We use cookies to enhance the usability of our website. If you continue, we'll assume that you are happy to receive all cookies. More information. Don't show this again.
RASSF4
HPA
RESOURCES
  • TISSUE
  • BRAIN
  • SINGLE CELL
  • SUBCELLULAR
  • CANCER
  • BLOOD
  • CELL LINE
  • STRUCTURE & INTERACTION
ABOUT
  • INTRODUCTION
  • HISTORY
  • ORGANIZATION
  • PUBLICATIONS
  • ANTIBODY SUBMISSION
  • ANTIBODY AVAILABILITY
  • ACKNOWLEDGMENTS
  • CONTACT
NEWS
  • NEWS ARTICLES
  • PRESS ROOM
LEARN
  • DICTIONARY
  • PROTEIN CLASSES
  • PROTEIN EVIDENCE
  • METHODS
  • EDUCATIONAL VIDEOS
DATA
  • DOWNLOADABLE DATA
  • PUBLICATION DATA
  • RELEASE HISTORY
HELP
  • ANTIBODY VALIDATION
  • ASSAYS & ANNOTATION
  • DISCLAIMER
  • HELP & FAQ
  • PRIVACY STATEMENT
  • LICENCE & CITATION
Fields »
Search result

Field
Term
Gene name
Class
Subclass
Class
Keyword
Chromosome
External id
Tissue
Cell type
Expression
Antibody panel
Tissue
Main location
Patient ID
Annotation
Tissue
Category
Tau score
Cluster
Reliability
Brain region
Category
Tau score
Brain region
Category
Tau score
Brain region
Category
Tau score
Cluster
Reliability
Tissue
Cell type
Enrichment
Cell type
Category
Tau score
Cell type
Category
Tau score
Cell type
Category
Tau score
Cell lineage
Category
Tau score
Cluster
Cluster
Location
Searches
Location
Cell line
Class
Type
Phase
Reliability
Cancer
Prognosis
Cancer
Category
Cancer
Category
Tau score
Cluster
Variants
Interacting gene (ensg_id)
Type
Number of interactions
Pathway
Category
Score
Score
Score
Validation
Validation
Validation
Validation
Antibodies
Data type
Column


  • SUMMARY

  • TISSUE

  • BRAIN

  • SINGLE CELL

  • SUBCELL

  • CANCER

  • BLOOD

  • CELL LINE

  • STRUCT & INT

  • RASSF4
TISSUE PRIMARY DATA BREAST Show tissue menu
ADIPOSE TISSUE ADRENAL GLAND AMYGDALA APPENDIX BASAL GANGLIA BONE MARROW BREAST BRONCHUS CEREBELLUM CEREBRAL CORTEX CERVIX CHOROID PLEXUS COLON DUODENUM
ENDOMETRIUM EPIDIDYMIS ESOPHAGUS FALLOPIAN TUBE GALLBLADDER HEART MUSCLE HIPPOCAMPAL FORMATION HYPOTHALAMUS KIDNEY LIVER LUNG LYMPH NODE MIDBRAIN NASOPHARYNX
ORAL MUCOSA OVARY PANCREAS PARATHYROID GLAND PITUITARY GLAND PLACENTA PROSTATE RECTUM RETINA SALIVARY GLAND SEMINAL VESICLE SKELETAL MUSCLE SKIN SMALL INTESTINE
SMOOTH MUSCLE SOFT TISSUE SPINAL CORD SPLEEN STOMACH TESTIS THYMUS THYROID GLAND TONGUE TONSIL URINARY BLADDER VAGINA
ANTIBODIES
AND
VALIDATION
Dictionary
Breast
Tissue proteome
Breast
BREAST - Expression summary
Protein expression
Breasti

On the top, protein expression in current human tissue, based on all annotated cell types, is reported with the units not detected (n), low (l), medium (m) and high (h). Underneath, protein expression in each annotated cell type are reported using the same units.

Protein expression data is based on knowledge-based annotation. For genes where more than one antibody has been used, a collective score is set.

If knowledge-based annotation could not be performed for a gene, no data is displayed here. View antibody staining data further down this page.

h
m
l
n
Adipocytes: Medium
Glandular cells: High
Myoepithelial cells: Medium
RNA expressioni

A summary of mRNA expression data available for current tissue based on several datasets. The mRNA expression levels in human tissues are based on RNA-seq data generated by the Human Protein Atlas (HPA), Genotype-Tissue Expression (GTEx) portal and CAGE data generated by the FANTOM5 consortium. Consensus normalized expression levels for human tissues was created by combining the data from HPA and GTEx datasets.

The mRNA expression levels in pig are based on RNA-seq data generated by the Human Protein Atlas (HPA), and for mouse, HPA data and in situ hybridization generated by the Allen brain atlas are reported.

Scroll down to view mRNA expression data in more detail.
Consensus:22.0 nTPM
HPA:3.9 nTPM
GTEx:22.0 nTPM
FANTOM5:9.2 Scaled Tags Per Million

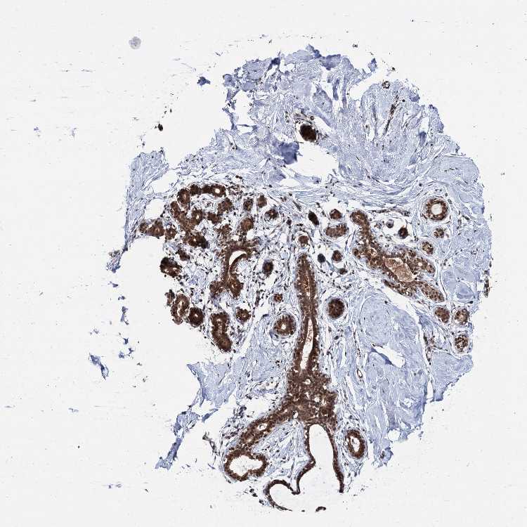
BREAST - Antibody stainingi

Antibody staining in the annotated cell types in the current human tissue is reported as not detected, low, medium, or high, based on conventional immunohistochemistry profiling in selected tissues. This score is based on the combination of the staining intensity and fraction of stained cells.

