We use cookies to enhance the usability of our website. If you continue, we'll assume that you are happy to receive all cookies. More information. Don't show this again.
NME4
HPA
RESOURCES
  • TISSUE
  • BRAIN
  • SINGLE CELL
  • SUBCELLULAR
  • CANCER
  • BLOOD
  • CELL LINE
  • STRUCTURE & INTERACTION
ABOUT
  • INTRODUCTION
  • HISTORY
  • ORGANIZATION
  • PUBLICATIONS
  • ANTIBODY SUBMISSION
  • ANTIBODY AVAILABILITY
  • ACKNOWLEDGMENTS
  • CONTACT
NEWS
  • NEWS ARTICLES
  • PRESS ROOM
LEARN
  • DICTIONARY
  • PROTEIN CLASSES
  • PROTEIN EVIDENCE
  • METHODS
  • EDUCATIONAL VIDEOS
DATA
  • DOWNLOADABLE DATA
  • PUBLICATION DATA
  • RELEASE HISTORY
HELP
  • ANTIBODY VALIDATION
  • ASSAYS & ANNOTATION
  • DISCLAIMER
  • HELP & FAQ
  • PRIVACY STATEMENT
  • LICENCE & CITATION
Fields »
Search result

Field
Term
Gene name
Class
Subclass
Class
Keyword
Chromosome
External id
Tissue
Cell type
Expression
Antibody panel
Tissue
Main location
Patient ID
Annotation
Tissue
Category
Tau score
Cluster
Reliability
Brain region
Category
Tau score
Brain region
Category
Tau score
Brain region
Category
Tau score
Cluster
Reliability
Tissue
Cell type
Enrichment
Cell type
Category
Tau score
Cell type
Category
Tau score
Cell type
Category
Tau score
Cell lineage
Category
Tau score
Cluster
Cluster
Location
Searches
Location
Cell line
Class
Type
Phase
Reliability
Cancer
Prognosis
Cancer
Category
Cancer
Category
Tau score
Cluster
Variants
Interacting gene (ensg_id)
Type
Number of interactions
Pathway
Category
Score
Score
Score
Validation
Validation
Validation
Validation
Antibodies
Data type
Column


  • SUMMARY

  • TISSUE

  • BRAIN

  • SINGLE CELL

  • SUBCELL

  • CANCER

  • BLOOD

  • CELL LINE

  • STRUCT & INT

  • NME4
TISSUE PRIMARY DATA SALIVARY GLAND Show tissue menu
ADIPOSE TISSUE ADRENAL GLAND AMYGDALA APPENDIX BASAL GANGLIA BONE MARROW BREAST BRONCHUS CEREBELLUM CEREBRAL CORTEX CERVIX CHOROID PLEXUS COLON DUODENUM
ENDOMETRIUM EPIDIDYMIS ESOPHAGUS FALLOPIAN TUBE GALLBLADDER HEART MUSCLE HIPPOCAMPAL FORMATION HYPOTHALAMUS KIDNEY LIVER LUNG LYMPH NODE MIDBRAIN NASOPHARYNX
ORAL MUCOSA OVARY PANCREAS PARATHYROID GLAND PITUITARY GLAND PLACENTA PROSTATE RECTUM RETINA SALIVARY GLAND SEMINAL VESICLE SKELETAL MUSCLE SKIN SMALL INTESTINE
SMOOTH MUSCLE SOFT TISSUE SPINAL CORD SPLEEN STOMACH TESTIS THYMUS THYROID GLAND TONGUE TONSIL URINARY BLADDER VAGINA
ANTIBODIES
AND
VALIDATION
Dictionary
Salivary gland
Tissue proteome
Salivary gland
SALIVARY GLAND - Expression summary
Protein expression
Salivary glandi

On the top, protein expression in current human tissue, based on all annotated cell types, is reported with the units not detected (n), low (l), medium (m) and high (h). Underneath, protein expression in each annotated cell type are reported using the same units.

