We use cookies to enhance the usability of our website. If you continue, we'll assume that you are happy to receive all cookies. More information. Don't show this again.
PLEKHA4
HPA
RESOURCES
  • TISSUE
  • BRAIN
  • SINGLE CELL
  • SUBCELLULAR
  • CANCER
  • BLOOD
  • CELL LINE
  • STRUCTURE & INTERACTION
ABOUT
  • INTRODUCTION
  • HISTORY
  • ORGANIZATION
  • PUBLICATIONS
  • ANTIBODY SUBMISSION
  • ANTIBODY AVAILABILITY
  • ACKNOWLEDGMENTS
  • CONTACT
NEWS
  • NEWS ARTICLES
  • PRESS ROOM
LEARN
  • DICTIONARY
  • PROTEIN CLASSES
  • PROTEIN EVIDENCE
  • METHODS
  • EDUCATIONAL VIDEOS
DATA
  • DOWNLOADABLE DATA
  • PUBLICATION DATA
  • RELEASE HISTORY
HELP
  • ANTIBODY VALIDATION
  • ASSAYS & ANNOTATION
  • DISCLAIMER
  • HELP & FAQ
  • PRIVACY STATEMENT
  • LICENCE & CITATION
Fields »
Search result

Field
Term
Gene name
Class
Subclass
Class
Keyword
Chromosome
External id
Tissue
Cell type
Expression
Antibody panel
Tissue
Main location
Patient ID
Annotation
Tissue
Category
Tau score
Cluster
Reliability
Brain region
Category
Tau score
Brain region
Category
Tau score
Brain region
Category
Tau score
Cluster
Reliability
Tissue
Cell type
Enrichment
Cell type
Category
Tau score
Cell type
Category
Tau score
Cell type
Category
Tau score
Cell lineage
Category
Tau score
Cluster
Cluster
Location
Searches
Location
Cell line
Class
Type
Phase
Reliability
Cancer
Prognosis
Cancer
Category
Cancer
Category
Tau score
Cluster
Variants
Interacting gene (ensg_id)
Type
Number of interactions
Pathway
Category
Score
Score
Score
Validation
Validation
Validation
Validation
Antibodies
Data type
Column


  • SUMMARY

  • TISSUE

  • BRAIN

  • SINGLE CELL

  • SUBCELL

  • CANCER

  • BLOOD

  • CELL LINE

  • STRUCT & INT

  • PLEKHA4
TISSUE PRIMARY DATA SKIN Show tissue menu
ADIPOSE TISSUE ADRENAL GLAND AMYGDALA APPENDIX BASAL GANGLIA BONE MARROW BREAST BRONCHUS CEREBELLUM CEREBRAL CORTEX CERVIX CHOROID PLEXUS COLON DUODENUM
ENDOMETRIUM EPIDIDYMIS ESOPHAGUS FALLOPIAN TUBE GALLBLADDER HEART MUSCLE HIPPOCAMPAL FORMATION HYPOTHALAMUS KIDNEY LIVER LUNG LYMPH NODE MIDBRAIN NASOPHARYNX
ORAL MUCOSA OVARY PANCREAS PARATHYROID GLAND PITUITARY GLAND PLACENTA PROSTATE RECTUM RETINA SALIVARY GLAND SEMINAL VESICLE SKELETAL MUSCLE SKIN SMALL INTESTINE
SMOOTH MUSCLE SOFT TISSUE SPINAL CORD SPLEEN STOMACH TESTIS THYMUS THYROID GLAND TONGUE TONSIL URINARY BLADDER VAGINA
ANTIBODIES
AND
VALIDATION
Dictionary
Skin
Tissue proteome
Skin
SKIN - Expression summary
Protein expression
Skini

On the top, protein expression in current human tissue, based on all annotated cell types, is reported with the units not detected (n), low (l), medium (m) and high (h). Underneath, protein expression in each annotated cell type are reported using the same units.

Protein expression data is based on knowledge-based annotation. For genes where more than one antibody has been used, a collective score is set.

If knowledge-based annotation could not be performed for a gene, no data is displayed here. View antibody staining data further down this page.

h
m
l
n
Epidermal cells: Low
Fibroblasts: Medium
Keratinocytes: Not detected
Langerhans: Not detected
Melanocytes: Not detected
RNA expressioni

A summary of mRNA expression data available for current tissue based on several datasets. The mRNA expression levels in human tissues are based on RNA-seq data generated by the Human Protein Atlas (HPA), Genotype-Tissue Expression (GTEx) portal and CAGE data generated by the FANTOM5 consortium. Consensus normalized expression levels for human tissues was created by combining the data from HPA and GTEx datasets.

The mRNA expression levels in pig are based on RNA-seq data generated by the Human Protein Atlas (HPA), and for mouse, HPA data and in situ hybridization generated by the Allen brain atlas are reported.

Scroll down to view mRNA expression data in more detail.
Consensus:11.0 nTPM
HPA:4.8 nTPM
GTEx:11.0 nTPM

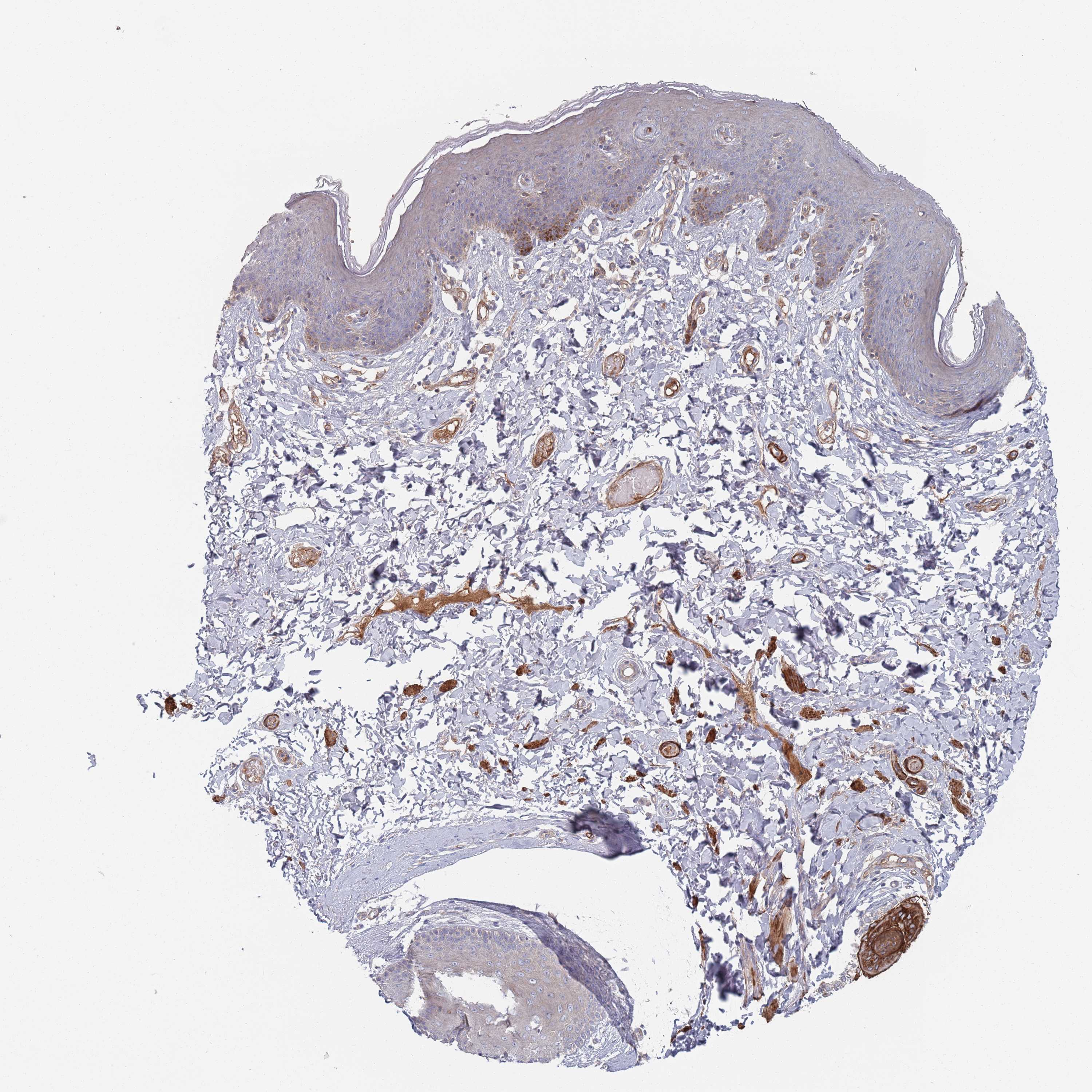
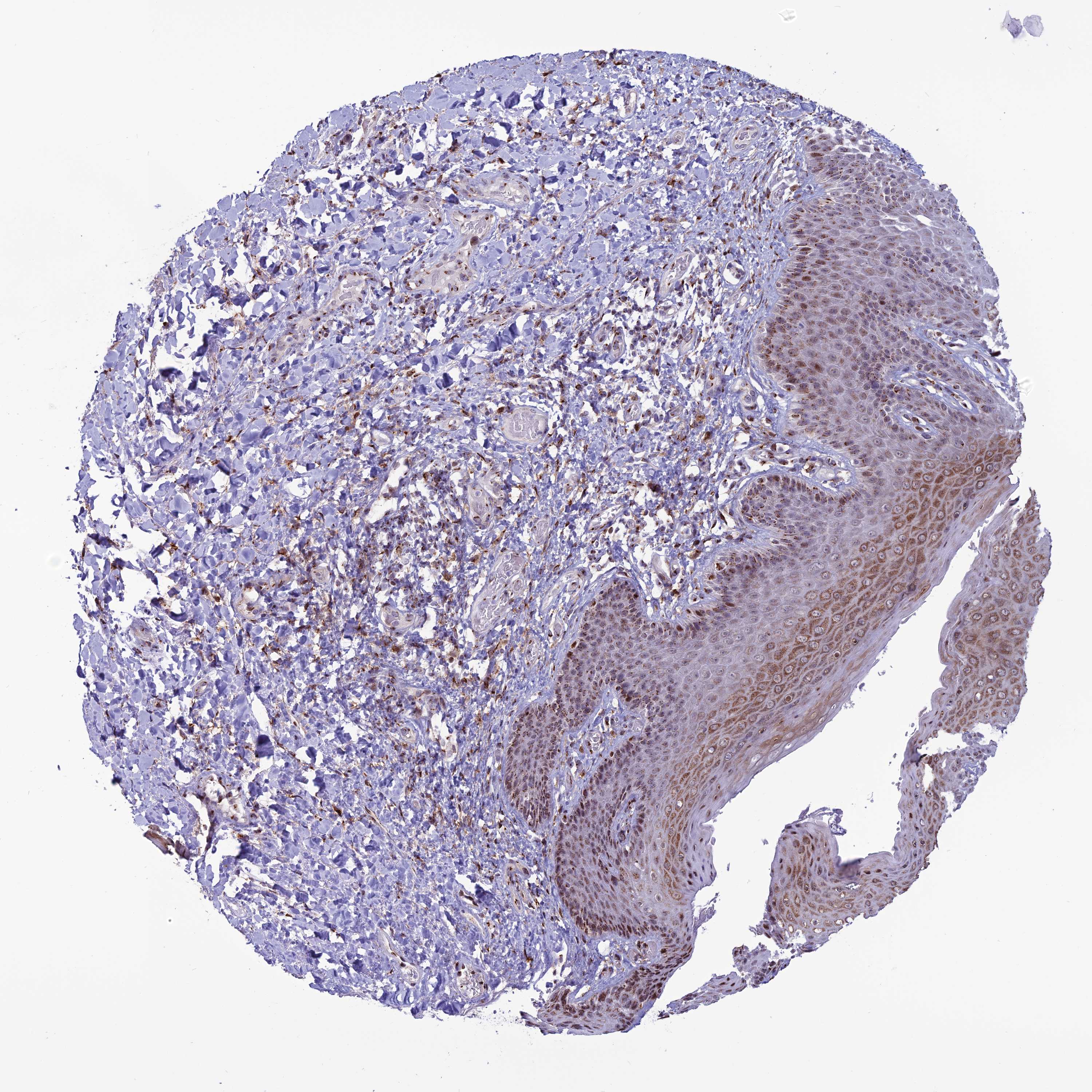
SKIN 1 - Antibody stainingi

Antibody staining in the annotated cell types in the current human tissue is reported as not detected, low, medium, or high, based on conventional immunohistochemistry profiling in selected tissues. This score is based on the combination of the staining intensity and fraction of stained cells.

Each image is clickable and will lead to virtual microscopy that enables deeper exploration of all samples and also displays staining intensity scores, fraction scores and subcellular localization as well as patient and tissue information for each sample.

Antibody HPA042978Antibody HPA048473
Langerhans MediumNot detected
Fibroblasts LowMedium
Keratinocytes MediumNot detected
Melanocytes MediumNot detected




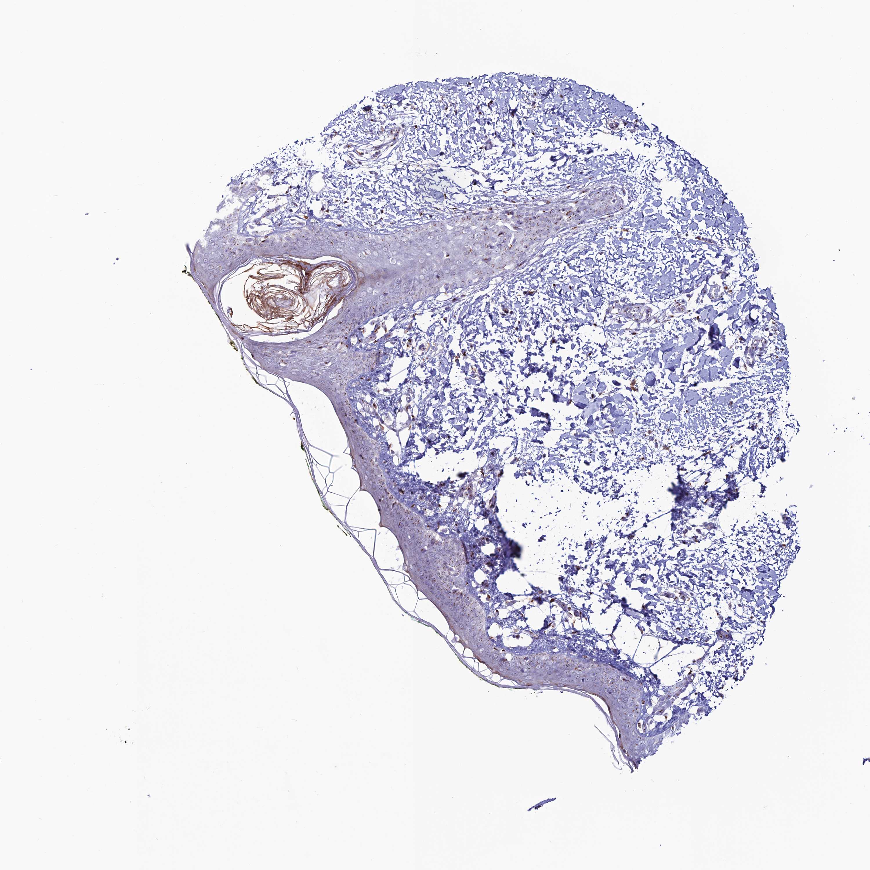
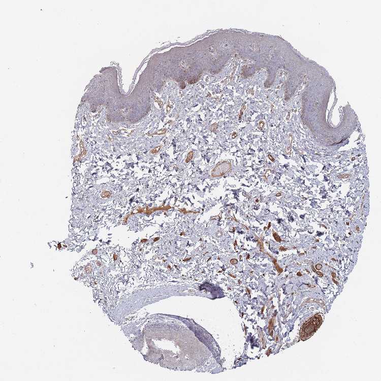
SKIN 2 - Antibody stainingi

Antibody staining in the annotated cell types in the current human tissue is reported as not detected, low, medium, or high, based on conventional immunohistochemistry profiling in selected tissues. This score is based on the combination of the staining intensity and fraction of stained cells.

