We use cookies to enhance the usability of our website. If you continue, we'll assume that you are happy to receive all cookies. More information. Don't show this again.
GDPD3
HPA
RESOURCES
  • TISSUE
  • BRAIN
  • SINGLE CELL
  • SUBCELLULAR
  • CANCER
  • BLOOD
  • CELL LINE
  • STRUCTURE & INTERACTION
ABOUT
  • INTRODUCTION
  • HISTORY
  • ORGANIZATION
  • PUBLICATIONS
  • ANTIBODY SUBMISSION
  • ANTIBODY AVAILABILITY
  • ACKNOWLEDGMENTS
  • CONTACT
NEWS
  • NEWS ARTICLES
  • PRESS ROOM
LEARN
  • DICTIONARY
  • PROTEIN CLASSES
  • PROTEIN EVIDENCE
  • METHODS
  • EDUCATIONAL VIDEOS
DATA
  • DOWNLOADABLE DATA
  • PUBLICATION DATA
  • RELEASE HISTORY
HELP
  • ANTIBODY VALIDATION
  • ASSAYS & ANNOTATION
  • DISCLAIMER
  • HELP & FAQ
  • PRIVACY STATEMENT
  • LICENCE & CITATION
Fields »
Search result

Field
Term
Gene name
Class
Subclass
Class
Keyword
Chromosome
External id
Tissue
Cell type
Expression
Antibody panel
Tissue
Main location
Patient ID
Annotation
Tissue
Category
Tau score
Cluster
Reliability
Brain region
Category
Tau score
Brain region
Category
Tau score
Brain region
Category
Tau score
Cluster
Reliability
Tissue
Cell type
Enrichment
Cell type
Category
Tau score
Cell type
Category
Tau score
Cell type
Category
Tau score
Cell lineage
Category
Tau score
Cluster
Cluster
Location
Searches
Location
Cell line
Class
Type
Phase
Reliability
Cancer
Prognosis
Cancer
Category
Cancer
Category
Tau score
Cluster
Variants
Interacting gene (ensg_id)
Type
Number of interactions
Pathway
Category
Score
Score
Score
Validation
Validation
Validation
Validation
Antibodies
Data type
Column


  • SUMMARY

  • TISSUE

  • BRAIN

  • SINGLE CELL

  • SUBCELL

  • CANCER

  • BLOOD

  • CELL LINE

  • STRUCT & INT

  • GDPD3
TISSUE PRIMARY DATA ESOPHAGUS Show tissue menu
ADIPOSE TISSUE ADRENAL GLAND AMYGDALA APPENDIX BASAL GANGLIA BONE MARROW BREAST CEREBELLUM CEREBRAL CORTEX CERVIX CHOROID PLEXUS COLON DUODENUM
ENDOMETRIUM EPIDIDYMIS ESOPHAGUS FALLOPIAN TUBE GALLBLADDER HEART MUSCLE HIPPOCAMPAL FORMATION HYPOTHALAMUS KIDNEY LIVER LUNG LYMPH NODE MIDBRAIN
OVARY PANCREAS PARATHYROID GLAND PITUITARY GLAND PLACENTA PROSTATE RECTUM RETINA SALIVARY GLAND SEMINAL VESICLE SKELETAL MUSCLE SKIN SMALL INTESTINE
SMOOTH MUSCLE SPINAL CORD SPLEEN STOMACH TESTIS THYMUS THYROID GLAND TONGUE TONSIL URINARY BLADDER VAGINA
ANTIBODIES
AND
VALIDATION
Dictionary
Esophagus
Tissue proteome
Esophagus
ESOPHAGUS - Expression summary
Protein expressioni

On the top, protein expression in current human tissue, based on all annotated cell types, is reported with the units not detected (n), low (l), medium (m) and high (h). Underneath, protein expression in each annotated cell type are reported using the same units.

Protein expression data is based on knowledge-based annotation. For genes where more than one antibody has been used, a collective score is set.

If knowledge-based annotation could not be performed for a gene, no data is displayed here. View antibody staining data further down this page.

No data
RNA expressioni

A summary of mRNA expression data available for current tissue based on several datasets. The mRNA expression levels in human tissues are based on RNA-seq data generated by the Human Protein Atlas (HPA), Genotype-Tissue Expression (GTEx) portal and CAGE data generated by the FANTOM5 consortium. Consensus normalized expression levels for human tissues was created by combining the data from HPA and GTEx datasets.

The mRNA expression levels in pig are based on RNA-seq data generated by the Human Protein Atlas (HPA), and for mouse, HPA data and in situ hybridization generated by the Allen brain atlas are reported.

Scroll down to view mRNA expression data in more detail.
Consensus:44.4 nTPM
HPA:34.2 nTPM
GTEx:44.4 nTPM
FANTOM5:22.6 Scaled Tags Per Million

ESOPHAGUS - Annotated protein expression
Pending normal tissue analysis

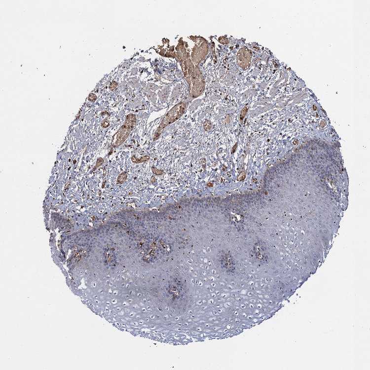
ESOPHAGUS - Antibody stainingi

Antibody staining in the annotated cell types in the current human tissue is reported as not detected, low, medium, or high, based on conventional immunohistochemistry profiling in selected tissues. This score is based on the combination of the staining intensity and fraction of stained cells.

Each image is clickable and will lead to virtual microscopy that enables deeper exploration of all samples and also displays staining intensity scores, fraction scores and subcellular localization as well as patient and tissue information for each sample.

Antibody HPA041148Antibody HPA041470
Squamous epithelial cells MediumMedium




ESOPHAGUS - HPA RNA-seqi

The RNA-seq details section shows detailed information about the individual samples used for the transcript profiling and results of the RNA-seq analysis.

Information about each individual sample is listed below, including gender, age, a tissue section image and estimated fractions of cell types. nTPM (normalized transcripts per million) values give a quantification of the gene abundance which is comparable between different genes and samples.
Average nTPMi

Max subtype nTPM is the value for the subtype with the largest average nTPM across the subtype samples.

34.2
overview
Female, age 70
Esophagus sample 130
nTPM: 40.2
Cell types%
Squamous epithelial cells:
35

Smooth muscle cells:
15

Skeletal muscle cells:
5

Other cell types:
45

overview
Male, age 38
Esophagus sample 131
nTPM: 23.1
Cell types%
Squamous epithelial cells:
60

Smooth muscle cells:
20

Other cell types:
20

overview
Male, age 76
Esophagus sample 132
nTPM: 39.2
Cell types%
Squamous epithelial cells:
45

Smooth muscle cells:
15

Other cell types:
40


ESOPHAGUS - GTEx RNA-seqi

RNA-Seq data generated by the Genotype-Tissue Expression (GTEx) project from human tissues is reported as mean nTPM. More information can be found on the GTEx portal.

