We use cookies to enhance the usability of our website. If you continue, we'll assume that you are happy to receive all cookies. More information. Don't show this again.
BAG1
HPA
RESOURCES
  • TISSUE
  • BRAIN
  • SINGLE CELL
  • SUBCELLULAR
  • CANCER
  • BLOOD
  • CELL LINE
  • STRUCTURE & INTERACTION
ABOUT
  • INTRODUCTION
  • HISTORY
  • ORGANIZATION
  • PUBLICATIONS
  • ANTIBODY SUBMISSION
  • ANTIBODY AVAILABILITY
  • ACKNOWLEDGMENTS
  • CONTACT
NEWS
  • NEWS ARTICLES
  • PRESS ROOM
LEARN
  • DICTIONARY
  • PROTEIN CLASSES
  • PROTEIN EVIDENCE
  • METHODS
  • EDUCATIONAL VIDEOS
DATA
  • DOWNLOADABLE DATA
  • PUBLICATION DATA
  • RELEASE HISTORY
HELP
  • ANTIBODY VALIDATION
  • ASSAYS & ANNOTATION
  • DISCLAIMER
  • HELP & FAQ
  • PRIVACY STATEMENT
  • LICENCE & CITATION
Fields »
Search result

Field
Term
Gene name
Class
Subclass
Class
Keyword
Chromosome
External id
Tissue
Cell type
Expression
Antibody panel
Tissue
Main location
Patient ID
Annotation
Tissue
Category
Tau score
Cluster
Reliability
Brain region
Category
Tau score
Brain region
Category
Tau score
Brain region
Category
Tau score
Cluster
Reliability
Tissue
Cell type
Enrichment
Cell type
Category
Tau score
Cell type
Category
Tau score
Cell type
Category
Tau score
Cell lineage
Category
Tau score
Cluster
Cluster
Location
Searches
Location
Cell line
Class
Type
Phase
Reliability
Cancer
Prognosis
Cancer
Category
Cancer
Category
Tau score
Cluster
Variants
Interacting gene (ensg_id)
Type
Number of interactions
Pathway
Category
Score
Score
Score
Validation
Validation
Validation
Validation
Antibodies
Data type
Column


  • SUMMARY

  • TISSUE

  • BRAIN

  • SINGLE CELL

  • SUBCELL

  • CANCER

  • BLOOD

  • CELL LINE

  • STRUCT & INT

  • BAG1
TISSUE PRIMARY DATA SKIN Show tissue menu
ADIPOSE TISSUE ADRENAL GLAND AMYGDALA APPENDIX BASAL GANGLIA BONE MARROW BREAST BRONCHUS CEREBELLUM CEREBRAL CORTEX CERVIX CHOROID PLEXUS COLON DUODENUM
ENDOMETRIUM EPIDIDYMIS ESOPHAGUS FALLOPIAN TUBE GALLBLADDER HEART MUSCLE HIPPOCAMPAL FORMATION HYPOTHALAMUS KIDNEY LIVER LUNG LYMPH NODE MIDBRAIN NASOPHARYNX
ORAL MUCOSA OVARY PANCREAS PARATHYROID GLAND PITUITARY GLAND PLACENTA PROSTATE RECTUM RETINA SALIVARY GLAND SEMINAL VESICLE SKELETAL MUSCLE SKIN SMALL INTESTINE
SMOOTH MUSCLE SOFT TISSUE SPINAL CORD SPLEEN STOMACH TESTIS THYMUS THYROID GLAND TONGUE TONSIL URINARY BLADDER VAGINA
ANTIBODIES
AND
VALIDATION
Dictionary
Skin
Tissue proteome
Skin
SKIN - Expression summary
Protein expression
Skini

On the top, protein expression in current human tissue, based on all annotated cell types, is reported with the units not detected (n), low (l), medium (m) and high (h). Underneath, protein expression in each annotated cell type are reported using the same units.

Protein expression data is based on knowledge-based annotation. For genes where more than one antibody has been used, a collective score is set.

If knowledge-based annotation could not be performed for a gene, no data is displayed here. View antibody staining data further down this page.

h
m
l
n
Cells in basal layer: Medium
Cells in corneal layer: Not detected
Cells in granular layer: High
Cells in spinous layer: High
Endothelial cells: Low
Extracellular matrix: Not detected
Fibrohistiocytic cells: Medium
Langerhans cells: High
Lymphocytes: Medium
Melanocytes: Medium
Vascular mural cells: Not detected
RNA expressioni

A summary of mRNA expression data available for current tissue based on several datasets. The mRNA expression levels in human tissues are based on RNA-seq data generated by the Human Protein Atlas (HPA), Genotype-Tissue Expression (GTEx) portal and CAGE data generated by the FANTOM5 consortium. Consensus normalized expression levels for human tissues was created by combining the data from HPA and GTEx datasets.

The mRNA expression levels in pig are based on RNA-seq data generated by the Human Protein Atlas (HPA), and for mouse, HPA data and in situ hybridization generated by the Allen brain atlas are reported.

Scroll down to view mRNA expression data in more detail.
Consensus:108.0 nTPM
HPA:69.0 nTPM
GTEx:108.0 nTPM

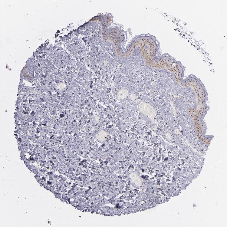
SKIN 1 - Antibody stainingi

Antibody staining in the annotated cell types in the current human tissue is reported as not detected, low, medium, or high, based on conventional immunohistochemistry profiling in selected tissues. This score is based on the combination of the staining intensity and fraction of stained cells.

Each image is clickable and will lead to virtual microscopy that enables deeper exploration of all samples and also displays staining intensity scores, fraction scores and subcellular localization as well as patient and tissue information for each sample.

Antibody HPA018121Antibody CAB002486
Langerhans Low-
Cells in basal layer -Medium
Cells in corneal layer -Not detected
Cells in granular layer -High
Cells in spinous layer -High
Endothelial cells -Not detected
Extracellular matrix -Not detected
Fibroblasts Medium-
Fibrohistiocytic cells -Medium
Keratinocytes Low-
Langerhans cells -High
Lymphocytes -Not detected
Melanocytes HighNot detected
Vascular mural cells -Not detected

SKIN 2 - Antibody stainingi

Antibody staining in the annotated cell types in the current human tissue is reported as not detected, low, medium, or high, based on conventional immunohistochemistry profiling in selected tissues. This score is based on the combination of the staining intensity and fraction of stained cells.

Each image is clickable and will lead to virtual microscopy that enables deeper exploration of all samples and also displays staining intensity scores, fraction scores and subcellular localization as well as patient and tissue information for each sample.

Antibody HPA018121Antibody CAB002486
Cells in basal layer -Medium
Cells in corneal layer -Not detected
Cells in granular layer -Medium
Cells in spinous layer -Medium
Endothelial cells -Low
Epidermal cells Not detected-
Extracellular matrix -Not detected
Fibrohistiocytic cells -Medium
Langerhans cells -Medium
Lymphocytes -Medium
Melanocytes -Medium
Vascular mural cells -Not detected
  
  


SKIN - HPA RNA-seqi

The RNA-seq details section shows detailed information about the individual samples used for the transcript profiling and results of the RNA-seq analysis.

Information about each individual sample is listed below, including gender, age, a tissue section image and estimated fractions of cell types. nTPM (normalized transcripts per million) values give a quantification of the gene abundance which is comparable between different genes and samples.
Average nTPMi

Max subtype nTPM is the value for the subtype with the largest average nTPM across the subtype samples.

69.0
overview
Female, age 34
Skin sample 225
nTPM: 75.3
Cell types%
Keratinocytes:
60

Other cell types:
40

overview
Female, age 30
Skin sample 226
nTPM: 70.8
Cell types%
Keratinocytes:
55

Other cell types:
45

N/A
Male, age 57
Skin sample 227
nTPM: 61

SKIN - GTEx RNA-seqi

RNA-Seq data generated by the Genotype-Tissue Expression (GTEx) project from human tissues is reported as mean nTPM. More information can be found on the GTEx portal.

Distribution across the dataset is visualized with box plots, shown as median and 25th and 75th percentiles. Points are displayed as outliers if they are above or below 1.5 times the interquartile range. nTPM values of the individual samples are presented next to the box plot.
Max subtype nTPMi

Max subtype nTPM is the value for the subtype with the largest average nTPM across the subtype samples.

