We use cookies to enhance the usability of our website. If you continue, we'll assume that you are happy to receive all cookies. More information. Don't show this again.
NUBP1
HPA
RESOURCES
  • TISSUE
  • BRAIN
  • SINGLE CELL
  • SUBCELLULAR
  • CANCER
  • BLOOD
  • CELL LINE
  • STRUCTURE & INTERACTION
ABOUT
  • INTRODUCTION
  • HISTORY
  • ORGANIZATION
  • PUBLICATIONS
  • ANTIBODY SUBMISSION
  • ANTIBODY AVAILABILITY
  • ACKNOWLEDGMENTS
  • CONTACT
NEWS
  • NEWS ARTICLES
  • PRESS ROOM
LEARN
  • DICTIONARY
  • PROTEIN CLASSES
  • PROTEIN EVIDENCE
  • METHODS
  • EDUCATIONAL VIDEOS
DATA
  • DOWNLOADABLE DATA
  • PUBLICATION DATA
  • RELEASE HISTORY
HELP
  • ANTIBODY VALIDATION
  • ASSAYS & ANNOTATION
  • DISCLAIMER
  • HELP & FAQ
  • PRIVACY STATEMENT
  • LICENCE & CITATION
Fields »
Search result

Field
Term
Gene name
Class
Subclass
Class
Keyword
Chromosome
External id
Tissue
Cell type
Expression
Antibody panel
Tissue
Main location
Patient ID
Annotation
Tissue
Category
Tau score
Cluster
Reliability
Brain region
Category
Tau score
Brain region
Category
Tau score
Brain region
Category
Tau score
Cluster
Reliability
Tissue
Cell type
Enrichment
Cell type
Category
Tau score
Cell type
Category
Tau score
Cell type
Category
Tau score
Cell lineage
Category
Tau score
Cluster
Cluster
Location
Searches
Location
Cell line
Class
Type
Phase
Reliability
Cancer
Prognosis
Cancer
Category
Cancer
Category
Tau score
Cluster
Variants
Interacting gene (ensg_id)
Type
Number of interactions
Pathway
Category
Score
Score
Score
Validation
Validation
Validation
Validation
Antibodies
Data type
Column


  • SUMMARY

  • TISSUE

  • BRAIN

  • SINGLE CELL

  • SUBCELL

  • CANCER

  • BLOOD

  • CELL LINE

  • STRUCT & INT

  • NUBP1
TISSUE PRIMARY DATA SKIN Show tissue menu
ADIPOSE TISSUE ADRENAL GLAND AMYGDALA APPENDIX BASAL GANGLIA BONE MARROW BREAST BRONCHUS CEREBELLUM CEREBRAL CORTEX CERVIX CHOROID PLEXUS COLON DUODENUM
ENDOMETRIUM EPIDIDYMIS ESOPHAGUS FALLOPIAN TUBE GALLBLADDER HEART MUSCLE HIPPOCAMPAL FORMATION HYPOTHALAMUS KIDNEY LIVER LUNG LYMPH NODE MIDBRAIN NASOPHARYNX
ORAL MUCOSA OVARY PANCREAS PARATHYROID GLAND PITUITARY GLAND PLACENTA PROSTATE RECTUM RETINA SALIVARY GLAND SEMINAL VESICLE SKELETAL MUSCLE SKIN SMALL INTESTINE
SMOOTH MUSCLE SOFT TISSUE SPINAL CORD SPLEEN STOMACH TESTIS THYMUS THYROID GLAND TONGUE TONSIL URINARY BLADDER VAGINA
ANTIBODIES
AND
VALIDATION
Dictionary
Skin
Tissue proteome
Skin
SKIN - Expression summary
Protein expression
Skini

On the top, protein expression in current human tissue, based on all annotated cell types, is reported with the units not detected (n), low (l), medium (m) and high (h). Underneath, protein expression in each annotated cell type are reported using the same units.

Protein expression data is based on knowledge-based annotation. For genes where more than one antibody has been used, a collective score is set.

If knowledge-based annotation could not be performed for a gene, no data is displayed here. View antibody staining data further down this page.

h
m
l
n
Arrector pili muscle cells: Not detected
Cells in basal layer: Low
Cells in corneal layer: Not detected
Cells in granular layer: Not detected
Cells in spinous layer: Not detected
Eccrine glands: Not detected
Endothelial cells: Low
Extracellular matrix: Not detected
Fibrohistiocytic cells: Low
Langerhans cells: Not detected
Lymphocytes: Medium
Melanocytes: Low
Vascular mural cells: Not detected
RNA expressioni

A summary of mRNA expression data available for current tissue based on several datasets. The mRNA expression levels in human tissues are based on RNA-seq data generated by the Human Protein Atlas (HPA), Genotype-Tissue Expression (GTEx) portal and CAGE data generated by the FANTOM5 consortium. Consensus normalized expression levels for human tissues was created by combining the data from HPA and GTEx datasets.

The mRNA expression levels in pig are based on RNA-seq data generated by the Human Protein Atlas (HPA), and for mouse, HPA data and in situ hybridization generated by the Allen brain atlas are reported.

Scroll down to view mRNA expression data in more detail.
Consensus:15.3 nTPM
HPA:13.6 nTPM
GTEx:15.3 nTPM

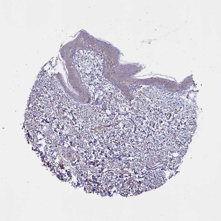
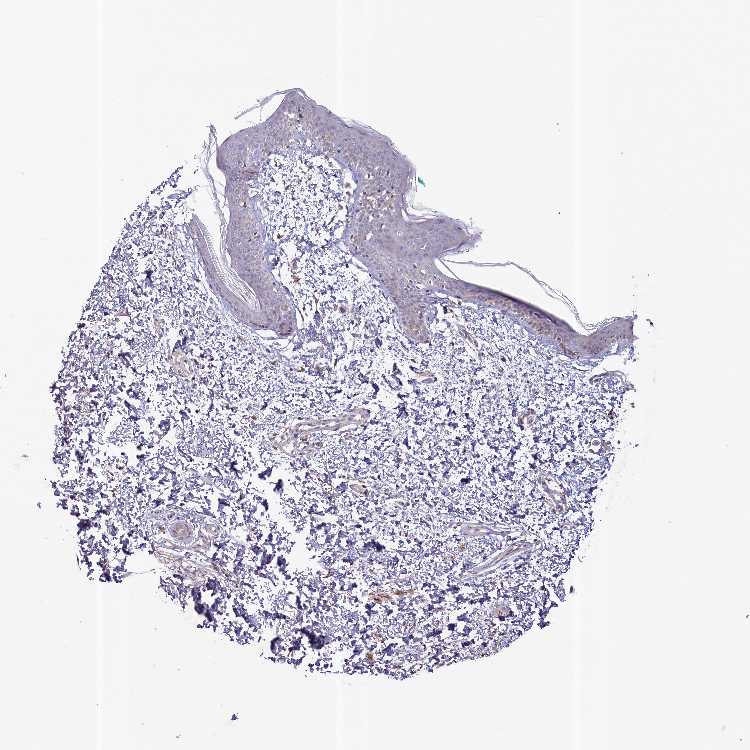
SKIN 1 - Antibody stainingi

Antibody staining in the annotated cell types in the current human tissue is reported as not detected, low, medium, or high, based on conventional immunohistochemistry profiling in selected tissues. This score is based on the combination of the staining intensity and fraction of stained cells.

Each image is clickable and will lead to virtual microscopy that enables deeper exploration of all samples and also displays staining intensity scores, fraction scores and subcellular localization as well as patient and tissue information for each sample.

Antibody HPA041656Antibody HPA041799
Langerhans Low-
Arrector pili muscle cells -Not detected
Cells in basal layer -Not detected
Cells in corneal layer -Not detected
Cells in granular layer -Not detected
Cells in spinous layer -Not detected
Eccrine glands -Not detected
Endothelial cells -Low
Extracellular matrix -Not detected
Fibroblasts Not detected-
Fibrohistiocytic cells -Low
Keratinocytes Not detected-
Langerhans cells -Not detected
Lymphocytes -Low
Melanocytes Not detectedLow
Vascular mural cells -Not detected




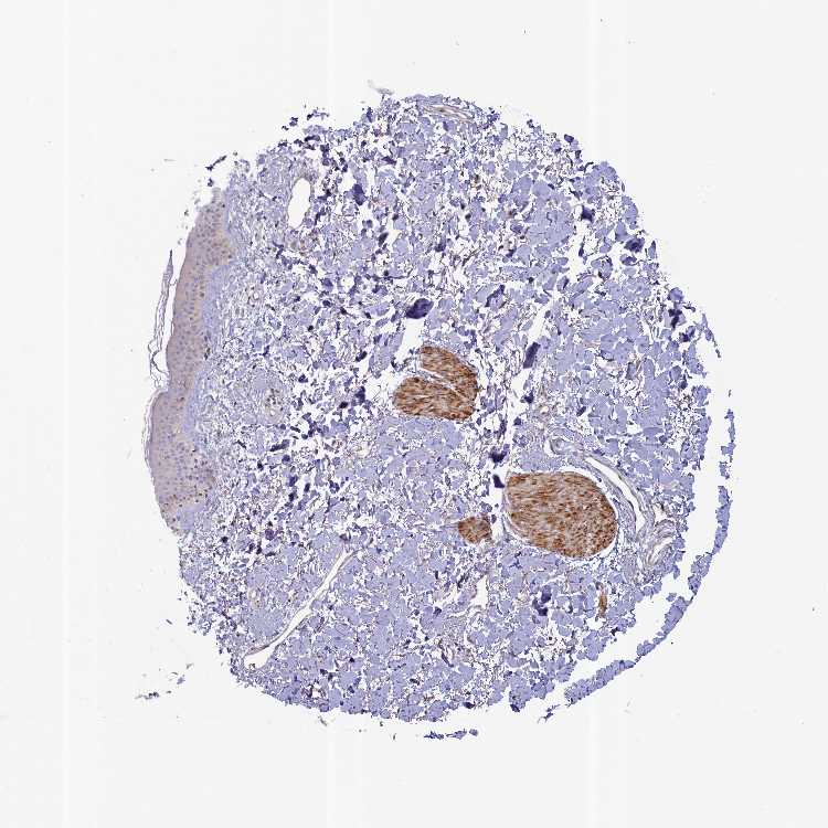
SKIN 2 - Antibody stainingi

Antibody staining in the annotated cell types in the current human tissue is reported as not detected, low, medium, or high, based on conventional immunohistochemistry profiling in selected tissues. This score is based on the combination of the staining intensity and fraction of stained cells.

Each image is clickable and will lead to virtual microscopy that enables deeper exploration of all samples and also displays staining intensity scores, fraction scores and subcellular localization as well as patient and tissue information for each sample.

Antibody HPA041656Antibody HPA041799
Cells in basal layer -Low
Cells in corneal layer -Not detected
Cells in granular layer -Not detected
Cells in spinous layer -Not detected
Endothelial cells -Low
Epidermal cells Low-
Extracellular matrix -Not detected
Fibrohistiocytic cells -Low
Langerhans cells -Not detected
Lymphocytes -Medium
Melanocytes -Low
Vascular mural cells -Not detected
  
  
  
  





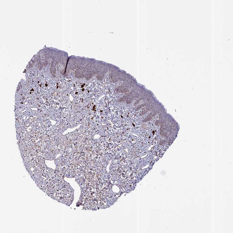
SKIN - HPA RNA-seqi

The RNA-seq details section shows detailed information about the individual samples used for the transcript profiling and results of the RNA-seq analysis.

Information about each individual sample is listed below, including gender, age, a tissue section image and estimated fractions of cell types. nTPM (normalized transcripts per million) values give a quantification of the gene abundance which is comparable between different genes and samples.
Average nTPMi

Max subtype nTPM is the value for the subtype with the largest average nTPM across the subtype samples.

13.6
overview
Female, age 34
Skin sample 225
nTPM: 14.1
Cell types%
Keratinocytes:
60

Other cell types:
40

overview
Female, age 30
Skin sample 226
nTPM: 12.1
Cell types%
Keratinocytes:
55

Other cell types:
45

N/A
Male, age 57
Skin sample 227
nTPM: 14.4

SKIN - GTEx RNA-seqi

RNA-Seq data generated by the Genotype-Tissue Expression (GTEx) project from human tissues is reported as mean nTPM. More information can be found on the GTEx portal.

Distribution across the dataset is visualized with box plots, shown as median and 25th and 75th percentiles. Points are displayed as outliers if they are above or below 1.5 times the interquartile range. nTPM values of the individual samples are presented next to the box plot.
Max subtype nTPMi

Max subtype nTPM is the value for the subtype with the largest average nTPM across the subtype samples.