Each image is clickable and will lead to virtual microscopy that enables deeper exploration of all samples and also displays staining intensity scores, fraction scores and subcellular localization as well as patient and tissue information for each sample.

Antibody HPA038834
Adipocytes Medium
Glandular cells High
Myoepithelial cells Medium


BREAST - HPA RNA-seqi

The RNA-seq details section shows detailed information about the individual samples used for the transcript profiling and results of the RNA-seq analysis.

Information about each individual sample is listed below, including gender, age, a tissue section image and estimated fractions of cell types. nTPM (normalized transcripts per million) values give a quantification of the gene abundance which is comparable between different genes and samples.
Average nTPMi

Max subtype nTPM is the value for the subtype with the largest average nTPM across the subtype samples.

3.9
overview
Female, age 52
Breast sample 373
nTPM: 6.4
Cell types%
Glandular cells:
15

Adipocytes:
5

Other cell types:
80

overview
Female, age 80
Breast sample 390
nTPM: 4.7
Cell types%
Glandular cells:
5

Adipocytes:
15

Other cell types:
80

overview
Female, age 47
Breast sample 405
nTPM: 2.2
Cell types%
Glandular cells:
5

Adipocytes:
5

Other cell types:
90

overview
Female, age 38
Breast sample 410
nTPM: 2.3
Cell types%
Glandular cells:
40

Adipocytes:
5

Other cell types:
55


BREAST - GTEx RNA-seqi

RNA-Seq data generated by the Genotype-Tissue Expression (GTEx) project from human tissues is reported as mean nTPM. More information can be found on the GTEx portal.

Distribution across the dataset is visualized with box plots, shown as median and 25th and 75th percentiles. Points are displayed as outliers if they are above or below 1.5 times the interquartile range. nTPM values of the individual samples are presented next to the box plot.
Max subtype nTPMi

Max subtype nTPM is the value for the subtype with the largest average nTPM across the subtype samples.

