We use cookies to enhance the usability of our website. If you continue, we'll assume that you are happy to receive all cookies. More information. Don't show this again.
FAM32A
HPA
RESOURCES
  • TISSUE
  • BRAIN
  • SINGLE CELL
  • SUBCELLULAR
  • CANCER
  • BLOOD
  • CELL LINE
  • STRUCTURE & INTERACTION
ABOUT
  • INTRODUCTION
  • HISTORY
  • ORGANIZATION
  • PUBLICATIONS
  • ANTIBODY SUBMISSION
  • ANTIBODY AVAILABILITY
  • ACKNOWLEDGMENTS
  • CONTACT
NEWS
  • NEWS ARTICLES
  • PRESS ROOM
LEARN
  • DICTIONARY
  • PROTEIN CLASSES
  • PROTEIN EVIDENCE
  • METHODS
  • EDUCATIONAL VIDEOS
DATA
  • DOWNLOADABLE DATA
  • PUBLICATION DATA
  • RELEASE HISTORY
HELP
  • ANTIBODY VALIDATION
  • ASSAYS & ANNOTATION
  • DISCLAIMER
  • HELP & FAQ
  • PRIVACY STATEMENT
  • LICENCE & CITATION
Fields »
Search result

Field
Term
Gene name
Class
Subclass
Class
Keyword
Chromosome
External id
Tissue
Cell type
Expression
Antibody panel
Tissue
Main location
Patient ID
Annotation
Tissue
Category
Tau score
Cluster
Reliability
Brain region
Category
Tau score
Brain region
Category
Tau score
Brain region
Category
Tau score
Cluster
Reliability
Tissue
Cell type
Enrichment
Cell type
Category
Tau score
Cell type
Category
Tau score
Cell type
Category
Tau score
Cell lineage
Category
Tau score
Cluster
Cluster
Location
Searches
Location
Cell line
Class
Type
Phase
Reliability
Cancer
Prognosis
Cancer
Category
Cancer
Category
Tau score
Cluster
Variants
Interacting gene (ensg_id)
Type
Number of interactions
Pathway
Category
Score
Score
Score
Validation
Validation
Validation
Validation
Antibodies
Data type
Column


  • SUMMARY

  • TISSUE

  • BRAIN

  • SINGLE CELL

  • SUBCELL

  • CANCER

  • BLOOD

  • CELL LINE

  • STRUCT & INT

  • FAM32A
TISSUE PRIMARY DATA SKIN Show tissue menu
ADIPOSE TISSUE ADRENAL GLAND AMYGDALA APPENDIX BASAL GANGLIA BONE MARROW BREAST BRONCHUS CEREBELLUM CEREBRAL CORTEX CERVIX CHOROID PLEXUS COLON DUODENUM
ENDOMETRIUM EPIDIDYMIS ESOPHAGUS FALLOPIAN TUBE GALLBLADDER HEART MUSCLE HIPPOCAMPAL FORMATION HYPOTHALAMUS KIDNEY LIVER LUNG LYMPH NODE MIDBRAIN NASOPHARYNX
ORAL MUCOSA OVARY PANCREAS PARATHYROID GLAND PITUITARY GLAND PLACENTA PROSTATE RECTUM RETINA SALIVARY GLAND SEMINAL VESICLE SKELETAL MUSCLE SKIN SMALL INTESTINE
SMOOTH MUSCLE SOFT TISSUE SPINAL CORD SPLEEN STOMACH TESTIS THYMUS THYROID GLAND TONGUE TONSIL URINARY BLADDER VAGINA
ANTIBODIES
AND
VALIDATION
Dictionary
Skin
Tissue proteome
Skin
SKIN - Expression summary
Protein expression
Skini

On the top, protein expression in current human tissue, based on all annotated cell types, is reported with the units not detected (n), low (l), medium (m) and high (h). Underneath, protein expression in each annotated cell type are reported using the same units.

Protein expression data is based on knowledge-based annotation. For genes where more than one antibody has been used, a collective score is set.

If knowledge-based annotation could not be performed for a gene, no data is displayed here. View antibody staining data further down this page.

h
m
l
n
Epidermal cells: Medium
Fibroblasts: Not detected
Keratinocytes: Not detected
Langerhans: Not detected
Melanocytes: Not detected
RNA expressioni

A summary of mRNA expression data available for current tissue based on several datasets. The mRNA expression levels in human tissues are based on RNA-seq data generated by the Human Protein Atlas (HPA), Genotype-Tissue Expression (GTEx) portal and CAGE data generated by the FANTOM5 consortium. Consensus normalized expression levels for human tissues was created by combining the data from HPA and GTEx datasets.

The mRNA expression levels in pig are based on RNA-seq data generated by the Human Protein Atlas (HPA), and for mouse, HPA data and in situ hybridization generated by the Allen brain atlas are reported.

Scroll down to view mRNA expression data in more detail.
Consensus:70.9 nTPM
HPA:53.5 nTPM
GTEx:70.9 nTPM

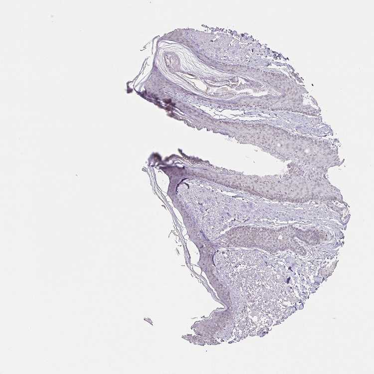
SKIN 1 - Antibody stainingi

Antibody staining in the annotated cell types in the current human tissue is reported as not detected, low, medium, or high, based on conventional immunohistochemistry profiling in selected tissues. This score is based on the combination of the staining intensity and fraction of stained cells.

Each image is clickable and will lead to virtual microscopy that enables deeper exploration of all samples and also displays staining intensity scores, fraction scores and subcellular localization as well as patient and tissue information for each sample.

Antibody HPA051712
Langerhans Not detected
Fibroblasts Not detected
Keratinocytes Not detected
Melanocytes Not detected


SKIN 2 - Antibody stainingi

Antibody staining in the annotated cell types in the current human tissue is reported as not detected, low, medium, or high, based on conventional immunohistochemistry profiling in selected tissues. This score is based on the combination of the staining intensity and fraction of stained cells.

Each image is clickable and will lead to virtual microscopy that enables deeper exploration of all samples and also displays staining intensity scores, fraction scores and subcellular localization as well as patient and tissue information for each sample.

Antibody HPA051712
Epidermal cells Medium
 
 
 

SKIN - HPA RNA-seqi

The RNA-seq details section shows detailed information about the individual samples used for the transcript profiling and results of the RNA-seq analysis.

Information about each individual sample is listed below, including gender, age, a tissue section image and estimated fractions of cell types. nTPM (normalized transcripts per million) values give a quantification of the gene abundance which is comparable between different genes and samples.
Average nTPMi

Max subtype nTPM is the value for the subtype with the largest average nTPM across the subtype samples.

53.5
overview
Female, age 34
Skin sample 225
nTPM: 58.7
Cell types%
Keratinocytes:
60

Other cell types:
40

overview
Female, age 30
Skin sample 226
nTPM: 49
Cell types%
Keratinocytes:
55

Other cell types:
45

N/A
Male, age 57
Skin sample 227
nTPM: 52.9

SKIN - GTEx RNA-seqi

RNA-Seq data generated by the Genotype-Tissue Expression (GTEx) project from human tissues is reported as mean nTPM. More information can be found on the GTEx portal.

Distribution across the dataset is visualized with box plots, shown as median and 25th and 75th percentiles. Points are displayed as outliers if they are above or below 1.5 times the interquartile range. nTPM values of the individual samples are presented next to the box plot.
Max subtype nTPMi

Max subtype nTPM is the value for the subtype with the largest average nTPM across the subtype samples.

