We use cookies to enhance the usability of our website. If you continue, we'll assume that you are happy to receive all cookies. More information. Don't show this again.
ABCC1
HPA
RESOURCES
  • TISSUE
  • BRAIN
  • SINGLE CELL
  • SUBCELLULAR
  • CANCER
  • BLOOD
  • CELL LINE
  • STRUCTURE & INTERACTION
ABOUT
  • INTRODUCTION
  • HISTORY
  • ORGANIZATION
  • PUBLICATIONS
  • ANTIBODY SUBMISSION
  • ANTIBODY AVAILABILITY
  • ACKNOWLEDGMENTS
  • CONTACT
NEWS
  • NEWS ARTICLES
  • PRESS ROOM
LEARN
  • DICTIONARY
  • PROTEIN CLASSES
  • PROTEIN EVIDENCE
  • METHODS
  • EDUCATIONAL VIDEOS
DATA
  • DOWNLOADABLE DATA
  • PUBLICATION DATA
  • RELEASE HISTORY
HELP
  • ANTIBODY VALIDATION
  • ASSAYS & ANNOTATION
  • DISCLAIMER
  • HELP & FAQ
  • PRIVACY STATEMENT
  • LICENCE & CITATION
Fields »
Search result

Field
Term
Gene name
Class
Subclass
Class
Keyword
Chromosome
External id
Tissue
Cell type
Expression
Antibody panel
Tissue
Main location
Patient ID
Annotation
Tissue
Category
Tau score
Cluster
Reliability
Brain region
Category
Tau score
Brain region
Category
Tau score
Brain region
Category
Tau score
Cluster
Reliability
Tissue
Cell type
Enrichment
Cell type
Category
Tau score
Cell type
Category
Tau score
Cell type
Category
Tau score
Cell lineage
Category
Tau score
Cluster
Cluster
Location
Searches
Location
Cell line
Class
Type
Phase
Reliability
Cancer
Prognosis
Cancer
Category
Cancer
Category
Tau score
Cluster
Variants
Interacting gene (ensg_id)
Type
Number of interactions
Pathway
Category
Score
Score
Score
Validation
Validation
Validation
Validation
Antibodies
Data type
Column


  • SUMMARY

  • TISSUE

  • BRAIN

  • SINGLE CELL

  • SUBCELL

  • CANCER

  • BLOOD

  • CELL LINE

  • STRUCT & INT

  • ABCC1
TISSUE PRIMARY DATA SKIN Show tissue menu
ADIPOSE TISSUE ADRENAL GLAND AMYGDALA APPENDIX BASAL GANGLIA BONE MARROW BREAST BRONCHUS CEREBELLUM CEREBRAL CORTEX CERVIX CHOROID PLEXUS COLON DUODENUM
ENDOMETRIUM EPIDIDYMIS ESOPHAGUS FALLOPIAN TUBE GALLBLADDER HEART MUSCLE HIPPOCAMPAL FORMATION HYPOTHALAMUS KIDNEY LIVER LUNG LYMPH NODE MIDBRAIN NASOPHARYNX
ORAL MUCOSA OVARY PANCREAS PARATHYROID GLAND PITUITARY GLAND PLACENTA PROSTATE RECTUM RETINA SALIVARY GLAND SEMINAL VESICLE SKELETAL MUSCLE SKIN SMALL INTESTINE
SMOOTH MUSCLE SOFT TISSUE SPINAL CORD SPLEEN STOMACH TESTIS THYMUS THYROID GLAND TONGUE TONSIL URINARY BLADDER VAGINA
ANTIBODIES
AND
VALIDATION
Dictionary
Skin
Tissue proteome
Skin
SKIN - Expression summary
Protein expression
Skini

On the top, protein expression in current human tissue, based on all annotated cell types, is reported with the units not detected (n), low (l), medium (m) and high (h). Underneath, protein expression in each annotated cell type are reported using the same units.

Protein expression data is based on knowledge-based annotation. For genes where more than one antibody has been used, a collective score is set.

If knowledge-based annotation could not be performed for a gene, no data is displayed here. View antibody staining data further down this page.

h
m
l
n
Fibroblasts: Medium
Keratinocytes: Low
Langerhans: Low
Melanocytes: Low
RNA expressioni

A summary of mRNA expression data available for current tissue based on several datasets. The mRNA expression levels in human tissues are based on RNA-seq data generated by the Human Protein Atlas (HPA), Genotype-Tissue Expression (GTEx) portal and CAGE data generated by the FANTOM5 consortium. Consensus normalized expression levels for human tissues was created by combining the data from HPA and GTEx datasets.

The mRNA expression levels in pig are based on RNA-seq data generated by the Human Protein Atlas (HPA), and for mouse, HPA data and in situ hybridization generated by the Allen brain atlas are reported.

Scroll down to view mRNA expression data in more detail.
Consensus:9.4 nTPM
HPA:0.8 nTPM
GTEx:9.4 nTPM

SKIN 1 - Antibody stainingi

Antibody staining in the annotated cell types in the current human tissue is reported as not detected, low, medium, or high, based on conventional immunohistochemistry profiling in selected tissues. This score is based on the combination of the staining intensity and fraction of stained cells.

Each image is clickable and will lead to virtual microscopy that enables deeper exploration of all samples and also displays staining intensity scores, fraction scores and subcellular localization as well as patient and tissue information for each sample.

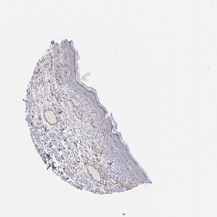
Antibody HPA002380
Langerhans Low
Fibroblasts Medium
Keratinocytes Low
Melanocytes Low


SKIN - HPA RNA-seqi

The RNA-seq details section shows detailed information about the individual samples used for the transcript profiling and results of the RNA-seq analysis.

Information about each individual sample is listed below, including gender, age, a tissue section image and estimated fractions of cell types. nTPM (normalized transcripts per million) values give a quantification of the gene abundance which is comparable between different genes and samples.
Average nTPMi

Max subtype nTPM is the value for the subtype with the largest average nTPM across the subtype samples.

0.8
overview
Female, age 34
Skin sample 225
nTPM: 1.8
Cell types%
Keratinocytes:
60

Other cell types:
40

overview
Female, age 30
Skin sample 226
nTPM: 0.5
Cell types%
Keratinocytes:
55

Other cell types:
45

N/A
Male, age 57
Skin sample 227
nTPM: 0.1

SKIN - GTEx RNA-seqi

RNA-Seq data generated by the Genotype-Tissue Expression (GTEx) project from human tissues is reported as mean nTPM. More information can be found on the GTEx portal.

Distribution across the dataset is visualized with box plots, shown as median and 25th and 75th percentiles. Points are displayed as outliers if they are above or below 1.5 times the interquartile range. nTPM values of the individual samples are presented next to the box plot.
Max subtype nTPMi

Max subtype nTPM is the value for the subtype with the largest average nTPM across the subtype samples.

