We use cookies to enhance the usability of our website. If you continue, we'll assume that you are happy to receive all cookies. More information. Don't show this again.
DDX50
HPA
RESOURCES
  • TISSUE
  • BRAIN
  • SINGLE CELL
  • SUBCELLULAR
  • CANCER
  • BLOOD
  • CELL LINE
  • STRUCTURE & INTERACTION
ABOUT
  • INTRODUCTION
  • HISTORY
  • ORGANIZATION
  • PUBLICATIONS
  • ANTIBODY SUBMISSION
  • ANTIBODY AVAILABILITY
  • ACKNOWLEDGMENTS
  • CONTACT
NEWS
  • NEWS ARTICLES
  • PRESS ROOM
LEARN
  • DICTIONARY
  • PROTEIN CLASSES
  • PROTEIN EVIDENCE
  • METHODS
  • EDUCATIONAL VIDEOS
DATA
  • DOWNLOADABLE DATA
  • PUBLICATION DATA
  • RELEASE HISTORY
HELP
  • ANTIBODY VALIDATION
  • ASSAYS & ANNOTATION
  • DISCLAIMER
  • HELP & FAQ
  • PRIVACY STATEMENT
  • LICENCE & CITATION
Fields »
Search result

Field
Term
Gene name
Class
Subclass
Class
Keyword
Chromosome
External id
Tissue
Cell type
Expression
Antibody panel
Tissue
Main location
Patient ID
Annotation
Tissue
Category
Tau score
Cluster
Reliability
Brain region
Category
Tau score
Brain region
Category
Tau score
Brain region
Category
Tau score
Cluster
Reliability
Tissue
Cell type
Enrichment
Cell type
Category
Tau score
Cell type
Category
Tau score
Cell type
Category
Tau score
Cell lineage
Category
Tau score
Cluster
Cluster
Location
Searches
Location
Cell line
Class
Type
Phase
Reliability
Cancer
Prognosis
Cancer
Category
Cancer
Category
Tau score
Cluster
Variants
Interacting gene (ensg_id)
Type
Number of interactions
Pathway
Category
Score
Score
Score
Validation
Validation
Validation
Validation
Antibodies
Data type
Column


  • SUMMARY

  • TISSUE

  • BRAIN

  • SINGLE CELL

  • SUBCELL

  • CANCER

  • BLOOD

  • CELL LINE

  • STRUCT & INT

  • DDX50
TISSUE PRIMARY DATA COLON Show tissue menu
ADIPOSE TISSUE ADRENAL GLAND AMYGDALA APPENDIX BASAL GANGLIA BONE MARROW BREAST BRONCHUS CEREBELLUM CEREBRAL CORTEX CERVIX CHOROID PLEXUS COLON DUODENUM
ENDOMETRIUM EPIDIDYMIS ESOPHAGUS FALLOPIAN TUBE GALLBLADDER HEART MUSCLE HIPPOCAMPAL FORMATION HYPOTHALAMUS KIDNEY LIVER LUNG LYMPH NODE MIDBRAIN NASOPHARYNX
ORAL MUCOSA OVARY PANCREAS PARATHYROID GLAND PITUITARY GLAND PLACENTA PROSTATE RECTUM RETINA SALIVARY GLAND SEMINAL VESICLE SKELETAL MUSCLE SKIN SMALL INTESTINE
SMOOTH MUSCLE SOFT TISSUE SPINAL CORD SPLEEN STOMACH TESTIS THYMUS THYROID GLAND TONGUE TONSIL URINARY BLADDER VAGINA
ANTIBODIES
AND
VALIDATION
Dictionary
Colon
Tissue proteome
Intestine
COLON - Expression summary
Protein expression
Coloni

On the top, protein expression in current human tissue, based on all annotated cell types, is reported with the units not detected (n), low (l), medium (m) and high (h). Underneath, protein expression in each annotated cell type are reported using the same units.

Protein expression data is based on knowledge-based annotation. For genes where more than one antibody has been used, a collective score is set.

If knowledge-based annotation could not be performed for a gene, no data is displayed here. View antibody staining data further down this page.

h
m
l
n
Endothelial cells: Medium
Glandular cells: Low
Peripheral nerve/ganglion: Medium
RNA expressioni

A summary of mRNA expression data available for current tissue based on several datasets. The mRNA expression levels in human tissues are based on RNA-seq data generated by the Human Protein Atlas (HPA), Genotype-Tissue Expression (GTEx) portal and CAGE data generated by the FANTOM5 consortium. Consensus normalized expression levels for human tissues was created by combining the data from HPA and GTEx datasets.

The mRNA expression levels in pig are based on RNA-seq data generated by the Human Protein Atlas (HPA), and for mouse, HPA data and in situ hybridization generated by the Allen brain atlas are reported.

Scroll down to view mRNA expression data in more detail.
Consensus:24.3 nTPM
HPA:15.7 nTPM
GTEx:24.3 nTPM
FANTOM5:68.9 Scaled Tags Per Million

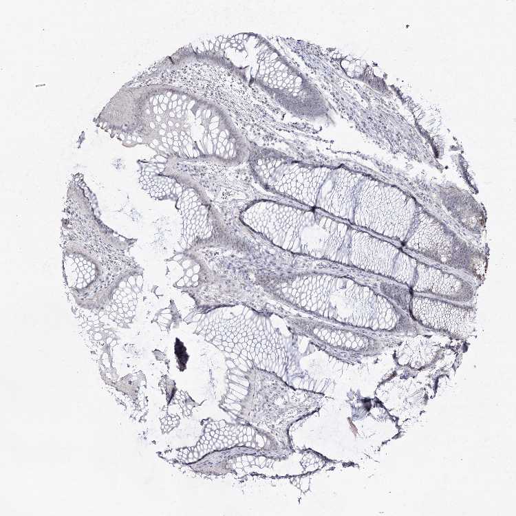
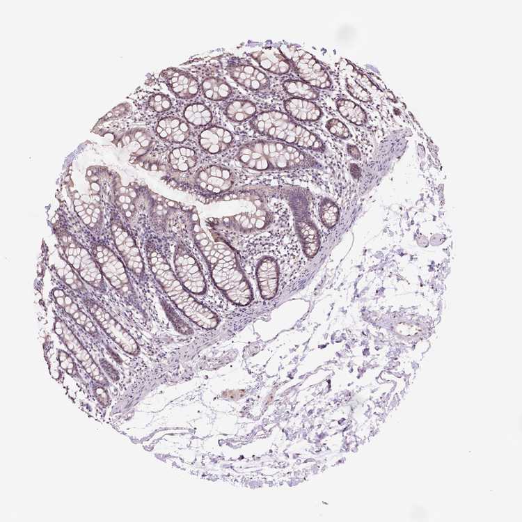
COLON - Antibody stainingi

Antibody staining in the annotated cell types in the current human tissue is reported as not detected, low, medium, or high, based on conventional immunohistochemistry profiling in selected tissues. This score is based on the combination of the staining intensity and fraction of stained cells.

Each image is clickable and will lead to virtual microscopy that enables deeper exploration of all samples and also displays staining intensity scores, fraction scores and subcellular localization as well as patient and tissue information for each sample.

Antibody HPA037388Antibody HPA058196
Endothelial cells Not detectedMedium
Glandular cells LowLow
Peripheral nerve/ganglion Not detectedMedium





COLON - HPA RNA-seqi

The RNA-seq details section shows detailed information about the individual samples used for the transcript profiling and results of the RNA-seq analysis.

Information about each individual sample is listed below, including gender, age, a tissue section image and estimated fractions of cell types. nTPM (normalized transcripts per million) values give a quantification of the gene abundance which is comparable between different genes and samples.
Average nTPMi

Max subtype nTPM is the value for the subtype with the largest average nTPM across the subtype samples.

15.7
overview
Male, age 54
Colon sample 67
nTPM: 12.8
Cell types%
Glandular cells:
65

Smooth muscle cells:
10

Other cell types:
25

overview
Female, age 57
Colon sample 68
nTPM: 13.5
Cell types%
Glandular cells:
40

Smooth muscle cells:
5

Other cell types:
55

overview
Male, age 80
Colon sample 69
nTPM: 11.8
Cell types%
Glandular cells:
55

Smooth muscle cells:
5

Other cell types:
40

overview
Male, age 68
Colon sample 70
nTPM: 13.8
Cell types%
Glandular cells:
35

Smooth muscle cells:
10

Other cell types:
55

overview
Female, age 68
Colon sample 76
nTPM: 14.6
Cell types%
Glandular cells:
25

Smooth muscle cells:
5

Other cell types:
70

overview
Female, age 61
Colon sample 299
nTPM: 23.2
Cell types%
Glandular cells:
5

Smooth muscle cells:
65

Other cell types:
30

overview
Male, age 80
Colon sample 300
nTPM: 17.7
Cell types%
Glandular cells:
15

Smooth muscle cells:
20

Other cell types:
65

overview
Female, age 78
Colon sample 368
nTPM: 15
Cell types%
Glandular cells:
45

Smooth muscle cells:
5

Other cell types:
50

overview
Male, age 84
Colon sample 381
nTPM: 17.3
Cell types%
Glandular cells:
50

Smooth muscle cells:
15

Other cell types:
35

overview
Male, age 80
Colon sample 384
nTPM: 18.6
Cell types%
Glandular cells:
20

Smooth muscle cells:
35

Other cell types:
45

overview
Female, age 78
Colon sample 389
nTPM: 16.2
Cell types%
Glandular cells:
35

Smooth muscle cells:
10

Other cell types:
55

overview
Female, age 69
Colon sample 391
nTPM: 16.2
Cell types%
Glandular cells:
10

Smooth muscle cells:
45

Other cell types:
45

overview
Female, age 72
Colon sample 403
nTPM: 13.7
Cell types%
Glandular cells:
20

Smooth muscle cells:
15

Other cell types:
65


COLON - GTEx RNA-seqi

RNA-Seq data generated by the Genotype-Tissue Expression (GTEx) project from human tissues is reported as mean nTPM. More information can be found on the GTEx portal.

