We use cookies to enhance the usability of our website. If you continue, we'll assume that you are happy to receive all cookies. More information. Don't show this again.
HMOX2
HPA
RESOURCES
  • TISSUE
  • BRAIN
  • SINGLE CELL
  • SUBCELLULAR
  • CANCER
  • BLOOD
  • CELL LINE
  • STRUCTURE & INTERACTION
ABOUT
  • INTRODUCTION
  • HISTORY
  • ORGANIZATION
  • PUBLICATIONS
  • ANTIBODY SUBMISSION
  • ANTIBODY AVAILABILITY
  • ACKNOWLEDGMENTS
  • CONTACT
NEWS
  • NEWS ARTICLES
  • PRESS ROOM
LEARN
  • DICTIONARY
  • PROTEIN CLASSES
  • PROTEIN EVIDENCE
  • METHODS
  • EDUCATIONAL VIDEOS
DATA
  • DOWNLOADABLE DATA
  • PUBLICATION DATA
  • RELEASE HISTORY
HELP
  • ANTIBODY VALIDATION
  • ASSAYS & ANNOTATION
  • DISCLAIMER
  • HELP & FAQ
  • PRIVACY STATEMENT
  • LICENCE & CITATION
Fields »
Search result

Field
Term
Gene name
Class
Subclass
Class
Keyword
Chromosome
External id
Tissue
Cell type
Expression
Antibody panel
Tissue
Main location
Patient ID
Annotation
Tissue
Category
Tau score
Cluster
Reliability
Brain region
Category
Tau score
Brain region
Category
Tau score
Brain region
Category
Tau score
Cluster
Reliability
Tissue
Cell type
Enrichment
Cell type
Category
Tau score
Cell type
Category
Tau score
Cell type
Category
Tau score
Cell lineage
Category
Tau score
Cluster
Cluster
Location
Searches
Location
Cell line
Class
Type
Phase
Reliability
Cancer
Prognosis
Cancer
Category
Cancer
Category
Tau score
Cluster
Variants
Interacting gene (ensg_id)
Type
Number of interactions
Pathway
Category
Score
Score
Score
Validation
Validation
Validation
Validation
Antibodies
Data type
Column


  • SUMMARY

  • TISSUE

  • BRAIN

  • SINGLE CELL

  • SUBCELL

  • CANCER

  • BLOOD

  • CELL LINE

  • STRUCT & INT

  • HMOX2
TISSUE PRIMARY DATA HEART MUSCLE Show tissue menu
ADIPOSE TISSUE ADRENAL GLAND AMYGDALA APPENDIX BASAL GANGLIA BONE MARROW BREAST BRONCHUS CEREBELLUM CEREBRAL CORTEX CERVIX CHOROID PLEXUS COLON DUODENUM
ENDOMETRIUM EPIDIDYMIS ESOPHAGUS FALLOPIAN TUBE GALLBLADDER HEART MUSCLE HIPPOCAMPAL FORMATION HYPOTHALAMUS KIDNEY LIVER LUNG LYMPH NODE MIDBRAIN NASOPHARYNX
ORAL MUCOSA OVARY PANCREAS PARATHYROID GLAND PITUITARY GLAND PLACENTA PROSTATE RECTUM RETINA SALIVARY GLAND SEMINAL VESICLE SKELETAL MUSCLE SKIN SMALL INTESTINE
SMOOTH MUSCLE SOFT TISSUE SPINAL CORD SPLEEN STOMACH TESTIS THYMUS THYROID GLAND TONGUE TONSIL URINARY BLADDER VAGINA
ANTIBODIES
AND
VALIDATION
Dictionary
Heart muscle
Tissue proteome
Heart
HEART MUSCLE - Expression summary
Protein expression
Heart musclei

On the top, protein expression in current human tissue, based on all annotated cell types, is reported with the units not detected (n), low (l), medium (m) and high (h). Underneath, protein expression in each annotated cell type are reported using the same units.

Protein expression data is based on knowledge-based annotation. For genes where more than one antibody has been used, a collective score is set.

If knowledge-based annotation could not be performed for a gene, no data is displayed here. View antibody staining data further down this page.

h
m
l
n
Cardiomyocytes: Low
RNA expressioni

A summary of mRNA expression data available for current tissue based on several datasets. The mRNA expression levels in human tissues are based on RNA-seq data generated by the Human Protein Atlas (HPA), Genotype-Tissue Expression (GTEx) portal and CAGE data generated by the FANTOM5 consortium. Consensus normalized expression levels for human tissues was created by combining the data from HPA and GTEx datasets.

The mRNA expression levels in pig are based on RNA-seq data generated by the Human Protein Atlas (HPA), and for mouse, HPA data and in situ hybridization generated by the Allen brain atlas are reported.

Scroll down to view mRNA expression data in more detail.
Consensus:145.1 nTPM
HPA:47.5 nTPM
GTEx:145.1 nTPM
FANTOM5:358.2 Scaled Tags Per Million

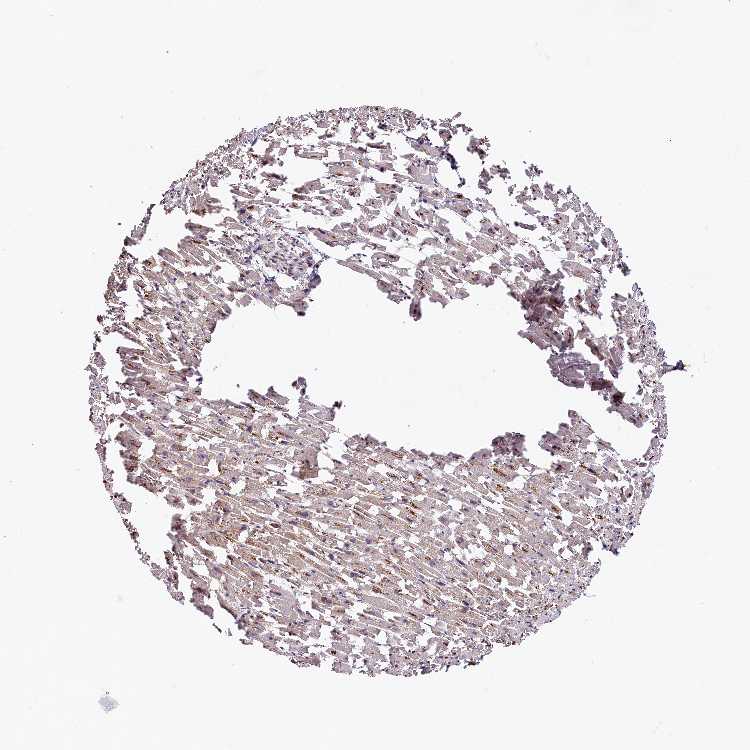
HEART MUSCLE - Antibody stainingi

Antibody staining in the annotated cell types in the current human tissue is reported as not detected, low, medium, or high, based on conventional immunohistochemistry profiling in selected tissues. This score is based on the combination of the staining intensity and fraction of stained cells.

Each image is clickable and will lead to virtual microscopy that enables deeper exploration of all samples and also displays staining intensity scores, fraction scores and subcellular localization as well as patient and tissue information for each sample.

Antibody HPA040611Antibody CAB025464
Cardiomyocytes Not detectedMedium




HEART MUSCLE - HPA RNA-seqi

The RNA-seq details section shows detailed information about the individual samples used for the transcript profiling and results of the RNA-seq analysis.

Information about each individual sample is listed below, including gender, age, a tissue section image and estimated fractions of cell types. nTPM (normalized transcripts per million) values give a quantification of the gene abundance which is comparable between different genes and samples.
Average nTPMi

Max subtype nTPM is the value for the subtype with the largest average nTPM across the subtype samples.

47.5
overview
Female, age 48
Heart muscle sample 149
nTPM: 49.6
Cell types%
Myocytes:
15

Fibroblasts:
55

Endothelial cells:
25

Other cell types:
5

overview
Female, age 42
Heart muscle sample 150
nTPM: 48.6
Cell types%
Myocytes:
20

Fibroblasts:
45

Endothelial cells:
30

Other cell types:
5

overview
Male, age 53
Heart muscle sample 151
nTPM: 41.6
Cell types%
Myocytes:
20

Fibroblasts:
45

Endothelial cells:
30

Other cell types:
5

overview
Female, age 69
Heart muscle sample 152
nTPM: 50.1
Cell types%
Myocytes:
20

Fibroblasts:
45

Endothelial cells:
30

Other cell types:
5


HEART MUSCLE - GTEx RNA-seqi

RNA-Seq data generated by the Genotype-Tissue Expression (GTEx) project from human tissues is reported as mean nTPM. More information can be found on the GTEx portal.

Distribution across the dataset is visualized with box plots, shown as median and 25th and 75th percentiles. Points are displayed as outliers if they are above or below 1.5 times the interquartile range. nTPM values of the individual samples are presented next to the box plot.
Max subtype nTPMi

Max subtype nTPM is the value for the subtype with the largest average nTPM across the subtype samples.

