We use cookies to enhance the usability of our website. If you continue, we'll assume that you are happy to receive all cookies. More information. Don't show this again.
SMC3
HPA
RESOURCES
  • TISSUE
  • BRAIN
  • SINGLE CELL
  • SUBCELLULAR
  • CANCER
  • BLOOD
  • CELL LINE
  • STRUCTURE & INTERACTION
ABOUT
  • INTRODUCTION
  • HISTORY
  • ORGANIZATION
  • PUBLICATIONS
  • ANTIBODY SUBMISSION
  • ANTIBODY AVAILABILITY
  • ACKNOWLEDGMENTS
  • CONTACT
NEWS
  • NEWS ARTICLES
  • PRESS ROOM
LEARN
  • DICTIONARY
  • PROTEIN CLASSES
  • PROTEIN EVIDENCE
  • METHODS
  • EDUCATIONAL VIDEOS
DATA
  • DOWNLOADABLE DATA
  • PUBLICATION DATA
  • RELEASE HISTORY
HELP
  • ANTIBODY VALIDATION
  • ASSAYS & ANNOTATION
  • DISCLAIMER
  • HELP & FAQ
  • PRIVACY STATEMENT
  • LICENCE & CITATION
Fields »
Search result

Field
Term
Gene name
Class
Subclass
Class
Keyword
Chromosome
External id
Tissue
Cell type
Expression
Antibody panel
Tissue
Main location
Patient ID
Annotation
Tissue
Category
Tau score
Cluster
Reliability
Brain region
Category
Tau score
Brain region
Category
Tau score
Brain region
Category
Tau score
Cluster
Reliability
Tissue
Cell type
Enrichment
Cell type
Category
Tau score
Cell type
Category
Tau score
Cell type
Category
Tau score
Cell lineage
Category
Tau score
Cluster
Cluster
Location
Searches
Location
Cell line
Class
Type
Phase
Reliability
Cancer
Prognosis
Cancer
Category
Cancer
Category
Tau score
Cluster
Variants
Interacting gene (ensg_id)
Type
Number of interactions
Pathway
Category
Score
Score
Score
Validation
Validation
Validation
Validation
Antibodies
Data type
Column


  • SUMMARY

  • TISSUE

  • BRAIN

  • SINGLE CELL

  • SUBCELL

  • CANCER

  • BLOOD

  • CELL LINE

  • STRUCT & INT

  • SMC3
TISSUE PRIMARY DATA HEART MUSCLE Show tissue menu
ADIPOSE TISSUE ADRENAL GLAND AMYGDALA APPENDIX BASAL GANGLIA BONE MARROW BREAST BRONCHUS CEREBELLUM CEREBRAL CORTEX CERVIX CHOROID PLEXUS COLON DUODENUM
ENDOMETRIUM EPIDIDYMIS ESOPHAGUS FALLOPIAN TUBE GALLBLADDER HEART MUSCLE HIPPOCAMPAL FORMATION HYPOTHALAMUS KIDNEY LIVER LUNG LYMPH NODE MIDBRAIN NASOPHARYNX
ORAL MUCOSA OVARY PANCREAS PARATHYROID GLAND PITUITARY GLAND PLACENTA PROSTATE RECTUM RETINA SALIVARY GLAND SEMINAL VESICLE SKELETAL MUSCLE SKIN SMALL INTESTINE
SMOOTH MUSCLE SOFT TISSUE SPINAL CORD SPLEEN STOMACH TESTIS THYMUS THYROID GLAND TONGUE TONSIL URINARY BLADDER VAGINA
ANTIBODIES
AND
VALIDATION
Dictionary
Heart muscle
Tissue proteome
Heart
HEART MUSCLE - Expression summary
Protein expression
Heart musclei

On the top, protein expression in current human tissue, based on all annotated cell types, is reported with the units not detected (n), low (l), medium (m) and high (h). Underneath, protein expression in each annotated cell type are reported using the same units.

Protein expression data is based on knowledge-based annotation. For genes where more than one antibody has been used, a collective score is set.

If knowledge-based annotation could not be performed for a gene, no data is displayed here. View antibody staining data further down this page.

h
m
l
n
Cardiomyocytes: Medium
RNA expressioni

A summary of mRNA expression data available for current tissue based on several datasets. The mRNA expression levels in human tissues are based on RNA-seq data generated by the Human Protein Atlas (HPA), Genotype-Tissue Expression (GTEx) portal and CAGE data generated by the FANTOM5 consortium. Consensus normalized expression levels for human tissues was created by combining the data from HPA and GTEx datasets.

The mRNA expression levels in pig are based on RNA-seq data generated by the Human Protein Atlas (HPA), and for mouse, HPA data and in situ hybridization generated by the Allen brain atlas are reported.

Scroll down to view mRNA expression data in more detail.
Consensus:12.5 nTPM
HPA:11.0 nTPM
GTEx:12.5 nTPM
FANTOM5:28.5 Scaled Tags Per Million

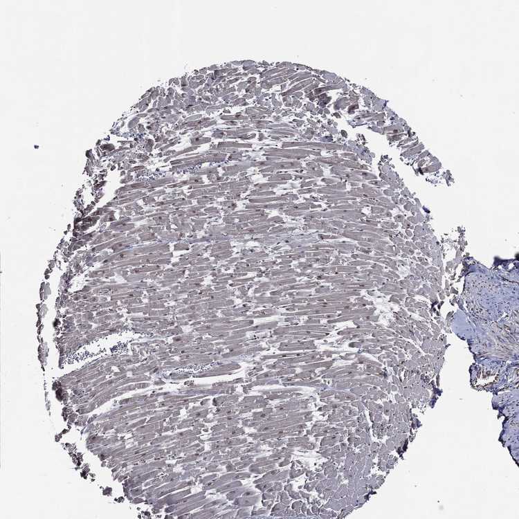
HEART MUSCLE - Antibody stainingi

Antibody staining in the annotated cell types in the current human tissue is reported as not detected, low, medium, or high, based on conventional immunohistochemistry profiling in selected tissues. This score is based on the combination of the staining intensity and fraction of stained cells.

Each image is clickable and will lead to virtual microscopy that enables deeper exploration of all samples and also displays staining intensity scores, fraction scores and subcellular localization as well as patient and tissue information for each sample.

Antibody HPA043206
Cardiomyocytes Medium



HEART MUSCLE - HPA RNA-seqi

The RNA-seq details section shows detailed information about the individual samples used for the transcript profiling and results of the RNA-seq analysis.

Information about each individual sample is listed below, including gender, age, a tissue section image and estimated fractions of cell types. nTPM (normalized transcripts per million) values give a quantification of the gene abundance which is comparable between different genes and samples.
Average nTPMi

Max subtype nTPM is the value for the subtype with the largest average nTPM across the subtype samples.

11.0
overview
Female, age 48
Heart muscle sample 149
nTPM: 12.2
Cell types%
Myocytes:
15

Fibroblasts:
55

Endothelial cells:
25

Other cell types:
5

overview
Female, age 42
Heart muscle sample 150
nTPM: 8.3
Cell types%
Myocytes:
20

Fibroblasts:
45

Endothelial cells:
30

Other cell types:
5

overview
Male, age 53
Heart muscle sample 151
nTPM: 11.3
Cell types%
Myocytes:
20

Fibroblasts:
45

Endothelial cells:
30

Other cell types:
5

overview
Female, age 69
Heart muscle sample 152
nTPM: 12.3
Cell types%
Myocytes:
20

Fibroblasts:
45

Endothelial cells:
30

Other cell types:
5


HEART MUSCLE - GTEx RNA-seqi

RNA-Seq data generated by the Genotype-Tissue Expression (GTEx) project from human tissues is reported as mean nTPM. More information can be found on the GTEx portal.

Distribution across the dataset is visualized with box plots, shown as median and 25th and 75th percentiles. Points are displayed as outliers if they are above or below 1.5 times the interquartile range. nTPM values of the individual samples are presented next to the box plot.
Max subtype nTPMi

Max subtype nTPM is the value for the subtype with the largest average nTPM across the subtype samples.