9.4
GTEx sample id Sample description nTPM
Skin - Not Sun Exposed (Suprapubic)
Average nTPM: 9.4
Samples: 604

Max nTPM: 35.7
Min nTPM: 4.4
Std nTPM: 2.4
Median nTPM: 9.1
GTEX-WHSE-0126-SM-3NMBT 20-29 years, male 35.7
GTEX-ZY6K-1426-SM-5GZX2 50-59 years, male 25.5
GTEX-11WQK-1026-SM-5EQLX 50-59 years, male 23.8
GTEX-1AX9J-1326-SM-731BJ 60-69 years, male 19.1
GTEX-1PPH8-0126-SM-EWRN8 20-29 years, male 18.8
GTEX-ZUA1-2626-SM-5NQ92 40-49 years, male 16.8
GTEX-1E1VI-0326-SM-793D1 50-59 years, male 15.9
GTEX-1H2FU-0926-SM-9WPPT 60-69 years, female 15.9
GTEX-17EVQ-0126-SM-7IGLR 70-79 years, male 15.6
GTEX-WFON-1926-SM-3LK7L 40-49 years, male 15.0
GTEX-16MT9-0126-SM-7EPI8 60-69 years, female 14.6
GTEX-1GMR3-0126-SM-A9SLW 40-49 years, male 14.5
GTEX-ZTX8-1326-SM-4YCEL 20-29 years, male 14.2
GTEX-1F6I4-2326-SM-7RHGL 60-69 years, male 14.2
GTEX-1GZ4H-0526-SM-9KNU9 50-59 years, female 14.1
GTEX-1POEN-2326-SM-E9J2L 30-39 years, female 14.1
GTEX-1JJEA-1826-SM-ARU8P 60-69 years, male 13.9
GTEX-1PBJJ-1026-SM-E76OS 30-39 years, male 13.8
GTEX-11O72-0626-SM-5PNYE 40-49 years, male 13.6
GTEX-15SHW-0226-SM-7LTAT 60-69 years, male 13.6
GTEX-1CAMS-2226-SM-7PBXQ 40-49 years, female 13.6
GTEX-11DXW-0826-SM-5H118 40-49 years, male 13.4
GTEX-ZZ64-1026-SM-5GZXG 20-29 years, male 13.4
GTEX-15CHR-1126-SM-7EWF4 50-59 years, male 13.3
GTEX-1J8Q2-2626-SM-ACKWQ 60-69 years, male 13.3
GTEX-12WSC-2826-SM-5BC5Y 50-59 years, male 13.2
GTEX-16GPK-0626-SM-7KFSF 60-69 years, male 13.1
GTEX-U8XE-0226-SM-4E3J3 30-39 years, male 13.1
GTEX-WI4N-2726-SM-3LK7Y 40-49 years, female 13.1
GTEX-111FC-2526-SM-5GZXU 60-69 years, male 13.0
GTEX-1MCC2-1826-SM-DIPEX 30-39 years, female 13.0
GTEX-1A3MW-0626-SM-731CB 60-69 years, female 12.9
GTEX-1R9PM-1926-SM-EVR3O 20-29 years, male 12.9
GTEX-17HGU-2326-SM-7DUFE 50-59 years, male 12.8
GTEX-XQ3S-1426-SM-4BOPR 20-29 years, male 12.8
GTEX-1GF9X-1326-SM-7PC2Y 40-49 years, female 12.8
GTEX-12ZZX-2426-SM-5GCOE 40-49 years, female 12.7
GTEX-15RJ7-2126-SM-6PAMD 40-49 years, male 12.7
GTEX-1GZHY-0626-SM-9KNVC 50-59 years, female 12.7
GTEX-1N2DV-1526-SM-DTXEP 40-49 years, male 12.7
GTEX-1OJC3-1226-SM-DTXER 20-29 years, male 12.7
GTEX-1PIIG-2326-SM-DTXFR 30-39 years, male 12.7
GTEX-XK95-0226-SM-4AT58 40-49 years, male 12.6
GTEX-1AYD5-2626-SM-7PBXY 50-59 years, male 12.6
GTEX-1HSMQ-2626-SM-A9SML 50-59 years, male 12.6
GTEX-1K9T9-1526-SM-DIPFR 50-59 years, female 12.6
GTEX-1S5ZU-2526-SM-E6CIF 20-29 years, female 12.6
GTEX-1AX9I-2226-SM-73KUO 60-69 years, male 12.5
GTEX-ZVTK-0226-SM-51MRG 20-29 years, male 12.5
GTEX-1I1GU-0926-SM-ACKVS 40-49 years, male 12.5
GTEX-1IKOE-1426-SM-CE6T7 30-39 years, female 12.5
GTEX-111VG-1626-SM-5EGIO 60-69 years, male 12.4
GTEX-12WSD-0626-SM-5GCMW 60-69 years, female 12.4
GTEX-1JMOU-1026-SM-CYPSS 60-69 years, female 12.4
GTEX-13113-1626-SM-5EQ4I 60-69 years, female 12.3
GTEX-13NZ9-2626-SM-5L3FK 50-59 years, male 12.3
GTEX-14PJ3-1126-SM-5ZZVX 50-59 years, male 12.3
GTEX-17F9Y-0126-SM-79OKX 70-79 years, female 12.3
GTEX-1GF9U-2026-SM-7SB92 40-49 years, female 12.3
GTEX-131XG-0326-SM-5L3DX 50-59 years, female 12.2
GTEX-WYJK-0526-SM-3NM8Z 50-59 years, male 12.2
GTEX-Y5LM-0926-SM-6LLJG 40-49 years, female 12.1
GTEX-ZYFD-0626-SM-5E44E 50-59 years, male 12.1
GTEX-ZYVF-0926-SM-5E44J 50-59 years, female 12.1
GTEX-14JG6-1426-SM-9WG7C 30-39 years, female 12.1
GTEX-1IY9M-2826-SM-ARU8H 60-69 years, male 12.1
GTEX-1R9PN-0426-SM-DTXDT 40-49 years, female 12.1
GTEX-YF7O-1526-SM-5IFI6 50-59 years, male 12.0
GTEX-1F6RS-2026-SM-7RHHC 60-69 years, female 12.0
GTEX-1F75I-2226-SM-7SB8U 40-49 years, male 11.9
GTEX-1H23P-0626-SM-9WG6T 60-69 years, male 11.9
GTEX-11EQ9-1626-SM-5PNY8 30-39 years, male 11.8
GTEX-17HG3-2626-SM-7DUF2 30-39 years, female 11.8
GTEX-1B933-2426-SM-7DHMD 50-59 years, female 11.8
GTEX-1CAMR-1326-SM-7PC1F 20-29 years, male 11.8
GTEX-1MJK3-0726-SM-E6CJC 20-29 years, male 11.8
GTEX-13FTX-1526-SM-5K7VJ 20-29 years, female 11.7
GTEX-18A66-0626-SM-7LT8Z 60-69 years, male 11.7
GTEX-1HSMP-0926-SM-A9SKX 70-79 years, male 11.7
GTEX-1I1GP-1326-SM-A9G28 50-59 years, male 11.7
GTEX-1IDFM-0326-SM-ARL7V 60-69 years, male 11.7
GTEX-1IE54-1126-SM-A9G2Z 40-49 years, female 11.7
GTEX-1RB15-1326-SM-E76Q9 60-69 years, male 11.7
GTEX-17HII-1426-SM-7EPGG 50-59 years, male 11.6
GTEX-1B8KE-1126-SM-7EPHI 50-59 years, male 11.6
GTEX-1F88E-1626-SM-7SB8Z 60-69 years, female 11.6
GTEX-1HT8W-0626-SM-A9G2H 30-39 years, male 11.6
GTEX-1N5O9-0926-SM-E9J3C 60-69 years, male 11.6
GTEX-1O9I2-0226-SM-EYYXD 50-59 years, male 11.6
GTEX-111YS-1526-SM-5GZYW 60-69 years, male 11.5
GTEX-144GM-0526-SM-79OJO 20-29 years, male 11.5
GTEX-14E6C-2426-SM-5S2NF 40-49 years, male 11.5
GTEX-ZDTS-0826-SM-4WKHL 60-69 years, male 11.5
GTEX-ZT9W-1126-SM-57WDR 50-59 years, male 11.5
GTEX-1CB4J-1326-SM-7P8RX 60-69 years, male 11.5
GTEX-1IDJC-1526-SM-B2LW4 50-59 years, male 11.5
GTEX-1QP29-1826-SM-DTX9S 50-59 years, male 11.5
GTEX-1QPFJ-1926-SM-EVYBD 30-39 years, female 11.5
GTEX-11DZ1-2426-SM-5GZZX 50-59 years, male 11.4
GTEX-WH7G-2026-SM-3NMBL 40-49 years, male 11.4
GTEX-1J1OQ-0126-SM-D4P2N 40-49 years, female 11.4
GTEX-1F6IF-0926-SM-7SB7M 60-69 years, male 11.3
GTEX-1H1CY-0126-SM-9YFLY 60-69 years, female 11.3
GTEX-1LVAM-0726-SM-E6CIL 50-59 years, female 11.3
GTEX-1399S-0126-SM-5IJCF 30-39 years, female 11.2
GTEX-X3Y1-2026-SM-3P5YM 40-49 years, male 11.2
GTEX-1I1CD-0626-SM-CE6SW 60-69 years, female 11.2
GTEX-1PPH7-1126-SM-DTX9A 40-49 years, male 11.2
GTEX-11DXX-2126-SM-5PNYR 60-69 years, female 11.1
GTEX-1B97I-0626-SM-73KUZ 40-49 years, male 11.1
GTEX-1JMQL-2226-SM-CNPP4 50-59 years, female 11.1
GTEX-14AS3-1526-SM-5Q5ED 40-49 years, female 11.0
GTEX-16NGA-0726-SM-731AO 40-49 years, female 11.0
GTEX-17F98-1326-SM-7DUEP 40-49 years, female 11.0
GTEX-1EWIQ-0326-SM-7DHMQ 70-79 years, female 11.0
GTEX-1H1DF-1126-SM-9WG7G 40-49 years, female 11.0
GTEX-1HBPN-0126-SM-CGQEF 50-59 years, male 11.0
GTEX-1HCUA-0826-SM-ADEHM 50-59 years, female 11.0
GTEX-1KANA-1326-SM-DIPFA 20-29 years, male 11.0
GTEX-12WSF-1626-SM-7KUG5 70-79 years, male 10.9
GTEX-1A8G6-2726-SM-731AR 60-69 years, male 10.9
GTEX-13OVK-1426-SM-6PAN7 40-49 years, male 10.8
GTEX-Y114-2126-SM-4TT8B 50-59 years, female 10.8
GTEX-1F5PL-0926-SM-7PC2W 40-49 years, female 10.8
GTEX-1HCU6-2526-SM-ADEHL 60-69 years, female 10.8
GTEX-1I6K7-1926-SM-B2LXR 40-49 years, male 10.8
GTEX-1J8JJ-0626-SM-ARZMQ 60-69 years, female 10.8
GTEX-1JKYR-0626-SM-ARL8R 20-29 years, male 10.8
GTEX-12126-0826-SM-5FQTZ 20-29 years, male 10.7
GTEX-13PDP-0726-SM-5L3HP 60-69 years, male 10.7
GTEX-1497J-0226-SM-5QGPU 60-69 years, male 10.7
GTEX-1BAJH-2426-SM-7IGP8 70-79 years, male 10.7
GTEX-1F48J-0726-SM-7RHGS 50-59 years, female 10.7
GTEX-1I6K6-1726-SM-CGQFD 30-39 years, male 10.7
GTEX-11P7K-1126-SM-5HL4L 30-39 years, male 10.6
GTEX-13NYC-0126-SM-5L3F4 60-69 years, male 10.6
GTEX-144GO-2026-SM-5O99P 60-69 years, male 10.6
GTEX-183FY-1026-SM-7939A 20-29 years, male 10.6
GTEX-WK11-2726-SM-3NMAQ 50-59 years, male 10.6
GTEX-WRHU-2826-SM-3MJG8 50-59 years, female 10.6
GTEX-X585-2426-SM-46MW2 50-59 years, male 10.6
GTEX-1J8EW-2726-SM-CY8HR 60-69 years, female 10.6
GTEX-12WSJ-1126-SM-5LZVJ 40-49 years, female 10.5
GTEX-WFG7-2026-SM-5SI7P 20-29 years, male 10.5
GTEX-WXYG-2026-SM-4E3IY 50-59 years, female 10.5
GTEX-WY7C-2126-SM-3NB2R 50-59 years, male 10.5
GTEX-YJ8O-2526-SM-5HL85 40-49 years, female 10.5
GTEX-Z93S-1626-SM-5CVMB 50-59 years, male 10.5
GTEX-ZP4G-1426-SM-4WWCL 20-29 years, female 10.5
GTEX-1S82U-1026-SM-E6CJK 30-39 years, female 10.5
GTEX-1S831-1826-SM-EWROF 20-29 years, male 10.5
GTEX-11ZUS-2626-SM-5FQUR 30-39 years, male 10.4
GTEX-1399U-1126-SM-5L3DB 50-59 years, female 10.4
GTEX-146FQ-2126-SM-5RQHU 30-39 years, male 10.4
GTEX-14A5H-0826-SM-5QGPJ 60-69 years, male 10.4
GTEX-14LZ3-0126-SM-69LPM 60-69 years, female 10.4
GTEX-1AMFI-1326-SM-7939R 50-59 years, female 10.4
GTEX-1C6WA-2626-SM-7MKGM 60-69 years, male 10.4
GTEX-ZVT2-0126-SM-5GIDQ 50-59 years, female 10.4
GTEX-1GF9V-0826-SM-9KNUV 60-69 years, male 10.4
GTEX-1HCU9-0426-SM-9WYSD 20-29 years, male 10.4
GTEX-1JN76-0626-SM-CKZOQ 20-29 years, female 10.4
GTEX-1LG7Z-1626-SM-CXKYR 30-39 years, male 10.4
GTEX-11LCK-2226-SM-5HL4Q 30-39 years, male 10.3
GTEX-13OVJ-0826-SM-5J1OK 50-59 years, female 10.3
GTEX-WFG8-2126-SM-3GIKQ 20-29 years, male 10.3
GTEX-ZA64-1026-SM-5HL8R 20-29 years, male 10.3
GTEX-ZU9S-1826-SM-5NQ9E 30-39 years, male 10.3
GTEX-1H11D-1826-SM-9QEHM 40-49 years, male 10.3
GTEX-1313W-0626-SM-5EQ4H 50-59 years, female 10.2
GTEX-13JVG-0726-SM-5KM16 60-69 years, male 10.2
GTEX-13OW5-2326-SM-5L3HO 60-69 years, male 10.2
GTEX-14A6H-2026-SM-5Q5DD 30-39 years, male 10.2
GTEX-14ABY-2026-SM-62LDL 50-59 years, male 10.2
GTEX-14C5O-0326-SM-5ZZUX 60-69 years, male 10.2
GTEX-14DAR-1226-SM-73KYV 50-59 years, male 10.2
GTEX-14XAO-1226-SM-6EU1C 60-69 years, female 10.2
GTEX-1AX8Z-0726-SM-73KTS 60-69 years, male 10.2
GTEX-1EN7A-2426-SM-793DB 40-49 years, male 10.2
GTEX-VJYA-1526-SM-3GIJV 60-69 years, male 10.2
GTEX-WYBS-0626-SM-3NMAS 60-69 years, female 10.2
GTEX-ZLWG-0826-SM-59888 50-59 years, female 10.2
GTEX-1L5NE-1126-SM-D3L9P 50-59 years, male 10.2
GTEX-1QW4Y-1126-SM-DTXE3 30-39 years, male 10.2
GTEX-1S3DN-2126-SM-E9TIN 50-59 years, male 10.2
GTEX-133LE-2326-SM-5K7W3 20-29 years, female 10.1
GTEX-139YR-1026-SM-5LZYN 50-59 years, male 10.1
GTEX-15UF6-1926-SM-7KUDV 70-79 years, female 10.1
GTEX-17F97-2626-SM-7IGM5 50-59 years, male 10.1
GTEX-XAJ8-1426-SM-47JYM 40-49 years, male 10.1
GTEX-ZDXO-3126-SM-5IJDF 60-69 years, male 10.1
GTEX-12ZZY-0726-SM-5EQ66 60-69 years, male 10.0
GTEX-131YS-2826-SM-5EQ47 60-69 years, female 10.0
GTEX-16MTA-0926-SM-6M47Z 50-59 years, male 10.0
GTEX-17JCI-2926-SM-7DUFF 60-69 years, female 10.0
GTEX-1A3MX-2626-SM-7PC24 60-69 years, male 10.0
GTEX-17F96-0126-SM-7EWDU 70-79 years, male 9.9
