We use cookies to enhance the usability of our website. If you continue, we'll assume that you are happy to receive all cookies. More information. Don't show this again.
USB1
HPA
RESOURCES
  • TISSUE
  • BRAIN
  • SINGLE CELL
  • SUBCELLULAR
  • CANCER
  • BLOOD
  • CELL LINE
  • STRUCTURE & INTERACTION
ABOUT
  • INTRODUCTION
  • HISTORY
  • ORGANIZATION
  • PUBLICATIONS
  • ANTIBODY SUBMISSION
  • ANTIBODY AVAILABILITY
  • ACKNOWLEDGMENTS
  • CONTACT
NEWS
  • NEWS ARTICLES
  • PRESS ROOM
LEARN
  • DICTIONARY
  • PROTEIN CLASSES
  • PROTEIN EVIDENCE
  • METHODS
  • EDUCATIONAL VIDEOS
DATA
  • DOWNLOADABLE DATA
  • PUBLICATION DATA
  • RELEASE HISTORY
HELP
  • ANTIBODY VALIDATION
  • ASSAYS & ANNOTATION
  • DISCLAIMER
  • HELP & FAQ
  • PRIVACY STATEMENT
  • LICENCE & CITATION
Fields »
Search result

Field
Term
Gene name
Class
Subclass
Class
Keyword
Chromosome
External id
Tissue
Cell type
Expression
Antibody panel
Tissue
Main location
Patient ID
Annotation
Tissue
Category
Tau score
Cluster
Reliability
Brain region
Category
Tau score
Brain region
Category
Tau score
Brain region
Category
Tau score
Cluster
Reliability
Tissue
Cell type
Enrichment
Cell type
Category
Tau score
Cell type
Category
Tau score
Cell type
Category
Tau score
Cell lineage
Category
Tau score
Cluster
Cluster
Location
Searches
Location
Cell line
Class
Type
Phase
Reliability
Cancer
Prognosis
Cancer
Category
Cancer
Category
Tau score
Cluster
Variants
Interacting gene (ensg_id)
Type
Number of interactions
Pathway
Category
Score
Score
Score
Validation
Validation
Validation
Validation
Antibodies
Data type
Column


  • SUMMARY

  • TISSUE

  • BRAIN

  • SINGLE CELL

  • SUBCELL

  • CANCER

  • BLOOD

  • CELL LINE

  • STRUCT & INT

  • USB1
TISSUE PRIMARY DATA PANCREAS Show tissue menu
ADIPOSE TISSUE ADRENAL GLAND AMYGDALA APPENDIX BASAL GANGLIA BONE MARROW BREAST BRONCHUS CEREBELLUM CEREBRAL CORTEX CERVIX CHOROID PLEXUS COLON DUODENUM
ENDOMETRIUM EPIDIDYMIS ESOPHAGUS FALLOPIAN TUBE GALLBLADDER HEART MUSCLE HIPPOCAMPAL FORMATION HYPOTHALAMUS KIDNEY LIVER LUNG LYMPH NODE MIDBRAIN NASOPHARYNX
ORAL MUCOSA OVARY PANCREAS PARATHYROID GLAND PITUITARY GLAND PLACENTA PROSTATE RECTUM RETINA SALIVARY GLAND SEMINAL VESICLE SKELETAL MUSCLE SKIN SMALL INTESTINE
SMOOTH MUSCLE SOFT TISSUE SPINAL CORD SPLEEN STOMACH TESTIS THYMUS THYROID GLAND TONGUE TONSIL URINARY BLADDER VAGINA
ANTIBODIES
AND
VALIDATION
Dictionary
Pancreas
Tissue proteome
Pancreas
PANCREAS - Expression summary
Protein expression
Pancreasi

On the top, protein expression in current human tissue, based on all annotated cell types, is reported with the units not detected (n), low (l), medium (m) and high (h). Underneath, protein expression in each annotated cell type are reported using the same units.

Protein expression data is based on knowledge-based annotation. For genes where more than one antibody has been used, a collective score is set.

If knowledge-based annotation could not be performed for a gene, no data is displayed here. View antibody staining data further down this page.

h
m
l
n
Exocrine glandular cells: Low
Pancreatic endocrine cells: Low
RNA expressioni

A summary of mRNA expression data available for current tissue based on several datasets. The mRNA expression levels in human tissues are based on RNA-seq data generated by the Human Protein Atlas (HPA), Genotype-Tissue Expression (GTEx) portal and CAGE data generated by the FANTOM5 consortium. Consensus normalized expression levels for human tissues was created by combining the data from HPA and GTEx datasets.

