We use cookies to enhance the usability of our website. If you continue, we'll assume that you are happy to receive all cookies. More information. Don't show this again.
TJP1
HPA
RESOURCES
  • TISSUE
  • BRAIN
  • SINGLE CELL
  • SUBCELLULAR
  • CANCER
  • BLOOD
  • CELL LINE
  • STRUCTURE & INTERACTION
ABOUT
  • INTRODUCTION
  • HISTORY
  • ORGANIZATION
  • PUBLICATIONS
  • ANTIBODY SUBMISSION
  • ANTIBODY AVAILABILITY
  • ACKNOWLEDGMENTS
  • CONTACT
NEWS
  • NEWS ARTICLES
  • PRESS ROOM
LEARN
  • DICTIONARY
  • PROTEIN CLASSES
  • PROTEIN EVIDENCE
  • METHODS
  • EDUCATIONAL VIDEOS
DATA
  • DOWNLOADABLE DATA
  • PUBLICATION DATA
  • RELEASE HISTORY
HELP
  • ANTIBODY VALIDATION
  • ASSAYS & ANNOTATION
  • DISCLAIMER
  • HELP & FAQ
  • PRIVACY STATEMENT
  • LICENCE & CITATION
Fields »
Search result

Field
Term
Gene name
Class
Subclass
Class
Keyword
Chromosome
External id
Tissue
Cell type
Expression
Antibody panel
Tissue
Main location
Patient ID
Annotation
Tissue
Category
Tau score
Cluster
Reliability
Brain region
Category
Tau score
Brain region
Category
Tau score
Brain region
Category
Tau score
Cluster
Reliability
Tissue
Cell type
Enrichment
Cell type
Category
Tau score
Cell type
Category
Tau score
Cell type
Category
Tau score
Cell lineage
Category
Tau score
Cluster
Cluster
Location
Searches
Location
Cell line
Class
Type
Phase
Reliability
Cancer
Prognosis
Cancer
Category
Cancer
Category
Tau score
Cluster
Variants
Interacting gene (ensg_id)
Type
Number of interactions
Pathway
Category
Score
Score
Score
Validation
Validation
Validation
Validation
Antibodies
Data type
Column


  • SUMMARY

  • TISSUE

  • BRAIN

  • SINGLE CELL

  • SUBCELL

  • CANCER

  • BLOOD

  • CELL LINE

  • STRUCT & INT

  • TJP1
TISSUE PRIMARY DATA BREAST Show tissue menu
ADIPOSE TISSUE ADRENAL GLAND AMYGDALA APPENDIX BASAL GANGLIA BONE MARROW BREAST BRONCHUS CEREBELLUM CEREBRAL CORTEX CERVIX CHOROID PLEXUS COLON DUODENUM
ENDOMETRIUM EPIDIDYMIS ESOPHAGUS FALLOPIAN TUBE GALLBLADDER HEART MUSCLE HIPPOCAMPAL FORMATION HYPOTHALAMUS KIDNEY LIVER LUNG LYMPH NODE MIDBRAIN NASOPHARYNX
ORAL MUCOSA OVARY PANCREAS PARATHYROID GLAND PITUITARY GLAND PLACENTA PROSTATE RECTUM RETINA SALIVARY GLAND SEMINAL VESICLE SKELETAL MUSCLE SKIN SMALL INTESTINE
SMOOTH MUSCLE SOFT TISSUE SPINAL CORD SPLEEN STOMACH TESTIS THYMUS THYROID GLAND TONGUE TONSIL URINARY BLADDER VAGINA
ANTIBODIES
AND
VALIDATION
Dictionary
Breast
Tissue proteome
Breast
BREAST - Expression summary
Protein expression
Breasti

On the top, protein expression in current human tissue, based on all annotated cell types, is reported with the units not detected (n), low (l), medium (m) and high (h). Underneath, protein expression in each annotated cell type are reported using the same units.

Protein expression data is based on knowledge-based annotation. For genes where more than one antibody has been used, a collective score is set.

If knowledge-based annotation could not be performed for a gene, no data is displayed here. View antibody staining data further down this page.

h
m
l
n
Adipocytes: Not detected
Glandular cells: Low
Myoepithelial cells: Not detected
RNA expressioni

A summary of mRNA expression data available for current tissue based on several datasets. The mRNA expression levels in human tissues are based on RNA-seq data generated by the Human Protein Atlas (HPA), Genotype-Tissue Expression (GTEx) portal and CAGE data generated by the FANTOM5 consortium. Consensus normalized expression levels for human tissues was created by combining the data from HPA and GTEx datasets.

The mRNA expression levels in pig are based on RNA-seq data generated by the Human Protein Atlas (HPA), and for mouse, HPA data and in situ hybridization generated by the Allen brain atlas are reported.

Scroll down to view mRNA expression data in more detail.
Consensus:29.8 nTPM
HPA:8.4 nTPM
GTEx:29.8 nTPM
FANTOM5:88.7 Scaled Tags Per Million

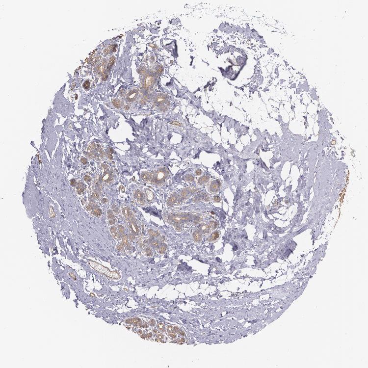
BREAST - Antibody stainingi

Antibody staining in the annotated cell types in the current human tissue is reported as not detected, low, medium, or high, based on conventional immunohistochemistry profiling in selected tissues. This score is based on the combination of the staining intensity and fraction of stained cells.

Each image is clickable and will lead to virtual microscopy that enables deeper exploration of all samples and also displays staining intensity scores, fraction scores and subcellular localization as well as patient and tissue information for each sample.

