We use cookies to enhance the usability of our website. If you continue, we'll assume that you are happy to receive all cookies. More information. Don't show this again.
ARL2BP
HPA
RESOURCES
  • TISSUE
  • BRAIN
  • SINGLE CELL
  • SUBCELLULAR
  • CANCER
  • BLOOD
  • CELL LINE
  • STRUCTURE & INTERACTION
ABOUT
  • INTRODUCTION
  • HISTORY
  • ORGANIZATION
  • PUBLICATIONS
  • ANTIBODY SUBMISSION
  • ANTIBODY AVAILABILITY
  • ACKNOWLEDGMENTS
  • CONTACT
NEWS
  • NEWS ARTICLES
  • PRESS ROOM
LEARN
  • DICTIONARY
  • PROTEIN CLASSES
  • PROTEIN EVIDENCE
  • METHODS
  • EDUCATIONAL VIDEOS
DATA
  • DOWNLOADABLE DATA
  • PUBLICATION DATA
  • RELEASE HISTORY
HELP
  • ANTIBODY VALIDATION
  • ASSAYS & ANNOTATION
  • DISCLAIMER
  • HELP & FAQ
  • PRIVACY STATEMENT
  • LICENCE & CITATION
Fields »
Search result

Field
Term
Gene name
Class
Subclass
Class
Keyword
Chromosome
External id
Tissue
Cell type
Expression
Antibody panel
Tissue
Main location
Patient ID
Annotation
Tissue
Category
Tau score
Cluster
Reliability
Brain region
Category
Tau score
Brain region
Category
Tau score
Brain region
Category
Tau score
Cluster
Reliability
Tissue
Cell type
Enrichment
Cell type
Category
Tau score
Cell type
Category
Tau score
Cell type
Category
Tau score
Cell lineage
Category
Tau score
Cluster
Cluster
Location
Searches
Location
Cell line
Class
Type
Phase
Reliability
Cancer
Prognosis
Cancer
Category
Cancer
Category
Tau score
Cluster
Variants
Interacting gene (ensg_id)
Type
Number of interactions
Pathway
Category
Score
Score
Score
Validation
Validation
Validation
Validation
Antibodies
Data type
Column


  • SUMMARY

  • TISSUE

  • BRAIN

  • SINGLE CELL

  • SUBCELL

  • CANCER

  • BLOOD

  • CELL LINE

  • STRUCT & INT

  • ARL2BP
TISSUE PRIMARY DATA ESOPHAGUS Show tissue menu
ADIPOSE TISSUE ADRENAL GLAND AMYGDALA APPENDIX BASAL GANGLIA BONE MARROW BREAST BRONCHUS CEREBELLUM CEREBRAL CORTEX CERVIX CHOROID PLEXUS COLON DUODENUM
ENDOMETRIUM EPIDIDYMIS ESOPHAGUS FALLOPIAN TUBE GALLBLADDER HEART MUSCLE HIPPOCAMPAL FORMATION HYPOTHALAMUS KIDNEY LIVER LUNG LYMPH NODE MIDBRAIN NASOPHARYNX
ORAL MUCOSA OVARY PANCREAS PARATHYROID GLAND PITUITARY GLAND PLACENTA PROSTATE RECTUM RETINA SALIVARY GLAND SEMINAL VESICLE SKELETAL MUSCLE SKIN SMALL INTESTINE
SMOOTH MUSCLE SOFT TISSUE SPINAL CORD SPLEEN STOMACH TESTIS THYMUS THYROID GLAND TONGUE TONSIL URINARY BLADDER VAGINA
ANTIBODIES
AND
VALIDATION
Dictionary
Esophagus
Tissue proteome
Esophagus
ESOPHAGUS - Expression summary
Protein expression
Esophagusi

On the top, protein expression in current human tissue, based on all annotated cell types, is reported with the units not detected (n), low (l), medium (m) and high (h). Underneath, protein expression in each annotated cell type are reported using the same units.

Protein expression data is based on knowledge-based annotation. For genes where more than one antibody has been used, a collective score is set.

If knowledge-based annotation could not be performed for a gene, no data is displayed here. View antibody staining data further down this page.

h
m
l
n
Squamous epithelial cells: Medium
RNA expressioni

A summary of mRNA expression data available for current tissue based on several datasets. The mRNA expression levels in human tissues are based on RNA-seq data generated by the Human Protein Atlas (HPA), Genotype-Tissue Expression (GTEx) portal and CAGE data generated by the FANTOM5 consortium. Consensus normalized expression levels for human tissues was created by combining the data from HPA and GTEx datasets.

The mRNA expression levels in pig are based on RNA-seq data generated by the Human Protein Atlas (HPA), and for mouse, HPA data and in situ hybridization generated by the Allen brain atlas are reported.

Scroll down to view mRNA expression data in more detail.
Consensus:48.0 nTPM
HPA:48.0 nTPM
GTEx:43.5 nTPM
FANTOM5:89.0 Scaled Tags Per Million

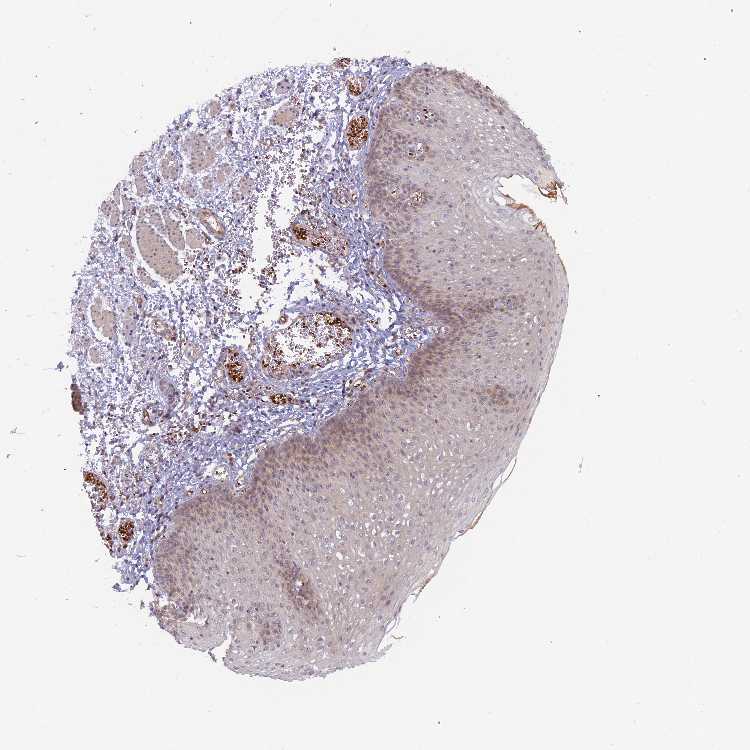
ESOPHAGUS - Antibody stainingi

Antibody staining in the annotated cell types in the current human tissue is reported as not detected, low, medium, or high, based on conventional immunohistochemistry profiling in selected tissues. This score is based on the combination of the staining intensity and fraction of stained cells.

Each image is clickable and will lead to virtual microscopy that enables deeper exploration of all samples and also displays staining intensity scores, fraction scores and subcellular localization as well as patient and tissue information for each sample.

