2
GTEX-OOBJ-1026-SM-3NB2L 60-69 years, male 19.1
GTEX-1497J-0426-SM-5Q5CO 60-69 years, male 19.0
GTEX-OOBK-1026-SM-48TC2 40-49 years, male 19.0
GTEX-PW2O-0826-SM-48TC5 20-29 years, male 19.0
GTEX-18A6Q-1726-SM-7LT9A 60-69 years, male 18.9
GTEX-12WSD-1626-SM-5GCNR 60-69 years, female 18.8
GTEX-P4QS-1026-SM-3NMCW 60-69 years, male 18.8
GTEX-SE5C-0326-SM-4BRWX 40-49 years, female 18.8
GTEX-Y9LG-0726-SM-4VDS3 30-39 years, male 18.8
GTEX-ZAB4-1726-SM-5HL8C 40-49 years, male 18.8
GTEX-1LGRB-0426-SM-CNNRD 50-59 years, female 18.8
GTEX-U4B1-0726-SM-4DXUA 40-49 years, male 18.7
GTEX-ZYY3-0826-SM-5E44R 60-69 years, female 18.7
GTEX-P4PQ-1026-SM-3NMCN 60-69 years, male 18.6
GTEX-ZAB5-0826-SM-5P9FU 50-59 years, male 18.6
GTEX-1NSGN-1726-SM-EXOJG 50-59 years, male 18.6
GTEX-11NSD-0526-SM-5A5LT 20-29 years, male 18.5
GTEX-S3XE-0526-SM-4AD4G 50-59 years, male 18.5
GTEX-1IDJU-0326-SM-CGQEE 60-69 years, female 18.5
GTEX-1QW4Y-0926-SM-DPRY2 30-39 years, male 18.5
GTEX-1QP29-1926-SM-DPRZO 50-59 years, male 18.4
GTEX-RM2N-0326-SM-48FD8 50-59 years, male 18.3
GTEX-WFG8-0326-SM-4LVN4 20-29 years, male 18.3
GTEX-X4LF-0326-SM-4QAS9 50-59 years, male 18.3
GTEX-11TT1-0326-SM-5LUAY 20-29 years, male 18.2
GTEX-13VXT-1226-SM-5LU3M 20-29 years, female 18.2
GTEX-SNOS-0926-SM-4DM7A 40-49 years, male 18.2
GTEX-1I4MK-1026-SM-AHZ2H 50-59 years, female 18.2
GTEX-OXRK-1526-SM-E6CHJ 50-59 years, female 18.2
GTEX-14PHY-1126-SM-664OR 60-69 years, female 18.1
GTEX-1AYCT-1226-SM-7EPGH 50-59 years, male 18.1
GTEX-PLZ6-0726-SM-3P619 30-39 years, male 18.1
GTEX-SUCS-1426-SM-4DM5W 70-79 years, male 18.1
GTEX-Y5LM-0526-SM-4V6G3 40-49 years, female 18.1
GTEX-14PJN-1526-SM-6AJBP 30-39 years, male 18.0
GTEX-18A7A-1726-SM-7LT93 50-59 years, female 18.0
GTEX-XGQ4-0226-SM-4GIDS 50-59 years, male 18.0
GTEX-ZDYS-2526-SM-4WKGU 50-59 years, male 18.0
GTEX-WFJO-0626-SM-4LVMC 30-39 years, male 17.9
GTEX-1GN1W-1126-SM-9OSW3 50-59 years, female 17.9
GTEX-1JMPZ-1026-SM-CXZJS 30-39 years, male 17.9
GTEX-15DYW-1626-SM-6LLI1 60-69 years, female 17.8
GTEX-15SHV-1526-SM-6LLIB 60-69 years, male 17.8
GTEX-1QP28-1026-SM-EAZ4K 50-59 years, female 17.8
GTEX-WHSB-0726-SM-4M1XQ 50-59 years, male 17.7
GTEX-1I1GQ-2226-SM-B2LX1 50-59 years, male 17.7
GTEX-131XE-1926-SM-5IFER 50-59 years, male 17.6
GTEX-1399S-0326-SM-5IFFS 30-39 years, female 17.6
GTEX-WFG7-0426-SM-4LMK5 20-29 years, male 17.6
GTEX-ZLWG-0326-SM-4WWC7 50-59 years, female 17.6
GTEX-13FTW-0526-SM-5IFIP 40-49 years, male 17.5
