We use cookies to enhance the usability of our website. If you continue, we'll assume that you are happy to receive all cookies. More information. Don't show this again.
NPTX2
HPA
RESOURCES
  • TISSUE
  • BRAIN
  • SINGLE CELL
  • SUBCELLULAR
  • CANCER
  • BLOOD
  • CELL LINE
  • STRUCTURE & INTERACTION
ABOUT
  • INTRODUCTION
  • HISTORY
  • ORGANIZATION
  • PUBLICATIONS
  • ANTIBODY SUBMISSION
  • ANTIBODY AVAILABILITY
  • ACKNOWLEDGMENTS
  • CONTACT
NEWS
  • NEWS ARTICLES
  • PRESS ROOM
LEARN
  • DICTIONARY
  • PROTEIN CLASSES
  • PROTEIN EVIDENCE
  • METHODS
  • EDUCATIONAL VIDEOS
DATA
  • DOWNLOADABLE DATA
  • PUBLICATION DATA
  • RELEASE HISTORY
HELP
  • ANTIBODY VALIDATION
  • ASSAYS & ANNOTATION
  • DISCLAIMER
  • HELP & FAQ
  • PRIVACY STATEMENT
  • LICENCE & CITATION
Fields »
Search result

Field
Term
Gene name
Class
Subclass
Class
Keyword
Chromosome
External id
Tissue
Cell type
Expression
Antibody panel
Tissue
Main location
Patient ID
Annotation
Tissue
Category
Tau score
Cluster
Reliability
Brain region
Category
Tau score
Brain region
Category
Tau score
Brain region
Category
Tau score
Cluster
Reliability
Tissue
Cell type
Enrichment
Cell type
Category
Tau score
Cell type
Category
Tau score
Cell type
Category
Tau score
Cell lineage
Category
Tau score
Cluster
Cluster
Location
Searches
Location
Cell line
Class
Type
Phase
Reliability
Cancer
Prognosis
Cancer
Category
Cancer
Category
Tau score
Cluster
Variants
Interacting gene (ensg_id)
Type
Number of interactions
Pathway
Category
Score
Score
Score
Validation
Validation
Validation
Validation
Antibodies
Data type
Column


  • SUMMARY

  • TISSUE

  • BRAIN

  • SINGLE CELL

  • SUBCELL

  • CANCER

  • BLOOD

  • CELL LINE

  • STRUCT & INT

  • NPTX2
TISSUE PRIMARY DATA THYROID GLAND Show tissue menu
ADIPOSE TISSUE ADRENAL GLAND AMYGDALA APPENDIX BASAL GANGLIA BONE MARROW BREAST BRONCHUS CEREBELLUM CEREBRAL CORTEX CERVIX CHOROID PLEXUS COLON DUODENUM
ENDOMETRIUM EPIDIDYMIS ESOPHAGUS FALLOPIAN TUBE GALLBLADDER HEART MUSCLE HIPPOCAMPAL FORMATION HYPOTHALAMUS KIDNEY LIVER LUNG LYMPH NODE MIDBRAIN NASOPHARYNX
ORAL MUCOSA OVARY PANCREAS PARATHYROID GLAND PITUITARY GLAND PLACENTA PROSTATE RECTUM RETINA SALIVARY GLAND SEMINAL VESICLE SKELETAL MUSCLE SKIN SMALL INTESTINE
SMOOTH MUSCLE SOFT TISSUE SPINAL CORD SPLEEN STOMACH TESTIS THYMUS THYROID GLAND TONGUE TONSIL URINARY BLADDER VAGINA
ANTIBODIES
AND
VALIDATION
Dictionary
Thyroid gland
Tissue proteome
Thyroid gland
THYROID GLAND - Expression summary
Protein expression
Thyroid glandi

On the top, protein expression in current human tissue, based on all annotated cell types, is reported with the units not detected (n), low (l), medium (m) and high (h). Underneath, protein expression in each annotated cell type are reported using the same units.

Protein expression data is based on knowledge-based annotation. For genes where more than one antibody has been used, a collective score is set.

If knowledge-based annotation could not be performed for a gene, no data is displayed here. View antibody staining data further down this page.

h
m
l
n
Glandular cells: Not detected
RNA expressioni

A summary of mRNA expression data available for current tissue based on several datasets. The mRNA expression levels in human tissues are based on RNA-seq data generated by the Human Protein Atlas (HPA), Genotype-Tissue Expression (GTEx) portal and CAGE data generated by the FANTOM5 consortium. Consensus normalized expression levels for human tissues was created by combining the data from HPA and GTEx datasets.

The mRNA expression levels in pig are based on RNA-seq data generated by the Human Protein Atlas (HPA), and for mouse, HPA data and in situ hybridization generated by the Allen brain atlas are reported.

Scroll down to view mRNA expression data in more detail.
Consensus:3.0 nTPM
HPA:0.2 nTPM
GTEx:3.0 nTPM
FANTOM5:8.0 Scaled Tags Per Million

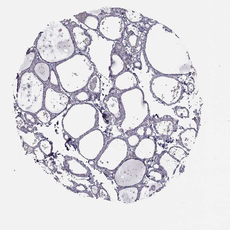
THYROID GLAND - Antibody stainingi

Antibody staining in the annotated cell types in the current human tissue is reported as not detected, low, medium, or high, based on conventional immunohistochemistry profiling in selected tissues. This score is based on the combination of the staining intensity and fraction of stained cells.

Each image is clickable and will lead to virtual microscopy that enables deeper exploration of all samples and also displays staining intensity scores, fraction scores and subcellular localization as well as patient and tissue information for each sample.

Antibody HPA049799Antibody CAB020801
Glandular cells Not detectedNot detected





THYROID GLAND - HPA RNA-seqi

The RNA-seq details section shows detailed information about the individual samples used for the transcript profiling and results of the RNA-seq analysis.

Information about each individual sample is listed below, including gender, age, a tissue section image and estimated fractions of cell types. nTPM (normalized transcripts per million) values give a quantification of the gene abundance which is comparable between different genes and samples.
Average nTPMi

Max subtype nTPM is the value for the subtype with the largest average nTPM across the subtype samples.

0.2
overview
Female, age 20
Thyroid gland sample 249
nTPM: 0.3
Cell types%
Glandular cells:
70

Endothelial cells:
20

Other cell types:
10

overview
Female, age 55
Thyroid gland sample 250
nTPM: 0.6
Cell types%
Glandular cells:
70

Endothelial cells:
20

Other cell types:
10

overview
Female, age 58
Thyroid gland sample 251
nTPM: 0
Cell types%
Glandular cells:
70

Endothelial cells:
15

Other cell types:
15

overview
Female, age 48
Thyroid gland sample 252
nTPM: 0
Cell types%
Glandular cells:
70

Endothelial cells:
20

Other cell types:
10

overview
Male, age 21
Thyroid gland sample 363
nTPM: 0
Cell types%
Glandular cells:
75

Endothelial cells:
10

Other cell types:
15


THYROID GLAND - GTEx RNA-seqi

RNA-Seq data generated by the Genotype-Tissue Expression (GTEx) project from human tissues is reported as mean nTPM. More information can be found on the GTEx portal.

Distribution across the dataset is visualized with box plots, shown as median and 25th and 75th percentiles. Points are displayed as outliers if they are above or below 1.5 times the interquartile range. nTPM values of the individual samples are presented next to the box plot.
Max subtype nTPMi

Max subtype nTPM is the value for the subtype with the largest average nTPM across the subtype samples.

