We use cookies to enhance the usability of our website. If you continue, we'll assume that you are happy to receive all cookies. More information. Don't show this again.
AGFG2
HPA
RESOURCES
  • TISSUE
  • BRAIN
  • SINGLE CELL
  • SUBCELLULAR
  • CANCER
  • BLOOD
  • CELL LINE
  • STRUCTURE & INTERACTION
ABOUT
  • INTRODUCTION
  • HISTORY
  • ORGANIZATION
  • PUBLICATIONS
  • ANTIBODY SUBMISSION
  • ANTIBODY AVAILABILITY
  • ACKNOWLEDGMENTS
  • CONTACT
NEWS
  • NEWS ARTICLES
  • PRESS ROOM
LEARN
  • DICTIONARY
  • PROTEIN CLASSES
  • PROTEIN EVIDENCE
  • METHODS
  • EDUCATIONAL VIDEOS
DATA
  • DOWNLOADABLE DATA
  • PUBLICATION DATA
  • RELEASE HISTORY
HELP
  • ANTIBODY VALIDATION
  • ASSAYS & ANNOTATION
  • DISCLAIMER
  • HELP & FAQ
  • PRIVACY STATEMENT
  • LICENCE & CITATION
Fields »
Search result

Field
Term
Gene name
Class
Subclass
Class
Keyword
Chromosome
External id
Tissue
Cell type
Expression
Antibody panel
Tissue
Main location
Patient ID
Annotation
Tissue
Category
Tau score
Cluster
Reliability
Brain region
Category
Tau score
Brain region
Category
Tau score
Brain region
Category
Tau score
Cluster
Reliability
Tissue
Cell type
Enrichment
Cell type
Category
Tau score
Cell type
Category
Tau score
Cell type
Category
Tau score
Cell lineage
Category
Tau score
Cluster
Cluster
Location
Searches
Location
Cell line
Class
Type
Phase
Reliability
Cancer
Prognosis
Cancer
Category
Cancer
Category
Tau score
Cluster
Variants
Interacting gene (ensg_id)
Type
Number of interactions
Pathway
Category
Score
Score
Score
Validation
Validation
Validation
Validation
Antibodies
Data type
Column


  • SUMMARY

  • TISSUE

  • BRAIN

  • SINGLE CELL

  • SUBCELL

  • CANCER

  • BLOOD

  • CELL LINE

  • STRUCT & INT

  • AGFG2
TISSUE PRIMARY DATA SKIN Show tissue menu
ADIPOSE TISSUE ADRENAL GLAND AMYGDALA APPENDIX BASAL GANGLIA BONE MARROW BREAST BRONCHUS CEREBELLUM CEREBRAL CORTEX CERVIX CHOROID PLEXUS COLON DUODENUM
ENDOMETRIUM EPIDIDYMIS ESOPHAGUS FALLOPIAN TUBE GALLBLADDER HEART MUSCLE HIPPOCAMPAL FORMATION HYPOTHALAMUS KIDNEY LIVER LUNG LYMPH NODE MIDBRAIN NASOPHARYNX
ORAL MUCOSA OVARY PANCREAS PARATHYROID GLAND PITUITARY GLAND PLACENTA PROSTATE RECTUM RETINA SALIVARY GLAND SEMINAL VESICLE SKELETAL MUSCLE SKIN SMALL INTESTINE
SMOOTH MUSCLE SOFT TISSUE SPINAL CORD SPLEEN STOMACH TESTIS THYMUS THYROID GLAND TONGUE TONSIL URINARY BLADDER VAGINA
ANTIBODIES
AND
VALIDATION
Dictionary
Skin
Tissue proteome
Skin
SKIN - Expression summary
Protein expression
Skini

On the top, protein expression in current human tissue, based on all annotated cell types, is reported with the units not detected (n), low (l), medium (m) and high (h). Underneath, protein expression in each annotated cell type are reported using the same units.

Protein expression data is based on knowledge-based annotation. For genes where more than one antibody has been used, a collective score is set.

If knowledge-based annotation could not be performed for a gene, no data is displayed here. View antibody staining data further down this page.

h
m
l
n
Epidermal cells: Medium
Fibroblasts: Low
Keratinocytes: Medium
Langerhans: Medium
Melanocytes: Not detected
RNA expressioni

A summary of mRNA expression data available for current tissue based on several datasets. The mRNA expression levels in human tissues are based on RNA-seq data generated by the Human Protein Atlas (HPA), Genotype-Tissue Expression (GTEx) portal and CAGE data generated by the FANTOM5 consortium. Consensus normalized expression levels for human tissues was created by combining the data from HPA and GTEx datasets.

The mRNA expression levels in pig are based on RNA-seq data generated by the Human Protein Atlas (HPA), and for mouse, HPA data and in situ hybridization generated by the Allen brain atlas are reported.

Scroll down to view mRNA expression data in more detail.
Consensus:25.2 nTPM
HPA:18.6 nTPM
GTEx:25.2 nTPM

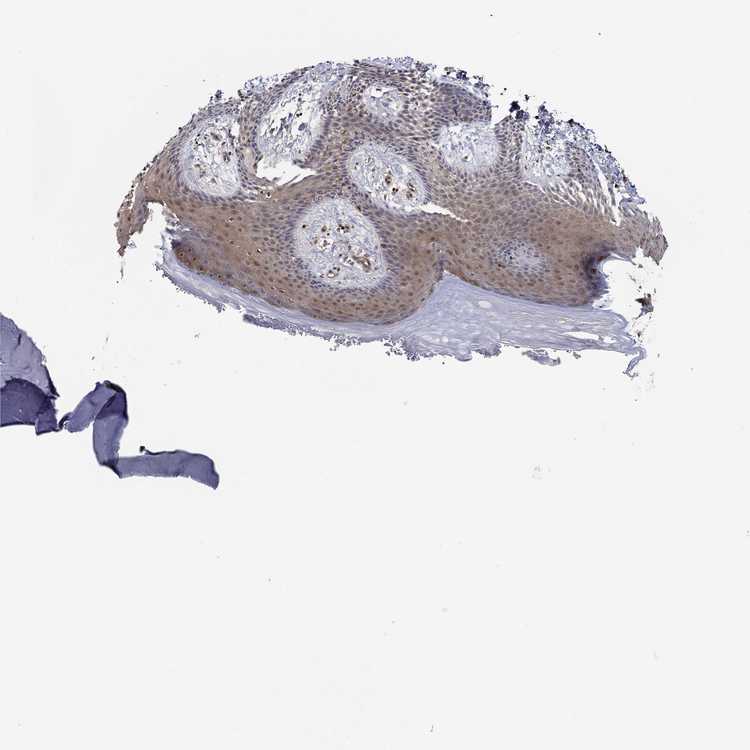
SKIN 1 - Antibody stainingi

Antibody staining in the annotated cell types in the current human tissue is reported as not detected, low, medium, or high, based on conventional immunohistochemistry profiling in selected tissues. This score is based on the combination of the staining intensity and fraction of stained cells.

Each image is clickable and will lead to virtual microscopy that enables deeper exploration of all samples and also displays staining intensity scores, fraction scores and subcellular localization as well as patient and tissue information for each sample.

Antibody HPA019689Antibody HPA073562
Langerhans Not detectedMedium
Fibroblasts LowLow
Keratinocytes Not detectedMedium
Melanocytes Not detectedNot detected


SKIN 2 - Antibody stainingi

Antibody staining in the annotated cell types in the current human tissue is reported as not detected, low, medium, or high, based on conventional immunohistochemistry profiling in selected tissues. This score is based on the combination of the staining intensity and fraction of stained cells.

Each image is clickable and will lead to virtual microscopy that enables deeper exploration of all samples and also displays staining intensity scores, fraction scores and subcellular localization as well as patient and tissue information for each sample.

Antibody HPA073562
Epidermal cells Medium
 
 
 



SKIN - HPA RNA-seqi

The RNA-seq details section shows detailed information about the individual samples used for the transcript profiling and results of the RNA-seq analysis.

Information about each individual sample is listed below, including gender, age, a tissue section image and estimated fractions of cell types. nTPM (normalized transcripts per million) values give a quantification of the gene abundance which is comparable between different genes and samples.
Average nTPMi

Max subtype nTPM is the value for the subtype with the largest average nTPM across the subtype samples.

18.6
overview
Female, age 34
Skin sample 225
nTPM: 13.8
Cell types%
Keratinocytes:
60

Other cell types:
40

overview
Female, age 30
Skin sample 226
nTPM: 20
Cell types%
Keratinocytes:
55

Other cell types:
45

N/A
Male, age 57
Skin sample 227
nTPM: 22.1

SKIN - GTEx RNA-seqi

RNA-Seq data generated by the Genotype-Tissue Expression (GTEx) project from human tissues is reported as mean nTPM. More information can be found on the GTEx portal.

Distribution across the dataset is visualized with box plots, shown as median and 25th and 75th percentiles. Points are displayed as outliers if they are above or below 1.5 times the interquartile range. nTPM values of the individual samples are presented next to the box plot.
Max subtype nTPMi

Max subtype nTPM is the value for the subtype with the largest average nTPM across the subtype samples.

