We use cookies to enhance the usability of our website. If you continue, we'll assume that you are happy to receive all cookies. More information. Don't show this again.
BNIP3L
HPA
RESOURCES
  • TISSUE
  • BRAIN
  • SINGLE CELL
  • SUBCELLULAR
  • CANCER
  • BLOOD
  • CELL LINE
  • STRUCTURE & INTERACTION
ABOUT
  • INTRODUCTION
  • HISTORY
  • ORGANIZATION
  • PUBLICATIONS
  • ANTIBODY SUBMISSION
  • ANTIBODY AVAILABILITY
  • ACKNOWLEDGMENTS
  • CONTACT
NEWS
  • NEWS ARTICLES
  • PRESS ROOM
LEARN
  • DICTIONARY
  • PROTEIN CLASSES
  • PROTEIN EVIDENCE
  • METHODS
  • EDUCATIONAL VIDEOS
DATA
  • DOWNLOADABLE DATA
  • PUBLICATION DATA
  • RELEASE HISTORY
HELP
  • ANTIBODY VALIDATION
  • ASSAYS & ANNOTATION
  • DISCLAIMER
  • HELP & FAQ
  • PRIVACY STATEMENT
  • LICENCE & CITATION
Fields »
Search result

Field
Term
Gene name
Class
Subclass
Class
Keyword
Chromosome
External id
Tissue
Cell type
Expression
Antibody panel
Tissue
Main location
Patient ID
Annotation
Tissue
Category
Tau score
Cluster
Reliability
Brain region
Category
Tau score
Brain region
Category
Tau score
Brain region
Category
Tau score
Cluster
Reliability
Tissue
Cell type
Enrichment
Cell type
Category
Tau score
Cell type
Category
Tau score
Cell type
Category
Tau score
Cell lineage
Category
Tau score
Cluster
Cluster
Location
Searches
Location
Cell line
Class
Type
Phase
Reliability
Cancer
Prognosis
Cancer
Category
Cancer
Category
Tau score
Cluster
Variants
Interacting gene (ensg_id)
Type
Number of interactions
Pathway
Category
Score
Score
Score
Validation
Validation
Validation
Validation
Antibodies
Data type
Column


  • SUMMARY

  • TISSUE

  • BRAIN

  • SINGLE CELL

  • SUBCELL

  • CANCER

  • BLOOD

  • CELL LINE

  • STRUCT & INT

  • BNIP3L
TISSUE PRIMARY DATA SKIN Show tissue menu
ADIPOSE TISSUE ADRENAL GLAND AMYGDALA APPENDIX BASAL GANGLIA BONE MARROW BREAST BRONCHUS CEREBELLUM CEREBRAL CORTEX CERVIX CHOROID PLEXUS COLON DUODENUM
ENDOMETRIUM EPIDIDYMIS ESOPHAGUS FALLOPIAN TUBE GALLBLADDER HEART MUSCLE HIPPOCAMPAL FORMATION HYPOTHALAMUS KIDNEY LIVER LUNG LYMPH NODE MIDBRAIN NASOPHARYNX
ORAL MUCOSA OVARY PANCREAS PARATHYROID GLAND PITUITARY GLAND PLACENTA PROSTATE RECTUM RETINA SALIVARY GLAND SEMINAL VESICLE SKELETAL MUSCLE SKIN SMALL INTESTINE
SMOOTH MUSCLE SOFT TISSUE SPINAL CORD SPLEEN STOMACH TESTIS THYMUS THYROID GLAND TONGUE TONSIL URINARY BLADDER VAGINA
ANTIBODIES
AND
VALIDATION
Dictionary
Skin
Tissue proteome
Skin
SKIN - Expression summary
Protein expression
Skini

On the top, protein expression in current human tissue, based on all annotated cell types, is reported with the units not detected (n), low (l), medium (m) and high (h). Underneath, protein expression in each annotated cell type are reported using the same units.

Protein expression data is based on knowledge-based annotation. For genes where more than one antibody has been used, a collective score is set.

If knowledge-based annotation could not be performed for a gene, no data is displayed here. View antibody staining data further down this page.

h
m
l
n
Cells in basal layer: Low
Cells in corneal layer: Not detected
Cells in granular layer: High
Cells in spinous layer: Medium
Endothelial cells: Medium
Extracellular matrix: Not detected
Fibrohistiocytic cells: Medium
Langerhans cells: Medium
Lymphocytes: Medium
Melanocytes: High
Vascular mural cells: Not detected
RNA expressioni

A summary of mRNA expression data available for current tissue based on several datasets. The mRNA expression levels in human tissues are based on RNA-seq data generated by the Human Protein Atlas (HPA), Genotype-Tissue Expression (GTEx) portal and CAGE data generated by the FANTOM5 consortium. Consensus normalized expression levels for human tissues was created by combining the data from HPA and GTEx datasets.

The mRNA expression levels in pig are based on RNA-seq data generated by the Human Protein Atlas (HPA), and for mouse, HPA data and in situ hybridization generated by the Allen brain atlas are reported.

Scroll down to view mRNA expression data in more detail.
Consensus:69.2 nTPM
HPA:61.5 nTPM
GTEx:69.2 nTPM

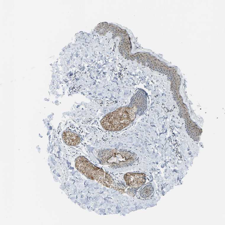
SKIN 1 - Antibody stainingi

Antibody staining in the annotated cell types in the current human tissue is reported as not detected, low, medium, or high, based on conventional immunohistochemistry profiling in selected tissues. This score is based on the combination of the staining intensity and fraction of stained cells.

Each image is clickable and will lead to virtual microscopy that enables deeper exploration of all samples and also displays staining intensity scores, fraction scores and subcellular localization as well as patient and tissue information for each sample.

Antibody HPA015652Antibody CAB025371
Langerhans Medium-
Cells in basal layer -Low
Cells in corneal layer -Not detected
Cells in granular layer -High
Cells in spinous layer -Medium
Endothelial cells -Low
Extracellular matrix -Not detected
Fibroblasts Low-
Fibrohistiocytic cells -Not detected
Keratinocytes Medium-
Langerhans cells -Medium
Lymphocytes -Medium
Melanocytes MediumLow
Vascular mural cells -Not detected


SKIN 2 - Antibody stainingi

Antibody staining in the annotated cell types in the current human tissue is reported as not detected, low, medium, or high, based on conventional immunohistochemistry profiling in selected tissues. This score is based on the combination of the staining intensity and fraction of stained cells.

Each image is clickable and will lead to virtual microscopy that enables deeper exploration of all samples and also displays staining intensity scores, fraction scores and subcellular localization as well as patient and tissue information for each sample.

Antibody CAB025371
Cells in basal layer Low
Cells in corneal layer Not detected
Cells in granular layer High
Cells in spinous layer Medium
Endothelial cells Medium
Extracellular matrix Not detected
Fibrohistiocytic cells Medium
Langerhans cells Medium
Lymphocytes Medium
Melanocytes High
Vascular mural cells Not detected
 
 
 



SKIN - HPA RNA-seqi

The RNA-seq details section shows detailed information about the individual samples used for the transcript profiling and results of the RNA-seq analysis.

Information about each individual sample is listed below, including gender, age, a tissue section image and estimated fractions of cell types. nTPM (normalized transcripts per million) values give a quantification of the gene abundance which is comparable between different genes and samples.
Average nTPMi

Max subtype nTPM is the value for the subtype with the largest average nTPM across the subtype samples.

61.5
overview
Female, age 34
Skin sample 225
nTPM: 70.7
Cell types%
Keratinocytes:
60

Other cell types:
40

overview
Female, age 30
Skin sample 226
nTPM: 78
Cell types%
Keratinocytes:
55

Other cell types:
45

N/A
Male, age 57
Skin sample 227
nTPM: 35.7

SKIN - GTEx RNA-seqi

RNA-Seq data generated by the Genotype-Tissue Expression (GTEx) project from human tissues is reported as mean nTPM. More information can be found on the GTEx portal.

Distribution across the dataset is visualized with box plots, shown as median and 25th and 75th percentiles. Points are displayed as outliers if they are above or below 1.5 times the interquartile range. nTPM values of the individual samples are presented next to the box plot.
Max subtype nTPMi

Max subtype nTPM is the value for the subtype with the largest average nTPM across the subtype samples.

