We use cookies to enhance the usability of our website. If you continue, we'll assume that you are happy to receive all cookies. More information. Don't show this again.
GYS1
HPA
RESOURCES
  • TISSUE
  • BRAIN
  • SINGLE CELL
  • SUBCELLULAR
  • CANCER
  • BLOOD
  • CELL LINE
  • STRUCTURE & INTERACTION
ABOUT
  • INTRODUCTION
  • HISTORY
  • ORGANIZATION
  • PUBLICATIONS
  • ANTIBODY SUBMISSION
  • ANTIBODY AVAILABILITY
  • ACKNOWLEDGMENTS
  • CONTACT
NEWS
  • NEWS ARTICLES
  • PRESS ROOM
LEARN
  • DICTIONARY
  • PROTEIN CLASSES
  • PROTEIN EVIDENCE
  • METHODS
  • EDUCATIONAL VIDEOS
DATA
  • DOWNLOADABLE DATA
  • PUBLICATION DATA
  • RELEASE HISTORY
HELP
  • ANTIBODY VALIDATION
  • ASSAYS & ANNOTATION
  • DISCLAIMER
  • HELP & FAQ
  • PRIVACY STATEMENT
  • LICENCE & CITATION
Fields »
Search result

Field
Term
Gene name
Class
Subclass
Class
Keyword
Chromosome
External id
Tissue
Cell type
Expression
Antibody panel
Tissue
Main location
Patient ID
Annotation
Tissue
Category
Tau score
Cluster
Reliability
Brain region
Category
Tau score
Brain region
Category
Tau score
Brain region
Category
Tau score
Cluster
Reliability
Tissue
Cell type
Enrichment
Cell type
Category
Tau score
Cell type
Category
Tau score
Cell type
Category
Tau score
Cell lineage
Category
Tau score
Cluster
Cluster
Location
Searches
Location
Cell line
Class
Type
Phase
Reliability
Cancer
Prognosis
Cancer
Category
Cancer
Category
Tau score
Cluster
Variants
Interacting gene (ensg_id)
Type
Number of interactions
Pathway
Category
Score
Score
Score
Validation
Validation
Validation
Validation
Antibodies
Data type
Column


  • SUMMARY

  • TISSUE

  • BRAIN

  • SINGLE CELL

  • SUBCELL

  • CANCER

  • BLOOD

  • CELL LINE

  • STRUCT & INT

  • GYS1
TISSUE PRIMARY DATA HEART MUSCLE Show tissue menu
ADIPOSE TISSUE ADRENAL GLAND AMYGDALA APPENDIX BASAL GANGLIA BONE MARROW BREAST BRONCHUS CEREBELLUM CEREBRAL CORTEX CERVIX CHOROID PLEXUS COLON DUODENUM
ENDOMETRIUM EPIDIDYMIS ESOPHAGUS FALLOPIAN TUBE GALLBLADDER HEART MUSCLE HIPPOCAMPAL FORMATION HYPOTHALAMUS KIDNEY LIVER LUNG LYMPH NODE MIDBRAIN NASOPHARYNX
ORAL MUCOSA OVARY PANCREAS PARATHYROID GLAND PITUITARY GLAND PLACENTA PROSTATE RECTUM RETINA SALIVARY GLAND SEMINAL VESICLE SKELETAL MUSCLE SKIN SMALL INTESTINE
SMOOTH MUSCLE SOFT TISSUE SPINAL CORD SPLEEN STOMACH TESTIS THYMUS THYROID GLAND TONGUE TONSIL URINARY BLADDER VAGINA
ANTIBODIES
AND
VALIDATION
Dictionary
Heart muscle
Tissue proteome
Heart
HEART MUSCLE - Expression summary
Protein expression
Heart musclei

On the top, protein expression in current human tissue, based on all annotated cell types, is reported with the units not detected (n), low (l), medium (m) and high (h). Underneath, protein expression in each annotated cell type are reported using the same units.

Protein expression data is based on knowledge-based annotation. For genes where more than one antibody has been used, a collective score is set.

If knowledge-based annotation could not be performed for a gene, no data is displayed here. View antibody staining data further down this page.

h
m
l
n
Cardiomyocytes: High
RNA expressioni

A summary of mRNA expression data available for current tissue based on several datasets. The mRNA expression levels in human tissues are based on RNA-seq data generated by the Human Protein Atlas (HPA), Genotype-Tissue Expression (GTEx) portal and CAGE data generated by the FANTOM5 consortium. Consensus normalized expression levels for human tissues was created by combining the data from HPA and GTEx datasets.

The mRNA expression levels in pig are based on RNA-seq data generated by the Human Protein Atlas (HPA), and for mouse, HPA data and in situ hybridization generated by the Allen brain atlas are reported.

Scroll down to view mRNA expression data in more detail.
Consensus:114.7 nTPM
HPA:98.9 nTPM
GTEx:114.7 nTPM
FANTOM5:175.5 Scaled Tags Per Million

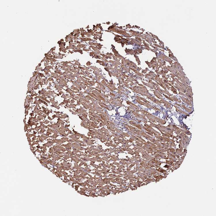
HEART MUSCLE - Antibody stainingi

Antibody staining in the annotated cell types in the current human tissue is reported as not detected, low, medium, or high, based on conventional immunohistochemistry profiling in selected tissues. This score is based on the combination of the staining intensity and fraction of stained cells.

Each image is clickable and will lead to virtual microscopy that enables deeper exploration of all samples and also displays staining intensity scores, fraction scores and subcellular localization as well as patient and tissue information for each sample.

Antibody HPA041598Antibody CAB007793
Cardiomyocytes MediumHigh




HEART MUSCLE - HPA RNA-seqi

The RNA-seq details section shows detailed information about the individual samples used for the transcript profiling and results of the RNA-seq analysis.

Information about each individual sample is listed below, including gender, age, a tissue section image and estimated fractions of cell types. nTPM (normalized transcripts per million) values give a quantification of the gene abundance which is comparable between different genes and samples.
Average nTPMi

Max subtype nTPM is the value for the subtype with the largest average nTPM across the subtype samples.

98.9
overview
Female, age 48
Heart muscle sample 149
nTPM: 146.6
Cell types%
Myocytes:
15

Fibroblasts:
55

Endothelial cells:
25

Other cell types:
5

overview
Female, age 42
Heart muscle sample 150
nTPM: 94.3
Cell types%
Myocytes:
20

Fibroblasts:
45

Endothelial cells:
30

Other cell types:
5

overview
Male, age 53
Heart muscle sample 151
nTPM: 74.1
Cell types%
Myocytes:
20

Fibroblasts:
45

Endothelial cells:
30

Other cell types:
5

overview
Female, age 69
Heart muscle sample 152
nTPM: 80.6
Cell types%
Myocytes:
20

Fibroblasts:
45

Endothelial cells:
30

Other cell types:
5


HEART MUSCLE - GTEx RNA-seqi

RNA-Seq data generated by the Genotype-Tissue Expression (GTEx) project from human tissues is reported as mean nTPM. More information can be found on the GTEx portal.

Distribution across the dataset is visualized with box plots, shown as median and 25th and 75th percentiles. Points are displayed as outliers if they are above or below 1.5 times the interquartile range. nTPM values of the individual samples are presented next to the box plot.
Max subtype nTPMi

Max subtype nTPM is the value for the subtype with the largest average nTPM across the subtype samples.

