We use cookies to enhance the usability of our website. If you continue, we'll assume that you are happy to receive all cookies. More information. Don't show this again.
PTOV1
HPA
RESOURCES
  • TISSUE
  • BRAIN
  • SINGLE CELL
  • SUBCELLULAR
  • CANCER
  • BLOOD
  • CELL LINE
  • STRUCTURE & INTERACTION
ABOUT
  • INTRODUCTION
  • HISTORY
  • ORGANIZATION
  • PUBLICATIONS
  • ANTIBODY SUBMISSION
  • ANTIBODY AVAILABILITY
  • ACKNOWLEDGMENTS
  • CONTACT
NEWS
  • NEWS ARTICLES
  • PRESS ROOM
LEARN
  • DICTIONARY
  • PROTEIN CLASSES
  • PROTEIN EVIDENCE
  • METHODS
  • EDUCATIONAL VIDEOS
DATA
  • DOWNLOADABLE DATA
  • PUBLICATION DATA
  • RELEASE HISTORY
HELP
  • ANTIBODY VALIDATION
  • ASSAYS & ANNOTATION
  • DISCLAIMER
  • HELP & FAQ
  • PRIVACY STATEMENT
  • LICENCE & CITATION
Fields »
Search result

Field
Term
Gene name
Class
Subclass
Class
Keyword
Chromosome
External id
Tissue
Cell type
Expression
Antibody panel
Tissue
Main location
Patient ID
Annotation
Tissue
Category
Tau score
Cluster
Reliability
Brain region
Category
Tau score
Brain region
Category
Tau score
Brain region
Category
Tau score
Cluster
Reliability
Tissue
Cell type
Enrichment
Cell type
Category
Tau score
Cell type
Category
Tau score
Cell type
Category
Tau score
Cell lineage
Category
Tau score
Cluster
Cluster
Location
Searches
Location
Cell line
Class
Type
Phase
Reliability
Cancer
Prognosis
Cancer
Category
Cancer
Category
Tau score
Cluster
Variants
Interacting gene (ensg_id)
Type
Number of interactions
Pathway
Category
Score
Score
Score
Validation
Validation
Validation
Validation
Antibodies
Data type
Column


  • SUMMARY

  • TISSUE

  • BRAIN

  • SINGLE CELL

  • SUBCELL

  • CANCER

  • BLOOD

  • CELL LINE

  • STRUCT & INT

  • PTOV1
TISSUE PRIMARY DATA ADRENAL GLAND Show tissue menu
ADIPOSE TISSUE ADRENAL GLAND AMYGDALA APPENDIX BASAL GANGLIA BONE MARROW BREAST BRONCHUS CEREBELLUM CEREBRAL CORTEX CERVIX CHOROID PLEXUS COLON DUODENUM
ENDOMETRIUM EPIDIDYMIS ESOPHAGUS FALLOPIAN TUBE GALLBLADDER HEART MUSCLE HIPPOCAMPAL FORMATION HYPOTHALAMUS KIDNEY LIVER LUNG LYMPH NODE MIDBRAIN NASOPHARYNX
ORAL MUCOSA OVARY PANCREAS PARATHYROID GLAND PITUITARY GLAND PLACENTA PROSTATE RECTUM RETINA SALIVARY GLAND SEMINAL VESICLE SKELETAL MUSCLE SKIN SMALL INTESTINE
SMOOTH MUSCLE SOFT TISSUE SPINAL CORD SPLEEN STOMACH TESTIS THYMUS THYROID GLAND TONGUE TONSIL URINARY BLADDER VAGINA
ANTIBODIES
AND
VALIDATION
Dictionary
Adrenal gland
Tissue proteome
Adrenal gland
ADRENAL GLAND - Expression summary
Protein expression
Adrenal glandi

On the top, protein expression in current human tissue, based on all annotated cell types, is reported with the units not detected (n), low (l), medium (m) and high (h). Underneath, protein expression in each annotated cell type are reported using the same units.

Protein expression data is based on knowledge-based annotation. For genes where more than one antibody has been used, a collective score is set.

If knowledge-based annotation could not be performed for a gene, no data is displayed here. View antibody staining data further down this page.

h
m
l
n
Glandular cells: Medium
RNA expressioni

A summary of mRNA expression data available for current tissue based on several datasets. The mRNA expression levels in human tissues are based on RNA-seq data generated by the Human Protein Atlas (HPA), Genotype-Tissue Expression (GTEx) portal and CAGE data generated by the FANTOM5 consortium. Consensus normalized expression levels for human tissues was created by combining the data from HPA and GTEx datasets.

