We use cookies to enhance the usability of our website. If you continue, we'll assume that you are happy to receive all cookies. More information. Don't show this again.
AKAP10
HPA
RESOURCES
  • TISSUE
  • BRAIN
  • SINGLE CELL
  • SUBCELLULAR
  • CANCER
  • BLOOD
  • CELL LINE
  • STRUCTURE & INTERACTION
ABOUT
  • INTRODUCTION
  • HISTORY
  • ORGANIZATION
  • PUBLICATIONS
  • ANTIBODY SUBMISSION
  • ANTIBODY AVAILABILITY
  • ACKNOWLEDGMENTS
  • CONTACT
NEWS
  • NEWS ARTICLES
  • PRESS ROOM
LEARN
  • DICTIONARY
  • PROTEIN CLASSES
  • PROTEIN EVIDENCE
  • METHODS
  • EDUCATIONAL VIDEOS
DATA
  • DOWNLOADABLE DATA
  • PUBLICATION DATA
  • RELEASE HISTORY
HELP
  • ANTIBODY VALIDATION
  • ASSAYS & ANNOTATION
  • DISCLAIMER
  • HELP & FAQ
  • PRIVACY STATEMENT
  • LICENCE & CITATION
Fields »
Search result

Field
Term
Gene name
Class
Subclass
Class
Keyword
Chromosome
External id
Tissue
Cell type
Expression
Antibody panel
Tissue
Main location
Patient ID
Annotation
Tissue
Category
Tau score
Cluster
Reliability
Brain region
Category
Tau score
Brain region
Category
Tau score
Brain region
Category
Tau score
Cluster
Reliability
Tissue
Cell type
Enrichment
Cell type
Category
Tau score
Cell type
Category
Tau score
Cell type
Category
Tau score
Cell lineage
Category
Tau score
Cluster
Cluster
Location
Searches
Location
Cell line
Class
Type
Phase
Reliability
Cancer
Prognosis
Cancer
Category
Cancer
Category
Tau score
Cluster
Variants
Interacting gene (ensg_id)
Type
Number of interactions
Pathway
Category
Score
Score
Score
Validation
Validation
Validation
Validation
Antibodies
Data type
Column


  • SUMMARY

  • TISSUE

  • BRAIN

  • SINGLE CELL

  • SUBCELL

  • CANCER

  • BLOOD

  • CELL LINE

  • STRUCT & INT

  • AKAP10
TISSUE PRIMARY DATA STOMACH Show tissue menu
ADIPOSE TISSUE ADRENAL GLAND AMYGDALA APPENDIX BASAL GANGLIA BONE MARROW BREAST BRONCHUS CEREBELLUM CEREBRAL CORTEX CERVIX CHOROID PLEXUS COLON DUODENUM
ENDOMETRIUM EPIDIDYMIS ESOPHAGUS FALLOPIAN TUBE GALLBLADDER HEART MUSCLE HIPPOCAMPAL FORMATION HYPOTHALAMUS KIDNEY LIVER LUNG LYMPH NODE MIDBRAIN NASOPHARYNX
ORAL MUCOSA OVARY PANCREAS PARATHYROID GLAND PITUITARY GLAND PLACENTA PROSTATE RECTUM RETINA SALIVARY GLAND SEMINAL VESICLE SKELETAL MUSCLE SKIN SMALL INTESTINE
SMOOTH MUSCLE SOFT TISSUE SPINAL CORD SPLEEN STOMACH TESTIS THYMUS THYROID GLAND TONGUE TONSIL URINARY BLADDER VAGINA
ANTIBODIES
AND
VALIDATION
Dictionary
Tissue proteome
Stomach
STOMACH - Expression summary
Protein expression
Stomachi

On the top, protein expression in current human tissue, based on all annotated cell types, is reported with the units not detected (n), low (l), medium (m) and high (h). Underneath, protein expression in each annotated cell type are reported using the same units.

Protein expression data is based on knowledge-based annotation. For genes where more than one antibody has been used, a collective score is set.

If knowledge-based annotation could not be performed for a gene, no data is displayed here. View antibody staining data further down this page.

h
m
l
n
Glandular cells: Medium
RNA expressioni

A summary of mRNA expression data available for current tissue based on several datasets. The mRNA expression levels in human tissues are based on RNA-seq data generated by the Human Protein Atlas (HPA), Genotype-Tissue Expression (GTEx) portal and CAGE data generated by the FANTOM5 consortium. Consensus normalized expression levels for human tissues was created by combining the data from HPA and GTEx datasets.

The mRNA expression levels in pig are based on RNA-seq data generated by the Human Protein Atlas (HPA), and for mouse, HPA data and in situ hybridization generated by the Allen brain atlas are reported.

