We use cookies to enhance the usability of our website. If you continue, we'll assume that you are happy to receive all cookies. More information. Don't show this again.
NUTF2
HPA
RESOURCES
  • TISSUE
  • BRAIN
  • SINGLE CELL
  • SUBCELLULAR
  • CANCER
  • BLOOD
  • CELL LINE
  • STRUCTURE & INTERACTION
ABOUT
  • INTRODUCTION
  • HISTORY
  • ORGANIZATION
  • PUBLICATIONS
  • ANTIBODY SUBMISSION
  • ANTIBODY AVAILABILITY
  • ACKNOWLEDGMENTS
  • CONTACT
NEWS
  • NEWS ARTICLES
  • PRESS ROOM
LEARN
  • DICTIONARY
  • PROTEIN CLASSES
  • PROTEIN EVIDENCE
  • METHODS
  • EDUCATIONAL VIDEOS
DATA
  • DOWNLOADABLE DATA
  • PUBLICATION DATA
  • RELEASE HISTORY
HELP
  • ANTIBODY VALIDATION
  • ASSAYS & ANNOTATION
  • DISCLAIMER
  • HELP & FAQ
  • PRIVACY STATEMENT
  • LICENCE & CITATION
Fields »
Search result

Field
Term
Gene name
Class
Subclass
Class
Keyword
Chromosome
External id
Tissue
Cell type
Expression
Antibody panel
Tissue
Main location
Patient ID
Annotation
Tissue
Category
Tau score
Cluster
Reliability
Brain region
Category
Tau score
Brain region
Category
Tau score
Brain region
Category
Tau score
Cluster
Reliability
Tissue
Cell type
Enrichment
Cell type
Category
Tau score
Cell type
Category
Tau score
Cell type
Category
Tau score
Cell lineage
Category
Tau score
Cluster
Cluster
Location
Searches
Location
Cell line
Class
Type
Phase
Reliability
Cancer
Prognosis
Cancer
Category
Cancer
Category
Tau score
Cluster
Variants
Interacting gene (ensg_id)
Type
Number of interactions
Pathway
Category
Score
Score
Score
Validation
Validation
Validation
Validation
Antibodies
Data type
Column


  • SUMMARY

  • TISSUE

  • BRAIN

  • SINGLE CELL

  • SUBCELL

  • CANCER

  • BLOOD

  • CELL LINE

  • STRUCT & INT

  • NUTF2
TISSUE PRIMARY DATA COLON Show tissue menu
ADIPOSE TISSUE ADRENAL GLAND AMYGDALA APPENDIX BASAL GANGLIA BONE MARROW BREAST BRONCHUS CEREBELLUM CEREBRAL CORTEX CERVIX CHOROID PLEXUS COLON DUODENUM
ENDOMETRIUM EPIDIDYMIS ESOPHAGUS FALLOPIAN TUBE GALLBLADDER HEART MUSCLE HIPPOCAMPAL FORMATION HYPOTHALAMUS KIDNEY LIVER LUNG LYMPH NODE MIDBRAIN NASOPHARYNX
ORAL MUCOSA OVARY PANCREAS PARATHYROID GLAND PITUITARY GLAND PLACENTA PROSTATE RECTUM RETINA SALIVARY GLAND SEMINAL VESICLE SKELETAL MUSCLE SKIN SMALL INTESTINE
SMOOTH MUSCLE SOFT TISSUE SPINAL CORD SPLEEN STOMACH TESTIS THYMUS THYROID GLAND TONGUE TONSIL URINARY BLADDER VAGINA
ANTIBODIES
AND
VALIDATION
Dictionary
Colon
Tissue proteome
Intestine
COLON - Expression summary
Protein expression
Coloni

On the top, protein expression in current human tissue, based on all annotated cell types, is reported with the units not detected (n), low (l), medium (m) and high (h). Underneath, protein expression in each annotated cell type are reported using the same units.

Protein expression data is based on knowledge-based annotation. For genes where more than one antibody has been used, a collective score is set.

If knowledge-based annotation could not be performed for a gene, no data is displayed here. View antibody staining data further down this page.

h
m
l
n
Endothelial cells: Medium
Glandular cells: Medium
Peripheral nerve/ganglion: High
RNA expressioni

A summary of mRNA expression data available for current tissue based on several datasets. The mRNA expression levels in human tissues are based on RNA-seq data generated by the Human Protein Atlas (HPA), Genotype-Tissue Expression (GTEx) portal and CAGE data generated by the FANTOM5 consortium. Consensus normalized expression levels for human tissues was created by combining the data from HPA and GTEx datasets.

The mRNA expression levels in pig are based on RNA-seq data generated by the Human Protein Atlas (HPA), and for mouse, HPA data and in situ hybridization generated by the Allen brain atlas are reported.

Scroll down to view mRNA expression data in more detail.
Consensus:88.4 nTPM
HPA:88.4 nTPM
GTEx:55.9 nTPM
FANTOM5:109.4 Scaled Tags Per Million

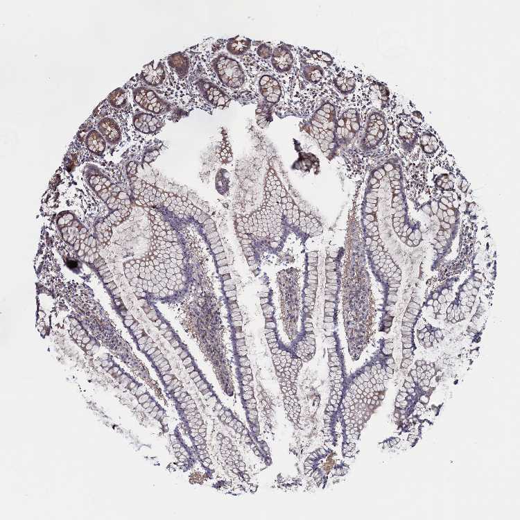
COLON - Antibody stainingi

Antibody staining in the annotated cell types in the current human tissue is reported as not detected, low, medium, or high, based on conventional immunohistochemistry profiling in selected tissues. This score is based on the combination of the staining intensity and fraction of stained cells.

Each image is clickable and will lead to virtual microscopy that enables deeper exploration of all samples and also displays staining intensity scores, fraction scores and subcellular localization as well as patient and tissue information for each sample.

Antibody HPA040915Antibody HPA040956
Endothelial cells Not detectedMedium
Glandular cells LowMedium
Peripheral nerve/ganglion MediumHigh



COLON - HPA RNA-seqi

The RNA-seq details section shows detailed information about the individual samples used for the transcript profiling and results of the RNA-seq analysis.

Information about each individual sample is listed below, including gender, age, a tissue section image and estimated fractions of cell types. nTPM (normalized transcripts per million) values give a quantification of the gene abundance which is comparable between different genes and samples.
Average nTPMi

Max subtype nTPM is the value for the subtype with the largest average nTPM across the subtype samples.

88.4
overview
Male, age 54
Colon sample 67
nTPM: 73.9
Cell types%
Glandular cells:
65

Smooth muscle cells:
10

Other cell types:
25

overview
Female, age 57
Colon sample 68
nTPM: 94
Cell types%
Glandular cells:
40

Smooth muscle cells:
5

Other cell types:
55

overview
Male, age 80
Colon sample 69
nTPM: 127.4
Cell types%
Glandular cells:
55

Smooth muscle cells:
5

Other cell types:
40

overview
Male, age 68
Colon sample 70
nTPM: 66.9
Cell types%
Glandular cells:
35

Smooth muscle cells:
10

Other cell types:
55

overview
Female, age 68
Colon sample 76
nTPM: 121.4
Cell types%
Glandular cells:
25

Smooth muscle cells:
5

Other cell types:
70

overview
Female, age 61
Colon sample 299
nTPM: 117.3
Cell types%
Glandular cells:
5

Smooth muscle cells:
65

Other cell types:
30

overview
Male, age 80
Colon sample 300
nTPM: 103.5
Cell types%
Glandular cells:
15

Smooth muscle cells:
20

Other cell types:
65

overview
Female, age 78
Colon sample 368
nTPM: 82.3
Cell types%
Glandular cells:
45

Smooth muscle cells:
5

Other cell types:
50

overview
Male, age 84
Colon sample 381
nTPM: 79.2
Cell types%
Glandular cells:
50

Smooth muscle cells:
15

Other cell types:
35

overview
Male, age 80
Colon sample 384
nTPM: 81.7
Cell types%
Glandular cells:
20

Smooth muscle cells:
35

Other cell types:
45

overview
Female, age 78
Colon sample 389
nTPM: 64.4
Cell types%
Glandular cells:
35

Smooth muscle cells:
10

Other cell types:
55

overview
Female, age 69
Colon sample 391
nTPM: 67.3
Cell types%
Glandular cells:
10

Smooth muscle cells:
45

Other cell types:
45

overview
Female, age 72
Colon sample 403
nTPM: 69.5
Cell types%
Glandular cells:
20

Smooth muscle cells:
15

Other cell types:
65


COLON - GTEx RNA-seqi

RNA-Seq data generated by the Genotype-Tissue Expression (GTEx) project from human tissues is reported as mean nTPM. More information can be found on the GTEx portal.

Distribution across the dataset is visualized with box plots, shown as median and 25th and 75th percentiles. Points are displayed as outliers if they are above or below 1.5 times the interquartile range. nTPM values of the individual samples are presented next to the box plot.
Max subtype nTPMi

Max subtype nTPM is the value for the subtype with the largest average nTPM across the subtype samples.

