We use cookies to enhance the usability of our website. If you continue, we'll assume that you are happy to receive all cookies. More information. Don't show this again.
GRB10
HPA
RESOURCES
  • TISSUE
  • BRAIN
  • SINGLE CELL
  • SUBCELLULAR
  • CANCER
  • BLOOD
  • CELL LINE
  • STRUCTURE & INTERACTION
ABOUT
  • INTRODUCTION
  • HISTORY
  • ORGANIZATION
  • PUBLICATIONS
  • ANTIBODY SUBMISSION
  • ANTIBODY AVAILABILITY
  • ACKNOWLEDGMENTS
  • CONTACT
NEWS
  • NEWS ARTICLES
  • PRESS ROOM
LEARN
  • DICTIONARY
  • PROTEIN CLASSES
  • PROTEIN EVIDENCE
  • METHODS
  • EDUCATIONAL VIDEOS
DATA
  • DOWNLOADABLE DATA
  • PUBLICATION DATA
  • RELEASE HISTORY
HELP
  • ANTIBODY VALIDATION
  • ASSAYS & ANNOTATION
  • DISCLAIMER
  • HELP & FAQ
  • PRIVACY STATEMENT
  • LICENCE & CITATION
Fields »
Search result

Field
Term
Gene name
Class
Subclass
Class
Keyword
Chromosome
External id
Tissue
Cell type
Expression
Antibody panel
Tissue
Main location
Patient ID
Annotation
Tissue
Category
Tau score
Cluster
Reliability
Brain region
Category
Tau score
Brain region
Category
Tau score
Brain region
Category
Tau score
Cluster
Reliability
Tissue
Cell type
Enrichment
Cell type
Category
Tau score
Cell type
Category
Tau score
Cell type
Category
Tau score
Cell lineage
Category
Tau score
Cluster
Cluster
Location
Searches
Location
Cell line
Class
Type
Phase
Reliability
Cancer
Prognosis
Cancer
Category
Cancer
Category
Tau score
Cluster
Variants
Interacting gene (ensg_id)
Type
Number of interactions
Pathway
Category
Score
Score
Score
Validation
Validation
Validation
Validation
Antibodies
Data type
Column


  • SUMMARY

  • TISSUE

  • BRAIN

  • SINGLE CELL

  • SUBCELL

  • CANCER

  • BLOOD

  • CELL LINE

  • STRUCT & INT

  • GRB10
TISSUE PRIMARY DATA SKIN Show tissue menu
ADIPOSE TISSUE ADRENAL GLAND AMYGDALA APPENDIX BASAL GANGLIA BONE MARROW BREAST BRONCHUS CEREBELLUM CEREBRAL CORTEX CERVIX CHOROID PLEXUS COLON DUODENUM
ENDOMETRIUM EPIDIDYMIS ESOPHAGUS FALLOPIAN TUBE GALLBLADDER HEART MUSCLE HIPPOCAMPAL FORMATION HYPOTHALAMUS KIDNEY LIVER LUNG LYMPH NODE MIDBRAIN NASOPHARYNX
ORAL MUCOSA OVARY PANCREAS PARATHYROID GLAND PITUITARY GLAND PLACENTA PROSTATE RECTUM RETINA SALIVARY GLAND SEMINAL VESICLE SKELETAL MUSCLE SKIN SMALL INTESTINE
SMOOTH MUSCLE SOFT TISSUE SPINAL CORD SPLEEN STOMACH TESTIS THYMUS THYROID GLAND TONGUE TONSIL URINARY BLADDER VAGINA
ANTIBODIES
AND
VALIDATION
Dictionary
Skin
Tissue proteome
Skin
SKIN - Expression summary
Protein expression
Skini

On the top, protein expression in current human tissue, based on all annotated cell types, is reported with the units not detected (n), low (l), medium (m) and high (h). Underneath, protein expression in each annotated cell type are reported using the same units.

Protein expression data is based on knowledge-based annotation. For genes where more than one antibody has been used, a collective score is set.

If knowledge-based annotation could not be performed for a gene, no data is displayed here. View antibody staining data further down this page.

h
m
l
n
Epidermal cells: Medium
Fibroblasts: Not detected
Keratinocytes: Not detected
Langerhans: Not detected
Melanocytes: Medium
RNA expressioni

A summary of mRNA expression data available for current tissue based on several datasets. The mRNA expression levels in human tissues are based on RNA-seq data generated by the Human Protein Atlas (HPA), Genotype-Tissue Expression (GTEx) portal and CAGE data generated by the FANTOM5 consortium. Consensus normalized expression levels for human tissues was created by combining the data from HPA and GTEx datasets.

The mRNA expression levels in pig are based on RNA-seq data generated by the Human Protein Atlas (HPA), and for mouse, HPA data and in situ hybridization generated by the Allen brain atlas are reported.

Scroll down to view mRNA expression data in more detail.
Consensus:8.8 nTPM
HPA:4.0 nTPM
GTEx:8.8 nTPM

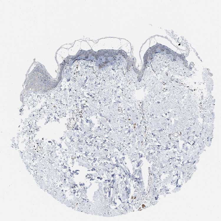
SKIN 1 - Antibody stainingi

Antibody staining in the annotated cell types in the current human tissue is reported as not detected, low, medium, or high, based on conventional immunohistochemistry profiling in selected tissues. This score is based on the combination of the staining intensity and fraction of stained cells.

Each image is clickable and will lead to virtual microscopy that enables deeper exploration of all samples and also displays staining intensity scores, fraction scores and subcellular localization as well as patient and tissue information for each sample.

Antibody HPA027502Antibody CAB019423
Langerhans Not detectedNot detected
Fibroblasts LowNot detected
Keratinocytes LowNot detected
Melanocytes LowMedium




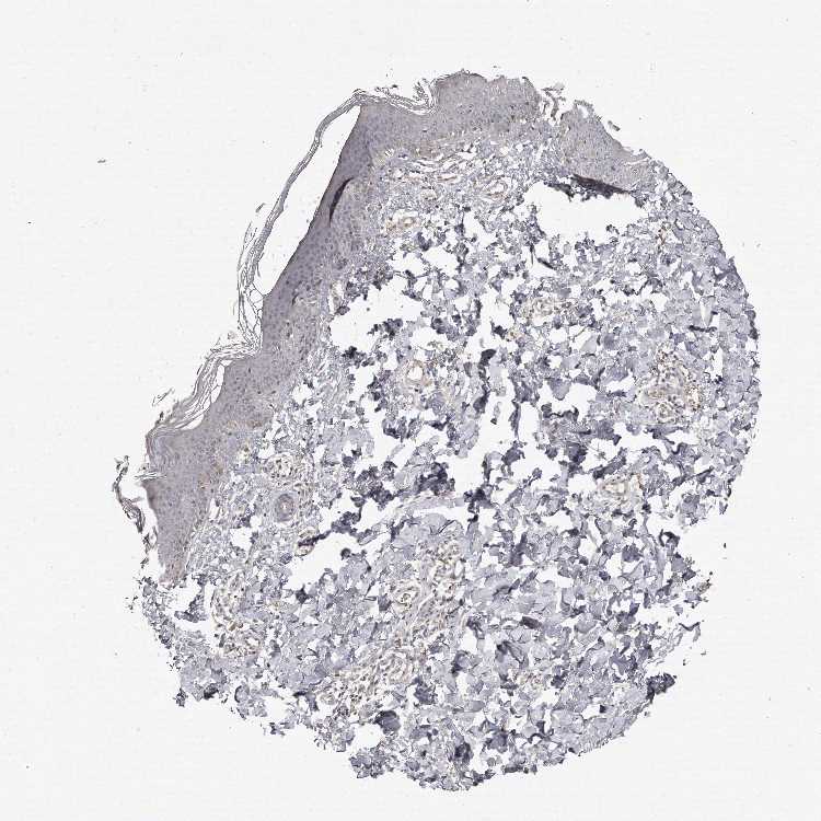
SKIN 2 - Antibody stainingi

Antibody staining in the annotated cell types in the current human tissue is reported as not detected, low, medium, or high, based on conventional immunohistochemistry profiling in selected tissues. This score is based on the combination of the staining intensity and fraction of stained cells.

Each image is clickable and will lead to virtual microscopy that enables deeper exploration of all samples and also displays staining intensity scores, fraction scores and subcellular localization as well as patient and tissue information for each sample.

Antibody HPA027502Antibody CAB019423
Epidermal cells Not detectedMedium
  
  
  





SKIN - HPA RNA-seqi

The RNA-seq details section shows detailed information about the individual samples used for the transcript profiling and results of the RNA-seq analysis.

Information about each individual sample is listed below, including gender, age, a tissue section image and estimated fractions of cell types. nTPM (normalized transcripts per million) values give a quantification of the gene abundance which is comparable between different genes and samples.
Average nTPMi

Max subtype nTPM is the value for the subtype with the largest average nTPM across the subtype samples.

4.0
overview
Female, age 34
Skin sample 225
nTPM: 3.6
Cell types%
Keratinocytes:
60

Other cell types:
40

overview
Female, age 30
Skin sample 226
nTPM: 3.2
Cell types%
Keratinocytes:
55

Other cell types:
45

N/A
Male, age 57
Skin sample 227
nTPM: 5.3

SKIN - GTEx RNA-seqi

RNA-Seq data generated by the Genotype-Tissue Expression (GTEx) project from human tissues is reported as mean nTPM. More information can be found on the GTEx portal.

Distribution across the dataset is visualized with box plots, shown as median and 25th and 75th percentiles. Points are displayed as outliers if they are above or below 1.5 times the interquartile range. nTPM values of the individual samples are presented next to the box plot.
Max subtype nTPMi

Max subtype nTPM is the value for the subtype with the largest average nTPM across the subtype samples.