15.3
GTEx sample id Sample description nTPM
Skin - Not Sun Exposed (Suprapubic)
Average nTPM: 15.3
Samples: 604

Max nTPM: 26.1
Min nTPM: 9.5
Std nTPM: 2.6
Median nTPM: 15.0
GTEX-1IKOE-1426-SM-CE6T7 30-39 years, female 26.1
GTEX-YFCO-1226-SM-5LUAT 40-49 years, male 25.8
GTEX-1MJK3-0726-SM-E6CJC 20-29 years, male 24.1
GTEX-1PPH8-0126-SM-EWRN8 20-29 years, male 23.4
GTEX-1OJC3-1226-SM-DTXER 20-29 years, male 23.3
GTEX-15RIE-1926-SM-7KUKJ 60-69 years, male 22.9
GTEX-1S82U-1026-SM-E6CJK 30-39 years, female 22.9
GTEX-XBEW-1126-SM-4QARW 40-49 years, male 22.5
GTEX-13112-0126-SM-5P9IU 50-59 years, male 22.2
GTEX-15G19-2426-SM-7KUMR 60-69 years, male 22.2
GTEX-1PIGE-1826-SM-E8VOU 20-29 years, male 21.9
GTEX-14E1K-2026-SM-7DUEI 50-59 years, male 21.8
GTEX-11OF3-0126-SM-5PNYF 60-69 years, male 21.7
GTEX-X585-2426-SM-46MW2 50-59 years, male 21.6
GTEX-1HSMP-0926-SM-A9SKX 70-79 years, male 21.5
GTEX-Y5LM-0926-SM-6LLJG 40-49 years, female 21.4
GTEX-Y5V6-2326-SM-4VDSA 60-69 years, male 21.4
GTEX-12WSJ-1126-SM-5LZVJ 40-49 years, female 21.1
GTEX-WH7G-2026-SM-3NMBL 40-49 years, male 21.1
GTEX-14ABY-2026-SM-62LDL 50-59 years, male 21.0
GTEX-1N2DV-1526-SM-DTXEP 40-49 years, male 21.0
GTEX-17F97-2626-SM-7IGM5 50-59 years, male 20.8
GTEX-1NSGN-0726-SM-DTXEF 50-59 years, male 20.8
GTEX-1S82P-2126-SM-E6CI5 60-69 years, female 20.8
GTEX-1LBAC-0826-SM-CY8IJ 20-29 years, male 20.7
GTEX-11DYG-1526-SM-5A5JS 60-69 years, male 20.6
GTEX-1399R-1326-SM-5PNYS 30-39 years, male 20.6
GTEX-14A5H-0826-SM-5QGPJ 60-69 years, male 20.6
GTEX-131XH-0126-SM-5LZUY 50-59 years, male 20.5
GTEX-14ICL-1626-SM-5YYAO 30-39 years, male 20.5
GTEX-VJYA-1526-SM-3GIJV 60-69 years, male 20.5
GTEX-1ICLZ-0326-SM-ARL82 60-69 years, male 20.5
GTEX-15RIG-0726-SM-7KUM7 40-49 years, male 20.4
GTEX-UPK5-0426-SM-3GAEK 40-49 years, male 20.2
GTEX-17MFQ-1526-SM-7KFRR 20-29 years, male 19.9
GTEX-1A3MW-0626-SM-731CB 60-69 years, female 19.8
GTEX-15RJ7-2126-SM-6PAMD 40-49 years, male 19.7
GTEX-15G1A-1626-SM-7KUKN 30-39 years, male 19.6
GTEX-VUSG-2326-SM-4KL1U 50-59 years, male 19.6
GTEX-ZZPU-0826-SM-5GZX5 50-59 years, female 19.6
GTEX-1C64N-2626-SM-7PC2N 50-59 years, male 19.6
GTEX-ZY6K-1426-SM-5GZX2 50-59 years, male 19.4
GTEX-XQ8I-0926-SM-4BOOF 50-59 years, male 19.3
GTEX-1HC8U-1326-SM-9YFMJ 40-49 years, female 19.3
GTEX-1JN1M-2726-SM-CY8I4 60-69 years, female 19.3
GTEX-1399Q-2326-SM-5KM2X 40-49 years, male 19.0
GTEX-1LVAM-0726-SM-E6CIL 50-59 years, female 19.0
GTEX-ZF3C-0626-SM-DO92O 50-59 years, female 19.0
GTEX-ZPU1-1126-SM-4YCF3 40-49 years, male 18.9
GTEX-1R9PN-0426-SM-DTXDT 40-49 years, female 18.9
GTEX-16AAH-0626-SM-793C9 50-59 years, male 18.8
GTEX-18A67-1626-SM-7LT9T 50-59 years, male 18.8
GTEX-ZYFD-0626-SM-5E44E 50-59 years, male 18.8
GTEX-1LVAN-0626-SM-CNPOQ 50-59 years, female 18.8
GTEX-13IVO-0726-SM-5LZYV 70-79 years, male 18.7
GTEX-1JJEA-1826-SM-ARU8P 60-69 years, male 18.7
GTEX-11DXX-2126-SM-5PNYR 60-69 years, female 18.6
GTEX-145MG-1526-SM-5Q5EM 50-59 years, male 18.6
GTEX-ZU9S-1826-SM-5NQ9E 30-39 years, male 18.6
GTEX-1F88E-1626-SM-7SB8Z 60-69 years, female 18.6
GTEX-11DZ1-2426-SM-5GZZX 50-59 years, male 18.5
GTEX-1OJC4-2726-SM-E76PJ 50-59 years, female 18.5
GTEX-1R9PM-1926-SM-EVR3O 20-29 years, male 18.5
GTEX-11P7K-1126-SM-5HL4L 30-39 years, male 18.3
GTEX-1313W-0626-SM-5EQ4H 50-59 years, female 18.3
GTEX-18D9U-0126-SM-731BM 40-49 years, male 18.3
GTEX-WXYG-2026-SM-4E3IY 50-59 years, female 18.3
GTEX-ZDXO-3126-SM-5IJDF 60-69 years, male 18.3
GTEX-1RB15-1326-SM-E76Q9 60-69 years, male 18.3
GTEX-15UF6-1926-SM-7KUDV 70-79 years, female 18.2
GTEX-Y3IK-1626-SM-4YCF5 50-59 years, female 18.2
GTEX-13O61-1426-SM-5KM3D 60-69 years, male 18.1
GTEX-14DAR-1226-SM-73KYV 50-59 years, male 18.1
GTEX-14PJ3-1126-SM-5ZZVX 50-59 years, male 18.1
GTEX-U8XE-0226-SM-4E3J3 30-39 years, male 18.1
GTEX-ZP4G-1426-SM-4WWCL 20-29 years, female 18.1
GTEX-1HBPI-2126-SM-ARL9K 50-59 years, male 18.1
GTEX-1MCYP-0526-SM-E9U6Q 20-29 years, female 18.1
GTEX-1AX9J-1326-SM-731BJ 60-69 years, male 18.0
GTEX-Y114-2126-SM-4TT8B 50-59 years, female 18.0
GTEX-1F75A-0726-SM-7RHHD 50-59 years, male 18.0
GTEX-1IL2V-1926-SM-B2LW8 70-79 years, male 18.0
GTEX-12696-0126-SM-5EQ4L 60-69 years, male 17.9
GTEX-14XAO-1226-SM-6EU1C 60-69 years, female 17.9
GTEX-15SHW-0226-SM-7LTAT 60-69 years, male 17.9
GTEX-17F9E-2326-SM-79OKD 50-59 years, male 17.9
GTEX-13113-1626-SM-5EQ4I 60-69 years, female 17.8
GTEX-1H11D-1826-SM-9QEHM 40-49 years, male 17.8
GTEX-1RAZS-2526-SM-E6CHT 50-59 years, male 17.8
GTEX-14JG1-1526-SM-5YY9X 40-49 years, male 17.7
GTEX-XYKS-1426-SM-4BRUO 60-69 years, female 17.7
GTEX-ZLFU-1826-SM-4WWBV 40-49 years, male 17.7
GTEX-1JK1U-0226-SM-ARZMX 60-69 years, male 17.7
GTEX-13OVK-1426-SM-6PAN7 40-49 years, male 17.6
GTEX-147GR-2426-SM-5ZZWQ 60-69 years, male 17.6
GTEX-1A3MV-1826-SM-731CD 30-39 years, male 17.6
GTEX-X4EP-0626-SM-3P621 60-69 years, female 17.6
GTEX-14JFF-0626-SM-5ZZVT 60-69 years, male 17.6
GTEX-11DXY-0126-SM-5H11Q 60-69 years, male 17.5
GTEX-14PK6-0226-SM-62LF5 70-79 years, female 17.5
GTEX-17HG3-2626-SM-7DUF2 30-39 years, female 17.5
GTEX-1B933-2426-SM-7DHMD 50-59 years, female 17.5
GTEX-1F75W-2726-SM-7SB8H 60-69 years, male 17.5
GTEX-1QP66-1226-SM-DTX7U 50-59 years, male 17.5
GTEX-13FTW-0326-SM-5K7UW 40-49 years, male 17.4
GTEX-18A66-0626-SM-7LT8Z 60-69 years, male 17.4
GTEX-YB5K-2026-SM-4VDT3 40-49 years, female 17.4
GTEX-1F6I4-2326-SM-7RHGL 60-69 years, male 17.4
GTEX-1H1CY-0126-SM-9YFLY 60-69 years, female 17.4
GTEX-15RJE-2826-SM-7KUM9 40-49 years, male 17.3
GTEX-XXEK-1626-SM-4BRUZ 50-59 years, male 17.3
GTEX-ZXG5-2126-SM-59HKD 60-69 years, male 17.3
GTEX-1E2YA-2126-SM-7MXUO 50-59 years, male 17.3
GTEX-1HCUA-0826-SM-ADEHM 50-59 years, female 17.3
GTEX-1JMPY-0226-SM-CKZOK 30-39 years, male 17.3
GTEX-1N2EE-0626-SM-E76PW 60-69 years, male 17.3
GTEX-1R9K4-2826-SM-DTX8F 60-69 years, male 17.3
GTEX-1S83E-1326-SM-E6CJM 40-49 years, male 17.3
GTEX-ZLV1-1526-SM-DO91J 60-69 years, female 17.3
GTEX-139YR-1026-SM-5LZYN 50-59 years, male 17.2
GTEX-1E1VI-0326-SM-793D1 50-59 years, male 17.2
GTEX-X3Y1-2026-SM-3P5YM 40-49 years, male 17.2
GTEX-1CAMS-2226-SM-7PBXQ 40-49 years, female 17.2
GTEX-1JMOU-1026-SM-CYPSS 60-69 years, female 17.2
GTEX-YEC4-1826-SM-4W1YP 40-49 years, male 17.1
GTEX-ZAJG-1526-SM-5CVML 50-59 years, female 17.1
GTEX-ZTTD-2826-SM-4YCFA 50-59 years, male 17.1
GTEX-18D9A-1426-SM-7LT8M 30-39 years, female 17.1
GTEX-1C64O-1326-SM-7MGWR 60-69 years, male 17.1
GTEX-1ICLY-0826-SM-CMKG1 50-59 years, male 17.1
GTEX-1LVAO-2726-SM-E9TJ8 60-69 years, male 17.1
GTEX-1192X-2726-SM-5N9DN 50-59 years, male 17.0
GTEX-11NUK-2726-SM-5A5MC 50-59 years, male 17.0
GTEX-12WSL-2026-SM-5GCML 50-59 years, male 17.0
GTEX-15CHR-1126-SM-7EWF4 50-59 years, male 17.0
GTEX-17HHE-1326-SM-7EWDZ 50-59 years, male 17.0
GTEX-12WSA-0426-SM-5EQ5X 60-69 years, male 16.9
GTEX-12WSK-2126-SM-5CVNC 40-49 years, female 16.9
GTEX-14E6E-0526-SM-793DN 30-39 years, male 16.9
GTEX-18A6Q-0626-SM-7KFRP 60-69 years, male 16.9
GTEX-1GF9X-1326-SM-7PC2Y 40-49 years, female 16.9
GTEX-1RAZQ-1326-SM-E9TK6 30-39 years, male 16.9
GTEX-117YX-1926-SM-5GIEC 50-59 years, male 16.8
GTEX-13OVL-0126-SM-5L3GJ 50-59 years, male 16.8
GTEX-13RTJ-0126-SM-5S2NN 60-69 years, male 16.8
GTEX-14753-0726-SM-5QGQO 60-69 years, male 16.8
GTEX-1497J-0226-SM-5QGPU 60-69 years, male 16.8
GTEX-15SKB-2826-SM-6PAMH 60-69 years, male 16.8
GTEX-ZVP2-0326-SM-57WBP 50-59 years, male 16.8
GTEX-1I1GV-0626-SM-ARL7M 60-69 years, male 16.8
GTEX-13YAN-0226-SM-5TDC6 60-69 years, male 16.7
GTEX-146FQ-2126-SM-5RQHU 30-39 years, male 16.7
GTEX-11EQ9-1626-SM-5PNY8 30-39 years, male 16.6
GTEX-132AR-0326-SM-5KM2C 50-59 years, female 16.6
GTEX-1AX8Z-0726-SM-73KTS 60-69 years, male 16.6
GTEX-1H1DG-2426-SM-9QEHJ 70-79 years, male 16.6
GTEX-1K2DA-1026-SM-CGQGF 50-59 years, male 16.6
GTEX-1117F-2926-SM-5GZYI 60-69 years, female 16.5
GTEX-1399U-1126-SM-5L3DB 50-59 years, female 16.5
GTEX-13OW5-2326-SM-5L3HO 60-69 years, male 16.5
GTEX-17HGU-2326-SM-7DUFE 50-59 years, male 16.5
GTEX-18QFQ-1826-SM-72D52 30-39 years, male 16.5
GTEX-XOT4-0626-SM-4B66L 60-69 years, female 16.5
GTEX-18D9B-0926-SM-7LG4U 60-69 years, male 16.4
GTEX-1EH9U-2826-SM-7DUGT 60-69 years, male 16.4
GTEX-ZAK1-0626-SM-5HL8E 50-59 years, female 16.4
GTEX-ZF29-0926-SM-4WKFZ 60-69 years, female 16.4
GTEX-ZVZP-1226-SM-5GID7 50-59 years, male 16.4
GTEX-1EMGI-2326-SM-7PBYA 60-69 years, male 16.4
GTEX-1K2DU-1226-SM-CYPT4 20-29 years, male 16.4
GTEX-1O9I2-0226-SM-EYYXD 50-59 years, male 16.4
GTEX-1RAZR-2126-SM-E9U6T 40-49 years, male 16.4
GTEX-11WQC-1826-SM-5GU59 60-69 years, male 16.3
GTEX-12WSD-0626-SM-5GCMW 60-69 years, female 16.3
GTEX-14LLW-2626-SM-62LDZ 70-79 years, female 16.3
GTEX-ZE7O-2726-SM-51MT5 50-59 years, female 16.3
GTEX-1122O-1026-SM-9WYSF 60-69 years, female 16.3
GTEX-1J8EW-2726-SM-CY8HR 60-69 years, female 16.3
GTEX-1JMQK-1226-SM-D4P2S 60-69 years, male 16.3
GTEX-1LSNM-0826-SM-DIPG8 50-59 years, male 16.3
GTEX-1PBJJ-1026-SM-E76OS 30-39 years, male 16.3
GTEX-11EM3-1226-SM-5N9DD 20-29 years, female 16.2
GTEX-16MT9-0126-SM-7EPI8 60-69 years, female 16.2
GTEX-1H3O1-1326-SM-9MQLD 60-69 years, male 16.2
GTEX-1QP9N-1226-SM-E76QN 30-39 years, male 16.2
GTEX-13FTY-2126-SM-5IFFB 40-49 years, female 16.1
GTEX-13N2G-0226-SM-5K7VF 60-69 years, male 16.1
GTEX-13NYB-0126-SM-5J1MD 40-49 years, male 16.1
GTEX-13OW6-2726-SM-5J2OE 50-59 years, male 16.1
GTEX-13W3W-0726-SM-5IJDQ 60-69 years, female 16.1
GTEX-14LZ3-0126-SM-69LPM 60-69 years, female 16.1
GTEX-14PII-0726-SM-6EU2B 60-69 years, male 16.1
GTEX-16YQH-2226-SM-7IGM2 30-39 years, male 16.1
GTEX-WI4N-2726-SM-3LK7Y 40-49 years, female 16.1
GTEX-1F6IF-0926-SM-7SB7M 60-69 years, male 16.1
GTEX-1F75B-0726-SM-7PC3R 50-59 years, male 16.1
GTEX-1IDJE-1426-SM-ADEIW 50-59 years, female 16.1
GTEX-1JMLX-0626-SM-ARL8T 50-59 years, male 16.1
GTEX-1LVA9-2626-SM-EVYD4 50-59 years, male 16.1
GTEX-1QP28-1126-SM-EVYC4 50-59 years, female 16.1