Each image is clickable and will lead to virtual microscopy that enables deeper exploration of all samples and also displays staining intensity scores, fraction scores and subcellular localization as well as patient and tissue information for each sample.

Antibody HPA042978Antibody HPA048473
Epidermal cells HighLow
  
  
  





SKIN - HPA RNA-seqi

The RNA-seq details section shows detailed information about the individual samples used for the transcript profiling and results of the RNA-seq analysis.

Information about each individual sample is listed below, including gender, age, a tissue section image and estimated fractions of cell types. nTPM (normalized transcripts per million) values give a quantification of the gene abundance which is comparable between different genes and samples.
Average nTPMi

Max subtype nTPM is the value for the subtype with the largest average nTPM across the subtype samples.

4.8
overview
Female, age 34
Skin sample 225
nTPM: 3
Cell types%
Keratinocytes:
60

Other cell types:
40

overview
Female, age 30
Skin sample 226
nTPM: 2.8
Cell types%
Keratinocytes:
55

Other cell types:
45

N/A
Male, age 57
Skin sample 227
nTPM: 8.5

SKIN - GTEx RNA-seqi

RNA-Seq data generated by the Genotype-Tissue Expression (GTEx) project from human tissues is reported as mean nTPM. More information can be found on the GTEx portal.

Distribution across the dataset is visualized with box plots, shown as median and 25th and 75th percentiles. Points are displayed as outliers if they are above or below 1.5 times the interquartile range. nTPM values of the individual samples are presented next to the box plot.
Max subtype nTPMi

Max subtype nTPM is the value for the subtype with the largest average nTPM across the subtype samples.

