We use cookies to enhance the usability of our website. If you continue, we'll assume that you are happy to receive all cookies. More information. Don't show this again.
TSPAN14
HPA
RESOURCES
  • TISSUE
  • BRAIN
  • SINGLE CELL
  • SUBCELLULAR
  • CANCER
  • BLOOD
  • CELL LINE
  • STRUCTURE & INTERACTION
ABOUT
  • INTRODUCTION
  • HISTORY
  • ORGANIZATION
  • PUBLICATIONS
  • ANTIBODY SUBMISSION
  • ANTIBODY AVAILABILITY
  • ACKNOWLEDGMENTS
  • CONTACT
NEWS
  • NEWS ARTICLES
  • PRESS ROOM
LEARN
  • DICTIONARY
  • PROTEIN CLASSES
  • PROTEIN EVIDENCE
  • METHODS
  • EDUCATIONAL VIDEOS
DATA
  • DOWNLOADABLE DATA
  • PUBLICATION DATA
  • RELEASE HISTORY
HELP
  • ANTIBODY VALIDATION
  • ASSAYS & ANNOTATION
  • DISCLAIMER
  • HELP & FAQ
  • PRIVACY STATEMENT
  • LICENCE & CITATION
Fields »
Search result

Field
Term
Gene name
Class
Subclass
Class
Keyword
Chromosome
External id
Tissue
Cell type
Expression
Antibody panel
Tissue
Main location
Patient ID
Annotation
Tissue
Category
Tau score
Cluster
Reliability
Brain region
Category
Tau score
Brain region
Category
Tau score
Brain region
Category
Tau score
Cluster
Reliability
Tissue
Cell type
Enrichment
Cell type
Category
Tau score
Cell type
Category
Tau score
Cell type
Category
Tau score
Cell lineage
Category
Tau score
Cluster
Cluster
Location
Searches
Location
Cell line
Class
Type
Phase
Reliability
Cancer
Prognosis
Cancer
Category
Cancer
Category
Tau score
Cluster
Variants
Interacting gene (ensg_id)
Type
Number of interactions
Pathway
Category
Score
Score
Score
Validation
Validation
Validation
Validation
Antibodies
Data type
Column


  • SUMMARY

  • TISSUE

  • BRAIN

  • SINGLE CELL

  • SUBCELL

  • CANCER

  • BLOOD

  • CELL LINE

  • STRUCT & INT

  • TSPAN14
CANCER LIVER CANCER Show tissue menu
BREAST CANCER CARCINOID CERVICAL CANCER COLORECTAL CANCER ENDOMETRIAL CANCER GLIOMA HEAD AND NECK CANCER LIVER CANCER LUNG CANCER LYMPHOMA
MELANOMA OVARIAN CANCER PANCREATIC CANCER PROSTATE CANCER RENAL CANCER SKIN CANCER STOMACH CANCER TESTIS CANCER THYROID CANCER UROTHELIAL CANCER
LIHC TCGA LIHC VALIDATION PROTEIN LIHC CPTAC PROTEIN EXPRESSION
ANTIBODIES
AND
VALIDATION
Dictionary
Liver cancer
Human cancer
Liver hepatocellular carcinoma
LIVER HEPATOCELLULAR CARCINOMA (TCGA) - Interactive survival scatter ploti

The Survival Scatter plot shows the clinical status (i.e. dead or alive) for all individuals in the patient cohort, based on the same data that underlies the corresponding Kaplan-Meier plots. Patients that are alive at last time for follow-up are shown in blue and patients who have died during the study are shown in red.

The x-axis shows the expression levels (FPKM) of the investigated gene in the tumor tissue at the time of diagnosis. The y-axis shows the follow-up time after diagnosis (years). Both axes are complimented with kernel density curves demonstrating the data density over the axes. The top density plot shows the expression levels (FPKM) distribution among dead (red) and alive patients (blue). The right density plot shows the data density of the survived years of dead patients with high and low expression levels respectively, stratified using the cutoff indicated by the vertical dashed line through the Survival Scatter plot. This cutoff is automatically defined based on the FPKM cutoff that minimizes the p-score. The cutoff can be changed by dragging the vertical line or by entering a cutoff value in the square labeled "Current cut-off".

Under the Survival Scatter plot the p-score landscape (black curve; left axis) is shown together with dead median separation (red curve; right axis). Dead median separation is the difference in median mRNA expression between patients who have died with high and low expression, respectively. It is calculated as follows: median FPKM expression of dead patients with high expression - median FPKM expression of dead patients with low expression. This is intended to aid the user in visually exploring custom cutoffs and the associated p-scores and dead median separation.

Individual patient data is displayed and can be filtered by clicking on one or more of the category buttons on the top of the page. Categories describing expression level and patient information include: high, low, alive, dead, female, male and tumor stages. The scale of the x-axis can be toggled between linear and log-scale by clicking on the "x log" button. Mouse-over function shows TCGA ID, patient information and mRNA expression (FPKM) for each patient.

& Survival analysisi

Kaplan-Meier plots summarize results from analysis of correlation between mRNA expression level and patient survival. Patients were divided based on level of expression into one of the two groups "low" (under cut off) or "high" (over cut off). X-axis shows time for survival (years) and y-axis shows the probability of survival, where 1.0 corresponds to 100 percent.

TSPAN14 is not prognostic in Liver Hepatocellular Carcinoma (TCGA)


Stage:


Survival analysis
Current cut offi

Current cut-off shows the cut-off (FPKM) currently selected. It may be changed manually. When the current cut-off is changed, the vertical dashed line indicating cut-off, the interactive survival scatter plot and the Kaplan-Meier curve will be automatically adjusted to show results accordingly.

:
Best expression cut offi

Based on the FPKM value of each gene, patients were classified into two groups and association between prognosis (survival) and gene expression (FPKM) was examined. The best expression cut-off refers the FPKM value that yields maximal difference with regard to survival between the two groups at the lowest log-rank P-value. Best expression cut-off was selected based on survival analysis .

When clicking on this number, the vertical dashed line indicating cut-off, the interactive survival plot, and the Kaplan-Meier curve will be adjusted to show results based on the best expression cut-off.

: 11.88
Median expressioni

Median expression refers to the median FPKM value calculated based on the gene expression (FPKM) data from all patients in this dataset. When clicking on this number, the vertical dashed line indicating cut-off, the interactive survival plot, and the Kaplan-Meier curve will be adjusted to show results based on the median expression.

: N/A
Median follow up timei

Median follow up time refers to the median time (years) after diagnosis with this type of cancer, based on clinical data from all patients in this dataset.

: N/A
P scorei

Log-rank P value for Kaplan-Meier plot showing results from analysis of correlation between mRNA expression level and patient survival.

N/A
5-year survival highi

5-year survival for patients with higher expression than the expression cutoff.

For melanoma and glioma, 3-year survival is shown.

N/A
5-year survival lowi

5-year survival for patients with lower expression than the expression cutoff.

For melanoma and glioma, 3-year survival is shown.

N/A
TCGA RNA samplesi

RNA-seq data is reported as average FPKM (number Fragments Per Kilobase of exon per Million reads), generated by the The Cancer Genome Atlas (TCGA) .

Normal distribution across the dataset is visualized with box plots, shown as median and 25th and 75th percentiles. Points are displayed as outliers if they are above or below 1.5 times the interquartile range. FPKM values of the individual samples are presented next to the box plot.

