We use cookies to enhance the usability of our website. If you continue, we'll assume that you are happy to receive all cookies. More information. Don't show this again.
FBL
HPA
RESOURCES
  • TISSUE
  • BRAIN
  • SINGLE CELL
  • SUBCELLULAR
  • CANCER
  • BLOOD
  • CELL LINE
  • STRUCTURE & INTERACTION
ABOUT
  • INTRODUCTION
  • HISTORY
  • ORGANIZATION
  • PUBLICATIONS
  • ANTIBODY SUBMISSION
  • ANTIBODY AVAILABILITY
  • ACKNOWLEDGMENTS
  • CONTACT
NEWS
  • NEWS ARTICLES
  • PRESS ROOM
LEARN
  • DICTIONARY
  • PROTEIN CLASSES
  • PROTEIN EVIDENCE
  • METHODS
  • EDUCATIONAL VIDEOS
DATA
  • DOWNLOADABLE DATA
  • PUBLICATION DATA
  • RELEASE HISTORY
HELP
  • ANTIBODY VALIDATION
  • ASSAYS & ANNOTATION
  • DISCLAIMER
  • HELP & FAQ
  • PRIVACY STATEMENT
  • LICENCE & CITATION
Fields »
Search result

Field
Term
Gene name
Class
Subclass
Class
Keyword
Chromosome
External id
Tissue
Cell type
Expression
Antibody panel
Tissue
Main location
Patient ID
Annotation
Tissue
Category
Tau score
Cluster
Reliability
Brain region
Category
Tau score
Brain region
Category
Tau score
Brain region
Category
Tau score
Cluster
Reliability
Tissue
Cell type
Enrichment
Cell type
Category
Tau score
Cell type
Category
Tau score
Cell type
Category
Tau score
Cell lineage
Category
Tau score
Cluster
Cluster
Location
Searches
Location
Cell line
Class
Type
Phase
Reliability
Cancer
Prognosis
Cancer
Category
Cancer
Category
Tau score
Cluster
Variants
Interacting gene (ensg_id)
Type
Number of interactions
Pathway
Category
Score
Score
Score
Validation
Validation
Validation
Validation
Antibodies
Data type
Column


  • SUMMARY

  • TISSUE

  • BRAIN

  • SINGLE CELL

  • SUBCELL

  • CANCER

  • BLOOD

  • CELL LINE

  • STRUCT & INT

  • FBL
TISSUE PRIMARY DATA SPLEEN Show tissue menu
ADIPOSE TISSUE ADRENAL GLAND AMYGDALA APPENDIX BASAL GANGLIA BONE MARROW BREAST BRONCHUS CEREBELLUM CEREBRAL CORTEX CERVIX CHOROID PLEXUS COLON DUODENUM
ENDOMETRIUM EPIDIDYMIS ESOPHAGUS FALLOPIAN TUBE GALLBLADDER HEART MUSCLE HIPPOCAMPAL FORMATION HYPOTHALAMUS KIDNEY LIVER LUNG LYMPH NODE MIDBRAIN ORAL MUCOSA
OVARY PANCREAS PARATHYROID GLAND PITUITARY GLAND PLACENTA PROSTATE RECTUM RETINA SALIVARY GLAND SEMINAL VESICLE SKELETAL MUSCLE SKIN SMALL INTESTINE SMOOTH MUSCLE
SOFT TISSUE SPINAL CORD SPLEEN STOMACH TESTIS THYMUS THYROID GLAND TONGUE TONSIL URINARY BLADDER VAGINA
ANTIBODIES
AND
VALIDATION
Dictionary
Spleen
Tissue proteome
Lymphoid tissue
SPLEEN - Expression summary
Protein expression
Spleeni

On the top, protein expression in current human tissue, based on all annotated cell types, is reported with the units not detected (n), low (l), medium (m) and high (h). Underneath, protein expression in each annotated cell type are reported using the same units.

Protein expression data is based on knowledge-based annotation. For genes where more than one antibody has been used, a collective score is set.