3.0
GTEx sample id Sample description nTPM
Thyroid
Average nTPM: 3.0
Samples: 653

Max nTPM: 36.9
Min nTPM: 0.0
Std nTPM: 3.5
Median nTPM: 2.1
GTEX-1JMQL-0926-SM-CJI3F 50-59 years, female 36.9
GTEX-WOFL-0726-SM-3MJG4 60-69 years, male 25.8
GTEX-1JJ6O-0626-SM-AHZ3H 60-69 years, male 25.7
GTEX-13OW5-0626-SM-5J2N2 60-69 years, male 20.2
GTEX-QDVJ-0226-SM-2I5FV 50-59 years, male 19.5
GTEX-RUSQ-1026-SM-2TF6V 50-59 years, male 18.9
GTEX-14PHW-2926-SM-6AJBA 60-69 years, female 15.3
GTEX-QEG5-0826-SM-2I5GF 20-29 years, male 13.7
GTEX-XBED-0126-SM-47JY7 60-69 years, male 13.6
GTEX-SE5C-0726-SM-4BRWY 40-49 years, female 13.2
GTEX-14E6E-0326-SM-73KY6 30-39 years, male 12.9
GTEX-SN8G-1526-SM-4DM79 50-59 years, female 12.6
GTEX-1C6VQ-0526-SM-7MGWD 50-59 years, male 12.5
GTEX-14C38-0826-SM-5S2U8 50-59 years, male 12.3
GTEX-14PKU-0326-SM-6AJA7 40-49 years, female 12.3
GTEX-11TT1-1126-SM-5P9GV 20-29 years, male 12.2
GTEX-14C39-0226-SM-5TDDW 40-49 years, male 11.9
GTEX-ZYVF-1126-SM-5E458 50-59 years, female 11.9
GTEX-1J1R8-0126-SM-CJI36 40-49 years, male 11.9
GTEX-13RTJ-0326-SM-5YYAE 60-69 years, male 11.8
GTEX-1NV5F-0726-SM-DTXEH 60-69 years, female 11.5
GTEX-1IDJC-1026-SM-A96T2 50-59 years, male 11.4
GTEX-14PKV-0626-SM-6AJA2 20-29 years, female 11.0
GTEX-14PN4-1526-SM-6871V 50-59 years, male 11.0
GTEX-15G1A-0326-SM-6M467 30-39 years, male 10.8
GTEX-X4XY-0826-SM-4E3JM 60-69 years, male 10.6
GTEX-1R9K4-0726-SM-EWRN2 60-69 years, male 10.6
GTEX-REY6-0526-SM-2TF5M 60-69 years, male 10.2
GTEX-14PJO-0626-SM-6LLHH 60-69 years, male 10.0
GTEX-1O9I2-1226-SM-E6CQC 50-59 years, male 9.7
GTEX-11I78-0526-SM-5986A 50-59 years, female 9.2
GTEX-13OVJ-0626-SM-5J2O2 50-59 years, female 9.0
GTEX-1F75I-0926-SM-7MXUU 40-49 years, male 9.0
GTEX-1RAZQ-0926-SM-EAZ4Q 30-39 years, male 9.0
GTEX-18D9A-0126-SM-7KFSI 30-39 years, female 8.9
GTEX-1GTWX-0726-SM-9WPPA 60-69 years, male 8.9
GTEX-13O1R-0826-SM-5J2MB 60-69 years, male 8.7
GTEX-PLZ4-1226-SM-2I5FE 50-59 years, female 8.7
GTEX-YEC4-0626-SM-5CVLU 40-49 years, male 8.7
GTEX-1H2FU-0626-SM-9WPPS 60-69 years, female 8.6
GTEX-169BO-0326-SM-7EPIM 50-59 years, male 8.5
GTEX-1NUQO-0926-SM-DTXEX 20-29 years, female 8.5
GTEX-WFG8-0426-SM-3GILD 20-29 years, male 8.4
GTEX-15SHU-0726-SM-7KUFI 40-49 years, female 8.0
GTEX-TKQ1-0126-SM-33HB3 30-39 years, male 8.0
GTEX-14E6C-2626-SM-5RQJP 40-49 years, male 7.7
GTEX-POYW-0826-SM-2XCEM 60-69 years, male 7.6
GTEX-Q2AI-0326-SM-2I3EK 40-49 years, male 7.6
GTEX-1CAMS-0826-SM-7P8P1 40-49 years, female 7.6
GTEX-1ICG6-0426-SM-ARU7M 70-79 years, female 7.6
GTEX-13NYC-2426-SM-5MR3K 60-69 years, male 7.5
GTEX-1AMEY-0126-SM-73KTX 30-39 years, female 7.4
GTEX-1K2DU-0126-SM-E9TIU 20-29 years, male 7.4
GTEX-12WSJ-0326-SM-5GCMT 40-49 years, female 7.3
GTEX-13FH7-0126-SM-5KLZ1 50-59 years, female 7.3
GTEX-ZTPG-0826-SM-5DUVC 20-29 years, female 7.3
GTEX-P4PQ-2626-SM-33HC9 60-69 years, male 7.2
GTEX-1HKZK-0826-SM-A9G2C 40-49 years, male 7.2
GTEX-13CF3-0926-SM-5LZZC 60-69 years, female 7.1
GTEX-13RTK-0326-SM-5RQHS 20-29 years, male 7.1
GTEX-14ICK-1626-SM-6ETZX 40-49 years, male 7.1
GTEX-1GF9U-0226-SM-7P8TY 40-49 years, female 7.1
GTEX-14ICL-0426-SM-5RQJ3 30-39 years, male 7.0
GTEX-133LE-0326-SM-5P9G4 20-29 years, female 6.9
GTEX-1CB4J-1426-SM-7MKFR 60-69 years, male 6.9
GTEX-S7SF-0226-SM-5SI7H 20-29 years, female 6.9
GTEX-1JMQK-2126-SM-CY8I2 60-69 years, male 6.9
GTEX-P44G-0626-SM-2I5EO 30-39 years, male 6.7
GTEX-1JMPZ-0626-SM-CY8HY 30-39 years, male 6.7
GTEX-Q2AH-0726-SM-2I3EA 40-49 years, male 6.6
GTEX-131XG-0226-SM-5IFG1 50-59 years, female 6.4
GTEX-ZYFG-0626-SM-5GZYA 60-69 years, female 6.4
GTEX-1R46S-0426-SM-EVR48 60-69 years, female 6.4
GTEX-139YR-1226-SM-5IFEU 50-59 years, male 6.3
GTEX-1GF9X-0126-SM-A9G38 40-49 years, female 6.3
GTEX-1HR9M-0626-SM-A96S6 60-69 years, male 6.3
GTEX-1QP28-0626-SM-E76P5 50-59 years, female 6.3
GTEX-QEL4-0726-SM-3GIJ5 50-59 years, male 6.2
GTEX-WEY5-0526-SM-3GIKZ 40-49 years, female 6.2
GTEX-1GZ4H-0226-SM-9JGGJ 50-59 years, female 6.2
GTEX-1PWST-0726-SM-EWRMO 70-79 years, male 6.2
GTEX-U8T8-2326-SM-3DB96 60-69 years, male 6.1
GTEX-1LG7Z-0526-SM-D4P3Q 30-39 years, male 6.1
GTEX-1MGNQ-0726-SM-DPRYH 40-49 years, male 6.1
GTEX-1128S-0126-SM-5H12S 60-69 years, female 6.0
GTEX-13D11-0226-SM-5LZXL 50-59 years, female 6.0
GTEX-14XAO-0426-SM-6AJB6 60-69 years, female 6.0
GTEX-WHSB-1626-SM-3LK6J 50-59 years, male 6.0
GTEX-1HBPN-1226-SM-B2LW9 50-59 years, male 6.0
GTEX-12WSN-0726-SM-5GCMS 40-49 years, male 5.9
GTEX-XUW1-1026-SM-4BONY 50-59 years, female 5.9
GTEX-1HB9E-0826-SM-CNNQJ 50-59 years, male 5.9