22.0
GTEx sample id Sample description nTPM
Breast - Mammary Tissue
Average nTPM: 22.0
Samples: 459

Max nTPM: 202.6
Min nTPM: 2.1
Std nTPM: 27.0
Median nTPM: 11.6
GTEX-1QP9N-1826-SM-E8VMP 30-39 years, male 202.6
GTEX-1R7EV-1526-SM-E8VOD 40-49 years, male 202.4
GTEX-1NHNU-0926-SM-E9J2T 50-59 years, male 132.3
GTEX-1CAMR-1426-SM-793BO 20-29 years, male 131.5
GTEX-ZLWG-1926-SM-DO92J 50-59 years, female 131.2
GTEX-ZDYS-1126-SM-5K7UB 50-59 years, male 124.8
GTEX-YB5K-1626-SM-5IFIN 40-49 years, female 119.6
GTEX-V955-2026-SM-3GAFA 60-69 years, male 113.7
GTEX-11ZTT-2326-SM-5EQLG 60-69 years, female 108.6
GTEX-ZQUD-1926-SM-51MSA 30-39 years, male 104.8
GTEX-ZQG8-0726-SM-5P9H9 60-69 years, female 104.3
GTEX-ZT9W-2026-SM-51MRA 50-59 years, male 104.3
GTEX-14B4R-1226-SM-5TDDT 30-39 years, male 101.2
GTEX-YEC3-1026-SM-5IFI5 50-59 years, male 98.7
GTEX-11P82-1326-SM-5HL62 20-29 years, male 95.7
GTEX-1S82Z-0726-SM-E6CHX 30-39 years, female 95.7
GTEX-17GQL-0326-SM-7LG5U 60-69 years, male 92.2
GTEX-ZZ64-1226-SM-5E43R 20-29 years, male 91.5
GTEX-1PDJ9-1126-SM-EXUSW 20-29 years, male 89.2
GTEX-1HSEH-2026-SM-ADEHN 60-69 years, male 88.8
GTEX-Y5V6-2126-SM-4WWFX 60-69 years, male 85.9
GTEX-1MJK3-1126-SM-E9J3F 20-29 years, male 82.0
GTEX-ZA64-1526-SM-5CVMD 20-29 years, male 80.6
GTEX-1JKYN-0726-SM-ARZMY 30-39 years, male 78.4
GTEX-13FTX-1126-SM-5N9EN 20-29 years, female 76.8
GTEX-XGQ4-0926-SM-4AT4U 50-59 years, male 76.2
GTEX-1HFI7-0126-SM-CGQFQ 50-59 years, female 75.7
GTEX-13FTW-1426-SM-5LZWZ 40-49 years, male 69.0
GTEX-REY6-2426-SM-48FF5 60-69 years, male 68.5
GTEX-1PPH7-0826-SM-E8VNX 40-49 years, male 66.6
GTEX-1OKEX-0826-SM-E9J2B 60-69 years, male 66.0
GTEX-1F5PK-2126-SM-7PC28 50-59 years, male 65.6
GTEX-14DAR-1326-SM-7DUEG 50-59 years, male 64.0
GTEX-12WSN-1326-SM-5GCNT 40-49 years, male 63.7
GTEX-18D9A-1526-SM-7LG4J 30-39 years, female 63.1
GTEX-R55D-0826-SM-48FEA 50-59 years, male 62.9
GTEX-XQ8I-2426-SM-4WAXY 50-59 years, male 61.6
GTEX-1IDJU-1826-SM-CMKHV 60-69 years, female 60.4
GTEX-13O61-1826-SM-5KM4I 60-69 years, male 60.3
GTEX-14BMV-0626-SM-793AU 50-59 years, male 59.5
GTEX-ZDTT-2126-SM-DKPOM 60-69 years, male 59.5
GTEX-12WSM-1726-SM-5BC6J 60-69 years, male 59.1
GTEX-14753-2426-SM-5LU8U 60-69 years, male 58.3
GTEX-14E6E-1326-SM-5S2NR 30-39 years, male 58.2
GTEX-WY7C-2726-SM-3NB3P 50-59 years, male 57.9
GTEX-1S82U-1126-SM-E9U6I 30-39 years, female 57.0
GTEX-1R9JW-0326-SM-EAZ45 30-39 years, female 56.1
GTEX-YB5E-1726-SM-5IFJ3 40-49 years, male 54.6
GTEX-12BJ1-1826-SM-5HL9N 60-69 years, male 53.3
GTEX-Z9EW-1526-SM-EZ6LU 40-49 years, male 53.3
GTEX-WFON-1826-SM-3GILG 40-49 years, male 52.2
GTEX-1I4MK-1626-SM-CM2TJ 50-59 years, female 52.2
GTEX-TKQ1-0226-SM-33HB5 30-39 years, male 51.9
GTEX-1ICG6-1326-SM-ACKWR 70-79 years, female 51.3
GTEX-13QJ3-0826-SM-7DHKK 50-59 years, male 50.6
GTEX-117YX-1426-SM-5H12H 50-59 years, male 50.3
GTEX-1AMEY-1026-SM-718AA 30-39 years, female 50.0
GTEX-17F96-2426-SM-7IGLN 70-79 years, male 49.9
GTEX-S4UY-0726-SM-4AD6X 40-49 years, female 46.7
GTEX-Y9LG-1426-SM-5IFJZ 30-39 years, male 46.0
GTEX-1KANC-1426-SM-CYPT9 50-59 years, female 46.0
GTEX-1HCU9-0326-SM-9WYSC 20-29 years, male 45.8
GTEX-ZPIC-1126-SM-5BC7F 40-49 years, female 45.3
GTEX-1QP28-1226-SM-E9J2M 50-59 years, female 45.0
GTEX-1211K-1926-SM-5EQLB 60-69 years, female 44.8
GTEX-1LG7Z-0726-SM-CXKYD 30-39 years, male 44.2
GTEX-1QCLZ-2326-SM-DTXDO 60-69 years, female 44.2
GTEX-145MN-1926-SM-5SIAI 30-39 years, male 43.9
GTEX-139T6-1626-SM-5PNYZ 50-59 years, male 43.2
GTEX-11I78-2226-SM-5PNYA 50-59 years, female 42.3
GTEX-1399U-1826-SM-5PNZ1 50-59 years, female 39.0
GTEX-1GPI7-0926-SM-7PC3J 20-29 years, male 38.8
GTEX-1C475-1226-SM-7SB72 40-49 years, female 38.5
GTEX-13CF3-2126-SM-5IFJP 60-69 years, female 38.4
GTEX-S4Q7-1126-SM-4AD6R 20-29 years, male 38.4
GTEX-16BQI-1026-SM-7KUEA 30-39 years, female 37.6
