We use cookies to enhance the usability of our website. If you continue, we'll assume that you are happy to receive all cookies. More information. Don't show this again.
TMEM106B
HPA
RESOURCES
  • TISSUE
  • BRAIN
  • SINGLE CELL
  • SUBCELLULAR
  • CANCER
  • BLOOD
  • CELL LINE
  • STRUCTURE & INTERACTION
ABOUT
  • INTRODUCTION
  • HISTORY
  • ORGANIZATION
  • PUBLICATIONS
  • ANTIBODY SUBMISSION
  • ANTIBODY AVAILABILITY
  • ACKNOWLEDGMENTS
  • CONTACT
NEWS
  • NEWS ARTICLES
  • PRESS ROOM
LEARN
  • DICTIONARY
  • PROTEIN CLASSES
  • PROTEIN EVIDENCE
  • METHODS
  • EDUCATIONAL VIDEOS
DATA
  • DOWNLOADABLE DATA
  • PUBLICATION DATA
  • RELEASE HISTORY
HELP
  • ANTIBODY VALIDATION
  • ASSAYS & ANNOTATION
  • DISCLAIMER
  • HELP & FAQ
  • PRIVACY STATEMENT
  • LICENCE & CITATION
Fields »
Search result

Field
Term
Gene name
Class
Subclass
Class
Keyword
Chromosome
External id
Tissue
Cell type
Expression
Antibody panel
Tissue
Main location
Patient ID
Annotation
Tissue
Category
Tau score
Cluster
Reliability
Brain region
Category
Tau score
Brain region
Category
Tau score
Brain region
Category
Tau score
Cluster
Reliability
Tissue
Cell type
Enrichment
Cell type
Category
Tau score
Cell type
Category
Tau score
Cell type
Category
Tau score
Cell lineage
Category
Tau score
Cluster
Cluster
Location
Searches
Location
Cell line
Class
Type
Phase
Reliability
Cancer
Prognosis
Cancer
Category
Cancer
Category
Tau score
Cluster
Variants
Interacting gene (ensg_id)
Type
Number of interactions
Pathway
Category
Score
Score
Score
Validation
Validation
Validation
Validation
Antibodies
Data type
Column


  • SUMMARY

  • TISSUE

  • BRAIN

  • SINGLE CELL

  • SUBCELL

  • CANCER

  • BLOOD

  • CELL LINE

  • STRUCT & INT

  • TMEM106B
TISSUE PRIMARY DATA SKIN Show tissue menu
ADIPOSE TISSUE ADRENAL GLAND AMYGDALA APPENDIX BASAL GANGLIA BONE MARROW BREAST BRONCHUS CEREBELLUM CEREBRAL CORTEX CERVIX CHOROID PLEXUS COLON DUODENUM
ENDOMETRIUM EPIDIDYMIS ESOPHAGUS FALLOPIAN TUBE GALLBLADDER HEART MUSCLE HIPPOCAMPAL FORMATION HYPOTHALAMUS KIDNEY LIVER LUNG LYMPH NODE MIDBRAIN NASOPHARYNX
ORAL MUCOSA OVARY PANCREAS PARATHYROID GLAND PITUITARY GLAND PLACENTA PROSTATE RECTUM RETINA SALIVARY GLAND SEMINAL VESICLE SKELETAL MUSCLE SKIN SMALL INTESTINE
SMOOTH MUSCLE SOFT TISSUE SPINAL CORD SPLEEN STOMACH TESTIS THYMUS THYROID GLAND TONGUE TONSIL URINARY BLADDER VAGINA
ANTIBODIES
AND
VALIDATION
Dictionary
Skin
Tissue proteome
Skin
SKIN - Expression summary
Protein expression
Skini

On the top, protein expression in current human tissue, based on all annotated cell types, is reported with the units not detected (n), low (l), medium (m) and high (h). Underneath, protein expression in each annotated cell type are reported using the same units.

Protein expression data is based on knowledge-based annotation. For genes where more than one antibody has been used, a collective score is set.

If knowledge-based annotation could not be performed for a gene, no data is displayed here. View antibody staining data further down this page.

h
m
l
n
Epidermal cells: Not detected
Fibroblasts: Not detected
Keratinocytes: Not detected
Langerhans: Not detected
Melanocytes: Not detected
RNA expressioni

A summary of mRNA expression data available for current tissue based on several datasets. The mRNA expression levels in human tissues are based on RNA-seq data generated by the Human Protein Atlas (HPA), Genotype-Tissue Expression (GTEx) portal and CAGE data generated by the FANTOM5 consortium. Consensus normalized expression levels for human tissues was created by combining the data from HPA and GTEx datasets.

The mRNA expression levels in pig are based on RNA-seq data generated by the Human Protein Atlas (HPA), and for mouse, HPA data and in situ hybridization generated by the Allen brain atlas are reported.

Scroll down to view mRNA expression data in more detail.
Consensus:16.0 nTPM
HPA:16.0 nTPM
GTEx:8.7 nTPM

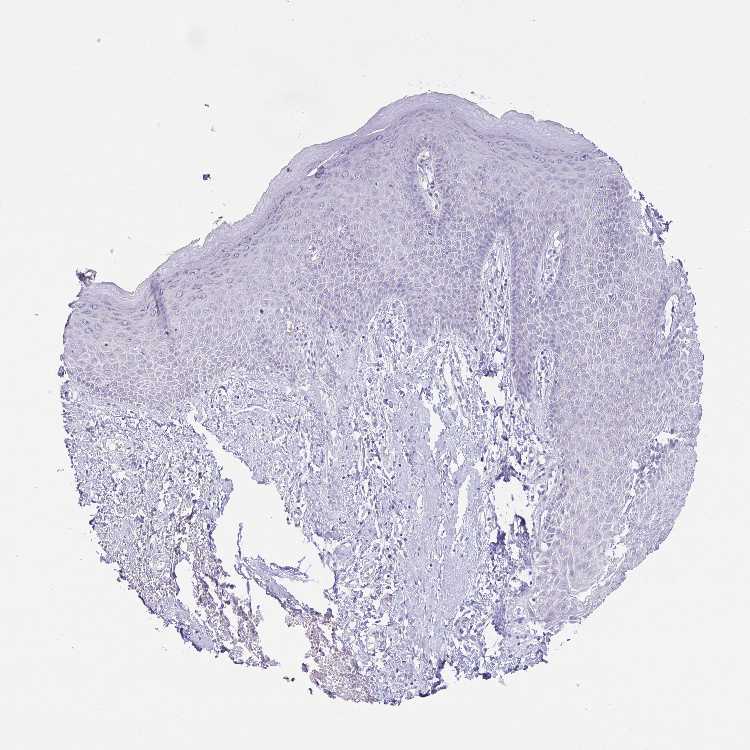
SKIN 1 - Antibody stainingi

Antibody staining in the annotated cell types in the current human tissue is reported as not detected, low, medium, or high, based on conventional immunohistochemistry profiling in selected tissues. This score is based on the combination of the staining intensity and fraction of stained cells.

Each image is clickable and will lead to virtual microscopy that enables deeper exploration of all samples and also displays staining intensity scores, fraction scores and subcellular localization as well as patient and tissue information for each sample.

Antibody HPA058342
Langerhans Not detected
Fibroblasts Not detected
Keratinocytes Not detected
Melanocytes Not detected


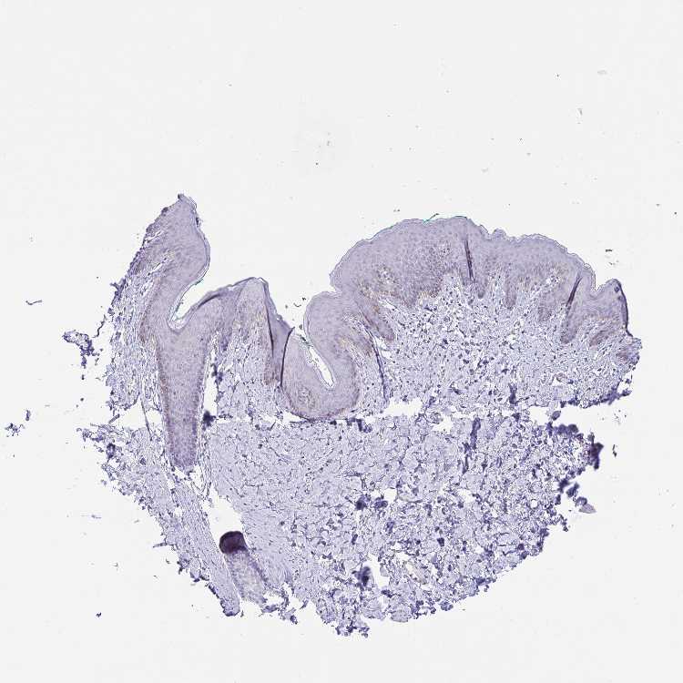
SKIN 2 - Antibody stainingi

Antibody staining in the annotated cell types in the current human tissue is reported as not detected, low, medium, or high, based on conventional immunohistochemistry profiling in selected tissues. This score is based on the combination of the staining intensity and fraction of stained cells.

Each image is clickable and will lead to virtual microscopy that enables deeper exploration of all samples and also displays staining intensity scores, fraction scores and subcellular localization as well as patient and tissue information for each sample.

Antibody HPA058342
Epidermal cells Not detected
 
 
 



SKIN - HPA RNA-seqi

The RNA-seq details section shows detailed information about the individual samples used for the transcript profiling and results of the RNA-seq analysis.

Information about each individual sample is listed below, including gender, age, a tissue section image and estimated fractions of cell types. nTPM (normalized transcripts per million) values give a quantification of the gene abundance which is comparable between different genes and samples.
Average nTPMi

Max subtype nTPM is the value for the subtype with the largest average nTPM across the subtype samples.

16.0
overview
Female, age 34
Skin sample 225
nTPM: 19
Cell types%
Keratinocytes:
60

Other cell types:
40

overview
Female, age 30
Skin sample 226
nTPM: 20.1
Cell types%
Keratinocytes:
55

Other cell types:
45

N/A
Male, age 57
Skin sample 227
nTPM: 9

SKIN - GTEx RNA-seqi

RNA-Seq data generated by the Genotype-Tissue Expression (GTEx) project from human tissues is reported as mean nTPM. More information can be found on the GTEx portal.

Distribution across the dataset is visualized with box plots, shown as median and 25th and 75th percentiles. Points are displayed as outliers if they are above or below 1.5 times the interquartile range. nTPM values of the individual samples are presented next to the box plot.
Max subtype nTPMi

Max subtype nTPM is the value for the subtype with the largest average nTPM across the subtype samples.