GTEX-1B8SF-0126-SM-7DUG3 60-69 years, male 9.9
GTEX-1EU9M-1426-SM-793AI 60-69 years, male 9.9
GTEX-ZT9X-1526-SM-5DUXD 40-49 years, male 9.9
GTEX-1E2YA-2126-SM-7MXUO 50-59 years, male 9.9
GTEX-ZGAY-1826-SM-DO91Q 40-49 years, female 9.9
GTEX-11DYG-1526-SM-5A5JS 60-69 years, male 9.8
GTEX-13G51-1826-SM-5KLZH 60-69 years, male 9.8
GTEX-13IVO-0726-SM-5LZYV 70-79 years, male 9.8
GTEX-13NYB-0126-SM-5J1MD 40-49 years, male 9.8
GTEX-14BMU-1226-SM-5S2OR 20-29 years, female 9.8
GTEX-14PJO-2526-SM-6AJBQ 60-69 years, male 9.8
GTEX-15ER7-0626-SM-6PANF 20-29 years, female 9.8
GTEX-1GL5R-1326-SM-7RHHF 50-59 years, male 9.8
GTEX-1H1E6-0426-SM-9WYUS 30-39 years, male 9.8
GTEX-1HCU8-2526-SM-CE6RX 60-69 years, female 9.8
GTEX-1IOXB-2726-SM-CM2RI 50-59 years, male 9.8
GTEX-1K2DU-1226-SM-CYPT4 20-29 years, male 9.8
GTEX-1KAFJ-0126-SM-DIPEK 50-59 years, male 9.8
GTEX-1RMOY-1326-SM-E9TIH 50-59 years, male 9.8
GTEX-11NSD-0626-SM-5A5LU 20-29 years, male 9.7
GTEX-13QBU-1226-SM-5LU4G 40-49 years, female 9.7
GTEX-13X6H-0926-SM-5SIB2 50-59 years, female 9.7
GTEX-13X6J-0626-SM-5LU5F 50-59 years, male 9.7
GTEX-14BIN-1126-SM-5RQJZ 50-59 years, female 9.7
GTEX-14C38-0726-SM-5SI6M 50-59 years, male 9.7
GTEX-14E6E-0526-SM-793DN 30-39 years, male 9.7
GTEX-15CHQ-0326-SM-69LQD 60-69 years, male 9.7
GTEX-1HSMO-0626-SM-ACKXC 60-69 years, male 9.7
GTEX-1IKJJ-2226-SM-CJI4C 60-69 years, male 9.7
GTEX-1JK1U-0226-SM-ARZMX 60-69 years, male 9.7
GTEX-1S83E-1326-SM-E6CJM 40-49 years, male 9.7
GTEX-11EI6-2826-SM-5H11D 60-69 years, male 9.6
GTEX-11EQ8-0926-SM-5H12V 60-69 years, male 9.6
GTEX-13W3W-0726-SM-5IJDQ 60-69 years, female 9.6
GTEX-145LT-0526-SM-5LUB2 40-49 years, male 9.6
GTEX-18465-2826-SM-7LT9J 50-59 years, male 9.6
GTEX-18D9B-0926-SM-7LG4U 60-69 years, male 9.6
GTEX-18D9U-0126-SM-731BM 40-49 years, male 9.6
GTEX-WHPG-2626-SM-3NMBR 50-59 years, male 9.6
GTEX-WHWD-1826-SM-3LK6I 50-59 years, male 9.6
GTEX-XBEW-1126-SM-4QARW 40-49 years, male 9.6
GTEX-ZDTT-0426-SM-4WKFL 60-69 years, male 9.6
GTEX-1F88F-0126-SM-9WYSZ 60-69 years, female 9.6
GTEX-1GN1U-0626-SM-9MQL9 50-59 years, female 9.6
GTEX-1HBPI-2126-SM-ARL9K 50-59 years, male 9.6
GTEX-1I1GT-1026-SM-ARZLV 60-69 years, female 9.6
GTEX-1JMQK-1226-SM-D4P2S 60-69 years, male 9.6
GTEX-1KD5A-0126-SM-E9U54 50-59 years, male 9.6
GTEX-1LVAN-0626-SM-CNPOQ 50-59 years, female 9.6
GTEX-111CU-1126-SM-5EGIM 50-59 years, male 9.5
GTEX-139TU-0726-SM-5L3EK 60-69 years, male 9.5
GTEX-13YAN-0226-SM-5TDC6 60-69 years, male 9.5
GTEX-145MF-0926-SM-5Q5EA 50-59 years, male 9.5
GTEX-145MN-1526-SM-5SI9T 30-39 years, male 9.5
GTEX-145MO-2826-SM-5LU96 60-69 years, male 9.5
GTEX-15RIE-1926-SM-7KUKJ 60-69 years, male 9.5
GTEX-18A7B-2726-SM-7LG56 70-79 years, male 9.5
GTEX-1GN73-0726-SM-7P8TJ 60-69 years, male 9.5
GTEX-1HC8U-1326-SM-9YFMJ 40-49 years, female 9.5
GTEX-13U4I-2226-SM-5LU5H 40-49 years, female 9.4
GTEX-17HHY-0426-SM-7DHLC 50-59 years, male 9.4
GTEX-18A6Q-0626-SM-7KFRP 60-69 years, male 9.4
GTEX-1F52S-2926-SM-7MKGA 60-69 years, female 9.4
GTEX-XBED-1926-SM-47JYP 60-69 years, male 9.4
GTEX-1HFI6-0126-SM-CNPPI 40-49 years, male 9.4
GTEX-1IL2V-1926-SM-B2LW8 70-79 years, male 9.4
GTEX-1LSNM-0826-SM-DIPG8 50-59 years, male 9.4
GTEX-1RLM8-2926-SM-E8VON 50-59 years, male 9.4
GTEX-1S82P-2126-SM-E6CI5 60-69 years, female 9.4
GTEX-11VI4-1126-SM-5EQMD 40-49 years, female 9.3
GTEX-11WQC-1826-SM-5GU59 60-69 years, male 9.3
GTEX-11ZTT-2126-SM-5CVLO 60-69 years, female 9.3
GTEX-13NZ8-1226-SM-5KM4A 60-69 years, female 9.3
GTEX-14PJ5-1526-SM-6LLIL 60-69 years, female 9.3
GTEX-15CHC-1126-SM-6LLHQ 60-69 years, female 9.3
GTEX-16NPX-0726-SM-7KULC 50-59 years, male 9.3
GTEX-XPVG-2126-SM-4B667 50-59 years, male 9.3
GTEX-ZAJG-1526-SM-5CVML 50-59 years, female 9.3
GTEX-ZPU1-1126-SM-4YCF3 40-49 years, male 9.3
GTEX-1I1GV-0626-SM-ARL7M 60-69 years, male 9.3
GTEX-1JMPY-0226-SM-CKZOK 30-39 years, male 9.3
GTEX-1R7EU-1626-SM-DTXG3 60-69 years, male 9.3
GTEX-YEC3-1326-SM-DO92X 50-59 years, male 9.3
GTEX-11TT1-1826-SM-5EQLV 20-29 years, male 9.2
GTEX-11UD2-2526-SM-5CVNU 50-59 years, male 9.2
GTEX-13O61-1426-SM-5KM3D 60-69 years, male 9.2
GTEX-16AAH-0626-SM-793C9 50-59 years, male 9.2
GTEX-16MT8-2926-SM-7DUFO 60-69 years, female 9.2
GTEX-ZWKS-0626-SM-5GIDV 30-39 years, male 9.2
GTEX-1GF9W-1426-SM-7PBYM 60-69 years, male 9.2
GTEX-1GN1W-2426-SM-9KNUU 50-59 years, female 9.2
GTEX-1GN2E-0226-SM-9WG6K 60-69 years, male 9.2
GTEX-1JMQI-1726-SM-ARL93 50-59 years, male 9.2
GTEX-1LBAC-0826-SM-CY8IJ 20-29 years, male 9.2
GTEX-1R9K4-2826-SM-DTX8F 60-69 years, male 9.2
GTEX-1RAZA-2226-SM-E9U4X 20-29 years, male 9.2
GTEX-11DXY-0126-SM-5H11Q 60-69 years, male 9.1
GTEX-11DXZ-2026-SM-5987S 50-59 years, male 9.1
GTEX-13FTW-0326-SM-5K7UW 40-49 years, male 9.1
GTEX-13JUV-2026-SM-5K7UA 40-49 years, female 9.1
GTEX-13O3O-2326-SM-5IJD6 60-69 years, female 9.1
GTEX-145MG-1526-SM-5Q5EM 50-59 years, male 9.1
GTEX-14PHY-1226-SM-5ZZWK 60-69 years, female 9.1
GTEX-14PJ2-0626-SM-6LLII 50-59 years, male 9.1
GTEX-14PK6-0226-SM-62LF5 70-79 years, female 9.1
GTEX-15DDE-2926-SM-6LLJ3 50-59 years, female 9.1
GTEX-1A8G7-1326-SM-73KVM 60-69 years, male 9.1
GTEX-X8HC-0626-SM-4E3HQ 50-59 years, female 9.1
GTEX-1LKK1-2626-SM-DKPQE 50-59 years, female 9.1
GTEX-1MCYP-0526-SM-E9U6Q 20-29 years, female 9.1
GTEX-1314G-1326-SM-5BC6E 30-39 years, male 9.0
GTEX-139D8-1126-SM-5LU8W 30-39 years, female 9.0
GTEX-13OVG-1626-SM-5J1NF 60-69 years, male 9.0
GTEX-18A67-1626-SM-7LT9T 50-59 years, male 9.0
GTEX-18QFQ-1826-SM-72D52 30-39 years, male 9.0
GTEX-Y111-0626-SM-4SOIT 50-59 years, male 9.0
GTEX-ZVT4-2426-SM-5GIEI 50-59 years, female 9.0
GTEX-18D9A-1426-SM-7LT8M 30-39 years, female 9.0
GTEX-1GTWX-2026-SM-9YFLM 60-69 years, male 9.0
GTEX-1GZ4I-2626-SM-9KNU3 50-59 years, male 9.0
GTEX-1IDJD-2326-SM-ACKWX 30-39 years, male 9.0
GTEX-1IDJE-1426-SM-ADEIW 50-59 years, female 9.0
GTEX-1LVAO-2726-SM-E9TJ8 60-69 years, male 9.0
GTEX-11NUK-2726-SM-5A5MC 50-59 years, male 8.9
GTEX-11TUW-0626-SM-5LU9M 60-69 years, male 8.9
GTEX-12BJ1-0926-SM-5EQ62 60-69 years, male 8.9
GTEX-12WSH-1526-SM-5BC5W 50-59 years, male 8.9
GTEX-13OVH-0526-SM-5L3E6 70-79 years, male 8.9
GTEX-13PVQ-0626-SM-5LU47 50-59 years, male 8.9
GTEX-13X6K-0626-SM-5LU5D 60-69 years, female 8.9
GTEX-14ICL-1626-SM-5YYAO 30-39 years, male 8.9
GTEX-14PJ4-0226-SM-5YY92 60-69 years, male 8.9
GTEX-17F9E-2326-SM-79OKD 50-59 years, male 8.9
GTEX-1A32A-0626-SM-731AQ 50-59 years, female 8.9
GTEX-WYVS-1626-SM-3NM9R 40-49 years, female 8.9
GTEX-XBEC-0726-SM-4QARZ 50-59 years, male 8.9
GTEX-ZDYS-2426-SM-4WKGI 50-59 years, male 8.9
GTEX-1F75B-0726-SM-7PC3R 50-59 years, male 8.9
GTEX-1QCLZ-2426-SM-EVYBW 60-69 years, female 8.9
GTEX-1QP2A-1726-SM-E76QC 50-59 years, male 8.9
GTEX-ZLV1-1526-SM-DO91J 60-69 years, female 8.9
GTEX-12584-0726-SM-5FQTK 40-49 years, male 8.8
GTEX-12KS4-2126-SM-5FQUT 30-39 years, male 8.8
GTEX-145LS-0626-SM-7EPG7 60-69 years, female 8.8
GTEX-145LU-1926-SM-79OJN 50-59 years, male 8.8
GTEX-14PJN-1826-SM-6AJ98 30-39 years, male 8.8
GTEX-X4EO-2926-SM-4E3JH 60-69 years, female 8.8
GTEX-XXEK-1626-SM-4BRUZ 50-59 years, male 8.8
GTEX-ZAK1-0626-SM-5HL8E 50-59 years, female 8.8
GTEX-ZYFC-0426-SM-5GICQ 50-59 years, male 8.8
GTEX-1K2DA-1026-SM-CGQGF 50-59 years, male 8.8
GTEX-12WSK-2126-SM-5CVNC 40-49 years, female 8.7
GTEX-13112-0126-SM-5P9IU 50-59 years, male 8.7
GTEX-139TT-2126-SM-5LZWC 60-69 years, male 8.7
GTEX-13FHO-0426-SM-5L3F5 60-69 years, male 8.7
GTEX-144FL-0626-SM-5LU43 50-59 years, male 8.7
GTEX-15RIG-0726-SM-7KUM7 40-49 years, male 8.7
GTEX-1EKGG-0626-SM-7DUGJ 60-69 years, male 8.7
GTEX-ZVE2-2826-SM-5GU51 50-59 years, male 8.7
GTEX-ZZPU-0826-SM-5GZX5 50-59 years, female 8.7
GTEX-1GMRU-2126-SM-7P8RA 50-59 years, male 8.7
GTEX-1GPI7-1826-SM-9KNU1 20-29 years, male 8.7
GTEX-1H3NZ-2726-SM-9WYTQ 60-69 years, male 8.7
GTEX-1I1HK-2326-SM-CKZOH 60-69 years, male 8.7
GTEX-1M4P7-0726-SM-E6CJ3 60-69 years, male 8.7
GTEX-1QAET-0326-SM-EVR3U 50-59 years, male 8.7
GTEX-1QP28-1126-SM-EVYC4 50-59 years, female 8.7
GTEX-1211K-1526-SM-5FQU4 60-69 years, female 8.6
GTEX-13D11-0926-SM-5J2NC 50-59 years, female 8.6
GTEX-147F4-0726-SM-5TDDD 50-59 years, male 8.6
GTEX-14BMV-2826-SM-5TDED 50-59 years, male 8.6
GTEX-14PKU-0126-SM-6LLHV 40-49 years, female 8.6
GTEX-15RJE-2826-SM-7KUM9 40-49 years, male 8.6
GTEX-YFCO-1226-SM-5LUAT 40-49 years, male 8.6
GTEX-ZTSS-1426-SM-5985P 40-49 years, male 8.6
GTEX-1GPI6-1926-SM-9KNV7 60-69 years, male 8.6
GTEX-1IDJF-2026-SM-CL53V 20-29 years, male 8.6
GTEX-13PVR-0426-SM-5RQK2 60-69 years, female 8.5
GTEX-13RTJ-0126-SM-5S2NN 60-69 years, male 8.5
GTEX-17KNJ-2126-SM-718AM 50-59 years, male 8.5
GTEX-UPJH-0226-SM-3GADV 50-59 years, male 8.5
GTEX-YECK-0326-SM-4W1YS 60-69 years, male 8.5
GTEX-ZVP2-0326-SM-57WBP 50-59 years, male 8.5
GTEX-1C475-1326-SM-7SB73 40-49 years, female 8.5
GTEX-1F75W-2726-SM-7SB8H 60-69 years, male 8.5
GTEX-1H4P4-2126-SM-9WYSL 50-59 years, male 8.5
GTEX-1HCU7-0726-SM-A9SL1 50-59 years, male 8.5
GTEX-1I4MK-0126-SM-CY8G6 50-59 years, female 8.5
GTEX-1IDJI-0126-SM-CMKHS 50-59 years, female 8.5
GTEX-1JMQJ-0826-SM-CNPP7 50-59 years, male 8.5
GTEX-1QP66-1226-SM-DTX7U 50-59 years, male 8.5
GTEX-13VXU-0626-SM-5L3F9 50-59 years, male 8.4
GTEX-14PHX-2226-SM-6EU2P 50-59 years, male 8.4
GTEX-15G1A-1626-SM-7KUKN 30-39 years, male 8.4
GTEX-1B996-0426-SM-7EWF8 60-69 years, male 8.4
GTEX-XUW1-0926-SM-4BONX 50-59 years, female 8.4
GTEX-Y8E4-2026-SM-5IFJB 40-49 years, male 8.4
GTEX-Y8LW-1526-SM-5IFHL 50-59 years, female 8.4
GTEX-ZAB4-2126-SM-5HL8U 40-49 years, male 8.4
GTEX-ZLFU-1826-SM-4WWBV 40-49 years, male 8.4
GTEX-ZYW4-0626-SM-59HJR 60-69 years, male 8.4
GTEX-1HCVE-2726-SM-CL54F 50-59 years, male 8.4
GTEX-1HSKV-1226-SM-ADEI4 60-69 years, male 8.4
GTEX-1ICLZ-0326-SM-ARL82 60-69 years, male 8.4