Scroll down to view mRNA expression data in more detail.
Consensus:10.8 nTPM
HPA:10.4 nTPM
GTEx:10.8 nTPM

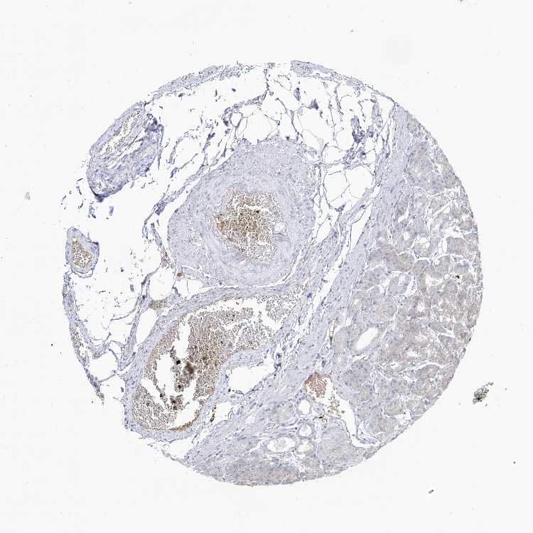
STOMACH 1 - Antibody stainingi

Antibody staining in the annotated cell types in the current human tissue is reported as not detected, low, medium, or high, based on conventional immunohistochemistry profiling in selected tissues. This score is based on the combination of the staining intensity and fraction of stained cells.

Each image is clickable and will lead to virtual microscopy that enables deeper exploration of all samples and also displays staining intensity scores, fraction scores and subcellular localization as well as patient and tissue information for each sample.

Antibody HPA028901
Glandular cells Medium
STOMACH 2 - Antibody stainingi

Antibody staining in the annotated cell types in the current human tissue is reported as not detected, low, medium, or high, based on conventional immunohistochemistry profiling in selected tissues. This score is based on the combination of the staining intensity and fraction of stained cells.

Each image is clickable and will lead to virtual microscopy that enables deeper exploration of all samples and also displays staining intensity scores, fraction scores and subcellular localization as well as patient and tissue information for each sample.

Antibody HPA028901
Glandular cells Medium



STOMACH - HPA RNA-seqi

The RNA-seq details section shows detailed information about the individual samples used for the transcript profiling and results of the RNA-seq analysis.

Information about each individual sample is listed below, including gender, age, a tissue section image and estimated fractions of cell types. nTPM (normalized transcripts per million) values give a quantification of the gene abundance which is comparable between different genes and samples.
Average nTPMi

Max subtype nTPM is the value for the subtype with the largest average nTPM across the subtype samples.

10.4
overview
Female, age 33
Stomach sample 61
nTPM: 10.5
Cell types%
Glandular cells:
60

Smooth muscle cells:
5

Other cell types:
35

N/A
Male, age 82
Stomach sample 240
nTPM: 10.2
Cell types%
Glandular cells:
65

Smooth muscle cells:
5

Other cell types:
30

overview
Male, age 71
Stomach sample 241
nTPM: 8.1
Cell types%
Glandular cells:
50

Smooth muscle cells:
5

Other cell types:
45

overview
Female, age 66
Stomach sample 369
nTPM: 12.7
Cell types%
Glandular cells:
50

Smooth muscle cells:
10

Other cell types:
40


STOMACH - GTEx RNA-seqi

RNA-Seq data generated by the Genotype-Tissue Expression (GTEx) project from human tissues is reported as mean nTPM. More information can be found on the GTEx portal.

Distribution across the dataset is visualized with box plots, shown as median and 25th and 75th percentiles. Points are displayed as outliers if they are above or below 1.5 times the interquartile range. nTPM values of the individual samples are presented next to the box plot.
Max subtype nTPMi

Max subtype nTPM is the value for the subtype with the largest average nTPM across the subtype samples.

