We use cookies to enhance the usability of our website. If you continue, we'll assume that you are happy to receive all cookies. More information. Don't show this again.
KCNT1
HPA
RESOURCES
  • TISSUE
  • BRAIN
  • SINGLE CELL
  • SUBCELLULAR
  • CANCER
  • BLOOD
  • CELL LINE
  • STRUCTURE & INTERACTION
ABOUT
  • INTRODUCTION
  • HISTORY
  • ORGANIZATION
  • PUBLICATIONS
  • ANTIBODY SUBMISSION
  • ANTIBODY AVAILABILITY
  • ACKNOWLEDGMENTS
  • CONTACT
NEWS
  • NEWS ARTICLES
  • PRESS ROOM
LEARN
  • DICTIONARY
  • PROTEIN CLASSES
  • PROTEIN EVIDENCE
  • METHODS
  • EDUCATIONAL VIDEOS
DATA
  • DOWNLOADABLE DATA
  • PUBLICATION DATA
  • RELEASE HISTORY
HELP
  • ANTIBODY VALIDATION
  • ASSAYS & ANNOTATION
  • DISCLAIMER
  • HELP & FAQ
  • PRIVACY STATEMENT
  • LICENCE & CITATION
Fields »
Search result

Field
Term
Gene name
Class
Subclass
Class
Keyword
Chromosome
External id
Tissue
Cell type
Expression
Antibody panel
Tissue
Main location
Patient ID
Annotation
Tissue
Category
Tau score
Cluster
Reliability
Brain region
Category
Tau score
Brain region
Category
Tau score
Brain region
Category
Tau score
Cluster
Reliability
Tissue
Cell type
Enrichment
Cell type
Category
Tau score
Cell type
Category
Tau score
Cell type
Category
Tau score
Cell lineage
Category
Tau score
Cluster
Cluster
Location
Searches
Location
Cell line
Class
Type
Phase
Reliability
Cancer
Prognosis
Cancer
Category
Cancer
Category
Tau score
Cluster
Variants
Interacting gene (ensg_id)
Type
Number of interactions
Pathway
Category
Score
Score
Score
Validation
Validation
Validation
Validation
Antibodies
Data type
Column


  • SUMMARY

  • TISSUE

  • BRAIN

  • SINGLE CELL

  • SUBCELL

  • CANCER

  • BLOOD

  • CELL LINE

  • STRUCT & INT

  • KCNT1
TISSUE PRIMARY DATA PROSTATE Show tissue menu
ADIPOSE TISSUE ADRENAL GLAND AMYGDALA APPENDIX BASAL GANGLIA BONE MARROW BREAST CEREBELLUM CEREBRAL CORTEX CERVIX CHOROID PLEXUS COLON DUODENUM
ENDOMETRIUM EPIDIDYMIS ESOPHAGUS FALLOPIAN TUBE GALLBLADDER HEART MUSCLE HIPPOCAMPAL FORMATION HYPOTHALAMUS KIDNEY LIVER LUNG LYMPH NODE MIDBRAIN
OVARY PANCREAS PARATHYROID GLAND PITUITARY GLAND PLACENTA PROSTATE RECTUM RETINA SALIVARY GLAND SEMINAL VESICLE SKELETAL MUSCLE SKIN SMALL INTESTINE
SMOOTH MUSCLE SPINAL CORD SPLEEN STOMACH TESTIS THYMUS THYROID GLAND TONGUE TONSIL URINARY BLADDER VAGINA
ANTIBODIES
AND
VALIDATION
Dictionary
Prostate
Tissue proteome
Prostate
PROSTATE - Expression summary
Protein expressioni

On the top, protein expression in current human tissue, based on all annotated cell types, is reported with the units not detected (n), low (l), medium (m) and high (h). Underneath, protein expression in each annotated cell type are reported using the same units.

Protein expression data is based on knowledge-based annotation. For genes where more than one antibody has been used, a collective score is set.

If knowledge-based annotation could not be performed for a gene, no data is displayed here. View antibody staining data further down this page.

No data
RNA expressioni

A summary of mRNA expression data available for current tissue based on several datasets. The mRNA expression levels in human tissues are based on RNA-seq data generated by the Human Protein Atlas (HPA), Genotype-Tissue Expression (GTEx) portal and CAGE data generated by the FANTOM5 consortium. Consensus normalized expression levels for human tissues was created by combining the data from HPA and GTEx datasets.