The mRNA expression levels in pig are based on RNA-seq data generated by the Human Protein Atlas (HPA), and for mouse, HPA data and in situ hybridization generated by the Allen brain atlas are reported.

Scroll down to view mRNA expression data in more detail.
Consensus:103.9 nTPM
HPA:43.3 nTPM
GTEx:103.9 nTPM

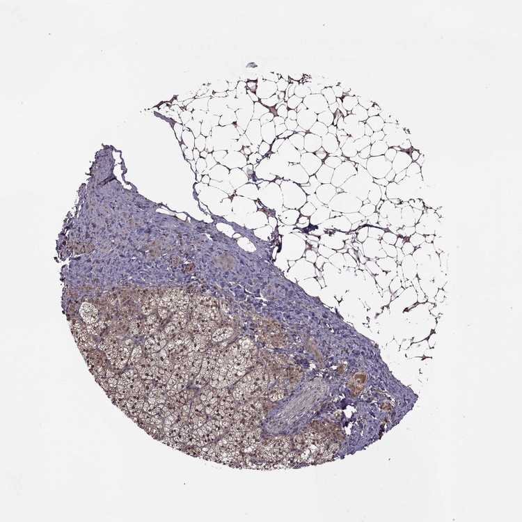
ADRENAL GLAND - Antibody stainingi

Antibody staining in the annotated cell types in the current human tissue is reported as not detected, low, medium, or high, based on conventional immunohistochemistry profiling in selected tissues. This score is based on the combination of the staining intensity and fraction of stained cells.

Each image is clickable and will lead to virtual microscopy that enables deeper exploration of all samples and also displays staining intensity scores, fraction scores and subcellular localization as well as patient and tissue information for each sample.

Antibody HPA075125
Glandular cells Medium



ADRENAL GLAND - HPA RNA-seqi

The RNA-seq details section shows detailed information about the individual samples used for the transcript profiling and results of the RNA-seq analysis.

Information about each individual sample is listed below, including gender, age, a tissue section image and estimated fractions of cell types. nTPM (normalized transcripts per million) values give a quantification of the gene abundance which is comparable between different genes and samples.
Average nTPMi

Max subtype nTPM is the value for the subtype with the largest average nTPM across the subtype samples.

43.3
overview
Female, age 62
Adrenal gland sample 87
nTPM: 54.2
Cell types%
Cortical cells:
50

Medullary cells:
40

Other cell types:
10

overview
Female, age 36
Adrenal gland sample 88
nTPM: 37.1
Cell types%
Cortical cells:
50

Medullary cells:
40

Other cell types:
10

overview
Female, age 63
Adrenal gland sample 89
nTPM: 38.7
Cell types%
Cortical cells:
50

Medullary cells:
40

Other cell types:
10


ADRENAL GLAND - GTEx RNA-seqi

RNA-Seq data generated by the Genotype-Tissue Expression (GTEx) project from human tissues is reported as mean nTPM. More information can be found on the GTEx portal.

Distribution across the dataset is visualized with box plots, shown as median and 25th and 75th percentiles. Points are displayed as outliers if they are above or below 1.5 times the interquartile range. nTPM values of the individual samples are presented next to the box plot.
Max subtype nTPMi

Max subtype nTPM is the value for the subtype with the largest average nTPM across the subtype samples.

