We use cookies to enhance the usability of our website. If you continue, we'll assume that you are happy to receive all cookies. More information. Don't show this again.
ALDH3A1
HPA
RESOURCES
  • TISSUE
  • BRAIN
  • SINGLE CELL
  • SUBCELLULAR
  • CANCER
  • BLOOD
  • CELL LINE
  • STRUCTURE & INTERACTION
ABOUT
  • INTRODUCTION
  • HISTORY
  • ORGANIZATION
  • PUBLICATIONS
  • ANTIBODY SUBMISSION
  • ANTIBODY AVAILABILITY
  • ACKNOWLEDGMENTS
  • CONTACT
NEWS
  • NEWS ARTICLES
  • PRESS ROOM
LEARN
  • DICTIONARY
  • PROTEIN CLASSES
  • PROTEIN EVIDENCE
  • METHODS
  • EDUCATIONAL VIDEOS
DATA
  • DOWNLOADABLE DATA
  • PUBLICATION DATA
  • RELEASE HISTORY
HELP
  • ANTIBODY VALIDATION
  • ASSAYS & ANNOTATION
  • DISCLAIMER
  • HELP & FAQ
  • PRIVACY STATEMENT
  • LICENCE & CITATION
Fields »
Search result

Field
Term
Gene name
Class
Subclass
Class
Keyword
Chromosome
External id
Tissue
Cell type
Expression
Antibody panel
Tissue
Main location
Patient ID
Annotation
Tissue
Category
Tau score
Cluster
Reliability
Brain region
Category
Tau score
Brain region
Category
Tau score
Brain region
Category
Tau score
Cluster
Reliability
Tissue
Cell type
Enrichment
Cell type
Category
Tau score
Cell type
Category
Tau score
Cell type
Category
Tau score
Cell lineage
Category
Tau score
Cluster
Cluster
Location
Searches
Location
Cell line
Class
Type
Phase
Reliability
Cancer
Prognosis
Cancer
Category
Cancer
Category
Tau score
Cluster
Variants
Interacting gene (ensg_id)
Type
Number of interactions
Pathway
Category
Score
Score
Score
Validation
Validation
Validation
Validation
Antibodies
Data type
Column


  • SUMMARY

  • TISSUE

  • BRAIN

  • SINGLE CELL

  • SUBCELL

  • CANCER

  • BLOOD

  • CELL LINE

  • STRUCT & INT

  • ALDH3A1
TISSUE PRIMARY DATA SKIN Show tissue menu
ADIPOSE TISSUE ADRENAL GLAND AMYGDALA APPENDIX BASAL GANGLIA BONE MARROW BREAST CEREBELLUM CEREBRAL CORTEX CERVIX CHOROID PLEXUS COLON DUODENUM
ENDOMETRIUM EPIDIDYMIS ESOPHAGUS FALLOPIAN TUBE GALLBLADDER HEART MUSCLE HIPPOCAMPAL FORMATION HYPOTHALAMUS KIDNEY LIVER LUNG LYMPH NODE MIDBRAIN
ORAL MUCOSA OVARY PANCREAS PARATHYROID GLAND PITUITARY GLAND PLACENTA PROSTATE RECTUM RETINA SALIVARY GLAND SEMINAL VESICLE SKELETAL MUSCLE SKIN
SMALL INTESTINE SMOOTH MUSCLE SOFT TISSUE SPINAL CORD SPLEEN STOMACH TESTIS THYMUS THYROID GLAND TONGUE TONSIL URINARY BLADDER VAGINA
ANTIBODIES
AND
VALIDATION
Dictionary
Skin
Tissue proteome
Skin
SKIN - Expression summary
Protein expression
Skini

On the top, protein expression in current human tissue, based on all annotated cell types, is reported with the units not detected (n), low (l), medium (m) and high (h). Underneath, protein expression in each annotated cell type are reported using the same units.

Protein expression data is based on knowledge-based annotation. For genes where more than one antibody has been used, a collective score is set.

If knowledge-based annotation could not be performed for a gene, no data is displayed here. View antibody staining data further down this page.

h
m
l
n
Cells in basal layer: High
Cells in corneal layer: Not detected
Cells in granular layer: Not detected
Cells in spinous layer: Medium
Endothelial cells: Not detected
Extracellular matrix: Not detected
Fibrohistiocytic cells: Not detected
Hair follicles: High
Langerhans cells: Medium
Lymphocytes: High
Melanocytes: Not detected
Sebaceous glands: Medium
Vascular mural cells: Not detected
RNA expressioni

A summary of mRNA expression data available for current tissue based on several datasets. The mRNA expression levels in human tissues are based on RNA-seq data generated by the Human Protein Atlas (HPA), Genotype-Tissue Expression (GTEx) portal and CAGE data generated by the FANTOM5 consortium. Consensus normalized expression levels for human tissues was created by combining the data from HPA and GTEx datasets.

The mRNA expression levels in pig are based on RNA-seq data generated by the Human Protein Atlas (HPA), and for mouse, HPA data and in situ hybridization generated by the Allen brain atlas are reported.

Scroll down to view mRNA expression data in more detail.
Consensus:70.6 nTPM
HPA:70.6 nTPM
GTEx:33.2 nTPM

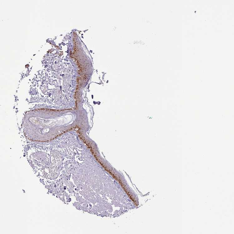
SKIN 1 - Antibody stainingi

Antibody staining in the annotated cell types in the current human tissue is reported as not detected, low, medium, or high, based on conventional immunohistochemistry profiling in selected tissues. This score is based on the combination of the staining intensity and fraction of stained cells.

Each image is clickable and will lead to virtual microscopy that enables deeper exploration of all samples and also displays staining intensity scores, fraction scores and subcellular localization as well as patient and tissue information for each sample.

Antibody HPA051150Antibody HPA063783Antibody CAB045957
Langerhans Not detectedHigh-
Cells in basal layer --High
Cells in corneal layer --Not detected
Cells in granular layer --Not detected
Cells in spinous layer --Low
Endothelial cells --Not detected
Extracellular matrix --Not detected
Fibroblasts Not detectedNot detected-
Fibrohistiocytic cells --Not detected
Hair follicles --High
Keratinocytes MediumMedium-
Langerhans cells --Low
Lymphocytes --Not detected
Melanocytes Not detectedLowNot detected
Sebaceous glands --Medium
Vascular mural cells --Not detected




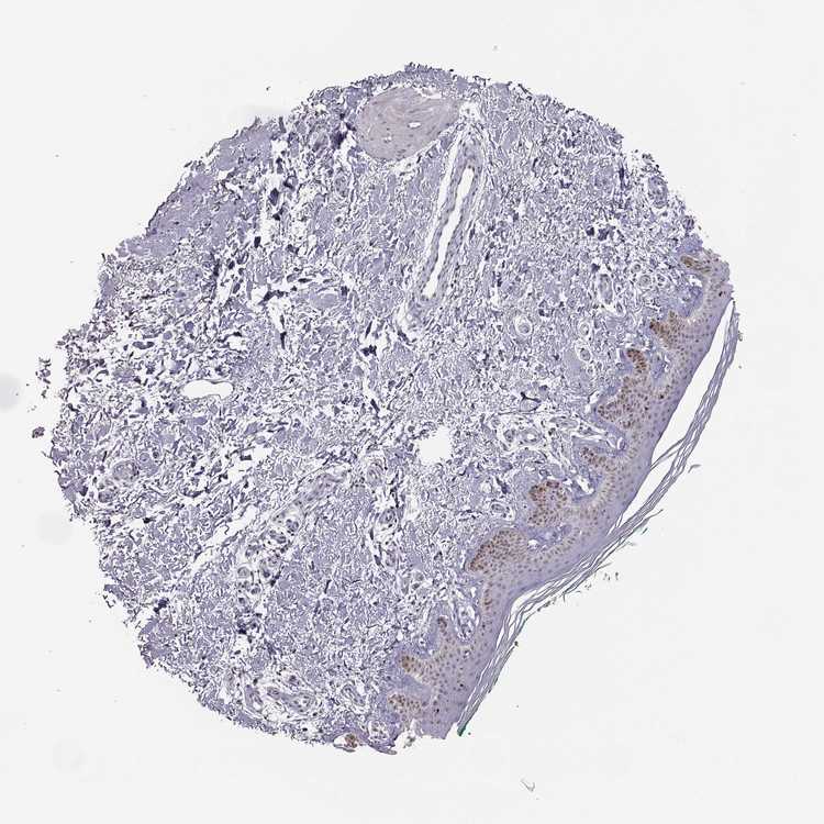
SKIN 2 - Antibody stainingi

Antibody staining in the annotated cell types in the current human tissue is reported as not detected, low, medium, or high, based on conventional immunohistochemistry profiling in selected tissues. This score is based on the combination of the staining intensity and fraction of stained cells.

Each image is clickable and will lead to virtual microscopy that enables deeper exploration of all samples and also displays staining intensity scores, fraction scores and subcellular localization as well as patient and tissue information for each sample.

Antibody HPA051150Antibody HPA063783Antibody CAB045957
Cells in basal layer --High
Cells in corneal layer --Not detected
Cells in granular layer --Not detected
Cells in spinous layer --Medium
Endothelial cells --Not detected
Epidermal cells MediumMedium-
Extracellular matrix --Not detected
Fibrohistiocytic cells --Not detected
Langerhans cells --Medium
Lymphocytes --High
Melanocytes --Not detected
Vascular mural cells --Not detected
   
   
   
   



SKIN - HPA RNA-seqi

The RNA-seq details section shows detailed information about the individual samples used for the transcript profiling and results of the RNA-seq analysis.

