We use cookies to enhance the usability of our website. If you continue, we'll assume that you are happy to receive all cookies. More information. Don't show this again.
PLEKHA4
HPA
RESOURCES
  • TISSUE
  • BRAIN
  • SINGLE CELL
  • SUBCELLULAR
  • CANCER
  • BLOOD
  • CELL LINE
  • STRUCTURE & INTERACTION
ABOUT
  • INTRODUCTION
  • HISTORY
  • ORGANIZATION
  • PUBLICATIONS
  • ANTIBODY SUBMISSION
  • ANTIBODY AVAILABILITY
  • ACKNOWLEDGMENTS
  • CONTACT
NEWS
  • NEWS ARTICLES
  • PRESS ROOM
LEARN
  • DICTIONARY
  • PROTEIN CLASSES
  • PROTEIN EVIDENCE
  • METHODS
  • EDUCATIONAL VIDEOS
DATA
  • DOWNLOADABLE DATA
  • PUBLICATION DATA
  • RELEASE HISTORY
HELP
  • ANTIBODY VALIDATION
  • ASSAYS & ANNOTATION
  • DISCLAIMER
  • HELP & FAQ
  • PRIVACY STATEMENT
  • LICENCE & CITATION
Fields »
Search result

Field
Term
Gene name
Class
Subclass
Class
Keyword
Chromosome
External id
Tissue
Cell type
Expression
Antibody panel
Tissue
Main location
Patient ID
Annotation
Tissue
Category
Tau score
Cluster
Reliability
Brain region
Category
Tau score
Brain region
Category
Tau score
Brain region
Category
Tau score
Cluster
Reliability
Tissue
Cell type
Enrichment
Cell type
Category
Tau score
Cell type
Category
Tau score
Cell type
Category
Tau score
Cell lineage
Category
Tau score
Cluster
Cluster
Location
Searches
Location
Cell line
Class
Type
Phase
Reliability
Cancer
Prognosis
Cancer
Category
Cancer
Category
Tau score
Cluster
Variants
Interacting gene (ensg_id)
Type
Number of interactions
Pathway
Category
Score
Score
Score
Validation
Validation
Validation
Validation
Antibodies
Data type
Column


  • SUMMARY

  • TISSUE

  • BRAIN

  • SINGLE CELL

  • SUBCELL

  • CANCER

  • BLOOD

  • CELL LINE

  • STRUCT & INT

  • PLEKHA4
CANCER TESTIS CANCER Show tissue menu
BREAST CANCER CARCINOID CERVICAL CANCER COLORECTAL CANCER ENDOMETRIAL CANCER GLIOMA HEAD AND NECK CANCER LIVER CANCER LUNG CANCER LYMPHOMA
MELANOMA OVARIAN CANCER PANCREATIC CANCER PROSTATE CANCER RENAL CANCER SKIN CANCER STOMACH CANCER TESTIS CANCER THYROID CANCER UROTHELIAL CANCER
TGCT TCGA PROTEIN EXPRESSION
ANTIBODIES
AND
VALIDATION
Dictionary
Testis cancer
Human cancer
Testicular germ cell tumor
TESTICULAR GERM CELL TUMOR (TCGA) - Interactive survival scatter ploti

The Survival Scatter plot shows the clinical status (i.e. dead or alive) for all individuals in the patient cohort, based on the same data that underlies the corresponding Kaplan-Meier plots. Patients that are alive at last time for follow-up are shown in blue and patients who have died during the study are shown in red.

The x-axis shows the expression levels (FPKM) of the investigated gene in the tumor tissue at the time of diagnosis. The y-axis shows the follow-up time after diagnosis (years). Both axes are complimented with kernel density curves demonstrating the data density over the axes. The top density plot shows the expression levels (FPKM) distribution among dead (red) and alive patients (blue). The right density plot shows the data density of the survived years of dead patients with high and low expression levels respectively, stratified using the cutoff indicated by the vertical dashed line through the Survival Scatter plot. This cutoff is automatically defined based on the FPKM cutoff that minimizes the p-score. The cutoff can be changed by dragging the vertical line or by entering a cutoff value in the square labeled "Current cut-off".

Under the Survival Scatter plot the p-score landscape (black curve; left axis) is shown together with dead median separation (red curve; right axis). Dead median separation is the difference in median mRNA expression between patients who have died with high and low expression, respectively. It is calculated as follows: median FPKM expression of dead patients with high expression - median FPKM expression of dead patients with low expression. This is intended to aid the user in visually exploring custom cutoffs and the associated p-scores and dead median separation.

Individual patient data is displayed and can be filtered by clicking on one or more of the category buttons on the top of the page. Categories describing expression level and patient information include: high, low, alive, dead, female, male and tumor stages. The scale of the x-axis can be toggled between linear and log-scale by clicking on the "x log" button. Mouse-over function shows TCGA ID, patient information and mRNA expression (FPKM) for each patient.