Protein expression data is based on knowledge-based annotation. For genes where more than one antibody has been used, a collective score is set.

If knowledge-based annotation could not be performed for a gene, no data is displayed here. View antibody staining data further down this page.

h
m
l
n
Glandular cells: Medium
RNA expressioni

A summary of mRNA expression data available for current tissue based on several datasets. The mRNA expression levels in human tissues are based on RNA-seq data generated by the Human Protein Atlas (HPA), Genotype-Tissue Expression (GTEx) portal and CAGE data generated by the FANTOM5 consortium. Consensus normalized expression levels for human tissues was created by combining the data from HPA and GTEx datasets.

The mRNA expression levels in pig are based on RNA-seq data generated by the Human Protein Atlas (HPA), and for mouse, HPA data and in situ hybridization generated by the Allen brain atlas are reported.

Scroll down to view mRNA expression data in more detail.
Consensus:68.3 nTPM
HPA:68.3 nTPM
GTEx:61.2 nTPM
FANTOM5:209.9 Scaled Tags Per Million

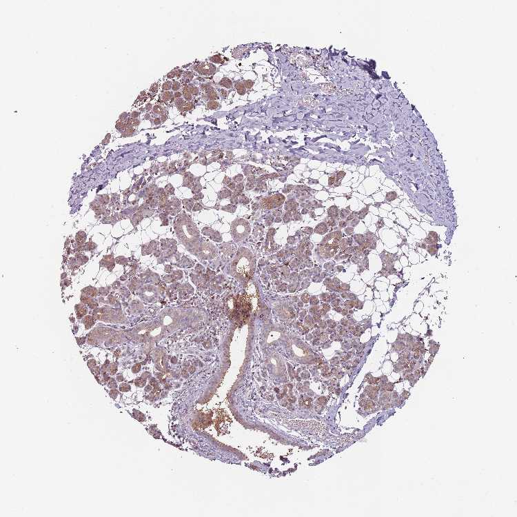
SALIVARY GLAND - Antibody stainingi

Antibody staining in the annotated cell types in the current human tissue is reported as not detected, low, medium, or high, based on conventional immunohistochemistry profiling in selected tissues. This score is based on the combination of the staining intensity and fraction of stained cells.

Each image is clickable and will lead to virtual microscopy that enables deeper exploration of all samples and also displays staining intensity scores, fraction scores and subcellular localization as well as patient and tissue information for each sample.

Antibody CAB045997
Glandular cells Medium


SALIVARY GLAND - HPA RNA-seqi

The RNA-seq details section shows detailed information about the individual samples used for the transcript profiling and results of the RNA-seq analysis.

Information about each individual sample is listed below, including gender, age, a tissue section image and estimated fractions of cell types. nTPM (normalized transcripts per million) values give a quantification of the gene abundance which is comparable between different genes and samples.
Average nTPMi

Max subtype nTPM is the value for the subtype with the largest average nTPM across the subtype samples.

68.3
overview
Female, age 68
Salivary gland sample 216
nTPM: 91.2
Cell types%
Glandular cells:
45

Ductal cells:
25

Adipocytes:
5

Other cell types:
25

overview
Male, age 60
Salivary gland sample 217
nTPM: 56.5
Cell types%
Glandular cells:
55

Ductal cells:
20

Adipocytes:
5

Endothelial cells:
5

Other cell types:
15

overview
Female, age 21
Salivary gland sample 218
nTPM: 57.3
Cell types%
Glandular cells:
55

Ductal cells:
15

Adipocytes:
5

Endothelial cells:
5

Other cell types:
20


SALIVARY GLAND - GTEx RNA-seqi

RNA-Seq data generated by the Genotype-Tissue Expression (GTEx) project from human tissues is reported as mean nTPM. More information can be found on the GTEx portal.