Distribution across the dataset is visualized with box plots, shown as median and 25th and 75th percentiles. Points are displayed as outliers if they are above or below 1.5 times the interquartile range. nTPM values of the individual samples are presented next to the box plot.
Max subtype nTPMi

Max subtype nTPM is the value for the subtype with the largest average nTPM across the subtype samples.

44.4
GTEx sample id Sample description nTPM
Esophagus - Mucosa
Average nTPM: 44.4
Samples: 555

Max nTPM: 140.7
Min nTPM: 3.5
Std nTPM: 26.7
Median nTPM: 40.2
GTEX-14PJ5-0526-SM-664OE 60-69 years, female 140.7
GTEX-14PK6-1326-SM-686ZE 70-79 years, female 133.5
GTEX-1IKOE-1526-SM-C1YSD 30-39 years, female 126.2
GTEX-ZTPG-1626-SM-5DUX2 20-29 years, female 121.7
GTEX-1269C-1026-SM-5N9EY 60-69 years, female 120.6
GTEX-15RIF-0826-SM-6M47C 20-29 years, male 119.6
GTEX-Y5LM-1026-SM-4VDSQ 40-49 years, female 118.1
GTEX-PWN1-0626-SM-48TDT 40-49 years, female 117.9
GTEX-1L5NE-1426-SM-DHXKV 50-59 years, male 117.1
GTEX-RU1J-0326-SM-46MUM 20-29 years, female 115.4
GTEX-14PKV-1726-SM-6871U 20-29 years, female 111.8
GTEX-POYW-1326-SM-48TCG 60-69 years, male 111.6
GTEX-17MFQ-0526-SM-7KFTX 20-29 years, male 111.1
GTEX-14H4A-1626-SM-5SI69 40-49 years, female 110.5
GTEX-132QS-1426-SM-5P9GE 60-69 years, male 110.4
GTEX-14A6H-1326-SM-5NQBC 30-39 years, male 108.6
GTEX-S3XE-0926-SM-4AD4S 50-59 years, male 107.3
GTEX-XXEK-0326-SM-4BRVV 50-59 years, male 107.0
GTEX-1MCC2-1926-SM-DHXJR 30-39 years, female 106.0
GTEX-S95S-0426-SM-4B64I 60-69 years, male 105.7
GTEX-145LV-1326-SM-5S2QI 50-59 years, male 104.8
GTEX-Q2AH-0826-SM-48TZN 40-49 years, male 103.7
GTEX-1KXAM-0826-SM-CXZK9 60-69 years, male 102.8
GTEX-1GN1W-2226-SM-9JGI5 50-59 years, female 101.3
GTEX-T6MO-0526-SM-4DM6R 40-49 years, female 100.3
GTEX-ZT9W-1326-SM-51MTB 50-59 years, male 100.3
GTEX-18A6Q-1226-SM-7KFS9 60-69 years, male 98.8
GTEX-1211K-0926-SM-5FQTL 60-69 years, female 97.4
GTEX-1IDJH-2026-SM-CNNQX 70-79 years, male 97.3
GTEX-11TT1-0526-SM-5P9JO 20-29 years, male 96.2
GTEX-ZF29-1326-SM-DNZYV 60-69 years, female 95.8
GTEX-1CB4E-1026-SM-793AB 60-69 years, male 95.7
GTEX-1F75I-1726-SM-7MKGW 40-49 years, male 95.6
GTEX-1CAMQ-2726-SM-7MKGD 40-49 years, male 95.0
GTEX-TKQ1-0326-SM-4DXSM 30-39 years, male 94.9
GTEX-1122O-1726-SM-5GICM 60-69 years, female 94.8
GTEX-P4PQ-0626-SM-3NMCU 60-69 years, male 94.2
GTEX-YB5K-0826-SM-5YYB7 40-49 years, female 93.6
GTEX-R55G-1026-SM-48FDI 40-49 years, female 92.3
GTEX-16Z82-1926-SM-6M47U 60-69 years, male 92.2
GTEX-1KANA-0626-SM-D4P3I 20-29 years, male 91.5
GTEX-REY6-1326-SM-48FDO 60-69 years, male 91.2
GTEX-1QP2A-1926-SM-EXOJ9 50-59 years, male 91.2
GTEX-1PPH8-1626-SM-E6CQP 20-29 years, male 90.9
GTEX-XYKS-1526-SM-4BRUP 60-69 years, female 90.6
GTEX-1PPGY-1726-SM-EVR3S 60-69 years, male 90.2
GTEX-1CB4G-1326-SM-7MKFP 60-69 years, male 89.7
GTEX-1399S-1326-SM-5P9GH 30-39 years, female 89.0
GTEX-YEC4-1026-SM-9WG7N 40-49 years, male 87.6
GTEX-1GF9U-0826-SM-7MXTZ 40-49 years, female 87.1
GTEX-XMK1-1326-SM-4B65Q 40-49 years, male 87.0
GTEX-X4XY-1726-SM-46MVO 60-69 years, male 85.9
GTEX-13PVR-1826-SM-5Q5CC 60-69 years, female 85.2
GTEX-15EOM-5013-SM-7MKF9 20-29 years, female 85.0
GTEX-13OVI-2626-SM-5KM4T 60-69 years, female 84.1
GTEX-T8EM-0526-SM-4DM64 40-49 years, male 83.8
GTEX-1OKEX-1326-SM-E9J2U 60-69 years, male 83.2
GTEX-12ZZY-1426-SM-5N9EI 60-69 years, male 83.0
GTEX-13FH7-0526-SM-5IJF8 50-59 years, female 83.0
GTEX-11I78-1526-SM-5A5K7 50-59 years, female 82.3
GTEX-18D9B-2026-SM-7LT96 60-69 years, male 82.0
GTEX-139YR-1726-SM-5IFFK 50-59 years, male 80.9
GTEX-ZZ64-0226-SM-5E44X 20-29 years, male 80.9
GTEX-1EKGG-1726-SM-7MXUP 60-69 years, male 80.6
GTEX-1F88F-1126-SM-7MKHL 60-69 years, female 79.8
GTEX-YEC3-2526-SM-CXZIH 50-59 years, male 79.4
GTEX-131XG-1026-SM-5GCMX 50-59 years, female 79.3
GTEX-WRHK-0526-SM-4MVOF 20-29 years, female 76.7
GTEX-1JMQJ-1226-SM-D3L97 50-59 years, male 76.7
GTEX-ZLFU-1126-SM-DO11K 40-49 years, male 76.1
GTEX-WFG8-1226-SM-4V6EI 20-29 years, male 76.0