55.9
GTEx sample id Sample description nTPM
Colon - Sigmoid
Average nTPM: 55.9
Samples: 373

Max nTPM: 160.2
Min nTPM: 30.6
Std nTPM: 13.1
Median nTPM: 54.0
GTEX-15RJ7-1726-SM-6PAL3 40-49 years, male 160.2
GTEX-15ER7-2826-SM-6PAN2 20-29 years, female 114.4
GTEX-ZDTS-2726-SM-5L3E2 60-69 years, male 110.4
GTEX-1PBJJ-2026-SM-DTX8U 30-39 years, male 104.7
GTEX-13X6J-2826-SM-7EPGA 50-59 years, male 101.3
GTEX-1RDX4-1926-SM-E6CJJ 50-59 years, female 98.7
GTEX-1K9T9-2926-SM-E9TKD 50-59 years, female 86.9
GTEX-11TT1-0926-SM-5GU5M 20-29 years, male 86.8
GTEX-1CB4F-1926-SM-7MKFN 60-69 years, male 85.2
GTEX-13O1R-2426-SM-5KLZZ 60-69 years, male 84.4
GTEX-1N2EF-1726-SM-EXUSI 60-69 years, male 84.0
GTEX-1N2DV-1826-SM-E6CJ5 40-49 years, male 83.4
GTEX-1I1CD-2826-SM-A9SL4 60-69 years, female 82.7
GTEX-ZPCL-1626-SM-57WGC 60-69 years, female 81.6
GTEX-XAJ8-0726-SM-47JY5 40-49 years, male 81.5
GTEX-13G51-2126-SM-5IJD9 60-69 years, male 80.9
GTEX-1LSNM-1426-SM-E6CIH 50-59 years, male 80.7
GTEX-1A3MX-2326-SM-718B4 60-69 years, male 79.2
GTEX-1GN73-2726-SM-9WYUB 60-69 years, male 78.9
GTEX-12WSG-2426-SM-5EQLZ 50-59 years, female 77.9
GTEX-11I78-1326-SM-5PNY9 50-59 years, female 77.6
GTEX-1EU9M-2726-SM-7P8QD 60-69 years, male 76.5
GTEX-11EQ8-2626-SM-5N9BO 60-69 years, male 76.2
GTEX-1RQEC-2626-SM-EVR3Z 60-69 years, male 75.7
GTEX-1R9PO-2026-SM-E9J4N 60-69 years, female 75.4
GTEX-ZF2S-1826-SM-4WKFF 50-59 years, female 74.4
GTEX-14C5O-2626-SM-5RQI5 60-69 years, male 74.0
GTEX-WY7C-1926-SM-4ONCI 50-59 years, male 74.0
GTEX-1399U-2226-SM-5KLZI 50-59 years, female 73.7
GTEX-1LB8K-2526-SM-DIPEQ 50-59 years, male 72.8
GTEX-11EM3-1626-SM-5N9CO 20-29 years, female 72.7
GTEX-ZTTD-2626-SM-57WEX 50-59 years, male 72.0
GTEX-YFCO-1526-SM-5YYB8 40-49 years, male 71.6
GTEX-ZT9W-1726-SM-51MS3 50-59 years, male 70.9
GTEX-Z93S-2626-SM-57WBX 50-59 years, male 70.7
GTEX-1C64N-2226-SM-7SB7C 50-59 years, male 70.6
GTEX-18A6Q-2226-SM-7LG61 60-69 years, male 69.8
GTEX-1399R-2126-SM-5K7WZ 30-39 years, male 69.2
GTEX-13OVJ-1826-SM-5KM2D 50-59 years, female 69.1
GTEX-1S5ZA-1426-SM-E6CJQ 20-29 years, male 69.0
GTEX-WFG7-1626-SM-4LVMF 20-29 years, male 68.9
GTEX-12WSM-1426-SM-5GCPA 60-69 years, male 68.7
GTEX-17F96-2126-SM-7KFSM 70-79 years, male 68.2
GTEX-1BAJH-2726-SM-7IGNJ 70-79 years, male 68.2
GTEX-12ZZX-2726-SM-5N9FT 40-49 years, female 67.9
GTEX-17HHE-1626-SM-7DHLN 50-59 years, male 67.9
GTEX-ZTSS-1226-SM-51MSZ 40-49 years, male 67.5
GTEX-ZVZQ-2626-SM-59HLB 60-69 years, female 67.4
GTEX-11EMC-1426-SM-5N9E4 60-69 years, female 67.2
GTEX-1LG7Z-1326-SM-DIPF3 30-39 years, male 67.1
GTEX-11ZU8-1126-SM-5EQ5K 60-69 years, male 67.0
GTEX-1339X-1726-SM-5P9J9 40-49 years, male 66.9
GTEX-ZP4G-1526-SM-57WE5 20-29 years, female 66.9
GTEX-1OFPY-1226-SM-E76OM 60-69 years, male 66.8
GTEX-12ZZW-2426-SM-5DUWE 50-59 years, male 66.7
GTEX-15RIE-2026-SM-7KFRW 60-69 years, male 66.7
GTEX-ZXES-1726-SM-5E43G 30-39 years, female 66.4
GTEX-1LSNL-1626-SM-E9TJY 50-59 years, male 66.3
GTEX-YF7O-1626-SM-5IFII 50-59 years, male 66.1
GTEX-ZE9C-2126-SM-4WKGY 60-69 years, male 66.0
GTEX-11P7K-1826-SM-5HL5A 30-39 years, male 65.9
GTEX-1B8L1-1926-SM-7IGND 60-69 years, male 65.9
GTEX-11GS4-1826-SM-5HL4T 60-69 years, male 65.7
GTEX-14JG6-1626-SM-5YYBC 30-39 years, female 65.7
GTEX-ZE7O-2626-SM-51MSS 50-59 years, female 65.1
GTEX-ZLFU-1426-SM-4WWEU 40-49 years, male 64.8
GTEX-145LT-0826-SM-5S2QL 40-49 years, male 64.7
GTEX-13CF3-1326-SM-5LZXZ 60-69 years, female 64.4
GTEX-139UW-2326-SM-5KM1Y 60-69 years, male 64.3
GTEX-X4EO-2726-SM-4E3HS 60-69 years, female 64.2
GTEX-ZYFD-2226-SM-5E43P 50-59 years, male 64.2
GTEX-1RLM8-1726-SM-E9TKF 50-59 years, male 63.9
GTEX-17JCI-2826-SM-7IGNA 60-69 years, female 63.8
GTEX-13FTW-2126-SM-5K7YG 40-49 years, male 63.4
GTEX-1LVAO-2826-SM-E9TJH 60-69 years, male 63.4
GTEX-1JN6P-2126-SM-ARL98 60-69 years, male 63.2
GTEX-1E2YA-2526-SM-7IGOU 50-59 years, male 63.1
GTEX-1PIEJ-1826-SM-EWRMN 20-29 years, female 63.1
GTEX-ZLV1-1326-SM-DO11Q 60-69 years, female 63.1
GTEX-16BQI-2026-SM-7KULQ 30-39 years, female 63.0
GTEX-139TS-2226-SM-5J2N1 60-69 years, male 62.9
GTEX-1CAMR-1026-SM-7P8QI 20-29 years, male 62.5
GTEX-ZPU1-1726-SM-4WWFV 40-49 years, male 62.4
GTEX-17GQL-1626-SM-7LG69 60-69 years, male 62.3
GTEX-ZVT2-1726-SM-51MRO 50-59 years, female 62.3
GTEX-1GMR8-2926-SM-9KNW5 50-59 years, female 62.3
GTEX-132AR-2826-SM-5IJFV 50-59 years, female 62.2
GTEX-18A66-2626-SM-72D67 60-69 years, male 62.2
GTEX-15RIF-1426-SM-7KUKQ 20-29 years, male 62.0
GTEX-1B996-2726-SM-7DUGG 60-69 years, male 62.0
GTEX-1HBPH-2526-SM-ACKXK 40-49 years, female 62.0
GTEX-1IDJH-2826-SM-CJI49 70-79 years, male 62.0
GTEX-1PIIG-2126-SM-EXUSD 30-39 years, male 62.0
GTEX-XXEK-1826-SM-4BRVC 50-59 years, male 61.9
GTEX-ZG7Y-1826-SM-4WWD3 50-59 years, male 61.7
GTEX-15G1A-1926-SM-7KUFF 30-39 years, male 61.6
GTEX-1JJEA-2526-SM-CY8HJ 60-69 years, male 61.3
GTEX-14PJ3-1226-SM-5ZZVY 50-59 years, male 61.1
GTEX-132NY-2726-SM-5PNY2 60-69 years, male 60.9
GTEX-ZYT6-2826-SM-5GICX 30-39 years, male 60.9
GTEX-11DXZ-1626-SM-5GIDI 50-59 years, male 60.8
GTEX-14A5H-1626-SM-5SIAN 60-69 years, male 60.8
GTEX-ZLWG-1826-SM-DO11I 50-59 years, female 60.8
GTEX-183FY-1426-SM-7DHLM 20-29 years, male 60.7
GTEX-1JJE9-2526-SM-ARU8K 70-79 years, male 60.7
GTEX-13OVK-1026-SM-7KFTC 40-49 years, male 60.4
GTEX-ZF28-2526-SM-57WFH 60-69 years, male 60.4
GTEX-1L5NE-1926-SM-D3L9R 50-59 years, male 60.4
GTEX-1QPFJ-2426-SM-EVR3L 30-39 years, female 60.4
GTEX-Y3I4-1126-SM-4TT7Y 50-59 years, male 60.3
GTEX-1F5PL-1926-SM-7MXTP 40-49 years, female 60.1
GTEX-11TUW-2326-SM-5EQMO 60-69 years, male 59.8
GTEX-12WSL-1826-SM-5LZW9 50-59 years, male 59.6
GTEX-1C6VQ-2626-SM-7IGMQ 50-59 years, male 59.5
GTEX-1CAMS-2626-SM-7PBY3 40-49 years, female 59.5
GTEX-ZVT3-2826-SM-5GU6A 60-69 years, female 59.2
GTEX-1F75W-2126-SM-7RHIA 60-69 years, male 59.2
GTEX-111CU-1226-SM-5EGIN 50-59 years, male 59.1
GTEX-131XE-1026-SM-5EGKE 50-59 years, male 59.1
GTEX-14BIN-2426-SM-5TDCF 50-59 years, female 59.0
GTEX-ZV6S-1126-SM-57WE9 40-49 years, female 59.0
GTEX-1RAZR-2026-SM-E9TKE 40-49 years, male 58.9
GTEX-14C39-1626-SM-5S2P4 40-49 years, male 58.5