Distribution across the dataset is visualized with box plots, shown as median and 25th and 75th percentiles. Points are displayed as outliers if they are above or below 1.5 times the interquartile range. nTPM values of the individual samples are presented next to the box plot.
Max subtype nTPMi

Max subtype nTPM is the value for the subtype with the largest average nTPM across the subtype samples.

24.3
GTEx sample id Sample description nTPM
Colon - Sigmoid
Average nTPM: 24.3
Samples: 373

Max nTPM: 38.0
Min nTPM: 11.1
Std nTPM: 4.4
Median nTPM: 24.2
GTEX-14E1K-1626-SM-664MO 50-59 years, male 38.0
GTEX-1L5NE-1926-SM-D3L9R 50-59 years, male 36.3
GTEX-1399U-2226-SM-5KLZI 50-59 years, female 36.1
GTEX-ZPCL-1626-SM-57WGC 60-69 years, female 35.6
GTEX-18D9A-1326-SM-7LT8P 30-39 years, female 35.0
GTEX-ZTSS-1226-SM-51MSZ 40-49 years, male 34.5
GTEX-15RJ7-1726-SM-6PAL3 40-49 years, male 34.4
GTEX-1F5PL-1926-SM-7MXTP 40-49 years, female 34.3
GTEX-13O1R-2426-SM-5KLZZ 60-69 years, male 34.2
GTEX-ZT9W-1726-SM-51MS3 50-59 years, male 33.4
GTEX-145ME-1126-SM-5SIAT 40-49 years, female 33.2
GTEX-1R9PO-2026-SM-E9J4N 60-69 years, female 33.2
GTEX-16MTA-1626-SM-6M47N 50-59 years, male 32.8
GTEX-14AS3-1026-SM-5TDD7 40-49 years, female 32.3
GTEX-183WM-2526-SM-731BP 70-79 years, female 32.2
GTEX-1K9T9-2926-SM-E9TKD 50-59 years, female 32.1
GTEX-1N2EF-1726-SM-EXUSI 60-69 years, male 31.4
GTEX-14PK6-1826-SM-69LOM 70-79 years, female 31.3
GTEX-1HFI7-1626-SM-9WYTR 50-59 years, female 31.3
GTEX-1LGRB-2026-SM-COH47 50-59 years, female 31.2
GTEX-131XE-1026-SM-5EGKE 50-59 years, male 31.1
GTEX-1GZ4H-1326-SM-7P8TE 50-59 years, female 31.1
GTEX-11P81-1426-SM-5P9JN 30-39 years, female 30.9
GTEX-1LBAC-1726-SM-D3L9W 20-29 years, male 30.9
GTEX-1KANA-1726-SM-CY8IG 20-29 years, male 30.8
GTEX-1QP67-1426-SM-E8VOO 40-49 years, female 30.8
GTEX-WY7C-1926-SM-4ONCI 50-59 years, male 30.7
GTEX-139T6-1426-SM-5P9J7 50-59 years, male 30.6
GTEX-13PVR-1726-SM-5Q5EC 60-69 years, female 30.6
GTEX-1AX9K-1626-SM-73KUS 50-59 years, male 30.6
GTEX-1IDJU-1926-SM-CL53W 60-69 years, female 30.5
GTEX-1A3MX-2326-SM-718B4 60-69 years, male 30.4
GTEX-13RTJ-1926-SM-5YYA2 60-69 years, male 30.3
GTEX-1EH9U-1926-SM-7P8QM 60-69 years, male 30.3
GTEX-1J8Q3-2426-SM-CL53S 60-69 years, male 30.3
GTEX-14C5O-2626-SM-5RQI5 60-69 years, male 30.2
GTEX-1J1OQ-2826-SM-D3L88 40-49 years, female 30.2
GTEX-1S831-1726-SM-EWROJ 20-29 years, male 30.2
GTEX-15UF6-2726-SM-7KULY 70-79 years, female 30.0
GTEX-14E6E-1726-SM-5S2R6 30-39 years, male 29.9
GTEX-15G1A-1926-SM-7KUFF 30-39 years, male 29.9
GTEX-1LSNM-1426-SM-E6CIH 50-59 years, male 29.9
GTEX-1QP28-2226-SM-DTX8C 50-59 years, female 29.8
GTEX-11I78-1326-SM-5PNY9 50-59 years, female 29.6
GTEX-1H3VE-2326-SM-9KNVU 40-49 years, male 29.6
GTEX-1JK1U-1426-SM-CNPOW 60-69 years, male 29.5
GTEX-1H3VY-2526-SM-9KNW1 50-59 years, male 29.4
GTEX-1R9JW-2126-SM-E76QT 30-39 years, female 29.4
GTEX-12BJ1-2026-SM-5FQUH 60-69 years, male 29.3
GTEX-14PN3-1926-SM-6EU1Y 60-69 years, female 29.3
GTEX-ZLV1-1326-SM-DO11Q 60-69 years, female 29.3
GTEX-11ZU8-1126-SM-5EQ5K 60-69 years, male 29.2
GTEX-1MGNQ-2126-SM-EV7AC 40-49 years, male 29.1
GTEX-ZPIC-2626-SM-57WE2 40-49 years, female 29.0
GTEX-1JJE9-2526-SM-ARU8K 70-79 years, male 29.0
GTEX-XV7Q-2226-SM-4BRVY 40-49 years, female 28.9
GTEX-ZLFU-1426-SM-4WWEU 40-49 years, male 28.9
GTEX-ZP4G-1526-SM-57WE5 20-29 years, female 28.9
GTEX-1K2DA-1626-SM-CGQGB 50-59 years, male 28.8
GTEX-1LG7Z-1326-SM-DIPF3 30-39 years, male 28.8
GTEX-ZLWG-1826-SM-DO11I 50-59 years, female 28.8
GTEX-ZVT2-1726-SM-51MRO 50-59 years, female 28.6
GTEX-1JKYR-2026-SM-CNPON 20-29 years, male 28.6
GTEX-13FTW-2126-SM-5K7YG 40-49 years, male 28.5
GTEX-145LT-0826-SM-5S2QL 40-49 years, male 28.5
GTEX-Y3I4-1126-SM-4TT7Y 50-59 years, male 28.5
GTEX-1H1E6-1826-SM-A9G21 30-39 years, male 28.5
GTEX-1QW4Y-1426-SM-E76P3 30-39 years, male 28.5
GTEX-1B8KE-1526-SM-7DUG2 50-59 years, male 28.4
GTEX-145MO-2626-SM-5QGPD 60-69 years, male 28.2
GTEX-ZG7Y-1826-SM-4WWD3 50-59 years, male 28.2
GTEX-1PIIG-2126-SM-EXUSD 30-39 years, male 28.2
GTEX-139UW-2326-SM-5KM1Y 60-69 years, male 28.1
GTEX-17HGU-2626-SM-79OKN 50-59 years, male 28.1
GTEX-Y9LG-1326-SM-4VBQB 30-39 years, male 28.1
GTEX-ZDTS-2726-SM-5L3E2 60-69 years, male 28.0
GTEX-1LSNL-1626-SM-E9TJY 50-59 years, male 28.0
GTEX-1AX9J-2526-SM-73KUY 60-69 years, male 27.9
GTEX-1F5PK-1726-SM-7RHHW 50-59 years, male 27.9
GTEX-1GL5R-1726-SM-9KNUX 50-59 years, male 27.8
GTEX-13CF3-1326-SM-5LZXZ 60-69 years, female 27.7
GTEX-1GMR2-1826-SM-9KNUP 50-59 years, male 27.7
GTEX-15RIE-2026-SM-7KFRW 60-69 years, male 27.5
GTEX-13OW8-2726-SM-5L3FZ 60-69 years, male 27.4
GTEX-15RJE-2226-SM-6M46A 40-49 years, male 27.4
GTEX-1S5ZA-1426-SM-E6CJQ 20-29 years, male 27.4
GTEX-11TUW-2326-SM-5EQMO 60-69 years, male 27.3
GTEX-17KNJ-1826-SM-7LT9N 50-59 years, male 27.3
GTEX-1JKYN-2226-SM-ARZNE 30-39 years, male 27.3
GTEX-1R7EU-1826-SM-DTX9L 60-69 years, male 27.2
GTEX-111YS-1826-SM-5GIEP 60-69 years, male 27.0
GTEX-ZYFD-2226-SM-5E43P 50-59 years, male 27.0
GTEX-1GN73-2726-SM-9WYUB 60-69 years, male 27.0
GTEX-1HSMO-2526-SM-A9SKP 60-69 years, male 27.0
GTEX-11EM3-1626-SM-5N9CO 20-29 years, female 26.9
GTEX-1J8QM-1226-SM-CY8HI 60-69 years, female 26.9
GTEX-13FH7-1626-SM-5J2O9 50-59 years, female 26.8
GTEX-144GM-1126-SM-79OJK 20-29 years, male 26.8
GTEX-12696-1926-SM-5EGJT 60-69 years, male 26.6
GTEX-1KXAM-1926-SM-D3LAG 60-69 years, male 26.6
GTEX-1R9K5-2226-SM-DTX9G 50-59 years, male 26.6
GTEX-18QFQ-1726-SM-731C9 30-39 years, male 26.5
GTEX-183FY-1426-SM-7DHLM 20-29 years, male 26.4
GTEX-ZYT6-2826-SM-5GICX 30-39 years, male 26.4
GTEX-1I1GT-2026-SM-CKZPK 60-69 years, female 26.4
GTEX-1OFPY-1226-SM-E76OM 60-69 years, male 26.4
GTEX-13PL7-2426-SM-5J2N3 60-69 years, female 26.3
GTEX-WFG7-1626-SM-4LVMF 20-29 years, male 26.3
GTEX-1AMFI-1826-SM-73KWB 50-59 years, female 26.2
GTEX-1I1GP-2826-SM-A9SKZ 50-59 years, male 26.2
GTEX-1LKK1-2426-SM-DIPES 50-59 years, female 26.2
GTEX-1339X-1726-SM-5P9J9 40-49 years, male 26.1
GTEX-13OVI-2126-SM-5KM3U 60-69 years, female 26.1
GTEX-ZTTD-2626-SM-57WEX 50-59 years, male 26.1
GTEX-1RAZQ-2026-SM-E76P7 30-39 years, male 26.1
GTEX-11P7K-1826-SM-5HL5A 30-39 years, male 26.0
GTEX-1477Z-2126-SM-5Q5CM 60-69 years, male 26.0