108.0
GTEx sample id Sample description nTPM
Skin - Not Sun Exposed (Suprapubic)
Average nTPM: 108.0
Samples: 604

Max nTPM: 258.2
Min nTPM: 48.5
Std nTPM: 27.6
Median nTPM: 103.5
GTEX-ZE7O-2726-SM-51MT5 50-59 years, female 258.2
GTEX-13NZ8-1226-SM-5KM4A 60-69 years, female 240.3
GTEX-1F6RS-2026-SM-7RHHC 60-69 years, female 225.9
GTEX-ZPCL-1126-SM-4WWFE 60-69 years, female 211.9
GTEX-13YAN-0226-SM-5TDC6 60-69 years, male 207.1
GTEX-1RAZS-2526-SM-E6CHT 50-59 years, male 204.8
GTEX-14C39-1726-SM-5RQIL 40-49 years, male 195.4
GTEX-ZVZP-1226-SM-5GID7 50-59 years, male 188.7
GTEX-14753-0726-SM-5QGQO 60-69 years, male 187.4
GTEX-1LKK1-2626-SM-DKPQE 50-59 years, female 187.4
GTEX-15UF6-1926-SM-7KUDV 70-79 years, female 186.8
GTEX-11DXY-0126-SM-5H11Q 60-69 years, male 183.8
GTEX-1PPH8-0126-SM-EWRN8 20-29 years, male 180.9
GTEX-13PDP-0726-SM-5L3HP 60-69 years, male 180.6
GTEX-13IVO-0726-SM-5LZYV 70-79 years, male 173.6
GTEX-WHSE-0126-SM-3NMBT 20-29 years, male 173.5
GTEX-ZYW4-0626-SM-59HJR 60-69 years, male 171.7
GTEX-1GN73-0726-SM-7P8TJ 60-69 years, male 171.5
GTEX-13PL6-1126-SM-5L3IE 40-49 years, female 170.6
GTEX-1H23P-0626-SM-9WG6T 60-69 years, male 166.7
GTEX-1ICLZ-0326-SM-ARL82 60-69 years, male 166.6
GTEX-15RIG-0726-SM-7KUM7 40-49 years, male 165.9
GTEX-1399S-0126-SM-5IJCF 30-39 years, female 165.3
GTEX-1H3VE-0726-SM-9YFL5 40-49 years, male 163.2
GTEX-X585-2426-SM-46MW2 50-59 years, male 160.9
GTEX-1IDFM-0326-SM-ARL7V 60-69 years, male 160.2
GTEX-1H2FU-0926-SM-9WPPT 60-69 years, female 159.7
GTEX-1GZ2Q-0126-SM-9WG6M 40-49 years, male 159.5
GTEX-WH7G-2026-SM-3NMBL 40-49 years, male 159.4
GTEX-139UW-0326-SM-5J1ML 60-69 years, male 158.9
GTEX-1E2YA-2126-SM-7MXUO 50-59 years, male 158.6
GTEX-11EQ8-0926-SM-5H12V 60-69 years, male 157.2
GTEX-14ICL-1626-SM-5YYAO 30-39 years, male 154.9
GTEX-14PJ4-0226-SM-5YY92 60-69 years, male 154.9
GTEX-1J8Q2-2626-SM-ACKWQ 60-69 years, male 153.5
GTEX-145MI-0626-SM-5SI8S 60-69 years, female 153.3
GTEX-XQ8I-0926-SM-4BOOF 50-59 years, male 153.0
GTEX-1117F-2926-SM-5GZYI 60-69 years, female 152.4
GTEX-1N2EE-0626-SM-E76PW 60-69 years, male 152.3
GTEX-11OF3-0126-SM-5PNYF 60-69 years, male 151.7
GTEX-17HHE-1326-SM-7EWDZ 50-59 years, male 151.6
GTEX-ZXG5-2126-SM-59HKD 60-69 years, male 151.3
GTEX-ZLV1-1526-SM-DO91J 60-69 years, female 150.8
GTEX-16YQH-2226-SM-7IGM2 30-39 years, male 150.1
GTEX-13N1W-2426-SM-5IJD1 70-79 years, male 148.3
GTEX-15RIE-1926-SM-7KUKJ 60-69 years, male 148.2
GTEX-13SLW-0626-SM-5Q5ER 70-79 years, male 148.0
GTEX-1IKOE-1426-SM-CE6T7 30-39 years, female 148.0
GTEX-XK95-0226-SM-4AT58 40-49 years, male 147.6
GTEX-ZVT4-2426-SM-5GIEI 50-59 years, female 147.6
GTEX-1HT8W-0626-SM-A9G2H 30-39 years, male 147.3
GTEX-14LLW-2626-SM-62LDZ 70-79 years, female 146.9
GTEX-VUSG-2326-SM-4KL1U 50-59 years, male 146.8
GTEX-15SKB-2826-SM-6PAMH 60-69 years, male 146.5
GTEX-13RTJ-0126-SM-5S2NN 60-69 years, male 145.7
GTEX-1PIGE-1826-SM-E8VOU 20-29 years, male 145.0
GTEX-131XH-0126-SM-5LZUY 50-59 years, male 144.9
GTEX-1HR98-2226-SM-ADEI2 60-69 years, male 144.8
GTEX-148VJ-0626-SM-5LUAW 70-79 years, male 143.3
GTEX-17HII-1426-SM-7EPGG 50-59 years, male 143.3
GTEX-1313W-0626-SM-5EQ4H 50-59 years, female 143.1
GTEX-111VG-1626-SM-5EGIO 60-69 years, male 142.7
GTEX-12WSH-1526-SM-5BC5W 50-59 years, male 142.6
GTEX-1I1GU-0926-SM-ACKVS 40-49 years, male 142.4
GTEX-18QFQ-1826-SM-72D52 30-39 years, male 142.0
GTEX-ZAJG-1526-SM-5CVML 50-59 years, female 141.9
GTEX-11PRG-0726-SM-5EGL1 50-59 years, male 141.8
GTEX-1PBJJ-1026-SM-E76OS 30-39 years, male 141.4
GTEX-1S83E-1326-SM-E6CJM 40-49 years, male 140.5
GTEX-14PJ5-1526-SM-6LLIL 60-69 years, female 140.0
GTEX-1PPH7-1126-SM-DTX9A 40-49 years, male 140.0
GTEX-117YX-1926-SM-5GIEC 50-59 years, male 139.9
GTEX-1GN1V-2826-SM-9JGIA 60-69 years, male 138.5
GTEX-1HCUA-0826-SM-ADEHM 50-59 years, female 138.1
GTEX-13FTY-2126-SM-5IFFB 40-49 years, female 137.7
GTEX-1BAJH-2426-SM-7IGP8 70-79 years, male 137.6
GTEX-Y3I4-1726-SM-4TT89 50-59 years, male 137.1
GTEX-13112-0126-SM-5P9IU 50-59 years, male 137.0
GTEX-144GO-2026-SM-5O99P 60-69 years, male 136.9
GTEX-144GL-0626-SM-5LU4D 50-59 years, male 136.1
GTEX-1M4P7-0726-SM-E6CJ3 60-69 years, male 135.7
GTEX-Y9LG-1126-SM-4VBQ7 30-39 years, male 135.2
GTEX-1JJEA-1826-SM-ARU8P 60-69 years, male 135.2
GTEX-11UD2-2526-SM-5CVNU 50-59 years, male 134.9
GTEX-ZTSS-1426-SM-5985P 40-49 years, male 134.9
GTEX-17F9Y-0126-SM-79OKX 70-79 years, female 134.7
GTEX-1MJK3-0726-SM-E6CJC 20-29 years, male 134.5
GTEX-16XZZ-0726-SM-7KUF2 60-69 years, male 134.4
GTEX-ZYFD-0626-SM-5E44E 50-59 years, male 134.4
GTEX-U8XE-0226-SM-4E3J3 30-39 years, male 134.3
GTEX-XMD2-2126-SM-4YCF8 60-69 years, female 134.2
GTEX-13NYC-0126-SM-5L3F4 60-69 years, male 133.5
GTEX-1LBAC-0826-SM-CY8IJ 20-29 years, male 133.3
GTEX-13O61-1426-SM-5KM3D 60-69 years, male 133.2
GTEX-1HCU6-2526-SM-ADEHL 60-69 years, female 133.2
GTEX-1C2JI-1026-SM-73KY1 50-59 years, male 132.9
GTEX-WI4N-2726-SM-3LK7Y 40-49 years, female 132.7
GTEX-1ICLY-0826-SM-CMKG1 50-59 years, male 132.7
GTEX-YFCO-1226-SM-5LUAT 40-49 years, male 132.4
GTEX-1QP2A-1726-SM-E76QC 50-59 years, male 131.7
GTEX-ZF29-0926-SM-4WKFZ 60-69 years, female 131.3
GTEX-12WSK-2126-SM-5CVNC 40-49 years, female 131.2
GTEX-15RJE-2826-SM-7KUM9 40-49 years, male 131.1
GTEX-1EH9U-2826-SM-7DUGT 60-69 years, male 131.1
GTEX-1C6WA-2626-SM-7MKGM 60-69 years, male 131.0
GTEX-1HCU7-0726-SM-A9SL1 50-59 years, male 130.6
GTEX-15DDE-2926-SM-6LLJ3 50-59 years, female 130.5
GTEX-13W3W-0726-SM-5IJDQ 60-69 years, female 130.1
GTEX-Y5V6-2326-SM-4VDSA 60-69 years, male 130.0
GTEX-1IDJH-0126-SM-D3L92 70-79 years, male 129.8
GTEX-16MTA-0926-SM-6M47Z 50-59 years, male 129.7
GTEX-X8HC-0626-SM-4E3HQ 50-59 years, female 129.7
GTEX-14PII-0726-SM-6EU2B 60-69 years, male 129.6
GTEX-14C38-0726-SM-5SI6M 50-59 years, male 128.5
GTEX-17F9E-2326-SM-79OKD 50-59 years, male 128.2
GTEX-1NSGN-0726-SM-DTXEF 50-59 years, male 127.9
GTEX-1I19N-0126-SM-CYPSF 70-79 years, male 127.8
GTEX-1399Q-2326-SM-5KM2X 40-49 years, male 127.7
GTEX-13OW5-2326-SM-5L3HO 60-69 years, male 127.7
GTEX-13X6H-0926-SM-5SIB2 50-59 years, female 127.6
GTEX-1EMGI-2326-SM-7PBYA 60-69 years, male 127.4
GTEX-11ZUS-2626-SM-5FQUR 30-39 years, male 127.3
GTEX-ZF2S-1626-SM-57WES 50-59 years, female 127.2
GTEX-13NYS-0626-SM-5L3F1 60-69 years, male 126.6
GTEX-1I1GT-1026-SM-ARZLV 60-69 years, female 126.6
GTEX-14E1K-2026-SM-7DUEI 50-59 years, male 126.4
GTEX-1AMEY-0826-SM-72D65 30-39 years, female 126.3
GTEX-11WQC-1826-SM-5GU59 60-69 years, male 126.2
GTEX-1QP9N-1226-SM-E76QN 30-39 years, male 125.6
GTEX-ZTX8-1326-SM-4YCEL 20-29 years, male 125.5
GTEX-1CAMQ-1326-SM-7P8RV 40-49 years, male 125.4
GTEX-1F88E-1626-SM-7SB8Z 60-69 years, female 124.9
GTEX-13OVJ-0826-SM-5J1OK 50-59 years, female 124.5
GTEX-11TUW-0626-SM-5LU9M 60-69 years, male 124.0
GTEX-1LSVX-2526-SM-DIPEU 60-69 years, male 123.9
GTEX-ZVT2-0126-SM-5GIDQ 50-59 years, female 123.7
GTEX-145MG-1526-SM-5Q5EM 50-59 years, male 123.5
GTEX-11EQ9-1626-SM-5PNY8 30-39 years, male 123.0
GTEX-1NV5F-0626-SM-DTXEG 60-69 years, female 123.0
GTEX-13FHO-0426-SM-5L3F5 60-69 years, male 122.9
GTEX-1C64N-2626-SM-7PC2N 50-59 years, male 122.9
GTEX-Y111-0626-SM-4SOIT 50-59 years, male 122.8
GTEX-13OW6-2726-SM-5J2OE 50-59 years, male 122.7
GTEX-ZF3C-0626-SM-DO92O 50-59 years, female 122.6
GTEX-16AAH-0626-SM-793C9 50-59 years, male 122.3
GTEX-1IL2V-1926-SM-B2LW8 70-79 years, male 122.0
GTEX-XBEW-1126-SM-4QARW 40-49 years, male 121.9
GTEX-11NUK-2726-SM-5A5MC 50-59 years, male 121.8
GTEX-14A5H-0826-SM-5QGPJ 60-69 years, male 121.7
GTEX-12584-0726-SM-5FQTK 40-49 years, male 121.6
GTEX-ZWKS-0626-SM-5GIDV 30-39 years, male 121.5
GTEX-17MFQ-1526-SM-7KFRR 20-29 years, male 121.2
GTEX-1LGRB-0926-SM-COH3K 50-59 years, female 121.1
GTEX-147GR-2426-SM-5ZZWQ 60-69 years, male 121.0
GTEX-ZYT6-2326-SM-5GZY3 30-39 years, male 121.0
GTEX-1J8EW-2726-SM-CY8HR 60-69 years, female 121.0
GTEX-12126-0826-SM-5FQTZ 20-29 years, male 120.9
GTEX-ZLFU-1826-SM-4WWBV 40-49 years, male 120.7
GTEX-1QP28-1126-SM-EVYC4 50-59 years, female 120.6
GTEX-1RAZQ-1326-SM-E9TK6 30-39 years, male 120.6
GTEX-12ZZX-2426-SM-5GCOE 40-49 years, female 120.5
GTEX-ZYY3-2926-SM-5GIEB 60-69 years, female 120.5
GTEX-1H3O1-1326-SM-9MQLD 60-69 years, male 120.2
GTEX-14PJ3-1126-SM-5ZZVX 50-59 years, male 120.1
GTEX-144FL-0626-SM-5LU43 50-59 years, male 119.9
GTEX-1MCYP-0526-SM-E9U6Q 20-29 years, female 119.9
GTEX-WYBS-0626-SM-3NMAS 60-69 years, female 119.8
GTEX-ZY6K-1426-SM-5GZX2 50-59 years, male 119.8
GTEX-1F5PK-2226-SM-7SB6N 50-59 years, male 119.7
GTEX-13OVH-0526-SM-5L3E6 70-79 years, male 119.5
GTEX-1GZ4I-2626-SM-9KNU3 50-59 years, male 119.3
GTEX-1HSMO-0626-SM-ACKXC 60-69 years, male 119.0
GTEX-1C6VQ-1226-SM-73KYD 50-59 years, male 118.7
GTEX-1JJ6O-2726-SM-CNPOG 60-69 years, male 118.7
GTEX-UPK5-0426-SM-3GAEK 40-49 years, male 118.6
GTEX-XUW1-0926-SM-4BONX 50-59 years, female 118.6
GTEX-147F4-0726-SM-5TDDD 50-59 years, male 118.5
GTEX-1A8G6-2726-SM-731AR 60-69 years, male 118.5
GTEX-ZYFG-1526-SM-5GZYM 60-69 years, female 118.2
GTEX-1S5ZU-2526-SM-E6CIF 20-29 years, female 118.0
GTEX-1R9K4-2826-SM-DTX8F 60-69 years, male 117.8
GTEX-1269C-0126-SM-5EQ5L 60-69 years, female 117.7
GTEX-139TS-2126-SM-5K7XC 60-69 years, male 117.6
GTEX-13QJC-0126-SM-5ZZWJ 60-69 years, female 117.5
GTEX-ZDTT-0426-SM-4WKFL 60-69 years, male 117.5
GTEX-1KAFJ-0126-SM-DIPEK 50-59 years, male 117.4
GTEX-111CU-1126-SM-5EGIM 50-59 years, male 117.3
GTEX-1122O-1026-SM-9WYSF 60-69 years, female 117.1
GTEX-XBED-1926-SM-47JYP 60-69 years, male 117.0
GTEX-1GZHY-0626-SM-9KNVC 50-59 years, female 116.9
GTEX-144GM-0526-SM-79OJO 20-29 years, male 116.8
GTEX-11ZU8-0126-SM-5EQ58 60-69 years, male 116.7
GTEX-1HB9E-0126-SM-CM2S5 50-59 years, male 116.7
GTEX-1LVA9-2626-SM-EVYD4 50-59 years, male 116.7
GTEX-13SLX-2226-SM-62LEP 50-59 years, female 116.3
GTEX-131XG-0326-SM-5L3DX 50-59 years, female 116.2
GTEX-17HHY-0426-SM-7DHLC 50-59 years, male 116.0
GTEX-1A8G7-1326-SM-73KVM 60-69 years, male 115.9