12.5
GTEx sample id Sample description nTPM
Heart - Atrial Appendage
Average nTPM: 11.8
Samples: 429

Max nTPM: 20.0
Min nTPM: 5.8
Std nTPM: 2.7
Median nTPM: 11.4
GTEX-1LGRB-1026-SM-CNPQD 50-59 years, female 20.0
GTEX-WFON-0226-SM-3GIKR 40-49 years, male 18.4
GTEX-1IKOE-0626-SM-A9G31 30-39 years, female 18.4
GTEX-11TT1-1426-SM-5EGIA 20-29 years, male 18.3
GTEX-ZTPG-1326-SM-51MSQ 20-29 years, female 18.0
GTEX-1B8KE-0326-SM-73KTY 50-59 years, male 17.9
GTEX-ZPCL-0526-SM-DO91R 60-69 years, female 17.9
GTEX-VUSG-0726-SM-3GIK1 50-59 years, male 17.7
GTEX-1MCC2-0226-SM-EVYD5 30-39 years, female 17.5
GTEX-15RIE-1326-SM-6PAMM 60-69 years, male 17.4
GTEX-1B97J-0326-SM-7939H 50-59 years, female 17.2
GTEX-ZAB5-0126-SM-5CVMT 50-59 years, male 17.2
GTEX-1AX9J-0926-SM-73KXA 60-69 years, male 17.1
GTEX-ZTTD-0626-SM-4YCCY 50-59 years, male 17.0
GTEX-14H4A-0426-SM-5ZZWO 40-49 years, female 16.9
GTEX-1GMR2-1326-SM-9KNUT 50-59 years, male 16.8
GTEX-1KXAM-1426-SM-D3LAC 60-69 years, male 16.8
GTEX-Y8E4-0426-SM-4V6GB 40-49 years, male 16.7
GTEX-1AYCT-0526-SM-7RHHS 50-59 years, male 16.7
GTEX-13OVI-0326-SM-5K7X1 60-69 years, female 16.6
GTEX-13S86-0326-SM-5SI6K 40-49 years, male 16.6
GTEX-111YS-0326-SM-5GZZ3 60-69 years, male 16.5
GTEX-1122O-0626-SM-5N9B9 60-69 years, female 16.5
GTEX-1IDJU-0626-SM-CKZOG 60-69 years, female 16.5
GTEX-1J8QM-0326-SM-CL53D 60-69 years, female 16.5
GTEX-1399R-1726-SM-5K7YJ 30-39 years, male 16.4
GTEX-14PJ4-0926-SM-5YY98 60-69 years, male 16.4
GTEX-1HCUA-0626-SM-ACKVT 50-59 years, female 16.3
GTEX-18A66-1126-SM-731C5 60-69 years, male 16.1
GTEX-1IDJD-0226-SM-CKZOA 30-39 years, male 16.0
GTEX-17KNJ-0626-SM-7LT9L 50-59 years, male 15.9
GTEX-1CB4E-0626-SM-7DHMW 60-69 years, male 15.9
GTEX-WFG7-0826-SM-3GIKU 20-29 years, male 15.8
GTEX-14E1K-0826-SM-5ZZW9 50-59 years, male 15.7
GTEX-WY7C-1126-SM-3NB3A 50-59 years, male 15.7
GTEX-139YR-0526-SM-5L3DG 50-59 years, male 15.6
GTEX-ZDTT-0326-SM-4WKF9 60-69 years, male 15.6
GTEX-1L5NE-0526-SM-DIPG5 50-59 years, male 15.6
GTEX-V955-0826-SM-CYPR5 60-69 years, male 15.6
GTEX-ZG7Y-1426-SM-4WWBM 50-59 years, male 15.5
GTEX-1JK1U-0626-SM-CKZOJ 60-69 years, male 15.5
GTEX-1LSNM-0426-SM-E9TIZ 50-59 years, male 15.5
GTEX-14E6C-0326-SM-5Q5EE 40-49 years, male 15.4
GTEX-ZYFG-0526-SM-5GZXX 60-69 years, female 15.4
GTEX-UTHO-1226-SM-3GAEE 60-69 years, male 15.3
GTEX-XV7Q-0726-SM-4BRV6 40-49 years, female 15.3
GTEX-1211K-0226-SM-59HJY 60-69 years, female 15.2
GTEX-ZPU1-0726-SM-5HL6O 40-49 years, male 15.2
GTEX-1R9JW-0426-SM-E76QL 30-39 years, female 15.2
GTEX-ZEX8-0326-SM-DO92C 50-59 years, male 15.2
GTEX-117YX-0626-SM-5EGJI 50-59 years, male 15.1
GTEX-13W3W-0526-SM-5LU3X 60-69 years, female 15.1
GTEX-15EU6-1326-SM-6PANG 50-59 years, male 15.1
GTEX-ZF2S-0826-SM-4WWBI 50-59 years, female 15.1
GTEX-18D9B-1126-SM-7KFSH 60-69 years, male 15.0
GTEX-UPK5-0226-SM-3GAEV 40-49 years, male 15.0
GTEX-X3Y1-0226-SM-3P5Z5 40-49 years, male 15.0
GTEX-ZZPU-1126-SM-5N9CW 50-59 years, female 15.0
GTEX-11DXX-0526-SM-5PNVR 60-69 years, female 14.9
GTEX-1339X-0326-SM-5K7Z8 40-49 years, male 14.9
GTEX-WHPG-1026-SM-3NMBA 50-59 years, male 14.9
GTEX-1QCLZ-1126-SM-EWRNB 60-69 years, female 14.9
GTEX-11TUW-1126-SM-5EQKJ 60-69 years, male 14.8
GTEX-132QS-0526-SM-5IJC7 60-69 years, male 14.8
GTEX-13FH7-0826-SM-5J2NW 50-59 years, female 14.8
GTEX-14PHY-0326-SM-62LE3 60-69 years, female 14.8
GTEX-WEY5-0226-SM-3GIKN 40-49 years, female 14.8
GTEX-1NHNU-0626-SM-E6CP1 50-59 years, male 14.8
GTEX-YEC3-0426-SM-CYPS8 50-59 years, male 14.8
GTEX-131XG-0526-SM-5DUWF 50-59 years, female 14.7
GTEX-14PJ6-0626-SM-686Z6 60-69 years, female 14.7
GTEX-ZDYS-0326-SM-5HL4W 50-59 years, male 14.7
GTEX-131XE-0526-SM-5K7YT 50-59 years, male 14.6
GTEX-15SHV-0526-SM-7KUEN 60-69 years, male 14.6
GTEX-1HSMQ-0426-SM-ADEIM 50-59 years, male 14.6
GTEX-1NSGN-1226-SM-E76OL 50-59 years, male 14.6
GTEX-15CHR-0326-SM-7DHN3 50-59 years, male 14.5
GTEX-17F9E-0726-SM-793A1 50-59 years, male 14.5
GTEX-XXEK-2026-SM-4BRVE 50-59 years, male 14.5
GTEX-1LVAN-1526-SM-CNPQN 50-59 years, female 14.5
GTEX-13U4I-0626-SM-5LU5L 40-49 years, female 14.4
GTEX-17HGU-1126-SM-793BP 50-59 years, male 14.4
GTEX-YJ8O-0826-SM-5CVM3 40-49 years, female 14.4
GTEX-ZT9W-0526-SM-57WFG 50-59 years, male 14.4
GTEX-1GN1W-0226-SM-7P8QY 50-59 years, female 14.4
GTEX-1HSGN-0926-SM-CNNQM 40-49 years, female 14.4
GTEX-1J8Q3-1126-SM-ARU8N 60-69 years, male 14.4
GTEX-11P81-0526-SM-59873 30-39 years, female 14.3
GTEX-12696-1226-SM-5FQSM 60-69 years, male 14.3
GTEX-18D9U-1426-SM-718BO 40-49 years, male 14.3
GTEX-11DXZ-0326-SM-5EGH1 50-59 years, male 14.2
GTEX-X5EB-0626-SM-46MVQ 40-49 years, male 14.2
GTEX-ZGAY-0226-SM-4WWAL 40-49 years, female 14.2
GTEX-13VXT-0726-SM-5SIAD 20-29 years, female 14.1
GTEX-14PK6-0726-SM-6LLIX 70-79 years, female 14.1
GTEX-1LGOU-0326-SM-D3LAM 20-29 years, female 14.1
GTEX-11ZTT-0526-SM-5EQLA 60-69 years, female 14.0
GTEX-12WSG-1226-SM-5EQ4C 50-59 years, female 14.0
GTEX-1399S-0826-SM-5KM23 30-39 years, female 14.0
GTEX-13NZ9-0126-SM-5K7XV 50-59 years, male 14.0
GTEX-18A67-1026-SM-731CE 50-59 years, male 14.0
GTEX-XGQ4-0526-SM-4AT6C 50-59 years, male 14.0
GTEX-1MJIX-0426-SM-DTXEN 40-49 years, male 14.0
GTEX-14XAO-0926-SM-69LPZ 60-69 years, female 13.9
GTEX-15CHC-0326-SM-5ZZVP 60-69 years, female 13.9
GTEX-WFG8-0726-SM-3GILP 20-29 years, male 13.9
GTEX-WH7G-0326-SM-3NMBH 40-49 years, male 13.9
GTEX-WHWD-0326-SM-3LK6L 50-59 years, male 13.9
GTEX-131XF-0426-SM-5HL7U 60-69 years, male 13.8
GTEX-13PL7-0726-SM-5KM1S 60-69 years, female 13.8
GTEX-16XZY-0526-SM-7DHKY 70-79 years, male 13.8
GTEX-1ICG6-0726-SM-B2LY5 70-79 years, female 13.8
GTEX-1M5QR-1626-SM-E9U5O 40-49 years, male 13.8
GTEX-ZPIC-0426-SM-DO91V 40-49 years, female 13.8
GTEX-132AR-1926-SM-5EGK5 50-59 years, female 13.7
GTEX-15UF7-1526-SM-6LPI7 40-49 years, male 13.7
GTEX-ZF29-0426-SM-4WKFN 60-69 years, female 13.7
GTEX-YB5K-0226-SM-5IFJE 40-49 years, female 13.6
GTEX-1R7EV-0426-SM-DTX7Z 40-49 years, male 13.6
GTEX-12WSK-0526-SM-5CVNA 40-49 years, female 13.5
GTEX-13PVR-0926-SM-5S2RB 60-69 years, female 13.5
GTEX-15SHU-0926-SM-6PAMK 40-49 years, female 13.5
GTEX-XYKS-0226-SM-4BRW3 60-69 years, female 13.5
GTEX-YF7O-0526-SM-5P9IO 50-59 years, male 13.5
GTEX-ZVT2-0926-SM-5GICE 50-59 years, female 13.5
GTEX-1KANC-0226-SM-E9TIW 50-59 years, female 13.5
GTEX-11LCK-0826-SM-5PNYD 30-39 years, male 13.4
GTEX-1399U-0726-SM-5KM1D 50-59 years, female 13.4
GTEX-15SKB-0926-SM-7KUFC 60-69 years, male 13.4
GTEX-1C2JI-0626-SM-7DHM1 50-59 years, male 13.4
GTEX-Y3IK-1026-SM-51MR7 50-59 years, female 13.4
GTEX-ZYT6-0926-SM-5GIEM 30-39 years, male 13.4
GTEX-13N11-0726-SM-5L3DP 50-59 years, female 13.3
GTEX-1H11D-1026-SM-9QEIU 40-49 years, male 13.3
GTEX-1HBPN-0926-SM-CGQEG 50-59 years, male 13.3
GTEX-13OVG-0426-SM-5KM2T 60-69 years, male 13.2
GTEX-15SDE-1826-SM-7KUFN 50-59 years, female 13.2
GTEX-ZUA1-0726-SM-4YCD9 40-49 years, male 13.2
GTEX-1HCU7-1226-SM-B2LX8 50-59 years, male 13.2
GTEX-1HFI7-0526-SM-A9SMA 50-59 years, female 13.2