GTEX-15DYW-2426-SM-7KUG8 60-69 years, female 26.0
GTEX-WI4N-2226-SM-4OOS9 40-49 years, female 26.0
GTEX-1GPI7-1926-SM-9KNUH 20-29 years, male 26.0
GTEX-1JMPY-1026-SM-ARZN1 30-39 years, male 26.0
GTEX-15RIF-1426-SM-7KUKQ 20-29 years, male 25.9
GTEX-11DXZ-1626-SM-5GIDI 50-59 years, male 25.8
GTEX-13VXT-2026-SM-5L3EW 20-29 years, female 25.8
GTEX-14A5H-1626-SM-5SIAN 60-69 years, male 25.8
GTEX-17F9Y-2626-SM-7IGN9 70-79 years, female 25.8
GTEX-17GQL-1626-SM-7LG69 60-69 years, male 25.8
GTEX-1HSMQ-2526-SM-A9SMK 50-59 years, male 25.8
GTEX-15ETS-2326-SM-7KUGC 40-49 years, female 25.7
GTEX-1C2JI-1726-SM-73KUW 50-59 years, male 25.7
GTEX-WHWD-1526-SM-4OORV 50-59 years, male 25.7
GTEX-ZE9C-2126-SM-4WKGY 60-69 years, male 25.7
GTEX-1HCUA-1926-SM-B2LWE 50-59 years, female 25.7
GTEX-15ER7-2826-SM-6PAN2 20-29 years, female 25.6
GTEX-XUW1-1826-SM-4BOQD 50-59 years, female 25.6
GTEX-ZYFG-1826-SM-5GZWX 60-69 years, female 25.6
GTEX-1S82P-2026-SM-E9TIQ 60-69 years, female 25.6
GTEX-1B97I-1526-SM-73KUK 40-49 years, male 25.5
GTEX-1GF9X-1426-SM-7RHGX 40-49 years, female 25.5
GTEX-13D11-0626-SM-5LZYY 50-59 years, female 25.4
GTEX-14PJ4-1826-SM-5YY97 60-69 years, male 25.4
GTEX-16BQI-2026-SM-7KULQ 30-39 years, female 25.4
GTEX-11DXX-1926-SM-5EGJK 60-69 years, female 25.3
GTEX-1EU9M-2726-SM-7P8QD 60-69 years, male 25.3
GTEX-1JN76-1326-SM-ARU94 20-29 years, female 25.3
GTEX-1LB8K-2526-SM-DIPEQ 50-59 years, male 25.3
GTEX-1LVAO-2826-SM-E9TJH 60-69 years, male 25.3
GTEX-15UF7-1326-SM-7KUKV 40-49 years, male 25.2
GTEX-16NGA-0926-SM-718AG 40-49 years, female 25.2
GTEX-1CB4F-1926-SM-7MKFN 60-69 years, male 25.2
GTEX-ZPU1-1726-SM-4WWFV 40-49 years, male 25.2
GTEX-1LVAN-2626-SM-CNPQF 50-59 years, female 25.2
GTEX-1PIEJ-1826-SM-EWRMN 20-29 years, female 25.2
GTEX-ZXES-1726-SM-5E43G 30-39 years, female 25.1
GTEX-12WSM-1426-SM-5GCPA 60-69 years, male 25.0
GTEX-1AYCT-1926-SM-793AE 50-59 years, male 25.0
GTEX-XXEK-1826-SM-4BRVC 50-59 years, male 25.0
GTEX-1CAMS-2626-SM-7PBY3 40-49 years, female 25.0
GTEX-1J8EW-2426-SM-CE6T5 60-69 years, female 25.0
GTEX-17HG3-1126-SM-7DUFC 30-39 years, female 24.9
GTEX-13X6J-2826-SM-7EPGA 50-59 years, male 24.8
GTEX-14BMU-1326-SM-5RQIH 20-29 years, female 24.8
GTEX-ZF29-1826-SM-4WKG8 60-69 years, female 24.8
GTEX-1QP2A-2226-SM-DTXF6 50-59 years, male 24.8
GTEX-13111-1926-SM-5GCOL 50-59 years, male 24.7
GTEX-1I1CD-2826-SM-A9SL4 60-69 years, female 24.7
GTEX-1399R-2126-SM-5K7WZ 30-39 years, male 24.6
GTEX-16XZZ-2726-SM-7EWDO 60-69 years, male 24.6
GTEX-ZA64-1426-SM-5CVMC 20-29 years, male 24.6
GTEX-1JMQK-2326-SM-ARZN4 60-69 years, male 24.6
GTEX-131XG-1526-SM-5GCNQ 50-59 years, female 24.5
GTEX-XAJ8-0726-SM-47JY5 40-49 years, male 24.5
GTEX-YF7O-1626-SM-5IFII 50-59 years, male 24.5
GTEX-ZF2S-1826-SM-4WKFF 50-59 years, female 24.5
GTEX-13OVJ-1826-SM-5KM2D 50-59 years, female 24.4
GTEX-1A32A-2626-SM-73KX9 50-59 years, female 24.4
GTEX-1C4CL-1626-SM-7DUF3 30-39 years, male 24.4
GTEX-ZF28-2526-SM-57WFH 60-69 years, male 24.4
GTEX-1IDJI-2226-SM-CKZPM 50-59 years, female 24.4
GTEX-11TT1-0926-SM-5GU5M 20-29 years, male 24.3
GTEX-13G51-2126-SM-5IJD9 60-69 years, male 24.3
GTEX-13O61-1526-SM-5KM3P 60-69 years, male 24.3
GTEX-148VJ-2426-SM-5NQ9Y 70-79 years, male 24.3
GTEX-146FH-2426-SM-5Q5EW 50-59 years, female 24.2
GTEX-15DZA-1026-SM-6PAND 30-39 years, female 24.2
GTEX-17MFQ-1226-SM-7KFSA 20-29 years, male 24.2
GTEX-WFG8-1726-SM-4LVM6 20-29 years, male 24.2
GTEX-ZY6K-1326-SM-5GZWP 50-59 years, male 24.2
GTEX-1QP9N-0826-SM-DTX9O 30-39 years, male 24.2
GTEX-1RAZR-2026-SM-E9TKE 40-49 years, male 24.2
GTEX-1RMOY-1726-SM-EVYC9 50-59 years, male 24.2
GTEX-12WSL-1826-SM-5LZW9 50-59 years, male 24.1
GTEX-117YX-0526-SM-5EGJH 50-59 years, male 24.0
GTEX-13U4I-2626-SM-5SI9C 40-49 years, female 24.0
GTEX-14C39-1626-SM-5S2P4 40-49 years, male 24.0
GTEX-ZZ64-0826-SM-5E449 20-29 years, male 24.0
GTEX-1HKZK-2026-SM-9WYUF 40-49 years, male 24.0
GTEX-1122O-1426-SM-5H11R 60-69 years, female 23.9
GTEX-131YS-2926-SM-5EGKI 60-69 years, female 23.9
GTEX-14JG6-1626-SM-5YYBC 30-39 years, female 23.9
GTEX-ZAB5-1426-SM-5HL9D 50-59 years, male 23.9
GTEX-1RDX4-1926-SM-E6CJJ 50-59 years, female 23.9
GTEX-18A66-2626-SM-72D67 60-69 years, male 23.8
GTEX-1E2YA-2526-SM-7IGOU 50-59 years, male 23.8
GTEX-1H1ZS-2626-SM-9QEIX 70-79 years, male 23.8
GTEX-1HSEH-1926-SM-A96SB 60-69 years, male 23.8
GTEX-1QPFJ-2426-SM-EVR3L 30-39 years, female 23.8
GTEX-1RLM8-1726-SM-E9TKF 50-59 years, male 23.8
GTEX-18A6Q-2226-SM-7LG61 60-69 years, male 23.7
GTEX-YFCO-1526-SM-5YYB8 40-49 years, male 23.7
GTEX-15EO6-2326-SM-6LPKK 50-59 years, male 23.6
GTEX-X4EO-2726-SM-4E3HS 60-69 years, female 23.6
GTEX-XBED-1726-SM-47JYO 60-69 years, male 23.6
GTEX-1HCU7-2726-SM-A9G3D 50-59 years, male 23.6
GTEX-1J1R8-1426-SM-CL55O 40-49 years, male 23.6
GTEX-ZAJG-2626-SM-5S2NU 50-59 years, female 23.5
GTEX-ZQG8-2426-SM-57WEE 60-69 years, female 23.5
GTEX-WYVS-1126-SM-4SOJX 40-49 years, female 23.4
GTEX-Y8LW-1126-SM-4VDS4 50-59 years, female 23.4
GTEX-11ZTT-1626-SM-5EQKR 60-69 years, female 23.3
GTEX-1JJEA-2526-SM-CY8HJ 60-69 years, male 23.3
GTEX-13OVK-1026-SM-7KFTC 40-49 years, male 23.2
GTEX-18A67-2226-SM-7LT9Z 50-59 years, male 23.2
GTEX-Y114-1626-SM-4TT7I 50-59 years, female 23.2
GTEX-1GMR3-2526-SM-7P8QS 40-49 years, male 23.2
GTEX-1QCLY-2026-SM-EVR4C 30-39 years, male 23.2
GTEX-1GMR8-2926-SM-9KNW5 50-59 years, female 23.1
GTEX-1LGOU-1726-SM-D3L8P 20-29 years, female 23.1
GTEX-12ZZW-2426-SM-5DUWE 50-59 years, male 23.0
GTEX-145LS-2926-SM-5O99G 60-69 years, female 23.0
GTEX-1EMGI-2626-SM-7IGNR 60-69 years, male 23.0
GTEX-1N2DV-1826-SM-E6CJ5 40-49 years, male 23.0
GTEX-WHPG-1626-SM-4M1ZL 50-59 years, male 22.9
GTEX-XQ8I-2326-SM-4BOQC 50-59 years, male 22.9
GTEX-13X6K-2726-SM-5O9DG 60-69 years, female 22.8
GTEX-XUZC-1526-SM-4BRV4 30-39 years, female 22.8
GTEX-1H1DE-1626-SM-9KNU5 20-29 years, male 22.8
GTEX-1211K-1826-SM-5EGJ2 60-69 years, female 22.7
GTEX-1PBJJ-2026-SM-DTX8U 30-39 years, male 22.7
GTEX-117XS-2226-SM-5GIE1 60-69 years, male 22.6
GTEX-12ZZY-2726-SM-5EQ45 60-69 years, male 22.6
GTEX-13FHO-2726-SM-5K7VG 60-69 years, male 22.6
GTEX-13SLW-2826-SM-5Q5ES 70-79 years, male 22.6
GTEX-WXYG-1726-SM-4ONCU 50-59 years, female 22.6
GTEX-ZC5H-2426-SM-4WAZ6 40-49 years, female 22.6
GTEX-1HBPH-2526-SM-ACKXK 40-49 years, female 22.6