If knowledge-based annotation could not be performed for a gene, no data is displayed here. View antibody staining data further down this page.

h
m
l
n
Cells in red pulp: Low
Cells in white pulp: Low
RNA expressioni

A summary of mRNA expression data available for current tissue based on several datasets. The mRNA expression levels in human tissues are based on RNA-seq data generated by the Human Protein Atlas (HPA), Genotype-Tissue Expression (GTEx) portal and CAGE data generated by the FANTOM5 consortium. Consensus normalized expression levels for human tissues was created by combining the data from HPA and GTEx datasets.

The mRNA expression levels in pig are based on RNA-seq data generated by the Human Protein Atlas (HPA), and for mouse, HPA data and in situ hybridization generated by the Allen brain atlas are reported.

Scroll down to view mRNA expression data in more detail.
Consensus:127.6 nTPM
HPA:61.2 nTPM
GTEx:127.6 nTPM
FANTOM5:193.2 Scaled Tags Per Million

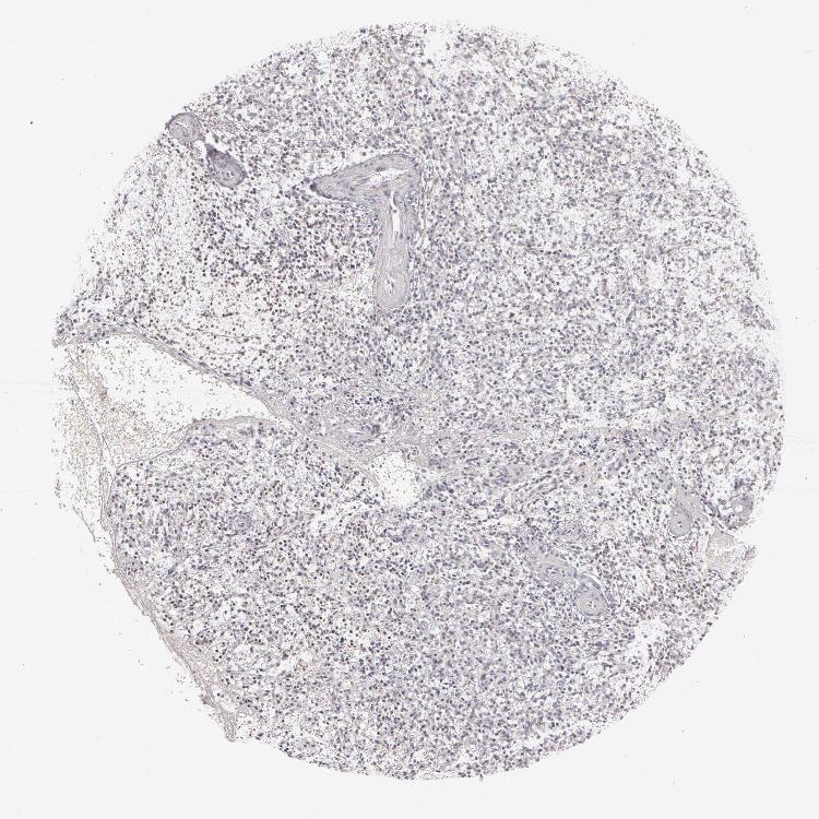
SPLEEN - Antibody stainingi

Antibody staining in the annotated cell types in the current human tissue is reported as not detected, low, medium, or high, based on conventional immunohistochemistry profiling in selected tissues. This score is based on the combination of the staining intensity and fraction of stained cells.

Each image is clickable and will lead to virtual microscopy that enables deeper exploration of all samples and also displays staining intensity scores, fraction scores and subcellular localization as well as patient and tissue information for each sample.

Antibody HPA077724Antibody CAB001514
Cells in red pulp MediumLow
Cells in white pulp MediumLow





SPLEEN - HPA RNA-seqi

The RNA-seq details section shows detailed information about the individual samples used for the transcript profiling and results of the RNA-seq analysis.

