We use cookies to enhance the usability of our website. If you continue, we'll assume that you are happy to receive all cookies. More information. Don't show this again.
EIF3B
HPA
RESOURCES
  • TISSUE
  • BRAIN
  • SINGLE CELL
  • SUBCELLULAR
  • CANCER
  • BLOOD
  • CELL LINE
  • STRUCTURE & INTERACTION
ABOUT
  • INTRODUCTION
  • HISTORY
  • ORGANIZATION
  • PUBLICATIONS
  • ANTIBODY SUBMISSION
  • ANTIBODY AVAILABILITY
  • ACKNOWLEDGMENTS
  • CONTACT
NEWS
  • NEWS ARTICLES
  • PRESS ROOM
LEARN
  • DICTIONARY
  • PROTEIN CLASSES
  • PROTEIN EVIDENCE
  • METHODS
  • EDUCATIONAL VIDEOS
DATA
  • DOWNLOADABLE DATA
  • PUBLICATION DATA
  • RELEASE HISTORY
HELP
  • ANTIBODY VALIDATION
  • ASSAYS & ANNOTATION
  • DISCLAIMER
  • HELP & FAQ
  • PRIVACY STATEMENT
  • LICENCE & CITATION
Fields »
Search result

Field
Term
Gene name
Class
Subclass
Class
Keyword
Chromosome
External id
Tissue
Cell type
Expression
Antibody panel
Tissue
Main location
Patient ID
Annotation
Tissue
Category
Tau score
Cluster
Reliability
Brain region
Category
Tau score
Brain region
Category
Tau score
Brain region
Category
Tau score
Cluster
Reliability
Tissue
Cell type
Enrichment
Cell type
Category
Tau score
Cell type
Category
Tau score
Cell type
Category
Tau score
Cell lineage
Category
Tau score
Cluster
Cluster
Location
Searches
Location
Cell line
Class
Type
Phase
Reliability
Cancer
Prognosis
Cancer
Category
Cancer
Category
Tau score
Cluster
Variants
Interacting gene (ensg_id)
Type
Number of interactions
Pathway
Category
Score
Score
Score
Validation
Validation
Validation
Validation
Antibodies
Data type
Column


  • SUMMARY

  • TISSUE

  • BRAIN

  • SINGLE CELL

  • SUBCELL

  • CANCER

  • BLOOD

  • CELL LINE

  • STRUCT & INT

  • EIF3B
TISSUE PRIMARY DATA BREAST Show tissue menu
ADIPOSE TISSUE ADRENAL GLAND AMYGDALA APPENDIX BASAL GANGLIA BONE MARROW BREAST BRONCHUS CEREBELLUM CEREBRAL CORTEX CERVIX CHOROID PLEXUS COLON DUODENUM
ENDOMETRIUM EPIDIDYMIS ESOPHAGUS FALLOPIAN TUBE GALLBLADDER HEART MUSCLE HIPPOCAMPAL FORMATION HYPOTHALAMUS KIDNEY LIVER LUNG LYMPH NODE MIDBRAIN NASOPHARYNX
ORAL MUCOSA OVARY PANCREAS PARATHYROID GLAND PITUITARY GLAND PLACENTA PROSTATE RECTUM RETINA SALIVARY GLAND SEMINAL VESICLE SKELETAL MUSCLE SKIN SMALL INTESTINE
SMOOTH MUSCLE SOFT TISSUE SPINAL CORD SPLEEN STOMACH TESTIS THYMUS THYROID GLAND TONGUE TONSIL URINARY BLADDER VAGINA
ANTIBODIES
AND
VALIDATION
Dictionary
Breast
Tissue proteome
Breast
BREAST - Expression summary
Protein expression
Breasti

On the top, protein expression in current human tissue, based on all annotated cell types, is reported with the units not detected (n), low (l), medium (m) and high (h). Underneath, protein expression in each annotated cell type are reported using the same units.

Protein expression data is based on knowledge-based annotation. For genes where more than one antibody has been used, a collective score is set.

If knowledge-based annotation could not be performed for a gene, no data is displayed here. View antibody staining data further down this page.

h
m
l
n
Adipocytes: Medium
Glandular cells: Medium
Myoepithelial cells: Medium
RNA expressioni

A summary of mRNA expression data available for current tissue based on several datasets. The mRNA expression levels in human tissues are based on RNA-seq data generated by the Human Protein Atlas (HPA), Genotype-Tissue Expression (GTEx) portal and CAGE data generated by the FANTOM5 consortium. Consensus normalized expression levels for human tissues was created by combining the data from HPA and GTEx datasets.

The mRNA expression levels in pig are based on RNA-seq data generated by the Human Protein Atlas (HPA), and for mouse, HPA data and in situ hybridization generated by the Allen brain atlas are reported.

Scroll down to view mRNA expression data in more detail.
Consensus:53.3 nTPM
HPA:53.0 nTPM
GTEx:53.3 nTPM
FANTOM5:69.1 Scaled Tags Per Million

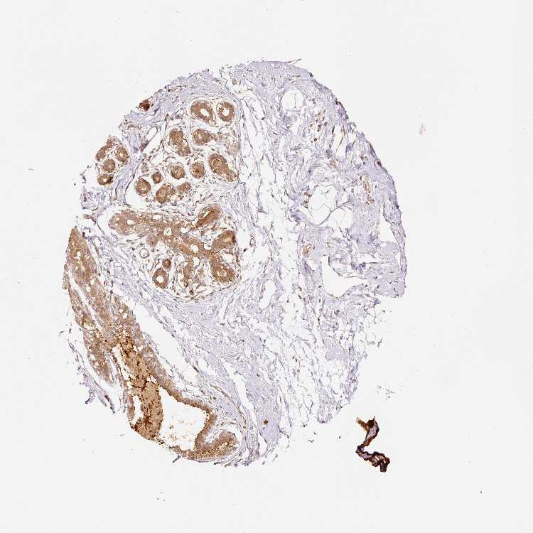
BREAST - Antibody stainingi

Antibody staining in the annotated cell types in the current human tissue is reported as not detected, low, medium, or high, based on conventional immunohistochemistry profiling in selected tissues. This score is based on the combination of the staining intensity and fraction of stained cells.