114.7
GTEx sample id Sample description nTPM
Heart - Atrial Appendage
Average nTPM: 64.6
Samples: 429

Max nTPM: 194.7
Min nTPM: 13.1
Std nTPM: 24.1
Median nTPM: 60.8
GTEX-145MN-0726-SM-5NQBH 30-39 years, male 194.7
GTEX-1J1OQ-2226-SM-A96SS 40-49 years, female 163.9
GTEX-131XE-0526-SM-5K7YT 50-59 years, male 157.1
GTEX-15SKB-0926-SM-7KUFC 60-69 years, male 138.9
GTEX-XPVG-0726-SM-4B658 50-59 years, male 138.1
GTEX-16MT8-0826-SM-7KULO 60-69 years, female 129.0
GTEX-YF7O-0526-SM-5P9IO 50-59 years, male 127.5
GTEX-1GN1U-1426-SM-7P8TF 50-59 years, female 123.6
GTEX-1EH9U-0626-SM-7PC33 60-69 years, male 121.1
GTEX-WWYW-1126-SM-3NB2Q 50-59 years, female 118.6
GTEX-1MJIX-0426-SM-DTXEN 40-49 years, male 118.6
GTEX-1GF9U-0526-SM-7P8SK 40-49 years, female 117.6
GTEX-1JMQK-0926-SM-ARL96 60-69 years, male 115.0
GTEX-XBEC-1226-SM-4AT65 50-59 years, male 114.7
GTEX-WY7C-1126-SM-3NB3A 50-59 years, male 112.8
GTEX-1HFI7-0526-SM-A9SMA 50-59 years, female 111.9
GTEX-1212Z-0726-SM-5EGI5 60-69 years, male 111.6
GTEX-Y3IK-1026-SM-51MR7 50-59 years, female 109.7
GTEX-16XZY-0526-SM-7DHKY 70-79 years, male 108.4
GTEX-11GSP-1226-SM-5985M 60-69 years, female 107.5
GTEX-ZAK1-1126-SM-5PNXU 50-59 years, female 107.3
GTEX-ZF3C-1126-SM-57WEG 50-59 years, female 107.3
GTEX-WH7G-0326-SM-3NMBH 40-49 years, male 106.9
GTEX-13W3W-0526-SM-5LU3X 60-69 years, female 106.4
GTEX-1A8FM-1026-SM-7PC26 50-59 years, female 106.3
GTEX-11ONC-1026-SM-5GU64 60-69 years, male 106.0
GTEX-1RLM8-0226-SM-E6CJY 50-59 years, male 104.7
GTEX-1HBPN-0926-SM-CGQEG 50-59 years, male 104.3
GTEX-13RTJ-0526-SM-62LDP 60-69 years, male 103.8
GTEX-13PL7-0726-SM-5KM1S 60-69 years, female 103.6
GTEX-14BMV-1026-SM-5SI6B 50-59 years, male 103.6
GTEX-12WSD-1226-SM-5HL9Q 60-69 years, female 103.4
GTEX-131YS-0826-SM-5PNYV 60-69 years, female 103.4
GTEX-14PJ2-1126-SM-69LOD 50-59 years, male 101.8
GTEX-1B996-1026-SM-793CF 60-69 years, male 101.0
GTEX-YEC4-0226-SM-4W1YG 40-49 years, male 100.2
GTEX-13JVG-1126-SM-5KM2M 60-69 years, male 100.0
GTEX-ZDYS-0326-SM-5HL4W 50-59 years, male 99.6
GTEX-1GN1W-0226-SM-7P8QY 50-59 years, female 99.5
GTEX-1KANB-1126-SM-DHXJT 50-59 years, male 98.8
GTEX-12BJ1-0326-SM-5FQUB 60-69 years, male 98.6
GTEX-X3Y1-0226-SM-3P5Z5 40-49 years, male 96.6
GTEX-ZPIC-0426-SM-DO91V 40-49 years, female 96.5
GTEX-12ZZY-1226-SM-5GCNK 60-69 years, male 96.4
GTEX-13OW5-0926-SM-5L3GZ 60-69 years, male 96.0
GTEX-1HC8U-0626-SM-B2LWB 40-49 years, female 94.5
GTEX-XGQ4-0526-SM-4AT6C 50-59 years, male 94.0
GTEX-14PJO-0826-SM-6ETZK 60-69 years, male 93.1
GTEX-1IKK5-1726-SM-CM2RU 60-69 years, male 93.0
GTEX-1R9JW-0426-SM-E76QL 30-39 years, female 93.0
GTEX-ZDTS-1226-SM-4WKGL 60-69 years, male 92.9
GTEX-117YX-0626-SM-5EGJI 50-59 years, male 91.9
GTEX-13PVQ-1326-SM-5LU4J 50-59 years, male 91.9
GTEX-14JG1-0826-SM-5ZZWR 40-49 years, male 91.6
GTEX-131XF-0426-SM-5HL7U 60-69 years, male 90.2
GTEX-1IDJF-0826-SM-ARU7N 20-29 years, male 90.1
GTEX-13O61-0426-SM-5L3ET 60-69 years, male 89.9
GTEX-1HSGN-0926-SM-CNNQM 40-49 years, female 89.7
GTEX-1JMLX-1826-SM-CNPOX 50-59 years, male 89.7
GTEX-12WSK-0526-SM-5CVNA 40-49 years, female 89.5
GTEX-1B97J-0326-SM-7939H 50-59 years, female 89.5
GTEX-ZYFG-0526-SM-5GZXX 60-69 years, female 87.8
GTEX-13FTW-0826-SM-5K7XR 40-49 years, male 87.7
GTEX-W5X1-0826-SM-3GILN 40-49 years, female 87.7
GTEX-13N1W-0926-SM-5MR36 70-79 years, male 87.4
GTEX-14PHX-0626-SM-5YY8Z 50-59 years, male 87.4
GTEX-1GMR3-0426-SM-7PC17 40-49 years, male 87.3
GTEX-13JUV-0226-SM-5IJCC 40-49 years, female 87.2
GTEX-1AX9K-0426-SM-73KUG 50-59 years, male 87.0
GTEX-1QMI2-1026-SM-DTX7T 60-69 years, male 86.9
GTEX-Y3I4-0526-SM-4TT6X 50-59 years, male 86.6
GTEX-U8XE-0926-SM-3DB8V 30-39 years, male 86.3
GTEX-14PII-1026-SM-5ZZVW 60-69 years, male 86.0
GTEX-11O72-1026-SM-5986B 40-49 years, male 85.4
GTEX-1HBPH-0226-SM-9WYSM 40-49 years, female 85.1
GTEX-1R9K4-1026-SM-EXUT1 60-69 years, male 85.0
GTEX-14PJ4-0926-SM-5YY98 60-69 years, male 84.8
GTEX-1C64O-0926-SM-79OLN 60-69 years, male 83.7
GTEX-1LSNM-0426-SM-E9TIZ 50-59 years, male 83.7
GTEX-1K2DU-0226-SM-DIPF6 20-29 years, male 83.4
GTEX-11DYG-1026-SM-5A5JQ 60-69 years, male 82.9
GTEX-1OFPY-0926-SM-DTX8Q 60-69 years, male 82.7
GTEX-11P81-0526-SM-59873 30-39 years, female 82.4
GTEX-1KANC-0226-SM-E9TIW 50-59 years, female 82.3
GTEX-1GL5R-0426-SM-9WPOP 50-59 years, male 82.2
GTEX-132NY-1426-SM-5J1MJ 60-69 years, male 82.1
GTEX-15CHQ-1326-SM-6871Z 60-69 years, male 82.1
GTEX-15EU6-1326-SM-6PANG 50-59 years, male 81.9
GTEX-X8HC-1026-SM-46MWH 50-59 years, female 81.8
GTEX-148VJ-1426-SM-5TDE3 70-79 years, male 81.5
GTEX-XLM4-2026-SM-4AT4X 60-69 years, male 81.4
GTEX-1CB4H-0626-SM-7IGN3 60-69 years, female 81.1
GTEX-11ZTT-0526-SM-5EQLA 60-69 years, female 81.0
GTEX-145LS-1326-SM-5Q5EP 60-69 years, female 80.7
GTEX-1A8G6-1826-SM-73KY8 60-69 years, male 80.6
GTEX-13D11-1526-SM-5J2NA 50-59 years, female 80.4
GTEX-14PJM-0826-SM-6LLIW 50-59 years, female 80.4
GTEX-ZLFU-0326-SM-4WWBK 40-49 years, male 80.3
GTEX-1J8QM-0326-SM-CL53D 60-69 years, female 80.3
GTEX-1C2JI-0626-SM-7DHM1 50-59 years, male 79.9
GTEX-11DXX-0526-SM-5PNVR 60-69 years, female 79.6
GTEX-1F75A-1026-SM-7PC3W 50-59 years, male 79.4
GTEX-13N11-0726-SM-5L3DP 50-59 years, female 79.3
GTEX-1KD5A-0926-SM-D4P3U 50-59 years, male 79.3
GTEX-X4EP-0326-SM-3P5Z6 60-69 years, female 79.2
GTEX-XPT6-0226-SM-4B65L 20-29 years, male 79.1
GTEX-1I1GP-0626-SM-ARL7H 50-59 years, male 78.8
GTEX-1I1GQ-1226-SM-CL55J 50-59 years, male 78.8
GTEX-13X6K-1726-SM-7IGLG 60-69 years, female 78.6
GTEX-WFON-0226-SM-3GIKR 40-49 years, male 78.6
GTEX-ZV7C-0526-SM-9WPNK 50-59 years, male 78.6
GTEX-13QBU-0226-SM-5LU48 40-49 years, female 78.5
GTEX-WYBS-1226-SM-3NM9N 60-69 years, female 78.4
GTEX-1EX96-2626-SM-9MQJV 50-59 years, male 78.1
GTEX-1F75I-1326-SM-7PBZX 40-49 years, male 78.0
GTEX-11DXZ-0326-SM-5EGH1 50-59 years, male 77.5
GTEX-13O1R-0926-SM-5L3DS 60-69 years, male 77.4
GTEX-18D9U-1426-SM-718BO 40-49 years, male 77.3
GTEX-YFC4-0426-SM-4TT3J 40-49 years, female 77.1
GTEX-13PVR-0926-SM-5S2RB 60-69 years, female 76.9
GTEX-1GMR8-1026-SM-9MQLA 50-59 years, female 76.6
GTEX-1E2YA-0626-SM-7P8P4 50-59 years, male 76.5
GTEX-17F96-0826-SM-7DHLU 70-79 years, male 76.2
GTEX-1IY9M-0626-SM-D4P2L 60-69 years, male 76.0
GTEX-11NV4-0826-SM-5BC4S 60-69 years, male 75.8
GTEX-1LVAO-0626-SM-EWRNT 60-69 years, male 75.8
GTEX-1H3VY-1126-SM-A96TP 50-59 years, male 75.5
GTEX-ZAB4-0926-SM-5CVN4 40-49 years, male 75.2
GTEX-1JJ6O-2226-SM-AHZ3I 60-69 years, male 75.1
GTEX-13FH7-0826-SM-5J2NW 50-59 years, female 74.9
GTEX-11EM3-0426-SM-5N9BZ 20-29 years, female 74.6
GTEX-1B933-0826-SM-79OMW 50-59 years, female 74.5
GTEX-XYKS-0226-SM-4BRW3 60-69 years, female 73.9
GTEX-1ICG6-0726-SM-B2LY5 70-79 years, female 73.9
GTEX-1H11D-1026-SM-9QEIU 40-49 years, male 73.7
GTEX-ZZPU-1126-SM-5N9CW 50-59 years, female 73.6
GTEX-14BIM-2726-SM-5Q5EG 60-69 years, female 73.5
GTEX-1NHNU-0626-SM-E6CP1 50-59 years, male 73.5
GTEX-13PDP-1326-SM-5K7U9 60-69 years, male 73.2
GTEX-1LGOU-0326-SM-D3LAM 20-29 years, female 73.2