GTEX-1HBPM-0926-SM-ARL9C 60-69 years, female 5.9
GTEX-WFG7-0326-SM-DKPO8 20-29 years, male 5.9
GTEX-13113-0126-SM-5LZVX 60-69 years, female 5.8
GTEX-X5EB-0726-SM-46MVR 40-49 years, male 5.8
GTEX-11EMC-0226-SM-5EGLP 60-69 years, female 5.7
GTEX-14PQA-1226-SM-6M47A 50-59 years, female 5.7
GTEX-11EM3-0126-SM-5985K 20-29 years, female 5.6
GTEX-144GO-0126-SM-5LUAO 60-69 years, male 5.6
GTEX-15D1Q-0626-SM-6AJAZ 40-49 years, male 5.6
GTEX-ZPIC-0226-SM-DO91T 40-49 years, female 5.6
GTEX-1CB4I-0726-SM-7DUGS 50-59 years, male 5.5
GTEX-1F5PL-0826-SM-7MXU7 40-49 years, female 5.5
GTEX-ZZPU-1326-SM-5GZWS 50-59 years, female 5.4
GTEX-132AR-1126-SM-5P9GA 50-59 years, female 5.3
GTEX-13FTW-0626-SM-5IFEX 40-49 years, male 5.3
GTEX-T6MO-0226-SM-32QOL 40-49 years, female 5.3
GTEX-U3ZM-0126-SM-3DB8M 40-49 years, male 5.3
GTEX-ZTSS-0226-SM-59877 40-49 years, male 5.3
GTEX-X261-0726-SM-EZ6MH 50-59 years, male 5.3
GTEX-RTLS-0626-SM-5SI7Z 60-69 years, female 5.2
GTEX-WYBS-1926-SM-3NM8N 60-69 years, female 5.2
GTEX-1LGRB-1226-SM-CNNPS 50-59 years, female 5.2
GTEX-16BQI-0726-SM-6LPJZ 30-39 years, female 5.1
GTEX-P4QT-2626-SM-2I3FM 50-59 years, female 5.1
GTEX-11LCK-0526-SM-5A5M9 30-39 years, male 5.0
GTEX-13PVQ-0726-SM-5L3GI 50-59 years, male 5.0
GTEX-15DZA-0226-SM-7KFS6 30-39 years, female 5.0
GTEX-15RJE-1326-SM-6LPI6 40-49 years, male 5.0
GTEX-1KAFJ-0426-SM-DHXJH 50-59 years, male 5.0
GTEX-11P7K-0226-SM-5986Z 30-39 years, male 4.9
GTEX-14PII-0826-SM-6871S 60-69 years, male 4.9
GTEX-ZLFU-0626-SM-4WWBO 40-49 years, male 4.9
GTEX-1PDJ9-0826-SM-E76PS 20-29 years, male 4.9
GTEX-1A3MV-0326-SM-73KW7 30-39 years, male 4.8
GTEX-1AX9K-0626-SM-73KVD 50-59 years, male 4.8
GTEX-T5JW-1226-SM-3GACY 20-29 years, female 4.8
GTEX-WY7C-0226-SM-3NB37 50-59 years, male 4.8
GTEX-XUZC-0126-SM-4BOO6 30-39 years, female 4.8
GTEX-ZV6S-0226-SM-59HJT 40-49 years, female 4.8
GTEX-1I1GT-0826-SM-B2LWO 60-69 years, female 4.8
GTEX-1JK1U-0326-SM-CXZJH 60-69 years, male 4.8
GTEX-11XUK-0226-SM-5EQLW 40-49 years, female 4.7
GTEX-146FR-0326-SM-5SI8U 60-69 years, female 4.7
GTEX-15EU6-1426-SM-6M48E 50-59 years, male 4.7
GTEX-XBEW-0126-SM-4AT66 40-49 years, male 4.7
GTEX-ZQUD-0126-SM-7EPIS 30-39 years, male 4.7
GTEX-1GL5R-0626-SM-7PBZY 50-59 years, male 4.7
GTEX-1H3VE-0826-SM-9KNVQ 40-49 years, male 4.7
GTEX-1MJK3-0326-SM-DTX96 20-29 years, male 4.7
GTEX-1CB4H-0126-SM-7IGN2 60-69 years, female 4.6
GTEX-1ICLZ-0526-SM-ARZM8 60-69 years, male 4.6
GTEX-1QP67-0326-SM-EVR45 40-49 years, female 4.6
GTEX-111YS-0726-SM-5GZY8 60-69 years, male 4.5
GTEX-11DZ1-2726-SM-5A5KH 50-59 years, male 4.5
GTEX-15CHC-0126-SM-5YYBA 60-69 years, female 4.5
GTEX-1F52S-0526-SM-7P8TP 60-69 years, female 4.5
GTEX-1F75B-0826-SM-9QEIT 50-59 years, male 4.5
GTEX-1GN1W-0126-SM-7MXV7 50-59 years, female 4.5
GTEX-1H1E6-0326-SM-9OSWE 30-39 years, male 4.5
GTEX-1122O-0226-SM-5N9DA 60-69 years, female 4.4
GTEX-13N2G-0726-SM-5MR38 60-69 years, male 4.4
GTEX-16MTA-0726-SM-7KUL4 50-59 years, male 4.4
GTEX-P4QS-2626-SM-2I3EV 60-69 years, male 4.4
GTEX-QV31-0726-SM-3GAEG 30-39 years, male 4.4
GTEX-S32W-0726-SM-2XCBL 50-59 years, female 4.4
GTEX-1LH75-0626-SM-DIPG3 50-59 years, female 4.4
GTEX-O5YV-1526-SM-EV799 60-69 years, female 4.4
GTEX-13X6H-0526-SM-5LU4Q 50-59 years, female 4.3
GTEX-QDVN-0626-SM-2I3FP 50-59 years, male 4.3
GTEX-1F48J-0926-SM-7P8PZ 50-59 years, female 4.3
GTEX-1HCVE-0726-SM-A96SH 50-59 years, male 4.3
GTEX-13IVO-0926-SM-5KLZP 70-79 years, male 4.2
GTEX-13JVG-0926-SM-5IJE1 60-69 years, male 4.2
GTEX-18D9U-1026-SM-72D5R 40-49 years, male 4.2
GTEX-OXRK-0626-SM-2HMJ5 50-59 years, female 4.2
GTEX-ZF28-0826-SM-4WKGJ 60-69 years, male 4.2
GTEX-ZYY3-1926-SM-5GZXS 60-69 years, female 4.2
GTEX-1I1GS-0726-SM-C1YS7 60-69 years, male 4.2
GTEX-145MI-1126-SM-5O9AK 60-69 years, female 4.1
GTEX-1IKOE-0926-SM-ARU7X 30-39 years, female 4.1
GTEX-1JMLX-0826-SM-CNNPP 50-59 years, male 4.1
GTEX-1K2DA-1526-SM-CGQGQ 50-59 years, male 4.1
GTEX-ZF29-0726-SM-DO92H 60-69 years, female 4.1
GTEX-111CU-0226-SM-5GZXC 50-59 years, male 4.0
GTEX-NFK9-0726-SM-2HMJW 40-49 years, male 4.0
GTEX-X4XX-0926-SM-46MV7 60-69 years, male 4.0
GTEX-ZPCL-0126-SM-4WWC8 60-69 years, female 4.0
GTEX-ZVZP-1026-SM-5GICI 50-59 years, male 4.0
GTEX-ZZ64-0126-SM-5GZXA 20-29 years, male 4.0
GTEX-1OFPY-1526-SM-DTX8R 60-69 years, male 4.0
GTEX-13QBU-0626-SM-5J2OG 40-49 years, female 3.9
GTEX-1B97I-0326-SM-7DUGB 40-49 years, male 3.9
GTEX-R55C-0626-SM-2TF4Q 40-49 years, male 3.9
GTEX-ZYFD-0826-SM-5NQ9A 50-59 years, male 3.9
GTEX-1HSEH-0826-SM-B2LXE 60-69 years, male 3.9
GTEX-1J1OQ-0526-SM-A9G2P 40-49 years, female 3.9
GTEX-11O72-2326-SM-5BC7H 40-49 years, male 3.8