GTEX-1HSKV-2326-SM-A9SL9 60-69 years, male 58.5
GTEX-15DYW-2426-SM-7KUG8 60-69 years, female 58.4
GTEX-XV7Q-2226-SM-4BRVY 40-49 years, female 58.4
GTEX-12WSD-2626-SM-5EGJE 60-69 years, female 58.3
GTEX-145MH-2726-SM-5QGQ6 50-59 years, male 58.2
GTEX-ZQG8-2426-SM-57WEE 60-69 years, female 58.1
GTEX-1J1OQ-2826-SM-D3L88 40-49 years, female 58.0
GTEX-1RAZQ-2026-SM-E76P7 30-39 years, male 58.0
GTEX-WI4N-2226-SM-4OOS9 40-49 years, female 57.9
GTEX-WRHK-1126-SM-4MVOJ 20-29 years, female 57.8
GTEX-14PK6-1826-SM-69LOM 70-79 years, female 57.6
GTEX-1RMOY-1726-SM-EVYC9 50-59 years, male 57.6
GTEX-16MTA-1626-SM-6M47N 50-59 years, male 57.4
GTEX-11DXX-1926-SM-5EGJK 60-69 years, female 57.3
GTEX-18A67-2226-SM-7LT9Z 50-59 years, male 57.3
GTEX-117XS-2226-SM-5GIE1 60-69 years, male 57.1
GTEX-11P81-1426-SM-5P9JN 30-39 years, female 57.1
GTEX-1I1GP-2826-SM-A9SKZ 50-59 years, male 57.1
GTEX-1LG7Y-2226-SM-E9U5K 50-59 years, male 57.1
GTEX-1ICG6-2226-SM-B2LY7 70-79 years, female 57.0
GTEX-1LKK1-2426-SM-DIPES 50-59 years, female 56.9
GTEX-WXYG-1726-SM-4ONCU 50-59 years, female 56.8
GTEX-WFG8-1726-SM-4LVM6 20-29 years, male 56.7
GTEX-13D11-0626-SM-5LZYY 50-59 years, female 56.6
GTEX-1A32A-2626-SM-73KX9 50-59 years, female 56.4
GTEX-11ZTT-1626-SM-5EQKR 60-69 years, female 56.3
GTEX-1B8KE-1526-SM-7DUG2 50-59 years, male 56.3
GTEX-X15G-1526-SM-4PQZM 50-59 years, female 56.3
GTEX-13CF2-1826-SM-5N9GK 60-69 years, male 56.2
GTEX-18D9A-1326-SM-7LT8P 30-39 years, female 56.2
GTEX-Y9LG-1326-SM-4VBQB 30-39 years, male 56.2
GTEX-1122O-1426-SM-5H11R 60-69 years, female 56.1
GTEX-12BJ1-2026-SM-5FQUH 60-69 years, male 56.1
GTEX-131YS-2926-SM-5EGKI 60-69 years, female 56.0
GTEX-1JK1U-1426-SM-CNPOW 60-69 years, male 56.0
GTEX-183WM-2526-SM-731BP 70-79 years, female 55.9
GTEX-1HCUA-1926-SM-B2LWE 50-59 years, female 55.9
GTEX-WQUQ-2626-SM-4MVNP 60-69 years, male 55.8
GTEX-131XG-1526-SM-5GCNQ 50-59 years, female 55.5
GTEX-1HSEH-1926-SM-A96SB 60-69 years, male 55.5
GTEX-1K2DA-1626-SM-CGQGB 50-59 years, male 55.5
GTEX-11EI6-2626-SM-5PNVT 60-69 years, male 55.4
GTEX-ZY6K-1326-SM-5GZWP 50-59 years, male 55.4
GTEX-1H1ZS-2626-SM-9QEIX 70-79 years, male 55.4
GTEX-1MGNQ-2126-SM-EV7AC 40-49 years, male 55.3
GTEX-11EQ9-1526-SM-5PNY7 30-39 years, male 55.0
GTEX-16NGA-0926-SM-718AG 40-49 years, female 54.8
GTEX-1IDJI-2226-SM-CKZPM 50-59 years, female 54.8
GTEX-139T6-1426-SM-5P9J7 50-59 years, male 54.7
GTEX-13X6K-2726-SM-5O9DG 60-69 years, female 54.7
GTEX-1JMQJ-2626-SM-CY8HQ 50-59 years, male 54.7
GTEX-1R9K5-2226-SM-DTX9G 50-59 years, male 54.7
GTEX-11DXY-2026-SM-5N9CZ 60-69 years, male 54.6
GTEX-17MFQ-1226-SM-7KFSA 20-29 years, male 54.6
GTEX-13RTJ-1926-SM-5YYA2 60-69 years, male 54.5
GTEX-1CB4G-2726-SM-79OO4 60-69 years, male 54.5
GTEX-1C4CL-1626-SM-7DUF3 30-39 years, male 54.4
GTEX-1PIGE-1526-SM-DTXFC 20-29 years, male 54.4
GTEX-15CHQ-2626-SM-686YZ 60-69 years, male 54.3
GTEX-1LVAN-2626-SM-CNPQF 50-59 years, female 54.3
GTEX-17HG3-1126-SM-7DUFC 30-39 years, female 54.2
GTEX-ZA64-1426-SM-5CVMC 20-29 years, male 54.2
GTEX-1212Z-1826-SM-5FQSH 60-69 years, male 54.0
GTEX-12WSJ-1426-SM-5GCON 40-49 years, female 54.0
GTEX-13U4I-2626-SM-5SI9C 40-49 years, female 54.0
GTEX-1QP67-1426-SM-E8VOO 40-49 years, female 53.9
GTEX-ZAB5-1426-SM-5HL9D 50-59 years, male 53.8
GTEX-1F5PK-1726-SM-7RHHW 50-59 years, male 53.8
GTEX-13PL7-2426-SM-5J2N3 60-69 years, female 53.7
GTEX-1H1DE-1626-SM-9KNU5 20-29 years, male 53.7
GTEX-ZPIC-2626-SM-57WE2 40-49 years, female 53.6
GTEX-1GMRU-2626-SM-9WPPM 50-59 years, male 53.6
GTEX-1JKYR-2026-SM-CNPON 20-29 years, male 53.5
GTEX-1LVAM-1726-SM-DHXKQ 50-59 years, female 53.5
GTEX-1QP2A-2226-SM-DTXF6 50-59 years, male 53.4
GTEX-117YX-0526-SM-5EGJH 50-59 years, male 53.2
GTEX-13PVR-1726-SM-5Q5EC 60-69 years, female 53.2
GTEX-14PHX-1126-SM-5YYA5 50-59 years, male 53.2
GTEX-1AX9K-1626-SM-73KUS 50-59 years, male 53.2
GTEX-14PJ4-1826-SM-5YY97 60-69 years, male 53.1
GTEX-1LBAC-1726-SM-D3L9W 20-29 years, male 53.1
GTEX-YEC3-2026-SM-DKPOL 50-59 years, male 53.1
GTEX-139D8-2926-SM-5IJBM 30-39 years, female 52.9
GTEX-1GZ4H-1326-SM-7P8TE 50-59 years, female 52.9
GTEX-147JS-2626-SM-5S2UX 60-69 years, male 52.8
GTEX-1QP9N-0826-SM-DTX9O 30-39 years, male 52.7
GTEX-11ZTS-1526-SM-5N9G7 60-69 years, female 52.4
GTEX-147GR-2826-SM-5RQK8 60-69 years, male 52.4
GTEX-1H3VY-2526-SM-9KNW1 50-59 years, male 52.2
GTEX-1P4AB-2626-SM-DTXEU 50-59 years, male 52.2
GTEX-13FH7-1626-SM-5J2O9 50-59 years, female 52.1
GTEX-14E6E-1726-SM-5S2R6 30-39 years, male 52.0
GTEX-1JN76-1326-SM-ARU94 20-29 years, female 51.9
GTEX-1LGOU-1726-SM-D3L8P 20-29 years, female 51.9
GTEX-1LSVX-2026-SM-E9TJD 60-69 years, male 51.9
GTEX-14BMU-1326-SM-5RQIH 20-29 years, female 51.7
GTEX-1IKOE-2126-SM-A96T5 30-39 years, female 51.7
GTEX-145MO-2626-SM-5QGPD 60-69 years, male 51.6
GTEX-XQ8I-2326-SM-4BOQC 50-59 years, male 51.5
GTEX-1GPI7-1926-SM-9KNUH 20-29 years, male 51.4
GTEX-1B97I-1526-SM-73KUK 40-49 years, male 51.3
GTEX-12KS4-2326-SM-5EGJB 30-39 years, male 51.2
GTEX-12ZZY-2726-SM-5EQ45 60-69 years, male 51.2
GTEX-ZZ64-0826-SM-5E449 20-29 years, male 51.2
GTEX-1KANA-1726-SM-CY8IG 20-29 years, male 51.2
GTEX-1HBPN-2026-SM-B2LWA 50-59 years, male 51.1
GTEX-13OVI-2126-SM-5KM3U 60-69 years, female 51.0
GTEX-111YS-1826-SM-5GIEP 60-69 years, male 50.9
GTEX-1J8QM-1226-SM-CY8HI 60-69 years, female 50.9
GTEX-16XZZ-2726-SM-7EWDO 60-69 years, male 50.8
GTEX-1QW4Y-1426-SM-E76P3 30-39 years, male 50.6
GTEX-13PVQ-2726-SM-5L3H7 50-59 years, male 50.5
GTEX-YJ8A-1726-SM-5P9IQ 20-29 years, male 50.5
GTEX-1EH9U-1926-SM-7P8QM 60-69 years, male 50.4
GTEX-1KXAM-1926-SM-D3LAG 60-69 years, male 50.4
GTEX-14E1K-1626-SM-664MO 50-59 years, male 50.3
GTEX-1QCLZ-2026-SM-EAZ4A 60-69 years, female 50.2
GTEX-144GM-1126-SM-79OJK 20-29 years, male 50.1
GTEX-15ETS-2326-SM-7KUGC 40-49 years, female 50.1
GTEX-13O61-1526-SM-5KM3P 60-69 years, male 50.0
GTEX-1HFI7-1626-SM-9WYTR 50-59 years, female 50.0
GTEX-14PKV-1926-SM-686YU 20-29 years, female 49.9
GTEX-XUZC-1526-SM-4BRV4 30-39 years, female 49.9
GTEX-1QP28-2226-SM-DTX8C 50-59 years, female 49.9
GTEX-1J8EW-2426-SM-CE6T5 60-69 years, female 49.8