GTEX-ZG7Y-1126-SM-4WWEZ 50-59 years, male 76.0
GTEX-15RIE-0826-SM-6M47X 60-69 years, male 75.3
GTEX-ZVT2-1326-SM-5E45H 50-59 years, female 75.3
GTEX-13FTX-0526-SM-5IFGS 20-29 years, female 75.0
GTEX-14DAR-0826-SM-73KYJ 50-59 years, male 74.3
GTEX-1QPFJ-1226-SM-EAZ3M 30-39 years, female 74.3
GTEX-X3Y1-1326-SM-4PQZB 40-49 years, male 74.1
GTEX-14B4R-0326-SM-5TDDP 30-39 years, male 74.0
GTEX-QDVN-1026-SM-48TZA 50-59 years, male 73.7
GTEX-1C2JI-1126-SM-731FH 50-59 years, male 73.6
GTEX-QLQ7-0926-SM-447BC 60-69 years, male 73.6
GTEX-ZDTT-1326-SM-4WKFH 60-69 years, male 73.5
GTEX-Q2AI-0626-SM-48TZU 40-49 years, male 73.1
GTEX-W5WG-1626-SM-4LMKG 50-59 years, female 73.1
GTEX-VJYA-0726-SM-4KL1T 60-69 years, male 73.0
GTEX-17F98-1726-SM-7938O 40-49 years, female 71.6
GTEX-1NSGN-2026-SM-DPRYM 50-59 years, male 71.6
GTEX-1MGNQ-1626-SM-EAZ4Z 40-49 years, male 70.6
GTEX-ZXES-1126-SM-5GZXN 30-39 years, female 70.5
GTEX-1HSKV-2426-SM-A8N8K 60-69 years, male 69.2
GTEX-11ONC-1526-SM-5GU6S 60-69 years, male 69.1
GTEX-14PJ4-1526-SM-664OA 60-69 years, male 68.7
GTEX-1HBPI-0626-SM-9WPP4 50-59 years, male 68.7
GTEX-1AMFI-0226-SM-731D5 50-59 years, female 68.5
GTEX-S341-0526-SM-4AD5U 40-49 years, female 68.5
GTEX-11EQ9-0726-SM-5A5K2 30-39 years, male 67.9
GTEX-13CF3-1626-SM-5IFG9 60-69 years, female 67.9
GTEX-U3ZM-0526-SM-4DXTB 40-49 years, male 67.7
GTEX-12C56-1226-SM-5FQSU 20-29 years, male 67.5
GTEX-1RDX4-2126-SM-EV7B3 50-59 years, female 66.9
GTEX-1K2DA-0626-SM-CGQGO 50-59 years, male 66.4
GTEX-1MCYP-1026-SM-DPRYB 20-29 years, female 65.7
GTEX-18D9A-0526-SM-7KFSW 30-39 years, female 65.5
GTEX-ZTSS-0626-SM-59867 40-49 years, male 65.4
GTEX-117YW-1926-SM-5H121 50-59 years, male 65.1
GTEX-18QFQ-1026-SM-7LG6B 30-39 years, male 65.0
GTEX-1GMR2-1526-SM-7MXV6 50-59 years, male 64.7
GTEX-1N2DV-2026-SM-EV7BL 40-49 years, male 64.7
GTEX-QDVJ-0726-SM-48U1W 50-59 years, male 63.9
GTEX-XGQ4-1526-SM-4AT6H 50-59 years, male 63.6
GTEX-14ICL-0526-SM-5RQJ6 30-39 years, male 63.0
GTEX-1IDJD-1626-SM-C1YRC 30-39 years, male 63.0
GTEX-1H1DG-1226-SM-9JGH3 70-79 years, male 62.4
GTEX-111CU-0726-SM-5GZYD 50-59 years, male 62.3
GTEX-1S83E-0826-SM-EV7B7 40-49 years, male 61.0
GTEX-11DXY-1426-SM-5N9CN 60-69 years, male 60.7
GTEX-13FHP-1526-SM-5IJGE 50-59 years, male 60.4
GTEX-R55C-0826-SM-48FCL 40-49 years, male 60.4
GTEX-1AYD5-0926-SM-793AF 50-59 years, male 60.3
GTEX-S4P3-0426-SM-4AD56 50-59 years, female 60.3
GTEX-YF7O-0926-SM-5IFIF 50-59 years, male 60.2
GTEX-12BJ1-1626-SM-5HL8Y 60-69 years, male 60.0
GTEX-148VI-1026-SM-5TDDJ 60-69 years, female 59.8
GTEX-OOBK-0625-SM-3LK5P 40-49 years, male 59.7
GTEX-1LVAN-2326-SM-CNNPY 50-59 years, female 59.7
GTEX-1I1GU-1426-SM-B2LX3 40-49 years, male 59.2
GTEX-WHSE-1526-SM-4M1XH 20-29 years, male 59.1
GTEX-U4B1-0826-SM-4DXTW 40-49 years, male 58.9
GTEX-17EVQ-1926-SM-7IGOF 70-79 years, male 58.6
GTEX-OIZG-1026-SM-3LK5X 50-59 years, male 58.5
GTEX-PWCY-0726-SM-48TCS 20-29 years, female 58.3
GTEX-Y9LG-0626-SM-4WWDH 30-39 years, male 58.2
GTEX-13RTK-0526-SM-5S2QF 20-29 years, male 58.1
GTEX-OXRP-0926-SM-48TC1 60-69 years, female 58.1
GTEX-1H1DE-1026-SM-9JGH6 20-29 years, male 58.1
GTEX-Y114-0926-SM-4TT7J 50-59 years, female 58.0
GTEX-14ICK-2026-SM-6AJB2 40-49 years, male 57.8
GTEX-O5YV-1026-SM-3LK72 60-69 years, female 57.4
GTEX-1I4MK-0426-SM-B2LWQ 50-59 years, female 57.0
GTEX-1399R-0826-SM-5IJEL 30-39 years, male 56.5
GTEX-PLZ6-0526-SM-3P61C 30-39 years, male 56.5
GTEX-16A39-1026-SM-6LPJU 30-39 years, female 56.4
GTEX-WYVS-0726-SM-4ONDO 40-49 years, female 56.1
GTEX-18A66-1426-SM-7KFRT 60-69 years, male 56.0
GTEX-ZVP2-1326-SM-57WCE 50-59 years, male 55.8
GTEX-NFK9-1126-SM-3LK78 40-49 years, male 55.6
GTEX-1H23P-1426-SM-9JGH5 60-69 years, male 55.6
GTEX-1B8KE-1826-SM-731FD 50-59 years, male 55.3
GTEX-16BQI-1526-SM-6LLIE 30-39 years, female 55.2
GTEX-ZPU1-1426-SM-4WWFU 40-49 years, male 55.2
GTEX-17EUY-1426-SM-7938X 20-29 years, male 55.1
GTEX-RN64-1026-SM-48FDX 50-59 years, male 55.1
GTEX-YB5E-0926-SM-4WWDQ 40-49 years, male 55.1
GTEX-11NSD-1126-SM-5N9BQ 20-29 years, male 54.9
