We use cookies to enhance the usability of our website. If you continue, we'll assume that you are happy to receive all cookies. More information. Don't show this again.
EIF3A
HPA
RESOURCES
  • TISSUE
  • BRAIN
  • SINGLE CELL
  • SUBCELLULAR
  • CANCER
  • BLOOD
  • CELL LINE
  • STRUCTURE & INTERACTION
ABOUT
  • INTRODUCTION
  • HISTORY
  • ORGANIZATION
  • PUBLICATIONS
  • ANTIBODY SUBMISSION
  • ANTIBODY AVAILABILITY
  • ACKNOWLEDGMENTS
  • CONTACT
NEWS
  • NEWS ARTICLES
  • PRESS ROOM
LEARN
  • DICTIONARY
  • PROTEIN CLASSES
  • PROTEIN EVIDENCE
  • METHODS
  • EDUCATIONAL VIDEOS
DATA
  • DOWNLOADABLE DATA
  • PUBLICATION DATA
  • RELEASE HISTORY
HELP
  • ANTIBODY VALIDATION
  • ASSAYS & ANNOTATION
  • DISCLAIMER
  • HELP & FAQ
  • PRIVACY STATEMENT
  • LICENCE & CITATION
Fields »
Search result

Field
Term
Gene name
Class
Subclass
Class
Keyword
Chromosome
External id
Tissue
Cell type
Expression
Antibody panel
Tissue
Main location
Patient ID
Annotation
Tissue
Category
Tau score
Cluster
Reliability
Brain region
Category
Tau score
Brain region
Category
Tau score
Brain region
Category
Tau score
Cluster
Reliability
Tissue
Cell type
Enrichment
Cell type
Category
Tau score
Cell type
Category
Tau score
Cell type
Category
Tau score
Cell lineage
Category
Tau score
Cluster
Cluster
Location
Searches
Location
Cell line
Class
Type
Phase
Reliability
Cancer
Prognosis
Cancer
Category
Cancer
Category
Tau score
Cluster
Variants
Interacting gene (ensg_id)
Type
Number of interactions
Pathway
Category
Score
Score
Score
Validation
Validation
Validation
Validation
Antibodies
Data type
Column


  • SUMMARY

  • TISSUE

  • BRAIN

  • SINGLE CELL

  • SUBCELL

  • CANCER

  • BLOOD

  • CELL LINE

  • STRUCT & INT

  • EIF3A
TISSUE PRIMARY DATA SKIN Show tissue menu
ADIPOSE TISSUE ADRENAL GLAND AMYGDALA APPENDIX BASAL GANGLIA BONE MARROW BREAST BRONCHUS CEREBELLUM CEREBRAL CORTEX CERVIX CHOROID PLEXUS COLON DUODENUM
ENDOMETRIUM EPIDIDYMIS ESOPHAGUS FALLOPIAN TUBE GALLBLADDER HEART MUSCLE HIPPOCAMPAL FORMATION HYPOTHALAMUS KIDNEY LIVER LUNG LYMPH NODE MIDBRAIN NASOPHARYNX
ORAL MUCOSA OVARY PANCREAS PARATHYROID GLAND PITUITARY GLAND PLACENTA PROSTATE RECTUM RETINA SALIVARY GLAND SEMINAL VESICLE SKELETAL MUSCLE SKIN SMALL INTESTINE
SMOOTH MUSCLE SOFT TISSUE SPINAL CORD SPLEEN STOMACH TESTIS THYMUS THYROID GLAND TONGUE TONSIL URINARY BLADDER VAGINA
ANTIBODIES
AND
VALIDATION
Dictionary
Skin
Tissue proteome
Skin
SKIN - Expression summary
Protein expression
Skini

On the top, protein expression in current human tissue, based on all annotated cell types, is reported with the units not detected (n), low (l), medium (m) and high (h). Underneath, protein expression in each annotated cell type are reported using the same units.

Protein expression data is based on knowledge-based annotation. For genes where more than one antibody has been used, a collective score is set.

If knowledge-based annotation could not be performed for a gene, no data is displayed here. View antibody staining data further down this page.

h
m
l
n
Cells in basal layer: Medium
Cells in corneal layer: Not detected
Cells in granular layer: Medium
Cells in spinous layer: Medium
Eccrine glands: Medium
Endothelial cells: Medium
Extracellular matrix: Not detected
Fibrohistiocytic cells: Medium
Hair follicles: Medium
Langerhans cells: Medium
Lymphocytes: Medium
Melanocytes: Medium
Vascular mural cells: Not detected
RNA expressioni

A summary of mRNA expression data available for current tissue based on several datasets. The mRNA expression levels in human tissues are based on RNA-seq data generated by the Human Protein Atlas (HPA), Genotype-Tissue Expression (GTEx) portal and CAGE data generated by the FANTOM5 consortium. Consensus normalized expression levels for human tissues was created by combining the data from HPA and GTEx datasets.

The mRNA expression levels in pig are based on RNA-seq data generated by the Human Protein Atlas (HPA), and for mouse, HPA data and in situ hybridization generated by the Allen brain atlas are reported.

Scroll down to view mRNA expression data in more detail.
Consensus:68.1 nTPM
HPA:68.1 nTPM
GTEx:63.5 nTPM

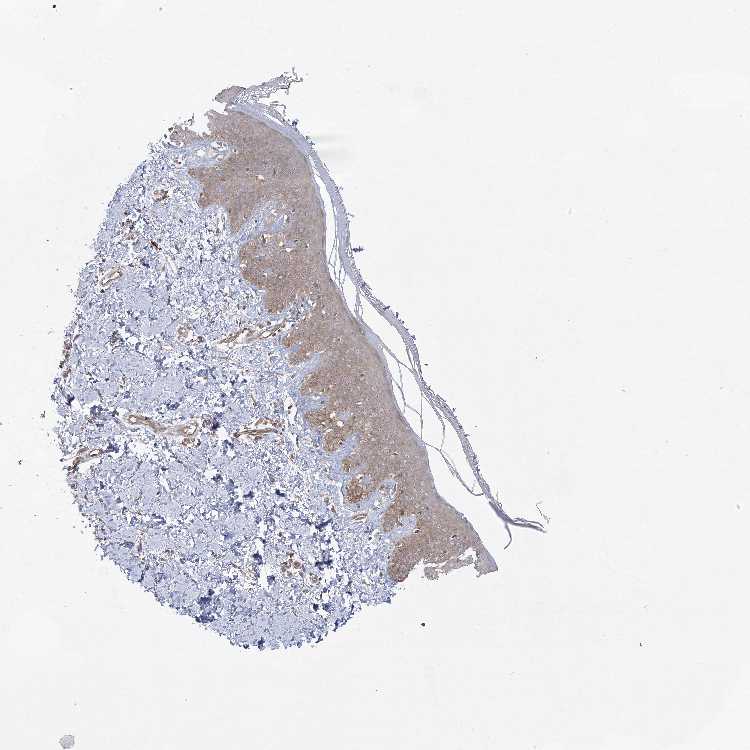
SKIN 1 - Antibody stainingi

Antibody staining in the annotated cell types in the current human tissue is reported as not detected, low, medium, or high, based on conventional immunohistochemistry profiling in selected tissues. This score is based on the combination of the staining intensity and fraction of stained cells.

Each image is clickable and will lead to virtual microscopy that enables deeper exploration of all samples and also displays staining intensity scores, fraction scores and subcellular localization as well as patient and tissue information for each sample.

Antibody HPA038315Antibody HPA038316
Langerhans Medium-
Cells in basal layer -Medium
Cells in corneal layer -Not detected
Cells in granular layer -Medium
Cells in spinous layer -Medium
Eccrine glands -Medium
Endothelial cells -Medium
Extracellular matrix -Not detected
Fibroblasts Low-
Fibrohistiocytic cells -Medium
Keratinocytes Medium-
Langerhans cells -Medium
Lymphocytes -Medium
Melanocytes MediumMedium
Vascular mural cells -Not detected




SKIN 2 - Antibody stainingi

Antibody staining in the annotated cell types in the current human tissue is reported as not detected, low, medium, or high, based on conventional immunohistochemistry profiling in selected tissues. This score is based on the combination of the staining intensity and fraction of stained cells.

Each image is clickable and will lead to virtual microscopy that enables deeper exploration of all samples and also displays staining intensity scores, fraction scores and subcellular localization as well as patient and tissue information for each sample.

Antibody HPA038315Antibody HPA038316
Cells in basal layer -Medium
Cells in corneal layer -Not detected
Cells in granular layer -Medium
Cells in spinous layer -Medium
Endothelial cells -Medium
Epidermal cells Medium-
Extracellular matrix -Not detected
Fibrohistiocytic cells -Medium
Hair follicles -Medium
Langerhans cells -Medium
Lymphocytes -Medium
Melanocytes -Medium
Vascular mural cells -Not detected
  
  


SKIN - HPA RNA-seqi

The RNA-seq details section shows detailed information about the individual samples used for the transcript profiling and results of the RNA-seq analysis.

Information about each individual sample is listed below, including gender, age, a tissue section image and estimated fractions of cell types. nTPM (normalized transcripts per million) values give a quantification of the gene abundance which is comparable between different genes and samples.
Average nTPMi

Max subtype nTPM is the value for the subtype with the largest average nTPM across the subtype samples.

68.1
overview
Female, age 34
Skin sample 225
nTPM: 72.3
Cell types%
Keratinocytes:
60

Other cell types:
40

overview
Female, age 30
Skin sample 226
nTPM: 81.1
Cell types%
Keratinocytes:
55

Other cell types:
45

N/A
Male, age 57
Skin sample 227
nTPM: 50.9

SKIN - GTEx RNA-seqi

RNA-Seq data generated by the Genotype-Tissue Expression (GTEx) project from human tissues is reported as mean nTPM. More information can be found on the GTEx portal.

Distribution across the dataset is visualized with box plots, shown as median and 25th and 75th percentiles. Points are displayed as outliers if they are above or below 1.5 times the interquartile range. nTPM values of the individual samples are presented next to the box plot.
Max subtype nTPMi

Max subtype nTPM is the value for the subtype with the largest average nTPM across the subtype samples.