69.2
GTEx sample id Sample description nTPM
Skin - Not Sun Exposed (Suprapubic)
Average nTPM: 61.0
Samples: 604

Max nTPM: 147.8
Min nTPM: 23.7
Std nTPM: 17.9
Median nTPM: 58.5
GTEX-15UF6-1926-SM-7KUDV 70-79 years, female 147.8
GTEX-1H2FU-0926-SM-9WPPT 60-69 years, female 130.6
GTEX-13IVO-0726-SM-5LZYV 70-79 years, male 123.7
GTEX-1J8Q2-2626-SM-ACKWQ 60-69 years, male 122.2
GTEX-1HCU7-0726-SM-A9SL1 50-59 years, male 117.2
GTEX-1R46S-2426-SM-E76QA 60-69 years, female 116.8
GTEX-1PBJJ-1026-SM-E76OS 30-39 years, male 115.0
GTEX-13PDP-0726-SM-5L3HP 60-69 years, male 112.3
GTEX-1S5ZU-2526-SM-E6CIF 20-29 years, female 111.7
GTEX-13QJC-0126-SM-5ZZWJ 60-69 years, female 110.7
GTEX-1GN1U-0626-SM-9MQL9 50-59 years, female 110.7
GTEX-1H23P-0626-SM-9WG6T 60-69 years, male 108.4
GTEX-11LCK-2226-SM-5HL4Q 30-39 years, male 106.9
GTEX-YF7O-1526-SM-5IFI6 50-59 years, male 102.7
GTEX-1IE54-1126-SM-A9G2Z 40-49 years, female 102.6
GTEX-1S3DN-2126-SM-E9TIN 50-59 years, male 102.3
GTEX-1GZ4H-0526-SM-9KNU9 50-59 years, female 101.6
GTEX-14DAR-1226-SM-73KYV 50-59 years, male 101.3
GTEX-14PJ5-1526-SM-6LLIL 60-69 years, female 100.7
GTEX-ZVZP-1226-SM-5GID7 50-59 years, male 100.1
GTEX-1AX9J-1326-SM-731BJ 60-69 years, male 99.7
GTEX-111CU-1126-SM-5EGIM 50-59 years, male 98.3
GTEX-14JG6-1426-SM-9WG7C 30-39 years, female 97.9
GTEX-1PIGE-1826-SM-E8VOU 20-29 years, male 97.2
GTEX-1399S-0126-SM-5IJCF 30-39 years, female 95.2
GTEX-1JMPY-0226-SM-CKZOK 30-39 years, male 94.8
GTEX-1LGRB-0926-SM-COH3K 50-59 years, female 94.7
GTEX-131XG-0326-SM-5L3DX 50-59 years, female 94.5
GTEX-11DZ1-2426-SM-5GZZX 50-59 years, male 94.2
GTEX-1ICLZ-0326-SM-ARL82 60-69 years, male 94.2
GTEX-1399U-1126-SM-5L3DB 50-59 years, female 93.4
GTEX-1QPFJ-1926-SM-EVYBD 30-39 years, female 93.3
GTEX-14E6C-2426-SM-5S2NF 40-49 years, male 93.1
GTEX-YEC4-1826-SM-4W1YP 40-49 years, male 93.0
GTEX-1F6RS-2026-SM-7RHHC 60-69 years, female 92.8
GTEX-1F48J-0726-SM-7RHGS 50-59 years, female 92.4
GTEX-1HBPN-0126-SM-CGQEF 50-59 years, male 92.4
GTEX-1GMR8-0626-SM-7RHI7 50-59 years, female 91.2
GTEX-13OVK-1426-SM-6PAN7 40-49 years, male 89.9
GTEX-18A67-1626-SM-7LT9T 50-59 years, male 89.9
GTEX-1GF9U-2026-SM-7SB92 40-49 years, female 89.2
GTEX-WH7G-2026-SM-3NMBL 40-49 years, male 89.0
GTEX-X8HC-0626-SM-4E3HQ 50-59 years, female 89.0
GTEX-ZY6K-1426-SM-5GZX2 50-59 years, male 89.0
GTEX-1QP2A-1726-SM-E76QC 50-59 years, male 88.6
GTEX-13OVJ-0826-SM-5J1OK 50-59 years, female 87.7
GTEX-1I1GT-1026-SM-ARZLV 60-69 years, female 87.7
GTEX-U8XE-0226-SM-4E3J3 30-39 years, male 87.6
GTEX-1JJ6O-2726-SM-CNPOG 60-69 years, male 87.6
GTEX-ZAB4-2126-SM-5HL8U 40-49 years, male 87.4
GTEX-1R7EU-1626-SM-DTXG3 60-69 years, male 87.4
GTEX-1B8KE-1126-SM-7EPHI 50-59 years, male 87.3
GTEX-1RLM8-2926-SM-E8VON 50-59 years, male 86.4
GTEX-14C39-1726-SM-5RQIL 40-49 years, male 86.0
GTEX-12ZZZ-0726-SM-5GCNZ 60-69 years, male 85.9
GTEX-11ZTT-2126-SM-5CVLO 60-69 years, female 85.6
GTEX-14C5O-0326-SM-5ZZUX 60-69 years, male 85.5
GTEX-15SKB-2826-SM-6PAMH 60-69 years, male 85.5
GTEX-1I6K7-1926-SM-B2LXR 40-49 years, male 85.5
GTEX-YB5K-2026-SM-4VDT3 40-49 years, female 85.3
GTEX-ZZ64-1026-SM-5GZXG 20-29 years, male 85.0
GTEX-ZYY3-2926-SM-5GIEB 60-69 years, female 84.4
GTEX-ZVE2-2826-SM-5GU51 50-59 years, male 84.3
GTEX-18D9A-1426-SM-7LT8M 30-39 years, female 84.3
GTEX-WHSB-1326-SM-3LK6W 50-59 years, male 83.7
GTEX-XBED-1926-SM-47JYP 60-69 years, male 83.7
GTEX-17F9Y-0126-SM-79OKX 70-79 years, female 83.0
GTEX-1CB4J-1326-SM-7P8RX 60-69 years, male 82.9
GTEX-15ER7-0626-SM-6PANF 20-29 years, female 82.8
GTEX-13OW5-2326-SM-5L3HO 60-69 years, male 82.2
GTEX-ZE7O-2726-SM-51MT5 50-59 years, female 81.8
GTEX-ZC5H-1526-SM-5HL9Y 40-49 years, female 81.7
GTEX-1RAZS-2526-SM-E6CHT 50-59 years, male 81.2
GTEX-1HFI7-2326-SM-CGQFS 50-59 years, female 81.1
GTEX-11EQ8-0926-SM-5H12V 60-69 years, male 81.0
GTEX-13SLW-0626-SM-5Q5ER 70-79 years, male 81.0
GTEX-ZPCL-1126-SM-4WWFE 60-69 years, female 80.9
GTEX-1IKJJ-2226-SM-CJI4C 60-69 years, male 80.4
GTEX-1QP29-1826-SM-DTX9S 50-59 years, male 80.4
GTEX-1C2JI-1026-SM-73KY1 50-59 years, male 80.0
GTEX-131XF-2626-SM-5EQ6K 60-69 years, male 79.8
GTEX-14ICL-1626-SM-5YYAO 30-39 years, male 79.5
GTEX-145MI-0626-SM-5SI8S 60-69 years, female 79.4
GTEX-1F52S-2926-SM-7MKGA 60-69 years, female 79.4
GTEX-15EO6-2426-SM-6PALZ 50-59 years, male 79.3
GTEX-ZVT4-2426-SM-5GIEI 50-59 years, female 79.3
GTEX-1HBPM-0726-SM-9YFL7 60-69 years, female 79.3
GTEX-15FZZ-0526-SM-7KUGD 30-39 years, female 78.9
GTEX-1B933-2426-SM-7DHMD 50-59 years, female 78.9
GTEX-1GF9W-1426-SM-7PBYM 60-69 years, male 78.9
GTEX-1NSGN-0726-SM-DTXEF 50-59 years, male 78.4
GTEX-Y9LG-1126-SM-4VBQ7 30-39 years, male 78.2
GTEX-ZTTD-2826-SM-4YCFA 50-59 years, male 78.2
GTEX-14PII-0726-SM-6EU2B 60-69 years, male 78.0
GTEX-1F5PL-0926-SM-7PC2W 40-49 years, female 77.5
GTEX-1HR9M-2226-SM-CNPPY 60-69 years, male 77.4
GTEX-1JMQL-2226-SM-CNPP4 50-59 years, female 77.4
GTEX-1QCLY-0226-SM-EWRNH 30-39 years, male 77.3
GTEX-Y8LW-1526-SM-5IFHL 50-59 years, female 77.2
GTEX-1NV5F-0626-SM-DTXEG 60-69 years, female 77.2
GTEX-ZDTT-0426-SM-4WKFL 60-69 years, male 77.0
GTEX-1N5O9-0926-SM-E9J3C 60-69 years, male 76.7
GTEX-139T8-0626-SM-5KLZX 60-69 years, male 76.5
GTEX-1I1GS-2626-SM-B2LY3 60-69 years, male 76.4
GTEX-ZT9W-1126-SM-57WDR 50-59 years, male 76.0
GTEX-1JK1U-0226-SM-ARZMX 60-69 years, male 75.9
GTEX-1GF9X-1326-SM-7PC2Y 40-49 years, female 75.7
GTEX-12WSL-2026-SM-5GCML 50-59 years, male 75.6
GTEX-1KAFJ-0126-SM-DIPEK 50-59 years, male 75.4
GTEX-1I4MK-0126-SM-CY8G6 50-59 years, female 75.3
GTEX-144GM-0526-SM-79OJO 20-29 years, male 75.1
GTEX-XAJ8-1426-SM-47JYM 40-49 years, male 75.0
GTEX-147F3-1726-SM-5SIAW 50-59 years, female 74.9
GTEX-X5EB-1926-SM-4E3IW 40-49 years, male 74.9
GTEX-1GMRU-2126-SM-7P8RA 50-59 years, male 74.9
GTEX-ZAJG-1526-SM-5CVML 50-59 years, female 74.8
GTEX-1GF9V-0826-SM-9KNUV 60-69 years, male 74.4
GTEX-17EVQ-0126-SM-7IGLR 70-79 years, male 74.3
GTEX-17F98-1326-SM-7DUEP 40-49 years, female 74.3
GTEX-111YS-1526-SM-5GZYW 60-69 years, male 74.2
GTEX-14BMU-1226-SM-5S2OR 20-29 years, female 74.2
GTEX-11EQ9-1626-SM-5PNY8 30-39 years, male 74.1
GTEX-1HCVE-2726-SM-CL54F 50-59 years, male 74.1
GTEX-14PJN-1826-SM-6AJ98 30-39 years, male 74.0
GTEX-11GSP-2326-SM-5HL63 60-69 years, female 73.9
GTEX-1R9PM-1926-SM-EVR3O 20-29 years, male 73.9
GTEX-Y114-2126-SM-4TT8B 50-59 years, female 73.8
GTEX-15RIE-1926-SM-7KUKJ 60-69 years, male 73.7
GTEX-1269C-0126-SM-5EQ5L 60-69 years, female 73.6
GTEX-16XZZ-0726-SM-7KUF2 60-69 years, male 73.4
GTEX-13O61-1426-SM-5KM3D 60-69 years, male 73.1
GTEX-1122O-1026-SM-9WYSF 60-69 years, female 72.9
GTEX-111VG-1626-SM-5EGIO 60-69 years, male 72.7
GTEX-XPVG-2126-SM-4B667 50-59 years, male 72.7
GTEX-1GMR3-0126-SM-A9SLW 40-49 years, male 72.3
GTEX-13X6I-1826-SM-5SIAO 60-69 years, male 72.2
GTEX-18A66-0626-SM-7LT8Z 60-69 years, male 72.1
GTEX-1I1GU-0926-SM-ACKVS 40-49 years, male 71.8
GTEX-1GN2E-0226-SM-9WG6K 60-69 years, male 71.7
GTEX-1R9K4-2826-SM-DTX8F 60-69 years, male 71.7
GTEX-XK95-0226-SM-4AT58 40-49 years, male 71.5
GTEX-ZXG5-2126-SM-59HKD 60-69 years, male 71.5
GTEX-13YAN-0226-SM-5TDC6 60-69 years, male 71.4
GTEX-WEY5-2326-SM-3GIKK 40-49 years, female 71.4
GTEX-1GN73-0726-SM-7P8TJ 60-69 years, male 71.4
GTEX-1KXAM-1626-SM-D3LAD 60-69 years, male 71.3
GTEX-148VJ-0626-SM-5LUAW 70-79 years, male 71.1
GTEX-1192X-2726-SM-5N9DN 50-59 years, male 71.0
GTEX-ZF29-0926-SM-4WKFZ 60-69 years, female 71.0
GTEX-1F5PK-2226-SM-7SB6N 50-59 years, male 71.0
GTEX-1GN1V-2826-SM-9JGIA 60-69 years, male 70.8
GTEX-1S83E-1326-SM-E6CJM 40-49 years, male 70.8
GTEX-1IKOE-1426-SM-CE6T7 30-39 years, female 70.7
GTEX-178AV-1726-SM-7KUL8 40-49 years, male 70.6
GTEX-1N2DV-1526-SM-DTXEP 40-49 years, male 70.2
GTEX-11EM3-1226-SM-5N9DD 20-29 years, female 70.1
GTEX-1314G-1326-SM-5BC6E 30-39 years, male 70.1
GTEX-16BQI-1326-SM-6M486 30-39 years, female 69.9
GTEX-1I1GV-0626-SM-ARL7M 60-69 years, male 69.9
GTEX-145ME-1726-SM-5Q5EU 40-49 years, female 69.8
GTEX-WHWD-1826-SM-3LK6I 50-59 years, male 69.8
GTEX-1F88E-1626-SM-7SB8Z 60-69 years, female 69.7
GTEX-ZTX8-1326-SM-4YCEL 20-29 years, male 69.6
GTEX-13PL6-1126-SM-5L3IE 40-49 years, female 69.5
GTEX-ZLV1-1526-SM-DO91J 60-69 years, female 69.3
GTEX-11O72-0626-SM-5PNYE 40-49 years, male 69.2
GTEX-14PJ4-0226-SM-5YY92 60-69 years, male 69.2
GTEX-UPJH-0226-SM-3GADV 50-59 years, male 68.9
GTEX-WYBS-0626-SM-3NMAS 60-69 years, female 68.9
GTEX-1L5NE-1126-SM-D3L9P 50-59 years, male 68.7
GTEX-183FY-1026-SM-7939A 20-29 years, male 68.6
GTEX-1HGF4-0126-SM-CNPPX 60-69 years, male 68.6
GTEX-12WSK-2126-SM-5CVNC 40-49 years, female 68.5
GTEX-WFON-1926-SM-3LK7L 40-49 years, male 68.5
GTEX-1IDJV-0126-SM-COH3Y 60-69 years, male 68.5
GTEX-1JMQJ-0826-SM-CNPP7 50-59 years, male 68.3
GTEX-WI4N-2726-SM-3LK7Y 40-49 years, female 68.2
GTEX-1RAZA-2226-SM-E9U4X 20-29 years, male 68.1
GTEX-13FLV-0126-SM-5K7WT 50-59 years, male 68.0
GTEX-XUW1-0926-SM-4BONX 50-59 years, female 68.0
GTEX-1EMGI-2326-SM-7PBYA 60-69 years, male 68.0
GTEX-1LVAM-0726-SM-E6CIL 50-59 years, female 68.0
GTEX-1H3VE-0726-SM-9YFL5 40-49 years, male 67.9
GTEX-1J1R8-2026-SM-CL53Y 40-49 years, male 67.8
GTEX-1117F-2926-SM-5GZYI 60-69 years, female 67.6
GTEX-15RJE-2826-SM-7KUM9 40-49 years, male 67.5
GTEX-1MJK3-0726-SM-E6CJC 20-29 years, male 67.5
GTEX-12KS4-2126-SM-5FQUT 30-39 years, male 67.3
GTEX-1497J-0226-SM-5QGPU 60-69 years, male 67.3
GTEX-ZE9C-2526-SM-5IJDR 60-69 years, male 67.2
GTEX-ZLWG-0826-SM-59888 50-59 years, female 67.2
GTEX-15CHQ-0326-SM-69LQD 60-69 years, male 67.1
GTEX-145MG-1526-SM-5Q5EM 50-59 years, male 67.0
GTEX-17HII-1426-SM-7EPGG 50-59 years, male 66.8
GTEX-12WSD-0626-SM-5GCMW 60-69 years, female 66.6
GTEX-1HSKV-1226-SM-ADEI4 60-69 years, male 66.6
GTEX-17HHE-1326-SM-7EWDZ 50-59 years, male 66.5
GTEX-ZYW4-0626-SM-59HJR 60-69 years, male 66.4
GTEX-1PIIG-2326-SM-DTXFR 30-39 years, male 66.3
