We use cookies to enhance the usability of our website. If you continue, we'll assume that you are happy to receive all cookies. More information. Don't show this again.
TBC1D17
HPA
RESOURCES
  • TISSUE
  • BRAIN
  • SINGLE CELL
  • SUBCELLULAR
  • CANCER
  • BLOOD
  • CELL LINE
  • STRUCTURE & INTERACTION
ABOUT
  • INTRODUCTION
  • HISTORY
  • ORGANIZATION
  • PUBLICATIONS
  • ANTIBODY SUBMISSION
  • ANTIBODY AVAILABILITY
  • ACKNOWLEDGMENTS
  • CONTACT
NEWS
  • NEWS ARTICLES
  • PRESS ROOM
LEARN
  • DICTIONARY
  • PROTEIN CLASSES
  • PROTEIN EVIDENCE
  • METHODS
  • EDUCATIONAL VIDEOS
DATA
  • DOWNLOADABLE DATA
  • PUBLICATION DATA
  • RELEASE HISTORY
HELP
  • ANTIBODY VALIDATION
  • ASSAYS & ANNOTATION
  • DISCLAIMER
  • HELP & FAQ
  • PRIVACY STATEMENT
  • LICENCE & CITATION
Fields »
Search result

Field
Term
Gene name
Class
Subclass
Class
Keyword
Chromosome
External id
Tissue
Cell type
Expression
Antibody panel
Tissue
Main location
Patient ID
Annotation
Tissue
Category
Tau score
Cluster
Reliability
Brain region
Category
Tau score
Brain region
Category
Tau score
Brain region
Category
Tau score
Cluster
Reliability
Tissue
Cell type
Enrichment
Cell type
Category
Tau score
Cell type
Category
Tau score
Cell type
Category
Tau score
Cell lineage
Category
Tau score
Cluster
Cluster
Location
Searches
Location
Cell line
Class
Type
Phase
Reliability
Cancer
Prognosis
Cancer
Category
Cancer
Category
Tau score
Cluster
Variants
Interacting gene (ensg_id)
Type
Number of interactions
Pathway
Category
Score
Score
Score
Validation
Validation
Validation
Validation
Antibodies
Data type
Column


  • SUMMARY

  • TISSUE

  • BRAIN

  • SINGLE CELL

  • SUBCELL

  • CANCER

  • BLOOD

  • CELL LINE

  • STRUCT & INT

  • TBC1D17
TISSUE PRIMARY DATA SPLEEN Show tissue menu
ADIPOSE TISSUE ADRENAL GLAND AMYGDALA APPENDIX BASAL GANGLIA BONE MARROW BREAST BRONCHUS CEREBELLUM CEREBRAL CORTEX CERVIX CHOROID PLEXUS COLON DUODENUM
ENDOMETRIUM EPIDIDYMIS ESOPHAGUS FALLOPIAN TUBE GALLBLADDER HEART MUSCLE HIPPOCAMPAL FORMATION HYPOTHALAMUS KIDNEY LIVER LUNG LYMPH NODE MIDBRAIN NASOPHARYNX
ORAL MUCOSA OVARY PANCREAS PARATHYROID GLAND PITUITARY GLAND PLACENTA PROSTATE RECTUM RETINA SALIVARY GLAND SEMINAL VESICLE SKELETAL MUSCLE SKIN SMALL INTESTINE
SMOOTH MUSCLE SOFT TISSUE SPINAL CORD SPLEEN STOMACH TESTIS THYMUS THYROID GLAND TONGUE TONSIL URINARY BLADDER VAGINA
ANTIBODIES
AND
VALIDATION
Dictionary
Spleen
Tissue proteome
Lymphoid tissue
SPLEEN - Expression summary
Protein expression
Spleeni

On the top, protein expression in current human tissue, based on all annotated cell types, is reported with the units not detected (n), low (l), medium (m) and high (h). Underneath, protein expression in each annotated cell type are reported using the same units.

Protein expression data is based on knowledge-based annotation. For genes where more than one antibody has been used, a collective score is set.