103.9
GTEx sample id Sample description nTPM
Adrenal Gland
Average nTPM: 103.9
Samples: 258

Max nTPM: 220.9
Min nTPM: 61.2
Std nTPM: 26.2
Median nTPM: 99.8
GTEX-1KD4Q-1826-SM-DIPFV 40-49 years, male 220.9
GTEX-RWSA-1726-SM-47JX7 40-49 years, male 209.6
GTEX-14753-1726-SM-5NQ9X 60-69 years, male 191.9
GTEX-14PJM-2226-SM-6AJAT 50-59 years, female 177.5
GTEX-1A32A-2126-SM-718AZ 50-59 years, female 175.4
GTEX-XQ3S-1726-SM-4BOOD 20-29 years, male 173.8
GTEX-Y5V5-1326-SM-4V6G9 60-69 years, female 169.7
GTEX-Q734-0126-SM-48U1E 40-49 years, female 168.2
GTEX-PW2O-0226-SM-48TC7 20-29 years, male 164.4
GTEX-TMMY-0126-SM-4DXTP 40-49 years, female 161.4
GTEX-1A8FM-1926-SM-7MXTX 50-59 years, female 157.0
GTEX-15ER7-1126-SM-6M47F 20-29 years, female 156.4
GTEX-1K2DU-0826-SM-DHXKA 20-29 years, male 155.0
GTEX-1PIIG-1426-SM-EXOIS 30-39 years, male 154.5
GTEX-TKQ2-0226-SM-4DM6V 50-59 years, male 153.8
GTEX-QXCU-1326-SM-48FE2 50-59 years, male 151.7
GTEX-11GSP-0326-SM-5A5KW 60-69 years, female 151.4
GTEX-1JMLX-1126-SM-CXZJN 50-59 years, male 150.2
GTEX-1GF9V-2026-SM-9JGHS 60-69 years, male 149.5
GTEX-1HBPI-1926-SM-CE6RT 50-59 years, male 142.5
GTEX-XMK1-0226-SM-4B65D 40-49 years, male 141.5
GTEX-1IDJH-1726-SM-A96T3 70-79 years, male 140.2
GTEX-1NUQO-0626-SM-E6CQT 20-29 years, female 138.3
GTEX-XV7Q-0226-SM-4BRVL 40-49 years, female 138.0
GTEX-WQUQ-0126-SM-4OOSS 60-69 years, male 135.9
GTEX-1HCU6-1826-SM-C1YRN 60-69 years, female 135.2
GTEX-14E1K-0626-SM-5S2PG 50-59 years, male 135.1
GTEX-1GN73-1526-SM-9WPP1 60-69 years, male 133.9
GTEX-16MT8-1626-SM-7EWDW 60-69 years, female 133.4
GTEX-VUSG-1526-SM-4KKZH 50-59 years, male 130.7
GTEX-12WSD-2126-SM-5LZWK 60-69 years, female 130.3
GTEX-1399R-0326-SM-5KM1X 30-39 years, male 130.3
GTEX-1B996-2026-SM-7MKG7 60-69 years, male 130.1
GTEX-1LNCM-0826-SM-DHXL6 50-59 years, female 130.0
GTEX-13OW7-2726-SM-5L3HN 50-59 years, male 129.7
GTEX-12WSK-0326-SM-5GCOJ 40-49 years, female 128.7
GTEX-13O3O-1626-SM-5KM1O 60-69 years, female 127.7
GTEX-12WSN-0926-SM-5GCN1 40-49 years, male 127.5
GTEX-147F4-2526-SM-5NQBB 50-59 years, male 127.3
GTEX-OXRK-0126-SM-3NB1E 50-59 years, female 126.0
GTEX-1A3MW-2126-SM-731DO 60-69 years, female 125.8
GTEX-1EKGG-2126-SM-7MKFT 60-69 years, male 125.7
GTEX-1QMI2-1926-SM-EAZ4B 60-69 years, male 125.7
GTEX-RM2N-0126-SM-48FDD 50-59 years, male 124.3
GTEX-WY7C-0326-SM-4OND5 50-59 years, male 123.6
GTEX-144GL-1826-SM-79OMB 50-59 years, male 122.9
GTEX-13OW6-1726-SM-5IJGI 50-59 years, male 122.4
GTEX-ZEX8-0626-SM-DO118 50-59 years, male 122.2
GTEX-1EH9U-1726-SM-7P8QK 60-69 years, male 121.9
GTEX-OIZH-1326-SM-3NB1H 50-59 years, male 121.8