8.7
GTEx sample id Sample description nTPM
Skin - Not Sun Exposed (Suprapubic)
Average nTPM: 8.4
Samples: 604

Max nTPM: 17.3
Min nTPM: 2.8
Std nTPM: 2.1
Median nTPM: 8.4
GTEX-1F6RS-2026-SM-7RHHC 60-69 years, female 17.3
GTEX-1J8Q2-2626-SM-ACKWQ 60-69 years, male 16.2
GTEX-13NZ8-1226-SM-5KM4A 60-69 years, female 15.5
GTEX-15SKB-2826-SM-6PAMH 60-69 years, male 15.4
GTEX-1F5PL-0926-SM-7PC2W 40-49 years, female 14.3
GTEX-1GF9U-2026-SM-7SB92 40-49 years, female 14.1
GTEX-1HCU7-0726-SM-A9SL1 50-59 years, male 13.9
GTEX-13SLW-0626-SM-5Q5ER 70-79 years, male 13.8
GTEX-14PJ4-0226-SM-5YY92 60-69 years, male 13.6
GTEX-1GN1U-0626-SM-9MQL9 50-59 years, female 13.6
GTEX-1HCVE-2726-SM-CL54F 50-59 years, male 13.6
GTEX-11EQ8-0926-SM-5H12V 60-69 years, male 13.5
GTEX-13PDP-0726-SM-5L3HP 60-69 years, male 13.3
GTEX-YF7O-1526-SM-5IFI6 50-59 years, male 13.3
GTEX-145MI-0626-SM-5SI8S 60-69 years, female 13.1
GTEX-1R7EU-1626-SM-DTXG3 60-69 years, male 13.1
GTEX-1GF9X-1326-SM-7PC2Y 40-49 years, female 12.8
GTEX-WYBS-0626-SM-3NMAS 60-69 years, female 12.7
GTEX-14C5O-0326-SM-5ZZUX 60-69 years, male 12.6
GTEX-1HT8W-0626-SM-A9G2H 30-39 years, male 12.6
GTEX-144GL-0626-SM-5LU4D 50-59 years, male 12.5
GTEX-14AS3-1526-SM-5Q5ED 40-49 years, female 12.5
GTEX-1AMFI-1326-SM-7939R 50-59 years, female 12.5
GTEX-139D8-1126-SM-5LU8W 30-39 years, female 12.4
GTEX-14PKU-0126-SM-6LLHV 40-49 years, female 12.3
GTEX-ZF29-0926-SM-4WKFZ 60-69 years, female 12.3
GTEX-ZPCL-1126-SM-4WWFE 60-69 years, female 12.3
GTEX-1F48J-0726-SM-7RHGS 50-59 years, female 12.3
GTEX-1LGRB-0926-SM-COH3K 50-59 years, female 12.2
GTEX-14A6H-2026-SM-5Q5DD 30-39 years, male 12.1
GTEX-14B4R-1326-SM-5Q5EZ 30-39 years, male 12.1
GTEX-183FY-1026-SM-7939A 20-29 years, male 12.1
GTEX-1GN1V-2826-SM-9JGIA 60-69 years, male 12.1
GTEX-1IE54-1126-SM-A9G2Z 40-49 years, female 12.1
GTEX-12WSM-1926-SM-5BC65 60-69 years, male 12.0
GTEX-1399U-1126-SM-5L3DB 50-59 years, female 12.0
GTEX-15CHC-1126-SM-6LLHQ 60-69 years, female 12.0
GTEX-17MFQ-1526-SM-7KFRR 20-29 years, male 12.0
GTEX-1EU9M-1426-SM-793AI 60-69 years, male 12.0
GTEX-YECK-0326-SM-4W1YS 60-69 years, male 12.0
GTEX-ZVT4-2426-SM-5GIEI 50-59 years, female 12.0
GTEX-1RAZA-2226-SM-E9U4X 20-29 years, male 12.0
GTEX-1314G-1326-SM-5BC6E 30-39 years, male 11.8
GTEX-145MO-2826-SM-5LU96 60-69 years, male 11.8
GTEX-14PJN-1826-SM-6AJ98 30-39 years, male 11.8
GTEX-15ER7-0626-SM-6PANF 20-29 years, female 11.8
GTEX-ZVE2-2826-SM-5GU51 50-59 years, male 11.8
GTEX-1QPFJ-1926-SM-EVYBD 30-39 years, female 11.7
GTEX-13VXT-1926-SM-5K7UO 20-29 years, female 11.6
GTEX-1B933-2426-SM-7DHMD 50-59 years, female 11.6
GTEX-1F88E-1626-SM-7SB8Z 60-69 years, female 11.6
GTEX-1GN2E-0226-SM-9WG6K 60-69 years, male 11.6
GTEX-14PJ6-2626-SM-6EU2T 60-69 years, female 11.5
GTEX-ZXG5-2126-SM-59HKD 60-69 years, male 11.5
GTEX-1B8L1-2226-SM-7P8PT 60-69 years, male 11.5
GTEX-1RAZR-2126-SM-E9U6T 40-49 years, male 11.5
GTEX-13FHO-0426-SM-5L3F5 60-69 years, male 11.4
GTEX-18A67-1626-SM-7LT9T 50-59 years, male 11.4
GTEX-1AX9J-1326-SM-731BJ 60-69 years, male 11.4
GTEX-1HSKV-1226-SM-ADEI4 60-69 years, male 11.4
GTEX-14PJ2-0626-SM-6LLII 50-59 years, male 11.3
GTEX-1B932-2326-SM-79OL5 40-49 years, female 11.3
GTEX-1KWVE-1026-SM-D3L9O 30-39 years, male 11.3
GTEX-13PL6-1126-SM-5L3IE 40-49 years, female 11.2
GTEX-1GMR8-0626-SM-7RHI7 50-59 years, female 11.2
GTEX-1KXAM-1626-SM-D3LAD 60-69 years, male 11.2
GTEX-1122O-1026-SM-9WYSF 60-69 years, female 11.1
GTEX-13IVO-0726-SM-5LZYV 70-79 years, male 11.0
GTEX-13NZ9-2626-SM-5L3FK 50-59 years, male 11.0
GTEX-13QJC-0126-SM-5ZZWJ 60-69 years, female 11.0
GTEX-13X6J-0626-SM-5LU5F 50-59 years, male 11.0
GTEX-14XAO-1226-SM-6EU1C 60-69 years, female 11.0
GTEX-17HHE-1326-SM-7EWDZ 50-59 years, male 11.0
GTEX-1HBPM-0726-SM-9YFL7 60-69 years, female 11.0
GTEX-1LB8K-0726-SM-D5OV2 50-59 years, male 11.0
GTEX-1PBJJ-1026-SM-E76OS 30-39 years, male 11.0
GTEX-ZVT2-0126-SM-5GIDQ 50-59 years, female 10.9
GTEX-ZVZP-1226-SM-5GID7 50-59 years, male 10.9
GTEX-1GF9W-1426-SM-7PBYM 60-69 years, male 10.9
GTEX-1ICLY-0826-SM-CMKG1 50-59 years, male 10.9
GTEX-1S83E-1326-SM-E6CJM 40-49 years, male 10.9
GTEX-13OW5-2326-SM-5L3HO 60-69 years, male 10.8
GTEX-13VXU-0626-SM-5L3F9 50-59 years, male 10.8
GTEX-14ICL-1626-SM-5YYAO 30-39 years, male 10.8
GTEX-1HSGN-0826-SM-ACKW3 40-49 years, female 10.8
GTEX-1AX9I-2226-SM-73KUO 60-69 years, male 10.7
GTEX-XAJ8-1426-SM-47JYM 40-49 years, male 10.7
GTEX-ZP4G-1426-SM-4WWCL 20-29 years, female 10.7
GTEX-1C6VR-0126-SM-7RHGB 60-69 years, male 10.7
GTEX-1IDJV-0126-SM-COH3Y 60-69 years, male 10.7
GTEX-14LLW-2626-SM-62LDZ 70-79 years, female 10.6
GTEX-WFON-1926-SM-3LK7L 40-49 years, male 10.6
GTEX-ZDTT-0426-SM-4WKFL 60-69 years, male 10.6
GTEX-ZE9C-2526-SM-5IJDR 60-69 years, male 10.6
GTEX-1KANB-2826-SM-CY8I6 50-59 years, male 10.6
GTEX-1PIGE-1826-SM-E8VOU 20-29 years, male 10.6
GTEX-111VG-1626-SM-5EGIO 60-69 years, male 10.5
GTEX-12ZZX-2426-SM-5GCOE 40-49 years, female 10.5
GTEX-14PJ5-1526-SM-6LLIL 60-69 years, female 10.5
GTEX-1F6IF-0926-SM-7SB7M 60-69 years, male 10.5
GTEX-111YS-1526-SM-5GZYW 60-69 years, male 10.4
GTEX-145MF-0926-SM-5Q5EA 50-59 years, male 10.4
GTEX-16BQI-1326-SM-6M486 30-39 years, female 10.4
GTEX-17F9Y-0126-SM-79OKX 70-79 years, female 10.4
GTEX-1B8SF-0126-SM-7DUG3 60-69 years, male 10.4
GTEX-1CB4F-1026-SM-7DUH1 60-69 years, male 10.4
GTEX-ZYY3-2926-SM-5GIEB 60-69 years, female 10.4
GTEX-1RAZS-2526-SM-E6CHT 50-59 years, male 10.4
GTEX-1269C-0126-SM-5EQ5L 60-69 years, female 10.3
GTEX-1313W-0626-SM-5EQ4H 50-59 years, female 10.3
GTEX-13QBU-1226-SM-5LU4G 40-49 years, female 10.3
GTEX-1QP28-1126-SM-EVYC4 50-59 years, female 10.3
GTEX-1117F-2926-SM-5GZYI 60-69 years, female 10.2
GTEX-11DXY-0126-SM-5H11Q 60-69 years, male 10.2
GTEX-1399Q-2326-SM-5KM2X 40-49 years, male 10.2
GTEX-1399S-0126-SM-5IJCF 30-39 years, female 10.2
GTEX-14PII-0726-SM-6EU2B 60-69 years, male 10.2
GTEX-15EO6-2426-SM-6PALZ 50-59 years, male 10.2
GTEX-1C6VQ-1226-SM-73KYD 50-59 years, male 10.2
GTEX-WK11-2726-SM-3NMAQ 50-59 years, male 10.2
GTEX-1GZHY-0626-SM-9KNVC 50-59 years, female 10.2
GTEX-1HR9M-2226-SM-CNPPY 60-69 years, male 10.2
GTEX-1HSMO-0626-SM-ACKXC 60-69 years, male 10.2
GTEX-11EQ9-1626-SM-5PNY8 30-39 years, male 10.1
GTEX-12WSK-2126-SM-5CVNC 40-49 years, female 10.1
GTEX-131YS-2826-SM-5EQ47 60-69 years, female 10.1
GTEX-13PVR-0426-SM-5RQK2 60-69 years, female 10.1
GTEX-144GM-0526-SM-79OJO 20-29 years, male 10.1
GTEX-14C38-0726-SM-5SI6M 50-59 years, male 10.1
GTEX-ZYT6-2326-SM-5GZY3 30-39 years, male 10.1
GTEX-1GL5R-1326-SM-7RHHF 50-59 years, male 10.1
GTEX-1GPI6-1926-SM-9KNV7 60-69 years, male 10.1
GTEX-1H3VE-0726-SM-9YFL5 40-49 years, male 10.1
GTEX-1HR98-2226-SM-ADEI2 60-69 years, male 10.1
GTEX-1LVAM-0726-SM-E6CIL 50-59 years, female 10.1
GTEX-13FTW-0326-SM-5K7UW 40-49 years, male 10.0
GTEX-1BAJH-2426-SM-7IGP8 70-79 years, male 10.0
GTEX-1F52S-2926-SM-7MKGA 60-69 years, female 10.0
GTEX-ZYFC-0426-SM-5GICQ 50-59 years, male 10.0
GTEX-1CAMQ-1326-SM-7P8RV 40-49 years, male 10.0
GTEX-1J8QM-2426-SM-A9SLS 60-69 years, female 10.0
GTEX-1JKYR-0626-SM-ARL8R 20-29 years, male 10.0
GTEX-1QP2A-1726-SM-E76QC 50-59 years, male 10.0
GTEX-1R9PM-1926-SM-EVR3O 20-29 years, male 10.0
GTEX-11TUW-0626-SM-5LU9M 60-69 years, male 9.9
GTEX-147JS-0226-SM-5S2U9 60-69 years, male 9.9
GTEX-14LZ3-0126-SM-69LPM 60-69 years, female 9.9
GTEX-15FZZ-0526-SM-7KUGD 30-39 years, female 9.9
GTEX-ZE7O-2726-SM-51MT5 50-59 years, female 9.9
GTEX-ZZPU-0826-SM-5GZX5 50-59 years, female 9.9
GTEX-1JK1U-0226-SM-ARZMX 60-69 years, male 9.9
GTEX-11WQK-1026-SM-5EQLX 50-59 years, male 9.8
GTEX-12WSC-2826-SM-5BC5Y 50-59 years, male 9.8
GTEX-13FLV-0126-SM-5K7WT 50-59 years, male 9.8
GTEX-1GMR3-0126-SM-A9SLW 40-49 years, male 9.8
GTEX-1GN1W-2426-SM-9KNUU 50-59 years, female 9.8
GTEX-1H4P4-2126-SM-9WYSL 50-59 years, male 9.8
GTEX-1LVA9-2626-SM-EVYD4 50-59 years, male 9.8
GTEX-13YAN-0226-SM-5TDC6 60-69 years, male 9.7
GTEX-145LU-1926-SM-79OJN 50-59 years, male 9.7
GTEX-148VJ-0626-SM-5LUAW 70-79 years, male 9.7
GTEX-1C2JI-1026-SM-73KY1 50-59 years, male 9.7
GTEX-XMD2-2126-SM-4YCF8 60-69 years, female 9.7
GTEX-1CB4J-1326-SM-7P8RX 60-69 years, male 9.7
GTEX-1NV5F-0626-SM-DTXEG 60-69 years, female 9.7
GTEX-1RLM8-2926-SM-E8VON 50-59 years, male 9.7
GTEX-ZGAY-1826-SM-DO91Q 40-49 years, female 9.7
GTEX-12KS4-2126-SM-5FQUT 30-39 years, male 9.6
GTEX-1AMEY-0826-SM-72D65 30-39 years, female 9.6
GTEX-YB5K-2026-SM-4VDT3 40-49 years, female 9.6
GTEX-ZLWG-0826-SM-59888 50-59 years, female 9.6
GTEX-1LKK1-2626-SM-DKPQE 50-59 years, female 9.6
GTEX-11LCK-2226-SM-5HL4Q 30-39 years, male 9.5
GTEX-13OVJ-0826-SM-5J1OK 50-59 years, female 9.5
GTEX-145MH-2826-SM-5RQJF 50-59 years, male 9.5
GTEX-15EU6-2226-SM-6EU2L 50-59 years, male 9.5
GTEX-15UF6-1926-SM-7KUDV 70-79 years, female 9.5
GTEX-UPJH-0226-SM-3GADV 50-59 years, male 9.5
GTEX-VUSG-2326-SM-4KL1U 50-59 years, male 9.5
GTEX-Y9LG-1126-SM-4VBQ7 30-39 years, male 9.5
GTEX-ZF2S-1626-SM-57WES 50-59 years, female 9.5
GTEX-ZLFU-1826-SM-4WWBV 40-49 years, male 9.5
GTEX-1GF9V-0826-SM-9KNUV 60-69 years, male 9.5
GTEX-1GZ4I-2626-SM-9KNU3 50-59 years, male 9.5
GTEX-1LG7Y-2526-SM-EWRO7 50-59 years, male 9.5
GTEX-1QEPI-2626-SM-DTXF4 60-69 years, female 9.5
GTEX-11ZUS-2626-SM-5FQUR 30-39 years, male 9.4
GTEX-14JG1-1526-SM-5YY9X 40-49 years, male 9.4
GTEX-16GPK-0626-SM-7KFSF 60-69 years, male 9.4
GTEX-17KNJ-2126-SM-718AM 50-59 years, male 9.4
GTEX-1H1DF-1126-SM-9WG7G 40-49 years, female 9.4
GTEX-1I1CD-0626-SM-CE6SW 60-69 years, female 9.4
GTEX-1I6K6-1726-SM-CGQFD 30-39 years, male 9.4
GTEX-1ICG6-1226-SM-A9SLN 70-79 years, female 9.4
GTEX-1IOXB-2726-SM-CM2RI 50-59 years, male 9.4
GTEX-13N1W-2426-SM-5IJD1 70-79 years, male 9.3
GTEX-13X6K-0626-SM-5LU5D 60-69 years, female 9.3