GTEX-1IKOE-2126-SM-A96T5 30-39 years, female 22.6
GTEX-1C6VQ-2626-SM-7IGMQ 50-59 years, male 22.5
GTEX-1QCLZ-2026-SM-EAZ4A 60-69 years, female 22.5
GTEX-111CU-1226-SM-5EGIN 50-59 years, male 22.4
GTEX-147GR-2826-SM-5RQK8 60-69 years, male 22.4
GTEX-Z93S-2626-SM-57WBX 50-59 years, male 22.4
GTEX-11EMC-1426-SM-5N9E4 60-69 years, female 22.3
GTEX-12WSJ-1426-SM-5GCON 40-49 years, female 22.3
GTEX-13CF2-1826-SM-5N9GK 60-69 years, male 22.3
GTEX-13OW5-2826-SM-5KM1G 60-69 years, male 22.3
GTEX-13QBU-2026-SM-5KLZB 40-49 years, female 22.3
GTEX-17JCI-2826-SM-7IGNA 60-69 years, female 22.3
GTEX-1HBPN-2026-SM-B2LWA 50-59 years, male 22.3
GTEX-1I6K6-1926-SM-A96SN 30-39 years, male 22.3
GTEX-1LVAM-1726-SM-DHXKQ 50-59 years, female 22.3
GTEX-14PJ3-1226-SM-5ZZVY 50-59 years, male 22.2
GTEX-1C475-1526-SM-7DHM3 40-49 years, female 22.2
GTEX-Y5LM-1426-SM-5RQJL 40-49 years, female 22.2
GTEX-YECK-2826-SM-5IFHF 60-69 years, male 22.2
GTEX-1GTWX-2626-SM-9WPOT 60-69 years, male 22.2
GTEX-1H23P-2626-SM-9KNVN 60-69 years, male 22.2
GTEX-1I1GR-2226-SM-ARL7F 60-69 years, male 22.2
GTEX-1J8JJ-2426-SM-D4P4A 60-69 years, female 22.1
GTEX-1B8L1-1926-SM-7IGND 60-69 years, male 22.0
GTEX-ZVT3-2826-SM-5GU6A 60-69 years, female 22.0
GTEX-12KS4-2326-SM-5EGJB 30-39 years, male 21.9
GTEX-X15G-1526-SM-4PQZM 50-59 years, female 21.9
GTEX-1PDJ9-2026-SM-E76PT 20-29 years, male 21.9
GTEX-11EI6-2626-SM-5PNVT 60-69 years, male 21.8
GTEX-1JMQJ-2626-SM-CY8HQ 50-59 years, male 21.8
GTEX-1212Z-1826-SM-5FQSH 60-69 years, male 21.7
GTEX-12WSG-2426-SM-5EQLZ 50-59 years, female 21.7
GTEX-15G19-2726-SM-6LPKG 60-69 years, male 21.7
GTEX-1CAMR-1026-SM-7P8QI 20-29 years, male 21.7
GTEX-11GS4-1826-SM-5HL4T 60-69 years, male 21.6
GTEX-132NY-2726-SM-5PNY2 60-69 years, male 21.6
GTEX-17F96-2126-SM-7KFSM 70-79 years, male 21.6
GTEX-132AR-2826-SM-5IJFV 50-59 years, female 21.5
GTEX-1B932-2126-SM-7IGMU 40-49 years, female 21.5
GTEX-1JMPZ-2626-SM-ARU8Z 30-39 years, male 21.5
GTEX-13N2G-2226-SM-5IJCU 60-69 years, male 21.4
GTEX-ZV6S-1126-SM-57WE9 40-49 years, female 21.4
GTEX-1B996-2726-SM-7DUGG 60-69 years, male 21.3
GTEX-YJ8A-1726-SM-5P9IQ 20-29 years, male 21.3
GTEX-1HSGN-2226-SM-A9SL6 40-49 years, female 21.3
GTEX-1LG7Y-2226-SM-E9U5K 50-59 years, male 21.3
GTEX-1PIGE-1526-SM-DTXFC 20-29 years, male 21.3
GTEX-12ZZX-2726-SM-5N9FT 40-49 years, female 21.1
GTEX-17HHE-1626-SM-7DHLN 50-59 years, male 21.1
GTEX-1BAJH-2726-SM-7IGNJ 70-79 years, male 21.1
GTEX-WQUQ-2626-SM-4MVNP 60-69 years, male 21.1
GTEX-1ICG6-2226-SM-B2LY7 70-79 years, female 21.1
GTEX-15F5U-1426-SM-7KUN2 40-49 years, male 21.0
GTEX-ZYY3-2226-SM-5E45A 60-69 years, female 21.0
GTEX-1HSKV-2326-SM-A9SL9 60-69 years, male 20.9
GTEX-1H3NZ-2526-SM-9KNVO 60-69 years, male 20.8
GTEX-1P4AB-2626-SM-DTXEU 50-59 years, male 20.8
GTEX-1IDJH-2826-SM-CJI49 70-79 years, male 20.7
GTEX-1IL2U-2526-SM-C1YQV 60-69 years, male 20.7
GTEX-11ONC-1926-SM-5GU75 60-69 years, male 20.6
GTEX-14PKV-1926-SM-686YU 20-29 years, female 20.6
GTEX-13OW6-2226-SM-5N9FL 50-59 years, male 20.5
GTEX-1CB4G-2726-SM-79OO4 60-69 years, male 20.5
GTEX-ZE7O-2626-SM-51MSS 50-59 years, female 20.5
GTEX-1HCVE-2326-SM-9WYUD 50-59 years, male 20.5
GTEX-1QP29-2526-SM-E6CQ3 50-59 years, male 20.4
GTEX-14BIN-2426-SM-5TDCF 50-59 years, female 20.3
GTEX-17EUY-1726-SM-79OK4 20-29 years, male 20.3
GTEX-1HBPI-2226-SM-9WYTY 50-59 years, male 20.3
GTEX-1HBPM-2626-SM-9WYU5 60-69 years, female 20.3
GTEX-15CHQ-2626-SM-686YZ 60-69 years, male 20.2
GTEX-1JMLX-2526-SM-CY8HX 50-59 years, male 20.2
GTEX-1F75W-2126-SM-7RHIA 60-69 years, male 20.1
GTEX-1GMRU-2626-SM-9WPPM 50-59 years, male 20.1
GTEX-1PPH8-2226-SM-EWRN7 20-29 years, male 20.1
GTEX-13PVQ-2726-SM-5L3H7 50-59 years, male 20.0
GTEX-1HCU6-2926-SM-B2LWV 60-69 years, female 20.0
GTEX-14DAQ-2926-SM-664MV 60-69 years, female 19.9
GTEX-14PHX-1126-SM-5YYA5 50-59 years, male 19.9
GTEX-ZAB4-2426-SM-5HL8A 40-49 years, male 19.9
GTEX-11EQ9-1526-SM-5PNY7 30-39 years, male 19.8
GTEX-1RQEC-2626-SM-EVR3Z 60-69 years, male 19.8
GTEX-18465-2726-SM-7LT9I 50-59 years, male 19.6
GTEX-ZVZQ-2626-SM-59HLB 60-69 years, female 19.6
GTEX-1JN6P-2126-SM-ARL98 60-69 years, male 19.6
GTEX-1C64N-2226-SM-7SB7C 50-59 years, male 19.5
GTEX-11EQ8-2626-SM-5N9BO 60-69 years, male 19.4
GTEX-139D8-2926-SM-5IJBM 30-39 years, female 19.4
GTEX-147JS-2626-SM-5S2UX 60-69 years, male 19.3
GTEX-WRHK-1126-SM-4MVOJ 20-29 years, female 19.3
GTEX-12WSD-2626-SM-5EGJE 60-69 years, female 19.1
GTEX-1A3MV-1026-SM-72D5U 30-39 years, male 18.9
GTEX-YJ8O-1426-SM-5PNV9 40-49 years, female 18.9
GTEX-16Z82-2426-SM-7KUMS 60-69 years, male 18.8
GTEX-1PBJI-2526-SM-E6CP4 20-29 years, female 18.8
GTEX-14E6C-2226-SM-5QGQG 40-49 years, male 18.7
GTEX-139TS-2226-SM-5J2N1 60-69 years, male 18.6
GTEX-ZVT4-2626-SM-5N9GJ 50-59 years, female 18.2
GTEX-WHSE-2726-SM-EZ6ML 20-29 years, male 18.2
GTEX-14A5I-2426-SM-5Q5CP 50-59 years, female 18.1
GTEX-11VI4-1426-SM-5GU6O 40-49 years, female 18.0
GTEX-YEC3-2026-SM-DKPOL 50-59 years, male 17.9
GTEX-V955-1726-SM-4JBHF 60-69 years, male 17.6
GTEX-11DXY-2026-SM-5N9CZ 60-69 years, male 17.5
GTEX-1C64O-2426-SM-7P8R3 60-69 years, male 17.5
GTEX-11PRG-2026-SM-5GU5F 50-59 years, male 17.4
GTEX-1HB9E-2526-SM-D4P35 50-59 years, male 17.3
GTEX-13X6I-2726-SM-5Q5ET 60-69 years, male 17.2
GTEX-145MH-2726-SM-5QGQ6 50-59 years, male 17.1
GTEX-11ZTS-1526-SM-5N9G7 60-69 years, female 16.9
GTEX-WFON-1326-SM-4LVMN 40-49 years, male 16.6
GTEX-1PFEY-1726-SM-DPRZ4 30-39 years, male 16.1
GTEX-1AMEY-1826-SM-72D5L 30-39 years, female 15.8
GTEX-1LSVX-2026-SM-E9TJD 60-69 years, male 15.8
GTEX-Y8E4-2326-SM-EAZAZ 40-49 years, male 15.0
GTEX-1OJC3-1826-SM-DTX93 20-29 years, male 14.6
GTEX-15FZZ-1826-SM-6LLJP 30-39 years, female 14.5
GTEX-13113-1426-SM-5EGHU 60-69 years, female 14.4
GTEX-WYJK-2326-SM-4ONDN 50-59 years, male 14.3
GTEX-WH7G-1426-SM-4LVMU 40-49 years, male 13.8
GTEX-X5EB-1126-SM-46MVV 40-49 years, male 13.5
GTEX-13W3W-2226-SM-5LU4M 60-69 years, female 13.3
GTEX-VJYA-2126-SM-4KL1O 60-69 years, male 12.5
GTEX-W5WG-2026-SM-4LMIB 50-59 years, female 12.5
GTEX-WOFM-1926-SM-4OOSP 20-29 years, male 12.0
GTEX-ZQUD-1026-SM-4YCEZ 30-39 years, male 12.0
GTEX-Y5V6-1626-SM-4VDT2 60-69 years, male 11.1
Show allShow less
Colon - Transverse
Average nTPM: 17.7
Samples: 406