GTEX-1IDJU-1726-SM-CMKHU 60-69 years, female 8.4
GTEX-1J1R8-2026-SM-CL53Y 40-49 years, male 8.4
GTEX-1JKYN-0826-SM-ARU8S 30-39 years, male 8.4
GTEX-1KXAM-1626-SM-D3LAD 60-69 years, male 8.4
GTEX-1OJC4-2726-SM-E76PJ 50-59 years, female 8.4
GTEX-1RAZR-2126-SM-E9U6T 40-49 years, male 8.4
GTEX-11OF3-0126-SM-5PNYF 60-69 years, male 8.3
GTEX-131XW-0626-SM-5PNVD 50-59 years, female 8.3
GTEX-147F3-1726-SM-5SIAW 50-59 years, female 8.3
GTEX-14PKV-1126-SM-6LLJ1 20-29 years, female 8.3
GTEX-VUSG-2326-SM-4KL1U 50-59 years, male 8.3
GTEX-YEC4-1826-SM-4W1YP 40-49 years, male 8.3
GTEX-ZC5H-1526-SM-5HL9Y 40-49 years, female 8.3
GTEX-1PDJ9-1226-SM-EXUSX 20-29 years, male 8.3
GTEX-14E1K-2026-SM-7DUEI 50-59 years, male 8.2
GTEX-15EU6-2226-SM-6EU2L 50-59 years, male 8.2
GTEX-X4EP-0626-SM-3P621 60-69 years, female 8.2
GTEX-XYKS-1426-SM-4BRUO 60-69 years, female 8.2
GTEX-ZE9C-2526-SM-5IJDR 60-69 years, male 8.2
GTEX-1GZ2Q-0126-SM-9WG6M 40-49 years, male 8.2
GTEX-1LSNL-2726-SM-E9TKJ 50-59 years, male 8.2
GTEX-1PIGE-1826-SM-E8VOU 20-29 years, male 8.2
GTEX-12WSL-2026-SM-5GCML 50-59 years, male 8.1
GTEX-131XF-2626-SM-5EQ6K 60-69 years, male 8.1
GTEX-1399Q-2326-SM-5KM2X 40-49 years, male 8.1
GTEX-145MH-2826-SM-5RQJF 50-59 years, male 8.1
GTEX-1477Z-0326-SM-7IGLA 60-69 years, male 8.1
GTEX-16BQI-1326-SM-6M486 30-39 years, female 8.1
GTEX-ZF29-0926-SM-4WKFZ 60-69 years, female 8.1
GTEX-1122O-1026-SM-9WYSF 60-69 years, female 8.1
GTEX-1C64O-1326-SM-7MGWR 60-69 years, male 8.1
GTEX-1HGF4-0126-SM-CNPPX 60-69 years, male 8.1
GTEX-1JN1M-2726-SM-CY8I4 60-69 years, female 8.1
GTEX-1KWVE-1026-SM-D3L9O 30-39 years, male 8.1
GTEX-1N2EE-0626-SM-E76PW 60-69 years, male 8.1
GTEX-1RAZS-2526-SM-E6CHT 50-59 years, male 8.1
GTEX-11P81-2226-SM-5PNYI 30-39 years, female 8.0
GTEX-11PRG-0726-SM-5EGL1 50-59 years, male 8.0
GTEX-W5X1-2526-SM-3GILC 40-49 years, female 8.0
GTEX-XV7Q-1826-SM-4BRUV 40-49 years, female 8.0
GTEX-1F75A-0726-SM-7RHHD 50-59 years, male 8.0
GTEX-1J8Q3-0526-SM-ARL8U 60-69 years, male 8.0
GTEX-1LGRB-0926-SM-COH3K 50-59 years, female 8.0
GTEX-ZPIC-0526-SM-DO91W 40-49 years, female 8.0
GTEX-12ZZZ-0726-SM-5GCNZ 60-69 years, male 7.9
GTEX-13SLW-0626-SM-5Q5ER 70-79 years, male 7.9
GTEX-13X6I-1826-SM-5SIAO 60-69 years, male 7.9
GTEX-15D1Q-2826-SM-6LLH7 40-49 years, male 7.9
GTEX-15EO6-2426-SM-6PALZ 50-59 years, male 7.9
GTEX-ZYFG-1526-SM-5GZYM 60-69 years, female 7.9
GTEX-1I19N-0126-SM-CYPSF 70-79 years, male 7.9
GTEX-1LVA9-2626-SM-EVYD4 50-59 years, male 7.9
GTEX-1QCLY-0226-SM-EWRNH 30-39 years, male 7.9
GTEX-117YX-1926-SM-5GIEC 50-59 years, male 7.8
GTEX-13SLX-2226-SM-62LEP 50-59 years, female 7.8
GTEX-147JS-0226-SM-5S2U9 60-69 years, male 7.8
GTEX-14B4R-1326-SM-5Q5EZ 30-39 years, male 7.8
GTEX-16YQH-2226-SM-7IGM2 30-39 years, male 7.8
GTEX-18A7A-0126-SM-731AH 50-59 years, female 7.8
GTEX-WEY5-2326-SM-3GIKK 40-49 years, female 7.8
GTEX-ZVZP-1226-SM-5GID7 50-59 years, male 7.8
GTEX-14JFF-0626-SM-5ZZVT 60-69 years, male 7.8
GTEX-1GN1V-2826-SM-9JGIA 60-69 years, male 7.8
GTEX-1HKZK-0726-SM-ACKW2 40-49 years, male 7.8
GTEX-132AR-0326-SM-5KM2C 50-59 years, female 7.7
GTEX-139T8-0626-SM-5KLZX 60-69 years, male 7.7
GTEX-13FTY-2126-SM-5IFFB 40-49 years, female 7.7
GTEX-13PL6-1126-SM-5L3IE 40-49 years, female 7.7
GTEX-144GL-0626-SM-5LU4D 50-59 years, male 7.7
GTEX-148VJ-0626-SM-5LUAW 70-79 years, male 7.7
GTEX-1B8KZ-0326-SM-73KY4 50-59 years, male 7.7
GTEX-1CB4I-0126-SM-7RHGG 50-59 years, male 7.7
GTEX-1H1ZS-2726-SM-9WG75 70-79 years, male 7.7
GTEX-1HR98-2226-SM-ADEI2 60-69 years, male 7.7
GTEX-1HR9M-2226-SM-CNPPY 60-69 years, male 7.7
GTEX-1J8QM-2426-SM-A9SLS 60-69 years, female 7.7
GTEX-1JMLX-0626-SM-ARL8T 50-59 years, male 7.7
GTEX-1JMPZ-0726-SM-CY8HZ 30-39 years, male 7.7
GTEX-1KANB-2826-SM-CY8I6 50-59 years, male 7.7
GTEX-1QP9N-1226-SM-E76QN 30-39 years, male 7.7
GTEX-ZF3C-0626-SM-DO92O 50-59 years, female 7.7
GTEX-12WSM-1926-SM-5BC65 60-69 years, male 7.6
GTEX-13N11-2326-SM-5IJBF 50-59 years, female 7.6
GTEX-13N1W-2426-SM-5IJD1 70-79 years, male 7.6
GTEX-145ME-1726-SM-5Q5EU 40-49 years, female 7.6
GTEX-1CB4H-1126-SM-7MKGL 60-69 years, female 7.6
GTEX-Y5V5-0126-SM-5S2NW 60-69 years, female 7.6
GTEX-ZF2S-1626-SM-57WES 50-59 years, female 7.6
GTEX-11P82-1426-SM-DTXFY 20-29 years, male 7.6
GTEX-1C64N-2626-SM-7PC2N 50-59 years, male 7.6
GTEX-1HBPM-0726-SM-9YFL7 60-69 years, female 7.6
GTEX-1JN6P-2926-SM-CL54D 60-69 years, male 7.6
GTEX-1117F-2926-SM-5GZYI 60-69 years, female 7.5
GTEX-11GS4-0226-SM-5HL77 60-69 years, male 7.5
GTEX-12696-0126-SM-5EQ4L 60-69 years, male 7.5
GTEX-1399R-1326-SM-5PNYS 30-39 years, male 7.5
GTEX-13NYS-0626-SM-5L3F1 60-69 years, male 7.5
GTEX-145MI-0626-SM-5SI8S 60-69 years, female 7.5
GTEX-14C39-1726-SM-5RQIL 40-49 years, male 7.5
GTEX-16Z82-2626-SM-7KULU 60-69 years, male 7.5
GTEX-178AV-1726-SM-7KUL8 40-49 years, male 7.5
GTEX-XMD2-2126-SM-4YCF8 60-69 years, female 7.5
GTEX-ZVE1-0726-SM-51MRN 50-59 years, female 7.5
GTEX-ZXG5-2126-SM-59HKD 60-69 years, male 7.5
GTEX-1LGOU-1326-SM-D3L8M 20-29 years, female 7.5
GTEX-1PPGY-1626-SM-EVYBL 60-69 years, male 7.5
GTEX-1R46S-2426-SM-E76QA 60-69 years, female 7.5
GTEX-1A3MV-1826-SM-731CD 30-39 years, male 7.4
GTEX-1C6VQ-1226-SM-73KYD 50-59 years, male 7.4
GTEX-ZTTD-2826-SM-4YCFA 50-59 years, male 7.4
GTEX-1GMR8-0626-SM-7RHI7 50-59 years, female 7.4
GTEX-1LB8K-0726-SM-D5OV2 50-59 years, male 7.4
GTEX-1RAZQ-1326-SM-E9TK6 30-39 years, male 7.4
GTEX-13OW6-2726-SM-5J2OE 50-59 years, male 7.3
GTEX-17HHE-1326-SM-7EWDZ 50-59 years, male 7.3
GTEX-WHSB-1326-SM-3LK6W 50-59 years, male 7.3
GTEX-X5EB-1926-SM-4E3IW 40-49 years, male 7.3
GTEX-XOT4-0626-SM-4B66L 60-69 years, female 7.3
GTEX-1F5PK-2226-SM-7SB6N 50-59 years, male 7.3
GTEX-1H1DG-2426-SM-9QEHJ 70-79 years, male 7.3
GTEX-1HFI7-2326-SM-CGQFS 50-59 years, female 7.3
GTEX-14JG1-1526-SM-5YY9X 40-49 years, male 7.2
GTEX-1AMEY-0826-SM-72D65 30-39 years, female 7.2
GTEX-1CB4F-1026-SM-7DUH1 60-69 years, male 7.2
GTEX-1C6VR-0126-SM-7RHGB 60-69 years, male 7.2
GTEX-1EMGI-2326-SM-7PBYA 60-69 years, male 7.2
GTEX-1H3O1-1326-SM-9MQLD 60-69 years, male 7.2
GTEX-1I1GS-2626-SM-B2LY3 60-69 years, male 7.2
GTEX-1IDJH-0126-SM-D3L92 70-79 years, male 7.2
GTEX-11EM3-1226-SM-5N9DD 20-29 years, female 7.1
GTEX-13N2G-0226-SM-5K7VF 60-69 years, male 7.1
GTEX-13OVL-0126-SM-5L3GJ 50-59 years, male 7.1
GTEX-13VXT-1926-SM-5K7UO 20-29 years, female 7.1
GTEX-14753-0726-SM-5QGQO 60-69 years, male 7.1
GTEX-14PII-0726-SM-6EU2B 60-69 years, male 7.1
GTEX-14PJ6-2626-SM-6EU2T 60-69 years, female 7.1
GTEX-ZYT6-2326-SM-5GZY3 30-39 years, male 7.1
GTEX-1CAMQ-1326-SM-7P8RV 40-49 years, male 7.1
GTEX-1KANC-1226-SM-CYPT7 50-59 years, female 7.1
GTEX-1LG7Y-2526-SM-EWRO7 50-59 years, male 7.1
GTEX-1LSVX-2526-SM-DIPEU 60-69 years, male 7.1
GTEX-1QEPI-2626-SM-DTXF4 60-69 years, female 7.1
GTEX-12C56-1526-SM-5FQUQ 20-29 years, male 7.0
GTEX-139TS-2126-SM-5K7XC 60-69 years, male 7.0
GTEX-15G19-2426-SM-7KUMR 60-69 years, male 7.0
GTEX-1CB4E-0926-SM-7EPHT 60-69 years, male 7.0
GTEX-Y3IK-1626-SM-4YCF5 50-59 years, female 7.0
GTEX-1B8L1-2226-SM-7P8PT 60-69 years, male 7.0
GTEX-1H1DE-1326-SM-9KNUG 20-29 years, male 7.0
GTEX-1NSGN-0726-SM-DTXEF 50-59 years, male 7.0
GTEX-1212Z-0126-SM-59HK4 60-69 years, male 6.9
GTEX-13OW8-1026-SM-5J1NQ 60-69 years, male 6.9
GTEX-16XZZ-0726-SM-7KUF2 60-69 years, male 6.9
GTEX-17MFQ-1526-SM-7KFRR 20-29 years, male 6.9
GTEX-1EH9U-2826-SM-7DUGT 60-69 years, male 6.9
GTEX-V1D1-2026-SM-3GAF4 50-59 years, male 6.9
GTEX-1A8FM-0626-SM-7PC25 50-59 years, female 6.9
GTEX-1GMR2-0826-SM-7PC3V 50-59 years, male 6.9
GTEX-1HUB1-1426-SM-CGQF5 60-69 years, male 6.9
GTEX-1JJE9-2626-SM-ARZMT 70-79 years, male 6.9
GTEX-11ZU8-0126-SM-5EQ58 60-69 years, male 6.8
GTEX-147GR-2426-SM-5ZZWQ 60-69 years, male 6.8
GTEX-1192X-2726-SM-5N9DN 50-59 years, male 6.7
GTEX-15FZZ-0526-SM-7KUGD 30-39 years, female 6.7
GTEX-13OW7-0426-SM-5K7VK 50-59 years, male 6.6
GTEX-15SKB-2826-SM-6PAMH 60-69 years, male 6.6
GTEX-183WM-0326-SM-72D5V 70-79 years, female 6.6
GTEX-1C2JI-1026-SM-73KY1 50-59 years, male 6.6
GTEX-1H3VE-0726-SM-9YFL5 40-49 years, male 6.6
GTEX-1HSGN-0826-SM-ACKW3 40-49 years, female 6.6
GTEX-1269C-0126-SM-5EQ5L 60-69 years, female 6.5
GTEX-17MF6-2626-SM-79OKQ 40-49 years, male 6.5
GTEX-ZE7O-2726-SM-51MT5 50-59 years, female 6.5
GTEX-1HB9E-0126-SM-CM2S5 50-59 years, male 6.5
GTEX-1IDJV-0126-SM-COH3Y 60-69 years, male 6.5
GTEX-1JJ6O-2726-SM-CNPOG 60-69 years, male 6.5
GTEX-11GSP-2326-SM-5HL63 60-69 years, female 6.4
GTEX-13O3Q-0126-SM-5KM34 50-59 years, male 6.4
GTEX-13QJC-0126-SM-5ZZWJ 60-69 years, female 6.4
GTEX-XQ8I-0926-SM-4BOOF 50-59 years, male 6.4
GTEX-ZPCL-1126-SM-4WWFE 60-69 years, female 6.4
GTEX-1QMI2-2526-SM-E8VNZ 60-69 years, male 6.4
GTEX-139UW-0326-SM-5J1ML 60-69 years, male 6.3
GTEX-14LLW-2626-SM-62LDZ 70-79 years, female 6.3
GTEX-1EX96-1026-SM-7MKG2 50-59 years, male 6.3
GTEX-ZYY3-2926-SM-5GIEB 60-69 years, female 6.3
GTEX-13FLV-0126-SM-5K7WT 50-59 years, male 6.2
GTEX-17EVP-2626-SM-7IGMA 40-49 years, male 6.2
GTEX-UPK5-0426-SM-3GAEK 40-49 years, male 6.2
GTEX-1ICLY-0826-SM-CMKG1 50-59 years, male 6.2
GTEX-12WSA-0426-SM-5EQ5X 60-69 years, male 6.1
GTEX-13FH7-1126-SM-5K7UG 50-59 years, female 6.1
GTEX-Y3I4-1726-SM-4TT89 50-59 years, male 6.1
GTEX-1ICG6-1226-SM-A9SLN 70-79 years, female 6.1
GTEX-1NV5F-0626-SM-DTXEG 60-69 years, female 6.1
GTEX-15DYW-2726-SM-6EU2I 60-69 years, female 6.0
GTEX-1CAV2-0126-SM-7IGN7 40-49 years, female 6.0
GTEX-14DAQ-0626-SM-793DS 60-69 years, female 5.9
GTEX-1B932-2326-SM-79OL5 40-49 years, female 5.9
GTEX-YB5K-2026-SM-4VDT3 40-49 years, female 5.7
GTEX-131XH-0126-SM-5LZUY 50-59 years, male 5.3
GTEX-Y9LG-1126-SM-4VBQ7 30-39 years, male 5.3
GTEX-Y5V6-2326-SM-4VDSA 60-69 years, male 4.4
Show allShow less
Skin - Sun Exposed (Lower leg)
Average nTPM: 9.4
Samples: 701