Distribution across the dataset is visualized with box plots, shown as median and 25th and 75th percentiles. Points are displayed as outliers if they are above or below 1.5 times the interquartile range. nTPM values of the individual samples are presented next to the box plot.
Max subtype nTPMi

Max subtype nTPM is the value for the subtype with the largest average nTPM across the subtype samples.

61.2
GTEx sample id Sample description nTPM
Minor Salivary Gland
Average nTPM: 61.2
Samples: 162

Max nTPM: 150.6
Min nTPM: 16.0
Std nTPM: 22.2
Median nTPM: 58.7
GTEX-13JVG-2926-SM-5J2N9 60-69 years, male 150.6
GTEX-1A3MV-1726-SM-72D68 30-39 years, male 133.5
GTEX-1H4P4-2026-SM-9WPNV 50-59 years, male 117.7
GTEX-ZE7O-2926-SM-51MSG 50-59 years, female 108.9
GTEX-1IOXB-2826-SM-AHZ32 50-59 years, male 107.4
GTEX-1KD4Q-2526-SM-CXZKL 40-49 years, male 106.5
GTEX-ZQUD-2126-SM-51MSY 30-39 years, male 104.3
GTEX-11NV4-1926-SM-5N9D4 60-69 years, male 102.8
GTEX-1LSNL-2626-SM-EV7AT 50-59 years, male 98.6
GTEX-1KD5A-2226-SM-EV79U 50-59 years, male 98.4
GTEX-1POEN-2226-SM-DPRXV 30-39 years, female 95.6
GTEX-13OVL-2926-SM-5IFG3 50-59 years, male 94.2
GTEX-13G51-2426-SM-5LZY8 60-69 years, male 94.0
GTEX-1I1HK-2526-SM-A96SM 60-69 years, male 93.1
GTEX-14PJN-1726-SM-69LO7 30-39 years, male 92.4
GTEX-Y111-2626-SM-4TT24 50-59 years, male 90.7
GTEX-15RJE-2726-SM-6LPJ1 40-49 years, male 90.2
GTEX-1LVA9-2526-SM-EVR5H 50-59 years, male 89.6
GTEX-1C4CL-2026-SM-731EB 30-39 years, male 88.7
GTEX-13NYB-2426-SM-5IFF4 40-49 years, male 87.5
GTEX-X15G-2126-SM-4PQZR 50-59 years, female 87.0
GTEX-1445S-2926-SM-5O993 60-69 years, male 85.0
GTEX-1RNSC-2926-SM-EV79L 60-69 years, male 84.9
GTEX-1GZ2Q-2526-SM-9KNVW 40-49 years, male 81.9
GTEX-12WSM-1826-SM-5BC64 60-69 years, male 81.2
GTEX-11TUW-2426-SM-5EQKB 60-69 years, male 80.9
GTEX-18D9U-2226-SM-7KFTN 40-49 years, male 80.9
GTEX-1GTWX-2526-SM-9JGHG 60-69 years, male 80.2
GTEX-1RAZA-0626-SM-EAZ4H 20-29 years, male 80.1
GTEX-1MCQQ-2226-SM-DLHC4 60-69 years, male 79.9
GTEX-X3Y1-1926-SM-4PQZO 40-49 years, male 79.3
GTEX-12WSN-2226-SM-5DUXT 40-49 years, male 78.9
GTEX-11P82-0926-SM-5986X 20-29 years, male 78.8
GTEX-1HSEH-1826-SM-A96SA 60-69 years, male 78.2
GTEX-1QP9N-2026-SM-DPRZT 30-39 years, male 77.1
GTEX-1IY9M-2926-SM-A96TH 60-69 years, male 76.4
GTEX-11WQK-2926-SM-5EQKT 50-59 years, male 76.1
