We use cookies to enhance the usability of our website. If you continue, we'll assume that you are happy to receive all cookies. More information. Don't show this again.
GSDMD
HPA
RESOURCES
  • TISSUE
  • BRAIN
  • SINGLE CELL
  • SUBCELLULAR
  • CANCER
  • BLOOD
  • CELL LINE
  • STRUCTURE & INTERACTION
ABOUT
  • INTRODUCTION
  • HISTORY
  • ORGANIZATION
  • PUBLICATIONS
  • ANTIBODY SUBMISSION
  • ANTIBODY AVAILABILITY
  • ACKNOWLEDGMENTS
  • CONTACT
NEWS
  • NEWS ARTICLES
  • PRESS ROOM
LEARN
  • DICTIONARY
  • PROTEIN CLASSES
  • PROTEIN EVIDENCE
  • METHODS
  • EDUCATIONAL VIDEOS
DATA
  • DOWNLOADABLE DATA
  • PUBLICATION DATA
  • RELEASE HISTORY
HELP
  • ANTIBODY VALIDATION
  • ASSAYS & ANNOTATION
  • DISCLAIMER
  • HELP & FAQ
  • PRIVACY STATEMENT
  • LICENCE & CITATION
Fields »
Search result

Field
Term
Gene name
Class
Subclass
Class
Keyword
Chromosome
External id
Tissue
Cell type
Expression
Antibody panel
Tissue
Main location
Patient ID
Annotation
Tissue
Category
Tau score
Cluster
Reliability
Brain region
Category
Tau score
Brain region
Category
Tau score
Brain region
Category
Tau score
Cluster
Reliability
Tissue
Cell type
Enrichment
Cell type
Category
Tau score
Cell type
Category
Tau score
Cell type
Category
Tau score
Cell lineage
Category
Tau score
Cluster
Cluster
Location
Searches
Location
Cell line
Class
Type
Phase
Reliability
Cancer
Prognosis
Cancer
Category
Cancer
Category
Tau score
Cluster
Variants
Interacting gene (ensg_id)
Type
Number of interactions
Pathway
Category
Score
Score
Score
Validation
Validation
Validation
Validation
Antibodies
Data type
Column


  • SUMMARY

  • TISSUE

  • BRAIN

  • SINGLE CELL

  • SUBCELL

  • CANCER

  • BLOOD

  • CELL LINE

  • STRUCT & INT

  • GSDMD
TISSUE PRIMARY DATA SKELETAL MUSCLE Show tissue menu
ADIPOSE TISSUE ADRENAL GLAND AMYGDALA APPENDIX BASAL GANGLIA BONE MARROW BREAST BRONCHUS CEREBELLUM CEREBRAL CORTEX CERVIX CHOROID PLEXUS COLON DUODENUM
ENDOMETRIUM EPIDIDYMIS ESOPHAGUS FALLOPIAN TUBE GALLBLADDER HEART MUSCLE HIPPOCAMPAL FORMATION HYPOTHALAMUS KIDNEY LIVER LUNG LYMPH NODE MIDBRAIN NASOPHARYNX
ORAL MUCOSA OVARY PANCREAS PARATHYROID GLAND PITUITARY GLAND PLACENTA PROSTATE RECTUM RETINA SALIVARY GLAND SEMINAL VESICLE SKELETAL MUSCLE SKIN SMALL INTESTINE
SMOOTH MUSCLE SOFT TISSUE SPINAL CORD SPLEEN STOMACH TESTIS THYMUS THYROID GLAND TONGUE TONSIL URINARY BLADDER VAGINA
ANTIBODIES
AND
VALIDATION
Dictionary
Skeletal muscle
Tissue proteome
Skeletal muscle
SKELETAL MUSCLE - Expression summary
Protein expression
Skeletal musclei

On the top, protein expression in current human tissue, based on all annotated cell types, is reported with the units not detected (n), low (l), medium (m) and high (h). Underneath, protein expression in each annotated cell type are reported using the same units.

Protein expression data is based on knowledge-based annotation. For genes where more than one antibody has been used, a collective score is set.

If knowledge-based annotation could not be performed for a gene, no data is displayed here. View antibody staining data further down this page.

h
m
l
n
Myocytes: Medium
RNA expressioni

A summary of mRNA expression data available for current tissue based on several datasets. The mRNA expression levels in human tissues are based on RNA-seq data generated by the Human Protein Atlas (HPA), Genotype-Tissue Expression (GTEx) portal and CAGE data generated by the FANTOM5 consortium. Consensus normalized expression levels for human tissues was created by combining the data from HPA and GTEx datasets.

The mRNA expression levels in pig are based on RNA-seq data generated by the Human Protein Atlas (HPA), and for mouse, HPA data and in situ hybridization generated by the Allen brain atlas are reported.

Scroll down to view mRNA expression data in more detail.
Consensus:10.6 nTPM
HPA:7.6 nTPM
GTEx:10.6 nTPM
FANTOM5:28.9 Scaled Tags Per Million

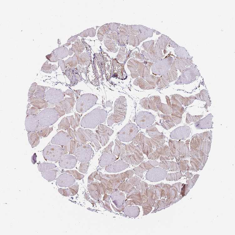
SKELETAL MUSCLE - Antibody stainingi

Antibody staining in the annotated cell types in the current human tissue is reported as not detected, low, medium, or high, based on conventional immunohistochemistry profiling in selected tissues. This score is based on the combination of the staining intensity and fraction of stained cells.

Each image is clickable and will lead to virtual microscopy that enables deeper exploration of all samples and also displays staining intensity scores, fraction scores and subcellular localization as well as patient and tissue information for each sample.

Antibody HPA044487Antibody CAB004656
Myocytes MediumNot detected




SKELETAL MUSCLE - HPA RNA-seqi

The RNA-seq details section shows detailed information about the individual samples used for the transcript profiling and results of the RNA-seq analysis.

Information about each individual sample is listed below, including gender, age, a tissue section image and estimated fractions of cell types. nTPM (normalized transcripts per million) values give a quantification of the gene abundance which is comparable between different genes and samples.
Average nTPMi

Max subtype nTPM is the value for the subtype with the largest average nTPM across the subtype samples.

7.6
N/A
Male, age 23
Skeletal muscle sample 339
nTPM: 4
N/A
Female, age 25
Skeletal muscle sample 340
nTPM: 5.8
N/A
Female, age -
Skeletal muscle sample 341
nTPM: 4.7
N/A
Female, age 22
Skeletal muscle sample 342
nTPM: 6.7
N/A
Male, age 29
Skeletal muscle sample 343
nTPM: 16.8

SKELETAL MUSCLE - GTEx RNA-seqi

RNA-Seq data generated by the Genotype-Tissue Expression (GTEx) project from human tissues is reported as mean nTPM. More information can be found on the GTEx portal.

Distribution across the dataset is visualized with box plots, shown as median and 25th and 75th percentiles. Points are displayed as outliers if they are above or below 1.5 times the interquartile range. nTPM values of the individual samples are presented next to the box plot.
Max subtype nTPMi

Max subtype nTPM is the value for the subtype with the largest average nTPM across the subtype samples.