Antibody HPA043066Antibody HPA048440
Squamous epithelial cells MediumMedium



ESOPHAGUS - HPA RNA-seqi

The RNA-seq details section shows detailed information about the individual samples used for the transcript profiling and results of the RNA-seq analysis.

Information about each individual sample is listed below, including gender, age, a tissue section image and estimated fractions of cell types. nTPM (normalized transcripts per million) values give a quantification of the gene abundance which is comparable between different genes and samples.
Average nTPMi

Max subtype nTPM is the value for the subtype with the largest average nTPM across the subtype samples.

48.0
overview
Female, age 70
Esophagus sample 130
nTPM: 45.8
Cell types%
Squamous epithelial cells:
35

Smooth muscle cells:
15

Skeletal muscle cells:
5

Other cell types:
45

overview
Male, age 38
Esophagus sample 131
nTPM: 50.5
Cell types%
Squamous epithelial cells:
60

Smooth muscle cells:
20

Other cell types:
20

overview
Male, age 76
Esophagus sample 132
nTPM: 47.6
Cell types%
Squamous epithelial cells:
45

Smooth muscle cells:
15

Other cell types:
40


ESOPHAGUS - GTEx RNA-seqi

RNA-Seq data generated by the Genotype-Tissue Expression (GTEx) project from human tissues is reported as mean nTPM. More information can be found on the GTEx portal.

Distribution across the dataset is visualized with box plots, shown as median and 25th and 75th percentiles. Points are displayed as outliers if they are above or below 1.5 times the interquartile range. nTPM values of the individual samples are presented next to the box plot.
Max subtype nTPMi

Max subtype nTPM is the value for the subtype with the largest average nTPM across the subtype samples.