Average pTPM 16.9
Number of samples 362
Samples
Sample Description pTPM
TCGA-CC-A3MA-01A 61 years, male, asian, stage:Stage IIIA, dead, 303 days 96.2
TCGA-ED-A7PX-01A 48 years, female, asian, stage:Stage II, alive, 6 days 76.2
TCGA-ED-A82E-01A 60 years, female, asian, stage:Stage IIIA, alive, 408 days 64.6
TCGA-CC-5260-01A 61 years, female, asian, stage:Stage IIIC, dead, 87 days 61.3
TCGA-CC-A7IJ-01A 56 years, male, asian, stage:Stage II, alive, 382 days 55.5
TCGA-CC-5258-01A 48 years, male, asian, stage:Stage II, dead, 129 days 55.1
TCGA-ZP-A9D2-01A 51 years, male, white, stage:'--, dead, 765 days 51.1
TCGA-ED-A5KG-01A 60 years, female, asian, stage:Stage II, alive, 854 days 51.0
TCGA-CC-5261-01A 44 years, male, asian, stage:Stage II, dead, 97 days 49.5
TCGA-FV-A3I0-01A 76 years, female, white, stage:Stage II, alive, 848 days 48.8
TCGA-UB-A7MB-01A 24 years, male, white, stage:Stage II, alive, 601 days 48.8
TCGA-DD-AACL-01A 66 years, female, asian, stage:Stage I, dead, 107 days 44.9
TCGA-G3-A7M6-01A 60 years, female, white, stage:Stage I, alive, 632 days 44.9
TCGA-DD-A3A6-01A 72 years, female, white, stage:Stage II, dead, 3258 days 42.1
TCGA-DD-AADW-01A 48 years, male, asian, stage:Stage I, alive, 587 days 39.6
TCGA-CC-A8HV-01A 51 years, female, asian, stage:Stage II, dead, 279 days 39.3
TCGA-CC-A3M9-01A 45 years, male, asian, stage:Stage IIIA, dead, 300 days 39.1
TCGA-DD-A4NH-01A 65 years, female, white, stage:Stage IIIB, alive, 917 days 36.3
TCGA-LG-A6GG-01A 79 years, female, white, stage:Stage II, alive, 387 days 35.7
TCGA-CC-5263-01A 35 years, male, asian, stage:Stage IIIA, dead, 129 days 34.7
TCGA-CC-A8HS-01A 18 years, male, asian, stage:Stage IIIC, dead, 300 days 34.1
TCGA-GJ-A3OU-01A 59 years, male, white, stage:Stage I, alive, 879 days 33.9
TCGA-G3-AAV7-01A 38 years, male, asian, stage:Stage II, alive, 361 days 33.5
TCGA-DD-AACZ-01A 63 years, female, asian, stage:Stage I, dead, 171 days 33.0
TCGA-CC-A5UC-01A 63 years, male, asian, stage:Stage IIIA, dead, 347 days 32.7
TCGA-RC-A7SH-01A 42 years, male, asian, stage:Stage II, alive, 468 days 32.6
TCGA-ED-A627-01A 74 years, male, white, stage:Stage I, alive, 423 days 32.5
TCGA-CC-A7IG-01A 47 years, male, asian, stage:Stage II, dead, 299 days 32.3
TCGA-2Y-A9GY-01A 64 years, female, white, stage:Stage II, dead, 757 days 31.7
TCGA-FV-A3R3-01A 38 years, female, white, stage:Stage I, dead, 366 days 31.2
TCGA-2Y-A9H2-01A 64 years, female, white, stage:Stage I, alive, 1731 days 30.8
TCGA-XR-A8TF-01A 74 years, male, white, stage:Stage I, dead, 693 days 30.7
TCGA-GJ-A6C0-01A 75 years, female, white, stage:Stage II, dead, 31 days 30.7
TCGA-DD-AADB-01A 51 years, male, asian, stage:Stage I, alive, 1242 days 30.4
TCGA-ZS-A9CG-01A 55 years, male, white, stage:Stage II, alive, 341 days 30.3
TCGA-DD-A114-01A 42 years, male, black or african american, stage:Stage II, dead, 1149 days 30.0
TCGA-G3-AAV5-01A 67 years, male, white, stage:Stage II, alive, 354 days 29.0
TCGA-DD-AAVS-01A 56 years, male, asian, stage:Stage I, alive, 1823 days 29.0
TCGA-XR-A8TE-01A 16 years, male, white, stage:Stage IIIA, alive, 925 days 28.9
TCGA-WX-AA44-01A 64 years, female, white, stage:Stage I, alive, 615 days 28.8
TCGA-ED-A97K-01A 54 years, male, asian, stage:Stage IIIA, alive, 6 days 28.6
TCGA-DD-AA3A-01A 81 years, female, white, stage:Stage I, dead, 410 days 28.5
TCGA-G3-A25Y-01A 52 years, female, asian, stage:Stage I, dead, 452 days 28.5
TCGA-BC-A8YO-01A 66 years, female, white, stage:Stage IIIC, alive, 562 days 28.3
TCGA-DD-AAD1-01A 51 years, female, asian, stage:Stage I, alive, 564 days 27.9
TCGA-KR-A7K8-01A 57 years, male, stage:Stage I, alive, 906 days 27.8
TCGA-2Y-A9GX-01A 68 years, male, white, stage:Stage I, alive, 2442 days 27.5
TCGA-UB-AA0U-01A 60 years, male, white, stage:Stage II, alive, 327 days 27.5
TCGA-ED-A66X-01A 35 years, male, asian, stage:Stage IIIA, alive, 406 days 27.4
TCGA-DD-AACX-01A 66 years, male, asian, stage:Stage II, alive, 170 days 27.3
TCGA-5R-AA1D-01A 17 years, female, white, stage:Stage IIIA, alive, 449 days 26.5
TCGA-YA-A8S7-01A 68 years, male, white, stage:Stage IIIA, dead, 412 days 26.4
TCGA-DD-AAE2-01A 51 years, male, asian, stage:Stage I, alive, 638 days 26.1
TCGA-DD-AADD-01A 51 years, male, asian, stage:Stage I, alive, 1231 days 25.4
TCGA-5R-AA1C-01A 57 years, male, white, stage:Stage II, alive, 520 days 25.1
TCGA-G3-A7M9-01A 70 years, male, white, stage:Stage IIIB, dead, 56 days 24.9
TCGA-DD-A4NJ-01A 54 years, female, white, stage:Stage II, alive, 928 days 24.9
TCGA-GJ-A9DB-01A 68 years, male, white, stage:Stage I, dead, 67 days 24.5
TCGA-CC-A1HT-01A 50 years, male, asian, stage:Stage IIIA, dead, 101 days 24.2
TCGA-DD-A4NA-01A 67 years, female, white, stage:Stage IIIC, alive, 1008 days 24.2
TCGA-FV-A3I1-01A 81 years, female, white, stage:Stage II, dead, 247 days 24.2
TCGA-DD-AAE0-01A 45 years, female, asian, stage:Stage IIIA, alive, 555 days 24.1
TCGA-ZS-A9CF-01A 64 years, male, white, stage:Stage II, alive, 2412 days 24.1
TCGA-G3-A3CH-01A 53 years, male, asian, stage:Stage IIIA, alive, 780 days 24.0
TCGA-K7-AAU7-01A 61 years, male, white, stage:Stage II, alive, 359 days 23.9
TCGA-DD-AACN-01A 32 years, male, asian, stage:Stage I, alive, 1302 days 23.9
TCGA-BC-A10U-01A 69 years, male, white, stage:'--, dead, 837 days 23.8
TCGA-BC-A10Z-01A 62 years, female, white, stage:Stage I, dead, 34 days 23.7
TCGA-DD-A1EJ-01A 71 years, female, white, stage:Stage IIIC, dead, 1005 days 23.7
TCGA-DD-A4NS-01A 61 years, female, white, stage:Stage I, dead, 2456 days 23.5
TCGA-DD-A4ND-01A 56 years, female, white, stage:Stage I, alive, 2746 days 23.0
TCGA-DD-AACW-01A 43 years, male, asian, stage:Stage I, alive, 1424 days 23.0
TCGA-UB-A7MD-01A 67 years, male, black or african american, stage:Stage I, dead, 52 days 22.9
TCGA-WQ-A9G7-01A 71 years, female, white, stage:'--, alive, 30 days 22.9
TCGA-DD-A4NB-01A 25 years, male, white, stage:Stage I, alive, 989 days 22.8
TCGA-DD-A1EA-01A 68 years, male, asian, stage:Stage II, alive, 2415 days 22.7
TCGA-FV-A3R2-01A 75 years, male, white, stage:Stage I, dead, 194 days 22.7
TCGA-CC-A5UD-01A 45 years, male, asian, stage:Stage IIIA, dead, 304 days 22.6
TCGA-RC-A6M6-01A 75 years, male, white, stage:Stage II, alive, 9 days 22.5
TCGA-2Y-A9GZ-01A 82 years, female, white, stage:Stage II, dead, 848 days 22.5
TCGA-5R-AAAM-01A 65 years, female, white, stage:Stage II, dead, 46 days 22.4
TCGA-XR-A8TC-01A 43 years, female, white, stage:Stage I, alive, 1339 days 21.9
TCGA-DD-A1EC-01A 20 years, female, white, stage:Stage I, alive, 602 days 21.5
TCGA-DD-A1EH-01A 23 years, male, white, stage:Stage III, alive, 1495 days 21.5
TCGA-G3-A25S-01A 64 years, male, white, stage:Stage I, dead, 416 days 21.4
TCGA-DD-AAEK-01A 51 years, male, asian, stage:Stage II, alive, 1067 days 21.2
TCGA-DD-AACS-01A 39 years, male, asian, stage:Stage I, alive, 1804 days 21.2
TCGA-DD-A4NR-01A 85 years, female, white, stage:Stage I, dead, 9 days 21.2
TCGA-CC-A9FW-01A 68 years, male, asian, stage:Stage IIIA, alive, 248 days 21.0
TCGA-DD-A4NN-01A 56 years, female, white, stage:Stage I, dead, 899 days 20.9
TCGA-DD-A73C-01A 65 years, female, white, stage:Stage IIIA, alive, 701 days 20.8
TCGA-DD-AAED-01A 51 years, male, asian, stage:Stage I, alive, 763 days 20.8
TCGA-DD-A1EI-01A 46 years, male, asian, stage:Stage I, alive, 183 days 20.8
TCGA-CC-A7IH-01A 58 years, male, asian, stage:Stage IIIA, alive, 365 days 20.8
TCGA-DD-AAVZ-01A 38 years, male, asian, stage:Stage I, alive, 1900 days 20.7
TCGA-2Y-A9HA-01A 70 years, male, white, stage:Stage II, dead, 36 days 20.6
TCGA-BC-A216-01A 62 years, female, white, stage:Stage IIIA, alive, 1351 days 20.5
TCGA-G3-A25T-01A 45 years, female, white, stage:Stage IIIA, alive, 1553 days 20.4
TCGA-DD-AADG-01A 70 years, male, asian, stage:Stage IIIA, alive, 1145 days 20.4
TCGA-DD-AACH-01A 69 years, male, asian, stage:Stage II, dead, 195 days 20.3
TCGA-DD-AAVW-01A 35 years, male, asian, stage:Stage I, alive, 2317 days 20.1
TCGA-DD-AAW0-01A 54 years, male, asian, stage:Stage I, alive, 2015 days 19.9
TCGA-2Y-A9GT-01A 51 years, male, white, stage:Stage I, dead, 1624 days 19.8
TCGA-CC-5262-01A 67 years, male, asian, stage:Stage IIIC, dead, 103 days 19.5
TCGA-DD-AAVP-01A 48 years, male, asian, stage:Stage I, alive, 2752 days 19.3
TCGA-UB-A7MA-01A 62 years, female, white, stage:Stage II, alive, 848 days 19.2
TCGA-BC-A10Q-01A 72 years, female, white, stage:'--, dead, 1135 days 19.1
TCGA-ED-A66Y-01A 51 years, female, asian, stage:Stage IIIA, dead, 296 days 19.0
TCGA-DD-AACA-01A 65 years, male, asian, stage:Stage I, alive, 2301 days 19.0
TCGA-G3-AAV1-01A 51 years, male, asian, stage:Stage IIIC, dead, 359 days 18.9
TCGA-DD-AADV-01A 50 years, male, asian, stage:Stage I, alive, 574 days 18.8
TCGA-G3-AAV6-01A 53 years, female, white, stage:Stage IIIA, dead, 65 days 18.8
TCGA-RC-A6M5-01A 20 years, female, white, stage:Stage IVA, alive, 15 days 18.8
TCGA-DD-A3A9-01A 64 years, female, white, stage:Stage IVB, dead, 931 days 18.7
TCGA-ZP-A9D1-01A 56 years, female, white, stage:'--, alive, 21 days 18.6
TCGA-CC-5264-01A 71 years, male, asian, stage:Stage IIIA, dead, 102 days 18.6
TCGA-DD-AAVQ-01A 38 years, male, asian, stage:Stage I, alive, 2728 days 18.6
TCGA-BC-A112-01A 80 years, male, white, stage:'--, dead, 153 days 18.5
TCGA-HP-A5N0-01A 90 years, female, stage:'--, dead, 752 days 18.3
TCGA-NI-A8LF-01A 74 years, male, white, stage:Stage I, alive, 799 days 18.2
TCGA-DD-A73B-01A 72 years, female, white, stage:Stage I, dead, 283 days 18.2
TCGA-DD-AAD3-01A 43 years, male, asian, stage:Stage I, alive, 1295 days 18.1
TCGA-MR-A8JO-01A 34 years, male, white, stage:Stage I, alive, 330 days 18.1
TCGA-EP-A12J-01A 62 years, male, black or african american, stage:Stage I, alive, 570 days 18.0
TCGA-DD-AACK-01A 70 years, male, asian, stage:Stage I, alive, 9 days 18.0
TCGA-XR-A8TD-01A 49 years, female, white, stage:Stage IIIB, alive, 1030 days 18.0
TCGA-DD-A4NK-01A 80 years, female, white, stage:Stage IIIA, dead, 1210 days 17.7
TCGA-UB-A7ME-01A 51 years, male, asian, stage:Stage I, alive, 486 days 17.7
TCGA-EP-A3RK-01A 73 years, male, white, stage:Stage IIIA, alive, 363 days 17.6
TCGA-2Y-A9H7-01A 81 years, female, white, stage:Stage I, alive, 1168 days 17.5
TCGA-BC-A10R-01A 66 years, female, white, stage:'--, dead, 308 days 17.5
TCGA-DD-A4NV-01A 61 years, male, white, stage:Stage IIIA, alive, 2398 days 17.4
TCGA-PD-A5DF-01A 58 years, female, white, stage:Stage IIIB, dead, 639 days 17.4
TCGA-DD-A4NF-01A 72 years, male, white, stage:Stage I, alive, 942 days 17.3
TCGA-G3-A3CG-01A 80 years, male, white, stage:Stage I, alive, 673 days 17.3
TCGA-DD-A113-01A 55 years, female, white, stage:Stage II, alive, 2425 days 17.3
TCGA-DD-A11B-01A 73 years, male, white, stage:Stage I, dead, 14 days 17.1
TCGA-5C-A9VH-01A 70 years, male, white, stage:Stage I, alive, 322 days 17.0
TCGA-DD-A11C-01A 69 years, male, white, stage:Stage I, alive, 662 days 16.8
TCGA-FV-A4ZQ-01A 52 years, male, white, stage:Stage I, alive, 12 days 16.8
TCGA-DD-AAD5-01A 54 years, male, asian, stage:Stage I, alive, 1345 days 16.6
TCGA-5C-A9VG-01A 58 years, male, white, stage:Stage II, alive, 328 days 16.5
TCGA-LG-A9QC-01A 48 years, male, white, stage:Stage I, alive, 425 days 16.3
TCGA-2Y-A9H5-01A 59 years, female, white, stage:Stage I, dead, 555 days 16.3
TCGA-DD-AAE7-01A 72 years, male, asian, stage:Stage I, alive, 644 days 16.3
TCGA-DD-A73E-01A 66 years, male, white, stage:Stage I, alive, 44 days 16.1
TCGA-ZP-A9CZ-01A 72 years, male, asian, stage:'--, alive, 706 days 16.0
TCGA-2Y-A9HB-01A 66 years, male, stage:Stage I, alive, 260 days 16.0
TCGA-DD-A1EL-01A 23 years, male, black or african american, stage:Stage II, dead, 415 days 15.7
TCGA-WJ-A86L-01A 68 years, female, white, stage:Stage I, alive, 345 days 15.7
TCGA-ED-A7XP-01A 53 years, female, asian, stage:Stage II, alive, 400 days 15.7
TCGA-RC-A7SK-01A 59 years, male, asian, stage:Stage I, alive, 472 days 15.6
TCGA-ZS-A9CD-01A 73 years, male, white, stage:Stage II, dead, 1386 days 15.5
TCGA-DD-AAE6-01A 59 years, female, asian, stage:Stage I, alive, 141 days 15.4
TCGA-UB-A7MC-01A 59 years, male, white, stage:Stage IIIA, alive, 500 days 15.4
TCGA-DD-A1EG-01A 76 years, male, white, stage:Stage I, dead, 1372 days 15.3
TCGA-BC-A3KF-01A 66 years, female, white, stage:Stage I, alive, 8 days 15.3
TCGA-ED-A459-01A 47 years, male, asian, stage:Stage II, alive, 910 days 15.3
TCGA-CC-A7IK-01A 59 years, male, asian, stage:Stage IIIA, dead, 262 days 15.3
TCGA-G3-A3CI-01A 71 years, male, white, stage:Stage I, alive, 180 days 15.1
TCGA-G3-A3CK-01A 61 years, male, asian, stage:Stage I, alive, 585 days 15.1
TCGA-2Y-A9GV-01A 54 years, female, white, stage:Stage I, dead, 2532 days 15.1
TCGA-DD-AAE9-01A 69 years, male, asian, stage:Stage I, alive, 722 days 15.1
TCGA-ED-A4XI-01A 58 years, male, asian, stage:Stage II, alive, 819 days 15.0
TCGA-G3-AAV2-01A 50 years, male, white, stage:Stage I, alive, 372 days 15.0
TCGA-HP-A5MZ-01A 78 years, male, stage:Stage I, dead, 91 days 15.0
TCGA-DD-AADC-01A 53 years, male, asian, stage:Stage I, dead, 425 days 15.0
TCGA-CC-A7IL-01A 61 years, male, asian, stage:Stage IIIA, dead, 278 days 14.9
TCGA-DD-AACP-01A 64 years, male, asian, stage:Stage I, alive, 415 days 14.9
TCGA-MR-A520-01A 58 years, male, white, stage:Stage I, alive, 229 days 14.9
TCGA-DD-A73F-01A 77 years, female, white, stage:Stage I, alive, 1085 days 14.9
TCGA-2Y-A9GS-01A 58 years, male, white, stage:'--, dead, 724 days 14.7
TCGA-DD-AAVX-01A 38 years, male, asian, stage:Stage II, alive, 1718 days 14.7
TCGA-DD-AACC-01A 61 years, male, asian, stage:Stage I, dead, 1685 days 14.6
TCGA-2Y-A9GW-01A 64 years, male, white, stage:Stage I, dead, 1271 days 14.6
TCGA-DD-A3A4-01A 37 years, male, white, stage:Stage IIIA, dead, 612 days 14.6
TCGA-KR-A7K0-01A 65 years, male, white, stage:Stage I, dead, 65 days 14.5
TCGA-DD-AAVV-01A 56 years, male, asian, stage:Stage II, alive, 2455 days 14.5
TCGA-MI-A75E-01A 61 years, male, white, stage:Stage IIIC, alive, 507 days 14.5
TCGA-ZP-A9CV-01A 59 years, male, white, stage:'--, dead, 1088 days 14.3
TCGA-DD-AACU-01A 59 years, male, asian, stage:Stage I, alive, 1567 days 14.3
TCGA-G3-A5SM-01A 58 years, male, white, stage:Stage II, alive, 520 days 14.3