10.6
GTEx sample id Sample description nTPM
Muscle - Skeletal
Average nTPM: 10.6
Samples: 803

Max nTPM: 45.2
Min nTPM: 2.7
Std nTPM: 4.9
Median nTPM: 9.2
GTEX-Y8E5-0326-SM-57WBM 60-69 years, male 45.2
GTEX-XYKS-2426-SM-4AT43 60-69 years, female 38.3
GTEX-183WM-0426-SM-731B1 70-79 years, female 34.7
GTEX-13X6I-0526-SM-5QGP8 60-69 years, male 34.1
GTEX-RUSQ-1726-SM-2TF68 50-59 years, male 30.4
GTEX-1JMQL-0126-SM-CY8HN 50-59 years, female 29.9
GTEX-1A8FM-0526-SM-7P8SF 50-59 years, female 28.5
GTEX-11UD1-0326-SM-5EQKX 40-49 years, female 28.0
GTEX-X4EO-0526-SM-3P5Z3 60-69 years, female 27.9
GTEX-1M4P7-0126-SM-DKPQF 60-69 years, male 27.2
GTEX-ZAJG-0526-SM-5S2MT 50-59 years, female 26.9
GTEX-1I1GU-2126-SM-CGQF9 40-49 years, male 25.6
GTEX-1HC8U-2626-SM-CNPPH 40-49 years, female 25.5
GTEX-1LVAO-0526-SM-EWRNS 60-69 years, male 24.9
GTEX-144FL-0326-SM-5O99O 50-59 years, male 24.7
GTEX-146FQ-0326-SM-5NQAX 30-39 years, male 24.0
GTEX-1H23P-0526-SM-9WG6S 60-69 years, male 23.9
GTEX-ZAB4-0426-SM-5HL7N 40-49 years, male 23.7
GTEX-ZTPG-0126-SM-5O9AL 20-29 years, female 23.7
GTEX-XMD1-0626-SM-EZ6MC 60-69 years, male 23.7
GTEX-1314G-1726-SM-5LZUX 30-39 years, male 23.4
GTEX-14ASI-0526-SM-5QGQP 60-69 years, male 23.3
GTEX-1PWST-0426-SM-E76QV 70-79 years, male 23.2
GTEX-13PLJ-0326-SM-5L3I7 60-69 years, female 23.1
GTEX-1JN1M-0526-SM-CJI3D 60-69 years, female 23.0
GTEX-1H3NZ-0326-SM-9MQL6 60-69 years, male 22.9
GTEX-XUYS-0326-SM-47JX2 50-59 years, male 22.7
GTEX-13O1R-0526-SM-5K7XU 60-69 years, male 22.5
GTEX-14XAO-2226-SM-6LLHU 60-69 years, female 22.3
GTEX-1JMPZ-0126-SM-CNPOZ 30-39 years, male 22.1
GTEX-17MF6-2026-SM-7LG5I 40-49 years, male 21.8
GTEX-U3ZG-0326-SM-47JXN 50-59 years, male 21.6
GTEX-YBZK-0326-SM-59HLN 50-59 years, female 21.3
GTEX-132Q8-0626-SM-5L3F3 60-69 years, male 21.1
GTEX-1ICLZ-0626-SM-ARL83 60-69 years, male 21.1
GTEX-13G51-2726-SM-5LZZ9 60-69 years, male 20.8
GTEX-WOFL-0626-SM-3MJG3 60-69 years, male 20.8
GTEX-VUSG-2626-SM-4KKZI 50-59 years, male 20.7
GTEX-17F97-0526-SM-7DUF8 50-59 years, male 20.6
GTEX-145MI-0326-SM-5Q5EV 60-69 years, female 20.5
GTEX-1R9K5-0326-SM-EWRNG 50-59 years, male 20.0
GTEX-YECK-0626-SM-4W1ZE 60-69 years, male 19.8
GTEX-132AR-1026-SM-5PNVL 50-59 years, female 19.7
GTEX-144GO-1326-SM-5Q5EL 60-69 years, male 19.7
GTEX-13FTY-0226-SM-5IJBW 40-49 years, female 19.5
GTEX-SSA3-0326-SM-32QPS 60-69 years, male 19.5
GTEX-WWTW-0626-SM-4MVNS 50-59 years, male 19.5
GTEX-1IL2V-0526-SM-ARL8B 70-79 years, male 19.4
GTEX-1R7EU-0626-SM-DTX9N 60-69 years, male 19.3
GTEX-13OVJ-0226-SM-5L3GK 50-59 years, female 19.0
GTEX-14PN4-0326-SM-6EU2N 50-59 years, male 19.0
GTEX-ZYFD-0326-SM-5NQ8I 50-59 years, male 19.0
GTEX-13SLW-0326-SM-5RQK5 70-79 years, male 18.9
GTEX-13NYB-2726-SM-5J2MT 40-49 years, male 18.8
GTEX-1IL2U-0726-SM-EAZ2Y 60-69 years, male 18.8
GTEX-1J8EW-0326-SM-CYPSX 60-69 years, female 18.6
GTEX-14DAQ-0326-SM-664MR 60-69 years, female 18.5
GTEX-P4PP-1626-SM-2HMJF 30-39 years, female 18.5
GTEX-1445S-0626-SM-5LU3C 60-69 years, male 18.4
GTEX-ZVE1-0526-SM-5NQ71 50-59 years, female 18.1
GTEX-144GM-2026-SM-5LU3D 20-29 years, male 17.8
GTEX-14PII-0626-SM-69LPY 60-69 years, male 17.8
GTEX-X8HC-0526-SM-4E3JA 50-59 years, female 17.8
GTEX-1IGQW-0526-SM-CKZO3 60-69 years, male 17.8
GTEX-R3RS-0526-SM-3GADG 40-49 years, female 17.7
GTEX-1QPFJ-0326-SM-E8VO2 30-39 years, female 17.7
GTEX-147GR-0126-SM-62LER 60-69 years, male 17.6
GTEX-16XZY-2226-SM-7938N 70-79 years, male 17.6
GTEX-ZE9C-2326-SM-5J1NT 60-69 years, male 17.6
GTEX-11DXZ-2426-SM-5N9DT 50-59 years, male 17.5
GTEX-13RTL-0326-SM-7LT89 40-49 years, male 17.5
GTEX-14E6C-1526-SM-664ND 40-49 years, male 17.5
GTEX-QDT8-0526-SM-3NMD8 30-39 years, female 17.5
GTEX-1GF9U-2326-SM-7RHH9 40-49 years, female 17.5
GTEX-12WSF-0926-SM-6PALU 70-79 years, male 17.4
GTEX-17EVQ-1226-SM-7LG59 70-79 years, male 17.4
GTEX-14A5H-0326-SM-5RQIB 60-69 years, male 17.3
GTEX-14C38-0426-SM-5TDDZ 50-59 years, male 17.3
GTEX-11DZ1-0926-SM-5EQ5R 50-59 years, male 17.1
GTEX-13IVO-0626-SM-5LZYJ 70-79 years, male 17.0
GTEX-15CHR-2426-SM-7DUFX 50-59 years, male 17.0
GTEX-XV7Q-2926-SM-4BRUL 40-49 years, female 17.0
GTEX-13RTJ-2726-SM-73KVG 60-69 years, male 16.9
GTEX-P44G-0526-SM-2XCD1 30-39 years, male 16.9
GTEX-Y114-2526-SM-4TT8M 50-59 years, female 16.9
GTEX-ZZPT-0626-SM-5GZXT 50-59 years, male 16.9
GTEX-13NYS-0326-SM-5MR4L 60-69 years, male 16.8
GTEX-1QMI2-0526-SM-DTXFU 60-69 years, male 16.8
GTEX-X88G-0326-SM-47JZ4 30-39 years, male 16.7
GTEX-1S82P-0326-SM-E9TIR 60-69 years, female 16.7
GTEX-ZVTK-0626-SM-5GU6Y 20-29 years, male 16.6
GTEX-1F5PK-2626-SM-7RHH6 50-59 years, male 16.6
GTEX-1K9T9-0326-SM-EWRNQ 50-59 years, female 16.6
GTEX-15UF7-2226-SM-6PAMQ 40-49 years, male 16.4
GTEX-1A8G6-0126-SM-7DUFY 60-69 years, male 16.4
GTEX-ZF28-0526-SM-4WKGW 60-69 years, male 16.4
GTEX-1J1OQ-0426-SM-A9SLI 40-49 years, female 16.4
GTEX-139T8-0526-SM-5KLZL 60-69 years, male 16.3
GTEX-OHPL-1626-SM-2HMIR 60-69 years, female 16.3
GTEX-1HBPI-0226-SM-ADEJ7 50-59 years, male 16.3
GTEX-15G19-0526-SM-6PAMT 60-69 years, male 16.2
GTEX-U412-0326-SM-3DB9L 60-69 years, male 16.2
GTEX-1ICLY-0326-SM-ARL7S 50-59 years, male 16.2
GTEX-11UD2-0326-SM-5EQLE 50-59 years, male 16.1
GTEX-11WQK-0726-SM-5GU71 50-59 years, male 16.1
GTEX-1F75W-0326-SM-7PC2Q 60-69 years, male 16.1
GTEX-1KANB-0126-SM-E6CJT 50-59 years, male 16.1
GTEX-15CHQ-0726-SM-6EU18 60-69 years, male 16.0
GTEX-1F5PL-0426-SM-7P8PR 40-49 years, female 16.0
GTEX-1R9PO-2426-SM-EVYBS 60-69 years, female 16.0
GTEX-1A3MX-0526-SM-718A9 60-69 years, male 15.9
GTEX-139T4-0326-SM-5K7XN 50-59 years, female 15.8
GTEX-15UF6-1026-SM-7KUF7 70-79 years, female 15.7