Each image is clickable and will lead to virtual microscopy that enables deeper exploration of all samples and also displays staining intensity scores, fraction scores and subcellular localization as well as patient and tissue information for each sample.

Antibody HPA048983Antibody CAB017562
Adipocytes MediumNot detected
Glandular cells MediumHigh
Myoepithelial cells MediumHigh



BREAST - HPA RNA-seqi

The RNA-seq details section shows detailed information about the individual samples used for the transcript profiling and results of the RNA-seq analysis.

Information about each individual sample is listed below, including gender, age, a tissue section image and estimated fractions of cell types. nTPM (normalized transcripts per million) values give a quantification of the gene abundance which is comparable between different genes and samples.
Average nTPMi

Max subtype nTPM is the value for the subtype with the largest average nTPM across the subtype samples.

53.0
overview
Female, age 52
Breast sample 373
nTPM: 46.2
Cell types%
Glandular cells:
15

Adipocytes:
5

Other cell types:
80

overview
Female, age 80
Breast sample 390
nTPM: 40.4
Cell types%
Glandular cells:
5

Adipocytes:
15

Other cell types:
80

overview
Female, age 47
Breast sample 405
nTPM: 45.9
Cell types%
Glandular cells:
5

Adipocytes:
5

Other cell types:
90

overview
Female, age 38
Breast sample 410
nTPM: 79.7
Cell types%
Glandular cells:
40

Adipocytes:
5

Other cell types:
55


BREAST - GTEx RNA-seqi

RNA-Seq data generated by the Genotype-Tissue Expression (GTEx) project from human tissues is reported as mean nTPM. More information can be found on the GTEx portal.

Distribution across the dataset is visualized with box plots, shown as median and 25th and 75th percentiles. Points are displayed as outliers if they are above or below 1.5 times the interquartile range. nTPM values of the individual samples are presented next to the box plot.
Max subtype nTPMi

Max subtype nTPM is the value for the subtype with the largest average nTPM across the subtype samples.

