We use cookies to enhance the usability of our website. If you continue, we'll assume that you are happy to receive all cookies. More information. Don't show this again.
UPK1A
HPA
RESOURCES
  • TISSUE
  • BRAIN
  • SINGLE CELL
  • SUBCELLULAR
  • CANCER
  • BLOOD
  • CELL LINE
  • STRUCTURE & INTERACTION
ABOUT
  • INTRODUCTION
  • HISTORY
  • ORGANIZATION
  • PUBLICATIONS
  • ANTIBODY SUBMISSION
  • ANTIBODY AVAILABILITY
  • ACKNOWLEDGMENTS
  • CONTACT
NEWS
  • NEWS ARTICLES
  • PRESS ROOM
LEARN
  • DICTIONARY
  • PROTEIN CLASSES
  • PROTEIN EVIDENCE
  • METHODS
  • EDUCATIONAL VIDEOS
DATA
  • DOWNLOADABLE DATA
  • PUBLICATION DATA
  • RELEASE HISTORY
HELP
  • ANTIBODY VALIDATION
  • ASSAYS & ANNOTATION
  • DISCLAIMER
  • HELP & FAQ
  • PRIVACY STATEMENT
  • LICENCE & CITATION
Fields »
Search result

Field
Term
Gene name
Class
Subclass
Class
Keyword
Chromosome
External id
Tissue
Cell type
Expression
Antibody panel
Tissue
Main location
Patient ID
Annotation
Tissue
Category
Tau score
Cluster
Reliability
Brain region
Category
Tau score
Brain region
Category
Tau score
Brain region
Category
Tau score
Cluster
Reliability
Tissue
Cell type
Enrichment
Cell type
Category
Tau score
Cell type
Category
Tau score
Cell type
Category
Tau score
Cell lineage
Category
Tau score
Cluster
Cluster
Location
Searches
Location
Cell line
Class
Type
Phase
Reliability
Cancer
Prognosis
Cancer
Category
Cancer
Category
Tau score
Cluster
Variants
Interacting gene (ensg_id)
Type
Number of interactions
Pathway
Category
Score
Score
Score
Validation
Validation
Validation
Validation
Antibodies
Data type
Column


  • SUMMARY

  • TISSUE

  • BRAIN

  • SINGLE CELL

  • SUBCELL

  • CANCER

  • BLOOD

  • CELL LINE

  • STRUCT & INT

  • UPK1A
TISSUE PRIMARY DATA SKIN Show tissue menu
ADIPOSE TISSUE ADRENAL GLAND AMYGDALA APPENDIX BASAL GANGLIA BONE MARROW BREAST BRONCHUS CEREBELLUM CEREBRAL CORTEX CERVIX CHOROID PLEXUS COLON DUODENUM
ENDOMETRIUM EPIDIDYMIS ESOPHAGUS FALLOPIAN TUBE GALLBLADDER HEART MUSCLE HIPPOCAMPAL FORMATION HYPOTHALAMUS KIDNEY LIVER LUNG LYMPH NODE MIDBRAIN NASOPHARYNX
ORAL MUCOSA OVARY PANCREAS PARATHYROID GLAND PITUITARY GLAND PLACENTA PROSTATE RECTUM RETINA SALIVARY GLAND SEMINAL VESICLE SKELETAL MUSCLE SKIN SMALL INTESTINE
SMOOTH MUSCLE SOFT TISSUE SPINAL CORD SPLEEN STOMACH TESTIS THYMUS THYROID GLAND TONGUE TONSIL URINARY BLADDER VAGINA
ANTIBODIES
AND
VALIDATION
Dictionary
Skin
Tissue proteome
Skin
SKIN - Expression summary
Protein expression
Skini

On the top, protein expression in current human tissue, based on all annotated cell types, is reported with the units not detected (n), low (l), medium (m) and high (h). Underneath, protein expression in each annotated cell type are reported using the same units.

Protein expression data is based on knowledge-based annotation. For genes where more than one antibody has been used, a collective score is set.

If knowledge-based annotation could not be performed for a gene, no data is displayed here. View antibody staining data further down this page.

h
m
l
n
Epidermal cells: Not detected
Fibroblasts: Not detected
Keratinocytes: Not detected
Langerhans: Not detected
Melanocytes: Not detected
RNA expressioni

A summary of mRNA expression data available for current tissue based on several datasets. The mRNA expression levels in human tissues are based on RNA-seq data generated by the Human Protein Atlas (HPA), Genotype-Tissue Expression (GTEx) portal and CAGE data generated by the FANTOM5 consortium. Consensus normalized expression levels for human tissues was created by combining the data from HPA and GTEx datasets.

The mRNA expression levels in pig are based on RNA-seq data generated by the Human Protein Atlas (HPA), and for mouse, HPA data and in situ hybridization generated by the Allen brain atlas are reported.

Scroll down to view mRNA expression data in more detail.
Consensus:13.3 nTPM
HPA:12.6 nTPM
GTEx:13.3 nTPM

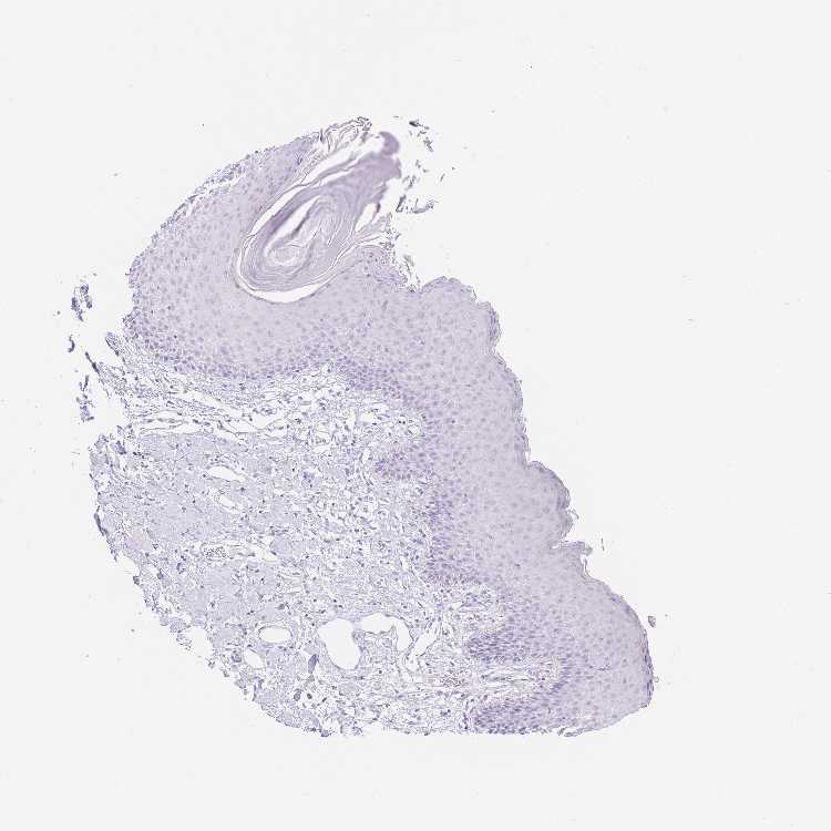
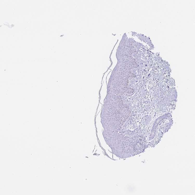
SKIN 1 - Antibody stainingi

Antibody staining in the annotated cell types in the current human tissue is reported as not detected, low, medium, or high, based on conventional immunohistochemistry profiling in selected tissues. This score is based on the combination of the staining intensity and fraction of stained cells.

Each image is clickable and will lead to virtual microscopy that enables deeper exploration of all samples and also displays staining intensity scores, fraction scores and subcellular localization as well as patient and tissue information for each sample.

Antibody HPA049879
Langerhans Not detected
Fibroblasts Not detected
Keratinocytes Not detected
Melanocytes Not detected

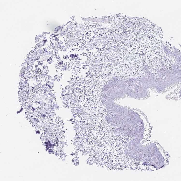
SKIN 2 - Antibody stainingi

Antibody staining in the annotated cell types in the current human tissue is reported as not detected, low, medium, or high, based on conventional immunohistochemistry profiling in selected tissues. This score is based on the combination of the staining intensity and fraction of stained cells.

Each image is clickable and will lead to virtual microscopy that enables deeper exploration of all samples and also displays staining intensity scores, fraction scores and subcellular localization as well as patient and tissue information for each sample.

Antibody HPA049879
Epidermal cells Not detected
 
 
 



SKIN - HPA RNA-seqi

The RNA-seq details section shows detailed information about the individual samples used for the transcript profiling and results of the RNA-seq analysis.

Information about each individual sample is listed below, including gender, age, a tissue section image and estimated fractions of cell types. nTPM (normalized transcripts per million) values give a quantification of the gene abundance which is comparable between different genes and samples.
Average nTPMi

Max subtype nTPM is the value for the subtype with the largest average nTPM across the subtype samples.

12.6
overview
Female, age 34
Skin sample 225
nTPM: 29.8
Cell types%
Keratinocytes:
60

Other cell types:
40

overview
Female, age 30
Skin sample 226
nTPM: 4
Cell types%
Keratinocytes:
55

Other cell types:
45

N/A
Male, age 57
Skin sample 227
nTPM: 4.1

SKIN - GTEx RNA-seqi

RNA-Seq data generated by the Genotype-Tissue Expression (GTEx) project from human tissues is reported as mean nTPM. More information can be found on the GTEx portal.

Distribution across the dataset is visualized with box plots, shown as median and 25th and 75th percentiles. Points are displayed as outliers if they are above or below 1.5 times the interquartile range. nTPM values of the individual samples are presented next to the box plot.
Max subtype nTPMi

Max subtype nTPM is the value for the subtype with the largest average nTPM across the subtype samples.