GTEX-1GF9X-1126-SM-7MKHC 40-49 years, female 17.5
GTEX-1LG7Z-0326-SM-DHXK3 30-39 years, male 17.5
GTEX-UJHI-0626-SM-3DB8T 50-59 years, female 17.4
GTEX-YEC4-1326-SM-5IFHG 40-49 years, male 17.4
GTEX-1J8EW-1926-SM-CGQGR 60-69 years, female 17.4
GTEX-11GSP-0426-SM-5A5KX 60-69 years, female 17.3
GTEX-14PJM-2126-SM-6AJAS 50-59 years, female 17.3
GTEX-QLQW-0326-SM-447A8 30-39 years, male 17.3
GTEX-OIZI-1526-SM-E6CHI 40-49 years, male 17.3
GTEX-1CB4G-1826-SM-7MKGO 60-69 years, male 17.2
GTEX-12WSG-1026-SM-5EGII 50-59 years, female 17.1
GTEX-13FH7-1426-SM-5IFIC 50-59 years, female 17.1
GTEX-WYJK-2426-SM-4ONDQ 50-59 years, male 17.1
GTEX-13X6H-0626-SM-5LU53 50-59 years, female 17.0
GTEX-TML8-0526-SM-32QOQ 40-49 years, female 17.0
GTEX-Y8E4-1326-SM-5IFIY 40-49 years, male 17.0
GTEX-YB5E-0526-SM-4VDSD 40-49 years, male 17.0
GTEX-XYKS-1226-SM-4BRVI 60-69 years, female 16.9
GTEX-1J8Q3-0626-SM-AHZ3V 60-69 years, male 16.8
GTEX-1PPH8-2326-SM-EAZ48 20-29 years, male 16.8
GTEX-R55D-1426-SM-48FEN 50-59 years, male 16.7
GTEX-1A8FM-1826-SM-7MGXO 50-59 years, female 16.7
GTEX-1CAMR-1126-SM-7MGXF 20-29 years, male 16.7
GTEX-1K9T9-1726-SM-CXZK1 50-59 years, female 16.7
GTEX-111CU-0526-SM-5EGHK 50-59 years, male 16.6
GTEX-11LCK-0226-SM-5A5M6 30-39 years, male 16.6
GTEX-XPVG-0326-SM-4B653 50-59 years, male 16.6
GTEX-ZVP2-0726-SM-59HKY 50-59 years, male 16.6
GTEX-11VI4-0426-SM-5EGHZ 40-49 years, female 16.5
GTEX-S4P3-0626-SM-4AD59 50-59 years, female 16.5
GTEX-QLQ7-0626-SM-CE6QX 60-69 years, male 16.4
GTEX-13D11-2226-SM-5IFEO 50-59 years, female 16.3
GTEX-13O1R-1826-SM-5KM3B 60-69 years, male 16.3
GTEX-14JG6-0426-SM-68715 30-39 years, female 16.3
GTEX-O5YT-1026-SM-3MJGF 20-29 years, male 16.3
GTEX-ZV7C-0726-SM-59HKH 50-59 years, male 16.3
GTEX-132QS-0926-SM-5P9GB 60-69 years, male 16.2
GTEX-14C39-1026-SM-73KWG 40-49 years, male 16.2
GTEX-1OFPY-0626-SM-EXOJ4 60-69 years, male 16.2
GTEX-1211K-1126-SM-5EGGB 60-69 years, female 16.1
GTEX-ZEX8-1026-SM-4WKHE 50-59 years, male 16.1
GTEX-15CHR-2026-SM-7MXU2 50-59 years, male 16.1
GTEX-14ICL-1126-SM-5S2RE 30-39 years, male 16.0
GTEX-15UF7-0826-SM-6M46E 40-49 years, male 16.0
GTEX-1122O-0726-SM-5GIEV 60-69 years, female 15.9
GTEX-17F98-0426-SM-79ONZ 40-49 years, female 15.9
GTEX-QDVN-0926-SM-2I5GL 50-59 years, male 15.9
GTEX-111YS-1226-SM-5EGGJ 60-69 years, male 15.8
GTEX-1CB4I-1326-SM-79OLY 50-59 years, male 15.8
GTEX-R53T-0426-SM-48FEM 50-59 years, female 15.8
GTEX-X5EB-0526-SM-46MVP 40-49 years, male 15.8