43.5
GTEx sample id Sample description nTPM
Esophagus - Mucosa
Average nTPM: 43.5
Samples: 555

Max nTPM: 95.8
Min nTPM: 20.9
Std nTPM: 10.4
Median nTPM: 42.1
GTEX-1MCQQ-1026-SM-EV7AX 60-69 years, male 95.8
GTEX-1LB8K-1326-SM-CXZKB 50-59 years, male 89.8
GTEX-1RDX4-2126-SM-EV7B3 50-59 years, female 82.6
GTEX-RN64-1026-SM-48FDX 50-59 years, male 77.8
GTEX-POYW-1326-SM-48TCG 60-69 years, male 76.8
GTEX-1QEPI-1826-SM-EAZ3J 60-69 years, female 76.4
GTEX-1EWIQ-1526-SM-79OO7 70-79 years, female 74.2
GTEX-13FHP-1526-SM-5IJGE 50-59 years, male 73.2
GTEX-1CB4G-1326-SM-7MKFP 60-69 years, male 73.0
GTEX-145LU-0926-SM-79OJL 50-59 years, male 72.6
GTEX-1IDJH-2026-SM-CNNQX 70-79 years, male 72.4
GTEX-1S82Y-1226-SM-EV7BD 40-49 years, male 71.6
GTEX-12ZZY-1426-SM-5N9EI 60-69 years, male 71.2
GTEX-1NSGN-2026-SM-DPRYM 50-59 years, male 71.0
GTEX-1MA7X-0726-SM-EV7AB 60-69 years, male 70.8
GTEX-14A6H-1326-SM-5NQBC 30-39 years, male 69.1
GTEX-T2YK-1326-SM-4DM6S 50-59 years, male 69.1
GTEX-1CAMQ-2726-SM-7MKGD 40-49 years, male 68.5
GTEX-148VJ-1026-SM-5LU98 70-79 years, male 68.0
GTEX-X4XY-1726-SM-46MVO 60-69 years, male 67.6
GTEX-1EX96-2226-SM-7MKGT 50-59 years, male 67.5
GTEX-17EVQ-1926-SM-7IGOF 70-79 years, male 67.3
GTEX-1PIGE-0926-SM-E9U5Z 20-29 years, male 67.0
GTEX-16Z82-1926-SM-6M47U 60-69 years, male 66.7
GTEX-1HSKV-2426-SM-A8N8K 60-69 years, male 66.1
GTEX-1I1GR-1326-SM-ARU7B 60-69 years, male 64.1
GTEX-T8EM-0526-SM-4DM64 40-49 years, male 63.9
GTEX-1RAZS-2626-SM-EV79C 50-59 years, male 63.6
GTEX-17JCI-1226-SM-793D9 60-69 years, female 63.4
GTEX-1EN7A-1226-SM-7MGX9 40-49 years, male 62.8
GTEX-1H1DG-1226-SM-9JGH3 70-79 years, male 62.6
GTEX-17HII-1526-SM-9OSVD 50-59 years, male 61.7
GTEX-1EH9U-2426-SM-7EWFG 60-69 years, male 61.1
GTEX-18QFQ-1026-SM-7LG6B 30-39 years, male 60.8
GTEX-1269C-1026-SM-5N9EY 60-69 years, female 60.7
GTEX-1PPGY-1726-SM-EVR3S 60-69 years, male 60.3
GTEX-1K2DU-1726-SM-EV79S 20-29 years, male 59.9
GTEX-ZUA1-1226-SM-5NQ6O 40-49 years, male 58.8
GTEX-1S83E-0826-SM-EV7B7 40-49 years, male 58.8
GTEX-YJ89-1526-SM-5P9IR 60-69 years, male 58.4
GTEX-11ONC-1526-SM-5GU6S 60-69 years, male 58.2
GTEX-X62O-2226-SM-46MW3 50-59 years, male 58.1
GTEX-1IDFM-1126-SM-A96SY 60-69 years, male 57.9
GTEX-13W46-1926-SM-5J2MF 50-59 years, male 57.8
GTEX-1AX9I-1426-SM-7DHM8 60-69 years, male 57.6
GTEX-OXRN-1726-SM-3NM9B 50-59 years, male 57.6
GTEX-1HCU6-1326-SM-A96TZ 60-69 years, female 57.6
GTEX-1HB9E-1526-SM-D3LA6 50-59 years, male 57.3
GTEX-117YW-1926-SM-5H121 50-59 years, male 57.1
GTEX-11EI6-1526-SM-5P9GL 60-69 years, male 57.1
GTEX-15RJE-0926-SM-6LLHZ 40-49 years, male 57.0
GTEX-18A7A-2326-SM-7KFRH 50-59 years, female 56.8
GTEX-SJXC-1426-SM-EYYVB 60-69 years, male 56.8
GTEX-1RLM8-0726-SM-E6CRH 50-59 years, male 56.6
GTEX-11ZTS-2626-SM-5EGIC 60-69 years, female 56.5
GTEX-1212Z-2126-SM-5FQTM 60-69 years, male 56.4
GTEX-14PKV-1726-SM-6871U 20-29 years, female 56.4
GTEX-RVPV-0526-SM-47JYL 60-69 years, male 56.2
GTEX-ZE9C-1126-SM-4WWBD 60-69 years, male 56.1
GTEX-1I1GV-2226-SM-ARU7E 60-69 years, male 56.1
GTEX-13NZB-1226-SM-5J2MW 30-39 years, male 55.8
GTEX-18465-1126-SM-7LG6E 50-59 years, male 55.8
GTEX-14DAR-0826-SM-73KYJ 50-59 years, male 55.7
GTEX-14BIN-2726-SM-5RQIE 50-59 years, female 55.3
GTEX-YB5E-0926-SM-4WWDQ 40-49 years, male 55.2
GTEX-1LG7Y-1726-SM-EV7AR 50-59 years, male 54.9
GTEX-1EKGG-1726-SM-7MXUP 60-69 years, male 54.6
GTEX-1J8EW-1326-SM-AHZ3S 60-69 years, female 54.6
GTEX-11P7K-1326-SM-5BC5G 30-39 years, male 54.3
GTEX-11NUK-1326-SM-5P9GN 50-59 years, male 54.2
GTEX-OXRK-1326-SM-3NB1A 50-59 years, female 54.2
GTEX-WVLH-1426-SM-4MVNX 50-59 years, male 54.2
GTEX-18A67-2426-SM-7LT95 50-59 years, male 54.1
GTEX-18D9B-2026-SM-7LT96 60-69 years, male 54.0
GTEX-1KAFJ-0626-SM-D3L8X 50-59 years, male 54.0
GTEX-1399Q-1126-SM-5P9JA 40-49 years, male 53.9
GTEX-18A6Q-1226-SM-7KFS9 60-69 years, male 53.8
GTEX-Y5LM-1026-SM-4VDSQ 40-49 years, female 53.8
GTEX-WFG7-1126-SM-4LMK3 20-29 years, male 53.7
GTEX-1B97I-0926-SM-731DZ 40-49 years, male 53.6
GTEX-OIZI-1426-SM-3NB1T 40-49 years, male 53.6
GTEX-1I1CD-1726-SM-A9G3P 60-69 years, female 53.6
GTEX-12696-1326-SM-5FQTJ 60-69 years, male 53.3
GTEX-X4LF-0626-SM-4QASB 50-59 years, male 53.1
GTEX-15SHU-1426-SM-6LPIN 40-49 years, female 53.0
GTEX-YFC4-1226-SM-5LU9R 40-49 years, female 52.9
GTEX-1MCYP-1026-SM-DPRYB 20-29 years, female 52.9
GTEX-1KD4Q-1126-SM-CXZKK 40-49 years, male 52.8
GTEX-14ICL-0526-SM-5RQJ6 30-39 years, male 52.7
GTEX-18D9A-0526-SM-7KFSW 30-39 years, female 52.6
GTEX-148VI-1026-SM-5TDDJ 60-69 years, female 52.5
GTEX-14PJ5-0526-SM-664OE 60-69 years, female 52.5
GTEX-1MGNQ-1626-SM-EAZ4Z 40-49 years, male 52.5