GTEX-17HGU-1326-SM-79OKB 50-59 years, male 37.3
GTEX-1J8Q3-1326-SM-CMKI1 60-69 years, male 37.3
GTEX-S32W-2026-SM-4AD6E 50-59 years, female 37.1
GTEX-145ME-1526-SM-5Q5F2 40-49 years, female 35.9
GTEX-145MO-0826-SM-5NQBL 60-69 years, male 35.7
GTEX-T6MO-0326-SM-32QOK 40-49 years, female 35.6
GTEX-Y8LW-1626-SM-5IFHX 50-59 years, female 35.0
GTEX-1122O-1226-SM-5H113 60-69 years, female 34.6
GTEX-11LCK-2426-SM-5HL5F 30-39 years, male 34.6
GTEX-YFCO-1826-SM-4W1YH 40-49 years, male 34.4
GTEX-X4XY-0926-SM-4E3JD 60-69 years, male 34.2
GTEX-17F98-0526-SM-79OK5 40-49 years, female 33.9
GTEX-16YQH-2826-SM-6PAMY 30-39 years, male 33.6
GTEX-13N1W-0626-SM-5MR4U 70-79 years, male 32.8
GTEX-WHSB-1926-SM-EXOHH 50-59 years, male 32.4
GTEX-1AX9J-1126-SM-731B7 60-69 years, male 31.6
GTEX-1IDJF-2326-SM-ARL86 20-29 years, male 31.4
GTEX-1H11D-1526-SM-9MQJY 40-49 years, male 31.2
GTEX-1I19N-2826-SM-CL55D 70-79 years, male 30.8
GTEX-1L5NE-2126-SM-CY8IH 50-59 years, male 30.7
GTEX-ZV6S-1826-SM-5NQ8D 40-49 years, female 30.2
GTEX-1I1GV-2426-SM-CGQFM 60-69 years, male 30.1
GTEX-1GMR2-1926-SM-9MQLZ 50-59 years, male 29.6
GTEX-T5JW-2026-SM-4DM63 20-29 years, female 29.5
GTEX-Y8E4-1626-SM-5S2MW 40-49 years, male 29.5
GTEX-1B97J-0426-SM-79OLQ 50-59 years, female 29.4
GTEX-XUW1-2326-SM-4BOO5 50-59 years, female 27.8
GTEX-133LE-1726-SM-5K7VQ 20-29 years, female 27.4
GTEX-XMK1-1126-SM-4IHJ8 40-49 years, male 27.4
GTEX-139TU-0626-SM-5KM3X 60-69 years, male 26.9
GTEX-11ZUS-0826-SM-5FQUY 30-39 years, male 26.7
GTEX-1HBPN-2326-SM-9WPPU 50-59 years, male 26.6
GTEX-18A7B-2626-SM-7LG55 70-79 years, male 26.3
GTEX-1QPFJ-2026-SM-EVYBE 30-39 years, female 26.1
GTEX-13PVR-2226-SM-7DHKP 60-69 years, female 24.8
GTEX-14PJ4-2126-SM-6ETZJ 60-69 years, male 24.5
GTEX-183FY-1126-SM-7DHLJ 20-29 years, male 24.1
GTEX-PSDG-1626-SM-48TCQ 50-59 years, male 24.1
GTEX-Y3I4-1526-SM-4TT7K 50-59 years, male 24.1
GTEX-Y114-2026-SM-4TT7L 50-59 years, female 23.6
GTEX-14PJO-0726-SM-69LO8 60-69 years, male 23.3
GTEX-1H23P-0726-SM-9WG7K 60-69 years, male 23.2
GTEX-17F9E-2526-SM-7MGW2 50-59 years, male 23.1
GTEX-ZYT6-0126-SM-5E45J 30-39 years, male 22.8
GTEX-SE5C-2126-SM-4BRUJ 40-49 years, female 22.5
GTEX-1JKYR-0926-SM-CMKGJ 20-29 years, male 22.5
GTEX-1AX9I-0726-SM-73KWV 60-69 years, male 22.3
GTEX-14BMU-1626-SM-5TDE7 20-29 years, female 21.8
GTEX-1RLM8-2226-SM-EVYD1 50-59 years, male 21.8
GTEX-1H4P4-2226-SM-9MQKQ 50-59 years, male 21.7
GTEX-ZGAY-1726-SM-DO91P 40-49 years, female 21.7
GTEX-1KXAM-1026-SM-CY8IA 60-69 years, male 21.5
GTEX-RWS6-1926-SM-47JXY 60-69 years, female 20.9
GTEX-1IOXB-1926-SM-ARL8E 50-59 years, male 20.7
GTEX-ZLFU-2126-SM-DO931 40-49 years, male 20.7
GTEX-ZVT4-1026-SM-57WC4 50-59 years, female 20.6
GTEX-1I1GP-0426-SM-COH3N 50-59 years, male 20.2
GTEX-1K2DA-1726-SM-CGQGS 50-59 years, male 20.1
GTEX-14PKU-0426-SM-6EU1P 40-49 years, female 19.9
GTEX-15EOM-5019-SM-793DK 20-29 years, female 19.9
GTEX-169BO-1126-SM-7MGWN 50-59 years, male 19.9
GTEX-11EQ9-1826-SM-5Q5AJ 30-39 years, male 19.8
GTEX-1R9PM-1826-SM-EVYBH 20-29 years, male 19.8
GTEX-ZLV1-1426-SM-DO92Z 60-69 years, female 19.8
GTEX-WXYG-2226-SM-4E3IM 50-59 years, female 19.5
GTEX-1MCYP-0126-SM-E6CIS 20-29 years, female 19.3
GTEX-1LSVX-2426-SM-E6CJX 60-69 years, male 19.1
GTEX-12KS4-0126-SM-5Q5A5 30-39 years, male 19.0
GTEX-1H1ZS-0126-SM-9YFKQ 70-79 years, male 19.0
GTEX-11O72-2126-SM-5N9FO 40-49 years, male 18.7
GTEX-1HCVE-2626-SM-ADEJ8 50-59 years, male 18.7
GTEX-1HCU7-1026-SM-ADEIP 50-59 years, male 18.6
GTEX-17MFQ-0926-SM-7LG4S 20-29 years, male 18.3
GTEX-RUSQ-2026-SM-4GIAK 50-59 years, male 18.3
GTEX-1LSNL-2826-SM-E9U5L 50-59 years, male 18.2
GTEX-1B8KE-1226-SM-73KWK 50-59 years, male 18.0
GTEX-13O3Q-2226-SM-5KM4O 50-59 years, male 17.8
GTEX-11GSO-1926-SM-5A5K3 60-69 years, male 17.6
GTEX-16NGA-0826-SM-718AF 40-49 years, female 17.2