GTEX-X3Y1-0726-SM-3P5YU 40-49 years, male 15.7
GTEX-1JKYR-1026-SM-CGQGI 20-29 years, male 15.7
GTEX-QMRM-0326-SM-CKZNB 50-59 years, male 15.7
GTEX-12BJ1-1126-SM-5EGGG 60-69 years, male 15.6
GTEX-13FTX-1226-SM-5IFGN 20-29 years, female 15.6
GTEX-14DAR-0526-SM-664MX 50-59 years, male 15.6
GTEX-ZT9W-0926-SM-57WFS 50-59 years, male 15.6
GTEX-1GL5R-0926-SM-9JGFO 50-59 years, male 15.6
GTEX-QV44-0426-SM-4R1KF 50-59 years, male 15.5
GTEX-Y3IK-0426-SM-4WWE2 50-59 years, female 15.5
GTEX-1JKYN-0426-SM-CGQG2 30-39 years, male 15.5
GTEX-1S831-0626-SM-EV79N 20-29 years, male 15.5
GTEX-13PVR-0726-SM-5S2PX 60-69 years, female 15.4
GTEX-P4PP-1026-SM-3NM9O 30-39 years, female 15.4
GTEX-ZAK1-2326-SM-5CVMY 50-59 years, female 15.4
GTEX-ZP4G-0426-SM-4YCER 20-29 years, female 15.4
GTEX-1IL2U-2326-SM-CNNQV 60-69 years, male 15.4
GTEX-1LSNM-0726-SM-DHXL1 50-59 years, male 15.4
GTEX-YEC3-0626-SM-CMKFG 50-59 years, male 15.4
GTEX-145MO-2126-SM-5Q5CZ 60-69 years, male 15.3
GTEX-XV7Q-0926-SM-4BRVQ 40-49 years, female 15.3
GTEX-ZDTT-1126-SM-4WKFW 60-69 years, male 15.3
GTEX-OIZF-1026-SM-2HML5 60-69 years, male 15.3
GTEX-11DXX-0926-SM-5H112 60-69 years, female 15.2
GTEX-144GM-0726-SM-79OJQ 20-29 years, male 15.2
GTEX-15ER7-1326-SM-6LPK9 20-29 years, female 15.2
GTEX-1RAZQ-1426-SM-EV7B2 30-39 years, male 15.2
GTEX-WHPG-0326-SM-4M1XV 50-59 years, male 15.1
GTEX-Y8LW-1026-SM-5IFJY 50-59 years, female 15.1
GTEX-13PL7-2226-SM-5L3IC 60-69 years, female 15.0
GTEX-148VI-0826-SM-5TDDI 60-69 years, female 15.0
GTEX-Q734-0426-SM-48TZX 40-49 years, female 15.0
GTEX-1RAZA-1626-SM-EV79I 20-29 years, male 15.0
GTEX-117YX-0226-SM-5EGH6 50-59 years, male 14.9
GTEX-14BMU-0726-SM-73KXS 20-29 years, female 14.9
GTEX-15RIF-0626-SM-6LLI3 20-29 years, male 14.9
GTEX-1AX9K-2026-SM-731D1 50-59 years, male 14.9
GTEX-UJMC-1126-SM-3GADP 50-59 years, male 14.9
GTEX-WH7G-0826-SM-4LVMR 40-49 years, male 14.9
GTEX-1GN1U-1126-SM-9WPPZ 50-59 years, female 14.9
GTEX-1PFEY-1126-SM-DPRZ3 30-39 years, male 14.9
GTEX-17MF6-1426-SM-7IGOX 40-49 years, male 14.8
GTEX-1R7EV-1126-SM-DPRXU 40-49 years, male 14.8
GTEX-1S83E-1426-SM-EV7B8 40-49 years, male 14.8
GTEX-14PK6-1026-SM-664NZ 70-79 years, female 14.7
GTEX-1C4CL-0926-SM-79OL2 30-39 years, male 14.7
GTEX-OHPL-1026-SM-3MJGI 60-69 years, female 14.7
GTEX-11EQ9-1026-SM-5H134 30-39 years, male 14.6
GTEX-11I78-0626-SM-5A5LZ 50-59 years, female 14.6
GTEX-1I1GT-0926-SM-AHZ2G 60-69 years, female 14.6