13.3
GTEx sample id Sample description nTPM
Skin - Not Sun Exposed (Suprapubic)
Average nTPM: 11.6
Samples: 604

Max nTPM: 123.2
Min nTPM: 0.0
Std nTPM: 17.8
Median nTPM: 4.5
GTEX-1JMPY-0226-SM-CKZOK 30-39 years, male 123.2
GTEX-1OJC3-1226-SM-DTXER 20-29 years, male 118.2
GTEX-1RMOY-1326-SM-E9TIH 50-59 years, male 108.6
GTEX-ZTX8-1326-SM-4YCEL 20-29 years, male 98.5
GTEX-111CU-1126-SM-5EGIM 50-59 years, male 93.4
GTEX-ZP4G-1426-SM-4WWCL 20-29 years, female 91.4
GTEX-18QFQ-1826-SM-72D52 30-39 years, male 87.2
GTEX-15RIG-0726-SM-7KUM7 40-49 years, male 83.6
GTEX-18A67-1626-SM-7LT9T 50-59 years, male 81.6
GTEX-1QP28-1126-SM-EVYC4 50-59 years, female 76.7
GTEX-WHSB-1326-SM-3LK6W 50-59 years, male 76.6
GTEX-WFG7-2026-SM-5SI7P 20-29 years, male 75.7
GTEX-1I1GV-0626-SM-ARL7M 60-69 years, male 75.4
GTEX-1QP9N-1226-SM-E76QN 30-39 years, male 74.6
GTEX-Y114-2126-SM-4TT8B 50-59 years, female 74.5
GTEX-14E1K-2026-SM-7DUEI 50-59 years, male 73.6
GTEX-ZPCL-1126-SM-4WWFE 60-69 years, female 73.2
GTEX-1HBPN-0126-SM-CGQEF 50-59 years, male 72.2
GTEX-1NSGN-0726-SM-DTXEF 50-59 years, male 67.3
GTEX-1IDJD-2326-SM-ACKWX 30-39 years, male 62.3
GTEX-XYKS-1426-SM-4BRUO 60-69 years, female 61.4
GTEX-1122O-1026-SM-9WYSF 60-69 years, female 60.3
GTEX-12ZZY-0726-SM-5EQ66 60-69 years, male 59.4
GTEX-ZF29-0926-SM-4WKFZ 60-69 years, female 56.8
GTEX-11NSD-0626-SM-5A5LU 20-29 years, male 53.1
GTEX-1I1GT-1026-SM-ARZLV 60-69 years, female 51.7
GTEX-11GS4-0226-SM-5HL77 60-69 years, male 51.5
GTEX-W5X1-2526-SM-3GILC 40-49 years, female 47.5
GTEX-1399S-0126-SM-5IJCF 30-39 years, female 47.3
GTEX-17F9E-2326-SM-79OKD 50-59 years, male 47.1
GTEX-1IKOE-1426-SM-CE6T7 30-39 years, female 46.9
GTEX-1LGRB-0926-SM-COH3K 50-59 years, female 44.2
GTEX-1399Q-2326-SM-5KM2X 40-49 years, male 44.0
GTEX-13JVG-0726-SM-5KM16 60-69 years, male 43.0
GTEX-1PIIG-2326-SM-DTXFR 30-39 years, male 42.6
GTEX-13112-0126-SM-5P9IU 50-59 years, male 42.4
GTEX-1GZ4H-0526-SM-9KNU9 50-59 years, female 42.4
GTEX-131XG-0326-SM-5L3DX 50-59 years, female 42.1
GTEX-1HT8W-0626-SM-A9G2H 30-39 years, male 40.1
GTEX-1CB4I-0126-SM-7RHGG 50-59 years, male 39.4
GTEX-1RAZS-2526-SM-E6CHT 50-59 years, male 39.2
GTEX-1EMGI-2326-SM-7PBYA 60-69 years, male 38.9
GTEX-14PK6-0226-SM-62LF5 70-79 years, female 38.6
GTEX-ZY6K-1426-SM-5GZX2 50-59 years, male 37.4
GTEX-15SHW-0226-SM-7LTAT 60-69 years, male 37.1
GTEX-1KANA-1326-SM-DIPFA 20-29 years, male 37.0
GTEX-1R7EU-1626-SM-DTXG3 60-69 years, male 37.0
GTEX-1N2DV-1526-SM-DTXEP 40-49 years, male 36.8
GTEX-1LBAC-0826-SM-CY8IJ 20-29 years, male 36.6
GTEX-1C2JI-1026-SM-73KY1 50-59 years, male 35.8
GTEX-XPVG-2126-SM-4B667 50-59 years, male 35.3
GTEX-1AMFI-1326-SM-7939R 50-59 years, female 35.0
GTEX-11P7K-1126-SM-5HL4L 30-39 years, male 34.6
GTEX-1HFI7-2326-SM-CGQFS 50-59 years, female 34.2
GTEX-15RJ7-2126-SM-6PAMD 40-49 years, male 32.7
GTEX-17MFQ-1526-SM-7KFRR 20-29 years, male 32.4
GTEX-145MG-1526-SM-5Q5EM 50-59 years, male 32.2
GTEX-1K9T9-1526-SM-DIPFR 50-59 years, female 31.6
GTEX-17F96-0126-SM-7EWDU 70-79 years, male 31.0
GTEX-1MCYP-0526-SM-E9U6Q 20-29 years, female 31.0
GTEX-1F52S-2926-SM-7MKGA 60-69 years, female 30.9
GTEX-11WQC-1826-SM-5GU59 60-69 years, male 30.6
GTEX-14C5O-0326-SM-5ZZUX 60-69 years, male 29.9
GTEX-1KAFJ-0126-SM-DIPEK 50-59 years, male 29.6
GTEX-1JJEA-1826-SM-ARU8P 60-69 years, male 29.5
GTEX-13X6I-1826-SM-5SIAO 60-69 years, male 29.1
GTEX-139YR-1026-SM-5LZYN 50-59 years, male 28.2
GTEX-1JN76-0626-SM-CKZOQ 20-29 years, female 27.8
GTEX-1QP29-1826-SM-DTX9S 50-59 years, male 27.8
GTEX-ZVZP-1226-SM-5GID7 50-59 years, male 27.6
GTEX-11DZ1-2426-SM-5GZZX 50-59 years, male 27.5
GTEX-XOT4-0626-SM-4B66L 60-69 years, female 27.1
GTEX-139UW-0326-SM-5J1ML 60-69 years, male 26.8
GTEX-WXYG-2026-SM-4E3IY 50-59 years, female 26.7
GTEX-1F88F-0126-SM-9WYSZ 60-69 years, female 26.7
GTEX-XBEC-0726-SM-4QARZ 50-59 years, male 26.5
GTEX-ZYFC-0426-SM-5GICQ 50-59 years, male 26.0
GTEX-1KANB-2826-SM-CY8I6 50-59 years, male 26.0
GTEX-XV7Q-1826-SM-4BRUV 40-49 years, female 25.9
GTEX-1E2YA-2126-SM-7MXUO 50-59 years, male 25.6
GTEX-145LS-0626-SM-7EPG7 60-69 years, female 25.0
GTEX-1B8KE-1126-SM-7EPHI 50-59 years, male 24.9
GTEX-1JJ6O-2726-SM-CNPOG 60-69 years, male 24.8
GTEX-1F75B-0726-SM-7PC3R 50-59 years, male 24.7
GTEX-13OVJ-0826-SM-5J1OK 50-59 years, female 24.4
GTEX-1313W-0626-SM-5EQ4H 50-59 years, female 24.2
GTEX-14JFF-0626-SM-5ZZVT 60-69 years, male 24.1
GTEX-1R9PM-1926-SM-EVR3O 20-29 years, male 24.1
GTEX-13VXT-1926-SM-5K7UO 20-29 years, female 23.7
GTEX-183FY-1026-SM-7939A 20-29 years, male 23.5
GTEX-145MN-1526-SM-5SI9T 30-39 years, male 23.3
GTEX-16MTA-0926-SM-6M47Z 50-59 years, male 23.3
GTEX-1GMR8-0626-SM-7RHI7 50-59 years, female 23.3
GTEX-13OW5-2326-SM-5L3HO 60-69 years, male 23.2
GTEX-1F88E-1626-SM-7SB8Z 60-69 years, female 23.0
GTEX-15DYW-2726-SM-6EU2I 60-69 years, female 22.8
GTEX-1B8KZ-0326-SM-73KY4 50-59 years, male 22.4
GTEX-131XH-0126-SM-5LZUY 50-59 years, male 22.3
GTEX-13G51-1826-SM-5KLZH 60-69 years, male 22.2
GTEX-Y5V5-0126-SM-5S2NW 60-69 years, female 22.0
GTEX-ZC5H-1526-SM-5HL9Y 40-49 years, female 21.4
GTEX-1RAZQ-1326-SM-E9TK6 30-39 years, male 21.0
GTEX-1F5PL-0926-SM-7PC2W 40-49 years, female 20.9
GTEX-1KANC-1226-SM-CYPT7 50-59 years, female 20.9
GTEX-1IDJH-0126-SM-D3L92 70-79 years, male 20.7
GTEX-1JMPZ-0726-SM-CY8HZ 30-39 years, male 20.6
GTEX-1J8QM-2426-SM-A9SLS 60-69 years, female 20.5
GTEX-13NYB-0126-SM-5J1MD 40-49 years, male 20.2
GTEX-13SLX-2226-SM-62LEP 50-59 years, female 20.2
GTEX-14JG1-1526-SM-5YY9X 40-49 years, male 20.2
GTEX-11ZU8-0126-SM-5EQ58 60-69 years, male 20.0
GTEX-XQ8I-0926-SM-4BOOF 50-59 years, male 19.5
GTEX-ZYT6-2326-SM-5GZY3 30-39 years, male 19.3
GTEX-16Z82-2626-SM-7KULU 60-69 years, male 19.2
GTEX-15CHQ-0326-SM-69LQD 60-69 years, male 19.0
GTEX-1M4P7-0726-SM-E6CJ3 60-69 years, male 18.9
GTEX-1MCC2-1826-SM-DIPEX 30-39 years, female 18.8
GTEX-17HHY-0426-SM-7DHLC 50-59 years, male 18.7
GTEX-145MI-0626-SM-5SI8S 60-69 years, female 18.5
GTEX-14AS3-1526-SM-5Q5ED 40-49 years, female 18.2
GTEX-1A3MX-2626-SM-7PC24 60-69 years, male 18.1
GTEX-15FZZ-0526-SM-7KUGD 30-39 years, female 17.9
GTEX-YFCO-1226-SM-5LUAT 40-49 years, male 17.7
GTEX-14JG6-1426-SM-9WG7C 30-39 years, female 17.7
GTEX-1CB4J-1326-SM-7P8RX 60-69 years, male 17.7
GTEX-XAJ8-1426-SM-47JYM 40-49 years, male 17.3
GTEX-139TS-2126-SM-5K7XC 60-69 years, male 17.0
GTEX-ZE9C-2526-SM-5IJDR 60-69 years, male 17.0
GTEX-1PBJJ-1026-SM-E76OS 30-39 years, male 17.0
GTEX-XBEW-1126-SM-4QARW 40-49 years, male 16.7
GTEX-13QJC-0126-SM-5ZZWJ 60-69 years, female 16.2
GTEX-1HKZK-0726-SM-ACKW2 40-49 years, male 16.2
GTEX-1GN1W-2426-SM-9KNUU 50-59 years, female 16.1
GTEX-15CHR-1126-SM-7EWF4 50-59 years, male 16.0
GTEX-1IL2V-1926-SM-B2LW8 70-79 years, male 15.9
GTEX-1AX9I-2226-SM-73KUO 60-69 years, male 15.6
GTEX-ZU9S-1826-SM-5NQ9E 30-39 years, male 15.6
GTEX-V1D1-2026-SM-3GAF4 50-59 years, male 15.5
GTEX-Y9LG-1126-SM-4VBQ7 30-39 years, male 15.5
GTEX-1JMQK-1226-SM-D4P2S 60-69 years, male 15.5
GTEX-1HB9E-0126-SM-CM2S5 50-59 years, male 15.4
GTEX-1QW4Y-1126-SM-DTXE3 30-39 years, male 15.4
GTEX-1LG7Z-1626-SM-CXKYR 30-39 years, male 15.1
GTEX-1N2EE-0626-SM-E76PW 60-69 years, male 15.1
GTEX-11DXZ-2026-SM-5987S 50-59 years, male 15.0
GTEX-1H3NZ-2726-SM-9WYTQ 60-69 years, male 14.0
GTEX-1HC8U-1326-SM-9YFMJ 40-49 years, female 14.0
GTEX-14PII-0726-SM-6EU2B 60-69 years, male 13.9
GTEX-11EM3-1226-SM-5N9DD 20-29 years, female 13.5
GTEX-WHWD-1826-SM-3LK6I 50-59 years, male 13.2
GTEX-14DAQ-0626-SM-793DS 60-69 years, female 12.9
GTEX-ZAB4-2126-SM-5HL8U 40-49 years, male 12.9
GTEX-1IE54-1126-SM-A9G2Z 40-49 years, female 12.8
GTEX-16MT8-2926-SM-7DUFO 60-69 years, female 12.7
GTEX-1S831-1826-SM-EWROF 20-29 years, male 12.6
GTEX-1192X-2726-SM-5N9DN 50-59 years, male 12.5
GTEX-16NGA-0726-SM-731AO 40-49 years, female 12.5
GTEX-ZF2S-1626-SM-57WES 50-59 years, female 12.5
GTEX-1CAMR-1326-SM-7PC1F 20-29 years, male 12.5
GTEX-13OVL-0126-SM-5L3GJ 50-59 years, male 12.3
GTEX-17F9Y-0126-SM-79OKX 70-79 years, female 12.3
GTEX-1IDJV-0126-SM-COH3Y 60-69 years, male 12.2
GTEX-11EQ8-0926-SM-5H12V 60-69 years, male 12.1
GTEX-ZA64-1026-SM-5HL8R 20-29 years, male 11.7
GTEX-1JMQI-1726-SM-ARL93 50-59 years, male 11.7
GTEX-1H23P-0626-SM-9WG6T 60-69 years, male 11.6
GTEX-ZYVF-0926-SM-5E44J 50-59 years, female 11.4
GTEX-1LKK1-2626-SM-DKPQE 50-59 years, female 11.4
GTEX-YEC3-1326-SM-DO92X 50-59 years, male 11.4
GTEX-1399U-1126-SM-5L3DB 50-59 years, female 11.3
GTEX-17HHE-1326-SM-7EWDZ 50-59 years, male 11.3
GTEX-Y8LW-1526-SM-5IFHL 50-59 years, female 11.1
GTEX-1JMQL-2226-SM-CNPP4 50-59 years, female 11.1
GTEX-U8XE-0226-SM-4E3J3 30-39 years, male 11.0
GTEX-WEY5-2326-SM-3GIKK 40-49 years, female 11.0
GTEX-131XF-2626-SM-5EQ6K 60-69 years, male 10.9
GTEX-1H1ZS-2726-SM-9WG75 70-79 years, male 10.8
GTEX-11ZTT-2126-SM-5CVLO 60-69 years, female 10.7
GTEX-1J8Q3-0526-SM-ARL8U 60-69 years, male 10.7
GTEX-1S5ZU-2526-SM-E6CIF 20-29 years, female 10.7
GTEX-1OJC4-2726-SM-E76PJ 50-59 years, female 10.6
GTEX-1JMQJ-0826-SM-CNPP7 50-59 years, male 10.5
GTEX-1LB8K-0726-SM-D5OV2 50-59 years, male 10.5
GTEX-ZDTT-0426-SM-4WKFL 60-69 years, male 10.4
GTEX-ZTSS-1426-SM-5985P 40-49 years, male 10.3
GTEX-12WSL-2026-SM-5GCML 50-59 years, male 10.2
GTEX-17EVQ-0126-SM-7IGLR 70-79 years, male 10.2
GTEX-1HSMQ-2626-SM-A9SML 50-59 years, male 10.2
GTEX-144GM-0526-SM-79OJO 20-29 years, male 10.0
GTEX-ZVP2-0326-SM-57WBP 50-59 years, male 10.0
GTEX-14DAR-1226-SM-73KYV 50-59 years, male 9.9
GTEX-11ZUS-2626-SM-5FQUR 30-39 years, male 9.7
GTEX-13FTW-0326-SM-5K7UW 40-49 years, male 9.7
GTEX-14PKV-1126-SM-6LLJ1 20-29 years, female 9.7
GTEX-1J8Q2-2626-SM-ACKWQ 60-69 years, male 9.7
GTEX-12WSJ-1126-SM-5LZVJ 40-49 years, female 9.6
GTEX-13QBU-1226-SM-5LU4G 40-49 years, female 9.6