Information about each individual sample is listed below, including gender, age, a tissue section image and estimated fractions of cell types. nTPM (normalized transcripts per million) values give a quantification of the gene abundance which is comparable between different genes and samples.
Average nTPMi

Max subtype nTPM is the value for the subtype with the largest average nTPM across the subtype samples.

61.2
overview
Female, age 60
Spleen sample 236
nTPM: 58.5
Cell types%
Lymphocytes:
40

Macrophages:
30

Endothelial cells:
15

Fibroblasts:
5

Other cell types:
10

overview
Male, age 17
Spleen sample 237
nTPM: 67.5
Cell types%
Lymphocytes:
40

Macrophages:
35

Endothelial cells:
15

Fibroblasts:
5

Other cell types:
5

overview
Male, age 20
Spleen sample 238
nTPM: 58.9
Cell types%
Lymphocytes:
40

Macrophages:
30

Endothelial cells:
15

Fibroblasts:
5

Other cell types:
10

overview
Female, age 19
Spleen sample 239
nTPM: 59.7
Cell types%
Lymphocytes:
40

Macrophages:
30

Endothelial cells:
15

Fibroblasts:
10

Other cell types:
5

overview
Female, age 65
Spleen sample 378
nTPM: 61.6
Cell types%
Lymphocytes:
35

Macrophages:
30

Endothelial cells:
20

Fibroblasts:
10

Other cell types:
5


SPLEEN - GTEx RNA-seqi

RNA-Seq data generated by the Genotype-Tissue Expression (GTEx) project from human tissues is reported as mean nTPM. More information can be found on the GTEx portal.

Distribution across the dataset is visualized with box plots, shown as median and 25th and 75th percentiles. Points are displayed as outliers if they are above or below 1.5 times the interquartile range. nTPM values of the individual samples are presented next to the box plot.
Max subtype nTPMi

Max subtype nTPM is the value for the subtype with the largest average nTPM across the subtype samples.

