We use cookies to enhance the usability of our website. If you continue, we'll assume that you are happy to receive all cookies. More information. Don't show this again.
MEGF8
HPA
RESOURCES
  • TISSUE
  • BRAIN
  • SINGLE CELL
  • SUBCELLULAR
  • CANCER
  • BLOOD
  • CELL LINE
  • STRUCTURE & INTERACTION
ABOUT
  • INTRODUCTION
  • HISTORY
  • ORGANIZATION
  • PUBLICATIONS
  • ANTIBODY SUBMISSION
  • ANTIBODY AVAILABILITY
  • ACKNOWLEDGMENTS
  • CONTACT
NEWS
  • NEWS ARTICLES
  • PRESS ROOM
LEARN
  • DICTIONARY
  • PROTEIN CLASSES
  • PROTEIN EVIDENCE
  • METHODS
  • EDUCATIONAL VIDEOS
DATA
  • DOWNLOADABLE DATA
  • PUBLICATION DATA
  • RELEASE HISTORY
HELP
  • ANTIBODY VALIDATION
  • ASSAYS & ANNOTATION
  • DISCLAIMER
  • HELP & FAQ
  • PRIVACY STATEMENT
  • LICENCE & CITATION
Fields »
Search result

Field
Term
Gene name
Class
Subclass
Class
Keyword
Chromosome
External id
Tissue
Cell type
Expression
Antibody panel
Tissue
Main location
Patient ID
Annotation
Tissue
Category
Tau score
Cluster
Reliability
Brain region
Category
Tau score
Brain region
Category
Tau score
Brain region
Category
Tau score
Cluster
Reliability
Tissue
Cell type
Enrichment
Cell type
Category
Tau score
Cell type
Category
Tau score
Cell type
Category
Tau score
Cell lineage
Category
Tau score
Cluster
Cluster
Location
Searches
Location
Cell line
Class
Type
Phase
Reliability
Cancer
Prognosis
Cancer
Category
Cancer
Category
Tau score
Cluster
Variants
Interacting gene (ensg_id)
Type
Number of interactions
Pathway
Category
Score
Score
Score
Validation
Validation
Validation
Validation
Antibodies
Data type
Column


  • SUMMARY

  • TISSUE

  • BRAIN

  • SINGLE CELL

  • SUBCELL

  • CANCER

  • BLOOD

  • CELL LINE

  • STRUCT & INT

  • MEGF8
TISSUE PRIMARY DATA ADIPOSE TISSUE Show tissue menu
ADIPOSE TISSUE ADRENAL GLAND AMYGDALA APPENDIX BASAL GANGLIA BONE MARROW BREAST BRONCHUS CEREBELLUM CEREBRAL CORTEX CERVIX CHOROID PLEXUS COLON DUODENUM
ENDOMETRIUM EPIDIDYMIS ESOPHAGUS FALLOPIAN TUBE GALLBLADDER HEART MUSCLE HIPPOCAMPAL FORMATION HYPOTHALAMUS KIDNEY LIVER LUNG LYMPH NODE MIDBRAIN NASOPHARYNX
ORAL MUCOSA OVARY PANCREAS PARATHYROID GLAND PITUITARY GLAND PLACENTA PROSTATE RECTUM RETINA SALIVARY GLAND SEMINAL VESICLE SKELETAL MUSCLE SKIN SMALL INTESTINE
SMOOTH MUSCLE SOFT TISSUE SPINAL CORD SPLEEN STOMACH TESTIS THYMUS THYROID GLAND TONGUE TONSIL URINARY BLADDER VAGINA
ANTIBODIES
AND
VALIDATION
Dictionary
Tissue proteome
Adipose tissue
ADIPOSE TISSUE - Expression summary
Protein expression
Adipose tissuei

On the top, protein expression in current human tissue, based on all annotated cell types, is reported with the units not detected (n), low (l), medium (m) and high (h). Underneath, protein expression in each annotated cell type are reported using the same units.

Protein expression data is based on knowledge-based annotation. For genes where more than one antibody has been used, a collective score is set.

If knowledge-based annotation could not be performed for a gene, no data is displayed here. View antibody staining data further down this page.

h
m
l
n
Adipocytes: Not detected
RNA expressioni

A summary of mRNA expression data available for current tissue based on several datasets. The mRNA expression levels in human tissues are based on RNA-seq data generated by the Human Protein Atlas (HPA), Genotype-Tissue Expression (GTEx) portal and CAGE data generated by the FANTOM5 consortium. Consensus normalized expression levels for human tissues was created by combining the data from HPA and GTEx datasets.

The mRNA expression levels in pig are based on RNA-seq data generated by the Human Protein Atlas (HPA), and for mouse, HPA data and in situ hybridization generated by the Allen brain atlas are reported.

Scroll down to view mRNA expression data in more detail.
Consensus:12.6 nTPM
HPA:12.6 nTPM
GTEx:10.2 nTPM
FANTOM5:18.1 Scaled Tags Per Million

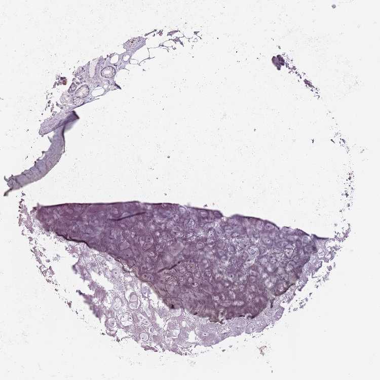
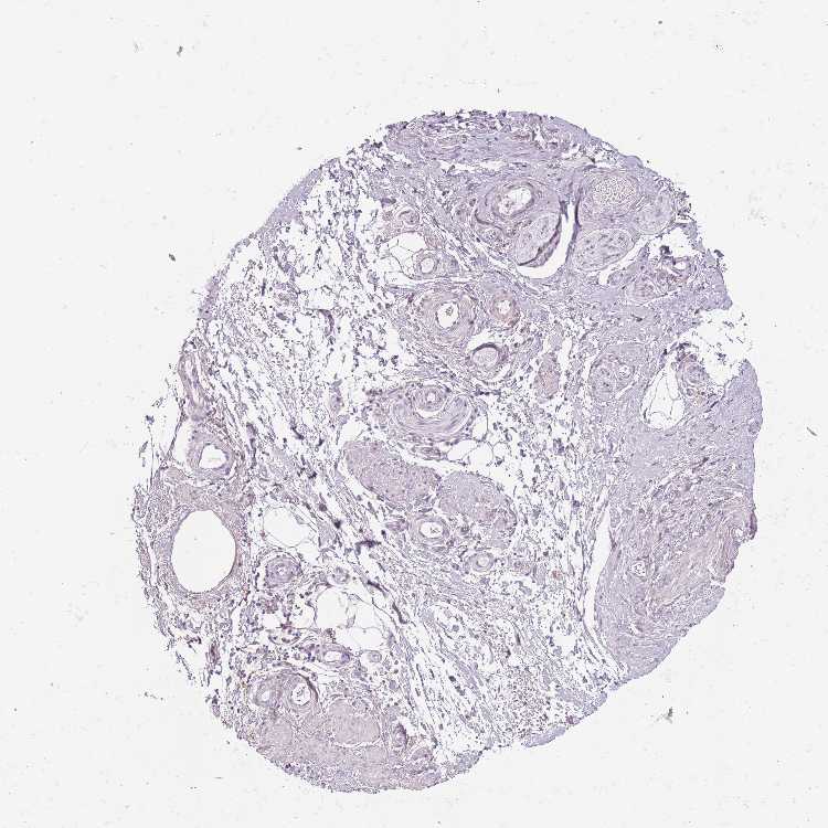
ADIPOSE TISSUE - Antibody stainingi

Antibody staining in the annotated cell types in the current human tissue is reported as not detected, low, medium, or high, based on conventional immunohistochemistry profiling in selected tissues. This score is based on the combination of the staining intensity and fraction of stained cells.

Each image is clickable and will lead to virtual microscopy that enables deeper exploration of all samples and also displays staining intensity scores, fraction scores and subcellular localization as well as patient and tissue information for each sample.

Antibody HPA049248
Adipocytes Not detected





ADIPOSE TISSUE - HPA RNA-seqi

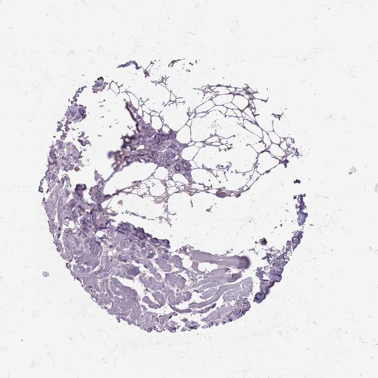
The RNA-seq details section shows detailed information about the individual samples used for the transcript profiling and results of the RNA-seq analysis.

Information about each individual sample is listed below, including gender, age, a tissue section image and estimated fractions of cell types. nTPM (normalized transcripts per million) values give a quantification of the gene abundance which is comparable between different genes and samples.
Average nTPMi

Max subtype nTPM is the value for the subtype with the largest average nTPM across the subtype samples.

12.6
N/A
Female, age 80
Adipose tissue sample 86
nTPM: 15.7
Cell types%
Adipocytes:
95

Other cell types:
5

N/A
Female, age 45
Adipose tissue sample 115
nTPM: 15.3
N/A
Female, age 57
Adipose tissue sample 137
nTPM: 17.8
Cell types%
Adipocytes:
60

Fibroblasts:
20

Smooth muscle cells:
15

Other cell types:
5

overview
Female, age 74
Adipose tissue sample 329
nTPM: 7.4
Cell types%
Adipocytes:
50

Fibroblasts:
30

Smooth muscle cells:
15

Other cell types:
5

overview
Female, age 59
Adipose tissue sample 331
nTPM: 6.6
Cell types%
Adipocytes:
40

Fibroblasts:
40

Smooth muscle cells:
15

Other cell types:
5


ADIPOSE TISSUE - GTEx RNA-seqi

RNA-Seq data generated by the Genotype-Tissue Expression (GTEx) project from human tissues is reported as mean nTPM. More information can be found on the GTEx portal.

Distribution across the dataset is visualized with box plots, shown as median and 25th and 75th percentiles. Points are displayed as outliers if they are above or below 1.5 times the interquartile range. nTPM values of the individual samples are presented next to the box plot.
Max subtype nTPMi

Max subtype nTPM is the value for the subtype with the largest average nTPM across the subtype samples.