145.1
GTEx sample id Sample description nTPM
Heart - Atrial Appendage
Average nTPM: 88.8
Samples: 429

Max nTPM: 310.6
Min nTPM: 28.7
Std nTPM: 35.3
Median nTPM: 81.1
GTEX-1GF9U-0526-SM-7P8SK 40-49 years, female 310.6
GTEX-14PJM-0826-SM-6LLIW 50-59 years, female 227.1
GTEX-1MJIX-0426-SM-DTXEN 40-49 years, male 209.1
GTEX-Y114-0126-SM-4TT8K 50-59 years, female 193.6
GTEX-1399S-0826-SM-5KM23 30-39 years, female 184.7
GTEX-13YAN-1426-SM-7EPG8 60-69 years, male 180.0
GTEX-1AX9K-0426-SM-73KUG 50-59 years, male 171.9
GTEX-131XG-0526-SM-5DUWF 50-59 years, female 167.4
GTEX-13W3W-0526-SM-5LU3X 60-69 years, female 166.7
GTEX-13PVR-0926-SM-5S2RB 60-69 years, female 165.4
GTEX-1CAMS-1126-SM-7MXUQ 40-49 years, female 159.0
GTEX-Y3I4-0526-SM-4TT6X 50-59 years, male 157.6
GTEX-18D9U-1426-SM-718BO 40-49 years, male 155.8
GTEX-ZF29-0426-SM-4WKFN 60-69 years, female 155.5
GTEX-13OVG-0426-SM-5KM2T 60-69 years, male 152.3
GTEX-YEC4-0226-SM-4W1YG 40-49 years, male 151.9
GTEX-X3Y1-0226-SM-3P5Z5 40-49 years, male 151.3
GTEX-1I1GP-0626-SM-ARL7H 50-59 years, male 150.9
GTEX-13QBU-0226-SM-5LU48 40-49 years, female 150.6
GTEX-XGQ4-0526-SM-4AT6C 50-59 years, male 150.6
GTEX-145MN-0726-SM-5NQBH 30-39 years, male 149.8
GTEX-YB5K-0226-SM-5IFJE 40-49 years, female 148.8
GTEX-1QCLZ-1126-SM-EWRNB 60-69 years, female 148.4
GTEX-ZYVF-1826-SM-5E44F 50-59 years, female 148.2
GTEX-1122O-0626-SM-5N9B9 60-69 years, female 147.6
GTEX-1OFPY-0926-SM-DTX8Q 60-69 years, male 146.7
GTEX-ZDYS-0326-SM-5HL4W 50-59 years, male 146.6
GTEX-13FH7-0826-SM-5J2NW 50-59 years, female 146.4
GTEX-11LCK-0826-SM-5PNYD 30-39 years, male 146.3
GTEX-14H4A-0426-SM-5ZZWO 40-49 years, female 146.3
GTEX-1CB4J-0226-SM-7P8T4 60-69 years, male 145.8
GTEX-1339X-0326-SM-5K7Z8 40-49 years, male 144.0
GTEX-1B8KE-0326-SM-73KTY 50-59 years, male 143.8
GTEX-14BIM-2726-SM-5Q5EG 60-69 years, female 142.3
GTEX-1B97J-0326-SM-7939H 50-59 years, female 141.1
GTEX-ZLFU-0326-SM-4WWBK 40-49 years, male 140.3
GTEX-11EM3-0426-SM-5N9BZ 20-29 years, female 139.5
GTEX-1B996-1026-SM-793CF 60-69 years, male 138.8
GTEX-WFG7-0826-SM-3GIKU 20-29 years, male 138.5
GTEX-14C5O-1226-SM-664N3 60-69 years, male 138.4
GTEX-WH7G-0326-SM-3NMBH 40-49 years, male 138.4
GTEX-1R7EV-0426-SM-DTX7Z 40-49 years, male 138.3
GTEX-1399U-0726-SM-5KM1D 50-59 years, female 137.9
GTEX-1LSNM-0426-SM-E9TIZ 50-59 years, male 137.3
GTEX-1F75I-1326-SM-7PBZX 40-49 years, male 135.9
GTEX-1GL5R-0426-SM-9WPOP 50-59 years, male 135.8
GTEX-1J8Q2-1026-SM-ARU8I 60-69 years, male 135.3
GTEX-132QS-0526-SM-5IJC7 60-69 years, male 133.7
GTEX-15EU6-1326-SM-6PANG 50-59 years, male 133.4
GTEX-1K2DU-0226-SM-DIPF6 20-29 years, male 132.8
GTEX-ZZPT-0926-SM-5GICZ 50-59 years, male 132.1
GTEX-1L5NE-0526-SM-DIPG5 50-59 years, male 132.1
GTEX-ZGAY-0226-SM-4WWAL 40-49 years, female 131.9
GTEX-ZVT2-0926-SM-5GICE 50-59 years, female 131.9
GTEX-1IKOE-0626-SM-A9G31 30-39 years, female 131.9
GTEX-15DCE-0826-SM-7KULW 20-29 years, male 131.7
GTEX-1QPFJ-0926-SM-EVR3K 30-39 years, female 131.6
GTEX-13D11-1526-SM-5J2NA 50-59 years, female 129.8
GTEX-1C2JI-0626-SM-7DHM1 50-59 years, male 129.3
GTEX-V955-0826-SM-CYPR5 60-69 years, male 129.2
GTEX-14PN3-0726-SM-6EU14 60-69 years, female 128.6
GTEX-1NHNU-0626-SM-E6CP1 50-59 years, male 128.2
GTEX-11DXX-0526-SM-5PNVR 60-69 years, female 127.7
GTEX-WEY5-0226-SM-3GIKN 40-49 years, female 125.7
GTEX-ZV7C-0526-SM-9WPNK 50-59 years, male 125.6
GTEX-XQ8I-0226-SM-4BOPM 50-59 years, male 125.5
GTEX-1QP29-1426-SM-DTX9Q 50-59 years, male 124.5
GTEX-ZTPG-1326-SM-51MSQ 20-29 years, female 124.3
GTEX-ZYFD-2026-SM-5E459 50-59 years, male 123.9
GTEX-13VXT-0726-SM-5SIAD 20-29 years, female 123.8
GTEX-12696-1226-SM-5FQSM 60-69 years, male 123.7
GTEX-1GMR2-1326-SM-9KNUT 50-59 years, male 123.7
GTEX-1GN1W-0226-SM-7P8QY 50-59 years, female 122.9
GTEX-12WSK-0526-SM-5CVNA 40-49 years, female 122.7
GTEX-13FHO-1226-SM-5L3EF 60-69 years, male 122.5
GTEX-1J1OQ-2226-SM-A96SS 40-49 years, female 122.1
GTEX-XLM4-2026-SM-4AT4X 60-69 years, male 121.8
GTEX-1211K-0226-SM-59HJY 60-69 years, female 121.5
GTEX-ZYFC-1026-SM-5GZX9 50-59 years, male 121.1
GTEX-1GN73-2326-SM-9MQKV 60-69 years, male 121.0
GTEX-13JVG-1126-SM-5KM2M 60-69 years, male 120.1
GTEX-111YS-0326-SM-5GZZ3 60-69 years, male 119.2
GTEX-131XF-0426-SM-5HL7U 60-69 years, male 119.2
GTEX-1445S-1226-SM-5O9BF 60-69 years, male 119.1
GTEX-1HSGN-0926-SM-CNNQM 40-49 years, female 118.0
GTEX-14PJ4-0926-SM-5YY98 60-69 years, male 117.9
GTEX-11WQK-0226-SM-5EQLI 50-59 years, male 117.3
GTEX-WFON-0226-SM-3GIKR 40-49 years, male 116.5
GTEX-1LGOU-0326-SM-D3LAM 20-29 years, female 116.2
GTEX-XYKS-0226-SM-4BRW3 60-69 years, female 115.9
GTEX-1C64O-0926-SM-79OLN 60-69 years, male 115.8
GTEX-146FR-0926-SM-5QGPE 60-69 years, female 115.6
GTEX-1AX9J-0926-SM-73KXA 60-69 years, male 115.6
GTEX-ZYFG-0526-SM-5GZXX 60-69 years, female 115.2
GTEX-132Q8-1126-SM-5K7XS 60-69 years, male 114.5
GTEX-1LH75-0526-SM-DIPG2 50-59 years, female 114.2
GTEX-1J8Q3-1126-SM-ARU8N 60-69 years, male 113.9
GTEX-1GN1U-1426-SM-7P8TF 50-59 years, female 112.7
GTEX-1KXAM-1426-SM-D3LAC 60-69 years, male 112.7
GTEX-13O1R-0926-SM-5L3DS 60-69 years, male 112.2
GTEX-148VJ-1426-SM-5TDE3 70-79 years, male 112.1
GTEX-145LV-0226-SM-5S2QG 50-59 years, male 112.0
GTEX-X4EP-0326-SM-3P5Z6 60-69 years, female 111.9
GTEX-XPVG-0726-SM-4B658 50-59 years, male 111.9
GTEX-11UD2-0926-SM-5CVL6 50-59 years, male 111.6
GTEX-16NPX-0826-SM-6M489 50-59 years, male 111.5
GTEX-1HFI7-0526-SM-A9SMA 50-59 years, female 111.5
GTEX-14PN4-0826-SM-69LON 50-59 years, male 111.4
GTEX-1ICG6-0726-SM-B2LY5 70-79 years, female 111.1
GTEX-1EH9U-0626-SM-7PC33 60-69 years, male 110.9
GTEX-13O61-0426-SM-5L3ET 60-69 years, male 110.7
GTEX-13RTJ-0526-SM-62LDP 60-69 years, male 110.7
GTEX-YF7O-0526-SM-5P9IO 50-59 years, male 110.5
GTEX-18D9B-1126-SM-7KFSH 60-69 years, male 110.2
GTEX-14XAO-0926-SM-69LPZ 60-69 years, female 109.6
GTEX-1CB4I-1526-SM-7DHMY 50-59 years, male 108.9
GTEX-1JK1U-0626-SM-CKZOJ 60-69 years, male 108.9
GTEX-13OVI-0326-SM-5K7X1 60-69 years, female 108.7
GTEX-11ZTT-0526-SM-5EQLA 60-69 years, female 108.3
GTEX-U8XE-0926-SM-3DB8V 30-39 years, male 108.0
GTEX-ZPCL-0526-SM-DO91R 60-69 years, female 108.0
GTEX-1R9JW-0426-SM-E76QL 30-39 years, female 107.7
GTEX-17GQL-0626-SM-731CN 60-69 years, male 106.8
GTEX-1KANC-0226-SM-E9TIW 50-59 years, female 106.8
GTEX-1GMR8-1026-SM-9MQLA 50-59 years, female 106.7
GTEX-XBEC-1226-SM-4AT65 50-59 years, male 106.4
GTEX-WHSE-0826-SM-4SOJU 20-29 years, male 106.3
GTEX-13O3P-1426-SM-5L3DT 50-59 years, male 106.0
GTEX-1RLM8-0226-SM-E6CJY 50-59 years, male 105.4
GTEX-13N1W-0926-SM-5MR36 70-79 years, male 105.3
GTEX-14PK6-0726-SM-6LLIX 70-79 years, female 105.1
GTEX-1LVAN-1526-SM-CNPQN 50-59 years, female 104.6
GTEX-13PL7-0726-SM-5KM1S 60-69 years, female 104.4
GTEX-1HCUA-0626-SM-ACKVT 50-59 years, female 104.0
GTEX-12BJ1-0326-SM-5FQUB 60-69 years, male 103.9
GTEX-17F9E-0726-SM-793A1 50-59 years, male 103.9
GTEX-1KANB-1126-SM-DHXJT 50-59 years, male 103.8
GTEX-14JG1-0826-SM-5ZZWR 40-49 years, male 103.2
GTEX-1P4AB-0926-SM-E76PV 50-59 years, male 103.0