53.3
GTEx sample id Sample description nTPM
Breast - Mammary Tissue
Average nTPM: 53.3
Samples: 459

Max nTPM: 137.5
Min nTPM: 30.0
Std nTPM: 16.7
Median nTPM: 50.1
GTEX-11P82-1326-SM-5HL62 20-29 years, male 137.5
GTEX-11TUW-1826-SM-5BC5D 60-69 years, male 135.7
GTEX-1N2EF-2226-SM-E9J33 60-69 years, male 131.3
GTEX-13PVQ-1026-SM-5KM3M 50-59 years, male 121.2
GTEX-U8XE-0826-SM-4E3J1 30-39 years, male 112.9
GTEX-1ICG6-1326-SM-ACKWR 70-79 years, female 112.3
GTEX-ZLFU-2126-SM-DO931 40-49 years, male 110.4
GTEX-1JN1M-3026-SM-CMKGK 60-69 years, female 108.0
GTEX-1R7EV-1526-SM-E8VOD 40-49 years, male 104.8
GTEX-1I1GU-1026-SM-ADEHJ 40-49 years, male 99.1
GTEX-13CF3-2126-SM-5IFJP 60-69 years, female 95.6
GTEX-1L5NE-2126-SM-CY8IH 50-59 years, male 93.6
GTEX-1HCU7-1026-SM-ADEIP 50-59 years, male 92.9
GTEX-RUSQ-2026-SM-4GIAK 50-59 years, male 90.9
GTEX-144GM-0926-SM-5O994 20-29 years, male 90.8
GTEX-1CAMR-1426-SM-793BO 20-29 years, male 90.6
GTEX-1HSEH-2026-SM-ADEHN 60-69 years, male 90.3
GTEX-11WQK-2426-SM-5GU5C 50-59 years, male 89.2
GTEX-ZDYS-1126-SM-5K7UB 50-59 years, male 89.2
GTEX-ZT9W-2026-SM-51MRA 50-59 years, male 89.2
GTEX-1H23P-0726-SM-9WG7K 60-69 years, male 88.4
GTEX-13O61-1826-SM-5KM4I 60-69 years, male 87.7
GTEX-13S86-1226-SM-5S2OA 40-49 years, male 86.8
GTEX-17GQL-0326-SM-7LG5U 60-69 years, male 85.9
GTEX-REY6-2426-SM-48FF5 60-69 years, male 84.9
GTEX-15EOM-5019-SM-793DK 20-29 years, female 84.2
GTEX-ZZ64-1226-SM-5E43R 20-29 years, male 83.9
GTEX-ZLWG-1926-SM-DO92J 50-59 years, female 83.9
GTEX-1ICLY-1726-SM-B2LVT 50-59 years, male 83.5
GTEX-11DZ1-0326-SM-5N9BN 50-59 years, male 83.3
GTEX-ZQUD-1926-SM-51MSA 30-39 years, male 82.9
GTEX-14E6C-1326-SM-62LEQ 40-49 years, male 82.2
GTEX-ZA64-1526-SM-5CVMD 20-29 years, male 80.8
GTEX-1NUQO-2226-SM-E9U68 20-29 years, female 78.2
GTEX-1HCU9-0326-SM-9WYSC 20-29 years, male 77.8
GTEX-1399U-1826-SM-5PNZ1 50-59 years, female 77.5
GTEX-1F5PK-2126-SM-7PC28 50-59 years, male 77.4
GTEX-1NHNU-0926-SM-E9J2T 50-59 years, male 77.0
GTEX-TKQ1-0226-SM-33HB5 30-39 years, male 76.7
GTEX-X4XY-0926-SM-4E3JD 60-69 years, male 76.2
GTEX-XGQ4-0926-SM-4AT4U 50-59 years, male 75.4
GTEX-SE5C-2126-SM-4BRUJ 40-49 years, female 75.0
GTEX-1211K-1926-SM-5EQLB 60-69 years, female 74.5
GTEX-Y114-2026-SM-4TT7L 50-59 years, female 74.4
GTEX-14H4A-2526-SM-5YYAY 40-49 years, female 74.1
GTEX-13FTW-1426-SM-5LZWZ 40-49 years, male 73.9
GTEX-1CB4J-1826-SM-7EWF9 60-69 years, male 73.8
GTEX-13O3O-0826-SM-5K7WE 60-69 years, female 73.4
GTEX-14PHY-1926-SM-5YY95 60-69 years, female 73.4
GTEX-1S82U-1126-SM-E9U6I 30-39 years, female 73.4
GTEX-133LE-1726-SM-5K7VQ 20-29 years, female 73.3
GTEX-ZTTD-1026-SM-51MRD 50-59 years, male 73.2
GTEX-Y9LG-1426-SM-5IFJZ 30-39 years, male 73.1
GTEX-XUZC-1626-SM-4BRVP 30-39 years, female 72.7
GTEX-11EQ9-1826-SM-5Q5AJ 30-39 years, male 72.3
GTEX-PSDG-1626-SM-48TCQ 50-59 years, male 72.1
GTEX-ZV7C-1826-SM-5NQ83 50-59 years, male 71.9
GTEX-13N1W-0626-SM-5MR4U 70-79 years, male 71.5
GTEX-14PJ4-2126-SM-6ETZJ 60-69 years, male 71.0
GTEX-1KANC-1426-SM-CYPT9 50-59 years, female 70.6
GTEX-14PKU-0426-SM-6EU1P 40-49 years, female 70.5
GTEX-11I78-2226-SM-5PNYA 50-59 years, female 70.4
GTEX-1R9PN-0326-SM-DTX85 40-49 years, female 70.0
GTEX-YFCO-1826-SM-4W1YH 40-49 years, male 69.9
GTEX-11TT1-2126-SM-5GU5Y 20-29 years, male 69.8
GTEX-R55D-0826-SM-48FEA 50-59 years, male 69.4
GTEX-1A3MX-2726-SM-718B6 60-69 years, male 69.3
GTEX-1I1GP-0426-SM-COH3N 50-59 years, male 69.3
GTEX-12BJ1-1826-SM-5HL9N 60-69 years, male 69.2
GTEX-14DAR-1326-SM-7DUEG 50-59 years, male 69.0
GTEX-1S82Z-0726-SM-E6CHX 30-39 years, female 68.8
GTEX-X261-0626-SM-3NMD9 50-59 years, male 68.6
GTEX-1MJK3-1126-SM-E9J3F 20-29 years, male 68.5
GTEX-117YX-1426-SM-5H12H 50-59 years, male 68.4
GTEX-Y8E4-1626-SM-5S2MW 40-49 years, male 68.0
GTEX-1IDJF-2326-SM-ARL86 20-29 years, male 68.0
GTEX-S4Q7-1126-SM-4AD6R 20-29 years, male 67.8
