We use cookies to enhance the usability of our website. If you continue, we'll assume that you are happy to receive all cookies. More information. Don't show this again.
NCS1
HPA
RESOURCES
  • TISSUE
  • BRAIN
  • SINGLE CELL
  • SUBCELLULAR
  • CANCER
  • BLOOD
  • CELL LINE
  • STRUCTURE & INTERACTION
ABOUT
  • INTRODUCTION
  • HISTORY
  • ORGANIZATION
  • PUBLICATIONS
  • ANTIBODY SUBMISSION
  • ANTIBODY AVAILABILITY
  • ACKNOWLEDGMENTS
  • CONTACT
NEWS
  • NEWS ARTICLES
  • PRESS ROOM
LEARN
  • DICTIONARY
  • PROTEIN CLASSES
  • PROTEIN EVIDENCE
  • METHODS
  • EDUCATIONAL VIDEOS
DATA
  • DOWNLOADABLE DATA
  • PUBLICATION DATA
  • RELEASE HISTORY
HELP
  • ANTIBODY VALIDATION
  • ASSAYS & ANNOTATION
  • DISCLAIMER
  • HELP & FAQ
  • PRIVACY STATEMENT
  • LICENCE & CITATION
Fields »
Search result

Field
Term
Gene name
Class
Subclass
Class
Keyword
Chromosome
External id
Tissue
Cell type
Expression
Antibody panel
Tissue
Main location
Patient ID
Annotation
Tissue
Category
Tau score
Cluster
Reliability
Brain region
Category
Tau score
Brain region
Category
Tau score
Brain region
Category
Tau score
Cluster
Reliability
Tissue
Cell type
Enrichment
Cell type
Category
Tau score
Cell type
Category
Tau score
Cell type
Category
Tau score
Cell lineage
Category
Tau score
Cluster
Cluster
Location
Searches
Location
Cell line
Class
Type
Phase
Reliability
Cancer
Prognosis
Cancer
Category
Cancer
Category
Tau score
Cluster
Variants
Interacting gene (ensg_id)
Type
Number of interactions
Pathway
Category
Score
Score
Score
Validation
Validation
Validation
Validation
Antibodies
Data type
Column


  • SUMMARY

  • TISSUE

  • BRAIN

  • SINGLE CELL

  • SUBCELL

  • CANCER

  • BLOOD

  • CELL LINE

  • STRUCT & INT

  • NCS1
TISSUE PRIMARY DATA STOMACH Show tissue menu
ADIPOSE TISSUE ADRENAL GLAND AMYGDALA APPENDIX BASAL GANGLIA BONE MARROW BREAST BRONCHUS CEREBELLUM CEREBRAL CORTEX CERVIX CHOROID PLEXUS COLON DUODENUM
ENDOMETRIUM EPIDIDYMIS ESOPHAGUS FALLOPIAN TUBE GALLBLADDER HEART MUSCLE HIPPOCAMPAL FORMATION HYPOTHALAMUS KIDNEY LIVER LUNG LYMPH NODE MIDBRAIN NASOPHARYNX
ORAL MUCOSA OVARY PANCREAS PARATHYROID GLAND PITUITARY GLAND PLACENTA PROSTATE RECTUM RETINA SALIVARY GLAND SEMINAL VESICLE SKELETAL MUSCLE SKIN SMALL INTESTINE
SMOOTH MUSCLE SOFT TISSUE SPINAL CORD SPLEEN STOMACH TESTIS THYMUS THYROID GLAND TONGUE TONSIL URINARY BLADDER VAGINA
ANTIBODIES
AND
VALIDATION
Dictionary
Tissue proteome
Stomach
STOMACH - Expression summary
Protein expression
Stomachi

On the top, protein expression in current human tissue, based on all annotated cell types, is reported with the units not detected (n), low (l), medium (m) and high (h). Underneath, protein expression in each annotated cell type are reported using the same units.

Protein expression data is based on knowledge-based annotation. For genes where more than one antibody has been used, a collective score is set.

If knowledge-based annotation could not be performed for a gene, no data is displayed here. View antibody staining data further down this page.

h
m
l
n
Glandular cells: Not detected
RNA expressioni

A summary of mRNA expression data available for current tissue based on several datasets. The mRNA expression levels in human tissues are based on RNA-seq data generated by the Human Protein Atlas (HPA), Genotype-Tissue Expression (GTEx) portal and CAGE data generated by the FANTOM5 consortium. Consensus normalized expression levels for human tissues was created by combining the data from HPA and GTEx datasets.

The mRNA expression levels in pig are based on RNA-seq data generated by the Human Protein Atlas (HPA), and for mouse, HPA data and in situ hybridization generated by the Allen brain atlas are reported.