GTEX-14PHX-0626-SM-5YY8Z 50-59 years, male 102.9
GTEX-13PVQ-1326-SM-5LU4J 50-59 years, male 102.6
GTEX-14E6C-0326-SM-5Q5EE 40-49 years, male 102.1
GTEX-13FTW-0826-SM-5K7XR 40-49 years, male 102.0
GTEX-1CAMQ-0726-SM-7P8SG 40-49 years, male 101.9
GTEX-1A3MX-1226-SM-731B3 60-69 years, male 100.3
GTEX-13NYS-1926-SM-5IJCB 60-69 years, male 100.1
GTEX-12WSN-0226-SM-5DUXH 40-49 years, male 99.9
GTEX-13O3O-1426-SM-5KM2S 60-69 years, female 99.8
GTEX-WYJK-1126-SM-3NM9Z 50-59 years, male 99.5
GTEX-Z93S-0326-SM-5HL84 50-59 years, male 99.2
GTEX-15RJE-0726-SM-7KUEG 40-49 years, male 99.1
GTEX-13NZB-0426-SM-5KM26 30-39 years, male 98.8
GTEX-146FH-1126-SM-5NQAT 50-59 years, female 98.2
GTEX-1IDJU-0626-SM-CKZOG 60-69 years, female 98.2
GTEX-11TT1-1426-SM-5EGIA 20-29 years, male 98.1
GTEX-1MCC2-0226-SM-EVYD5 30-39 years, female 97.7
GTEX-XPT6-0226-SM-4B65L 20-29 years, male 97.4
GTEX-WQUQ-1326-SM-3MJFF 60-69 years, male 96.9
GTEX-14PJ6-0626-SM-686Z6 60-69 years, female 96.7
GTEX-1GF9V-1726-SM-9KNW4 60-69 years, male 96.5
GTEX-1LGRB-1026-SM-CNPQD 50-59 years, female 96.5
GTEX-XQ3S-0526-SM-4BOQA 20-29 years, male 96.4
GTEX-WY7C-1126-SM-3NB3A 50-59 years, male 96.1
GTEX-1H1DG-0826-SM-9QEIW 70-79 years, male 95.2
GTEX-XOT4-1126-SM-4B66E 60-69 years, female 94.8
GTEX-15RIE-1326-SM-6PAMM 60-69 years, male 94.4
GTEX-14PJO-0826-SM-6ETZK 60-69 years, male 94.3
GTEX-14E1K-0826-SM-5ZZW9 50-59 years, male 94.0
GTEX-13X6K-1726-SM-7IGLG 60-69 years, female 93.8
GTEX-ZPIC-0426-SM-DO91V 40-49 years, female 93.0
GTEX-ZDTS-1226-SM-4WKGL 60-69 years, male 92.7
GTEX-ZDTT-0326-SM-4WKF9 60-69 years, male 92.6
GTEX-17F96-0826-SM-7DHLU 70-79 years, male 92.5
GTEX-W5X1-0826-SM-3GILN 40-49 years, female 92.5
GTEX-ZZPU-1126-SM-5N9CW 50-59 years, female 92.2
GTEX-WFG8-0726-SM-3GILP 20-29 years, male 92.1
GTEX-12WSG-1226-SM-5EQ4C 50-59 years, female 91.9
GTEX-13N11-0726-SM-5L3DP 50-59 years, female 91.6
GTEX-1GMR3-0426-SM-7PC17 40-49 years, male 91.5
GTEX-XXEK-2026-SM-4BRVE 50-59 years, male 91.3
GTEX-11DYG-1026-SM-5A5JQ 60-69 years, male 91.1
GTEX-1CB4E-0626-SM-7DHMW 60-69 years, male 91.0
GTEX-183WM-0926-SM-718AN 70-79 years, female 90.7
GTEX-VJWN-1026-SM-4M1ZN 50-59 years, female 89.3
GTEX-ZYT6-0926-SM-5GIEM 30-39 years, male 88.8
GTEX-17MF6-0926-SM-7LTAL 40-49 years, male 88.3
GTEX-1J8QM-0326-SM-CL53D 60-69 years, female 88.3
GTEX-WI4N-0726-SM-3TW93 40-49 years, female 88.2
GTEX-14PHY-0326-SM-62LE3 60-69 years, female 88.0
GTEX-ZAK1-1126-SM-5PNXU 50-59 years, female 87.9
GTEX-X5EB-0626-SM-46MVQ 40-49 years, male 87.7
GTEX-16XZY-0526-SM-7DHKY 70-79 years, male 87.6
GTEX-ZAB4-0926-SM-5CVN4 40-49 years, male 87.4
GTEX-1LVAO-0626-SM-EWRNT 60-69 years, male 87.1
GTEX-12WSA-1126-SM-5EGKU 60-69 years, male 87.0
GTEX-14ASI-0826-SM-5Q5EB 60-69 years, male 86.9
GTEX-11EMC-0826-SM-59862 60-69 years, female 86.5
GTEX-YEC3-0426-SM-CYPS8 50-59 years, male 85.8
GTEX-17JCI-0826-SM-7LT8W 60-69 years, female 85.7
GTEX-1HSMQ-0426-SM-ADEIM 50-59 years, male 85.6
GTEX-1HCVE-0826-SM-CM2SF 50-59 years, male 85.0
GTEX-16YQH-0726-SM-7IGM1 30-39 years, male 84.6
GTEX-14C38-1326-SM-62LDK 50-59 years, male 84.4
GTEX-1192X-0726-SM-5987R 50-59 years, male 84.3
GTEX-117YX-0626-SM-5EGJI 50-59 years, male 83.9
GTEX-1GZ4I-0826-SM-9WG6O 50-59 years, male 83.8
GTEX-12WSD-1226-SM-5HL9Q 60-69 years, female 83.6
GTEX-1JJ6O-2226-SM-AHZ3I 60-69 years, male 83.6
GTEX-17F9Y-1226-SM-7EPGE 70-79 years, female 82.4
GTEX-1AX8Z-1126-SM-731CS 60-69 years, male 82.4
GTEX-ZVT3-0826-SM-5GIC8 60-69 years, female 82.4
GTEX-1H1ZS-1026-SM-9WG6E 70-79 years, male 82.2
GTEX-ZG7Y-1426-SM-4WWBM 50-59 years, male 81.5
GTEX-18465-0726-SM-7LG4L 50-59 years, male 81.3
GTEX-13OW7-1626-SM-5IJDH 50-59 years, male 81.1
GTEX-1E2YA-0626-SM-7P8P4 50-59 years, male 81.1
GTEX-1HBPM-1026-SM-ARL9D 60-69 years, female 80.8
GTEX-1HBPN-0926-SM-CGQEG 50-59 years, male 80.4
GTEX-1IY9M-0626-SM-D4P2L 60-69 years, male 80.4
GTEX-12WSI-0426-SM-5EQ5J 50-59 years, male 79.9
GTEX-15ER7-0826-SM-6PALW 20-29 years, female 79.9
GTEX-ZT9W-0526-SM-57WFG 50-59 years, male 79.7
GTEX-16MT8-0826-SM-7KULO 60-69 years, female 79.5
GTEX-1QMI2-1026-SM-DTX7T 60-69 years, male 79.1
GTEX-139YR-0526-SM-5L3DG 50-59 years, male 78.8
GTEX-WYBS-1226-SM-3NM9N 60-69 years, female 78.7
GTEX-13O21-0326-SM-5J1N9 50-59 years, male 78.6
GTEX-132NY-1426-SM-5J1MJ 60-69 years, male 78.5
GTEX-1IDJH-1126-SM-COH3R 70-79 years, male 78.2
GTEX-145LS-1326-SM-5Q5EP 60-69 years, female 77.8
GTEX-111FC-0626-SM-5N9CU 60-69 years, male 77.7
GTEX-12WSE-0926-SM-5S2VX 20-29 years, male 77.7
GTEX-16XZZ-1026-SM-7DHKS 60-69 years, male 77.5
GTEX-1B8SG-0726-SM-79ONS 50-59 years, male 77.2
GTEX-1HBPH-0226-SM-9WYSM 40-49 years, female 76.8
GTEX-1JMLX-1826-SM-CNPOX 50-59 years, male 76.6
GTEX-15CHC-0326-SM-5ZZVP 60-69 years, female 76.3
GTEX-14BMV-1026-SM-5SI6B 50-59 years, male 76.1
GTEX-18A67-1026-SM-731CE 50-59 years, male 75.7
GTEX-ZF3C-1126-SM-57WEG 50-59 years, female 75.4
GTEX-1IKK5-1726-SM-CM2RU 60-69 years, male 75.4
GTEX-147F4-1126-SM-5TDDE 50-59 years, male 75.3
GTEX-12WSC-1026-SM-5EQ5Y 50-59 years, male 75.2
GTEX-13SLW-0826-SM-5QGP7 70-79 years, male 75.1
GTEX-11O72-1026-SM-5986B 40-49 years, male 75.0
GTEX-1IDJF-0826-SM-ARU7N 20-29 years, male 74.4
GTEX-WL46-0726-SM-3LK5Z 50-59 years, male 74.0
GTEX-1C6VQ-0826-SM-7PBZT 50-59 years, male 74.0
GTEX-11P81-0526-SM-59873 30-39 years, female 73.3
GTEX-1IDJD-0226-SM-CKZOA 30-39 years, male 72.9
GTEX-13OW5-0926-SM-5L3GZ 60-69 years, male 72.7
GTEX-13SLX-0926-SM-5S2NM 50-59 years, female 72.7
GTEX-1F75A-1026-SM-7PC3W 50-59 years, male 72.7
GTEX-13OW6-0926-SM-5L3GM 50-59 years, male 72.6
GTEX-14PJ2-1126-SM-69LOD 50-59 years, male 72.5
GTEX-13NZA-0826-SM-5K7WS 60-69 years, male 72.0
GTEX-14C39-0726-SM-5RQIK 40-49 years, male 71.7
GTEX-YFC4-0426-SM-4TT3J 40-49 years, female 71.7
GTEX-14BIL-0926-SM-7DHKN 50-59 years, male 71.6
GTEX-15SHV-0526-SM-7KUEN 60-69 years, male 71.6
GTEX-1CB4H-0626-SM-7IGN3 60-69 years, female 71.6
GTEX-1LG7Y-1426-SM-D4P31 50-59 years, male 71.2
GTEX-ZE7O-0626-SM-57WCD 50-59 years, female 70.7
GTEX-11TUW-1126-SM-5EQKJ 60-69 years, male 70.5
GTEX-18A7A-1226-SM-7LTAJ 50-59 years, female 70.5
GTEX-147JS-1326-SM-5SI6D 60-69 years, male 70.4
GTEX-1AYCT-0526-SM-7RHHS 50-59 years, male 70.4
GTEX-1H3VY-1126-SM-A96TP 50-59 years, male 70.2
GTEX-ZEX8-0326-SM-DO92C 50-59 years, male 70.0
GTEX-15SDE-1826-SM-7KUFN 50-59 years, female 69.9
GTEX-14A5I-1026-SM-5Q5E3 50-59 years, female 69.7
GTEX-1A32A-1326-SM-73KWW 50-59 years, female 69.6
GTEX-1I1GV-1426-SM-B2LXN 60-69 years, male 69.6
GTEX-1I1GQ-1226-SM-CL55J 50-59 years, male 69.5
GTEX-144GL-1026-SM-5O99R 50-59 years, male 69.2
GTEX-1HC8U-0626-SM-B2LWB 40-49 years, female 69.2
GTEX-WK11-0626-SM-3NMAV 50-59 years, male 69.0
GTEX-1RB15-0426-SM-E9U4Y 60-69 years, male 69.0
GTEX-ZDXO-0426-SM-4WKF6 60-69 years, male 68.7
GTEX-11DXZ-0326-SM-5EGH1 50-59 years, male 68.4
GTEX-ZTTD-0626-SM-4YCCY 50-59 years, male 68.3
GTEX-11ZUS-0326-SM-5EQ4W 30-39 years, male 68.2
GTEX-13FXS-1026-SM-62LFQ 50-59 years, male 68.1
GTEX-1HT8W-1326-SM-CGQEN 30-39 years, male 68.1
GTEX-1313W-1126-SM-5EQ5U 50-59 years, female 68.0