GTEX-RU1J-0626-SM-4WAWY 20-29 years, female 67.7
GTEX-YEC3-1026-SM-5IFI5 50-59 years, male 67.7
GTEX-1F5PL-1026-SM-7RHI1 40-49 years, female 67.4
GTEX-ZV6S-1826-SM-5NQ8D 40-49 years, female 66.2
GTEX-11EM3-1326-SM-5N9C6 20-29 years, female 66.0
GTEX-Y5V6-2126-SM-4WWFX 60-69 years, male 65.6
GTEX-14E6E-1326-SM-5S2NR 30-39 years, male 65.4
GTEX-139T6-1626-SM-5PNYZ 50-59 years, male 64.9
GTEX-12WSN-1326-SM-5GCNT 40-49 years, male 64.8
GTEX-1PDJ9-1126-SM-EXUSW 20-29 years, male 64.5
GTEX-13W3W-1226-SM-5LU4H 60-69 years, female 64.2
GTEX-145ME-1526-SM-5Q5F2 40-49 years, female 64.2
GTEX-ZY6K-1626-SM-5GZWV 50-59 years, male 64.2
GTEX-1QP9N-1826-SM-E8VMP 30-39 years, male 64.0
GTEX-UTHO-1026-SM-3GAF7 60-69 years, male 63.9
GTEX-1RLM8-2226-SM-EVYD1 50-59 years, male 63.9
GTEX-11ZTT-2326-SM-5EQLG 60-69 years, female 63.7
GTEX-14PJO-0726-SM-69LO8 60-69 years, male 63.4
GTEX-XMK1-1126-SM-4IHJ8 40-49 years, male 63.2
GTEX-T5JW-2026-SM-4DM63 20-29 years, female 62.3
GTEX-18D9A-1526-SM-7LG4J 30-39 years, female 62.2
GTEX-1IDJU-1826-SM-CMKHV 60-69 years, female 62.2
GTEX-17EUY-1926-SM-7DUF6 20-29 years, male 62.0
GTEX-ZAJG-0626-SM-5HL8X 50-59 years, female 61.9
GTEX-1JMQK-2626-SM-COH2W 60-69 years, male 61.8
GTEX-1GF9U-1726-SM-7MGY5 40-49 years, female 61.7
GTEX-ZQG8-0726-SM-5P9H9 60-69 years, female 61.6
GTEX-S32W-2026-SM-4AD6E 50-59 years, female 61.5
GTEX-1H11D-1526-SM-9MQJY 40-49 years, male 61.4
GTEX-ZYW4-0826-SM-5GIDG 60-69 years, male 61.3
GTEX-1QPFJ-2026-SM-EVYBE 30-39 years, female 61.1
GTEX-18A66-1726-SM-7LG5N 60-69 years, male 60.9
GTEX-1I4MK-1626-SM-CM2TJ 50-59 years, female 60.9
GTEX-1MCYP-0126-SM-E6CIS 20-29 years, female 60.7
GTEX-ZLV1-1426-SM-DO92Z 60-69 years, female 60.7
GTEX-17F98-0526-SM-79OK5 40-49 years, female 60.6
GTEX-1IE54-0626-SM-ARL8D 40-49 years, female 60.5
GTEX-1J8Q2-2726-SM-A9G2X 60-69 years, male 60.5
GTEX-ZTX8-1226-SM-4YCE9 20-29 years, male 60.2
GTEX-14ICK-2426-SM-6EU27 40-49 years, male 60.0
GTEX-WY7C-2726-SM-3NB3P 50-59 years, male 60.0
GTEX-1I6K6-0826-SM-ARL7Z 30-39 years, male 59.9
GTEX-1GF9X-1026-SM-ACKX2 40-49 years, female 59.7
GTEX-1C475-1226-SM-7SB72 40-49 years, female 59.5
GTEX-1B97J-0426-SM-79OLQ 50-59 years, female 59.4
GTEX-S4UY-0726-SM-4AD6X 40-49 years, female 59.3
GTEX-1LGRB-1826-SM-CNPQL 50-59 years, female 59.3
GTEX-T2IS-1526-SM-32QPR 20-29 years, female 59.0
GTEX-16BQI-1026-SM-7KUEA 30-39 years, female 58.9
GTEX-XV7Q-2326-SM-4BRVZ 40-49 years, female 58.8
GTEX-145MO-0826-SM-5NQBL 60-69 years, male 58.5
GTEX-ZDTT-2126-SM-DKPOM 60-69 years, male 58.5
GTEX-YB5K-1626-SM-5IFIN 40-49 years, female 58.4
GTEX-1GPI7-0926-SM-7PC3J 20-29 years, male 58.1
GTEX-1HFI7-0126-SM-CGQFQ 50-59 years, female 57.8
GTEX-1QP28-1226-SM-E9J2M 50-59 years, female 57.8
GTEX-145MN-1926-SM-5SIAI 30-39 years, male 57.7
GTEX-17MF6-0326-SM-7EPH5 40-49 years, male 57.7
GTEX-1HCUA-0726-SM-ACKVU 50-59 years, female 57.7
GTEX-QEG5-0726-SM-D4P1T 20-29 years, male 57.7
GTEX-14B4R-1226-SM-5TDDT 30-39 years, male 57.6
GTEX-QMRM-1626-SM-D4P1U 50-59 years, male 57.5
GTEX-13D11-1026-SM-5IJFB 50-59 years, female 57.3
GTEX-1ICLZ-0426-SM-B2LW2 60-69 years, male 57.3
GTEX-1J8Q3-1326-SM-CMKI1 60-69 years, male 57.3
GTEX-1PPH7-0826-SM-E8VNX 40-49 years, male 57.3
GTEX-1AMEY-1026-SM-718AA 30-39 years, female 57.2
GTEX-1GMR2-1926-SM-9MQLZ 50-59 years, male 57.2
GTEX-132AR-0826-SM-5EGK6 50-59 years, female 57.1
GTEX-1B97I-0426-SM-79OL7 40-49 years, male 57.1
GTEX-1H1DG-0526-SM-9YFLN 70-79 years, male 57.0
GTEX-1GZ4H-0326-SM-7P8QX 50-59 years, female 56.8
GTEX-1IKOE-1326-SM-CE6T6 30-39 years, female 56.8
GTEX-139TU-0626-SM-5KM3X 60-69 years, male 56.5
GTEX-12KS4-0126-SM-5Q5A5 30-39 years, male 56.3
GTEX-XBED-1626-SM-47JYN 60-69 years, male 56.3
GTEX-U412-1826-SM-4DXTJ 60-69 years, male 56.2
GTEX-14BMU-1626-SM-5TDE7 20-29 years, female 56.0
GTEX-1R9JW-0326-SM-EAZ45 30-39 years, female 55.8