Scroll down to view mRNA expression data in more detail.
Consensus:24.2 nTPM
HPA:3.6 nTPM
GTEx:24.2 nTPM

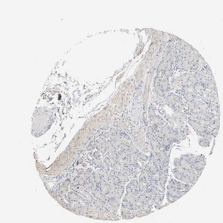
STOMACH 1 - Antibody stainingi

Antibody staining in the annotated cell types in the current human tissue is reported as not detected, low, medium, or high, based on conventional immunohistochemistry profiling in selected tissues. This score is based on the combination of the staining intensity and fraction of stained cells.

Each image is clickable and will lead to virtual microscopy that enables deeper exploration of all samples and also displays staining intensity scores, fraction scores and subcellular localization as well as patient and tissue information for each sample.

Antibody HPA019713Antibody CAB018587
Glandular cells Not detectedLow



STOMACH 2 - Antibody stainingi

Antibody staining in the annotated cell types in the current human tissue is reported as not detected, low, medium, or high, based on conventional immunohistochemistry profiling in selected tissues. This score is based on the combination of the staining intensity and fraction of stained cells.

Each image is clickable and will lead to virtual microscopy that enables deeper exploration of all samples and also displays staining intensity scores, fraction scores and subcellular localization as well as patient and tissue information for each sample.

Antibody HPA019713Antibody CAB018587
Glandular cells Not detectedLow




STOMACH - HPA RNA-seqi

The RNA-seq details section shows detailed information about the individual samples used for the transcript profiling and results of the RNA-seq analysis.

Information about each individual sample is listed below, including gender, age, a tissue section image and estimated fractions of cell types. nTPM (normalized transcripts per million) values give a quantification of the gene abundance which is comparable between different genes and samples.
Average nTPMi

Max subtype nTPM is the value for the subtype with the largest average nTPM across the subtype samples.

3.6
overview
Female, age 33
Stomach sample 61
nTPM: 2.6
Cell types%
Glandular cells:
60

Smooth muscle cells:
5

Other cell types:
35

N/A
Male, age 82
Stomach sample 240
nTPM: 5
Cell types%
Glandular cells:
65

Smooth muscle cells:
5

Other cell types:
30

overview
Male, age 71
Stomach sample 241
nTPM: 3.9
Cell types%
Glandular cells:
50

Smooth muscle cells:
5

Other cell types:
45

overview
Female, age 66
Stomach sample 369
nTPM: 3
Cell types%
Glandular cells:
50

Smooth muscle cells:
10

Other cell types:
40


STOMACH - GTEx RNA-seqi

RNA-Seq data generated by the Genotype-Tissue Expression (GTEx) project from human tissues is reported as mean nTPM. More information can be found on the GTEx portal.

Distribution across the dataset is visualized with box plots, shown as median and 25th and 75th percentiles. Points are displayed as outliers if they are above or below 1.5 times the interquartile range. nTPM values of the individual samples are presented next to the box plot.
Max subtype nTPMi

Max subtype nTPM is the value for the subtype with the largest average nTPM across the subtype samples.