The mRNA expression levels in pig are based on RNA-seq data generated by the Human Protein Atlas (HPA), and for mouse, HPA data and in situ hybridization generated by the Allen brain atlas are reported.

Scroll down to view mRNA expression data in more detail.
Consensus:17.1 nTPM
HPA:12.4 nTPM
GTEx:17.1 nTPM
FANTOM5:32.7 Scaled Tags Per Million

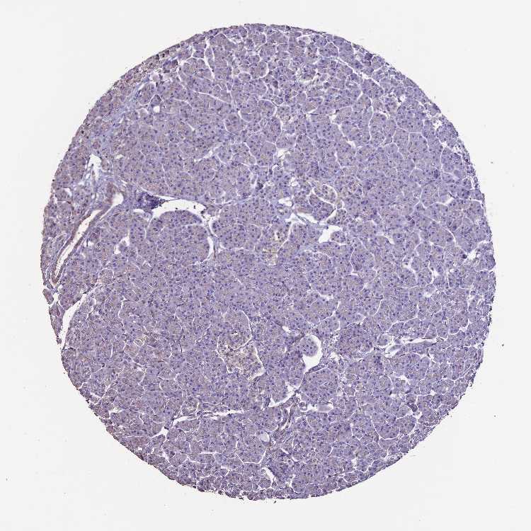
PANCREAS - Antibody stainingi

Antibody staining in the annotated cell types in the current human tissue is reported as not detected, low, medium, or high, based on conventional immunohistochemistry profiling in selected tissues. This score is based on the combination of the staining intensity and fraction of stained cells.

Each image is clickable and will lead to virtual microscopy that enables deeper exploration of all samples and also displays staining intensity scores, fraction scores and subcellular localization as well as patient and tissue information for each sample.

Antibody HPA041791
Exocrine glandular cells Low
Pancreatic endocrine cells Low



PANCREAS - HPA RNA-seqi

The RNA-seq details section shows detailed information about the individual samples used for the transcript profiling and results of the RNA-seq analysis.

Information about each individual sample is listed below, including gender, age, a tissue section image and estimated fractions of cell types. nTPM (normalized transcripts per million) values give a quantification of the gene abundance which is comparable between different genes and samples.
Average nTPMi

Max subtype nTPM is the value for the subtype with the largest average nTPM across the subtype samples.

12.4
overview
Female, age 59
Pancreas sample 194
nTPM: 13.4
Cell types%
Exocrine glandular cells:
75

Pancreatic endocrine cells:
10

Ductal cells:
5

Other cell types:
10

overview
Male, age 60
Pancreas sample 195
nTPM: 11.5
Cell types%
Exocrine glandular cells:
90

Pancreatic endocrine cells:
5

Ductal cells:
5


PANCREAS - GTEx RNA-seqi

RNA-Seq data generated by the Genotype-Tissue Expression (GTEx) project from human tissues is reported as mean nTPM. More information can be found on the GTEx portal.

Distribution across the dataset is visualized with box plots, shown as median and 25th and 75th percentiles. Points are displayed as outliers if they are above or below 1.5 times the interquartile range. nTPM values of the individual samples are presented next to the box plot.
Max subtype nTPMi

Max subtype nTPM is the value for the subtype with the largest average nTPM across the subtype samples.

