We use cookies to enhance the usability of our website. If you continue, we'll assume that you are happy to receive all cookies. More information. Don't show this again.
LIMK1
HPA
RESOURCES
  • TISSUE
  • BRAIN
  • SINGLE CELL
  • SUBCELLULAR
  • CANCER
  • BLOOD
  • CELL LINE
  • STRUCTURE & INTERACTION
ABOUT
  • INTRODUCTION
  • HISTORY
  • ORGANIZATION
  • PUBLICATIONS
  • ANTIBODY SUBMISSION
  • ANTIBODY AVAILABILITY
  • ACKNOWLEDGMENTS
  • CONTACT
NEWS
  • NEWS ARTICLES
  • PRESS ROOM
LEARN
  • DICTIONARY
  • PROTEIN CLASSES
  • PROTEIN EVIDENCE
  • METHODS
  • EDUCATIONAL VIDEOS
DATA
  • DOWNLOADABLE DATA
  • PUBLICATION DATA
  • RELEASE HISTORY
HELP
  • ANTIBODY VALIDATION
  • ASSAYS & ANNOTATION
  • DISCLAIMER
  • HELP & FAQ
  • PRIVACY STATEMENT
  • LICENCE & CITATION
Fields »
Search result

Field
Term
Gene name
Class
Subclass
Class
Keyword
Chromosome
External id
Tissue
Cell type
Expression
Antibody panel
Tissue
Main location
Patient ID
Annotation
Tissue
Category
Tau score
Cluster
Reliability
Brain region
Category
Tau score
Brain region
Category
Tau score
Brain region
Category
Tau score
Cluster
Reliability
Tissue
Cell type
Enrichment
Cell type
Category
Tau score
Cell type
Category
Tau score
Cell type
Category
Tau score
Cell lineage
Category
Tau score
Cluster
Cluster
Location
Searches
Location
Cell line
Class
Type
Phase
Reliability
Cancer
Prognosis
Cancer
Category
Cancer
Category
Tau score
Cluster
Variants
Interacting gene (ensg_id)
Type
Number of interactions
Pathway
Category
Score
Score
Score
Validation
Validation
Validation
Validation
Antibodies
Data type
Column


  • SUMMARY

  • TISSUE

  • BRAIN

  • SINGLE CELL

  • SUBCELL

  • CANCER

  • BLOOD

  • CELL LINE

  • STRUCT & INT

  • LIMK1
TISSUE PRIMARY DATA BREAST Show tissue menu
ADIPOSE TISSUE ADRENAL GLAND AMYGDALA APPENDIX BASAL GANGLIA BONE MARROW BREAST BRONCHUS CEREBELLUM CEREBRAL CORTEX CERVIX CHOROID PLEXUS COLON DUODENUM
ENDOMETRIUM EPIDIDYMIS ESOPHAGUS FALLOPIAN TUBE GALLBLADDER HEART MUSCLE HIPPOCAMPAL FORMATION HYPOTHALAMUS KIDNEY LIVER LUNG LYMPH NODE MIDBRAIN NASOPHARYNX
ORAL MUCOSA OVARY PANCREAS PARATHYROID GLAND PITUITARY GLAND PLACENTA PROSTATE RECTUM RETINA SALIVARY GLAND SEMINAL VESICLE SKELETAL MUSCLE SKIN SMALL INTESTINE
SMOOTH MUSCLE SOFT TISSUE SPINAL CORD SPLEEN STOMACH TESTIS THYMUS THYROID GLAND TONGUE TONSIL URINARY BLADDER VAGINA
ANTIBODIES
AND
VALIDATION
Dictionary
Breast
Tissue proteome
Breast
BREAST - Expression summary
Protein expression
Breasti

On the top, protein expression in current human tissue, based on all annotated cell types, is reported with the units not detected (n), low (l), medium (m) and high (h). Underneath, protein expression in each annotated cell type are reported using the same units.

Protein expression data is based on knowledge-based annotation. For genes where more than one antibody has been used, a collective score is set.

If knowledge-based annotation could not be performed for a gene, no data is displayed here. View antibody staining data further down this page.

h
m
l
n
Adipocytes: Low
Glandular cells: High
Myoepithelial cells: High
RNA expressioni

A summary of mRNA expression data available for current tissue based on several datasets. The mRNA expression levels in human tissues are based on RNA-seq data generated by the Human Protein Atlas (HPA), Genotype-Tissue Expression (GTEx) portal and CAGE data generated by the FANTOM5 consortium. Consensus normalized expression levels for human tissues was created by combining the data from HPA and GTEx datasets.

The mRNA expression levels in pig are based on RNA-seq data generated by the Human Protein Atlas (HPA), and for mouse, HPA data and in situ hybridization generated by the Allen brain atlas are reported.

Scroll down to view mRNA expression data in more detail.
Consensus:9.1 nTPM
HPA:6.5 nTPM
GTEx:9.1 nTPM
FANTOM5:21.6 Scaled Tags Per Million

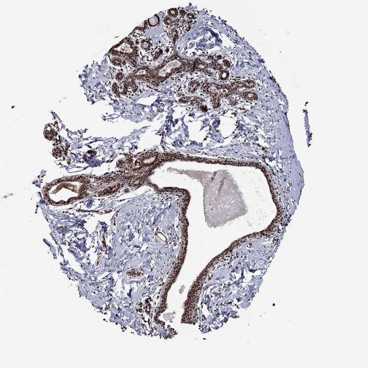
BREAST - Antibody stainingi

Antibody staining in the annotated cell types in the current human tissue is reported as not detected, low, medium, or high, based on conventional immunohistochemistry profiling in selected tissues. This score is based on the combination of the staining intensity and fraction of stained cells.

Each image is clickable and will lead to virtual microscopy that enables deeper exploration of all samples and also displays staining intensity scores, fraction scores and subcellular localization as well as patient and tissue information for each sample.