24.2
GTEx sample id Sample description nTPM
Stomach
Average nTPM: 24.2
Samples: 359

Max nTPM: 197.9
Min nTPM: 0.9
Std nTPM: 30.4
Median nTPM: 7.2
GTEX-WH7G-1526-SM-4LVMX 40-49 years, male 197.9
GTEX-1E2YA-2426-SM-7EPIG 50-59 years, male 137.9
GTEX-WZTO-2126-SM-4PQYW 40-49 years, male 135.8
GTEX-R55D-1526-SM-48FEJ 50-59 years, male 116.3
GTEX-P4QT-1526-SM-3NMCT 50-59 years, female 115.2
GTEX-ZV6S-0926-SM-57WGB 40-49 years, female 114.7
GTEX-S4P3-0726-SM-4AD57 50-59 years, female 99.9
GTEX-1NSGN-1926-SM-E9J36 50-59 years, male 98.0
GTEX-1B8L1-1526-SM-79OLK 60-69 years, male 97.6
GTEX-1339X-1426-SM-5K7YO 40-49 years, male 96.2
GTEX-Y114-1226-SM-4TT88 50-59 years, female 95.9
GTEX-RU1J-0526-SM-46MUT 20-29 years, female 93.7
GTEX-14E1K-1526-SM-664MN 50-59 years, male 92.6
GTEX-12WSJ-0926-SM-5P9JD 40-49 years, female 91.4
GTEX-1S82Z-1726-SM-E6CHZ 30-39 years, female 89.5
GTEX-1H1DE-1226-SM-9JGHH 20-29 years, male 88.9
GTEX-S4Z8-1226-SM-4AD6W 60-69 years, male 88.7
GTEX-TKQ1-0526-SM-4DXTG 30-39 years, male 88.7
GTEX-OIZH-1526-SM-3NB1J 50-59 years, male 87.9
GTEX-13N1W-2026-SM-5K7YU 70-79 years, male 85.4
GTEX-1IL2V-2026-SM-ARZMA 70-79 years, male 84.5
GTEX-PLZ6-0826-SM-3P61K 30-39 years, male 83.0
GTEX-13X6H-1626-SM-5Q5CT 50-59 years, female 82.2
GTEX-15RIF-1126-SM-7KUG2 20-29 years, male 78.6
GTEX-13O3Q-2126-SM-5KM4C 50-59 years, male 78.1
GTEX-XAJ8-0326-SM-47JYI 40-49 years, male 77.3
GTEX-1CB4E-1326-SM-7DUGD 60-69 years, male 76.1
GTEX-YEC3-1426-SM-D4P1S 50-59 years, male 75.9
GTEX-14PKU-1126-SM-69LOU 40-49 years, female 75.0
GTEX-1HCUA-1626-SM-A9SMG 50-59 years, female 74.7
GTEX-17JCI-2226-SM-7LTA1 60-69 years, female 74.3
GTEX-17EUY-1526-SM-793CA 20-29 years, male 73.3
GTEX-11EQ9-1226-SM-5987E 30-39 years, male 72.6
GTEX-1EH9U-2226-SM-7PBXX 60-69 years, male 72.3
GTEX-XPVG-1526-SM-4B66C 50-59 years, male 72.1
GTEX-1399U-1626-SM-5P9J3 50-59 years, female 71.4
GTEX-1HR9M-2326-SM-CNPPZ 60-69 years, male 71.3
GTEX-1JN76-0926-SM-ARZNH 20-29 years, female 70.9
GTEX-R55G-1126-SM-48FDG 40-49 years, female 70.5
GTEX-11VI4-0326-SM-5EQ6L 40-49 years, female 69.9
GTEX-13OVI-2426-SM-5KM4J 60-69 years, female 69.8
GTEX-P4PQ-1526-SM-3NMCK 60-69 years, male 69.8
GTEX-UJHI-1026-SM-4IHJP 50-59 years, female 69.7
GTEX-T5JC-1926-SM-4DM6Q 20-29 years, male 69.2
GTEX-1QP28-2126-SM-DTX8B 50-59 years, female 68.4
GTEX-1HSMQ-2426-SM-CE6RY 50-59 years, male 67.9
GTEX-11WQK-2626-SM-5EQ4K 50-59 years, male 67.8
GTEX-1H3NZ-2226-SM-9WYUT 60-69 years, male 66.6
GTEX-1K2DA-0826-SM-CGQGD 50-59 years, male 65.4
GTEX-1211K-1426-SM-5FQTF 60-69 years, female 65.3
GTEX-13O61-1126-SM-5L3FI 60-69 years, male 63.6
GTEX-17KNJ-1526-SM-7LTA9 50-59 years, male 62.5
GTEX-14PN3-1326-SM-6AJ9U 60-69 years, female 61.5
GTEX-R55C-1026-SM-48FCM 40-49 years, male 61.2
GTEX-1C64O-2226-SM-73KTV 60-69 years, male 60.0
GTEX-1GPI7-1326-SM-9KNVA 20-29 years, male 59.0
GTEX-1LVAM-1426-SM-E9TJ4 50-59 years, female 57.7
GTEX-11P7K-1726-SM-5GU6F 30-39 years, male 57.5