17.1
GTEx sample id Sample description nTPM
Pancreas
Average nTPM: 17.1
Samples: 328

Max nTPM: 29.7
Min nTPM: 9.7
Std nTPM: 3.4
Median nTPM: 16.6
GTEX-1H1DG-1426-SM-9OSXP 70-79 years, male 29.7
GTEX-1A3MW-1926-SM-7IGM8 60-69 years, female 28.4
GTEX-12WSG-1026-SM-5EGII 50-59 years, female 27.7
GTEX-XV7Q-0926-SM-4BRVQ 40-49 years, female 26.9
GTEX-1K2DU-1026-SM-DHXKC 20-29 years, male 26.7
GTEX-18A67-1726-SM-7KFT9 50-59 years, male 26.2
GTEX-1JKYN-0426-SM-CGQG2 30-39 years, male 26.1
GTEX-WFON-0626-SM-4LVLX 40-49 years, male 25.8
GTEX-16Z82-1726-SM-7MGX3 60-69 years, male 24.9
GTEX-13O1R-1826-SM-5KM3B 60-69 years, male 24.6
GTEX-14PJO-1826-SM-69LPR 60-69 years, male 24.1
GTEX-1R46S-1426-SM-EXOJD 60-69 years, female 23.7
GTEX-144FL-1526-SM-5Q5CA 50-59 years, male 23.6
GTEX-14PN3-0126-SM-6AJAU 60-69 years, female 23.5
GTEX-1QAET-1326-SM-E9U64 50-59 years, male 23.5
GTEX-OXRK-1526-SM-E6CHJ 50-59 years, female 23.4
GTEX-1H23P-2026-SM-9OSXY 60-69 years, male 23.3
GTEX-T8EM-0826-SM-4DM76 40-49 years, male 23.1
GTEX-131XG-1426-SM-5GCMO 50-59 years, female 23.0
GTEX-132QS-0926-SM-5P9GB 60-69 years, male 23.0
GTEX-WI4N-1826-SM-4OOSF 40-49 years, female 22.9
GTEX-WFG7-0426-SM-4LMK5 20-29 years, male 22.7
GTEX-1B932-1626-SM-731EA 40-49 years, female 22.6
GTEX-1CAMR-1126-SM-7MGXF 20-29 years, male 22.6
GTEX-17F98-0426-SM-79ONZ 40-49 years, female 22.5
GTEX-WH7G-0826-SM-4LVMR 40-49 years, male 22.4
GTEX-14PHY-1126-SM-664OR 60-69 years, female 22.3
GTEX-Q2AI-0426-SM-48U13 40-49 years, male 22.3
GTEX-14JG6-0426-SM-68715 30-39 years, female 22.2
GTEX-OIZF-1026-SM-2HML5 60-69 years, male 22.1
GTEX-1339X-1026-SM-5IFH5 40-49 years, male 22.0
GTEX-QDVJ-1226-SM-48U1V 50-59 years, male 22.0
GTEX-139YR-1526-SM-5IFJ1 50-59 years, male 21.9
GTEX-14PJ4-0726-SM-6872E 60-69 years, male 21.8
GTEX-UJHI-0626-SM-3DB8T 50-59 years, female 21.7
GTEX-1LSNM-0726-SM-DHXL1 50-59 years, male 21.5
GTEX-1211K-1126-SM-5EGGB 60-69 years, female 21.4
GTEX-1B933-1726-SM-731FC 50-59 years, female 21.4
GTEX-11DXX-0926-SM-5H112 60-69 years, female 21.3
GTEX-Y9LG-0726-SM-4VDS3 30-39 years, male 21.3
GTEX-1GN1U-1126-SM-9WPPZ 50-59 years, female 21.3
GTEX-WFG8-0326-SM-4LVN4 20-29 years, male 21.2
GTEX-WRHK-0226-SM-4MVOH 20-29 years, female 21.2
GTEX-1AX8Z-1726-SM-731DE 60-69 years, male 21.1
GTEX-1C64O-1426-SM-7EWER 60-69 years, male 21.1
GTEX-144GN-0826-SM-5LU5G 50-59 years, male 20.9
GTEX-ZPU1-0226-SM-4WWC9 40-49 years, male 20.7
GTEX-111CU-0526-SM-5EGHK 50-59 years, male 20.6
GTEX-1CAMQ-1626-SM-7MGXG 40-49 years, male 20.6
GTEX-13N11-0226-SM-5KM3C 50-59 years, female 20.5
GTEX-1IDJC-0526-SM-AHZ2Q 50-59 years, male 20.5
GTEX-18A6Q-1726-SM-7LT9A 60-69 years, male 20.4
GTEX-VUSG-0326-SM-3GIJ7 50-59 years, male 20.4
GTEX-1CAMS-1926-SM-7DUEU 40-49 years, female 20.3
GTEX-U4B1-0726-SM-4DXUA 40-49 years, male 20.3