GTEX-V955-0126-SM-4JBH5 60-69 years, male 121.7
GTEX-ZT9X-0126-SM-4YCFC 40-49 years, male 121.3
GTEX-1B8KZ-0126-SM-7DHM5 50-59 years, male 121.1
GTEX-18A7A-1826-SM-7KFTU 50-59 years, female 120.9
GTEX-U3ZM-0226-SM-4DXTA 40-49 years, male 120.7
GTEX-QMRM-0126-SM-CJI1R 50-59 years, male 120.3
GTEX-1F88F-1526-SM-9JGG1 60-69 years, female 120.1
GTEX-NFK9-1726-SM-3TW8P 40-49 years, male 119.9
GTEX-11EM3-0326-SM-5A5KJ 20-29 years, female 119.4
GTEX-14A5H-2126-SM-7IGNV 60-69 years, male 119.0
GTEX-QLQW-0226-SM-447BJ 30-39 years, male 118.9
GTEX-13N11-0826-SM-5IJFP 50-59 years, female 118.8
GTEX-W5WG-1126-SM-4LMK4 50-59 years, female 118.3
GTEX-R55E-1826-SM-EXOHD 20-29 years, male 118.1
GTEX-14DAR-1726-SM-664MZ 50-59 years, male 117.5
GTEX-1BAJH-2626-SM-7EPG6 70-79 years, male 117.4
GTEX-14JG6-0126-SM-68726 30-39 years, female 117.3
GTEX-ZPCL-0826-SM-DNZZ7 60-69 years, female 117.3
GTEX-15CHR-0626-SM-7938V 50-59 years, male 116.7
GTEX-14BMU-0126-SM-5S2Q9 20-29 years, female 116.6
GTEX-S3XE-0126-SM-4AD4R 50-59 years, male 116.6
GTEX-1CB4F-0126-SM-9JGGZ 60-69 years, male 116.6
GTEX-1H11D-2426-SM-9JGGN 40-49 years, male 116.5
GTEX-15DYW-2126-SM-6M47B 60-69 years, female 115.8
GTEX-V1D1-0226-SM-4JBHG 50-59 years, male 115.6
GTEX-1I1GP-1826-SM-C1YS1 50-59 years, male 115.4
GTEX-U3ZN-0826-SM-4DXSZ 30-39 years, female 115.3
GTEX-Y114-0526-SM-4TT8V 50-59 years, female 114.6
GTEX-132NY-2226-SM-5J2LZ 60-69 years, male 113.6
GTEX-11EQ9-0126-SM-5986I 30-39 years, male 113.4
GTEX-17HHE-0226-SM-79399 50-59 years, male 113.2
GTEX-18A6Q-1826-SM-72D6I 60-69 years, male 113.0
GTEX-12ZZZ-0926-SM-5N9EQ 60-69 years, male 111.8
GTEX-1I1GQ-2026-SM-ARU7F 50-59 years, male 111.8
GTEX-ZLV1-0226-SM-4WWC1 60-69 years, female 110.9
GTEX-ZDTT-0126-SM-4WKHA 60-69 years, male 110.8
GTEX-XUZC-0226-SM-4BOO7 30-39 years, female 110.5
GTEX-1AX9J-0626-SM-72D7L 60-69 years, male 110.3
GTEX-YFCO-0126-SM-4W1YT 40-49 years, male 110.3
GTEX-1GMR3-0926-SM-9WPP9 40-49 years, male 110.3
GTEX-13QBU-0526-SM-5IJFE 40-49 years, female 110.0
GTEX-1J8EW-1826-SM-C1YQW 60-69 years, female 109.8
GTEX-111YS-0126-SM-5987T 60-69 years, male 109.6
GTEX-T6MO-0126-SM-4DM6X 40-49 years, female 108.9
GTEX-131XG-1326-SM-5DUX4 50-59 years, female 108.4
GTEX-11DXZ-0226-SM-5EGGZ 50-59 years, male 108.0
GTEX-131XF-0126-SM-5DUVF 60-69 years, male 107.9
GTEX-PLZ5-0326-SM-3P614 50-59 years, male 107.9
GTEX-S4Q7-0226-SM-4AD5O 20-29 years, male 107.5
GTEX-1PPH8-0826-SM-DTX9T 20-29 years, male 107.0
GTEX-13111-0326-SM-5DUXF 50-59 years, male 106.9
GTEX-S33H-1326-SM-4AD6A 30-39 years, male 106.7
GTEX-WYVS-0226-SM-4ONDK 40-49 years, female 106.6