GTEX-139D8-1126-SM-5LU8W 30-39 years, female 9.5
GTEX-16AAH-0626-SM-793C9 50-59 years, male 9.4
GTEX-15RIE-1926-SM-7KUKJ 60-69 years, male 9.3
GTEX-12584-0726-SM-5FQTK 40-49 years, male 9.2
GTEX-13OVK-1426-SM-6PAN7 40-49 years, male 9.2
GTEX-1F48J-0726-SM-7RHGS 50-59 years, female 9.2
GTEX-1PIGE-1826-SM-E8VOU 20-29 years, male 9.2
GTEX-14ICL-1626-SM-5YYAO 30-39 years, male 9.1
GTEX-11LCK-2226-SM-5HL4Q 30-39 years, male 9.0
GTEX-17KNJ-2126-SM-718AM 50-59 years, male 9.0
GTEX-1J1R8-2026-SM-CL53Y 40-49 years, male 8.8
GTEX-1LGOU-1326-SM-D3L8M 20-29 years, female 8.6
GTEX-13W3W-0726-SM-5IJDQ 60-69 years, female 8.4
GTEX-1AX8Z-0726-SM-73KTS 60-69 years, male 8.4
GTEX-1314G-1326-SM-5BC6E 30-39 years, male 8.3
GTEX-14LZ3-0126-SM-69LPM 60-69 years, female 8.3
GTEX-Y5V6-2326-SM-4VDSA 60-69 years, male 8.3
GTEX-1ICG6-1226-SM-A9SLN 70-79 years, female 8.3
GTEX-ZT9X-1526-SM-5DUXD 40-49 years, male 8.2
GTEX-1F5PK-2226-SM-7SB6N 50-59 years, male 8.1
GTEX-1F6I4-2326-SM-7RHGL 60-69 years, male 8.1
GTEX-13113-1626-SM-5EQ4I 60-69 years, female 8.0
GTEX-11GSP-2326-SM-5HL63 60-69 years, female 7.9
GTEX-1A8G7-1326-SM-73KVM 60-69 years, male 7.9
GTEX-1HFI6-0126-SM-CNPPI 40-49 years, male 7.7
GTEX-1QP2A-1726-SM-E76QC 50-59 years, male 7.7
GTEX-UPJH-0226-SM-3GADV 50-59 years, male 7.6
GTEX-Y5LM-0926-SM-6LLJG 40-49 years, female 7.6
GTEX-ZAJG-1526-SM-5CVML 50-59 years, female 7.6
GTEX-ZDXO-3126-SM-5IJDF 60-69 years, male 7.6
GTEX-X8HC-0626-SM-4E3HQ 50-59 years, female 7.5
GTEX-1I4MK-0126-SM-CY8G6 50-59 years, female 7.5
GTEX-1ICLZ-0326-SM-ARL82 60-69 years, male 7.5
GTEX-13IVO-0726-SM-5LZYV 70-79 years, male 7.4
GTEX-1QEPI-2626-SM-DTXF4 60-69 years, female 7.4
GTEX-14PJN-1826-SM-6AJ98 30-39 years, male 7.3
GTEX-ZTTD-2826-SM-4YCFA 50-59 years, male 7.3
GTEX-14PJ6-2626-SM-6EU2T 60-69 years, female 7.1
GTEX-YEC4-1826-SM-4W1YP 40-49 years, male 7.1
GTEX-1HGF4-0126-SM-CNPPX 60-69 years, male 7.1
GTEX-ZVT2-0126-SM-5GIDQ 50-59 years, female 6.8
GTEX-18D9A-1426-SM-7LT8M 30-39 years, female 6.8
GTEX-1LSNM-0826-SM-DIPG8 50-59 years, male 6.8
GTEX-ZF3C-0626-SM-DO92O 50-59 years, female 6.7
GTEX-WHPG-2626-SM-3NMBR 50-59 years, male 6.6
GTEX-1GN2E-0226-SM-9WG6K 60-69 years, male 6.6
GTEX-1477Z-0326-SM-7IGLA 60-69 years, male 6.5
GTEX-14LLW-2626-SM-62LDZ 70-79 years, female 6.4
GTEX-18A7A-0126-SM-731AH 50-59 years, female 6.4
GTEX-11EQ9-1626-SM-5PNY8 30-39 years, male 6.3
GTEX-14BMU-1226-SM-5S2OR 20-29 years, female 6.3
GTEX-1CB4F-1026-SM-7DUH1 60-69 years, male 6.3
GTEX-11DXX-2126-SM-5PNYR 60-69 years, female 6.2
GTEX-145ME-1726-SM-5Q5EU 40-49 years, female 6.2
GTEX-YECK-0326-SM-4W1YS 60-69 years, male 6.2
GTEX-11O72-0626-SM-5PNYE 40-49 years, male 6.1
GTEX-1H2FU-0926-SM-9WPPT 60-69 years, female 6.1
GTEX-1J8EW-2726-SM-CY8HR 60-69 years, female 6.1
GTEX-11P81-2226-SM-5PNYI 30-39 years, female 6.0
GTEX-17F98-1326-SM-7DUEP 40-49 years, female 6.0
GTEX-1POEN-2326-SM-E9J2L 30-39 years, female 6.0
GTEX-1IKJJ-2226-SM-CJI4C 60-69 years, male 5.9
GTEX-1PDJ9-1226-SM-EXUSX 20-29 years, male 5.9
GTEX-ZLV1-1526-SM-DO91J 60-69 years, female 5.9
GTEX-13FTX-1526-SM-5K7VJ 20-29 years, female 5.8
GTEX-16BQI-1326-SM-6M486 30-39 years, female 5.8
GTEX-1LVAN-0626-SM-CNPOQ 50-59 years, female 5.8
GTEX-13OW6-2726-SM-5J2OE 50-59 years, male 5.7
GTEX-18D9U-0126-SM-731BM 40-49 years, male 5.7
GTEX-X4EO-2926-SM-4E3JH 60-69 years, female 5.7
GTEX-1I6K6-1726-SM-CGQFD 30-39 years, male 5.5
GTEX-14A6H-2026-SM-5Q5DD 30-39 years, male 5.4
GTEX-1B97I-0626-SM-73KUZ 40-49 years, male 5.4
GTEX-1I1GP-1326-SM-A9G28 50-59 years, male 5.4
GTEX-11TUW-0626-SM-5LU9M 60-69 years, male 5.3
GTEX-145LT-0526-SM-5LUB2 40-49 years, male 5.3
GTEX-1B8SF-0126-SM-7DUG3 60-69 years, male 5.3
GTEX-1EX96-1026-SM-7MKG2 50-59 years, male 5.3
GTEX-Z93S-1626-SM-5CVMB 50-59 years, male 5.3
GTEX-13JUV-2026-SM-5K7UA 40-49 years, female 5.2
GTEX-14PJO-2526-SM-6AJBQ 60-69 years, male 5.2
GTEX-1H4P4-2126-SM-9WYSL 50-59 years, male 5.2
GTEX-1HCU7-0726-SM-A9SL1 50-59 years, male 5.2
GTEX-ZXG5-2126-SM-59HKD 60-69 years, male 5.1
GTEX-1JMLX-0626-SM-ARL8T 50-59 years, male 5.1
GTEX-1BAJH-2426-SM-7IGP8 70-79 years, male 5.0
GTEX-WYVS-1626-SM-3NM9R 40-49 years, female 5.0
GTEX-1S82P-2126-SM-E6CI5 60-69 years, female 5.0
GTEX-133LE-2326-SM-5K7W3 20-29 years, female 4.9
GTEX-17F97-2626-SM-7IGM5 50-59 years, male 4.9
GTEX-Y8E4-2026-SM-5IFJB 40-49 years, male 4.8
GTEX-ZDTS-0826-SM-4WKHL 60-69 years, male 4.8
GTEX-1KWVE-1026-SM-D3L9O 30-39 years, male 4.8
GTEX-1LVAO-2726-SM-E9TJ8 60-69 years, male 4.8
GTEX-13SLW-0626-SM-5Q5ER 70-79 years, male 4.7
GTEX-ZVE2-2826-SM-5GU51 50-59 years, male 4.7
GTEX-1F75A-0726-SM-7RHHD 50-59 years, male 4.7
GTEX-1GPI7-1826-SM-9KNU1 20-29 years, male 4.7
GTEX-1CB4H-1126-SM-7MKGL 60-69 years, female 4.6
GTEX-XUW1-0926-SM-4BONX 50-59 years, female 4.6
GTEX-ZAK1-0626-SM-5HL8E 50-59 years, female 4.6
GTEX-1GF9W-1426-SM-7PBYM 60-69 years, male 4.6
GTEX-13NZ9-2626-SM-5L3FK 50-59 years, male 4.5
GTEX-15RJE-2826-SM-7KUM9 40-49 years, male 4.5
GTEX-XK95-0226-SM-4AT58 40-49 years, male 4.5
GTEX-1B8L1-2226-SM-7P8PT 60-69 years, male 4.5
GTEX-1K2DU-1226-SM-CYPT4 20-29 years, male 4.5
GTEX-11DXY-0126-SM-5H11Q 60-69 years, male 4.4
GTEX-1A3MV-1826-SM-731CD 30-39 years, male 4.4
GTEX-ZWKS-0626-SM-5GIDV 30-39 years, male 4.4
GTEX-1GL5R-1326-SM-7RHHF 50-59 years, male 4.4
GTEX-1HSMO-0626-SM-ACKXC 60-69 years, male 4.4
GTEX-1K2DA-1026-SM-CGQGF 50-59 years, male 4.4
GTEX-12C56-1526-SM-5FQUQ 20-29 years, male 4.3
GTEX-13PL6-1126-SM-5L3IE 40-49 years, female 4.3
GTEX-1C64N-2626-SM-7PC2N 50-59 years, male 4.3
GTEX-1LVAM-0726-SM-E6CIL 50-59 years, female 4.3
GTEX-1R9PN-0426-SM-DTXDT 40-49 years, female 4.3
GTEX-ZZ64-1026-SM-5GZXG 20-29 years, male 4.2
GTEX-ZPIC-0526-SM-DO91W 40-49 years, female 4.2
GTEX-UPK5-0426-SM-3GAEK 40-49 years, male 4.1
GTEX-Y111-0626-SM-4SOIT 50-59 years, male 4.1
GTEX-11P82-1426-SM-DTXFY 20-29 years, male 4.1
GTEX-1HBPI-2126-SM-ARL9K 50-59 years, male 4.1
GTEX-1PPGY-1626-SM-EVYBL 60-69 years, male 4.1
GTEX-1R46S-2426-SM-E76QA 60-69 years, female 4.1
GTEX-1S3DN-2126-SM-E9TIN 50-59 years, male 4.1
GTEX-131YS-2826-SM-5EQ47 60-69 years, female 4.0
GTEX-XMD2-2126-SM-4YCF8 60-69 years, female 4.0
GTEX-1H1DG-2426-SM-9QEHJ 70-79 years, male 4.0
GTEX-15ER7-0626-SM-6PANF 20-29 years, female 3.9
GTEX-WYJK-0526-SM-3NM8Z 50-59 years, male 3.9
GTEX-1HCVE-2726-SM-CL54F 50-59 years, male 3.9
GTEX-147F4-0726-SM-5TDDD 50-59 years, male 3.8
GTEX-14PJ5-1526-SM-6LLIL 60-69 years, female 3.8
GTEX-ZYY3-2926-SM-5GIEB 60-69 years, female 3.8
GTEX-111YS-1526-SM-5GZYW 60-69 years, male 3.7
GTEX-11UD2-2526-SM-5CVNU 50-59 years, male 3.7
GTEX-144GL-0626-SM-5LU4D 50-59 years, male 3.7
GTEX-18A6Q-0626-SM-7KFRP 60-69 years, male 3.7
GTEX-ZZPU-0826-SM-5GZX5 50-59 years, female 3.7
GTEX-1GMRU-2126-SM-7P8RA 50-59 years, male 3.7
GTEX-1A8G6-2726-SM-731AR 60-69 years, male 3.6
GTEX-1C6WA-2626-SM-7MKGM 60-69 years, male 3.6
GTEX-1JKYR-0626-SM-ARL8R 20-29 years, male 3.6
GTEX-11WQK-1026-SM-5EQLX 50-59 years, male 3.5
GTEX-13X6J-0626-SM-5LU5F 50-59 years, male 3.5
GTEX-X5EB-1926-SM-4E3IW 40-49 years, male 3.5
GTEX-1GN73-0726-SM-7P8TJ 60-69 years, male 3.5
GTEX-1GPI6-1926-SM-9KNV7 60-69 years, male 3.5
GTEX-1IDJF-2026-SM-CL53V 20-29 years, male 3.5
GTEX-1MJK3-0726-SM-E6CJC 20-29 years, male 3.5
GTEX-1B933-2426-SM-7DHMD 50-59 years, female 3.4
GTEX-ZT9W-1126-SM-57WDR 50-59 years, male 3.4
GTEX-1H3O1-1326-SM-9MQLD 60-69 years, male 3.4
GTEX-12WSM-1926-SM-5BC65 60-69 years, male 3.3
GTEX-145LU-1926-SM-79OJN 50-59 years, male 3.3
GTEX-1B932-2326-SM-79OL5 40-49 years, female 3.3
GTEX-1C475-1326-SM-7SB73 40-49 years, female 3.3
GTEX-1HCU9-0426-SM-9WYSD 20-29 years, male 3.3
GTEX-13NYS-0626-SM-5L3F1 60-69 years, male 3.2
GTEX-1H1E6-0426-SM-9WYUS 30-39 years, male 3.2
GTEX-11NUK-2726-SM-5A5MC 50-59 years, male 3.1
GTEX-12WSH-1526-SM-5BC5W 50-59 years, male 3.1
GTEX-13PVQ-0626-SM-5LU47 50-59 years, male 3.1
GTEX-145MO-2826-SM-5LU96 60-69 years, male 3.1
GTEX-16YQH-2226-SM-7IGM2 30-39 years, male 3.1
GTEX-ZVT4-2426-SM-5GIEI 50-59 years, female 3.1
GTEX-12696-0126-SM-5EQ4L 60-69 years, male 3.0
GTEX-13RTJ-0126-SM-5S2NN 60-69 years, male 3.0
GTEX-1EH9U-2826-SM-7DUGT 60-69 years, male 3.0
GTEX-1GMR3-0126-SM-A9SLW 40-49 years, male 3.0
GTEX-11EI6-2826-SM-5H11D 60-69 years, male 2.9
GTEX-1269C-0126-SM-5EQ5L 60-69 years, female 2.9
GTEX-12WSF-1626-SM-7KUG5 70-79 years, male 2.9
GTEX-147GR-2426-SM-5ZZWQ 60-69 years, male 2.9
GTEX-17EVP-2626-SM-7IGMA 40-49 years, male 2.9
GTEX-1C6VR-0126-SM-7RHGB 60-69 years, male 2.9
GTEX-1HCUA-0826-SM-ADEHM 50-59 years, female 2.9
GTEX-1LSNL-2726-SM-E9TKJ 50-59 years, male 2.9
GTEX-139T8-0626-SM-5KLZX 60-69 years, male 2.8
GTEX-13FTY-2126-SM-5IFFB 40-49 years, female 2.8
GTEX-Y3I4-1726-SM-4TT89 50-59 years, male 2.8
GTEX-139TT-2126-SM-5LZWC 60-69 years, male 2.7
GTEX-XBED-1926-SM-47JYP 60-69 years, male 2.7
GTEX-1A8FM-0626-SM-7PC25 50-59 years, female 2.7
GTEX-1QCLZ-2426-SM-EVYBW 60-69 years, female 2.7
GTEX-12KS4-2126-SM-5FQUT 30-39 years, male 2.6
GTEX-147F3-1726-SM-5SIAW 50-59 years, female 2.6
GTEX-183WM-0326-SM-72D5V 70-79 years, female 2.6
GTEX-1AMEY-0826-SM-72D65 30-39 years, female 2.6
GTEX-1QCLY-0226-SM-EWRNH 30-39 years, male 2.6
GTEX-1S82U-1026-SM-E6CJK 30-39 years, female 2.6
GTEX-14BIN-1126-SM-5RQJZ 50-59 years, female 2.5
GTEX-14E6E-0526-SM-793DN 30-39 years, male 2.5
GTEX-1HSGN-0826-SM-ACKW3 40-49 years, female 2.5
GTEX-1HSKV-1226-SM-ADEI4 60-69 years, male 2.5
GTEX-1IDJU-1726-SM-CMKHU 60-69 years, female 2.5
GTEX-1N5O9-0926-SM-E9J3C 60-69 years, male 2.5
GTEX-12WSC-2826-SM-5BC5Y 50-59 years, male 2.4
GTEX-13NYC-0126-SM-5L3F4 60-69 years, male 2.4
GTEX-YJ8O-2526-SM-5HL85 40-49 years, female 2.4
GTEX-ZLWG-0826-SM-59888 50-59 years, female 2.4
GTEX-1CAMQ-1326-SM-7P8RV 40-49 years, male 2.4