GTEX-YEC4-0226-SM-4W1YG 40-49 years, male 13.1
GTEX-1QP29-1426-SM-DTX9Q 50-59 years, male 13.1
GTEX-14C38-1326-SM-62LDK 50-59 years, male 13.0
GTEX-Y5V5-0726-SM-4VBPY 60-69 years, female 13.0
GTEX-ZXG5-0626-SM-5NQ85 60-69 years, male 13.0
GTEX-1GZ2Q-0926-SM-7RHHN 40-49 years, male 13.0
GTEX-146FR-0926-SM-5QGPE 60-69 years, female 12.9
GTEX-ZV7C-0526-SM-9WPNK 50-59 years, male 12.9
GTEX-12WSN-0226-SM-5DUXH 40-49 years, male 12.8
GTEX-14BIN-2126-SM-793AX 50-59 years, female 12.8
GTEX-ZAB4-0926-SM-5CVN4 40-49 years, male 12.8
GTEX-1H1ZS-1026-SM-9WG6E 70-79 years, male 12.8
GTEX-13O61-0426-SM-5L3ET 60-69 years, male 12.7
GTEX-14PHX-0626-SM-5YY8Z 50-59 years, male 12.7
GTEX-1GL5R-0426-SM-9WPOP 50-59 years, male 12.7
GTEX-14PN3-0726-SM-6EU14 60-69 years, female 12.6
GTEX-1B996-1026-SM-793CF 60-69 years, male 12.6
GTEX-131YS-0826-SM-5PNYV 60-69 years, female 12.5
GTEX-16MT8-0826-SM-7KULO 60-69 years, female 12.5
GTEX-WZTO-1226-SM-3NMAZ 40-49 years, male 12.5
GTEX-1QPFJ-0926-SM-EVR3K 30-39 years, female 12.5
GTEX-1192X-0726-SM-5987R 50-59 years, male 12.4
GTEX-Y3I4-0526-SM-4TT6X 50-59 years, male 12.4
GTEX-13NYB-0326-SM-5IJDP 40-49 years, male 12.3
GTEX-13NZB-0426-SM-5KM26 30-39 years, male 12.3
GTEX-1AX9K-0426-SM-73KUG 50-59 years, male 12.3
GTEX-1C64O-0926-SM-79OLN 60-69 years, male 12.3
GTEX-16XZZ-1026-SM-7DHKS 60-69 years, male 12.2
GTEX-1AX8Z-1126-SM-731CS 60-69 years, male 12.2
GTEX-1AX9I-1026-SM-73KYF 60-69 years, male 12.2
GTEX-WHSE-0826-SM-4SOJU 20-29 years, male 12.2
GTEX-XPT6-0226-SM-4B65L 20-29 years, male 12.2
GTEX-1F6I4-0826-SM-7RHGK 60-69 years, male 12.2
GTEX-1H3NZ-1026-SM-A9SM5 60-69 years, male 12.2
GTEX-1IDJF-0826-SM-ARU7N 20-29 years, male 12.2
GTEX-14JG1-0826-SM-5ZZWR 40-49 years, male 12.1
GTEX-17GQL-0626-SM-731CN 60-69 years, male 12.1
GTEX-18A7A-1226-SM-7LTAJ 50-59 years, female 12.1
GTEX-1IL2V-1126-SM-CMKGH 70-79 years, male 12.1
GTEX-12ZZX-0726-SM-5EGKA 40-49 years, female 12.0
GTEX-14E7W-1126-SM-5ZZVS 70-79 years, male 12.0
GTEX-16GPK-1226-SM-7LTAU 60-69 years, male 12.0
GTEX-1I1HK-0626-SM-CNPQM 60-69 years, male 12.0
GTEX-1JMQL-1026-SM-CMKGV 50-59 years, female 12.0
GTEX-1OFPY-0926-SM-DTX8Q 60-69 years, male 12.0
GTEX-1QMI2-1026-SM-DTX7T 60-69 years, male 12.0
GTEX-11EM3-0426-SM-5N9BZ 20-29 years, female 11.9
GTEX-13FTW-0826-SM-5K7XR 40-49 years, male 11.9
GTEX-1B8SG-0726-SM-79ONS 50-59 years, male 11.9
GTEX-W5X1-0826-SM-3GILN 40-49 years, female 11.9
GTEX-WK11-0626-SM-3NMAV 50-59 years, male 11.9
GTEX-XQ8I-0226-SM-4BOPM 50-59 years, male 11.9
GTEX-ZLFU-0326-SM-4WWBK 40-49 years, male 11.9
GTEX-1117F-0726-SM-5GIEN 60-69 years, female 11.8
GTEX-11ZVC-0526-SM-5N9G1 50-59 years, female 11.8
GTEX-1B932-1326-SM-79OM4 40-49 years, female 11.8
GTEX-1F75I-1326-SM-7PBZX 40-49 years, male 11.8
GTEX-1GN73-2326-SM-9MQKV 60-69 years, male 11.8
GTEX-1HBPM-1026-SM-ARL9D 60-69 years, female 11.8
GTEX-1IL2U-1226-SM-CL53P 60-69 years, male 11.8
GTEX-145MN-0726-SM-5NQBH 30-39 years, male 11.7
GTEX-1GMR8-1026-SM-9MQLA 50-59 years, female 11.7
GTEX-1HCVE-0826-SM-CM2SF 50-59 years, male 11.7
GTEX-11EQ8-1326-SM-5EGJQ 60-69 years, male 11.6
GTEX-11ONC-1026-SM-5GU64 60-69 years, male 11.6
GTEX-13O1R-0926-SM-5L3DS 60-69 years, male 11.6
GTEX-15ER7-0826-SM-6PALW 20-29 years, female 11.6
GTEX-1B8SF-1326-SM-7IGQJ 60-69 years, male 11.6
GTEX-WYJK-1126-SM-3NM9Z 50-59 years, male 11.6
GTEX-X4EP-0326-SM-3P5Z6 60-69 years, female 11.6
GTEX-11WQK-0226-SM-5EQLI 50-59 years, male 11.5
GTEX-1I1GQ-1226-SM-CL55J 50-59 years, male 11.5
GTEX-1P4AB-0926-SM-E76PV 50-59 years, male 11.5
GTEX-12WSE-0926-SM-5S2VX 20-29 years, male 11.4
GTEX-13O21-0326-SM-5J1N9 50-59 years, male 11.4
GTEX-YFC4-0426-SM-4TT3J 40-49 years, female 11.4
GTEX-ZAK1-1126-SM-5PNXU 50-59 years, female 11.4
GTEX-1F48J-1126-SM-9WYSY 50-59 years, female 11.4
GTEX-1H2FU-0826-SM-9WYSU 60-69 years, female 11.4
GTEX-1H3VY-1126-SM-A96TP 50-59 years, male 11.4
GTEX-12BJ1-0326-SM-5FQUB 60-69 years, male 11.3
GTEX-12ZZY-1226-SM-5GCNK 60-69 years, male 11.3
GTEX-132Q8-1126-SM-5K7XS 60-69 years, male 11.3
GTEX-13PL6-0826-SM-5IJBI 40-49 years, female 11.3
GTEX-14A6H-0326-SM-5NQAN 30-39 years, male 11.3
GTEX-14ASI-0826-SM-5Q5EB 60-69 years, male 11.3
GTEX-14DAQ-1026-SM-793B1 60-69 years, female 11.3
GTEX-X261-0926-SM-3NMCY 50-59 years, male 11.3
GTEX-Z93S-0326-SM-5HL84 50-59 years, male 11.3
GTEX-1C6WA-0826-SM-7PBXS 60-69 years, male 11.3
GTEX-11DYG-1026-SM-5A5JQ 60-69 years, male 11.2
GTEX-13FHO-1226-SM-5L3EF 60-69 years, male 11.2
GTEX-14PJO-0826-SM-6ETZK 60-69 years, male 11.2
GTEX-15D1Q-0426-SM-6AJ9G 40-49 years, male 11.2
GTEX-1EWIQ-1126-SM-7EPIK 70-79 years, female 11.2
GTEX-WQUQ-1326-SM-3MJFF 60-69 years, male 11.2
GTEX-1H1CY-0426-SM-9KNVD 60-69 years, female 11.2
GTEX-111VG-0326-SM-5GZX7 60-69 years, male 11.1
GTEX-13O3Q-0326-SM-5L3FE 50-59 years, male 11.1
GTEX-146FH-1126-SM-5NQAT 50-59 years, female 11.1
GTEX-17F96-0826-SM-7DHLU 70-79 years, male 11.1
GTEX-1B8L1-0426-SM-7SB76 60-69 years, male 11.1
GTEX-1F75B-1126-SM-7RHGP 50-59 years, male 11.1
GTEX-1HSKV-0726-SM-ACKWE 60-69 years, male 11.1
GTEX-111FC-0626-SM-5N9CU 60-69 years, male 11.0
GTEX-1CAMS-1126-SM-7MXUQ 40-49 years, female 11.0
GTEX-1GF9U-0526-SM-7P8SK 40-49 years, female 11.0
GTEX-11NV4-0826-SM-5BC4S 60-69 years, male 10.9
GTEX-13OW5-0926-SM-5L3GZ 60-69 years, male 10.9
GTEX-14C39-0726-SM-5RQIK 40-49 years, male 10.9
GTEX-1C6VQ-0826-SM-7PBZT 50-59 years, male 10.9
GTEX-1HC8U-0626-SM-B2LWB 40-49 years, female 10.9
GTEX-1KANB-1126-SM-DHXJT 50-59 years, male 10.9
GTEX-1192W-0226-SM-5EGGT 60-69 years, male 10.8
GTEX-13X6J-1226-SM-79OMF 50-59 years, male 10.8
GTEX-145LV-0226-SM-5S2QG 50-59 years, male 10.8
GTEX-14A5I-1026-SM-5Q5E3 50-59 years, female 10.8
GTEX-ZAJG-0926-SM-5Q5AB 50-59 years, female 10.8
GTEX-1C64N-0826-SM-7RHGQ 50-59 years, male 10.8
GTEX-1GN1V-1026-SM-CNPPS 60-69 years, male 10.8
GTEX-13112-0526-SM-5EQ4S 50-59 years, male 10.7
GTEX-18465-0726-SM-7LG4L 50-59 years, male 10.7
GTEX-XPVG-0726-SM-4B658 50-59 years, male 10.7
GTEX-1I19N-0626-SM-A9SKY 70-79 years, male 10.7
GTEX-1445S-1226-SM-5O9BF 60-69 years, male 10.6
GTEX-ZVT3-0826-SM-5GIC8 60-69 years, female 10.6
GTEX-ZVZQ-0726-SM-51MR3 60-69 years, female 10.6
GTEX-1IY9M-0626-SM-D4P2L 60-69 years, male 10.6
GTEX-1LG7Y-1426-SM-D4P31 50-59 years, male 10.6
GTEX-13OW6-0926-SM-5L3GM 50-59 years, male 10.5
GTEX-17EVP-0526-SM-7EPGY 40-49 years, male 10.5
GTEX-ZZPT-0926-SM-5GICZ 50-59 years, male 10.5
GTEX-117YW-0426-SM-5GZZZ 50-59 years, male 10.4
GTEX-13FTZ-0326-SM-5J1O1 60-69 years, male 10.4
GTEX-13SLW-0826-SM-5QGP7 70-79 years, male 10.4
GTEX-17MF6-0926-SM-7LTAL 40-49 years, male 10.4
GTEX-X4XX-1126-SM-3NMBY 60-69 years, male 10.4
GTEX-Y114-0126-SM-4TT8K 50-59 years, female 10.4
GTEX-11UD2-0926-SM-5CVL6 50-59 years, male 10.3
GTEX-13NZA-0826-SM-5K7WS 60-69 years, male 10.3
GTEX-13QBU-0226-SM-5LU48 40-49 years, female 10.3
GTEX-13X6K-1726-SM-7IGLG 60-69 years, female 10.3
GTEX-16NPX-0826-SM-6M489 50-59 years, male 10.3
GTEX-1BAJH-1026-SM-7EWEG 70-79 years, male 10.3