Information about each individual sample is listed below, including gender, age, a tissue section image and estimated fractions of cell types. nTPM (normalized transcripts per million) values give a quantification of the gene abundance which is comparable between different genes and samples.
Average nTPMi

Max subtype nTPM is the value for the subtype with the largest average nTPM across the subtype samples.

70.6
overview
Female, age 34
Skin sample 225
nTPM: 64.9
Cell types%
Keratinocytes:
60

Other cell types:
40

overview
Female, age 30
Skin sample 226
nTPM: 55.1
Cell types%
Keratinocytes:
55

Other cell types:
45

N/A
Male, age 57
Skin sample 227
nTPM: 92

SKIN - GTEx RNA-seqi

RNA-Seq data generated by the Genotype-Tissue Expression (GTEx) project from human tissues is reported as mean nTPM. More information can be found on the GTEx portal.

Distribution across the dataset is visualized with box plots, shown as median and 25th and 75th percentiles. Points are displayed as outliers if they are above or below 1.5 times the interquartile range. nTPM values of the individual samples are presented next to the box plot.
Max subtype nTPMi

Max subtype nTPM is the value for the subtype with the largest average nTPM across the subtype samples.

33.2
GTEx sample id Sample description nTPM
Skin - Not Sun Exposed (Suprapubic)
Average nTPM: 33.2
Samples: 604

Max nTPM: 209.6
Min nTPM: 1.4
Std nTPM: 24.5
Median nTPM: 27.7
GTEX-1QW4Y-1126-SM-DTXE3 30-39 years, male 209.6
GTEX-1JMLX-0626-SM-ARL8T 50-59 years, male 177.0
GTEX-W5X1-2526-SM-3GILC 40-49 years, female 159.4
GTEX-14A6H-2026-SM-5Q5DD 30-39 years, male 146.8
GTEX-1HC8U-1326-SM-9YFMJ 40-49 years, female 145.9
GTEX-1EMGI-2326-SM-7PBYA 60-69 years, male 138.0
GTEX-139UW-0326-SM-5J1ML 60-69 years, male 127.9
GTEX-1PBJJ-1026-SM-E76OS 30-39 years, male 120.6
GTEX-1H11D-1826-SM-9QEHM 40-49 years, male 117.7
GTEX-1CAMS-2226-SM-7PBXQ 40-49 years, female 113.7
GTEX-13O61-1426-SM-5KM3D 60-69 years, male 102.7
GTEX-1N2DV-1526-SM-DTXEP 40-49 years, male 102.4
GTEX-14C38-0726-SM-5SI6M 50-59 years, male 101.5
GTEX-1AYD5-2626-SM-7PBXY 50-59 years, male 99.6
GTEX-11PRG-0726-SM-5EGL1 50-59 years, male 99.4
GTEX-1HCU6-2526-SM-ADEHL 60-69 years, female 97.1
GTEX-1EX96-1026-SM-7MKG2 50-59 years, male 95.9
GTEX-1GN1U-0626-SM-9MQL9 50-59 years, female 95.2
GTEX-11ZU8-0126-SM-5EQ58 60-69 years, male 94.9
GTEX-12WSJ-1126-SM-5LZVJ 40-49 years, female 93.0
GTEX-ZT9X-1526-SM-5DUXD 40-49 years, male 92.3
GTEX-1C6VQ-1226-SM-73KYD 50-59 years, male 91.2
GTEX-11ZUS-2626-SM-5FQUR 30-39 years, male 91.1
GTEX-13FTX-1526-SM-5K7VJ 20-29 years, female 89.8
GTEX-1HFI6-0126-SM-CNPPI 40-49 years, male 87.7
GTEX-1JJEA-1826-SM-ARU8P 60-69 years, male 86.7
GTEX-XQ3S-1426-SM-4BOPR 20-29 years, male 81.0
GTEX-15DDE-2926-SM-6LLJ3 50-59 years, female 80.1
GTEX-1E2YA-2126-SM-7MXUO 50-59 years, male 79.7
GTEX-145ME-1726-SM-5Q5EU 40-49 years, female 79.3
GTEX-1EU9M-1426-SM-793AI 60-69 years, male 77.7
GTEX-Y111-0626-SM-4SOIT 50-59 years, male 74.9
GTEX-ZTTD-2826-SM-4YCFA 50-59 years, male 73.0
GTEX-1OJC3-1226-SM-DTXER 20-29 years, male 72.8
GTEX-WI4N-2726-SM-3LK7Y 40-49 years, female 71.4
GTEX-146FQ-2126-SM-5RQHU 30-39 years, male 69.8
GTEX-1LSNL-2726-SM-E9TKJ 50-59 years, male 69.7
GTEX-111CU-1126-SM-5EGIM 50-59 years, male 69.5
GTEX-1IKJJ-2226-SM-CJI4C 60-69 years, male 69.2
GTEX-YECK-0326-SM-4W1YS 60-69 years, male 68.4
GTEX-WFG7-2026-SM-5SI7P 20-29 years, male 68.1
GTEX-1HBPI-2126-SM-ARL9K 50-59 years, male 67.3
GTEX-13OW5-2326-SM-5L3HO 60-69 years, male 66.7
GTEX-17F97-2626-SM-7IGM5 50-59 years, male 66.7
GTEX-145MH-2826-SM-5RQJF 50-59 years, male 66.4
GTEX-1IE54-1126-SM-A9G2Z 40-49 years, female 66.2
GTEX-15RJ7-2126-SM-6PAMD 40-49 years, male 65.7
GTEX-1QAET-0326-SM-EVR3U 50-59 years, male 65.6
GTEX-ZYT6-2326-SM-5GZY3 30-39 years, male 65.5
GTEX-1PIIG-2326-SM-DTXFR 30-39 years, male 63.9
GTEX-13JVG-0726-SM-5KM16 60-69 years, male 63.2
GTEX-WHSB-1326-SM-3LK6W 50-59 years, male 63.2
GTEX-11OF3-0126-SM-5PNYF 60-69 years, male 63.1
GTEX-ZPU1-1126-SM-4YCF3 40-49 years, male 62.4
GTEX-11P81-2226-SM-5PNYI 30-39 years, female 62.1
GTEX-1ICLZ-0326-SM-ARL82 60-69 years, male 62.1
GTEX-11WQC-1826-SM-5GU59 60-69 years, male 61.0
GTEX-183WM-0326-SM-72D5V 70-79 years, female 61.0
GTEX-144FL-0626-SM-5LU43 50-59 years, male 60.5
GTEX-1GMRU-2126-SM-7P8RA 50-59 years, male 60.4
GTEX-17KNJ-2126-SM-718AM 50-59 years, male 60.2
GTEX-ZF3C-0626-SM-DO92O 50-59 years, female 60.2
GTEX-13112-0126-SM-5P9IU 50-59 years, male 59.9
GTEX-U8XE-0226-SM-4E3J3 30-39 years, male 59.9
GTEX-1JK1U-0226-SM-ARZMX 60-69 years, male 59.3
GTEX-YJ8O-2526-SM-5HL85 40-49 years, female 58.8
GTEX-11GS4-0226-SM-5HL77 60-69 years, male 57.2
GTEX-17HG3-2626-SM-7DUF2 30-39 years, female 57.2
GTEX-1J1OQ-0126-SM-D4P2N 40-49 years, female 57.2
GTEX-14LLW-2626-SM-62LDZ 70-79 years, female 57.1
GTEX-1B8L1-2226-SM-7P8PT 60-69 years, male 56.9
GTEX-1HSKV-1226-SM-ADEI4 60-69 years, male 56.7
GTEX-1GZ4I-2626-SM-9KNU3 50-59 years, male 56.5
GTEX-Y9LG-1126-SM-4VBQ7 30-39 years, male 56.1
GTEX-Y114-2126-SM-4TT8B 50-59 years, female 55.9
GTEX-16MT9-0126-SM-7EPI8 60-69 years, female 55.7
GTEX-12ZZY-0726-SM-5EQ66 60-69 years, male 55.4
GTEX-1RAZQ-1326-SM-E9TK6 30-39 years, male 55.3
GTEX-ZVT4-2426-SM-5GIEI 50-59 years, female 55.2
GTEX-148VJ-0626-SM-5LUAW 70-79 years, male 54.6
GTEX-1LVA9-2626-SM-EVYD4 50-59 years, male 54.3
GTEX-1S3DN-2126-SM-E9TIN 50-59 years, male 54.1
GTEX-1313W-0626-SM-5EQ4H 50-59 years, female 53.8
GTEX-18A67-1626-SM-7LT9T 50-59 years, male 53.6
GTEX-144GO-2026-SM-5O99P 60-69 years, male 53.4
GTEX-12126-0826-SM-5FQTZ 20-29 years, male 53.2
GTEX-1GN1V-2826-SM-9JGIA 60-69 years, male 53.1
GTEX-17MFQ-1526-SM-7KFRR 20-29 years, male 53.0
GTEX-1LSVX-2526-SM-DIPEU 60-69 years, male 52.9
GTEX-13OW7-0426-SM-5K7VK 50-59 years, male 52.4
GTEX-15G1A-1626-SM-7KUKN 30-39 years, male 52.3
GTEX-139TS-2126-SM-5K7XC 60-69 years, male 52.2
GTEX-11DYG-1526-SM-5A5JS 60-69 years, male 52.0
GTEX-13FHO-0426-SM-5L3F5 60-69 years, male 51.9
GTEX-1H3O1-1326-SM-9MQLD 60-69 years, male 51.8
GTEX-11NUK-2726-SM-5A5MC 50-59 years, male 51.7
GTEX-1B8KZ-0326-SM-73KY4 50-59 years, male 51.4