GTEX-WHSB-0426-SM-4M1XI 50-59 years, male 52.4
GTEX-183FY-1526-SM-7IGOW 20-29 years, male 52.3
GTEX-PWCY-0726-SM-48TCS 20-29 years, female 52.3
GTEX-145LV-1326-SM-5S2QI 50-59 years, male 51.9
GTEX-Y3IK-1126-SM-51MSV 50-59 years, female 51.6
GTEX-YEC3-2526-SM-CXZIH 50-59 years, male 51.6
GTEX-1AYD5-0926-SM-793AF 50-59 years, male 51.5
GTEX-QEG4-0726-SM-CNNRF 30-39 years, male 51.5
GTEX-11ZU8-1526-SM-5EGHX 60-69 years, male 51.4
GTEX-P4PQ-0626-SM-3NMCU 60-69 years, male 51.4
GTEX-1EU9M-2326-SM-7MKGS 60-69 years, male 51.2
GTEX-XMD2-1326-SM-4YCET 60-69 years, female 51.2
GTEX-1LVA9-2126-SM-DLHBY 50-59 years, male 51.1
GTEX-SUCS-0726-SM-4DM7J 70-79 years, male 51.0
GTEX-1QPFJ-1226-SM-EAZ3M 30-39 years, female 51.0
GTEX-WK11-1026-SM-4OOS8 50-59 years, male 50.9
GTEX-15RIF-0826-SM-6M47C 20-29 years, male 50.8
GTEX-1L5NE-1426-SM-DHXKV 50-59 years, male 50.8
GTEX-1GN1U-1826-SM-9JGH2 50-59 years, female 50.7
GTEX-14ICK-2026-SM-6AJB2 40-49 years, male 50.6
GTEX-ZV68-0926-SM-59HK7 50-59 years, female 50.3
GTEX-1OKEX-1326-SM-E9J2U 60-69 years, male 50.3
GTEX-XMK1-1326-SM-4B65Q 40-49 years, male 50.2
GTEX-1R9PM-0926-SM-DPRYA 20-29 years, male 50.2
GTEX-12KS4-0926-SM-5BC5S 30-39 years, male 50.1
GTEX-1F88F-1126-SM-7MKHL 60-69 years, female 50.1
GTEX-1CB4H-1526-SM-7MXU4 60-69 years, female 50.0
GTEX-1J1R8-0326-SM-AHZ3D 40-49 years, male 50.0
GTEX-1RAZR-1226-SM-E6CRD 40-49 years, male 49.8
GTEX-PWN1-0626-SM-48TDT 40-49 years, female 49.6
GTEX-WEY5-0926-SM-4LMI4 40-49 years, female 49.4
GTEX-1399U-1026-SM-5J1OC 50-59 years, female 49.2
GTEX-13PVR-1826-SM-5Q5CC 60-69 years, female 49.2
GTEX-14JIY-0926-SM-6871D 60-69 years, male 49.1
GTEX-15DCD-1626-SM-6AJBH 70-79 years, female 49.1
GTEX-1AX9J-1826-SM-731FM 60-69 years, male 49.1
GTEX-1B933-2026-SM-7EWFC 50-59 years, female 49.1
GTEX-1B996-1826-SM-7MGY6 60-69 years, male 49.1
GTEX-1MJIX-0826-SM-DTXEO 40-49 years, male 49.1
GTEX-OIZF-0626-SM-7MKHG 60-69 years, male 49.1
GTEX-1122O-1726-SM-5GICM 60-69 years, female 49.0
GTEX-W5WG-1626-SM-4LMKG 50-59 years, female 49.0
GTEX-16BQI-1526-SM-6LLIE 30-39 years, female 48.8
GTEX-OIZH-0626-SM-3NB1L 50-59 years, male 48.8
GTEX-ZXES-1126-SM-5GZXN 30-39 years, female 48.8
GTEX-139T6-0626-SM-5IFF9 50-59 years, male 48.7
GTEX-18A66-1426-SM-7KFRT 60-69 years, male 48.7
GTEX-1E1VI-1526-SM-7IGQ2 50-59 years, male 48.7
GTEX-ZT9W-1326-SM-51MTB 50-59 years, male 48.6
GTEX-1399S-1326-SM-5P9GH 30-39 years, female 48.5
GTEX-1HFI6-1226-SM-A96SK 40-49 years, male 48.5
GTEX-ZDTT-1326-SM-4WKFH 60-69 years, male 48.4
GTEX-1KANA-0626-SM-D4P3I 20-29 years, male 48.4
GTEX-1N2DW-1426-SM-EV7AZ 50-59 years, male 48.4
GTEX-QV44-1126-SM-CL55C 50-59 years, male 48.4
GTEX-1LNCM-0626-SM-EV7AI 50-59 years, female 48.3
GTEX-13OVI-2626-SM-5KM4T 60-69 years, female 48.2
GTEX-13QJ3-1726-SM-5RQK9 50-59 years, male 48.1
GTEX-WQUQ-1626-SM-4OOSH 60-69 years, male 48.1
GTEX-1J8QM-1926-SM-AHZ3Z 60-69 years, female 48.1
GTEX-13FTW-1626-SM-5KM4N 40-49 years, male 48.0
GTEX-12WSN-5013-SM-7P8P9 40-49 years, male 48.0
GTEX-OOBK-0625-SM-3LK5P 40-49 years, male 47.9
GTEX-1HBPM-1426-SM-9WPPE 60-69 years, female 47.9
GTEX-15DYW-1826-SM-6LPIY 60-69 years, female 47.8
GTEX-1HCVE-1226-SM-9WPPH 50-59 years, male 47.8
GTEX-1N2DV-2026-SM-EV7BL 40-49 years, male 47.5
GTEX-1LSNL-2226-SM-DHXKM 50-59 years, male 47.3
GTEX-1K2DA-0626-SM-CGQGO 50-59 years, male 47.2
GTEX-1PPH8-1626-SM-E6CQP 20-29 years, male 47.2
GTEX-RM2N-0726-SM-48FD5 50-59 years, male 47.1
GTEX-YEC4-1026-SM-9WG7N 40-49 years, male 47.1
GTEX-145LT-1126-SM-5LUA1 40-49 years, male 46.8
GTEX-13D11-1926-SM-5IFGB 50-59 years, female 46.7
GTEX-TKQ1-0326-SM-4DXSM 30-39 years, male 46.7
GTEX-1B8KE-1826-SM-731FD 50-59 years, male 46.6
GTEX-1H1ZS-1526-SM-9OSXR 70-79 years, male 46.6
GTEX-1LSVX-1226-SM-DHXJN 60-69 years, male 46.6
GTEX-132QS-1426-SM-5P9GE 60-69 years, male 46.5
GTEX-XBEW-1326-SM-4AT63 40-49 years, male 46.5
GTEX-1RAZA-1326-SM-DPS12 20-29 years, male 46.4
GTEX-14PJM-1526-SM-664NY 50-59 years, female 46.3
GTEX-13OW8-2326-SM-5L3I9 60-69 years, male 46.2
GTEX-1CB4E-1026-SM-793AB 60-69 years, male 46.2
GTEX-PLZ6-0526-SM-3P61C 30-39 years, male 46.1
GTEX-Q2AI-0626-SM-48TZU 40-49 years, male 46.0
GTEX-1HGF4-0926-SM-9WPP8 60-69 years, male 46.0
GTEX-OXRP-0926-SM-48TC1 60-69 years, female 45.9
GTEX-1QCLZ-1626-SM-E9U5R 60-69 years, female 45.9
GTEX-Y5V6-1026-SM-4VBS2 60-69 years, male 45.7
GTEX-1RAZQ-1726-SM-EAZ4T 30-39 years, male 45.7
GTEX-12C56-1226-SM-5FQSU 20-29 years, male 45.6
GTEX-18D9U-2126-SM-7LG4Y 40-49 years, male 45.6
GTEX-1CB4I-1026-SM-7MKFZ 50-59 years, male 45.6
GTEX-WHPG-1126-SM-4M1XT 50-59 years, male 45.6
GTEX-ZVT2-1326-SM-5E45H 50-59 years, female 45.6