127.6
GTEx sample id Sample description nTPM
Spleen
Average nTPM: 127.6
Samples: 241

Max nTPM: 251.9
Min nTPM: 62.7
Std nTPM: 33.7
Median nTPM: 124.4
GTEX-1R7EV-0126-SM-EAZ3O 40-49 years, male 251.9
GTEX-18A66-1826-SM-7KFSU 60-69 years, male 246.9
GTEX-1JKYR-1126-SM-CGQGJ 20-29 years, male 234.5
GTEX-1IDJE-0126-SM-C1YQ6 50-59 years, female 215.8
GTEX-16XZY-0126-SM-7IGQ9 70-79 years, male 211.8
GTEX-U3ZH-0126-SM-4DXUK 30-39 years, male 208.9
GTEX-ZEX8-0726-SM-4WKH8 50-59 years, male 208.8
GTEX-13X6H-0726-SM-5Q5BX 50-59 years, female 206.1
GTEX-1CB4F-0226-SM-7EPHS 60-69 years, male 196.7
GTEX-13N11-0126-SM-5KM2Z 50-59 years, female 192.2
GTEX-1R9K5-1126-SM-EAZ4G 50-59 years, male 190.1
GTEX-146FR-1926-SM-5NQA6 60-69 years, female 189.0
GTEX-XMK1-0126-SM-4B65F 40-49 years, male 187.7
GTEX-1QW4Y-0126-SM-DPRZQ 30-39 years, male 186.5
GTEX-P78B-1226-SM-EZ6KP 40-49 years, female 186.4
GTEX-1F5PL-2226-SM-7MKHE 40-49 years, female 181.8
GTEX-1GF9U-0126-SM-AHZ4G 40-49 years, female 179.9
GTEX-QV31-0126-SM-447BP 30-39 years, male 179.4
GTEX-1B8KZ-0226-SM-7EWF6 50-59 years, male 178.3
GTEX-1OFPY-0126-SM-EXOJ3 60-69 years, male 178.0
GTEX-PX3G-0926-SM-48U12 20-29 years, female 176.7
GTEX-13FH7-1326-SM-5IFG8 50-59 years, female 175.5
GTEX-XXEK-0126-SM-4BRVU 50-59 years, male 172.7
GTEX-RUSQ-0126-SM-47JWV 50-59 years, male 172.1
GTEX-U4B1-0526-SM-4DXTK 40-49 years, male 171.3
GTEX-146FQ-0626-SM-5LU9U 30-39 years, male 168.4
GTEX-R55G-0226-SM-48FEI 40-49 years, female 167.2
GTEX-O5YT-0926-SM-48TDG 20-29 years, male 167.1
GTEX-11P81-1326-SM-5GU5S 30-39 years, female 166.9
GTEX-11XUK-0426-SM-5EQML 40-49 years, female 166.6
GTEX-14PKU-0526-SM-6871A 40-49 years, female 164.5
GTEX-1F5PK-0726-SM-7MGXN 50-59 years, male 163.9
GTEX-Y5LM-0326-SM-4VBRN 40-49 years, female 162.6
GTEX-12WSK-0126-SM-5GCO7 40-49 years, female 161.9
GTEX-T5JW-0126-SM-4DM6K 20-29 years, female 160.2
GTEX-14PK6-0526-SM-69LOF 70-79 years, female 159.0
GTEX-16MT8-1826-SM-7EWE8 60-69 years, female 158.5
GTEX-1JMLX-1426-SM-CNNPO 50-59 years, male 157.7
GTEX-15UF7-1926-SM-6LPJT 40-49 years, male 157.4
GTEX-1QP66-0126-SM-EAZ3N 50-59 years, male 157.2
GTEX-11NSD-0426-SM-5N9CR 20-29 years, male 157.1
GTEX-ZYFG-0726-SM-5GIDX 60-69 years, female 156.6
GTEX-14DAR-0326-SM-5S2PS 50-59 years, male 156.2
GTEX-QV44-0126-SM-CJI1X 50-59 years, male 156.2
GTEX-144GN-2126-SM-5O99D 50-59 years, male 156.1
GTEX-QESD-0126-SM-EXOHG 20-29 years, male 156.1
GTEX-1KANA-1226-SM-DHXKE 20-29 years, male 155.1
GTEX-1B97J-1926-SM-7IGQB 50-59 years, female 154.9
GTEX-1PDJ9-0226-SM-DPRYX 20-29 years, male 154.9