GTEX-111YS-1526-SM-5GZYW 60-69 years, male 16.0
GTEX-139TU-0726-SM-5L3EK 60-69 years, male 16.0
GTEX-13X6H-0926-SM-5SIB2 50-59 years, female 16.0
GTEX-144GL-0626-SM-5LU4D 50-59 years, male 16.0
GTEX-144GM-0526-SM-79OJO 20-29 years, male 16.0
GTEX-WFG8-2126-SM-3GIKQ 20-29 years, male 16.0
GTEX-WFON-1926-SM-3LK7L 40-49 years, male 16.0
GTEX-Y111-0626-SM-4SOIT 50-59 years, male 16.0
GTEX-ZYVF-0926-SM-5E44J 50-59 years, female 16.0
GTEX-1H1ZS-2726-SM-9WG75 70-79 years, male 16.0
GTEX-1I19N-0126-SM-CYPSF 70-79 years, male 16.0
GTEX-111VG-1626-SM-5EGIO 60-69 years, male 15.9
GTEX-11P81-2226-SM-5PNYI 30-39 years, female 15.9
GTEX-12126-0826-SM-5FQTZ 20-29 years, male 15.9
GTEX-13D11-0926-SM-5J2NC 50-59 years, female 15.9
GTEX-13NYC-0126-SM-5L3F4 60-69 years, male 15.9
GTEX-Y8E4-2026-SM-5IFJB 40-49 years, male 15.9
GTEX-1GMRU-2126-SM-7P8RA 50-59 years, male 15.9
GTEX-1PIIG-2326-SM-DTXFR 30-39 years, male 15.9
GTEX-13FTX-1526-SM-5K7VJ 20-29 years, female 15.8
GTEX-17F96-0126-SM-7EWDU 70-79 years, male 15.8
GTEX-WFG7-2026-SM-5SI7P 20-29 years, male 15.8
GTEX-ZDYS-2426-SM-4WKGI 50-59 years, male 15.8
GTEX-1HCU6-2526-SM-ADEHL 60-69 years, female 15.8
GTEX-1HUB1-1426-SM-CGQF5 60-69 years, male 15.8
GTEX-131XG-0326-SM-5L3DX 50-59 years, female 15.7
GTEX-14A6H-2026-SM-5Q5DD 30-39 years, male 15.7
GTEX-14C38-0726-SM-5SI6M 50-59 years, male 15.7
GTEX-XK95-0226-SM-4AT58 40-49 years, male 15.7
GTEX-ZTX8-1326-SM-4YCEL 20-29 years, male 15.7
GTEX-1HBPN-0126-SM-CGQEF 50-59 years, male 15.7
GTEX-1I6K6-1726-SM-CGQFD 30-39 years, male 15.7
GTEX-1NV5F-0626-SM-DTXEG 60-69 years, female 15.7
GTEX-131YS-2826-SM-5EQ47 60-69 years, female 15.6
GTEX-13SLW-0626-SM-5Q5ER 70-79 years, male 15.6
GTEX-147F4-0726-SM-5TDDD 50-59 years, male 15.6
GTEX-14PJ4-0226-SM-5YY92 60-69 years, male 15.6
GTEX-16MTA-0926-SM-6M47Z 50-59 years, male 15.6
GTEX-1A32A-0626-SM-731AQ 50-59 years, female 15.6
GTEX-1B97I-0626-SM-73KUZ 40-49 years, male 15.6
GTEX-1EKGG-0626-SM-7DUGJ 60-69 years, male 15.6
GTEX-XBEC-0726-SM-4QARZ 50-59 years, male 15.6
GTEX-YECK-0326-SM-4W1YS 60-69 years, male 15.6
GTEX-ZF2S-1626-SM-57WES 50-59 years, female 15.6
GTEX-1B8L1-2226-SM-7P8PT 60-69 years, male 15.6
GTEX-1RMOY-1326-SM-E9TIH 50-59 years, male 15.6
GTEX-11DXW-0826-SM-5H118 40-49 years, male 15.5
GTEX-11DXZ-2026-SM-5987S 50-59 years, male 15.5
GTEX-1399S-0126-SM-5IJCF 30-39 years, female 15.5
GTEX-13OVG-1626-SM-5J1NF 60-69 years, male 15.5
GTEX-145LS-0626-SM-7EPG7 60-69 years, female 15.5
GTEX-14PHX-2226-SM-6EU2P 50-59 years, male 15.5
GTEX-16BQI-1326-SM-6M486 30-39 years, female 15.5
GTEX-17JCI-2926-SM-7DUFF 60-69 years, female 15.5
GTEX-ZPCL-1126-SM-4WWFE 60-69 years, female 15.5
GTEX-ZVTK-0226-SM-51MRG 20-29 years, male 15.5
GTEX-11EQ8-0926-SM-5H12V 60-69 years, male 15.4
GTEX-11PRG-0726-SM-5EGL1 50-59 years, male 15.4
GTEX-ZYT6-2326-SM-5GZY3 30-39 years, male 15.4
GTEX-1H3VE-0726-SM-9YFL5 40-49 years, male 15.4
GTEX-139D8-1126-SM-5LU8W 30-39 years, female 15.3
GTEX-13NZ9-2626-SM-5L3FK 50-59 years, male 15.3
GTEX-145LU-1926-SM-79OJN 50-59 years, male 15.3
GTEX-17HHY-0426-SM-7DHLC 50-59 years, male 15.3
GTEX-X4EO-2926-SM-4E3JH 60-69 years, female 15.3
GTEX-YF7O-1526-SM-5IFI6 50-59 years, male 15.3
GTEX-ZZ64-1026-SM-5GZXG 20-29 years, male 15.3
GTEX-1HFI6-0126-SM-CNPPI 40-49 years, male 15.3
GTEX-1JKYR-0626-SM-ARL8R 20-29 years, male 15.3
GTEX-1KANC-1226-SM-CYPT7 50-59 years, female 15.3
GTEX-1QPFJ-1926-SM-EVYBD 30-39 years, female 15.3
GTEX-12WSH-1526-SM-5BC5W 50-59 years, male 15.2
GTEX-13SLX-2226-SM-62LEP 50-59 years, female 15.2
GTEX-14AS3-1526-SM-5Q5ED 40-49 years, female 15.2
GTEX-18A7A-0126-SM-731AH 50-59 years, female 15.2
GTEX-1EX96-1026-SM-7MKG2 50-59 years, male 15.2
GTEX-ZDTS-0826-SM-4WKHL 60-69 years, male 15.2
GTEX-ZYFC-0426-SM-5GICQ 50-59 years, male 15.2
GTEX-1GMR2-0826-SM-7PC3V 50-59 years, male 15.2
GTEX-1HBPM-0726-SM-9YFL7 60-69 years, female 15.2
GTEX-1I1HK-2326-SM-CKZOH 60-69 years, male 15.2
GTEX-1MCC2-1826-SM-DIPEX 30-39 years, female 15.2
GTEX-1QEPI-2626-SM-DTXF4 60-69 years, female 15.2
GTEX-1S831-1826-SM-EWROF 20-29 years, male 15.2
GTEX-139TS-2126-SM-5K7XC 60-69 years, male 15.1
GTEX-16XZZ-0726-SM-7KUF2 60-69 years, male 15.1
GTEX-1C2JI-1026-SM-73KY1 50-59 years, male 15.1
GTEX-1C6WA-2626-SM-7MKGM 60-69 years, male 15.1
GTEX-1GPI7-1826-SM-9KNU1 20-29 years, male 15.1
GTEX-1HR98-2226-SM-ADEI2 60-69 years, male 15.1
GTEX-1IDJD-2326-SM-ACKWX 30-39 years, male 15.1
GTEX-1IDJI-0126-SM-CMKHS 50-59 years, female 15.1
GTEX-1IKJJ-2226-SM-CJI4C 60-69 years, male 15.1
GTEX-1IY9M-2826-SM-ARU8H 60-69 years, male 15.1
GTEX-1M4P7-0726-SM-E6CJ3 60-69 years, male 15.1
GTEX-1QCLY-0226-SM-EWRNH 30-39 years, male 15.1
GTEX-11NSD-0626-SM-5A5LU 20-29 years, male 15.0
GTEX-139UW-0326-SM-5J1ML 60-69 years, male 15.0
GTEX-17EVQ-0126-SM-7IGLR 70-79 years, male 15.0
GTEX-1BAJH-2426-SM-7IGP8 70-79 years, male 15.0
GTEX-WRHU-2826-SM-3MJG8 50-59 years, female 15.0
GTEX-X8HC-0626-SM-4E3HQ 50-59 years, female 15.0
GTEX-1HSMQ-2626-SM-A9SML 50-59 years, male 15.0
GTEX-111FC-2526-SM-5GZXU 60-69 years, male 14.9
GTEX-12584-0726-SM-5FQTK 40-49 years, male 14.9
GTEX-12ZZY-0726-SM-5EQ66 60-69 years, male 14.9
GTEX-144GO-2026-SM-5O99P 60-69 years, male 14.9
GTEX-145MN-1526-SM-5SI9T 30-39 years, male 14.9
GTEX-15DYW-2726-SM-6EU2I 60-69 years, female 14.9
GTEX-17KNJ-2126-SM-718AM 50-59 years, male 14.9
GTEX-XUW1-0926-SM-4BONX 50-59 years, female 14.9
GTEX-ZDTT-0426-SM-4WKFL 60-69 years, male 14.9
GTEX-1H1DF-1126-SM-9WG7G 40-49 years, female 14.9
GTEX-1LG7Z-1626-SM-CXKYR 30-39 years, male 14.9
GTEX-1LSNL-2726-SM-E9TKJ 50-59 years, male 14.9
GTEX-13FHO-0426-SM-5L3F5 60-69 years, male 14.8
GTEX-13G51-1826-SM-5KLZH 60-69 years, male 14.8
GTEX-13NYS-0626-SM-5L3F1 60-69 years, male 14.8
GTEX-13PL6-1126-SM-5L3IE 40-49 years, female 14.8
GTEX-14DAQ-0626-SM-793DS 60-69 years, female 14.8
GTEX-15ER7-0626-SM-6PANF 20-29 years, female 14.8
GTEX-17F98-1326-SM-7DUEP 40-49 years, female 14.8
GTEX-17MF6-2626-SM-79OKQ 40-49 years, male 14.8
GTEX-18A7B-2726-SM-7LG56 70-79 years, male 14.8
GTEX-1EN7A-2426-SM-793DB 40-49 years, male 14.8
GTEX-ZWKS-0626-SM-5GIDV 30-39 years, male 14.8
GTEX-1F75I-2226-SM-7SB8U 40-49 years, male 14.8
GTEX-1H1DE-1326-SM-9KNUG 20-29 years, male 14.8
GTEX-1IDJC-1526-SM-B2LW4 50-59 years, male 14.8
GTEX-1KANA-1326-SM-DIPFA 20-29 years, male 14.8
GTEX-1KANB-2826-SM-CY8I6 50-59 years, male 14.8
GTEX-1N5O9-0926-SM-E9J3C 60-69 years, male 14.8
GTEX-1RAZA-2226-SM-E9U4X 20-29 years, male 14.8
GTEX-11VI4-1126-SM-5EQMD 40-49 years, female 14.7
GTEX-13JUV-2026-SM-5K7UA 40-49 years, female 14.7
GTEX-13O3O-2326-SM-5IJD6 60-69 years, female 14.7
GTEX-13QJC-0126-SM-5ZZWJ 60-69 years, female 14.7
GTEX-14PHY-1226-SM-5ZZWK 60-69 years, female 14.7
GTEX-15DDE-2926-SM-6LLJ3 50-59 years, female 14.7
GTEX-15EU6-2226-SM-6EU2L 50-59 years, male 14.7
GTEX-183WM-0326-SM-72D5V 70-79 years, female 14.7
GTEX-18465-2826-SM-7LT9J 50-59 years, male 14.7
GTEX-1B8KE-1126-SM-7EPHI 50-59 years, male 14.7
GTEX-WHPG-2626-SM-3NMBR 50-59 years, male 14.7
GTEX-ZT9W-1126-SM-57WDR 50-59 years, male 14.7
GTEX-1CAMR-1326-SM-7PC1F 20-29 years, male 14.7
GTEX-1GF9V-0826-SM-9KNUV 60-69 years, male 14.7
GTEX-1HB9E-0126-SM-CM2S5 50-59 years, male 14.7
GTEX-1JN76-0626-SM-CKZOQ 20-29 years, female 14.7
GTEX-1KAFJ-0126-SM-DIPEK 50-59 years, male 14.7
GTEX-11EI6-2826-SM-5H11D 60-69 years, male 14.6
GTEX-11GS4-0226-SM-5HL77 60-69 years, male 14.6
GTEX-12WSF-1626-SM-7KUG5 70-79 years, male 14.6
GTEX-133LE-2326-SM-5K7W3 20-29 years, female 14.6
GTEX-145ME-1726-SM-5Q5EU 40-49 years, female 14.6
GTEX-16MT8-2926-SM-7DUFO 60-69 years, female 14.6
GTEX-XPVG-2126-SM-4B667 50-59 years, male 14.6
GTEX-1J8JJ-0626-SM-ARZMQ 60-69 years, female 14.6
GTEX-12BJ1-0926-SM-5EQ62 60-69 years, male 14.5
GTEX-131XF-2626-SM-5EQ6K 60-69 years, male 14.5
GTEX-13FH7-1126-SM-5K7UG 50-59 years, female 14.5
GTEX-13OVH-0526-SM-5L3E6 70-79 years, male 14.5
GTEX-13OW8-1026-SM-5J1NQ 60-69 years, male 14.5
GTEX-13X6I-1826-SM-5SIAO 60-69 years, male 14.5
GTEX-14PJ5-1526-SM-6LLIL 60-69 years, female 14.5
GTEX-16Z82-2626-SM-7KULU 60-69 years, male 14.5
GTEX-1F52S-2926-SM-7MKGA 60-69 years, female 14.5
GTEX-WHWD-1826-SM-3LK6I 50-59 years, male 14.5
GTEX-ZYW4-0626-SM-59HJR 60-69 years, male 14.5
GTEX-1AYD5-2626-SM-7PBXY 50-59 years, male 14.5
GTEX-1I1CD-0626-SM-CE6SW 60-69 years, female 14.5
GTEX-1L5NE-1126-SM-D3L9P 50-59 years, male 14.5
GTEX-1R7EU-1626-SM-DTXG3 60-69 years, male 14.5
GTEX-13VXU-0626-SM-5L3F9 50-59 years, male 14.4
GTEX-145MH-2826-SM-5RQJF 50-59 years, male 14.4
GTEX-1EU9M-1426-SM-793AI 60-69 years, male 14.4
GTEX-XMD2-2126-SM-4YCF8 60-69 years, female 14.4
GTEX-1GZ4H-0526-SM-9KNU9 50-59 years, female 14.4
GTEX-1HCU7-0726-SM-A9SL1 50-59 years, male 14.4
GTEX-1JJ6O-2726-SM-CNPOG 60-69 years, male 14.4
GTEX-1LGOU-1326-SM-D3L8M 20-29 years, female 14.4
GTEX-13VXT-1926-SM-5K7UO 20-29 years, female 14.3
GTEX-13X6K-0626-SM-5LU5D 60-69 years, female 14.3
GTEX-14BIN-1126-SM-5RQJZ 50-59 years, female 14.3
GTEX-17EVP-2626-SM-7IGMA 40-49 years, male 14.3
GTEX-XQ3S-1426-SM-4BOPR 20-29 years, male 14.3
GTEX-ZT9X-1526-SM-5DUXD 40-49 years, male 14.3
GTEX-1GF9U-2026-SM-7SB92 40-49 years, female 14.3
GTEX-1GZ4I-2626-SM-9KNU3 50-59 years, male 14.3
GTEX-1K9T9-1526-SM-DIPFR 50-59 years, female 14.3
GTEX-1QP29-1826-SM-DTX9S 50-59 years, male 14.3
GTEX-11ZTT-2126-SM-5CVLO 60-69 years, female 14.2
GTEX-11ZU8-0126-SM-5EQ58 60-69 years, male 14.2
GTEX-13NZ8-1226-SM-5KM4A 60-69 years, female 14.2
GTEX-13QBU-1226-SM-5LU4G 40-49 years, female 14.2
GTEX-14PKV-1126-SM-6LLJ1 20-29 years, female 14.2
GTEX-16GPK-0626-SM-7KFSF 60-69 years, male 14.2
GTEX-16NPX-0726-SM-7KULC 50-59 years, male 14.2
GTEX-ZVE2-2826-SM-5GU51 50-59 years, male 14.2
GTEX-11P82-1426-SM-DTXFY 20-29 years, male 14.2
GTEX-1F48J-0726-SM-7RHGS 50-59 years, female 14.2
GTEX-1F5PK-2226-SM-7SB6N 50-59 years, male 14.2
GTEX-1H3NZ-2726-SM-9WYTQ 60-69 years, male 14.2