11.0
GTEx sample id Sample description nTPM
Skin - Not Sun Exposed (Suprapubic)
Average nTPM: 9.4
Samples: 604

Max nTPM: 34.1
Min nTPM: 1.2
Std nTPM: 4.6
Median nTPM: 8.5
GTEX-14PK6-0226-SM-62LF5 70-79 years, female 34.1
GTEX-132AR-0326-SM-5KM2C 50-59 years, female 30.7
GTEX-13FH7-1126-SM-5K7UG 50-59 years, female 30.3
GTEX-WHSE-0126-SM-3NMBT 20-29 years, male 29.0
GTEX-X4EP-0626-SM-3P621 60-69 years, female 25.9
GTEX-ZLFU-1826-SM-4WWBV 40-49 years, male 24.8
GTEX-ZVTK-0226-SM-51MRG 20-29 years, male 24.7
GTEX-ZYFD-0626-SM-5E44E 50-59 years, male 24.5
GTEX-18D9B-0926-SM-7LG4U 60-69 years, male 23.4
GTEX-1L5NE-1126-SM-D3L9P 50-59 years, male 23.3
GTEX-1IDJE-1426-SM-ADEIW 50-59 years, female 23.1
GTEX-11DZ1-2426-SM-5GZZX 50-59 years, male 22.4
GTEX-14A5H-0826-SM-5QGPJ 60-69 years, male 22.1
GTEX-17F97-2626-SM-7IGM5 50-59 years, male 21.8
GTEX-1R9PN-0426-SM-DTXDT 40-49 years, female 21.7
GTEX-16Z82-2626-SM-7KULU 60-69 years, male 21.6
GTEX-U8XE-0226-SM-4E3J3 30-39 years, male 21.4
GTEX-WI4N-2726-SM-3LK7Y 40-49 years, female 20.7
GTEX-1F75W-2726-SM-7SB8H 60-69 years, male 20.4
GTEX-1399R-1326-SM-5PNYS 30-39 years, male 20.2
GTEX-1HCUA-0826-SM-ADEHM 50-59 years, female 20.2
GTEX-1IDJD-2326-SM-ACKWX 30-39 years, male 19.9
GTEX-11DYG-1526-SM-5A5JS 60-69 years, male 19.7
GTEX-12WSL-2026-SM-5GCML 50-59 years, male 19.7
GTEX-WH7G-2026-SM-3NMBL 40-49 years, male 19.4
GTEX-WFON-1926-SM-3LK7L 40-49 years, male 19.3
GTEX-Y3IK-1626-SM-4YCF5 50-59 years, female 19.2
GTEX-17JCI-2926-SM-7DUFF 60-69 years, female 19.1
GTEX-1RLM8-2926-SM-E8VON 50-59 years, male 18.8
GTEX-XXEK-1626-SM-4BRUZ 50-59 years, male 18.1
GTEX-13SLX-2226-SM-62LEP 50-59 years, female 18.0
GTEX-1AX8Z-0726-SM-73KTS 60-69 years, male 17.8
GTEX-12584-0726-SM-5FQTK 40-49 years, male 17.6
GTEX-15RJ7-2126-SM-6PAMD 40-49 years, male 17.6
GTEX-X3Y1-2026-SM-3P5YM 40-49 years, male 17.6
GTEX-1H1ZS-2726-SM-9WG75 70-79 years, male 17.6
GTEX-ZUA1-2626-SM-5NQ92 40-49 years, male 17.5
GTEX-1POEN-2326-SM-E9J2L 30-39 years, female 17.3
GTEX-1HC8U-1326-SM-9YFMJ 40-49 years, female 17.0
GTEX-1O9I2-0226-SM-EYYXD 50-59 years, male 16.9
GTEX-14ABY-2026-SM-62LDL 50-59 years, male 16.8
GTEX-ZDTS-0826-SM-4WKHL 60-69 years, male 16.8
GTEX-111FC-2526-SM-5GZXU 60-69 years, male 16.7
GTEX-11TT1-1826-SM-5EQLV 20-29 years, male 16.7
GTEX-1JN1M-2726-SM-CY8I4 60-69 years, female 16.7
GTEX-1F6IF-0926-SM-7SB7M 60-69 years, male 16.6
GTEX-1IDJI-0126-SM-CMKHS 50-59 years, female 16.6
GTEX-11O72-0626-SM-5PNYE 40-49 years, male 16.5
GTEX-145ME-1726-SM-5Q5EU 40-49 years, female 16.3
GTEX-1IDJF-2026-SM-CL53V 20-29 years, male 16.2
GTEX-1IDJC-1526-SM-B2LW4 50-59 years, male 16.1
GTEX-1F6I4-2326-SM-7RHGL 60-69 years, male 16.0
GTEX-1H1CY-0126-SM-9YFLY 60-69 years, female 16.0
GTEX-15CHR-1126-SM-7EWF4 50-59 years, male 15.9
GTEX-XK95-0226-SM-4AT58 40-49 years, male 15.8
GTEX-1GZHY-0626-SM-9KNVC 50-59 years, female 15.8
GTEX-1RB15-1326-SM-E76Q9 60-69 years, male 15.8
GTEX-WFG8-2126-SM-3GIKQ 20-29 years, male 15.5
GTEX-ZDYS-2426-SM-4WKGI 50-59 years, male 15.5
GTEX-12126-0826-SM-5FQTZ 20-29 years, male 15.4
GTEX-13U4I-2226-SM-5LU5H 40-49 years, female 15.4
GTEX-17EVQ-0126-SM-7IGLR 70-79 years, male 15.4
GTEX-1EWIQ-0326-SM-7DHMQ 70-79 years, female 15.4
GTEX-13OVJ-0826-SM-5J1OK 50-59 years, female 15.1
GTEX-VJYA-1526-SM-3GIJV 60-69 years, male 15.1
GTEX-18A66-0626-SM-7LT8Z 60-69 years, male 15.0
GTEX-139YR-1026-SM-5LZYN 50-59 years, male 14.9
GTEX-13RTJ-0126-SM-5S2NN 60-69 years, male 14.9
GTEX-ZAK1-0626-SM-5HL8E 50-59 years, female 14.9
GTEX-14E6C-2426-SM-5S2NF 40-49 years, male 14.8
GTEX-1AX9J-1326-SM-731BJ 60-69 years, male 14.8
GTEX-ZDXO-3126-SM-5IJDF 60-69 years, male 14.7
GTEX-14DAR-1226-SM-73KYV 50-59 years, male 14.6
GTEX-ZAJG-1526-SM-5CVML 50-59 years, female 14.6
GTEX-ZPU1-1126-SM-4YCF3 40-49 years, male 14.6
GTEX-1QP29-1826-SM-DTX9S 50-59 years, male 14.6
GTEX-13NYC-0126-SM-5L3F4 60-69 years, male 14.5
GTEX-1A32A-0626-SM-731AQ 50-59 years, female 14.4
GTEX-W5X1-2526-SM-3GILC 40-49 years, female 14.4
GTEX-XV7Q-1826-SM-4BRUV 40-49 years, female 14.4
GTEX-ZU9S-1826-SM-5NQ9E 30-39 years, male 14.4
GTEX-1F48J-0726-SM-7RHGS 50-59 years, female 14.4
GTEX-1GF9U-2026-SM-7SB92 40-49 years, female 14.4
GTEX-1HCU6-2526-SM-ADEHL 60-69 years, female 14.4
GTEX-145MG-1526-SM-5Q5EM 50-59 years, male 14.3
GTEX-1J8JJ-0626-SM-ARZMQ 60-69 years, female 14.3
GTEX-1JMOU-1026-SM-CYPSS 60-69 years, female 14.3
GTEX-1H3NZ-2726-SM-9WYTQ 60-69 years, male 14.2
GTEX-13N2G-0226-SM-5K7VF 60-69 years, male 14.1
GTEX-11DXW-0826-SM-5H118 40-49 years, male 13.9
GTEX-16MT8-2926-SM-7DUFO 60-69 years, female 13.9
GTEX-1QP66-1226-SM-DTX7U 50-59 years, male 13.9
GTEX-1JKYN-0826-SM-ARU8S 30-39 years, male 13.8
GTEX-144GM-0526-SM-79OJO 20-29 years, male 13.7
GTEX-X585-2426-SM-46MW2 50-59 years, male 13.7
GTEX-1LVAO-2726-SM-E9TJ8 60-69 years, male 13.7
GTEX-WYVS-1626-SM-3NM9R 40-49 years, female 13.6
GTEX-1A3MW-0626-SM-731CB 60-69 years, female 13.5
GTEX-XQ3S-1426-SM-4BOPR 20-29 years, male 13.5
GTEX-ZVP2-0326-SM-57WBP 50-59 years, male 13.4
GTEX-11WQK-1026-SM-5EQLX 50-59 years, male 13.3
GTEX-15G19-2426-SM-7KUMR 60-69 years, male 13.3
GTEX-1IDJH-0126-SM-D3L92 70-79 years, male 13.3
GTEX-14JG1-1526-SM-5YY9X 40-49 years, male 13.2
GTEX-14PJO-2526-SM-6AJBQ 60-69 years, male 13.2
GTEX-16GPK-0626-SM-7KFSF 60-69 years, male 13.2
GTEX-18A7B-2726-SM-7LG56 70-79 years, male 13.2
GTEX-1H1DF-1126-SM-9WG7G 40-49 years, female 13.2
GTEX-ZYW4-0626-SM-59HJR 60-69 years, male 13.1
GTEX-WRHU-2826-SM-3MJG8 50-59 years, female 13.0
GTEX-X8HC-0626-SM-4E3HQ 50-59 years, female 13.0
GTEX-16MTA-0926-SM-6M47Z 50-59 years, male 12.9
GTEX-1B996-0426-SM-7EWF8 60-69 years, male 12.9
GTEX-WHPG-2626-SM-3NMBR 50-59 years, male 12.9
GTEX-1LG7Z-1626-SM-CXKYR 30-39 years, male 12.9
GTEX-17HHY-0426-SM-7DHLC 50-59 years, male 12.8
GTEX-Y8LW-1526-SM-5IFHL 50-59 years, female 12.8
GTEX-YJ8O-2526-SM-5HL85 40-49 years, female 12.8
GTEX-1192X-2726-SM-5N9DN 50-59 years, male 12.7
GTEX-131YS-2826-SM-5EQ47 60-69 years, female 12.6
GTEX-131XH-0126-SM-5LZUY 50-59 years, male 12.5
GTEX-146FQ-2126-SM-5RQHU 30-39 years, male 12.5
GTEX-13113-1626-SM-5EQ4I 60-69 years, female 12.4
GTEX-139TT-2126-SM-5LZWC 60-69 years, male 12.4
GTEX-XBEC-0726-SM-4QARZ 50-59 years, male 12.4
GTEX-1KWVE-1026-SM-D3L9O 30-39 years, male 12.4
GTEX-11OF3-0126-SM-5PNYF 60-69 years, male 12.3
GTEX-1KD5A-0126-SM-E9U54 50-59 years, male 12.3
GTEX-12WSJ-1126-SM-5LZVJ 40-49 years, female 12.2
GTEX-13OVG-1626-SM-5J1NF 60-69 years, male 12.2
GTEX-ZLWG-0826-SM-59888 50-59 years, female 12.2
GTEX-1GTWX-2026-SM-9YFLM 60-69 years, male 12.2
GTEX-11EI6-2826-SM-5H11D 60-69 years, male 12.1
GTEX-1LBAC-0826-SM-CY8IJ 20-29 years, male 12.1
GTEX-1RAZR-2126-SM-E9U6T 40-49 years, male 12.1
GTEX-13FTX-1526-SM-5K7VJ 20-29 years, female 12.0
GTEX-13JUV-2026-SM-5K7UA 40-49 years, female 12.0
GTEX-13PVQ-0626-SM-5LU47 50-59 years, male 11.9
GTEX-15RIE-1926-SM-7KUKJ 60-69 years, male 11.9
GTEX-16YQH-2226-SM-7IGM2 30-39 years, male 11.9
GTEX-1E1VI-0326-SM-793D1 50-59 years, male 11.9
GTEX-1HSMO-0626-SM-ACKXC 60-69 years, male 11.9
GTEX-1IY9M-2826-SM-ARU8H 60-69 years, male 11.9
GTEX-1JMQK-1226-SM-D4P2S 60-69 years, male 11.9
GTEX-1117F-2926-SM-5GZYI 60-69 years, female 11.8
GTEX-11NUK-2726-SM-5A5MC 50-59 years, male 11.8
GTEX-WYJK-0526-SM-3NM8Z 50-59 years, male 11.8
GTEX-Y5LM-0926-SM-6LLJG 40-49 years, female 11.8
GTEX-1F88E-1626-SM-7SB8Z 60-69 years, female 11.8
GTEX-1GZ2Q-0126-SM-9WG6M 40-49 years, male 11.8
GTEX-1I1GU-0926-SM-ACKVS 40-49 years, male 11.8
GTEX-1LSNM-0826-SM-DIPG8 50-59 years, male 11.8
GTEX-1N5O9-0926-SM-E9J3C 60-69 years, male 11.8
GTEX-145MN-1526-SM-5SI9T 30-39 years, male 11.7
GTEX-183FY-1026-SM-7939A 20-29 years, male 11.7
GTEX-1CAMR-1326-SM-7PC1F 20-29 years, male 11.7
GTEX-1I6K6-1726-SM-CGQFD 30-39 years, male 11.7
GTEX-145LS-0626-SM-7EPG7 60-69 years, female 11.5
GTEX-17HG3-2626-SM-7DUF2 30-39 years, female 11.5
GTEX-1ICLZ-0326-SM-ARL82 60-69 years, male 11.5
GTEX-ZF3C-0626-SM-DO92O 50-59 years, female 11.5
GTEX-1211K-1526-SM-5FQU4 60-69 years, female 11.4
GTEX-14PKV-1126-SM-6LLJ1 20-29 years, female 11.4
GTEX-Z93S-1626-SM-5CVMB 50-59 years, male 11.4
GTEX-1I1GP-1326-SM-A9G28 50-59 years, male 11.4
GTEX-15DYW-2726-SM-6EU2I 60-69 years, female 11.3
GTEX-YB5K-2026-SM-4VDT3 40-49 years, female 11.3
GTEX-1HFI6-0126-SM-CNPPI 40-49 years, male 11.2
GTEX-13NZ9-2626-SM-5L3FK 50-59 years, male 11.1
GTEX-13OVL-0126-SM-5L3GJ 50-59 years, male 11.1
GTEX-16AAH-0626-SM-793C9 50-59 years, male 11.1
GTEX-XYKS-1426-SM-4BRUO 60-69 years, female 11.1
GTEX-1J8Q3-0526-SM-ARL8U 60-69 years, male 11.1
GTEX-1497J-0226-SM-5QGPU 60-69 years, male 11.0
GTEX-X5EB-1926-SM-4E3IW 40-49 years, male 11.0
GTEX-11WQC-1826-SM-5GU59 60-69 years, male 10.8
GTEX-15EU6-2226-SM-6EU2L 50-59 years, male 10.8
GTEX-1LVA9-2626-SM-EVYD4 50-59 years, male 10.8
GTEX-12WSC-2826-SM-5BC5Y 50-59 years, male 10.7
GTEX-Y111-0626-SM-4SOIT 50-59 years, male 10.7
GTEX-13FTW-0326-SM-5K7UW 40-49 years, male 10.6
GTEX-13OW8-1026-SM-5J1NQ 60-69 years, male 10.6
GTEX-XOT4-0626-SM-4B66L 60-69 years, female 10.6
GTEX-1HUB1-1426-SM-CGQF5 60-69 years, male 10.6
GTEX-12WSH-1526-SM-5BC5W 50-59 years, male 10.5
GTEX-16NPX-0726-SM-7KULC 50-59 years, male 10.5
GTEX-17F9E-2326-SM-79OKD 50-59 years, male 10.5
GTEX-WXYG-2026-SM-4E3IY 50-59 years, female 10.5
GTEX-18D9A-1426-SM-7LT8M 30-39 years, female 10.5
GTEX-1GMR2-0826-SM-7PC3V 50-59 years, male 10.5
GTEX-1HT8W-0626-SM-A9G2H 30-39 years, male 10.5
GTEX-1PPGY-1626-SM-EVYBL 60-69 years, male 10.5
GTEX-XPVG-2126-SM-4B667 50-59 years, male 10.4
GTEX-ZT9W-1126-SM-57WDR 50-59 years, male 10.4
GTEX-1I1HK-2326-SM-CKZOH 60-69 years, male 10.4
GTEX-12WSA-0426-SM-5EQ5X 60-69 years, male 10.3
GTEX-ZT9X-1526-SM-5DUXD 40-49 years, male 10.3