If knowledge-based annotation could not be performed for a gene, no data is displayed here. View antibody staining data further down this page.

h
m
l
n
Cells in red pulp: Medium
Cells in white pulp: Medium
RNA expressioni

A summary of mRNA expression data available for current tissue based on several datasets. The mRNA expression levels in human tissues are based on RNA-seq data generated by the Human Protein Atlas (HPA), Genotype-Tissue Expression (GTEx) portal and CAGE data generated by the FANTOM5 consortium. Consensus normalized expression levels for human tissues was created by combining the data from HPA and GTEx datasets.

The mRNA expression levels in pig are based on RNA-seq data generated by the Human Protein Atlas (HPA), and for mouse, HPA data and in situ hybridization generated by the Allen brain atlas are reported.

Scroll down to view mRNA expression data in more detail.
Consensus:15.0 nTPM
HPA:14.4 nTPM
GTEx:15.0 nTPM
FANTOM5:30.3 Scaled Tags Per Million

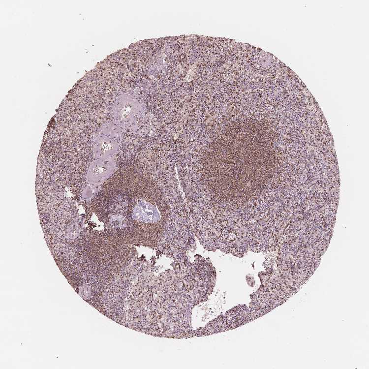
SPLEEN - Antibody stainingi

Antibody staining in the annotated cell types in the current human tissue is reported as not detected, low, medium, or high, based on conventional immunohistochemistry profiling in selected tissues. This score is based on the combination of the staining intensity and fraction of stained cells.

Each image is clickable and will lead to virtual microscopy that enables deeper exploration of all samples and also displays staining intensity scores, fraction scores and subcellular localization as well as patient and tissue information for each sample.

Antibody HPA068119
Cells in red pulp Medium
Cells in white pulp Medium



SPLEEN - HPA RNA-seqi

The RNA-seq details section shows detailed information about the individual samples used for the transcript profiling and results of the RNA-seq analysis.

Information about each individual sample is listed below, including gender, age, a tissue section image and estimated fractions of cell types. nTPM (normalized transcripts per million) values give a quantification of the gene abundance which is comparable between different genes and samples.
Average nTPMi

Max subtype nTPM is the value for the subtype with the largest average nTPM across the subtype samples.

14.4
overview
Female, age 60
Spleen sample 236
nTPM: 15.4
Cell types%
Lymphocytes:
40

Macrophages:
30

Endothelial cells:
15

Fibroblasts:
5

Other cell types:
10

overview
Male, age 17
Spleen sample 237
nTPM: 17.9
Cell types%
Lymphocytes:
40

Macrophages:
35

Endothelial cells:
15

Fibroblasts:
5

Other cell types:
5

overview
Male, age 20
Spleen sample 238
nTPM: 15.6
Cell types%
Lymphocytes:
40

Macrophages:
30

Endothelial cells:
15

Fibroblasts:
5

Other cell types:
10

overview
Female, age 19
Spleen sample 239
nTPM: 17.1
Cell types%
Lymphocytes:
40

Macrophages:
30

Endothelial cells:
15

Fibroblasts:
10

Other cell types:
5

overview
Female, age 65
Spleen sample 378
nTPM: 5.8
Cell types%
Lymphocytes:
35

Macrophages:
30

Endothelial cells:
20

Fibroblasts:
10

Other cell types:
5


SPLEEN - GTEx RNA-seqi

RNA-Seq data generated by the Genotype-Tissue Expression (GTEx) project from human tissues is reported as mean nTPM. More information can be found on the GTEx portal.

Distribution across the dataset is visualized with box plots, shown as median and 25th and 75th percentiles. Points are displayed as outliers if they are above or below 1.5 times the interquartile range. nTPM values of the individual samples are presented next to the box plot.
Max subtype nTPMi

Max subtype nTPM is the value for the subtype with the largest average nTPM across the subtype samples.