25.2
GTEx sample id Sample description nTPM
Skin - Not Sun Exposed (Suprapubic)
Average nTPM: 22.4
Samples: 604

Max nTPM: 63.2
Min nTPM: 6.2
Std nTPM: 7.5
Median nTPM: 21.5
GTEX-1OJC3-1226-SM-DTXER 20-29 years, male 63.2
GTEX-X585-2426-SM-46MW2 50-59 years, male 53.5
GTEX-WFG7-2026-SM-5SI7P 20-29 years, male 50.3
GTEX-1192X-2726-SM-5N9DN 50-59 years, male 47.0
GTEX-1QP2A-1726-SM-E76QC 50-59 years, male 46.4
GTEX-1IKOE-1426-SM-CE6T7 30-39 years, female 44.6
GTEX-1RMOY-1326-SM-E9TIH 50-59 years, male 42.4
GTEX-Y114-2126-SM-4TT8B 50-59 years, female 42.0
GTEX-WHSB-1326-SM-3LK6W 50-59 years, male 41.8
GTEX-1I1GT-1026-SM-ARZLV 60-69 years, female 41.7
GTEX-1LSNM-0826-SM-DIPG8 50-59 years, male 41.2
GTEX-1IDJU-1726-SM-CMKHU 60-69 years, female 40.8
GTEX-XOT4-0626-SM-4B66L 60-69 years, female 40.6
GTEX-16MTA-0926-SM-6M47Z 50-59 years, male 39.9
GTEX-ZDTT-0426-SM-4WKFL 60-69 years, male 39.8
GTEX-1F52S-2926-SM-7MKGA 60-69 years, female 39.1
GTEX-13FTX-1526-SM-5K7VJ 20-29 years, female 38.4
GTEX-1LGRB-0926-SM-COH3K 50-59 years, female 38.1
GTEX-17F97-2626-SM-7IGM5 50-59 years, male 37.9
GTEX-ZPCL-1126-SM-4WWFE 60-69 years, female 37.9
GTEX-14PII-0726-SM-6EU2B 60-69 years, male 37.7
GTEX-14PJ6-2626-SM-6EU2T 60-69 years, female 37.1
GTEX-1K9T9-1526-SM-DIPFR 50-59 years, female 37.1
GTEX-13QJC-0126-SM-5ZZWJ 60-69 years, female 37.0
GTEX-WHPG-2626-SM-3NMBR 50-59 years, male 37.0
GTEX-ZVP2-0326-SM-57WBP 50-59 years, male 36.6
GTEX-14PJ4-0226-SM-5YY92 60-69 years, male 36.3
GTEX-11ZU8-0126-SM-5EQ58 60-69 years, male 36.2
GTEX-18QFQ-1826-SM-72D52 30-39 years, male 36.2
GTEX-1RAZS-2526-SM-E6CHT 50-59 years, male 36.1
GTEX-1HGF4-0126-SM-CNPPX 60-69 years, male 36.0
GTEX-13PDP-0726-SM-5L3HP 60-69 years, male 35.9
GTEX-1PIIG-2326-SM-DTXFR 30-39 years, male 35.9
GTEX-1KAFJ-0126-SM-DIPEK 50-59 years, male 35.7
GTEX-ZVT2-0126-SM-5GIDQ 50-59 years, female 35.5
GTEX-Y111-0626-SM-4SOIT 50-59 years, male 35.3
GTEX-1399U-1126-SM-5L3DB 50-59 years, female 35.1
GTEX-1S82P-2126-SM-E6CI5 60-69 years, female 34.9
GTEX-18D9U-0126-SM-731BM 40-49 years, male 34.8
GTEX-1HSGN-0826-SM-ACKW3 40-49 years, female 34.6
GTEX-15CHR-1126-SM-7EWF4 50-59 years, male 34.4
GTEX-11DXZ-2026-SM-5987S 50-59 years, male 34.3
GTEX-139TS-2126-SM-5K7XC 60-69 years, male 34.2
GTEX-14PK6-0226-SM-62LF5 70-79 years, female 33.0
GTEX-1B8KE-1126-SM-7EPHI 50-59 years, male 33.0
GTEX-ZT9X-1526-SM-5DUXD 40-49 years, male 32.9
GTEX-WHWD-1826-SM-3LK6I 50-59 years, male 32.8
GTEX-1MCYP-0526-SM-E9U6Q 20-29 years, female 32.8
GTEX-12WSJ-1126-SM-5LZVJ 40-49 years, female 32.7
GTEX-1QP28-1126-SM-EVYC4 50-59 years, female 32.7
GTEX-1GZ4H-0526-SM-9KNU9 50-59 years, female 32.6
GTEX-1JMLX-0626-SM-ARL8T 50-59 years, male 32.6
GTEX-14PJ5-1526-SM-6LLIL 60-69 years, female 32.4
GTEX-1N2DV-1526-SM-DTXEP 40-49 years, male 32.3
GTEX-1QP9N-1226-SM-E76QN 30-39 years, male 32.3
GTEX-1JMPY-0226-SM-CKZOK 30-39 years, male 32.2
GTEX-131XH-0126-SM-5LZUY 50-59 years, male 32.1
GTEX-ZC5H-1526-SM-5HL9Y 40-49 years, female 32.1
GTEX-XXEK-1626-SM-4BRUZ 50-59 years, male 32.0
GTEX-11GSP-2326-SM-5HL63 60-69 years, female 31.9
GTEX-1122O-1026-SM-9WYSF 60-69 years, female 31.9
GTEX-13IVO-0726-SM-5LZYV 70-79 years, male 31.8
GTEX-11WQC-1826-SM-5GU59 60-69 years, male 31.7
GTEX-147GR-2426-SM-5ZZWQ 60-69 years, male 31.7
GTEX-YFCO-1226-SM-5LUAT 40-49 years, male 31.7
GTEX-ZP4G-1426-SM-4WWCL 20-29 years, female 31.7
GTEX-1212Z-0126-SM-59HK4 60-69 years, male 31.6
GTEX-Y8E4-2026-SM-5IFJB 40-49 years, male 31.4
GTEX-1HCU7-0726-SM-A9SL1 50-59 years, male 31.3
GTEX-11EQ8-0926-SM-5H12V 60-69 years, male 31.2
GTEX-14LLW-2626-SM-62LDZ 70-79 years, female 31.2
GTEX-15DDE-2926-SM-6LLJ3 50-59 years, female 31.1
GTEX-1HSMQ-2626-SM-A9SML 50-59 years, male 31.1
GTEX-111CU-1126-SM-5EGIM 50-59 years, male 31.0
GTEX-131XF-2626-SM-5EQ6K 60-69 years, male 31.0
GTEX-1399S-0126-SM-5IJCF 30-39 years, female 31.0
GTEX-147F4-0726-SM-5TDDD 50-59 years, male 31.0
GTEX-1HB9E-0126-SM-CM2S5 50-59 years, male 31.0
GTEX-1HBPN-0126-SM-CGQEF 50-59 years, male 31.0
GTEX-YEC3-1326-SM-DO92X 50-59 years, male 31.0
GTEX-13JVG-0726-SM-5KM16 60-69 years, male 30.9
GTEX-1K2DA-1026-SM-CGQGF 50-59 years, male 30.9
GTEX-12ZZY-0726-SM-5EQ66 60-69 years, male 30.6
GTEX-13D11-0926-SM-5J2NC 50-59 years, female 30.6
GTEX-11P7K-1126-SM-5HL4L 30-39 years, male 30.5
GTEX-1LBAC-0826-SM-CY8IJ 20-29 years, male 30.5
GTEX-13OW5-2326-SM-5L3HO 60-69 years, male 30.4
GTEX-ZF29-0926-SM-4WKFZ 60-69 years, female 30.4
GTEX-1CAMS-2226-SM-7PBXQ 40-49 years, female 30.4
GTEX-12WSL-2026-SM-5GCML 50-59 years, male 30.2
GTEX-X4EP-0626-SM-3P621 60-69 years, female 30.2
GTEX-1PPGY-1626-SM-EVYBL 60-69 years, male 30.0
GTEX-1AMFI-1326-SM-7939R 50-59 years, female 29.9
GTEX-ZDTS-0826-SM-4WKHL 60-69 years, male 29.9
GTEX-11P82-1426-SM-DTXFY 20-29 years, male 29.9
GTEX-1GN1U-0626-SM-9MQL9 50-59 years, female 29.9
GTEX-1313W-0626-SM-5EQ4H 50-59 years, female 29.8
GTEX-ZZPU-0826-SM-5GZX5 50-59 years, female 29.8
GTEX-1R9PM-1926-SM-EVR3O 20-29 years, male 29.8
GTEX-ZTTD-2826-SM-4YCFA 50-59 years, male 29.7
GTEX-12ZZZ-0726-SM-5GCNZ 60-69 years, male 29.6
GTEX-XBEC-0726-SM-4QARZ 50-59 years, male 29.5
GTEX-11NSD-0626-SM-5A5LU 20-29 years, male 29.4
GTEX-16NGA-0726-SM-731AO 40-49 years, female 29.4
GTEX-17HHE-1326-SM-7EWDZ 50-59 years, male 29.1
GTEX-WY7C-2126-SM-3NB2R 50-59 years, male 29.1
GTEX-YECK-0326-SM-4W1YS 60-69 years, male 29.1
GTEX-ZXG5-2126-SM-59HKD 60-69 years, male 29.1
GTEX-145MH-2826-SM-5RQJF 50-59 years, male 29.0
GTEX-14PJN-1826-SM-6AJ98 30-39 years, male 29.0
GTEX-1B8SF-0126-SM-7DUG3 60-69 years, male 29.0
GTEX-11GS4-0226-SM-5HL77 60-69 years, male 28.9
GTEX-1F6I4-2326-SM-7RHGL 60-69 years, male 28.9
GTEX-ZVZP-1226-SM-5GID7 50-59 years, male 28.8
GTEX-1IDJV-0126-SM-COH3Y 60-69 years, male 28.8
GTEX-1J8EW-2726-SM-CY8HR 60-69 years, female 28.8
GTEX-13NZ8-1226-SM-5KM4A 60-69 years, female 28.7
GTEX-17KNJ-2126-SM-718AM 50-59 years, male 28.7
GTEX-11P81-2226-SM-5PNYI 30-39 years, female 28.5
GTEX-15RIG-0726-SM-7KUM7 40-49 years, male 28.4
GTEX-17F9Y-0126-SM-79OKX 70-79 years, female 28.4
GTEX-ZTX8-1326-SM-4YCEL 20-29 years, male 28.4
GTEX-111VG-1626-SM-5EGIO 60-69 years, male 28.3
GTEX-1NV5F-0626-SM-DTXEG 60-69 years, female 28.2
GTEX-14753-0726-SM-5QGQO 60-69 years, male 28.1
GTEX-17F96-0126-SM-7EWDU 70-79 years, male 28.1
GTEX-14JFF-0626-SM-5ZZVT 60-69 years, male 28.1
GTEX-1JJ6O-2726-SM-CNPOG 60-69 years, male 28.1
GTEX-12BJ1-0926-SM-5EQ62 60-69 years, male 28.0
GTEX-ZF2S-1626-SM-57WES 50-59 years, female 28.0
GTEX-1CB4E-0926-SM-7EPHT 60-69 years, male 27.9
GTEX-1IKJJ-2226-SM-CJI4C 60-69 years, male 27.9
GTEX-139YR-1026-SM-5LZYN 50-59 years, male 27.8
GTEX-XBEW-1126-SM-4QARW 40-49 years, male 27.8
GTEX-13N2G-0226-SM-5K7VF 60-69 years, male 27.7
GTEX-13NYB-0126-SM-5J1MD 40-49 years, male 27.7
GTEX-Y9LG-1126-SM-4VBQ7 30-39 years, male 27.7
GTEX-1RAZA-2226-SM-E9U4X 20-29 years, male 27.7
GTEX-1GF9X-1326-SM-7PC2Y 40-49 years, female 27.6
GTEX-1GPI6-1926-SM-9KNV7 60-69 years, male 27.6
GTEX-11DXX-2126-SM-5PNYR 60-69 years, female 27.5
GTEX-12ZZX-2426-SM-5GCOE 40-49 years, female 27.5
GTEX-1399Q-2326-SM-5KM2X 40-49 years, male 27.5
GTEX-1KXAM-1626-SM-D3LAD 60-69 years, male 27.5
GTEX-1LVAM-0726-SM-E6CIL 50-59 years, female 27.5
GTEX-1QEPI-2626-SM-DTXF4 60-69 years, female 27.5
GTEX-1C6VR-0126-SM-7RHGB 60-69 years, male 27.4
GTEX-1JK1U-0226-SM-ARZMX 60-69 years, male 27.4
GTEX-1S5ZU-2526-SM-E6CIF 20-29 years, female 27.4
GTEX-14PHY-1226-SM-5ZZWK 60-69 years, female 27.3
GTEX-1C2JI-1026-SM-73KY1 50-59 years, male 27.3
GTEX-1CAMQ-1326-SM-7P8RV 40-49 years, male 27.3
GTEX-1JJE9-2626-SM-ARZMT 70-79 years, male 27.3
GTEX-18A67-1626-SM-7LT9T 50-59 years, male 27.2
GTEX-ZYT6-2326-SM-5GZY3 30-39 years, male 27.2
GTEX-15EO6-2426-SM-6PALZ 50-59 years, male 27.0
GTEX-ZE9C-2526-SM-5IJDR 60-69 years, male 27.0
GTEX-1RAZQ-1326-SM-E9TK6 30-39 years, male 26.9
GTEX-11OF3-0126-SM-5PNYF 60-69 years, male 26.8
GTEX-117YX-1926-SM-5GIEC 50-59 years, male 26.7
GTEX-Y3IK-1626-SM-4YCF5 50-59 years, female 26.7
GTEX-1C64O-1326-SM-7MGWR 60-69 years, male 26.7
GTEX-1HT8W-0626-SM-A9G2H 30-39 years, male 26.7
GTEX-13FH7-1126-SM-5K7UG 50-59 years, female 26.6
GTEX-14PJO-2526-SM-6AJBQ 60-69 years, male 26.6
GTEX-11ZTT-2126-SM-5CVLO 60-69 years, female 26.3
GTEX-14BMU-1226-SM-5S2OR 20-29 years, female 26.3
GTEX-139UW-0326-SM-5J1ML 60-69 years, male 26.2
GTEX-15FZZ-0526-SM-7KUGD 30-39 years, female 26.2
GTEX-18A7A-0126-SM-731AH 50-59 years, female 26.2
GTEX-1R7EU-1626-SM-DTXG3 60-69 years, male 26.2
GTEX-1S82U-1026-SM-E6CJK 30-39 years, female 26.2
GTEX-14E1K-2026-SM-7DUEI 50-59 years, male 26.1
GTEX-1GN2E-0226-SM-9WG6K 60-69 years, male 26.1
GTEX-139TU-0726-SM-5L3EK 60-69 years, male 26.0
GTEX-17HGU-2326-SM-7DUFE 50-59 years, male 25.9
GTEX-X8HC-0626-SM-4E3HQ 50-59 years, female 25.9
GTEX-1KANC-1226-SM-CYPT7 50-59 years, female 25.9
GTEX-XQ8I-0926-SM-4BOOF 50-59 years, male 25.8
GTEX-Y3I4-1726-SM-4TT89 50-59 years, male 25.7
GTEX-1QW4Y-1126-SM-DTXE3 30-39 years, male 25.7
GTEX-UPJH-0226-SM-3GADV 50-59 years, male 25.6
GTEX-1JJEA-1826-SM-ARU8P 60-69 years, male 25.6
GTEX-1H2FU-0926-SM-9WPPT 60-69 years, female 25.5
GTEX-WEY5-2326-SM-3GIKK 40-49 years, female 25.4
GTEX-1JMQJ-0826-SM-CNPP7 50-59 years, male 25.4
GTEX-1L5NE-1126-SM-D3L9P 50-59 years, male 25.4
GTEX-13NYS-0626-SM-5L3F1 60-69 years, male 25.3
GTEX-XAJ8-1426-SM-47JYM 40-49 years, male 25.3
GTEX-ZTSS-1426-SM-5985P 40-49 years, male 25.3
GTEX-1JKYN-0826-SM-ARU8S 30-39 years, male 25.3
GTEX-1LVAN-0626-SM-CNPOQ 50-59 years, female 25.3
GTEX-13FTW-0326-SM-5K7UW 40-49 years, male 25.2
GTEX-16AAH-0626-SM-793C9 50-59 years, male 25.2
GTEX-17F9E-2326-SM-79OKD 50-59 years, male 25.2
GTEX-145LS-0626-SM-7EPG7 60-69 years, female 25.1
GTEX-11TUW-0626-SM-5LU9M 60-69 years, male 25.0
GTEX-13PL6-1126-SM-5L3IE 40-49 years, female 25.0
GTEX-16BQI-1326-SM-6M486 30-39 years, female 25.0