GTEX-1EH9U-0926-SM-7EWF1 60-69 years, male 3.8
GTEX-14JG6-1326-SM-9OSXU 30-39 years, female 3.8
GTEX-1PPH8-0926-SM-DTX9U 20-29 years, male 3.8
GTEX-U412-0726-SM-EVR2Y 60-69 years, male 3.8
GTEX-13O3O-0926-SM-5KM1F 60-69 years, female 3.7
GTEX-15UF6-1126-SM-6LPJ3 70-79 years, female 3.7
GTEX-18D9B-0726-SM-72D6K 60-69 years, male 3.7
GTEX-PWCY-2326-SM-2I3EQ 20-29 years, female 3.7
GTEX-XXEK-1326-SM-4BRV1 50-59 years, male 3.7
GTEX-1J8Q3-0226-SM-C1YR4 60-69 years, male 3.7
GTEX-11TTK-0826-SM-5N9EG 60-69 years, female 3.6
GTEX-17MF6-0626-SM-7LT8D 40-49 years, male 3.6
GTEX-ZYW4-1126-SM-5SI99 60-69 years, male 3.6
GTEX-1H1DG-0726-SM-A96TN 70-79 years, male 3.6
GTEX-1QCLY-0826-SM-DTX8A 30-39 years, male 3.6
GTEX-OIZF-2626-SM-7P8QZ 60-69 years, male 3.6
GTEX-15G19-0626-SM-6M474 60-69 years, male 3.5
GTEX-17F96-0526-SM-79OLE 70-79 years, male 3.5
GTEX-183WM-2626-SM-7KFRY 70-79 years, female 3.5
GTEX-WWYW-0826-SM-3NB2X 50-59 years, female 3.5
GTEX-ZQG8-0926-SM-57WFF 60-69 years, female 3.5
GTEX-1GPI7-0726-SM-9WG84 20-29 years, male 3.5
GTEX-1211K-0726-SM-5FQUW 60-69 years, female 3.4
GTEX-12WSK-0926-SM-5CVNQ 40-49 years, female 3.4
GTEX-1477Z-0226-SM-5TDCI 60-69 years, male 3.4
GTEX-183FY-0626-SM-79OKR 20-29 years, male 3.4
GTEX-1AMFI-0526-SM-7189M 50-59 years, female 3.4
GTEX-ZA64-0426-SM-5HL96 20-29 years, male 3.4
GTEX-1GN1U-0826-SM-9WPPX 50-59 years, female 3.4
GTEX-1JKYN-1126-SM-CGQG5 30-39 years, male 3.4
GTEX-1P4AB-1126-SM-DTX94 50-59 years, male 3.4
GTEX-13NZA-1026-SM-5MR48 60-69 years, male 3.3
GTEX-13QJC-0826-SM-5RQKC 60-69 years, female 3.3
GTEX-1497J-0126-SM-5Q5BK 60-69 years, male 3.3
GTEX-X15G-0526-SM-3NMB7 50-59 years, female 3.3
GTEX-1HCUA-0126-SM-B2LWC 50-59 years, female 3.3
GTEX-1PFEY-0226-SM-EVR3M 30-39 years, male 3.3
GTEX-ZT9W-0226-SM-7SB6H 50-59 years, male 3.3
GTEX-11P82-0226-SM-5HL4O 20-29 years, male 3.2
GTEX-12696-0326-SM-5EGL4 60-69 years, male 3.2
GTEX-12WSL-0626-SM-5GCOY 50-59 years, male 3.2
GTEX-139T6-0326-SM-5J2LY 50-59 years, male 3.2
GTEX-14BMU-0226-SM-5S2QA 20-29 years, female 3.2
GTEX-PWN1-2626-SM-2I3FH 40-49 years, female 3.2
GTEX-XYKS-0826-SM-4BRVF 60-69 years, female 3.2
GTEX-15RIF-0326-SM-7KUFR 20-29 years, male 3.2
GTEX-1C475-0226-SM-7MGXM 40-49 years, female 3.2
GTEX-1HFI7-0326-SM-9WPOX 50-59 years, female 3.2
GTEX-1RNSC-1126-SM-E9TIP 60-69 years, male 3.2
GTEX-1399U-0326-SM-5P9G5 50-59 years, female 3.1
GTEX-16XZZ-0826-SM-7IGM3 60-69 years, male 3.1
GTEX-17EVQ-0526-SM-7KFSK 70-79 years, male 3.1
GTEX-OXRP-0326-SM-33HBJ 60-69 years, female 3.1
GTEX-XGQ4-0426-SM-4AT4I 50-59 years, male 3.1
GTEX-YB5E-0626-SM-4VDSE 40-49 years, male 3.1
GTEX-ZDYS-0626-SM-5J2N5 50-59 years, male 3.1
GTEX-17GQL-0226-SM-7LTAK 60-69 years, male 3.1
GTEX-1GMR8-0826-SM-9KNUR 50-59 years, female 3.1
GTEX-1J8QM-0726-SM-CE6RF 60-69 years, female 3.1
GTEX-1QPFJ-0626-SM-DTX7Y 30-39 years, female 3.1
GTEX-12WSG-0226-SM-5EGIF 50-59 years, female 3.0
GTEX-14C5O-0826-SM-5TDEG 60-69 years, male 3.0
GTEX-15SHV-0426-SM-6M476 60-69 years, male 3.0
GTEX-18A66-0826-SM-72D5Z 60-69 years, male 3.0
GTEX-1C2JI-0326-SM-7EWFD 50-59 years, male 3.0
GTEX-OHPL-2626-SM-2HMJA 60-69 years, female 3.0
GTEX-OXRO-1226-SM-48TDL 60-69 years, female 3.0
GTEX-R55G-0726-SM-2TC6J 40-49 years, female 3.0
GTEX-Y5V6-0526-SM-4VBRV 60-69 years, male 3.0
GTEX-1ICLY-0726-SM-A96TB 50-59 years, male 3.0
GTEX-1LG7Y-0626-SM-DHXJM 50-59 years, male 3.0
GTEX-11DXX-0226-SM-5P9HL 60-69 years, female 2.9
GTEX-17F9Y-0526-SM-7EWDC 70-79 years, female 2.9
GTEX-1AX8Z-0826-SM-7DUFZ 60-69 years, male 2.9
GTEX-ZAB5-0726-SM-5P9JG 50-59 years, male 2.9
GTEX-1R9JW-0226-SM-EVR4K 30-39 years, female 2.9
GTEX-13OVG-0226-SM-5LU93 60-69 years, male 2.8
GTEX-16NPX-1426-SM-6LPK3 50-59 years, male 2.8
GTEX-SUCS-0226-SM-32PLQ 70-79 years, male 2.8
GTEX-YB5K-0526-SM-5LUAS 40-49 years, female 2.8
GTEX-ZLV1-0126-SM-4WWBZ 60-69 years, female 2.8
GTEX-1HSMO-0726-SM-A96TM 60-69 years, male 2.8
GTEX-1I19N-0226-SM-CE6ST 70-79 years, male 2.8
GTEX-11P81-0126-SM-5HL5Y 30-39 years, female 2.7
GTEX-13O3P-0726-SM-5J2OM 50-59 years, male 2.7
GTEX-16XZY-0726-SM-79OMU 70-79 years, male 2.7
GTEX-TMMY-0826-SM-33HB9 40-49 years, female 2.7
GTEX-W5WG-1426-SM-4KKZP 50-59 years, female 2.7
GTEX-WXYG-0226-SM-3NB2Y 50-59 years, female 2.7
GTEX-Y5LM-0626-SM-4V6G4 40-49 years, female 2.7
GTEX-1QP66-0326-SM-DTX7V 50-59 years, male 2.7
GTEX-11GSO-0626-SM-5A5LW 60-69 years, male 2.6
GTEX-13N1W-0826-SM-5MR5J 70-79 years, male 2.6
GTEX-13PVR-0626-SM-5S2RC 60-69 years, female 2.6
GTEX-16MT8-0626-SM-6M47Q 60-69 years, female 2.6
GTEX-16NGA-0326-SM-718AJ 40-49 years, female 2.6