GTEX-1399T-0726-SM-5J1MH 60-69 years, male 72.9
GTEX-1CAMQ-0726-SM-7P8SG 40-49 years, male 72.9
GTEX-1211K-0226-SM-59HJY 60-69 years, female 72.8
GTEX-15DCE-0826-SM-7KULW 20-29 years, male 72.8
GTEX-ZVT2-0926-SM-5GICE 50-59 years, female 72.8
GTEX-XOT4-1126-SM-4B66E 60-69 years, female 72.1
GTEX-13SLX-0926-SM-5S2NM 50-59 years, female 71.9
GTEX-14PN3-0726-SM-6EU14 60-69 years, female 71.8
GTEX-1KXAM-1426-SM-D3LAC 60-69 years, male 71.6
GTEX-1A32A-1326-SM-73KWW 50-59 years, female 71.5
GTEX-12WSN-0226-SM-5DUXH 40-49 years, male 71.2
GTEX-ZPU1-0726-SM-5HL6O 40-49 years, male 71.2
GTEX-18A6Q-1526-SM-731CO 60-69 years, male 70.8
GTEX-131XG-0526-SM-5DUWF 50-59 years, female 70.4
GTEX-14PN4-0826-SM-69LON 50-59 years, male 70.3
GTEX-V955-0826-SM-CYPR5 60-69 years, male 70.3
GTEX-1122O-0626-SM-5N9B9 60-69 years, female 70.2
GTEX-ZVT3-0826-SM-5GIC8 60-69 years, female 70.2
GTEX-X62O-0826-SM-46MW8 50-59 years, male 70.0
GTEX-144GL-1026-SM-5O99R 50-59 years, male 69.7
GTEX-139TU-1926-SM-5J2OC 60-69 years, male 69.6
GTEX-1H1DG-0826-SM-9QEIW 70-79 years, male 69.0
GTEX-1MCC2-0226-SM-EVYD5 30-39 years, female 67.9
GTEX-1GTWX-0926-SM-9MQKM 60-69 years, male 67.7
GTEX-YECK-1226-SM-4W21G 60-69 years, male 67.6
GTEX-1HCVE-0826-SM-CM2SF 50-59 years, male 67.5
GTEX-1J8Q2-1026-SM-ARU8I 60-69 years, male 67.5
GTEX-147F4-1126-SM-5TDDE 50-59 years, male 67.2
GTEX-1AX9J-0926-SM-73KXA 60-69 years, male 67.0
GTEX-1QPFJ-0926-SM-EVR3K 30-39 years, female 67.0
GTEX-Y114-0126-SM-4TT8K 50-59 years, female 66.8
GTEX-1IL2U-1226-SM-CL53P 60-69 years, male 66.6
GTEX-17JCI-0826-SM-7LT8W 60-69 years, female 66.5
GTEX-WI4N-0726-SM-3TW93 40-49 years, female 66.1
GTEX-1F88F-0326-SM-9KNV3 60-69 years, female 66.1
GTEX-1GF9V-1726-SM-9KNW4 60-69 years, male 66.0
GTEX-1LB8K-0926-SM-D4P42 50-59 years, male 66.0
GTEX-117XS-0726-SM-5H131 60-69 years, male 65.9
GTEX-111YS-0326-SM-5GZZ3 60-69 years, male 65.8
GTEX-WEY5-0226-SM-3GIKN 40-49 years, female 65.8
GTEX-11UD2-0926-SM-5CVL6 50-59 years, male 65.7
GTEX-18A7A-1226-SM-7LTAJ 50-59 years, female 65.6
GTEX-12WSC-1026-SM-5EQ5Y 50-59 years, male 65.4
GTEX-1I1GR-1026-SM-A9SLC 60-69 years, male 65.4
GTEX-139YR-0526-SM-5L3DG 50-59 years, male 65.1
GTEX-1HCUA-0626-SM-ACKVT 50-59 years, female 64.9
GTEX-1IDJH-1126-SM-COH3R 70-79 years, male 64.7
GTEX-YB5K-0226-SM-5IFJE 40-49 years, female 64.6
GTEX-ZYFC-1026-SM-5GZX9 50-59 years, male 64.6
GTEX-1IDJU-0626-SM-CKZOG 60-69 years, female 64.6
GTEX-1H3NZ-1026-SM-A9SM5 60-69 years, male 64.5
GTEX-ZF2S-0826-SM-4WWBI 50-59 years, female 64.2
GTEX-14PK6-0726-SM-6LLIX 70-79 years, female 64.1
GTEX-1HFI6-0826-SM-9YFM2 40-49 years, male 63.9
GTEX-WHWD-0326-SM-3LK6L 50-59 years, male 63.7
GTEX-V1D1-0626-SM-4JBHN 50-59 years, male 63.6
GTEX-1JJEA-0926-SM-CYPSO 60-69 years, male 63.6
GTEX-13NZB-0426-SM-5KM26 30-39 years, male 63.5
GTEX-16NPX-0826-SM-6M489 50-59 years, male 63.1
GTEX-XQ3S-0526-SM-4BOQA 20-29 years, male 63.0
GTEX-1HSKV-0726-SM-ACKWE 60-69 years, male 63.0
GTEX-11LCK-0826-SM-5PNYD 30-39 years, male 62.9
GTEX-111FC-0626-SM-5N9CU 60-69 years, male 61.8
GTEX-14C5O-1226-SM-664N3 60-69 years, male 61.8
GTEX-Y5V5-0726-SM-4VBPY 60-69 years, female 61.8
GTEX-1LH75-0526-SM-DIPG2 50-59 years, female 61.8
GTEX-WFG7-0826-SM-3GIKU 20-29 years, male 61.6
GTEX-15CHC-0326-SM-5ZZVP 60-69 years, female 61.5
GTEX-11DXY-1026-SM-5987V 60-69 years, male 61.4
GTEX-17GQL-0626-SM-731CN 60-69 years, male 61.4
GTEX-147JS-1326-SM-5SI6D 60-69 years, male 61.3
GTEX-17F9Y-1226-SM-7EPGE 70-79 years, female 61.3
GTEX-13CF2-0226-SM-5L3DV 60-69 years, male 61.2
GTEX-1H3O1-0226-SM-9WYSW 60-69 years, male 60.9
GTEX-1QCLZ-1126-SM-EWRNB 60-69 years, female 60.8
GTEX-132Q8-1126-SM-5K7XS 60-69 years, male 60.5
GTEX-11EMC-0826-SM-59862 60-69 years, female 60.4
GTEX-1QP29-1426-SM-DTX9Q 50-59 years, male 60.4
GTEX-ZEX8-0326-SM-DO92C 50-59 years, male 60.3
GTEX-11ZUS-0326-SM-5EQ4W 30-39 years, male 60.0
GTEX-146FR-0926-SM-5QGPE 60-69 years, female 59.9
GTEX-15SHV-0526-SM-7KUEN 60-69 years, male 59.8
GTEX-1GN73-2326-SM-9MQKV 60-69 years, male 59.8
GTEX-1GMR2-1326-SM-9KNUT 50-59 years, male 59.7
GTEX-ZYFD-2026-SM-5E459 50-59 years, male 59.6
GTEX-1GN2E-1426-SM-7RHHI 60-69 years, male 59.5
GTEX-1399U-0726-SM-5KM1D 50-59 years, female 59.2
GTEX-1B8L1-0426-SM-7SB76 60-69 years, male 59.1
GTEX-15SHU-0926-SM-6PAMK 40-49 years, female 59.0
GTEX-XQ8I-0226-SM-4BOPM 50-59 years, male 58.8
GTEX-UPK5-0226-SM-3GAEV 40-49 years, male 58.7
GTEX-1AX8Z-1126-SM-731CS 60-69 years, male 58.6
GTEX-15SDE-1826-SM-7KUFN 50-59 years, female 58.3
GTEX-YEC3-0426-SM-CYPS8 50-59 years, male 58.2
GTEX-1192X-0726-SM-5987R 50-59 years, male 58.1
GTEX-1HUB1-0726-SM-CGQF4 60-69 years, male 58.1
GTEX-WRHU-1026-SM-4E3ID 50-59 years, female 57.6
GTEX-1H2FU-0826-SM-9WYSU 60-69 years, female 57.6
GTEX-15ER7-0826-SM-6PALW 20-29 years, female 57.1
GTEX-WK11-0626-SM-3NMAV 50-59 years, male 57.1
GTEX-145LV-0226-SM-5S2QG 50-59 years, male 57.0
GTEX-ZT9W-0526-SM-57WFG 50-59 years, male 57.0
GTEX-ZGAY-0226-SM-4WWAL 40-49 years, female 56.5
GTEX-12WSG-1226-SM-5EQ4C 50-59 years, female 56.4
GTEX-1NSGN-1226-SM-E76OL 50-59 years, male 56.4
GTEX-12WSE-0926-SM-5S2VX 20-29 years, male 56.3
GTEX-1RB15-0426-SM-E9U4Y 60-69 years, male 56.2
GTEX-1HSMQ-0426-SM-ADEIM 50-59 years, male 56.0
GTEX-132QS-0526-SM-5IJC7 60-69 years, male 55.9
GTEX-1AYCT-0526-SM-7RHHS 50-59 years, male 55.4
GTEX-1I19N-0626-SM-A9SKY 70-79 years, male 55.4
GTEX-13O3P-1426-SM-5L3DT 50-59 years, male 55.3
GTEX-13OVG-0426-SM-5KM2T 60-69 years, male 55.3
GTEX-18465-0726-SM-7LG4L 50-59 years, male 55.3
GTEX-1C6VQ-0826-SM-7PBZT 50-59 years, male 55.3
GTEX-1I1HK-0626-SM-CNPQM 60-69 years, male 55.1
GTEX-1CAMS-1126-SM-7MXUQ 40-49 years, female 55.0
GTEX-1HSMO-1126-SM-CGQF2 60-69 years, male 55.0
GTEX-18D9B-1126-SM-7KFSH 60-69 years, male 54.9
GTEX-13NZA-0826-SM-5K7WS 60-69 years, male 54.7
GTEX-1117F-0726-SM-5GIEN 60-69 years, female 54.6
GTEX-12WSI-0426-SM-5EQ5J 50-59 years, male 54.6
GTEX-YJ8O-0826-SM-5CVM3 40-49 years, female 54.6
GTEX-13SLW-0826-SM-5QGP7 70-79 years, male 54.4
GTEX-11TT1-1426-SM-5EGIA 20-29 years, male 54.2
GTEX-1477Z-1126-SM-5P9GK 60-69 years, male 54.0
GTEX-1B932-1326-SM-79OM4 40-49 years, female 53.9
GTEX-1192W-0226-SM-5EGGT 60-69 years, male 53.8
GTEX-1CB4J-0226-SM-7P8T4 60-69 years, male 53.8
GTEX-1LVAN-1526-SM-CNPQN 50-59 years, female 53.4
GTEX-ZYT6-0926-SM-5GIEM 30-39 years, male 53.3
GTEX-14E7W-1126-SM-5ZZVS 70-79 years, male 53.1
GTEX-14PJ6-0626-SM-686Z6 60-69 years, female 53.1
GTEX-1L5NE-0526-SM-DIPG5 50-59 years, male 53.1
GTEX-ZE7O-0626-SM-57WCD 50-59 years, female 53.0
GTEX-1JK1U-0626-SM-CKZOJ 60-69 years, male 53.0
GTEX-14XAO-0926-SM-69LPZ 60-69 years, female 52.9
GTEX-WL46-0726-SM-3LK5Z 50-59 years, male 52.9
GTEX-1I1CD-1326-SM-A9SMM 60-69 years, female 52.9
GTEX-1445S-1226-SM-5O9BF 60-69 years, male 52.8
GTEX-1JMOU-0326-SM-ARL8X 60-69 years, female 52.8
GTEX-13O21-0326-SM-5J1N9 50-59 years, male 52.7
GTEX-14ASI-0826-SM-5Q5EB 60-69 years, male 52.7
GTEX-1JMQL-1026-SM-CMKGV 50-59 years, female 52.6
GTEX-1LGRB-1026-SM-CNPQD 50-59 years, female 52.3