8.8
GTEx sample id Sample description nTPM
Skin - Not Sun Exposed (Suprapubic)
Average nTPM: 7.4
Samples: 604

Max nTPM: 22.0
Min nTPM: 2.1
Std nTPM: 3.3
Median nTPM: 6.8
GTEX-Y8LW-1526-SM-5IFHL 50-59 years, female 22.0
GTEX-ZT9W-1126-SM-57WDR 50-59 years, male 20.7
GTEX-1GMR2-0826-SM-7PC3V 50-59 years, male 20.7
GTEX-YB5K-2026-SM-4VDT3 40-49 years, female 19.3
GTEX-ZLFU-1826-SM-4WWBV 40-49 years, male 19.2
GTEX-1I4MK-0126-SM-CY8G6 50-59 years, female 18.7
GTEX-1AX9J-1326-SM-731BJ 60-69 years, male 17.3
GTEX-1L5NE-1126-SM-D3L9P 50-59 years, male 17.2
GTEX-WFG8-2126-SM-3GIKQ 20-29 years, male 16.9
GTEX-1QP29-1826-SM-DTX9S 50-59 years, male 16.7
GTEX-117YX-1926-SM-5GIEC 50-59 years, male 16.6
GTEX-13FH7-1126-SM-5K7UG 50-59 years, female 16.1
GTEX-12WSL-2026-SM-5GCML 50-59 years, male 16.0
GTEX-13OVJ-0826-SM-5J1OK 50-59 years, female 16.0
GTEX-14DAR-1226-SM-73KYV 50-59 years, male 16.0
GTEX-14E6C-2426-SM-5S2NF 40-49 years, male 15.9
GTEX-1399R-1326-SM-5PNYS 30-39 years, male 15.7
GTEX-ZU9S-1826-SM-5NQ9E 30-39 years, male 15.7
GTEX-ZYW4-0626-SM-59HJR 60-69 years, male 15.6
GTEX-145ME-1726-SM-5Q5EU 40-49 years, female 15.3
GTEX-X3Y1-2026-SM-3P5YM 40-49 years, male 15.3
GTEX-1CAV2-0126-SM-7IGN7 40-49 years, female 15.1
GTEX-13113-1626-SM-5EQ4I 60-69 years, female 15.0
GTEX-1JKYN-0826-SM-ARU8S 30-39 years, male 15.0
GTEX-1HCU8-2526-SM-CE6RX 60-69 years, female 14.8
GTEX-11DZ1-2426-SM-5GZZX 50-59 years, male 14.7
GTEX-18D9B-0926-SM-7LG4U 60-69 years, male 14.7
GTEX-ZYFG-1526-SM-5GZYM 60-69 years, female 14.6
GTEX-14E6E-0526-SM-793DN 30-39 years, male 14.5
GTEX-11TT1-1826-SM-5EQLV 20-29 years, male 14.2
GTEX-1497J-0226-SM-5QGPU 60-69 years, male 14.1
GTEX-13JUV-2026-SM-5K7UA 40-49 years, female 14.0
GTEX-1HCUA-0826-SM-ADEHM 50-59 years, female 14.0
GTEX-WYJK-0526-SM-3NM8Z 50-59 years, male 13.8
GTEX-1JMOU-1026-SM-CYPSS 60-69 years, female 13.8
GTEX-1H1ZS-2726-SM-9WG75 70-79 years, male 13.7
GTEX-1211K-1526-SM-5FQU4 60-69 years, female 13.5
GTEX-XK95-0226-SM-4AT58 40-49 years, male 13.5
GTEX-Y5LM-0926-SM-6LLJG 40-49 years, female 13.3
GTEX-11EM3-1226-SM-5N9DD 20-29 years, female 13.2
GTEX-12BJ1-0926-SM-5EQ62 60-69 years, male 13.2
GTEX-1KANC-1226-SM-CYPT7 50-59 years, female 13.1
GTEX-1LSNM-0826-SM-DIPG8 50-59 years, male 13.1
GTEX-17EVQ-0126-SM-7IGLR 70-79 years, male 13.0
GTEX-YF7O-1526-SM-5IFI6 50-59 years, male 13.0
GTEX-1J1R8-2026-SM-CL53Y 40-49 years, male 13.0
GTEX-14BMU-1226-SM-5S2OR 20-29 years, female 12.7
GTEX-16MTA-0926-SM-6M47Z 50-59 years, male 12.5
GTEX-ZLWG-0826-SM-59888 50-59 years, female 12.5
GTEX-17F96-0126-SM-7EWDU 70-79 years, male 12.4
GTEX-1B996-0426-SM-7EWF8 60-69 years, male 12.4
GTEX-13RTJ-0126-SM-5S2NN 60-69 years, male 12.3
GTEX-18D9A-1426-SM-7LT8M 30-39 years, female 12.3
GTEX-16NGA-0726-SM-731AO 40-49 years, female 12.2
GTEX-1LG7Z-1626-SM-CXKYR 30-39 years, male 12.2
GTEX-1F75B-0726-SM-7PC3R 50-59 years, male 12.1
GTEX-WXYG-2026-SM-4E3IY 50-59 years, female 12.0
GTEX-WYBS-0626-SM-3NMAS 60-69 years, female 12.0
GTEX-1C475-1326-SM-7SB73 40-49 years, female 12.0
GTEX-1H23P-0626-SM-9WG6T 60-69 years, male 12.0
GTEX-12584-0726-SM-5FQTK 40-49 years, male 11.9
GTEX-XPVG-2126-SM-4B667 50-59 years, male 11.9
GTEX-Y3IK-1626-SM-4YCF5 50-59 years, female 11.9
GTEX-1A3MX-2626-SM-7PC24 60-69 years, male 11.9
GTEX-ZTSS-1426-SM-5985P 40-49 years, male 11.8
GTEX-14PKV-1126-SM-6LLJ1 20-29 years, female 11.7
GTEX-1J8Q3-0526-SM-ARL8U 60-69 years, male 11.5
GTEX-1LGOU-1326-SM-D3L8M 20-29 years, female 11.5
GTEX-1117F-2926-SM-5GZYI 60-69 years, female 11.4
GTEX-132AR-0326-SM-5KM2C 50-59 years, female 11.4
GTEX-17MF6-2626-SM-79OKQ 40-49 years, male 11.4
GTEX-ZA64-1026-SM-5HL8R 20-29 years, male 11.4
GTEX-12WSK-2126-SM-5CVNC 40-49 years, female 11.3
GTEX-XYKS-1426-SM-4BRUO 60-69 years, female 11.3
GTEX-ZYFD-0626-SM-5E44E 50-59 years, male 11.3
GTEX-1S5ZU-2526-SM-E6CIF 20-29 years, female 11.3
GTEX-111FC-2526-SM-5GZXU 60-69 years, male 11.2
GTEX-139T8-0626-SM-5KLZX 60-69 years, male 11.2
GTEX-13QBU-1226-SM-5LU4G 40-49 years, female 11.2
GTEX-1QCLZ-2426-SM-EVYBW 60-69 years, female 11.2
GTEX-14JG6-1426-SM-9WG7C 30-39 years, female 11.1
GTEX-1314G-1326-SM-5BC6E 30-39 years, male 11.0
GTEX-145MN-1526-SM-5SI9T 30-39 years, male 11.0
GTEX-16AAH-0626-SM-793C9 50-59 years, male 11.0
GTEX-ZGAY-1826-SM-DO91Q 40-49 years, female 11.0
GTEX-11ZTT-2126-SM-5CVLO 60-69 years, female 10.9
GTEX-16BQI-1326-SM-6M486 30-39 years, female 10.9
GTEX-U8XE-0226-SM-4E3J3 30-39 years, male 10.8
GTEX-WHSE-0126-SM-3NMBT 20-29 years, male 10.8
GTEX-ZVTK-0226-SM-51MRG 20-29 years, male 10.8
GTEX-1H1DF-1126-SM-9WG7G 40-49 years, female 10.8
GTEX-12WSJ-1126-SM-5LZVJ 40-49 years, female 10.7
GTEX-145LT-0526-SM-5LUB2 40-49 years, male 10.7
GTEX-1GF9U-2026-SM-7SB92 40-49 years, female 10.7
GTEX-147F3-1726-SM-5SIAW 50-59 years, female 10.6
GTEX-15UF6-1926-SM-7KUDV 70-79 years, female 10.6
GTEX-1I6K6-1726-SM-CGQFD 30-39 years, male 10.6
GTEX-1IDJI-0126-SM-CMKHS 50-59 years, female 10.6
GTEX-13N2G-0226-SM-5K7VF 60-69 years, male 10.5
GTEX-X8HC-0626-SM-4E3HQ 50-59 years, female 10.5
GTEX-1F75W-2726-SM-7SB8H 60-69 years, male 10.5
GTEX-1MCC2-1826-SM-DIPEX 30-39 years, female 10.5
GTEX-1O9I2-0226-SM-EYYXD 50-59 years, male 10.5
GTEX-1HKZK-0726-SM-ACKW2 40-49 years, male 10.4
GTEX-ZPIC-0526-SM-DO91W 40-49 years, female 10.4
GTEX-12WSA-0426-SM-5EQ5X 60-69 years, male 10.3
GTEX-18A7B-2726-SM-7LG56 70-79 years, male 10.3
GTEX-1LBAC-0826-SM-CY8IJ 20-29 years, male 10.3
GTEX-14A5H-0826-SM-5QGPJ 60-69 years, male 10.2
GTEX-XV7Q-1826-SM-4BRUV 40-49 years, female 10.2
GTEX-1IDJF-2026-SM-CL53V 20-29 years, male 10.2
GTEX-1LVAO-2726-SM-E9TJ8 60-69 years, male 10.2
GTEX-16XZZ-0726-SM-7KUF2 60-69 years, male 10.1
GTEX-VJYA-1526-SM-3GIJV 60-69 years, male 10.1
GTEX-WYVS-1626-SM-3NM9R 40-49 years, female 10.1
GTEX-14PJ2-0626-SM-6LLII 50-59 years, male 10.0
GTEX-Y5V6-2326-SM-4VDSA 60-69 years, male 10.0
GTEX-1GL5R-1326-SM-7RHHF 50-59 years, male 10.0
GTEX-1HFI7-2326-SM-CGQFS 50-59 years, female 10.0
GTEX-1K2DA-1026-SM-CGQGF 50-59 years, male 10.0
GTEX-13N11-2326-SM-5IJBF 50-59 years, female 9.9
GTEX-145MO-2826-SM-5LU96 60-69 years, male 9.9
GTEX-17JCI-2926-SM-7DUFF 60-69 years, female 9.9
GTEX-1JMQL-2226-SM-CNPP4 50-59 years, female 9.9
GTEX-12C56-1526-SM-5FQUQ 20-29 years, male 9.8
GTEX-13NYS-0626-SM-5L3F1 60-69 years, male 9.7
GTEX-15D1Q-2826-SM-6LLH7 40-49 years, male 9.7
GTEX-X5EB-1926-SM-4E3IW 40-49 years, male 9.7
GTEX-XUW1-0926-SM-4BONX 50-59 years, female 9.7
GTEX-YEC4-1826-SM-4W1YP 40-49 years, male 9.7
GTEX-1I1CD-0626-SM-CE6SW 60-69 years, female 9.7
GTEX-139YR-1026-SM-5LZYN 50-59 years, male 9.6
GTEX-16GPK-0626-SM-7KFSF 60-69 years, male 9.6
GTEX-XBEC-0726-SM-4QARZ 50-59 years, male 9.6
GTEX-ZUA1-2626-SM-5NQ92 40-49 years, male 9.6
GTEX-1F48J-0726-SM-7RHGS 50-59 years, female 9.6
GTEX-1GZ2Q-0126-SM-9WG6M 40-49 years, male 9.6
GTEX-1QP66-1226-SM-DTX7U 50-59 years, male 9.6
GTEX-11VI4-1126-SM-5EQMD 40-49 years, female 9.5
GTEX-1CB4H-1126-SM-7MKGL 60-69 years, female 9.5
GTEX-ZPU1-1126-SM-4YCF3 40-49 years, male 9.4
GTEX-ZVP2-0326-SM-57WBP 50-59 years, male 9.4
GTEX-1CAMR-1326-SM-7PC1F 20-29 years, male 9.4
GTEX-ZAB4-2126-SM-5HL8U 40-49 years, male 9.3
GTEX-1JMQI-1726-SM-ARL93 50-59 years, male 9.3
GTEX-X4EP-0626-SM-3P621 60-69 years, female 9.2
GTEX-ZVE1-0726-SM-51MRN 50-59 years, female 9.2
GTEX-1S831-1826-SM-EWROF 20-29 years, male 9.2
GTEX-13FTW-0326-SM-5K7UW 40-49 years, male 9.1
GTEX-18A66-0626-SM-7LT8Z 60-69 years, male 9.1
GTEX-WI4N-2726-SM-3LK7Y 40-49 years, female 9.1
GTEX-ZZ64-1026-SM-5GZXG 20-29 years, male 9.1
GTEX-1C64O-1326-SM-7MGWR 60-69 years, male 9.1
GTEX-13X6I-1826-SM-5SIAO 60-69 years, male 9.0
GTEX-1477Z-0326-SM-7IGLA 60-69 years, male 9.0
GTEX-UPK5-0426-SM-3GAEK 40-49 years, male 9.0
GTEX-W5X1-2526-SM-3GILC 40-49 years, female 9.0
GTEX-XBED-1926-SM-47JYP 60-69 years, male 9.0
GTEX-ZAJG-1526-SM-5CVML 50-59 years, female 9.0
GTEX-1H3NZ-2726-SM-9WYTQ 60-69 years, male 9.0
GTEX-11NSD-0626-SM-5A5LU 20-29 years, male 8.9
GTEX-1A32A-0626-SM-731AQ 50-59 years, female 8.9
GTEX-1A3MV-1826-SM-731CD 30-39 years, male 8.9
GTEX-WEY5-2326-SM-3GIKK 40-49 years, female 8.9
GTEX-WY7C-2126-SM-3NB2R 50-59 years, male 8.9
GTEX-1IDJE-1426-SM-ADEIW 50-59 years, female 8.9
GTEX-1JJE9-2626-SM-ARZMT 70-79 years, male 8.9
GTEX-13PVR-0426-SM-5RQK2 60-69 years, female 8.8
GTEX-15CHQ-0326-SM-69LQD 60-69 years, male 8.8
GTEX-1AX8Z-0726-SM-73KTS 60-69 years, male 8.8
GTEX-ZWKS-0626-SM-5GIDV 30-39 years, male 8.8
GTEX-1HCU6-2526-SM-ADEHL 60-69 years, female 8.8
GTEX-1HFI6-0126-SM-CNPPI 40-49 years, male 8.8
GTEX-1HUB1-1426-SM-CGQF5 60-69 years, male 8.8
GTEX-1IDJD-2326-SM-ACKWX 30-39 years, male 8.8
GTEX-11LCK-2226-SM-5HL4Q 30-39 years, male 8.7
GTEX-WH7G-2026-SM-3NMBL 40-49 years, male 8.7
GTEX-Y3I4-1726-SM-4TT89 50-59 years, male 8.7
GTEX-ZVE2-2826-SM-5GU51 50-59 years, male 8.7
GTEX-1F88E-1626-SM-7SB8Z 60-69 years, female 8.7
GTEX-1GZ4H-0526-SM-9KNU9 50-59 years, female 8.7
GTEX-1HBPN-0126-SM-CGQEF 50-59 years, male 8.7
GTEX-1I19N-0126-SM-CYPSF 70-79 years, male 8.7
GTEX-13YAN-0226-SM-5TDC6 60-69 years, male 8.6
GTEX-1LVAN-0626-SM-CNPOQ 50-59 years, female 8.6
GTEX-1R7EU-1626-SM-DTXG3 60-69 years, male 8.6
GTEX-11UD2-2526-SM-5CVNU 50-59 years, male 8.5
GTEX-17F98-1326-SM-7DUEP 40-49 years, female 8.5
GTEX-1F75I-2226-SM-7SB8U 40-49 years, male 8.5
GTEX-1LGRB-0926-SM-COH3K 50-59 years, female 8.5
GTEX-1R9K4-2826-SM-DTX8F 60-69 years, male 8.5
GTEX-13OVG-1626-SM-5J1NF 60-69 years, male 8.4
GTEX-1CB4I-0126-SM-7RHGG 50-59 years, male 8.4
GTEX-1IDJC-1526-SM-B2LW4 50-59 years, male 8.4
GTEX-1JJ6O-2726-SM-CNPOG 60-69 years, male 8.4
GTEX-YEC3-1326-SM-DO92X 50-59 years, male 8.4
GTEX-13PVQ-0626-SM-5LU47 50-59 years, male 8.3
GTEX-145MG-1526-SM-5Q5EM 50-59 years, male 8.3