GTEX-ZTX8-0426-SM-59HLG 20-29 years, male 56.9
GTEX-146FH-2126-SM-5SI9U 50-59 years, female 55.7
GTEX-13111-1226-SM-5GCNC 50-59 years, male 55.3
GTEX-12C56-0526-SM-5FQST 20-29 years, male 55.2
GTEX-1PIGE-1126-SM-EWRMV 20-29 years, male 54.2
GTEX-1KD5A-1426-SM-D4P3V 50-59 years, male 54.1
GTEX-1QW4Y-0726-SM-DTX8E 30-39 years, male 53.4
GTEX-15SHW-2126-SM-6M46Y 60-69 years, male 51.8
GTEX-WFJO-1126-SM-4LVLZ 30-39 years, male 50.9
GTEX-1MCYP-1126-SM-E9J2P 20-29 years, female 50.9
GTEX-11P82-0726-SM-5PNYL 20-29 years, male 50.8
GTEX-1PPH8-1326-SM-DTXFO 20-29 years, male 50.6
GTEX-15EU6-2526-SM-7KUGB 50-59 years, male 50.3
GTEX-TKQ2-0926-SM-4DXU5 50-59 years, male 50.3
GTEX-ZPIC-2026-SM-57WG3 40-49 years, female 50.1
GTEX-S7SF-0626-SM-4AD4V 20-29 years, female 49.8
GTEX-1S831-1126-SM-EWROI 20-29 years, male 49.6
GTEX-1N2DV-0926-SM-E9TJT 40-49 years, male 49.3
GTEX-1S3DN-1526-SM-EVYCB 50-59 years, male 49.1
GTEX-146FR-2026-SM-5NQAI 60-69 years, female 48.4
GTEX-1J8EW-2226-SM-AHZ3T 60-69 years, female 47.5
GTEX-ZYVF-2726-SM-5GID4 50-59 years, female 46.9
GTEX-131XE-2226-SM-5PNYX 50-59 years, male 46.7
GTEX-1HT8W-2326-SM-A9SLA 30-39 years, male 46.3
GTEX-14PHY-0926-SM-5ZZWL 60-69 years, female 45.8
GTEX-RUSQ-1126-SM-EAZAU 50-59 years, male 44.7
GTEX-1IDJF-1426-SM-ACKWK 20-29 years, male 44.3
GTEX-1L5NE-1526-SM-DIPFW 50-59 years, male 43.7
GTEX-13QJ3-2726-SM-5SI6L 50-59 years, male 40.6
GTEX-1JMPY-0926-SM-ARL92 30-39 years, male 39.0
GTEX-18D9B-2226-SM-718BM 60-69 years, male 38.6
GTEX-1H11D-2226-SM-9OSXN 40-49 years, male 37.8
GTEX-QXCU-1926-SM-48FE4 50-59 years, male 35.4
GTEX-14DAQ-2826-SM-664MU 60-69 years, female 35.3
GTEX-1AX9J-2626-SM-731EK 60-69 years, male 35.1
GTEX-YJ8A-1526-SM-5P9FT 20-29 years, male 34.9
GTEX-18A7A-2726-SM-7LG6U 50-59 years, female 33.7
GTEX-WEY5-1226-SM-4LMIQ 40-49 years, female 33.5
GTEX-1CB4H-2426-SM-7PBYR 60-69 years, female 33.5
GTEX-1QP67-1026-SM-EVR47 40-49 years, female 33.5
GTEX-1A3MX-1926-SM-72D7F 60-69 years, male 32.7
GTEX-11EI6-2426-SM-5PNVS 60-69 years, male 32.1
GTEX-1HSEH-1526-SM-B2LXG 60-69 years, male 31.4
GTEX-145MO-2226-SM-5Q5BN 60-69 years, male 31.0
GTEX-1LSNM-1026-SM-DHXL2 50-59 years, male 30.8
GTEX-ZZPU-1426-SM-5GZZ6 50-59 years, female 30.7
GTEX-1AMEY-1226-SM-731DU 30-39 years, female 30.3
GTEX-1E1VI-2826-SM-7MGWU 50-59 years, male 29.7
GTEX-QDT8-2026-SM-EZ6LS 30-39 years, female 28.5
GTEX-13X6J-2126-SM-5TDCV 50-59 years, male 28.4
GTEX-O5YV-1926-SM-EV797 60-69 years, female 28.3
GTEX-1RQEC-2126-SM-DPS15 60-69 years, male 27.9
GTEX-UPK5-2126-SM-4JBJK 40-49 years, male 27.8
GTEX-NFK9-1526-SM-3LK7B 40-49 years, male 27.5
GTEX-XBEW-1826-SM-4RTWX 40-49 years, male 27.5
GTEX-15G1A-1226-SM-7KUF3 30-39 years, male 27.4
GTEX-QMRM-1126-SM-447BN 50-59 years, male 27.3
GTEX-14BMV-2226-SM-5RQHX 50-59 years, male 26.8
GTEX-Y8E4-1526-SM-4WWDI 40-49 years, male 25.3
GTEX-16NGA-1526-SM-72D56 40-49 years, female 24.9