TCGA-DD-A1EK-01A 64 years, female, white, stage:Stage IVB, dead, 558 days 14.2
TCGA-DD-A39W-01A 29 years, female, white, stage:Stage III, dead, 827 days 14.2
TCGA-DD-AAC8-01A 72 years, male, asian, stage:Stage I, dead, 16 days 14.1
TCGA-DD-AACE-01A 62 years, male, asian, stage:Stage I, alive, 2184 days 14.1
TCGA-BC-A69I-01A 69 years, male, white, stage:Stage I, alive, 387 days 14.1
TCGA-BC-A10W-01A 50 years, male, asian, stage:'--, dead, 91 days 14.1
TCGA-CC-A3MC-01A 54 years, male, asian, stage:Stage IIIA, alive, 363 days 14.1
TCGA-UB-AA0V-01A 69 years, female, white, stage:Stage I, alive, 314 days 14.1
TCGA-CC-A8HU-01A 39 years, female, asian, stage:Stage IIIA, dead, 344 days 14.0
TCGA-DD-AAVR-01A 44 years, male, asian, stage:Stage I, alive, 2513 days 14.0
TCGA-DD-A1EB-01A 72 years, female, stage:Stage I, alive, 2017 days 14.0
TCGA-DD-A1EE-01A 73 years, male, white, stage:Stage IIIA, dead, 349 days 13.9
TCGA-DD-A73A-01A 71 years, male, white, stage:Stage I, alive, 728 days 13.9
TCGA-BC-A69H-01A 64 years, male, white, stage:Stage II, alive, 444 days 13.9
TCGA-DD-AAW1-01A 55 years, male, asian, stage:Stage IIIA, alive, 1989 days 13.9
TCGA-ED-A8O5-01A 59 years, female, asian, stage:Stage IIIA, alive, 406 days 13.8
TCGA-XR-A8TG-01A 58 years, male, white, stage:Stage I, alive, 898 days 13.8
TCGA-DD-AADP-01A 45 years, male, asian, stage:Stage I, alive, 458 days 13.7
TCGA-ZP-A9CY-01A 66 years, female, white, stage:'--, alive, 782 days 13.5
TCGA-DD-AACQ-01A 50 years, male, asian, stage:Stage II, dead, 432 days 13.5
TCGA-K7-A5RF-01A 64 years, male, white, stage:Stage I, alive, 631 days 13.4
TCGA-DD-A4NE-01A 75 years, female, white, stage:Stage IIIA, dead, 660 days 13.4
TCGA-FV-A23B-01A 70 years, female, white, stage:Stage II, dead, 1852 days 13.4
TCGA-DD-AAD2-01A 66 years, male, asian, stage:Stage I, alive, 658 days 13.3
TCGA-G3-A25V-01A 68 years, male, white, stage:Stage I, alive, 860 days 13.3
TCGA-BC-A10X-01A 52 years, female, white, stage:Stage IIIA, dead, 770 days 13.2
TCGA-4R-AA8I-01A 66 years, male, white, stage:Stage II, dead, 262 days 13.2
TCGA-DD-AADN-01A 59 years, male, asian, stage:Stage I, alive, 898 days 13.1
TCGA-2Y-A9H6-01A 68 years, female, white, stage:Stage I, alive, 357 days 13.0
TCGA-DD-AAVY-01A 56 years, male, asian, stage:Stage IIIA, alive, 1970 days 13.0
TCGA-CC-A7IE-01A 57 years, male, asian, stage:Stage IIIA, dead, 217 days 13.0
TCGA-BD-A3EP-01A 75 years, female, black or african american, stage:Stage I, alive, 409 days 13.0
TCGA-K7-A5RG-01A 66 years, male, black or african american, stage:Stage I, alive, 519 days 12.9
TCGA-EP-A2KB-01A 46 years, female, white, stage:Stage I, dead, 596 days 12.9
TCGA-FV-A2QR-01A 75 years, male, white, stage:Stage I, dead, 581 days 12.9
TCGA-G3-A7M8-01A 31 years, male, asian, stage:Stage I, alive, 430 days 12.9
TCGA-BC-A10S-01A 81 years, male, white, stage:'--, dead, 1423 days 12.8
TCGA-BC-A110-01A 51 years, female, black or african american, stage:'--, dead, 2116 days 12.8
TCGA-BC-A10T-01A 76 years, male, white, stage:'--, dead, 837 days 12.6
TCGA-DD-AACB-01A 74 years, female, asian, stage:Stage I, alive, 2324 days 12.4
TCGA-G3-AAV4-01A 83 years, female, white, stage:Stage I, dead, 27 days 12.3
TCGA-QA-A7B7-01A 48 years, male, black or african american, stage:Stage II, alive, 94 days 12.3
TCGA-T1-A6J8-01A 68 years, male, white, stage:'--, alive, 23 days 12.2
TCGA-DD-AADL-01A 58 years, male, asian, stage:Stage I, alive, 636 days 12.2
TCGA-DD-AAEI-01A 72 years, male, asian, stage:Stage I, alive, 1531 days 12.1
TCGA-G3-AAV3-01A 58 years, female, white, stage:Stage II, alive, 412 days 12.0
TCGA-DD-A4NG-01A 77 years, male, white, stage:Stage IIIA, dead, 802 days 11.9
TCGA-DD-A1EF-01A 57 years, female, white, stage:Stage I, dead, 394 days 11.9
TCGA-DD-A118-01A 77 years, female, white, stage:Stage II, alive, 3437 days 11.9
TCGA-UB-A7MF-01A 56 years, male, white, stage:Stage IIIA, dead, 214 days 11.8
TCGA-DD-A4NI-01A 67 years, male, white, stage:Stage II, alive, 816 days 11.8
TCGA-DD-AADJ-01A 70 years, female, asian, stage:Stage I, alive, 1066 days 11.8
TCGA-G3-A5SL-01A 70 years, male, white, stage:Stage II, alive, 621 days 11.6
TCGA-ZP-A9D0-01A 67 years, female, black or african american, stage:'--, alive, 1091 days 11.5
TCGA-DD-A4NO-01A 65 years, male, white, stage:Stage I, alive, 2245 days 11.4
TCGA-CC-A5UE-01A 48 years, male, asian, stage:Stage IIIB, dead, 272 days 11.4
TCGA-CC-A3MB-01A 36 years, male, asian, stage:Stage IIIA, dead, 315 days 11.3
TCGA-DD-A3A5-01A 66 years, female, white, stage:Stage III, dead, 3125 days 11.3
TCGA-DD-A115-01A 53 years, male, white, stage:Stage IIIA, dead, 2542 days 11.2
TCGA-DD-A4NL-01A 46 years, male, white, stage:Stage I, alive, 1711 days 11.1
TCGA-DD-AAEG-01A 59 years, female, asian, stage:Stage I, alive, 719 days 11.1
TCGA-G3-A6UC-01A 65 years, male, white, stage:Stage IIIB, alive, 671 days 11.0
TCGA-BC-A3KG-01A 68 years, female, white, stage:Stage II, alive, 680 days 11.0
TCGA-EP-A26S-01A 70 years, male, white, stage:Stage I, alive, 608 days 11.0
TCGA-5C-AAPD-01A 61 years, male, asian, stage:Stage II, alive, 20 days 10.9
TCGA-DD-A3A8-01A 75 years, male, white, stage:Stage II, dead, 11 days 10.9
TCGA-MI-A75I-01A 61 years, male, black or african american, stage:'--, alive, 630 days 10.9
TCGA-DD-A11D-01A 57 years, female, white, stage:Stage I, dead, 1560 days 10.9
TCGA-ED-A8O6-01A 50 years, female, asian, stage:Stage IIIA, dead, 56 days 10.8
TCGA-MI-A75G-01A 63 years, male, white, stage:Stage II, alive, 698 days 10.7
TCGA-CC-A8HT-01A 74 years, male, asian, stage:Stage IIIA, dead, 140 days 10.7
TCGA-DD-A1ED-01A 68 years, male, white, stage:Stage I, alive, 2301 days 10.7
TCGA-BD-A3ER-01A 62 years, male, white, stage:Stage II, alive, 1115 days 10.6
TCGA-WX-AA46-01A 61 years, male, white, stage:Stage II, alive, 756 days 10.6
TCGA-FV-A495-01A 51 years, female, white, stage:Stage II, alive, 1 days 10.6
TCGA-ZP-A9D4-01A 64 years, female, white, stage:'--, alive, 395 days 10.6
TCGA-2Y-A9H0-01A 49 years, male, white, stage:Stage IIIA, alive, 3675 days 10.6
TCGA-DD-AACT-01A 69 years, female, asian, stage:Stage I, alive, 1562 days 10.4
TCGA-DD-A116-01A 68 years, male, asian, stage:Stage IIIA, dead, 1622 days 10.4
TCGA-DD-AAW2-01A 69 years, male, asian, stage:Stage I, alive, 1855 days 10.3
TCGA-2Y-A9H8-01A 85 years, female, white, stage:'--, dead, 633 days 10.2
TCGA-ZS-A9CE-01A 79 years, female, white, stage:Stage II, alive, 1241 days 10.2
TCGA-FV-A2QQ-01A 80 years, male, white, stage:Stage I, alive, 729 days 10.1
TCGA-DD-AAEH-01A 73 years, male, asian, stage:Stage I, alive, 784 days 10.0
TCGA-DD-AADY-01A 55 years, female, asian, stage:Stage I, alive, 555 days 10.0
TCGA-2Y-A9H9-01A 70 years, male, white, stage:Stage I, alive, 697 days 9.9
TCGA-O8-A75V-01A 54 years, male, stage:Stage I, alive, 538 days 9.9
TCGA-BC-A10Y-01A 76 years, male, white, stage:'--, dead, 711 days 9.8
TCGA-MI-A75H-01A 77 years, male, white, stage:'--, alive, 747 days 9.8
TCGA-DD-AAW3-01A 69 years, male, asian, stage:Stage I, alive, 1633 days 9.8
TCGA-ED-A7XO-01A 29 years, male, asian, stage:Stage IIIA, alive, 427 days 9.6
TCGA-G3-A7M5-01A 76 years, male, asian, stage:Stage I, alive, 447 days 9.6
TCGA-2Y-A9GU-01A 55 years, female, white, stage:Stage I, alive, 1939 days 9.5
TCGA-RC-A7SF-01A 66 years, male, asian, stage:Stage I, alive, 579 days 9.5
TCGA-K7-A6G5-01A 66 years, male, white, stage:Stage I, alive, 512 days 9.4
TCGA-DD-AACJ-01A 75 years, male, asian, stage:Stage II, alive, 2102 days 9.4
TCGA-DD-AAE1-01A 52 years, male, asian, stage:Stage I, alive, 552 days 9.4
TCGA-DD-AADR-01A 58 years, male, asian, stage:Stage I, alive, 2028 days 9.4
TCGA-DD-AADI-01A 43 years, female, asian, stage:Stage I, alive, 1085 days 9.4
TCGA-BW-A5NO-01A 50 years, male, black or african american, stage:Stage IIIA, alive, 20 days 9.3
TCGA-G3-AAUZ-01A 48 years, male, stage:Stage I, alive, 480 days 9.3
TCGA-CC-A7IF-01A 59 years, male, asian, stage:Stage IIIA, dead, 649 days 9.3
TCGA-DD-A4NQ-01A 60 years, male, white, stage:Stage II, dead, 373 days 9.2
TCGA-CC-A123-01A 24 years, female, asian, stage:Stage IIIA, alive, 219 days 9.1
TCGA-DD-AAEE-01A 55 years, male, asian, stage:Stage I, alive, 810 days 9.0
TCGA-DD-AADA-01A 66 years, female, asian, stage:Stage I, alive, 1233 days 8.9
TCGA-DD-AACF-01A 68 years, male, asian, stage:Stage I, dead, 365 days 8.7
TCGA-RC-A7SB-01A 53 years, male, asian, stage:Stage II, alive, 588 days 8.7
TCGA-DD-A39Y-01A 67 years, male, asian, stage:Stage I, dead, 171 days 8.5
TCGA-BC-A217-01A 75 years, female, white, stage:Stage II, dead, 1397 days 8.5
TCGA-EP-A2KA-01A 52 years, female, white, stage:Stage IIIA, dead, 627 days 8.5
TCGA-LG-A9QD-01A 68 years, male, white, stage:Stage IIIA, alive, 366 days 8.5
TCGA-DD-AAE3-01A 50 years, male, asian, stage:Stage I, alive, 566 days 8.4
TCGA-MI-A75C-01A 64 years, male, white, stage:Stage I, alive, 291 days 8.3
TCGA-DD-AACV-01A 53 years, male, asian, stage:Stage I, alive, 1531 days 8.3
TCGA-EP-A3JL-01A 76 years, male, white, stage:Stage I, alive, 303 days 8.3
TCGA-DD-AADK-01A 68 years, female, asian, stage:Stage II, alive, 1049 days 8.2
TCGA-3K-AAZ8-01A 65 years, male, black or african american, stage:Stage IIIB, alive, 396 days 8.1
TCGA-KR-A7K7-01A 61 years, female, white, stage:Stage II, alive, 951 days 8.1
TCGA-CC-A9FS-01A 55 years, male, asian, stage:Stage II, alive, 211 days 8.1
TCGA-G3-A5SJ-01A 59 years, male, white, stage:Stage I, alive, 698 days 8.1
TCGA-EP-A2KC-01A 62 years, male, black or african american, stage:Stage I, dead, 19 days 7.9
TCGA-2Y-A9H3-01A 45 years, male, white, stage:Stage II, alive, 1516 days 7.9
TCGA-DD-A39Z-01A 43 years, female, stage:Stage II, dead, 601 days 7.9
TCGA-G3-A5SI-01A 44 years, male, asian, stage:Stage II, dead, 768 days 7.8
TCGA-CC-A7II-01A 54 years, male, asian, stage:Stage IIIA, alive, 399 days 7.8
TCGA-DD-AAE4-01A 49 years, female, asian, stage:Stage I, alive, 608 days 7.8
TCGA-DD-AAVU-01A 46 years, male, asian, stage:Stage II, alive, 2202 days 7.8
TCGA-WQ-AB4B-01A 62 years, male, white, stage:Stage II, alive, 395 days 7.7
TCGA-G3-A25U-01A 63 years, female, asian, stage:Stage I, alive, 1636 days 7.7
TCGA-DD-AACD-01A 48 years, male, asian, stage:Stage I, dead, 381 days 7.6
TCGA-RG-A7D4-01A 69 years, male, black or african american, stage:Stage II, alive, 1098 days 7.6
TCGA-DD-AACY-01A 61 years, male, asian, stage:Stage I, alive, 1450 days 7.5
TCGA-ED-A7PY-01A 20 years, female, asian, stage:Stage II, alive, 390 days 7.5
TCGA-DD-A4NP-01A 32 years, male, white, stage:Stage I, alive, 3308 days 7.3
TCGA-DD-AACI-01A 69 years, male, asian, stage:Stage II, alive, 1618 days 7.3
TCGA-G3-A7M7-01A 65 years, male, white, stage:Stage I, alive, 361 days 7.2
TCGA-G3-A25X-01A 73 years, male, asian, stage:Stage II, alive, 1779 days 7.2
TCGA-DD-AADU-01A 60 years, male, asian, stage:Stage II, alive, 554 days 7.2
TCGA-DD-AAEB-01A 60 years, male, asian, stage:Stage I, alive, 478 days 7.2
TCGA-RC-A7S9-01A 47 years, female, asian, stage:Stage I, alive, 640 days 7.1
TCGA-FV-A496-01A 84 years, female, white, stage:Stage I, alive, 10 days 6.9
TCGA-DD-AAC9-01A 51 years, male, asian, stage:Stage I, alive, 347 days 6.8
TCGA-DD-A39V-01A 77 years, male, white, stage:Stage II, dead, 643 days 6.7
TCGA-G3-A25Z-01A 58 years, male, asian, stage:Stage I, alive, 655 days 6.6
TCGA-DD-A39X-01A 78 years, female, white, stage:Stage I, dead, 1694 days 6.6
TCGA-2Y-A9H4-01A 68 years, male, black or african american, stage:Stage I, alive, 1452 days 6.5
TCGA-KR-A7K2-01A 64 years, male, white, stage:Stage I, alive, 829 days 6.4
TCGA-DD-AACG-01A 52 years, male, asian, stage:Stage II, dead, 469 days 6.3
TCGA-DD-AAD8-01A 73 years, female, asian, stage:Stage I, alive, 1219 days 6.3
TCGA-DD-AAD6-01A 66 years, male, asian, stage:Stage IIIA, alive, 672 days 6.2
TCGA-DD-AADF-01A 64 years, female, asian, stage:Stage I, dead, 115 days 6.1
TCGA-DD-AADQ-01A 59 years, male, asian, stage:Stage II, alive, 436 days 6.1
TCGA-DD-A73D-01A 68 years, female, white, stage:Stage II, alive, 693 days 6.1
TCGA-NI-A4U2-01A 71 years, male, white, stage:Stage IIIA, dead, 1791 days 6.0
TCGA-DD-AAD0-01A 73 years, female, asian, stage:Stage I, alive, 137 days 6.0
TCGA-BD-A2L6-01A 69 years, male, white, stage:'--, alive, 1363 days 6.0
TCGA-ED-A7PZ-01A 61 years, male, asian, stage:Stage II, alive, 6 days 5.9
TCGA-DD-AADM-01A 58 years, male, asian, stage:Stage II, dead, 12 days 5.9
TCGA-DD-A73G-01A 73 years, female, white, stage:Stage I, alive, 3478 days 5.8
TCGA-RC-A6M4-01A 74 years, female, white, stage:Stage IIIA, alive, 22 days 5.5
TCGA-DD-A3A1-01A 65 years, male, stage:Stage IIIA, dead, 233 days 5.3
TCGA-DD-AAEA-01A 65 years, male, asian, stage:Stage I, alive, 575 days 5.3
TCGA-DD-A3A7-01A 67 years, male, stage:Stage IIIB, dead, 419 days 5.1
TCGA-DD-AACO-01A 40 years, male, asian, stage:Stage I, alive, 1876 days 5.0
TCGA-G3-AAV0-01A 58 years, male, asian, stage:Stage I, alive, 476 days 4.7
TCGA-DD-A119-01A 40 years, male, asian, stage:Stage IV, dead, 223 days 4.7
TCGA-DD-AADO-01A 55 years, male, asian, stage:Stage I, alive, 453 days 4.7
TCGA-WX-AA47-01A 33 years, female, white, stage:Stage IIIA, dead, 556 days 4.7
TCGA-DD-A3A2-01A 76 years, female, white, stage:Stage I, dead, 2131 days 4.5
TCGA-FV-A4ZP-01A 78 years, male, white, stage:Stage IIIA, dead, 2486 days 4.3
TCGA-G3-A5SK-01A 58 years, male, white, stage:Stage I, alive, 744 days 4.2
TCGA-ES-A2HS-01A 80 years, male, white, stage:Stage I, dead, 688 days 4.1
TCGA-ES-A2HT-01A 54 years, male, black or african american, stage:Stage I, dead, 438 days 4.0
TCGA-G3-A3CJ-01A 52 years, male, american indian or alaska native, stage:Stage II, alive, 594 days 3.9
TCGA-2Y-A9H1-01A 58 years, male, white, stage:Stage I, dead, 1229 days 3.9
TCGA-BC-A5W4-01A 69 years, male, white, stage:Stage IIIA, dead, 547 days 3.3
TCGA-CC-5259-01A 60 years, female, asian, stage:Stage IIIC, alive, 250 days 3.3
TCGA-DD-A3A3-01A 45 years, male, asian, stage:Stage I, dead, 535 days 3.3
TCGA-DD-AADS-01A 63 years, male, asian, stage:Stage I, alive, 474 days 2.7
Show allShow less
LIVER HEPATOCELLULAR CARCINOMA (VALIDATION) - Interactive survival scatter ploti