GTEX-16MT8-2926-SM-7DUFO 60-69 years, female 8.3
GTEX-ZF3C-0626-SM-DO92O 50-59 years, female 8.3
GTEX-ZLV1-1526-SM-DO91J 60-69 years, female 8.3
GTEX-14PK6-0226-SM-62LF5 70-79 years, female 8.2
GTEX-1A3MW-0626-SM-731CB 60-69 years, female 8.2
GTEX-ZVT2-0126-SM-5GIDQ 50-59 years, female 8.2
GTEX-1I1GS-2626-SM-B2LY3 60-69 years, male 8.2
GTEX-1RAZA-2226-SM-E9U4X 20-29 years, male 8.2
GTEX-13U4I-2226-SM-5LU5H 40-49 years, female 8.1
GTEX-13VXT-1926-SM-5K7UO 20-29 years, female 8.1
GTEX-13W3W-0726-SM-5IJDQ 60-69 years, female 8.1
GTEX-14DAQ-0626-SM-793DS 60-69 years, female 8.1
GTEX-X585-2426-SM-46MW2 50-59 years, male 8.1
GTEX-1I6K7-1926-SM-B2LXR 40-49 years, male 8.1
GTEX-1RLM8-2926-SM-E8VON 50-59 years, male 8.1
GTEX-14PJO-2526-SM-6AJBQ 60-69 years, male 8.0
GTEX-16MT9-0126-SM-7EPI8 60-69 years, female 8.0
GTEX-WFON-1926-SM-3LK7L 40-49 years, male 8.0
GTEX-1JMQK-1226-SM-D4P2S 60-69 years, male 8.0
GTEX-1K2DU-1226-SM-CYPT4 20-29 years, male 8.0
GTEX-1KANA-1326-SM-DIPFA 20-29 years, male 8.0
GTEX-1R9PN-0426-SM-DTXDT 40-49 years, female 8.0
GTEX-13NZ9-2626-SM-5L3FK 50-59 years, male 7.9
GTEX-13O61-1426-SM-5KM3D 60-69 years, male 7.9
GTEX-14PJ5-1526-SM-6LLIL 60-69 years, female 7.9
GTEX-14PKU-0126-SM-6LLHV 40-49 years, female 7.9
GTEX-18D9U-0126-SM-731BM 40-49 years, male 7.9
GTEX-WHWD-1826-SM-3LK6I 50-59 years, male 7.9
GTEX-1H1E6-0426-SM-9WYUS 30-39 years, male 7.9
GTEX-1H3VE-0726-SM-9YFL5 40-49 years, male 7.9
GTEX-1ICLY-0826-SM-CMKG1 50-59 years, male 7.9
GTEX-111CU-1126-SM-5EGIM 50-59 years, male 7.8
GTEX-139TS-2126-SM-5K7XC 60-69 years, male 7.8
GTEX-1AMEY-0826-SM-72D65 30-39 years, female 7.8
GTEX-XAJ8-1426-SM-47JYM 40-49 years, male 7.8
GTEX-ZDXO-3126-SM-5IJDF 60-69 years, male 7.8
GTEX-1GTWX-2026-SM-9YFLM 60-69 years, male 7.8
GTEX-1H2FU-0926-SM-9WPPT 60-69 years, female 7.8
GTEX-1ICG6-1226-SM-A9SLN 70-79 years, female 7.8
GTEX-1J8JJ-0626-SM-ARZMQ 60-69 years, female 7.8
GTEX-1RMOY-1326-SM-E9TIH 50-59 years, male 7.8
GTEX-12WSF-1626-SM-7KUG5 70-79 years, male 7.7
GTEX-1HBPM-0726-SM-9YFL7 60-69 years, female 7.7
GTEX-11EQ8-0926-SM-5H12V 60-69 years, male 7.6
GTEX-11WQK-1026-SM-5EQLX 50-59 years, male 7.6
GTEX-13N1W-2426-SM-5IJD1 70-79 years, male 7.6
GTEX-15CHC-1126-SM-6LLHQ 60-69 years, female 7.6
GTEX-17F9E-2326-SM-79OKD 50-59 years, male 7.6
GTEX-ZP4G-1426-SM-4WWCL 20-29 years, female 7.6
GTEX-1GMR8-0626-SM-7RHI7 50-59 years, female 7.6
GTEX-1HSMO-0626-SM-ACKXC 60-69 years, male 7.6
GTEX-1RB15-1326-SM-E76Q9 60-69 years, male 7.6
GTEX-139TU-0726-SM-5L3EK 60-69 years, male 7.5
GTEX-13IVO-0726-SM-5LZYV 70-79 years, male 7.5
GTEX-13OVK-1426-SM-6PAN7 40-49 years, male 7.5
GTEX-XQ8I-0926-SM-4BOOF 50-59 years, male 7.5
GTEX-XXEK-1626-SM-4BRUZ 50-59 years, male 7.5
GTEX-1F5PL-0926-SM-7PC2W 40-49 years, female 7.5
GTEX-131XF-2626-SM-5EQ6K 60-69 years, male 7.4
GTEX-1HC8U-1326-SM-9YFMJ 40-49 years, female 7.4
GTEX-1HCU9-0426-SM-9WYSD 20-29 years, male 7.4
GTEX-1J8Q2-2626-SM-ACKWQ 60-69 years, male 7.4
GTEX-12696-0126-SM-5EQ4L 60-69 years, male 7.3
GTEX-144GO-2026-SM-5O99P 60-69 years, male 7.3
GTEX-15FZZ-0526-SM-7KUGD 30-39 years, female 7.3
GTEX-183FY-1026-SM-7939A 20-29 years, male 7.3
GTEX-1IDJU-1726-SM-CMKHU 60-69 years, female 7.3
GTEX-1JMLX-0626-SM-ARL8T 50-59 years, male 7.3
GTEX-11O72-0626-SM-5PNYE 40-49 years, male 7.2
GTEX-14C5O-0326-SM-5ZZUX 60-69 years, male 7.2
GTEX-11P82-1426-SM-DTXFY 20-29 years, male 7.2
GTEX-146FQ-2126-SM-5RQHU 30-39 years, male 7.1
GTEX-14AS3-1526-SM-5Q5ED 40-49 years, female 7.1
GTEX-Y5V5-0126-SM-5S2NW 60-69 years, female 7.1
GTEX-1GPI7-1826-SM-9KNU1 20-29 years, male 7.1
GTEX-1H1CY-0126-SM-9YFLY 60-69 years, female 7.1
GTEX-1JMPZ-0726-SM-CY8HZ 30-39 years, male 7.1
GTEX-1KAFJ-0126-SM-DIPEK 50-59 years, male 7.1
GTEX-1KXAM-1626-SM-D3LAD 60-69 years, male 7.1
GTEX-1PPH7-1126-SM-DTX9A 40-49 years, male 7.1
GTEX-11DXW-0826-SM-5H118 40-49 years, male 7.0
GTEX-11P7K-1126-SM-5HL4L 30-39 years, male 7.0
GTEX-13OVH-0526-SM-5L3E6 70-79 years, male 7.0
GTEX-1EH9U-2826-SM-7DUGT 60-69 years, male 7.0
GTEX-YFCO-1226-SM-5LUAT 40-49 years, male 7.0
GTEX-1CB4J-1326-SM-7P8RX 60-69 years, male 7.0
GTEX-1ICLZ-0326-SM-ARL82 60-69 years, male 7.0
GTEX-1J8QM-2426-SM-A9SLS 60-69 years, female 7.0
GTEX-11EI6-2826-SM-5H11D 60-69 years, male 6.9
GTEX-1399S-0126-SM-5IJCF 30-39 years, female 6.9
GTEX-13OW8-1026-SM-5J1NQ 60-69 years, male 6.9
GTEX-16NPX-0726-SM-7KULC 50-59 years, male 6.9
GTEX-18QFQ-1826-SM-72D52 30-39 years, male 6.9
GTEX-1B8KE-1126-SM-7EPHI 50-59 years, male 6.9
GTEX-ZDYS-2426-SM-4WKGI 50-59 years, male 6.9
GTEX-1S82P-2126-SM-E6CI5 60-69 years, female 6.9
GTEX-1192X-2726-SM-5N9DN 50-59 years, male 6.8
GTEX-11EQ9-1626-SM-5PNY8 30-39 years, male 6.8
GTEX-131XG-0326-SM-5L3DX 50-59 years, female 6.8
GTEX-1F52S-2926-SM-7MKGA 60-69 years, female 6.8
GTEX-XMD2-2126-SM-4YCF8 60-69 years, female 6.8
GTEX-XOT4-0626-SM-4B66L 60-69 years, female 6.8
GTEX-1IDJV-0126-SM-COH3Y 60-69 years, male 6.8
GTEX-1QP9N-1226-SM-E76QN 30-39 years, male 6.8
GTEX-1S3DN-2126-SM-E9TIN 50-59 years, male 6.8
GTEX-13NYC-0126-SM-5L3F4 60-69 years, male 6.7
GTEX-14E1K-2026-SM-7DUEI 50-59 years, male 6.7
GTEX-WRHU-2826-SM-3MJG8 50-59 years, female 6.7
GTEX-X4EO-2926-SM-4E3JH 60-69 years, female 6.7
GTEX-ZC5H-1526-SM-5HL9Y 40-49 years, female 6.7
GTEX-ZF29-0926-SM-4WKFZ 60-69 years, female 6.7
GTEX-1K9T9-1526-SM-DIPFR 50-59 years, female 6.7
GTEX-1212Z-0126-SM-59HK4 60-69 years, male 6.6
GTEX-12WSH-1526-SM-5BC5W 50-59 years, male 6.6
GTEX-131YS-2826-SM-5EQ47 60-69 years, female 6.6
GTEX-133LE-2326-SM-5K7W3 20-29 years, female 6.6
GTEX-13X6H-0926-SM-5SIB2 50-59 years, female 6.6
GTEX-14PHY-1226-SM-5ZZWK 60-69 years, female 6.6
GTEX-15RJ7-2126-SM-6PAMD 40-49 years, male 6.6
GTEX-1E1VI-0326-SM-793D1 50-59 years, male 6.6
GTEX-1EWIQ-0326-SM-7DHMQ 70-79 years, female 6.6
GTEX-XBEW-1126-SM-4QARW 40-49 years, male 6.6
GTEX-ZTTD-2826-SM-4YCFA 50-59 years, male 6.6
GTEX-1AYD5-2626-SM-7PBXY 50-59 years, male 6.6
GTEX-1HB9E-0126-SM-CM2S5 50-59 years, male 6.6
GTEX-1JN6P-2926-SM-CL54D 60-69 years, male 6.6
GTEX-1M4P7-0726-SM-E6CJ3 60-69 years, male 6.6
GTEX-1N5O9-0926-SM-E9J3C 60-69 years, male 6.6
GTEX-1RAZR-2126-SM-E9U6T 40-49 years, male 6.6
GTEX-111YS-1526-SM-5GZYW 60-69 years, male 6.5
GTEX-14753-0726-SM-5QGQO 60-69 years, male 6.5
GTEX-14JG1-1526-SM-5YY9X 40-49 years, male 6.5
GTEX-15CHR-1126-SM-7EWF4 50-59 years, male 6.5
GTEX-1HSMQ-2626-SM-A9SML 50-59 years, male 6.5
GTEX-13OW5-2326-SM-5L3HO 60-69 years, male 6.4
GTEX-145LS-0626-SM-7EPG7 60-69 years, female 6.4
GTEX-14PHX-2226-SM-6EU2P 50-59 years, male 6.4
GTEX-183WM-0326-SM-72D5V 70-79 years, female 6.4
GTEX-WFG7-2026-SM-5SI7P 20-29 years, male 6.4
GTEX-1JK1U-0226-SM-ARZMX 60-69 years, male 6.4
GTEX-1JN1M-2726-SM-CY8I4 60-69 years, female 6.4
GTEX-1QP2A-1726-SM-E76QC 50-59 years, male 6.4
GTEX-11DXZ-2026-SM-5987S 50-59 years, male 6.3
GTEX-14LLW-2626-SM-62LDZ 70-79 years, female 6.3
GTEX-16Z82-2626-SM-7KULU 60-69 years, male 6.3
GTEX-1F6RS-2026-SM-7RHHC 60-69 years, female 6.3
GTEX-1IDFM-0326-SM-ARL7V 60-69 years, male 6.3
GTEX-1IY9M-2826-SM-ARU8H 60-69 years, male 6.3
GTEX-1JMPY-0226-SM-CKZOK 30-39 years, male 6.3
GTEX-1N2DV-1526-SM-DTXEP 40-49 years, male 6.3
GTEX-1RAZS-2526-SM-E6CHT 50-59 years, male 6.3
GTEX-17HII-1426-SM-7EPGG 50-59 years, male 6.2
GTEX-VUSG-2326-SM-4KL1U 50-59 years, male 6.2
GTEX-Y8E4-2026-SM-5IFJB 40-49 years, male 6.2
GTEX-1HCVE-2726-SM-CL54F 50-59 years, male 6.2
GTEX-1IDJH-0126-SM-D3L92 70-79 years, male 6.2
GTEX-1IL2V-1926-SM-B2LW8 70-79 years, male 6.2
GTEX-1B932-2326-SM-79OL5 40-49 years, female 6.1
GTEX-ZAK1-0626-SM-5HL8E 50-59 years, female 6.1
GTEX-ZTX8-1326-SM-4YCEL 20-29 years, male 6.1
GTEX-1MJK3-0726-SM-E6CJC 20-29 years, male 6.1
GTEX-11DYG-1526-SM-5A5JS 60-69 years, male 6.0
GTEX-13VXU-0626-SM-5L3F9 50-59 years, male 6.0
GTEX-148VJ-0626-SM-5LUAW 70-79 years, male 6.0
GTEX-14LZ3-0126-SM-69LPM 60-69 years, female 6.0
GTEX-1H1DG-2426-SM-9QEHJ 70-79 years, male 6.0
GTEX-1LSVX-2526-SM-DIPEU 60-69 years, male 6.0
GTEX-131XW-0626-SM-5PNVD 50-59 years, female 5.9
GTEX-144GM-0526-SM-79OJO 20-29 years, male 5.9
GTEX-15SHW-0226-SM-7LTAT 60-69 years, male 5.9
GTEX-XQ3S-1426-SM-4BOPR 20-29 years, male 5.9
GTEX-1CAMS-2226-SM-7PBXQ 40-49 years, female 5.9
GTEX-1HSGN-0826-SM-ACKW3 40-49 years, female 5.9
GTEX-1I1GP-1326-SM-A9G28 50-59 years, male 5.9
GTEX-1KD5A-0126-SM-E9U54 50-59 years, male 5.9
GTEX-1LG7Y-2526-SM-EWRO7 50-59 years, male 5.9
GTEX-1PDJ9-1226-SM-EXUSX 20-29 years, male 5.9
GTEX-14B4R-1326-SM-5Q5EZ 30-39 years, male 5.8
GTEX-18465-2826-SM-7LT9J 50-59 years, male 5.8
GTEX-1AX9I-2226-SM-73KUO 60-69 years, male 5.8
GTEX-1GZHY-0626-SM-9KNVC 50-59 years, female 5.8
GTEX-12WSC-2826-SM-5BC5Y 50-59 years, male 5.7
GTEX-131XH-0126-SM-5LZUY 50-59 years, male 5.7
GTEX-139D8-1126-SM-5LU8W 30-39 years, female 5.7
GTEX-13D11-0926-SM-5J2NC 50-59 years, female 5.7
GTEX-14PJ4-0226-SM-5YY92 60-69 years, male 5.7
GTEX-14PJ6-2626-SM-6EU2T 60-69 years, female 5.7
GTEX-15EO6-2426-SM-6PALZ 50-59 years, male 5.7
GTEX-1EN7A-2426-SM-793DB 40-49 years, male 5.7
GTEX-WK11-2726-SM-3NMAQ 50-59 years, male 5.7
GTEX-1GMR3-0126-SM-A9SLW 40-49 years, male 5.7
GTEX-1HGF4-0126-SM-CNPPX 60-69 years, male 5.7
GTEX-1PIGE-1826-SM-E8VOU 20-29 years, male 5.7
GTEX-13X6K-0626-SM-5LU5D 60-69 years, female 5.6
GTEX-15DDE-2926-SM-6LLJ3 50-59 years, female 5.6
GTEX-16YQH-2226-SM-7IGM2 30-39 years, male 5.6
GTEX-Y114-2126-SM-4TT8B 50-59 years, female 5.6
GTEX-ZDTS-0826-SM-4WKHL 60-69 years, male 5.6
GTEX-1F5PK-2226-SM-7SB6N 50-59 years, male 5.6
GTEX-1JKYR-0626-SM-ARL8R 20-29 years, male 5.6
GTEX-1QCLY-0226-SM-EWRNH 30-39 years, male 5.6
GTEX-1QP28-1126-SM-EVYC4 50-59 years, female 5.6
GTEX-13FTX-1526-SM-5K7VJ 20-29 years, female 5.5
GTEX-13QJC-0126-SM-5ZZWJ 60-69 years, female 5.5