GTEX-SNOS-0226-SM-32PLR 40-49 years, male 2.6
GTEX-XV7Q-0326-SM-4BRVM 40-49 years, female 2.6
GTEX-1JKYR-0826-SM-ARU8L 20-29 years, male 2.6
GTEX-1MUQO-0726-SM-E9TJM 60-69 years, male 2.6
GTEX-U4B1-0626-SM-3DB8L 40-49 years, male 2.5
GTEX-Y3I4-0226-SM-4TT27 50-59 years, male 2.5
GTEX-ZLWG-0526-SM-4WWFB 50-59 years, female 2.5
GTEX-1B97J-0626-SM-7P8RU 50-59 years, female 2.5
GTEX-1RDX4-0926-SM-E9U6D 50-59 years, female 2.5
GTEX-11VI4-0226-SM-5GU6C 40-49 years, female 2.4
GTEX-13111-0226-SM-5EQ55 50-59 years, male 2.4
GTEX-13NZ8-0226-SM-5J2OK 60-69 years, female 2.4
GTEX-144GM-0226-SM-5Q5CB 20-29 years, male 2.4
GTEX-OHPK-2626-SM-2HMK9 50-59 years, female 2.4
GTEX-ZGAY-1026-SM-4WWBR 40-49 years, female 2.4
GTEX-1CB4E-0326-SM-7MXT3 60-69 years, male 2.4
GTEX-1HGF4-0726-SM-9WYU9 60-69 years, male 2.4
GTEX-1LGOU-0126-SM-EV79W 20-29 years, female 2.4
GTEX-1OJC3-0626-SM-E8VMO 20-29 years, male 2.4
GTEX-1RMOY-0126-SM-EWRNN 50-59 years, male 2.4
GTEX-13PDP-1026-SM-5L3FA 60-69 years, male 2.3
GTEX-1AYCT-0226-SM-73KVB 50-59 years, male 2.3
GTEX-1CAMR-0226-SM-7DUGO 20-29 years, male 2.3
GTEX-Z9EW-0226-SM-5CVM7 40-49 years, male 2.3
GTEX-1H1DE-0226-SM-ARZN8 20-29 years, male 2.3
GTEX-1I1GU-0826-SM-ARZM5 40-49 years, male 2.3
GTEX-1JJE9-0226-SM-CY8HU 70-79 years, male 2.3
GTEX-13O21-2226-SM-5MR3L 50-59 years, male 2.2
GTEX-14PN3-0826-SM-69LOS 60-69 years, female 2.2
GTEX-15ETS-0526-SM-6PAN3 40-49 years, female 2.2
GTEX-1HCU7-0826-SM-B2LX7 50-59 years, male 2.2
GTEX-1LSVX-0726-SM-E9TJG 60-69 years, male 2.2
GTEX-1LVAM-0826-SM-EV79X 50-59 years, female 2.2
GTEX-1LVAN-0726-SM-CNNPF 50-59 years, female 2.2
GTEX-11ZTS-1126-SM-5LU9X 60-69 years, female 2.1
GTEX-12BJ1-0426-SM-5FQSO 60-69 years, male 2.1
GTEX-17F9E-0626-SM-79ON5 50-59 years, male 2.1
GTEX-17HGU-0826-SM-7EWE5 50-59 years, male 2.1
GTEX-17HII-1926-SM-79OLB 50-59 years, male 2.1
GTEX-1B8SF-0626-SM-73KVV 60-69 years, male 2.1
GTEX-XLM4-0726-SM-4AT64 60-69 years, male 2.1
GTEX-YF7O-0726-SM-4W213 50-59 years, male 2.1
GTEX-1H1ZS-0726-SM-A9G3K 70-79 years, male 2.1
GTEX-1QP9N-0126-SM-DPRZS 30-39 years, male 2.1
GTEX-131XF-1826-SM-5EGKG 60-69 years, male 2.0
GTEX-14753-0926-SM-5Q5BI 60-69 years, male 2.0
GTEX-TSE9-0626-SM-3DB8B 60-69 years, female 2.0
GTEX-WH7G-0526-SM-3NMBI 40-49 years, male 2.0
GTEX-Y9LG-0426-SM-4VBRT 30-39 years, male 2.0
GTEX-ZTX8-0626-SM-59HKC 20-29 years, male 2.0
GTEX-ZXG5-0926-SM-5NQ8H 60-69 years, male 2.0
GTEX-1I1GP-0326-SM-CNPQ4 50-59 years, male 2.0
GTEX-1KD5A-0426-SM-D4P3X 50-59 years, male 2.0
GTEX-QDT8-1226-SM-EVR35 30-39 years, female 2.0
GTEX-12WSH-0226-SM-5GCOG 50-59 years, male 1.9
GTEX-13O61-0226-SM-5KM52 60-69 years, male 1.9
GTEX-13OW8-0126-SM-5IJE5 60-69 years, male 1.9
GTEX-14PK6-0426-SM-6EU1J 70-79 years, female 1.9
GTEX-RWS6-0626-SM-2XCAS 60-69 years, female 1.9
GTEX-1IDJU-1626-SM-CJI4B 60-69 years, female 1.9
GTEX-1IKJJ-1026-SM-A96SQ 60-69 years, male 1.9
GTEX-113JC-0126-SM-5EGJW 50-59 years, female 1.8
GTEX-11EQ9-0626-SM-5A5K1 30-39 years, male 1.8
GTEX-14B4R-0126-SM-5TDE4 30-39 years, male 1.8
GTEX-1B8KE-0626-SM-7189H 50-59 years, male 1.8
GTEX-YEC3-0826-SM-4WWFP 50-59 years, male 1.8
GTEX-13PL6-1026-SM-5L3E5 40-49 years, female 1.7
GTEX-13VXT-0626-SM-5SIA1 20-29 years, female 1.7
GTEX-13YAN-0926-SM-5O9C3 60-69 years, male 1.7
GTEX-X4LF-0426-SM-3NMB5 50-59 years, male 1.7
GTEX-Y114-0626-SM-4TT98 50-59 years, female 1.7
GTEX-ZVP2-0426-SM-57WC2 50-59 years, male 1.7
GTEX-1HSMQ-0526-SM-A96TY 50-59 years, male 1.7
GTEX-ZF3C-0826-SM-DO11E 50-59 years, female 1.7
GTEX-11TUW-0226-SM-5LU8X 60-69 years, male 1.6
GTEX-1269C-0226-SM-5EGKS 60-69 years, female 1.6
GTEX-131XH-0526-SM-5DUX7 50-59 years, male 1.6
GTEX-13FHO-0926-SM-5N9EW 60-69 years, male 1.6
GTEX-14PJ4-0326-SM-664OT 60-69 years, male 1.6
GTEX-15SB6-1526-SM-7KUMQ 50-59 years, female 1.6
GTEX-ZT9X-0226-SM-51MT2 40-49 years, male 1.6
GTEX-1FIGZ-0226-SM-7P8QR 40-49 years, male 1.6
GTEX-1IE54-0926-SM-A9G2Y 40-49 years, female 1.6
GTEX-1192X-1126-SM-5EGGU 50-59 years, male 1.5
GTEX-12ZZZ-1226-SM-59HK1 60-69 years, male 1.5
GTEX-132QS-0326-SM-5IJFN 60-69 years, male 1.5
GTEX-139UW-0126-SM-5KM1B 60-69 years, male 1.5
GTEX-13OW6-0726-SM-5L3FX 50-59 years, male 1.5
GTEX-145LT-0226-SM-5S2QK 40-49 years, male 1.5
GTEX-145ME-0126-SM-5S2QM 40-49 years, female 1.5
GTEX-15EO6-0126-SM-6LPKJ 50-59 years, male 1.5
GTEX-18A67-0826-SM-7KFTI 50-59 years, male 1.5
GTEX-18QFQ-0726-SM-7LG6D 30-39 years, male 1.5
GTEX-RM2N-0526-SM-2TF4N 50-59 years, male 1.5
GTEX-V955-0426-SM-3GAEL 60-69 years, male 1.5
GTEX-1GF9W-0626-SM-7MXVJ 60-69 years, male 1.5