& Survival analysisi

Kaplan-Meier plots summarize results from analysis of correlation between mRNA expression level and patient survival. Patients were divided based on level of expression into one of the two groups "low" (under cut off) or "high" (over cut off). X-axis shows time for survival (years) and y-axis shows the probability of survival, where 1.0 corresponds to 100 percent.

PLEKHA4 is not prognostic in Testicular Germ Cell Tumor (TCGA)


Stage:


Survival analysis
Current cut offi

Current cut-off shows the cut-off (FPKM) currently selected. It may be changed manually. When the current cut-off is changed, the vertical dashed line indicating cut-off, the interactive survival scatter plot and the Kaplan-Meier curve will be automatically adjusted to show results accordingly.

:
Best expression cut offi

Based on the FPKM value of each gene, patients were classified into two groups and association between prognosis (survival) and gene expression (FPKM) was examined. The best expression cut-off refers the FPKM value that yields maximal difference with regard to survival between the two groups at the lowest log-rank P-value. Best expression cut-off was selected based on survival analysis .

When clicking on this number, the vertical dashed line indicating cut-off, the interactive survival plot, and the Kaplan-Meier curve will be adjusted to show results based on the best expression cut-off.

: 17.47
Median expressioni

Median expression refers to the median FPKM value calculated based on the gene expression (FPKM) data from all patients in this dataset. When clicking on this number, the vertical dashed line indicating cut-off, the interactive survival plot, and the Kaplan-Meier curve will be adjusted to show results based on the median expression.

: N/A
Median follow up timei

Median follow up time refers to the median time (years) after diagnosis with this type of cancer, based on clinical data from all patients in this dataset.

: N/A
P scorei

Log-rank P value for Kaplan-Meier plot showing results from analysis of correlation between mRNA expression level and patient survival.

N/A
5-year survival highi

5-year survival for patients with higher expression than the expression cutoff.

For melanoma and glioma, 3-year survival is shown.

N/A
5-year survival lowi

5-year survival for patients with lower expression than the expression cutoff.

For melanoma and glioma, 3-year survival is shown.

N/A
TCGA RNA samplesi

RNA-seq data is reported as average FPKM (number Fragments Per Kilobase of exon per Million reads), generated by the The Cancer Genome Atlas (TCGA) .

Normal distribution across the dataset is visualized with box plots, shown as median and 25th and 75th percentiles. Points are displayed as outliers if they are above or below 1.5 times the interquartile range. FPKM values of the individual samples are presented next to the box plot.