GTEX-ZAB4-2126-SM-5HL8U 40-49 years, male 115.9
GTEX-WHWD-1826-SM-3LK6I 50-59 years, male 115.8
GTEX-Z93S-1626-SM-5CVMB 50-59 years, male 115.7
GTEX-1S82U-1026-SM-E6CJK 30-39 years, female 115.6
GTEX-1HBPN-0126-SM-CGQEF 50-59 years, male 115.4
GTEX-11DXW-0826-SM-5H118 40-49 years, male 115.1
GTEX-WHSB-1326-SM-3LK6W 50-59 years, male 115.1
GTEX-13OW7-0426-SM-5K7VK 50-59 years, male 115.0
GTEX-14JG1-1526-SM-5YY9X 40-49 years, male 115.0
GTEX-ZGAY-1826-SM-DO91Q 40-49 years, female 115.0
GTEX-1HSMP-0926-SM-A9SKX 70-79 years, male 114.9
GTEX-1EKGG-0626-SM-7DUGJ 60-69 years, male 114.6
GTEX-13JVG-0726-SM-5KM16 60-69 years, male 114.4
GTEX-145MH-2826-SM-5RQJF 50-59 years, male 114.3
GTEX-1GN2E-0226-SM-9WG6K 60-69 years, male 114.2
GTEX-12BJ1-0926-SM-5EQ62 60-69 years, male 113.9
GTEX-14PKU-0126-SM-6LLHV 40-49 years, female 113.8
GTEX-14PKV-1126-SM-6LLJ1 20-29 years, female 113.8
GTEX-13VXT-1926-SM-5K7UO 20-29 years, female 113.7
GTEX-1KANB-2826-SM-CY8I6 50-59 years, male 113.7
GTEX-139T8-0626-SM-5KLZX 60-69 years, male 113.6
GTEX-17EVP-2626-SM-7IGMA 40-49 years, male 113.4
GTEX-145LU-1926-SM-79OJN 50-59 years, male 113.1
GTEX-1RMOY-1326-SM-E9TIH 50-59 years, male 113.1
GTEX-13O3O-2326-SM-5IJD6 60-69 years, female 112.6
GTEX-WXYG-2026-SM-4E3IY 50-59 years, female 112.6
GTEX-ZDYS-2426-SM-4WKGI 50-59 years, male 112.3
GTEX-1QPFJ-1926-SM-EVYBD 30-39 years, female 112.3
GTEX-1HFI6-0126-SM-CNPPI 40-49 years, male 112.2
GTEX-14XAO-1226-SM-6EU1C 60-69 years, female 112.1
GTEX-145LS-0626-SM-7EPG7 60-69 years, female 112.0
GTEX-14DAQ-0626-SM-793DS 60-69 years, female 111.9
GTEX-14C5O-0326-SM-5ZZUX 60-69 years, male 111.6
GTEX-1B97I-0626-SM-73KUZ 40-49 years, male 111.6
GTEX-1HBPM-0726-SM-9YFL7 60-69 years, female 111.3
GTEX-12ZZZ-0726-SM-5GCNZ 60-69 years, male 111.2
GTEX-YECK-0326-SM-4W1YS 60-69 years, male 111.2
GTEX-1S831-1826-SM-EWROF 20-29 years, male 111.1
GTEX-1GMRU-2126-SM-7P8RA 50-59 years, male 111.0
GTEX-ZVE1-0726-SM-51MRN 50-59 years, female 110.6
GTEX-1I1GV-0626-SM-ARL7M 60-69 years, male 110.3
GTEX-ZU9S-1826-SM-5NQ9E 30-39 years, male 110.2
GTEX-17F98-1326-SM-7DUEP 40-49 years, female 110.0
GTEX-1JN76-0626-SM-CKZOQ 20-29 years, female 109.9
GTEX-133LE-2326-SM-5K7W3 20-29 years, female 109.8
GTEX-15G1A-1626-SM-7KUKN 30-39 years, male 109.8
GTEX-XOT4-0626-SM-4B66L 60-69 years, female 109.6
GTEX-ZE9C-2526-SM-5IJDR 60-69 years, male 109.6
GTEX-1JK1U-0226-SM-ARZMX 60-69 years, male 109.6
GTEX-13FTX-1526-SM-5K7VJ 20-29 years, female 109.4
GTEX-15CHQ-0326-SM-69LQD 60-69 years, male 109.1
GTEX-1LVAN-0626-SM-CNPOQ 50-59 years, female 109.0
GTEX-1H1DF-1126-SM-9WG7G 40-49 years, female 108.8
GTEX-1GMR3-0126-SM-A9SLW 40-49 years, male 108.7
GTEX-15SHW-0226-SM-7LTAT 60-69 years, male 108.6
GTEX-XQ3S-1426-SM-4BOPR 20-29 years, male 108.6
GTEX-13OVL-0126-SM-5L3GJ 50-59 years, male 108.5
GTEX-14BIN-1126-SM-5RQJZ 50-59 years, female 108.5
GTEX-1R46S-2426-SM-E76QA 60-69 years, female 108.5
GTEX-1POEN-2326-SM-E9J2L 30-39 years, female 108.4
GTEX-1KANA-1326-SM-DIPFA 20-29 years, male 108.3
GTEX-14A6H-2026-SM-5Q5DD 30-39 years, male 108.1
GTEX-14E6C-2426-SM-5S2NF 40-49 years, male 108.1
GTEX-ZT9X-1526-SM-5DUXD 40-49 years, male 108.1
GTEX-1CB4J-1326-SM-7P8RX 60-69 years, male 108.1
GTEX-1EN7A-2426-SM-793DB 40-49 years, male 108.0
GTEX-17F97-2626-SM-7IGM5 50-59 years, male 107.8
GTEX-145MF-0926-SM-5Q5EA 50-59 years, male 107.6
GTEX-145ME-1726-SM-5Q5EU 40-49 years, female 107.5
GTEX-1JMQJ-0826-SM-CNPP7 50-59 years, male 107.5
GTEX-1192X-2726-SM-5N9DN 50-59 years, male 107.2
GTEX-15G19-2426-SM-7KUMR 60-69 years, male 107.2
GTEX-18D9A-1426-SM-7LT8M 30-39 years, female 107.0
GTEX-1314G-1326-SM-5BC6E 30-39 years, male 106.9
GTEX-11O72-0626-SM-5PNYE 40-49 years, male 106.7
GTEX-18465-2826-SM-7LT9J 50-59 years, male 106.7
GTEX-ZTTD-2826-SM-4YCFA 50-59 years, male 106.1
GTEX-ZZPU-0826-SM-5GZX5 50-59 years, female 106.1
GTEX-15EO6-2426-SM-6PALZ 50-59 years, male 106.0
GTEX-1F88F-0126-SM-9WYSZ 60-69 years, female 105.9
GTEX-16MT8-2926-SM-7DUFO 60-69 years, female 105.7
GTEX-14PK6-0226-SM-62LF5 70-79 years, female 105.4
GTEX-131YS-2826-SM-5EQ47 60-69 years, female 105.3
GTEX-13FLV-0126-SM-5K7WT 50-59 years, male 105.3
GTEX-1B8SF-0126-SM-7DUG3 60-69 years, male 105.3
GTEX-111FC-2526-SM-5GZXU 60-69 years, male 105.2
GTEX-1JN1M-2726-SM-CY8I4 60-69 years, female 105.2
GTEX-15ER7-0626-SM-6PANF 20-29 years, female 104.9
GTEX-ZPU1-1126-SM-4YCF3 40-49 years, male 104.9
GTEX-12KS4-2126-SM-5FQUT 30-39 years, male 104.8
GTEX-1JJE9-2626-SM-ARZMT 70-79 years, male 104.8
GTEX-1GTWX-2026-SM-9YFLM 60-69 years, male 104.7
GTEX-1H1CY-0126-SM-9YFLY 60-69 years, female 104.7
GTEX-1GF9W-1426-SM-7PBYM 60-69 years, male 104.6
GTEX-Y3IK-1626-SM-4YCF5 50-59 years, female 104.3
GTEX-1GPI7-1826-SM-9KNU1 20-29 years, male 104.3
GTEX-X5EB-1926-SM-4E3IW 40-49 years, male 104.2
GTEX-1H11D-1826-SM-9QEHM 40-49 years, male 104.2
GTEX-13X6I-1826-SM-5SIAO 60-69 years, male 104.0
GTEX-14JFF-0626-SM-5ZZVT 60-69 years, male 103.7
GTEX-1F75A-0726-SM-7RHHD 50-59 years, male 103.7
GTEX-1LSNM-0826-SM-DIPG8 50-59 years, male 103.7
GTEX-1PIIG-2326-SM-DTXFR 30-39 years, male 103.7
GTEX-13N2G-0226-SM-5K7VF 60-69 years, male 103.5
GTEX-XXEK-1626-SM-4BRUZ 50-59 years, male 103.5
GTEX-ZP4G-1426-SM-4WWCL 20-29 years, female 103.3
GTEX-1JMQL-2226-SM-CNPP4 50-59 years, female 103.3
GTEX-1QMI2-2526-SM-E8VNZ 60-69 years, male 103.3
GTEX-16MT9-0126-SM-7EPI8 60-69 years, female 103.2
GTEX-1HR9M-2226-SM-CNPPY 60-69 years, male 103.1
GTEX-18A7B-2726-SM-7LG56 70-79 years, male 102.9
GTEX-1QCLY-0226-SM-EWRNH 30-39 years, male 102.8
GTEX-139D8-1126-SM-5LU8W 30-39 years, female 102.6
GTEX-XBEC-0726-SM-4QARZ 50-59 years, male 102.6
GTEX-14DAR-1226-SM-73KYV 50-59 years, male 102.5
GTEX-ZA64-1026-SM-5HL8R 20-29 years, male 102.5
GTEX-1H1ZS-2726-SM-9WG75 70-79 years, male 102.5
GTEX-WK11-2726-SM-3NMAQ 50-59 years, male 102.4
GTEX-1PPGY-1626-SM-EVYBL 60-69 years, male 102.4
GTEX-11DYG-1526-SM-5A5JS 60-69 years, male 102.2
GTEX-11DXX-2126-SM-5PNYR 60-69 years, female 102.1
GTEX-1HFI7-2326-SM-CGQFS 50-59 years, female 102.1
GTEX-13NYB-0126-SM-5J1MD 40-49 years, male 101.9
GTEX-1GF9V-0826-SM-9KNUV 60-69 years, male 101.8
GTEX-1I1GP-1326-SM-A9G28 50-59 years, male 101.7
GTEX-1399U-1126-SM-5L3DB 50-59 years, female 101.1
GTEX-YB5K-2026-SM-4VDT3 40-49 years, female 101.1
GTEX-1A8FM-0626-SM-7PC25 50-59 years, female 101.0
GTEX-1JMLX-0626-SM-ARL8T 50-59 years, male 101.0
GTEX-1212Z-0126-SM-59HK4 60-69 years, male 100.7
GTEX-UPJH-0226-SM-3GADV 50-59 years, male 100.5
GTEX-14PJ6-2626-SM-6EU2T 60-69 years, female 100.4
GTEX-ZC5H-1526-SM-5HL9Y 40-49 years, female 100.3
GTEX-ZYFC-0426-SM-5GICQ 50-59 years, male 100.3
GTEX-13PVQ-0626-SM-5LU47 50-59 years, male 100.1
GTEX-1B8KE-1126-SM-7EPHI 50-59 years, male 100.1
GTEX-15D1Q-2826-SM-6LLH7 40-49 years, male 100.0
GTEX-YEC4-1826-SM-4W1YP 40-49 years, male 100.0
GTEX-1O9I2-0226-SM-EYYXD 50-59 years, male 99.9
GTEX-12WSM-1926-SM-5BC65 60-69 years, male 99.7
GTEX-1I1GS-2626-SM-B2LY3 60-69 years, male 99.6
GTEX-1OJC3-1226-SM-DTXER 20-29 years, male 99.6
GTEX-139TU-0726-SM-5L3EK 60-69 years, male 99.4
GTEX-145MN-1526-SM-5SI9T 30-39 years, male 99.4
GTEX-ZDTS-0826-SM-4WKHL 60-69 years, male 99.0
GTEX-ZT9W-1126-SM-57WDR 50-59 years, male 99.0
GTEX-13G51-1826-SM-5KLZH 60-69 years, male 98.9
GTEX-14LZ3-0126-SM-69LPM 60-69 years, female 98.9
GTEX-1JKYR-0626-SM-ARL8R 20-29 years, male 98.9
GTEX-1LB8K-0726-SM-D5OV2 50-59 years, male 98.9
GTEX-XAJ8-1426-SM-47JYM 40-49 years, male 98.7
GTEX-V1D1-2026-SM-3GAF4 50-59 years, male 98.6
GTEX-139TT-2126-SM-5LZWC 60-69 years, male 98.5
GTEX-1IDJV-0126-SM-COH3Y 60-69 years, male 98.3
GTEX-11VI4-1126-SM-5EQMD 40-49 years, female 98.2
GTEX-12696-0126-SM-5EQ4L 60-69 years, male 98.2
GTEX-1I6K6-1726-SM-CGQFD 30-39 years, male 98.2
GTEX-1LG7Y-2526-SM-EWRO7 50-59 years, male 98.2
GTEX-145MO-2826-SM-5LU96 60-69 years, male 98.1
GTEX-1HKZK-0726-SM-ACKW2 40-49 years, male 97.9
GTEX-1QW4Y-1126-SM-DTXE3 30-39 years, male 97.9
GTEX-1S3DN-2126-SM-E9TIN 50-59 years, male 97.8
GTEX-14JG6-1426-SM-9WG7C 30-39 years, female 97.7
GTEX-1J1R8-2026-SM-CL53Y 40-49 years, male 97.7
GTEX-WFG7-2026-SM-5SI7P 20-29 years, male 97.6
GTEX-ZVE2-2826-SM-5GU51 50-59 years, male 97.6
GTEX-1GF9X-1326-SM-7PC2Y 40-49 years, female 97.6
GTEX-11P81-2226-SM-5PNYI 30-39 years, female 97.5
GTEX-14PHY-1226-SM-5ZZWK 60-69 years, female 97.4
GTEX-12WSL-2026-SM-5GCML 50-59 years, male 97.2
GTEX-1GMR2-0826-SM-7PC3V 50-59 years, male 97.2
GTEX-1GMR8-0626-SM-7RHI7 50-59 years, female 97.0
GTEX-18D9B-0926-SM-7LG4U 60-69 years, male 96.9
GTEX-1CAMR-1326-SM-7PC1F 20-29 years, male 96.5
GTEX-1H1DG-2426-SM-9QEHJ 70-79 years, male 96.2
GTEX-WFON-1926-SM-3LK7L 40-49 years, male 95.9
GTEX-1HSMQ-2626-SM-A9SML 50-59 years, male 95.9
GTEX-12WSJ-1126-SM-5LZVJ 40-49 years, female 95.8
GTEX-1HSGN-0826-SM-ACKW3 40-49 years, female 95.8
GTEX-18A67-1626-SM-7LT9T 50-59 years, male 95.7
GTEX-13OVK-1426-SM-6PAN7 40-49 years, male 95.6
GTEX-1AMFI-1326-SM-7939R 50-59 years, female 95.6
GTEX-1LVAO-2726-SM-E9TJ8 60-69 years, male 95.6
GTEX-1211K-1526-SM-5FQU4 60-69 years, female 95.3
GTEX-1H1E6-0426-SM-9WYUS 30-39 years, male 95.3
GTEX-1R9PN-0426-SM-DTXDT 40-49 years, female 95.3
GTEX-1I1HK-2326-SM-CKZOH 60-69 years, male 95.1
GTEX-11DXZ-2026-SM-5987S 50-59 years, male 95.0
GTEX-14ABY-2026-SM-62LDL 50-59 years, male 95.0
GTEX-XYKS-1426-SM-4BRUO 60-69 years, female 94.9
GTEX-1HCVE-2726-SM-CL54F 50-59 years, male 94.7
GTEX-1F75B-0726-SM-7PC3R 50-59 years, male 94.6
GTEX-1OJC4-2726-SM-E76PJ 50-59 years, female 94.6
GTEX-1EX96-1026-SM-7MKG2 50-59 years, male 94.5
GTEX-1CAV2-0126-SM-7IGN7 40-49 years, female 94.3
GTEX-12ZZY-0726-SM-5EQ66 60-69 years, male 94.2
GTEX-WY7C-2126-SM-3NB2R 50-59 years, male 94.2
GTEX-13X6J-0626-SM-5LU5F 50-59 years, male 94.0
GTEX-1F75I-2226-SM-7SB8U 40-49 years, male 94.0
GTEX-1B996-0426-SM-7EWF8 60-69 years, male 93.9
GTEX-17F96-0126-SM-7EWDU 70-79 years, male 93.8
GTEX-14E6E-0526-SM-793DN 30-39 years, male 93.7
GTEX-12WSF-1626-SM-7KUG5 70-79 years, male 93.5