Antibody HPA028516Antibody HPA073571
Adipocytes LowHigh
Glandular cells HighHigh
Myoepithelial cells HighHigh





BREAST - HPA RNA-seqi

The RNA-seq details section shows detailed information about the individual samples used for the transcript profiling and results of the RNA-seq analysis.

Information about each individual sample is listed below, including gender, age, a tissue section image and estimated fractions of cell types. nTPM (normalized transcripts per million) values give a quantification of the gene abundance which is comparable between different genes and samples.
Average nTPMi

Max subtype nTPM is the value for the subtype with the largest average nTPM across the subtype samples.

6.5
overview
Female, age 52
Breast sample 373
nTPM: 13.6
Cell types%
Glandular cells:
15

Adipocytes:
5

Other cell types:
80

overview
Female, age 80
Breast sample 390
nTPM: 4.4
Cell types%
Glandular cells:
5

Adipocytes:
15

Other cell types:
80

overview
Female, age 47
Breast sample 405
nTPM: 4.7
Cell types%
Glandular cells:
5

Adipocytes:
5

Other cell types:
90

overview
Female, age 38
Breast sample 410
nTPM: 3.1
Cell types%
Glandular cells:
40

Adipocytes:
5

Other cell types:
55


BREAST - GTEx RNA-seqi

RNA-Seq data generated by the Genotype-Tissue Expression (GTEx) project from human tissues is reported as mean nTPM. More information can be found on the GTEx portal.

Distribution across the dataset is visualized with box plots, shown as median and 25th and 75th percentiles. Points are displayed as outliers if they are above or below 1.5 times the interquartile range. nTPM values of the individual samples are presented next to the box plot.
Max subtype nTPMi

Max subtype nTPM is the value for the subtype with the largest average nTPM across the subtype samples.