70.9
GTEx sample id Sample description nTPM
Skin - Not Sun Exposed (Suprapubic)
Average nTPM: 67.2
Samples: 604

Max nTPM: 131.7
Min nTPM: 34.3
Std nTPM: 14.1
Median nTPM: 65.4
GTEX-ZPCL-1126-SM-4WWFE 60-69 years, female 131.7
GTEX-1IKOE-1426-SM-CE6T7 30-39 years, female 125.2
GTEX-1MJK3-0726-SM-E6CJC 20-29 years, male 115.5
GTEX-1OJC3-1226-SM-DTXER 20-29 years, male 114.1
GTEX-ZVZP-1226-SM-5GID7 50-59 years, male 110.4
GTEX-1QP9N-1226-SM-E76QN 30-39 years, male 108.6
GTEX-1HCUA-0826-SM-ADEHM 50-59 years, female 106.7
GTEX-1QP2A-1726-SM-E76QC 50-59 years, male 103.9
GTEX-1C6WA-2626-SM-7MKGM 60-69 years, male 103.5
GTEX-14E1K-2026-SM-7DUEI 50-59 years, male 103.4
GTEX-1399S-0126-SM-5IJCF 30-39 years, female 101.6
GTEX-1PPH8-0126-SM-EWRN8 20-29 years, male 100.4
GTEX-17HII-1426-SM-7EPGG 50-59 years, male 100.1
GTEX-1JMPY-0226-SM-CKZOK 30-39 years, male 99.5
GTEX-15RIG-0726-SM-7KUM7 40-49 years, male 99.4
GTEX-ZLFU-1826-SM-4WWBV 40-49 years, male 99.3
GTEX-YFCO-1226-SM-5LUAT 40-49 years, male 98.1
GTEX-14ICL-1626-SM-5YYAO 30-39 years, male 96.8
GTEX-ZLV1-1526-SM-DO91J 60-69 years, female 96.6
GTEX-16MTA-0926-SM-6M47Z 50-59 years, male 96.3
GTEX-14PII-0726-SM-6EU2B 60-69 years, male 96.2
GTEX-17F97-2626-SM-7IGM5 50-59 years, male 95.5
GTEX-ZTX8-1326-SM-4YCEL 20-29 years, male 95.2
GTEX-15RIE-1926-SM-7KUKJ 60-69 years, male 94.8
GTEX-Y9LG-1126-SM-4VBQ7 30-39 years, male 93.9
GTEX-1QPFJ-1926-SM-EVYBD 30-39 years, female 93.7
GTEX-1S82P-2126-SM-E6CI5 60-69 years, female 93.6
GTEX-WFG7-2026-SM-5SI7P 20-29 years, male 93.5
GTEX-1R9PM-1926-SM-EVR3O 20-29 years, male 93.2
GTEX-14DAR-1226-SM-73KYV 50-59 years, male 92.2
GTEX-1HBPN-0126-SM-CGQEF 50-59 years, male 92.1
GTEX-1I1GT-1026-SM-ARZLV 60-69 years, female 92.1
GTEX-1LGRB-0926-SM-COH3K 50-59 years, female 92.0
GTEX-17HHE-1326-SM-7EWDZ 50-59 years, male 91.7
GTEX-111CU-1126-SM-5EGIM 50-59 years, male 91.5
GTEX-12WSJ-1126-SM-5LZVJ 40-49 years, female 90.6
GTEX-1LVAN-0626-SM-CNPOQ 50-59 years, female 90.5
GTEX-ZP4G-1426-SM-4WWCL 20-29 years, female 90.4
GTEX-13PDP-0726-SM-5L3HP 60-69 years, male 90.1
GTEX-ZF29-0926-SM-4WKFZ 60-69 years, female 90.1
GTEX-1NSGN-0726-SM-DTXEF 50-59 years, male 90.1
GTEX-1PIGE-1826-SM-E8VOU 20-29 years, male 90.1
GTEX-1JK1U-0226-SM-ARZMX 60-69 years, male 89.2
GTEX-Y114-2126-SM-4TT8B 50-59 years, female 88.7
GTEX-13OW5-2326-SM-5L3HO 60-69 years, male 88.4
GTEX-ZDTT-0426-SM-4WKFL 60-69 years, male 88.4
GTEX-1RAZS-2526-SM-E6CHT 50-59 years, male 88.3
GTEX-1S82U-1026-SM-E6CJK 30-39 years, female 87.9
GTEX-ZT9X-1526-SM-5DUXD 40-49 years, male 87.7
GTEX-1CB4J-1326-SM-7P8RX 60-69 years, male 87.6
GTEX-WHSB-1326-SM-3LK6W 50-59 years, male 87.4
GTEX-12ZZZ-0726-SM-5GCNZ 60-69 years, male 87.2
GTEX-13O61-1426-SM-5KM3D 60-69 years, male 86.9
GTEX-17MFQ-1526-SM-7KFRR 20-29 years, male 86.8
GTEX-ZZPU-0826-SM-5GZX5 50-59 years, female 86.7
GTEX-1S3DN-2126-SM-E9TIN 50-59 years, male 86.7
GTEX-131XG-0326-SM-5L3DX 50-59 years, female 86.6
GTEX-1GZ4H-0526-SM-9KNU9 50-59 years, female 86.4
GTEX-ZVT2-0126-SM-5GIDQ 50-59 years, female 85.9
GTEX-131XF-2626-SM-5EQ6K 60-69 years, male 85.5
GTEX-1C2JI-1026-SM-73KY1 50-59 years, male 85.4
GTEX-ZY6K-1426-SM-5GZX2 50-59 years, male 85.3
GTEX-13FTX-1526-SM-5K7VJ 20-29 years, female 85.2
GTEX-XBEW-1126-SM-4QARW 40-49 years, male 85.2
GTEX-14PJ4-0226-SM-5YY92 60-69 years, male 85.0
GTEX-ZPU1-1126-SM-4YCF3 40-49 years, male 85.0
GTEX-1QP28-1126-SM-EVYC4 50-59 years, female 84.9
GTEX-1RAZQ-1326-SM-E9TK6 30-39 years, male 84.9
GTEX-ZF2S-1626-SM-57WES 50-59 years, female 84.8
GTEX-1I1GU-0926-SM-ACKVS 40-49 years, male 84.8
GTEX-12WSK-2126-SM-5CVNC 40-49 years, female 84.7
GTEX-1399Q-2326-SM-5KM2X 40-49 years, male 84.7
GTEX-1399U-1126-SM-5L3DB 50-59 years, female 84.6
GTEX-1192X-2726-SM-5N9DN 50-59 years, male 84.3
GTEX-YEC4-1826-SM-4W1YP 40-49 years, male 84.3
GTEX-1LBAC-0826-SM-CY8IJ 20-29 years, male 84.2
GTEX-11EQ8-0926-SM-5H12V 60-69 years, male 84.1
GTEX-1GF9X-1326-SM-7PC2Y 40-49 years, female 84.0
GTEX-1PBJJ-1026-SM-E76OS 30-39 years, male 83.9
GTEX-13FTY-2126-SM-5IFFB 40-49 years, female 83.7
GTEX-1GMRU-2126-SM-7P8RA 50-59 years, male 83.7
GTEX-1H2FU-0926-SM-9WPPT 60-69 years, female 83.7
GTEX-14PJ3-1126-SM-5ZZVX 50-59 years, male 83.6
GTEX-1I1GV-0626-SM-ARL7M 60-69 years, male 83.6
GTEX-1S83E-1326-SM-E6CJM 40-49 years, male 83.4
GTEX-14PJ5-1526-SM-6LLIL 60-69 years, female 83.3
GTEX-1HSMQ-2626-SM-A9SML 50-59 years, male 83.3
GTEX-1E2YA-2126-SM-7MXUO 50-59 years, male 83.2
GTEX-1EMGI-2326-SM-7PBYA 60-69 years, male 83.1
GTEX-1RMOY-1326-SM-E9TIH 50-59 years, male 83.1
GTEX-1S831-1826-SM-EWROF 20-29 years, male 83.1
GTEX-13IVO-0726-SM-5LZYV 70-79 years, male 82.8
GTEX-1KAFJ-0126-SM-DIPEK 50-59 years, male 82.8
GTEX-18A67-1626-SM-7LT9T 50-59 years, male 82.6
GTEX-11DZ1-2426-SM-5GZZX 50-59 years, male 82.5
GTEX-X5EB-1926-SM-4E3IW 40-49 years, male 82.5
GTEX-14PK6-0226-SM-62LF5 70-79 years, female 82.3
GTEX-1PIIG-2326-SM-DTXFR 30-39 years, male 82.1
GTEX-16BQI-1326-SM-6M486 30-39 years, female 81.9
GTEX-13PL6-1126-SM-5L3IE 40-49 years, female 81.6
GTEX-1IKJJ-2226-SM-CJI4C 60-69 years, male 81.6
GTEX-14C5O-0326-SM-5ZZUX 60-69 years, male 81.5
GTEX-WH7G-2026-SM-3NMBL 40-49 years, male 81.4
GTEX-18D9A-1426-SM-7LT8M 30-39 years, female 81.4
GTEX-1F6RS-2026-SM-7RHHC 60-69 years, female 80.8
GTEX-15DYW-2726-SM-6EU2I 60-69 years, female 80.6
GTEX-1NV5F-0626-SM-DTXEG 60-69 years, female 80.6
GTEX-14PHX-2226-SM-6EU2P 50-59 years, male 80.3
GTEX-Y3I4-1726-SM-4TT89 50-59 years, male 80.2
GTEX-11ZTT-2126-SM-5CVLO 60-69 years, female 79.8
GTEX-1N2DV-1526-SM-DTXEP 40-49 years, male 79.7
GTEX-14PJN-1826-SM-6AJ98 30-39 years, male 79.6
GTEX-111VG-1626-SM-5EGIO 60-69 years, male 79.5
GTEX-1JMLX-0626-SM-ARL8T 50-59 years, male 79.3
GTEX-12WSH-1526-SM-5BC5W 50-59 years, male 79.1
GTEX-15SKB-2826-SM-6PAMH 60-69 years, male 79.1
GTEX-1B8KE-1126-SM-7EPHI 50-59 years, male 79.0
GTEX-WXYG-2026-SM-4E3IY 50-59 years, female 79.0
GTEX-1122O-1026-SM-9WYSF 60-69 years, female 79.0
GTEX-ZE7O-2726-SM-51MT5 50-59 years, female 78.4
GTEX-145ME-1726-SM-5Q5EU 40-49 years, female 78.3
GTEX-Y3IK-1626-SM-4YCF5 50-59 years, female 78.3
GTEX-ZTTD-2826-SM-4YCFA 50-59 years, male 78.3
GTEX-1HCU7-0726-SM-A9SL1 50-59 years, male 78.3
GTEX-11P81-2226-SM-5PNYI 30-39 years, female 78.0
GTEX-11OF3-0126-SM-5PNYF 60-69 years, male 77.9
GTEX-1QP29-1826-SM-DTX9S 50-59 years, male 77.8
GTEX-1R7EU-1626-SM-DTXG3 60-69 years, male 77.8
GTEX-XXEK-1626-SM-4BRUZ 50-59 years, male 77.7
GTEX-1GF9V-0826-SM-9KNUV 60-69 years, male 77.7
GTEX-1313W-0626-SM-5EQ4H 50-59 years, female 77.5
GTEX-1MCYP-0526-SM-E9U6Q 20-29 years, female 77.5
GTEX-11DXX-2126-SM-5PNYR 60-69 years, female 77.3
GTEX-1KANB-2826-SM-CY8I6 50-59 years, male 77.3
GTEX-YECK-0326-SM-4W1YS 60-69 years, male 77.1
GTEX-1K2DA-1026-SM-CGQGF 50-59 years, male 77.1
GTEX-1JMQJ-0826-SM-CNPP7 50-59 years, male 76.8
GTEX-1LSNM-0826-SM-DIPG8 50-59 years, male 76.8
GTEX-1LVAM-0726-SM-E6CIL 50-59 years, female 76.8
GTEX-1F52S-2926-SM-7MKGA 60-69 years, female 76.7
GTEX-XAJ8-1426-SM-47JYM 40-49 years, male 76.6
GTEX-Z93S-1626-SM-5CVMB 50-59 years, male 76.6
GTEX-14753-0726-SM-5QGQO 60-69 years, male 76.5
GTEX-1QW4Y-1126-SM-DTXE3 30-39 years, male 76.4
GTEX-14PKV-1126-SM-6LLJ1 20-29 years, female 76.2
GTEX-11TUW-0626-SM-5LU9M 60-69 years, male 76.1
GTEX-X585-2426-SM-46MW2 50-59 years, male 76.1
GTEX-ZC5H-1526-SM-5HL9Y 40-49 years, female 76.1
GTEX-14PJ6-2626-SM-6EU2T 60-69 years, female 75.8
GTEX-1J8EW-2726-SM-CY8HR 60-69 years, female 75.7
GTEX-18QFQ-1826-SM-72D52 30-39 years, male 75.3
GTEX-131XH-0126-SM-5LZUY 50-59 years, male 75.2
GTEX-11DXZ-2026-SM-5987S 50-59 years, male 75.0
GTEX-ZZ64-1026-SM-5GZXG 20-29 years, male 75.0
GTEX-11ZU8-0126-SM-5EQ58 60-69 years, male 74.9
GTEX-147F4-0726-SM-5TDDD 50-59 years, male 74.8
GTEX-1GN73-0726-SM-7P8TJ 60-69 years, male 74.8
GTEX-13FTW-0326-SM-5K7UW 40-49 years, male 74.6
GTEX-1CAMS-2226-SM-7PBXQ 40-49 years, female 74.5
GTEX-13D11-0926-SM-5J2NC 50-59 years, female 74.3
GTEX-13OVJ-0826-SM-5J1OK 50-59 years, female 74.0
GTEX-13SLX-2226-SM-62LEP 50-59 years, female 73.8
GTEX-1HFI7-2326-SM-CGQFS 50-59 years, female 73.5
GTEX-ZGAY-1826-SM-DO91Q 40-49 years, female 73.5
GTEX-ZXG5-2126-SM-59HKD 60-69 years, male 73.4
GTEX-1LB8K-0726-SM-D5OV2 50-59 years, male 73.4
GTEX-13NYS-0626-SM-5L3F1 60-69 years, male 73.3
GTEX-ZWKS-0626-SM-5GIDV 30-39 years, male 73.3
GTEX-YEC3-1326-SM-DO92X 50-59 years, male 73.3
GTEX-1RB15-1326-SM-E76Q9 60-69 years, male 73.1
GTEX-111YS-1526-SM-5GZYW 60-69 years, male 73.0
GTEX-11P7K-1126-SM-5HL4L 30-39 years, male 73.0
GTEX-13112-0126-SM-5P9IU 50-59 years, male 73.0
GTEX-13QJC-0126-SM-5ZZWJ 60-69 years, female 72.9
GTEX-17F9E-2326-SM-79OKD 50-59 years, male 72.9
GTEX-1R9PN-0426-SM-DTXDT 40-49 years, female 72.9
GTEX-15FZZ-0526-SM-7KUGD 30-39 years, female 72.8
GTEX-ZVT4-2426-SM-5GIEI 50-59 years, female 72.8
GTEX-1GPI7-1826-SM-9KNU1 20-29 years, male 72.8
GTEX-17F9Y-0126-SM-79OKX 70-79 years, female 72.6
GTEX-ZYFG-1526-SM-5GZYM 60-69 years, female 72.6
GTEX-Y5V6-2326-SM-4VDSA 60-69 years, male 72.4
GTEX-1RLM8-2926-SM-E8VON 50-59 years, male 72.4
GTEX-144GM-0526-SM-79OJO 20-29 years, male 72.3
GTEX-15RJE-2826-SM-7KUM9 40-49 years, male 72.1
GTEX-XUW1-0926-SM-4BONX 50-59 years, female 72.0
GTEX-1H11D-1826-SM-9QEHM 40-49 years, male 72.0
GTEX-1QCLY-0226-SM-EWRNH 30-39 years, male 72.0
GTEX-14PHY-1226-SM-5ZZWK 60-69 years, female 71.9
GTEX-1HC8U-1326-SM-9YFMJ 40-49 years, female 71.9
GTEX-1497J-0226-SM-5QGPU 60-69 years, male 71.8
GTEX-18D9B-0926-SM-7LG4U 60-69 years, male 71.6
GTEX-ZE9C-2526-SM-5IJDR 60-69 years, male 71.6
GTEX-11WQC-1826-SM-5GU59 60-69 years, male 71.5
GTEX-13OVK-1426-SM-6PAN7 40-49 years, male 71.5
GTEX-ZVP2-0326-SM-57WBP 50-59 years, male 71.5
GTEX-117YX-1926-SM-5GIEC 50-59 years, male 71.4
GTEX-17KNJ-2126-SM-718AM 50-59 years, male 71.2
GTEX-14PKU-0126-SM-6LLHV 40-49 years, female 71.1