GTEX-14PJN-1826-SM-6AJ98 30-39 years, male 93.5
GTEX-1GZ4H-0526-SM-9KNU9 50-59 years, female 93.5
GTEX-WRHU-2826-SM-3MJG8 50-59 years, female 93.2
GTEX-1IOXB-2726-SM-CM2RI 50-59 years, male 93.2
GTEX-146FQ-2126-SM-5RQHU 30-39 years, male 93.1
GTEX-1B933-2426-SM-7DHMD 50-59 years, female 93.1
GTEX-1CAMS-2226-SM-7PBXQ 40-49 years, female 93.0
GTEX-X4EP-0626-SM-3P621 60-69 years, female 92.9
GTEX-11WQK-1026-SM-5EQLX 50-59 years, male 92.8
GTEX-1CB4E-0926-SM-7EPHT 60-69 years, male 92.8
GTEX-1KXAM-1626-SM-D3LAD 60-69 years, male 92.8
GTEX-13PVR-0426-SM-5RQK2 60-69 years, female 92.7
GTEX-ZDXO-3126-SM-5IJDF 60-69 years, male 92.7
GTEX-1IKJJ-2226-SM-CJI4C 60-69 years, male 92.7
GTEX-13O3Q-0126-SM-5KM34 50-59 years, male 92.6
GTEX-1EU9M-1426-SM-793AI 60-69 years, male 92.6
GTEX-WEY5-2326-SM-3GIKK 40-49 years, female 92.5
GTEX-13FTW-0326-SM-5K7UW 40-49 years, male 92.4
GTEX-Y114-2126-SM-4TT8B 50-59 years, female 92.3
GTEX-1B8L1-2226-SM-7P8PT 60-69 years, male 92.1
GTEX-1RLM8-2926-SM-E8VON 50-59 years, male 92.1
GTEX-14BMU-1226-SM-5S2OR 20-29 years, female 92.0
GTEX-X4EO-2926-SM-4E3JH 60-69 years, female 92.0
GTEX-111YS-1526-SM-5GZYW 60-69 years, male 91.6
GTEX-147F3-1726-SM-5SIAW 50-59 years, female 91.6
GTEX-1K2DA-1026-SM-CGQGF 50-59 years, male 91.5
GTEX-15DYW-2726-SM-6EU2I 60-69 years, female 91.3
GTEX-XV7Q-1826-SM-4BRUV 40-49 years, female 91.3
GTEX-147JS-0226-SM-5S2U9 60-69 years, male 91.1
GTEX-1S82P-2126-SM-E6CI5 60-69 years, female 91.1
GTEX-Y5LM-0926-SM-6LLJG 40-49 years, female 91.0
GTEX-17KNJ-2126-SM-718AM 50-59 years, male 90.9
GTEX-1HSKV-1226-SM-ADEI4 60-69 years, male 90.9
GTEX-Y5V5-0126-SM-5S2NW 60-69 years, female 90.5
GTEX-1GN1U-0626-SM-9MQL9 50-59 years, female 90.1
GTEX-1KD5A-0126-SM-E9U54 50-59 years, male 90.1
GTEX-13113-1626-SM-5EQ4I 60-69 years, female 89.8
GTEX-15EU6-2226-SM-6EU2L 50-59 years, male 89.7
GTEX-16NPX-0726-SM-7KULC 50-59 years, male 89.7
GTEX-18A7A-0126-SM-731AH 50-59 years, female 89.7
GTEX-18D9U-0126-SM-731BM 40-49 years, male 89.7
GTEX-1HGF4-0126-SM-CNPPX 60-69 years, male 89.7
GTEX-1CB4H-1126-SM-7MKGL 60-69 years, female 89.6
GTEX-1HCU9-0426-SM-9WYSD 20-29 years, male 89.6
GTEX-1JMPY-0226-SM-CKZOK 30-39 years, male 89.6
GTEX-1IDJU-1726-SM-CMKHU 60-69 years, female 89.5
GTEX-1QEPI-2626-SM-DTXF4 60-69 years, female 89.5
GTEX-18A6Q-0626-SM-7KFRP 60-69 years, male 89.3
GTEX-1EWIQ-0326-SM-7DHMQ 70-79 years, female 89.3
GTEX-11LCK-2226-SM-5HL4Q 30-39 years, male 89.1
GTEX-1KANC-1226-SM-CYPT7 50-59 years, female 89.1
GTEX-1R7EU-1626-SM-DTXG3 60-69 years, male 88.9
GTEX-1MCC2-1826-SM-DIPEX 30-39 years, female 88.6
GTEX-1RB15-1326-SM-E76Q9 60-69 years, male 88.3
GTEX-13D11-0926-SM-5J2NC 50-59 years, female 88.2
GTEX-145LT-0526-SM-5LUB2 40-49 years, male 88.2
GTEX-11ZTT-2126-SM-5CVLO 60-69 years, female 88.1
GTEX-1AX9I-2226-SM-73KUO 60-69 years, male 88.1
GTEX-1H4P4-2126-SM-9WYSL 50-59 years, male 88.0
GTEX-1IDJI-0126-SM-CMKHS 50-59 years, female 88.0
GTEX-13JUV-2026-SM-5K7UA 40-49 years, female 87.8
GTEX-139YR-1026-SM-5LZYN 50-59 years, male 87.7
GTEX-1F52S-2926-SM-7MKGA 60-69 years, female 87.7
GTEX-ZAK1-0626-SM-5HL8E 50-59 years, female 87.6
GTEX-ZYVF-0926-SM-5E44J 50-59 years, female 87.6
GTEX-1JKYN-0826-SM-ARU8S 30-39 years, male 87.6
GTEX-1K2DU-1226-SM-CYPT4 20-29 years, male 87.6
GTEX-1JN6P-2926-SM-CL54D 60-69 years, male 87.5
GTEX-183FY-1026-SM-7939A 20-29 years, male 87.4
GTEX-1IE54-1126-SM-A9G2Z 40-49 years, female 87.4
GTEX-13FH7-1126-SM-5K7UG 50-59 years, female 87.3
GTEX-13VXU-0626-SM-5L3F9 50-59 years, male 87.1
GTEX-131XW-0626-SM-5PNVD 50-59 years, female 87.0
GTEX-11P82-1426-SM-DTXFY 20-29 years, male 87.0
GTEX-14B4R-1326-SM-5Q5EZ 30-39 years, male 86.9
GTEX-1JMPZ-0726-SM-CY8HZ 30-39 years, male 86.9
GTEX-14BMV-2826-SM-5TDED 50-59 years, male 86.7
GTEX-1KWVE-1026-SM-D3L9O 30-39 years, male 86.6
GTEX-1LGOU-1326-SM-D3L8M 20-29 years, female 86.6
GTEX-1R9PM-1926-SM-EVR3O 20-29 years, male 86.4
GTEX-11EM3-1226-SM-5N9DD 20-29 years, female 86.3
GTEX-12WSD-0626-SM-5GCMW 60-69 years, female 86.3
GTEX-XPVG-2126-SM-4B667 50-59 years, male 86.2
GTEX-YF7O-1526-SM-5IFI6 50-59 years, male 86.2
GTEX-13QBU-1226-SM-5LU4G 40-49 years, female 85.8
GTEX-YEC3-1326-SM-DO92X 50-59 years, male 85.8
GTEX-14AS3-1526-SM-5Q5ED 40-49 years, female 85.6
GTEX-11NSD-0626-SM-5A5LU 20-29 years, male 85.5
GTEX-1QAET-0326-SM-EVR3U 50-59 years, male 85.2
GTEX-15FZZ-0526-SM-7KUGD 30-39 years, female 85.1
GTEX-1QP29-1826-SM-DTX9S 50-59 years, male 85.1
GTEX-1HC8U-1326-SM-9YFMJ 40-49 years, female 85.0
GTEX-ZPIC-0526-SM-DO91W 40-49 years, female 85.0
GTEX-1477Z-0326-SM-7IGLA 60-69 years, male 84.5
GTEX-11P7K-1126-SM-5HL4L 30-39 years, male 84.4
GTEX-16BQI-1326-SM-6M486 30-39 years, female 84.4
GTEX-1CB4F-1026-SM-7DUH1 60-69 years, male 84.4
GTEX-1E1VI-0326-SM-793D1 50-59 years, male 84.4
GTEX-Y8LW-1526-SM-5IFHL 50-59 years, female 84.4
GTEX-1L5NE-1126-SM-D3L9P 50-59 years, male 84.4
GTEX-1LSNL-2726-SM-E9TKJ 50-59 years, male 84.4
GTEX-11TT1-1826-SM-5EQLV 20-29 years, male 84.3
GTEX-1A3MV-1826-SM-731CD 30-39 years, male 84.3
GTEX-1F6I4-2326-SM-7RHGL 60-69 years, male 84.3
GTEX-1N5O9-0926-SM-E9J3C 60-69 years, male 84.3
GTEX-1N2DV-1526-SM-DTXEP 40-49 years, male 84.0
GTEX-1399R-1326-SM-5PNYS 30-39 years, male 83.2
GTEX-14PHX-2226-SM-6EU2P 50-59 years, male 83.2
GTEX-1JMQK-1226-SM-D4P2S 60-69 years, male 83.2
GTEX-1CB4I-0126-SM-7RHGG 50-59 years, male 83.0
GTEX-1I1CD-0626-SM-CE6SW 60-69 years, female 82.9
GTEX-11GSP-2326-SM-5HL63 60-69 years, female 82.8
GTEX-1C6VR-0126-SM-7RHGB 60-69 years, male 82.8
GTEX-1J8QM-2426-SM-A9SLS 60-69 years, female 82.7
GTEX-1A3MW-0626-SM-731CB 60-69 years, female 82.4
GTEX-12WSA-0426-SM-5EQ5X 60-69 years, male 82.3
GTEX-1HBPI-2126-SM-ARL9K 50-59 years, male 82.3
GTEX-17EVQ-0126-SM-7IGLR 70-79 years, male 82.2
GTEX-X3Y1-2026-SM-3P5YM 40-49 years, male 82.2
GTEX-1IDJC-1526-SM-B2LW4 50-59 years, male 82.1
GTEX-1AYD5-2626-SM-7PBXY 50-59 years, male 82.0
GTEX-14PJ2-0626-SM-6LLII 50-59 years, male 81.8
GTEX-13NZ9-2626-SM-5L3FK 50-59 years, male 81.7
GTEX-15RJ7-2126-SM-6PAMD 40-49 years, male 81.3
GTEX-1RAZR-2126-SM-E9U6T 40-49 years, male 81.3
GTEX-16NGA-0726-SM-731AO 40-49 years, female 81.0
GTEX-1GPI6-1926-SM-9KNV7 60-69 years, male 81.0
GTEX-15CHC-1126-SM-6LLHQ 60-69 years, female 80.7
GTEX-ZVTK-0226-SM-51MRG 20-29 years, male 80.7
GTEX-ZZ64-1026-SM-5GZXG 20-29 years, male 80.7
GTEX-1J1OQ-0126-SM-D4P2N 40-49 years, female 80.7
GTEX-1J8Q3-0526-SM-ARL8U 60-69 years, male 80.7
GTEX-ZVP2-0326-SM-57WBP 50-59 years, male 80.6
GTEX-1GN1W-2426-SM-9KNUU 50-59 years, female 80.4
GTEX-16Z82-2626-SM-7KULU 60-69 years, male 80.2
GTEX-Y8E4-2026-SM-5IFJB 40-49 years, male 80.2
GTEX-1B932-2326-SM-79OL5 40-49 years, female 80.1
GTEX-1RAZA-2226-SM-E9U4X 20-29 years, male 79.9
GTEX-WYJK-0526-SM-3NM8Z 50-59 years, male 79.4
GTEX-1F5PL-0926-SM-7PC2W 40-49 years, female 79.3
GTEX-WFG8-2126-SM-3GIKQ 20-29 years, male 79.1
GTEX-1IDJD-2326-SM-ACKWX 30-39 years, male 79.1
GTEX-1QP66-1226-SM-DTX7U 50-59 years, male 79.1
GTEX-12WSC-2826-SM-5BC5Y 50-59 years, male 78.8
GTEX-1I6K7-1926-SM-B2LXR 40-49 years, male 78.8
GTEX-1I4MK-0126-SM-CY8G6 50-59 years, female 78.6
GTEX-15CHR-1126-SM-7EWF4 50-59 years, male 78.3
GTEX-1PDJ9-1226-SM-EXUSX 20-29 years, male 78.2
GTEX-YJ8O-2526-SM-5HL85 40-49 years, female 78.0
GTEX-1A3MX-2626-SM-7PC24 60-69 years, male 77.9
GTEX-ZLWG-0826-SM-59888 50-59 years, female 77.5
GTEX-1IDJE-1426-SM-ADEIW 50-59 years, female 77.2
GTEX-11EI6-2826-SM-5H11D 60-69 years, male 76.8
GTEX-17HGU-2326-SM-7DUFE 50-59 years, male 76.8
GTEX-183WM-0326-SM-72D5V 70-79 years, female 76.3
GTEX-14PJO-2526-SM-6AJBQ 60-69 years, male 76.2
GTEX-1497J-0226-SM-5QGPU 60-69 years, male 76.1
GTEX-13OW8-1026-SM-5J1NQ 60-69 years, male 75.9
GTEX-WHPG-2626-SM-3NMBR 50-59 years, male 75.5
GTEX-1K9T9-1526-SM-DIPFR 50-59 years, female 75.4
GTEX-1H1DE-1326-SM-9KNUG 20-29 years, male 75.2
GTEX-13X6K-0626-SM-5LU5D 60-69 years, female 75.0
GTEX-1LG7Z-1626-SM-CXKYR 30-39 years, male 75.0
GTEX-1ICG6-1226-SM-A9SLN 70-79 years, female 74.7
GTEX-1J8JJ-0626-SM-ARZMQ 60-69 years, female 73.5
GTEX-1LVAM-0726-SM-E6CIL 50-59 years, female 73.5
GTEX-1IDJF-2026-SM-CL53V 20-29 years, male 73.1
GTEX-17HG3-2626-SM-7DUF2 30-39 years, female 73.0
GTEX-12C56-1526-SM-5FQUQ 20-29 years, male 72.9
GTEX-1GL5R-1326-SM-7RHHF 50-59 years, male 72.7
GTEX-13OVG-1626-SM-5J1NF 60-69 years, male 72.5
GTEX-1AX8Z-0726-SM-73KTS 60-69 years, male 72.4
GTEX-1A32A-0626-SM-731AQ 50-59 years, female 71.5
GTEX-1JMQI-1726-SM-ARL93 50-59 years, male 71.4
GTEX-1F48J-0726-SM-7RHGS 50-59 years, female 70.7
GTEX-131XF-2626-SM-5EQ6K 60-69 years, male 70.2
GTEX-ZUA1-2626-SM-5NQ92 40-49 years, male 69.6
GTEX-1AX9J-1326-SM-731BJ 60-69 years, male 69.5
GTEX-1C475-1326-SM-7SB73 40-49 years, female 69.4
GTEX-1QCLZ-2426-SM-EVYBW 60-69 years, female 69.3
GTEX-18A66-0626-SM-7LT8Z 60-69 years, male 69.1
GTEX-1C64O-1326-SM-7MGWR 60-69 years, male 68.4
GTEX-1F75W-2726-SM-7SB8H 60-69 years, male 67.5
GTEX-WYVS-1626-SM-3NM9R 40-49 years, female 67.0
GTEX-1H3NZ-2726-SM-9WYTQ 60-69 years, male 66.7
GTEX-132AR-0326-SM-5KM2C 50-59 years, female 66.3
GTEX-1JMOU-1026-SM-CYPSS 60-69 years, female 66.2
GTEX-1HUB1-1426-SM-CGQF5 60-69 years, male 66.1
GTEX-11DZ1-2426-SM-5GZZX 50-59 years, male 65.9
GTEX-11GS4-0226-SM-5HL77 60-69 years, male 65.8
GTEX-178AV-1726-SM-7KUL8 40-49 years, male 65.4
GTEX-16GPK-0626-SM-7KFSF 60-69 years, male 65.2
GTEX-13U4I-2226-SM-5LU5H 40-49 years, female 64.9
GTEX-1B8KZ-0326-SM-73KY4 50-59 years, male 64.9
GTEX-W5X1-2526-SM-3GILC 40-49 years, female 64.9
GTEX-1IY9M-2826-SM-ARU8H 60-69 years, male 64.8
GTEX-13N11-2326-SM-5IJBF 50-59 years, female 64.3
GTEX-1GF9U-2026-SM-7SB92 40-49 years, female 60.5
GTEX-17MF6-2626-SM-79OKQ 40-49 years, male 58.1
GTEX-VJYA-1526-SM-3GIJV 60-69 years, male 57.0
GTEX-17JCI-2926-SM-7DUFF 60-69 years, female 52.1
GTEX-1F6IF-0926-SM-7SB7M 60-69 years, male 51.6
GTEX-1HCU8-2526-SM-CE6RX 60-69 years, female 48.5
Show allShow less
Skin - Sun Exposed (Lower leg)
Average nTPM: 100.4
Samples: 701

