We use cookies to enhance the usability of our website. If you continue, we'll assume that you are happy to receive all cookies. More information. Don't show this again.
TJP1
HPA
RESOURCES
  • TISSUE
  • BRAIN
  • SINGLE CELL
  • SUBCELLULAR
  • CANCER
  • BLOOD
  • CELL LINE
  • STRUCTURE & INTERACTION
ABOUT
  • INTRODUCTION
  • HISTORY
  • ORGANIZATION
  • PUBLICATIONS
  • ANTIBODY SUBMISSION
  • ANTIBODY AVAILABILITY
  • ACKNOWLEDGMENTS
  • CONTACT
NEWS
  • NEWS ARTICLES
  • PRESS ROOM
LEARN
  • DICTIONARY
  • PROTEIN CLASSES
  • PROTEIN EVIDENCE
  • METHODS
  • EDUCATIONAL VIDEOS
DATA
  • DOWNLOADABLE DATA
  • PUBLICATION DATA
  • RELEASE HISTORY
HELP
  • ANTIBODY VALIDATION
  • ASSAYS & ANNOTATION
  • DISCLAIMER
  • HELP & FAQ
  • PRIVACY STATEMENT
  • LICENCE & CITATION
Fields »
Search result

Field
Term
Gene name
Class
Subclass
Class
Keyword
Chromosome
External id
Tissue
Cell type
Expression
Antibody panel
Tissue
Main location
Patient ID
Annotation
Tissue
Category
Tau score
Cluster
Reliability
Brain region
Category
Tau score
Brain region
Category
Tau score
Brain region
Category
Tau score
Cluster
Reliability
Tissue
Cell type
Enrichment
Cell type
Category
Tau score
Cell type
Category
Tau score
Cell type
Category
Tau score
Cell lineage
Category
Tau score
Cluster
Cluster
Location
Searches
Location
Cell line
Class
Type
Phase
Reliability
Cancer
Prognosis
Cancer
Category
Cancer
Category
Tau score
Cluster
Variants
Interacting gene (ensg_id)
Type
Number of interactions
Pathway
Category
Score
Score
Score
Validation
Validation
Validation
Validation
Antibodies
Data type
Column


  • SUMMARY

  • TISSUE

  • BRAIN

  • SINGLE CELL

  • SUBCELL

  • CANCER

  • BLOOD

  • CELL LINE

  • STRUCT & INT

  • TJP1
BRAIN CEREBELLUM Show tissue menu
AMYGDALA BASAL GANGLIA CEREBELLUM CEREBRAL CORTEX CHOROID PLEXUS HIPPOCAMPAL FORMATION HYPOTHALAMUS MEDULLA OBLONGATA
MIDBRAIN OLFACTORY BULB PITUITARY GLAND PONS RETINA SPINAL CORD THALAMUS WHITE MATTER
ANTIBODIES
AND
VALIDATION
Brain proteome
Cerebellum
CEREBELLUM - Expression summary
Protein expression
Cerebellumi

On the top, protein expression in current human tissue, based on all annotated cell types, is reported with the units not detected (n), low (l), medium (m) and high (h). Underneath, protein expression in each annotated cell type are reported using the same units.

Protein expression data is based on knowledge-based annotation. For genes where more than one antibody has been used, a collective score is set.

If knowledge-based annotation could not be performed for a gene, no data is displayed here. View antibody staining data further down this page.

h
m
l
n
Cells in granular layer: Not detected
Cells in molecular layer: Not detected
Purkinje cells: Not detected
RNA expressioni

A summary of mRNA expression data available for current tissue based on several datasets. The mRNA expression levels in human tissues are based on RNA-seq data generated by the Human Protein Atlas (HPA), Genotype-Tissue Expression (GTEx) portal and CAGE data generated by the FANTOM5 consortium. Consensus normalized expression levels for human tissues was created by combining the data from HPA and GTEx datasets.

The mRNA expression levels in pig are based on RNA-seq data generated by the Human Protein Atlas (HPA), and for mouse, HPA data and in situ hybridization generated by the Allen brain atlas are reported.

Scroll down to view mRNA expression data in more detail.
Consensus:11.0 nTPM
HPA Brain:71.8 nTPM
GTEx:11.0 nTPM
FANTOM5:49.7 Scaled Tags Per Million
Pig:32.1 nTPM
Mouse:20.4 nTPM
Allen mouse:0.8 Expression energy

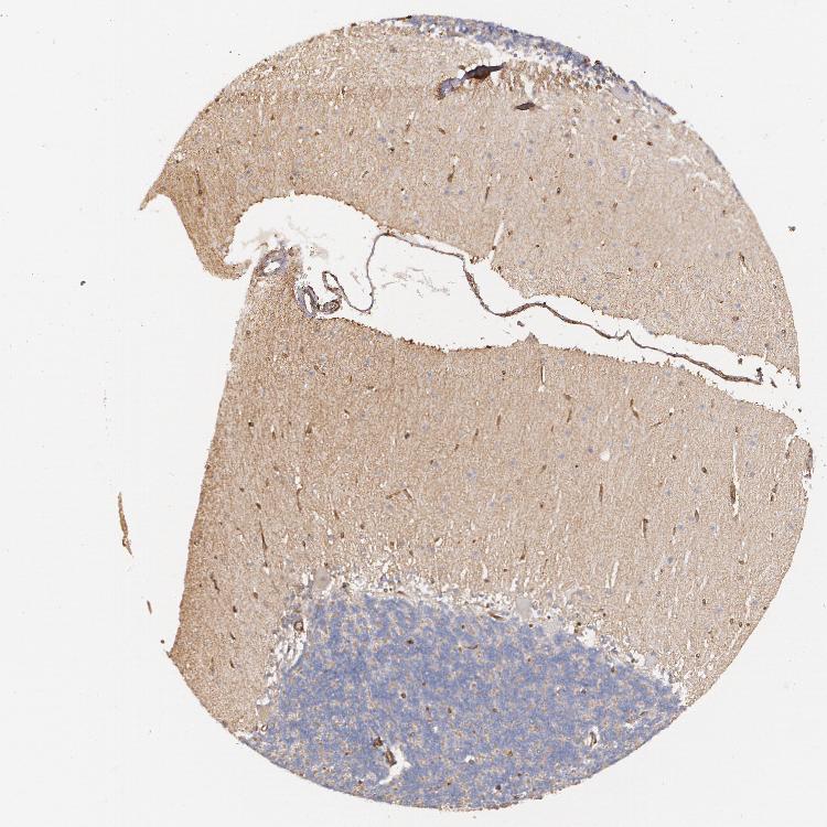
CEREBELLUM - Antibody stainingi

Antibody staining in the annotated cell types in the current human tissue is reported as not detected, low, medium, or high, based on conventional immunohistochemistry profiling in selected tissues. This score is based on the combination of the staining intensity and fraction of stained cells.