Max nTPM: 33.8
Min nTPM: 8.2
Std nTPM: 5.3
Median nTPM: 16.6
GTEX-18QFQ-1526-SM-72D57 30-39 years, male 33.8
GTEX-ZYVF-2826-SM-5GIDK 50-59 years, female 33.8
GTEX-1S82U-0726-SM-E9TKI 30-39 years, female 32.5
GTEX-14AS3-1126-SM-5Q5CR 40-49 years, female 32.2
GTEX-RWS6-1826-SM-47JXX 60-69 years, female 31.1
GTEX-Y8LW-1226-SM-4WWDP 50-59 years, female 31.1
GTEX-13U4I-2426-SM-5LU34 40-49 years, female 31.0
GTEX-WVJS-2426-SM-EZ6LI 50-59 years, male 30.8
GTEX-1N2EF-1926-SM-DTX8M 60-69 years, male 30.7
GTEX-14E1K-1826-SM-793DT 50-59 years, male 30.6
GTEX-14PJ5-0926-SM-6LLIK 60-69 years, female 29.3
GTEX-11TTK-2426-SM-5PNYO 60-69 years, female 29.2
GTEX-12WSL-1626-SM-5GCMU 50-59 years, male 29.1
GTEX-13CF3-1426-SM-5K7YY 60-69 years, female 28.9
GTEX-1LH75-2126-SM-EVR5F 50-59 years, female 28.9
GTEX-OXRN-2026-SM-E6CHK 50-59 years, male 28.0
GTEX-U412-1726-SM-EZ6KX 60-69 years, male 27.8
GTEX-1GZ4H-1226-SM-9KNUA 50-59 years, female 27.7
GTEX-1QW4Y-1326-SM-EWRMZ 30-39 years, male 27.7
GTEX-11P81-1126-SM-5GU5G 30-39 years, female 27.6
GTEX-18D9B-2526-SM-718BN 60-69 years, male 27.6
GTEX-X5EB-0926-SM-46MVT 40-49 years, male 27.5
GTEX-1MUQO-2626-SM-EWRO3 60-69 years, male 27.5
GTEX-T6MO-0826-SM-4DM51 40-49 years, female 27.3
GTEX-11TUW-2026-SM-5EQL8 60-69 years, male 27.0
GTEX-111YS-1626-SM-5GZZ9 60-69 years, male 26.9
GTEX-V955-1626-SM-4JBHJ 60-69 years, male 26.9
GTEX-1EH9U-2026-SM-7PBYS 60-69 years, male 26.9
GTEX-WY7C-1626-SM-4ONC8 50-59 years, male 26.6
GTEX-13FH7-1526-SM-5J2N6 50-59 years, female 26.4
GTEX-15CHC-1626-SM-5ZZWS 60-69 years, female 26.4
GTEX-XXEK-1926-SM-4BRVD 50-59 years, male 26.4
GTEX-YEC4-1926-SM-5IFHJ 40-49 years, male 26.3
GTEX-1GL5R-2426-SM-7MXV1 50-59 years, male 26.3
GTEX-1AX8Z-2726-SM-73KUC 60-69 years, male 26.2
GTEX-1CB4I-2226-SM-7P8SL 50-59 years, male 26.2
GTEX-15G1A-1826-SM-7KUKO 30-39 years, male 26.1
GTEX-15UF6-2626-SM-6M466 70-79 years, female 26.1
GTEX-Z93S-2426-SM-5HL8N 50-59 years, male 26.1
GTEX-1JJE9-2426-SM-D3L8T 70-79 years, male 26.0
GTEX-14ICL-1226-SM-5S2RD 30-39 years, male 25.9
GTEX-WEY5-1426-SM-4LMJ3 40-49 years, female 25.8
GTEX-ZF29-1726-SM-4WKFV 60-69 years, female 25.8
GTEX-13O61-1626-SM-5KM3T 60-69 years, male 25.6
GTEX-1RAZQ-2126-SM-DTX9V 30-39 years, male 25.6
GTEX-Y114-1526-SM-4TT79 50-59 years, female 25.5
GTEX-1IDJF-1826-SM-CKZOE 20-29 years, male 25.5
GTEX-Y3I4-1426-SM-4TT9C 50-59 years, male 25.4
GTEX-1LG7Y-2126-SM-DIPER 50-59 years, male 25.3
GTEX-145LS-2726-SM-5Q5D8 60-69 years, female 24.9
GTEX-1C64O-2326-SM-73KU8 60-69 years, male 24.9
GTEX-1LBAC-1626-SM-CXZKV 20-29 years, male 24.8
GTEX-1C2JI-1626-SM-7EPHC 50-59 years, male 24.6
GTEX-1CB4F-2026-SM-79OLU 60-69 years, male 24.5
GTEX-1LVAN-2526-SM-CNPPC 50-59 years, female 24.4
GTEX-14C5O-2526-SM-73KU2 60-69 years, male 24.2
GTEX-OXRL-1426-SM-3NM9E 50-59 years, male 24.2
GTEX-1HCU6-2726-SM-A9SKV 60-69 years, female 24.2
GTEX-X4EO-2526-SM-EWRM8 60-69 years, female 24.1
GTEX-15SHU-2526-SM-6M47D 40-49 years, female 23.9
GTEX-1JN1M-2626-SM-CY8I3 60-69 years, female 23.9
GTEX-16NPV-2626-SM-6M484 50-59 years, female 23.8
GTEX-S341-1426-SM-4AD6U 40-49 years, female 23.7
GTEX-ZV6S-1226-SM-59HLH 40-49 years, female 23.7
GTEX-11EQ9-1426-SM-5987G 30-39 years, male 23.6
GTEX-145ME-0826-SM-5O9AF 40-49 years, female 23.6
GTEX-1NV5F-2226-SM-DTX8O 60-69 years, female 23.6
GTEX-1EMGI-2726-SM-7P8S4 60-69 years, male 23.5
GTEX-15DZA-0926-SM-69LQ3 30-39 years, female 23.4
GTEX-1AYD5-1726-SM-7RHFW 50-59 years, male 23.4
GTEX-13OVI-2026-SM-5J1MU 60-69 years, female 23.3
GTEX-1ICLZ-2426-SM-CKZOD 60-69 years, male 23.3
GTEX-1HSMP-2326-SM-D3L8R 70-79 years, male 23.1
GTEX-1PPGY-2826-SM-DTX9H 60-69 years, male 23.1
GTEX-1GN73-2626-SM-9KNUQ 60-69 years, male 23.0
GTEX-17F96-2026-SM-79ON4 70-79 years, male 22.8
GTEX-1GMR2-1726-SM-9JGI2 50-59 years, male 22.5
GTEX-1HCU7-2626-SM-C1YQO 50-59 years, male 22.5
GTEX-1RMOY-1626-SM-EVYC8 50-59 years, male 22.5
GTEX-U3ZH-1326-SM-4DXSF 30-39 years, male 22.4
GTEX-ZYFG-1926-SM-5GID5 60-69 years, female 22.4
GTEX-13OW5-2626-SM-5MR3M 60-69 years, male 22.2
GTEX-XAJ8-0426-SM-47JYJ 40-49 years, male 22.2
GTEX-148VJ-2626-SM-5QGPI 70-79 years, male 22.1
GTEX-1A3MV-1126-SM-718BS 30-39 years, male 21.9
GTEX-1IDJC-1326-SM-CL53H 50-59 years, male 21.9
GTEX-17F9E-1826-SM-7IGMC 50-59 years, male 21.8
GTEX-1IKK5-2726-SM-CNPQ6 60-69 years, male 21.8
GTEX-15CHQ-2526-SM-6EU24 60-69 years, male 21.7
GTEX-17JCI-2626-SM-7EWE6 60-69 years, female 21.7
GTEX-1F75B-2726-SM-7P8QO 50-59 years, male 21.6
GTEX-1OKEX-1226-SM-DTXEC 60-69 years, male 21.5
GTEX-1339X-1626-SM-5IJDN 40-49 years, male 21.4
GTEX-TKQ1-0626-SM-4DXTS 30-39 years, male 21.4
GTEX-11O72-2226-SM-5PNW2 40-49 years, male 21.3
GTEX-11ONC-2026-SM-5HL61 60-69 years, male 21.3
GTEX-1MCC2-1626-SM-DIPEW 30-39 years, female 21.3
GTEX-1MJK3-0926-SM-EV7AY 20-29 years, male 21.3
GTEX-ZYFC-2626-SM-5NQ6S 50-59 years, male 21.2
GTEX-1R9K5-2126-SM-E8VN1 50-59 years, male 21.2
GTEX-R45C-2126-SM-EZ6KZ 60-69 years, female 21.0
GTEX-11ZVC-2126-SM-5EGJ1 50-59 years, female 20.9
GTEX-16NGA-1026-SM-7KFS3 40-49 years, female 20.9
GTEX-18A7A-2226-SM-7LT8K 50-59 years, female 20.9
GTEX-SJXC-2226-SM-EVYAK 60-69 years, male 20.9