GTEX-ZDTT-0326-SM-4WKF9 60-69 years, male 52.0
GTEX-1IKOE-0626-SM-A9G31 30-39 years, female 51.9
GTEX-1POEN-0726-SM-DTXDU 30-39 years, female 51.8
GTEX-1A3MX-1226-SM-731B3 60-69 years, male 51.7
GTEX-1GZ4I-0826-SM-9WG6O 50-59 years, male 51.7
GTEX-ZPCL-0526-SM-DO91R 60-69 years, female 51.4
GTEX-132AR-1926-SM-5EGK5 50-59 years, female 51.3
GTEX-13VXT-0726-SM-5SIAD 20-29 years, female 51.3
GTEX-1I1GV-1426-SM-B2LXN 60-69 years, male 51.2
GTEX-1399R-1726-SM-5K7YJ 30-39 years, male 51.1
GTEX-1B8KE-0326-SM-73KTY 50-59 years, male 51.1
GTEX-13OW7-1626-SM-5IJDH 50-59 years, male 51.0
GTEX-11GS4-0426-SM-5N9CD 60-69 years, male 50.8
GTEX-1BAJH-1026-SM-7EWEG 70-79 years, male 50.8
GTEX-1313W-1126-SM-5EQ5U 50-59 years, female 50.7
GTEX-13FXS-1026-SM-62LFQ 50-59 years, male 50.7
GTEX-13FHP-0826-SM-5K7V5 50-59 years, male 50.5
GTEX-1HT8W-1326-SM-CGQEN 30-39 years, male 50.5
GTEX-183WM-0926-SM-718AN 70-79 years, female 50.4
GTEX-XV7Q-0726-SM-4BRV6 40-49 years, female 50.4
GTEX-14DAQ-1026-SM-793B1 60-69 years, female 50.0
GTEX-WZTO-1226-SM-3NMAZ 40-49 years, male 49.9
GTEX-VJWN-1026-SM-4M1ZN 50-59 years, female 49.8
GTEX-ZF29-0426-SM-4WKFN 60-69 years, female 49.8
GTEX-X5EB-0626-SM-46MVQ 40-49 years, male 49.6
GTEX-14H4A-0426-SM-5ZZWO 40-49 years, female 49.5
GTEX-ZAJG-0926-SM-5Q5AB 50-59 years, female 49.5
GTEX-1IKJJ-0626-SM-CY8GF 60-69 years, male 49.2
GTEX-1399S-0826-SM-5KM23 30-39 years, female 49.1
GTEX-17F9E-0726-SM-793A1 50-59 years, male 48.9
GTEX-17KNJ-0626-SM-7LT9L 50-59 years, male 48.9
GTEX-1JN6P-0826-SM-ARL97 60-69 years, male 48.8
GTEX-1HR98-1026-SM-CKZOM 60-69 years, male 48.7
GTEX-1J8Q3-1126-SM-ARU8N 60-69 years, male 48.7
GTEX-1R7EV-0426-SM-DTX7Z 40-49 years, male 48.7
GTEX-1C64N-0826-SM-7RHGQ 50-59 years, male 48.4
GTEX-1HBPM-1026-SM-ARL9D 60-69 years, female 47.9
GTEX-13X6J-1226-SM-79OMF 50-59 years, male 47.8
GTEX-ZAB5-0126-SM-5CVMT 50-59 years, male 47.8
GTEX-1EU9M-1926-SM-7RHH4 60-69 years, male 47.8
GTEX-12ZZX-0726-SM-5EGKA 40-49 years, female 47.4
GTEX-15CHR-0326-SM-7DHN3 50-59 years, male 47.4
GTEX-WHSE-0826-SM-4SOJU 20-29 years, male 47.3
GTEX-UTHO-1226-SM-3GAEE 60-69 years, male 46.9
GTEX-12696-1226-SM-5FQSM 60-69 years, male 46.5
GTEX-1CB4I-1526-SM-7DHMY 50-59 years, male 46.5
GTEX-1EMGI-1126-SM-9KNUF 60-69 years, male 46.5
GTEX-1339X-0326-SM-5K7Z8 40-49 years, male 46.4
GTEX-146FH-1126-SM-5NQAT 50-59 years, female 46.4
GTEX-1EWIQ-1126-SM-7EPIK 70-79 years, female 46.4
GTEX-ZYVF-1826-SM-5E44F 50-59 years, female 46.4
GTEX-13O3Q-0326-SM-5L3FE 50-59 years, male 46.3
GTEX-WYJK-1126-SM-3NM9Z 50-59 years, male 46.3
GTEX-11NUK-0926-SM-5HL57 50-59 years, male 46.1
GTEX-ZDXO-0426-SM-4WKF6 60-69 years, male 46.0
GTEX-14E1K-0826-SM-5ZZW9 50-59 years, male 45.9
GTEX-13112-0526-SM-5EQ4S 50-59 years, male 45.8
GTEX-14A5I-1026-SM-5Q5E3 50-59 years, female 45.5
GTEX-1CB4G-0726-SM-79OOJ 60-69 years, male 45.2
GTEX-111VG-0326-SM-5GZX7 60-69 years, male 45.1
GTEX-13PL6-0826-SM-5IJBI 40-49 years, female 45.0
GTEX-14C39-0726-SM-5RQIK 40-49 years, male 45.0
GTEX-WHPG-1026-SM-3NMBA 50-59 years, male 44.9
GTEX-13NZ9-0126-SM-5K7XV 50-59 years, male 44.7
GTEX-11WQK-0226-SM-5EQLI 50-59 years, male 44.2
GTEX-WFG8-0726-SM-3GILP 20-29 years, male 44.2
GTEX-14E6C-0326-SM-5Q5EE 40-49 years, male 43.9
GTEX-13NYB-0326-SM-5IJDP 40-49 years, male 43.5
GTEX-13U4I-0626-SM-5LU5L 40-49 years, female 43.3
GTEX-1P4AB-0926-SM-E76PV 50-59 years, male 43.1
GTEX-1PPGY-0926-SM-DTXFF 60-69 years, male 43.0
GTEX-1CB4E-0626-SM-7DHMW 60-69 years, male 42.8
GTEX-ZVZQ-0726-SM-51MR3 60-69 years, female 42.8
GTEX-12WSA-1126-SM-5EGKU 60-69 years, male 42.6
GTEX-13OW6-0926-SM-5L3GM 50-59 years, male 42.6
GTEX-13OVI-0326-SM-5K7X1 60-69 years, female 42.5
GTEX-Y8E4-0426-SM-4V6GB 40-49 years, male 42.5
GTEX-1IDJD-0226-SM-CKZOA 30-39 years, male 42.5
GTEX-1LG7Y-1426-SM-D4P31 50-59 years, male 42.5
GTEX-1HCU7-1226-SM-B2LX8 50-59 years, male 42.4
GTEX-17HGU-1126-SM-793BP 50-59 years, male 42.0
GTEX-1E1VI-1426-SM-793CY 50-59 years, male 41.9
GTEX-ZG7Y-1426-SM-4WWBM 50-59 years, male 41.9
GTEX-13NYS-1926-SM-5IJCB 60-69 years, male 41.8
GTEX-14A6H-0326-SM-5NQAN 30-39 years, male 41.4
GTEX-1B8SG-0726-SM-79ONS 50-59 years, male 41.4
GTEX-15RJE-0726-SM-7KUEG 40-49 years, male 41.3
GTEX-13FHO-1226-SM-5L3EF 60-69 years, male 41.1
GTEX-1AX9I-1026-SM-73KYF 60-69 years, male 41.0
GTEX-117YW-0426-SM-5GZZZ 50-59 years, male 40.9
GTEX-18A66-1126-SM-731C5 60-69 years, male 40.8
GTEX-14C38-1326-SM-62LDK 50-59 years, male 40.4
GTEX-15RIE-1326-SM-6PAMM 60-69 years, male 40.1
GTEX-1GZ2Q-0926-SM-7RHHN 40-49 years, male 39.7
GTEX-ZTPG-1326-SM-51MSQ 20-29 years, female 39.6
GTEX-1J8EW-0626-SM-CM2TY 60-69 years, female 39.6
GTEX-16XZZ-1026-SM-7DHKS 60-69 years, male 39.5
GTEX-13YAN-1426-SM-7EPG8 60-69 years, male 39.4
GTEX-16YQH-0726-SM-7IGM1 30-39 years, male 39.2
GTEX-15D1Q-0426-SM-6AJ9G 40-49 years, male 38.9
GTEX-15UF7-1526-SM-6LPI7 40-49 years, male 38.9
GTEX-ZTTD-0626-SM-4YCCY 50-59 years, male 38.7
GTEX-13O3O-1426-SM-5KM2S 60-69 years, female 38.3
GTEX-WOFL-1226-SM-4OOST 60-69 years, male 38.0
GTEX-WQUQ-1326-SM-3MJFF 60-69 years, male 37.6
GTEX-1GMRU-1326-SM-9WYUI 50-59 years, male 37.2
GTEX-1MJK2-1626-SM-EVYCQ 50-59 years, male 36.9
GTEX-VUSG-0726-SM-3GIK1 50-59 years, male 36.8
GTEX-11EQ8-1326-SM-5EGJQ 60-69 years, male 36.7
GTEX-14BIL-0926-SM-7DHKN 50-59 years, male 36.1
GTEX-14PHY-0326-SM-62LE3 60-69 years, female 35.5
GTEX-Z93S-0326-SM-5HL84 50-59 years, male 35.4
GTEX-X4XX-1126-SM-3NMBY 60-69 years, male 34.8
GTEX-11ZVC-0526-SM-5N9G1 50-59 years, female 34.6
GTEX-18A67-1026-SM-731CE 50-59 years, male 34.5
GTEX-11TUW-1126-SM-5EQKJ 60-69 years, male 34.0
GTEX-ZUA1-0726-SM-4YCD9 40-49 years, male 32.9
GTEX-1B8SF-1326-SM-7IGQJ 60-69 years, male 32.8
GTEX-X261-0926-SM-3NMCY 50-59 years, male 32.3
GTEX-1F48J-1126-SM-9WYSY 50-59 years, female 31.9
GTEX-1IOXB-0726-SM-A9G32 50-59 years, male 31.9
GTEX-1QEPI-1126-SM-E8VN7 60-69 years, female 31.6
GTEX-14BIN-2126-SM-793AX 50-59 years, female 31.5
GTEX-1IKOH-0926-SM-A9SLU 60-69 years, female 31.2
GTEX-13S86-0326-SM-5SI6K 40-49 years, male 30.9
GTEX-12584-1026-SM-59HK3 40-49 years, male 30.6
GTEX-ZVT4-1326-SM-5NQ8E 50-59 years, female 30.2
GTEX-1F6I4-0826-SM-7RHGK 60-69 years, male 30.2
GTEX-1H1ZS-1026-SM-9WG6E 70-79 years, male 30.0
GTEX-XXEK-2026-SM-4BRVE 50-59 years, male 29.3
GTEX-17MF6-0926-SM-7LTAL 40-49 years, male 28.7
GTEX-1F75B-1126-SM-7RHGP 50-59 years, male 27.3
GTEX-16GPK-1226-SM-7LTAU 60-69 years, male 26.9
GTEX-1H1CY-0426-SM-9KNVD 60-69 years, female 26.9
GTEX-ZZPT-0926-SM-5GICZ 50-59 years, male 26.7
GTEX-1QP6S-1026-SM-DTXFW 40-49 years, male 25.7
GTEX-1M5QR-1626-SM-E9U5O 40-49 years, male 25.1
GTEX-1GN1V-1026-SM-CNPPS 60-69 years, male 22.0
GTEX-1IL2V-1126-SM-CMKGH 70-79 years, male 21.7
GTEX-17EVP-0526-SM-7EPGY 40-49 years, male 19.4
GTEX-ZXG5-0626-SM-5NQ85 60-69 years, male 18.1
GTEX-13FTZ-0326-SM-5J1O1 60-69 years, male 17.0
GTEX-1LSNL-0626-SM-DIPFJ 50-59 years, male 16.3
GTEX-1C6WA-0826-SM-7PBXS 60-69 years, male 13.1
Show allShow less
Heart - Left Ventricle
Average nTPM: 114.7
Samples: 432