GTEX-13PL7-1026-SM-5MR5C 60-69 years, female 105.9
GTEX-S341-0126-SM-4AD64 40-49 years, female 105.7
GTEX-1QP2A-2626-SM-EAZ3L 50-59 years, male 105.3
GTEX-OIZF-1326-SM-3MJGU 60-69 years, male 105.3
GTEX-X4EO-1726-SM-4QARN 60-69 years, female 104.8
GTEX-14H4A-0226-SM-5SI6Q 40-49 years, female 104.2
GTEX-1339X-0826-SM-5J2O6 40-49 years, male 104.0
GTEX-14A5I-2126-SM-5NQA8 50-59 years, female 104.0
GTEX-Y5V6-1926-SM-5IFIL 60-69 years, male 103.6
GTEX-14PK6-0126-SM-664O1 70-79 years, female 103.4
GTEX-ZYFG-0926-SM-5BC5U 60-69 years, female 103.4
GTEX-ZTSS-0326-SM-5987M 40-49 years, male 103.3
GTEX-QCQG-0126-SM-48U27 50-59 years, female 102.5
GTEX-VJYA-0526-SM-4KL1R 60-69 years, male 102.2
GTEX-17HHY-2226-SM-7KFS4 50-59 years, male 102.1
GTEX-11EMC-0526-SM-5EGJN 60-69 years, female 101.8
GTEX-13O61-0126-SM-5KM4P 60-69 years, male 101.1
GTEX-Q2AH-0126-SM-48U2B 40-49 years, male 101.1
GTEX-13D11-0426-SM-5LZYA 50-59 years, female 100.9
GTEX-1B8L1-1326-SM-7MKG6 60-69 years, male 100.9
GTEX-145LT-0126-SM-5S2QJ 40-49 years, male 100.8
GTEX-PWCY-0226-SM-48TD8 20-29 years, female 100.8
GTEX-UJMC-0226-SM-4IHLH 50-59 years, male 100.8
GTEX-1RAZQ-0226-SM-EV7BK 30-39 years, male 100.7
GTEX-R53T-0226-SM-48FEH 50-59 years, female 100.3
GTEX-1F75I-0126-SM-9WPPW 40-49 years, male 100.3
GTEX-WFG8-0126-SM-4LVMH 20-29 years, male 99.4
GTEX-11I78-1826-SM-5A5M4 50-59 years, female 99.2
GTEX-132AR-1726-SM-5EGHQ 50-59 years, female 99.0
GTEX-Y3IK-0226-SM-51MRJ 50-59 years, female 98.5
GTEX-PX3G-1326-SM-48U18 20-29 years, female 98.4
GTEX-SUCS-0526-SM-4DM56 70-79 years, male 98.1
GTEX-131YS-2026-SM-5P9J8 60-69 years, female 97.6
GTEX-ZZPU-1226-SM-5N9CK 50-59 years, female 97.1
GTEX-1M5QR-1726-SM-EV7AU 40-49 years, male 97.1
GTEX-14PJ4-0426-SM-6871F 60-69 years, male 97.0
GTEX-15SHU-1926-SM-7KUMO 40-49 years, female 96.9
GTEX-O5YV-1126-SM-3LK73 60-69 years, female 96.7
GTEX-12WSG-0726-SM-5EGIG 50-59 years, female 96.5
GTEX-1RQEC-1926-SM-DTX7M 60-69 years, male 96.2
GTEX-18D9B-1926-SM-7KFSV 60-69 years, male 96.1
GTEX-13PVR-0226-SM-5RQJI 60-69 years, female 95.5
GTEX-QDVN-0426-SM-48TZ6 50-59 years, male 95.5
GTEX-17HGU-0126-SM-7DHLV 50-59 years, male 95.3
GTEX-Y9LG-0126-SM-5Q59W 30-39 years, male 95.1
GTEX-1KANB-2626-SM-EV7BF 50-59 years, male 95.1
GTEX-ZF2S-0126-SM-4WKFO 50-59 years, female 94.8
GTEX-1GN1V-1626-SM-7PBZF 60-69 years, male 94.7
GTEX-11NSD-0226-SM-5A5LR 20-29 years, male 94.4
GTEX-17KNJ-0326-SM-7KFS5 50-59 years, male 94.4
GTEX-14E6E-0126-SM-73KXH 30-39 years, male 94.3
GTEX-1R7EV-1726-SM-E6CR8 40-49 years, male 94.1
GTEX-1HC8U-0226-SM-9WG7Q 40-49 years, female 94.0
GTEX-1LVAN-0826-SM-CNNPG 50-59 years, female 93.9