Antibody HPA001636Antibody HPA001637Antibody CAB010822
Adipocytes Not detected-Not detected
Glandular cells HighMediumLow
Myoepithelial cells MediumMediumNot detected



BREAST - HPA RNA-seqi

The RNA-seq details section shows detailed information about the individual samples used for the transcript profiling and results of the RNA-seq analysis.

Information about each individual sample is listed below, including gender, age, a tissue section image and estimated fractions of cell types. nTPM (normalized transcripts per million) values give a quantification of the gene abundance which is comparable between different genes and samples.
Average nTPMi

Max subtype nTPM is the value for the subtype with the largest average nTPM across the subtype samples.

8.4
overview
Female, age 52
Breast sample 373
nTPM: 4.6
Cell types%
Glandular cells:
15

Adipocytes:
5

Other cell types:
80

overview
Female, age 80
Breast sample 390
nTPM: 10.6
Cell types%
Glandular cells:
5

Adipocytes:
15

Other cell types:
80

overview
Female, age 47
Breast sample 405
nTPM: 9.1
Cell types%
Glandular cells:
5

Adipocytes:
5

Other cell types:
90

overview
Female, age 38
Breast sample 410
nTPM: 9.2
Cell types%
Glandular cells:
40

Adipocytes:
5

Other cell types:
55


BREAST - GTEx RNA-seqi

RNA-Seq data generated by the Genotype-Tissue Expression (GTEx) project from human tissues is reported as mean nTPM. More information can be found on the GTEx portal.

Distribution across the dataset is visualized with box plots, shown as median and 25th and 75th percentiles. Points are displayed as outliers if they are above or below 1.5 times the interquartile range. nTPM values of the individual samples are presented next to the box plot.
Max subtype nTPMi

Max subtype nTPM is the value for the subtype with the largest average nTPM across the subtype samples.