15.0
GTEx sample id Sample description nTPM
Spleen
Average nTPM: 15.0
Samples: 241

Max nTPM: 30.7
Min nTPM: 6.7
Std nTPM: 4.2
Median nTPM: 14.5
GTEX-WFON-0126-SM-4LVM9 40-49 years, male 30.7
GTEX-1KANA-1226-SM-DHXKE 20-29 years, male 30.0
GTEX-X585-1826-SM-4QAS3 50-59 years, male 27.8
GTEX-S3XE-0626-SM-4AD6B 50-59 years, male 27.1
GTEX-14PK6-0526-SM-69LOF 70-79 years, female 25.4
GTEX-QV44-0126-SM-CJI1X 50-59 years, male 25.4
GTEX-UJHI-0126-SM-4IHLP 50-59 years, female 24.2
GTEX-13X6H-0726-SM-5Q5BX 50-59 years, female 23.3
GTEX-1OFPY-0126-SM-EXOJ3 60-69 years, male 23.3
GTEX-11XUK-0426-SM-5EQML 40-49 years, female 22.6
GTEX-ZDTT-1026-SM-5KM19 60-69 years, male 22.4
GTEX-ZYFG-0726-SM-5GIDX 60-69 years, female 22.4
GTEX-R55C-0126-SM-48FEQ 40-49 years, male 22.3
GTEX-O5YT-0926-SM-48TDG 20-29 years, male 21.6
GTEX-14E6E-1226-SM-5S2R5 30-39 years, male 21.5
GTEX-WY7C-0126-SM-4ONCO 50-59 years, male 21.5
GTEX-S4Z8-0226-SM-4AD5K 60-69 years, male 21.4
GTEX-T5JW-0126-SM-4DM6K 20-29 years, female 21.1
GTEX-1QP2A-2526-SM-EXOJB 50-59 years, male 21.1
GTEX-147F3-0126-SM-5NQBJ 50-59 years, female 20.9
GTEX-X4LF-0226-SM-4QAS8 50-59 years, male 20.9
GTEX-P4PQ-0926-SM-E9U4D 60-69 years, male 20.6
GTEX-12BJ1-0726-SM-5EGGF 60-69 years, male 20.5
GTEX-YEC4-0126-SM-4W21T 40-49 years, male 20.5
GTEX-14PJ5-0326-SM-664OD 60-69 years, female 20.4
GTEX-15CHC-0726-SM-6AJ9D 60-69 years, female 19.9
GTEX-ZF29-0626-SM-4WKHD 60-69 years, female 19.8
GTEX-1F5PK-0726-SM-7MGXN 50-59 years, male 19.8
GTEX-QCQG-0226-SM-48U28 50-59 years, female 19.7
GTEX-P4QS-0926-SM-48TBS 60-69 years, male 19.6
GTEX-16XZY-0126-SM-7IGQ9 70-79 years, male 19.4
GTEX-Y3I4-0126-SM-4TT26 50-59 years, male 19.4
GTEX-ZLWG-0426-SM-4WWFA 50-59 years, female 19.4
GTEX-QV31-0126-SM-447BP 30-39 years, male 19.3
GTEX-ZVZP-0726-SM-59HKA 50-59 years, male 19.2
GTEX-13PL7-1126-SM-5MR5O 60-69 years, female 19.1
GTEX-14DAR-0326-SM-5S2PS 50-59 years, male 19.1
GTEX-RUSQ-0126-SM-47JWV 50-59 years, male 19.1
GTEX-12WSJ-0526-SM-5GCOZ 40-49 years, female 19.0
GTEX-13CF3-0226-SM-5J1NW 60-69 years, female 18.9
GTEX-145MN-0126-SM-5RQHY 30-39 years, male 18.9
GTEX-OIZH-0926-SM-48TBR 50-59 years, male 18.9
GTEX-Q734-0226-SM-48U1A 40-49 years, female 18.9
GTEX-QDVN-0526-SM-48TZ4 50-59 years, male 18.9
GTEX-ZG7Y-2026-SM-DO91N 50-59 years, male 18.6
GTEX-131XG-0426-SM-5IFGD 50-59 years, female 18.4
GTEX-144GN-2126-SM-5O99D 50-59 years, male 18.4
GTEX-15RIF-0526-SM-6LLI2 20-29 years, male 18.4
GTEX-Z9EW-0726-SM-5HL9H 40-49 years, male 18.4