10.8
GTEx sample id Sample description nTPM
Stomach
Average nTPM: 10.8
Samples: 359

Max nTPM: 19.4
Min nTPM: 6.0
Std nTPM: 2.0
Median nTPM: 10.6
GTEX-17HII-2426-SM-7KFTT 50-59 years, male 19.4
GTEX-12WSK-1426-SM-5CVNN 40-49 years, female 18.6
GTEX-1GL5R-1926-SM-9WG7U 50-59 years, male 18.1
GTEX-14E6E-0926-SM-664N8 30-39 years, male 16.3
GTEX-RWS6-0926-SM-47JXE 60-69 years, female 16.0
GTEX-XAJ8-0326-SM-47JYI 40-49 years, male 15.7
GTEX-14PJ6-0826-SM-686Z9 60-69 years, female 15.3
GTEX-OXRK-1626-SM-3NB17 50-59 years, female 15.3
GTEX-RM2N-0826-SM-48FD3 50-59 years, male 15.3
GTEX-XXEK-0826-SM-4BRWG 50-59 years, male 15.3
GTEX-ZLV1-0826-SM-DO11P 60-69 years, female 15.0
GTEX-Y5V6-1326-SM-4VDTF 60-69 years, male 14.9
GTEX-15RIE-1026-SM-6LPJQ 60-69 years, male 14.3
GTEX-1B8KE-1326-SM-73KVI 50-59 years, male 14.3
GTEX-1C64O-2226-SM-73KTV 60-69 years, male 14.3
GTEX-1J8Q3-1926-SM-C1YSJ 60-69 years, male 14.3
GTEX-WFON-1126-SM-4LVMA 40-49 years, male 14.2
GTEX-1ICG6-1826-SM-AHZ2O 70-79 years, female 14.2
GTEX-144GN-1226-SM-5O991 50-59 years, male 14.1
GTEX-XUZC-0726-SM-4BOPH 30-39 years, female 14.1
GTEX-ZP4G-1226-SM-4WWCJ 20-29 years, female 14.1
GTEX-ZLWG-1526-SM-DO12F 50-59 years, female 14.0
GTEX-145LT-1426-SM-5O9B3 40-49 years, male 13.9
GTEX-ZYFG-1326-SM-5GICJ 60-69 years, female 13.9
GTEX-1J8QM-1126-SM-C1YQB 60-69 years, female 13.9
GTEX-QV44-1226-SM-CJI1S 50-59 years, male 13.9
GTEX-111YS-1126-SM-5GZYQ 60-69 years, male 13.8
GTEX-13PVR-2126-SM-73KVR 60-69 years, female 13.8
GTEX-QLQ7-0826-SM-447B3 60-69 years, male 13.8
GTEX-V955-1326-SM-4JBHR 60-69 years, male 13.8
GTEX-ZDYS-1926-SM-5HL59 50-59 years, male 13.8
GTEX-1LGOU-1526-SM-D3LAJ 20-29 years, female 13.8
GTEX-WFJO-1126-SM-4LVLZ 30-39 years, male 13.7
GTEX-1R7EU-1126-SM-EAZ4M 60-69 years, male 13.7
GTEX-OHPM-1526-SM-EV796 50-59 years, male 13.7
GTEX-1JN76-0926-SM-ARZNH 20-29 years, female 13.6
GTEX-1RB15-1026-SM-E9U6V 60-69 years, male 13.6
GTEX-ZF29-1526-SM-4WKF7 60-69 years, female 13.5
GTEX-OIZF-1526-SM-2I5GR 60-69 years, male 13.5
GTEX-17GQL-1226-SM-7KFTS 60-69 years, male 13.4
GTEX-S4Z8-1226-SM-4AD6W 60-69 years, male 13.4
GTEX-13FTW-1726-SM-5KM2B 40-49 years, male 13.3
GTEX-S4UY-1626-SM-4AD55 40-49 years, female 13.3
GTEX-S95S-0826-SM-4B64N 60-69 years, male 13.3
GTEX-1QP2A-2126-SM-DPRZ7 50-59 years, male 13.3
GTEX-1LG7Z-1226-SM-DHXK4 30-39 years, male 13.2
GTEX-QLQW-0726-SM-447AA 30-39 years, male 13.1
GTEX-ZV7C-1626-SM-5NQ7E 50-59 years, male 13.1
GTEX-1MUQO-1926-SM-EAZ59 60-69 years, male 13.1
GTEX-YEC4-1426-SM-5IFHS 40-49 years, male 13.0
GTEX-RUSQ-1126-SM-EAZAU 50-59 years, male 13.0
GTEX-1AMFI-1226-SM-731CZ 50-59 years, female 12.9
GTEX-1H3VY-2326-SM-9WG81 50-59 years, male 12.9
GTEX-1MGNQ-1826-SM-DPRYI 40-49 years, male 12.9
GTEX-14PJ5-0826-SM-6AJAR 60-69 years, female 12.8
GTEX-1C475-1026-SM-7MKFJ 40-49 years, female 12.8
GTEX-T6MO-0726-SM-4DM58 40-49 years, female 12.8
GTEX-U3ZN-2026-SM-4DXUC 30-39 years, female 12.8