GTEX-1F88E-1826-SM-9MQLV 60-69 years, female 15.7
GTEX-ZYW4-0526-SM-5GZZ5 60-69 years, male 15.6
GTEX-1LC47-0626-SM-DIPFE 60-69 years, male 15.6
GTEX-OHPN-2726-SM-2I5H4 60-69 years, female 15.5
GTEX-T5JC-0626-SM-3NMA6 20-29 years, male 15.5
GTEX-ZYFC-0526-SM-5GIDF 50-59 years, male 15.5
GTEX-1IDJC-2026-SM-ADEIK 50-59 years, male 15.5
GTEX-1E2YA-0526-SM-7P8RY 50-59 years, male 15.4
GTEX-1HSMO-0526-SM-ACKXB 60-69 years, male 15.4
GTEX-11O72-0326-SM-5986D 40-49 years, male 15.3
GTEX-1C6WA-0326-SM-7DUGE 60-69 years, male 15.2
GTEX-T2IS-2626-SM-32QPP 20-29 years, female 15.2
GTEX-15SHU-0626-SM-7KUFH 40-49 years, female 15.1
GTEX-1PIGE-0226-SM-E76OT 20-29 years, male 15.1
GTEX-13PDP-0326-SM-5K7XP 60-69 years, male 14.9
GTEX-13S86-2326-SM-5RQK1 40-49 years, male 14.7
GTEX-1399S-2726-SM-5KM22 30-39 years, female 14.6
GTEX-18A7B-0326-SM-7LG65 70-79 years, male 14.6
GTEX-11TTK-0326-SM-5BC5N 60-69 years, female 14.5
GTEX-139TU-0526-SM-5J2M8 60-69 years, male 14.5
GTEX-13YAN-0526-SM-5O9BE 60-69 years, male 14.5
GTEX-ZDXO-0326-SM-4WKHJ 60-69 years, male 14.5
GTEX-1RQED-0426-SM-E6CJP 60-69 years, male 14.5
GTEX-1GN73-0126-SM-CNPPT 60-69 years, male 14.4
GTEX-13FHO-0726-SM-5IJDG 60-69 years, male 14.3
GTEX-1HB9E-0326-SM-D3LA5 50-59 years, male 14.3
GTEX-1I1GP-2126-SM-CKZPJ 50-59 years, male 14.3
GTEX-ZE7O-0326-SM-51MTH 50-59 years, female 14.2
GTEX-ZWKS-0326-SM-5NQ7G 30-39 years, male 14.2
GTEX-ZYT6-1626-SM-5E45R 30-39 years, male 14.2
GTEX-1CB4J-1226-SM-7P8P3 60-69 years, male 14.2
GTEX-QEG5-0426-SM-2I5GJ 20-29 years, male 14.1
GTEX-WHSE-0526-SM-5GZZD 20-29 years, male 14.1
GTEX-1N2EF-0526-SM-E76OK 60-69 years, male 14.1
GTEX-16NPV-2426-SM-6M482 50-59 years, female 14.0
GTEX-1HFI6-0426-SM-B2LXB 40-49 years, male 14.0
GTEX-13CF2-2726-SM-5LZWW 60-69 years, male 13.9
GTEX-1477Z-1626-SM-5SIA8 60-69 years, male 13.9
GTEX-T5JW-1826-SM-3GAE1 20-29 years, female 13.9
GTEX-1CB4H-0426-SM-7MXTL 60-69 years, female 13.9
GTEX-1S82Y-2226-SM-EWRNV 40-49 years, male 13.8
GTEX-18D9B-0426-SM-7LTAR 60-69 years, male 13.7
GTEX-WL46-0626-SM-3LK7R 50-59 years, male 13.7
GTEX-183FY-0226-SM-7LG54 20-29 years, male 13.6
GTEX-O5YT-1626-SM-32PK6 20-29 years, male 13.6
GTEX-1GF9X-2126-SM-7PBXN 40-49 years, female 13.6
GTEX-1R9K4-0626-SM-E76OZ 60-69 years, male 13.6
GTEX-13FH7-2126-SM-5L3DJ 50-59 years, female 13.5
GTEX-13FHP-0526-SM-5K7UY 50-59 years, male 13.5
GTEX-17HHY-0326-SM-7938H 50-59 years, male 13.5
GTEX-Q2AH-1826-SM-2S1Q2 40-49 years, male 13.5
GTEX-X4XX-0626-SM-3NMC1 60-69 years, male 13.5
GTEX-1I6K6-0326-SM-CJI4A 30-39 years, male 13.5
GTEX-1LH75-2626-SM-E9TKL 50-59 years, female 13.5
GTEX-11ZVC-2726-SM-5FQSZ 50-59 years, female 13.4
GTEX-144GL-0326-SM-5QGOY 50-59 years, male 13.4
GTEX-145LU-2026-SM-5Q5E8 50-59 years, male 13.4
GTEX-1IDJE-2426-SM-ACKWF 50-59 years, female 13.4
GTEX-1RAZA-0526-SM-E76R2 20-29 years, male 13.4
GTEX-15G1A-2026-SM-7KUFG 30-39 years, male 13.3
GTEX-1MCQQ-0626-SM-E9U5Q 60-69 years, male 13.3
GTEX-13QJ3-0726-SM-5SI68 50-59 years, male 13.1
GTEX-ZYY3-0526-SM-5E45G 60-69 years, female 13.1
GTEX-1RQEC-0126-SM-E9J2H 60-69 years, male 13.1
GTEX-13113-5019-SM-7EPH2 60-69 years, female 13.0
GTEX-ZAKK-0326-SM-5EGHA 70-79 years, male 13.0
GTEX-1S5VW-0526-SM-E6CHL 60-69 years, male 13.0
GTEX-11PRG-0326-SM-5GU53 50-59 years, male 12.9
GTEX-16XZZ-0526-SM-7KUF1 60-69 years, male 12.9
GTEX-PLZ4-0926-SM-2S1OI 50-59 years, female 12.9
GTEX-1KAFJ-2326-SM-D3L8Z 50-59 years, male 12.9
GTEX-OXRO-1726-SM-3LK6C 60-69 years, female 12.8
GTEX-X4XY-0626-SM-4E3IN 60-69 years, male 12.8
GTEX-11GSP-2726-SM-5A5LJ 60-69 years, female 12.7
GTEX-WRHU-0826-SM-3MJFN 50-59 years, female 12.7
GTEX-ZUA1-0326-SM-5NQA3 40-49 years, male 12.7
GTEX-1EU9M-0126-SM-7P8P8 60-69 years, male 12.7
GTEX-1OFPY-2526-SM-DTXEK 60-69 years, male 12.7
GTEX-1399Q-2426-SM-5J2MO 40-49 years, male 12.6
GTEX-1BAJH-0126-SM-7DHMF 70-79 years, male 12.6
GTEX-1H4P4-0626-SM-9YFKZ 50-59 years, male 12.6
GTEX-1I1HK-0326-SM-ACKW5 60-69 years, male 12.6
GTEX-1JMQK-0326-SM-ARZN5 60-69 years, male 12.6
GTEX-1LSNM-2326-SM-EWRO8 50-59 years, male 12.6
GTEX-11GS4-2526-SM-5A5KT 60-69 years, male 12.5
GTEX-139YR-2526-SM-5IJC6 50-59 years, male 12.5
GTEX-13PL6-0326-SM-5IJCP 40-49 years, female 12.5
GTEX-SIU8-0526-SM-2XCDP 50-59 years, male 12.5
GTEX-1GZ4I-0526-SM-9YFLX 50-59 years, male 12.5
GTEX-1IKK5-0426-SM-CL53X 60-69 years, male 12.5
GTEX-11NV4-0326-SM-5HL58 60-69 years, male 12.4
GTEX-139D8-0726-SM-5P9GJ 30-39 years, female 12.4
GTEX-1R46S-0326-SM-EWRNE 60-69 years, female 12.4
GTEX-13OW6-0626-SM-5L3IB 50-59 years, male 12.3
GTEX-14LZ3-0626-SM-5ZZWP 60-69 years, female 12.3
GTEX-XUW1-0826-SM-4BOP6 50-59 years, female 12.3
GTEX-11WQC-2626-SM-5CVLF 60-69 years, male 12.2
GTEX-1A3MW-0526-SM-731BY 60-69 years, female 12.2
GTEX-QVUS-0226-SM-3GIJY 60-69 years, female 12.2
GTEX-1QEPI-0526-SM-E76QF 60-69 years, female 12.2
GTEX-ZEX8-2526-SM-DO92M 50-59 years, male 12.2
GTEX-1117F-0426-SM-5EGHI 60-69 years, female 12.1
GTEX-QDVN-2426-SM-2S1Q4 50-59 years, male 12.1
GTEX-1GPI7-0426-SM-7RHHP 20-29 years, male 12.1
GTEX-1H2FU-0526-SM-ACKXO 60-69 years, female 12.1
GTEX-1HT8W-0326-SM-CM2SG 30-39 years, male 12.1
GTEX-1IKOH-0126-SM-COH4D 60-69 years, female 12.1
GTEX-11DXW-0726-SM-5H12J 40-49 years, male 12.0
GTEX-12WSJ-1726-SM-5LZVV 40-49 years, female 12.0
GTEX-13QIC-1226-SM-5K7YR 60-69 years, female 12.0
GTEX-144GN-2426-SM-5LU4R 50-59 years, male 12.0
GTEX-1A32A-0526-SM-731B9 50-59 years, female 12.0
GTEX-N7MS-0426-SM-2YUN6 60-69 years, male 12.0
GTEX-POYW-0526-SM-2XCEY 60-69 years, male 12.0
GTEX-S95S-1426-SM-2XCDM 60-69 years, male 12.0
GTEX-1F48J-0526-SM-9WYSX 50-59 years, female 12.0
GTEX-1B8KZ-2126-SM-73KYG 50-59 years, male 11.9