Each image is clickable and will lead to virtual microscopy that enables deeper exploration of all samples and also displays staining intensity scores, fraction scores and subcellular localization as well as patient and tissue information for each sample.

Antibody HPA001636Antibody HPA001637Antibody CAB010822
Purkinje cells Not detectedLowNot detected
Cells in granular layer Not detectedMediumNot detected
Cells in molecular layer Not detectedMediumNot detected







CEREBELLUM - HPA Brain RNA-seq
Max subtype nTPMi

Max subtype nTPM is the value for the subtype with the largest average nTPM across the subtype samples.

71.8
Sample id Sample description nTPM
Cerebellar cortex
nTPM: 37.6
2003 Female, age 85, right hemisphere 57.9
1769 Male, age 76, right hemisphere 40.5
1774 Male, age 80, left hemisphere 38.3
2006 Male, age 61, right hemisphere 36.6
1788 Male, age 55, unknown 33.7
2055 Female, age 91, right hemisphere 31.8
1768 Female, age 72, unknown 31.0
2101 Male, age 74, right hemisphere 30.9
Cerebellar nuclei
nTPM: 71.8
1871 Male, age 74, unknown 84.1
1879 Male, age 55, unknown 81.4
2005 Male, age 80, left hemisphere 77.7
2882 Male, age 76, left hemisphere 73.7
2175 Male, age 61, right hemisphere 70.7
2177 Female, age 85, both hemispheres 68.3
2783 Female, age 72, unknown 68.1
1966 Female, age 91, left hemisphere 63.5
2318 Male, age 74, left hemisphere 58.9
Flocculonodular lobe
nTPM: 35.1
1765 Male, age 55, unknown 40.7
1767 Male, age 76, left hemisphere 39.7
1771 Male, age 80, left hemisphere 34.9
2004 Male, age 61, right hemisphere 33.6
1835 Female, age 85, right hemisphere 32.6
2176 Female, age 91, right hemisphere 32.5
1792 Male, age 74, unknown 31.9
Vermis
nTPM: 35.1
1825 Male, age 74, unknown 43.4
2834 Male, age 80, left hemisphere 38.5
1751 Male, age 74, right hemisphere 36.3
1770 Male, age 76, left hemisphere 36.2
1778 Female, age 91, left hemisphere 35.5
2460 Male, age 61, both hemispheres 34.0
1766 Male, age 55, unknown 32.5
1928 Female, age 72, unknown 30.6
1988 Female, age 85, left hemisphere 28.8

CEREBELLUM - GTEx RNA-seqi

RNA-Seq data generated by the Genotype-Tissue Expression (GTEx) project from human tissues is reported as mean nTPM. More information can be found on the GTEx portal.

Distribution across the dataset is visualized with box plots, shown as median and 25th and 75th percentiles. Points are displayed as outliers if they are above or below 1.5 times the interquartile range. nTPM values of the individual samples are presented next to the box plot.
Max subtype nTPMi

Max subtype nTPM is the value for the subtype with the largest average nTPM across the subtype samples.