10.2
GTEx sample id Sample description nTPM
Adipose - Subcutaneous
Average nTPM: 10.2
Samples: 663

Max nTPM: 26.0
Min nTPM: 2.6
Std nTPM: 3.5
Median nTPM: 9.4
GTEX-PWCY-1926-SM-3NB25 20-29 years, female 26.0
GTEX-ZPCL-2126-SM-57WFZ 60-69 years, female 24.4
GTEX-1K2DA-2126-SM-CGQGL 50-59 years, male 24.2
GTEX-YB5E-2126-SM-5IFI7 40-49 years, male 24.1
GTEX-ZDTT-2626-SM-5S2OP 60-69 years, male 22.1
GTEX-1MCYP-1826-SM-E9J2Q 20-29 years, female 21.9
GTEX-13D11-2326-SM-5IJCY 50-59 years, female 21.3
GTEX-R53T-1626-SM-3GAEW 50-59 years, female 21.1
GTEX-PWN1-0226-SM-DKPO9 40-49 years, female 21.1
GTEX-17HHE-1926-SM-7EPGW 50-59 years, male 20.9
GTEX-R55G-2426-SM-2TC5I 40-49 years, female 20.9
GTEX-1KANA-0826-SM-D3L9J 20-29 years, male 20.8
GTEX-1JKYN-1226-SM-CGQG8 30-39 years, male 20.6
GTEX-ZQG8-1526-SM-5HL65 60-69 years, female 20.3
GTEX-11DXX-2326-SM-9YFKS 60-69 years, female 20.3
GTEX-O5YV-0226-SM-48TBY 60-69 years, female 19.3
GTEX-PLZ6-1326-SM-3NB24 30-39 years, male 19.2
GTEX-1R7EV-1926-SM-EVYBF 40-49 years, male 19.1
GTEX-11EM3-2326-SM-5H12B 20-29 years, female 18.9
GTEX-ZP4G-2326-SM-57WEM 20-29 years, female 18.8
GTEX-ZXES-2026-SM-5NQ6R 30-39 years, female 18.7
GTEX-QLQW-1226-SM-2S1Q9 30-39 years, male 18.6
GTEX-1122O-2026-SM-9YFMG 60-69 years, female 18.4
GTEX-14AS3-2026-SM-5TDD9 40-49 years, female 18.3
GTEX-1MA7W-1926-SM-E6CIO 20-29 years, female 18.2
GTEX-WFG7-2526-SM-EWRM5 20-29 years, male 18.1
GTEX-ZDYS-2126-SM-5S2P2 50-59 years, male 18.0
GTEX-183FY-0326-SM-793BY 20-29 years, male 17.9
GTEX-11ZTT-2526-SM-5EQM9 60-69 years, female 17.8
GTEX-ZVT2-2226-SM-5NQ6P 50-59 years, female 17.7
GTEX-XUZC-1826-SM-4BRVO 30-39 years, female 17.6
GTEX-145ME-1926-SM-5MR6T 40-49 years, female 17.5
GTEX-18A67-0226-SM-7LG67 50-59 years, male 17.4
GTEX-1LG7Z-2026-SM-DLHBP 30-39 years, male 17.2
GTEX-11TUW-2626-SM-5EQKZ 60-69 years, male 16.7
GTEX-14BMU-2126-SM-5S2TS 20-29 years, female 16.7
GTEX-ZGAY-0626-SM-DO92E 40-49 years, female 16.7
GTEX-146FR-1826-SM-5QGPF 60-69 years, female 16.6
GTEX-P78B-0226-SM-3NB1Z 40-49 years, female 16.6
GTEX-1RAZQ-0626-SM-E8VOR 30-39 years, male 16.6
GTEX-139T6-2126-SM-5KM37 50-59 years, male 16.5
GTEX-16MTA-2126-SM-6PALC 50-59 years, male 16.5
GTEX-WY7C-2426-SM-3NB2V 50-59 years, male 16.5
GTEX-U4B1-1726-SM-3DB9F 40-49 years, male 16.4
GTEX-145MN-2626-SM-5NQAH 30-39 years, male 16.3
GTEX-SUCS-1826-SM-32PM1 70-79 years, male 16.2
GTEX-1CAMS-0326-SM-7PC35 40-49 years, female 16.2
GTEX-1FIGZ-1626-SM-7SB8L 40-49 years, male 16.2
GTEX-XUW1-0526-SM-4BOP3 50-59 years, female 16.1
GTEX-XGQ4-2226-SM-4AT4Y 50-59 years, male 16.0
GTEX-1IDJU-2526-SM-CMKGF 60-69 years, female 16.0
GTEX-1MCC2-2326-SM-E9U5G 30-39 years, female 16.0
GTEX-S4P3-1526-SM-E9J3W 50-59 years, female 16.0
GTEX-147F3-0626-SM-5NQ9I 50-59 years, female 15.9
GTEX-1A3MV-2126-SM-718BV 30-39 years, male 15.9
GTEX-R55C-1626-SM-48FEG 40-49 years, male 15.9
GTEX-ZZ64-1626-SM-5E43W 20-29 years, male 15.9
GTEX-13N1W-0226-SM-5K7W6 70-79 years, male 15.8
GTEX-T6MO-1726-SM-33HB8 40-49 years, female 15.8
GTEX-1C475-1926-SM-7DUFV 40-49 years, female 15.7
GTEX-O5YT-0226-SM-32PK5 20-29 years, male 15.7
GTEX-SNOS-1426-SM-32PLY 40-49 years, male 15.7
GTEX-18A66-0326-SM-718BE 60-69 years, male 15.6
GTEX-TMZS-0226-SM-3DB9N 60-69 years, male 15.6
GTEX-1I4MK-2026-SM-B2LVR 50-59 years, female 15.6
GTEX-1RAZA-0226-SM-E9U4W 20-29 years, male 15.6
GTEX-1HSGN-0126-SM-CGQFU 40-49 years, female 15.4
GTEX-VUSG-2426-SM-4KKZG 50-59 years, male 15.2
GTEX-111CU-1826-SM-5GZYN 50-59 years, male 15.1
GTEX-1AMEY-1426-SM-7939I 30-39 years, female 15.1
GTEX-W5WG-2526-SM-4SOJ2 50-59 years, female 15.1
GTEX-ZLV1-1826-SM-5FQU5 60-69 years, female 15.1
GTEX-1S82P-0226-SM-E6CI6 60-69 years, female 15.1
GTEX-1RAZR-0226-SM-EVYC6 40-49 years, male 15.0
GTEX-1S831-0326-SM-EVYD3 20-29 years, male 15.0
GTEX-1L5NE-2626-SM-E9U6P 50-59 years, male 14.9
GTEX-13PVR-2426-SM-5RQHN 60-69 years, female 14.8
GTEX-QMRM-1726-SM-2S1QG 50-59 years, male 14.7
GTEX-14PJ6-2226-SM-6LLIV 60-69 years, female 14.6
GTEX-Y9LG-2026-SM-62LFS 30-39 years, male 14.6
GTEX-X15G-2326-SM-4PQZS 50-59 years, female 14.4
GTEX-13113-1826-SM-5LZW4 60-69 years, female 14.2
GTEX-XAJ8-0926-SM-47JXZ 40-49 years, male 14.2
GTEX-ZLFU-2626-SM-DO91L 40-49 years, male 14.0
GTEX-17MFQ-1826-SM-7DHLS 20-29 years, male 13.9
GTEX-1GN1W-0626-SM-9MQK3 50-59 years, female 13.9
GTEX-1HCU6-0226-SM-CGQES 60-69 years, female 13.9
GTEX-13QBU-2526-SM-5LU4X 40-49 years, female 13.8
GTEX-1497J-2326-SM-5NQBK 60-69 years, male 13.8
GTEX-11XUK-2126-SM-5EQLR 40-49 years, female 13.7
GTEX-YEC4-2426-SM-57WFO 40-49 years, male 13.7
GTEX-13O1R-0226-SM-5K7U5 60-69 years, male 13.6
GTEX-YF7O-2426-SM-5IFJL 50-59 years, male 13.6
GTEX-169BO-1426-SM-9MQJT 50-59 years, male 13.6
GTEX-1MA7X-2126-SM-E6CIX 60-69 years, male 13.6
GTEX-1JN76-0226-SM-CMKGO 20-29 years, female 13.5
GTEX-1LGRB-2426-SM-CNPP3 50-59 years, female 13.5
GTEX-Q734-1826-SM-2I3EL 40-49 years, female 13.4
GTEX-WHPG-2126-SM-4M1ZM 50-59 years, male 13.4
GTEX-Z93T-0226-SM-5HL5Z 50-59 years, male 13.4
GTEX-ZF29-2226-SM-4WWB9 60-69 years, female 13.4
GTEX-ZPIC-1826-SM-57WFE 40-49 years, female 13.4
GTEX-1KXAM-2326-SM-CYPTD 60-69 years, male 13.4
GTEX-PX3G-0226-SM-DKPOF 20-29 years, female 13.4
GTEX-1128S-2126-SM-5H12U 60-69 years, female 13.3
GTEX-14PJM-0326-SM-62LF2 50-59 years, female 13.3
GTEX-QV31-1326-SM-2S1QE 30-39 years, male 13.3
GTEX-1F88F-2626-SM-9WG5K 60-69 years, female 13.3
GTEX-15SDE-2426-SM-7KFRC 50-59 years, female 13.2
GTEX-PLZ5-1826-SM-3NB22 50-59 years, male 13.2
GTEX-1I6K7-0226-SM-CJI46 40-49 years, male 13.2
GTEX-117YX-2226-SM-5EGJJ 50-59 years, male 13.1
GTEX-14PHX-2426-SM-62LEN 50-59 years, male 13.1
GTEX-11EQ9-2526-SM-5HL66 30-39 years, male 13.0
GTEX-OXRL-0226-SM-3NB18 50-59 years, male 13.0
GTEX-VJYA-1326-SM-3GIJC 60-69 years, male 13.0
GTEX-11I78-2626-SM-5Q5AI 50-59 years, female 12.9
GTEX-Q2AI-1426-SM-2S1P5 40-49 years, male 12.9
GTEX-ZVZO-0226-SM-5A5LA 40-49 years, male 12.9
GTEX-1CAMR-1826-SM-7MXUJ 20-29 years, male 12.9
GTEX-1QAET-1126-SM-E8VML 50-59 years, male 12.9
GTEX-14JG6-2326-SM-6LLH3 30-39 years, female 12.8
GTEX-14PJ3-1926-SM-62LEY 50-59 years, male 12.8
GTEX-OXRP-0226-SM-3NB14 60-69 years, female 12.8
GTEX-P4QS-0226-SM-3NB1U 60-69 years, male 12.8
GTEX-1K9T9-0226-SM-E9U6K 50-59 years, female 12.8
GTEX-QV44-1825-SM-447CF 50-59 years, male 12.7
GTEX-T5JW-1726-SM-3GADN 20-29 years, female 12.7
GTEX-ZT9X-1926-SM-57WE7 40-49 years, male 12.7
GTEX-1ICG6-2626-SM-CGQG1 70-79 years, female 12.7
GTEX-14PK6-2026-SM-6LLHP 70-79 years, female 12.6
GTEX-13NZA-0126-SM-5K7UH 60-69 years, male 12.5
GTEX-17F98-1126-SM-79OJS 40-49 years, female 12.5
GTEX-WH7G-2226-SM-3NMBN 40-49 years, male 12.5
GTEX-ZZPU-2726-SM-5NQ8O 50-59 years, female 12.5
GTEX-1HCUA-2226-SM-ADEHF 50-59 years, female 12.5
GTEX-1LSNM-2026-SM-E6CIJ 50-59 years, male 12.5
GTEX-15ETS-0426-SM-6PANI 40-49 years, female 12.4
GTEX-S95S-1326-SM-2XCDK 60-69 years, male 12.4
GTEX-1GN1U-0226-SM-9YFLQ 50-59 years, female 12.4
GTEX-13FTW-2526-SM-5IJC8 40-49 years, male 12.3
GTEX-R55D-0326-SM-48FES 50-59 years, male 12.3
GTEX-1HSMP-0226-SM-CGQFI 70-79 years, male 12.3
GTEX-P4PP-0226-SM-D4P1Z 30-39 years, female 12.3
GTEX-NFK9-0326-SM-3MJGV 40-49 years, male 12.2
GTEX-OHPK-0226-SM-3MJH6 50-59 years, female 12.2
GTEX-111YS-2426-SM-5GZZQ 60-69 years, male 12.1
GTEX-RM2N-1726-SM-2TF55 50-59 years, male 12.1
GTEX-SNMC-1326-SM-2XCFK 20-29 years, male 12.1
GTEX-WEY5-1926-SM-3GIL8 40-49 years, female 12.1
GTEX-11P81-2426-SM-5GU65 30-39 years, female 12.0
GTEX-17HHY-0226-SM-793BQ 50-59 years, male 12.0
GTEX-ZTSS-2026-SM-5987K 40-49 years, male 12.0
GTEX-1J8QM-2326-SM-CYPSL 60-69 years, female 12.0
GTEX-ZLWG-2226-SM-DO92V 50-59 years, female 12.0
GTEX-11P7K-2026-SM-5GU74 30-39 years, male 11.9
GTEX-13FH7-2226-SM-5IJD4 50-59 years, female 11.9
GTEX-14DAR-1926-SM-5S2NQ 50-59 years, male 11.9
GTEX-11TT1-2426-SM-5EQMK 20-29 years, male 11.8
GTEX-132AR-0226-SM-5IJBE 50-59 years, female 11.8
GTEX-144GM-1926-SM-5LUAN 20-29 years, male 11.8
