We use cookies to enhance the usability of our website. If you continue, we'll assume that you are happy to receive all cookies. More information. Don't show this again.
SUSD1
HPA
RESOURCES
  • TISSUE
  • BRAIN
  • SINGLE CELL
  • SUBCELLULAR
  • CANCER
  • BLOOD
  • CELL LINE
  • STRUCTURE & INTERACTION
ABOUT
  • INTRODUCTION
  • HISTORY
  • ORGANIZATION
  • PUBLICATIONS
  • ANTIBODY SUBMISSION
  • ANTIBODY AVAILABILITY
  • ACKNOWLEDGMENTS
  • CONTACT
NEWS
  • NEWS ARTICLES
  • PRESS ROOM
LEARN
  • DICTIONARY
  • PROTEIN CLASSES
  • PROTEIN EVIDENCE
  • METHODS
  • EDUCATIONAL VIDEOS
DATA
  • DOWNLOADABLE DATA
  • PUBLICATION DATA
  • RELEASE HISTORY
HELP
  • ANTIBODY VALIDATION
  • ASSAYS & ANNOTATION
  • DISCLAIMER
  • HELP & FAQ
  • PRIVACY STATEMENT
  • LICENCE & CITATION
Fields »
Search result

Field
Term
Gene name
Class
Subclass
Class
Keyword
Chromosome
External id
Tissue
Cell type
Expression
Antibody panel
Tissue
Main location
Patient ID
Annotation
Tissue
Category
Tau score
Cluster
Reliability
Brain region
Category
Tau score
Brain region
Category
Tau score
Brain region
Category
Tau score
Cluster
Reliability
Tissue
Cell type
Enrichment
Cell type
Category
Tau score
Cell type
Category
Tau score
Cell type
Category
Tau score
Cell lineage
Category
Tau score
Cluster
Cluster
Location
Searches
Location
Cell line
Class
Type
Phase
Reliability
Cancer
Prognosis
Cancer
Category
Cancer
Category
Tau score
Cluster
Variants
Interacting gene (ensg_id)
Type
Number of interactions
Pathway
Category
Score
Score
Score
Validation
Validation
Validation
Validation
Antibodies
Data type
Column


  • SUMMARY

  • TISSUE

  • BRAIN

  • SINGLE CELL

  • SUBCELL

  • CANCER

  • BLOOD

  • CELL LINE

  • STRUCT & INT

  • SUSD1
CANCER PROSTATE CANCER Show tissue menu
BREAST CANCER CARCINOID CERVICAL CANCER COLORECTAL CANCER ENDOMETRIAL CANCER GLIOMA HEAD AND NECK CANCER LIVER CANCER LUNG CANCER LYMPHOMA
MELANOMA OVARIAN CANCER PANCREATIC CANCER PROSTATE CANCER RENAL CANCER SKIN CANCER STOMACH CANCER TESTIS CANCER THYROID CANCER UROTHELIAL CANCER
PRAD TCGA PROTEIN EXPRESSION
ANTIBODIES
AND
VALIDATION
Dictionary
Prostate cancer
Human cancer
Prostate adenocarcinoma
PROSTATE ADENOCARCINOMA (TCGA) - Interactive survival scatter ploti

The Survival Scatter plot shows the clinical status (i.e. dead or alive) for all individuals in the patient cohort, based on the same data that underlies the corresponding Kaplan-Meier plots. Patients that are alive at last time for follow-up are shown in blue and patients who have died during the study are shown in red.

The x-axis shows the expression levels (FPKM) of the investigated gene in the tumor tissue at the time of diagnosis. The y-axis shows the follow-up time after diagnosis (years). Both axes are complimented with kernel density curves demonstrating the data density over the axes. The top density plot shows the expression levels (FPKM) distribution among dead (red) and alive patients (blue). The right density plot shows the data density of the survived years of dead patients with high and low expression levels respectively, stratified using the cutoff indicated by the vertical dashed line through the Survival Scatter plot. This cutoff is automatically defined based on the FPKM cutoff that minimizes the p-score. The cutoff can be changed by dragging the vertical line or by entering a cutoff value in the square labeled "Current cut-off".

Under the Survival Scatter plot the p-score landscape (black curve; left axis) is shown together with dead median separation (red curve; right axis). Dead median separation is the difference in median mRNA expression between patients who have died with high and low expression, respectively. It is calculated as follows: median FPKM expression of dead patients with high expression - median FPKM expression of dead patients with low expression. This is intended to aid the user in visually exploring custom cutoffs and the associated p-scores and dead median separation.

Individual patient data is displayed and can be filtered by clicking on one or more of the category buttons on the top of the page. Categories describing expression level and patient information include: high, low, alive, dead, female, male and tumor stages. The scale of the x-axis can be toggled between linear and log-scale by clicking on the "x log" button. Mouse-over function shows TCGA ID, patient information and mRNA expression (FPKM) for each patient.

& Survival analysisi

Kaplan-Meier plots summarize results from analysis of correlation between mRNA expression level and patient survival. Patients were divided based on level of expression into one of the two groups "low" (under cut off) or "high" (over cut off). X-axis shows time for survival (years) and y-axis shows the probability of survival, where 1.0 corresponds to 100 percent.

SUSD1 is not prognostic in Prostate Adenocarcinoma (TCGA)


Stage:
Survival analysis
Current cut offi

Current cut-off shows the cut-off (FPKM) currently selected. It may be changed manually. When the current cut-off is changed, the vertical dashed line indicating cut-off, the interactive survival scatter plot and the Kaplan-Meier curve will be automatically adjusted to show results accordingly.

:
Best expression cut offi

Based on the FPKM value of each gene, patients were classified into two groups and association between prognosis (survival) and gene expression (FPKM) was examined. The best expression cut-off refers the FPKM value that yields maximal difference with regard to survival between the two groups at the lowest log-rank P-value. Best expression cut-off was selected based on survival analysis .

When clicking on this number, the vertical dashed line indicating cut-off, the interactive survival plot, and the Kaplan-Meier curve will be adjusted to show results based on the best expression cut-off.

: 4.84
Median expressioni

Median expression refers to the median FPKM value calculated based on the gene expression (FPKM) data from all patients in this dataset. When clicking on this number, the vertical dashed line indicating cut-off, the interactive survival plot, and the Kaplan-Meier curve will be adjusted to show results based on the median expression.

: N/A
Median follow up timei

Median follow up time refers to the median time (years) after diagnosis with this type of cancer, based on clinical data from all patients in this dataset.

: N/A
P scorei

Log-rank P value for Kaplan-Meier plot showing results from analysis of correlation between mRNA expression level and patient survival.

N/A
5-year survival highi

5-year survival for patients with higher expression than the expression cutoff.

For melanoma and glioma, 3-year survival is shown.

N/A
5-year survival lowi

5-year survival for patients with lower expression than the expression cutoff.

For melanoma and glioma, 3-year survival is shown.

N/A
TCGA RNA samplesi

RNA-seq data is reported as average FPKM (number Fragments Per Kilobase of exon per Million reads), generated by the The Cancer Genome Atlas (TCGA) .

Normal distribution across the dataset is visualized with box plots, shown as median and 25th and 75th percentiles. Points are displayed as outliers if they are above or below 1.5 times the interquartile range. FPKM values of the individual samples are presented next to the box plot.