GTEX-1GF9V-0826-SM-9KNUV 60-69 years, male 2.4
GTEX-1GN1U-0626-SM-9MQL9 50-59 years, female 2.4
GTEX-13FH7-1126-SM-5K7UG 50-59 years, female 2.3
GTEX-13O3Q-0126-SM-5KM34 50-59 years, male 2.3
GTEX-144GO-2026-SM-5O99P 60-69 years, male 2.3
GTEX-178AV-1726-SM-7KUL8 40-49 years, male 2.3
GTEX-1EKGG-0626-SM-7DUGJ 60-69 years, male 2.3
GTEX-VJYA-1526-SM-3GIJV 60-69 years, male 2.3
GTEX-1LG7Y-2526-SM-EWRO7 50-59 years, male 2.3
GTEX-16XZZ-0726-SM-7KUF2 60-69 years, male 2.2
GTEX-1AX9J-1326-SM-731BJ 60-69 years, male 2.2
GTEX-X3Y1-2026-SM-3P5YM 40-49 years, male 2.2
GTEX-1GF9X-1326-SM-7PC2Y 40-49 years, female 2.2
GTEX-13PDP-0726-SM-5L3HP 60-69 years, male 2.1
GTEX-145MF-0926-SM-5Q5EA 50-59 years, male 2.1
GTEX-14XAO-1226-SM-6EU1C 60-69 years, female 2.1
GTEX-15UF6-1926-SM-7KUDV 70-79 years, female 2.1
GTEX-13D11-0926-SM-5J2NC 50-59 years, female 2.0
GTEX-13YAN-0226-SM-5TDC6 60-69 years, male 2.0
GTEX-14PHY-1226-SM-5ZZWK 60-69 years, female 2.0
GTEX-18D9B-0926-SM-7LG4U 60-69 years, male 2.0
GTEX-WH7G-2026-SM-3NMBL 40-49 years, male 2.0
GTEX-1H1DE-1326-SM-9KNUG 20-29 years, male 2.0
GTEX-1HCU8-2526-SM-CE6RX 60-69 years, female 2.0
GTEX-1211K-1526-SM-5FQU4 60-69 years, female 1.9
GTEX-13OW8-1026-SM-5J1NQ 60-69 years, male 1.9
GTEX-1A32A-0626-SM-731AQ 50-59 years, female 1.9
GTEX-1EN7A-2426-SM-793DB 40-49 years, male 1.9
GTEX-1C64O-1326-SM-7MGWR 60-69 years, male 1.9
GTEX-1F6RS-2026-SM-7RHHC 60-69 years, female 1.9
GTEX-1PPH7-1126-SM-DTX9A 40-49 years, male 1.9
GTEX-1QPFJ-1926-SM-EVYBD 30-39 years, female 1.9
GTEX-117YX-1926-SM-5GIEC 50-59 years, male 1.8
GTEX-11VI4-1126-SM-5EQMD 40-49 years, female 1.8
GTEX-14A5H-0826-SM-5QGPJ 60-69 years, male 1.8
GTEX-18A7B-2726-SM-7LG56 70-79 years, male 1.8
GTEX-WY7C-2126-SM-3NB2R 50-59 years, male 1.8
GTEX-YB5K-2026-SM-4VDT3 40-49 years, female 1.8
GTEX-ZE7O-2726-SM-51MT5 50-59 years, female 1.8
GTEX-1I1HK-2326-SM-CKZOH 60-69 years, male 1.8
GTEX-1JN6P-2926-SM-CL54D 60-69 years, male 1.8
GTEX-1QP66-1226-SM-DTX7U 50-59 years, male 1.8
GTEX-13VXU-0626-SM-5L3F9 50-59 years, male 1.7
GTEX-14ABY-2026-SM-62LDL 50-59 years, male 1.7
GTEX-15CHC-1126-SM-6LLHQ 60-69 years, female 1.7
GTEX-15EU6-2226-SM-6EU2L 50-59 years, male 1.7
GTEX-Y3IK-1626-SM-4YCF5 50-59 years, female 1.7
GTEX-ZYW4-0626-SM-59HJR 60-69 years, male 1.7
GTEX-1H1DF-1126-SM-9WG7G 40-49 years, female 1.7
GTEX-1HSMP-0926-SM-A9SKX 70-79 years, male 1.7
GTEX-1IDJE-1426-SM-ADEIW 50-59 years, female 1.7
GTEX-1J8JJ-0626-SM-ARZMQ 60-69 years, female 1.7
GTEX-1KXAM-1626-SM-D3LAD 60-69 years, male 1.7
GTEX-1RAZR-2126-SM-E9U6T 40-49 years, male 1.7
GTEX-12ZZZ-0726-SM-5GCNZ 60-69 years, male 1.6
GTEX-13O61-1426-SM-5KM3D 60-69 years, male 1.6
GTEX-13OW7-0426-SM-5K7VK 50-59 years, male 1.6
GTEX-14PJ4-0226-SM-5YY92 60-69 years, male 1.6
GTEX-WI4N-2726-SM-3LK7Y 40-49 years, female 1.6
GTEX-ZLFU-1826-SM-4WWBV 40-49 years, male 1.6
GTEX-1GN1V-2826-SM-9JGIA 60-69 years, male 1.6
GTEX-1HR9M-2226-SM-CNPPY 60-69 years, male 1.6
GTEX-1212Z-0126-SM-59HK4 60-69 years, male 1.5
GTEX-18465-2826-SM-7LT9J 50-59 years, male 1.5
GTEX-1QMI2-2526-SM-E8VNZ 60-69 years, male 1.5
GTEX-11DXW-0826-SM-5H118 40-49 years, male 1.4
GTEX-11OF3-0126-SM-5PNYF 60-69 years, male 1.4
GTEX-11PRG-0726-SM-5EGL1 50-59 years, male 1.4
GTEX-131XW-0626-SM-5PNVD 50-59 years, female 1.4
GTEX-139TU-0726-SM-5L3EK 60-69 years, male 1.4
GTEX-13O3O-2326-SM-5IJD6 60-69 years, female 1.4
GTEX-15D1Q-2826-SM-6LLH7 40-49 years, male 1.4
GTEX-18A66-0626-SM-7LT8Z 60-69 years, male 1.4
GTEX-1IDFM-0326-SM-ARL7V 60-69 years, male 1.4
GTEX-1JJE9-2626-SM-ARZMT 70-79 years, male 1.4
GTEX-1RAZA-2226-SM-E9U4X 20-29 years, male 1.4
GTEX-11DYG-1526-SM-5A5JS 60-69 years, male 1.3
GTEX-12126-0826-SM-5FQTZ 20-29 years, male 1.3
GTEX-13N2G-0226-SM-5K7VF 60-69 years, male 1.3
GTEX-17JCI-2926-SM-7DUFF 60-69 years, female 1.3
GTEX-1CB4E-0926-SM-7EPHT 60-69 years, male 1.3
GTEX-X4EP-0626-SM-3P621 60-69 years, female 1.3
GTEX-X585-2426-SM-46MW2 50-59 years, male 1.3
GTEX-XXEK-1626-SM-4BRUZ 50-59 years, male 1.3
GTEX-ZPU1-1126-SM-4YCF3 40-49 years, male 1.3
GTEX-1GTWX-2026-SM-9YFLM 60-69 years, male 1.3
GTEX-1I1GU-0926-SM-ACKVS 40-49 years, male 1.3
GTEX-1J1OQ-0126-SM-D4P2N 40-49 years, female 1.3
GTEX-1S83E-1326-SM-E6CJM 40-49 years, male 1.3
GTEX-13U4I-2226-SM-5LU5H 40-49 years, female 1.2
GTEX-14PJ3-1126-SM-5ZZVX 50-59 years, male 1.2
GTEX-15G19-2426-SM-7KUMR 60-69 years, male 1.2
GTEX-1EU9M-1426-SM-793AI 60-69 years, male 1.2
GTEX-1IY9M-2826-SM-ARU8H 60-69 years, male 1.2
GTEX-13OVG-1626-SM-5J1NF 60-69 years, male 1.1
GTEX-148VJ-0626-SM-5LUAW 70-79 years, male 1.1
GTEX-17HII-1426-SM-7EPGG 50-59 years, male 1.1
GTEX-1C6VQ-1226-SM-73KYD 50-59 years, male 1.1
GTEX-WFON-1926-SM-3LK7L 40-49 years, male 1.1
GTEX-WYBS-0626-SM-3NMAS 60-69 years, female 1.1
GTEX-ZDYS-2426-SM-4WKGI 50-59 years, male 1.1
GTEX-ZVTK-0226-SM-51MRG 20-29 years, male 1.1
GTEX-ZYFG-1526-SM-5GZYM 60-69 years, female 1.1
GTEX-1GMR2-0826-SM-7PC3V 50-59 years, male 1.1
GTEX-12WSK-2126-SM-5CVNC 40-49 years, female 1.0
GTEX-15DDE-2926-SM-6LLJ3 50-59 years, female 1.0
GTEX-1GZHY-0626-SM-9KNVC 50-59 years, female 1.0
GTEX-1I6K7-1926-SM-B2LXR 40-49 years, male 1.0
GTEX-13NZ8-1226-SM-5KM4A 60-69 years, female 0.9
GTEX-145MH-2826-SM-5RQJF 50-59 years, male 0.9
GTEX-1HR98-2226-SM-ADEI2 60-69 years, male 0.9
GTEX-1LVA9-2626-SM-EVYD4 50-59 years, male 0.9
GTEX-1PPH8-0126-SM-EWRN8 20-29 years, male 0.9
GTEX-ZGAY-1826-SM-DO91Q 40-49 years, female 0.9
GTEX-13FLV-0126-SM-5K7WT 50-59 years, male 0.8
GTEX-13OVH-0526-SM-5L3E6 70-79 years, male 0.8
GTEX-144FL-0626-SM-5LU43 50-59 years, male 0.8
GTEX-14PJ2-0626-SM-6LLII 50-59 years, male 0.8
GTEX-17MF6-2626-SM-79OKQ 40-49 years, male 0.8
GTEX-1EWIQ-0326-SM-7DHMQ 70-79 years, female 0.8
GTEX-WHSE-0126-SM-3NMBT 20-29 years, male 0.8
GTEX-1IDJI-0126-SM-CMKHS 50-59 years, female 0.8
GTEX-1R9K4-2826-SM-DTX8F 60-69 years, male 0.8
GTEX-111FC-2526-SM-5GZXU 60-69 years, male 0.7
GTEX-12BJ1-0926-SM-5EQ62 60-69 years, male 0.7
GTEX-146FQ-2126-SM-5RQHU 30-39 years, male 0.7
GTEX-147JS-0226-SM-5S2U9 60-69 years, male 0.7
GTEX-14PHX-2226-SM-6EU2P 50-59 years, male 0.7
GTEX-17HGU-2326-SM-7DUFE 50-59 years, male 0.7
GTEX-1CAV2-0126-SM-7IGN7 40-49 years, female 0.7
GTEX-ZVE1-0726-SM-51MRN 50-59 years, female 0.7
GTEX-1H3VE-0726-SM-9YFL5 40-49 years, male 0.7
GTEX-1HCU6-2526-SM-ADEHL 60-69 years, female 0.7
GTEX-1I1CD-0626-SM-CE6SW 60-69 years, female 0.7
GTEX-13N11-2326-SM-5IJBF 50-59 years, female 0.6
GTEX-WRHU-2826-SM-3MJG8 50-59 years, female 0.6
GTEX-YF7O-1526-SM-5IFI6 50-59 years, male 0.6
GTEX-1F6IF-0926-SM-7SB7M 60-69 years, male 0.6
GTEX-1GZ4I-2626-SM-9KNU3 50-59 years, male 0.6
GTEX-1H1CY-0126-SM-9YFLY 60-69 years, female 0.6
GTEX-1IDJC-1526-SM-B2LW4 50-59 years, male 0.6
GTEX-1NV5F-0626-SM-DTXEG 60-69 years, female 0.6
GTEX-1RB15-1326-SM-E76Q9 60-69 years, male 0.6
GTEX-1399R-1326-SM-5PNYS 30-39 years, male 0.5
GTEX-1497J-0226-SM-5QGPU 60-69 years, male 0.5
GTEX-14PKU-0126-SM-6LLHV 40-49 years, female 0.5
GTEX-16NPX-0726-SM-7KULC 50-59 years, male 0.5
GTEX-1B996-0426-SM-7EWF8 60-69 years, male 0.5
GTEX-1CAMS-2226-SM-7PBXQ 40-49 years, female 0.5
GTEX-1LSVX-2526-SM-DIPEU 60-69 years, male 0.5
GTEX-1QAET-0326-SM-EVR3U 50-59 years, male 0.5
GTEX-1RLM8-2926-SM-E8VON 50-59 years, male 0.5
GTEX-11TT1-1826-SM-5EQLV 20-29 years, male 0.4
GTEX-13N1W-2426-SM-5IJD1 70-79 years, male 0.4
GTEX-14E6C-2426-SM-5S2NF 40-49 years, male 0.4
GTEX-WK11-2726-SM-3NMAQ 50-59 years, male 0.4
GTEX-1GF9U-2026-SM-7SB92 40-49 years, female 0.4
GTEX-1JK1U-0226-SM-ARZMX 60-69 years, male 0.4
GTEX-12WSA-0426-SM-5EQ5X 60-69 years, male 0.3
GTEX-132AR-0326-SM-5KM2C 50-59 years, female 0.3
GTEX-13X6H-0926-SM-5SIB2 50-59 years, female 0.3
GTEX-WFG8-2126-SM-3GIKQ 20-29 years, male 0.3
GTEX-111VG-1626-SM-5EGIO 60-69 years, male 0.2
GTEX-15G1A-1626-SM-7KUKN 30-39 years, male 0.2
GTEX-16MT9-0126-SM-7EPI8 60-69 years, female 0.2
GTEX-ZUA1-2626-SM-5NQ92 40-49 years, male 0.2
GTEX-1HUB1-1426-SM-CGQF5 60-69 years, male 0.2
GTEX-1I1GS-2626-SM-B2LY3 60-69 years, male 0.2
GTEX-1E1VI-0326-SM-793D1 50-59 years, male 0.1
GTEX-1H11D-1826-SM-9QEHM 40-49 years, male 0.1
GTEX-1JMOU-1026-SM-CYPSS 60-69 years, female 0.1
GTEX-1O9I2-0226-SM-EYYXD 50-59 years, male 0.1
GTEX-1117F-2926-SM-5GZYI 60-69 years, female 0.0
GTEX-12WSD-0626-SM-5GCMW 60-69 years, female 0.0
GTEX-12ZZX-2426-SM-5GCOE 40-49 years, female 0.0
GTEX-13FHO-0426-SM-5L3F5 60-69 years, male 0.0
GTEX-13PVR-0426-SM-5RQK2 60-69 years, female 0.0
GTEX-13X6K-0626-SM-5LU5D 60-69 years, female 0.0
GTEX-14753-0726-SM-5QGQO 60-69 years, male 0.0
GTEX-14B4R-1326-SM-5Q5EZ 30-39 years, male 0.0
GTEX-14BMV-2826-SM-5TDED 50-59 years, male 0.0
GTEX-14C38-0726-SM-5SI6M 50-59 years, male 0.0
GTEX-14C39-1726-SM-5RQIL 40-49 years, male 0.0
GTEX-15EO6-2426-SM-6PALZ 50-59 years, male 0.0
GTEX-15SKB-2826-SM-6PAMH 60-69 years, male 0.0
GTEX-16GPK-0626-SM-7KFSF 60-69 years, male 0.0
GTEX-17HG3-2626-SM-7DUF2 30-39 years, female 0.0
GTEX-1A3MW-0626-SM-731CB 60-69 years, female 0.0
GTEX-VUSG-2326-SM-4KL1U 50-59 years, male 0.0
GTEX-XQ3S-1426-SM-4BOPR 20-29 years, male 0.0
GTEX-ZYFD-0626-SM-5E44E 50-59 years, male 0.0
GTEX-1AYD5-2626-SM-7PBXY 50-59 years, male 0.0
GTEX-1F75I-2226-SM-7SB8U 40-49 years, male 0.0
GTEX-1F75W-2726-SM-7SB8H 60-69 years, male 0.0
GTEX-1GZ2Q-0126-SM-9WG6M 40-49 years, male 0.0
GTEX-1HBPM-0726-SM-9YFL7 60-69 years, female 0.0
GTEX-1I19N-0126-SM-CYPSF 70-79 years, male 0.0
GTEX-1ICLY-0826-SM-CMKG1 50-59 years, male 0.0
GTEX-1IOXB-2726-SM-CM2RI 50-59 years, male 0.0
GTEX-1JKYN-0826-SM-ARU8S 30-39 years, male 0.0
GTEX-1JN1M-2726-SM-CY8I4 60-69 years, female 0.0
GTEX-1KD5A-0126-SM-E9U54 50-59 years, male 0.0
GTEX-1L5NE-1126-SM-D3L9P 50-59 years, male 0.0
Show allShow less
Skin - Sun Exposed (Lower leg)
Average nTPM: 13.3
Samples: 701