GTEX-14BIN-1126-SM-5RQJZ 50-59 years, female 50.6
GTEX-Y5V6-2326-SM-4VDSA 60-69 years, male 50.6
GTEX-ZTX8-1326-SM-4YCEL 20-29 years, male 50.4
GTEX-17HGU-2326-SM-7DUFE 50-59 years, male 50.3
GTEX-ZYVF-0926-SM-5E44J 50-59 years, female 50.0
GTEX-147F4-0726-SM-5TDDD 50-59 years, male 49.7
GTEX-13SLW-0626-SM-5Q5ER 70-79 years, male 49.6
GTEX-145LU-1926-SM-79OJN 50-59 years, male 49.5
GTEX-1H1DE-1326-SM-9KNUG 20-29 years, male 49.4
GTEX-14C39-1726-SM-5RQIL 40-49 years, male 49.2
GTEX-1B97I-0626-SM-73KUZ 40-49 years, male 48.9
GTEX-1MJK3-0726-SM-E6CJC 20-29 years, male 48.9
GTEX-1I1GS-2626-SM-B2LY3 60-69 years, male 48.7
GTEX-1CB4F-1026-SM-7DUH1 60-69 years, male 48.6
GTEX-1A8G7-1326-SM-73KVM 60-69 years, male 48.5
GTEX-WHWD-1826-SM-3LK6I 50-59 years, male 48.3
GTEX-13OW6-2726-SM-5J2OE 50-59 years, male 48.2
GTEX-13X6K-0626-SM-5LU5D 60-69 years, female 48.1
GTEX-14JG1-1526-SM-5YY9X 40-49 years, male 47.7
GTEX-13VXU-0626-SM-5L3F9 50-59 years, male 47.3
GTEX-15ER7-0626-SM-6PANF 20-29 years, female 47.2
GTEX-11DXZ-2026-SM-5987S 50-59 years, male 46.4
GTEX-12WSH-1526-SM-5BC5W 50-59 years, male 46.3
GTEX-ZDTS-0826-SM-4WKHL 60-69 years, male 46.3
GTEX-Y3I4-1726-SM-4TT89 50-59 years, male 46.2
GTEX-14PII-0726-SM-6EU2B 60-69 years, male 46.0
GTEX-15DYW-2726-SM-6EU2I 60-69 years, female 46.0
GTEX-1RAZR-2126-SM-E9U6T 40-49 years, male 46.0
GTEX-1399S-0126-SM-5IJCF 30-39 years, female 45.7
GTEX-13G51-1826-SM-5KLZH 60-69 years, male 45.4
GTEX-1IL2V-1926-SM-B2LW8 70-79 years, male 45.3
GTEX-13NYB-0126-SM-5J1MD 40-49 years, male 45.2
GTEX-1H4P4-2126-SM-9WYSL 50-59 years, male 45.2
GTEX-1JMQI-1726-SM-ARL93 50-59 years, male 45.2
GTEX-13N11-2326-SM-5IJBF 50-59 years, female 45.0
GTEX-14ICL-1626-SM-5YYAO 30-39 years, male 44.9
GTEX-183FY-1026-SM-7939A 20-29 years, male 44.9
GTEX-13SLX-2226-SM-62LEP 50-59 years, female 44.7
GTEX-1CB4E-0926-SM-7EPHT 60-69 years, male 44.7
GTEX-13O3Q-0126-SM-5KM34 50-59 years, male 44.6
GTEX-17HHE-1326-SM-7EWDZ 50-59 years, male 44.3
GTEX-15SKB-2826-SM-6PAMH 60-69 years, male 43.9
GTEX-1RLM8-2926-SM-E8VON 50-59 years, male 43.9
GTEX-X4EO-2926-SM-4E3JH 60-69 years, female 43.8
GTEX-1I1GV-0626-SM-ARL7M 60-69 years, male 43.5
GTEX-XXEK-1626-SM-4BRUZ 50-59 years, male 43.3
GTEX-14BMV-2826-SM-5TDED 50-59 years, male 43.2
GTEX-12ZZZ-0726-SM-5GCNZ 60-69 years, male 43.1
GTEX-139TT-2126-SM-5LZWC 60-69 years, male 43.0
GTEX-13OVJ-0826-SM-5J1OK 50-59 years, female 43.0
GTEX-1F75A-0726-SM-7RHHD 50-59 years, male 42.8
GTEX-14PJ3-1126-SM-5ZZVX 50-59 years, male 42.6
GTEX-1JKYR-0626-SM-ARL8R 20-29 years, male 42.6
GTEX-1JMQJ-0826-SM-CNPP7 50-59 years, male 42.6
GTEX-13PL6-1126-SM-5L3IE 40-49 years, female 42.3
GTEX-1AX9I-2226-SM-73KUO 60-69 years, male 42.3
GTEX-15RIG-0726-SM-7KUM7 40-49 years, male 42.2
GTEX-1EN7A-2426-SM-793DB 40-49 years, male 42.2
GTEX-14PJO-2526-SM-6AJBQ 60-69 years, male 41.9
GTEX-15EU6-2226-SM-6EU2L 50-59 years, male 41.7
GTEX-13113-1626-SM-5EQ4I 60-69 years, female 41.5
GTEX-1IDJH-0126-SM-D3L92 70-79 years, male 41.5
GTEX-18A6Q-0626-SM-7KFRP 60-69 years, male 40.5
GTEX-1JMQL-2226-SM-CNPP4 50-59 years, female 40.3
GTEX-17EVP-2626-SM-7IGMA 40-49 years, male 40.1
GTEX-1IKOE-1426-SM-CE6T7 30-39 years, female 39.9
GTEX-Y3IK-1626-SM-4YCF5 50-59 years, female 39.6
GTEX-WRHU-2826-SM-3MJG8 50-59 years, female 39.5
GTEX-ZAB4-2126-SM-5HL8U 40-49 years, male 39.5
GTEX-1HGF4-0126-SM-CNPPX 60-69 years, male 39.4
GTEX-1S82U-1026-SM-E6CJK 30-39 years, female 39.4
GTEX-1JJE9-2626-SM-ARZMT 70-79 years, male 39.3
GTEX-13X6J-0626-SM-5LU5F 50-59 years, male 39.2
GTEX-145MF-0926-SM-5Q5EA 50-59 years, male 39.2
GTEX-16YQH-2226-SM-7IGM2 30-39 years, male 39.1
GTEX-13RTJ-0126-SM-5S2NN 60-69 years, male 38.9
GTEX-1C64N-2626-SM-7PC2N 50-59 years, male 38.8
GTEX-1IY9M-2826-SM-ARU8H 60-69 years, male 38.7
GTEX-14LZ3-0126-SM-69LPM 60-69 years, female 38.5
GTEX-1122O-1026-SM-9WYSF 60-69 years, female 38.3
GTEX-ZDYS-2426-SM-4WKGI 50-59 years, male 37.9
GTEX-11DXY-0126-SM-5H11Q 60-69 years, male 37.8
GTEX-1GPI6-1926-SM-9KNV7 60-69 years, male 37.8
GTEX-18D9U-0126-SM-731BM 40-49 years, male 37.7
GTEX-V1D1-2026-SM-3GAF4 50-59 years, male 37.7
GTEX-131XH-0126-SM-5LZUY 50-59 years, male 37.6
GTEX-13OVL-0126-SM-5L3GJ 50-59 years, male 37.3
GTEX-XYKS-1426-SM-4BRUO 60-69 years, female 37.3
GTEX-12WSM-1926-SM-5BC65 60-69 years, male 37.2
GTEX-111VG-1626-SM-5EGIO 60-69 years, male 37.1
GTEX-15CHR-1126-SM-7EWF4 50-59 years, male 37.0
GTEX-11GSP-2326-SM-5HL63 60-69 years, female 36.9
GTEX-13FTY-2126-SM-5IFFB 40-49 years, female 36.9
GTEX-X585-2426-SM-46MW2 50-59 years, male 36.8
GTEX-1KWVE-1026-SM-D3L9O 30-39 years, male 36.6
GTEX-13N1W-2426-SM-5IJD1 70-79 years, male 36.4
GTEX-12KS4-2126-SM-5FQUT 30-39 years, male 36.3
GTEX-144GM-0526-SM-79OJO 20-29 years, male 36.3
GTEX-1ICLY-0826-SM-CMKG1 50-59 years, male 36.3
GTEX-1OJC4-2726-SM-E76PJ 50-59 years, female 36.3
GTEX-11P82-1426-SM-DTXFY 20-29 years, male 36.2
GTEX-Y8E4-2026-SM-5IFJB 40-49 years, male 36.1
GTEX-ZVE2-2826-SM-5GU51 50-59 years, male 36.1
GTEX-1MCC2-1826-SM-DIPEX 30-39 years, female 35.9
GTEX-WHPG-2626-SM-3NMBR 50-59 years, male 35.8
GTEX-1HT8W-0626-SM-A9G2H 30-39 years, male 35.8
GTEX-1R46S-2426-SM-E76QA 60-69 years, female 35.8
GTEX-X8HC-0626-SM-4E3HQ 50-59 years, female 35.6
GTEX-1497J-0226-SM-5QGPU 60-69 years, male 35.5
GTEX-16NPX-0726-SM-7KULC 50-59 years, male 35.5
GTEX-1JN76-0626-SM-CKZOQ 20-29 years, female 35.5
GTEX-16AAH-0626-SM-793C9 50-59 years, male 35.4
GTEX-13PVQ-0626-SM-5LU47 50-59 years, male 35.3
GTEX-14PHX-2226-SM-6EU2P 50-59 years, male 35.3
GTEX-17HHY-0426-SM-7DHLC 50-59 years, male 35.2
GTEX-1269C-0126-SM-5EQ5L 60-69 years, female 34.9
GTEX-18465-2826-SM-7LT9J 50-59 years, male 34.9
GTEX-1JMPY-0226-SM-CKZOK 30-39 years, male 34.9
GTEX-12WSC-2826-SM-5BC5Y 50-59 years, male 34.8
GTEX-UPJH-0226-SM-3GADV 50-59 years, male 34.6
GTEX-ZXG5-2126-SM-59HKD 60-69 years, male 34.6
GTEX-1PPGY-1626-SM-EVYBL 60-69 years, male 34.6
GTEX-18A7A-0126-SM-731AH 50-59 years, female 34.5
GTEX-1GZHY-0626-SM-9KNVC 50-59 years, female 34.4
GTEX-1N2EE-0626-SM-E76PW 60-69 years, male 34.4
GTEX-1NSGN-0726-SM-DTXEF 50-59 years, male 34.4
GTEX-145MG-1526-SM-5Q5EM 50-59 years, male 34.3
GTEX-1QP9N-1226-SM-E76QN 30-39 years, male 34.2