GTEX-1RB15-1326-SM-E76Q9 60-69 years, male 66.3
GTEX-11P81-2226-SM-5PNYI 30-39 years, female 66.1
GTEX-WHSE-0126-SM-3NMBT 20-29 years, male 66.1
GTEX-ZF3C-0626-SM-DO92O 50-59 years, female 66.0
GTEX-17F97-2626-SM-7IGM5 50-59 years, male 65.8
GTEX-1RAZQ-1326-SM-E9TK6 30-39 years, male 65.8
GTEX-13NZ8-1226-SM-5KM4A 60-69 years, female 65.7
GTEX-12BJ1-0926-SM-5EQ62 60-69 years, male 65.4
GTEX-12696-0126-SM-5EQ4L 60-69 years, male 65.2
GTEX-ZPU1-1126-SM-4YCF3 40-49 years, male 65.2
GTEX-14PJ3-1126-SM-5ZZVX 50-59 years, male 65.1
GTEX-Y5LM-0926-SM-6LLJG 40-49 years, female 65.0
GTEX-1F75B-0726-SM-7PC3R 50-59 years, male 65.0
GTEX-1477Z-0326-SM-7IGLA 60-69 years, male 64.9
GTEX-1IDJF-2026-SM-CL53V 20-29 years, male 64.9
GTEX-1PPH8-0126-SM-EWRN8 20-29 years, male 64.8
GTEX-14B4R-1326-SM-5Q5EZ 30-39 years, male 64.7
GTEX-1IDJU-1726-SM-CMKHU 60-69 years, female 64.7
GTEX-1ICG6-1226-SM-A9SLN 70-79 years, female 64.6
GTEX-13VXT-1926-SM-5K7UO 20-29 years, female 64.5
GTEX-1HSMQ-2626-SM-A9SML 50-59 years, male 64.5
GTEX-1J1OQ-0126-SM-D4P2N 40-49 years, female 64.5
GTEX-WXYG-2026-SM-4E3IY 50-59 years, female 64.4
GTEX-YEC3-1326-SM-DO92X 50-59 years, male 64.2
GTEX-11DXX-2126-SM-5PNYR 60-69 years, female 63.9
GTEX-1GN1W-2426-SM-9KNUU 50-59 years, female 63.9
GTEX-145MO-2826-SM-5LU96 60-69 years, male 63.8
GTEX-ZLFU-1826-SM-4WWBV 40-49 years, male 63.8
GTEX-12C56-1526-SM-5FQUQ 20-29 years, male 63.7
GTEX-1QP9N-1226-SM-E76QN 30-39 years, male 63.7
GTEX-15SHW-0226-SM-7LTAT 60-69 years, male 63.6
GTEX-1QAET-0326-SM-EVR3U 50-59 years, male 63.5
GTEX-1AMFI-1326-SM-7939R 50-59 years, female 63.3
GTEX-1RAZR-2126-SM-E9U6T 40-49 years, male 63.3
GTEX-15CHC-1126-SM-6LLHQ 60-69 years, female 63.2
GTEX-1HT8W-0626-SM-A9G2H 30-39 years, male 63.2
GTEX-13PVR-0426-SM-5RQK2 60-69 years, female 63.1
GTEX-1J8Q3-0526-SM-ARL8U 60-69 years, male 63.1
GTEX-1MCC2-1826-SM-DIPEX 30-39 years, female 63.1
GTEX-15DDE-2926-SM-6LLJ3 50-59 years, female 63.0
GTEX-1IDJD-2326-SM-ACKWX 30-39 years, male 63.0
GTEX-1LKK1-2626-SM-DKPQE 50-59 years, female 63.0
GTEX-1PPH7-1126-SM-DTX9A 40-49 years, male 63.0
GTEX-1S82P-2126-SM-E6CI5 60-69 years, female 63.0
GTEX-11WQK-1026-SM-5EQLX 50-59 years, male 62.9
GTEX-13FHO-0426-SM-5L3F5 60-69 years, male 62.9
GTEX-1211K-1526-SM-5FQU4 60-69 years, female 62.7
GTEX-13NYS-0626-SM-5L3F1 60-69 years, male 62.7
GTEX-1A3MW-0626-SM-731CB 60-69 years, female 62.7
GTEX-1AX9I-2226-SM-73KUO 60-69 years, male 62.7
GTEX-13FTY-2126-SM-5IFFB 40-49 years, female 62.5
GTEX-1CB4H-1126-SM-7MKGL 60-69 years, female 62.5
GTEX-13113-1626-SM-5EQ4I 60-69 years, female 62.4
GTEX-ZYVF-0926-SM-5E44J 50-59 years, female 62.4
GTEX-VJYA-1526-SM-3GIJV 60-69 years, male 62.3
GTEX-16NGA-0726-SM-731AO 40-49 years, female 62.2
GTEX-1EH9U-2826-SM-7DUGT 60-69 years, male 62.1
GTEX-1H4P4-2126-SM-9WYSL 50-59 years, male 62.0
GTEX-13W3W-0726-SM-5IJDQ 60-69 years, female 61.9
GTEX-1KANC-1226-SM-CYPT7 50-59 years, female 61.7
GTEX-14E1K-2026-SM-7DUEI 50-59 years, male 61.6
GTEX-1CAMS-2226-SM-7PBXQ 40-49 years, female 61.4
GTEX-14A5H-0826-SM-5QGPJ 60-69 years, male 61.2
GTEX-1HBPI-2126-SM-ARL9K 50-59 years, male 61.2
GTEX-1E1VI-0326-SM-793D1 50-59 years, male 61.1
GTEX-XBEC-0726-SM-4QARZ 50-59 years, male 61.1
GTEX-1JMQI-1726-SM-ARL93 50-59 years, male 61.1
GTEX-1I6K6-1726-SM-CGQFD 30-39 years, male 61.0
GTEX-14AS3-1526-SM-5Q5ED 40-49 years, female 60.9
GTEX-X4EO-2926-SM-4E3JH 60-69 years, female 60.9
GTEX-ZT9X-1526-SM-5DUXD 40-49 years, male 60.9
GTEX-XQ8I-0926-SM-4BOOF 50-59 years, male 60.8
GTEX-1RMOY-1326-SM-E9TIH 50-59 years, male 60.6
GTEX-13QBU-1226-SM-5LU4G 40-49 years, female 60.4
GTEX-YECK-0326-SM-4W1YS 60-69 years, male 60.4
GTEX-18A7B-2726-SM-7LG56 70-79 years, male 60.2
GTEX-1C6WA-2626-SM-7MKGM 60-69 years, male 60.2
GTEX-11TUW-0626-SM-5LU9M 60-69 years, male 60.1
GTEX-1PPGY-1626-SM-EVYBL 60-69 years, male 60.1
GTEX-1QP28-1126-SM-EVYC4 50-59 years, female 60.1
GTEX-1A3MX-2626-SM-7PC24 60-69 years, male 59.9
GTEX-1B8L1-2226-SM-7P8PT 60-69 years, male 59.9
GTEX-1IDJI-0126-SM-CMKHS 50-59 years, female 59.9
GTEX-14LZ3-0126-SM-69LPM 60-69 years, female 59.8
GTEX-1CAMQ-1326-SM-7P8RV 40-49 years, male 59.8
GTEX-139UW-0326-SM-5J1ML 60-69 years, male 59.7
GTEX-Z93S-1626-SM-5CVMB 50-59 years, male 59.7
GTEX-1JMQK-1226-SM-D4P2S 60-69 years, male 59.7
GTEX-1HUB1-1426-SM-CGQF5 60-69 years, male 59.5
GTEX-145LS-0626-SM-7EPG7 60-69 years, female 59.4
GTEX-WHPG-2626-SM-3NMBR 50-59 years, male 59.3
GTEX-13N1W-2426-SM-5IJD1 70-79 years, male 59.2
GTEX-ZP4G-1426-SM-4WWCL 20-29 years, female 59.2
GTEX-14A6H-2026-SM-5Q5DD 30-39 years, male 59.1
GTEX-YFCO-1226-SM-5LUAT 40-49 years, male 59.1
GTEX-1IDFM-0326-SM-ARL7V 60-69 years, male 59.1
GTEX-13D11-0926-SM-5J2NC 50-59 years, female 59.0
GTEX-1C6VR-0126-SM-7RHGB 60-69 years, male 58.9
GTEX-1JMPZ-0726-SM-CY8HZ 30-39 years, male 58.9
GTEX-1AMEY-0826-SM-72D65 30-39 years, female 58.8
GTEX-1B8KZ-0326-SM-73KY4 50-59 years, male 58.8
GTEX-WK11-2726-SM-3NMAQ 50-59 years, male 58.7
GTEX-1QCLZ-2426-SM-EVYBW 60-69 years, female 58.5
GTEX-ZGAY-1826-SM-DO91Q 40-49 years, female 58.5
GTEX-WFG8-2126-SM-3GIKQ 20-29 years, male 58.4
GTEX-1OJC4-2726-SM-E76PJ 50-59 years, female 58.4
GTEX-13FTX-1526-SM-5K7VJ 20-29 years, female 58.3
GTEX-17HGU-2326-SM-7DUFE 50-59 years, male 58.2
GTEX-1HCU6-2526-SM-ADEHL 60-69 years, female 58.2
GTEX-ZYFD-0626-SM-5E44E 50-59 years, male 58.1
GTEX-WY7C-2126-SM-3NB2R 50-59 years, male 58.0
GTEX-1I1CD-0626-SM-CE6SW 60-69 years, female 58.0
GTEX-15DYW-2726-SM-6EU2I 60-69 years, female 57.9
GTEX-1K2DU-1226-SM-CYPT4 20-29 years, male 57.9
GTEX-14PJ2-0626-SM-6LLII 50-59 years, male 57.8
GTEX-Y5V6-2326-SM-4VDSA 60-69 years, male 57.7
GTEX-Y8E4-2026-SM-5IFJB 40-49 years, male 57.7
GTEX-ZZPU-0826-SM-5GZX5 50-59 years, female 57.7
GTEX-12ZZY-0726-SM-5EQ66 60-69 years, male 57.6
GTEX-133LE-2326-SM-5K7W3 20-29 years, female 57.6
GTEX-14PKU-0126-SM-6LLHV 40-49 years, female 57.6
GTEX-1JMOU-1026-SM-CYPSS 60-69 years, female 57.5
GTEX-1KD5A-0126-SM-E9U54 50-59 years, male 57.5
GTEX-ZF2S-1626-SM-57WES 50-59 years, female 57.4
GTEX-12WSF-1626-SM-7KUG5 70-79 years, male 57.3
GTEX-17MFQ-1526-SM-7KFRR 20-29 years, male 57.3
GTEX-XMD2-2126-SM-4YCF8 60-69 years, female 57.3
GTEX-ZA64-1026-SM-5HL8R 20-29 years, male 57.3
GTEX-1HB9E-0126-SM-CM2S5 50-59 years, male 57.3
GTEX-1HSMP-0926-SM-A9SKX 70-79 years, male 57.3
GTEX-11DXY-0126-SM-5H11Q 60-69 years, male 57.2
GTEX-1F6IF-0926-SM-7SB7M 60-69 years, male 57.2
GTEX-1HCUA-0826-SM-ADEHM 50-59 years, female 57.2
GTEX-139YR-1026-SM-5LZYN 50-59 years, male 57.0
GTEX-1EU9M-1426-SM-793AI 60-69 years, male 57.0
GTEX-1LB8K-0726-SM-D5OV2 50-59 years, male 57.0
GTEX-ZYFC-0426-SM-5GICQ 50-59 years, male 56.9
GTEX-1PDJ9-1226-SM-EXUSX 20-29 years, male 56.9
GTEX-13FTW-0326-SM-5K7UW 40-49 years, male 56.8
GTEX-1A32A-0626-SM-731AQ 50-59 years, female 56.8
GTEX-1ICLY-0826-SM-CMKG1 50-59 years, male 56.8
GTEX-145MN-1526-SM-5SI9T 30-39 years, male 56.7
GTEX-15G1A-1626-SM-7KUKN 30-39 years, male 56.7
GTEX-X4EP-0626-SM-3P621 60-69 years, female 56.7
GTEX-ZDYS-2426-SM-4WKGI 50-59 years, male 56.4
GTEX-13O3O-2326-SM-5IJD6 60-69 years, female 56.2
GTEX-13PVQ-0626-SM-5LU47 50-59 years, male 56.2
GTEX-1HSGN-0826-SM-ACKW3 40-49 years, female 56.2
GTEX-1OJC3-1226-SM-DTXER 20-29 years, male 56.1
GTEX-18A6Q-0626-SM-7KFRP 60-69 years, male 56.0
GTEX-16GPK-0626-SM-7KFSF 60-69 years, male 55.9
GTEX-15RIG-0726-SM-7KUM7 40-49 years, male 55.8
GTEX-VUSG-2326-SM-4KL1U 50-59 years, male 55.7
GTEX-14PHX-2226-SM-6EU2P 50-59 years, male 55.6
GTEX-131XW-0626-SM-5PNVD 50-59 years, female 55.5
GTEX-144GL-0626-SM-5LU4D 50-59 years, male 55.5
GTEX-1KANA-1326-SM-DIPFA 20-29 years, male 55.4
GTEX-13SLX-2226-SM-62LEP 50-59 years, female 55.2
GTEX-13X6H-0926-SM-5SIB2 50-59 years, female 55.2
GTEX-11NSD-0626-SM-5A5LU 20-29 years, male 55.1
GTEX-WFG7-2026-SM-5SI7P 20-29 years, male 55.1
GTEX-13OVG-1626-SM-5J1NF 60-69 years, male 54.9
GTEX-1QW4Y-1126-SM-DTXE3 30-39 years, male 54.9
GTEX-11ZU8-0126-SM-5EQ58 60-69 years, male 54.7
GTEX-W5X1-2526-SM-3GILC 40-49 years, female 54.7
GTEX-1F75I-2226-SM-7SB8U 40-49 years, male 54.7
GTEX-XXEK-1626-SM-4BRUZ 50-59 years, male 54.6
GTEX-147JS-0226-SM-5S2U9 60-69 years, male 54.4
GTEX-16MTA-0926-SM-6M47Z 50-59 years, male 54.3
GTEX-139TT-2126-SM-5LZWC 60-69 years, male 54.2
GTEX-1LSNM-0826-SM-DIPG8 50-59 years, male 54.1
GTEX-1A8FM-0626-SM-7PC25 50-59 years, female 54.0
GTEX-1C64N-2626-SM-7PC2N 50-59 years, male 54.0
GTEX-1JN1M-2726-SM-CY8I4 60-69 years, female 54.0
GTEX-1LVAO-2726-SM-E9TJ8 60-69 years, male 54.0
GTEX-1M4P7-0726-SM-E6CJ3 60-69 years, male 53.9
GTEX-11EI6-2826-SM-5H11D 60-69 years, male 53.8
GTEX-139TU-0726-SM-5L3EK 60-69 years, male 53.8
GTEX-1BAJH-2426-SM-7IGP8 70-79 years, male 53.8
GTEX-1B8SF-0126-SM-7DUG3 60-69 years, male 53.7
GTEX-1QP66-1226-SM-DTX7U 50-59 years, male 53.7
GTEX-18QFQ-1826-SM-72D52 30-39 years, male 53.6
GTEX-13X6K-0626-SM-5LU5D 60-69 years, female 53.5
GTEX-1HC8U-1326-SM-9YFMJ 40-49 years, female 53.5
GTEX-1POEN-2326-SM-E9J2L 30-39 years, female 53.5
GTEX-1QEPI-2626-SM-DTXF4 60-69 years, female 53.5
GTEX-1313W-0626-SM-5EQ4H 50-59 years, female 53.4
GTEX-11P82-1426-SM-DTXFY 20-29 years, male 53.4
GTEX-1GPI6-1926-SM-9KNV7 60-69 years, male 53.4
GTEX-1JJE9-2626-SM-ARZMT 70-79 years, male 53.4
GTEX-18465-2826-SM-7LT9J 50-59 years, male 53.3
GTEX-1K9T9-1526-SM-DIPFR 50-59 years, female 53.2
GTEX-11WQC-1826-SM-5GU59 60-69 years, male 53.1
GTEX-13OVH-0526-SM-5L3E6 70-79 years, male 53.1
GTEX-1GMR2-0826-SM-7PC3V 50-59 years, male 53.1
GTEX-12WSM-1926-SM-5BC65 60-69 years, male 53.0
GTEX-13RTJ-0126-SM-5S2NN 60-69 years, male 53.0
GTEX-15G19-2426-SM-7KUMR 60-69 years, male 53.0
GTEX-16YQH-2226-SM-7IGM2 30-39 years, male 53.0
GTEX-1E2YA-2126-SM-7MXUO 50-59 years, male 53.0
GTEX-1KWVE-1026-SM-D3L9O 30-39 years, male 53.0
GTEX-12WSC-2826-SM-5BC5Y 50-59 years, male 52.9
GTEX-XV7Q-1826-SM-4BRUV 40-49 years, female 52.9