GTEX-WYVS-1326-SM-4ONCQ 40-49 years, female 22.4
GTEX-12WSD-2326-SM-59HKQ 60-69 years, female 22.1
GTEX-117YW-2226-SM-5N9DB 50-59 years, male 20.8
GTEX-PLZ5-1226-SM-EXOHA 50-59 years, male 20.5
GTEX-O5YW-1526-SM-3MJGL 50-59 years, male 19.8
GTEX-RTLS-2626-SM-46MUJ 60-69 years, female 19.8
GTEX-1QP29-2326-SM-EXOJO 50-59 years, male 19.6
GTEX-SNOS-0826-SM-4DM5N 40-49 years, male 18.9
GTEX-SUCS-0926-SM-4DM4Z 70-79 years, male 18.6
GTEX-14JG6-1226-SM-664O6 30-39 years, female 18.3
GTEX-1I4MK-0926-SM-A9SLD 50-59 years, female 18.3
GTEX-13FH7-1026-SM-5IJGF 50-59 years, female 18.1
GTEX-13QBU-1126-SM-5LU44 40-49 years, female 18.0
GTEX-145LT-1426-SM-5O9B3 40-49 years, male 17.5
GTEX-139D8-2326-SM-5IFGE 30-39 years, female 17.2
GTEX-1B8KE-1326-SM-73KVI 50-59 years, male 16.8
GTEX-ZEX8-1626-SM-4WKG7 50-59 years, male 16.6
GTEX-ZE7O-3026-SM-51MS4 50-59 years, female 16.5
GTEX-1JMQJ-1326-SM-D4P3B 50-59 years, male 16.0
GTEX-13S7M-1826-SM-5RQK6 60-69 years, female 15.5
GTEX-1I1GT-1726-SM-C1YS3 60-69 years, female 15.5
GTEX-139YR-1926-SM-5LZXM 50-59 years, male 14.2
GTEX-1RAZR-1526-SM-EAZ4U 40-49 years, male 14.2
GTEX-R53T-1226-SM-48FCT 50-59 years, female 13.9
GTEX-17HII-2426-SM-7KFTT 50-59 years, male 12.9
GTEX-T8EM-1226-SM-4DM5J 40-49 years, male 12.5
GTEX-17MF6-2126-SM-7KFS7 40-49 years, male 12.4
GTEX-1GMRU-2526-SM-9WG7T 50-59 years, male 12.4
GTEX-1JMPZ-1826-SM-CXZJT 30-39 years, male 12.2
GTEX-Y3I4-1626-SM-4TT7W 50-59 years, male 11.9
GTEX-OIZF-1526-SM-2I5GR 60-69 years, male 11.9
GTEX-132AR-2426-SM-5IFFD 50-59 years, female 11.6
GTEX-13RTK-0226-SM-5RQHR 20-29 years, male 11.5
GTEX-WHWD-1426-SM-4OORU 50-59 years, male 11.5
GTEX-Y5LM-1326-SM-5RQIS 40-49 years, female 11.0
GTEX-18A66-2226-SM-7189E 60-69 years, male 10.8
GTEX-ZVT3-2126-SM-59HL2 60-69 years, female 10.7
GTEX-1JKYN-1726-SM-AHZ48 30-39 years, male 10.4
GTEX-111YS-1126-SM-5GZYQ 60-69 years, male 10.2
GTEX-1JMLX-2426-SM-CXZJQ 50-59 years, male 10.2
GTEX-ZGAY-1626-SM-DNZZ3 40-49 years, female 10.2
GTEX-WHPG-0426-SM-4M1XW 50-59 years, male 10.0
GTEX-1JN1M-2926-SM-CNNPJ 60-69 years, female 9.9
GTEX-1LVAN-2426-SM-CNNPZ 50-59 years, female 9.7
GTEX-1H23P-2726-SM-9JGHN 60-69 years, male 9.5
GTEX-1H1E6-1626-SM-9OSWC 30-39 years, male 9.4
GTEX-OXRL-1526-SM-E6CHQ 50-59 years, male 9.2
GTEX-15G19-1526-SM-6LPKP 60-69 years, male 8.8
GTEX-1GN1W-2126-SM-9JGI7 50-59 years, female 8.8
GTEX-Q734-1026-SM-48U16 40-49 years, female 8.7
GTEX-1QCLZ-1826-SM-DPRXP 60-69 years, female 8.4
GTEX-1H1DG-2126-SM-9WPPB 70-79 years, male 8.2
GTEX-1JK1U-1326-SM-AHZ45 60-69 years, male 8.2
GTEX-14DAR-0926-SM-73KUQ 50-59 years, male 8.1
GTEX-1MUQO-1926-SM-EAZ59 60-69 years, male 8.1
GTEX-1F5PK-1826-SM-7RHHX 50-59 years, male 8.0
GTEX-18D9A-0626-SM-7KFTY 30-39 years, female 7.9
GTEX-V1D1-1726-SM-4JBHB 50-59 years, male 7.9
GTEX-1HBPI-0726-SM-9WG7Z 50-59 years, male 7.7
GTEX-11GSP-2126-SM-5HL5E 60-69 years, female 7.3
GTEX-Y5V6-1326-SM-4VDTF 60-69 years, male 7.3
GTEX-133LE-1326-SM-5IFGO 20-29 years, female 7.2