GTEX-14C38-0726-SM-5SI6M 50-59 years, male 5.5
GTEX-18A7A-0126-SM-731AH 50-59 years, female 5.5
GTEX-ZPCL-1126-SM-4WWFE 60-69 years, female 5.5
GTEX-ZVZP-1226-SM-5GID7 50-59 years, male 5.5
GTEX-12WSD-0626-SM-5GCMW 60-69 years, female 5.4
GTEX-13SLX-2226-SM-62LEP 50-59 years, female 5.4
GTEX-145MI-0626-SM-5SI8S 60-69 years, female 5.4
GTEX-14PJ3-1126-SM-5ZZVX 50-59 years, male 5.4
GTEX-17HG3-2626-SM-7DUF2 30-39 years, female 5.4
GTEX-1A8FM-0626-SM-7PC25 50-59 years, female 5.4
GTEX-1F6I4-2326-SM-7RHGL 60-69 years, male 5.4
GTEX-1F75A-0726-SM-7RHHD 50-59 years, male 5.4
GTEX-1HSMP-0926-SM-A9SKX 70-79 years, male 5.4
GTEX-11GSP-2326-SM-5HL63 60-69 years, female 5.3
GTEX-12WSM-1926-SM-5BC65 60-69 years, male 5.3
GTEX-13OVL-0126-SM-5L3GJ 50-59 years, male 5.3
GTEX-15EU6-2226-SM-6EU2L 50-59 years, male 5.3
GTEX-15G1A-1626-SM-7KUKN 30-39 years, male 5.3
GTEX-1B933-2426-SM-7DHMD 50-59 years, female 5.3
GTEX-1EX96-1026-SM-7MKG2 50-59 years, male 5.3
GTEX-1I1GU-0926-SM-ACKVS 40-49 years, male 5.3
GTEX-1LKK1-2626-SM-DKPQE 50-59 years, female 5.3
GTEX-13NZ8-1226-SM-5KM4A 60-69 years, female 5.2
GTEX-147JS-0226-SM-5S2U9 60-69 years, male 5.2
GTEX-17F9Y-0126-SM-79OKX 70-79 years, female 5.2
GTEX-Z93S-1626-SM-5CVMB 50-59 years, male 5.2
GTEX-ZDTT-0426-SM-4WKFL 60-69 years, male 5.2
GTEX-ZY6K-1426-SM-5GZX2 50-59 years, male 5.2
GTEX-1KWVE-1026-SM-D3L9O 30-39 years, male 5.2
GTEX-12126-0826-SM-5FQTZ 20-29 years, male 5.1
GTEX-12KS4-2126-SM-5FQUT 30-39 years, male 5.1
GTEX-1399U-1126-SM-5L3DB 50-59 years, female 5.1
GTEX-13O3O-2326-SM-5IJD6 60-69 years, female 5.1
GTEX-13X6J-0626-SM-5LU5F 50-59 years, male 5.1
GTEX-15RIE-1926-SM-7KUKJ 60-69 years, male 5.1
GTEX-17HGU-2326-SM-7DUFE 50-59 years, male 5.1
GTEX-17HHY-0426-SM-7DHLC 50-59 years, male 5.1
GTEX-ZE7O-2726-SM-51MT5 50-59 years, female 5.1
GTEX-ZZPU-0826-SM-5GZX5 50-59 years, female 5.1
GTEX-1JN76-0626-SM-CKZOQ 20-29 years, female 5.1
GTEX-11DXX-2126-SM-5PNYR 60-69 years, female 5.0
GTEX-12ZZZ-0726-SM-5GCNZ 60-69 years, male 5.0
GTEX-144FL-0626-SM-5LU43 50-59 years, male 5.0
GTEX-14PJN-1826-SM-6AJ98 30-39 years, male 5.0
GTEX-178AV-1726-SM-7KUL8 40-49 years, male 5.0
GTEX-WHPG-2626-SM-3NMBR 50-59 years, male 5.0
GTEX-ZF2S-1626-SM-57WES 50-59 years, female 5.0
GTEX-1F6IF-0926-SM-7SB7M 60-69 years, male 5.0
GTEX-1GF9W-1426-SM-7PBYM 60-69 years, male 5.0
GTEX-1GN1W-2426-SM-9KNUU 50-59 years, female 5.0
GTEX-1HCU7-0726-SM-A9SL1 50-59 years, male 5.0
GTEX-1IKOE-1426-SM-CE6T7 30-39 years, female 5.0
GTEX-1LVAM-0726-SM-E6CIL 50-59 years, female 5.0
GTEX-1269C-0126-SM-5EQ5L 60-69 years, female 4.9
GTEX-14ABY-2026-SM-62LDL 50-59 years, male 4.9
GTEX-15G19-2426-SM-7KUMR 60-69 years, male 4.9
GTEX-1C2JI-1026-SM-73KY1 50-59 years, male 4.9
GTEX-Y9LG-1126-SM-4VBQ7 30-39 years, male 4.9
GTEX-1122O-1026-SM-9WYSF 60-69 years, female 4.9
GTEX-1GF9X-1326-SM-7PC2Y 40-49 years, female 4.9
GTEX-1HR9M-2226-SM-CNPPY 60-69 years, male 4.9
GTEX-1PPGY-1626-SM-EVYBL 60-69 years, male 4.9
GTEX-11NUK-2726-SM-5A5MC 50-59 years, male 4.8
GTEX-11P81-2226-SM-5PNYI 30-39 years, female 4.8
GTEX-17HHE-1326-SM-7EWDZ 50-59 years, male 4.8
GTEX-1AMFI-1326-SM-7939R 50-59 years, female 4.8
GTEX-ZYFC-0426-SM-5GICQ 50-59 years, male 4.8
GTEX-1C64N-2626-SM-7PC2N 50-59 years, male 4.8
GTEX-1EMGI-2326-SM-7PBYA 60-69 years, male 4.8
GTEX-1R46S-2426-SM-E76QA 60-69 years, female 4.8
GTEX-15RJE-2826-SM-7KUM9 40-49 years, male 4.7
GTEX-17F97-2626-SM-7IGM5 50-59 years, male 4.7
GTEX-V1D1-2026-SM-3GAF4 50-59 years, male 4.7
GTEX-1CAMQ-1326-SM-7P8RV 40-49 years, male 4.7
GTEX-1HR98-2226-SM-ADEI2 60-69 years, male 4.7
GTEX-1LVA9-2626-SM-EVYD4 50-59 years, male 4.7
GTEX-11DXY-0126-SM-5H11Q 60-69 years, male 4.6
GTEX-139TT-2126-SM-5LZWC 60-69 years, male 4.6
GTEX-13JVG-0726-SM-5KM16 60-69 years, male 4.6
GTEX-13PDP-0726-SM-5L3HP 60-69 years, male 4.6
GTEX-15RIG-0726-SM-7KUM7 40-49 years, male 4.6
GTEX-17MFQ-1526-SM-7KFRR 20-29 years, male 4.6
GTEX-YJ8O-2526-SM-5HL85 40-49 years, female 4.6
GTEX-1NSGN-0726-SM-DTXEF 50-59 years, male 4.6
GTEX-1S82U-1026-SM-E6CJK 30-39 years, female 4.6
GTEX-11WQC-1826-SM-5GU59 60-69 years, male 4.5
GTEX-13FLV-0126-SM-5K7WT 50-59 years, male 4.5
GTEX-147F4-0726-SM-5TDDD 50-59 years, male 4.5
GTEX-UPJH-0226-SM-3GADV 50-59 years, male 4.5
GTEX-ZYVF-0926-SM-5E44J 50-59 years, female 4.5
GTEX-ZYY3-2926-SM-5GIEB 60-69 years, female 4.5
GTEX-1E2YA-2126-SM-7MXUO 50-59 years, male 4.5
GTEX-11ZUS-2626-SM-5FQUR 30-39 years, male 4.4
GTEX-12ZZX-2426-SM-5GCOE 40-49 years, female 4.4
GTEX-145MF-0926-SM-5Q5EA 50-59 years, male 4.4
GTEX-15DYW-2726-SM-6EU2I 60-69 years, female 4.4
GTEX-17EVP-2626-SM-7IGMA 40-49 years, male 4.4
GTEX-1CB4E-0926-SM-7EPHT 60-69 years, male 4.4
GTEX-1F88F-0126-SM-9WYSZ 60-69 years, female 4.4
GTEX-1GMRU-2126-SM-7P8RA 50-59 years, male 4.4
GTEX-1IE54-1126-SM-A9G2Z 40-49 years, female 4.4
GTEX-1LSNL-2726-SM-E9TKJ 50-59 years, male 4.4
GTEX-1POEN-2326-SM-E9J2L 30-39 years, female 4.4
GTEX-1QPFJ-1926-SM-EVYBD 30-39 years, female 4.4
GTEX-11GS4-0226-SM-5HL77 60-69 years, male 4.3
GTEX-14A6H-2026-SM-5Q5DD 30-39 years, male 4.3
GTEX-14ICL-1626-SM-5YYAO 30-39 years, male 4.3
GTEX-1PPH8-0126-SM-EWRN8 20-29 years, male 4.3
GTEX-11ZU8-0126-SM-5EQ58 60-69 years, male 4.2
GTEX-14JFF-0626-SM-5ZZVT 60-69 years, male 4.2
GTEX-1QW4Y-1126-SM-DTXE3 30-39 years, male 4.2
GTEX-13112-0126-SM-5P9IU 50-59 years, male 4.1
GTEX-14BIN-1126-SM-5RQJZ 50-59 years, female 4.1
GTEX-14PII-0726-SM-6EU2B 60-69 years, male 4.1
GTEX-1I1GT-1026-SM-ARZLV 60-69 years, female 4.1
GTEX-1I1HK-2326-SM-CKZOH 60-69 years, male 4.1
GTEX-1QAET-0326-SM-EVR3U 50-59 years, male 4.1
GTEX-11TUW-0626-SM-5LU9M 60-69 years, male 4.0
GTEX-12ZZY-0726-SM-5EQ66 60-69 years, male 4.0
GTEX-13FHO-0426-SM-5L3F5 60-69 years, male 4.0
GTEX-14BMV-2826-SM-5TDED 50-59 years, male 4.0
GTEX-1B97I-0626-SM-73KUZ 40-49 years, male 4.0
GTEX-1BAJH-2426-SM-7IGP8 70-79 years, male 4.0
GTEX-1C6WA-2626-SM-7MKGM 60-69 years, male 4.0
GTEX-1N2EE-0626-SM-E76PW 60-69 years, male 4.0
GTEX-1A8G7-1326-SM-73KVM 60-69 years, male 3.9
GTEX-ZVT4-2426-SM-5GIEI 50-59 years, female 3.9
GTEX-1GN2E-0226-SM-9WG6K 60-69 years, male 3.9
GTEX-1HBPI-2126-SM-ARL9K 50-59 years, male 3.9
GTEX-1J1OQ-0126-SM-D4P2N 40-49 years, female 3.9
GTEX-1JMQJ-0826-SM-CNPP7 50-59 years, male 3.9
GTEX-1PIIG-2326-SM-DTXFR 30-39 years, male 3.9
GTEX-1QEPI-2626-SM-DTXF4 60-69 years, female 3.9
GTEX-1R9PM-1926-SM-EVR3O 20-29 years, male 3.9
GTEX-11OF3-0126-SM-5PNYF 60-69 years, male 3.8
GTEX-145LU-1926-SM-79OJN 50-59 years, male 3.8
GTEX-14XAO-1226-SM-6EU1C 60-69 years, female 3.8
GTEX-1A8G6-2726-SM-731AR 60-69 years, male 3.8
GTEX-1CB4F-1026-SM-7DUH1 60-69 years, male 3.8
GTEX-1H4P4-2126-SM-9WYSL 50-59 years, male 3.8
GTEX-1J8EW-2726-SM-CY8HR 60-69 years, female 3.8
GTEX-147GR-2426-SM-5ZZWQ 60-69 years, male 3.7
GTEX-15ER7-0626-SM-6PANF 20-29 years, female 3.7
GTEX-1EKGG-0626-SM-7DUGJ 60-69 years, male 3.7
GTEX-Y111-0626-SM-4SOIT 50-59 years, male 3.7
GTEX-1H1DE-1326-SM-9KNUG 20-29 years, male 3.7
GTEX-1IOXB-2726-SM-CM2RI 50-59 years, male 3.7
GTEX-1QMI2-2526-SM-E8VNZ 60-69 years, male 3.7
GTEX-ZXG5-2126-SM-59HKD 60-69 years, male 3.6
GTEX-1OJC3-1226-SM-DTXER 20-29 years, male 3.6
GTEX-13O3Q-0126-SM-5KM34 50-59 years, male 3.5
GTEX-13OW6-2726-SM-5J2OE 50-59 years, male 3.5
GTEX-15SKB-2826-SM-6PAMH 60-69 years, male 3.5
GTEX-139UW-0326-SM-5J1ML 60-69 years, male 3.4
GTEX-17KNJ-2126-SM-718AM 50-59 years, male 3.4
GTEX-18A6Q-0626-SM-7KFRP 60-69 years, male 3.4
GTEX-1C6VQ-1226-SM-73KYD 50-59 years, male 3.4
GTEX-ZT9X-1526-SM-5DUXD 40-49 years, male 3.4
GTEX-ZYT6-2326-SM-5GZY3 30-39 years, male 3.4
GTEX-1GN1U-0626-SM-9MQL9 50-59 years, female 3.4
GTEX-1I1GV-0626-SM-ARL7M 60-69 years, male 3.4
GTEX-1KANB-2826-SM-CY8I6 50-59 years, male 3.4
GTEX-1PBJJ-1026-SM-E76OS 30-39 years, male 3.4
GTEX-145MH-2826-SM-5RQJF 50-59 years, male 3.3
GTEX-14C39-1726-SM-5RQIL 40-49 years, male 3.3
GTEX-1B8KZ-0326-SM-73KY4 50-59 years, male 3.3
GTEX-WHSB-1326-SM-3LK6W 50-59 years, male 3.3
GTEX-ZE9C-2526-SM-5IJDR 60-69 years, male 3.3
GTEX-1GZ4I-2626-SM-9KNU3 50-59 years, male 3.3
GTEX-1H11D-1826-SM-9QEHM 40-49 years, male 3.3
GTEX-1HSKV-1226-SM-ADEI4 60-69 years, male 3.3
GTEX-1HT8W-0626-SM-A9G2H 30-39 years, male 3.3
GTEX-1MCYP-0526-SM-E9U6Q 20-29 years, female 3.3
GTEX-13FTY-2126-SM-5IFFB 40-49 years, female 3.2
GTEX-1EU9M-1426-SM-793AI 60-69 years, male 3.2
GTEX-1NV5F-0626-SM-DTXEG 60-69 years, female 3.2
GTEX-13SLW-0626-SM-5Q5ER 70-79 years, male 3.1
GTEX-1B8L1-2226-SM-7P8PT 60-69 years, male 3.1
GTEX-1GF9V-0826-SM-9KNUV 60-69 years, male 3.1
GTEX-1H3O1-1326-SM-9MQLD 60-69 years, male 3.1
GTEX-13NYB-0126-SM-5J1MD 40-49 years, male 3.0
GTEX-1GN73-0726-SM-7P8TJ 60-69 years, male 3.0
GTEX-1IKJJ-2226-SM-CJI4C 60-69 years, male 3.0
GTEX-1RAZQ-1326-SM-E9TK6 30-39 years, male 3.0
GTEX-18A67-1626-SM-7LT9T 50-59 years, male 2.9
GTEX-1B8SF-0126-SM-7DUG3 60-69 years, male 2.9
GTEX-1LB8K-0726-SM-D5OV2 50-59 years, male 2.9
GTEX-1OJC4-2726-SM-E76PJ 50-59 years, female 2.9
GTEX-1S83E-1326-SM-E6CJM 40-49 years, male 2.9
GTEX-1399Q-2326-SM-5KM2X 40-49 years, male 2.8
GTEX-13G51-1826-SM-5KLZH 60-69 years, male 2.8
GTEX-1GPI6-1926-SM-9KNV7 60-69 years, male 2.8
GTEX-YECK-0326-SM-4W1YS 60-69 years, male 2.7
GTEX-1C6VR-0126-SM-7RHGB 60-69 years, male 2.5
GTEX-13PL6-1126-SM-5L3IE 40-49 years, female 2.4
GTEX-13OW7-0426-SM-5K7VK 50-59 years, male 2.3
GTEX-1JJEA-1826-SM-ARU8P 60-69 years, male 2.3
GTEX-111VG-1626-SM-5EGIO 60-69 years, male 2.2
GTEX-1313W-0626-SM-5EQ4H 50-59 years, female 2.2
GTEX-144GL-0626-SM-5LU4D 50-59 years, male 2.2
GTEX-11PRG-0726-SM-5EGL1 50-59 years, male 2.1
GTEX-1GN1V-2826-SM-9JGIA 60-69 years, male 2.1
Show allShow less
Skin - Sun Exposed (Lower leg)
Average nTPM: 8.8
Samples: 701