GTEX-18D9A-2026-SM-718BL 30-39 years, female 11.8
GTEX-QCQG-1826-SM-2S1P2 50-59 years, female 11.8
GTEX-S32W-2226-SM-2XCAY 50-59 years, female 11.8
GTEX-X88G-0226-SM-4GIE4 30-39 years, male 11.8
GTEX-ZC5H-0126-SM-4WAYL 40-49 years, female 11.8
GTEX-ZVP2-1826-SM-5GU62 50-59 years, male 11.8
GTEX-1HBPI-1426-SM-B2LW7 50-59 years, male 11.8
GTEX-13O21-1526-SM-5K7W4 50-59 years, male 11.7
GTEX-TKQ1-1126-SM-4GIAZ 30-39 years, male 11.7
GTEX-113IC-0226-SM-5HL5C 60-69 years, male 11.6
GTEX-1C2JI-2226-SM-7IGPJ 50-59 years, male 11.6
GTEX-XBED-2326-SM-47JYR 60-69 years, male 11.6
GTEX-1GMRU-0226-SM-9YFLW 50-59 years, male 11.6
GTEX-1HSEH-0226-SM-ACKVV 60-69 years, male 11.6
GTEX-1MGNQ-0226-SM-EVYCK 40-49 years, male 11.6
GTEX-Y8E5-0226-SM-57WCM 60-69 years, male 11.5
GTEX-YB5K-2226-SM-4WWG1 40-49 years, female 11.5
GTEX-1NHNU-1126-SM-E9J2C 50-59 years, male 11.5
GTEX-12126-0426-SM-5Q5AP 20-29 years, male 11.4
GTEX-13YAN-0426-SM-5O9DR 60-69 years, male 11.4
GTEX-17F96-1726-SM-7IGMB 70-79 years, male 11.4
GTEX-OOBK-0226-SM-2YUMF 40-49 years, male 11.4
GTEX-Q2AG-0226-SM-2S1P4 40-49 years, female 11.4
GTEX-QLQ7-1526-SM-2S1QA 60-69 years, male 11.4
GTEX-RTLS-0226-SM-2TF5E 60-69 years, female 11.4
GTEX-S33H-1126-SM-2XCB6 30-39 years, male 11.4
GTEX-ZTX8-1526-SM-5N9GI 20-29 years, male 11.4
GTEX-11EMC-2826-SM-5PNY6 60-69 years, female 11.3
GTEX-11ZTS-0226-SM-5EQKD 60-69 years, female 11.3
GTEX-16BQI-0526-SM-6PAM8 30-39 years, female 11.3
GTEX-U8XE-0426-SM-3DB91 30-39 years, male 11.3
GTEX-XBEW-0726-SM-4QARX 40-49 years, male 11.3
GTEX-1PFEY-1626-SM-E9J3M 30-39 years, male 11.3
GTEX-11LCK-1126-SM-5A5KC 30-39 years, male 11.2
GTEX-YJ8O-2426-SM-5HL7S 40-49 years, female 11.2
GTEX-1J1R8-2226-SM-ARZMP 40-49 years, male 11.2
GTEX-WFG8-2326-SM-DIPDX 20-29 years, male 11.2
GTEX-11GSO-2326-SM-5A5LX 60-69 years, male 11.1
GTEX-12ZZY-0326-SM-5LZVQ 60-69 years, male 11.1
GTEX-13CF3-2326-SM-5IFGL 60-69 years, female 11.1
GTEX-13N11-2626-SM-5K7UQ 50-59 years, female 11.1
GTEX-145LT-1826-SM-5QGP4 40-49 years, male 11.1
GTEX-16GPK-0226-SM-7DUFI 60-69 years, male 11.1
GTEX-OHPN-0226-SM-48TBV 60-69 years, female 11.1
GTEX-WFON-2226-SM-3TW8W 40-49 years, male 11.1
GTEX-YEC3-1226-SM-5IFI8 50-59 years, male 11.1
GTEX-ZPU1-2426-SM-4WWFM 40-49 years, male 11.1
GTEX-1E2YA-0226-SM-9MQLY 50-59 years, male 11.1
GTEX-1I1GU-2326-SM-CGQFB 40-49 years, male 11.1
GTEX-1QP66-1326-SM-DTXDQ 50-59 years, male 11.1
GTEX-132QS-2526-SM-62LFJ 60-69 years, male 11.0
GTEX-139TU-0226-SM-5J1NM 60-69 years, male 11.0
GTEX-16NGA-1826-SM-7LG5L 40-49 years, female 11.0
GTEX-WFJO-1926-SM-3GILA 30-39 years, male 11.0
GTEX-Z9EW-1826-SM-5CVMA 40-49 years, male 11.0
GTEX-1LGOU-2226-SM-E9U56 20-29 years, female 11.0
GTEX-1PIGE-0526-SM-DTXFA 20-29 years, male 11.0
GTEX-13O3Q-2326-SM-5KM3G 50-59 years, male 10.9
GTEX-13OW6-0526-SM-5L3HY 50-59 years, male 10.9
GTEX-P4PQ-0226-SM-2S1NK 60-69 years, male 10.9
GTEX-PSDG-0326-SM-48TCP 50-59 years, male 10.9
GTEX-XV7Q-2626-SM-4BRVA 40-49 years, female 10.9
GTEX-1EKGG-0126-SM-9YFLS 60-69 years, male 10.9
GTEX-1LVAN-0126-SM-COH4H 50-59 years, female 10.9
GTEX-11P82-1726-SM-5Q5AT 20-29 years, male 10.8
GTEX-SSA3-0226-SM-32QPN 60-69 years, male 10.8
GTEX-TML8-2026-SM-32QOP 40-49 years, female 10.8
GTEX-XUYS-0226-SM-47JX1 50-59 years, male 10.8
GTEX-1GF9V-0226-SM-9MQKA 60-69 years, male 10.8
GTEX-1GF9X-1926-SM-ADEIC 40-49 years, female 10.8
GTEX-1POEN-0226-SM-EYYXE 30-39 years, female 10.8
GTEX-1PPH8-0626-SM-EWRN9 20-29 years, male 10.8
GTEX-U3ZM-1026-SM-EZ6LD 40-49 years, male 10.8
GTEX-1269C-2726-SM-5EGJ4 60-69 years, female 10.7
GTEX-13OVK-2126-SM-6PAN1 40-49 years, male 10.7
GTEX-15UKP-0526-SM-7KFRO 20-29 years, male 10.7
GTEX-1B932-0226-SM-7PBYH 40-49 years, female 10.7
GTEX-NPJ8-0226-SM-48TBN 40-49 years, male 10.6
GTEX-T6MN-0226-SM-32PMD 50-59 years, male 10.6
GTEX-YECK-0226-SM-4W215 60-69 years, male 10.6
GTEX-1EH9U-0226-SM-7PBY8 60-69 years, male 10.6
GTEX-1QP29-0726-SM-DTXFM 50-59 years, male 10.6
GTEX-11DZ1-0226-SM-5A5KF 50-59 years, male 10.5
GTEX-131XE-2426-SM-5EQ5V 50-59 years, male 10.5
GTEX-13OW7-0226-SM-5MR3N 50-59 years, male 10.5
GTEX-17EUY-0526-SM-7EWDE 20-29 years, male 10.5
GTEX-QEG5-0326-SM-2S1PB 20-29 years, male 10.5
GTEX-ZYT6-0326-SM-7LG5R 30-39 years, male 10.5
GTEX-1J8Q3-1526-SM-CMKGB 60-69 years, male 10.5
GTEX-13CF2-2626-SM-5LZZA 60-69 years, male 10.4
GTEX-13X6J-0226-SM-7EPGC 50-59 years, male 10.4
GTEX-14ABY-0326-SM-5TDDK 50-59 years, male 10.4
GTEX-1AX9K-2426-SM-73KZ4 50-59 years, male 10.4
GTEX-X4XY-0326-SM-46MVZ 60-69 years, male 10.4
GTEX-1HSKV-0326-SM-ADEJC 60-69 years, male 10.4
GTEX-1C4CL-0426-SM-7939N 30-39 years, male 10.3
GTEX-1EWIQ-0226-SM-793D3 70-79 years, female 10.3
GTEX-QDVJ-1826-SM-2S1P3 50-59 years, male 10.3
GTEX-1F5PK-2526-SM-9MQKN 50-59 years, male 10.3
GTEX-1F6I4-0226-SM-9MQMA 60-69 years, male 10.3
GTEX-1HT8W-0226-SM-CMKGT 30-39 years, male 10.3
GTEX-1IDJF-0226-SM-CMKGE 20-29 years, male 10.3
GTEX-1N2DW-0326-SM-E9TK3 50-59 years, male 10.3
GTEX-OIZG-0826-SM-E9TI4 50-59 years, male 10.3
GTEX-12696-2526-SM-5EQLN 60-69 years, male 10.2
GTEX-12WSC-0226-SM-5EQ52 50-59 years, male 10.2
GTEX-144GL-0226-SM-5QGOX 50-59 years, male 10.2
GTEX-14PN3-2526-SM-6EU15 60-69 years, female 10.2
GTEX-18D9U-0726-SM-7LG5J 40-49 years, male 10.2
GTEX-N7MS-0326-SM-4E3K2 60-69 years, male 10.2
GTEX-RWSA-0226-SM-2XCBA 40-49 years, male 10.2
GTEX-1F48J-0226-SM-7SB82 50-59 years, female 10.2
GTEX-1JKYR-0226-SM-CNPOK 20-29 years, male 10.2
GTEX-1PBJI-0426-SM-E8VNM 20-29 years, female 10.2
GTEX-1R9K5-0226-SM-EWRNF 50-59 years, male 10.2
GTEX-Q2AH-1726-SM-DIPDV 40-49 years, male 10.2
GTEX-146FH-0226-SM-5QGPQ 50-59 years, female 10.1
GTEX-Y114-2326-SM-4TT7X 50-59 years, female 10.1
GTEX-ZVTK-0526-SM-5GZWT 20-29 years, male 10.1
GTEX-1I1GR-0226-SM-CMKHQ 60-69 years, male 10.1
GTEX-1QP28-0226-SM-E9J2N 50-59 years, female 10.1
GTEX-11ONC-2526-SM-5986W 60-69 years, male 10.0
GTEX-12KS4-0426-SM-5EQMC 30-39 years, male 10.0
GTEX-13PVQ-0226-SM-5SIBG 50-59 years, male 10.0
GTEX-1E1VI-0226-SM-793CZ 50-59 years, male 10.0
GTEX-OHPM-0226-SM-3LK61 50-59 years, male 10.0
GTEX-XBEC-0326-SM-4AT4M 50-59 years, male 10.0
GTEX-ZYY3-0226-SM-5E45M 60-69 years, female 10.0
GTEX-1CB4F-0526-SM-9KNW2 60-69 years, male 10.0
GTEX-1QPFJ-0126-SM-E9J4B 30-39 years, female 10.0
GTEX-PLZ4-0226-SM-CYPR1 50-59 years, female 10.0
GTEX-11DXW-0326-SM-5H11W 40-49 years, male 9.9
GTEX-1212Z-2426-SM-5EQ5D 60-69 years, male 9.9
GTEX-12WSD-0226-SM-59HKO 60-69 years, female 9.9
GTEX-13O3P-0226-SM-5KM3Z 50-59 years, male 9.9
GTEX-13VXT-0226-SM-5LU9Q 20-29 years, female 9.9
GTEX-144FL-0226-SM-5Q5D4 50-59 years, male 9.9
GTEX-16NPX-0326-SM-7EWDI 50-59 years, male 9.9
GTEX-X4LF-1726-SM-3NMBZ 50-59 years, male 9.9
GTEX-1GMR8-0226-SM-9YFL3 50-59 years, female 9.9
GTEX-1H3VY-0226-SM-9YFMF 50-59 years, male 9.9
GTEX-1JMPY-1426-SM-ARL8Z 30-39 years, male 9.9
GTEX-16AAH-2026-SM-7LG5F 50-59 years, male 9.8
GTEX-1B8KE-2526-SM-73KYQ 50-59 years, male 9.8
GTEX-P44G-2326-SM-2XCCZ 30-39 years, male 9.8
GTEX-XPVG-2726-SM-4B66W 50-59 years, male 9.8
GTEX-Z93S-0226-SM-5HL7R 50-59 years, male 9.8
GTEX-ZUA1-0226-SM-5NQ9Q 40-49 years, male 9.8
GTEX-ZYFC-0326-SM-5NQ7H 50-59 years, male 9.8
GTEX-1HFI7-2026-SM-CGQFR 50-59 years, female 9.8
GTEX-145MI-0426-SM-5O99V 60-69 years, female 9.7
GTEX-1AMFI-2126-SM-731BT 50-59 years, female 9.7
GTEX-P4QT-0226-SM-3LK68 50-59 years, female 9.7
GTEX-X8HC-0226-SM-4E3K1 50-59 years, female 9.7
GTEX-Y3IK-2526-SM-4WWDM 50-59 years, female 9.7
GTEX-1CB4J-1126-SM-7PBY1 60-69 years, male 9.7
GTEX-1LBAC-0226-SM-DHXJZ 20-29 years, male 9.7
GTEX-ZDXO-2426-SM-5S2NJ 60-69 years, male 9.6
GTEX-1PWST-0326-SM-EAZ42 70-79 years, male 9.6
GTEX-UTHO-0426-SM-CE6QU 60-69 years, male 9.6
GTEX-13IVO-0226-SM-5LZXU 70-79 years, male 9.5
GTEX-YJ8A-0526-SM-5IFHT 20-29 years, male 9.5
GTEX-1GN1V-0226-SM-9WYTN 60-69 years, male 9.5
GTEX-1HFI6-0326-SM-ADEI5 40-49 years, male 9.5
GTEX-13QJ3-0426-SM-5RQHP 50-59 years, male 9.4
GTEX-14PII-0326-SM-6LLIQ 60-69 years, male 9.4
GTEX-16XZY-2526-SM-7DHL2 70-79 years, male 9.4