9.1
GTEx sample id Sample description nTPM
Breast - Mammary Tissue
Average nTPM: 9.1
Samples: 459

Max nTPM: 51.6
Min nTPM: 3.2
Std nTPM: 3.9
Median nTPM: 8.5
GTEX-13QJ3-0826-SM-7DHKK 50-59 years, male 51.6
GTEX-XUZC-1626-SM-4BRVP 30-39 years, female 41.7
GTEX-1HBPN-2326-SM-9WPPU 50-59 years, male 23.4
GTEX-14PHY-1926-SM-5YY95 60-69 years, female 22.5
GTEX-1NUQO-2226-SM-E9U68 20-29 years, female 20.5
GTEX-12WSK-2226-SM-5GCO5 40-49 years, female 20.1
GTEX-RU1J-0626-SM-4WAWY 20-29 years, female 19.4
GTEX-14H4A-2526-SM-5YYAY 40-49 years, female 18.9
GTEX-1JN1M-3026-SM-CMKGK 60-69 years, female 18.9
GTEX-13D11-1026-SM-5IJFB 50-59 years, female 18.2
GTEX-132AR-0826-SM-5EGK6 50-59 years, female 17.9
GTEX-1M5QR-2526-SM-E9U5P 40-49 years, male 17.8
GTEX-11GSO-1926-SM-5A5K3 60-69 years, male 17.0
GTEX-1R9PN-0326-SM-DTX85 40-49 years, female 17.0
GTEX-11ONC-2126-SM-5HL6E 60-69 years, male 16.6
GTEX-SE5C-2126-SM-4BRUJ 40-49 years, female 16.6
GTEX-1GZ2Q-2626-SM-7MXV9 40-49 years, male 16.4
GTEX-139TU-0626-SM-5KM3X 60-69 years, male 15.7
GTEX-1N2EF-2226-SM-E9J33 60-69 years, male 15.2
GTEX-14PKU-0426-SM-6EU1P 40-49 years, female 15.1
GTEX-T5JW-2026-SM-4DM63 20-29 years, female 15.1
GTEX-1HCUA-0726-SM-ACKVU 50-59 years, female 15.0
GTEX-1JKYN-0726-SM-ARZMY 30-39 years, male 14.8
GTEX-S341-1526-SM-4AD6K 40-49 years, female 14.7
GTEX-13NZ9-1026-SM-5MR5K 50-59 years, male 14.6
GTEX-1POEN-0926-SM-DTX88 30-39 years, female 14.4
GTEX-ZLV1-1426-SM-DO92Z 60-69 years, female 14.4
GTEX-U3ZN-1926-SM-4DXSG 30-39 years, female 14.2
GTEX-XYKS-1326-SM-4BRUN 60-69 years, female 14.1
GTEX-139T8-0826-SM-5L3DE 60-69 years, male 13.9
GTEX-1GF9X-1026-SM-ACKX2 40-49 years, female 13.9
GTEX-1H4P4-2226-SM-9MQKQ 50-59 years, male 13.8
GTEX-1269C-2426-SM-5FQSN 60-69 years, female 13.7
GTEX-1HC8U-0826-SM-ADEIL 40-49 years, female 13.6
GTEX-1HSMO-0826-SM-ADEIV 60-69 years, male 13.5
GTEX-1HCU8-0126-SM-ADEHH 60-69 years, female 13.4
GTEX-1ICLZ-0426-SM-B2LW2 60-69 years, male 13.3
GTEX-1B97J-0426-SM-79OLQ 50-59 years, female 13.2
GTEX-1R7EU-1226-SM-E8VMR 60-69 years, male 13.2
GTEX-1F5PL-1026-SM-7RHI1 40-49 years, female 13.1
GTEX-1GZ4H-0326-SM-7P8QX 50-59 years, female 13.0
GTEX-13W3W-1226-SM-5LU4H 60-69 years, female 12.9
GTEX-18A7B-2626-SM-7LG55 70-79 years, male 12.9
GTEX-XBED-1626-SM-47JYN 60-69 years, male 12.9
GTEX-12WSN-1326-SM-5GCNT 40-49 years, male 12.8
GTEX-15FZZ-0726-SM-7KUFZ 30-39 years, female 12.8
GTEX-ZF29-1926-SM-5S2P1 60-69 years, female 12.8
GTEX-1GN1U-0526-SM-9KNTT 50-59 years, female 12.8
GTEX-133LE-1726-SM-5K7VQ 20-29 years, female 12.6
GTEX-1B97I-0426-SM-79OL7 40-49 years, male 12.6
GTEX-1C6VQ-0426-SM-79OOX 50-59 years, male 12.6
GTEX-RWS6-1926-SM-47JXY 60-69 years, female 12.5
GTEX-1MJK3-1126-SM-E9J3F 20-29 years, male 12.5
GTEX-TMMY-0726-SM-33HBE 40-49 years, female 12.3
GTEX-ZY6K-1626-SM-5GZWV 50-59 years, male 12.3
GTEX-1IGQW-0926-SM-ADEH6 60-69 years, male 12.3
GTEX-1LVAN-1326-SM-CNPQE 50-59 years, female 12.3
GTEX-1AX8Z-0926-SM-731AW 60-69 years, male 12.2
GTEX-13O3P-0826-SM-5L3DH 50-59 years, male 12.1
GTEX-16BQI-1026-SM-7KUEA 30-39 years, female 12.1
GTEX-Y5V6-2126-SM-4WWFX 60-69 years, male 12.1
GTEX-1IE54-0626-SM-ARL8D 40-49 years, female 12.1
GTEX-1R46S-2526-SM-E8VN2 60-69 years, female 12.1
GTEX-15EOM-5019-SM-793DK 20-29 years, female 12.0
GTEX-X261-0626-SM-3NMD9 50-59 years, male 12.0
GTEX-Y3I4-1526-SM-4TT7K 50-59 years, male 12.0
GTEX-131XW-0726-SM-5EGK3 50-59 years, female 11.9
GTEX-145LT-0726-SM-5S2VM 40-49 years, male 11.9
GTEX-1GN2E-2226-SM-9WG6J 60-69 years, male 11.9
GTEX-13N11-1726-SM-5J1OJ 50-59 years, female 11.8
GTEX-14PJ4-2126-SM-6ETZJ 60-69 years, male 11.8
GTEX-183FY-1126-SM-7DHLJ 20-29 years, male 11.8
GTEX-Y114-2026-SM-4TT7L 50-59 years, female 11.8
GTEX-WXYG-2226-SM-4E3IM 50-59 years, female 11.7
GTEX-ZV7C-1826-SM-5NQ83 50-59 years, male 11.7