GTEX-ZGAY-1826-SM-DO91Q 40-49 years, female 14.2
GTEX-1CAV2-0126-SM-7IGN7 40-49 years, female 14.1
GTEX-V1D1-2026-SM-3GAF4 50-59 years, male 14.1
GTEX-WYJK-0526-SM-3NM8Z 50-59 years, male 14.1
GTEX-X5EB-1926-SM-4E3IW 40-49 years, male 14.1
GTEX-1HCU9-0426-SM-9WYSD 20-29 years, male 14.1
GTEX-1IDJF-2026-SM-CL53V 20-29 years, male 14.1
GTEX-14E6C-2426-SM-5S2NF 40-49 years, male 14.0
GTEX-Y3I4-1726-SM-4TT89 50-59 years, male 14.0
GTEX-ZE9C-2526-SM-5IJDR 60-69 years, male 14.0
GTEX-ZYFG-1526-SM-5GZYM 60-69 years, female 14.0
GTEX-1A8FM-0626-SM-7PC25 50-59 years, female 14.0
GTEX-1CB4I-0126-SM-7RHGG 50-59 years, male 14.0
GTEX-1HSMO-0626-SM-ACKXC 60-69 years, male 14.0
GTEX-1I1GT-1026-SM-ARZLV 60-69 years, female 14.0
GTEX-1J8Q3-0526-SM-ARL8U 60-69 years, male 14.0
GTEX-13PDP-0726-SM-5L3HP 60-69 years, male 13.9
GTEX-147F3-1726-SM-5SIAW 50-59 years, female 13.9
GTEX-1C6VQ-1226-SM-73KYD 50-59 years, male 13.9
GTEX-WEY5-2326-SM-3GIKK 40-49 years, female 13.9
GTEX-1C475-1326-SM-7SB73 40-49 years, female 13.9
GTEX-1QW4Y-1126-SM-DTXE3 30-39 years, male 13.9
GTEX-1RLM8-2926-SM-E8VON 50-59 years, male 13.9
GTEX-13OVJ-0826-SM-5J1OK 50-59 years, female 13.8
GTEX-14BMV-2826-SM-5TDED 50-59 years, male 13.8
GTEX-14PJ2-0626-SM-6LLII 50-59 years, male 13.8
GTEX-14PJN-1826-SM-6AJ98 30-39 years, male 13.8
GTEX-14PJO-2526-SM-6AJBQ 60-69 years, male 13.8
GTEX-1J1R8-2026-SM-CL53Y 40-49 years, male 13.8
GTEX-1PDJ9-1226-SM-EXUSX 20-29 years, male 13.8
GTEX-139TT-2126-SM-5LZWC 60-69 years, male 13.7
GTEX-13N11-2326-SM-5IJBF 50-59 years, female 13.7
GTEX-14PJ6-2626-SM-6EU2T 60-69 years, female 13.7
GTEX-1A8G6-2726-SM-731AR 60-69 years, male 13.7
GTEX-1AX9I-2226-SM-73KUO 60-69 years, male 13.7
GTEX-1EWIQ-0326-SM-7DHMQ 70-79 years, female 13.7
GTEX-1GF9W-1426-SM-7PBYM 60-69 years, male 13.7
GTEX-1HCVE-2726-SM-CL54F 50-59 years, male 13.7
GTEX-1HFI7-2326-SM-CGQFS 50-59 years, female 13.7
GTEX-1JMQJ-0826-SM-CNPP7 50-59 years, male 13.7
GTEX-1S3DN-2126-SM-E9TIN 50-59 years, male 13.7
GTEX-11TUW-0626-SM-5LU9M 60-69 years, male 13.6
GTEX-15FZZ-0526-SM-7KUGD 30-39 years, female 13.6
GTEX-1CB4E-0926-SM-7EPHT 60-69 years, male 13.6
GTEX-WY7C-2126-SM-3NB2R 50-59 years, male 13.6
GTEX-ZVT2-0126-SM-5GIDQ 50-59 years, female 13.6
GTEX-1GN2E-0226-SM-9WG6K 60-69 years, male 13.6
GTEX-1IDJV-0126-SM-COH3Y 60-69 years, male 13.6
GTEX-1LGRB-0926-SM-COH3K 50-59 years, female 13.6
GTEX-111CU-1126-SM-5EGIM 50-59 years, male 13.5
GTEX-13X6J-0626-SM-5LU5F 50-59 years, male 13.5
GTEX-183FY-1026-SM-7939A 20-29 years, male 13.5
GTEX-WHSB-1326-SM-3LK6W 50-59 years, male 13.5
GTEX-1GTWX-2026-SM-9YFLM 60-69 years, male 13.5
GTEX-1I6K7-1926-SM-B2LXR 40-49 years, male 13.5
GTEX-1QCLZ-2426-SM-EVYBW 60-69 years, female 13.5
GTEX-139T8-0626-SM-5KLZX 60-69 years, male 13.4
GTEX-XV7Q-1826-SM-4BRUV 40-49 years, female 13.4
GTEX-YJ8O-2526-SM-5HL85 40-49 years, female 13.4
GTEX-ZC5H-1526-SM-5HL9Y 40-49 years, female 13.4
GTEX-ZUA1-2626-SM-5NQ92 40-49 years, male 13.4
GTEX-1H1E6-0426-SM-9WYUS 30-39 years, male 13.4
GTEX-1IDJU-1726-SM-CMKHU 60-69 years, female 13.4
GTEX-1JJE9-2626-SM-ARZMT 70-79 years, male 13.4
GTEX-1LB8K-0726-SM-D5OV2 50-59 years, male 13.4
GTEX-1212Z-0126-SM-59HK4 60-69 years, male 13.3
GTEX-12WSM-1926-SM-5BC65 60-69 years, male 13.3
GTEX-131XW-0626-SM-5PNVD 50-59 years, female 13.3
GTEX-13O3Q-0126-SM-5KM34 50-59 years, male 13.3
GTEX-1477Z-0326-SM-7IGLA 60-69 years, male 13.3
GTEX-147JS-0226-SM-5S2U9 60-69 years, male 13.3
GTEX-1B932-2326-SM-79OL5 40-49 years, female 13.3
GTEX-1GL5R-1326-SM-7RHHF 50-59 years, male 13.3
GTEX-1H4P4-2126-SM-9WYSL 50-59 years, male 13.3
GTEX-1I4MK-0126-SM-CY8G6 50-59 years, female 13.3
GTEX-1LKK1-2626-SM-DKPQE 50-59 years, female 13.3
GTEX-1QMI2-2526-SM-E8VNZ 60-69 years, male 13.3
GTEX-13FLV-0126-SM-5K7WT 50-59 years, male 13.2
GTEX-1I1GS-2626-SM-B2LY3 60-69 years, male 13.2
GTEX-1JKYN-0826-SM-ARU8S 30-39 years, male 13.2
GTEX-1LSVX-2526-SM-DIPEU 60-69 years, male 13.2
GTEX-144FL-0626-SM-5LU43 50-59 years, male 13.1
GTEX-178AV-1726-SM-7KUL8 40-49 years, male 13.1
GTEX-1F6RS-2026-SM-7RHHC 60-69 years, female 13.1
GTEX-1PPGY-1626-SM-EVYBL 60-69 years, male 13.1
GTEX-15EO6-2426-SM-6PALZ 50-59 years, male 13.0
GTEX-1B8KZ-0326-SM-73KY4 50-59 years, male 13.0
GTEX-ZLWG-0826-SM-59888 50-59 years, female 13.0
GTEX-1IOXB-2726-SM-CM2RI 50-59 years, male 13.0
GTEX-1QAET-0326-SM-EVR3U 50-59 years, male 13.0
GTEX-ZPIC-0526-SM-DO91W 40-49 years, female 13.0
GTEX-11LCK-2226-SM-5HL4Q 30-39 years, male 12.9
GTEX-12KS4-2126-SM-5FQUT 30-39 years, male 12.9
GTEX-ZVE1-0726-SM-51MRN 50-59 years, female 12.9
GTEX-1I1GU-0926-SM-ACKVS 40-49 years, male 12.9
GTEX-1R46S-2426-SM-E76QA 60-69 years, female 12.9
GTEX-XBED-1926-SM-47JYP 60-69 years, male 12.8
GTEX-Y9LG-1126-SM-4VBQ7 30-39 years, male 12.8
GTEX-ZTSS-1426-SM-5985P 40-49 years, male 12.8
GTEX-1CB4J-1326-SM-7P8RX 60-69 years, male 12.8
GTEX-YEC3-1326-SM-DO92X 50-59 years, male 12.8
GTEX-11ZUS-2626-SM-5FQUR 30-39 years, male 12.7
GTEX-13OW7-0426-SM-5K7VK 50-59 years, male 12.7
GTEX-14JG6-1426-SM-9WG7C 30-39 years, female 12.7
GTEX-1HCU8-2526-SM-CE6RX 60-69 years, female 12.7
GTEX-1HSGN-0826-SM-ACKW3 40-49 years, female 12.7
GTEX-12C56-1526-SM-5FQUQ 20-29 years, male 12.6
GTEX-12WSC-2826-SM-5BC5Y 50-59 years, male 12.6
GTEX-12ZZX-2426-SM-5GCOE 40-49 years, female 12.6
GTEX-13PVQ-0626-SM-5LU47 50-59 years, male 12.6
GTEX-145MI-0626-SM-5SI8S 60-69 years, female 12.6
GTEX-15CHC-1126-SM-6LLHQ 60-69 years, female 12.6
GTEX-1A8G7-1326-SM-73KVM 60-69 years, male 12.6
GTEX-1AMFI-1326-SM-7939R 50-59 years, female 12.6
GTEX-1F5PL-0926-SM-7PC2W 40-49 years, female 12.6
GTEX-1GN1V-2826-SM-9JGIA 60-69 years, male 12.6
GTEX-1JMQI-1726-SM-ARL93 50-59 years, male 12.6
GTEX-1KWVE-1026-SM-D3L9O 30-39 years, male 12.6
GTEX-1QP2A-1726-SM-E76QC 50-59 years, male 12.6
GTEX-11WQK-1026-SM-5EQLX 50-59 years, male 12.5
GTEX-13PVR-0426-SM-5RQK2 60-69 years, female 12.5
GTEX-15CHQ-0326-SM-69LQD 60-69 years, male 12.5
GTEX-UPJH-0226-SM-3GADV 50-59 years, male 12.5
GTEX-Y8LW-1526-SM-5IFHL 50-59 years, female 12.5
GTEX-ZA64-1026-SM-5HL8R 20-29 years, male 12.5
GTEX-1GMR8-0626-SM-7RHI7 50-59 years, female 12.5
GTEX-1IDJH-0126-SM-D3L92 70-79 years, male 12.5
GTEX-W5X1-2526-SM-3GILC 40-49 years, female 12.4
GTEX-1KD5A-0126-SM-E9U54 50-59 years, male 12.4
GTEX-14C39-1726-SM-5RQIL 40-49 years, male 12.3
GTEX-1B8SF-0126-SM-7DUG3 60-69 years, male 12.3
GTEX-1CB4F-1026-SM-7DUH1 60-69 years, male 12.3
GTEX-WK11-2726-SM-3NMAQ 50-59 years, male 12.3
GTEX-WYVS-1626-SM-3NM9R 40-49 years, female 12.3
GTEX-1J1OQ-0126-SM-D4P2N 40-49 years, female 12.3
GTEX-145LT-0526-SM-5LUB2 40-49 years, male 12.2
GTEX-148VJ-0626-SM-5LUAW 70-79 years, male 12.2
GTEX-14PKU-0126-SM-6LLHV 40-49 years, female 12.2
GTEX-1C6VR-0126-SM-7RHGB 60-69 years, male 12.2
GTEX-14BMU-1226-SM-5S2OR 20-29 years, female 12.1
GTEX-1AMEY-0826-SM-72D65 30-39 years, female 12.1
GTEX-1GPI6-1926-SM-9KNV7 60-69 years, male 12.1
GTEX-1POEN-2326-SM-E9J2L 30-39 years, female 12.1
GTEX-1PPH7-1126-SM-DTX9A 40-49 years, male 12.1
GTEX-1269C-0126-SM-5EQ5L 60-69 years, female 11.9
GTEX-13U4I-2226-SM-5LU5H 40-49 years, female 11.9
GTEX-17HII-1426-SM-7EPGG 50-59 years, male 11.9
GTEX-WYBS-0626-SM-3NMAS 60-69 years, female 11.9
GTEX-ZVT4-2426-SM-5GIEI 50-59 years, female 11.9
GTEX-1GN73-0726-SM-7P8TJ 60-69 years, male 11.9
GTEX-1HR9M-2226-SM-CNPPY 60-69 years, male 11.9
GTEX-1HSKV-1226-SM-ADEI4 60-69 years, male 11.9
GTEX-145MF-0926-SM-5Q5EA 50-59 years, male 11.8
GTEX-1CB4H-1126-SM-7MKGL 60-69 years, female 11.8
GTEX-Y5V5-0126-SM-5S2NW 60-69 years, female 11.8
GTEX-1GMR3-0126-SM-A9SLW 40-49 years, male 11.8
GTEX-1GN1U-0626-SM-9MQL9 50-59 years, female 11.8
GTEX-1HGF4-0126-SM-CNPPX 60-69 years, male 11.8
GTEX-1I1GP-1326-SM-A9G28 50-59 years, male 11.8
GTEX-1J8Q2-2626-SM-ACKWQ 60-69 years, male 11.8
GTEX-11GSP-2326-SM-5HL63 60-69 years, female 11.7
GTEX-1B996-0426-SM-7EWF8 60-69 years, male 11.7
GTEX-1J8QM-2426-SM-A9SLS 60-69 years, female 11.7
GTEX-1LG7Y-2526-SM-EWRO7 50-59 years, male 11.7
GTEX-17F9Y-0126-SM-79OKX 70-79 years, female 11.6
GTEX-1ICG6-1226-SM-A9SLN 70-79 years, female 11.6
GTEX-1211K-1526-SM-5FQU4 60-69 years, female 11.5
GTEX-13JVG-0726-SM-5KM16 60-69 years, male 11.5
GTEX-145MO-2826-SM-5LU96 60-69 years, male 11.5
GTEX-14B4R-1326-SM-5Q5EZ 30-39 years, male 11.5
GTEX-1JN6P-2926-SM-CL54D 60-69 years, male 11.5
GTEX-11TT1-1826-SM-5EQLV 20-29 years, male 11.4
GTEX-1F88F-0126-SM-9WYSZ 60-69 years, female 11.4
GTEX-1GN1W-2426-SM-9KNUU 50-59 years, female 11.4
GTEX-1CAMQ-1326-SM-7P8RV 40-49 years, male 11.3
GTEX-1JMQL-2226-SM-CNPP4 50-59 years, female 11.3
GTEX-ZAB4-2126-SM-5HL8U 40-49 years, male 11.2
GTEX-16NGA-0726-SM-731AO 40-49 years, female 11.1
GTEX-ZYY3-2926-SM-5GIEB 60-69 years, female 11.0
GTEX-1314G-1326-SM-5BC6E 30-39 years, male 10.9
GTEX-13N1W-2426-SM-5IJD1 70-79 years, male 10.9
GTEX-WHSE-0126-SM-3NMBT 20-29 years, male 10.9
GTEX-1IE54-1126-SM-A9G2Z 40-49 years, female 10.9
GTEX-1KXAM-1626-SM-D3LAD 60-69 years, male 10.9
GTEX-Z93S-1626-SM-5CVMB 50-59 years, male 10.8
GTEX-1HKZK-0726-SM-ACKW2 40-49 years, male 10.8
GTEX-1H2FU-0926-SM-9WPPT 60-69 years, female 10.7
GTEX-12ZZZ-0726-SM-5GCNZ 60-69 years, male 10.6
GTEX-XAJ8-1426-SM-47JYM 40-49 years, male 10.5
GTEX-1GZHY-0626-SM-9KNVC 50-59 years, female 10.5
GTEX-15D1Q-2826-SM-6LLH7 40-49 years, male 10.4
GTEX-1H23P-0626-SM-9WG6T 60-69 years, male 10.3
GTEX-1JMPZ-0726-SM-CY8HZ 30-39 years, male 10.3
GTEX-1S5ZU-2526-SM-E6CIF 20-29 years, female 10.3
GTEX-11UD2-2526-SM-5CVNU 50-59 years, male 10.1
GTEX-14C5O-0326-SM-5ZZUX 60-69 years, male 10.0
GTEX-11O72-0626-SM-5PNYE 40-49 years, male 9.9
GTEX-1HT8W-0626-SM-A9G2H 30-39 years, male 9.9
GTEX-1IDFM-0326-SM-ARL7V 60-69 years, male 9.9
GTEX-1A3MX-2626-SM-7PC24 60-69 years, male 9.6
GTEX-1GZ2Q-0126-SM-9WG6M 40-49 years, male 9.5
Show allShow less
Skin - Sun Exposed (Lower leg)
Average nTPM: 15.1
Samples: 701