GTEX-1E2YA-2126-SM-7MXUO 50-59 years, male 10.3
GTEX-1I19N-0126-SM-CYPSF 70-79 years, male 10.3
GTEX-12WSF-1626-SM-7KUG5 70-79 years, male 10.2
GTEX-17F96-0126-SM-7EWDU 70-79 years, male 10.2
GTEX-V1D1-2026-SM-3GAF4 50-59 years, male 10.2
GTEX-ZYFC-0426-SM-5GICQ 50-59 years, male 10.2
GTEX-1H4P4-2126-SM-9WYSL 50-59 years, male 10.2
GTEX-14LZ3-0126-SM-69LPM 60-69 years, female 10.1
GTEX-14PHY-1226-SM-5ZZWK 60-69 years, female 10.1
GTEX-1CAV2-0126-SM-7IGN7 40-49 years, female 10.1
GTEX-1A3MX-2626-SM-7PC24 60-69 years, male 10.1
GTEX-1IL2V-1926-SM-B2LW8 70-79 years, male 10.1
GTEX-1QCLZ-2426-SM-EVYBW 60-69 years, female 10.1
GTEX-11DXY-0126-SM-5H11Q 60-69 years, male 10.0
GTEX-1477Z-0326-SM-7IGLA 60-69 years, male 10.0
GTEX-ZC5H-1526-SM-5HL9Y 40-49 years, female 10.0
GTEX-1C475-1326-SM-7SB73 40-49 years, female 10.0
GTEX-1QW4Y-1126-SM-DTXE3 30-39 years, male 10.0
GTEX-11NSD-0626-SM-5A5LU 20-29 years, male 9.9
GTEX-139TS-2126-SM-5K7XC 60-69 years, male 9.9
GTEX-13NYB-0126-SM-5J1MD 40-49 years, male 9.9
GTEX-14E6E-0526-SM-793DN 30-39 years, male 9.9
GTEX-ZTTD-2826-SM-4YCFA 50-59 years, male 9.9
GTEX-1HBPI-2126-SM-ARL9K 50-59 years, male 9.9
GTEX-1S831-1826-SM-EWROF 20-29 years, male 9.9
GTEX-ZGAY-1826-SM-DO91Q 40-49 years, female 9.9
GTEX-11ZTT-2126-SM-5CVLO 60-69 years, female 9.8
GTEX-1212Z-0126-SM-59HK4 60-69 years, male 9.8
GTEX-1EKGG-0626-SM-7DUGJ 60-69 years, male 9.8
GTEX-1LVAN-0626-SM-CNPOQ 50-59 years, female 9.8
GTEX-14BMU-1226-SM-5S2OR 20-29 years, female 9.7
GTEX-ZP4G-1426-SM-4WWCL 20-29 years, female 9.7
GTEX-ZVE1-0726-SM-51MRN 50-59 years, female 9.7
GTEX-1C64N-2626-SM-7PC2N 50-59 years, male 9.7
GTEX-1I4MK-0126-SM-CY8G6 50-59 years, female 9.7
GTEX-Y8E4-2026-SM-5IFJB 40-49 years, male 9.6
GTEX-1IDJV-0126-SM-COH3Y 60-69 years, male 9.6
GTEX-1PPH8-0126-SM-EWRN8 20-29 years, male 9.6
GTEX-1K2DA-1026-SM-CGQGF 50-59 years, male 9.5
GTEX-1QAET-0326-SM-EVR3U 50-59 years, male 9.5
GTEX-11DXZ-2026-SM-5987S 50-59 years, male 9.4
GTEX-17MF6-2626-SM-79OKQ 40-49 years, male 9.4
GTEX-YEC4-1826-SM-4W1YP 40-49 years, male 9.4
GTEX-1F5PL-0926-SM-7PC2W 40-49 years, female 9.4
GTEX-1K9T9-1526-SM-DIPFR 50-59 years, female 9.4
GTEX-ZPIC-0526-SM-DO91W 40-49 years, female 9.4
GTEX-13X6K-0626-SM-5LU5D 60-69 years, female 9.3
GTEX-144GO-2026-SM-5O99P 60-69 years, male 9.3
GTEX-15G1A-1626-SM-7KUKN 30-39 years, male 9.3
GTEX-18A7A-0126-SM-731AH 50-59 years, female 9.3
GTEX-Y3I4-1726-SM-4TT89 50-59 years, male 9.3
GTEX-13OVK-1426-SM-6PAN7 40-49 years, male 9.2
GTEX-1B933-2426-SM-7DHMD 50-59 years, female 9.2
GTEX-XBED-1926-SM-47JYP 60-69 years, male 9.2
GTEX-1H1DG-2426-SM-9QEHJ 70-79 years, male 9.2
GTEX-1I6K7-1926-SM-B2LXR 40-49 years, male 9.2
GTEX-1JMLX-0626-SM-ARL8T 50-59 years, male 9.2
GTEX-117YX-1926-SM-5GIEC 50-59 years, male 9.1
GTEX-12C56-1526-SM-5FQUQ 20-29 years, male 9.1
GTEX-14E1K-2026-SM-7DUEI 50-59 years, male 9.1
GTEX-15CHQ-0326-SM-69LQD 60-69 years, male 9.1
GTEX-18D9U-0126-SM-731BM 40-49 years, male 9.1
GTEX-1EN7A-2426-SM-793DB 40-49 years, male 9.1
GTEX-X4EO-2926-SM-4E3JH 60-69 years, female 9.1
GTEX-XBEW-1126-SM-4QARW 40-49 years, male 9.1
GTEX-1I1CD-0626-SM-CE6SW 60-69 years, female 9.1
GTEX-1PIGE-1826-SM-E8VOU 20-29 years, male 9.1
GTEX-139T8-0626-SM-5KLZX 60-69 years, male 9.0
GTEX-13NYS-0626-SM-5L3F1 60-69 years, male 9.0
GTEX-13QBU-1226-SM-5LU4G 40-49 years, female 9.0
GTEX-15SHW-0226-SM-7LTAT 60-69 years, male 9.0
GTEX-183WM-0326-SM-72D5V 70-79 years, female 9.0
GTEX-1B932-2326-SM-79OL5 40-49 years, female 9.0
GTEX-1CB4F-1026-SM-7DUH1 60-69 years, male 9.0
GTEX-VUSG-2326-SM-4KL1U 50-59 years, male 9.0
GTEX-YF7O-1526-SM-5IFI6 50-59 years, male 9.0
GTEX-1H23P-0626-SM-9WG6T 60-69 years, male 9.0
GTEX-1ICLY-0826-SM-CMKG1 50-59 years, male 9.0
GTEX-1QP9N-1226-SM-E76QN 30-39 years, male 9.0
GTEX-12696-0126-SM-5EQ4L 60-69 years, male 8.9
GTEX-145LT-0526-SM-5LUB2 40-49 years, male 8.9
GTEX-145LU-1926-SM-79OJN 50-59 years, male 8.9
GTEX-18465-2826-SM-7LT9J 50-59 years, male 8.9
GTEX-18QFQ-1826-SM-72D52 30-39 years, male 8.9
GTEX-11P7K-1126-SM-5HL4L 30-39 years, male 8.8
GTEX-13OW6-2726-SM-5J2OE 50-59 years, male 8.8
GTEX-147F4-0726-SM-5TDDD 50-59 years, male 8.8
GTEX-17HII-1426-SM-7EPGG 50-59 years, male 8.8
GTEX-WK11-2726-SM-3NMAQ 50-59 years, male 8.8
GTEX-ZVE2-2826-SM-5GU51 50-59 years, male 8.8
GTEX-14JG6-1426-SM-9WG7C 30-39 years, female 8.8
GTEX-1ICG6-1226-SM-A9SLN 70-79 years, female 8.8
GTEX-1QEPI-2626-SM-DTXF4 60-69 years, female 8.8
GTEX-1S82P-2126-SM-E6CI5 60-69 years, female 8.8
GTEX-13G51-1826-SM-5KLZH 60-69 years, male 8.7
GTEX-145MO-2826-SM-5LU96 60-69 years, male 8.7
GTEX-17HGU-2326-SM-7DUFE 50-59 years, male 8.7
GTEX-ZF2S-1626-SM-57WES 50-59 years, female 8.7
GTEX-1HCU9-0426-SM-9WYSD 20-29 years, male 8.7
GTEX-1IKOE-1426-SM-CE6T7 30-39 years, female 8.7
GTEX-12WSD-0626-SM-5GCMW 60-69 years, female 8.6
GTEX-13X6J-0626-SM-5LU5F 50-59 years, male 8.6
GTEX-ZYFG-1526-SM-5GZYM 60-69 years, female 8.6
GTEX-1F75I-2226-SM-7SB8U 40-49 years, male 8.6
GTEX-1JMPZ-0726-SM-CY8HZ 30-39 years, male 8.6
GTEX-11UD2-2526-SM-5CVNU 50-59 years, male 8.5
GTEX-13FHO-0426-SM-5L3F5 60-69 years, male 8.5
GTEX-147JS-0226-SM-5S2U9 60-69 years, male 8.5
GTEX-1C6WA-2626-SM-7MKGM 60-69 years, male 8.5
GTEX-UPK5-0426-SM-3GAEK 40-49 years, male 8.5
GTEX-1HB9E-0126-SM-CM2S5 50-59 years, male 8.5
GTEX-1PIIG-2326-SM-DTXFR 30-39 years, male 8.5
GTEX-131XG-0326-SM-5L3DX 50-59 years, female 8.4
GTEX-131XW-0626-SM-5PNVD 50-59 years, female 8.4
GTEX-139TU-0726-SM-5L3EK 60-69 years, male 8.4
GTEX-13OW7-0426-SM-5K7VK 50-59 years, male 8.4
GTEX-14PJ2-0626-SM-6LLII 50-59 years, male 8.4
GTEX-178AV-1726-SM-7KUL8 40-49 years, male 8.4
GTEX-1JMQL-2226-SM-CNPP4 50-59 years, female 8.4
GTEX-1BAJH-2426-SM-7IGP8 70-79 years, male 8.2
GTEX-1JKYR-0626-SM-ARL8R 20-29 years, male 8.2
GTEX-1R9PM-1926-SM-EVR3O 20-29 years, male 8.2
GTEX-1RAZA-2226-SM-E9U4X 20-29 years, male 8.2
GTEX-12WSK-2126-SM-5CVNC 40-49 years, female 8.1
GTEX-13VXU-0626-SM-5L3F9 50-59 years, male 8.1
GTEX-17EVP-2626-SM-7IGMA 40-49 years, male 8.1
GTEX-17KNJ-2126-SM-718AM 50-59 years, male 8.1
GTEX-ZTX8-1326-SM-4YCEL 20-29 years, male 8.1
GTEX-ZZ64-1026-SM-5GZXG 20-29 years, male 8.1
GTEX-1AYD5-2626-SM-7PBXY 50-59 years, male 8.1
GTEX-1HKZK-0726-SM-ACKW2 40-49 years, male 8.1
GTEX-1M4P7-0726-SM-E6CJ3 60-69 years, male 8.1
GTEX-13N1W-2426-SM-5IJD1 70-79 years, male 8.0
GTEX-13O3O-2326-SM-5IJD6 60-69 years, female 8.0
GTEX-Y5V6-2326-SM-4VDSA 60-69 years, male 8.0
GTEX-1GL5R-1326-SM-7RHHF 50-59 years, male 8.0
GTEX-1JN6P-2926-SM-CL54D 60-69 years, male 8.0
GTEX-1LB8K-0726-SM-D5OV2 50-59 years, male 8.0
GTEX-1MJK3-0726-SM-E6CJC 20-29 years, male 8.0
GTEX-15D1Q-2826-SM-6LLH7 40-49 years, male 7.9
GTEX-17F98-1326-SM-7DUEP 40-49 years, female 7.9
GTEX-1AX9I-2226-SM-73KUO 60-69 years, male 7.9
GTEX-WYBS-0626-SM-3NMAS 60-69 years, female 7.9
GTEX-ZY6K-1426-SM-5GZX2 50-59 years, male 7.9
GTEX-1H1E6-0426-SM-9WYUS 30-39 years, male 7.9
GTEX-1HCU8-2526-SM-CE6RX 60-69 years, female 7.9
GTEX-1K2DU-1226-SM-CYPT4 20-29 years, male 7.9
GTEX-1LG7Y-2526-SM-EWRO7 50-59 years, male 7.9
GTEX-1N2EE-0626-SM-E76PW 60-69 years, male 7.9
GTEX-ZLV1-1526-SM-DO91J 60-69 years, female 7.9
GTEX-111CU-1126-SM-5EGIM 50-59 years, male 7.8
GTEX-ZE9C-2526-SM-5IJDR 60-69 years, male 7.8
GTEX-ZTSS-1426-SM-5985P 40-49 years, male 7.8
GTEX-1HSMP-0926-SM-A9SKX 70-79 years, male 7.8
GTEX-1JMQI-1726-SM-ARL93 50-59 years, male 7.8
GTEX-11EQ8-0926-SM-5H12V 60-69 years, male 7.7
GTEX-12ZZZ-0726-SM-5GCNZ 60-69 years, male 7.7
GTEX-1314G-1326-SM-5BC6E 30-39 years, male 7.7
GTEX-144FL-0626-SM-5LU43 50-59 years, male 7.7
GTEX-145MF-0926-SM-5Q5EA 50-59 years, male 7.7
GTEX-1CB4I-0126-SM-7RHGG 50-59 years, male 7.7
GTEX-1HSKV-1226-SM-ADEI4 60-69 years, male 7.7
GTEX-1J1R8-2026-SM-CL53Y 40-49 years, male 7.7
GTEX-14DAQ-0626-SM-793DS 60-69 years, female 7.6
GTEX-15UF6-1926-SM-7KUDV 70-79 years, female 7.6
GTEX-1CB4E-0926-SM-7EPHT 60-69 years, male 7.6
GTEX-13112-0126-SM-5P9IU 50-59 years, male 7.5
GTEX-13OW5-2326-SM-5L3HO 60-69 years, male 7.5
GTEX-14BMV-2826-SM-5TDED 50-59 years, male 7.5
GTEX-15FZZ-0526-SM-7KUGD 30-39 years, female 7.5
GTEX-1A8G6-2726-SM-731AR 60-69 years, male 7.5
GTEX-Y5V5-0126-SM-5S2NW 60-69 years, female 7.5
GTEX-ZE7O-2726-SM-51MT5 50-59 years, female 7.5
GTEX-ZYVF-0926-SM-5E44J 50-59 years, female 7.5
GTEX-1HR98-2226-SM-ADEI2 60-69 years, male 7.5
GTEX-1J8EW-2726-SM-CY8HR 60-69 years, female 7.5
GTEX-YEC3-1326-SM-DO92X 50-59 years, male 7.5
GTEX-ZWKS-0626-SM-5GIDV 30-39 years, male 7.4
GTEX-12ZZX-2426-SM-5GCOE 40-49 years, female 7.3
GTEX-16MT9-0126-SM-7EPI8 60-69 years, female 7.3
GTEX-ZA64-1026-SM-5HL8R 20-29 years, male 7.3
GTEX-1A8FM-0626-SM-7PC25 50-59 years, female 7.3
GTEX-1C64O-1326-SM-7MGWR 60-69 years, male 7.3
GTEX-1OJC3-1226-SM-DTXER 20-29 years, male 7.3
GTEX-11P81-2226-SM-5PNYI 30-39 years, female 7.2
GTEX-12BJ1-0926-SM-5EQ62 60-69 years, male 7.2
GTEX-13YAN-0226-SM-5TDC6 60-69 years, male 7.2
GTEX-WY7C-2126-SM-3NB2R 50-59 years, male 7.2
GTEX-1F75A-0726-SM-7RHHD 50-59 years, male 7.2
GTEX-1F88F-0126-SM-9WYSZ 60-69 years, female 7.2
GTEX-1I1GV-0626-SM-ARL7M 60-69 years, male 7.2
GTEX-1MCC2-1826-SM-DIPEX 30-39 years, female 7.2
GTEX-1NSGN-0726-SM-DTXEF 50-59 years, male 7.2
GTEX-11VI4-1126-SM-5EQMD 40-49 years, female 7.1
GTEX-14XAO-1226-SM-6EU1C 60-69 years, female 7.1
GTEX-15DDE-2926-SM-6LLJ3 50-59 years, female 7.1
GTEX-18A6Q-0626-SM-7KFRP 60-69 years, male 7.1
GTEX-1GF9W-1426-SM-7PBYM 60-69 years, male 7.1
GTEX-1399S-0126-SM-5IJCF 30-39 years, female 7.0
GTEX-XUW1-0926-SM-4BONX 50-59 years, female 7.0
GTEX-1JMPY-0226-SM-CKZOK 30-39 years, male 7.0
GTEX-1R7EU-1626-SM-DTXG3 60-69 years, male 7.0
GTEX-11EQ9-1626-SM-5PNY8 30-39 years, male 6.9
GTEX-13O3Q-0126-SM-5KM34 50-59 years, male 6.9
GTEX-14C38-0726-SM-5SI6M 50-59 years, male 6.9