GTEX-1IY9M-2826-SM-ARU8H 60-69 years, male 24.9
GTEX-139TT-2126-SM-5LZWC 60-69 years, male 24.8
GTEX-13O61-1426-SM-5KM3D 60-69 years, male 24.8
GTEX-Y5V5-0126-SM-5S2NW 60-69 years, female 24.8
GTEX-1H1E6-0426-SM-9WYUS 30-39 years, male 24.8
GTEX-1KANB-2826-SM-CY8I6 50-59 years, male 24.8
GTEX-ZA64-1026-SM-5HL8R 20-29 years, male 24.6
GTEX-1PBJJ-1026-SM-E76OS 30-39 years, male 24.6
GTEX-15RJE-2826-SM-7KUM9 40-49 years, male 24.5
GTEX-V1D1-2026-SM-3GAF4 50-59 years, male 24.5
GTEX-1HCU9-0426-SM-9WYSD 20-29 years, male 24.5
GTEX-13SLX-2226-SM-62LEP 50-59 years, female 24.4
GTEX-1J8Q2-2626-SM-ACKWQ 60-69 years, male 24.4
GTEX-15CHC-1126-SM-6LLHQ 60-69 years, female 24.3
GTEX-ZAB4-2126-SM-5HL8U 40-49 years, male 24.3
GTEX-1AMEY-0826-SM-72D65 30-39 years, female 24.2
GTEX-1EWIQ-0326-SM-7DHMQ 70-79 years, female 24.2
GTEX-1H11D-1826-SM-9QEHM 40-49 years, male 24.2
GTEX-1J1OQ-0126-SM-D4P2N 40-49 years, female 24.2
GTEX-131XW-0626-SM-5PNVD 50-59 years, female 24.1
GTEX-14C5O-0326-SM-5ZZUX 60-69 years, male 24.1
GTEX-14PKU-0126-SM-6LLHV 40-49 years, female 24.1
GTEX-1A8G7-1326-SM-73KVM 60-69 years, male 24.1
GTEX-1EU9M-1426-SM-793AI 60-69 years, male 24.1
GTEX-1GN1V-2826-SM-9JGIA 60-69 years, male 24.1
GTEX-1KWVE-1026-SM-D3L9O 30-39 years, male 24.1
GTEX-13O3Q-0126-SM-5KM34 50-59 years, male 24.0
GTEX-1C64N-2626-SM-7PC2N 50-59 years, male 24.0
GTEX-1HSKV-1226-SM-ADEI4 60-69 years, male 24.0
GTEX-1LB8K-0726-SM-D5OV2 50-59 years, male 24.0
GTEX-1OJC4-2726-SM-E76PJ 50-59 years, female 24.0
GTEX-11PRG-0726-SM-5EGL1 50-59 years, male 23.9
GTEX-1PPH8-0126-SM-EWRN8 20-29 years, male 23.9
GTEX-13NZ9-2626-SM-5L3FK 50-59 years, male 23.8
GTEX-ZYFG-1526-SM-5GZYM 60-69 years, female 23.8
GTEX-131XG-0326-SM-5L3DX 50-59 years, female 23.7
GTEX-145MG-1526-SM-5Q5EM 50-59 years, male 23.7
GTEX-14C39-1726-SM-5RQIL 40-49 years, male 23.6
GTEX-1AX9I-2226-SM-73KUO 60-69 years, male 23.6
GTEX-139D8-1126-SM-5LU8W 30-39 years, female 23.5
GTEX-15ER7-0626-SM-6PANF 20-29 years, female 23.5
GTEX-ZWKS-0626-SM-5GIDV 30-39 years, male 23.5
GTEX-WXYG-2026-SM-4E3IY 50-59 years, female 23.4
GTEX-13X6H-0926-SM-5SIB2 50-59 years, female 23.3
GTEX-13FHO-0426-SM-5L3F5 60-69 years, male 23.2
GTEX-1I1GV-0626-SM-ARL7M 60-69 years, male 23.2
GTEX-17EVP-2626-SM-7IGMA 40-49 years, male 23.1
GTEX-VUSG-2326-SM-4KL1U 50-59 years, male 23.1
GTEX-1F75I-2226-SM-7SB8U 40-49 years, male 23.1
GTEX-ZGAY-1826-SM-DO91Q 40-49 years, female 23.1
GTEX-1HR98-2226-SM-ADEI2 60-69 years, male 23.0
GTEX-1QCLY-0226-SM-EWRNH 30-39 years, male 23.0
GTEX-17HII-1426-SM-7EPGG 50-59 years, male 22.9
GTEX-UPK5-0426-SM-3GAEK 40-49 years, male 22.9
GTEX-1HCUA-0826-SM-ADEHM 50-59 years, female 22.9
GTEX-14BIN-1126-SM-5RQJZ 50-59 years, female 22.8
GTEX-12126-0826-SM-5FQTZ 20-29 years, male 22.7
GTEX-13X6I-1826-SM-5SIAO 60-69 years, male 22.7
GTEX-Y8LW-1526-SM-5IFHL 50-59 years, female 22.7
GTEX-ZLFU-1826-SM-4WWBV 40-49 years, male 22.7
GTEX-1HBPI-2126-SM-ARL9K 50-59 years, male 22.7
GTEX-1MJK3-0726-SM-E6CJC 20-29 years, male 22.7
GTEX-1R46S-2426-SM-E76QA 60-69 years, female 22.7
GTEX-ZF3C-0626-SM-DO92O 50-59 years, female 22.7
GTEX-13OVK-1426-SM-6PAN7 40-49 years, male 22.6
GTEX-X5EB-1926-SM-4E3IW 40-49 years, male 22.6
GTEX-1GMR8-0626-SM-7RHI7 50-59 years, female 22.6
GTEX-145ME-1726-SM-5Q5EU 40-49 years, female 22.5
GTEX-14PHX-2226-SM-6EU2P 50-59 years, male 22.5
GTEX-15DYW-2726-SM-6EU2I 60-69 years, female 22.5
GTEX-16MT8-2926-SM-7DUFO 60-69 years, female 22.5
GTEX-1PDJ9-1226-SM-EXUSX 20-29 years, male 22.5
GTEX-1QPFJ-1926-SM-EVYBD 30-39 years, female 22.5
GTEX-1S83E-1326-SM-E6CJM 40-49 years, male 22.5
GTEX-1F75B-0726-SM-7PC3R 50-59 years, male 22.4
GTEX-1HFI7-2326-SM-CGQFS 50-59 years, female 22.4
GTEX-1POEN-2326-SM-E9J2L 30-39 years, female 22.4
GTEX-18A6Q-0626-SM-7KFRP 60-69 years, male 22.3
GTEX-1IL2V-1926-SM-B2LW8 70-79 years, male 22.3
GTEX-11DYG-1526-SM-5A5JS 60-69 years, male 22.2
GTEX-13FTY-2126-SM-5IFFB 40-49 years, female 22.2
GTEX-13OW7-0426-SM-5K7VK 50-59 years, male 22.2
GTEX-14PKV-1126-SM-6LLJ1 20-29 years, female 22.2
GTEX-XUW1-0926-SM-4BONX 50-59 years, female 22.2
GTEX-ZLV1-1526-SM-DO91J 60-69 years, female 22.2
GTEX-1314G-1326-SM-5BC6E 30-39 years, male 22.1
GTEX-1RAZR-2126-SM-E9U6T 40-49 years, male 22.1
GTEX-12WSA-0426-SM-5EQ5X 60-69 years, male 22.0
GTEX-ZLWG-0826-SM-59888 50-59 years, female 22.0
GTEX-ZPU1-1126-SM-4YCF3 40-49 years, male 22.0
GTEX-1QP66-1226-SM-DTX7U 50-59 years, male 22.0
GTEX-12WSF-1626-SM-7KUG5 70-79 years, male 21.9
GTEX-13PVR-0426-SM-5RQK2 60-69 years, female 21.9
GTEX-1A3MV-1826-SM-731CD 30-39 years, male 21.9
GTEX-1A8G6-2726-SM-731AR 60-69 years, male 21.9
GTEX-1R9K4-2826-SM-DTX8F 60-69 years, male 21.9
GTEX-12WSH-1526-SM-5BC5W 50-59 years, male 21.8
GTEX-13SLW-0626-SM-5Q5ER 70-79 years, male 21.8
GTEX-1H3O1-1326-SM-9MQLD 60-69 years, male 21.8
GTEX-144GM-0526-SM-79OJO 20-29 years, male 21.7
GTEX-11NUK-2726-SM-5A5MC 50-59 years, male 21.6
GTEX-X4EO-2926-SM-4E3JH 60-69 years, female 21.6
GTEX-1HCVE-2726-SM-CL54F 50-59 years, male 21.6
GTEX-17JCI-2926-SM-7DUFF 60-69 years, female 21.5
GTEX-13OW8-1026-SM-5J1NQ 60-69 years, male 21.4
GTEX-145LT-0526-SM-5LUB2 40-49 years, male 21.4
GTEX-14ICL-1626-SM-5YYAO 30-39 years, male 21.4
GTEX-1C475-1326-SM-7SB73 40-49 years, female 21.4
GTEX-1F6RS-2026-SM-7RHHC 60-69 years, female 21.4
GTEX-1J1R8-2026-SM-CL53Y 40-49 years, male 21.4
GTEX-1KD5A-0126-SM-E9U54 50-59 years, male 21.4
GTEX-14ABY-2026-SM-62LDL 50-59 years, male 21.3
GTEX-14DAR-1226-SM-73KYV 50-59 years, male 21.3
GTEX-1I6K6-1726-SM-CGQFD 30-39 years, male 21.3
GTEX-1JN76-0626-SM-CKZOQ 20-29 years, female 21.3
GTEX-12696-0126-SM-5EQ4L 60-69 years, male 21.2
GTEX-WYVS-1626-SM-3NM9R 40-49 years, female 21.2
GTEX-XQ3S-1426-SM-4BOPR 20-29 years, male 21.2
GTEX-1PPH7-1126-SM-DTX9A 40-49 years, male 21.2
GTEX-12C56-1526-SM-5FQUQ 20-29 years, male 21.1
GTEX-15EU6-2226-SM-6EU2L 50-59 years, male 21.1
GTEX-1F88F-0126-SM-9WYSZ 60-69 years, female 21.1
GTEX-1IE54-1126-SM-A9G2Z 40-49 years, female 21.1
GTEX-1PIGE-1826-SM-E8VOU 20-29 years, male 21.1
GTEX-15SKB-2826-SM-6PAMH 60-69 years, male 21.0
GTEX-14PJ3-1126-SM-5ZZVX 50-59 years, male 20.9
GTEX-18D9A-1426-SM-7LT8M 30-39 years, female 20.9
GTEX-1H1CY-0126-SM-9YFLY 60-69 years, female 20.9
GTEX-12WSM-1926-SM-5BC65 60-69 years, male 20.8
GTEX-1GL5R-1326-SM-7RHHF 50-59 years, male 20.8
GTEX-1KANA-1326-SM-DIPFA 20-29 years, male 20.8
GTEX-145LU-1926-SM-79OJN 50-59 years, male 20.7
GTEX-1CAMR-1326-SM-7PC1F 20-29 years, male 20.7
GTEX-1F75A-0726-SM-7RHHD 50-59 years, male 20.7
GTEX-1GF9V-0826-SM-9KNUV 60-69 years, male 20.7
GTEX-1JMPZ-0726-SM-CY8HZ 30-39 years, male 20.7
GTEX-1S831-1826-SM-EWROF 20-29 years, male 20.7
GTEX-Z93S-1626-SM-5CVMB 50-59 years, male 20.6
GTEX-18A7B-2726-SM-7LG56 70-79 years, male 20.5
GTEX-X3Y1-2026-SM-3P5YM 40-49 years, male 20.5
GTEX-1LGOU-1326-SM-D3L8M 20-29 years, female 20.5
GTEX-1NSGN-0726-SM-DTXEF 50-59 years, male 20.5
GTEX-1269C-0126-SM-5EQ5L 60-69 years, female 20.4
GTEX-YB5K-2026-SM-4VDT3 40-49 years, female 20.4
GTEX-147F3-1726-SM-5SIAW 50-59 years, female 20.3
GTEX-1LSVX-2526-SM-DIPEU 60-69 years, male 20.3
GTEX-14A6H-2026-SM-5Q5DD 30-39 years, male 20.2
GTEX-ZAK1-0626-SM-5HL8E 50-59 years, female 20.2
GTEX-1N2EE-0626-SM-E76PW 60-69 years, male 20.2
GTEX-14LZ3-0126-SM-69LPM 60-69 years, female 20.1
GTEX-1EX96-1026-SM-7MKG2 50-59 years, male 20.1
GTEX-ZDYS-2426-SM-4WKGI 50-59 years, male 20.1
GTEX-1F5PL-0926-SM-7PC2W 40-49 years, female 20.1
GTEX-1LVA9-2626-SM-EVYD4 50-59 years, male 20.1
GTEX-111YS-1526-SM-5GZYW 60-69 years, male 20.0
GTEX-14AS3-1526-SM-5Q5ED 40-49 years, female 20.0
GTEX-1BAJH-2426-SM-7IGP8 70-79 years, male 20.0
GTEX-1JKYR-0626-SM-ARL8R 20-29 years, male 20.0
GTEX-1LSNL-2726-SM-E9TKJ 50-59 years, male 20.0
GTEX-11LCK-2226-SM-5HL4Q 30-39 years, male 19.9
GTEX-13FLV-0126-SM-5K7WT 50-59 years, male 19.9
GTEX-13JUV-2026-SM-5K7UA 40-49 years, female 19.8
GTEX-14B4R-1326-SM-5Q5EZ 30-39 years, male 19.8
GTEX-ZVE2-2826-SM-5GU51 50-59 years, male 19.8
GTEX-1JMQI-1726-SM-ARL93 50-59 years, male 19.8
GTEX-145MI-0626-SM-5SI8S 60-69 years, female 19.7
GTEX-18465-2826-SM-7LT9J 50-59 years, male 19.7
GTEX-1GMR2-0826-SM-7PC3V 50-59 years, male 19.7
GTEX-1IDFM-0326-SM-ARL7V 60-69 years, male 19.7
GTEX-1S3DN-2126-SM-E9TIN 50-59 years, male 19.7
GTEX-11EM3-1226-SM-5N9DD 20-29 years, female 19.6
GTEX-12WSD-0626-SM-5GCMW 60-69 years, female 19.6
GTEX-13U4I-2226-SM-5LU5H 40-49 years, female 19.6
GTEX-13VXT-1926-SM-5K7UO 20-29 years, female 19.6
GTEX-145MN-1526-SM-5SI9T 30-39 years, male 19.6
GTEX-1B97I-0626-SM-73KUZ 40-49 years, male 19.6
GTEX-XYKS-1426-SM-4BRUO 60-69 years, female 19.6
GTEX-1GN1W-2426-SM-9KNUU 50-59 years, female 19.6
GTEX-1H1DE-1326-SM-9KNUG 20-29 years, male 19.6
GTEX-1K2DU-1226-SM-CYPT4 20-29 years, male 19.6
GTEX-139T8-0626-SM-5KLZX 60-69 years, male 19.5
GTEX-1I4MK-0126-SM-CY8G6 50-59 years, female 19.5
GTEX-13N1W-2426-SM-5IJD1 70-79 years, male 19.4
GTEX-1497J-0226-SM-5QGPU 60-69 years, male 19.4
GTEX-15RIE-1926-SM-7KUKJ 60-69 years, male 19.4
GTEX-1EKGG-0626-SM-7DUGJ 60-69 years, male 19.4
GTEX-1GZ4I-2626-SM-9KNU3 50-59 years, male 19.4
GTEX-13G51-1826-SM-5KLZH 60-69 years, male 19.3
GTEX-13W3W-0726-SM-5IJDQ 60-69 years, female 19.3
GTEX-XV7Q-1826-SM-4BRUV 40-49 years, female 19.3
GTEX-1EMGI-2326-SM-7PBYA 60-69 years, male 19.3
GTEX-1IDJD-2326-SM-ACKWX 30-39 years, male 19.3
GTEX-11EQ9-1626-SM-5PNY8 30-39 years, male 19.2
GTEX-15G19-2426-SM-7KUMR 60-69 years, male 19.1
GTEX-1CB4F-1026-SM-7DUH1 60-69 years, male 19.1
GTEX-1477Z-0326-SM-7IGLA 60-69 years, male 19.0
GTEX-148VJ-0626-SM-5LUAW 70-79 years, male 19.0
GTEX-XPVG-2126-SM-4B667 50-59 years, male 19.0
GTEX-1B8KZ-0326-SM-73KY4 50-59 years, male 18.9
GTEX-15RJ7-2126-SM-6PAMD 40-49 years, male 18.8
GTEX-1CB4H-1126-SM-7MKGL 60-69 years, female 18.8
GTEX-1B8L1-2226-SM-7P8PT 60-69 years, male 18.8
GTEX-13112-0126-SM-5P9IU 50-59 years, male 18.7