GTEX-1IKOE-1326-SM-CE6T6 30-39 years, female 17.1
GTEX-1F75B-0626-SM-7SB8A 50-59 years, male 17.0
GTEX-13W3W-1226-SM-5LU4H 60-69 years, female 16.9
GTEX-1MA7W-1026-SM-DKPQK 20-29 years, female 16.9
GTEX-132NY-0826-SM-5K7Y7 60-69 years, male 16.8
GTEX-1I1GU-1026-SM-ADEHJ 40-49 years, male 16.8
GTEX-13D11-1026-SM-5IJFB 50-59 years, female 16.7
GTEX-U8XE-0826-SM-4E3J1 30-39 years, male 16.7
GTEX-QEL4-2126-SM-447AE 50-59 years, male 16.6
GTEX-1KD5A-1926-SM-DKPQA 50-59 years, male 16.6
GTEX-11OF3-1926-SM-59889 60-69 years, male 16.2
GTEX-12WSK-2226-SM-5GCO5 40-49 years, female 16.0
GTEX-X62O-0526-SM-EWRMA 50-59 years, male 16.0
GTEX-U412-1826-SM-4DXTJ 60-69 years, male 15.8
GTEX-1QEPI-0926-SM-DTXF3 60-69 years, female 15.8
GTEX-14ICK-2426-SM-6EU27 40-49 years, male 15.7
GTEX-1A3MV-1626-SM-731C1 30-39 years, male 15.7
GTEX-S7SE-0826-SM-4AT4D 50-59 years, male 15.7
GTEX-YECK-0726-SM-EZ6LV 60-69 years, male 15.6
GTEX-1MA7X-1626-SM-E9U5B 60-69 years, male 15.4
GTEX-1IDJH-2226-SM-E6CJV 70-79 years, male 15.2
GTEX-1F5PL-1026-SM-7RHI1 40-49 years, female 15.0
GTEX-1I6K7-1026-SM-A9SLK 40-49 years, male 15.0
GTEX-1NV8Z-2826-SM-E8VME 60-69 years, male 15.0
GTEX-18QFQ-0826-SM-718AX 30-39 years, male 14.9
GTEX-1HT8W-2226-SM-CGQEC 30-39 years, male 14.8
GTEX-18465-2026-SM-718AP 50-59 years, male 14.7
GTEX-1IGQW-0926-SM-ADEH6 60-69 years, male 14.7
GTEX-1KANA-2026-SM-DIPFB 20-29 years, male 14.7
GTEX-1J8QM-2026-SM-ARZMW 60-69 years, female 14.6
GTEX-1ICLY-1726-SM-B2LVT 50-59 years, male 14.5
GTEX-13N11-1726-SM-5J1OJ 50-59 years, female 14.4
GTEX-1I6K6-0826-SM-ARL7Z 30-39 years, male 14.4
GTEX-QMRM-1626-SM-D4P1U 50-59 years, male 14.4
GTEX-18A6Q-0926-SM-7LG4N 60-69 years, male 14.3
GTEX-TMMY-0726-SM-33HBE 40-49 years, female 14.3
GTEX-ZAB4-2526-SM-5HL8M 40-49 years, male 14.3
GTEX-ZVT2-1826-SM-5NQ8W 50-59 years, female 14.3
GTEX-1EWIQ-1726-SM-7SB7T 70-79 years, female 14.3
GTEX-117XS-1926-SM-5GICO 60-69 years, male 14.2
GTEX-11ONC-2126-SM-5HL6E 60-69 years, male 14.2
GTEX-ZVZQ-0826-SM-51MRF 60-69 years, female 14.2
GTEX-ZZPU-0626-SM-5E43T 50-59 years, female 14.2
GTEX-17EVP-0226-SM-79OND 40-49 years, male 14.1
GTEX-1R9PN-0326-SM-DTX85 40-49 years, female 14.1
GTEX-ZYFC-0826-SM-5E44K 50-59 years, male 14.0
GTEX-1QMI2-0726-SM-E9J4F 60-69 years, male 14.0
GTEX-17EVQ-0426-SM-7LG57 70-79 years, male 13.9
GTEX-XQ3S-1326-SM-4BOPQ 20-29 years, male 13.8
GTEX-1GF9U-1726-SM-7MGY5 40-49 years, female 13.6
GTEX-1IDFM-0426-SM-B2LVV 60-69 years, male 13.5
GTEX-1LVAM-0926-SM-E9TJ2 50-59 years, female 13.5
GTEX-1R46S-2526-SM-E8VN2 60-69 years, female 13.4
GTEX-Y5V5-2126-SM-4WWFO 60-69 years, female 13.3
GTEX-11NV4-2026-SM-5N9DG 60-69 years, male 13.2
GTEX-1LSNM-1326-SM-E9TJ1 50-59 years, male 13.1
GTEX-11TT1-2126-SM-5GU5Y 20-29 years, male 13.0
GTEX-XYKS-1326-SM-4BRUN 60-69 years, female 13.0
GTEX-1LC47-1226-SM-D4P44 60-69 years, male 13.0
GTEX-13VXU-2826-SM-664MA 50-59 years, male 12.9
GTEX-1A3MX-2726-SM-718B6 60-69 years, male 12.9
GTEX-1QW4Y-1026-SM-DTXE2 30-39 years, male 12.8
GTEX-ZYW4-0826-SM-5GIDG 60-69 years, male 12.7
GTEX-1M4P7-2626-SM-E9U5F 60-69 years, male 12.7
GTEX-ZDXO-0126-SM-5S2ND 60-69 years, male 12.6
GTEX-1H1DG-0526-SM-9YFLN 70-79 years, male 12.6
GTEX-13113-5013-SM-7SB7G 60-69 years, female 12.4
GTEX-1JMLX-2026-SM-CMKGN 50-59 years, male 12.1
GTEX-144GM-0926-SM-5O994 20-29 years, male 12.0
GTEX-1N2EF-2226-SM-E9J33 60-69 years, male 12.0
GTEX-1GF9V-2526-SM-7SB8K 60-69 years, male 11.9
GTEX-1JMOU-2026-SM-CMKGU 60-69 years, female 11.7
GTEX-13O3P-0826-SM-5L3DH 50-59 years, male 11.6
GTEX-15RJE-2626-SM-7KFT1 40-49 years, male 11.6
GTEX-1EKGG-2626-SM-7IGPY 60-69 years, male 11.6
GTEX-TML8-1226-SM-32QON 40-49 years, female 11.5
GTEX-ZUA1-1526-SM-59HLS 40-49 years, male 11.5
GTEX-11TUW-1826-SM-5BC5D 60-69 years, male 11.4
GTEX-YJ8O-2226-SM-5IFHW 40-49 years, female 11.3
GTEX-ZXES-0826-SM-5E43C 30-39 years, female 11.3