GTEX-144GO-2026-SM-5O99P 60-69 years, male 9.3
GTEX-147F3-1726-SM-5SIAW 50-59 years, female 9.3
GTEX-18A6Q-0626-SM-7KFRP 60-69 years, male 9.3
GTEX-1A8G6-2726-SM-731AR 60-69 years, male 9.3
GTEX-1EMGI-2326-SM-7PBYA 60-69 years, male 9.3
GTEX-1H1E6-0426-SM-9WYUS 30-39 years, male 9.3
GTEX-11EI6-2826-SM-5H11D 60-69 years, male 9.2
GTEX-139UW-0326-SM-5J1ML 60-69 years, male 9.2
GTEX-13D11-0926-SM-5J2NC 50-59 years, female 9.2
GTEX-13FTY-2126-SM-5IFFB 40-49 years, female 9.2
GTEX-13O3O-2326-SM-5IJD6 60-69 years, female 9.2
GTEX-XBED-1926-SM-47JYP 60-69 years, male 9.2
GTEX-Y5V5-0126-SM-5S2NW 60-69 years, female 9.2
GTEX-ZTTD-2826-SM-4YCFA 50-59 years, male 9.2
GTEX-14JFF-0626-SM-5ZZVT 60-69 years, male 9.2
GTEX-111CU-1126-SM-5EGIM 50-59 years, male 9.1
GTEX-133LE-2326-SM-5K7W3 20-29 years, female 9.1
GTEX-139T8-0626-SM-5KLZX 60-69 years, male 9.1
GTEX-139TT-2126-SM-5LZWC 60-69 years, male 9.1
GTEX-15DDE-2926-SM-6LLJ3 50-59 years, female 9.1
GTEX-15RIE-1926-SM-7KUKJ 60-69 years, male 9.1
GTEX-16NGA-0726-SM-731AO 40-49 years, female 9.1
GTEX-18A7A-0126-SM-731AH 50-59 years, female 9.1
GTEX-1B8KZ-0326-SM-73KY4 50-59 years, male 9.1
GTEX-1CB4H-1126-SM-7MKGL 60-69 years, female 9.1
GTEX-1EH9U-2826-SM-7DUGT 60-69 years, male 9.1
GTEX-1IKJJ-2226-SM-CJI4C 60-69 years, male 9.1
GTEX-1JN76-0626-SM-CKZOQ 20-29 years, female 9.1
GTEX-1S831-1826-SM-EWROF 20-29 years, male 9.1
GTEX-12696-0126-SM-5EQ4L 60-69 years, male 9.0
GTEX-14BMV-2826-SM-5TDED 50-59 years, male 9.0
GTEX-17HHY-0426-SM-7DHLC 50-59 years, male 9.0
GTEX-ZY6K-1426-SM-5GZX2 50-59 years, male 9.0
GTEX-1H3O1-1326-SM-9MQLD 60-69 years, male 9.0
GTEX-1HCU9-0426-SM-9WYSD 20-29 years, male 9.0
GTEX-1OJC4-2726-SM-E76PJ 50-59 years, female 9.0
GTEX-11P81-2226-SM-5PNYI 30-39 years, female 8.9
GTEX-131XF-2626-SM-5EQ6K 60-69 years, male 8.9
GTEX-13NYC-0126-SM-5L3F4 60-69 years, male 8.9
GTEX-13NYS-0626-SM-5L3F1 60-69 years, male 8.9
GTEX-13OW7-0426-SM-5K7VK 50-59 years, male 8.9
GTEX-13SLX-2226-SM-62LEP 50-59 years, female 8.9
GTEX-15DYW-2726-SM-6EU2I 60-69 years, female 8.9
GTEX-15RJE-2826-SM-7KUM9 40-49 years, male 8.9
GTEX-14JG6-1426-SM-9WG7C 30-39 years, female 8.9
GTEX-1F75A-0726-SM-7RHHD 50-59 years, male 8.9
GTEX-1I1GV-0626-SM-ARL7M 60-69 years, male 8.9
GTEX-1POEN-2326-SM-E9J2L 30-39 years, female 8.9
GTEX-1PPH7-1126-SM-DTX9A 40-49 years, male 8.9
GTEX-11O72-0626-SM-5PNYE 40-49 years, male 8.8
GTEX-12WSA-0426-SM-5EQ5X 60-69 years, male 8.8
GTEX-13O61-1426-SM-5KM3D 60-69 years, male 8.8
GTEX-14C39-1726-SM-5RQIL 40-49 years, male 8.8
GTEX-178AV-1726-SM-7KUL8 40-49 years, male 8.8
GTEX-1A3MV-1826-SM-731CD 30-39 years, male 8.8
GTEX-VJYA-1526-SM-3GIJV 60-69 years, male 8.8
GTEX-ZUA1-2626-SM-5NQ92 40-49 years, male 8.8
GTEX-ZVE1-0726-SM-51MRN 50-59 years, female 8.8
GTEX-1F5PK-2226-SM-7SB6N 50-59 years, male 8.8
GTEX-1IDFM-0326-SM-ARL7V 60-69 years, male 8.8
GTEX-1L5NE-1126-SM-D3L9P 50-59 years, male 8.8
GTEX-1N5O9-0926-SM-E9J3C 60-69 years, male 8.8
GTEX-13FTX-1526-SM-5K7VJ 20-29 years, female 8.7
GTEX-16NPX-0726-SM-7KULC 50-59 years, male 8.7
GTEX-1EKGG-0626-SM-7DUGJ 60-69 years, male 8.7
GTEX-WYJK-0526-SM-3NM8Z 50-59 years, male 8.7
GTEX-1A8FM-0626-SM-7PC25 50-59 years, female 8.7
GTEX-1IY9M-2826-SM-ARU8H 60-69 years, male 8.7
GTEX-1J8EW-2726-SM-CY8HR 60-69 years, female 8.7
GTEX-1KANC-1226-SM-CYPT7 50-59 years, female 8.7
GTEX-13X6I-1826-SM-5SIAO 60-69 years, male 8.6
GTEX-14A5H-0826-SM-5QGPJ 60-69 years, male 8.6
GTEX-16YQH-2226-SM-7IGM2 30-39 years, male 8.6
GTEX-17MF6-2626-SM-79OKQ 40-49 years, male 8.6
GTEX-ZAJG-1526-SM-5CVML 50-59 years, female 8.6
GTEX-1H11D-1826-SM-9QEHM 40-49 years, male 8.6
GTEX-1H1DG-2426-SM-9QEHJ 70-79 years, male 8.6
GTEX-1I1GS-2626-SM-B2LY3 60-69 years, male 8.6
GTEX-1I1GU-0926-SM-ACKVS 40-49 years, male 8.6
GTEX-1I6K7-1926-SM-B2LXR 40-49 years, male 8.6
GTEX-11DZ1-2426-SM-5GZZX 50-59 years, male 8.5
GTEX-139YR-1026-SM-5LZYN 50-59 years, male 8.5
GTEX-13NYB-0126-SM-5J1MD 40-49 years, male 8.5
GTEX-14753-0726-SM-5QGQO 60-69 years, male 8.5
GTEX-14BIN-1126-SM-5RQJZ 50-59 years, female 8.5
GTEX-14E6C-2426-SM-5S2NF 40-49 years, male 8.5
GTEX-1A8G7-1326-SM-73KVM 60-69 years, male 8.5
GTEX-1C64N-2626-SM-7PC2N 50-59 years, male 8.5
GTEX-1H3NZ-2726-SM-9WYTQ 60-69 years, male 8.5
GTEX-1HSMQ-2626-SM-A9SML 50-59 years, male 8.5
GTEX-1I1GT-1026-SM-ARZLV 60-69 years, female 8.5
GTEX-1KD5A-0126-SM-E9U54 50-59 years, male 8.5
GTEX-1S5ZU-2526-SM-E6CIF 20-29 years, female 8.5
GTEX-11DXX-2126-SM-5PNYR 60-69 years, female 8.4
GTEX-11VI4-1126-SM-5EQMD 40-49 years, female 8.4
GTEX-11WQC-1826-SM-5GU59 60-69 years, male 8.4
GTEX-12ZZZ-0726-SM-5GCNZ 60-69 years, male 8.4
GTEX-13OVL-0126-SM-5L3GJ 50-59 years, male 8.4
GTEX-13X6H-0926-SM-5SIB2 50-59 years, female 8.4
GTEX-17EVP-2626-SM-7IGMA 40-49 years, male 8.4
GTEX-1A32A-0626-SM-731AQ 50-59 years, female 8.4
GTEX-WHSB-1326-SM-3LK6W 50-59 years, male 8.4
GTEX-Y5V6-2326-SM-4VDSA 60-69 years, male 8.4
GTEX-1HKZK-0726-SM-ACKW2 40-49 years, male 8.4
GTEX-1I1GP-1326-SM-A9G28 50-59 years, male 8.4
GTEX-13OVH-0526-SM-5L3E6 70-79 years, male 8.3
GTEX-1477Z-0326-SM-7IGLA 60-69 years, male 8.3
GTEX-WHSE-0126-SM-3NMBT 20-29 years, male 8.3
GTEX-1GZ4H-0526-SM-9KNU9 50-59 years, female 8.3
GTEX-1PPGY-1626-SM-EVYBL 60-69 years, male 8.3
GTEX-11GS4-0226-SM-5HL77 60-69 years, male 8.2
GTEX-12126-0826-SM-5FQTZ 20-29 years, male 8.2
GTEX-145MG-1526-SM-5Q5EM 50-59 years, male 8.2
GTEX-14BMU-1226-SM-5S2OR 20-29 years, female 8.2
GTEX-14E1K-2026-SM-7DUEI 50-59 years, male 8.2
GTEX-YJ8O-2526-SM-5HL85 40-49 years, female 8.2
GTEX-ZDYS-2426-SM-4WKGI 50-59 years, male 8.2
GTEX-1F75W-2726-SM-7SB8H 60-69 years, male 8.2
GTEX-1GMRU-2126-SM-7P8RA 50-59 years, male 8.2
GTEX-1IDJC-1526-SM-B2LW4 50-59 years, male 8.2
GTEX-1K2DU-1226-SM-CYPT4 20-29 years, male 8.2
GTEX-1N2EE-0626-SM-E76PW 60-69 years, male 8.2
GTEX-12C56-1526-SM-5FQUQ 20-29 years, male 8.1
GTEX-13JUV-2026-SM-5K7UA 40-49 years, female 8.1
GTEX-183WM-0326-SM-72D5V 70-79 years, female 8.1
GTEX-1CAV2-0126-SM-7IGN7 40-49 years, female 8.1
GTEX-WYVS-1626-SM-3NM9R 40-49 years, female 8.1
GTEX-ZAB4-2126-SM-5HL8U 40-49 years, male 8.1
GTEX-ZC5H-1526-SM-5HL9Y 40-49 years, female 8.1
GTEX-ZZ64-1026-SM-5GZXG 20-29 years, male 8.1
GTEX-11P82-1426-SM-DTXFY 20-29 years, male 8.1
GTEX-1IDJD-2326-SM-ACKWX 30-39 years, male 8.1
GTEX-1IDJH-0126-SM-D3L92 70-79 years, male 8.1
GTEX-1JMPZ-0726-SM-CY8HZ 30-39 years, male 8.1
GTEX-1QP66-1226-SM-DTX7U 50-59 years, male 8.1
GTEX-12WSD-0626-SM-5GCMW 60-69 years, female 8.0
GTEX-13112-0126-SM-5P9IU 50-59 years, male 8.0
GTEX-13O3Q-0126-SM-5KM34 50-59 years, male 8.0
GTEX-145LS-0626-SM-7EPG7 60-69 years, female 8.0
GTEX-15G19-2426-SM-7KUMR 60-69 years, male 8.0
GTEX-17F98-1326-SM-7DUEP 40-49 years, female 8.0
GTEX-UPK5-0426-SM-3GAEK 40-49 years, male 8.0
GTEX-WFG7-2026-SM-5SI7P 20-29 years, male 8.0
GTEX-1QCLZ-2426-SM-EVYBW 60-69 years, female 8.0
GTEX-1QMI2-2526-SM-E8VNZ 60-69 years, male 8.0
GTEX-1QP29-1826-SM-DTX9S 50-59 years, male 8.0
GTEX-ZLV1-1526-SM-DO91J 60-69 years, female 8.0
GTEX-11UD2-2526-SM-5CVNU 50-59 years, male 7.9
GTEX-11ZTT-2126-SM-5CVLO 60-69 years, female 7.9
GTEX-12WSH-1526-SM-5BC5W 50-59 years, male 7.9
GTEX-12ZZY-0726-SM-5EQ66 60-69 years, male 7.9
GTEX-13N11-2326-SM-5IJBF 50-59 years, female 7.9
GTEX-1B8KE-1126-SM-7EPHI 50-59 years, male 7.9
GTEX-U8XE-0226-SM-4E3J3 30-39 years, male 7.9
GTEX-WRHU-2826-SM-3MJG8 50-59 years, female 7.9
GTEX-1LSNL-2726-SM-E9TKJ 50-59 years, male 7.9
GTEX-YEC3-1326-SM-DO92X 50-59 years, male 7.9
GTEX-11GSP-2326-SM-5HL63 60-69 years, female 7.8
GTEX-13OW6-2726-SM-5J2OE 50-59 years, male 7.8
GTEX-13RTJ-0126-SM-5S2NN 60-69 years, male 7.8
GTEX-15D1Q-2826-SM-6LLH7 40-49 years, male 7.8
GTEX-17EVQ-0126-SM-7IGLR 70-79 years, male 7.8
GTEX-WH7G-2026-SM-3NMBL 40-49 years, male 7.8
GTEX-WHPG-2626-SM-3NMBR 50-59 years, male 7.8
GTEX-X4EP-0626-SM-3P621 60-69 years, female 7.8
GTEX-Y3I4-1726-SM-4TT89 50-59 years, male 7.8
GTEX-YFCO-1226-SM-5LUAT 40-49 years, male 7.8
GTEX-ZWKS-0626-SM-5GIDV 30-39 years, male 7.8
GTEX-ZYFD-0626-SM-5E44E 50-59 years, male 7.8
GTEX-18D9A-1426-SM-7LT8M 30-39 years, female 7.8
GTEX-1H1DE-1326-SM-9KNUG 20-29 years, male 7.8
GTEX-1HUB1-1426-SM-CGQF5 60-69 years, male 7.8
GTEX-1IDJU-1726-SM-CMKHU 60-69 years, female 7.8
GTEX-1MCYP-0526-SM-E9U6Q 20-29 years, female 7.8
GTEX-13113-1626-SM-5EQ4I 60-69 years, female 7.7
GTEX-13PVQ-0626-SM-5LU47 50-59 years, male 7.7
GTEX-1497J-0226-SM-5QGPU 60-69 years, male 7.7
GTEX-1E1VI-0326-SM-793D1 50-59 years, male 7.7
GTEX-YEC4-1826-SM-4W1YP 40-49 years, male 7.7
GTEX-1F75B-0726-SM-7PC3R 50-59 years, male 7.7
GTEX-1H2FU-0926-SM-9WPPT 60-69 years, female 7.7
GTEX-1JJ6O-2726-SM-CNPOG 60-69 years, male 7.7
GTEX-1JJE9-2626-SM-ARZMT 70-79 years, male 7.7
GTEX-12WSL-2026-SM-5GCML 50-59 years, male 7.6
GTEX-15RJ7-2126-SM-6PAMD 40-49 years, male 7.6
GTEX-1A3MW-0626-SM-731CB 60-69 years, female 7.6
GTEX-Z93S-1626-SM-5CVMB 50-59 years, male 7.6
GTEX-ZT9X-1526-SM-5DUXD 40-49 years, male 7.6
GTEX-1HSMP-0926-SM-A9SKX 70-79 years, male 7.6
GTEX-1NSGN-0726-SM-DTXEF 50-59 years, male 7.6
GTEX-1S3DN-2126-SM-E9TIN 50-59 years, male 7.6
GTEX-11DXW-0826-SM-5H118 40-49 years, male 7.5
GTEX-13N2G-0226-SM-5K7VF 60-69 years, male 7.5
GTEX-13OW8-1026-SM-5J1NQ 60-69 years, male 7.5
GTEX-16XZZ-0726-SM-7KUF2 60-69 years, male 7.5
GTEX-16Z82-2626-SM-7KULU 60-69 years, male 7.5
GTEX-1EX96-1026-SM-7MKG2 50-59 years, male 7.5
GTEX-WXYG-2026-SM-4E3IY 50-59 years, female 7.5
GTEX-XK95-0226-SM-4AT58 40-49 years, male 7.5
GTEX-ZYVF-0926-SM-5E44J 50-59 years, female 7.5
GTEX-1IDJE-1426-SM-ADEIW 50-59 years, female 7.5
GTEX-1JN1M-2726-SM-CY8I4 60-69 years, female 7.5
GTEX-1KANA-1326-SM-DIPFA 20-29 years, male 7.5
GTEX-1PIIG-2326-SM-DTXFR 30-39 years, male 7.5