GTEX-1J8QM-2026-SM-ARZMW 60-69 years, female 11.7
GTEX-1117F-2826-SM-5GZXL 60-69 years, female 11.6
GTEX-13O3O-0826-SM-5K7WE 60-69 years, female 11.6
GTEX-14BMU-1626-SM-5TDE7 20-29 years, female 11.6
GTEX-T2IS-1526-SM-32QPR 20-29 years, female 11.6
GTEX-ZEX8-2226-SM-57WC6 50-59 years, male 11.6
GTEX-ZXES-0826-SM-5E43C 30-39 years, female 11.6
GTEX-14E6C-1326-SM-62LEQ 40-49 years, male 11.5
GTEX-1122O-1226-SM-5H113 60-69 years, female 11.4
GTEX-13W46-0826-SM-5LU3H 50-59 years, male 11.4
GTEX-Y8LW-1626-SM-5IFHX 50-59 years, female 11.4
GTEX-ZF2S-2026-SM-5E461 50-59 years, female 11.4
GTEX-WOFL-0826-SM-3MJG1 60-69 years, male 11.3
GTEX-1C475-1226-SM-7SB72 40-49 years, female 11.3
GTEX-1I1GV-2426-SM-CGQFM 60-69 years, male 11.3
GTEX-11EM3-1326-SM-5N9C6 20-29 years, female 11.2
GTEX-13PVR-2226-SM-7DHKP 60-69 years, female 11.2
GTEX-14AS3-1626-SM-5S2OY 40-49 years, female 11.2
GTEX-17F98-0526-SM-79OK5 40-49 years, female 11.2
GTEX-UJHI-1426-SM-3DB9C 50-59 years, female 11.2
GTEX-XUW1-2326-SM-4BOO5 50-59 years, female 11.2
GTEX-1MCYP-0126-SM-E6CIS 20-29 years, female 11.2
GTEX-11DZ1-0326-SM-5N9BN 50-59 years, male 11.1
GTEX-1399U-1826-SM-5PNZ1 50-59 years, female 11.1
GTEX-ZYW4-0826-SM-5GIDG 60-69 years, male 11.1
GTEX-1HSGN-1526-SM-A9SMO 40-49 years, female 11.1
GTEX-1HUB1-1626-SM-CM2SL 60-69 years, male 11.1
GTEX-XV7Q-2326-SM-4BRVZ 40-49 years, female 11.0
GTEX-1QEPI-0926-SM-DTXF3 60-69 years, female 11.0
GTEX-ZGAY-1726-SM-DO91P 40-49 years, female 11.0
GTEX-11WQC-1726-SM-5GU4W 60-69 years, male 10.9
GTEX-WI4N-1426-SM-3LK7H 40-49 years, female 10.9
GTEX-1HR9M-2426-SM-ACKXI 60-69 years, male 10.9
GTEX-1CAMS-1426-SM-7IGPM 40-49 years, female 10.8
GTEX-1GN1W-1926-SM-7P8TH 50-59 years, female 10.8
GTEX-1HT8W-2226-SM-CGQEC 30-39 years, male 10.8
GTEX-11I78-2226-SM-5PNYA 50-59 years, female 10.7
GTEX-17HG3-0126-SM-7IGNH 30-39 years, female 10.7
GTEX-1IDJE-0826-SM-CKZNZ 50-59 years, female 10.7
GTEX-13O3Q-2226-SM-5KM4O 50-59 years, male 10.6
GTEX-117XS-1926-SM-5GICO 60-69 years, male 10.5
GTEX-11LCK-2426-SM-5HL5F 30-39 years, male 10.5
GTEX-13CF3-2126-SM-5IFJP 60-69 years, female 10.5
GTEX-U412-1826-SM-4DXTJ 60-69 years, male 10.5
GTEX-X15G-1626-SM-3NMB3 50-59 years, female 10.5
GTEX-XOT4-0726-SM-4GIAW 60-69 years, female 10.5
GTEX-1I1GU-1026-SM-ADEHJ 40-49 years, male 10.5
GTEX-ZTPG-2826-SM-57WGA 20-29 years, female 10.5
GTEX-X4EP-2926-SM-3P5YQ 60-69 years, female 10.4
GTEX-1HBPM-0126-SM-ARL9E 60-69 years, female 10.4
GTEX-1I6K7-1026-SM-A9SLK 40-49 years, male 10.4
GTEX-1IKOH-2326-SM-CM2TW 60-69 years, female 10.4
GTEX-1P4AB-1826-SM-E76PU 50-59 years, male 10.4
GTEX-1R9PM-1826-SM-EVYBH 20-29 years, male 10.4
GTEX-131YS-0626-SM-5EGKL 60-69 years, female 10.3
GTEX-QVJO-1826-SM-447C9 60-69 years, female 10.3
GTEX-VUSG-2226-SM-4KKZO 50-59 years, male 10.3
GTEX-1I1GT-1126-SM-ARL7J 60-69 years, female 10.3
GTEX-1211K-1926-SM-5EQLB 60-69 years, female 10.2
GTEX-16NGA-0826-SM-718AF 40-49 years, female 10.2
GTEX-17MFQ-0926-SM-7LG4S 20-29 years, male 10.2
GTEX-1JK1U-1826-SM-ARL8W 60-69 years, male 10.2
GTEX-1QPFJ-2026-SM-EVYBE 30-39 years, female 10.2
GTEX-117YX-1426-SM-5H12H 50-59 years, male 10.1
GTEX-11EQ9-1826-SM-5Q5AJ 30-39 years, male 10.1
GTEX-13SLX-2326-SM-5ZZWE 50-59 years, female 10.1
GTEX-15UF7-0726-SM-6M46D 40-49 years, male 10.1
GTEX-1AX9J-1126-SM-731B7 60-69 years, male 10.1
GTEX-1CB4J-1826-SM-7EWF9 60-69 years, male 10.1
GTEX-T6MO-0326-SM-32QOK 40-49 years, female 10.1
GTEX-1J8Q3-1326-SM-CMKI1 60-69 years, male 10.1
GTEX-XQ8I-2426-SM-4WAXY 50-59 years, male 10.0
GTEX-ZC5H-2626-SM-5J2MG 40-49 years, female 10.0
GTEX-ZVZQ-0826-SM-51MRF 60-69 years, female 10.0
GTEX-1LBAC-0926-SM-CXKY9 20-29 years, male 10.0
GTEX-13S86-1226-SM-5S2OA 40-49 years, male 9.9
GTEX-1LG7Z-0726-SM-CXKYD 30-39 years, male 9.9
GTEX-1N2EE-2126-SM-E8VNN 60-69 years, male 9.9