GTEX-UJMC-1226-SM-4IHLI 50-59 years, male 12.7
GTEX-WYVS-1326-SM-4ONCQ 40-49 years, female 12.7
GTEX-YB5E-1126-SM-664NU 40-49 years, male 12.7
GTEX-1GZ4H-1026-SM-9OSXL 50-59 years, female 12.7
GTEX-1HFI7-1526-SM-9WG7W 50-59 years, female 12.7
GTEX-11P7K-1726-SM-5GU6F 30-39 years, male 12.6
GTEX-Y8LW-0826-SM-4WWDO 50-59 years, female 12.6
GTEX-11EM3-1026-SM-5A5KL 20-29 years, female 12.5
GTEX-18QFQ-1226-SM-718AE 30-39 years, male 12.5
GTEX-WHWD-1426-SM-4OORU 50-59 years, male 12.5
GTEX-OXRL-1526-SM-E6CHQ 50-59 years, male 12.5
GTEX-11I78-1726-SM-5A5M3 50-59 years, female 12.4
GTEX-14PJ3-1426-SM-664O8 50-59 years, male 12.4
GTEX-OOBJ-1526-SM-3NB1Q 60-69 years, male 12.4
GTEX-QXCU-1926-SM-48FE4 50-59 years, male 12.4
GTEX-R53T-1226-SM-48FCT 50-59 years, female 12.4
GTEX-1H1E6-1626-SM-9OSWC 30-39 years, male 12.4
GTEX-TKQ2-0926-SM-4DXU5 50-59 years, male 12.3
GTEX-13113-0726-SM-5LZUF 60-69 years, female 12.2
GTEX-13D11-2126-SM-5IFH2 50-59 years, female 12.2
GTEX-16AAH-1226-SM-79OO9 50-59 years, male 12.2
GTEX-12696-1726-SM-5EQLH 60-69 years, male 12.1
GTEX-13O21-0926-SM-5IFGT 50-59 years, male 12.1
GTEX-OIZH-1526-SM-3NB1J 50-59 years, male 12.1
GTEX-1RMOY-1126-SM-EV79E 50-59 years, male 12.1
GTEX-1S82Z-1726-SM-E6CHZ 30-39 years, female 12.1
GTEX-ZLFU-1326-SM-DO11R 40-49 years, male 12.1
GTEX-OHPK-1526-SM-3MJGM 50-59 years, female 12.0
GTEX-WY7C-1726-SM-4ONCC 50-59 years, male 12.0
GTEX-1JK1U-1326-SM-AHZ45 60-69 years, male 12.0
GTEX-11P82-0726-SM-5PNYL 20-29 years, male 11.9
GTEX-15CHR-1326-SM-79OLT 50-59 years, male 11.9
GTEX-W5WG-1726-SM-4LMI5 50-59 years, female 11.9
GTEX-X15G-1126-SM-4PQZG 50-59 years, female 11.9
GTEX-ZVP2-1626-SM-5GU5D 50-59 years, male 11.9
GTEX-1F5PK-1826-SM-7RHHX 50-59 years, male 11.9
GTEX-1HSMQ-2426-SM-CE6RY 50-59 years, male 11.9
GTEX-15DCE-1626-SM-6LPJM 20-29 years, male 11.8
GTEX-15EU6-2526-SM-7KUGB 50-59 years, male 11.8
GTEX-PLZ6-0826-SM-3P61K 30-39 years, male 11.8
GTEX-ZQUD-0826-SM-57WDQ 30-39 years, male 11.8
GTEX-ZXES-1426-SM-5NQ8S 30-39 years, female 11.8
GTEX-111CU-0926-SM-5EGIK 50-59 years, male 11.7
GTEX-R55D-1526-SM-48FEJ 50-59 years, male 11.7
GTEX-ZF2S-1426-SM-57WET 50-59 years, female 11.7
GTEX-1I1GT-1726-SM-C1YS3 60-69 years, female 11.7
GTEX-1KANA-1126-SM-D3L9M 20-29 years, male 11.7
GTEX-1QPFJ-1526-SM-DPRXT 30-39 years, female 11.7
GTEX-139D8-2326-SM-5IFGE 30-39 years, female 11.6
GTEX-14BIL-1926-SM-73KYI 50-59 years, male 11.6
GTEX-14E1K-1526-SM-664MN 50-59 years, male 11.6
GTEX-15DZA-1126-SM-6LPK8 30-39 years, female 11.6
GTEX-17F98-1526-SM-7EWD8 40-49 years, female 11.6
GTEX-1B97J-1826-SM-7IGPP 50-59 years, female 11.6
GTEX-S3XE-1026-SM-4AD4O 50-59 years, male 11.6
GTEX-ZPIC-2026-SM-57WG3 40-49 years, female 11.6
GTEX-1HKZK-1526-SM-B2LWG 40-49 years, male 11.6
GTEX-1122O-1926-SM-5EGIQ 60-69 years, female 11.5
GTEX-12WSD-2326-SM-59HKQ 60-69 years, female 11.5
GTEX-PX3G-1526-SM-48U11 20-29 years, female 11.5
GTEX-ZAB4-1526-SM-5CVN7 40-49 years, male 11.5