GTEX-1CAMR-1326-SM-7PC1F 20-29 years, male 71.1
GTEX-13113-1626-SM-5EQ4I 60-69 years, female 71.0
GTEX-1A3MV-1826-SM-731CD 30-39 years, male 71.0
GTEX-1KANA-1326-SM-DIPFA 20-29 years, male 71.0
GTEX-145MG-1526-SM-5Q5EM 50-59 years, male 70.9
GTEX-1CB4H-1126-SM-7MKGL 60-69 years, female 70.9
GTEX-1JJEA-1826-SM-ARU8P 60-69 years, male 70.9
GTEX-1N2EE-0626-SM-E76PW 60-69 years, male 70.9
GTEX-11NSD-0626-SM-5A5LU 20-29 years, male 70.8
GTEX-1B97I-0626-SM-73KUZ 40-49 years, male 70.7
GTEX-XPVG-2126-SM-4B667 50-59 years, male 70.7
GTEX-1GN1U-0626-SM-9MQL9 50-59 years, female 70.7
GTEX-1F5PK-2226-SM-7SB6N 50-59 years, male 70.6
GTEX-11EQ9-1626-SM-5PNY8 30-39 years, male 70.5
GTEX-16AAH-0626-SM-793C9 50-59 years, male 70.5
GTEX-1IDJU-1726-SM-CMKHU 60-69 years, female 70.5
GTEX-11DXY-0126-SM-5H11Q 60-69 years, male 70.4
GTEX-15DDE-2926-SM-6LLJ3 50-59 years, female 70.4
GTEX-15G19-2426-SM-7KUMR 60-69 years, male 70.4
GTEX-X8HC-0626-SM-4E3HQ 50-59 years, female 70.3
GTEX-17F98-1326-SM-7DUEP 40-49 years, female 70.2
GTEX-139D8-1126-SM-5LU8W 30-39 years, female 70.1
GTEX-13W3W-0726-SM-5IJDQ 60-69 years, female 70.1
GTEX-145MN-1526-SM-5SI9T 30-39 years, male 70.1
GTEX-1J1R8-2026-SM-CL53Y 40-49 years, male 70.1
GTEX-147GR-2426-SM-5ZZWQ 60-69 years, male 69.9
GTEX-1JKYN-0826-SM-ARU8S 30-39 years, male 69.9
GTEX-14XAO-1226-SM-6EU1C 60-69 years, female 69.8
GTEX-XBED-1926-SM-47JYP 60-69 years, male 69.8
GTEX-1POEN-2326-SM-E9J2L 30-39 years, female 69.8
GTEX-1KXAM-1626-SM-D3LAD 60-69 years, male 69.7
GTEX-12WSL-2026-SM-5GCML 50-59 years, male 69.6
GTEX-139YR-1026-SM-5LZYN 50-59 years, male 69.6
GTEX-Y111-0626-SM-4SOIT 50-59 years, male 69.5
GTEX-X3Y1-2026-SM-3P5YM 40-49 years, male 69.4
GTEX-15ER7-0626-SM-6PANF 20-29 years, female 69.3
GTEX-11O72-0626-SM-5PNYE 40-49 years, male 69.2
GTEX-1J8Q2-2626-SM-ACKWQ 60-69 years, male 69.2
GTEX-11DYG-1526-SM-5A5JS 60-69 years, male 69.1
GTEX-V1D1-2026-SM-3GAF4 50-59 years, male 69.1
GTEX-1GMR2-0826-SM-7PC3V 50-59 years, male 68.9
GTEX-15G1A-1626-SM-7KUKN 30-39 years, male 68.8
GTEX-ZF3C-0626-SM-DO92O 50-59 years, female 68.8
GTEX-17EVP-2626-SM-7IGMA 40-49 years, male 68.7
GTEX-11LCK-2226-SM-5HL4Q 30-39 years, male 68.6
GTEX-XQ8I-0926-SM-4BOOF 50-59 years, male 68.6
GTEX-12ZZY-0726-SM-5EQ66 60-69 years, male 68.5
GTEX-1IE54-1126-SM-A9G2Z 40-49 years, female 68.5
GTEX-14B4R-1326-SM-5Q5EZ 30-39 years, male 68.4
GTEX-139UW-0326-SM-5J1ML 60-69 years, male 68.3
GTEX-16YQH-2226-SM-7IGM2 30-39 years, male 68.3
GTEX-13SLW-0626-SM-5Q5ER 70-79 years, male 68.1
GTEX-15CHQ-0326-SM-69LQD 60-69 years, male 68.1
GTEX-1F5PL-0926-SM-7PC2W 40-49 years, female 68.1
GTEX-1GF9W-1426-SM-7PBYM 60-69 years, male 68.1
GTEX-1HBPI-2126-SM-ARL9K 50-59 years, male 68.1
GTEX-XV7Q-1826-SM-4BRUV 40-49 years, female 68.0
GTEX-14ABY-2026-SM-62LDL 50-59 years, male 67.9
GTEX-15EO6-2426-SM-6PALZ 50-59 years, male 67.9
GTEX-1HSKV-1226-SM-ADEI4 60-69 years, male 67.9
GTEX-139T8-0626-SM-5KLZX 60-69 years, male 67.8
GTEX-XYKS-1426-SM-4BRUO 60-69 years, female 67.8
GTEX-ZA64-1026-SM-5HL8R 20-29 years, male 67.8
GTEX-1C64N-2626-SM-7PC2N 50-59 years, male 67.8
GTEX-1GN1V-2826-SM-9JGIA 60-69 years, male 67.8
GTEX-1JKYR-0626-SM-ARL8R 20-29 years, male 67.8
GTEX-XOT4-0626-SM-4B66L 60-69 years, female 67.7
GTEX-WY7C-2126-SM-3NB2R 50-59 years, male 67.6
GTEX-ZDYS-2426-SM-4WKGI 50-59 years, male 67.5
GTEX-1HCVE-2726-SM-CL54F 50-59 years, male 67.5
GTEX-1JN76-0626-SM-CKZOQ 20-29 years, female 67.5
GTEX-1R9K4-2826-SM-DTX8F 60-69 years, male 67.5
GTEX-12BJ1-0926-SM-5EQ62 60-69 years, male 67.4
GTEX-13X6H-0926-SM-5SIB2 50-59 years, female 67.4
GTEX-12ZZX-2426-SM-5GCOE 40-49 years, female 67.3
GTEX-18A6Q-0626-SM-7KFRP 60-69 years, male 67.3
GTEX-15RJ7-2126-SM-6PAMD 40-49 years, male 67.2
GTEX-ZTSS-1426-SM-5985P 40-49 years, male 67.2
GTEX-13NYB-0126-SM-5J1MD 40-49 years, male 67.1
GTEX-1JJ6O-2726-SM-CNPOG 60-69 years, male 67.0
GTEX-13N11-2326-SM-5IJBF 50-59 years, female 66.9
GTEX-YJ8O-2526-SM-5HL85 40-49 years, female 66.8
GTEX-1R46S-2426-SM-E76QA 60-69 years, female 66.8
GTEX-1HCU6-2526-SM-ADEHL 60-69 years, female 66.7
GTEX-15CHR-1126-SM-7EWF4 50-59 years, male 66.6
GTEX-UPJH-0226-SM-3GADV 50-59 years, male 66.6
GTEX-ZAB4-2126-SM-5HL8U 40-49 years, male 66.5
GTEX-1LKK1-2626-SM-DKPQE 50-59 years, female 66.5
GTEX-1211K-1526-SM-5FQU4 60-69 years, female 66.4
GTEX-VUSG-2326-SM-4KL1U 50-59 years, male 66.4
GTEX-1OJC4-2726-SM-E76PJ 50-59 years, female 66.3
GTEX-1F75I-2226-SM-7SB8U 40-49 years, male 66.2
GTEX-11PRG-0726-SM-5EGL1 50-59 years, male 66.1
GTEX-UPK5-0426-SM-3GAEK 40-49 years, male 66.1
GTEX-1AYD5-2626-SM-7PBXY 50-59 years, male 66.0
GTEX-13G51-1826-SM-5KLZH 60-69 years, male 65.9
GTEX-11VI4-1126-SM-5EQMD 40-49 years, female 65.8
GTEX-1H3O1-1326-SM-9MQLD 60-69 years, male 65.8
GTEX-1PPGY-1626-SM-EVYBL 60-69 years, male 65.8
GTEX-14LZ3-0126-SM-69LPM 60-69 years, female 65.7
GTEX-1HB9E-0126-SM-CM2S5 50-59 years, male 65.6
GTEX-1JMQK-1226-SM-D4P2S 60-69 years, male 65.6
GTEX-18D9U-0126-SM-731BM 40-49 years, male 65.4
GTEX-1MCC2-1826-SM-DIPEX 30-39 years, female 65.4
GTEX-12WSM-1926-SM-5BC65 60-69 years, male 65.3
GTEX-14C39-1726-SM-5RQIL 40-49 years, male 65.2
GTEX-WFG8-2126-SM-3GIKQ 20-29 years, male 65.2
GTEX-YF7O-1526-SM-5IFI6 50-59 years, male 65.2
GTEX-14JG6-1426-SM-9WG7C 30-39 years, female 65.0
GTEX-1H1E6-0426-SM-9WYUS 30-39 years, male 64.9
GTEX-1AX9J-1326-SM-731BJ 60-69 years, male 64.8
GTEX-1HSGN-0826-SM-ACKW3 40-49 years, female 64.7
GTEX-13FHO-0426-SM-5L3F5 60-69 years, male 64.6
GTEX-14AS3-1526-SM-5Q5ED 40-49 years, female 64.6
GTEX-1CB4E-0926-SM-7EPHT 60-69 years, male 64.6
GTEX-1BAJH-2426-SM-7IGP8 70-79 years, male 64.5
GTEX-X4EO-2926-SM-4E3JH 60-69 years, female 64.5
GTEX-11NUK-2726-SM-5A5MC 50-59 years, male 64.4
GTEX-1269C-0126-SM-5EQ5L 60-69 years, female 64.4
GTEX-WHSE-0126-SM-3NMBT 20-29 years, male 64.3
GTEX-Y5LM-0926-SM-6LLJG 40-49 years, female 64.3
GTEX-ZAK1-0626-SM-5HL8E 50-59 years, female 64.1
GTEX-1B996-0426-SM-7EWF8 60-69 years, male 64.0
GTEX-U8XE-0226-SM-4E3J3 30-39 years, male 64.0
GTEX-13RTJ-0126-SM-5S2NN 60-69 years, male 63.9
GTEX-15EU6-2226-SM-6EU2L 50-59 years, male 63.9
GTEX-ZYW4-0626-SM-59HJR 60-69 years, male 63.9
GTEX-1H4P4-2126-SM-9WYSL 50-59 years, male 63.9
GTEX-1ICLZ-0326-SM-ARL82 60-69 years, male 63.9
GTEX-1GL5R-1326-SM-7RHHF 50-59 years, male 63.8
GTEX-1GN2E-0226-SM-9WG6K 60-69 years, male 63.8
GTEX-145LT-0526-SM-5LUB2 40-49 years, male 63.7
GTEX-11GS4-0226-SM-5HL77 60-69 years, male 63.6
GTEX-ZYT6-2326-SM-5GZY3 30-39 years, male 63.5
GTEX-1HSMP-0926-SM-A9SKX 70-79 years, male 63.5
GTEX-1KANC-1226-SM-CYPT7 50-59 years, female 63.3
GTEX-1S5ZU-2526-SM-E6CIF 20-29 years, female 63.3
GTEX-12C56-1526-SM-5FQUQ 20-29 years, male 63.2
GTEX-133LE-2326-SM-5K7W3 20-29 years, female 63.2
GTEX-14JFF-0626-SM-5ZZVT 60-69 years, male 63.2
GTEX-145MI-0626-SM-5SI8S 60-69 years, female 63.1
GTEX-147F3-1726-SM-5SIAW 50-59 years, female 63.0
GTEX-1PDJ9-1226-SM-EXUSX 20-29 years, male 63.0
GTEX-131XW-0626-SM-5PNVD 50-59 years, female 62.9
GTEX-1AMEY-0826-SM-72D65 30-39 years, female 62.9
GTEX-1M4P7-0726-SM-E6CJ3 60-69 years, male 62.9
GTEX-14BMU-1226-SM-5S2OR 20-29 years, female 62.8
GTEX-14E6E-0526-SM-793DN 30-39 years, male 62.8
GTEX-1L5NE-1126-SM-D3L9P 50-59 years, male 62.8
GTEX-11GSP-2326-SM-5HL63 60-69 years, female 62.7
GTEX-145MH-2826-SM-5RQJF 50-59 years, male 62.7
GTEX-1QAET-0326-SM-EVR3U 50-59 years, male 62.7
GTEX-YB5K-2026-SM-4VDT3 40-49 years, female 62.5
GTEX-ZYFC-0426-SM-5GICQ 50-59 years, male 62.5
GTEX-1F6I4-2326-SM-7RHGL 60-69 years, male 62.5
GTEX-1RAZR-2126-SM-E9U6T 40-49 years, male 62.5
GTEX-146FQ-2126-SM-5RQHU 30-39 years, male 62.4
GTEX-1GTWX-2026-SM-9YFLM 60-69 years, male 62.4
GTEX-14JG1-1526-SM-5YY9X 40-49 years, male 62.3
GTEX-ZYY3-2926-SM-5GIEB 60-69 years, female 62.3
GTEX-14BIN-1126-SM-5RQJZ 50-59 years, female 62.2
GTEX-15SHW-0226-SM-7LTAT 60-69 years, male 62.2
GTEX-1399R-1326-SM-5PNYS 30-39 years, male 62.1
GTEX-1JJE9-2626-SM-ARZMT 70-79 years, male 62.0
GTEX-139TU-0726-SM-5L3EK 60-69 years, male 61.9
GTEX-VJYA-1526-SM-3GIJV 60-69 years, male 61.9
GTEX-1C6VR-0126-SM-7RHGB 60-69 years, male 61.9
GTEX-1CAMQ-1326-SM-7P8RV 40-49 years, male 61.9
GTEX-1IDJD-2326-SM-ACKWX 30-39 years, male 61.9
GTEX-1C475-1326-SM-7SB73 40-49 years, female 61.8
GTEX-14A5H-0826-SM-5QGPJ 60-69 years, male 61.7
GTEX-1HT8W-0626-SM-A9G2H 30-39 years, male 61.7
GTEX-1N5O9-0926-SM-E9J3C 60-69 years, male 61.7
GTEX-145LU-1926-SM-79OJN 50-59 years, male 61.6
GTEX-16NGA-0726-SM-731AO 40-49 years, female 61.5
GTEX-16NPX-0726-SM-7KULC 50-59 years, male 61.5
GTEX-WEY5-2326-SM-3GIKK 40-49 years, female 61.5
GTEX-14A6H-2026-SM-5Q5DD 30-39 years, male 61.4
GTEX-183FY-1026-SM-7939A 20-29 years, male 61.4
GTEX-1F75A-0726-SM-7RHHD 50-59 years, male 61.4
GTEX-1LG7Z-1626-SM-CXKYR 30-39 years, male 61.3
GTEX-12126-0826-SM-5FQTZ 20-29 years, male 61.2
GTEX-13OW6-2726-SM-5J2OE 50-59 years, male 61.2
GTEX-WI4N-2726-SM-3LK7Y 40-49 years, female 61.2
GTEX-Y8E4-2026-SM-5IFJB 40-49 years, male 60.9
GTEX-1F88F-0126-SM-9WYSZ 60-69 years, female 60.9
GTEX-13NYC-0126-SM-5L3F4 60-69 years, male 60.8
GTEX-13OVG-1626-SM-5J1NF 60-69 years, male 60.8
GTEX-14LLW-2626-SM-62LDZ 70-79 years, female 60.8
GTEX-15CHC-1126-SM-6LLHQ 60-69 years, female 60.8
GTEX-11UD2-2526-SM-5CVNU 50-59 years, male 60.7
GTEX-11WQK-1026-SM-5EQLX 50-59 years, male 60.7
GTEX-WFON-1926-SM-3LK7L 40-49 years, male 60.7
GTEX-WHPG-2626-SM-3NMBR 50-59 years, male 60.7
GTEX-Y8LW-1526-SM-5IFHL 50-59 years, female 60.7
GTEX-17HGU-2326-SM-7DUFE 50-59 years, male 60.5
GTEX-1CB4F-1026-SM-7DUH1 60-69 years, male 60.5
GTEX-131YS-2826-SM-5EQ47 60-69 years, female 60.4
GTEX-139TT-2126-SM-5LZWC 60-69 years, male 60.4
GTEX-1AMFI-1326-SM-7939R 50-59 years, female 60.4
GTEX-ZT9W-1126-SM-57WDR 50-59 years, male 60.4
GTEX-13X6I-1826-SM-5SIAO 60-69 years, male 60.2
GTEX-148VJ-0626-SM-5LUAW 70-79 years, male 60.2
GTEX-18465-2826-SM-7LT9J 50-59 years, male 60.2