GTEX-12BJ1-0726-SM-5EGGF 60-69 years, male 153.4
GTEX-QLQW-0126-SM-447BK 30-39 years, male 153.4
GTEX-13U4I-1626-SM-5IFFR 40-49 years, female 153.3
GTEX-WYVS-0126-SM-4ONDH 40-49 years, female 153.3
GTEX-12WSJ-0526-SM-5GCOZ 40-49 years, female 151.1
GTEX-P4QT-0926-SM-EZ6KQ 50-59 years, female 150.0
GTEX-1QCLZ-1026-SM-E6CR1 60-69 years, female 149.9
GTEX-ZP4G-0326-SM-4YCEF 20-29 years, female 149.4
GTEX-147F3-0126-SM-5NQBJ 50-59 years, female 148.9
GTEX-1399S-0226-SM-5IFFG 30-39 years, female 148.4
GTEX-Q2AH-0226-SM-48U1I 40-49 years, male 146.7
GTEX-1RAZQ-0126-SM-EV7B1 30-39 years, male 146.5
GTEX-R55C-0126-SM-48FEQ 40-49 years, male 145.8
GTEX-1QP2A-2526-SM-EXOJB 50-59 years, male 145.6
GTEX-WY7C-0126-SM-4ONCO 50-59 years, male 145.5
GTEX-ZVP2-0526-SM-51MSC 50-59 years, male 145.3
GTEX-QCQG-0226-SM-48U28 50-59 years, female 144.0
GTEX-P4PQ-0926-SM-E9U4D 60-69 years, male 143.6
GTEX-QDVN-0526-SM-48TZ4 50-59 years, male 143.5
GTEX-13PVR-0326-SM-5RQJY 60-69 years, female 143.2
GTEX-1QCLY-0126-SM-DPRZV 30-39 years, male 141.4
GTEX-145MN-0126-SM-5RQHY 30-39 years, male 140.6
GTEX-XGQ4-0126-SM-4AT4H 50-59 years, male 140.5
GTEX-U3ZN-0126-SM-4DXUM 30-39 years, female 140.0
GTEX-ZV6S-0826-SM-5NQ6Z 40-49 years, female 139.9
GTEX-14E6E-1226-SM-5S2R5 30-39 years, male 139.5
GTEX-15RJ7-0126-SM-6LPJN 40-49 years, male 139.1
GTEX-1F75I-0226-SM-7MKHQ 40-49 years, male 139.0
GTEX-ZPIC-0126-SM-DNZZ9 40-49 years, female 138.8
GTEX-132QS-0226-SM-5IFFZ 60-69 years, male 137.9
GTEX-1MJK3-0126-SM-DPRYY 20-29 years, male 137.0
GTEX-13OVK-0426-SM-7KFT8 40-49 years, male 136.6
GTEX-Y3I4-0126-SM-4TT26 50-59 years, male 136.2
GTEX-1S831-0726-SM-EV79O 20-29 years, male 135.5
GTEX-YEC4-0126-SM-4W21T 40-49 years, male 135.4
GTEX-1399R-0226-SM-5IJGG 30-39 years, male 135.3
GTEX-X4LF-0226-SM-4QAS8 50-59 years, male 134.7
GTEX-Y3IK-0126-SM-4WWE9 50-59 years, female 134.3
GTEX-15RIF-0526-SM-6LLI2 20-29 years, male 134.1
GTEX-ZF2S-0326-SM-4WKGD 50-59 years, female 134.1
GTEX-ZTTD-1726-SM-57WEL 50-59 years, male 133.2
GTEX-1PWST-1626-SM-EXOIU 70-79 years, male 133.2
GTEX-11DXX-0726-SM-5H12X 60-69 years, female 132.9
GTEX-13PL7-1126-SM-5MR5O 60-69 years, female 132.8
GTEX-XQ8I-1726-SM-4BOQB 50-59 years, male 132.4
GTEX-ZLFU-0526-SM-4WWBN 40-49 years, male 132.1
GTEX-14PJ6-0226-SM-6AJ9K 60-69 years, female 132.0
GTEX-OIZH-0926-SM-48TBR 50-59 years, male 131.8
GTEX-14E1K-0126-SM-664NL 50-59 years, male 131.6
GTEX-ZZPU-0126-SM-5E446 50-59 years, female 131.6
GTEX-15SHV-0126-SM-6LPIS 60-69 years, male 131.0
GTEX-ZDYS-1026-SM-4WKHC 50-59 years, male 131.0