GTEX-1RAZQ-1226-SM-EWRNL 30-39 years, male 9.9
GTEX-11TT1-2126-SM-5GU5Y 20-29 years, male 9.8
GTEX-13QIC-2326-SM-5LU5N 60-69 years, female 9.8
GTEX-1A3MX-2726-SM-718B6 60-69 years, male 9.8
GTEX-S4P3-1326-SM-4AD6V 50-59 years, female 9.8
GTEX-S4UY-0726-SM-4AD6X 40-49 years, female 9.8
GTEX-1I1HK-2426-SM-ADEHX 60-69 years, male 9.8
GTEX-Y5V5-2126-SM-4WWFO 60-69 years, female 9.7
GTEX-1HFI7-0126-SM-CGQFQ 50-59 years, female 9.7
GTEX-1LC47-1226-SM-D4P44 60-69 years, male 9.7
GTEX-1MCC2-2126-SM-EWRON 30-39 years, female 9.7
GTEX-14PN4-0626-SM-62LFP 50-59 years, male 9.6
GTEX-17KNJ-2026-SM-7LG53 50-59 years, male 9.6
GTEX-1CB4G-2326-SM-79OOI 60-69 years, male 9.6
GTEX-1GF9U-1726-SM-7MGY5 40-49 years, female 9.6
GTEX-1H23P-0726-SM-9WG7K 60-69 years, male 9.6
GTEX-1JMOU-2026-SM-CMKGU 60-69 years, female 9.6
GTEX-11EMC-2026-SM-5A5JV 60-69 years, female 9.5
GTEX-11P81-1926-SM-5BC53 30-39 years, female 9.5
GTEX-13NZ8-0126-SM-5IJCT 60-69 years, female 9.5
GTEX-146FH-0826-SM-5SI8T 50-59 years, female 9.5
GTEX-17F96-2426-SM-7IGLN 70-79 years, male 9.5
GTEX-Q2AG-0326-SM-48U1O 40-49 years, female 9.5
GTEX-T6MN-0726-SM-32PML 50-59 years, male 9.5
GTEX-U8XE-0826-SM-4E3J1 30-39 years, male 9.5
GTEX-WYJK-1326-SM-3NB2T 50-59 years, male 9.5
GTEX-ZU9S-1926-SM-5NQBP 30-39 years, male 9.5
GTEX-ZV6S-1826-SM-5NQ8D 40-49 years, female 9.5
GTEX-ZWKS-2826-SM-5NQ74 30-39 years, male 9.5
GTEX-1KXAM-1026-SM-CY8IA 60-69 years, male 9.5
GTEX-13PVQ-1026-SM-5KM3M 50-59 years, male 9.4
GTEX-RUSQ-2026-SM-4GIAK 50-59 years, male 9.4
GTEX-S32W-2026-SM-4AD6E 50-59 years, female 9.4
GTEX-YFC4-1426-SM-5IFJG 40-49 years, female 9.4
GTEX-1I4MK-1626-SM-CM2TJ 50-59 years, female 9.4
GTEX-1B932-0826-SM-73KXG 40-49 years, female 9.3
GTEX-ZVT2-1826-SM-5NQ8W 50-59 years, female 9.3
GTEX-1C6WA-2426-SM-7SB86 60-69 years, male 9.3
GTEX-1QCLZ-2326-SM-DTXDO 60-69 years, female 9.3
GTEX-132Q8-1426-SM-5EGK7 60-69 years, male 9.2
GTEX-ZZPU-0626-SM-5E43T 50-59 years, female 9.2
GTEX-1EN7A-1426-SM-7PBY4 40-49 years, male 9.2
GTEX-1HKZK-1826-SM-ADEJ2 40-49 years, male 9.2
GTEX-13FHO-0826-SM-5L3E8 60-69 years, male 9.1
GTEX-15ETS-0626-SM-7KUMX 40-49 years, female 9.0
GTEX-17EUY-1926-SM-7DUF6 20-29 years, male 9.0
GTEX-17F97-2526-SM-7EWDV 50-59 years, male 9.0
GTEX-11GSP-0926-SM-9WYSG 60-69 years, female 9.0
GTEX-1H1CY-2226-SM-9WG7E 60-69 years, female 9.0
GTEX-1I1GP-0426-SM-COH3N 50-59 years, male 9.0
GTEX-1LSNM-1326-SM-E9TJ1 50-59 years, male 9.0
GTEX-1MA7W-1026-SM-DKPQK 20-29 years, female 9.0
GTEX-132NY-0826-SM-5K7Y7 60-69 years, male 8.9
GTEX-15ER7-1626-SM-6PAMZ 20-29 years, female 8.9
GTEX-17JCI-0726-SM-7EPH1 60-69 years, female 8.9
GTEX-REY6-2426-SM-48FF5 60-69 years, male 8.9
GTEX-ZAJG-0626-SM-5HL8X 50-59 years, female 8.9
GTEX-1LVAM-0926-SM-E9TJ2 50-59 years, female 8.9
GTEX-12ZZX-1126-SM-5EGKB 40-49 years, female 8.8
GTEX-17HHE-1426-SM-7EPH4 50-59 years, male 8.8
GTEX-WYVS-1726-SM-3NMAY 40-49 years, female 8.8
GTEX-1H1E6-0926-SM-9YFLT 30-39 years, male 8.8
GTEX-WHSB-1926-SM-EXOHH 50-59 years, male 8.8
GTEX-S4Q7-1126-SM-4AD6R 20-29 years, male 8.7
GTEX-1KANA-2026-SM-DIPFB 20-29 years, male 8.7
GTEX-1RAZS-1226-SM-E8VMT 50-59 years, male 8.7
GTEX-1S82U-1126-SM-E9U6I 30-39 years, female 8.7
GTEX-1S82Z-0726-SM-E6CHX 30-39 years, female 8.7
GTEX-QDT8-0626-SM-48TYW 30-39 years, female 8.6
GTEX-Y3IK-2326-SM-4WWDT 50-59 years, female 8.6
GTEX-1LGRB-1826-SM-CNPQL 50-59 years, female 8.6
GTEX-1LSVX-2426-SM-E6CJX 60-69 years, male 8.6
GTEX-ZAB4-2526-SM-5HL8M 40-49 years, male 8.5
GTEX-1F6I4-2526-SM-7SB8F 60-69 years, male 8.5
GTEX-1GMRU-0826-SM-9WYT7 50-59 years, male 8.5
GTEX-1QMI2-0726-SM-E9J4F 60-69 years, male 8.5
GTEX-ZAK1-1326-SM-EVYAS 50-59 years, female 8.5
GTEX-111YS-1926-SM-5GICC 60-69 years, male 8.4
GTEX-17HGU-1326-SM-79OKB 50-59 years, male 8.4
GTEX-WYBS-0926-SM-3NM94 60-69 years, female 8.4