GTEX-14AS3-1026-SM-5TDD7 40-49 years, female 49.7
GTEX-1B932-2126-SM-7IGMU 40-49 years, female 49.7
GTEX-WHSE-2726-SM-EZ6ML 20-29 years, male 49.7
GTEX-13VXT-2026-SM-5L3EW 20-29 years, female 49.6
GTEX-ZYY3-2226-SM-5E45A 60-69 years, female 49.5
GTEX-1H1E6-1826-SM-A9G21 30-39 years, male 49.4
GTEX-WHWD-1526-SM-4OORV 50-59 years, male 49.3
GTEX-ZC5H-2426-SM-4WAZ6 40-49 years, female 49.3
GTEX-1AMFI-1826-SM-73KWB 50-59 years, female 49.2
GTEX-1GF9X-1426-SM-7RHGX 40-49 years, female 49.2
GTEX-1JMQK-2326-SM-ARZN4 60-69 years, male 49.2
GTEX-15EO6-2326-SM-6LPKK 50-59 years, male 49.0
GTEX-1IL2U-2526-SM-C1YQV 60-69 years, male 48.9
GTEX-13N2G-2226-SM-5IJCU 60-69 years, male 48.7
GTEX-1PDJ9-2026-SM-E76PT 20-29 years, male 48.7
GTEX-1AX9J-2526-SM-73KUY 60-69 years, male 48.6
GTEX-Y8LW-1126-SM-4VDS4 50-59 years, female 48.6
GTEX-YJ8O-1426-SM-5PNV9 40-49 years, female 48.6
GTEX-1EMGI-2626-SM-7IGNR 60-69 years, male 48.5
GTEX-VJYA-2126-SM-4KL1O 60-69 years, male 48.5
GTEX-1GMR3-2526-SM-7P8QS 40-49 years, male 48.5
GTEX-1J8JJ-2426-SM-D4P4A 60-69 years, female 48.4
GTEX-1A3MV-1026-SM-72D5U 30-39 years, male 48.3
GTEX-1R9JW-2126-SM-E76QT 30-39 years, female 48.3
GTEX-XUW1-1826-SM-4BOQD 50-59 years, female 48.2
GTEX-1QP29-2526-SM-E6CQ3 50-59 years, male 48.2
GTEX-14A5I-2426-SM-5Q5CP 50-59 years, female 48.1
GTEX-WHPG-1626-SM-4M1ZL 50-59 years, male 48.1
GTEX-14DAQ-2926-SM-664MV 60-69 years, female 48.0
GTEX-XBED-1726-SM-47JYO 60-69 years, male 47.9
GTEX-YECK-2826-SM-5IFHF 60-69 years, male 47.8
GTEX-11ONC-1926-SM-5GU75 60-69 years, male 47.7
GTEX-13OW6-2226-SM-5N9FL 50-59 years, male 47.7
GTEX-Y5LM-1426-SM-5RQJL 40-49 years, female 47.7
GTEX-13OW5-2826-SM-5KM1G 60-69 years, male 47.6
GTEX-1HBPI-2226-SM-9WYTY 50-59 years, male 47.6
GTEX-1R7EU-1826-SM-DTX9L 60-69 years, male 47.6
GTEX-12696-1926-SM-5EGJT 60-69 years, male 47.5
GTEX-146FH-2426-SM-5Q5EW 50-59 years, female 47.4
GTEX-17KNJ-1826-SM-7LT9N 50-59 years, male 47.4
GTEX-1HCU6-2926-SM-B2LWV 60-69 years, female 47.3
GTEX-16Z82-2426-SM-7KUMS 60-69 years, male 47.0
GTEX-1AYCT-1926-SM-793AE 50-59 years, male 47.0
GTEX-ZYFG-1826-SM-5GZWX 60-69 years, female 47.0
GTEX-14PN3-1926-SM-6EU1Y 60-69 years, female 46.9
GTEX-1211K-1826-SM-5EGJ2 60-69 years, female 46.8
GTEX-15UF6-2726-SM-7KULY 70-79 years, female 46.8
GTEX-ZF29-1826-SM-4WKG8 60-69 years, female 46.6
GTEX-ZVT4-2626-SM-5N9GJ 50-59 years, female 46.6
GTEX-13QBU-2026-SM-5KLZB 40-49 years, female 46.5
GTEX-15G19-2726-SM-6LPKG 60-69 years, male 46.5
GTEX-17HGU-2626-SM-79OKN 50-59 years, male 46.5
GTEX-WYVS-1126-SM-4SOJX 40-49 years, female 46.5
GTEX-1JMLX-2526-SM-CY8HX 50-59 years, male 46.5
GTEX-1C2JI-1726-SM-73KUW 50-59 years, male 46.4
GTEX-ZAJG-2626-SM-5S2NU 50-59 years, female 46.2
GTEX-1HCU7-2726-SM-A9G3D 50-59 years, male 46.0
GTEX-1HKZK-2026-SM-9WYUF 40-49 years, male 46.0
GTEX-13FHO-2726-SM-5K7VG 60-69 years, male 45.9
GTEX-1LGRB-2026-SM-COH47 50-59 years, female 45.8
GTEX-1GMR2-1826-SM-9KNUP 50-59 years, male 45.6
GTEX-1I1GT-2026-SM-CKZPK 60-69 years, female 45.6
GTEX-1S831-1726-SM-EWROJ 20-29 years, male 45.6
GTEX-145LS-2926-SM-5O99G 60-69 years, female 45.5
GTEX-17EUY-1726-SM-79OK4 20-29 years, male 45.5
GTEX-1J1R8-1426-SM-CL55O 40-49 years, male 45.4
GTEX-1HCVE-2326-SM-9WYUD 50-59 years, male 45.3
GTEX-15DZA-1026-SM-6PAND 30-39 years, female 45.2
GTEX-1AMEY-1826-SM-72D5L 30-39 years, female 45.2
GTEX-1I1GR-2226-SM-ARL7F 60-69 years, male 45.1
GTEX-13OW8-2726-SM-5L3FZ 60-69 years, male 44.9
GTEX-1PPH8-2226-SM-EWRN7 20-29 years, male 44.6
GTEX-1C475-1526-SM-7DHM3 40-49 years, female 44.5
GTEX-18QFQ-1726-SM-731C9 30-39 years, male 44.4
GTEX-145ME-1126-SM-5SIAT 40-49 years, female 44.1
GTEX-11PRG-2026-SM-5GU5F 50-59 years, male 44.0
GTEX-1GTWX-2626-SM-9WPOT 60-69 years, male 44.0
GTEX-1HSGN-2226-SM-A9SL6 40-49 years, female 44.0
GTEX-1JMPZ-2626-SM-ARU8Z 30-39 years, male 43.8
GTEX-1477Z-2126-SM-5Q5CM 60-69 years, male 43.7
GTEX-1JKYN-2226-SM-ARZNE 30-39 years, male 43.7
GTEX-13X6I-2726-SM-5Q5ET 60-69 years, male 43.5
GTEX-17F9Y-2626-SM-7IGN9 70-79 years, female 43.5
GTEX-1S82P-2026-SM-E9TIQ 60-69 years, female 43.5
GTEX-13111-1926-SM-5GCOL 50-59 years, male 43.4
GTEX-13W3W-2226-SM-5LU4M 60-69 years, female 43.4
GTEX-18465-2726-SM-7LT9I 50-59 years, male 43.4
GTEX-1PBJI-2526-SM-E6CP4 20-29 years, female 43.4
GTEX-1J8Q3-2426-SM-CL53S 60-69 years, male 43.1
GTEX-1IDJU-1926-SM-CL53W 60-69 years, female 42.9
GTEX-1QCLY-2026-SM-EVR4C 30-39 years, male 42.6
GTEX-1HSMQ-2526-SM-A9SMK 50-59 years, male 42.3
GTEX-Y114-1626-SM-4TT7I 50-59 years, female 42.2
GTEX-14E6C-2226-SM-5QGQG 40-49 years, male 41.9
GTEX-15UF7-1326-SM-7KUKV 40-49 years, male 41.9
GTEX-1C64O-2426-SM-7P8R3 60-69 years, male 41.8
GTEX-1HSMO-2526-SM-A9SKP 60-69 years, male 41.7
GTEX-V955-1726-SM-4JBHF 60-69 years, male 41.6
GTEX-1GL5R-1726-SM-9KNUX 50-59 years, male 41.6
GTEX-WOFM-1926-SM-4OOSP 20-29 years, male 41.5
GTEX-1H3VE-2326-SM-9KNVU 40-49 years, male 41.2
GTEX-1PFEY-1726-SM-DPRZ4 30-39 years, male 41.1
GTEX-ZAB4-2426-SM-5HL8A 40-49 years, male 40.8
GTEX-13SLW-2826-SM-5Q5ES 70-79 years, male 40.5
GTEX-1H23P-2626-SM-9KNVN 60-69 years, male 40.5
GTEX-1HBPM-2626-SM-9WYU5 60-69 years, female 40.4
GTEX-15RJE-2226-SM-6M46A 40-49 years, male 40.0
GTEX-W5WG-2026-SM-4LMIB 50-59 years, female 40.0
GTEX-1I6K6-1926-SM-A96SN 30-39 years, male 39.0
GTEX-15F5U-1426-SM-7KUN2 40-49 years, male 38.6
GTEX-1H3NZ-2526-SM-9KNVO 60-69 years, male 38.5
GTEX-11VI4-1426-SM-5GU6O 40-49 years, female 38.4
GTEX-WYJK-2326-SM-4ONDN 50-59 years, male 38.4
GTEX-ZQUD-1026-SM-4YCEZ 30-39 years, male 38.2
GTEX-1JMPY-1026-SM-ARZN1 30-39 years, male 38.1
GTEX-WFON-1326-SM-4LVMN 40-49 years, male 37.9
GTEX-WH7G-1426-SM-4LVMU 40-49 years, male 37.6
GTEX-Y8E4-2326-SM-EAZAZ 40-49 years, male 37.2
GTEX-Y5V6-1626-SM-4VDT2 60-69 years, male 36.5
GTEX-15FZZ-1826-SM-6LLJP 30-39 years, female 35.8
GTEX-1OJC3-1826-SM-DTX93 20-29 years, male 35.5
GTEX-X5EB-1126-SM-46MVV 40-49 years, male 32.5
GTEX-13113-1426-SM-5EGHU 60-69 years, female 31.5
GTEX-148VJ-2426-SM-5NQ9Y 70-79 years, male 30.9
GTEX-1HB9E-2526-SM-D4P35 50-59 years, male 30.6
Show allShow less
Colon - Transverse
Average nTPM: 48.4
Samples: 406