Max nTPM: 27.8
Min nTPM: 1.4
Std nTPM: 4.0
Median nTPM: 8.2
GTEX-ZF28-0126-SM-4WKGK 60-69 years, male 27.8
GTEX-SE5C-1626-SM-2XCE3 40-49 years, female 26.7
GTEX-1H2FU-0126-SM-9WYSI 60-69 years, female 23.9
GTEX-1RLM8-2326-SM-EWRN4 50-59 years, male 23.7
GTEX-14E6C-0126-SM-5RQIP 40-49 years, male 23.2
GTEX-Y8LW-1826-SM-5S2MV 50-59 years, female 23.0
GTEX-1QP67-1626-SM-EAZ3X 40-49 years, female 22.8
GTEX-15EOM-0126-SM-7KUGG 20-29 years, female 22.3
GTEX-1RAZQ-0726-SM-EAZ43 30-39 years, male 21.5
GTEX-P4PQ-0126-SM-2S1NM 60-69 years, male 21.1
GTEX-1HBPM-0226-SM-ARL9F 60-69 years, female 21.1
GTEX-OXRL-0126-SM-2YUMP 50-59 years, male 20.5
GTEX-ZZPT-0226-SM-5E43X 50-59 years, male 20.5
GTEX-RUSQ-1526-SM-2TF62 50-59 years, male 20.1
GTEX-1N2DV-0226-SM-E6CJ6 40-49 years, male 20.1
GTEX-113IC-0126-SM-5HL6T 60-69 years, male 20.0
GTEX-1F48J-0126-SM-7P8TT 50-59 years, female 19.7
GTEX-ZYW4-0126-SM-5E44A 60-69 years, male 19.5
GTEX-146FR-1326-SM-E9J48 60-69 years, female 19.5
GTEX-13OVJ-0126-SM-5KM36 50-59 years, female 19.4
GTEX-U4B1-1826-SM-4DXSU 40-49 years, male 19.1
GTEX-ZAB4-0226-SM-5N9F5 40-49 years, male 19.1
GTEX-PLZ4-0126-SM-5SI8O 50-59 years, female 18.3
GTEX-Q2AH-1626-SM-3GAF8 40-49 years, male 18.1
GTEX-ZAJG-0126-SM-5HL94 50-59 years, female 18.1
GTEX-117YX-2326-SM-5H12W 50-59 years, male 17.8
GTEX-14PK6-1926-SM-6ETZU 70-79 years, female 17.8
GTEX-XV7Q-2526-SM-4BRV9 40-49 years, female 17.6
GTEX-1JMOU-1526-SM-CL54I 60-69 years, female 17.5
GTEX-12WSN-5019-SM-79OM6 40-49 years, male 17.4
GTEX-WOFL-0126-SM-3MJG2 60-69 years, male 17.3
GTEX-NPJ8-0126-SM-2YUNR 40-49 years, male 17.1
GTEX-13RTJ-2426-SM-5S2Q2 60-69 years, male 16.8
GTEX-139T4-0226-SM-5HL5S 50-59 years, female 16.7
GTEX-QDT8-0126-SM-48TZ1 30-39 years, female 16.6
GTEX-1OJC4-0126-SM-E9J2E 50-59 years, female 15.9
GTEX-11P82-1626-SM-59879 20-29 years, male 15.8
GTEX-QCQG-1726-SM-3GIJ9 50-59 years, female 15.8
GTEX-11TTK-0126-SM-5987B 60-69 years, female 15.7
GTEX-OXRO-0126-SM-2YUN4 60-69 years, female 15.7
GTEX-1F75I-0326-SM-9YFLU 40-49 years, male 15.6
GTEX-13OVI-1426-SM-5L3EY 60-69 years, female 15.5
GTEX-11DXX-2426-SM-5GZZW 60-69 years, female 15.3
GTEX-R55G-2526-SM-2TC6D 40-49 years, female 15.3
GTEX-145LV-2126-SM-5LU8N 50-59 years, male 15.1
GTEX-12WSL-2526-SM-5GCNJ 50-59 years, male 14.9
GTEX-12C56-1726-SM-5EQ61 20-29 years, male 14.8
GTEX-1A3MW-0126-SM-73KXX 60-69 years, female 14.7
GTEX-1HSMO-0126-SM-CL547 60-69 years, male 14.7
GTEX-1I1GU-2226-SM-CGQFA 40-49 years, male 14.7
GTEX-1R9PO-2126-SM-E9J4O 60-69 years, female 14.7
GTEX-1HBPH-0426-SM-B2LW5 40-49 years, female 14.6
GTEX-1AMEY-1326-SM-73KYK 30-39 years, female 14.5
GTEX-X5EB-2226-SM-46MW4 40-49 years, male 14.5
GTEX-OHPM-0126-SM-2YUN9 50-59 years, male 14.4
GTEX-11EMC-2926-SM-5EQ4F 60-69 years, female 14.3
GTEX-QLQ7-1626-SM-2S1R8 60-69 years, male 14.3
GTEX-1LC47-0326-SM-E9TJP 60-69 years, male 14.3
GTEX-131XG-2626-SM-5KM17 50-59 years, female 14.2
GTEX-14LLW-0126-SM-6LLIO 70-79 years, female 14.2
GTEX-18D9B-0526-SM-7LTAS 60-69 years, male 14.2
GTEX-1IE54-0126-SM-CMKHW 40-49 years, female 14.2
GTEX-PLZ5-2026-SM-2S1O4 50-59 years, male 14.1
GTEX-RTLS-0126-SM-447CA 60-69 years, female 14.1
GTEX-12WSJ-1826-SM-5GCNY 40-49 years, female 13.9
GTEX-13O3P-0126-SM-5KM4S 50-59 years, male 13.9
GTEX-145MN-2226-SM-5SIAU 30-39 years, male 13.9
GTEX-X62O-0126-SM-4E3JN 50-59 years, male 13.9
GTEX-1PWST-0226-SM-E76QJ 70-79 years, male 13.9
GTEX-14PHW-0126-SM-6LLJI 60-69 years, female 13.8
GTEX-Q734-1926-SM-2I5EV 40-49 years, female 13.8
GTEX-ZYY3-0126-SM-5GZY5 60-69 years, female 13.7
GTEX-13CF3-2426-SM-5IFGX 60-69 years, female 13.6
GTEX-147F3-0526-SM-5SI98 50-59 years, female 13.6
GTEX-14PN3-2426-SM-6LLHS 60-69 years, female 13.6
GTEX-WH7G-2326-SM-3NMBC 40-49 years, male 13.6
GTEX-XBED-2226-SM-47JYQ 60-69 years, male 13.6
GTEX-13NYS-0126-SM-5MR3W 60-69 years, male 13.5
GTEX-144GN-2326-SM-5LU4F 50-59 years, male 13.5
GTEX-16XZY-2126-SM-79OK1 70-79 years, male 13.4
GTEX-ZTPG-0326-SM-5O9AX 20-29 years, female 13.4
GTEX-13FH7-2026-SM-E9J4I 50-59 years, female 13.4
GTEX-1HKZK-0326-SM-9WYUH 40-49 years, male 13.4
GTEX-QDVN-2026-SM-3GAEP 50-59 years, male 13.3
GTEX-1R7EV-2426-SM-EVYBG 40-49 years, male 13.3
GTEX-1211K-2026-SM-5EQ4Z 60-69 years, female 13.2
GTEX-11ZTT-2426-SM-5EQLS 60-69 years, female 13.1
GTEX-13OVG-1926-SM-5L3DK 60-69 years, male 13.1
GTEX-1JN1M-0326-SM-CYPT3 60-69 years, female 13.1
GTEX-O5YW-0126-SM-3LK6D 50-59 years, male 13.0
GTEX-QDVJ-1726-SM-2I5FX 50-59 years, male 13.0
GTEX-13X6I-0626-SM-5QGP9 60-69 years, male 12.9
GTEX-1CAMS-0426-SM-7P8T2 40-49 years, female 12.9
GTEX-139D8-0226-SM-5KLZO 30-39 years, female 12.8
GTEX-1HSMP-0126-SM-E6CJS 70-79 years, male 12.8
GTEX-13O1R-0126-SM-5L3EH 60-69 years, male 12.7
GTEX-14C5O-0126-SM-5SI6N 60-69 years, male 12.6
GTEX-QLQW-1126-SM-2S1Q8 30-39 years, male 12.6
GTEX-U3ZM-1526-SM-3DB9D 40-49 years, male 12.6
GTEX-RWS6-2026-SM-2XCB5 60-69 years, female 12.5
GTEX-Y5LM-1926-SM-5RQJH 40-49 years, female 12.5
GTEX-YEC4-2126-SM-5IFJH 40-49 years, male 12.5
GTEX-1H1ZS-0426-SM-9WG6G 70-79 years, male 12.5
GTEX-1HSEH-0126-SM-ACKXN 60-69 years, male 12.5
GTEX-ZF29-2326-SM-DO92K 60-69 years, female 12.5
GTEX-OOBK-0126-SM-2YUND 40-49 years, male 12.4
GTEX-1GN1W-0526-SM-9MQJQ 50-59 years, female 12.4
GTEX-1H1DG-0126-SM-9WYU2 70-79 years, male 12.4
GTEX-1AYCT-2426-SM-7IGQ3 50-59 years, male 12.3
GTEX-P4PP-0126-SM-3LK69 30-39 years, female 12.3
GTEX-RM2N-1426-SM-2TF4H 50-59 years, male 12.3
GTEX-14BIL-0126-SM-5SI92 50-59 years, male 12.2
GTEX-17MF6-0126-SM-7LG4F 40-49 years, male 12.2
GTEX-X8HC-0126-SM-4E3JW 50-59 years, female 12.2
GTEX-ZVT2-2526-SM-51MT1 50-59 years, female 12.2
GTEX-1QW4Y-1526-SM-EAZ3Z 30-39 years, male 12.2
GTEX-12584-0126-SM-5EGKQ 40-49 years, male 12.1
GTEX-139T8-0126-SM-5K7XZ 60-69 years, male 12.1
GTEX-13X6H-2126-SM-7EWD5 50-59 years, female 12.1
GTEX-WI4N-1026-SM-3LK7N 40-49 years, female 12.1
GTEX-X638-0126-SM-47JZ8 70-79 years, female 12.1
GTEX-1I1GS-0126-SM-B2LVW 60-69 years, male 12.1
GTEX-1MCYP-1926-SM-E9J2R 20-29 years, female 12.1
GTEX-PWCY-1826-SM-DHXIZ 20-29 years, female 12.1
GTEX-16MT8-0426-SM-7KUEY 60-69 years, female 12.0
GTEX-17EVQ-0226-SM-7LG4P 70-79 years, male 12.0
GTEX-Q2AG-0126-SM-33HBV 40-49 years, female 12.0
GTEX-1HCVE-0126-SM-CGQEU 50-59 years, male 11.9
GTEX-1PPH7-2326-SM-EVYB8 40-49 years, male 11.9
GTEX-1192X-0226-SM-5H12D 50-59 years, male 11.8
GTEX-13VXT-0126-SM-5LU4I 20-29 years, female 11.8
GTEX-14JIY-0126-SM-6LLH6 60-69 years, male 11.8
GTEX-OXRK-0226-SM-3NB2G 50-59 years, female 11.8
GTEX-XUW1-0426-SM-4BOOT 50-59 years, female 11.8
GTEX-1QP29-0626-SM-EWRMX 50-59 years, male 11.8
GTEX-14A6H-0126-SM-5QGPK 30-39 years, male 11.7
GTEX-15SDE-2226-SM-7IGLO 50-59 years, female 11.7
GTEX-17EUY-0426-SM-793BD 20-29 years, male 11.7
GTEX-1C6VS-0526-SM-7DUEN 60-69 years, male 11.7
GTEX-1HCUA-2426-SM-ADEIS 50-59 years, female 11.7
GTEX-1JN76-0126-SM-CNPPE 20-29 years, female 11.7
GTEX-12WSK-2326-SM-5GCOH 40-49 years, female 11.6
GTEX-13W3W-2426-SM-5LU5B 60-69 years, female 11.6
GTEX-ZQUD-1426-SM-57WER 30-39 years, male 11.6
GTEX-1JJE9-0326-SM-CL53Z 70-79 years, male 11.6
GTEX-YJ8A-0426-SM-5IFID 20-29 years, male 11.5
GTEX-1C64O-0126-SM-7SB8P 60-69 years, male 11.5
GTEX-14BIM-0226-SM-7IGLD 60-69 years, female 11.4
GTEX-17F98-0626-SM-79OMX 40-49 years, female 11.4
GTEX-1HFI7-1826-SM-ACKXH 50-59 years, female 11.4
GTEX-11GSP-2526-SM-5N9BP 60-69 years, female 11.3
GTEX-13YAN-0326-SM-5O9DF 60-69 years, male 11.3
GTEX-T6MO-1626-SM-32QOM 40-49 years, female 11.3
GTEX-1CB4H-0226-SM-7PBXM 60-69 years, female 11.3
GTEX-1LH75-2426-SM-E9TJE 50-59 years, female 11.3
GTEX-13RTL-0126-SM-7LG5S 40-49 years, male 11.2
GTEX-1AYD5-2426-SM-73KXR 50-59 years, male 11.2
GTEX-Y3I4-2126-SM-4TT7C 50-59 years, male 11.2
GTEX-1I1HK-0126-SM-COH49 60-69 years, male 11.2
GTEX-1R46S-0626-SM-E9J41 60-69 years, female 11.2
GTEX-11P7K-2126-SM-5GU7G 30-39 years, male 11.1
GTEX-14DAR-2026-SM-5S2O3 50-59 years, male 11.1
GTEX-1ICG6-2526-SM-CGQFZ 70-79 years, female 11.1
GTEX-1RAZA-0126-SM-E6CI3 20-29 years, male 11.1
GTEX-13FTX-1826-SM-5J1NX 20-29 years, female 11.0
GTEX-WXYG-2326-SM-4E3I6 50-59 years, female 11.0
GTEX-ZYFG-2326-SM-5E44B 60-69 years, female 11.0
GTEX-169BO-1326-SM-9MQK2 50-59 years, male 11.0
GTEX-1C6VQ-0126-SM-7P8RI 50-59 years, male 11.0
GTEX-1GTWX-0126-SM-9YFLK 60-69 years, male 11.0
GTEX-1JKYN-1326-SM-CGQG9 30-39 years, male 11.0
GTEX-1LNCM-1126-SM-E9U5E 50-59 years, female 11.0
GTEX-145LT-1726-SM-5QGP3 40-49 years, male 10.9