GTEX-Y3IK-0426-SM-4WWE2 50-59 years, female 20.2
GTEX-1LGRB-0426-SM-CNNRD 50-59 years, female 20.2
GTEX-TMMY-1326-SM-4DXU9 40-49 years, female 20.1
GTEX-1GZ4H-0626-SM-9OSXJ 50-59 years, female 20.1
GTEX-1AX9K-2026-SM-731D1 50-59 years, male 20.0
GTEX-ZLFU-0726-SM-57WF6 40-49 years, male 20.0
GTEX-14PN4-1626-SM-6AJB5 50-59 years, male 19.8
GTEX-1I4MK-1026-SM-AHZ2H 50-59 years, female 19.8
GTEX-1MUQO-1426-SM-DPRYJ 60-69 years, male 19.8
GTEX-1I1GT-0926-SM-AHZ2G 60-69 years, female 19.7
GTEX-P4QS-1026-SM-3NMCW 60-69 years, male 19.6
GTEX-13O61-2126-SM-5IJEO 60-69 years, male 19.5
GTEX-1HSGN-1426-SM-A8NAA 40-49 years, female 19.5
GTEX-1JKYR-1026-SM-CGQGI 20-29 years, male 19.5
GTEX-1128S-0826-SM-5GZZI 60-69 years, female 19.4
GTEX-11LCK-0226-SM-5A5M6 30-39 years, male 19.4
GTEX-1399S-0326-SM-5IFFS 30-39 years, female 19.4
GTEX-14PJ6-0926-SM-686ZA 60-69 years, female 19.4
GTEX-1F5PL-0726-SM-7MKH8 40-49 years, female 19.4
GTEX-1497J-0426-SM-5Q5CO 60-69 years, male 19.3
GTEX-SNOS-0926-SM-4DM7A 40-49 years, male 19.3
GTEX-X4LF-0326-SM-4QAS9 50-59 years, male 19.3
GTEX-Y5LM-0526-SM-4V6G3 40-49 years, female 19.3
GTEX-YFCO-1026-SM-5LU9S 40-49 years, male 19.3
GTEX-1QPFJ-2226-SM-EXOJW 30-39 years, female 19.3
GTEX-V955-0326-SM-4JBGV 60-69 years, male 19.2
GTEX-WY7C-1026-SM-4OND3 50-59 years, male 19.2
GTEX-1NSGN-1726-SM-EXOJG 50-59 years, male 19.2
GTEX-18D9U-1626-SM-7KFTW 40-49 years, male 19.1
GTEX-TKQ2-0426-SM-4DXUO 50-59 years, male 19.1
GTEX-ZC5H-0826-SM-5N9FH 40-49 years, female 19.1
GTEX-QLQ7-0626-SM-CE6QX 60-69 years, male 19.1
GTEX-13CF3-1026-SM-5LZWY 60-69 years, female 19.0
GTEX-1H1E6-0826-SM-9WG83 30-39 years, male 19.0
GTEX-1O97I-1726-SM-EXOIP 60-69 years, male 19.0
GTEX-1PFEY-1126-SM-DPRZ3 30-39 years, male 19.0
GTEX-1N2EF-2126-SM-DPRYL 60-69 years, male 18.9
GTEX-1S831-0626-SM-EV79N 20-29 years, male 18.9
GTEX-QMRM-0326-SM-CKZNB 50-59 years, male 18.9
GTEX-1HSMO-2026-SM-CNNQO 60-69 years, male 18.8
GTEX-1JK1U-1026-SM-AHZ44 60-69 years, male 18.8
GTEX-1LVAN-1226-SM-CNNQY 50-59 years, female 18.8
GTEX-1KANA-1526-SM-CXZKG 20-29 years, male 18.7
GTEX-1C4CL-0926-SM-79OL2 30-39 years, male 18.5
GTEX-1IDJD-0126-SM-C1YQZ 30-39 years, male 18.5
GTEX-R53T-0426-SM-48FEM 50-59 years, female 18.4
GTEX-Y3I4-0826-SM-4TT2A 50-59 years, male 18.4
GTEX-ZT9W-0926-SM-57WFS 50-59 years, male 18.4
GTEX-1GF9X-1126-SM-7MKHC 40-49 years, female 18.4
GTEX-YEC3-0626-SM-CMKFG 50-59 years, male 18.4
GTEX-12WSL-0426-SM-5GCNX 50-59 years, male 18.3
GTEX-15RIF-0626-SM-6LLI3 20-29 years, male 18.3
GTEX-WHSB-0726-SM-4M1XQ 50-59 years, male 18.3
GTEX-1L5NE-0826-SM-DHXKU 50-59 years, male 18.3
GTEX-WHWD-0726-SM-4OORX 50-59 years, male 18.2
GTEX-1J8Q3-0626-SM-AHZ3V 60-69 years, male 18.2
GTEX-1PWST-1526-SM-EXOIT 70-79 years, male 18.2
GTEX-15UF6-1826-SM-6LLI9 70-79 years, female 18.1