GTEX-13PVR-0426-SM-5RQK2 60-69 years, female 60.1
GTEX-X4EP-0626-SM-3P621 60-69 years, female 60.1
GTEX-1HR9M-2226-SM-CNPPY 60-69 years, male 60.1
GTEX-12WSD-0626-SM-5GCMW 60-69 years, female 60.0
GTEX-W5X1-2526-SM-3GILC 40-49 years, female 60.0
GTEX-13JVG-0726-SM-5KM16 60-69 years, male 59.9
GTEX-1I6K6-1726-SM-CGQFD 30-39 years, male 59.9
GTEX-13FH7-1126-SM-5K7UG 50-59 years, female 59.8
GTEX-1B933-2426-SM-7DHMD 50-59 years, female 59.8
GTEX-1EWIQ-0326-SM-7DHMQ 70-79 years, female 59.8
GTEX-1B8L1-2226-SM-7P8PT 60-69 years, male 59.8
GTEX-1J1OQ-0126-SM-D4P2N 40-49 years, female 59.8
GTEX-XQ3S-1426-SM-4BOPR 20-29 years, male 59.7
GTEX-1I1GP-1326-SM-A9G28 50-59 years, male 59.7
GTEX-ZPIC-0526-SM-DO91W 40-49 years, female 59.7
GTEX-144GL-0626-SM-5LU4D 50-59 years, male 59.5
GTEX-16MT9-0126-SM-7EPI8 60-69 years, female 59.5
GTEX-1EKGG-0626-SM-7DUGJ 60-69 years, male 59.4
GTEX-1212Z-0126-SM-59HK4 60-69 years, male 59.3
GTEX-13NZ9-2626-SM-5L3FK 50-59 years, male 59.3
GTEX-1B8SF-0126-SM-7DUG3 60-69 years, male 59.3
GTEX-1EU9M-1426-SM-793AI 60-69 years, male 59.3
GTEX-11P82-1426-SM-DTXFY 20-29 years, male 59.2
GTEX-1C6VQ-1226-SM-73KYD 50-59 years, male 59.0
GTEX-WYJK-0526-SM-3NM8Z 50-59 years, male 59.0
GTEX-XBEC-0726-SM-4QARZ 50-59 years, male 59.0
GTEX-ZU9S-1826-SM-5NQ9E 30-39 years, male 59.0
GTEX-1GZ4I-2626-SM-9KNU3 50-59 years, male 59.0
GTEX-13VXT-1926-SM-5K7UO 20-29 years, female 58.9
GTEX-WYVS-1626-SM-3NM9R 40-49 years, female 58.9
GTEX-1J8Q3-0526-SM-ARL8U 60-69 years, male 58.8
GTEX-18A66-0626-SM-7LT8Z 60-69 years, male 58.7
GTEX-1H1ZS-2726-SM-9WG75 70-79 years, male 58.6
GTEX-1C64O-1326-SM-7MGWR 60-69 years, male 58.5
GTEX-1HCU9-0426-SM-9WYSD 20-29 years, male 58.3
GTEX-1JMQL-2226-SM-CNPP4 50-59 years, female 58.2
GTEX-1LSVX-2526-SM-DIPEU 60-69 years, male 58.1
GTEX-145LS-0626-SM-7EPG7 60-69 years, female 58.0
GTEX-1IOXB-2726-SM-CM2RI 50-59 years, male 58.0
GTEX-1IDJI-0126-SM-CMKHS 50-59 years, female 57.9
GTEX-1JMOU-1026-SM-CYPSS 60-69 years, female 57.6
GTEX-1HKZK-0726-SM-ACKW2 40-49 years, male 57.4
GTEX-1F75B-0726-SM-7PC3R 50-59 years, male 57.3
GTEX-1GPI6-1926-SM-9KNV7 60-69 years, male 57.3
GTEX-1I4MK-0126-SM-CY8G6 50-59 years, female 57.3
GTEX-1LVA9-2626-SM-EVYD4 50-59 years, male 57.3
GTEX-WHWD-1826-SM-3LK6I 50-59 years, male 57.2
GTEX-1HGF4-0126-SM-CNPPX 60-69 years, male 57.2
GTEX-1IDJF-2026-SM-CL53V 20-29 years, male 57.2
GTEX-1477Z-0326-SM-7IGLA 60-69 years, male 57.0
GTEX-178AV-1726-SM-7KUL8 40-49 years, male 57.0
GTEX-1I1GS-2626-SM-B2LY3 60-69 years, male 56.9
GTEX-1LVAO-2726-SM-E9TJ8 60-69 years, male 56.9
GTEX-13FLV-0126-SM-5K7WT 50-59 years, male 56.8
GTEX-1GZHY-0626-SM-9KNVC 50-59 years, female 56.8
GTEX-16MT8-2926-SM-7DUFO 60-69 years, female 56.7
GTEX-1I6K7-1926-SM-B2LXR 40-49 years, male 56.7
GTEX-1K2DU-1226-SM-CYPT4 20-29 years, male 56.6
GTEX-ZLWG-0826-SM-59888 50-59 years, female 56.4
GTEX-1LSNL-2726-SM-E9TKJ 50-59 years, male 56.4
GTEX-139TS-2126-SM-5K7XC 60-69 years, male 56.2
GTEX-1PPH7-1126-SM-DTX9A 40-49 years, male 56.2
GTEX-11EM3-1226-SM-5N9DD 20-29 years, female 56.1
GTEX-1117F-2926-SM-5GZYI 60-69 years, female 56.0
GTEX-13YAN-0226-SM-5TDC6 60-69 years, male 55.8
GTEX-1EN7A-2426-SM-793DB 40-49 years, male 55.8
GTEX-1H3VE-0726-SM-9YFL5 40-49 years, male 55.8
GTEX-1GMR8-0626-SM-7RHI7 50-59 years, female 55.7
GTEX-1GN1W-2426-SM-9KNUU 50-59 years, female 55.7
GTEX-1AX9I-2226-SM-73KUO 60-69 years, male 55.6
GTEX-1CB4I-0126-SM-7RHGG 50-59 years, male 55.6
GTEX-1I1HK-2326-SM-CKZOH 60-69 years, male 55.6
GTEX-1QEPI-2626-SM-DTXF4 60-69 years, female 55.6
GTEX-18A7A-0126-SM-731AH 50-59 years, female 55.5
GTEX-1IDJH-0126-SM-D3L92 70-79 years, male 55.5
GTEX-13X6K-0626-SM-5LU5D 60-69 years, female 55.4
GTEX-WRHU-2826-SM-3MJG8 50-59 years, female 55.4
GTEX-15UF6-1926-SM-7KUDV 70-79 years, female 55.2
GTEX-WYBS-0626-SM-3NMAS 60-69 years, female 55.2
GTEX-1314G-1326-SM-5BC6E 30-39 years, male 55.1
GTEX-1H1CY-0126-SM-9YFLY 60-69 years, female 55.1
GTEX-1IL2V-1926-SM-B2LW8 70-79 years, male 55.1
GTEX-13OW7-0426-SM-5K7VK 50-59 years, male 55.0
GTEX-1RAZA-2226-SM-E9U4X 20-29 years, male 55.0
GTEX-14C38-0726-SM-5SI6M 50-59 years, male 54.7
GTEX-12696-0126-SM-5EQ4L 60-69 years, male 54.6
GTEX-13PVQ-0626-SM-5LU47 50-59 years, male 54.6
GTEX-1A32A-0626-SM-731AQ 50-59 years, female 54.6
GTEX-1KD5A-0126-SM-E9U54 50-59 years, male 54.6
GTEX-1KWVE-1026-SM-D3L9O 30-39 years, male 54.6
GTEX-12WSF-1626-SM-7KUG5 70-79 years, male 54.5
GTEX-ZVE2-2826-SM-5GU51 50-59 years, male 54.5
GTEX-144FL-0626-SM-5LU43 50-59 years, male 54.4
GTEX-1B932-2326-SM-79OL5 40-49 years, female 54.4
GTEX-1H1DG-2426-SM-9QEHJ 70-79 years, male 54.4
GTEX-12WSC-2826-SM-5BC5Y 50-59 years, male 54.3
GTEX-1LGOU-1326-SM-D3L8M 20-29 years, female 54.3
GTEX-13NZ8-1226-SM-5KM4A 60-69 years, female 54.2
GTEX-13QBU-1226-SM-5LU4G 40-49 years, female 54.1
GTEX-1IDJV-0126-SM-COH3Y 60-69 years, male 54.1
GTEX-1IY9M-2826-SM-ARU8H 60-69 years, male 54.1
GTEX-1JMQI-1726-SM-ARL93 50-59 years, male 54.1
GTEX-18A7B-2726-SM-7LG56 70-79 years, male 53.6
GTEX-1K9T9-1526-SM-DIPFR 50-59 years, female 53.6
GTEX-Y5V5-0126-SM-5S2NW 60-69 years, female 53.5
GTEX-1I1CD-0626-SM-CE6SW 60-69 years, female 53.4
GTEX-1EX96-1026-SM-7MKG2 50-59 years, male 53.3
GTEX-1J8QM-2426-SM-A9SLS 60-69 years, female 53.3
GTEX-1HFI6-0126-SM-CNPPI 40-49 years, male 53.2
GTEX-1ICG6-1226-SM-A9SLN 70-79 years, female 53.2
GTEX-11TT1-1826-SM-5EQLV 20-29 years, male 53.1
GTEX-144GO-2026-SM-5O99P 60-69 years, male 53.1
GTEX-1A8G7-1326-SM-73KVM 60-69 years, male 53.1
GTEX-1HR98-2226-SM-ADEI2 60-69 years, male 53.0
GTEX-1HUB1-1426-SM-CGQF5 60-69 years, male 53.0
GTEX-17F96-0126-SM-7EWDU 70-79 years, male 52.9
GTEX-1IDJC-1526-SM-B2LW4 50-59 years, male 52.9
GTEX-1B8KZ-0326-SM-73KY4 50-59 years, male 52.7
GTEX-ZDTS-0826-SM-4WKHL 60-69 years, male 52.7
GTEX-132AR-0326-SM-5KM2C 50-59 years, female 52.6
GTEX-1QMI2-2526-SM-E8VNZ 60-69 years, male 52.6
GTEX-12KS4-2126-SM-5FQUT 30-39 years, male 52.5
GTEX-13O3O-2326-SM-5IJD6 60-69 years, female 52.5
GTEX-1IDJE-1426-SM-ADEIW 50-59 years, female 52.4
GTEX-16GPK-0626-SM-7KFSF 60-69 years, male 52.3
GTEX-13N2G-0226-SM-5K7VF 60-69 years, male 52.2
GTEX-13X6J-0626-SM-5LU5F 50-59 years, male 52.2
GTEX-1JMPZ-0726-SM-CY8HZ 30-39 years, male 52.1
GTEX-1LG7Y-2526-SM-EWRO7 50-59 years, male 52.1
GTEX-1AX8Z-0726-SM-73KTS 60-69 years, male 51.8
GTEX-1F48J-0726-SM-7RHGS 50-59 years, female 51.8
GTEX-13OVL-0126-SM-5L3GJ 50-59 years, male 51.5
GTEX-13VXU-0626-SM-5L3F9 50-59 years, male 51.5
GTEX-1QCLZ-2426-SM-EVYBW 60-69 years, female 51.5
GTEX-17HHY-0426-SM-7DHLC 50-59 years, male 51.4
GTEX-1H1DF-1126-SM-9WG7G 40-49 years, female 51.3
GTEX-11ZUS-2626-SM-5FQUR 30-39 years, male 51.1
GTEX-183WM-0326-SM-72D5V 70-79 years, female 51.1
GTEX-1EH9U-2826-SM-7DUGT 60-69 years, male 51.1
GTEX-12584-0726-SM-5FQTK 40-49 years, male 51.0
GTEX-145MF-0926-SM-5Q5EA 50-59 years, male 50.9
GTEX-14BMV-2826-SM-5TDED 50-59 years, male 50.9
GTEX-13U4I-2226-SM-5LU5H 40-49 years, female 50.8
GTEX-1JN1M-2726-SM-CY8I4 60-69 years, female 50.7
GTEX-ZVE1-0726-SM-51MRN 50-59 years, female 50.6
GTEX-XMD2-2126-SM-4YCF8 60-69 years, female 50.0
GTEX-XK95-0226-SM-4AT58 40-49 years, male 49.9
GTEX-ZAJG-1526-SM-5CVML 50-59 years, female 49.9
GTEX-16Z82-2626-SM-7KULU 60-69 years, male 49.7
GTEX-1A8G6-2726-SM-731AR 60-69 years, male 49.7
GTEX-ZYVF-0926-SM-5E44J 50-59 years, female 49.7
GTEX-13O3Q-0126-SM-5KM34 50-59 years, male 49.5
GTEX-14DAQ-0626-SM-793DS 60-69 years, female 49.5
GTEX-17HG3-2626-SM-7DUF2 30-39 years, female 49.4
GTEX-1HBPM-0726-SM-9YFL7 60-69 years, female 49.3
GTEX-145MO-2826-SM-5LU96 60-69 years, male 49.2
GTEX-1H1DE-1326-SM-9KNUG 20-29 years, male 49.1
GTEX-1ICLY-0826-SM-CMKG1 50-59 years, male 49.1
GTEX-1QP66-1226-SM-DTX7U 50-59 years, male 49.0
GTEX-13N1W-2426-SM-5IJD1 70-79 years, male 48.9
GTEX-15D1Q-2826-SM-6LLH7 40-49 years, male 48.9
GTEX-11DXW-0826-SM-5H118 40-49 years, male 48.7
GTEX-13OVH-0526-SM-5L3E6 70-79 years, male 48.7
GTEX-1GF9U-2026-SM-7SB92 40-49 years, female 48.7
GTEX-1O9I2-0226-SM-EYYXD 50-59 years, male 48.4
GTEX-WK11-2726-SM-3NMAQ 50-59 years, male 47.9
GTEX-ZDXO-3126-SM-5IJDF 60-69 years, male 47.7
GTEX-13OW8-1026-SM-5J1NQ 60-69 years, male 47.5
GTEX-1A3MW-0626-SM-731CB 60-69 years, female 47.5
GTEX-1CAV2-0126-SM-7IGN7 40-49 years, female 47.3
GTEX-17EVQ-0126-SM-7IGLR 70-79 years, male 47.1
GTEX-ZYFD-0626-SM-5E44E 50-59 years, male 46.8
GTEX-1HSMO-0626-SM-ACKXC 60-69 years, male 46.8
GTEX-111FC-2526-SM-5GZXU 60-69 years, male 46.7
GTEX-ZUA1-2626-SM-5NQ92 40-49 years, male 46.7
GTEX-1A8FM-0626-SM-7PC25 50-59 years, female 46.7
GTEX-1H23P-0626-SM-9WG6T 60-69 years, male 46.5
GTEX-12WSA-0426-SM-5EQ5X 60-69 years, male 46.4
GTEX-11EI6-2826-SM-5H11D 60-69 years, male 46.3
GTEX-1E1VI-0326-SM-793D1 50-59 years, male 46.3
GTEX-ZVTK-0226-SM-51MRG 20-29 years, male 46.0
GTEX-17MF6-2626-SM-79OKQ 40-49 years, male 45.9
GTEX-1HCU8-2526-SM-CE6RX 60-69 years, female 45.8
GTEX-1F88E-1626-SM-7SB8Z 60-69 years, female 45.6
GTEX-14PJO-2526-SM-6AJBQ 60-69 years, male 45.1
GTEX-1H3NZ-2726-SM-9WYTQ 60-69 years, male 44.8
GTEX-13JUV-2026-SM-5K7UA 40-49 years, female 44.2
GTEX-147JS-0226-SM-5S2U9 60-69 years, male 44.0
GTEX-1JN6P-2926-SM-CL54D 60-69 years, male 44.0
GTEX-1IDFM-0326-SM-ARL7V 60-69 years, male 43.4
GTEX-1F6IF-0926-SM-7SB7M 60-69 years, male 43.3
GTEX-1I19N-0126-SM-CYPSF 70-79 years, male 42.8
GTEX-14E6C-2426-SM-5S2NF 40-49 years, male 42.6
GTEX-14PJ2-0626-SM-6LLII 50-59 years, male 42.3
GTEX-1GZ2Q-0126-SM-9WG6M 40-49 years, male 41.2
GTEX-1GMR3-0126-SM-A9SLW 40-49 years, male 40.6
GTEX-1J8JJ-0626-SM-ARZMQ 60-69 years, female 40.6
GTEX-17JCI-2926-SM-7DUFF 60-69 years, female 40.5
GTEX-16XZZ-0726-SM-7KUF2 60-69 years, male 40.2
GTEX-1F75W-2726-SM-7SB8H 60-69 years, male 38.9
GTEX-1A3MX-2626-SM-7PC24 60-69 years, male 34.3
Show allShow less
Skin - Sun Exposed (Lower leg)
Average nTPM: 70.9
Samples: 701