Max nTPM: 282.2
Min nTPM: 17.9
Std nTPM: 49.0
Median nTPM: 117.8
GTEX-SUCS-0326-SM-32PLL 70-79 years, male 282.2
GTEX-ZVT2-1026-SM-5GU55 50-59 years, female 246.2
GTEX-1LGOU-0726-SM-E9TIY 20-29 years, female 245.0
GTEX-13VXT-1126-SM-5LU3A 20-29 years, female 237.3
GTEX-1H11D-1226-SM-9WPQ2 40-49 years, male 229.6
GTEX-XPT6-0126-SM-4B65S 20-29 years, male 221.4
GTEX-PWCY-0526-SM-5P9HG 20-29 years, female 219.4
GTEX-1J8QM-0426-SM-AHZ3X 60-69 years, female 215.7
GTEX-OXRL-0326-SM-2I3F2 50-59 years, male 215.2
GTEX-P78B-0426-SM-2I5F5 40-49 years, female 213.3
GTEX-12WSD-1126-SM-5EGJD 60-69 years, female 211.9
GTEX-OOBJ-0326-SM-33HBO 60-69 years, male 210.9
GTEX-YEC4-0326-SM-4W216 40-49 years, male 208.6
GTEX-ZYFG-0426-SM-5E43M 60-69 years, female 208.0
GTEX-1C64O-0826-SM-79OKZ 60-69 years, male 207.6
GTEX-U3ZN-1426-SM-3DB87 30-39 years, female 207.5
GTEX-1IL2U-1326-SM-A9G2O 60-69 years, male 204.5
GTEX-1OKEX-0726-SM-DPRYE 60-69 years, male 199.2
GTEX-1MUQO-1226-SM-E9TJK 60-69 years, male 198.8
GTEX-1IDJF-0726-SM-CJI1U 20-29 years, male 194.4
GTEX-1AX9K-0526-SM-73KV1 50-59 years, male 193.8
GTEX-1IDJU-0726-SM-CNPQ9 60-69 years, female 192.6
GTEX-ZF2S-1026-SM-9QEGK 50-59 years, female 192.2
GTEX-1HC8U-0726-SM-ACKXL 40-49 years, female 191.4
GTEX-13FTW-1026-SM-5L3E3 40-49 years, male 190.6
GTEX-XPVG-0826-SM-4B654 50-59 years, male 188.9
GTEX-12WSK-0626-SM-5LZUJ 40-49 years, female 187.7
GTEX-11ZUS-0226-SM-5FQT8 30-39 years, male 187.2
GTEX-11EM3-0626-SM-5H12Z 20-29 years, female 186.8
GTEX-QLQ7-0526-SM-2I5G3 60-69 years, male 186.8
GTEX-16XZY-0426-SM-793BI 70-79 years, male 186.2
GTEX-SE5C-0626-SM-2XCDV 40-49 years, female 184.9
GTEX-WH7G-0426-SM-3NMBJ 40-49 years, male 184.2
GTEX-13PVQ-1226-SM-5IJDC 50-59 years, male 184.0
GTEX-O5YW-0326-SM-2I5EI 50-59 years, male 183.7
GTEX-XGQ4-0326-SM-4GIEE 50-59 years, male 182.6
GTEX-1HSGN-1126-SM-CJI4G 40-49 years, female 181.1
GTEX-1F5PK-0326-SM-9KNUD 50-59 years, male 179.3
GTEX-13O61-0526-SM-5J2M1 60-69 years, male 178.8
GTEX-YF7O-0426-SM-5P9FS 50-59 years, male 178.1
GTEX-145MN-0626-SM-5QGRH 30-39 years, male 178.0
GTEX-WFG7-0726-SM-3GIKO 20-29 years, male 177.6
GTEX-UJMC-0526-SM-3GAE3 50-59 years, male 177.0
GTEX-14E1K-1026-SM-73KUR 50-59 years, male 175.0
GTEX-117YX-1126-SM-5H128 50-59 years, male 174.7
GTEX-WHPG-0826-SM-3NMBF 50-59 years, male 173.9
GTEX-1GMR3-0326-SM-7P8QT 40-49 years, male 173.6
GTEX-14PHX-2126-SM-6EU2U 50-59 years, male 172.5
GTEX-ZDXO-0726-SM-57WBT 60-69 years, male 172.0
GTEX-POMQ-0326-SM-2I5FO 20-29 years, female 171.4
GTEX-1F75I-1126-SM-9WYUO 40-49 years, male 171.3
GTEX-11I78-0826-SM-5A5K4 50-59 years, female 171.0
GTEX-WHSE-0926-SM-3NMBS 20-29 years, male 170.3
GTEX-18D9U-1126-SM-72D5Y 40-49 years, male 169.8
GTEX-1QCLZ-0926-SM-E6CQZ 60-69 years, female 169.4
GTEX-OXRK-0826-SM-2HMK7 50-59 years, female 168.5
GTEX-1GN1W-0326-SM-9JGHF 50-59 years, female 168.4
GTEX-1EU9M-1826-SM-7DUGU 60-69 years, male 167.7
GTEX-131XF-5001-SM-7DHLY 60-69 years, male 167.2
GTEX-14PN3-0526-SM-69LQF 60-69 years, female 166.0
GTEX-1KD5A-1026-SM-CY8I8 50-59 years, male 166.0
GTEX-OIZF-0326-SM-3MJGY 60-69 years, male 165.8
GTEX-13PVR-1026-SM-5QGQW 60-69 years, female 165.6
GTEX-1QP2A-1126-SM-EVR3H 50-59 years, male 164.2
GTEX-11DXX-0326-SM-5PNWC 60-69 years, female 163.8
GTEX-1HSMQ-0226-SM-C1YQL 50-59 years, male 162.9
GTEX-1RQEC-0926-SM-EWROG 60-69 years, male 162.9
GTEX-R55E-1026-SM-2TC5S 20-29 years, male 162.8
GTEX-WEY5-0426-SM-3GIKT 40-49 years, female 162.7
GTEX-OHPK-0326-SM-2HMJO 50-59 years, female 162.6
GTEX-PLZ5-0626-SM-2I5F8 50-59 years, male 162.1
GTEX-15CHR-0226-SM-7PC2Z 50-59 years, male 162.1
GTEX-14H4A-0626-SM-5ZZUT 40-49 years, female 161.9
GTEX-ZPIC-0826-SM-4WWFJ 40-49 years, female 161.8
GTEX-13O21-2326-SM-5MR3X 50-59 years, male 161.5
GTEX-R55C-0326-SM-3GAF1 40-49 years, male 161.3
GTEX-X3Y1-0426-SM-3P5Z4 40-49 years, male 161.1
GTEX-13N11-0426-SM-5KM3O 50-59 years, female 160.8
GTEX-1I6K7-0626-SM-ARL7Q 40-49 years, male 157.1
GTEX-1ICG6-0626-SM-ACKWS 70-79 years, female 156.9
GTEX-1F6I4-0726-SM-7PC2P 60-69 years, male 156.6
GTEX-13FH7-0926-SM-5J2MR 50-59 years, female 156.4
GTEX-O5YV-0326-SM-2I5H2 60-69 years, female 156.0
GTEX-1I1GQ-1426-SM-B2LWY 50-59 years, male 155.6
GTEX-1I1HK-0726-SM-B2LY4 60-69 years, male 155.2
GTEX-1HCUA-0526-SM-A9SMH 50-59 years, female 154.9
GTEX-P4PQ-0326-SM-2HMJ8 60-69 years, male 154.4
GTEX-QESD-0526-SM-2I5G5 20-29 years, male 154.4
GTEX-1122O-0826-SM-5GICV 60-69 years, female 154.1
GTEX-1RMOY-0626-SM-E9TIE 50-59 years, male 154.1
GTEX-1QP29-1526-SM-EXUSY 50-59 years, male 153.9
GTEX-145MO-1126-SM-5NQBX 60-69 years, male 153.8
GTEX-1399R-1926-SM-5K7X8 30-39 years, male 153.2
GTEX-Y3I4-0626-SM-4TT7A 50-59 years, male 153.2
GTEX-16YQH-0926-SM-793BC 30-39 years, male 153.1
GTEX-1AX9J-1026-SM-72D6E 60-69 years, male 153.1
GTEX-13O3O-1526-SM-5KM1C 60-69 years, female 152.8
GTEX-146FR-0626-SM-5RQJ1 60-69 years, female 152.7
GTEX-ZQUD-1526-SM-7IGO2 30-39 years, male 152.5
GTEX-139YR-0826-SM-5LZXY 50-59 years, male 152.4
GTEX-1B97J-0726-SM-7RHG3 50-59 years, female 150.4
GTEX-1JMLX-1626-SM-ARZMV 50-59 years, male 150.4
GTEX-11DXZ-0626-SM-5GU77 50-59 years, male 149.7
GTEX-ZDTT-0726-SM-4WKFK 60-69 years, male 149.6
GTEX-WFON-0326-SM-3GIKX 40-49 years, male 149.1
GTEX-13OVL-0526-SM-5KLZQ 50-59 years, male 149.0
GTEX-OHPL-0326-SM-33HC8 60-69 years, female 149.0
GTEX-WY7C-0526-SM-3NB3D 50-59 years, male 148.7
GTEX-1CB4E-0526-SM-7MXTK 60-69 years, male 148.4
GTEX-X8HC-1626-SM-46MWE 50-59 years, female 148.3
GTEX-QEL4-0926-SM-3GAD1 50-59 years, male 147.7