63.5
GTEx sample id Sample description nTPM
Skin - Not Sun Exposed (Suprapubic)
Average nTPM: 61.5
Samples: 604

Max nTPM: 108.9
Min nTPM: 28.9
Std nTPM: 13.3
Median nTPM: 60.3
GTEX-1F6RS-2026-SM-7RHHC 60-69 years, female 108.9
GTEX-12WSK-2126-SM-5CVNC 40-49 years, female 106.2
GTEX-1H2FU-0926-SM-9WPPT 60-69 years, female 101.3
GTEX-1N2DV-1526-SM-DTXEP 40-49 years, male 100.2
GTEX-14C5O-0326-SM-5ZZUX 60-69 years, male 99.3
GTEX-WHSE-0126-SM-3NMBT 20-29 years, male 99.2
GTEX-ZY6K-1426-SM-5GZX2 50-59 years, male 99.1
GTEX-1CB4J-1326-SM-7P8RX 60-69 years, male 98.1
GTEX-ZYFD-0626-SM-5E44E 50-59 years, male 96.6
GTEX-11WQK-1026-SM-5EQLX 50-59 years, male 95.8
GTEX-14PJ4-0226-SM-5YY92 60-69 years, male 95.6
GTEX-1NV5F-0626-SM-DTXEG 60-69 years, female 95.5
GTEX-15G1A-1626-SM-7KUKN 30-39 years, male 94.2
GTEX-131XF-2626-SM-5EQ6K 60-69 years, male 93.3
GTEX-1HCU7-0726-SM-A9SL1 50-59 years, male 93.3
GTEX-148VJ-0626-SM-5LUAW 70-79 years, male 92.8
GTEX-1HSMO-0626-SM-ACKXC 60-69 years, male 92.1
GTEX-13PDP-0726-SM-5L3HP 60-69 years, male 91.1
GTEX-17F98-1326-SM-7DUEP 40-49 years, female 91.1
GTEX-1ICLZ-0326-SM-ARL82 60-69 years, male 90.8
GTEX-1HT8W-0626-SM-A9G2H 30-39 years, male 90.6
GTEX-1I1GU-0926-SM-ACKVS 40-49 years, male 90.6
GTEX-1F75I-2226-SM-7SB8U 40-49 years, male 89.8
GTEX-14XAO-1226-SM-6EU1C 60-69 years, female 89.1
GTEX-1IKJJ-2226-SM-CJI4C 60-69 years, male 88.4
GTEX-1NSGN-0726-SM-DTXEF 50-59 years, male 88.4
GTEX-14C38-0726-SM-5SI6M 50-59 years, male 87.5
GTEX-12ZZX-2426-SM-5GCOE 40-49 years, female 87.0
GTEX-1GZ4H-0526-SM-9KNU9 50-59 years, female 86.1
GTEX-ZTX8-1326-SM-4YCEL 20-29 years, male 85.8
GTEX-1MCYP-0526-SM-E9U6Q 20-29 years, female 85.6
GTEX-1GPI6-1926-SM-9KNV7 60-69 years, male 85.3
GTEX-1OJC3-1226-SM-DTXER 20-29 years, male 84.9
GTEX-1JKYR-0626-SM-ARL8R 20-29 years, male 84.4
GTEX-16AAH-0626-SM-793C9 50-59 years, male 84.0
GTEX-1AX9J-1326-SM-731BJ 60-69 years, male 82.9
GTEX-1QPFJ-1926-SM-EVYBD 30-39 years, female 82.9
GTEX-111VG-1626-SM-5EGIO 60-69 years, male 82.8
GTEX-1GN1W-2426-SM-9KNUU 50-59 years, female 82.8
GTEX-1HKZK-0726-SM-ACKW2 40-49 years, male 82.3
GTEX-1R9PM-1926-SM-EVR3O 20-29 years, male 82.3
GTEX-13G51-1826-SM-5KLZH 60-69 years, male 82.1
GTEX-13OVH-0526-SM-5L3E6 70-79 years, male 81.9
GTEX-WFG7-2026-SM-5SI7P 20-29 years, male 81.8
GTEX-YF7O-1526-SM-5IFI6 50-59 years, male 81.8
GTEX-1JK1U-0226-SM-ARZMX 60-69 years, male 81.8
GTEX-1I1GT-1026-SM-ARZLV 60-69 years, female 81.7
GTEX-1HBPM-0726-SM-9YFL7 60-69 years, female 81.5
GTEX-11EQ9-1626-SM-5PNY8 30-39 years, male 81.2
GTEX-1GMR8-0626-SM-7RHI7 50-59 years, female 81.2
GTEX-1R46S-2426-SM-E76QA 60-69 years, female 81.1
GTEX-1C6VQ-1226-SM-73KYD 50-59 years, male 80.9
GTEX-1HSMQ-2626-SM-A9SML 50-59 years, male 80.8
GTEX-1QP2A-1726-SM-E76QC 50-59 years, male 80.6
GTEX-ZVT4-2426-SM-5GIEI 50-59 years, female 80.5
GTEX-1IE54-1126-SM-A9G2Z 40-49 years, female 80.5
GTEX-15EU6-2226-SM-6EU2L 50-59 years, male 80.0
GTEX-13X6H-0926-SM-5SIB2 50-59 years, female 79.7
GTEX-ZZ64-1026-SM-5GZXG 20-29 years, male 79.6
GTEX-1PBJJ-1026-SM-E76OS 30-39 years, male 79.5
GTEX-11WQC-1826-SM-5GU59 60-69 years, male 79.4
GTEX-13O3O-2326-SM-5IJD6 60-69 years, female 79.1
GTEX-ZYFC-0426-SM-5GICQ 50-59 years, male 79.0
GTEX-14PJ5-1526-SM-6LLIL 60-69 years, female 78.9
GTEX-1GPI7-1826-SM-9KNU1 20-29 years, male 78.8
GTEX-1HR9M-2226-SM-CNPPY 60-69 years, male 78.7
GTEX-ZAJG-1526-SM-5CVML 50-59 years, female 78.6
GTEX-12WSD-0626-SM-5GCMW 60-69 years, female 78.1
GTEX-1J8Q3-0526-SM-ARL8U 60-69 years, male 78.1
GTEX-1HSKV-1226-SM-ADEI4 60-69 years, male 78.0
GTEX-144GM-0526-SM-79OJO 20-29 years, male 77.9
GTEX-1JMPY-0226-SM-CKZOK 30-39 years, male 77.9
GTEX-13D11-0926-SM-5J2NC 50-59 years, female 77.8
GTEX-1B8SF-0126-SM-7DUG3 60-69 years, male 77.8
GTEX-14ICL-1626-SM-5YYAO 30-39 years, male 77.7
GTEX-1B8KE-1126-SM-7EPHI 50-59 years, male 77.6
GTEX-1F75B-0726-SM-7PC3R 50-59 years, male 77.6
GTEX-14PHX-2226-SM-6EU2P 50-59 years, male 77.4
GTEX-1JN1M-2726-SM-CY8I4 60-69 years, female 77.3
GTEX-15EO6-2426-SM-6PALZ 50-59 years, male 76.7
GTEX-14JG6-1426-SM-9WG7C 30-39 years, female 76.6
GTEX-1AMFI-1326-SM-7939R 50-59 years, female 76.4
GTEX-145MH-2826-SM-5RQJF 50-59 years, male 76.3
GTEX-18A67-1626-SM-7LT9T 50-59 years, male 76.3
GTEX-1EU9M-1426-SM-793AI 60-69 years, male 76.2
GTEX-1HBPI-2126-SM-ARL9K 50-59 years, male 75.6
GTEX-14C39-1726-SM-5RQIL 40-49 years, male 75.5
GTEX-1F52S-2926-SM-7MKGA 60-69 years, female 75.5
GTEX-1GF9V-0826-SM-9KNUV 60-69 years, male 75.5
GTEX-1PIIG-2326-SM-DTXFR 30-39 years, male 75.1
GTEX-1B933-2426-SM-7DHMD 50-59 years, female 75.0
GTEX-1F5PL-0926-SM-7PC2W 40-49 years, female 74.7
GTEX-1GMRU-2126-SM-7P8RA 50-59 years, male 74.7
GTEX-1GZ4I-2626-SM-9KNU3 50-59 years, male 74.7
GTEX-13VXT-1926-SM-5K7UO 20-29 years, female 74.6
GTEX-17F9Y-0126-SM-79OKX 70-79 years, female 74.4
GTEX-1F48J-0726-SM-7RHGS 50-59 years, female 74.4
GTEX-14PKU-0126-SM-6LLHV 40-49 years, female 74.1
GTEX-WHWD-1826-SM-3LK6I 50-59 years, male 74.0
GTEX-13IVO-0726-SM-5LZYV 70-79 years, male 73.9
GTEX-1399U-1126-SM-5L3DB 50-59 years, female 73.8
GTEX-1IKOE-1426-SM-CE6T7 30-39 years, female 73.7
GTEX-17HGU-2326-SM-7DUFE 50-59 years, male 73.6
GTEX-1PPH8-0126-SM-EWRN8 20-29 years, male 73.6
GTEX-WFON-1926-SM-3LK7L 40-49 years, male 73.4
GTEX-15SKB-2826-SM-6PAMH 60-69 years, male 73.2
GTEX-12KS4-2126-SM-5FQUT 30-39 years, male 72.8
GTEX-13FTX-1526-SM-5K7VJ 20-29 years, female 72.8
GTEX-1H1DF-1126-SM-9WG7G 40-49 years, female 72.8
GTEX-18A66-0626-SM-7LT8Z 60-69 years, male 72.7
GTEX-1IDFM-0326-SM-ARL7V 60-69 years, male 72.6
GTEX-ZXG5-2126-SM-59HKD 60-69 years, male 72.5
GTEX-1GN73-0726-SM-7P8TJ 60-69 years, male 72.5
GTEX-1H11D-1826-SM-9QEHM 40-49 years, male 72.5
GTEX-13PVR-0426-SM-5RQK2 60-69 years, female 72.3
GTEX-15ER7-0626-SM-6PANF 20-29 years, female 72.3
GTEX-139D8-1126-SM-5LU8W 30-39 years, female 72.2
GTEX-14PJ6-2626-SM-6EU2T 60-69 years, female 72.2
GTEX-ZLV1-1526-SM-DO91J 60-69 years, female 72.1
GTEX-11DXX-2126-SM-5PNYR 60-69 years, female 72.0
GTEX-14E6C-2426-SM-5S2NF 40-49 years, male 71.8
GTEX-1HSMP-0926-SM-A9SKX 70-79 years, male 71.8
GTEX-11ZU8-0126-SM-5EQ58 60-69 years, male 71.7
GTEX-1LGRB-0926-SM-COH3K 50-59 years, female 71.7
GTEX-15UF6-1926-SM-7KUDV 70-79 years, female 71.6
GTEX-13YAN-0226-SM-5TDC6 60-69 years, male 71.4
GTEX-1S831-1826-SM-EWROF 20-29 years, male 71.4
GTEX-14B4R-1326-SM-5Q5EZ 30-39 years, male 71.3
GTEX-12C56-1526-SM-5FQUQ 20-29 years, male 71.2
GTEX-13QJC-0126-SM-5ZZWJ 60-69 years, female 71.2
GTEX-1A3MW-0626-SM-731CB 60-69 years, female 71.1
GTEX-1R7EU-1626-SM-DTXG3 60-69 years, male 71.1
GTEX-133LE-2326-SM-5K7W3 20-29 years, female 71.0
GTEX-1HCU6-2526-SM-ADEHL 60-69 years, female 70.9
GTEX-1HCVE-2726-SM-CL54F 50-59 years, male 70.9
GTEX-1AX9I-2226-SM-73KUO 60-69 years, male 70.7
GTEX-U8XE-0226-SM-4E3J3 30-39 years, male 70.7
GTEX-1GN1V-2826-SM-9JGIA 60-69 years, male 70.7
GTEX-12ZZZ-0726-SM-5GCNZ 60-69 years, male 70.6
GTEX-11DZ1-2426-SM-5GZZX 50-59 years, male 70.4
GTEX-13FHO-0426-SM-5L3F5 60-69 years, male 70.4
GTEX-14PJ3-1126-SM-5ZZVX 50-59 years, male 70.4
GTEX-ZT9X-1526-SM-5DUXD 40-49 years, male 70.4
GTEX-144FL-0626-SM-5LU43 50-59 years, male 70.1
GTEX-1BAJH-2426-SM-7IGP8 70-79 years, male 70.1
GTEX-1R9K4-2826-SM-DTX8F 60-69 years, male 69.9
GTEX-ZF29-0926-SM-4WKFZ 60-69 years, female 69.8
GTEX-ZVT2-0126-SM-5GIDQ 50-59 years, female 69.8
GTEX-12ZZY-0726-SM-5EQ66 60-69 years, male 69.7
GTEX-145MO-2826-SM-5LU96 60-69 years, male 69.7
GTEX-11DYG-1526-SM-5A5JS 60-69 years, male 69.6
GTEX-1B97I-0626-SM-73KUZ 40-49 years, male 69.6
GTEX-1GZHY-0626-SM-9KNVC 50-59 years, female 69.4
GTEX-1S83E-1326-SM-E6CJM 40-49 years, male 69.4
GTEX-14PJN-1826-SM-6AJ98 30-39 years, male 69.3
GTEX-15RJ7-2126-SM-6PAMD 40-49 years, male 69.3
GTEX-1GF9W-1426-SM-7PBYM 60-69 years, male 69.3
GTEX-1QCLY-0226-SM-EWRNH 30-39 years, male 69.1
GTEX-17HHY-0426-SM-7DHLC 50-59 years, male 68.9
GTEX-18D9B-0926-SM-7LG4U 60-69 years, male 68.9
GTEX-1GN2E-0226-SM-9WG6K 60-69 years, male 68.8
GTEX-13NYC-0126-SM-5L3F4 60-69 years, male 68.7
GTEX-13OW5-2326-SM-5L3HO 60-69 years, male 68.7
GTEX-13X6K-0626-SM-5LU5D 60-69 years, female 68.6
GTEX-1I6K7-1926-SM-B2LXR 40-49 years, male 68.6
GTEX-1QP29-1826-SM-DTX9S 50-59 years, male 68.6
GTEX-111YS-1526-SM-5GZYW 60-69 years, male 68.4
GTEX-1497J-0226-SM-5QGPU 60-69 years, male 68.4
GTEX-1HCUA-0826-SM-ADEHM 50-59 years, female 68.4
GTEX-1JMQK-1226-SM-D4P2S 60-69 years, male 68.4
GTEX-144GO-2026-SM-5O99P 60-69 years, male 68.2
GTEX-1QP28-1126-SM-EVYC4 50-59 years, female 68.1
GTEX-1A8G6-2726-SM-731AR 60-69 years, male 67.9
GTEX-YJ8O-2526-SM-5HL85 40-49 years, female 67.9
GTEX-144GL-0626-SM-5LU4D 50-59 years, male 67.8
GTEX-1C64N-2626-SM-7PC2N 50-59 years, male 67.6
GTEX-14LZ3-0126-SM-69LPM 60-69 years, female 67.4
GTEX-17HHE-1326-SM-7EWDZ 50-59 years, male 67.4
GTEX-ZGAY-1826-SM-DO91Q 40-49 years, female 67.4
GTEX-1JN76-0626-SM-CKZOQ 20-29 years, female 67.2
GTEX-139UW-0326-SM-5J1ML 60-69 years, male 67.1
GTEX-145MI-0626-SM-5SI8S 60-69 years, female 67.1
GTEX-15RJE-2826-SM-7KUM9 40-49 years, male 67.1
GTEX-1399Q-2326-SM-5KM2X 40-49 years, male 66.9
GTEX-W5X1-2526-SM-3GILC 40-49 years, female 66.9
GTEX-1MJK3-0726-SM-E6CJC 20-29 years, male 66.8
GTEX-13SLW-0626-SM-5Q5ER 70-79 years, male 66.7
GTEX-1PPH7-1126-SM-DTX9A 40-49 years, male 66.7
GTEX-11P7K-1126-SM-5HL4L 30-39 years, male 66.6
GTEX-1GF9U-2026-SM-7SB92 40-49 years, female 66.6
GTEX-1ICLY-0826-SM-CMKG1 50-59 years, male 66.6
GTEX-1EH9U-2826-SM-7DUGT 60-69 years, male 66.5
GTEX-1EX96-1026-SM-7MKG2 50-59 years, male 66.5
GTEX-1RB15-1326-SM-E76Q9 60-69 years, male 66.5
GTEX-13OVK-1426-SM-6PAN7 40-49 years, male 66.3
GTEX-15DDE-2926-SM-6LLJ3 50-59 years, female 66.2
GTEX-18QFQ-1826-SM-72D52 30-39 years, male 66.2
GTEX-1IDJC-1526-SM-B2LW4 50-59 years, male 66.2
GTEX-WHSB-1326-SM-3LK6W 50-59 years, male 66.1