11.0
GTEx sample id Sample description nTPM
Brain - Cerebellar Hemisphere
Average nTPM: 8.9
Samples: 215

Max nTPM: 32.2
Min nTPM: 3.8
Std nTPM: 3.5
Median nTPM: 8.3
GTEX-14C39-0011-R11b-SM-5YYAF 40-49 years, male 32.2
GTEX-N7MT-0011-R11A-SM-2I3DZ 60-69 years, female 31.4
GTEX-16XZZ-0011-R11a-SM-7EPI3 60-69 years, male 20.4
GTEX-1CAV2-0011-R11a-SM-ARU8D 40-49 years, female 19.6
GTEX-1HUB1-0011-R11b-SM-CE6SC 60-69 years, male 19.3
GTEX-QDT8-0011-R11A-SM-32PKD 30-39 years, female 18.1
GTEX-OHPN-0011-R11A-SM-2I5FM 60-69 years, female 17.9
GTEX-139UW-0011-R11a-SM-5IJGN 60-69 years, male 17.8
GTEX-1IL2U-0011-R11a-SM-CE6SO 60-69 years, male 17.5
GTEX-1LKK1-0011-R11a-SM-EXOIG 50-59 years, female 17.0
GTEX-13PLJ-0011-R11b-SM-5O9BS 60-69 years, female 16.8
GTEX-1IOXB-0011-R11a-SM-A9G1X 50-59 years, male 14.4
GTEX-16NPV-0011-R11a-SM-7IGMK 50-59 years, female 14.3
GTEX-1J8Q2-0011-R11a-SM-A9SKI 60-69 years, male 14.0
GTEX-13PVQ-0011-R11a-SM-5O9DU 50-59 years, male 13.9
GTEX-14BIN-0011-R11a-SM-5SI79 50-59 years, female 13.3
GTEX-1JJEA-0011-R11a-SM-EXUTE 60-69 years, male 13.0
GTEX-1IL2V-0011-R11a-SM-ARU6T 70-79 years, male 12.9
GTEX-NPJ7-0011-R11A-SM-2I3E8 60-69 years, female 12.4
GTEX-131XW-0011-R11a-SM-5DUV9 50-59 years, female 12.3
GTEX-1BAJH-0011-R11b-SM-7IGLM 70-79 years, male 12.3
GTEX-ZF28-0011-R11a-SM-4WWEI 60-69 years, male 12.0
GTEX-Q2AG-0011-R11A-SM-2HMKZ 40-49 years, female 11.7
GTEX-183WM-0011-R11a-SM-718A5 70-79 years, female 11.5
GTEX-14E7W-0011-R11a-SM-5ZZVA 70-79 years, male 11.4
GTEX-R55E-0011-R11A-SM-2TC6I 20-29 years, male 11.4
GTEX-1F52S-0011-R11a-SM-CJI23 60-69 years, female 11.3
GTEX-12ZZX-0011-R11a-SM-5DUVJ 40-49 years, female 11.2
GTEX-13FTY-0011-R11a-SM-5IJEA 40-49 years, female 11.2
GTEX-QMR6-0011-R11A-SM-32PKK 50-59 years, male 11.2
GTEX-1GTWX-0011-R11b-SM-C1YQJ 60-69 years, male 11.2
GTEX-1GZHY-0011-R11a-SM-C1YRQ 50-59 years, female 11.2
GTEX-P44H-0011-R11A-SM-2XCER 40-49 years, male 10.9
GTEX-13N2G-0011-R11a-SM-5MR3F 60-69 years, male 10.8
GTEX-1GMRU-0011-R11b-SM-C1YQ4 50-59 years, male 10.8
GTEX-UTHO-0011-R11A-SM-3GIJE 60-69 years, male 10.7
GTEX-15DCD-0011-R11a-SM-D4P1R 70-79 years, female 10.7
GTEX-1GN73-0011-R11b-SM-9OSX4 60-69 years, male 10.7
GTEX-14DAQ-0011-R11a-SM-664NO 60-69 years, female 10.5
GTEX-15DYW-0011-R11a-SM-6LPIT 60-69 years, female 10.4
GTEX-13OVJ-0011-R11a-SM-5P9H8 50-59 years, female 10.3
GTEX-13QIC-0011-R11b-SM-5O9BU 60-69 years, female 10.3
GTEX-15ER7-0011-R11a-SM-6LPIL 20-29 years, female 10.3
GTEX-1GZ4I-0011-R11b-SM-9OSWR 50-59 years, male 10.3
GTEX-13X6K-0011-R11a-SM-5P9F5 60-69 years, female 10.2
GTEX-NPJ8-0011-R11A-SM-2YUMS 40-49 years, male 10.2
GTEX-1F48J-0011-R11b-SM-9OSWV 50-59 years, female 10.2
GTEX-11H98-0011-R11b-SM-5NQ6U 50-59 years, male 10.1
GTEX-1IKOH-0011-R11a-SM-AHZ38 60-69 years, female 10.0
GTEX-1JJ6O-0011-R11b-SM-EXUS2 60-69 years, male 10.0
GTEX-11WQC-0011-R11b-SM-57WD6 60-69 years, male 9.9
GTEX-17JCI-0011-R11a-SM-7189Y 60-69 years, female 9.9
GTEX-1IGQW-0011-R11a-SM-C1YRV 60-69 years, male 9.8
GTEX-12126-0011-R11a-SM-5BC6X 20-29 years, male 9.7
GTEX-13NZA-0011-R11b-SM-5KM4W 60-69 years, male 9.7
GTEX-16Z82-0011-R11a-SM-79OKJ 60-69 years, male 9.7
GTEX-1A3MX-0011-R11b-SM-7DUGP 60-69 years, male 9.7
GTEX-ZE7O-0011-R11a-SM-57WBC 50-59 years, female 9.7
GTEX-1HB9E-0011-R11b-SM-ARU79 50-59 years, male 9.6
GTEX-T6MN-0011-R11A-SM-32QOX 50-59 years, male 9.5
GTEX-1B8SG-0011-R11a-SM-7P8PF 50-59 years, male 9.5
GTEX-1I1GQ-0011-R11b-SM-CKZPA 50-59 years, male 9.5
GTEX-1IKK5-0011-R11a-SM-C1YRX 60-69 years, male 9.5
GTEX-1J8EW-0011-R11a-SM-AHZ37 60-69 years, female 9.5
GTEX-X585-0011-R11B-SM-46MUZ 50-59 years, male 9.3
GTEX-YFC4-0011-R11a-SM-4SOK6 40-49 years, female 9.3
GTEX-12WSD-0011-R11a-SM-9OSVC 60-69 years, female 9.3
GTEX-1H3NZ-0011-R11b-SM-CE6SF 60-69 years, male 9.3
GTEX-13JVG-0011-R11a-SM-5KM53 60-69 years, male 9.2