Max nTPM: 119.6
Min nTPM: 29.6
Std nTPM: 10.8
Median nTPM: 47.1
GTEX-XAJ8-0426-SM-47JYJ 40-49 years, male 119.6
GTEX-OOBJ-1426-SM-E6CHH 60-69 years, male 107.2
GTEX-1LVAN-2526-SM-CNPPC 50-59 years, female 102.6
GTEX-1ICLZ-2426-SM-CKZOD 60-69 years, male 97.4
GTEX-1AX8Z-2726-SM-73KUC 60-69 years, male 87.3
GTEX-1399R-2226-SM-5P9JB 30-39 years, male 87.0
GTEX-1N2EF-1926-SM-DTX8M 60-69 years, male 86.1
GTEX-OXRN-2026-SM-E6CHK 50-59 years, male 79.5
GTEX-13FH7-1526-SM-5J2N6 50-59 years, female 76.8
GTEX-146FQ-1926-SM-5NQBY 30-39 years, male 76.1
GTEX-13W3W-2126-SM-5K7UX 60-69 years, female 75.7
GTEX-1OKEX-1226-SM-DTXEC 60-69 years, male 75.4
GTEX-1IKOE-2026-SM-AHZ31 30-39 years, female 72.8
GTEX-14PK6-1726-SM-6871J 70-79 years, female 71.6
GTEX-XV7Q-2126-SM-4BRVX 40-49 years, female 71.2
GTEX-17F96-2026-SM-79ON4 70-79 years, male 69.9
GTEX-Y3I4-1426-SM-4TT9C 50-59 years, male 69.8
GTEX-13X6H-1926-SM-7EWD3 50-59 years, female 69.4
GTEX-QLQ7-1126-SM-CYPRB 60-69 years, male 68.4
GTEX-11GSP-1626-SM-5986N 60-69 years, female 67.9
GTEX-ZYVF-2826-SM-5GIDK 50-59 years, female 65.8
GTEX-QDVN-1326-SM-48TZ3 50-59 years, male 65.5
GTEX-17EVQ-1826-SM-7IGPH 70-79 years, male 65.4
GTEX-11ZVC-2126-SM-5EGJ1 50-59 years, female 65.3
GTEX-13U4I-2426-SM-5LU34 40-49 years, female 65.3
GTEX-Y3IK-1826-SM-4WWDS 50-59 years, female 65.0
GTEX-ZXES-1626-SM-5NQ7L 30-39 years, female 65.0
GTEX-1IGQW-2326-SM-CE6RV 60-69 years, male 64.4
GTEX-15DZA-0926-SM-69LQ3 30-39 years, female 62.7
GTEX-QMRM-1226-SM-447C6 50-59 years, male 62.7
GTEX-1CAMR-0926-SM-7MXTD 20-29 years, male 62.1
GTEX-17F9E-1826-SM-7IGMC 50-59 years, male 61.9
GTEX-15UF6-2626-SM-6M466 70-79 years, female 61.8
GTEX-15CHC-1626-SM-5ZZWS 60-69 years, female 61.5
GTEX-11TT1-1026-SM-5PNW7 20-29 years, male 61.2
GTEX-145LS-2726-SM-5Q5D8 60-69 years, female 60.9
GTEX-1S82U-0726-SM-E9TKI 30-39 years, female 60.8
GTEX-14E1K-1826-SM-793DT 50-59 years, male 60.5
GTEX-13S86-1626-SM-5Q5C5 40-49 years, male 60.3
GTEX-15G1A-1826-SM-7KUKO 30-39 years, male 60.1
GTEX-Z93S-2426-SM-5HL8N 50-59 years, male 60.1
GTEX-1JJE9-2426-SM-D3L8T 70-79 years, male 60.1
GTEX-SNMC-1126-SM-4DM5M 20-29 years, male 59.3
GTEX-T5JW-1126-SM-4DM5V 20-29 years, female 59.2
GTEX-139TS-1926-SM-5IJFO 60-69 years, male 58.8
GTEX-14PJ3-0926-SM-69LQG 50-59 years, male 58.7
GTEX-17JCI-2626-SM-7EWE6 60-69 years, female 58.1
GTEX-U412-1726-SM-EZ6KX 60-69 years, male 57.7
GTEX-ZF2S-1926-SM-4WWAN 50-59 years, female 57.6
GTEX-QDVJ-1326-SM-48U1X 50-59 years, male 57.5
GTEX-SNOS-1226-SM-4DM5H 40-49 years, male 57.5
GTEX-X4EO-2526-SM-EWRM8 60-69 years, female 57.5
GTEX-1C2JI-1626-SM-7EPHC 50-59 years, male 57.3
GTEX-18QFQ-1526-SM-72D57 30-39 years, male 57.0
GTEX-111CU-1426-SM-5GZYP 50-59 years, male 56.9
GTEX-131XG-1826-SM-5LZV4 50-59 years, female 56.9
GTEX-111VG-2226-SM-5N9DU 60-69 years, male 56.4
GTEX-1GN73-2626-SM-9KNUQ 60-69 years, male 56.4
GTEX-14C5O-2526-SM-73KU2 60-69 years, male 56.1
GTEX-1N5O9-2726-SM-E76QH 60-69 years, male 55.9
GTEX-18D9B-2526-SM-718BN 60-69 years, male 55.6
GTEX-1H1DG-2226-SM-9WPPC 70-79 years, male 55.5
GTEX-1IKK5-2726-SM-CNPQ6 60-69 years, male 55.4
GTEX-1K9T9-2826-SM-D4P3F 50-59 years, female 55.4
GTEX-18A7B-2026-SM-72D71 70-79 years, male 55.3
GTEX-1CB4I-2226-SM-7P8SL 50-59 years, male 55.3
GTEX-1POEN-2026-SM-E6CRL 30-39 years, female 55.3
GTEX-WHSB-0926-SM-4M1XJ 50-59 years, male 55.2
GTEX-Y8LW-1226-SM-4WWDP 50-59 years, female 55.0
GTEX-15SB6-1226-SM-7KUMP 50-59 years, female 54.8
GTEX-1PPGY-2826-SM-DTX9H 60-69 years, male 54.6
GTEX-13OVI-2026-SM-5J1MU 60-69 years, female 54.5
GTEX-11EQ9-1426-SM-5987G 30-39 years, male 54.4
GTEX-QV31-0826-SM-CKZNC 30-39 years, male 54.4
GTEX-1339X-1626-SM-5IJDN 40-49 years, male 54.3
GTEX-WEY5-1426-SM-4LMJ3 40-49 years, female 54.3
GTEX-12ZZZ-2426-SM-5GCNN 60-69 years, male 54.1
GTEX-13CF3-1426-SM-5K7YY 60-69 years, female 54.1
GTEX-U4B1-1126-SM-4DXV3 40-49 years, male 54.1
GTEX-1EMGI-2726-SM-7P8S4 60-69 years, male 54.1
GTEX-O5YT-1426-SM-3MJHC 20-29 years, male 54.0
GTEX-1IDJD-2226-SM-A96TD 30-39 years, male 53.9
GTEX-1IOXB-2626-SM-CJI2N 50-59 years, male 53.9
GTEX-15DCE-2026-SM-7KUFE 20-29 years, male 53.8
GTEX-XGQ4-1226-SM-4AT67 50-59 years, male 53.7
GTEX-1JN1M-2626-SM-CY8I3 60-69 years, female 53.7
GTEX-1B8KZ-1326-SM-7DUG6 50-59 years, male 53.6
GTEX-17HGU-2426-SM-7EWDP 50-59 years, male 53.5
GTEX-1CB4F-2026-SM-79OLU 60-69 years, male 53.5
GTEX-1S5VW-2926-SM-E9U6H 60-69 years, male 53.5
GTEX-14H4A-1926-SM-5ZZWN 40-49 years, female 53.4
GTEX-XYKS-2226-SM-4E3IU 60-69 years, female 53.4
GTEX-1HSMP-2326-SM-D3L8R 70-79 years, male 53.3
GTEX-14PJM-2626-SM-686ZD 50-59 years, female 53.1
GTEX-13VXT-2426-SM-5LU46 20-29 years, female 53.0
GTEX-117YX-0826-SM-5H11J 50-59 years, male 52.9
GTEX-1F75B-2726-SM-7P8QO 50-59 years, male 52.9
GTEX-1C4CL-2126-SM-7IGQC 30-39 years, male 52.6
GTEX-1HFI7-1726-SM-A9G22 50-59 years, female 52.6
GTEX-1LBAC-1626-SM-CXZKV 20-29 years, male 52.6
GTEX-14XAO-2026-SM-69LOI 60-69 years, female 52.5
GTEX-R45C-2126-SM-EZ6KZ 60-69 years, female 52.5
GTEX-18D9U-1926-SM-7KFTM 40-49 years, male 52.4
GTEX-1H3VY-2426-SM-9WPPD 50-59 years, male 52.3
GTEX-14AS3-1126-SM-5Q5CR 40-49 years, female 52.2