GTEX-11GSP-1226-SM-5985M 60-69 years, female 67.8
GTEX-1LB8K-0926-SM-D4P42 50-59 years, male 67.8
GTEX-17KNJ-0626-SM-7LT9L 50-59 years, male 67.7
GTEX-Y3IK-1026-SM-51MR7 50-59 years, female 67.5
GTEX-13U4I-0626-SM-5LU5L 40-49 years, female 67.1
GTEX-ZPU1-0726-SM-5HL6O 40-49 years, male 66.8
GTEX-15CHQ-1326-SM-6871Z 60-69 years, male 66.5
GTEX-XV7Q-0726-SM-4BRV6 40-49 years, female 66.4
GTEX-1F88F-0326-SM-9KNV3 60-69 years, female 66.4
GTEX-1M5QR-1626-SM-E9U5O 40-49 years, male 66.3
GTEX-X62O-0826-SM-46MW8 50-59 years, male 66.2
GTEX-WWYW-1126-SM-3NB2Q 50-59 years, female 65.8
GTEX-117XS-0726-SM-5H131 60-69 years, male 65.7
GTEX-X8HC-1026-SM-46MWH 50-59 years, female 65.7
GTEX-132AR-1926-SM-5EGK5 50-59 years, female 65.6
GTEX-1B933-0826-SM-79OMW 50-59 years, female 65.6
GTEX-X261-0926-SM-3NMCY 50-59 years, male 65.6
GTEX-13CF2-0226-SM-5L3DV 60-69 years, male 65.5
GTEX-V1D1-0626-SM-4JBHN 50-59 years, male 65.3
GTEX-1IKJJ-0626-SM-CY8GF 60-69 years, male 65.3
GTEX-11NUK-0926-SM-5HL57 50-59 years, male 65.2
GTEX-1HCU7-1226-SM-B2LX8 50-59 years, male 65.2
GTEX-13FHP-0826-SM-5K7V5 50-59 years, male 65.1
GTEX-1HSKV-0726-SM-ACKWE 60-69 years, male 64.3
GTEX-12ZZX-0726-SM-5EGKA 40-49 years, female 64.2
GTEX-WHPG-1026-SM-3NMBA 50-59 years, male 64.2
GTEX-11NV4-0826-SM-5BC4S 60-69 years, male 63.6
GTEX-1212Z-0726-SM-5EGI5 60-69 years, male 63.5
GTEX-1J8EW-0626-SM-CM2TY 60-69 years, female 63.5
GTEX-1H11D-1026-SM-9QEIU 40-49 years, male 63.4
GTEX-UPK5-0226-SM-3GAEV 40-49 years, male 63.3
GTEX-1C6WA-0826-SM-7PBXS 60-69 years, male 63.2
GTEX-1BAJH-1026-SM-7EWEG 70-79 years, male 62.8
GTEX-1GZ2Q-0926-SM-7RHHN 40-49 years, male 62.8
GTEX-1H3NZ-1026-SM-A9SM5 60-69 years, male 62.7
GTEX-13NYB-0326-SM-5IJDP 40-49 years, male 62.6
GTEX-15UF7-1526-SM-6LPI7 40-49 years, male 62.6
GTEX-1117F-0726-SM-5GIEN 60-69 years, female 62.3
GTEX-ZVT4-1326-SM-5NQ8E 50-59 years, female 62.2
GTEX-1192W-0226-SM-5EGGT 60-69 years, male 62.0
GTEX-1B8L1-0426-SM-7SB76 60-69 years, male 61.9
GTEX-1R9K4-1026-SM-EXUT1 60-69 years, male 61.9
GTEX-139TU-1926-SM-5J2OC 60-69 years, male 61.7
GTEX-18A6Q-1526-SM-731CO 60-69 years, male 61.7
GTEX-WHWD-0326-SM-3LK6L 50-59 years, male 61.5
GTEX-15CHR-0326-SM-7DHN3 50-59 years, male 60.9
GTEX-1JJEA-0926-SM-CYPSO 60-69 years, male 60.5
GTEX-14PII-1026-SM-5ZZVW 60-69 years, male 60.4
GTEX-1GN2E-1426-SM-7RHHI 60-69 years, male 60.1
GTEX-1399R-1726-SM-5K7YJ 30-39 years, male 60.0
GTEX-ZF2S-0826-SM-4WWBI 50-59 years, female 60.0
GTEX-WOFL-1226-SM-4OOST 60-69 years, male 59.9
GTEX-1HSMO-1126-SM-CGQF2 60-69 years, male 59.9
GTEX-1477Z-1126-SM-5P9GK 60-69 years, male 59.7
GTEX-1KD5A-0926-SM-D4P3U 50-59 years, male 59.7
GTEX-11DXY-1026-SM-5987V 60-69 years, male 59.5
GTEX-1EU9M-1926-SM-7RHH4 60-69 years, male 59.5
GTEX-15SKB-0926-SM-7KUFC 60-69 years, male 59.4
GTEX-15SHU-0926-SM-6PAMK 40-49 years, female 59.2
GTEX-1A8G6-1826-SM-73KY8 60-69 years, male 58.9
GTEX-1NSGN-1226-SM-E76OL 50-59 years, male 58.8
GTEX-1C64N-0826-SM-7RHGQ 50-59 years, male 58.6
GTEX-13JUV-0226-SM-5IJCC 40-49 years, female 58.4
GTEX-UTHO-1226-SM-3GAEE 60-69 years, male 58.3
GTEX-1PPGY-0926-SM-DTXFF 60-69 years, male 58.3
GTEX-1399T-0726-SM-5J1MH 60-69 years, male 57.1
GTEX-1F75B-1126-SM-7RHGP 50-59 years, male 57.1
GTEX-18A66-1126-SM-731C5 60-69 years, male 56.4
GTEX-17HGU-1126-SM-793BP 50-59 years, male 55.7
GTEX-13X6J-1226-SM-79OMF 50-59 years, male 55.5
GTEX-1B932-1326-SM-79OM4 40-49 years, female 55.2
GTEX-1EMGI-1126-SM-9KNUF 60-69 years, male 54.9
GTEX-1JN6P-0826-SM-ARL97 60-69 years, male 54.9
GTEX-1JMQK-0926-SM-ARL96 60-69 years, male 54.8
GTEX-131XE-0526-SM-5K7YT 50-59 years, male 54.6
GTEX-1A8FM-1026-SM-7PC26 50-59 years, female 54.5
GTEX-Y8E4-0426-SM-4V6GB 40-49 years, male 54.4
GTEX-14A6H-0326-SM-5NQAN 30-39 years, male 54.1
GTEX-YJ8O-0826-SM-5CVM3 40-49 years, female 53.9
GTEX-1GTWX-0926-SM-9MQKM 60-69 years, male 53.8
GTEX-1HR98-1026-SM-CKZOM 60-69 years, male 53.7
GTEX-1JMOU-0326-SM-ARL8X 60-69 years, female 53.7
GTEX-13NZ9-0126-SM-5K7XV 50-59 years, male 53.4
GTEX-Y5V5-0726-SM-4VBPY 60-69 years, female 53.4
GTEX-ZAB5-0126-SM-5CVMT 50-59 years, male 53.4
GTEX-1I19N-0626-SM-A9SKY 70-79 years, male 53.4
GTEX-12ZZY-1226-SM-5GCNK 60-69 years, male 53.3
GTEX-13S86-0326-SM-5SI6K 40-49 years, male 53.3
GTEX-1E1VI-1426-SM-793CY 50-59 years, male 53.1
GTEX-131YS-0826-SM-5PNYV 60-69 years, female 53.0
GTEX-X4XX-1126-SM-3NMBY 60-69 years, male 53.0
GTEX-YECK-1226-SM-4W21G 60-69 years, male 52.3
GTEX-1I1HK-0626-SM-CNPQM 60-69 years, male 52.3
GTEX-1EWIQ-1126-SM-7EPIK 70-79 years, female 52.2
GTEX-1JMQL-1026-SM-CMKGV 50-59 years, female 52.2
GTEX-13PDP-1326-SM-5K7U9 60-69 years, male 52.1
GTEX-1GMRU-1326-SM-9WYUI 50-59 years, male 51.8
GTEX-11ONC-1026-SM-5GU64 60-69 years, male 51.4
GTEX-1EX96-2626-SM-9MQJV 50-59 years, male 51.0
GTEX-1AX9I-1026-SM-73KYF 60-69 years, male 50.2
GTEX-WRHU-1026-SM-4E3ID 50-59 years, female 50.2
GTEX-1IL2U-1226-SM-CL53P 60-69 years, male 49.9
GTEX-VUSG-0726-SM-3GIK1 50-59 years, male 49.8
GTEX-111VG-0326-SM-5GZX7 60-69 years, male 49.6
GTEX-14DAQ-1026-SM-793B1 60-69 years, female 49.5
GTEX-ZXG5-0626-SM-5NQ85 60-69 years, male 49.2
GTEX-ZAJG-0926-SM-5Q5AB 50-59 years, female 49.1
GTEX-13112-0526-SM-5EQ4S 50-59 years, male 49.0
GTEX-1CB4G-0726-SM-79OOJ 60-69 years, male 49.0
GTEX-1GN1V-1026-SM-CNPPS 60-69 years, male 48.5
GTEX-1I1CD-1326-SM-A9SMM 60-69 years, female 48.1
GTEX-1I1GR-1026-SM-A9SLC 60-69 years, male 47.2
GTEX-117YW-0426-SM-5GZZZ 50-59 years, male 47.1
GTEX-1HFI6-0826-SM-9YFM2 40-49 years, male 46.8
GTEX-14BIN-2126-SM-793AX 50-59 years, female 46.7
GTEX-17EVP-0526-SM-7EPGY 40-49 years, male 46.3
GTEX-1POEN-0726-SM-DTXDU 30-39 years, female 46.2
GTEX-13PL6-0826-SM-5IJBI 40-49 years, female 45.8
GTEX-11GS4-0426-SM-5N9CD 60-69 years, male 45.5
GTEX-1F6I4-0826-SM-7RHGK 60-69 years, male 45.2
GTEX-1H2FU-0826-SM-9WYSU 60-69 years, female 45.2
GTEX-1QEPI-1126-SM-E8VN7 60-69 years, female 45.0
GTEX-1H3O1-0226-SM-9WYSW 60-69 years, male 44.8
GTEX-1QP6S-1026-SM-DTXFW 40-49 years, male 44.7
GTEX-1IKOH-0926-SM-A9SLU 60-69 years, female 43.8
GTEX-WZTO-1226-SM-3NMAZ 40-49 years, male 43.5
GTEX-14E7W-1126-SM-5ZZVS 70-79 years, male 43.4
GTEX-1B8SF-1326-SM-7IGQJ 60-69 years, male 43.2
GTEX-1F48J-1126-SM-9WYSY 50-59 years, female 42.9
GTEX-1MJK2-1626-SM-EVYCQ 50-59 years, male 42.9
GTEX-13O3Q-0326-SM-5L3FE 50-59 years, male 41.1
GTEX-ZVZQ-0726-SM-51MR3 60-69 years, female 40.5
GTEX-16GPK-1226-SM-7LTAU 60-69 years, male 39.7
GTEX-13FTZ-0326-SM-5J1O1 60-69 years, male 39.3
GTEX-1HUB1-0726-SM-CGQF4 60-69 years, male 38.9
GTEX-ZUA1-0726-SM-4YCD9 40-49 years, male 37.4
GTEX-11ZVC-0526-SM-5N9G1 50-59 years, female 36.0
GTEX-1IL2V-1126-SM-CMKGH 70-79 years, male 35.5
GTEX-1IOXB-0726-SM-A9G32 50-59 years, male 33.6
GTEX-15D1Q-0426-SM-6AJ9G 40-49 years, male 33.0
GTEX-12584-1026-SM-59HK3 40-49 years, male 31.3
GTEX-11EQ8-1326-SM-5EGJQ 60-69 years, male 30.4
GTEX-1LSNL-0626-SM-DIPFJ 50-59 years, male 29.5
GTEX-1H1CY-0426-SM-9KNVD 60-69 years, female 28.7
Show allShow less
Heart - Left Ventricle
Average nTPM: 145.1
Samples: 432