GTEX-15UF7-0826-SM-6M46E 40-49 years, male 18.1
GTEX-YB5E-0526-SM-4VDSD 40-49 years, male 18.1
GTEX-ZAB5-0826-SM-5P9FU 50-59 years, male 18.1
GTEX-1R7EU-0726-SM-DPRZM 60-69 years, male 18.1
GTEX-S3XE-0526-SM-4AD4G 50-59 years, male 18.0
GTEX-T5JW-0226-SM-4DM7I 20-29 years, female 18.0
GTEX-1NUQO-0826-SM-DPS16 20-29 years, female 18.0
GTEX-17F9E-1426-SM-793BG 50-59 years, male 17.9
GTEX-QDVN-0926-SM-2I5GL 50-59 years, male 17.9
GTEX-1M5QR-0926-SM-DHXK8 40-49 years, male 17.9
GTEX-1C6VQ-1726-SM-7IGLQ 50-59 years, male 17.8
GTEX-Q2AH-0926-SM-48TZK 40-49 years, male 17.8
GTEX-R55G-0326-SM-48FDM 40-49 years, female 17.8
GTEX-11EQ9-1026-SM-5H134 30-39 years, male 17.7
GTEX-15EU6-1126-SM-68721 50-59 years, male 17.7
GTEX-SE5C-0326-SM-4BRWX 40-49 years, female 17.7
GTEX-ZLWG-0326-SM-4WWC7 50-59 years, female 17.7
GTEX-13FTX-1226-SM-5IFGN 20-29 years, female 17.6
GTEX-14C39-1026-SM-73KWG 40-49 years, male 17.6
GTEX-15RJ7-0826-SM-6LLI8 40-49 years, male 17.6
GTEX-144GM-0726-SM-79OJQ 20-29 years, male 17.4
GTEX-14PJM-2126-SM-6AJAS 50-59 years, female 17.4
GTEX-PSDG-1526-SM-48TCY 50-59 years, male 17.4
GTEX-S95S-0726-SM-4B64H 60-69 years, male 17.4
GTEX-1AMFI-0726-SM-731D9 50-59 years, female 17.3
GTEX-XBED-0226-SM-47JY8 60-69 years, male 17.3
GTEX-XUW1-1726-SM-4BOOZ 50-59 years, female 17.3
GTEX-Y114-0826-SM-4TT77 50-59 years, female 17.3
GTEX-YF7O-1326-SM-4W1ZR 50-59 years, male 17.3
GTEX-1RAZQ-1426-SM-EV7B2 30-39 years, male 17.3
GTEX-11I78-0626-SM-5A5LZ 50-59 years, female 17.2
GTEX-17MF6-1426-SM-7IGOX 40-49 years, male 17.2
GTEX-ZP4G-0426-SM-4YCER 20-29 years, female 17.1
GTEX-V1D1-0726-SM-4JBH7 50-59 years, male 17.0
GTEX-ZPCL-0726-SM-DO91S 60-69 years, female 17.0
GTEX-111YS-1226-SM-5EGGJ 60-69 years, male 16.9
GTEX-S33H-1226-SM-4AD69 30-39 years, male 16.9
GTEX-1OFPY-0626-SM-EXOJ4 60-69 years, male 16.9
GTEX-1R7EV-1126-SM-DPRXU 40-49 years, male 16.9
GTEX-13D11-2226-SM-5IFEO 50-59 years, female 16.8
GTEX-14ICL-1126-SM-5S2RE 30-39 years, male 16.8
GTEX-PLZ6-0726-SM-3P619 30-39 years, male 16.8
GTEX-XBEW-1626-SM-4SOJP 40-49 years, male 16.8
GTEX-ZTPG-1026-SM-5DUWP 20-29 years, female 16.8
GTEX-ZYFG-0826-SM-5BC5T 60-69 years, female 16.8
GTEX-15UKP-1326-SM-6LPI8 20-29 years, male 16.7
GTEX-1B996-1326-SM-731EO 60-69 years, male 16.7
GTEX-WHPG-0326-SM-4M1XV 50-59 years, male 16.7
GTEX-1PPH8-2326-SM-EAZ48 20-29 years, male 16.7
GTEX-132AR-1826-SM-5EGHR 50-59 years, female 16.6
GTEX-14PKU-0626-SM-6EU1Q 40-49 years, female 16.6
GTEX-P4PP-1026-SM-3NM9O 30-39 years, female 16.6
GTEX-Q734-0426-SM-48TZX 40-49 years, female 16.6
GTEX-ZDTT-1126-SM-4WKFW 60-69 years, male 16.6
GTEX-11TT1-0326-SM-5LUAY 20-29 years, male 16.5
GTEX-148VI-0826-SM-5TDDI 60-69 years, female 16.5
GTEX-178AV-0226-SM-793B7 40-49 years, male 16.5
GTEX-1QEPI-1626-SM-EAZ3I 60-69 years, female 16.5