The Survival Scatter plot shows the clinical status (i.e. dead or alive) for all individuals in the patient cohort, based on the same data that underlies the corresponding Kaplan-Meier plots. Patients that are alive at last time for follow-up are shown in blue and patients who have died during the study are shown in red.

The x-axis shows the expression levels (FPKM) of the investigated gene in the tumor tissue at the time of diagnosis. The y-axis shows the follow-up time after diagnosis (years). Both axes are complimented with kernel density curves demonstrating the data density over the axes. The top density plot shows the expression levels (FPKM) distribution among dead (red) and alive patients (blue). The right density plot shows the data density of the survived years of dead patients with high and low expression levels respectively, stratified using the cutoff indicated by the vertical dashed line through the Survival Scatter plot. This cutoff is automatically defined based on the FPKM cutoff that minimizes the p-score. The cutoff can be changed by dragging the vertical line or by entering a cutoff value in the square labeled "Current cut-off".

Under the Survival Scatter plot the p-score landscape (black curve; left axis) is shown together with dead median separation (red curve; right axis). Dead median separation is the difference in median mRNA expression between patients who have died with high and low expression, respectively. It is calculated as follows: median FPKM expression of dead patients with high expression - median FPKM expression of dead patients with low expression. This is intended to aid the user in visually exploring custom cutoffs and the associated p-scores and dead median separation.

Individual patient data is displayed and can be filtered by clicking on one or more of the category buttons on the top of the page. Categories describing expression level and patient information include: high, low, alive, dead, female, male and tumor stages. The scale of the x-axis can be toggled between linear and log-scale by clicking on the "x log" button. Mouse-over function shows TCGA ID, patient information and mRNA expression (FPKM) for each patient.

& Survival analysisi

Kaplan-Meier plots summarize results from analysis of correlation between mRNA expression level and patient survival. Patients were divided based on level of expression into one of the two groups "low" (under cut off) or "high" (over cut off). X-axis shows time for survival (years) and y-axis shows the probability of survival, where 1.0 corresponds to 100 percent.

TSPAN14 is not prognostic in Liver Hepatocellular Carcinoma (validation)


Stage:
Survival analysis
Current cut offi

Current cut-off shows the cut-off (FPKM) currently selected. It may be changed manually. When the current cut-off is changed, the vertical dashed line indicating cut-off, the interactive survival scatter plot and the Kaplan-Meier curve will be automatically adjusted to show results accordingly.

:
Best expression cut offi

Based on the FPKM value of each gene, patients were classified into two groups and association between prognosis (survival) and gene expression (FPKM) was examined. The best expression cut-off refers the FPKM value that yields maximal difference with regard to survival between the two groups at the lowest log-rank P-value. Best expression cut-off was selected based on survival analysis .

When clicking on this number, the vertical dashed line indicating cut-off, the interactive survival plot, and the Kaplan-Meier curve will be adjusted to show results based on the best expression cut-off.

: 19.85
Median expressioni

Median expression refers to the median FPKM value calculated based on the gene expression (FPKM) data from all patients in this dataset. When clicking on this number, the vertical dashed line indicating cut-off, the interactive survival plot, and the Kaplan-Meier curve will be adjusted to show results based on the median expression.

: N/A
Median follow up timei

Median follow up time refers to the median time (years) after diagnosis with this type of cancer, based on clinical data from all patients in this dataset.

: N/A
P scorei

Log-rank P value for Kaplan-Meier plot showing results from analysis of correlation between mRNA expression level and patient survival.

N/A
5-year survival highi

5-year survival for patients with higher expression than the expression cutoff.

For melanoma and glioma, 3-year survival is shown.

N/A
5-year survival lowi

5-year survival for patients with lower expression than the expression cutoff.

For melanoma and glioma, 3-year survival is shown.

N/A
TCGA RNA samplesi

RNA-seq data is reported as average FPKM (number Fragments Per Kilobase of exon per Million reads), generated by the The Cancer Genome Atlas (TCGA) .

Normal distribution across the dataset is visualized with box plots, shown as median and 25th and 75th percentiles. Points are displayed as outliers if they are above or below 1.5 times the interquartile range. FPKM values of the individual samples are presented next to the box plot.