GTEX-WQUQ-2526-SM-4MVNO 60-69 years, male 52.1
GTEX-Q2AI-0926-SM-48U1F 40-49 years, male 52.0
GTEX-ZF29-1726-SM-4WKFV 60-69 years, female 51.9
GTEX-1AYD5-1726-SM-7RHFW 50-59 years, male 51.8
GTEX-1EH9U-2026-SM-7PBYS 60-69 years, male 51.8
GTEX-1GF9X-1526-SM-7P8QP 40-49 years, female 51.7
GTEX-11DXX-1826-SM-5H126 60-69 years, female 51.6
GTEX-1C64O-2326-SM-73KU8 60-69 years, male 51.5
GTEX-ZT9W-1826-SM-51MQX 50-59 years, male 51.4
GTEX-1LG7Y-2126-SM-DIPER 50-59 years, male 51.4
GTEX-14DAQ-2726-SM-5S2QY 60-69 years, female 51.3
GTEX-1128S-1626-SM-5H12O 60-69 years, female 51.2
GTEX-17HHE-1826-SM-79OKE 50-59 years, male 51.2
GTEX-12WSL-1626-SM-5GCMU 50-59 years, male 51.1
GTEX-132AR-2726-SM-5PNVN 50-59 years, female 51.1
GTEX-R53T-1326-SM-48FCQ 50-59 years, female 51.0
GTEX-1GMR2-1726-SM-9JGI2 50-59 years, male 50.9
GTEX-131XE-0826-SM-5HL9W 50-59 years, male 50.8
GTEX-16Z82-2226-SM-6LPJ7 60-69 years, male 50.8
GTEX-13OW6-2126-SM-5N9GL 50-59 years, male 50.7
GTEX-YF7O-1726-SM-5IFJ9 50-59 years, male 50.7
GTEX-1J1OQ-2726-SM-AHZ3R 40-49 years, female 50.6
GTEX-1KANB-1526-SM-CXZK4 50-59 years, male 50.6
GTEX-1RAZQ-2126-SM-DTX9V 30-39 years, male 50.5
GTEX-117YW-1826-SM-5PNY5 50-59 years, male 50.4
GTEX-UJHI-1126-SM-4IHLN 50-59 years, female 50.4
GTEX-V955-1626-SM-4JBHJ 60-69 years, male 50.2
GTEX-ZVP2-1526-SM-5NQ82 50-59 years, male 50.2
GTEX-1JN76-1226-SM-C1YRM 20-29 years, female 50.2
GTEX-1RDX4-1826-SM-EVR54 50-59 years, female 50.1
GTEX-15RIE-1826-SM-6M48P 60-69 years, male 50.0
GTEX-1399U-1926-SM-5IFH7 50-59 years, female 49.9
GTEX-XMK1-1726-SM-4B64Z 40-49 years, male 49.9
GTEX-1BAJH-2326-SM-7IGMO 70-79 years, male 49.7
GTEX-YEC3-2426-SM-DO11A 50-59 years, male 49.7
GTEX-13OVG-1426-SM-5K7VP 60-69 years, male 49.6
GTEX-1399S-1926-SM-5J2M5 30-39 years, female 49.5
GTEX-13O3P-2326-SM-5KM55 50-59 years, male 49.5
GTEX-P78B-1726-SM-3P5ZV 40-49 years, female 49.5
GTEX-1HCVE-2526-SM-A9G2G 50-59 years, male 49.5
GTEX-17GQL-1526-SM-7LTAC 60-69 years, male 49.4
GTEX-ZDYS-2326-SM-4WKG6 50-59 years, male 49.4
GTEX-14PJ5-0926-SM-6LLIK 60-69 years, female 49.3
GTEX-ZV6S-1226-SM-59HLH 40-49 years, female 49.3
GTEX-13OW5-2626-SM-5MR3M 60-69 years, male 49.1
GTEX-145MO-2426-SM-5NQ9W 60-69 years, male 49.1
GTEX-18A66-2426-SM-7KFSQ 60-69 years, male 49.1
GTEX-14ICL-1226-SM-5S2RD 30-39 years, male 48.9
GTEX-1MUQO-2626-SM-EWRO3 60-69 years, male 48.9
GTEX-11ONC-2026-SM-5HL61 60-69 years, male 48.8
GTEX-13OVJ-1726-SM-5IJDZ 50-59 years, female 48.8
GTEX-15DYW-2326-SM-6PAMU 60-69 years, female 48.8
GTEX-15ER7-2926-SM-7KUFK 20-29 years, female 48.8
GTEX-1JK1U-1526-SM-AHZ46 60-69 years, male 48.8
GTEX-1PIEJ-2026-SM-E6CPA 20-29 years, female 48.8
GTEX-SJXC-2226-SM-EVYAK 60-69 years, male 48.8
GTEX-1HCU7-2626-SM-C1YQO 50-59 years, male 48.7
GTEX-13O61-1626-SM-5KM3T 60-69 years, male 48.6
GTEX-PLZ5-1126-SM-3P613 50-59 years, male 48.6
GTEX-RWS6-1826-SM-47JXX 60-69 years, female 48.6
GTEX-X15G-1326-SM-4PQZJ 50-59 years, female 48.6
GTEX-15SHU-2526-SM-6M47D 40-49 years, female 48.5
GTEX-17KNJ-1726-SM-7LG6A 50-59 years, male 48.5
GTEX-X5EB-0926-SM-46MVT 40-49 years, male 48.5
GTEX-14JIY-3326-SM-6871E 60-69 years, male 48.4
GTEX-XUZC-1326-SM-4BRV2 30-39 years, female 48.4
GTEX-ZEX8-1926-SM-4WKFR 50-59 years, male 48.4
GTEX-1F75I-2426-SM-9WPOY 40-49 years, male 48.4
GTEX-S4P3-1226-SM-4AD4Y 50-59 years, female 48.3
GTEX-11TUW-2026-SM-5EQL8 60-69 years, male 48.2
GTEX-15CHR-1426-SM-7DUGV 50-59 years, male 48.2
GTEX-13FHP-2426-SM-5KLZ5 50-59 years, male 48.0
GTEX-14BMV-2426-SM-5S2PP 50-59 years, male 48.0
GTEX-147GR-2726-SM-664OO 60-69 years, male 47.9
GTEX-Q2AH-1226-SM-48TZL 40-49 years, male 47.9
GTEX-ZP4G-1726-SM-4WWCM 20-29 years, female 47.9
GTEX-1I1GT-1926-SM-ARU7D 60-69 years, female 47.8
GTEX-VJYA-2026-SM-4KL1K 60-69 years, male 47.7
GTEX-WOFM-2026-SM-4OOSQ 20-29 years, male 47.7
GTEX-WY7C-1626-SM-4ONC8 50-59 years, male 47.7
GTEX-1MJK3-0926-SM-EV7AY 20-29 years, male 47.7
GTEX-1PWST-2426-SM-EWRMP 70-79 years, male 47.7
GTEX-12WSJ-1526-SM-5GCNI 40-49 years, female 47.6
GTEX-145ME-0826-SM-5O9AF 40-49 years, female 47.6
GTEX-Q734-1126-SM-48TZY 40-49 years, female 47.6
GTEX-1NHNU-2326-SM-E6CQE 50-59 years, male 47.6
GTEX-1R9K5-2126-SM-E8VN1 50-59 years, male 47.6
GTEX-145LT-0926-SM-5LU9C 40-49 years, male 47.5
GTEX-1A3MV-1126-SM-718BS 30-39 years, male 47.5
GTEX-1GL5R-2426-SM-7MXV1 50-59 years, male 47.5
GTEX-XUW1-1926-SM-4BOP1 50-59 years, female 47.4
GTEX-WVJS-2426-SM-EZ6LI 50-59 years, male 47.4
GTEX-14E6E-1526-SM-5RQIG 30-39 years, male 47.3
GTEX-ZYFG-1926-SM-5GID5 60-69 years, female 47.3
GTEX-1MCC2-1626-SM-DIPEW 30-39 years, female 47.3
GTEX-144GN-1126-SM-5LU33 50-59 years, male 47.2
GTEX-1HCU6-2726-SM-A9SKV 60-69 years, female 47.2
GTEX-1QW4Y-1326-SM-EWRMZ 30-39 years, male 47.2
GTEX-144GM-1226-SM-5LU52 20-29 years, male 47.1
GTEX-111YS-1626-SM-5GZZ9 60-69 years, male 46.9
GTEX-11EM3-1526-SM-5A5KN 20-29 years, female 46.9
GTEX-1JMLX-2726-SM-CM2SB 50-59 years, male 46.9
GTEX-14BMU-1526-SM-5TDE6 20-29 years, female 46.8
GTEX-18D9A-1126-SM-7KFRJ 30-39 years, female 46.8
GTEX-ZPCL-1826-SM-57WF1 60-69 years, female 46.7
GTEX-1C6VQ-2726-SM-73KUL 50-59 years, male 46.6