GTEX-YFC4-1026-SM-5RQJM 40-49 years, female 11.9
GTEX-ZAK1-0526-SM-5K7X4 50-59 years, female 11.9
GTEX-1LSNL-0126-SM-EWRNR 50-59 years, male 11.9
GTEX-1P4AB-0326-SM-EXUT3 50-59 years, male 11.9
GTEX-ZQUD-1726-SM-7P8ON 30-39 years, male 11.9
GTEX-13NZA-0526-SM-5L3D7 60-69 years, male 11.8
GTEX-T6MN-0526-SM-32PMS 50-59 years, male 11.8
GTEX-15RJ7-2426-SM-6M48L 40-49 years, male 11.7
GTEX-1EH9U-0326-SM-7P8S2 60-69 years, male 11.7
GTEX-1HSKV-0126-SM-E6CI1 60-69 years, male 11.7
GTEX-11XUK-2226-SM-5CVLL 40-49 years, female 11.6
GTEX-1H3O1-0626-SM-9MQM4 60-69 years, male 11.6
GTEX-S33H-2226-SM-DKPOP 30-39 years, male 11.6
GTEX-17MFQ-1926-SM-793A6 20-29 years, male 11.5
GTEX-X638-0326-SM-47JY1 70-79 years, female 11.5
GTEX-Y8LW-2026-SM-4V6G8 50-59 years, female 11.5
GTEX-1H1DG-0326-SM-9QEHK 70-79 years, male 11.5
GTEX-1N2DW-0426-SM-E9TK4 50-59 years, male 11.5
GTEX-139TT-0426-SM-5IJFA 60-69 years, male 11.4
GTEX-145LV-2326-SM-5LU8Z 50-59 years, male 11.4
GTEX-1A8G7-0326-SM-72D5B 60-69 years, male 11.4
GTEX-YB5E-2226-SM-5IFJ5 40-49 years, male 11.4
GTEX-ZY6K-2026-SM-5GZXQ 50-59 years, male 11.4
GTEX-1F88F-2526-SM-7PC2R 60-69 years, female 11.4
GTEX-1H1DE-1726-SM-A9G3G 20-29 years, male 11.4
GTEX-12ZZY-0626-SM-5EQ5T 60-69 years, male 11.3
GTEX-14A6H-5019-SM-793DH 30-39 years, male 11.3
GTEX-17JCI-0326-SM-7LG5H 60-69 years, female 11.3
GTEX-1B8L1-2726-SM-793AL 60-69 years, male 11.3
GTEX-WWYW-0526-SM-3NB2W 50-59 years, female 11.3
GTEX-Y111-0326-SM-4SOIX 50-59 years, male 11.3
GTEX-Y5LM-2126-SM-4VDSY 40-49 years, female 11.3
GTEX-1HR9M-0326-SM-CL549 60-69 years, male 11.3
GTEX-1K2DU-2526-SM-D3L8V 20-29 years, male 11.3
GTEX-1N2DV-0526-SM-DTX8W 40-49 years, male 11.3
GTEX-12696-2826-SM-5FQTY 60-69 years, male 11.2
GTEX-12C56-1926-SM-5FQUG 20-29 years, male 11.2
GTEX-14BMV-0326-SM-5RQHW 50-59 years, male 11.2
GTEX-16Z82-0126-SM-7DHLF 60-69 years, male 11.2
GTEX-QLQW-1326-SM-2S1QS 30-39 years, male 11.2
GTEX-131YS-0526-SM-5EGKJ 60-69 years, female 11.1
GTEX-14BIL-0326-SM-5SI9Q 50-59 years, male 11.1
GTEX-14E1K-2326-SM-664MP 50-59 years, male 11.1
GTEX-15DCD-0626-SM-7KUG7 70-79 years, female 11.1
GTEX-16YQH-0426-SM-7KUL7 30-39 years, male 11.1
GTEX-1AYD5-2226-SM-73KX3 50-59 years, male 11.1
GTEX-1C6VQ-0326-SM-7DHMS 50-59 years, male 11.1
GTEX-Q2AG-0426-SM-2S1PU 40-49 years, female 11.1
GTEX-SUCS-1626-SM-32PLS 70-79 years, male 11.1
GTEX-12KS4-0826-SM-5BC5R 30-39 years, male 11.0
GTEX-18A67-0326-SM-7LG5X 50-59 years, male 11.0
GTEX-1LG7Z-2126-SM-CXKYU 30-39 years, male 11.0
GTEX-14AS3-2126-SM-5S2MK 40-49 years, female 10.9
GTEX-1MJK3-1426-SM-E9TK1 20-29 years, male 10.9
GTEX-11DXX-2726-SM-5PNXO 60-69 years, female 10.8
GTEX-12WSH-2526-SM-5CVNH 50-59 years, male 10.8
GTEX-ZAB5-2126-SM-5K7UN 50-59 years, male 10.8
GTEX-1IKJJ-0326-SM-CL55L 60-69 years, male 10.8
GTEX-1J8JJ-0126-SM-D3L93 60-69 years, female 10.8
GTEX-1192X-0426-SM-5GIEE 50-59 years, male 10.7
GTEX-133LE-2026-SM-5K7WM 20-29 years, female 10.7
GTEX-ZVE2-0626-SM-5GU7I 50-59 years, male 10.7
GTEX-ZVZO-0326-SM-5HL4N 40-49 years, male 10.7
GTEX-ZZ64-1526-SM-5E43K 20-29 years, male 10.7
GTEX-13SLX-0326-SM-5Q5E4 50-59 years, female 10.6
GTEX-PSDG-0426-SM-5SI86 50-59 years, male 10.6
GTEX-U8T8-1426-SM-3DB9H 60-69 years, male 10.6
GTEX-1CB4F-0326-SM-9MQKD 60-69 years, male 10.6
GTEX-1GTWX-0326-SM-9WYTP 60-69 years, male 10.6
GTEX-1I1GT-0726-SM-B2LWN 60-69 years, female 10.6
GTEX-13JUV-2326-SM-5IJCE 40-49 years, female 10.5
GTEX-15DDE-0526-SM-6ETZQ 50-59 years, female 10.5
GTEX-1C475-1726-SM-73KVX 40-49 years, female 10.5
GTEX-1C64O-0326-SM-73KVW 60-69 years, male 10.5
GTEX-1C6VR-2526-SM-7DHMT 60-69 years, male 10.5
GTEX-Q734-2026-SM-3GADA 40-49 years, female 10.5
GTEX-12WSG-5016-SM-7SB84 50-59 years, female 10.5
GTEX-1LVA9-0326-SM-DLHBU 50-59 years, male 10.5
GTEX-111FC-0326-SM-5GZZ1 60-69 years, male 10.4
GTEX-13O3Q-2726-SM-5KM51 50-59 years, male 10.4
GTEX-17HGU-0626-SM-7939Y 50-59 years, male 10.4
GTEX-OOBK-1626-SM-2HMKG 40-49 years, male 10.4
GTEX-R55E-0526-SM-2TC6B 20-29 years, male 10.4
GTEX-XBED-2626-SM-4E3J5 60-69 years, male 10.4
GTEX-1CAMQ-0326-SM-7MXUI 40-49 years, male 10.4
GTEX-1F52S-0826-SM-7P8TQ 60-69 years, female 10.4
GTEX-1QAET-2026-SM-E9J3S 50-59 years, male 10.4
GTEX-1QW4Y-1726-SM-EWRN1 30-39 years, male 10.4
GTEX-11TUW-2526-SM-5EQKN 60-69 years, male 10.3
GTEX-139TS-2626-SM-5J1MT 60-69 years, male 10.3
GTEX-13S7M-0326-SM-5S2PH 60-69 years, female 10.3
GTEX-14PK6-2126-SM-6ETZV 70-79 years, female 10.3
GTEX-WZTO-0826-SM-3NM8Q 40-49 years, male 10.3
GTEX-1GN1V-0326-SM-9WYTO 60-69 years, male 10.3
GTEX-1GZ4H-1626-SM-7PC3F 50-59 years, female 10.3
GTEX-1H3VE-0126-SM-9WYTW 40-49 years, male 10.3
GTEX-1HBPM-0426-SM-CKZOO 60-69 years, female 10.3
GTEX-1KD5A-0726-SM-DIPEO 50-59 years, male 10.3
GTEX-11NUK-0226-SM-5A5L4 50-59 years, male 10.2
GTEX-11ONC-2426-SM-5GU7H 60-69 years, male 10.2
GTEX-1JMQI-2126-SM-CM2SC 50-59 years, male 10.2
GTEX-1LB8K-0126-SM-EVYCN 50-59 years, male 10.2
GTEX-13NYC-0726-SM-5J2NQ 60-69 years, male 10.1
GTEX-OIZG-1326-SM-2HMIQ 50-59 years, male 10.1
GTEX-QVJO-0126-SM-3GIK4 60-69 years, female 10.1
GTEX-1HBPN-0526-SM-A9SM6 50-59 years, male 10.1
GTEX-1R9PM-2226-SM-E8VOC 20-29 years, male 10.1
GTEX-1RB15-2226-SM-DTXFZ 60-69 years, male 10.1
GTEX-13FXS-0326-SM-5K7TV 50-59 years, male 10.0
GTEX-17HG3-2726-SM-7DHL5 30-39 years, female 10.0
GTEX-ZC5H-0326-SM-5HL9F 40-49 years, female 10.0
GTEX-11GSO-2526-SM-5PNVX 60-69 years, male 9.9
GTEX-145LS-0526-SM-5LU8Y 60-69 years, female 9.9
GTEX-14BIM-0326-SM-5SI9B 60-69 years, female 9.9
GTEX-16GPK-0526-SM-7KUER 60-69 years, male 9.9
GTEX-RTLS-0526-SM-2TF64 60-69 years, female 9.9
GTEX-1GN2E-0726-SM-9MQLU 60-69 years, male 9.9