GTEX-U8XE-0926-SM-3DB8V 30-39 years, male 10.3
GTEX-1I1CD-1326-SM-A9SMM 60-69 years, female 10.3
GTEX-1RB15-0426-SM-E9U4Y 60-69 years, male 10.3
GTEX-117XS-0726-SM-5H131 60-69 years, male 10.2
GTEX-12584-1026-SM-59HK3 40-49 years, male 10.2
GTEX-144GL-1026-SM-5O99R 50-59 years, male 10.2
GTEX-15CHQ-1326-SM-6871Z 60-69 years, male 10.2
GTEX-1477Z-1126-SM-5P9GK 60-69 years, male 10.1
GTEX-15RJE-0726-SM-7KUEG 40-49 years, male 10.1
GTEX-1HT8W-1326-SM-CGQEN 30-39 years, male 10.1
GTEX-1MJK2-1626-SM-EVYCQ 50-59 years, male 10.1
GTEX-11DXY-1026-SM-5987V 60-69 years, male 10.0
GTEX-13CF2-0226-SM-5L3DV 60-69 years, male 10.0
GTEX-145LS-1326-SM-5Q5EP 60-69 years, female 10.0
GTEX-ZYFC-1026-SM-5GZX9 50-59 years, male 10.0
GTEX-1QEPI-1126-SM-E8VN7 60-69 years, female 10.0
GTEX-1R9K4-1026-SM-EXUT1 60-69 years, male 10.0
GTEX-1399T-0726-SM-5J1MH 60-69 years, male 9.9
GTEX-14PII-1026-SM-5ZZVW 60-69 years, male 9.9
GTEX-1CB4G-0726-SM-79OOJ 60-69 years, male 9.9
GTEX-ZDXO-0426-SM-4WKF6 60-69 years, male 9.9
GTEX-ZYVF-1826-SM-5E44F 50-59 years, female 9.9
GTEX-1313W-1126-SM-5EQ5U 50-59 years, female 9.8
GTEX-13YAN-1426-SM-7EPG8 60-69 years, male 9.8
GTEX-15DCE-0826-SM-7KULW 20-29 years, male 9.8
GTEX-V1D1-0626-SM-4JBHN 50-59 years, male 9.8
GTEX-XLM4-2026-SM-4AT4X 60-69 years, male 9.8
GTEX-1H3O1-0226-SM-9WYSW 60-69 years, male 9.8
GTEX-1IKJJ-0626-SM-CY8GF 60-69 years, male 9.8
GTEX-18A6Q-1526-SM-731CO 60-69 years, male 9.7
GTEX-ZDTS-1226-SM-4WKGL 60-69 years, male 9.7
GTEX-1JMLX-1826-SM-CNPOX 50-59 years, male 9.7
GTEX-12WSC-1026-SM-5EQ5Y 50-59 years, male 9.6
GTEX-12WSD-1226-SM-5HL9Q 60-69 years, female 9.6
GTEX-14BIL-0926-SM-7DHKN 50-59 years, male 9.6
GTEX-14BMV-1026-SM-5SI6B 50-59 years, male 9.6
GTEX-17JCI-0826-SM-7LT8W 60-69 years, female 9.6
GTEX-1B933-0826-SM-79OMW 50-59 years, female 9.6
GTEX-WWYW-1126-SM-3NB2Q 50-59 years, female 9.6
GTEX-1IOXB-0726-SM-A9G32 50-59 years, male 9.6
GTEX-1J8EW-0626-SM-CM2TY 60-69 years, female 9.6
GTEX-1JN6P-0826-SM-ARL97 60-69 years, male 9.6
GTEX-1K2DU-0226-SM-DIPF6 20-29 years, male 9.6
GTEX-1LSNL-0626-SM-DIPFJ 50-59 years, male 9.6
GTEX-1POEN-0726-SM-DTXDU 30-39 years, female 9.6
GTEX-WL46-0726-SM-3LK5Z 50-59 years, male 9.5
GTEX-1CB4J-0226-SM-7P8T4 60-69 years, male 9.5
GTEX-1F75A-1026-SM-7PC3W 50-59 years, male 9.5
GTEX-1GMR3-0426-SM-7PC17 40-49 years, male 9.5
GTEX-1GMRU-1326-SM-9WYUI 50-59 years, male 9.5
GTEX-1H1DG-0826-SM-9QEIW 70-79 years, male 9.5
GTEX-1I1GR-1026-SM-A9SLC 60-69 years, male 9.5
GTEX-1KD5A-0926-SM-D4P3U 50-59 years, male 9.5
GTEX-1QP6S-1026-SM-DTXFW 40-49 years, male 9.5
GTEX-147JS-1326-SM-5SI6D 60-69 years, male 9.4
GTEX-1CB4I-1526-SM-7DHMY 50-59 years, male 9.4
GTEX-1HSMO-1126-SM-CGQF2 60-69 years, male 9.4
GTEX-1IKOH-0926-SM-A9SLU 60-69 years, female 9.4
GTEX-1JJ6O-2226-SM-AHZ3I 60-69 years, male 9.4
GTEX-1RLM8-0226-SM-E6CJY 50-59 years, male 9.4
GTEX-X8HC-1026-SM-46MWH 50-59 years, female 9.3
GTEX-1HR98-1026-SM-CKZOM 60-69 years, male 9.3
GTEX-13O3O-1426-SM-5KM2S 60-69 years, female 9.2
GTEX-13PDP-1326-SM-5K7U9 60-69 years, male 9.2
GTEX-13PVQ-1326-SM-5LU4J 50-59 years, male 9.2
GTEX-1A3MX-1226-SM-731B3 60-69 years, male 9.2
GTEX-13NYS-1926-SM-5IJCB 60-69 years, male 9.1
GTEX-1IDJH-1126-SM-COH3R 70-79 years, male 9.1
GTEX-1JMQK-0926-SM-ARL96 60-69 years, male 9.1
GTEX-13FHP-0826-SM-5K7V5 50-59 years, male 9.0
GTEX-1E1VI-1426-SM-793CY 50-59 years, male 9.0
GTEX-VJWN-1026-SM-4M1ZN 50-59 years, female 9.0
GTEX-WRHU-1026-SM-4E3ID 50-59 years, female 9.0
GTEX-ZVT4-1326-SM-5NQ8E 50-59 years, female 9.0
GTEX-1HFI6-0826-SM-9YFM2 40-49 years, male 9.0
GTEX-12WSA-1126-SM-5EGKU 60-69 years, male 8.9
GTEX-13FXS-1026-SM-62LFQ 50-59 years, male 8.9
GTEX-183WM-0926-SM-718AN 70-79 years, female 8.9
GTEX-1CAMQ-0726-SM-7P8SG 40-49 years, male 8.9
GTEX-1IKK5-1726-SM-CM2RU 60-69 years, male 8.9
GTEX-1212Z-0726-SM-5EGI5 60-69 years, male 8.8
GTEX-17F9Y-1226-SM-7EPGE 70-79 years, female 8.8
GTEX-1CB4H-0626-SM-7IGN3 60-69 years, female 8.8
GTEX-X62O-0826-SM-46MW8 50-59 years, male 8.8
GTEX-ZYFD-2026-SM-5E459 50-59 years, male 8.8
GTEX-1E2YA-0626-SM-7P8P4 50-59 years, male 8.8
GTEX-1JMOU-0326-SM-ARL8X 60-69 years, female 8.8
GTEX-XOT4-1126-SM-4B66E 60-69 years, female 8.7
GTEX-1EX96-2626-SM-9MQJV 50-59 years, male 8.7
GTEX-11O72-1026-SM-5986B 40-49 years, male 8.6
GTEX-139TU-1926-SM-5J2OC 60-69 years, male 8.6
GTEX-13D11-1526-SM-5J2NA 50-59 years, female 8.6
GTEX-13N1W-0926-SM-5MR36 70-79 years, male 8.6
GTEX-147F4-1126-SM-5TDDE 50-59 years, male 8.6
GTEX-WOFL-1226-SM-4OOST 60-69 years, male 8.6
GTEX-1GN2E-1426-SM-7RHHI 60-69 years, male 8.6
GTEX-1LH75-0526-SM-DIPG2 50-59 years, female 8.6
GTEX-1LVAO-0626-SM-EWRNT 60-69 years, male 8.6
GTEX-11GS4-0426-SM-5N9CD 60-69 years, male 8.5
GTEX-11NUK-0926-SM-5HL57 50-59 years, male 8.5
GTEX-XBEC-1226-SM-4AT65 50-59 years, male 8.5
GTEX-1LB8K-0926-SM-D4P42 50-59 years, male 8.5
GTEX-11ZUS-0326-SM-5EQ4W 30-39 years, male 8.4
GTEX-132NY-1426-SM-5J1MJ 60-69 years, male 8.4
GTEX-16YQH-0726-SM-7IGM1 30-39 years, male 8.4
GTEX-1HUB1-0726-SM-CGQF4 60-69 years, male 8.4
GTEX-13JVG-1126-SM-5KM2M 60-69 years, male 8.3
GTEX-14PN4-0826-SM-69LON 50-59 years, male 8.3
GTEX-1A32A-1326-SM-73KWW 50-59 years, female 8.3
GTEX-1A8G6-1826-SM-73KY8 60-69 years, male 8.3
GTEX-1A8FM-1026-SM-7PC26 50-59 years, female 8.3
GTEX-1J8Q2-1026-SM-ARU8I 60-69 years, male 8.3
GTEX-1PPGY-0926-SM-DTXFF 60-69 years, male 8.3
GTEX-13O3P-1426-SM-5L3DT 50-59 years, male 8.2
GTEX-1J1OQ-2226-SM-A96SS 40-49 years, female 8.2
GTEX-11EMC-0826-SM-59862 60-69 years, female 8.1
GTEX-148VJ-1426-SM-5TDE3 70-79 years, male 8.1
GTEX-14BIM-2726-SM-5Q5EG 60-69 years, female 8.1
GTEX-1F88F-0326-SM-9KNV3 60-69 years, female 8.1
GTEX-1GTWX-0926-SM-9MQKM 60-69 years, male 8.1
GTEX-1EMGI-1126-SM-9KNUF 60-69 years, male 8.0
GTEX-1EU9M-1926-SM-7RHH4 60-69 years, male 8.0
GTEX-11GSP-1226-SM-5985M 60-69 years, female 7.9
GTEX-ZE7O-0626-SM-57WCD 50-59 years, female 7.9
GTEX-WYBS-1226-SM-3NM9N 60-69 years, female 7.8
GTEX-13SLX-0926-SM-5S2NM 50-59 years, female 7.7
GTEX-13RTJ-0526-SM-62LDP 60-69 years, male 7.6
GTEX-WI4N-0726-SM-3TW93 40-49 years, female 7.6
GTEX-1HBPH-0226-SM-9WYSM 40-49 years, female 7.6
GTEX-XQ3S-0526-SM-4BOQA 20-29 years, male 7.5
GTEX-12WSI-0426-SM-5EQ5J 50-59 years, male 7.4
GTEX-YECK-1226-SM-4W21G 60-69 years, male 7.4
GTEX-1GF9V-1726-SM-9KNW4 60-69 years, male 7.4
GTEX-1I1GV-1426-SM-B2LXN 60-69 years, male 7.4
GTEX-13JUV-0226-SM-5IJCC 40-49 years, female 7.3
GTEX-13OW7-1626-SM-5IJDH 50-59 years, male 7.2
GTEX-ZF3C-1126-SM-57WEG 50-59 years, female 7.2
GTEX-1GZ4I-0826-SM-9WG6O 50-59 years, male 7.0
GTEX-1EH9U-0626-SM-7PC33 60-69 years, male 6.9
GTEX-1I1GP-0626-SM-ARL7H 50-59 years, male 6.7
GTEX-1JJEA-0926-SM-CYPSO 60-69 years, male 6.6
GTEX-14C5O-1226-SM-664N3 60-69 years, male 6.5
GTEX-14PJM-0826-SM-6LLIW 50-59 years, female 6.2
GTEX-1GN1U-1426-SM-7P8TF 50-59 years, female 6.0
GTEX-14PJ2-1126-SM-69LOD 50-59 years, male 5.8
Show allShow less
Heart - Left Ventricle
Average nTPM: 12.5
Samples: 432