The mRNA expression levels in pig are based on RNA-seq data generated by the Human Protein Atlas (HPA), and for mouse, HPA data and in situ hybridization generated by the Allen brain atlas are reported.

Scroll down to view mRNA expression data in more detail.
Consensus:0.1 nTPM
HPA:0.0 nTPM
GTEx:0.1 nTPM
FANTOM5:0.2 Scaled Tags Per Million

PROSTATE - Annotated protein expression
Pending normal tissue analysis

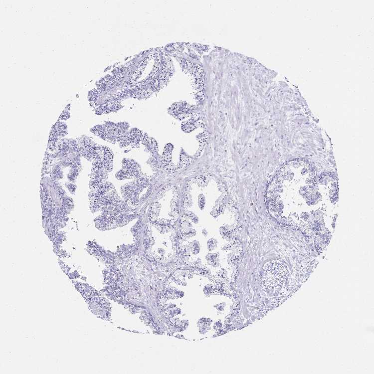
PROSTATE - Antibody stainingi

Antibody staining in the annotated cell types in the current human tissue is reported as not detected, low, medium, or high, based on conventional immunohistochemistry profiling in selected tissues. This score is based on the combination of the staining intensity and fraction of stained cells.

Each image is clickable and will lead to virtual microscopy that enables deeper exploration of all samples and also displays staining intensity scores, fraction scores and subcellular localization as well as patient and tissue information for each sample.

Antibody HPA059880
Glandular cells Not detected


PROSTATE - HPA RNA-seqi

The RNA-seq details section shows detailed information about the individual samples used for the transcript profiling and results of the RNA-seq analysis.

Information about each individual sample is listed below, including gender, age, a tissue section image and estimated fractions of cell types. nTPM (normalized transcripts per million) values give a quantification of the gene abundance which is comparable between different genes and samples.
Average nTPMi

Max subtype nTPM is the value for the subtype with the largest average nTPM across the subtype samples.

0.0
overview
Male, age 62
Prostate sample 59
nTPM: 0.5
Cell types%
Glandular cells:
30

Smooth muscle cells:
55

Skeletal muscle cells:
5

Other cell types:
10

N/A
Male, age 65
Prostate sample 205
nTPM: 0
Cell types%
Glandular cells:
20

Smooth muscle cells:
60

Other cell types:
20

overview
Male, age 65
Prostate sample 206
nTPM: 0
Cell types%
Glandular cells:
30

Smooth muscle cells:
65

Other cell types:
5

overview
Male, age 68
Prostate sample 207
nTPM: 0
Cell types%
Glandular cells:
30

Smooth muscle cells:
65

Other cell types:
5

overview
Male, age 60
Prostate sample 361
nTPM: 0
Cell types%
Glandular cells:
40

Smooth muscle cells:
55

Other cell types:
5

overview
Male, age 66
Prostate sample 364
nTPM: 0
Cell types%
Glandular cells:
50

Smooth muscle cells:
45

Other cell types:
5

overview
Male, age 63
Prostate sample 365
nTPM: 0
Cell types%
Glandular cells:
60

Smooth muscle cells:
35

Other cell types:
5

overview
Male, age 66
Prostate sample 388
nTPM: 0
Cell types%
Glandular cells:
65

Smooth muscle cells:
30

Other cell types:
5

overview
Male, age 58
Prostate sample 412
nTPM: 0
Cell types%
Glandular cells:
45

Smooth muscle cells:
50

Other cell types:
5


PROSTATE - GTEx RNA-seqi

RNA-Seq data generated by the Genotype-Tissue Expression (GTEx) project from human tissues is reported as mean nTPM. More information can be found on the GTEx portal.

Distribution across the dataset is visualized with box plots, shown as median and 25th and 75th percentiles. Points are displayed as outliers if they are above or below 1.5 times the interquartile range. nTPM values of the individual samples are presented next to the box plot.
Max subtype nTPMi

Max subtype nTPM is the value for the subtype with the largest average nTPM across the subtype samples.