Average pTPM 30.7
Number of samples 133
Samples
Sample Description pTPM
TCGA-2G-AAKL-01A 26 years, male, white, stage:Stage II, alive, 7023 days 102.7
TCGA-YU-AA61-01A 29 years, male, white, stage:Stage IS, alive, 864 days 95.7
TCGA-2G-AAFO-01A 33 years, male, white, stage:Stage IIA, alive, 685 days 77.7
TCGA-2G-AAL7-01A 32 years, male, white, stage:Stage IS, alive, 3991 days 77.1
TCGA-2G-AAGN-01A 41 years, male, white, stage:Stage IIIB, alive, 3656 days 76.7
TCGA-2G-AAH2-01A 20 years, male, white, stage:Stage IS, alive, 6060 days 76.4
TCGA-WZ-A7V3-01A 20 years, male, white, stage:Stage I, alive, 753 days 74.7
TCGA-2G-AAKM-01A 14 years, male, white, stage:Stage II, dead, 6972 days 63.9
TCGA-4K-AAAL-01A 31 years, male, white, stage:Stage IS, alive, 483 days 62.9
TCGA-SN-A84Y-01A 18 years, male, white, stage:Stage IS, alive, 524 days 61.4
TCGA-2G-AAGZ-01A 27 years, male, white, stage:Stage IIIA, alive, 5233 days 57.5
TCGA-2G-AAGS-01A 39 years, male, white, stage:Stage IIIB, alive, 4816 days 55.5
TCGA-XE-AANJ-01A 39 years, male, white, stage:Stage IS, alive, 2007 days 53.4
TCGA-XE-A8H1-01A 24 years, male, white, stage:Stage IS, alive, 209 days 53.4
TCGA-2G-AAFG-01A 30 years, male, white, stage:Stage IS, alive, 6183 days 50.1
TCGA-2G-AAFL-01A 35 years, male, white, stage:Stage IB, alive, 750 days 49.9
TCGA-XE-AANR-01A 23 years, male, white, stage:Stage I, alive, 14 days 49.3
TCGA-VF-A8AC-01A 29 years, male, white, stage:Stage IA, alive, 1083 days 47.6
TCGA-2G-AAFM-01A 31 years, male, white, stage:Stage IIA, alive, 503 days 47.0
TCGA-XE-AAOF-01A 50 years, male, asian, stage:Stage IA, alive, 1268 days 47.0
TCGA-XE-AAO3-01A 33 years, male, asian, stage:Stage I, alive, 2857 days 44.6
TCGA-2G-AAGO-01A 41 years, male, white, stage:Stage IS, alive, 4026 days 44.5
TCGA-W4-A7U3-01A 26 years, male, white, stage:'--, alive, 149 days 44.0
TCGA-XE-AANI-01A 37 years, male, white, stage:Stage IS, alive, 1041 days 43.4
TCGA-XE-AAOC-01A 31 years, male, white, stage:Stage IA, alive, 270 days 42.5
TCGA-2G-AAFY-01A 24 years, male, white, stage:Stage IIA, alive, 1099 days 41.8
TCGA-2G-AAG3-01A 53 years, male, white, stage:Stage IS, alive, 1593 days 41.0