Max nTPM: 154.6
Min nTPM: 36.3
Std nTPM: 14.4
Median nTPM: 68.9
GTEX-ZXES-1826-SM-5E43S 30-39 years, female 154.6
GTEX-1122O-2126-SM-5EGIR 60-69 years, female 139.8
GTEX-1OJC3-0126-SM-E76QX 20-29 years, male 122.0
GTEX-P4QT-0126-SM-2I3FL 50-59 years, female 119.5
GTEX-ZVT2-2526-SM-51MT1 50-59 years, female 116.1
GTEX-18D9A-1926-SM-7LG6P 30-39 years, female 114.6
GTEX-1R9PM-2026-SM-E76OY 20-29 years, male 114.1
GTEX-1QP9N-1426-SM-DTXFL 30-39 years, male 113.3
GTEX-17JCI-0126-SM-7LG5G 60-69 years, female 112.3
GTEX-1LVAN-0226-SM-COH3S 50-59 years, female 112.1
GTEX-Y3IK-2426-SM-4WWDU 50-59 years, female 110.4
GTEX-UJHI-1526-SM-3DB99 50-59 years, female 110.1
GTEX-ZGAY-0526-SM-4WWBB 40-49 years, female 108.4
GTEX-11DYG-0126-SM-59883 60-69 years, male 107.5
GTEX-1399U-2326-SM-5K7WY 50-59 years, female 106.1
GTEX-1K2DA-1826-SM-CGQGT 50-59 years, male 104.8
GTEX-1JMLX-0226-SM-CM2RO 50-59 years, male 104.3
GTEX-1MJK2-0426-SM-DTXE5 50-59 years, male 103.3
GTEX-NFK9-0226-SM-2HMKQ 40-49 years, male 102.9
GTEX-OIZH-0126-SM-2HMIS 50-59 years, male 102.1
GTEX-OIZG-0726-SM-33HBL 50-59 years, male 101.6
GTEX-1S83E-0126-SM-EWRO4 40-49 years, male 100.8
GTEX-14PN4-0126-SM-6EU2V 50-59 years, male 100.6
GTEX-14PII-0226-SM-6EU1T 60-69 years, male 100.3
GTEX-U412-0426-SM-3DB9O 60-69 years, male 99.8
GTEX-X8HC-0126-SM-4E3JW 50-59 years, female 99.6
GTEX-17GQL-2026-SM-718BA 60-69 years, male 98.6
GTEX-1PIIG-0226-SM-EWRN6 30-39 years, male 98.6
GTEX-1KANC-1526-SM-D3LAB 50-59 years, female 98.1
GTEX-ZVZP-2426-SM-59HKJ 50-59 years, male 97.4
GTEX-PSDG-0226-SM-DKPOZ 50-59 years, male 97.4
GTEX-XBEW-0626-SM-4QASP 40-49 years, male 96.9
GTEX-145ME-1826-SM-5SI9G 40-49 years, female 96.4
GTEX-S95S-1226-SM-4GICG 60-69 years, male 96.4
GTEX-111FC-0126-SM-5N9DL 60-69 years, male 96.0
GTEX-15SB6-1726-SM-6PAME 50-59 years, female 95.8
GTEX-1JJ6O-0126-SM-E6CI8 60-69 years, male 95.7
GTEX-U8T8-0126-SM-3DB94 60-69 years, male 95.6
GTEX-POMQ-2226-SM-2I5FK 20-29 years, female 95.5
GTEX-1S3DN-2226-SM-EVYCD 50-59 years, male 95.4
GTEX-ZAJG-0126-SM-5HL94 50-59 years, female 95.1
GTEX-1KAFJ-2026-SM-CY8ID 50-59 years, male 94.8
GTEX-ZYFG-2326-SM-5E44B 60-69 years, female 94.7
GTEX-1LG7Z-1726-SM-D3LA4 30-39 years, male 94.6
GTEX-1399R-2726-SM-5IJBA 30-39 years, male 94.5
GTEX-1I1GT-0626-SM-CGQER 60-69 years, female 94.1
GTEX-X88G-0126-SM-47JZ3 30-39 years, male 93.8
GTEX-1LSNM-1926-SM-E6CII 50-59 years, male 93.3
GTEX-131XF-5016-SM-7MGWE 60-69 years, male 93.2
GTEX-RVPV-0126-SM-EAZAW 60-69 years, male 92.8
GTEX-1LBAC-0126-SM-DIPEZ 20-29 years, male 92.6
GTEX-1J8QM-2126-SM-CYPSJ 60-69 years, female 92.3
GTEX-15ER7-0326-SM-7KUEV 20-29 years, female 92.2
GTEX-131XE-2326-SM-5PNZ2 50-59 years, male 92.0
GTEX-1HSEH-0126-SM-ACKXN 60-69 years, male 91.8
GTEX-13NZB-2526-SM-5J1OM 30-39 years, male 91.6
GTEX-117XS-2726-SM-5N9BL 60-69 years, male 91.4
GTEX-1I1GV-0526-SM-A9G29 60-69 years, male 91.2
GTEX-YB5E-2026-SM-5IFIS 40-49 years, male 90.7
GTEX-Z93T-0126-SM-5HL5N 50-59 years, male 90.7
GTEX-T5JW-1626-SM-3GADZ 20-29 years, female 90.6
GTEX-1H4P4-0726-SM-9YFLR 50-59 years, male 90.4
GTEX-17HII-0226-SM-7LG4E 50-59 years, male 90.3
GTEX-1LB8K-0226-SM-EWRNW 50-59 years, male 90.3
GTEX-WYJK-0126-SM-3NMAB 50-59 years, male 90.1
GTEX-1GF9V-0326-SM-7RHI5 60-69 years, male 90.0
GTEX-1F5PL-0326-SM-7P8PQ 40-49 years, female 89.8
GTEX-1KXAM-2226-SM-CYPTC 60-69 years, male 89.2
GTEX-13RTK-1426-SM-5QGQJ 20-29 years, male 89.1
GTEX-ZYT6-0226-SM-5NQ6T 30-39 years, male 89.0
GTEX-1L5NE-2526-SM-E6CIE 50-59 years, male 88.9
GTEX-1OFPY-2426-SM-DTXEJ 60-69 years, male 88.8
GTEX-WQUQ-0426-SM-3MJFU 60-69 years, male 88.6
GTEX-139D8-0226-SM-5KLZO 30-39 years, female 88.5
GTEX-T6MN-0126-SM-32PLP 50-59 years, male 88.5
GTEX-14PHX-2326-SM-62LEM 50-59 years, male 88.3
GTEX-1LGRB-2526-SM-CNPPQ 50-59 years, female 88.2
GTEX-13JUV-2726-SM-5LZZ8 40-49 years, female 88.1
GTEX-OOBJ-0126-SM-E6CJW 60-69 years, male 88.0
GTEX-1MA7W-2026-SM-E9TJ6 20-29 years, female 87.6
GTEX-13PVR-2326-SM-5QGR1 60-69 years, female 87.5
GTEX-15RIG-0226-SM-7KFTL 40-49 years, male 87.5
GTEX-1M5QR-1226-SM-EWROB 40-49 years, male 87.4
GTEX-X4XX-0126-SM-3NMC2 60-69 years, male 87.2
GTEX-1B8SF-1426-SM-7DUGL 60-69 years, male 87.0
GTEX-ZF2S-2326-SM-4WWCE 50-59 years, female 86.9
GTEX-Y8DK-0126-SM-4TT3L 60-69 years, male 86.7
GTEX-15ETS-0126-SM-7KUMW 40-49 years, female 86.6
GTEX-1GF9X-2026-SM-7PC3A 40-49 years, female 86.6
GTEX-ZPIC-1726-SM-DHXIU 40-49 years, female 86.6
GTEX-145MN-2226-SM-5SIAU 30-39 years, male 86.5
GTEX-1JN6P-0126-SM-D3L98 60-69 years, male 86.5
GTEX-1KANA-0726-SM-D3L9I 20-29 years, male 86.5
GTEX-Q2AH-1626-SM-3GAF8 40-49 years, male 86.4
GTEX-YEC4-2126-SM-5IFJH 40-49 years, male 86.4
GTEX-131XH-2226-SM-5DUXJ 50-59 years, male 86.2
GTEX-SUCS-1926-SM-32PM3 70-79 years, male 86.2
GTEX-YB5K-2126-SM-4WWDJ 40-49 years, female 86.2
GTEX-1RAZA-0126-SM-E6CI3 20-29 years, male 86.2
GTEX-ZU9S-0226-SM-5E441 30-39 years, male 86.1
GTEX-1J8EW-0126-SM-CJI4F 60-69 years, female 86.1
GTEX-QESD-1426-SM-2S1R9 20-29 years, male 85.9
GTEX-1CAV2-2226-SM-7P8P2 40-49 years, female 85.9
GTEX-11EQ9-2426-SM-5HL5T 30-39 years, male 85.8
GTEX-ZTSS-1926-SM-57WEW 40-49 years, male 85.7
GTEX-ZVZO-0126-SM-5A5L9 40-49 years, male 85.6
GTEX-145LS-0126-SM-5QGP1 60-69 years, female 85.5
GTEX-14ICK-0226-SM-6EU25 40-49 years, male 85.5
GTEX-XXEK-2226-SM-4BRUM 50-59 years, male 85.4
GTEX-ZWKS-0126-SM-5SIAA 30-39 years, male 85.4
GTEX-TML8-1926-SM-32QOS 40-49 years, female 84.9
GTEX-14BMU-2226-SM-5TDE9 20-29 years, female 84.8
GTEX-14PJ6-2126-SM-6EU1V 60-69 years, female 84.6
GTEX-13OW5-0126-SM-DTXFS 60-69 years, male 84.3
GTEX-1QPFJ-0226-SM-E76PB 30-39 years, female 84.2
GTEX-W5X1-3026-SM-EAZAX 40-49 years, female 84.2
GTEX-1IL2U-0226-SM-CE6T8 60-69 years, male 84.1
GTEX-T2YK-0526-SM-32QPJ 50-59 years, male 84.0
GTEX-1F6RS-0126-SM-9MQKZ 60-69 years, female 83.6
GTEX-PWCY-1826-SM-DHXIZ 20-29 years, female 83.6
GTEX-12WSE-0526-SM-793B2 20-29 years, male 83.4
GTEX-1AX9J-0226-SM-73KXM 60-69 years, male 83.3
GTEX-1PIGE-0126-SM-EVYBJ 20-29 years, male 83.2
GTEX-1313W-0126-SM-5LZUN 50-59 years, female 83.1
GTEX-14JG1-0426-SM-6ETZZ 40-49 years, male 83.1
GTEX-14PK6-1926-SM-6ETZU 70-79 years, female 83.0
GTEX-ZDTT-2726-SM-4WKF8 60-69 years, male 82.9
GTEX-Z93S-0126-SM-5HL7M 50-59 years, male 82.8
GTEX-1GF9W-0326-SM-9KNUN 60-69 years, male 82.8
GTEX-17F97-0326-SM-7LG5B 50-59 years, male 82.5
GTEX-14753-0426-SM-5NQAM 60-69 years, male 82.3
GTEX-1GN1U-0126-SM-7PBZK 50-59 years, female 82.3
GTEX-13111-1626-SM-5EGJY 50-59 years, male 82.2
GTEX-13FTW-2626-SM-5K7WL 40-49 years, male 82.2
GTEX-11WQK-0526-SM-5EQLD 50-59 years, male 82.0
GTEX-1B8KE-2126-SM-73KYX 50-59 years, male 81.9
GTEX-1C64N-0126-SM-793D7 50-59 years, male 81.8
GTEX-TMMY-0226-SM-33HBA 40-49 years, female 81.4
GTEX-ZTX8-1426-SM-5DUVO 20-29 years, male 81.4
GTEX-1E2YA-0126-SM-9KNUC 50-59 years, male 81.4
GTEX-13X6J-0126-SM-5QGOU 50-59 years, male 81.3
GTEX-XPVG-2626-SM-4B669 50-59 years, male 81.3
GTEX-X4EP-0126-SM-3P5YV 60-69 years, female 81.1
GTEX-PLZ6-1426-SM-DKPOT 30-39 years, male 81.1
GTEX-X585-0226-SM-4QAS2 50-59 years, male 81.0
GTEX-1269C-2526-SM-5EGJ3 60-69 years, female 80.9
GTEX-12ZZZ-0626-SM-5DUXI 60-69 years, male 80.8
GTEX-13NZ8-0826-SM-5MR3I 60-69 years, female 80.8
GTEX-1R7EU-0226-SM-EVR4G 60-69 years, male 80.8
GTEX-ZF29-2326-SM-DO92K 60-69 years, female 80.8
GTEX-14A5I-0126-SM-5TDEA 50-59 years, female 80.7
GTEX-18A67-0126-SM-7LG5P 50-59 years, male 80.5
GTEX-1PFEY-1526-SM-E76PP 30-39 years, male 80.5
GTEX-13OVK-2026-SM-7KUEO 40-49 years, male 80.4
GTEX-13OVJ-0126-SM-5KM36 50-59 years, female 80.3
GTEX-XUW1-0426-SM-4BOOT 50-59 years, female 80.1
GTEX-1J1OQ-0226-SM-CYPSH 40-49 years, female 80.1
GTEX-1GZHY-0326-SM-9QEHI 50-59 years, female 79.9
GTEX-TMZS-0126-SM-3DB9Q 60-69 years, male 79.8
GTEX-WRHK-1426-SM-3MJF9 20-29 years, female 79.8
GTEX-131XG-2626-SM-5KM17 50-59 years, female 79.7
GTEX-T2IS-0126-SM-4DM6O 20-29 years, female 79.7
GTEX-131YS-0126-SM-5KM1M 60-69 years, female 79.6
GTEX-13CF3-2426-SM-5IFGX 60-69 years, female 79.4
GTEX-1JN76-0126-SM-CNPPE 20-29 years, female 79.4
GTEX-1B8L1-2526-SM-9WYTF 60-69 years, male 79.2
GTEX-1RB15-2126-SM-E9TIM 60-69 years, male 79.2
GTEX-13D11-2426-SM-5KM1V 50-59 years, female 79.1
GTEX-14E6D-0126-SM-62LDV 50-59 years, male 79.1
GTEX-14XAO-2326-SM-6EU1B 60-69 years, female 79.1
GTEX-15DDE-0126-SM-6LPKH 50-59 years, female 79.1
GTEX-T6MO-1626-SM-32QOM 40-49 years, female 79.1
GTEX-X4EO-0326-SM-3P5YO 60-69 years, female 79.1
GTEX-1EWIQ-0126-SM-7RHH2 70-79 years, female 79.0
GTEX-1HCUA-2426-SM-ADEIS 50-59 years, female 79.0