Max nTPM: 411.0
Min nTPM: 25.0
Std nTPM: 69.7
Median nTPM: 144.0
GTEX-Y114-0226-SM-4TT8W 50-59 years, female 411.0
GTEX-1IKOE-1026-SM-ARZMF 30-39 years, female 342.1
GTEX-11DXX-0326-SM-5PNWC 60-69 years, female 338.3
GTEX-1LH75-0426-SM-E9TJF 50-59 years, female 335.7
GTEX-14PHY-0226-SM-5ZZWM 60-69 years, female 335.5
GTEX-1O9I2-1126-SM-DTXEA 50-59 years, male 326.2
GTEX-1399S-1026-SM-5KLZ9 30-39 years, female 320.4
GTEX-1OKEX-0726-SM-DPRYE 60-69 years, male 308.7
GTEX-Y3I4-0626-SM-4TT7A 50-59 years, male 301.5
GTEX-QDVN-0326-SM-2I3FS 50-59 years, male 294.2
GTEX-X15G-0426-SM-4PQZ6 50-59 years, female 289.3
GTEX-1PWST-1026-SM-DTXF2 70-79 years, male 285.2
GTEX-1339X-0426-SM-5KLZY 40-49 years, male 281.3
GTEX-O5YW-0326-SM-2I5EI 50-59 years, male 281.3
GTEX-1CB4I-1626-SM-7RHGV 50-59 years, male 280.1
GTEX-1122O-0826-SM-5GICV 60-69 years, female 274.5
GTEX-RUSQ-0526-SM-2TF72 50-59 years, male 273.4
GTEX-OIZH-0326-SM-2HMKC 50-59 years, male 272.3
GTEX-1L5NE-0426-SM-E9TIX 50-59 years, male 268.9
GTEX-1ICG6-0626-SM-ACKWS 70-79 years, female 268.4
GTEX-R55C-0326-SM-3GAF1 40-49 years, male 263.8
GTEX-1HBPM-1226-SM-A9SM8 60-69 years, female 262.2
GTEX-13FH7-0926-SM-5J2MR 50-59 years, female 262.1
GTEX-WHSE-0926-SM-3NMBS 20-29 years, male 260.8
GTEX-1AX9J-1026-SM-72D6E 60-69 years, male 260.0
GTEX-1S3DN-0726-SM-E9TIO 50-59 years, male 259.1
GTEX-1N2EF-2826-SM-E6CQF 60-69 years, male 257.8
GTEX-13CF3-0726-SM-5J2MY 60-69 years, female 256.1
GTEX-111YS-0426-SM-5987O 60-69 years, male 255.6
GTEX-1MUQO-1226-SM-E9TJK 60-69 years, male 252.5
GTEX-16BQI-0926-SM-6M485 30-39 years, female 251.8
GTEX-U8XE-1126-SM-3DB8W 30-39 years, male 245.5
GTEX-13X6H-0426-SM-5LU4E 50-59 years, female 243.1
GTEX-1OFPY-1026-SM-EXUSO 60-69 years, male 242.2
GTEX-SE5C-0626-SM-2XCDV 40-49 years, female 241.5
GTEX-WY7C-0526-SM-3NB3D 50-59 years, male 241.3
GTEX-1LGRB-1126-SM-CNPP2 50-59 years, female 239.7
GTEX-1R7EV-0326-SM-E76PA 40-49 years, male 238.6
GTEX-13YAN-1326-SM-5Q5F1 60-69 years, male 238.2
GTEX-WFG8-0626-SM-3GILJ 20-29 years, male 236.9
GTEX-1JK1U-0526-SM-CYPSQ 60-69 years, male 236.9
GTEX-ZVZP-0226-SM-5NQ73 50-59 years, male 235.8
GTEX-1CB4J-0326-SM-7PBZO 60-69 years, male 235.5
GTEX-11TT1-1326-SM-5PNYM 20-29 years, male 234.2
GTEX-15CHC-0426-SM-6LLHI 60-69 years, female 233.7
GTEX-18D9B-1226-SM-72D6V 60-69 years, male 232.2
GTEX-14E6C-0426-SM-5YYA8 40-49 years, male 230.8
GTEX-ZPIC-0826-SM-4WWFJ 40-49 years, female 230.2
GTEX-17F9E-0926-SM-7IGMG 50-59 years, male 226.7
GTEX-WQUQ-1426-SM-3MJFD 60-69 years, male 226.1
GTEX-WI4N-0626-SM-3TW8Z 40-49 years, female 225.6
GTEX-O5YV-0326-SM-2I5H2 60-69 years, female 225.1
GTEX-13O3O-1526-SM-5KM1C 60-69 years, female 223.4
GTEX-1QPFJ-1026-SM-E6CR6 30-39 years, female 223.1
GTEX-NPJ8-0426-SM-2HMK6 40-49 years, male 222.6
GTEX-132QS-0426-SM-5KLZ6 60-69 years, male 221.6
GTEX-1AX9K-0526-SM-73KV1 50-59 years, male 220.0
GTEX-1C2JI-0526-SM-7EWEQ 50-59 years, male 220.0
GTEX-13FTW-1026-SM-5L3E3 40-49 years, male 219.8
GTEX-1HFI7-0826-SM-A9G23 50-59 years, female 218.5
GTEX-14H4A-0626-SM-5ZZUT 40-49 years, female 217.6
GTEX-13QBU-0426-SM-5J2O4 40-49 years, female 217.1
GTEX-15EOM-5007-SM-793DG 20-29 years, female 216.8
GTEX-14C38-1426-SM-5RQHZ 50-59 years, male 214.6
GTEX-WEY5-0426-SM-3GIKT 40-49 years, female 214.1
GTEX-13PVR-1026-SM-5QGQW 60-69 years, female 213.6
GTEX-WYJK-1026-SM-3NM8W 50-59 years, male 213.2
GTEX-14PN3-0526-SM-69LQF 60-69 years, female 212.9
GTEX-12696-1126-SM-5FQTI 60-69 years, male 211.7
GTEX-1CAMS-1326-SM-79OJR 40-49 years, female 211.7
GTEX-S32W-0626-SM-2XCBG 50-59 years, female 211.7
GTEX-1GF9U-0426-SM-7RHHA 40-49 years, female 211.6
GTEX-ZDYS-0226-SM-5HL4K 50-59 years, male 211.4
GTEX-1F75I-1126-SM-9WYUO 40-49 years, male 211.0
GTEX-11I78-0826-SM-5A5K4 50-59 years, female 210.9
GTEX-117YX-1126-SM-5H128 50-59 years, male 210.4
GTEX-RWS6-0326-SM-2XCAP 60-69 years, female 210.3
GTEX-1KANC-0426-SM-CXZK5 50-59 years, female 210.3
GTEX-1LSNM-0526-SM-DIPG6 50-59 years, male 209.8
GTEX-12WSN-5001-SM-7DHMK 40-49 years, male 209.4
GTEX-145LV-0326-SM-5Q5BW 50-59 years, male 209.4
GTEX-13PVQ-1226-SM-5IJDC 50-59 years, male 207.0
GTEX-13O21-2326-SM-5MR3X 50-59 years, male 205.1
GTEX-18A67-1226-SM-7KFRS 50-59 years, male 204.8
GTEX-1LC47-1026-SM-D3LAH 60-69 years, male 202.4
GTEX-PSDG-0926-SM-2I5FP 50-59 years, male 202.1
GTEX-1H1ZS-1126-SM-9MQLJ 70-79 years, male 201.5
GTEX-QEG5-0926-SM-2TC64 20-29 years, male 201.4
GTEX-1LGOU-0726-SM-E9TIY 20-29 years, female 199.4
GTEX-ZDTT-0726-SM-4WKFK 60-69 years, male 198.8
GTEX-11LCK-0926-SM-5A5KA 30-39 years, male 198.0
GTEX-13O61-0526-SM-5J2M1 60-69 years, male 197.8
GTEX-QESD-0526-SM-2I5G5 20-29 years, male 197.5
GTEX-13VXT-1126-SM-5LU3A 20-29 years, female 196.8
GTEX-1R9PO-0326-SM-DTXA1 60-69 years, female 196.3
GTEX-ZYFG-0426-SM-5E43M 60-69 years, female 195.2
GTEX-ZG7Y-0926-SM-5EQ6O 50-59 years, male 194.6
GTEX-XGQ4-0326-SM-4GIEE 50-59 years, male 194.5
GTEX-13RTJ-0726-SM-5QGQN 60-69 years, male 194.3
GTEX-OXRL-0326-SM-2I3F2 50-59 years, male 194.0
GTEX-146FR-0626-SM-5RQJ1 60-69 years, female 193.8
GTEX-1B8KE-0126-SM-793AM 50-59 years, male 193.8
GTEX-1QP29-1526-SM-EXUSY 50-59 years, male 193.5
GTEX-XBED-0526-SM-47JY3 60-69 years, male 193.4
GTEX-WFG7-0726-SM-3GIKO 20-29 years, male 192.6
GTEX-18D9U-1126-SM-72D5Y 40-49 years, male 192.5
GTEX-WFON-0326-SM-3GIKX 40-49 years, male 192.1
GTEX-ZF29-0226-SM-4WKHO 60-69 years, female 192.0
GTEX-12BJ1-0226-SM-5LUA2 60-69 years, male 191.6
GTEX-ZQUD-1526-SM-7IGO2 30-39 years, male 191.2
GTEX-NFK9-0926-SM-2HMJU 40-49 years, male 191.0