GTEX-15EO6-2426-SM-6PALZ 50-59 years, male 6.9
GTEX-15RIG-0726-SM-7KUM7 40-49 years, male 6.9
GTEX-1GMRU-2126-SM-7P8RA 50-59 years, male 6.9
GTEX-145MH-2826-SM-5RQJF 50-59 years, male 6.8
GTEX-14BIN-1126-SM-5RQJZ 50-59 years, female 6.8
GTEX-14LLW-2626-SM-62LDZ 70-79 years, female 6.8
GTEX-WHWD-1826-SM-3LK6I 50-59 years, male 6.8
GTEX-1F75B-0726-SM-7PC3R 50-59 years, male 6.8
GTEX-1JJE9-2626-SM-ARZMT 70-79 years, male 6.8
GTEX-1S3DN-2126-SM-E9TIN 50-59 years, male 6.8
GTEX-11DXX-2126-SM-5PNYR 60-69 years, female 6.7
GTEX-11EM3-1226-SM-5N9DD 20-29 years, female 6.7
GTEX-13PVR-0426-SM-5RQK2 60-69 years, female 6.7
GTEX-1PPH7-1126-SM-DTX9A 40-49 years, male 6.7
GTEX-13X6H-0926-SM-5SIB2 50-59 years, female 6.6
GTEX-1F52S-2926-SM-7MKGA 60-69 years, female 6.6
GTEX-UPJH-0226-SM-3GADV 50-59 years, male 6.6
GTEX-WFG7-2026-SM-5SI7P 20-29 years, male 6.6
GTEX-ZYT6-2326-SM-5GZY3 30-39 years, male 6.6
GTEX-1H3VE-0726-SM-9YFL5 40-49 years, male 6.6
GTEX-11ZUS-2626-SM-5FQUR 30-39 years, male 6.5
GTEX-12ZZY-0726-SM-5EQ66 60-69 years, male 6.5
GTEX-13N11-2326-SM-5IJBF 50-59 years, female 6.5
GTEX-13W3W-0726-SM-5IJDQ 60-69 years, female 6.5
GTEX-16XZZ-0726-SM-7KUF2 60-69 years, male 6.5
GTEX-Y114-2126-SM-4TT8B 50-59 years, female 6.5
GTEX-1CAMS-2226-SM-7PBXQ 40-49 years, female 6.5
GTEX-1GMR3-0126-SM-A9SLW 40-49 years, male 6.5
GTEX-1HSGN-0826-SM-ACKW3 40-49 years, female 6.5
GTEX-11GS4-0226-SM-5HL77 60-69 years, male 6.4
GTEX-13X6I-1826-SM-5SIAO 60-69 years, male 6.4
GTEX-14A6H-2026-SM-5Q5DD 30-39 years, male 6.4
GTEX-1GN2E-0226-SM-9WG6K 60-69 years, male 6.4
GTEX-1I1GS-2626-SM-B2LY3 60-69 years, male 6.4
GTEX-1KXAM-1626-SM-D3LAD 60-69 years, male 6.4
GTEX-1LGOU-1326-SM-D3L8M 20-29 years, female 6.4
GTEX-148VJ-0626-SM-5LUAW 70-79 years, male 6.3
GTEX-1B8KE-1126-SM-7EPHI 50-59 years, male 6.3
GTEX-1CB4H-1126-SM-7MKGL 60-69 years, female 6.3
GTEX-1LSNL-2726-SM-E9TKJ 50-59 years, male 6.3
GTEX-1QMI2-2526-SM-E8VNZ 60-69 years, male 6.3
GTEX-13FTY-2126-SM-5IFFB 40-49 years, female 6.2
GTEX-1A3MV-1826-SM-731CD 30-39 years, male 6.2
GTEX-1C6VQ-1226-SM-73KYD 50-59 years, male 6.2
GTEX-ZAB4-2126-SM-5HL8U 40-49 years, male 6.2
GTEX-1EMGI-2326-SM-7PBYA 60-69 years, male 6.2
GTEX-1H1DE-1326-SM-9KNUG 20-29 years, male 6.2
GTEX-1KANA-1326-SM-DIPFA 20-29 years, male 6.2
GTEX-1LKK1-2626-SM-DKPQE 50-59 years, female 6.2
GTEX-1RAZS-2526-SM-E6CHT 50-59 years, male 6.2
GTEX-11GSP-2326-SM-5HL63 60-69 years, female 6.1
GTEX-12KS4-2126-SM-5FQUT 30-39 years, male 6.1
GTEX-1EU9M-1426-SM-793AI 60-69 years, male 6.1
GTEX-1GZ4H-0526-SM-9KNU9 50-59 years, female 6.1
GTEX-17HHE-1326-SM-7EWDZ 50-59 years, male 6.0
GTEX-ZF29-0926-SM-4WKFZ 60-69 years, female 6.0
GTEX-1IOXB-2726-SM-CM2RI 50-59 years, male 6.0
GTEX-1JJ6O-2726-SM-CNPOG 60-69 years, male 6.0
GTEX-11TUW-0626-SM-5LU9M 60-69 years, male 5.9
GTEX-12WSM-1926-SM-5BC65 60-69 years, male 5.9
GTEX-14PJ6-2626-SM-6EU2T 60-69 years, female 5.9
GTEX-WEY5-2326-SM-3GIKK 40-49 years, female 5.9
GTEX-1H11D-1826-SM-9QEHM 40-49 years, male 5.9
GTEX-1IDJU-1726-SM-CMKHU 60-69 years, female 5.9
GTEX-1PBJJ-1026-SM-E76OS 30-39 years, male 5.9
GTEX-13IVO-0726-SM-5LZYV 70-79 years, male 5.8
GTEX-14AS3-1526-SM-5Q5ED 40-49 years, female 5.8
GTEX-1B97I-0626-SM-73KUZ 40-49 years, male 5.8
GTEX-Y9LG-1126-SM-4VBQ7 30-39 years, male 5.8
GTEX-1IE54-1126-SM-A9G2Z 40-49 years, female 5.8
GTEX-1KANC-1226-SM-CYPT7 50-59 years, female 5.8
GTEX-111YS-1526-SM-5GZYW 60-69 years, male 5.7
GTEX-1313W-0626-SM-5EQ4H 50-59 years, female 5.7
GTEX-13O61-1426-SM-5KM3D 60-69 years, male 5.7
GTEX-13OVH-0526-SM-5L3E6 70-79 years, male 5.7
GTEX-14PHX-2226-SM-6EU2P 50-59 years, male 5.7
GTEX-1B8SF-0126-SM-7DUG3 60-69 years, male 5.7
GTEX-1EH9U-2826-SM-7DUGT 60-69 years, male 5.7
GTEX-XQ8I-0926-SM-4BOOF 50-59 years, male 5.7
GTEX-ZZPU-0826-SM-5GZX5 50-59 years, female 5.7
GTEX-1CB4J-1326-SM-7P8RX 60-69 years, male 5.7
GTEX-1IDFM-0326-SM-ARL7V 60-69 years, male 5.7
GTEX-1LSVX-2526-SM-DIPEU 60-69 years, male 5.7
GTEX-147F3-1726-SM-5SIAW 50-59 years, female 5.6
GTEX-16BQI-1326-SM-6M486 30-39 years, female 5.6
GTEX-ZDTT-0426-SM-4WKFL 60-69 years, male 5.6
GTEX-1HBPM-0726-SM-9YFL7 60-69 years, female 5.6
GTEX-1HFI7-2326-SM-CGQFS 50-59 years, female 5.6
GTEX-1JK1U-0226-SM-ARZMX 60-69 years, male 5.6
GTEX-139D8-1126-SM-5LU8W 30-39 years, female 5.5
GTEX-1B8KZ-0326-SM-73KY4 50-59 years, male 5.5
GTEX-YFCO-1226-SM-5LUAT 40-49 years, male 5.5
GTEX-1J8Q2-2626-SM-ACKWQ 60-69 years, male 5.5
GTEX-1S5ZU-2526-SM-E6CIF 20-29 years, female 5.5
GTEX-1S82U-1026-SM-E6CJK 30-39 years, female 5.5
GTEX-11LCK-2226-SM-5HL4Q 30-39 years, male 5.4
GTEX-14C39-1726-SM-5RQIL 40-49 years, male 5.4
GTEX-15RJE-2826-SM-7KUM9 40-49 years, male 5.4
GTEX-17MFQ-1526-SM-7KFRR 20-29 years, male 5.4
GTEX-XAJ8-1426-SM-47JYM 40-49 years, male 5.4
GTEX-1I1GT-1026-SM-ARZLV 60-69 years, female 5.4
GTEX-1LVAM-0726-SM-E6CIL 50-59 years, female 5.4
GTEX-1269C-0126-SM-5EQ5L 60-69 years, female 5.3
GTEX-131XF-2626-SM-5EQ6K 60-69 years, male 5.3
GTEX-16NGA-0726-SM-731AO 40-49 years, female 5.3
GTEX-1F6RS-2026-SM-7RHHC 60-69 years, female 5.3
GTEX-1GF9V-0826-SM-9KNUV 60-69 years, male 5.3
GTEX-1RAZQ-1326-SM-E9TK6 30-39 years, male 5.3
GTEX-111VG-1626-SM-5EGIO 60-69 years, male 5.2
GTEX-133LE-2326-SM-5K7W3 20-29 years, female 5.2
GTEX-ZYY3-2926-SM-5GIEB 60-69 years, female 5.2
GTEX-1HCVE-2726-SM-CL54F 50-59 years, male 5.2
GTEX-14PJ4-0226-SM-5YY92 60-69 years, male 5.1
GTEX-ZXG5-2126-SM-59HKD 60-69 years, male 5.1
GTEX-1CAMQ-1326-SM-7P8RV 40-49 years, male 5.1
GTEX-1GPI7-1826-SM-9KNU1 20-29 years, male 5.1
GTEX-1GZ4I-2626-SM-9KNU3 50-59 years, male 5.1
GTEX-1HCU7-0726-SM-A9SL1 50-59 years, male 5.1
GTEX-1LGRB-0926-SM-COH3K 50-59 years, female 5.1
GTEX-11ZU8-0126-SM-5EQ58 60-69 years, male 5.0
GTEX-147GR-2426-SM-5ZZWQ 60-69 years, male 5.0
GTEX-ZVT2-0126-SM-5GIDQ 50-59 years, female 5.0
GTEX-1KAFJ-0126-SM-DIPEK 50-59 years, male 5.0
GTEX-1KANB-2826-SM-CY8I6 50-59 years, male 5.0
GTEX-1QPFJ-1926-SM-EVYBD 30-39 years, female 5.0
GTEX-1R9K4-2826-SM-DTX8F 60-69 years, male 5.0
GTEX-1RMOY-1326-SM-E9TIH 50-59 years, male 5.0
GTEX-1H3O1-1326-SM-9MQLD 60-69 years, male 4.9
GTEX-1JMQJ-0826-SM-CNPP7 50-59 years, male 4.9
GTEX-14PJ5-1526-SM-6LLIL 60-69 years, female 4.8
GTEX-17F9Y-0126-SM-79OKX 70-79 years, female 4.8
GTEX-XMD2-2126-SM-4YCF8 60-69 years, female 4.8
GTEX-13JVG-0726-SM-5KM16 60-69 years, male 4.7
GTEX-14PJ3-1126-SM-5ZZVX 50-59 years, male 4.7
GTEX-15CHC-1126-SM-6LLHQ 60-69 years, female 4.7
GTEX-1AMFI-1326-SM-7939R 50-59 years, female 4.7
GTEX-1GMR8-0626-SM-7RHI7 50-59 years, female 4.7
GTEX-1A8G7-1326-SM-73KVM 60-69 years, male 4.6
GTEX-1IKJJ-2226-SM-CJI4C 60-69 years, male 4.6
GTEX-145MI-0626-SM-5SI8S 60-69 years, female 4.5
GTEX-1C6VR-0126-SM-7RHGB 60-69 years, male 4.5
GTEX-1GN1W-2426-SM-9KNUU 50-59 years, female 4.5
GTEX-1J1OQ-0126-SM-D4P2N 40-49 years, female 4.5
GTEX-1PDJ9-1226-SM-EXUSX 20-29 years, male 4.5
GTEX-1QCLY-0226-SM-EWRNH 30-39 years, male 4.5
GTEX-1399Q-2326-SM-5KM2X 40-49 years, male 4.4
GTEX-14ICL-1626-SM-5YYAO 30-39 years, male 4.4
GTEX-15ER7-0626-SM-6PANF 20-29 years, female 4.4
GTEX-13FLV-0126-SM-5K7WT 50-59 years, male 4.3
GTEX-13NZ8-1226-SM-5KM4A 60-69 years, female 4.3
GTEX-1399U-1126-SM-5L3DB 50-59 years, female 4.2
GTEX-139UW-0326-SM-5J1ML 60-69 years, male 4.2
GTEX-ZPCL-1126-SM-4WWFE 60-69 years, female 4.2
GTEX-11P82-1426-SM-DTXFY 20-29 years, male 4.2
GTEX-1B8L1-2226-SM-7P8PT 60-69 years, male 4.2
GTEX-14PKU-0126-SM-6LLHV 40-49 years, female 4.1
GTEX-1HBPN-0126-SM-CGQEF 50-59 years, male 4.1
GTEX-14C5O-0326-SM-5ZZUX 60-69 years, male 4.0
GTEX-1C2JI-1026-SM-73KY1 50-59 years, male 4.0
GTEX-1GN1U-0626-SM-9MQL9 50-59 years, female 4.0
GTEX-1N2DV-1526-SM-DTXEP 40-49 years, male 4.0
GTEX-14B4R-1326-SM-5Q5EZ 30-39 years, male 3.9
GTEX-1F5PK-2226-SM-7SB6N 50-59 years, male 3.9
GTEX-1HSMQ-2626-SM-A9SML 50-59 years, male 3.9
GTEX-1OJC4-2726-SM-E76PJ 50-59 years, female 3.9
GTEX-14PII-0726-SM-6EU2B 60-69 years, male 3.8
GTEX-18A67-1626-SM-7LT9T 50-59 years, male 3.8
GTEX-1GN73-0726-SM-7P8TJ 60-69 years, male 3.8
GTEX-1GPI6-1926-SM-9KNV7 60-69 years, male 3.8
GTEX-1J8QM-2426-SM-A9SLS 60-69 years, female 3.8
GTEX-1JJEA-1826-SM-ARU8P 60-69 years, male 3.8
GTEX-1JN76-0626-SM-CKZOQ 20-29 years, female 3.8
GTEX-1EX96-1026-SM-7MKG2 50-59 years, male 3.7
GTEX-YECK-0326-SM-4W1YS 60-69 years, male 3.7
GTEX-14JFF-0626-SM-5ZZVT 60-69 years, male 3.7
GTEX-1HGF4-0126-SM-CNPPX 60-69 years, male 3.7
GTEX-13VXT-1926-SM-5K7UO 20-29 years, female 3.6
GTEX-ZVT4-2426-SM-5GIEI 50-59 years, female 3.6
GTEX-1GF9X-1326-SM-7PC2Y 40-49 years, female 3.6
GTEX-1QP28-1126-SM-EVYC4 50-59 years, female 3.6
GTEX-1S83E-1326-SM-E6CJM 40-49 years, male 3.6
GTEX-ZVZP-1226-SM-5GID7 50-59 years, male 3.5
GTEX-11PRG-0726-SM-5EGL1 50-59 years, male 3.4
GTEX-14PJN-1826-SM-6AJ98 30-39 years, male 3.3
GTEX-13QJC-0126-SM-5ZZWJ 60-69 years, female 3.2
GTEX-1H2FU-0926-SM-9WPPT 60-69 years, female 3.2
GTEX-WHSB-1326-SM-3LK6W 50-59 years, male 3.0
GTEX-13D11-0926-SM-5J2NC 50-59 years, female 2.9
GTEX-14753-0726-SM-5QGQO 60-69 years, male 2.9
GTEX-1AMEY-0826-SM-72D65 30-39 years, female 2.9
GTEX-1R46S-2426-SM-E76QA 60-69 years, female 2.9
GTEX-1122O-1026-SM-9WYSF 60-69 years, female 2.8
GTEX-144GL-0626-SM-5LU4D 50-59 years, male 2.7
GTEX-15SKB-2826-SM-6PAMH 60-69 years, male 2.7
GTEX-1GN1V-2826-SM-9JGIA 60-69 years, male 2.6
GTEX-13PDP-0726-SM-5L3HP 60-69 years, male 2.4
GTEX-13PL6-1126-SM-5L3IE 40-49 years, female 2.4
GTEX-1HR9M-2226-SM-CNPPY 60-69 years, male 2.2
GTEX-1QP2A-1726-SM-E76QC 50-59 years, male 2.1
GTEX-13SLW-0626-SM-5Q5ER 70-79 years, male 2.0
GTEX-1MCYP-0526-SM-E9U6Q 20-29 years, female 2.0
GTEX-1NV5F-0626-SM-DTXEG 60-69 years, female 1.2
Show allShow less
Skin - Sun Exposed (Lower leg)
Average nTPM: 11.0
Samples: 701