GTEX-1QAET-0326-SM-EVR3U 50-59 years, male 7.5
GTEX-11EM3-1226-SM-5N9DD 20-29 years, female 7.4
GTEX-145MN-1526-SM-5SI9T 30-39 years, male 7.4
GTEX-147GR-2426-SM-5ZZWQ 60-69 years, male 7.4
GTEX-14DAQ-0626-SM-793DS 60-69 years, female 7.4
GTEX-1F75I-2226-SM-7SB8U 40-49 years, male 7.4
GTEX-1F88F-0126-SM-9WYSZ 60-69 years, female 7.4
GTEX-1GTWX-2026-SM-9YFLM 60-69 years, male 7.4
GTEX-1H1CY-0126-SM-9YFLY 60-69 years, female 7.4
GTEX-1HFI7-2326-SM-CGQFS 50-59 years, female 7.4
GTEX-1I1HK-2326-SM-CKZOH 60-69 years, male 7.4
GTEX-1J1OQ-0126-SM-D4P2N 40-49 years, female 7.4
GTEX-1JMPY-0226-SM-CKZOK 30-39 years, male 7.4
GTEX-13OVK-1426-SM-6PAN7 40-49 years, male 7.3
GTEX-145LT-0526-SM-5LUB2 40-49 years, male 7.3
GTEX-1EN7A-2426-SM-793DB 40-49 years, male 7.3
GTEX-1EWIQ-0326-SM-7DHMQ 70-79 years, female 7.3
GTEX-XXEK-1626-SM-4BRUZ 50-59 years, male 7.3
GTEX-1GN73-0726-SM-7P8TJ 60-69 years, male 7.3
GTEX-1J8Q3-0526-SM-ARL8U 60-69 years, male 7.3
GTEX-1QCLY-0226-SM-EWRNH 30-39 years, male 7.3
GTEX-1R46S-2426-SM-E76QA 60-69 years, female 7.3
GTEX-117YX-1926-SM-5GIEC 50-59 years, male 7.2
GTEX-1211K-1526-SM-5FQU4 60-69 years, female 7.2
GTEX-13W3W-0726-SM-5IJDQ 60-69 years, female 7.2
GTEX-147F4-0726-SM-5TDDD 50-59 years, male 7.2
GTEX-15CHQ-0326-SM-69LQD 60-69 years, male 7.2
GTEX-1B97I-0626-SM-73KUZ 40-49 years, male 7.2
GTEX-WHWD-1826-SM-3LK6I 50-59 years, male 7.2
GTEX-1HBPN-0126-SM-CGQEF 50-59 years, male 7.2
GTEX-1JJEA-1826-SM-ARU8P 60-69 years, male 7.2
GTEX-1LVAO-2726-SM-E9TJ8 60-69 years, male 7.2
GTEX-1O9I2-0226-SM-EYYXD 50-59 years, male 7.2
GTEX-13G51-1826-SM-5KLZH 60-69 years, male 7.1
GTEX-14PHY-1226-SM-5ZZWK 60-69 years, female 7.1
GTEX-Y5LM-0926-SM-6LLJG 40-49 years, female 7.1
GTEX-ZA64-1026-SM-5HL8R 20-29 years, male 7.1
GTEX-1I19N-0126-SM-CYPSF 70-79 years, male 7.1
GTEX-1ICLZ-0326-SM-ARL82 60-69 years, male 7.1
GTEX-1LGOU-1326-SM-D3L8M 20-29 years, female 7.1
GTEX-14PHX-2226-SM-6EU2P 50-59 years, male 7.0
GTEX-17HII-1426-SM-7EPGG 50-59 years, male 7.0
GTEX-18A7B-2726-SM-7LG56 70-79 years, male 7.0
GTEX-18D9B-0926-SM-7LG4U 60-69 years, male 7.0
GTEX-ZT9W-1126-SM-57WDR 50-59 years, male 7.0
GTEX-ZVTK-0226-SM-51MRG 20-29 years, male 7.0
GTEX-1C475-1326-SM-7SB73 40-49 years, female 7.0
GTEX-1H1ZS-2726-SM-9WG75 70-79 years, male 7.0
GTEX-1HBPI-2126-SM-ARL9K 50-59 years, male 7.0
GTEX-1HC8U-1326-SM-9YFMJ 40-49 years, female 7.0
GTEX-111FC-2526-SM-5GZXU 60-69 years, male 6.9
GTEX-146FQ-2126-SM-5RQHU 30-39 years, male 6.9
GTEX-14ABY-2026-SM-62LDL 50-59 years, male 6.9
GTEX-1A3MX-2626-SM-7PC24 60-69 years, male 6.9
GTEX-1J1R8-2026-SM-CL53Y 40-49 years, male 6.9
GTEX-1RB15-1326-SM-E76Q9 60-69 years, male 6.9
GTEX-11P7K-1126-SM-5HL4L 30-39 years, male 6.8
GTEX-131XG-0326-SM-5L3DX 50-59 years, female 6.8
GTEX-131XW-0626-SM-5PNVD 50-59 years, female 6.8
GTEX-13OVG-1626-SM-5J1NF 60-69 years, male 6.8
GTEX-15G1A-1626-SM-7KUKN 30-39 years, male 6.8
GTEX-XPVG-2126-SM-4B667 50-59 years, male 6.8
GTEX-XQ8I-0926-SM-4BOOF 50-59 years, male 6.8
GTEX-XYKS-1426-SM-4BRUO 60-69 years, female 6.8
GTEX-1CB4I-0126-SM-7RHGG 50-59 years, male 6.8
GTEX-1IDJF-2026-SM-CL53V 20-29 years, male 6.8
GTEX-1IL2V-1926-SM-B2LW8 70-79 years, male 6.8
GTEX-1KAFJ-0126-SM-DIPEK 50-59 years, male 6.8
GTEX-1LG7Z-1626-SM-CXKYR 30-39 years, male 6.8
GTEX-145ME-1726-SM-5Q5EU 40-49 years, female 6.7
GTEX-1GZ2Q-0126-SM-9WG6M 40-49 years, male 6.7
GTEX-1JMQK-1226-SM-D4P2S 60-69 years, male 6.7
GTEX-1LSVX-2526-SM-DIPEU 60-69 years, male 6.7
GTEX-11NUK-2726-SM-5A5MC 50-59 years, male 6.6
GTEX-12584-0726-SM-5FQTK 40-49 years, male 6.6
GTEX-139TU-0726-SM-5L3EK 60-69 years, male 6.6
GTEX-14PJ3-1126-SM-5ZZVX 50-59 years, male 6.6
GTEX-14PK6-0226-SM-62LF5 70-79 years, female 6.6
GTEX-18465-2826-SM-7LT9J 50-59 years, male 6.6
GTEX-18A66-0626-SM-7LT8Z 60-69 years, male 6.6
GTEX-18D9U-0126-SM-731BM 40-49 years, male 6.6
GTEX-ZTX8-1326-SM-4YCEL 20-29 years, male 6.6
GTEX-11OF3-0126-SM-5PNYF 60-69 years, male 6.5
GTEX-12WSF-1626-SM-7KUG5 70-79 years, male 6.5
GTEX-14DAR-1226-SM-73KYV 50-59 years, male 6.5
GTEX-17HGU-2326-SM-7DUFE 50-59 years, male 6.5
GTEX-WY7C-2126-SM-3NB2R 50-59 years, male 6.5
GTEX-X5EB-1926-SM-4E3IW 40-49 years, male 6.5
GTEX-1RAZQ-1326-SM-E9TK6 30-39 years, male 6.5
GTEX-14E6E-0526-SM-793DN 30-39 years, male 6.4
GTEX-Y8LW-1526-SM-5IFHL 50-59 years, female 6.4
GTEX-ZYFG-1526-SM-5GZYM 60-69 years, female 6.4
GTEX-1H23P-0626-SM-9WG6T 60-69 years, male 6.4
GTEX-1JKYN-0826-SM-ARU8S 30-39 years, male 6.4
GTEX-1M4P7-0726-SM-E6CJ3 60-69 years, male 6.4
GTEX-1PDJ9-1226-SM-EXUSX 20-29 years, male 6.4
GTEX-144FL-0626-SM-5LU43 50-59 years, male 6.3
GTEX-14PKV-1126-SM-6LLJ1 20-29 years, female 6.3
GTEX-XUW1-0926-SM-4BONX 50-59 years, female 6.3
GTEX-1AYD5-2626-SM-7PBXY 50-59 years, male 6.3
GTEX-1JMQI-1726-SM-ARL93 50-59 years, male 6.3
GTEX-11DXZ-2026-SM-5987S 50-59 years, male 6.2
GTEX-11TT1-1826-SM-5EQLV 20-29 years, male 6.2
GTEX-11ZU8-0126-SM-5EQ58 60-69 years, male 6.2
GTEX-1399R-1326-SM-5PNYS 30-39 years, male 6.2
GTEX-16MT8-2926-SM-7DUFO 60-69 years, female 6.2
GTEX-17JCI-2926-SM-7DUFF 60-69 years, female 6.2
GTEX-WEY5-2326-SM-3GIKK 40-49 years, female 6.2
GTEX-XBEW-1126-SM-4QARW 40-49 years, male 6.2
GTEX-1CAMS-2226-SM-7PBXQ 40-49 years, female 6.2
GTEX-1J8JJ-0626-SM-ARZMQ 60-69 years, female 6.2
GTEX-1K9T9-1526-SM-DIPFR 50-59 years, female 6.2
GTEX-13JVG-0726-SM-5KM16 60-69 years, male 6.1
GTEX-15RIG-0726-SM-7KUM7 40-49 years, male 6.1
GTEX-ZDTS-0826-SM-4WKHL 60-69 years, male 6.1
GTEX-ZPU1-1126-SM-4YCF3 40-49 years, male 6.1
GTEX-ZVP2-0326-SM-57WBP 50-59 years, male 6.1
GTEX-1HB9E-0126-SM-CM2S5 50-59 years, male 6.1
GTEX-1JMOU-1026-SM-CYPSS 60-69 years, female 6.1
GTEX-1JMQL-2226-SM-CNPP4 50-59 years, female 6.1
GTEX-1RMOY-1326-SM-E9TIH 50-59 years, male 6.1
GTEX-1192X-2726-SM-5N9DN 50-59 years, male 6.0
GTEX-X4EO-2926-SM-4E3JH 60-69 years, female 6.0
GTEX-ZAK1-0626-SM-5HL8E 50-59 years, female 6.0
GTEX-1JMQJ-0826-SM-CNPP7 50-59 years, male 6.0
GTEX-X8HC-0626-SM-4E3HQ 50-59 years, female 5.9
GTEX-Y8E4-2026-SM-5IFJB 40-49 years, male 5.9
GTEX-1CAMR-1326-SM-7PC1F 20-29 years, male 5.9
GTEX-1HGF4-0126-SM-CNPPX 60-69 years, male 5.9
GTEX-ZF3C-0626-SM-DO92O 50-59 years, female 5.9
GTEX-14PJO-2526-SM-6AJBQ 60-69 years, male 5.8
GTEX-15CHR-1126-SM-7EWF4 50-59 years, male 5.8
GTEX-1S82P-2126-SM-E6CI5 60-69 years, female 5.8
GTEX-11PRG-0726-SM-5EGL1 50-59 years, male 5.7
GTEX-13FH7-1126-SM-5K7UG 50-59 years, female 5.7
GTEX-17HG3-2626-SM-7DUF2 30-39 years, female 5.7
GTEX-1B996-0426-SM-7EWF8 60-69 years, male 5.7
GTEX-XV7Q-1826-SM-4BRUV 40-49 years, female 5.7
GTEX-1F6I4-2326-SM-7RHGL 60-69 years, male 5.7
GTEX-1HCU6-2526-SM-ADEHL 60-69 years, female 5.7
GTEX-1N2DV-1526-SM-DTXEP 40-49 years, male 5.7
GTEX-1R9K4-2826-SM-DTX8F 60-69 years, male 5.7
GTEX-ZPIC-0526-SM-DO91W 40-49 years, female 5.7
GTEX-11DYG-1526-SM-5A5JS 60-69 years, male 5.6
GTEX-1212Z-0126-SM-59HK4 60-69 years, male 5.6
GTEX-12BJ1-0926-SM-5EQ62 60-69 years, male 5.6
GTEX-16MT9-0126-SM-7EPI8 60-69 years, female 5.6
GTEX-ZYW4-0626-SM-59HJR 60-69 years, male 5.6
GTEX-1GPI7-1826-SM-9KNU1 20-29 years, male 5.6
GTEX-1HFI6-0126-SM-CNPPI 40-49 years, male 5.6
GTEX-1PPH8-0126-SM-EWRN8 20-29 years, male 5.6
GTEX-131XH-0126-SM-5LZUY 50-59 years, male 5.4
GTEX-139TS-2126-SM-5K7XC 60-69 years, male 5.4
GTEX-13U4I-2226-SM-5LU5H 40-49 years, female 5.4
GTEX-1MCC2-1826-SM-DIPEX 30-39 years, female 5.4
GTEX-1QW4Y-1126-SM-DTXE3 30-39 years, male 5.4
GTEX-11NSD-0626-SM-5A5LU 20-29 years, male 5.3
GTEX-15SHW-0226-SM-7LTAT 60-69 years, male 5.3
GTEX-18QFQ-1826-SM-72D52 30-39 years, male 5.3
GTEX-ZDXO-3126-SM-5IJDF 60-69 years, male 5.3
GTEX-1E2YA-2126-SM-7MXUO 50-59 years, male 5.3
GTEX-16MTA-0926-SM-6M47Z 50-59 years, male 5.2
GTEX-1C6WA-2626-SM-7MKGM 60-69 years, male 5.2
GTEX-1CB4E-0926-SM-7EPHT 60-69 years, male 5.2
GTEX-XBEC-0726-SM-4QARZ 50-59 years, male 5.2
GTEX-ZTSS-1426-SM-5985P 40-49 years, male 5.2
GTEX-ZU9S-1826-SM-5NQ9E 30-39 years, male 5.2
GTEX-W5X1-2526-SM-3GILC 40-49 years, female 5.1
GTEX-1IDJI-0126-SM-CMKHS 50-59 years, female 5.1
GTEX-1JN6P-2926-SM-CL54D 60-69 years, male 5.1
GTEX-12WSJ-1126-SM-5LZVJ 40-49 years, female 5.0
GTEX-1HCUA-0826-SM-ADEHM 50-59 years, female 5.0
GTEX-1OJC3-1226-SM-DTXER 20-29 years, male 5.0
GTEX-16AAH-0626-SM-793C9 50-59 years, male 4.9
GTEX-17F9E-2326-SM-79OKD 50-59 years, male 4.9
GTEX-X3Y1-2026-SM-3P5YM 40-49 years, male 4.9
GTEX-1HCU8-2526-SM-CE6RX 60-69 years, female 4.9
GTEX-132AR-0326-SM-5KM2C 50-59 years, female 4.8
GTEX-1AX8Z-0726-SM-73KTS 60-69 years, male 4.8
GTEX-X585-2426-SM-46MW2 50-59 years, male 4.8
GTEX-Y111-0626-SM-4SOIT 50-59 years, male 4.8
GTEX-17F96-0126-SM-7EWDU 70-79 years, male 4.7
GTEX-1K2DA-1026-SM-CGQGF 50-59 years, male 4.7
GTEX-1QP9N-1226-SM-E76QN 30-39 years, male 4.7
GTEX-1R9PN-0426-SM-DTXDT 40-49 years, female 4.7
GTEX-17F97-2626-SM-7IGM5 50-59 years, male 4.6
GTEX-XQ3S-1426-SM-4BOPR 20-29 years, male 4.6
GTEX-Y114-2126-SM-4TT8B 50-59 years, female 4.6
GTEX-1C64O-1326-SM-7MGWR 60-69 years, male 4.6
GTEX-1GMR2-0826-SM-7PC3V 50-59 years, male 4.6
GTEX-1IKOE-1426-SM-CE6T7 30-39 years, female 4.6
GTEX-V1D1-2026-SM-3GAF4 50-59 years, male 4.5
GTEX-WFG8-2126-SM-3GIKQ 20-29 years, male 4.5
GTEX-XOT4-0626-SM-4B66L 60-69 years, female 4.5
GTEX-1LVAN-0626-SM-CNPOQ 50-59 years, female 4.5
GTEX-1LBAC-0826-SM-CY8IJ 20-29 years, male 4.4
GTEX-1I4MK-0126-SM-CY8G6 50-59 years, female 4.3
GTEX-1S82U-1026-SM-E6CJK 30-39 years, female 4.3
GTEX-1LSNM-0826-SM-DIPG8 50-59 years, male 4.2
GTEX-1MJK3-0726-SM-E6CJC 20-29 years, male 4.0
GTEX-Y3IK-1626-SM-4YCF5 50-59 years, female 3.6
GTEX-WI4N-2726-SM-3LK7Y 40-49 years, female 3.4
GTEX-1JMLX-0626-SM-ARL8T 50-59 years, male 2.8
Show allShow less
Skin - Sun Exposed (Lower leg)
Average nTPM: 8.7
Samples: 701