GTEX-13VXT-1226-SM-5LU3M 20-29 years, female 16.4
GTEX-17KNJ-1926-SM-7KFRV 50-59 years, male 16.4
GTEX-1CB4G-1826-SM-7MKGO 60-69 years, male 16.4
GTEX-ZYY3-0826-SM-5E44R 60-69 years, female 16.4
GTEX-1IL2U-2326-SM-CNNQV 60-69 years, male 16.4
GTEX-14BMU-0726-SM-73KXS 20-29 years, female 16.3
GTEX-S4P3-0626-SM-4AD59 50-59 years, female 16.3
GTEX-11VI4-0426-SM-5EGHZ 40-49 years, female 16.2
GTEX-13OVI-0526-SM-5IFFQ 60-69 years, female 16.2
GTEX-1CB4I-1326-SM-79OLY 50-59 years, male 16.2
GTEX-NPJ8-2126-SM-3MJGK 40-49 years, male 16.2
GTEX-U8XE-2026-SM-3DB8S 30-39 years, male 16.2
GTEX-15CHR-2026-SM-7MXU2 50-59 years, male 16.2
GTEX-1HKZK-1126-SM-9WG82 40-49 years, male 16.2
GTEX-1K2DA-0326-SM-CGQGX 50-59 years, male 16.2
GTEX-1LG7Z-0326-SM-DHXK3 30-39 years, male 16.2
GTEX-13U4I-1526-SM-5IFFF 40-49 years, female 16.1
GTEX-1S82P-1026-SM-EAZ4W 60-69 years, female 16.1
GTEX-11XUK-0626-SM-5N9ES 40-49 years, female 16.0
GTEX-UJMC-1126-SM-3GADP 50-59 years, male 16.0
GTEX-ZVT2-2026-SM-5NQ8Q 50-59 years, female 16.0
GTEX-1H11D-0926-SM-9OSXO 40-49 years, male 16.0
GTEX-117YX-0226-SM-5EGH6 50-59 years, male 15.9
GTEX-11GSP-0426-SM-5A5KX 60-69 years, female 15.9
GTEX-145MN-1426-SM-5SI9H 30-39 years, male 15.9
GTEX-14PJ3-0426-SM-6LLHF 50-59 years, male 15.9
GTEX-1R9K5-1226-SM-E6CPQ 50-59 years, male 15.9
GTEX-131XF-1426-SM-5BC68 60-69 years, male 15.8
GTEX-14PKV-0926-SM-6AJB4 20-29 years, female 15.8
GTEX-1OKEX-1726-SM-E9U4F 60-69 years, male 15.8
GTEX-1122O-0726-SM-5GIEV 60-69 years, female 15.7
GTEX-1AYCT-1226-SM-7EPGH 50-59 years, male 15.7
GTEX-XPVG-0326-SM-4B653 50-59 years, male 15.7
GTEX-YEC4-1326-SM-5IFHG 40-49 years, male 15.7
GTEX-1IDJU-0326-SM-CGQEE 60-69 years, female 15.7
GTEX-1QW4Y-0926-SM-DPRY2 30-39 years, male 15.7
GTEX-146FQ-1526-SM-5Q5CX 30-39 years, male 15.6
GTEX-NFK9-1626-SM-3LK5J 40-49 years, male 15.6
GTEX-VJYA-0826-SM-4KL1M 60-69 years, male 15.6
GTEX-WQUQ-2126-SM-4OOSO 60-69 years, male 15.6
GTEX-ZF29-1126-SM-4WKGO 60-69 years, female 15.6
GTEX-1QP28-1026-SM-EAZ4K 50-59 years, female 15.6
GTEX-13FLV-0626-SM-5IFEY 50-59 years, male 15.5
GTEX-RM2N-0326-SM-48FD8 50-59 years, male 15.5
GTEX-1A8FM-1826-SM-7MGXO 50-59 years, female 15.5
GTEX-1I1GQ-2226-SM-B2LX1 50-59 years, male 15.5
GTEX-13FH7-1426-SM-5IFIC 50-59 years, female 15.4
GTEX-14DAR-0526-SM-664MX 50-59 years, male 15.4
GTEX-15DYW-1626-SM-6LLI1 60-69 years, female 15.4
GTEX-1C2JI-0926-SM-731F1 50-59 years, male 15.4
GTEX-11P7K-0526-SM-5BC5I 30-39 years, male 15.3
GTEX-13SLX-1326-SM-5S2QS 50-59 years, female 15.3
GTEX-14PJ2-1526-SM-686Z4 50-59 years, male 15.3
GTEX-QV44-0426-SM-4R1KF 50-59 years, male 15.3
GTEX-Y8E4-1326-SM-5IFIY 40-49 years, male 15.3
GTEX-15ER7-1326-SM-6LPK9 20-29 years, female 15.2
GTEX-1CB4F-1226-SM-7DHKU 60-69 years, male 15.2
GTEX-1QP29-1926-SM-DPRZO 50-59 years, male 15.2