GTEX-WFG8-2126-SM-3GIKQ 20-29 years, male 34.1
GTEX-14JFF-0626-SM-5ZZVT 60-69 years, male 34.1
GTEX-1JMPZ-0726-SM-CY8HZ 30-39 years, male 34.1
GTEX-147JS-0226-SM-5S2U9 60-69 years, male 34.0
GTEX-ZZPU-0826-SM-5GZX5 50-59 years, female 33.8
GTEX-1F6I4-2326-SM-7RHGL 60-69 years, male 33.8
GTEX-1HBPN-0126-SM-CGQEF 50-59 years, male 33.8
GTEX-1BAJH-2426-SM-7IGP8 70-79 years, male 33.7
GTEX-1NV5F-0626-SM-DTXEG 60-69 years, female 33.7
GTEX-17HII-1426-SM-7EPGG 50-59 years, male 33.6
GTEX-1C6WA-2626-SM-7MKGM 60-69 years, male 33.5
GTEX-1J8EW-2726-SM-CY8HR 60-69 years, female 33.5
GTEX-15EO6-2426-SM-6PALZ 50-59 years, male 33.3
GTEX-1B8SF-0126-SM-7DUG3 60-69 years, male 33.2
GTEX-1I1GP-1326-SM-A9G28 50-59 years, male 33.0
GTEX-1KAFJ-0126-SM-DIPEK 50-59 years, male 32.9
GTEX-1O9I2-0226-SM-EYYXD 50-59 years, male 32.9
GTEX-1PPH8-0126-SM-EWRN8 20-29 years, male 32.8
GTEX-1399Q-2326-SM-5KM2X 40-49 years, male 32.7
GTEX-13FLV-0126-SM-5K7WT 50-59 years, male 32.7
GTEX-15RJE-2826-SM-7KUM9 40-49 years, male 32.7
GTEX-145MI-0626-SM-5SI8S 60-69 years, female 32.5
GTEX-11O72-0626-SM-5PNYE 40-49 years, male 32.4
GTEX-1CB4H-1126-SM-7MKGL 60-69 years, female 32.4
GTEX-1QPFJ-1926-SM-EVYBD 30-39 years, female 32.4
GTEX-16MTA-0926-SM-6M47Z 50-59 years, male 32.3
GTEX-1HSGN-0826-SM-ACKW3 40-49 years, female 32.3
GTEX-1LG7Y-2526-SM-EWRO7 50-59 years, male 32.3
GTEX-11TUW-0626-SM-5LU9M 60-69 years, male 32.2
GTEX-1F48J-0726-SM-7RHGS 50-59 years, female 32.2
GTEX-1QMI2-2526-SM-E8VNZ 60-69 years, male 32.2
GTEX-14753-0726-SM-5QGQO 60-69 years, male 32.1
GTEX-YEC4-1826-SM-4W1YP 40-49 years, male 32.1
GTEX-1GMR3-0126-SM-A9SLW 40-49 years, male 32.1
GTEX-1I6K7-1926-SM-B2LXR 40-49 years, male 32.1
GTEX-1GN2E-0226-SM-9WG6K 60-69 years, male 32.0
GTEX-XBEC-0726-SM-4QARZ 50-59 years, male 31.5
GTEX-1GF9V-0826-SM-9KNUV 60-69 years, male 31.3
GTEX-144GL-0626-SM-5LU4D 50-59 years, male 31.2
GTEX-15G19-2426-SM-7KUMR 60-69 years, male 31.2
GTEX-ZC5H-1526-SM-5HL9Y 40-49 years, female 31.1
GTEX-ZF2S-1626-SM-57WES 50-59 years, female 31.1
GTEX-1CAMQ-1326-SM-7P8RV 40-49 years, male 31.1
GTEX-1PDJ9-1226-SM-EXUSX 20-29 years, male 31.1
GTEX-15SHW-0226-SM-7LTAT 60-69 years, male 30.9
GTEX-X5EB-1926-SM-4E3IW 40-49 years, male 30.9
GTEX-12696-0126-SM-5EQ4L 60-69 years, male 30.8
GTEX-1HCU8-2526-SM-CE6RX 60-69 years, female 30.8
GTEX-1LB8K-0726-SM-D5OV2 50-59 years, male 30.7
GTEX-1212Z-0126-SM-59HK4 60-69 years, male 30.6
GTEX-13D11-0926-SM-5J2NC 50-59 years, female 30.6
GTEX-1A8FM-0626-SM-7PC25 50-59 years, female 30.6
GTEX-139TU-0726-SM-5L3EK 60-69 years, male 30.5
GTEX-1GN73-0726-SM-7P8TJ 60-69 years, male 30.4
GTEX-133LE-2326-SM-5K7W3 20-29 years, female 30.3
GTEX-WY7C-2126-SM-3NB2R 50-59 years, male 30.2
GTEX-14ABY-2026-SM-62LDL 50-59 years, male 30.1
GTEX-1HSMQ-2626-SM-A9SML 50-59 years, male 30.1
GTEX-1C6VR-0126-SM-7RHGB 60-69 years, male 29.9
GTEX-WHSE-0126-SM-3NMBT 20-29 years, male 29.7
GTEX-178AV-1726-SM-7KUL8 40-49 years, male 29.6
GTEX-1K2DU-1226-SM-CYPT4 20-29 years, male 29.2
GTEX-1S83E-1326-SM-E6CJM 40-49 years, male 29.2
GTEX-18QFQ-1826-SM-72D52 30-39 years, male 28.8
GTEX-14PJ4-0226-SM-5YY92 60-69 years, male 28.7
GTEX-11LCK-2226-SM-5HL4Q 30-39 years, male 28.6
GTEX-1K9T9-1526-SM-DIPFR 50-59 years, female 28.5
GTEX-1B933-2426-SM-7DHMD 50-59 years, female 28.4
GTEX-1IDJF-2026-SM-CL53V 20-29 years, male 28.3
GTEX-ZE7O-2726-SM-51MT5 50-59 years, female 28.2
GTEX-17F98-1326-SM-7DUEP 40-49 years, female 28.1
GTEX-1CAV2-0126-SM-7IGN7 40-49 years, female 28.1
GTEX-13X6I-1826-SM-5SIAO 60-69 years, male 28.0
GTEX-1I1GU-0926-SM-ACKVS 40-49 years, male 28.0
GTEX-1GL5R-1326-SM-7RHHF 50-59 years, male 27.8
GTEX-1GMR8-0626-SM-7RHI7 50-59 years, female 27.8
GTEX-1LBAC-0826-SM-CY8IJ 20-29 years, male 27.8
GTEX-131XF-2626-SM-5EQ6K 60-69 years, male 27.6
GTEX-1EKGG-0626-SM-7DUGJ 60-69 years, male 27.6
GTEX-12WSF-1626-SM-7KUG5 70-79 years, male 27.3
GTEX-ZYY3-2926-SM-5GIEB 60-69 years, female 27.3
GTEX-1ICG6-1226-SM-A9SLN 70-79 years, female 27.3
GTEX-11P7K-1126-SM-5HL4L 30-39 years, male 27.1
GTEX-WFON-1926-SM-3LK7L 40-49 years, male 27.1
GTEX-ZP4G-1426-SM-4WWCL 20-29 years, female 27.1
GTEX-1R9PM-1926-SM-EVR3O 20-29 years, male 27.1
GTEX-1A32A-0626-SM-731AQ 50-59 years, female 27.0
GTEX-13VXT-1926-SM-5K7UO 20-29 years, female 26.9
GTEX-1HB9E-0126-SM-CM2S5 50-59 years, male 26.9
GTEX-ZPIC-0526-SM-DO91W 40-49 years, female 26.9
GTEX-ZF29-0926-SM-4WKFZ 60-69 years, female 26.8
GTEX-1AMFI-1326-SM-7939R 50-59 years, female 26.6
GTEX-12WSK-2126-SM-5CVNC 40-49 years, female 26.2
GTEX-1B996-0426-SM-7EWF8 60-69 years, male 26.2
GTEX-ZYFD-0626-SM-5E44E 50-59 years, male 26.1
GTEX-1GTWX-2026-SM-9YFLM 60-69 years, male 26.1
GTEX-12WSD-0626-SM-5GCMW 60-69 years, female 25.6
GTEX-139YR-1026-SM-5LZYN 50-59 years, male 25.6
GTEX-14E1K-2026-SM-7DUEI 50-59 years, male 25.6
GTEX-1HCUA-0826-SM-ADEHM 50-59 years, female 25.6
GTEX-1I1HK-2326-SM-CKZOH 60-69 years, male 25.6
GTEX-131XG-0326-SM-5L3DX 50-59 years, female 25.5
GTEX-15CHQ-0326-SM-69LQD 60-69 years, male 25.5
GTEX-ZYFC-0426-SM-5GICQ 50-59 years, male 25.5
GTEX-1GZ2Q-0126-SM-9WG6M 40-49 years, male 25.5
GTEX-1JMQK-1226-SM-D4P2S 60-69 years, male 25.5
GTEX-XAJ8-1426-SM-47JYM 40-49 years, male 25.3
GTEX-1IDJC-1526-SM-B2LW4 50-59 years, male 25.3
GTEX-11UD2-2526-SM-5CVNU 50-59 years, male 25.0
GTEX-1EWIQ-0326-SM-7DHMQ 70-79 years, female 24.9
GTEX-ZPCL-1126-SM-4WWFE 60-69 years, female 24.8
GTEX-1M4P7-0726-SM-E6CJ3 60-69 years, male 24.8
GTEX-1GF9W-1426-SM-7PBYM 60-69 years, male 24.7
GTEX-1HR9M-2226-SM-CNPPY 60-69 years, male 24.7
GTEX-1HSMO-0626-SM-ACKXC 60-69 years, male 24.7
GTEX-131XW-0626-SM-5PNVD 50-59 years, female 24.6
GTEX-1A8G6-2726-SM-731AR 60-69 years, male 24.6
GTEX-1F52S-2926-SM-7MKGA 60-69 years, female 24.6
GTEX-12C56-1526-SM-5FQUQ 20-29 years, male 24.4
GTEX-XBED-1926-SM-47JYP 60-69 years, male 24.3
GTEX-14XAO-1226-SM-6EU1C 60-69 years, female 24.2
GTEX-1KXAM-1626-SM-D3LAD 60-69 years, male 24.2
GTEX-13JUV-2026-SM-5K7UA 40-49 years, female 24.0
GTEX-WXYG-2026-SM-4E3IY 50-59 years, female 24.0
GTEX-1JMOU-1026-SM-CYPSS 60-69 years, female 24.0
GTEX-11NSD-0626-SM-5A5LU 20-29 years, male 23.9
GTEX-ZDTT-0426-SM-4WKFL 60-69 years, male 23.9