Average pTPM 5.8
Number of samples 480
Samples
Sample Description pTPM
TCGA-HC-7212-01A 56 years, male, white, stage:'--, alive, 870 days 21.2
TCGA-EJ-5542-01A 60 years, male, white, stage:'--, alive, 1513 days 20.1
TCGA-EJ-5521-01A 63 years, male, white, stage:'--, alive, 2279 days 18.7
TCGA-CH-5788-01A 69 years, male, white, stage:'--, alive, 821 days 18.2
TCGA-EJ-7785-01A 54 years, male, white, stage:'--, alive, 1177 days 17.8
TCGA-EJ-5522-01A 51 years, male, white, stage:'--, alive, 2079 days 17.7
TCGA-HC-7081-01A 62 years, male, white, stage:'--, alive, 1136 days 16.4
TCGA-EJ-5516-01A 49 years, male, white, stage:'--, alive, 1889 days 15.9
TCGA-HC-7748-01A 60 years, male, white, stage:'--, alive, 792 days 15.5
TCGA-EJ-5530-01A 61 years, male, white, stage:'--, alive, 1832 days 15.4
TCGA-EJ-5524-01A 57 years, male, white, stage:'--, alive, 1882 days 15.3
TCGA-HC-7736-01A 59 years, male, white, stage:'--, alive, 1103 days 15.1
TCGA-YL-A8HK-01A 59 years, male, white, stage:'--, alive, 1491 days 15.0
TCGA-J4-A83I-01A 63 years, male, white, stage:'--, alive, 685 days 15.0
TCGA-XQ-A8TA-01A 59 years, male, white, stage:'--, dead, 146 days 14.9
TCGA-EJ-7792-01A 53 years, male, white, stage:'--, alive, 1396 days 14.6
TCGA-EJ-7327-01A 61 years, male, white, stage:'--, alive, 923 days 14.3
TCGA-EJ-5495-01A 68 years, male, white, stage:'--, alive, 1760 days 14.1
TCGA-CH-5753-01A 70 years, male, white, stage:'--, alive, 31 days 13.9
TCGA-VP-A87J-01A 56 years, male, black or african american, stage:'--, alive, 1774 days 13.4
TCGA-EJ-8468-01A 63 years, male, white, stage:'--, alive, 2347 days 13.2
TCGA-EJ-8469-01A 46 years, male, black or african american, stage:'--, alive, 2324 days 13.2
TCGA-VP-A87D-01A 54 years, male, white, stage:'--, alive, 1853 days 13.1
TCGA-EJ-5527-01A 69 years, male, white, stage:'--, alive, 1778 days 12.9
TCGA-KK-A8II-01A 61 years, male, white, stage:'--, dead, 3467 days 12.9
TCGA-HC-7231-01A 66 years, male, white, stage:'--, alive, 939 days 12.8
TCGA-HC-7209-01A 60 years, male, white, stage:'--, alive, 440 days 12.7
TCGA-CH-5794-01A 65 years, male, white, stage:'--, alive, 882 days 12.5
TCGA-EJ-5507-01A 54 years, male, white, stage:'--, alive, 1457 days 12.4
TCGA-EJ-A46G-01A 71 years, male, white, stage:'--, alive, 668 days 12.3
TCGA-HC-7210-01A 74 years, male, white, stage:'--, alive, 868 days 12.2
TCGA-HC-7230-01A 50 years, male, white, stage:'--, alive, 1001 days 12.1
TCGA-EJ-7331-01A 64 years, male, white, stage:'--, alive, 742 days 12.0
TCGA-YL-A8HL-01A 58 years, male, white, stage:'--, alive, 1565 days 11.8
TCGA-H9-7775-01A 68 years, male, white, stage:'--, alive, 185 days 11.8
TCGA-HC-7232-01A 66 years, male, white, stage:'--, alive, 1161 days 11.6
TCGA-EJ-5498-01A 56 years, male, white, stage:'--, alive, 1720 days 11.4
TCGA-G9-7522-01A 49 years, male, white, stage:'--, alive, 1078 days 11.3
TCGA-YL-A8SC-01A 66 years, male, white, stage:'--, alive, 1261 days 11.2
TCGA-VP-A872-01A 60 years, male, white, stage:'--, alive, 3631 days 11.0
TCGA-EJ-5505-01A 57 years, male, white, stage:'--, alive, 922 days 10.9
TCGA-CH-5765-01A 55 years, male, white, stage:'--, alive, 700 days 10.7
TCGA-HC-7819-01A 53 years, male, white, stage:'--, alive, 543 days 10.7
TCGA-HC-A48F-01A 47 years, male, white, stage:'--, alive, 680 days 10.7
TCGA-CH-5744-01A 64 years, male, white, stage:'--, alive, 60 days 10.7
TCGA-VN-A88L-01A 54 years, male, white, stage:'--, alive, 746 days 10.6
TCGA-KK-A6E6-01A 69 years, male, white, stage:'--, alive, 3447 days 10.5
TCGA-YL-A8SA-01A 69 years, male, white, stage:'--, alive, 512 days 10.5
TCGA-KK-A8I5-01A 55 years, male, black or african american, stage:'--, alive, 3096 days 10.4
TCGA-G9-6364-01A 72 years, male, white, stage:'--, alive, 1198 days 10.3
TCGA-EJ-8472-01A 63 years, male, white, stage:'--, alive, 756 days 10.3
TCGA-EJ-7783-01A 70 years, male, white, stage:'--, alive, 787 days 10.3
TCGA-G9-6363-01A 64 years, male, white, stage:'--, alive, 1378 days 10.2
TCGA-EJ-7794-01A 67 years, male, white, stage:'--, alive, 1306 days 10.2
TCGA-EJ-A46H-01A 60 years, male, black or african american, stage:'--, alive, 724 days 10.2
TCGA-V1-A8MJ-01A 58 years, male, black or african american, stage:'--, alive, 1791 days 10.1
TCGA-HC-7744-01A 46 years, male, white, stage:'--, alive, 531 days 10.1
TCGA-HC-7820-01A 72 years, male, white, stage:'--, alive, 747 days 10.1
TCGA-V1-A8WN-01A 47 years, male, black or african american, stage:'--, alive, 924 days 10.0
TCGA-HC-A76X-01A 62 years, male, white, stage:'--, alive, 150 days 9.9
TCGA-EJ-7330-01A 68 years, male, white, stage:'--, alive, 191 days 9.9
TCGA-CH-5790-01A 64 years, male, white, stage:'--, alive, 974 days 9.9
TCGA-VN-A88Q-01A 60 years, male, white, stage:'--, alive, 1366 days 9.8
TCGA-EJ-5531-01A 62 years, male, white, stage:'--, alive, 1273 days 9.8
TCGA-HC-7077-01A 64 years, male, black or african american, stage:'--, alive, 2115 days 9.7
TCGA-KK-A8I6-01A 58 years, male, white, stage:'--, alive, 668 days 9.7
TCGA-J4-8198-01A 49 years, male, black or african american, stage:'--, alive, 614 days 9.6
TCGA-EJ-5514-01A 66 years, male, white, stage:'--, alive, 1829 days 9.6
TCGA-EJ-7791-01A 67 years, male, white, stage:'--, alive, 1118 days 9.6
TCGA-HC-7821-01A 54 years, male, white, stage:'--, alive, 956 days 9.5
TCGA-EJ-5506-01A 67 years, male, white, stage:'--, alive, 1381 days 9.5
TCGA-EJ-7315-01A 68 years, male, white, stage:'--, alive, 1008 days 9.5
TCGA-HC-7818-01A 66 years, male, white, stage:'--, alive, 938 days 9.5
TCGA-HC-8259-01A 50 years, male, black or african american, stage:'--, alive, 924 days 9.4
TCGA-CH-5752-01A 66 years, male, white, stage:'--, alive, 943 days 9.4
TCGA-ZG-A9L2-01A 70 years, male, white, stage:'--, alive, 1154 days 9.4
TCGA-J4-A6M7-01A 53 years, male, white, stage:'--, alive, 512 days 9.3
TCGA-EJ-5526-01A 56 years, male, white, stage:'--, alive, 1909 days 9.2
TCGA-CH-5738-01A 72 years, male, white, stage:'--, alive, 212 days 9.1