Max nTPM: 33.8
Min nTPM: 6.9
Std nTPM: 2.6
Median nTPM: 14.9
GTEX-SE5C-1626-SM-2XCE3 40-49 years, female 33.8
GTEX-W5X1-3026-SM-EAZAX 40-49 years, female 28.9
GTEX-1399U-2326-SM-5K7WY 50-59 years, female 28.2
GTEX-X88G-0126-SM-47JZ3 30-39 years, male 24.5
GTEX-POMQ-2226-SM-2I5FK 20-29 years, female 24.2
GTEX-1192W-2626-SM-5Q5AF 60-69 years, male 22.5
GTEX-15UF6-0826-SM-6PALJ 70-79 years, female 22.5
GTEX-15SB6-1726-SM-6PAME 50-59 years, female 22.4
GTEX-U8XE-0326-SM-3DB8P 30-39 years, male 22.1
GTEX-13RTJ-2426-SM-5S2Q2 60-69 years, male 21.9
GTEX-1AX8Z-0126-SM-7DHM6 60-69 years, male 21.8
GTEX-O5YW-0126-SM-3LK6D 50-59 years, male 21.7
GTEX-Y3IK-2426-SM-4WWDU 50-59 years, female 21.6
GTEX-1N2DV-0226-SM-E6CJ6 40-49 years, male 21.4
GTEX-145LV-2126-SM-5LU8N 50-59 years, male 21.3
GTEX-1AYCT-2426-SM-7IGQ3 50-59 years, male 21.3
GTEX-1RAZQ-0726-SM-EAZ43 30-39 years, male 21.3
GTEX-1LSNM-1926-SM-E6CII 50-59 years, male 21.0
GTEX-Y5V6-2426-SM-4VDSB 60-69 years, male 20.8
GTEX-14PK6-1926-SM-6ETZU 70-79 years, female 20.7
GTEX-1HBPM-0226-SM-ARL9F 60-69 years, female 20.7
GTEX-1ICLZ-0126-SM-CKZPO 60-69 years, male 20.6
GTEX-X585-0226-SM-4QAS2 50-59 years, male 20.5
GTEX-1B933-0126-SM-7PC29 50-59 years, female 20.4
GTEX-139T8-0126-SM-5K7XZ 60-69 years, male 20.3
GTEX-1RQEC-0426-SM-E6CHU 60-69 years, male 20.1
GTEX-ZYFD-0126-SM-5GIDL 50-59 years, male 20.0
GTEX-OOBJ-0126-SM-E6CJW 60-69 years, male 20.0
GTEX-1LNCM-1126-SM-E9U5E 50-59 years, female 19.8
GTEX-1IOXB-0126-SM-ARL8G 50-59 years, male 19.7
GTEX-1122O-2126-SM-5EGIR 60-69 years, female 19.6
GTEX-17F98-0626-SM-79OMX 40-49 years, female 19.5
GTEX-WH7G-2326-SM-3NMBC 40-49 years, male 19.5
GTEX-1GPI7-0126-SM-9MQL8 20-29 years, male 19.5
GTEX-RVPV-0126-SM-EAZAW 60-69 years, male 19.5
GTEX-VUSG-2526-SM-4KL1V 50-59 years, male 19.4
GTEX-11DYG-0126-SM-59883 60-69 years, male 19.3
GTEX-OIZG-0726-SM-33HBL 50-59 years, male 19.3
GTEX-13112-2826-SM-5DUWH 50-59 years, male 19.2
GTEX-1MCYP-1926-SM-E9J2R 20-29 years, female 19.2
GTEX-1OJC3-0126-SM-E76QX 20-29 years, male 19.2
GTEX-13FTW-2626-SM-5K7WL 40-49 years, male 19.1
GTEX-X8HC-0126-SM-4E3JW 50-59 years, female 19.1
GTEX-TMZS-0126-SM-3DB9Q 60-69 years, male 19.0
GTEX-XMD2-0126-SM-4YCDU 60-69 years, female 19.0
GTEX-XQ8I-0426-SM-4BOPO 50-59 years, male 19.0
GTEX-15G19-0126-SM-6PANQ 60-69 years, male 18.9
GTEX-18A67-0126-SM-7LG5P 50-59 years, male 18.9
GTEX-144GN-2326-SM-5LU4F 50-59 years, male 18.8
GTEX-WQUQ-0426-SM-3MJFU 60-69 years, male 18.8
GTEX-X5EB-2226-SM-46MW4 40-49 years, male 18.8
GTEX-1GZ4H-1726-SM-7PBZJ 50-59 years, female 18.8
GTEX-13FHP-0126-SM-5IJBG 50-59 years, male 18.7
GTEX-18QFQ-0126-SM-731BE 30-39 years, male 18.7
GTEX-1C4CL-0526-SM-73KVK 30-39 years, male 18.7
GTEX-1CB4J-0626-SM-7DHMP 60-69 years, male 18.7
GTEX-QV44-1926-SM-2S1RF 50-59 years, male 18.7
GTEX-X4XY-0226-SM-4E3IZ 60-69 years, male 18.7
GTEX-13IVO-0126-SM-5J1NG 70-79 years, male 18.6
GTEX-13OW7-0126-SM-5MR3B 50-59 years, male 18.6
GTEX-14ABY-0226-SM-5TDCQ 50-59 years, male 18.6
GTEX-Y5LM-1926-SM-5RQJH 40-49 years, female 18.6
GTEX-1PIGE-0126-SM-EVYBJ 20-29 years, male 18.6
GTEX-12WSL-2526-SM-5GCNJ 50-59 years, male 18.5
GTEX-15ETS-0126-SM-7KUMW 40-49 years, female 18.5
GTEX-18A6Q-0126-SM-731BZ 60-69 years, male 18.5
GTEX-QDVN-2026-SM-3GAEP 50-59 years, male 18.5
GTEX-WXYG-2326-SM-4E3I6 50-59 years, female 18.5
GTEX-12WSE-0526-SM-793B2 20-29 years, male 18.4
GTEX-17GQL-2026-SM-718BA 60-69 years, male 18.4
GTEX-Y8DK-0126-SM-4TT3L 60-69 years, male 18.4
GTEX-1RB15-2126-SM-E9TIM 60-69 years, male 18.4
GTEX-139T4-0226-SM-5HL5S 50-59 years, female 18.3
GTEX-146FH-0126-SM-5QGPP 50-59 years, female 18.3
GTEX-1A3MW-0126-SM-73KXX 60-69 years, female 18.3
GTEX-U8T8-0126-SM-3DB94 60-69 years, male 18.3
GTEX-13PDP-0126-SM-5L3HD 60-69 years, male 18.2
GTEX-14ICK-0226-SM-6EU25 40-49 years, male 18.2
GTEX-1B8SG-0126-SM-73KZ3 50-59 years, male 18.2
GTEX-NPJ8-0126-SM-2YUNR 40-49 years, male 18.2
GTEX-131XF-5016-SM-7MGWE 60-69 years, male 18.2
GTEX-1GF9X-2026-SM-7PC3A 40-49 years, female 18.2
GTEX-12696-2426-SM-5EQ6H 60-69 years, male 18.1
GTEX-13X6I-0626-SM-5QGP9 60-69 years, male 18.1
GTEX-X4XX-0126-SM-3NMC2 60-69 years, male 18.1
GTEX-1HSMP-0126-SM-E6CJS 70-79 years, male 18.1
GTEX-11DXW-0226-SM-5H122 40-49 years, male 18.0
GTEX-131XH-2226-SM-5DUXJ 50-59 years, male 18.0
GTEX-145MO-0326-SM-5Q5B3 60-69 years, male 18.0
GTEX-14E6E-1826-SM-5S2R7 30-39 years, male 18.0
GTEX-15RIG-0226-SM-7KFTL 40-49 years, male 18.0
GTEX-S95S-1226-SM-4GICG 60-69 years, male 18.0
GTEX-1PBJI-0526-SM-E8VNK 20-29 years, female 18.0
GTEX-1F75A-0126-SM-7RHGM 50-59 years, male 17.9
GTEX-1HBPI-1526-SM-C1YQ1 50-59 years, male 17.9
GTEX-1J8EW-0126-SM-CJI4F 60-69 years, female 17.9
GTEX-1MA7X-2226-SM-E6CIY 60-69 years, male 17.9
GTEX-T6MN-0126-SM-32PLP 50-59 years, male 17.8
GTEX-ZDYS-2026-SM-5HL5L 50-59 years, male 17.8
GTEX-PWCY-1826-SM-DHXIZ 20-29 years, female 17.8
GTEX-1313W-0126-SM-5LZUN 50-59 years, female 17.7
GTEX-14BIM-0226-SM-7IGLD 60-69 years, female 17.7
GTEX-1GF9W-0326-SM-9KNUN 60-69 years, male 17.7
GTEX-1MJK2-0426-SM-DTXE5 50-59 years, male 17.7
GTEX-1N2DW-0226-SM-E9TK2 50-59 years, male 17.7
GTEX-11UD1-0126-SM-5PNYG 40-49 years, female 17.6
GTEX-13FXS-0226-SM-5IJCK 50-59 years, male 17.6
GTEX-18A7A-0226-SM-718BH 50-59 years, female 17.6
GTEX-1HCUA-2426-SM-ADEIS 50-59 years, female 17.6
GTEX-1K2DA-1826-SM-CGQGT 50-59 years, male 17.6
GTEX-1KANB-0526-SM-E6CJH 50-59 years, male 17.6
GTEX-1R7EU-0226-SM-EVR4G 60-69 years, male 17.6
GTEX-1R9K4-0126-SM-DTX9X 60-69 years, male 17.6
GTEX-1497J-2426-SM-7IGNX 60-69 years, male 17.5
GTEX-Q734-1926-SM-2I5EV 40-49 years, female 17.5
GTEX-XBEW-0626-SM-4QASP 40-49 years, male 17.5
GTEX-ZTPG-0326-SM-5O9AX 20-29 years, female 17.5
GTEX-1HR98-0126-SM-B2LWI 60-69 years, male 17.5
GTEX-1KD4Q-0226-SM-E9TJ9 40-49 years, male 17.5
GTEX-1MCQQ-0826-SM-DLHC2 60-69 years, male 17.5
GTEX-1OFPY-2426-SM-DTXEJ 60-69 years, male 17.5
GTEX-1QW4Y-1526-SM-EAZ3Z 30-39 years, male 17.5
GTEX-1RAZA-0126-SM-E6CI3 20-29 years, male 17.5
GTEX-11O72-0126-SM-59887 40-49 years, male 17.4
GTEX-S7PM-0126-SM-4AD6S 60-69 years, male 17.4
GTEX-X62O-0126-SM-4E3JN 50-59 years, male 17.4
GTEX-1IKK5-0626-SM-ARL8A 60-69 years, male 17.4
GTEX-11OC5-0126-SM-5HL6A 60-69 years, male 17.3
GTEX-11P7K-2126-SM-5GU7G 30-39 years, male 17.3
GTEX-13VXU-0126-SM-5SI9F 50-59 years, male 17.3
GTEX-OXRO-0126-SM-2YUN4 60-69 years, female 17.3
GTEX-ZU9S-0226-SM-5E441 30-39 years, male 17.3
GTEX-117YW-2626-SM-5GZZH 50-59 years, male 17.2
GTEX-13113-5016-SM-7EPIP 60-69 years, female 17.2
GTEX-183WM-0126-SM-7LTAB 70-79 years, female 17.2
GTEX-Q2AI-1326-SM-2S1PL 40-49 years, male 17.2
GTEX-Y114-2426-SM-4TT8A 50-59 years, female 17.2
GTEX-YFC4-0126-SM-5CVLY 40-49 years, female 17.2
GTEX-1CAMS-0426-SM-7P8T2 40-49 years, female 17.2
GTEX-1GZHY-0326-SM-9QEHI 50-59 years, female 17.2
GTEX-1MGNQ-0126-SM-EVYCJ 40-49 years, male 17.2
GTEX-S33H-1026-SM-EZ6L6 30-39 years, male 17.2
GTEX-1CB4E-2226-SM-793DC 60-69 years, male 17.1
GTEX-WI4N-1026-SM-3LK7N 40-49 years, female 17.1
GTEX-X638-0126-SM-47JZ8 70-79 years, female 17.1
GTEX-ZYT6-0226-SM-5NQ6T 30-39 years, male 17.1
GTEX-169BO-1326-SM-9MQK2 50-59 years, male 17.1
GTEX-1H1CY-2826-SM-9MQM3 60-69 years, female 17.1
GTEX-1H3O1-0426-SM-9YFKY 60-69 years, male 17.1
GTEX-1R9PM-2026-SM-E76OY 20-29 years, male 17.1
GTEX-11GSP-2526-SM-5N9BP 60-69 years, female 17.0
GTEX-14JIY-0126-SM-6LLH6 60-69 years, male 17.0
GTEX-O5YT-0126-SM-48TBW 20-29 years, male 17.0
GTEX-OHPL-0126-SM-2HMJ7 60-69 years, female 17.0
GTEX-U3ZM-1526-SM-3DB9D 40-49 years, male 17.0
GTEX-ZE9C-2726-SM-57WB5 60-69 years, male 17.0
GTEX-1GF9U-2126-SM-7SB7L 40-49 years, female 17.0
GTEX-12126-0326-SM-5PNW3 20-29 years, male 16.9
GTEX-13OVL-0226-SM-5L3E9 50-59 years, male 16.9
GTEX-1A32A-0126-SM-718B1 50-59 years, female 16.9
GTEX-ZVZP-2426-SM-59HKJ 50-59 years, male 16.9
GTEX-1F6I4-0126-SM-9MQL2 60-69 years, male 16.9
GTEX-1GMRU-0126-SM-9YFLV 50-59 years, male 16.9
GTEX-1HBPN-0226-SM-9YFM1 50-59 years, male 16.9
GTEX-1J8JJ-0226-SM-CL53I 60-69 years, female 16.9
GTEX-1PWST-0226-SM-E76QJ 70-79 years, male 16.9
GTEX-11OF3-2626-SM-5GU7F 60-69 years, male 16.8
GTEX-14E6D-0126-SM-62LDV 50-59 years, male 16.8
GTEX-17EUY-0426-SM-793BD 20-29 years, male 16.8
GTEX-17HHE-2026-SM-79OKF 50-59 years, male 16.8
GTEX-ZE7O-0126-SM-57WC1 50-59 years, female 16.8
GTEX-113IC-0126-SM-5HL6T 60-69 years, male 16.7
GTEX-11GS4-2726-SM-5A5LE 60-69 years, male 16.7
GTEX-12WSA-0226-SM-5BC5V 60-69 years, male 16.7
GTEX-13CF2-2526-SM-5LZYX 60-69 years, male 16.7
GTEX-15SHW-0326-SM-6PAML 60-69 years, male 16.7