GTEX-1B97I-1226-SM-7MGWQ 40-49 years, male 11.5
GTEX-1LVAN-2426-SM-CNNPZ 50-59 years, female 11.5
GTEX-11DXX-1326-SM-5GIDZ 60-69 years, female 11.4
GTEX-145MN-1326-SM-5NQ9S 30-39 years, male 11.4
GTEX-16NGA-1526-SM-72D56 40-49 years, female 11.4
GTEX-1IDJF-1426-SM-ACKWK 20-29 years, male 11.4
GTEX-1IDJU-1526-SM-CNNR3 60-69 years, female 11.4
GTEX-1K2DA-0826-SM-CGQGD 50-59 years, male 11.4
GTEX-1AX9J-2626-SM-731EK 60-69 years, male 11.3
GTEX-O5YW-1526-SM-3MJGL 50-59 years, male 11.3
GTEX-P4PQ-1526-SM-3NMCK 60-69 years, male 11.3
GTEX-QV31-0626-SM-447C5 30-39 years, male 11.3
GTEX-S341-0626-SM-4AD5T 40-49 years, female 11.3
GTEX-Y5LM-1326-SM-5RQIS 40-49 years, female 11.3
GTEX-YJ8A-1526-SM-5P9FT 20-29 years, male 11.3
GTEX-1LSNM-1026-SM-DHXL2 50-59 years, male 11.3
GTEX-132AR-2426-SM-5IFFD 50-59 years, female 11.2
GTEX-13QJ3-2726-SM-5SI6L 50-59 years, male 11.2
GTEX-YFCO-0826-SM-5LUAG 40-49 years, male 11.2
GTEX-ZVZP-1726-SM-5GZWY 50-59 years, male 11.2
GTEX-1H1DG-2126-SM-9WPPB 70-79 years, male 11.2
GTEX-11TT1-0726-SM-5GU5A 20-29 years, male 11.1
GTEX-ZVT2-1626-SM-51MRC 50-59 years, female 11.1
GTEX-1QCLZ-1826-SM-DPRXP 60-69 years, female 11.1
GTEX-1R9K5-1026-SM-EAZ4F 50-59 years, male 11.1
GTEX-Q2AI-0826-SM-48TZO 40-49 years, male 11.0
GTEX-S7SF-0626-SM-4AD4V 20-29 years, female 11.0
GTEX-T5JW-0926-SM-4DM5K 20-29 years, female 11.0
GTEX-XQ8I-2026-SM-4BOOL 50-59 years, male 11.0
GTEX-ZT9W-1526-SM-4YCDE 50-59 years, male 11.0
GTEX-17F9E-2226-SM-7IGNC 50-59 years, male 10.9
GTEX-1A3MX-1926-SM-72D7F 60-69 years, male 10.9
GTEX-Q2AH-1126-SM-48TZM 40-49 years, male 10.9
GTEX-QCQG-0526-SM-48U2A 50-59 years, female 10.9
GTEX-TMMY-1626-SM-4DXTY 40-49 years, female 10.9
GTEX-XBEW-1826-SM-4RTWX 40-49 years, male 10.9
GTEX-ZPU1-1626-SM-4WWB2 40-49 years, male 10.9
GTEX-ZV6S-0926-SM-57WGB 40-49 years, female 10.9
GTEX-ZZ64-0426-SM-5E43F 20-29 years, male 10.9
GTEX-1HBPN-1626-SM-9WPNP 50-59 years, male 10.9
GTEX-1QP67-1026-SM-EVR47 40-49 years, female 10.9
GTEX-1S3DN-1526-SM-EVYCB 50-59 years, male 10.9
GTEX-PLZ5-1226-SM-EXOHA 50-59 years, male 10.9
GTEX-131XE-2226-SM-5PNYX 50-59 years, male 10.8
GTEX-13FTX-0726-SM-5N9BI 20-29 years, female 10.8
GTEX-NFK9-1526-SM-3LK7B 40-49 years, male 10.8
GTEX-WHSB-1226-SM-4M1XR 50-59 years, male 10.8
GTEX-1LBAC-1426-SM-CXZKT 20-29 years, male 10.8
GTEX-ZGAY-1626-SM-DNZZ3 40-49 years, female 10.8
GTEX-13PVQ-2126-SM-5L3FW 50-59 years, male 10.7
GTEX-13RTK-0226-SM-5RQHR 20-29 years, male 10.7
GTEX-14ICL-0826-SM-5YY9W 30-39 years, male 10.7
GTEX-18A67-2626-SM-718AD 50-59 years, male 10.7
GTEX-P78B-1826-SM-3P5YX 40-49 years, female 10.7
GTEX-WFG7-1326-SM-4LMK1 20-29 years, male 10.7
GTEX-XBED-1226-SM-4AT5V 60-69 years, male 10.7
GTEX-ZE7O-3026-SM-51MS4 50-59 years, female 10.7
GTEX-1MJIX-1126-SM-EV7AO 40-49 years, male 10.7
GTEX-1399U-1626-SM-5P9J3 50-59 years, female 10.6
GTEX-18D9A-0626-SM-7KFTY 30-39 years, female 10.6
GTEX-1CB4E-1326-SM-7DUGD 60-69 years, male 10.6