GTEX-1MUQO-1326-SM-EV7AE 60-69 years, male 130.8
GTEX-1J8QM-0926-SM-C1YQ9 60-69 years, female 130.6
GTEX-P4PP-0926-SM-48TBZ 30-39 years, female 130.4
GTEX-14PJ5-0326-SM-664OD 60-69 years, female 130.3
GTEX-OIZF-0926-SM-7MKH7 60-69 years, male 130.3
GTEX-1PIIG-1226-SM-EXOIQ 30-39 years, male 129.9
GTEX-13CF3-0226-SM-5J1NW 60-69 years, female 128.9
GTEX-11VI4-0126-SM-5GU6Z 40-49 years, female 128.8
GTEX-14JG6-0226-SM-6872A 30-39 years, female 128.8
GTEX-POMQ-0126-SM-48TD6 20-29 years, female 128.1
GTEX-18A67-1526-SM-7LG6F 50-59 years, male 127.8
GTEX-QMRM-0226-SM-CL55S 50-59 years, male 127.7
GTEX-1C4CL-0626-SM-731DM 30-39 years, male 127.2
GTEX-14ICL-0126-SM-664NG 30-39 years, male 126.7
GTEX-S4Z8-0226-SM-4AD5K 60-69 years, male 126.6
GTEX-WFON-0126-SM-4LVM9 40-49 years, male 126.2
GTEX-1HCU9-0126-SM-9WG7M 20-29 years, male 125.4
GTEX-15SB6-0126-SM-6LPJR 50-59 years, female 125.1
GTEX-14PN3-0226-SM-6871K 60-69 years, female 124.7
GTEX-ZVZP-0726-SM-59HKA 50-59 years, male 124.4
GTEX-111CU-0426-SM-5GZY1 50-59 years, male 123.9
GTEX-Y8LW-0126-SM-4VBS1 50-59 years, female 123.8
GTEX-1QAET-2326-SM-EXOJ1 50-59 years, male 123.2
GTEX-W5WG-0626-SM-4SOID 50-59 years, female 122.9
GTEX-1A3MV-0126-SM-731FQ 30-39 years, male 122.8
GTEX-ZPCL-0626-SM-DNZZ6 60-69 years, female 122.5
GTEX-131XE-1126-SM-5EGHW 50-59 years, male 121.8
GTEX-S3XE-0626-SM-4AD6B 50-59 years, male 121.3
GTEX-1B97I-0126-SM-731DH 40-49 years, male 121.2
GTEX-117YX-2126-SM-5GIEL 50-59 years, male 121.1
GTEX-VJYA-0126-SM-4KL1P 60-69 years, male 120.7
GTEX-XV7Q-0126-SM-4BRVK 40-49 years, female 120.4
GTEX-1JKYN-0326-SM-AHZ4D 30-39 years, male 119.9
GTEX-1QP29-0126-SM-EAZ3S 50-59 years, male 119.8
GTEX-1LG7Z-0126-SM-EV79V 30-39 years, male 119.5
GTEX-13VXT-1326-SM-5LU3Y 20-29 years, female 119.2
GTEX-1C64O-1626-SM-731EN 60-69 years, male 118.9
GTEX-1RNTQ-1026-SM-EV7B4 20-29 years, female 118.1
GTEX-X3Y1-0126-SM-4PQZA 40-49 years, male 117.5
GTEX-14PJ4-0526-SM-6871G 60-69 years, male 117.2
GTEX-ZPU1-1026-SM-4YCEQ 40-49 years, male 116.9
GTEX-ZDTT-1026-SM-5KM19 60-69 years, male 116.7
GTEX-Y5V5-1126-SM-EVYAR 60-69 years, female 116.7
GTEX-WHWD-0126-SM-4OORS 50-59 years, male 115.5
GTEX-1LSVX-1426-SM-DHXJO 60-69 years, male 115.1
GTEX-1RMOY-0726-SM-EV79D 50-59 years, male 114.7
GTEX-15F5U-0126-SM-6LPKA 40-49 years, male 114.4
GTEX-ZLWG-0426-SM-4WWFA 50-59 years, female 114.4
GTEX-1IDJC-0126-SM-C1YQC 50-59 years, male 114.4
GTEX-1CB4E-0126-SM-7DHMX 60-69 years, male 114.3
GTEX-YB5E-0426-SM-5IFHR 40-49 years, male 114.1
GTEX-1FIGZ-0126-SM-7MKGZ 40-49 years, male 114.0