GTEX-1MCC2-2126-SM-EWRON 30-39 years, female 55.6
GTEX-1H1ZS-0126-SM-9YFKQ 70-79 years, male 55.5
GTEX-1LG7Z-0726-SM-CXKYD 30-39 years, male 55.5
GTEX-1122O-1226-SM-5H113 60-69 years, female 55.3
GTEX-YB5E-1726-SM-5IFJ3 40-49 years, male 55.3
GTEX-1OKEX-0826-SM-E9J2B 60-69 years, male 55.3
GTEX-1JKYN-0726-SM-ARZMY 30-39 years, male 55.2
GTEX-1KXAM-1026-SM-CY8IA 60-69 years, male 55.1
GTEX-13FTX-1126-SM-5N9EN 20-29 years, female 55.0
GTEX-ZXES-0826-SM-5E43C 30-39 years, female 55.0
GTEX-14AS3-1626-SM-5S2OY 40-49 years, female 54.9
GTEX-1IDJE-0826-SM-CKZNZ 50-59 years, female 54.5
GTEX-1KANA-2026-SM-DIPFB 20-29 years, male 54.2
GTEX-131XW-0726-SM-5EGK3 50-59 years, female 54.1
GTEX-Y5LM-1726-SM-4VDSX 40-49 years, female 54.1
GTEX-ZDXO-0126-SM-5S2ND 60-69 years, male 54.1
GTEX-WFG8-2026-SM-EXOHO 20-29 years, male 54.1
GTEX-TKQ2-1826-SM-33HB2 50-59 years, male 54.0
GTEX-QEL4-2126-SM-447AE 50-59 years, male 53.8
GTEX-XYKS-1326-SM-4BRUN 60-69 years, female 53.8
GTEX-14PN4-0626-SM-62LFP 50-59 years, male 53.6
GTEX-15UF7-0726-SM-6M46D 40-49 years, male 53.4
GTEX-Y8LW-1626-SM-5IFHX 50-59 years, female 53.4
GTEX-ZVE2-1226-SM-5NQ8R 50-59 years, male 53.4
GTEX-12WSM-1726-SM-5BC6J 60-69 years, male 53.3
GTEX-1B8SG-1226-SM-7IGPF 50-59 years, male 53.3
GTEX-1QCLZ-2326-SM-DTXDO 60-69 years, female 53.3
GTEX-V955-2026-SM-3GAFA 60-69 years, male 53.2
GTEX-1HSGN-1526-SM-A9SMO 40-49 years, female 53.2
GTEX-1LBAC-0926-SM-CXKY9 20-29 years, male 53.2
GTEX-X4EP-2926-SM-3P5YQ 60-69 years, female 53.1
GTEX-1117F-2826-SM-5GZXL 60-69 years, female 53.0
GTEX-UJHI-1426-SM-3DB9C 50-59 years, female 53.0
GTEX-17MFQ-0926-SM-7LG4S 20-29 years, male 52.9
GTEX-1CB4E-0226-SM-79OLW 60-69 years, male 52.8
GTEX-1R46S-2526-SM-E8VN2 60-69 years, female 52.8
GTEX-15FZZ-0726-SM-7KUFZ 30-39 years, female 52.7
GTEX-ZVT2-1826-SM-5NQ8W 50-59 years, female 52.7
GTEX-1HCU8-0126-SM-ADEHH 60-69 years, female 52.7
GTEX-1LSNM-1326-SM-E9TJ1 50-59 years, male 52.6
GTEX-1QW4Y-1026-SM-DTXE2 30-39 years, male 52.6
GTEX-1LC47-1226-SM-D4P44 60-69 years, male 52.5
GTEX-11DXZ-1926-SM-5GZZL 50-59 years, male 52.1
GTEX-13FHO-0826-SM-5L3E8 60-69 years, male 52.1
GTEX-11P7K-0726-SM-5EGKX 30-39 years, male 52.0
GTEX-1B8KE-1226-SM-73KWK 50-59 years, male 52.0
GTEX-13113-5013-SM-7SB7G 60-69 years, female 52.0
GTEX-16NGA-0826-SM-718AF 40-49 years, female 51.8
GTEX-T6MO-0326-SM-32QOK 40-49 years, female 51.7
GTEX-ZF29-1926-SM-5S2P1 60-69 years, female 51.6
GTEX-1POEN-0926-SM-DTX88 30-39 years, female 51.6
GTEX-1JKYR-0926-SM-CMKGJ 20-29 years, male 51.4
GTEX-1LVAN-1326-SM-CNPQE 50-59 years, female 51.2
GTEX-1CAMS-1426-SM-7IGPM 40-49 years, female 51.1
GTEX-ZPIC-1126-SM-5BC7F 40-49 years, female 51.1
GTEX-1JK1U-1826-SM-ARL8W 60-69 years, male 51.1
GTEX-WXYG-2226-SM-4E3IM 50-59 years, female 50.9
GTEX-XQ8I-2426-SM-4WAXY 50-59 years, male 50.9
GTEX-Y3I4-1526-SM-4TT7K 50-59 years, male 50.9
GTEX-14BMV-0626-SM-793AU 50-59 years, male 50.8
GTEX-18A7B-2626-SM-7LG55 70-79 years, male 50.8
GTEX-13PVR-2226-SM-7DHKP 60-69 years, female 50.7
GTEX-1JMPY-0526-SM-CL54O 30-39 years, male 50.7
GTEX-11NSD-0926-SM-5N9DR 20-29 years, male 50.6
GTEX-1A3MV-1626-SM-731C1 30-39 years, male 50.6
GTEX-ZC5H-2626-SM-5J2MG 40-49 years, female 50.5
GTEX-1HC8U-0826-SM-ADEIL 40-49 years, female 50.5
GTEX-12WSK-2226-SM-5GCO5 40-49 years, female 50.4
GTEX-1HR9M-2426-SM-ACKXI 60-69 years, male 50.4
GTEX-1LVAM-0926-SM-E9TJ2 50-59 years, female 50.3
GTEX-1R7EU-1226-SM-E8VMR 60-69 years, male 50.3
GTEX-13QJ3-0826-SM-7DHKK 50-59 years, male 50.2
GTEX-1AX9J-1126-SM-731B7 60-69 years, male 50.2
GTEX-183FY-1126-SM-7DHLJ 20-29 years, male 50.1
GTEX-17EVQ-0426-SM-7LG57 70-79 years, male 50.0
GTEX-1AX8Z-0926-SM-731AW 60-69 years, male 50.0
GTEX-WI4N-1426-SM-3LK7H 40-49 years, female 50.0
GTEX-1QP29-1726-SM-E8VMQ 50-59 years, male 50.0
GTEX-15G19-2126-SM-6M48J 60-69 years, male 49.9
GTEX-ZAB4-2526-SM-5HL8M 40-49 years, male 49.8