TCGA-2G-AAGF-01A 28 years, male, white, stage:Stage IS, alive, 2734 days 40.9
TCGA-SB-A76C-01A 38 years, male, white, stage:'--, alive, 42 days 40.7
TCGA-S6-A8JX-01A 27 years, male, white, stage:Stage IB, alive, 552 days 40.0
TCGA-VF-A8AB-01A 31 years, male, black or african american, stage:Stage IA, alive, 760 days 39.4
TCGA-ZM-AA0B-01A 32 years, male, white, stage:Stage IA, alive, 838 days 39.1
TCGA-2G-AAKH-01A 19 years, male, white, stage:Stage II, alive, 6862 days 38.6
TCGA-2G-AAKG-01A 22 years, male, white, stage:Stage I, alive, 6598 days 38.6
TCGA-2G-AAH8-01A 45 years, male, white, stage:Stage IIIC, alive, 2248 days 38.2
TCGA-2G-AAFJ-01A 23 years, male, asian, stage:'--, alive, 792 days 38.1
TCGA-2G-AAFV-01A 31 years, male, white, stage:Stage IS, alive, 1389 days 37.6
TCGA-S6-A8JW-01A 37 years, male, white, stage:Stage IS, alive, 698 days 37.6
TCGA-2G-AAG6-01A 24 years, male, white, stage:Stage IS, alive, 2231 days 35.9
TCGA-2G-AAL5-01A 31 years, male, white, stage:Stage I, alive, 7437 days 35.9
TCGA-2G-AAF6-01A 28 years, male, white, stage:Stage IS, alive, 3491 days 35.6
TCGA-VF-A8AD-01A 36 years, male, white, stage:Stage IB, alive, 1006 days 34.9
TCGA-S6-A8JY-01A 27 years, male, white, stage:Stage IS, alive, 278 days 34.8
TCGA-2G-AAGY-01A 28 years, male, white, stage:Stage IS, alive, 5329 days 34.6
TCGA-YU-A90Y-01A 23 years, male, black or african american, stage:Stage IIIC, dead, 17 days 32.4
TCGA-SN-A84X-01A 21 years, male, white, stage:Stage IS, alive, 312 days 32.4
TCGA-XE-A9SE-01A 35 years, male, white, stage:Stage IA, alive, 708 days 32.2
TCGA-XE-AAO6-01A 47 years, male, white, stage:Stage IA, alive, 240 days 31.5
TCGA-VF-A8A9-01A 31 years, male, white, stage:Stage IA, alive, 1119 days 31.3
TCGA-YU-A94I-01A 66 years, male, stage:Stage IA, alive, 536 days 31.0
TCGA-SN-A6IS-01A 26 years, male, white, stage:Stage IS, alive, 496 days 30.9
TCGA-2G-AAGC-01A 28 years, male, white, stage:Stage IS, alive, 2585 days 30.8
TCGA-SN-A84W-01A 30 years, male, white, stage:Stage IS, alive, 293 days 30.6
TCGA-2G-AAHG-01A 25 years, male, white, stage:Stage I, alive, 1819 days 30.6