GTEX-1GN1W-0326-SM-9JGHF 50-59 years, female 190.0
GTEX-1H23P-1226-SM-9QEJ2 60-69 years, male 188.8
GTEX-ZZPU-0926-SM-5GZYT 50-59 years, female 188.6
GTEX-1HSMQ-0226-SM-C1YQL 50-59 years, male 188.5
GTEX-WHPG-0826-SM-3NMBF 50-59 years, male 188.2
GTEX-14PJ6-0726-SM-69LOL 60-69 years, female 187.9
GTEX-XPT6-0126-SM-4B65S 20-29 years, male 187.9
GTEX-1RMOY-0626-SM-E9TIE 50-59 years, male 187.4
GTEX-ZTPG-1226-SM-4YCDO 20-29 years, female 187.2
GTEX-SUCS-0326-SM-32PLL 70-79 years, male 186.8
GTEX-1211K-0626-SM-5FQUZ 60-69 years, female 185.0
GTEX-14PJ4-1126-SM-5YY91 60-69 years, male 185.0
GTEX-R45C-0926-SM-3GAD4 60-69 years, female 184.9
GTEX-ZVT2-1026-SM-5GU55 50-59 years, female 184.8
GTEX-1CB4E-0526-SM-7MXTK 60-69 years, male 184.5
GTEX-1HSGN-1126-SM-CJI4G 40-49 years, female 184.5
GTEX-14XAO-1126-SM-6EU11 60-69 years, female 184.3
GTEX-131XF-5001-SM-7DHLY 60-69 years, male 183.9
GTEX-1399U-0526-SM-5K7YM 50-59 years, female 183.8
GTEX-UJMC-0526-SM-3GAE3 50-59 years, male 183.8
GTEX-1GL5R-0326-SM-9WYTJ 50-59 years, male 182.8
GTEX-1IDJI-1026-SM-A96TE 50-59 years, female 182.7
GTEX-1QCLZ-0926-SM-E6CQZ 60-69 years, female 182.7
GTEX-P44H-0726-SM-48TBT 40-49 years, male 182.6
GTEX-XPVG-0826-SM-4B654 50-59 years, male 182.3
GTEX-WH7G-0426-SM-3NMBJ 40-49 years, male 181.2
GTEX-XXEK-0926-SM-4BRWH 50-59 years, male 181.2
GTEX-Y5V6-0826-SM-4VBRU 60-69 years, male 181.0
GTEX-ZV7C-0326-SM-57WB1 50-59 years, male 180.7
GTEX-1J8Q3-1226-SM-CKZPT 60-69 years, male 180.4
GTEX-139YR-0826-SM-5LZXY 50-59 years, male 180.2
GTEX-1RQEC-0926-SM-EWROG 60-69 years, male 180.2
GTEX-X8HC-1626-SM-46MWE 50-59 years, female 178.7
GTEX-1F5PK-0326-SM-9KNUD 50-59 years, male 178.1
GTEX-ZPCL-0426-SM-DNZZ4 60-69 years, female 177.9
GTEX-13X6I-1426-SM-5SI9Z 60-69 years, male 177.3
GTEX-ZGAY-0326-SM-57WF5 40-49 years, female 177.3
GTEX-1MJIX-0326-SM-EVR42 40-49 years, male 176.9
GTEX-13NZB-0226-SM-5KM1T 30-39 years, male 176.8
GTEX-P4PP-0326-SM-33HC4 30-39 years, female 175.9
GTEX-P4PQ-0326-SM-2HMJ8 60-69 years, male 174.9
GTEX-1R9JW-0526-SM-EWRNK 30-39 years, female 174.8
GTEX-1QP2A-1126-SM-EVR3H 50-59 years, male 174.6
GTEX-R55G-0526-SM-2TC5O 40-49 years, female 174.5
GTEX-U4B1-0326-SM-3DB8K 40-49 years, male 174.5
GTEX-1GMR2-1426-SM-7RHHK 50-59 years, male 173.7
GTEX-QDVJ-0426-SM-2I5FW 50-59 years, male 173.5
GTEX-YF7O-0426-SM-5P9FS 50-59 years, male 173.3
GTEX-14PHX-2126-SM-6EU2U 50-59 years, male 173.1
GTEX-UJHI-0426-SM-3DB8Y 50-59 years, female 172.1
GTEX-132NY-1726-SM-5EGKK 60-69 years, male 171.2
GTEX-ZLFU-0226-SM-4WWFH 40-49 years, male 170.0
GTEX-11EMC-0726-SM-5EGJO 60-69 years, female 169.8
GTEX-XQ8I-0126-SM-4BOPL 50-59 years, male 168.6
GTEX-OIZI-0926-SM-E6CHF 40-49 years, male 168.3
GTEX-1B97J-0726-SM-7RHG3 50-59 years, female 168.0
GTEX-REY6-1026-SM-2TF4Y 60-69 years, male 167.7
GTEX-1MCC2-0326-SM-EV7AK 30-39 years, female 167.3
GTEX-YEC4-0326-SM-4W216 40-49 years, male 166.7
GTEX-13OVG-0526-SM-5K7YD 60-69 years, male 166.6
GTEX-X3Y1-0426-SM-3P5Z4 40-49 years, male 165.9
GTEX-YEC3-0726-SM-CMKFH 50-59 years, male 165.1
GTEX-1M5QR-1026-SM-DHXK9 40-49 years, male 165.0
GTEX-1I6K7-0626-SM-ARL7Q 40-49 years, male 163.7
GTEX-12WSG-0526-SM-5FQTH 50-59 years, female 163.0
GTEX-131XG-0626-SM-5GCMP 50-59 years, female 162.6
GTEX-13D11-1726-SM-5IFGQ 50-59 years, female 162.6
GTEX-YB5K-0126-SM-5IFJ2 40-49 years, female 162.6
GTEX-13S86-0226-SM-5S2PJ 40-49 years, male 161.7
GTEX-RWSA-0626-SM-2XCBD 40-49 years, male 160.8
GTEX-13W3W-0426-SM-5SI9D 60-69 years, female 159.4
GTEX-16XZY-0426-SM-793BI 70-79 years, male 159.4
GTEX-1IDJU-0726-SM-CNPQ9 60-69 years, female 159.0
GTEX-OHPK-0326-SM-2HMJO 50-59 years, female 158.8
GTEX-1GMR3-0326-SM-7P8QT 40-49 years, male 157.8
GTEX-OXRK-0826-SM-2HMK7 50-59 years, female 157.6
GTEX-14PK6-0826-SM-5ZZVO 70-79 years, female 157.0
GTEX-1KD5A-1026-SM-CY8I8 50-59 years, male 156.8
GTEX-QLQ7-0526-SM-2I5G3 60-69 years, male 156.5
GTEX-1A3MW-1326-SM-7189P 60-69 years, female 156.0
GTEX-OHPM-0326-SM-33HCA 50-59 years, male 155.6
GTEX-13O3P-1626-SM-5K7X3 50-59 years, male 155.3
GTEX-1B996-1126-SM-73KWN 60-69 years, male 153.9
GTEX-17GQL-0526-SM-72D5N 60-69 years, male 153.4
GTEX-PWCY-0526-SM-5P9HG 20-29 years, female 152.8
GTEX-145MN-0626-SM-5QGRH 30-39 years, male 152.6
GTEX-1J8Q2-1226-SM-A9G2W 60-69 years, male 152.1
GTEX-1AYCT-0426-SM-73KVZ 50-59 years, male 151.9
GTEX-1JJ6O-2126-SM-CNNP6 60-69 years, male 151.7
GTEX-12WSK-0626-SM-5LZUJ 40-49 years, female 151.2
GTEX-1J8QM-0426-SM-AHZ3X 60-69 years, female 149.7
GTEX-11EM3-0626-SM-5H12Z 20-29 years, female 149.5
GTEX-1A3MX-1326-SM-72D58 60-69 years, male 149.0
GTEX-1KXAM-1326-SM-E9TJW 60-69 years, male 148.7
GTEX-QEL4-0926-SM-3GAD1 50-59 years, male 147.6
GTEX-15CHR-0226-SM-7PC2Z 50-59 years, male 146.7
GTEX-1IDJF-0726-SM-CJI1U 20-29 years, male 146.4
GTEX-13OVL-0526-SM-5KLZQ 50-59 years, male 146.1
GTEX-QMRM-0526-SM-2I5GA 50-59 years, male 146.1
GTEX-ZAB4-1026-SM-5HL7T 40-49 years, male 145.4
GTEX-XQ3S-0626-SM-4BOOB 20-29 years, male 145.0
GTEX-OHPL-0326-SM-33HC8 60-69 years, female 144.6
GTEX-P78B-0426-SM-2I5F5 40-49 years, female 144.5
GTEX-1C64O-0826-SM-79OKZ 60-69 years, male 144.0
GTEX-Y8E4-0326-SM-4VBRR 40-49 years, male 144.0
GTEX-ZYW4-0926-SM-59HJS 60-69 years, male 144.0
GTEX-1HC8U-0726-SM-ACKXL 40-49 years, female 143.0
GTEX-Q2AH-0526-SM-2I3ED 40-49 years, male 142.5
GTEX-1HBPH-0126-SM-CNNQ7 40-49 years, female 142.5
GTEX-148VI-0326-SM-5RQK7 60-69 years, female 142.3
GTEX-146FH-1026-SM-5RQIF 50-59 years, female 141.7
GTEX-17HGU-1026-SM-79OKL 50-59 years, male 141.5
GTEX-PLZ5-0626-SM-2I5F8 50-59 years, male 141.3