GTEX-1H1DG-2426-SM-9QEHJ 70-79 years, male 23.9
GTEX-1GF9X-1326-SM-7PC2Y 40-49 years, female 23.8
GTEX-YFCO-1226-SM-5LUAT 40-49 years, male 23.7
GTEX-1LKK1-2626-SM-DKPQE 50-59 years, female 23.7
GTEX-1LVAN-0626-SM-CNPOQ 50-59 years, female 23.6
GTEX-14PJ6-2626-SM-6EU2T 60-69 years, female 23.5
GTEX-111YS-1526-SM-5GZYW 60-69 years, male 23.2
GTEX-1K2DA-1026-SM-CGQGF 50-59 years, male 23.2
GTEX-XMD2-2126-SM-4YCF8 60-69 years, female 23.1
GTEX-ZY6K-1426-SM-5GZX2 50-59 years, male 23.1
GTEX-1211K-1526-SM-5FQU4 60-69 years, female 23.0
GTEX-XBEW-1126-SM-4QARW 40-49 years, male 23.0
GTEX-13YAN-0226-SM-5TDC6 60-69 years, male 22.9
GTEX-1JN6P-2926-SM-CL54D 60-69 years, male 22.9
GTEX-12ZZX-2426-SM-5GCOE 40-49 years, female 22.8
GTEX-1399U-1126-SM-5L3DB 50-59 years, female 22.8
GTEX-11DXX-2126-SM-5PNYR 60-69 years, female 22.7
GTEX-147GR-2426-SM-5ZZWQ 60-69 years, male 22.7
GTEX-14PHY-1226-SM-5ZZWK 60-69 years, female 22.7
GTEX-13QBU-1226-SM-5LU4G 40-49 years, female 22.6
GTEX-1F75I-2226-SM-7SB8U 40-49 years, male 22.5
GTEX-11EI6-2826-SM-5H11D 60-69 years, male 22.4
GTEX-145LS-0626-SM-7EPG7 60-69 years, female 22.2
GTEX-1HCU7-0726-SM-A9SL1 50-59 years, male 22.2
GTEX-1C2JI-1026-SM-73KY1 50-59 years, male 22.1
GTEX-1477Z-0326-SM-7IGLA 60-69 years, male 21.9
GTEX-WYVS-1626-SM-3NM9R 40-49 years, female 21.9
GTEX-1R9K4-2826-SM-DTX8F 60-69 years, male 21.9
GTEX-XV7Q-1826-SM-4BRUV 40-49 years, female 21.8
GTEX-13OVG-1626-SM-5J1NF 60-69 years, male 21.7
GTEX-WK11-2726-SM-3NMAQ 50-59 years, male 21.7
GTEX-16MT8-2926-SM-7DUFO 60-69 years, female 21.6
GTEX-1C475-1326-SM-7SB73 40-49 years, female 21.6
GTEX-1KANB-2826-SM-CY8I6 50-59 years, male 21.6
GTEX-1S831-1826-SM-EWROF 20-29 years, male 21.6
GTEX-1B8KE-1126-SM-7EPHI 50-59 years, male 21.4
GTEX-1IDJD-2326-SM-ACKWX 30-39 years, male 21.3
GTEX-1H3VE-0726-SM-9YFL5 40-49 years, male 21.1
GTEX-14PJ5-1526-SM-6LLIL 60-69 years, female 21.0
GTEX-17F9E-2326-SM-79OKD 50-59 years, male 21.0
GTEX-1CAMR-1326-SM-7PC1F 20-29 years, male 20.9
GTEX-14PJ2-0626-SM-6LLII 50-59 years, male 20.8
GTEX-1KD5A-0126-SM-E9U54 50-59 years, male 20.7
GTEX-13QJC-0126-SM-5ZZWJ 60-69 years, female 20.6
GTEX-1I1CD-0626-SM-CE6SW 60-69 years, female 20.6
GTEX-147F3-1726-SM-5SIAW 50-59 years, female 20.5
GTEX-16Z82-2626-SM-7KULU 60-69 years, male 20.5
GTEX-13O3O-2326-SM-5IJD6 60-69 years, female 20.4
GTEX-1POEN-2326-SM-E9J2L 30-39 years, female 20.4
GTEX-14PKU-0126-SM-6LLHV 40-49 years, female 20.3
GTEX-1N5O9-0926-SM-E9J3C 60-69 years, male 20.3
GTEX-1MCYP-0526-SM-E9U6Q 20-29 years, female 20.2
GTEX-1IOXB-2726-SM-CM2RI 50-59 years, male 20.1
GTEX-ZAK1-0626-SM-5HL8E 50-59 years, female 19.9
GTEX-1HUB1-1426-SM-CGQF5 60-69 years, male 19.9
GTEX-1H3NZ-2726-SM-9WYTQ 60-69 years, male 19.8
GTEX-13U4I-2226-SM-5LU5H 40-49 years, female 19.5
GTEX-WYBS-0626-SM-3NMAS 60-69 years, female 19.5
GTEX-ZE9C-2526-SM-5IJDR 60-69 years, male 19.5
GTEX-1F88F-0126-SM-9WYSZ 60-69 years, female 19.5
GTEX-14PJN-1826-SM-6AJ98 30-39 years, male 19.3
GTEX-1IDJV-0126-SM-COH3Y 60-69 years, male 19.2
GTEX-139D8-1126-SM-5LU8W 30-39 years, female 19.1
GTEX-1S82P-2126-SM-E6CI5 60-69 years, female 19.1
GTEX-131YS-2826-SM-5EQ47 60-69 years, female 19.0
GTEX-1AX8Z-0726-SM-73KTS 60-69 years, male 19.0
GTEX-17F9Y-0126-SM-79OKX 70-79 years, female 18.9
GTEX-ZDXO-3126-SM-5IJDF 60-69 years, male 18.9
GTEX-13PVR-0426-SM-5RQK2 60-69 years, female 18.8
GTEX-16BQI-1326-SM-6M486 30-39 years, female 18.8
GTEX-1B932-2326-SM-79OL5 40-49 years, female 18.8
GTEX-ZVZP-1226-SM-5GID7 50-59 years, male 18.8
GTEX-1GPI7-1826-SM-9KNU1 20-29 years, male 18.6
GTEX-1RAZS-2526-SM-E6CHT 50-59 years, male 18.6
GTEX-1192X-2726-SM-5N9DN 50-59 years, male 18.5
GTEX-12584-0726-SM-5FQTK 40-49 years, male 18.5
GTEX-14E6E-0526-SM-793DN 30-39 years, male 18.4
GTEX-13OW8-1026-SM-5J1NQ 60-69 years, male 18.3
GTEX-15FZZ-0526-SM-7KUGD 30-39 years, female 18.3
GTEX-15UF6-1926-SM-7KUDV 70-79 years, female 18.2
GTEX-1EH9U-2826-SM-7DUGT 60-69 years, male 18.2
GTEX-Z93S-1626-SM-5CVMB 50-59 years, male 18.2
GTEX-1IDJU-1726-SM-CMKHU 60-69 years, female 18.1
GTEX-18D9B-0926-SM-7LG4U 60-69 years, male 18.0
GTEX-1HR98-2226-SM-ADEI2 60-69 years, male 17.9
GTEX-1R7EU-1626-SM-DTXG3 60-69 years, male 17.9
GTEX-13N2G-0226-SM-5K7VF 60-69 years, male 17.8
GTEX-1IDFM-0326-SM-ARL7V 60-69 years, male 17.8
GTEX-1RAZA-2226-SM-E9U4X 20-29 years, male 17.8
GTEX-YEC3-1326-SM-DO92X 50-59 years, male 17.8
GTEX-18A66-0626-SM-7LT8Z 60-69 years, male 17.7
GTEX-1I1GT-1026-SM-ARZLV 60-69 years, female 17.7
GTEX-13FTW-0326-SM-5K7UW 40-49 years, male 17.6
GTEX-13OVK-1426-SM-6PAN7 40-49 years, male 17.6
GTEX-13W3W-0726-SM-5IJDQ 60-69 years, female 17.6
GTEX-1F5PL-0926-SM-7PC2W 40-49 years, female 17.6
GTEX-17MF6-2626-SM-79OKQ 40-49 years, male 17.4
GTEX-12BJ1-0926-SM-5EQ62 60-69 years, male 17.3
GTEX-ZVP2-0326-SM-57WBP 50-59 years, male 17.2
GTEX-1H1CY-0126-SM-9YFLY 60-69 years, female 17.2
GTEX-1J8JJ-0626-SM-ARZMQ 60-69 years, female 17.2
GTEX-12WSL-2026-SM-5GCML 50-59 years, male 17.1
GTEX-Y5V5-0126-SM-5S2NW 60-69 years, female 17.1
GTEX-ZZ64-1026-SM-5GZXG 20-29 years, male 17.1
GTEX-ZVT2-0126-SM-5GIDQ 50-59 years, female 16.9
GTEX-1PIGE-1826-SM-E8VOU 20-29 years, male 16.9
GTEX-WH7G-2026-SM-3NMBL 40-49 years, male 16.7
GTEX-1QCLY-0226-SM-EWRNH 30-39 years, male 16.6
GTEX-1GZ4H-0526-SM-9KNU9 50-59 years, female 16.5
GTEX-ZA64-1026-SM-5HL8R 20-29 years, male 16.4
GTEX-12WSA-0426-SM-5EQ5X 60-69 years, male 16.3
GTEX-VJYA-1526-SM-3GIJV 60-69 years, male 16.2
GTEX-1RB15-1326-SM-E76Q9 60-69 years, male 16.2
GTEX-XPVG-2126-SM-4B667 50-59 years, male 16.1
GTEX-1CB4J-1326-SM-7P8RX 60-69 years, male 16.1
GTEX-1HCVE-2726-SM-CL54F 50-59 years, male 16.1
GTEX-13NYC-0126-SM-5L3F4 60-69 years, male 15.9
GTEX-1E1VI-0326-SM-793D1 50-59 years, male 15.9
GTEX-1H23P-0626-SM-9WG6T 60-69 years, male 15.9
GTEX-1A3MW-0626-SM-731CB 60-69 years, female 15.7
GTEX-XQ8I-0926-SM-4BOOF 50-59 years, male 15.7
GTEX-XUW1-0926-SM-4BONX 50-59 years, female 15.7
GTEX-1IDJI-0126-SM-CMKHS 50-59 years, female 15.7
GTEX-1J8Q2-2626-SM-ACKWQ 60-69 years, male 15.7
GTEX-11EQ9-1626-SM-5PNY8 30-39 years, male 15.6
GTEX-15RIE-1926-SM-7KUKJ 60-69 years, male 15.6