GTEX-P4PP-0926-SM-48TBZ 30-39 years, female 18.3
GTEX-1JKYR-1126-SM-CGQGJ 20-29 years, male 18.3
GTEX-YB5K-1926-SM-4VDT4 40-49 years, female 18.2
GTEX-117YX-2126-SM-5GIEL 50-59 years, male 18.1
GTEX-QLQW-0126-SM-447BK 30-39 years, male 18.1
GTEX-17F9E-1126-SM-79OMO 50-59 years, male 18.0
GTEX-1B97J-1926-SM-7IGQB 50-59 years, female 17.9
GTEX-1PPH7-0126-SM-E6CPB 40-49 years, male 17.9
GTEX-PLZ6-0126-SM-48TC6 30-39 years, male 17.8
GTEX-1R7EU-2026-SM-E9U63 60-69 years, male 17.8
GTEX-1PDJ9-0226-SM-DPRYX 20-29 years, male 17.7
GTEX-1S831-0726-SM-EV79O 20-29 years, male 17.7
GTEX-13FH7-1326-SM-5IFG8 50-59 years, female 17.6
GTEX-16MT8-1826-SM-7EWE8 60-69 years, female 17.6
GTEX-X3Y1-0126-SM-4PQZA 40-49 years, male 17.6
GTEX-YB5E-0426-SM-5IFHR 40-49 years, male 17.6
GTEX-Y114-0726-SM-4TT6U 50-59 years, female 17.3
GTEX-1399S-0226-SM-5IFFG 30-39 years, female 17.2
GTEX-14BMU-0426-SM-73KYT 20-29 years, female 17.2
GTEX-14JG6-0226-SM-6872A 30-39 years, female 17.2
GTEX-12WSN-0126-SM-5DUX5 40-49 years, male 17.1
GTEX-UPK5-1626-SM-4JBHI 40-49 years, male 17.1
GTEX-ZLFU-0526-SM-4WWBN 40-49 years, male 17.0
GTEX-1B97I-0126-SM-731DH 40-49 years, male 16.9
GTEX-ZF2S-0326-SM-4WKGD 50-59 years, female 16.9
GTEX-1LSNM-0126-SM-EAZ57 50-59 years, male 16.9
GTEX-13OVK-0426-SM-7KFT8 40-49 years, male 16.8
GTEX-WXYG-0126-SM-4OND7 50-59 years, female 16.8
GTEX-W5WG-0626-SM-4SOID 50-59 years, female 16.7
GTEX-XQ8I-1726-SM-4BOQB 50-59 years, male 16.7
GTEX-NFK9-1426-SM-43ISG 40-49 years, male 16.7
GTEX-11VI4-0126-SM-5GU6Z 40-49 years, female 16.6
GTEX-14ICL-0126-SM-664NG 30-39 years, male 16.6
GTEX-17GQL-0126-SM-72D5Q 60-69 years, male 16.6
GTEX-13VXT-1326-SM-5LU3Y 20-29 years, female 16.5
GTEX-YFCO-0926-SM-5LUA5 40-49 years, male 16.5
GTEX-1LNCM-0426-SM-DHXK6 50-59 years, female 16.5
GTEX-1122O-0526-SM-5N9DM 60-69 years, female 16.4
GTEX-U3ZH-0126-SM-4DXUK 30-39 years, male 16.4
GTEX-1QP29-0126-SM-EAZ3S 50-59 years, male 16.3
GTEX-11NSD-0426-SM-5N9CR 20-29 years, male 16.1
GTEX-13PVR-0326-SM-5RQJY 60-69 years, female 16.1
GTEX-Y5LM-0326-SM-4VBRN 40-49 years, female 16.1
GTEX-1IDJC-0126-SM-C1YQC 50-59 years, male 16.0
GTEX-OOBJ-0926-SM-48TDO 60-69 years, male 15.9
GTEX-U4B1-0526-SM-4DXTK 40-49 years, male 15.9
GTEX-1MUQO-1326-SM-EV7AE 60-69 years, male 15.7
GTEX-1R7EV-0126-SM-EAZ3O 40-49 years, male 15.7
GTEX-1399R-0226-SM-5IJGG 30-39 years, male 15.6
GTEX-11P81-1326-SM-5GU5S 30-39 years, female 15.5
GTEX-XGQ4-0126-SM-4AT4H 50-59 years, male 15.5
GTEX-Y3IK-0126-SM-4WWE9 50-59 years, female 15.4
GTEX-11LCK-0126-SM-5A5M5 30-39 years, male 15.3