GTEX-1NSGN-0626-SM-E9J35 50-59 years, male 75.8
GTEX-15SHV-2226-SM-6M464 60-69 years, male 75.5
GTEX-1LC47-2426-SM-DHXKK 60-69 years, male 73.7
GTEX-1LKK1-2926-SM-EVR4Z 50-59 years, female 73.3
GTEX-1H1CY-2326-SM-9OSXW 60-69 years, female 72.6
GTEX-1IDJC-1626-SM-AHZ2R 50-59 years, male 72.3
GTEX-1B8SF-1826-SM-731DJ 60-69 years, male 71.8
GTEX-1GN1V-2926-SM-9JGI3 60-69 years, male 71.8
GTEX-1LVAO-2626-SM-EVR4S 60-69 years, male 71.2
GTEX-X261-2426-SM-4PQZU 50-59 years, male 70.0
GTEX-1B8KZ-1726-SM-73KV7 50-59 years, male 69.7
GTEX-14PN4-2526-SM-686ZG 50-59 years, male 69.5
GTEX-1I6K7-0926-SM-A96SV 40-49 years, male 69.0
GTEX-1GMR2-2026-SM-7MKHK 50-59 years, male 68.9
GTEX-WOFM-2126-SM-4OOSR 20-29 years, male 68.9
GTEX-13113-1526-SM-5EGHV 60-69 years, female 68.5
GTEX-ZAB5-2326-SM-5IJFR 50-59 years, male 67.2
GTEX-14B4R-1426-SM-5Q5CG 30-39 years, male 67.1
GTEX-1R9K4-0526-SM-E76P1 60-69 years, male 66.7
GTEX-1OJC3-1026-SM-E6CQK 20-29 years, male 66.6
GTEX-14E1K-2626-SM-664OJ 50-59 years, male 65.7
GTEX-1QEPI-0626-SM-E76QE 60-69 years, female 65.2
GTEX-111FC-2926-SM-5GZY7 60-69 years, male 65.0
GTEX-1J8EW-2826-SM-A96T9 60-69 years, female 64.6
GTEX-1EH9U-2926-SM-7DHLX 60-69 years, male 64.2
GTEX-11EQ9-2026-SM-5P9JI 30-39 years, male 64.0
GTEX-13OVI-2326-SM-5KM47 60-69 years, female 63.5
GTEX-1314G-2026-SM-5LZUM 30-39 years, male 63.3
GTEX-WY7C-1426-SM-4OND1 50-59 years, male 63.2
GTEX-18A7B-2826-SM-7KFTK 70-79 years, male 63.1
GTEX-1J8QM-1826-SM-A96TA 60-69 years, female 62.0
GTEX-18A67-0626-SM-7KFSL 50-59 years, male 61.9
GTEX-146FR-1226-SM-5SIA7 60-69 years, female 61.5
GTEX-1LBAC-0626-SM-D3L9T 20-29 years, male 61.5
GTEX-1JN6P-2526-SM-CNNPX 60-69 years, male 61.4
GTEX-13VXT-1726-SM-5IFF5 20-29 years, female 61.1
GTEX-1S82P-0726-SM-EVR4O 60-69 years, female 61.1
GTEX-1MCC2-2226-SM-EV7AJ 30-39 years, female 60.9
GTEX-11P81-2026-SM-5P9GT 30-39 years, female 60.7
GTEX-YB5K-1726-SM-5IFIZ 40-49 years, female 60.6
GTEX-YF7O-2226-SM-5CVN8 50-59 years, male 60.4
GTEX-1KANC-1326-SM-CYPT8 50-59 years, female 60.0
GTEX-1OJC4-3126-SM-EXOJK 50-59 years, female 59.5
GTEX-17KNJ-2726-SM-7KFRE 50-59 years, male 58.8
GTEX-XGQ4-2626-SM-4AT6B 50-59 years, male 58.5
GTEX-1HSMQ-0926-SM-A96SI 50-59 years, male 58.5
GTEX-1HR9M-2526-SM-A9G3J 60-69 years, male 58.3
GTEX-13QJC-2326-SM-5Q5CD 60-69 years, female 58.2
GTEX-X5EB-1726-SM-4E3J7 40-49 years, male 57.6