Max nTPM: 31.4
Min nTPM: 4.9
Std nTPM: 1.9
Median nTPM: 9.2
GTEX-SE5C-1626-SM-2XCE3 40-49 years, female 31.4
GTEX-11WQK-0526-SM-5EQLD 50-59 years, male 20.2
GTEX-ZU9S-0226-SM-5E441 30-39 years, male 16.3
GTEX-1N2EF-0226-SM-EYYXB 60-69 years, male 15.9
GTEX-15EOM-0126-SM-7KUGG 20-29 years, female 15.8
GTEX-POMQ-2226-SM-2I5FK 20-29 years, female 15.5
GTEX-11DXZ-2326-SM-5EGGV 50-59 years, male 15.3
GTEX-1GMR3-1926-SM-9KNUZ 40-49 years, male 15.0
GTEX-1LBAC-0126-SM-DIPEZ 20-29 years, male 14.8
GTEX-11TT1-2526-SM-5EGIB 20-29 years, male 14.7
GTEX-12WSJ-1826-SM-5GCNY 40-49 years, female 14.7
GTEX-1JMQL-0226-SM-CNPP5 50-59 years, female 14.5
GTEX-1JJEA-0326-SM-CNPOT 60-69 years, male 14.4
GTEX-14XAO-2326-SM-6EU1B 60-69 years, female 14.2
GTEX-YJ8A-0426-SM-5IFID 20-29 years, male 14.2
GTEX-ZF3C-0126-SM-DO92D 50-59 years, female 14.2
GTEX-183WM-0126-SM-7LTAB 70-79 years, female 14.0
GTEX-1A3MW-0126-SM-73KXX 60-69 years, female 13.8
GTEX-1HBPH-0426-SM-B2LW5 40-49 years, female 13.6
GTEX-1CAMR-1926-SM-7EPI2 20-29 years, male 13.4
GTEX-WI4N-1026-SM-3LK7N 40-49 years, female 13.4
GTEX-ZXES-1826-SM-5E43S 30-39 years, female 13.3
GTEX-YB5E-2026-SM-5IFIS 40-49 years, male 13.1
GTEX-1QPFJ-0226-SM-E76PB 30-39 years, female 13.1
GTEX-1B8KE-2126-SM-73KYX 50-59 years, male 12.8
GTEX-Y3IK-2426-SM-4WWDU 50-59 years, female 12.8
GTEX-11UD2-0226-SM-5EQKY 50-59 years, male 12.7
GTEX-ZV68-0126-SM-59HKS 50-59 years, female 12.7
GTEX-1HBPN-0226-SM-9YFM1 50-59 years, male 12.7
GTEX-1K2DA-1826-SM-CGQGT 50-59 years, male 12.7
GTEX-1R9PM-2026-SM-E76OY 20-29 years, male 12.7
GTEX-14JIY-0126-SM-6LLH6 60-69 years, male 12.6
GTEX-1GZ2Q-0226-SM-7P8TL 40-49 years, male 12.6
GTEX-13FTW-2626-SM-5K7WL 40-49 years, male 12.5
GTEX-14PN4-0126-SM-6EU2V 50-59 years, male 12.5
GTEX-1CB4J-0626-SM-7DHMP 60-69 years, male 12.5
GTEX-S32W-2126-SM-2XCB1 50-59 years, female 12.5
GTEX-12WSL-2526-SM-5GCNJ 50-59 years, male 12.4
GTEX-ZQUD-1426-SM-57WER 30-39 years, male 12.4
GTEX-1F48J-0126-SM-7P8TT 50-59 years, female 12.4
GTEX-1F5PL-0326-SM-7P8PQ 40-49 years, female 12.4
GTEX-1I6K6-0126-SM-A9SLE 30-39 years, male 12.4
GTEX-14E6C-0126-SM-5RQIP 40-49 years, male 12.3
GTEX-X4XX-0126-SM-3NMC2 60-69 years, male 12.3
GTEX-11TUW-2726-SM-E9J4M 60-69 years, male 12.3
GTEX-1C6WA-0126-SM-7PC2B 60-69 years, male 12.3
GTEX-1HCUA-2426-SM-ADEIS 50-59 years, female 12.3
GTEX-1C475-1826-SM-73KWA 40-49 years, female 12.2
GTEX-1PWST-0226-SM-E76QJ 70-79 years, male 12.2
GTEX-12584-0126-SM-5EGKQ 40-49 years, male 12.1
GTEX-131XG-2626-SM-5KM17 50-59 years, female 12.1
GTEX-18D9A-1926-SM-7LG6P 30-39 years, female 12.1
GTEX-1B97I-1626-SM-73KYO 40-49 years, male 12.1
GTEX-1R7EU-0226-SM-EVR4G 60-69 years, male 12.1
GTEX-T6MO-1626-SM-32QOM 40-49 years, female 12.0
GTEX-1F6IF-0726-SM-7P8TW 60-69 years, male 12.0
GTEX-1HCU6-0126-SM-CL54K 60-69 years, female 12.0
GTEX-1GZ4H-1726-SM-7PBZJ 50-59 years, female 11.9
GTEX-1H1DG-0126-SM-9WYU2 70-79 years, male 11.9
GTEX-T5JC-0426-SM-32PLO 20-29 years, male 11.8
GTEX-WRHK-1426-SM-3MJF9 20-29 years, female 11.8
GTEX-WXYG-2326-SM-4E3I6 50-59 years, female 11.8
GTEX-1IE54-0126-SM-CMKHW 40-49 years, female 11.8
GTEX-1399T-2826-SM-5KLYZ 60-69 years, male 11.7
GTEX-1A3MX-0126-SM-731BR 60-69 years, male 11.7
GTEX-Q2AI-1326-SM-2S1PL 40-49 years, male 11.7
GTEX-QEG4-0226-SM-2S1PY 30-39 years, male 11.7
GTEX-1PPH8-0226-SM-E8VND 20-29 years, male 11.7
GTEX-1R9K4-0126-SM-DTX9X 60-69 years, male 11.7
GTEX-11DXX-2426-SM-5GZZW 60-69 years, female 11.6
GTEX-13RTK-1426-SM-5QGQJ 20-29 years, male 11.6
GTEX-14E6E-1826-SM-5S2R7 30-39 years, male 11.6
GTEX-14LZ3-0226-SM-62LET 60-69 years, female 11.6
GTEX-17KNJ-2326-SM-7DHLQ 50-59 years, male 11.6
GTEX-14A5H-0426-SM-5QGQF 60-69 years, male 11.5
GTEX-1AX9J-0226-SM-73KXM 60-69 years, male 11.5
GTEX-ZTX8-1426-SM-5DUVO 20-29 years, male 11.5
GTEX-1GF9W-0326-SM-9KNUN 60-69 years, male 11.5
GTEX-12ZZY-0226-SM-5LZVE 60-69 years, male 11.4
GTEX-13CF2-2526-SM-5LZYX 60-69 years, male 11.4
GTEX-17EUY-0426-SM-793BD 20-29 years, male 11.4
GTEX-X4XY-0226-SM-4E3IZ 60-69 years, male 11.4
GTEX-XYKS-2126-SM-4E3IB 60-69 years, female 11.4
GTEX-1CAMS-0426-SM-7P8T2 40-49 years, female 11.4
GTEX-1OFPY-2426-SM-DTXEJ 60-69 years, male 11.4
GTEX-11NUK-0126-SM-5A5L3 50-59 years, male 11.3
GTEX-13YAN-0326-SM-5O9DF 60-69 years, male 11.3
GTEX-16AAH-1726-SM-7939C 50-59 years, male 11.3
GTEX-18D9U-0226-SM-718BP 40-49 years, male 11.3
GTEX-ZV6S-2326-SM-4YCEY 40-49 years, female 11.3
GTEX-13OW5-0126-SM-DTXFS 60-69 years, male 11.3
GTEX-1AX9I-0126-SM-7SB74 60-69 years, male 11.3
GTEX-1JMPY-1326-SM-ARL8Y 30-39 years, male 11.3
GTEX-1192W-2626-SM-5Q5AF 60-69 years, male 11.2
GTEX-RUSQ-1526-SM-2TF62 50-59 years, male 11.2
GTEX-XUZC-1726-SM-4BRWS 30-39 years, female 11.2
GTEX-1GF9V-0326-SM-7RHI5 60-69 years, male 11.2
GTEX-1HT8W-0126-SM-CNPPP 30-39 years, male 11.2
GTEX-1J1OQ-0226-SM-CYPSH 40-49 years, female 11.2
GTEX-1M4P7-0226-SM-DIPEV 60-69 years, male 11.2
GTEX-1S82Z-0826-SM-E6CHY 30-39 years, female 11.2
GTEX-11ZTS-0126-SM-5EQ6M 60-69 years, female 11.1
GTEX-1399U-2326-SM-5K7WY 50-59 years, female 11.1
GTEX-16YQH-0126-SM-7DUFJ 30-39 years, male 11.1
GTEX-T2YK-0526-SM-32QPJ 50-59 years, male 11.1
GTEX-1EKGG-0226-SM-9WYTH 60-69 years, male 11.1
GTEX-1KANB-0526-SM-E6CJH 50-59 years, male 11.1
GTEX-13O1R-0126-SM-5L3EH 60-69 years, male 11.0
GTEX-13OVJ-0126-SM-5KM36 50-59 years, female 11.0
GTEX-NFK9-0226-SM-2HMKQ 40-49 years, male 11.0
GTEX-PLZ5-2026-SM-2S1O4 50-59 years, male 11.0
GTEX-QESD-1426-SM-2S1R9 20-29 years, male 11.0
GTEX-ZAJG-0126-SM-5HL94 50-59 years, female 11.0
GTEX-ZQG8-1626-SM-DHXIT 60-69 years, female 11.0
GTEX-12126-0326-SM-5PNW3 20-29 years, male 10.9
GTEX-18A66-0226-SM-718BD 60-69 years, male 10.9
GTEX-18A7A-0226-SM-718BH 50-59 years, female 10.9
GTEX-ZF2S-2326-SM-4WWCE 50-59 years, female 10.9
GTEX-1GN2E-0426-SM-9MQKX 60-69 years, male 10.9
GTEX-1J8Q2-0526-SM-CM2RW 60-69 years, male 10.9
GTEX-1S3DN-2226-SM-EVYCD 50-59 years, male 10.9
GTEX-ZF29-2326-SM-DO92K 60-69 years, female 10.9
GTEX-13OVL-0226-SM-5L3E9 50-59 years, male 10.8
GTEX-15UKP-0426-SM-7KUFQ 20-29 years, male 10.8
GTEX-ZY6K-1826-SM-5GZXK 50-59 years, male 10.8
GTEX-1B8L1-2526-SM-9WYTF 60-69 years, male 10.8
GTEX-1EMGI-0126-SM-9KNUE 60-69 years, male 10.8
GTEX-1JMPZ-0226-SM-CNPP1 30-39 years, male 10.8
GTEX-15F5U-1526-SM-6PANO 40-49 years, male 10.7
GTEX-17EVQ-0226-SM-7LG4P 70-79 years, male 10.7
GTEX-QLQW-1126-SM-2S1Q8 30-39 years, male 10.7
GTEX-S7PM-0126-SM-4AD6S 60-69 years, male 10.7
GTEX-Y8DK-0126-SM-4TT3L 60-69 years, male 10.7
GTEX-YB5K-2126-SM-4WWDJ 40-49 years, female 10.7
GTEX-1I4MK-2226-SM-ACKWD 50-59 years, female 10.7
GTEX-1J8EW-0126-SM-CJI4F 60-69 years, female 10.7
GTEX-1LGOU-2026-SM-DIPFF 20-29 years, female 10.7
GTEX-1LSNM-1926-SM-E6CII 50-59 years, male 10.7
GTEX-1B8SG-0126-SM-73KZ3 50-59 years, male 10.6
GTEX-Z93S-0126-SM-5HL7M 50-59 years, male 10.6
GTEX-ZDYS-2026-SM-5HL5L 50-59 years, male 10.6
GTEX-1CAV2-2226-SM-7P8P2 40-49 years, female 10.6
GTEX-1F5PK-2426-SM-7RHHY 50-59 years, male 10.6
GTEX-1GN1U-0126-SM-7PBZK 50-59 years, female 10.6
GTEX-1HSKV-0226-SM-A9SKJ 60-69 years, male 10.6
GTEX-1HSMQ-1226-SM-CGQFX 50-59 years, male 10.6
GTEX-1ICLZ-0126-SM-CKZPO 60-69 years, male 10.6
GTEX-1JMQK-0226-SM-CL543 60-69 years, male 10.6
GTEX-W5X1-3026-SM-EAZAX 40-49 years, female 10.6
GTEX-11DZ1-0126-SM-5985Q 50-59 years, male 10.5
GTEX-11EMC-2926-SM-5EQ4F 60-69 years, female 10.5
GTEX-1314G-1526-SM-5EGK2 30-39 years, male 10.5
GTEX-13SLX-0526-SM-5S2ON 50-59 years, female 10.5
GTEX-146FQ-0126-SM-5NQA9 30-39 years, male 10.5
GTEX-15SHW-0326-SM-6PAML 60-69 years, male 10.5
GTEX-1A8FM-0226-SM-7SB7Q 50-59 years, female 10.5
GTEX-1GMR8-0126-SM-9WYTM 50-59 years, female 10.5
GTEX-1H3VY-0126-SM-ACKXD 50-59 years, male 10.5
GTEX-1RAZA-0126-SM-E6CI3 20-29 years, male 10.5
GTEX-11H98-0126-SM-5EGHG 50-59 years, male 10.4
GTEX-146FH-0126-SM-5QGPP 50-59 years, female 10.4
GTEX-17JCI-0126-SM-7LG5G 60-69 years, female 10.4
GTEX-U8XE-0326-SM-3DB8P 30-39 years, male 10.4
GTEX-1E2YA-0126-SM-9KNUC 50-59 years, male 10.4
GTEX-1GN73-0226-SM-9WG67 60-69 years, male 10.4
GTEX-1LG7Z-1726-SM-D3LA4 30-39 years, male 10.4
GTEX-1S83E-0126-SM-EWRO4 40-49 years, male 10.4
GTEX-117YW-2626-SM-5GZZH 50-59 years, male 10.3
GTEX-12ZZX-0126-SM-5EGK9 40-49 years, female 10.3
GTEX-132NY-0326-SM-5IJBL 60-69 years, male 10.3
GTEX-145LV-2126-SM-5LU8N 50-59 years, male 10.3
GTEX-17F98-0626-SM-79OMX 40-49 years, female 10.3
GTEX-18A6Q-0126-SM-731BZ 60-69 years, male 10.3