GTEX-1GZ4I-2826-SM-9MQK5 50-59 years, male 11.3
GTEX-ZAJG-0626-SM-5HL8X 50-59 years, female 11.2
GTEX-1NUQO-2226-SM-E9U68 20-29 years, female 11.2
GTEX-144GL-2026-SM-5LU3O 50-59 years, male 11.1
GTEX-14E7W-0826-SM-62LEJ 70-79 years, male 11.1
GTEX-17F97-2526-SM-7EWDV 50-59 years, male 11.0
GTEX-1GZ4H-0326-SM-7P8QX 50-59 years, female 11.0
GTEX-11WQK-2426-SM-5GU5C 50-59 years, male 10.9
GTEX-1CAMS-1426-SM-7IGPM 40-49 years, female 10.7
GTEX-1E2YA-2726-SM-7IGPW 50-59 years, male 10.7
GTEX-145LT-0726-SM-5S2VM 40-49 years, male 10.6
GTEX-14A5I-0726-SM-5TDEB 50-59 years, female 10.6
GTEX-1C64O-0726-SM-7DUFU 60-69 years, male 10.6
GTEX-11P81-1926-SM-5BC53 30-39 years, female 10.4
GTEX-1313W-0826-SM-5EQ4T 50-59 years, female 10.4
GTEX-17HG3-0126-SM-7IGNH 30-39 years, female 10.4
GTEX-13W46-0826-SM-5LU3H 50-59 years, male 10.2
GTEX-1I1GT-1126-SM-ARL7J 60-69 years, female 10.1
GTEX-1POEN-0926-SM-DTX88 30-39 years, female 10.1
GTEX-146FH-0826-SM-5SI8T 50-59 years, female 10.0
GTEX-1B97I-0426-SM-79OL7 40-49 years, male 10.0
GTEX-XBED-1626-SM-47JYN 60-69 years, male 10.0
GTEX-ZF29-1926-SM-5S2P1 60-69 years, female 10.0
GTEX-1HR98-0426-SM-COH36 60-69 years, male 10.0
GTEX-1269C-2426-SM-5FQSN 60-69 years, female 9.9
GTEX-1HSMO-0826-SM-ADEIV 60-69 years, male 9.9
GTEX-145MF-2226-SM-7EPIR 50-59 years, male 9.8
GTEX-ZV7C-1826-SM-5NQ83 50-59 years, male 9.8
GTEX-1LBAC-0926-SM-CXKY9 20-29 years, male 9.7
GTEX-1C6WA-2426-SM-7SB86 60-69 years, male 9.6
GTEX-1HCU8-0126-SM-ADEHH 60-69 years, female 9.6
GTEX-1B933-2526-SM-7IGO5 50-59 years, female 9.5
GTEX-1P4AB-1826-SM-E76PU 50-59 years, male 9.5
GTEX-1PPGY-1526-SM-EVYBK 60-69 years, male 9.4
GTEX-1F75A-1826-SM-7SB8G 50-59 years, male 9.3
GTEX-1GZHY-0726-SM-9WG6B 50-59 years, female 9.3
GTEX-U3ZN-1926-SM-4DXSG 30-39 years, female 9.2
GTEX-18A66-1726-SM-7LG5N 60-69 years, male 9.2
GTEX-1QP29-1726-SM-E8VMQ 50-59 years, male 9.2
GTEX-13PL6-2926-SM-5L3I2 40-49 years, female 9.1
GTEX-WI4N-1426-SM-3LK7H 40-49 years, female 9.1
GTEX-1HC8U-0826-SM-ADEIL 40-49 years, female 9.0
GTEX-1C6VS-0726-SM-7EPHF 60-69 years, male 8.9
GTEX-17JCI-0726-SM-7EPH1 60-69 years, female 8.8
GTEX-RU1J-0626-SM-4WAWY 20-29 years, female 8.8
GTEX-1GMR8-0726-SM-9KNVI 50-59 years, female 8.8
GTEX-17HHY-0926-SM-793C1 50-59 years, male 8.7
GTEX-1H3VY-0926-SM-ACKXE 50-59 years, male 8.6
GTEX-11NSD-0926-SM-5N9DR 20-29 years, male 8.5
GTEX-14AS3-1626-SM-5S2OY 40-49 years, female 8.5
GTEX-VJWN-0726-SM-3GIJ8 50-59 years, female 8.5
GTEX-ZWKS-2826-SM-5NQ74 30-39 years, male 8.5
GTEX-1H1CY-2226-SM-9WG7E 60-69 years, female 8.5
GTEX-1C6VQ-0426-SM-79OOX 50-59 years, male 8.4
GTEX-1J8Q2-2726-SM-A9G2X 60-69 years, male 8.4
GTEX-17HHE-1426-SM-7EPH4 50-59 years, male 8.3
GTEX-ZY6K-1626-SM-5GZWV 50-59 years, male 8.3
GTEX-1192X-2326-SM-5987X 50-59 years, male 8.2
GTEX-QVJO-1826-SM-447C9 60-69 years, female 8.2
GTEX-X261-0626-SM-3NMD9 50-59 years, male 8.2
GTEX-XUZC-1626-SM-4BRVP 30-39 years, female 8.2
GTEX-ZVTK-0326-SM-51MRR 20-29 years, male 8.2
GTEX-1HSGN-1526-SM-A9SMO 40-49 years, female 8.2
GTEX-1JN6P-2426-SM-ARL99 60-69 years, male 8.2
GTEX-WYJK-1326-SM-3NB2T 50-59 years, male 8.1
GTEX-1GN1W-1926-SM-7P8TH 50-59 years, female 8.1
GTEX-11EM3-1326-SM-5N9C6 20-29 years, female 8.0
GTEX-UTHO-1026-SM-3GAF7 60-69 years, male 8.0
GTEX-11P7K-0726-SM-5EGKX 30-39 years, male 7.9
GTEX-13SLW-2526-SM-62LDQ 70-79 years, male 7.9
GTEX-14H4A-2526-SM-5YYAY 40-49 years, female 7.9
GTEX-Q2AG-0326-SM-48U1O 40-49 years, female 7.9
GTEX-1EN7A-1426-SM-7PBY4 40-49 years, male 7.9
GTEX-1GMRU-0826-SM-9WYT7 50-59 years, male 7.9
GTEX-13OW8-0226-SM-5K7UP 60-69 years, male 7.8
GTEX-1JMPY-0526-SM-CL54O 30-39 years, male 7.8
GTEX-1JJE9-2326-SM-ARL8Q 70-79 years, male 7.7
GTEX-11DXW-0626-SM-5N9ER 40-49 years, male 7.6
GTEX-139T8-0826-SM-5L3DE 60-69 years, male 7.6
GTEX-15ETS-0626-SM-7KUMX 40-49 years, female 7.6