GTEX-11LCK-2426-SM-5HL5F 30-39 years, male 49.7
GTEX-17HGU-1326-SM-79OKB 50-59 years, male 49.6
GTEX-1J8QM-2026-SM-ARZMW 60-69 years, female 49.6
GTEX-Z9EW-1526-SM-EZ6LU 40-49 years, male 49.4
GTEX-WHSB-1926-SM-EXOHH 50-59 years, male 49.3
GTEX-ZGAY-1726-SM-DO91P 40-49 years, female 49.3
GTEX-XOT4-0726-SM-4GIAW 60-69 years, female 49.2
GTEX-1I1GT-1126-SM-ARL7J 60-69 years, female 48.9
GTEX-13NZ9-1026-SM-5MR5K 50-59 years, male 48.8
GTEX-1K2DA-1726-SM-CGQGS 50-59 years, male 48.7
GTEX-169BO-1126-SM-7MGWN 50-59 years, male 48.4
GTEX-1QCLY-1626-SM-DTXDW 30-39 years, male 48.3
GTEX-XQ3S-1326-SM-4BOPQ 20-29 years, male 48.2
GTEX-ZVT4-1026-SM-57WC4 50-59 years, female 48.2
GTEX-1GN1U-0526-SM-9KNTT 50-59 years, female 48.2
GTEX-1GN2E-2226-SM-9WG6J 60-69 years, male 48.1
GTEX-1M5QR-2526-SM-E9U5P 40-49 years, male 48.0
GTEX-131YS-0626-SM-5EGKL 60-69 years, female 47.8
GTEX-WYJK-1326-SM-3NB2T 50-59 years, male 47.6
GTEX-18QFQ-0826-SM-718AX 30-39 years, male 47.5
GTEX-111YS-1926-SM-5GICC 60-69 years, male 47.4
GTEX-1MA7W-1026-SM-DKPQK 20-29 years, female 47.4
GTEX-11O72-2126-SM-5N9FO 40-49 years, male 47.2
GTEX-17JCI-0726-SM-7EPH1 60-69 years, female 47.0
GTEX-1K9T9-1426-SM-DIPFQ 50-59 years, female 47.0
GTEX-17F9E-2526-SM-7MGW2 50-59 years, male 46.9
GTEX-1H3VY-0926-SM-ACKXE 50-59 years, male 46.9
GTEX-145MF-2226-SM-7EPIR 50-59 years, male 46.7
GTEX-1CB4G-2326-SM-79OOI 60-69 years, male 46.7
GTEX-1KAFJ-0226-SM-DIPEL 50-59 years, male 46.7
GTEX-14ABY-2126-SM-5QGQZ 50-59 years, male 46.6
GTEX-1P4AB-1826-SM-E76PU 50-59 years, male 46.5
GTEX-S341-1526-SM-4AD6K 40-49 years, female 46.3
GTEX-11WQC-1726-SM-5GU4W 60-69 years, male 46.2
GTEX-15ETS-0626-SM-7KUMX 40-49 years, female 46.2
GTEX-1F75I-2026-SM-7SB7N 40-49 years, male 46.2
GTEX-XUW1-2326-SM-4BOO5 50-59 years, female 46.0
GTEX-TMMY-0726-SM-33HBE 40-49 years, female 45.9
GTEX-1HKZK-1826-SM-ADEJ2 40-49 years, male 45.9
GTEX-QDT8-0626-SM-48TYW 30-39 years, female 45.7
GTEX-1RQEC-2026-SM-DTXDM 60-69 years, male 45.7
GTEX-13OW8-0226-SM-5K7UP 60-69 years, male 45.6
GTEX-S4P3-1326-SM-4AD6V 50-59 years, female 45.5
GTEX-WRHU-0326-SM-3MJFY 50-59 years, female 45.5
GTEX-1192X-2326-SM-5987X 50-59 years, male 45.4
GTEX-1C64O-0726-SM-7DUFU 60-69 years, male 45.4
GTEX-1GN1W-1926-SM-7P8TH 50-59 years, female 45.4
GTEX-1RAZS-1226-SM-E8VMT 50-59 years, male 45.4
GTEX-1C6VS-0726-SM-7EPHF 60-69 years, male 45.3
GTEX-1HSMO-0826-SM-ADEIV 60-69 years, male 45.2
GTEX-1JJE9-2326-SM-ARL8Q 70-79 years, male 45.0
GTEX-1C6WA-2426-SM-7SB86 60-69 years, male 44.9
GTEX-13O3P-0826-SM-5L3DH 50-59 years, male 44.8
GTEX-1R9PM-1826-SM-EVYBH 20-29 years, male 44.8
GTEX-145LT-0726-SM-5S2VM 40-49 years, male 44.7
GTEX-ZYT6-0126-SM-5E45J 30-39 years, male 44.7
GTEX-1GZHY-0726-SM-9WG6B 50-59 years, female 44.7
GTEX-1E2YA-2726-SM-7IGPW 50-59 years, male 44.5
GTEX-1HBPN-2326-SM-9WPPU 50-59 years, male 44.3
GTEX-1IKJJ-2326-SM-COH3U 60-69 years, male 44.3
GTEX-132Q8-1426-SM-5EGK7 60-69 years, male 44.2
GTEX-13SLX-2326-SM-5ZZWE 50-59 years, female 44.1
GTEX-1JMOU-2026-SM-CMKGU 60-69 years, female 44.1
GTEX-ZTPG-2826-SM-57WGA 20-29 years, female 44.0
GTEX-11GSP-0926-SM-9WYSG 60-69 years, female 43.9
GTEX-1JJEA-2726-SM-ARL8V 60-69 years, male 43.9
GTEX-YJ8O-2226-SM-5IFHW 40-49 years, female 43.8
GTEX-13CF2-2026-SM-5K7VI 60-69 years, male 43.7
GTEX-WFON-1826-SM-3GILG 40-49 years, male 43.7
GTEX-1H1E6-0926-SM-9YFLT 30-39 years, male 43.7
GTEX-1MJK2-2226-SM-EVYCR 50-59 years, male 43.7
GTEX-15RJE-2626-SM-7KFT1 40-49 years, male 43.5
GTEX-13OW5-2226-SM-5L3HC 60-69 years, male 43.4
GTEX-S33H-0326-SM-4AD6N 30-39 years, male 43.4
GTEX-X15G-1626-SM-3NMB3 50-59 years, female 43.4
GTEX-1KD5A-1926-SM-DKPQA 50-59 years, male 43.4
GTEX-13SLW-2526-SM-62LDQ 70-79 years, male 43.3
GTEX-11ZUS-0826-SM-5FQUY 30-39 years, male 43.2
GTEX-11DXY-2326-SM-5GICW 60-69 years, male 43.1
GTEX-11P81-1926-SM-5BC53 30-39 years, female 43.1