Max nTPM: 138.4
Min nTPM: 0.0
Std nTPM: 18.6
Median nTPM: 5.7
GTEX-U412-0426-SM-3DB9O 60-69 years, male 138.4
GTEX-15ETS-0126-SM-7KUMW 40-49 years, female 125.3
GTEX-1I1GV-0526-SM-A9G29 60-69 years, male 123.3
GTEX-OOBJ-0126-SM-E6CJW 60-69 years, male 96.5
GTEX-1J8QM-2126-SM-CYPSJ 60-69 years, female 91.7
GTEX-18QFQ-0126-SM-731BE 30-39 years, male 90.6
GTEX-YB5E-2026-SM-5IFIS 40-49 years, male 90.6
GTEX-1OJC3-0126-SM-E76QX 20-29 years, male 89.9
GTEX-X88G-0126-SM-47JZ3 30-39 years, male 83.2
GTEX-1CB4I-0226-SM-79OLH 50-59 years, male 82.5
GTEX-131XH-2226-SM-5DUXJ 50-59 years, male 78.1
GTEX-1JMPY-1326-SM-ARL8Y 30-39 years, male 75.4
GTEX-O5YW-0126-SM-3LK6D 50-59 years, male 74.2
GTEX-1I1GT-0626-SM-CGQER 60-69 years, female 73.0
GTEX-1KANA-0726-SM-D3L9I 20-29 years, male 72.8
GTEX-ZXES-1826-SM-5E43S 30-39 years, female 71.9
GTEX-NFK9-0226-SM-2HMKQ 40-49 years, male 67.5
GTEX-131XE-2326-SM-5PNZ2 50-59 years, male 67.4
GTEX-1OFPY-2426-SM-DTXEJ 60-69 years, male 67.2
GTEX-13FXS-0226-SM-5IJCK 50-59 years, male 65.4
GTEX-1S5ZA-0126-SM-EVYCV 20-29 years, male 65.0
GTEX-Y114-2426-SM-4TT8A 50-59 years, female 64.5
GTEX-15RIG-0226-SM-7KFTL 40-49 years, male 64.2
GTEX-12ZZY-0226-SM-5LZVE 60-69 years, male 63.8
GTEX-1KANC-1526-SM-D3LAB 50-59 years, female 63.2
GTEX-1122O-2126-SM-5EGIR 60-69 years, female 63.0
GTEX-1HT8W-0126-SM-CNPPP 30-39 years, male 62.4
GTEX-1LBAC-0126-SM-DIPEZ 20-29 years, male 62.0
GTEX-11UD1-0126-SM-5PNYG 40-49 years, female 60.5
GTEX-ZYFC-0226-SM-5NQ75 50-59 years, male 58.1
GTEX-ZTX8-1426-SM-5DUVO 20-29 years, male 57.7
GTEX-18A67-0126-SM-7LG5P 50-59 years, male 55.6
GTEX-XYKS-2126-SM-4E3IB 60-69 years, female 54.6
GTEX-1IDJH-0326-SM-A9SLQ 70-79 years, male 54.5
GTEX-1EMGI-0126-SM-9KNUE 60-69 years, male 52.8
GTEX-13JUV-2726-SM-5LZZ8 40-49 years, female 52.0
GTEX-15SB6-1726-SM-6PAME 50-59 years, female 50.7
GTEX-11WQC-2526-SM-5CVLE 60-69 years, male 50.5
GTEX-1JMPZ-0226-SM-CNPP1 30-39 years, male 49.0
GTEX-1F5PL-0326-SM-7P8PQ 40-49 years, female 47.4
GTEX-1E2YA-0126-SM-9KNUC 50-59 years, male 46.2
GTEX-1LGRB-2526-SM-CNPPQ 50-59 years, female 46.2
GTEX-1QP9N-1426-SM-DTXFL 30-39 years, male 45.9
GTEX-139TS-2826-SM-5J1OO 60-69 years, male 45.6
GTEX-1LG7Z-1726-SM-D3LA4 30-39 years, male 45.0
GTEX-13OW5-0126-SM-DTXFS 60-69 years, male 44.9
GTEX-ZY6K-1826-SM-5GZXK 50-59 years, male 44.4
GTEX-1PIIG-0226-SM-EWRN6 30-39 years, male 43.6
GTEX-QCQG-1726-SM-3GIJ9 50-59 years, female 43.5
GTEX-1JJ6O-0126-SM-E6CI8 60-69 years, male 43.4
GTEX-ZVT2-2526-SM-51MT1 50-59 years, female 43.1
GTEX-XPVG-2626-SM-4B669 50-59 years, male 42.6
GTEX-1MA7W-2026-SM-E9TJ6 20-29 years, female 41.7
GTEX-W5X1-3026-SM-EAZAX 40-49 years, female 41.5
GTEX-1O97I-0326-SM-EYYX7 60-69 years, male 41.0
GTEX-11NSD-2226-SM-5986V 20-29 years, male 40.8
GTEX-13111-1626-SM-5EGJY 50-59 years, male 40.7
GTEX-ZU9S-0226-SM-5E441 30-39 years, male 40.7
GTEX-11GS4-2726-SM-5A5LE 60-69 years, male 40.3
GTEX-1K9T9-0126-SM-EVYCF 50-59 years, female 39.9
GTEX-1313W-0126-SM-5LZUN 50-59 years, female 39.7
GTEX-13OVJ-0126-SM-5KM36 50-59 years, female 39.3
GTEX-13NYB-2526-SM-5K7Z6 40-49 years, male 39.1
GTEX-14JG1-0426-SM-6ETZZ 40-49 years, male 37.9
GTEX-ZF28-0126-SM-4WKGK 60-69 years, male 37.9
GTEX-P4PP-0126-SM-3LK69 30-39 years, female 37.7
GTEX-ZGAY-0526-SM-4WWBB 40-49 years, female 36.5
GTEX-145MN-2226-SM-5SIAU 30-39 years, male 36.3
GTEX-ZF29-2326-SM-DO92K 60-69 years, female 35.5
GTEX-1R9PM-2026-SM-E76OY 20-29 years, male 35.4
GTEX-145LS-0126-SM-5QGP1 60-69 years, female 35.3
GTEX-14A5I-0126-SM-5TDEA 50-59 years, female 34.8
GTEX-1314G-1526-SM-5EGK2 30-39 years, male 34.6
GTEX-139UW-2826-SM-5L3E7 60-69 years, male 34.6
GTEX-17F96-1626-SM-7DUFL 70-79 years, male 34.6
GTEX-XUZC-1726-SM-4BRWS 30-39 years, female 34.6
GTEX-ZYT6-0226-SM-5NQ6T 30-39 years, male 34.0
GTEX-13QJ3-0326-SM-5S2RA 50-59 years, male 33.9
GTEX-17EVQ-0226-SM-7LG4P 70-79 years, male 33.6
GTEX-ZAJG-0126-SM-5HL94 50-59 years, female 33.2
GTEX-1F52S-0126-SM-9MQJU 60-69 years, female 33.1
GTEX-1F75B-0126-SM-9KNVL 50-59 years, male 33.0
GTEX-148VI-1626-SM-5SI6E 60-69 years, female 32.8
GTEX-X638-0126-SM-47JZ8 70-79 years, female 32.8
GTEX-T6MO-1626-SM-32QOM 40-49 years, female 32.0
GTEX-OHPM-0126-SM-2YUN9 50-59 years, male 31.9
GTEX-1KAFJ-2026-SM-CY8ID 50-59 years, male 31.8
GTEX-15DCD-0126-SM-7KUEK 70-79 years, female 31.5
GTEX-14C5O-0126-SM-5SI6N 60-69 years, male 31.1
GTEX-U3ZN-2326-SM-3DB7W 30-39 years, female 31.1
GTEX-14PII-0226-SM-6EU1T 60-69 years, male 30.7
GTEX-11DZ1-0126-SM-5985Q 50-59 years, male 29.9
GTEX-13112-2826-SM-5DUWH 50-59 years, male 29.7
GTEX-QVJO-1626-SM-2S1QW 60-69 years, female 29.6
GTEX-139D8-0226-SM-5KLZO 30-39 years, female 29.5
GTEX-13OVK-2026-SM-7KUEO 40-49 years, male 29.3
GTEX-1IL2U-0226-SM-CE6T8 60-69 years, male 29.2
GTEX-ZVZP-2426-SM-59HKJ 50-59 years, male 29.0
GTEX-1RDX4-0126-SM-E9J4P 50-59 years, female 28.4
GTEX-U3ZM-1526-SM-3DB9D 40-49 years, male 28.3
GTEX-1H3NZ-0126-SM-ACKX7 60-69 years, male 28.1
GTEX-13G51-2526-SM-5LZYK 60-69 years, male 28.0
GTEX-1LGOU-2026-SM-DIPFF 20-29 years, female 28.0
GTEX-1RQEC-0426-SM-E6CHU 60-69 years, male 27.8
GTEX-17MFQ-1726-SM-793C7 20-29 years, male 27.5
GTEX-18D9A-1926-SM-7LG6P 30-39 years, female 27.5
GTEX-UJHI-1526-SM-3DB99 50-59 years, female 27.5
GTEX-Y5LM-1926-SM-5RQJH 40-49 years, female 27.4
GTEX-11P7K-2126-SM-5GU7G 30-39 years, male 27.0
GTEX-13W46-0226-SM-5SIAG 50-59 years, male 26.9
GTEX-Z9EW-1626-SM-5CVMN 40-49 years, male 26.7
GTEX-13X6I-0626-SM-5QGP9 60-69 years, male 26.6
GTEX-RM2N-1426-SM-2TF4H 50-59 years, male 26.5
GTEX-1HFI7-1826-SM-ACKXH 50-59 years, female 26.5
GTEX-1AMFI-2026-SM-731BH 50-59 years, female 26.2
GTEX-1IL2V-0126-SM-CM2TX 70-79 years, male 26.2
GTEX-11EM3-2426-SM-59861 20-29 years, female 25.0
GTEX-1AX9J-0226-SM-73KXM 60-69 years, male 25.0
GTEX-RTLS-0126-SM-447CA 60-69 years, female 25.0
GTEX-U3ZH-2026-SM-3DB78 30-39 years, male 25.0
GTEX-1B8KE-2126-SM-73KYX 50-59 years, male 24.8
GTEX-RWSA-0126-SM-2XCBB 40-49 years, male 24.8
GTEX-17HHY-0126-SM-7LG5D 50-59 years, male 24.5
GTEX-15DYW-0126-SM-7KULE 60-69 years, female 24.4
GTEX-13FHP-0126-SM-5IJBG 50-59 years, male 24.0
GTEX-1HBPN-0226-SM-9YFM1 50-59 years, male 23.9
GTEX-1QP29-0626-SM-EWRMX 50-59 years, male 23.5
GTEX-145MI-0526-SM-5O9A8 60-69 years, female 23.2
GTEX-SJXC-0126-SM-2XCFF 60-69 years, male 23.2
GTEX-WZTO-0126-SM-3NM95 40-49 years, male 23.2
GTEX-14LZ3-0226-SM-62LET 60-69 years, female 23.0
GTEX-13113-5016-SM-7EPIP 60-69 years, female 22.9
GTEX-1GMR8-0126-SM-9WYTM 50-59 years, female 22.6
GTEX-131XG-2626-SM-5KM17 50-59 years, female 22.3
GTEX-1HKZK-0326-SM-9WYUH 40-49 years, male 22.3
GTEX-ZE9C-2726-SM-57WB5 60-69 years, male 22.2
GTEX-13NZA-0226-SM-5K7Z7 60-69 years, male 22.1
GTEX-1JJEA-0326-SM-CNPOT 60-69 years, male 22.1
GTEX-U8XE-0326-SM-3DB8P 30-39 years, male 22.0
GTEX-WXYG-2326-SM-4E3I6 50-59 years, female 22.0
GTEX-17JCI-0126-SM-7LG5G 60-69 years, female 21.6
GTEX-1F88F-2726-SM-7PBZZ 60-69 years, female 21.6
GTEX-PSDG-0226-SM-DKPOZ 50-59 years, male 21.6
GTEX-XV7Q-2526-SM-4BRV9 40-49 years, female 21.5
GTEX-PX3G-0126-SM-2I3EN 20-29 years, female 21.3
GTEX-1EWIQ-0126-SM-7RHH2 70-79 years, female 21.3
GTEX-1KANB-0526-SM-E6CJH 50-59 years, male 21.2
GTEX-1IKOH-0226-SM-COH4E 60-69 years, female 21.1
GTEX-1AX9I-0126-SM-7SB74 60-69 years, male 21.0
GTEX-1HSEH-0126-SM-ACKXN 60-69 years, male 21.0
GTEX-ZDTT-2726-SM-4WKF8 60-69 years, male 20.7
GTEX-T6MN-0126-SM-32PLP 50-59 years, male 20.6
GTEX-XQ8I-0426-SM-4BOPO 50-59 years, male 20.6
GTEX-13SLX-0526-SM-5S2ON 50-59 years, female 20.3
GTEX-QLQW-1126-SM-2S1Q8 30-39 years, male 20.2
GTEX-12C56-1726-SM-5EQ61 20-29 years, male 20.0
GTEX-Y5V5-2326-SM-4V6GA 60-69 years, female 19.8
GTEX-WYJK-0126-SM-3NMAB 50-59 years, male 19.3
GTEX-15SDE-2226-SM-7IGLO 50-59 years, female 19.1
GTEX-Z93T-0126-SM-5HL5N 50-59 years, male 19.1
GTEX-OXRK-0226-SM-3NB2G 50-59 years, female 18.7
GTEX-1A3MX-0126-SM-731BR 60-69 years, male 18.6
GTEX-S33H-1026-SM-EZ6L6 30-39 years, male 18.6
GTEX-1R7EU-0226-SM-EVR4G 60-69 years, male 18.5
GTEX-R55G-2526-SM-2TC6D 40-49 years, female 18.4
GTEX-1N2DW-0226-SM-E9TK2 50-59 years, male 18.2
GTEX-ZEX8-2426-SM-4WKG4 50-59 years, male 17.8
GTEX-1S82Y-2026-SM-EVYCM 40-49 years, male 17.8
GTEX-ZAB5-1826-SM-5HL7C 50-59 years, male 17.6
GTEX-XAJ8-0826-SM-47JY6 40-49 years, male 17.5
GTEX-Z93S-0126-SM-5HL7M 50-59 years, male 17.2
GTEX-1399U-2326-SM-5K7WY 50-59 years, female 17.1
GTEX-OIZG-0726-SM-33HBL 50-59 years, male 17.0
GTEX-ZTSS-1926-SM-57WEW 40-49 years, male 17.0