GTEX-11WQC-1726-SM-5GU4W 60-69 years, male 7.5
GTEX-131XW-0726-SM-5EGK3 50-59 years, female 7.4
GTEX-13FHO-0826-SM-5L3E8 60-69 years, male 7.4
GTEX-14PHY-1926-SM-5YY95 60-69 years, female 7.4
GTEX-UJHI-1426-SM-3DB9C 50-59 years, female 7.4
GTEX-ZTTD-1026-SM-51MRD 50-59 years, male 7.4
GTEX-1N2EE-2126-SM-E8VNN 60-69 years, male 7.4
GTEX-WYBS-0926-SM-3NM94 60-69 years, female 7.3
GTEX-1QCLY-1626-SM-DTXDW 30-39 years, male 7.2
GTEX-1IE54-0626-SM-ARL8D 40-49 years, female 7.1
GTEX-1KD4Q-2326-SM-D4P3M 40-49 years, male 7.1
GTEX-11EI6-0626-SM-5985T 60-69 years, male 7.0
GTEX-13NZ9-1026-SM-5MR5K 50-59 years, male 7.0
GTEX-S341-1526-SM-4AD6K 40-49 years, female 7.0
GTEX-132Q8-1426-SM-5EGK7 60-69 years, male 6.9
GTEX-15UF7-0726-SM-6M46D 40-49 years, male 6.9
GTEX-TKQ2-1826-SM-33HB2 50-59 years, male 6.9
GTEX-YFC4-1426-SM-5IFJG 40-49 years, female 6.9
GTEX-11DXZ-1926-SM-5GZZL 50-59 years, male 6.8
GTEX-11DZ1-0326-SM-5N9BN 50-59 years, male 6.8
GTEX-147F4-2826-SM-5NQBN 50-59 years, male 6.8
GTEX-WRHU-0326-SM-3MJFY 50-59 years, female 6.8
GTEX-1I1HK-2426-SM-ADEHX 60-69 years, male 6.8
GTEX-1JMQK-2626-SM-COH2W 60-69 years, male 6.8
GTEX-11DXY-2326-SM-5GICW 60-69 years, male 6.7
GTEX-14ABY-2126-SM-5QGQZ 50-59 years, male 6.7
GTEX-14E6C-1326-SM-62LEQ 40-49 years, male 6.7
GTEX-S4P3-1326-SM-4AD6V 50-59 years, female 6.7
GTEX-11GS4-2126-SM-5A5KR 60-69 years, male 6.6
GTEX-17KNJ-2026-SM-7LG53 50-59 years, male 6.6
GTEX-1B932-0826-SM-73KXG 40-49 years, female 6.6
GTEX-1F75I-2026-SM-7SB7N 40-49 years, male 6.6
GTEX-ZTPG-2826-SM-57WGA 20-29 years, female 6.6
GTEX-Y111-2026-SM-4SOJA 50-59 years, male 6.5
GTEX-ZC5H-2626-SM-5J2MG 40-49 years, female 6.5
GTEX-WFG8-2026-SM-EXOHO 20-29 years, male 6.5
GTEX-131YS-0626-SM-5EGKL 60-69 years, female 6.4
GTEX-XMD2-0926-SM-4WWEF 60-69 years, female 6.4
GTEX-Y3IK-2326-SM-4WWDT 50-59 years, female 6.4
GTEX-13OW5-2226-SM-5L3HC 60-69 years, male 6.3
GTEX-T6MN-0726-SM-32PML 50-59 years, male 6.3
GTEX-11EMC-2026-SM-5A5JV 60-69 years, female 6.2
GTEX-11GSP-0926-SM-9WYSG 60-69 years, female 6.2
GTEX-1JJEA-2726-SM-ARL8V 60-69 years, male 6.2
GTEX-1M5QR-2526-SM-E9U5P 40-49 years, male 6.2
GTEX-1MCC2-2126-SM-EWRON 30-39 years, female 6.1
GTEX-1GN2E-2226-SM-9WG6J 60-69 years, male 6.0
GTEX-1R7EU-1226-SM-E8VMR 60-69 years, male 6.0
GTEX-14LLW-0626-SM-62LFC 70-79 years, female 5.9
GTEX-S33H-0326-SM-4AD6N 30-39 years, male 5.9
GTEX-1IKJJ-2326-SM-COH3U 60-69 years, male 5.9
GTEX-1KAFJ-0226-SM-DIPEL 50-59 years, male 5.9
GTEX-111YS-1926-SM-5GICC 60-69 years, male 5.8
GTEX-13PVQ-1026-SM-5KM3M 50-59 years, male 5.8
GTEX-15G19-2126-SM-6M48J 60-69 years, male 5.8
GTEX-18A7A-0726-SM-7LTAI 50-59 years, female 5.8
GTEX-1B8SG-1226-SM-7IGPF 50-59 years, male 5.8
GTEX-1HBPM-0126-SM-ARL9E 60-69 years, female 5.8
GTEX-1RQEC-2026-SM-DTXDM 60-69 years, male 5.8
GTEX-Y5LM-1726-SM-4VDSX 40-49 years, female 5.6
GTEX-ZTX8-1226-SM-4YCE9 20-29 years, male 5.6
GTEX-1HCUA-0726-SM-ACKVU 50-59 years, female 5.6
GTEX-1IKOH-2326-SM-CM2TW 60-69 years, female 5.6
GTEX-1IY9M-2726-SM-CMKG5 60-69 years, male 5.6
GTEX-ZF3C-2326-SM-5S2NC 50-59 years, female 5.6
GTEX-14PN4-0626-SM-62LFP 50-59 years, male 5.5
GTEX-17MF6-0326-SM-7EPH5 40-49 years, male 5.5
GTEX-T5JC-2126-SM-32PMO 20-29 years, male 5.5
GTEX-1HR9M-2426-SM-ACKXI 60-69 years, male 5.5
GTEX-132AR-0826-SM-5EGK6 50-59 years, female 5.4
GTEX-13CF2-2026-SM-5K7VI 60-69 years, male 5.4
GTEX-13O3O-0826-SM-5K7WE 60-69 years, female 5.4
GTEX-1ICLZ-0426-SM-B2LW2 60-69 years, male 5.4
GTEX-1JK1U-1826-SM-ARL8W 60-69 years, male 5.4
GTEX-1MJK2-2226-SM-EVYCR 50-59 years, male 5.4
GTEX-1BAJH-0826-SM-7EWEF 70-79 years, male 5.3
GTEX-T2YK-2226-SM-32QPT 50-59 years, male 5.3
GTEX-ZEX8-2226-SM-57WC6 50-59 years, male 5.2
GTEX-X15G-1626-SM-3NMB3 50-59 years, female 5.1
GTEX-1HKZK-1826-SM-ADEJ2 40-49 years, male 5.1
GTEX-13QIC-2326-SM-5LU5N 60-69 years, female 5.0