GTEX-111YS-0926-SM-5EGGI 60-69 years, male 54.8
GTEX-1I1GQ-1726-SM-B2LWZ 50-59 years, male 54.8
GTEX-11ZTS-2626-SM-5EGIC 60-69 years, female 54.7
GTEX-1GMR3-1526-SM-9JGGL 40-49 years, male 54.7
GTEX-13OVG-0626-SM-5IFEP 60-69 years, male 54.6
GTEX-S7SF-0926-SM-4AD4M 20-29 years, female 54.2
GTEX-1MCQQ-1026-SM-EV7AX 60-69 years, male 54.2
GTEX-12ZZX-1326-SM-5DUWI 40-49 years, female 54.1
GTEX-XBED-1026-SM-48TCB 60-69 years, male 53.7
GTEX-1C475-0926-SM-7MKFI 40-49 years, female 53.6
GTEX-OIZH-0626-SM-3NB1L 50-59 years, male 53.6
GTEX-RM2N-0726-SM-48FD5 50-59 years, male 53.5
GTEX-ZPCL-1426-SM-57WEC 60-69 years, female 53.5
GTEX-WQUQ-1626-SM-4OOSH 60-69 years, male 53.4
GTEX-WHPG-1126-SM-4M1XT 50-59 years, male 53.2
GTEX-1JMPY-0826-SM-AHZ4A 30-39 years, male 53.2
GTEX-ZYVF-2226-SM-5GIDD 50-59 years, female 52.9
GTEX-1K2DU-1726-SM-EV79S 20-29 years, male 52.9
GTEX-1QP9N-0926-SM-E9U5S 30-39 years, male 52.9
GTEX-TML8-1526-SM-4DXUX 40-49 years, female 52.8
GTEX-13FHO-1726-SM-DPRZX 60-69 years, male 52.8
GTEX-145LU-0926-SM-79OJL 50-59 years, male 52.7
GTEX-1MA7X-0726-SM-EV7AB 60-69 years, male 52.7
GTEX-13X6H-1326-SM-5LU42 50-59 years, female 52.5
GTEX-1LG7Z-0926-SM-CXKYK 30-39 years, male 52.5
GTEX-VUSG-1226-SM-4KKZF 50-59 years, male 52.3
GTEX-Y3IK-1126-SM-51MSV 50-59 years, female 52.2
GTEX-1EWIQ-1526-SM-79OO7 70-79 years, female 52.0
GTEX-12696-1326-SM-5FQTJ 60-69 years, male 51.9
GTEX-1J8EW-1326-SM-AHZ3S 60-69 years, female 51.7
GTEX-1399Q-1126-SM-5P9JA 40-49 years, male 51.5
GTEX-11GSP-1826-SM-5N9DQ 60-69 years, female 51.4
GTEX-13NYB-0926-SM-5IFFA 40-49 years, male 51.3
GTEX-17HII-1526-SM-9OSVD 50-59 years, male 51.2
GTEX-1HB9E-1526-SM-D3LA6 50-59 years, male 51.1
GTEX-11LCK-1726-SM-5S2OQ 30-39 years, male 50.9
GTEX-1HBPH-1126-SM-A96TU 40-49 years, female 50.8
GTEX-WFON-0826-SM-4LVMI 40-49 years, male 50.7
GTEX-XBEW-1326-SM-4AT63 40-49 years, male 50.7
GTEX-1H11D-2126-SM-9OSXM 40-49 years, male 50.0
GTEX-131YS-1426-SM-5IJF7 60-69 years, female 49.8
GTEX-14E6E-0726-SM-5S2R3 30-39 years, male 49.8
GTEX-1B996-1826-SM-7MGY6 60-69 years, male 49.8
GTEX-1C64O-1826-SM-7DHM4 60-69 years, male 49.6
GTEX-Y3I4-1226-SM-4TT8N 50-59 years, male 49.5
GTEX-1R7EU-0826-SM-DPRZL 60-69 years, male 49.3
GTEX-183FY-1526-SM-7IGOW 20-29 years, male 49.2
GTEX-X4LF-0626-SM-4QASB 50-59 years, male 49.2
GTEX-ZLV1-0526-SM-4WWD4 60-69 years, female 49.1
GTEX-ZE9C-1126-SM-4WWBD 60-69 years, male 48.9
GTEX-SUCS-0726-SM-4DM7J 70-79 years, male 48.8
GTEX-ZDYS-0826-SM-4WWCR 50-59 years, male 48.8
GTEX-1GPI7-1026-SM-7MGY2 20-29 years, male 48.7
GTEX-1JKYN-1526-SM-CGQGA 30-39 years, male 48.6
GTEX-1J8QM-1926-SM-AHZ3Z 60-69 years, female 48.5
GTEX-1EH9U-2426-SM-7EWFG 60-69 years, male 48.4
GTEX-1RAZA-1326-SM-DPS12 20-29 years, male 48.4
GTEX-17HHE-0926-SM-7938K 50-59 years, male 48.3
GTEX-12WSL-1526-SM-5GCP8 50-59 years, male 48.0
GTEX-1LSNL-2226-SM-DHXKM 50-59 years, male 48.0
GTEX-Z9EW-0526-SM-5HL8S 40-49 years, male 47.9
GTEX-11EM3-0826-SM-5N9CC 20-29 years, female 47.8
GTEX-139T6-0626-SM-5IFF9 50-59 years, male 47.5
GTEX-QCQG-0626-SM-48U21 50-59 years, female 47.2
GTEX-WHSB-0426-SM-4M1XI 50-59 years, male 47.2
GTEX-1HSMQ-2026-SM-B2LY1 50-59 years, male 47.2
GTEX-QEG5-1426-SM-447AS 20-29 years, male 47.1
GTEX-RWS6-0826-SM-47JXF 60-69 years, female 47.1
GTEX-1EX96-2226-SM-7MKGT 50-59 years, male 47.0
GTEX-S4Q7-0626-SM-4AD5M 20-29 years, male 46.3
GTEX-13G51-0926-SM-5IFFU 60-69 years, male 46.2
GTEX-13W3W-1626-SM-5LU35 60-69 years, female 46.2
GTEX-ZLWG-1326-SM-DNZYZ 50-59 years, female 46.1
GTEX-QESD-0826-SM-47J4G 20-29 years, male 46.0
GTEX-WFG7-1126-SM-4LMK3 20-29 years, male 45.8
GTEX-14PJ3-0626-SM-6UGC5 50-59 years, male 45.8
GTEX-ZC5H-1326-SM-5HL7E 40-49 years, female 45.7
GTEX-11DXZ-1226-SM-5H11L 50-59 years, male 45.6
GTEX-S32W-0926-SM-4AD5X 50-59 years, female 45.6
GTEX-15RJE-0926-SM-6LLHZ 40-49 years, male 45.4
GTEX-1CB4H-1526-SM-7MXU4 60-69 years, female 45.3
GTEX-ZYFG-1126-SM-5GICY 60-69 years, female 45.1
GTEX-13NZB-1226-SM-5J2MW 30-39 years, male 45.0
GTEX-14JIY-0926-SM-6871D 60-69 years, male 45.0