TCGA-2G-AAG0-01A 23 years, male, white, stage:Stage IS, alive, 1529 days 30.5
TCGA-2G-AAG5-01A 36 years, male, white, stage:Stage IS, alive, 2299 days 30.3
TCGA-W4-A7U4-01A 23 years, male, white, stage:'--, alive, 738 days 30.1
TCGA-2G-AAGJ-01A 28 years, male, black or african american, stage:Stage IA, alive, 2938 days 30.1
TCGA-2G-AAGI-01A 33 years, male, white, stage:Stage IS, alive, 3137 days 30.1
TCGA-W4-A7U2-01A 26 years, male, white, stage:'--, alive, 1263 days 30.0
TCGA-2G-AAGK-01A 20 years, male, white, stage:Stage IS, alive, 3621 days 29.7
TCGA-4K-AA1H-01A 26 years, male, white, stage:Stage IA, alive, 518 days 28.9
TCGA-XE-A8H4-01A 23 years, male, white, stage:Stage IA, alive, 559 days 28.9
TCGA-VF-A8A8-01A 18 years, male, white, stage:Stage IA, alive, 1131 days 28.6
TCGA-XE-AAOD-01A 39 years, male, white, stage:Stage IB, alive, 2058 days 28.3
TCGA-2G-AAFI-01A 41 years, male, white, stage:Stage IB, alive, 675 days 28.3
TCGA-2X-A9D5-01A 49 years, male, white, stage:Stage I, alive, 435 days 27.5
TCGA-YU-AA4L-01A 27 years, male, black or african american, stage:Stage IIIC, alive, 1573 days 27.3
TCGA-ZM-AA06-01A 45 years, male, white, stage:Stage IB, alive, 1498 days 27.0
TCGA-SO-A8JP-01A 29 years, male, white, stage:Stage I, alive, 540 days 27.0
TCGA-XE-AANV-01A 52 years, male, stage:Stage IB, alive, 1701 days 26.9
TCGA-2G-AAG9-01A 25 years, male, white, stage:Stage IIIB, alive, 2234 days 26.4
TCGA-2G-AAEX-01A 38 years, male, white, stage:Stage IS, alive, 1259 days 25.7
TCGA-2G-AAGP-01A 33 years, male, white, stage:Stage IIA, alive, 4018 days 25.0
TCGA-2G-AAF4-01A 30 years, male, white, stage:Stage I, alive, 2315 days 24.8
TCGA-2G-AAFN-01A 26 years, male, white, stage:Stage IIIB, alive, 773 days 24.4
TCGA-2G-AAGA-01A 38 years, male, white, stage:Stage IIA, alive, 2439 days 24.2
TCGA-2G-AAHC-01A 33 years, male, white, stage:Stage IS, alive, 5539 days 24.0
TCGA-2G-AAGE-01A 21 years, male, white, stage:Stage IS, alive, 2478 days 23.9
TCGA-2G-AAH0-01A 30 years, male, white, stage:Stage IS, alive, 5477 days 23.5
TCGA-2G-AAH4-01A 34 years, male, white, stage:Stage II, alive, 6210 days 23.5