GTEX-111FC-1326-SM-5N9D9 60-69 years, male 15.2
GTEX-15SHV-0126-SM-6LPIS 60-69 years, male 15.2
GTEX-WYJK-0726-SM-4ONC9 50-59 years, male 15.2
GTEX-1PIIG-1226-SM-EXOIQ 30-39 years, male 15.2
GTEX-1R9K5-1126-SM-EAZ4G 50-59 years, male 15.2
GTEX-12WSK-0126-SM-5GCO7 40-49 years, female 15.1
GTEX-146FR-1926-SM-5NQA6 60-69 years, female 15.1
GTEX-15RIG-0126-SM-6PAN4 40-49 years, male 15.1
GTEX-U3ZN-0126-SM-4DXUM 30-39 years, female 15.1
GTEX-18A67-1526-SM-7LG6F 50-59 years, male 15.0
GTEX-1AX9K-0226-SM-793CM 50-59 years, male 15.0
GTEX-ZVP2-0526-SM-51MSC 50-59 years, male 15.0
GTEX-XAJ8-0126-SM-47JYG 40-49 years, male 14.9
GTEX-17F98-0126-SM-7MGW3 40-49 years, female 14.9
GTEX-11EQ9-0426-SM-5A5JY 30-39 years, male 14.8
GTEX-1211K-0426-SM-5FQTP 60-69 years, female 14.8
GTEX-1CB4E-0126-SM-7DHMX 60-69 years, male 14.5
GTEX-1F5PL-2226-SM-7MKHE 40-49 years, female 14.5
GTEX-1QCLZ-1026-SM-E6CR1 60-69 years, female 14.5
GTEX-XPVG-0626-SM-4B65B 50-59 years, male 14.3
GTEX-1IDJE-0126-SM-C1YQ6 50-59 years, female 14.2
GTEX-1JK1U-0126-SM-C1YQY 60-69 years, male 14.2
GTEX-1R9PM-0126-SM-DPRY6 20-29 years, male 14.2
GTEX-14PJ6-0226-SM-6AJ9K 60-69 years, female 14.1
GTEX-15DZA-0126-SM-6PAMV 30-39 years, female 14.1
GTEX-VJYA-0126-SM-4KL1P 60-69 years, male 14.1
GTEX-1C475-1126-SM-7MGY7 40-49 years, female 14.0
GTEX-1FIGZ-0126-SM-7MKGZ 40-49 years, male 13.9
GTEX-Q2AH-0226-SM-48U1I 40-49 years, male 13.9
GTEX-1LVAN-1026-SM-CNNQZ 50-59 years, female 13.9
GTEX-QESD-0126-SM-EXOHG 20-29 years, male 13.9
GTEX-132QS-0226-SM-5IFFZ 60-69 years, male 13.8
GTEX-ZV6S-0826-SM-5NQ6Z 40-49 years, female 13.8
GTEX-1LSVX-1426-SM-DHXJO 60-69 years, male 13.8
GTEX-P4QT-0926-SM-EZ6KQ 50-59 years, female 13.8
GTEX-1CB4F-0226-SM-7EPHS 60-69 years, male 13.7
GTEX-1L5NE-0926-SM-D4P3P 50-59 years, male 13.7
GTEX-14E1K-0126-SM-664NL 50-59 years, male 13.6
GTEX-17F97-1626-SM-72D6W 50-59 years, male 13.6
GTEX-WHWD-0126-SM-4OORS 50-59 years, male 13.5
GTEX-1JMQK-1126-SM-CXZJW 60-69 years, male 13.5
GTEX-111CU-0426-SM-5GZY1 50-59 years, male 13.4
GTEX-14PJ4-0526-SM-6871G 60-69 years, male 13.4
GTEX-ZZPU-0126-SM-5E446 50-59 years, female 13.4
GTEX-1MJK3-0126-SM-DPRYY 20-29 years, male 13.4
GTEX-139T6-0226-SM-5IFGZ 50-59 years, male 13.3
GTEX-ZP4G-0326-SM-4YCEF 20-29 years, female 13.3
GTEX-1F75I-0226-SM-7MKHQ 40-49 years, male 13.3
GTEX-14PKU-0526-SM-6871A 40-49 years, female 13.2
GTEX-ZDYS-1026-SM-4WKHC 50-59 years, male 13.2
GTEX-P78B-1226-SM-EZ6KP 40-49 years, female 13.2
GTEX-ZPIC-0126-SM-DNZZ9 40-49 years, female 13.2