GTEX-S95S-1226-SM-4GICG 60-69 years, male 10.9
GTEX-SN8G-0126-SM-32PLI 50-59 years, female 10.9
GTEX-U3ZN-2326-SM-3DB7W 30-39 years, female 10.9
GTEX-U8T8-0126-SM-3DB94 60-69 years, male 10.9
GTEX-1ICLZ-0126-SM-CKZPO 60-69 years, male 10.9
GTEX-1JMPY-1326-SM-ARL8Y 30-39 years, male 10.9
GTEX-Q2AI-1326-SM-2S1PL 40-49 years, male 10.8
GTEX-1H3NZ-0126-SM-ACKX7 60-69 years, male 10.8
GTEX-15UF6-0826-SM-6PALJ 70-79 years, female 10.7
GTEX-16XZZ-0126-SM-793DV 60-69 years, male 10.7
GTEX-X4EP-0126-SM-3P5YV 60-69 years, female 10.7
GTEX-1H23P-0126-SM-ADEJ3 60-69 years, male 10.7
GTEX-1M4P7-0226-SM-DIPEV 60-69 years, male 10.7
GTEX-11TT1-2526-SM-5EGIB 20-29 years, male 10.6
GTEX-11VI4-1726-SM-5CVLH 40-49 years, female 10.6
GTEX-1399U-2326-SM-5K7WY 50-59 years, female 10.6
GTEX-18A67-0126-SM-7LG5P 50-59 years, male 10.6
GTEX-XXEK-2226-SM-4BRUM 50-59 years, male 10.6
GTEX-13O3O-0126-SM-E9J49 60-69 years, female 10.6
GTEX-1HUB1-0426-SM-E9U4U 60-69 years, male 10.6
GTEX-1J1R8-1726-SM-ARL8M 40-49 years, male 10.6
GTEX-1J8Q3-1626-SM-CMKGC 60-69 years, male 10.6
GTEX-11DZ1-0126-SM-5985Q 50-59 years, male 10.5
GTEX-13IVO-0126-SM-5J1NG 70-79 years, male 10.5
GTEX-148VJ-0126-SM-5TDDN 70-79 years, male 10.5
GTEX-14PJ3-1826-SM-62LEX 50-59 years, male 10.5
GTEX-WRHK-1426-SM-3MJF9 20-29 years, female 10.5
GTEX-Y114-2426-SM-4TT8A 50-59 years, female 10.5
GTEX-ZVE2-0226-SM-59HJB 50-59 years, male 10.5
GTEX-132NY-0326-SM-5IJBL 60-69 years, male 10.4
GTEX-TMMY-0226-SM-33HBA 40-49 years, female 10.4
GTEX-1PBJI-0526-SM-E8VNK 20-29 years, female 10.4
GTEX-1QP2A-0126-SM-E9J43 50-59 years, male 10.4
GTEX-1S82Z-0826-SM-E6CHY 30-39 years, female 10.4
GTEX-OOBJ-0126-SM-E6CJW 60-69 years, male 10.4
GTEX-R45C-0126-SM-EAZ2R 60-69 years, female 10.4
GTEX-ZQG8-1626-SM-DHXIT 60-69 years, female 10.4
GTEX-13O21-1426-SM-5K7XI 50-59 years, male 10.3
GTEX-16NGA-1726-SM-731B4 40-49 years, female 10.3
GTEX-17F97-0326-SM-7LG5B 50-59 years, male 10.3
GTEX-1GMR8-0126-SM-9WYTM 50-59 years, female 10.3
GTEX-1I1CD-0126-SM-CM2TK 60-69 years, female 10.3
GTEX-11ZUS-0626-SM-59885 30-39 years, male 10.2
GTEX-13NZ8-0826-SM-5MR3I 60-69 years, female 10.2
GTEX-14JG6-2226-SM-6EU2G 30-39 years, female 10.2
GTEX-15D1Q-0126-SM-7KUG6 40-49 years, male 10.2
GTEX-1H1DE-2126-SM-9WG6R 20-29 years, male 10.2
GTEX-1IDFM-0126-SM-COH2V 60-69 years, male 10.2
GTEX-11UD1-0126-SM-5PNYG 40-49 years, female 10.1
GTEX-13D11-2426-SM-5KM1V 50-59 years, female 10.1
GTEX-13PDP-0126-SM-5L3HD 60-69 years, male 10.1
GTEX-OHPL-0126-SM-2HMJ7 60-69 years, female 10.1
GTEX-XAJ8-0826-SM-47JY6 40-49 years, male 10.1
GTEX-1JMQK-0226-SM-CL543 60-69 years, male 10.1
GTEX-1PFEY-1526-SM-E76PP 30-39 years, male 10.1
GTEX-15SHW-0326-SM-6PAML 60-69 years, male 10.0
GTEX-18D9U-0226-SM-718BP 40-49 years, male 10.0
GTEX-18QFQ-0126-SM-731BE 30-39 years, male 10.0
GTEX-U8XE-0326-SM-3DB8P 30-39 years, male 10.0
GTEX-WYJK-0126-SM-3NMAB 50-59 years, male 10.0
GTEX-1GZ4H-1726-SM-7PBZJ 50-59 years, female 10.0
GTEX-1ICLY-0126-SM-D4P36 50-59 years, male 10.0
GTEX-1GF9U-2126-SM-7SB7L 40-49 years, female 9.9
GTEX-1J8Q2-0526-SM-CM2RW 60-69 years, male 9.9
GTEX-1JK1U-2026-SM-CM2RZ 60-69 years, male 9.9
GTEX-11LCK-1026-SM-5A5KB 30-39 years, male 9.8
GTEX-11XUK-2026-SM-5EQLF 40-49 years, female 9.8
GTEX-13N11-2526-SM-5K7UE 50-59 years, female 9.8
GTEX-SUCS-1926-SM-32PM3 70-79 years, male 9.8
GTEX-XQ8I-0426-SM-4BOPO 50-59 years, male 9.8
GTEX-ZDYS-2026-SM-5HL5L 50-59 years, male 9.8
GTEX-12WSG-2826-SM-E9J4H 50-59 years, female 9.8
GTEX-14XAO-2326-SM-6EU1B 60-69 years, female 9.7
GTEX-WY7C-2326-SM-3NB2U 50-59 years, male 9.7
GTEX-11H98-0126-SM-5EGHG 50-59 years, male 9.6
GTEX-1497J-2426-SM-7IGNX 60-69 years, male 9.6
GTEX-S7PM-0126-SM-4AD6S 60-69 years, male 9.6
GTEX-X4XY-0226-SM-4E3IZ 60-69 years, male 9.6
GTEX-X585-0226-SM-4QAS2 50-59 years, male 9.6
GTEX-ZEX8-2426-SM-4WKG4 50-59 years, male 9.6
GTEX-13QJ3-0326-SM-5S2RA 50-59 years, male 9.5
GTEX-14BMU-2226-SM-5TDE9 20-29 years, female 9.5
GTEX-18A7B-0126-SM-7LG64 70-79 years, male 9.5
GTEX-1K2DU-2326-SM-E9TIV 20-29 years, male 9.5
GTEX-1N2DW-0226-SM-E9TK2 50-59 years, male 9.5
GTEX-11DXW-0226-SM-5H122 40-49 years, male 9.4
GTEX-OXRP-0126-SM-3NB32 60-69 years, female 9.4
GTEX-Y5V6-2426-SM-4VDSB 60-69 years, male 9.4
GTEX-1H1E6-1726-SM-ACKVK 30-39 years, male 9.4
GTEX-1NV5F-0226-SM-E8VNY 60-69 years, female 9.4
GTEX-117YW-2626-SM-5GZZH 50-59 years, male 9.3
GTEX-13W46-0226-SM-5SIAG 50-59 years, male 9.3
GTEX-145MO-0326-SM-5Q5B3 60-69 years, male 9.3
GTEX-NFK9-0226-SM-2HMKQ 40-49 years, male 9.3
GTEX-T2YK-0526-SM-32QPJ 50-59 years, male 9.3
GTEX-1AX8Z-0126-SM-7DHM6 60-69 years, male 9.2
GTEX-1CAMR-1926-SM-7EPI2 20-29 years, male 9.2
GTEX-R55E-0126-SM-2TC5Y 20-29 years, male 9.2
GTEX-RN64-0126-SM-2TC68 50-59 years, male 9.2
GTEX-RU72-0926-SM-2TF6B 50-59 years, female 9.2
GTEX-ZC5H-0226-SM-4WAY9 40-49 years, female 9.2
GTEX-1N2EF-0226-SM-EYYXB 60-69 years, male 9.2
GTEX-PW2O-1526-SM-7RHHB 20-29 years, male 9.2
GTEX-14E7W-0126-SM-6LLJ9 70-79 years, male 9.1
GTEX-1C2JI-1826-SM-73KXC 50-59 years, male 9.1
GTEX-TML8-1926-SM-32QOS 40-49 years, female 9.1
GTEX-1IDJF-0126-SM-CM2RS 20-29 years, male 9.1
GTEX-1MUQO-0126-SM-EAZ58 60-69 years, male 9.1
GTEX-15CHC-2126-SM-6EU21 60-69 years, female 9.0
GTEX-183FY-0126-SM-7LT9P 20-29 years, male 9.0
GTEX-TKQ1-1026-SM-4GICL 30-39 years, male 9.0
GTEX-X4XX-0126-SM-3NMC2 60-69 years, male 9.0
GTEX-ZDTT-2726-SM-4WKF8 60-69 years, male 9.0
GTEX-1HBPN-0226-SM-9YFM1 50-59 years, male 9.0
GTEX-1LG7Y-0526-SM-DKPQC 50-59 years, male 9.0
GTEX-11NSD-2226-SM-5986V 20-29 years, male 8.9
GTEX-1314G-1526-SM-5EGK2 30-39 years, male 8.9
GTEX-V1D1-2226-SM-3NMAX 50-59 years, male 8.9
GTEX-1F5PK-2426-SM-7RHHY 50-59 years, male 8.9
GTEX-11WQK-0526-SM-5EQLD 50-59 years, male 8.8
GTEX-13N1W-0126-SM-5K7VT 70-79 years, male 8.8
GTEX-13OW7-0126-SM-5MR3B 50-59 years, male 8.8
GTEX-17HII-0226-SM-7LG4E 50-59 years, male 8.8
GTEX-XMD2-0126-SM-4YCDU 60-69 years, female 8.8
GTEX-YB5K-2126-SM-4WWDJ 40-49 years, female 8.8
GTEX-ZDXO-3026-SM-5J1N5 60-69 years, male 8.8
GTEX-1HCU8-0626-SM-A9SM9 60-69 years, female 8.8
GTEX-1I4MK-2226-SM-ACKWD 50-59 years, female 8.8
GTEX-1QPFJ-0226-SM-E76PB 30-39 years, female 8.8
GTEX-1R9K4-0126-SM-DTX9X 60-69 years, male 8.8
GTEX-14753-0426-SM-5NQAM 60-69 years, male 8.7
GTEX-183WM-0126-SM-7LTAB 70-79 years, female 8.7
GTEX-1C6WA-0126-SM-7PC2B 60-69 years, male 8.7
GTEX-1IDJU-2626-SM-CM2RT 60-69 years, female 8.7
GTEX-13NZA-0226-SM-5K7Z7 60-69 years, male 8.6
GTEX-146FQ-0126-SM-5NQA9 30-39 years, male 8.6
GTEX-147F4-0226-SM-5QGPW 50-59 years, male 8.6
GTEX-15SHU-0126-SM-7KUEH 40-49 years, female 8.6
GTEX-18A66-0226-SM-718BD 60-69 years, male 8.6
GTEX-PWO3-1526-SM-48TCM 60-69 years, female 8.6
GTEX-S32W-2126-SM-2XCB1 50-59 years, female 8.6
GTEX-XYKS-2126-SM-4E3IB 60-69 years, female 8.6
GTEX-ZXES-1826-SM-5E43S 30-39 years, female 8.6
GTEX-1HSMQ-1226-SM-CGQFX 50-59 years, male 8.6
GTEX-1IKK5-0626-SM-ARL8A 60-69 years, male 8.6
GTEX-1S82Y-2026-SM-EVYCM 40-49 years, male 8.6
GTEX-PLZ6-1426-SM-DKPOT 30-39 years, male 8.6
GTEX-W5X1-3026-SM-EAZAX 40-49 years, female 8.6
GTEX-ZPIC-1726-SM-DHXIU 40-49 years, female 8.6
GTEX-146FH-0126-SM-5QGPP 50-59 years, female 8.5
GTEX-14PN4-0126-SM-6EU2V 50-59 years, male 8.5
GTEX-Z9EW-1626-SM-5CVMN 40-49 years, male 8.5
GTEX-1F52S-0126-SM-9MQJU 60-69 years, female 8.5
GTEX-1H3VY-0126-SM-ACKXD 50-59 years, male 8.5
GTEX-1JMPZ-0226-SM-CNPP1 30-39 years, male 8.5
GTEX-1128S-2326-SM-5GZZY 60-69 years, female 8.4
GTEX-11EM3-2426-SM-59861 20-29 years, female 8.4
GTEX-11GSO-2426-SM-5A5LY 60-69 years, male 8.4
GTEX-11ZVC-2526-SM-5FQTE 50-59 years, female 8.4
GTEX-12WSD-0126-SM-59HKN 60-69 years, female 8.4
GTEX-144FL-0126-SM-5TDC8 50-59 years, male 8.4
GTEX-1CB4J-0626-SM-7DHMP 60-69 years, male 8.4
GTEX-P4QT-0126-SM-2I3FL 50-59 years, female 8.4
GTEX-T8EM-1026-SM-3DB7M 40-49 years, male 8.4
GTEX-1HGF4-2426-SM-ACKXM 60-69 years, male 8.4
GTEX-148VI-1626-SM-5SI6E 60-69 years, female 8.3
GTEX-14PJ6-2126-SM-6EU1V 60-69 years, female 8.3
GTEX-1A3MX-0126-SM-731BR 60-69 years, male 8.3
GTEX-SSA3-0126-SM-32QPU 60-69 years, male 8.3
GTEX-TMZS-0126-SM-3DB9Q 60-69 years, male 8.3
GTEX-VJYA-1126-SM-3GIJU 60-69 years, male 8.3
GTEX-Z93T-0126-SM-5HL5N 50-59 years, male 8.3
GTEX-ZE7O-0126-SM-57WC1 50-59 years, female 8.3
GTEX-1NHNU-1026-SM-E9J2A 50-59 years, male 8.3
GTEX-15UKP-0426-SM-7KUFQ 20-29 years, male 8.2
GTEX-1AX9K-2326-SM-73KWU 50-59 years, male 8.2
GTEX-ZUA1-0126-SM-5GU76 40-49 years, male 8.2