GTEX-1IDJD-2426-SM-C1YS6 30-39 years, male 7.2
GTEX-WRHK-0626-SM-4MVOE 20-29 years, female 7.1
GTEX-W5WG-1726-SM-4LMI5 50-59 years, female 7.0
GTEX-XMK1-1526-SM-EYYVO 40-49 years, male 7.0
GTEX-XV7Q-1326-SM-4BRWM 40-49 years, female 6.8
GTEX-1A3MV-1226-SM-718BW 30-39 years, male 6.7
GTEX-ZF2S-1426-SM-57WET 50-59 years, female 6.5
GTEX-1HCU8-1326-SM-C1YQQ 60-69 years, female 6.5
GTEX-ZVZP-1726-SM-5GZWY 50-59 years, male 6.4
GTEX-18A67-2626-SM-718AD 50-59 years, male 6.3
GTEX-1GF9U-1126-SM-AHZ4H 40-49 years, female 6.3
GTEX-1IDJU-1526-SM-CNNR3 60-69 years, female 6.3
GTEX-1B97I-1226-SM-7MGWQ 40-49 years, male 6.2
GTEX-QV44-1226-SM-CJI1S 50-59 years, male 6.2
GTEX-YB5E-1126-SM-664NU 40-49 years, male 6.1
GTEX-13PVQ-2126-SM-5L3FW 50-59 years, male 6.0
GTEX-17F98-1526-SM-7EWD8 40-49 years, female 6.0
GTEX-1F75I-1826-SM-7MKGX 40-49 years, male 6.0
GTEX-ZLV1-0826-SM-DO11P 60-69 years, female 6.0
GTEX-WYJK-2526-SM-4ONDF 50-59 years, male 5.9
GTEX-ZY6K-0726-SM-5A5L8 50-59 years, male 5.9
GTEX-18QFQ-1226-SM-718AE 30-39 years, male 5.8
GTEX-TMMY-1626-SM-4DXTY 40-49 years, female 5.8
GTEX-ZP4G-1226-SM-4WWCJ 20-29 years, female 5.8
GTEX-13U4I-2526-SM-5SI8Z 40-49 years, female 5.7
GTEX-14PJ4-1626-SM-664OB 60-69 years, male 5.7
GTEX-131XF-1226-SM-5HL8V 60-69 years, male 5.6
GTEX-1399R-1126-SM-5IFIO 30-39 years, male 5.6
GTEX-145ME-1026-SM-5O9B4 40-49 years, female 5.6
GTEX-OXRK-1626-SM-3NB17 50-59 years, female 5.6
GTEX-PW2O-1226-SM-48TCH 20-29 years, male 5.6
GTEX-13CF3-1926-SM-5K7WF 60-69 years, female 5.5
GTEX-14B4R-0726-SM-5TDDR 30-39 years, male 5.4
GTEX-14ICL-0826-SM-5YY9W 30-39 years, male 5.4
GTEX-17HHE-1026-SM-79ON6 50-59 years, male 5.4
GTEX-U4B1-1026-SM-4DXT1 40-49 years, male 5.4
GTEX-ZXES-1426-SM-5NQ8S 30-39 years, female 5.4
GTEX-1J8QM-1126-SM-C1YQB 60-69 years, female 5.4
GTEX-POMQ-0826-SM-3P61H 20-29 years, female 5.3
GTEX-XUZC-0726-SM-4BOPH 30-39 years, female 5.3
GTEX-1GZ4H-1026-SM-9OSXL 50-59 years, female 5.3
GTEX-11DXX-1326-SM-5GIDZ 60-69 years, female 5.2
GTEX-11TT1-0726-SM-5GU5A 20-29 years, male 5.1
GTEX-1R7EU-1126-SM-EAZ4M 60-69 years, male 5.1
GTEX-SNMC-0626-SM-4DM6H 20-29 years, male 5.0
GTEX-1QMI2-2126-SM-DPRXQ 60-69 years, male 5.0
GTEX-14PJ3-1426-SM-664O8 50-59 years, male 4.9
GTEX-XXEK-0826-SM-4BRWG 50-59 years, male 4.9
GTEX-1HFI7-1526-SM-9WG7W 50-59 years, female 4.9
GTEX-PX3G-1526-SM-48U11 20-29 years, female 4.8
GTEX-1H3VY-2326-SM-9WG81 50-59 years, male 4.8
GTEX-1J8Q3-1926-SM-C1YSJ 60-69 years, male 4.8
GTEX-131XG-1226-SM-5EGH9 50-59 years, female 4.7
GTEX-15UF7-1226-SM-6M46G 40-49 years, male 4.7
GTEX-ZYFG-1326-SM-5GICJ 60-69 years, female 4.7
GTEX-1LGRB-1726-SM-CNNRA 50-59 years, female 4.7
GTEX-OHPK-1526-SM-3MJGM 50-59 years, female 4.6
GTEX-WFG7-1326-SM-4LMK1 20-29 years, male 4.6
GTEX-1HBPN-1626-SM-9WPNP 50-59 years, male 4.6
GTEX-S4UY-1626-SM-4AD55 40-49 years, female 4.5
GTEX-X15G-1126-SM-4PQZG 50-59 years, female 4.5