29.8
GTEx sample id Sample description nTPM
Breast - Mammary Tissue
Average nTPM: 29.8
Samples: 459

Max nTPM: 60.6
Min nTPM: 9.7
Std nTPM: 9.5
Median nTPM: 29.1
GTEX-1B8KE-1226-SM-73KWK 50-59 years, male 60.6
GTEX-169BO-1126-SM-7MGWN 50-59 years, male 59.9
GTEX-13VXU-2826-SM-664MA 50-59 years, male 58.7
GTEX-145MF-2226-SM-7EPIR 50-59 years, male 54.1
GTEX-145ME-1526-SM-5Q5F2 40-49 years, female 53.5
GTEX-17F9E-2526-SM-7MGW2 50-59 years, male 53.5
GTEX-1JN6P-2426-SM-ARL99 60-69 years, male 53.2
GTEX-15RJE-2626-SM-7KFT1 40-49 years, male 52.3
GTEX-Y9LG-1426-SM-5IFJZ 30-39 years, male 51.5
GTEX-1IOXB-1926-SM-ARL8E 50-59 years, male 50.6
GTEX-ZYT6-0126-SM-5E45J 30-39 years, male 50.3
GTEX-1F75B-0626-SM-7SB8A 50-59 years, male 50.1
GTEX-1B8L1-2426-SM-9WYTE 60-69 years, male 49.9
GTEX-ZZ64-1226-SM-5E43R 20-29 years, male 49.7
GTEX-1EKGG-2626-SM-7IGPY 60-69 years, male 48.9
GTEX-18A66-1726-SM-7LG5N 60-69 years, male 48.8
GTEX-WHSB-1926-SM-EXOHH 50-59 years, male 48.7
GTEX-1H3VY-0926-SM-ACKXE 50-59 years, male 48.6
GTEX-1PPH7-0826-SM-E8VNX 40-49 years, male 48.4
GTEX-1GPI7-0926-SM-7PC3J 20-29 years, male 47.8
GTEX-12WSM-1726-SM-5BC6J 60-69 years, male 47.7
GTEX-1PPGY-1526-SM-EVYBK 60-69 years, male 47.6
GTEX-ZUA1-1526-SM-59HLS 40-49 years, male 47.2
GTEX-1EN7A-1426-SM-7PBY4 40-49 years, male 47.1
GTEX-1LSNL-2826-SM-E9U5L 50-59 years, male 47.1
GTEX-1R9PM-1826-SM-EVYBH 20-29 years, male 47.1
GTEX-1KD4Q-2326-SM-D4P3M 40-49 years, male 47.0
GTEX-1MA7X-1626-SM-E9U5B 60-69 years, male 46.9
GTEX-ZDYS-1126-SM-5K7UB 50-59 years, male 46.8
GTEX-1EU9M-2826-SM-7EWFH 60-69 years, male 46.6
GTEX-13W46-0826-SM-5LU3H 50-59 years, male 46.3
GTEX-YJ8O-2226-SM-5IFHW 40-49 years, female 46.3
GTEX-ZLFU-2126-SM-DO931 40-49 years, male 45.8
GTEX-14DAR-1326-SM-7DUEG 50-59 years, male 45.7
GTEX-YEC3-1026-SM-5IFI5 50-59 years, male 45.7
GTEX-144GL-2026-SM-5LU3O 50-59 years, male 45.6
GTEX-ZQUD-1926-SM-51MSA 30-39 years, male 44.3
GTEX-1KXAM-1026-SM-CY8IA 60-69 years, male 44.3
GTEX-PSDG-1626-SM-48TCQ 50-59 years, male 43.9
GTEX-V955-2026-SM-3GAFA 60-69 years, male 43.9
GTEX-1HCU7-1026-SM-ADEIP 50-59 years, male 43.7
GTEX-18A6Q-0926-SM-7LG4N 60-69 years, male 43.6
GTEX-1L5NE-2126-SM-CY8IH 50-59 years, male 43.4
GTEX-117XS-1926-SM-5GICO 60-69 years, male 43.3
GTEX-1AX9J-1126-SM-731B7 60-69 years, male 43.2
GTEX-1IDJH-2226-SM-E6CJV 70-79 years, male 43.2
GTEX-16YQH-2826-SM-6PAMY 30-39 years, male 43.1
GTEX-ZWKS-2826-SM-5NQ74 30-39 years, male 43.1
GTEX-1KAFJ-0226-SM-DIPEL 50-59 years, male 42.8
GTEX-18D9A-1526-SM-7LG4J 30-39 years, female 42.5
GTEX-13OW5-2226-SM-5L3HC 60-69 years, male 42.4
GTEX-1IDJF-2326-SM-ARL86 20-29 years, male 42.4
GTEX-WFON-1826-SM-3GILG 40-49 years, male 42.2
GTEX-1I1HK-2426-SM-ADEHX 60-69 years, male 42.1
GTEX-YB5E-1726-SM-5IFJ3 40-49 years, male 41.8
GTEX-1JKYN-0726-SM-ARZMY 30-39 years, male 41.8
GTEX-1JMLX-2026-SM-CMKGN 50-59 years, male 41.8
GTEX-Z9EW-1526-SM-EZ6LU 40-49 years, male 41.8
GTEX-15SHW-1326-SM-6PAL8 60-69 years, male 41.7
GTEX-1A3MX-2726-SM-718B6 60-69 years, male 41.6
GTEX-17MF6-0326-SM-7EPH5 40-49 years, male 41.5
GTEX-183WM-0726-SM-7LTAA 70-79 years, female 41.5
GTEX-12WSN-1326-SM-5GCNT 40-49 years, male 41.2
GTEX-1JMOU-2026-SM-CMKGU 60-69 years, female 41.2
GTEX-1E2YA-2726-SM-7IGPW 50-59 years, male 41.1
GTEX-17F96-2426-SM-7IGLN 70-79 years, male 40.8
GTEX-13FTX-1126-SM-5N9EN 20-29 years, female 40.5
GTEX-ZYFC-0826-SM-5E44K 50-59 years, male 40.5
GTEX-1HR98-0426-SM-COH36 60-69 years, male 40.5
GTEX-1B8KZ-1526-SM-7DUG7 50-59 years, male 40.4
GTEX-11OF3-1926-SM-59889 60-69 years, male 40.3
GTEX-17F97-2526-SM-7EWDV 50-59 years, male 40.1
GTEX-111YS-1926-SM-5GICC 60-69 years, male 40.0
GTEX-1IDFM-0426-SM-B2LVV 60-69 years, male 39.8
GTEX-TKQ2-1826-SM-33HB2 50-59 years, male 39.7
GTEX-1NV8Z-2826-SM-E8VME 60-69 years, male 39.7
GTEX-11NV4-2026-SM-5N9DG 60-69 years, male 39.6