GTEX-17HGU-0326-SM-7DUER 50-59 years, male 9.4
GTEX-OIZH-0226-SM-2YUMH 50-59 years, male 9.4
GTEX-OXRK-0326-SM-3NB3R 50-59 years, female 9.4
GTEX-RU72-1026-SM-46MUG 50-59 years, female 9.4
GTEX-S7SE-0226-SM-2XCD4 50-59 years, male 9.4
GTEX-W5X1-2626-SM-4LMI8 40-49 years, female 9.4
GTEX-XMK1-2226-SM-4B673 40-49 years, male 9.4
GTEX-ZAK1-0226-SM-5CVMX 50-59 years, female 9.4
GTEX-1I6K6-0226-SM-ADEID 30-39 years, male 9.4
GTEX-1ICLZ-0226-SM-CKZPP 60-69 years, male 9.4
GTEX-1OFPY-2326-SM-E8VNU 60-69 years, male 9.4
GTEX-11GS4-2626-SM-5A5LD 60-69 years, male 9.3
GTEX-11ZUS-0726-SM-59886 30-39 years, male 9.3
GTEX-15CHQ-0226-SM-6EU2S 60-69 years, male 9.3
GTEX-T8EM-1126-SM-3DB7D 40-49 years, male 9.3
GTEX-1I1GP-2326-SM-CGQFL 50-59 years, male 9.3
GTEX-1J8EW-0226-SM-CYPSW 60-69 years, female 9.3
GTEX-1117F-0226-SM-5GZZ7 60-69 years, female 9.2
GTEX-1314G-1626-SM-5EQ67 30-39 years, male 9.2
GTEX-13W3W-2526-SM-5SI9P 60-69 years, female 9.2
GTEX-17EVP-0426-SM-79OKG 40-49 years, male 9.2
GTEX-1B97I-1726-SM-7939V 40-49 years, male 9.2
GTEX-QESD-1526-SM-2S1QT 20-29 years, male 9.2
GTEX-U3ZN-2626-SM-3DB7T 30-39 years, female 9.2
GTEX-WL46-0326-SM-3LK6Y 50-59 years, male 9.2
GTEX-X638-0226-SM-47JZ9 70-79 years, female 9.2
GTEX-Y3I4-2226-SM-4TT7O 50-59 years, male 9.2
GTEX-1GPI7-0226-SM-9MQKB 20-29 years, male 9.2
GTEX-QEG4-0326-SM-DIPE3 30-39 years, male 9.2
GTEX-12C56-1626-SM-5FQUO 20-29 years, male 9.1
GTEX-12WSM-0226-SM-5LZV6 60-69 years, male 9.1
GTEX-XXEK-2426-SM-4BRUS 50-59 years, male 9.1
GTEX-1F75A-0226-SM-7PC2K 50-59 years, male 9.1
GTEX-1IKK5-0526-SM-CMKGG 60-69 years, male 9.1
GTEX-1IY9M-0226-SM-CMKHP 60-69 years, male 9.1
GTEX-13NYS-0226-SM-5MR49 60-69 years, male 9.0
GTEX-13NZ8-0926-SM-5MR3U 60-69 years, female 9.0
GTEX-13PLJ-0126-SM-5L3HU 60-69 years, female 9.0
GTEX-17HII-0326-SM-7LG4X 50-59 years, male 9.0
GTEX-18A6Q-0226-SM-718AS 60-69 years, male 9.0
GTEX-1B8SF-0526-SM-7939F 60-69 years, male 9.0
GTEX-ZEX8-2326-SM-5S2MN 50-59 years, male 9.0
GTEX-11NUK-0326-SM-5HL5K 50-59 years, male 9.0
GTEX-1B8L1-2626-SM-7SB77 60-69 years, male 9.0
GTEX-1H1ZS-0526-SM-9WG5L 70-79 years, male 9.0
GTEX-1HB9E-0426-SM-CNPPV 50-59 years, male 9.0
GTEX-1HCVE-0226-SM-CGQEV 50-59 years, male 9.0
GTEX-1J8JJ-0326-SM-CMKG6 60-69 years, female 9.0
GTEX-1LB8K-0326-SM-E9TJC 50-59 years, male 9.0
GTEX-1M5QR-2126-SM-DKPQM 40-49 years, male 9.0
GTEX-1QP2A-0226-SM-EVYBC 50-59 years, male 9.0
GTEX-RNOR-0226-SM-EZ6MF 50-59 years, female 9.0
GTEX-XOT4-0226-SM-4B66Z 60-69 years, female 9.0
GTEX-14LLW-0226-SM-62LEL 70-79 years, female 8.9
GTEX-17F97-0426-SM-7LT9U 50-59 years, male 8.9
GTEX-OOBJ-0226-SM-2YUMM 60-69 years, male 8.9
GTEX-SJXC-0226-SM-2XCDU 60-69 years, male 8.9
GTEX-1H4P4-0226-SM-9YFKT 50-59 years, male 8.9
GTEX-1QW4Y-1626-SM-EAZ41 30-39 years, male 8.9
GTEX-1R7EU-0326-SM-EWRNJ 60-69 years, male 8.9
GTEX-11EI6-0226-SM-5EQ64 60-69 years, male 8.8
GTEX-13FHO-0326-SM-5IJBH 60-69 years, male 8.8
GTEX-13JUV-2826-SM-5LZWU 40-49 years, female 8.8
GTEX-13OVI-1326-SM-5IJBO 60-69 years, female 8.8
GTEX-14C39-2526-SM-5S2UH 40-49 years, male 8.8
GTEX-14C5O-0226-SM-5SI6O 60-69 years, male 8.8
GTEX-14E6E-1926-SM-664N4 30-39 years, male 8.8
GTEX-14PJ4-2226-SM-6LLIS 60-69 years, male 8.8
GTEX-15ER7-0426-SM-6PAM3 20-29 years, female 8.8
GTEX-1C6WA-0226-SM-7IGPO 60-69 years, male 8.8
GTEX-1IL2U-0326-SM-CE6T9 60-69 years, male 8.8
GTEX-POMQ-2326-SM-DHXIS 20-29 years, female 8.8
GTEX-WYJK-0226-SM-EYYV8 50-59 years, male 8.8
GTEX-13NZB-2426-SM-5K7UF 30-39 years, male 8.7
GTEX-13OVJ-0326-SM-5L3GL 50-59 years, female 8.7
GTEX-13S7M-0226-SM-5S2UG 60-69 years, female 8.7
GTEX-1B933-0526-SM-7EPHM 50-59 years, female 8.7
GTEX-1C64O-0226-SM-73KXB 60-69 years, male 8.7
GTEX-UJHI-1626-SM-3DB9A 50-59 years, female 8.7
GTEX-Y5V5-2426-SM-5IFJA 60-69 years, female 8.7
GTEX-ZVE2-0326-SM-57WFC 50-59 years, male 8.7
GTEX-ZVZP-2326-SM-59HL4 50-59 years, male 8.7
GTEX-ZYVF-0226-SM-5GIEG 50-59 years, female 8.7
GTEX-1A8G6-0526-SM-7PC1E 60-69 years, male 8.7
GTEX-1EMGI-0226-SM-9MQL1 60-69 years, male 8.7
GTEX-1GZ2Q-0326-SM-9WG6N 40-49 years, male 8.7
GTEX-1JMLX-0126-SM-CMKG9 50-59 years, male 8.7
GTEX-1QP9N-1526-SM-DTXFK 30-39 years, male 8.7
GTEX-13OW8-1226-SM-5K7XD 60-69 years, male 8.6
GTEX-17HG3-2326-SM-79OKH 30-39 years, female 8.6
GTEX-WVLH-0226-SM-3MJG6 50-59 years, male 8.6
GTEX-X5EB-2426-SM-4E3HX 40-49 years, male 8.6
GTEX-Y8E4-0726-SM-4WWFN 40-49 years, male 8.6
GTEX-1H1E6-2026-SM-9KNVK 30-39 years, male 8.6
GTEX-1JJEA-0226-SM-COH2X 60-69 years, male 8.6
GTEX-1JK1U-2126-SM-CNPOU 60-69 years, male 8.6
GTEX-1KWVE-1326-SM-E6CJ1 30-39 years, male 8.6
GTEX-12ZZX-0226-SM-5DUXU 40-49 years, female 8.5
GTEX-1313W-0226-SM-5LZV7 50-59 years, female 8.5
GTEX-139T8-0226-SM-5L3EA 60-69 years, male 8.5
GTEX-T2IS-0226-SM-32QPH 20-29 years, female 8.5
GTEX-T5JC-0526-SM-32PM7 20-29 years, male 8.5
GTEX-XQ8I-0526-SM-4BOPS 50-59 years, male 8.5
GTEX-YFCO-2026-SM-4W21Q 40-49 years, male 8.5
GTEX-1HR9M-0226-SM-COH3E 60-69 years, male 8.5
GTEX-1I1GT-0526-SM-CGQEQ 60-69 years, female 8.5
GTEX-1IDJD-1226-SM-CM2TP 30-39 years, male 8.5
GTEX-1PPGY-0326-SM-DTXFD 60-69 years, male 8.5
GTEX-1S83E-0226-SM-EVYCW 40-49 years, male 8.5
GTEX-11H98-0226-SM-5NQ89 50-59 years, male 8.4
GTEX-147JS-0426-SM-5TDD2 60-69 years, male 8.4
GTEX-1AX9J-0326-SM-73KXY 60-69 years, male 8.4
GTEX-1F6RS-0226-SM-9MQKO 60-69 years, female 8.4
GTEX-1QEPI-0226-SM-EWRMR 60-69 years, female 8.4
GTEX-1R46S-0526-SM-EVYBZ 60-69 years, female 8.4
GTEX-1S5ZU-0226-SM-E6CHW 20-29 years, female 8.4
GTEX-R3RS-0226-SM-EYYVE 40-49 years, female 8.4
GTEX-139TT-0226-SM-5K7YH 60-69 years, male 8.3
GTEX-139YR-2426-SM-5J1OB 50-59 years, male 8.3
GTEX-13G51-2626-SM-5LZYW 60-69 years, male 8.3
GTEX-13U4I-0226-SM-5SIB1 40-49 years, female 8.3
GTEX-16MT8-0526-SM-6PAM6 60-69 years, female 8.3
GTEX-OXRN-0226-SM-2I5EJ 50-59 years, male 8.3
GTEX-XQ3S-1626-SM-4WAYN 20-29 years, male 8.3
GTEX-18QFQ-0226-SM-731BQ 30-39 years, male 8.3
GTEX-1AYCT-2226-SM-7SB98 50-59 years, male 8.3
GTEX-1CAMQ-0126-SM-7SB7S 40-49 years, male 8.3
GTEX-1CB4G-0326-SM-7SB8R 60-69 years, male 8.3
GTEX-1F75W-0226-SM-9JGGP 60-69 years, male 8.3
GTEX-1R9PM-2126-SM-E8VOB 20-29 years, male 8.3
GTEX-RUSQ-1626-SM-EZ6L4 50-59 years, male 8.3
GTEX-RVPV-1526-SM-EXOHF 60-69 years, male 8.3
GTEX-11O72-0226-SM-59869 40-49 years, male 8.2
GTEX-11OF3-2426-SM-5Q5AS 60-69 years, male 8.2
GTEX-1399R-2626-SM-5KLZ7 30-39 years, male 8.2
GTEX-13FTY-0626-SM-5L3F8 40-49 years, female 8.2
GTEX-14H4A-1026-SM-62LDY 40-49 years, female 8.2
GTEX-1AYD5-2326-SM-73KXF 50-59 years, male 8.2
GTEX-X4EO-0426-SM-4QASA 60-69 years, female 8.2
GTEX-1B996-0126-SM-7PBYF 60-69 years, male 8.2
GTEX-1HSMQ-1426-SM-ADEHT 50-59 years, male 8.2
GTEX-1I1GQ-0226-SM-COH3I 50-59 years, male 8.2
GTEX-1I1GV-0426-SM-ARZLX 60-69 years, male 8.2
GTEX-1IL2V-0226-SM-CMKI2 70-79 years, male 8.2
GTEX-1QP67-1726-SM-E8VOP 40-49 years, female 8.2
GTEX-14PJ2-0226-SM-6LLH4 50-59 years, male 8.1
GTEX-ZDTS-0226-SM-5HL7Q 60-69 years, male 8.1
GTEX-1I1HK-0226-SM-COH4A 60-69 years, male 8.1
GTEX-1IOXB-0226-SM-CMKHY 50-59 years, male 8.1
GTEX-OIZF-0226-SM-E9TI3 60-69 years, male 8.1
GTEX-14BIN-0726-SM-793DQ 50-59 years, female 8.0
GTEX-18A7A-0326-SM-731AT 50-59 years, female 8.0
GTEX-YFC4-0226-SM-57WD2 40-49 years, female 8.0
GTEX-ZTPG-0226-SM-5O99I 20-29 years, female 8.0
GTEX-1GN73-0326-SM-9KNTW 60-69 years, male 8.0
GTEX-1HR98-0226-SM-CGQEK 60-69 years, male 8.0
GTEX-1KAFJ-2426-SM-D4P32 50-59 years, male 8.0
GTEX-1KD5A-0326-SM-D5OVD 50-59 years, male 8.0
GTEX-11EQ8-0226-SM-5EQ5G 60-69 years, male 7.9
GTEX-145MG-0126-SM-5TDDA 50-59 years, male 7.9
GTEX-14JIY-0526-SM-62LFH 60-69 years, male 7.9
GTEX-16YQH-0226-SM-6PALD 30-39 years, male 7.9
GTEX-OIZI-0226-SM-2XCEE 40-49 years, male 7.9
GTEX-XLM4-0226-SM-4AT4N 60-69 years, male 7.9
GTEX-Y111-0226-SM-4SOIW 50-59 years, male 7.9
GTEX-Y8LW-1926-SM-4WWFZ 50-59 years, female 7.9
GTEX-1AX9I-0226-SM-7SB75 60-69 years, male 7.9
GTEX-1GN2E-0326-SM-COH3C 60-69 years, male 7.9
GTEX-1MUQO-0526-SM-E9J31 60-69 years, male 7.9