Max nTPM: 49.7
Min nTPM: 1.9
Std nTPM: 5.7
Median nTPM: 9.8
GTEX-RUSQ-1526-SM-2TF62 50-59 years, male 49.7
GTEX-14PK6-1926-SM-6ETZU 70-79 years, female 49.2
GTEX-NPJ8-0126-SM-2YUNR 40-49 years, male 46.6
GTEX-144GN-2326-SM-5LU4F 50-59 years, male 30.7
GTEX-W5X1-3026-SM-EAZAX 40-49 years, female 29.0
GTEX-Q734-1926-SM-2I5EV 40-49 years, female 28.9
GTEX-1I1GU-2226-SM-CGQFA 40-49 years, male 28.8
GTEX-146FH-0126-SM-5QGPP 50-59 years, female 28.0
GTEX-15EOM-0126-SM-7KUGG 20-29 years, female 27.9
GTEX-13OW7-0126-SM-5MR3B 50-59 years, male 27.0
GTEX-16XZY-2126-SM-79OK1 70-79 years, male 26.9
GTEX-ZTPG-0326-SM-5O9AX 20-29 years, female 26.6
GTEX-X4XY-0226-SM-4E3IZ 60-69 years, male 26.4
GTEX-1OJC4-0126-SM-E9J2E 50-59 years, female 26.4
GTEX-1ICLZ-0126-SM-CKZPO 60-69 years, male 26.3
GTEX-1A3MW-0126-SM-73KXX 60-69 years, female 25.9
GTEX-1RLM8-2326-SM-EWRN4 50-59 years, male 25.5
GTEX-Y3I4-2126-SM-4TT7C 50-59 years, male 25.3
GTEX-ZDXO-3026-SM-5J1N5 60-69 years, male 25.1
GTEX-ZUA1-0126-SM-5GU76 40-49 years, male 24.9
GTEX-1H1ZS-0426-SM-9WG6G 70-79 years, male 24.7
GTEX-1192W-2626-SM-5Q5AF 60-69 years, male 24.0
GTEX-17HHY-0126-SM-7LG5D 50-59 years, male 24.0
GTEX-1PBJI-0526-SM-E8VNK 20-29 years, female 24.0
GTEX-14PN4-0126-SM-6EU2V 50-59 years, male 23.9
GTEX-1GF9X-2026-SM-7PC3A 40-49 years, female 23.7
GTEX-P4PQ-0126-SM-2S1NM 60-69 years, male 23.5
GTEX-17F97-0326-SM-7LG5B 50-59 years, male 23.4
GTEX-U4B1-1826-SM-4DXSU 40-49 years, male 23.2
GTEX-WI4N-1026-SM-3LK7N 40-49 years, female 23.0
GTEX-1AYCT-2426-SM-7IGQ3 50-59 years, male 22.6
GTEX-OOBK-0126-SM-2YUND 40-49 years, male 22.2
GTEX-1HSMO-0126-SM-CL547 60-69 years, male 22.2
GTEX-1HBPM-0226-SM-ARL9F 60-69 years, female 22.1
GTEX-XXEK-2226-SM-4BRUM 50-59 years, male 21.9
GTEX-117YW-2626-SM-5GZZH 50-59 years, male 21.0
GTEX-VUSG-2526-SM-4KL1V 50-59 years, male 21.0
GTEX-11EMC-2926-SM-5EQ4F 60-69 years, female 20.8
GTEX-OHPL-0126-SM-2HMJ7 60-69 years, female 20.8
GTEX-X4EP-0126-SM-3P5YV 60-69 years, female 20.6
GTEX-1QW4Y-1526-SM-EAZ3Z 30-39 years, male 20.6
GTEX-13NYS-0126-SM-5MR3W 60-69 years, male 20.5
GTEX-PLZ4-0126-SM-5SI8O 50-59 years, female 20.5
GTEX-13FH7-2026-SM-E9J4I 50-59 years, female 20.3
GTEX-14JIY-0126-SM-6LLH6 60-69 years, male 20.2
GTEX-1AX8Z-0126-SM-7DHM6 60-69 years, male 20.2
GTEX-13O1R-0126-SM-5L3EH 60-69 years, male 20.1
GTEX-15UF6-0826-SM-6PALJ 70-79 years, female 20.1
GTEX-17MF6-0126-SM-7LG4F 40-49 years, male 20.1
GTEX-11O72-0126-SM-59887 40-49 years, male 19.9
GTEX-ZDYS-2026-SM-5HL5L 50-59 years, male 19.8
GTEX-11ZVC-2526-SM-5FQTE 50-59 years, female 19.7
GTEX-XV7Q-2526-SM-4BRV9 40-49 years, female 19.7
GTEX-1HBPH-0426-SM-B2LW5 40-49 years, female 19.6
GTEX-R45C-0126-SM-EAZ2R 60-69 years, female 19.5
GTEX-ZVZO-0126-SM-5A5L9 40-49 years, male 19.4
GTEX-11DZ1-0126-SM-5985Q 50-59 years, male 19.3
GTEX-OXRO-0126-SM-2YUN4 60-69 years, female 19.2
GTEX-1A3MX-0126-SM-731BR 60-69 years, male 19.1
GTEX-Q2AH-1626-SM-3GAF8 40-49 years, male 19.1
GTEX-X585-0226-SM-4QAS2 50-59 years, male 19.0
GTEX-113IC-0126-SM-5HL6T 60-69 years, male 18.7
GTEX-13OVI-1426-SM-5L3EY 60-69 years, female 18.7
GTEX-1F6I4-0126-SM-9MQL2 60-69 years, male 18.7
GTEX-1F48J-0126-SM-7P8TT 50-59 years, female 18.6
GTEX-132NY-0326-SM-5IJBL 60-69 years, male 18.5
GTEX-1J8EW-0126-SM-CJI4F 60-69 years, female 18.5
GTEX-1LC47-0326-SM-E9TJP 60-69 years, male 18.5
GTEX-1EKGG-0226-SM-9WYTH 60-69 years, male 18.4
GTEX-15G19-0126-SM-6PANQ 60-69 years, male 18.3
GTEX-ZVT3-0126-SM-5GU6I 60-69 years, female 18.3
GTEX-ZYW4-0126-SM-5E44A 60-69 years, male 18.3
GTEX-1HR98-0126-SM-B2LWI 60-69 years, male 18.3
GTEX-QDT8-0126-SM-48TZ1 30-39 years, female 18.1
GTEX-15DYW-0126-SM-7KULE 60-69 years, female 17.9
GTEX-TMZS-0126-SM-3DB9Q 60-69 years, male 17.9
GTEX-1C6WA-0126-SM-7PC2B 60-69 years, male 17.9
GTEX-Q2AI-1326-SM-2S1PL 40-49 years, male 17.8
GTEX-1HCUA-2426-SM-ADEIS 50-59 years, female 17.8
GTEX-1HUB1-0426-SM-E9U4U 60-69 years, male 17.8
GTEX-OXRL-0126-SM-2YUMP 50-59 years, male 17.7
GTEX-1K9T9-0126-SM-EVYCF 50-59 years, female 17.6
GTEX-139T4-0226-SM-5HL5S 50-59 years, female 17.5
GTEX-U412-0426-SM-3DB9O 60-69 years, male 17.5
GTEX-11H98-0126-SM-5EGHG 50-59 years, male 17.4
GTEX-SUCS-1926-SM-32PM3 70-79 years, male 17.4
GTEX-1LNCM-1126-SM-E9U5E 50-59 years, female 17.4
GTEX-1A32A-0126-SM-718B1 50-59 years, female 17.3
GTEX-R55E-0126-SM-2TC5Y 20-29 years, male 17.2
GTEX-14ABY-0226-SM-5TDCQ 50-59 years, male 17.1
GTEX-RN64-0126-SM-2TC68 50-59 years, male 17.1
GTEX-14E6C-0126-SM-5RQIP 40-49 years, male 16.9
GTEX-OXRP-0126-SM-3NB32 60-69 years, female 16.9
GTEX-X88G-0126-SM-47JZ3 30-39 years, male 16.8
GTEX-17EVQ-0226-SM-7LG4P 70-79 years, male 16.7
GTEX-1RAZQ-0726-SM-EAZ43 30-39 years, male 16.7
GTEX-ZAB4-0226-SM-5N9F5 40-49 years, male 16.6
GTEX-13U4I-0126-SM-5LU38 40-49 years, female 16.5
GTEX-ZAJG-0126-SM-5HL94 50-59 years, female 16.5
GTEX-147F4-0226-SM-5QGPW 50-59 years, male 16.4
GTEX-14A6H-0126-SM-5QGPK 30-39 years, male 16.3
GTEX-1HSMP-0126-SM-E6CJS 70-79 years, male 16.2
GTEX-11TTK-0126-SM-5987B 60-69 years, female 16.1
GTEX-12584-0126-SM-5EGKQ 40-49 years, male 16.1
GTEX-S7PM-0126-SM-4AD6S 60-69 years, male 16.1
GTEX-X638-0126-SM-47JZ8 70-79 years, female 16.1
GTEX-1AYD5-2426-SM-73KXR 50-59 years, male 16.0
GTEX-SIU8-0126-SM-2XCDT 50-59 years, male 16.0
GTEX-T2YK-0526-SM-32QPJ 50-59 years, male 16.0
GTEX-U8XE-0326-SM-3DB8P 30-39 years, male 16.0
GTEX-Y111-0126-SM-4SOIV 50-59 years, male 16.0
GTEX-1HCU6-0126-SM-CL54K 60-69 years, female 16.0
GTEX-1I1HK-0126-SM-COH49 60-69 years, male 16.0
GTEX-11GSP-2526-SM-5N9BP 60-69 years, female 15.9
GTEX-QESD-1426-SM-2S1R9 20-29 years, male 15.9
GTEX-1GTWX-0126-SM-9YFLK 60-69 years, male 15.9
GTEX-16MT8-0426-SM-7KUEY 60-69 years, female 15.8
GTEX-O5YT-0126-SM-48TBW 20-29 years, male 15.8
GTEX-U8T8-0126-SM-3DB94 60-69 years, male 15.8
GTEX-13G51-2526-SM-5LZYK 60-69 years, male 15.7
GTEX-13NZ8-0826-SM-5MR3I 60-69 years, female 15.7
GTEX-16YQH-0126-SM-7DUFJ 30-39 years, male 15.7
GTEX-11UD1-0126-SM-5PNYG 40-49 years, female 15.6
GTEX-13OVG-1926-SM-5L3DK 60-69 years, male 15.6
GTEX-VJYA-1126-SM-3GIJU 60-69 years, male 15.6
GTEX-12126-0326-SM-5PNW3 20-29 years, male 15.4
GTEX-1CB4J-0626-SM-7DHMP 60-69 years, male 15.4
GTEX-QLQW-1126-SM-2S1Q8 30-39 years, male 15.4
GTEX-14XAO-2326-SM-6EU1B 60-69 years, female 15.3
GTEX-1IY9M-0126-SM-D3L8S 60-69 years, male 15.3
GTEX-1KD5A-0226-SM-D5OV3 50-59 years, male 15.3
GTEX-12WSD-0126-SM-59HKN 60-69 years, female 15.1
GTEX-13CF2-2526-SM-5LZYX 60-69 years, male 15.1
GTEX-15SDE-2226-SM-7IGLO 50-59 years, female 15.1
GTEX-18A67-0126-SM-7LG5P 50-59 years, male 15.1
GTEX-RU72-0926-SM-2TF6B 50-59 years, female 15.1
GTEX-11ZUS-0626-SM-59885 30-39 years, male 15.0
GTEX-PWO3-1526-SM-48TCM 60-69 years, female 15.0
GTEX-ZE7O-0126-SM-57WC1 50-59 years, female 15.0
GTEX-1I1CD-0126-SM-CM2TK 60-69 years, female 14.9
GTEX-1R9PO-2126-SM-E9J4O 60-69 years, female 14.9
GTEX-RNOR-0126-SM-E9J4R 50-59 years, female 14.9
GTEX-WOFL-0126-SM-3MJG2 60-69 years, male 14.8
GTEX-12WSL-2526-SM-5GCNJ 50-59 years, male 14.7
GTEX-WH7G-2326-SM-3NMBC 40-49 years, male 14.7
GTEX-1192X-0226-SM-5H12D 50-59 years, male 14.6
GTEX-U3ZN-2326-SM-3DB7W 30-39 years, female 14.6
GTEX-ZYFC-0226-SM-5NQ75 50-59 years, male 14.6
GTEX-1HKZK-0326-SM-9WYUH 40-49 years, male 14.6
GTEX-1MA7X-2226-SM-E6CIY 60-69 years, male 14.6
GTEX-X4EO-0326-SM-3P5YO 60-69 years, female 14.4
GTEX-X4XX-0126-SM-3NMC2 60-69 years, male 14.4
GTEX-YJ8A-0426-SM-5IFID 20-29 years, male 14.2
GTEX-1C6VQ-0126-SM-7P8RI 50-59 years, male 14.2
GTEX-1H1DG-0126-SM-9WYU2 70-79 years, male 14.2
GTEX-11TT1-2526-SM-5EGIB 20-29 years, male 14.1
GTEX-18A7A-0226-SM-718BH 50-59 years, female 14.1
GTEX-1B8L1-2526-SM-9WYTF 60-69 years, male 14.1
GTEX-11DXW-0226-SM-5H122 40-49 years, male 13.9
GTEX-139T8-0126-SM-5K7XZ 60-69 years, male 13.9
GTEX-13OVL-0226-SM-5L3E9 50-59 years, male 13.9
GTEX-18D9B-0526-SM-7LTAS 60-69 years, male 13.9
GTEX-T5JC-0426-SM-32PLO 20-29 years, male 13.9
GTEX-13CF3-2426-SM-5IFGX 60-69 years, female 13.8
GTEX-13FHO-0226-SM-5IFGY 60-69 years, male 13.8
GTEX-1B933-0126-SM-7PC29 50-59 years, female 13.8
GTEX-1F75I-0326-SM-9YFLU 40-49 years, male 13.8
GTEX-1IE54-0126-SM-CMKHW 40-49 years, female 13.8
GTEX-12C56-1726-SM-5EQ61 20-29 years, male 13.7
GTEX-Z93S-0126-SM-5HL7M 50-59 years, male 13.7
GTEX-ZEX8-2426-SM-4WKG4 50-59 years, male 13.7
GTEX-QLQ7-1626-SM-2S1R8 60-69 years, male 13.6
GTEX-169BO-1326-SM-9MQK2 50-59 years, male 13.6
GTEX-1RQEC-0426-SM-E6CHU 60-69 years, male 13.6
GTEX-V1D1-2226-SM-3NMAX 50-59 years, male 13.5
GTEX-14E7W-0126-SM-6LLJ9 70-79 years, male 13.4
GTEX-QEG4-0226-SM-2S1PY 30-39 years, male 13.4
GTEX-1IDJF-0126-SM-CM2RS 20-29 years, male 13.4
GTEX-1PWST-0226-SM-E76QJ 70-79 years, male 13.4
GTEX-12WSN-5019-SM-79OM6 40-49 years, male 13.3
GTEX-14PHW-0126-SM-6LLJI 60-69 years, female 13.3
GTEX-1B8SG-0126-SM-73KZ3 50-59 years, male 13.2
GTEX-RVPV-0126-SM-EAZAW 60-69 years, male 13.2
GTEX-X62O-0126-SM-4E3JN 50-59 years, male 13.1
GTEX-1LB8K-0226-SM-EWRNW 50-59 years, male 13.1
GTEX-131XG-2626-SM-5KM17 50-59 years, female 13.0
GTEX-13O3P-0126-SM-5KM4S 50-59 years, male 13.0
GTEX-13RTJ-2426-SM-5S2Q2 60-69 years, male 13.0
GTEX-17HII-0226-SM-7LG4E 50-59 years, male 13.0
GTEX-Y3IK-2426-SM-4WWDU 50-59 years, female 13.0
GTEX-11TUW-2726-SM-E9J4M 60-69 years, male 13.0
GTEX-1N2EF-0226-SM-EYYXB 60-69 years, male 13.0
GTEX-13OVJ-0126-SM-5KM36 50-59 years, female 12.9
GTEX-XUYS-0126-SM-47JWZ 50-59 years, male 12.9
GTEX-1GN73-0226-SM-9WG67 60-69 years, male 12.9
GTEX-1H1DE-2126-SM-9WG6R 20-29 years, male 12.8
GTEX-1RAZA-0126-SM-E6CI3 20-29 years, male 12.8
GTEX-11GS4-2726-SM-5A5LE 60-69 years, male 12.7
GTEX-13RTL-0126-SM-7LG5S 40-49 years, male 12.7
GTEX-13X6I-0626-SM-5QGP9 60-69 years, male 12.7
GTEX-144FL-0126-SM-5TDC8 50-59 years, male 12.7
GTEX-ZC5H-0226-SM-4WAY9 40-49 years, female 12.7
GTEX-1RB15-2126-SM-E9TIM 60-69 years, male 12.7
GTEX-14BIL-0126-SM-5SI92 50-59 years, male 12.6
GTEX-R55G-2526-SM-2TC6D 40-49 years, female 12.6
GTEX-1LH75-2426-SM-E9TJE 50-59 years, female 12.6
GTEX-OIZG-0726-SM-33HBL 50-59 years, male 12.5
GTEX-SSA3-0126-SM-32QPU 60-69 years, male 12.5
GTEX-1GN1V-0126-SM-9WPOS 60-69 years, male 12.5
GTEX-1HCVE-0126-SM-CGQEU 50-59 years, male 12.5
GTEX-1QEPI-0126-SM-EWRMQ 60-69 years, female 12.5
GTEX-QV44-1926-SM-2S1RF 50-59 years, male 12.4
GTEX-ZZPT-0226-SM-5E43X 50-59 years, male 12.4
GTEX-1HGF4-2426-SM-ACKXM 60-69 years, male 12.4
GTEX-PW2O-1526-SM-7RHHB 20-29 years, male 12.4
GTEX-11ZTT-2426-SM-5EQLS 60-69 years, female 12.3
GTEX-146FQ-0126-SM-5NQA9 30-39 years, male 12.3
GTEX-1NHNU-1026-SM-E9J2A 50-59 years, male 12.3
GTEX-11P7K-2126-SM-5GU7G 30-39 years, male 12.2
GTEX-139TU-0126-SM-5K7WH 60-69 years, male 12.2
GTEX-ZE9C-2726-SM-57WB5 60-69 years, male 12.2
GTEX-1H1CY-2826-SM-9MQM3 60-69 years, female 12.2
GTEX-1JMOU-1526-SM-CL54I 60-69 years, female 12.2
GTEX-1LG7Y-0526-SM-DKPQC 50-59 years, male 12.2
GTEX-13N1W-0126-SM-5K7VT 70-79 years, male 12.1
GTEX-18A6Q-0126-SM-731BZ 60-69 years, male 12.1
GTEX-1GF9U-2126-SM-7SB7L 40-49 years, female 12.1
GTEX-13SLX-0526-SM-5S2ON 50-59 years, female 12.0
GTEX-15SHW-0326-SM-6PAML 60-69 years, male 12.0
GTEX-17KNJ-2326-SM-7DHLQ 50-59 years, male 12.0
GTEX-X5EB-2226-SM-46MW4 40-49 years, male 12.0
GTEX-ZDTS-0126-SM-4WAY5 60-69 years, male 12.0
GTEX-12KS4-0326-SM-5EQ41 30-39 years, male 11.9