GTEX-1QCLZ-0626-SM-E6CR2 60-69 years, female 1.5
GTEX-1S5ZU-0726-SM-EWROH 20-29 years, female 1.5
GTEX-S341-0226-SM-D4P1Y 40-49 years, female 1.5
GTEX-14A5H-0726-SM-5Q5DW 60-69 years, male 1.4
GTEX-OIZI-0726-SM-2XCEI 40-49 years, male 1.4
GTEX-Q734-0526-SM-2I3EH 40-49 years, female 1.4
GTEX-RU1J-0226-SM-2TF5Y 20-29 years, female 1.4
GTEX-1J8EW-1126-SM-A96T8 60-69 years, female 1.4
GTEX-1QP2A-0626-SM-DTX9C 50-59 years, male 1.4
GTEX-117YX-1226-SM-5H11S 50-59 years, male 1.3
GTEX-11UD2-0626-SM-5GU6L 50-59 years, male 1.3
GTEX-13OVI-0826-SM-5KLZ8 60-69 years, female 1.3
GTEX-13QJ3-0926-SM-73KX5 50-59 years, male 1.3
GTEX-17F97-0626-SM-7IGOH 50-59 years, male 1.3
GTEX-1C4CL-0726-SM-7IGP9 30-39 years, male 1.3
GTEX-1CAMQ-1126-SM-7EWFE 40-49 years, male 1.3
GTEX-U3ZH-0226-SM-3DB7B 30-39 years, male 1.3
GTEX-ZDTS-0926-SM-5YY9D 60-69 years, male 1.3
GTEX-ZV7C-0126-SM-57WDE 50-59 years, male 1.3
GTEX-1JMPY-0126-SM-CJI39 30-39 years, male 1.3
GTEX-1K9T9-0826-SM-EAZ4X 50-59 years, female 1.3
GTEX-1KXAM-1726-SM-D3LAE 60-69 years, male 1.3
GTEX-OXRN-1526-SM-E6CHM 50-59 years, male 1.3
GTEX-12ZZX-1226-SM-5EGHS 40-49 years, female 1.2
GTEX-13W46-0926-SM-5LU3T 50-59 years, male 1.2
GTEX-148VJ-0726-SM-5LU8J 70-79 years, male 1.2
GTEX-14DAQ-0826-SM-73KWT 60-69 years, female 1.2
GTEX-14PJ6-0326-SM-6871H 60-69 years, female 1.2
GTEX-15DDE-0626-SM-69LOK 50-59 years, female 1.2
GTEX-17KNJ-1026-SM-79ONK 50-59 years, male 1.2
GTEX-OXRL-2626-SM-2I3F1 50-59 years, male 1.2
GTEX-P78B-0526-SM-2I5F7 40-49 years, female 1.2
GTEX-U3ZN-0326-SM-3DB86 30-39 years, female 1.2
GTEX-WFJO-0226-SM-3GIKW 30-39 years, male 1.2
GTEX-WHPG-0226-SM-3NMB9 50-59 years, male 1.2
GTEX-WL46-0126-SM-3TW8I 50-59 years, male 1.2
GTEX-WYVS-0326-SM-3NM9V 40-49 years, female 1.2
GTEX-ZAJG-0726-SM-5HL9A 50-59 years, female 1.2
GTEX-1PBJI-0726-SM-EXUSQ 20-29 years, female 1.2
GTEX-1S83E-0726-SM-EV7B6 40-49 years, male 1.2
GTEX-11DYG-0826-SM-5N9GH 60-69 years, male 1.1
GTEX-11GSP-0126-SM-5A5KU 60-69 years, female 1.1
GTEX-14PJ3-0126-SM-69LQP 50-59 years, male 1.1
GTEX-QLQ7-0726-SM-2I5G2 60-69 years, male 1.1
GTEX-RWSA-0826-SM-2XCBF 40-49 years, male 1.1
GTEX-1EU9M-0626-SM-7MXUT 60-69 years, male 1.1
GTEX-1HCU9-0226-SM-9WPNT 20-29 years, male 1.1
GTEX-1I6K6-0726-SM-B2LX4 30-39 years, male 1.1
GTEX-1I6K7-1126-SM-A96SW 40-49 years, male 1.1
GTEX-1PBJJ-1926-SM-DTX8T 30-39 years, male 1.1
GTEX-1RAZA-0826-SM-EAZ4I 20-29 years, male 1.1
GTEX-11DXY-0426-SM-5H12R 60-69 years, male 1.0
GTEX-148VI-0526-SM-5TDDG 60-69 years, female 1.0
GTEX-14PJM-1326-SM-664NX 50-59 years, female 1.0
GTEX-16AAH-0326-SM-7DHML 50-59 years, male 1.0
GTEX-OHPM-2626-SM-33HC5 50-59 years, male 1.0
GTEX-X8HC-0726-SM-46MWG 50-59 years, female 1.0
GTEX-YFCO-0326-SM-4W1ZP 40-49 years, male 1.0
GTEX-1GN1V-0626-SM-7P8QU 60-69 years, male 1.0
GTEX-1GN73-0826-SM-9OSW4 60-69 years, male 1.0
GTEX-1GZ4I-0626-SM-9WPPN 50-59 years, male 1.0
GTEX-1I1GV-0726-SM-ARZLY 60-69 years, male 1.0
GTEX-RN5K-2826-SM-EZ6L3 50-59 years, female 1.0
GTEX-12584-0826-SM-5FQSK 40-49 years, male 0.9
GTEX-139TS-0126-SM-5K7XJ 60-69 years, male 0.9
GTEX-13N11-1026-SM-5K7XQ 50-59 years, female 0.9
GTEX-13U4I-0526-SM-5LU59 40-49 years, female 0.9
GTEX-147F4-0826-SM-5QGRB 50-59 years, male 0.9
GTEX-1A8G7-1026-SM-73KVA 60-69 years, male 0.9
GTEX-1C6VS-0826-SM-7EWEI 60-69 years, male 0.9
GTEX-1EN7A-1026-SM-7IGPZ 40-49 years, male 0.9
GTEX-WYJK-1626-SM-3NM9J 50-59 years, male 0.9
GTEX-1H1DF-1026-SM-9QEJ1 40-49 years, female 0.9
GTEX-1HR98-0326-SM-CGQEL 60-69 years, male 0.9
GTEX-1IGQW-0626-SM-C1YR9 60-69 years, male 0.9
GTEX-1JJEA-0626-SM-D3L96 60-69 years, male 0.9
GTEX-1MCC2-0526-SM-DHXJS 30-39 years, female 0.9
GTEX-1QAET-0226-SM-EVR3T 50-59 years, male 0.9
GTEX-1QMI2-0826-SM-EXUT4 60-69 years, male 0.9
GTEX-11EQ8-0826-SM-5N9FG 60-69 years, male 0.8
GTEX-11ZVC-0126-SM-5986G 50-59 years, female 0.8
GTEX-145MH-0426-SM-5LU8T 50-59 years, male 0.8
GTEX-147GR-0726-SM-5S2PL 60-69 years, male 0.8
GTEX-17EVP-0126-SM-7EPHW 40-49 years, male 0.8
GTEX-OIZG-0226-SM-2TC5L 50-59 years, male 0.8
GTEX-QXCU-0326-SM-2TC63 50-59 years, male 0.8
GTEX-T8EM-0226-SM-3DB7C 40-49 years, male 0.8
GTEX-V1D1-0926-SM-4JBHQ 50-59 years, male 0.8
GTEX-WRHU-0926-SM-4E3IG 50-59 years, female 0.8
GTEX-ZE7O-1126-SM-57WC8 50-59 years, female 0.8
GTEX-ZY6K-0226-SM-5SIAY 50-59 years, male 0.8
GTEX-1KANC-0826-SM-D3LA8 50-59 years, female 0.8
GTEX-Z93S-0526-SM-EVYB4 50-59 years, male 0.8
GTEX-11ZTT-1026-SM-5EQKF 60-69 years, female 0.7
GTEX-13FTY-0726-SM-5J2OH 40-49 years, female 0.7
GTEX-145LU-0426-SM-5O9AH 50-59 years, male 0.7