GTEX-1F88E-1626-SM-7SB8Z 60-69 years, female 66.1
GTEX-1GF9X-1326-SM-7PC2Y 40-49 years, female 66.1
GTEX-1F5PK-2226-SM-7SB6N 50-59 years, male 66.0
GTEX-13OW7-0426-SM-5K7VK 50-59 years, male 65.9
GTEX-11P82-1426-SM-DTXFY 20-29 years, male 65.8
GTEX-1F75A-0726-SM-7RHHD 50-59 years, male 65.8
GTEX-1RAZQ-1326-SM-E9TK6 30-39 years, male 65.8
GTEX-13X6J-0626-SM-5LU5F 50-59 years, male 65.7
GTEX-1I1GV-0626-SM-ARL7M 60-69 years, male 65.6
GTEX-1KXAM-1626-SM-D3LAD 60-69 years, male 65.6
GTEX-14BMV-2826-SM-5TDED 50-59 years, male 65.4
GTEX-13O61-1426-SM-5KM3D 60-69 years, male 65.3
GTEX-1LVAN-0626-SM-CNPOQ 50-59 years, female 65.3
GTEX-13QBU-1226-SM-5LU4G 40-49 years, female 65.1
GTEX-147F3-1726-SM-5SIAW 50-59 years, female 65.1
GTEX-12WSM-1926-SM-5BC65 60-69 years, male 64.9
GTEX-1C2JI-1026-SM-73KY1 50-59 years, male 64.9
GTEX-111CU-1126-SM-5EGIM 50-59 years, male 64.7
GTEX-ZYVF-0926-SM-5E44J 50-59 years, female 64.7
GTEX-1H1E6-0426-SM-9WYUS 30-39 years, male 64.7
GTEX-1HCU9-0426-SM-9WYSD 20-29 years, male 64.7
GTEX-1HR98-2226-SM-ADEI2 60-69 years, male 64.7
GTEX-1I1CD-0626-SM-CE6SW 60-69 years, female 64.7
GTEX-1LB8K-0726-SM-D5OV2 50-59 years, male 64.7
GTEX-13FLV-0126-SM-5K7WT 50-59 years, male 64.6
GTEX-WEY5-2326-SM-3GIKK 40-49 years, female 64.6
GTEX-1GTWX-2026-SM-9YFLM 60-69 years, male 64.5
GTEX-1117F-2926-SM-5GZYI 60-69 years, female 64.4
GTEX-WH7G-2026-SM-3NMBL 40-49 years, male 64.3
GTEX-1GN1U-0626-SM-9MQL9 50-59 years, female 64.3
GTEX-139YR-1026-SM-5LZYN 50-59 years, male 64.2
GTEX-14BIN-1126-SM-5RQJZ 50-59 years, female 64.2
GTEX-1399S-0126-SM-5IJCF 30-39 years, female 64.1
GTEX-1JJEA-1826-SM-ARU8P 60-69 years, male 64.1
GTEX-1LSNL-2726-SM-E9TKJ 50-59 years, male 64.1
GTEX-1HGF4-0126-SM-CNPPX 60-69 years, male 64.0
GTEX-WHPG-2626-SM-3NMBR 50-59 years, male 63.9
GTEX-13NZ9-2626-SM-5L3FK 50-59 years, male 63.8
GTEX-1211K-1526-SM-5FQU4 60-69 years, female 63.6
GTEX-13NYS-0626-SM-5L3F1 60-69 years, male 63.6
GTEX-13PL6-1126-SM-5L3IE 40-49 years, female 63.6
GTEX-18A6Q-0626-SM-7KFRP 60-69 years, male 63.6
GTEX-183FY-1026-SM-7939A 20-29 years, male 63.5
GTEX-Y8E4-2026-SM-5IFJB 40-49 years, male 63.5
GTEX-1H1DE-1326-SM-9KNUG 20-29 years, male 63.5
GTEX-1H4P4-2126-SM-9WYSL 50-59 years, male 63.5
GTEX-1N5O9-0926-SM-E9J3C 60-69 years, male 63.5
GTEX-11O72-0626-SM-5PNYE 40-49 years, male 63.4
GTEX-15RIG-0726-SM-7KUM7 40-49 years, male 63.4
GTEX-1H3NZ-2726-SM-9WYTQ 60-69 years, male 63.4
GTEX-12WSJ-1126-SM-5LZVJ 40-49 years, female 63.2
GTEX-16BQI-1326-SM-6M486 30-39 years, female 63.1
GTEX-1CB4E-0926-SM-7EPHT 60-69 years, male 63.1
GTEX-Y111-0626-SM-4SOIT 50-59 years, male 63.1
GTEX-1H1CY-0126-SM-9YFLY 60-69 years, female 63.1
GTEX-16NGA-0726-SM-731AO 40-49 years, female 63.0
GTEX-1C6VR-0126-SM-7RHGB 60-69 years, male 63.0
GTEX-1IDJV-0126-SM-COH3Y 60-69 years, male 63.0
GTEX-1LSVX-2526-SM-DIPEU 60-69 years, male 63.0
GTEX-13113-1626-SM-5EQ4I 60-69 years, female 62.9
GTEX-131XG-0326-SM-5L3DX 50-59 years, female 62.8
GTEX-1KANA-1326-SM-DIPFA 20-29 years, male 62.6
GTEX-145LU-1926-SM-79OJN 50-59 years, male 62.5
GTEX-ZZPU-0826-SM-5GZX5 50-59 years, female 62.5
GTEX-1C475-1326-SM-7SB73 40-49 years, female 62.5
GTEX-1H3VE-0726-SM-9YFL5 40-49 years, male 62.5
GTEX-14AS3-1526-SM-5Q5ED 40-49 years, female 62.4
GTEX-UPJH-0226-SM-3GADV 50-59 years, male 62.4
GTEX-Z93S-1626-SM-5CVMB 50-59 years, male 62.4
GTEX-1L5NE-1126-SM-D3L9P 50-59 years, male 62.3
GTEX-1E2YA-2126-SM-7MXUO 50-59 years, male 62.2
GTEX-1HBPN-0126-SM-CGQEF 50-59 years, male 62.1
GTEX-11EQ8-0926-SM-5H12V 60-69 years, male 62.0
GTEX-1CB4H-1126-SM-7MKGL 60-69 years, female 62.0
GTEX-1122O-1026-SM-9WYSF 60-69 years, female 62.0
GTEX-1PDJ9-1226-SM-EXUSX 20-29 years, male 62.0
GTEX-1QMI2-2526-SM-E8VNZ 60-69 years, male 62.0
GTEX-1RAZR-2126-SM-E9U6T 40-49 years, male 62.0
GTEX-1LVA9-2626-SM-EVYD4 50-59 years, male 61.9
GTEX-1AMEY-0826-SM-72D65 30-39 years, female 61.7
GTEX-13NZ8-1226-SM-5KM4A 60-69 years, female 61.6
GTEX-13W3W-0726-SM-5IJDQ 60-69 years, female 61.6
GTEX-XQ8I-0926-SM-4BOOF 50-59 years, male 61.5
GTEX-1313W-0626-SM-5EQ4H 50-59 years, female 61.4
GTEX-ZDTT-0426-SM-4WKFL 60-69 years, male 61.4
GTEX-17KNJ-2126-SM-718AM 50-59 years, male 61.3
GTEX-18A7B-2726-SM-7LG56 70-79 years, male 61.3
GTEX-11VI4-1126-SM-5EQMD 40-49 years, female 61.2
GTEX-11GS4-0226-SM-5HL77 60-69 years, male 61.1
GTEX-14JFF-0626-SM-5ZZVT 60-69 years, male 61.1
GTEX-17F9E-2326-SM-79OKD 50-59 years, male 61.0
GTEX-ZYY3-2926-SM-5GIEB 60-69 years, female 61.0
GTEX-1S82P-2126-SM-E6CI5 60-69 years, female 61.0
GTEX-14ABY-2026-SM-62LDL 50-59 years, male 60.9
GTEX-1HC8U-1326-SM-9YFMJ 40-49 years, female 60.9
GTEX-1QAET-0326-SM-EVR3U 50-59 years, male 60.6
GTEX-13112-0126-SM-5P9IU 50-59 years, male 60.5
GTEX-131YS-2826-SM-5EQ47 60-69 years, female 60.5
GTEX-1CB4F-1026-SM-7DUH1 60-69 years, male 60.5
GTEX-1LGOU-1326-SM-D3L8M 20-29 years, female 60.5
GTEX-1R9PN-0426-SM-DTXDT 40-49 years, female 60.5
GTEX-13OW6-2726-SM-5J2OE 50-59 years, male 60.3
GTEX-ZA64-1026-SM-5HL8R 20-29 years, male 60.3
GTEX-1J8Q2-2626-SM-ACKWQ 60-69 years, male 60.3
GTEX-1J8QM-2426-SM-A9SLS 60-69 years, female 60.3
GTEX-15CHC-1126-SM-6LLHQ 60-69 years, female 60.2
GTEX-XXEK-1626-SM-4BRUZ 50-59 years, male 60.2
GTEX-1HSGN-0826-SM-ACKW3 40-49 years, female 60.2
GTEX-1LKK1-2626-SM-DKPQE 50-59 years, female 60.2
GTEX-14A6H-2026-SM-5Q5DD 30-39 years, male 60.1
GTEX-11LCK-2226-SM-5HL4Q 30-39 years, male 60.0
GTEX-16MT8-2926-SM-7DUFO 60-69 years, female 60.0
GTEX-ZYT6-2326-SM-5GZY3 30-39 years, male 60.0
GTEX-1IY9M-2826-SM-ARU8H 60-69 years, male 60.0
GTEX-1RAZS-2526-SM-E6CHT 50-59 years, male 60.0
GTEX-18A7A-0126-SM-731AH 50-59 years, female 59.9
GTEX-Y114-2126-SM-4TT8B 50-59 years, female 59.9
GTEX-ZE7O-2726-SM-51MT5 50-59 years, female 59.9
GTEX-ZLWG-0826-SM-59888 50-59 years, female 59.9
GTEX-1OJC4-2726-SM-E76PJ 50-59 years, female 59.9
GTEX-WXYG-2026-SM-4E3IY 50-59 years, female 59.8
GTEX-11TUW-0626-SM-5LU9M 60-69 years, male 59.7
GTEX-14PHY-1226-SM-5ZZWK 60-69 years, female 59.7
GTEX-1MCC2-1826-SM-DIPEX 30-39 years, female 59.7
GTEX-1A32A-0626-SM-731AQ 50-59 years, female 59.6
GTEX-13N11-2326-SM-5IJBF 50-59 years, female 59.5
GTEX-1KANB-2826-SM-CY8I6 50-59 years, male 59.5
GTEX-1GMR3-0126-SM-A9SLW 40-49 years, male 59.4
GTEX-1IDJH-0126-SM-D3L92 70-79 years, male 59.4
GTEX-1QP66-1226-SM-DTX7U 50-59 years, male 59.4
GTEX-147GR-2426-SM-5ZZWQ 60-69 years, male 59.3
GTEX-1JMQJ-0826-SM-CNPP7 50-59 years, male 59.3
GTEX-13RTJ-0126-SM-5S2NN 60-69 years, male 59.2
GTEX-XAJ8-1426-SM-47JYM 40-49 years, male 59.2
GTEX-1GL5R-1326-SM-7RHHF 50-59 years, male 59.2
GTEX-1IDJU-1726-SM-CMKHU 60-69 years, female 59.2
GTEX-1269C-0126-SM-5EQ5L 60-69 years, female 59.1
GTEX-ZVP2-0326-SM-57WBP 50-59 years, male 59.1
GTEX-1JMLX-0626-SM-ARL8T 50-59 years, male 59.1
GTEX-13O3Q-0126-SM-5KM34 50-59 years, male 58.9
GTEX-14753-0726-SM-5QGQO 60-69 years, male 58.8
GTEX-11ZTT-2126-SM-5CVLO 60-69 years, female 58.7
GTEX-12584-0726-SM-5FQTK 40-49 years, male 58.7
GTEX-1H23P-0626-SM-9WG6T 60-69 years, male 58.7
GTEX-ZTTD-2826-SM-4YCFA 50-59 years, male 58.6
GTEX-1PPGY-1626-SM-EVYBL 60-69 years, male 58.6
GTEX-1B932-2326-SM-79OL5 40-49 years, female 58.5
GTEX-ZUA1-2626-SM-5NQ92 40-49 years, male 58.5
GTEX-1I1GP-1326-SM-A9G28 50-59 years, male 58.4
GTEX-14LLW-2626-SM-62LDZ 70-79 years, female 58.2
GTEX-12126-0826-SM-5FQTZ 20-29 years, male 57.9
GTEX-1EKGG-0626-SM-7DUGJ 60-69 years, male 57.9
GTEX-1I1GS-2626-SM-B2LY3 60-69 years, male 57.9
GTEX-WFG8-2126-SM-3GIKQ 20-29 years, male 57.7
GTEX-17EVQ-0126-SM-7IGLR 70-79 years, male 57.6
GTEX-XBED-1926-SM-47JYP 60-69 years, male 57.6
GTEX-1CAMS-2226-SM-7PBXQ 40-49 years, female 57.4
GTEX-1JJ6O-2726-SM-CNPOG 60-69 years, male 57.4
GTEX-ZVZP-1226-SM-5GID7 50-59 years, male 57.3
GTEX-18D9U-0126-SM-731BM 40-49 years, male 57.2
GTEX-1S82U-1026-SM-E6CJK 30-39 years, female 57.2
GTEX-YEC3-1326-SM-DO92X 50-59 years, male 57.2
GTEX-WY7C-2126-SM-3NB2R 50-59 years, male 57.1
GTEX-11NUK-2726-SM-5A5MC 50-59 years, male 57.0
GTEX-15CHR-1126-SM-7EWF4 50-59 years, male 57.0
GTEX-YFCO-1226-SM-5LUAT 40-49 years, male 57.0
GTEX-12696-0126-SM-5EQ4L 60-69 years, male 56.9
GTEX-13FTY-2126-SM-5IFFB 40-49 years, female 56.9
GTEX-ZE9C-2526-SM-5IJDR 60-69 years, male 56.9
GTEX-1IOXB-2726-SM-CM2RI 50-59 years, male 56.9
GTEX-1C6WA-2626-SM-7MKGM 60-69 years, male 56.8
GTEX-13FTW-0326-SM-5K7UW 40-49 years, male 56.7
GTEX-17MFQ-1526-SM-7KFRR 20-29 years, male 56.7
GTEX-1A8FM-0626-SM-7PC25 50-59 years, female 56.7
GTEX-ZTSS-1426-SM-5985P 40-49 years, male 56.6
GTEX-ZAK1-0626-SM-5HL8E 50-59 years, female 56.5
GTEX-1EMGI-2326-SM-7PBYA 60-69 years, male 56.5
GTEX-1F6I4-2326-SM-7RHGL 60-69 years, male 56.5
GTEX-11P81-2226-SM-5PNYI 30-39 years, female 56.4
GTEX-17HII-1426-SM-7EPGG 50-59 years, male 56.4
GTEX-ZLFU-1826-SM-4WWBV 40-49 years, male 56.4
GTEX-11DXY-0126-SM-5H11Q 60-69 years, male 56.3
GTEX-ZC5H-1526-SM-5HL9Y 40-49 years, female 56.3
GTEX-1S5ZU-2526-SM-E6CIF 20-29 years, female 56.3
GTEX-139TU-0726-SM-5L3EK 60-69 years, male 56.2
GTEX-1AYD5-2626-SM-7PBXY 50-59 years, male 55.9
GTEX-1H1DG-2426-SM-9QEHJ 70-79 years, male 55.9
GTEX-1IDJD-2326-SM-ACKWX 30-39 years, male 55.9
GTEX-1J1R8-2026-SM-CL53Y 40-49 years, male 55.7
GTEX-1LVAM-0726-SM-E6CIL 50-59 years, female 55.7
GTEX-WYJK-0526-SM-3NM8Z 50-59 years, male 55.6
GTEX-1KD5A-0126-SM-E9U54 50-59 years, male 55.6
GTEX-15CHQ-0326-SM-69LQD 60-69 years, male 55.5
GTEX-13NYB-0126-SM-5J1MD 40-49 years, male 55.4
GTEX-145MF-0926-SM-5Q5EA 50-59 years, male 55.4
GTEX-1B8KZ-0326-SM-73KY4 50-59 years, male 55.4
GTEX-ZT9W-1126-SM-57WDR 50-59 years, male 55.4
GTEX-145MN-1526-SM-5SI9T 30-39 years, male 55.3
GTEX-1EN7A-2426-SM-793DB 40-49 years, male 55.2
GTEX-13VXU-0626-SM-5L3F9 50-59 years, male 55.1
GTEX-1EWIQ-0326-SM-7DHMQ 70-79 years, female 55.1
GTEX-Y9LG-1126-SM-4VBQ7 30-39 years, male 55.1
GTEX-139TT-2126-SM-5LZWC 60-69 years, male 54.8