Max nTPM: 20.5
Min nTPM: 4.7
Std nTPM: 2.7
Median nTPM: 12.4
GTEX-P4PP-0326-SM-33HC4 30-39 years, female 20.5
GTEX-V955-0726-SM-3GAFG 60-69 years, male 19.5
GTEX-13X6H-0426-SM-5LU4E 50-59 years, female 19.0
GTEX-1B8KE-0126-SM-793AM 50-59 years, male 19.0
GTEX-O5YT-0326-SM-32PKA 20-29 years, male 18.6
GTEX-WFON-0326-SM-3GIKX 40-49 years, male 18.6
GTEX-P4QS-0326-SM-2I3EU 60-69 years, male 18.5
GTEX-17KNJ-0826-SM-793A4 50-59 years, male 18.4
GTEX-14XAO-1126-SM-6EU11 60-69 years, female 18.3
GTEX-15EOM-5007-SM-793DG 20-29 years, female 18.3
GTEX-R53T-0926-SM-3GADH 50-59 years, female 18.3
GTEX-13D11-1726-SM-5IFGQ 50-59 years, female 18.1
GTEX-OHPM-0326-SM-33HCA 50-59 years, male 17.9
GTEX-ZTPG-1226-SM-4YCDO 20-29 years, female 17.9
GTEX-14H4A-0626-SM-5ZZUT 40-49 years, female 17.8
GTEX-1LGRB-1126-SM-CNPP2 50-59 years, female 17.8
GTEX-14PJ6-0726-SM-69LOL 60-69 years, female 17.6
GTEX-ZPCL-0426-SM-DNZZ4 60-69 years, female 17.6
GTEX-117YX-1126-SM-5H128 50-59 years, male 17.5
GTEX-11TT1-1326-SM-5PNYM 20-29 years, male 17.5
GTEX-13U4I-0826-SM-5SIBD 40-49 years, female 17.5
GTEX-1B97J-0726-SM-7RHG3 50-59 years, female 17.4
GTEX-1L5NE-0426-SM-E9TIX 50-59 years, male 17.4
GTEX-ZAB5-0226-SM-5CVMH 50-59 years, male 17.3
GTEX-1HCUA-0526-SM-A9SMH 50-59 years, female 17.3
GTEX-1R9K5-1326-SM-E6CPR 50-59 years, male 17.3
GTEX-11EM3-0626-SM-5H12Z 20-29 years, female 17.2
GTEX-1399R-1926-SM-5K7X8 30-39 years, male 16.9
GTEX-WHWD-0426-SM-3LK83 50-59 years, male 16.9
GTEX-YEC3-0726-SM-CMKFH 50-59 years, male 16.9
GTEX-131XG-0626-SM-5GCMP 50-59 years, female 16.7
GTEX-14PK6-0826-SM-5ZZVO 70-79 years, female 16.7
GTEX-R55C-0326-SM-3GAF1 40-49 years, male 16.7
GTEX-1RMOY-0626-SM-E9TIE 50-59 years, male 16.7
GTEX-QV44-0526-SM-2S1RE 50-59 years, male 16.4
GTEX-OHPL-0326-SM-33HC8 60-69 years, female 16.3
GTEX-OOBJ-0326-SM-33HBO 60-69 years, male 16.2
GTEX-POMQ-0326-SM-2I5FO 20-29 years, female 16.2
GTEX-Y3IK-0826-SM-51MT8 50-59 years, female 16.2
GTEX-1211K-0626-SM-5FQUZ 60-69 years, female 16.1
GTEX-1AYCT-0426-SM-73KVZ 50-59 years, male 16.1
GTEX-U3ZN-1426-SM-3DB87 30-39 years, female 16.1
GTEX-ZVZP-0226-SM-5NQ73 50-59 years, male 16.1
GTEX-1399U-0526-SM-5K7YM 50-59 years, female 16.0
GTEX-PX3G-0326-SM-2I3EO 20-29 years, female 16.0
GTEX-1F5PK-0326-SM-9KNUD 50-59 years, male 16.0
GTEX-15CHC-0426-SM-6LLHI 60-69 years, female 15.9
GTEX-1B996-1126-SM-73KWN 60-69 years, male 15.9
GTEX-15RIE-1726-SM-7KUMU 60-69 years, male 15.9
GTEX-1AX8Z-5007-SM-AHZ36 60-69 years, male 15.9
GTEX-13O21-2326-SM-5MR3X 50-59 years, male 15.8
GTEX-ZDTT-0726-SM-4WKFK 60-69 years, male 15.8
GTEX-1GMR2-1426-SM-7RHHK 50-59 years, male 15.8
GTEX-1QCLZ-0926-SM-E6CQZ 60-69 years, female 15.8
GTEX-S32W-0626-SM-2XCBG 50-59 years, female 15.7
GTEX-SNMC-0126-SM-2XCFO 20-29 years, male 15.7
GTEX-1IDJU-0726-SM-CNPQ9 60-69 years, female 15.7
GTEX-13NYB-0226-SM-5N9G4 40-49 years, male 15.6
GTEX-146FR-0626-SM-5RQJ1 60-69 years, female 15.6
GTEX-ZGAY-0326-SM-57WF5 40-49 years, female 15.6
GTEX-ZZPU-0926-SM-5GZYT 50-59 years, female 15.6
GTEX-1KANC-0426-SM-CXZK5 50-59 years, female 15.6
GTEX-1N2EF-2826-SM-E6CQF 60-69 years, male 15.6
GTEX-QMRM-0526-SM-2I5GA 50-59 years, male 15.5
GTEX-UJHI-0426-SM-3DB8Y 50-59 years, female 15.5
GTEX-WFG8-0626-SM-3GILJ 20-29 years, male 15.5
GTEX-ZG7Y-0926-SM-5EQ6O 50-59 years, male 15.5
GTEX-ZYFG-0426-SM-5E43M 60-69 years, female 15.5
GTEX-OIZH-0326-SM-2HMKC 50-59 years, male 15.4
GTEX-1MCC2-0326-SM-EV7AK 30-39 years, female 15.4
GTEX-1QPFJ-1026-SM-E6CR6 30-39 years, female 15.4
GTEX-OIZF-0326-SM-3MJGY 60-69 years, male 15.4
GTEX-ZF2S-1026-SM-9QEGK 50-59 years, female 15.4
GTEX-15RJ7-0226-SM-7KUMN 40-49 years, male 15.3
GTEX-ZUA1-0826-SM-4YCDL 40-49 years, male 15.3
GTEX-1IKOE-1026-SM-ARZMF 30-39 years, female 15.3
GTEX-1J8Q3-1226-SM-CKZPT 60-69 years, male 15.3
GTEX-13QBU-0426-SM-5J2O4 40-49 years, female 15.2
GTEX-13OVG-0526-SM-5K7YD 60-69 years, male 15.1
GTEX-13PVR-1026-SM-5QGQW 60-69 years, female 15.1
GTEX-15CHR-0226-SM-7PC2Z 50-59 years, male 15.1
GTEX-1KXAM-1326-SM-E9TJW 60-69 years, male 15.1
GTEX-ZEX8-0426-SM-DO92Y 50-59 years, male 15.1
GTEX-11I78-0826-SM-5A5K4 50-59 years, female 15.0
GTEX-1I6K7-0626-SM-ARL7Q 40-49 years, male 15.0
GTEX-13O61-0526-SM-5J2M1 60-69 years, male 14.9
GTEX-14E6C-0426-SM-5YYA8 40-49 years, male 14.9
GTEX-1C6VQ-1126-SM-7EWET 50-59 years, male 14.9
GTEX-PLZ5-0626-SM-2I5F8 50-59 years, male 14.9
GTEX-QLQ7-0526-SM-2I5G3 60-69 years, male 14.9
GTEX-YJ8O-0926-SM-EAZ2Z 40-49 years, female 14.9
GTEX-1399T-0426-SM-5PNVJ 60-69 years, male 14.8
GTEX-139YR-0826-SM-5LZXY 50-59 years, male 14.8
GTEX-1F75I-1126-SM-9WYUO 40-49 years, male 14.8
GTEX-1GN1W-0326-SM-9JGHF 50-59 years, female 14.8
GTEX-12BJ1-0226-SM-5LUA2 60-69 years, male 14.7
GTEX-13CF3-0726-SM-5J2MY 60-69 years, female 14.7
GTEX-13FTW-1026-SM-5L3E3 40-49 years, male 14.7
GTEX-14BIL-1126-SM-79OMC 50-59 years, male 14.7
GTEX-UJMC-0526-SM-3GAE3 50-59 years, male 14.7
GTEX-Y114-0226-SM-4TT8W 50-59 years, female 14.7
GTEX-ZF29-0226-SM-4WKHO 60-69 years, female 14.7
GTEX-1CB4E-0526-SM-7MXTK 60-69 years, male 14.7
GTEX-1IDJE-0326-SM-CM2TD 50-59 years, female 14.7
GTEX-1PWST-1026-SM-DTXF2 70-79 years, male 14.7
GTEX-1RB15-0326-SM-E6CQB 60-69 years, male 14.7
GTEX-16XZY-0426-SM-793BI 70-79 years, male 14.6
GTEX-18A67-1226-SM-7KFRS 50-59 years, male 14.6
GTEX-ZV7C-0326-SM-57WB1 50-59 years, male 14.6
GTEX-1PPH7-2026-SM-E9J3N 40-49 years, male 14.6
GTEX-111YS-0426-SM-5987O 60-69 years, male 14.5