GTEX-11DXX-1126-SM-5GZZK 60-69 years, female 44.9
GTEX-14BMU-0926-SM-5S2QB 20-29 years, female 44.8
GTEX-Q2AG-1326-SM-43V8K 40-49 years, female 44.8
GTEX-1R9PM-0926-SM-DPRYA 20-29 years, male 44.8
GTEX-147F3-0826-SM-5NQA7 50-59 years, female 44.7
GTEX-1AX9J-1826-SM-731FM 60-69 years, male 44.6
GTEX-13QBU-1026-SM-5LU3R 40-49 years, female 44.5
GTEX-1OJC3-0826-SM-DPRYU 20-29 years, male 44.5
GTEX-15UF7-0926-SM-6M46F 40-49 years, male 44.4
GTEX-1B97J-1026-SM-7MXTE 50-59 years, female 44.4
GTEX-11P81-0826-SM-5P9GR 30-39 years, female 44.3
GTEX-V1D1-1026-SM-4JBHE 50-59 years, male 44.3
GTEX-13OW8-2326-SM-5L3I9 60-69 years, male 44.2
GTEX-ZUA1-1226-SM-5NQ6O 40-49 years, male 44.2
GTEX-XUZC-0426-SM-4BOPE 30-39 years, female 44.1
GTEX-144GM-1426-SM-5LU31 20-29 years, male 43.6
GTEX-QEG4-0726-SM-CNNRF 30-39 years, male 43.6
GTEX-RVPV-0526-SM-47JYL 60-69 years, male 42.9
GTEX-145MO-1426-SM-DTX9W 60-69 years, male 42.8
GTEX-PVOW-1626-SM-48TC9 40-49 years, male 42.7
GTEX-1R9JW-1526-SM-DPRZK 30-39 years, female 42.6
GTEX-YFC4-1226-SM-5LU9R 40-49 years, female 42.5
GTEX-UJHI-0826-SM-4IHLM 50-59 years, female 42.1
GTEX-1J1OQ-2526-SM-AHZ3Q 40-49 years, female 42.1
GTEX-1JK1U-1726-SM-CNNPM 60-69 years, male 42.0
GTEX-1JKYR-2126-SM-CNNPC 20-29 years, male 41.7
GTEX-11TUW-1326-SM-5EQKV 60-69 years, male 41.5
GTEX-18A67-2426-SM-7LT95 50-59 years, male 41.5
GTEX-15SB6-0726-SM-6M48F 50-59 years, female 41.4
GTEX-SNMC-0526-SM-4DM69 20-29 years, male 41.4
GTEX-T2YK-1326-SM-4DM6S 50-59 years, male 41.4
GTEX-1I1GS-2126-SM-ARU7G 60-69 years, male 41.1
GTEX-ZGAY-1126-SM-4WWBS 40-49 years, female 41.0
GTEX-WEY5-0926-SM-4LMI4 40-49 years, female 40.9
GTEX-146FH-1726-SM-5QGQ2 50-59 years, female 40.7
GTEX-1KAFJ-0626-SM-D3L8X 50-59 years, male 40.7
GTEX-11NUK-1326-SM-5P9GN 50-59 years, male 40.6
GTEX-12WSD-1826-SM-5GCOA 60-69 years, female 40.3
GTEX-14PJM-1526-SM-664NY 50-59 years, female 40.2
GTEX-1MA7W-0426-SM-E9TJ5 20-29 years, female 40.1
GTEX-WXYG-1226-SM-4ONCJ 50-59 years, female 40.0
GTEX-QV44-1126-SM-CL55C 50-59 years, male 40.0
GTEX-15EU6-1626-SM-6LPKF 50-59 years, male 39.7
GTEX-XQ3S-1126-SM-4BOPK 20-29 years, male 39.7
GTEX-UJMC-0926-SM-4IHLK 50-59 years, male 39.3
GTEX-11P7K-1326-SM-5BC5G 30-39 years, male 39.2
GTEX-1B933-2026-SM-7EWFC 50-59 years, female 39.2
GTEX-14PJ6-1026-SM-686ZB 60-69 years, female 38.8
GTEX-U3ZH-1026-SM-4DXUZ 30-39 years, male 38.8
GTEX-133LE-0626-SM-5IFFJ 20-29 years, female 38.6
GTEX-17JCI-1226-SM-793D9 60-69 years, female 38.4
GTEX-14PJN-0526-SM-68724 30-39 years, male 38.3
GTEX-1AX9I-1426-SM-7DHM8 60-69 years, male 37.9
GTEX-14AS3-0626-SM-5QGQD 40-49 years, female 37.7
GTEX-15DYW-1826-SM-6LPIY 60-69 years, female 37.7
GTEX-1I1GR-1326-SM-ARU7B 60-69 years, male 37.6
GTEX-13SLX-1726-SM-5Q5E5 50-59 years, female 37.4
GTEX-RTLS-1126-SM-46MUQ 60-69 years, female 37.4
GTEX-148VJ-1026-SM-5LU98 70-79 years, male 37.3
GTEX-1HKZK-1426-SM-A96U1 40-49 years, male 37.2
GTEX-1J1R8-0326-SM-AHZ3D 40-49 years, male 37.1
GTEX-131XF-0826-SM-5GICG 60-69 years, male 36.9
GTEX-1A3MV-1326-SM-7LG6C 30-39 years, male 36.8
GTEX-SNOS-0626-SM-4DM5F 40-49 years, male 36.8
GTEX-XK95-1026-SM-4GIDV 40-49 years, male 36.8
GTEX-11XUK-0826-SM-5GU6P 40-49 years, female 36.7
GTEX-14JG6-0926-SM-6871Y 30-39 years, female 36.6
GTEX-X4EO-1226-SM-4QARR 60-69 years, female 36.2
GTEX-1KANB-1826-SM-DHXJU 50-59 years, male 36.2
GTEX-X4EP-1626-SM-4QAS6 60-69 years, female 36.1
GTEX-1LG7Y-1726-SM-EV7AR 50-59 years, male 36.1
GTEX-1HCUA-1426-SM-9WPP7 50-59 years, female 36.0
GTEX-T5JC-1726-SM-4DM6U 20-29 years, male 35.9
GTEX-OXRN-1726-SM-3NM9B 50-59 years, male 35.7
GTEX-WOFM-0626-SM-4OOS3 20-29 years, male 35.7
GTEX-13D11-1926-SM-5IFGB 50-59 years, female 35.5
GTEX-132AR-2226-SM-5J2NT 50-59 years, female 35.4
GTEX-11VI4-0526-SM-5EQ48 40-49 years, female 35.3
GTEX-1B97I-0926-SM-731DZ 40-49 years, male 35.3
GTEX-1LBAC-1226-SM-DHXK1 20-29 years, male 35.0
GTEX-WVLH-1426-SM-4MVNX 50-59 years, male 34.7
GTEX-1H1ZS-1526-SM-9OSXR 70-79 years, male 34.7
GTEX-1QCLY-1526-SM-DPRXX 30-39 years, male 34.2