GTEX-Y114-2426-SM-4TT8A 50-59 years, female 10.3
GTEX-ZEX8-2426-SM-4WKG4 50-59 years, male 10.3
GTEX-ZF28-0126-SM-4WKGK 60-69 years, male 10.3
GTEX-1GF9X-2026-SM-7PC3A 40-49 years, female 10.3
GTEX-1GL5R-1826-SM-9KNUY 50-59 years, male 10.3
GTEX-1JK1U-2026-SM-CM2RZ 60-69 years, male 10.3
GTEX-1JMOU-1526-SM-CL54I 60-69 years, female 10.3
GTEX-1LNCM-1126-SM-E9U5E 50-59 years, female 10.3
GTEX-1MUQO-0126-SM-EAZ58 60-69 years, male 10.3
GTEX-1OJC3-0126-SM-E76QX 20-29 years, male 10.3
GTEX-111VG-2426-SM-5GZXD 60-69 years, male 10.2
GTEX-11O72-0126-SM-59887 40-49 years, male 10.2
GTEX-12WSC-0126-SM-5EQ4P 50-59 years, male 10.2
GTEX-131YS-0126-SM-5KM1M 60-69 years, female 10.2
GTEX-13FXS-0226-SM-5IJCK 50-59 years, male 10.2
GTEX-145ME-1826-SM-5SI9G 40-49 years, female 10.2
GTEX-14A5I-0126-SM-5TDEA 50-59 years, female 10.2
GTEX-14PJ3-1826-SM-62LEX 50-59 years, male 10.2
GTEX-OXRP-0126-SM-3NB32 60-69 years, female 10.2
GTEX-RM2N-1426-SM-2TF4H 50-59 years, male 10.2
GTEX-XXEK-2226-SM-4BRUM 50-59 years, male 10.2
GTEX-1JN76-0126-SM-CNPPE 20-29 years, female 10.2
GTEX-1K2DU-2326-SM-E9TIV 20-29 years, male 10.2
GTEX-11EQ9-2426-SM-5HL5T 30-39 years, male 10.1
GTEX-11NSD-2226-SM-5986V 20-29 years, male 10.1
GTEX-13112-2826-SM-5DUWH 50-59 years, male 10.1
GTEX-13O3P-0126-SM-5KM4S 50-59 years, male 10.1
GTEX-145MN-2226-SM-5SIAU 30-39 years, male 10.1
GTEX-15UF6-0826-SM-6PALJ 70-79 years, female 10.1
GTEX-1E1VI-0126-SM-7DHMZ 50-59 years, male 10.1
GTEX-TKQ1-1026-SM-4GICL 30-39 years, male 10.1
GTEX-ZTPG-0326-SM-5O9AX 20-29 years, female 10.1
GTEX-1HCVE-0126-SM-CGQEU 50-59 years, male 10.1
GTEX-1HR98-0126-SM-B2LWI 60-69 years, male 10.1
GTEX-1IKJJ-0126-SM-CNPQB 60-69 years, male 10.1
GTEX-1JMLX-0226-SM-CM2RO 50-59 years, male 10.1
GTEX-1JN1M-0326-SM-CYPT3 60-69 years, female 10.1
GTEX-1M5QR-1226-SM-EWROB 40-49 years, male 10.1
GTEX-1QP9N-1426-SM-DTXFL 30-39 years, male 10.1
GTEX-113JC-2326-SM-5EQ4E 50-59 years, female 10.0
GTEX-14PJM-0226-SM-62LF1 50-59 years, female 10.0
GTEX-14PK6-1926-SM-6ETZU 70-79 years, female 10.0
GTEX-15DYW-0126-SM-7KULE 60-69 years, female 10.0
GTEX-R55G-2526-SM-2TC6D 40-49 years, female 10.0
GTEX-U8T8-0126-SM-3DB94 60-69 years, male 10.0
GTEX-WQUQ-0426-SM-3MJFU 60-69 years, male 10.0
GTEX-Z9EW-1626-SM-5CVMN 40-49 years, male 10.0
GTEX-ZTSS-1926-SM-57WEW 40-49 years, male 10.0
GTEX-ZYT6-0226-SM-5NQ6T 30-39 years, male 10.0
GTEX-1H1DE-2126-SM-9WG6R 20-29 years, male 10.0
GTEX-1IDJU-2626-SM-CM2RT 60-69 years, female 10.0
GTEX-1POEN-0126-SM-EYYXJ 30-39 years, female 10.0
GTEX-11DYG-0126-SM-59883 60-69 years, male 9.9
GTEX-11XUK-2026-SM-5EQLF 40-49 years, female 9.9
GTEX-13OVG-1926-SM-5L3DK 60-69 years, male 9.9
GTEX-13X6H-2126-SM-7EWD5 50-59 years, female 9.9
GTEX-14C5O-0126-SM-5SI6N 60-69 years, male 9.9
GTEX-1BAJH-0526-SM-793CQ 70-79 years, male 9.9
GTEX-1C6VR-2426-SM-79OLD 60-69 years, male 9.9
GTEX-PX3G-0126-SM-2I3EN 20-29 years, female 9.9
GTEX-SN8G-0126-SM-32PLI 50-59 years, female 9.9
GTEX-XUW1-0426-SM-4BOOT 50-59 years, female 9.9
GTEX-ZE7O-0126-SM-57WC1 50-59 years, female 9.9
GTEX-ZZ64-1726-SM-5GZYB 20-29 years, male 9.9
GTEX-1H11D-0226-SM-9WG6Z 40-49 years, male 9.9
GTEX-1H23P-0126-SM-ADEJ3 60-69 years, male 9.9
GTEX-1LVAN-0226-SM-COH3S 50-59 years, female 9.9
GTEX-1PIGE-0126-SM-EVYBJ 20-29 years, male 9.9
GTEX-117XS-2726-SM-5N9BL 60-69 years, male 9.8
GTEX-117YX-2326-SM-5H12W 50-59 years, male 9.8
GTEX-12696-2426-SM-5EQ6H 60-69 years, male 9.8
GTEX-133LE-1826-SM-5J1MV 20-29 years, female 9.8
GTEX-13NYS-0126-SM-5MR3W 60-69 years, male 9.8
GTEX-16GPK-0126-SM-7DHLE 60-69 years, male 9.8
GTEX-17F97-0326-SM-7LG5B 50-59 years, male 9.8
GTEX-R55E-0126-SM-2TC5Y 20-29 years, male 9.8
GTEX-T6MN-0126-SM-32PLP 50-59 years, male 9.8
GTEX-X4EP-0126-SM-3P5YV 60-69 years, female 9.8
GTEX-ZVT2-2526-SM-51MT1 50-59 years, female 9.8
GTEX-1EN7A-0126-SM-7SB81 40-49 years, male 9.8
GTEX-1HFI6-0226-SM-ADEHZ 40-49 years, male 9.8
GTEX-1J1R8-1726-SM-ARL8M 40-49 years, male 9.8
GTEX-1MA7W-2026-SM-E9TJ6 20-29 years, female 9.8
GTEX-13111-1626-SM-5EGJY 50-59 years, male 9.7
GTEX-13O21-1426-SM-5K7XI 50-59 years, male 9.7
GTEX-145LU-0126-SM-5TDCB 50-59 years, male 9.7
GTEX-14BIN-0626-SM-793DP 50-59 years, female 9.7
GTEX-17HII-0226-SM-7LG4E 50-59 years, male 9.7
GTEX-1AX8Z-0126-SM-7DHM6 60-69 years, male 9.7
GTEX-Y111-0126-SM-4SOIV 50-59 years, male 9.7
GTEX-YEC4-2126-SM-5IFJH 40-49 years, male 9.7
GTEX-1JJ6O-0126-SM-E6CI8 60-69 years, male 9.7
GTEX-1K9T9-0126-SM-EVYCF 50-59 years, female 9.7
GTEX-11VI4-1726-SM-5CVLH 40-49 years, female 9.6
GTEX-17HG3-2226-SM-7938L 30-39 years, female 9.6
GTEX-18QFQ-0126-SM-731BE 30-39 years, male 9.6
GTEX-R3RS-0126-SM-3GIJL 40-49 years, female 9.6
GTEX-WFON-2126-SM-3LK7O 40-49 years, male 9.6
GTEX-WYJK-0126-SM-3NMAB 50-59 years, male 9.6
GTEX-XAJ8-0826-SM-47JY6 40-49 years, male 9.6
GTEX-ZAB4-0226-SM-5N9F5 40-49 years, male 9.6
GTEX-1HSEH-0126-SM-ACKXN 60-69 years, male 9.6
GTEX-1IKK5-0626-SM-ARL8A 60-69 years, male 9.6
GTEX-1KD4Q-0226-SM-E9TJ9 40-49 years, male 9.6
GTEX-1PDJ9-0326-SM-DTX95 20-29 years, male 9.6
GTEX-1PPH7-2326-SM-EVYB8 40-49 years, male 9.6
GTEX-1RLM8-2326-SM-EWRN4 50-59 years, male 9.6
GTEX-11EI6-0126-SM-5985R 60-69 years, male 9.5
GTEX-11TTK-0126-SM-5987B 60-69 years, female 9.5
GTEX-13CF3-2426-SM-5IFGX 60-69 years, female 9.5
GTEX-13FHP-0126-SM-5IJBG 50-59 years, male 9.5
GTEX-13NZB-2526-SM-5J1OM 30-39 years, male 9.5
GTEX-13PVR-2326-SM-5QGR1 60-69 years, female 9.5
GTEX-15ER7-0326-SM-7KUEV 20-29 years, female 9.5
GTEX-SJXC-0126-SM-2XCFF 60-69 years, male 9.5
GTEX-SNMC-1226-SM-2XCFP 20-29 years, male 9.5
GTEX-U412-0426-SM-3DB9O 60-69 years, male 9.5
GTEX-UJHI-1526-SM-3DB99 50-59 years, female 9.5
GTEX-YFC4-0126-SM-5CVLY 40-49 years, female 9.5
GTEX-ZAB5-1826-SM-5HL7C 50-59 years, male 9.5
GTEX-ZAK1-0126-SM-5IJD3 50-59 years, female 9.5
GTEX-ZGAY-0526-SM-4WWBB 40-49 years, female 9.5
GTEX-ZYFC-0226-SM-5NQ75 50-59 years, male 9.5
GTEX-1CB4F-0426-SM-9KNV4 60-69 years, male 9.5
GTEX-1F75A-0126-SM-7RHGM 50-59 years, male 9.5
GTEX-1GTWX-0126-SM-9YFLK 60-69 years, male 9.5
GTEX-1I1GV-0526-SM-A9G29 60-69 years, male 9.5
GTEX-1J8QM-2126-SM-CYPSJ 60-69 years, female 9.5
GTEX-OOBJ-0126-SM-E6CJW 60-69 years, male 9.5
GTEX-12ZZZ-0626-SM-5DUXI 60-69 years, male 9.4
GTEX-13G51-2526-SM-5LZYK 60-69 years, male 9.4
GTEX-13N2G-2626-SM-5J1OT 60-69 years, male 9.4
GTEX-13SLW-0126-SM-5SI6C 70-79 years, male 9.4
GTEX-144GN-2326-SM-5LU4F 50-59 years, male 9.4
GTEX-147F3-0526-SM-5SI98 50-59 years, female 9.4
GTEX-15SHU-0126-SM-7KUEH 40-49 years, female 9.4
GTEX-16MT8-0426-SM-7KUEY 60-69 years, female 9.4
GTEX-18465-0126-SM-731BN 50-59 years, male 9.4
GTEX-Q734-1926-SM-2I5EV 40-49 years, female 9.4
GTEX-X4EO-0326-SM-3P5YO 60-69 years, female 9.4
GTEX-ZDTT-2726-SM-4WKF8 60-69 years, male 9.4
GTEX-13NYC-0326-SM-E9J4S 60-69 years, male 9.4
GTEX-1CB4G-0226-SM-7PC3O 60-69 years, male 9.4
GTEX-1I1GU-2226-SM-CGQFA 40-49 years, male 9.4
GTEX-1S5ZA-0126-SM-EVYCV 20-29 years, male 9.4
GTEX-11P7K-2126-SM-5GU7G 30-39 years, male 9.3
GTEX-11UD1-0126-SM-5PNYG 40-49 years, female 9.3
GTEX-139D8-0226-SM-5KLZO 30-39 years, female 9.3
GTEX-145MI-0526-SM-5O9A8 60-69 years, female 9.3
GTEX-14BMV-0126-SM-5S2PO 50-59 years, male 9.3
GTEX-QLQ7-1626-SM-2S1R8 60-69 years, male 9.3
GTEX-RWSA-0126-SM-2XCBB 40-49 years, male 9.3
GTEX-WFG8-2226-SM-3GIL9 20-29 years, male 9.3
GTEX-X88G-0126-SM-47JZ3 30-39 years, male 9.3
GTEX-XBED-2226-SM-47JYQ 60-69 years, male 9.3
GTEX-ZYFD-0126-SM-5GIDL 50-59 years, male 9.3
GTEX-ZYW4-0126-SM-5E44A 60-69 years, male 9.3
GTEX-ZYY3-0126-SM-5GZY5 60-69 years, female 9.3
GTEX-1EU9M-0226-SM-7P8SP 60-69 years, male 9.3
GTEX-1F52S-0126-SM-9MQJU 60-69 years, female 9.3
GTEX-1H1E6-1726-SM-ACKVK 30-39 years, male 9.3
GTEX-1HGF4-2426-SM-ACKXM 60-69 years, male 9.3
GTEX-1HSMO-0126-SM-CL547 60-69 years, male 9.3
GTEX-1MGNQ-0126-SM-EVYCJ 40-49 years, male 9.3
GTEX-1RQEC-0426-SM-E6CHU 60-69 years, male 9.3
GTEX-PSDG-0226-SM-DKPOZ 50-59 years, male 9.3
GTEX-13NZ8-0826-SM-5MR3I 60-69 years, female 9.2
GTEX-13OVK-2026-SM-7KUEO 40-49 years, male 9.2
GTEX-14BMU-2226-SM-5TDE9 20-29 years, female 9.2
GTEX-14DAR-2026-SM-5S2O3 50-59 years, male 9.2
GTEX-14E6D-0126-SM-62LDV 50-59 years, male 9.2
GTEX-14ICK-0226-SM-6EU25 40-49 years, male 9.2
GTEX-15EU6-0426-SM-6PAN5 50-59 years, male 9.2
GTEX-17GQL-2026-SM-718BA 60-69 years, male 9.2
GTEX-U4B1-1826-SM-4DXSU 40-49 years, male 9.2
GTEX-VUSG-2526-SM-4KL1V 50-59 years, male 9.2
GTEX-Y5V5-2326-SM-4V6GA 60-69 years, female 9.2
GTEX-ZVT3-0126-SM-5GU6I 60-69 years, female 9.2