GTEX-13VXT-1126-SM-5LU3A 20-29 years, female 14.5
GTEX-18A66-1226-SM-7LT8G 60-69 years, male 14.5
GTEX-1B932-1026-SM-793CL 40-49 years, female 14.5
GTEX-YB5K-0126-SM-5IFJ2 40-49 years, female 14.5
GTEX-ZVT2-1026-SM-5GU55 50-59 years, female 14.5
GTEX-1IDJI-1026-SM-A96TE 50-59 years, female 14.5
GTEX-WEY5-0426-SM-3GIKT 40-49 years, female 14.4
GTEX-ZPIC-0826-SM-4WWFJ 40-49 years, female 14.4
GTEX-12696-1126-SM-5FQTI 60-69 years, male 14.3
GTEX-132AR-2026-SM-5IJG4 50-59 years, female 14.3
GTEX-OXRK-0826-SM-2HMK7 50-59 years, female 14.3
GTEX-QESD-0526-SM-2I5G5 20-29 years, male 14.3
GTEX-U3ZH-0326-SM-3DB7A 30-39 years, male 14.3
GTEX-UPK5-0326-SM-CYPR4 40-49 years, male 14.3
GTEX-WFG7-0726-SM-3GIKO 20-29 years, male 14.2
GTEX-ZDYS-0226-SM-5HL4K 50-59 years, male 14.2
GTEX-1HFI7-0826-SM-A9G23 50-59 years, female 14.2
GTEX-1RAZS-0826-SM-E76QP 50-59 years, male 14.2
GTEX-13W3W-0426-SM-5SI9D 60-69 years, female 14.1
GTEX-14PJ4-1126-SM-5YY91 60-69 years, male 14.1
GTEX-16BQI-0926-SM-6M485 30-39 years, female 14.1
GTEX-1R9JW-0526-SM-EWRNK 30-39 years, female 14.1
GTEX-P4PQ-0326-SM-2HMJ8 60-69 years, male 14.0
GTEX-XXEK-0926-SM-4BRWH 50-59 years, male 14.0
GTEX-15ER7-1726-SM-6PAMX 20-29 years, female 13.9
GTEX-131XF-5001-SM-7DHLY 60-69 years, male 13.8
GTEX-WHPG-0826-SM-3NMBF 50-59 years, male 13.8
GTEX-Y8E4-0326-SM-4VBRR 40-49 years, male 13.8
GTEX-1HC8U-0726-SM-ACKXL 40-49 years, female 13.8
GTEX-1LSNM-0526-SM-DIPG6 50-59 years, male 13.8
GTEX-1MUQO-1226-SM-E9TJK 60-69 years, male 13.8
GTEX-13FH7-0926-SM-5J2MR 50-59 years, female 13.7
GTEX-1AX9J-1026-SM-72D6E 60-69 years, male 13.7
GTEX-X3Y1-0426-SM-3P5Z4 40-49 years, male 13.7
GTEX-1CB4I-1626-SM-7RHGV 50-59 years, male 13.7
GTEX-1O97I-0826-SM-E8VNE 60-69 years, male 13.7
GTEX-11DXX-0326-SM-5PNWC 60-69 years, female 13.6
GTEX-148VJ-1526-SM-5Q5DU 70-79 years, male 13.6
GTEX-14PHY-0226-SM-5ZZWM 60-69 years, female 13.6
GTEX-PSDG-0926-SM-2I5FP 50-59 years, male 13.6
GTEX-1HSGN-1126-SM-CJI4G 40-49 years, female 13.6
GTEX-1QP29-1526-SM-EXUSY 50-59 years, male 13.6
GTEX-1122O-0826-SM-5GICV 60-69 years, female 13.5
GTEX-1CAMS-1326-SM-79OJR 40-49 years, female 13.5
GTEX-SE5C-0626-SM-2XCDV 40-49 years, female 13.5
GTEX-XV7Q-0826-SM-4BRV7 40-49 years, female 13.5
GTEX-ZLFU-0226-SM-4WWFH 40-49 years, male 13.5
GTEX-1GF9U-0426-SM-7RHHA 40-49 years, female 13.5
GTEX-1HSMO-1226-SM-CL548 60-69 years, male 13.5
GTEX-1LGOU-0726-SM-E9TIY 20-29 years, female 13.5
GTEX-132QS-0426-SM-5KLZ6 60-69 years, male 13.4
GTEX-17F9E-0926-SM-7IGMG 50-59 years, male 13.4
GTEX-O5YW-0326-SM-2I5EI 50-59 years, male 13.4
GTEX-1GL5R-0326-SM-9WYTJ 50-59 years, male 13.4
GTEX-1JK1U-0526-SM-CYPSQ 60-69 years, male 13.4
GTEX-12WSK-0626-SM-5LZUJ 40-49 years, female 13.3
GTEX-12ZZW-1026-SM-5GCMM 50-59 years, male 13.3
GTEX-1339X-0426-SM-5KLZY 40-49 years, male 13.3
GTEX-PWCY-0526-SM-5P9HG 20-29 years, female 13.3
GTEX-QDVN-0326-SM-2I3FS 50-59 years, male 13.3
GTEX-RWS6-0326-SM-2XCAP 60-69 years, female 13.3
GTEX-14PN3-0526-SM-69LQF 60-69 years, female 13.2
GTEX-18D9U-1126-SM-72D5Y 40-49 years, male 13.2
GTEX-WY7C-0526-SM-3NB3D 50-59 years, male 13.2
GTEX-1399S-1026-SM-5KLZ9 30-39 years, female 13.1
GTEX-14C38-1426-SM-5RQHZ 50-59 years, male 13.1
GTEX-Q2AH-0526-SM-2I3ED 40-49 years, male 13.1
GTEX-Y5V6-0826-SM-4VBRU 60-69 years, male 13.1
GTEX-13FHP-1026-SM-5K7Y2 50-59 years, male 13.0
GTEX-14E1K-1026-SM-73KUR 50-59 years, male 13.0
GTEX-1C2JI-0526-SM-7EWEQ 50-59 years, male 13.0
GTEX-R55G-0526-SM-2TC5O 40-49 years, female 13.0
GTEX-WYJK-1026-SM-3NM8W 50-59 years, male 13.0
GTEX-15SHU-1126-SM-7KUMB 40-49 years, female 12.9
GTEX-1C64O-0826-SM-79OKZ 60-69 years, male 12.9
GTEX-XBED-0526-SM-47JY3 60-69 years, male 12.9
GTEX-1LVAN-1726-SM-CNNR1 50-59 years, female 12.9
GTEX-1NV8Z-1526-SM-DTX8X 60-69 years, male 12.9
GTEX-1QP2A-1126-SM-EVR3H 50-59 years, male 12.9
GTEX-117YW-0326-SM-5N9CY 50-59 years, male 12.8
GTEX-U4B1-0326-SM-3DB8K 40-49 years, male 12.8
GTEX-ZPU1-0626-SM-4YCDM 40-49 years, male 12.8
GTEX-1J8QM-0426-SM-AHZ3X 60-69 years, female 12.8
GTEX-13O1R-1226-SM-5J1NU 60-69 years, male 12.7
GTEX-XGQ4-0326-SM-4GIEE 50-59 years, male 12.7
GTEX-1H1CY-0326-SM-9QEIZ 60-69 years, female 12.7
GTEX-1R9K4-1326-SM-DTX8G 60-69 years, male 12.7
GTEX-X261-1426-SM-4PQZ1 50-59 years, male 12.6
GTEX-ZQUD-1526-SM-7IGO2 30-39 years, male 12.6
GTEX-1GN2E-1326-SM-9KNVG 60-69 years, male 12.6
GTEX-1J8EW-0926-SM-A9G33 60-69 years, female 12.6
GTEX-1JMOU-0226-SM-CNNPD 60-69 years, female 12.6
GTEX-1OFPY-1026-SM-EXUSO 60-69 years, male 12.6
GTEX-11LCK-0926-SM-5A5KA 30-39 years, male 12.5
GTEX-14BIN-2226-SM-5YYA1 50-59 years, female 12.5
GTEX-14C39-0926-SM-5TDDV 40-49 years, male 12.5
GTEX-OHPK-0326-SM-2HMJO 50-59 years, female 12.5
GTEX-OIZG-1126-SM-2HMIU 50-59 years, male 12.5
GTEX-YF7O-0426-SM-5P9FS 50-59 years, male 12.5
GTEX-1OKEX-0726-SM-DPRYE 60-69 years, male 12.5
GTEX-11DXZ-0626-SM-5GU77 50-59 years, male 12.4
GTEX-12WSN-5001-SM-7DHMK 40-49 years, male 12.4
GTEX-17GQL-0526-SM-72D5N 60-69 years, male 12.4
GTEX-1CB4J-0326-SM-7PBZO 60-69 years, male 12.4
GTEX-1IDJH-1026-SM-E9TKH 70-79 years, male 12.4
GTEX-1LC47-1026-SM-D3LAH 60-69 years, male 12.4
GTEX-WK11-0826-SM-EZ6LH 50-59 years, male 12.4
GTEX-14E6D-0926-SM-5S2QV 50-59 years, male 12.3
GTEX-14E7W-1226-SM-5RQIU 70-79 years, male 12.3
GTEX-15DYW-1126-SM-6LPK5 60-69 years, female 12.3
GTEX-QEG4-0426-SM-33HC3 30-39 years, male 12.3
GTEX-SUCS-0326-SM-32PLL 70-79 years, male 12.3
GTEX-ZYT6-1726-SM-5E44P 30-39 years, male 12.3