GTEX-R45C-0226-SM-EVYAJ 60-69 years, female 7.9
GTEX-11ZVC-2626-SM-5FQTA 50-59 years, female 7.8
GTEX-1211K-2226-SM-5FQU6 60-69 years, female 7.8
GTEX-133LE-1926-SM-5N9FV 20-29 years, female 7.8
GTEX-SIU8-0226-SM-2XCDS 50-59 years, male 7.8
GTEX-Y5V6-2526-SM-5IFJV 60-69 years, male 7.8
GTEX-ZV68-0226-SM-59HJF 50-59 years, female 7.8
GTEX-1CB4E-1826-SM-7RHG8 60-69 years, male 7.8
GTEX-1QP6S-0126-SM-E9J4K 40-49 years, male 7.8
GTEX-1RQEC-0526-SM-E6CHV 60-69 years, male 7.8
GTEX-12ZZZ-0526-SM-5DUX6 60-69 years, male 7.7
GTEX-1399U-2426-SM-5K7XB 50-59 years, female 7.7
GTEX-13OVL-0326-SM-5IJCS 50-59 years, male 7.7
GTEX-13SLW-0226-SM-5S2NA 70-79 years, male 7.7
GTEX-15RIE-2326-SM-7KFSC 60-69 years, male 7.7
GTEX-ZXG5-0226-SM-59HJI 60-69 years, male 7.7
GTEX-1C6VR-2626-SM-7MGX2 60-69 years, male 7.7
GTEX-1F75I-0426-SM-7PC3S 40-49 years, male 7.7
GTEX-1HCU8-0726-SM-ADEIR 60-69 years, female 7.7
GTEX-1I19N-0426-SM-ACKVY 70-79 years, male 7.7
GTEX-1LG7Y-0426-SM-DKPQB 50-59 years, male 7.7
GTEX-VUSH-0226-SM-EXUQV 30-39 years, male 7.7
GTEX-145MF-0526-SM-5LUA6 50-59 years, male 7.6
GTEX-14E6D-0226-SM-62LDW 50-59 years, male 7.6
GTEX-14JG1-0526-SM-6LLHW 40-49 years, male 7.6
GTEX-QEL4-0326-SM-3GAE5 50-59 years, male 7.6
GTEX-REY6-0326-SM-2TF5A 60-69 years, male 7.6
GTEX-16XZZ-0226-SM-7MGVJ 60-69 years, male 7.6
GTEX-1GZ4I-0226-SM-7RHHO 50-59 years, male 7.6
GTEX-1H2FU-0226-SM-9YFKO 60-69 years, female 7.6
GTEX-1IKJJ-0226-SM-COH3T 60-69 years, male 7.6
GTEX-111FC-0226-SM-5N9B8 60-69 years, male 7.5
GTEX-111VG-2326-SM-5N9BK 60-69 years, male 7.5
GTEX-11UD1-0226-SM-5EQKL 40-49 years, female 7.5
GTEX-146FQ-0226-SM-5NQAL 30-39 years, male 7.5
GTEX-1A3MX-0226-SM-731C4 60-69 years, male 7.5
GTEX-1B8SG-0226-SM-7939Q 50-59 years, male 7.5
GTEX-WVJS-0226-SM-4MVOU 50-59 years, male 7.5
GTEX-XYKS-2726-SM-4E3IC 60-69 years, female 7.5
GTEX-ZVT4-0226-SM-51MSD 50-59 years, female 7.5
GTEX-1JJ6O-0226-SM-E6CI9 60-69 years, male 7.5
GTEX-1QCLY-0526-SM-EAZ47 30-39 years, male 7.5
GTEX-13112-2726-SM-5DUW5 50-59 years, male 7.4
GTEX-14BIL-0226-SM-5SI9E 50-59 years, male 7.4
GTEX-15DCD-0226-SM-6LPKC 70-79 years, female 7.4
GTEX-OXRO-0226-SM-3LK6F 60-69 years, female 7.4
GTEX-1HUB1-0326-SM-A9SKQ 60-69 years, male 7.4
GTEX-1LH75-2526-SM-E9U5A 50-59 years, female 7.4
GTEX-1MJK2-0526-SM-DTXE6 50-59 years, male 7.4
GTEX-131XW-0526-SM-5PNXZ 50-59 years, female 7.3
GTEX-131YS-0226-SM-5IJEH 60-69 years, female 7.3
GTEX-13O61-2426-SM-5J1NV 60-69 years, male 7.3
GTEX-WI4N-1126-SM-3LK7Q 40-49 years, female 7.3
GTEX-XMD2-0226-SM-4WWEE 60-69 years, female 7.3
GTEX-1EU9M-0326-SM-7RHGF 60-69 years, male 7.3
GTEX-1GMR2-2526-SM-9MQKW 50-59 years, male 7.3
GTEX-1N2EF-0626-SM-E9J32 60-69 years, male 7.3
GTEX-11TTK-0226-SM-5N9EC 60-69 years, female 7.2
GTEX-12WSL-2426-SM-5GCN7 50-59 years, male 7.2
GTEX-139D8-0326-SM-5IJCJ 30-39 years, female 7.2
GTEX-13PDP-0226-SM-5K7W9 60-69 years, male 7.2
GTEX-148VI-1726-SM-5S2W9 60-69 years, female 7.2
GTEX-13NYB-2626-SM-9YFMI 40-49 years, male 7.2
GTEX-1GMR3-2026-SM-9MQLG 40-49 years, male 7.2
GTEX-1H3VE-0226-SM-9WYST 40-49 years, male 7.2
GTEX-1HGF4-2526-SM-ADEIZ 60-69 years, male 7.2
GTEX-18465-0226-SM-7LG5M 50-59 years, male 7.1
GTEX-1I1CD-0226-SM-CM2TL 60-69 years, female 7.1
GTEX-13111-1726-SM-5EGJZ 50-59 years, male 7.0
GTEX-131XF-2226-SM-5EQKG 60-69 years, male 7.0
GTEX-14DAQ-0226-SM-664MQ 60-69 years, female 7.0
GTEX-1B8KZ-1926-SM-7DUG8 50-59 years, male 7.0
GTEX-1BAJH-0426-SM-73KWY 70-79 years, male 7.0
GTEX-YJ89-0226-SM-4TT3Y 60-69 years, male 7.0
GTEX-1H3O1-0526-SM-9MQLS 60-69 years, male 7.0
GTEX-1HCU7-0326-SM-CMKGI 50-59 years, male 7.0
GTEX-1LSNL-0526-SM-DIPFI 50-59 years, male 7.0
GTEX-1RDX4-0226-SM-DTXG1 50-59 years, female 7.0
GTEX-15G19-0226-SM-6PAL2 60-69 years, male 6.9
GTEX-1A3MW-0226-SM-7939O 60-69 years, female 6.9
GTEX-1CB4I-0426-SM-7IGPR 50-59 years, male 6.9
GTEX-1C6VQ-0226-SM-7P8S5 50-59 years, male 6.9
GTEX-1I1GS-0226-SM-B2LVX 60-69 years, male 6.9
GTEX-1LSVX-0126-SM-EVYCY 60-69 years, male 6.9
GTEX-1LVAO-0226-SM-E9U6O 60-69 years, male 6.9
GTEX-13SLX-0426-SM-5QGRC 50-59 years, female 6.8
GTEX-13VXU-0226-SM-5SI9R 50-59 years, male 6.8
GTEX-13X6K-0226-SM-5QGPB 60-69 years, female 6.8
GTEX-1HBPH-0526-SM-9YFMN 40-49 years, female 6.8
GTEX-1IE54-0226-SM-CMKHX 40-49 years, female 6.8
GTEX-12WSA-0326-SM-5BC6I 60-69 years, male 6.7
GTEX-1399T-2726-SM-5K7XK 60-69 years, male 6.7
GTEX-17F9Y-0326-SM-7IGLS 70-79 years, female 6.7
GTEX-1A32A-0226-SM-718B2 50-59 years, female 6.7
GTEX-1A8G7-0226-SM-731AS 60-69 years, male 6.7
GTEX-1F52S-0226-SM-7SB7U 60-69 years, female 6.7
GTEX-1H23P-0226-SM-9YFLO 60-69 years, male 6.7
GTEX-1ICLY-0226-SM-ARL7R 50-59 years, male 6.7
GTEX-1OJC4-1726-SM-EXUSV 50-59 years, female 6.7
GTEX-11PRG-0626-SM-5BC56 50-59 years, male 6.6
GTEX-11UD2-0126-SM-5EQL2 50-59 years, male 6.6
GTEX-SN8G-0226-SM-4DM6B 50-59 years, female 6.6
GTEX-X261-0226-SM-3NMD2 50-59 years, male 6.6
GTEX-ZF28-0226-SM-5S2OE 60-69 years, male 6.6
GTEX-1H1DF-0226-SM-ARL9A 40-49 years, female 6.6
GTEX-139T4-0126-SM-5HL5G 50-59 years, female 6.5
GTEX-145MO-0426-SM-5QGP6 60-69 years, male 6.5
GTEX-U412-0526-SM-3DB9I 60-69 years, male 6.5
GTEX-1H1DE-2026-SM-9WG6Q 20-29 years, male 6.5
GTEX-1HBPM-0326-SM-CMKGR 60-69 years, female 6.5
GTEX-1IGQW-0226-SM-COH43 60-69 years, male 6.5
GTEX-1J1OQ-0326-SM-CYPTJ 40-49 years, female 6.5
GTEX-1PIIG-0326-SM-EVYBV 30-39 years, male 6.5
GTEX-14753-0326-SM-5QGQB 60-69 years, male 6.4
GTEX-14ICK-0326-SM-6LLIZ 40-49 years, male 6.4
GTEX-1C6VS-0426-SM-79OJV 60-69 years, male 6.3
GTEX-QDT8-0226-SM-32PL4 30-39 years, female 6.3
GTEX-ZF3C-0226-SM-4WWB3 50-59 years, female 6.3
GTEX-ZYW4-0226-SM-5E44M 60-69 years, male 6.3
GTEX-14BMV-0226-SM-5S2N2 50-59 years, male 6.2
GTEX-ZE9C-2826-SM-5S2MO 60-69 years, male 6.2
GTEX-1H1CY-2626-SM-9MQKJ 60-69 years, female 6.2
GTEX-13JVG-0226-SM-5J1MW 60-69 years, male 6.1
GTEX-1GTWX-0226-SM-9YFLL 60-69 years, male 6.1
GTEX-14E1K-2126-SM-793DU 50-59 years, male 6.0
GTEX-1JJE9-1226-SM-CNPOI 70-79 years, male 6.0
GTEX-1LVA9-0226-SM-E9U5N 50-59 years, male 6.0
GTEX-11WQC-2426-SM-5EQKQ 60-69 years, male 5.9
GTEX-13N2G-2726-SM-5J1MG 60-69 years, male 5.9
GTEX-15DDE-0226-SM-6LLJ6 50-59 years, female 5.9
GTEX-183WM-0226-SM-7LT8T 70-79 years, female 5.9
GTEX-1CB4H-0326-SM-9WG5G 60-69 years, female 5.9
GTEX-1F88E-0526-SM-7SB8J 60-69 years, female 5.9
GTEX-1JN6P-0226-SM-COH34 60-69 years, male 5.9
GTEX-11ZU8-2426-SM-5EQMV 60-69 years, male 5.8
GTEX-13FHP-0226-SM-5K7WD 50-59 years, male 5.8
GTEX-14ICL-2026-SM-62LDN 30-39 years, male 5.8
GTEX-1A8FM-0126-SM-7SB7P 50-59 years, female 5.8
GTEX-1EX96-1426-SM-7PBZ5 50-59 years, male 5.8
GTEX-1GZ4H-1826-SM-9MQLE 50-59 years, female 5.8
GTEX-VJWN-0226-SM-EZ6LF 50-59 years, female 5.8
GTEX-17MF6-0226-SM-7LG4G 40-49 years, male 5.7
GTEX-XK95-0426-SM-4AT4R 40-49 years, male 5.7
GTEX-1JMQI-2026-SM-CMKGP 50-59 years, male 5.6
GTEX-13RTJ-2526-SM-5S2Q3 60-69 years, male 5.5
GTEX-144GO-1626-SM-7EPG5 60-69 years, male 5.5
GTEX-ZAJG-0226-SM-5HL81 50-59 years, female 5.5
GTEX-1JMQK-0126-SM-CM2S3 60-69 years, male 5.5
GTEX-147GR-0426-SM-5S2OL 60-69 years, male 5.4
GTEX-P44H-0326-SM-2XCES 40-49 years, male 5.4
GTEX-145LS-0226-SM-5O9A5 60-69 years, female 5.3
GTEX-1HSMO-0226-SM-CGQEZ 60-69 years, male 5.3
GTEX-12584-0226-SM-5EQL5 40-49 years, male 5.2
GTEX-13NZ9-0526-SM-5J1OX 50-59 years, male 5.2
GTEX-17KNJ-2226-SM-DKPOU 50-59 years, male 5.1
GTEX-14A5H-0526-SM-5TDCN 60-69 years, male 5.0
GTEX-TSE9-0226-SM-3DB84 60-69 years, female 4.8
GTEX-ZYFD-0226-SM-5NQ86 50-59 years, male 4.8
GTEX-POYW-0726-SM-2XCEO 60-69 years, male 4.7
GTEX-1PDJ9-0426-SM-E9J3E 20-29 years, male 4.6
GTEX-1IDFM-0226-SM-CMKFX 60-69 years, male 4.4
GTEX-1JMQL-0326-SM-CNPP6 50-59 years, female 4.4
GTEX-QDVN-2126-SM-33HBS 50-59 years, male 4.2
GTEX-ZE7O-0226-SM-5S2N1 50-59 years, female 4.2
GTEX-1JN1M-0126-SM-D4P23 60-69 years, female 3.6
GTEX-14E6C-0226-SM-5S2N3 40-49 years, male 2.6
Show allShow less
Adipose - Visceral (Omentum)
Average nTPM: 9.9
Samples: 541