GTEX-14JG6-2226-SM-6EU2G 30-39 years, female 16.8
GTEX-SN8G-0126-SM-32PLI 50-59 years, female 16.7
GTEX-183FY-0126-SM-7LT9P 20-29 years, male 16.5
GTEX-13NZ8-0826-SM-5MR3I 60-69 years, female 16.3
GTEX-OXRP-0126-SM-3NB32 60-69 years, female 16.3
GTEX-1IKK5-0626-SM-ARL8A 60-69 years, male 16.3
GTEX-1N2EF-0226-SM-EYYXB 60-69 years, male 16.3
GTEX-14DAQ-0126-SM-5S2MQ 60-69 years, female 16.2
GTEX-15SHW-0326-SM-6PAML 60-69 years, male 16.1
GTEX-SIU8-0126-SM-2XCDT 50-59 years, male 16.0
GTEX-13OVL-0226-SM-5L3E9 50-59 years, male 15.9
GTEX-1GZ4H-1726-SM-7PBZJ 50-59 years, female 15.8
GTEX-13O21-1426-SM-5K7XI 50-59 years, male 15.7
GTEX-1F48J-0126-SM-7P8TT 50-59 years, female 15.7
GTEX-PWO3-1526-SM-48TCM 60-69 years, female 15.6
GTEX-1JMQK-0226-SM-CL543 60-69 years, male 15.5
GTEX-13O3P-0126-SM-5KM4S 50-59 years, male 15.4
GTEX-13RTL-0126-SM-7LG5S 40-49 years, male 15.4
GTEX-117XS-2726-SM-5N9BL 60-69 years, male 15.3
GTEX-1HFI6-0226-SM-ADEHZ 40-49 years, male 15.1
GTEX-16MT8-0426-SM-7KUEY 60-69 years, female 15.0
GTEX-14PK6-1926-SM-6ETZU 70-79 years, female 14.9
GTEX-ZDXO-3026-SM-5J1N5 60-69 years, male 14.9
GTEX-1AYCT-2426-SM-7IGQ3 50-59 years, male 14.8
GTEX-1JN76-0126-SM-CNPPE 20-29 years, female 14.8
GTEX-S95S-1226-SM-4GICG 60-69 years, male 14.7
GTEX-1HB9E-0226-SM-E9U4R 50-59 years, male 14.7
GTEX-1GMRU-0126-SM-9YFLV 50-59 years, male 14.5
GTEX-16NGA-1726-SM-731B4 40-49 years, female 14.4
GTEX-1H1ZS-0426-SM-9WG6G 70-79 years, male 14.2
GTEX-R55E-0126-SM-2TC5Y 20-29 years, male 14.1
GTEX-1PWST-0226-SM-E76QJ 70-79 years, male 14.1
GTEX-13OVH-0126-SM-5MR4B 70-79 years, male 13.9
GTEX-13IVO-0126-SM-5J1NG 70-79 years, male 13.7
GTEX-1CAMR-1926-SM-7EPI2 20-29 years, male 13.7
GTEX-TSE9-0126-SM-3DB83 60-69 years, female 13.7
GTEX-1J1R8-1726-SM-ARL8M 40-49 years, male 13.7
GTEX-1N2DV-0226-SM-E6CJ6 40-49 years, male 13.5
GTEX-1269C-2526-SM-5EGJ3 60-69 years, female 13.4
GTEX-QEG4-0226-SM-2S1PY 30-39 years, male 13.3
GTEX-1NHNU-1026-SM-E9J2A 50-59 years, male 13.2
GTEX-131XF-5016-SM-7MGWE 60-69 years, male 13.1
GTEX-1PIGE-0126-SM-EVYBJ 20-29 years, male 13.1
GTEX-12584-0126-SM-5EGKQ 40-49 years, male 13.0
GTEX-X5EB-2226-SM-46MW4 40-49 years, male 13.0
GTEX-ZC5H-0226-SM-4WAY9 40-49 years, female 13.0
GTEX-13X6J-0126-SM-5QGOU 50-59 years, male 12.9
GTEX-1S3DN-2226-SM-EVYCD 50-59 years, male 12.9
GTEX-111FC-0126-SM-5N9DL 60-69 years, male 12.7
GTEX-1GN1W-0526-SM-9MQJQ 50-59 years, female 12.7
GTEX-1LB8K-0226-SM-EWRNW 50-59 years, male 12.5
GTEX-1I4MK-2226-SM-ACKWD 50-59 years, female 12.1
GTEX-1399R-2726-SM-5IJBA 30-39 years, male 11.8
GTEX-RWS6-2026-SM-2XCB5 60-69 years, female 11.7
GTEX-169BO-1326-SM-9MQK2 50-59 years, male 11.6
GTEX-1GZHY-0326-SM-9QEHI 50-59 years, female 11.6
GTEX-13YAN-0326-SM-5O9DF 60-69 years, male 11.5
GTEX-OIZH-0126-SM-2HMIS 50-59 years, male 11.5
GTEX-1MCYP-1926-SM-E9J2R 20-29 years, female 11.3
GTEX-XBEW-0626-SM-4QASP 40-49 years, male 11.2
GTEX-1EX96-1626-SM-7PBXR 50-59 years, male 11.2
GTEX-14DAR-2026-SM-5S2O3 50-59 years, male 11.1
GTEX-1F6RS-0126-SM-9MQKZ 60-69 years, female 11.1
GTEX-1JMQI-2226-SM-CM2SD 50-59 years, male 11.1
GTEX-1JN6P-0126-SM-D3L98 60-69 years, male 11.1
GTEX-1CB4F-0426-SM-9KNV4 60-69 years, male 11.0
GTEX-1IGQW-0126-SM-COH42 60-69 years, male 11.0
GTEX-131YS-0126-SM-5KM1M 60-69 years, female 10.9
GTEX-1HSMP-0126-SM-E6CJS 70-79 years, male 10.9
GTEX-1ICLZ-0126-SM-CKZPO 60-69 years, male 10.9
GTEX-14PJM-0226-SM-62LF1 50-59 years, female 10.6
GTEX-YJ89-0126-SM-4TT3X 60-69 years, male 10.6
GTEX-ZAB4-0226-SM-5N9F5 40-49 years, male 10.6
GTEX-1JMQL-0226-SM-CNPP5 50-59 years, female 10.4
GTEX-TMMY-0226-SM-33HBA 40-49 years, female 10.3
GTEX-X4XX-0126-SM-3NMC2 60-69 years, male 10.3
GTEX-ZF2S-2326-SM-4WWCE 50-59 years, female 10.3
GTEX-18A6Q-0126-SM-731BZ 60-69 years, male 10.2
GTEX-1B8KZ-2026-SM-7DHMB 50-59 years, male 10.2
GTEX-1C475-1826-SM-73KWA 40-49 years, female 10.2
GTEX-ZF3C-0126-SM-DO92D 50-59 years, female 10.2
GTEX-1CAV2-2226-SM-7P8P2 40-49 years, female 10.1
GTEX-1GF9V-0326-SM-7RHI5 60-69 years, male 10.0
GTEX-1K2DA-1826-SM-CGQGT 50-59 years, male 10.0
GTEX-15F5U-1526-SM-6PANO 40-49 years, male 9.9
GTEX-YB5K-2126-SM-4WWDJ 40-49 years, female 9.9
GTEX-1H2FU-0126-SM-9WYSI 60-69 years, female 9.9
GTEX-1J8Q3-1626-SM-CMKGC 60-69 years, male 9.8
GTEX-1PFEY-1526-SM-E76PP 30-39 years, male 9.8
GTEX-16BQI-0226-SM-7KUEX 30-39 years, female 9.7
GTEX-18A7B-0126-SM-7LG64 70-79 years, male 9.7
GTEX-13FTW-2626-SM-5K7WL 40-49 years, male 9.5
GTEX-12WSG-2826-SM-E9J4H 50-59 years, female 9.5
GTEX-11EI6-0126-SM-5985R 60-69 years, male 9.4
GTEX-1A32A-0126-SM-718B1 50-59 years, female 9.3
GTEX-SNMC-1226-SM-2XCFP 20-29 years, male 9.3
GTEX-11TUW-2726-SM-E9J4M 60-69 years, male 9.3
GTEX-1GN1U-0126-SM-7PBZK 50-59 years, female 9.2
GTEX-1KWVE-1426-SM-E9TJO 30-39 years, male 9.1
GTEX-14PJ6-2126-SM-6EU1V 60-69 years, female 9.0
GTEX-1BAJH-0526-SM-793CQ 70-79 years, male 9.0
GTEX-13OW6-0426-SM-5L3HM 50-59 years, male 8.9
GTEX-17HII-0226-SM-7LG4E 50-59 years, male 8.9
GTEX-WQUQ-0426-SM-3MJFU 60-69 years, male 8.9
GTEX-1F75A-0126-SM-7RHGM 50-59 years, male 8.9
GTEX-148VJ-0126-SM-5TDDN 70-79 years, male 8.8
GTEX-RNOR-0126-SM-E9J4R 50-59 years, female 8.8
GTEX-T5JW-1626-SM-3GADZ 20-29 years, female 8.7
GTEX-ZVTK-0426-SM-51MRS 20-29 years, male 8.7
GTEX-11EQ9-2426-SM-5HL5T 30-39 years, male 8.6
GTEX-R3RS-0126-SM-3GIJL 40-49 years, female 8.6
GTEX-T2IS-0126-SM-4DM6O 20-29 years, female 8.4
GTEX-1KXAM-2226-SM-CYPTC 60-69 years, male 8.4
GTEX-1MJK2-0426-SM-DTXE5 50-59 years, male 8.4
GTEX-ZDTS-0126-SM-4WAY5 60-69 years, male 8.3
GTEX-ZV68-0126-SM-59HKS 50-59 years, female 8.3
GTEX-NPJ8-0126-SM-2YUNR 40-49 years, male 8.2
GTEX-133LE-1826-SM-5J1MV 20-29 years, female 8.1
GTEX-1B8L1-2526-SM-9WYTF 60-69 years, male 8.0
GTEX-1H3VY-0126-SM-ACKXD 50-59 years, male 7.8
GTEX-1IDJF-0126-SM-CM2RS 20-29 years, male 7.8
GTEX-T5JC-0426-SM-32PLO 20-29 years, male 7.6
GTEX-11GSP-2526-SM-5N9BP 60-69 years, female 7.5
GTEX-13CF2-2526-SM-5LZYX 60-69 years, male 7.5
GTEX-T2YK-0526-SM-32QPJ 50-59 years, male 7.5
GTEX-XBED-2226-SM-47JYQ 60-69 years, male 7.5
GTEX-113IC-0126-SM-5HL6T 60-69 years, male 7.4
GTEX-1GN2E-0426-SM-9MQKX 60-69 years, male 7.4
GTEX-1MUQO-0126-SM-EAZ58 60-69 years, male 7.4
GTEX-1QP66-1726-SM-E8VO1 50-59 years, male 7.4
GTEX-1AX8Z-0126-SM-7DHM6 60-69 years, male 7.3
GTEX-1B8SF-1426-SM-7DUGL 60-69 years, male 7.3
GTEX-SUCS-1926-SM-32PM3 70-79 years, male 7.3
GTEX-13VXT-0126-SM-5LU4I 20-29 years, female 7.2
GTEX-147F3-0526-SM-5SI98 50-59 years, female 7.2
GTEX-VJYA-1126-SM-3GIJU 60-69 years, male 7.1
GTEX-1GF9W-0326-SM-9KNUN 60-69 years, male 7.1
GTEX-1LH75-2426-SM-E9TJE 50-59 years, female 7.1
GTEX-17F97-0326-SM-7LG5B 50-59 years, male 7.0
GTEX-14BMU-2226-SM-5TDE9 20-29 years, female 6.9
GTEX-16YQH-0126-SM-7DUFJ 30-39 years, male 6.9
GTEX-QV44-1926-SM-2S1RF 50-59 years, male 6.9
GTEX-1H11D-0226-SM-9WG6Z 40-49 years, male 6.9
GTEX-11P81-2326-SM-59875 30-39 years, female 6.7
GTEX-ZPIC-1726-SM-DHXIU 40-49 years, female 6.7
GTEX-13NZB-2526-SM-5J1OM 30-39 years, male 6.6
GTEX-WYVS-2126-SM-3NMA3 40-49 years, female 6.6
GTEX-145ME-1826-SM-5SI9G 40-49 years, female 6.5
GTEX-1I6K6-0126-SM-A9SLE 30-39 years, male 6.5
GTEX-1M5QR-1226-SM-EWROB 40-49 years, male 6.5
GTEX-1QCLY-0326-SM-E8VOG 30-39 years, male 6.5
GTEX-145LT-1726-SM-5QGP3 40-49 years, male 6.4
GTEX-P4QT-0126-SM-2I3FL 50-59 years, female 6.4
GTEX-1M4P7-0226-SM-DIPEV 60-69 years, male 6.4
GTEX-1CB4J-0626-SM-7DHMP 60-69 years, male 6.3
GTEX-Q2AG-0126-SM-33HBV 40-49 years, female 6.3
GTEX-1ICG6-2526-SM-CGQFZ 70-79 years, female 6.3
GTEX-12WSL-2526-SM-5GCNJ 50-59 years, male 6.2
GTEX-1IOXB-0126-SM-ARL8G 50-59 years, male 6.1
GTEX-16XZY-2126-SM-79OK1 70-79 years, male 6.0
GTEX-WFON-2126-SM-3LK7O 40-49 years, male 6.0
GTEX-Y8DK-0126-SM-4TT3L 60-69 years, male 6.0
GTEX-Y8E4-0626-SM-4WWDL 40-49 years, male 6.0
GTEX-ZV6S-2326-SM-4YCEY 40-49 years, female 6.0
GTEX-1RAZA-0126-SM-E6CI3 20-29 years, male 6.0
GTEX-14E6D-0126-SM-62LDV 50-59 years, male 5.9
GTEX-17GQL-2026-SM-718BA 60-69 years, male 5.9
GTEX-17KNJ-2326-SM-7DHLQ 50-59 years, male 5.9
GTEX-1C2JI-1826-SM-73KXC 50-59 years, male 5.9
GTEX-ZWKS-0126-SM-5SIAA 30-39 years, male 5.9
GTEX-1L5NE-2526-SM-E6CIE 50-59 years, male 5.9
GTEX-11DXX-2426-SM-5GZZW 60-69 years, female 5.8
GTEX-13OW8-1326-SM-5J1OW 60-69 years, male 5.8
GTEX-S7SE-0126-SM-2XCD5 50-59 years, male 5.8
GTEX-Y3IK-2426-SM-4WWDU 50-59 years, female 5.8
GTEX-14XAO-2326-SM-6EU1B 60-69 years, female 5.7
GTEX-15SHU-0126-SM-7KUEH 40-49 years, female 5.7