Average pTPM 15.8
Number of samples 231
Samples
Sample Description pTPM
DO45209 70 years, male, NA, stage:4, alive, 1350 days 224.1
DO45307 54 years, female, NA, stage:4, dead, 240 days 59.3
DO50844 75 years, male, NA, stage:4, alive, 300 days 56.2
DO45283 60 years, male, NA, stage:3, alive, 510 days 55.4
DO45249 57 years, male, NA, stage:1, alive, 630 days 54.6
DO23523 52 years, male, NA, stage:3, alive, 1080 days 49.7
DO45211 76 years, male, NA, stage:3, alive, 240 days 46.7
DO45259 65 years, male, NA, stage:3, alive, 330 days 45.8
DO45277 64 years, male, NA, stage:3, alive, 600 days 45.7
DO45301 56 years, male, NA, stage:2, dead, 1440 days 41.4
DO50829 78 years, male, NA, stage:3, alive, 570 days 40.4
DO50815 62 years, male, NA, stage:3, alive, 150 days 38.5
DO45217 69 years, female, NA, stage:3, dead, 270 days 38.5
DO45189 85 years, female, NA, stage:2, alive, 1200 days 35.6
DO45185 89 years, male, NA, stage:2, alive, 600 days 33.5
DO23547 74 years, male, NA, stage:1, alive, 1020 days 33.2
DO23524 71 years, female, NA, stage:2, alive, 1050 days 33.2
DO50809 56 years, male, NA, stage:3, dead, 720 days 32.7
DO45287 74 years, male, NA, stage:1, alive, 390 days 30.9
DO50800 74 years, male, NA, stage:2, alive, 510 days 29.4
DO48720 62 years, female, NA, stage:2, alive, 570 days 29.0
DO50855 47 years, male, NA, stage:2, alive, 570 days 27.6
DO50778 60 years, male, NA, stage:4, alive, 630 days 27.2
DO48730 73 years, female, NA, stage:2, alive, 630 days 26.2
DO45251 57 years, female, NA, stage:2, alive, 900 days 25.9
DO45303 62 years, female, NA, stage:3, alive, 990 days 25.4
DO23530 53 years, male, NA, stage:4, dead, 180 days 25.2
DO23549 74 years, male, NA, stage:3, alive, 990 days 25.0
DO23535 67 years, male, NA, stage:1, alive, 960 days 25.0
DO45191 61 years, female, NA, stage:2, alive, 1200 days 24.9
DO23515 71 years, male, NA, stage:2, alive, 1230 days 24.7
DO45139 63 years, male, NA, stage:3, alive, 1320 days 24.5
DO45141 73 years, male, NA, stage:2, alive, 1320 days 24.3
DO45279 67 years, male, NA, stage:3, alive, 1290 days 23.6
DO45197 51 years, male, NA, stage:2, alive, 1170 days 23.4
DO45299 70 years, female, NA, stage:1, alive, 1440 days 23.2
DO23510 80 years, female, NA, stage:2, alive, 870 days 22.6
DO50819 72 years, female, NA, stage:2, alive, 510 days 21.9
DO45275 65 years, male, NA, stage:3, dead, 10 days 21.8
DO50845 72 years, male, NA, stage:3, alive, 210 days 21.8
DO45121 61 years, male, NA, stage:3, alive, 1530 days 21.3
DO48732 73 years, male, NA, stage:3, alive, 630 days 20.8
DO45257 46 years, male, NA, stage:3, alive, 810 days 20.8
DO45305 66 years, male, NA, stage:4, alive, 300 days 20.7
DO45171 56 years, male, NA, stage:3, alive, 600 days 20.5
DO23537 79 years, male, NA, stage:2, dead, 900 days 20.4
DO48728 74 years, female, NA, stage:2, alive, 150 days 20.2
DO45159 65 years, male, NA, stage:3, alive, 1470 days 20.2
DO45155 69 years, male, NA, stage:2, alive, 2160 days 20.1
DO45157 62 years, male, NA, stage:2, alive, 1980 days 19.8
DO45297 61 years, female, NA, stage:4, dead, 1260 days 19.7
DO45183 72 years, female, NA, stage:2, dead, 570 days 19.7
DO45213 58 years, male, NA, stage:1, alive, 1200 days 19.1
DO45281 83 years, male, NA, stage:4, alive, 750 days 19.1
DO45135 77 years, male, NA, stage:1, alive, 1410 days 19.0
DO45273 62 years, male, NA, stage:2, alive, 480 days 18.8
DO45131 53 years, male, NA, stage:4, dead, 360 days 18.7
DO45265 73 years, male, NA, stage:3, alive, 1020 days 18.6
DO48697 64 years, female, NA, stage:2, dead, 810 days 18.4
DO45235 68 years, female, NA, stage:1, alive, 900 days 18.4
DO48736 76 years, female, NA, stage:1, alive, 600 days 18.3
DO45103 47 years, male, NA, stage:3, alive, 450 days 18.2
DO50774 68 years, female, NA, stage:2, alive, 720 days 17.7
DO45231 84 years, male, NA, stage:2, alive, 930 days 17.1
DO23509 60 years, male, NA, stage:3, dead, 780 days 17.0
DO48747 62 years, male, NA, stage:3, alive, 540 days 17.0
DO45177 81 years, female, NA, stage:3, alive, 1260 days 16.6
DO45227 57 years, female, NA, stage:2, alive, 1020 days 16.5
DO45225 69 years, male, NA, stage:1, alive, 1050 days 16.5
DO45245 75 years, female, NA, stage:2, dead, 240 days 16.2
DO50799 66 years, female, NA, stage:2, alive, 540 days 15.8
DO45285 59 years, male, NA, stage:3, alive, 480 days 15.7
DO48712 50 years, male, NA, stage:2, alive, 810 days 15.6
DO23546 63 years, male, NA, stage:2, alive, 1050 days 15.5
DO23526 66 years, male, NA, stage:3, alive, 1050 days 15.5
DO45223 67 years, male, NA, stage:4, alive, 1020 days 15.5
DO45127 73 years, male, NA, stage:3, dead, 420 days 15.1
DO45092 62 years, male, NA, stage:4, dead, 1200 days 14.9
DO45153 77 years, female, NA, stage:2, alive, 1380 days 14.6
DO50802 49 years, male, NA, stage:2, alive, 930 days 14.5
DO45241 49 years, male, NA, stage:1, alive, 1080 days 14.4
DO45173 63 years, male, NA, stage:3, alive, 1170 days 14.4
DO45253 50 years, male, NA, stage:2, alive, 870 days 14.2
DO48700 78 years, female, NA, stage:2, alive, 810 days 14.1
DO45179 78 years, female, NA, stage:2, alive, 600 days 14.0
DO23512 60 years, male, NA, stage:1, alive, 1260 days 13.8
DO45219 78 years, male, NA, stage:2, alive, 1080 days 13.8
DO48672 81 years, male, NA, stage:2, alive, 450 days 13.7
DO45263 67 years, male, NA, stage:3, dead, 270 days 13.7
DO23514 64 years, male, NA, stage:2, alive, 1290 days 13.6
DO45205 67 years, female, NA, stage:2, dead, 90 days 13.4
DO23527 72 years, male, NA, stage:1, alive, 1050 days 13.4
DO50820 77 years, female, NA, stage:3, alive, 510 days 13.3
DO45181 84 years, female, NA, stage:2, alive, 1200 days 13.2
DO45163 76 years, male, NA, stage:2, alive, 960 days 13.2
DO45239 42 years, male, NA, stage:2, alive, 870 days 13.2
DO45095 66 years, male, NA, stage:2, alive, 1620 days 13.1
DO23508 79 years, female, NA, stage:2, alive, 390 days 13.0
DO48737 52 years, male, NA, stage:1, alive, 720 days 13.0
DO45229 74 years, male, NA, stage:1, alive, 990 days 12.9
DO48693 71 years, male, NA, stage:2, alive, 900 days 12.9
DO45165 75 years, male, NA, stage:2, alive, 690 days 12.9
DO23542 66 years, male, NA, stage:3, alive, 960 days 12.8
DO45099 46 years, male, NA, stage:3, alive, 1590 days 12.6
DO50798 77 years, male, NA, stage:3, dead, 30 days 12.6
DO50793 76 years, male, NA, stage:4, alive, 540 days 12.4