GTEX-14PJ2-0626-SM-6LLII 50-59 years, male 18.7
GTEX-ZYW4-0626-SM-59HJR 60-69 years, male 18.7
GTEX-1IDJE-1426-SM-ADEIW 50-59 years, female 18.7
GTEX-1LG7Y-2526-SM-EWRO7 50-59 years, male 18.7
GTEX-11EI6-2826-SM-5H11D 60-69 years, male 18.6
GTEX-14DAQ-0626-SM-793DS 60-69 years, female 18.6
GTEX-1CB4I-0126-SM-7RHGG 50-59 years, male 18.6
GTEX-1J8Q3-0526-SM-ARL8U 60-69 years, male 18.6
GTEX-1N5O9-0926-SM-E9J3C 60-69 years, male 18.6
GTEX-17F98-1326-SM-7DUEP 40-49 years, female 18.5
GTEX-1E2YA-2126-SM-7MXUO 50-59 years, male 18.5
GTEX-11DXY-0126-SM-5H11Q 60-69 years, male 18.4
GTEX-13OW6-2726-SM-5J2OE 50-59 years, male 18.4
GTEX-1H4P4-2126-SM-9WYSL 50-59 years, male 18.4
GTEX-145MO-2826-SM-5LU96 60-69 years, male 18.3
GTEX-16Z82-2626-SM-7KULU 60-69 years, male 18.3
GTEX-1I1GP-1326-SM-A9G28 50-59 years, male 18.3
GTEX-13OVG-1626-SM-5J1NF 60-69 years, male 18.2
GTEX-17HHY-0426-SM-7DHLC 50-59 years, male 18.1
GTEX-1AX8Z-0726-SM-73KTS 60-69 years, male 18.1
GTEX-XBED-1926-SM-47JYP 60-69 years, male 18.1
GTEX-1B996-0426-SM-7EWF8 60-69 years, male 18.0
GTEX-W5X1-2526-SM-3GILC 40-49 years, female 18.0
GTEX-ZT9W-1126-SM-57WDR 50-59 years, male 18.0
GTEX-ZYY3-2926-SM-5GIEB 60-69 years, female 18.0
GTEX-1IOXB-2726-SM-CM2RI 50-59 years, male 18.0
GTEX-1JN6P-2926-SM-CL54D 60-69 years, male 18.0
GTEX-1QMI2-2526-SM-E8VNZ 60-69 years, male 18.0
GTEX-12KS4-2126-SM-5FQUT 30-39 years, male 17.9
GTEX-13OVL-0126-SM-5L3GJ 50-59 years, male 17.9
GTEX-15CHQ-0326-SM-69LQD 60-69 years, male 17.9
GTEX-16NPX-0726-SM-7KULC 50-59 years, male 17.9
GTEX-Y5V6-2326-SM-4VDSA 60-69 years, male 17.9
GTEX-1MCC2-1826-SM-DIPEX 30-39 years, female 17.9
GTEX-16XZZ-0726-SM-7KUF2 60-69 years, male 17.8
GTEX-17MFQ-1526-SM-7KFRR 20-29 years, male 17.8
GTEX-ZE7O-2726-SM-51MT5 50-59 years, female 17.8
GTEX-1B932-2326-SM-79OL5 40-49 years, female 17.7
GTEX-13X6K-0626-SM-5LU5D 60-69 years, female 17.6
GTEX-14E6E-0526-SM-793DN 30-39 years, male 17.6
GTEX-16MT9-0126-SM-7EPI8 60-69 years, female 17.6
GTEX-14JG1-1526-SM-5YY9X 40-49 years, male 17.5
GTEX-ZYFC-0426-SM-5GICQ 50-59 years, male 17.5
GTEX-1GMRU-2126-SM-7P8RA 50-59 years, male 17.5
GTEX-11ZUS-2626-SM-5FQUR 30-39 years, male 17.4
GTEX-WYJK-0526-SM-3NM8Z 50-59 years, male 17.4
GTEX-1I1HK-2326-SM-CKZOH 60-69 years, male 17.4
GTEX-1211K-1526-SM-5FQU4 60-69 years, female 17.3
GTEX-146FQ-2126-SM-5RQHU 30-39 years, male 17.3
GTEX-1HCU6-2526-SM-ADEHL 60-69 years, female 17.3
GTEX-1HR9M-2226-SM-CNPPY 60-69 years, male 17.3
GTEX-1HSMP-0926-SM-A9SKX 70-79 years, male 17.3
GTEX-16YQH-2226-SM-7IGM2 30-39 years, male 17.2
GTEX-1I6K7-1926-SM-B2LXR 40-49 years, male 17.2
GTEX-1M4P7-0726-SM-E6CJ3 60-69 years, male 17.2
GTEX-13X6J-0626-SM-5LU5F 50-59 years, male 17.1
GTEX-1CAV2-0126-SM-7IGN7 40-49 years, female 17.1
GTEX-1GF9W-1426-SM-7PBYM 60-69 years, male 17.1
GTEX-1I1GS-2626-SM-B2LY3 60-69 years, male 17.1
GTEX-11UD2-2526-SM-5CVNU 50-59 years, male 17.0
GTEX-1RLM8-2926-SM-E8VON 50-59 years, male 17.0
GTEX-1HKZK-0726-SM-ACKW2 40-49 years, male 16.9
GTEX-14BMV-2826-SM-5TDED 50-59 years, male 16.7
GTEX-XMD2-2126-SM-4YCF8 60-69 years, female 16.7
GTEX-1AYD5-2626-SM-7PBXY 50-59 years, male 16.7
GTEX-1H1DF-1126-SM-9WG7G 40-49 years, female 16.7
GTEX-13PVQ-0626-SM-5LU47 50-59 years, male 16.6
GTEX-1LG7Z-1626-SM-CXKYR 30-39 years, male 16.6
GTEX-15SHW-0226-SM-7LTAT 60-69 years, male 16.5
GTEX-1EH9U-2826-SM-7DUGT 60-69 years, male 16.5
GTEX-1GPI7-1826-SM-9KNU1 20-29 years, male 16.5
GTEX-1IDJF-2026-SM-CL53V 20-29 years, male 16.5
GTEX-1JMQK-1226-SM-D4P2S 60-69 years, male 16.5
GTEX-1R9PN-0426-SM-DTXDT 40-49 years, female 16.5
GTEX-12584-0726-SM-5FQTK 40-49 years, male 16.4
GTEX-13VXU-0626-SM-5L3F9 50-59 years, male 16.4
GTEX-ZZ64-1026-SM-5GZXG 20-29 years, male 16.4
GTEX-144GO-2026-SM-5O99P 60-69 years, male 16.3
GTEX-145MF-0926-SM-5Q5EA 50-59 years, male 16.3
GTEX-1ICG6-1226-SM-A9SLN 70-79 years, female 16.3
GTEX-144GL-0626-SM-5LU4D 50-59 years, male 16.2
GTEX-18D9B-0926-SM-7LG4U 60-69 years, male 16.2
GTEX-1F5PK-2226-SM-7SB6N 50-59 years, male 16.2
GTEX-1HCU8-2526-SM-CE6RX 60-69 years, female 16.2
GTEX-1I19N-0126-SM-CYPSF 70-79 years, male 16.2
GTEX-1EN7A-2426-SM-793DB 40-49 years, male 16.1
GTEX-1GN73-0726-SM-7P8TJ 60-69 years, male 16.1
GTEX-1O9I2-0226-SM-EYYXD 50-59 years, male 16.1
GTEX-1QP29-1826-SM-DTX9S 50-59 years, male 16.1
GTEX-15D1Q-2826-SM-6LLH7 40-49 years, male 16.0
GTEX-XK95-0226-SM-4AT58 40-49 years, male 16.0
GTEX-YJ8O-2526-SM-5HL85 40-49 years, female 16.0
GTEX-1QCLZ-2426-SM-EVYBW 60-69 years, female 16.0
GTEX-144FL-0626-SM-5LU43 50-59 years, male 15.9
GTEX-1C6VQ-1226-SM-73KYD 50-59 years, male 15.9
GTEX-1GTWX-2026-SM-9YFLM 60-69 years, male 15.9
GTEX-1LKK1-2626-SM-DKPQE 50-59 years, female 15.9
GTEX-13N11-2326-SM-5IJBF 50-59 years, female 15.8
GTEX-YEC4-1826-SM-4W1YP 40-49 years, male 15.8
GTEX-132AR-0326-SM-5KM2C 50-59 years, female 15.7
GTEX-18A66-0626-SM-7LT8Z 60-69 years, male 15.7
GTEX-1B933-2426-SM-7DHMD 50-59 years, female 15.7
GTEX-1A3MX-2626-SM-7PC24 60-69 years, male 15.6
GTEX-WK11-2726-SM-3NMAQ 50-59 years, male 15.5
GTEX-1IDJC-1526-SM-B2LW4 50-59 years, male 15.5
GTEX-13OVH-0526-SM-5L3E6 70-79 years, male 15.4
GTEX-1RB15-1326-SM-E76Q9 60-69 years, male 15.4
GTEX-1117F-2926-SM-5GZYI 60-69 years, female 15.3
GTEX-WYBS-0626-SM-3NMAS 60-69 years, female 15.3
GTEX-11DXW-0826-SM-5H118 40-49 years, male 15.2
GTEX-11O72-0626-SM-5PNYE 40-49 years, male 15.2
GTEX-178AV-1726-SM-7KUL8 40-49 years, male 15.2
GTEX-12WSC-2826-SM-5BC5Y 50-59 years, male 15.1
GTEX-133LE-2326-SM-5K7W3 20-29 years, female 15.0
GTEX-183WM-0326-SM-72D5V 70-79 years, female 15.0
GTEX-WRHU-2826-SM-3MJG8 50-59 years, female 15.0
GTEX-147JS-0226-SM-5S2U9 60-69 years, male 14.9
GTEX-1HC8U-1326-SM-9YFMJ 40-49 years, female 14.9
GTEX-ZPIC-0526-SM-DO91W 40-49 years, female 14.9
GTEX-111FC-2526-SM-5GZXU 60-69 years, male 14.7
GTEX-WFG8-2126-SM-3GIKQ 20-29 years, male 14.7
GTEX-11DZ1-2426-SM-5GZZX 50-59 years, male 14.6
GTEX-13RTJ-0126-SM-5S2NN 60-69 years, male 14.6
GTEX-1QAET-0326-SM-EVR3U 50-59 years, male 14.6
GTEX-ZVT4-2426-SM-5GIEI 50-59 years, female 14.5
GTEX-14JG6-1426-SM-9WG7C 30-39 years, female 14.5
GTEX-13YAN-0226-SM-5TDC6 60-69 years, male 14.4
GTEX-17HG3-2626-SM-7DUF2 30-39 years, female 14.4
GTEX-1H3VE-0726-SM-9YFL5 40-49 years, male 14.4
GTEX-1ICLY-0826-SM-CMKG1 50-59 years, male 14.4
GTEX-1H23P-0626-SM-9WG6T 60-69 years, male 14.3
GTEX-1H3NZ-2726-SM-9WYTQ 60-69 years, male 14.2
GTEX-1LVAO-2726-SM-E9TJ8 60-69 years, male 14.2
GTEX-11VI4-1126-SM-5EQMD 40-49 years, female 14.0
GTEX-13OVJ-0826-SM-5J1OK 50-59 years, female 14.0
GTEX-17MF6-2626-SM-79OKQ 40-49 years, male 14.0
GTEX-1HBPM-0726-SM-9YFL7 60-69 years, female 14.0
GTEX-1399R-1326-SM-5PNYS 30-39 years, male 13.8
GTEX-ZDXO-3126-SM-5IJDF 60-69 years, male 13.8
GTEX-15G1A-1626-SM-7KUKN 30-39 years, male 13.7
GTEX-183FY-1026-SM-7939A 20-29 years, male 13.7
GTEX-1A32A-0626-SM-731AQ 50-59 years, female 13.6
GTEX-1GZ2Q-0126-SM-9WG6M 40-49 years, male 13.6
GTEX-ZVE1-0726-SM-51MRN 50-59 years, female 13.5
GTEX-15UF6-1926-SM-7KUDV 70-79 years, female 13.4
GTEX-12WSK-2126-SM-5CVNC 40-49 years, female 13.3
GTEX-1HUB1-1426-SM-CGQF5 60-69 years, male 13.3
GTEX-1A3MW-0626-SM-731CB 60-69 years, female 13.1
GTEX-1ICLZ-0326-SM-ARL82 60-69 years, male 13.1
GTEX-1IDJI-0126-SM-CMKHS 50-59 years, female 13.1
GTEX-13NYC-0126-SM-5L3F4 60-69 years, male 13.0
GTEX-13113-1626-SM-5EQ4I 60-69 years, female 12.9
GTEX-17EVQ-0126-SM-7IGLR 70-79 years, male 12.9
GTEX-1C6WA-2626-SM-7MKGM 60-69 years, male 12.9
GTEX-1J8QM-2426-SM-A9SLS 60-69 years, female 12.8
GTEX-YF7O-1526-SM-5IFI6 50-59 years, male 12.7
GTEX-ZAJG-1526-SM-5CVML 50-59 years, female 12.6
GTEX-1HSMO-0626-SM-ACKXC 60-69 years, male 12.5
GTEX-VJYA-1526-SM-3GIJV 60-69 years, male 12.4
GTEX-1H1DG-2426-SM-9QEHJ 70-79 years, male 12.3
GTEX-ZUA1-2626-SM-5NQ92 40-49 years, male 12.2
GTEX-1HFI6-0126-SM-CNPPI 40-49 years, male 12.0
GTEX-14A5H-0826-SM-5QGPJ 60-69 years, male 11.9
GTEX-11TT1-1826-SM-5EQLV 20-29 years, male 11.8
GTEX-16GPK-0626-SM-7KFSF 60-69 years, male 11.8
GTEX-WI4N-2726-SM-3LK7Y 40-49 years, female 11.8
GTEX-ZYVF-0926-SM-5E44J 50-59 years, female 11.8
GTEX-1H1ZS-2726-SM-9WG75 70-79 years, male 11.8
GTEX-1IDJH-0126-SM-D3L92 70-79 years, male 11.8
GTEX-WH7G-2026-SM-3NMBL 40-49 years, male 11.7
GTEX-131YS-2826-SM-5EQ47 60-69 years, female 11.6
GTEX-WFON-1926-SM-3LK7L 40-49 years, male 11.6
GTEX-1GF9U-2026-SM-7SB92 40-49 years, female 11.6
GTEX-1JN1M-2726-SM-CY8I4 60-69 years, female 11.4
GTEX-1JMOU-1026-SM-CYPSS 60-69 years, female 11.3
GTEX-1F6IF-0926-SM-7SB7M 60-69 years, male 11.2
GTEX-WHSE-0126-SM-3NMBT 20-29 years, male 10.9
GTEX-1I1CD-0626-SM-CE6SW 60-69 years, female 10.7
GTEX-1AX9J-1326-SM-731BJ 60-69 years, male 10.5
GTEX-1A8FM-0626-SM-7PC25 50-59 years, female 10.5
GTEX-1F48J-0726-SM-7RHGS 50-59 years, female 10.4
GTEX-1J8JJ-0626-SM-ARZMQ 60-69 years, female 10.3
GTEX-U8XE-0226-SM-4E3J3 30-39 years, male 10.2
GTEX-ZU9S-1826-SM-5NQ9E 30-39 years, male 10.1
GTEX-1JMQL-2226-SM-CNPP4 50-59 years, female 10.1
GTEX-ZYFD-0626-SM-5E44E 50-59 years, male 9.8
GTEX-13O3O-2326-SM-5IJD6 60-69 years, female 9.7
GTEX-14E6C-2426-SM-5S2NF 40-49 years, male 9.7
GTEX-1CB4J-1326-SM-7P8RX 60-69 years, male 9.7
GTEX-13QBU-1226-SM-5LU4G 40-49 years, female 9.1
GTEX-ZVTK-0226-SM-51MRG 20-29 years, male 9.1
GTEX-14C38-0726-SM-5SI6M 50-59 years, male 8.6
GTEX-1GZHY-0626-SM-9KNVC 50-59 years, female 8.6
GTEX-1GMR3-0126-SM-A9SLW 40-49 years, male 8.4
GTEX-1E1VI-0326-SM-793D1 50-59 years, male 8.0
GTEX-11WQK-1026-SM-5EQLX 50-59 years, male 7.8
GTEX-1F88E-1626-SM-7SB8Z 60-69 years, female 7.7
GTEX-1F75W-2726-SM-7SB8H 60-69 years, male 7.3
GTEX-ZY6K-1426-SM-5GZX2 50-59 years, male 7.1
GTEX-14XAO-1226-SM-6EU1C 60-69 years, female 6.9
GTEX-Y5LM-0926-SM-6LLJG 40-49 years, female 6.9
GTEX-1I1GU-0926-SM-ACKVS 40-49 years, male 6.2
Show allShow less
Skin - Sun Exposed (Lower leg)
Average nTPM: 25.2
Samples: 701