GTEX-SNMC-0126-SM-2XCFO 20-29 years, male 146.8
GTEX-1HFI7-0826-SM-A9G23 50-59 years, female 146.8
GTEX-V1D1-0526-SM-4JBGW 50-59 years, male 146.6
GTEX-NFK9-0926-SM-2HMJU 40-49 years, male 146.5
GTEX-1GMR2-1426-SM-7RHHK 50-59 years, male 146.0
GTEX-PX3G-0326-SM-2I3EO 20-29 years, female 145.8
GTEX-11TT1-1326-SM-5PNYM 20-29 years, male 145.5
GTEX-X15G-0426-SM-4PQZ6 50-59 years, female 145.2
GTEX-ZLFU-0226-SM-4WWFH 40-49 years, male 145.2
GTEX-S32W-0626-SM-2XCBG 50-59 years, female 145.1
GTEX-ZV7C-0326-SM-57WB1 50-59 years, male 144.9
GTEX-1211K-0626-SM-5FQUZ 60-69 years, female 144.3
GTEX-1GL5R-0326-SM-9WYTJ 50-59 years, male 144.2
GTEX-XQ3S-0626-SM-4BOOB 20-29 years, male 143.4
GTEX-Y3IK-0826-SM-51MT8 50-59 years, female 143.0
GTEX-15RIE-1726-SM-7KUMU 60-69 years, male 143.0
GTEX-YFC4-0526-SM-5ZZVI 40-49 years, female 142.8
GTEX-OIZG-1126-SM-2HMIU 50-59 years, male 142.4
GTEX-1BAJH-1626-SM-73KUV 70-79 years, male 142.2
GTEX-U3ZH-0326-SM-3DB7A 30-39 years, male 142.2
GTEX-131XH-0226-SM-5LZVB 50-59 years, male 142.0
GTEX-RWS6-0326-SM-2XCAP 60-69 years, female 141.7
GTEX-UPK5-0326-SM-CYPR4 40-49 years, male 141.3
GTEX-WZTO-1326-SM-3NM8X 40-49 years, male 141.2
GTEX-OIZI-0926-SM-E6CHF 40-49 years, male 140.5
GTEX-18465-0926-SM-731AY 50-59 years, male 140.1
GTEX-ZDYS-0226-SM-5HL4K 50-59 years, male 140.0
GTEX-1MCC2-0326-SM-EV7AK 30-39 years, female 139.8
GTEX-Y114-0226-SM-4TT8W 50-59 years, female 139.6
GTEX-132NY-1726-SM-5EGKK 60-69 years, male 139.3
GTEX-1R9JW-0526-SM-EWRNK 30-39 years, female 139.1
GTEX-ZEX8-0426-SM-DO92Y 50-59 years, male 139.1
GTEX-WYJK-1026-SM-3NM8W 50-59 years, male 138.6
GTEX-13RTJ-0726-SM-5QGQN 60-69 years, male 138.5
GTEX-11ZVC-0426-SM-5CVLD 50-59 years, female 138.0
GTEX-15DDE-1126-SM-6LLHN 50-59 years, female 137.9
GTEX-QEG4-0426-SM-33HC3 30-39 years, male 137.7
GTEX-RNOR-0826-SM-2TF5C 50-59 years, female 137.5
GTEX-ZGAY-0326-SM-57WF5 40-49 years, female 137.2
GTEX-ZPU1-0626-SM-4YCDM 40-49 years, male 137.0
GTEX-1LSNM-0526-SM-DIPG6 50-59 years, male 136.5
GTEX-11GSP-1326-SM-5A5KY 60-69 years, female 136.4
GTEX-12696-1126-SM-5FQTI 60-69 years, male 136.1
GTEX-1HBPH-0126-SM-CNNQ7 40-49 years, female 135.4
GTEX-14PJ6-0726-SM-69LOL 60-69 years, female 135.3
GTEX-Q2AH-0526-SM-2I3ED 40-49 years, male 134.6
GTEX-12WSN-5001-SM-7DHMK 40-49 years, male 134.2
GTEX-1CAMS-1326-SM-79OJR 40-49 years, female 134.0
GTEX-1JJEA-0826-SM-CL53T 60-69 years, male 133.8
GTEX-145LV-0326-SM-5Q5BW 50-59 years, male 133.4
GTEX-1CB4I-1626-SM-7RHGV 50-59 years, male 133.1
GTEX-R55G-0526-SM-2TC5O 40-49 years, female 132.8
GTEX-ZDTS-1326-SM-6LLHE 60-69 years, male 132.5
GTEX-R45C-0926-SM-3GAD4 60-69 years, female 132.3
GTEX-13QBU-0426-SM-5J2O4 40-49 years, female 131.8
GTEX-13CF2-0426-SM-5KM1H 60-69 years, male 131.2
GTEX-1M5QR-1026-SM-DHXK9 40-49 years, male 131.2
GTEX-1QPFJ-1026-SM-E6CR6 30-39 years, female 131.2
GTEX-ZVZP-0226-SM-5NQ73 50-59 years, male 131.0
GTEX-1PPGY-1126-SM-E76OU 60-69 years, male 130.7
GTEX-1AYCT-0426-SM-73KVZ 50-59 years, male 130.5
GTEX-ZF29-0226-SM-4WKHO 60-69 years, female 130.1
GTEX-1GN73-2426-SM-7RHFQ 60-69 years, male 130.1
GTEX-15CHC-0426-SM-6LLHI 60-69 years, female 130.0
GTEX-1HCU7-1326-SM-CNPPW 50-59 years, male 129.8
GTEX-PSDG-0926-SM-2I5FP 50-59 years, male 129.6
GTEX-R53T-0926-SM-3GADH 50-59 years, female 129.3
GTEX-12BJ1-0226-SM-5LUA2 60-69 years, male 129.2
GTEX-P4PP-0326-SM-33HC4 30-39 years, female 129.1
GTEX-ZZPU-0926-SM-5GZYT 50-59 years, female 129.1
GTEX-1C2JI-0526-SM-7EWEQ 50-59 years, male 129.0
GTEX-YB5K-0126-SM-5IFJ2 40-49 years, female 128.4
GTEX-14JG1-1026-SM-6ETZY 40-49 years, male 128.2
GTEX-17KNJ-0826-SM-793A4 50-59 years, male 128.2
GTEX-UJHI-0426-SM-3DB8Y 50-59 years, female 128.2
GTEX-13CF3-0726-SM-5J2MY 60-69 years, female 127.7
GTEX-U4B1-0326-SM-3DB8K 40-49 years, male 127.7
GTEX-17JCI-1126-SM-7IGMM 60-69 years, female 127.6
GTEX-1399U-0526-SM-5K7YM 50-59 years, female 127.5
GTEX-13SLX-1026-SM-5ZZUQ 50-59 years, female 127.5
GTEX-1AX9I-1126-SM-7EPHH 60-69 years, male 126.9
GTEX-14A6H-0226-SM-5Q5DX 30-39 years, male 125.8
GTEX-111YS-0426-SM-5987O 60-69 years, male 125.3
GTEX-WL46-0926-SM-3LK7T 50-59 years, male 124.5
GTEX-1212Z-0626-SM-5FQTB 60-69 years, male 124.2
GTEX-148VI-0326-SM-5RQK7 60-69 years, female 124.2
GTEX-1B8KE-0126-SM-793AM 50-59 years, male 124.1
GTEX-1MJIX-0326-SM-EVR42 40-49 years, male 123.9
GTEX-13W3W-0426-SM-5SI9D 60-69 years, female 123.6
GTEX-1497J-1226-SM-5Q5BL 60-69 years, male 123.3
GTEX-Y5V6-0826-SM-4VBRU 60-69 years, male 122.2
GTEX-17HGU-1026-SM-79OKL 50-59 years, male 121.9
GTEX-1POEN-0626-SM-EVR4B 30-39 years, female 121.7
GTEX-17GQL-0526-SM-72D5N 60-69 years, male 121.5
GTEX-132QS-0426-SM-5KLZ6 60-69 years, male 121.4
GTEX-1JK1U-0526-SM-CYPSQ 60-69 years, male 119.6
GTEX-Y8E4-0326-SM-4VBRR 40-49 years, male 119.1
GTEX-1R7EV-0326-SM-E76PA 40-49 years, male 119.0
GTEX-1JMQK-0626-SM-D4P2R 60-69 years, male 118.9
GTEX-1IKOE-1026-SM-ARZMF 30-39 years, female 118.8
GTEX-RU72-0326-SM-2TF5T 50-59 years, female 118.6
GTEX-XBED-0526-SM-47JY3 60-69 years, male 118.3
GTEX-14PJ4-1126-SM-5YY91 60-69 years, male 118.1
GTEX-1J8EW-0926-SM-A9G33 60-69 years, female 117.8
GTEX-1J8Q3-1226-SM-CKZPT 60-69 years, male 117.8
GTEX-YEC3-0726-SM-CMKFH 50-59 years, male 117.7
GTEX-15RJ7-0226-SM-7KUMN 40-49 years, male 117.6
GTEX-1S3DN-0726-SM-E9TIO 50-59 years, male 117.3
GTEX-1A3MX-1326-SM-72D58 60-69 years, male 117.1
GTEX-13OW6-1126-SM-5L3HL 50-59 years, male 116.4
GTEX-1J8Q2-1226-SM-A9G2W 60-69 years, male 116.2
GTEX-11LCK-0926-SM-5A5KA 30-39 years, male 116.1
GTEX-XXEK-0926-SM-4BRWH 50-59 years, male 115.5