GTEX-ZVTK-0426-SM-51MRS 20-29 years, male 16.7
GTEX-146FR-1326-SM-E9J48 60-69 years, female 16.7
GTEX-1ICG6-2526-SM-CGQFZ 70-79 years, female 16.7
GTEX-ZF29-2326-SM-DO92K 60-69 years, female 16.7
GTEX-131YS-0126-SM-5KM1M 60-69 years, female 16.6
GTEX-145MF-0626-SM-5LUAI 50-59 years, male 16.6
GTEX-14BIN-0626-SM-793DP 50-59 years, female 16.6
GTEX-14PJ6-2126-SM-6EU1V 60-69 years, female 16.6
GTEX-16XZY-2126-SM-79OK1 70-79 years, male 16.6
GTEX-17HHY-0126-SM-7LG5D 50-59 years, male 16.6
GTEX-183FY-0126-SM-7LT9P 20-29 years, male 16.6
GTEX-UJHI-1526-SM-3DB99 50-59 years, female 16.6
GTEX-WVJS-0126-SM-4MVOT 50-59 years, male 16.6
GTEX-ZAB4-0226-SM-5N9F5 40-49 years, male 16.6
GTEX-ZVZO-0126-SM-5A5L9 40-49 years, male 16.6
GTEX-1H1DE-2126-SM-9WG6R 20-29 years, male 16.6
GTEX-1S82Z-0826-SM-E6CHY 30-39 years, female 16.6
GTEX-12WSK-2326-SM-5GCOH 40-49 years, female 16.5
GTEX-132NY-0326-SM-5IJBL 60-69 years, male 16.5
GTEX-139D8-0226-SM-5KLZO 30-39 years, female 16.5
GTEX-13OW6-0426-SM-5L3HM 50-59 years, male 16.5
GTEX-OHPM-0126-SM-2YUN9 50-59 years, male 16.5
GTEX-OOBK-0126-SM-2YUND 40-49 years, male 16.5
GTEX-SSA3-0126-SM-32QPU 60-69 years, male 16.5
GTEX-U4B1-1826-SM-4DXSU 40-49 years, male 16.5
GTEX-ZVT2-2526-SM-51MT1 50-59 years, female 16.5
GTEX-1JMQK-0226-SM-CL543 60-69 years, male 16.5
GTEX-1PPH8-0226-SM-E8VND 20-29 years, male 16.5
GTEX-16GPK-0126-SM-7DHLE 60-69 years, male 16.4
GTEX-16MT8-0426-SM-7KUEY 60-69 years, female 16.4
GTEX-OIZH-0126-SM-2HMIS 50-59 years, male 16.4
GTEX-P4PP-0126-SM-3LK69 30-39 years, female 16.4
GTEX-1I1CD-0126-SM-CM2TK 60-69 years, female 16.4
GTEX-1JN1M-0326-SM-CYPT3 60-69 years, female 16.4
GTEX-1LG7Y-0526-SM-DKPQC 50-59 years, male 16.4
GTEX-146FQ-0126-SM-5NQA9 30-39 years, male 16.3
GTEX-1GTWX-0126-SM-9YFLK 60-69 years, male 16.3
GTEX-1HCU6-0126-SM-CL54K 60-69 years, female 16.3
GTEX-1JMQJ-0526-SM-CYPSU 50-59 years, male 16.3
GTEX-1QCLY-0326-SM-E8VOG 30-39 years, male 16.3
GTEX-117YX-2326-SM-5H12W 50-59 years, male 16.2
GTEX-1192X-0226-SM-5H12D 50-59 years, male 16.2
GTEX-14A6H-0126-SM-5QGPK 30-39 years, male 16.2
GTEX-17JCI-0126-SM-7LG5G 60-69 years, female 16.2
GTEX-Q2AH-1626-SM-3GAF8 40-49 years, male 16.2
GTEX-S7SE-0126-SM-2XCD5 50-59 years, male 16.2
GTEX-1EWIQ-0126-SM-7RHH2 70-79 years, female 16.2
GTEX-1IKOH-0226-SM-COH4E 60-69 years, female 16.2
GTEX-1JKYN-1326-SM-CGQG9 30-39 years, male 16.2
GTEX-1JN6P-0126-SM-D3L98 60-69 years, male 16.2
GTEX-1LVAN-0226-SM-COH3S 50-59 years, female 16.2
GTEX-12WSD-0126-SM-59HKN 60-69 years, female 16.1
GTEX-13U4I-0126-SM-5LU38 40-49 years, female 16.1
GTEX-18A7B-0126-SM-7LG64 70-79 years, male 16.1
GTEX-18D9A-1926-SM-7LG6P 30-39 years, female 16.1
GTEX-1AYD5-2426-SM-73KXR 50-59 years, male 16.1
GTEX-ZAB5-1826-SM-5HL7C 50-59 years, male 16.1
GTEX-1B8L1-2526-SM-9WYTF 60-69 years, male 16.1
GTEX-1IDFM-0126-SM-COH2V 60-69 years, male 16.1
GTEX-1JJ6O-0126-SM-E6CI8 60-69 years, male 16.1
GTEX-1L5NE-2526-SM-E6CIE 50-59 years, male 16.1
GTEX-111VG-2426-SM-5GZXD 60-69 years, male 16.0
GTEX-12ZZZ-0626-SM-5DUXI 60-69 years, male 16.0
GTEX-18D9U-0226-SM-718BP 40-49 years, male 16.0
GTEX-NFK9-0226-SM-2HMKQ 40-49 years, male 16.0
GTEX-1RLM8-2326-SM-EWRN4 50-59 years, male 16.0
GTEX-11DXX-2426-SM-5GZZW 60-69 years, female 15.9
GTEX-1211K-2026-SM-5EQ4Z 60-69 years, female 15.9
GTEX-13X6J-0126-SM-5QGOU 50-59 years, male 15.9
GTEX-15SDE-2226-SM-7IGLO 50-59 years, female 15.9
GTEX-SUCS-1926-SM-32PM3 70-79 years, male 15.9
GTEX-T2YK-0526-SM-32QPJ 50-59 years, male 15.9
GTEX-XUYS-0126-SM-47JWZ 50-59 years, male 15.9
GTEX-1H3VE-0326-SM-9YFLH 40-49 years, male 15.9
GTEX-1ICLY-0126-SM-D4P36 50-59 years, male 15.9
GTEX-1JKYR-0126-SM-CNPOJ 20-29 years, male 15.9
GTEX-1S82Y-2026-SM-EVYCM 40-49 years, male 15.9
GTEX-11NUK-0126-SM-5A5L3 50-59 years, male 15.8
GTEX-13S7M-0126-SM-5SI6A 60-69 years, female 15.8
GTEX-17F97-0326-SM-7LG5B 50-59 years, male 15.8
GTEX-Y3I4-2126-SM-4TT7C 50-59 years, male 15.8
GTEX-1GF9V-0326-SM-7RHI5 60-69 years, male 15.8
GTEX-1HGF4-2426-SM-ACKXM 60-69 years, male 15.8
GTEX-1QP67-1626-SM-EAZ3X 40-49 years, female 15.8
GTEX-13NYS-0126-SM-5MR3W 60-69 years, male 15.7
GTEX-17KNJ-2326-SM-7DHLQ 50-59 years, male 15.7
GTEX-V1D1-2226-SM-3NMAX 50-59 years, male 15.7
GTEX-X4EP-0126-SM-3P5YV 60-69 years, female 15.7
GTEX-ZGAY-0526-SM-4WWBB 40-49 years, female 15.7
GTEX-1GN1V-0126-SM-9WPOS 60-69 years, male 15.7
GTEX-131XW-0426-SM-5LZWP 50-59 years, female 15.6
GTEX-13NYB-2526-SM-5K7Z6 40-49 years, male 15.6
GTEX-13OVK-2026-SM-7KUEO 40-49 years, male 15.6
GTEX-13PVR-2326-SM-5QGR1 60-69 years, female 15.6
GTEX-P4PQ-0126-SM-2S1NM 60-69 years, male 15.6
GTEX-RTLS-0126-SM-447CA 60-69 years, female 15.6
GTEX-WY7C-2326-SM-3NB2U 50-59 years, male 15.6
GTEX-ZVT3-0126-SM-5GU6I 60-69 years, female 15.6
GTEX-1LBAC-0126-SM-DIPEZ 20-29 years, male 15.6
GTEX-1LG7Z-1726-SM-D3LA4 30-39 years, male 15.6
GTEX-1OJC4-0126-SM-E9J2E 50-59 years, female 15.6
GTEX-1PIIG-0226-SM-EWRN6 30-39 years, male 15.6
GTEX-13N11-2526-SM-5K7UE 50-59 years, female 15.5
GTEX-13O21-1426-SM-5K7XI 50-59 years, male 15.5
GTEX-13YAN-0326-SM-5O9DF 60-69 years, male 15.5
GTEX-14PHX-2326-SM-62LEM 50-59 years, male 15.5
GTEX-17HII-0226-SM-7LG4E 50-59 years, male 15.5
GTEX-1B97I-1626-SM-73KYO 40-49 years, male 15.5
GTEX-Z93T-0126-SM-5HL5N 50-59 years, male 15.5
GTEX-1C6VQ-0126-SM-7P8RI 50-59 years, male 15.5
GTEX-1I1GT-0626-SM-CGQER 60-69 years, female 15.5
GTEX-1KXAM-2226-SM-CYPTC 60-69 years, male 15.5
GTEX-1MUQO-0126-SM-EAZ58 60-69 years, male 15.5
GTEX-1R9PO-2126-SM-E9J4O 60-69 years, female 15.5
GTEX-11EMC-2926-SM-5EQ4F 60-69 years, female 15.4
GTEX-12WSJ-1826-SM-5GCNY 40-49 years, female 15.4
GTEX-12ZZY-0226-SM-5LZVE 60-69 years, male 15.4
GTEX-SN8G-0126-SM-32PLI 50-59 years, female 15.4
GTEX-ZDTT-2726-SM-4WKF8 60-69 years, male 15.4
GTEX-ZUA1-0126-SM-5GU76 40-49 years, male 15.4
GTEX-13VXT-0126-SM-5LU4I 20-29 years, female 15.3
GTEX-14753-0426-SM-5NQAM 60-69 years, male 15.3
GTEX-14BMU-2226-SM-5TDE9 20-29 years, female 15.3
GTEX-14PJ3-1826-SM-62LEX 50-59 years, male 15.3
GTEX-17HGU-0226-SM-7DHKV 50-59 years, male 15.3
GTEX-1B8KE-2126-SM-73KYX 50-59 years, male 15.3
GTEX-13FH7-2026-SM-E9J4I 50-59 years, female 15.3
GTEX-1I1GV-0526-SM-A9G29 60-69 years, male 15.3
GTEX-11GSO-2426-SM-5A5LY 60-69 years, male 15.2
GTEX-148VI-1626-SM-5SI6E 60-69 years, female 15.2
GTEX-14JG1-0426-SM-6ETZZ 40-49 years, male 15.2
GTEX-18A66-0226-SM-718BD 60-69 years, male 15.2
GTEX-1A3MX-0126-SM-731BR 60-69 years, male 15.2
GTEX-SIU8-0126-SM-2XCDT 50-59 years, male 15.2
GTEX-T2IS-0126-SM-4DM6O 20-29 years, female 15.2
GTEX-1C64O-0126-SM-7SB8P 60-69 years, male 15.2
GTEX-1C6WA-0126-SM-7PC2B 60-69 years, male 15.2
GTEX-1LB8K-0226-SM-EWRNW 50-59 years, male 15.2
GTEX-131XG-2626-SM-5KM17 50-59 years, female 15.1
GTEX-139UW-2826-SM-5L3E7 60-69 years, male 15.1
GTEX-145LU-0126-SM-5TDCB 50-59 years, male 15.1
GTEX-PX3G-0126-SM-2I3EN 20-29 years, female 15.1
GTEX-W5WG-1826-SM-4KL2Y 50-59 years, female 15.1
GTEX-X261-0126-SM-3NMD6 50-59 years, male 15.1
GTEX-XAJ8-0826-SM-47JY6 40-49 years, male 15.1
GTEX-13O3O-0126-SM-E9J49 60-69 years, female 15.1
GTEX-1HUB1-0426-SM-E9U4U 60-69 years, male 15.1
GTEX-1NHNU-1026-SM-E9J2A 50-59 years, male 15.1
GTEX-ZF3C-0126-SM-DO92D 50-59 years, female 15.1
GTEX-111FC-0126-SM-5N9DL 60-69 years, male 15.0
GTEX-131XE-2326-SM-5PNZ2 50-59 years, male 15.0
GTEX-139TU-0126-SM-5K7WH 60-69 years, male 15.0
GTEX-13D11-2426-SM-5KM1V 50-59 years, female 15.0
GTEX-13OVG-1926-SM-5L3DK 60-69 years, male 15.0
GTEX-14PII-0226-SM-6EU1T 60-69 years, male 15.0
GTEX-PWO3-1526-SM-48TCM 60-69 years, female 15.0
GTEX-WZTO-0126-SM-3NM95 40-49 years, male 15.0
GTEX-Y8E4-0626-SM-4WWDL 40-49 years, male 15.0
GTEX-ZDTS-0126-SM-4WAY5 60-69 years, male 15.0
GTEX-ZEX8-2426-SM-4WKG4 50-59 years, male 15.0
GTEX-1AX9I-0126-SM-7SB74 60-69 years, male 15.0
GTEX-1HFI6-0226-SM-ADEHZ 40-49 years, male 15.0
GTEX-1I1GP-2226-SM-CGQFK 50-59 years, male 15.0
GTEX-11H98-0126-SM-5EGHG 50-59 years, male 14.9
GTEX-139TS-2826-SM-5J1OO 60-69 years, male 14.9
GTEX-13G51-2526-SM-5LZYK 60-69 years, male 14.9
GTEX-13NZ8-0826-SM-5MR3I 60-69 years, female 14.9
GTEX-14A5H-0426-SM-5QGQF 60-69 years, male 14.9
GTEX-XUW1-0426-SM-4BOOT 50-59 years, female 14.9
GTEX-XYKS-2126-SM-4E3IB 60-69 years, female 14.9
GTEX-ZAJG-0126-SM-5HL94 50-59 years, female 14.9
GTEX-ZDXO-3026-SM-5J1N5 60-69 years, male 14.9
GTEX-ZF2S-2326-SM-4WWCE 50-59 years, female 14.9
GTEX-ZZ64-1726-SM-5GZYB 20-29 years, male 14.9
GTEX-1I1HK-0126-SM-COH49 60-69 years, male 14.9
GTEX-1JJEA-0326-SM-CNPOT 60-69 years, male 14.9
GTEX-1QP9N-1426-SM-DTXFL 30-39 years, male 14.9
GTEX-ZQG8-1626-SM-DHXIT 60-69 years, female 14.9