GTEX-1IE54-0826-SM-AHZ2Z 40-49 years, female 57.6
GTEX-15EU6-2626-SM-7KUN4 50-59 years, male 56.8
GTEX-1QMI2-0426-SM-EWRND 60-69 years, male 56.7
GTEX-Y5V6-2226-SM-4VDTC 60-69 years, male 56.6
GTEX-12WSL-2126-SM-5GCNG 50-59 years, male 56.2
GTEX-1AYD5-2726-SM-7MXVG 50-59 years, male 56.0
GTEX-14PJ3-1526-SM-664O9 50-59 years, male 55.4
GTEX-1C64N-2926-SM-79OLM 50-59 years, male 55.3
GTEX-13O21-1926-SM-5MR39 50-59 years, male 55.0
GTEX-15CHC-1226-SM-686ZH 60-69 years, female 54.9
GTEX-131XF-2826-SM-5EGKH 60-69 years, male 54.5
GTEX-ZA64-1726-SM-5CVMF 20-29 years, male 54.4
GTEX-1339X-2326-SM-5HL5B 40-49 years, male 54.2
GTEX-ZG7Y-2426-SM-DO11H 50-59 years, male 54.2
GTEX-1I4MK-1326-SM-B2LWT 50-59 years, female 54.0
GTEX-1C64O-0626-SM-7DHL1 60-69 years, male 53.9
GTEX-1HSGN-0626-SM-A9G2E 40-49 years, female 53.7
GTEX-11ZTT-2226-SM-5CVLP 60-69 years, female 53.4
GTEX-WYVS-2026-SM-4RGNS 40-49 years, female 52.7
GTEX-178AV-1426-SM-6LLID 40-49 years, male 52.5
GTEX-ZXG5-2826-SM-5NQ8T 60-69 years, male 52.5
GTEX-1I6K6-0626-SM-ARU7J 30-39 years, male 52.3
GTEX-1R9K5-0626-SM-DPRZB 50-59 years, male 52.3
GTEX-1AMEY-1126-SM-72D79 30-39 years, female 51.4
GTEX-XMK1-2626-SM-4B65R 40-49 years, male 51.4
GTEX-1IDJD-2526-SM-C1YSA 30-39 years, male 51.2
GTEX-18QFQ-0626-SM-718AW 30-39 years, male 51.1
GTEX-1JN1M-2426-SM-ARU93 60-69 years, female 50.9
GTEX-1PIEJ-0626-SM-DTX99 20-29 years, female 50.3
GTEX-1PPH8-1526-SM-E6CQO 20-29 years, male 50.1
GTEX-145ME-1626-SM-5RQI3 40-49 years, female 50.0
GTEX-1GPI7-0326-SM-7MKH6 20-29 years, male 49.9
GTEX-ZC5H-2726-SM-5KLZW 40-49 years, female 49.8
GTEX-13111-2326-SM-5LZUQ 50-59 years, male 49.7
GTEX-13OVK-1826-SM-6PALE 40-49 years, male 49.4
GTEX-WH7G-2126-SM-4M1XU 40-49 years, male 48.6
GTEX-1C6VR-0726-SM-7P8OV 60-69 years, male 47.5
GTEX-1P4AB-2926-SM-EXOJR 50-59 years, male 46.2
GTEX-1J1R8-1826-SM-AHZ3B 40-49 years, male 46.0
GTEX-1B97J-2126-SM-79OL6 50-59 years, female 45.7
GTEX-1HFI7-2426-SM-B2LXV 50-59 years, female 45.7
GTEX-1GF9X-0226-SM-7P8SM 40-49 years, female 45.6
GTEX-WFJO-2026-SM-4LVM3 30-39 years, male 45.0
GTEX-ZPU1-2326-SM-57WEP 40-49 years, male 44.9
GTEX-1GN1W-2526-SM-9JGHX 50-59 years, female 42.7
GTEX-13CF2-2426-SM-5LZYL 60-69 years, male 41.7
GTEX-1CB4I-2526-SM-7MKG1 50-59 years, male 41.0
GTEX-1117F-3026-SM-5GZYU 60-69 years, female 40.5