GTEX-X4XX-0011-R11A-SM-46MWQ 60-69 years, male 9.2
GTEX-11EI6-0011-R11a-SM-DO11V 60-69 years, male 9.2
GTEX-1H1DG-0011-R11a-SM-C1YQK 70-79 years, male 9.2
GTEX-1399T-0011-R11a-SM-5J2O1 60-69 years, male 9.1
GTEX-13JUV-0011-R11a-SM-5LZYH 40-49 years, female 9.1
GTEX-15G19-0011-R11b-SM-6LPIH 60-69 years, male 9.1
GTEX-17EVQ-0011-R11a-SM-7LT9C 70-79 years, male 9.1
GTEX-ZAB4-0011-R11a-SM-4SOKI 40-49 years, male 9.1
GTEX-18A6Q-0011-R11a-SM-72D6H 60-69 years, male 9.0
GTEX-TSE9-0011-R11A-SM-3DB7N 60-69 years, female 9.0
GTEX-13OVL-0011-R11b-SM-5L3G7 50-59 years, male 8.9
GTEX-ZVT3-0011-R11b-SM-57WBI 60-69 years, female 8.9
GTEX-1H3VE-0011-R11b-SM-C1YRP 40-49 years, male 8.9
GTEX-1IY9M-0011-R11b-SM-A96TI 60-69 years, male 8.9
GTEX-13OW5-0011-R11b-SM-5L3GG 60-69 years, male 8.8
GTEX-1GMR8-0011-R11b-SM-9OSX2 50-59 years, female 8.8
GTEX-16GPK-0011-R11b-SM-7MKFF 60-69 years, male 8.7
GTEX-1C64N-0011-R11b-SM-7P8Q6 50-59 years, male 8.7
GTEX-1CB4G-0011-R11a-SM-9OSWG 60-69 years, male 8.7
GTEX-1H1ZS-0011-R11a-SM-C1YQM 70-79 years, male 8.7
GTEX-13NYB-0011-R11a-SM-5KM3Q 40-49 years, male 8.6
GTEX-13SLW-0011-R11a-SM-5SI8Q 70-79 years, male 8.6
GTEX-1AX9I-0011-R11b-SM-7DHN4 60-69 years, male 8.6
GTEX-WZTO-0011-R11A-SM-4E3K9 40-49 years, male 8.6
GTEX-1M4P7-0011-R11b-SM-EXOIK 60-69 years, male 8.6
GTEX-13FHP-0011-R11b-SM-5LZXP 50-59 years, male 8.5
GTEX-15EO6-0011-R11b-SM-6M47M 50-59 years, male 8.5
GTEX-ZE9C-0011-R11a-SM-4WKGG 60-69 years, male 8.5
GTEX-1EKGG-0011-R11a-SM-9QEHZ 60-69 years, male 8.5
GTEX-1HSKV-0011-R11b-SM-AHZ2E 60-69 years, male 8.5
GTEX-1R9PO-0011-R11b-SM-EZ6NB 60-69 years, female 8.5
GTEX-12WSM-0011-R11a-SM-5DUX8 60-69 years, male 8.4
GTEX-13FXS-0011-R11a-SM-5L3DM 50-59 years, male 8.4
GTEX-13S7M-0011-R11b-SM-5P9HU 60-69 years, female 8.4
GTEX-1I1GR-0011-R11a-SM-CM2T5 60-69 years, male 8.4
GTEX-11GSP-0011-R11b-SM-5NQ7V 60-69 years, female 8.3
GTEX-13FHO-0011-R11b-SM-5LZYQ 60-69 years, male 8.3
GTEX-P44G-0011-R11A-SM-2I3FD 30-39 years, male 8.3
GTEX-11DXY-0011-R11a-SM-DNZZN 60-69 years, male 8.3
GTEX-1H3O1-0011-R11a-SM-A96RV 60-69 years, male 8.3
GTEX-1HBPI-0011-R11b-SM-CE6SH 50-59 years, male 8.3
GTEX-RU72-0011-R11A-SM-CM2U1 50-59 years, female 8.3
GTEX-131YS-0011-R11b-SM-5EGLM 60-69 years, female 8.2
GTEX-WHSE-0011-R11A-SM-3P5YY 20-29 years, male 8.2
GTEX-13CZV-0011-R11b-SM-5N9FN 60-69 years, male 8.1
GTEX-144GL-0011-R11b-SM-5P9F6 50-59 years, male 8.1
GTEX-145MI-0011-R11a-SM-5P9JZ 60-69 years, female 8.1
GTEX-X261-0011-R11A-SM-4E3JY 50-59 years, male 8.1
GTEX-11PRG-0011-R11b-SM-DNZZY 50-59 years, male 8.1
GTEX-1HGF4-0011-R11a-SM-C1YRR 60-69 years, male 8.1
GTEX-1J1OQ-0011-R11a-SM-A96S3 40-49 years, female 8.1
GTEX-1JMOU-0011-R11b-SM-EXUTA 60-69 years, female 8.1
GTEX-1LSVX-0011-R11b-SM-EXOIA 60-69 years, male 8.1
GTEX-13O3O-0011-R11b-SM-5KM4G 60-69 years, female 8.0
GTEX-15CHQ-0011-R11b-SM-686ZZ 60-69 years, male 8.0
GTEX-16YQH-0011-R11b-SM-7LT98 30-39 years, male 8.0
GTEX-17HG3-0011-R11b-SM-7KFT4 30-39 years, female 8.0
GTEX-RVPV-0011-R11A-SM-2TF6F 60-69 years, male 8.0
GTEX-1I1HK-0011-R11a-SM-B2LVN 60-69 years, male 8.0
GTEX-1I1GS-0011-R11a-SM-C1YRU 60-69 years, male 7.9
GTEX-13X6I-0011-R11a-SM-5P9HN 60-69 years, male 7.8
GTEX-17F97-0011-R11b-SM-7KFRQ 50-59 years, male 7.8
GTEX-NL3H-0011-R11A-SM-2I3E6 60-69 years, male 7.7
GTEX-Y8DK-0011-R11A-SM-4SOK2 60-69 years, male 7.7
GTEX-Z93S-0011-R11a-SM-4RGNN 50-59 years, male 7.7
GTEX-13RTJ-0011-R11a-SM-5O9CK 60-69 years, male 7.6
GTEX-S7SE-0011-R11A-SM-2XCDD 50-59 years, male 7.6
GTEX-1R9K4-0011-R11a-SM-EZ6N9 60-69 years, male 7.6
GTEX-13OVH-0011-R11b-SM-5KM4X 70-79 years, male 7.5
GTEX-13OW7-0011-R11a-SM-5O9DY 50-59 years, male 7.4
GTEX-1B8L1-0011-R11b-SM-793DJ 60-69 years, male 7.4
GTEX-WL46-0011-R11A-SM-3MJFT 50-59 years, male 7.4
GTEX-18465-0011-R11a-SM-72D78 50-59 years, male 7.3
GTEX-1B8SF-0011-R11a-SM-79OOP 60-69 years, male 7.3