GTEX-1H3NZ-0126-SM-ACKX7 60-69 years, male 9.2
GTEX-1HFI7-1826-SM-ACKXH 50-59 years, female 9.2
GTEX-1KANC-1526-SM-D3LAB 50-59 years, female 9.2
GTEX-1KWVE-1426-SM-E9TJO 30-39 years, male 9.2
GTEX-1S82Y-2026-SM-EVYCM 40-49 years, male 9.2
GTEX-PWCY-1826-SM-DHXIZ 20-29 years, female 9.2
GTEX-12WSE-0526-SM-793B2 20-29 years, male 9.1
GTEX-17HGU-0226-SM-7DHKV 50-59 years, male 9.1
GTEX-17HHY-0126-SM-7LG5D 50-59 years, male 9.1
GTEX-1C4CL-0526-SM-73KVK 30-39 years, male 9.1
GTEX-OIZH-0126-SM-2HMIS 50-59 years, male 9.1
GTEX-U3ZM-1526-SM-3DB9D 40-49 years, male 9.1
GTEX-XV7Q-2526-SM-4BRV9 40-49 years, female 9.1
GTEX-ZVZP-2426-SM-59HKJ 50-59 years, male 9.1
GTEX-1HCU9-1526-SM-A9SL7 20-29 years, male 9.1
GTEX-1IOXB-0126-SM-ARL8G 50-59 years, male 9.1
GTEX-1JKYN-1326-SM-CGQG9 30-39 years, male 9.1
GTEX-1L5NE-2526-SM-E6CIE 50-59 years, male 9.1
GTEX-1PIIG-0226-SM-EWRN6 30-39 years, male 9.1
GTEX-139TU-0126-SM-5K7WH 60-69 years, male 9.0
GTEX-139UW-2826-SM-5L3E7 60-69 years, male 9.0
GTEX-13FTY-0526-SM-5L3EV 40-49 years, female 9.0
GTEX-13RTJ-2426-SM-5S2Q2 60-69 years, male 9.0
GTEX-13VXT-0126-SM-5LU4I 20-29 years, female 9.0
GTEX-14PHX-2326-SM-62LEM 50-59 years, male 9.0
GTEX-1CB4E-2226-SM-793DC 60-69 years, male 9.0
GTEX-QVJO-1626-SM-2S1QW 60-69 years, female 9.0
GTEX-T2IS-0126-SM-4DM6O 20-29 years, female 9.0
GTEX-XQ3S-1526-SM-4BOOC 20-29 years, male 9.0
GTEX-ZDTS-0126-SM-4WAY5 60-69 years, male 9.0
GTEX-13O3O-0126-SM-E9J49 60-69 years, female 9.0
GTEX-1F88F-2726-SM-7PBZZ 60-69 years, female 9.0
GTEX-1GF9U-2126-SM-7SB7L 40-49 years, female 9.0
GTEX-1I1GR-0126-SM-CL55F 60-69 years, male 9.0
GTEX-ZVT4-0126-SM-DTXFN 50-59 years, female 9.0
GTEX-11P81-2326-SM-59875 30-39 years, female 8.9
GTEX-13FTX-1826-SM-5J1NX 20-29 years, female 8.9
GTEX-13W3W-2426-SM-5LU5B 60-69 years, female 8.9
GTEX-14BIM-0226-SM-7IGLD 60-69 years, female 8.9
GTEX-15DCD-0126-SM-7KUEK 70-79 years, female 8.9
GTEX-OHPM-0126-SM-2YUN9 50-59 years, male 8.9
GTEX-Y8LW-1826-SM-5S2MV 50-59 years, female 8.9
GTEX-ZC5H-0226-SM-4WAY9 40-49 years, female 8.9
GTEX-ZUA1-0126-SM-5GU76 40-49 years, male 8.9
GTEX-1GZHY-0326-SM-9QEHI 50-59 years, female 8.9
GTEX-1I19N-0326-SM-ACKVX 70-79 years, male 8.9
GTEX-11OC5-0126-SM-5HL6A 60-69 years, male 8.8
GTEX-1313W-0126-SM-5LZUN 50-59 years, female 8.8
GTEX-1399R-2726-SM-5IJBA 30-39 years, male 8.8
GTEX-13D11-2426-SM-5KM1V 50-59 years, female 8.8
GTEX-13OW6-0426-SM-5L3HM 50-59 years, male 8.8
GTEX-144FL-0126-SM-5TDC8 50-59 years, male 8.8
GTEX-14PN3-2426-SM-6LLHS 60-69 years, female 8.8
GTEX-15ETS-0126-SM-7KUMW 40-49 years, female 8.8
GTEX-17F96-1626-SM-7DUFL 70-79 years, male 8.8
GTEX-RU72-0926-SM-2TF6B 50-59 years, female 8.8
GTEX-T8EM-1026-SM-3DB7M 40-49 years, male 8.8
GTEX-W5WG-1826-SM-4KL2Y 50-59 years, female 8.8
GTEX-WH7G-2326-SM-3NMBC 40-49 years, male 8.8
GTEX-X62O-0126-SM-4E3JN 50-59 years, male 8.8
GTEX-X8HC-0126-SM-4E3JW 50-59 years, female 8.8
GTEX-Y5LM-1926-SM-5RQJH 40-49 years, female 8.8
GTEX-12WSG-2826-SM-E9J4H 50-59 years, female 8.8
GTEX-169BO-1326-SM-9MQK2 50-59 years, male 8.8
GTEX-1EWIQ-0126-SM-7RHH2 70-79 years, female 8.8
GTEX-1F6RS-0126-SM-9MQKZ 60-69 years, female 8.8
GTEX-1H3VE-0326-SM-9YFLH 40-49 years, male 8.8
GTEX-1HKZK-0326-SM-9WYUH 40-49 years, male 8.8
GTEX-1IKOH-0226-SM-COH4E 60-69 years, female 8.8
GTEX-1IL2V-0126-SM-CM2TX 70-79 years, male 8.8
GTEX-1KANA-0726-SM-D3L9I 20-29 years, male 8.8
GTEX-1QMI2-0226-SM-EVYBX 60-69 years, male 8.8
GTEX-1R7EV-2426-SM-EVYBG 40-49 years, male 8.8
GTEX-1RAZQ-0726-SM-EAZ43 30-39 years, male 8.8
GTEX-1RDX4-0126-SM-E9J4P 50-59 years, female 8.8
GTEX-11DXW-0226-SM-5H122 40-49 years, male 8.7
GTEX-11WQC-2526-SM-5CVLE 60-69 years, male 8.7
GTEX-13JUV-2726-SM-5LZZ8 40-49 years, female 8.7
GTEX-145MO-0326-SM-5Q5B3 60-69 years, male 8.7
GTEX-14JG6-2226-SM-6EU2G 30-39 years, female 8.7
GTEX-14LLW-0126-SM-6LLIO 70-79 years, female 8.7
GTEX-16NPX-0226-SM-79OMT 50-59 years, male 8.7
GTEX-17MFQ-1726-SM-793C7 20-29 years, male 8.7
GTEX-1A32A-0126-SM-718B1 50-59 years, female 8.7
GTEX-1A3MV-1926-SM-718BT 30-39 years, male 8.7
GTEX-OOBK-0126-SM-2YUND 40-49 years, male 8.7
GTEX-WOFL-0126-SM-3MJG2 60-69 years, male 8.7
GTEX-1H2FU-0126-SM-9WYSI 60-69 years, female 8.7
GTEX-1H3O1-0426-SM-9YFKY 60-69 years, male 8.7
GTEX-1JN6P-0126-SM-D3L98 60-69 years, male 8.7
GTEX-1KD5A-0226-SM-D5OV3 50-59 years, male 8.7
GTEX-1KXAM-2226-SM-CYPTC 60-69 years, male 8.7
GTEX-1QEPI-0126-SM-EWRMQ 60-69 years, female 8.7
GTEX-1211K-2026-SM-5EQ4Z 60-69 years, female 8.6
GTEX-13VXU-0126-SM-5SI9F 50-59 years, male 8.6
GTEX-147GR-0526-SM-5S2MY 60-69 years, male 8.6
GTEX-18A67-0126-SM-7LG5P 50-59 years, male 8.6
GTEX-O5YT-0126-SM-48TBW 20-29 years, male 8.6
GTEX-SIU8-0126-SM-2XCDT 50-59 years, male 8.6
GTEX-WVJS-0126-SM-4MVOT 50-59 years, male 8.6
GTEX-WY7C-2326-SM-3NB2U 50-59 years, male 8.6
GTEX-WZTO-0126-SM-3NM95 40-49 years, male 8.6
GTEX-XPVG-2626-SM-4B669 50-59 years, male 8.6
GTEX-ZVTK-0426-SM-51MRS 20-29 years, male 8.6
GTEX-146FR-1326-SM-E9J48 60-69 years, female 8.6
GTEX-1GMRU-0126-SM-9YFLV 50-59 years, male 8.6
GTEX-1GN1V-0126-SM-9WPOS 60-69 years, male 8.6
GTEX-1JKYR-0126-SM-CNPOJ 20-29 years, male 8.6
GTEX-1LC47-0326-SM-E9TJP 60-69 years, male 8.6
GTEX-1LG7Y-0526-SM-DKPQC 50-59 years, male 8.6
GTEX-1LGRB-2526-SM-CNPPQ 50-59 years, female 8.6
GTEX-1MJK2-0426-SM-DTXE5 50-59 years, male 8.6
GTEX-1RB15-2126-SM-E9TIM 60-69 years, male 8.6
GTEX-11ZVC-2526-SM-5FQTE 50-59 years, female 8.5
GTEX-13N1W-0126-SM-5K7VT 70-79 years, male 8.5
GTEX-13X6J-0126-SM-5QGOU 50-59 years, male 8.5
GTEX-14JG1-0426-SM-6ETZZ 40-49 years, male 8.5
GTEX-183FY-0126-SM-7LT9P 20-29 years, male 8.5
GTEX-1C2JI-1826-SM-73KXC 50-59 years, male 8.5
GTEX-NPJ8-0126-SM-2YUNR 40-49 years, male 8.5
GTEX-OHPL-0126-SM-2HMJ7 60-69 years, female 8.5
GTEX-PLZ4-0126-SM-5SI8O 50-59 years, female 8.5
GTEX-QDVJ-1726-SM-2I5FX 50-59 years, male 8.5
GTEX-S7SE-0126-SM-2XCD5 50-59 years, male 8.5
GTEX-X5EB-2226-SM-46MW4 40-49 years, male 8.5
GTEX-XBEW-0626-SM-4QASP 40-49 years, male 8.5
GTEX-ZWKS-0126-SM-5SIAA 30-39 years, male 8.5
GTEX-1HB9E-0226-SM-E9U4R 50-59 years, male 8.5
GTEX-1HBPI-1526-SM-C1YQ1 50-59 years, male 8.5
GTEX-1IDJF-0126-SM-CM2RS 20-29 years, male 8.5
GTEX-1KAFJ-2026-SM-CY8ID 50-59 years, male 8.5
GTEX-1MA7X-2226-SM-E6CIY 60-69 years, male 8.5
GTEX-1QP2A-0126-SM-E9J43 50-59 years, male 8.5
GTEX-OIZF-0126-SM-7SB8I 60-69 years, male 8.5
GTEX-1128S-2326-SM-5GZZY 60-69 years, female 8.4
GTEX-14PII-0226-SM-6EU1T 60-69 years, male 8.4
GTEX-16XZZ-0126-SM-793DV 60-69 years, male 8.4
GTEX-1AX9K-2326-SM-73KWU 50-59 years, male 8.4
GTEX-1B8SF-1426-SM-7DUGL 60-69 years, male 8.4
GTEX-OXRO-0126-SM-2YUN4 60-69 years, female 8.4
GTEX-QCQG-1726-SM-3GIJ9 50-59 years, female 8.4
GTEX-SUCS-1926-SM-32PM3 70-79 years, male 8.4
GTEX-T5JW-1626-SM-3GADZ 20-29 years, female 8.4
GTEX-VJYA-1126-SM-3GIJU 60-69 years, male 8.4
GTEX-ZVE2-0226-SM-59HJB 50-59 years, male 8.4
GTEX-ZVZO-0126-SM-5A5L9 40-49 years, male 8.4
GTEX-1B996-0226-SM-7RHGO 60-69 years, male 8.4
GTEX-1F75I-0326-SM-9YFLU 40-49 years, male 8.4
GTEX-1HUB1-0426-SM-E9U4U 60-69 years, male 8.4
GTEX-1I1GT-0626-SM-CGQER 60-69 years, female 8.4
GTEX-1IL2U-0226-SM-CE6T8 60-69 years, male 8.4
GTEX-1O97I-0326-SM-EYYX7 60-69 years, male 8.4
GTEX-1R46S-0626-SM-E9J41 60-69 years, female 8.4
GTEX-111FC-0126-SM-5N9DL 60-69 years, male 8.3
GTEX-11OF3-2626-SM-5GU7F 60-69 years, male 8.3
GTEX-13113-5016-SM-7EPIP 60-69 years, female 8.3
GTEX-13NYB-2526-SM-5K7Z6 40-49 years, male 8.3
GTEX-13OVI-1426-SM-5L3EY 60-69 years, female 8.3
GTEX-145LS-0126-SM-5QGP1 60-69 years, female 8.3
GTEX-14ABY-0226-SM-5TDCQ 50-59 years, male 8.3
GTEX-18D9B-0526-SM-7LTAS 60-69 years, male 8.3
GTEX-P4QT-0126-SM-2I3FL 50-59 years, female 8.3
GTEX-PVOW-0126-SM-2XCFA 40-49 years, male 8.3
GTEX-RN64-0126-SM-2TC68 50-59 years, male 8.3
GTEX-U3ZH-2026-SM-3DB78 30-39 years, male 8.3
GTEX-UPJH-0326-SM-3GADU 50-59 years, male 8.3
GTEX-XUYS-0126-SM-47JWZ 50-59 years, male 8.3
GTEX-Y3I4-2126-SM-4TT7C 50-59 years, male 8.3
GTEX-ZXG5-0126-SM-5GIEU 60-69 years, male 8.3
GTEX-1EX96-1626-SM-7PBXR 50-59 years, male 8.3
GTEX-1LB8K-0226-SM-EWRNW 50-59 years, male 8.3
GTEX-1LH75-2426-SM-E9TJE 50-59 years, female 8.3
GTEX-1N2DV-0226-SM-E6CJ6 40-49 years, male 8.3
GTEX-1NV5F-0226-SM-E8VNY 60-69 years, female 8.3
GTEX-1QAET-0926-SM-E76QM 50-59 years, male 8.3
GTEX-1192X-0226-SM-5H12D 50-59 years, male 8.2
GTEX-13PDP-0126-SM-5L3HD 60-69 years, male 8.2
GTEX-14753-0426-SM-5NQAM 60-69 years, male 8.2
GTEX-1497J-2426-SM-7IGNX 60-69 years, male 8.2