Max nTPM: 25.9
Min nTPM: 2.1
Std nTPM: 3.7
Median nTPM: 9.2
GTEX-1K2DA-1126-SM-CGQGG 50-59 years, male 25.9
GTEX-1122O-0926-SM-9YFLC 60-69 years, female 24.8
GTEX-ZT9W-1026-SM-57WG5 50-59 years, male 24.6
GTEX-ZP4G-1326-SM-5EGIW 20-29 years, female 24.5
GTEX-1MA7W-0526-SM-E6CIN 20-29 years, female 24.3
GTEX-139YR-0326-SM-5J1MC 50-59 years, male 21.6
GTEX-17HHE-1526-SM-793AS 50-59 years, male 21.1
GTEX-1CAMS-0926-SM-7SB7F 40-49 years, female 20.9
GTEX-XAJ8-0226-SM-4GIB2 40-49 years, male 20.7
GTEX-1399U-2026-SM-9WPNN 50-59 years, female 20.5
GTEX-1H1DE-0826-SM-ARU8V 20-29 years, male 20.4
GTEX-111CU-1026-SM-5EGIL 50-59 years, male 19.7
GTEX-17F98-0326-SM-7DHLH 40-49 years, female 19.3
GTEX-ZF2S-1526-SM-5S2OO 50-59 years, female 18.4
GTEX-1JKYR-1226-SM-CM2S7 20-29 years, male 18.4
GTEX-ZZ64-0626-SM-5GZWR 20-29 years, male 18.1
GTEX-ZYFG-1426-SM-5GICS 60-69 years, female 17.9
GTEX-1MJK3-0626-SM-E6CJB 20-29 years, male 17.9
GTEX-1OJC3-1326-SM-E9J3D 20-29 years, male 17.8
GTEX-14BMU-0626-SM-73KZ6 20-29 years, female 17.7
GTEX-ZDTT-0526-SM-5HL4M 60-69 years, male 17.6
GTEX-1J1R8-0526-SM-ACKWO 40-49 years, male 17.6
GTEX-13FTW-0426-SM-5K7X2 40-49 years, male 17.5
GTEX-12WSL-1126-SM-5CVNK 50-59 years, male 17.4
GTEX-11TT1-1926-SM-5PNYN 20-29 years, male 17.3
GTEX-18A66-1926-SM-7LTAG 60-69 years, male 17.3
GTEX-13FTX-0626-SM-5J2NS 20-29 years, female 17.2
GTEX-13O21-3126-SM-5J1OI 50-59 years, male 17.2
GTEX-1RNTQ-0826-SM-E9TK8 20-29 years, female 17.2
GTEX-VUSG-1426-SM-3GIJN 50-59 years, male 17.0
GTEX-WH7G-1126-SM-3NMBK 40-49 years, male 17.0
GTEX-ZPCL-1026-SM-5GCOX 60-69 years, female 17.0
GTEX-11I78-0226-SM-5HL6R 50-59 years, female 16.8
GTEX-1A3MV-0626-SM-731CH 30-39 years, male 16.8
GTEX-ZQUD-0526-SM-57WG4 30-39 years, male 16.7
GTEX-1R7EV-1026-SM-DTX81 40-49 years, male 16.6
GTEX-1RB15-1126-SM-E8VMX 60-69 years, male 16.6
GTEX-14PKU-0226-SM-6EU16 40-49 years, female 16.4
GTEX-146FH-2026-SM-5SI9I 50-59 years, female 16.3
GTEX-131XG-0126-SM-5K7UJ 50-59 years, female 16.2
GTEX-132AR-0526-SM-5J2MJ 50-59 years, female 16.1
GTEX-Z9EW-0826-SM-5HL9T 40-49 years, male 16.0
GTEX-XMK1-0926-SM-4B66X 40-49 years, male 15.7
GTEX-14PJ5-0426-SM-5ZZW2 60-69 years, female 15.4
GTEX-18D9U-0426-SM-731AN 40-49 years, male 15.4
GTEX-1OFPY-0826-SM-DTX8P 60-69 years, male 15.4
GTEX-1HC8U-0926-SM-A9G3L 40-49 years, female 15.1
GTEX-WEY5-1326-SM-3GILS 40-49 years, female 15.0
GTEX-1L5NE-1726-SM-DHXKX 50-59 years, male 15.0
GTEX-14PJ4-0126-SM-62LEZ 60-69 years, male 14.8
GTEX-WFJO-1026-SM-3GIKL 30-39 years, male 14.8
GTEX-WYJK-1426-SM-3NM8V 50-59 years, male 14.8
GTEX-14JG6-0526-SM-6LLIH 30-39 years, female 14.7
GTEX-1339X-0726-SM-5L3FF 40-49 years, male 14.6
GTEX-13N11-1826-SM-5IJDS 50-59 years, female 14.6
GTEX-11LCK-0326-SM-5A5M7 30-39 years, male 14.5
GTEX-XYKS-1826-SM-4E3JV 60-69 years, female 14.5
GTEX-1HCUA-0926-SM-ADEIX 50-59 years, female 14.5
GTEX-WHWD-0826-SM-3LK6R 50-59 years, male 14.4
GTEX-14E6E-0226-SM-7DUEF 30-39 years, male 14.3
GTEX-169BO-0426-SM-7EPI1 50-59 years, male 14.3
GTEX-17GQL-0826-SM-731AM 60-69 years, male 14.3
GTEX-1RAZR-1026-SM-E8VOJ 40-49 years, male 14.3
GTEX-15RIE-0126-SM-7KUF8 60-69 years, male 14.2
GTEX-ZPU1-1226-SM-5HL71 40-49 years, male 14.2
GTEX-1LSNM-0626-SM-DIPG7 50-59 years, male 14.2
GTEX-XV7Q-1726-SM-4BRUU 40-49 years, female 14.1
GTEX-Y5LM-0826-SM-4VDSW 40-49 years, female 14.1
GTEX-14AS3-0426-SM-5QGQK 40-49 years, female 14.0
GTEX-Y8LW-0926-SM-4VBQ8 50-59 years, female 14.0
GTEX-1MCC2-0626-SM-DKPQI 30-39 years, female 14.0
GTEX-145LV-1026-SM-5O9AE 50-59 years, male 13.9
GTEX-16NGA-0526-SM-731AJ 40-49 years, female 13.9
GTEX-1HFI7-0726-SM-ACKVN 50-59 years, female 13.9
GTEX-139D8-1626-SM-5IJFZ 30-39 years, female 13.8
GTEX-13111-0626-SM-5LZVR 50-59 years, male 13.7
GTEX-1HSMQ-1026-SM-ADEHU 50-59 years, male 13.7
GTEX-1OKEX-0926-SM-E8VNJ 60-69 years, male 13.7
GTEX-1ICG6-1726-SM-ARU7K 70-79 years, female 13.6
GTEX-1MUQO-0826-SM-EVYCZ 60-69 years, male 13.6
GTEX-13S86-0926-SM-5SI6I 40-49 years, male 13.5
GTEX-WHPG-0626-SM-3NMBD 50-59 years, male 13.5
GTEX-15EU6-1726-SM-6M48H 50-59 years, male 13.4
GTEX-1CB4E-0826-SM-793CS 60-69 years, male 13.4
GTEX-ZF29-0826-SM-5S2O2 60-69 years, female 13.3
GTEX-13D11-0526-SM-5LZYM 50-59 years, female 13.2
GTEX-1HBPN-1526-SM-9WYSB 50-59 years, male 13.2
GTEX-11XUK-1726-SM-5GU61 40-49 years, female 13.1
GTEX-14ICK-1726-SM-6AJA5 40-49 years, male 13.1
GTEX-15DZA-0626-SM-6PANC 30-39 years, female 13.1
GTEX-1CAMR-0326-SM-793AH 20-29 years, male 13.1
GTEX-YFCO-1126-SM-5S2N9 40-49 years, male 13.1
GTEX-ZVP2-0226-SM-57WBD 50-59 years, male 13.1
GTEX-1I1GU-0626-SM-CMKHR 40-49 years, male 13.0
GTEX-1LGOU-0826-SM-DHXKL 20-29 years, female 13.0
GTEX-1PFEY-0726-SM-E76PO 30-39 years, male 13.0
GTEX-1QP66-0626-SM-E76PD 50-59 years, male 13.0
GTEX-1QW4Y-0826-SM-DTXE1 30-39 years, male 13.0
GTEX-1S3DN-1626-SM-EVYCC 50-59 years, male 13.0
GTEX-1S82P-0926-SM-EWRNP 60-69 years, female 13.0
GTEX-Y3I4-0726-SM-E9J3Y 50-59 years, male 13.0
GTEX-1211K-1226-SM-5EQ4N 60-69 years, female 12.9
GTEX-1N2DV-0626-SM-E9U5H 40-49 years, male 12.9
GTEX-W5X1-1426-SM-3GIKH 40-49 years, female 12.8
GTEX-XGQ4-1026-SM-4AT4L 50-59 years, male 12.8
GTEX-WRHK-0826-SM-3MJFG 20-29 years, female 12.7
GTEX-1GPI7-0826-SM-9JGG7 20-29 years, male 12.7
GTEX-14PJO-1626-SM-69LPQ 60-69 years, male 12.6
GTEX-1AX8Z-1626-SM-73KWD 60-69 years, male 12.6
GTEX-1AX9K-0926-SM-7939G 50-59 years, male 12.6
GTEX-1KANC-0526-SM-D4P3T 50-59 years, female 12.6
GTEX-1QCLY-1226-SM-EVYC3 30-39 years, male 12.6
GTEX-1RAZQ-1526-SM-E6CJI 30-39 years, male 12.6
GTEX-13VXT-0926-SM-5LU5K 20-29 years, female 12.5
GTEX-X3Y1-0926-SM-3P5YT 40-49 years, male 12.5
GTEX-YEC4-0926-SM-5PNXY 40-49 years, male 12.5
GTEX-ZT9X-0926-SM-5O9C4 40-49 years, male 12.5
GTEX-1KANA-1426-SM-CY8IF 20-29 years, male 12.5
GTEX-1KXAM-0526-SM-DKPQN 60-69 years, male 12.5
GTEX-1QPFJ-2126-SM-EXOJV 30-39 years, female 12.5
GTEX-18A67-1326-SM-7LT8V 50-59 years, male 12.4
GTEX-1C2JI-0826-SM-7EPHB 50-59 years, male 12.4
GTEX-WFON-1226-SM-3TW8F 40-49 years, male 12.4
GTEX-1IDJD-0926-SM-ACKWW 30-39 years, male 12.4
GTEX-13FH7-1926-SM-5J2OL 50-59 years, female 12.3
GTEX-14PHY-1026-SM-62LEV 60-69 years, female 12.3
GTEX-17F9E-1326-SM-7DHL4 50-59 years, male 12.3
GTEX-183FY-1226-SM-7DHLK 20-29 years, male 12.3
GTEX-1B932-1726-SM-793A5 40-49 years, female 12.3
GTEX-WWTW-1326-SM-4MVNT 50-59 years, male 12.3
GTEX-XBED-1326-SM-4AT4F 60-69 years, male 12.3
GTEX-ZPIC-0726-SM-57WFM 40-49 years, female 12.3
GTEX-1I4MK-0726-SM-ACKWC 50-59 years, female 12.3
GTEX-1IDJC-0226-SM-CMKG2 50-59 years, male 12.3
GTEX-1RAZA-0926-SM-E6CQ8 20-29 years, male 12.3
GTEX-11DXX-2026-SM-5EGJL 60-69 years, female 12.2
GTEX-14E1K-0426-SM-5S2PF 50-59 years, male 12.2
GTEX-Y111-0926-SM-4SOIU 50-59 years, male 12.2
GTEX-1LGRB-0526-SM-COH3A 50-59 years, female 12.2
GTEX-1IDJF-1726-SM-A9SLL 20-29 years, male 12.1
GTEX-1RMOY-0826-SM-E9TIF 50-59 years, male 12.1
GTEX-ZLWG-0726-SM-5S2N4 50-59 years, female 12.1
GTEX-13OVG-1326-SM-5K7Y3 60-69 years, male 12.0
GTEX-14PK6-0926-SM-62LF4 70-79 years, female 12.0
GTEX-178AV-0626-SM-6PAM1 40-49 years, male 12.0
GTEX-1GF9X-0926-SM-7PC2X 40-49 years, female 12.0
GTEX-131XF-0726-SM-5GIE5 60-69 years, male 11.9
GTEX-139T6-0526-SM-5IJC9 50-59 years, male 11.9
GTEX-14PHX-1626-SM-69LQB 50-59 years, male 11.9
GTEX-1H2FU-1426-SM-9WPO6 60-69 years, female 11.9
GTEX-UPK5-1826-SM-3GAEB 40-49 years, male 11.8
GTEX-WY7C-0926-SM-3NB34 50-59 years, male 11.8
GTEX-XUZC-1126-SM-4BOPZ 30-39 years, female 11.8
GTEX-YEC3-0926-SM-5Q5AC 50-59 years, male 11.8
GTEX-ZLV1-0926-SM-5S2MR 60-69 years, female 11.8
GTEX-ZZPU-0326-SM-5N9BJ 50-59 years, female 11.8
GTEX-111YS-1326-SM-5EGGK 60-69 years, male 11.7
GTEX-11P81-0726-SM-5PNYH 30-39 years, female 11.7
GTEX-17MFQ-1126-SM-7LT9O 20-29 years, male 11.7
GTEX-1GL5R-0726-SM-9MQL5 50-59 years, male 11.7
GTEX-1GN1W-1226-SM-9MQLW 50-59 years, female 11.7
GTEX-1JN76-1026-SM-ARZNI 20-29 years, female 11.7
GTEX-13NYS-0726-SM-5J1OR 60-69 years, male 11.6
GTEX-Y5V6-0626-SM-4WWFY 60-69 years, male 11.5
GTEX-11DXZ-1426-SM-5H12A 50-59 years, male 11.4
GTEX-1B97I-0526-SM-73KXE 40-49 years, male 11.4
GTEX-12WSK-1026-SM-5CVNR 40-49 years, female 11.3
GTEX-ZVT2-0226-SM-5GIE3 50-59 years, female 11.3
GTEX-1HSEH-1326-SM-ADEI1 60-69 years, male 11.3
GTEX-1I6K7-1826-SM-CGQFO 40-49 years, male 11.3
GTEX-1GMR2-0226-SM-9JGHO 50-59 years, male 11.2
GTEX-ZG7Y-1626-SM-5S2NO 50-59 years, male 11.1
GTEX-1IDJI-0926-SM-ACKWZ 50-59 years, female 11.1
GTEX-14B4R-0526-SM-5QGQT 30-39 years, male 11.0
GTEX-XBEW-1726-SM-4RGMA 40-49 years, male 11.0
GTEX-ZV6S-1626-SM-5NQ81 40-49 years, female 11.0
GTEX-1LBAC-1026-SM-CXKYA 20-29 years, male 11.0
GTEX-VJYA-1626-SM-EXOHL 60-69 years, male 11.0
GTEX-133LE-0926-SM-5P9J1 20-29 years, female 10.9
GTEX-14PJ3-0726-SM-69LQE 50-59 years, male 10.9
GTEX-17HGU-1726-SM-79OKM 50-59 years, male 10.9
GTEX-13113-1126-SM-5LZU9 60-69 years, female 10.8
GTEX-144GN-0726-SM-5O98O 50-59 years, male 10.8