GTEX-XBED-1226-SM-4AT5V 60-69 years, male 4.5
GTEX-ZVT2-1626-SM-51MRC 50-59 years, female 4.5
GTEX-1I6K7-1726-SM-B2LXQ 40-49 years, male 4.5
GTEX-1MJIX-1126-SM-EV7AO 40-49 years, male 4.5
GTEX-1RMOY-1126-SM-EV79E 50-59 years, male 4.5
GTEX-OHPM-1526-SM-EV796 50-59 years, male 4.5
GTEX-11NUK-2426-SM-5BC4U 50-59 years, male 4.4
GTEX-144GN-1226-SM-5O991 50-59 years, male 4.4
GTEX-1CAMR-0726-SM-7EPIE 20-29 years, male 4.4
GTEX-T5JW-0926-SM-4DM5K 20-29 years, female 4.4
GTEX-1QPFJ-1526-SM-DPRXT 30-39 years, female 4.4
GTEX-12WSG-2026-SM-5FQUU 50-59 years, female 4.3
GTEX-1AYCT-1326-SM-7MKHB 50-59 years, male 4.3
GTEX-P4PP-1526-SM-3P61M 30-39 years, female 4.3
GTEX-V955-1326-SM-4JBHR 60-69 years, male 4.3
GTEX-ZV7C-1626-SM-5NQ7E 50-59 years, male 4.3
GTEX-1J8JJ-1726-SM-C1YQG 60-69 years, female 4.3
GTEX-13OW6-2526-SM-5IJEC 50-59 years, male 4.2
GTEX-U3ZN-2026-SM-4DXUC 30-39 years, female 4.2
GTEX-QDVJ-1426-SM-48U1Y 50-59 years, male 4.1
GTEX-QDVN-1226-SM-48TZ5 50-59 years, male 4.1
GTEX-ZA64-0826-SM-5HL9U 20-29 years, male 4.1
GTEX-ZAB4-1526-SM-5CVN7 40-49 years, male 4.1
GTEX-1HKZK-1526-SM-B2LWG 40-49 years, male 4.1
GTEX-1ICG6-1826-SM-AHZ2O 70-79 years, female 4.1
GTEX-1QP2A-2126-SM-DPRZ7 50-59 years, male 4.1
GTEX-13113-0726-SM-5LZUF 60-69 years, female 4.0
GTEX-15RIE-1026-SM-6LPJQ 60-69 years, male 4.0
GTEX-1B97J-1826-SM-7IGPP 50-59 years, female 4.0
GTEX-P78B-1826-SM-3P5YX 40-49 years, female 4.0
GTEX-ZT9W-1526-SM-4YCDE 50-59 years, male 4.0
GTEX-1QCLY-1126-SM-EAZ4J 30-39 years, male 4.0
GTEX-ZLWG-1526-SM-DO12F 50-59 years, female 4.0
GTEX-13OVK-0926-SM-7KUFX 40-49 years, male 3.9
GTEX-ZQUD-0826-SM-57WDQ 30-39 years, male 3.9
GTEX-16AAH-1226-SM-79OO9 50-59 years, male 3.8
GTEX-XQ8I-2026-SM-4BOOL 50-59 years, male 3.8
GTEX-1399S-1626-SM-5P9GI 30-39 years, female 3.7
GTEX-14PKV-1826-SM-69LO9 20-29 years, female 3.7
GTEX-1I1HK-2026-SM-CNNRB 60-69 years, male 3.7
GTEX-13PVR-2126-SM-73KVR 60-69 years, female 3.6
GTEX-15CHR-1326-SM-79OLT 50-59 years, male 3.6
GTEX-S4Q7-0726-SM-4AD5F 20-29 years, male 3.6
GTEX-Y9LG-1026-SM-5IFJN 30-39 years, male 3.6
GTEX-111CU-0926-SM-5EGIK 50-59 years, male 3.5
GTEX-OOBJ-1526-SM-3NB1Q 60-69 years, male 3.5
GTEX-RM2N-0826-SM-48FD3 50-59 years, male 3.5
GTEX-WY7C-1726-SM-4ONCC 50-59 years, male 3.5
GTEX-1KANA-1126-SM-D3L9M 20-29 years, male 3.5
GTEX-1R9K5-1026-SM-EAZ4F 50-59 years, male 3.5
GTEX-13D11-2126-SM-5IFH2 50-59 years, female 3.4
GTEX-17HGU-2126-SM-7IGOV 50-59 years, male 3.4
GTEX-ZYY3-1726-SM-5EGH3 60-69 years, female 3.4
GTEX-1KXAM-0926-SM-CXZKA 60-69 years, male 3.4
GTEX-12BJ1-1726-SM-5HL9B 60-69 years, male 3.3
GTEX-14PJ6-0826-SM-686Z9 60-69 years, female 3.3
GTEX-17GQL-1226-SM-7KFTS 60-69 years, male 3.3
GTEX-1AMFI-1226-SM-731CZ 50-59 years, female 3.3
GTEX-Q2AI-0826-SM-48TZO 40-49 years, male 3.3
GTEX-WHSB-1226-SM-4M1XR 50-59 years, male 3.3
GTEX-14BMU-1126-SM-5RQJ8 20-29 years, female 3.2
GTEX-14E6E-0926-SM-664N8 30-39 years, male 3.2
GTEX-PWCY-0926-SM-48TD7 20-29 years, female 3.2