0.1
GTEx sample id Sample description nTPM
Prostate
Average nTPM: 0.1
Samples: 245

Max nTPM: 1.6
Min nTPM: 0.0
Std nTPM: 0.2
Median nTPM: 0.0
GTEX-1477Z-2226-SM-5QGPG 60-69 years, male 1.6
GTEX-145LU-2126-SM-5Q5E9 50-59 years, male 0.9
GTEX-NPJ8-2426-SM-3MJHL 40-49 years, male 0.9
GTEX-1HSMQ-1826-SM-A9SMJ 50-59 years, male 0.8
GTEX-1S3DN-1926-SM-E6CIR 50-59 years, male 0.8
GTEX-1S5ZA-1626-SM-E9TKG 20-29 years, male 0.8
GTEX-145LV-1226-SM-5S2QH 50-59 years, male 0.7
GTEX-1AX9K-1526-SM-73KVP 50-59 years, male 0.7
GTEX-ZTTD-2726-SM-57WFA 50-59 years, male 0.7
GTEX-1I19N-2226-SM-A96TS 70-79 years, male 0.7
GTEX-RVPV-2526-SM-EYYVL 60-69 years, male 0.7
GTEX-11O72-2726-SM-5HL6K 40-49 years, male 0.6
GTEX-14ICK-1826-SM-69LOP 40-49 years, male 0.5
GTEX-14PJ2-2126-SM-5YY96 50-59 years, male 0.5
GTEX-14PJ3-1726-SM-5ZZVH 50-59 years, male 0.5
GTEX-SJXC-2026-SM-4DM6N 60-69 years, male 0.5
GTEX-V955-1826-SM-4JBIL 60-69 years, male 0.5
GTEX-1HSMO-2326-SM-CGQF3 60-69 years, male 0.5
GTEX-1PWST-2626-SM-E8VN8 70-79 years, male 0.5
GTEX-111FC-2026-SM-5GZYO 60-69 years, male 0.4
GTEX-117YW-1426-SM-5EGGO 50-59 years, male 0.4
GTEX-11NSD-0826-SM-5986S 20-29 years, male 0.4
GTEX-13O21-1126-SM-5N9EV 50-59 years, male 0.4
GTEX-1GZ4I-2226-SM-9WPPO 50-59 years, male 0.4
GTEX-1I6K7-2326-SM-ARZM2 40-49 years, male 0.4
GTEX-1PFEY-0626-SM-E76PH 30-39 years, male 0.4
GTEX-OXRL-2026-SM-E6CHN 50-59 years, male 0.4
GTEX-T6MN-2126-SM-EZ6LC 50-59 years, male 0.4
GTEX-13OW8-0426-SM-5J2NR 60-69 years, male 0.3
GTEX-14E6C-2826-SM-664NC 40-49 years, male 0.3
GTEX-P4QS-2026-SM-3NMCG 60-69 years, male 0.3
GTEX-SUCS-1126-SM-4DM61 70-79 years, male 0.3
GTEX-13N2G-1826-SM-5KM1I 60-69 years, male 0.2
GTEX-14BIL-2126-SM-73KW3 50-59 years, male 0.2
GTEX-15CHR-1226-SM-79OON 50-59 years, male 0.2
GTEX-17HHE-1126-SM-793BS 50-59 years, male 0.2
GTEX-1AX9J-1426-SM-731BV 60-69 years, male 0.2
GTEX-RM2N-1126-SM-48FCY 50-59 years, male 0.2
GTEX-T5JC-1226-SM-4DM7C 20-29 years, male 0.2
GTEX-T8EM-1826-SM-4DM7F 40-49 years, male 0.2
GTEX-U3ZH-0926-SM-4DXU4 30-39 years, male 0.2
GTEX-WK11-2626-SM-4OOSK 50-59 years, male 0.2
GTEX-YB5E-1826-SM-5IFI4 40-49 years, male 0.2
GTEX-ZYFD-2526-SM-5E45L 50-59 years, male 0.2
GTEX-1C6WA-2326-SM-7P8OW 60-69 years, male 0.2
GTEX-1CB4G-2526-SM-7MXTG 60-69 years, male 0.2
GTEX-1E1VI-2726-SM-7MXVH 50-59 years, male 0.2
GTEX-1EKGG-2826-SM-7MGXA 60-69 years, male 0.2
GTEX-1GF9V-0726-SM-9KNU4 60-69 years, male 0.2
GTEX-1HFI6-2326-SM-9WYUN 40-49 years, male 0.2