Max nTPM: 64.7
Min nTPM: 4.0
Std nTPM: 9.0
Median nTPM: 24.0
GTEX-XUZC-1726-SM-4BRWS 30-39 years, female 64.7
GTEX-1R9PM-2026-SM-E76OY 20-29 years, male 60.4
GTEX-OIZH-0126-SM-2HMIS 50-59 years, male 57.2
GTEX-18D9U-0226-SM-718BP 40-49 years, male 52.2
GTEX-1PIIG-0226-SM-EWRN6 30-39 years, male 51.8
GTEX-P4QT-0126-SM-2I3FL 50-59 years, female 51.2
GTEX-117XS-2726-SM-5N9BL 60-69 years, male 51.0
GTEX-1OJC3-0126-SM-E76QX 20-29 years, male 48.8
GTEX-139TS-2826-SM-5J1OO 60-69 years, male 48.3
GTEX-13111-1626-SM-5EGJY 50-59 years, male 48.2
GTEX-13FTW-2626-SM-5K7WL 40-49 years, male 48.1
GTEX-PX3G-0126-SM-2I3EN 20-29 years, female 47.9
GTEX-Y8E4-0626-SM-4WWDL 40-49 years, male 47.6
GTEX-T6MN-0126-SM-32PLP 50-59 years, male 47.3
GTEX-ZXES-1826-SM-5E43S 30-39 years, female 47.3
GTEX-13FXS-0226-SM-5IJCK 50-59 years, male 46.4
GTEX-YB5E-2026-SM-5IFIS 40-49 years, male 45.8
GTEX-Y114-2426-SM-4TT8A 50-59 years, female 45.3
GTEX-O5YW-0126-SM-3LK6D 50-59 years, male 45.1
GTEX-T5JW-1626-SM-3GADZ 20-29 years, female 44.7
GTEX-OHPM-0126-SM-2YUN9 50-59 years, male 44.4
GTEX-YB5K-2126-SM-4WWDJ 40-49 years, female 44.3
GTEX-1HSEH-0126-SM-ACKXN 60-69 years, male 44.2
GTEX-1JMLX-0226-SM-CM2RO 50-59 years, male 43.6
GTEX-ZTX8-1426-SM-5DUVO 20-29 years, male 43.4
GTEX-1PDJ9-0326-SM-DTX95 20-29 years, male 43.4
GTEX-SUCS-1926-SM-32PM3 70-79 years, male 43.3
GTEX-ZGAY-0526-SM-4WWBB 40-49 years, female 43.3
GTEX-ZDTT-2726-SM-4WKF8 60-69 years, male 43.0
GTEX-1L5NE-2526-SM-E6CIE 50-59 years, male 42.8
GTEX-UJHI-1526-SM-3DB99 50-59 years, female 42.2
GTEX-18D9A-1926-SM-7LG6P 30-39 years, female 42.0
GTEX-1QP9N-1426-SM-DTXFL 30-39 years, male 41.8
GTEX-QEG4-0226-SM-2S1PY 30-39 years, male 41.7
GTEX-1F75I-0326-SM-9YFLU 40-49 years, male 41.7
GTEX-1CB4I-0226-SM-79OLH 50-59 years, male 41.6
GTEX-1B8KE-2126-SM-73KYX 50-59 years, male 41.2
GTEX-PSDG-0226-SM-DKPOZ 50-59 years, male 41.2
GTEX-1LSNM-1926-SM-E6CII 50-59 years, male 41.1
GTEX-1399U-2326-SM-5K7WY 50-59 years, female 41.0
GTEX-ZWKS-0126-SM-5SIAA 30-39 years, male 40.8
GTEX-1BAJH-0526-SM-793CQ 70-79 years, male 40.7
GTEX-1LGRB-2526-SM-CNPPQ 50-59 years, female 40.7
GTEX-1HSGN-0226-SM-CGQFV 40-49 years, female 40.6
GTEX-ZVTK-0426-SM-51MRS 20-29 years, male 40.5
GTEX-NFK9-0226-SM-2HMKQ 40-49 years, male 40.1
GTEX-1IKK5-0626-SM-ARL8A 60-69 years, male 39.7
GTEX-1LVAN-0226-SM-COH3S 50-59 years, female 39.7
GTEX-W5WG-1826-SM-4KL2Y 50-59 years, female 39.5
GTEX-U4B1-1826-SM-4DXSU 40-49 years, male 39.2
GTEX-ZYFG-2326-SM-5E44B 60-69 years, female 39.1
GTEX-1HCU9-1526-SM-A9SL7 20-29 years, male 38.9
GTEX-1K2DA-1826-SM-CGQGT 50-59 years, male 38.8
GTEX-1KAFJ-2026-SM-CY8ID 50-59 years, male 38.8
GTEX-1LBAC-0126-SM-DIPEZ 20-29 years, male 38.6
GTEX-X4XX-0126-SM-3NMC2 60-69 years, male 38.4
GTEX-111FC-0126-SM-5N9DL 60-69 years, male 38.3
GTEX-1C4CL-0526-SM-73KVK 30-39 years, male 38.3
GTEX-WFON-2126-SM-3LK7O 40-49 years, male 38.2
GTEX-1OFPY-2426-SM-DTXEJ 60-69 years, male 38.2
GTEX-1F6RS-0126-SM-9MQKZ 60-69 years, female 38.1
GTEX-ZDTS-0126-SM-4WAY5 60-69 years, male 37.8
GTEX-18QFQ-0126-SM-731BE 30-39 years, male 37.6
GTEX-1I1GT-0626-SM-CGQER 60-69 years, female 37.6
GTEX-1CAV2-2226-SM-7P8P2 40-49 years, female 37.5
GTEX-1F5PL-0326-SM-7P8PQ 40-49 years, female 37.5
GTEX-1MJK2-0426-SM-DTXE5 50-59 years, male 37.4
GTEX-WYJK-0126-SM-3NMAB 50-59 years, male 37.3
GTEX-Y8DK-0126-SM-4TT3L 60-69 years, male 37.3
GTEX-12WSK-2326-SM-5GCOH 40-49 years, female 37.2
GTEX-1H1CY-2826-SM-9MQM3 60-69 years, female 37.2
GTEX-1PFEY-1526-SM-E76PP 30-39 years, male 37.2
GTEX-12WSJ-1826-SM-5GCNY 40-49 years, female 37.1
GTEX-17JCI-0126-SM-7LG5G 60-69 years, female 37.1
GTEX-1F75B-0126-SM-9KNVL 50-59 years, male 37.1
GTEX-13NZB-2526-SM-5J1OM 30-39 years, male 37.0
GTEX-ZTSS-1926-SM-57WEW 40-49 years, male 37.0
GTEX-1JJ6O-0126-SM-E6CI8 60-69 years, male 37.0
GTEX-13OVK-2026-SM-7KUEO 40-49 years, male 36.9
GTEX-1LG7Z-1726-SM-D3LA4 30-39 years, male 36.8
GTEX-1B8SF-1426-SM-7DUGL 60-69 years, male 36.6
GTEX-ZF2S-2326-SM-4WWCE 50-59 years, female 36.6
GTEX-ZV68-0126-SM-59HKS 50-59 years, female 36.6
GTEX-1QCLY-0326-SM-E8VOG 30-39 years, male 36.6
GTEX-1RAZA-0126-SM-E6CI3 20-29 years, male 36.6
GTEX-ZVZP-2426-SM-59HKJ 50-59 years, male 36.5
GTEX-15F5U-1526-SM-6PANO 40-49 years, male 36.4
GTEX-YJ89-0126-SM-4TT3X 60-69 years, male 36.4
GTEX-1H11D-0226-SM-9WG6Z 40-49 years, male 36.1
GTEX-1I1GV-0526-SM-A9G29 60-69 years, male 36.0
GTEX-1399R-2726-SM-5IJBA 30-39 years, male 35.9
GTEX-X261-0126-SM-3NMD6 50-59 years, male 35.6
GTEX-13CF2-2526-SM-5LZYX 60-69 years, male 35.5
GTEX-13JUV-2726-SM-5LZZ8 40-49 years, female 35.5
GTEX-1B8KZ-2026-SM-7DHMB 50-59 years, male 35.5
GTEX-18A6Q-0126-SM-731BZ 60-69 years, male 35.3
GTEX-OOBJ-0126-SM-E6CJW 60-69 years, male 35.3
GTEX-YEC4-2126-SM-5IFJH 40-49 years, male 35.1
GTEX-T6MO-1626-SM-32QOM 40-49 years, female 34.7
GTEX-1J1R8-1726-SM-ARL8M 40-49 years, male 34.7
GTEX-13O3P-0126-SM-5KM4S 50-59 years, male 34.5
GTEX-WXYG-2326-SM-4E3I6 50-59 years, female 34.5
GTEX-11UD1-0126-SM-5PNYG 40-49 years, female 34.4
GTEX-15ETS-0126-SM-7KUMW 40-49 years, female 34.4
GTEX-1C2JI-1826-SM-73KXC 50-59 years, male 34.4
GTEX-QV44-1926-SM-2S1RF 50-59 years, male 34.4
GTEX-RM2N-1426-SM-2TF4H 50-59 years, male 34.3
GTEX-1313W-0126-SM-5LZUN 50-59 years, female 34.2
GTEX-13FHP-0126-SM-5IJBG 50-59 years, male 34.2
GTEX-1LGOU-2026-SM-DIPFF 20-29 years, female 34.2
GTEX-1AMFI-2026-SM-731BH 50-59 years, female 34.1
GTEX-1EWIQ-0126-SM-7RHH2 70-79 years, female 34.1
GTEX-1H4P4-0726-SM-9YFLR 50-59 years, male 34.1
GTEX-11P7K-2126-SM-5GU7G 30-39 years, male 34.0
GTEX-T2YK-0526-SM-32QPJ 50-59 years, male 34.0
GTEX-XQ8I-0426-SM-4BOPO 50-59 years, male 34.0
GTEX-11EQ9-2426-SM-5HL5T 30-39 years, male 33.9
GTEX-XQ3S-1526-SM-4BOOC 20-29 years, male 33.9
GTEX-11DXZ-2326-SM-5EGGV 50-59 years, male 33.7
GTEX-13RTK-1426-SM-5QGQJ 20-29 years, male 33.6
GTEX-1PPH8-0226-SM-E8VND 20-29 years, male 33.5
GTEX-13FTX-1826-SM-5J1NX 20-29 years, female 33.4
GTEX-1KWVE-1426-SM-E9TJO 30-39 years, male 33.4
GTEX-X585-0226-SM-4QAS2 50-59 years, male 33.3
GTEX-1KANC-1526-SM-D3LAB 50-59 years, female 33.3
GTEX-PLZ5-2026-SM-2S1O4 50-59 years, male 33.2
GTEX-U3ZM-1526-SM-3DB9D 40-49 years, male 33.2
GTEX-13SLW-0126-SM-5SI6C 70-79 years, male 33.1
GTEX-13FTY-0526-SM-5L3EV 40-49 years, female 33.0
GTEX-17HG3-2226-SM-7938L 30-39 years, female 33.0
GTEX-Y5V5-2326-SM-4V6GA 60-69 years, female 33.0
GTEX-Z93T-0126-SM-5HL5N 50-59 years, male 33.0
GTEX-1122O-2126-SM-5EGIR 60-69 years, female 32.9
GTEX-1I6K6-0126-SM-A9SLE 30-39 years, male 32.8
GTEX-1QPFJ-0226-SM-E76PB 30-39 years, female 32.8
GTEX-13O21-1426-SM-5K7XI 50-59 years, male 32.7
GTEX-145MN-2226-SM-5SIAU 30-39 years, male 32.7
GTEX-17F96-1626-SM-7DUFL 70-79 years, male 32.7
GTEX-1314G-1526-SM-5EGK2 30-39 years, male 32.6
GTEX-1C6VR-2426-SM-79OLD 60-69 years, male 32.5
GTEX-13NZ8-0826-SM-5MR3I 60-69 years, female 32.4
GTEX-1RB15-2126-SM-E9TIM 60-69 years, male 32.4
GTEX-X4EP-0126-SM-3P5YV 60-69 years, female 32.3
GTEX-ZAB5-1826-SM-5HL7C 50-59 years, male 32.3
GTEX-RNOR-0126-SM-E9J4R 50-59 years, female 32.3
GTEX-145LV-2126-SM-5LU8N 50-59 years, male 32.0
GTEX-S95S-1226-SM-4GICG 60-69 years, male 32.0
GTEX-13D11-2426-SM-5KM1V 50-59 years, female 31.9
GTEX-13PVR-2326-SM-5QGR1 60-69 years, female 31.8
GTEX-14BMU-2226-SM-5TDE9 20-29 years, female 31.8
GTEX-14PII-0226-SM-6EU1T 60-69 years, male 31.7
GTEX-15RIG-0226-SM-7KFTL 40-49 years, male 31.7
GTEX-OIZG-0726-SM-33HBL 50-59 years, male 31.6
GTEX-S33H-1026-SM-EZ6L6 30-39 years, male 31.5
GTEX-14PJ6-2126-SM-6EU1V 60-69 years, female 31.4
GTEX-X88G-0126-SM-47JZ3 30-39 years, male 31.4
GTEX-12ZZZ-0626-SM-5DUXI 60-69 years, male 31.3
GTEX-1M5QR-1226-SM-EWROB 40-49 years, male 31.3
GTEX-131YS-0126-SM-5KM1M 60-69 years, female 31.2
GTEX-139D8-0226-SM-5KLZO 30-39 years, female 31.2
GTEX-16NGA-1726-SM-731B4 40-49 years, female 31.2
GTEX-1S3DN-2226-SM-EVYCD 50-59 years, male 31.2
GTEX-1F52S-0126-SM-9MQJU 60-69 years, female 31.1
GTEX-1B97I-1626-SM-73KYO 40-49 years, male 31.0
GTEX-QVJO-1626-SM-2S1QW 60-69 years, female 31.0
GTEX-T2IS-0126-SM-4DM6O 20-29 years, female 31.0
GTEX-Y111-0126-SM-4SOIV 50-59 years, male 31.0
GTEX-1IL2U-0226-SM-CE6T8 60-69 years, male 31.0
GTEX-1KXAM-2226-SM-CYPTC 60-69 years, male 31.0
GTEX-131XH-2226-SM-5DUXJ 50-59 years, male 30.9
GTEX-139UW-2826-SM-5L3E7 60-69 years, male 30.9
GTEX-14PHX-2326-SM-62LEM 50-59 years, male 30.9
GTEX-TMZS-0126-SM-3DB9Q 60-69 years, male 30.9
GTEX-131XF-5016-SM-7MGWE 60-69 years, male 30.9
GTEX-11DYG-0126-SM-59883 60-69 years, male 30.7
GTEX-131XE-2326-SM-5PNZ2 50-59 years, male 30.7