GTEX-1GZ2Q-0226-SM-7P8TL 40-49 years, male 8.2
GTEX-1QP66-1726-SM-E8VO1 50-59 years, male 8.2
GTEX-12WSA-0226-SM-5BC5V 60-69 years, male 8.1
GTEX-13FHO-0226-SM-5IFGY 60-69 years, male 8.1
GTEX-1A3MV-1926-SM-718BT 30-39 years, male 8.1
GTEX-1GN1V-0126-SM-9WPOS 60-69 years, male 8.1
GTEX-1J1OQ-0226-SM-CYPSH 40-49 years, female 8.1
GTEX-1KD5A-0226-SM-D5OV3 50-59 years, male 8.1
GTEX-1LGRB-2526-SM-CNPPQ 50-59 years, female 8.1
GTEX-1MGNQ-0126-SM-EVYCJ 40-49 years, male 8.1
GTEX-RNOR-0126-SM-E9J4R 50-59 years, female 8.1
GTEX-TSE9-0126-SM-3DB83 60-69 years, female 8.0
GTEX-W5WG-1826-SM-4KL2Y 50-59 years, female 8.0
GTEX-WYVS-2126-SM-3NMA3 40-49 years, female 8.0
GTEX-ZAB5-1826-SM-5HL7C 50-59 years, male 8.0
GTEX-1GF9X-2026-SM-7PC3A 40-49 years, female 8.0
GTEX-1JMQI-2226-SM-CM2SD 50-59 years, male 8.0
GTEX-14A5I-0126-SM-5TDEA 50-59 years, female 7.9
GTEX-QVJO-1626-SM-2S1QW 60-69 years, female 7.9
GTEX-YB5E-2026-SM-5IFIS 40-49 years, male 7.9
GTEX-131XF-5016-SM-7MGWE 60-69 years, male 7.9
GTEX-13NYC-0326-SM-E9J4S 60-69 years, male 7.9
GTEX-1F6RS-0126-SM-9MQKZ 60-69 years, female 7.9
GTEX-1I19N-0326-SM-ACKVX 70-79 years, male 7.9
GTEX-1MA7X-2226-SM-E6CIY 60-69 years, male 7.9
GTEX-11OC5-0126-SM-5HL6A 60-69 years, male 7.8
GTEX-14DAQ-0126-SM-5S2MQ 60-69 years, female 7.8
GTEX-15ETS-0126-SM-7KUMW 40-49 years, female 7.8
GTEX-17MFQ-1726-SM-793C7 20-29 years, male 7.8
GTEX-1AX9J-0226-SM-73KXM 60-69 years, male 7.8
GTEX-1B933-0126-SM-7PC29 50-59 years, female 7.8
GTEX-1GN1U-0126-SM-7PBZK 50-59 years, female 7.8
GTEX-1GPI7-0126-SM-9MQL8 20-29 years, male 7.8
GTEX-1LBAC-0126-SM-DIPEZ 20-29 years, male 7.8
GTEX-13PVR-2326-SM-5QGR1 60-69 years, female 7.7
GTEX-16BQI-0226-SM-7KUEX 30-39 years, female 7.7
GTEX-1B8KE-2126-SM-73KYX 50-59 years, male 7.7
GTEX-1B8SG-0126-SM-73KZ3 50-59 years, male 7.7
GTEX-1F6IF-0726-SM-7P8TW 60-69 years, male 7.7
GTEX-1F75B-0126-SM-9KNVL 50-59 years, male 7.7
GTEX-1HB9E-0226-SM-E9U4R 50-59 years, male 7.7
GTEX-1I6K6-0126-SM-A9SLE 30-39 years, male 7.7
GTEX-1IY9M-0126-SM-D3L8S 60-69 years, male 7.7
GTEX-13FTY-0526-SM-5L3EV 40-49 years, female 7.6
GTEX-14ICK-0226-SM-6EU25 40-49 years, male 7.6
GTEX-1AMFI-2026-SM-731BH 50-59 years, female 7.6
GTEX-ZZ64-1726-SM-5GZYB 20-29 years, male 7.6
GTEX-1LVAN-0226-SM-COH3S 50-59 years, female 7.6
GTEX-1S5ZA-0126-SM-EVYCV 20-29 years, male 7.6
GTEX-11O72-0126-SM-59887 40-49 years, male 7.5
GTEX-13RTK-1426-SM-5QGQJ 20-29 years, male 7.5
GTEX-13S7M-0126-SM-5SI6A 60-69 years, female 7.5
GTEX-QV44-1926-SM-2S1RF 50-59 years, male 7.5
GTEX-VUSG-2526-SM-4KL1V 50-59 years, male 7.5
GTEX-1F6I4-0126-SM-9MQL2 60-69 years, male 7.5
GTEX-1K9T9-0126-SM-EVYCF 50-59 years, female 7.5
GTEX-1KANB-0526-SM-E6CJH 50-59 years, male 7.5
GTEX-113JC-2326-SM-5EQ4E 50-59 years, female 7.4
GTEX-12KS4-0326-SM-5EQ41 30-39 years, male 7.4
GTEX-13FTW-2626-SM-5K7WL 40-49 years, male 7.4
GTEX-14PHX-2326-SM-62LEM 50-59 years, male 7.4
GTEX-X261-0126-SM-3NMD6 50-59 years, male 7.4
GTEX-X88G-0126-SM-47JZ3 30-39 years, male 7.4
GTEX-Y111-0126-SM-4SOIV 50-59 years, male 7.4
GTEX-1H3O1-0426-SM-9YFKY 60-69 years, male 7.4
GTEX-12696-2426-SM-5EQ6H 60-69 years, male 7.3
GTEX-131XW-0426-SM-5LZWP 50-59 years, female 7.3
GTEX-QEG4-0226-SM-2S1PY 30-39 years, male 7.3
GTEX-T5JC-0426-SM-32PLO 20-29 years, male 7.3
GTEX-U3ZH-2026-SM-3DB78 30-39 years, male 7.3
GTEX-WZTO-0126-SM-3NM95 40-49 years, male 7.3
GTEX-ZY6K-1826-SM-5GZXK 50-59 years, male 7.3
GTEX-1H3VE-0326-SM-9YFLH 40-49 years, male 7.3
GTEX-1JKYR-0126-SM-CNPOJ 20-29 years, male 7.3
GTEX-1LGOU-2026-SM-DIPFF 20-29 years, female 7.3
GTEX-11WQC-2526-SM-5CVLE 60-69 years, male 7.2
GTEX-145ME-1826-SM-5SI9G 40-49 years, female 7.2
GTEX-14ABY-0226-SM-5TDCQ 50-59 years, male 7.2
GTEX-WVJS-0126-SM-4MVOT 50-59 years, male 7.2
GTEX-ZYFC-0226-SM-5NQ75 50-59 years, male 7.2
GTEX-1R7EU-0226-SM-EVR4G 60-69 years, male 7.2
GTEX-11ZTS-0126-SM-5EQ6M 60-69 years, female 7.1
GTEX-139TT-0126-SM-5K7Y5 60-69 years, male 7.1
GTEX-14A5H-0426-SM-5QGQF 60-69 years, male 7.1
GTEX-15DYW-0126-SM-7KULE 60-69 years, female 7.1
GTEX-15F5U-1526-SM-6PANO 40-49 years, male 7.1
GTEX-OXRN-0126-SM-48TDM 50-59 years, male 7.1
GTEX-R3RS-0126-SM-3GIJL 40-49 years, female 7.1
GTEX-SJXC-0126-SM-2XCFF 60-69 years, male 7.1
GTEX-UPJH-0326-SM-3GADU 50-59 years, male 7.1
GTEX-WQUQ-0426-SM-3MJFU 60-69 years, male 7.1
GTEX-ZTSS-1926-SM-57WEW 40-49 years, male 7.1
GTEX-1GPI6-0126-SM-9WG69 60-69 years, male 7.1
GTEX-1H11D-0226-SM-9WG6Z 40-49 years, male 7.1
GTEX-1I1GT-0626-SM-CGQER 60-69 years, female 7.1
GTEX-1IKOH-0226-SM-COH4E 60-69 years, female 7.1
GTEX-11GS4-2726-SM-5A5LE 60-69 years, male 7.0
GTEX-13113-5016-SM-7EPIP 60-69 years, female 7.0
GTEX-13U4I-0126-SM-5LU38 40-49 years, female 7.0
GTEX-16AAH-1726-SM-7939C 50-59 years, male 7.0
GTEX-1A32A-0126-SM-718B1 50-59 years, female 7.0
GTEX-U412-0426-SM-3DB9O 60-69 years, male 7.0
GTEX-1EN7A-0126-SM-7SB81 40-49 years, male 7.0
GTEX-1PPH8-0226-SM-E8VND 20-29 years, male 7.0
GTEX-133LE-1826-SM-5J1MV 20-29 years, female 6.9
GTEX-QESD-1426-SM-2S1R9 20-29 years, male 6.9
GTEX-WFG8-2226-SM-3GIL9 20-29 years, male 6.9
GTEX-ZV6S-2326-SM-4YCEY 40-49 years, female 6.9
GTEX-ZVZP-2426-SM-59HKJ 50-59 years, male 6.9
GTEX-11TUW-2726-SM-E9J4M 60-69 years, male 6.9
GTEX-1B8L1-2526-SM-9WYTF 60-69 years, male 6.9
GTEX-1J8QM-2126-SM-CYPSJ 60-69 years, female 6.9
GTEX-1KAFJ-2026-SM-CY8ID 50-59 years, male 6.9
GTEX-11NUK-0126-SM-5A5L3 50-59 years, male 6.8
GTEX-11UD2-0226-SM-5EQKY 50-59 years, male 6.8
GTEX-P44H-0226-SM-2XCEU 40-49 years, male 6.8
GTEX-X4EO-0326-SM-3P5YO 60-69 years, female 6.8
GTEX-ZGAY-0526-SM-4WWBB 40-49 years, female 6.8
GTEX-11DXY-2626-SM-5GIE7 60-69 years, male 6.7
GTEX-16NPX-0226-SM-79OMT 50-59 years, male 6.7
GTEX-16YQH-0126-SM-7DUFJ 30-39 years, male 6.7
GTEX-O5YT-0126-SM-48TBW 20-29 years, male 6.7
GTEX-ZDTS-0126-SM-4WAY5 60-69 years, male 6.7
GTEX-1A8FM-0226-SM-7SB7Q 50-59 years, female 6.7
GTEX-1F88F-2726-SM-7PBZZ 60-69 years, female 6.7
GTEX-1LSNM-1926-SM-E6CII 50-59 years, male 6.7
GTEX-PSDG-0226-SM-DKPOZ 50-59 years, male 6.7
GTEX-12126-0326-SM-5PNW3 20-29 years, male 6.6
GTEX-1269C-2526-SM-5EGJ3 60-69 years, female 6.6
GTEX-147GR-0526-SM-5S2MY 60-69 years, male 6.6
GTEX-15G19-0126-SM-6PANQ 60-69 years, male 6.6
GTEX-17HHE-2026-SM-79OKF 50-59 years, male 6.6
GTEX-SNMC-1226-SM-2XCFP 20-29 years, male 6.6
GTEX-UJHI-1526-SM-3DB99 50-59 years, female 6.6
GTEX-1RQEC-0426-SM-E6CHU 60-69 years, male 6.6
GTEX-11EQ9-2426-SM-5HL5T 30-39 years, male 6.5
GTEX-13OVL-0226-SM-5L3E9 50-59 years, male 6.5
GTEX-13SLW-0126-SM-5SI6C 70-79 years, male 6.5
GTEX-17F96-1626-SM-7DUFL 70-79 years, male 6.5
GTEX-1QCLY-0326-SM-E8VOG 30-39 years, male 6.5
GTEX-13N2G-2626-SM-5J1OT 60-69 years, male 6.4
GTEX-13NZB-2526-SM-5J1OM 30-39 years, male 6.4
GTEX-13O3Q-2426-SM-5IJBR 50-59 years, male 6.4
GTEX-14LZ3-0226-SM-62LET 60-69 years, female 6.4
GTEX-17HGU-0226-SM-7DHKV 50-59 years, male 6.4
GTEX-OIZG-0726-SM-33HBL 50-59 years, male 6.4
GTEX-1S3DN-2226-SM-EVYCD 50-59 years, male 6.4
GTEX-OIZF-0126-SM-7SB8I 60-69 years, male 6.4
GTEX-RWSA-0126-SM-2XCBB 40-49 years, male 6.3
GTEX-XUYS-0126-SM-47JWZ 50-59 years, male 6.3
GTEX-ZU9S-0226-SM-5E441 30-39 years, male 6.3
GTEX-1CAV2-2226-SM-7P8P2 40-49 years, female 6.3
GTEX-1L5NE-2526-SM-E6CIE 50-59 years, male 6.3
GTEX-1OFPY-2426-SM-DTXEJ 60-69 years, male 6.3
GTEX-1RB15-2126-SM-E9TIM 60-69 years, male 6.3
GTEX-XBEW-0626-SM-4QASP 40-49 years, male 6.2
GTEX-ZYFD-0126-SM-5GIDL 50-59 years, male 6.2
GTEX-1PIGE-0126-SM-EVYBJ 20-29 years, male 6.2
GTEX-RVPV-0126-SM-EAZAW 60-69 years, male 6.2
GTEX-S33H-1026-SM-EZ6L6 30-39 years, male 6.2
GTEX-139TU-0126-SM-5K7WH 60-69 years, male 6.1
GTEX-145MI-0526-SM-5O9A8 60-69 years, female 6.1
GTEX-15DDE-0126-SM-6LPKH 50-59 years, female 6.1
GTEX-17HHY-0126-SM-7LG5D 50-59 years, male 6.1
GTEX-1CAMQ-0226-SM-7IGPK 40-49 years, male 6.1
GTEX-XUZC-1726-SM-4BRWS 30-39 years, female 6.1
GTEX-1HCU9-1526-SM-A9SL7 20-29 years, male 6.1
GTEX-1J8EW-0126-SM-CJI4F 60-69 years, female 6.1
GTEX-18A7A-0226-SM-718BH 50-59 years, female 6.0
GTEX-YFC4-0126-SM-5CVLY 40-49 years, female 6.0
GTEX-ZVT3-0126-SM-5GU6I 60-69 years, female 6.0
GTEX-1I1GP-2226-SM-CGQFK 50-59 years, male 6.0
GTEX-11ZU8-2526-SM-5EQKI 60-69 years, male 5.9
GTEX-131XE-2326-SM-5PNZ2 50-59 years, male 5.9
GTEX-145LU-0126-SM-5TDCB 50-59 years, male 5.9
GTEX-15DCD-0126-SM-7KUEK 70-79 years, female 5.9
GTEX-15RIG-0226-SM-7KFTL 40-49 years, male 5.9
GTEX-1EKGG-0226-SM-9WYTH 60-69 years, male 5.9
GTEX-1EX96-1626-SM-7PBXR 50-59 years, male 5.9