GTEX-1C64N-0126-SM-793D7 50-59 years, male 5.7
GTEX-1JMLX-0226-SM-CM2RO 50-59 years, male 5.7
GTEX-117YX-2326-SM-5H12W 50-59 years, male 5.6
GTEX-11DXW-0226-SM-5H122 40-49 years, male 5.5
GTEX-12WSJ-1826-SM-5GCNY 40-49 years, female 5.5
GTEX-13O3Q-2426-SM-5IJBR 50-59 years, male 5.5
GTEX-14753-0426-SM-5NQAM 60-69 years, male 5.5
GTEX-14BIM-0226-SM-7IGLD 60-69 years, female 5.5
GTEX-OOBK-0126-SM-2YUND 40-49 years, male 5.5
GTEX-QDVJ-1726-SM-2I5FX 50-59 years, male 5.5
GTEX-ZAK1-0126-SM-5IJD3 50-59 years, female 5.5
GTEX-145MO-0326-SM-5Q5B3 60-69 years, male 5.4
GTEX-18A66-0226-SM-718BD 60-69 years, male 5.4
GTEX-PWCY-1826-SM-DHXIZ 20-29 years, female 5.4
GTEX-1399T-2826-SM-5KLYZ 60-69 years, male 5.3
GTEX-139TT-0126-SM-5K7Y5 60-69 years, male 5.3
GTEX-146FH-0126-SM-5QGPP 50-59 years, female 5.3
GTEX-1JMQJ-0526-SM-CYPSU 50-59 years, male 5.3
GTEX-113JC-2326-SM-5EQ4E 50-59 years, female 5.2
GTEX-13RTK-1426-SM-5QGQJ 20-29 years, male 5.2
GTEX-16GPK-0126-SM-7DHLE 60-69 years, male 5.2
GTEX-POMQ-2226-SM-2I5FK 20-29 years, female 5.2
GTEX-1HCU8-0626-SM-A9SM9 60-69 years, female 5.2
GTEX-17F98-0626-SM-79OMX 40-49 years, female 5.1
GTEX-1H4P4-0726-SM-9YFLR 50-59 years, male 5.1
GTEX-14BIN-0626-SM-793DP 50-59 years, female 5.0
GTEX-RU72-0926-SM-2TF6B 50-59 years, female 5.0
GTEX-18A7A-0226-SM-718BH 50-59 years, female 4.9
GTEX-1H1DG-0126-SM-9WYU2 70-79 years, male 4.9
GTEX-OIZF-0126-SM-7SB8I 60-69 years, male 4.9
GTEX-17HHE-2026-SM-79OKF 50-59 years, male 4.8
GTEX-1GMR3-1926-SM-9KNUZ 40-49 years, male 4.8
GTEX-1GN73-0226-SM-9WG67 60-69 years, male 4.8
GTEX-1GZ2Q-0226-SM-7P8TL 40-49 years, male 4.8
GTEX-12ZZX-0126-SM-5EGK9 40-49 years, female 4.7
GTEX-14E6C-0126-SM-5RQIP 40-49 years, male 4.7
GTEX-Y3I4-2126-SM-4TT7C 50-59 years, male 4.7
GTEX-111VG-2426-SM-5GZXD 60-69 years, male 4.6
GTEX-13FTY-0526-SM-5L3EV 40-49 years, female 4.6
GTEX-1A3MV-1926-SM-718BT 30-39 years, male 4.6
GTEX-TML8-1926-SM-32QOS 40-49 years, female 4.6
GTEX-X62O-0126-SM-4E3JN 50-59 years, male 4.6
GTEX-XUYS-0126-SM-47JWZ 50-59 years, male 4.6
GTEX-1S82Z-0826-SM-E6CHY 30-39 years, female 4.6
GTEX-11GSO-2426-SM-5A5LY 60-69 years, male 4.5
GTEX-1B97I-1626-SM-73KYO 40-49 years, male 4.5
GTEX-U8T8-0126-SM-3DB94 60-69 years, male 4.5
GTEX-1GF9U-2126-SM-7SB7L 40-49 years, female 4.4
GTEX-1IDFM-0126-SM-COH2V 60-69 years, male 4.4
GTEX-PW2O-1526-SM-7RHHB 20-29 years, male 4.4
GTEX-R45C-0126-SM-EAZ2R 60-69 years, female 4.4
GTEX-RVPV-0126-SM-EAZAW 60-69 years, male 4.4
GTEX-OHPL-0126-SM-2HMJ7 60-69 years, female 4.3
GTEX-ZYFD-0126-SM-5GIDL 50-59 years, male 4.3
GTEX-1CB4H-0226-SM-7PBXM 60-69 years, female 4.3
GTEX-1HCU9-1526-SM-A9SL7 20-29 years, male 4.3
GTEX-Q2AI-1326-SM-2S1PL 40-49 years, male 4.2
GTEX-QESD-1426-SM-2S1R9 20-29 years, male 4.2
GTEX-1HSMQ-1226-SM-CGQFX 50-59 years, male 4.2
GTEX-1MGNQ-0126-SM-EVYCJ 40-49 years, male 4.2
GTEX-1PDJ9-0326-SM-DTX95 20-29 years, male 4.2
GTEX-1QP2A-0126-SM-E9J43 50-59 years, male 4.2
GTEX-11ZU8-2526-SM-5EQKI 60-69 years, male 4.0
GTEX-13PDP-0126-SM-5L3HD 60-69 years, male 4.0
GTEX-1C6VS-0526-SM-7DUEN 60-69 years, male 4.0
GTEX-1LG7Y-0526-SM-DKPQC 50-59 years, male 4.0
GTEX-1POEN-0126-SM-EYYXJ 30-39 years, female 4.0
GTEX-17EVP-0326-SM-7DHLG 40-49 years, male 3.9
GTEX-18D9U-0226-SM-718BP 40-49 years, male 3.9
GTEX-Y5V6-2426-SM-4VDSB 60-69 years, male 3.9
GTEX-Y8LW-1826-SM-5S2MV 50-59 years, female 3.9
GTEX-14BMV-0126-SM-5S2PO 50-59 years, male 3.8
GTEX-16NPX-0226-SM-79OMT 50-59 years, male 3.8
GTEX-Q2AH-1626-SM-3GAF8 40-49 years, male 3.8
GTEX-X8HC-0126-SM-4E3JW 50-59 years, female 3.8
GTEX-1HSMO-0126-SM-CL547 60-69 years, male 3.8
GTEX-13S7M-0126-SM-5SI6A 60-69 years, female 3.7
GTEX-1F6IF-0726-SM-7P8TW 60-69 years, male 3.7
GTEX-1HSKV-0226-SM-A9SKJ 60-69 years, male 3.7
GTEX-13PVR-2326-SM-5QGR1 60-69 years, female 3.6
GTEX-18465-0126-SM-731BN 50-59 years, male 3.6
GTEX-T8EM-1026-SM-3DB7M 40-49 years, male 3.6
GTEX-VJWN-0126-SM-3GIK7 50-59 years, female 3.6
GTEX-ZDYS-2026-SM-5HL5L 50-59 years, male 3.6
GTEX-1J8EW-0126-SM-CJI4F 60-69 years, female 3.6
GTEX-11ZTS-0126-SM-5EQ6M 60-69 years, female 3.5
GTEX-13OW7-0126-SM-5MR3B 50-59 years, male 3.5
GTEX-15G19-0126-SM-6PANQ 60-69 years, male 3.5
GTEX-1F7RK-0126-SM-7PC2S 20-29 years, female 3.5
GTEX-1H1CY-2826-SM-9MQM3 60-69 years, female 3.5
GTEX-1IKJJ-0126-SM-CNPQB 60-69 years, male 3.5
GTEX-1JKYN-1326-SM-CGQG9 30-39 years, male 3.5
GTEX-1I1GQ-0126-SM-COH3H 50-59 years, male 3.4
GTEX-145MF-0626-SM-5LUAI 50-59 years, male 3.3
GTEX-14A6H-0126-SM-5QGPK 30-39 years, male 3.3
GTEX-16XZZ-0126-SM-793DV 60-69 years, male 3.3
GTEX-1192X-0226-SM-5H12D 50-59 years, male 3.2
GTEX-X4EO-0326-SM-3P5YO 60-69 years, female 3.2
GTEX-YFC4-0126-SM-5CVLY 40-49 years, female 3.2
GTEX-ZQUD-1426-SM-57WER 30-39 years, male 3.2
GTEX-ZVE2-0226-SM-59HJB 50-59 years, male 3.2
GTEX-ZZPT-0226-SM-5E43X 50-59 years, male 3.2
GTEX-1ICLY-0126-SM-D4P36 50-59 years, male 3.2
GTEX-1K2DU-2326-SM-E9TIV 20-29 years, male 3.2
GTEX-11DXZ-2326-SM-5EGGV 50-59 years, male 3.1
GTEX-12KS4-0326-SM-5EQ41 30-39 years, male 3.1
GTEX-TMZS-0126-SM-3DB9Q 60-69 years, male 3.1
GTEX-WRHK-1426-SM-3MJF9 20-29 years, female 3.1
GTEX-ZVT3-0126-SM-5GU6I 60-69 years, female 3.1
GTEX-1EU9M-0226-SM-7P8SP 60-69 years, male 3.1
GTEX-1GL5R-1826-SM-9KNUY 50-59 years, male 3.1
GTEX-12WSC-0126-SM-5EQ4P 50-59 years, male 3.0
GTEX-147GR-0526-SM-5S2MY 60-69 years, male 3.0
GTEX-1HGF4-2426-SM-ACKXM 60-69 years, male 3.0
GTEX-11EMC-2926-SM-5EQ4F 60-69 years, female 2.9
GTEX-12696-2426-SM-5EQ6H 60-69 years, male 2.9
GTEX-13VXU-0126-SM-5SI9F 50-59 years, male 2.9
GTEX-1497J-2426-SM-7IGNX 60-69 years, male 2.9
GTEX-1J8JJ-0226-SM-CL53I 60-69 years, female 2.9
GTEX-11DYG-0126-SM-59883 60-69 years, male 2.8
GTEX-1B8SG-0126-SM-73KZ3 50-59 years, male 2.8
GTEX-ZZ64-1726-SM-5GZYB 20-29 years, male 2.8
GTEX-1GF9X-2026-SM-7PC3A 40-49 years, female 2.8
GTEX-1J8Q2-0526-SM-CM2RW 60-69 years, male 2.8
GTEX-1LSNM-1926-SM-E6CII 50-59 years, male 2.8
GTEX-1LVAN-0226-SM-COH3S 50-59 years, female 2.8
GTEX-117YW-2626-SM-5GZZH 50-59 years, male 2.7
GTEX-18D9B-0526-SM-7LTAS 60-69 years, male 2.7
GTEX-WI4N-1026-SM-3LK7N 40-49 years, female 2.7
GTEX-13NYC-0326-SM-E9J4S 60-69 years, male 2.7
GTEX-11ZTT-2426-SM-5EQLS 60-69 years, female 2.6
GTEX-13N1W-0126-SM-5K7VT 70-79 years, male 2.6
GTEX-14LLW-0126-SM-6LLIO 70-79 years, female 2.6
GTEX-1CAMQ-0226-SM-7IGPK 40-49 years, male 2.6
GTEX-1C6WA-0126-SM-7PC2B 60-69 years, male 2.6
GTEX-1F6I4-0126-SM-9MQL2 60-69 years, male 2.6
GTEX-11OC5-0126-SM-5HL6A 60-69 years, male 2.5
GTEX-ZXG5-0126-SM-5GIEU 60-69 years, male 2.5
GTEX-1H23P-0126-SM-ADEJ3 60-69 years, male 2.5
GTEX-1HCU6-0126-SM-CL54K 60-69 years, female 2.5
GTEX-1J1OQ-0226-SM-CYPSH 40-49 years, female 2.5
GTEX-PLZ6-1426-SM-DKPOT 30-39 years, male 2.5
GTEX-11VI4-1726-SM-5CVLH 40-49 years, female 2.4
GTEX-13FTX-1826-SM-5J1NX 20-29 years, female 2.4
GTEX-13N2G-2626-SM-5J1OT 60-69 years, male 2.4
GTEX-14A5H-0426-SM-5QGQF 60-69 years, male 2.4
GTEX-15EOM-0126-SM-7KUGG 20-29 years, female 2.4
GTEX-X261-0126-SM-3NMD6 50-59 years, male 2.4
GTEX-1JN1M-0326-SM-CYPT3 60-69 years, female 2.4
GTEX-11XUK-2026-SM-5EQLF 40-49 years, female 2.3
GTEX-12ZZZ-0626-SM-5DUXI 60-69 years, male 2.3
GTEX-13SLW-0126-SM-5SI6C 70-79 years, male 2.3
GTEX-144GL-0126-SM-5TDE2 50-59 years, male 2.3
GTEX-OXRL-0126-SM-2YUMP 50-59 years, male 2.3
GTEX-PVOW-0126-SM-2XCFA 40-49 years, male 2.3
GTEX-XQ3S-1526-SM-4BOOC 20-29 years, male 2.3
GTEX-1H3O1-0426-SM-9YFKY 60-69 years, male 2.3
GTEX-1HCU7-0226-SM-CL545 50-59 years, male 2.3
GTEX-1I1CD-0126-SM-CM2TK 60-69 years, female 2.3
GTEX-14PN4-0126-SM-6EU2V 50-59 years, male 2.2
GTEX-1EKGG-0226-SM-9WYTH 60-69 years, male 2.2
GTEX-132NY-0326-SM-5IJBL 60-69 years, male 2.1
GTEX-1C64O-0126-SM-7SB8P 60-69 years, male 2.1
GTEX-1OJC4-0126-SM-E9J2E 50-59 years, female 2.1
GTEX-ZQG8-1626-SM-DHXIT 60-69 years, female 2.1
GTEX-13W3W-2426-SM-5LU5B 60-69 years, female 2.0
GTEX-15ER7-0326-SM-7KUEV 20-29 years, female 2.0
GTEX-1HSGN-0226-SM-CGQFV 40-49 years, female 2.0
GTEX-1MCQQ-0826-SM-DLHC2 60-69 years, male 2.0
GTEX-1QEPI-0126-SM-EWRMQ 60-69 years, female 2.0
GTEX-1RB15-2126-SM-E9TIM 60-69 years, male 2.0
GTEX-11O72-0126-SM-59887 40-49 years, male 1.9
GTEX-1212Z-2526-SM-5EGKP 60-69 years, male 1.9
GTEX-13O1R-0126-SM-5L3EH 60-69 years, male 1.9
GTEX-145LV-2126-SM-5LU8N 50-59 years, male 1.9
GTEX-146FQ-0126-SM-5NQA9 30-39 years, male 1.9
GTEX-15CHC-2126-SM-6EU21 60-69 years, female 1.9
GTEX-1C6VR-2426-SM-79OLD 60-69 years, male 1.9