Max nTPM: 295.7
Min nTPM: 46.6
Std nTPM: 26.2
Median nTPM: 96.6
GTEX-14E6C-0126-SM-5RQIP 40-49 years, male 295.7
GTEX-SE5C-1626-SM-2XCE3 40-49 years, female 248.8
GTEX-15UF6-0826-SM-6PALJ 70-79 years, female 234.3
GTEX-1F6RS-0126-SM-9MQKZ 60-69 years, female 199.6
GTEX-15SB6-1726-SM-6PAME 50-59 years, female 193.1
GTEX-1GMR3-1926-SM-9KNUZ 40-49 years, male 189.4
GTEX-T2YK-0526-SM-32QPJ 50-59 years, male 185.2
GTEX-13NYS-0126-SM-5MR3W 60-69 years, male 183.5
GTEX-OIZH-0126-SM-2HMIS 50-59 years, male 180.3
GTEX-QESD-1426-SM-2S1R9 20-29 years, male 179.7
GTEX-O5YT-0126-SM-48TBW 20-29 years, male 179.3
GTEX-145LT-1726-SM-5QGP3 40-49 years, male 171.8
GTEX-13PDP-0126-SM-5L3HD 60-69 years, male 170.7
GTEX-1JN1M-0326-SM-CYPT3 60-69 years, female 170.5
GTEX-13NZ8-0826-SM-5MR3I 60-69 years, female 168.0
GTEX-WI4N-1026-SM-3LK7N 40-49 years, female 167.6
GTEX-11UD2-0226-SM-5EQKY 50-59 years, male 164.1
GTEX-1122O-2126-SM-5EGIR 60-69 years, female 163.8
GTEX-ZXES-1826-SM-5E43S 30-39 years, female 162.4
GTEX-X261-0126-SM-3NMD6 50-59 years, male 161.5
GTEX-14753-0426-SM-5NQAM 60-69 years, male 161.2
GTEX-NPJ8-0126-SM-2YUNR 40-49 years, male 158.3
GTEX-OHPL-0126-SM-2HMJ7 60-69 years, female 156.9
GTEX-ZVZP-2426-SM-59HKJ 50-59 years, male 156.1
GTEX-ZU9S-0226-SM-5E441 30-39 years, male 155.4
GTEX-1PDJ9-0326-SM-DTX95 20-29 years, male 155.0
GTEX-UJHI-1526-SM-3DB99 50-59 years, female 154.6
GTEX-1OFPY-2426-SM-DTXEJ 60-69 years, male 154.6
GTEX-ZAJG-0126-SM-5HL94 50-59 years, female 154.1
GTEX-117XS-2726-SM-5N9BL 60-69 years, male 153.2
GTEX-ZV6S-2326-SM-4YCEY 40-49 years, female 150.4
GTEX-XBEW-0626-SM-4QASP 40-49 years, male 149.7
GTEX-S95S-1226-SM-4GICG 60-69 years, male 148.8
GTEX-12126-0326-SM-5PNW3 20-29 years, male 148.4
GTEX-RVPV-0126-SM-EAZAW 60-69 years, male 147.8
GTEX-1GN2E-0426-SM-9MQKX 60-69 years, male 145.5
GTEX-ZVZO-0126-SM-5A5L9 40-49 years, male 144.1
GTEX-1L5NE-2526-SM-E6CIE 50-59 years, male 144.0
GTEX-14ICK-0226-SM-6EU25 40-49 years, male 143.8
GTEX-14A5H-0426-SM-5QGQF 60-69 years, male 143.7
GTEX-15EOM-0126-SM-7KUGG 20-29 years, female 142.9
GTEX-1GF9W-0326-SM-9KNUN 60-69 years, male 142.1
GTEX-ZVT2-2526-SM-51MT1 50-59 years, female 141.9
GTEX-13NZB-2526-SM-5J1OM 30-39 years, male 141.3
GTEX-OXRN-0126-SM-48TDM 50-59 years, male 139.9
GTEX-145MI-0526-SM-5O9A8 60-69 years, female 139.8
GTEX-ZE7O-0126-SM-57WC1 50-59 years, female 139.5
GTEX-OIZG-0726-SM-33HBL 50-59 years, male 139.3
GTEX-WFON-2126-SM-3LK7O 40-49 years, male 138.8
GTEX-1GF9V-0326-SM-7RHI5 60-69 years, male 138.2
GTEX-131XE-2326-SM-5PNZ2 50-59 years, male 138.1
GTEX-T5JC-0426-SM-32PLO 20-29 years, male 137.7
GTEX-P4QT-0126-SM-2I3FL 50-59 years, female 137.6
GTEX-T6MO-1626-SM-32QOM 40-49 years, female 137.6
GTEX-S7SE-0126-SM-2XCD5 50-59 years, male 137.3
GTEX-1RB15-2126-SM-E9TIM 60-69 years, male 137.1
GTEX-X4XX-0126-SM-3NMC2 60-69 years, male 136.2
GTEX-ZTX8-1426-SM-5DUVO 20-29 years, male 136.0
GTEX-TSE9-0126-SM-3DB83 60-69 years, female 134.6
GTEX-XQ8I-0426-SM-4BOPO 50-59 years, male 134.2
GTEX-15ETS-0126-SM-7KUMW 40-49 years, female 134.1
GTEX-11DYG-0126-SM-59883 60-69 years, male 134.0
GTEX-1GZ2Q-0226-SM-7P8TL 40-49 years, male 133.8
GTEX-1JMQL-0226-SM-CNPP5 50-59 years, female 133.6
GTEX-13OVK-2026-SM-7KUEO 40-49 years, male 133.5
GTEX-U8XE-0326-SM-3DB8P 30-39 years, male 133.5
GTEX-14XAO-2326-SM-6EU1B 60-69 years, female 133.2
GTEX-1LVAN-0226-SM-COH3S 50-59 years, female 133.2
GTEX-WQUQ-0426-SM-3MJFU 60-69 years, male 133.1
GTEX-11EQ9-2426-SM-5HL5T 30-39 years, male 133.0
GTEX-ZYFG-2326-SM-5E44B 60-69 years, female 132.7
GTEX-145ME-1826-SM-5SI9G 40-49 years, female 132.6
GTEX-TMZS-0126-SM-3DB9Q 60-69 years, male 132.4
GTEX-X4EP-0126-SM-3P5YV 60-69 years, female 132.1
GTEX-131XG-2626-SM-5KM17 50-59 years, female 131.9
GTEX-1399U-2326-SM-5K7WY 50-59 years, female 131.4
GTEX-1PPH7-2326-SM-EVYB8 40-49 years, male 131.2
GTEX-145LS-0126-SM-5QGP1 60-69 years, female 131.1
GTEX-16MT8-0426-SM-7KUEY 60-69 years, female 131.1
GTEX-U8T8-0126-SM-3DB94 60-69 years, male 130.8
GTEX-XAJ8-0826-SM-47JY6 40-49 years, male 130.4
GTEX-12ZZZ-0626-SM-5DUXI 60-69 years, male 130.3
GTEX-WVJS-0126-SM-4MVOT 50-59 years, male 130.3
GTEX-17JCI-0126-SM-7LG5G 60-69 years, female 129.2
GTEX-U412-0426-SM-3DB9O 60-69 years, male 129.2
GTEX-1N2EF-0226-SM-EYYXB 60-69 years, male 129.0
GTEX-13PVR-2326-SM-5QGR1 60-69 years, female 128.9
GTEX-P4PP-0126-SM-3LK69 30-39 years, female 128.7
GTEX-1K2DU-2326-SM-E9TIV 20-29 years, male 128.4
GTEX-18D9A-1926-SM-7LG6P 30-39 years, female 127.9
GTEX-14PK6-1926-SM-6ETZU 70-79 years, female 127.7
GTEX-1H4P4-0726-SM-9YFLR 50-59 years, male 127.6
GTEX-13RTK-1426-SM-5QGQJ 20-29 years, male 127.4
GTEX-YJ8A-0426-SM-5IFID 20-29 years, male 126.8
GTEX-1CAMR-1926-SM-7EPI2 20-29 years, male 126.7
GTEX-1R7EV-2426-SM-EVYBG 40-49 years, male 126.5
GTEX-13FTX-1826-SM-5J1NX 20-29 years, female 126.1
GTEX-SNMC-1226-SM-2XCFP 20-29 years, male 126.1
GTEX-1HSMO-0126-SM-CL547 60-69 years, male 125.8
GTEX-NFK9-0226-SM-2HMKQ 40-49 years, male 125.7
GTEX-1B996-0226-SM-7RHGO 60-69 years, male 125.5
GTEX-1MJK2-0426-SM-DTXE5 50-59 years, male 125.0
GTEX-ZF2S-2326-SM-4WWCE 50-59 years, female 124.6
GTEX-12WSA-0226-SM-5BC5V 60-69 years, male 124.5
GTEX-1LGOU-2026-SM-DIPFF 20-29 years, female 124.5
GTEX-WYJK-0126-SM-3NMAB 50-59 years, male 124.3
GTEX-111FC-0126-SM-5N9DL 60-69 years, male 124.1
GTEX-13O3P-0126-SM-5KM4S 50-59 years, male 124.1
GTEX-1R46S-0626-SM-E9J41 60-69 years, female 123.6
GTEX-Y5LM-1926-SM-5RQJH 40-49 years, female 123.4
GTEX-ZTSS-1926-SM-57WEW 40-49 years, male 123.1
GTEX-1I1GV-0526-SM-A9G29 60-69 years, male 122.9
GTEX-1MCQQ-0826-SM-DLHC2 60-69 years, male 122.4
GTEX-145MN-2226-SM-5SIAU 30-39 years, male 122.2
GTEX-WRHK-1426-SM-3MJF9 20-29 years, female 122.1
GTEX-Y5V6-2426-SM-4VDSB 60-69 years, male 122.0
GTEX-13O3Q-2426-SM-5IJBR 50-59 years, male 121.7
GTEX-11UD1-0126-SM-5PNYG 40-49 years, female 121.6
GTEX-13VXU-0126-SM-5SI9F 50-59 years, male 121.5
GTEX-1PIIG-0226-SM-EWRN6 30-39 years, male 121.5
GTEX-11ZTS-0126-SM-5EQ6M 60-69 years, female 121.2
GTEX-XPVG-2626-SM-4B669 50-59 years, male 121.2
GTEX-1A32A-0126-SM-718B1 50-59 years, female 120.7
GTEX-14BMU-2226-SM-5TDE9 20-29 years, female 120.6
GTEX-139TS-2826-SM-5J1OO 60-69 years, male 120.4
GTEX-12WSE-0526-SM-793B2 20-29 years, male 119.9
GTEX-QV44-1926-SM-2S1RF 50-59 years, male 119.9
GTEX-1IOXB-0126-SM-ARL8G 50-59 years, male 119.4
GTEX-1B8SF-1426-SM-7DUGL 60-69 years, male 119.3
GTEX-1O97I-0326-SM-EYYX7 60-69 years, male 119.3
GTEX-1HCUA-2426-SM-ADEIS 50-59 years, female 119.1
GTEX-14JG1-0426-SM-6ETZZ 40-49 years, male 118.8
GTEX-PSDG-0226-SM-DKPOZ 50-59 years, male 118.8
GTEX-145MO-0326-SM-5Q5B3 60-69 years, male 118.7
GTEX-18QFQ-0126-SM-731BE 30-39 years, male 118.5
GTEX-OHPM-0126-SM-2YUN9 50-59 years, male 118.3
GTEX-111VG-2426-SM-5GZXD 60-69 years, male 118.2
GTEX-POMQ-2226-SM-2I5FK 20-29 years, female 117.5
GTEX-15RIG-0226-SM-7KFTL 40-49 years, male 117.4
GTEX-131XF-5016-SM-7MGWE 60-69 years, male 117.3
GTEX-1GTWX-0126-SM-9YFLK 60-69 years, male 116.9
GTEX-13O21-1426-SM-5K7XI 50-59 years, male 116.7
GTEX-1A3MX-0126-SM-731BR 60-69 years, male 116.7
GTEX-ZVT4-0126-SM-DTXFN 50-59 years, female 116.7
GTEX-14PII-0226-SM-6EU1T 60-69 years, male 116.4
GTEX-1LBAC-0126-SM-DIPEZ 20-29 years, male 116.3
GTEX-1MA7W-2026-SM-E9TJ6 20-29 years, female 116.3
GTEX-X8HC-0126-SM-4E3JW 50-59 years, female 116.2
GTEX-XQ3S-1526-SM-4BOOC 20-29 years, male 116.2
GTEX-13NYB-2526-SM-5K7Z6 40-49 years, male 115.9
GTEX-Y3IK-2426-SM-4WWDU 50-59 years, female 115.8
GTEX-1497J-2426-SM-7IGNX 60-69 years, male 115.6
GTEX-1KXAM-2226-SM-CYPTC 60-69 years, male 115.1
GTEX-ZWKS-0126-SM-5SIAA 30-39 years, male 115.0
GTEX-1H1CY-2826-SM-9MQM3 60-69 years, female 114.9
GTEX-13SLW-0126-SM-5SI6C 70-79 years, male 114.7
GTEX-17GQL-2026-SM-718BA 60-69 years, male 114.7
GTEX-11TUW-2726-SM-E9J4M 60-69 years, male 114.7
GTEX-15SHU-0126-SM-7KUEH 40-49 years, female 114.3
GTEX-P4PQ-0126-SM-2S1NM 60-69 years, male 114.3
GTEX-1LH75-2426-SM-E9TJE 50-59 years, female 114.3
GTEX-TMMY-0226-SM-33HBA 40-49 years, female 114.1
GTEX-PWCY-1826-SM-DHXIZ 20-29 years, female 114.1
GTEX-ZGAY-0526-SM-4WWBB 40-49 years, female 113.6
GTEX-Q2AH-1626-SM-3GAF8 40-49 years, male 113.5
GTEX-11OC5-0126-SM-5HL6A 60-69 years, male 113.4
GTEX-17EVQ-0226-SM-7LG4P 70-79 years, male 113.3
GTEX-SUCS-1926-SM-32PM3 70-79 years, male 113.0
GTEX-1399T-2826-SM-5KLYZ 60-69 years, male 112.8
GTEX-1HSEH-0126-SM-ACKXN 60-69 years, male 112.8
GTEX-14PN4-0126-SM-6EU2V 50-59 years, male 112.7
GTEX-1H23P-0126-SM-ADEJ3 60-69 years, male 112.7
GTEX-1QMI2-0226-SM-EVYBX 60-69 years, male 112.7
GTEX-1JMQI-2226-SM-CM2SD 50-59 years, male 112.6