GTEX-1IY9M-1626-SM-AHZ39 60-69 years, male 45.5
GTEX-1LG7Z-0926-SM-CXKYK 30-39 years, male 45.5
GTEX-ZF29-1326-SM-DNZYV 60-69 years, female 45.5
GTEX-15SB6-0726-SM-6M48F 50-59 years, female 45.4
GTEX-1I1GQ-1726-SM-B2LWZ 50-59 years, male 45.4
GTEX-11DXY-1426-SM-5N9CN 60-69 years, male 45.3
GTEX-O5YV-1026-SM-3LK72 60-69 years, female 45.2
GTEX-1H23P-1426-SM-9JGH5 60-69 years, male 45.1
GTEX-R55E-1326-SM-48FCR 20-29 years, male 45.0
GTEX-ZTSS-0626-SM-59867 40-49 years, male 45.0
GTEX-S33H-0826-SM-4AD5Y 30-39 years, male 44.9
GTEX-ZAK1-1526-SM-5S2OV 50-59 years, female 44.9
GTEX-ZC5H-1326-SM-5HL7E 40-49 years, female 44.9
GTEX-17HHE-0926-SM-7938K 50-59 years, male 44.8
GTEX-OIZG-1026-SM-3LK5X 50-59 years, male 44.8
GTEX-15F5U-5010-SM-AHZ2D 40-49 years, male 44.8
GTEX-WYJK-1926-SM-4ONDP 50-59 years, male 44.6
GTEX-1F7RK-1526-SM-7P8T6 20-29 years, female 44.6
GTEX-1JKYN-1526-SM-CGQGA 30-39 years, male 44.6
GTEX-1LVAN-2326-SM-CNNPY 50-59 years, female 44.6
GTEX-ZLWG-1326-SM-DNZYZ 50-59 years, female 44.6
GTEX-17MFQ-0526-SM-7KFTX 20-29 years, male 44.5
GTEX-WRHK-0526-SM-4MVOF 20-29 years, female 44.5
GTEX-1A8FM-1526-SM-7MXTA 50-59 years, female 44.5
GTEX-UPJH-1026-SM-EAZB2 50-59 years, male 44.4
GTEX-12ZZW-1726-SM-5DUVD 50-59 years, male 44.3
GTEX-13FTX-0526-SM-5IFGS 20-29 years, female 44.2
GTEX-14C38-2126-SM-5RQJO 50-59 years, male 44.2
GTEX-QEG5-1426-SM-447AS 20-29 years, male 44.2
GTEX-1IDJD-1626-SM-C1YRC 30-39 years, male 44.2
GTEX-T6MO-0526-SM-4DM6R 40-49 years, female 44.1
GTEX-WYVS-0726-SM-4ONDO 40-49 years, female 44.1
GTEX-ZPU1-1426-SM-4WWFU 40-49 years, male 44.1
GTEX-V1D1-1026-SM-4JBHE 50-59 years, male 44.0
GTEX-12WSD-1826-SM-5GCOA 60-69 years, female 43.9
GTEX-13PL7-0226-SM-731DT 60-69 years, female 43.9
GTEX-13YAN-1926-SM-7EPH9 60-69 years, male 43.9
GTEX-T2IS-0826-SM-4DM6L 20-29 years, female 43.8
GTEX-14PJ3-0626-SM-6UGC5 50-59 years, male 43.8
GTEX-ZYY3-1526-SM-5SIA9 60-69 years, female 43.7
GTEX-R55G-1026-SM-48FDI 40-49 years, female 43.6
GTEX-1F52S-1426-SM-7P8PU 60-69 years, female 43.6
GTEX-1GMR3-1526-SM-9JGGL 40-49 years, male 43.6
GTEX-13PVQ-1726-SM-5IFF3 50-59 years, male 43.5
GTEX-1AMFI-0226-SM-731D5 50-59 years, female 43.4
GTEX-NFK9-1126-SM-3LK78 40-49 years, male 43.4
GTEX-U3ZH-1026-SM-4DXUZ 30-39 years, male 43.4
GTEX-1CB4F-1526-SM-7MKFM 60-69 years, male 43.3
GTEX-PLZ4-1626-SM-3P618 50-59 years, female 43.3
GTEX-V955-1126-SM-4JBH3 60-69 years, male 43.3
GTEX-WFG8-1226-SM-4V6EI 20-29 years, male 43.3
GTEX-1GF9U-0826-SM-7MXTZ 40-49 years, female 43.3
GTEX-13OVG-0626-SM-5IFEP 60-69 years, male 43.2
GTEX-1AX9K-1126-SM-731DQ 50-59 years, male 43.2
GTEX-QCQG-0626-SM-48U21 50-59 years, female 43.2
GTEX-ZTX8-0226-SM-5E44D 20-29 years, male 43.2
GTEX-1GTWX-1326-SM-9JGHU 60-69 years, male 43.2
GTEX-14H4A-1626-SM-5SI69 40-49 years, female 43.1
GTEX-RTLS-1126-SM-46MUQ 60-69 years, female 43.1
GTEX-XBED-1026-SM-48TCB 60-69 years, male 43.1
GTEX-ZYT6-1126-SM-5GZYR 30-39 years, male 43.1
GTEX-131YS-1426-SM-5IJF7 60-69 years, female 43.0
GTEX-ZYVF-2226-SM-5GIDD 50-59 years, female 43.0
GTEX-12WSA-1426-SM-5EGJU 60-69 years, male 42.9
GTEX-ZVP2-1326-SM-57WCE 50-59 years, male 42.9
GTEX-16NPX-1626-SM-6LLI5 50-59 years, male 42.8
GTEX-1C2JI-1126-SM-731FH 50-59 years, male 42.8
GTEX-XXEK-0326-SM-4BRVV 50-59 years, male 42.8
GTEX-XYKS-1526-SM-4BRUP 60-69 years, female 42.8
GTEX-ZG7Y-1126-SM-4WWEZ 50-59 years, male 42.8
GTEX-QDVN-1026-SM-48TZA 50-59 years, male 42.7
GTEX-133LE-0626-SM-5IFFJ 20-29 years, female 42.6
GTEX-13RTK-0526-SM-5S2QF 20-29 years, male 42.6
GTEX-12WSL-1526-SM-5GCP8 50-59 years, male 42.5
GTEX-RWS6-0826-SM-47JXF 60-69 years, female 42.5
GTEX-1J1OQ-2526-SM-AHZ3Q 40-49 years, female 42.5
GTEX-1497J-2726-SM-5SI9W 60-69 years, male 42.3
GTEX-YECK-1626-SM-5IFHQ 60-69 years, male 42.3
GTEX-15EU6-1626-SM-6LPKF 50-59 years, male 42.2
GTEX-183WM-1726-SM-7KFT5 70-79 years, female 42.2
GTEX-X3Y1-1326-SM-4PQZB 40-49 years, male 42.2
GTEX-1JKYR-2126-SM-CNNPC 20-29 years, male 42.2
GTEX-13G51-0926-SM-5IFFU 60-69 years, male 42.1
GTEX-PVOW-1626-SM-48TC9 40-49 years, male 42.1
GTEX-TMMY-1126-SM-4DXSX 40-49 years, female 42.1
GTEX-WH7G-0926-SM-4LVMJ 40-49 years, male 42.1
GTEX-1IKK5-1326-SM-AHZ2X 60-69 years, male 42.1
GTEX-1M5QR-0726-SM-DHXK7 40-49 years, male 42.1
GTEX-1QP9N-0926-SM-E9U5S 30-39 years, male 42.1
GTEX-SE5C-1226-SM-4BRWV 40-49 years, female 42.0
GTEX-1MA7W-0426-SM-E9TJ5 20-29 years, female 42.0
GTEX-1N2EE-2426-SM-EXOIO 60-69 years, male 42.0
GTEX-131XG-1026-SM-5GCMX 50-59 years, female 41.9
GTEX-1MCC2-1926-SM-DHXJR 30-39 years, female 41.9
GTEX-12WSK-1126-SM-5LZV8 40-49 years, female 41.8
GTEX-139TU-1226-SM-5J2NL 60-69 years, male 41.8