GTEX-SUCS-0926-SM-4DM4Z 70-79 years, male 10.6
GTEX-WH7G-1526-SM-4LVMX 40-49 years, male 10.6
GTEX-WXYG-1626-SM-4ONCR 50-59 years, female 10.6
GTEX-ZYVF-2726-SM-5GID4 50-59 years, female 10.6
GTEX-1A8G6-1426-SM-731EZ 60-69 years, male 10.5
GTEX-1GPI7-1326-SM-9KNVA 20-29 years, male 10.5
GTEX-1399R-1126-SM-5IFIO 30-39 years, male 10.4
GTEX-14PN3-1326-SM-6AJ9U 60-69 years, female 10.4
GTEX-18D9B-2226-SM-718BM 60-69 years, male 10.4
GTEX-PW2O-1226-SM-48TCH 20-29 years, male 10.4
GTEX-Y3I4-1626-SM-4TT7W 50-59 years, male 10.4
GTEX-ZTX8-0426-SM-59HLG 20-29 years, male 10.4
GTEX-ZZPU-1426-SM-5GZZ6 50-59 years, female 10.4
GTEX-1LVAM-1426-SM-E9TJ4 50-59 years, female 10.4
GTEX-11NSD-1426-SM-5HL67 20-29 years, male 10.3
GTEX-1399S-1626-SM-5P9GI 30-39 years, female 10.3
GTEX-13OVK-0926-SM-7KUFX 40-49 years, male 10.3
GTEX-14DAR-0926-SM-73KUQ 50-59 years, male 10.3
GTEX-15UF7-1226-SM-6M46G 40-49 years, male 10.3
GTEX-PWCY-0926-SM-48TD7 20-29 years, female 10.3
GTEX-TKQ1-0526-SM-4DXTG 30-39 years, male 10.3
GTEX-VJYA-1026-SM-4KL21 60-69 years, male 10.3
GTEX-1H11D-2226-SM-9OSXN 40-49 years, male 10.3
GTEX-1KXAM-0926-SM-CXZKA 60-69 years, male 10.3
GTEX-17KNJ-1526-SM-7LTA9 50-59 years, male 10.2
GTEX-1B8KZ-1226-SM-793CP 50-59 years, male 10.2
GTEX-1F5PL-1426-SM-7MKFH 40-49 years, female 10.2
GTEX-Q734-1026-SM-48U16 40-49 years, female 10.2
GTEX-V1D1-1726-SM-4JBHB 50-59 years, male 10.2
GTEX-WYJK-2526-SM-4ONDF 50-59 years, male 10.2
GTEX-1CB4H-2426-SM-7PBYR 60-69 years, female 10.2
GTEX-1H1DE-1226-SM-9JGHH 20-29 years, male 10.2
GTEX-1I6K7-1726-SM-B2LXQ 40-49 years, male 10.2
GTEX-1IL2V-2026-SM-ARZMA 70-79 years, male 10.2
GTEX-O5YV-1926-SM-EV797 60-69 years, female 10.2
GTEX-12WSG-2026-SM-5FQUU 50-59 years, female 10.1
GTEX-14BMU-1126-SM-5RQJ8 20-29 years, female 10.1
GTEX-1AYCT-1326-SM-7MKHB 50-59 years, male 10.1
GTEX-R55G-1126-SM-48FDG 40-49 years, female 10.1
GTEX-WFG8-1326-SM-4LVN3 20-29 years, male 10.1
GTEX-ZYY3-1726-SM-5EGH3 60-69 years, female 10.1
GTEX-11VI4-0326-SM-5EQ6L 40-49 years, female 10.0
GTEX-13FH7-1026-SM-5IJGF 50-59 years, female 10.0
GTEX-13O61-1126-SM-5L3FI 60-69 years, male 10.0
GTEX-1N2DV-0926-SM-E9TJT 40-49 years, male 10.0
GTEX-117YX-1026-SM-5H11V 50-59 years, male 9.9
GTEX-132QS-1826-SM-5IFFN 60-69 years, male 9.9
GTEX-146FH-2126-SM-5SI9U 50-59 years, female 9.9
GTEX-14B4R-0726-SM-5TDDR 30-39 years, male 9.9
GTEX-14PJ4-1626-SM-664OB 60-69 years, male 9.9
GTEX-14PKU-1126-SM-69LOU 40-49 years, female 9.9
GTEX-18A66-2226-SM-7189E 60-69 years, male 9.9
GTEX-PWN1-1526-SM-48TDA 40-49 years, female 9.9
GTEX-QDVN-1226-SM-48TZ5 50-59 years, male 9.9
GTEX-UPK5-2126-SM-4JBJK 40-49 years, male 9.9
GTEX-1QP28-2126-SM-DTX8B 50-59 years, female 9.9
GTEX-11GSP-2126-SM-5HL5E 60-69 years, female 9.8
GTEX-S4Q7-0726-SM-4AD5F 20-29 years, male 9.8
GTEX-XV7Q-1326-SM-4BRWM 40-49 years, female 9.8
GTEX-1H3NZ-2226-SM-9WYUT 60-69 years, male 9.8
GTEX-1J8JJ-1726-SM-C1YQG 60-69 years, female 9.8