GTEX-1F7RK-0126-SM-7PC2S 20-29 years, female 5.9
GTEX-1K2DA-1826-SM-CGQGT 50-59 years, male 5.9
GTEX-1QEPI-0126-SM-EWRMQ 60-69 years, female 5.9
GTEX-XPVG-2626-SM-4B669 50-59 years, male 5.8
GTEX-Z93S-0126-SM-5HL7M 50-59 years, male 5.8
GTEX-1F75A-0126-SM-7RHGM 50-59 years, male 5.8
GTEX-1IGQW-0126-SM-COH42 60-69 years, male 5.8
GTEX-111VG-2426-SM-5GZXD 60-69 years, male 5.7
GTEX-13VXU-0126-SM-5SI9F 50-59 years, male 5.7
GTEX-14E6E-1826-SM-5S2R7 30-39 years, male 5.7
GTEX-14PII-0226-SM-6EU1T 60-69 years, male 5.7
GTEX-17GQL-2026-SM-718BA 60-69 years, male 5.7
GTEX-1GF9W-0326-SM-9KNUN 60-69 years, male 5.7
GTEX-1HCU6-0126-SM-CL54K 60-69 years, female 5.7
GTEX-1HCU7-0226-SM-CL545 50-59 years, male 5.7
GTEX-1JJ6O-0126-SM-E6CI8 60-69 years, male 5.7
GTEX-1JMQJ-0526-SM-CYPSU 50-59 years, male 5.7
GTEX-1QP9N-1426-SM-DTXFL 30-39 years, male 5.7
GTEX-ZVT4-0126-SM-DTXFN 50-59 years, female 5.7
GTEX-1122O-2126-SM-5EGIR 60-69 years, female 5.6
GTEX-11P81-2326-SM-59875 30-39 years, female 5.6
GTEX-1B8KZ-2026-SM-7DHMB 50-59 years, male 5.6
GTEX-1OJC3-0126-SM-E76QX 20-29 years, male 5.6
GTEX-1192W-2626-SM-5Q5AF 60-69 years, male 5.5
GTEX-13OVH-0126-SM-5MR4B 70-79 years, male 5.5
GTEX-SIU8-0126-SM-2XCDT 50-59 years, male 5.5
GTEX-13OW5-0126-SM-DTXFS 60-69 years, male 5.5
GTEX-1EU9M-0226-SM-7P8SP 60-69 years, male 5.5
GTEX-1GN2E-0426-SM-9MQKX 60-69 years, male 5.5
GTEX-1HSGN-0226-SM-CGQFV 40-49 years, female 5.5
GTEX-1KXAM-2226-SM-CYPTC 60-69 years, male 5.5
GTEX-1MCQQ-0826-SM-DLHC2 60-69 years, male 5.5
GTEX-ZF3C-0126-SM-DO92D 50-59 years, female 5.5
GTEX-1C4CL-0526-SM-73KVK 30-39 years, male 5.4
GTEX-OIZH-0126-SM-2HMIS 50-59 years, male 5.4
GTEX-1B996-0226-SM-7RHGO 60-69 years, male 5.4
GTEX-1HR98-0126-SM-B2LWI 60-69 years, male 5.4
GTEX-13CF2-2526-SM-5LZYX 60-69 years, male 5.3
GTEX-13OVK-2026-SM-7KUEO 40-49 years, male 5.3
GTEX-1CB4E-2226-SM-793DC 60-69 years, male 5.3
GTEX-ZVZO-0126-SM-5A5L9 40-49 years, male 5.2
GTEX-ZXG5-0126-SM-5GIEU 60-69 years, male 5.2
GTEX-1HFI6-0226-SM-ADEHZ 40-49 years, male 5.2
GTEX-1399R-2726-SM-5IJBA 30-39 years, male 5.1
GTEX-14E6D-0126-SM-62LDV 50-59 years, male 5.1
GTEX-15SB6-1726-SM-6PAME 50-59 years, female 5.1
GTEX-18465-0126-SM-731BN 50-59 years, male 5.1
GTEX-1GL5R-1826-SM-9KNUY 50-59 years, male 5.1
GTEX-1PDJ9-0326-SM-DTX95 20-29 years, male 5.1
GTEX-1POEN-0126-SM-EYYXJ 30-39 years, female 5.1
GTEX-13G51-2526-SM-5LZYK 60-69 years, male 5.0
GTEX-POMQ-2226-SM-2I5FK 20-29 years, female 5.0
GTEX-VJWN-0126-SM-3GIK7 50-59 years, female 5.0
GTEX-Y3IK-2426-SM-4WWDU 50-59 years, female 5.0
GTEX-1AX9I-0126-SM-7SB74 60-69 years, male 5.0
GTEX-1GN73-0226-SM-9WG67 60-69 years, male 5.0
GTEX-1I1GR-0126-SM-CL55F 60-69 years, male 5.0
GTEX-1J8JJ-0226-SM-CL53I 60-69 years, female 5.0
GTEX-1KANA-0726-SM-D3L9I 20-29 years, male 5.0
GTEX-117XS-2726-SM-5N9BL 60-69 years, male 4.9
GTEX-12ZZX-0126-SM-5EGK9 40-49 years, female 4.9
GTEX-1C6VR-2426-SM-79OLD 60-69 years, male 4.9
GTEX-ZE9C-2726-SM-57WB5 60-69 years, male 4.9
GTEX-ZWKS-0126-SM-5SIAA 30-39 years, male 4.9
GTEX-1EMGI-0126-SM-9KNUE 60-69 years, male 4.9
GTEX-1IL2V-0126-SM-CM2TX 70-79 years, male 4.9
GTEX-1JMQL-0226-SM-CNPP5 50-59 years, female 4.9
GTEX-13112-2826-SM-5DUWH 50-59 years, male 4.8
GTEX-14PJM-0226-SM-62LF1 50-59 years, female 4.8
GTEX-17HG3-2226-SM-7938L 30-39 years, female 4.8
GTEX-Y5V5-2326-SM-4V6GA 60-69 years, female 4.8
GTEX-1F5PL-0326-SM-7P8PQ 40-49 years, female 4.8
GTEX-1GMRU-0126-SM-9YFLV 50-59 years, male 4.8
GTEX-1RDX4-0126-SM-E9J4P 50-59 years, female 4.8
GTEX-12ZZZ-0626-SM-5DUXI 60-69 years, male 4.7
GTEX-13OW8-1326-SM-5J1OW 60-69 years, male 4.7
GTEX-1CB4G-0226-SM-7PC3O 60-69 years, male 4.7
GTEX-1EWIQ-0126-SM-7RHH2 70-79 years, female 4.7
GTEX-XQ3S-1526-SM-4BOOC 20-29 years, male 4.6
GTEX-1CB4F-0426-SM-9KNV4 60-69 years, male 4.6
GTEX-12WSC-0126-SM-5EQ4P 50-59 years, male 4.5
GTEX-13OW6-0426-SM-5L3HM 50-59 years, male 4.5
GTEX-13SLX-0526-SM-5S2ON 50-59 years, female 4.5
GTEX-1E1VI-0126-SM-7DHMZ 50-59 years, male 4.5
GTEX-T2IS-0126-SM-4DM6O 20-29 years, female 4.5
GTEX-Y8E4-0626-SM-4WWDL 40-49 years, male 4.5
GTEX-1O97I-0326-SM-EYYX7 60-69 years, male 4.5
GTEX-1CB4I-0226-SM-79OLH 50-59 years, male 4.4
GTEX-1GZHY-0326-SM-9QEHI 50-59 years, female 4.4
GTEX-1H1CY-2826-SM-9MQM3 60-69 years, female 4.4
GTEX-1M5QR-1226-SM-EWROB 40-49 years, male 4.4
GTEX-11EI6-0126-SM-5985R 60-69 years, male 4.3
GTEX-131XH-2226-SM-5DUXJ 50-59 years, male 4.3
GTEX-1MA7W-2026-SM-E9TJ6 20-29 years, female 4.3
GTEX-131YS-0126-SM-5KM1M 60-69 years, female 4.2
GTEX-PVOW-0126-SM-2XCFA 40-49 years, male 4.2
GTEX-Y8DK-0126-SM-4TT3L 60-69 years, male 4.2
GTEX-ZAK1-0126-SM-5IJD3 50-59 years, female 4.2
GTEX-1IL2U-0226-SM-CE6T8 60-69 years, male 4.2
GTEX-1KD4Q-0226-SM-E9TJ9 40-49 years, male 4.2
GTEX-11OF3-2626-SM-5GU7F 60-69 years, male 4.1
GTEX-1313W-0126-SM-5LZUN 50-59 years, female 4.1
GTEX-14BIN-0626-SM-793DP 50-59 years, female 4.1
GTEX-17KNJ-2326-SM-7DHLQ 50-59 years, male 4.1
GTEX-18A6Q-0126-SM-731BZ 60-69 years, male 4.1
GTEX-1KANC-1526-SM-D3LAB 50-59 years, female 4.1
GTEX-1LB8K-0226-SM-EWRNW 50-59 years, male 4.1
GTEX-111FC-0126-SM-5N9DL 60-69 years, male 4.0
GTEX-13X6J-0126-SM-5QGOU 50-59 years, male 4.0
GTEX-1C475-1826-SM-73KWA 40-49 years, female 4.0
GTEX-1KWVE-1426-SM-E9TJO 30-39 years, male 4.0
GTEX-11DXZ-2326-SM-5EGGV 50-59 years, male 3.9
GTEX-1399T-2826-SM-5KLYZ 60-69 years, male 3.9
GTEX-13FXS-0226-SM-5IJCK 50-59 years, male 3.9
GTEX-1BAJH-0526-SM-793CQ 70-79 years, male 3.9
GTEX-T5JW-1626-SM-3GADZ 20-29 years, female 3.9
GTEX-1I1GV-0526-SM-A9G29 60-69 years, male 3.9
GTEX-1IOXB-0126-SM-ARL8G 50-59 years, male 3.9
GTEX-1JMLX-0226-SM-CM2RO 50-59 years, male 3.9
GTEX-139TS-2826-SM-5J1OO 60-69 years, male 3.8
GTEX-14JG1-0426-SM-6ETZZ 40-49 years, male 3.8
GTEX-18D9A-1926-SM-7LG6P 30-39 years, female 3.8
GTEX-ZVTK-0426-SM-51MRS 20-29 years, male 3.8
GTEX-1LG7Z-1726-SM-D3LA4 30-39 years, male 3.8
GTEX-1212Z-2526-SM-5EGKP 60-69 years, male 3.7
GTEX-15EU6-0426-SM-6PAN5 50-59 years, male 3.7
GTEX-16GPK-0126-SM-7DHLE 60-69 years, male 3.7
GTEX-17EVP-0326-SM-7DHLG 40-49 years, male 3.7
GTEX-S7SE-0126-SM-2XCD5 50-59 years, male 3.7
GTEX-144GL-0126-SM-5TDE2 50-59 years, male 3.6
GTEX-1C64N-0126-SM-793D7 50-59 years, male 3.6
GTEX-1IDJH-0326-SM-A9SLQ 70-79 years, male 3.6
GTEX-1JN6P-0126-SM-D3L98 60-69 years, male 3.6
GTEX-1QAET-0926-SM-E76QM 50-59 years, male 3.6
GTEX-145LS-0126-SM-5QGP1 60-69 years, female 3.5
GTEX-14BMV-0126-SM-5S2PO 50-59 years, male 3.5
GTEX-1HBPI-1526-SM-C1YQ1 50-59 years, male 3.5
GTEX-1I1GQ-0126-SM-COH3H 50-59 years, male 3.5
GTEX-11DYG-0126-SM-59883 60-69 years, male 3.4
GTEX-WFON-2126-SM-3LK7O 40-49 years, male 3.4
GTEX-1GMR3-1926-SM-9KNUZ 40-49 years, male 3.4
GTEX-145MF-0626-SM-5LUAI 50-59 years, male 3.3
GTEX-15ER7-0326-SM-7KUEV 20-29 years, female 3.3
GTEX-1GF9V-0326-SM-7RHI5 60-69 years, male 3.3
GTEX-1HT8W-0126-SM-CNPPP 30-39 years, male 3.3
GTEX-12ZZY-0226-SM-5LZVE 60-69 years, male 3.2
GTEX-13JUV-2726-SM-5LZZ8 40-49 years, female 3.2
GTEX-ZYT6-0226-SM-5NQ6T 30-39 years, male 3.2
GTEX-1S83E-0126-SM-EWRO4 40-49 years, male 3.2
GTEX-ZTX8-1426-SM-5DUVO 20-29 years, male 3.1
GTEX-1E2YA-0126-SM-9KNUC 50-59 years, male 3.1
GTEX-1HSKV-0226-SM-A9SKJ 60-69 years, male 3.1
GTEX-T6MN-0126-SM-32PLP 50-59 years, male 3.0
GTEX-12WSE-0526-SM-793B2 20-29 years, male 2.9
GTEX-139UW-2826-SM-5L3E7 60-69 years, male 2.9
GTEX-PX3G-0126-SM-2I3EN 20-29 years, female 2.9
GTEX-1B8SF-1426-SM-7DUGL 60-69 years, male 2.8
GTEX-ZV68-0126-SM-59HKS 50-59 years, female 2.8
GTEX-1R9PM-2026-SM-E76OY 20-29 years, male 2.8
GTEX-13FHP-0126-SM-5IJBG 50-59 years, male 2.7
GTEX-ZF2S-2326-SM-4WWCE 50-59 years, female 2.7
GTEX-1IKJJ-0126-SM-CNPQB 60-69 years, male 2.7
GTEX-1QMI2-0226-SM-EVYBX 60-69 years, male 2.7
GTEX-YJ89-0126-SM-4TT3X 60-69 years, male 2.6
GTEX-1H4P4-0726-SM-9YFLR 50-59 years, male 2.6
GTEX-13NYB-2526-SM-5K7Z6 40-49 years, male 2.4
GTEX-13111-1626-SM-5EGJY 50-59 years, male 2.3
GTEX-1B97I-1626-SM-73KYO 40-49 years, male 2.2
GTEX-1JJEA-0326-SM-CNPOT 60-69 years, male 2.1
GTEX-1PIIG-0226-SM-EWRN6 30-39 years, male 2.0
GTEX-1MJK2-0426-SM-DTXE5 50-59 years, male 1.7
GTEX-17JCI-0126-SM-7LG5G 60-69 years, female 1.4
Show allShow less

Contact

  • NEWS ARTICLES
  • PRESS ROOM

The Project

  • INTRODUCTION
  • ORGANIZATION
  • PUBLICATIONS

The Human Protein Atlas

  • DOWNLOADABLE DATA
  • LICENCE & CITATION
  • HELP & FAQ
The Human Protein Atlas project is funded
by the Knut & Alice Wallenberg Foundation.


contact@proteinatlas.org