GTEX-1A3MV-1826-SM-731CD 30-39 years, male 15.6
GTEX-1HCU9-0426-SM-9WYSD 20-29 years, male 15.6
GTEX-1JJ6O-2726-SM-CNPOG 60-69 years, male 15.5
GTEX-11ZTT-2126-SM-5CVLO 60-69 years, female 15.4
GTEX-145MN-1526-SM-5SI9T 30-39 years, male 15.4
GTEX-18D9A-1426-SM-7LT8M 30-39 years, female 15.4
GTEX-1KANA-1326-SM-DIPFA 20-29 years, male 15.4
GTEX-ZGAY-1826-SM-DO91Q 40-49 years, female 15.4
GTEX-15CHC-1126-SM-6LLHQ 60-69 years, female 15.3
GTEX-18A7B-2726-SM-7LG56 70-79 years, male 15.3
GTEX-13X6H-0926-SM-5SIB2 50-59 years, female 15.2
GTEX-15D1Q-2826-SM-6LLH7 40-49 years, male 15.2
GTEX-1H1E6-0426-SM-9WYUS 30-39 years, male 15.2
GTEX-1LVAO-2726-SM-E9TJ8 60-69 years, male 15.2
GTEX-11VI4-1126-SM-5EQMD 40-49 years, female 15.1
GTEX-13OVH-0526-SM-5L3E6 70-79 years, male 15.0
GTEX-1J1R8-2026-SM-CL53Y 40-49 years, male 15.0
GTEX-1J8QM-2426-SM-A9SLS 60-69 years, female 15.0
GTEX-13IVO-0726-SM-5LZYV 70-79 years, male 14.9
GTEX-ZYW4-0626-SM-59HJR 60-69 years, male 14.9
GTEX-14B4R-1326-SM-5Q5EZ 30-39 years, male 14.7
GTEX-14DAR-1226-SM-73KYV 50-59 years, male 14.7
GTEX-ZYFG-1526-SM-5GZYM 60-69 years, female 14.7
GTEX-1J8Q3-0526-SM-ARL8U 60-69 years, male 14.4
GTEX-1GN1W-2426-SM-9KNUU 50-59 years, female 14.3
GTEX-1HKZK-0726-SM-ACKW2 40-49 years, male 14.2
GTEX-1C64O-1326-SM-7MGWR 60-69 years, male 14.1
GTEX-1LVAM-0726-SM-E6CIL 50-59 years, female 14.1
GTEX-1I6K6-1726-SM-CGQFD 30-39 years, male 14.0
GTEX-1IDJE-1426-SM-ADEIW 50-59 years, female 14.0
GTEX-Y8LW-1526-SM-5IFHL 50-59 years, female 13.9
GTEX-1PPH7-1126-SM-DTX9A 40-49 years, male 13.7
GTEX-14AS3-1526-SM-5Q5ED 40-49 years, female 13.5
GTEX-1HSMP-0926-SM-A9SKX 70-79 years, male 13.5
GTEX-1H1ZS-2726-SM-9WG75 70-79 years, male 13.4
GTEX-1314G-1326-SM-5BC6E 30-39 years, male 13.3
GTEX-ZAJG-1526-SM-5CVML 50-59 years, female 13.3
GTEX-ZU9S-1826-SM-5NQ9E 30-39 years, male 13.3
GTEX-1S5ZU-2526-SM-E6CIF 20-29 years, female 13.3
GTEX-ZVTK-0226-SM-51MRG 20-29 years, male 12.8
GTEX-1F75B-0726-SM-7PC3R 50-59 years, male 12.8
GTEX-17JCI-2926-SM-7DUFF 60-69 years, female 12.7
GTEX-14C5O-0326-SM-5ZZUX 60-69 years, male 12.6
GTEX-1LG7Z-1626-SM-CXKYR 30-39 years, male 12.6
GTEX-11DXW-0826-SM-5H118 40-49 years, male 12.4
GTEX-UPK5-0426-SM-3GAEK 40-49 years, male 12.3
GTEX-1RMOY-1326-SM-E9TIH 50-59 years, male 12.3
GTEX-145MO-2826-SM-5LU96 60-69 years, male 12.2
GTEX-ZLFU-1826-SM-4WWBV 40-49 years, male 12.2
GTEX-1F5PK-2226-SM-7SB6N 50-59 years, male 12.2
GTEX-1F75W-2726-SM-7SB8H 60-69 years, male 12.1
GTEX-1QEPI-2626-SM-DTXF4 60-69 years, female 11.8
GTEX-1H1DF-1126-SM-9WG7G 40-49 years, female 11.7
GTEX-11DZ1-2426-SM-5GZZX 50-59 years, male 11.5
GTEX-1KANC-1226-SM-CYPT7 50-59 years, female 11.4
GTEX-14PKV-1126-SM-6LLJ1 20-29 years, female 11.3
GTEX-1LGRB-0926-SM-COH3K 50-59 years, female 11.3
GTEX-1QCLZ-2426-SM-EVYBW 60-69 years, female 11.2
GTEX-1QP28-1126-SM-EVYC4 50-59 years, female 11.2
GTEX-16XZZ-0726-SM-7KUF2 60-69 years, male 11.1
GTEX-1AMEY-0826-SM-72D65 30-39 years, female 11.1
GTEX-XOT4-0626-SM-4B66L 60-69 years, female 11.1
GTEX-1HFI7-2326-SM-CGQFS 50-59 years, female 11.1
GTEX-1F6IF-0926-SM-7SB7M 60-69 years, male 10.7
GTEX-1F88E-1626-SM-7SB8Z 60-69 years, female 10.7
GTEX-11EM3-1226-SM-5N9DD 20-29 years, female 10.6
GTEX-YB5K-2026-SM-4VDT3 40-49 years, female 10.6
GTEX-1JN1M-2726-SM-CY8I4 60-69 years, female 10.3
GTEX-132AR-0326-SM-5KM2C 50-59 years, female 10.2
GTEX-13PDP-0726-SM-5L3HP 60-69 years, male 10.0
GTEX-X3Y1-2026-SM-3P5YM 40-49 years, male 10.0
GTEX-13NYS-0626-SM-5L3F1 60-69 years, male 9.9
GTEX-ZLWG-0826-SM-59888 50-59 years, female 9.8
GTEX-1I4MK-0126-SM-CY8G6 50-59 years, female 9.7
GTEX-1QP29-1826-SM-DTX9S 50-59 years, male 9.7
GTEX-13NZ9-2626-SM-5L3FK 50-59 years, male 9.6
GTEX-1QP66-1226-SM-DTX7U 50-59 years, male 9.6
GTEX-1QP2A-1726-SM-E76QC 50-59 years, male 9.5
GTEX-1117F-2926-SM-5GZYI 60-69 years, female 9.4
GTEX-14DAQ-0626-SM-793DS 60-69 years, female 9.4
GTEX-16NGA-0726-SM-731AO 40-49 years, female 9.4
GTEX-VUSG-2326-SM-4KL1U 50-59 years, male 9.4
GTEX-1HBPM-0726-SM-9YFL7 60-69 years, female 9.4
GTEX-1LGOU-1326-SM-D3L8M 20-29 years, female 9.3
GTEX-13FH7-1126-SM-5K7UG 50-59 years, female 9.1
GTEX-11TT1-1826-SM-5EQLV 20-29 years, male 8.7
GTEX-1GMR2-0826-SM-7PC3V 50-59 years, male 8.7
GTEX-14JG6-1426-SM-9WG7C 30-39 years, female 8.5
GTEX-1399R-1326-SM-5PNYS 30-39 years, male 8.4
GTEX-1CB4I-0126-SM-7RHGG 50-59 years, male 8.4
GTEX-14A5H-0826-SM-5QGPJ 60-69 years, male 8.3
GTEX-1LSNM-0826-SM-DIPG8 50-59 years, male 8.3
GTEX-145LT-0526-SM-5LUB2 40-49 years, male 8.0
GTEX-ZTSS-1426-SM-5985P 40-49 years, male 8.0
GTEX-139T8-0626-SM-5KLZX 60-69 years, male 7.9
GTEX-14E6C-2426-SM-5S2NF 40-49 years, male 7.9
GTEX-ZWKS-0626-SM-5GIDV 30-39 years, male 7.8
GTEX-WEY5-2326-SM-3GIKK 40-49 years, female 7.7
GTEX-14PK6-0226-SM-62LF5 70-79 years, female 7.6
GTEX-ZLV1-1526-SM-DO91J 60-69 years, female 7.6
GTEX-1R9PN-0426-SM-DTXDT 40-49 years, female 7.4
GTEX-1A3MX-2626-SM-7PC24 60-69 years, male 7.2
GTEX-WYJK-0526-SM-3NM8Z 50-59 years, male 7.1
GTEX-1I19N-0126-SM-CYPSF 70-79 years, male 7.1
GTEX-XK95-0226-SM-4AT58 40-49 years, male 6.9
GTEX-ZUA1-2626-SM-5NQ92 40-49 years, male 6.9
GTEX-1H2FU-0926-SM-9WPPT 60-69 years, female 6.5
GTEX-1JKYN-0826-SM-ARU8S 30-39 years, male 6.0
GTEX-117YX-1926-SM-5GIEC 50-59 years, male 5.8
GTEX-11EQ8-0926-SM-5H12V 60-69 years, male 5.8
GTEX-17F96-0126-SM-7EWDU 70-79 years, male 5.8
GTEX-13NZ8-1226-SM-5KM4A 60-69 years, female 5.7
GTEX-ZVE1-0726-SM-51MRN 50-59 years, female 5.6
GTEX-Y5LM-0926-SM-6LLJG 40-49 years, female 5.4
GTEX-X4EP-0626-SM-3P621 60-69 years, female 5.3
GTEX-ZT9W-1126-SM-57WDR 50-59 years, male 4.7
GTEX-YF7O-1526-SM-5IFI6 50-59 years, male 4.4
GTEX-14BMU-1226-SM-5S2OR 20-29 years, female 4.2
GTEX-16GPK-0626-SM-7KFSF 60-69 years, male 3.6
GTEX-111FC-2526-SM-5GZXU 60-69 years, male 3.2
GTEX-1AX9J-1326-SM-731BJ 60-69 years, male 2.7
GTEX-1GF9U-2026-SM-7SB92 40-49 years, female 2.6
GTEX-1F6RS-2026-SM-7RHHC 60-69 years, female 2.5
GTEX-11WQK-1026-SM-5EQLX 50-59 years, male 2.1
GTEX-17EVQ-0126-SM-7IGLR 70-79 years, male 1.5
GTEX-1L5NE-1126-SM-D3L9P 50-59 years, male 1.4
Show allShow less
Skin - Sun Exposed (Lower leg)
Average nTPM: 31.0
Samples: 701