DO50787 63 years, male, NA, stage:3, alive, 480 days 12.3
DO48725 66 years, male, NA, stage:1, alive, 780 days 12.2
DO45289 78 years, female, NA, stage:3, alive, 360 days 12.2
DO48742 76 years, male, NA, stage:2, alive, 600 days 12.2
DO50825 70 years, male, NA, stage:2, alive, 390 days 12.1
DO23543 63 years, male, NA, stage:2, alive, 1020 days 12.1
DO23529 72 years, male, NA, stage:4, alive, 930 days 11.9
DO45255 81 years, male, NA, stage:3, alive, 720 days 11.8
DO48716 71 years, male, NA, stage:2, alive, 720 days 11.8
DO45267 73 years, male, NA, stage:3, dead, 570 days 11.7
DO45261 74 years, male, NA, stage:3, alive, 990 days 11.6
DO45203 71 years, female, NA, stage:2, alive, 1170 days 11.5
DO48743 69 years, female, NA, stage:2, alive, 570 days 11.5
DO50822 66 years, male, NA, stage:2, alive, 510 days 11.5
DO23511 83 years, female, NA, stage:3, dead, 180 days 11.4
DO45115 81 years, male, NA, stage:2, alive, 840 days 11.2
DO45119 74 years, male, NA, stage:3, dead, 510 days 11.1
DO48719 80 years, male, NA, stage:2, alive, 690 days 11.0
DO45187 32 years, female, NA, stage:1, alive, 1260 days 10.9
DO45133 64 years, male, NA, stage:3, dead, 660 days 10.9
DO50791 79 years, female, NA, stage:1, dead, 480 days 10.8
DO45123 78 years, female, NA, stage:2, dead, 570 days 10.7
DO50806 70 years, male, NA, stage:4, alive, 540 days 10.6
DO48695 77 years, male, NA, stage:2, alive, 720 days 10.6
DO45201 49 years, male, NA, stage:1, alive, 900 days 10.5
DO23521 63 years, male, NA, stage:3, alive, 1110 days 10.5
DO45117 73 years, female, NA, stage:2, dead, 1110 days 10.5
DO45243 74 years, female, NA, stage:3, alive, 930 days 10.4
DO45233 83 years, male, NA, stage:3, alive, 900 days 10.3
DO23541 65 years, male, NA, stage:2, alive, 930 days 10.1
DO48717 54 years, male, NA, stage:4, dead, 180 days 10.1
DO23532 71 years, female, NA, stage:1, alive, 960 days 10.1
DO50859 77 years, male, NA, stage:2, alive, 180 days 10.0
DO23528 45 years, female, NA, stage:2, alive, 1020 days 9.8
DO23531 78 years, female, NA, stage:3, alive, 900 days 9.7
DO50776 75 years, male, NA, stage:1, alive, 690 days 9.7
DO45215 65 years, male, NA, stage:2, alive, 1170 days 9.7
DO45207 68 years, male, NA, stage:1, alive, 1050 days 9.7
DO23548 78 years, female, NA, stage:1, alive, 840 days 9.7
DO50850 74 years, male, NA, stage:3, alive, 720 days 9.6
DO45145 78 years, male, NA, stage:3, dead, 60 days 9.6
DO48733 72 years, male, NA, stage:2, alive, 600 days 9.5
DO23536 56 years, male, NA, stage:2, alive, 930 days 9.5
DO48759 73 years, male, NA, stage:3, alive, 720 days 9.5
DO23540 73 years, male, NA, stage:1, alive, 750 days 9.5
DO50805 72 years, male, NA, stage:2, alive, 690 days 9.5
DO45094 76 years, male, NA, stage:3, alive, 1650 days 9.4
DO50816 63 years, male, NA, stage:2, alive, 390 days 9.4
DO48706 72 years, male, NA, stage:2, alive, 870 days 9.3
DO50807 67 years, male, NA, stage:1, alive, 540 days 9.3
DO48757 68 years, female, NA, stage:3, alive, 480 days 9.3
DO50803 62 years, female, NA, stage:1, alive, 540 days 9.2
DO23513 76 years, male, NA, stage:3, alive, 1200 days 9.1
DO45161 74 years, male, NA, stage:2, dead, 540 days 9.1
DO45169 74 years, male, NA, stage:3, alive, 1350 days 9.1
DO23551 73 years, male, NA, stage:3, dead, 150 days 9.0
DO45125 58 years, male, NA, stage:3, alive, 1680 days 9.0
DO48761 55 years, male, NA, stage:2, alive, 870 days 8.9
DO48701 78 years, male, NA, stage:2, alive, 780 days 8.8
DO50789 73 years, female, NA, stage:2, alive, 570 days 8.8
DO23525 71 years, male, NA, stage:4, alive, 1050 days 8.8
DO45199 86 years, female, NA, stage:2, alive, 1350 days 8.7
DO23519 65 years, male, NA, stage:3, alive, 630 days 8.6
DO23539 77 years, male, NA, stage:1, alive, 1110 days 8.6
DO45193 68 years, female, NA, stage:4, dead, 120 days 8.6
DO45093 71 years, male, NA, stage:2, dead, 720 days 8.6
DO45096 69 years, male, NA, stage:2, dead, 1290 days 8.5
DO45101 63 years, male, NA, stage:2, alive, 1680 days 8.5
DO50840 49 years, male, NA, stage:2, alive, 330 days 8.5
DO45175 74 years, male, NA, stage:2, alive, 1140 days 8.5
DO48727 81 years, female, NA, stage:2, dead, 390 days 8.4
DO48679 72 years, male, NA, stage:2, alive, 1200 days 8.4
DO48751 68 years, male, NA, stage:2, dead, 480 days 8.4
DO23534 60 years, male, NA, stage:2, alive, 840 days 8.4
DO23544 67 years, male, NA, stage:2, alive, 960 days 8.4
DO48746 76 years, male, NA, stage:3, alive, 570 days 8.3
DO48760 70 years, female, NA, stage:2, alive, 690 days 8.3
DO45105 61 years, male, NA, stage:1, alive, 1680 days 8.2
DO45221 75 years, female, NA, stage:4, dead, 390 days 8.2
DO48682 72 years, female, NA, stage:3, dead, 120 days 8.0
DO45143 69 years, male, NA, stage:3, alive, 1290 days 8.0
DO45109 63 years, male, NA, stage:2, alive, 1590 days 7.9
DO23545 67 years, male, NA, stage:2, dead, 570 days 7.9
DO45137 38 years, male, NA, stage:1, alive, 1320 days 7.9
DO50813 56 years, male, NA, stage:2, alive, 420 days 7.9
DO48715 58 years, female, NA, stage:2, dead, 690 days 7.7
DO23538 67 years, male, NA, stage:2, alive, 450 days 7.7
DO50818 65 years, male, NA, stage:2, alive, 510 days 7.7
DO23518 67 years, male, NA, stage:2, alive, 1320 days 7.6
DO23533 61 years, male, NA, stage:2, alive, 900 days 7.5
DO45113 58 years, male, NA, stage:3, alive, 1560 days 7.5
DO45269 59 years, male, NA, stage:3, alive, 750 days 7.5
DO45091 56 years, male, NA, stage:2, dead, 1320 days 7.4
DO227801 77 years, female, NA, stage:1, alive, 660 days 7.3
DO45107 63 years, female, NA, stage:2, alive, 1710 days 7.2
DO23550 69 years, male, NA, stage:1, alive, 990 days 7.2
DO48721 58 years, female, NA, stage:1, alive, 900 days 7.1
DO45129 61 years, male, NA, stage:3, alive, 1470 days 7.1
DO50814 83 years, male, NA, stage:3, alive, 420 days 7.0
DO45195 62 years, male, NA, stage:1, alive, 390 days 7.0
DO45167 67 years, male, NA, stage:2, dead, 1440 days 6.9
DO48723 73 years, male, NA, stage:1, alive, 600 days 6.9
DO45149 70 years, female, NA, stage:2, alive, 1260 days 6.8
DO50857 72 years, male, NA, stage:2, alive, 210 days 6.8
DO50817 75 years, male, NA, stage:2, alive, 390 days 6.7
DO23552 80 years, female, NA, stage:1, alive, 810 days 6.7
DO227643 79 years, male, NA, stage:2, alive, 1260 days 6.6
DO50783 62 years, male, NA, stage:3, alive, 480 days 6.5
DO48677 58 years, male, NA, stage:3, alive, 1140 days 6.4