GTEX-13SLX-2326-SM-5ZZWE 50-59 years, female 5.0
GTEX-15ER7-1626-SM-6PAMZ 20-29 years, female 5.0
GTEX-15UF6-0126-SM-6PAMB 70-79 years, female 5.0
GTEX-183WM-0726-SM-7LTAA 70-79 years, female 5.0
GTEX-1AX8Z-0926-SM-731AW 60-69 years, male 5.0
GTEX-1CB4J-1826-SM-7EWF9 60-69 years, male 5.0
GTEX-1B8L1-2426-SM-9WYTE 60-69 years, male 5.0
GTEX-W5X1-2326-SM-3GIL6 40-49 years, female 4.9
GTEX-XV7Q-2326-SM-4BRVZ 40-49 years, female 4.9
GTEX-1LVAN-1326-SM-CNPQE 50-59 years, female 4.9
GTEX-ZAK1-1326-SM-EVYAS 50-59 years, female 4.9
GTEX-13S86-1226-SM-5S2OA 40-49 years, male 4.8
GTEX-1CB4E-0226-SM-79OLW 60-69 years, male 4.8
GTEX-T2IS-1526-SM-32QPR 20-29 years, female 4.7
GTEX-XMD1-0826-SM-4AT52 60-69 years, male 4.7
GTEX-ZF2S-2026-SM-5E461 50-59 years, female 4.7
GTEX-ZVE2-1226-SM-5NQ8R 50-59 years, male 4.7
GTEX-1LGRB-1826-SM-CNPQL 50-59 years, female 4.7
GTEX-1A8G7-2426-SM-731AK 60-69 years, male 4.6
GTEX-1RAZS-1226-SM-E8VMT 50-59 years, male 4.6
GTEX-15FZZ-0726-SM-7KUFZ 30-39 years, female 4.5
GTEX-R53T-1526-SM-48FEK 50-59 years, female 4.5
GTEX-ZU9S-1926-SM-5NQBP 30-39 years, male 4.5
GTEX-1GMR3-2626-SM-7RHHG 40-49 years, male 4.5
GTEX-R3RS-0626-SM-48FE1 40-49 years, female 4.4
GTEX-1GN1U-0526-SM-9KNTT 50-59 years, female 4.4
GTEX-1H1E6-0926-SM-9YFLT 30-39 years, male 4.4
GTEX-1RAZQ-1226-SM-EWRNL 30-39 years, male 4.4
GTEX-13NZ8-0126-SM-5IJCT 60-69 years, female 4.3
GTEX-XOT4-0726-SM-4GIAW 60-69 years, female 4.3
GTEX-1F6I4-2526-SM-7SB8F 60-69 years, male 4.3
GTEX-1GPI6-0626-SM-7RHHJ 60-69 years, male 4.3
GTEX-1GZ2Q-2626-SM-7MXV9 40-49 years, male 4.3
GTEX-13FTY-2226-SM-5J1ND 40-49 years, female 4.2
GTEX-13NZB-2126-SM-5MR4Y 30-39 years, male 4.2
GTEX-15SHW-1326-SM-6PAL8 60-69 years, male 4.2
GTEX-17EUY-1926-SM-7DUF6 20-29 years, male 4.2
GTEX-VUSG-2226-SM-4KKZO 50-59 years, male 4.2
GTEX-1IDJE-0826-SM-CKZNZ 50-59 years, female 4.2
GTEX-1J8EW-2626-SM-CL53E 60-69 years, female 4.2
GTEX-RU72-0626-SM-46MUI 50-59 years, female 4.1
GTEX-WOFL-0826-SM-3MJG1 60-69 years, male 4.0
GTEX-QDT8-0626-SM-48TYW 30-39 years, female 3.9
GTEX-UPK5-2326-SM-3P5Z8 40-49 years, male 3.9
GTEX-1314G-1226-SM-5BC6D 30-39 years, male 3.8
GTEX-12ZZX-1126-SM-5EGKB 40-49 years, female 3.7
GTEX-1GF9X-1026-SM-ACKX2 40-49 years, female 3.6
GTEX-QEG5-0726-SM-D4P1T 20-29 years, male 3.6
GTEX-11PRG-0826-SM-5EQ6A 50-59 years, male 3.5
GTEX-WYVS-1726-SM-3NMAY 40-49 years, female 3.5
GTEX-1K9T9-1426-SM-DIPFQ 50-59 years, female 3.2
GTEX-1B8KZ-1526-SM-7DUG7 50-59 years, male 3.1
GTEX-X4EP-2926-SM-3P5YQ 60-69 years, female 3.1
GTEX-1HSKV-2026-SM-CMKGX 60-69 years, male 3.1
GTEX-1CB4G-2326-SM-79OOI 60-69 years, male 2.9
GTEX-1HUB1-1626-SM-CM2SL 60-69 years, male 2.9
GTEX-1JMPZ-1626-SM-COH31 30-39 years, male 2.9
GTEX-1LNCM-0226-SM-DIPF4 50-59 years, female 2.9
GTEX-1EU9M-2826-SM-7EWFH 60-69 years, male 2.7
GTEX-U3ZH-1426-SM-4DXSR 30-39 years, male 2.7
GTEX-1117F-2826-SM-5GZXL 60-69 years, female 2.6
GTEX-1JN1M-3026-SM-CMKGK 60-69 years, female 2.5
GTEX-1N5O9-1126-SM-DTXEQ 60-69 years, male 2.1
Show allShow less

BREAST - FANTOM5 CAGEi

RNA expression in human tissues obtained through Cap Analysis of Gene Expression (CAGE) generated by the FANTOM5 project are reported as Scaled Tags Per Million.

Max subtype Scaled Tags Per Millioni

Max subtype Scaled Tags Per Million is the value for the subtype with the largest average Scaled Tags Per Million across the subtype samples.

9.2
FANTOM5 sample id Sample description Scaled Tags Per Million
Breast
Scaled Tags Per Million: 9.2
FF:10080-102A8 77 years, female 9.2

Contact

  • NEWS ARTICLES
  • PRESS ROOM

The Project

  • INTRODUCTION
  • ORGANIZATION
  • PUBLICATIONS

The Human Protein Atlas

  • DOWNLOADABLE DATA
  • LICENCE & CITATION
  • HELP & FAQ
The Human Protein Atlas project is funded
by the Knut & Alice Wallenberg Foundation.


contact@proteinatlas.org