GTEX-1212Z-2526-SM-5EGKP 60-69 years, male 111.9
GTEX-1CAMS-0426-SM-7P8T2 40-49 years, female 111.6
GTEX-O5YW-0126-SM-3LK6D 50-59 years, male 111.5
GTEX-1313W-0126-SM-5LZUN 50-59 years, female 111.2
GTEX-1J8EW-0126-SM-CJI4F 60-69 years, female 111.2
GTEX-OOBK-0126-SM-2YUND 40-49 years, male 111.1
GTEX-133LE-1826-SM-5J1MV 20-29 years, female 111.0
GTEX-1C64N-0126-SM-793D7 50-59 years, male 111.0
GTEX-T8EM-1026-SM-3DB7M 40-49 years, male 111.0
GTEX-Y8DK-0126-SM-4TT3L 60-69 years, male 111.0
GTEX-1BAJH-0526-SM-793CQ 70-79 years, male 110.8
GTEX-131YS-0126-SM-5KM1M 60-69 years, female 110.7
GTEX-ZE9C-2726-SM-57WB5 60-69 years, male 110.5
GTEX-1GF9U-2126-SM-7SB7L 40-49 years, female 110.5
GTEX-14DAR-2026-SM-5S2O3 50-59 years, male 110.3
GTEX-1QPFJ-0226-SM-E76PB 30-39 years, female 110.2
GTEX-117YX-2326-SM-5H12W 50-59 years, male 110.1
GTEX-1M5QR-1226-SM-EWROB 40-49 years, male 109.9
GTEX-1211K-2026-SM-5EQ4Z 60-69 years, female 109.7
GTEX-14BIM-0226-SM-7IGLD 60-69 years, female 109.6
GTEX-1JMLX-0226-SM-CM2RO 50-59 years, male 109.5
GTEX-1PFEY-1526-SM-E76PP 30-39 years, male 109.4
GTEX-12ZZX-0126-SM-5EGK9 40-49 years, female 109.3
GTEX-13FTW-2626-SM-5K7WL 40-49 years, male 109.3
GTEX-1B97I-1626-SM-73KYO 40-49 years, male 109.3
GTEX-1QP9N-1426-SM-DTXFL 30-39 years, male 109.2
GTEX-139D8-0226-SM-5KLZO 30-39 years, female 108.3
GTEX-ZYFD-0126-SM-5GIDL 50-59 years, male 108.3
GTEX-13D11-2426-SM-5KM1V 50-59 years, female 108.2
GTEX-145MF-0626-SM-5LUAI 50-59 years, male 108.1
GTEX-PX3G-0126-SM-2I3EN 20-29 years, female 108.1
GTEX-ZDTT-2726-SM-4WKF8 60-69 years, male 107.9
GTEX-1JKYN-1326-SM-CGQG9 30-39 years, male 107.9
GTEX-1C6VQ-0126-SM-7P8RI 50-59 years, male 107.8
GTEX-13OW6-0426-SM-5L3HM 50-59 years, male 107.7
GTEX-1IDJH-0326-SM-A9SLQ 70-79 years, male 107.7
GTEX-1E1VI-0126-SM-7DHMZ 50-59 years, male 107.6
GTEX-1H1DG-0126-SM-9WYU2 70-79 years, male 107.6
GTEX-1OJC3-0126-SM-E76QX 20-29 years, male 107.5
GTEX-VUSG-2526-SM-4KL1V 50-59 years, male 107.4
GTEX-1K2DA-1826-SM-CGQGT 50-59 years, male 107.4
GTEX-16GPK-0126-SM-7DHLE 60-69 years, male 107.3
GTEX-1GN73-0226-SM-9WG67 60-69 years, male 107.2
GTEX-17F96-1626-SM-7DUFL 70-79 years, male 107.0
GTEX-1LB8K-0226-SM-EWRNW 50-59 years, male 106.9
GTEX-1LGRB-2526-SM-CNPPQ 50-59 years, female 106.8
GTEX-YJ89-0126-SM-4TT3X 60-69 years, male 106.4
GTEX-1I1GT-0626-SM-CGQER 60-69 years, female 106.3
GTEX-1CAMQ-0226-SM-7IGPK 40-49 years, male 106.1
GTEX-1HCU7-0226-SM-CL545 50-59 years, male 106.1
GTEX-1MCYP-1926-SM-E9J2R 20-29 years, female 106.1
GTEX-RTLS-0126-SM-447CA 60-69 years, female 106.0
GTEX-ZY6K-1826-SM-5GZXK 50-59 years, male 105.9
GTEX-WH7G-2326-SM-3NMBC 40-49 years, male 105.8
GTEX-13113-5016-SM-7EPIP 60-69 years, female 105.7
GTEX-QDVN-2026-SM-3GAEP 50-59 years, male 105.7
GTEX-15EU6-0426-SM-6PAN5 50-59 years, male 105.6
GTEX-ZZ64-1726-SM-5GZYB 20-29 years, male 105.6
GTEX-1HFI6-0226-SM-ADEHZ 40-49 years, male 105.6
GTEX-13W3W-2426-SM-5LU5B 60-69 years, female 105.3
GTEX-14E6E-1826-SM-5S2R7 30-39 years, male 105.3
GTEX-1J8Q2-0526-SM-CM2RW 60-69 years, male 105.2
GTEX-1S83E-0126-SM-EWRO4 40-49 years, male 105.2
GTEX-12584-0126-SM-5EGKQ 40-49 years, male 105.1
GTEX-OXRP-0126-SM-3NB32 60-69 years, female 105.1
GTEX-YFC4-0126-SM-5CVLY 40-49 years, female 105.1
GTEX-T6MN-0126-SM-32PLP 50-59 years, male 104.9
GTEX-U3ZM-1526-SM-3DB9D 40-49 years, male 104.9
GTEX-Z93T-0126-SM-5HL5N 50-59 years, male 104.9
GTEX-1B933-0126-SM-7PC29 50-59 years, female 104.9
GTEX-14LZ3-0226-SM-62LET 60-69 years, female 104.8
GTEX-XBED-2226-SM-47JYQ 60-69 years, male 104.8
GTEX-16XZZ-0126-SM-793DV 60-69 years, male 104.7
GTEX-PLZ5-2026-SM-2S1O4 50-59 years, male 104.6
GTEX-1KANC-1526-SM-D3LAB 50-59 years, female 104.3
GTEX-18A6Q-0126-SM-731BZ 60-69 years, male 104.1
GTEX-11P82-1626-SM-59879 20-29 years, male 104.0
GTEX-1IDFM-0126-SM-COH2V 60-69 years, male 104.0
GTEX-WXYG-2326-SM-4E3I6 50-59 years, female 103.9
GTEX-1HGF4-2426-SM-ACKXM 60-69 years, male 103.9
GTEX-13CF2-2526-SM-5LZYX 60-69 years, male 103.8
GTEX-1KWVE-1426-SM-E9TJO 30-39 years, male 103.8
GTEX-1R7EU-0226-SM-EVR4G 60-69 years, male 103.7
GTEX-1EWIQ-0126-SM-7RHH2 70-79 years, female 103.6
GTEX-18465-0126-SM-731BN 50-59 years, male 103.5
GTEX-131XH-2226-SM-5DUXJ 50-59 years, male 103.4
GTEX-1HCU9-1526-SM-A9SL7 20-29 years, male 103.4
GTEX-1GPI7-0126-SM-9MQL8 20-29 years, male 103.3
GTEX-1128S-2326-SM-5GZZY 60-69 years, female 103.2
GTEX-13IVO-0126-SM-5J1NG 70-79 years, male 103.0
GTEX-1CB4J-0626-SM-7DHMP 60-69 years, male 103.0
GTEX-14PJ6-2126-SM-6EU1V 60-69 years, female 102.9
GTEX-11ZUS-0626-SM-59885 30-39 years, male 102.8
GTEX-OXRK-0226-SM-3NB2G 50-59 years, female 102.8
GTEX-Z9EW-1626-SM-5CVMN 40-49 years, male 102.7
GTEX-XUW1-0426-SM-4BOOT 50-59 years, female 102.6
GTEX-13G51-2526-SM-5LZYK 60-69 years, male 102.5
GTEX-11H98-0126-SM-5EGHG 50-59 years, male 102.4
GTEX-ZF3C-0126-SM-DO92D 50-59 years, female 102.4
GTEX-1R9PM-2026-SM-E76OY 20-29 years, male 102.3
GTEX-R3RS-0126-SM-3GIJL 40-49 years, female 102.2
GTEX-13OW5-0126-SM-DTXFS 60-69 years, male 102.2
GTEX-14A5I-0126-SM-5TDEA 50-59 years, female 102.1
GTEX-TML8-1926-SM-32QOS 40-49 years, female 102.1
GTEX-13112-2826-SM-5DUWH 50-59 years, male 102.0
GTEX-13SLX-0526-SM-5S2ON 50-59 years, female 102.0
GTEX-132NY-0326-SM-5IJBL 60-69 years, male 101.9
GTEX-11DXY-2626-SM-5GIE7 60-69 years, male 101.8
GTEX-11WQC-2526-SM-5CVLE 60-69 years, male 101.6
GTEX-1IDJU-2626-SM-CM2RT 60-69 years, female 101.6
GTEX-11DXW-0226-SM-5H122 40-49 years, male 101.5
GTEX-1JJEA-0326-SM-CNPOT 60-69 years, male 101.5
GTEX-1F75I-0326-SM-9YFLU 40-49 years, male 101.4
GTEX-X585-0226-SM-4QAS2 50-59 years, male 101.3
GTEX-1GN1V-0126-SM-9WPOS 60-69 years, male 101.3
GTEX-1JN76-0126-SM-CNPPE 20-29 years, female 101.3
GTEX-SJXC-0126-SM-2XCFF 60-69 years, male 101.1
GTEX-WZTO-0126-SM-3NM95 40-49 years, male 101.0
GTEX-PVOW-0126-SM-2XCFA 40-49 years, male 100.9
GTEX-S7PM-0126-SM-4AD6S 60-69 years, male 100.9
GTEX-1LC47-0326-SM-E9TJP 60-69 years, male 100.9
GTEX-1S5ZA-0126-SM-EVYCV 20-29 years, male 100.9
GTEX-TKQ1-1026-SM-4GICL 30-39 years, male 100.7
GTEX-13FHP-0126-SM-5IJBG 50-59 years, male 100.5
GTEX-ZTPG-0326-SM-5O9AX 20-29 years, female 100.5
GTEX-13N2G-2626-SM-5J1OT 60-69 years, male 100.3
GTEX-YEC4-2126-SM-5IFJH 40-49 years, male 100.3
GTEX-1HCVE-0126-SM-CGQEU 50-59 years, male 100.3
GTEX-1J1OQ-0226-SM-CYPSH 40-49 years, female 100.3
GTEX-11WQK-0526-SM-5EQLD 50-59 years, male 100.2
GTEX-SIU8-0126-SM-2XCDT 50-59 years, male 100.1
GTEX-1MUQO-0126-SM-EAZ58 60-69 years, male 100.1
GTEX-1GF9X-2026-SM-7PC3A 40-49 years, female 100.0
GTEX-1HT8W-0126-SM-CNPPP 30-39 years, male 99.9
GTEX-T5JW-1626-SM-3GADZ 20-29 years, female 99.8
GTEX-1F5PL-0326-SM-7P8PQ 40-49 years, female 99.8
GTEX-1NHNU-1026-SM-E9J2A 50-59 years, male 99.7
GTEX-ZXG5-0126-SM-5GIEU 60-69 years, male 99.5
GTEX-Y8E4-0626-SM-4WWDL 40-49 years, male 99.2
GTEX-1ICLZ-0126-SM-CKZPO 60-69 years, male 99.2
GTEX-18D9U-0226-SM-718BP 40-49 years, male 99.0
GTEX-13S7M-0126-SM-5SI6A 60-69 years, female 98.9
GTEX-P44H-0226-SM-2XCEU 40-49 years, male 98.9
GTEX-1J1R8-1726-SM-ARL8M 40-49 years, male 98.8
GTEX-1IL2V-0126-SM-CM2TX 70-79 years, male 98.7
GTEX-18A7B-0126-SM-7LG64 70-79 years, male 98.4
GTEX-XUYS-0126-SM-47JWZ 50-59 years, male 98.3
GTEX-1GZ4H-1726-SM-7PBZJ 50-59 years, female 98.3
GTEX-139UW-2826-SM-5L3E7 60-69 years, male 98.2
GTEX-13FTY-0526-SM-5L3EV 40-49 years, female 98.1
GTEX-13OVI-1426-SM-5L3EY 60-69 years, female 98.1
GTEX-11OF3-2626-SM-5GU7F 60-69 years, male 98.0
GTEX-1LSNM-1926-SM-E6CII 50-59 years, male 98.0
GTEX-ZDYS-2026-SM-5HL5L 50-59 years, male 97.9
GTEX-ZYT6-0226-SM-5NQ6T 30-39 years, male 97.9
GTEX-11TT1-2526-SM-5EGIB 20-29 years, male 97.8
GTEX-12ZZY-0226-SM-5LZVE 60-69 years, male 97.8
GTEX-X88G-0126-SM-47JZ3 30-39 years, male 97.8
GTEX-13NYC-0326-SM-E9J4S 60-69 years, male 97.7
GTEX-1HBPM-0226-SM-ARL9F 60-69 years, female 97.7
GTEX-1LNCM-1126-SM-E9U5E 50-59 years, female 97.7
GTEX-1QCLY-0326-SM-E8VOG 30-39 years, male 97.7
GTEX-15D1Q-0126-SM-7KUG6 40-49 years, male 97.6
GTEX-X4XY-0226-SM-4E3IZ 60-69 years, male 97.5
GTEX-1I4MK-2226-SM-ACKWD 50-59 years, female 97.5
GTEX-1EX96-1626-SM-7PBXR 50-59 years, male 97.3
GTEX-W5WG-1826-SM-4KL2Y 50-59 years, female 97.2
GTEX-1F52S-0126-SM-9MQJU 60-69 years, female 97.1
GTEX-14E6D-0126-SM-62LDV 50-59 years, male 97.0
GTEX-14JG6-2226-SM-6EU2G 30-39 years, female 97.0
GTEX-1KANA-0726-SM-D3L9I 20-29 years, male 97.0
GTEX-139T8-0126-SM-5K7XZ 60-69 years, male 96.9
GTEX-1C6WA-0126-SM-7PC2B 60-69 years, male 96.9
GTEX-SN8G-0126-SM-32PLI 50-59 years, female 96.7
GTEX-W5X1-3026-SM-EAZAX 40-49 years, female 96.7
GTEX-1269C-2526-SM-5EGJ3 60-69 years, female 96.6
GTEX-17KNJ-2326-SM-7DHLQ 50-59 years, male 96.6