Max nTPM: 17.4
Min nTPM: 2.6
Std nTPM: 2.3
Median nTPM: 8.4
GTEX-1C475-1826-SM-73KWA 40-49 years, female 17.4
GTEX-1122O-2126-SM-5EGIR 60-69 years, female 16.4
GTEX-145LS-0126-SM-5QGP1 60-69 years, female 15.4
GTEX-17F96-1626-SM-7DUFL 70-79 years, male 15.4
GTEX-ZYT6-0226-SM-5NQ6T 30-39 years, male 15.3
GTEX-1F52S-0126-SM-9MQJU 60-69 years, female 15.3
GTEX-15EU6-0426-SM-6PAN5 50-59 years, male 15.2
GTEX-13NYC-0326-SM-E9J4S 60-69 years, male 15.2
GTEX-SNMC-1226-SM-2XCFP 20-29 years, male 15.0
GTEX-ZF2S-2326-SM-4WWCE 50-59 years, female 15.0
GTEX-T5JW-1626-SM-3GADZ 20-29 years, female 14.9
GTEX-1H4P4-0726-SM-9YFLR 50-59 years, male 14.8
GTEX-Z9EW-1626-SM-5CVMN 40-49 years, male 14.4
GTEX-1HCU7-0226-SM-CL545 50-59 years, male 14.4
GTEX-14C5O-0126-SM-5SI6N 60-69 years, male 14.3
GTEX-16AAH-1726-SM-7939C 50-59 years, male 14.0
GTEX-ZXES-1826-SM-5E43S 30-39 years, female 13.9
GTEX-12WSN-5019-SM-79OM6 40-49 years, male 13.8
GTEX-14A5I-0126-SM-5TDEA 50-59 years, female 13.8
GTEX-11EQ9-2426-SM-5HL5T 30-39 years, male 13.7
GTEX-15F5U-1526-SM-6PANO 40-49 years, male 13.7
GTEX-1POEN-0126-SM-EYYXJ 30-39 years, female 13.7
GTEX-145MI-0526-SM-5O9A8 60-69 years, female 13.6
GTEX-1I1GT-0626-SM-CGQER 60-69 years, female 13.6
GTEX-1N2EF-0226-SM-EYYXB 60-69 years, male 13.6
GTEX-11TUW-2726-SM-E9J4M 60-69 years, male 13.5
GTEX-ZDTT-2726-SM-4WKF8 60-69 years, male 13.3
GTEX-1E2YA-0126-SM-9KNUC 50-59 years, male 13.3
GTEX-1KANA-0726-SM-D3L9I 20-29 years, male 13.3
GTEX-1PIGE-0126-SM-EVYBJ 20-29 years, male 13.3
GTEX-1QMI2-0226-SM-EVYBX 60-69 years, male 13.3
GTEX-T8EM-1026-SM-3DB7M 40-49 years, male 13.1
GTEX-1GL5R-1826-SM-9KNUY 50-59 years, male 13.1
GTEX-1F6RS-0126-SM-9MQKZ 60-69 years, female 13.0
GTEX-1J8QM-2126-SM-CYPSJ 60-69 years, female 13.0
GTEX-1R9PM-2026-SM-E76OY 20-29 years, male 13.0
GTEX-15G19-0126-SM-6PANQ 60-69 years, male 12.9
GTEX-1IKJJ-0126-SM-CNPQB 60-69 years, male 12.9
GTEX-1C6VR-2426-SM-79OLD 60-69 years, male 12.8
GTEX-TMMY-0226-SM-33HBA 40-49 years, female 12.8
GTEX-13SLX-0526-SM-5S2ON 50-59 years, female 12.7
GTEX-17JCI-0126-SM-7LG5G 60-69 years, female 12.7
GTEX-1F5PK-2426-SM-7RHHY 50-59 years, male 12.7
GTEX-1S82Z-0826-SM-E6CHY 30-39 years, female 12.7
GTEX-1JK1U-2026-SM-CM2RZ 60-69 years, male 12.6
GTEX-1LH75-2426-SM-E9TJE 50-59 years, female 12.6
GTEX-1HSMQ-1226-SM-CGQFX 50-59 years, male 12.5
GTEX-1LG7Z-1726-SM-D3LA4 30-39 years, male 12.5
GTEX-XBEW-0626-SM-4QASP 40-49 years, male 12.4
GTEX-1LBAC-0126-SM-DIPEZ 20-29 years, male 12.4
GTEX-12WSA-0226-SM-5BC5V 60-69 years, male 12.3
GTEX-13FTX-1826-SM-5J1NX 20-29 years, female 12.3
GTEX-13N2G-2626-SM-5J1OT 60-69 years, male 12.3
GTEX-16BQI-0226-SM-7KUEX 30-39 years, female 12.3
GTEX-ZVE2-0226-SM-59HJB 50-59 years, male 12.3
GTEX-1GPI7-0126-SM-9MQL8 20-29 years, male 12.3
GTEX-13OW6-0426-SM-5L3HM 50-59 years, male 12.2
GTEX-145LU-0126-SM-5TDCB 50-59 years, male 12.2
GTEX-13JUV-2726-SM-5LZZ8 40-49 years, female 12.1
GTEX-148VJ-0126-SM-5TDDN 70-79 years, male 12.1
GTEX-PVOW-0126-SM-2XCFA 40-49 years, male 12.1
GTEX-1C64N-0126-SM-793D7 50-59 years, male 12.0
GTEX-ZWKS-0126-SM-5SIAA 30-39 years, male 12.0
GTEX-ZXG5-0126-SM-5GIEU 60-69 years, male 12.0
GTEX-1B97I-1626-SM-73KYO 40-49 years, male 11.9
GTEX-1GZ4H-1726-SM-7PBZJ 50-59 years, female 11.9
GTEX-1B8KE-2126-SM-73KYX 50-59 years, male 11.8
GTEX-11O72-0126-SM-59887 40-49 years, male 11.7
GTEX-13NZB-2526-SM-5J1OM 30-39 years, male 11.7
GTEX-1CB4H-0226-SM-7PBXM 60-69 years, female 11.7
GTEX-1GF9U-2126-SM-7SB7L 40-49 years, female 11.7
GTEX-1GF9V-0326-SM-7RHI5 60-69 years, male 11.7
GTEX-1HFI7-1826-SM-ACKXH 50-59 years, female 11.7
GTEX-11EI6-0126-SM-5985R 60-69 years, male 11.6
GTEX-133LE-1826-SM-5J1MV 20-29 years, female 11.6
GTEX-13NYB-2526-SM-5K7Z6 40-49 years, male 11.6
GTEX-14PJ6-2126-SM-6EU1V 60-69 years, female 11.6
GTEX-1GMR3-1926-SM-9KNUZ 40-49 years, male 11.6
GTEX-111FC-0126-SM-5N9DL 60-69 years, male 11.5
GTEX-13W46-0226-SM-5SIAG 50-59 years, male 11.5
GTEX-14BIN-0626-SM-793DP 50-59 years, female 11.5
GTEX-S7SE-0126-SM-2XCD5 50-59 years, male 11.5
GTEX-ZV6S-2326-SM-4YCEY 40-49 years, female 11.5
GTEX-1B996-0226-SM-7RHGO 60-69 years, male 11.5
GTEX-1MA7W-2026-SM-E9TJ6 20-29 years, female 11.5
GTEX-1PIIG-0226-SM-EWRN6 30-39 years, male 11.5
GTEX-1R7EU-0226-SM-EVR4G 60-69 years, male 11.5
GTEX-11DZ1-0126-SM-5985Q 50-59 years, male 11.4
GTEX-11VI4-1726-SM-5CVLH 40-49 years, female 11.3
GTEX-15ETS-0126-SM-7KUMW 40-49 years, female 11.3
GTEX-15RIG-0226-SM-7KFTL 40-49 years, male 11.3
GTEX-15UKP-0426-SM-7KUFQ 20-29 years, male 11.3
GTEX-Y5V5-2326-SM-4V6GA 60-69 years, female 11.3
GTEX-ZVT2-2526-SM-51MT1 50-59 years, female 11.3
GTEX-1O97I-0326-SM-EYYX7 60-69 years, male 11.3
GTEX-1S83E-0126-SM-EWRO4 40-49 years, male 11.3
GTEX-13OVK-2026-SM-7KUEO 40-49 years, male 11.2
GTEX-13SLW-0126-SM-5SI6C 70-79 years, male 11.2
GTEX-1B8SF-1426-SM-7DUGL 60-69 years, male 11.2
GTEX-YB5K-2126-SM-4WWDJ 40-49 years, female 11.2
GTEX-1I1GR-0126-SM-CL55F 60-69 years, male 11.2
GTEX-12KS4-0326-SM-5EQ41 30-39 years, male 11.1
GTEX-1399T-2826-SM-5KLYZ 60-69 years, male 11.1
GTEX-13D11-2426-SM-5KM1V 50-59 years, female 11.1
GTEX-14E6E-1826-SM-5S2R7 30-39 years, male 11.1
GTEX-14LZ3-0226-SM-62LET 60-69 years, female 11.1
GTEX-1E1VI-0126-SM-7DHMZ 50-59 years, male 11.1
GTEX-1KANC-1526-SM-D3LAB 50-59 years, female 11.1
GTEX-12WSC-0126-SM-5EQ4P 50-59 years, male 11.0
GTEX-14PJM-0226-SM-62LF1 50-59 years, female 11.0
GTEX-15DYW-0126-SM-7KULE 60-69 years, female 11.0
GTEX-1I4MK-2226-SM-ACKWD 50-59 years, female 11.0
GTEX-13PDP-0126-SM-5L3HD 60-69 years, male 10.9
GTEX-15EOM-0126-SM-7KUGG 20-29 years, female 10.9
GTEX-16NGA-1726-SM-731B4 40-49 years, female 10.9
GTEX-T6MO-1626-SM-32QOM 40-49 years, female 10.9
GTEX-1GMR8-0126-SM-9WYTM 50-59 years, female 10.9
GTEX-1HSGN-0226-SM-CGQFV 40-49 years, female 10.9
GTEX-1LB8K-0226-SM-EWRNW 50-59 years, male 10.9
GTEX-1LVAN-0226-SM-COH3S 50-59 years, female 10.9
GTEX-1PPH7-2326-SM-EVYB8 40-49 years, male 10.9
GTEX-14DAR-2026-SM-5S2O3 50-59 years, male 10.8
GTEX-1AX9J-0226-SM-73KXM 60-69 years, male 10.8
GTEX-P44H-0226-SM-2XCEU 40-49 years, male 10.8
GTEX-111VG-2426-SM-5GZXD 60-69 years, male 10.7
GTEX-113JC-2326-SM-5EQ4E 50-59 years, female 10.7
GTEX-11WQK-0526-SM-5EQLD 50-59 years, male 10.7
GTEX-1GN1U-0126-SM-7PBZK 50-59 years, female 10.7
GTEX-SE5C-1626-SM-2XCE3 40-49 years, female 10.7
GTEX-12ZZX-0126-SM-5EGK9 40-49 years, female 10.6
GTEX-131XW-0426-SM-5LZWP 50-59 years, female 10.6
GTEX-1AX9K-2326-SM-73KWU 50-59 years, male 10.6
GTEX-OIZG-0726-SM-33HBL 50-59 years, male 10.6
GTEX-UJHI-1526-SM-3DB99 50-59 years, female 10.6
GTEX-ZVZP-2426-SM-59HKJ 50-59 years, male 10.6
GTEX-1MUQO-0126-SM-EAZ58 60-69 years, male 10.6
GTEX-13FXS-0226-SM-5IJCK 50-59 years, male 10.5
GTEX-14ABY-0226-SM-5TDCQ 50-59 years, male 10.5
GTEX-ZAB5-1826-SM-5HL7C 50-59 years, male 10.5
GTEX-1F75I-0326-SM-9YFLU 40-49 years, male 10.5
GTEX-1JJEA-0326-SM-CNPOT 60-69 years, male 10.5
GTEX-12ZZY-0226-SM-5LZVE 60-69 years, male 10.4
GTEX-139TT-0126-SM-5K7Y5 60-69 years, male 10.4
GTEX-145LT-1726-SM-5QGP3 40-49 years, male 10.4
GTEX-17EVP-0326-SM-7DHLG 40-49 years, male 10.4
GTEX-RWS6-2026-SM-2XCB5 60-69 years, female 10.4
GTEX-ZAK1-0126-SM-5IJD3 50-59 years, female 10.4
GTEX-13OW5-0126-SM-DTXFS 60-69 years, male 10.4
GTEX-146FR-1326-SM-E9J48 60-69 years, female 10.4
GTEX-1HBPI-1526-SM-C1YQ1 50-59 years, male 10.4
GTEX-1K9T9-0126-SM-EVYCF 50-59 years, female 10.4
GTEX-OIZF-0126-SM-7SB8I 60-69 years, male 10.4
GTEX-11EM3-2426-SM-59861 20-29 years, female 10.3
GTEX-12WSL-2526-SM-5GCNJ 50-59 years, male 10.3
GTEX-14LLW-0126-SM-6LLIO 70-79 years, female 10.3
GTEX-14PN3-2426-SM-6LLHS 60-69 years, female 10.3
GTEX-S32W-2126-SM-2XCB1 50-59 years, female 10.3
GTEX-WFON-2126-SM-3LK7O 40-49 years, male 10.3
GTEX-ZE9C-2726-SM-57WB5 60-69 years, male 10.3
GTEX-12WSG-2826-SM-E9J4H 50-59 years, female 10.3
GTEX-1QP2A-0126-SM-E9J43 50-59 years, male 10.3
GTEX-1QPFJ-0226-SM-E76PB 30-39 years, female 10.3
GTEX-11OF3-2626-SM-5GU7F 60-69 years, male 10.2
GTEX-13111-1626-SM-5EGJY 50-59 years, male 10.2
GTEX-139D8-0226-SM-5KLZO 30-39 years, female 10.2
GTEX-13QJ3-0326-SM-5S2RA 50-59 years, male 10.2
GTEX-1AMFI-2026-SM-731BH 50-59 years, female 10.2
GTEX-XUYS-0126-SM-47JWZ 50-59 years, male 10.2
GTEX-ZGAY-0526-SM-4WWBB 40-49 years, female 10.2
GTEX-1H11D-0226-SM-9WG6Z 40-49 years, male 10.2
GTEX-1LGRB-2526-SM-CNPPQ 50-59 years, female 10.2
GTEX-11LCK-1026-SM-5A5KB 30-39 years, male 10.1
GTEX-11NSD-2226-SM-5986V 20-29 years, male 10.1