GTEX-117YX-0826-SM-5H11J 50-59 years, male 20.7
GTEX-145MO-2426-SM-5NQ9W 60-69 years, male 20.7
GTEX-S3XE-1126-SM-4AD4N 50-59 years, male 20.7
GTEX-13OVG-1426-SM-5K7VP 60-69 years, male 20.6
GTEX-14DAQ-2726-SM-5S2QY 60-69 years, female 20.6
GTEX-14H4A-1926-SM-5ZZWN 40-49 years, female 20.6
GTEX-1HKZK-2126-SM-A9SL3 40-49 years, male 20.6
GTEX-1S5VW-2926-SM-E9U6H 60-69 years, male 20.6
GTEX-12ZZZ-2426-SM-5GCNN 60-69 years, male 20.5
GTEX-13OVJ-1726-SM-5IJDZ 50-59 years, female 20.5
GTEX-13W3W-2126-SM-5K7UX 60-69 years, female 20.5
GTEX-17MF6-2426-SM-7LTAM 40-49 years, male 20.5
GTEX-1AX9I-2626-SM-73KU5 60-69 years, male 20.5
GTEX-12WSJ-1526-SM-5GCNI 40-49 years, female 20.4
GTEX-1AMEY-1926-SM-73KVT 30-39 years, female 20.4
GTEX-1B996-2626-SM-73KZ1 60-69 years, male 20.4
GTEX-1PWST-2426-SM-EWRMP 70-79 years, male 20.4
GTEX-13O3P-2326-SM-5KM55 50-59 years, male 20.3
GTEX-14PJ3-0926-SM-69LQG 50-59 years, male 20.3
GTEX-QLQ7-1126-SM-CYPRB 60-69 years, male 20.3
GTEX-1C6VQ-2726-SM-73KUL 50-59 years, male 20.2
GTEX-18A7B-2026-SM-72D71 70-79 years, male 20.1
GTEX-1QMI2-2626-SM-E6CR4 60-69 years, male 20.1
GTEX-WQUQ-2526-SM-4MVNO 60-69 years, male 20.0
GTEX-1NHNU-2326-SM-E6CQE 50-59 years, male 19.9
GTEX-OIZH-1426-SM-3NB1O 50-59 years, male 19.8
GTEX-O5YW-1426-SM-3MJHF 50-59 years, male 19.7
GTEX-1JMPZ-2426-SM-C1YQP 30-39 years, male 19.7
GTEX-1J1OQ-2726-SM-AHZ3R 40-49 years, female 19.6
GTEX-NFK9-2026-SM-3LK5K 40-49 years, male 19.5
GTEX-XUW1-1926-SM-4BOP1 50-59 years, female 19.5
GTEX-ZZ64-0726-SM-5GZX4 20-29 years, male 19.5
GTEX-1KANB-1526-SM-CXZK4 50-59 years, male 19.5
GTEX-PSDG-1826-SM-EAZ2S 50-59 years, male 19.5
GTEX-13OVK-0826-SM-7KULZ 40-49 years, male 19.4
GTEX-14BMV-2426-SM-5S2PP 50-59 years, male 19.4
GTEX-WH7G-1326-SM-4LVMS 40-49 years, male 19.2
GTEX-1LSVX-1726-SM-DHXJP 60-69 years, male 19.2
GTEX-17EVQ-1826-SM-7IGPH 70-79 years, male 19.1
GTEX-1I1GT-1926-SM-ARU7D 60-69 years, female 19.1
GTEX-11NSD-1626-SM-5986U 20-29 years, male 19.0
GTEX-15RIE-1826-SM-6M48P 60-69 years, male 19.0
GTEX-1JJ6O-2426-SM-ARU8J 60-69 years, male 19.0
GTEX-1R9JW-2026-SM-EAZ4O 30-39 years, female 19.0
GTEX-1PPH8-2026-SM-DTX7P 20-29 years, male 18.9
GTEX-15DYW-2326-SM-6PAMU 60-69 years, female 18.8
GTEX-ZPCL-1826-SM-57WF1 60-69 years, female 18.7
GTEX-14PJM-2626-SM-686ZD 50-59 years, female 18.6
GTEX-111VG-2226-SM-5N9DU 60-69 years, male 18.5
GTEX-11GSP-1626-SM-5986N 60-69 years, female 18.5
GTEX-Y8E4-2426-SM-4WWDN 40-49 years, male 18.4
GTEX-OXRO-0726-SM-E9U4C 60-69 years, female 18.4
GTEX-17HII-2726-SM-7MGVM 50-59 years, male 18.3
GTEX-1HCVE-2526-SM-A9G2G 50-59 years, male 18.3
GTEX-WYJK-2226-SM-4ONDJ 50-59 years, male 18.2
GTEX-13VXT-2426-SM-5LU46 20-29 years, female 18.1
GTEX-1BAJH-2326-SM-7IGMO 70-79 years, male 18.1
GTEX-1GF9X-1526-SM-7P8QP 40-49 years, female 18.1
GTEX-1I1GR-2526-SM-CNNQF 60-69 years, male 18.1
GTEX-1JMLX-2726-SM-CM2SB 50-59 years, male 18.1
GTEX-1R9PM-1526-SM-DPRY8 20-29 years, male 18.0
GTEX-13O3O-2526-SM-5L3DR 60-69 years, female 17.9
GTEX-16Z82-2226-SM-6LPJ7 60-69 years, male 17.9
GTEX-QMRM-1226-SM-447C6 50-59 years, male 17.9
GTEX-ZY6K-1226-SM-5GZYL 50-59 years, male 17.9
GTEX-13QJ3-2626-SM-9OSXQ 50-59 years, male 17.8
GTEX-12KS4-2426-SM-5LU8P 30-39 years, male 17.7
GTEX-144GL-2526-SM-5TDDL 50-59 years, male 17.7
GTEX-15DCE-2026-SM-7KUFE 20-29 years, male 17.7
GTEX-ZAB4-2226-SM-5HL97 40-49 years, male 17.7
GTEX-1H1DG-2226-SM-9WPPC 70-79 years, male 17.7
GTEX-13FHP-2426-SM-5KLZ5 50-59 years, male 17.6
GTEX-1GZ4I-2426-SM-9WPPP 50-59 years, male 17.6
GTEX-1N5O9-2726-SM-E76QH 60-69 years, male 17.6
GTEX-RU1J-1326-SM-46MUL 20-29 years, female 17.5
GTEX-1GF9U-1526-SM-7MXUW 40-49 years, female 17.5
GTEX-1H1DE-1526-SM-ARL9B 20-29 years, male 17.5
GTEX-1HFI7-1726-SM-A9G22 50-59 years, female 17.4
GTEX-13OW6-2126-SM-5N9GL 50-59 years, male 17.3
GTEX-17F98-1026-SM-7IGO8 40-49 years, female 17.3
GTEX-1IGQW-2326-SM-CE6RV 60-69 years, male 17.3
GTEX-144GM-1226-SM-5LU52 20-29 years, male 17.2
GTEX-ZXES-1626-SM-5NQ7L 30-39 years, female 17.2
GTEX-1LGOU-1626-SM-D3LAK 20-29 years, female 17.2
GTEX-14ICK-1026-SM-6AJA4 40-49 years, male 17.1
GTEX-XYKS-2226-SM-4E3IU 60-69 years, female 17.1
GTEX-11TT1-1026-SM-5PNW7 20-29 years, male 16.9
GTEX-17GQL-1526-SM-7LTAC 60-69 years, male 16.9
GTEX-ZGAY-2126-SM-4YCFB 40-49 years, female 16.9
GTEX-1QCLZ-1926-SM-E6CR3 60-69 years, female 16.9
GTEX-15ER7-2926-SM-7KUFK 20-29 years, female 16.8
GTEX-18A66-2426-SM-7KFSQ 60-69 years, male 16.8
GTEX-ZP4G-1726-SM-4WWCM 20-29 years, female 16.8
GTEX-1HSGN-2626-SM-CE6S1 40-49 years, female 16.8
GTEX-1I6K6-1826-SM-B2LX5 30-39 years, male 16.8
GTEX-P4PP-1426-SM-3NM9L 30-39 years, female 16.7
GTEX-ZPU1-1926-SM-57WDT 40-49 years, male 16.6
GTEX-1K9T9-2826-SM-D4P3F 50-59 years, female 16.6
GTEX-1S3DN-1826-SM-EV79K 50-59 years, male 16.6
GTEX-1IDJD-2226-SM-A96TD 30-39 years, male 16.5
GTEX-1PIEJ-2026-SM-E6CPA 20-29 years, female 16.5
GTEX-ZG7Y-2126-SM-DO117 50-59 years, male 16.5
GTEX-146FQ-1926-SM-5NQBY 30-39 years, male 16.4
GTEX-18D9U-1926-SM-7KFTM 40-49 years, male 16.4
GTEX-SNMC-1126-SM-4DM5M 20-29 years, male 16.4
GTEX-1128S-1626-SM-5H12O 60-69 years, female 16.3