GTEX-ZAB5-0226-SM-5CVMH 50-59 years, male 115.4
GTEX-QV44-0526-SM-2S1RE 50-59 years, male 114.6
GTEX-18D9B-1226-SM-72D6V 60-69 years, male 114.1
GTEX-1JJ6O-2126-SM-CNNP6 60-69 years, male 114.1
GTEX-14DAQ-1126-SM-664MT 60-69 years, female 114.0
GTEX-1R9K5-1326-SM-E6CPR 50-59 years, male 112.8
GTEX-13FLV-0926-SM-5L3DZ 50-59 years, male 112.7
GTEX-1KANC-0426-SM-CXZK5 50-59 years, female 112.6
GTEX-1OFPY-1026-SM-EXUSO 60-69 years, male 112.4
GTEX-13U4I-0826-SM-5SIBD 40-49 years, female 112.1
GTEX-1GF9V-1626-SM-7PBXL 60-69 years, male 112.1
GTEX-16BQI-0926-SM-6M485 30-39 years, female 111.6
GTEX-131XE-0626-SM-5HL98 50-59 years, male 111.1
GTEX-1LVAN-1726-SM-CNNR1 50-59 years, female 111.0
GTEX-15ER7-1726-SM-6PAMX 20-29 years, female 110.9
GTEX-U8XE-1126-SM-3DB8W 30-39 years, male 110.7
GTEX-N7MS-0826-SM-2HML4 60-69 years, male 110.2
GTEX-1GF9U-0426-SM-7RHHA 40-49 years, female 108.9
GTEX-15DYW-1126-SM-6LPK5 60-69 years, female 108.3
GTEX-1KXAM-1326-SM-E9TJW 60-69 years, male 108.1
GTEX-1CB4G-0826-SM-7DUGF 60-69 years, male 107.8
GTEX-XQ8I-0126-SM-4BOPL 50-59 years, male 106.8
GTEX-V955-0726-SM-3GAFG 60-69 years, male 106.6
GTEX-ZAB4-1026-SM-5HL7T 40-49 years, male 106.6
GTEX-ZG7Y-0926-SM-5EQ6O 50-59 years, male 106.5
GTEX-QDVJ-0426-SM-2I5FW 50-59 years, male 106.2
GTEX-1F6IF-2526-SM-7P8TV 60-69 years, male 105.4
GTEX-13X6H-0426-SM-5LU4E 50-59 years, female 105.2
GTEX-WFG8-0626-SM-3GILJ 20-29 years, male 105.1
GTEX-OIZH-0326-SM-2HMKC 50-59 years, male 105.0
GTEX-1ICLY-1326-SM-CJI47 50-59 years, male 104.3
GTEX-1E1VI-1326-SM-7IGQD 50-59 years, male 103.1
GTEX-WHWD-0426-SM-3LK83 50-59 years, male 103.1
GTEX-1313W-1426-SM-5KLZU 50-59 years, female 102.5
GTEX-QMRM-0526-SM-2I5GA 50-59 years, male 102.4
GTEX-ZPCL-0426-SM-DNZZ4 60-69 years, female 101.6
GTEX-T6MN-0926-SM-32PLX 50-59 years, male 100.7
GTEX-1B8L1-0526-SM-79ONX 60-69 years, male 100.5
GTEX-13NZB-0226-SM-5KM1T 30-39 years, male 100.4
GTEX-13D11-1726-SM-5IFGQ 50-59 years, female 100.0
GTEX-O5YT-0326-SM-32PKA 20-29 years, male 99.9
GTEX-1N2EF-2826-SM-E6CQF 60-69 years, male 99.7
GTEX-14XAO-1126-SM-6EU11 60-69 years, female 99.1
GTEX-1L5NE-0426-SM-E9TIX 50-59 years, male 99.0
GTEX-1O9I2-1126-SM-DTXEA 50-59 years, male 99.0
GTEX-13N1W-1026-SM-5IJC5 70-79 years, male 98.6
GTEX-1GZ4I-1026-SM-9KNV5 50-59 years, male 98.3
GTEX-147JS-1526-SM-5ZZWF 60-69 years, male 98.2
GTEX-14PK6-0826-SM-5ZZVO 70-79 years, female 98.2
GTEX-146FH-1026-SM-5RQIF 50-59 years, female 98.1
GTEX-REY6-1026-SM-2TF4Y 60-69 years, male 98.1
GTEX-ZYFC-1126-SM-5E44W 50-59 years, male 97.8
GTEX-13OVG-0526-SM-5K7YD 60-69 years, male 97.5
GTEX-1HCU6-1026-SM-A9G25 60-69 years, female 97.5
GTEX-1B996-1126-SM-73KWN 60-69 years, male 97.2
GTEX-16NPX-0926-SM-7KUEZ 50-59 years, male 96.7
GTEX-1IDJI-1026-SM-A96TE 50-59 years, female 96.6
GTEX-11O72-1126-SM-5N9E2 40-49 years, male 96.3
GTEX-1IDJE-0326-SM-CM2TD 50-59 years, female 95.9
GTEX-12584-0926-SM-5FQTN 40-49 years, male 95.8
GTEX-1339X-0426-SM-5KLZY 40-49 years, male 95.5
GTEX-QEG5-0926-SM-2TC64 20-29 years, male 95.5
GTEX-12ZZY-1126-SM-5DUWQ 60-69 years, male 95.0
GTEX-1314G-0126-SM-5LZUL 30-39 years, male 94.6
GTEX-PVOW-0426-SM-5MR5R 40-49 years, male 94.4
GTEX-18A67-1226-SM-7KFRS 50-59 years, male 94.1
GTEX-12WSG-0526-SM-5FQTH 50-59 years, female 92.4
GTEX-Y5V5-0626-SM-4VBPX 60-69 years, female 90.8
GTEX-RUSQ-0526-SM-2TF72 50-59 years, male 88.8
GTEX-1RB15-0326-SM-E6CQB 60-69 years, male 88.7
GTEX-11EMC-0726-SM-5EGJO 60-69 years, female 88.1
GTEX-15SHU-1126-SM-7KUMB 40-49 years, female 87.9
GTEX-17F9E-0926-SM-7IGMG 50-59 years, male 87.4
GTEX-1269C-0826-SM-5N9EM 60-69 years, female 87.0
GTEX-QDVN-0326-SM-2I3FS 50-59 years, male 86.9
GTEX-RWSA-0626-SM-2XCBD 40-49 years, male 86.5
GTEX-11GS4-0526-SM-5A5KQ 60-69 years, male 86.4
GTEX-1399S-1026-SM-5KLZ9 30-39 years, female 84.6
GTEX-18A66-1226-SM-7LT8G 60-69 years, male 84.2
GTEX-1GMRU-1526-SM-9WYT5 50-59 years, male 83.8
GTEX-1EMGI-1226-SM-793DD 60-69 years, male 82.8
GTEX-15SHW-1226-SM-6M46C 60-69 years, male 82.7
GTEX-14PHY-0226-SM-5ZZWM 60-69 years, female 82.4
GTEX-13112-0426-SM-5PNVC 50-59 years, male 81.6
GTEX-11TUW-1026-SM-5GU7D 60-69 years, male 81.5
GTEX-147F4-1226-SM-5NQAY 50-59 years, male 80.9
GTEX-18A6Q-1626-SM-7KFTA 60-69 years, male 80.7
GTEX-14C5O-1326-SM-5S2UW 60-69 years, male 79.9
GTEX-12WSC-1126-SM-5EQ4G 50-59 years, male 79.6
GTEX-ZF3C-1226-SM-4WWCB 50-59 years, female 79.6
GTEX-15EOM-5007-SM-793DG 20-29 years, female 79.5
GTEX-17HII-1326-SM-7IGOB 50-59 years, male 79.1
GTEX-NPJ8-0426-SM-2HMK6 40-49 years, male 78.1
GTEX-11DXY-0826-SM-5EGGR 60-69 years, male 77.4
GTEX-11ONC-0126-SM-5PNW6 60-69 years, male 77.2
GTEX-131XG-0626-SM-5GCMP 50-59 years, female 77.1
GTEX-13FTZ-0226-SM-5K7X6 60-69 years, male 76.4
GTEX-1IKK5-1526-SM-CKZPW 60-69 years, male 76.1
GTEX-1LB8K-1026-SM-DHXJJ 50-59 years, male 76.1
GTEX-13X6K-1826-SM-5O9CR 60-69 years, female 75.6
GTEX-14C38-1426-SM-5RQHZ 50-59 years, male 75.5
GTEX-1R9PO-0326-SM-DTXA1 60-69 years, female 75.5
GTEX-WI4N-0626-SM-3TW8Z 40-49 years, female 75.0
GTEX-RTLS-0826-SM-2TF5Q 60-69 years, female 74.5
GTEX-1CB4J-0326-SM-7PBZO 60-69 years, male 73.4
GTEX-1JMPZ-1426-SM-CJI3C 30-39 years, male 73.2
GTEX-1A8G6-1626-SM-7MGWO 60-69 years, male 73.0
GTEX-1AX8Z-5007-SM-AHZ36 60-69 years, male 72.9
GTEX-OHPM-0326-SM-33HCA 50-59 years, male 72.6
GTEX-1R9K4-1326-SM-DTX8G 60-69 years, male 72.4
GTEX-1B8SG-0826-SM-7EWF7 50-59 years, male 72.3
GTEX-1B932-1026-SM-793CL 40-49 years, female 70.9
GTEX-12ZZZ-1726-SM-59HK5 60-69 years, male 70.8
GTEX-ZAJG-0826-SM-5PNVA 50-59 years, female 70.6