TCGA-EJ-5518-01A 66 years, male, white, stage:'--, alive, 2118 days 9.1
TCGA-G9-6342-01A 61 years, male, white, stage:'--, alive, 1696 days 9.1
TCGA-VP-A87C-01A 67 years, male, black or african american, stage:'--, alive, 1690 days 9.1
TCGA-G9-7521-01A 52 years, male, white, stage:'--, alive, 942 days 9.0
TCGA-CH-5791-01A 72 years, male, white, stage:'--, alive, 1004 days 9.0
TCGA-EJ-5508-01A 65 years, male, white, stage:'--, alive, 1965 days 9.0
TCGA-EJ-A65F-01A 59 years, male, white, stage:'--, alive, 560 days 9.0
TCGA-CH-5789-01A 61 years, male, white, stage:'--, alive, 304 days 8.9
TCGA-KK-A7AU-01A 63 years, male, white, stage:'--, alive, 1775 days 8.9
TCGA-V1-A8WW-01A 59 years, male, white, stage:'--, alive, 1078 days 8.7
TCGA-EJ-A65J-01A 62 years, male, white, stage:'--, alive, 451 days 8.7
TCGA-CH-5746-01A 57 years, male, white, stage:'--, alive, 731 days 8.7
TCGA-HC-7213-01A 53 years, male, white, stage:'--, alive, 1219 days 8.5
TCGA-KK-A7B4-01A 64 years, male, white, stage:'--, alive, 987 days 8.5
TCGA-CH-5761-01A 61 years, male, white, stage:'--, alive, 28 days 8.5
TCGA-KK-A6E0-01A 59 years, male, asian, stage:'--, alive, 1483 days 8.5
TCGA-EJ-5494-01A 50 years, male, white, stage:'--, alive, 1477 days 8.4
TCGA-KC-A4BN-01A 55 years, male, black or african american, stage:'--, alive, 1815 days 8.4
TCGA-VP-A875-01A 67 years, male, black or african american, stage:'--, alive, 2309 days 8.4
TCGA-2A-A8VV-01A 52 years, male, stage:'--, alive, 671 days 8.3
TCGA-EJ-5502-01A 50 years, male, stage:'--, alive, 1171 days 8.3
TCGA-ZG-A9L4-01A 61 years, male, white, stage:'--, alive, 1108 days 8.2
TCGA-V1-A9OY-01A 57 years, male, white, stage:'--, alive, 1067 days 8.2
TCGA-EJ-A8FO-01A 51 years, male, stage:'--, alive, 282 days 8.2
TCGA-EJ-7784-01A 63 years, male, white, stage:'--, alive, 781 days 8.1
TCGA-G9-7509-01A 48 years, male, black or african american, stage:'--, alive, 1610 days 8.1
TCGA-TP-A8TT-01A 64 years, male, white, stage:'--, alive, 526 days 8.1
TCGA-2A-AAYU-01A 56 years, male, white, stage:'--, alive, 615 days 8.1
TCGA-EJ-5511-01A 55 years, male, black or african american, stage:'--, alive, 1476 days 8.1
TCGA-XK-AAIV-01A 63 years, male, white, stage:'--, alive, 1133 days 8.1
TCGA-KK-A6DY-01A 50 years, male, black or african american, stage:'--, alive, 4295 days 8.1
TCGA-EJ-5532-01A 57 years, male, white, stage:'--, alive, 1828 days 7.9
TCGA-EJ-A7NJ-01A 59 years, male, white, stage:'--, alive, 197 days 7.9
TCGA-J4-8200-01A 47 years, male, asian, stage:'--, alive, 1218 days 7.9
TCGA-CH-5768-01A 72 years, male, white, stage:'--, alive, 731 days 7.9
TCGA-HC-7233-01A 73 years, male, white, stage:'--, alive, 1355 days 7.9
TCGA-EJ-5515-01A 60 years, male, white, stage:'--, alive, 1832 days 7.9
TCGA-CH-5748-01A 64 years, male, white, stage:'--, alive, 31 days 7.8
TCGA-ZG-A9MC-01A 69 years, male, white, stage:'--, alive, 455 days 7.8
TCGA-CH-5740-01A 57 years, male, white, stage:'--, alive, 31 days 7.8
TCGA-HC-8213-01A 48 years, male, white, stage:'--, alive, 589 days 7.7
TCGA-HC-7211-01A 62 years, male, white, stage:'--, alive, 1221 days 7.7
TCGA-YL-A9WL-01A 59 years, male, white, stage:'--, alive, 740 days 7.6
TCGA-KK-A59Y-01A 56 years, male, white, stage:'--, alive, 1968 days 7.6
TCGA-CH-5750-01A 72 years, male, white, stage:'--, alive, 396 days 7.6
TCGA-SU-A7E7-01A 60 years, male, white, stage:'--, alive, 551 days 7.6
TCGA-M7-A725-01A 56 years, male, white, stage:'--, alive, 573 days 7.6
TCGA-2A-A8VT-01A 47 years, male, asian, stage:'--, alive, 1373 days 7.6
TCGA-KK-A8IM-01A 55 years, male, white, stage:'--, alive, 1915 days 7.6
TCGA-EJ-7793-01A 49 years, male, white, stage:'--, alive, 114 days 7.6
TCGA-ZG-A8QZ-01A 65 years, male, white, stage:'--, alive, 308 days 7.5
TCGA-FC-7708-01A 52 years, male, asian, stage:'--, alive, 864 days 7.5
TCGA-XQ-A8TB-01A 67 years, male, white, stage:'--, alive, 770 days 7.4
TCGA-CH-5739-01A 65 years, male, white, stage:'--, alive, 671 days 7.4
TCGA-EJ-8470-01A 58 years, male, black or african american, stage:'--, alive, 1159 days 7.4
TCGA-EJ-5517-01A 55 years, male, white, stage:'--, alive, 1889 days 7.4
TCGA-EJ-5525-01A 67 years, male, white, stage:'--, alive, 1115 days 7.3
TCGA-EJ-5501-01A 55 years, male, white, stage:'--, alive, 1365 days 7.3
TCGA-J4-A83J-01A 68 years, male, white, stage:'--, alive, 696 days 7.2
TCGA-YL-A9WJ-01A 47 years, male, white, stage:'--, dead, 1855 days 7.2
TCGA-KK-A6E7-01A 46 years, male, stage:'--, alive, 2760 days 7.1
TCGA-J4-A6G3-01A 57 years, male, white, stage:'--, alive, 849 days 7.1
TCGA-VP-A87E-01A 59 years, male, black or african american, stage:'--, alive, 2037 days 7.1
TCGA-CH-5769-01A 48 years, male, white, stage:'--, alive, 62 days 7.1
TCGA-V1-A8MK-01A 41 years, male, black or african american, stage:'--, alive, 508 days 7.1
TCGA-EJ-7788-01A 53 years, male, white, stage:'--, alive, 859 days 7.1
TCGA-HC-A8D1-01A 68 years, male, white, stage:'--, alive, 573 days 7.0
TCGA-M7-A721-01A 70 years, male, white, stage:'--, alive, 400 days 7.0
TCGA-CH-5763-01A 66 years, male, white, stage:'--, alive, 365 days 7.0
TCGA-CH-5741-01A 56 years, male, white, stage:'--, alive, 395 days 7.0
TCGA-EJ-7786-01A 62 years, male, white, stage:'--, alive, 1096 days 6.9
TCGA-G9-6370-01A 52 years, male, white, stage:'--, alive, 1156 days 6.9
TCGA-CH-5792-01A 57 years, male, white, stage:'--, alive, 91 days 6.9
TCGA-CH-5766-01A 55 years, male, white, stage:'--, alive, 31 days 6.9
TCGA-G9-6384-01A 53 years, male, white, stage:'--, alive, 765 days 6.9
TCGA-VN-A88K-01A 58 years, male, white, stage:'--, alive, 776 days 6.9
TCGA-KK-A6E1-01A 57 years, male, white, stage:'--, alive, 2198 days 6.9
TCGA-HC-8258-01A 56 years, male, black or african american, stage:'--, alive, 847 days 6.9
TCGA-4L-AA1F-01A 64 years, male, white, stage:'--, alive, 350 days 6.9
TCGA-EJ-7797-01A 53 years, male, white, stage:'--, alive, 983 days 6.9
TCGA-V1-A9ZK-01A 68 years, male, white, stage:'--, alive, 1383 days 6.9