GTEX-1211K-2026-SM-5EQ4Z 60-69 years, female 78.9
GTEX-1HCU6-0126-SM-CL54K 60-69 years, female 78.9
GTEX-1PDJ9-0326-SM-DTX95 20-29 years, male 78.8
GTEX-X5EB-2226-SM-46MW4 40-49 years, male 78.7
GTEX-145MO-0326-SM-5Q5B3 60-69 years, male 78.6
GTEX-YFC4-0126-SM-5CVLY 40-49 years, female 78.6
GTEX-1QCLY-0326-SM-E8VOG 30-39 years, male 78.6
GTEX-1KD4Q-0226-SM-E9TJ9 40-49 years, male 78.5
GTEX-ZF3C-0126-SM-DO92D 50-59 years, female 78.5
GTEX-SN8G-0126-SM-32PLI 50-59 years, female 78.3
GTEX-XUYS-0126-SM-47JWZ 50-59 years, male 78.3
GTEX-1B8SG-0126-SM-73KZ3 50-59 years, male 78.2
GTEX-ZDYS-2026-SM-5HL5L 50-59 years, male 78.1
GTEX-1GMR3-1926-SM-9KNUZ 40-49 years, male 78.0
GTEX-1QP66-1726-SM-E8VO1 50-59 years, male 77.9
GTEX-12696-2426-SM-5EQ6H 60-69 years, male 77.5
GTEX-13113-5016-SM-7EPIP 60-69 years, female 77.5
GTEX-Y5V6-2426-SM-4VDSB 60-69 years, male 77.5
GTEX-Y8E4-0626-SM-4WWDL 40-49 years, male 77.5
GTEX-139UW-2826-SM-5L3E7 60-69 years, male 77.4
GTEX-1GZ4H-1726-SM-7PBZJ 50-59 years, female 77.4
GTEX-1S5ZA-0126-SM-EVYCV 20-29 years, male 77.4
GTEX-145LT-1726-SM-5QGP3 40-49 years, male 77.3
GTEX-XQ3S-1526-SM-4BOOC 20-29 years, male 77.2
GTEX-ZV6S-2326-SM-4YCEY 40-49 years, female 77.0
GTEX-111VG-2426-SM-5GZXD 60-69 years, male 76.9
GTEX-1IOXB-0126-SM-ARL8G 50-59 years, male 76.9
GTEX-13S7M-0126-SM-5SI6A 60-69 years, female 76.8
GTEX-ZVTK-0426-SM-51MRS 20-29 years, male 76.8
GTEX-13FTY-0526-SM-5L3EV 40-49 years, female 76.7
GTEX-146FH-0126-SM-5QGPP 50-59 years, female 76.7
GTEX-O5YT-0126-SM-48TBW 20-29 years, male 76.7
GTEX-WXYG-2326-SM-4E3I6 50-59 years, female 76.7
GTEX-WH7G-2326-SM-3NMBC 40-49 years, male 76.6
GTEX-1IKJJ-0126-SM-CNPQB 60-69 years, male 76.6
GTEX-1S82Z-0826-SM-E6CHY 30-39 years, female 76.6
GTEX-13FXS-0226-SM-5IJCK 50-59 years, male 76.5
GTEX-1LGOU-2026-SM-DIPFF 20-29 years, female 76.4
GTEX-1MUQO-0126-SM-EAZ58 60-69 years, male 76.4
GTEX-17MFQ-1726-SM-793C7 20-29 years, male 76.3
GTEX-1C6VQ-0126-SM-7P8RI 50-59 years, male 76.3
GTEX-RWSA-0126-SM-2XCBB 40-49 years, male 76.2
GTEX-WI4N-1026-SM-3LK7N 40-49 years, female 76.2
GTEX-XAJ8-0826-SM-47JY6 40-49 years, male 76.2
GTEX-1GN2E-0426-SM-9MQKX 60-69 years, male 76.2
GTEX-146FQ-0126-SM-5NQA9 30-39 years, male 76.1
GTEX-1212Z-2526-SM-5EGKP 60-69 years, male 75.9
GTEX-1C475-1826-SM-73KWA 40-49 years, female 75.7
GTEX-1CB4H-0226-SM-7PBXM 60-69 years, female 75.7
GTEX-OHPL-0126-SM-2HMJ7 60-69 years, female 75.6
GTEX-1JJEA-0326-SM-CNPOT 60-69 years, male 75.6
GTEX-11UD1-0126-SM-5PNYG 40-49 years, female 75.1
GTEX-13NYB-2526-SM-5K7Z6 40-49 years, male 75.1
GTEX-16NGA-1726-SM-731B4 40-49 years, female 75.1
GTEX-12WSG-2826-SM-E9J4H 50-59 years, female 75.0
GTEX-18QFQ-0126-SM-731BE 30-39 years, male 74.9
GTEX-ZE9C-2726-SM-57WB5 60-69 years, male 74.9
GTEX-ZYFC-0226-SM-5NQ75 50-59 years, male 74.8
GTEX-13CF2-2526-SM-5LZYX 60-69 years, male 74.7
GTEX-133LE-1826-SM-5J1MV 20-29 years, female 74.6
GTEX-ZV68-0126-SM-59HKS 50-59 years, female 74.6
GTEX-145MI-0526-SM-5O9A8 60-69 years, female 74.5
GTEX-S7SE-0126-SM-2XCD5 50-59 years, male 74.5
GTEX-11UD2-0226-SM-5EQKY 50-59 years, male 74.4
GTEX-13VXU-0126-SM-5SI9F 50-59 years, male 74.4
GTEX-1JMPY-1326-SM-ARL8Y 30-39 years, male 74.4
GTEX-11EM3-2426-SM-59861 20-29 years, female 74.3
GTEX-1CB4E-2226-SM-793DC 60-69 years, male 74.3
GTEX-1JMPZ-0226-SM-CNPP1 30-39 years, male 74.3
GTEX-PLZ5-2026-SM-2S1O4 50-59 years, male 74.2
GTEX-UPJH-0326-SM-3GADU 50-59 years, male 74.2
GTEX-1PWST-0226-SM-E76QJ 70-79 years, male 74.2
GTEX-QV44-1926-SM-2S1RF 50-59 years, male 74.1
GTEX-11DXW-0226-SM-5H122 40-49 years, male 74.0
GTEX-11GSP-2526-SM-5N9BP 60-69 years, female 74.0
GTEX-17EVP-0326-SM-7DHLG 40-49 years, male 73.9
GTEX-1A32A-0126-SM-718B1 50-59 years, female 73.9
GTEX-11ZTS-0126-SM-5EQ6M 60-69 years, female 73.8
GTEX-12WSK-2326-SM-5GCOH 40-49 years, female 73.8
GTEX-1I4MK-2226-SM-ACKWD 50-59 years, female 73.8
GTEX-O5YW-0126-SM-3LK6D 50-59 years, male 73.7
GTEX-1HSKV-0226-SM-A9SKJ 60-69 years, male 73.7
GTEX-14DAR-2026-SM-5S2O3 50-59 years, male 73.6
GTEX-17F98-0626-SM-79OMX 40-49 years, female 73.5
GTEX-1HT8W-0126-SM-CNPPP 30-39 years, male 73.5
GTEX-PX3G-0126-SM-2I3EN 20-29 years, female 73.4
GTEX-1EMGI-0126-SM-9KNUE 60-69 years, male 73.4
GTEX-1JMQI-2226-SM-CM2SD 50-59 years, male 73.4
GTEX-P4PP-0126-SM-3LK69 30-39 years, female 73.3
GTEX-14LZ3-0226-SM-62LET 60-69 years, female 73.2
GTEX-11DZ1-0126-SM-5985Q 50-59 years, male 73.0
GTEX-11GSO-2426-SM-5A5LY 60-69 years, male 73.0
GTEX-13O21-1426-SM-5K7XI 50-59 years, male 73.0
GTEX-13OW6-0426-SM-5L3HM 50-59 years, male 73.0
GTEX-15SHU-0126-SM-7KUEH 40-49 years, female 73.0
GTEX-ZQG8-1626-SM-DHXIT 60-69 years, female 73.0
GTEX-1LH75-2426-SM-E9TJE 50-59 years, female 72.9
GTEX-X261-0126-SM-3NMD6 50-59 years, male 72.8
GTEX-1GMRU-0126-SM-9YFLV 50-59 years, male 72.8
GTEX-1192X-0226-SM-5H12D 50-59 years, male 72.7
GTEX-16GPK-0126-SM-7DHLE 60-69 years, male 72.7
GTEX-Y114-2426-SM-4TT8A 50-59 years, female 72.7
GTEX-12ZZY-0226-SM-5LZVE 60-69 years, male 72.6
GTEX-14LLW-0126-SM-6LLIO 70-79 years, female 72.6
GTEX-ZAB4-0226-SM-5N9F5 40-49 years, male 72.6
GTEX-ZYFD-0126-SM-5GIDL 50-59 years, male 72.6
GTEX-R3RS-0126-SM-3GIJL 40-49 years, female 72.5
GTEX-ZDTS-0126-SM-4WAY5 60-69 years, male 72.5
GTEX-1HSMQ-1226-SM-CGQFX 50-59 years, male 72.4
GTEX-13QJ3-0326-SM-5S2RA 50-59 years, male 72.3
GTEX-15EU6-0426-SM-6PAN5 50-59 years, male 72.3
GTEX-12126-0326-SM-5PNW3 20-29 years, male 72.2
GTEX-139TS-2826-SM-5J1OO 60-69 years, male 72.2
GTEX-13O3P-0126-SM-5KM4S 50-59 years, male 72.2
GTEX-148VI-1626-SM-5SI6E 60-69 years, female 72.2
GTEX-11TUW-2726-SM-E9J4M 60-69 years, male 72.2
GTEX-T8EM-1026-SM-3DB7M 40-49 years, male 72.1
GTEX-ZAK1-0126-SM-5IJD3 50-59 years, female 72.1
GTEX-15UF6-0826-SM-6PALJ 70-79 years, female 72.0
GTEX-1J1R8-1726-SM-ARL8M 40-49 years, male 72.0
GTEX-1JN1M-0326-SM-CYPT3 60-69 years, female 71.9
GTEX-11EI6-0126-SM-5985R 60-69 years, male 71.8
GTEX-13IVO-0126-SM-5J1NG 70-79 years, male 71.8
GTEX-1N2EF-0226-SM-EYYXB 60-69 years, male 71.8
GTEX-145LV-2126-SM-5LU8N 50-59 years, male 71.6
GTEX-1POEN-0126-SM-EYYXJ 30-39 years, female 71.5
GTEX-1HCU9-1526-SM-A9SL7 20-29 years, male 71.3
GTEX-QCQG-1726-SM-3GIJ9 50-59 years, female 71.2
GTEX-1H1CY-2826-SM-9MQM3 60-69 years, female 71.0
GTEX-1JMQJ-0526-SM-CYPSU 50-59 years, male 71.0
GTEX-1MGNQ-0126-SM-EVYCJ 40-49 years, male 71.0
GTEX-13PDP-0126-SM-5L3HD 60-69 years, male 70.9
GTEX-18A6Q-0126-SM-731BZ 60-69 years, male 70.9
GTEX-13OVI-1426-SM-5L3EY 60-69 years, female 70.8
GTEX-1IDJH-0326-SM-A9SLQ 70-79 years, male 70.8
GTEX-ZVT4-0126-SM-DTXFN 50-59 years, female 70.8
GTEX-11DXX-2426-SM-5GZZW 60-69 years, female 70.7
GTEX-1HSGN-0226-SM-CGQFV 40-49 years, female 70.7
GTEX-117YW-2626-SM-5GZZH 50-59 years, male 70.6
GTEX-12WSC-0126-SM-5EQ4P 50-59 years, male 70.6
GTEX-15G19-0126-SM-6PANQ 60-69 years, male 70.6
GTEX-RWS6-2026-SM-2XCB5 60-69 years, female 70.6
GTEX-1IDJU-2626-SM-CM2RT 60-69 years, female 70.6
GTEX-VUSG-2526-SM-4KL1V 50-59 years, male 70.5
GTEX-W5WG-1826-SM-4KL2Y 50-59 years, female 70.5
GTEX-1ICLZ-0126-SM-CKZPO 60-69 years, male 70.5
GTEX-1O97I-0326-SM-EYYX7 60-69 years, male 70.5
GTEX-12ZZX-0126-SM-5EGK9 40-49 years, female 70.4
GTEX-XUZC-1726-SM-4BRWS 30-39 years, female 70.4
GTEX-13FHO-0226-SM-5IFGY 60-69 years, male 70.3
GTEX-RTLS-0126-SM-447CA 60-69 years, female 70.3
GTEX-Y5V5-2326-SM-4V6GA 60-69 years, female 70.3
GTEX-17HHY-0126-SM-7LG5D 50-59 years, male 70.0
GTEX-1CAMS-0426-SM-7P8T2 40-49 years, female 70.0
GTEX-1H3VE-0326-SM-9YFLH 40-49 years, male 70.0
GTEX-1KANB-0526-SM-E6CJH 50-59 years, male 70.0
GTEX-1QMI2-0226-SM-EVYBX 60-69 years, male 70.0
GTEX-13YAN-0326-SM-5O9DF 60-69 years, male 69.9
GTEX-14JG6-2226-SM-6EU2G 30-39 years, female 69.9
GTEX-11H98-0126-SM-5EGHG 50-59 years, male 69.8
GTEX-14PN3-2426-SM-6LLHS 60-69 years, female 69.8
GTEX-1A3MV-1926-SM-718BT 30-39 years, male 69.8
GTEX-S7PM-0126-SM-4AD6S 60-69 years, male 69.8
GTEX-1KWVE-1426-SM-E9TJO 30-39 years, male 69.8
GTEX-1N2DV-0226-SM-E6CJ6 40-49 years, male 69.8
GTEX-S32W-2126-SM-2XCB1 50-59 years, female 69.7
GTEX-1I1GQ-0126-SM-COH3H 50-59 years, male 69.7
GTEX-S33H-1026-SM-EZ6L6 30-39 years, male 69.7
GTEX-WYVS-2126-SM-3NMA3 40-49 years, female 69.6
GTEX-1C4CL-0526-SM-73KVK 30-39 years, male 69.5
GTEX-NPJ8-0126-SM-2YUNR 40-49 years, male 69.3
GTEX-1JMQK-0226-SM-CL543 60-69 years, male 69.1
GTEX-PLZ4-0126-SM-5SI8O 50-59 years, female 69.0
GTEX-WFON-2126-SM-3LK7O 40-49 years, male 69.0
GTEX-XBED-2226-SM-47JYQ 60-69 years, male 69.0
GTEX-11VI4-1726-SM-5CVLH 40-49 years, female 68.9
GTEX-15DYW-0126-SM-7KULE 60-69 years, female 68.9
GTEX-1BAJH-0526-SM-793CQ 70-79 years, male 68.9