GTEX-11EI6-0126-SM-5985R 60-69 years, male 96.3
GTEX-11NSD-2226-SM-5986V 20-29 years, male 96.3
GTEX-XXEK-2226-SM-4BRUM 50-59 years, male 96.3
GTEX-1EMGI-0126-SM-9KNUE 60-69 years, male 96.1
GTEX-14BIN-0626-SM-793DP 50-59 years, female 96.0
GTEX-15UKP-0426-SM-7KUFQ 20-29 years, male 96.0
GTEX-X5EB-2226-SM-46MW4 40-49 years, male 96.0
GTEX-1H11D-0226-SM-9WG6Z 40-49 years, male 96.0
GTEX-Z93S-0126-SM-5HL7M 50-59 years, male 95.9
GTEX-1H1E6-1726-SM-ACKVK 30-39 years, male 95.9
GTEX-16NGA-1726-SM-731B4 40-49 years, female 95.8
GTEX-ZAK1-0126-SM-5IJD3 50-59 years, female 95.8
GTEX-1B8L1-2526-SM-9WYTF 60-69 years, male 95.7
GTEX-1GZHY-0326-SM-9QEHI 50-59 years, female 95.7
GTEX-13JUV-2726-SM-5LZZ8 40-49 years, female 95.6
GTEX-13X6J-0126-SM-5QGOU 50-59 years, male 95.6
GTEX-145LV-2126-SM-5LU8N 50-59 years, male 95.4
GTEX-1KD4Q-0226-SM-E9TJ9 40-49 years, male 95.3
GTEX-1CB4H-0226-SM-7PBXM 60-69 years, female 95.2
GTEX-139TU-0126-SM-5K7WH 60-69 years, male 95.1
GTEX-1AMFI-2026-SM-731BH 50-59 years, female 95.0
GTEX-113JC-2326-SM-5EQ4E 50-59 years, female 94.9
GTEX-11DXZ-2326-SM-5EGGV 50-59 years, male 94.9
GTEX-1PIGE-0126-SM-EVYBJ 20-29 years, male 94.9
GTEX-1399R-2726-SM-5IJBA 30-39 years, male 94.7
GTEX-QEG4-0226-SM-2S1PY 30-39 years, male 94.5
GTEX-1CB4E-2226-SM-793DC 60-69 years, male 94.4
GTEX-XMD2-0126-SM-4YCDU 60-69 years, female 94.4
GTEX-15DDE-0126-SM-6LPKH 50-59 years, female 94.2
GTEX-1E2YA-0126-SM-9KNUC 50-59 years, male 94.2
GTEX-16NPX-0226-SM-79OMT 50-59 years, male 94.0
GTEX-S33H-1026-SM-EZ6L6 30-39 years, male 94.0
GTEX-1F88F-2726-SM-7PBZZ 60-69 years, female 93.8
GTEX-1IL2U-0226-SM-CE6T8 60-69 years, male 93.6
GTEX-1KANB-0526-SM-E6CJH 50-59 years, male 93.6
GTEX-PLZ6-1426-SM-DKPOT 30-39 years, male 93.4
GTEX-15DYW-0126-SM-7KULE 60-69 years, female 93.3
GTEX-11DXX-2426-SM-5GZZW 60-69 years, female 93.1
GTEX-14LLW-0126-SM-6LLIO 70-79 years, female 93.1
GTEX-147F4-0226-SM-5QGPW 50-59 years, male 93.0
GTEX-14DAQ-0126-SM-5S2MQ 60-69 years, female 93.0
GTEX-15ER7-0326-SM-7KUEV 20-29 years, female 93.0
GTEX-18A7A-0226-SM-718BH 50-59 years, female 93.0
GTEX-14PJM-0226-SM-62LF1 50-59 years, female 92.9
GTEX-R55G-2526-SM-2TC6D 40-49 years, female 92.9
GTEX-1I1GU-2226-SM-CGQFA 40-49 years, male 92.9
GTEX-13FXS-0226-SM-5IJCK 50-59 years, male 92.7
GTEX-13111-1626-SM-5EGJY 50-59 years, male 92.5
GTEX-1RAZA-0126-SM-E6CI3 20-29 years, male 92.5
GTEX-X62O-0126-SM-4E3JN 50-59 years, male 92.4
GTEX-1J8QM-2126-SM-CYPSJ 60-69 years, female 92.4
GTEX-144FL-0126-SM-5TDC8 50-59 years, male 92.3
GTEX-15F5U-1526-SM-6PANO 40-49 years, male 92.3
GTEX-1JJ6O-0126-SM-E6CI8 60-69 years, male 92.3
GTEX-12696-2426-SM-5EQ6H 60-69 years, male 92.0
GTEX-1QP66-1726-SM-E8VO1 50-59 years, male 92.0
GTEX-1S3DN-2226-SM-EVYCD 50-59 years, male 91.8
GTEX-16AAH-1726-SM-7939C 50-59 years, male 91.7
GTEX-YB5E-2026-SM-5IFIS 40-49 years, male 91.7
GTEX-14PN3-2426-SM-6LLHS 60-69 years, female 91.6
GTEX-VJWN-0126-SM-3GIK7 50-59 years, female 91.5
GTEX-12KS4-0326-SM-5EQ41 30-39 years, male 91.3
GTEX-1HBPI-1526-SM-C1YQ1 50-59 years, male 91.3
GTEX-1I6K6-0126-SM-A9SLE 30-39 years, male 91.3
GTEX-1LG7Z-1726-SM-D3LA4 30-39 years, male 91.2
GTEX-1AX9K-2326-SM-73KWU 50-59 years, male 91.1
GTEX-1192X-0226-SM-5H12D 50-59 years, male 91.0
GTEX-13W46-0226-SM-5SIAG 50-59 years, male 91.0
GTEX-13RTJ-2426-SM-5S2Q2 60-69 years, male 90.9
GTEX-1F7RK-0126-SM-7PC2S 20-29 years, female 90.8
GTEX-ZZPT-0226-SM-5E43X 50-59 years, male 90.6
GTEX-1I19N-0326-SM-ACKVX 70-79 years, male 90.6
GTEX-1S82Y-2026-SM-EVYCM 40-49 years, male 90.6
GTEX-14BMV-0126-SM-5S2PO 50-59 years, male 90.3
GTEX-1B8KE-2126-SM-73KYX 50-59 years, male 90.2
GTEX-146FH-0126-SM-5QGPP 50-59 years, female 90.1
GTEX-ZVTK-0426-SM-51MRS 20-29 years, male 90.1
GTEX-OOBJ-0126-SM-E6CJW 60-69 years, male 90.1
GTEX-1JK1U-2026-SM-CM2RZ 60-69 years, male 90.0
GTEX-1F75A-0126-SM-7RHGM 50-59 years, male 89.9
GTEX-1NV5F-0226-SM-E8VNY 60-69 years, female 89.9
GTEX-ZPIC-1726-SM-DHXIU 40-49 years, female 89.9
GTEX-QDVJ-1726-SM-2I5FX 50-59 years, male 89.8
GTEX-ZYY3-0126-SM-5GZY5 60-69 years, female 89.8
GTEX-12WSC-0126-SM-5EQ4P 50-59 years, male 89.7
GTEX-YB5K-2126-SM-4WWDJ 40-49 years, female 89.7
GTEX-13U4I-0126-SM-5LU38 40-49 years, female 89.6
GTEX-13VXT-0126-SM-5LU4I 20-29 years, female 89.5
GTEX-1C6VS-0526-SM-7DUEN 60-69 years, male 89.5
GTEX-1I1GQ-0126-SM-COH3H 50-59 years, male 89.5
GTEX-1HCU6-0126-SM-CL54K 60-69 years, female 89.4
GTEX-1N2DV-0226-SM-E6CJ6 40-49 years, male 89.4
GTEX-11P81-2326-SM-59875 30-39 years, female 89.2
GTEX-PLZ4-0126-SM-5SI8O 50-59 years, female 89.2
GTEX-13RTL-0126-SM-7LG5S 40-49 years, male 89.1
GTEX-QCQG-1726-SM-3GIJ9 50-59 years, female 89.1
GTEX-1RDX4-0126-SM-E9J4P 50-59 years, female 89.1
GTEX-RM2N-1426-SM-2TF4H 50-59 years, male 88.9
GTEX-ZDTS-0126-SM-4WAY5 60-69 years, male 88.9
GTEX-1GMRU-0126-SM-9YFLV 50-59 years, male 88.9
GTEX-13X6H-2126-SM-7EWD5 50-59 years, female 88.8
GTEX-RUSQ-1526-SM-2TF62 50-59 years, male 88.8
GTEX-11VI4-1726-SM-5CVLH 40-49 years, female 88.7
GTEX-12WSK-2326-SM-5GCOH 40-49 years, female 88.7
GTEX-Y5V5-2326-SM-4V6GA 60-69 years, female 88.6
GTEX-1HSMP-0126-SM-E6CJS 70-79 years, male 88.6
GTEX-1QP29-0626-SM-EWRMX 50-59 years, male 88.6
GTEX-11EM3-2426-SM-59861 20-29 years, female 88.5
GTEX-OXRL-0126-SM-2YUMP 50-59 years, male 88.4
GTEX-Q2AG-0126-SM-33HBV 40-49 years, female 88.4
GTEX-1C4CL-0526-SM-73KVK 30-39 years, male 88.3
GTEX-1ICLY-0126-SM-D4P36 50-59 years, male 88.3
GTEX-13FHO-0226-SM-5IFGY 60-69 years, male 88.1
GTEX-11ZU8-2526-SM-5EQKI 60-69 years, male 87.9
GTEX-1CB4I-0226-SM-79OLH 50-59 years, male 87.8
GTEX-ZAB4-0226-SM-5N9F5 40-49 years, male 87.8
GTEX-11TTK-0126-SM-5987B 60-69 years, female 87.7
GTEX-15G19-0126-SM-6PANQ 60-69 years, male 87.6
GTEX-U4B1-1826-SM-4DXSU 40-49 years, male 87.6
GTEX-1HSGN-0226-SM-CGQFV 40-49 years, female 87.6
GTEX-1JMPZ-0226-SM-CNPP1 30-39 years, male 87.6
GTEX-1AMEY-1326-SM-73KYK 30-39 years, female 87.4
GTEX-1AX8Z-0126-SM-7DHM6 60-69 years, male 87.4
GTEX-WOFL-0126-SM-3MJG2 60-69 years, male 87.4
GTEX-18A67-0126-SM-7LG5P 50-59 years, male 87.3
GTEX-11GSO-2426-SM-5A5LY 60-69 years, male 87.2
GTEX-18A66-0226-SM-718BD 60-69 years, male 87.2
GTEX-ZC5H-0226-SM-4WAY9 40-49 years, female 87.2
GTEX-1C64O-0126-SM-7SB8P 60-69 years, male 87.1
GTEX-1CB4G-0226-SM-7PC3O 60-69 years, male 87.1
GTEX-1HCU8-0626-SM-A9SM9 60-69 years, female 87.1
GTEX-11ZVC-2526-SM-5FQTE 50-59 years, female 87.0
GTEX-146FQ-0126-SM-5NQA9 30-39 years, male 87.0
GTEX-PWO3-1526-SM-48TCM 60-69 years, female 86.9
GTEX-ZQUD-1426-SM-57WER 30-39 years, male 86.9
GTEX-ZV68-0126-SM-59HKS 50-59 years, female 86.9
GTEX-XV7Q-2526-SM-4BRV9 40-49 years, female 86.8
GTEX-1GMR8-0126-SM-9WYTM 50-59 years, female 86.8
GTEX-ZF29-2326-SM-DO92K 60-69 years, female 86.8
GTEX-17HII-0226-SM-7LG4E 50-59 years, male 86.7
GTEX-1HFI7-1826-SM-ACKXH 50-59 years, female 86.7
GTEX-1K9T9-0126-SM-EVYCF 50-59 years, female 86.7
GTEX-OIZF-0126-SM-7SB8I 60-69 years, male 86.7
GTEX-13OVH-0126-SM-5MR4B 70-79 years, male 86.6
GTEX-1H1ZS-0426-SM-9WG6G 70-79 years, male 86.5
GTEX-148VJ-0126-SM-5TDDN 70-79 years, male 86.3
GTEX-QVJO-1626-SM-2S1QW 60-69 years, female 86.1
GTEX-13QJ3-0326-SM-5S2RA 50-59 years, male 86.0
GTEX-14PHX-2326-SM-62LEM 50-59 years, male 86.0
GTEX-VJYA-1126-SM-3GIJU 60-69 years, male 86.0
GTEX-T2IS-0126-SM-4DM6O 20-29 years, female 85.8
GTEX-1EU9M-0226-SM-7P8SP 60-69 years, male 85.7
GTEX-WY7C-2326-SM-3NB2U 50-59 years, male 85.6
GTEX-1H3O1-0426-SM-9YFKY 60-69 years, male 85.4
GTEX-13CF3-2426-SM-5IFGX 60-69 years, female 85.3
GTEX-1JKYR-0126-SM-CNPOJ 20-29 years, male 85.3
GTEX-147F3-0526-SM-5SI98 50-59 years, female 85.2
GTEX-144GN-2326-SM-5LU4F 50-59 years, male 85.0
GTEX-1IKK5-0626-SM-ARL8A 60-69 years, male 84.9
GTEX-169BO-1326-SM-9MQK2 50-59 years, male 84.6
GTEX-13O3O-0126-SM-E9J49 60-69 years, female 84.5
GTEX-17F97-0326-SM-7LG5B 50-59 years, male 84.3
GTEX-17MFQ-1726-SM-793C7 20-29 years, male 84.2
GTEX-1GN1W-0526-SM-9MQJQ 50-59 years, female 84.1
GTEX-12WSN-5019-SM-79OM6 40-49 years, male 84.0
GTEX-17F98-0626-SM-79OMX 40-49 years, female 83.9
GTEX-17HHY-0126-SM-7LG5D 50-59 years, male 83.9
GTEX-RWSA-0126-SM-2XCBB 40-49 years, male 83.9
GTEX-1JJE9-0326-SM-CL53Z 70-79 years, male 83.9
GTEX-1AX9J-0226-SM-73KXM 60-69 years, male 83.8
GTEX-1HBPN-0226-SM-9YFM1 50-59 years, male 83.8
GTEX-1EKGG-0226-SM-9WYTH 60-69 years, male 83.7
GTEX-1IKJJ-0126-SM-CNPQB 60-69 years, male 83.7
GTEX-17EVP-0326-SM-7DHLG 40-49 years, male 83.5
GTEX-ZVE2-0226-SM-59HJB 50-59 years, male 83.1
GTEX-1A3MW-0126-SM-73KXX 60-69 years, female 83.0
GTEX-ZAB5-1826-SM-5HL7C 50-59 years, male 83.0
GTEX-1H3VE-0326-SM-9YFLH 40-49 years, male 83.0