TCGA-J9-A52B-01A 62 years, male, white, stage:'--, alive, 422 days 6.8
TCGA-EJ-A6RC-01A 64 years, male, white, stage:'--, alive, 873 days 6.8
TCGA-V1-A9O9-01A 56 years, male, white, stage:'--, alive, 2870 days 6.7
TCGA-CH-5754-01A 65 years, male, white, stage:'--, alive, 62 days 6.6
TCGA-EJ-7317-01A 71 years, male, white, stage:'--, alive, 771 days 6.6
TCGA-G9-6356-01A 60 years, male, white, stage:'--, alive, 1434 days 6.6
TCGA-HC-A9TH-01A 58 years, male, white, stage:'--, alive, 844 days 6.6
TCGA-G9-6351-01A 51 years, male, white, stage:'--, alive, 2048 days 6.6
TCGA-EJ-5503-01A 50 years, male, white, stage:'--, alive, 1391 days 6.6
TCGA-XK-AAJR-01A 61 years, male, white, stage:'--, alive, 1124 days 6.6
TCGA-G9-6366-01A 61 years, male, white, stage:'--, alive, 1947 days 6.5
TCGA-HI-7171-01A 56 years, male, white, stage:'--, dead, 1329 days 6.5
TCGA-J4-A83L-01A 61 years, male, white, stage:'--, alive, 720 days 6.5
TCGA-CH-5745-01A 68 years, male, white, stage:'--, alive, 91 days 6.4
TCGA-XK-AAJ3-01A 56 years, male, white, stage:'--, alive, 1262 days 6.4
TCGA-CH-5737-01A 73 years, male, white, stage:'--, alive, 91 days 6.4
TCGA-V1-A9Z9-01A 63 years, male, white, stage:'--, alive, 540 days 6.4
TCGA-EJ-7123-01A 59 years, male, white, stage:'--, alive, 2572 days 6.4
TCGA-EJ-5510-01A 48 years, male, white, stage:'--, alive, 1887 days 6.4
TCGA-EJ-7321-01A 57 years, male, black or african american, stage:'--, alive, 824 days 6.2
TCGA-V1-A8X3-01A 51 years, male, white, stage:'--, alive, 202 days 6.2
TCGA-J4-AATZ-01A 66 years, male, asian, stage:'--, alive, 412 days 6.1
TCGA-HC-7075-01A 63 years, male, white, stage:'--, alive, 601 days 6.1
TCGA-XA-A8JR-01A 68 years, male, stage:'--, alive, 376 days 6.1
TCGA-EJ-A46D-01A 53 years, male, white, stage:'--, alive, 626 days 6.1
TCGA-G9-6494-01A 66 years, male, white, stage:'--, alive, 1771 days 6.0
TCGA-HC-8256-01A 53 years, male, black or african american, stage:'--, alive, 860 days 6.0
TCGA-YL-A8HO-01A 67 years, male, black or african american, stage:'--, alive, 2304 days 6.0
TCGA-YL-A8HJ-01A 58 years, male, white, stage:'--, alive, 1611 days 6.0
TCGA-EJ-5509-01A 63 years, male, white, stage:'--, alive, 1464 days 6.0
TCGA-J4-A67T-01A 63 years, male, white, stage:'--, alive, 183 days 6.0
TCGA-HC-7738-01A 58 years, male, white, stage:'--, alive, 964 days 6.0
TCGA-VP-A876-01A 46 years, male, white, stage:'--, alive, 3333 days 5.9
TCGA-XK-AAIR-01A 75 years, male, white, stage:'--, alive, 972 days 5.9
TCGA-KK-A8IC-01A 54 years, male, white, stage:'--, alive, 2051 days 5.9
TCGA-HC-A6AN-01A 67 years, male, white, stage:'--, alive, 49 days 5.8
TCGA-CH-5767-01A 66 years, male, white, stage:'--, alive, 458 days 5.8
TCGA-EJ-7314-01A 62 years, male, white, stage:'--, alive, 1150 days 5.8
TCGA-KC-A4BL-01A 65 years, male, black or african american, stage:'--, alive, 934 days 5.7
TCGA-YL-A8SI-01A 69 years, male, white, stage:'--, alive, 1614 days 5.7
TCGA-J4-A83K-01A 52 years, male, white, stage:'--, alive, 328 days 5.7
TCGA-YL-A9WX-01A 68 years, male, white, stage:'--, alive, 1518 days 5.7
TCGA-J4-AAU2-01A 59 years, male, white, stage:'--, alive, 825 days 5.7
TCGA-KC-A4BV-01A 66 years, male, asian, stage:'--, alive, 1328 days 5.6
TCGA-V1-A9O7-01A 60 years, male, white, stage:'--, alive, 2499 days 5.6
TCGA-EJ-A7NG-01A 64 years, male, white, stage:'--, alive, 432 days 5.6
TCGA-HC-8262-01A 57 years, male, white, stage:'--, alive, 679 days 5.6
TCGA-CH-5772-01A 63 years, male, white, stage:'--, alive, 486 days 5.6
TCGA-KC-A7FE-01A 62 years, male, white, stage:'--, alive, 352 days 5.6
TCGA-V1-A9OL-01A 65 years, male, asian, stage:'--, alive, 1913 days 5.5
TCGA-EJ-5499-01A 61 years, male, asian, stage:'--, alive, 1415 days 5.5
TCGA-KK-A8IH-01A 50 years, male, white, stage:'--, alive, 2013 days 5.5
TCGA-V1-A9OF-01A 49 years, male, white, stage:'--, alive, 1184 days 5.5
TCGA-KK-A8IJ-01A 59 years, male, white, stage:'--, alive, 1559 days 5.5
TCGA-VN-A88R-01A 53 years, male, black or african american, stage:'--, alive, 784 days 5.5
TCGA-G9-7525-01A 64 years, male, white, stage:'--, alive, 994 days 5.5
TCGA-EJ-7115-01A 65 years, male, white, stage:'--, alive, 2687 days 5.4
TCGA-HC-8261-01A 48 years, male, black or african american, stage:'--, alive, 546 days 5.4
TCGA-VP-A87H-01A 76 years, male, white, stage:'--, alive, 663 days 5.4
TCGA-CH-5771-01A 63 years, male, white, stage:'--, alive, 396 days 5.4
TCGA-J4-A67S-01A 63 years, male, white, stage:'--, alive, 833 days 5.3
TCGA-EJ-A46I-01A 57 years, male, black or african american, stage:'--, alive, 668 days 5.3
TCGA-M7-A720-01A 53 years, male, white, stage:'--, alive, 384 days 5.3
TCGA-H9-A6BX-01A 60 years, male, white, stage:'--, alive, 941 days 5.3
TCGA-CH-5762-01A 60 years, male, white, stage:'--, alive, 1339 days 5.2
TCGA-J4-A6G1-01A 68 years, male, white, stage:'--, alive, 769 days 5.2
TCGA-KK-A7B3-01A 62 years, male, white, stage:'--, alive, 899 days 5.2
TCGA-HC-8260-01A 43 years, male, black or african american, stage:'--, alive, 686 days 5.2
TCGA-J4-A67L-01A 54 years, male, white, stage:'--, alive, 770 days 5.2
TCGA-CH-5764-01A 66 years, male, white, stage:'--, alive, 31 days 5.2
TCGA-EJ-5512-01A 46 years, male, white, stage:'--, alive, 1733 days 5.2
TCGA-YL-A9WH-01A 67 years, male, white, stage:'--, alive, 427 days 5.2
TCGA-KC-A4BR-01A 75 years, male, white, stage:'--, alive, 1349 days 5.2
TCGA-G9-6332-01A 55 years, male, white, stage:'--, alive, 2657 days 5.2
TCGA-EJ-AB27-01A 51 years, male, white, stage:'--, alive, 145 days 5.2
TCGA-KK-A6E4-01A 69 years, male, black or african american, stage:'--, dead, 3502 days 5.1
TCGA-J9-A8CM-01A 66 years, male, white, stage:'--, alive, 463 days 5.1
TCGA-XK-AAJP-01A 66 years, male, white, stage:'--, alive, 1259 days 5.1
TCGA-VP-A879-01A 70 years, male, white, stage:'--, dead, 728 days 5.0
TCGA-G9-6371-01A 58 years, male, white, stage:'--, alive, 1226 days 5.0
TCGA-ZG-A9LN-01A 57 years, male, white, stage:'--, alive, 115 days 5.0