GTEX-11P82-0526-SM-5986P 20-29 years, male 34.1
GTEX-P4QT-0626-SM-3NMCP 50-59 years, female 33.8
GTEX-1HBPM-1426-SM-9WPPE 60-69 years, female 33.8
GTEX-1HCU6-1326-SM-A96TZ 60-69 years, female 33.8
GTEX-ZAK1-1526-SM-5S2OV 50-59 years, female 33.7
GTEX-1LB8K-1326-SM-CXZKB 50-59 years, male 33.7
GTEX-1QEPI-1826-SM-EAZ3J 60-69 years, female 33.7
GTEX-15SHU-1426-SM-6LPIN 40-49 years, female 33.5
GTEX-ZF2S-1226-SM-4WWAX 50-59 years, female 33.5
GTEX-1R9K5-1526-SM-DPRZA 50-59 years, male 33.5
GTEX-1QP28-1826-SM-EAZ4L 50-59 years, female 33.3
GTEX-13QJ3-1726-SM-5RQK9 50-59 years, male 33.1
GTEX-1HCU8-2226-SM-9WPOV 60-69 years, female 32.9
GTEX-1F5PK-1526-SM-7MKGV 50-59 years, male 32.8
GTEX-12WSN-5013-SM-7P8P9 40-49 years, male 32.7
GTEX-18D9U-2126-SM-7LG4Y 40-49 years, male 32.6
GTEX-1S82Y-1226-SM-EV7BD 40-49 years, male 32.6
GTEX-14E1K-1226-SM-5S2PD 50-59 years, male 32.3
GTEX-X15G-0826-SM-4PQZD 50-59 years, female 32.2
GTEX-1A32A-1826-SM-72D5G 50-59 years, female 32.1
GTEX-14PHY-0626-SM-664NN 60-69 years, female 32.0
GTEX-13YAN-1926-SM-7EPH9 60-69 years, male 31.9
GTEX-R55E-1326-SM-48FCR 20-29 years, male 31.8
GTEX-SE5C-1226-SM-4BRWV 40-49 years, female 31.7
GTEX-XQ8I-1526-SM-4BOOH 50-59 years, male 31.7
GTEX-1PIGE-0926-SM-E9U5Z 20-29 years, male 31.7
GTEX-ZY6K-0626-SM-59HJL 50-59 years, male 31.5
GTEX-1LGOU-0526-SM-D3LAO 20-29 years, female 31.5
GTEX-1N2EE-2426-SM-EXOIO 60-69 years, male 31.4
GTEX-R53T-1126-SM-48FD4 50-59 years, female 31.3
GTEX-U3ZN-1726-SM-4DXUQ 30-39 years, female 31.2
GTEX-WH7G-0926-SM-4LVMJ 40-49 years, male 31.2
GTEX-16XZY-0926-SM-7938M 70-79 years, male 31.0
GTEX-UPJH-1026-SM-EAZB2 50-59 years, male 30.9
GTEX-17F96-2526-SM-7DHL3 70-79 years, male 30.8
GTEX-15F5U-5010-SM-AHZ2D 40-49 years, male 30.6
GTEX-T2IS-0826-SM-4DM6L 20-29 years, female 30.4
GTEX-1QCLZ-1626-SM-E9U5R 60-69 years, female 30.4
GTEX-Y8LW-0726-SM-5IFI1 50-59 years, female 30.0
GTEX-12WSK-1126-SM-5LZV8 40-49 years, female 29.8
GTEX-Y5V5-1626-SM-4VDSG 60-69 years, female 29.8
GTEX-13FTW-1626-SM-5KM4N 40-49 years, male 29.7
GTEX-13X6K-2126-SM-5O9D4 60-69 years, female 29.5
GTEX-18A7A-2326-SM-7KFRH 50-59 years, female 29.5
GTEX-X585-1226-SM-46MW7 50-59 years, male 29.5
GTEX-15ETS-1926-SM-7KUN5 40-49 years, female 29.4
GTEX-13PL7-0226-SM-731DT 60-69 years, female 29.3
GTEX-14DAQ-1426-SM-5RQJD 60-69 years, female 29.3
GTEX-U8XE-1726-SM-4E3IF 30-39 years, male 29.2
GTEX-1AMEY-0226-SM-7189Q 30-39 years, female 29.1
GTEX-N7MT-0326-SM-48TDP 60-69 years, female 29.1
GTEX-QLQW-0526-SM-4R1KS 30-39 years, male 29.1
GTEX-OXRK-1326-SM-3NB1A 50-59 years, female 28.9
GTEX-14BIN-2726-SM-5RQIE 50-59 years, female 28.8
GTEX-ZTX8-0226-SM-5E44D 20-29 years, male 28.8
GTEX-16MTA-0826-SM-6LLIC 50-59 years, male 28.7
GTEX-15RJ7-0926-SM-6LPJO 40-49 years, male 28.6
GTEX-Y5V6-1026-SM-4VBS2 60-69 years, male 28.6
GTEX-1M5QR-0726-SM-DHXK7 40-49 years, male 28.6
GTEX-1QP67-0726-SM-DPRY1 40-49 years, female 28.4
GTEX-1GTWX-1326-SM-9JGHU 60-69 years, male 28.1
GTEX-1MJIX-0826-SM-DTXEO 40-49 years, male 28.1
GTEX-ZA64-0626-SM-5HL9O 20-29 years, male 28.0
GTEX-OIZF-0626-SM-7MKHG 60-69 years, male 28.0
GTEX-15ER7-2126-SM-7939E 20-29 years, female 27.9
GTEX-16AAH-0726-SM-793A9 50-59 years, male 27.9
GTEX-R3RS-1326-SM-48FE7 40-49 years, female 27.9
GTEX-13O3Q-0826-SM-5IFGF 50-59 years, male 27.7
GTEX-1497J-2726-SM-5SI9W 60-69 years, male 27.6
GTEX-T5JW-1326-SM-4DM5G 20-29 years, female 27.6
GTEX-16NGA-1426-SM-718AC 40-49 years, female 27.4
GTEX-13S86-0826-SM-5SI6J 40-49 years, male 27.3
GTEX-1RAZS-2626-SM-EV79C 50-59 years, male 27.3
GTEX-X62O-2226-SM-46MW3 50-59 years, male 27.1
GTEX-1JMLX-2326-SM-CXZJP 50-59 years, male 27.0
GTEX-PLZ4-1626-SM-3P618 50-59 years, female 26.7
GTEX-1HCVE-1226-SM-9WPPH 50-59 years, male 26.6
GTEX-1N2DW-1426-SM-EV7AZ 50-59 years, male 26.6
GTEX-1EU9M-2326-SM-7MKGS 60-69 years, male 26.5
GTEX-OIZI-1426-SM-3NB1T 40-49 years, male 26.3
GTEX-WFJO-0826-SM-4LVM5 30-39 years, male 26.2
GTEX-1I1GV-2226-SM-ARU7E 60-69 years, male 26.1
GTEX-SJXC-1426-SM-EYYVB 60-69 years, male 26.0