GTEX-1QMI2-2126-SM-DPRXQ 60-69 years, male 9.8
GTEX-13X6H-1626-SM-5Q5CT 50-59 years, female 9.7
GTEX-R55C-1026-SM-48FCM 40-49 years, male 9.7
GTEX-U4B1-1026-SM-4DXT1 40-49 years, male 9.7
GTEX-WRHK-0626-SM-4MVOE 20-29 years, female 9.7
GTEX-1PPH8-1326-SM-DTXFO 20-29 years, male 9.7
GTEX-1QW4Y-0726-SM-DTX8E 30-39 years, male 9.7
GTEX-13OW6-2526-SM-5IJEC 50-59 years, male 9.6
GTEX-17HHE-1026-SM-79ON6 50-59 years, male 9.6
GTEX-S4P3-0726-SM-4AD57 50-59 years, female 9.6
GTEX-T5JC-1926-SM-4DM6Q 20-29 years, male 9.6
GTEX-1HT8W-2326-SM-A9SLA 30-39 years, male 9.6
GTEX-14PKV-1826-SM-69LO9 20-29 years, female 9.5
GTEX-15RIF-1126-SM-7KUG2 20-29 years, male 9.5
GTEX-17MF6-2126-SM-7KFS7 40-49 years, male 9.5
GTEX-1B8L1-1526-SM-79OLK 60-69 years, male 9.5
GTEX-1CAMR-0726-SM-7EPIE 20-29 years, male 9.5
GTEX-QDVJ-1426-SM-48U1Y 50-59 years, male 9.5
GTEX-RU1J-0526-SM-46MUT 20-29 years, female 9.5
GTEX-Y3IK-1426-SM-4YCES 50-59 years, female 9.5
GTEX-1LGRB-1726-SM-CNNRA 50-59 years, female 9.5
GTEX-YEC3-1426-SM-D4P1S 50-59 years, male 9.5
GTEX-11EI6-2426-SM-5PNVS 60-69 years, male 9.4
GTEX-139YR-1926-SM-5LZXM 50-59 years, male 9.4
GTEX-13U4I-2526-SM-5SI8Z 40-49 years, female 9.4
GTEX-14BMV-2226-SM-5RQHX 50-59 years, male 9.4
GTEX-ZY6K-0726-SM-5A5L8 50-59 years, male 9.4
GTEX-1JKYN-1726-SM-AHZ48 30-39 years, male 9.4
GTEX-1NSGN-1926-SM-E9J36 50-59 years, male 9.4
GTEX-131XG-1226-SM-5EGH9 50-59 years, female 9.3
GTEX-Y9LG-1026-SM-5IFJN 30-39 years, male 9.3
GTEX-ZA64-0826-SM-5HL9U 20-29 years, male 9.3
GTEX-1GF9U-1126-SM-AHZ4H 40-49 years, female 9.3
GTEX-1HR9M-2326-SM-CNPPZ 60-69 years, male 9.3
GTEX-1I4MK-0926-SM-A9SLD 50-59 years, female 9.3
GTEX-1QCLY-1126-SM-EAZ4J 30-39 years, male 9.3
GTEX-12C56-0526-SM-5FQST 20-29 years, male 9.2
GTEX-131XF-1226-SM-5HL8V 60-69 years, male 9.2
GTEX-133LE-1326-SM-5IFGO 20-29 years, female 9.2
GTEX-145MO-2226-SM-5Q5BN 60-69 years, male 9.2
GTEX-14PHY-0926-SM-5ZZWL 60-69 years, female 9.2
GTEX-1E2YA-2426-SM-7EPIG 50-59 years, male 9.2
GTEX-T8EM-1226-SM-4DM5J 40-49 years, male 9.2
GTEX-WZTO-2126-SM-4PQYW 40-49 years, male 9.2
GTEX-Y8E4-1526-SM-4WWDI 40-49 years, male 9.2
GTEX-1EH9U-2226-SM-7PBXX 60-69 years, male 9.2
GTEX-1IDJD-2426-SM-C1YS6 30-39 years, male 9.2
GTEX-12BJ1-1726-SM-5HL9B 60-69 years, male 9.1
GTEX-13QBU-1126-SM-5LU44 40-49 years, female 9.1
GTEX-13S7M-1826-SM-5RQK6 60-69 years, female 9.1
GTEX-1F75I-1826-SM-7MKGX 40-49 years, male 9.1
GTEX-XPVG-1526-SM-4B66C 50-59 years, male 9.1
GTEX-1GN1W-2126-SM-9JGI7 50-59 years, female 9.1
GTEX-1JMLX-2426-SM-CXZJQ 50-59 years, male 9.1
GTEX-QDT8-2026-SM-EZ6LS 30-39 years, female 9.1
GTEX-14PHX-1026-SM-664OL 50-59 years, male 9.0
GTEX-17EUY-1526-SM-793CA 20-29 years, male 9.0
GTEX-1339X-1426-SM-5K7YO 40-49 years, male 8.9
GTEX-13CF3-1926-SM-5K7WF 60-69 years, female 8.9
GTEX-13OVI-2426-SM-5KM4J 60-69 years, female 8.9
GTEX-146FR-2026-SM-5NQAI 60-69 years, female 8.9
GTEX-14JG6-1226-SM-664O6 30-39 years, female 8.9
GTEX-17HGU-2126-SM-7IGOV 50-59 years, male 8.9