GTEX-117XS-2726-SM-5N9BL 60-69 years, male 14.8
GTEX-11DZ1-0126-SM-5985Q 50-59 years, male 14.8
GTEX-11ZTS-0126-SM-5EQ6M 60-69 years, female 14.8
GTEX-13RTK-1426-SM-5QGQJ 20-29 years, male 14.8
GTEX-14PN4-0126-SM-6EU2V 50-59 years, male 14.8
GTEX-1B8SF-1426-SM-7DUGL 60-69 years, male 14.8
GTEX-QLQ7-1626-SM-2S1R8 60-69 years, male 14.8
GTEX-XBED-2226-SM-47JYQ 60-69 years, male 14.8
GTEX-XV7Q-2526-SM-4BRV9 40-49 years, female 14.8
GTEX-ZF28-0126-SM-4WKGK 60-69 years, male 14.8
GTEX-1CAV2-2226-SM-7P8P2 40-49 years, female 14.8
GTEX-1QEPI-0126-SM-EWRMQ 60-69 years, female 14.8
GTEX-1QPFJ-0226-SM-E76PB 30-39 years, female 14.8
GTEX-1S83E-0126-SM-EWRO4 40-49 years, male 14.8
GTEX-11ZUS-0626-SM-59885 30-39 years, male 14.7
GTEX-13X6H-2126-SM-7EWD5 50-59 years, female 14.7
GTEX-145LT-1726-SM-5QGP3 40-49 years, male 14.7
GTEX-14A5I-0126-SM-5TDEA 50-59 years, female 14.7
GTEX-14E6C-0126-SM-5RQIP 40-49 years, male 14.7
GTEX-16XZZ-0126-SM-793DV 60-69 years, male 14.7
GTEX-RWS6-2026-SM-2XCB5 60-69 years, female 14.7
GTEX-ZAK1-0126-SM-5IJD3 50-59 years, female 14.7
GTEX-ZV6S-2326-SM-4YCEY 40-49 years, female 14.7
GTEX-1F52S-0126-SM-9MQJU 60-69 years, female 14.7
GTEX-1GN2E-0426-SM-9MQKX 60-69 years, male 14.7
GTEX-1I4MK-2226-SM-ACKWD 50-59 years, female 14.7
GTEX-1IY9M-0126-SM-D3L8S 60-69 years, male 14.7
GTEX-1K9T9-0126-SM-EVYCF 50-59 years, female 14.7
GTEX-1R7EV-2426-SM-EVYBG 40-49 years, male 14.7
GTEX-14PN3-2426-SM-6LLHS 60-69 years, female 14.6
GTEX-17MF6-0126-SM-7LG4F 40-49 years, male 14.6
GTEX-TMMY-0226-SM-33HBA 40-49 years, female 14.6
GTEX-ZVE2-0226-SM-59HJB 50-59 years, male 14.6
GTEX-1EMGI-0126-SM-9KNUE 60-69 years, male 14.6
GTEX-1HCVE-0126-SM-CGQEU 50-59 years, male 14.6
GTEX-1HSKV-0226-SM-A9SKJ 60-69 years, male 14.6
GTEX-1KANC-1526-SM-D3LAB 50-59 years, female 14.6
GTEX-1PPH7-2326-SM-EVYB8 40-49 years, male 14.6
GTEX-11EM3-2426-SM-59861 20-29 years, female 14.5
GTEX-11ZVC-2526-SM-5FQTE 50-59 years, female 14.5
GTEX-13SLX-0526-SM-5S2ON 50-59 years, female 14.5
GTEX-15DYW-0126-SM-7KULE 60-69 years, female 14.5
GTEX-15ER7-0326-SM-7KUEV 20-29 years, female 14.5
GTEX-1EU9M-0226-SM-7P8SP 60-69 years, male 14.5
GTEX-1I1GR-0126-SM-CL55F 60-69 years, male 14.5
GTEX-1I6K6-0126-SM-A9SLE 30-39 years, male 14.5
GTEX-1IL2V-0126-SM-CM2TX 70-79 years, male 14.5
GTEX-1JMOU-1526-SM-CL54I 60-69 years, female 14.5
GTEX-1JMPY-1326-SM-ARL8Y 30-39 years, male 14.5
GTEX-1K2DU-2326-SM-E9TIV 20-29 years, male 14.5
GTEX-1212Z-2526-SM-5EGKP 60-69 years, male 14.4
GTEX-13O1R-0126-SM-5L3EH 60-69 years, male 14.4
GTEX-145MN-2226-SM-5SIAU 30-39 years, male 14.4
GTEX-14BMV-0126-SM-5S2PO 50-59 years, male 14.4
GTEX-15SHU-0126-SM-7KUEH 40-49 years, female 14.4
GTEX-1C64N-0126-SM-793D7 50-59 years, male 14.4
GTEX-R3RS-0126-SM-3GIJL 40-49 years, female 14.4
GTEX-WRHK-1426-SM-3MJF9 20-29 years, female 14.4
GTEX-ZZPT-0226-SM-5E43X 50-59 years, male 14.4
GTEX-13OW5-0126-SM-DTXFS 60-69 years, male 14.4
GTEX-1CB4H-0226-SM-7PBXM 60-69 years, female 14.4
GTEX-1F75I-0326-SM-9YFLU 40-49 years, male 14.4
GTEX-PSDG-0226-SM-DKPOZ 50-59 years, male 14.4
GTEX-11EI6-0126-SM-5985R 60-69 years, male 14.3
GTEX-13RTL-0126-SM-7LG5S 40-49 years, male 14.3
GTEX-18465-0126-SM-731BN 50-59 years, male 14.3
GTEX-Q2AG-0126-SM-33HBV 40-49 years, female 14.3
GTEX-WOFL-0126-SM-3MJG2 60-69 years, male 14.3
GTEX-Y111-0126-SM-4SOIV 50-59 years, male 14.3
GTEX-ZWKS-0126-SM-5SIAA 30-39 years, male 14.3
GTEX-ZXES-1826-SM-5E43S 30-39 years, female 14.3
GTEX-12WSG-2826-SM-E9J4H 50-59 years, female 14.3
GTEX-1A8FM-0226-SM-7SB7Q 50-59 years, female 14.3
GTEX-1O97I-0326-SM-EYYX7 60-69 years, male 14.3
GTEX-147F3-0526-SM-5SI98 50-59 years, female 14.2
GTEX-15DCD-0126-SM-7KUEK 70-79 years, female 14.2
GTEX-15UKP-0426-SM-7KUFQ 20-29 years, male 14.2
GTEX-RUSQ-1526-SM-2TF62 50-59 years, male 14.2
GTEX-1F6RS-0126-SM-9MQKZ 60-69 years, female 14.2
GTEX-1QP29-0626-SM-EWRMX 50-59 years, male 14.2
GTEX-11EQ9-2426-SM-5HL5T 30-39 years, male 14.1
GTEX-1314G-1526-SM-5EGK2 30-39 years, male 14.1
GTEX-1399R-2726-SM-5IJBA 30-39 years, male 14.1
GTEX-15DDE-0126-SM-6LPKH 50-59 years, female 14.1
GTEX-1A3MV-1926-SM-718BT 30-39 years, male 14.1
GTEX-OXRP-0126-SM-3NB32 60-69 years, female 14.1
GTEX-QDT8-0126-SM-48TZ1 30-39 years, female 14.1
GTEX-1H1ZS-0426-SM-9WG6G 70-79 years, male 14.1
GTEX-1IDJH-0326-SM-A9SLQ 70-79 years, male 14.1
GTEX-1J1R8-1726-SM-ARL8M 40-49 years, male 14.1
GTEX-1J8QM-2126-SM-CYPSJ 60-69 years, female 14.1
GTEX-1R46S-0626-SM-E9J41 60-69 years, female 14.1
GTEX-ZVT4-0126-SM-DTXFN 50-59 years, female 14.1
GTEX-12C56-1726-SM-5EQ61 20-29 years, male 14.0
GTEX-1399T-2826-SM-5KLYZ 60-69 years, male 14.0
GTEX-U412-0426-SM-3DB9O 60-69 years, male 14.0
GTEX-YB5E-2026-SM-5IFIS 40-49 years, male 14.0
GTEX-ZYFG-2326-SM-5E44B 60-69 years, female 14.0
GTEX-1F5PL-0326-SM-7P8PQ 40-49 years, female 14.0
GTEX-1JK1U-2026-SM-CM2RZ 60-69 years, male 14.0
GTEX-1PFEY-1526-SM-E76PP 30-39 years, male 14.0
GTEX-1S5ZA-0126-SM-EVYCV 20-29 years, male 14.0
GTEX-1128S-2326-SM-5GZZY 60-69 years, female 13.9
GTEX-11P82-1626-SM-59879 20-29 years, male 13.9
GTEX-11TTK-0126-SM-5987B 60-69 years, female 13.9
GTEX-13W3W-2426-SM-5LU5B 60-69 years, female 13.9
GTEX-145ME-1826-SM-5SI9G 40-49 years, female 13.9
GTEX-1CB4I-0226-SM-79OLH 50-59 years, male 13.9
GTEX-XQ3S-1526-SM-4BOOC 20-29 years, male 13.9
GTEX-ZQUD-1426-SM-57WER 30-39 years, male 13.9
GTEX-13NYC-0326-SM-E9J4S 60-69 years, male 13.9
GTEX-1GN1W-0526-SM-9MQJQ 50-59 years, female 13.9
GTEX-1M4P7-0226-SM-DIPEV 60-69 years, male 13.9
GTEX-1RDX4-0126-SM-E9J4P 50-59 years, female 13.9
GTEX-12584-0126-SM-5EGKQ 40-49 years, male 13.8
GTEX-12WSC-0126-SM-5EQ4P 50-59 years, male 13.8
GTEX-133LE-1826-SM-5J1MV 20-29 years, female 13.8
GTEX-13O3Q-2426-SM-5IJBR 50-59 years, male 13.8
GTEX-16NPX-0226-SM-79OMT 50-59 years, male 13.8
GTEX-1C2JI-1826-SM-73KXC 50-59 years, male 13.8
GTEX-RN64-0126-SM-2TC68 50-59 years, male 13.8
GTEX-S32W-2126-SM-2XCB1 50-59 years, female 13.8
GTEX-ZY6K-1826-SM-5GZXK 50-59 years, male 13.8
GTEX-1CB4F-0426-SM-9KNV4 60-69 years, male 13.8
GTEX-1F48J-0126-SM-7P8TT 50-59 years, female 13.8
GTEX-1H3VY-0126-SM-ACKXD 50-59 years, male 13.8
GTEX-1HCU8-0626-SM-A9SM9 60-69 years, female 13.8
GTEX-1J8Q3-1626-SM-CMKGC 60-69 years, male 13.8
GTEX-1QAET-0926-SM-E76QM 50-59 years, male 13.8
GTEX-PLZ6-1426-SM-DKPOT 30-39 years, male 13.8
GTEX-13OVH-0126-SM-5MR4B 70-79 years, male 13.7
GTEX-144FL-0126-SM-5TDC8 50-59 years, male 13.7
GTEX-1AMEY-1326-SM-73KYK 30-39 years, female 13.7
GTEX-QLQW-1126-SM-2S1Q8 30-39 years, male 13.7
GTEX-WYJK-0126-SM-3NMAB 50-59 years, male 13.7
GTEX-XXEK-2226-SM-4BRUM 50-59 years, male 13.7
GTEX-YB5K-2126-SM-4WWDJ 40-49 years, female 13.7
GTEX-YJ89-0126-SM-4TT3X 60-69 years, male 13.7
GTEX-1GN1U-0126-SM-7PBZK 50-59 years, female 13.7
GTEX-1H3NZ-0126-SM-ACKX7 60-69 years, male 13.7
GTEX-1JMLX-0226-SM-CM2RO 50-59 years, male 13.7
GTEX-1QP2A-0126-SM-E9J43 50-59 years, male 13.7
GTEX-13FTX-1826-SM-5J1NX 20-29 years, female 13.6
GTEX-14DAR-2026-SM-5S2O3 50-59 years, male 13.6
GTEX-14PHW-0126-SM-6LLJI 60-69 years, female 13.6
GTEX-14XAO-2326-SM-6EU1B 60-69 years, female 13.6
GTEX-17EVQ-0226-SM-7LG4P 70-79 years, male 13.6
GTEX-ZYY3-0126-SM-5GZY5 60-69 years, female 13.6
GTEX-1HSGN-0226-SM-CGQFV 40-49 years, female 13.6
GTEX-1IDJF-0126-SM-CM2RS 20-29 years, male 13.6
GTEX-1S3DN-2226-SM-EVYCD 50-59 years, male 13.6
GTEX-11XUK-2026-SM-5EQLF 40-49 years, female 13.5
GTEX-13CF3-2426-SM-5IFGX 60-69 years, female 13.5
GTEX-148VJ-0126-SM-5TDDN 70-79 years, male 13.5
GTEX-14PJM-0226-SM-62LF1 50-59 years, female 13.5
GTEX-1CAMQ-0226-SM-7IGPK 40-49 years, male 13.5
GTEX-QDVJ-1726-SM-2I5FX 50-59 years, male 13.5
GTEX-ZV68-0126-SM-59HKS 50-59 years, female 13.5
GTEX-1EKGG-0226-SM-9WYTH 60-69 years, male 13.5
GTEX-11NSD-2226-SM-5986V 20-29 years, male 13.4
GTEX-13NZB-2526-SM-5J1OM 30-39 years, male 13.4
GTEX-13QJ3-0326-SM-5S2RA 50-59 years, male 13.4
GTEX-13SLW-0126-SM-5SI6C 70-79 years, male 13.4
GTEX-14BIL-0126-SM-5SI92 50-59 years, male 13.4
GTEX-17HG3-2226-SM-7938L 30-39 years, female 13.4
GTEX-T8EM-1026-SM-3DB7M 40-49 years, male 13.4
GTEX-11TUW-2726-SM-E9J4M 60-69 years, male 13.4
GTEX-1I1GQ-0126-SM-COH3H 50-59 years, male 13.4
GTEX-1J1OQ-0226-SM-CYPSH 40-49 years, female 13.4
GTEX-1KD5A-0226-SM-D5OV3 50-59 years, male 13.4
GTEX-11DXY-2626-SM-5GIE7 60-69 years, male 13.3
GTEX-1269C-2526-SM-5EGJ3 60-69 years, female 13.3
GTEX-147F4-0226-SM-5QGPW 50-59 years, male 13.3
GTEX-P4QT-0126-SM-2I3FL 50-59 years, female 13.3
GTEX-R55G-2526-SM-2TC6D 40-49 years, female 13.3
GTEX-YJ8A-0426-SM-5IFID 20-29 years, male 13.3