TCGA-KK-A8I7-01A 55 years, male, white, stage:'--, alive, 2002 days 5.0
TCGA-G9-6367-01A 60 years, male, white, stage:'--, alive, 1222 days 5.0
TCGA-KC-A7FD-01A 62 years, male, white, stage:'--, alive, 270 days 5.0
TCGA-VN-A943-01A 71 years, male, white, stage:'--, alive, 496 days 5.0
TCGA-ZG-A9L5-01A 58 years, male, white, stage:'--, alive, 908 days 4.9
TCGA-J9-A8CK-01A 66 years, male, white, stage:'--, alive, 321 days 4.9
TCGA-2A-AAYF-01A 57 years, male, white, stage:'--, alive, 1364 days 4.9
TCGA-EJ-A8FP-01A 59 years, male, white, stage:'--, alive, 299 days 4.9
TCGA-V1-A8WV-01A 52 years, male, white, stage:'--, alive, 686 days 4.9
TCGA-VP-A878-01A 58 years, male, white, stage:'--, alive, 3130 days 4.8
TCGA-ZG-A9L6-01A 64 years, male, white, stage:'--, alive, 687 days 4.8
TCGA-HC-7740-01A 59 years, male, white, stage:'--, alive, 717 days 4.8
TCGA-KK-A8IL-01A 65 years, male, white, stage:'--, dead, 628 days 4.8
TCGA-HC-8266-01A 55 years, male, white, stage:'--, alive, 473 days 4.8
TCGA-VP-A87K-01A 63 years, male, white, stage:'--, alive, 1306 days 4.8
TCGA-G9-A9S7-01A 55 years, male, white, stage:'--, alive, 728 days 4.8
TCGA-EJ-7781-01A 65 years, male, white, stage:'--, alive, 1073 days 4.8
TCGA-G9-6385-01A 66 years, male, white, stage:'--, alive, 830 days 4.8
TCGA-J4-AATV-01A 71 years, male, white, stage:'--, alive, 553 days 4.8
TCGA-FC-7961-01A 62 years, male, white, stage:'--, alive, 469 days 4.8
TCGA-G9-6348-01A 68 years, male, white, stage:'--, alive, 1515 days 4.7
TCGA-EJ-5504-01A 65 years, male, white, stage:'--, alive, 1427 days 4.7
TCGA-KK-A6E2-01A 54 years, male, black or african american, stage:'--, alive, 5024 days 4.7
TCGA-G9-7523-01A 44 years, male, black or african american, stage:'--, alive, 857 days 4.7
TCGA-HC-A8D0-01A 61 years, male, white, stage:'--, alive, 775 days 4.6
TCGA-HC-7080-01A 66 years, male, white, stage:'--, alive, 1106 days 4.6
TCGA-EJ-A7NK-01A 58 years, male, white, stage:'--, alive, 476 days 4.6
TCGA-HC-7737-01A 55 years, male, black or african american, stage:'--, alive, 1090 days 4.6
TCGA-2A-A8VL-01A 51 years, male, white, stage:'--, alive, 621 days 4.6
TCGA-EJ-A7NN-01A 61 years, male, white, stage:'--, alive, 197 days 4.6
TCGA-EJ-7125-01A 44 years, male, white, stage:'--, alive, 2850 days 4.6
TCGA-EJ-5519-01A 64 years, male, white, stage:'--, alive, 1962 days 4.6
TCGA-ZG-A8QW-01A 72 years, male, white, stage:'--, alive, 94 days 4.5
TCGA-KK-A8I4-01A 64 years, male, white, stage:'--, alive, 2259 days 4.5
TCGA-EJ-A7NM-01A 64 years, male, white, stage:'--, alive, 128 days 4.5
TCGA-EJ-A8FS-01A 66 years, male, white, stage:'--, alive, 266 days 4.5
TCGA-EJ-A8FU-01A 64 years, male, white, stage:'--, alive, 138 days 4.5
TCGA-VN-A88O-01A 49 years, male, stage:'--, alive, 481 days 4.5
TCGA-HC-7750-01A 50 years, male, white, stage:'--, alive, 522 days 4.5
TCGA-HC-7747-01A 52 years, male, white, stage:'--, alive, 748 days 4.5
TCGA-ZG-A9LZ-01A 66 years, male, white, stage:'--, alive, 692 days 4.5
TCGA-XJ-A9DK-01A 63 years, male, white, stage:'--, alive, 275 days 4.5
TCGA-ZG-A9N3-01A 73 years, male, white, stage:'--, alive, 349 days 4.5
TCGA-M7-A71Z-01A 62 years, male, white, stage:'--, alive, 643 days 4.5
TCGA-G9-6365-01A 71 years, male, white, stage:'--, alive, 1363 days 4.5
TCGA-XJ-A9DI-01A 62 years, male, white, stage:'--, alive, 1461 days 4.4
TCGA-G9-7510-01A 66 years, male, white, stage:'--, alive, 1185 days 4.4
TCGA-EJ-A8FN-01A 58 years, male, white, stage:'--, alive, 329 days 4.4
TCGA-V1-A8MU-01A 56 years, male, black or african american, stage:'--, alive, 1876 days 4.3
TCGA-YL-A8SB-01A 62 years, male, white, stage:'--, alive, 1719 days 4.3
TCGA-EJ-A65G-01A 57 years, male, white, stage:'--, alive, 666 days 4.3
TCGA-G9-6377-01A 61 years, male, white, stage:'--, alive, 958 days 4.3
TCGA-HC-A6HY-01A 51 years, male, white, stage:'--, alive, 134 days 4.3
TCGA-EJ-A46B-01A 66 years, male, white, stage:'--, alive, 657 days 4.3
TCGA-EJ-7782-01A 71 years, male, black or african american, stage:'--, alive, 1167 days 4.3
TCGA-KK-A7B1-01A 65 years, male, white, stage:'--, alive, 1063 days 4.3
TCGA-HC-7079-01A 51 years, male, white, stage:'--, alive, 1184 days 4.3
TCGA-VN-A88I-01A 59 years, male, white, stage:'--, alive, 269 days 4.2
TCGA-G9-6353-01A 58 years, male, white, stage:'--, alive, 1542 days 4.2
TCGA-EJ-A65E-01A 67 years, male, black or african american, stage:'--, alive, 417 days 4.2
TCGA-HC-8265-01A 66 years, male, white, stage:'--, alive, 483 days 4.2
TCGA-KC-A7F6-01A 63 years, male, white, stage:'--, alive, 263 days 4.2
TCGA-HC-7742-01A 58 years, male, white, stage:'--, alive, 938 days 4.2
TCGA-V1-A8WL-01A 64 years, male, black or african american, stage:'--, alive, 1948 days 4.1
TCGA-KK-A59X-01A 55 years, male, black or african american, stage:'--, alive, 2535 days 4.1
TCGA-KK-A7B2-01A 68 years, male, white, stage:'--, alive, 1099 days 4.1
TCGA-KK-A8I9-01A 61 years, male, stage:'--, alive, 1001 days 4.1
TCGA-HC-8257-01A 70 years, male, black or african american, stage:'--, alive, 726 days 4.1
TCGA-V1-A8WS-01A 56 years, male, white, stage:'--, alive, 474 days 4.1
TCGA-G9-6336-01A 57 years, male, white, stage:'--, alive, 2068 days 4.1
TCGA-XJ-A83G-01A 51 years, male, black or african american, stage:'--, alive, 1461 days 4.1
TCGA-KK-A6E3-01A 56 years, male, black or african american, stage:'--, alive, 2056 days 4.0
TCGA-HI-7170-01A 58 years, male, white, stage:'--, alive, 2522 days 4.0
TCGA-TK-A8OK-01A 73 years, male, white, stage:'--, alive, 27 days 4.0
TCGA-ZG-A9L0-01A 71 years, male, white, stage:'--, alive, 355 days 4.0
TCGA-HC-A76W-01A 73 years, male, white, stage:'--, alive, 213 days 4.0
TCGA-Y6-A9XI-01A 72 years, male, stage:'--, alive, 526 days 4.0
TCGA-CH-5743-01A 66 years, male, white, stage:'--, alive, 425 days 4.0
TCGA-KK-A8I8-01A 69 years, male, white, stage:'--, alive, 967 days 4.0
TCGA-YL-A9WY-01A 57 years, male, white, stage:'--, alive, 1098 days 4.0
TCGA-VP-AA1N-01A 70 years, male, white, stage:'--, alive, 1365 days 3.9