GTEX-17EVQ-0426-SM-7LG57 70-79 years, male 39.5
GTEX-183FY-1126-SM-7DHLJ 20-29 years, male 39.4
GTEX-UTHO-1026-SM-3GAF7 60-69 years, male 39.3
GTEX-ZT9W-2026-SM-51MRA 50-59 years, male 39.3
GTEX-1JKYR-0926-SM-CMKGJ 20-29 years, male 39.3
GTEX-18465-2026-SM-718AP 50-59 years, male 38.8
GTEX-11DXZ-1926-SM-5GZZL 50-59 years, male 38.3
GTEX-1EWIQ-1726-SM-7SB7T 70-79 years, female 38.2
GTEX-RUSQ-2026-SM-4GIAK 50-59 years, male 38.0
GTEX-1HSEH-2026-SM-ADEHN 60-69 years, male 38.0
GTEX-R53T-1526-SM-48FEK 50-59 years, female 37.9
GTEX-XQ8I-2426-SM-4WAXY 50-59 years, male 37.9
GTEX-1QP9N-1826-SM-E8VMP 30-39 years, male 37.7
GTEX-1JK1U-1826-SM-ARL8W 60-69 years, male 37.6
GTEX-1314G-1226-SM-5BC6D 30-39 years, male 37.5
GTEX-13CF3-2126-SM-5IFJP 60-69 years, female 37.5
GTEX-17EUY-1926-SM-7DUF6 20-29 years, male 37.3
GTEX-S4Q7-1126-SM-4AD6R 20-29 years, male 37.3
GTEX-ZQG8-0726-SM-5P9H9 60-69 years, female 37.2
GTEX-1GF9V-2526-SM-7SB8K 60-69 years, male 36.9
GTEX-1OKEX-0826-SM-E9J2B 60-69 years, male 36.9
GTEX-1F75A-1826-SM-7SB8G 50-59 years, male 36.7
GTEX-1AX9I-0726-SM-73KWV 60-69 years, male 36.6
GTEX-X261-0626-SM-3NMD9 50-59 years, male 36.6
GTEX-Y111-2026-SM-4SOJA 50-59 years, male 36.6
GTEX-11O72-2126-SM-5N9FO 40-49 years, male 36.5
GTEX-1GZ4I-2826-SM-9MQK5 50-59 years, male 36.5
GTEX-13O3Q-2226-SM-5KM4O 50-59 years, male 36.4
GTEX-15ETS-0626-SM-7KUMX 40-49 years, female 36.4
GTEX-1GMR2-1926-SM-9MQLZ 50-59 years, male 36.3
GTEX-1H1ZS-0126-SM-9YFKQ 70-79 years, male 36.3
GTEX-145MN-1926-SM-5SIAI 30-39 years, male 36.1
GTEX-1H4P4-2226-SM-9MQKQ 50-59 years, male 36.1
GTEX-1IDJU-1826-SM-CMKHV 60-69 years, female 36.0
GTEX-1IY9M-2726-SM-CMKG5 60-69 years, male 36.0
GTEX-1CB4E-0226-SM-79OLW 60-69 years, male 35.9
GTEX-11ZUS-0826-SM-5FQUY 30-39 years, male 35.8
GTEX-1I6K6-0826-SM-ARL7Z 30-39 years, male 35.8
GTEX-11DXY-2326-SM-5GICW 60-69 years, male 35.7
GTEX-TKQ1-0226-SM-33HB5 30-39 years, male 35.7
GTEX-ZLWG-1926-SM-DO92J 50-59 years, female 35.7
GTEX-17HGU-1326-SM-79OKB 50-59 years, male 35.6
GTEX-S7SE-0826-SM-4AT4D 50-59 years, male 35.6
GTEX-1C475-1226-SM-7SB72 40-49 years, female 35.6
GTEX-11ZTT-2326-SM-5EQLG 60-69 years, female 35.4
GTEX-XGQ4-0926-SM-4AT4U 50-59 years, male 35.4
GTEX-12KS4-0126-SM-5Q5A5 30-39 years, male 35.2
GTEX-18A7B-2626-SM-7LG55 70-79 years, male 35.2
GTEX-1H23P-0726-SM-9WG7K 60-69 years, male 35.2
GTEX-11WQC-1726-SM-5GU4W 60-69 years, male 35.0
GTEX-1HBPM-0126-SM-ARL9E 60-69 years, female 35.0
GTEX-14E7W-0826-SM-62LEJ 70-79 years, male 34.9
GTEX-1KD5A-1926-SM-DKPQA 50-59 years, male 34.9
GTEX-1LSVX-2426-SM-E6CJX 60-69 years, male 34.8
GTEX-13OW8-0226-SM-5K7UP 60-69 years, male 34.7
GTEX-XQ3S-1326-SM-4BOPQ 20-29 years, male 34.7
GTEX-1HT8W-2226-SM-CGQEC 30-39 years, male 34.7
GTEX-1HCU8-0126-SM-ADEHH 60-69 years, female 34.6
GTEX-1J8Q2-2726-SM-A9G2X 60-69 years, male 34.6
GTEX-1LC47-1226-SM-D4P44 60-69 years, male 34.6
GTEX-YFCO-1826-SM-4W1YH 40-49 years, male 34.4
GTEX-WOFL-0826-SM-3MJG1 60-69 years, male 34.3
GTEX-13113-5013-SM-7SB7G 60-69 years, female 34.3
GTEX-1IGQW-0926-SM-ADEH6 60-69 years, male 34.3
GTEX-1HSMO-0826-SM-ADEIV 60-69 years, male 34.2
GTEX-14753-2426-SM-5LU8U 60-69 years, male 34.1
GTEX-14B4R-1226-SM-5TDDT 30-39 years, male 34.0
GTEX-1I1GU-1026-SM-ADEHJ 40-49 years, male 33.9
GTEX-YECK-0726-SM-EZ6LV 60-69 years, male 33.9
GTEX-W5X1-2326-SM-3GIL6 40-49 years, female 33.7
GTEX-R55D-0826-SM-48FEA 50-59 years, male 33.5
GTEX-QMRM-1626-SM-D4P1U 50-59 years, male 33.5
GTEX-TML8-1226-SM-32QON 40-49 years, female 33.4
GTEX-ZA64-1526-SM-5CVMD 20-29 years, male 33.4
GTEX-1MJK3-1126-SM-E9J3F 20-29 years, male 33.4
GTEX-REY6-2426-SM-48FF5 60-69 years, male 33.3
GTEX-1313W-0826-SM-5EQ4T 50-59 years, female 33.2
GTEX-1K2DA-1726-SM-CGQGS 50-59 years, male 33.2
GTEX-11DXW-0626-SM-5N9ER 40-49 years, male 33.1
GTEX-145MO-0826-SM-5NQBL 60-69 years, male 33.1
GTEX-T2YK-2226-SM-32QPT 50-59 years, male 33.1