GTEX-16AAH-1726-SM-7939C 50-59 years, male 30.7
GTEX-1CB4E-2226-SM-793DC 60-69 years, male 30.6
GTEX-XBEW-0626-SM-4QASP 40-49 years, male 30.6
GTEX-XUW1-0426-SM-4BOOT 50-59 years, female 30.6
GTEX-1JMPY-1326-SM-ARL8Y 30-39 years, male 30.6
GTEX-P4PP-0126-SM-3LK69 30-39 years, female 30.5
GTEX-1S83E-0126-SM-EWRO4 40-49 years, male 30.5
GTEX-WQUQ-0426-SM-3MJFU 60-69 years, male 30.4
GTEX-117YX-2326-SM-5H12W 50-59 years, male 30.3
GTEX-13PDP-0126-SM-5L3HD 60-69 years, male 30.3
GTEX-NPJ8-0126-SM-2YUNR 40-49 years, male 30.3
GTEX-T8EM-1026-SM-3DB7M 40-49 years, male 30.3
GTEX-X8HC-0126-SM-4E3JW 50-59 years, female 30.3
GTEX-1LB8K-0226-SM-EWRNW 50-59 years, male 30.2
GTEX-14DAR-2026-SM-5S2O3 50-59 years, male 30.1
GTEX-XXEK-2226-SM-4BRUM 50-59 years, male 30.1
GTEX-12WSC-0126-SM-5EQ4P 50-59 years, male 30.0
GTEX-1GZ4H-1726-SM-7PBZJ 50-59 years, female 30.0
GTEX-1JMQI-2226-SM-CM2SD 50-59 years, male 30.0
GTEX-1JN6P-0126-SM-D3L98 60-69 years, male 30.0
GTEX-SIU8-0126-SM-2XCDT 50-59 years, male 29.9
GTEX-1HSKV-0226-SM-A9SKJ 60-69 years, male 29.8
GTEX-PW2O-1526-SM-7RHHB 20-29 years, male 29.8
GTEX-13NYB-2526-SM-5K7Z6 40-49 years, male 29.6
GTEX-13OW5-0126-SM-DTXFS 60-69 years, male 29.6
GTEX-ZVT2-2526-SM-51MT1 50-59 years, female 29.4
GTEX-1GL5R-1826-SM-9KNUY 50-59 years, male 29.4
GTEX-1GMR8-0126-SM-9WYTM 50-59 years, female 29.4
GTEX-1QP29-0626-SM-EWRMX 50-59 years, male 29.4
GTEX-147GR-0526-SM-5S2MY 60-69 years, male 29.3
GTEX-1C475-1826-SM-73KWA 40-49 years, female 29.3
GTEX-1KANA-0726-SM-D3L9I 20-29 years, male 29.3
GTEX-1QP2A-0126-SM-E9J43 50-59 years, male 29.3
GTEX-11DXX-2426-SM-5GZZW 60-69 years, female 29.2
GTEX-1PIGE-0126-SM-EVYBJ 20-29 years, male 29.2
GTEX-1192X-0226-SM-5H12D 50-59 years, male 29.1
GTEX-14PN3-2426-SM-6LLHS 60-69 years, female 29.0
GTEX-1AX9J-0226-SM-73KXM 60-69 years, male 29.0
GTEX-ZV6S-2326-SM-4YCEY 40-49 years, female 29.0
GTEX-XAJ8-0826-SM-47JY6 40-49 years, male 28.9
GTEX-146FQ-0126-SM-5NQA9 30-39 years, male 28.8
GTEX-U3ZN-2326-SM-3DB7W 30-39 years, female 28.8
GTEX-U412-0426-SM-3DB9O 60-69 years, male 28.8
GTEX-1RQEC-0426-SM-E6CHU 60-69 years, male 28.8
GTEX-1211K-2026-SM-5EQ4Z 60-69 years, female 28.7
GTEX-T5JC-0426-SM-32PLO 20-29 years, male 28.7
GTEX-1J1OQ-0226-SM-CYPSH 40-49 years, female 28.7
GTEX-17EUY-0426-SM-793BD 20-29 years, male 28.6
GTEX-ZYT6-0226-SM-5NQ6T 30-39 years, male 28.6
GTEX-ZF3C-0126-SM-DO92D 50-59 years, female 28.6
GTEX-ZZ64-1726-SM-5GZYB 20-29 years, male 28.5
GTEX-12ZZY-0226-SM-5LZVE 60-69 years, male 28.3
GTEX-VUSG-2526-SM-4KL1V 50-59 years, male 28.3
GTEX-1IDJF-0126-SM-CM2RS 20-29 years, male 28.3
GTEX-X4EO-0326-SM-3P5YO 60-69 years, female 28.2
GTEX-PLZ6-1426-SM-DKPOT 30-39 years, male 28.2
GTEX-1CAMQ-0226-SM-7IGPK 40-49 years, male 28.1
GTEX-1GN1V-0126-SM-9WPOS 60-69 years, male 28.1
GTEX-11OC5-0126-SM-5HL6A 60-69 years, male 28.0
GTEX-16GPK-0126-SM-7DHLE 60-69 years, male 28.0
GTEX-TKQ1-1026-SM-4GICL 30-39 years, male 28.0
GTEX-12WSD-0126-SM-59HKN 60-69 years, female 27.9
GTEX-Y3IK-2426-SM-4WWDU 50-59 years, female 27.9
GTEX-1HSMQ-1226-SM-CGQFX 50-59 years, male 27.8
GTEX-1ICLY-0126-SM-D4P36 50-59 years, male 27.7
GTEX-15EU6-0426-SM-6PAN5 50-59 years, male 27.6
GTEX-1AMEY-1326-SM-73KYK 30-39 years, female 27.6
GTEX-Z9EW-1626-SM-5CVMN 40-49 years, male 27.6
GTEX-1IL2V-0126-SM-CM2TX 70-79 years, male 27.6
GTEX-1MA7W-2026-SM-E9TJ6 20-29 years, female 27.6
GTEX-1QP66-1726-SM-E8VO1 50-59 years, male 27.6
GTEX-13OW8-1326-SM-5J1OW 60-69 years, male 27.5
GTEX-YFC4-0126-SM-5CVLY 40-49 years, female 27.5
GTEX-1CB4H-0226-SM-7PBXM 60-69 years, female 27.5
GTEX-11ZTS-0126-SM-5EQ6M 60-69 years, female 27.4
GTEX-14E6D-0126-SM-62LDV 50-59 years, male 27.4
GTEX-UPJH-0326-SM-3GADU 50-59 years, male 27.4
GTEX-WY7C-2326-SM-3NB2U 50-59 years, male 27.4
GTEX-12C56-1726-SM-5EQ61 20-29 years, male 27.3
GTEX-ZC5H-0226-SM-4WAY9 40-49 years, female 27.3
GTEX-ZE9C-2726-SM-57WB5 60-69 years, male 27.3
GTEX-17GQL-2026-SM-718BA 60-69 years, male 27.2
GTEX-OXRL-0126-SM-2YUMP 50-59 years, male 27.2
GTEX-145MF-0626-SM-5LUAI 50-59 years, male 27.1
GTEX-1IDFM-0126-SM-COH2V 60-69 years, male 27.0
GTEX-1KD4Q-0226-SM-E9TJ9 40-49 years, male 27.0
GTEX-O5YT-0126-SM-48TBW 20-29 years, male 26.9
GTEX-12ZZX-0126-SM-5EGK9 40-49 years, female 26.7
GTEX-1NV5F-0226-SM-E8VNY 60-69 years, female 26.7
GTEX-1R7EU-0226-SM-EVR4G 60-69 years, male 26.7
GTEX-15SB6-1726-SM-6PAME 50-59 years, female 26.6
GTEX-18A67-0126-SM-7LG5P 50-59 years, male 26.6
GTEX-1H2FU-0126-SM-9WYSI 60-69 years, female 26.6
GTEX-1MUQO-0126-SM-EAZ58 60-69 years, male 26.6
GTEX-15ER7-0326-SM-7KUEV 20-29 years, female 26.5
GTEX-1GF9X-2026-SM-7PC3A 40-49 years, female 26.5
GTEX-1GMR3-1926-SM-9KNUZ 40-49 years, male 26.5
GTEX-1AYCT-2426-SM-7IGQ3 50-59 years, male 26.4
GTEX-1GPI7-0126-SM-9MQL8 20-29 years, male 26.4
GTEX-13X6J-0126-SM-5QGOU 50-59 years, male 26.3
GTEX-17F97-0326-SM-7LG5B 50-59 years, male 26.3
GTEX-18465-0126-SM-731BN 50-59 years, male 26.3
GTEX-1S82Y-2026-SM-EVYCM 40-49 years, male 26.3
GTEX-1212Z-2526-SM-5EGKP 60-69 years, male 26.2
GTEX-OXRK-0226-SM-3NB2G 50-59 years, female 26.2
GTEX-1S5ZA-0126-SM-EVYCV 20-29 years, male 26.2
GTEX-1399T-2826-SM-5KLYZ 60-69 years, male 26.1
GTEX-ZYFC-0226-SM-5NQ75 50-59 years, male 26.1
GTEX-11NSD-2226-SM-5986V 20-29 years, male 26.0
GTEX-11OF3-2626-SM-5GU7F 60-69 years, male 26.0
GTEX-1J8EW-0126-SM-CJI4F 60-69 years, female 26.0
GTEX-11EI6-0126-SM-5985R 60-69 years, male 25.8
GTEX-ZEX8-2426-SM-4WKG4 50-59 years, male 25.8
GTEX-1H3VE-0326-SM-9YFLH 40-49 years, male 25.8
GTEX-1I1GQ-0126-SM-COH3H 50-59 years, male 25.8
GTEX-ZAK1-0126-SM-5IJD3 50-59 years, female 25.7
GTEX-1F6I4-0126-SM-9MQL2 60-69 years, male 25.7
GTEX-13YAN-0326-SM-5O9DF 60-69 years, male 25.6
GTEX-17KNJ-2326-SM-7DHLQ 50-59 years, male 25.6
GTEX-1K9T9-0126-SM-EVYCF 50-59 years, female 25.6
GTEX-14753-0426-SM-5NQAM 60-69 years, male 25.5
GTEX-15DDE-0126-SM-6LPKH 50-59 years, female 25.5
GTEX-12126-0326-SM-5PNW3 20-29 years, male 25.4
GTEX-1GPI6-0126-SM-9WG69 60-69 years, male 25.4
GTEX-1HKZK-0326-SM-9WYUH 40-49 years, male 25.4
GTEX-1128S-2326-SM-5GZZY 60-69 years, female 25.3
GTEX-15SHU-0126-SM-7KUEH 40-49 years, female 25.3
GTEX-TML8-1926-SM-32QOS 40-49 years, female 25.3
GTEX-1HSMP-0126-SM-E6CJS 70-79 years, male 25.3
GTEX-1N2DV-0226-SM-E6CJ6 40-49 years, male 25.3
GTEX-13112-2826-SM-5DUWH 50-59 years, male 25.2
GTEX-1EMGI-0126-SM-9KNUE 60-69 years, male 25.2
GTEX-1O97I-0326-SM-EYYX7 60-69 years, male 25.2
GTEX-17MFQ-1726-SM-793C7 20-29 years, male 25.1
GTEX-1CAMR-1926-SM-7EPI2 20-29 years, male 25.1
GTEX-Q2AI-1326-SM-2S1PL 40-49 years, male 25.1
GTEX-1J8Q3-1626-SM-CMKGC 60-69 years, male 25.0
GTEX-13NZA-0226-SM-5K7Z7 60-69 years, male 24.9
GTEX-1GN2E-0426-SM-9MQKX 60-69 years, male 24.9
GTEX-1GZHY-0326-SM-9QEHI 50-59 years, female 24.9
GTEX-13W3W-2426-SM-5LU5B 60-69 years, female 24.8
GTEX-17EVP-0326-SM-7DHLG 40-49 years, male 24.8
GTEX-PVOW-0126-SM-2XCFA 40-49 years, male 24.8
GTEX-1MGNQ-0126-SM-EVYCJ 40-49 years, male 24.8
GTEX-144GL-0126-SM-5TDE2 50-59 years, male 24.7
GTEX-14PK6-1926-SM-6ETZU 70-79 years, female 24.7
GTEX-16NPX-0226-SM-79OMT 50-59 years, male 24.7
GTEX-17HGU-0226-SM-7DHKV 50-59 years, male 24.7
GTEX-Y5LM-1926-SM-5RQJH 40-49 years, female 24.7
GTEX-1MCYP-1926-SM-E9J2R 20-29 years, female 24.7
GTEX-11GS4-2726-SM-5A5LE 60-69 years, male 24.6
GTEX-1GN1U-0126-SM-7PBZK 50-59 years, female 24.6
GTEX-1IKJJ-0126-SM-CNPQB 60-69 years, male 24.6
GTEX-1269C-2526-SM-5EGJ3 60-69 years, female 24.5
GTEX-133LE-1826-SM-5J1MV 20-29 years, female 24.5
GTEX-13FHO-0226-SM-5IFGY 60-69 years, male 24.5
GTEX-13VXU-0126-SM-5SI9F 50-59 years, male 24.5
GTEX-QDVJ-1726-SM-2I5FX 50-59 years, male 24.5
GTEX-RTLS-0126-SM-447CA 60-69 years, female 24.5
GTEX-11TUW-2726-SM-E9J4M 60-69 years, male 24.5
GTEX-1GMRU-0126-SM-9YFLV 50-59 years, male 24.5
GTEX-1MCQQ-0826-SM-DLHC2 60-69 years, male 24.5
GTEX-132NY-0326-SM-5IJBL 60-69 years, male 24.4
GTEX-U8T8-0126-SM-3DB94 60-69 years, male 24.4
GTEX-WYVS-2126-SM-3NMA3 40-49 years, female 24.4
GTEX-14LZ3-0226-SM-62LET 60-69 years, female 24.3
GTEX-1GF9V-0326-SM-7RHI5 60-69 years, male 24.3
GTEX-1HR98-0126-SM-B2LWI 60-69 years, male 24.3
GTEX-11VI4-1726-SM-5CVLH 40-49 years, female 24.2
GTEX-16XZZ-0126-SM-793DV 60-69 years, male 24.2
GTEX-QLQ7-1626-SM-2S1R8 60-69 years, male 24.2
GTEX-13O3Q-2426-SM-5IJBR 50-59 years, male 24.0
GTEX-145MI-0526-SM-5O9A8 60-69 years, female 24.0
GTEX-14PJM-0226-SM-62LF1 50-59 years, female 24.0
GTEX-1C64N-0126-SM-793D7 50-59 years, male 24.0
GTEX-ZXG5-0126-SM-5GIEU 60-69 years, male 24.0
GTEX-1RAZQ-0726-SM-EAZ43 30-39 years, male 24.0
GTEX-13W46-0226-SM-5SIAG 50-59 years, male 23.9