GTEX-NL4W-0011-R11A-SM-2I3DW 50-59 years, male 7.3
GTEX-ZUA1-0011-R11b-SM-51MTI 40-49 years, male 7.3
GTEX-11ZTS-0011-R11a-SM-DO113 60-69 years, female 7.3
GTEX-1I1GV-0011-R11a-SM-CJI3Z 60-69 years, male 7.3
GTEX-13NYS-0011-R11b-SM-5MR4P 60-69 years, male 7.2
GTEX-14E6D-0011-R11b-SM-664NP 50-59 years, male 7.2
GTEX-WWYW-0011-R11A-SM-3NB38 50-59 years, female 7.2
GTEX-XMD1-0011-R11A-SM-4AT5J 60-69 years, male 7.2
GTEX-ZDXO-0011-R11a-SM-4WWD9 60-69 years, male 7.2
GTEX-1N2DW-0011-R11b-SM-EXOIL 50-59 years, male 7.2
GTEX-13CF2-0011-R11b-SM-5LZXO 60-69 years, male 7.1
GTEX-1KD4Q-0011-R11b-SM-EXOIE 40-49 years, male 7.1
GTEX-17EVP-0011-R11a-SM-7EWDL 40-49 years, male 7.0
GTEX-11DYG-0011-R11a-SM-DNZZP 60-69 years, male 7.0
GTEX-1E1VI-0011-R11a-SM-9OSWI 50-59 years, male 7.0
GTEX-1HFI6-0011-R11b-SM-A96RU 40-49 years, male 7.0
GTEX-14BIM-0011-R11b-SM-5S2RN 60-69 years, female 6.9
GTEX-131XH-0011-R11a-SM-5EGLN 50-59 years, male 6.8
GTEX-1LVAO-0011-R11b-SM-EXOI8 60-69 years, male 6.8
GTEX-13G51-0011-R11b-SM-5J2NE 60-69 years, male 6.7
GTEX-13VXU-0011-R11b-SM-5O9DJ 50-59 years, male 6.7
GTEX-T2IS-0011-R11A-SM-32QPC 20-29 years, female 6.7
GTEX-WVLH-0011-R11A-SM-3MJFO 50-59 years, male 6.7
GTEX-1ICLZ-0011-R11a-SM-CJI3N 60-69 years, male 6.7
GTEX-1N2EE-0011-R11b-SM-EXOIJ 60-69 years, male 6.7
GTEX-13SLX-0011-R11b-SM-5O9C8 50-59 years, female 6.6
GTEX-18464-0011-R11a-SM-72D76 50-59 years, male 6.6
GTEX-1EMGI-0011-R11b-SM-9OSWX 60-69 years, male 6.6
GTEX-13OW8-0011-R11a-SM-5L3GT 60-69 years, male 6.5
GTEX-145LU-0011-R11b-SM-5P9JX 50-59 years, male 6.5
GTEX-1F75W-0011-R11b-SM-AHZ34 60-69 years, male 6.5
GTEX-1GF9W-0011-R11b-SM-9OSXG 60-69 years, male 6.5
GTEX-1HCU6-0011-R11b-SM-AHZ2F 60-69 years, female 6.5
GTEX-13OW6-0011-R11a-SM-5L3H2 50-59 years, male 6.4
GTEX-14ABY-0011-R11a-SM-5SI7C 50-59 years, male 6.4
GTEX-1F6I4-0011-R11b-SM-9OSWS 60-69 years, male 6.4
GTEX-1IDJH-0011-R11b-SM-C1YRT 70-79 years, male 6.4
GTEX-14C5O-0011-R11b-SM-6872H 60-69 years, male 6.3
GTEX-1I19N-0011-R11b-SM-ARU6Y 70-79 years, male 6.3
GTEX-12WSE-0011-R11b-SM-5P9JW 20-29 years, male 6.2
GTEX-14PN4-0011-R11a-SM-686ZW 50-59 years, male 6.2
GTEX-ZVZQ-0011-R11a-SM-51MS6 60-69 years, female 6.2
GTEX-1H1CY-0011-R11a-SM-C1YQR 60-69 years, female 6.2
GTEX-11OF3-0011-R11a-SM-57WCR 60-69 years, male 6.1
GTEX-12WSH-0011-R11a-SM-5LZVM 50-59 years, male 6.1
GTEX-12ZZZ-0011-R11a-SM-5EGLC 60-69 years, male 6.1
GTEX-1F7RK-0011-R11b-SM-9QEI2 20-29 years, female 6.0
GTEX-1JMQJ-0011-R11a-SM-EXOJY 50-59 years, male 6.0
GTEX-1LG7Y-0011-R11a-SM-EXOIH 50-59 years, male 6.0
GTEX-X4EP-0011-R11B-SM-4QASK 60-69 years, female 5.9
GTEX-11DZ1-0011-R11b-SM-DO11W 50-59 years, male 5.9
GTEX-11EMC-0011-R11b-SM-DNZZK 60-69 years, female 5.9
GTEX-11TTK-0011-R11b-SM-DO112 60-69 years, female 5.8
GTEX-139TT-0011-R11b-SM-5LZV1 60-69 years, male 5.7
GTEX-12WSF-0011-R11a-SM-5LZVT 70-79 years, male 5.6
GTEX-145MH-0011-R11a-SM-5P9HQ 50-59 years, male 5.6
GTEX-13O3Q-0011-R11b-SM-5KM2W 50-59 years, male 5.5
GTEX-14ASI-0011-R11b-SM-6AJBJ 60-69 years, male 5.5
GTEX-12WSC-0011-R11a-SM-5GU5J 50-59 years, male 5.4
GTEX-12WSI-0011-R11b-SM-5P9EZ 50-59 years, male 5.4
GTEX-YJ89-0011-R11a-SM-4SOKA 60-69 years, male 5.4
GTEX-1H4P4-0011-R11b-SM-CE6S8 50-59 years, male 5.4
GTEX-1F75A-0011-R11a-SM-AHZ35 50-59 years, male 5.3
GTEX-13X6J-0011-R11a-SM-5P9HE 50-59 years, male 5.2
GTEX-N7MS-0011-R11A-SM-2HMJS 60-69 years, male 5.2
GTEX-17HII-0011-R11b-SM-7KFSX 50-59 years, male 5.1
GTEX-1B933-0011-R11a-SM-7P8PM 50-59 years, female 5.0
GTEX-1313W-0011-R11a-SM-5DUXN 50-59 years, female 4.5
GTEX-11ZUS-0011-R11b-SM-5BC7B 30-39 years, male 4.4
GTEX-T5JC-0011-R11A-SM-32PMB 20-29 years, male 4.4
GTEX-13FLV-0011-R11a-SM-5LZZ7 50-59 years, male 4.2
GTEX-132Q8-0011-R11b-SM-5DUW9 60-69 years, male 3.8
Show allShow less
Brain - Cerebellum
Average nTPM: 11.0
Samples: 241