GTEX-UPK5-2326-SM-3P5Z8 40-49 years, male 33.1
GTEX-ZV7C-1826-SM-5NQ83 50-59 years, male 33.1
GTEX-ZEX8-2226-SM-57WC6 50-59 years, male 33.0
GTEX-ZTX8-1226-SM-4YCE9 20-29 years, male 32.9
GTEX-1JN1M-3026-SM-CMKGK 60-69 years, female 32.9
GTEX-1QW4Y-1026-SM-DTXE2 30-39 years, male 32.8
GTEX-14BMV-0626-SM-793AU 50-59 years, male 32.7
GTEX-1H1E6-0926-SM-9YFLT 30-39 years, male 32.7
GTEX-1A3MV-1626-SM-731C1 30-39 years, male 32.6
GTEX-1C64O-0726-SM-7DUFU 60-69 years, male 32.6
GTEX-Y3I4-1526-SM-4TT7K 50-59 years, male 32.6
GTEX-1MCYP-0126-SM-E6CIS 20-29 years, female 32.6
GTEX-ZDTT-2126-SM-DKPOM 60-69 years, male 32.6
GTEX-ZVZQ-0826-SM-51MRF 60-69 years, female 32.3
GTEX-1C6WA-2426-SM-7SB86 60-69 years, male 32.3
GTEX-1HCU9-0326-SM-9WYSC 20-29 years, male 32.3
GTEX-X62O-0526-SM-EWRMA 50-59 years, male 32.2
GTEX-17GQL-0326-SM-7LG5U 60-69 years, male 32.1
GTEX-1JMPZ-1626-SM-COH31 30-39 years, male 32.0
GTEX-1HSKV-2026-SM-CMKGX 60-69 years, male 31.9
GTEX-1J8EW-2626-SM-CL53E 60-69 years, female 31.9
GTEX-1LBAC-0926-SM-CXKY9 20-29 years, male 31.9
GTEX-1LGRB-1826-SM-CNPQL 50-59 years, female 31.9
GTEX-ZV6S-1826-SM-5NQ8D 40-49 years, female 31.8
GTEX-1B933-2526-SM-7IGO5 50-59 years, female 31.7
GTEX-1NHNU-0926-SM-E9J2T 50-59 years, male 31.7
GTEX-Y5V6-2126-SM-4WWFX 60-69 years, male 31.6
GTEX-13SLW-2526-SM-62LDQ 70-79 years, male 31.4
GTEX-18QFQ-0826-SM-718AX 30-39 years, male 31.4
GTEX-15UF7-0726-SM-6M46D 40-49 years, male 31.3
GTEX-Y8E4-1626-SM-5S2MW 40-49 years, male 31.3
GTEX-144GM-0926-SM-5O994 20-29 years, male 31.1
GTEX-XMD1-0826-SM-4AT52 60-69 years, male 30.8
GTEX-1HR9M-2426-SM-ACKXI 60-69 years, male 30.7
GTEX-11GSO-1926-SM-5A5K3 60-69 years, male 30.6
GTEX-1H11D-1526-SM-9MQJY 40-49 years, male 30.6
GTEX-13O61-1826-SM-5KM4I 60-69 years, male 30.5
GTEX-1HKZK-1826-SM-ADEJ2 40-49 years, male 30.5
GTEX-1I1GT-1126-SM-ARL7J 60-69 years, female 30.5
GTEX-1ICLY-1726-SM-B2LVT 50-59 years, male 30.5
GTEX-13FTW-1426-SM-5LZWZ 40-49 years, male 30.4
GTEX-1I1GV-2426-SM-CGQFM 60-69 years, male 30.4
GTEX-11DZ1-0326-SM-5N9BN 50-59 years, male 30.2
GTEX-1CB4G-2326-SM-79OOI 60-69 years, male 30.2
GTEX-1GF9U-1726-SM-7MGY5 40-49 years, female 30.2
GTEX-11EQ9-1826-SM-5Q5AJ 30-39 years, male 30.1
GTEX-1QP28-1226-SM-E9J2M 50-59 years, female 29.9
GTEX-U3ZH-1426-SM-4DXSR 30-39 years, male 29.8
GTEX-13S86-1226-SM-5S2OA 40-49 years, male 29.7
GTEX-WYJK-1326-SM-3NB2T 50-59 years, male 29.7
GTEX-1GF9X-1026-SM-ACKX2 40-49 years, female 29.7
GTEX-1JMPY-0526-SM-CL54O 30-39 years, male 29.7
GTEX-1S82Z-0726-SM-E6CHX 30-39 years, female 29.7
GTEX-WY7C-2726-SM-3NB3P 50-59 years, male 29.6
GTEX-1R7EV-1526-SM-E8VOD 40-49 years, male 29.6
GTEX-11LCK-2426-SM-5HL5F 30-39 years, male 29.5
GTEX-12WSK-2226-SM-5GCO5 40-49 years, female 29.5
GTEX-X4XY-0926-SM-4E3JD 60-69 years, male 29.5
GTEX-Y8LW-1626-SM-5IFHX 50-59 years, female 29.5
GTEX-U412-1826-SM-4DXTJ 60-69 years, male 29.4
GTEX-XV7Q-2326-SM-4BRVZ 40-49 years, female 29.4
GTEX-1GZ4H-0326-SM-7P8QX 50-59 years, female 29.4
GTEX-1IKJJ-2326-SM-COH3U 60-69 years, male 29.4
GTEX-1LNCM-0226-SM-DIPF4 50-59 years, female 29.4
GTEX-1M4P7-2626-SM-E9U5F 60-69 years, male 29.3
GTEX-1R7EU-1226-SM-E8VMR 60-69 years, male 29.3
GTEX-1RAZQ-1226-SM-EWRNL 30-39 years, male 29.3
GTEX-11EI6-0626-SM-5985T 60-69 years, male 29.2
GTEX-132NY-0826-SM-5K7Y7 60-69 years, male 29.2
GTEX-17MFQ-0926-SM-7LG4S 20-29 years, male 29.2
GTEX-1MCC2-2126-SM-EWRON 30-39 years, female 29.2
GTEX-14E6C-1326-SM-62LEQ 40-49 years, male 29.1
GTEX-16BQI-1026-SM-7KUEA 30-39 years, female 29.1
GTEX-S33H-0326-SM-4AD6N 30-39 years, male 29.1
GTEX-ZVT4-1026-SM-57WC4 50-59 years, female 29.0
GTEX-1HFI7-0126-SM-CGQFQ 50-59 years, female 28.8
GTEX-11GS4-2126-SM-5A5KR 60-69 years, male 28.7
GTEX-1GMR3-2626-SM-7RHHG 40-49 years, male 28.7
GTEX-1GMRU-0826-SM-9WYT7 50-59 years, male 28.7
GTEX-1I4MK-1626-SM-CM2TJ 50-59 years, female 28.4