GTEX-1I1GQ-0326-SM-A9SKS 50-59 years, male 9.9
GTEX-1S82U-1426-SM-E6CJL 30-39 years, female 9.9
GTEX-13OVI-1726-SM-5L3DW 60-69 years, female 9.8
GTEX-QEL4-0626-SM-3GIJM 50-59 years, male 9.8
GTEX-TKQ2-0826-SM-33HB6 50-59 years, male 9.8
GTEX-1JN76-0326-SM-ARZNJ 20-29 years, female 9.8
GTEX-1313W-0526-SM-5P9FZ 50-59 years, female 9.7
GTEX-13N2G-2326-SM-5J1ON 60-69 years, male 9.7
GTEX-148VJ-0326-SM-5QGQE 70-79 years, male 9.7
GTEX-15SDE-2326-SM-6PAL4 50-59 years, female 9.7
GTEX-15SKB-2526-SM-6PALP 60-69 years, male 9.7
GTEX-18QFQ-0326-SM-731C3 30-39 years, male 9.7
GTEX-P4QS-1626-SM-2S1NH 60-69 years, male 9.7
GTEX-POMQ-1926-SM-3NB1Y 20-29 years, female 9.7
GTEX-QLQ7-1726-SM-2S1QQ 60-69 years, male 9.7
GTEX-XBEC-0626-SM-4QARY 50-59 years, male 9.7
GTEX-1QP28-0526-SM-E8VNR 50-59 years, female 9.7
GTEX-13X6H-2326-SM-7EWEB 50-59 years, female 9.6
GTEX-145MG-0226-SM-5TDDB 50-59 years, male 9.6
GTEX-15EO6-2826-SM-6PANB 50-59 years, male 9.6
GTEX-RNOR-0526-SM-2TF4O 50-59 years, female 9.6
GTEX-S7PM-0526-SM-3NM92 60-69 years, male 9.6
GTEX-U4B1-1626-SM-3DB8N 40-49 years, male 9.6
GTEX-1R9JW-2426-SM-DTXFI 30-39 years, female 9.6
GTEX-1RAZR-0326-SM-EWRNM 40-49 years, male 9.6
GTEX-147JS-0526-SM-5TDD3 60-69 years, male 9.5
GTEX-NFK9-0626-SM-2HMIV 40-49 years, male 9.5
GTEX-WK11-2526-SM-3NM9Y 50-59 years, male 9.5
GTEX-XQ8I-0626-SM-4BOPT 50-59 years, male 9.5
GTEX-1F6IF-0226-SM-7PBZ6 60-69 years, male 9.5
GTEX-1GMR8-0326-SM-9KNUO 50-59 years, female 9.5
GTEX-1HSMQ-1326-SM-ADEHS 50-59 years, male 9.5
GTEX-1IDFM-1526-SM-ARL7U 60-69 years, male 9.5
GTEX-ZLFU-2526-SM-DO91K 40-49 years, male 9.5
GTEX-WFON-2326-SM-3LK7M 40-49 years, male 9.4
GTEX-1MA7W-1826-SM-DIPFP 20-29 years, female 9.4
GTEX-11OC5-0326-SM-5PNW5 60-69 years, male 9.3
GTEX-132NY-0726-SM-5KLZM 60-69 years, male 9.3
GTEX-13N1W-0526-SM-5MR4I 70-79 years, male 9.3
GTEX-13OVK-1926-SM-6M48G 40-49 years, male 9.3
GTEX-15DZA-2026-SM-6PANE 30-39 years, female 9.3
GTEX-Y3I4-2326-SM-4TT81 50-59 years, male 9.3
GTEX-1CAV2-2426-SM-7P8QF 40-49 years, female 9.3
GTEX-1EWIQ-0626-SM-7PBYW 70-79 years, female 9.3
GTEX-1H1ZS-0626-SM-CNPPU 70-79 years, male 9.3
GTEX-1IDJD-1326-SM-CM2TQ 30-39 years, male 9.3
GTEX-1IDJV-0426-SM-COH3Z 60-69 years, male 9.3
GTEX-1IY9M-0326-SM-ARZMN 60-69 years, male 9.3
GTEX-1LNCM-1226-SM-E9U5C 50-59 years, female 9.3
GTEX-11EQ9-2126-SM-5PNVW 30-39 years, male 9.2
GTEX-11OF3-2526-SM-5P9JL 60-69 years, male 9.2
GTEX-12WSN-2526-SM-5LZU8 40-49 years, male 9.2
GTEX-1339X-2426-SM-5KLYU 40-49 years, male 9.2
GTEX-13CF3-1826-SM-5J1NK 60-69 years, female 9.2
GTEX-1B97I-2026-SM-7DHN2 40-49 years, male 9.2
GTEX-X5EB-2326-SM-46MW5 40-49 years, male 9.2
GTEX-ZQG8-1226-SM-51MRX 60-69 years, female 9.2
GTEX-1FIGZ-1726-SM-9MQKS 40-49 years, male 9.2
GTEX-11H98-0326-SM-5HL4S 50-59 years, male 9.1
GTEX-11ZU8-2326-SM-5EQMJ 60-69 years, male 9.1
GTEX-13VXT-0326-SM-5LU4U 20-29 years, female 9.1
GTEX-Q2AI-1526-SM-3GIJ3 40-49 years, male 9.1
GTEX-RWS6-2126-SM-2XCAV 60-69 years, female 9.1
GTEX-XAJ8-1026-SM-47JY9 40-49 years, male 9.1
GTEX-XMD2-0526-SM-4YCDI 60-69 years, female 9.1
GTEX-Y8DK-0326-SM-4TT3P 60-69 years, male 9.1
GTEX-ZVZP-2526-SM-57WBR 50-59 years, male 9.1
GTEX-1JMQJ-0126-SM-E6CI2 50-59 years, male 9.1
GTEX-12WSM-0326-SM-5LZVI 60-69 years, male 9.0
GTEX-14JG6-2126-SM-6EU2F 30-39 years, female 9.0
GTEX-14PJ4-2426-SM-6EU1U 60-69 years, male 9.0
GTEX-TMZS-0326-SM-3DB9P 60-69 years, male 9.0
GTEX-V955-2426-SM-3GAEF 60-69 years, male 9.0
GTEX-WHPG-2226-SM-3NMBO 50-59 years, male 9.0
GTEX-1F75I-0526-SM-7RHI3 40-49 years, male 9.0
GTEX-1HBPH-0826-SM-ARZNB 40-49 years, female 9.0
GTEX-1I1GV-0126-SM-CL55G 60-69 years, male 9.0
GTEX-1J8Q2-0126-SM-E9J2G 60-69 years, male 9.0
GTEX-1MCC2-2726-SM-EWRN3 30-39 years, female 9.0
GTEX-1MJIX-2126-SM-E9J3A 40-49 years, male 9.0
GTEX-1NHNU-1226-SM-DTX8I 50-59 years, male 9.0
GTEX-1O9I2-0526-SM-EYYXI 50-59 years, male 9.0
GTEX-P4QT-1626-SM-DHXIR 50-59 years, female 9.0
GTEX-145LT-1626-SM-5O992 40-49 years, male 8.9
GTEX-145ME-2026-SM-5SIA5 40-49 years, female 8.9
GTEX-14A5I-0326-SM-5NQ9J 50-59 years, female 8.9
GTEX-OXRN-1326-SM-3LK5V 50-59 years, male 8.9
GTEX-QV31-1426-SM-2S1QD 30-39 years, male 8.9
GTEX-T8EM-1326-SM-3DB7G 40-49 years, male 8.9
GTEX-VJWN-0426-SM-3GIJI 50-59 years, female 8.9
GTEX-ZPIC-2526-SM-57WDP 40-49 years, female 8.9
GTEX-1F7RK-0326-SM-7RHH7 20-29 years, female 8.9
GTEX-1GF9W-0526-SM-9MQJP 60-69 years, male 8.9
GTEX-1I19N-2026-SM-ACKXJ 70-79 years, male 8.9
GTEX-1KWVE-0926-SM-CXZKP 30-39 years, male 8.9
GTEX-113JC-2726-SM-5EGIS 50-59 years, female 8.8
GTEX-1212Z-2626-SM-5YY8P 60-69 years, male 8.8
GTEX-12WSD-0526-SM-5EQ6F 60-69 years, female 8.8
GTEX-13D11-2526-SM-5KM28 50-59 years, female 8.8
GTEX-13O3O-0526-SM-5J1NL 60-69 years, female 8.8
GTEX-U3ZN-2226-SM-3DB88 30-39 years, female 8.8
GTEX-VJYA-1926-SM-3GIJJ 60-69 years, male 8.8
GTEX-1GZ2Q-0426-SM-9WPOU 40-49 years, male 8.8
GTEX-1JJEA-0126-SM-D3L8A 60-69 years, male 8.8
GTEX-131XE-2726-SM-5P9G7 50-59 years, male 8.7
GTEX-13OVL-1426-SM-5IJC1 50-59 years, male 8.7
GTEX-13OW8-1426-SM-5IJDT 60-69 years, male 8.7
GTEX-15SB6-1826-SM-6PALN 50-59 years, female 8.7
GTEX-1LGRB-2626-SM-CNPPR 50-59 years, female 8.7
GTEX-1122O-2426-SM-5GIDN 60-69 years, female 8.6
GTEX-WRHK-1626-SM-3MJFH 20-29 years, female 8.6
GTEX-1HSEH-0326-SM-A9G26 60-69 years, male 8.6
GTEX-1I1GS-0326-SM-ARL7X 60-69 years, male 8.6
GTEX-1IOXB-0326-SM-CL55M 50-59 years, male 8.6
GTEX-1JMLX-0326-SM-CM2RP 50-59 years, male 8.6
GTEX-1PPGY-0426-SM-DTXFE 60-69 years, male 8.6
GTEX-1QP66-1626-SM-E76PC 50-59 years, male 8.6
GTEX-13N11-2726-SM-5L3ER 50-59 years, female 8.5
GTEX-13O21-1726-SM-5MR5A 50-59 years, male 8.5