GTEX-SIU8-0826-SM-2XCDQ 50-59 years, male 70.5
GTEX-WQUQ-1426-SM-3MJFD 60-69 years, male 70.2
GTEX-1EH9U-0826-SM-7IGPT 60-69 years, male 69.7
GTEX-WWYW-1326-SM-3NB2S 50-59 years, female 68.2
GTEX-13S86-0226-SM-5S2PJ 40-49 years, male 68.0
GTEX-1LH75-0426-SM-E9TJF 50-59 years, female 67.9
GTEX-WRHU-1226-SM-4E3IJ 50-59 years, female 67.3
GTEX-111FC-0826-SM-5GZWO 60-69 years, male 67.0
GTEX-1LG7Y-1226-SM-CXZKD 50-59 years, male 66.9
GTEX-XBEC-1326-SM-4AT69 50-59 years, male 66.2
GTEX-1H23P-1226-SM-9QEJ2 60-69 years, male 65.9
GTEX-13O1R-1226-SM-5J1NU 60-69 years, male 65.6
GTEX-1HBPM-1226-SM-A9SM8 60-69 years, female 65.5
GTEX-OXRO-2026-SM-2YUMZ 60-69 years, female 65.2
GTEX-S33H-0526-SM-COH1W 30-39 years, male 65.2
GTEX-17HHY-1426-SM-7EWDQ 50-59 years, male 64.1
GTEX-13OW8-2126-SM-5J1OS 60-69 years, male 63.8
GTEX-YJ8O-0926-SM-EAZ2Z 40-49 years, female 62.8
GTEX-T2IS-0426-SM-32QPE 20-29 years, female 62.3
GTEX-1I1GV-1326-SM-A96SE 60-69 years, male 62.1
GTEX-1GN1V-0826-SM-9KNU6 60-69 years, male 61.0
GTEX-RN64-0826-SM-2TC62 50-59 years, male 60.7
GTEX-15RJE-0626-SM-7KUKR 40-49 years, male 60.5
GTEX-17F9Y-1326-SM-7MGW9 70-79 years, female 60.5
GTEX-XV7Q-0826-SM-4BRV7 40-49 years, female 60.3
GTEX-117YW-0326-SM-5N9CY 50-59 years, male 60.0
GTEX-16MT8-0926-SM-6M487 60-69 years, female 60.0
GTEX-QVJO-1926-SM-2S1QZ 60-69 years, female 59.0
GTEX-1JN1M-1026-SM-CNPOS 60-69 years, female 58.4
GTEX-132AR-2026-SM-5IJG4 50-59 years, female 57.7
GTEX-13O3P-1626-SM-5K7X3 50-59 years, male 57.6
GTEX-14E7W-1226-SM-5RQIU 70-79 years, male 57.5
GTEX-14E6C-0426-SM-5YYA8 40-49 years, male 55.3
GTEX-P44G-0826-SM-2I5ES 30-39 years, male 55.3
GTEX-ZTPG-1226-SM-4YCDO 20-29 years, female 53.6
GTEX-1F48J-1026-SM-7P8SO 50-59 years, female 53.6
GTEX-1LGRB-1126-SM-CNPP2 50-59 years, female 53.3
GTEX-WK11-0826-SM-EZ6LH 50-59 years, male 52.7
GTEX-1ICLZ-1026-SM-A9SLF 60-69 years, male 51.3
GTEX-13OW5-1126-SM-5J1NR 60-69 years, male 51.2
GTEX-ZYW4-0926-SM-59HJS 60-69 years, male 50.8
GTEX-1LC47-1026-SM-D3LAH 60-69 years, male 50.5
GTEX-14PJ2-1026-SM-6EU1M 50-59 years, male 50.4
GTEX-14C39-0926-SM-5TDDV 40-49 years, male 50.2
GTEX-P4QS-0326-SM-2I3EU 60-69 years, male 49.4
GTEX-13X6I-1426-SM-5SI9Z 60-69 years, male 48.8
GTEX-1O97I-0826-SM-E8VNE 60-69 years, male 48.6
GTEX-13YAN-1326-SM-5Q5F1 60-69 years, male 48.5
GTEX-P44H-0726-SM-48TBT 40-49 years, male 48.5
GTEX-1EKGG-1126-SM-7MGXB 60-69 years, male 47.3
GTEX-1H1ZS-1126-SM-9MQLJ 70-79 years, male 47.2
GTEX-1EN7A-0726-SM-7PBXT 40-49 years, male 47.0
GTEX-1I1GP-0826-SM-A96SD 50-59 years, male 46.9
GTEX-1KD4Q-0726-SM-DIPGE 40-49 years, male 46.9
GTEX-1IKJJ-0826-SM-A96SP 60-69 years, male 46.3
GTEX-1K9T9-1126-SM-D3L9E 50-59 years, female 43.6
GTEX-14PJM-1126-SM-6LLHK 50-59 years, female 43.2
GTEX-1A3MW-1326-SM-7189P 60-69 years, female 43.0
GTEX-1EWIQ-1426-SM-7IGOS 70-79 years, female 42.9
GTEX-17MF6-0726-SM-7LT8E 40-49 years, male 42.6
GTEX-1JN6P-1126-SM-CKZON 60-69 years, male 42.5
GTEX-1H3NZ-1126-SM-9WYT9 60-69 years, male 42.4
GTEX-1PWST-1026-SM-DTXF2 70-79 years, male 41.9
GTEX-1JMOU-0226-SM-CNNPD 60-69 years, female 40.8
GTEX-1H1CY-0326-SM-9QEIZ 60-69 years, female 40.6
GTEX-14BIN-2226-SM-5YYA1 50-59 years, female 39.6
GTEX-ZYT6-1726-SM-5E44P 30-39 years, male 38.2
GTEX-1RAZS-0826-SM-E76QP 50-59 years, male 38.0
GTEX-1HT8W-1726-SM-CNNQB 30-39 years, male 37.5
GTEX-14A5I-1226-SM-5NQBW 50-59 years, female 36.2
GTEX-1HCVE-1126-SM-9WPPG 50-59 years, male 36.2
GTEX-1EX96-2526-SM-7RHGW 50-59 years, male 35.4
GTEX-1GTWX-1026-SM-7P8QW 60-69 years, male 35.2
GTEX-14JIY-1126-SM-6EU28 60-69 years, male 34.2
GTEX-1LVA9-0926-SM-EVR5G 50-59 years, male 33.8
GTEX-1HSMO-1226-SM-CL548 60-69 years, male 32.1
GTEX-ZUA1-0826-SM-4YCDL 40-49 years, male 32.0
GTEX-1GN2E-1326-SM-9KNVG 60-69 years, male 31.3
GTEX-X261-1426-SM-4PQZ1 50-59 years, male 30.9
GTEX-148VJ-1526-SM-5Q5DU 70-79 years, male 28.4
GTEX-N7MT-1326-SM-2I3FV 60-69 years, female 28.4
GTEX-1IDJH-1026-SM-E9TKH 70-79 years, male 27.9
GTEX-1NV8Z-1526-SM-DTX8X 60-69 years, male 27.6
GTEX-15CHQ-1526-SM-69LPW 60-69 years, male 27.2
GTEX-14E6D-0926-SM-5S2QV 50-59 years, male 27.1
GTEX-13NYB-0226-SM-5N9G4 40-49 years, male 25.0
GTEX-13JVG-1326-SM-5N9F8 60-69 years, male 24.9
GTEX-1JJE9-1426-SM-ARL8P 70-79 years, male 24.8
GTEX-1399T-0426-SM-5PNVJ 60-69 years, male 24.5
GTEX-13FHP-1026-SM-5K7Y2 50-59 years, male 23.7
GTEX-14BIL-1126-SM-79OMC 50-59 years, male 21.9
GTEX-1C6VQ-1126-SM-7EWET 50-59 years, male 21.3
GTEX-12ZZW-1026-SM-5GCMM 50-59 years, male 19.7
GTEX-1PPH7-2026-SM-E9J3N 40-49 years, male 17.9
Show allShow less

HEART MUSCLE - FANTOM5 CAGEi

RNA expression in human tissues obtained through Cap Analysis of Gene Expression (CAGE) generated by the FANTOM5 project are reported as Scaled Tags Per Million.

Max subtype Scaled Tags Per Millioni

Max subtype Scaled Tags Per Million is the value for the subtype with the largest average Scaled Tags Per Million across the subtype samples.

175.5
FANTOM5 sample id Sample description Scaled Tags Per Million
Heart
Scaled Tags Per Million: 167.4
FF:10016-101C7 70,73,74 years, mixed 167.4
Left atrium
Scaled Tags Per Million: 118.8
FF:10079-102A7 40 years, male 118.8
Left ventricle
Scaled Tags Per Million: 175.5
FF:10078-102A6 73 years, female 175.5

Contact

  • NEWS ARTICLES
  • PRESS ROOM

The Project

  • INTRODUCTION
  • ORGANIZATION
  • PUBLICATIONS

The Human Protein Atlas

  • DOWNLOADABLE DATA
  • LICENCE & CITATION
  • HELP & FAQ
The Human Protein Atlas project is funded
by the Knut & Alice Wallenberg Foundation.


contact@proteinatlas.org