GTEX-1F52S-0126-SM-9MQJU 60-69 years, female 68.9
GTEX-1JKYR-0126-SM-CNPOJ 20-29 years, male 68.9
GTEX-117YX-2326-SM-5H12W 50-59 years, male 68.8
GTEX-13O1R-0126-SM-5L3EH 60-69 years, male 68.8
GTEX-13SLW-0126-SM-5SI6C 70-79 years, male 68.8
GTEX-ZAB5-1826-SM-5HL7C 50-59 years, male 68.8
GTEX-1QAET-0926-SM-E76QM 50-59 years, male 68.8
GTEX-14PJM-0226-SM-62LF1 50-59 years, female 68.7
GTEX-1MCQQ-0826-SM-DLHC2 60-69 years, male 68.7
GTEX-1MCYP-1926-SM-E9J2R 20-29 years, female 68.7
GTEX-ZYW4-0126-SM-5E44A 60-69 years, male 68.6
GTEX-1J8Q2-0526-SM-CM2RW 60-69 years, male 68.6
GTEX-1399T-2826-SM-5KLYZ 60-69 years, male 68.5
GTEX-QDVN-2026-SM-3GAEP 50-59 years, male 68.5
GTEX-16MT8-0426-SM-7KUEY 60-69 years, female 68.4
GTEX-1CB4G-0226-SM-7PC3O 60-69 years, male 68.4
GTEX-1IDJF-0126-SM-CM2RS 20-29 years, male 68.4
GTEX-1GN73-0226-SM-9WG67 60-69 years, male 68.3
GTEX-13112-2826-SM-5DUWH 50-59 years, male 68.2
GTEX-18465-0126-SM-731BN 50-59 years, male 68.1
GTEX-12WSA-0226-SM-5BC5V 60-69 years, male 67.9
GTEX-ZE7O-0126-SM-57WC1 50-59 years, female 67.9
GTEX-1CB4I-0226-SM-79OLH 50-59 years, male 67.8
GTEX-Q2AG-0126-SM-33HBV 40-49 years, female 67.8
GTEX-12WSJ-1826-SM-5GCNY 40-49 years, female 67.7
GTEX-13FHP-0126-SM-5IJBG 50-59 years, male 67.7
GTEX-183FY-0126-SM-7LT9P 20-29 years, male 67.7
GTEX-18A7B-0126-SM-7LG64 70-79 years, male 67.7
GTEX-WY7C-2326-SM-3NB2U 50-59 years, male 67.7
GTEX-1RQEC-0426-SM-E6CHU 60-69 years, male 67.7
GTEX-1128S-2326-SM-5GZZY 60-69 years, female 67.6
GTEX-13G51-2526-SM-5LZYK 60-69 years, male 67.6
GTEX-1B97I-1626-SM-73KYO 40-49 years, male 67.6
GTEX-ZXG5-0126-SM-5GIEU 60-69 years, male 67.6
GTEX-12WSL-2526-SM-5GCNJ 50-59 years, male 67.5
GTEX-16XZZ-0126-SM-793DV 60-69 years, male 67.5
GTEX-11OC5-0126-SM-5HL6A 60-69 years, male 67.4
GTEX-13FTX-1826-SM-5J1NX 20-29 years, female 67.4
GTEX-15SHW-0326-SM-6PAML 60-69 years, male 67.4
GTEX-1B933-0126-SM-7PC29 50-59 years, female 67.4
GTEX-1GF9U-2126-SM-7SB7L 40-49 years, female 67.4
GTEX-132NY-0326-SM-5IJBL 60-69 years, male 67.3
GTEX-1H1DG-0126-SM-9WYU2 70-79 years, male 67.3
GTEX-1HGF4-2426-SM-ACKXM 60-69 years, male 67.3
GTEX-OHPM-0126-SM-2YUN9 50-59 years, male 67.2
GTEX-14A5H-0426-SM-5QGQF 60-69 years, male 67.1
GTEX-TSE9-0126-SM-3DB83 60-69 years, female 67.1
GTEX-113JC-2326-SM-5EQ4E 50-59 years, female 67.0
GTEX-11EMC-2926-SM-5EQ4F 60-69 years, female 67.0
GTEX-11OF3-2626-SM-5GU7F 60-69 years, male 67.0
GTEX-OXRP-0126-SM-3NB32 60-69 years, female 67.0
GTEX-1B996-0226-SM-7RHGO 60-69 years, male 67.0
GTEX-16YQH-0126-SM-7DUFJ 30-39 years, male 66.9
GTEX-1C2JI-1826-SM-73KXC 50-59 years, male 66.9
GTEX-ZZ64-1726-SM-5GZYB 20-29 years, male 66.9
GTEX-1N2DW-0226-SM-E9TK2 50-59 years, male 66.9
GTEX-17HHE-2026-SM-79OKF 50-59 years, male 66.8
GTEX-1HFI6-0226-SM-ADEHZ 40-49 years, male 66.8
GTEX-17F96-1626-SM-7DUFL 70-79 years, male 66.7
GTEX-1GZ2Q-0226-SM-7P8TL 40-49 years, male 66.7
GTEX-11DXZ-2326-SM-5EGGV 50-59 years, male 66.6
GTEX-13N11-2526-SM-5K7UE 50-59 years, female 66.6
GTEX-13NYS-0126-SM-5MR3W 60-69 years, male 66.6
GTEX-13SLX-0526-SM-5S2ON 50-59 years, female 66.6
GTEX-QVJO-1626-SM-2S1QW 60-69 years, female 66.6
GTEX-18A7A-0226-SM-718BH 50-59 years, female 66.5
GTEX-18D9U-0226-SM-718BP 40-49 years, male 66.4
GTEX-ZQUD-1426-SM-57WER 30-39 years, male 66.4
GTEX-12KS4-0326-SM-5EQ41 30-39 years, male 66.3
GTEX-RUSQ-1526-SM-2TF62 50-59 years, male 66.3
GTEX-U3ZH-2026-SM-3DB78 30-39 years, male 66.3
GTEX-13FH7-2026-SM-E9J4I 50-59 years, female 66.3
GTEX-11GS4-2726-SM-5A5LE 60-69 years, male 66.2
GTEX-OXRK-0226-SM-3NB2G 50-59 years, female 66.2
GTEX-14C5O-0126-SM-5SI6N 60-69 years, male 66.1
GTEX-16BQI-0226-SM-7KUEX 30-39 years, female 66.1
GTEX-SNMC-1226-SM-2XCFP 20-29 years, male 66.1
GTEX-1ICG6-2526-SM-CGQFZ 70-79 years, female 66.1
GTEX-11LCK-1026-SM-5A5KB 30-39 years, male 66.0
GTEX-Y111-0126-SM-4SOIV 50-59 years, male 66.0
GTEX-YJ89-0126-SM-4TT3X 60-69 years, male 66.0
GTEX-1J8JJ-0226-SM-CL53I 60-69 years, female 66.0
GTEX-1R46S-0626-SM-E9J41 60-69 years, female 66.0
GTEX-144GN-2326-SM-5LU4F 50-59 years, male 65.9
GTEX-YJ8A-0426-SM-5IFID 20-29 years, male 65.9
GTEX-1GTWX-0126-SM-9YFLK 60-69 years, male 65.9
GTEX-1IKOH-0226-SM-COH4E 60-69 years, female 65.9
GTEX-17KNJ-2326-SM-7DHLQ 50-59 years, male 65.8
GTEX-1CB4J-0626-SM-7DHMP 60-69 years, male 65.7
GTEX-T5JC-0426-SM-32PLO 20-29 years, male 65.7
GTEX-1JK1U-2026-SM-CM2RZ 60-69 years, male 65.6
GTEX-14E6E-1826-SM-5S2R7 30-39 years, male 65.5
GTEX-139TT-0126-SM-5K7Y5 60-69 years, male 65.4
GTEX-1J8Q3-1626-SM-CMKGC 60-69 years, male 65.4
GTEX-ZC5H-0226-SM-4WAY9 40-49 years, female 65.3
GTEX-Y3I4-2126-SM-4TT7C 50-59 years, male 65.2
GTEX-XQ8I-0426-SM-4BOPO 50-59 years, male 65.1
GTEX-1GPI7-0126-SM-9MQL8 20-29 years, male 65.1
GTEX-1MA7X-2226-SM-E6CIY 60-69 years, male 65.1
GTEX-13X6H-2126-SM-7EWD5 50-59 years, female 65.0
GTEX-1H2FU-0126-SM-9WYSI 60-69 years, female 65.0
GTEX-13OW8-1326-SM-5J1OW 60-69 years, male 64.9
GTEX-1HCVE-0126-SM-CGQEU 50-59 years, male 64.9
GTEX-169BO-1326-SM-9MQK2 50-59 years, male 64.8
GTEX-1IL2V-0126-SM-CM2TX 70-79 years, male 64.8
GTEX-12WSD-0126-SM-59HKN 60-69 years, female 64.7
GTEX-SJXC-0126-SM-2XCFF 60-69 years, male 64.7
GTEX-1314G-1526-SM-5EGK2 30-39 years, male 64.5
GTEX-15SDE-2226-SM-7IGLO 50-59 years, female 64.5
GTEX-WVJS-0126-SM-4MVOT 50-59 years, male 64.5
GTEX-Y5LM-1926-SM-5RQJH 40-49 years, female 64.5
GTEX-ZY6K-1826-SM-5GZXK 50-59 years, male 64.5
GTEX-1F75B-0126-SM-9KNVL 50-59 years, male 64.4
GTEX-WZTO-0126-SM-3NM95 40-49 years, male 64.3
GTEX-1F6IF-0726-SM-7P8TW 60-69 years, male 64.3
GTEX-17HG3-2226-SM-7938L 30-39 years, female 64.2
GTEX-131XW-0426-SM-5LZWP 50-59 years, female 64.1
GTEX-11P82-1626-SM-59879 20-29 years, male 64.0
GTEX-15F5U-1526-SM-6PANO 40-49 years, male 64.0
GTEX-1GMR8-0126-SM-9WYTM 50-59 years, female 64.0
GTEX-1HBPI-1526-SM-C1YQ1 50-59 years, male 64.0
GTEX-SE5C-1626-SM-2XCE3 40-49 years, female 64.0
GTEX-U8XE-0326-SM-3DB8P 30-39 years, male 63.9
GTEX-ZDXO-3026-SM-5J1N5 60-69 years, male 63.9
GTEX-1F75A-0126-SM-7RHGM 50-59 years, male 63.9
GTEX-1QP29-0626-SM-EWRMX 50-59 years, male 63.9
GTEX-13U4I-0126-SM-5LU38 40-49 years, female 63.8
GTEX-1H11D-0226-SM-9WG6Z 40-49 years, male 63.8
GTEX-1NV5F-0226-SM-E8VNY 60-69 years, female 63.8
GTEX-1IDFM-0126-SM-COH2V 60-69 years, male 63.6
GTEX-Z9EW-1626-SM-5CVMN 40-49 years, male 63.5
GTEX-1192W-2626-SM-5Q5AF 60-69 years, male 63.4
GTEX-17EUY-0426-SM-793BD 20-29 years, male 63.4
GTEX-1CAMQ-0226-SM-7IGPK 40-49 years, male 63.4
GTEX-QDVJ-1726-SM-2I5FX 50-59 years, male 63.4
GTEX-139TU-0126-SM-5K7WH 60-69 years, male 63.3
GTEX-13OVG-1926-SM-5L3DK 60-69 years, male 63.3
GTEX-1C6WA-0126-SM-7PC2B 60-69 years, male 63.3
GTEX-1HR98-0126-SM-B2LWI 60-69 years, male 63.2
GTEX-SIU8-0126-SM-2XCDT 50-59 years, male 63.1
GTEX-X638-0126-SM-47JZ8 70-79 years, female 63.1
GTEX-XV7Q-2526-SM-4BRV9 40-49 years, female 63.1
GTEX-1HCU7-0226-SM-CL545 50-59 years, male 63.1
GTEX-1R7EV-2426-SM-EVYBG 40-49 years, male 63.1
GTEX-R45C-0126-SM-EAZ2R 60-69 years, female 63.1
GTEX-11DXY-2626-SM-5GIE7 60-69 years, male 63.0
GTEX-17EVQ-0226-SM-7LG4P 70-79 years, male 63.0
GTEX-1C64O-0126-SM-7SB8P 60-69 years, male 62.9
GTEX-1LNCM-1126-SM-E9U5E 50-59 years, female 62.9
GTEX-1EU9M-0226-SM-7P8SP 60-69 years, male 62.8
GTEX-14BIN-0626-SM-793DP 50-59 years, female 62.7
GTEX-1CAMR-1926-SM-7EPI2 20-29 years, male 62.6
GTEX-14BMV-0126-SM-5S2PO 50-59 years, male 62.5
GTEX-ZF28-0126-SM-4WKGK 60-69 years, male 62.5
GTEX-1GL5R-1826-SM-9KNUY 50-59 years, male 62.5
GTEX-1R9K4-0126-SM-DTX9X 60-69 years, male 62.5
GTEX-ZEX8-2426-SM-4WKG4 50-59 years, male 62.3
GTEX-1RDX4-0126-SM-E9J4P 50-59 years, female 62.3
GTEX-RNOR-0126-SM-E9J4R 50-59 years, female 62.3
GTEX-1I1CD-0126-SM-CM2TK 60-69 years, female 62.2
GTEX-1ICLY-0126-SM-D4P36 50-59 years, male 62.2
GTEX-1PPH8-0226-SM-E8VND 20-29 years, male 62.2
GTEX-144GL-0126-SM-5TDE2 50-59 years, male 62.1
GTEX-16NPX-0226-SM-79OMT 50-59 years, male 62.1
GTEX-VJYA-1126-SM-3GIJU 60-69 years, male 62.0
GTEX-1HSMP-0126-SM-E6CJS 70-79 years, male 62.0
GTEX-1S82Y-2026-SM-EVYCM 40-49 years, male 62.0
GTEX-1K2DU-2326-SM-E9TIV 20-29 years, male 61.8
GTEX-13OVL-0226-SM-5L3E9 50-59 years, male 61.6
GTEX-13W46-0226-SM-5SIAG 50-59 years, male 61.5
GTEX-1AX8Z-0126-SM-7DHM6 60-69 years, male 61.4
GTEX-13O3O-0126-SM-E9J49 60-69 years, female 61.4
GTEX-1IKK5-0626-SM-ARL8A 60-69 years, male 61.4
GTEX-11NSD-2226-SM-5986V 20-29 years, male 61.3
GTEX-1497J-2426-SM-7IGNX 60-69 years, male 61.3
GTEX-1AMFI-2026-SM-731BH 50-59 years, female 61.3
GTEX-1I1GR-0126-SM-CL55F 60-69 years, male 61.3