GTEX-1EKGG-1126-SM-7MGXB 60-69 years, male 12.3
GTEX-1JJE9-1426-SM-ARL8P 70-79 years, male 12.3
GTEX-11TUW-1026-SM-5GU7D 60-69 years, male 12.2
GTEX-145MN-0626-SM-5QGRH 30-39 years, male 12.2
GTEX-146FH-1026-SM-5RQIF 50-59 years, female 12.2
GTEX-QDVJ-0426-SM-2I5FW 50-59 years, male 12.2
GTEX-RU72-0326-SM-2TF5T 50-59 years, female 12.2
GTEX-YEC4-0326-SM-4W216 40-49 years, male 12.2
GTEX-Y5V5-0626-SM-4VBPX 60-69 years, female 12.1
GTEX-1MJIX-0326-SM-EVR42 40-49 years, male 12.1
GTEX-111FC-0826-SM-5GZWO 60-69 years, male 12.0
GTEX-14JG1-1026-SM-6ETZY 40-49 years, male 12.0
GTEX-14PJ2-1026-SM-6EU1M 50-59 years, male 12.0
GTEX-Y3I4-0626-SM-4TT7A 50-59 years, male 12.0
GTEX-1LVA9-0926-SM-EVR5G 50-59 years, male 12.0
GTEX-13FLV-0926-SM-5L3DZ 50-59 years, male 11.9
GTEX-14JIY-1126-SM-6EU28 60-69 years, male 11.9
GTEX-18D9B-1226-SM-72D6V 60-69 years, male 11.9
GTEX-NFK9-0926-SM-2HMJU 40-49 years, male 11.9
GTEX-P78B-0426-SM-2I5F5 40-49 years, female 11.9
GTEX-QEL4-0926-SM-3GAD1 50-59 years, male 11.9
GTEX-1EN7A-0726-SM-7PBXT 40-49 years, male 11.9
GTEX-1HCVE-1126-SM-9WPPG 50-59 years, male 11.9
GTEX-12584-0926-SM-5FQTN 40-49 years, male 11.7
GTEX-1E1VI-1326-SM-7IGQD 50-59 years, male 11.7
GTEX-XPVG-0826-SM-4B654 50-59 years, male 11.7
GTEX-1EX96-2526-SM-7RHGW 50-59 years, male 11.7
GTEX-1H23P-1226-SM-9QEJ2 60-69 years, male 11.7
GTEX-1I1GP-0826-SM-A96SD 50-59 years, male 11.7
GTEX-OIZI-0926-SM-E6CHF 40-49 years, male 11.7
GTEX-15CHQ-1526-SM-69LPW 60-69 years, male 11.6
GTEX-1GF9V-1626-SM-7PBXL 60-69 years, male 11.6
GTEX-12WSC-1126-SM-5EQ4G 50-59 years, male 11.5
GTEX-12ZZZ-1726-SM-59HK5 60-69 years, male 11.5
GTEX-17HGU-1026-SM-79OKL 50-59 years, male 11.5
GTEX-1EWIQ-1426-SM-7IGOS 70-79 years, female 11.5
GTEX-RN64-0826-SM-2TC62 50-59 years, male 11.5
GTEX-WZTO-1326-SM-3NM8X 40-49 years, male 11.5
GTEX-1HSMQ-0226-SM-C1YQL 50-59 years, male 11.5
GTEX-1JJEA-0826-SM-CL53T 60-69 years, male 11.5
GTEX-1R7EV-0326-SM-E76PA 40-49 years, male 11.5
GTEX-13X6K-1826-SM-5O9CR 60-69 years, female 11.4
GTEX-PVOW-0426-SM-5MR5R 40-49 years, male 11.4
GTEX-T2IS-0426-SM-32QPE 20-29 years, female 11.4
GTEX-1H11D-1226-SM-9WPQ2 40-49 years, male 11.4
GTEX-1HCU6-1026-SM-A9G25 60-69 years, female 11.4
GTEX-13SLX-1026-SM-5ZZUQ 50-59 years, female 11.3
GTEX-14PHX-2126-SM-6EU2U 50-59 years, male 11.3
GTEX-1AX9K-0526-SM-73KV1 50-59 years, male 11.3
GTEX-N7MT-1326-SM-2I3FV 60-69 years, female 11.3
GTEX-ZAB4-1026-SM-5HL7T 40-49 years, male 11.3
GTEX-1ICLZ-1026-SM-A9SLF 60-69 years, male 11.3
GTEX-1JMLX-1626-SM-ARZMV 50-59 years, male 11.3
GTEX-S33H-0526-SM-COH1W 30-39 years, male 11.3
GTEX-145LV-0326-SM-5Q5BW 50-59 years, male 11.2
GTEX-1A8G6-1626-SM-7MGWO 60-69 years, male 11.2
GTEX-1R9PO-0326-SM-DTXA1 60-69 years, female 11.2
GTEX-14DAQ-1126-SM-664MT 60-69 years, female 11.1
GTEX-1B8SG-0826-SM-7EWF7 50-59 years, male 11.1
GTEX-1EU9M-1826-SM-7DUGU 60-69 years, male 11.1
GTEX-V1D1-0526-SM-4JBGW 50-59 years, male 11.1
GTEX-1GMR3-0326-SM-7P8QT 40-49 years, male 11.1
GTEX-12WSD-1126-SM-5EGJD 60-69 years, female 11.0
GTEX-1F6I4-0726-SM-7PC2P 60-69 years, male 11.0
GTEX-1S3DN-0726-SM-E9TIO 50-59 years, male 11.0
GTEX-11ZUS-0226-SM-5FQT8 30-39 years, male 10.9
GTEX-13PVQ-1226-SM-5IJDC 50-59 years, male 10.9
GTEX-13S86-0226-SM-5S2PJ 40-49 years, male 10.9
GTEX-RUSQ-0526-SM-2TF72 50-59 years, male 10.9
GTEX-WQUQ-1426-SM-3MJFD 60-69 years, male 10.9
GTEX-X15G-0426-SM-4PQZ6 50-59 years, female 10.9
GTEX-1JN1M-1026-SM-CNPOS 60-69 years, female 10.9
GTEX-11ZVC-0426-SM-5CVLD 50-59 years, female 10.8
GTEX-13OW8-2126-SM-5J1OS 60-69 years, male 10.8
GTEX-ZDXO-0726-SM-57WBT 60-69 years, male 10.8
GTEX-ZYFC-1126-SM-5E44W 50-59 years, male 10.8
GTEX-ZYW4-0926-SM-59HJS 60-69 years, male 10.8
GTEX-1H3NZ-1126-SM-9WYT9 60-69 years, male 10.8
GTEX-1IKJJ-0826-SM-A96SP 60-69 years, male 10.8
GTEX-1AX9I-1126-SM-7EPHH 60-69 years, male 10.7
GTEX-1K9T9-1126-SM-D3L9E 50-59 years, female 10.7
GTEX-131XE-0626-SM-5HL98 50-59 years, male 10.6
GTEX-13JVG-1326-SM-5N9F8 60-69 years, male 10.6
GTEX-13OW5-1126-SM-5J1NR 60-69 years, male 10.6
GTEX-1LG7Y-1226-SM-CXZKD 50-59 years, male 10.6
GTEX-1LH75-0426-SM-E9TJF 50-59 years, female 10.6
GTEX-12WSG-0526-SM-5FQTH 50-59 years, female 10.5
GTEX-13N11-0426-SM-5KM3O 50-59 years, female 10.5
GTEX-13YAN-1326-SM-5Q5F1 60-69 years, male 10.5
GTEX-1A3MW-1326-SM-7189P 60-69 years, female 10.5
GTEX-REY6-1026-SM-2TF4Y 60-69 years, male 10.5
GTEX-XPT6-0126-SM-4B65S 20-29 years, male 10.5
GTEX-XQ8I-0126-SM-4BOPL 50-59 years, male 10.5
GTEX-ZDTS-1326-SM-6LLHE 60-69 years, male 10.5
GTEX-1JMPZ-1426-SM-CJI3C 30-39 years, male 10.5
GTEX-13N1W-1026-SM-5IJC5 70-79 years, male 10.4
GTEX-147JS-1526-SM-5ZZWF 60-69 years, male 10.4
GTEX-1CB4G-0826-SM-7DUGF 60-69 years, male 10.4
GTEX-N7MS-0826-SM-2HML4 60-69 years, male 10.4
GTEX-RTLS-0826-SM-2TF5Q 60-69 years, female 10.4
GTEX-ZAJG-0826-SM-5PNVA 50-59 years, female 10.4
GTEX-1ICLY-1326-SM-CJI47 50-59 years, male 10.4
GTEX-1JN6P-1126-SM-CKZON 60-69 years, male 10.4
GTEX-11DXY-0826-SM-5EGGR 60-69 years, male 10.3
GTEX-18A6Q-1626-SM-7KFTA 60-69 years, male 10.3
GTEX-1GN1V-0826-SM-9KNU6 60-69 years, male 10.3
GTEX-13112-0426-SM-5PNVC 50-59 years, male 10.2
GTEX-WH7G-0426-SM-3NMBJ 40-49 years, male 10.2
GTEX-1GN73-2426-SM-7RHFQ 60-69 years, male 10.2
GTEX-1314G-0126-SM-5LZUL 30-39 years, male 10.1
GTEX-13X6I-1426-SM-5SI9Z 60-69 years, male 10.1
GTEX-1EMGI-1226-SM-793DD 60-69 years, male 10.1
GTEX-QEG5-0926-SM-2TC64 20-29 years, male 10.1
GTEX-RWSA-0626-SM-2XCBD 40-49 years, male 10.1