GTEX-1IDJH-2426-SM-CNNQW 70-79 years, male 0.2
GTEX-1IL2U-2826-SM-A96SR 60-69 years, male 0.2
GTEX-1JJ6O-0726-SM-CY8HS 60-69 years, male 0.2
GTEX-1JMLX-1226-SM-CY8HW 50-59 years, male 0.2
GTEX-1KAFJ-1226-SM-D4P46 50-59 years, male 0.2
GTEX-1QP6S-0726-SM-E76QS 40-49 years, male 0.2
GTEX-QEG4-2226-SM-CXZJD 30-39 years, male 0.2
GTEX-ZG7Y-2226-SM-DO92I 50-59 years, male 0.2
GTEX-111YS-1726-SM-5GIED 60-69 years, male 0.1
GTEX-11DXZ-1826-SM-5H12Y 50-59 years, male 0.1
GTEX-11EQ9-1726-SM-5HL6U 30-39 years, male 0.1
GTEX-11TT1-2026-SM-5EQM8 20-29 years, male 0.1
GTEX-12696-2226-SM-5EQ65 60-69 years, male 0.1
GTEX-1399R-0526-SM-5IJEF 30-39 years, male 0.1
GTEX-1399T-1226-SM-5P9J5 60-69 years, male 0.1
GTEX-13G51-2326-SM-5LZXV 60-69 years, male 0.1
GTEX-13NYS-1026-SM-5KLZT 60-69 years, male 0.1
GTEX-13RTJ-2126-SM-5S2PZ 60-69 years, male 0.1
GTEX-147JS-2826-SM-5YYA7 60-69 years, male 0.1
GTEX-148VJ-1826-SM-5Q5DV 70-79 years, male 0.1
GTEX-14BMV-2326-SM-5RQJ4 50-59 years, male 0.1
GTEX-14E6E-1126-SM-5S2R4 30-39 years, male 0.1
GTEX-16MTA-1426-SM-6PALY 50-59 years, male 0.1
GTEX-178AV-0426-SM-6LPJG 40-49 years, male 0.1
GTEX-17HHY-2526-SM-7IGME 50-59 years, male 0.1
GTEX-1A3MV-0826-SM-72D6J 30-39 years, male 0.1
GTEX-1C64O-2026-SM-7IGPA 60-69 years, male 0.1
GTEX-1CB4E-1726-SM-7IGMS 60-69 years, male 0.1
GTEX-1CB4F-2326-SM-7MKFO 60-69 years, male 0.1
GTEX-NFK9-2226-SM-3MJGP 40-49 years, male 0.1
GTEX-OIZH-2026-SM-3NB1M 50-59 years, male 0.1
GTEX-OOBJ-2026-SM-3NB1R 60-69 years, male 0.1
GTEX-OOBK-2025-SM-3LK5S 40-49 years, male 0.1
GTEX-RWSA-2026-SM-47JX8 40-49 years, male 0.1
GTEX-U8XE-2526-SM-4E3IT 30-39 years, male 0.1
GTEX-VJYA-1226-SM-3GIJ6 60-69 years, male 0.1
GTEX-WFON-1626-SM-4LVMV 40-49 years, male 0.1
GTEX-WY7C-2026-SM-4ONCM 50-59 years, male 0.1
GTEX-WYJK-0626-SM-4ONCZ 50-59 years, male 0.1
GTEX-XPVG-2026-SM-4B65E 50-59 years, male 0.1
GTEX-XXEK-1226-SM-4BRUY 50-59 years, male 0.1
GTEX-YJ8A-1126-SM-5IFJU 20-29 years, male 0.1
GTEX-ZEX8-2026-SM-4WKF3 50-59 years, male 0.1
GTEX-ZVP2-0826-SM-59HJ6 50-59 years, male 0.1
GTEX-12WSN-5007-SM-7MGWH 40-49 years, male 0.1
GTEX-17HGU-2226-SM-7IGLI 50-59 years, male 0.1
GTEX-1AX9I-2326-SM-7PBXV 60-69 years, male 0.1
GTEX-1CAMQ-2226-SM-7MGWS 40-49 years, male 0.1
GTEX-1CB4J-1526-SM-7MXVB 60-69 years, male 0.1
GTEX-1GF9W-2026-SM-7MXVO 60-69 years, male 0.1
GTEX-1GN2E-2026-SM-9JGGG 60-69 years, male 0.1
GTEX-1GPI7-1626-SM-7P8TN 20-29 years, male 0.1
GTEX-1HBPI-0326-SM-A9G3N 50-59 years, male 0.1