GTEX-WYJK-0526-SM-3NM8Z 50-59 years, male 52.8
GTEX-15RJ7-2126-SM-6PAMD 40-49 years, male 52.7
GTEX-1CAMR-1326-SM-7PC1F 20-29 years, male 52.6
GTEX-14C38-0726-SM-5SI6M 50-59 years, male 52.5
GTEX-1EKGG-0626-SM-7DUGJ 60-69 years, male 52.5
GTEX-1S831-1826-SM-EWROF 20-29 years, male 52.5
GTEX-1GL5R-1326-SM-7RHHF 50-59 years, male 52.3
GTEX-16NPX-0726-SM-7KULC 50-59 years, male 52.2
GTEX-15CHR-1126-SM-7EWF4 50-59 years, male 52.0
GTEX-1R9PN-0426-SM-DTXDT 40-49 years, female 52.0
GTEX-1B996-0426-SM-7EWF8 60-69 years, male 51.9
GTEX-11P7K-1126-SM-5HL4L 30-39 years, male 51.8
GTEX-ZVT2-0126-SM-5GIDQ 50-59 years, female 51.8
GTEX-1J8EW-2726-SM-CY8HR 60-69 years, female 51.6
GTEX-11TT1-1826-SM-5EQLV 20-29 years, male 51.5
GTEX-131YS-2826-SM-5EQ47 60-69 years, female 51.5
GTEX-1A3MV-1826-SM-731CD 30-39 years, male 51.4
GTEX-12WSA-0426-SM-5EQ5X 60-69 years, male 51.2
GTEX-1H1DE-1326-SM-9KNUG 20-29 years, male 51.0
GTEX-1I1GP-1326-SM-A9G28 50-59 years, male 50.9
GTEX-1JMLX-0626-SM-ARL8T 50-59 years, male 50.9
GTEX-11UD2-2526-SM-5CVNU 50-59 years, male 50.8
GTEX-11VI4-1126-SM-5EQMD 40-49 years, female 50.8
GTEX-ZWKS-0626-SM-5GIDV 30-39 years, male 50.8
GTEX-1HKZK-0726-SM-ACKW2 40-49 years, male 50.8
GTEX-14XAO-1226-SM-6EU1C 60-69 years, female 50.6
GTEX-17KNJ-2126-SM-718AM 50-59 years, male 50.6
GTEX-14BIN-1126-SM-5RQJZ 50-59 years, female 50.5
GTEX-V1D1-2026-SM-3GAF4 50-59 years, male 50.4
GTEX-1GTWX-2026-SM-9YFLM 60-69 years, male 50.4
GTEX-1GZHY-0626-SM-9KNVC 50-59 years, female 50.4
GTEX-1N2EE-0626-SM-E76PW 60-69 years, male 50.4
GTEX-1JN6P-2926-SM-CL54D 60-69 years, male 50.3
GTEX-Y3IK-1626-SM-4YCF5 50-59 years, female 50.2
GTEX-1F75A-0726-SM-7RHHD 50-59 years, male 50.1
GTEX-ZUA1-2626-SM-5NQ92 40-49 years, male 49.9
GTEX-1JN76-0626-SM-CKZOQ 20-29 years, female 49.9
GTEX-ZPIC-0526-SM-DO91W 40-49 years, female 49.9
GTEX-146FQ-2126-SM-5RQHU 30-39 years, male 49.8
GTEX-1C475-1326-SM-7SB73 40-49 years, female 49.8
GTEX-1CB4F-1026-SM-7DUH1 60-69 years, male 49.7
GTEX-14JFF-0626-SM-5ZZVT 60-69 years, male 49.7
GTEX-17F9E-2326-SM-79OKD 50-59 years, male 49.6
GTEX-17HHY-0426-SM-7DHLC 50-59 years, male 49.5
GTEX-1B97I-0626-SM-73KUZ 40-49 years, male 49.5
GTEX-12ZZX-2426-SM-5GCOE 40-49 years, female 49.4
GTEX-144GO-2026-SM-5O99P 60-69 years, male 49.4
GTEX-17EVP-2626-SM-7IGMA 40-49 years, male 49.3
GTEX-1399Q-2326-SM-5KM2X 40-49 years, male 49.2
GTEX-11DXZ-2026-SM-5987S 50-59 years, male 49.1
GTEX-YJ8O-2526-SM-5HL85 40-49 years, female 49.1
GTEX-145MH-2826-SM-5RQJF 50-59 years, male 48.9
GTEX-1A8G7-1326-SM-73KVM 60-69 years, male 48.9
GTEX-117YX-1926-SM-5GIEC 50-59 years, male 48.8
GTEX-13NZ9-2626-SM-5L3FK 50-59 years, male 48.8
GTEX-16MT8-2926-SM-7DUFO 60-69 years, female 48.8
GTEX-1H1ZS-2726-SM-9WG75 70-79 years, male 48.8
GTEX-1IDJH-0126-SM-D3L92 70-79 years, male 48.8
GTEX-1J8JJ-0626-SM-ARZMQ 60-69 years, female 48.7
GTEX-1B932-2326-SM-79OL5 40-49 years, female 48.6
GTEX-Y3I4-1726-SM-4TT89 50-59 years, male 48.5
GTEX-Y5V5-0126-SM-5S2NW 60-69 years, female 47.8
GTEX-1HSMO-0626-SM-ACKXC 60-69 years, male 47.8
GTEX-14BMV-2826-SM-5TDED 50-59 years, male 47.7
GTEX-1IY9M-2826-SM-ARU8H 60-69 years, male 47.7
GTEX-14PJ6-2626-SM-6EU2T 60-69 years, female 47.6
GTEX-1AYD5-2626-SM-7PBXY 50-59 years, male 47.4
GTEX-1JKYR-0626-SM-ARL8R 20-29 years, male 47.4
GTEX-1CB4I-0126-SM-7RHGG 50-59 years, male 47.3
GTEX-1IOXB-2726-SM-CM2RI 50-59 years, male 47.2
GTEX-1J8QM-2426-SM-A9SLS 60-69 years, female 47.2
GTEX-12584-0726-SM-5FQTK 40-49 years, male 47.1
GTEX-1JJEA-1826-SM-ARU8P 60-69 years, male 47.1
GTEX-ZTSS-1426-SM-5985P 40-49 years, male 47.0
GTEX-139D8-1126-SM-5LU8W 30-39 years, female 46.9
GTEX-1C64O-1326-SM-7MGWR 60-69 years, male 46.9
GTEX-1LG7Y-2526-SM-EWRO7 50-59 years, male 46.9
GTEX-13112-0126-SM-5P9IU 50-59 years, male 46.5
GTEX-13X6J-0626-SM-5LU5F 50-59 years, male 46.4
GTEX-17MF6-2626-SM-79OKQ 40-49 years, male 46.3
GTEX-1H3O1-1326-SM-9MQLD 60-69 years, male 46.3
GTEX-1LSNL-2726-SM-E9TKJ 50-59 years, male 46.3
GTEX-18D9B-0926-SM-7LG4U 60-69 years, male 46.2
GTEX-WYVS-1626-SM-3NM9R 40-49 years, female 46.2
GTEX-145MF-0926-SM-5Q5EA 50-59 years, male 46.0
GTEX-1IDJE-1426-SM-ADEIW 50-59 years, female 45.9
GTEX-1LVAN-0626-SM-CNPOQ 50-59 years, female 45.9
GTEX-13OW7-0426-SM-5K7VK 50-59 years, male 45.8
GTEX-1H1CY-0126-SM-9YFLY 60-69 years, female 45.8
GTEX-11DXW-0826-SM-5H118 40-49 years, male 45.7
GTEX-WRHU-2826-SM-3MJG8 50-59 years, female 45.7
GTEX-XBEW-1126-SM-4QARW 40-49 years, male 45.6
GTEX-14753-0726-SM-5QGQO 60-69 years, male 45.4
GTEX-147F4-0726-SM-5TDDD 50-59 years, male 45.3
GTEX-1LG7Z-1626-SM-CXKYR 30-39 years, male 45.2
GTEX-1S82U-1026-SM-E6CJK 30-39 years, female 45.2
GTEX-1QMI2-2526-SM-E8VNZ 60-69 years, male 45.0
GTEX-13JUV-2026-SM-5K7UA 40-49 years, female 44.8
GTEX-1GPI7-1826-SM-9KNU1 20-29 years, male 44.7
GTEX-145LT-0526-SM-5LUB2 40-49 years, male 44.6
GTEX-1H1DF-1126-SM-9WG7G 40-49 years, female 44.6
GTEX-1CB4E-0926-SM-7EPHT 60-69 years, male 44.5
GTEX-13O3Q-0126-SM-5KM34 50-59 years, male 44.4
GTEX-13N11-2326-SM-5IJBF 50-59 years, female 44.3
GTEX-17F96-0126-SM-7EWDU 70-79 years, male 44.3
GTEX-1H3NZ-2726-SM-9WYTQ 60-69 years, male 44.3
GTEX-13NYC-0126-SM-5L3F4 60-69 years, male 44.1
GTEX-XOT4-0626-SM-4B66L 60-69 years, female 44.1
GTEX-1HCU9-0426-SM-9WYSD 20-29 years, male 43.9
GTEX-1CAV2-0126-SM-7IGN7 40-49 years, female 43.7
GTEX-1IDJC-1526-SM-B2LW4 50-59 years, male 43.7
GTEX-13U4I-2226-SM-5LU5H 40-49 years, female 43.4
GTEX-145LU-1926-SM-79OJN 50-59 years, male 43.4
GTEX-18A7A-0126-SM-731AH 50-59 years, female 43.2
GTEX-ZYFG-1526-SM-5GZYM 60-69 years, female 43.2
GTEX-X3Y1-2026-SM-3P5YM 40-49 years, male 43.0
GTEX-1H1E6-0426-SM-9WYUS 30-39 years, male 42.9
GTEX-UPK5-0426-SM-3GAEK 40-49 years, male 42.8
GTEX-1EN7A-2426-SM-793DB 40-49 years, male 42.6
GTEX-1GZ4I-2626-SM-9KNU3 50-59 years, male 42.5
GTEX-139TS-2126-SM-5K7XC 60-69 years, male 42.4
GTEX-1EWIQ-0326-SM-7DHMQ 70-79 years, female 42.4
GTEX-14PKV-1126-SM-6LLJ1 20-29 years, female 42.1
GTEX-1AX8Z-0726-SM-73KTS 60-69 years, male 42.0
GTEX-11GS4-0226-SM-5HL77 60-69 years, male 41.9
GTEX-ZVP2-0326-SM-57WBP 50-59 years, male 41.6
GTEX-1O9I2-0226-SM-EYYXD 50-59 years, male 41.6
GTEX-18D9U-0126-SM-731BM 40-49 years, male 41.5
GTEX-1A8G6-2726-SM-731AR 60-69 years, male 41.5
GTEX-1LGOU-1326-SM-D3L8M 20-29 years, female 41.4
GTEX-1H1DG-2426-SM-9QEHJ 70-79 years, male 41.1
GTEX-XYKS-1426-SM-4BRUO 60-69 years, female 41.0
GTEX-1KANB-2826-SM-CY8I6 50-59 years, male 40.9
GTEX-13OW8-1026-SM-5J1NQ 60-69 years, male 40.8
GTEX-14JG1-1526-SM-5YY9X 40-49 years, male 40.6
GTEX-1LBAC-0826-SM-CY8IJ 20-29 years, male 40.5
GTEX-15D1Q-2826-SM-6LLH7 40-49 years, male 40.3
GTEX-1K2DA-1026-SM-CGQGF 50-59 years, male 40.3
GTEX-1HR98-2226-SM-ADEI2 60-69 years, male 40.2
GTEX-12WSH-1526-SM-5BC5W 50-59 years, male 40.1
GTEX-ZDTS-0826-SM-4WKHL 60-69 years, male 40.0
GTEX-16AAH-0626-SM-793C9 50-59 years, male 39.7
GTEX-14PJO-2526-SM-6AJBQ 60-69 years, male 39.6
GTEX-1EX96-1026-SM-7MKG2 50-59 years, male 39.6
GTEX-13OW6-2726-SM-5J2OE 50-59 years, male 39.3
GTEX-1C6VQ-1226-SM-73KYD 50-59 years, male 39.2
GTEX-13FH7-1126-SM-5K7UG 50-59 years, female 39.1
GTEX-111FC-2526-SM-5GZXU 60-69 years, male 39.0
GTEX-1HFI6-0126-SM-CNPPI 40-49 years, male 39.0
GTEX-1LVA9-2626-SM-EVYD4 50-59 years, male 39.0
GTEX-13OVL-0126-SM-5L3GJ 50-59 years, male 38.9
GTEX-13N2G-0226-SM-5K7VF 60-69 years, male 38.8
GTEX-ZAK1-0626-SM-5HL8E 50-59 years, female 38.8
GTEX-14PK6-0226-SM-62LF5 70-79 years, female 38.3
GTEX-1HCU8-2526-SM-CE6RX 60-69 years, female 38.3
GTEX-1MCYP-0526-SM-E9U6Q 20-29 years, female 38.3
GTEX-1212Z-0126-SM-59HK4 60-69 years, male 38.2
GTEX-14DAQ-0626-SM-793DS 60-69 years, female 38.2
GTEX-1F6I4-2326-SM-7RHGL 60-69 years, male 38.2
GTEX-ZU9S-1826-SM-5NQ9E 30-39 years, male 38.1
GTEX-1F75W-2726-SM-7SB8H 60-69 years, male 37.7
GTEX-1JKYN-0826-SM-ARU8S 30-39 years, male 37.6
GTEX-147GR-2426-SM-5ZZWQ 60-69 years, male 37.4
GTEX-1LSVX-2526-SM-DIPEU 60-69 years, male 37.3
GTEX-12WSJ-1126-SM-5LZVJ 40-49 years, female 36.8
GTEX-ZYT6-2326-SM-5GZY3 30-39 years, male 36.5
GTEX-1399R-1326-SM-5PNYS 30-39 years, male 36.4
GTEX-14LLW-2626-SM-62LDZ 70-79 years, female 36.3
GTEX-12126-0826-SM-5FQTZ 20-29 years, male 36.2
GTEX-1I1HK-2326-SM-CKZOH 60-69 years, male 36.1
GTEX-13VXU-0626-SM-5L3F9 50-59 years, male 35.4
GTEX-1H11D-1826-SM-9QEHM 40-49 years, male 35.4
GTEX-16Z82-2626-SM-7KULU 60-69 years, male 35.3
GTEX-1GZ2Q-0126-SM-9WG6M 40-49 years, male 35.3
GTEX-ZVE1-0726-SM-51MRN 50-59 years, female 34.8
GTEX-14ABY-2026-SM-62LDL 50-59 years, male 34.6
GTEX-15EU6-2226-SM-6EU2L 50-59 years, male 34.4
GTEX-131XH-0126-SM-5LZUY 50-59 years, male 34.3
GTEX-11DYG-1526-SM-5A5JS 60-69 years, male 34.2
GTEX-14PHY-1226-SM-5ZZWK 60-69 years, female 34.2
GTEX-14E6E-0526-SM-793DN 30-39 years, male 33.6
GTEX-11OF3-0126-SM-5PNYF 60-69 years, male 33.5
GTEX-17HG3-2626-SM-7DUF2 30-39 years, female 33.5
GTEX-X585-2426-SM-46MW2 50-59 years, male 33.0
GTEX-13NYB-0126-SM-5J1MD 40-49 years, male 32.9
GTEX-11NUK-2726-SM-5A5MC 50-59 years, male 31.6
GTEX-1IL2V-1926-SM-B2LW8 70-79 years, male 31.1
GTEX-17JCI-2926-SM-7DUFF 60-69 years, female 30.8
GTEX-Y111-0626-SM-4SOIT 50-59 years, male 30.8
GTEX-13JVG-0726-SM-5KM16 60-69 years, male 30.0
GTEX-132AR-0326-SM-5KM2C 50-59 years, female 29.0
GTEX-ZDXO-3126-SM-5IJDF 60-69 years, male 29.0
GTEX-XQ3S-1426-SM-4BOPR 20-29 years, male 28.6
GTEX-1I19N-0126-SM-CYPSF 70-79 years, male 28.5
GTEX-ZVTK-0226-SM-51MRG 20-29 years, male 28.3
GTEX-144FL-0626-SM-5LU43 50-59 years, male 28.2
GTEX-13G51-1826-SM-5KLZH 60-69 years, male 28.1
GTEX-11ZUS-2626-SM-5FQUR 30-39 years, male 27.6
GTEX-1F88F-0126-SM-9WYSZ 60-69 years, female 26.8
GTEX-11PRG-0726-SM-5EGL1 50-59 years, male 26.4
GTEX-183WM-0326-SM-72D5V 70-79 years, female 24.9
GTEX-16MT9-0126-SM-7EPI8 60-69 years, female 23.7
Show allShow less
Skin - Sun Exposed (Lower leg)
Average nTPM: 69.2
Samples: 701