GTEX-WL46-0926-SM-3LK7T 50-59 years, male 10.1
GTEX-1IDJF-0726-SM-CJI1U 20-29 years, male 10.1
GTEX-11GSP-1326-SM-5A5KY 60-69 years, female 10.0
GTEX-1269C-0826-SM-5N9EM 60-69 years, female 10.0
GTEX-1313W-1426-SM-5KLZU 50-59 years, female 10.0
GTEX-132NY-1726-SM-5EGKK 60-69 years, male 10.0
GTEX-17MF6-0726-SM-7LT8E 40-49 years, male 10.0
GTEX-U8XE-1126-SM-3DB8W 30-39 years, male 10.0
GTEX-1GMRU-1526-SM-9WYT5 50-59 years, male 10.0
GTEX-13OVL-0526-SM-5KLZQ 50-59 years, male 9.9
GTEX-1B8L1-0526-SM-79ONX 60-69 years, male 9.9
GTEX-R55E-1026-SM-2TC5S 20-29 years, male 9.9
GTEX-WRHU-1226-SM-4E3IJ 50-59 years, female 9.9
GTEX-1F6IF-2526-SM-7P8TV 60-69 years, male 9.9
GTEX-1H1ZS-1126-SM-9MQLJ 70-79 years, male 9.9
GTEX-13OW6-1126-SM-5L3HL 50-59 years, male 9.8
GTEX-1I1GV-1326-SM-A96SE 60-69 years, male 9.8
GTEX-1PPGY-1126-SM-E76OU 60-69 years, male 9.8
GTEX-13NZB-0226-SM-5KM1T 30-39 years, male 9.7
GTEX-13O3P-1626-SM-5K7X3 50-59 years, male 9.7
GTEX-1EH9U-0826-SM-7IGPT 60-69 years, male 9.7
GTEX-OXRL-0326-SM-2I3F2 50-59 years, male 9.7
GTEX-YFC4-0526-SM-5ZZVI 40-49 years, female 9.7
GTEX-17F9Y-1326-SM-7MGW9 70-79 years, female 9.7
GTEX-1GTWX-1026-SM-7P8QW 60-69 years, male 9.7
GTEX-1GZ4I-1026-SM-9KNV5 50-59 years, male 9.7
GTEX-1HBPM-1226-SM-A9SM8 60-69 years, female 9.7
GTEX-12ZZY-1126-SM-5DUWQ 60-69 years, male 9.6
GTEX-14A6H-0226-SM-5Q5DX 30-39 years, male 9.6
GTEX-1ICG6-0626-SM-ACKWS 70-79 years, female 9.6
GTEX-1KD5A-1026-SM-CY8I8 50-59 years, male 9.6
GTEX-1RQEC-0926-SM-EWROG 60-69 years, male 9.6
GTEX-1212Z-0626-SM-5FQTB 60-69 years, male 9.5
GTEX-145MO-1126-SM-5NQBX 60-69 years, male 9.5
GTEX-147F4-1226-SM-5NQAY 50-59 years, male 9.5
GTEX-1F48J-1026-SM-7P8SO 50-59 years, female 9.5
GTEX-1JMQK-0626-SM-D4P2R 60-69 years, male 9.5
GTEX-13FTZ-0226-SM-5K7X6 60-69 years, male 9.4
GTEX-14C5O-1326-SM-5S2UW 60-69 years, male 9.4
GTEX-SIU8-0826-SM-2XCDQ 50-59 years, male 9.4
GTEX-1HT8W-1726-SM-CNNQB 30-39 years, male 9.4
GTEX-1BAJH-1626-SM-73KUV 70-79 years, male 9.3
GTEX-P44G-0826-SM-2I5ES 30-39 years, male 9.3
GTEX-XQ3S-0626-SM-4BOOB 20-29 years, male 9.3
GTEX-1KD4Q-0726-SM-DIPGE 40-49 years, male 9.3
GTEX-1497J-1226-SM-5Q5BL 60-69 years, male 9.2
GTEX-1HBPH-0126-SM-CNNQ7 40-49 years, female 9.2
GTEX-1IL2U-1326-SM-A9G2O 60-69 years, male 9.2
GTEX-1LB8K-1026-SM-DHXJJ 50-59 years, male 9.2
GTEX-17HHY-1426-SM-7EWDQ 50-59 years, male 9.1
GTEX-18465-0926-SM-731AY 50-59 years, male 9.1
GTEX-RNOR-0826-SM-2TF5C 50-59 years, female 9.1
GTEX-WI4N-0626-SM-3TW8Z 40-49 years, female 9.1
GTEX-WHSE-0926-SM-3NMBS 20-29 years, male 8.9
GTEX-1I1HK-0726-SM-B2LY4 60-69 years, male 8.9
GTEX-ZF3C-1226-SM-4WWCB 50-59 years, female 8.8
GTEX-1IKK5-1526-SM-CKZPW 60-69 years, male 8.8
GTEX-11GS4-0526-SM-5A5KQ 60-69 years, male 8.7
GTEX-14PJM-1126-SM-6LLHK 50-59 years, female 8.7
GTEX-1A3MX-1326-SM-72D58 60-69 years, male 8.7
GTEX-T6MN-0926-SM-32PLX 50-59 years, male 8.6
GTEX-1HCU7-1326-SM-CNPPW 50-59 years, male 8.6
GTEX-13RTJ-0726-SM-5QGQN 60-69 years, male 8.5
GTEX-1POEN-0626-SM-EVR4B 30-39 years, female 8.5
GTEX-13CF2-0426-SM-5KM1H 60-69 years, male 8.4
GTEX-XBEC-1326-SM-4AT69 50-59 years, male 8.4
GTEX-11EMC-0726-SM-5EGJO 60-69 years, female 8.3
GTEX-131XH-0226-SM-5LZVB 50-59 years, male 8.3
GTEX-148VI-0326-SM-5RQK7 60-69 years, female 8.3
GTEX-NPJ8-0426-SM-2HMK6 40-49 years, male 8.3
GTEX-13O3O-1526-SM-5KM1C 60-69 years, female 8.2
GTEX-15RJE-0626-SM-7KUKR 40-49 years, male 8.2
GTEX-15SHW-1226-SM-6M46C 60-69 years, male 8.2
GTEX-16MT8-0926-SM-6M487 60-69 years, female 8.2
GTEX-WWYW-1326-SM-3NB2S 50-59 years, female 8.2
GTEX-X8HC-1626-SM-46MWE 50-59 years, female 8.1
GTEX-1I1GQ-1426-SM-B2LWY 50-59 years, male 8.1
GTEX-17HII-1326-SM-7IGOB 50-59 years, male 7.9
GTEX-14A5I-1226-SM-5NQBW 50-59 years, female 7.8
GTEX-17JCI-1126-SM-7IGMM 60-69 years, female 7.8
GTEX-P44H-0726-SM-48TBT 40-49 years, male 7.8
GTEX-1M5QR-1026-SM-DHXK9 40-49 years, male 7.8
GTEX-11O72-1126-SM-5N9E2 40-49 years, male 7.7
GTEX-15DDE-1126-SM-6LLHN 50-59 years, female 7.7
GTEX-16YQH-0926-SM-793BC 30-39 years, male 7.7
GTEX-O5YV-0326-SM-2I5H2 60-69 years, female 7.7
GTEX-16NPX-0926-SM-7KUEZ 50-59 years, male 7.5
GTEX-R45C-0926-SM-3GAD4 60-69 years, female 7.3
GTEX-1JJ6O-2126-SM-CNNP6 60-69 years, male 7.3
GTEX-QVJO-1926-SM-2S1QZ 60-69 years, female 7.0
GTEX-OXRO-2026-SM-2YUMZ 60-69 years, female 6.9
GTEX-1J8Q2-1226-SM-A9G2W 60-69 years, male 6.7
GTEX-1O9I2-1126-SM-DTXEA 50-59 years, male 6.0
GTEX-11ONC-0126-SM-5PNW6 60-69 years, male 4.7
Show allShow less

HEART MUSCLE - FANTOM5 CAGEi

RNA expression in human tissues obtained through Cap Analysis of Gene Expression (CAGE) generated by the FANTOM5 project are reported as Scaled Tags Per Million.

Max subtype Scaled Tags Per Millioni

Max subtype Scaled Tags Per Million is the value for the subtype with the largest average Scaled Tags Per Million across the subtype samples.

28.5
FANTOM5 sample id Sample description Scaled Tags Per Million
Heart
Scaled Tags Per Million: 15.0
FF:10016-101C7 70,73,74 years, mixed 15.0
Left atrium
Scaled Tags Per Million: 28.2
FF:10079-102A7 40 years, male 28.2
Left ventricle
Scaled Tags Per Million: 28.5
FF:10078-102A6 73 years, female 28.5

Contact

  • NEWS ARTICLES
  • PRESS ROOM

The Project

  • INTRODUCTION
  • ORGANIZATION
  • PUBLICATIONS

The Human Protein Atlas

  • DOWNLOADABLE DATA
  • LICENCE & CITATION
  • HELP & FAQ
The Human Protein Atlas project is funded
by the Knut & Alice Wallenberg Foundation.


contact@proteinatlas.org