GTEX-1HKZK-1626-SM-B2LWH 40-49 years, male 0.1
GTEX-1HSKV-1726-SM-C1YRO 60-69 years, male 0.1
GTEX-1ICLZ-2626-SM-A9G2K 60-69 years, male 0.1
GTEX-1JJE9-0426-SM-D4P2P 70-79 years, male 0.1
GTEX-1JKYN-0926-SM-AHZ47 30-39 years, male 0.1
GTEX-1K2DA-1226-SM-CGQGH 50-59 years, male 0.1
GTEX-1KANA-1026-SM-D3L9L 20-29 years, male 0.1
GTEX-1KANB-2026-SM-DIPEY 50-59 years, male 0.1
GTEX-1KWVE-1226-SM-EV7AG 30-39 years, male 0.1
GTEX-1KXAM-1126-SM-E9TJU 60-69 years, male 0.1
GTEX-1LBAC-1926-SM-DHXK2 20-29 years, male 0.1
GTEX-1OJC3-1926-SM-DPRYV 20-29 years, male 0.1
GTEX-1OKEX-1826-SM-DTX8J 60-69 years, male 0.1
GTEX-1QCLY-1826-SM-DTX89 30-39 years, male 0.1
GTEX-1RAZQ-0826-SM-EVR4L 30-39 years, male 0.1
GTEX-P4PQ-2026-SM-E9U4E 60-69 years, male 0.1
GTEX-QLQ7-1326-SM-CNNOR 60-69 years, male 0.1
GTEX-SIU8-2226-SM-EAZ2T 50-59 years, male 0.1
GTEX-111CU-1526-SM-5N9FS 50-59 years, male 0.0
GTEX-117YX-1526-SM-5H12T 50-59 years, male 0.0
GTEX-11DYG-2526-SM-5N9BB 60-69 years, male 0.0
GTEX-11OF3-1726-SM-5GU5Q 60-69 years, male 0.0
GTEX-11P7K-0626-SM-5985Z 30-39 years, male 0.0
GTEX-11P82-1126-SM-5BC5K 20-29 years, male 0.0
GTEX-11TUW-2126-SM-5GU7B 60-69 years, male 0.0
GTEX-11WQK-2726-SM-5EQMU 50-59 years, male 0.0
GTEX-11ZUS-2126-SM-5N9E6 30-39 years, male 0.0
GTEX-12BJ1-1226-SM-5LUAE 60-69 years, male 0.0
GTEX-12C56-1326-SM-5FQSV 20-29 years, male 0.0
GTEX-12ZZZ-2026-SM-5LZWJ 60-69 years, male 0.0
GTEX-13111-1326-SM-5GCNO 50-59 years, male 0.0
GTEX-131XF-5013-SM-7EWFI 60-69 years, male 0.0
GTEX-132NY-2826-SM-5P9G2 60-69 years, male 0.0
GTEX-132QS-1126-SM-5P9GC 60-69 years, male 0.0
GTEX-139T6-1526-SM-5P9G6 50-59 years, male 0.0
GTEX-13FHO-2826-SM-5K7ZA 60-69 years, male 0.0
GTEX-13FTW-1226-SM-5LZZ1 40-49 years, male 0.0
GTEX-13FXS-2826-SM-5LZYC 50-59 years, male 0.0
GTEX-13O61-1726-SM-5KM46 60-69 years, male 0.0
GTEX-144GM-0826-SM-5O98R 20-29 years, male 0.0
GTEX-145LT-0626-SM-5O99E 40-49 years, male 0.0
GTEX-146FQ-1726-SM-5QGPX 30-39 years, male 0.0
GTEX-14ABY-0726-SM-5Q5DF 50-59 years, male 0.0
GTEX-14C5O-2826-SM-5RQI6 60-69 years, male 0.0
GTEX-14DAR-1026-SM-73KV3 50-59 years, male 0.0
GTEX-14PJ4-1226-SM-5YY9U 60-69 years, male 0.0
GTEX-14PJO-2826-SM-6AJA6 60-69 years, male 0.0
GTEX-15RIF-1526-SM-6M46K 20-29 years, male 0.0
GTEX-16GPK-2826-SM-6LPJ6 60-69 years, male 0.0
GTEX-16XZZ-2426-SM-7KULN 60-69 years, male 0.0
GTEX-16YQH-2326-SM-7EWDS 30-39 years, male 0.0
GTEX-17EUY-2026-SM-79OMV 20-29 years, male 0.0
GTEX-17HII-2526-SM-7LT8C 50-59 years, male 0.0