TCGA-2G-AAF8-01A 33 years, male, white, stage:Stage IA, alive, 3911 days 23.3
TCGA-2G-AAGW-01A 38 years, male, white, stage:Stage IS, alive, 4899 days 22.3
TCGA-YU-A94D-01A 28 years, male, stage:Stage IIIB, alive, 2167 days 22.1
TCGA-XE-AAOJ-01A 24 years, male, white, stage:Stage IS, alive, 1550 days 22.0
TCGA-2G-AAGG-01A 20 years, male, white, stage:Stage IIIC, alive, 2611 days 22.0
TCGA-WZ-A8D5-01A 38 years, male, white, stage:'--, alive, 774 days 21.8
TCGA-WZ-A7V4-01A 28 years, male, white, stage:Stage I, alive, 894 days 21.3
TCGA-2G-AAG8-01A 21 years, male, white, stage:Stage IB, alive, 2289 days 21.2
TCGA-XY-A89B-01A 35 years, male, white, stage:Stage IA, alive, 471 days 20.9
TCGA-YU-A912-01A 34 years, male, black or african american, stage:Stage IIIC, alive, 866 days 20.9
TCGA-YU-A90S-01A 26 years, male, white, stage:Stage IA, alive, 971 days 20.4
TCGA-2G-AAGM-01A 51 years, male, white, stage:Stage IS, alive, 3891 days 20.3
TCGA-4K-AA1G-01A 34 years, male, white, stage:Stage IS, alive, 436 days 20.1
TCGA-2G-AAHL-01A 26 years, male, white, stage:Stage I, alive, 7081 days 19.9
TCGA-YU-A90P-01A 25 years, male, white, stage:Stage IA, alive, 2069 days 19.8
TCGA-XE-AAO4-01A 40 years, male, white, stage:Stage IA, alive, 367 days 19.6
TCGA-2G-AAH3-01A 20 years, male, white, stage:Stage I, alive, 1822 days 19.1
TCGA-2G-AAFH-01A 38 years, male, white, stage:Stage IIB, alive, 1375 days 18.9
TCGA-2G-AAGX-01A 22 years, male, white, stage:Stage IA, alive, 5514 days 18.7
TCGA-4K-AA1I-01A 26 years, male, white, stage:Stage IA, alive, 3 days 18.5
TCGA-2G-AAF1-01A 28 years, male, asian, stage:Stage IS, alive, 1403 days 18.5
TCGA-YU-A90W-01A 45 years, male, white, stage:Stage IA, alive, 1113 days 18.4
TCGA-2G-AAHN-01A 32 years, male, white, stage:Stage I, alive, 6445 days 17.8
TCGA-VF-A8AE-01A 39 years, male, white, stage:Stage IA, alive, 727 days 17.8
TCGA-2G-AAG7-01A 33 years, male, white, stage:Stage IS, alive, 2475 days 17.7
TCGA-VF-A8AA-01A 51 years, male, white, stage:Stage I, alive, 1146 days 17.2
TCGA-XE-AAOB-01A 27 years, male, white, stage:Stage IS, dead, 513 days 17.1
TCGA-XE-A8H5-01A 29 years, male, stage:Stage IS, alive, 1217 days 16.6