GTEX-POMQ-0126-SM-48TD6 20-29 years, female 13.1
GTEX-PX3G-0926-SM-48U12 20-29 years, female 13.1
GTEX-Y8LW-0126-SM-4VBS1 50-59 years, female 13.1
GTEX-1R9K4-1526-SM-DPRY5 60-69 years, male 13.1
GTEX-13U4I-1626-SM-5IFFR 40-49 years, female 13.0
GTEX-146FQ-0626-SM-5LU9U 30-39 years, male 13.0
GTEX-17HHE-0326-SM-793BH 50-59 years, male 12.9
GTEX-1C4CL-0626-SM-731DM 30-39 years, male 12.9
GTEX-1HCU9-0126-SM-9WG7M 20-29 years, male 12.8
GTEX-1K2DA-0126-SM-CGQGV 50-59 years, male 12.8
GTEX-1RMOY-0726-SM-EV79D 50-59 years, male 12.8
GTEX-QMRM-0226-SM-CL55S 50-59 years, male 12.8
GTEX-15CHQ-1226-SM-6ETZL 60-69 years, male 12.7
GTEX-1GZ4H-0126-SM-9JGGI 50-59 years, female 12.7
GTEX-1J8QM-0926-SM-C1YQ9 60-69 years, female 12.5
GTEX-1CB4I-1426-SM-79OLZ 50-59 years, male 12.4
GTEX-13S86-0126-SM-5S2PI 40-49 years, male 12.3
GTEX-1AMFI-0926-SM-731E4 50-59 years, female 12.3
GTEX-14PN3-0226-SM-6871K 60-69 years, female 12.2
GTEX-ZAB5-0526-SM-5CVMU 50-59 years, male 12.2
GTEX-1QCLY-0126-SM-DPRZV 30-39 years, male 12.1
GTEX-13111-0126-SM-5EGHO 50-59 years, male 12.0
GTEX-1MGNQ-1126-SM-EAZ4Y 40-49 years, male 12.0
GTEX-QDT8-1526-SM-EXOHP 30-39 years, female 12.0
GTEX-1H3O1-1126-SM-9WPO9 60-69 years, male 11.9
GTEX-1MCC2-0826-SM-EV7AM 30-39 years, female 11.9
GTEX-1RNTQ-1026-SM-EV7B4 20-29 years, female 11.9
GTEX-16MT9-1726-SM-6M47P 60-69 years, female 11.8
GTEX-XMK1-0126-SM-4B65F 40-49 years, male 11.8
GTEX-15ETS-3126-SM-6LPKN 40-49 years, female 11.6
GTEX-15SDE-0126-SM-793BA 50-59 years, female 11.6
GTEX-169BO-0126-SM-79OLS 50-59 years, male 11.6
GTEX-15UF7-1926-SM-6LPJT 40-49 years, male 11.4
GTEX-1B8KZ-0226-SM-7EWF6 50-59 years, male 11.4
GTEX-1C64O-1626-SM-731EN 60-69 years, male 11.4
GTEX-1C6VQ-2126-SM-7IGNL 50-59 years, male 11.4
GTEX-R55G-0226-SM-48FEI 40-49 years, female 11.4
GTEX-1R9JW-0126-SM-EAZ4P 30-39 years, female 11.4
GTEX-139YR-0426-SM-5IFFV 50-59 years, male 11.3
GTEX-PW2O-0126-SM-48TC8 20-29 years, male 11.1
GTEX-1J8Q3-0126-SM-C1YSI 60-69 years, male 11.1
GTEX-1N2EF-1526-SM-EXOIY 60-69 years, male 11.1
GTEX-1AYD5-0226-SM-79ONV 50-59 years, male 11.0
GTEX-1H3VY-1526-SM-9WG7S 50-59 years, male 11.0
GTEX-1QAET-2326-SM-EXOJ1 50-59 years, male 11.0
GTEX-15DYW-1426-SM-6LPIW 60-69 years, female 10.9
GTEX-1JMPZ-0926-SM-CXZJR 30-39 years, male 10.8
GTEX-ZPCL-0626-SM-DNZZ6 60-69 years, female 10.8
GTEX-18A66-1826-SM-7KFSU 60-69 years, male 10.7
GTEX-1JKYN-0326-SM-AHZ4D 30-39 years, male 10.7
GTEX-1LG7Z-0126-SM-EV79V 30-39 years, male 10.7
GTEX-11P7K-0426-SM-5BC5H 30-39 years, male 10.6