DO50804 81 years, male, NA, stage:2, alive, 720 days 6.3
DO45111 74 years, male, NA, stage:2, alive, 1590 days 6.2
DO48704 68 years, female, NA, stage:3, alive, 750 days 6.1
DO48681 57 years, male, NA, stage:2, alive, 900 days 5.9
DO45097 69 years, male, NA, stage:3, alive, 1620 days 5.8
DO50811 62 years, male, NA, stage:1, alive, 450 days 5.8
DO45237 58 years, male, NA, stage:2, alive, 900 days 5.7
DO50785 37 years, male, NA, stage:4, dead, 90 days 5.4
DO50832 73 years, male, NA, stage:3, alive, 90 days 5.4
DO23517 62 years, male, NA, stage:2, alive, 1200 days 5.2
DO45247 31 years, female, NA, stage:2, alive, 210 days 5.2
DO50808 68 years, male, NA, stage:2, alive, 570 days 5.2
DO23516 69 years, male, NA, stage:3, dead, 20 days 4.8
DO50839 47 years, female, NA, stage:3, alive, 330 days 4.1
DO48674 80 years, male, NA, stage:2, alive, 1260 days 4.0
DO48741 64 years, male, NA, stage:3, alive, 240 days 3.2
Show allShow less
LIVER HEPATOCELLULAR CARCINOMA - Protein relative expression (CPTAC)
Number of samples 330
Samples
Sample ID Sample type nRPX
285 Tumor 1.1
363 Tumor 0.9
343 Tumor 0.7
367 Tumor 0.6
983 Tumor 0.6
737 Tumor 0.6
661 Tumor 0.6
477 Tumor 0.6
447 Tumor 0.5
413 Tumor 0.5
536 Normal 0.4
185 Tumor 0.4
125 Tumor 0.4
686 Normal 0.4
815 Tumor 0.4
535 Tumor 0.3
478 Normal 0.3
492 Normal 0.3
538 Normal 0.3
666 Normal 0.3
352 Normal 0.3
262 Normal 0.3
257 Tumor 0.3
917 Tumor 0.3
713 Tumor 0.3
448 Normal 0.3
422 Normal 0.3
456 Normal 0.2
421 Tumor 0.2
464 Normal 0.2
696 Normal 0.2
434 Normal 0.2
911 Tumor 0.2
636 Normal 0.2
142 Normal 0.2
921 Tumor 0.2
573 Tumor 0.2
271 Tumor 0.2
966 Normal 0.2
978 Normal 0.2
344 Normal 0.2
452 Normal 0.2
574 Normal 0.2
385 Tumor 0.2
1028 Normal 0.2
112 Tumor 0.2
384 Normal 0.2
537 Tumor 0.2
211 Tumor 0.2
311 Tumor 0.2
628 Normal 0.2
968 Normal 0.2
268 Normal 0.2
648 Normal 0.2
524 Normal 0.2
662 Normal 0.2
642 Normal 0.2
671 Tumor 0.2
432 Normal 0.2
387 Tumor 0.2
916 Normal 0.2
498 Normal 0.2
554 Normal 0.1
672 Normal 0.1
558 Normal 0.1
328 Normal 0.1
984 Normal 0.1
353 Tumor 0.1
528 Normal 0.1
223 Tumor 0.1
954 Normal 0.1
1025 Tumor 0.1
514 Normal 0.1
284 Normal 0.1
778 Normal 0.1
617 Tumor 0.1
851 Tumor 0.1
412 Normal 0.1
924 Normal 0.1
232 Normal 0.1
468 Normal 0.1
267 Tumor 0.1
852 Normal 0.1
1026 Normal 0.1
188 Normal 0.1
451 Tumor 0.1
491 Tumor 0.1
272 Normal 0.1
455 Tumor 0.1
221 Tumor 0.1
1044 Normal 0.1
354 Normal 0.1
883 Tumor 0.1
816 Normal 0.1
212 Normal 0.1
572 Normal 0.1
416 Normal 0.1
368 Normal 0.1
341 Tumor 0.1
976 Normal 0.1
716 Normal 0.1
1042 Normal 0.1
224 Normal 0.1
443 Tumor 0.1
444 Normal 0.1
664 Normal 0.1
926 Normal 0.1
744 Normal 0.1
332 Normal 0.1
516 Normal 0.1
488 Normal 0.1
415 Tumor 0.1
482 Normal 0.1
218 Normal 0.1
147 Tumor 0.1
414 Normal 0.0
356 Normal 0.0
874 Normal 0.0
526 Normal 0.0
553 Tumor 0.0
981 Tumor 0.0
861 Tumor 0.0
1014 Normal 0.0
364 Normal 0.0
1046 Normal 0.0
1041 Tumor 0.0
714 Normal 0.0
867 Tumor 0.0
466 Normal 0.0
358 Normal 0.0
728 Normal 0.0
474 Normal 0.0
721 Tumor 0.0
424 Normal 0.0
392 Normal 0.0
124 Normal 0.0
127 Tumor 0.0
227 Tumor 0.0
912 Normal 0.0
494 Normal 0.0
484 Normal 0.0
743 Tumor 0.0
428 Normal 0.0
568 Normal 0.0
1022 Normal 0.0
616 Normal 0.0
258 Normal 0.0
824 Normal 0.0
982 Normal 0.0
866 Normal 0.0
138 Normal 0.0
546 Normal 0.0
958 Normal 0.0
462 Normal 0.0
283 Tumor 0.0
564 Normal 0.0
862 Normal 0.0
868 Normal 0.0
722 Normal 0.0
1032 Normal 0.0
925 Tumor 0.0
228 Normal 0.0
471 Tumor 0.0
915 Tumor 0.0
162 Normal 0.0
884 Normal 0.0
745 Tumor -0.1
426 Normal -0.1
977 Tumor -0.1
864 Normal -0.1
386 Normal -0.1
217 Tumor -0.1
146 Normal -0.1
366 Normal -0.1
878 Normal -0.1
727 Tumor -0.1
261 Tumor -0.1
742 Normal -0.1
964 Normal -0.1
446 Normal -0.1
823 Tumor -0.1
187 Tumor -0.1
918 Normal -0.1
423 Tumor -0.1
472 Normal -0.1
963 Tumor -0.1
362 Normal -0.1
922 Normal -0.1
192 Normal -0.1
813 Tumor -0.1
342 Normal -0.1
396 Normal -0.1
956 Normal -0.1
715 Tumor -0.1
525 Tumor -0.1
136 Normal -0.1
286 Normal -0.1
952 Normal -0.1
1043 Tumor -0.1
923 Tumor -0.1
545 Tumor -0.1
944 Normal -0.1
818 Normal -0.1
518 Normal -0.1
965 Tumor -0.1
331 Tumor -0.1
481 Tumor -0.1
312 Normal -0.1
1016 Normal -0.1
467 Tumor -0.1
431 Tumor -0.1
131 Tumor -0.1
111 Normal -0.2
567 Tumor -0.2
938 Normal -0.2
914 Normal -0.2
814 Normal -0.2
126 Normal -0.2
172 Normal -0.2
697 Tumor -0.2
817 Tumor -0.2
882 Normal -0.2
738 Normal -0.2
618 Normal -0.2
534 Normal -0.2
132 Normal -0.2
114 Normal -0.2
741 Tumor -0.2
955 Tumor -0.2
563 Tumor -0.2
858 Normal -0.2
145 Tumor -0.2
436 Normal -0.2
186 Normal -0.2
214 Normal -0.2
698 Normal -0.2
213 Tumor -0.2
943 Tumor -0.2
695 Tumor -0.2
953 Tumor -0.2
615 Tumor -0.2
724 Normal -0.2
141 Tumor -0.2
533 Tumor -0.2
128 Normal -0.2
391 Tumor -0.2
857 Tumor -0.2
355 Tumor -0.2
376 Normal -0.2
877 Tumor -0.2
148 Normal -0.3
517 Tumor -0.3
493 Tumor -0.3
425 Tumor -0.3
723 Tumor -0.3
685 Tumor -0.3
497 Tumor -0.3
388 Normal -0.3
297 Tumor -0.3
975 Tumor -0.3
435 Tumor -0.3
394 Normal -0.3
463 Tumor -0.3
461 Tumor -0.3
222 Normal -0.3
746 Normal -0.3
383 Tumor -0.3
1015 Tumor -0.3
357 Tumor -0.3
473 Tumor -0.3
327 Tumor -0.3
113 Tumor -0.3
433 Tumor -0.3
1031 Tumor -0.3
298 Normal -0.3
135 Tumor -0.3
427 Tumor -0.3
465 Tumor -0.3
785 Tumor -0.3
937 Tumor -0.3
881 Tumor -0.3
647 Tumor -0.3
278 Normal -0.4
1045 Tumor -0.4
231 Tumor -0.4
445 Tumor -0.4
171 Tumor -0.4
483 Tumor -0.4
395 Tumor -0.4
196 Normal -0.4
1027 Tumor -0.4
161 Tumor -0.4
411 Tumor -0.4
786 Normal -0.4
314 Normal -0.4
873 Tumor -0.4
361 Tumor -0.5
513 Tumor -0.5
641 Tumor -0.5
195 Tumor -0.5
277 Tumor -0.5
665 Tumor -0.5
756 Normal -0.5
515 Tumor -0.5
967 Tumor -0.5
957 Tumor -0.5
863 Tumor -0.5
523 Tumor -0.6
557 Tumor -0.6
755 Tumor -0.6
137 Tumor -0.6
351 Tumor -0.6
487 Tumor -0.6
627 Tumor -0.6
365 Tumor -0.6
635 Tumor -0.7
913 Tumor -0.7
191 Tumor -0.7
571 Tumor -0.7
393 Tumor -0.7
777 Tumor -0.7
375 Tumor -0.7
663 Tumor -0.7
1021 Tumor -0.7
527 Tumor -0.8
1013 Tumor -0.8
951 Tumor -0.8
123 Tumor -0.9
313 Tumor -1.0
865 Tumor -1.1
Show allShow less
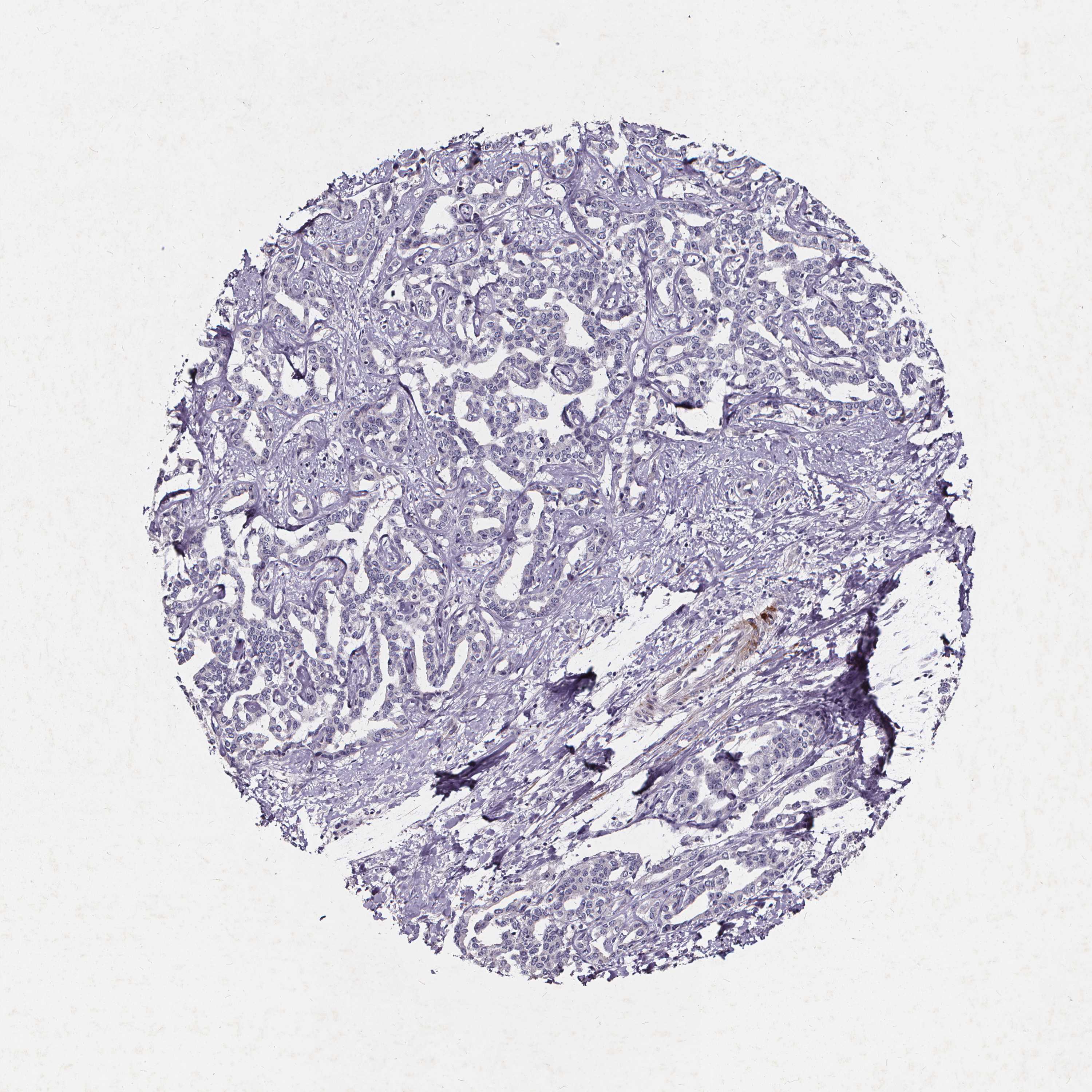
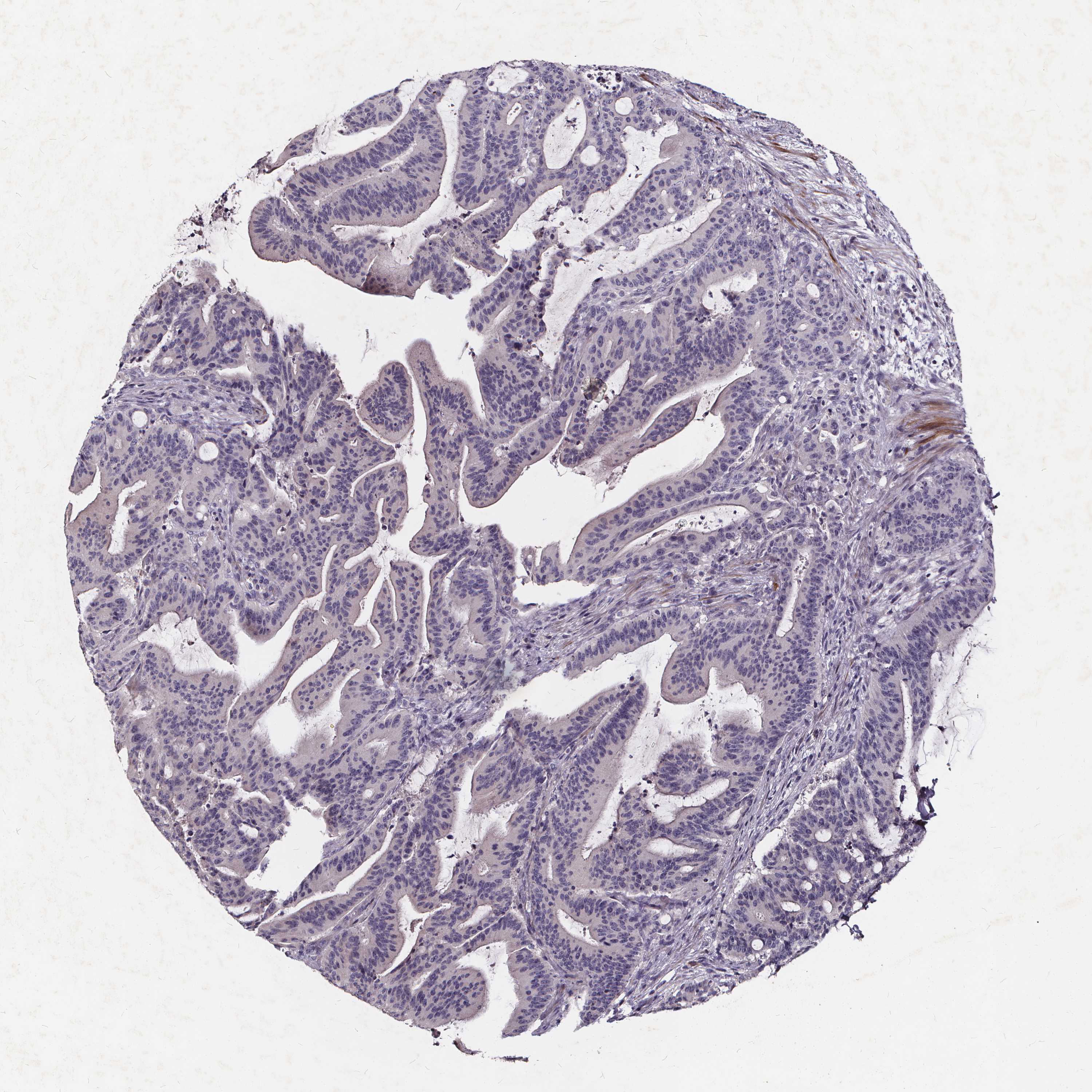
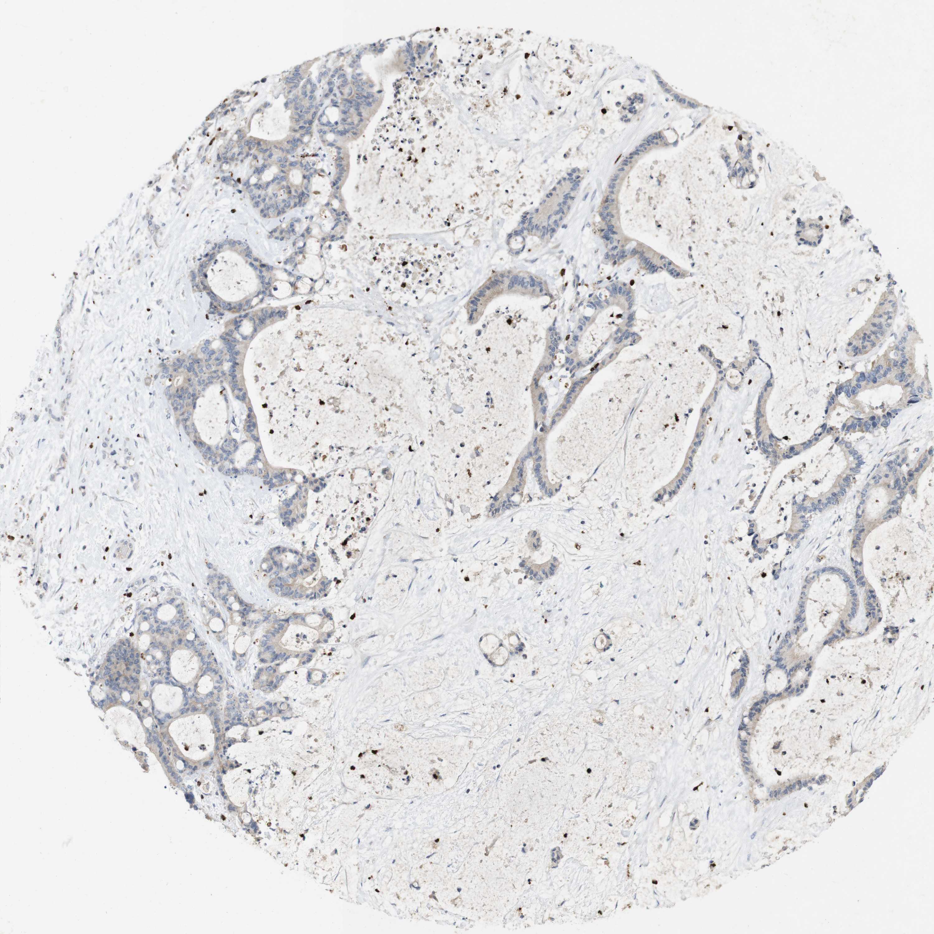
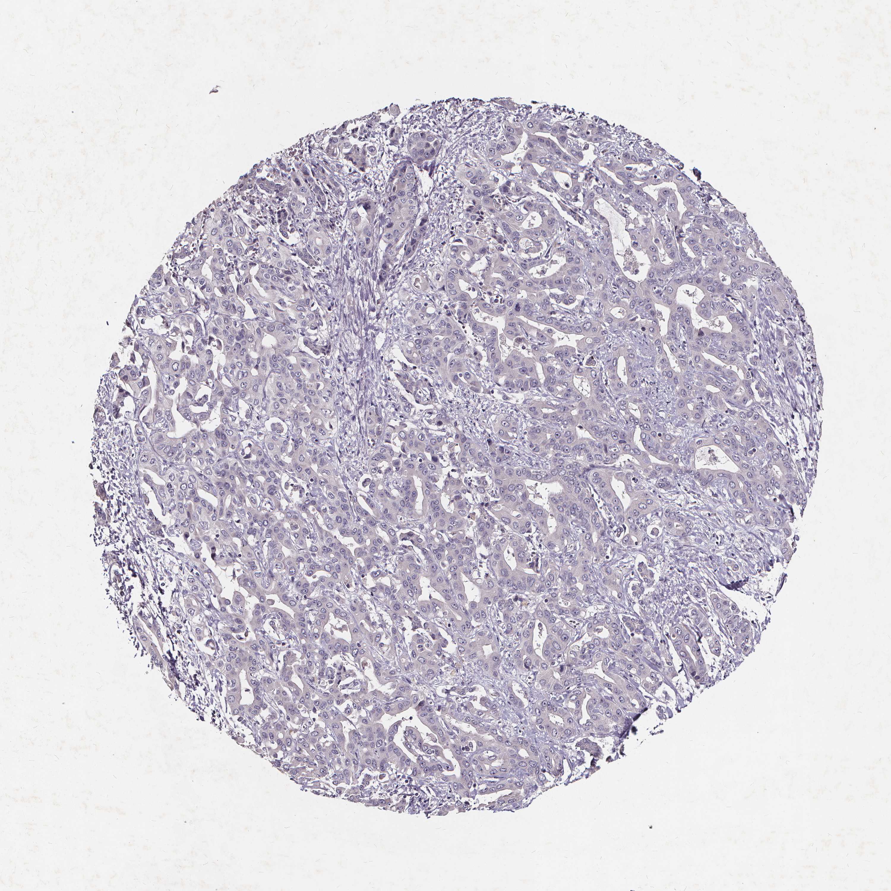
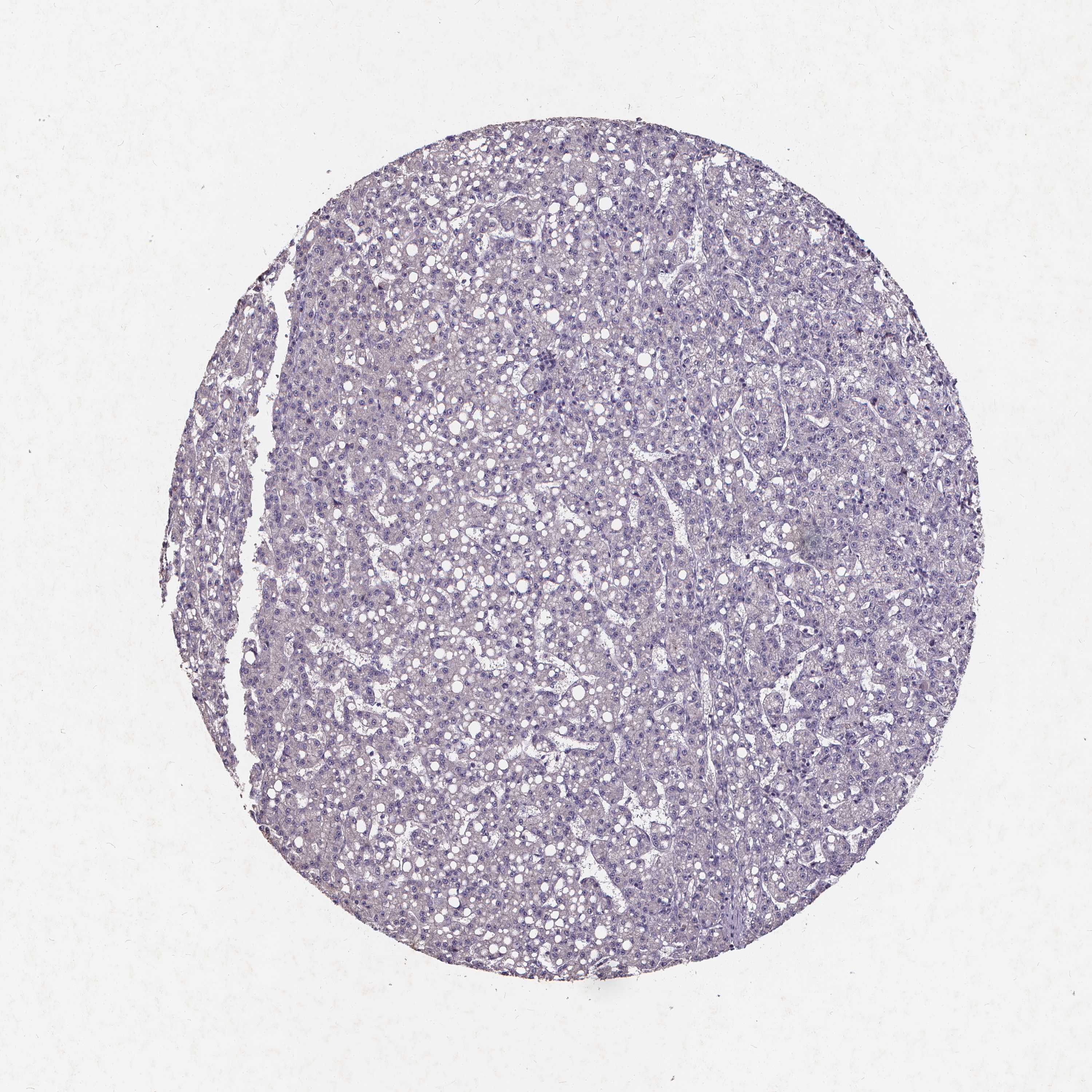
LIVER CANCER - Protein expressioni