GTEX-OXRO-0126-SM-2YUN4 60-69 years, female 1.9
GTEX-1JKYR-0126-SM-CNPOJ 20-29 years, male 1.9
GTEX-11ZUS-0626-SM-59885 30-39 years, male 1.8
GTEX-12WSD-0126-SM-59HKN 60-69 years, female 1.8
GTEX-TKQ1-1026-SM-4GICL 30-39 years, male 1.8
GTEX-XXEK-2226-SM-4BRUM 50-59 years, male 1.8
GTEX-YEC4-2126-SM-5IFJH 40-49 years, male 1.8
GTEX-1NV5F-0226-SM-E8VNY 60-69 years, female 1.8
GTEX-14ABY-0226-SM-5TDCQ 50-59 years, male 1.7
GTEX-14PHX-2326-SM-62LEM 50-59 years, male 1.7
GTEX-1E1VI-0126-SM-7DHMZ 50-59 years, male 1.7
GTEX-WOFL-0126-SM-3MJG2 60-69 years, male 1.7
GTEX-13FH7-2026-SM-E9J4I 50-59 years, female 1.7
GTEX-1PPH8-0226-SM-E8VND 20-29 years, male 1.7
GTEX-12126-0326-SM-5PNW3 20-29 years, male 1.6
GTEX-13FHO-0226-SM-5IFGY 60-69 years, male 1.6
GTEX-145LU-0126-SM-5TDCB 50-59 years, male 1.6
GTEX-WVJS-0126-SM-4MVOT 50-59 years, male 1.6
GTEX-13O3O-0126-SM-E9J49 60-69 years, female 1.6
GTEX-1A8FM-0226-SM-7SB7Q 50-59 years, female 1.6
GTEX-1B933-0126-SM-7PC29 50-59 years, female 1.6
GTEX-1GPI6-0126-SM-9WG69 60-69 years, male 1.6
GTEX-1I1HK-0126-SM-COH49 60-69 years, male 1.6
GTEX-1KD4Q-0226-SM-E9TJ9 40-49 years, male 1.6
GTEX-131XW-0426-SM-5LZWP 50-59 years, female 1.5
GTEX-139TU-0126-SM-5K7WH 60-69 years, male 1.5
GTEX-RN64-0126-SM-2TC68 50-59 years, male 1.5
GTEX-S7PM-0126-SM-4AD6S 60-69 years, male 1.5
GTEX-1CB4G-0226-SM-7PC3O 60-69 years, male 1.5
GTEX-1I1GR-0126-SM-CL55F 60-69 years, male 1.5
GTEX-1S83E-0126-SM-EWRO4 40-49 years, male 1.5
GTEX-11LCK-1026-SM-5A5KB 30-39 years, male 1.4
GTEX-13CF3-2426-SM-5IFGX 60-69 years, female 1.4
GTEX-144FL-0126-SM-5TDC8 50-59 years, male 1.4
GTEX-14ICK-0226-SM-6EU25 40-49 years, male 1.4
GTEX-PLZ5-2026-SM-2S1O4 50-59 years, male 1.4
GTEX-1IDJU-2626-SM-CM2RT 60-69 years, female 1.4
GTEX-1JJE9-0326-SM-CL53Z 70-79 years, male 1.4
GTEX-17HG3-2226-SM-7938L 30-39 years, female 1.3
GTEX-1I19N-0326-SM-ACKVX 70-79 years, male 1.3
GTEX-11UD2-0226-SM-5EQKY 50-59 years, male 1.2
GTEX-17EUY-0426-SM-793BD 20-29 years, male 1.2
GTEX-1AMEY-1326-SM-73KYK 30-39 years, female 1.2
GTEX-1C4CL-0526-SM-73KVK 30-39 years, male 1.2
GTEX-1CB4E-2226-SM-793DC 60-69 years, male 1.2
GTEX-V1D1-2226-SM-3NMAX 50-59 years, male 1.2
GTEX-WH7G-2326-SM-3NMBC 40-49 years, male 1.2
GTEX-1GN1V-0126-SM-9WPOS 60-69 years, male 1.2
GTEX-11NUK-0126-SM-5A5L3 50-59 years, male 1.1
GTEX-13D11-2426-SM-5KM1V 50-59 years, female 1.1
GTEX-14E7W-0126-SM-6LLJ9 70-79 years, male 1.1
GTEX-15DDE-0126-SM-6LPKH 50-59 years, female 1.1
GTEX-16AAH-1726-SM-7939C 50-59 years, male 1.1
GTEX-1MA7X-2226-SM-E6CIY 60-69 years, male 1.1
GTEX-1QAET-0926-SM-E76QM 50-59 years, male 1.1
GTEX-12WSA-0226-SM-5BC5V 60-69 years, male 1.0
GTEX-12WSN-5019-SM-79OM6 40-49 years, male 1.0
GTEX-SSA3-0126-SM-32QPU 60-69 years, male 1.0
GTEX-W5WG-1826-SM-4KL2Y 50-59 years, female 1.0
GTEX-1HCUA-2426-SM-ADEIS 50-59 years, female 1.0
GTEX-139T8-0126-SM-5K7XZ 60-69 years, male 0.9
GTEX-13OVI-1426-SM-5L3EY 60-69 years, female 0.9
GTEX-14PJ3-1826-SM-62LEX 50-59 years, male 0.9
GTEX-1GPI7-0126-SM-9MQL8 20-29 years, male 0.9
GTEX-1HCVE-0126-SM-CGQEU 50-59 years, male 0.9
GTEX-1LC47-0326-SM-E9TJP 60-69 years, male 0.9
GTEX-1PBJI-0526-SM-E8VNK 20-29 years, female 0.9
GTEX-1PPH7-2326-SM-EVYB8 40-49 years, male 0.9
GTEX-11TT1-2526-SM-5EGIB 20-29 years, male 0.8
GTEX-12WSK-2326-SM-5GCOH 40-49 years, female 0.8
GTEX-13OVG-1926-SM-5L3DK 60-69 years, male 0.8
GTEX-13U4I-0126-SM-5LU38 40-49 years, female 0.8
GTEX-14PHW-0126-SM-6LLJI 60-69 years, female 0.8
GTEX-17HGU-0226-SM-7DHKV 50-59 years, male 0.8
GTEX-PLZ4-0126-SM-5SI8O 50-59 years, female 0.8
GTEX-Q734-1926-SM-2I5EV 40-49 years, female 0.8
GTEX-ZYFG-2326-SM-5E44B 60-69 years, female 0.8
GTEX-1H1E6-1726-SM-ACKVK 30-39 years, male 0.8
GTEX-1H3VE-0326-SM-9YFLH 40-49 years, male 0.8
GTEX-1I1GP-2226-SM-CGQFK 50-59 years, male 0.8
GTEX-1R46S-0626-SM-E9J41 60-69 years, female 0.8
GTEX-1R9PO-2126-SM-E9J4O 60-69 years, female 0.8
GTEX-SE5C-1626-SM-2XCE3 40-49 years, female 0.8
GTEX-ZVT4-0126-SM-DTXFN 50-59 years, female 0.8
GTEX-11ZVC-2526-SM-5FQTE 50-59 years, female 0.7
GTEX-139T4-0226-SM-5HL5S 50-59 years, female 0.7
GTEX-1AX9K-2326-SM-73KWU 50-59 years, male 0.7
GTEX-P4PQ-0126-SM-2S1NM 60-69 years, male 0.7
GTEX-QLQ7-1626-SM-2S1R8 60-69 years, male 0.7
GTEX-S32W-2126-SM-2XCB1 50-59 years, female 0.7
GTEX-1I1GU-2226-SM-CGQFA 40-49 years, male 0.7
GTEX-1128S-2326-SM-5GZZY 60-69 years, female 0.6
GTEX-13RTJ-2426-SM-5S2Q2 60-69 years, male 0.6
GTEX-17MF6-0126-SM-7LG4F 40-49 years, male 0.6
GTEX-RUSQ-1526-SM-2TF62 50-59 years, male 0.6
GTEX-XMD2-0126-SM-4YCDU 60-69 years, female 0.6
GTEX-ZYY3-0126-SM-5GZY5 60-69 years, female 0.6
GTEX-1B996-0226-SM-7RHGO 60-69 years, male 0.6
GTEX-1H1DE-2126-SM-9WG6R 20-29 years, male 0.6
GTEX-1QPFJ-0226-SM-E76PB 30-39 years, female 0.6
GTEX-1192W-2626-SM-5Q5AF 60-69 years, male 0.5
GTEX-15EU6-0426-SM-6PAN5 50-59 years, male 0.5
GTEX-183WM-0126-SM-7LTAB 70-79 years, female 0.5
GTEX-1A3MW-0126-SM-73KXX 60-69 years, female 0.5
GTEX-QDT8-0126-SM-48TZ1 30-39 years, female 0.5
GTEX-X4XY-0226-SM-4E3IZ 60-69 years, male 0.5
GTEX-X585-0226-SM-4QAS2 50-59 years, male 0.5
GTEX-Y111-0126-SM-4SOIV 50-59 years, male 0.5
GTEX-1F5PK-2426-SM-7RHHY 50-59 years, male 0.5
GTEX-1JK1U-2026-SM-CM2RZ 60-69 years, male 0.5
GTEX-1KD5A-0226-SM-D5OV3 50-59 years, male 0.5
GTEX-11DXY-2626-SM-5GIE7 60-69 years, male 0.4
GTEX-13N11-2526-SM-5K7UE 50-59 years, female 0.4
GTEX-13X6H-2126-SM-7EWD5 50-59 years, female 0.4
GTEX-14E6E-1826-SM-5S2R7 30-39 years, male 0.4
GTEX-15D1Q-0126-SM-7KUG6 40-49 years, male 0.4
GTEX-15UF6-0826-SM-6PALJ 70-79 years, female 0.4
GTEX-15UKP-0426-SM-7KUFQ 20-29 years, male 0.4
GTEX-1AYD5-2426-SM-73KXR 50-59 years, male 0.4
GTEX-XUW1-0426-SM-4BOOT 50-59 years, female 0.4
GTEX-1C6VQ-0126-SM-7P8RI 50-59 years, male 0.4
GTEX-1HR98-0126-SM-B2LWI 60-69 years, male 0.4
GTEX-1IE54-0126-SM-CMKHW 40-49 years, female 0.4
GTEX-1LNCM-1126-SM-E9U5E 50-59 years, female 0.4
GTEX-1R9K4-0126-SM-DTX9X 60-69 years, male 0.4
GTEX-ZE7O-0126-SM-57WC1 50-59 years, female 0.3
GTEX-ZTPG-0326-SM-5O9AX 20-29 years, female 0.3
GTEX-ZYW4-0126-SM-5E44A 60-69 years, male 0.3
GTEX-14BIL-0126-SM-5SI92 50-59 years, male 0.2
GTEX-O5YT-0126-SM-48TBW 20-29 years, male 0.2
GTEX-QDVN-2026-SM-3GAEP 50-59 years, male 0.2
GTEX-WFG8-2226-SM-3GIL9 20-29 years, male 0.2
GTEX-ZVZO-0126-SM-5A5L9 40-49 years, male 0.2
GTEX-1HBPH-0426-SM-B2LW5 40-49 years, female 0.2
GTEX-1I1GS-0126-SM-B2LVW 60-69 years, male 0.2
GTEX-11TTK-0126-SM-5987B 60-69 years, female 0.1
GTEX-144GN-2326-SM-5LU4F 50-59 years, male 0.1
GTEX-14JIY-0126-SM-6LLH6 60-69 years, male 0.1
GTEX-14PN3-2426-SM-6LLHS 60-69 years, female 0.1
GTEX-P44H-0226-SM-2XCEU 40-49 years, male 0.1
GTEX-1F75I-0326-SM-9YFLU 40-49 years, male 0.1
GTEX-1IY9M-0126-SM-D3L8S 60-69 years, male 0.1
GTEX-1JMOU-1526-SM-CL54I 60-69 years, female 0.1
GTEX-1QP67-1626-SM-EAZ3X 40-49 years, female 0.1
GTEX-1RAZQ-0726-SM-EAZ43 30-39 years, male 0.1
GTEX-11H98-0126-SM-5EGHG 50-59 years, male 0.0
GTEX-11OF3-2626-SM-5GU7F 60-69 years, male 0.0
GTEX-11P82-1626-SM-59879 20-29 years, male 0.0
GTEX-11WQK-0526-SM-5EQLD 50-59 years, male 0.0
GTEX-1211K-2026-SM-5EQ4Z 60-69 years, female 0.0
GTEX-12WSE-0526-SM-793B2 20-29 years, male 0.0
GTEX-13NYS-0126-SM-5MR3W 60-69 years, male 0.0
GTEX-147F4-0226-SM-5QGPW 50-59 years, male 0.0
GTEX-OXRN-0126-SM-48TDM 50-59 years, male 0.0
GTEX-U4B1-1826-SM-4DXSU 40-49 years, male 0.0
GTEX-UPJH-0326-SM-3GADU 50-59 years, male 0.0
GTEX-VUSG-2526-SM-4KL1V 50-59 years, male 0.0
GTEX-WY7C-2326-SM-3NB2U 50-59 years, male 0.0
GTEX-X4EP-0126-SM-3P5YV 60-69 years, female 0.0
GTEX-YJ8A-0426-SM-5IFID 20-29 years, male 0.0
GTEX-ZUA1-0126-SM-5GU76 40-49 years, male 0.0
GTEX-146FR-1326-SM-E9J48 60-69 years, female 0.0
GTEX-1CAMS-0426-SM-7P8T2 40-49 years, female 0.0
GTEX-1EN7A-0126-SM-7SB81 40-49 years, male 0.0
GTEX-1GTWX-0126-SM-9YFLK 60-69 years, male 0.0
GTEX-1HBPI-1526-SM-C1YQ1 50-59 years, male 0.0
GTEX-1HBPM-0226-SM-ARL9F 60-69 years, female 0.0
GTEX-1HUB1-0426-SM-E9U4U 60-69 years, male 0.0
GTEX-1QMI2-0226-SM-EVYBX 60-69 years, male 0.0
GTEX-1QW4Y-1526-SM-EAZ3Z 30-39 years, male 0.0
GTEX-1R7EV-2426-SM-EVYBG 40-49 years, male 0.0
GTEX-1RLM8-2326-SM-EWRN4 50-59 years, male 0.0
Show allShow less

Contact

  • NEWS ARTICLES
  • PRESS ROOM

The Project

  • INTRODUCTION
  • ORGANIZATION
  • PUBLICATIONS

The Human Protein Atlas

  • DOWNLOADABLE DATA
  • LICENCE & CITATION
  • HELP & FAQ
The Human Protein Atlas project is funded
by the Knut & Alice Wallenberg Foundation.


contact@proteinatlas.org