TCGA-J9-A8CP-01A 66 years, male, white, stage:'--, alive, 386 days 3.9
TCGA-G9-6333-01A 66 years, male, white, stage:'--, alive, 2465 days 3.9
TCGA-HC-8216-01A 58 years, male, white, stage:'--, alive, 682 days 3.9
TCGA-G9-6361-01A 61 years, male, white, stage:'--, alive, 1415 days 3.9
TCGA-EJ-AB20-01A 61 years, male, stage:'--, alive, 131 days 3.9
TCGA-HC-A6AP-01A 61 years, male, white, stage:'--, alive, 71 days 3.9
TCGA-EJ-A7NF-01A 56 years, male, white, stage:'--, alive, 250 days 3.9
TCGA-ZG-A9LS-01A 64 years, male, white, stage:'--, alive, 516 days 3.9
TCGA-HC-7749-01A 70 years, male, white, stage:'--, alive, 724 days 3.8
TCGA-CH-5751-01A 68 years, male, white, stage:'--, alive, 1065 days 3.8
TCGA-G9-6499-01A 66 years, male, white, stage:'--, alive, 1543 days 3.8
TCGA-V1-A9ZR-01A 68 years, male, white, stage:'--, alive, 1361 days 3.8
TCGA-HC-A632-01A 68 years, male, white, stage:'--, alive, 61 days 3.8
TCGA-XK-AAJA-01A 62 years, male, stage:'--, alive, 930 days 3.8
TCGA-HC-A631-01A 67 years, male, white, stage:'--, alive, 54 days 3.8
TCGA-KK-A8IA-01A 69 years, male, white, stage:'--, alive, 1931 days 3.7
TCGA-KK-A7AV-01A 58 years, male, black or african american, stage:'--, alive, 822 days 3.7
TCGA-XJ-A83F-01A 67 years, male, white, stage:'--, alive, 1127 days 3.7
TCGA-J4-A83N-01A 57 years, male, white, stage:'--, alive, 992 days 3.7
TCGA-ZG-A8QX-01A 56 years, male, white, stage:'--, alive, 442 days 3.7
TCGA-XJ-A9DQ-01A 48 years, male, white, stage:'--, alive, 91 days 3.6
TCGA-KK-A7AY-01A 60 years, male, white, stage:'--, alive, 1754 days 3.6
TCGA-EJ-7328-01A 70 years, male, white, stage:'--, alive, 842 days 3.6
TCGA-M7-A71Y-01A 55 years, male, white, stage:'--, alive, 493 days 3.6
TCGA-V1-A8MG-01A 53 years, male, black or african american, stage:'--, alive, 857 days 3.6
TCGA-KK-A7AP-01A 55 years, male, white, stage:'--, alive, 196 days 3.6
TCGA-EJ-A6RA-01A 70 years, male, white, stage:'--, alive, 353 days 3.5
TCGA-VN-A88P-01A 60 years, male, white, stage:'--, alive, 1260 days 3.5
TCGA-XK-AAJU-01A 65 years, male, white, stage:'--, alive, 1576 days 3.5
TCGA-HC-A9TE-01A 64 years, male, white, stage:'--, alive, 587 days 3.5
TCGA-KC-A7F3-01A 67 years, male, white, stage:'--, alive, 665 days 3.4
TCGA-Y6-A8TL-01A 65 years, male, stage:'--, alive, 992 days 3.4
TCGA-G9-6378-01A 54 years, male, black or african american, stage:'--, alive, 1155 days 3.4
TCGA-QU-A6IP-01A 66 years, male, white, stage:'--, alive, 2620 days 3.4
TCGA-KK-A6E5-01A 63 years, male, black or african american, stage:'--, alive, 2073 days 3.4
TCGA-V1-A9ZG-01A 64 years, male, white, stage:'--, alive, 1517 days 3.3
TCGA-KK-A7AQ-01A 62 years, male, white, stage:'--, alive, 1610 days 3.3
TCGA-V1-A8ML-01A 63 years, male, black or african american, stage:'--, alive, 448 days 3.3
TCGA-J9-A52D-01A 71 years, male, white, stage:'--, alive, 212 days 3.3
TCGA-J4-A83M-01A 64 years, male, white, stage:'--, alive, 543 days 3.3
TCGA-EJ-7789-01A 66 years, male, black or african american, stage:'--, alive, 1105 days 3.2
TCGA-HC-7078-01A 69 years, male, white, stage:'--, alive, 1985 days 3.2
TCGA-EJ-A65B-01A 55 years, male, white, stage:'--, alive, 710 days 3.2
TCGA-HC-7745-01A 65 years, male, white, stage:'--, alive, 721 days 3.2
TCGA-XK-AAIW-01A 78 years, male, white, stage:'--, alive, 1218 days 3.2
TCGA-ZG-A9ND-01A 55 years, male, white, stage:'--, alive, 410 days 3.1
TCGA-EJ-A46E-01A 57 years, male, white, stage:'--, alive, 524 days 3.1
TCGA-TP-A8TV-01A 62 years, male, white, stage:'--, alive, 610 days 3.1
TCGA-V1-A9Z8-01A 59 years, male, white, stage:'--, alive, 827 days 3.1
TCGA-HC-A6AS-01A 70 years, male, white, stage:'--, alive, 44 days 3.0
TCGA-XJ-A83H-01A 57 years, male, white, stage:'--, alive, 1280 days 3.0
TCGA-V1-A9Z7-01A 54 years, male, white, stage:'--, alive, 874 days 3.0
TCGA-G9-A9S0-01A 53 years, male, white, stage:'--, dead, 791 days 3.0
TCGA-2A-A8VO-01A 57 years, male, white, stage:'--, alive, 1701 days 3.0
TCGA-G9-6354-01A 55 years, male, asian, stage:'--, alive, 2066 days 3.0
TCGA-KK-A8IB-01A 65 years, male, white, stage:'--, alive, 83 days 2.9
TCGA-WW-A8ZI-01A 70 years, male, white, stage:'--, alive, 449 days 2.9
TCGA-HI-7168-01A 62 years, male, white, stage:'--, alive, 3323 days 2.8
TCGA-ZG-A9L1-01A 66 years, male, white, stage:'--, alive, 1302 days 2.8
TCGA-MG-AAMC-01A 59 years, male, white, stage:'--, alive, 173 days 2.8
TCGA-J4-A67N-01A 61 years, male, white, stage:'--, alive, 937 days 2.8
TCGA-H9-A6BY-01A 63 years, male, white, stage:'--, alive, 112 days 2.8
TCGA-J9-A52C-01A 57 years, male, white, stage:'--, alive, 178 days 2.8
TCGA-ZG-A9LY-01A 60 years, male, white, stage:'--, alive, 370 days 2.8
TCGA-V1-A9OX-01A 56 years, male, white, stage:'--, alive, 1134 days 2.7
TCGA-G9-7519-01A 58 years, male, white, stage:'--, alive, 849 days 2.7
TCGA-KK-A59Z-01A 66 years, male, black or african american, stage:'--, alive, 2628 days 2.7
TCGA-VP-A87B-01A 63 years, male, white, stage:'--, alive, 2722 days 2.7
TCGA-EJ-A7NH-01A 56 years, male, white, stage:'--, alive, 474 days 2.7
TCGA-V1-A8MF-01A 65 years, male, black or african american, stage:'--, alive, 1449 days 2.6
TCGA-J4-A67R-01A 65 years, male, white, stage:'--, alive, 910 days 2.6
TCGA-EJ-A65M-01A 65 years, male, black or african american, stage:'--, alive, 230 days 2.5
TCGA-HC-A8CY-01A 63 years, male, white, stage:'--, alive, 290 days 2.5
TCGA-EJ-A65D-01A 66 years, male, white, stage:'--, alive, 393 days 2.5
TCGA-EJ-8474-01A 69 years, male, white, stage:'--, alive, 766 days 2.5
TCGA-HC-A6AL-01A 64 years, male, white, stage:'--, alive, 67 days 2.5
TCGA-V1-A9OH-01A 63 years, male, white, stage:'--, alive, 2403 days 2.5
TCGA-2A-AAYO-01A 57 years, male, white, stage:'--, alive, 1272 days 2.4
TCGA-KK-A8ID-01A 70 years, male, stage:'--, alive, 2107 days 2.4
TCGA-ZG-A9KY-01A 73 years, male, white, stage:'--, alive, 130 days 2.4
TCGA-KK-A8IG-01A 55 years, male, white, stage:'--, alive, 2505 days 2.4