GTEX-Y9LG-1426-SM-5IFJZ 30-39 years, male 8.4
GTEX-1F75I-2026-SM-7SB7N 40-49 years, male 8.4
GTEX-1I6K6-0826-SM-ARL7Z 30-39 years, male 8.4
GTEX-1KAFJ-0226-SM-DIPEL 50-59 years, male 8.4
GTEX-1M4P7-2626-SM-E9U5F 60-69 years, male 8.4
GTEX-1192X-2326-SM-5987X 50-59 years, male 8.3
GTEX-18A6Q-0926-SM-7LG4N 60-69 years, male 8.3
GTEX-R53T-1526-SM-48FEK 50-59 years, female 8.3
GTEX-WRHU-0326-SM-3MJFY 50-59 years, female 8.3
GTEX-1EWIQ-1726-SM-7SB7T 70-79 years, female 8.3
GTEX-Z9EW-1526-SM-EZ6LU 40-49 years, male 8.3
GTEX-1GZHY-0726-SM-9WG6B 50-59 years, female 8.2
GTEX-1QCLY-1626-SM-DTXDW 30-39 years, male 8.2
GTEX-11EI6-0626-SM-5985T 60-69 years, male 8.1
GTEX-11OF3-1926-SM-59889 60-69 years, male 8.1
GTEX-14LLW-0626-SM-62LFC 70-79 years, female 8.1
GTEX-17GQL-0326-SM-7LG5U 60-69 years, male 8.1
GTEX-VJWN-0726-SM-3GIJ8 50-59 years, female 8.1
GTEX-1E2YA-2726-SM-7IGPW 50-59 years, male 8.0
GTEX-RU72-0626-SM-46MUI 50-59 years, female 8.0
GTEX-13113-5013-SM-7SB7G 60-69 years, female 8.0
GTEX-1J8EW-2626-SM-CL53E 60-69 years, female 8.0
GTEX-1PPGY-1526-SM-EVYBK 60-69 years, male 8.0
GTEX-1RQEC-2026-SM-DTXDM 60-69 years, male 8.0
GTEX-11ZUS-0826-SM-5FQUY 30-39 years, male 7.9
GTEX-13N1W-0626-SM-5MR4U 70-79 years, male 7.9
GTEX-1CB4E-0226-SM-79OLW 60-69 years, male 7.9
GTEX-Y5LM-1726-SM-4VDSX 40-49 years, female 7.9
GTEX-ZDYS-1126-SM-5K7UB 50-59 years, male 7.9
GTEX-ZVE2-1226-SM-5NQ8R 50-59 years, male 7.9
GTEX-1I19N-2826-SM-CL55D 70-79 years, male 7.9
GTEX-1IDJF-2326-SM-ARL86 20-29 years, male 7.9
GTEX-1QP29-1726-SM-E8VMQ 50-59 years, male 7.9
GTEX-ZDXO-0126-SM-5S2ND 60-69 years, male 7.8
GTEX-1HCVE-2626-SM-ADEJ8 50-59 years, male 7.8
GTEX-1JKYR-0926-SM-CMKGJ 20-29 years, male 7.8
GTEX-1K9T9-1426-SM-DIPFQ 50-59 years, female 7.8
GTEX-11DXY-2326-SM-5GICW 60-69 years, male 7.7
GTEX-11P7K-0726-SM-5EGKX 30-39 years, male 7.7
GTEX-13FTY-2226-SM-5J1ND 40-49 years, female 7.7
GTEX-13NZB-2126-SM-5MR4Y 30-39 years, male 7.7
GTEX-17EVQ-0426-SM-7LG57 70-79 years, male 7.7
GTEX-X4XY-0926-SM-4E3JD 60-69 years, male 7.7
GTEX-X62O-0526-SM-EWRMA 50-59 years, male 7.7
GTEX-145MN-1926-SM-5SIAI 30-39 years, male 7.6
GTEX-15UF6-0126-SM-6PAMB 70-79 years, female 7.6
GTEX-1B933-2526-SM-7IGO5 50-59 years, female 7.6
GTEX-U3ZH-1426-SM-4DXSR 30-39 years, male 7.6
GTEX-1JJE9-2326-SM-ARL8Q 70-79 years, male 7.6
GTEX-1LNCM-0226-SM-DIPF4 50-59 years, female 7.6
GTEX-11GS4-2126-SM-5A5KR 60-69 years, male 7.5
GTEX-13CF2-2026-SM-5K7VI 60-69 years, male 7.5
GTEX-13O61-1826-SM-5KM4I 60-69 years, male 7.5
GTEX-17HHY-0926-SM-793C1 50-59 years, male 7.5
GTEX-YB5K-1626-SM-5IFIN 40-49 years, female 7.5
GTEX-ZTX8-1226-SM-4YCE9 20-29 years, male 7.5
GTEX-ZVT4-1026-SM-57WC4 50-59 years, female 7.5
GTEX-1F75A-1826-SM-7SB8G 50-59 years, male 7.5
GTEX-1GF9V-2526-SM-7SB8K 60-69 years, male 7.5
GTEX-1HR98-0426-SM-COH36 60-69 years, male 7.5
GTEX-1IKOE-1326-SM-CE6T6 30-39 years, female 7.5
GTEX-1KANC-1426-SM-CYPT9 50-59 years, female 7.5
GTEX-11DXW-0626-SM-5N9ER 40-49 years, male 7.4
GTEX-15G19-2126-SM-6M48J 60-69 years, male 7.4
GTEX-16YQH-2826-SM-6PAMY 30-39 years, male 7.4
GTEX-S7SE-0826-SM-4AT4D 50-59 years, male 7.4
GTEX-1H1DG-0526-SM-9YFLN 70-79 years, male 7.4
GTEX-11WQK-2426-SM-5GU5C 50-59 years, male 7.3
GTEX-1K2DA-1726-SM-CGQGS 50-59 years, male 7.3
GTEX-ZF3C-2326-SM-5S2NC 50-59 years, female 7.3
GTEX-11TUW-1826-SM-5BC5D 60-69 years, male 7.2
GTEX-R3RS-0626-SM-48FE1 40-49 years, female 7.2
GTEX-UPK5-2326-SM-3P5Z8 40-49 years, male 7.2
GTEX-XMD2-0926-SM-4WWEF 60-69 years, female 7.2
GTEX-YFCO-1826-SM-4W1YH 40-49 years, male 7.2
GTEX-ZA64-1526-SM-5CVMD 20-29 years, male 7.2
GTEX-1GMR8-0726-SM-9KNVI 50-59 years, female 7.2
GTEX-1ICLY-1726-SM-B2LVT 50-59 years, male 7.2
GTEX-1KD5A-1926-SM-DKPQA 50-59 years, male 7.2
GTEX-1NV8Z-2826-SM-E8VME 60-69 years, male 7.2
GTEX-WFG8-2026-SM-EXOHO 20-29 years, male 7.2