GTEX-15ER7-0226-SM-7KUEU 20-29 years, female 8.5
GTEX-1B8SG-0326-SM-73KXW 50-59 years, male 8.5
GTEX-RN64-0326-SM-2TC5J 50-59 years, male 8.5
GTEX-UPJH-0526-SM-4IHK8 50-59 years, male 8.5
GTEX-1F75B-0526-SM-7P8T5 50-59 years, male 8.5
GTEX-1GMRU-0326-SM-9WYT6 50-59 years, male 8.5
GTEX-1LGOU-2126-SM-DIPFG 20-29 years, female 8.5
GTEX-1E1VI-0426-SM-7DHN1 50-59 years, male 8.4
GTEX-QDVJ-1926-SM-2S1PJ 50-59 years, male 8.4
GTEX-XQ3S-0426-SM-4BOOA 20-29 years, male 8.4
GTEX-ZDTS-0526-SM-4WKH9 60-69 years, male 8.4
GTEX-ZP4G-2026-SM-57WEH 20-29 years, female 8.4
GTEX-1HUB1-0526-SM-CL54N 60-69 years, male 8.4
GTEX-12ZZZ-0226-SM-59HKU 60-69 years, male 8.3
GTEX-14PJN-2126-SM-6AJBM 30-39 years, male 8.3
GTEX-14PQA-0526-SM-7KUFS 50-59 years, female 8.3
GTEX-15SHW-0726-SM-7KUEI 60-69 years, male 8.3
GTEX-OHPK-1626-SM-2YUN3 50-59 years, female 8.3
GTEX-PLZ5-1726-SM-2I5F6 50-59 years, male 8.3
GTEX-XOT4-0526-SM-4B66O 60-69 years, female 8.3
GTEX-YJ8O-2826-SM-5CVM4 40-49 years, female 8.3
GTEX-ZDYS-1726-SM-5HL4Y 50-59 years, male 8.3
GTEX-ZLV1-2126-SM-4WWD2 60-69 years, female 8.3
GTEX-1AX8Z-5004-SM-ARZLD 60-69 years, male 8.3
GTEX-1EMGI-0326-SM-9MQM5 60-69 years, male 8.3
GTEX-1ICG6-2726-SM-CKZPN 70-79 years, female 8.3
GTEX-1IDJH-0226-SM-CYPSB 70-79 years, male 8.3
GTEX-1J1R8-2326-SM-CKZPS 40-49 years, male 8.3
GTEX-1K2DA-2226-SM-CGQGM 50-59 years, male 8.3
GTEX-1R9PN-1826-SM-E8VO4 40-49 years, female 8.3
GTEX-111VG-2626-SM-5GZY2 60-69 years, male 8.2
GTEX-12WSA-0726-SM-5FQU2 60-69 years, male 8.2
GTEX-13U4I-1826-SM-5IJD2 40-49 years, female 8.2
GTEX-15RIF-2126-SM-7KUM8 20-29 years, male 8.2
GTEX-17EUY-0626-SM-793BE 20-29 years, male 8.2
GTEX-18D9A-1826-SM-718BK 30-39 years, female 8.2
GTEX-1B933-0426-SM-7DHMC 50-59 years, female 8.2
GTEX-U8XE-0726-SM-3DB8O 30-39 years, male 8.2
GTEX-WYVS-2326-SM-3NMAI 40-49 years, female 8.2
GTEX-1EX96-1526-SM-7PBXK 50-59 years, male 8.2
GTEX-1JMPY-1226-SM-CJI3A 30-39 years, male 8.2
GTEX-ZF29-2426-SM-DO92G 60-69 years, female 8.2
GTEX-1128S-2426-SM-5H11B 60-69 years, female 8.1
GTEX-11EM3-2126-SM-5H11M 20-29 years, female 8.1
GTEX-11EMC-2626-SM-59864 60-69 years, female 8.1
GTEX-11EQ8-0526-SM-5N9BC 60-69 years, male 8.1
GTEX-13OW5-0326-SM-5L3HK 60-69 years, male 8.1
GTEX-145MH-0326-SM-5LU8H 50-59 years, male 8.1
GTEX-14PJ2-0326-SM-6EU2Q 50-59 years, male 8.1
GTEX-1B97J-1226-SM-7PBZR 50-59 years, female 8.1
GTEX-1F75A-0626-SM-7PBYI 50-59 years, male 8.1
GTEX-1I4MK-2326-SM-ADEHR 50-59 years, female 8.1
GTEX-1J8QM-2226-SM-CYPSK 60-69 years, female 8.1
GTEX-12WSC-0326-SM-5EQ5E 50-59 years, male 8.0
GTEX-13112-2626-SM-5BC66 50-59 years, male 8.0
GTEX-1B932-0526-SM-73KU7 40-49 years, female 8.0
GTEX-1CAMS-0126-SM-79396 40-49 years, female 8.0
GTEX-U3ZH-1926-SM-4DXTR 30-39 years, male 8.0
GTEX-YFCO-1926-SM-4W212 40-49 years, male 8.0
GTEX-169BO-1526-SM-9KNVR 50-59 years, male 8.0
GTEX-1HCU9-1926-SM-9WYSE 20-29 years, male 8.0
GTEX-131XH-2726-SM-5GCO2 50-59 years, male 7.9
GTEX-13NZ9-0626-SM-5IJCO 50-59 years, male 7.9
GTEX-13VXU-0326-SM-5LU36 50-59 years, male 7.9
GTEX-14PJM-0426-SM-5ZZVN 50-59 years, female 7.9
GTEX-16MT8-0326-SM-6PAM5 60-69 years, female 7.9
GTEX-1CB4I-0326-SM-7DHMM 50-59 years, male 7.9
GTEX-QXCU-1726-SM-2TC6L 50-59 years, male 7.9
GTEX-XGQ4-2326-SM-4AT53 50-59 years, male 7.9
GTEX-Z93S-1326-SM-5CVMR 50-59 years, male 7.9
GTEX-ZVT3-0526-SM-5GIE9 60-69 years, female 7.9
GTEX-1QCLY-0426-SM-E8VOH 30-39 years, male 7.9
GTEX-13X6J-0326-SM-7EPGD 50-59 years, male 7.8
GTEX-14E6E-2026-SM-664N5 30-39 years, male 7.8
GTEX-14PJ3-2026-SM-5ZZVK 50-59 years, male 7.8
GTEX-16NPX-0626-SM-7KULB 50-59 years, male 7.8
GTEX-1AMFI-2226-SM-731C6 50-59 years, female 7.8
GTEX-PW2O-1726-SM-2S1OO 20-29 years, male 7.8
GTEX-WXYG-2526-SM-3NB3F 50-59 years, female 7.8
GTEX-YEC3-2126-SM-4YCDB 50-59 years, male 7.8
GTEX-1GMR2-2126-SM-7P8TX 50-59 years, male 7.8
GTEX-1HCU6-0526-SM-A9SKU 60-69 years, female 7.8
GTEX-1HCU7-0426-SM-D3L8Q 50-59 years, male 7.8
GTEX-1L5NE-2226-SM-CXZKS 50-59 years, male 7.8
GTEX-1LVAM-0326-SM-DIPFL 50-59 years, female 7.8
GTEX-1PBJJ-0326-SM-E8VNT 30-39 years, male 7.8
GTEX-1QP6S-0426-SM-DTXG4 40-49 years, male 7.8
GTEX-11LCK-1226-SM-5Q5AM 30-39 years, male 7.7
GTEX-11ZTS-0526-SM-5CVL9 60-69 years, female 7.7
GTEX-QEG4-0626-SM-2S1OY 30-39 years, male 7.7
GTEX-ZV6S-2126-SM-4YCEM 40-49 years, female 7.7
GTEX-1KXAM-2426-SM-DIPFC 60-69 years, male 7.7
GTEX-117XS-2526-SM-5H11G 60-69 years, male 7.6
GTEX-1269C-2626-SM-5EQ5C 60-69 years, female 7.6
GTEX-12ZZX-0326-SM-5DUVH 40-49 years, female 7.6
GTEX-131XG-2326-SM-5HL8F 50-59 years, female 7.6
GTEX-13FTW-2326-SM-5K7YS 40-49 years, male 7.6
GTEX-147F3-0226-SM-5NQBV 50-59 years, female 7.6
GTEX-14C39-2426-SM-5S2U5 40-49 years, male 7.6
GTEX-14PJ6-2326-SM-6ETZR 60-69 years, female 7.6
GTEX-15D79-0526-SM-6ETZP 50-59 years, male 7.6
GTEX-16MTA-2026-SM-7KUL3 50-59 years, male 7.6
GTEX-P4PQ-1626-SM-2HMKK 60-69 years, male 7.6
GTEX-1GPI6-0326-SM-9MQM6 60-69 years, male 7.6
GTEX-1GZHY-0126-SM-9WYUQ 50-59 years, female 7.6
GTEX-1JJ6O-0926-SM-CYPT1 60-69 years, male 7.6
GTEX-1KD4Q-0326-SM-E9TJA 40-49 years, male 7.6
GTEX-OIZF-1626-SM-2YUNE 60-69 years, male 7.6
GTEX-145MN-2426-SM-5NQA5 30-39 years, male 7.5
GTEX-1C4CL-0326-SM-7DHMH 30-39 years, male 7.5
GTEX-R55G-2326-SM-2TC61 40-49 years, female 7.5
GTEX-REY6-0826-SM-2TF4S 60-69 years, male 7.5
GTEX-TSE9-0526-SM-3DB7Z 60-69 years, female 7.5
GTEX-ZXG5-0326-SM-5GICH 60-69 years, male 7.5
GTEX-1H11D-0326-SM-9WG71 40-49 years, male 7.5
GTEX-1JKYR-0326-SM-CNPOL 20-29 years, male 7.5
GTEX-1LG7Y-0126-SM-E6CJ8 50-59 years, male 7.5
GTEX-1S5ZA-0526-SM-EWRO1 20-29 years, male 7.5
GTEX-14ABY-0126-SM-62LDI 50-59 years, male 7.4