GTEX-Y5LM-0926-SM-6LLJG 40-49 years, female 54.8
GTEX-1HFI7-2326-SM-CGQFS 50-59 years, female 54.8
GTEX-1JMQL-2226-SM-CNPP4 50-59 years, female 54.8
GTEX-1KWVE-1026-SM-D3L9O 30-39 years, male 54.8
GTEX-11DXZ-2026-SM-5987S 50-59 years, male 54.7
GTEX-1RLM8-2926-SM-E8VON 50-59 years, male 54.7
GTEX-1I1HK-2326-SM-CKZOH 60-69 years, male 54.6
GTEX-11EI6-2826-SM-5H11D 60-69 years, male 54.5
GTEX-11EM3-1226-SM-5N9DD 20-29 years, female 54.5
GTEX-1E1VI-0326-SM-793D1 50-59 years, male 54.5
GTEX-1CAMQ-1326-SM-7P8RV 40-49 years, male 54.5
GTEX-WYBS-0626-SM-3NMAS 60-69 years, female 54.4
GTEX-ZVE2-2826-SM-5GU51 50-59 years, male 54.4
GTEX-1B8L1-2226-SM-7P8PT 60-69 years, male 54.4
GTEX-13OVG-1626-SM-5J1NF 60-69 years, male 54.3
GTEX-14PII-0726-SM-6EU2B 60-69 years, male 54.3
GTEX-15SHW-0226-SM-7LTAT 60-69 years, male 54.3
GTEX-13OVL-0126-SM-5L3GJ 50-59 years, male 54.0
GTEX-ZDTS-0826-SM-4WKHL 60-69 years, male 54.0
GTEX-1IDJE-1426-SM-ADEIW 50-59 years, female 54.0
GTEX-183WM-0326-SM-72D5V 70-79 years, female 53.8
GTEX-ZF2S-1626-SM-57WES 50-59 years, female 53.8
GTEX-1JJE9-2626-SM-ARZMT 70-79 years, male 53.8
GTEX-1K2DU-1226-SM-CYPT4 20-29 years, male 53.8
GTEX-ZPCL-1126-SM-4WWFE 60-69 years, female 53.7
GTEX-1314G-1326-SM-5BC6E 30-39 years, male 53.6
GTEX-1IDJF-2026-SM-CL53V 20-29 years, male 53.5
GTEX-12WSL-2026-SM-5GCML 50-59 years, male 53.4
GTEX-1A3MV-1826-SM-731CD 30-39 years, male 53.4
GTEX-1I6K6-1726-SM-CGQFD 30-39 years, male 53.4
GTEX-13X6I-1826-SM-5SIAO 60-69 years, male 53.3
GTEX-1KAFJ-0126-SM-DIPEK 50-59 years, male 53.3
GTEX-18D9A-1426-SM-7LT8M 30-39 years, female 53.2
GTEX-1RAZA-2226-SM-E9U4X 20-29 years, male 53.2
GTEX-117YX-1926-SM-5GIEC 50-59 years, male 53.1
GTEX-13N1W-2426-SM-5IJD1 70-79 years, male 53.0
GTEX-13OVJ-0826-SM-5J1OK 50-59 years, female 53.0
GTEX-1JKYN-0826-SM-ARU8S 30-39 years, male 53.0
GTEX-147JS-0226-SM-5S2U9 60-69 years, male 52.9
GTEX-ZP4G-1426-SM-4WWCL 20-29 years, female 52.9
GTEX-1QP9N-1226-SM-E76QN 30-39 years, male 52.9
GTEX-14PJO-2526-SM-6AJBQ 60-69 years, male 52.8
GTEX-1AX8Z-0726-SM-73KTS 60-69 years, male 52.8
GTEX-ZDYS-2426-SM-4WKGI 50-59 years, male 52.8
GTEX-1I4MK-0126-SM-CY8G6 50-59 years, female 52.8
GTEX-13PVQ-0626-SM-5LU47 50-59 years, male 52.7
GTEX-1CAMR-1326-SM-7PC1F 20-29 years, male 52.6
GTEX-11NSD-0626-SM-5A5LU 20-29 years, male 52.5
GTEX-XBEW-1126-SM-4QARW 40-49 years, male 52.5
GTEX-1HB9E-0126-SM-CM2S5 50-59 years, male 52.4
GTEX-17MF6-2626-SM-79OKQ 40-49 years, male 52.3
GTEX-16XZZ-0726-SM-7KUF2 60-69 years, male 52.2
GTEX-1GMR2-0826-SM-7PC3V 50-59 years, male 52.2
GTEX-1LBAC-0826-SM-CY8IJ 20-29 years, male 52.1
GTEX-1S3DN-2126-SM-E9TIN 50-59 years, male 52.1
GTEX-15G19-2426-SM-7KUMR 60-69 years, male 52.0
GTEX-178AV-1726-SM-7KUL8 40-49 years, male 52.0
GTEX-X5EB-1926-SM-4E3IW 40-49 years, male 52.0
GTEX-1J8EW-2726-SM-CY8HR 60-69 years, female 52.0
GTEX-1LG7Y-2526-SM-EWRO7 50-59 years, male 52.0
GTEX-1QW4Y-1126-SM-DTXE3 30-39 years, male 51.9
GTEX-12BJ1-0926-SM-5EQ62 60-69 years, male 51.8
GTEX-131XW-0626-SM-5PNVD 50-59 years, female 51.7
GTEX-1IDJI-0126-SM-CMKHS 50-59 years, female 51.7
GTEX-1LSNM-0826-SM-DIPG8 50-59 years, male 51.7
GTEX-11ZUS-2626-SM-5FQUR 30-39 years, male 51.5
GTEX-WK11-2726-SM-3NMAQ 50-59 years, male 51.3
GTEX-139T8-0626-SM-5KLZX 60-69 years, male 51.2
GTEX-1H3O1-1326-SM-9MQLD 60-69 years, male 51.2
GTEX-14A5H-0826-SM-5QGPJ 60-69 years, male 51.1
GTEX-1192X-2726-SM-5N9DN 50-59 years, male 51.0
GTEX-13JUV-2026-SM-5K7UA 40-49 years, female 51.0
GTEX-146FQ-2126-SM-5RQHU 30-39 years, male 51.0
GTEX-1QEPI-2626-SM-DTXF4 60-69 years, female 50.9
GTEX-14PK6-0226-SM-62LF5 70-79 years, female 50.8
GTEX-11DXW-0826-SM-5H118 40-49 years, male 50.7
GTEX-16NPX-0726-SM-7KULC 50-59 years, male 50.7
GTEX-1JMPZ-0726-SM-CY8HZ 30-39 years, male 50.7
GTEX-1QCLZ-2426-SM-EVYBW 60-69 years, female 50.6
GTEX-ZPIC-0526-SM-DO91W 40-49 years, female 50.6
GTEX-14BMU-1226-SM-5S2OR 20-29 years, female 50.5
GTEX-Y3I4-1726-SM-4TT89 50-59 years, male 50.5
GTEX-12WSA-0426-SM-5EQ5X 60-69 years, male 50.3
GTEX-1CAV2-0126-SM-7IGN7 40-49 years, female 50.2
GTEX-VUSG-2326-SM-4KL1U 50-59 years, male 50.2
GTEX-1J1OQ-0126-SM-D4P2N 40-49 years, female 50.0
GTEX-16MTA-0926-SM-6M47Z 50-59 years, male 49.8
GTEX-XUW1-0926-SM-4BONX 50-59 years, female 49.8
GTEX-145LT-0526-SM-5LUB2 40-49 years, male 49.5
GTEX-14PJ2-0626-SM-6LLII 50-59 years, male 49.3
GTEX-14PKV-1126-SM-6LLJ1 20-29 years, female 49.3
GTEX-17HG3-2626-SM-7DUF2 30-39 years, female 49.3
GTEX-1C64O-1326-SM-7MGWR 60-69 years, male 49.3
GTEX-15DYW-2726-SM-6EU2I 60-69 years, female 49.2
GTEX-1JMQI-1726-SM-ARL93 50-59 years, male 49.2
GTEX-13N2G-0226-SM-5K7VF 60-69 years, male 49.1
GTEX-14DAR-1226-SM-73KYV 50-59 years, male 49.1
GTEX-13OW8-1026-SM-5J1NQ 60-69 years, male 49.0
GTEX-16GPK-0626-SM-7KFSF 60-69 years, male 48.9
GTEX-12WSF-1626-SM-7KUG5 70-79 years, male 48.7
GTEX-1A3MX-2626-SM-7PC24 60-69 years, male 48.6
GTEX-Y8LW-1526-SM-5IFHL 50-59 years, female 48.5
GTEX-11OF3-0126-SM-5PNYF 60-69 years, male 48.4
GTEX-WI4N-2726-SM-3LK7Y 40-49 years, female 48.4
GTEX-ZWKS-0626-SM-5GIDV 30-39 years, male 48.4
GTEX-1212Z-0126-SM-59HK4 60-69 years, male 48.3
GTEX-12WSC-2826-SM-5BC5Y 50-59 years, male 48.3
GTEX-16YQH-2226-SM-7IGM2 30-39 years, male 48.3
GTEX-1LG7Z-1626-SM-CXKYR 30-39 years, male 48.3
GTEX-17F96-0126-SM-7EWDU 70-79 years, male 48.2
GTEX-ZPU1-1126-SM-4YCF3 40-49 years, male 48.1
GTEX-1477Z-0326-SM-7IGLA 60-69 years, male 48.0
GTEX-1A8G7-1326-SM-73KVM 60-69 years, male 48.0
GTEX-1CB4I-0126-SM-7RHGG 50-59 years, male 48.0
GTEX-1F6IF-0926-SM-7SB7M 60-69 years, male 48.0
GTEX-XK95-0226-SM-4AT58 40-49 years, male 47.9
GTEX-ZAB4-2126-SM-5HL8U 40-49 years, male 47.8
GTEX-ZYW4-0626-SM-59HJR 60-69 years, male 47.8
GTEX-16MT9-0126-SM-7EPI8 60-69 years, female 47.7
GTEX-1RMOY-1326-SM-E9TIH 50-59 years, male 47.6
GTEX-XMD2-2126-SM-4YCF8 60-69 years, female 47.4
GTEX-1KANC-1226-SM-CYPT7 50-59 years, female 47.3
GTEX-1POEN-2326-SM-E9J2L 30-39 years, female 47.2
GTEX-15RIE-1926-SM-7KUKJ 60-69 years, male 47.0
GTEX-X8HC-0626-SM-4E3HQ 50-59 years, female 46.9
GTEX-YECK-0326-SM-4W1YS 60-69 years, male 46.8
GTEX-12WSH-1526-SM-5BC5W 50-59 years, male 46.7
GTEX-145MG-1526-SM-5Q5EM 50-59 years, male 46.6
GTEX-139TS-2126-SM-5K7XC 60-69 years, male 46.5
GTEX-145ME-1726-SM-5Q5EU 40-49 years, female 46.5
GTEX-14E6E-0526-SM-793DN 30-39 years, male 46.4
GTEX-14JG1-1526-SM-5YY9X 40-49 years, male 46.4
GTEX-17F97-2626-SM-7IGM5 50-59 years, male 46.4
GTEX-17EVP-2626-SM-7IGMA 40-49 years, male 46.3
GTEX-13FH7-1126-SM-5K7UG 50-59 years, female 46.0
GTEX-13SLX-2226-SM-62LEP 50-59 years, female 45.7
GTEX-ZYFG-1526-SM-5GZYM 60-69 years, female 45.7
GTEX-11PRG-0726-SM-5EGL1 50-59 years, male 45.6
GTEX-1F88F-0126-SM-9WYSZ 60-69 years, female 45.2
GTEX-1O9I2-0226-SM-EYYXD 50-59 years, male 45.2
GTEX-147F4-0726-SM-5TDDD 50-59 years, male 45.1
GTEX-X3Y1-2026-SM-3P5YM 40-49 years, male 44.9
GTEX-1IL2V-1926-SM-B2LW8 70-79 years, male 44.9
GTEX-15FZZ-0526-SM-7KUGD 30-39 years, female 44.8
GTEX-Y5V5-0126-SM-5S2NW 60-69 years, female 44.8
GTEX-11GSP-2326-SM-5HL63 60-69 years, female 44.7
GTEX-VJYA-1526-SM-3GIJV 60-69 years, male 44.7
GTEX-131XH-0126-SM-5LZUY 50-59 years, male 44.5
GTEX-Y3IK-1626-SM-4YCF5 50-59 years, female 44.5
GTEX-1H1ZS-2726-SM-9WG75 70-79 years, male 44.5
GTEX-14E1K-2026-SM-7DUEI 50-59 years, male 44.4
GTEX-X585-2426-SM-46MW2 50-59 years, male 44.3
GTEX-ZVE1-0726-SM-51MRN 50-59 years, female 44.3
GTEX-1J8JJ-0626-SM-ARZMQ 60-69 years, female 44.3
GTEX-XQ3S-1426-SM-4BOPR 20-29 years, male 44.2
GTEX-1I19N-0126-SM-CYPSF 70-79 years, male 44.1
GTEX-1N2EE-0626-SM-E76PW 60-69 years, male 44.1
GTEX-1JMOU-1026-SM-CYPSS 60-69 years, female 44.0
GTEX-XV7Q-1826-SM-4BRUV 40-49 years, female 43.8
GTEX-X4EP-0626-SM-3P621 60-69 years, female 43.7
GTEX-WRHU-2826-SM-3MJG8 50-59 years, female 43.6
GTEX-1ICG6-1226-SM-A9SLN 70-79 years, female 43.6
GTEX-XYKS-1426-SM-4BRUO 60-69 years, female 43.0
GTEX-15D1Q-2826-SM-6LLH7 40-49 years, male 42.9
GTEX-1GZ2Q-0126-SM-9WG6M 40-49 years, male 42.9
GTEX-11UD2-2526-SM-5CVNU 50-59 years, male 42.8
GTEX-111FC-2526-SM-5GZXU 60-69 years, male 42.6
GTEX-1HUB1-1426-SM-CGQF5 60-69 years, male 42.6
GTEX-WYVS-1626-SM-3NM9R 40-49 years, female 42.3
GTEX-X4EO-2926-SM-4E3JH 60-69 years, female 42.3
GTEX-XPVG-2126-SM-4B667 50-59 years, male 41.9
GTEX-1M4P7-0726-SM-E6CJ3 60-69 years, male 41.8
GTEX-16Z82-2626-SM-7KULU 60-69 years, male 41.6
GTEX-1K9T9-1526-SM-DIPFR 50-59 years, female 41.4
GTEX-V1D1-2026-SM-3GAF4 50-59 years, male 41.2
GTEX-1LVAO-2726-SM-E9TJ8 60-69 years, male 41.2
GTEX-18465-2826-SM-7LT9J 50-59 years, male 41.1
GTEX-132AR-0326-SM-5KM2C 50-59 years, female 40.9
GTEX-14DAQ-0626-SM-793DS 60-69 years, female 40.7
GTEX-1B996-0426-SM-7EWF8 60-69 years, male 40.5
GTEX-1F75W-2726-SM-7SB8H 60-69 years, male 40.4
GTEX-145LS-0626-SM-7EPG7 60-69 years, female 39.8
GTEX-YB5K-2026-SM-4VDT3 40-49 years, female 39.7
GTEX-ZDXO-3126-SM-5IJDF 60-69 years, male 39.6
GTEX-1PIGE-1826-SM-E8VOU 20-29 years, male 39.3
GTEX-13JVG-0726-SM-5KM16 60-69 years, male 38.9
GTEX-11TT1-1826-SM-5EQLV 20-29 years, male 38.6
GTEX-ZU9S-1826-SM-5NQ9E 30-39 years, male 38.5
GTEX-13U4I-2226-SM-5LU5H 40-49 years, female 38.0
GTEX-YEC4-1826-SM-4W1YP 40-49 years, male 38.0
GTEX-UPK5-0426-SM-3GAEK 40-49 years, male 37.1
GTEX-XOT4-0626-SM-4B66L 60-69 years, female 36.6
GTEX-1K2DA-1026-SM-CGQGF 50-59 years, male 36.6
GTEX-ZVTK-0226-SM-51MRG 20-29 years, male 35.4
GTEX-17JCI-2926-SM-7DUFF 60-69 years, female 35.0
GTEX-1HFI6-0126-SM-CNPPI 40-49 years, male 34.7
GTEX-ZF3C-0626-SM-DO92O 50-59 years, female 34.5
GTEX-XBEC-0726-SM-4QARZ 50-59 years, male 34.1
GTEX-1JN6P-2926-SM-CL54D 60-69 years, male 34.1
GTEX-Y5V6-2326-SM-4VDSA 60-69 years, male 31.9
GTEX-1HCU8-2526-SM-CE6RX 60-69 years, female 30.0
GTEX-1399R-1326-SM-5PNYS 30-39 years, male 28.9
Show allShow less
Skin - Sun Exposed (Lower leg)
Average nTPM: 63.5
Samples: 701