GTEX-15ER7-0326-SM-7KUEV 20-29 years, female 10.1
GTEX-17MFQ-1726-SM-793C7 20-29 years, male 10.1
GTEX-18465-0126-SM-731BN 50-59 years, male 10.1
GTEX-1A3MW-0126-SM-73KXX 60-69 years, female 10.1
GTEX-RWSA-0126-SM-2XCBB 40-49 years, male 10.1
GTEX-1A8FM-0226-SM-7SB7Q 50-59 years, female 10.1
GTEX-1EU9M-0226-SM-7P8SP 60-69 years, male 10.1
GTEX-1QCLY-0326-SM-E8VOG 30-39 years, male 10.1
GTEX-1QEPI-0126-SM-EWRMQ 60-69 years, female 10.1
GTEX-13OW8-1326-SM-5J1OW 60-69 years, male 10.0
GTEX-15DDE-0126-SM-6LPKH 50-59 years, female 10.0
GTEX-1BAJH-0526-SM-793CQ 70-79 years, male 10.0
GTEX-Q2AG-0126-SM-33HBV 40-49 years, female 10.0
GTEX-1H1DG-0126-SM-9WYU2 70-79 years, male 10.0
GTEX-1H3VY-0126-SM-ACKXD 50-59 years, male 10.0
GTEX-1JKYN-1326-SM-CGQG9 30-39 years, male 10.0
GTEX-1JMQI-2226-SM-CM2SD 50-59 years, male 10.0
GTEX-145ME-1826-SM-5SI9G 40-49 years, female 9.9
GTEX-14PII-0226-SM-6EU1T 60-69 years, male 9.9
GTEX-1A3MV-1926-SM-718BT 30-39 years, male 9.9
GTEX-ZZ64-1726-SM-5GZYB 20-29 years, male 9.9
GTEX-1GMRU-0126-SM-9YFLV 50-59 years, male 9.9
GTEX-1GN1W-0526-SM-9MQJQ 50-59 years, female 9.9
GTEX-11P81-2326-SM-59875 30-39 years, female 9.8
GTEX-11ZU8-2526-SM-5EQKI 60-69 years, male 9.8
GTEX-12ZZZ-0626-SM-5DUXI 60-69 years, male 9.8
GTEX-131XE-2326-SM-5PNZ2 50-59 years, male 9.8
GTEX-144GL-0126-SM-5TDE2 50-59 years, male 9.8
GTEX-14DAQ-0126-SM-5S2MQ 60-69 years, female 9.8
GTEX-17GQL-2026-SM-718BA 60-69 years, male 9.8
GTEX-17KNJ-2326-SM-7DHLQ 50-59 years, male 9.8
GTEX-1CAMQ-0226-SM-7IGPK 40-49 years, male 9.8
GTEX-VJWN-0126-SM-3GIK7 50-59 years, female 9.8
GTEX-ZZPT-0226-SM-5E43X 50-59 years, male 9.8
GTEX-1EN7A-0126-SM-7SB81 40-49 years, male 9.8
GTEX-1HT8W-0126-SM-CNPPP 30-39 years, male 9.8
GTEX-1IE54-0126-SM-CMKHW 40-49 years, female 9.8
GTEX-1KD5A-0226-SM-D5OV3 50-59 years, male 9.8
GTEX-11DXW-0226-SM-5H122 40-49 years, male 9.7
GTEX-1212Z-2526-SM-5EGKP 60-69 years, male 9.7
GTEX-131XH-2226-SM-5DUXJ 50-59 years, male 9.7
GTEX-17HII-0226-SM-7LG4E 50-59 years, male 9.7
GTEX-TSE9-0126-SM-3DB83 60-69 years, female 9.7
GTEX-VJYA-1126-SM-3GIJU 60-69 years, male 9.7
GTEX-XAJ8-0826-SM-47JY6 40-49 years, male 9.7
GTEX-ZY6K-1826-SM-5GZXK 50-59 years, male 9.7
GTEX-1H1E6-1726-SM-ACKVK 30-39 years, male 9.7
GTEX-1I19N-0326-SM-ACKVX 70-79 years, male 9.7
GTEX-13IVO-0126-SM-5J1NG 70-79 years, male 9.6
GTEX-14A6H-0126-SM-5QGPK 30-39 years, male 9.6
GTEX-15SHU-0126-SM-7KUEH 40-49 years, female 9.6
GTEX-18A66-0226-SM-718BD 60-69 years, male 9.6
GTEX-18D9A-1926-SM-7LG6P 30-39 years, female 9.6
GTEX-1CB4I-0226-SM-79OLH 50-59 years, male 9.6
GTEX-WFG8-2226-SM-3GIL9 20-29 years, male 9.6
GTEX-XMD2-0126-SM-4YCDU 60-69 years, female 9.6
GTEX-1I1GQ-0126-SM-COH3H 50-59 years, male 9.6
GTEX-1IDJU-2626-SM-CM2RT 60-69 years, female 9.6
GTEX-1R9PO-2126-SM-E9J4O 60-69 years, female 9.6
GTEX-13112-2826-SM-5DUWH 50-59 years, male 9.5
GTEX-13O3P-0126-SM-5KM4S 50-59 years, male 9.5
GTEX-13OVL-0226-SM-5L3E9 50-59 years, male 9.5
GTEX-146FH-0126-SM-5QGPP 50-59 years, female 9.5
GTEX-14PHW-0126-SM-6LLJI 60-69 years, female 9.5
GTEX-14XAO-2326-SM-6EU1B 60-69 years, female 9.5
GTEX-OXRN-0126-SM-48TDM 50-59 years, male 9.5
GTEX-ZTX8-1426-SM-5DUVO 20-29 years, male 9.5
GTEX-1EWIQ-0126-SM-7RHH2 70-79 years, female 9.5
GTEX-1F48J-0126-SM-7P8TT 50-59 years, female 9.5
GTEX-1F88F-2726-SM-7PBZZ 60-69 years, female 9.5
GTEX-1HB9E-0226-SM-E9U4R 50-59 years, male 9.5
GTEX-1K2DA-1826-SM-CGQGT 50-59 years, male 9.5
GTEX-1PDJ9-0326-SM-DTX95 20-29 years, male 9.5
GTEX-145MO-0326-SM-5Q5B3 60-69 years, male 9.4
GTEX-14BIL-0126-SM-5SI92 50-59 years, male 9.4
GTEX-1B8SG-0126-SM-73KZ3 50-59 years, male 9.4
GTEX-POMQ-2226-SM-2I5FK 20-29 years, female 9.4
GTEX-SJXC-0126-SM-2XCFF 60-69 years, male 9.4
GTEX-1H3VE-0326-SM-9YFLH 40-49 years, male 9.4
GTEX-1ICG6-2526-SM-CGQFZ 70-79 years, female 9.4
GTEX-11WQC-2526-SM-5CVLE 60-69 years, male 9.3
GTEX-147F3-0526-SM-5SI98 50-59 years, female 9.3
GTEX-14E6C-0126-SM-5RQIP 40-49 years, male 9.3
GTEX-14E7W-0126-SM-6LLJ9 70-79 years, male 9.3
GTEX-14JG6-2226-SM-6EU2G 30-39 years, female 9.3
GTEX-1F75A-0126-SM-7RHGM 50-59 years, male 9.3
GTEX-1S3DN-2226-SM-EVYCD 50-59 years, male 9.3
GTEX-117XS-2726-SM-5N9BL 60-69 years, male 9.2
GTEX-13RTK-1426-SM-5QGQJ 20-29 years, male 9.2
GTEX-13X6J-0126-SM-5QGOU 50-59 years, male 9.2
GTEX-1F75B-0126-SM-9KNVL 50-59 years, male 9.2
GTEX-1H2FU-0126-SM-9WYSI 60-69 years, female 9.2
GTEX-1QP29-0626-SM-EWRMX 50-59 years, male 9.2
GTEX-13N1W-0126-SM-5K7VT 70-79 years, male 9.1
GTEX-13S7M-0126-SM-5SI6A 60-69 years, female 9.1
GTEX-13VXT-0126-SM-5LU4I 20-29 years, female 9.1
GTEX-14BMV-0126-SM-5S2PO 50-59 years, male 9.1
GTEX-16GPK-0126-SM-7DHLE 60-69 years, male 9.1
GTEX-1B8KZ-2026-SM-7DHMB 50-59 years, male 9.1
GTEX-OXRP-0126-SM-3NB32 60-69 years, female 9.1
GTEX-WYVS-2126-SM-3NMA3 40-49 years, female 9.1
GTEX-Y8E4-0626-SM-4WWDL 40-49 years, male 9.1
GTEX-Y8LW-1826-SM-5S2MV 50-59 years, female 9.1
GTEX-1GZHY-0326-SM-9QEHI 50-59 years, female 9.1
GTEX-1HCU8-0626-SM-A9SM9 60-69 years, female 9.1
GTEX-1KXAM-2226-SM-CYPTC 60-69 years, male 9.1
GTEX-1M5QR-1226-SM-EWROB 40-49 years, male 9.1
GTEX-1R9K4-0126-SM-DTX9X 60-69 years, male 9.1
GTEX-11ZTT-2426-SM-5EQLS 60-69 years, female 9.0
GTEX-13NYS-0126-SM-5MR3W 60-69 years, male 9.0
GTEX-16XZZ-0126-SM-793DV 60-69 years, male 9.0
GTEX-WVJS-0126-SM-4MVOT 50-59 years, male 9.0
GTEX-XPVG-2626-SM-4B669 50-59 years, male 9.0
GTEX-Y5V6-2426-SM-4VDSB 60-69 years, male 9.0
GTEX-Y8DK-0126-SM-4TT3L 60-69 years, male 9.0
GTEX-ZUA1-0126-SM-5GU76 40-49 years, male 9.0
GTEX-1CB4G-0226-SM-7PC3O 60-69 years, male 9.0
GTEX-1JMOU-1526-SM-CL54I 60-69 years, female 9.0
GTEX-13CF3-2426-SM-5IFGX 60-69 years, female 8.9
GTEX-14E6D-0126-SM-62LDV 50-59 years, male 8.9
GTEX-17HG3-2226-SM-7938L 30-39 years, female 8.9
GTEX-VUSG-2526-SM-4KL1V 50-59 years, male 8.9
GTEX-169BO-1326-SM-9MQK2 50-59 years, male 8.9
GTEX-1HUB1-0426-SM-E9U4U 60-69 years, male 8.9
GTEX-1R7EV-2426-SM-EVYBG 40-49 years, male 8.9
GTEX-PSDG-0226-SM-DKPOZ 50-59 years, male 8.9
GTEX-11DXY-2626-SM-5GIE7 60-69 years, male 8.8
GTEX-11TT1-2526-SM-5EGIB 20-29 years, male 8.8
GTEX-131YS-0126-SM-5KM1M 60-69 years, female 8.8
GTEX-14A5H-0426-SM-5QGQF 60-69 years, male 8.8
GTEX-15UF6-0826-SM-6PALJ 70-79 years, female 8.8
GTEX-17HGU-0226-SM-7DHKV 50-59 years, male 8.8
GTEX-U3ZH-2026-SM-3DB78 30-39 years, male 8.8
GTEX-1H3NZ-0126-SM-ACKX7 60-69 years, male 8.8
GTEX-1HCU9-1526-SM-A9SL7 20-29 years, male 8.8
GTEX-1IDJH-0326-SM-A9SLQ 70-79 years, male 8.8
GTEX-1JJ6O-0126-SM-E6CI8 60-69 years, male 8.8
GTEX-1KD4Q-0226-SM-E9TJ9 40-49 years, male 8.8
GTEX-11ZUS-0626-SM-59885 30-39 years, male 8.7
GTEX-1314G-1526-SM-5EGK2 30-39 years, male 8.7
GTEX-139UW-2826-SM-5L3E7 60-69 years, male 8.7
GTEX-OIZH-0126-SM-2HMIS 50-59 years, male 8.7
GTEX-PLZ4-0126-SM-5SI8O 50-59 years, female 8.7
GTEX-QESD-1426-SM-2S1R9 20-29 years, male 8.7
GTEX-X261-0126-SM-3NMD6 50-59 years, male 8.7
GTEX-Y5LM-1926-SM-5RQJH 40-49 years, female 8.7
GTEX-YJ8A-0426-SM-5IFID 20-29 years, male 8.7
GTEX-ZU9S-0226-SM-5E441 30-39 years, male 8.7
GTEX-1GN2E-0426-SM-9MQKX 60-69 years, male 8.7
GTEX-1I1CD-0126-SM-CM2TK 60-69 years, female 8.7
GTEX-1ICLY-0126-SM-D4P36 50-59 years, male 8.7
GTEX-1S5ZA-0126-SM-EVYCV 20-29 years, male 8.7
GTEX-PW2O-1526-SM-7RHHB 20-29 years, male 8.7
GTEX-ZQG8-1626-SM-DHXIT 60-69 years, female 8.7
GTEX-11XUK-2026-SM-5EQLF 40-49 years, female 8.6
GTEX-ZEX8-2426-SM-4WKG4 50-59 years, male 8.6
GTEX-1F7RK-0126-SM-7PC2S 20-29 years, female 8.6
GTEX-1IDFM-0126-SM-COH2V 60-69 years, male 8.6
GTEX-1399R-2726-SM-5IJBA 30-39 years, male 8.5
GTEX-13G51-2526-SM-5LZYK 60-69 years, male 8.5
GTEX-13YAN-0326-SM-5O9DF 60-69 years, male 8.5
GTEX-15CHC-2126-SM-6EU21 60-69 years, female 8.5
GTEX-18A67-0126-SM-7LG5P 50-59 years, male 8.5
GTEX-R3RS-0126-SM-3GIJL 40-49 years, female 8.5
GTEX-SSA3-0126-SM-32QPU 60-69 years, male 8.5
GTEX-T5JC-0426-SM-32PLO 20-29 years, male 8.5
GTEX-V1D1-2226-SM-3NMAX 50-59 years, male 8.5
GTEX-YB5E-2026-SM-5IFIS 40-49 years, male 8.5
GTEX-ZTSS-1926-SM-57WEW 40-49 years, male 8.5
GTEX-1H23P-0126-SM-ADEJ3 60-69 years, male 8.5
GTEX-1HBPN-0226-SM-9YFM1 50-59 years, male 8.5
GTEX-11DXX-2426-SM-5GZZW 60-69 years, female 8.4
GTEX-13FTW-2626-SM-5K7WL 40-49 years, male 8.4
GTEX-13NZA-0226-SM-5K7Z7 60-69 years, male 8.4
GTEX-13OVH-0126-SM-5MR4B 70-79 years, male 8.4
GTEX-13X6I-0626-SM-5QGP9 60-69 years, male 8.4
GTEX-148VI-1626-SM-5SI6E 60-69 years, female 8.4
GTEX-14BIM-0226-SM-7IGLD 60-69 years, female 8.4