GTEX-WXYG-0926-SM-3NB2O 50-59 years, female 10.8
GTEX-1LG7Z-0226-SM-E6CIG 30-39 years, male 10.8
GTEX-144GM-0626-SM-79OKY 20-29 years, male 10.7
GTEX-145LT-1526-SM-5O98P 40-49 years, male 10.7
GTEX-15CHC-0826-SM-686YW 60-69 years, female 10.7
GTEX-1O9I2-1326-SM-E6CQD 50-59 years, male 10.7
GTEX-12WSG-0426-SM-5FQSE 50-59 years, female 10.6
GTEX-131XE-2026-SM-5LZW1 50-59 years, male 10.6
GTEX-XXEK-1426-SM-4BRW1 50-59 years, male 10.6
GTEX-1H3VE-1926-SM-9YFL4 40-49 years, male 10.6
GTEX-1HSGN-1926-SM-CMKGS 40-49 years, female 10.6
GTEX-1HT8W-0726-SM-A9SLB 30-39 years, male 10.6
GTEX-13CF3-1126-SM-5LZXB 60-69 years, female 10.5
GTEX-13RTK-0726-SM-5Q5EN 20-29 years, male 10.5
GTEX-1CB4F-1126-SM-79OLG 60-69 years, male 10.5
GTEX-13OVJ-0926-SM-5K7U1 50-59 years, female 10.4
GTEX-13OVK-0326-SM-7KUEJ 40-49 years, male 10.4
GTEX-13W3W-1126-SM-5L3DO 60-69 years, female 10.4
GTEX-1ICLZ-1626-SM-CE6SS 60-69 years, male 10.4
GTEX-11EQ9-1126-SM-5987I 30-39 years, male 10.3
GTEX-ZDYS-2226-SM-5S2MI 50-59 years, male 10.3
GTEX-13FXS-1326-SM-62LFR 50-59 years, male 10.2
GTEX-13G51-0526-SM-5IJCQ 60-69 years, male 10.2
GTEX-13QBU-1326-SM-5LU4K 40-49 years, female 10.2
GTEX-1AX9J-2226-SM-731CW 60-69 years, male 10.2
GTEX-UTHO-1826-SM-3GAFE 60-69 years, male 10.2
GTEX-ZAB5-1126-SM-5Q5AD 50-59 years, male 10.2
GTEX-ZYT6-2126-SM-5GZZ4 30-39 years, male 10.2
GTEX-1I6K6-1526-SM-CGQFC 30-39 years, male 10.2
GTEX-1QP9N-0426-SM-DTXFT 30-39 years, male 10.2
GTEX-13U4I-1726-SM-5J1MF 40-49 years, female 10.1
GTEX-15UKP-1426-SM-7KUDX 20-29 years, male 10.1
GTEX-1AMFI-1026-SM-73KYM 50-59 years, female 10.1
GTEX-1AYCT-1126-SM-79OO8 50-59 years, male 10.1
GTEX-1HBPI-1826-SM-ADEHE 50-59 years, male 10.1
GTEX-1F75B-1226-SM-7MXTW 50-59 years, male 10.0
GTEX-1H11D-1126-SM-9YFM5 40-49 years, male 10.0
GTEX-1IDJU-0926-SM-ARL88 60-69 years, female 10.0
GTEX-1LVAM-1026-SM-DIPFK 50-59 years, female 10.0
GTEX-16MTA-1326-SM-6PALX 50-59 years, male 9.9
GTEX-18QFQ-1326-SM-731CF 30-39 years, male 9.9
GTEX-1C475-0326-SM-7SB8O 40-49 years, female 9.9
GTEX-1HSMP-1126-SM-B2LXJ 70-79 years, male 9.9
GTEX-1IKOE-1726-SM-CNNQ6 30-39 years, female 9.9
GTEX-1KAFJ-0826-SM-CYPTF 50-59 years, male 9.9
GTEX-1LVAN-0926-SM-CNNQ2 50-59 years, female 9.9
GTEX-1POEN-1626-SM-EVYC2 30-39 years, female 9.9
GTEX-117YX-0726-SM-5GIET 50-59 years, male 9.8
GTEX-12BJ1-0826-SM-5EQ5P 60-69 years, male 9.8
GTEX-1399S-1426-SM-5PNYQ 30-39 years, female 9.8
GTEX-1AMEY-0526-SM-72D62 30-39 years, female 9.8
GTEX-1B8KE-0826-SM-72D6S 50-59 years, male 9.8
GTEX-1KD4Q-1426-SM-D4P3K 40-49 years, male 9.8
GTEX-13PDP-1226-SM-5K7TW 60-69 years, male 9.7
GTEX-13X6I-1526-SM-5SIAC 60-69 years, male 9.7
GTEX-U8XE-1926-SM-3DB98 30-39 years, male 9.7
GTEX-1I1GS-0926-SM-A9SL5 60-69 years, male 9.7
GTEX-1PIGE-1226-SM-EVR3Q 20-29 years, male 9.7
GTEX-12WSM-0626-SM-5GCOK 60-69 years, male 9.6
GTEX-18D9B-1726-SM-7LTAP 60-69 years, male 9.6
GTEX-ZF28-1426-SM-5S2OG 60-69 years, male 9.6
GTEX-ZTSS-1026-SM-5985N 40-49 years, male 9.6
GTEX-ZVZP-1126-SM-5GICU 50-59 years, male 9.6
GTEX-1H1E6-1126-SM-9JGGV 30-39 years, male 9.6
GTEX-1H1ZS-1326-SM-9WG74 70-79 years, male 9.6
GTEX-1K2DU-0726-SM-DIPF7 20-29 years, male 9.6
GTEX-1LKK1-1526-SM-EVYCO 50-59 years, female 9.6
GTEX-11P82-0326-SM-5HL51 20-29 years, male 9.5
GTEX-12C56-0826-SM-5EGJ5 20-29 years, male 9.5
GTEX-145ME-0726-SM-5O9A3 40-49 years, female 9.5
GTEX-146FR-0226-SM-5Q5F6 60-69 years, female 9.5
GTEX-ZAJG-1626-SM-5HL7I 50-59 years, female 9.5
GTEX-1HSMO-1426-SM-CNNQN 60-69 years, male 9.5
GTEX-11VI4-1226-SM-5EQMP 40-49 years, female 9.4
GTEX-14PN4-1426-SM-6LLJ4 50-59 years, male 9.4
GTEX-15SKB-1626-SM-6PAL6 60-69 years, male 9.4
GTEX-17JCI-1626-SM-7EPGZ 60-69 years, female 9.4
GTEX-1QP28-0926-SM-EVR4D 50-59 years, female 9.4
GTEX-WVLH-1626-SM-EXURN 50-59 years, male 9.4
GTEX-12WSC-1726-SM-5GCN3 50-59 years, male 9.3
GTEX-Y8E4-1226-SM-5IFIM 40-49 years, male 9.3
GTEX-ZC5H-1626-SM-5HL7L 40-49 years, female 9.3
GTEX-1QP67-1126-SM-EAZ4C 40-49 years, female 9.3
GTEX-11P7K-0826-SM-5BC5F 30-39 years, male 9.2
GTEX-132QS-0826-SM-5K7WV 60-69 years, male 9.2
GTEX-14PJ2-1426-SM-62LFF 50-59 years, male 9.2
GTEX-17HHY-1026-SM-7LG5E 50-59 years, male 9.2
GTEX-1C6VR-1126-SM-7EPHD 60-69 years, male 9.2
GTEX-ZYFC-1826-SM-5GZZA 50-59 years, male 9.2
GTEX-1HR9M-1426-SM-A9SMB 60-69 years, male 9.2
GTEX-XPVG-1626-SM-EYYVK 50-59 years, male 9.2
GTEX-13NZ9-2026-SM-5KM1U 50-59 years, male 9.1
GTEX-13NZB-0826-SM-5K7X5 30-39 years, male 9.1
GTEX-14PJN-0626-SM-6EU13 30-39 years, male 9.1
GTEX-1B996-1226-SM-73KWZ 60-69 years, male 9.1
GTEX-WL46-2026-SM-3LK7U 50-59 years, male 9.1
GTEX-1GZ4H-0926-SM-9WG6Y 50-59 years, female 9.1
GTEX-1IY9M-1226-SM-ACKX1 60-69 years, male 9.1
GTEX-1JKYN-0526-SM-CGQG3 30-39 years, male 9.1
GTEX-132NY-1126-SM-5PNVE 60-69 years, male 9.0
GTEX-13O3P-0926-SM-5IFFI 50-59 years, male 9.0
GTEX-13PVR-0526-SM-5S2OB 60-69 years, female 9.0
GTEX-1B97J-1126-SM-7SB79 50-59 years, female 9.0
GTEX-1HFI6-1726-SM-CGQFH 40-49 years, male 9.0
GTEX-1QAET-1226-SM-DTX9I 50-59 years, male 9.0
GTEX-1192X-1526-SM-5H11I 50-59 years, male 8.9
GTEX-1313W-1626-SM-5J1OE 50-59 years, female 8.9
GTEX-131YS-1726-SM-5HL7G 60-69 years, female 8.9
GTEX-13OW7-1126-SM-5K7V6 50-59 years, male 8.9
GTEX-14BMV-1626-SM-73KVQ 50-59 years, male 8.9
GTEX-15ER7-1026-SM-7KUMD 20-29 years, female 8.9
GTEX-1EWIQ-2526-SM-7EPIJ 70-79 years, female 8.9
GTEX-ZV7C-0826-SM-59HK8 50-59 years, male 8.9
GTEX-17KNJ-0426-SM-718AK 50-59 years, male 8.8
GTEX-WOFM-0726-SM-3MJF8 20-29 years, male 8.8
GTEX-XQ3S-2426-SM-4WAYB 20-29 years, male 8.8
GTEX-ZEX8-1226-SM-5S2OK 50-59 years, male 8.8
GTEX-1H1DG-2026-SM-9QEIV 70-79 years, male 8.8
GTEX-1HGF4-0226-SM-CNNQL 60-69 years, male 8.8
GTEX-1I19N-1026-SM-A96TT 70-79 years, male 8.8
GTEX-1NV5F-2526-SM-EXUSK 60-69 years, female 8.8
GTEX-12696-1826-SM-5EGJS 60-69 years, male 8.7
GTEX-13OW6-2426-SM-5K7WO 50-59 years, male 8.7
GTEX-13S7M-0826-SM-5QGQX 60-69 years, female 8.7
GTEX-13X6H-1726-SM-5Q5EH 50-59 years, female 8.7
GTEX-1EU9M-1126-SM-793DE 60-69 years, male 8.7
GTEX-ZTX8-0726-SM-59HL9 20-29 years, male 8.7
GTEX-1K9T9-1626-SM-DIPFS 50-59 years, female 8.7
GTEX-13W46-1226-SM-5SIAS 50-59 years, male 8.6
GTEX-14DAR-0426-SM-664MW 50-59 years, male 8.6
GTEX-1C6VQ-1526-SM-73KU9 50-59 years, male 8.6
GTEX-WK11-2426-SM-3NMAA 50-59 years, male 8.6
GTEX-WYVS-0626-SM-4SOJY 40-49 years, female 8.6
GTEX-1B8L1-0126-SM-9KNVS 60-69 years, male 8.6
GTEX-1212Z-0526-SM-5FQSQ 60-69 years, male 8.5
GTEX-12WSF-1526-SM-6PAN6 70-79 years, male 8.5
GTEX-13IVO-2426-SM-5K7V9 70-79 years, male 8.5
GTEX-Y5V5-0226-SM-5S2N8 60-69 years, female 8.5
GTEX-ZUA1-2126-SM-57YRB 40-49 years, male 8.5
GTEX-1GF9V-1126-SM-9MQM7 60-69 years, male 8.5
GTEX-1HBPH-2226-SM-9WYSO 40-49 years, female 8.5
GTEX-13PL6-0926-SM-5KLYY 40-49 years, female 8.4
GTEX-145LU-1226-SM-5LU9B 50-59 years, male 8.4
GTEX-14PN3-0326-SM-6EU1X 60-69 years, female 8.4
GTEX-17F96-0726-SM-793CB 70-79 years, male 8.4
GTEX-17F9Y-0726-SM-7LT9G 70-79 years, female 8.4
GTEX-XLM4-1026-SM-4AT51 60-69 years, male 8.4
GTEX-YECK-1426-SM-5IFHE 60-69 years, male 8.4
GTEX-ZDTS-1826-SM-5S2N6 60-69 years, male 8.4
GTEX-ZDXO-2326-SM-5LU9W 60-69 years, male 8.4
GTEX-ZXES-0926-SM-5E43O 30-39 years, female 8.4
GTEX-1EMGI-0726-SM-7PBZ4 60-69 years, male 8.4
GTEX-1IE54-1426-SM-CL53C 40-49 years, female 8.4
GTEX-1128S-0926-SM-5GZZU 60-69 years, female 8.3
GTEX-1BAJH-2126-SM-7EWFB 70-79 years, male 8.3
GTEX-1C6VS-1826-SM-73KXN 60-69 years, male 8.3
GTEX-1KD5A-1326-SM-CYPTB 50-59 years, male 8.3
GTEX-1LSNL-1426-SM-E6CJ9 50-59 years, male 8.3
GTEX-11DXY-0326-SM-5H12F 60-69 years, male 8.2
GTEX-13X6J-1926-SM-5TDCU 50-59 years, male 8.2
GTEX-ZA64-0926-SM-5HL7H 20-29 years, male 8.2
GTEX-ZGAY-1326-SM-5S2NS 40-49 years, female 8.2
GTEX-1I1GT-1326-SM-ACKWB 60-69 years, female 8.2
GTEX-1JMLX-1026-SM-D3L8U 50-59 years, male 8.2
GTEX-1LG7Y-1126-SM-CYPTE 50-59 years, male 8.2
GTEX-VJWN-2326-SM-EVYAP 50-59 years, female 8.2
GTEX-11OF3-0826-SM-5BC51 60-69 years, male 8.1
GTEX-131XH-0826-SM-5GCN8 50-59 years, male 8.1
GTEX-13N2G-1926-SM-5J1O3 60-69 years, male 8.1
GTEX-13PL7-1226-SM-5SIAR 60-69 years, female 8.1
GTEX-145MF-1026-SM-5Q5EQ 50-59 years, male 8.1
GTEX-14DAQ-2526-SM-5RQIO 60-69 years, female 8.1
GTEX-16AAH-1526-SM-7LT9W 50-59 years, male 8.1
GTEX-1CB4I-0826-SM-7MGX1 50-59 years, male 8.1
GTEX-1HKZK-1726-SM-ADEJ9 40-49 years, male 8.1
GTEX-1JMPY-0326-SM-CM2S2 30-39 years, male 8.1
GTEX-1P4AB-1226-SM-DTXET 50-59 years, male 8.1
GTEX-1QP29-1626-SM-EXUSZ 50-59 years, male 8.1
GTEX-13FHO-2026-SM-5J1OA 60-69 years, male 8.0
GTEX-18A7A-0926-SM-7LT8H 50-59 years, female 8.0
GTEX-XOT4-0826-SM-4B66Y 60-69 years, female 8.0
GTEX-1IDJH-1626-SM-A9SLP 70-79 years, male 8.0
GTEX-1LVAO-2126-SM-DIPGA 60-69 years, male 8.0
GTEX-11GSO-0226-SM-5A5LV 60-69 years, male 7.9
GTEX-18465-1826-SM-731BB 50-59 years, male 7.9
GTEX-1AYD5-0126-SM-7DUG5 50-59 years, male 7.9
GTEX-1GF9U-1226-SM-ARL9I 40-49 years, female 7.9
GTEX-1GF9W-1026-SM-7SB8X 60-69 years, male 7.9