GTEX-OOBJ-0326-SM-33HBO 60-69 years, male 141.0
GTEX-11TUW-1026-SM-5GU7D 60-69 years, male 140.9
GTEX-XV7Q-0826-SM-4BRV7 40-49 years, female 140.9
GTEX-145MO-1126-SM-5NQBX 60-69 years, male 140.6
GTEX-132AR-2026-SM-5IJG4 50-59 years, female 140.5
GTEX-1JMQK-0626-SM-D4P2R 60-69 years, male 140.3
GTEX-WHWD-0426-SM-3LK83 50-59 years, male 139.7
GTEX-1GZ4I-1026-SM-9KNV5 50-59 years, male 139.3
GTEX-1F48J-1026-SM-7P8SO 50-59 years, female 138.4
GTEX-15RIE-1726-SM-7KUMU 60-69 years, male 138.3
GTEX-1LVAN-1726-SM-CNNR1 50-59 years, female 137.3
GTEX-13N11-0426-SM-5KM3O 50-59 years, female 133.6
GTEX-ZAB5-0226-SM-5CVMH 50-59 years, male 133.3
GTEX-ZDTS-1326-SM-6LLHE 60-69 years, male 133.2
GTEX-11ZUS-0226-SM-5FQT8 30-39 years, male 133.1
GTEX-ZPU1-0626-SM-4YCDM 40-49 years, male 133.0
GTEX-V955-0726-SM-3GAFG 60-69 years, male 132.4
GTEX-13O1R-1226-SM-5J1NU 60-69 years, male 131.2
GTEX-1AX8Z-5007-SM-AHZ36 60-69 years, male 130.8
GTEX-1HCUA-0526-SM-A9SMH 50-59 years, female 130.3
GTEX-131XH-0226-SM-5LZVB 50-59 years, male 129.7
GTEX-ZDXO-0726-SM-57WBT 60-69 years, male 128.9
GTEX-1HCU6-1026-SM-A9G25 60-69 years, female 128.9
GTEX-RNOR-0826-SM-2TF5C 50-59 years, female 128.5
GTEX-POMQ-0326-SM-2I5FO 20-29 years, female 128.3
GTEX-1RB15-0326-SM-E6CQB 60-69 years, male 128.0
GTEX-14E1K-1026-SM-73KUR 50-59 years, male 127.9
GTEX-16YQH-0926-SM-793BC 30-39 years, male 126.6
GTEX-1HCU7-1326-SM-CNPPW 50-59 years, male 126.6
GTEX-RU72-0326-SM-2TF5T 50-59 years, female 125.2
GTEX-OIZF-0326-SM-3MJGY 60-69 years, male 124.8
GTEX-WZTO-1326-SM-3NM8X 40-49 years, male 124.6
GTEX-R55E-1026-SM-2TC5S 20-29 years, male 123.7
GTEX-1IKK5-1526-SM-CKZPW 60-69 years, male 123.2
GTEX-1JMPZ-1426-SM-CJI3C 30-39 years, male 122.8
GTEX-P44G-0826-SM-2I5ES 30-39 years, male 122.3
GTEX-11O72-1126-SM-5N9E2 40-49 years, male 121.1
GTEX-OIZG-1126-SM-2HMIU 50-59 years, male 121.1
GTEX-15RJE-0626-SM-7KUKR 40-49 years, male 120.0
GTEX-RTLS-0826-SM-2TF5Q 60-69 years, female 119.5
GTEX-1I1GQ-1426-SM-B2LWY 50-59 years, male 119.5
GTEX-ZEX8-0426-SM-DO92Y 50-59 years, male 117.7
GTEX-1EU9M-1826-SM-7DUGU 60-69 years, male 117.6
GTEX-13N1W-1026-SM-5IJC5 70-79 years, male 117.0
GTEX-16NPX-0926-SM-7KUEZ 50-59 years, male 117.0
GTEX-17MF6-0726-SM-7LT8E 40-49 years, male 116.8
GTEX-1ICLY-1326-SM-CJI47 50-59 years, male 116.4
GTEX-131XE-0626-SM-5HL98 50-59 years, male 116.3
GTEX-14JG1-1026-SM-6ETZY 40-49 years, male 116.1
GTEX-YFC4-0526-SM-5ZZVI 40-49 years, female 115.1
GTEX-1J8EW-0926-SM-A9G33 60-69 years, female 114.4
GTEX-1497J-1226-SM-5Q5BL 60-69 years, male 113.7
GTEX-QEG4-0426-SM-33HC3 30-39 years, male 113.7
GTEX-13U4I-0826-SM-5SIBD 40-49 years, female 113.5
GTEX-O5YT-0326-SM-32PKA 20-29 years, male 112.5
GTEX-11DXZ-0626-SM-5GU77 50-59 years, male 112.3
GTEX-14A6H-0226-SM-5Q5DX 30-39 years, male 111.8
GTEX-1AX9I-1126-SM-7EPHH 60-69 years, male 111.2
GTEX-PX3G-0326-SM-2I3EO 20-29 years, female 111.1
GTEX-QV44-0526-SM-2S1RE 50-59 years, male 111.0
GTEX-1K9T9-1126-SM-D3L9E 50-59 years, female 110.7
GTEX-V1D1-0526-SM-4JBGW 50-59 years, male 110.5
GTEX-1314G-0126-SM-5LZUL 30-39 years, male 110.1
GTEX-12ZZZ-1726-SM-59HK5 60-69 years, male 109.6
GTEX-SNMC-0126-SM-2XCFO 20-29 years, male 109.4
GTEX-OXRO-2026-SM-2YUMZ 60-69 years, female 108.4
GTEX-1R9K4-1326-SM-DTX8G 60-69 years, male 108.2
GTEX-15RJ7-0226-SM-7KUMN 40-49 years, male 108.0
GTEX-13SLX-1026-SM-5ZZUQ 50-59 years, female 107.3
GTEX-18A66-1226-SM-7LT8G 60-69 years, male 106.9
GTEX-1H11D-1226-SM-9WPQ2 40-49 years, male 106.9
GTEX-13FLV-0926-SM-5L3DZ 50-59 years, male 106.0
GTEX-17F9Y-1326-SM-7MGW9 70-79 years, female 105.8
GTEX-1F6I4-0726-SM-7PC2P 60-69 years, male 105.4
GTEX-ZF2S-1026-SM-9QEGK 50-59 years, female 104.6
GTEX-1399R-1926-SM-5K7X8 30-39 years, male 103.9
GTEX-14C5O-1326-SM-5S2UW 60-69 years, male 102.6
GTEX-12WSD-1126-SM-5EGJD 60-69 years, female 102.3
GTEX-U3ZN-1426-SM-3DB87 30-39 years, female 101.9
GTEX-1POEN-0626-SM-EVR4B 30-39 years, female 101.9
GTEX-147F4-1226-SM-5NQAY 50-59 years, male 101.6
GTEX-ZYFC-1126-SM-5E44W 50-59 years, male 101.4
GTEX-11ONC-0126-SM-5PNW6 60-69 years, male 101.2
GTEX-WL46-0926-SM-3LK7T 50-59 years, male 100.7
GTEX-UPK5-0326-SM-CYPR4 40-49 years, male 100.4
GTEX-1IDJE-0326-SM-CM2TD 50-59 years, female 100.3
GTEX-15ER7-1726-SM-6PAMX 20-29 years, female 99.7
GTEX-1JMLX-1626-SM-ARZMV 50-59 years, male 98.8
GTEX-P4QS-0326-SM-2I3EU 60-69 years, male 97.4
GTEX-17KNJ-0826-SM-793A4 50-59 years, male 95.8
GTEX-11ZVC-0426-SM-5CVLD 50-59 years, female 95.5
GTEX-Y3IK-0826-SM-51MT8 50-59 years, female 95.5
GTEX-1EMGI-1226-SM-793DD 60-69 years, male 95.0
GTEX-15DDE-1126-SM-6LLHN 50-59 years, female 94.2
GTEX-13CF2-0426-SM-5KM1H 60-69 years, male 94.0
GTEX-16MT8-0926-SM-6M487 60-69 years, female 92.2
GTEX-QVJO-1926-SM-2S1QZ 60-69 years, female 91.8
GTEX-13X6K-1826-SM-5O9CR 60-69 years, female 91.7
GTEX-U3ZH-0326-SM-3DB7A 30-39 years, male 91.7
GTEX-1GN73-2426-SM-7RHFQ 60-69 years, male 91.6
GTEX-1BAJH-1626-SM-73KUV 70-79 years, male 90.8
GTEX-1R9K5-1326-SM-E6CPR 50-59 years, male 89.6
GTEX-1B8SG-0826-SM-7EWF7 50-59 years, male 88.0
GTEX-1313W-1426-SM-5KLZU 50-59 years, female 87.2
GTEX-Y5V5-0626-SM-4VBPX 60-69 years, female 86.4
GTEX-111FC-0826-SM-5GZWO 60-69 years, male 86.2
GTEX-14DAQ-1126-SM-664MT 60-69 years, female 86.0
GTEX-T6MN-0926-SM-32PLX 50-59 years, male 85.4
GTEX-1JJEA-0826-SM-CL53T 60-69 years, male 85.3
GTEX-1I1HK-0726-SM-B2LY4 60-69 years, male 85.2
GTEX-15SHU-1126-SM-7KUMB 40-49 years, female 85.1
GTEX-1E1VI-1326-SM-7IGQD 50-59 years, male 84.7
GTEX-1212Z-0626-SM-5FQTB 60-69 years, male 82.5
GTEX-13OW6-1126-SM-5L3HL 50-59 years, male 82.1