Max nTPM: 32.5
Min nTPM: 4.6
Std nTPM: 3.8
Median nTPM: 10.2
GTEX-1EH9U-3126-SM-7MXU5 60-69 years, male 32.5
GTEX-14PJO-2926-SM-686ZI 60-69 years, male 32.3
GTEX-1BAJH-3126-SM-7MGXY 70-79 years, male 26.0
GTEX-OHPN-2626-SM-2I5H1 60-69 years, female 24.3
GTEX-1E2YA-2926-SM-7MGWX 50-59 years, male 24.3
GTEX-16XZZ-2926-SM-6LPK4 60-69 years, male 22.1
GTEX-1H3VE-2826-SM-9WPOL 40-49 years, male 21.9
GTEX-1EWIQ-3026-SM-7IGOJ 70-79 years, female 19.7
GTEX-1A8G7-3026-SM-73KTT 60-69 years, male 19.4
GTEX-R55E-2526-SM-2TC6H 20-29 years, male 19.0
GTEX-1269C-3126-SM-5EGI6 60-69 years, female 18.2
GTEX-1KANB-3226-SM-D4P3G 50-59 years, male 17.8
GTEX-14A5I-2826-SM-5SIBF 50-59 years, female 17.7
GTEX-1E1VI-2926-SM-7IGLT 50-59 years, male 17.7
GTEX-NPJ7-2826-SM-2I3FU 60-69 years, female 17.2
GTEX-15SHU-3026-SM-6LPIB 40-49 years, female 16.9
GTEX-18A6Q-2826-SM-7LTAO 60-69 years, male 16.5
GTEX-13JUV-3026-SM-5K7WX 40-49 years, female 16.3
GTEX-12WSD-3026-SM-5LZU7 60-69 years, female 15.7
GTEX-1F6IF-3026-SM-7P8QN 60-69 years, male 15.7
GTEX-1RNSC-3126-SM-EVR4V 60-69 years, male 15.3
GTEX-QDT8-3026-SM-32PKB 30-39 years, female 15.2
GTEX-1RDX4-3226-SM-DPS14 50-59 years, female 15.2
GTEX-1GF9V-3026-SM-7P8R8 60-69 years, male 15.1
GTEX-RNOR-2226-SM-2TF5O 50-59 years, female 15.0
GTEX-ZF28-2926-SM-4WKG1 60-69 years, male 14.9
GTEX-1JJE9-3026-SM-CNNPA 70-79 years, male 14.9
GTEX-RU72-2926-SM-2TF66 50-59 years, female 14.7
GTEX-QMR6-1326-SM-32PLB 50-59 years, male 14.6
GTEX-1H3NZ-2926-SM-9WPQ8 60-69 years, male 14.6
GTEX-144GL-2926-SM-5O99F 50-59 years, male 14.5
GTEX-17JCI-3026-SM-7EWDR 60-69 years, female 14.5
GTEX-1IL2V-3026-SM-CYPSA 70-79 years, male 14.1
GTEX-YFC4-3026-SM-5IFJK 40-49 years, female 14.0
GTEX-14C39-3026-SM-5S2QE 40-49 years, male 13.8
GTEX-P44H-2426-SM-2XCEJ 40-49 years, male 13.6
GTEX-PVOW-2626-SM-32PL8 40-49 years, male 13.6
GTEX-ZVT3-2926-SM-5GU6M 60-69 years, female 13.6
GTEX-11GSO-3026-SM-5Q5AL 60-69 years, male 13.5
GTEX-1QEPI-3026-SM-EXOIW 60-69 years, female 13.5
GTEX-PWO3-1026-SM-2I5F2 60-69 years, female 13.4
GTEX-1GZ4I-2926-SM-9JGGO 50-59 years, male 13.0
GTEX-11EI6-2926-SM-5985U 60-69 years, male 12.9
GTEX-1CB4H-3026-SM-79OLX 60-69 years, female 12.9
GTEX-145MG-3126-SM-5Q5D3 50-59 years, male 12.8
GTEX-Q2AG-2826-SM-2HMJQ 40-49 years, female 12.8
GTEX-1KWVE-2226-SM-CXZKN 30-39 years, male 12.8
GTEX-ZYY3-3026-SM-5GIEJ 60-69 years, female 12.7
GTEX-1F48J-2726-SM-7P8PW 50-59 years, female 12.7
GTEX-1GTWX-2926-SM-7MXV4 60-69 years, male 12.7
GTEX-13X6K-2826-SM-5O9DS 60-69 years, female 12.6
GTEX-1F52S-3026-SM-7P8PV 60-69 years, female 12.6
GTEX-14JFF-2826-SM-6871Q 60-69 years, male 12.5
GTEX-16Z82-2926-SM-6LPJJ 60-69 years, male 12.5
GTEX-1HCVE-2926-SM-9WPPJ 50-59 years, male 12.5
GTEX-1HSMO-2926-SM-C1YR5 60-69 years, male 12.5
GTEX-1RQEC-3026-SM-DPRXM 60-69 years, male 12.5
GTEX-13OW6-2926-SM-5KM29 50-59 years, male 12.4
GTEX-P44G-2526-SM-2I5EK 30-39 years, male 12.4
GTEX-14BMV-2926-SM-5TDEE 50-59 years, male 12.3
GTEX-11ONC-3026-SM-5985W 60-69 years, male 12.2
GTEX-1JJ6O-3026-SM-C1YQH 60-69 years, male 12.2
GTEX-1JMLX-3026-SM-EV79Q 50-59 years, male 12.2
GTEX-ZZPT-2926-SM-5EQ5S 50-59 years, male 12.1
GTEX-1PWST-3026-SM-EAZ3H 70-79 years, male 12.1
GTEX-NPJ8-2626-SM-2D7W2 40-49 years, male 12.0
GTEX-1KD4Q-3026-SM-EV7A7 40-49 years, male 12.0
GTEX-12ZZX-2826-SM-5BC6K 40-49 years, female 11.9
GTEX-13N2G-3126-SM-5IJGL 60-69 years, male 11.8
GTEX-13OVJ-2726-SM-5IJG6 50-59 years, female 11.8
GTEX-1H1DG-2826-SM-9JGHB 70-79 years, male 11.8
GTEX-1HB9E-3126-SM-AHZ4M 50-59 years, male 11.8
GTEX-111FC-3326-SM-5GZYV 60-69 years, male 11.7
GTEX-14DAQ-3026-SM-5S2QZ 60-69 years, female 11.7
GTEX-ZAB4-2926-SM-57WCV 40-49 years, male 11.7
GTEX-13FHO-2926-SM-5L3ES 60-69 years, male 11.6
GTEX-13FHP-2926-SM-5IJG9 50-59 years, male 11.6
GTEX-13PVQ-2926-SM-5L3HJ 50-59 years, male 11.6
GTEX-15DYW-3026-SM-7KFRM 60-69 years, female 11.6
GTEX-17HHY-2926-SM-79OJW 50-59 years, male 11.6
GTEX-Y8DK-0726-SM-4TT3S 60-69 years, male 11.6
GTEX-1HBPH-3026-SM-9WPNY 40-49 years, female 11.6
GTEX-1R46S-3126-SM-DPRZ9 60-69 years, female 11.6
GTEX-11DXY-3126-SM-5N9BT 60-69 years, male 11.5
GTEX-11PRG-2826-SM-5BC54 50-59 years, male 11.5
GTEX-13OVL-3026-SM-5IJF1 50-59 years, male 11.5
GTEX-1A3MX-2926-SM-718B7 60-69 years, male 11.5
GTEX-11DYG-2926-SM-5H132 60-69 years, male 11.4
GTEX-147GR-3126-SM-5S2PM 60-69 years, male 11.4
GTEX-1C64N-3126-SM-79OO3 50-59 years, male 11.4
GTEX-1H1ZS-2926-SM-9WPP2 70-79 years, male 11.4
GTEX-1HSKV-2926-SM-B2LWJ 60-69 years, male 11.4
GTEX-1JMPZ-2826-SM-C1YRA 30-39 years, male 11.4
GTEX-132Q8-2926-SM-5IFFP 60-69 years, male 11.3
GTEX-17EVQ-2726-SM-7EWDT 70-79 years, male 11.3
GTEX-17HG3-2826-SM-7EPGO 30-39 years, female 11.3
GTEX-1A8G6-3126-SM-731D8 60-69 years, male 11.3
GTEX-11ZVC-3026-SM-59HJM 50-59 years, female 11.2
GTEX-14E7W-2926-SM-5S2R8 70-79 years, male 11.2
GTEX-183WM-2726-SM-7KFRF 70-79 years, female 11.1
GTEX-1JMOU-2826-SM-EV79R 60-69 years, female 11.1
GTEX-14PJM-3026-SM-6LLHM 50-59 years, female 11.0
GTEX-1JN1M-3126-SM-AHZ4E 60-69 years, female 11.0
GTEX-1C6VR-3026-SM-7IGLW 60-69 years, male 10.9
GTEX-11TTK-2826-SM-5GU5K 60-69 years, female 10.8
GTEX-13JVG-3226-SM-5IJGJ 60-69 years, male 10.8
GTEX-1CB4G-2926-SM-7MKFQ 60-69 years, male 10.8
GTEX-1B996-2926-SM-7MXUH 60-69 years, male 10.8
GTEX-1128S-2826-SM-5N9DI 60-69 years, female 10.7
GTEX-13X6I-2926-SM-5Q5C3 60-69 years, male 10.7
GTEX-N7MT-1226-SM-DKPOK 60-69 years, female 10.7
GTEX-11EMC-3326-SM-5P9JH 60-69 years, female 10.6
GTEX-1GZHY-3026-SM-7MXVA 50-59 years, female 10.6
GTEX-11DZ1-2926-SM-5A5KI 50-59 years, male 10.5
GTEX-11OC5-0626-SM-5HL6M 60-69 years, male 10.5
GTEX-1I1HK-2726-SM-AHZ2M 60-69 years, male 10.5
GTEX-139TT-2626-SM-5LZUB 60-69 years, male 10.4
GTEX-15ER7-3026-SM-6M47W 20-29 years, female 10.4
GTEX-QVUS-2926-SM-3GIJB 60-69 years, female 10.3