Max nTPM: 149.1
Min nTPM: 29.7
Std nTPM: 15.0
Median nTPM: 62.1
GTEX-SE5C-1626-SM-2XCE3 40-49 years, female 149.1
GTEX-1C475-1826-SM-73KWA 40-49 years, female 126.9
GTEX-11DXZ-2326-SM-5EGGV 50-59 years, male 119.2
GTEX-1I4MK-2226-SM-ACKWD 50-59 years, female 115.4
GTEX-1N2EF-0226-SM-EYYXB 60-69 years, male 108.9
GTEX-13YAN-0326-SM-5O9DF 60-69 years, male 107.4
GTEX-ZYT6-0226-SM-5NQ6T 30-39 years, male 107.4
GTEX-P4QT-0126-SM-2I3FL 50-59 years, female 106.0
GTEX-13NYS-0126-SM-5MR3W 60-69 years, male 105.8
GTEX-ZTX8-1426-SM-5DUVO 20-29 years, male 105.2
GTEX-13X6H-2126-SM-7EWD5 50-59 years, female 104.0
GTEX-1B8KE-2126-SM-73KYX 50-59 years, male 103.8
GTEX-1B97I-1626-SM-73KYO 40-49 years, male 103.5
GTEX-14A5I-0126-SM-5TDEA 50-59 years, female 102.4
GTEX-ZYFD-0126-SM-5GIDL 50-59 years, male 102.2
GTEX-15F5U-1526-SM-6PANO 40-49 years, male 101.3
GTEX-11H98-0126-SM-5EGHG 50-59 years, male 101.1
GTEX-1EMGI-0126-SM-9KNUE 60-69 years, male 100.7
GTEX-1LG7Z-1726-SM-D3LA4 30-39 years, male 100.6
GTEX-1HCUA-2426-SM-ADEIS 50-59 years, female 99.0
GTEX-1GMR3-1926-SM-9KNUZ 40-49 years, male 98.5
GTEX-ZF3C-0126-SM-DO92D 50-59 years, female 97.9
GTEX-NFK9-0226-SM-2HMKQ 40-49 years, male 97.0
GTEX-13OVH-0126-SM-5MR4B 70-79 years, male 95.5
GTEX-1HCU7-0226-SM-CL545 50-59 years, male 95.2
GTEX-15EU6-0426-SM-6PAN5 50-59 years, male 94.6
GTEX-11WQK-0526-SM-5EQLD 50-59 years, male 94.0
GTEX-13OVI-1426-SM-5L3EY 60-69 years, female 93.1
GTEX-PX3G-0126-SM-2I3EN 20-29 years, female 92.6
GTEX-16XZZ-0126-SM-793DV 60-69 years, male 92.3
GTEX-12584-0126-SM-5EGKQ 40-49 years, male 92.1
GTEX-18D9A-1926-SM-7LG6P 30-39 years, female 91.7
GTEX-1IKJJ-0126-SM-CNPQB 60-69 years, male 91.7
GTEX-1R7EU-0226-SM-EVR4G 60-69 years, male 91.6
GTEX-1B8SG-0126-SM-73KZ3 50-59 years, male 90.8
GTEX-1R9PM-2026-SM-E76OY 20-29 years, male 90.4
GTEX-1JJEA-0326-SM-CNPOT 60-69 years, male 89.0
GTEX-TSE9-0126-SM-3DB83 60-69 years, female 88.8
GTEX-16AAH-1726-SM-7939C 50-59 years, male 88.6
GTEX-13111-1626-SM-5EGJY 50-59 years, male 88.5
GTEX-1KANC-1526-SM-D3LAB 50-59 years, female 88.4
GTEX-11TT1-2526-SM-5EGIB 20-29 years, male 87.8
GTEX-12WSL-2526-SM-5GCNJ 50-59 years, male 87.4
GTEX-14C5O-0126-SM-5SI6N 60-69 years, male 87.3
GTEX-14PN4-0126-SM-6EU2V 50-59 years, male 87.1
GTEX-15UF6-0826-SM-6PALJ 70-79 years, female 86.7
GTEX-ZV68-0126-SM-59HKS 50-59 years, female 86.4
GTEX-1F75B-0126-SM-9KNVL 50-59 years, male 86.4
GTEX-1JN76-0126-SM-CNPPE 20-29 years, female 86.1
GTEX-1MA7W-2026-SM-E9TJ6 20-29 years, female 86.1
GTEX-1HFI7-1826-SM-ACKXH 50-59 years, female 86.0
GTEX-1GL5R-1826-SM-9KNUY 50-59 years, male 85.8
GTEX-X261-0126-SM-3NMD6 50-59 years, male 85.6
GTEX-1LGRB-2526-SM-CNPPQ 50-59 years, female 85.6
GTEX-1QMI2-0226-SM-EVYBX 60-69 years, male 85.5
GTEX-11DYG-0126-SM-59883 60-69 years, male 85.4
GTEX-1HFI6-0226-SM-ADEHZ 40-49 years, male 85.3
GTEX-14XAO-2326-SM-6EU1B 60-69 years, female 85.2
GTEX-12WSK-2326-SM-5GCOH 40-49 years, female 85.0
GTEX-14E6E-1826-SM-5S2R7 30-39 years, male 84.8
GTEX-13112-2826-SM-5DUWH 50-59 years, male 84.6
GTEX-12WSJ-1826-SM-5GCNY 40-49 years, female 84.4
GTEX-11TUW-2726-SM-E9J4M 60-69 years, male 84.3
GTEX-1LVAN-0226-SM-COH3S 50-59 years, female 84.2
GTEX-11P81-2326-SM-59875 30-39 years, female 83.5
GTEX-1BAJH-0526-SM-793CQ 70-79 years, male 83.5
GTEX-1HSMO-0126-SM-CL547 60-69 years, male 83.4
GTEX-13O1R-0126-SM-5L3EH 60-69 years, male 83.2
GTEX-17GQL-2026-SM-718BA 60-69 years, male 83.1
GTEX-1AX9J-0226-SM-73KXM 60-69 years, male 82.9
GTEX-1H3VE-0326-SM-9YFLH 40-49 years, male 82.8
GTEX-139UW-2826-SM-5L3E7 60-69 years, male 82.7
GTEX-18A66-0226-SM-718BD 60-69 years, male 82.4
GTEX-1LGOU-2026-SM-DIPFF 20-29 years, female 82.1
GTEX-1MJK2-0426-SM-DTXE5 50-59 years, male 82.1
GTEX-1CB4G-0226-SM-7PC3O 60-69 years, male 82.0
GTEX-P44H-0226-SM-2XCEU 40-49 years, male 81.7
GTEX-1HBPN-0226-SM-9YFM1 50-59 years, male 81.7
GTEX-1PIIG-0226-SM-EWRN6 30-39 years, male 81.7
GTEX-14E6C-0126-SM-5RQIP 40-49 years, male 81.6
GTEX-1LSNM-1926-SM-E6CII 50-59 years, male 81.4
GTEX-1GMR8-0126-SM-9WYTM 50-59 years, female 81.3
GTEX-1CB4E-2226-SM-793DC 60-69 years, male 81.2
GTEX-QESD-1426-SM-2S1R9 20-29 years, male 81.0
GTEX-1A3MX-0126-SM-731BR 60-69 years, male 80.9
GTEX-1OJC3-0126-SM-E76QX 20-29 years, male 80.8
GTEX-13FXS-0226-SM-5IJCK 50-59 years, male 80.7
GTEX-ZF2S-2326-SM-4WWCE 50-59 years, female 80.4
GTEX-1HSKV-0226-SM-A9SKJ 60-69 years, male 80.3
GTEX-14PHX-2326-SM-62LEM 50-59 years, male 80.2
GTEX-1L5NE-2526-SM-E6CIE 50-59 years, male 80.0
GTEX-1K2DA-1826-SM-CGQGT 50-59 years, male 79.9
GTEX-14PN3-2426-SM-6LLHS 60-69 years, female 79.1
GTEX-12WSC-0126-SM-5EQ4P 50-59 years, male 78.8
GTEX-1F48J-0126-SM-7P8TT 50-59 years, female 78.5
GTEX-1CB4F-0426-SM-9KNV4 60-69 years, male 78.4
GTEX-1A3MW-0126-SM-73KXX 60-69 years, female 78.2
GTEX-12696-2426-SM-5EQ6H 60-69 years, male 78.0
GTEX-12ZZX-0126-SM-5EGK9 40-49 years, female 78.0
GTEX-14PJM-0226-SM-62LF1 50-59 years, female 77.9
GTEX-15ER7-0326-SM-7KUEV 20-29 years, female 77.8
GTEX-1JK1U-2026-SM-CM2RZ 60-69 years, male 77.8
GTEX-13FTX-1826-SM-5J1NX 20-29 years, female 77.6
GTEX-1PPH8-0226-SM-E8VND 20-29 years, male 77.6
GTEX-11WQC-2526-SM-5CVLE 60-69 years, male 77.4
GTEX-ZVE2-0226-SM-59HJB 50-59 years, male 77.4
GTEX-1HSGN-0226-SM-CGQFV 40-49 years, female 77.2
GTEX-131XE-2326-SM-5PNZ2 50-59 years, male 77.1
GTEX-146FH-0126-SM-5QGPP 50-59 years, female 77.1
GTEX-ZGAY-0526-SM-4WWBB 40-49 years, female 77.1
GTEX-145MI-0526-SM-5O9A8 60-69 years, female 76.6
GTEX-WRHK-1426-SM-3MJF9 20-29 years, female 76.6
GTEX-1H23P-0126-SM-ADEJ3 60-69 years, male 76.5
GTEX-14BIN-0626-SM-793DP 50-59 years, female 76.4
GTEX-17JCI-0126-SM-7LG5G 60-69 years, female 76.3
GTEX-18A67-0126-SM-7LG5P 50-59 years, male 76.2
GTEX-SNMC-1226-SM-2XCFP 20-29 years, male 76.2
GTEX-1CB4H-0226-SM-7PBXM 60-69 years, female 76.1
GTEX-1H2FU-0126-SM-9WYSI 60-69 years, female 76.1
GTEX-13FHP-0126-SM-5IJBG 50-59 years, male 75.9
GTEX-WFON-2126-SM-3LK7O 40-49 years, male 75.9
GTEX-1GF9W-0326-SM-9KNUN 60-69 years, male 75.9
GTEX-T6MN-0126-SM-32PLP 50-59 years, male 75.8
GTEX-1JMQK-0226-SM-CL543 60-69 years, male 75.7
GTEX-1F6RS-0126-SM-9MQKZ 60-69 years, female 75.6
GTEX-1H1DE-2126-SM-9WG6R 20-29 years, male 75.5
GTEX-1C64N-0126-SM-793D7 50-59 years, male 75.4
GTEX-14PII-0226-SM-6EU1T 60-69 years, male 75.3
GTEX-13NYC-0326-SM-E9J4S 60-69 years, male 75.2
GTEX-1E2YA-0126-SM-9KNUC 50-59 years, male 75.1
GTEX-1JMPZ-0226-SM-CNPP1 30-39 years, male 75.1
GTEX-Y3IK-2426-SM-4WWDU 50-59 years, female 75.0
GTEX-S32W-2126-SM-2XCB1 50-59 years, female 74.9
GTEX-17F96-1626-SM-7DUFL 70-79 years, male 74.8
GTEX-12WSE-0526-SM-793B2 20-29 years, male 74.7
GTEX-17HII-0226-SM-7LG4E 50-59 years, male 74.6
GTEX-13OW5-0126-SM-DTXFS 60-69 years, male 74.6
GTEX-XYKS-2126-SM-4E3IB 60-69 years, female 74.4
GTEX-1H1DG-0126-SM-9WYU2 70-79 years, male 74.4
GTEX-15ETS-0126-SM-7KUMW 40-49 years, female 74.2
GTEX-1C4CL-0526-SM-73KVK 30-39 years, male 74.1
GTEX-13FTW-2626-SM-5K7WL 40-49 years, male 74.0
GTEX-13OVK-2026-SM-7KUEO 40-49 years, male 74.0
GTEX-WXYG-2326-SM-4E3I6 50-59 years, female 73.9
GTEX-13JUV-2726-SM-5LZZ8 40-49 years, female 73.8
GTEX-14BMV-0126-SM-5S2PO 50-59 years, male 73.8
GTEX-NPJ8-0126-SM-2YUNR 40-49 years, male 73.8
GTEX-ZZ64-1726-SM-5GZYB 20-29 years, male 73.8
GTEX-1211K-2026-SM-5EQ4Z 60-69 years, female 73.6
GTEX-1N2DW-0226-SM-E9TK2 50-59 years, male 73.4
GTEX-13O3P-0126-SM-5KM4S 50-59 years, male 73.3
GTEX-WYJK-0126-SM-3NMAB 50-59 years, male 73.3
GTEX-15G19-0126-SM-6PANQ 60-69 years, male 73.2
GTEX-15DDE-0126-SM-6LPKH 50-59 years, female 73.0
GTEX-YB5E-2026-SM-5IFIS 40-49 years, male 72.9
GTEX-ZAK1-0126-SM-5IJD3 50-59 years, female 72.9
GTEX-1MUQO-0126-SM-EAZ58 60-69 years, male 72.9
GTEX-ZF29-2326-SM-DO92K 60-69 years, female 72.7
GTEX-ZU9S-0226-SM-5E441 30-39 years, male 72.6
GTEX-1I1GT-0626-SM-CGQER 60-69 years, female 72.4
GTEX-1JMPY-1326-SM-ARL8Y 30-39 years, male 72.4
GTEX-13G51-2526-SM-5LZYK 60-69 years, male 72.3
GTEX-1B996-0226-SM-7RHGO 60-69 years, male 72.3
GTEX-1HBPI-1526-SM-C1YQ1 50-59 years, male 72.3
GTEX-11O72-0126-SM-59887 40-49 years, male 72.2
GTEX-1A3MV-1926-SM-718BT 30-39 years, male 72.1
GTEX-11EQ9-2426-SM-5HL5T 30-39 years, male 71.9
GTEX-11LCK-1026-SM-5A5KB 30-39 years, male 71.8
GTEX-1IL2U-0226-SM-CE6T8 60-69 years, male 71.7
GTEX-12ZZZ-0626-SM-5DUXI 60-69 years, male 71.6
GTEX-1E1VI-0126-SM-7DHMZ 50-59 years, male 71.6
GTEX-18D9U-0226-SM-718BP 40-49 years, male 71.5
GTEX-1CAMR-1926-SM-7EPI2 20-29 years, male 71.5
GTEX-1S3DN-2226-SM-EVYCD 50-59 years, male 71.5
GTEX-145ME-1826-SM-5SI9G 40-49 years, female 71.4