TCGA-2G-AAEW-01A 31 years, male, white, stage:Stage IS, dead, 618 days 16.4
TCGA-2G-AAFZ-01A 32 years, male, white, stage:Stage III, alive, 1353 days 16.1
TCGA-X3-A8G4-01A 33 years, male, white, stage:Stage IS, alive, 856 days 16.1
TCGA-2G-AAGV-01A 23 years, male, white, stage:'--, alive, 4527 days 15.8
TCGA-2G-AAHP-01A 31 years, male, white, stage:Stage IS, alive, 5667 days 15.3
TCGA-ZM-AA0D-01A 34 years, male, white, stage:Stage IA, alive, 848 days 15.1
TCGA-2X-A9D6-01A 42 years, male, white, stage:Stage I, alive, 607 days 14.8
TCGA-YU-A90Q-01A 21 years, male, stage:Stage IB, alive, 1964 days 14.4
TCGA-ZM-AA0E-01A 39 years, male, white, stage:Stage IA, alive, 811 days 14.2
TCGA-XY-A9T9-01A 37 years, male, white, stage:Stage IS, alive, 281 days 13.3
TCGA-WZ-A7V5-01A 27 years, male, white, stage:Stage I, alive, 1061 days 11.8
TCGA-ZM-AA0H-01A 50 years, male, white, stage:Stage IS, alive, 1736 days 11.3
TCGA-ZM-AA0N-01A 44 years, male, white, stage:Stage IB, alive, 634 days 11.3
TCGA-SB-A6J6-01A 22 years, male, white, stage:Stage IA, alive, 413 days 10.5
TCGA-XY-A8S2-01A 67 years, male, white, stage:Stage I, alive, 672 days 10.0
TCGA-2G-AAHA-01A 48 years, male, white, stage:Stage IB, alive, 3349 days 9.6
TCGA-2G-AALP-01A 43 years, male, white, stage:Stage IIIB, alive, 2645 days 9.0
TCGA-2G-AAGT-01A 30 years, male, white, stage:Stage IS, alive, 4406 days 8.5
TCGA-ZM-AA0F-01A 35 years, male, white, stage:Stage IA, alive, 681 days 8.3
TCGA-2G-AAKD-01A 18 years, male, white, stage:Stage III, alive, 6340 days 6.4
TCGA-XE-AAOL-01A 38 years, male, black or african american, stage:Stage I, alive, 13 days 6.1
TCGA-2G-AAFE-01A 37 years, male, white, stage:Stage IIA, alive, 4702 days 4.5
TCGA-2G-AAHT-01A 32 years, male, white, stage:Stage IS, alive, 542 days 4.3
TCGA-ZM-AA05-01A 36 years, male, white, stage:Stage IIC, alive, 1126 days 0.0
Show allShow less
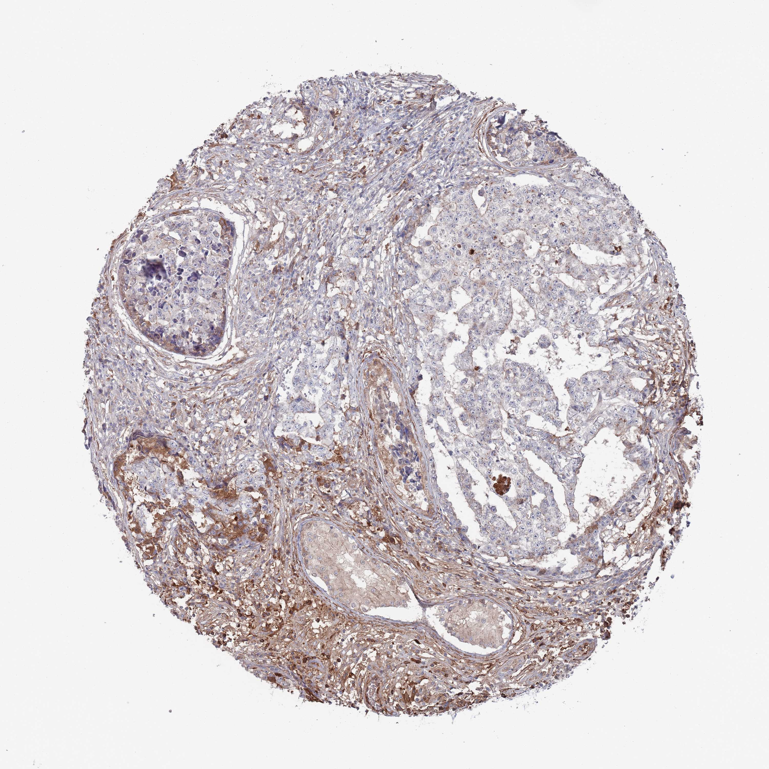
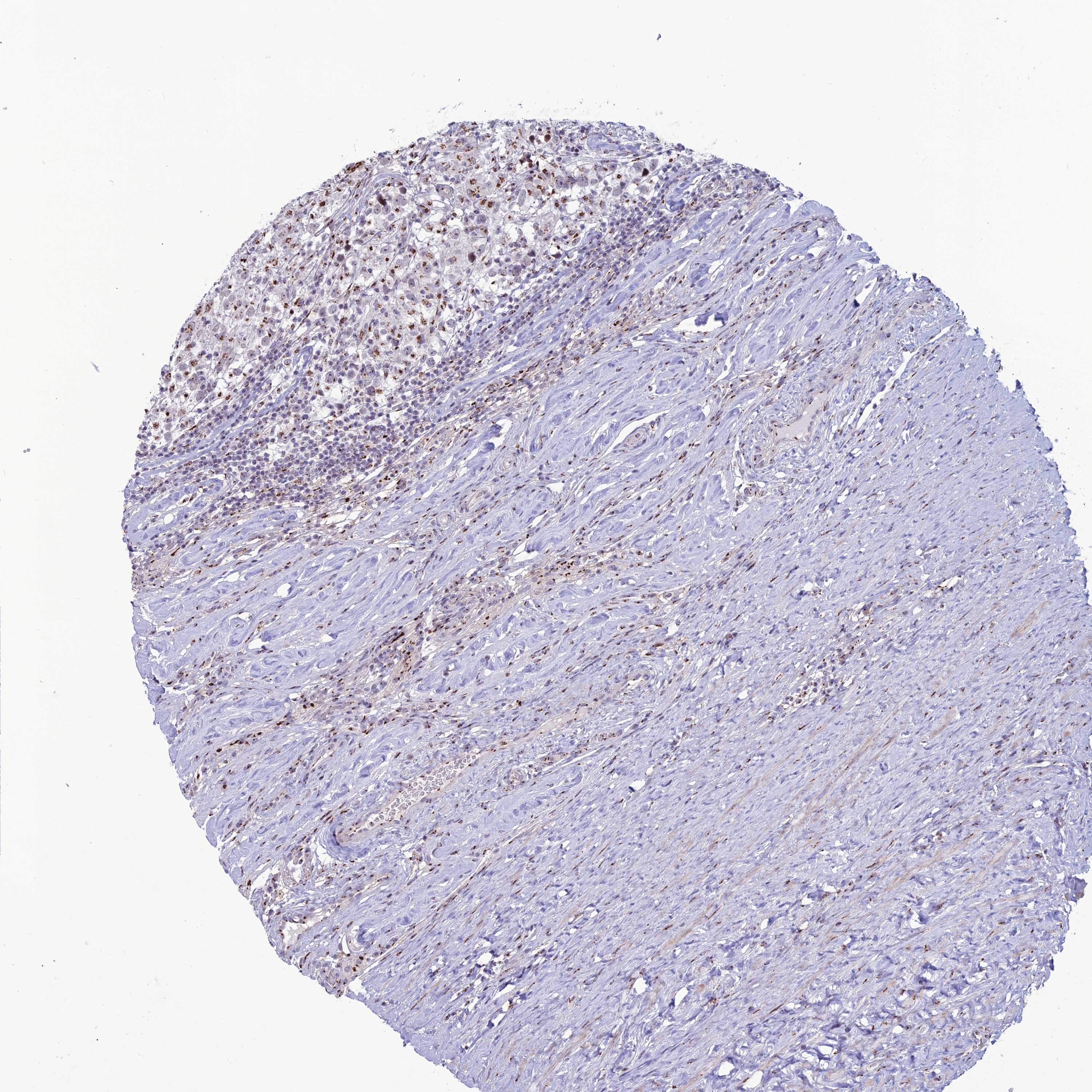
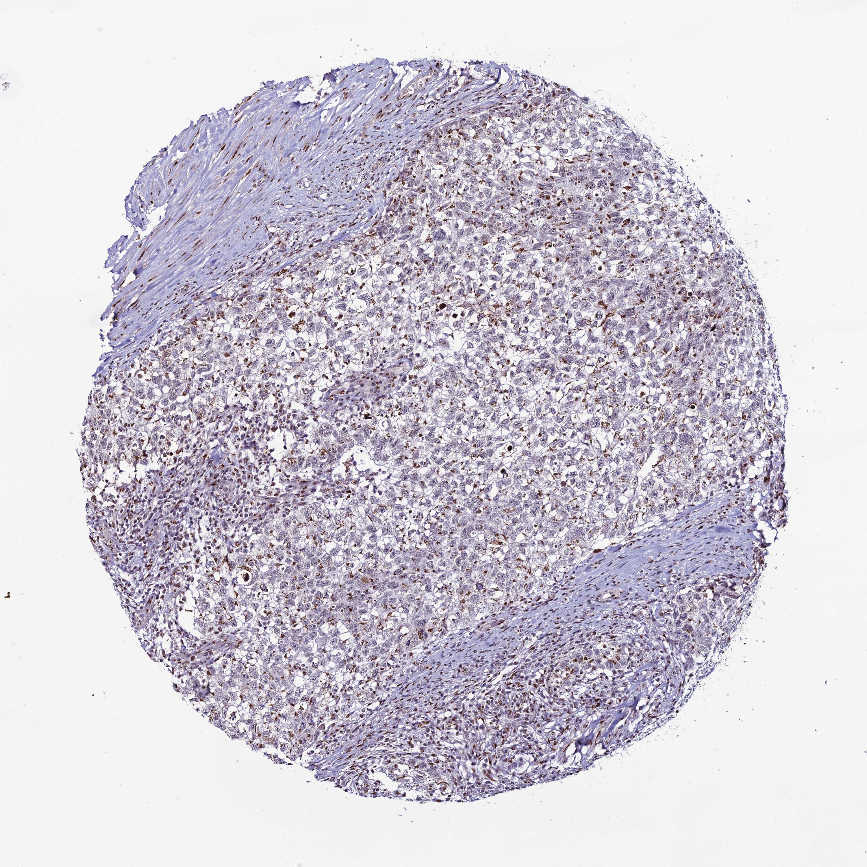
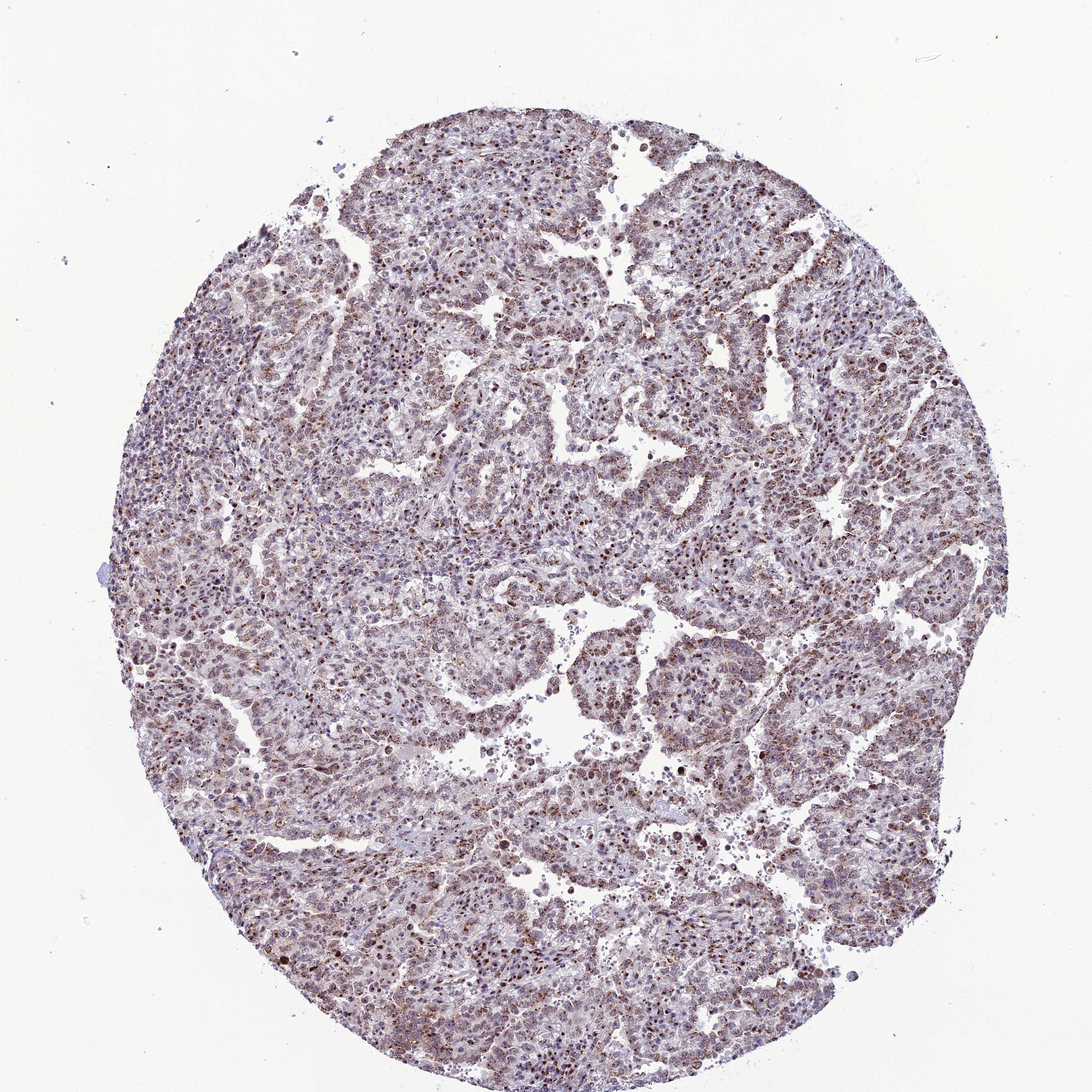
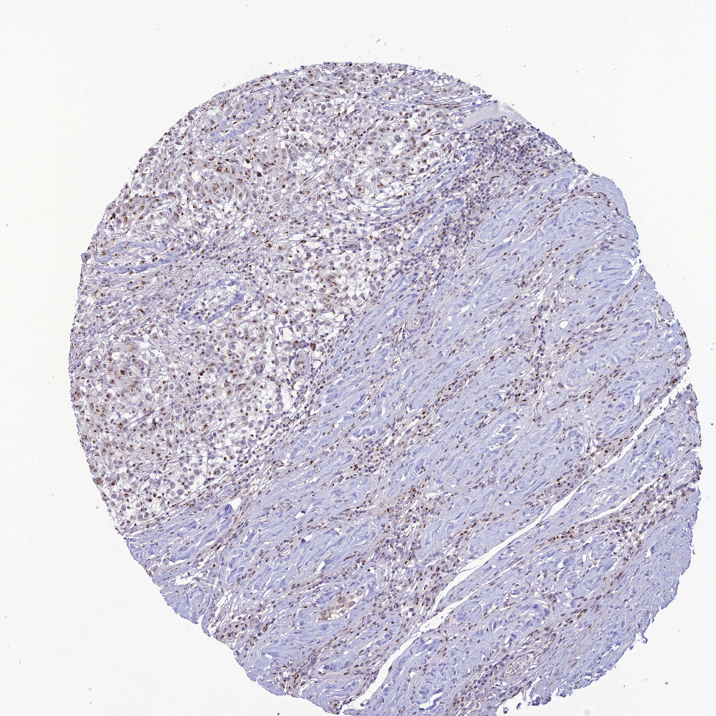
TESTIS CANCER - Protein expressioni