Max nTPM: 168.9
Min nTPM: 28.2
Std nTPM: 23.2
Median nTPM: 64.7
GTEX-1122O-2126-SM-5EGIR 60-69 years, female 168.9
GTEX-ZXES-1826-SM-5E43S 30-39 years, female 167.6
GTEX-1I1GT-0626-SM-CGQER 60-69 years, female 156.0
GTEX-ZVZP-2426-SM-59HKJ 50-59 years, male 147.7
GTEX-1L5NE-2526-SM-E6CIE 50-59 years, male 145.9
GTEX-1S3DN-2226-SM-EVYCD 50-59 years, male 144.8
GTEX-1KANC-1526-SM-D3LAB 50-59 years, female 143.9
GTEX-SN8G-0126-SM-32PLI 50-59 years, female 143.2
GTEX-131XE-2326-SM-5PNZ2 50-59 years, male 142.8
GTEX-S32W-2126-SM-2XCB1 50-59 years, female 140.1
GTEX-1J8QM-2126-SM-CYPSJ 60-69 years, female 139.9
GTEX-14A5I-0126-SM-5TDEA 50-59 years, female 139.2
GTEX-18D9A-1926-SM-7LG6P 30-39 years, female 137.9
GTEX-PSDG-0226-SM-DKPOZ 50-59 years, male 137.5
GTEX-1JJ6O-0126-SM-E6CI8 60-69 years, male 134.9
GTEX-1R46S-0626-SM-E9J41 60-69 years, female 132.6
GTEX-ZVT2-2526-SM-51MT1 50-59 years, female 130.6
GTEX-1HFI7-1826-SM-ACKXH 50-59 years, female 128.2
GTEX-1K2DA-1826-SM-CGQGT 50-59 years, male 127.0
GTEX-17JCI-0126-SM-7LG5G 60-69 years, female 126.8
GTEX-P4QT-0126-SM-2I3FL 50-59 years, female 126.2
GTEX-1JN76-0126-SM-CNPPE 20-29 years, female 125.7
GTEX-13W46-0226-SM-5SIAG 50-59 years, male 125.0
GTEX-1C475-1826-SM-73KWA 40-49 years, female 124.3
GTEX-15EOM-0126-SM-7KUGG 20-29 years, female 123.9
GTEX-1I4MK-2226-SM-ACKWD 50-59 years, female 121.8
GTEX-1HCU7-0226-SM-CL545 50-59 years, male 120.4
GTEX-13PDP-0126-SM-5L3HD 60-69 years, male 120.2
GTEX-13OVH-0126-SM-5MR4B 70-79 years, male 119.2
GTEX-1S82Z-0826-SM-E6CHY 30-39 years, female 118.8
GTEX-1E2YA-0126-SM-9KNUC 50-59 years, male 117.7
GTEX-UJHI-1526-SM-3DB99 50-59 years, female 117.6
GTEX-14E6C-0126-SM-5RQIP 40-49 years, male 116.1
GTEX-ZGAY-0526-SM-4WWBB 40-49 years, female 115.8
GTEX-ZDTT-2726-SM-4WKF8 60-69 years, male 115.2
GTEX-1N2EF-0226-SM-EYYXB 60-69 years, male 114.4
GTEX-14PII-0226-SM-6EU1T 60-69 years, male 113.8
GTEX-183WM-0126-SM-7LTAB 70-79 years, female 113.8
GTEX-1A3MW-0126-SM-73KXX 60-69 years, female 113.2
GTEX-145MI-0526-SM-5O9A8 60-69 years, female 112.4
GTEX-15ETS-0126-SM-7KUMW 40-49 years, female 112.3
GTEX-YB5E-2026-SM-5IFIS 40-49 years, male 111.8
GTEX-17HII-0226-SM-7LG4E 50-59 years, male 111.5
GTEX-ZV6S-2326-SM-4YCEY 40-49 years, female 110.9
GTEX-1B8KE-2126-SM-73KYX 50-59 years, male 110.7
GTEX-1LH75-2426-SM-E9TJE 50-59 years, female 110.1
GTEX-1GN1U-0126-SM-7PBZK 50-59 years, female 109.9
GTEX-17GQL-2026-SM-718BA 60-69 years, male 109.7
GTEX-ZF29-2326-SM-DO92K 60-69 years, female 109.5
GTEX-1QPFJ-0226-SM-E76PB 30-39 years, female 109.0
GTEX-13IVO-0126-SM-5J1NG 70-79 years, male 108.9
GTEX-11TT1-2526-SM-5EGIB 20-29 years, male 108.6
GTEX-1R7EU-0226-SM-EVR4G 60-69 years, male 108.0
GTEX-ZPIC-1726-SM-DHXIU 40-49 years, female 107.1
GTEX-1OJC3-0126-SM-E76QX 20-29 years, male 106.4
GTEX-1H4P4-0726-SM-9YFLR 50-59 years, male 106.3
GTEX-NFK9-0226-SM-2HMKQ 40-49 years, male 105.8
GTEX-1F6RS-0126-SM-9MQKZ 60-69 years, female 105.6
GTEX-QESD-1426-SM-2S1R9 20-29 years, male 105.5
GTEX-1H2FU-0126-SM-9WYSI 60-69 years, female 105.3
GTEX-ZTX8-1426-SM-5DUVO 20-29 years, male 105.1
GTEX-13OVJ-0126-SM-5KM36 50-59 years, female 104.5
GTEX-1LGRB-2526-SM-CNPPQ 50-59 years, female 103.9
GTEX-13O1R-0126-SM-5L3EH 60-69 years, male 103.8
GTEX-13YAN-0326-SM-5O9DF 60-69 years, male 103.6
GTEX-17F96-1626-SM-7DUFL 70-79 years, male 102.9
GTEX-1GF9V-0326-SM-7RHI5 60-69 years, male 102.1
GTEX-1MUQO-0126-SM-EAZ58 60-69 years, male 101.5
GTEX-15ER7-0326-SM-7KUEV 20-29 years, female 101.3
GTEX-1JK1U-2026-SM-CM2RZ 60-69 years, male 100.6
GTEX-14DAR-2026-SM-5S2O3 50-59 years, male 100.5
GTEX-11DZ1-0126-SM-5985Q 50-59 years, male 100.4
GTEX-1QP67-1626-SM-EAZ3X 40-49 years, female 100.4
GTEX-145MO-0326-SM-5Q5B3 60-69 years, male 99.6
GTEX-18A66-0226-SM-718BD 60-69 years, male 99.3
GTEX-148VI-1626-SM-5SI6E 60-69 years, female 99.2
GTEX-148VJ-0126-SM-5TDDN 70-79 years, male 99.1
GTEX-15DDE-0126-SM-6LPKH 50-59 years, female 98.1
GTEX-T5JW-1626-SM-3GADZ 20-29 years, female 98.1
GTEX-13111-1626-SM-5EGJY 50-59 years, male 97.9
GTEX-17EVP-0326-SM-7DHLG 40-49 years, male 97.9
GTEX-T2YK-0526-SM-32QPJ 50-59 years, male 97.9
GTEX-1LC47-0326-SM-E9TJP 60-69 years, male 97.8
GTEX-139D8-0226-SM-5KLZO 30-39 years, female 96.9
GTEX-16XZZ-0126-SM-793DV 60-69 years, male 96.4
GTEX-1MA7W-2026-SM-E9TJ6 20-29 years, female 96.0
GTEX-15UF6-0826-SM-6PALJ 70-79 years, female 95.9
GTEX-TMMY-0226-SM-33HBA 40-49 years, female 95.3
GTEX-WI4N-1026-SM-3LK7N 40-49 years, female 95.2
GTEX-131XF-5016-SM-7MGWE 60-69 years, male 94.9
GTEX-1QCLY-0326-SM-E8VOG 30-39 years, male 94.9
GTEX-RWSA-0126-SM-2XCBB 40-49 years, male 94.8
GTEX-14XAO-2326-SM-6EU1B 60-69 years, female 94.7
GTEX-1I1GR-0126-SM-CL55F 60-69 years, male 94.7
GTEX-1H1DG-0126-SM-9WYU2 70-79 years, male 94.2
GTEX-1R7EV-2426-SM-EVYBG 40-49 years, male 94.0
GTEX-12WSA-0226-SM-5BC5V 60-69 years, male 93.9
GTEX-15SHU-0126-SM-7KUEH 40-49 years, female 93.7
GTEX-1JN1M-0326-SM-CYPT3 60-69 years, female 93.7
GTEX-QDVJ-1726-SM-2I5FX 50-59 years, male 93.5
GTEX-Y8LW-1826-SM-5S2MV 50-59 years, female 93.5
GTEX-OIZH-0126-SM-2HMIS 50-59 years, male 93.4
GTEX-ZWKS-0126-SM-5SIAA 30-39 years, male 93.2
GTEX-1LSNM-1926-SM-E6CII 50-59 years, male 92.8
GTEX-11EM3-2426-SM-59861 20-29 years, female 92.7
GTEX-XAJ8-0826-SM-47JY6 40-49 years, male 92.6
GTEX-1H23P-0126-SM-ADEJ3 60-69 years, male 91.3
GTEX-1R9PM-2026-SM-E76OY 20-29 years, male 91.1
GTEX-ZVE2-0226-SM-59HJB 50-59 years, male 91.0
GTEX-13OVK-2026-SM-7KUEO 40-49 years, male 90.8
GTEX-OOBJ-0126-SM-E6CJW 60-69 years, male 90.5
GTEX-ZYT6-0226-SM-5NQ6T 30-39 years, male 90.3
GTEX-1JMOU-1526-SM-CL54I 60-69 years, female 90.1
GTEX-14C5O-0126-SM-5SI6N 60-69 years, male 89.9
GTEX-1KXAM-2226-SM-CYPTC 60-69 years, male 89.5
GTEX-1OFPY-2426-SM-DTXEJ 60-69 years, male 89.2
GTEX-11DXZ-2326-SM-5EGGV 50-59 years, male 89.0
GTEX-1CB4H-0226-SM-7PBXM 60-69 years, female 89.0
GTEX-ZAB4-0226-SM-5N9F5 40-49 years, male 88.9
GTEX-12WSG-2826-SM-E9J4H 50-59 years, female 88.8
GTEX-ZF3C-0126-SM-DO92D 50-59 years, female 88.8
GTEX-1LVAN-0226-SM-COH3S 50-59 years, female 88.5
GTEX-1IKJJ-0126-SM-CNPQB 60-69 years, male 88.1
GTEX-15F5U-1526-SM-6PANO 40-49 years, male 88.0
GTEX-1CAV2-2226-SM-7P8P2 40-49 years, female 87.9
GTEX-1JMQI-2226-SM-CM2SD 50-59 years, male 87.5
GTEX-13JUV-2726-SM-5LZZ8 40-49 years, female 87.4
GTEX-1HT8W-0126-SM-CNPPP 30-39 years, male 87.2
GTEX-1AX9J-0226-SM-73KXM 60-69 years, male 87.1
GTEX-145ME-1826-SM-5SI9G 40-49 years, female 87.0
GTEX-14LLW-0126-SM-6LLIO 70-79 years, female 86.7
GTEX-1PIGE-0126-SM-EVYBJ 20-29 years, male 86.3
GTEX-1JMPZ-0226-SM-CNPP1 30-39 years, male 86.2
GTEX-14BIL-0126-SM-5SI92 50-59 years, male 85.9
GTEX-ZTSS-1926-SM-57WEW 40-49 years, male 85.9
GTEX-13OW5-0126-SM-DTXFS 60-69 years, male 85.9
GTEX-13FTX-1826-SM-5J1NX 20-29 years, female 85.8
GTEX-TML8-1926-SM-32QOS 40-49 years, female 85.7
GTEX-13SLW-0126-SM-5SI6C 70-79 years, male 85.6
GTEX-1I1GQ-0126-SM-COH3H 50-59 years, male 85.6
GTEX-YJ8A-0426-SM-5IFID 20-29 years, male 85.5
GTEX-1JMPY-1326-SM-ARL8Y 30-39 years, male 85.5
GTEX-14LZ3-0226-SM-62LET 60-69 years, female 84.9
GTEX-145LS-0126-SM-5QGP1 60-69 years, female 84.6
GTEX-17EVQ-0226-SM-7LG4P 70-79 years, male 84.6
GTEX-13NZ8-0826-SM-5MR3I 60-69 years, female 84.5
GTEX-131XG-2626-SM-5KM17 50-59 years, female 84.2
GTEX-15RIG-0226-SM-7KFTL 40-49 years, male 84.2
GTEX-12696-2426-SM-5EQ6H 60-69 years, male 83.9
GTEX-WRHK-1426-SM-3MJF9 20-29 years, female 83.9
GTEX-VJWN-0126-SM-3GIK7 50-59 years, female 83.7
GTEX-17HG3-2226-SM-7938L 30-39 years, female 82.9
GTEX-1K2DU-2326-SM-E9TIV 20-29 years, male 82.9
GTEX-T8EM-1026-SM-3DB7M 40-49 years, male 82.8
GTEX-1LBAC-0126-SM-DIPEZ 20-29 years, male 82.8
GTEX-1PPH7-2326-SM-EVYB8 40-49 years, male 82.2
GTEX-1LG7Z-1726-SM-D3LA4 30-39 years, male 82.1
GTEX-11TUW-2726-SM-E9J4M 60-69 years, male 81.8
GTEX-1HSMQ-1226-SM-CGQFX 50-59 years, male 81.7
GTEX-1LB8K-0226-SM-EWRNW 50-59 years, male 81.7
GTEX-1PDJ9-0326-SM-DTX95 20-29 years, male 81.6
GTEX-1JMQK-0226-SM-CL543 60-69 years, male 81.3
GTEX-13113-5016-SM-7EPIP 60-69 years, female 81.1
GTEX-1CAMQ-0226-SM-7IGPK 40-49 years, male 80.8
GTEX-X4EO-0326-SM-3P5YO 60-69 years, female 80.7
GTEX-ZTPG-0326-SM-5O9AX 20-29 years, female 80.7
GTEX-1EWIQ-0126-SM-7RHH2 70-79 years, female 80.6
GTEX-15UKP-0426-SM-7KUFQ 20-29 years, male 80.5
GTEX-T5JC-0426-SM-32PLO 20-29 years, male 80.5
GTEX-X4XY-0226-SM-4E3IZ 60-69 years, male 80.4
GTEX-16YQH-0126-SM-7DUFJ 30-39 years, male 80.3
GTEX-OIZG-0726-SM-33HBL 50-59 years, male 80.2
GTEX-U412-0426-SM-3DB9O 60-69 years, male 80.1
GTEX-ZVT4-0126-SM-DTXFN 50-59 years, female 80.0