GTEX-1A3MV-1226-SM-718BW 30-39 years, male 8.9
GTEX-UJHI-1026-SM-4IHJP 50-59 years, female 8.9
GTEX-1QP29-2326-SM-EXOJO 50-59 years, male 8.9
GTEX-1AMEY-1226-SM-731DU 30-39 years, female 8.8
GTEX-Y114-1226-SM-4TT88 50-59 years, female 8.8
GTEX-ZVT3-2126-SM-59HL2 60-69 years, female 8.8
GTEX-1I1HK-2026-SM-CNNRB 60-69 years, male 8.8
GTEX-12WSJ-0926-SM-5P9JD 40-49 years, female 8.7
GTEX-13O3Q-2126-SM-5KM4C 50-59 years, male 8.7
GTEX-15G1A-1226-SM-7KUF3 30-39 years, male 8.7
GTEX-17JCI-2226-SM-7LTA1 60-69 years, female 8.7
GTEX-QMRM-1126-SM-447BN 50-59 years, male 8.7
GTEX-WEY5-1226-SM-4LMIQ 40-49 years, female 8.7
GTEX-144GM-1726-SM-5O9AS 20-29 years, male 8.6
GTEX-15G19-1526-SM-6LPKP 60-69 years, male 8.6
GTEX-1HCU8-1326-SM-C1YQQ 60-69 years, female 8.6
GTEX-POMQ-0826-SM-3P61H 20-29 years, female 8.5
GTEX-XMK1-1526-SM-EYYVO 40-49 years, male 8.5
GTEX-P4PP-1526-SM-3P61M 30-39 years, female 8.4
GTEX-1JMPZ-1826-SM-CXZJT 30-39 years, male 8.4
GTEX-145ME-1026-SM-5O9B4 40-49 years, female 8.3
GTEX-15SHW-2126-SM-6M46Y 60-69 years, male 8.3
GTEX-RTLS-2626-SM-46MUJ 60-69 years, female 8.3
GTEX-SNMC-0626-SM-4DM6H 20-29 years, male 8.3
GTEX-WHPG-0426-SM-4M1XW 50-59 years, male 8.3
GTEX-1H23P-2726-SM-9JGHN 60-69 years, male 8.3
GTEX-1RAZR-1526-SM-EAZ4U 40-49 years, male 8.3
GTEX-14DAQ-2826-SM-664MU 60-69 years, female 8.2
GTEX-18A7A-2726-SM-7LG6U 50-59 years, female 8.2
GTEX-ZEX8-1626-SM-4WKG7 50-59 years, male 8.2
GTEX-1JMQJ-1326-SM-D4P3B 50-59 years, male 8.2
GTEX-11NUK-2426-SM-5BC4U 50-59 years, male 8.1
GTEX-1211K-1426-SM-5FQTF 60-69 years, female 8.1
GTEX-1E1VI-2826-SM-7MGWU 50-59 years, male 8.1
GTEX-1HCUA-1626-SM-A9SMG 50-59 years, female 8.1
GTEX-1J8EW-2226-SM-AHZ3T 60-69 years, female 8.1
GTEX-1KD5A-1426-SM-D4P3V 50-59 years, male 8.1
GTEX-11WQK-2626-SM-5EQ4K 50-59 years, male 8.0
GTEX-13X6J-2126-SM-5TDCV 50-59 years, male 8.0
GTEX-1HSEH-1526-SM-B2LXG 60-69 years, male 8.0
GTEX-1S831-1126-SM-EWROI 20-29 years, male 8.0
GTEX-13111-1226-SM-5GCNC 50-59 years, male 7.8
GTEX-1L5NE-1526-SM-DIPFW 50-59 years, male 7.8
GTEX-1JN1M-2926-SM-CNNPJ 60-69 years, female 7.7
GTEX-13N1W-2026-SM-5K7YU 70-79 years, male 7.4
GTEX-1PIGE-1126-SM-EWRMV 20-29 years, male 7.4
GTEX-1GMRU-2526-SM-9WG7T 50-59 years, male 7.3
GTEX-1RQEC-2126-SM-DPS15 60-69 years, male 7.3
GTEX-P4QT-1526-SM-3NMCT 50-59 years, female 7.1
GTEX-SNOS-0826-SM-4DM5N 40-49 years, male 7.1
GTEX-1JMPY-0926-SM-ARL92 30-39 years, male 7.0
GTEX-1MCYP-1126-SM-E9J2P 20-29 years, female 6.5
GTEX-11EQ9-1226-SM-5987E 30-39 years, male 6.4
GTEX-1HBPI-0726-SM-9WG7Z 50-59 years, male 6.2
GTEX-117YW-2226-SM-5N9DB 50-59 years, male 6.0
Show allShow less

Contact

  • NEWS ARTICLES
  • PRESS ROOM

The Project

  • INTRODUCTION
  • ORGANIZATION
  • PUBLICATIONS

The Human Protein Atlas

  • DOWNLOADABLE DATA
  • LICENCE & CITATION
  • HELP & FAQ
The Human Protein Atlas project is funded
by the Knut & Alice Wallenberg Foundation.


contact@proteinatlas.org