GTEX-WFG8-2026-SM-EXOHO 20-29 years, male 28.4
GTEX-1192X-2326-SM-5987X 50-59 years, male 28.3
GTEX-11NSD-0926-SM-5N9DR 20-29 years, male 28.3
GTEX-1B97I-0426-SM-79OL7 40-49 years, male 28.3
GTEX-117YX-1426-SM-5H12H 50-59 years, male 28.1
GTEX-14PJ4-2126-SM-6ETZJ 60-69 years, male 28.1
GTEX-1F5PL-1026-SM-7RHI1 40-49 years, female 28.1
GTEX-1QMI2-0726-SM-E9J4F 60-69 years, male 27.9
GTEX-132Q8-1426-SM-5EGK7 60-69 years, male 27.8
GTEX-S32W-2026-SM-4AD6E 50-59 years, female 27.8
GTEX-ZDXO-0126-SM-5S2ND 60-69 years, male 27.7
GTEX-S4UY-0726-SM-4AD6X 40-49 years, female 27.6
GTEX-17HHY-0926-SM-793C1 50-59 years, male 27.5
GTEX-QVJO-1826-SM-447C9 60-69 years, female 27.5
GTEX-ZAK1-1326-SM-EVYAS 50-59 years, female 27.4
GTEX-XMK1-1126-SM-4IHJ8 40-49 years, male 27.2
GTEX-1KANC-1426-SM-CYPT9 50-59 years, female 27.2
GTEX-1AX8Z-0926-SM-731AW 60-69 years, male 27.0
GTEX-XBED-1626-SM-47JYN 60-69 years, male 27.0
GTEX-1J8Q3-1326-SM-CMKI1 60-69 years, male 26.9
GTEX-1QPFJ-2026-SM-EVYBE 30-39 years, female 26.9
GTEX-11P82-1326-SM-5HL62 20-29 years, male 26.8
GTEX-1LG7Z-0726-SM-CXKYD 30-39 years, male 26.8
GTEX-WRHU-0326-SM-3MJFY 50-59 years, female 26.7
GTEX-1ICLZ-0426-SM-B2LW2 60-69 years, male 26.6
GTEX-TMMY-0726-SM-33HBE 40-49 years, female 26.5
GTEX-13N1W-0626-SM-5MR4U 70-79 years, male 26.4
GTEX-17EVP-0226-SM-79OND 40-49 years, male 26.4
GTEX-1MJK2-2226-SM-EVYCR 50-59 years, male 26.4
GTEX-13QIC-2326-SM-5LU5N 60-69 years, female 26.3
GTEX-ZAB4-2526-SM-5HL8M 40-49 years, male 26.3
GTEX-1F5PK-2126-SM-7PC28 50-59 years, male 26.3
GTEX-1M5QR-2526-SM-E9U5P 40-49 years, male 26.3
GTEX-1RAZS-1226-SM-E8VMT 50-59 years, male 26.3
GTEX-1GPI6-0626-SM-7RHHJ 60-69 years, male 26.2
GTEX-1KANA-2026-SM-DIPFB 20-29 years, male 26.2
GTEX-17F98-0526-SM-79OK5 40-49 years, female 26.1
GTEX-1RLM8-2226-SM-EVYD1 50-59 years, male 26.1
GTEX-14E6E-1326-SM-5S2NR 30-39 years, male 26.0
GTEX-1HCVE-2626-SM-ADEJ8 50-59 years, male 26.0
GTEX-15UF6-0126-SM-6PAMB 70-79 years, female 25.9
GTEX-1B97J-0426-SM-79OLQ 50-59 years, female 25.9
GTEX-1122O-1226-SM-5H113 60-69 years, female 25.8
GTEX-13CF2-2026-SM-5K7VI 60-69 years, male 25.8
GTEX-ZPIC-1126-SM-5BC7F 40-49 years, female 25.8
GTEX-17HHE-1426-SM-7EPH4 50-59 years, male 25.7
GTEX-1C6VS-0726-SM-7EPHF 60-69 years, male 25.7
GTEX-1MA7W-1026-SM-DKPQK 20-29 years, female 25.7
GTEX-14PKU-0426-SM-6EU1P 40-49 years, female 25.5
GTEX-11TUW-1826-SM-5BC5D 60-69 years, male 25.4
GTEX-146FH-0826-SM-5SI8T 50-59 years, female 25.4
GTEX-XUW1-2326-SM-4BOO5 50-59 years, female 25.4
GTEX-ZVE2-1226-SM-5NQ8R 50-59 years, male 25.4
GTEX-1F6I4-2526-SM-7SB8F 60-69 years, male 25.4
GTEX-13PVR-2226-SM-7DHKP 60-69 years, female 25.3
GTEX-1K9T9-1426-SM-DIPFQ 50-59 years, female 25.3
GTEX-1R46S-2526-SM-E8VN2 60-69 years, female 25.3
GTEX-11I78-2226-SM-5PNYA 50-59 years, female 25.2
GTEX-11P7K-0726-SM-5EGKX 30-39 years, male 25.2
GTEX-13N11-1726-SM-5J1OJ 50-59 years, female 25.2
GTEX-WXYG-2226-SM-4E3IM 50-59 years, female 25.1
GTEX-QEL4-2126-SM-447AE 50-59 years, male 25.0
GTEX-1N2EE-2126-SM-E8VNN 60-69 years, male 25.0
GTEX-1117F-2826-SM-5GZXL 60-69 years, female 24.9
GTEX-14A5I-0726-SM-5TDEB 50-59 years, female 24.9
GTEX-1GZHY-0726-SM-9WG6B 50-59 years, female 24.9
GTEX-1S82U-1126-SM-E9U6I 30-39 years, female 24.9
GTEX-11ONC-2126-SM-5HL6E 60-69 years, male 24.8
GTEX-13PVQ-1026-SM-5KM3M 50-59 years, male 24.8
GTEX-T6MN-0726-SM-32PML 50-59 years, male 24.7
GTEX-ZTTD-1026-SM-51MRD 50-59 years, male 24.7
GTEX-QEG5-0726-SM-D4P1T 20-29 years, male 24.7
GTEX-139T6-1626-SM-5PNYZ 50-59 years, male 24.5
GTEX-1BAJH-0826-SM-7EWEF 70-79 years, male 24.5
GTEX-U8XE-0826-SM-4E3J1 30-39 years, male 24.4
GTEX-1P4AB-1826-SM-E76PU 50-59 years, male 24.4
GTEX-12BJ1-1826-SM-5HL9N 60-69 years, male 24.3
GTEX-1HUB1-1626-SM-CM2SL 60-69 years, male 24.3
GTEX-13NZ9-1026-SM-5MR5K 50-59 years, male 24.2
GTEX-UJHI-1426-SM-3DB9C 50-59 years, female 24.2