GTEX-1GMR3-0826-SM-9WYT4 40-49 years, male 7.9
GTEX-1N2EE-1526-SM-DTXE9 60-69 years, male 7.9
GTEX-1117F-1326-SM-5EGHH 60-69 years, female 7.8
GTEX-11DYG-2026-SM-5EGGX 60-69 years, male 7.8
GTEX-1CB4G-2126-SM-7IGQ8 60-69 years, male 7.8
GTEX-XBEC-1826-SM-4QASN 50-59 years, male 7.8
GTEX-Y114-1326-SM-4TT9A 50-59 years, female 7.8
GTEX-ZE9C-1326-SM-5S2OW 60-69 years, male 7.8
GTEX-ZF3C-1026-SM-5S2OC 50-59 years, female 7.8
GTEX-1GN73-0626-SM-7PC3I 60-69 years, male 7.8
GTEX-13112-1126-SM-5GCMY 50-59 years, male 7.7
GTEX-18D9A-0726-SM-7LTA7 30-39 years, female 7.7
GTEX-1HCU7-2026-SM-A9G2B 50-59 years, male 7.7
GTEX-1I1GQ-1026-SM-CNNQS 50-59 years, male 7.7
GTEX-132Q8-1726-SM-5EGK8 60-69 years, male 7.6
GTEX-14C5O-0926-SM-793DM 60-69 years, male 7.6
GTEX-X585-2526-SM-4QAS1 50-59 years, male 7.6
GTEX-ZTPG-2326-SM-57WFL 20-29 years, female 7.6
GTEX-1EKGG-1426-SM-7PBY2 60-69 years, male 7.6
GTEX-1F5PL-1326-SM-7SB83 40-49 years, female 7.6
GTEX-1HCU9-0626-SM-ACKW6 20-29 years, male 7.6
GTEX-WI4N-1526-SM-EZ6LG 40-49 years, female 7.6
GTEX-1B8SG-1426-SM-7EWEM 50-59 years, male 7.5
GTEX-12ZZX-1726-SM-5BC63 40-49 years, female 7.4
GTEX-13O61-1926-SM-5KM1R 60-69 years, male 7.4
GTEX-14C39-0826-SM-5TDDU 40-49 years, male 7.4
GTEX-15CHQ-1126-SM-686YY 60-69 years, male 7.4
GTEX-15DYW-1526-SM-7KUEP 60-69 years, female 7.4
GTEX-1F6I4-2126-SM-7PC2J 60-69 years, male 7.4
GTEX-1H4P4-0326-SM-9WYTD 50-59 years, male 7.4
GTEX-13O3Q-1126-SM-5K7YK 50-59 years, male 7.3
GTEX-1A3MX-0826-SM-72D64 60-69 years, male 7.3
GTEX-1F48J-1826-SM-7SB8T 50-59 years, female 7.3
GTEX-1J8EW-1526-SM-CMKFZ 60-69 years, female 7.3
GTEX-1S831-1926-SM-EV79P 20-29 years, male 7.3
GTEX-12WSA-1626-SM-5EGJV 60-69 years, male 7.2
GTEX-13X6K-0726-SM-5LU2Z 60-69 years, female 7.2
GTEX-14E7W-2326-SM-69LQC 70-79 years, male 7.2
GTEX-15D1Q-1326-SM-69LOA 40-49 years, male 7.2
GTEX-15G19-1126-SM-7KUEL 60-69 years, male 7.2
GTEX-16BQI-1126-SM-7KULF 30-39 years, female 7.2
GTEX-1JMQK-1326-SM-CNPOR 60-69 years, male 7.2
GTEX-1KWVE-0226-SM-E9TKK 30-39 years, male 7.2
GTEX-14PJM-1226-SM-686Z7 50-59 years, female 7.1
GTEX-18A6Q-1026-SM-7LT9S 60-69 years, male 7.1
GTEX-WYBS-1026-SM-4ONCY 60-69 years, female 7.1
GTEX-1GMRU-0726-SM-7PBZH 50-59 years, male 7.1
GTEX-1HB9E-0526-SM-ARZNM 50-59 years, male 7.1
GTEX-1S5ZA-1026-SM-EWRO2 20-29 years, male 7.1
GTEX-17HII-0826-SM-7DUFH 50-59 years, male 7.0
GTEX-1A32A-0926-SM-718AB 50-59 years, female 7.0
GTEX-ZQG8-1026-SM-51MR9 60-69 years, female 7.0
GTEX-ZVE2-1826-SM-51MRZ 50-59 years, male 7.0
GTEX-1F75I-1026-SM-7SB8B 40-49 years, male 7.0
GTEX-1GZ4I-2326-SM-9YFMO 50-59 years, male 7.0
GTEX-1LH75-1026-SM-EWROK 50-59 years, female 7.0
GTEX-16NPV-0626-SM-7IGOR 50-59 years, female 6.9
GTEX-1B933-1326-SM-7939U 50-59 years, female 6.9
GTEX-1GZ2Q-1226-SM-9MQM8 40-49 years, male 6.9
GTEX-11PRG-1526-SM-5HL6Z 50-59 years, male 6.8
GTEX-11ZTS-1326-SM-5EQMA 60-69 years, female 6.8
GTEX-12WSI-1526-SM-5GCNM 50-59 years, male 6.8
GTEX-XQ8I-1426-SM-4BOPW 50-59 years, male 6.8
GTEX-1H23P-1726-SM-A9SMN 60-69 years, male 6.8
GTEX-1J8Q2-2226-SM-CM2TZ 60-69 years, male 6.8
GTEX-15EOM-2326-SM-7KUMV 20-29 years, female 6.7
GTEX-1AX9I-1726-SM-731BX 60-69 years, male 6.7
GTEX-1PPH8-1026-SM-DPRXN 20-29 years, male 6.7
GTEX-1RLM8-1026-SM-EWROE 50-59 years, male 6.7
GTEX-11GS4-1026-SM-5N9DE 60-69 years, male 6.6
GTEX-139TU-1426-SM-5LZY9 60-69 years, male 6.6
GTEX-13JUV-0626-SM-5J1MQ 40-49 years, female 6.6
GTEX-16GPK-1326-SM-7KUE4 60-69 years, male 6.6
GTEX-17MF6-1326-SM-79ONE 40-49 years, male 6.6
GTEX-1A8G6-2026-SM-73KYC 60-69 years, male 6.6
GTEX-1HCU8-1126-SM-CM2SA 60-69 years, female 6.6
GTEX-YJ8A-1926-SM-EZ6LQ 20-29 years, male 6.6
GTEX-12KS4-1526-SM-5EQ6E 30-39 years, male 6.5
GTEX-13OW8-0326-SM-5L3FB 60-69 years, male 6.5
GTEX-147JS-1026-SM-5S2MP 60-69 years, male 6.5
GTEX-14BIL-2426-SM-5QGQR 50-59 years, male 6.5
GTEX-1B8SF-1726-SM-73KZ5 60-69 years, male 6.5
GTEX-1HSKV-1926-SM-CNPPN 60-69 years, male 6.5
GTEX-1JN6P-1626-SM-CYPSV 60-69 years, male 6.5
GTEX-1N2DW-0726-SM-DTX97 50-59 years, male 6.5
GTEX-11NV4-1426-SM-5BC4W 60-69 years, male 6.4
GTEX-13OVL-0826-SM-5L3GV 50-59 years, male 6.4
GTEX-Y9LG-1226-SM-4VBQA 30-39 years, male 6.4
GTEX-1GTWX-1526-SM-9MQLF 60-69 years, male 6.4
GTEX-11ZUS-1826-SM-5FQTR 30-39 years, male 6.3
GTEX-13N1W-1226-SM-5K7UM 70-79 years, male 6.3
GTEX-14ABY-1926-SM-62LDJ 50-59 years, male 6.3
GTEX-ZAB4-1426-SM-5CVN6 40-49 years, male 6.3
GTEX-ZYVF-1026-SM-5E44V 50-59 years, female 6.3
GTEX-ZYW4-2226-SM-5GZYG 60-69 years, male 6.3
GTEX-17F97-1226-SM-79OJT 50-59 years, male 6.2
GTEX-1A8FM-2126-SM-7PC27 50-59 years, female 6.2
GTEX-1ICLY-1426-SM-CJI48 50-59 years, male 6.2
GTEX-14JIY-1426-SM-6EU29 60-69 years, male 6.1
GTEX-16NPX-1026-SM-6PAM7 50-59 years, male 6.1
GTEX-1E1VI-1826-SM-9WG5J 50-59 years, male 6.1
GTEX-1H1CY-0826-SM-9WYTU 60-69 years, female 6.1
GTEX-1IL2U-2726-SM-C1YSG 60-69 years, male 6.1
GTEX-1LSVX-1326-SM-DIPET 60-69 years, male 6.1
GTEX-1GN1U-0726-SM-9MQKL 50-59 years, female 6.0
GTEX-1I1GR-1726-SM-COH39 60-69 years, male 6.0
GTEX-1JMQI-1026-SM-COH2U 50-59 years, male 6.0
GTEX-1MA7X-1026-SM-DKPQ8 60-69 years, male 6.0
GTEX-1MCQQ-1426-SM-E6CJA 60-69 years, male 6.0
GTEX-1N2EF-0926-SM-E8VNW 60-69 years, male 6.0
GTEX-1QMI2-1626-SM-EYYXK 60-69 years, male 6.0
GTEX-1QP6S-1626-SM-EVYC5 40-49 years, male 6.0
GTEX-14BIM-1626-SM-7EWD2 60-69 years, female 5.9
GTEX-14ICL-0926-SM-5S2TU 30-39 years, male 5.9
GTEX-15SHU-2326-SM-7KUMC 40-49 years, female 5.9
GTEX-17EVP-1426-SM-79OMN 40-49 years, male 5.9
GTEX-X8HC-2326-SM-4QAS4 50-59 years, female 5.9
GTEX-1JJ6O-2826-SM-CNNP7 60-69 years, male 5.9
GTEX-1JMQJ-1926-SM-D4P3A 50-59 years, male 5.9
GTEX-11EM3-1126-SM-5A5KM 20-29 years, female 5.8
GTEX-11NUK-2026-SM-5PNVZ 50-59 years, male 5.8
GTEX-14E6D-1326-SM-62LES 50-59 years, male 5.8
GTEX-1I1GP-1426-SM-ACKVZ 50-59 years, male 5.8
GTEX-1KANB-2426-SM-EV7BE 50-59 years, male 5.8
GTEX-1R9K4-1426-SM-DPRY4 60-69 years, male 5.8
GTEX-1F52S-1326-SM-7SB6Q 60-69 years, female 5.7
GTEX-1B8KZ-1026-SM-73KYN 50-59 years, male 5.6
GTEX-1RQEC-2526-SM-EVYD2 60-69 years, male 5.6
GTEX-12ZZW-2326-SM-5DUW2 50-59 years, male 5.5
GTEX-YJ89-1926-SM-5IFJ6 60-69 years, male 5.5
GTEX-1C64N-1326-SM-7SB7D 50-59 years, male 5.5
GTEX-1F6IF-2026-SM-7P8SE 60-69 years, male 5.4
GTEX-1H1DF-1426-SM-9YFMC 40-49 years, female 5.4
GTEX-12584-2126-SM-5FQUM 40-49 years, male 5.3
GTEX-14BIN-1226-SM-5S2OM 50-59 years, female 5.3
GTEX-1EN7A-1626-SM-79OLV 40-49 years, male 5.3
GTEX-1399T-1326-SM-5PNVH 60-69 years, male 5.2
GTEX-1EH9U-1326-SM-79OM3 60-69 years, male 5.2
GTEX-1HCU6-1626-SM-CMKGW 60-69 years, female 5.2
GTEX-17EVQ-0626-SM-7KFTB 70-79 years, male 5.1
GTEX-1CAMQ-1226-SM-7SB7E 40-49 years, male 5.1
GTEX-13OVH-1126-SM-5K7YP 70-79 years, male 5.0
GTEX-14753-2526-SM-5LU97 60-69 years, male 5.0
GTEX-16XZZ-1626-SM-7KUEC 60-69 years, male 5.0
GTEX-ZXG5-1626-SM-59HJK 60-69 years, male 5.0
GTEX-1JJE9-1526-SM-CM2RR 70-79 years, male 4.9
GTEX-1R9PO-0926-SM-E9U4Q 60-69 years, female 4.9
GTEX-117YW-0826-SM-5H11O 50-59 years, male 4.8
GTEX-14PHW-1626-SM-6EU2H 60-69 years, female 4.7
GTEX-1A8G7-1226-SM-73KYP 60-69 years, male 4.6
GTEX-11GSP-1026-SM-9WYSH 60-69 years, female 4.6
GTEX-1QEPI-2226-SM-E8VN6 60-69 years, female 4.6
GTEX-1HUB1-1526-SM-CGQF6 60-69 years, male 4.5
GTEX-1IKK5-0826-SM-ACKWN 60-69 years, male 4.5
GTEX-13VXU-1026-SM-5KLZE 50-59 years, male 4.4
GTEX-145MI-0826-SM-5SI95 60-69 years, female 4.4
GTEX-1I1CD-1026-SM-COH3G 60-69 years, female 4.4
GTEX-1S5VW-2426-SM-EAZ52 60-69 years, male 4.3
GTEX-13YAN-1126-SM-5TDC7 60-69 years, male 4.2
GTEX-14C38-1026-SM-73KY7 50-59 years, male 4.1
GTEX-11WQK-1526-SM-5EGKN 50-59 years, male 4.0
GTEX-13PVQ-2226-SM-5L3G9 50-59 years, male 3.8
GTEX-113JC-0726-SM-5GZZR 50-59 years, female 3.6
GTEX-18A7B-1226-SM-718AU 70-79 years, male 3.6
GTEX-1J1OQ-1526-SM-CJI4E 40-49 years, female 3.6
GTEX-1445S-2426-SM-79ON2 60-69 years, male 3.5
GTEX-1PBJI-1326-SM-E9J2V 20-29 years, female 3.4
GTEX-ZE7O-1526-SM-5J1NH 50-59 years, female 3.3
GTEX-1CAV2-0226-SM-7IGPQ 40-49 years, female 2.6
GTEX-14E6C-1226-SM-5ZZUN 40-49 years, male 2.1
Show allShow less

ADIPOSE TISSUE - FANTOM5 CAGEi

RNA expression in human tissues obtained through Cap Analysis of Gene Expression (CAGE) generated by the FANTOM5 project are reported as Scaled Tags Per Million.

Max subtype Scaled Tags Per Millioni

Max subtype Scaled Tags Per Million is the value for the subtype with the largest average Scaled Tags Per Million across the subtype samples.

18.1
FANTOM5 sample id Sample description Scaled Tags Per Million
Adipose tissue
Scaled Tags Per Million: 18.1
FF:10010-101C1 65,65,76 years, mixed 18.1

Contact

  • NEWS ARTICLES
  • PRESS ROOM

The Project

  • INTRODUCTION
  • ORGANIZATION
  • PUBLICATIONS

The Human Protein Atlas

  • DOWNLOADABLE DATA
  • LICENCE & CITATION
  • HELP & FAQ
The Human Protein Atlas project is funded
by the Knut & Alice Wallenberg Foundation.


contact@proteinatlas.org