GTEX-13X6J-2926-SM-7EPGP 50-59 years, male 10.2
GTEX-T6MN-2526-SM-32PMN 50-59 years, male 10.2
GTEX-1GN73-3026-SM-7MXV8 60-69 years, male 10.2
GTEX-1I1GV-3026-SM-CNNR9 60-69 years, male 10.2
GTEX-12WSM-2126-SM-5GCOC 60-69 years, male 10.1
GTEX-1H1CY-3026-SM-9OSW7 60-69 years, female 10.1
GTEX-1HBPI-2726-SM-9WPPF 50-59 years, male 10.1
GTEX-12126-0926-SM-5FQTW 20-29 years, male 10.0
GTEX-147F4-3026-SM-5Q5BJ 50-59 years, male 10.0
GTEX-15G19-2826-SM-6M48K 60-69 years, male 10.0
GTEX-1EX96-3126-SM-9JGGC 50-59 years, male 10.0
GTEX-11DXW-1026-SM-5H11K 40-49 years, male 9.9
GTEX-1399T-3126-SM-5IJFS 60-69 years, male 9.9
GTEX-13O3O-3026-SM-5KM42 60-69 years, female 9.9
GTEX-1EU9M-2926-SM-793DF 60-69 years, male 9.9
GTEX-WVLH-2926-SM-3MJG5 50-59 years, male 9.9
GTEX-117XS-3126-SM-5GIDP 60-69 years, male 9.8
GTEX-T2IS-2926-SM-32QPO 20-29 years, female 9.8
GTEX-1JJEA-2926-SM-C1YSK 60-69 years, male 9.8
GTEX-139TS-3126-SM-5LZWX 60-69 years, male 9.7
GTEX-13CF2-3026-SM-5IFFX 60-69 years, male 9.7
GTEX-14BIN-3326-SM-5Q5E6 50-59 years, female 9.7
GTEX-11NUK-3026-SM-5986K 50-59 years, male 9.6
GTEX-145MF-2826-SM-7EPGU 50-59 years, male 9.6
GTEX-14E6D-2926-SM-664OP 50-59 years, male 9.6
GTEX-16YQH-2926-SM-6LPJE 30-39 years, male 9.6
GTEX-QVJO-1325-SM-2S1QX 60-69 years, female 9.6
GTEX-S7SE-2526-SM-2XCDL 50-59 years, male 9.6
GTEX-WZTO-2826-SM-3NM8P 40-49 years, male 9.6
GTEX-1QP6S-3026-SM-EAZ4N 40-49 years, male 9.6
GTEX-13FXS-3026-SM-5LZYO 50-59 years, male 9.5
GTEX-13S7M-3026-SM-5S2QQ 60-69 years, female 9.5
GTEX-1B933-3026-SM-731DB 50-59 years, female 9.5
GTEX-1F6I4-3026-SM-7P8SI 60-69 years, male 9.5
GTEX-13OW5-3126-SM-5MR3Y 60-69 years, male 9.4
GTEX-14ASI-2926-SM-5Q5DG 60-69 years, male 9.4
GTEX-1IDJH-3126-SM-C1YQS 70-79 years, male 9.4
GTEX-1P4AB-3026-SM-EXOJS 50-59 years, male 9.4
GTEX-1B8SG-1926-SM-73KUB 50-59 years, male 9.3
GTEX-TSE9-2926-SM-3DB77 60-69 years, female 9.3
GTEX-14JG1-2926-SM-686ZK 40-49 years, male 9.2
GTEX-17F97-2926-SM-7DUEQ 50-59 years, male 9.2
GTEX-1GZ2Q-3026-SM-9JGG3 40-49 years, male 9.2
GTEX-1H3O1-1826-SM-A96TO 60-69 years, male 9.2
GTEX-1POEN-2726-SM-E9U6B 30-39 years, female 9.2
GTEX-11GSP-3126-SM-5A5LL 60-69 years, female 9.1
GTEX-11ZUS-2826-SM-5EQKW 30-39 years, male 9.1
GTEX-13OW7-2926-SM-5MR3Z 50-59 years, male 9.1
GTEX-XMD1-2826-SM-4AT5F 60-69 years, male 9.1
GTEX-YJ89-2926-SM-5P9IT 60-69 years, male 9.1
GTEX-1IKOH-2826-SM-CNNRC 60-69 years, female 9.1
GTEX-11NV4-2226-SM-5BC4T 60-69 years, male 9.0
GTEX-WWYW-3026-SM-3NB36 50-59 years, female 9.0
GTEX-1NV8Z-3026-SM-DTX8Z 60-69 years, male 9.0
GTEX-12ZZZ-3126-SM-5LZU6 60-69 years, male 8.9
GTEX-13OVH-2926-SM-5IJFH 70-79 years, male 8.9
GTEX-13RTJ-3126-SM-5S2Q4 60-69 years, male 8.9
GTEX-145LS-3026-SM-5O99S 60-69 years, female 8.9
GTEX-17HII-2926-SM-79OMK 50-59 years, male 8.9
GTEX-ZAJG-3026-SM-5HL92 50-59 years, female 8.9
GTEX-1I1CD-2926-SM-A96SJ 60-69 years, female 8.9
GTEX-1IY9M-3126-SM-AHZ3A 60-69 years, male 8.9
GTEX-12ZZY-2926-SM-5DUXO 60-69 years, male 8.8
GTEX-N7MS-2526-SM-2D7W3 60-69 years, male 8.8
GTEX-X4XX-2926-SM-3NMB1 60-69 years, male 8.8
GTEX-Z93S-2826-SM-57WBL 50-59 years, male 8.8
GTEX-1EKGG-3126-SM-9WPO5 60-69 years, male 8.8
GTEX-13G51-3126-SM-5IJG7 60-69 years, male 8.7
GTEX-11ZTS-3226-SM-5EGID 60-69 years, female 8.6
GTEX-18465-2926-SM-7KFSE 50-59 years, male 8.5
GTEX-ZDXO-2926-SM-4WKFM 60-69 years, male 8.5
GTEX-1JMQK-2926-SM-D4P2T 60-69 years, male 8.5
GTEX-17EVP-2926-SM-793BU 40-49 years, male 8.4
GTEX-1GF9W-2726-SM-9JGGW 60-69 years, male 8.4
GTEX-12WSH-3126-SM-5LZW8 50-59 years, male 8.3
GTEX-15EO6-2926-SM-6M48D 50-59 years, male 8.3
GTEX-ZYFD-2926-SM-5GID9 50-59 years, male 8.3
GTEX-ZAK1-2926-SM-5HL9S 50-59 years, female 8.2
GTEX-1PIIG-2826-SM-DTX7O 30-39 years, male 8.2
GTEX-13O3Q-3026-SM-5IJGD 50-59 years, male 8.1
GTEX-14ABY-3026-SM-664NE 50-59 years, male 8.1
GTEX-UTHO-2926-SM-3P5Z9 60-69 years, male 8.1
GTEX-13112-2926-SM-5DUWT 50-59 years, male 8.0
GTEX-XLM4-2926-SM-4AT59 60-69 years, male 8.0
GTEX-1B8L1-3226-SM-7P8OX 60-69 years, male 8.0
GTEX-1F75W-3126-SM-7P8SJ 60-69 years, male 8.0
GTEX-1LSVX-2826-SM-EVR58 60-69 years, male 8.0
GTEX-13QIC-3026-SM-5LU58 60-69 years, female 7.9
GTEX-14PN4-3026-SM-664O4 50-59 years, male 7.9
GTEX-X261-3126-SM-4PQZC 50-59 years, male 7.9
GTEX-1EMGI-3126-SM-7MXUR 60-69 years, male 7.9
GTEX-1H4P4-2726-SM-9JGGB 50-59 years, male 7.9
GTEX-13OW8-2926-SM-5L3FV 60-69 years, male 7.8
GTEX-145LU-2626-SM-5LU9Z 50-59 years, male 7.8
GTEX-1B8SF-3026-SM-731DX 60-69 years, male 7.7
GTEX-14BIM-3126-SM-5Q5C7 60-69 years, female 7.6
GTEX-Y111-2826-SM-4TT3O 50-59 years, male 7.6
GTEX-1192X-3226-SM-5987D 50-59 years, male 7.5
GTEX-13SLX-3226-SM-5YYA6 50-59 years, female 7.5
GTEX-1LG7Y-3126-SM-EV7AS 50-59 years, male 7.5
GTEX-ZUA1-2926-SM-59HL3 40-49 years, male 7.4
GTEX-X4EP-3026-SM-3P5YP 60-69 years, female 7.1
GTEX-1J1OQ-3126-SM-D4P2O 40-49 years, female 7.1
GTEX-11O72-2826-SM-5HL6W 40-49 years, male 7.0
GTEX-14JIY-2326-SM-6AJAJ 60-69 years, male 7.0
GTEX-12WSC-2926-SM-5BC5Z 50-59 years, male 6.9
GTEX-131YS-3026-SM-5EGHY 60-69 years, female 6.9
GTEX-13VXU-3026-SM-5LU3K 50-59 years, male 6.8
GTEX-1JMQJ-3126-SM-EV79G 50-59 years, male 6.7
GTEX-1R9PO-2826-SM-E6CPV 60-69 years, female 6.6
GTEX-1313W-3026-SM-5LZUZ 50-59 years, female 6.5
GTEX-14C5O-2926-SM-5RQI1 60-69 years, male 6.4
GTEX-WL46-2826-SM-3LK81 50-59 years, male 6.4
GTEX-145MH-2926-SM-5Q5D2 50-59 years, male 6.3
GTEX-1F75A-2926-SM-7MXVN 50-59 years, male 6.2
GTEX-13NYB-3226-SM-5J2ND 40-49 years, male 6.1
GTEX-1MJK2-3026-SM-EV7A5 50-59 years, male 6.1
GTEX-131XH-2926-SM-5LZU4 50-59 years, male 6.0
GTEX-12WSE-2926-SM-5RQJ9 20-29 years, male 5.4
GTEX-WHSE-2926-SM-3NMBG 20-29 years, male 5.4
GTEX-1C6WA-3326-SM-7MKGN 60-69 years, male 4.6
GTEX-T5JC-2326-SM-32PMR 20-29 years, male 4.6
Show allShow less