GTEX-ZDYS-0826-SM-4WWCR 50-59 years, male 41.8
GTEX-1HKZK-1426-SM-A96U1 40-49 years, male 41.8
GTEX-16AAH-0726-SM-793A9 50-59 years, male 41.7
GTEX-16NGA-1426-SM-718AC 40-49 years, female 41.7
GTEX-1399R-0826-SM-5IJEL 30-39 years, male 41.6
GTEX-1KXAM-0826-SM-CXZK9 60-69 years, male 41.6
GTEX-15EOM-5013-SM-7MKF9 20-29 years, female 41.5
GTEX-1JMPY-0826-SM-AHZ4A 30-39 years, male 41.5
GTEX-11TT1-0526-SM-5P9JO 20-29 years, male 41.3
GTEX-1OJC3-0826-SM-DPRYU 20-29 years, male 41.3
GTEX-ZLFU-1126-SM-DO11K 40-49 years, male 41.3
GTEX-13SLX-1726-SM-5Q5E5 50-59 years, female 41.2
GTEX-1GPI7-1026-SM-7MGY2 20-29 years, male 41.2
GTEX-11P81-0826-SM-5P9GR 30-39 years, female 41.1
GTEX-1F5PK-1526-SM-7MKGV 50-59 years, male 41.1
GTEX-TML8-1526-SM-4DXUX 40-49 years, female 41.1
GTEX-XK95-1026-SM-4GIDV 40-49 years, male 41.1
GTEX-1HSMQ-2026-SM-B2LY1 50-59 years, male 41.1
GTEX-11EQ9-0726-SM-5A5K2 30-39 years, male 41.0
GTEX-11TUW-1326-SM-5EQKV 60-69 years, male 40.9
GTEX-15RIE-0826-SM-6M47X 60-69 years, male 40.9
GTEX-1NUQO-1126-SM-DTX98 20-29 years, female 40.9
GTEX-WHSE-1526-SM-4M1XH 20-29 years, male 40.8
GTEX-ZF2S-1226-SM-4WWAX 50-59 years, female 40.8
GTEX-1GMR2-1526-SM-7MXV6 50-59 years, male 40.8
GTEX-13O3Q-0826-SM-5IFGF 50-59 years, male 40.7
GTEX-RU72-0726-SM-46MUW 50-59 years, female 40.7
GTEX-11DXX-1126-SM-5GZZK 60-69 years, female 40.6
GTEX-R3RS-1326-SM-48FE7 40-49 years, female 40.6
GTEX-11I78-1526-SM-5A5K7 50-59 years, female 40.5
GTEX-14PJ6-1026-SM-686ZB 60-69 years, female 40.5
GTEX-QEL4-1426-SM-447AC 50-59 years, male 40.5
GTEX-132AR-2226-SM-5J2NT 50-59 years, female 40.4
GTEX-13FHO-1726-SM-DPRZX 60-69 years, male 40.4
GTEX-11LCK-1726-SM-5S2OQ 30-39 years, male 40.3
GTEX-11P82-0526-SM-5986P 20-29 years, male 40.3
GTEX-14PJN-0526-SM-68724 30-39 years, male 40.3
GTEX-145LS-1826-SM-5LUAZ 60-69 years, female 40.2
GTEX-147F3-0826-SM-5NQA7 50-59 years, female 40.2
GTEX-16MT8-1326-SM-6M47R 60-69 years, female 40.2
GTEX-X4EO-1226-SM-4QARR 60-69 years, female 40.2
GTEX-1JK1U-1726-SM-CNNPM 60-69 years, male 40.2
GTEX-1QP2A-1926-SM-EXOJ9 50-59 years, male 40.2
GTEX-1EMGI-1926-SM-7938Y 60-69 years, male 40.1
GTEX-U4B1-0826-SM-4DXTW 40-49 years, male 40.1
GTEX-Y5V5-1626-SM-4VDSG 60-69 years, female 40.1
GTEX-REY6-1326-SM-48FDO 60-69 years, male 40.0
GTEX-11DXZ-1226-SM-5H11L 50-59 years, male 39.9
GTEX-14PJ4-1526-SM-664OA 60-69 years, male 39.9
GTEX-1HBPH-1126-SM-A96TU 40-49 years, female 39.9
GTEX-1A32A-1826-SM-72D5G 50-59 years, female 39.8
GTEX-1C475-0926-SM-7MKFI 40-49 years, female 39.8
GTEX-WXYG-1226-SM-4ONCJ 50-59 years, female 39.8
GTEX-Y8E4-1726-SM-5LU9G 40-49 years, male 39.8
GTEX-Y8LW-0726-SM-5IFI1 50-59 years, female 39.8
GTEX-1AMEY-0226-SM-7189Q 30-39 years, female 39.7
GTEX-SNMC-0526-SM-4DM69 20-29 years, male 39.7
GTEX-YB5K-0826-SM-5YYB7 40-49 years, female 39.7
GTEX-1IKOE-1526-SM-C1YSD 30-39 years, female 39.7
GTEX-S7SF-0926-SM-4AD4M 20-29 years, female 39.6
GTEX-1JMQK-2026-SM-C1YQN 60-69 years, male 39.6
GTEX-XQ8I-1526-SM-4BOOH 50-59 years, male 39.5
GTEX-Y114-0926-SM-4TT7J 50-59 years, female 39.5
GTEX-14AS3-0626-SM-5QGQD 40-49 years, female 39.4
GTEX-S3XE-0926-SM-4AD4S 50-59 years, male 39.4
GTEX-T5JC-1726-SM-4DM6U 20-29 years, male 39.4
GTEX-U3ZM-0526-SM-4DXTB 40-49 years, male 39.4
GTEX-ZLV1-0526-SM-4WWD4 60-69 years, female 39.4
GTEX-1QP28-1826-SM-EAZ4L 50-59 years, female 39.4
GTEX-15UF7-0926-SM-6M46F 40-49 years, male 39.3
GTEX-RNOR-1226-SM-48FDQ 50-59 years, female 39.3
GTEX-15ER7-2126-SM-7939E 20-29 years, female 39.2
GTEX-14PHY-0626-SM-664NN 60-69 years, female 39.0
GTEX-1BAJH-2026-SM-7P8OZ 70-79 years, male 39.0
GTEX-1PFEY-0826-SM-E9U6A 30-39 years, male 39.0
GTEX-1B8KZ-0726-SM-7938W 50-59 years, male 38.9
GTEX-R45C-1226-SM-48FEE 60-69 years, female 38.9
GTEX-S341-0526-SM-4AD5U 40-49 years, female 38.9
GTEX-SNOS-0626-SM-4DM5F 40-49 years, male 38.7
GTEX-XQ3S-1126-SM-4BOPK 20-29 years, male 38.7
GTEX-ZF3C-1626-SM-4WWB4 50-59 years, female 38.7
GTEX-1F75I-1726-SM-7MKGW 40-49 years, male 38.6
GTEX-17F96-2526-SM-7DHL3 70-79 years, male 38.5
GTEX-14B4R-0326-SM-5TDDP 30-39 years, male 38.4
GTEX-ZQUD-0426-SM-57WFR 30-39 years, male 38.4
GTEX-13FH7-0526-SM-5IJF8 50-59 years, female 38.3
GTEX-R53T-1126-SM-48FD4 50-59 years, female 38.3
GTEX-1R7EU-0826-SM-DPRZL 60-69 years, male 38.3
GTEX-1I4MK-0426-SM-B2LWQ 50-59 years, female 38.2
GTEX-131XF-0826-SM-5GICG 60-69 years, male 38.1
GTEX-1C64O-1826-SM-7DHM4 60-69 years, male 38.1
GTEX-XUZC-0426-SM-4BOPE 30-39 years, female 38.1
GTEX-QDVJ-0726-SM-48U1W 50-59 years, male 38.0
GTEX-ZGAY-1126-SM-4WWBS 40-49 years, female 38.0
GTEX-1B97J-1026-SM-7MXTE 50-59 years, female 38.0
GTEX-1H1DE-1026-SM-9JGH6 20-29 years, male 38.0