GTEX-15ER7-1526-SM-6LLHO 20-29 years, female 10.6
GTEX-1RAZA-1026-SM-E6CQ9 20-29 years, male 10.6
GTEX-ZPU1-1026-SM-4YCEQ 40-49 years, male 10.5
GTEX-1GF9U-0126-SM-AHZ4G 40-49 years, female 10.5
GTEX-1RAZQ-0126-SM-EV7B1 30-39 years, male 10.4
GTEX-XV7Q-0126-SM-4BRVK 40-49 years, female 10.3
GTEX-1MCYP-0226-SM-EV7A3 20-29 years, female 10.3
GTEX-1QW4Y-0126-SM-DPRZQ 30-39 years, male 10.3
GTEX-15SB6-0126-SM-6LPJR 50-59 years, female 10.0
GTEX-1HSMQ-0126-SM-D4P2I 50-59 years, male 10.0
GTEX-1KAFJ-1026-SM-D4P2Z 50-59 years, male 10.0
GTEX-1LGRB-0126-SM-CNNR6 50-59 years, female 9.9
GTEX-1QP66-0126-SM-EAZ3N 50-59 years, male 9.6
GTEX-11DXX-0726-SM-5H12X 60-69 years, female 9.5
GTEX-131XE-1126-SM-5EGHW 50-59 years, male 9.5
GTEX-13N11-0126-SM-5KM2Z 50-59 years, female 9.5
GTEX-1K9T9-0626-SM-CXZKY 50-59 years, female 9.5
GTEX-15F5U-0126-SM-6LPKA 40-49 years, male 9.3
GTEX-1HCU7-1426-SM-CNNQK 50-59 years, male 9.3
GTEX-ZEX8-0726-SM-4WKH8 50-59 years, male 9.2
GTEX-OIZF-0926-SM-7MKH7 60-69 years, male 9.2
GTEX-WYVS-0126-SM-4ONDH 40-49 years, female 8.9
GTEX-XXEK-0126-SM-4BRVU 50-59 years, male 8.9
GTEX-Y5V5-1126-SM-EVYAR 60-69 years, female 8.8
GTEX-15RJ7-0126-SM-6LPJN 40-49 years, male 8.7
GTEX-1RAZR-1626-SM-EAZ4V 40-49 years, male 8.7
GTEX-1A3MV-0126-SM-731FQ 30-39 years, male 8.6
GTEX-1JMLX-1426-SM-CNNPO 50-59 years, male 8.6
GTEX-12WSD-1726-SM-5GCN4 60-69 years, female 8.5
GTEX-12WSG-0926-SM-5EGIH 50-59 years, female 8.4
GTEX-ZTTD-1726-SM-57WEL 50-59 years, male 8.2
GTEX-1KD5A-1526-SM-D4P3W 50-59 years, male 8.0
GTEX-17F96-1426-SM-7IGQA 70-79 years, male 7.6
GTEX-1PWST-1626-SM-EXOIU 70-79 years, male 7.6
GTEX-1QMI2-1526-SM-EXOJT 60-69 years, male 6.7
Show allShow less

SPLEEN - FANTOM5 CAGEi

RNA expression in human tissues obtained through Cap Analysis of Gene Expression (CAGE) generated by the FANTOM5 project are reported as Scaled Tags Per Million.

Max subtype Scaled Tags Per Millioni

Max subtype Scaled Tags Per Million is the value for the subtype with the largest average Scaled Tags Per Million across the subtype samples.

30.3
FANTOM5 sample id Sample description Scaled Tags Per Million
Spleen
Scaled Tags Per Million: 30.3
FF:10025-101D7 39,50,70 years, male 30.3

Contact

  • NEWS ARTICLES
  • PRESS ROOM

The Project

  • INTRODUCTION
  • ORGANIZATION
  • PUBLICATIONS

The Human Protein Atlas

  • DOWNLOADABLE DATA
  • LICENCE & CITATION
  • HELP & FAQ
The Human Protein Atlas project is funded
by the Knut & Alice Wallenberg Foundation.


contact@proteinatlas.org