GTEX-P4QT-1326-SM-3NMD3 50-59 years, female 93.7
GTEX-1399U-0226-SM-5P9J2 50-59 years, female 93.5
GTEX-1399S-0426-SM-5IFG5 30-39 years, female 93.3
GTEX-REY6-1726-SM-48FDL 60-69 years, male 92.9
GTEX-1I1GT-0126-SM-B2LWM 60-69 years, female 92.8
GTEX-14C38-1726-SM-5RQJC 50-59 years, male 92.5
GTEX-Q2AI-0226-SM-48U1D 40-49 years, male 92.5
GTEX-1I1GV-1826-SM-CNNR8 60-69 years, male 91.8
GTEX-12BJ1-0526-SM-5FQUD 60-69 years, male 91.6
GTEX-S4Z8-0126-SM-4GICC 60-69 years, male 91.4
GTEX-ZLWG-0126-SM-4WWC5 50-59 years, female 91.4
GTEX-146FR-1526-SM-5SIB8 60-69 years, female 91.3
GTEX-1B8KE-0926-SM-7189I 50-59 years, male 91.2
GTEX-QDVJ-1126-SM-48U1U 50-59 years, male 91.1
GTEX-1LG7Z-0426-SM-D4P47 30-39 years, male 90.9
GTEX-14PJ6-0126-SM-686Z5 60-69 years, female 90.5
GTEX-12WSL-0326-SM-5CVMK 50-59 years, male 90.0
GTEX-1I1GU-0226-SM-AHZ2J 40-49 years, male 89.7
GTEX-ZYVF-1626-SM-5N9EH 50-59 years, female 89.6
GTEX-1PWST-2126-SM-DPRZ5 70-79 years, male 89.6
GTEX-ZUA1-1926-SM-5E45E 40-49 years, male 89.5
GTEX-RNOR-1626-SM-EZ6MM 50-59 years, female 89.5
GTEX-1JKYN-0126-SM-AHZ4C 30-39 years, male 89.3
GTEX-16NGA-0126-SM-72D6U 40-49 years, female 89.2
GTEX-ZVP2-0126-SM-5NQ7D 50-59 years, male 89.1
GTEX-14XAO-0326-SM-6ETZN 60-69 years, female 88.7
GTEX-U4B1-0126-SM-4DXSN 40-49 years, male 88.4
GTEX-YF7O-0126-SM-5IFIR 50-59 years, male 88.4
GTEX-1K2DA-0226-SM-CGQGW 50-59 years, male 88.4
GTEX-14PKV-0726-SM-686ZF 20-29 years, female 87.8
GTEX-ZP4G-0126-SM-4YCE3 20-29 years, female 87.6
GTEX-117YX-0126-SM-5EGH5 50-59 years, male 86.6
GTEX-139YR-0126-SM-5IJEY 50-59 years, male 86.5
GTEX-13OVI-1226-SM-5J2ME 60-69 years, female 86.5
GTEX-1H3VY-1826-SM-9JGI4 50-59 years, male 86.1
GTEX-R55G-0126-SM-48FDS 40-49 years, female 85.9
GTEX-16AAH-0226-SM-793A8 50-59 years, male 85.8
GTEX-1QP29-0326-SM-E6CQ4 50-59 years, male 85.8
GTEX-S32W-0126-SM-4AD61 50-59 years, female 84.9
GTEX-1F5PK-0826-SM-7MXVI 50-59 years, male 84.7
GTEX-11DXY-1626-SM-5H12L 60-69 years, male 84.5
GTEX-145MN-0226-SM-5QGPY 30-39 years, male 84.2
GTEX-XYKS-0926-SM-4BRVG 60-69 years, female 84.2
GTEX-1AX8Z-2426-SM-72D7D 60-69 years, male 84.1
GTEX-1ICG6-0226-SM-AHZ2P 70-79 years, female 83.9
GTEX-1H1E6-1026-SM-9JGFZ 30-39 years, male 83.7
GTEX-15EU6-0326-SM-6M48I 50-59 years, male 83.5
GTEX-QEG5-1826-SM-CE6QW 20-29 years, male 83.5
GTEX-13W3W-1326-SM-5LU4T 60-69 years, female 82.9
GTEX-ZT9W-0126-SM-4YCFD 50-59 years, male 82.8
GTEX-11DXX-0126-SM-5EGH7 60-69 years, female 82.3
GTEX-11XUK-0126-SM-5CVLK 40-49 years, female 82.2
GTEX-1AMFI-0626-SM-731DR 50-59 years, female 82.2
GTEX-11P7K-0126-SM-5986E 30-39 years, male 82.0