GTEX-X4EO-0326-SM-3P5YO 60-69 years, female 82.8
GTEX-1GL5R-1826-SM-9KNUY 50-59 years, male 82.7
GTEX-1HSKV-0226-SM-A9SKJ 60-69 years, male 82.7
GTEX-1I1GS-0126-SM-B2LVW 60-69 years, male 82.5
GTEX-144GL-0126-SM-5TDE2 50-59 years, male 82.4
GTEX-1IGQW-0126-SM-COH42 60-69 years, male 82.2
GTEX-17HGU-0226-SM-7DHKV 50-59 years, male 82.0
GTEX-U3ZH-2026-SM-3DB78 30-39 years, male 82.0
GTEX-11O72-0126-SM-59887 40-49 years, male 81.8
GTEX-131XW-0426-SM-5LZWP 50-59 years, female 81.6
GTEX-13OVL-0226-SM-5L3E9 50-59 years, male 81.6
GTEX-1JMQJ-0526-SM-CYPSU 50-59 years, male 81.6
GTEX-16YQH-0126-SM-7DUFJ 30-39 years, male 81.5
GTEX-1M4P7-0226-SM-DIPEV 60-69 years, male 81.4
GTEX-1QAET-0926-SM-E76QM 50-59 years, male 81.3
GTEX-SSA3-0126-SM-32QPU 60-69 years, male 81.2
GTEX-1CAV2-2226-SM-7P8P2 40-49 years, female 81.2
GTEX-12WSG-2826-SM-E9J4H 50-59 years, female 81.1
GTEX-11ZTT-2426-SM-5EQLS 60-69 years, female 81.0
GTEX-Y114-2426-SM-4TT8A 50-59 years, female 81.0
GTEX-1J8Q3-1626-SM-CMKGC 60-69 years, male 80.9
GTEX-1QP67-1626-SM-EAZ3X 40-49 years, female 80.9
GTEX-14C5O-0126-SM-5SI6N 60-69 years, male 80.7
GTEX-1A8FM-0226-SM-7SB7Q 50-59 years, female 80.6
GTEX-117YW-2626-SM-5GZZH 50-59 years, male 80.5
GTEX-1B8SG-0126-SM-73KZ3 50-59 years, male 80.4
GTEX-1C2JI-1826-SM-73KXC 50-59 years, male 80.3
GTEX-1JMQK-0226-SM-CL543 60-69 years, male 80.3
GTEX-1S82Z-0826-SM-E6CHY 30-39 years, female 80.2
GTEX-13N1W-0126-SM-5K7VT 70-79 years, male 80.0
GTEX-1I1GP-2226-SM-CGQFK 50-59 years, male 80.0
GTEX-145LU-0126-SM-5TDCB 50-59 years, male 79.8
GTEX-1H1DE-2126-SM-9WG6R 20-29 years, male 79.8
GTEX-1JMPY-1326-SM-ARL8Y 30-39 years, male 79.8
GTEX-1IDJF-0126-SM-CM2RS 20-29 years, male 79.7
GTEX-1KAFJ-2026-SM-CY8ID 50-59 years, male 79.7
GTEX-R45C-0126-SM-EAZ2R 60-69 years, female 79.6
GTEX-1F75B-0126-SM-9KNVL 50-59 years, male 79.5
GTEX-1314G-1526-SM-5EGK2 30-39 years, male 79.4
GTEX-1PPH8-0226-SM-E8VND 20-29 years, male 79.4
GTEX-17EUY-0426-SM-793BD 20-29 years, male 79.3
GTEX-RU72-0926-SM-2TF6B 50-59 years, female 79.2
GTEX-11XUK-2026-SM-5EQLF 40-49 years, female 79.1
GTEX-1J8JJ-0226-SM-CL53I 60-69 years, female 79.1
GTEX-1F6I4-0126-SM-9MQL2 60-69 years, male 79.0
GTEX-1A3MV-1926-SM-718BT 30-39 years, male 78.9
GTEX-1MGNQ-0126-SM-EVYCJ 40-49 years, male 78.9
GTEX-WFG8-2226-SM-3GIL9 20-29 years, male 78.8
GTEX-1H3VY-0126-SM-ACKXD 50-59 years, male 78.7
GTEX-139TT-0126-SM-5K7Y5 60-69 years, male 78.6
GTEX-13X6I-0626-SM-5QGP9 60-69 years, male 78.6
GTEX-14ABY-0226-SM-5TDCQ 50-59 years, male 78.6
GTEX-13FH7-2026-SM-E9J4I 50-59 years, female 78.6
GTEX-13YAN-0326-SM-5O9DF 60-69 years, male 78.5
GTEX-13O1R-0126-SM-5L3EH 60-69 years, male 78.4
GTEX-1IKOH-0226-SM-COH4E 60-69 years, female 78.4
GTEX-12WSL-2526-SM-5GCNJ 50-59 years, male 78.3
GTEX-1C475-1826-SM-73KWA 40-49 years, female 78.3
GTEX-1HKZK-0326-SM-9WYUH 40-49 years, male 78.3
GTEX-ZQG8-1626-SM-DHXIT 60-69 years, female 78.3
GTEX-V1D1-2226-SM-3NMAX 50-59 years, male 78.0
GTEX-14PJ3-1826-SM-62LEX 50-59 years, male 77.8
GTEX-1ICG6-2526-SM-CGQFZ 70-79 years, female 77.7
GTEX-12WSJ-1826-SM-5GCNY 40-49 years, female 77.5
GTEX-Q2AI-1326-SM-2S1PL 40-49 years, male 77.5
GTEX-11GSP-2526-SM-5N9BP 60-69 years, female 77.3
GTEX-ZF28-0126-SM-4WKGK 60-69 years, male 77.1
GTEX-17HG3-2226-SM-7938L 30-39 years, female 77.0
GTEX-1QP2A-0126-SM-E9J43 50-59 years, male 76.9
GTEX-12WSD-0126-SM-59HKN 60-69 years, female 76.8
GTEX-ZYW4-0126-SM-5E44A 60-69 years, male 76.7
GTEX-1QW4Y-1526-SM-EAZ3Z 30-39 years, male 76.5
GTEX-1RQEC-0426-SM-E6CHU 60-69 years, male 76.5
GTEX-1192W-2626-SM-5Q5AF 60-69 years, male 76.4
GTEX-1F5PK-2426-SM-7RHHY 50-59 years, male 76.4
GTEX-RWS6-2026-SM-2XCB5 60-69 years, female 76.1
GTEX-1JN6P-0126-SM-D3L98 60-69 years, male 75.8
GTEX-QLQW-1126-SM-2S1Q8 30-39 years, male 75.7
GTEX-14PHW-0126-SM-6LLJI 60-69 years, female 75.6
GTEX-1C6VR-2426-SM-79OLD 60-69 years, male 75.6
GTEX-RNOR-0126-SM-E9J4R 50-59 years, female 75.6
GTEX-147GR-0526-SM-5S2MY 60-69 years, male 75.5
GTEX-1HSMQ-1226-SM-CGQFX 50-59 years, male 75.4
GTEX-ZVT3-0126-SM-5GU6I 60-69 years, female 75.3
GTEX-Y111-0126-SM-4SOIV 50-59 years, male 75.2
GTEX-11LCK-1026-SM-5A5KB 30-39 years, male 74.7
GTEX-17MF6-0126-SM-7LG4F 40-49 years, male 74.7
GTEX-RN64-0126-SM-2TC68 50-59 years, male 74.7
GTEX-1CB4F-0426-SM-9KNV4 60-69 years, male 74.4
GTEX-1H2FU-0126-SM-9WYSI 60-69 years, female 74.4
GTEX-11P7K-2126-SM-5GU7G 30-39 years, male 74.2
GTEX-16BQI-0226-SM-7KUEX 30-39 years, female 74.2
GTEX-1AYCT-2426-SM-7IGQ3 50-59 years, male 74.2
GTEX-13OW7-0126-SM-5MR3B 50-59 years, male 74.1
GTEX-1GPI6-0126-SM-9WG69 60-69 years, male 74.1
GTEX-X638-0126-SM-47JZ8 70-79 years, female 73.9
GTEX-XYKS-2126-SM-4E3IB 60-69 years, female 73.8
GTEX-1KD5A-0226-SM-D5OV3 50-59 years, male 73.8
GTEX-XUZC-1726-SM-4BRWS 30-39 years, female 73.7
GTEX-1QEPI-0126-SM-EWRMQ 60-69 years, female 73.7
GTEX-UPJH-0326-SM-3GADU 50-59 years, male 73.6
GTEX-R55E-0126-SM-2TC5Y 20-29 years, male 73.5
GTEX-18D9B-0526-SM-7LTAS 60-69 years, male 73.4
GTEX-Y3I4-2126-SM-4TT7C 50-59 years, male 73.4
GTEX-OXRO-0126-SM-2YUN4 60-69 years, female 73.1
GTEX-Y8LW-1826-SM-5S2MV 50-59 years, female 73.1
GTEX-1H3NZ-0126-SM-ACKX7 60-69 years, male 73.1
GTEX-183FY-0126-SM-7LT9P 20-29 years, male 72.9
GTEX-183WM-0126-SM-7LTAB 70-79 years, female 72.9
GTEX-1R9PO-2126-SM-E9J4O 60-69 years, female 72.9
GTEX-13NZA-0226-SM-5K7Z7 60-69 years, male 72.6
GTEX-1HR98-0126-SM-B2LWI 60-69 years, male 72.4
GTEX-1MA7X-2226-SM-E6CIY 60-69 years, male 72.4
GTEX-QLQ7-1626-SM-2S1R8 60-69 years, male 72.3
GTEX-ZYFC-0226-SM-5NQ75 50-59 years, male 72.3
GTEX-11EMC-2926-SM-5EQ4F 60-69 years, female 72.2
GTEX-1AX9I-0126-SM-7SB74 60-69 years, male 72.2
GTEX-1R9K4-0126-SM-DTX9X 60-69 years, male 72.2
GTEX-11DZ1-0126-SM-5985Q 50-59 years, male 71.9
GTEX-PW2O-1526-SM-7RHHB 20-29 years, male 71.8
GTEX-1LG7Y-0526-SM-DKPQC 50-59 years, male 71.6
GTEX-1N2DW-0226-SM-E9TK2 50-59 years, male 71.5
GTEX-1EN7A-0126-SM-7SB81 40-49 years, male 71.2
GTEX-12C56-1726-SM-5EQ61 20-29 years, male 70.6
GTEX-S32W-2126-SM-2XCB1 50-59 years, female 70.3
GTEX-1GN1U-0126-SM-7PBZK 50-59 years, female 70.3
GTEX-1IE54-0126-SM-CMKHW 40-49 years, female 70.1
GTEX-1B8KZ-2026-SM-7DHMB 50-59 years, male 69.9
GTEX-13OVJ-0126-SM-5KM36 50-59 years, female 69.7
GTEX-15SHW-0326-SM-6PAML 60-69 years, male 69.1
GTEX-U3ZN-2326-SM-3DB7W 30-39 years, female 69.1
GTEX-1HB9E-0226-SM-E9U4R 50-59 years, male 68.8
GTEX-ZDXO-3026-SM-5J1N5 60-69 years, male 68.6
GTEX-11NUK-0126-SM-5A5L3 50-59 years, male 68.4
GTEX-14A6H-0126-SM-5QGPK 30-39 years, male 68.3
GTEX-ZEX8-2426-SM-4WKG4 50-59 years, male 68.2
GTEX-1F48J-0126-SM-7P8TT 50-59 years, female 68.0
GTEX-13N11-2526-SM-5K7UE 50-59 years, female 67.9
GTEX-1POEN-0126-SM-EYYXJ 30-39 years, female 67.5
GTEX-1I1GR-0126-SM-CL55F 60-69 years, male 66.7
GTEX-1RAZQ-0726-SM-EAZ43 30-39 years, male 66.3
GTEX-13OW8-1326-SM-5J1OW 60-69 years, male 66.0
GTEX-1PWST-0226-SM-E76QJ 70-79 years, male 66.0
GTEX-1PBJI-0526-SM-E8VNK 20-29 years, female 65.9
GTEX-15CHC-2126-SM-6EU21 60-69 years, female 65.5
GTEX-15DCD-0126-SM-7KUEK 70-79 years, female 65.0
GTEX-14BIL-0126-SM-5SI92 50-59 years, male 64.7
GTEX-17HHE-2026-SM-79OKF 50-59 years, male 64.4
GTEX-1HBPH-0426-SM-B2LW5 40-49 years, female 64.4
GTEX-QDT8-0126-SM-48TZ1 30-39 years, female 64.1
GTEX-1I1HK-0126-SM-COH49 60-69 years, male 64.0
GTEX-146FR-1326-SM-E9J48 60-69 years, female 63.2
GTEX-139T4-0226-SM-5HL5S 50-59 years, female 63.0
GTEX-1JMOU-1526-SM-CL54I 60-69 years, female 62.7
GTEX-1RLM8-2326-SM-EWRN4 50-59 years, male 62.4
GTEX-13OVG-1926-SM-5L3DK 60-69 years, male 62.2
GTEX-148VI-1626-SM-5SI6E 60-69 years, female 61.5
GTEX-1I1CD-0126-SM-CM2TK 60-69 years, female 61.2
GTEX-1OJC4-0126-SM-E9J2E 50-59 years, female 61.1
GTEX-WYVS-2126-SM-3NMA3 40-49 years, female 60.2
GTEX-1HUB1-0426-SM-E9U4U 60-69 years, male 59.1
GTEX-16XZY-2126-SM-79OK1 70-79 years, male 58.9
GTEX-1IY9M-0126-SM-D3L8S 60-69 years, male 58.4
GTEX-1F6IF-0726-SM-7P8TW 60-69 years, male 57.8
GTEX-ZUA1-0126-SM-5GU76 40-49 years, male 57.0
GTEX-Q734-1926-SM-2I5EV 40-49 years, female 56.7
GTEX-14JIY-0126-SM-6LLH6 60-69 years, male 54.0
GTEX-15SDE-2226-SM-7IGLO 50-59 years, female 53.5
GTEX-1AYD5-2426-SM-73KXR 50-59 years, male 49.6
GTEX-11GS4-2726-SM-5A5LE 60-69 years, male 49.5
GTEX-14E7W-0126-SM-6LLJ9 70-79 years, male 48.7
GTEX-113IC-0126-SM-5HL6T 60-69 years, male 46.6
Show allShow less

Contact

  • NEWS ARTICLES
  • PRESS ROOM

The Project

  • INTRODUCTION
  • ORGANIZATION
  • PUBLICATIONS

The Human Protein Atlas

  • DOWNLOADABLE DATA
  • LICENCE & CITATION
  • HELP & FAQ
The Human Protein Atlas project is funded
by the Knut & Alice Wallenberg Foundation.


contact@proteinatlas.org