GTEX-RU72-0926-SM-2TF6B 50-59 years, female 23.9
GTEX-1HT8W-0126-SM-CNPPP 30-39 years, male 23.9
GTEX-145ME-1826-SM-5SI9G 40-49 years, female 23.8
GTEX-OHPL-0126-SM-2HMJ7 60-69 years, female 23.8
GTEX-1I4MK-2226-SM-ACKWD 50-59 years, female 23.8
GTEX-SE5C-1626-SM-2XCE3 40-49 years, female 23.8
GTEX-131XW-0426-SM-5LZWP 50-59 years, female 23.7
GTEX-14DAQ-0126-SM-5S2MQ 60-69 years, female 23.7
GTEX-1JKYN-1326-SM-CGQG9 30-39 years, male 23.7
GTEX-WVJS-0126-SM-4MVOT 50-59 years, male 23.6
GTEX-1IDJU-2626-SM-CM2RT 60-69 years, female 23.6
GTEX-1IKOH-0226-SM-COH4E 60-69 years, female 23.6
GTEX-OXRN-0126-SM-48TDM 50-59 years, male 23.5
GTEX-1HCVE-0126-SM-CGQEU 50-59 years, male 23.4
GTEX-13SLX-0526-SM-5S2ON 50-59 years, female 23.3
GTEX-SNMC-1226-SM-2XCFP 20-29 years, male 23.3
GTEX-ZQUD-1426-SM-57WER 30-39 years, male 23.3
GTEX-11LCK-1026-SM-5A5KB 30-39 years, male 23.2
GTEX-WZTO-0126-SM-3NM95 40-49 years, male 23.2
GTEX-XYKS-2126-SM-4E3IB 60-69 years, female 23.2
GTEX-1HBPN-0226-SM-9YFM1 50-59 years, male 23.2
GTEX-1J8QM-2126-SM-CYPSJ 60-69 years, female 23.2
GTEX-1QMI2-0226-SM-EVYBX 60-69 years, male 23.2
GTEX-11UD2-0226-SM-5EQKY 50-59 years, male 23.1
GTEX-17HHE-2026-SM-79OKF 50-59 years, male 23.1
GTEX-TMMY-0226-SM-33HBA 40-49 years, female 23.1
GTEX-VJWN-0126-SM-3GIK7 50-59 years, female 23.1
GTEX-Z93S-0126-SM-5HL7M 50-59 years, male 23.1
GTEX-1IOXB-0126-SM-ARL8G 50-59 years, male 23.1
GTEX-1JMQJ-0526-SM-CYPSU 50-59 years, male 23.1
GTEX-WH7G-2326-SM-3NMBC 40-49 years, male 23.0
GTEX-14BIN-0626-SM-793DP 50-59 years, female 22.9
GTEX-PWO3-1526-SM-48TCM 60-69 years, female 22.9
GTEX-ZYFD-0126-SM-5GIDL 50-59 years, male 22.9
GTEX-1HGF4-2426-SM-ACKXM 60-69 years, male 22.9
GTEX-1KANB-0526-SM-E6CJH 50-59 years, male 22.9
GTEX-11P81-2326-SM-59875 30-39 years, female 22.8
GTEX-1GF9U-2126-SM-7SB7L 40-49 years, female 22.8
GTEX-1H23P-0126-SM-ADEJ3 60-69 years, male 22.8
GTEX-1J8JJ-0226-SM-CL53I 60-69 years, female 22.8
GTEX-1S82Z-0826-SM-E6CHY 30-39 years, female 22.8
GTEX-18A66-0226-SM-718BD 60-69 years, male 22.7
GTEX-1AX9K-2326-SM-73KWU 50-59 years, male 22.7
GTEX-WOFL-0126-SM-3MJG2 60-69 years, male 22.7
GTEX-XUYS-0126-SM-47JWZ 50-59 years, male 22.7
GTEX-1HBPM-0226-SM-ARL9F 60-69 years, female 22.7
GTEX-11ZTT-2426-SM-5EQLS 60-69 years, female 22.6
GTEX-12WSE-0526-SM-793B2 20-29 years, male 22.6
GTEX-14JG1-0426-SM-6ETZZ 40-49 years, male 22.6
GTEX-1R7EV-2426-SM-EVYBG 40-49 years, male 22.6
GTEX-111VG-2426-SM-5GZXD 60-69 years, male 22.5
GTEX-1F5PK-2426-SM-7RHHY 50-59 years, male 22.5
GTEX-113JC-2326-SM-5EQ4E 50-59 years, female 22.4
GTEX-11EM3-2426-SM-59861 20-29 years, female 22.4
GTEX-14JG6-2226-SM-6EU2G 30-39 years, female 22.4
GTEX-WRHK-1426-SM-3MJF9 20-29 years, female 22.3
GTEX-1CB4F-0426-SM-9KNV4 60-69 years, male 22.3
GTEX-1HCU7-0226-SM-CL545 50-59 years, male 22.3
GTEX-14BMV-0126-SM-5S2PO 50-59 years, male 22.2
GTEX-131XG-2626-SM-5KM17 50-59 years, female 22.1
GTEX-1497J-2426-SM-7IGNX 60-69 years, male 22.1
GTEX-1B8L1-2526-SM-9WYTF 60-69 years, male 22.1
GTEX-1HFI6-0226-SM-ADEHZ 40-49 years, male 22.1
GTEX-1IE54-0126-SM-CMKHW 40-49 years, female 22.1
GTEX-1JKYR-0126-SM-CNPOJ 20-29 years, male 22.1
GTEX-18A7A-0226-SM-718BH 50-59 years, female 22.0
GTEX-QLQW-1126-SM-2S1Q8 30-39 years, male 21.9
GTEX-XBED-2226-SM-47JYQ 60-69 years, male 21.9
GTEX-1C64O-0126-SM-7SB8P 60-69 years, male 21.9
GTEX-1E2YA-0126-SM-9KNUC 50-59 years, male 21.9
GTEX-1HBPI-1526-SM-C1YQ1 50-59 years, male 21.9
GTEX-139TU-0126-SM-5K7WH 60-69 years, male 21.8
GTEX-13N2G-2626-SM-5J1OT 60-69 years, male 21.8
GTEX-1E1VI-0126-SM-7DHMZ 50-59 years, male 21.8
GTEX-ZY6K-1826-SM-5GZXK 50-59 years, male 21.7
GTEX-1AX9I-0126-SM-7SB74 60-69 years, male 21.7
GTEX-PWCY-1826-SM-DHXIZ 20-29 years, female 21.7
GTEX-1A3MV-1926-SM-718BT 30-39 years, male 21.6
GTEX-1H3O1-0426-SM-9YFKY 60-69 years, male 21.6
GTEX-Q2AH-1626-SM-3GAF8 40-49 years, male 21.5
GTEX-RWS6-2026-SM-2XCB5 60-69 years, female 21.5
GTEX-1LNCM-1126-SM-E9U5E 50-59 years, female 21.5
GTEX-14C5O-0126-SM-5SI6N 60-69 years, male 21.4
GTEX-R55E-0126-SM-2TC5Y 20-29 years, male 21.4
GTEX-X5EB-2226-SM-46MW4 40-49 years, male 21.4
GTEX-1CB4G-0226-SM-7PC3O 60-69 years, male 21.4
GTEX-1H1E6-1726-SM-ACKVK 30-39 years, male 21.4
GTEX-1HCU8-0626-SM-A9SM9 60-69 years, female 21.4
GTEX-1IDJH-0326-SM-A9SLQ 70-79 years, male 21.4
GTEX-XPVG-2626-SM-4B669 50-59 years, male 21.3
GTEX-13FH7-2026-SM-E9J4I 50-59 years, female 21.3
GTEX-1HCUA-2426-SM-ADEIS 50-59 years, female 21.3
GTEX-1I19N-0326-SM-ACKVX 70-79 years, male 21.3
GTEX-15CHC-2126-SM-6EU21 60-69 years, female 21.2
GTEX-145LS-0126-SM-5QGP1 60-69 years, female 21.1
GTEX-17F98-0626-SM-79OMX 40-49 years, female 21.1
GTEX-1NHNU-1026-SM-E9J2A 50-59 years, male 21.1
GTEX-12696-2426-SM-5EQ6H 60-69 years, male 21.0
GTEX-14ICK-0226-SM-6EU25 40-49 years, male 21.0
GTEX-16BQI-0226-SM-7KUEX 30-39 years, female 21.0
GTEX-X638-0126-SM-47JZ8 70-79 years, female 21.0
GTEX-ZF28-0126-SM-4WKGK 60-69 years, male 21.0
GTEX-12KS4-0326-SM-5EQ41 30-39 years, male 20.9
GTEX-13VXT-0126-SM-5LU4I 20-29 years, female 20.9
GTEX-13X6I-0626-SM-5QGP9 60-69 years, male 20.9
GTEX-ZAB4-0226-SM-5N9F5 40-49 years, male 20.9
GTEX-1H3VY-0126-SM-ACKXD 50-59 years, male 20.8
GTEX-VJYA-1126-SM-3GIJU 60-69 years, male 20.7
GTEX-1I1GP-2226-SM-CGQFK 50-59 years, male 20.7
GTEX-13S7M-0126-SM-5SI6A 60-69 years, female 20.6
GTEX-14A5H-0426-SM-5QGQF 60-69 years, male 20.6
GTEX-15SHW-0326-SM-6PAML 60-69 years, male 20.6
GTEX-15SDE-2226-SM-7IGLO 50-59 years, female 20.5
GTEX-P4PQ-0126-SM-2S1NM 60-69 years, male 20.5
GTEX-V1D1-2226-SM-3NMAX 50-59 years, male 20.4
GTEX-1GF9W-0326-SM-9KNUN 60-69 years, male 20.4
GTEX-13G51-2526-SM-5LZYK 60-69 years, male 20.3
GTEX-14BIM-0226-SM-7IGLD 60-69 years, female 20.3
GTEX-1GZ2Q-0226-SM-7P8TL 40-49 years, male 20.2
GTEX-1JK1U-2026-SM-CM2RZ 60-69 years, male 20.2
GTEX-13QJ3-0326-SM-5S2RA 50-59 years, male 20.1
GTEX-144GN-2326-SM-5LU4F 50-59 years, male 20.1
GTEX-1GN73-0226-SM-9WG67 60-69 years, male 20.1
GTEX-1QAET-0926-SM-E76QM 50-59 years, male 20.0
GTEX-ZPIC-1726-SM-DHXIU 40-49 years, female 20.0
GTEX-14A6H-0126-SM-5QGPK 30-39 years, male 19.9
GTEX-1CAMS-0426-SM-7P8T2 40-49 years, female 19.9
GTEX-1JJE9-0326-SM-CL53Z 70-79 years, male 19.9
GTEX-RVPV-0126-SM-EAZAW 60-69 years, male 19.9
GTEX-ZF29-2326-SM-DO92K 60-69 years, female 19.9
GTEX-11DXW-0226-SM-5H122 40-49 years, male 19.8
GTEX-11XUK-2026-SM-5EQLF 40-49 years, female 19.8
GTEX-S7PM-0126-SM-4AD6S 60-69 years, male 19.8
GTEX-1QW4Y-1526-SM-EAZ3Z 30-39 years, male 19.8
GTEX-13U4I-0126-SM-5LU38 40-49 years, female 19.7
GTEX-WFG8-2226-SM-3GIL9 20-29 years, male 19.7
GTEX-Y3I4-2126-SM-4TT7C 50-59 years, male 19.7
GTEX-169BO-1326-SM-9MQK2 50-59 years, male 19.7
GTEX-1EU9M-0226-SM-7P8SP 60-69 years, male 19.7
GTEX-1PPH7-2326-SM-EVYB8 40-49 years, male 19.7
GTEX-1RDX4-0126-SM-E9J4P 50-59 years, female 19.7
GTEX-113IC-0126-SM-5HL6T 60-69 years, male 19.6
GTEX-RWSA-0126-SM-2XCBB 40-49 years, male 19.6
GTEX-ZTPG-0326-SM-5O9AX 20-29 years, female 19.6
GTEX-1I1GS-0126-SM-B2LVW 60-69 years, male 19.6
GTEX-1MA7X-2226-SM-E6CIY 60-69 years, male 19.6
GTEX-1POEN-0126-SM-EYYXJ 30-39 years, female 19.6
GTEX-14PJ3-1826-SM-62LEX 50-59 years, male 19.5
GTEX-QESD-1426-SM-2S1R9 20-29 years, male 19.5
GTEX-U3ZH-2026-SM-3DB78 30-39 years, male 19.5
GTEX-XMD2-0126-SM-4YCDU 60-69 years, female 19.5
GTEX-Y5V6-2426-SM-4VDSB 60-69 years, male 19.5
GTEX-ZDXO-3026-SM-5J1N5 60-69 years, male 19.5
GTEX-1GN1W-0526-SM-9MQJQ 50-59 years, female 19.5
GTEX-1GTWX-0126-SM-9YFLK 60-69 years, male 19.5
GTEX-1KD5A-0226-SM-D5OV3 50-59 years, male 19.4
GTEX-11GSO-2426-SM-5A5LY 60-69 years, male 19.3
GTEX-13OW6-0426-SM-5L3HM 50-59 years, male 19.3
GTEX-16YQH-0126-SM-7DUFJ 30-39 years, male 19.3
GTEX-Y8LW-1826-SM-5S2MV 50-59 years, female 19.2
GTEX-12WSG-2826-SM-E9J4H 50-59 years, female 19.2
GTEX-1EX96-1626-SM-7PBXR 50-59 years, male 19.2
GTEX-1IY9M-0126-SM-D3L8S 60-69 years, male 19.2
GTEX-11GSP-2526-SM-5N9BP 60-69 years, female 19.1
GTEX-R3RS-0126-SM-3GIJL 40-49 years, female 19.1
GTEX-S7SE-0126-SM-2XCD5 50-59 years, male 19.1
GTEX-13OVI-1426-SM-5L3EY 60-69 years, female 19.0
GTEX-R55G-2526-SM-2TC6D 40-49 years, female 19.0
GTEX-TSE9-0126-SM-3DB83 60-69 years, female 19.0
GTEX-1PBJI-0526-SM-E8VNK 20-29 years, female 18.9
GTEX-OIZF-0126-SM-7SB8I 60-69 years, male 18.9
GTEX-1AX8Z-0126-SM-7DHM6 60-69 years, male 18.8
GTEX-1JJEA-0326-SM-CNPOT 60-69 years, male 18.8
GTEX-1B933-0126-SM-7PC29 50-59 years, female 18.7
GTEX-1I1CD-0126-SM-CM2TK 60-69 years, female 18.7
GTEX-1JN1M-0326-SM-CYPT3 60-69 years, female 18.7
GTEX-ZQG8-1626-SM-DHXIT 60-69 years, female 18.7