GTEX-T6MO-0826-SM-4DM51 40-49 years, female 46.6
GTEX-ZY6K-1226-SM-5GZYL 50-59 years, male 46.6
GTEX-13QBU-1826-SM-5IJG3 40-49 years, female 46.5
GTEX-1F5PK-1926-SM-7MXT7 50-59 years, male 46.5
GTEX-1JJ6O-2426-SM-ARU8J 60-69 years, male 46.5
GTEX-Y5LM-1526-SM-4VDTA 40-49 years, female 46.4
GTEX-1PIGE-1426-SM-E9U61 20-29 years, male 46.3
GTEX-ZDTT-1926-SM-5HL5W 60-69 years, male 46.3
GTEX-178AV-1326-SM-6LPJX 40-49 years, male 46.1
GTEX-YEC4-1926-SM-5IFHJ 40-49 years, male 46.1
GTEX-1I1GR-2526-SM-CNNQF 60-69 years, male 46.1
GTEX-WYJK-2226-SM-4ONDJ 50-59 years, male 46.0
GTEX-1H1DE-1526-SM-ARL9B 20-29 years, male 45.9
GTEX-16MT8-2726-SM-7IGLJ 60-69 years, female 45.8
GTEX-P4QT-1426-SM-3NMCX 50-59 years, female 45.8
GTEX-1LGRB-1426-SM-CNNPT 50-59 years, female 45.8
GTEX-11TTK-2426-SM-5PNYO 60-69 years, female 45.7
GTEX-ZGAY-2126-SM-4YCFB 40-49 years, female 45.7
GTEX-1AMFI-1726-SM-7189L 50-59 years, female 45.6
GTEX-PWCY-1026-SM-48TD4 20-29 years, female 45.6
GTEX-XXEK-1926-SM-4BRVD 50-59 years, male 45.6
GTEX-S341-1426-SM-4AD6U 40-49 years, female 45.5
GTEX-ZPU1-1926-SM-57WDT 40-49 years, male 45.5
GTEX-RU1J-1326-SM-46MUL 20-29 years, female 45.4
GTEX-11O72-2226-SM-5PNW2 40-49 years, male 45.2
GTEX-1CAMS-2526-SM-7EPH7 40-49 years, female 45.2
GTEX-OXRL-1426-SM-3NM9E 50-59 years, male 45.1
GTEX-TKQ1-0626-SM-4DXTS 30-39 years, male 45.1
GTEX-17MF6-2426-SM-7LTAM 40-49 years, male 45.0
GTEX-1QPFJ-2326-SM-E6CR7 30-39 years, female 45.0
GTEX-144GL-2526-SM-5TDDL 50-59 years, male 44.8
GTEX-15CHQ-2526-SM-6EU24 60-69 years, male 44.8
GTEX-W5WG-2426-SM-4LMI6 50-59 years, female 44.8
GTEX-13QJ3-2626-SM-9OSXQ 50-59 years, male 44.8
GTEX-1KANA-1926-SM-DHXKF 20-29 years, male 44.8
GTEX-14PKV-2126-SM-664O3 20-29 years, female 44.7
GTEX-1GPI7-1726-SM-7P8R1 20-29 years, male 44.6
GTEX-1E2YA-2626-SM-7MGWW 50-59 years, male 44.5
GTEX-PLZ6-0926-SM-3P5ZQ 30-39 years, male 44.4
GTEX-1IDJC-1326-SM-CL53H 50-59 years, male 44.4
GTEX-13PL7-2526-SM-5IFGR 60-69 years, female 44.3
GTEX-147JS-2526-SM-5S2Q8 60-69 years, male 44.3
GTEX-Y8E4-2426-SM-4WWDN 40-49 years, male 44.3
GTEX-1PFEY-1426-SM-E9U6U 30-39 years, male 44.3
GTEX-11LCK-2026-SM-5A5MA 30-39 years, male 44.2
GTEX-11NSD-1626-SM-5986U 20-29 years, male 44.2
GTEX-1F5PL-2126-SM-7PC2O 40-49 years, female 44.1
GTEX-1J1R8-1126-SM-CNPQ3 40-49 years, male 44.1
GTEX-139YR-2126-SM-5KM11 50-59 years, male 44.0
GTEX-PSDG-1826-SM-EAZ2S 50-59 years, male 44.0
GTEX-14BIN-3026-SM-5ZZUS 50-59 years, female 43.9
GTEX-OIZH-1426-SM-3NB1O 50-59 years, male 43.9
GTEX-ZLWG-1726-SM-DNZZ2 50-59 years, female 43.9
GTEX-1GF9U-1526-SM-7MXUW 40-49 years, female 43.8
GTEX-1JMPZ-2426-SM-C1YQP 30-39 years, male 43.8
GTEX-TML8-1326-SM-4DXTO 40-49 years, female 43.7
GTEX-11I78-1226-SM-5A5K6 50-59 years, female 43.5
GTEX-1NSGN-2326-SM-E9U5X 50-59 years, male 43.5
GTEX-1QCLY-1726-SM-DPRXY 30-39 years, male 43.5
GTEX-13O21-2426-SM-5MR4A 50-59 years, male 43.4
GTEX-OXRK-1726-SM-3NB16 50-59 years, female 43.4
GTEX-1I4MK-1126-SM-B2LWS 50-59 years, female 43.4
GTEX-ZPIC-2226-SM-57WDX 40-49 years, female 43.1
GTEX-QEL4-1926-SM-D3L8D 50-59 years, male 43.1
GTEX-16NGA-1026-SM-7KFS3 40-49 years, female 43.0
GTEX-XBED-1526-SM-4AT5W 60-69 years, male 43.0
GTEX-1LH75-2126-SM-EVR5F 50-59 years, female 43.0
GTEX-1RAZR-1926-SM-E6CRF 40-49 years, male 42.9
GTEX-13OVK-0826-SM-7KULZ 40-49 years, male 42.8
GTEX-SE5C-1526-SM-4BRWU 40-49 years, female 42.7
GTEX-R55D-1826-SM-48FEF 50-59 years, male 42.6
GTEX-S3XE-1126-SM-4AD4N 50-59 years, male 42.5
GTEX-WFON-1426-SM-4LVMT 40-49 years, male 42.5
GTEX-ZZ64-0726-SM-5GZX4 20-29 years, male 42.5
GTEX-1JKYN-2326-SM-CGQG7 30-39 years, male 42.5
GTEX-1K2DA-2026-SM-CGQGK 50-59 years, male 42.5
GTEX-ZG7Y-2126-SM-DO117 50-59 years, male 42.4
GTEX-1H11D-2626-SM-9JGH4 40-49 years, male 42.3
GTEX-1JKYR-1926-SM-C1YR7 20-29 years, male 42.3
GTEX-14PHX-1526-SM-68717 50-59 years, male 42.2
GTEX-1B932-2826-SM-73KUD 40-49 years, female 42.2
GTEX-Y114-1526-SM-4TT79 50-59 years, female 42.2
GTEX-1R7EU-1926-SM-E9U62 60-69 years, male 42.2
GTEX-17F98-1026-SM-7IGO8 40-49 years, female 42.1
GTEX-OHPM-1426-SM-3TW8Y 50-59 years, male 42.1
GTEX-PX3G-1426-SM-48U1J 20-29 years, female 42.1
GTEX-11P82-1026-SM-5BC5J 20-29 years, male 42.0
GTEX-147F3-1926-SM-5SIB9 50-59 years, female 42.0
GTEX-1B996-2626-SM-73KZ1 60-69 years, male 42.0
GTEX-QCQG-1626-SM-48U26 50-59 years, female 42.0
GTEX-14JG6-1726-SM-69LPL 30-39 years, female 41.9
GTEX-WYVS-1826-SM-4OND6 40-49 years, female 41.9
GTEX-1RMOY-1626-SM-EVYC8 50-59 years, male 41.9
GTEX-Y9LG-1526-SM-4WWDR 30-39 years, male 41.8
GTEX-12BJ1-2126-SM-5BC5O 60-69 years, male 41.7
GTEX-1AX9I-2626-SM-73KU5 60-69 years, male 41.7
GTEX-X3Y1-1726-SM-4PQZL 40-49 years, male 41.7
GTEX-ZYFC-2626-SM-5NQ6S 50-59 years, male 41.7
GTEX-1LSVX-1726-SM-DHXJP 60-69 years, male 41.7
GTEX-1NV5F-2226-SM-DTX8O 60-69 years, female 41.6
GTEX-1QP67-1326-SM-EAZ4D 40-49 years, female 41.6
GTEX-13111-0726-SM-5DUVE 50-59 years, male 41.4
GTEX-WH7G-1326-SM-4LVMS 40-49 years, male 41.4
GTEX-1H1E6-1926-SM-9OSWD 30-39 years, male 41.4
GTEX-S4UY-0826-SM-4AD4Z 40-49 years, female 41.3
GTEX-1IDJF-1826-SM-CKZOE 20-29 years, male 41.3