GTEX-13NZ8-0126-SM-5IJCT 60-69 years, female 24.1
GTEX-VJWN-0726-SM-3GIJ8 50-59 years, female 24.1
GTEX-ZZPU-0626-SM-5E43T 50-59 years, female 24.1
GTEX-1R9JW-0326-SM-EAZ45 30-39 years, female 24.1
GTEX-1PDJ9-1126-SM-EXUSW 20-29 years, male 24.0
GTEX-14PJO-0726-SM-69LO8 60-69 years, male 23.8
GTEX-1JMQK-2626-SM-COH2W 60-69 years, male 23.8
GTEX-1LSNM-1326-SM-E9TJ1 50-59 years, male 23.8
GTEX-ZU9S-1926-SM-5NQBP 30-39 years, male 23.7
GTEX-15EOM-5019-SM-793DK 20-29 years, female 23.6
GTEX-RWS6-1926-SM-47JXY 60-69 years, female 23.6
GTEX-Y5LM-1726-SM-4VDSX 40-49 years, female 23.6
GTEX-1IKOE-1326-SM-CE6T6 30-39 years, female 23.6
GTEX-11P81-1926-SM-5BC53 30-39 years, female 23.5
GTEX-17KNJ-2026-SM-7LG53 50-59 years, male 23.5
GTEX-1269C-2426-SM-5FQSN 60-69 years, female 23.4
GTEX-1HBPN-2326-SM-9WPPU 50-59 years, male 23.3
GTEX-15G19-2126-SM-6M48J 60-69 years, male 23.2
GTEX-Q2AG-0326-SM-48U1O 40-49 years, female 23.2
GTEX-WI4N-1426-SM-3LK7H 40-49 years, female 23.2
GTEX-XMD2-0926-SM-4WWEF 60-69 years, female 23.1
GTEX-1H1DG-0526-SM-9YFLN 70-79 years, male 23.1
GTEX-11WQK-2426-SM-5GU5C 50-59 years, male 23.0
GTEX-1AMEY-1026-SM-718AA 30-39 years, female 22.9
GTEX-1B932-0826-SM-73KXG 40-49 years, female 22.9
GTEX-1GN1W-1926-SM-7P8TH 50-59 years, female 22.8
GTEX-VUSG-2226-SM-4KKZO 50-59 years, male 22.7
GTEX-X4EP-2926-SM-3P5YQ 60-69 years, female 22.7
GTEX-1211K-1926-SM-5EQLB 60-69 years, female 22.5
GTEX-11GSP-0926-SM-9WYSG 60-69 years, female 22.5
GTEX-1I6K7-1026-SM-A9SLK 40-49 years, male 22.5
GTEX-1ICG6-1326-SM-ACKWR 70-79 years, female 22.5
GTEX-1HSGN-1526-SM-A9SMO 40-49 years, female 22.4
GTEX-S4P3-1326-SM-4AD6V 50-59 years, female 22.3
GTEX-1LVAN-1326-SM-CNPQE 50-59 years, female 22.3
GTEX-1A8G7-2426-SM-731AK 60-69 years, male 22.2
GTEX-YB5K-1626-SM-5IFIN 40-49 years, female 22.0
GTEX-17JCI-0726-SM-7EPH1 60-69 years, female 21.9
GTEX-1J8QM-2026-SM-ARZMW 60-69 years, female 21.9
GTEX-1N5O9-1126-SM-DTXEQ 60-69 years, male 21.8
GTEX-139TU-0626-SM-5KM3X 60-69 years, male 21.7
GTEX-13NZB-2126-SM-5MR4Y 30-39 years, male 21.7
GTEX-ZVTK-0326-SM-51MRR 20-29 years, male 21.7
GTEX-ZF3C-2326-SM-5S2NC 50-59 years, female 21.7
GTEX-1QCLY-1626-SM-DTXDW 30-39 years, male 21.6
GTEX-132AR-0826-SM-5EGK6 50-59 years, female 21.5
GTEX-1CAMR-1426-SM-793BO 20-29 years, male 21.5
GTEX-T6MO-0326-SM-32QOK 40-49 years, female 21.4
GTEX-ZY6K-1626-SM-5GZWV 50-59 years, male 21.4
GTEX-1GMR8-0726-SM-9KNVI 50-59 years, female 21.4
GTEX-1IDJE-0826-SM-CKZNZ 50-59 years, female 21.4
GTEX-ZF29-1926-SM-5S2P1 60-69 years, female 21.2
GTEX-1H1CY-2226-SM-9WG7E 60-69 years, female 21.2
GTEX-11EMC-2026-SM-5A5JV 60-69 years, female 20.9
GTEX-T2IS-1526-SM-32QPR 20-29 years, female 20.9
GTEX-ZLV1-1426-SM-DO92Z 60-69 years, female 20.7
GTEX-1QP29-1726-SM-E8VMQ 50-59 years, male 20.3
GTEX-ZGAY-1726-SM-DO91P 40-49 years, female 20.3
GTEX-Y5V5-2126-SM-4WWFO 60-69 years, female 20.2
GTEX-1QCLZ-2326-SM-DTXDO 60-69 years, female 20.2
GTEX-1IKOH-2326-SM-CM2TW 60-69 years, female 20.1
GTEX-U3ZN-1926-SM-4DXSG 30-39 years, female 20.0
GTEX-16NGA-0826-SM-718AF 40-49 years, female 19.9
GTEX-1CB4J-1826-SM-7EWF9 60-69 years, male 19.9
GTEX-ZYW4-0826-SM-5GIDG 60-69 years, male 19.9
GTEX-1HC8U-0826-SM-ADEIL 40-49 years, female 19.9
GTEX-1NUQO-2226-SM-E9U68 20-29 years, female 19.9
GTEX-11PRG-0826-SM-5EQ6A 50-59 years, male 19.8
GTEX-1CAMS-1426-SM-7IGPM 40-49 years, female 19.8
GTEX-S341-1526-SM-4AD6K 40-49 years, female 19.7
GTEX-SE5C-2126-SM-4BRUJ 40-49 years, female 19.7
GTEX-ZF2S-2026-SM-5E461 50-59 years, female 19.7
GTEX-1QEPI-0926-SM-DTXF3 60-69 years, female 19.7
GTEX-1R9PN-0326-SM-DTX85 40-49 years, female 19.7
GTEX-13SLX-2326-SM-5ZZWE 50-59 years, female 19.6
GTEX-1GN2E-2226-SM-9WG6J 60-69 years, male 19.5
GTEX-1399U-1826-SM-5PNZ1 50-59 years, female 19.4
GTEX-1C6VQ-0426-SM-79OOX 50-59 years, male 19.3
GTEX-RU72-0626-SM-46MUI 50-59 years, female 19.3