GTEX-17HHE-1426-SM-7EPH4 50-59 years, male 42.9
GTEX-Y5V5-2126-SM-4WWFO 60-69 years, female 42.9
GTEX-11ONC-2126-SM-5HL6E 60-69 years, male 42.7
GTEX-146FH-0826-SM-5SI8T 50-59 years, female 42.7
GTEX-1LSVX-2426-SM-E6CJX 60-69 years, male 42.7
GTEX-1N2EE-2126-SM-E8VNN 60-69 years, male 42.7
GTEX-11PRG-0826-SM-5EQ6A 50-59 years, male 42.6
GTEX-17KNJ-2026-SM-7LG53 50-59 years, male 42.5
GTEX-1HBPM-0126-SM-ARL9E 60-69 years, female 42.5
GTEX-1B933-2526-SM-7IGO5 50-59 years, female 42.4
GTEX-13N11-1726-SM-5J1OJ 50-59 years, female 42.0
GTEX-RWS6-1926-SM-47JXY 60-69 years, female 41.9
GTEX-W5X1-2326-SM-3GIL6 40-49 years, female 41.9
GTEX-ZUA1-1526-SM-59HLS 40-49 years, male 41.9
GTEX-18A6Q-0926-SM-7LG4N 60-69 years, male 41.8
GTEX-Y3IK-2326-SM-4WWDT 50-59 years, female 41.8
GTEX-1I6K7-1026-SM-A9SLK 40-49 years, male 41.8
GTEX-139T8-0826-SM-5L3DE 60-69 years, male 41.7
GTEX-15ER7-1626-SM-6PAMZ 20-29 years, female 41.7
GTEX-WOFL-0826-SM-3MJG1 60-69 years, male 41.7
GTEX-ZU9S-1926-SM-5NQBP 30-39 years, male 41.6
GTEX-13NZB-2126-SM-5MR4Y 30-39 years, male 41.5
GTEX-13VXU-2826-SM-664MA 50-59 years, male 41.5
GTEX-ZZPU-0626-SM-5E43T 50-59 years, female 41.5
GTEX-1HCVE-2626-SM-ADEJ8 50-59 years, male 41.5
GTEX-1LNCM-0226-SM-DIPF4 50-59 years, female 41.5
GTEX-1C6VQ-0426-SM-79OOX 50-59 years, male 41.4
GTEX-ZWKS-2826-SM-5NQ74 30-39 years, male 41.4
GTEX-1BAJH-0826-SM-7EWEF 70-79 years, male 41.3
GTEX-1EKGG-2626-SM-7IGPY 60-69 years, male 41.3
GTEX-1MA7X-1626-SM-E9U5B 60-69 years, male 41.3
GTEX-YECK-0726-SM-EZ6LV 60-69 years, male 41.3
GTEX-1B8L1-2426-SM-9WYTE 60-69 years, male 41.2
GTEX-1GMRU-0826-SM-9WYT7 50-59 years, male 41.2
GTEX-VUSG-2226-SM-4KKZO 50-59 years, male 41.0
GTEX-183WM-0726-SM-7LTAA 70-79 years, female 40.9
GTEX-18A7A-0726-SM-7LTAI 50-59 years, female 40.9
GTEX-ZEX8-2226-SM-57WC6 50-59 years, male 40.9
GTEX-1IDFM-0426-SM-B2LVV 60-69 years, male 40.9
GTEX-1RAZQ-1226-SM-EWRNL 30-39 years, male 40.9
GTEX-12ZZX-1126-SM-5EGKB 40-49 years, female 40.7
GTEX-1PPGY-1526-SM-EVYBK 60-69 years, male 40.7
GTEX-1EN7A-1426-SM-7PBY4 40-49 years, male 40.6
GTEX-1I1HK-2426-SM-ADEHX 60-69 years, male 40.6
GTEX-1A8G7-2426-SM-731AK 60-69 years, male 40.4
GTEX-1N5O9-1126-SM-DTXEQ 60-69 years, male 40.3
GTEX-1QEPI-0926-SM-DTXF3 60-69 years, female 40.3
GTEX-1AX9I-0726-SM-73KWV 60-69 years, male 40.2
GTEX-R53T-1526-SM-48FEK 50-59 years, female 40.2
GTEX-T6MN-0726-SM-32PML 50-59 years, male 40.2
GTEX-1F75B-0626-SM-7SB8A 50-59 years, male 40.2
GTEX-ZF3C-2326-SM-5S2NC 50-59 years, female 40.2
GTEX-1I1GV-2426-SM-CGQFM 60-69 years, male 40.1
GTEX-1JMLX-2026-SM-CMKGN 50-59 years, male 40.1
GTEX-1M4P7-2626-SM-E9U5F 60-69 years, male 40.1
GTEX-1GMR8-0726-SM-9KNVI 50-59 years, female 39.9
GTEX-117XS-1926-SM-5GICO 60-69 years, male 39.8
GTEX-1I19N-2826-SM-CL55D 70-79 years, male 39.7
GTEX-18465-2026-SM-718AP 50-59 years, male 39.6
GTEX-1F6I4-2526-SM-7SB8F 60-69 years, male 39.6
GTEX-17F96-2426-SM-7IGLN 70-79 years, male 39.4
GTEX-1IDJH-2226-SM-E6CJV 70-79 years, male 39.4
GTEX-132NY-0826-SM-5K7Y7 60-69 years, male 39.3
GTEX-UPK5-2326-SM-3P5Z8 40-49 years, male 39.3
GTEX-11EMC-2026-SM-5A5JV 60-69 years, female 39.2
GTEX-WYVS-1726-SM-3NMAY 40-49 years, female 39.1
GTEX-U3ZH-1426-SM-4DXSR 30-39 years, male 39.0
GTEX-ZF2S-2026-SM-5E461 50-59 years, female 39.0
GTEX-VJWN-0726-SM-3GIJ8 50-59 years, female 38.7
GTEX-14LLW-0626-SM-62LFC 70-79 years, female 38.5
GTEX-16YQH-2826-SM-6PAMY 30-39 years, male 38.5
GTEX-1EU9M-2826-SM-7EWFH 60-69 years, male 38.5
GTEX-13NZ8-0126-SM-5IJCT 60-69 years, female 38.4
GTEX-13PL6-2926-SM-5L3I2 40-49 years, female 38.4
GTEX-Q2AG-0326-SM-48U1O 40-49 years, female 38.4
GTEX-WYBS-0926-SM-3NM94 60-69 years, female 38.4
GTEX-1HUB1-1626-SM-CM2SL 60-69 years, male 38.4
GTEX-17F97-2526-SM-7EWDV 50-59 years, male 38.2
GTEX-X62O-0526-SM-EWRMA 50-59 years, male 38.2
GTEX-1J8EW-2626-SM-CL53E 60-69 years, female 38.1