GTEX-QESD-0226-SM-447BH 20-29 years, male 15.1
GTEX-QLQW-0326-SM-447A8 30-39 years, male 15.1
GTEX-1GMR3-1226-SM-7MGY1 40-49 years, male 15.1
GTEX-1399U-0926-SM-5IFHA 50-59 years, female 15.0
GTEX-XGQ4-0226-SM-4GIDS 50-59 years, male 15.0
GTEX-1N2DV-1726-SM-DPRYR 40-49 years, male 15.0
GTEX-1B8KE-0726-SM-72D7G 50-59 years, male 14.9
GTEX-XYKS-1226-SM-4BRVI 60-69 years, female 14.9
GTEX-ZPIC-0926-SM-4WWFK 40-49 years, female 14.9
GTEX-12WSN-0826-SM-5GCOF 40-49 years, male 14.8
GTEX-13PL7-2226-SM-5L3IC 60-69 years, female 14.8
GTEX-14AS3-0326-SM-5Q5DB 40-49 years, female 14.8
GTEX-OHPM-1026-SM-3LK74 50-59 years, male 14.8
GTEX-QEL4-1326-SM-447AD 50-59 years, male 14.8
GTEX-15SB6-0226-SM-6LLIA 50-59 years, female 14.7
GTEX-1B97J-1526-SM-79ONI 50-59 years, female 14.7
GTEX-WFJO-0626-SM-4LVMC 30-39 years, male 14.7
GTEX-1K9T9-1726-SM-CXZK1 50-59 years, female 14.7
GTEX-1RAZA-1626-SM-EV79I 20-29 years, male 14.7
GTEX-18A66-2126-SM-7189D 60-69 years, male 14.6
GTEX-W5WG-0826-SM-4RGNE 50-59 years, female 14.6
GTEX-X15G-0726-SM-4PQZ5 50-59 years, female 14.6
GTEX-ZVP2-0726-SM-59HKY 50-59 years, male 14.6
GTEX-ZVZP-0626-SM-59HL5 50-59 years, male 14.6
GTEX-13FTW-0526-SM-5IFIP 40-49 years, male 14.5
GTEX-146FR-0126-SM-5Q5F3 60-69 years, female 14.5
GTEX-14PHX-2026-SM-6872C 50-59 years, male 14.5
GTEX-1AYD5-0326-SM-7EWEO 50-59 years, male 14.5
GTEX-XMK1-0326-SM-4B652 40-49 years, male 14.5
GTEX-ZEX8-1026-SM-4WKHE 50-59 years, male 14.5
GTEX-1S83E-1426-SM-EV7B8 40-49 years, male 14.5
GTEX-13X6H-0626-SM-5LU53 50-59 years, female 14.4
GTEX-145MO-2126-SM-5Q5CZ 60-69 years, male 14.4
GTEX-15FZZ-0626-SM-7KFTO 30-39 years, female 14.4
GTEX-131XE-1926-SM-5IFER 50-59 years, male 14.3
GTEX-1GN1W-1126-SM-9OSW3 50-59 years, female 14.3
GTEX-1KXAM-0226-SM-EV7AP 60-69 years, male 14.3
GTEX-OOBK-1026-SM-48TC2 40-49 years, male 14.2
GTEX-WYJK-2426-SM-4ONDQ 50-59 years, male 14.1
GTEX-ZG7Y-0326-SM-4WWEY 50-59 years, male 14.1
GTEX-ZZPU-0726-SM-5N9C8 50-59 years, female 14.1
GTEX-1GL5R-0926-SM-9JGFO 50-59 years, male 14.1
GTEX-SUCS-1426-SM-4DM5W 70-79 years, male 14.0
GTEX-ZAB4-1726-SM-5HL8C 40-49 years, male 14.0
GTEX-N7MT-1626-SM-3LK71 60-69 years, female 13.9
GTEX-S32W-0826-SM-4AD5Z 50-59 years, female 13.9
GTEX-XQ8I-1926-SM-4BOOK 50-59 years, male 13.9
GTEX-17HHE-0526-SM-7DUGR 50-59 years, male 13.7
GTEX-OHPL-1026-SM-3MJGI 60-69 years, female 13.7
GTEX-WXYG-0826-SM-4ONC7 50-59 years, female 13.6
GTEX-1J8EW-1926-SM-CGQGR 60-69 years, female 13.6
GTEX-13PVR-0726-SM-5S2PX 60-69 years, female 13.5
GTEX-15SHV-1526-SM-6LLIB 60-69 years, male 13.5
GTEX-11NSD-0526-SM-5A5LT 20-29 years, male 13.4
GTEX-1B8KZ-0926-SM-731D7 50-59 years, male 13.4
GTEX-17HGU-2026-SM-79OKS 50-59 years, male 13.3
GTEX-OOBJ-1026-SM-3NB2L 60-69 years, male 13.3
GTEX-R55D-1426-SM-48FEN 50-59 years, male 13.3