GTEX-145MO-0326-SM-5Q5B3 60-69 years, male 18.6
GTEX-OOBK-0126-SM-2YUND 40-49 years, male 18.6
GTEX-1I1HK-0126-SM-COH49 60-69 years, male 18.6
GTEX-1LG7Y-0526-SM-DKPQC 50-59 years, male 18.6
GTEX-14E7W-0126-SM-6LLJ9 70-79 years, male 18.5
GTEX-13IVO-0126-SM-5J1NG 70-79 years, male 18.4
GTEX-1A32A-0126-SM-718B1 50-59 years, female 18.4
GTEX-OXRO-0126-SM-2YUN4 60-69 years, female 18.4
GTEX-11P82-1626-SM-59879 20-29 years, male 18.3
GTEX-13NYS-0126-SM-5MR3W 60-69 years, male 18.3
GTEX-XV7Q-2526-SM-4BRV9 40-49 years, female 18.3
GTEX-1JMPZ-0226-SM-CNPP1 30-39 years, male 18.3
GTEX-17HHY-0126-SM-7LG5D 50-59 years, male 18.2
GTEX-13O3O-0126-SM-E9J49 60-69 years, female 18.2
GTEX-117YW-2626-SM-5GZZH 50-59 years, male 18.1
GTEX-12WSN-5019-SM-79OM6 40-49 years, male 18.1
GTEX-11WQC-2526-SM-5CVLE 60-69 years, male 18.0
GTEX-13OVG-1926-SM-5L3DK 60-69 years, male 18.0
GTEX-13OW7-0126-SM-5MR3B 50-59 years, male 18.0
GTEX-PLZ4-0126-SM-5SI8O 50-59 years, female 18.0
GTEX-1ICG6-2526-SM-CGQFZ 70-79 years, female 18.0
GTEX-145LT-1726-SM-5QGP3 40-49 years, male 17.9
GTEX-1F75A-0126-SM-7RHGM 50-59 years, male 17.9
GTEX-W5X1-3026-SM-EAZAX 40-49 years, female 17.9
GTEX-145LU-0126-SM-5TDCB 50-59 years, male 17.8
GTEX-1JMQL-0226-SM-CNPP5 50-59 years, female 17.8
GTEX-139T8-0126-SM-5K7XZ 60-69 years, male 17.7
GTEX-ZE7O-0126-SM-57WC1 50-59 years, female 17.7
GTEX-1F7RK-0126-SM-7PC2S 20-29 years, female 17.7
GTEX-1K2DU-2326-SM-E9TIV 20-29 years, male 17.7
GTEX-11ZVC-2526-SM-5FQTE 50-59 years, female 17.6
GTEX-13OVH-0126-SM-5MR4B 70-79 years, male 17.6
GTEX-18A7B-0126-SM-7LG64 70-79 years, male 17.5
GTEX-OXRP-0126-SM-3NB32 60-69 years, female 17.5
GTEX-1B996-0226-SM-7RHGO 60-69 years, male 17.5
GTEX-1HFI7-1826-SM-ACKXH 50-59 years, female 17.5
GTEX-1C6WA-0126-SM-7PC2B 60-69 years, male 17.4
GTEX-1I1GR-0126-SM-CL55F 60-69 years, male 17.4
GTEX-1R9PO-2126-SM-E9J4O 60-69 years, female 17.4
GTEX-13N11-2526-SM-5K7UE 50-59 years, female 17.3
GTEX-148VI-1626-SM-5SI6E 60-69 years, female 17.3
GTEX-18D9B-0526-SM-7LTAS 60-69 years, male 17.3
GTEX-Q2AG-0126-SM-33HBV 40-49 years, female 17.3
GTEX-1F88F-2726-SM-7PBZZ 60-69 years, female 17.3
GTEX-RN64-0126-SM-2TC68 50-59 years, male 17.2
GTEX-1EKGG-0226-SM-9WYTH 60-69 years, male 17.2
GTEX-1LH75-2426-SM-E9TJE 50-59 years, female 17.2
GTEX-1IGQW-0126-SM-COH42 60-69 years, male 17.1
GTEX-11DXY-2626-SM-5GIE7 60-69 years, male 17.0
GTEX-1HCU6-0126-SM-CL54K 60-69 years, female 17.0
GTEX-1QEPI-0126-SM-EWRMQ 60-69 years, female 17.0
GTEX-139TT-0126-SM-5K7Y5 60-69 years, male 16.9
GTEX-13X6H-2126-SM-7EWD5 50-59 years, female 16.9
GTEX-15DCD-0126-SM-7KUEK 70-79 years, female 16.9
GTEX-13NYC-0326-SM-E9J4S 60-69 years, male 16.9
GTEX-13CF3-2426-SM-5IFGX 60-69 years, female 16.8
GTEX-14LLW-0126-SM-6LLIO 70-79 years, female 16.8
GTEX-14PN4-0126-SM-6EU2V 50-59 years, male 16.7
GTEX-QCQG-1726-SM-3GIJ9 50-59 years, female 16.7
GTEX-QDVN-2026-SM-3GAEP 50-59 years, male 16.7
GTEX-U8XE-0326-SM-3DB8P 30-39 years, male 16.7
GTEX-13OVL-0226-SM-5L3E9 50-59 years, male 16.6
GTEX-1RLM8-2326-SM-EWRN4 50-59 years, male 16.6
GTEX-15G19-0126-SM-6PANQ 60-69 years, male 16.5
GTEX-14BIL-0126-SM-5SI92 50-59 years, male 16.4
GTEX-11ZU8-2526-SM-5EQKI 60-69 years, male 16.3
GTEX-147F4-0226-SM-5QGPW 50-59 years, male 16.3
GTEX-ZZPT-0226-SM-5E43X 50-59 years, male 16.3
GTEX-1HBPH-0426-SM-B2LW5 40-49 years, female 16.3
GTEX-1OJC4-0126-SM-E9J2E 50-59 years, female 16.3
GTEX-14ABY-0226-SM-5TDCQ 50-59 years, male 16.2
GTEX-1EN7A-0126-SM-7SB81 40-49 years, male 16.1
GTEX-148VJ-0126-SM-5TDDN 70-79 years, male 16.0
GTEX-15DYW-0126-SM-7KULE 60-69 years, female 16.0
GTEX-SJXC-0126-SM-2XCFF 60-69 years, male 16.0
GTEX-11DZ1-0126-SM-5985Q 50-59 years, male 15.9
GTEX-13RTL-0126-SM-7LG5S 40-49 years, male 15.9
GTEX-1H1ZS-0426-SM-9WG6G 70-79 years, male 15.9
GTEX-1N2DW-0226-SM-E9TK2 50-59 years, male 15.9
GTEX-12WSA-0226-SM-5BC5V 60-69 years, male 15.6
GTEX-16MT8-0426-SM-7KUEY 60-69 years, female 15.6
GTEX-ZAJG-0126-SM-5HL94 50-59 years, female 15.6
GTEX-ZVT3-0126-SM-5GU6I 60-69 years, female 15.6
GTEX-1J8Q2-0526-SM-CM2RW 60-69 years, male 15.6
GTEX-16XZY-2126-SM-79OK1 70-79 years, male 15.5
GTEX-ZUA1-0126-SM-5GU76 40-49 years, male 15.5
GTEX-1A8FM-0226-SM-7SB7Q 50-59 years, female 15.5
GTEX-QDT8-0126-SM-48TZ1 30-39 years, female 15.4
GTEX-SSA3-0126-SM-32QPU 60-69 years, male 15.3
GTEX-ZDYS-2026-SM-5HL5L 50-59 years, male 15.3
GTEX-ZVT4-0126-SM-DTXFN 50-59 years, female 15.3
GTEX-147F3-0526-SM-5SI98 50-59 years, female 15.1
GTEX-1H1DG-0126-SM-9WYU2 70-79 years, male 15.1
GTEX-13113-5016-SM-7EPIP 60-69 years, female 15.0
GTEX-183FY-0126-SM-7LT9P 20-29 years, male 15.0
GTEX-1F6IF-0726-SM-7P8TW 60-69 years, male 15.0
GTEX-1B8SG-0126-SM-73KZ3 50-59 years, male 14.9
GTEX-15UF6-0826-SM-6PALJ 70-79 years, female 14.8
GTEX-11ZUS-0626-SM-59885 30-39 years, male 14.7
GTEX-ZVZO-0126-SM-5A5L9 40-49 years, male 14.7
GTEX-1H3NZ-0126-SM-ACKX7 60-69 years, male 14.7
GTEX-1HB9E-0226-SM-E9U4R 50-59 years, male 14.7
GTEX-144FL-0126-SM-5TDC8 50-59 years, male 14.5
GTEX-R45C-0126-SM-EAZ2R 60-69 years, female 14.5
GTEX-139T4-0226-SM-5HL5S 50-59 years, female 14.4
GTEX-11NUK-0126-SM-5A5L3 50-59 years, male 14.3
GTEX-14A5I-0126-SM-5TDEA 50-59 years, female 14.3
GTEX-14JIY-0126-SM-6LLH6 60-69 years, male 14.3
GTEX-1C6VS-0526-SM-7DUEN 60-69 years, male 14.3
GTEX-1H1DE-2126-SM-9WG6R 20-29 years, male 14.3
GTEX-S32W-2126-SM-2XCB1 50-59 years, female 14.1
GTEX-ZVE2-0226-SM-59HJB 50-59 years, male 14.1
GTEX-ZYY3-0126-SM-5GZY5 60-69 years, female 14.1
GTEX-1R46S-0626-SM-E9J41 60-69 years, female 14.0
GTEX-1CB4J-0626-SM-7DHMP 60-69 years, male 13.9
GTEX-13O1R-0126-SM-5L3EH 60-69 years, male 13.6
GTEX-YJ8A-0426-SM-5IFID 20-29 years, male 13.6
GTEX-14PHW-0126-SM-6LLJI 60-69 years, female 13.5
GTEX-1AYD5-2426-SM-73KXR 50-59 years, male 13.5
GTEX-SN8G-0126-SM-32PLI 50-59 years, female 13.5
GTEX-11WQK-0526-SM-5EQLD 50-59 years, male 13.2
GTEX-1HUB1-0426-SM-E9U4U 60-69 years, male 13.2
GTEX-Q734-1926-SM-2I5EV 40-49 years, female 13.1
GTEX-1QP67-1626-SM-EAZ3X 40-49 years, female 13.1
GTEX-12584-0126-SM-5EGKQ 40-49 years, male 12.9
GTEX-13OVJ-0126-SM-5KM36 50-59 years, female 12.9
GTEX-17EVQ-0226-SM-7LG4P 70-79 years, male 12.9
GTEX-X62O-0126-SM-4E3JN 50-59 years, male 12.8
GTEX-1I1GU-2226-SM-CGQFA 40-49 years, male 12.7
GTEX-11O72-0126-SM-59887 40-49 years, male 12.6
GTEX-13N1W-0126-SM-5K7VT 70-79 years, male 12.5
GTEX-15D1Q-0126-SM-7KUG6 40-49 years, male 12.4
GTEX-ZYW4-0126-SM-5E44A 60-69 years, male 12.2
GTEX-POMQ-2226-SM-2I5FK 20-29 years, female 12.1
GTEX-WI4N-1026-SM-3LK7N 40-49 years, female 12.1
GTEX-1F48J-0126-SM-7P8TT 50-59 years, female 12.0
GTEX-1ICLZ-0126-SM-CKZPO 60-69 years, male 12.0
GTEX-1M4P7-0226-SM-DIPEV 60-69 years, male 12.0
GTEX-1JMQK-0226-SM-CL543 60-69 years, male 11.9
GTEX-14E6C-0126-SM-5RQIP 40-49 years, male 11.7
GTEX-11H98-0126-SM-5EGHG 50-59 years, male 11.6
GTEX-1192W-2626-SM-5Q5AF 60-69 years, male 11.5
GTEX-146FR-1326-SM-E9J48 60-69 years, female 11.5
GTEX-1N2EF-0226-SM-EYYXB 60-69 years, male 11.5
GTEX-146FH-0126-SM-5QGPP 50-59 years, female 11.4
GTEX-11EMC-2926-SM-5EQ4F 60-69 years, female 11.3
GTEX-11TTK-0126-SM-5987B 60-69 years, female 11.3
GTEX-ZU9S-0226-SM-5E441 30-39 years, male 11.2
GTEX-1JN76-0126-SM-CNPPE 20-29 years, female 11.2
GTEX-1A3MX-0126-SM-731BR 60-69 years, male 10.9
GTEX-1LC47-0326-SM-E9TJP 60-69 years, male 10.9
GTEX-17MF6-0126-SM-7LG4F 40-49 years, male 10.3
GTEX-1C6VQ-0126-SM-7P8RI 50-59 years, male 10.2
GTEX-RUSQ-1526-SM-2TF62 50-59 years, male 9.8
GTEX-12WSL-2526-SM-5GCNJ 50-59 years, male 9.7
GTEX-14E6E-1826-SM-5S2R7 30-39 years, male 9.6
GTEX-17HII-0226-SM-7LG4E 50-59 years, male 9.6
GTEX-1JMOU-1526-SM-CL54I 60-69 years, female 9.6
GTEX-P44H-0226-SM-2XCEU 40-49 years, male 9.1
GTEX-14XAO-2326-SM-6EU1B 60-69 years, female 9.0
GTEX-X4XY-0226-SM-4E3IZ 60-69 years, male 9.0
GTEX-13RTJ-2426-SM-5S2Q2 60-69 years, male 8.7
GTEX-1A3MW-0126-SM-73KXX 60-69 years, female 8.6
GTEX-1PWST-0226-SM-E76QJ 70-79 years, male 8.4
GTEX-11TT1-2526-SM-5EGIB 20-29 years, male 7.1
GTEX-15UKP-0426-SM-7KUFQ 20-29 years, male 6.5
GTEX-15EOM-0126-SM-7KUGG 20-29 years, female 5.5
GTEX-1HSMO-0126-SM-CL547 60-69 years, male 4.9
GTEX-1R9K4-0126-SM-DTX9X 60-69 years, male 4.9
GTEX-183WM-0126-SM-7LTAB 70-79 years, female 4.0
Show allShow less

Contact

  • NEWS ARTICLES
  • PRESS ROOM

The Project

  • INTRODUCTION
  • ORGANIZATION
  • PUBLICATIONS

The Human Protein Atlas

  • DOWNLOADABLE DATA
  • LICENCE & CITATION
  • HELP & FAQ
The Human Protein Atlas project is funded
by the Knut & Alice Wallenberg Foundation.


contact@proteinatlas.org