GTEX-17MFQ-1326-SM-718BX 20-29 years, male 0.0
GTEX-18A66-2326-SM-7LT8Q 60-69 years, male 0.0
GTEX-18QFQ-2026-SM-72D7J 30-39 years, male 0.0
GTEX-1B8KE-1026-SM-731EQ 50-59 years, male 0.0
GTEX-1B8KZ-1626-SM-73KUU 50-59 years, male 0.0
GTEX-1B97I-0826-SM-731DN 40-49 years, male 0.0
GTEX-1C6VQ-2426-SM-7EWEU 50-59 years, male 0.0
GTEX-1CAMR-1626-SM-79OLC 20-29 years, male 0.0
GTEX-1EU9M-1526-SM-79OLI 60-69 years, male 0.0
GTEX-PLZ6-1126-SM-3P5ZR 30-39 years, male 0.0
GTEX-Q2AI-1126-SM-48U19 40-49 years, male 0.0
GTEX-REY6-2126-SM-48FD9 60-69 years, male 0.0
GTEX-S33H-1826-SM-4AD65 30-39 years, male 0.0
GTEX-S3XE-1326-SM-4AD4H 50-59 years, male 0.0
GTEX-S4Q7-1026-SM-4AD75 20-29 years, male 0.0
GTEX-S95S-1026-SM-4B64M 60-69 years, male 0.0
GTEX-SNMC-0926-SM-4DM5U 20-29 years, male 0.0
GTEX-SNOS-1026-SM-4DM4Y 40-49 years, male 0.0
GTEX-U3ZM-0926-SM-4DXSW 40-49 years, male 0.0
GTEX-U412-2026-SM-4DXSI 60-69 years, male 0.0
GTEX-U4B1-1426-SM-4DXTX 40-49 years, male 0.0
GTEX-UTHO-2726-SM-4JBH9 60-69 years, male 0.0
GTEX-V1D1-1926-SM-4JBGX 50-59 years, male 0.0
GTEX-WFG7-1826-SM-3GIL1 20-29 years, male 0.0
GTEX-WFG8-1826-SM-4LVM4 20-29 years, male 0.0
GTEX-WH7G-1726-SM-4LVKY 40-49 years, male 0.0
GTEX-WOFM-0326-SM-4OOSL 20-29 years, male 0.0
GTEX-WZTO-0926-SM-4PQZ3 40-49 years, male 0.0
GTEX-X5EB-1826-SM-4E3K8 40-49 years, male 0.0
GTEX-XAJ8-0626-SM-47JY4 40-49 years, male 0.0
GTEX-XGQ4-1826-SM-4AT6F 50-59 years, male 0.0
GTEX-XMK1-1026-SM-4B65H 40-49 years, male 0.0
GTEX-XQ3S-2526-SM-4BOOG 20-29 years, male 0.0
GTEX-Y8E4-2126-SM-5RQHO 40-49 years, male 0.0
GTEX-Y9LG-1826-SM-4VBQC 30-39 years, male 0.0
GTEX-YF7O-1926-SM-4W1YQ 50-59 years, male 0.0
GTEX-ZDYS-1226-SM-5IJF3 50-59 years, male 0.0
GTEX-ZLFU-1726-SM-4WWBU 40-49 years, male 0.0
GTEX-ZPU1-2026-SM-57WFI 40-49 years, male 0.0
GTEX-ZT9W-1626-SM-4YCDQ 50-59 years, male 0.0
GTEX-ZTX8-1026-SM-5EGHD 20-29 years, male 0.0
GTEX-ZUA1-2826-SM-59HLE 40-49 years, male 0.0
GTEX-ZY6K-1526-SM-5GZXE 50-59 years, male 0.0
GTEX-ZZ64-0926-SM-5E44L 20-29 years, male 0.0
GTEX-1AX8Z-5019-SM-AHZ2C 60-69 years, male 0.0
GTEX-1BAJH-0626-SM-7P8OY 70-79 years, male 0.0
GTEX-1EH9U-1826-SM-7P8QL 60-69 years, male 0.0
GTEX-1F6I4-1326-SM-7P8QQ 60-69 years, male 0.0
GTEX-1GL5R-1226-SM-7MXUY 50-59 years, male 0.0
GTEX-1GN73-1626-SM-9WYTS 60-69 years, male 0.0
GTEX-1GZ2Q-2426-SM-9KNV8 40-49 years, male 0.0
GTEX-1H1E6-0526-SM-9WPQ3 30-39 years, male 0.0
GTEX-1H3NZ-2826-SM-9WPQ7 60-69 years, male 0.0
GTEX-1H3VY-2726-SM-A96TL 50-59 years, male 0.0