GTEX-18A6Q-0326-SM-718AT 60-69 years, male 7.4
GTEX-O5YV-2026-SM-2D7VS 60-69 years, female 7.4
GTEX-Y5V5-2526-SM-4VBQ4 60-69 years, female 7.4
GTEX-ZF2S-2126-SM-4WWAY 50-59 years, female 7.4
GTEX-1H1E6-2126-SM-9KNVM 30-39 years, male 7.4
GTEX-1HSMP-0326-SM-A9SMC 70-79 years, male 7.4
GTEX-1QCLZ-0326-SM-DTXG2 60-69 years, female 7.4
GTEX-1S83E-2126-SM-EWRO6 40-49 years, male 7.4
GTEX-11ZTT-2626-SM-5EQKK 60-69 years, female 7.3
GTEX-13PVR-2526-SM-5RQIT 60-69 years, female 7.3
GTEX-146FR-1726-SM-5Q5DT 60-69 years, female 7.3
GTEX-147F4-0326-SM-5TDCK 50-59 years, male 7.3
GTEX-1CAMR-1726-SM-793CU 20-29 years, male 7.3
GTEX-OXRP-2326-SM-2S1NL 60-69 years, female 7.3
GTEX-QV44-2026-SM-2S1RD 50-59 years, male 7.3
GTEX-X261-0326-SM-3NMD4 50-59 years, male 7.3
GTEX-Z9EW-1726-SM-5CVMO 40-49 years, male 7.3
GTEX-ZTX8-1626-SM-51MRY 20-29 years, male 7.3
GTEX-ZV68-0526-SM-59HKI 50-59 years, female 7.3
GTEX-1GN1U-2226-SM-9MQK1 50-59 years, female 7.3
GTEX-1IDJF-0326-SM-ADEIG 20-29 years, male 7.3
GTEX-1JK1U-2226-SM-CNNPL 60-69 years, male 7.3
GTEX-1QP9N-1926-SM-E6CPY 30-39 years, male 7.3
GTEX-1RAZQ-0426-SM-DTXFQ 30-39 years, male 7.3
GTEX-WEY5-2026-SM-CYPRC 40-49 years, female 7.3
GTEX-13W46-0726-SM-5LU3Z 50-59 years, male 7.2
GTEX-145MO-0726-SM-5NQB9 60-69 years, male 7.2
GTEX-17EVP-1326-SM-7DHMR 40-49 years, male 7.2
GTEX-18465-0326-SM-7LTAD 50-59 years, male 7.2
GTEX-1C2JI-2126-SM-793CG 50-59 years, male 7.2
GTEX-R55D-0626-SM-3GAD5 50-59 years, male 7.2
GTEX-U3ZM-1226-SM-3DB9G 40-49 years, male 7.2
GTEX-ZVT2-2426-SM-57WCQ 50-59 years, female 7.2
GTEX-1HCVE-0326-SM-CGQEW 50-59 years, male 7.2
GTEX-QCQG-2126-SM-DTXFV 50-59 years, female 7.2
GTEX-11P7K-1926-SM-5GU6R 30-39 years, male 7.1
GTEX-12126-0526-SM-5PNW4 20-29 years, male 7.1
GTEX-131XW-0326-SM-5KM1J 50-59 years, female 7.1
GTEX-14JIY-0426-SM-62LF7 60-69 years, male 7.1
GTEX-15RIE-2426-SM-7KUDS 60-69 years, male 7.1
GTEX-17GQL-1926-SM-718B9 60-69 years, male 7.1
GTEX-18D9U-0626-SM-7LTA4 40-49 years, male 7.1
GTEX-1CB4E-2126-SM-793AP 60-69 years, male 7.1
GTEX-Y9LG-1926-SM-5IFHY 30-39 years, male 7.1
GTEX-YB5K-2326-SM-5IFHD 40-49 years, female 7.1
GTEX-ZVT4-0326-SM-51MS5 50-59 years, female 7.1
GTEX-1C6VS-0126-SM-7PC2H 60-69 years, male 7.1
GTEX-1399U-2526-SM-5L3DL 50-59 years, female 7.0
GTEX-17KNJ-2426-SM-7DHLR 50-59 years, male 7.0
GTEX-1B996-0326-SM-7DHMU 60-69 years, male 7.0
GTEX-W5WG-1926-SM-4KKZK 50-59 years, female 7.0
GTEX-1GF9V-0126-SM-9WYT2 60-69 years, male 7.0
GTEX-1MCYP-2026-SM-DTXE4 20-29 years, female 7.0
GTEX-13FTZ-2226-SM-5LZXI 60-69 years, male 6.9
GTEX-14PJ5-2026-SM-6LLIN 60-69 years, female 6.9
GTEX-1AMEY-1526-SM-73KYW 30-39 years, female 6.9
GTEX-RU1J-1726-SM-2TF5S 20-29 years, female 6.9
GTEX-WY7C-2526-SM-3NB2N 50-59 years, male 6.9
GTEX-YF7O-2526-SM-5IFJX 50-59 years, male 6.9
GTEX-1IE54-0326-SM-ARZMD 40-49 years, female 6.9
GTEX-1J8Q3-1426-SM-CKZPU 60-69 years, male 6.9
GTEX-1211K-2126-SM-59HJZ 60-69 years, female 6.8
GTEX-12584-0526-SM-5FQTS 40-49 years, male 6.8
GTEX-14C5O-0626-SM-664N2 60-69 years, male 6.8
GTEX-PLZ6-1526-SM-2S1OC 30-39 years, male 6.8
GTEX-SE5C-1826-SM-2XCE4 40-49 years, female 6.8
GTEX-YEC4-2226-SM-5IFJT 40-49 years, male 6.8
GTEX-ZT9X-1826-SM-57WDU 40-49 years, male 6.8
GTEX-1JN6P-0526-SM-COH33 60-69 years, male 6.8
GTEX-14E6D-0326-SM-62LDX 50-59 years, male 6.7
GTEX-15CHC-2426-SM-6EU22 60-69 years, female 6.7
GTEX-15SHV-2526-SM-6PAMG 60-69 years, male 6.7
GTEX-QESD-1626-SM-2S1RB 20-29 years, male 6.7
GTEX-139T6-2026-SM-5IFFL 50-59 years, male 6.6
GTEX-1B8KE-2226-SM-7939K 50-59 years, male 6.6
GTEX-OIZH-1626-SM-2HMKI 50-59 years, male 6.6
GTEX-RM2N-1626-SM-2TF5N 50-59 years, male 6.6
GTEX-RWSA-0726-SM-2XCBE 40-49 years, male 6.6
GTEX-UJHI-1726-SM-3DB9B 50-59 years, female 6.6
GTEX-1H3VY-0326-SM-9WYU6 50-59 years, male 6.6
GTEX-1IDJU-2426-SM-ARZM9 60-69 years, female 6.6
GTEX-ZLWG-2126-SM-DO91M 50-59 years, female 6.6
GTEX-111CU-2026-SM-5GZZC 50-59 years, male 6.5
GTEX-11P81-2526-SM-5GU6H 30-39 years, female 6.5
GTEX-1399R-2526-SM-5IFG2 30-39 years, male 6.5
GTEX-13O3P-0626-SM-5L3D5 50-59 years, male 6.5
GTEX-15ETS-0326-SM-6PANH 40-49 years, female 6.5
GTEX-18A66-0126-SM-731CQ 60-69 years, male 6.5
GTEX-PWCY-2026-SM-5SI8R 20-29 years, female 6.5
GTEX-PWN1-1626-SM-2S1OL 40-49 years, female 6.5
GTEX-ZZPU-2626-SM-5E45Y 50-59 years, female 6.5
GTEX-13PL7-0626-SM-5IJCD 60-69 years, female 6.4
GTEX-146FH-0526-SM-5QGQ3 50-59 years, female 6.4
GTEX-15F5U-1826-SM-6LLJF 40-49 years, male 6.4
GTEX-17F9E-0226-SM-79OKK 50-59 years, male 6.4
GTEX-1B8SF-0426-SM-79OL4 60-69 years, male 6.4
GTEX-RU72-1326-SM-2TF6T 50-59 years, female 6.4
GTEX-SN8G-0326-SM-32PLG 50-59 years, female 6.4
GTEX-ZPCL-2026-SM-57WFD 60-69 years, female 6.4
GTEX-1GMR3-2126-SM-9WYTZ 40-49 years, male 6.4
GTEX-1H1CY-2726-SM-9MQLR 60-69 years, female 6.4
GTEX-11VI4-1926-SM-5CVLI 40-49 years, female 6.3
GTEX-1399T-2426-SM-5L3FJ 60-69 years, male 6.3
GTEX-13FTX-2026-SM-5L3D6 20-29 years, female 6.3
GTEX-14DAR-1826-SM-664N1 50-59 years, male 6.3
GTEX-14LLW-0526-SM-62LFB 70-79 years, female 6.3
GTEX-15RIG-0426-SM-7KUF4 40-49 years, male 6.3
GTEX-17HHE-2126-SM-7DHLO 50-59 years, male 6.3
GTEX-OXRK-1826-SM-2HMJE 50-59 years, female 6.3
GTEX-UTHO-0726-SM-3GAEN 60-69 years, male 6.3
GTEX-WYJK-1726-SM-3NM9U 50-59 years, male 6.3
GTEX-Y3IK-2626-SM-4WWDK 50-59 years, female 6.3
GTEX-ZV7C-2426-SM-5NQ7Q 50-59 years, male 6.3
GTEX-1EN7A-0326-SM-7P8T1 40-49 years, male 6.3
GTEX-11ZUS-1426-SM-5FQSP 30-39 years, male 6.2
GTEX-139UW-2626-SM-5K7W1 60-69 years, male 6.2
GTEX-13O61-2326-SM-5J1NJ 60-69 years, male 6.2
GTEX-13OVH-0626-SM-5L3EI 70-79 years, male 6.2
GTEX-13OW7-0326-SM-5J1MP 50-59 years, male 6.2