CEREBELLUM - FANTOM5 CAGEi

RNA expression in human tissues obtained through Cap Analysis of Gene Expression (CAGE) generated by the FANTOM5 project are reported as Scaled Tags Per Million.

Max subtype Scaled Tags Per Millioni

Max subtype Scaled Tags Per Million is the value for the subtype with the largest average Scaled Tags Per Million across the subtype samples.

49.7
FANTOM5 sample id Sample description Scaled Tags Per Million
Cerebellum
Scaled Tags Per Million: 49.7
FF:10166-103B4 76 years, female 60.6
FF:10083-102B2 22-68 years, mixed 38.8

CEREBELLUM - Pig RNA-seqi

RNA-seq data obtained from pig brain is reported as nTPM .

Normal distribution across the dataset is visualized with box plots, shown as median and 25th and 75th percentiles. Points are displayed as outliers if they are above or below 1.5 times the interquartile range. nTPM values of the individual samples are presented next to the box plot.
Max subtype nTPMi

Max subtype nTPM is the value for the subtype with the largest average nTPM across the subtype samples.

32.1
Pig sample Sample description nTPM
Cerebellum
nTPM: 32.0
Samples: 4

Max nTPM: 45.4
Min nTPM: 25.2
Sample A Female 45.4
Sample B Female 30.4
Sample C Male 25.2
Sample D Male 27.1

CEREBELLUM - Mouse RNA-seqi

RNA-seq data obtained from mouse brain is reported as nTPM .

Normal distribution across the dataset is visualized with box plots, shown as median and 25th and 75th percentiles. Points are displayed as outliers if they are above or below 1.5 times the interquartile range. nTPM values of the individual samples are presented next to the box plot.
Max subtype nTPMi

Max subtype nTPM is the value for the subtype with the largest average nTPM across the subtype samples.

20.4
Mouse sample Sample description nTPM
Cerebellum
nTPM: 20.3
Samples: 4

Max nTPM: 21.5
Min nTPM: 19.4
Sample A Male 19.4
Sample B Male 20.3
Sample C Female 21.5
Sample D Female 20.1

CEREBELLUM - Allen Mouse ISHi

In situ hybridization (ISH) data generated by the Allen brain atlas from mouse brain is reported as expression energy. For more details about a particular experiment, click on the corresponding Allen experiment ID.

Max subtype Expression energyi

Max subtype Expression energy is the value for the subtype with the largest average Expression energy across the subtype samples.

0.8
Allen experiment id Experiment description Expression energy
Cerebellum
Expression energy: 0.8
69981013 Antisense, RP_050512_04_E02, Mouse strain C57BL/6J (56 days, male) 0.8

Contact

  • NEWS ARTICLES
  • PRESS ROOM

The Project

  • INTRODUCTION
  • ORGANIZATION
  • PUBLICATIONS

The Human Protein Atlas

  • DOWNLOADABLE DATA
  • LICENCE & CITATION
  • HELP & FAQ
The Human Protein Atlas project is funded
by the Knut & Alice Wallenberg Foundation.


contact@proteinatlas.org