GTEX-17HHY-0926-SM-793C1 50-59 years, male 38.0
GTEX-ZYFC-0826-SM-5E44K 50-59 years, male 37.9
GTEX-1H1CY-2226-SM-9WG7E 60-69 years, female 37.9
GTEX-1IGQW-0926-SM-ADEH6 60-69 years, male 37.8
GTEX-1JN6P-2426-SM-ARL99 60-69 years, male 37.8
GTEX-U3ZN-1926-SM-4DXSG 30-39 years, female 37.7
GTEX-1KD4Q-2326-SM-D4P3M 40-49 years, male 37.7
GTEX-1IOXB-1926-SM-ARL8E 50-59 years, male 37.5
GTEX-144GL-2026-SM-5LU3O 50-59 years, male 37.4
GTEX-1GZ2Q-2626-SM-7MXV9 40-49 years, male 37.4
GTEX-1IKOH-2326-SM-CM2TW 60-69 years, female 37.4
GTEX-Y111-2026-SM-4SOJA 50-59 years, male 37.3
GTEX-14753-2426-SM-5LU8U 60-69 years, male 37.2
GTEX-1B932-0826-SM-73KXG 40-49 years, female 37.2
GTEX-1GPI6-0626-SM-7RHHJ 60-69 years, male 37.2
GTEX-15UF6-0126-SM-6PAMB 70-79 years, female 37.1
GTEX-ZAK1-1326-SM-EVYAS 50-59 years, female 37.1
GTEX-1269C-2426-SM-5FQSN 60-69 years, female 37.0
GTEX-TML8-1226-SM-32QON 40-49 years, female 36.8
GTEX-11DXW-0626-SM-5N9ER 40-49 years, male 36.6
GTEX-11GS4-2126-SM-5A5KR 60-69 years, male 36.6
GTEX-QVJO-1826-SM-447C9 60-69 years, female 36.6
GTEX-RU72-0626-SM-46MUI 50-59 years, female 36.6
GTEX-1HSKV-2026-SM-CMKGX 60-69 years, male 36.6
GTEX-15SHW-1326-SM-6PAL8 60-69 years, male 36.5
GTEX-11GSO-1926-SM-5A5K3 60-69 years, male 36.4
GTEX-14A5I-0726-SM-5TDEB 50-59 years, female 36.3
GTEX-1B8KZ-1526-SM-7DUG7 50-59 years, male 36.3
GTEX-1HR98-0426-SM-COH36 60-69 years, male 36.1
GTEX-1314G-1226-SM-5BC6D 30-39 years, male 36.0
GTEX-13W46-0826-SM-5LU3H 50-59 years, male 35.8
GTEX-11NV4-2026-SM-5N9DG 60-69 years, male 35.7
GTEX-ZVZQ-0826-SM-51MRF 60-69 years, female 35.6
GTEX-1IY9M-2726-SM-CMKG5 60-69 years, male 35.6
GTEX-13FTY-2226-SM-5J1ND 40-49 years, female 35.5
GTEX-1JMPZ-1626-SM-COH31 30-39 years, male 35.4
GTEX-13QIC-2326-SM-5LU5N 60-69 years, female 35.3
GTEX-ZVTK-0326-SM-51MRR 20-29 years, male 35.3
GTEX-1GF9V-2526-SM-7SB8K 60-69 years, male 35.3
GTEX-1GMR3-2626-SM-7RHHG 40-49 years, male 35.2
GTEX-1LSNL-2826-SM-E9U5L 50-59 years, male 35.2
GTEX-147F4-2826-SM-5NQBN 50-59 years, male 34.9
GTEX-1H4P4-2226-SM-9MQKQ 50-59 years, male 34.8
GTEX-11EI6-0626-SM-5985T 60-69 years, male 34.7
GTEX-17EVP-0226-SM-79OND 40-49 years, male 34.7
GTEX-XMD1-0826-SM-4AT52 60-69 years, male 34.7
GTEX-T2YK-2226-SM-32QPT 50-59 years, male 34.5
GTEX-17HG3-0126-SM-7IGNH 30-39 years, female 34.4
GTEX-1GZ4I-2826-SM-9MQK5 50-59 years, male 34.1
GTEX-13O3Q-2226-SM-5KM4O 50-59 years, male 33.9
GTEX-14E7W-0826-SM-62LEJ 70-79 years, male 33.7
GTEX-1NV8Z-2826-SM-E8VME 60-69 years, male 33.5
GTEX-1EWIQ-1726-SM-7SB7T 70-79 years, female 33.2
GTEX-1HT8W-2226-SM-CGQEC 30-39 years, male 33.0
GTEX-1QMI2-0726-SM-E9J4F 60-69 years, male 32.6
GTEX-T5JC-2126-SM-32PMO 20-29 years, male 32.3
GTEX-1313W-0826-SM-5EQ4T 50-59 years, female 31.5
GTEX-R3RS-0626-SM-48FE1 40-49 years, female 31.5
GTEX-YFC4-1426-SM-5IFJG 40-49 years, female 31.5
GTEX-1F75A-1826-SM-7SB8G 50-59 years, male 31.3
GTEX-S7SE-0826-SM-4AT4D 50-59 years, male 31.1
GTEX-XMD2-0926-SM-4WWEF 60-69 years, female 30.7
GTEX-11OF3-1926-SM-59889 60-69 years, male 30.0
Show allShow less

BREAST - FANTOM5 CAGEi

RNA expression in human tissues obtained through Cap Analysis of Gene Expression (CAGE) generated by the FANTOM5 project are reported as Scaled Tags Per Million.

Max subtype Scaled Tags Per Millioni

Max subtype Scaled Tags Per Million is the value for the subtype with the largest average Scaled Tags Per Million across the subtype samples.

69.1
FANTOM5 sample id Sample description Scaled Tags Per Million
Breast
Scaled Tags Per Million: 69.1
FF:10080-102A8 77 years, female 69.1

Contact

  • NEWS ARTICLES
  • PRESS ROOM

The Project

  • INTRODUCTION
  • ORGANIZATION
  • PUBLICATIONS

The Human Protein Atlas

  • DOWNLOADABLE DATA
  • LICENCE & CITATION
  • HELP & FAQ
The Human Protein Atlas project is funded
by the Knut & Alice Wallenberg Foundation.


contact@proteinatlas.org