GTEX-13X6K-0326-SM-5Q5D6 60-69 years, female 6.2
GTEX-17F96-2726-SM-7LT9F 70-79 years, male 6.2
GTEX-18A7A-0626-SM-718BJ 50-59 years, female 6.2
GTEX-OXRL-1626-SM-2YUMU 50-59 years, male 6.2
GTEX-P78B-1626-SM-5SI85 40-49 years, female 6.2
GTEX-ZYFG-2426-SM-5GIE8 60-69 years, female 6.2
GTEX-1QP2A-0526-SM-E8VN5 50-59 years, male 6.2
GTEX-1QP67-1826-SM-DTX8D 40-49 years, female 6.2
GTEX-12BJ1-2526-SM-5FQUE 60-69 years, male 6.1
GTEX-13RTK-1626-SM-5QGQS 20-29 years, male 6.1
GTEX-1AX9I-0326-SM-73KXQ 60-69 years, male 6.1
GTEX-PX3G-1626-SM-2S1PT 20-29 years, female 6.1
GTEX-TML8-1826-SM-32QOR 40-49 years, female 6.1
GTEX-TMMY-0426-SM-33HBB 40-49 years, female 6.1
GTEX-WHSB-1826-SM-3TW8M 50-59 years, male 6.1
GTEX-1HFI7-1926-SM-A96TQ 50-59 years, female 6.1
GTEX-1HGF4-2626-SM-CM2SJ 60-69 years, male 6.1
GTEX-1PIEJ-0326-SM-EVYB5 20-29 years, female 6.1
GTEX-ZGAY-0726-SM-DO91O 40-49 years, female 6.1
GTEX-117YX-2526-SM-5EQ4Q 50-59 years, male 6.0
GTEX-P44H-0426-SM-2XCEZ 40-49 years, male 6.0
GTEX-ZA64-2026-SM-5PNXT 20-29 years, male 6.0
GTEX-ZF3C-0326-SM-4WWBF 50-59 years, female 6.0
GTEX-1CB4G-0426-SM-7MXUN 60-69 years, male 6.0
GTEX-1F6I4-0326-SM-7P8T8 60-69 years, male 6.0
GTEX-1PPH8-0326-SM-E76PR 20-29 years, male 6.0
GTEX-16AAH-1826-SM-7939D 50-59 years, male 5.9
GTEX-SNOS-1526-SM-32PLW 40-49 years, male 5.9
GTEX-1KANA-0926-SM-D3L9K 20-29 years, male 5.9
GTEX-1KANC-1626-SM-E6CIA 50-59 years, female 5.9
GTEX-1NUQO-0726-SM-E9J3K 20-29 years, female 5.9
GTEX-R55C-1726-SM-3GADJ 40-49 years, male 5.8
GTEX-S32W-2326-SM-2XCAW 50-59 years, female 5.8
GTEX-XPT6-2026-SM-4B64V 20-29 years, male 5.8
GTEX-Y5V6-2626-SM-5IFIX 60-69 years, male 5.8
GTEX-1C64N-0326-SM-7P8QC 50-59 years, male 5.8
GTEX-1GN1W-0726-SM-9KNTV 50-59 years, female 5.8
GTEX-1HCUA-2326-SM-ACKVJ 50-59 years, female 5.8
GTEX-1HKZK-0226-SM-9WYUG 40-49 years, male 5.8
GTEX-1PPH7-2526-SM-E76OJ 40-49 years, male 5.8
GTEX-13PVQ-0326-SM-5K7YF 50-59 years, male 5.7
GTEX-1497J-2626-SM-5SI9K 60-69 years, male 5.7
GTEX-14JG1-0126-SM-5ZZUP 40-49 years, male 5.7
GTEX-14PJO-0526-SM-6EU2O 60-69 years, male 5.7
GTEX-UJMC-1826-SM-3GADT 50-59 years, male 5.7
GTEX-XBEW-1026-SM-4QARV 40-49 years, male 5.7
GTEX-1I6K7-0326-SM-B2LXO 40-49 years, male 5.6
GTEX-111YS-2326-SM-5987L 60-69 years, male 5.5
GTEX-11DXY-2726-SM-5GID2 60-69 years, male 5.5
GTEX-1AX9K-2726-SM-7DHMA 50-59 years, male 5.5
GTEX-WOFM-1326-SM-3MJFR 20-29 years, male 5.5
GTEX-XPVG-2526-SM-4B66D 50-59 years, male 5.5
GTEX-Y8E4-1026-SM-4VBQ5 40-49 years, male 5.5
GTEX-1LBAC-0326-SM-DIPF1 20-29 years, male 5.5
GTEX-1LVAN-0526-SM-CNNQ1 50-59 years, female 5.5
GTEX-1MUQO-0226-SM-E9TJL 60-69 years, male 5.4
GTEX-13111-2226-SM-5LZUE 50-59 years, male 5.3
GTEX-15UKP-0326-SM-7KUFP 20-29 years, male 5.3
GTEX-TKQ1-1426-SM-4GICK 30-39 years, male 5.3
GTEX-1I1GR-0326-SM-CKZPI 60-69 years, male 5.3
GTEX-11I78-2426-SM-5A5K9 50-59 years, female 5.2
GTEX-13JVG-0126-SM-5L3D3 60-69 years, male 5.2
GTEX-13NZB-2626-SM-5J2M7 30-39 years, male 5.2
GTEX-ZVP2-2126-SM-5GU6E 50-59 years, male 5.2
GTEX-1HSGN-0326-SM-ACKXQ 40-49 years, female 5.2
GTEX-11EI6-0326-SM-5EQ6G 60-69 years, male 5.1
GTEX-14H4A-0926-SM-5ZZUU 40-49 years, female 5.1
GTEX-17F98-1626-SM-7938R 40-49 years, female 5.1
GTEX-117YW-2426-SM-5Q5AE 50-59 years, male 5.0
GTEX-R53T-1826-SM-3GIJX 50-59 years, female 5.0
GTEX-SJXC-0526-SM-2XCFG 60-69 years, male 5.0
GTEX-1PDJ9-0526-SM-DTXDL 20-29 years, male 5.0
GTEX-12WSL-2726-SM-5CVNL 50-59 years, male 4.9
GTEX-1PIIG-0126-SM-E9J46 30-39 years, male 4.9
GTEX-13OVG-2126-SM-5KM1K 60-69 years, male 4.8
GTEX-16BQI-0326-SM-6PAM4 30-39 years, female 4.8
GTEX-XUZC-2126-SM-4BRW8 30-39 years, female 4.8
GTEX-1R7EV-2026-SM-DTX83 40-49 years, male 4.8
GTEX-13W3W-2626-SM-5SIA2 60-69 years, female 4.7
GTEX-1M5QR-1326-SM-EWROC 40-49 years, male 4.7
GTEX-11NSD-2026-SM-5HL5U 20-29 years, male 4.6
GTEX-1A3MV-2026-SM-718BU 30-39 years, male 4.6
GTEX-11P82-1826-SM-5PNYJ 20-29 years, male 4.5
GTEX-131XF-2326-SM-5BC6B 60-69 years, male 4.5
GTEX-11TT1-2326-SM-5GU6N 20-29 years, male 4.4
GTEX-14BMU-2026-SM-5S2W6 20-29 years, female 4.4
GTEX-V1D1-2426-SM-3GAER 50-59 years, male 4.3
GTEX-WFG8-2426-SM-3GILL 20-29 years, male 4.2
GTEX-14753-0526-SM-5QGPR 60-69 years, male 4.1
GTEX-17HII-0426-SM-793A3 50-59 years, male 4.0
GTEX-1AX9J-0126-SM-73KY2 60-69 years, male 3.9
GTEX-16NGA-1926-SM-7LTA6 40-49 years, female 3.8
GTEX-WFG7-2226-SM-3GIKP 20-29 years, male 3.6
GTEX-OIZI-0626-SM-2XCEH 40-49 years, male 3.5
GTEX-13QBU-2426-SM-5LU4L 40-49 years, female 3.3
GTEX-SNMC-1426-SM-2XCFM 20-29 years, male 3.2
GTEX-14ICL-1926-SM-5RQIZ 30-39 years, male 3.1
GTEX-OOBJ-1626-SM-2I3F7 60-69 years, male 3.1
GTEX-1JKYN-1826-SM-ARZMZ 30-39 years, male 2.7
Show allShow less

SKELETAL MUSCLE - FANTOM5 CAGEi

RNA expression in human tissues obtained through Cap Analysis of Gene Expression (CAGE) generated by the FANTOM5 project are reported as Scaled Tags Per Million.

Max subtype Scaled Tags Per Millioni

Max subtype Scaled Tags Per Million is the value for the subtype with the largest average Scaled Tags Per Million across the subtype samples.

28.9
FANTOM5 sample id Sample description Scaled Tags Per Million
Skeletal muscle
Scaled Tags Per Million: 28.9
FF:10023-101D5 55,79,79 years, mixed 28.9
Skeletal muscle - soleus muscle
Scaled Tags Per Million: 10.7
FF:10282-104F3 male 10.7

Contact

  • NEWS ARTICLES
  • PRESS ROOM

The Project

  • INTRODUCTION
  • ORGANIZATION
  • PUBLICATIONS

The Human Protein Atlas

  • DOWNLOADABLE DATA
  • LICENCE & CITATION
  • HELP & FAQ
The Human Protein Atlas project is funded
by the Knut & Alice Wallenberg Foundation.


contact@proteinatlas.org