GTEX-146FQ-0726-SM-5LUA7 30-39 years, male 0.7
GTEX-15RIE-0426-SM-7KUMH 60-69 years, male 0.7
GTEX-1A8FM-0726-SM-7DUGK 50-59 years, female 0.7
GTEX-1B8SG-1126-SM-7IGMT 50-59 years, male 0.7
GTEX-N7MS-2326-SM-2HMLD 60-69 years, male 0.7
GTEX-WVLH-0626-SM-3MJG7 50-59 years, male 0.7
GTEX-ZC5H-0626-SM-5LU9K 40-49 years, female 0.7
GTEX-ZUA1-0926-SM-4YCDX 40-49 years, male 0.7
GTEX-1EX96-0126-SM-9KNVH 50-59 years, male 0.7
GTEX-1F75A-0326-SM-7MXTR 50-59 years, male 0.7
GTEX-1GMR3-0726-SM-9WPOF 40-49 years, male 0.7
GTEX-1H11D-0626-SM-9WPQ1 40-49 years, male 0.7
GTEX-1HBPI-0826-SM-9WYTX 50-59 years, male 0.7
GTEX-1HC8U-1226-SM-9WYUW 40-49 years, female 0.7
GTEX-1HSGN-0726-SM-A9G2F 40-49 years, female 0.7
GTEX-1JN6P-0626-SM-ARZN6 60-69 years, male 0.7
GTEX-1M4P7-0626-SM-EVR51 60-69 years, male 0.7
GTEX-1R9PM-0226-SM-DPRY7 20-29 years, male 0.7
GTEX-1212Z-0426-SM-5FQT6 60-69 years, male 0.6
GTEX-12WSC-0826-SM-5EQ5Q 50-59 years, male 0.6
GTEX-131XE-0126-SM-5LZVC 50-59 years, male 0.6
GTEX-1399R-0126-SM-5IFEV 30-39 years, male 0.6
GTEX-13NYB-0726-SM-5MR4J 40-49 years, male 0.6
GTEX-13NZ9-1126-SM-5MR37 50-59 years, male 0.6
GTEX-15CHQ-0826-SM-69LOT 60-69 years, male 0.6
GTEX-1A8G6-0626-SM-7IGNB 60-69 years, male 0.6
GTEX-RNOR-0926-SM-2TF56 50-59 years, female 0.6
GTEX-Y3IK-0526-SM-4WWE3 50-59 years, female 0.6
GTEX-1GMRU-1126-SM-9KNV1 50-59 years, male 0.6
GTEX-1HT8W-1526-SM-CE6S3 30-39 years, male 0.6
GTEX-1HUB1-1226-SM-B2LWX 60-69 years, male 0.6
GTEX-1RQED-0926-SM-EWRNZ 60-69 years, male 0.6
GTEX-12WSD-0926-SM-5GCNL 60-69 years, female 0.5
GTEX-12WSE-1226-SM-73KUF 20-29 years, male 0.5
GTEX-132NY-1026-SM-5P9IY 60-69 years, male 0.5
GTEX-17JCI-0626-SM-7IGM7 60-69 years, female 0.5
GTEX-1AX9I-0626-SM-72D54 60-69 years, male 0.5
GTEX-1AX9J-2126-SM-731DD 60-69 years, male 0.5
GTEX-1EKGG-0726-SM-7IGPX 60-69 years, male 0.5
GTEX-1EMGI-0826-SM-7EPHY 60-69 years, male 0.5
GTEX-OOBJ-2626-SM-2I3F6 60-69 years, male 0.5
GTEX-VUSG-0426-SM-3GIKD 50-59 years, male 0.5
GTEX-Y5V5-0326-SM-5RQJG 60-69 years, female 0.5
GTEX-ZYT6-0426-SM-5GID3 30-39 years, male 0.5
GTEX-1B933-1026-SM-7P8RO 50-59 years, female 0.5
GTEX-1E1VI-0726-SM-7P8QJ 50-59 years, male 0.5
GTEX-1GN2E-0826-SM-9WYT8 60-69 years, male 0.5
GTEX-1I1GQ-0826-SM-CNNQR 50-59 years, male 0.5
GTEX-1IDJH-0826-SM-CE6SY 70-79 years, male 0.5
GTEX-1KD4Q-1026-SM-CXZKJ 40-49 years, male 0.5
GTEX-1OJC4-0526-SM-E6CQV 50-59 years, female 0.5
GTEX-1RAZR-1126-SM-E6CRC 40-49 years, male 0.5
GTEX-XOT4-1526-SM-EAZ2W 60-69 years, female 0.5
GTEX-117YW-0126-SM-5EGGN 50-59 years, male 0.4
GTEX-11EI6-0726-SM-59866 60-69 years, male 0.4
GTEX-11NSD-0126-SM-5987F 20-29 years, male 0.4
GTEX-11OF3-0626-SM-5BC4Y 60-69 years, male 0.4
GTEX-13O3Q-0626-SM-5IJG1 50-59 years, male 0.4
GTEX-13OVK-0226-SM-6M472 40-49 years, male 0.4
GTEX-14AS3-0226-SM-5Q5B6 40-49 years, female 0.4
GTEX-14ASI-0726-SM-5Q5DC 60-69 years, male 0.4
GTEX-14JIY-1226-SM-6871R 60-69 years, male 0.4
GTEX-15CHR-1726-SM-7DUGW 50-59 years, male 0.4
GTEX-15FZZ-0226-SM-6LLI4 30-39 years, female 0.4
GTEX-16Z82-0426-SM-7EPGX 60-69 years, male 0.4
GTEX-178AV-0726-SM-6LPJI 40-49 years, male 0.4
GTEX-18465-1426-SM-7KFTF 50-59 years, male 0.4
GTEX-1BAJH-0926-SM-79OO6 70-79 years, male 0.4
GTEX-Q2AG-0826-SM-2HMKF 40-49 years, female 0.4
GTEX-QV44-0826-SM-2S1RG 50-59 years, male 0.4
GTEX-RU72-0126-SM-2TF6Z 50-59 years, female 0.4
GTEX-S7SE-0726-SM-2XCD7 50-59 years, male 0.4
GTEX-SIU8-0626-SM-2XCDN 50-59 years, male 0.4
GTEX-UJMC-0326-SM-3GAE2 50-59 years, male 0.4
GTEX-WHSE-0626-SM-4RGNF 20-29 years, male 0.4
GTEX-Y8E4-0126-SM-4VBQ2 40-49 years, male 0.4
GTEX-1F6IF-1126-SM-9KNV2 60-69 years, male 0.4
GTEX-1GZ2Q-0826-SM-7P8TK 40-49 years, male 0.4
GTEX-1H1CY-0726-SM-9OSXX 60-69 years, female 0.4
GTEX-1IKOH-0626-SM-CJI35 60-69 years, female 0.4
GTEX-1IL2U-0826-SM-CL53Q 60-69 years, male 0.4
GTEX-ZDXO-1726-SM-5HL6L 60-69 years, male 0.4
GTEX-117XS-0526-SM-5987Q 60-69 years, male 0.3
GTEX-11NUK-1026-SM-5HL5J 50-59 years, male 0.3
GTEX-13112-0326-SM-5P9IW 50-59 years, male 0.3
GTEX-1313W-0726-SM-5EGK1 50-59 years, female 0.3
GTEX-13FLV-0226-SM-5J2OF 50-59 years, male 0.3
GTEX-14BIN-0126-SM-5TDCG 50-59 years, female 0.3
GTEX-14BMV-0726-SM-73KVE 50-59 years, male 0.3
GTEX-15ER7-0726-SM-7KUMF 20-29 years, female 0.3
GTEX-16YQH-0326-SM-6LPJV 30-39 years, male 0.3
GTEX-1B932-0926-SM-73KUP 40-49 years, female 0.3
GTEX-1C6VR-0426-SM-7IGN6 60-69 years, male 0.3
GTEX-R3RS-0726-SM-3GIJR 40-49 years, female 0.3
GTEX-T6MN-0626-SM-32PM9 50-59 years, male 0.3
GTEX-VJYA-0426-SM-3GIJK 60-69 years, male 0.3
GTEX-YJ89-0726-SM-5P9F7 60-69 years, male 0.3