GTEX-14PHX-2326-SM-62LEM 50-59 years, male 79.9
GTEX-1PIIG-0226-SM-EWRN6 30-39 years, male 79.9
GTEX-WYVS-2126-SM-3NMA3 40-49 years, female 79.5
GTEX-13QJ3-0326-SM-5S2RA 50-59 years, male 79.4
GTEX-X88G-0126-SM-47JZ3 30-39 years, male 79.3
GTEX-1S83E-0126-SM-EWRO4 40-49 years, male 79.2
GTEX-XUYS-0126-SM-47JWZ 50-59 years, male 78.5
GTEX-ZF2S-2326-SM-4WWCE 50-59 years, female 78.5
GTEX-1QP9N-1426-SM-DTXFL 30-39 years, male 78.5
GTEX-146FH-0126-SM-5QGPP 50-59 years, female 78.0
GTEX-RTLS-0126-SM-447CA 60-69 years, female 77.9
GTEX-1HSGN-0226-SM-CGQFV 40-49 years, female 77.8
GTEX-16MT8-0426-SM-7KUEY 60-69 years, female 77.7
GTEX-1HCU6-0126-SM-CL54K 60-69 years, female 77.7
GTEX-Q2AG-0126-SM-33HBV 40-49 years, female 77.6
GTEX-ZYW4-0126-SM-5E44A 60-69 years, male 77.6
GTEX-1QP66-1726-SM-E8VO1 50-59 years, male 77.6
GTEX-ZXG5-0126-SM-5GIEU 60-69 years, male 77.5
GTEX-1POEN-0126-SM-EYYXJ 30-39 years, female 77.5
GTEX-11H98-0126-SM-5EGHG 50-59 years, male 77.4
GTEX-11LCK-1026-SM-5A5KB 30-39 years, male 77.4
GTEX-X261-0126-SM-3NMD6 50-59 years, male 77.4
GTEX-1JN6P-0126-SM-D3L98 60-69 years, male 77.4
GTEX-1EU9M-0226-SM-7P8SP 60-69 years, male 77.3
GTEX-U8XE-0326-SM-3DB8P 30-39 years, male 77.2
GTEX-X5EB-2226-SM-46MW4 40-49 years, male 77.2
GTEX-1GL5R-1826-SM-9KNUY 50-59 years, male 77.2
GTEX-14JG6-2226-SM-6EU2G 30-39 years, female 77.1
GTEX-15DCD-0126-SM-7KUEK 70-79 years, female 77.1
GTEX-1A3MV-1926-SM-718BT 30-39 years, male 77.0
GTEX-1IDFM-0126-SM-COH2V 60-69 years, male 77.0
GTEX-1JMLX-0226-SM-CM2RO 50-59 years, male 77.0
GTEX-13CF3-2426-SM-5IFGX 60-69 years, female 76.9
GTEX-1I1GU-2226-SM-CGQFA 40-49 years, male 76.8
GTEX-1B97I-1626-SM-73KYO 40-49 years, male 76.7
GTEX-14PN4-0126-SM-6EU2V 50-59 years, male 76.4
GTEX-Q2AH-1626-SM-3GAF8 40-49 years, male 76.3
GTEX-1J1OQ-0226-SM-CYPSH 40-49 years, female 76.3
GTEX-1KANA-0726-SM-D3L9I 20-29 years, male 76.3
GTEX-11DXX-2426-SM-5GZZW 60-69 years, female 76.1
GTEX-16BQI-0226-SM-7KUEX 30-39 years, female 76.0
GTEX-1B8SF-1426-SM-7DUGL 60-69 years, male 76.0
GTEX-131XH-2226-SM-5DUXJ 50-59 years, male 75.9
GTEX-13X6H-2126-SM-7EWD5 50-59 years, female 75.8
GTEX-ZYY3-0126-SM-5GZY5 60-69 years, female 75.8
GTEX-14PN3-2426-SM-6LLHS 60-69 years, female 75.7
GTEX-OXRO-0126-SM-2YUN4 60-69 years, female 75.7
GTEX-XBEW-0626-SM-4QASP 40-49 years, male 75.7
GTEX-1IDJF-0126-SM-CM2RS 20-29 years, male 75.0
GTEX-145LV-2126-SM-5LU8N 50-59 years, male 74.5
GTEX-1B8SG-0126-SM-73KZ3 50-59 years, male 74.5
GTEX-1KD5A-0226-SM-D5OV3 50-59 years, male 74.5
GTEX-PLZ6-1426-SM-DKPOT 30-39 years, male 74.4
GTEX-WQUQ-0426-SM-3MJFU 60-69 years, male 74.3
GTEX-117XS-2726-SM-5N9BL 60-69 years, male 74.2
GTEX-1269C-2526-SM-5EGJ3 60-69 years, female 74.2
GTEX-1HGF4-2426-SM-ACKXM 60-69 years, male 74.1
GTEX-X8HC-0126-SM-4E3JW 50-59 years, female 74.0
GTEX-13OVI-1426-SM-5L3EY 60-69 years, female 73.9
GTEX-13X6J-0126-SM-5QGOU 50-59 years, male 73.9
GTEX-1CB4G-0226-SM-7PC3O 60-69 years, male 73.9
GTEX-1F5PL-0326-SM-7P8PQ 40-49 years, female 73.9
GTEX-144GL-0126-SM-5TDE2 50-59 years, male 73.7
GTEX-111VG-2426-SM-5GZXD 60-69 years, male 73.5
GTEX-1399R-2726-SM-5IJBA 30-39 years, male 73.5
GTEX-PWCY-1826-SM-DHXIZ 20-29 years, female 73.4
GTEX-1313W-0126-SM-5LZUN 50-59 years, female 73.1
GTEX-15EU6-0426-SM-6PAN5 50-59 years, male 73.1
GTEX-1H3VY-0126-SM-ACKXD 50-59 years, male 73.1
GTEX-1IDJU-2626-SM-CM2RT 60-69 years, female 73.0
GTEX-11GSO-2426-SM-5A5LY 60-69 years, male 72.9
GTEX-1H3VE-0326-SM-9YFLH 40-49 years, male 72.9
GTEX-1J1R8-1726-SM-ARL8M 40-49 years, male 72.9
GTEX-1RB15-2126-SM-E9TIM 60-69 years, male 72.9
GTEX-11EQ9-2426-SM-5HL5T 30-39 years, male 72.6
GTEX-1J8Q2-0526-SM-CM2RW 60-69 years, male 72.6
GTEX-1JJEA-0326-SM-CNPOT 60-69 years, male 72.4
GTEX-Y8E4-0626-SM-4WWDL 40-49 years, male 72.3
GTEX-145MN-2226-SM-5SIAU 30-39 years, male 72.1
GTEX-XUW1-0426-SM-4BOOT 50-59 years, female 72.0
GTEX-1I1CD-0126-SM-CM2TK 60-69 years, female 72.0
GTEX-SNMC-1226-SM-2XCFP 20-29 years, male 71.9
GTEX-1ICLZ-0126-SM-CKZPO 60-69 years, male 71.9
GTEX-P44H-0226-SM-2XCEU 40-49 years, male 71.8
GTEX-WYJK-0126-SM-3NMAB 50-59 years, male 71.8
GTEX-1HBPM-0226-SM-ARL9F 60-69 years, female 71.6
GTEX-17MFQ-1726-SM-793C7 20-29 years, male 71.5
GTEX-145LT-1726-SM-5QGP3 40-49 years, male 71.4
GTEX-1GMR3-1926-SM-9KNUZ 40-49 years, male 71.4
GTEX-15DYW-0126-SM-7KULE 60-69 years, female 71.3
GTEX-T6MO-1626-SM-32QOM 40-49 years, female 71.3
GTEX-12WSN-5019-SM-79OM6 40-49 years, male 71.2
GTEX-UPJH-0326-SM-3GADU 50-59 years, male 71.2
GTEX-1CAMR-1926-SM-7EPI2 20-29 years, male 71.1
GTEX-13NYS-0126-SM-5MR3W 60-69 years, male 70.9
GTEX-Y5LM-1926-SM-5RQJH 40-49 years, female 70.9
GTEX-1PWST-0226-SM-E76QJ 70-79 years, male 70.9
GTEX-1LGOU-2026-SM-DIPFF 20-29 years, female 70.8
GTEX-12WSJ-1826-SM-5GCNY 40-49 years, female 70.7
GTEX-1N2DV-0226-SM-E6CJ6 40-49 years, male 70.7
GTEX-13OW8-1326-SM-5J1OW 60-69 years, male 70.6
GTEX-1314G-1526-SM-5EGK2 30-39 years, male 70.5
GTEX-13PVR-2326-SM-5QGR1 60-69 years, female 70.5
GTEX-15SB6-1726-SM-6PAME 50-59 years, female 70.3
GTEX-ZU9S-0226-SM-5E441 30-39 years, male 70.3
GTEX-X4XX-0126-SM-3NMC2 60-69 years, male 70.2
GTEX-QCQG-1726-SM-3GIJ9 50-59 years, female 70.0
GTEX-17F97-0326-SM-7LG5B 50-59 years, male 69.8
GTEX-1A8FM-0226-SM-7SB7Q 50-59 years, female 69.6
GTEX-11EI6-0126-SM-5985R 60-69 years, male 69.5
GTEX-131YS-0126-SM-5KM1M 60-69 years, female 69.4
GTEX-1IL2V-0126-SM-CM2TX 70-79 years, male 69.4
GTEX-X585-0226-SM-4QAS2 50-59 years, male 69.3
GTEX-1S5ZA-0126-SM-EVYCV 20-29 years, male 69.2
GTEX-ZZ64-1726-SM-5GZYB 20-29 years, male 68.9
GTEX-13NZB-2526-SM-5J1OM 30-39 years, male 68.8
GTEX-ZZPT-0226-SM-5E43X 50-59 years, male 68.8
GTEX-111FC-0126-SM-5N9DL 60-69 years, male 68.7
GTEX-1HSMO-0126-SM-CL547 60-69 years, male 68.7
GTEX-18A7B-0126-SM-7LG64 70-79 years, male 68.6
GTEX-18QFQ-0126-SM-731BE 30-39 years, male 68.6
GTEX-1EMGI-0126-SM-9KNUE 60-69 years, male 68.6
GTEX-S95S-1226-SM-4GICG 60-69 years, male 68.5
GTEX-1GZHY-0326-SM-9QEHI 50-59 years, female 68.5
GTEX-1K9T9-0126-SM-EVYCF 50-59 years, female 68.4
GTEX-RUSQ-1526-SM-2TF62 50-59 years, male 68.3
GTEX-11ZVC-2526-SM-5FQTE 50-59 years, female 68.2
GTEX-1A3MX-0126-SM-731BR 60-69 years, male 68.2
GTEX-14BMU-2226-SM-5TDE9 20-29 years, female 68.1
GTEX-1212Z-2526-SM-5EGKP 60-69 years, male 67.9
GTEX-1EN7A-0126-SM-7SB81 40-49 years, male 67.9
GTEX-1CB4I-0226-SM-79OLH 50-59 years, male 67.7
GTEX-1MGNQ-0126-SM-EVYCJ 40-49 years, male 67.7
GTEX-1HSMP-0126-SM-E6CJS 70-79 years, male 67.6
GTEX-1C6VQ-0126-SM-7P8RI 50-59 years, male 67.5
GTEX-1GMR8-0126-SM-9WYTM 50-59 years, female 67.4
GTEX-1GN2E-0426-SM-9MQKX 60-69 years, male 67.4
GTEX-1HBPI-1526-SM-C1YQ1 50-59 years, male 67.4
GTEX-S33H-1026-SM-EZ6L6 30-39 years, male 67.3
GTEX-133LE-1826-SM-5J1MV 20-29 years, female 67.2
GTEX-1O97I-0326-SM-EYYX7 60-69 years, male 67.2
GTEX-ZF28-0126-SM-4WKGK 60-69 years, male 67.1
GTEX-P4PP-0126-SM-3LK69 30-39 years, female 67.0
GTEX-1ICLY-0126-SM-D4P36 50-59 years, male 67.0
GTEX-17EUY-0426-SM-793BD 20-29 years, male 66.9
GTEX-O5YW-0126-SM-3LK6D 50-59 years, male 66.9
GTEX-1JMQL-0226-SM-CNPP5 50-59 years, female 66.9
GTEX-1PFEY-1526-SM-E76PP 30-39 years, male 66.9
GTEX-1E1VI-0126-SM-7DHMZ 50-59 years, male 66.7
GTEX-1HCUA-2426-SM-ADEIS 50-59 years, female 66.7
GTEX-Z93S-0126-SM-5HL7M 50-59 years, male 66.5
GTEX-13X6I-0626-SM-5QGP9 60-69 years, male 66.4
GTEX-X4EP-0126-SM-3P5YV 60-69 years, female 66.4
GTEX-1HUB1-0426-SM-E9U4U 60-69 years, male 66.4
GTEX-1HSKV-0226-SM-A9SKJ 60-69 years, male 66.3
GTEX-1IL2U-0226-SM-CE6T8 60-69 years, male 66.3
GTEX-1RAZQ-0726-SM-EAZ43 30-39 years, male 66.3
GTEX-17HGU-0226-SM-7DHKV 50-59 years, male 66.0
GTEX-VUSG-2526-SM-4KL1V 50-59 years, male 66.0
GTEX-PX3G-0126-SM-2I3EN 20-29 years, female 65.9
GTEX-1QMI2-0226-SM-EVYBX 60-69 years, male 65.9
GTEX-1RDX4-0126-SM-E9J4P 50-59 years, female 65.8
GTEX-R55G-2526-SM-2TC6D 40-49 years, female 65.6
GTEX-1H1DE-2126-SM-9WG6R 20-29 years, male 65.5
GTEX-12ZZY-0226-SM-5LZVE 60-69 years, male 65.4
GTEX-14PJM-0226-SM-62LF1 50-59 years, female 65.2
GTEX-Y3IK-2426-SM-4WWDU 50-59 years, female 65.2
GTEX-ZAJG-0126-SM-5HL94 50-59 years, female 65.2
GTEX-1F48J-0126-SM-7P8TT 50-59 years, female 65.1
GTEX-1399U-2326-SM-5K7WY 50-59 years, female 65.0
GTEX-ZV68-0126-SM-59HKS 50-59 years, female 65.0
GTEX-ZDYS-2026-SM-5HL5L 50-59 years, male 64.9
GTEX-11UD2-0226-SM-5EQKY 50-59 years, male 64.8
GTEX-139TT-0126-SM-5K7Y5 60-69 years, male 64.8
GTEX-Z93T-0126-SM-5HL5N 50-59 years, male 64.8
GTEX-13NYC-0326-SM-E9J4S 60-69 years, male 64.8
GTEX-11P81-2326-SM-59875 30-39 years, female 64.7
GTEX-13CF2-2526-SM-5LZYX 60-69 years, male 64.7