GTEX-TML8-0526-SM-32QOQ 40-49 years, female 13.2
GTEX-ZAK1-2326-SM-5CVMY 50-59 years, female 13.2
GTEX-12BJ1-1126-SM-5EGGG 60-69 years, male 13.1
GTEX-13YAN-2126-SM-5Q5C4 60-69 years, male 13.1
GTEX-OIZI-1526-SM-E6CHI 40-49 years, male 13.0
GTEX-O5YT-1026-SM-3MJGF 20-29 years, male 12.9
GTEX-X3Y1-0726-SM-3P5YU 40-49 years, male 12.9
GTEX-ZF3C-2026-SM-4WWB5 50-59 years, female 12.9
GTEX-1I1GU-0326-SM-AHZ2K 40-49 years, male 12.9
GTEX-1AX9J-1726-SM-731FF 60-69 years, male 12.7
GTEX-X5EB-0526-SM-46MVP 40-49 years, male 12.7
GTEX-1QP2A-1326-SM-EAZ3K 50-59 years, male 12.7
GTEX-14E6E-1426-SM-5RQI2 30-39 years, male 12.6
GTEX-YB5K-1826-SM-5IFJC 40-49 years, female 12.6
GTEX-ZYT6-1326-SM-5E453 30-39 years, male 12.6
GTEX-ZYW4-2126-SM-59HJ9 60-69 years, male 12.6
GTEX-1JMPZ-1026-SM-CXZJS 30-39 years, male 12.5
GTEX-1399R-0426-SM-5IJE3 30-39 years, male 12.4
GTEX-14PJN-1526-SM-6AJBP 30-39 years, male 12.4
GTEX-15SDE-0826-SM-6M463 50-59 years, female 12.4
GTEX-14PK6-1026-SM-664NZ 70-79 years, female 12.3
GTEX-QCQG-0426-SM-48U29 50-59 years, female 12.3
GTEX-12WSD-1626-SM-5GCNR 60-69 years, female 12.2
GTEX-RWS6-1126-SM-47JXC 60-69 years, female 12.2
GTEX-ZDYS-2526-SM-4WKGU 50-59 years, male 12.1
GTEX-PW2O-0826-SM-48TC5 20-29 years, male 12.0
GTEX-11ONC-0526-SM-5BC57 60-69 years, male 11.9
GTEX-13W3W-1026-SM-5IFG4 60-69 years, female 11.9
GTEX-18A7A-1726-SM-7LT93 50-59 years, female 11.9
GTEX-ZV7C-0726-SM-59HKH 50-59 years, male 11.9
GTEX-1PBJI-2126-SM-DPRYG 20-29 years, female 11.9
GTEX-12WSK-0226-SM-5BC62 40-49 years, female 11.8
GTEX-16MT8-1726-SM-7EWE7 60-69 years, female 11.8
GTEX-WYVS-0926-SM-4SOJV 40-49 years, female 11.7
GTEX-PX3G-1026-SM-48TZW 20-29 years, female 11.5
GTEX-145ME-0326-SM-5S2QO 40-49 years, female 11.3
GTEX-QV31-0226-SM-447BO 30-39 years, male 11.3
GTEX-1MGNQ-1226-SM-EV7BM 40-49 years, male 11.2
GTEX-P4PQ-1026-SM-3NMCN 60-69 years, male 10.9
GTEX-XXEK-1726-SM-4BRVB 50-59 years, male 10.4
GTEX-Y8LW-1026-SM-5IFJY 50-59 years, female 9.7
Show allShow less

PANCREAS - FANTOM5 CAGEi

RNA expression in human tissues obtained through Cap Analysis of Gene Expression (CAGE) generated by the FANTOM5 project are reported as Scaled Tags Per Million.

Max subtype Scaled Tags Per Millioni

Max subtype Scaled Tags Per Million is the value for the subtype with the largest average Scaled Tags Per Million across the subtype samples.

32.7
FANTOM5 sample id Sample description Scaled Tags Per Million
Pancreas
Scaled Tags Per Million: 32.7
FF:10049-101G4 52 years, male 32.7

Contact

  • NEWS ARTICLES
  • PRESS ROOM

The Project

  • INTRODUCTION
  • ORGANIZATION
  • PUBLICATIONS

The Human Protein Atlas

  • DOWNLOADABLE DATA
  • LICENCE & CITATION
  • HELP & FAQ
The Human Protein Atlas project is funded
by the Knut & Alice Wallenberg Foundation.


contact@proteinatlas.org