GTEX-13NYC-0326-SM-E9J4S 60-69 years, male 61.1
GTEX-1HCU8-0626-SM-A9SM9 60-69 years, female 61.1
GTEX-11XUK-2026-SM-5EQLF 40-49 years, female 60.9
GTEX-11ZTT-2426-SM-5EQLS 60-69 years, female 60.9
GTEX-147F3-0526-SM-5SI98 50-59 years, female 60.9
GTEX-1QEPI-0126-SM-EWRMQ 60-69 years, female 60.9
GTEX-13OVH-0126-SM-5MR4B 70-79 years, male 60.7
GTEX-RM2N-1426-SM-2TF4H 50-59 years, male 60.7
GTEX-13O3Q-2426-SM-5IJBR 50-59 years, male 60.6
GTEX-1F5PK-2426-SM-7RHHY 50-59 years, male 60.6
GTEX-15UKP-0426-SM-7KUFQ 20-29 years, male 60.5
GTEX-RU72-0926-SM-2TF6B 50-59 years, female 60.5
GTEX-1AX9I-0126-SM-7SB74 60-69 years, male 60.5
GTEX-18A66-0226-SM-718BD 60-69 years, male 60.3
GTEX-13X6I-0626-SM-5QGP9 60-69 years, male 60.2
GTEX-12C56-1726-SM-5EQ61 20-29 years, male 60.1
GTEX-ZZPT-0226-SM-5E43X 50-59 years, male 60.0
GTEX-13RTJ-2426-SM-5S2Q2 60-69 years, male 59.9
GTEX-16AAH-1726-SM-7939C 50-59 years, male 59.8
GTEX-18D9B-0526-SM-7LTAS 60-69 years, male 59.8
GTEX-P4PQ-0126-SM-2S1NM 60-69 years, male 59.8
GTEX-1H3O1-0426-SM-9YFKY 60-69 years, male 59.8
GTEX-1HBPM-0226-SM-ARL9F 60-69 years, female 59.8
GTEX-1LG7Y-0526-SM-DKPQC 50-59 years, male 59.7
GTEX-139T8-0126-SM-5K7XZ 60-69 years, male 59.6
GTEX-1EX96-1626-SM-7PBXR 50-59 years, male 59.6
GTEX-14PJ3-1826-SM-62LEX 50-59 years, male 59.5
GTEX-1QP67-1626-SM-EAZ3X 40-49 years, female 59.5
GTEX-14BIM-0226-SM-7IGLD 60-69 years, female 59.4
GTEX-1HBPN-0226-SM-9YFM1 50-59 years, male 59.4
GTEX-1K9T9-0126-SM-EVYCF 50-59 years, female 59.4
GTEX-QEG4-0226-SM-2S1PY 30-39 years, male 59.3
GTEX-1GN1W-0526-SM-9MQJQ 50-59 years, female 59.3
GTEX-113IC-0126-SM-5HL6T 60-69 years, male 59.2
GTEX-U3ZM-1526-SM-3DB9D 40-49 years, male 59.2
GTEX-145MF-0626-SM-5LUAI 50-59 years, male 59.1
GTEX-17HGU-0226-SM-7DHKV 50-59 years, male 59.1
GTEX-ZYY3-0126-SM-5GZY5 60-69 years, female 59.1
GTEX-13NZA-0226-SM-5K7Z7 60-69 years, male 59.0
GTEX-U3ZN-2326-SM-3DB7W 30-39 years, female 59.0
GTEX-1I1GU-2226-SM-CGQFA 40-49 years, male 59.0
GTEX-Q2AI-1326-SM-2S1PL 40-49 years, male 58.8
GTEX-TKQ1-1026-SM-4GICL 30-39 years, male 58.8
GTEX-WFG8-2226-SM-3GIL9 20-29 years, male 58.8
GTEX-13OW7-0126-SM-5MR3B 50-59 years, male 58.7
GTEX-1E1VI-0126-SM-7DHMZ 50-59 years, male 58.7
GTEX-ZVE2-0226-SM-59HJB 50-59 years, male 58.7
GTEX-1CB4F-0426-SM-9KNV4 60-69 years, male 58.7
GTEX-1F48J-0126-SM-7P8TT 50-59 years, female 58.7
GTEX-13RTL-0126-SM-7LG5S 40-49 years, male 58.5
GTEX-QDT8-0126-SM-48TZ1 30-39 years, female 58.5
GTEX-PW2O-1526-SM-7RHHB 20-29 years, male 58.2
GTEX-R55G-2526-SM-2TC6D 40-49 years, female 58.1
GTEX-144FL-0126-SM-5TDC8 50-59 years, male 57.9
GTEX-OXRN-0126-SM-48TDM 50-59 years, male 57.9
GTEX-1I6K6-0126-SM-A9SLE 30-39 years, male 57.9
GTEX-1F6I4-0126-SM-9MQL2 60-69 years, male 57.8
GTEX-1H1DE-2126-SM-9WG6R 20-29 years, male 57.8
GTEX-1JKYN-1326-SM-CGQG9 30-39 years, male 57.8
GTEX-11P7K-2126-SM-5GU7G 30-39 years, male 57.7
GTEX-1A3MX-0126-SM-731BR 60-69 years, male 57.7
GTEX-Y8LW-1826-SM-5S2MV 50-59 years, female 57.7
GTEX-1EN7A-0126-SM-7SB81 40-49 years, male 57.7
GTEX-13VXT-0126-SM-5LU4I 20-29 years, female 57.5
GTEX-PWO3-1526-SM-48TCM 60-69 years, female 57.5
GTEX-X4XY-0226-SM-4E3IZ 60-69 years, male 57.4
GTEX-11P81-2326-SM-59875 30-39 years, female 57.2
GTEX-1C6VR-2426-SM-79OLD 60-69 years, male 57.2
GTEX-1F7RK-0126-SM-7PC2S 20-29 years, female 57.2
GTEX-1AMEY-1326-SM-73KYK 30-39 years, female 57.1
GTEX-SSA3-0126-SM-32QPU 60-69 years, male 57.0
GTEX-13N2G-2626-SM-5J1OT 60-69 years, male 56.9
GTEX-1A8FM-0226-SM-7SB7Q 50-59 years, female 56.7
GTEX-147GR-0526-SM-5S2MY 60-69 years, male 56.6
GTEX-1JJE9-0326-SM-CL53Z 70-79 years, male 56.6
GTEX-12WSN-5019-SM-79OM6 40-49 years, male 56.5
GTEX-ZVT3-0126-SM-5GU6I 60-69 years, female 56.5
GTEX-1OJC4-0126-SM-E9J2E 50-59 years, female 56.5
GTEX-148VJ-0126-SM-5TDDN 70-79 years, male 56.4
GTEX-1C6VS-0526-SM-7DUEN 60-69 years, male 56.4
GTEX-14E6C-0126-SM-5RQIP 40-49 years, male 56.3
GTEX-1JMOU-1526-SM-CL54I 60-69 years, female 56.3
GTEX-1HB9E-0226-SM-E9U4R 50-59 years, male 56.2
GTEX-1JMQL-0226-SM-CNPP5 50-59 years, female 56.2
GTEX-XMD2-0126-SM-4YCDU 60-69 years, female 56.0
GTEX-15DCD-0126-SM-7KUEK 70-79 years, female 55.9
GTEX-1AX9K-2326-SM-73KWU 50-59 years, male 55.9
GTEX-1F88F-2726-SM-7PBZZ 60-69 years, female 55.9
GTEX-QLQW-1126-SM-2S1Q8 30-39 years, male 55.7
GTEX-14ABY-0226-SM-5TDCQ 50-59 years, male 55.6
GTEX-R55E-0126-SM-2TC5Y 20-29 years, male 55.6
GTEX-11WQC-2526-SM-5CVLE 60-69 years, male 55.5
GTEX-14BIL-0126-SM-5SI92 50-59 years, male 55.4
GTEX-1NHNU-1026-SM-E9J2A 50-59 years, male 55.3
GTEX-ZTPG-0326-SM-5O9AX 20-29 years, female 55.2
GTEX-1HFI7-1826-SM-ACKXH 50-59 years, female 55.2
GTEX-1H3VY-0126-SM-ACKXD 50-59 years, male 54.8
GTEX-1IE54-0126-SM-CMKHW 40-49 years, female 54.8
GTEX-11TTK-0126-SM-5987B 60-69 years, female 54.7
GTEX-QLQ7-1626-SM-2S1R8 60-69 years, male 54.7
GTEX-11O72-0126-SM-59887 40-49 years, male 54.6
GTEX-1H3NZ-0126-SM-ACKX7 60-69 years, male 54.6
GTEX-14E7W-0126-SM-6LLJ9 70-79 years, male 54.4
GTEX-1IY9M-0126-SM-D3L8S 60-69 years, male 54.3
GTEX-15CHC-2126-SM-6EU21 60-69 years, female 54.2
GTEX-17MF6-0126-SM-7LG4F 40-49 years, male 54.2
GTEX-1LC47-0326-SM-E9TJP 60-69 years, male 54.1
GTEX-11NUK-0126-SM-5A5L3 50-59 years, male 54.0
GTEX-1KD5A-0226-SM-D5OV3 50-59 years, male 54.0
GTEX-13W3W-2426-SM-5LU5B 60-69 years, female 53.9
GTEX-OOBK-0126-SM-2YUND 40-49 years, male 53.9
GTEX-1I1HK-0126-SM-COH49 60-69 years, male 53.6
GTEX-1AYCT-2426-SM-7IGQ3 50-59 years, male 53.5
GTEX-1GN1V-0126-SM-9WPOS 60-69 years, male 53.5
GTEX-Q734-1926-SM-2I5EV 40-49 years, female 53.3
GTEX-1EKGG-0226-SM-9WYTH 60-69 years, male 53.3
GTEX-1H1ZS-0426-SM-9WG6G 70-79 years, male 53.2
GTEX-1HKZK-0326-SM-9WYUH 40-49 years, male 53.1
GTEX-13N1W-0126-SM-5K7VT 70-79 years, male 53.0
GTEX-1I1GP-2226-SM-CGQFK 50-59 years, male 52.9
GTEX-XYKS-2126-SM-4E3IB 60-69 years, female 52.6
GTEX-14A6H-0126-SM-5QGPK 30-39 years, male 52.3
GTEX-146FR-1326-SM-E9J48 60-69 years, female 52.2
GTEX-12584-0126-SM-5EGKQ 40-49 years, male 52.1
GTEX-11ZVC-2526-SM-5FQTE 50-59 years, female 51.8
GTEX-OXRO-0126-SM-2YUN4 60-69 years, female 51.8
GTEX-11ZU8-2526-SM-5EQKI 60-69 years, male 51.6
GTEX-14DAQ-0126-SM-5S2MQ 60-69 years, female 51.6
GTEX-183WM-0126-SM-7LTAB 70-79 years, female 51.6
GTEX-PVOW-0126-SM-2XCFA 40-49 years, male 51.6
GTEX-VJWN-0126-SM-3GIK7 50-59 years, female 51.6
GTEX-OXRL-0126-SM-2YUMP 50-59 years, male 51.3
GTEX-ZUA1-0126-SM-5GU76 40-49 years, male 51.3
GTEX-1IGQW-0126-SM-COH42 60-69 years, male 51.3
GTEX-1AYD5-2426-SM-73KXR 50-59 years, male 51.0
GTEX-1QP2A-0126-SM-E9J43 50-59 years, male 50.6
GTEX-147F4-0226-SM-5QGPW 50-59 years, male 50.5
GTEX-145LU-0126-SM-5TDCB 50-59 years, male 50.3
GTEX-1HUB1-0426-SM-E9U4U 60-69 years, male 50.3
GTEX-1B8KZ-2026-SM-7DHMB 50-59 years, male 50.1
GTEX-1M4P7-0226-SM-DIPEV 60-69 years, male 49.8
GTEX-1PPH7-2326-SM-EVYB8 40-49 years, male 49.8
GTEX-1H1E6-1726-SM-ACKVK 30-39 years, male 49.5
GTEX-P44H-0226-SM-2XCEU 40-49 years, male 49.2
GTEX-1H23P-0126-SM-ADEJ3 60-69 years, male 48.8
GTEX-14PHW-0126-SM-6LLJI 60-69 years, female 48.7
GTEX-1RAZQ-0726-SM-EAZ43 30-39 years, male 48.6
GTEX-1GPI6-0126-SM-9WG69 60-69 years, male 48.3
GTEX-1I19N-0326-SM-ACKVX 70-79 years, male 48.3
GTEX-RN64-0126-SM-2TC68 50-59 years, male 47.9
GTEX-11TT1-2526-SM-5EGIB 20-29 years, male 47.2
GTEX-WOFL-0126-SM-3MJG2 60-69 years, male 47.2
GTEX-V1D1-2226-SM-3NMAX 50-59 years, male 46.9
GTEX-1I1GS-0126-SM-B2LVW 60-69 years, male 46.9
GTEX-1F75I-0326-SM-9YFLU 40-49 years, male 46.8
GTEX-14JIY-0126-SM-6LLH6 60-69 years, male 46.5
GTEX-1HSMO-0126-SM-CL547 60-69 years, male 46.4
GTEX-1RLM8-2326-SM-EWRN4 50-59 years, male 46.1
GTEX-16XZY-2126-SM-79OK1 70-79 years, male 46.0
GTEX-U4B1-1826-SM-4DXSU 40-49 years, male 45.3
GTEX-1A3MW-0126-SM-73KXX 60-69 years, female 44.5
GTEX-X62O-0126-SM-4E3JN 50-59 years, male 44.3
GTEX-15D1Q-0126-SM-7KUG6 40-49 years, male 43.4
GTEX-1QW4Y-1526-SM-EAZ3Z 30-39 years, male 42.5
GTEX-1PBJI-0526-SM-E8VNK 20-29 years, female 42.2
GTEX-OIZF-0126-SM-7SB8I 60-69 years, male 42.0
GTEX-11ZUS-0626-SM-59885 30-39 years, male 40.0
GTEX-1R9PO-2126-SM-E9J4O 60-69 years, female 39.3
GTEX-139T4-0226-SM-5HL5S 50-59 years, female 38.2
GTEX-1HBPH-0426-SM-B2LW5 40-49 years, female 36.4
GTEX-15EOM-0126-SM-7KUGG 20-29 years, female 36.3
Show allShow less

Contact

  • NEWS ARTICLES
  • PRESS ROOM

The Project

  • INTRODUCTION
  • ORGANIZATION
  • PUBLICATIONS

The Human Protein Atlas

  • DOWNLOADABLE DATA
  • LICENCE & CITATION
  • HELP & FAQ
The Human Protein Atlas project is funded
by the Knut & Alice Wallenberg Foundation.


contact@proteinatlas.org