GTEX-ZAK1-0726-SM-5HL8Q 50-59 years, female 0.3
GTEX-ZPU1-0426-SM-4WWCA 40-49 years, male 0.3
GTEX-ZVZQ-0626-SM-59HJU 60-69 years, female 0.3
GTEX-1GF9V-0926-SM-9KNW7 60-69 years, male 0.3
GTEX-1GZHY-1426-SM-9WG5H 50-59 years, female 0.3
GTEX-1I1GR-1126-SM-A9G2I 60-69 years, male 0.3
GTEX-1JMQJ-2026-SM-CNPP9 50-59 years, male 0.3
GTEX-1O97I-1026-SM-E76PI 60-69 years, male 0.3
GTEX-1PIIG-2026-SM-EVR43 30-39 years, male 0.3
GTEX-1QP6S-2526-SM-DTX9Z 40-49 years, male 0.3
GTEX-1R9K5-0726-SM-EAZ4E 50-59 years, male 0.3
GTEX-1RAZS-1026-SM-E9TID 50-59 years, male 0.3
GTEX-1RQEC-1026-SM-EVR5B 60-69 years, male 0.3
GTEX-111FC-1026-SM-5GZX1 60-69 years, male 0.2
GTEX-111VG-0526-SM-5N9BW 60-69 years, male 0.2
GTEX-1192W-0126-SM-5EGGS 60-69 years, male 0.2
GTEX-11GS4-0826-SM-5986J 60-69 years, male 0.2
GTEX-13G51-1226-SM-5K7Z3 60-69 years, male 0.2
GTEX-13S86-1126-SM-5RQJX 40-49 years, male 0.2
GTEX-13X6J-0826-SM-5LU32 50-59 years, male 0.2
GTEX-14A6H-2426-SM-5Q5BO 30-39 years, male 0.2
GTEX-14E7W-0926-SM-5YYA4 70-79 years, male 0.2
GTEX-15RJ7-0326-SM-6M47H 40-49 years, male 0.2
GTEX-17HHE-0426-SM-79OK3 50-59 years, male 0.2
GTEX-17HHY-0826-SM-7EPID 50-59 years, male 0.2
GTEX-18A6Q-0726-SM-7LT8Y 60-69 years, male 0.2
GTEX-18A7A-0826-SM-7KFTJ 50-59 years, female 0.2
GTEX-R53T-0526-SM-3GADL 50-59 years, female 0.2
GTEX-RN64-0626-SM-2TC5V 50-59 years, male 0.2
GTEX-RVPV-1226-SM-2TF73 60-69 years, male 0.2
GTEX-SJXC-0726-SM-2XCFJ 60-69 years, male 0.2
GTEX-W5X1-0426-SM-3GILB 40-49 years, female 0.2
GTEX-WK11-0926-SM-3NMAU 50-59 years, male 0.2
GTEX-Y111-1926-SM-4SOIS 50-59 years, male 0.2
GTEX-1HBPH-0926-SM-A9SME 40-49 years, female 0.2
GTEX-1HFI6-1326-SM-A9SL8 40-49 years, male 0.2
GTEX-1IY9M-1026-SM-A96TG 60-69 years, male 0.2
GTEX-1LB8K-0626-SM-D4P3Z 50-59 years, male 0.2
GTEX-1N5O9-1026-SM-DTX8Y 60-69 years, male 0.2
GTEX-1PIGE-0726-SM-DPRZD 20-29 years, male 0.2
GTEX-1PPGY-1426-SM-EVR3R 60-69 years, male 0.2
GTEX-1QEPI-0726-SM-E76QG 60-69 years, female 0.2
GTEX-1QW4Y-0226-SM-EAZ3U 30-39 years, male 0.2
GTEX-11DXZ-0926-SM-5N9CG 50-59 years, male 0.1
GTEX-11NV4-0626-SM-5N9BR 60-69 years, male 0.1
GTEX-12ZZY-0826-SM-5EQMT 60-69 years, male 0.1
GTEX-131YS-0726-SM-5P9G9 60-69 years, female 0.1
GTEX-1399T-0126-SM-5KM15 60-69 years, male 0.1
GTEX-13FXS-0726-SM-5LZXJ 50-59 years, male 0.1
GTEX-144GL-1226-SM-5O9A4 50-59 years, male 0.1
GTEX-145MG-0826-SM-5Q5C2 50-59 years, male 0.1
GTEX-14ABY-0926-SM-5Q5DY 50-59 years, male 0.1
GTEX-16GPK-0926-SM-6LPJ9 60-69 years, male 0.1
GTEX-17HG3-0226-SM-7EWEA 30-39 years, female 0.1
GTEX-1B8KZ-0426-SM-731DP 50-59 years, male 0.1
GTEX-1B8L1-1626-SM-7IGMH 60-69 years, male 0.1
GTEX-1C64N-1026-SM-79ONM 50-59 years, male 0.1
GTEX-1CB4F-0826-SM-793CV 60-69 years, male 0.1
GTEX-PX3G-2626-SM-2I3EG 20-29 years, female 0.1
GTEX-R55E-0826-SM-2TC5M 20-29 years, male 0.1
GTEX-T2IS-0626-SM-32QP6 20-29 years, female 0.1
GTEX-XMK1-0626-SM-4B65A 40-49 years, male 0.1
GTEX-ZVT3-0726-SM-5GICN 60-69 years, female 0.1
GTEX-ZYFC-0926-SM-5GZWW 50-59 years, male 0.1
GTEX-1CB4G-1526-SM-7P8QG 60-69 years, male 0.1
GTEX-1EWIQ-0826-SM-7MXTH 70-79 years, female 0.1
GTEX-1F88F-0726-SM-7P8R7 60-69 years, female 0.1
GTEX-1IL2V-0626-SM-ARU7S 70-79 years, male 0.1
GTEX-1LBAC-0726-SM-D3L9U 20-29 years, male 0.1
GTEX-1MA7X-0926-SM-DIPEJ 60-69 years, male 0.1
GTEX-1MJK2-0826-SM-DTXE8 50-59 years, male 0.1
GTEX-13FHP-0926-SM-5L3EC 50-59 years, male 0.0
GTEX-13FLW-0326-SM-5J2M4 50-59 years, male 0.0
GTEX-13OW7-0826-SM-5L3EL 50-59 years, male 0.0
GTEX-13VXU-0826-SM-5KLZ2 50-59 years, male 0.0
GTEX-YFC4-2626-SM-5P9FQ 40-49 years, female 0.0
GTEX-1HSKV-1026-SM-B2LWK 60-69 years, male 0.0
GTEX-1IOXB-1026-SM-CJI4D 50-59 years, male 0.0
GTEX-1J8JJ-0726-SM-AHZ3E 60-69 years, female 0.0
Show allShow less

THYROID GLAND - FANTOM5 CAGEi

RNA expression in human tissues obtained through Cap Analysis of Gene Expression (CAGE) generated by the FANTOM5 project are reported as Scaled Tags Per Million.

Max subtype Scaled Tags Per Millioni

Max subtype Scaled Tags Per Million is the value for the subtype with the largest average Scaled Tags Per Million across the subtype samples.

8.0
FANTOM5 sample id Sample description Scaled Tags Per Million
Thyroid
Scaled Tags Per Million: 8.0
FF:10028-101E1 67,68,78 years, mixed 8.0

Contact

  • NEWS ARTICLES
  • PRESS ROOM

The Project

  • INTRODUCTION
  • ORGANIZATION
  • PUBLICATIONS

The Human Protein Atlas

  • DOWNLOADABLE DATA
  • LICENCE & CITATION
  • HELP & FAQ
The Human Protein Atlas project is funded
by the Knut & Alice Wallenberg Foundation.


contact@proteinatlas.org