GTEX-ZTSS-1926-SM-57WEW 40-49 years, male 13.3
GTEX-ZXG5-0126-SM-5GIEU 60-69 years, male 13.3
GTEX-1GN73-0226-SM-9WG67 60-69 years, male 13.3
GTEX-1HKZK-0326-SM-9WYUH 40-49 years, male 13.3
GTEX-1I1GS-0126-SM-B2LVW 60-69 years, male 13.3
GTEX-1J8Q2-0526-SM-CM2RW 60-69 years, male 13.3
GTEX-1KAFJ-2026-SM-CY8ID 50-59 years, male 13.3
GTEX-13N1W-0126-SM-5K7VT 70-79 years, male 13.2
GTEX-13OVI-1426-SM-5L3EY 60-69 years, female 13.2
GTEX-16BQI-0226-SM-7KUEX 30-39 years, female 13.2
GTEX-18D9B-0526-SM-7LTAS 60-69 years, male 13.2
GTEX-1CAMR-1926-SM-7EPI2 20-29 years, male 13.2
GTEX-1E1VI-0126-SM-7DHMZ 50-59 years, male 13.2
GTEX-RM2N-1426-SM-2TF4H 50-59 years, male 13.2
GTEX-TML8-1926-SM-32QOS 40-49 years, female 13.2
GTEX-ZYFC-0226-SM-5NQ75 50-59 years, male 13.2
GTEX-1F6IF-0726-SM-7P8TW 60-69 years, male 13.2
GTEX-1H2FU-0126-SM-9WYSI 60-69 years, female 13.2
GTEX-PW2O-1526-SM-7RHHB 20-29 years, male 13.2
GTEX-11P81-2326-SM-59875 30-39 years, female 13.1
GTEX-11WQC-2526-SM-5CVLE 60-69 years, male 13.1
GTEX-15EOM-0126-SM-7KUGG 20-29 years, female 13.1
GTEX-17MFQ-1726-SM-793C7 20-29 years, male 13.1
GTEX-PLZ4-0126-SM-5SI8O 50-59 years, female 13.1
GTEX-X4EO-0326-SM-3P5YO 60-69 years, female 13.1
GTEX-ZC5H-0226-SM-4WAY9 40-49 years, female 13.1
GTEX-1B996-0226-SM-7RHGO 60-69 years, male 13.1
GTEX-1F75B-0126-SM-9KNVL 50-59 years, male 13.1
GTEX-1HSMO-0126-SM-CL547 60-69 years, male 13.1
GTEX-1I1GU-2226-SM-CGQFA 40-49 years, male 13.1
GTEX-1LGRB-2526-SM-CNPPQ 50-59 years, female 13.1
GTEX-1NV5F-0226-SM-E8VNY 60-69 years, female 13.1
GTEX-OIZF-0126-SM-7SB8I 60-69 years, male 13.1
GTEX-ZPIC-1726-SM-DHXIU 40-49 years, female 13.1
GTEX-11ZTT-2426-SM-5EQLS 60-69 years, female 13.0
GTEX-UPJH-0326-SM-3GADU 50-59 years, male 13.0
GTEX-XPVG-2626-SM-4B669 50-59 years, male 13.0
GTEX-XUZC-1726-SM-4BRWS 30-39 years, female 13.0
GTEX-Y5V5-2326-SM-4V6GA 60-69 years, female 13.0
GTEX-1EX96-1626-SM-7PBXR 50-59 years, male 13.0
GTEX-1GPI6-0126-SM-9WG69 60-69 years, male 13.0
GTEX-1HSMQ-1226-SM-CGQFX 50-59 years, male 13.0
GTEX-1MA7W-2026-SM-E9TJ6 20-29 years, female 13.0
GTEX-11DXZ-2326-SM-5EGGV 50-59 years, male 12.9
GTEX-11VI4-1726-SM-5CVLH 40-49 years, female 12.9
GTEX-14E7W-0126-SM-6LLJ9 70-79 years, male 12.9
GTEX-14LZ3-0226-SM-62LET 60-69 years, female 12.9
GTEX-15F5U-1526-SM-6PANO 40-49 years, male 12.9
GTEX-16AAH-1726-SM-7939C 50-59 years, male 12.9
GTEX-OXRN-0126-SM-48TDM 50-59 years, male 12.9
GTEX-WYVS-2126-SM-3NMA3 40-49 years, female 12.9
GTEX-Y8LW-1826-SM-5S2MV 50-59 years, female 12.9
GTEX-1HSEH-0126-SM-ACKXN 60-69 years, male 12.9
GTEX-11ZU8-2526-SM-5EQKI 60-69 years, male 12.8
GTEX-13W46-0226-SM-5SIAG 50-59 years, male 12.8
GTEX-15CHC-2126-SM-6EU21 60-69 years, female 12.8
GTEX-1AX9K-2326-SM-73KWU 50-59 years, male 12.8
GTEX-OXRK-0226-SM-3NB2G 50-59 years, female 12.8
GTEX-PLZ5-2026-SM-2S1O4 50-59 years, male 12.8
GTEX-VJYA-1126-SM-3GIJU 60-69 years, male 12.8
GTEX-1F7RK-0126-SM-7PC2S 20-29 years, female 12.8
GTEX-1LC47-0326-SM-E9TJP 60-69 years, male 12.8
GTEX-1QMI2-0226-SM-EVYBX 60-69 years, male 12.8
GTEX-R45C-0126-SM-EAZ2R 60-69 years, female 12.8
GTEX-1M5QR-1226-SM-EWROB 40-49 years, male 12.7
GTEX-1QP66-1726-SM-E8VO1 50-59 years, male 12.7
GTEX-11LCK-1026-SM-5A5KB 30-39 years, male 12.6
GTEX-139TT-0126-SM-5K7Y5 60-69 years, male 12.6
GTEX-13FHO-0226-SM-5IFGY 60-69 years, male 12.6
GTEX-13N2G-2626-SM-5J1OT 60-69 years, male 12.6
GTEX-17EVP-0326-SM-7DHLG 40-49 years, male 12.6
GTEX-1B8KZ-2026-SM-7DHMB 50-59 years, male 12.6
GTEX-R55E-0126-SM-2TC5Y 20-29 years, male 12.6
GTEX-1CB4G-0226-SM-7PC3O 60-69 years, male 12.6
GTEX-1HCU9-1526-SM-A9SL7 20-29 years, male 12.6
GTEX-1IDJU-2626-SM-CM2RT 60-69 years, female 12.6
GTEX-1JMQI-2226-SM-CM2SD 50-59 years, male 12.6
GTEX-1N2EF-0226-SM-EYYXB 60-69 years, male 12.6
GTEX-15D1Q-0126-SM-7KUG6 40-49 years, male 12.5
GTEX-VJWN-0126-SM-3GIK7 50-59 years, female 12.5
GTEX-WFON-2126-SM-3LK7O 40-49 years, male 12.5
GTEX-1IL2U-0226-SM-CE6T8 60-69 years, male 12.5
GTEX-14LLW-0126-SM-6LLIO 70-79 years, female 12.4
GTEX-OXRL-0126-SM-2YUMP 50-59 years, male 12.4
GTEX-Z93S-0126-SM-5HL7M 50-59 years, male 12.4
GTEX-1E2YA-0126-SM-9KNUC 50-59 years, male 12.4
GTEX-1PDJ9-0326-SM-DTX95 20-29 years, male 12.4
GTEX-145LS-0126-SM-5QGP1 60-69 years, female 12.3
GTEX-14DAQ-0126-SM-5S2MQ 60-69 years, female 12.3
GTEX-14JG6-2226-SM-6EU2G 30-39 years, female 12.3
GTEX-QVJO-1626-SM-2S1QW 60-69 years, female 12.3
GTEX-YEC4-2126-SM-5IFJH 40-49 years, male 12.3
GTEX-1F5PK-2426-SM-7RHHY 50-59 years, male 12.3
GTEX-1HBPH-0426-SM-B2LW5 40-49 years, female 12.3
GTEX-16NGA-1726-SM-731B4 40-49 years, female 12.2
GTEX-1AMFI-2026-SM-731BH 50-59 years, female 12.2
GTEX-1IGQW-0126-SM-COH42 60-69 years, male 12.2
GTEX-12KS4-0326-SM-5EQ41 30-39 years, male 12.1
GTEX-13JUV-2726-SM-5LZZ8 40-49 years, female 12.1
GTEX-13OVJ-0126-SM-5KM36 50-59 years, female 12.1
GTEX-13OW8-1326-SM-5J1OW 60-69 years, male 12.1
GTEX-1H11D-0226-SM-9WG6Z 40-49 years, male 12.1
GTEX-1H4P4-0726-SM-9YFLR 50-59 years, male 12.1
GTEX-1HB9E-0226-SM-E9U4R 50-59 years, male 12.1
GTEX-1HCU7-0226-SM-CL545 50-59 years, male 12.1
GTEX-1JMPZ-0226-SM-CNPP1 30-39 years, male 12.1
GTEX-1JN76-0126-SM-CNPPE 20-29 years, female 12.1
GTEX-12ZZX-0126-SM-5EGK9 40-49 years, female 12.0
GTEX-QEG4-0226-SM-2S1PY 30-39 years, male 12.0
GTEX-QESD-1426-SM-2S1R9 20-29 years, male 12.0
GTEX-1KANA-0726-SM-D3L9I 20-29 years, male 12.0
GTEX-113JC-2326-SM-5EQ4E 50-59 years, female 11.9
GTEX-1AX9J-0226-SM-73KXM 60-69 years, male 11.9
GTEX-U3ZH-2026-SM-3DB78 30-39 years, male 11.9
GTEX-WFG8-2226-SM-3GIL9 20-29 years, male 11.9
GTEX-1GMR8-0126-SM-9WYTM 50-59 years, female 11.9
GTEX-1IKJJ-0126-SM-CNPQB 60-69 years, male 11.9
GTEX-13111-1626-SM-5EGJY 50-59 years, male 11.8
GTEX-ZTX8-1426-SM-5DUVO 20-29 years, male 11.8
GTEX-ZYW4-0126-SM-5E44A 60-69 years, male 11.8
GTEX-1I19N-0326-SM-ACKVX 70-79 years, male 11.8
GTEX-1POEN-0126-SM-EYYXJ 30-39 years, female 11.8
GTEX-13NZA-0226-SM-5K7Z7 60-69 years, male 11.7
GTEX-15EU6-0426-SM-6PAN5 50-59 years, male 11.7
GTEX-1H23P-0126-SM-ADEJ3 60-69 years, male 11.7
GTEX-13FTY-0526-SM-5L3EV 40-49 years, female 11.6
GTEX-145MI-0526-SM-5O9A8 60-69 years, female 11.6
GTEX-1BAJH-0526-SM-793CQ 70-79 years, male 11.6
GTEX-1GL5R-1826-SM-9KNUY 50-59 years, male 11.6
GTEX-1JJE9-0326-SM-CL53Z 70-79 years, male 11.5
GTEX-RNOR-0126-SM-E9J4R 50-59 years, female 11.5
GTEX-147GR-0526-SM-5S2MY 60-69 years, male 11.4
GTEX-PVOW-0126-SM-2XCFA 40-49 years, male 11.4
GTEX-SJXC-0126-SM-2XCFF 60-69 years, male 11.4
GTEX-1KWVE-1426-SM-E9TJO 30-39 years, male 11.4
GTEX-11WQK-0526-SM-5EQLD 50-59 years, male 11.3
GTEX-1H1E6-1726-SM-ACKVK 30-39 years, male 11.2
GTEX-RU72-0926-SM-2TF6B 50-59 years, female 11.1
GTEX-Z9EW-1626-SM-5CVMN 40-49 years, male 11.1
GTEX-1EN7A-0126-SM-7SB81 40-49 years, male 11.1
GTEX-QCQG-1726-SM-3GIJ9 50-59 years, female 11.0
GTEX-RWSA-0126-SM-2XCBB 40-49 years, male 11.0
GTEX-1HT8W-0126-SM-CNPPP 30-39 years, male 11.0
GTEX-U3ZN-2326-SM-3DB7W 30-39 years, female 10.9
GTEX-1GMR3-1926-SM-9KNUZ 40-49 years, male 10.9
GTEX-1H1DG-0126-SM-9WYU2 70-79 years, male 10.9
GTEX-12WSN-5019-SM-79OM6 40-49 years, male 10.8
GTEX-1C475-1826-SM-73KWA 40-49 years, female 10.8
GTEX-1C6VS-0526-SM-7DUEN 60-69 years, male 10.8
GTEX-SNMC-1226-SM-2XCFP 20-29 years, male 10.7
GTEX-TKQ1-1026-SM-4GICL 30-39 years, male 10.7
GTEX-1GZ2Q-0226-SM-7P8TL 40-49 years, male 10.7
GTEX-17F96-1626-SM-7DUFL 70-79 years, male 10.6
GTEX-1LGOU-2026-SM-DIPFF 20-29 years, female 10.5
GTEX-P44H-0226-SM-2XCEU 40-49 years, male 10.4
GTEX-1LH75-2426-SM-E9TJE 50-59 years, female 10.4
GTEX-1F88F-2726-SM-7PBZZ 60-69 years, female 10.3
GTEX-11TT1-2526-SM-5EGIB 20-29 years, male 10.2
GTEX-13O3P-0126-SM-5KM4S 50-59 years, male 10.2
GTEX-1IE54-0126-SM-CMKHW 40-49 years, female 10.2
GTEX-1C6VR-2426-SM-79OLD 60-69 years, male 10.0
GTEX-T6MO-1626-SM-32QOM 40-49 years, female 10.0
GTEX-14C5O-0126-SM-5SI6N 60-69 years, male 9.7
GTEX-144GL-0126-SM-5TDE2 50-59 years, male 9.5
GTEX-16YQH-0126-SM-7DUFJ 30-39 years, male 9.5
GTEX-T5JW-1626-SM-3GADZ 20-29 years, female 9.5
GTEX-TSE9-0126-SM-3DB83 60-69 years, female 9.2
GTEX-1HFI7-1826-SM-ACKXH 50-59 years, female 9.2
GTEX-1JMQL-0226-SM-CNPP5 50-59 years, female 9.0
GTEX-11UD2-0226-SM-5EQKY 50-59 years, male 8.2
GTEX-T5JC-0426-SM-32PLO 20-29 years, male 6.9
Show allShow less

Contact

  • NEWS ARTICLES
  • PRESS ROOM

The Project

  • INTRODUCTION
  • ORGANIZATION
  • PUBLICATIONS

The Human Protein Atlas

  • DOWNLOADABLE DATA
  • LICENCE & CITATION
  • HELP & FAQ
The Human Protein Atlas project is funded
by the Knut & Alice Wallenberg Foundation.


contact@proteinatlas.org