GTEX-1KXAM-0226-SM-EV7AP 60-69 years, male 14.6
GTEX-1QP2A-1326-SM-EAZ3K 50-59 years, male 14.6
GTEX-13U4I-1526-SM-5IFFF 40-49 years, female 14.5
GTEX-1B932-1626-SM-731EA 40-49 years, female 14.5
GTEX-W5WG-0826-SM-4RGNE 50-59 years, female 14.5
GTEX-18D9U-1626-SM-7KFTW 40-49 years, male 14.4
GTEX-1LVAN-1226-SM-CNNQY 50-59 years, female 14.4
GTEX-1NUQO-0826-SM-DPS16 20-29 years, female 14.4
GTEX-14PN3-0126-SM-6AJAU 60-69 years, female 14.3
GTEX-18A66-2126-SM-7189D 60-69 years, male 14.3
GTEX-ZYFG-0826-SM-5BC5T 60-69 years, female 14.3
GTEX-1GZ4H-0626-SM-9OSXJ 50-59 years, female 14.3
GTEX-1HKZK-1126-SM-9WG82 40-49 years, male 14.3
GTEX-146FQ-1526-SM-5Q5CX 30-39 years, male 14.2
GTEX-WXYG-0826-SM-4ONC7 50-59 years, female 14.2
GTEX-14E6E-1426-SM-5RQI2 30-39 years, male 14.1
GTEX-15FZZ-0626-SM-7KFTO 30-39 years, female 14.1
GTEX-17F9E-1426-SM-793BG 50-59 years, male 14.1
GTEX-PX3G-1026-SM-48TZW 20-29 years, female 14.1
GTEX-U8XE-2026-SM-3DB8S 30-39 years, male 14.1
GTEX-1IDJC-0526-SM-AHZ2Q 50-59 years, male 14.1
GTEX-131XF-1426-SM-5BC68 60-69 years, male 14.0
GTEX-13CF3-1026-SM-5LZWY 60-69 years, female 14.0
GTEX-1B97J-1526-SM-79ONI 50-59 years, female 14.0
GTEX-1JK1U-1026-SM-AHZ44 60-69 years, male 14.0
GTEX-1K2DA-0326-SM-CGQGX 50-59 years, male 14.0
GTEX-ZYW4-2126-SM-59HJ9 60-69 years, male 13.9
GTEX-1R7EU-0726-SM-DPRZM 60-69 years, male 13.9
GTEX-14PJ6-0926-SM-686ZA 60-69 years, female 13.7
GTEX-15EU6-1126-SM-68721 50-59 years, male 13.7
GTEX-1AX9J-1726-SM-731FF 60-69 years, male 13.7
GTEX-1B8KE-0726-SM-72D7G 50-59 years, male 13.7
GTEX-1R9K5-1226-SM-E6CPQ 50-59 years, male 13.7
GTEX-13OVI-0526-SM-5IFFQ 60-69 years, female 13.6
GTEX-1AX8Z-1726-SM-731DE 60-69 years, male 13.6
GTEX-1H1E6-0826-SM-9WG83 30-39 years, male 13.6
GTEX-1399R-0426-SM-5IJE3 30-39 years, male 13.5
GTEX-T5JW-0226-SM-4DM7I 20-29 years, female 13.2
GTEX-YFCO-1026-SM-5LU9S 40-49 years, male 13.2
GTEX-15RJ7-0826-SM-6LLI8 40-49 years, male 13.1
GTEX-Y114-0826-SM-4TT77 50-59 years, female 13.0
GTEX-ZF29-1126-SM-4WKGO 60-69 years, female 12.9
GTEX-14PJ3-0426-SM-6LLHF 50-59 years, male 12.8
GTEX-15SB6-0226-SM-6LLIA 50-59 years, female 12.7
GTEX-QESD-0226-SM-447BH 20-29 years, male 12.7
GTEX-18A67-1726-SM-7KFT9 50-59 years, male 12.6
GTEX-11P7K-0526-SM-5BC5I 30-39 years, male 12.5
GTEX-1F5PL-0726-SM-7MKH8 40-49 years, female 12.5
GTEX-14PJ2-1526-SM-686Z4 50-59 years, male 12.4
GTEX-ZVT2-2026-SM-5NQ8Q 50-59 years, female 12.4
GTEX-ZVZP-0626-SM-59HL5 50-59 years, male 12.4