A mouse-over function shows sample information and annotation data. Click on an image to view it in a full screen mode. Samples can be filtered based on level of antibody staining by selecting one or several of the following categories: high, medium, low and not detected. The assay and annotation is described here.

Note that samples used for immunohistochemistry by the Human Protein Atlas do not correspond to samples in the TCGA dataset.

 

Antibody stainingi

Antibody staining in the annotated cell types in the current human tissue is reported as not detected, low, medium, or high, based on conventional immunohistochemistry profiling in selected tissues. This score is based on the combination of the staining intensity and fraction of stained cells.

Each image is clickable and will lead to virtual microscopy that enables deeper exploration of all samples and also displays staining intensity scores, fraction scores and subcellular localization as well as patient and tissue information for each sample.


Antibody HPA042978

Antibody HPA048473
 Staining
  High
  Medium
  Low
  Not detected
 Intensity
  Strong
  Moderate
  Weak
  Negative
 Quantity
  >75%
  75%-25%
  <25%
  None
 Location
  Nuclear
  Cytoplasmic/membranous
  Cytoplasmic/membranous,nuclear
  None
Carcinoma, Embryonal, NOS
Seminoma, NOS
Seminoma, NOS
Carcinoma, Embryonal, NOS

Contact

  • NEWS ARTICLES
  • PRESS ROOM

The Project

  • INTRODUCTION
  • ORGANIZATION
  • PUBLICATIONS

The Human Protein Atlas

  • DOWNLOADABLE DATA
  • LICENCE & CITATION
  • HELP & FAQ
The Human Protein Atlas project is funded
by the Knut & Alice Wallenberg Foundation.


contact@proteinatlas.org