GTEX-ZA64-0226-SM-5HL9C 20-29 years, male 81.9
GTEX-1CAMR-0126-SM-79391 20-29 years, male 81.7
GTEX-ZLFU-0826-SM-4WWBP 40-49 years, male 81.5
GTEX-12696-0626-SM-5EGGD 60-69 years, male 81.4
GTEX-1KXAM-0326-SM-EV7AQ 60-69 years, male 80.5
GTEX-QLQ7-0126-SM-CL55R 60-69 years, male 80.4
GTEX-1211K-0126-SM-59HJE 60-69 years, female 79.9
GTEX-1122O-0326-SM-5H124 60-69 years, female 79.3
GTEX-132QS-0126-SM-5IFH9 60-69 years, male 79.3
GTEX-R55C-0226-SM-48FEO 40-49 years, male 79.3
GTEX-1IDJU-0126-SM-CNNR2 60-69 years, female 77.8
GTEX-1KWVE-0726-SM-D4P3O 30-39 years, male 77.7
GTEX-1A3MV-0226-SM-731FS 30-39 years, male 77.4
GTEX-YB5E-0226-SM-5IFHI 40-49 years, male 77.4
GTEX-13CF3-0126-SM-5IFFM 60-69 years, female 77.2
GTEX-14DAQ-1826-SM-5S2VV 60-69 years, female 77.0
GTEX-1HKZK-0126-SM-B2LWF 40-49 years, male 75.9
GTEX-14PN3-1426-SM-686Z8 60-69 years, female 75.7
GTEX-1S82P-1126-SM-EV79M 60-69 years, female 75.7
GTEX-1F75A-2026-SM-9KNTR 50-59 years, male 75.0
GTEX-PLZ6-0226-SM-3P61I 30-39 years, male 74.2
GTEX-X4LF-0126-SM-4QAS7 50-59 years, male 74.1
GTEX-WHPG-1526-SM-4M1ZK 50-59 years, male 73.4
GTEX-ZY6K-0126-SM-5SIAM 50-59 years, male 73.4
GTEX-OHPL-1326-SM-3MJGG 60-69 years, female 72.9
GTEX-1CAMS-0226-SM-79397 40-49 years, female 72.8
GTEX-13FH7-0226-SM-5IFGG 50-59 years, female 72.6
GTEX-1LGRB-0326-SM-CNPQC 50-59 years, female 71.2
GTEX-Y5LM-0126-SM-4VBRL 40-49 years, female 71.1
GTEX-P4QS-1326-SM-3NMCD 60-69 years, male 70.6
GTEX-OHPK-1326-SM-3MJGN 50-59 years, female 70.4
GTEX-13O1R-2326-SM-5IJF9 60-69 years, male 69.8
GTEX-13O21-0126-SM-5IJE8 50-59 years, male 69.6
GTEX-1C475-0126-SM-731DC 40-49 years, female 68.7
GTEX-1F5PL-2326-SM-7MKFC 40-49 years, female 68.5
GTEX-1J8Q3-0326-SM-CE6TD 60-69 years, male 68.0
GTEX-1AX9K-0126-SM-7PC1B 50-59 years, male 67.3
GTEX-111CU-0126-SM-5GZWZ 50-59 years, male 67.2
GTEX-O5YT-1326-SM-3MJGR 20-29 years, male 66.7
GTEX-ZVT2-0826-SM-5GIEO 50-59 years, female 66.7
GTEX-12WSJ-0126-SM-5GCOM 40-49 years, female 66.6
GTEX-OOBK-3125-SM-3LK5R 40-49 years, male 64.7
GTEX-1QPFJ-2526-SM-EXOJX 30-39 years, female 64.7
GTEX-13FTW-0126-SM-5IJED 40-49 years, male 63.8
GTEX-RUSQ-0226-SM-47JWT 50-59 years, male 63.8
GTEX-1GL5R-1026-SM-7P8U1 50-59 years, male 63.1
GTEX-11TT1-0126-SM-5LUAA 20-29 years, male 61.2
Show allShow less

Contact

  • NEWS ARTICLES
  • PRESS ROOM

The Project

  • INTRODUCTION
  • ORGANIZATION
  • PUBLICATIONS

The Human Protein Atlas

  • DOWNLOADABLE DATA
  • LICENCE & CITATION
  • HELP & FAQ
The Human Protein Atlas project is funded
by the Knut & Alice Wallenberg Foundation.


contact@proteinatlas.org