GTEX-1399U-0926-SM-5IFHA 50-59 years, female 12.3
GTEX-14PJ4-0726-SM-6872E 60-69 years, male 12.3
GTEX-15SDE-0826-SM-6M463 50-59 years, female 12.3
GTEX-ZPCL-0726-SM-DO91S 60-69 years, female 12.3
GTEX-1B996-1326-SM-731EO 60-69 years, male 12.2
GTEX-NFK9-1626-SM-3LK5J 40-49 years, male 12.2
GTEX-17HHE-0526-SM-7DUGR 50-59 years, male 12.1
GTEX-17KNJ-1926-SM-7KFRV 50-59 years, male 12.1
GTEX-1H11D-0926-SM-9OSXO 40-49 years, male 12.1
GTEX-1MGNQ-1226-SM-EV7BM 40-49 years, male 12.1
GTEX-145MN-1426-SM-5SI9H 30-39 years, male 12.0
GTEX-1KANA-1526-SM-CXZKG 20-29 years, male 12.0
GTEX-146FR-0126-SM-5Q5F3 60-69 years, female 11.9
GTEX-178AV-0226-SM-793B7 40-49 years, male 11.9
GTEX-1S82P-1026-SM-EAZ4W 60-69 years, female 11.9
GTEX-QCQG-0426-SM-48U29 50-59 years, female 11.8
GTEX-ZPU1-0226-SM-4WWC9 40-49 years, male 11.8
GTEX-11ONC-0526-SM-5BC57 60-69 years, male 11.6
GTEX-16MT8-1726-SM-7EWE7 60-69 years, female 11.6
GTEX-131XG-1426-SM-5GCMO 50-59 years, female 11.5
GTEX-WYVS-0926-SM-4SOJV 40-49 years, female 11.5
GTEX-1N2EF-2126-SM-DPRYL 60-69 years, male 11.2
GTEX-ZLFU-0726-SM-57WF6 40-49 years, male 11.1
GTEX-144GN-0826-SM-5LU5G 50-59 years, male 10.6
GTEX-1QPFJ-2226-SM-EXOJW 30-39 years, female 10.6
GTEX-1C2JI-0926-SM-731F1 50-59 years, male 10.5
GTEX-1B8KZ-0926-SM-731D7 50-59 years, male 10.4
GTEX-1CB4F-1226-SM-7DHKU 60-69 years, male 10.2
GTEX-1HSGN-1426-SM-A8NAA 40-49 years, female 10.1
GTEX-14PHX-2026-SM-6872C 50-59 years, male 10.0
GTEX-12WSK-0226-SM-5BC62 40-49 years, female 9.6
GTEX-VUSG-0326-SM-3GIJ7 50-59 years, male 9.6
GTEX-1AMFI-0726-SM-731D9 50-59 years, female 9.5
Show allShow less

PANCREAS - FANTOM5 CAGEi

RNA expression in human tissues obtained through Cap Analysis of Gene Expression (CAGE) generated by the FANTOM5 project are reported as Scaled Tags Per Million.

Max subtype Scaled Tags Per Millioni

Max subtype Scaled Tags Per Million is the value for the subtype with the largest average Scaled Tags Per Million across the subtype samples.

26.4
FANTOM5 sample id Sample description Scaled Tags Per Million
Pancreas
Scaled Tags Per Million: 26.4
FF:10049-101G4 52 years, male 26.4

Contact

  • NEWS ARTICLES
  • PRESS ROOM

The Project

  • INTRODUCTION
  • ORGANIZATION
  • PUBLICATIONS

The Human Protein Atlas

  • DOWNLOADABLE DATA
  • LICENCE & CITATION
  • HELP & FAQ
The Human Protein Atlas project is funded
by the Knut & Alice Wallenberg Foundation.


contact@proteinatlas.org