GTEX-18QFQ-0126-SM-731BE 30-39 years, male 11.9
GTEX-WVJS-0126-SM-4MVOT 50-59 years, male 11.9
GTEX-YFC4-0126-SM-5CVLY 40-49 years, female 11.9
GTEX-1QP67-1626-SM-EAZ3X 40-49 years, female 11.9
GTEX-1399U-2326-SM-5K7WY 50-59 years, female 11.8
GTEX-14ICK-0226-SM-6EU25 40-49 years, male 11.8
GTEX-1IDFM-0126-SM-COH2V 60-69 years, male 11.8
GTEX-11NUK-0126-SM-5A5L3 50-59 years, male 11.7
GTEX-OHPM-0126-SM-2YUN9 50-59 years, male 11.7
GTEX-QCQG-1726-SM-3GIJ9 50-59 years, female 11.7
GTEX-1F6IF-0726-SM-7P8TW 60-69 years, male 11.7
GTEX-1M4P7-0226-SM-DIPEV 60-69 years, male 11.7
GTEX-11OC5-0126-SM-5HL6A 60-69 years, male 11.6
GTEX-145LV-2126-SM-5LU8N 50-59 years, male 11.6
GTEX-YEC4-2126-SM-5IFJH 40-49 years, male 11.6
GTEX-ZQUD-1426-SM-57WER 30-39 years, male 11.6
GTEX-1IKOH-0226-SM-COH4E 60-69 years, female 11.6
GTEX-1N2DW-0226-SM-E9TK2 50-59 years, male 11.6
GTEX-13QJ3-0326-SM-5S2RA 50-59 years, male 11.5
GTEX-13W46-0226-SM-5SIAG 50-59 years, male 11.5
GTEX-14BIM-0226-SM-7IGLD 60-69 years, female 11.5
GTEX-QDVJ-1726-SM-2I5FX 50-59 years, male 11.5
GTEX-RTLS-0126-SM-447CA 60-69 years, female 11.5
GTEX-XBED-2226-SM-47JYQ 60-69 years, male 11.5
GTEX-XMD2-0126-SM-4YCDU 60-69 years, female 11.5
GTEX-1H3NZ-0126-SM-ACKX7 60-69 years, male 11.5
GTEX-ZF3C-0126-SM-DO92D 50-59 years, female 11.5
GTEX-111VG-2426-SM-5GZXD 60-69 years, male 11.4
GTEX-14E6D-0126-SM-62LDV 50-59 years, male 11.4
GTEX-PLZ5-2026-SM-2S1O4 50-59 years, male 11.4
GTEX-WZTO-0126-SM-3NM95 40-49 years, male 11.4
GTEX-Y8DK-0126-SM-4TT3L 60-69 years, male 11.4
GTEX-1HB9E-0226-SM-E9U4R 50-59 years, male 11.4
GTEX-1JN1M-0326-SM-CYPT3 60-69 years, female 11.4
GTEX-QDVN-2026-SM-3GAEP 50-59 years, male 11.3
GTEX-ZYY3-0126-SM-5GZY5 60-69 years, female 11.3
GTEX-1GN1W-0526-SM-9MQJQ 50-59 years, female 11.3
GTEX-183WM-0126-SM-7LTAB 70-79 years, female 11.2
GTEX-XQ3S-1526-SM-4BOOC 20-29 years, male 11.2
GTEX-13O3O-0126-SM-E9J49 60-69 years, female 11.2
GTEX-1I1GP-2226-SM-CGQFK 50-59 years, male 11.2
GTEX-13N11-2526-SM-5K7UE 50-59 years, female 11.1
GTEX-15UKP-0426-SM-7KUFQ 20-29 years, male 11.1
GTEX-NFK9-0226-SM-2HMKQ 40-49 years, male 11.1
GTEX-T2IS-0126-SM-4DM6O 20-29 years, female 11.1
GTEX-U3ZM-1526-SM-3DB9D 40-49 years, male 11.1
GTEX-UPJH-0326-SM-3GADU 50-59 years, male 11.1
GTEX-WXYG-2326-SM-4E3I6 50-59 years, female 11.1
GTEX-12WSG-2826-SM-E9J4H 50-59 years, female 11.1
GTEX-1IL2V-0126-SM-CM2TX 70-79 years, male 11.1
GTEX-13VXU-0126-SM-5SI9F 50-59 years, male 11.0
GTEX-RM2N-1426-SM-2TF4H 50-59 years, male 11.0
GTEX-1I1GS-0126-SM-B2LVW 60-69 years, male 11.0
GTEX-11ZU8-2526-SM-5EQKI 60-69 years, male 10.9
GTEX-15DDE-0126-SM-6LPKH 50-59 years, female 10.9
GTEX-1F88F-2726-SM-7PBZZ 60-69 years, female 10.9
GTEX-1H2FU-0126-SM-9WYSI 60-69 years, female 10.9
GTEX-1HBPI-1526-SM-C1YQ1 50-59 years, male 10.9
GTEX-1HCU8-0626-SM-A9SM9 60-69 years, female 10.9
GTEX-ZPIC-1726-SM-DHXIU 40-49 years, female 10.9
GTEX-13FTY-0526-SM-5L3EV 40-49 years, female 10.8
GTEX-14A5H-0426-SM-5QGQF 60-69 years, male 10.8
GTEX-14LLW-0126-SM-6LLIO 70-79 years, female 10.8
GTEX-17F98-0626-SM-79OMX 40-49 years, female 10.8
GTEX-Q2AG-0126-SM-33HBV 40-49 years, female 10.8
GTEX-X8HC-0126-SM-4E3JW 50-59 years, female 10.8
GTEX-146FR-1326-SM-E9J48 60-69 years, female 10.8
GTEX-1H3VE-0326-SM-9YFLH 40-49 years, male 10.8
GTEX-1314G-1526-SM-5EGK2 30-39 years, male 10.7
GTEX-11WQC-2526-SM-5CVLE 60-69 years, male 10.6
GTEX-TKQ1-1026-SM-4GICL 30-39 years, male 10.6
GTEX-1F52S-0126-SM-9MQJU 60-69 years, female 10.6
GTEX-1JJE9-0326-SM-CL53Z 70-79 years, male 10.6
GTEX-11WQK-0526-SM-5EQLD 50-59 years, male 10.5
GTEX-WYVS-2126-SM-3NMA3 40-49 years, female 10.5
GTEX-1CAV2-2226-SM-7P8P2 40-49 years, female 10.5
GTEX-1H4P4-0726-SM-9YFLR 50-59 years, male 10.5
GTEX-1S82Y-2026-SM-EVYCM 40-49 years, male 10.5
GTEX-11P82-1626-SM-59879 20-29 years, male 10.4
GTEX-183FY-0126-SM-7LT9P 20-29 years, male 10.4
GTEX-Y8LW-1826-SM-5S2MV 50-59 years, female 10.4
GTEX-1HFI6-0226-SM-ADEHZ 40-49 years, male 10.4
GTEX-ZF29-2326-SM-DO92K 60-69 years, female 10.4
GTEX-139TT-0126-SM-5K7Y5 60-69 years, male 10.3
GTEX-R3RS-0126-SM-3GIJL 40-49 years, female 10.3
GTEX-RWSA-0126-SM-2XCBB 40-49 years, male 10.3
GTEX-ZF28-0126-SM-4WKGK 60-69 years, male 10.3
GTEX-ZVTK-0426-SM-51MRS 20-29 years, male 10.3
GTEX-1H23P-0126-SM-ADEJ3 60-69 years, male 10.3
GTEX-1H3O1-0426-SM-9YFKY 60-69 years, male 10.3
GTEX-1ICLY-0126-SM-D4P36 50-59 years, male 10.3
GTEX-1J1OQ-0226-SM-CYPSH 40-49 years, female 10.3
GTEX-1KAFJ-2026-SM-CY8ID 50-59 years, male 10.3
GTEX-1NV5F-0226-SM-E8VNY 60-69 years, female 10.3
GTEX-S33H-1026-SM-EZ6L6 30-39 years, male 10.3
GTEX-1313W-0126-SM-5LZUN 50-59 years, female 10.2
GTEX-13O3Q-2426-SM-5IJBR 50-59 years, male 10.2
GTEX-WQUQ-0426-SM-3MJFU 60-69 years, male 10.2
GTEX-1GZHY-0326-SM-9QEHI 50-59 years, female 10.2
GTEX-1MCQQ-0826-SM-DLHC2 60-69 years, male 10.2
GTEX-11NSD-2226-SM-5986V 20-29 years, male 10.1
GTEX-S7SE-0126-SM-2XCD5 50-59 years, male 10.1
GTEX-1GPI6-0126-SM-9WG69 60-69 years, male 10.1
GTEX-1ICG6-2526-SM-CGQFZ 70-79 years, female 10.1
GTEX-1JMQK-0226-SM-CL543 60-69 years, male 10.1
GTEX-13YAN-0326-SM-5O9DF 60-69 years, male 10.0
GTEX-14DAQ-0126-SM-5S2MQ 60-69 years, female 10.0
GTEX-17HHE-2026-SM-79OKF 50-59 years, male 10.0
GTEX-18A66-0226-SM-718BD 60-69 years, male 10.0
GTEX-13OW6-0426-SM-5L3HM 50-59 years, male 9.9
GTEX-1J8Q2-0526-SM-CM2RW 60-69 years, male 9.9
GTEX-11DXY-2626-SM-5GIE7 60-69 years, male 9.8
GTEX-1211K-2026-SM-5EQ4Z 60-69 years, female 9.8
GTEX-131XW-0426-SM-5LZWP 50-59 years, female 9.8
GTEX-17HGU-0226-SM-7DHKV 50-59 years, male 9.8
GTEX-OXRN-0126-SM-48TDM 50-59 years, male 9.8
GTEX-X261-0126-SM-3NMD6 50-59 years, male 9.8
GTEX-1C64O-0126-SM-7SB8P 60-69 years, male 9.8
GTEX-1H3VY-0126-SM-ACKXD 50-59 years, male 9.8
GTEX-1KANB-0526-SM-E6CJH 50-59 years, male 9.8
GTEX-14PJ3-1826-SM-62LEX 50-59 years, male 9.7
GTEX-QVJO-1626-SM-2S1QW 60-69 years, female 9.7
GTEX-1F75A-0126-SM-7RHGM 50-59 years, male 9.7
GTEX-1R46S-0626-SM-E9J41 60-69 years, female 9.7
GTEX-SE5C-1626-SM-2XCE3 40-49 years, female 9.7
GTEX-15SB6-1726-SM-6PAME 50-59 years, female 9.6
GTEX-Y114-2426-SM-4TT8A 50-59 years, female 9.6
GTEX-1JMPY-1326-SM-ARL8Y 30-39 years, male 9.6
GTEX-1QP66-1726-SM-E8VO1 50-59 years, male 9.6
GTEX-Z93T-0126-SM-5HL5N 50-59 years, male 9.5
GTEX-ZY6K-1826-SM-5GZXK 50-59 years, male 9.5
GTEX-1A8FM-0226-SM-7SB7Q 50-59 years, female 9.5
GTEX-1POEN-0126-SM-EYYXJ 30-39 years, female 9.5
GTEX-13112-2826-SM-5DUWH 50-59 years, male 9.4
GTEX-ZU9S-0226-SM-5E441 30-39 years, male 9.4
GTEX-1EWIQ-0126-SM-7RHH2 70-79 years, female 9.4
GTEX-1I1GR-0126-SM-CL55F 60-69 years, male 9.4
GTEX-117YX-2326-SM-5H12W 50-59 years, male 9.3
GTEX-11ZTS-0126-SM-5EQ6M 60-69 years, female 9.3
GTEX-12WSJ-1826-SM-5GCNY 40-49 years, female 9.3
GTEX-13NZB-2526-SM-5J1OM 30-39 years, male 9.3
GTEX-13PDP-0126-SM-5L3HD 60-69 years, male 9.3
GTEX-1AX9K-2326-SM-73KWU 50-59 years, male 9.3
GTEX-P4PP-0126-SM-3LK69 30-39 years, female 9.3
GTEX-XYKS-2126-SM-4E3IB 60-69 years, female 9.3
GTEX-ZAK1-0126-SM-5IJD3 50-59 years, female 9.3
GTEX-1JKYR-0126-SM-CNPOJ 20-29 years, male 9.3
GTEX-1MCYP-1926-SM-E9J2R 20-29 years, female 9.3
GTEX-11DXX-2426-SM-5GZZW 60-69 years, female 9.2
GTEX-139TS-2826-SM-5J1OO 60-69 years, male 9.2
GTEX-14JG1-0426-SM-6ETZZ 40-49 years, male 9.2
GTEX-14PJM-0226-SM-62LF1 50-59 years, female 9.2
GTEX-18465-0126-SM-731BN 50-59 years, male 9.2
GTEX-1GZ4H-1726-SM-7PBZJ 50-59 years, female 9.2
GTEX-1HSEH-0126-SM-ACKXN 60-69 years, male 9.2
GTEX-1QP29-0626-SM-EWRMX 50-59 years, male 9.2
GTEX-PWCY-1826-SM-DHXIZ 20-29 years, female 9.2
GTEX-1CAMR-1926-SM-7EPI2 20-29 years, male 9.1
GTEX-U3ZH-2026-SM-3DB78 30-39 years, male 9.1
GTEX-1CB4H-0226-SM-7PBXM 60-69 years, female 9.1
GTEX-1I6K6-0126-SM-A9SLE 30-39 years, male 9.1
GTEX-11XUK-2026-SM-5EQLF 40-49 years, female 9.0
GTEX-1497J-2426-SM-7IGNX 60-69 years, male 9.0
GTEX-14C5O-0126-SM-5SI6N 60-69 years, male 9.0
GTEX-16NPX-0226-SM-79OMT 50-59 years, male 9.0
GTEX-SN8G-0126-SM-32PLI 50-59 years, female 9.0
GTEX-TSE9-0126-SM-3DB83 60-69 years, female 9.0
GTEX-XAJ8-0826-SM-47JY6 40-49 years, male 9.0
GTEX-ZYFD-0126-SM-5GIDL 50-59 years, male 9.0
GTEX-11GSO-2426-SM-5A5LY 60-69 years, male 8.9
GTEX-WYJK-0126-SM-3NMAB 50-59 years, male 8.9
GTEX-1GN1U-0126-SM-7PBZK 50-59 years, female 8.9
GTEX-1RDX4-0126-SM-E9J4P 50-59 years, female 8.9
GTEX-13X6J-0126-SM-5QGOU 50-59 years, male 8.8
GTEX-148VI-1626-SM-5SI6E 60-69 years, female 8.8
GTEX-1PPH7-2326-SM-EVYB8 40-49 years, male 8.8
GTEX-13NZA-0226-SM-5K7Z7 60-69 years, male 8.7
GTEX-1C4CL-0526-SM-73KVK 30-39 years, male 8.7
GTEX-O5YW-0126-SM-3LK6D 50-59 years, male 8.7
GTEX-XUW1-0426-SM-4BOOT 50-59 years, female 8.7
GTEX-1KWVE-1426-SM-E9TJO 30-39 years, male 8.7
GTEX-Y5V6-2426-SM-4VDSB 60-69 years, male 8.6
GTEX-12ZZX-0126-SM-5EGK9 40-49 years, female 8.5
GTEX-13W3W-2426-SM-5LU5B 60-69 years, female 8.5
GTEX-145MO-0326-SM-5Q5B3 60-69 years, male 8.5
GTEX-1B996-0226-SM-7RHGO 60-69 years, male 8.5
GTEX-1HSMQ-1226-SM-CGQFX 50-59 years, male 8.5
GTEX-1JMLX-0226-SM-CM2RO 50-59 years, male 8.5
GTEX-11DYG-0126-SM-59883 60-69 years, male 8.4
GTEX-12696-2426-SM-5EQ6H 60-69 years, male 8.4
GTEX-15DCD-0126-SM-7KUEK 70-79 years, female 8.4
GTEX-SJXC-0126-SM-2XCFF 60-69 years, male 8.4
GTEX-1AX9I-0126-SM-7SB74 60-69 years, male 8.4
GTEX-1H11D-0226-SM-9WG6Z 40-49 years, male 8.4
GTEX-1S5ZA-0126-SM-EVYCV 20-29 years, male 8.4
GTEX-113JC-2326-SM-5EQ4E 50-59 years, female 8.3
GTEX-139D8-0226-SM-5KLZO 30-39 years, female 8.3
GTEX-15CHC-2126-SM-6EU21 60-69 years, female 8.3
GTEX-17MFQ-1726-SM-793C7 20-29 years, male 8.3
GTEX-1C2JI-1826-SM-73KXC 50-59 years, male 8.3
GTEX-ZVE2-0226-SM-59HJB 50-59 years, male 8.3
GTEX-ZXES-1826-SM-5E43S 30-39 years, female 8.3
GTEX-117XS-2726-SM-5N9BL 60-69 years, male 8.2
GTEX-11DXZ-2326-SM-5EGGV 50-59 years, male 8.2
GTEX-145MN-2226-SM-5SIAU 30-39 years, male 8.2
GTEX-147GR-0526-SM-5S2MY 60-69 years, male 8.2
GTEX-Y5LM-1926-SM-5RQJH 40-49 years, female 8.2
GTEX-1HT8W-0126-SM-CNPPP 30-39 years, male 8.2
GTEX-1LBAC-0126-SM-DIPEZ 20-29 years, male 8.2
GTEX-1MUQO-0126-SM-EAZ58 60-69 years, male 8.2
GTEX-1O97I-0326-SM-EYYX7 60-69 years, male 8.2
GTEX-1269C-2526-SM-5EGJ3 60-69 years, female 8.1
GTEX-131XH-2226-SM-5DUXJ 50-59 years, male 8.1
GTEX-13O21-1426-SM-5K7XI 50-59 years, male 8.1
GTEX-1IDJH-0326-SM-A9SLQ 70-79 years, male 8.1
GTEX-1IGQW-0126-SM-COH42 60-69 years, male 8.1
GTEX-1R9K4-0126-SM-DTX9X 60-69 years, male 8.1
GTEX-131YS-0126-SM-5KM1M 60-69 years, female 8.0
GTEX-13IVO-0126-SM-5J1NG 70-79 years, male 8.0
GTEX-145ME-1826-SM-5SI9G 40-49 years, female 8.0
GTEX-14DAR-2026-SM-5S2O3 50-59 years, male 8.0
GTEX-XPVG-2626-SM-4B669 50-59 years, male 8.0
GTEX-1CB4F-0426-SM-9KNV4 60-69 years, male 8.0
GTEX-1HSKV-0226-SM-A9SKJ 60-69 years, male 8.0
GTEX-1IL2U-0226-SM-CE6T8 60-69 years, male 8.0
GTEX-1JMPZ-0226-SM-CNPP1 30-39 years, male 8.0
GTEX-14BIN-0626-SM-793DP 50-59 years, female 7.9
GTEX-ZYT6-0226-SM-5NQ6T 30-39 years, male 7.9
GTEX-1EX96-1626-SM-7PBXR 50-59 years, male 7.9
GTEX-1F7RK-0126-SM-7PC2S 20-29 years, female 7.9
GTEX-1GMRU-0126-SM-9YFLV 50-59 years, male 7.9
GTEX-12WSK-2326-SM-5GCOH 40-49 years, female 7.8
GTEX-12ZZZ-0626-SM-5DUXI 60-69 years, male 7.8
GTEX-1AMEY-1326-SM-73KYK 30-39 years, female 7.8
GTEX-1C64N-0126-SM-793D7 50-59 years, male 7.8
GTEX-1CB4E-2226-SM-793DC 60-69 years, male 7.8