GTEX-T5JC-2126-SM-32PMO 20-29 years, male 7.1
GTEX-TKQ1-0226-SM-33HB5 30-39 years, male 7.1
GTEX-TKQ2-1826-SM-33HB2 50-59 years, male 7.1
GTEX-XQ3S-1326-SM-4BOPQ 20-29 years, male 7.1
GTEX-ZPIC-1126-SM-5BC7F 40-49 years, female 7.1
GTEX-11O72-2126-SM-5N9FO 40-49 years, male 7.0
GTEX-11PRG-0826-SM-5EQ6A 50-59 years, male 7.0
GTEX-14A5I-0726-SM-5TDEB 50-59 years, female 7.0
GTEX-14E7W-0826-SM-62LEJ 70-79 years, male 7.0
GTEX-18A7A-0726-SM-7LTAI 50-59 years, female 7.0
GTEX-V955-2026-SM-3GAFA 60-69 years, male 7.0
GTEX-1IOXB-1926-SM-ARL8E 50-59 years, male 7.0
GTEX-12BJ1-1826-SM-5HL9N 60-69 years, male 6.9
GTEX-14E6E-1326-SM-5S2NR 30-39 years, male 6.9
GTEX-YEC3-1026-SM-5IFI5 50-59 years, male 6.9
GTEX-ZYFC-0826-SM-5E44K 50-59 years, male 6.9
GTEX-1H3VY-0926-SM-ACKXE 50-59 years, male 6.9
GTEX-1MA7X-1626-SM-E9U5B 60-69 years, male 6.9
GTEX-11DXZ-1926-SM-5GZZL 50-59 years, male 6.8
GTEX-183WM-0726-SM-7LTAA 70-79 years, female 6.8
GTEX-R55D-0826-SM-48FEA 50-59 years, male 6.8
GTEX-13VXU-2826-SM-664MA 50-59 years, male 6.7
GTEX-144GL-2026-SM-5LU3O 50-59 years, male 6.7
GTEX-14ABY-2126-SM-5QGQZ 50-59 years, male 6.7
GTEX-S33H-0326-SM-4AD6N 30-39 years, male 6.7
GTEX-W5X1-2326-SM-3GIL6 40-49 years, female 6.7
GTEX-1IY9M-2726-SM-CMKG5 60-69 years, male 6.7
GTEX-1J8Q2-2726-SM-A9G2X 60-69 years, male 6.7
GTEX-1JJEA-2726-SM-ARL8V 60-69 years, male 6.7
GTEX-1MJK2-2226-SM-EVYCR 50-59 years, male 6.7
GTEX-11NV4-2026-SM-5N9DG 60-69 years, male 6.6
GTEX-14ICK-2426-SM-6EU27 40-49 years, male 6.6
GTEX-18QFQ-0826-SM-718AX 30-39 years, male 6.6
GTEX-1BAJH-0826-SM-7EWEF 70-79 years, male 6.6
GTEX-1C64O-0726-SM-7DUFU 60-69 years, male 6.6
GTEX-1HSKV-2026-SM-CMKGX 60-69 years, male 6.6
GTEX-1IKJJ-2326-SM-COH3U 60-69 years, male 6.6
GTEX-1R9JW-0326-SM-EAZ45 30-39 years, female 6.6
GTEX-ZDTT-2126-SM-DKPOM 60-69 years, male 6.6
GTEX-ZLFU-2126-SM-DO931 40-49 years, male 6.6
GTEX-13FTW-1426-SM-5LZWZ 40-49 years, male 6.5
GTEX-14PJO-0726-SM-69LO8 60-69 years, male 6.5
GTEX-1AX9I-0726-SM-73KWV 60-69 years, male 6.5
GTEX-XGQ4-0926-SM-4AT4U 50-59 years, male 6.5
GTEX-1F75B-0626-SM-7SB8A 50-59 years, male 6.5
GTEX-1GZ4I-2826-SM-9MQK5 50-59 years, male 6.5
GTEX-1JMPY-0526-SM-CL54O 30-39 years, male 6.5
GTEX-QMRM-1626-SM-D4P1U 50-59 years, male 6.5
GTEX-13SLW-2526-SM-62LDQ 70-79 years, male 6.4
GTEX-144GM-0926-SM-5O994 20-29 years, male 6.4
GTEX-15RJE-2626-SM-7KFT1 40-49 years, male 6.4
GTEX-1B8KE-1226-SM-73KWK 50-59 years, male 6.4
GTEX-1C6VS-0726-SM-7EPHF 60-69 years, male 6.4
GTEX-ZQUD-1926-SM-51MSA 30-39 years, male 6.4
GTEX-1JN6P-2426-SM-ARL99 60-69 years, male 6.4
GTEX-1L5NE-2126-SM-CY8IH 50-59 years, male 6.4
GTEX-1PPH7-0826-SM-E8VNX 40-49 years, male 6.4
GTEX-QEG5-0726-SM-D4P1T 20-29 years, male 6.4
GTEX-13FTX-1126-SM-5N9EN 20-29 years, female 6.3
GTEX-13PL6-2926-SM-5L3I2 40-49 years, female 6.3
GTEX-147F4-2826-SM-5NQBN 50-59 years, male 6.3
GTEX-ZT9W-2026-SM-51MRA 50-59 years, male 6.3
GTEX-1B8L1-2426-SM-9WYTE 60-69 years, male 6.3
GTEX-1HSEH-2026-SM-ADEHN 60-69 years, male 6.3
GTEX-14B4R-1226-SM-5TDDT 30-39 years, male 6.2
GTEX-PSDG-1626-SM-48TCQ 50-59 years, male 6.2
GTEX-QEL4-2126-SM-447AE 50-59 years, male 6.2
GTEX-TML8-1226-SM-32QON 40-49 years, female 6.2
GTEX-XMD1-0826-SM-4AT52 60-69 years, male 6.2
GTEX-Y111-2026-SM-4SOJA 50-59 years, male 6.2
GTEX-1R7EV-1526-SM-E8VOD 40-49 years, male 6.2
GTEX-11NSD-0926-SM-5N9DR 20-29 years, male 6.1
GTEX-14DAR-1326-SM-7DUEG 50-59 years, male 6.1
GTEX-1B8SG-1226-SM-7IGPF 50-59 years, male 6.1
GTEX-1H1ZS-0126-SM-9YFKQ 70-79 years, male 6.1
GTEX-1IDJH-2226-SM-E6CJV 70-79 years, male 6.1
GTEX-1OKEX-0826-SM-E9J2B 60-69 years, male 6.1
GTEX-YECK-0726-SM-EZ6LV 60-69 years, male 6.1
GTEX-13OW8-0226-SM-5K7UP 60-69 years, male 6.0
GTEX-17EVP-0226-SM-79OND 40-49 years, male 6.0
GTEX-17MF6-0326-SM-7EPH5 40-49 years, male 6.0
GTEX-18D9A-1526-SM-7LG4J 30-39 years, female 6.0