GTEX-13OVK-1126-SM-6PAMR 40-49 years, male 25.9
GTEX-WYJK-1926-SM-4ONDP 50-59 years, male 25.8
GTEX-ZQUD-0426-SM-57WFR 30-39 years, male 25.8
GTEX-1ICG6-1926-SM-ARU7L 70-79 years, female 25.4
GTEX-1A8FM-1526-SM-7MXTA 50-59 years, female 25.3
GTEX-18465-1126-SM-7LG6E 50-59 years, male 25.2
GTEX-1H3VY-2026-SM-9JGHK 50-59 years, male 25.2
GTEX-1JMPZ-2026-SM-C1YR8 30-39 years, male 25.2
GTEX-1I6K7-1426-SM-B2LXP 40-49 years, male 25.1
GTEX-1IKK5-1326-SM-AHZ2X 60-69 years, male 25.1
GTEX-145LT-1126-SM-5LUA1 40-49 years, male 25.0
GTEX-1LGRB-1626-SM-CNNR7 50-59 years, female 25.0
GTEX-1R9K4-1926-SM-DPRZW 60-69 years, male 25.0
GTEX-1JMQK-2026-SM-C1YQN 60-69 years, male 24.9
GTEX-1HFI6-1226-SM-A96SK 40-49 years, male 24.8
GTEX-1LVA9-2126-SM-DLHBY 50-59 years, male 24.8
GTEX-16NPX-1626-SM-6LLI5 50-59 years, male 24.7
GTEX-1C6VQ-1826-SM-7EWEH 50-59 years, male 24.6
GTEX-1IY9M-1626-SM-AHZ39 60-69 years, male 24.5
GTEX-13O1R-1326-SM-5IJF5 60-69 years, male 24.4
GTEX-146FR-0426-SM-5SI97 60-69 years, female 24.2
GTEX-1CB4F-1526-SM-7MKFM 60-69 years, male 24.2
GTEX-1NUQO-1126-SM-DTX98 20-29 years, female 24.0
GTEX-TMMY-1126-SM-4DXSX 40-49 years, female 23.9
GTEX-1F52S-1426-SM-7P8PU 60-69 years, female 23.8
GTEX-Y8E4-1726-SM-5LU9G 40-49 years, male 23.5
GTEX-1GL5R-1526-SM-7MKHO 50-59 years, male 23.3
GTEX-13111-0826-SM-5LZV3 50-59 years, male 23.0
GTEX-14C38-2126-SM-5RQJO 50-59 years, male 23.0
GTEX-YJ89-1526-SM-5P9IR 60-69 years, male 23.0
GTEX-1RAZQ-1726-SM-EAZ4T 30-39 years, male 23.0
GTEX-P4PP-0626-SM-3NM9X 30-39 years, female 22.9
GTEX-145ME-5004-SM-7MGXP 40-49 years, female 22.8
GTEX-1RLM8-0726-SM-E6CRH 50-59 years, male 22.7
GTEX-XMD2-1326-SM-4YCET 60-69 years, female 22.6
GTEX-QVUS-0626-SM-447CC 60-69 years, female 22.0
GTEX-1GN73-1926-SM-9JGGS 60-69 years, male 21.7
GTEX-1RAZR-1226-SM-E6CRD 40-49 years, male 21.7
GTEX-13W46-1926-SM-5J2MF 50-59 years, male 21.6
GTEX-1EMGI-1926-SM-7938Y 60-69 years, male 21.6
GTEX-ZAB4-1126-SM-5HL86 40-49 years, male 21.5
GTEX-V955-1126-SM-4JBH3 60-69 years, male 20.8
GTEX-1CB4I-1026-SM-7MKFZ 50-59 years, male 20.6
GTEX-1I1CD-1726-SM-A9G3P 60-69 years, female 20.4
GTEX-1IDFM-1126-SM-A96SY 60-69 years, male 20.4
GTEX-12KS4-0926-SM-5BC5S 30-39 years, male 20.3
GTEX-UPK5-1226-SM-4IHL8 40-49 years, male 20.0
GTEX-1LVAM-1126-SM-DHXKP 50-59 years, female 20.0
GTEX-QEL4-1426-SM-447AC 50-59 years, male 19.9
GTEX-13O21-0626-SM-5IJDI 50-59 years, male 19.6
GTEX-13O61-0926-SM-5IFFE 60-69 years, male 19.4
GTEX-14C5O-1626-SM-73KYH 60-69 years, male 19.3
GTEX-17HGU-1426-SM-7938G 50-59 years, male 19.3
GTEX-1B8KZ-0726-SM-7938W 50-59 years, male 19.0
GTEX-RNOR-1226-SM-48FDQ 50-59 years, female 18.9
GTEX-11EI6-1526-SM-5P9GL 60-69 years, male 18.6
GTEX-ZYY3-1526-SM-5SIA9 60-69 years, female 18.5
GTEX-1PFEY-0826-SM-E9U6A 30-39 years, male 18.5
GTEX-ZAJG-1326-SM-5S2NV 50-59 years, female 18.3
GTEX-1IDJF-1226-SM-C1YPX 20-29 years, male 17.9
GTEX-1AX9K-1126-SM-731DQ 50-59 years, male 17.8
GTEX-ZYT6-1126-SM-5GZYR 30-39 years, male 17.8
GTEX-WK11-1026-SM-4OOS8 50-59 years, male 17.7
GTEX-169BO-0526-SM-793AK 50-59 years, male 17.4
GTEX-1212Z-2126-SM-5FQTM 60-69 years, male 16.9
GTEX-S33H-0826-SM-4AD5Y 30-39 years, male 16.5
GTEX-XV7Q-1126-SM-4BRVS 40-49 years, female 16.5
GTEX-17F9E-1926-SM-7IGQF 50-59 years, male 16.4
GTEX-1F5PL-1726-SM-9QEGL 40-49 years, female 16.4
GTEX-NPJ8-1926-SM-3MJGB 40-49 years, male 16.3
GTEX-ZEX8-1426-SM-4WKHQ 50-59 years, male 16.3
GTEX-1LNCM-0626-SM-EV7AI 50-59 years, female 16.3
GTEX-1LSVX-1226-SM-DHXJN 60-69 years, male 16.1
GTEX-12WSA-1426-SM-5EGJU 60-69 years, male 16.0
GTEX-1HC8U-1526-SM-9WPO4 40-49 years, female 15.8
GTEX-PSDG-1326-SM-48TD2 50-59 years, male 15.7
GTEX-146FQ-1026-SM-5LU8I 30-39 years, male 15.6
GTEX-11EMC-2226-SM-5A5JW 60-69 years, female 15.5
GTEX-1399U-1026-SM-5J1OC 50-59 years, female 15.5
GTEX-145MN-1026-SM-5NQ9G 30-39 years, male 15.3
GTEX-15EO6-1026-SM-7KUG9 50-59 years, male 15.3
GTEX-1EN7A-1226-SM-7MGX9 40-49 years, male 14.8
GTEX-1GN1U-1826-SM-9JGH2 50-59 years, female 14.7