GTEX-1HBPN-2126-SM-9WPNQ 50-59 years, male 0.0
GTEX-1I1GP-2026-SM-CE6SZ 50-59 years, male 0.0
GTEX-1I1GU-1126-SM-A96S9 40-49 years, male 0.0
GTEX-1I1GV-1926-SM-CNPQH 60-69 years, male 0.0
GTEX-1I6K6-2126-SM-B2LX6 30-39 years, male 0.0
GTEX-1IDJD-2026-SM-A96TC 30-39 years, male 0.0
GTEX-1IDJF-2126-SM-AHZ2S 20-29 years, male 0.0
GTEX-1J8Q3-0926-SM-A96SU 60-69 years, male 0.0
GTEX-1JK1U-0926-SM-AHZ43 60-69 years, male 0.0
GTEX-1JKYR-1726-SM-C1YR6 20-29 years, male 0.0
GTEX-1JMPZ-2326-SM-CE6RW 30-39 years, male 0.0
GTEX-1JMQK-2226-SM-ARU8U 60-69 years, male 0.0
GTEX-1JN6P-2626-SM-D4P3C 60-69 years, male 0.0
GTEX-1L5NE-1026-SM-D3LAP 50-59 years, male 0.0
GTEX-1LG7Y-2426-SM-EVR57 50-59 years, male 0.0
GTEX-1LG7Z-0826-SM-CXKYN 30-39 years, male 0.0
GTEX-1LSNL-2326-SM-DHXKN 50-59 years, male 0.0
GTEX-1MGNQ-2226-SM-EV7A2 40-49 years, male 0.0
GTEX-1MJK2-0726-SM-DTXE7 50-59 years, male 0.0
GTEX-1MUQO-1526-SM-DPRYK 60-69 years, male 0.0
GTEX-1N2EE-1026-SM-EXUS8 60-69 years, male 0.0
GTEX-1P4AB-1926-SM-E6CQL 50-59 years, male 0.0
GTEX-1PIGE-1726-SM-E6CQH 20-29 years, male 0.0
GTEX-1PPH8-1426-SM-DTXA3 20-29 years, male 0.0
GTEX-1QP29-0526-SM-EAZ3T 50-59 years, male 0.0
GTEX-1QP2A-1526-SM-E6CPN 50-59 years, male 0.0
GTEX-1R7EU-0126-SM-EVR4F 60-69 years, male 0.0
GTEX-1S831-1226-SM-EVR5D 20-29 years, male 0.0
GTEX-OIZF-2026-SM-3MJH1 60-69 years, male 0.0
GTEX-Q2AH-1426-SM-EXOHC 40-49 years, male 0.0
GTEX-QEG5-2426-SM-EYYVC 20-29 years, male 0.0
GTEX-QMRM-1426-SM-CM2U2 50-59 years, male 0.0
GTEX-QV31-1026-SM-CNNOS 30-39 years, male 0.0
GTEX-QV44-1526-SM-DHXIP 50-59 years, male 0.0
GTEX-XQ8I-2526-SM-EAZB3 50-59 years, male 0.0
Show allShow less

PROSTATE - FANTOM5 CAGEi

RNA expression in human tissues obtained through Cap Analysis of Gene Expression (CAGE) generated by the FANTOM5 project are reported as Scaled Tags Per Million.

Max subtype Scaled Tags Per Millioni

Max subtype Scaled Tags Per Million is the value for the subtype with the largest average Scaled Tags Per Million across the subtype samples.

0.2
FANTOM5 sample id Sample description Scaled Tags Per Million
Prostate
Scaled Tags Per Million: 0.2
FF:10022-101D4 73,79,93 years, male 0.2

Contact

  • NEWS ARTICLES
  • PRESS ROOM

The Project

  • INTRODUCTION
  • ORGANIZATION
  • PUBLICATIONS

The Human Protein Atlas

  • DOWNLOADABLE DATA
  • LICENCE & CITATION
  • HELP & FAQ
The Human Protein Atlas project is funded
by the Knut & Alice Wallenberg Foundation.


contact@proteinatlas.org