GTEX-1MGNQ-1926-SM-DTX8L 40-49 years, male 39.9
GTEX-17MFQ-1626-SM-7938Z 20-29 years, male 38.7
GTEX-1QCLZ-2526-SM-EXUST 60-69 years, female 37.9
GTEX-Y3I4-1926-SM-4TT8L 50-59 years, male 37.2
GTEX-1R9PM-1726-SM-E8VOA 20-29 years, male 37.2
GTEX-14JIY-3026-SM-6EU1R 60-69 years, male 36.9
GTEX-1AX8Z-0626-SM-731EH 60-69 years, male 36.5
GTEX-1JKYR-0726-SM-AHZ3K 20-29 years, male 36.5
GTEX-ZP4G-1926-SM-57WDZ 20-29 years, female 36.0
GTEX-ZQG8-2126-SM-4YCF1 60-69 years, female 35.6
GTEX-Y5LM-1826-SM-4VDT9 40-49 years, female 34.9
GTEX-WHSB-2326-SM-4M1XK 50-59 years, male 34.2
GTEX-XV7Q-2426-SM-4BRV8 40-49 years, female 32.2
GTEX-13QBU-2126-SM-5KLZN 40-49 years, female 31.1
GTEX-1AX9K-2126-SM-72D7K 50-59 years, male 29.9
GTEX-1R9PO-2626-SM-E6CPU 60-69 years, female 29.5
GTEX-11EMC-2526-SM-5PNVU 60-69 years, female 29.1
GTEX-1S83E-0626-SM-E9TKC 40-49 years, male 28.5
GTEX-ZLWG-2026-SM-DO11F 50-59 years, female 27.5
GTEX-ZT9W-2126-SM-51MSF 50-59 years, male 27.3
GTEX-11ZTS-3026-SM-5EQM7 60-69 years, female 27.0
GTEX-131XH-2626-SM-5GCNP 50-59 years, male 26.7
GTEX-12BJ1-2226-SM-5BC6G 60-69 years, male 25.0
GTEX-ZLFU-2226-SM-EXUS7 40-49 years, male 23.8
GTEX-1B932-0626-SM-731EM 40-49 years, female 23.7
GTEX-1192X-2926-SM-5N9BA 50-59 years, male 20.7
GTEX-1HCU7-0126-SM-C1YR3 50-59 years, male 20.0
GTEX-ZF29-2126-SM-DNZYX 60-69 years, female 16.0
Show allShow less

SALIVARY GLAND - FANTOM5 CAGEi

RNA expression in human tissues obtained through Cap Analysis of Gene Expression (CAGE) generated by the FANTOM5 project are reported as Scaled Tags Per Million.

Max subtype Scaled Tags Per Millioni

Max subtype Scaled Tags Per Million is the value for the subtype with the largest average Scaled Tags Per Million across the subtype samples.

209.9
FANTOM5 sample id Sample description Scaled Tags Per Million
Parotid gland
Scaled Tags Per Million: 209.9
FF:10199-103F1 23 years, male 209.9
Salivary gland
Scaled Tags Per Million: 92.0
FF:10093-102C3 16-60 years, mixed 92.0
Submaxillary gland
Scaled Tags Per Million: 128.8
FF:10202-103F4 24 years, male 128.8

Contact

  • NEWS ARTICLES
  • PRESS ROOM

The Project

  • INTRODUCTION
  • ORGANIZATION
  • PUBLICATIONS

The Human Protein Atlas

  • DOWNLOADABLE DATA
  • LICENCE & CITATION
  • HELP & FAQ
The Human Protein Atlas project is funded
by the Knut & Alice Wallenberg Foundation.


contact@proteinatlas.org