Max nTPM: 200.0
Min nTPM: 0.6
Std nTPM: 24.0
Median nTPM: 24.7
GTEX-1JMLX-0226-SM-CM2RO 50-59 years, male 200.0
GTEX-14BIM-0226-SM-7IGLD 60-69 years, female 166.4
GTEX-U8XE-0326-SM-3DB8P 30-39 years, male 160.6
GTEX-13JUV-2726-SM-5LZZ8 40-49 years, female 140.7
GTEX-W5X1-3026-SM-EAZAX 40-49 years, female 124.6
GTEX-139UW-2826-SM-5L3E7 60-69 years, male 112.3
GTEX-1269C-2526-SM-5EGJ3 60-69 years, female 110.8
GTEX-1EN7A-0126-SM-7SB81 40-49 years, male 109.9
GTEX-139TS-2826-SM-5J1OO 60-69 years, male 109.1
GTEX-1EMGI-0126-SM-9KNUE 60-69 years, male 106.0
GTEX-1QAET-0926-SM-E76QM 50-59 years, male 98.9
GTEX-1EWIQ-0126-SM-7RHH2 70-79 years, female 97.4
GTEX-1GF9V-0326-SM-7RHI5 60-69 years, male 95.9
GTEX-1QMI2-0226-SM-EVYBX 60-69 years, male 94.2
GTEX-17HG3-2226-SM-7938L 30-39 years, female 93.5
GTEX-1H1CY-2826-SM-9MQM3 60-69 years, female 93.4
GTEX-1PIIG-0226-SM-EWRN6 30-39 years, male 91.9
GTEX-1MA7W-2026-SM-E9TJ6 20-29 years, female 91.1
GTEX-1IDJH-0326-SM-A9SLQ 70-79 years, male 90.6
GTEX-1C64N-0126-SM-793D7 50-59 years, male 89.6
GTEX-1N2DW-0226-SM-E9TK2 50-59 years, male 89.5
GTEX-1ICLZ-0126-SM-CKZPO 60-69 years, male 88.7
GTEX-1GMR3-1926-SM-9KNUZ 40-49 years, male 88.6
GTEX-1IL2U-0226-SM-CE6T8 60-69 years, male 88.4
GTEX-13OW6-0426-SM-5L3HM 50-59 years, male 87.4
GTEX-1GN1U-0126-SM-7PBZK 50-59 years, female 87.1
GTEX-11TUW-2726-SM-E9J4M 60-69 years, male 86.5
GTEX-13RTL-0126-SM-7LG5S 40-49 years, male 86.1
GTEX-ZVZO-0126-SM-5A5L9 40-49 years, male 84.7
GTEX-1313W-0126-SM-5LZUN 50-59 years, female 84.3
GTEX-13X6J-0126-SM-5QGOU 50-59 years, male 83.9
GTEX-XQ3S-1526-SM-4BOOC 20-29 years, male 83.9
GTEX-ZVTK-0426-SM-51MRS 20-29 years, male 83.2
GTEX-139TU-0126-SM-5K7WH 60-69 years, male 83.1
GTEX-15ER7-0326-SM-7KUEV 20-29 years, female 82.3
GTEX-1HFI6-0226-SM-ADEHZ 40-49 years, male 81.3
GTEX-ZYFD-0126-SM-5GIDL 50-59 years, male 80.8
GTEX-WOFL-0126-SM-3MJG2 60-69 years, male 79.9
GTEX-117XS-2726-SM-5N9BL 60-69 years, male 78.7
GTEX-11ZU8-2526-SM-5EQKI 60-69 years, male 78.5
GTEX-POMQ-2226-SM-2I5FK 20-29 years, female 78.2
GTEX-1HB9E-0226-SM-E9U4R 50-59 years, male 76.6
GTEX-12WSC-0126-SM-5EQ4P 50-59 years, male 76.4
GTEX-12WSE-0526-SM-793B2 20-29 years, male 74.5
GTEX-QDVJ-1726-SM-2I5FX 50-59 years, male 74.2
GTEX-1H3VE-0326-SM-9YFLH 40-49 years, male 73.5
GTEX-PX3G-0126-SM-2I3EN 20-29 years, female 73.3
GTEX-13NZA-0226-SM-5K7Z7 60-69 years, male 73.2
GTEX-1B8L1-2526-SM-9WYTF 60-69 years, male 73.1
GTEX-OIZG-0726-SM-33HBL 50-59 years, male 72.3
GTEX-ZF3C-0126-SM-DO92D 50-59 years, female 72.3
GTEX-17KNJ-2326-SM-7DHLQ 50-59 years, male 71.4
GTEX-13CF2-2526-SM-5LZYX 60-69 years, male 71.1
GTEX-S33H-1026-SM-EZ6L6 30-39 years, male 70.6
GTEX-1AX9J-0226-SM-73KXM 60-69 years, male 70.0
GTEX-TML8-1926-SM-32QOS 40-49 years, female 69.9
GTEX-T2IS-0126-SM-4DM6O 20-29 years, female 69.5
GTEX-1MCQQ-0826-SM-DLHC2 60-69 years, male 67.9
GTEX-13112-2826-SM-5DUWH 50-59 years, male 67.8
GTEX-15DDE-0126-SM-6LPKH 50-59 years, female 67.5
GTEX-1B8SG-0126-SM-73KZ3 50-59 years, male 66.6
GTEX-1B8SF-1426-SM-7DUGL 60-69 years, male 66.5
GTEX-UJHI-1526-SM-3DB99 50-59 years, female 65.4
GTEX-T6MN-0126-SM-32PLP 50-59 years, male 65.3
GTEX-11P81-2326-SM-59875 30-39 years, female 64.8
GTEX-17JCI-0126-SM-7LG5G 60-69 years, female 64.4
GTEX-U412-0426-SM-3DB9O 60-69 years, male 64.4
GTEX-13OVJ-0126-SM-5KM36 50-59 years, female 64.1
GTEX-13FHP-0126-SM-5IJBG 50-59 years, male 63.5
GTEX-146FQ-0126-SM-5NQA9 30-39 years, male 63.1
GTEX-1BAJH-0526-SM-793CQ 70-79 years, male 62.8
GTEX-1KD4Q-0226-SM-E9TJ9 40-49 years, male 62.5
GTEX-1MJK2-0426-SM-DTXE5 50-59 years, male 62.5
GTEX-1S5ZA-0126-SM-EVYCV 20-29 years, male 62.3
GTEX-WFON-2126-SM-3LK7O 40-49 years, male 62.0
GTEX-111FC-0126-SM-5N9DL 60-69 years, male 61.1
GTEX-14JG1-0426-SM-6ETZZ 40-49 years, male 60.9
GTEX-1B996-0226-SM-7RHGO 60-69 years, male 60.6
GTEX-1212Z-2526-SM-5EGKP 60-69 years, male 60.3
GTEX-131XE-2326-SM-5PNZ2 50-59 years, male 60.2
GTEX-Y8DK-0126-SM-4TT3L 60-69 years, male 60.0
GTEX-145ME-1826-SM-5SI9G 40-49 years, female 59.0
GTEX-1A32A-0126-SM-718B1 50-59 years, female 58.5
GTEX-11GSP-2526-SM-5N9BP 60-69 years, female 58.4
GTEX-18465-0126-SM-731BN 50-59 years, male 57.8
GTEX-1CAV2-2226-SM-7P8P2 40-49 years, female 57.7
GTEX-1HT8W-0126-SM-CNPPP 30-39 years, male 57.1
GTEX-1C475-1826-SM-73KWA 40-49 years, female 56.3