GTEX-Z9EW-0726-SM-5HL9H 40-49 years, male 113.9
GTEX-12WSN-0126-SM-5DUX5 40-49 years, male 113.3
GTEX-1C475-1126-SM-7MGY7 40-49 years, female 112.9
GTEX-1R9K4-1526-SM-DPRY5 60-69 years, male 112.7
GTEX-NFK9-1426-SM-43ISG 40-49 years, male 112.5
GTEX-P4QS-0926-SM-48TBS 60-69 years, male 111.6
GTEX-UJHI-0126-SM-4IHLP 50-59 years, female 111.6
GTEX-11LCK-0126-SM-5A5M5 30-39 years, male 111.4
GTEX-1LVAN-1026-SM-CNNQZ 50-59 years, female 111.4
GTEX-17HHE-0326-SM-793BH 50-59 years, male 111.3
GTEX-1J8Q3-0126-SM-C1YSI 60-69 years, male 111.3
GTEX-15RIG-0126-SM-6PAN4 40-49 years, male 110.9
GTEX-1H3VY-1526-SM-9WG7S 50-59 years, male 109.9
GTEX-1AMFI-0926-SM-731E4 50-59 years, female 109.8
GTEX-XAJ8-0126-SM-47JYG 40-49 years, male 109.1
GTEX-1MCYP-0226-SM-EV7A3 20-29 years, female 108.6
GTEX-17F9E-1126-SM-79OMO 50-59 years, male 108.4
GTEX-1C6VQ-2126-SM-7IGNL 50-59 years, male 108.1
GTEX-11EQ9-0426-SM-5A5JY 30-39 years, male 107.9
GTEX-1CB4I-1426-SM-79OLZ 50-59 years, male 107.1
GTEX-1211K-0426-SM-5FQTP 60-69 years, female 106.5
GTEX-YFCO-0926-SM-5LUA5 40-49 years, male 106.5
GTEX-WYJK-0726-SM-4ONC9 50-59 years, male 106.2
GTEX-15DZA-0126-SM-6PAMV 30-39 years, female 106.0
GTEX-YB5K-1926-SM-4VDT4 40-49 years, female 105.8
GTEX-139T6-0226-SM-5IFGZ 50-59 years, male 105.6
GTEX-1MGNQ-1126-SM-EAZ4Y 40-49 years, male 105.5
GTEX-131XG-0426-SM-5IFGD 50-59 years, female 105.3
GTEX-1R9PM-0126-SM-DPRY6 20-29 years, male 103.8
GTEX-1LGRB-0126-SM-CNNR6 50-59 years, female 103.4
GTEX-XPVG-0626-SM-4B65B 50-59 years, male 103.3
GTEX-1R7EU-2026-SM-E9U63 60-69 years, male 103.0
GTEX-QDT8-1526-SM-EXOHP 30-39 years, female 102.9
GTEX-1122O-0526-SM-5N9DM 60-69 years, female 102.8
GTEX-12WSD-1726-SM-5GCN4 60-69 years, female 102.8
GTEX-ZAB5-0526-SM-5CVMU 50-59 years, male 101.6
GTEX-15ER7-1526-SM-6LLHO 20-29 years, female 101.1
GTEX-OOBJ-0926-SM-48TDO 60-69 years, male 100.5
GTEX-WXYG-0126-SM-4OND7 50-59 years, female 100.2
GTEX-17F98-0126-SM-7MGW3 40-49 years, female 100.2
GTEX-PW2O-0126-SM-48TC8 20-29 years, male 100.1
GTEX-14BMU-0426-SM-73KYT 20-29 years, female 99.9
GTEX-13111-0126-SM-5EGHO 50-59 years, male 99.2
GTEX-UPK5-1626-SM-4JBHI 40-49 years, male 98.5
GTEX-1HCU7-1426-SM-CNNQK 50-59 years, male 98.4
GTEX-1K2DA-0126-SM-CGQGV 50-59 years, male 97.9
GTEX-15DYW-1426-SM-6LPIW 60-69 years, female 97.7
GTEX-1L5NE-0926-SM-D4P3P 50-59 years, male 97.6
GTEX-139YR-0426-SM-5IFFV 50-59 years, male 95.8
GTEX-1AX9K-0226-SM-793CM 50-59 years, male 95.2
GTEX-1LNCM-0426-SM-DHXK6 50-59 years, female 95.0
GTEX-Y114-0726-SM-4TT6U 50-59 years, female 94.6