GTEX-1S83E-1626-SM-EV7B9 40-49 years, male 41.3
GTEX-1AMEY-1926-SM-73KVT 30-39 years, female 41.2
GTEX-1MA7W-0626-SM-EV79Z 20-29 years, female 41.2
GTEX-1AYCT-1826-SM-731EG 50-59 years, male 41.1
GTEX-1QMI2-2626-SM-E6CR4 60-69 years, male 41.1
GTEX-145MN-1726-SM-5SIA6 30-39 years, male 41.0
GTEX-1LGOU-1626-SM-D3LAK 20-29 years, female 41.0
GTEX-14ICK-1026-SM-6AJA4 40-49 years, male 40.9
GTEX-1JMPY-0426-SM-C1YQ3 30-39 years, male 40.9
GTEX-ZAB4-2226-SM-5HL97 40-49 years, male 40.8
GTEX-148VJ-2626-SM-5QGPI 70-79 years, male 40.7
GTEX-OHPN-2026-SM-E9TIA 60-69 years, female 40.7
GTEX-13PVR-1626-SM-73KVF 60-69 years, female 40.6
GTEX-NFK9-2026-SM-3LK5K 40-49 years, male 40.6
GTEX-1HSEH-1726-SM-B2LXH 60-69 years, male 40.6
GTEX-S4Q7-0826-SM-4AD5E 20-29 years, male 40.5
GTEX-1MGNQ-2026-SM-EAZ51 40-49 years, male 40.5
GTEX-1R9PM-1526-SM-DPRY8 20-29 years, male 40.5
GTEX-14PJ4-1926-SM-6LLHG 60-69 years, male 40.4
GTEX-16AAH-1326-SM-7KFRG 50-59 years, male 40.4
GTEX-XPVG-1826-SM-4B64X 50-59 years, male 40.3
GTEX-QLQW-0426-SM-447A7 30-39 years, male 40.2
GTEX-U3ZM-1126-SM-4DXUB 40-49 years, male 40.2
GTEX-1R9JW-2026-SM-EAZ4O 30-39 years, female 40.2
GTEX-WFG7-1526-SM-4LVMG 20-29 years, male 40.0
GTEX-15RIF-1326-SM-6LPKO 20-29 years, male 39.9
GTEX-18A7A-2226-SM-7LT8K 50-59 years, female 39.9
GTEX-S7SF-1926-SM-4AT5B 20-29 years, female 39.9
GTEX-16NPV-2626-SM-6M484 50-59 years, female 39.8
GTEX-1GZ4H-1226-SM-9KNUA 50-59 years, female 39.6
GTEX-WHWD-1226-SM-4OOS1 50-59 years, male 39.5
GTEX-1GMR3-2826-SM-9WPOG 40-49 years, male 39.4
GTEX-12C56-0626-SM-5EGGC 20-29 years, male 39.3
GTEX-17EUY-1826-SM-7DUEZ 20-29 years, male 39.1
GTEX-13D11-0826-SM-5KLZJ 50-59 years, female 39.0
GTEX-1PPH8-2026-SM-DTX7P 20-29 years, male 38.9
GTEX-OIZF-1426-SM-2HML2 60-69 years, male 38.6
GTEX-RM2N-0926-SM-48FD1 50-59 years, male 38.5
GTEX-U3ZN-2126-SM-4DXU1 30-39 years, female 38.5
GTEX-14DAR-1526-SM-5RQIX 50-59 years, male 38.3
GTEX-ZLV1-1226-SM-4WWBX 60-69 years, female 38.2
GTEX-YB5E-1626-SM-5IFIQ 40-49 years, male 38.0
GTEX-1HCU9-1326-SM-B2LXT 20-29 years, male 38.0
GTEX-1L5NE-2026-SM-CXZKR 50-59 years, male 38.0
GTEX-1QP9N-1026-SM-E6CPX 30-39 years, male 37.9
GTEX-13FTW-1826-SM-5IJEN 40-49 years, male 37.8
GTEX-1N2DV-1426-SM-DPRYQ 40-49 years, male 37.8
GTEX-11P81-1126-SM-5GU5G 30-39 years, female 37.7
GTEX-1B8KE-1926-SM-731EE 50-59 years, male 37.7
GTEX-U3ZH-1326-SM-4DXSF 30-39 years, male 37.6
GTEX-1C475-1626-SM-731FP 40-49 years, female 37.3
GTEX-ZTSS-1126-SM-5985O 40-49 years, male 37.3
GTEX-1KXAM-2126-SM-CY8I9 60-69 years, male 37.1
GTEX-11VI4-1526-SM-5EQKC 40-49 years, female 37.0
GTEX-17HII-2726-SM-7MGVM 50-59 years, male 36.8
GTEX-P4PP-1426-SM-3NM9L 30-39 years, female 36.7
GTEX-1GZ4I-2426-SM-9WPPP 50-59 years, male 36.7
GTEX-OXRO-0726-SM-E9U4C 60-69 years, female 36.4
GTEX-R55G-1226-SM-48FDC 40-49 years, female 36.3
GTEX-1RAZA-1726-SM-DPS13 20-29 years, male 36.1
GTEX-11P7K-1526-SM-5EGI7 30-39 years, male 35.9
GTEX-XBEW-1926-SM-4SOJO 40-49 years, male 35.9
GTEX-1LVAM-1626-SM-EV79Y 50-59 years, female 35.9
GTEX-O5YW-1426-SM-3MJHF 50-59 years, male 35.8
GTEX-1KANC-0926-SM-D3LA9 50-59 years, female 35.7
GTEX-1QCLZ-1926-SM-E6CR3 60-69 years, female 35.5
GTEX-12KS4-2426-SM-5LU8P 30-39 years, male 35.4
GTEX-R55C-1126-SM-48FCJ 40-49 years, male 35.3
GTEX-11DXZ-1726-SM-5H12M 50-59 years, male 35.2
GTEX-133LE-1526-SM-5IFEN 20-29 years, female 35.2
GTEX-16XZZ-2626-SM-6M47S 60-69 years, male 35.2
GTEX-1HSGN-2626-SM-CE6S1 40-49 years, female 35.1
GTEX-XQ8I-2126-SM-4BOOM 50-59 years, male 34.8
GTEX-PWN1-1426-SM-48TDF 40-49 years, female 34.7
GTEX-TKQ2-1326-SM-4DXT9 50-59 years, male 34.7
GTEX-1HKZK-2126-SM-A9SL3 40-49 years, male 34.6
GTEX-13O3O-2526-SM-5L3DR 60-69 years, female 34.2
GTEX-1S3DN-1826-SM-EV79K 50-59 years, male 33.7
GTEX-ZV7C-1526-SM-5NQ72 50-59 years, male 33.6
GTEX-1211K-1726-SM-5FQUJ 60-69 years, female 33.3
GTEX-1122O-1526-SM-5N9CL 60-69 years, female 33.2
GTEX-ZVT2-1926-SM-5GU5T 50-59 years, female 32.8
GTEX-1HSMQ-2726-SM-C1YRE 50-59 years, male 32.4
GTEX-139T6-1326-SM-5IFFO 50-59 years, male 32.3
GTEX-UJMC-1326-SM-4IHLS 50-59 years, male 31.8
GTEX-1LG7Z-1426-SM-CXKYV 30-39 years, male 31.4
GTEX-14C39-1926-SM-5ZZW5 40-49 years, male 29.8
GTEX-1IDJU-2026-SM-A9SLM 60-69 years, female 29.7
GTEX-1I6K6-1826-SM-B2LX5 30-39 years, male 29.6
Show allShow less

COLON - FANTOM5 CAGEi

RNA expression in human tissues obtained through Cap Analysis of Gene Expression (CAGE) generated by the FANTOM5 project are reported as Scaled Tags Per Million.

Max subtype Scaled Tags Per Millioni

Max subtype Scaled Tags Per Million is the value for the subtype with the largest average Scaled Tags Per Million across the subtype samples.

109.4
FANTOM5 sample id Sample description Scaled Tags Per Million
Colon
Scaled Tags Per Million: 109.4
FF:10014-101C5 62,83,84 years, mixed 109.4

Contact

  • NEWS ARTICLES
  • PRESS ROOM

The Project

  • INTRODUCTION
  • ORGANIZATION
  • PUBLICATIONS

The Human Protein Atlas

  • DOWNLOADABLE DATA
  • LICENCE & CITATION
  • HELP & FAQ
The Human Protein Atlas project is funded
by the Knut & Alice Wallenberg Foundation.


contact@proteinatlas.org