GTEX-X4EP-1626-SM-4QAS6 60-69 years, female 37.9
GTEX-1LGOU-0526-SM-D3LAO 20-29 years, female 37.9
GTEX-13QBU-1026-SM-5LU3R 40-49 years, female 37.8
GTEX-R55C-0826-SM-48FCL 40-49 years, male 37.8
GTEX-14DAQ-1426-SM-5RQJD 60-69 years, female 37.7
GTEX-111CU-0726-SM-5GZYD 50-59 years, male 37.6
GTEX-13U4I-1126-SM-5LU3S 40-49 years, female 37.6
GTEX-PLZ5-0926-SM-3TW8L 50-59 years, male 37.6
GTEX-QVUS-0626-SM-447CC 60-69 years, female 37.6
GTEX-11EM3-0826-SM-5N9CC 20-29 years, female 37.5
GTEX-13111-0826-SM-5LZV3 50-59 years, male 37.5
GTEX-16XZY-0926-SM-7938M 70-79 years, male 37.5
GTEX-11NSD-1126-SM-5N9BQ 20-29 years, male 37.4
GTEX-13X6H-1326-SM-5LU42 50-59 years, female 37.4
GTEX-1A3MV-1326-SM-7LG6C 30-39 years, male 37.4
GTEX-S4Q7-0626-SM-4AD5M 20-29 years, male 37.4
GTEX-15ETS-1926-SM-7KUN5 40-49 years, female 37.3
GTEX-145MO-1426-SM-DTX9W 60-69 years, male 37.3
GTEX-12BJ1-1626-SM-5HL8Y 60-69 years, male 37.2
GTEX-Z9EW-0526-SM-5HL8S 40-49 years, male 37.2
GTEX-13X6K-2126-SM-5O9D4 60-69 years, female 37.1
GTEX-15UF6-2326-SM-6M465 70-79 years, female 37.1
GTEX-11VI4-0526-SM-5EQ48 40-49 years, female 37.0
GTEX-144FL-2726-SM-5O98Z 50-59 years, male 37.0
GTEX-14PK6-1326-SM-686ZE 70-79 years, female 37.0
GTEX-VUSG-1226-SM-4KKZF 50-59 years, male 36.9
GTEX-144GN-0626-SM-5O9B2 50-59 years, male 36.8
GTEX-ZPCL-1426-SM-57WEC 60-69 years, female 36.8
GTEX-11EMC-2226-SM-5A5JW 60-69 years, female 36.7
GTEX-WFON-0826-SM-4LVMI 40-49 years, male 36.7
GTEX-145ME-5004-SM-7MGXP 40-49 years, female 36.7
GTEX-13O1R-1326-SM-5IJF5 60-69 years, male 36.6
GTEX-P4PP-0626-SM-3NM9X 30-39 years, female 36.6
GTEX-TSE9-1226-SM-4DXTM 60-69 years, female 36.6
GTEX-U3ZN-1726-SM-4DXUQ 30-39 years, female 36.4
GTEX-ZAJG-1326-SM-5S2NV 50-59 years, female 36.4
GTEX-1QCLY-1526-SM-DPRXX 30-39 years, male 36.4
GTEX-WOFM-0626-SM-4OOS3 20-29 years, male 36.3
GTEX-1GN1W-2226-SM-9JGI5 50-59 years, female 36.3
GTEX-1LGRB-1626-SM-CNNR7 50-59 years, female 36.3
GTEX-111YS-0926-SM-5EGGI 60-69 years, male 36.2
GTEX-146FQ-1026-SM-5LU8I 30-39 years, male 36.2
GTEX-N7MT-0326-SM-48TDP 60-69 years, female 36.2
GTEX-ZYFC-1626-SM-5N9EU 50-59 years, male 36.1
GTEX-1QP29-2126-SM-E6CPZ 50-59 years, male 36.1
GTEX-11XUK-0826-SM-5GU6P 40-49 years, female 36.0
GTEX-13OVK-1126-SM-6PAMR 40-49 years, male 36.0
GTEX-P4QS-0626-SM-3NMD1 60-69 years, male 36.0
GTEX-13W3W-1626-SM-5LU35 60-69 years, female 35.9
GTEX-QESD-0826-SM-47J4G 20-29 years, male 35.9
GTEX-X585-1226-SM-46MW7 50-59 years, male 35.9
GTEX-XGQ4-1526-SM-4AT6H 50-59 years, male 35.9
GTEX-ZZ64-0226-SM-5E44X 20-29 years, male 35.8
GTEX-1IDJF-1226-SM-C1YPX 20-29 years, male 35.8
GTEX-QLQ7-0926-SM-447BC 60-69 years, male 35.7
GTEX-1I1GU-1426-SM-B2LX3 40-49 years, male 35.7
GTEX-14JG6-0926-SM-6871Y 30-39 years, female 35.6
GTEX-OHPN-1026-SM-E9TI8 60-69 years, female 35.6
GTEX-ZAB4-1126-SM-5HL86 40-49 years, male 35.5
GTEX-13CF3-1626-SM-5IFG9 60-69 years, female 35.4
GTEX-P4QT-0626-SM-3NMCP 50-59 years, female 35.4
GTEX-1JMQJ-1226-SM-D3L97 50-59 years, male 35.4
GTEX-1QP67-0726-SM-DPRY1 40-49 years, female 35.4
GTEX-12ZZX-1326-SM-5DUWI 40-49 years, female 35.3
GTEX-169BO-0526-SM-793AK 50-59 years, male 35.3
GTEX-Y9LG-0626-SM-4WWDH 30-39 years, male 35.3
GTEX-1R9K5-1526-SM-DPRZA 50-59 years, male 35.3
GTEX-13JVG-2026-SM-5KM1N 60-69 years, male 35.2
GTEX-144GM-1426-SM-5LU31 20-29 years, male 35.1
GTEX-X15G-0826-SM-4PQZD 50-59 years, female 35.1
GTEX-YF7O-0926-SM-5IFIF 50-59 years, male 35.1
GTEX-14E1K-1226-SM-5S2PD 50-59 years, male 35.0
GTEX-178AV-0526-SM-6LPJH 40-49 years, male 35.0
GTEX-144GO-2726-SM-5O9A2 60-69 years, male 34.9
GTEX-S32W-0926-SM-4AD5X 50-59 years, female 34.9
GTEX-1GN73-1926-SM-9JGGS 60-69 years, male 34.9
GTEX-1AX8Z-5016-SM-AHZ2B 60-69 years, male 34.8
GTEX-12WSG-5007-SM-7DUGZ 50-59 years, female 34.7
GTEX-13O21-0626-SM-5IJDI 50-59 years, male 34.7
GTEX-13S86-0826-SM-5SI6J 40-49 years, male 34.7
GTEX-15RJ7-0926-SM-6LPJO 40-49 years, male 34.7
GTEX-1LBAC-1226-SM-DHXK1 20-29 years, male 34.7
GTEX-146FH-1726-SM-5QGQ2 50-59 years, female 34.6
GTEX-UJHI-0826-SM-4IHLM 50-59 years, female 34.5
GTEX-14C5O-1626-SM-73KYH 60-69 years, male 34.4
GTEX-13OVJ-1226-SM-5L3HA 50-59 years, female 34.3
GTEX-QLQW-0526-SM-4R1KS 30-39 years, male 34.3
GTEX-17EUY-1426-SM-7938X 20-29 years, male 34.2
GTEX-PSDG-1326-SM-48TD2 50-59 years, male 34.2
GTEX-UJMC-0926-SM-4IHLK 50-59 years, male 34.2
GTEX-XLM4-2326-SM-4AT5E 60-69 years, male 34.2
GTEX-1R9JW-1526-SM-DPRZK 30-39 years, female 34.1
GTEX-Y111-1626-SM-57WCY 50-59 years, male 34.0
GTEX-13NYB-0926-SM-5IFFA 40-49 years, male 33.9
GTEX-N7MS-1225-SM-3LK5G 60-69 years, male 33.9