GTEX-1AYD5-0226-SM-79ONV 50-59 years, male 94.2
GTEX-1RAZR-1626-SM-EAZ4V 40-49 years, male 93.8
GTEX-1QMI2-1526-SM-EXOJT 60-69 years, male 92.8
GTEX-PLZ6-0126-SM-48TC6 30-39 years, male 91.4
GTEX-1R9JW-0126-SM-EAZ4P 30-39 years, female 90.8
GTEX-1PPH7-0126-SM-E6CPB 40-49 years, male 90.4
GTEX-15ETS-3126-SM-6LPKN 40-49 years, female 90.3
GTEX-1MCC2-0826-SM-EV7AM 30-39 years, female 89.5
GTEX-13S86-0126-SM-5S2PI 40-49 years, male 89.3
GTEX-1JK1U-0126-SM-C1YQY 60-69 years, male 89.3
GTEX-12WSG-0926-SM-5EGIH 50-59 years, female 88.9
GTEX-11P7K-0426-SM-5BC5H 30-39 years, male 87.6
GTEX-15CHC-0726-SM-6AJ9D 60-69 years, female 87.3
GTEX-1LSNM-0126-SM-EAZ57 50-59 years, male 86.4
GTEX-111FC-1326-SM-5N9D9 60-69 years, male 85.5
GTEX-ZG7Y-2026-SM-DO91N 50-59 years, male 85.5
GTEX-X585-1826-SM-4QAS3 50-59 years, male 84.6
GTEX-17GQL-0126-SM-72D5Q 60-69 years, male 83.3
GTEX-1KD5A-1526-SM-D4P3W 50-59 years, male 83.0
GTEX-1GZ4H-0126-SM-9JGGI 50-59 years, female 82.8
GTEX-Q734-0226-SM-48U1A 40-49 years, female 81.1
GTEX-1KAFJ-1026-SM-D4P2Z 50-59 years, male 80.2
GTEX-15SDE-0126-SM-793BA 50-59 years, female 80.1
GTEX-169BO-0126-SM-79OLS 50-59 years, male 77.4
GTEX-1JMQK-1126-SM-CXZJW 60-69 years, male 75.0
GTEX-1RAZA-1026-SM-E6CQ9 20-29 years, male 74.9
GTEX-1HSMQ-0126-SM-D4P2I 50-59 years, male 73.7
GTEX-1H3O1-1126-SM-9WPO9 60-69 years, male 73.2
GTEX-15CHQ-1226-SM-6ETZL 60-69 years, male 73.1
GTEX-17F96-1426-SM-7IGQA 70-79 years, male 72.1
GTEX-1K9T9-0626-SM-CXZKY 50-59 years, female 71.7
GTEX-ZF29-0626-SM-4WKHD 60-69 years, female 70.8
GTEX-1N2EF-1526-SM-EXOIY 60-69 years, male 68.8
GTEX-1JMPZ-0926-SM-CXZJR 30-39 years, male 68.7
GTEX-16MT9-1726-SM-6M47P 60-69 years, female 63.4
GTEX-17F97-1626-SM-72D6W 50-59 years, male 62.7
Show allShow less

SPLEEN - FANTOM5 CAGEi

RNA expression in human tissues obtained through Cap Analysis of Gene Expression (CAGE) generated by the FANTOM5 project are reported as Scaled Tags Per Million.

Max subtype Scaled Tags Per Millioni

Max subtype Scaled Tags Per Million is the value for the subtype with the largest average Scaled Tags Per Million across the subtype samples.

193.2
FANTOM5 sample id Sample description Scaled Tags Per Million
Spleen
Scaled Tags Per Million: 193.2
FF:10025-101D7 39,50,70 years, male 193.2

Contact

  • NEWS ARTICLES
  • PRESS ROOM

The Project

  • INTRODUCTION
  • ORGANIZATION
  • PUBLICATIONS

The Human Protein Atlas

  • DOWNLOADABLE DATA
  • LICENCE & CITATION
  • HELP & FAQ
The Human Protein Atlas project is funded
by the Knut & Alice Wallenberg Foundation.


contact@proteinatlas.org