GTEX-15RIG-0226-SM-7KFTL 40-49 years, male 8.2
GTEX-15SDE-2226-SM-7IGLO 50-59 years, female 8.2
GTEX-16BQI-0226-SM-7KUEX 30-39 years, female 8.2
GTEX-18A7B-0126-SM-7LG64 70-79 years, male 8.2
GTEX-TMMY-0226-SM-33HBA 40-49 years, female 8.2
GTEX-1F75B-0126-SM-9KNVL 50-59 years, male 8.2
GTEX-1GPI7-0126-SM-9MQL8 20-29 years, male 8.2
GTEX-1HSMP-0126-SM-E6CJS 70-79 years, male 8.2
GTEX-RVPV-0126-SM-EAZAW 60-69 years, male 8.2
GTEX-ZPIC-1726-SM-DHXIU 40-49 years, female 8.2
GTEX-11GSO-2426-SM-5A5LY 60-69 years, male 8.1
GTEX-11GSP-2526-SM-5N9BP 60-69 years, female 8.1
GTEX-11P82-1626-SM-59879 20-29 years, male 8.1
GTEX-11ZU8-2526-SM-5EQKI 60-69 years, male 8.1
GTEX-1212Z-2526-SM-5EGKP 60-69 years, male 8.1
GTEX-12WSK-2326-SM-5GCOH 40-49 years, female 8.1
GTEX-139TT-0126-SM-5K7Y5 60-69 years, male 8.1
GTEX-13N11-2526-SM-5K7UE 50-59 years, female 8.1
GTEX-15CHC-2126-SM-6EU21 60-69 years, female 8.1
GTEX-P4PP-0126-SM-3LK69 30-39 years, female 8.1
GTEX-ZDXO-3026-SM-5J1N5 60-69 years, male 8.1
GTEX-1F7RK-0126-SM-7PC2S 20-29 years, female 8.1
GTEX-1IY9M-0126-SM-D3L8S 60-69 years, male 8.1
GTEX-1MCYP-1926-SM-E9J2R 20-29 years, female 8.1
GTEX-PLZ6-1426-SM-DKPOT 30-39 years, male 8.1
GTEX-1122O-2126-SM-5EGIR 60-69 years, female 8.0
GTEX-11ZTT-2426-SM-5EQLS 60-69 years, female 8.0
GTEX-13IVO-0126-SM-5J1NG 70-79 years, male 8.0
GTEX-15D1Q-0126-SM-7KUG6 40-49 years, male 8.0
GTEX-O5YW-0126-SM-3LK6D 50-59 years, male 8.0
GTEX-OXRN-0126-SM-48TDM 50-59 years, male 8.0
GTEX-P44H-0226-SM-2XCEU 40-49 years, male 8.0
GTEX-QDVN-2026-SM-3GAEP 50-59 years, male 8.0
GTEX-1GPI6-0126-SM-9WG69 60-69 years, male 8.0
GTEX-1HCU8-0626-SM-A9SM9 60-69 years, female 8.0
GTEX-1QW4Y-1526-SM-EAZ3Z 30-39 years, male 8.0
GTEX-11DXY-2626-SM-5GIE7 60-69 years, male 7.9
GTEX-13OW7-0126-SM-5MR3B 50-59 years, male 7.9
GTEX-147F4-0226-SM-5QGPW 50-59 years, male 7.9
GTEX-14DAQ-0126-SM-5S2MQ 60-69 years, female 7.9
GTEX-16NGA-1726-SM-731B4 40-49 years, female 7.9
GTEX-OXRK-0226-SM-3NB2G 50-59 years, female 7.9
GTEX-S95S-1226-SM-4GICG 60-69 years, male 7.9
GTEX-XMD2-0126-SM-4YCDU 60-69 years, female 7.9
GTEX-XQ8I-0426-SM-4BOPO 50-59 years, male 7.9
GTEX-1F6I4-0126-SM-9MQL2 60-69 years, male 7.9
GTEX-1J8Q3-1626-SM-CMKGC 60-69 years, male 7.9
GTEX-131XW-0426-SM-5LZWP 50-59 years, female 7.8
GTEX-139T8-0126-SM-5K7XZ 60-69 years, male 7.8
GTEX-148VI-1626-SM-5SI6E 60-69 years, female 7.8
GTEX-14BIL-0126-SM-5SI92 50-59 years, male 7.8
GTEX-1AMFI-2026-SM-731BH 50-59 years, female 7.8
GTEX-Q2AG-0126-SM-33HBV 40-49 years, female 7.8
GTEX-RTLS-0126-SM-447CA 60-69 years, female 7.8
GTEX-1C64O-0126-SM-7SB8P 60-69 years, male 7.8
GTEX-1QCLY-0326-SM-E8VOG 30-39 years, male 7.8
GTEX-1QP29-0626-SM-EWRMX 50-59 years, male 7.8
GTEX-R45C-0126-SM-EAZ2R 60-69 years, female 7.8
GTEX-11EM3-2426-SM-59861 20-29 years, female 7.7
GTEX-11GS4-2726-SM-5A5LE 60-69 years, male 7.7
GTEX-144GL-0126-SM-5TDE2 50-59 years, male 7.7
GTEX-14PJ6-2126-SM-6EU1V 60-69 years, female 7.7
GTEX-15DDE-0126-SM-6LPKH 50-59 years, female 7.7
GTEX-15G19-0126-SM-6PANQ 60-69 years, male 7.7
GTEX-1B933-0126-SM-7PC29 50-59 years, female 7.7
GTEX-1GN1W-0526-SM-9MQJQ 50-59 years, female 7.7
GTEX-1HSGN-0226-SM-CGQFV 40-49 years, female 7.7
GTEX-1I1GS-0126-SM-B2LVW 60-69 years, male 7.7
GTEX-1JMQJ-0526-SM-CYPSU 50-59 years, male 7.7
GTEX-1R9PO-2126-SM-E9J4O 60-69 years, female 7.7
GTEX-139TS-2826-SM-5J1OO 60-69 years, male 7.6
GTEX-17EVP-0326-SM-7DHLG 40-49 years, male 7.6
GTEX-1AYCT-2426-SM-7IGQ3 50-59 years, male 7.6
GTEX-QDT8-0126-SM-48TZ1 30-39 years, female 7.6
GTEX-SSA3-0126-SM-32QPU 60-69 years, male 7.6
GTEX-1ICG6-2526-SM-CGQFZ 70-79 years, female 7.6
GTEX-1JMQI-2226-SM-CM2SD 50-59 years, male 7.6
GTEX-S33H-1026-SM-EZ6L6 30-39 years, male 7.6
GTEX-1269C-2526-SM-5EGJ3 60-69 years, female 7.5
GTEX-12WSD-0126-SM-59HKN 60-69 years, female 7.5
GTEX-13NZA-0226-SM-5K7Z7 60-69 years, male 7.5
GTEX-16XZY-2126-SM-79OK1 70-79 years, male 7.5
GTEX-1AYD5-2426-SM-73KXR 50-59 years, male 7.5
GTEX-1B8KZ-2026-SM-7DHMB 50-59 years, male 7.5
GTEX-1CB4I-0226-SM-79OLH 50-59 years, male 7.5
GTEX-Q2AH-1626-SM-3GAF8 40-49 years, male 7.5
GTEX-TMZS-0126-SM-3DB9Q 60-69 years, male 7.5
GTEX-1CB4H-0226-SM-7PBXM 60-69 years, female 7.5
GTEX-1IDFM-0126-SM-COH2V 60-69 years, male 7.5
GTEX-14A6H-0126-SM-5QGPK 30-39 years, male 7.4
GTEX-OIZG-0726-SM-33HBL 50-59 years, male 7.4
GTEX-ZYFG-2326-SM-5E44B 60-69 years, female 7.4
GTEX-131XF-5016-SM-7MGWE 60-69 years, male 7.4
GTEX-1I1GQ-0126-SM-COH3H 50-59 years, male 7.4
GTEX-1J8JJ-0226-SM-CL53I 60-69 years, female 7.4
GTEX-1JJE9-0326-SM-CL53Z 70-79 years, male 7.4
GTEX-1MCQQ-0826-SM-DLHC2 60-69 years, male 7.4
GTEX-PW2O-1526-SM-7RHHB 20-29 years, male 7.4
GTEX-131XE-2326-SM-5PNZ2 50-59 years, male 7.3
GTEX-13RTL-0126-SM-7LG5S 40-49 years, male 7.3
GTEX-145MF-0626-SM-5LUAI 50-59 years, male 7.3
GTEX-14PHW-0126-SM-6LLJI 60-69 years, female 7.3
GTEX-1NHNU-1026-SM-E9J2A 50-59 years, male 7.3
GTEX-RNOR-0126-SM-E9J4R 50-59 years, female 7.3
GTEX-11LCK-1026-SM-5A5KB 30-39 years, male 7.2
GTEX-11ZUS-0626-SM-59885 30-39 years, male 7.2
GTEX-13O3Q-2426-SM-5IJBR 50-59 years, male 7.2
GTEX-145LT-1726-SM-5QGP3 40-49 years, male 7.2
GTEX-17HHE-2026-SM-79OKF 50-59 years, male 7.2
GTEX-TSE9-0126-SM-3DB83 60-69 years, female 7.2
GTEX-1HBPM-0226-SM-ARL9F 60-69 years, female 7.2
GTEX-1PBJI-0526-SM-E8VNK 20-29 years, female 7.2
GTEX-1PFEY-1526-SM-E76PP 30-39 years, male 7.2
GTEX-12C56-1726-SM-5EQ61 20-29 years, male 7.1
GTEX-13FHO-0226-SM-5IFGY 60-69 years, male 7.1
GTEX-13QJ3-0326-SM-5S2RA 50-59 years, male 7.1
GTEX-13U4I-0126-SM-5LU38 40-49 years, female 7.1
GTEX-13X6I-0626-SM-5QGP9 60-69 years, male 7.1
GTEX-17MF6-0126-SM-7LG4F 40-49 years, male 7.1
GTEX-1AMEY-1326-SM-73KYK 30-39 years, female 7.1
GTEX-OXRL-0126-SM-2YUMP 50-59 years, male 7.1
GTEX-P4PQ-0126-SM-2S1NM 60-69 years, male 7.1
GTEX-X261-0126-SM-3NMD6 50-59 years, male 7.1
GTEX-ZZPT-0226-SM-5E43X 50-59 years, male 7.1
GTEX-1H1ZS-0426-SM-9WG6G 70-79 years, male 7.1
GTEX-1HCU7-0226-SM-CL545 50-59 years, male 7.1
GTEX-1QP66-1726-SM-E8VO1 50-59 years, male 7.1
GTEX-12KS4-0326-SM-5EQ41 30-39 years, male 7.0
GTEX-131XH-2226-SM-5DUXJ 50-59 years, male 7.0
GTEX-13OVH-0126-SM-5MR4B 70-79 years, male 7.0
GTEX-U3ZN-2326-SM-3DB7W 30-39 years, female 7.0
GTEX-13FH7-2026-SM-E9J4I 50-59 years, female 7.0
GTEX-1H4P4-0726-SM-9YFLR 50-59 years, male 7.0
GTEX-1N2DW-0226-SM-E9TK2 50-59 years, male 7.0
GTEX-QV44-1926-SM-2S1RF 50-59 years, male 6.9
GTEX-RWS6-2026-SM-2XCB5 60-69 years, female 6.9
GTEX-1C6VQ-0126-SM-7P8RI 50-59 years, male 6.9
GTEX-1IDJH-0326-SM-A9SLQ 70-79 years, male 6.9
GTEX-1OJC4-0126-SM-E9J2E 50-59 years, female 6.9
GTEX-15SB6-1726-SM-6PAME 50-59 years, female 6.8
GTEX-1C64N-0126-SM-793D7 50-59 years, male 6.8
GTEX-WYVS-2126-SM-3NMA3 40-49 years, female 6.8
GTEX-X585-0226-SM-4QAS2 50-59 years, male 6.8
GTEX-1IGQW-0126-SM-COH42 60-69 years, male 6.8
GTEX-1QP67-1626-SM-EAZ3X 40-49 years, female 6.8
GTEX-139T4-0226-SM-5HL5S 50-59 years, female 6.7
GTEX-13OW8-1326-SM-5J1OW 60-69 years, male 6.7
GTEX-13S7M-0126-SM-5SI6A 60-69 years, female 6.7
GTEX-Y8E4-0626-SM-4WWDL 40-49 years, male 6.7
GTEX-1C6VS-0526-SM-7DUEN 60-69 years, male 6.6
GTEX-X638-0126-SM-47JZ8 70-79 years, female 6.6
GTEX-Z93T-0126-SM-5HL5N 50-59 years, male 6.6
GTEX-1H1CY-2826-SM-9MQM3 60-69 years, female 6.6
GTEX-1I1HK-0126-SM-COH49 60-69 years, male 6.6
GTEX-113IC-0126-SM-5HL6T 60-69 years, male 6.5
GTEX-12WSA-0226-SM-5BC5V 60-69 years, male 6.5
GTEX-148VJ-0126-SM-5TDDN 70-79 years, male 6.5
GTEX-1I1CD-0126-SM-CM2TK 60-69 years, female 6.5
GTEX-PWO3-1526-SM-48TCM 60-69 years, female 6.4
GTEX-ZE9C-2726-SM-57WB5 60-69 years, male 6.4
GTEX-YJ89-0126-SM-4TT3X 60-69 years, male 6.3
GTEX-12WSN-5019-SM-79OM6 40-49 years, male 6.2
GTEX-14E7W-0126-SM-6LLJ9 70-79 years, male 6.2
GTEX-1I1GP-2226-SM-CGQFK 50-59 years, male 6.2
GTEX-1ICLY-0126-SM-D4P36 50-59 years, male 6.1
GTEX-13W46-0226-SM-5SIAG 50-59 years, male 6.0
GTEX-Y5V6-2426-SM-4VDSB 60-69 years, male 6.0
GTEX-1CAMQ-0226-SM-7IGPK 40-49 years, male 5.4
GTEX-VJWN-0126-SM-3GIK7 50-59 years, female 5.2
GTEX-TML8-1926-SM-32QOS 40-49 years, female 5.1
GTEX-V1D1-2226-SM-3NMAX 50-59 years, male 4.9
Show allShow less

Contact

  • NEWS ARTICLES
  • PRESS ROOM

The Project

  • INTRODUCTION
  • ORGANIZATION
  • PUBLICATIONS

The Human Protein Atlas

  • DOWNLOADABLE DATA
  • LICENCE & CITATION
  • HELP & FAQ
The Human Protein Atlas project is funded
by the Knut & Alice Wallenberg Foundation.


contact@proteinatlas.org