A mouse-over function shows sample information and annotation data. Click on an image to view it in a full screen mode. Samples can be filtered based on level of antibody staining by selecting one or several of the following categories: high, medium, low and not detected. The assay and annotation is described here.

Note that samples used for immunohistochemistry by the Human Protein Atlas do not correspond to samples in the TCGA dataset.

 

Antibody stainingi

Antibody staining in the annotated cell types in the current human tissue is reported as not detected, low, medium, or high, based on conventional immunohistochemistry profiling in selected tissues. This score is based on the combination of the staining intensity and fraction of stained cells.

Each image is clickable and will lead to virtual microscopy that enables deeper exploration of all samples and also displays staining intensity scores, fraction scores and subcellular localization as well as patient and tissue information for each sample.


Antibody HPA014773

Antibody HPA057174
 Staining
  High
  Medium
  Low
  Not detected
 Intensity
  Strong
  Moderate
  Weak
  Negative
 Quantity
  >75%
  75%-25%
  <25%
  None
 Location
  Nuclear
  Cytoplasmic/membranous
  Cytoplasmic/membranous,nuclear
  None
Cholangiocarcinoma
Carcinoma, Hepatocellular, NOS

Contact

  • NEWS ARTICLES
  • PRESS ROOM

The Project

  • INTRODUCTION
  • ORGANIZATION
  • PUBLICATIONS

The Human Protein Atlas

  • DOWNLOADABLE DATA
  • LICENCE & CITATION
  • HELP & FAQ
The Human Protein Atlas project is funded
by the Knut & Alice Wallenberg Foundation.


contact@proteinatlas.org