GTEX-13O21-1426-SM-5K7XI 50-59 years, male 64.7
GTEX-T6MN-0126-SM-32PLP 50-59 years, male 64.7
GTEX-13FTW-2626-SM-5K7WL 40-49 years, male 64.6
GTEX-R45C-0126-SM-EAZ2R 60-69 years, female 64.6
GTEX-1HCU9-1526-SM-A9SL7 20-29 years, male 64.5
GTEX-ZQG8-1626-SM-DHXIT 60-69 years, female 64.5
GTEX-PVOW-0126-SM-2XCFA 40-49 years, male 64.4
GTEX-XUZC-1726-SM-4BRWS 30-39 years, female 64.3
GTEX-VJYA-1126-SM-3GIJU 60-69 years, male 64.2
GTEX-13OVG-1926-SM-5L3DK 60-69 years, male 64.1
GTEX-POMQ-2226-SM-2I5FK 20-29 years, female 64.1
GTEX-XBED-2226-SM-47JYQ 60-69 years, male 64.1
GTEX-ZQUD-1426-SM-57WER 30-39 years, male 64.1
GTEX-U8T8-0126-SM-3DB94 60-69 years, male 64.0
GTEX-1RAZA-0126-SM-E6CI3 20-29 years, male 64.0
GTEX-13OW6-0426-SM-5L3HM 50-59 years, male 63.9
GTEX-1HCVE-0126-SM-CGQEU 50-59 years, male 63.9
GTEX-1M5QR-1226-SM-EWROB 40-49 years, male 63.9
GTEX-13S7M-0126-SM-5SI6A 60-69 years, female 63.8
GTEX-T2IS-0126-SM-4DM6O 20-29 years, female 63.8
GTEX-1JKYN-1326-SM-CGQG9 30-39 years, male 63.8
GTEX-TSE9-0126-SM-3DB83 60-69 years, female 63.6
GTEX-1MJK2-0426-SM-DTXE5 50-59 years, male 63.6
GTEX-1QAET-0926-SM-E76QM 50-59 years, male 63.5
GTEX-18A6Q-0126-SM-731BZ 60-69 years, male 63.4
GTEX-YB5K-2126-SM-4WWDJ 40-49 years, female 63.2
GTEX-OHPM-0126-SM-2YUN9 50-59 years, male 63.1
GTEX-1KAFJ-2026-SM-CY8ID 50-59 years, male 63.1
GTEX-12KS4-0326-SM-5EQ41 30-39 years, male 63.0
GTEX-XV7Q-2526-SM-4BRV9 40-49 years, female 63.0
GTEX-YJ89-0126-SM-4TT3X 60-69 years, male 63.0
GTEX-1I6K6-0126-SM-A9SLE 30-39 years, male 63.0
GTEX-1399T-2826-SM-5KLYZ 60-69 years, male 62.9
GTEX-13U4I-0126-SM-5LU38 40-49 years, female 62.9
GTEX-SJXC-0126-SM-2XCFF 60-69 years, male 62.6
GTEX-13N1W-0126-SM-5K7VT 70-79 years, male 62.5
GTEX-1F5PK-2426-SM-7RHHY 50-59 years, male 62.4
GTEX-1J8Q3-1626-SM-CMKGC 60-69 years, male 62.4
GTEX-1KWVE-1426-SM-E9TJO 30-39 years, male 62.4
GTEX-139TS-2826-SM-5J1OO 60-69 years, male 62.3
GTEX-11VI4-1726-SM-5CVLH 40-49 years, female 62.2
GTEX-139T8-0126-SM-5K7XZ 60-69 years, male 62.2
GTEX-11XUK-2026-SM-5EQLF 40-49 years, female 62.1
GTEX-1F75A-0126-SM-7RHGM 50-59 years, male 62.1
GTEX-16NGA-1726-SM-731B4 40-49 years, female 62.0
GTEX-PLZ4-0126-SM-5SI8O 50-59 years, female 61.9
GTEX-OXRN-0126-SM-48TDM 50-59 years, male 61.8
GTEX-WXYG-2326-SM-4E3I6 50-59 years, female 61.8
GTEX-1JMQJ-0526-SM-CYPSU 50-59 years, male 61.8
GTEX-1NV5F-0226-SM-E8VNY 60-69 years, female 61.8
GTEX-12WSC-0126-SM-5EQ4P 50-59 years, male 61.7
GTEX-13D11-2426-SM-5KM1V 50-59 years, female 61.6
GTEX-13SLX-0526-SM-5S2ON 50-59 years, female 61.6
GTEX-ZE9C-2726-SM-57WB5 60-69 years, male 61.6
GTEX-ZVTK-0426-SM-51MRS 20-29 years, male 61.6
GTEX-13VXT-0126-SM-5LU4I 20-29 years, female 61.5
GTEX-1I1GV-0526-SM-A9G29 60-69 years, male 61.4
GTEX-144FL-0126-SM-5TDC8 50-59 years, male 61.3
GTEX-S7SE-0126-SM-2XCD5 50-59 years, male 61.2
GTEX-1HCU8-0626-SM-A9SM9 60-69 years, female 61.2
GTEX-16GPK-0126-SM-7DHLE 60-69 years, male 61.1
GTEX-1ICG6-2526-SM-CGQFZ 70-79 years, female 61.1
GTEX-1C6VS-0526-SM-7DUEN 60-69 years, male 61.0
GTEX-XXEK-2226-SM-4BRUM 50-59 years, male 60.8
GTEX-12C56-1726-SM-5EQ61 20-29 years, male 60.7
GTEX-TKQ1-1026-SM-4GICL 30-39 years, male 60.7
GTEX-1H1CY-2826-SM-9MQM3 60-69 years, female 60.7
GTEX-14ICK-0226-SM-6EU25 40-49 years, male 60.5
GTEX-14PHW-0126-SM-6LLJI 60-69 years, female 60.5
GTEX-RU72-0926-SM-2TF6B 50-59 years, female 60.4
GTEX-183FY-0126-SM-7LT9P 20-29 years, male 60.3
GTEX-NPJ8-0126-SM-2YUNR 40-49 years, male 60.3
GTEX-1IDJH-0326-SM-A9SLQ 70-79 years, male 60.3
GTEX-12ZZX-0126-SM-5EGK9 40-49 years, female 60.2
GTEX-131XW-0426-SM-5LZWP 50-59 years, female 60.1
GTEX-147F3-0526-SM-5SI98 50-59 years, female 60.1
GTEX-15G19-0126-SM-6PANQ 60-69 years, male 60.0
GTEX-Y5V6-2426-SM-4VDSB 60-69 years, male 60.0
GTEX-18465-0126-SM-731BN 50-59 years, male 59.9
GTEX-1GPI7-0126-SM-9MQL8 20-29 years, male 59.9
GTEX-1211K-2026-SM-5EQ4Z 60-69 years, female 59.8
GTEX-WOFL-0126-SM-3MJG2 60-69 years, male 59.8
GTEX-YEC4-2126-SM-5IFJH 40-49 years, male 59.6
GTEX-113JC-2326-SM-5EQ4E 50-59 years, female 59.5
GTEX-12584-0126-SM-5EGKQ 40-49 years, male 59.5
GTEX-15D1Q-0126-SM-7KUG6 40-49 years, male 59.5
GTEX-R3RS-0126-SM-3GIJL 40-49 years, female 59.5
GTEX-RM2N-1426-SM-2TF4H 50-59 years, male 59.5
GTEX-1GZ4H-1726-SM-7PBZJ 50-59 years, female 59.4
GTEX-11NSD-2226-SM-5986V 20-29 years, male 59.1
GTEX-WFG8-2226-SM-3GIL9 20-29 years, male 59.1
GTEX-1B8L1-2526-SM-9WYTF 60-69 years, male 59.1
GTEX-14A5H-0426-SM-5QGQF 60-69 years, male 59.0
GTEX-14E7W-0126-SM-6LLJ9 70-79 years, male 59.0
GTEX-15SDE-2226-SM-7IGLO 50-59 years, female 59.0
GTEX-11DXW-0226-SM-5H122 40-49 years, male 58.8
GTEX-13O3P-0126-SM-5KM4S 50-59 years, male 58.8
GTEX-14PJ6-2126-SM-6EU1V 60-69 years, female 58.8
GTEX-1IE54-0126-SM-CMKHW 40-49 years, female 58.8
GTEX-Y114-2426-SM-4TT8A 50-59 years, female 58.7
GTEX-1GMRU-0126-SM-9YFLV 50-59 years, male 58.7
GTEX-1GN1W-0526-SM-9MQJQ 50-59 years, female 58.7
GTEX-1JJE9-0326-SM-CL53Z 70-79 years, male 58.6
GTEX-18A67-0126-SM-7LG5P 50-59 years, male 58.5
GTEX-16AAH-1726-SM-7939C 50-59 years, male 58.3
GTEX-11DYG-0126-SM-59883 60-69 years, male 58.2
GTEX-146FQ-0126-SM-5NQA9 30-39 years, male 57.7
GTEX-U3ZH-2026-SM-3DB78 30-39 years, male 57.6
GTEX-13FH7-2026-SM-E9J4I 50-59 years, female 57.6
GTEX-1F52S-0126-SM-9MQJU 60-69 years, female 57.6
GTEX-12ZZZ-0626-SM-5DUXI 60-69 years, male 57.5
GTEX-1MCQQ-0826-SM-DLHC2 60-69 years, male 57.5
GTEX-1GF9X-2026-SM-7PC3A 40-49 years, female 57.2
GTEX-11P82-1626-SM-59879 20-29 years, male 57.0
GTEX-13NZA-0226-SM-5K7Z7 60-69 years, male 57.0
GTEX-PLZ5-2026-SM-2S1O4 50-59 years, male 57.0
GTEX-139TU-0126-SM-5K7WH 60-69 years, male 56.9
GTEX-QVJO-1626-SM-2S1QW 60-69 years, female 56.9
GTEX-XPVG-2626-SM-4B669 50-59 years, male 56.9
GTEX-1BAJH-0526-SM-793CQ 70-79 years, male 56.7
GTEX-1GZ2Q-0226-SM-7P8TL 40-49 years, male 56.5
GTEX-1QP29-0626-SM-EWRMX 50-59 years, male 56.5
GTEX-14753-0426-SM-5NQAM 60-69 years, male 56.4
GTEX-ZEX8-2426-SM-4WKG4 50-59 years, male 56.4
GTEX-1GF9W-0326-SM-9KNUN 60-69 years, male 56.4
GTEX-1MCYP-1926-SM-E9J2R 20-29 years, female 56.4
GTEX-15CHC-2126-SM-6EU21 60-69 years, female 56.3
GTEX-1128S-2326-SM-5GZZY 60-69 years, female 56.2
GTEX-RWS6-2026-SM-2XCB5 60-69 years, female 56.1
GTEX-1QP2A-0126-SM-E9J43 50-59 years, male 56.0
GTEX-13RTK-1426-SM-5QGQJ 20-29 years, male 55.9
GTEX-14DAQ-0126-SM-5S2MQ 60-69 years, female 55.9
GTEX-1C2JI-1826-SM-73KXC 50-59 years, male 55.9
GTEX-1C6VR-2426-SM-79OLD 60-69 years, male 55.8
GTEX-ZDTS-0126-SM-4WAY5 60-69 years, male 55.8
GTEX-1NHNU-1026-SM-E9J2A 50-59 years, male 55.8
GTEX-12WSK-2326-SM-5GCOH 40-49 years, female 55.7
GTEX-1F6IF-0726-SM-7P8TW 60-69 years, male 55.6
GTEX-1S82Y-2026-SM-EVYCM 40-49 years, male 55.6
GTEX-12WSL-2526-SM-5GCNJ 50-59 years, male 55.3
GTEX-18D9U-0226-SM-718BP 40-49 years, male 55.3
GTEX-1H3NZ-0126-SM-ACKX7 60-69 years, male 55.3
GTEX-13FTY-0526-SM-5L3EV 40-49 years, female 55.1
GTEX-OXRP-0126-SM-3NB32 60-69 years, female 55.1
GTEX-QV44-1926-SM-2S1RF 50-59 years, male 55.1
GTEX-1KD4Q-0226-SM-E9TJ9 40-49 years, male 55.0
GTEX-Y8DK-0126-SM-4TT3L 60-69 years, male 54.9
GTEX-OOBK-0126-SM-2YUND 40-49 years, male 54.8
GTEX-13O3O-0126-SM-E9J49 60-69 years, female 54.7
GTEX-1AX9I-0126-SM-7SB74 60-69 years, male 54.7
GTEX-Y5V5-2326-SM-4V6GA 60-69 years, female 54.5
GTEX-1F7RK-0126-SM-7PC2S 20-29 years, female 54.4
GTEX-1KANB-0526-SM-E6CJH 50-59 years, male 54.3
GTEX-P4PQ-0126-SM-2S1NM 60-69 years, male 54.2
GTEX-1GF9U-2126-SM-7SB7L 40-49 years, female 54.2
GTEX-XQ8I-0426-SM-4BOPO 50-59 years, male 54.1
GTEX-ZY6K-1826-SM-5GZXK 50-59 years, male 54.1
GTEX-14PK6-1926-SM-6ETZU 70-79 years, female 54.0
GTEX-11GSP-2526-SM-5N9BP 60-69 years, female 53.7
GTEX-11WQC-2526-SM-5CVLE 60-69 years, male 53.7
GTEX-169BO-1326-SM-9MQK2 50-59 years, male 53.7
GTEX-QLQW-1126-SM-2S1Q8 30-39 years, male 53.6
GTEX-PW2O-1526-SM-7RHHB 20-29 years, male 53.6
GTEX-117YX-2326-SM-5H12W 50-59 years, male 53.5
GTEX-11ZU8-2526-SM-5EQKI 60-69 years, male 53.5
GTEX-18D9B-0526-SM-7LTAS 60-69 years, male 53.5
GTEX-1H1E6-1726-SM-ACKVK 30-39 years, male 53.5
GTEX-1F88F-2726-SM-7PBZZ 60-69 years, female 53.3
GTEX-WVJS-0126-SM-4MVOT 50-59 years, male 53.2
GTEX-1QEPI-0126-SM-EWRMQ 60-69 years, female 53.2
GTEX-1EX96-1626-SM-7PBXR 50-59 years, male 53.1
GTEX-11O72-0126-SM-59887 40-49 years, male 52.9
GTEX-17F98-0626-SM-79OMX 40-49 years, female 52.9
GTEX-1CB4F-0426-SM-9KNV4 60-69 years, male 52.7
GTEX-13112-2826-SM-5DUWH 50-59 years, male 52.6
GTEX-1LG7Y-0526-SM-DKPQC 50-59 years, male 52.6
GTEX-XQ3S-1526-SM-4BOOC 20-29 years, male 52.5