GTEX-18A7A-0226-SM-718BH 50-59 years, female 71.4
GTEX-OHPL-0126-SM-2HMJ7 60-69 years, female 71.4
GTEX-TMMY-0226-SM-33HBA 40-49 years, female 71.4
GTEX-11XUK-2026-SM-5EQLF 40-49 years, female 71.3
GTEX-WFG8-2226-SM-3GIL9 20-29 years, male 71.3
GTEX-OIZH-0126-SM-2HMIS 50-59 years, male 71.1
GTEX-1I6K6-0126-SM-A9SLE 30-39 years, male 71.1
GTEX-1IDJU-2626-SM-CM2RT 60-69 years, female 70.9
GTEX-131YS-0126-SM-5KM1M 60-69 years, female 70.8
GTEX-15EOM-0126-SM-7KUGG 20-29 years, female 70.8
GTEX-1F5PK-2426-SM-7RHHY 50-59 years, male 70.8
GTEX-OHPM-0126-SM-2YUN9 50-59 years, male 70.6
GTEX-ZVZO-0126-SM-5A5L9 40-49 years, male 70.6
GTEX-1F5PL-0326-SM-7P8PQ 40-49 years, female 70.6
GTEX-1JMOU-1526-SM-CL54I 60-69 years, female 70.5
GTEX-11VI4-1726-SM-5CVLH 40-49 years, female 70.4
GTEX-11ZU8-2526-SM-5EQKI 60-69 years, male 70.4
GTEX-16GPK-0126-SM-7DHLE 60-69 years, male 70.4
GTEX-PSDG-0226-SM-DKPOZ 50-59 years, male 70.4
GTEX-1PDJ9-0326-SM-DTX95 20-29 years, male 70.3
GTEX-1399T-2826-SM-5KLYZ 60-69 years, male 70.2
GTEX-14ICK-0226-SM-6EU25 40-49 years, male 70.2
GTEX-17HG3-2226-SM-7938L 30-39 years, female 70.2
GTEX-1JJ6O-0126-SM-E6CI8 60-69 years, male 70.0
GTEX-1LBAC-0126-SM-DIPEZ 20-29 years, male 70.0
GTEX-17KNJ-2326-SM-7DHLQ 50-59 years, male 69.8
GTEX-1PIGE-0126-SM-EVYBJ 20-29 years, male 69.8
GTEX-11DZ1-0126-SM-5985Q 50-59 years, male 69.7
GTEX-Y8DK-0126-SM-4TT3L 60-69 years, male 69.7
GTEX-UJHI-1526-SM-3DB99 50-59 years, female 69.6
GTEX-1GZ4H-1726-SM-7PBZJ 50-59 years, female 69.6
GTEX-PLZ6-1426-SM-DKPOT 30-39 years, male 69.6
GTEX-13PVR-2326-SM-5QGR1 60-69 years, female 69.5
GTEX-Y5V5-2326-SM-4V6GA 60-69 years, female 69.5
GTEX-1GN1U-0126-SM-7PBZK 50-59 years, female 69.4
GTEX-13OW6-0426-SM-5L3HM 50-59 years, male 69.3
GTEX-17EUY-0426-SM-793BD 20-29 years, male 69.2
GTEX-1H1E6-1726-SM-ACKVK 30-39 years, male 69.2
GTEX-1J8QM-2126-SM-CYPSJ 60-69 years, female 69.2
GTEX-11EM3-2426-SM-59861 20-29 years, female 69.1
GTEX-1JN6P-0126-SM-D3L98 60-69 years, male 69.1
GTEX-W5X1-3026-SM-EAZAX 40-49 years, female 69.1
GTEX-15SHU-0126-SM-7KUEH 40-49 years, female 69.0
GTEX-1H1CY-2826-SM-9MQM3 60-69 years, female 69.0
GTEX-1H3NZ-0126-SM-ACKX7 60-69 years, male 68.9
GTEX-1POEN-0126-SM-EYYXJ 30-39 years, female 68.8
GTEX-PLZ5-2026-SM-2S1O4 50-59 years, male 68.6
GTEX-148VJ-0126-SM-5TDDN 70-79 years, male 68.5
GTEX-17HGU-0226-SM-7DHKV 50-59 years, male 68.5
GTEX-1HT8W-0126-SM-CNPPP 30-39 years, male 68.4
GTEX-139D8-0226-SM-5KLZO 30-39 years, female 68.3
GTEX-16NGA-1726-SM-731B4 40-49 years, female 68.3
GTEX-1R46S-0626-SM-E9J41 60-69 years, female 68.2
GTEX-U3ZH-2026-SM-3DB78 30-39 years, male 68.1
GTEX-1JN1M-0326-SM-CYPT3 60-69 years, female 68.1
GTEX-13D11-2426-SM-5KM1V 50-59 years, female 68.0
GTEX-13X6J-0126-SM-5QGOU 50-59 years, male 67.9
GTEX-14BIL-0126-SM-5SI92 50-59 years, male 67.9
GTEX-1S83E-0126-SM-EWRO4 40-49 years, male 67.9
GTEX-ZQG8-1626-SM-DHXIT 60-69 years, female 67.9
GTEX-1GMRU-0126-SM-9YFLV 50-59 years, male 67.8
GTEX-1AMFI-2026-SM-731BH 50-59 years, female 67.7
GTEX-ZWKS-0126-SM-5SIAA 30-39 years, male 67.7
GTEX-1B8L1-2526-SM-9WYTF 60-69 years, male 67.7
GTEX-1GF9X-2026-SM-7PC3A 40-49 years, female 67.7
GTEX-1HCU9-1526-SM-A9SL7 20-29 years, male 67.7
GTEX-OOBK-0126-SM-2YUND 40-49 years, male 67.6
GTEX-1KD4Q-0226-SM-E9TJ9 40-49 years, male 67.6
GTEX-YB5K-2126-SM-4WWDJ 40-49 years, female 67.5
GTEX-1GZHY-0326-SM-9QEHI 50-59 years, female 67.5
GTEX-1QPFJ-0226-SM-E76PB 30-39 years, female 67.5
GTEX-1128S-2326-SM-5GZZY 60-69 years, female 67.4
GTEX-131XH-2226-SM-5DUXJ 50-59 years, male 67.2
GTEX-1PWST-0226-SM-E76QJ 70-79 years, male 67.2
GTEX-1S82Z-0826-SM-E6CHY 30-39 years, female 67.2
GTEX-1NV5F-0226-SM-E8VNY 60-69 years, female 67.1
GTEX-1KANA-0726-SM-D3L9I 20-29 years, male 67.0
GTEX-13S7M-0126-SM-5SI6A 60-69 years, female 66.9
GTEX-1AX9I-0126-SM-7SB74 60-69 years, male 66.9
GTEX-1EWIQ-0126-SM-7RHH2 70-79 years, female 66.9
GTEX-1H4P4-0726-SM-9YFLR 50-59 years, male 66.9
GTEX-1JMQL-0226-SM-CNPP5 50-59 years, female 66.9
GTEX-1QP9N-1426-SM-DTXFL 30-39 years, male 66.9
GTEX-1F52S-0126-SM-9MQJU 60-69 years, female 66.8
GTEX-139TU-0126-SM-5K7WH 60-69 years, male 66.7
GTEX-XBEW-0626-SM-4QASP 40-49 years, male 66.7
GTEX-ZDYS-2026-SM-5HL5L 50-59 years, male 66.6
GTEX-ZV6S-2326-SM-4YCEY 40-49 years, female 66.6
GTEX-1LC47-0326-SM-E9TJP 60-69 years, male 66.6
GTEX-148VI-1626-SM-5SI6E 60-69 years, female 66.5
GTEX-1269C-2526-SM-5EGJ3 60-69 years, female 66.4
GTEX-13SLW-0126-SM-5SI6C 70-79 years, male 66.4
GTEX-1C2JI-1826-SM-73KXC 50-59 years, male 66.4
GTEX-17EVP-0326-SM-7DHLG 40-49 years, male 66.2
GTEX-183FY-0126-SM-7LT9P 20-29 years, male 66.2
GTEX-1CB4J-0626-SM-7DHMP 60-69 years, male 66.2
GTEX-PVOW-0126-SM-2XCFA 40-49 years, male 66.2
GTEX-XAJ8-0826-SM-47JY6 40-49 years, male 66.1
GTEX-1F75I-0326-SM-9YFLU 40-49 years, male 66.1
GTEX-1IDJF-0126-SM-CM2RS 20-29 years, male 66.1
GTEX-ZY6K-1826-SM-5GZXK 50-59 years, male 65.9
GTEX-SN8G-0126-SM-32PLI 50-59 years, female 65.8
GTEX-1JMLX-0226-SM-CM2RO 50-59 years, male 65.7
GTEX-1RB15-2126-SM-E9TIM 60-69 years, male 65.6
GTEX-13IVO-0126-SM-5J1NG 70-79 years, male 65.2
GTEX-16BQI-0226-SM-7KUEX 30-39 years, female 65.2
GTEX-1314G-1526-SM-5EGK2 30-39 years, male 65.1
GTEX-14DAR-2026-SM-5S2O3 50-59 years, male 65.0
GTEX-15RIG-0226-SM-7KFTL 40-49 years, male 65.0
GTEX-1KAFJ-2026-SM-CY8ID 50-59 years, male 65.0
GTEX-POMQ-2226-SM-2I5FK 20-29 years, female 64.9
GTEX-Q2AI-1326-SM-2S1PL 40-49 years, male 64.9
GTEX-XUYS-0126-SM-47JWZ 50-59 years, male 64.9
GTEX-1GN2E-0426-SM-9MQKX 60-69 years, male 64.9
GTEX-1QAET-0926-SM-E76QM 50-59 years, male 64.9
GTEX-1S5ZA-0126-SM-EVYCV 20-29 years, male 64.9
GTEX-14E6D-0126-SM-62LDV 50-59 years, male 64.8
GTEX-T5JW-1626-SM-3GADZ 20-29 years, female 64.7
GTEX-1QP2A-0126-SM-E9J43 50-59 years, male 64.7
GTEX-ZVZP-2426-SM-59HKJ 50-59 years, male 64.6
GTEX-ZXES-1826-SM-5E43S 30-39 years, female 64.6
GTEX-1LB8K-0226-SM-EWRNW 50-59 years, male 64.6
GTEX-139TT-0126-SM-5K7Y5 60-69 years, male 64.5
GTEX-17HHY-0126-SM-7LG5D 50-59 years, male 64.5
GTEX-YJ89-0126-SM-4TT3X 60-69 years, male 64.5
GTEX-1I1GU-2226-SM-CGQFA 40-49 years, male 64.5
GTEX-13CF2-2526-SM-5LZYX 60-69 years, male 64.4
GTEX-RUSQ-1526-SM-2TF62 50-59 years, male 64.4
GTEX-1JMQJ-0526-SM-CYPSU 50-59 years, male 64.3
GTEX-12ZZY-0226-SM-5LZVE 60-69 years, male 64.1
GTEX-17EVQ-0226-SM-7LG4P 70-79 years, male 64.1
GTEX-1JMQI-2226-SM-CM2SD 50-59 years, male 64.1
GTEX-1IOXB-0126-SM-ARL8G 50-59 years, male 64.0
GTEX-12WSA-0226-SM-5BC5V 60-69 years, male 63.9
GTEX-OXRO-0126-SM-2YUN4 60-69 years, female 63.9
GTEX-YJ8A-0426-SM-5IFID 20-29 years, male 63.9
GTEX-144FL-0126-SM-5TDC8 50-59 years, male 63.8
GTEX-ZZPT-0226-SM-5E43X 50-59 years, male 63.8
GTEX-Z93S-0126-SM-5HL7M 50-59 years, male 63.7
GTEX-1J8Q3-1626-SM-CMKGC 60-69 years, male 63.7
GTEX-ZTPG-0326-SM-5O9AX 20-29 years, female 63.6
GTEX-13N2G-2626-SM-5J1OT 60-69 years, male 63.5
GTEX-Z9EW-1626-SM-5CVMN 40-49 years, male 63.5
GTEX-183WM-0126-SM-7LTAB 70-79 years, female 63.4
GTEX-1AX9K-2326-SM-73KWU 50-59 years, male 63.4
GTEX-1GF9V-0326-SM-7RHI5 60-69 years, male 63.4
GTEX-1OFPY-2426-SM-DTXEJ 60-69 years, male 63.4
GTEX-13CF3-2426-SM-5IFGX 60-69 years, female 63.3
GTEX-13U4I-0126-SM-5LU38 40-49 years, female 63.2
GTEX-18A6Q-0126-SM-731BZ 60-69 years, male 63.1
GTEX-133LE-1826-SM-5J1MV 20-29 years, female 63.0
GTEX-SJXC-0126-SM-2XCFF 60-69 years, male 63.0
GTEX-T2YK-0526-SM-32QPJ 50-59 years, male 63.0
GTEX-1C6WA-0126-SM-7PC2B 60-69 years, male 63.0
GTEX-T5JC-0426-SM-32PLO 20-29 years, male 62.9
GTEX-WQUQ-0426-SM-3MJFU 60-69 years, male 62.9
GTEX-1A8FM-0226-SM-7SB7Q 50-59 years, female 62.9
GTEX-1EN7A-0126-SM-7SB81 40-49 years, male 62.9
GTEX-1EU9M-0226-SM-7P8SP 60-69 years, male 62.9
GTEX-11P82-1626-SM-59879 20-29 years, male 62.8
GTEX-13RTK-1426-SM-5QGQJ 20-29 years, male 62.7
GTEX-1KD5A-0226-SM-D5OV3 50-59 years, male 62.7
GTEX-1CB4I-0226-SM-79OLH 50-59 years, male 62.6
GTEX-1CAMS-0426-SM-7P8T2 40-49 years, female 62.6
GTEX-1C6VR-2426-SM-79OLD 60-69 years, male 62.5
GTEX-Y111-0126-SM-4SOIV 50-59 years, male 62.5
GTEX-ZQUD-1426-SM-57WER 30-39 years, male 62.5
GTEX-1I1GR-0126-SM-CL55F 60-69 years, male 62.5
GTEX-1HB9E-0226-SM-E9U4R 50-59 years, male 62.4
GTEX-14A5H-0426-SM-5QGQF 60-69 years, male 62.3
GTEX-1AYD5-2426-SM-73KXR 50-59 years, male 62.3
GTEX-1B8SF-1426-SM-7DUGL 60-69 years, male 62.3
GTEX-13VXT-0126-SM-5LU4I 20-29 years, female 62.2
GTEX-11NSD-2226-SM-5986V 20-29 years, male 62.1
GTEX-11ZVC-2526-SM-5FQTE 50-59 years, female 62.1
GTEX-Y114-2426-SM-4TT8A 50-59 years, female 62.1
GTEX-1F6IF-0726-SM-7P8TW 60-69 years, male 62.1
GTEX-P4PP-0126-SM-3LK69 30-39 years, female 62.0