GTEX-1HBPI-0626-SM-9WPP4 50-59 years, male 33.7
GTEX-1JMPZ-2026-SM-C1YR8 30-39 years, male 33.7
GTEX-16A39-1026-SM-6LPJU 30-39 years, female 33.6
GTEX-ZEX8-1426-SM-4WKHQ 50-59 years, male 33.6
GTEX-17F9E-1926-SM-7IGQF 50-59 years, male 33.5
GTEX-1GL5R-1526-SM-7MKHO 50-59 years, male 33.5
GTEX-UPK5-1226-SM-4IHL8 40-49 years, male 33.5
GTEX-1C6VQ-1826-SM-7EWEH 50-59 years, male 33.4
GTEX-T5JW-1326-SM-4DM5G 20-29 years, female 33.4
GTEX-WFJO-0826-SM-4LVM5 30-39 years, male 33.4
GTEX-139YR-1726-SM-5IFFK 50-59 years, male 33.3
GTEX-VJYA-0726-SM-4KL1T 60-69 years, male 33.1
GTEX-132Q8-1826-SM-5EGIY 60-69 years, male 33.0
GTEX-15EO6-1026-SM-7KUG9 50-59 years, male 32.8
GTEX-1ICG6-1926-SM-ARU7L 70-79 years, female 32.8
GTEX-1R9K4-1926-SM-DPRZW 60-69 years, male 32.8
GTEX-OXRL-0626-SM-3NM9C 50-59 years, male 32.7
GTEX-ZAB5-0926-SM-5CVMV 50-59 years, male 32.7
GTEX-1F5PL-1726-SM-9QEGL 40-49 years, female 32.7
GTEX-S95S-0426-SM-4B64I 60-69 years, male 32.6
GTEX-ZTPG-1626-SM-5DUX2 20-29 years, female 32.5
GTEX-1HCU7-2126-SM-A96SG 50-59 years, male 32.5
GTEX-17F98-1726-SM-7938O 40-49 years, female 32.4
GTEX-1I1GS-2126-SM-ARU7G 60-69 years, male 32.4
GTEX-145MN-1026-SM-5NQ9G 30-39 years, male 32.3
GTEX-1CB4J-2426-SM-7MXVC 60-69 years, male 32.3
GTEX-11GSP-1826-SM-5N9DQ 60-69 years, female 32.1
GTEX-ZVE2-1326-SM-5NQ94 50-59 years, male 32.1
GTEX-13FLV-1126-SM-5J2NO 50-59 years, male 31.9
GTEX-17HGU-1426-SM-7938G 50-59 years, male 31.8
GTEX-17F97-1326-SM-7MGVO 50-59 years, male 31.4
GTEX-1GMR8-1826-SM-9WYUE 50-59 years, female 31.4
GTEX-1H11D-2126-SM-9OSXM 40-49 years, male 31.4
GTEX-131XE-1426-SM-5HL7V 50-59 years, male 31.3
GTEX-Y3I4-1226-SM-4TT8N 50-59 years, male 31.2
GTEX-ZA64-0626-SM-5HL9O 20-29 years, male 31.1
GTEX-1HCUA-1426-SM-9WPP7 50-59 years, female 31.1
GTEX-S4P3-0426-SM-4AD56 50-59 years, female 30.8
GTEX-15DCE-1326-SM-6LPJL 20-29 years, male 30.7
GTEX-NPJ8-1926-SM-3MJGB 40-49 years, male 30.7
GTEX-14E6E-0726-SM-5S2R3 30-39 years, male 30.6
GTEX-11DZ1-2026-SM-5A5KG 50-59 years, male 30.5
GTEX-1LVAM-1126-SM-DHXKP 50-59 years, female 30.5
GTEX-13X6I-1026-SM-5LU4C 60-69 years, male 30.4
GTEX-1H3VY-2026-SM-9JGHK 50-59 years, male 30.4
GTEX-1QW4Y-0526-SM-EAZ3V 30-39 years, male 30.3
GTEX-139UW-1126-SM-5IJEJ 60-69 years, male 29.9
GTEX-1211K-0926-SM-5FQTL 60-69 years, female 29.7
GTEX-ZY6K-0626-SM-59HJL 50-59 years, male 29.7
GTEX-1K9T9-2026-SM-CXZK3 50-59 years, female 29.7
GTEX-WHWD-0926-SM-4OORY 50-59 years, male 29.4
GTEX-17KNJ-1326-SM-7KFTG 50-59 years, male 29.3
GTEX-RU1J-0326-SM-46MUM 20-29 years, female 29.3
GTEX-14BIM-1326-SM-7EWD1 60-69 years, female 29.2
GTEX-U8XE-1726-SM-4E3IF 30-39 years, male 29.2
GTEX-ZYFG-1126-SM-5GICY 60-69 years, female 29.1
GTEX-1HC8U-1526-SM-9WPO4 40-49 years, female 29.1
GTEX-16MTA-0826-SM-6LLIC 50-59 years, male 28.9
GTEX-145MF-1426-SM-5O9B6 50-59 years, male 28.8
GTEX-1HCU8-2226-SM-9WPOV 60-69 years, female 28.6
GTEX-ZYW4-1326-SM-5E45N 60-69 years, male 28.3
GTEX-1H3NZ-1326-SM-9JGHI 60-69 years, male 28.2
GTEX-P78B-1026-SM-3NMC4 40-49 years, female 27.9
GTEX-146FR-0426-SM-5SI97 60-69 years, female 27.8
GTEX-1HSGN-1626-SM-A96U2 40-49 years, female 27.4
GTEX-1KANB-1826-SM-DHXJU 50-59 years, male 26.9
GTEX-Q2AH-0826-SM-48TZN 40-49 years, male 26.4
GTEX-RUSQ-0826-SM-47JWW 50-59 years, male 26.1
GTEX-11DYG-1326-SM-5N9DO 60-69 years, male 25.4
GTEX-1JMLX-2326-SM-CXZJP 50-59 years, male 25.3
GTEX-XV7Q-1126-SM-4BRVS 40-49 years, female 24.9
GTEX-13O61-0926-SM-5IFFE 60-69 years, male 24.8
GTEX-14BMU-0926-SM-5S2QB 20-29 years, female 24.6
GTEX-R55D-1126-SM-48FEB 50-59 years, male 24.4
GTEX-1I6K7-1426-SM-B2LXP 40-49 years, male 23.6
GTEX-1I1GP-1026-SM-C1YRZ 50-59 years, male 23.2
GTEX-ZT9X-0526-SM-5GCOP 40-49 years, male 23.0
GTEX-ZZPT-1426-SM-5N9C5 50-59 years, male 23.0
GTEX-Q2AG-1326-SM-43V8K 40-49 years, female 20.9
Show allShow less

ESOPHAGUS - FANTOM5 CAGEi

RNA expression in human tissues obtained through Cap Analysis of Gene Expression (CAGE) generated by the FANTOM5 project are reported as Scaled Tags Per Million.

Max subtype Scaled Tags Per Millioni

Max subtype Scaled Tags Per Million is the value for the subtype with the largest average Scaled Tags Per Million across the subtype samples.

89.0
FANTOM5 sample id Sample description Scaled Tags Per Million
Esophagus
Scaled Tags Per Million: 89.0
FF:10015-101C6 68,74,75 years, mixed 89.0

Contact

  • NEWS ARTICLES
  • PRESS ROOM

The Project

  • INTRODUCTION
  • ORGANIZATION
  • PUBLICATIONS

The Human Protein Atlas

  • DOWNLOADABLE DATA
  • LICENCE & CITATION
  • HELP & FAQ
The Human Protein Atlas project is funded
by the Knut & Alice Wallenberg Foundation.


contact@proteinatlas.org