GTEX-15D1Q-0126-SM-7KUG6 40-49 years, male 8.4
GTEX-U3ZN-2326-SM-3DB7W 30-39 years, female 8.4
GTEX-Z93T-0126-SM-5HL5N 50-59 years, male 8.4
GTEX-1IGQW-0126-SM-COH42 60-69 years, male 8.4
GTEX-1JMQJ-0526-SM-CYPSU 50-59 years, male 8.4
GTEX-1MJK2-0426-SM-DTXE5 50-59 years, male 8.4
GTEX-117YX-2326-SM-5H12W 50-59 years, male 8.3
GTEX-1192W-2626-SM-5Q5AF 60-69 years, male 8.3
GTEX-1269C-2526-SM-5EGJ3 60-69 years, female 8.3
GTEX-12WSK-2326-SM-5GCOH 40-49 years, female 8.3
GTEX-14JG1-0426-SM-6ETZZ 40-49 years, male 8.3
GTEX-16XZY-2126-SM-79OK1 70-79 years, male 8.3
GTEX-1AMEY-1326-SM-73KYK 30-39 years, female 8.3
GTEX-1C2JI-1826-SM-73KXC 50-59 years, male 8.3
GTEX-QDVJ-1726-SM-2I5FX 50-59 years, male 8.3
GTEX-XUW1-0426-SM-4BOOT 50-59 years, female 8.3
GTEX-YJ89-0126-SM-4TT3X 60-69 years, male 8.3
GTEX-1F5PL-0326-SM-7P8PQ 40-49 years, female 8.3
GTEX-1HBPH-0426-SM-B2LW5 40-49 years, female 8.3
GTEX-1HSKV-0226-SM-A9SKJ 60-69 years, male 8.3
GTEX-1J1R8-1726-SM-ARL8M 40-49 years, male 8.3
GTEX-1L5NE-2526-SM-E6CIE 50-59 years, male 8.3
GTEX-1RDX4-0126-SM-E9J4P 50-59 years, female 8.3
GTEX-ZF29-2326-SM-DO92K 60-69 years, female 8.3
GTEX-11ZVC-2526-SM-5FQTE 50-59 years, female 8.2
GTEX-13W3W-2426-SM-5LU5B 60-69 years, female 8.2
GTEX-145LV-2126-SM-5LU8N 50-59 years, male 8.2
GTEX-14PK6-1926-SM-6ETZU 70-79 years, female 8.2
GTEX-1A3MX-0126-SM-731BR 60-69 years, male 8.2
GTEX-WQUQ-0426-SM-3MJFU 60-69 years, male 8.2
GTEX-1B8L1-2526-SM-9WYTF 60-69 years, male 8.2
GTEX-1I6K6-0126-SM-A9SLE 30-39 years, male 8.2
GTEX-1OJC4-0126-SM-E9J2E 50-59 years, female 8.2
GTEX-1QW4Y-1526-SM-EAZ3Z 30-39 years, male 8.2
GTEX-1RB15-2126-SM-E9TIM 60-69 years, male 8.2
GTEX-ZVT4-0126-SM-DTXFN 50-59 years, female 8.2
GTEX-12WSE-0526-SM-793B2 20-29 years, male 8.1
GTEX-13NZ8-0826-SM-5MR3I 60-69 years, female 8.1
GTEX-13O1R-0126-SM-5L3EH 60-69 years, male 8.1
GTEX-145MF-0626-SM-5LUAI 50-59 years, male 8.1
GTEX-15DCD-0126-SM-7KUEK 70-79 years, female 8.1
GTEX-16YQH-0126-SM-7DUFJ 30-39 years, male 8.1
GTEX-17HHE-2026-SM-79OKF 50-59 years, male 8.1
GTEX-O5YT-0126-SM-48TBW 20-29 years, male 8.1
GTEX-P4QT-0126-SM-2I3FL 50-59 years, female 8.1
GTEX-WXYG-2326-SM-4E3I6 50-59 years, female 8.1
GTEX-Z93S-0126-SM-5HL7M 50-59 years, male 8.1
GTEX-ZV68-0126-SM-59HKS 50-59 years, female 8.1
GTEX-1I1HK-0126-SM-COH49 60-69 years, male 8.1
GTEX-1J8Q2-0526-SM-CM2RW 60-69 years, male 8.1
GTEX-1JJE9-0326-SM-CL53Z 70-79 years, male 8.1
GTEX-1RQEC-0426-SM-E6CHU 60-69 years, male 8.1
GTEX-RNOR-0126-SM-E9J4R 50-59 years, female 8.1
GTEX-11H98-0126-SM-5EGHG 50-59 years, male 8.0
GTEX-11UD2-0226-SM-5EQKY 50-59 years, male 8.0
GTEX-12584-0126-SM-5EGKQ 40-49 years, male 8.0
GTEX-139T8-0126-SM-5K7XZ 60-69 years, male 8.0
GTEX-139TU-0126-SM-5K7WH 60-69 years, male 8.0
GTEX-13FHP-0126-SM-5IJBG 50-59 years, male 8.0
GTEX-13U4I-0126-SM-5LU38 40-49 years, female 8.0
GTEX-14ICK-0226-SM-6EU25 40-49 years, male 8.0
GTEX-14JIY-0126-SM-6LLH6 60-69 years, male 8.0
GTEX-15SB6-1726-SM-6PAME 50-59 years, female 8.0
GTEX-15SDE-2226-SM-7IGLO 50-59 years, female 8.0
GTEX-1CAMR-1926-SM-7EPI2 20-29 years, male 8.0
GTEX-NFK9-0226-SM-2HMKQ 40-49 years, male 8.0
GTEX-1AX9I-0126-SM-7SB74 60-69 years, male 8.0
GTEX-1EKGG-0226-SM-9WYTH 60-69 years, male 8.0
GTEX-1GPI6-0126-SM-9WG69 60-69 years, male 8.0
GTEX-1JN76-0126-SM-CNPPE 20-29 years, female 8.0
GTEX-1S82Y-2026-SM-EVYCM 40-49 years, male 8.0
GTEX-PLZ6-1426-SM-DKPOT 30-39 years, male 8.0
GTEX-12696-2426-SM-5EQ6H 60-69 years, male 7.9
GTEX-16NPX-0226-SM-79OMT 50-59 years, male 7.9
GTEX-18A6Q-0126-SM-731BZ 60-69 years, male 7.9
GTEX-18D9B-0526-SM-7LTAS 60-69 years, male 7.9
GTEX-1CB4J-0626-SM-7DHMP 60-69 years, male 7.9
GTEX-X638-0126-SM-47JZ8 70-79 years, female 7.9
GTEX-ZVT3-0126-SM-5GU6I 60-69 years, female 7.9
GTEX-1CB4F-0426-SM-9KNV4 60-69 years, male 7.9
GTEX-1F6I4-0126-SM-9MQL2 60-69 years, male 7.9
GTEX-1H1DE-2126-SM-9WG6R 20-29 years, male 7.9
GTEX-1IY9M-0126-SM-D3L8S 60-69 years, male 7.9
GTEX-1KAFJ-2026-SM-CY8ID 50-59 years, male 7.9
GTEX-1LGOU-2026-SM-DIPFF 20-29 years, female 7.9
GTEX-144FL-0126-SM-5TDC8 50-59 years, male 7.8
GTEX-UPJH-0326-SM-3GADU 50-59 years, male 7.8
GTEX-ZQUD-1426-SM-57WER 30-39 years, male 7.8
GTEX-ZYY3-0126-SM-5GZY5 60-69 years, female 7.8
GTEX-1HCU6-0126-SM-CL54K 60-69 years, female 7.8
GTEX-1ICLZ-0126-SM-CKZPO 60-69 years, male 7.8
GTEX-1IL2V-0126-SM-CM2TX 70-79 years, male 7.8
GTEX-OXRK-0226-SM-3NB2G 50-59 years, female 7.7
GTEX-QCQG-1726-SM-3GIJ9 50-59 years, female 7.7
GTEX-ZC5H-0226-SM-4WAY9 40-49 years, female 7.7
GTEX-1EX96-1626-SM-7PBXR 50-59 years, male 7.7
GTEX-1H1CY-2826-SM-9MQM3 60-69 years, female 7.7
GTEX-13OVG-1926-SM-5L3DK 60-69 years, male 7.6
GTEX-14PHX-2326-SM-62LEM 50-59 years, male 7.6
GTEX-183FY-0126-SM-7LT9P 20-29 years, male 7.6
GTEX-183WM-0126-SM-7LTAB 70-79 years, female 7.6
GTEX-1C6VS-0526-SM-7DUEN 60-69 years, male 7.6
GTEX-U8T8-0126-SM-3DB94 60-69 years, male 7.6
GTEX-U8XE-0326-SM-3DB8P 30-39 years, male 7.6
GTEX-W5WG-1826-SM-4KL2Y 50-59 years, female 7.6
GTEX-X88G-0126-SM-47JZ3 30-39 years, male 7.6
GTEX-1C64O-0126-SM-7SB8P 60-69 years, male 7.6
GTEX-1GN73-0226-SM-9WG67 60-69 years, male 7.6
GTEX-1M4P7-0226-SM-DIPEV 60-69 years, male 7.6
GTEX-1OJC3-0126-SM-E76QX 20-29 years, male 7.6
GTEX-11ZTS-0126-SM-5EQ6M 60-69 years, female 7.5
GTEX-1313W-0126-SM-5LZUN 50-59 years, female 7.5
GTEX-13VXU-0126-SM-5SI9F 50-59 years, male 7.5
GTEX-PX3G-0126-SM-2I3EN 20-29 years, female 7.5
GTEX-RM2N-1426-SM-2TF4H 50-59 years, male 7.5
GTEX-ZYFG-2326-SM-5E44B 60-69 years, female 7.5
GTEX-1GN1V-0126-SM-9WPOS 60-69 years, male 7.5
GTEX-1HR98-0126-SM-B2LWI 60-69 years, male 7.5
GTEX-1NHNU-1026-SM-E9J2A 50-59 years, male 7.5
GTEX-13FHO-0226-SM-5IFGY 60-69 years, male 7.4
GTEX-ZDTS-0126-SM-4WAY5 60-69 years, male 7.4
GTEX-1GF9X-2026-SM-7PC3A 40-49 years, female 7.4
GTEX-1I1GU-2226-SM-CGQFA 40-49 years, male 7.4
GTEX-1J8EW-0126-SM-CJI4F 60-69 years, female 7.4
GTEX-1MA7X-2226-SM-E6CIY 60-69 years, male 7.4
GTEX-1NV5F-0226-SM-E8VNY 60-69 years, female 7.4
GTEX-1RAZQ-0726-SM-EAZ43 30-39 years, male 7.4
GTEX-13PVR-2326-SM-5QGR1 60-69 years, female 7.3
GTEX-R55E-0126-SM-2TC5Y 20-29 years, male 7.3
GTEX-T2IS-0126-SM-4DM6O 20-29 years, female 7.3
GTEX-TML8-1926-SM-32QOS 40-49 years, female 7.3
GTEX-WRHK-1426-SM-3MJF9 20-29 years, female 7.3
GTEX-ZYW4-0126-SM-5E44A 60-69 years, male 7.3
GTEX-13FH7-2026-SM-E9J4I 50-59 years, female 7.3
GTEX-1HSMO-0126-SM-CL547 60-69 years, male 7.3
GTEX-1N2DW-0226-SM-E9TK2 50-59 years, male 7.3
GTEX-1OFPY-2426-SM-DTXEJ 60-69 years, male 7.3
GTEX-11DXZ-2326-SM-5EGGV 50-59 years, male 7.2
GTEX-13O3Q-2426-SM-5IJBR 50-59 years, male 7.2
GTEX-14753-0426-SM-5NQAM 60-69 years, male 7.2
GTEX-147GR-0526-SM-5S2MY 60-69 years, male 7.2
GTEX-X4EO-0326-SM-3P5YO 60-69 years, female 7.2
GTEX-XXEK-2226-SM-4BRUM 50-59 years, male 7.2
GTEX-YEC4-2126-SM-5IFJH 40-49 years, male 7.2
GTEX-13O3O-0126-SM-E9J49 60-69 years, female 7.2
GTEX-1C6VQ-0126-SM-7P8RI 50-59 years, male 7.2
GTEX-1HGF4-2426-SM-ACKXM 60-69 years, male 7.2
GTEX-1IDJF-0126-SM-CM2RS 20-29 years, male 7.2
GTEX-1MGNQ-0126-SM-EVYCJ 40-49 years, male 7.2
GTEX-1QP66-1726-SM-E8VO1 50-59 years, male 7.2
GTEX-1192X-0226-SM-5H12D 50-59 years, male 7.1
GTEX-11EMC-2926-SM-5EQ4F 60-69 years, female 7.1
GTEX-13OVJ-0126-SM-5KM36 50-59 years, female 7.1
GTEX-15SHW-0326-SM-6PAML 60-69 years, male 7.1
GTEX-17EUY-0426-SM-793BD 20-29 years, male 7.1
GTEX-PWO3-1526-SM-48TCM 60-69 years, female 7.1
GTEX-S95S-1226-SM-4GICG 60-69 years, male 7.1
GTEX-1F6IF-0726-SM-7P8TW 60-69 years, male 7.1
GTEX-1GF9W-0326-SM-9KNUN 60-69 years, male 7.1
GTEX-1I1GV-0526-SM-A9G29 60-69 years, male 7.1
GTEX-1IKOH-0226-SM-COH4E 60-69 years, female 7.1
GTEX-1JMPZ-0226-SM-CNPP1 30-39 years, male 7.1
GTEX-1JN6P-0126-SM-D3L98 60-69 years, male 7.1
GTEX-1RLM8-2326-SM-EWRN4 50-59 years, male 7.1
GTEX-13X6H-2126-SM-7EWD5 50-59 years, female 7.0
GTEX-145MN-2226-SM-5SIAU 30-39 years, male 7.0
GTEX-14BMU-2226-SM-5TDE9 20-29 years, female 7.0
GTEX-17EVQ-0226-SM-7LG4P 70-79 years, male 7.0
GTEX-18A7B-0126-SM-7LG64 70-79 years, male 7.0
GTEX-1CB4E-2226-SM-793DC 60-69 years, male 7.0
GTEX-1B933-0126-SM-7PC29 50-59 years, female 7.0
GTEX-1EMGI-0126-SM-9KNUE 60-69 years, male 7.0
GTEX-1HCUA-2426-SM-ADEIS 50-59 years, female 7.0
GTEX-11P82-1626-SM-59879 20-29 years, male 6.9
GTEX-131XG-2626-SM-5KM17 50-59 years, female 6.9
GTEX-13OVI-1426-SM-5L3EY 60-69 years, female 6.9
GTEX-1497J-2426-SM-7IGNX 60-69 years, male 6.9
GTEX-17MF6-0126-SM-7LG4F 40-49 years, male 6.9