GTEX-RM2N-1426-SM-2TF4H 50-59 years, male 62.0
GTEX-1GN73-0226-SM-9WG67 60-69 years, male 62.0
GTEX-1J8JJ-0226-SM-CL53I 60-69 years, female 62.0
GTEX-1MGNQ-0126-SM-EVYCJ 40-49 years, male 62.0
GTEX-Y3I4-2126-SM-4TT7C 50-59 years, male 61.9
GTEX-1JKYN-1326-SM-CGQG9 30-39 years, male 61.9
GTEX-13PDP-0126-SM-5L3HD 60-69 years, male 61.8
GTEX-WI4N-1026-SM-3LK7N 40-49 years, female 61.8
GTEX-ZDTT-2726-SM-4WKF8 60-69 years, male 61.8
GTEX-ZVT2-2526-SM-51MT1 50-59 years, female 61.8
GTEX-1GPI7-0126-SM-9MQL8 20-29 years, male 61.8
GTEX-1I1GQ-0126-SM-COH3H 50-59 years, male 61.8
GTEX-1J8Q2-0526-SM-CM2RW 60-69 years, male 61.6
GTEX-1122O-2126-SM-5EGIR 60-69 years, female 61.5
GTEX-14ABY-0226-SM-5TDCQ 50-59 years, male 61.5
GTEX-14DAQ-0126-SM-5S2MQ 60-69 years, female 61.5
GTEX-1192X-0226-SM-5H12D 50-59 years, male 61.4
GTEX-1HSMQ-1226-SM-CGQFX 50-59 years, male 61.3
GTEX-1212Z-2526-SM-5EGKP 60-69 years, male 61.2
GTEX-1H3VY-0126-SM-ACKXD 50-59 years, male 61.2
GTEX-RU72-0926-SM-2TF6B 50-59 years, female 61.0
GTEX-1399R-2726-SM-5IJBA 30-39 years, male 60.9
GTEX-15SHW-0326-SM-6PAML 60-69 years, male 60.9
GTEX-ZXG5-0126-SM-5GIEU 60-69 years, male 60.9
GTEX-11EI6-0126-SM-5985R 60-69 years, male 60.8
GTEX-XPVG-2626-SM-4B669 50-59 years, male 60.8
GTEX-1H3O1-0426-SM-9YFKY 60-69 years, male 60.8
GTEX-1HBPM-0226-SM-ARL9F 60-69 years, female 60.8
GTEX-ZPIC-1726-SM-DHXIU 40-49 years, female 60.8
GTEX-111VG-2426-SM-5GZXD 60-69 years, male 60.7
GTEX-15UKP-0426-SM-7KUFQ 20-29 years, male 60.7
GTEX-TKQ1-1026-SM-4GICL 30-39 years, male 60.7
GTEX-1J1R8-1726-SM-ARL8M 40-49 years, male 60.7
GTEX-17MF6-0126-SM-7LG4F 40-49 years, male 60.6
GTEX-U8T8-0126-SM-3DB94 60-69 years, male 60.6
GTEX-1H11D-0226-SM-9WG6Z 40-49 years, male 60.6
GTEX-132NY-0326-SM-5IJBL 60-69 years, male 60.4
GTEX-OXRP-0126-SM-3NB32 60-69 years, female 60.3
GTEX-1PPH7-2326-SM-EVYB8 40-49 years, male 60.2
GTEX-13OVL-0226-SM-5L3E9 50-59 years, male 60.1
GTEX-1QCLY-0326-SM-E8VOG 30-39 years, male 60.1
GTEX-11OF3-2626-SM-5GU7F 60-69 years, male 60.0
GTEX-1K9T9-0126-SM-EVYCF 50-59 years, female 60.0
GTEX-12KS4-0326-SM-5EQ41 30-39 years, male 59.9
GTEX-145MO-0326-SM-5Q5B3 60-69 years, male 59.9
GTEX-W5WG-1826-SM-4KL2Y 50-59 years, female 59.9
GTEX-11ZTT-2426-SM-5EQLS 60-69 years, female 59.8
GTEX-T8EM-1026-SM-3DB7M 40-49 years, male 59.8
GTEX-ZAJG-0126-SM-5HL94 50-59 years, female 59.8
GTEX-1CAV2-2226-SM-7P8P2 40-49 years, female 59.6
GTEX-1313W-0126-SM-5LZUN 50-59 years, female 59.5
GTEX-139TS-2826-SM-5J1OO 60-69 years, male 59.5
GTEX-1JKYR-0126-SM-CNPOJ 20-29 years, male 59.5
GTEX-131XW-0426-SM-5LZWP 50-59 years, female 59.4
GTEX-1I19N-0326-SM-ACKVX 70-79 years, male 59.4
GTEX-1AX8Z-0126-SM-7DHM6 60-69 years, male 59.3
GTEX-Y8E4-0626-SM-4WWDL 40-49 years, male 59.3
GTEX-13NZB-2526-SM-5J1OM 30-39 years, male 59.2
GTEX-17F98-0626-SM-79OMX 40-49 years, female 59.2
GTEX-SUCS-1926-SM-32PM3 70-79 years, male 59.2
GTEX-145LU-0126-SM-5TDCB 50-59 years, male 59.1
GTEX-145LV-2126-SM-5LU8N 50-59 years, male 59.1
GTEX-OIZF-0126-SM-7SB8I 60-69 years, male 59.1
GTEX-1RAZA-0126-SM-E6CI3 20-29 years, male 59.0
GTEX-13RTJ-2426-SM-5S2Q2 60-69 years, male 58.7
GTEX-1K2DU-2326-SM-E9TIV 20-29 years, male 58.7
GTEX-OXRN-0126-SM-48TDM 50-59 years, male 58.6
GTEX-1HGF4-2426-SM-ACKXM 60-69 years, male 58.6
GTEX-12C56-1726-SM-5EQ61 20-29 years, male 58.5
GTEX-145MN-2226-SM-5SIAU 30-39 years, male 58.4
GTEX-18D9B-0526-SM-7LTAS 60-69 years, male 58.4
GTEX-QLQ7-1626-SM-2S1R8 60-69 years, male 58.4
GTEX-T6MO-1626-SM-32QOM 40-49 years, female 58.4
GTEX-XUW1-0426-SM-4BOOT 50-59 years, female 58.4
GTEX-ZVTK-0426-SM-51MRS 20-29 years, male 58.4
GTEX-14JG1-0426-SM-6ETZZ 40-49 years, male 58.3
GTEX-1F88F-2726-SM-7PBZZ 60-69 years, female 58.3
GTEX-1LH75-2426-SM-E9TJE 50-59 years, female 58.3
GTEX-117YX-2326-SM-5H12W 50-59 years, male 58.1
GTEX-1GN1W-0526-SM-9MQJQ 50-59 years, female 58.1
GTEX-1IE54-0126-SM-CMKHW 40-49 years, female 58.0
GTEX-113JC-2326-SM-5EQ4E 50-59 years, female 57.9
GTEX-ZVT4-0126-SM-DTXFN 50-59 years, female 57.9
GTEX-14JG6-2226-SM-6EU2G 30-39 years, female 57.8
GTEX-1M5QR-1226-SM-EWROB 40-49 years, male 57.8
GTEX-13SLX-0526-SM-5S2ON 50-59 years, female 57.6
GTEX-1R9K4-0126-SM-DTX9X 60-69 years, male 57.6
GTEX-S7PM-0126-SM-4AD6S 60-69 years, male 57.5
GTEX-ZE7O-0126-SM-57WC1 50-59 years, female 57.5
GTEX-ZTSS-1926-SM-57WEW 40-49 years, male 57.5
GTEX-11OC5-0126-SM-5HL6A 60-69 years, male 57.4
GTEX-139T8-0126-SM-5K7XZ 60-69 years, male 57.4
GTEX-13X6I-0626-SM-5QGP9 60-69 years, male 57.4
GTEX-14BMU-2226-SM-5TDE9 20-29 years, female 57.4
GTEX-XBED-2226-SM-47JYQ 60-69 years, male 57.4
GTEX-146FR-1326-SM-E9J48 60-69 years, female 57.4
GTEX-1HUB1-0426-SM-E9U4U 60-69 years, male 57.4
GTEX-1I1GV-0526-SM-A9G29 60-69 years, male 57.4
GTEX-1S82Y-2026-SM-EVYCM 40-49 years, male 57.2
GTEX-OOBJ-0126-SM-E6CJW 60-69 years, male 57.2
GTEX-1HCU8-0626-SM-A9SM9 60-69 years, female 57.1
GTEX-1I1CD-0126-SM-CM2TK 60-69 years, female 57.1
GTEX-1RLM8-2326-SM-EWRN4 50-59 years, male 57.1
GTEX-1IDJH-0326-SM-A9SLQ 70-79 years, male 57.0
GTEX-145LS-0126-SM-5QGP1 60-69 years, female 56.9
GTEX-147F3-0526-SM-5SI98 50-59 years, female 56.9
GTEX-1QEPI-0126-SM-EWRMQ 60-69 years, female 56.9
GTEX-1KANB-0526-SM-E6CJH 50-59 years, male 56.8
GTEX-11DXX-2426-SM-5GZZW 60-69 years, female 56.7
GTEX-144GL-0126-SM-5TDE2 50-59 years, male 56.7
GTEX-14PJ6-2126-SM-6EU1V 60-69 years, female 56.7
GTEX-1F6I4-0126-SM-9MQL2 60-69 years, male 56.7
GTEX-RTLS-0126-SM-447CA 60-69 years, female 56.6
GTEX-RWSA-0126-SM-2XCBB 40-49 years, male 56.6
GTEX-1GPI6-0126-SM-9WG69 60-69 years, male 56.6
GTEX-1HCU6-0126-SM-CL54K 60-69 years, female 56.6
GTEX-1O97I-0326-SM-EYYX7 60-69 years, male 56.6
GTEX-1R7EV-2426-SM-EVYBG 40-49 years, male 56.5
GTEX-18465-0126-SM-731BN 50-59 years, male 56.4
GTEX-Q2AH-1626-SM-3GAF8 40-49 years, male 56.4
GTEX-1J1OQ-0226-SM-CYPSH 40-49 years, female 56.2
GTEX-YFC4-0126-SM-5CVLY 40-49 years, female 56.1
GTEX-14PHW-0126-SM-6LLJI 60-69 years, female 56.0
GTEX-14PJ3-1826-SM-62LEX 50-59 years, male 56.0
GTEX-R3RS-0126-SM-3GIJL 40-49 years, female 56.0
GTEX-12126-0326-SM-5PNW3 20-29 years, male 55.8
GTEX-S7SE-0126-SM-2XCD5 50-59 years, male 55.8
GTEX-11UD2-0226-SM-5EQKY 50-59 years, male 55.6
GTEX-U8XE-0326-SM-3DB8P 30-39 years, male 55.6
GTEX-1PFEY-1526-SM-E76PP 30-39 years, male 55.6
GTEX-VJYA-1126-SM-3GIJU 60-69 years, male 55.5
GTEX-1F75A-0126-SM-7RHGM 50-59 years, male 55.5
GTEX-11GS4-2726-SM-5A5LE 60-69 years, male 55.4
GTEX-18QFQ-0126-SM-731BE 30-39 years, male 55.4
GTEX-OXRK-0226-SM-3NB2G 50-59 years, female 55.4
GTEX-VJWN-0126-SM-3GIK7 50-59 years, female 55.4
GTEX-XQ8I-0426-SM-4BOPO 50-59 years, male 55.3
GTEX-15DYW-0126-SM-7KULE 60-69 years, female 55.2
GTEX-16XZY-2126-SM-79OK1 70-79 years, male 55.2
GTEX-1C64O-0126-SM-7SB8P 60-69 years, male 55.2
GTEX-QDVJ-1726-SM-2I5FX 50-59 years, male 55.1
GTEX-R55G-2526-SM-2TC6D 40-49 years, female 55.1
GTEX-145MF-0626-SM-5LUAI 50-59 years, male 55.0
GTEX-QLQW-1126-SM-2S1Q8 30-39 years, male 55.0
GTEX-1IL2V-0126-SM-CM2TX 70-79 years, male 55.0
GTEX-13VXU-0126-SM-5SI9F 50-59 years, male 54.9
GTEX-PLZ4-0126-SM-5SI8O 50-59 years, female 54.9
GTEX-1ICLY-0126-SM-D4P36 50-59 years, male 54.8
GTEX-15D1Q-0126-SM-7KUG6 40-49 years, male 54.7
GTEX-OIZG-0726-SM-33HBL 50-59 years, male 54.7
GTEX-1IGQW-0126-SM-COH42 60-69 years, male 54.7
GTEX-O5YT-0126-SM-48TBW 20-29 years, male 54.6
GTEX-T2IS-0126-SM-4DM6O 20-29 years, female 54.5
GTEX-YEC4-2126-SM-5IFJH 40-49 years, male 54.5
GTEX-1192W-2626-SM-5Q5AF 60-69 years, male 54.4
GTEX-PWCY-1826-SM-DHXIZ 20-29 years, female 54.4
GTEX-13NYB-2526-SM-5K7Z6 40-49 years, male 54.3
GTEX-1IY9M-0126-SM-D3L8S 60-69 years, male 54.3
GTEX-13113-5016-SM-7EPIP 60-69 years, female 54.1
GTEX-13N1W-0126-SM-5K7VT 70-79 years, male 54.1
GTEX-144GN-2326-SM-5LU4F 50-59 years, male 54.0
GTEX-QCQG-1726-SM-3GIJ9 50-59 years, female 54.0
GTEX-ZYY3-0126-SM-5GZY5 60-69 years, female 54.0
GTEX-1ICLZ-0126-SM-CKZPO 60-69 years, male 54.0
GTEX-11ZTS-0126-SM-5EQ6M 60-69 years, female 53.9
GTEX-17MFQ-1726-SM-793C7 20-29 years, male 53.9
GTEX-Y5LM-1926-SM-5RQJH 40-49 years, female 53.8
GTEX-1IKK5-0626-SM-ARL8A 60-69 years, male 53.8
GTEX-1CAMQ-0226-SM-7IGPK 40-49 years, male 53.7
GTEX-1HKZK-0326-SM-9WYUH 40-49 years, male 53.7
GTEX-18A7B-0126-SM-7LG64 70-79 years, male 53.4
GTEX-XQ3S-1526-SM-4BOOC 20-29 years, male 53.4
GTEX-111FC-0126-SM-5N9DL 60-69 years, male 53.3
GTEX-16NPX-0226-SM-79OMT 50-59 years, male 53.3
GTEX-1KXAM-2226-SM-CYPTC 60-69 years, male 53.3
GTEX-1RDX4-0126-SM-E9J4P 50-59 years, female 53.2
GTEX-WH7G-2326-SM-3NMBC 40-49 years, male 53.0