TCGA-M7-A723-01A 54 years, male, white, stage:'--, alive, 763 days 2.4
TCGA-G9-6329-01A 67 years, male, white, stage:'--, alive, 1266 days 2.4
TCGA-VN-A88M-01A 55 years, male, black or african american, stage:'--, alive, 189 days 2.4
TCGA-YL-A8S8-01A 68 years, male, white, stage:'--, alive, 1890 days 2.3
TCGA-YL-A9WK-01A 63 years, male, black or african american, stage:'--, alive, 2136 days 2.3
TCGA-J9-A52E-01A 65 years, male, white, stage:'--, alive, 323 days 2.3
TCGA-2A-A8W3-01A 69 years, male, white, stage:'--, alive, 863 days 2.3
TCGA-XK-AAJT-01A 75 years, male, white, stage:'--, alive, 1434 days 2.3
TCGA-J4-A67K-01A 68 years, male, white, stage:'--, alive, 1004 days 2.3
TCGA-2A-A8W1-01A 54 years, male, asian, stage:'--, alive, 112 days 2.3
TCGA-FC-A66V-01A 74 years, male, white, stage:'--, alive, 524 days 2.3
TCGA-YJ-A8SW-01A 67 years, male, stage:'--, alive, 148 days 2.2
TCGA-J9-A8CN-01A 53 years, male, white, stage:'--, alive, 1237 days 2.2
TCGA-KK-A7AZ-01A 56 years, male, white, stage:'--, alive, 1519 days 2.2
TCGA-V1-A9O5-01A 64 years, male, white, stage:'--, alive, 1932 days 2.2
TCGA-G9-6373-01A 68 years, male, white, stage:'--, alive, 811 days 2.2
TCGA-VN-A88N-01A 62 years, male, white, stage:'--, alive, 766 days 2.2
TCGA-KC-A7FA-01A 63 years, male, white, stage:'--, alive, 598 days 2.2
TCGA-FC-A8O0-01A 68 years, male, white, stage:'--, alive, 616 days 2.2
TCGA-XK-AAK1-01A 62 years, male, white, stage:'--, alive, 979 days 2.1
TCGA-HC-A6AQ-01A 60 years, male, white, stage:'--, alive, 106 days 2.1
TCGA-ZG-A9NI-01A 73 years, male, white, stage:'--, alive, 132 days 2.0
TCGA-KK-A7B0-01A 67 years, male, white, stage:'--, alive, 1329 days 2.0
TCGA-V1-A9OA-01A 61 years, male, white, stage:'--, alive, 636 days 2.0
TCGA-X4-A8KQ-01A 65 years, male, white, stage:'--, alive, 1383 days 2.0
TCGA-XJ-A9DX-01A 51 years, male, american indian or alaska native, stage:'--, alive, 973 days 2.0
TCGA-HC-A4ZV-01A 56 years, male, black or african american, stage:'--, alive, 23 days 1.9
TCGA-ZG-A9LU-01A 67 years, male, white, stage:'--, alive, 579 days 1.9
TCGA-G9-6339-01A 58 years, male, white, stage:'--, alive, 2551 days 1.8
TCGA-J4-A67M-01A 55 years, male, white, stage:'--, alive, 941 days 1.8
TCGA-KK-A5A1-01A 72 years, male, black or african american, stage:'--, dead, 2469 days 1.8
TCGA-V1-A8MM-01A 60 years, male, black or african american, stage:'--, alive, 1195 days 1.8
TCGA-ZG-A9L9-01A 60 years, male, white, stage:'--, alive, 617 days 1.8
TCGA-ZG-A9M4-01A 65 years, male, white, stage:'--, alive, 547 days 1.7
TCGA-HC-A6HX-01A 55 years, male, white, stage:'--, alive, 38 days 1.7
TCGA-KK-A8IK-01A 56 years, male, white, stage:'--, alive, 2052 days 1.6
TCGA-HC-A6AO-01A 52 years, male, white, stage:'--, alive, 530 days 1.6
TCGA-FC-A4JI-01A 70 years, male, asian, stage:'--, alive, 877 days 1.6
TCGA-EJ-A46F-01A 57 years, male, white, stage:'--, alive, 783 days 1.6
TCGA-G9-6369-01A 55 years, male, white, stage:'--, alive, 1215 days 1.5
TCGA-V1-A9ZI-01A 68 years, male, white, stage:'--, alive, 1640 days 1.5
TCGA-J9-A8CL-01A 66 years, male, white, stage:'--, alive, 405 days 1.4
TCGA-YL-A9WI-01A 63 years, male, white, stage:'--, alive, 1623 days 1.4
TCGA-V1-A9OQ-01A 67 years, male, white, stage:'--, alive, 371 days 1.4
TCGA-G9-A9S4-01A 62 years, male, white, stage:'--, alive, 906 days 1.4
TCGA-J4-A67Q-01A 77 years, male, white, stage:'--, alive, 975 days 1.4
TCGA-ZG-A8QY-01A 67 years, male, white, stage:'--, alive, 404 days 1.4
TCGA-J4-A67O-01A 59 years, male, white, stage:'--, alive, 839 days 1.4
TCGA-KK-A8IF-01A 57 years, male, black or african american, stage:'--, alive, 804 days 1.4
TCGA-QU-A6IN-01A 61 years, male, white, stage:'--, alive, 4264 days 1.3
TCGA-G9-6343-01A 62 years, male, white, stage:'--, alive, 2450 days 1.2
TCGA-G9-6347-01A 59 years, male, stage:'--, alive, 2089 days 1.2
TCGA-2A-A8VX-01A 70 years, male, white, stage:'--, alive, 1378 days 1.2
TCGA-G9-6379-01A 68 years, male, white, stage:'--, alive, 1778 days 1.1
TCGA-KC-A7F5-01A 54 years, male, white, stage:'--, alive, 91 days 1.1
TCGA-G9-6496-01A 61 years, male, white, stage:'--, alive, 1726 days 1.1
TCGA-YL-A8HM-01A 66 years, male, white, stage:'--, alive, 1482 days 1.1
TCGA-QU-A6IO-01A 53 years, male, black or african american, stage:'--, alive, 3716 days 1.0
TCGA-FC-A5OB-01A 53 years, male, white, stage:'--, alive, 680 days 0.9
TCGA-G9-6338-01A 61 years, male, white, stage:'--, alive, 2028 days 0.9
TCGA-FC-A6HD-01A 77 years, male, white, stage:'--, alive, 789 days 0.8
TCGA-QU-A6IM-01A 59 years, male, white, stage:'--, alive, 1247 days 0.8
TCGA-ZG-A9LB-01A 72 years, male, white, stage:'--, alive, 583 days 0.7
TCGA-M7-A724-01A 64 years, male, white, stage:'--, alive, 889 days 0.7
TCGA-KK-A6E8-01A 68 years, male, white, stage:'--, alive, 1770 days 0.7
TCGA-V1-A9OT-01A 61 years, male, white, stage:'--, alive, 476 days 0.7
TCGA-QU-A6IL-01A 64 years, male, asian, stage:'--, alive, 97 days 0.7
TCGA-ZG-A9LM-01A 72 years, male, white, stage:'--, alive, 378 days 0.7
TCGA-HC-7752-01A 61 years, male, white, stage:'--, alive, 782 days 0.6
TCGA-X4-A8KS-01A 61 years, male, black or african american, stage:'--, alive, 979 days 0.6
TCGA-YL-A8S9-01A 63 years, male, white, stage:'--, alive, 1842 days 0.5
TCGA-KK-A7AW-01A 57 years, male, black or african american, stage:'--, alive, 1054 days 0.5
TCGA-KK-A59V-01A 64 years, male, white, stage:'--, alive, 3440 days 0.5
TCGA-G9-6498-01A 53 years, male, white, stage:'--, alive, 1952 days 0.4
TCGA-HI-7169-01A 55 years, male, white, stage:'--, alive, 2684 days 0.3
TCGA-G9-6362-01A 57 years, male, white, stage:'--, alive, 1443 days 0.3
TCGA-M7-A722-01A 65 years, male, white, stage:'--, alive, 1060 days 0.2
Show allShow less
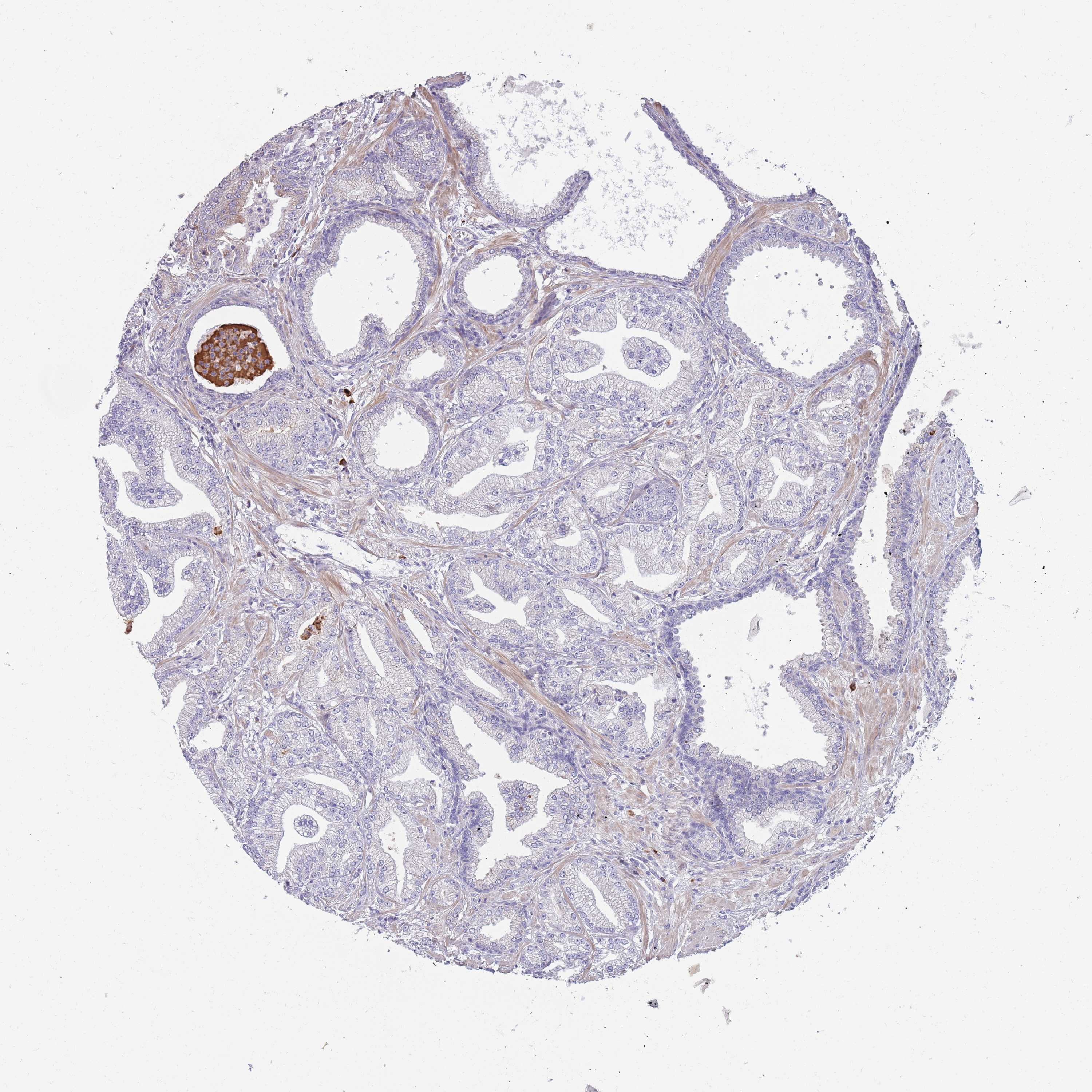
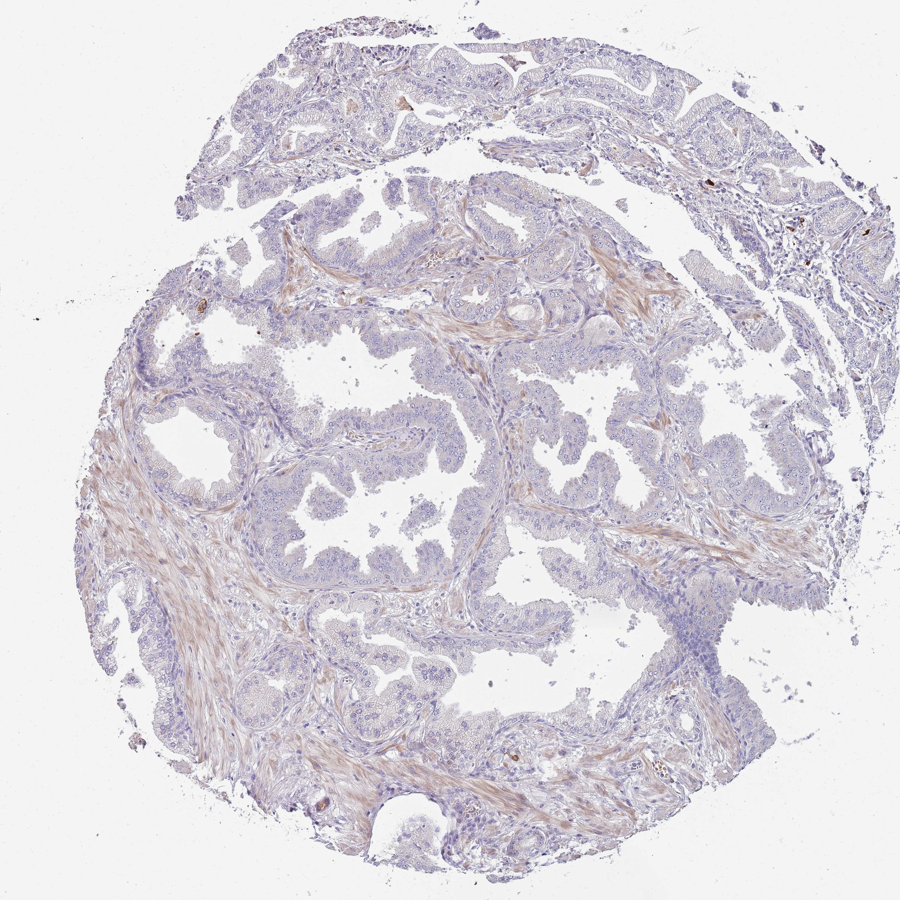
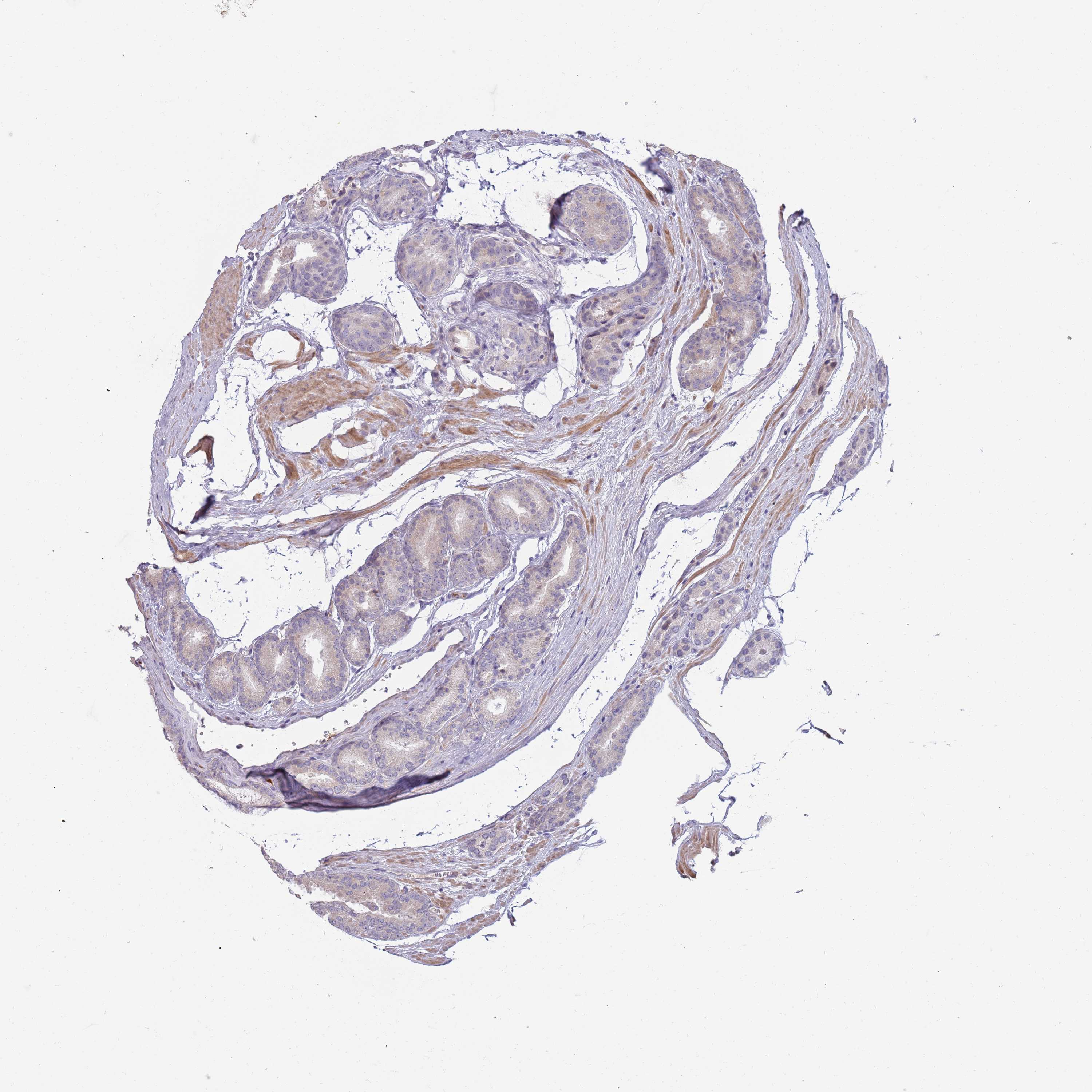
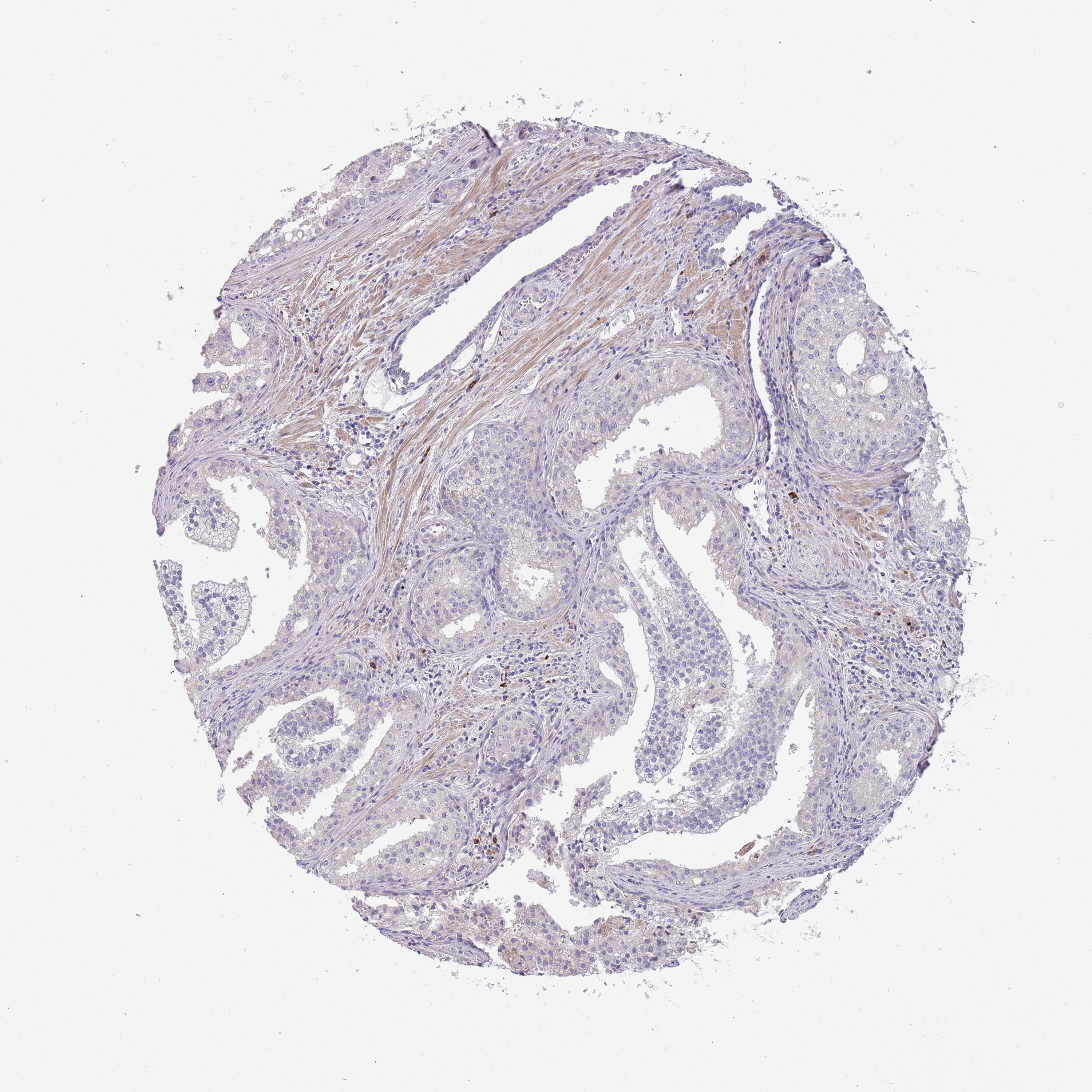
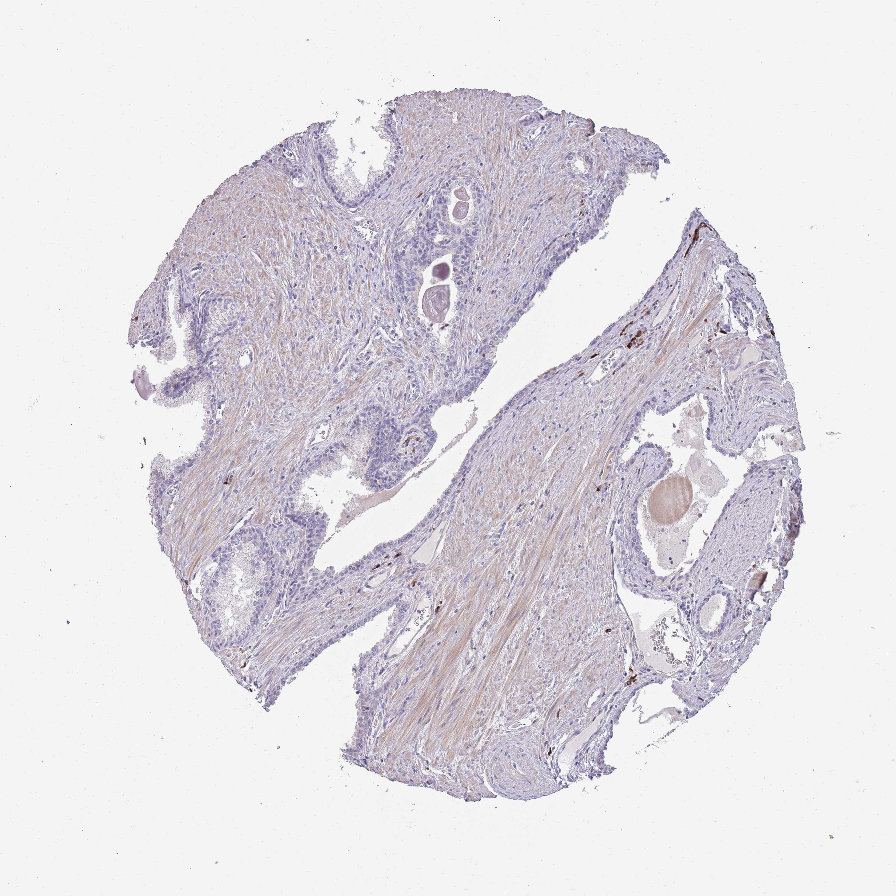
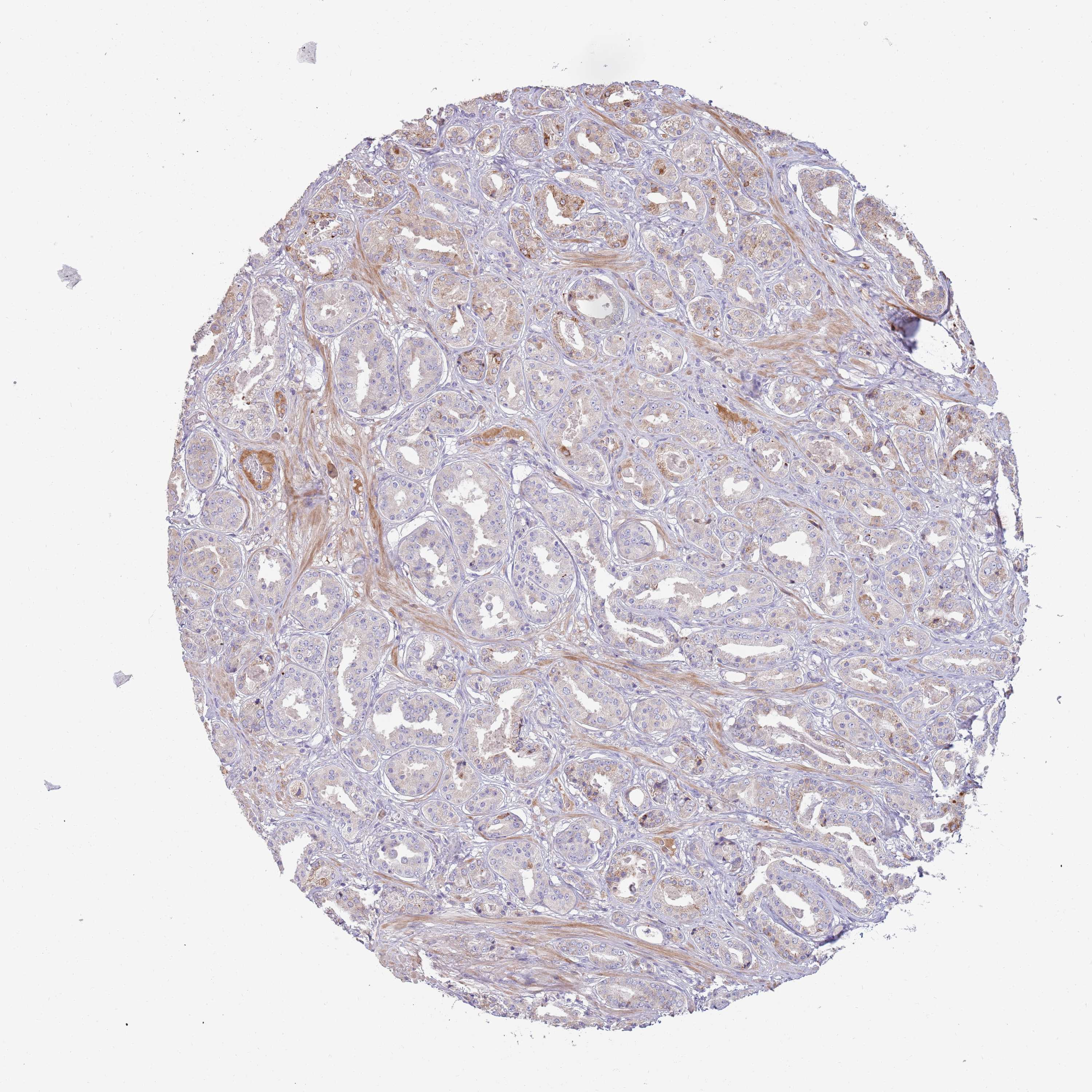
PROSTATE CANCER - Protein expressioni