GTEX-1AYD5-2426-SM-73KXR 50-59 years, male 6.9
GTEX-SN8G-0126-SM-32PLI 50-59 years, female 6.9
GTEX-WYJK-0126-SM-3NMAB 50-59 years, male 6.9
GTEX-XBED-2226-SM-47JYQ 60-69 years, male 6.9
GTEX-1HCVE-0126-SM-CGQEU 50-59 years, male 6.9
GTEX-1LNCM-1126-SM-E9U5E 50-59 years, female 6.9
GTEX-1LSNM-1926-SM-E6CII 50-59 years, male 6.9
GTEX-11GSO-2426-SM-5A5LY 60-69 years, male 6.8
GTEX-13CF2-2526-SM-5LZYX 60-69 years, male 6.8
GTEX-14PN4-0126-SM-6EU2V 50-59 years, male 6.8
GTEX-1J8Q3-1626-SM-CMKGC 60-69 years, male 6.8
GTEX-1KANB-0526-SM-E6CJH 50-59 years, male 6.8
GTEX-S33H-1026-SM-EZ6L6 30-39 years, male 6.8
GTEX-11DYG-0126-SM-59883 60-69 years, male 6.7
GTEX-11TTK-0126-SM-5987B 60-69 years, female 6.7
GTEX-139TS-2826-SM-5J1OO 60-69 years, male 6.7
GTEX-OOBK-0126-SM-2YUND 40-49 years, male 6.7
GTEX-XQ8I-0426-SM-4BOPO 50-59 years, male 6.7
GTEX-ZF28-0126-SM-4WKGK 60-69 years, male 6.7
GTEX-ZTPG-0326-SM-5O9AX 20-29 years, female 6.7
GTEX-ZVTK-0426-SM-51MRS 20-29 years, male 6.7
GTEX-1C6WA-0126-SM-7PC2B 60-69 years, male 6.7
GTEX-1GZ2Q-0226-SM-7P8TL 40-49 years, male 6.7
GTEX-1J1OQ-0226-SM-CYPSH 40-49 years, female 6.7
GTEX-1PPH8-0226-SM-E8VND 20-29 years, male 6.7
GTEX-1QP67-1626-SM-EAZ3X 40-49 years, female 6.7
GTEX-1128S-2326-SM-5GZZY 60-69 years, female 6.6
GTEX-11NUK-0126-SM-5A5L3 50-59 years, male 6.6
GTEX-12WSJ-1826-SM-5GCNY 40-49 years, female 6.6
GTEX-13113-5016-SM-7EPIP 60-69 years, female 6.6
GTEX-13FTY-0526-SM-5L3EV 40-49 years, female 6.6
GTEX-1C4CL-0526-SM-73KVK 30-39 years, male 6.6
GTEX-OHPL-0126-SM-2HMJ7 60-69 years, female 6.6
GTEX-X4XY-0226-SM-4E3IZ 60-69 years, male 6.6
GTEX-1GTWX-0126-SM-9YFLK 60-69 years, male 6.6
GTEX-1H3O1-0426-SM-9YFKY 60-69 years, male 6.6
GTEX-1IL2U-0226-SM-CE6T8 60-69 years, male 6.6
GTEX-1R46S-0626-SM-E9J41 60-69 years, female 6.6
GTEX-11GSP-2526-SM-5N9BP 60-69 years, female 6.5
GTEX-146FQ-0126-SM-5NQA9 30-39 years, male 6.5
GTEX-14PJ3-1826-SM-62LEX 50-59 years, male 6.5
GTEX-18A7A-0226-SM-718BH 50-59 years, female 6.5
GTEX-TKQ1-1026-SM-4GICL 30-39 years, male 6.5
GTEX-U4B1-1826-SM-4DXSU 40-49 years, male 6.5
GTEX-X4XX-0126-SM-3NMC2 60-69 years, male 6.5
GTEX-YFC4-0126-SM-5CVLY 40-49 years, female 6.5
GTEX-1HKZK-0326-SM-9WYUH 40-49 years, male 6.5
GTEX-1I1GS-0126-SM-B2LVW 60-69 years, male 6.5
GTEX-1JMQK-0226-SM-CL543 60-69 years, male 6.5
GTEX-1K2DU-2326-SM-E9TIV 20-29 years, male 6.5
GTEX-1LC47-0326-SM-E9TJP 60-69 years, male 6.5
GTEX-144GN-2326-SM-5LU4F 50-59 years, male 6.4
GTEX-T6MN-0126-SM-32PLP 50-59 years, male 6.4
GTEX-X585-0226-SM-4QAS2 50-59 years, male 6.4
GTEX-ZDYS-2026-SM-5HL5L 50-59 years, male 6.4
GTEX-ZVZO-0126-SM-5A5L9 40-49 years, male 6.4
GTEX-1JKYR-0126-SM-CNPOJ 20-29 years, male 6.4
GTEX-1MCQQ-0826-SM-DLHC2 60-69 years, male 6.4
GTEX-1PBJI-0526-SM-E8VNK 20-29 years, female 6.4
GTEX-ZF3C-0126-SM-DO92D 50-59 years, female 6.4
GTEX-11OC5-0126-SM-5HL6A 60-69 years, male 6.3
GTEX-13O21-1426-SM-5K7XI 50-59 years, male 6.3
GTEX-OHPM-0126-SM-2YUN9 50-59 years, male 6.3
GTEX-QEG4-0226-SM-2S1PY 30-39 years, male 6.3
GTEX-U412-0426-SM-3DB9O 60-69 years, male 6.3
GTEX-WOFL-0126-SM-3MJG2 60-69 years, male 6.3
GTEX-WZTO-0126-SM-3NM95 40-49 years, male 6.3
GTEX-ZAJG-0126-SM-5HL94 50-59 years, female 6.3
GTEX-1CAMS-0426-SM-7P8T2 40-49 years, female 6.3
GTEX-1LG7Y-0526-SM-DKPQC 50-59 years, male 6.3
GTEX-1MCYP-1926-SM-E9J2R 20-29 years, female 6.3
GTEX-12C56-1726-SM-5EQ61 20-29 years, male 6.2
GTEX-XQ3S-1526-SM-4BOOC 20-29 years, male 6.2
GTEX-Y3I4-2126-SM-4TT7C 50-59 years, male 6.2
GTEX-1HSEH-0126-SM-ACKXN 60-69 years, male 6.2
GTEX-1PWST-0226-SM-E76QJ 70-79 years, male 6.2
GTEX-1QP9N-1426-SM-DTXFL 30-39 years, male 6.2
GTEX-ZPIC-1726-SM-DHXIU 40-49 years, female 6.2
GTEX-113IC-0126-SM-5HL6T 60-69 years, male 6.1
GTEX-11GS4-2726-SM-5A5LE 60-69 years, male 6.1
GTEX-13RTJ-2426-SM-5S2Q2 60-69 years, male 6.1
GTEX-147F4-0226-SM-5QGPW 50-59 years, male 6.1
GTEX-17F98-0626-SM-79OMX 40-49 years, female 6.1
GTEX-1A32A-0126-SM-718B1 50-59 years, female 6.1
GTEX-QLQ7-1626-SM-2S1R8 60-69 years, male 6.1
GTEX-QV44-1926-SM-2S1RF 50-59 years, male 6.1
GTEX-RTLS-0126-SM-447CA 60-69 years, female 6.1
GTEX-Y114-2426-SM-4TT8A 50-59 years, female 6.1
GTEX-ZE7O-0126-SM-57WC1 50-59 years, female 6.1
GTEX-1PFEY-1526-SM-E76PP 30-39 years, male 6.1
GTEX-16MT8-0426-SM-7KUEY 60-69 years, female 6.0
GTEX-17HHY-0126-SM-7LG5D 50-59 years, male 6.0
GTEX-18D9U-0226-SM-718BP 40-49 years, male 6.0
GTEX-OXRO-0126-SM-2YUN4 60-69 years, female 6.0
GTEX-RN64-0126-SM-2TC68 50-59 years, male 6.0
GTEX-ZYFD-0126-SM-5GIDL 50-59 years, male 6.0
GTEX-1H1ZS-0426-SM-9WG6G 70-79 years, male 6.0
GTEX-1JN1M-0326-SM-CYPT3 60-69 years, female 6.0
GTEX-1KWVE-1426-SM-E9TJO 30-39 years, male 6.0
GTEX-1AX8Z-0126-SM-7DHM6 60-69 years, male 5.9
GTEX-X5EB-2226-SM-46MW4 40-49 years, male 5.9
GTEX-XV7Q-2526-SM-4BRV9 40-49 years, female 5.9
GTEX-1J8JJ-0226-SM-CL53I 60-69 years, female 5.9
GTEX-1JMLX-0226-SM-CM2RO 50-59 years, male 5.9
GTEX-18QFQ-0126-SM-731BE 30-39 years, male 5.8
GTEX-Q2AH-1626-SM-3GAF8 40-49 years, male 5.8
GTEX-SIU8-0126-SM-2XCDT 50-59 years, male 5.8
GTEX-X4EP-0126-SM-3P5YV 60-69 years, female 5.8
GTEX-ZDXO-3026-SM-5J1N5 60-69 years, male 5.8
GTEX-ZYFC-0226-SM-5NQ75 50-59 years, male 5.8
GTEX-1QAET-0926-SM-E76QM 50-59 years, male 5.8
GTEX-1211K-2026-SM-5EQ4Z 60-69 years, female 5.7
GTEX-12WSD-0126-SM-59HKN 60-69 years, female 5.7
GTEX-13N11-2526-SM-5K7UE 50-59 years, female 5.7
GTEX-QVJO-1626-SM-2S1QW 60-69 years, female 5.7
GTEX-TMZS-0126-SM-3DB9Q 60-69 years, male 5.7
GTEX-WH7G-2326-SM-3NMBC 40-49 years, male 5.7
GTEX-XUZC-1726-SM-4BRWS 30-39 years, female 5.7
GTEX-1CAV2-2226-SM-7P8P2 40-49 years, female 5.7
GTEX-13OW7-0126-SM-5MR3B 50-59 years, male 5.6
GTEX-P4PP-0126-SM-3LK69 30-39 years, female 5.6
GTEX-WI4N-1026-SM-3LK7N 40-49 years, female 5.6
GTEX-ZAB4-0226-SM-5N9F5 40-49 years, male 5.6
GTEX-1JMQL-0226-SM-CNPP5 50-59 years, female 5.6
GTEX-R45C-0126-SM-EAZ2R 60-69 years, female 5.6
GTEX-117YW-2626-SM-5GZZH 50-59 years, male 5.4
GTEX-11P7K-2126-SM-5GU7G 30-39 years, male 5.4
GTEX-RU72-0926-SM-2TF6B 50-59 years, female 5.4
GTEX-1HFI6-0226-SM-ADEHZ 40-49 years, male 5.4
GTEX-1JMPY-1326-SM-ARL8Y 30-39 years, male 5.4
GTEX-1RAZA-0126-SM-E6CI3 20-29 years, male 5.4
GTEX-12126-0326-SM-5PNW3 20-29 years, male 5.3
GTEX-17F97-0326-SM-7LG5B 50-59 years, male 5.3
GTEX-PLZ5-2026-SM-2S1O4 50-59 years, male 5.3
GTEX-SUCS-1926-SM-32PM3 70-79 years, male 5.3
GTEX-WY7C-2326-SM-3NB2U 50-59 years, male 5.3
GTEX-139T4-0226-SM-5HL5S 50-59 years, female 5.2
GTEX-QLQW-1126-SM-2S1Q8 30-39 years, male 5.2
GTEX-1N2DV-0226-SM-E6CJ6 40-49 years, male 5.2
GTEX-132NY-0326-SM-5IJBL 60-69 years, male 5.1
GTEX-Q734-1926-SM-2I5EV 40-49 years, female 5.1
GTEX-QDT8-0126-SM-48TZ1 30-39 years, female 5.1
GTEX-XYKS-2126-SM-4E3IB 60-69 years, female 5.1
GTEX-Y111-0126-SM-4SOIV 50-59 years, male 5.1
GTEX-O5YW-0126-SM-3LK6D 50-59 years, male 5.0
GTEX-13RTL-0126-SM-7LG5S 40-49 years, male 4.9
GTEX-QDVN-2026-SM-3GAEP 50-59 years, male 4.9
GTEX-U3ZM-1526-SM-3DB9D 40-49 years, male 4.9
GTEX-1I1GP-2226-SM-CGQFK 50-59 years, male 4.9
GTEX-1IKK5-0626-SM-ARL8A 60-69 years, male 4.9
GTEX-R55G-2526-SM-2TC6D 40-49 years, female 4.8
GTEX-RUSQ-1526-SM-2TF62 50-59 years, male 4.8
GTEX-131XF-5016-SM-7MGWE 60-69 years, male 4.8
GTEX-RVPV-0126-SM-EAZAW 60-69 years, male 4.8
GTEX-1AYCT-2426-SM-7IGQ3 50-59 years, male 4.7
GTEX-S7PM-0126-SM-4AD6S 60-69 years, male 4.7
GTEX-1HBPM-0226-SM-ARL9F 60-69 years, female 4.7
GTEX-1IOXB-0126-SM-ARL8G 50-59 years, male 4.7
GTEX-PWCY-1826-SM-DHXIZ 20-29 years, female 4.7
GTEX-Q2AI-1326-SM-2S1PL 40-49 years, male 4.6
GTEX-OOBJ-0126-SM-E6CJW 60-69 years, male 4.6
GTEX-X62O-0126-SM-4E3JN 50-59 years, male 4.5
GTEX-11UD1-0126-SM-5PNYG 40-49 years, female 4.3
GTEX-T2YK-0526-SM-32QPJ 50-59 years, male 4.2
GTEX-Y3IK-2426-SM-4WWDU 50-59 years, female 4.2
GTEX-X8HC-0126-SM-4E3JW 50-59 years, female 4.1
GTEX-1HSMP-0126-SM-E6CJS 70-79 years, male 3.9
GTEX-1399U-2326-SM-5K7WY 50-59 years, female 3.6
GTEX-OXRL-0126-SM-2YUMP 50-59 years, male 3.5
GTEX-P4PQ-0126-SM-2S1NM 60-69 years, male 3.2
GTEX-W5X1-3026-SM-EAZAX 40-49 years, female 3.2
GTEX-NPJ8-0126-SM-2YUNR 40-49 years, male 2.6
Show allShow less

Contact

  • NEWS ARTICLES
  • PRESS ROOM

The Project

  • INTRODUCTION
  • ORGANIZATION
  • PUBLICATIONS

The Human Protein Atlas

  • DOWNLOADABLE DATA
  • LICENCE & CITATION
  • HELP & FAQ
The Human Protein Atlas project is funded
by the Knut & Alice Wallenberg Foundation.


contact@proteinatlas.org