GTEX-QV44-1926-SM-2S1RF 50-59 years, male 52.9
GTEX-1HSEH-0126-SM-ACKXN 60-69 years, male 52.9
GTEX-1GTWX-0126-SM-9YFLK 60-69 years, male 52.8
GTEX-11P7K-2126-SM-5GU7G 30-39 years, male 52.7
GTEX-11NUK-0126-SM-5A5L3 50-59 years, male 52.5
GTEX-P4PQ-0126-SM-2S1NM 60-69 years, male 52.5
GTEX-1EKGG-0226-SM-9WYTH 60-69 years, male 52.5
GTEX-XMD2-0126-SM-4YCDU 60-69 years, female 52.4
GTEX-1B933-0126-SM-7PC29 50-59 years, female 52.4
GTEX-X4XY-0226-SM-4E3IZ 60-69 years, male 52.3
GTEX-XUZC-1726-SM-4BRWS 30-39 years, female 52.2
GTEX-12WSG-2826-SM-E9J4H 50-59 years, female 52.2
GTEX-13W3W-2426-SM-5LU5B 60-69 years, female 52.1
GTEX-QVJO-1626-SM-2S1QW 60-69 years, female 52.1
GTEX-1H1ZS-0426-SM-9WG6G 70-79 years, male 52.1
GTEX-S33H-1026-SM-EZ6L6 30-39 years, male 52.1
GTEX-13RTL-0126-SM-7LG5S 40-49 years, male 52.0
GTEX-16YQH-0126-SM-7DUFJ 30-39 years, male 52.0
GTEX-13N11-2526-SM-5K7UE 50-59 years, female 51.9
GTEX-1IKOH-0226-SM-COH4E 60-69 years, female 51.7
GTEX-RWS6-2026-SM-2XCB5 60-69 years, female 51.6
GTEX-1NHNU-1026-SM-E9J2A 50-59 years, male 51.6
GTEX-1B8KZ-2026-SM-7DHMB 50-59 years, male 51.5
GTEX-ZDTS-0126-SM-4WAY5 60-69 years, male 51.4
GTEX-11TTK-0126-SM-5987B 60-69 years, female 51.3
GTEX-13NZ8-0826-SM-5MR3I 60-69 years, female 51.3
GTEX-TML8-1926-SM-32QOS 40-49 years, female 51.3
GTEX-1LNCM-1126-SM-E9U5E 50-59 years, female 51.3
GTEX-17HHE-2026-SM-79OKF 50-59 years, male 51.2
GTEX-1I1GS-0126-SM-B2LVW 60-69 years, male 51.2
GTEX-UPJH-0326-SM-3GADU 50-59 years, male 50.9
GTEX-1AMEY-1326-SM-73KYK 30-39 years, female 50.8
GTEX-XXEK-2226-SM-4BRUM 50-59 years, male 50.8
GTEX-1N2DV-0226-SM-E6CJ6 40-49 years, male 50.8
GTEX-11GSO-2426-SM-5A5LY 60-69 years, male 50.6
GTEX-QEG4-0226-SM-2S1PY 30-39 years, male 50.6
GTEX-14LLW-0126-SM-6LLIO 70-79 years, female 50.5
GTEX-X88G-0126-SM-47JZ3 30-39 years, male 50.5
GTEX-131XG-2626-SM-5KM17 50-59 years, female 50.4
GTEX-13O21-1426-SM-5K7XI 50-59 years, male 50.4
GTEX-1HR98-0126-SM-B2LWI 60-69 years, male 50.3
GTEX-11DXW-0226-SM-5H122 40-49 years, male 50.2
GTEX-13W46-0226-SM-5SIAG 50-59 years, male 50.2
GTEX-ZYFG-2326-SM-5E44B 60-69 years, female 50.1
GTEX-11ZUS-0626-SM-59885 30-39 years, male 49.8
GTEX-12WSN-5019-SM-79OM6 40-49 years, male 49.7
GTEX-VUSG-2526-SM-4KL1V 50-59 years, male 49.7
GTEX-Z93T-0126-SM-5HL5N 50-59 years, male 49.6
GTEX-12WSD-0126-SM-59HKN 60-69 years, female 49.4
GTEX-X4EO-0326-SM-3P5YO 60-69 years, female 49.4
GTEX-145LT-1726-SM-5QGP3 40-49 years, male 49.3
GTEX-14BIM-0226-SM-7IGLD 60-69 years, female 49.2
GTEX-14LZ3-0226-SM-62LET 60-69 years, female 49.1
GTEX-13FHO-0226-SM-5IFGY 60-69 years, male 49.0
GTEX-13FH7-2026-SM-E9J4I 50-59 years, female 48.9
GTEX-1QP66-1726-SM-E8VO1 50-59 years, male 48.8
GTEX-14753-0426-SM-5NQAM 60-69 years, male 48.7
GTEX-1MA7X-2226-SM-E6CIY 60-69 years, male 48.7
GTEX-13NZA-0226-SM-5K7Z7 60-69 years, male 48.6
GTEX-1LG7Y-0526-SM-DKPQC 50-59 years, male 48.5
GTEX-147GR-0526-SM-5S2MY 60-69 years, male 48.4
GTEX-R55E-0126-SM-2TC5Y 20-29 years, male 48.4
GTEX-1KWVE-1426-SM-E9TJO 30-39 years, male 48.4
GTEX-1MCQQ-0826-SM-DLHC2 60-69 years, male 48.2
GTEX-13OW8-1326-SM-5J1OW 60-69 years, male 48.1
GTEX-1EX96-1626-SM-7PBXR 50-59 years, male 48.0
GTEX-13OVG-1926-SM-5L3DK 60-69 years, male 47.9
GTEX-1QP29-0626-SM-EWRMX 50-59 years, male 47.9
GTEX-1QP67-1626-SM-EAZ3X 40-49 years, female 47.9
GTEX-117XS-2726-SM-5N9BL 60-69 years, male 47.8
GTEX-O5YW-0126-SM-3LK6D 50-59 years, male 47.8
GTEX-1JJE9-0326-SM-CL53Z 70-79 years, male 47.8
GTEX-ZYFC-0226-SM-5NQ75 50-59 years, male 47.7
GTEX-11GSP-2526-SM-5N9BP 60-69 years, female 47.6
GTEX-15DCD-0126-SM-7KUEK 70-79 years, female 47.6
GTEX-ZC5H-0226-SM-4WAY9 40-49 years, female 47.6
GTEX-13OVJ-0126-SM-5KM36 50-59 years, female 47.5
GTEX-X585-0226-SM-4QAS2 50-59 years, male 47.5
GTEX-U412-0426-SM-3DB9O 60-69 years, male 47.4
GTEX-X5EB-2226-SM-46MW4 40-49 years, male 47.4
GTEX-1J8EW-0126-SM-CJI4F 60-69 years, female 47.3
GTEX-1M4P7-0226-SM-DIPEV 60-69 years, male 47.3
GTEX-SIU8-0126-SM-2XCDT 50-59 years, male 47.2
GTEX-ZVT3-0126-SM-5GU6I 60-69 years, female 47.0
GTEX-1ICG6-2526-SM-CGQFZ 70-79 years, female 47.0
GTEX-13OW7-0126-SM-5MR3B 50-59 years, male 46.9
GTEX-1GN1V-0126-SM-9WPOS 60-69 years, male 46.9
GTEX-ZAB5-1826-SM-5HL7C 50-59 years, male 46.8
GTEX-ZE9C-2726-SM-57WB5 60-69 years, male 46.8
GTEX-ZYW4-0126-SM-5E44A 60-69 years, male 46.8
GTEX-15CHC-2126-SM-6EU21 60-69 years, female 46.7
GTEX-146FQ-0126-SM-5NQA9 30-39 years, male 46.6
GTEX-ZAB4-0226-SM-5N9F5 40-49 years, male 46.6
GTEX-169BO-1326-SM-9MQK2 50-59 years, male 46.4
GTEX-PW2O-1526-SM-7RHHB 20-29 years, male 46.4
GTEX-R45C-0126-SM-EAZ2R 60-69 years, female 46.4
GTEX-U4B1-1826-SM-4DXSU 40-49 years, male 46.3
GTEX-13QJ3-0326-SM-5S2RA 50-59 years, male 46.2
GTEX-16MT8-0426-SM-7KUEY 60-69 years, female 46.1
GTEX-X4XX-0126-SM-3NMC2 60-69 years, male 46.1
GTEX-X4EP-0126-SM-3P5YV 60-69 years, female 46.0
GTEX-1F7RK-0126-SM-7PC2S 20-29 years, female 46.0
GTEX-147F4-0226-SM-5QGPW 50-59 years, male 45.9
GTEX-1A32A-0126-SM-718B1 50-59 years, female 45.8
GTEX-1MCYP-1926-SM-E9J2R 20-29 years, female 45.8
GTEX-1AYCT-2426-SM-7IGQ3 50-59 years, male 45.7
GTEX-ZUA1-0126-SM-5GU76 40-49 years, male 45.7
GTEX-RN64-0126-SM-2TC68 50-59 years, male 45.5
GTEX-1I1GP-2226-SM-CGQFK 50-59 years, male 45.5
GTEX-11EMC-2926-SM-5EQ4F 60-69 years, female 45.4
GTEX-17F97-0326-SM-7LG5B 50-59 years, male 45.4
GTEX-1HCVE-0126-SM-CGQEU 50-59 years, male 45.4
GTEX-ZEX8-2426-SM-4WKG4 50-59 years, male 45.3
GTEX-1HSMP-0126-SM-E6CJS 70-79 years, male 45.2
GTEX-RNOR-0126-SM-E9J4R 50-59 years, female 45.1
GTEX-1RQEC-0426-SM-E6CHU 60-69 years, male 44.9
GTEX-11UD1-0126-SM-5PNYG 40-49 years, female 44.6
GTEX-14JIY-0126-SM-6LLH6 60-69 years, male 44.5
GTEX-PWO3-1526-SM-48TCM 60-69 years, female 44.5
GTEX-U3ZM-1526-SM-3DB9D 40-49 years, male 44.5
GTEX-WYVS-2126-SM-3NMA3 40-49 years, female 44.5
GTEX-RVPV-0126-SM-EAZAW 60-69 years, male 44.1
GTEX-117YW-2626-SM-5GZZH 50-59 years, male 43.9
GTEX-V1D1-2226-SM-3NMAX 50-59 years, male 43.7
GTEX-X8HC-0126-SM-4E3JW 50-59 years, female 43.6
GTEX-13O3Q-2426-SM-5IJBR 50-59 years, male 43.4
GTEX-Q2AG-0126-SM-33HBV 40-49 years, female 43.0
GTEX-1C6VQ-0126-SM-7P8RI 50-59 years, male 42.9
GTEX-1IDFM-0126-SM-COH2V 60-69 years, male 42.7
GTEX-SSA3-0126-SM-32QPU 60-69 years, male 42.3
GTEX-15SDE-2226-SM-7IGLO 50-59 years, female 42.2
GTEX-13FTY-0526-SM-5L3EV 40-49 years, female 42.1
GTEX-1GF9U-2126-SM-7SB7L 40-49 years, female 42.1
GTEX-1QW4Y-1526-SM-EAZ3Z 30-39 years, male 42.1
GTEX-131XF-5016-SM-7MGWE 60-69 years, male 42.0
GTEX-WY7C-2326-SM-3NB2U 50-59 years, male 41.8
GTEX-WZTO-0126-SM-3NM95 40-49 years, male 41.8
GTEX-13O3O-0126-SM-E9J49 60-69 years, female 41.4
GTEX-1I1HK-0126-SM-COH49 60-69 years, male 41.4
GTEX-XV7Q-2526-SM-4BRV9 40-49 years, female 41.2
GTEX-1GZ2Q-0226-SM-7P8TL 40-49 years, male 41.1
GTEX-1C6VS-0526-SM-7DUEN 60-69 years, male 41.0
GTEX-1R9PO-2126-SM-E9J4O 60-69 years, female 40.7
GTEX-14E7W-0126-SM-6LLJ9 70-79 years, male 40.6
GTEX-14A6H-0126-SM-5QGPK 30-39 years, male 40.5
GTEX-1RAZQ-0726-SM-EAZ43 30-39 years, male 40.1
GTEX-11DXY-2626-SM-5GIE7 60-69 years, male 39.9
GTEX-1399U-2326-SM-5K7WY 50-59 years, female 39.9
GTEX-1497J-2426-SM-7IGNX 60-69 years, male 39.6
GTEX-Y8LW-1826-SM-5S2MV 50-59 years, female 39.4
GTEX-Y5V6-2426-SM-4VDSB 60-69 years, male 39.3
GTEX-QDVN-2026-SM-3GAEP 50-59 years, male 39.1
GTEX-15SB6-1726-SM-6PAME 50-59 years, female 38.9
GTEX-WVJS-0126-SM-4MVOT 50-59 years, male 38.9
GTEX-X638-0126-SM-47JZ8 70-79 years, female 38.7
GTEX-OXRL-0126-SM-2YUMP 50-59 years, male 38.3
GTEX-113IC-0126-SM-5HL6T 60-69 years, male 37.7
GTEX-1OJC4-0126-SM-E9J2E 50-59 years, female 37.1
GTEX-S95S-1226-SM-4GICG 60-69 years, male 36.9
GTEX-X62O-0126-SM-4E3JN 50-59 years, male 36.8
GTEX-WOFL-0126-SM-3MJG2 60-69 years, male 36.7
GTEX-139T4-0226-SM-5HL5S 50-59 years, female 36.6
GTEX-1PBJI-0526-SM-E8VNK 20-29 years, female 36.1
GTEX-QDT8-0126-SM-48TZ1 30-39 years, female 36.0
GTEX-TMZS-0126-SM-3DB9Q 60-69 years, male 35.8
GTEX-U3ZN-2326-SM-3DB7W 30-39 years, female 35.5
GTEX-14PK6-1926-SM-6ETZU 70-79 years, female 34.4
GTEX-ZF28-0126-SM-4WKGK 60-69 years, male 33.7
GTEX-Q734-1926-SM-2I5EV 40-49 years, female 32.9
GTEX-ZDXO-3026-SM-5J1N5 60-69 years, male 31.5
GTEX-1HBPH-0426-SM-B2LW5 40-49 years, female 29.7
Show allShow less

Contact

  • NEWS ARTICLES
  • PRESS ROOM

The Project

  • INTRODUCTION
  • ORGANIZATION
  • PUBLICATIONS

The Human Protein Atlas

  • DOWNLOADABLE DATA
  • LICENCE & CITATION
  • HELP & FAQ
The Human Protein Atlas project is funded
by the Knut & Alice Wallenberg Foundation.


contact@proteinatlas.org