GTEX-13FXS-0226-SM-5IJCK 50-59 years, male 52.2
GTEX-RNOR-0126-SM-E9J4R 50-59 years, female 52.2
GTEX-17HHE-2026-SM-79OKF 50-59 years, male 51.9
GTEX-1F75B-0126-SM-9KNVL 50-59 years, male 51.8
GTEX-ZYFG-2326-SM-5E44B 60-69 years, female 51.7
GTEX-1497J-2426-SM-7IGNX 60-69 years, male 51.6
GTEX-14BIN-0626-SM-793DP 50-59 years, female 51.6
GTEX-SUCS-1926-SM-32PM3 70-79 years, male 51.6
GTEX-QEG4-0226-SM-2S1PY 30-39 years, male 51.5
GTEX-1HSEH-0126-SM-ACKXN 60-69 years, male 51.5
GTEX-1RLM8-2326-SM-EWRN4 50-59 years, male 51.5
GTEX-1B996-0226-SM-7RHGO 60-69 years, male 51.4
GTEX-14JG1-0426-SM-6ETZZ 40-49 years, male 51.3
GTEX-146FR-1326-SM-E9J48 60-69 years, female 51.3
GTEX-1AX8Z-0126-SM-7DHM6 60-69 years, male 51.2
GTEX-S7PM-0126-SM-4AD6S 60-69 years, male 51.2
GTEX-117YW-2626-SM-5GZZH 50-59 years, male 51.1
GTEX-1192X-0226-SM-5H12D 50-59 years, male 51.1
GTEX-1C6WA-0126-SM-7PC2B 60-69 years, male 51.0
GTEX-1GN1V-0126-SM-9WPOS 60-69 years, male 51.0
GTEX-11WQK-0526-SM-5EQLD 50-59 years, male 50.9
GTEX-14E6D-0126-SM-62LDV 50-59 years, male 50.9
GTEX-Z9EW-1626-SM-5CVMN 40-49 years, male 50.9
GTEX-ZE7O-0126-SM-57WC1 50-59 years, female 50.9
GTEX-1JKYR-0126-SM-CNPOJ 20-29 years, male 50.8
GTEX-14BMV-0126-SM-5S2PO 50-59 years, male 50.7
GTEX-13N2G-2626-SM-5J1OT 60-69 years, male 50.6
GTEX-145LU-0126-SM-5TDCB 50-59 years, male 50.5
GTEX-ZAK1-0126-SM-5IJD3 50-59 years, female 50.5
GTEX-ZYFD-0126-SM-5GIDL 50-59 years, male 50.3
GTEX-R55E-0126-SM-2TC5Y 20-29 years, male 50.2
GTEX-147GR-0526-SM-5S2MY 60-69 years, male 50.1
GTEX-1AMEY-1326-SM-73KYK 30-39 years, female 50.1
GTEX-1GN73-0226-SM-9WG67 60-69 years, male 50.1
GTEX-11TTK-0126-SM-5987B 60-69 years, female 50.0
GTEX-13VXU-0126-SM-5SI9F 50-59 years, male 50.0
GTEX-14A6H-0126-SM-5QGPK 30-39 years, male 49.9
GTEX-17HHY-0126-SM-7LG5D 50-59 years, male 49.8
GTEX-1IGQW-0126-SM-COH42 60-69 years, male 49.8
GTEX-1R9PO-2126-SM-E9J4O 60-69 years, female 49.8
GTEX-1IKK5-0626-SM-ARL8A 60-69 years, male 49.5
GTEX-1OJC4-0126-SM-E9J2E 50-59 years, female 49.5
GTEX-X638-0126-SM-47JZ8 70-79 years, female 49.4
GTEX-XYKS-2126-SM-4E3IB 60-69 years, female 49.4
GTEX-1J8EW-0126-SM-CJI4F 60-69 years, female 49.3
GTEX-1AMFI-2026-SM-731BH 50-59 years, female 49.2
GTEX-1I1HK-0126-SM-COH49 60-69 years, male 49.2
GTEX-17KNJ-2326-SM-7DHLQ 50-59 years, male 49.1
GTEX-1H1ZS-0426-SM-9WG6G 70-79 years, male 48.9
GTEX-1C64N-0126-SM-793D7 50-59 years, male 48.8
GTEX-1N2DW-0226-SM-E9TK2 50-59 years, male 48.8
GTEX-11ZTS-0126-SM-5EQ6M 60-69 years, female 48.7
GTEX-SSA3-0126-SM-32QPU 60-69 years, male 48.7
GTEX-U3ZN-2326-SM-3DB7W 30-39 years, female 48.6
GTEX-1B933-0126-SM-7PC29 50-59 years, female 48.4
GTEX-U3ZM-1526-SM-3DB9D 40-49 years, male 48.3
GTEX-1A32A-0126-SM-718B1 50-59 years, female 48.2
GTEX-QDVN-2026-SM-3GAEP 50-59 years, male 48.0
GTEX-V1D1-2226-SM-3NMAX 50-59 years, male 47.8
GTEX-ZYFC-0226-SM-5NQ75 50-59 years, male 47.8
GTEX-QLQ7-1626-SM-2S1R8 60-69 years, male 47.5
GTEX-1F75I-0326-SM-9YFLU 40-49 years, male 47.5
GTEX-1IKOH-0226-SM-COH4E 60-69 years, female 47.5
GTEX-1CB4E-2226-SM-793DC 60-69 years, male 47.4
GTEX-17MF6-0126-SM-7LG4F 40-49 years, male 47.2
GTEX-Y3I4-2126-SM-4TT7C 50-59 years, male 47.2
GTEX-11OC5-0126-SM-5HL6A 60-69 years, male 47.1
GTEX-16NPX-0226-SM-79OMT 50-59 years, male 47.0
GTEX-11EMC-2926-SM-5EQ4F 60-69 years, female 46.9
GTEX-QDT8-0126-SM-48TZ1 30-39 years, female 46.9
GTEX-13W3W-2426-SM-5LU5B 60-69 years, female 46.8
GTEX-1B8KZ-2026-SM-7DHMB 50-59 years, male 46.7
GTEX-13FHP-0126-SM-5IJBG 50-59 years, male 46.6
GTEX-139UW-2826-SM-5L3E7 60-69 years, male 46.5
GTEX-13OVL-0226-SM-5L3E9 50-59 years, male 46.4
GTEX-13RTL-0126-SM-7LG5S 40-49 years, male 46.1
GTEX-ZC5H-0226-SM-4WAY9 40-49 years, female 46.1
GTEX-11ZTT-2426-SM-5EQLS 60-69 years, female 45.9
GTEX-1GPI6-0126-SM-9WG69 60-69 years, male 45.7
GTEX-1PPH8-0226-SM-E8VND 20-29 years, male 45.7
GTEX-SE5C-1626-SM-2XCE3 40-49 years, female 45.7
GTEX-15SHW-0326-SM-6PAML 60-69 years, male 45.6
GTEX-OXRK-0226-SM-3NB2G 50-59 years, female 45.5
GTEX-1CAMS-0426-SM-7P8T2 40-49 years, female 45.4
GTEX-ZAB5-1826-SM-5HL7C 50-59 years, male 45.3
GTEX-13FHO-0226-SM-5IFGY 60-69 years, male 45.2
GTEX-ZVT3-0126-SM-5GU6I 60-69 years, female 45.2
GTEX-U4B1-1826-SM-4DXSU 40-49 years, male 45.1
GTEX-1H11D-0226-SM-9WG6Z 40-49 years, male 45.1
GTEX-1192W-2626-SM-5Q5AF 60-69 years, male 44.9
GTEX-Y111-0126-SM-4SOIV 50-59 years, male 44.9
GTEX-13RTJ-2426-SM-5S2Q2 60-69 years, male 44.8
GTEX-1C64O-0126-SM-7SB8P 60-69 years, male 44.8
GTEX-11GS4-2726-SM-5A5LE 60-69 years, male 44.7
GTEX-13O3Q-2426-SM-5IJBR 50-59 years, male 44.7
GTEX-WY7C-2326-SM-3NB2U 50-59 years, male 44.7
GTEX-1GTWX-0126-SM-9YFLK 60-69 years, male 44.7
GTEX-1R9K4-0126-SM-DTX9X 60-69 years, male 44.7
GTEX-WFON-2126-SM-3LK7O 40-49 years, male 44.6
GTEX-11DXY-2626-SM-5GIE7 60-69 years, male 44.5
GTEX-1MA7X-2226-SM-E6CIY 60-69 years, male 44.5
GTEX-12126-0326-SM-5PNW3 20-29 years, male 44.3
GTEX-12WSE-0526-SM-793B2 20-29 years, male 44.2
GTEX-1I1GP-2226-SM-CGQFK 50-59 years, male 43.8
GTEX-1H3O1-0426-SM-9YFKY 60-69 years, male 43.7
GTEX-1IY9M-0126-SM-D3L8S 60-69 years, male 43.5
GTEX-1RQEC-0426-SM-E6CHU 60-69 years, male 43.5
GTEX-18A7A-0226-SM-718BH 50-59 years, female 43.4
GTEX-YFC4-0126-SM-5CVLY 40-49 years, female 43.3
GTEX-1HB9E-0226-SM-E9U4R 50-59 years, male 43.1
GTEX-1J8JJ-0226-SM-CL53I 60-69 years, female 43.0
GTEX-1EKGG-0226-SM-9WYTH 60-69 years, male 42.9
GTEX-O5YT-0126-SM-48TBW 20-29 years, male 42.8
GTEX-1AX9K-2326-SM-73KWU 50-59 years, male 42.6
GTEX-147F4-0226-SM-5QGPW 50-59 years, male 42.5
GTEX-1HBPN-0226-SM-9YFM1 50-59 years, male 42.5
GTEX-1HFI6-0226-SM-ADEHZ 40-49 years, male 42.5
GTEX-1CB4J-0626-SM-7DHMP 60-69 years, male 42.4
GTEX-SIU8-0126-SM-2XCDT 50-59 years, male 42.4
GTEX-WH7G-2326-SM-3NMBC 40-49 years, male 42.4
GTEX-WZTO-0126-SM-3NM95 40-49 years, male 42.4
GTEX-OIZF-0126-SM-7SB8I 60-69 years, male 42.2
GTEX-12WSD-0126-SM-59HKN 60-69 years, female 42.0
GTEX-16XZY-2126-SM-79OK1 70-79 years, male 42.0
GTEX-RVPV-0126-SM-EAZAW 60-69 years, male 42.0
GTEX-14PJ3-1826-SM-62LEX 50-59 years, male 41.7
GTEX-RN64-0126-SM-2TC68 50-59 years, male 41.7
GTEX-1HR98-0126-SM-B2LWI 60-69 years, male 41.7
GTEX-1I19N-0326-SM-ACKVX 70-79 years, male 41.7
GTEX-13NYB-2526-SM-5K7Z6 40-49 years, male 41.5
GTEX-14E6E-1826-SM-5S2R7 30-39 years, male 41.5
GTEX-11UD1-0126-SM-5PNYG 40-49 years, female 41.0
GTEX-1HKZK-0326-SM-9WYUH 40-49 years, male 41.0
GTEX-ZVZO-0126-SM-5A5L9 40-49 years, male 40.7
GTEX-1AYD5-2426-SM-73KXR 50-59 years, male 40.6
GTEX-W5WG-1826-SM-4KL2Y 50-59 years, female 40.4
GTEX-144GN-2326-SM-5LU4F 50-59 years, male 40.3
GTEX-1I1GS-0126-SM-B2LVW 60-69 years, male 39.8
GTEX-Q2AI-1326-SM-2S1PL 40-49 years, male 39.0
GTEX-W5X1-3026-SM-EAZAX 40-49 years, female 38.9
GTEX-1IOXB-0126-SM-ARL8G 50-59 years, male 38.8
GTEX-1LNCM-1126-SM-E9U5E 50-59 years, female 38.7
GTEX-1C4CL-0526-SM-73KVK 30-39 years, male 38.6
GTEX-1QW4Y-1526-SM-EAZ3Z 30-39 years, male 38.6
GTEX-14BIM-0226-SM-7IGLD 60-69 years, female 38.4
GTEX-PWO3-1526-SM-48TCM 60-69 years, female 38.4
GTEX-132NY-0326-SM-5IJBL 60-69 years, male 38.3
GTEX-14JIY-0126-SM-6LLH6 60-69 years, male 37.9
GTEX-1AYCT-2426-SM-7IGQ3 50-59 years, male 37.8
GTEX-X62O-0126-SM-4E3JN 50-59 years, male 37.8
GTEX-13OW7-0126-SM-5MR3B 50-59 years, male 37.6
GTEX-ZUA1-0126-SM-5GU76 40-49 years, male 36.7
GTEX-13N11-2526-SM-5K7UE 50-59 years, female 36.6
GTEX-1PBJI-0526-SM-E8VNK 20-29 years, female 36.4
GTEX-11NUK-0126-SM-5A5L3 50-59 years, male 36.3
GTEX-13G51-2526-SM-5LZYK 60-69 years, male 36.2
GTEX-11OF3-2626-SM-5GU7F 60-69 years, male 34.8
GTEX-11P7K-2126-SM-5GU7G 30-39 years, male 34.5
GTEX-Q734-1926-SM-2I5EV 40-49 years, female 34.5
GTEX-139T4-0226-SM-5HL5S 50-59 years, female 34.0
GTEX-1F6I4-0126-SM-9MQL2 60-69 years, male 33.9
GTEX-113IC-0126-SM-5HL6T 60-69 years, male 33.6
GTEX-TMZS-0126-SM-3DB9Q 60-69 years, male 33.6
GTEX-ZDXO-3026-SM-5J1N5 60-69 years, male 32.5
GTEX-14ABY-0226-SM-5TDCQ 50-59 years, male 32.1
GTEX-OXRL-0126-SM-2YUMP 50-59 years, male 32.0
GTEX-1HBPH-0426-SM-B2LW5 40-49 years, female 32.0
GTEX-1M4P7-0226-SM-DIPEV 60-69 years, male 31.7
GTEX-145MF-0626-SM-5LUAI 50-59 years, male 29.6
GTEX-11ZUS-0626-SM-59885 30-39 years, male 28.9
GTEX-OHPL-0126-SM-2HMJ7 60-69 years, female 28.4
GTEX-XMD2-0126-SM-4YCDU 60-69 years, female 28.2
Show allShow less

Contact

  • NEWS ARTICLES
  • PRESS ROOM

The Project

  • INTRODUCTION
  • ORGANIZATION
  • PUBLICATIONS

The Human Protein Atlas

  • DOWNLOADABLE DATA
  • LICENCE & CITATION
  • HELP & FAQ
The Human Protein Atlas project is funded
by the Knut & Alice Wallenberg Foundation.


contact@proteinatlas.org