GTEX-PX3G-1426-SM-48U1J 20-29 years, female 16.3
GTEX-WHSB-0926-SM-4M1XJ 50-59 years, male 16.3
GTEX-132AR-2726-SM-5PNVN 50-59 years, female 16.2
GTEX-ZTSS-1126-SM-5985O 40-49 years, male 16.2
GTEX-1JKYR-1926-SM-C1YR7 20-29 years, male 16.2
GTEX-14C39-1926-SM-5ZZW5 40-49 years, male 16.1
GTEX-17KNJ-1726-SM-7LG6A 50-59 years, male 16.1
GTEX-QDVJ-1326-SM-48U1X 50-59 years, male 16.1
GTEX-1GPI7-1726-SM-7P8R1 20-29 years, male 16.1
GTEX-QEL4-1926-SM-D3L8D 50-59 years, male 16.1
GTEX-S7SF-1926-SM-4AT5B 20-29 years, female 16.0
GTEX-X3Y1-1726-SM-4PQZL 40-49 years, male 16.0
GTEX-XGQ4-1226-SM-4AT67 50-59 years, male 16.0
GTEX-1PIGE-1426-SM-E9U61 20-29 years, male 16.0
GTEX-18D9A-1126-SM-7KFRJ 30-39 years, female 15.9
GTEX-P78B-1726-SM-3P5ZV 40-49 years, female 15.9
GTEX-WYVS-1826-SM-4OND6 40-49 years, female 15.9
GTEX-1E2YA-2626-SM-7MGWW 50-59 years, male 15.9
GTEX-O5YT-1426-SM-3MJHC 20-29 years, male 15.8
GTEX-VJYA-2026-SM-4KL1K 60-69 years, male 15.7
GTEX-15SB6-1226-SM-7KUMP 50-59 years, female 15.6
GTEX-R55C-1126-SM-48FCJ 40-49 years, male 15.6
GTEX-14BIN-3026-SM-5ZZUS 50-59 years, female 15.5
GTEX-OHPN-2026-SM-E9TIA 60-69 years, female 15.5
GTEX-13S86-1626-SM-5Q5C5 40-49 years, male 15.4
GTEX-16XZZ-2626-SM-6M47S 60-69 years, male 15.4
GTEX-1JMPY-0426-SM-C1YQ3 30-39 years, male 15.3
GTEX-131XE-0826-SM-5HL9W 50-59 years, male 15.2
GTEX-16MT8-2726-SM-7IGLJ 60-69 years, female 15.2
GTEX-13PVR-1626-SM-73KVF 60-69 years, female 15.1
GTEX-17HGU-2426-SM-7EWDP 50-59 years, male 15.1
GTEX-OOBJ-1426-SM-E6CHH 60-69 years, male 15.1
GTEX-SE5C-1526-SM-4BRWU 40-49 years, female 15.0
GTEX-1MGNQ-2026-SM-EAZ51 40-49 years, male 15.0
GTEX-1POEN-2026-SM-E6CRL 30-39 years, female 15.0
GTEX-1AYCT-1826-SM-731EG 50-59 years, male 14.9
GTEX-14BMU-1526-SM-5TDE6 20-29 years, female 14.8
GTEX-R53T-1326-SM-48FCQ 50-59 years, female 14.8
GTEX-1IKOE-2026-SM-AHZ31 30-39 years, female 14.8
GTEX-1QCLY-1726-SM-DPRXY 30-39 years, male 14.8
GTEX-1C4CL-2126-SM-7IGQC 30-39 years, male 14.7
GTEX-SNOS-1226-SM-4DM5H 40-49 years, male 14.7
GTEX-1F5PL-2126-SM-7PC2O 40-49 years, female 14.7
GTEX-1KXAM-2126-SM-CY8I9 60-69 years, male 14.7
GTEX-16AAH-1326-SM-7KFRG 50-59 years, male 14.5
GTEX-Q734-1126-SM-48TZY 40-49 years, female 14.5
GTEX-Y3IK-1826-SM-4WWDS 50-59 years, female 14.5
GTEX-1GMR3-2826-SM-9WPOG 40-49 years, male 14.5
GTEX-1RDX4-1826-SM-EVR54 50-59 years, female 14.5
GTEX-QLQW-0426-SM-447A7 30-39 years, male 14.4
GTEX-U3ZM-1126-SM-4DXUB 40-49 years, male 14.4
GTEX-X15G-1326-SM-4PQZJ 50-59 years, female 14.4
GTEX-1F75I-2426-SM-9WPOY 40-49 years, male 14.4
GTEX-147F3-1926-SM-5SIB9 50-59 years, female 14.3
GTEX-OHPM-1426-SM-3TW8Y 50-59 years, male 14.3
GTEX-1HCU9-1326-SM-B2LXT 20-29 years, male 14.3
GTEX-1IDJU-2026-SM-A9SLM 60-69 years, female 14.3
GTEX-OIZF-1426-SM-2HML2 60-69 years, male 14.3
GTEX-1399R-2226-SM-5P9JB 30-39 years, male 14.2
GTEX-147GR-2726-SM-664OO 60-69 years, male 14.2
GTEX-S4Q7-0826-SM-4AD5E 20-29 years, male 14.2
GTEX-ZPIC-2226-SM-57WDX 40-49 years, female 14.2
GTEX-1H3VY-2426-SM-9WPPD 50-59 years, male 14.2
GTEX-1R7EU-1926-SM-E9U62 60-69 years, male 14.2
GTEX-147JS-2526-SM-5S2Q8 60-69 years, male 14.1
GTEX-PLZ6-0926-SM-3P5ZQ 30-39 years, male 14.1
GTEX-11VI4-1526-SM-5EQKC 40-49 years, female 14.0
GTEX-YF7O-1726-SM-5IFJ9 50-59 years, male 14.0
GTEX-15CHR-1426-SM-7DUGV 50-59 years, male 13.9
GTEX-QDVN-1326-SM-48TZ3 50-59 years, male 13.9
GTEX-1PFEY-1426-SM-E9U6U 30-39 years, male 13.9
GTEX-1QPFJ-2326-SM-E6CR7 30-39 years, female 13.9
GTEX-12C56-0626-SM-5EGGC 20-29 years, male 13.8
GTEX-13X6H-1926-SM-7EWD3 50-59 years, female 13.8
GTEX-133LE-1526-SM-5IFEN 20-29 years, female 13.7
GTEX-139TS-1926-SM-5IJFO 60-69 years, male 13.7
GTEX-XBED-1526-SM-4AT5W 60-69 years, male 13.7
GTEX-XMK1-1726-SM-4B64Z 40-49 years, male 13.7
GTEX-139T6-1326-SM-5IFFO 50-59 years, male 13.6
GTEX-178AV-1326-SM-6LPJX 40-49 years, male 13.6
GTEX-1MA7W-0626-SM-EV79Z 20-29 years, female 13.6
GTEX-17EUY-1826-SM-7DUEZ 20-29 years, male 13.5
GTEX-17HHE-1826-SM-79OKE 50-59 years, male 13.5
GTEX-T5JW-1126-SM-4DM5V 20-29 years, female 13.5
GTEX-Y5LM-1526-SM-4VDTA 40-49 years, female 13.5
GTEX-1LGRB-1426-SM-CNNPT 50-59 years, female 13.5
GTEX-1B8KZ-1326-SM-7DUG6 50-59 years, male 13.4
GTEX-XBEW-1926-SM-4SOJO 40-49 years, male 13.4
GTEX-XQ8I-2126-SM-4BOOM 50-59 years, male 13.4
GTEX-1211K-1726-SM-5FQUJ 60-69 years, female 13.3
GTEX-145LT-0926-SM-5LU9C 40-49 years, male 13.3
GTEX-14JG6-1726-SM-69LPL 30-39 years, female 13.3
GTEX-1B932-2826-SM-73KUD 40-49 years, female 13.3
GTEX-ZVP2-1526-SM-5NQ82 50-59 years, male 13.3
GTEX-1JK1U-1526-SM-AHZ46 60-69 years, male 13.3
GTEX-1CAMS-2526-SM-7EPH7 40-49 years, female 13.2
GTEX-ZF2S-1926-SM-4WWAN 50-59 years, female 13.2
GTEX-1RAZR-1926-SM-E6CRF 40-49 years, male 13.2
GTEX-13111-0726-SM-5DUVE 50-59 years, male 13.1
GTEX-P4QT-1426-SM-3NMCX 50-59 years, female 13.1
GTEX-1QP9N-1026-SM-E6CPX 30-39 years, male 13.1
GTEX-1S83E-1626-SM-EV7B9 40-49 years, male 13.1
GTEX-QV31-0826-SM-CKZNC 30-39 years, male 13.1
GTEX-ZLWG-1726-SM-DNZZ2 50-59 years, female 13.1
GTEX-14DAR-1526-SM-5RQIX 50-59 years, male 13.0
GTEX-1KANA-1926-SM-DHXKF 20-29 years, male 13.0