A mouse-over function shows sample information and annotation data. Click on an image to view it in a full screen mode. Samples can be filtered based on level of antibody staining by selecting one or several of the following categories: high, medium, low and not detected. The assay and annotation is described here.

Note that samples used for immunohistochemistry by the Human Protein Atlas do not correspond to samples in the TCGA dataset.

 

Antibody stainingi

Antibody staining in the annotated cell types in the current human tissue is reported as not detected, low, medium, or high, based on conventional immunohistochemistry profiling in selected tissues. This score is based on the combination of the staining intensity and fraction of stained cells.

Each image is clickable and will lead to virtual microscopy that enables deeper exploration of all samples and also displays staining intensity scores, fraction scores and subcellular localization as well as patient and tissue information for each sample.


Antibody HPA048554
 Staining
  High
  Medium
  Low
  Not detected
 Intensity
  Strong
  Moderate
  Weak
  Negative
 Quantity
  >75%
  75%-25%
  <25%
  None
 Location
  Nuclear
  Cytoplasmic/membranous
  Cytoplasmic/membranous,nuclear
  None
Adenocarcinoma, High grade
Adenocarcinoma, Low grade

Contact

  • NEWS ARTICLES
  • PRESS ROOM

The Project

  • INTRODUCTION
  • ORGANIZATION
  • PUBLICATIONS

The Human Protein Atlas

  • DOWNLOADABLE DATA
  • LICENCE & CITATION
  • HELP & FAQ
The Human Protein Atlas project is funded
by the Knut & Alice Wallenberg Foundation.


contact@proteinatlas.org