GTEX-QLQW-0726-SM-447AA 30-39 years, male 3.2
GTEX-S95S-0826-SM-4B64N 60-69 years, male 3.2
GTEX-VJYA-1026-SM-4KL21 60-69 years, male 3.2
GTEX-ZLFU-1326-SM-DO11R 40-49 years, male 3.2
GTEX-117YX-1026-SM-5H11V 50-59 years, male 3.1
GTEX-QV31-0626-SM-447C5 30-39 years, male 3.1
GTEX-12WSK-1426-SM-5CVNN 40-49 years, female 3.0
GTEX-13FTW-1726-SM-5KM2B 40-49 years, male 3.0
GTEX-WXYG-1626-SM-4ONCR 50-59 years, female 3.0
GTEX-1LG7Z-1226-SM-DHXK4 30-39 years, male 3.0
GTEX-1122O-1926-SM-5EGIQ 60-69 years, female 2.9
GTEX-11EM3-1026-SM-5A5KL 20-29 years, female 2.9
GTEX-15DZA-1126-SM-6LPK8 30-39 years, female 2.9
GTEX-1A8G6-1426-SM-731EZ 60-69 years, male 2.9
GTEX-1C475-1026-SM-7MKFJ 40-49 years, female 2.9
GTEX-UJMC-1226-SM-4IHLI 50-59 years, male 2.9
GTEX-QCQG-0526-SM-48U2A 50-59 years, female 2.8
GTEX-ZZ64-0426-SM-5E43F 20-29 years, male 2.8
GTEX-1LBAC-1426-SM-CXZKT 20-29 years, male 2.8
GTEX-1MGNQ-1826-SM-DPRYI 40-49 years, male 2.8
GTEX-14PJ5-0826-SM-6AJAR 60-69 years, female 2.7
GTEX-Q2AH-1126-SM-48TZM 40-49 years, male 2.7
GTEX-YFCO-0826-SM-5LUAG 40-49 years, male 2.7
GTEX-11I78-1726-SM-5A5M3 50-59 years, female 2.6
GTEX-T6MO-0726-SM-4DM58 40-49 years, female 2.5
GTEX-Y3IK-1426-SM-4YCES 50-59 years, female 2.5
GTEX-ZF29-1526-SM-4WKF7 60-69 years, female 2.4
GTEX-11NSD-1426-SM-5HL67 20-29 years, male 2.3
GTEX-12696-1726-SM-5EQLH 60-69 years, male 2.3
GTEX-15DCE-1626-SM-6LPJM 20-29 years, male 2.2
GTEX-17F9E-2226-SM-7IGNC 50-59 years, male 2.2
GTEX-145MN-1326-SM-5NQ9S 30-39 years, male 2.1
GTEX-1F5PL-1426-SM-7MKFH 40-49 years, female 2.1
GTEX-QLQ7-0826-SM-447B3 60-69 years, male 2.1
GTEX-14BIL-1926-SM-73KYI 50-59 years, male 2.0
GTEX-S3XE-1026-SM-4AD4O 50-59 years, male 2.0
GTEX-ZPU1-1626-SM-4WWB2 40-49 years, male 2.0
GTEX-YEC4-1426-SM-5IFHS 40-49 years, male 1.9
GTEX-132QS-1826-SM-5IFFN 60-69 years, male 1.8
GTEX-13FTX-0726-SM-5N9BI 20-29 years, female 1.8
GTEX-13O21-0926-SM-5IFGT 50-59 years, male 1.8
GTEX-144GM-1726-SM-5O9AS 20-29 years, male 1.8
GTEX-14PHX-1026-SM-664OL 50-59 years, male 1.8
GTEX-WFG8-1326-SM-4LVN3 20-29 years, male 1.8
GTEX-WFON-1126-SM-4LVMA 40-49 years, male 1.8
GTEX-1LGOU-1526-SM-D3LAJ 20-29 years, female 1.8
GTEX-PWN1-1526-SM-48TDA 40-49 years, female 1.7
GTEX-RWS6-0926-SM-47JXE 60-69 years, female 1.7
GTEX-Y8LW-0826-SM-4WWDO 50-59 years, female 1.6
GTEX-1B8KZ-1226-SM-793CP 50-59 years, male 1.5
GTEX-S341-0626-SM-4AD5T 40-49 years, female 1.5
GTEX-1GL5R-1926-SM-9WG7U 50-59 years, male 1.5
GTEX-ZDYS-1926-SM-5HL59 50-59 years, male 1.4
GTEX-ZVP2-1626-SM-5GU5D 50-59 years, male 1.0
GTEX-1RB15-1026-SM-E9U6V 60-69 years, male 0.9
Show allShow less

Contact

  • NEWS ARTICLES
  • PRESS ROOM

The Project

  • INTRODUCTION
  • ORGANIZATION
  • PUBLICATIONS

The Human Protein Atlas

  • DOWNLOADABLE DATA
  • LICENCE & CITATION
  • HELP & FAQ
The Human Protein Atlas project is funded
by the Knut & Alice Wallenberg Foundation.


contact@proteinatlas.org