GTEX-QCQG-1626-SM-48U26 50-59 years, female 12.9
GTEX-144GN-1126-SM-5LU33 50-59 years, male 12.8
GTEX-TKQ2-1326-SM-4DXT9 50-59 years, male 12.8
GTEX-1HSEH-1726-SM-B2LXH 60-69 years, male 12.8
GTEX-1JN76-1226-SM-C1YRM 20-29 years, female 12.8
GTEX-12BJ1-2126-SM-5BC5O 60-69 years, male 12.7
GTEX-13PL7-2526-SM-5IFGR 60-69 years, female 12.7
GTEX-14PKV-2126-SM-664O3 20-29 years, female 12.7
GTEX-15RIF-1326-SM-6LPKO 20-29 years, male 12.7
GTEX-1AMFI-1726-SM-7189L 50-59 years, female 12.7
GTEX-OXRK-1726-SM-3NB16 50-59 years, female 12.7
GTEX-S4UY-0826-SM-4AD4Z 40-49 years, female 12.7
GTEX-WFON-1426-SM-4LVMT 40-49 years, male 12.7
GTEX-Y9LG-1526-SM-4WWDR 30-39 years, male 12.7
GTEX-ZDYS-2326-SM-4WKG6 50-59 years, male 12.7
GTEX-ZV7C-1526-SM-5NQ72 50-59 years, male 12.7
GTEX-1J1R8-1126-SM-CNPQ3 40-49 years, male 12.7
GTEX-111CU-1426-SM-5GZYP 50-59 years, male 12.6
GTEX-145MN-1726-SM-5SIA6 30-39 years, male 12.6
GTEX-UJMC-1326-SM-4IHLS 50-59 years, male 12.6
GTEX-WHWD-1226-SM-4OOS1 50-59 years, male 12.6
GTEX-1NSGN-2326-SM-E9U5X 50-59 years, male 12.6
GTEX-YEC3-2426-SM-DO11A 50-59 years, male 12.6
GTEX-1B8KE-1926-SM-731EE 50-59 years, male 12.4
GTEX-PLZ5-1126-SM-3P613 50-59 years, male 12.4
GTEX-S4P3-1226-SM-4AD4Y 50-59 years, female 12.4
GTEX-ZLV1-1226-SM-4WWBX 60-69 years, female 12.4
GTEX-1RAZA-1726-SM-DPS13 20-29 years, male 12.4
GTEX-1399U-1926-SM-5IFH7 50-59 years, female 12.3
GTEX-PWCY-1026-SM-48TD4 20-29 years, female 12.3
GTEX-XV7Q-2126-SM-4BRVX 40-49 years, female 12.3
GTEX-1I4MK-1126-SM-B2LWS 50-59 years, female 12.3
GTEX-13O21-2426-SM-5MR4A 50-59 years, male 12.2
GTEX-13QBU-1826-SM-5IJG3 40-49 years, female 12.2
GTEX-Q2AI-0926-SM-48U1F 40-49 years, male 12.2
GTEX-W5WG-2426-SM-4LMI6 50-59 years, female 12.2
GTEX-ZDTT-1926-SM-5HL5W 60-69 years, male 12.2
GTEX-14PHX-1526-SM-68717 50-59 years, male 12.1
GTEX-U4B1-1126-SM-4DXV3 40-49 years, male 12.1
GTEX-139YR-2126-SM-5KM11 50-59 years, male 12.0
GTEX-PWN1-1426-SM-48TDF 40-49 years, female 12.0
GTEX-WFG7-1526-SM-4LVMG 20-29 years, male 12.0
GTEX-1HSMQ-2726-SM-C1YRE 50-59 years, male 12.0
GTEX-1K2DA-2026-SM-CGQGK 50-59 years, male 12.0
GTEX-11EM3-1526-SM-5A5KN 20-29 years, female 11.9
GTEX-11LCK-2026-SM-5A5MA 30-39 years, male 11.9
GTEX-13D11-0826-SM-5KLZJ 50-59 years, female 11.9
GTEX-Q2AH-1226-SM-48TZL 40-49 years, male 11.9
GTEX-1LVAM-1626-SM-EV79Y 50-59 years, female 11.9
GTEX-11DXX-1826-SM-5H126 60-69 years, female 11.8
GTEX-TML8-1326-SM-4DXTO 40-49 years, female 11.8
GTEX-1F5PK-1926-SM-7MXT7 50-59 years, male 11.7
GTEX-1H11D-2626-SM-9JGH4 40-49 years, male 11.7
GTEX-1H1E6-1926-SM-9OSWD 30-39 years, male 11.7
GTEX-1L5NE-2026-SM-CXZKR 50-59 years, male 11.7
GTEX-11P7K-1526-SM-5EGI7 30-39 years, male 11.6
GTEX-131XG-1826-SM-5LZV4 50-59 years, female 11.6
GTEX-14PK6-1726-SM-6871J 70-79 years, female 11.6
GTEX-ZEX8-1926-SM-4WKFR 50-59 years, male 11.6
GTEX-1CAMR-0926-SM-7MXTD 20-29 years, male 11.6
GTEX-13FTW-1826-SM-5IJEN 40-49 years, male 11.5
GTEX-14PJ4-1926-SM-6LLHG 60-69 years, male 11.5
GTEX-1C475-1626-SM-731FP 40-49 years, female 11.5
GTEX-U3ZN-2126-SM-4DXU1 30-39 years, female 11.5
GTEX-1KANC-0926-SM-D3LA9 50-59 years, female 11.5
GTEX-1122O-1526-SM-5N9CL 60-69 years, female 11.4
GTEX-ZT9W-1826-SM-51MQX 50-59 years, male 11.4
GTEX-1JKYN-2326-SM-CGQG7 30-39 years, male 11.3
GTEX-11I78-1226-SM-5A5K6 50-59 years, female 11.0
GTEX-R55G-1226-SM-48FDC 40-49 years, female 11.0
GTEX-YB5E-1626-SM-5IFIQ 40-49 years, male 11.0
GTEX-11P82-1026-SM-5BC5J 20-29 years, male 10.9
GTEX-RM2N-0926-SM-48FD1 50-59 years, male 10.9
GTEX-WOFM-2026-SM-4OOSQ 20-29 years, male 10.8
GTEX-1QP67-1326-SM-EAZ4D 40-49 years, female 10.8
GTEX-XUZC-1326-SM-4BRV2 30-39 years, female 10.7
GTEX-11DXZ-1726-SM-5H12M 50-59 years, male 10.6
GTEX-UJHI-1126-SM-4IHLN 50-59 years, female 10.6
GTEX-1IOXB-2626-SM-CJI2N 50-59 years, male 10.6
GTEX-1LG7Z-1426-SM-CXKYV 30-39 years, male 10.5
GTEX-1N2DV-1426-SM-DPRYQ 40-49 years, male 10.4
GTEX-14XAO-2026-SM-69LOI 60-69 years, female 10.2
GTEX-R55D-1826-SM-48FEF 50-59 years, male 10.2
GTEX-117YW-1826-SM-5PNY5 50-59 years, male 10.1
GTEX-XPVG-1826-SM-4B64X 50-59 years, male 10.1
GTEX-1399S-1926-SM-5J2M5 30-39 years, female 10.0
GTEX-14JIY-3326-SM-6871E 60-69 years, male 9.2
GTEX-ZVT2-1926-SM-5GU5T 50-59 years, female 8.7
GTEX-14E6E-1526-SM-5RQIG 30-39 years, male 8.2
Show allShow less

COLON - FANTOM5 CAGEi

RNA expression in human tissues obtained through Cap Analysis of Gene Expression (CAGE) generated by the FANTOM5 project are reported as Scaled Tags Per Million.

Max subtype Scaled Tags Per Millioni

Max subtype Scaled Tags Per Million is the value for the subtype with the largest average Scaled Tags Per Million across the subtype samples.

68.9
FANTOM5 sample id Sample description Scaled Tags Per Million
Colon
Scaled Tags Per Million: 68.9
FF:10014-101C5 62,83,84 years, mixed 68.9

Contact

  • NEWS ARTICLES
  • PRESS ROOM

The Project

  • INTRODUCTION
  • ORGANIZATION
  • PUBLICATIONS

The Human Protein Atlas

  • DOWNLOADABLE DATA
  • LICENCE & CITATION
  • HELP & FAQ
The Human Protein Atlas project is funded
by the Knut & Alice Wallenberg Foundation.


contact@proteinatlas.org