GTEX-1EMGI-0126-SM-9KNUE 60-69 years, male 7.8
GTEX-1KD4Q-0226-SM-E9TJ9 40-49 years, male 7.8
GTEX-1N2DV-0226-SM-E6CJ6 40-49 years, male 7.8
GTEX-1S3DN-2226-SM-EVYCD 50-59 years, male 7.8
GTEX-11EI6-0126-SM-5985R 60-69 years, male 7.7
GTEX-12WSC-0126-SM-5EQ4P 50-59 years, male 7.7
GTEX-13FTW-2626-SM-5K7WL 40-49 years, male 7.7
GTEX-145MF-0626-SM-5LUAI 50-59 years, male 7.7
GTEX-145MI-0526-SM-5O9A8 60-69 years, female 7.7
GTEX-1EN7A-0126-SM-7SB81 40-49 years, male 7.7
GTEX-1J8JJ-0226-SM-CL53I 60-69 years, female 7.7
GTEX-11UD2-0226-SM-5EQKY 50-59 years, male 7.6
GTEX-11VI4-1726-SM-5CVLH 40-49 years, female 7.6
GTEX-17HG3-2226-SM-7938L 30-39 years, female 7.6
GTEX-1C6VR-2426-SM-79OLD 60-69 years, male 7.6
GTEX-S95S-1226-SM-4GICG 60-69 years, male 7.6
GTEX-1IOXB-0126-SM-ARL8G 50-59 years, male 7.6
GTEX-1QP9N-1426-SM-DTXFL 30-39 years, male 7.6
GTEX-13SLW-0126-SM-5SI6C 70-79 years, male 7.5
GTEX-145LT-1726-SM-5QGP3 40-49 years, male 7.5
GTEX-16BQI-0226-SM-7KUEX 30-39 years, female 7.5
GTEX-P4QT-0126-SM-2I3FL 50-59 years, female 7.5
GTEX-ZDTT-2726-SM-4WKF8 60-69 years, male 7.5
GTEX-1CB4G-0226-SM-7PC3O 60-69 years, male 7.5
GTEX-1J1R8-1726-SM-ARL8M 40-49 years, male 7.5
GTEX-OOBJ-0126-SM-E6CJW 60-69 years, male 7.5
GTEX-11OF3-2626-SM-5GU7F 60-69 years, male 7.4
GTEX-13NYB-2526-SM-5K7Z6 40-49 years, male 7.4
GTEX-14JG6-2226-SM-6EU2G 30-39 years, female 7.4
GTEX-15SHU-0126-SM-7KUEH 40-49 years, female 7.4
GTEX-1A3MV-1926-SM-718BT 30-39 years, male 7.4
GTEX-1B8KZ-2026-SM-7DHMB 50-59 years, male 7.4
GTEX-1BAJH-0526-SM-793CQ 70-79 years, male 7.4
GTEX-1EU9M-0226-SM-7P8SP 60-69 years, male 7.4
GTEX-13FTX-1826-SM-5J1NX 20-29 years, female 7.3
GTEX-14BMV-0126-SM-5S2PO 50-59 years, male 7.3
GTEX-15D1Q-0126-SM-7KUG6 40-49 years, male 7.3
GTEX-1HBPN-0226-SM-9YFM1 50-59 years, male 7.3
GTEX-1J8Q3-1626-SM-CMKGC 60-69 years, male 7.3
GTEX-1MGNQ-0126-SM-EVYCJ 40-49 years, male 7.3
GTEX-1399T-2826-SM-5KLYZ 60-69 years, male 7.2
GTEX-16GPK-0126-SM-7DHLE 60-69 years, male 7.2
GTEX-RWS6-2026-SM-2XCB5 60-69 years, female 7.2
GTEX-ZVT2-2526-SM-51MT1 50-59 years, female 7.2
GTEX-1JK1U-2026-SM-CM2RZ 60-69 years, male 7.2
GTEX-1KXAM-2226-SM-CYPTC 60-69 years, male 7.2
GTEX-11P81-2326-SM-59875 30-39 years, female 7.1
GTEX-13VXT-0126-SM-5LU4I 20-29 years, female 7.1
GTEX-14E6E-1826-SM-5S2R7 30-39 years, male 7.1
GTEX-1AMFI-2026-SM-731BH 50-59 years, female 7.1
GTEX-1B8KE-2126-SM-73KYX 50-59 years, male 7.1
GTEX-PX3G-0126-SM-2I3EN 20-29 years, female 7.1
GTEX-ZAB5-1826-SM-5HL7C 50-59 years, male 7.1
GTEX-13NYC-0326-SM-E9J4S 60-69 years, male 7.1
GTEX-1GMR8-0126-SM-9WYTM 50-59 years, female 7.1
GTEX-1GZ2Q-0226-SM-7P8TL 40-49 years, male 7.1
GTEX-1I19N-0326-SM-ACKVX 70-79 years, male 7.1
GTEX-1I1GV-0526-SM-A9G29 60-69 years, male 7.1
GTEX-ZVT4-0126-SM-DTXFN 50-59 years, female 7.1
GTEX-111FC-0126-SM-5N9DL 60-69 years, male 7.0
GTEX-TML8-1926-SM-32QOS 40-49 years, female 7.0
GTEX-WY7C-2326-SM-3NB2U 50-59 years, male 7.0
GTEX-1CAMS-0426-SM-7P8T2 40-49 years, female 7.0
GTEX-1F6RS-0126-SM-9MQKZ 60-69 years, female 7.0
GTEX-1GPI7-0126-SM-9MQL8 20-29 years, male 7.0
GTEX-12ZZY-0226-SM-5LZVE 60-69 years, male 6.9
GTEX-15ETS-0126-SM-7KUMW 40-49 years, female 6.9
GTEX-16NGA-1726-SM-731B4 40-49 years, female 6.9
GTEX-18A7B-0126-SM-7LG64 70-79 years, male 6.9
GTEX-1GN2E-0426-SM-9MQKX 60-69 years, male 6.9
GTEX-1JMQJ-0526-SM-CYPSU 50-59 years, male 6.9
GTEX-1PFEY-1526-SM-E76PP 30-39 years, male 6.9
GTEX-OIZF-0126-SM-7SB8I 60-69 years, male 6.9
GTEX-1122O-2126-SM-5EGIR 60-69 years, female 6.8
GTEX-147F3-0526-SM-5SI98 50-59 years, female 6.8
GTEX-UJHI-1526-SM-3DB99 50-59 years, female 6.8
GTEX-WFG8-2226-SM-3GIL9 20-29 years, male 6.8
GTEX-1HSGN-0226-SM-CGQFV 40-49 years, female 6.8
GTEX-1IKK5-0626-SM-ARL8A 60-69 years, male 6.8
GTEX-1PPH8-0226-SM-E8VND 20-29 years, male 6.8
GTEX-1QAET-0926-SM-E76QM 50-59 years, male 6.8
GTEX-131XE-2326-SM-5PNZ2 50-59 years, male 6.7
GTEX-WRHK-1426-SM-3MJF9 20-29 years, female 6.7
GTEX-ZWKS-0126-SM-5SIAA 30-39 years, male 6.7
GTEX-1GF9W-0326-SM-9KNUN 60-69 years, male 6.7
GTEX-1QCLY-0326-SM-E8VOG 30-39 years, male 6.7
GTEX-12WSA-0226-SM-5BC5V 60-69 years, male 6.6
GTEX-16XZZ-0126-SM-793DV 60-69 years, male 6.6
GTEX-T6MN-0126-SM-32PLP 50-59 years, male 6.6
GTEX-T8EM-1026-SM-3DB7M 40-49 years, male 6.6
GTEX-1QMI2-0226-SM-EVYBX 60-69 years, male 6.6
GTEX-1QP2A-0126-SM-E9J43 50-59 years, male 6.6
GTEX-13FHP-0126-SM-5IJBG 50-59 years, male 6.5
GTEX-P44H-0226-SM-2XCEU 40-49 years, male 6.5
GTEX-1JKYN-1326-SM-CGQG9 30-39 years, male 6.5
GTEX-11LCK-1026-SM-5A5KB 30-39 years, male 6.4
GTEX-13PVR-2326-SM-5QGR1 60-69 years, female 6.4
GTEX-13RTK-1426-SM-5QGQJ 20-29 years, male 6.4
GTEX-14PJ6-2126-SM-6EU1V 60-69 years, female 6.4
GTEX-17JCI-0126-SM-7LG5G 60-69 years, female 6.4
GTEX-1E1VI-0126-SM-7DHMZ 50-59 years, male 6.4
GTEX-1R7EV-2426-SM-EVYBG 40-49 years, male 6.4
GTEX-13OW8-1326-SM-5J1OW 60-69 years, male 6.3
GTEX-15ER7-0326-SM-7KUEV 20-29 years, female 6.3
GTEX-1OFPY-2426-SM-DTXEJ 60-69 years, male 6.3
GTEX-13S7M-0126-SM-5SI6A 60-69 years, female 6.2
GTEX-13X6H-2126-SM-7EWD5 50-59 years, female 6.2
GTEX-14BMU-2226-SM-5TDE9 20-29 years, female 6.2
GTEX-1H1E6-1726-SM-ACKVK 30-39 years, male 6.2
GTEX-1212Z-2526-SM-5EGKP 60-69 years, male 6.1
GTEX-12WSE-0526-SM-793B2 20-29 years, male 6.1
GTEX-13FXS-0226-SM-5IJCK 50-59 years, male 6.1
GTEX-13OVH-0126-SM-5MR4B 70-79 years, male 6.1
GTEX-1AX9J-0226-SM-73KXM 60-69 years, male 6.1
GTEX-YB5E-2026-SM-5IFIS 40-49 years, male 6.1
GTEX-1F5PL-0326-SM-7P8PQ 40-49 years, female 6.1
GTEX-1JN76-0126-SM-CNPPE 20-29 years, female 6.1
GTEX-1QPFJ-0226-SM-E76PB 30-39 years, female 6.1
GTEX-14LZ3-0226-SM-62LET 60-69 years, female 6.0
GTEX-14PN3-2426-SM-6LLHS 60-69 years, female 6.0
GTEX-18D9U-0226-SM-718BP 40-49 years, male 6.0
GTEX-ZV68-0126-SM-59HKS 50-59 years, female 6.0
GTEX-1K2DU-2326-SM-E9TIV 20-29 years, male 6.0
GTEX-1PIGE-0126-SM-EVYBJ 20-29 years, male 6.0
GTEX-145LU-0126-SM-5TDCB 50-59 years, male 5.9
GTEX-148VJ-0126-SM-5TDDN 70-79 years, male 5.9
GTEX-14PII-0226-SM-6EU1T 60-69 years, male 5.9
GTEX-15RIG-0226-SM-7KFTL 40-49 years, male 5.9
GTEX-1C6VS-0526-SM-7DUEN 60-69 years, male 5.9
GTEX-1F75B-0126-SM-9KNVL 50-59 years, male 5.9
GTEX-PSDG-0226-SM-DKPOZ 50-59 years, male 5.9
GTEX-1I4MK-2226-SM-ACKWD 50-59 years, female 5.8
GTEX-ZQG8-1626-SM-DHXIT 60-69 years, female 5.8
GTEX-13113-5016-SM-7EPIP 60-69 years, female 5.7
GTEX-VJWN-0126-SM-3GIK7 50-59 years, female 5.7
GTEX-Y8E4-0626-SM-4WWDL 40-49 years, male 5.7
GTEX-1OJC3-0126-SM-E76QX 20-29 years, male 5.7
GTEX-1S82Z-0826-SM-E6CHY 30-39 years, female 5.7
GTEX-13N2G-2626-SM-5J1OT 60-69 years, male 5.6
GTEX-13OVK-2026-SM-7KUEO 40-49 years, male 5.6
GTEX-17F96-1626-SM-7DUFL 70-79 years, male 5.6
GTEX-YB5K-2126-SM-4WWDJ 40-49 years, female 5.6
GTEX-13OW5-0126-SM-DTXFS 60-69 years, male 5.6
GTEX-1399R-2726-SM-5IJBA 30-39 years, male 5.5
GTEX-16AAH-1726-SM-7939C 50-59 years, male 5.5
GTEX-PVOW-0126-SM-2XCFA 40-49 years, male 5.5
GTEX-131XF-5016-SM-7MGWE 60-69 years, male 5.5
GTEX-1128S-2326-SM-5GZZY 60-69 years, female 5.4
GTEX-OXRK-0226-SM-3NB2G 50-59 years, female 5.4
GTEX-POMQ-2226-SM-2I5FK 20-29 years, female 5.4
GTEX-T6MO-1626-SM-32QOM 40-49 years, female 5.4
GTEX-TMMY-0226-SM-33HBA 40-49 years, female 5.4
GTEX-XQ8I-0426-SM-4BOPO 50-59 years, male 5.4
GTEX-1JMQI-2226-SM-CM2SD 50-59 years, male 5.4
GTEX-1JN6P-0126-SM-D3L98 60-69 years, male 5.4
GTEX-14PHX-2326-SM-62LEM 50-59 years, male 5.3
GTEX-17EUY-0426-SM-793BD 20-29 years, male 5.3
GTEX-S32W-2126-SM-2XCB1 50-59 years, female 5.3
GTEX-ZGAY-0526-SM-4WWBB 40-49 years, female 5.3
GTEX-1R7EU-0226-SM-EVR4G 60-69 years, male 5.3
GTEX-PLZ6-1426-SM-DKPOT 30-39 years, male 5.3
GTEX-1I1GT-0626-SM-CGQER 60-69 years, female 5.2
GTEX-XUZC-1726-SM-4BRWS 30-39 years, female 5.1
GTEX-Z9EW-1626-SM-5CVMN 40-49 years, male 5.1
GTEX-ZV6S-2326-SM-4YCEY 40-49 years, female 5.1
GTEX-ZXG5-0126-SM-5GIEU 60-69 years, male 5.1
GTEX-1I1GQ-0126-SM-COH3H 50-59 years, male 5.1
GTEX-13JUV-2726-SM-5LZZ8 40-49 years, female 5.0
GTEX-14753-0426-SM-5NQAM 60-69 years, male 5.0
GTEX-15F5U-1526-SM-6PANO 40-49 years, male 5.0
GTEX-1B8SF-1426-SM-7DUGL 60-69 years, male 5.0
GTEX-1HFI7-1826-SM-ACKXH 50-59 years, female 5.0
GTEX-1K2DA-1826-SM-CGQGT 50-59 years, male 5.0
GTEX-133LE-1826-SM-5J1MV 20-29 years, female 4.9
GTEX-OIZH-0126-SM-2HMIS 50-59 years, male 4.9
GTEX-XBEW-0626-SM-4QASP 40-49 years, male 4.9
GTEX-ZZ64-1726-SM-5GZYB 20-29 years, male 4.9
GTEX-1L5NE-2526-SM-E6CIE 50-59 years, male 4.9
GTEX-11EM3-2426-SM-59861 20-29 years, female 4.8
GTEX-14A5I-0126-SM-5TDEA 50-59 years, female 4.8
GTEX-ZYFG-2326-SM-5E44B 60-69 years, female 4.8
GTEX-1LGRB-2526-SM-CNPPQ 50-59 years, female 4.8
GTEX-ZTSS-1926-SM-57WEW 40-49 years, male 4.7
GTEX-ZVZP-2426-SM-59HKJ 50-59 years, male 4.7
GTEX-1M5QR-1226-SM-EWROB 40-49 years, male 4.7
GTEX-17EVP-0326-SM-7DHLG 40-49 years, male 4.6
GTEX-YJ89-0126-SM-4TT3X 60-69 years, male 4.6
GTEX-1E2YA-0126-SM-9KNUC 50-59 years, male 4.6
GTEX-1GF9V-0326-SM-7RHI5 60-69 years, male 4.6
GTEX-1KANA-0726-SM-D3L9I 20-29 years, male 4.6
GTEX-1MJK2-0426-SM-DTXE5 50-59 years, male 4.6
GTEX-1CB4I-0226-SM-79OLH 50-59 years, male 4.5
GTEX-11EQ9-2426-SM-5HL5T 30-39 years, male 4.4
GTEX-145LS-0126-SM-5QGP1 60-69 years, female 4.4
GTEX-1GL5R-1826-SM-9KNUY 50-59 years, male 4.4
GTEX-13D11-2426-SM-5KM1V 50-59 years, female 4.3
GTEX-1PIIG-0226-SM-EWRN6 30-39 years, male 4.3
GTEX-1IKJJ-0126-SM-CNPQB 60-69 years, male 4.2
GTEX-1LSNM-1926-SM-E6CII 50-59 years, male 4.2
GTEX-W5WG-1826-SM-4KL2Y 50-59 years, female 4.0
GTEX-1JMQL-0226-SM-CNPP5 50-59 years, female 4.0
GTEX-1R9PM-2026-SM-E76OY 20-29 years, male 4.0
GTEX-1CAMQ-0226-SM-7IGPK 40-49 years, male 3.9
GTEX-1GMR3-1926-SM-9KNUZ 40-49 years, male 3.9
GTEX-144GL-0126-SM-5TDE2 50-59 years, male 3.8
GTEX-WFON-2126-SM-3LK7O 40-49 years, male 3.8
GTEX-1HCU7-0226-SM-CL545 50-59 years, male 3.7
GTEX-1IDJU-2626-SM-CM2RT 60-69 years, female 3.7
GTEX-1J8QM-2126-SM-CYPSJ 60-69 years, female 3.7
GTEX-1JJEA-0326-SM-CNPOT 60-69 years, male 3.7
GTEX-139UW-2826-SM-5L3E7 60-69 years, male 3.6
GTEX-1C475-1826-SM-73KWA 40-49 years, female 3.6
GTEX-1JJ6O-0126-SM-E6CI8 60-69 years, male 3.6
GTEX-1PDJ9-0326-SM-DTX95 20-29 years, male 3.6
GTEX-1LGOU-2026-SM-DIPFF 20-29 years, female 3.5
GTEX-1HCU9-1526-SM-A9SL7 20-29 years, male 3.4
GTEX-1LG7Z-1726-SM-D3LA4 30-39 years, male 3.3
GTEX-1MA7W-2026-SM-E9TJ6 20-29 years, female 3.3
GTEX-18D9A-1926-SM-7LG6P 30-39 years, female 3.2
GTEX-Y5V5-2326-SM-4V6GA 60-69 years, female 3.2
GTEX-1LVAN-0226-SM-COH3S 50-59 years, female 3.2
GTEX-T5JW-1626-SM-3GADZ 20-29 years, female 3.0
GTEX-ZF2S-2326-SM-4WWCE 50-59 years, female 3.0
GTEX-1S83E-0126-SM-EWRO4 40-49 years, male 3.0
GTEX-15EU6-0426-SM-6PAN5 50-59 years, male 2.7
GTEX-1B97I-1626-SM-73KYO 40-49 years, male 2.7
GTEX-ZTX8-1426-SM-5DUVO 20-29 years, male 2.7
GTEX-1F5PK-2426-SM-7RHHY 50-59 years, male 2.7
GTEX-17GQL-2026-SM-718BA 60-69 years, male 2.6
GTEX-SNMC-1226-SM-2XCFP 20-29 years, male 2.6
GTEX-1KANC-1526-SM-D3LAB 50-59 years, female 2.0
GTEX-13111-1626-SM-5EGJY 50-59 years, male 1.9
Show allShow less

Contact

  • NEWS ARTICLES
  • PRESS ROOM

The Project

  • INTRODUCTION
  • ORGANIZATION
  • PUBLICATIONS

The Human Protein Atlas

  • DOWNLOADABLE DATA
  • LICENCE & CITATION
  • HELP & FAQ
The Human Protein Atlas project is funded
by the Knut & Alice Wallenberg Foundation.


contact@proteinatlas.org