GTEX-ZF3C-1626-SM-4WWB4 50-59 years, female 14.6
GTEX-131XE-1426-SM-5HL7V 50-59 years, male 14.0
GTEX-1QP29-2126-SM-E6CPZ 50-59 years, male 13.9
GTEX-183WM-1726-SM-7KFT5 70-79 years, female 13.8
GTEX-TSE9-1226-SM-4DXTM 60-69 years, female 13.8
GTEX-144GN-0626-SM-5O9B2 50-59 years, male 13.5
GTEX-13U4I-1126-SM-5LU3S 40-49 years, female 13.4
GTEX-11ZU8-1526-SM-5EGHX 60-69 years, male 13.3
GTEX-13FLV-1126-SM-5J2NO 50-59 years, male 13.3
GTEX-139UW-1126-SM-5IJEJ 60-69 years, male 13.2
GTEX-15DCE-1326-SM-6LPJL 20-29 years, male 12.9
GTEX-OXRL-0626-SM-3NM9C 50-59 years, male 12.9
GTEX-1HSGN-1626-SM-A96U2 40-49 years, female 12.5
GTEX-1E1VI-1526-SM-7IGQ2 50-59 years, male 12.4
GTEX-1HGF4-0926-SM-9WPP8 60-69 years, male 12.3
GTEX-R55D-1126-SM-48FEB 50-59 years, male 12.2
GTEX-ZYW4-1326-SM-5E45N 60-69 years, male 12.2
GTEX-ZV68-0926-SM-59HK7 50-59 years, female 12.1
GTEX-1F7RK-1526-SM-7P8T6 20-29 years, female 12.0
GTEX-139TU-1226-SM-5J2NL 60-69 years, male 11.9
GTEX-ZZPT-1426-SM-5N9C5 50-59 years, male 11.9
GTEX-P4QS-0626-SM-3NMD1 60-69 years, male 11.8
GTEX-1GMR8-1826-SM-9WYUE 50-59 years, female 11.8
GTEX-OHPN-1026-SM-E9TI8 60-69 years, female 11.8
GTEX-178AV-0526-SM-6LPJH 40-49 years, male 11.6
GTEX-1CB4J-2426-SM-7MXVC 60-69 years, male 11.6
GTEX-16MT8-1326-SM-6M47R 60-69 years, female 11.3
GTEX-RU72-0726-SM-46MUW 50-59 years, female 11.1
GTEX-YECK-1626-SM-5IFHQ 60-69 years, male 11.0
GTEX-12ZZW-1726-SM-5DUVD 50-59 years, male 10.7
GTEX-15DCD-1626-SM-6AJBH 70-79 years, female 10.7
GTEX-17F97-1326-SM-7MGVO 50-59 years, male 10.4
GTEX-1HCU7-2126-SM-A96SG 50-59 years, male 10.4
GTEX-PLZ5-0926-SM-3TW8L 50-59 years, male 10.3
GTEX-1AX8Z-5016-SM-AHZ2B 60-69 years, male 10.3
GTEX-ZAB5-0926-SM-5CVMV 50-59 years, male 10.2
GTEX-R45C-1226-SM-48FEE 60-69 years, female 9.8
GTEX-145LS-1826-SM-5LUAZ 60-69 years, female 9.4
GTEX-13X6I-1026-SM-5LU4C 60-69 years, male 9.1
GTEX-15UF6-2326-SM-6M465 70-79 years, female 9.0
GTEX-N7MS-1225-SM-3LK5G 60-69 years, male 8.9
GTEX-ZT9X-0526-SM-5GCOP 40-49 years, male 8.8
GTEX-12WSG-5007-SM-7DUGZ 50-59 years, female 8.7
GTEX-132Q8-1826-SM-5EGIY 60-69 years, male 8.6
GTEX-144FL-2726-SM-5O98Z 50-59 years, male 8.6
GTEX-1H3NZ-1326-SM-9JGHI 60-69 years, male 8.5
GTEX-13OVJ-1226-SM-5L3HA 50-59 years, female 8.4
GTEX-ZVE2-1326-SM-5NQ94 50-59 years, male 8.2
GTEX-17KNJ-1326-SM-7KFTG 50-59 years, male 8.1
GTEX-14BIM-1326-SM-7EWD1 60-69 years, female 8.0
GTEX-WHWD-0926-SM-4OORY 50-59 years, male 7.5
GTEX-1K9T9-2026-SM-CXZK3 50-59 years, female 7.5
GTEX-13JVG-2026-SM-5KM1N 60-69 years, male 7.4
GTEX-11DZ1-2026-SM-5A5KG 50-59 years, male 7.2
GTEX-1BAJH-2026-SM-7P8OZ 70-79 years, male 7.2
GTEX-ZYFC-1626-SM-5N9EU 50-59 years, male 7.1
GTEX-Y111-1626-SM-57WCY 50-59 years, male 6.7
GTEX-144GO-2726-SM-5O9A2 60-69 years, male 6.2
GTEX-RUSQ-0826-SM-47JWW 50-59 years, male 6.1
GTEX-1KD4Q-1126-SM-CXZKK 40-49 years, male 6.0
GTEX-P78B-1026-SM-3NMC4 40-49 years, female 5.8
GTEX-145MF-1426-SM-5O9B6 50-59 years, male 5.7
GTEX-13PVQ-1726-SM-5IFF3 50-59 years, male 5.6
GTEX-11DYG-1326-SM-5N9DO 60-69 years, male 5.0
GTEX-XLM4-2326-SM-4AT5E 60-69 years, male 4.7
GTEX-1I1GP-1026-SM-C1YRZ 50-59 years, male 4.6
GTEX-1QW4Y-0526-SM-EAZ3V 30-39 years, male 3.5
Show allShow less

ESOPHAGUS - FANTOM5 CAGEi

RNA expression in human tissues obtained through Cap Analysis of Gene Expression (CAGE) generated by the FANTOM5 project are reported as Scaled Tags Per Million.

Max subtype Scaled Tags Per Millioni

Max subtype Scaled Tags Per Million is the value for the subtype with the largest average Scaled Tags Per Million across the subtype samples.

22.6
FANTOM5 sample id Sample description Scaled Tags Per Million
Esophagus
Scaled Tags Per Million: 22.6
FF:10015-101C6 68,74,75 years, mixed 22.6

Contact

  • NEWS ARTICLES
  • PRESS ROOM

The Project

  • INTRODUCTION
  • ORGANIZATION
  • PUBLICATIONS

The Human Protein Atlas

  • DOWNLOADABLE DATA
  • LICENCE & CITATION
  • HELP & FAQ
The Human Protein Atlas project is funded
by the Knut & Alice Wallenberg Foundation.


contact@proteinatlas.org