GTEX-1EH9U-0826-SM-7IGPT 60-69 years, male 81.8
GTEX-1B932-1026-SM-793CL 40-49 years, female 79.6
GTEX-1IL2U-1326-SM-A9G2O 60-69 years, male 78.8
GTEX-N7MS-0826-SM-2HML4 60-69 years, male 78.0
GTEX-1B8L1-0526-SM-79ONX 60-69 years, male 77.6
GTEX-12WSC-1126-SM-5EQ4G 50-59 years, male 77.3
GTEX-WWYW-1326-SM-3NB2S 50-59 years, female 76.7
GTEX-1CB4G-0826-SM-7DUGF 60-69 years, male 76.3
GTEX-SIU8-0826-SM-2XCDQ 50-59 years, male 76.2
GTEX-PVOW-0426-SM-5MR5R 40-49 years, male 74.9
GTEX-18465-0926-SM-731AY 50-59 years, male 73.7
GTEX-148VJ-1526-SM-5Q5DU 70-79 years, male 73.6
GTEX-1GF9V-1626-SM-7PBXL 60-69 years, male 73.3
GTEX-1269C-0826-SM-5N9EM 60-69 years, female 73.2
GTEX-1JN1M-1026-SM-CNPOS 60-69 years, female 73.0
GTEX-12ZZY-1126-SM-5DUWQ 60-69 years, male 72.4
GTEX-13FTZ-0226-SM-5K7X6 60-69 years, male 70.6
GTEX-13112-0426-SM-5PNVC 50-59 years, male 68.9
GTEX-R53T-0926-SM-3GADH 50-59 years, female 67.3
GTEX-XBEC-1326-SM-4AT69 50-59 years, male 67.1
GTEX-1LB8K-1026-SM-DHXJJ 50-59 years, male 67.0
GTEX-17HHY-1426-SM-7EWDQ 50-59 years, male 66.8
GTEX-ZF3C-1226-SM-4WWCB 50-59 years, female 66.5
GTEX-1I1GP-0826-SM-A96SD 50-59 years, male 66.5
GTEX-13OW5-1126-SM-5J1NR 60-69 years, male 66.0
GTEX-1PPGY-1126-SM-E76OU 60-69 years, male 65.6
GTEX-S33H-0526-SM-COH1W 30-39 years, male 65.5
GTEX-RN64-0826-SM-2TC62 50-59 years, male 65.3
GTEX-12584-0926-SM-5FQTN 40-49 years, male 65.1
GTEX-ZAJG-0826-SM-5PNVA 50-59 years, female 64.6
GTEX-1JMOU-0226-SM-CNNPD 60-69 years, female 64.5
GTEX-15SHW-1226-SM-6M46C 60-69 years, male 64.0
GTEX-14C39-0926-SM-5TDDV 40-49 years, male 63.7
GTEX-11GSP-1326-SM-5A5KY 60-69 years, female 63.2
GTEX-14A5I-1226-SM-5NQBW 50-59 years, female 62.6
GTEX-1A8G6-1626-SM-7MGWO 60-69 years, male 62.1
GTEX-15DYW-1126-SM-6LPK5 60-69 years, female 60.8
GTEX-1GMRU-1526-SM-9WYT5 50-59 years, male 60.2
GTEX-11GS4-0526-SM-5A5KQ 60-69 years, male 58.5
GTEX-14PJM-1126-SM-6LLHK 50-59 years, female 57.3
GTEX-18A6Q-1626-SM-7KFTA 60-69 years, male 56.2
GTEX-1GTWX-1026-SM-7P8QW 60-69 years, male 54.6
GTEX-147JS-1526-SM-5ZZWF 60-69 years, male 54.5
GTEX-17JCI-1126-SM-7IGMM 60-69 years, female 54.0
GTEX-1HSMO-1226-SM-CL548 60-69 years, male 53.6
GTEX-1HCVE-1126-SM-9WPPG 50-59 years, male 53.0
GTEX-1GN1V-0826-SM-9KNU6 60-69 years, male 52.7
GTEX-WRHU-1226-SM-4E3IJ 50-59 years, female 52.6
GTEX-1EN7A-0726-SM-7PBXT 40-49 years, male 52.6
GTEX-1I1GV-1326-SM-A96SE 60-69 years, male 51.6
GTEX-1ICLZ-1026-SM-A9SLF 60-69 years, male 50.8
GTEX-1LG7Y-1226-SM-CXZKD 50-59 years, male 50.7
GTEX-11DXY-0826-SM-5EGGR 60-69 years, male 50.5
GTEX-13OW8-2126-SM-5J1OS 60-69 years, male 50.2
GTEX-1IKJJ-0826-SM-A96SP 60-69 years, male 49.4
GTEX-1JJE9-1426-SM-ARL8P 70-79 years, male 47.8
GTEX-WK11-0826-SM-EZ6LH 50-59 years, male 47.4
GTEX-13JVG-1326-SM-5N9F8 60-69 years, male 46.3
GTEX-12ZZW-1026-SM-5GCMM 50-59 years, male 46.2
GTEX-1JN6P-1126-SM-CKZON 60-69 years, male 46.2
GTEX-1O97I-0826-SM-E8VNE 60-69 years, male 46.2
GTEX-X261-1426-SM-4PQZ1 50-59 years, male 46.0
GTEX-1F6IF-2526-SM-7P8TV 60-69 years, male 45.6
GTEX-N7MT-1326-SM-2I3FV 60-69 years, female 45.4
GTEX-1KD4Q-0726-SM-DIPGE 40-49 years, male 44.9
GTEX-14PJ2-1026-SM-6EU1M 50-59 years, male 44.8
GTEX-1EKGG-1126-SM-7MGXB 60-69 years, male 43.2
GTEX-17HII-1326-SM-7IGOB 50-59 years, male 43.1
GTEX-1RAZS-0826-SM-E76QP 50-59 years, male 42.1
GTEX-T2IS-0426-SM-32QPE 20-29 years, female 41.2
GTEX-14E6D-0926-SM-5S2QV 50-59 years, male 40.9
GTEX-1GN2E-1326-SM-9KNVG 60-69 years, male 40.8
GTEX-1LVA9-0926-SM-EVR5G 50-59 years, male 40.6
GTEX-YJ8O-0926-SM-EAZ2Z 40-49 years, female 39.8
GTEX-1H3NZ-1126-SM-9WYT9 60-69 years, male 39.6
GTEX-1399T-0426-SM-5PNVJ 60-69 years, male 39.1
GTEX-14E7W-1226-SM-5RQIU 70-79 years, male 38.1
GTEX-14BIL-1126-SM-79OMC 50-59 years, male 37.3
GTEX-117YW-0326-SM-5N9CY 50-59 years, male 37.1
GTEX-ZUA1-0826-SM-4YCDL 40-49 years, male 35.5
GTEX-1PPH7-2026-SM-E9J3N 40-49 years, male 35.5
GTEX-14JIY-1126-SM-6EU28 60-69 years, male 35.1
GTEX-ZYT6-1726-SM-5E44P 30-39 years, male 34.9
GTEX-1NV8Z-1526-SM-DTX8X 60-69 years, male 34.8
GTEX-1HT8W-1726-SM-CNNQB 30-39 years, male 33.4
GTEX-1EWIQ-1426-SM-7IGOS 70-79 years, female 33.3
GTEX-1IDJH-1026-SM-E9TKH 70-79 years, male 33.1
GTEX-14BIN-2226-SM-5YYA1 50-59 years, female 32.9
GTEX-13FHP-1026-SM-5K7Y2 50-59 years, male 30.4
GTEX-1EX96-2526-SM-7RHGW 50-59 years, male 29.9
GTEX-1H1CY-0326-SM-9QEIZ 60-69 years, female 28.6
GTEX-15CHQ-1526-SM-69LPW 60-69 years, male 27.9
GTEX-1C6VQ-1126-SM-7EWET 50-59 years, male 26.3
GTEX-13NYB-0226-SM-5N9G4 40-49 years, male 25.0
Show allShow less

HEART MUSCLE - FANTOM5 CAGEi

RNA expression in human tissues obtained through Cap Analysis of Gene Expression (CAGE) generated by the FANTOM5 project are reported as Scaled Tags Per Million.

Max subtype Scaled Tags Per Millioni

Max subtype Scaled Tags Per Million is the value for the subtype with the largest average Scaled Tags Per Million across the subtype samples.

358.2
FANTOM5 sample id Sample description Scaled Tags Per Million
Heart
Scaled Tags Per Million: 358.2
FF:10016-101C7 70,73,74 years, mixed 358.2
Left atrium
Scaled Tags Per Million: 76.5
FF:10079-102A7 40 years, male 76.5
Left ventricle
Scaled Tags Per Million: 316.2
FF:10078-102A6 73 years, female 316.2

Contact

  • NEWS ARTICLES
  • PRESS ROOM

The Project

  • INTRODUCTION
  • ORGANIZATION
  • PUBLICATIONS

The Human Protein Atlas

  • DOWNLOADABLE DATA
  • LICENCE & CITATION
  • HELP & FAQ
The Human Protein Atlas project is funded
by the Knut & Alice Wallenberg Foundation.


contact@proteinatlas.org