GTEX-1A3MV-1626-SM-731C1 30-39 years, male 6.0
GTEX-1LSNL-2826-SM-E9U5L 50-59 years, male 6.0
GTEX-145ME-1526-SM-5Q5F2 40-49 years, female 5.9
GTEX-145MF-2226-SM-7EPIR 50-59 years, male 5.9
GTEX-145MO-0826-SM-5NQBL 60-69 years, male 5.9
GTEX-1AMEY-1026-SM-718AA 30-39 years, female 5.9
GTEX-1H11D-1526-SM-9MQJY 40-49 years, male 5.9
GTEX-1IDJU-1826-SM-CMKHV 60-69 years, female 5.9
GTEX-12WSM-1726-SM-5BC6J 60-69 years, male 5.8
GTEX-WY7C-2726-SM-3NB3P 50-59 years, male 5.8
GTEX-ZVTK-0326-SM-51MRR 20-29 years, male 5.8
GTEX-14BMV-0626-SM-793AU 50-59 years, male 5.7
GTEX-1B8KZ-1526-SM-7DUG7 50-59 years, male 5.7
GTEX-YJ8O-2226-SM-5IFHW 40-49 years, female 5.7
GTEX-17F9E-2526-SM-7MGW2 50-59 years, male 5.7
GTEX-1IDFM-0426-SM-B2LVV 60-69 years, male 5.7
GTEX-12KS4-0126-SM-5Q5A5 30-39 years, male 5.6
GTEX-ZUA1-1526-SM-59HLS 40-49 years, male 5.6
GTEX-ZYT6-0126-SM-5E45J 30-39 years, male 5.6
GTEX-1JMLX-2026-SM-CMKGN 50-59 years, male 5.6
GTEX-1JMQK-2626-SM-COH2W 60-69 years, male 5.6
GTEX-1NHNU-0926-SM-E9J2T 50-59 years, male 5.6
GTEX-1RLM8-2226-SM-EVYD1 50-59 years, male 5.6
GTEX-15SHW-1326-SM-6PAL8 60-69 years, male 5.5
GTEX-Y8E4-1626-SM-5S2MW 40-49 years, male 5.5
GTEX-1GPI6-0626-SM-7RHHJ 60-69 years, male 5.5
GTEX-1QP9N-1826-SM-E8VMP 30-39 years, male 5.5
GTEX-11ZTT-2326-SM-5EQLG 60-69 years, female 5.4
GTEX-13OW5-2226-SM-5L3HC 60-69 years, male 5.4
GTEX-ZQG8-0726-SM-5P9H9 60-69 years, female 5.4
GTEX-ZTTD-1026-SM-51MRD 50-59 years, male 5.4
GTEX-1F5PK-2126-SM-7PC28 50-59 years, male 5.4
GTEX-1GMR3-2626-SM-7RHHG 40-49 years, male 5.4
GTEX-1QP28-1226-SM-E9J2M 50-59 years, female 5.4
GTEX-1EKGG-2626-SM-7IGPY 60-69 years, male 5.3
GTEX-WFON-1826-SM-3GILG 40-49 years, male 5.3
GTEX-XMK1-1126-SM-4IHJ8 40-49 years, male 5.3
GTEX-1N5O9-1126-SM-DTXEQ 60-69 years, male 5.3
GTEX-1PDJ9-1126-SM-EXUSW 20-29 years, male 5.3
GTEX-1314G-1226-SM-5BC6D 30-39 years, male 5.2
GTEX-139T6-1626-SM-5PNYZ 50-59 years, male 5.2
GTEX-T2YK-2226-SM-32QPT 50-59 years, male 5.2
GTEX-1GMR2-1926-SM-9MQLZ 50-59 years, male 5.2
GTEX-ZLWG-1926-SM-DO92J 50-59 years, female 5.2
GTEX-18A66-1726-SM-7LG5N 60-69 years, male 5.1
GTEX-1GPI7-0926-SM-7PC3J 20-29 years, male 5.1
GTEX-18465-2026-SM-718AP 50-59 years, male 5.0
GTEX-1QW4Y-1026-SM-DTXE2 30-39 years, male 5.0
GTEX-1A8G7-2426-SM-731AK 60-69 years, male 4.9
GTEX-YB5E-1726-SM-5IFJ3 40-49 years, male 4.9
GTEX-1313W-0826-SM-5EQ4T 50-59 years, female 4.8
GTEX-UTHO-1026-SM-3GAF7 60-69 years, male 4.8
GTEX-1ICG6-1326-SM-ACKWR 70-79 years, female 4.8
GTEX-1EU9M-2826-SM-7EWFH 60-69 years, male 4.4
GTEX-ZZ64-1226-SM-5E43R 20-29 years, male 4.4
GTEX-169BO-1126-SM-7MGWN 50-59 years, male 4.2
GTEX-1HCU7-1026-SM-ADEIP 50-59 years, male 4.1
GTEX-1JMPZ-1626-SM-COH31 30-39 years, male 4.0
GTEX-1KD4Q-2326-SM-D4P3M 40-49 years, male 4.0
GTEX-11P82-1326-SM-5HL62 20-29 years, male 3.8
GTEX-1CAMR-1426-SM-793BO 20-29 years, male 3.7
GTEX-1HCU9-0326-SM-9WYSC 20-29 years, male 3.6
GTEX-14753-2426-SM-5LU8U 60-69 years, male 3.2
Show allShow less

BREAST - FANTOM5 CAGEi

RNA expression in human tissues obtained through Cap Analysis of Gene Expression (CAGE) generated by the FANTOM5 project are reported as Scaled Tags Per Million.

Max subtype Scaled Tags Per Millioni

Max subtype Scaled Tags Per Million is the value for the subtype with the largest average Scaled Tags Per Million across the subtype samples.

21.6
FANTOM5 sample id Sample description Scaled Tags Per Million
Breast
Scaled Tags Per Million: 21.6
FF:10080-102A8 77 years, female 21.6

Contact

  • NEWS ARTICLES
  • PRESS ROOM

The Project

  • INTRODUCTION
  • ORGANIZATION
  • PUBLICATIONS

The Human Protein Atlas

  • DOWNLOADABLE DATA
  • LICENCE & CITATION
  • HELP & FAQ
The Human Protein Atlas project is funded
by the Knut & Alice Wallenberg Foundation.


contact@proteinatlas.org