GTEX-1I19N-2826-SM-CL55D 70-79 years, male 19.2
GTEX-13O3P-0826-SM-5L3DH 50-59 years, male 19.1
GTEX-Y3IK-2326-SM-4WWDT 50-59 years, female 19.1
GTEX-133LE-1726-SM-5K7VQ 20-29 years, female 19.0
GTEX-13FTY-2226-SM-5J1ND 40-49 years, female 18.8
GTEX-15ER7-1626-SM-6PAMZ 20-29 years, female 18.8
GTEX-1GZ2Q-2626-SM-7MXV9 40-49 years, male 18.8
GTEX-1HCUA-0726-SM-ACKVU 50-59 years, female 18.8
GTEX-1N2EF-2226-SM-E9J33 60-69 years, male 18.8
GTEX-13D11-1026-SM-5IJFB 50-59 years, female 18.7
GTEX-T5JC-2126-SM-32PMO 20-29 years, male 18.7
GTEX-1I1GP-0426-SM-COH3N 50-59 years, male 18.7
GTEX-XYKS-1326-SM-4BRUN 60-69 years, female 18.6
GTEX-13O3O-0826-SM-5K7WE 60-69 years, female 18.4
GTEX-17HG3-0126-SM-7IGNH 30-39 years, female 18.4
GTEX-13W3W-1226-SM-5LU4H 60-69 years, female 18.3
GTEX-147F4-2826-SM-5NQBN 50-59 years, male 18.2
GTEX-18A7A-0726-SM-7LTAI 50-59 years, female 18.1
GTEX-14H4A-2526-SM-5YYAY 40-49 years, female 18.0
GTEX-WYBS-0926-SM-3NM94 60-69 years, female 17.9
GTEX-XOT4-0726-SM-4GIAW 60-69 years, female 17.9
GTEX-ZXES-0826-SM-5E43C 30-39 years, female 17.9
GTEX-145LT-0726-SM-5S2VM 40-49 years, male 17.8
GTEX-13PL6-2926-SM-5L3I2 40-49 years, female 17.7
GTEX-T5JW-2026-SM-4DM63 20-29 years, female 17.7
GTEX-14BMU-1626-SM-5TDE7 20-29 years, female 17.5
GTEX-QDT8-0626-SM-48TYW 30-39 years, female 17.5
GTEX-1IE54-0626-SM-ARL8D 40-49 years, female 17.5
GTEX-1LVAM-0926-SM-E9TJ2 50-59 years, female 17.5
GTEX-WYVS-1726-SM-3NMAY 40-49 years, female 17.4
GTEX-Y114-2026-SM-4TT7L 50-59 years, female 17.4
GTEX-15FZZ-0726-SM-7KUFZ 30-39 years, female 17.3
GTEX-RU1J-0626-SM-4WAWY 20-29 years, female 17.3
GTEX-ZAJG-0626-SM-5HL8X 50-59 years, female 17.2
GTEX-1GN1U-0526-SM-9KNTT 50-59 years, female 17.2
GTEX-11EM3-1326-SM-5N9C6 20-29 years, female 17.1
GTEX-R3RS-0626-SM-48FE1 40-49 years, female 17.0
GTEX-ZVT2-1826-SM-5NQ8W 50-59 years, female 16.9
GTEX-XUZC-1626-SM-4BRVP 30-39 years, female 16.8
GTEX-13QJ3-0826-SM-7DHKK 50-59 years, male 16.7
GTEX-139T8-0826-SM-5L3DE 60-69 years, male 16.6
GTEX-14AS3-1626-SM-5S2OY 40-49 years, female 16.4
GTEX-13FHO-0826-SM-5L3E8 60-69 years, male 16.2
GTEX-14ICK-2426-SM-6EU27 40-49 years, male 16.2
GTEX-X15G-1626-SM-3NMB3 50-59 years, female 16.0
GTEX-12ZZX-1126-SM-5EGKB 40-49 years, female 15.8
GTEX-ZTPG-2826-SM-57WGA 20-29 years, female 15.8
GTEX-1JJEA-2726-SM-ARL8V 60-69 years, male 15.6
GTEX-1F75I-2026-SM-7SB7N 40-49 years, male 15.2
GTEX-14PHY-1926-SM-5YY95 60-69 years, female 15.0
GTEX-ZC5H-2626-SM-5J2MG 40-49 years, female 14.6
GTEX-14LLW-0626-SM-62LFC 70-79 years, female 14.4
GTEX-14PN4-0626-SM-62LFP 50-59 years, male 14.4
GTEX-1B8SG-1226-SM-7IGPF 50-59 years, male 14.0
GTEX-1JJE9-2326-SM-ARL8Q 70-79 years, male 13.7
GTEX-YFC4-1426-SM-5IFJG 40-49 years, female 13.6
GTEX-1RQEC-2026-SM-DTXDM 60-69 years, male 12.7
GTEX-11TT1-2126-SM-5GU5Y 20-29 years, male 12.6
GTEX-131YS-0626-SM-5EGKL 60-69 years, female 11.8
GTEX-1POEN-0926-SM-DTX88 30-39 years, female 11.6
GTEX-14ABY-2126-SM-5QGQZ 50-59 years, male 10.5
GTEX-131XW-0726-SM-5EGK3 50-59 years, female 9.7
Show allShow less

BREAST - FANTOM5 CAGEi

RNA expression in human tissues obtained through Cap Analysis of Gene Expression (CAGE) generated by the FANTOM5 project are reported as Scaled Tags Per Million.

Max subtype Scaled Tags Per Millioni

Max subtype Scaled Tags Per Million is the value for the subtype with the largest average Scaled Tags Per Million across the subtype samples.

88.7
FANTOM5 sample id Sample description Scaled Tags Per Million
Breast
Scaled Tags Per Million: 88.7
FF:10080-102A8 77 years, female 88.7

Contact

  • NEWS ARTICLES
  • PRESS ROOM

The Project

  • INTRODUCTION
  • ORGANIZATION
  • PUBLICATIONS

The Human Protein Atlas

  • DOWNLOADABLE DATA
  • LICENCE & CITATION
  • HELP & FAQ
The Human Protein Atlas project is funded
by the Knut & Alice Wallenberg Foundation.


contact@proteinatlas.org