GTEX-1CAMS-0426-SM-7P8T2 40-49 years, female 55.3
GTEX-11ZVC-2526-SM-5FQTE 50-59 years, female 54.1
GTEX-1J8EW-0126-SM-CJI4F 60-69 years, female 54.1
GTEX-13OW5-0126-SM-DTXFS 60-69 years, male 53.8
GTEX-S7PM-0126-SM-4AD6S 60-69 years, male 53.2
GTEX-1CB4G-0226-SM-7PC3O 60-69 years, male 53.1
GTEX-ZV68-0126-SM-59HKS 50-59 years, female 52.7
GTEX-R3RS-0126-SM-3GIJL 40-49 years, female 52.3
GTEX-1EU9M-0226-SM-7P8SP 60-69 years, male 52.2
GTEX-18A6Q-0126-SM-731BZ 60-69 years, male 52.0
GTEX-PSDG-0226-SM-DKPOZ 50-59 years, male 52.0
GTEX-12ZZX-0126-SM-5EGK9 40-49 years, female 51.9
GTEX-1CB4E-2226-SM-793DC 60-69 years, male 51.8
GTEX-1OJC3-0126-SM-E76QX 20-29 years, male 51.1
GTEX-1C6VQ-0126-SM-7P8RI 50-59 years, male 50.9
GTEX-17MFQ-1726-SM-793C7 20-29 years, male 50.7
GTEX-O5YT-0126-SM-48TBW 20-29 years, male 50.7
GTEX-1JMQK-0226-SM-CL543 60-69 years, male 50.7
GTEX-ZVT4-0126-SM-DTXFN 50-59 years, female 50.5
GTEX-1CB4H-0226-SM-7PBXM 60-69 years, female 50.3
GTEX-OXRN-0126-SM-48TDM 50-59 years, male 50.0
GTEX-13N11-2526-SM-5K7UE 50-59 years, female 49.8
GTEX-U3ZH-2026-SM-3DB78 30-39 years, male 49.7
GTEX-1J1OQ-0226-SM-CYPSH 40-49 years, female 49.5
GTEX-1314G-1526-SM-5EGK2 30-39 years, male 49.4
GTEX-144FL-0126-SM-5TDC8 50-59 years, male 49.4
GTEX-14BMV-0126-SM-5S2PO 50-59 years, male 49.0
GTEX-14PII-0226-SM-6EU1T 60-69 years, male 48.5
GTEX-YJ89-0126-SM-4TT3X 60-69 years, male 48.4
GTEX-1CB4F-0426-SM-9KNV4 60-69 years, male 48.3
GTEX-13113-5016-SM-7EPIP 60-69 years, female 48.2
GTEX-RWSA-0126-SM-2XCBB 40-49 years, male 48.0
GTEX-ZQG8-1626-SM-DHXIT 60-69 years, female 47.6
GTEX-14E6C-0126-SM-5RQIP 40-49 years, male 47.5
GTEX-OOBK-0126-SM-2YUND 40-49 years, male 47.4
GTEX-P4QT-0126-SM-2I3FL 50-59 years, female 47.4
GTEX-1JMQJ-0526-SM-CYPSU 50-59 years, male 47.3
GTEX-131YS-0126-SM-5KM1M 60-69 years, female 47.0
GTEX-X5EB-2226-SM-46MW4 40-49 years, male 47.0
GTEX-OIZH-0126-SM-2HMIS 50-59 years, male 46.6
GTEX-1EX96-1626-SM-7PBXR 50-59 years, male 46.6
GTEX-1R9PM-2026-SM-E76OY 20-29 years, male 46.3
GTEX-13111-1626-SM-5EGJY 50-59 years, male 46.2
GTEX-ZYT6-0226-SM-5NQ6T 30-39 years, male 46.1
GTEX-1RDX4-0126-SM-E9J4P 50-59 years, female 46.1
GTEX-1F7RK-0126-SM-7PC2S 20-29 years, female 45.9
GTEX-1HBPI-1526-SM-C1YQ1 50-59 years, male 45.8
GTEX-12ZZY-0226-SM-5LZVE 60-69 years, male 45.6
GTEX-11DXW-0226-SM-5H122 40-49 years, male 45.3
GTEX-1QPFJ-0226-SM-E76PB 30-39 years, female 45.3
GTEX-X88G-0126-SM-47JZ3 30-39 years, male 45.2
GTEX-1HGF4-2426-SM-ACKXM 60-69 years, male 45.2
GTEX-12KS4-0326-SM-5EQ41 30-39 years, male 44.8
GTEX-1HSKV-0226-SM-A9SKJ 60-69 years, male 44.5
GTEX-1AYD5-2426-SM-73KXR 50-59 years, male 44.3
GTEX-11DYG-0126-SM-59883 60-69 years, male 44.2
GTEX-1S3DN-2226-SM-EVYCD 50-59 years, male 44.0
GTEX-1GMRU-0126-SM-9YFLV 50-59 years, male 43.8
GTEX-1B97I-1626-SM-73KYO 40-49 years, male 43.5
GTEX-13FTW-2626-SM-5K7WL 40-49 years, male 43.1
GTEX-13OVL-0226-SM-5L3E9 50-59 years, male 43.1
GTEX-Y111-0126-SM-4SOIV 50-59 years, male 43.1
GTEX-1JN6P-0126-SM-D3L98 60-69 years, male 43.1
GTEX-XMD2-0126-SM-4YCDU 60-69 years, female 43.0
GTEX-13FXS-0226-SM-5IJCK 50-59 years, male 42.9
GTEX-PVOW-0126-SM-2XCFA 40-49 years, male 42.8
GTEX-1I1GV-0526-SM-A9G29 60-69 years, male 42.8
GTEX-1497J-2426-SM-7IGNX 60-69 years, male 42.7
GTEX-14PJM-0226-SM-62LF1 50-59 years, female 42.4
GTEX-1HCU6-0126-SM-CL54K 60-69 years, female 42.4
GTEX-1I1GR-0126-SM-CL55F 60-69 years, male 42.4
GTEX-13FTX-1826-SM-5J1NX 20-29 years, female 42.0
GTEX-1KWVE-1426-SM-E9TJO 30-39 years, male 41.9
GTEX-12126-0326-SM-5PNW3 20-29 years, male 41.8
GTEX-14PN4-0126-SM-6EU2V 50-59 years, male 41.2
GTEX-1OFPY-2426-SM-DTXEJ 60-69 years, male 41.2
GTEX-17HGU-0226-SM-7DHKV 50-59 years, male 41.1
GTEX-X4XX-0126-SM-3NMC2 60-69 years, male 40.9
GTEX-17EVQ-0226-SM-7LG4P 70-79 years, male 40.8
GTEX-1JMPZ-0226-SM-CNPP1 30-39 years, male 40.7
GTEX-1PWST-0226-SM-E76QJ 70-79 years, male 40.7
GTEX-145LU-0126-SM-5TDCB 50-59 years, male 40.4
GTEX-148VJ-0126-SM-5TDDN 70-79 years, male 40.2
GTEX-1HCU8-0626-SM-A9SM9 60-69 years, female 40.2
GTEX-145MF-0626-SM-5LUAI 50-59 years, male 40.1
GTEX-Z93S-0126-SM-5HL7M 50-59 years, male 39.9
GTEX-1H11D-0226-SM-9WG6Z 40-49 years, male 39.9
GTEX-1JMQL-0226-SM-CNPP5 50-59 years, female 39.9
GTEX-139TT-0126-SM-5K7Y5 60-69 years, male 39.6
GTEX-14A6H-0126-SM-5QGPK 30-39 years, male 39.6
GTEX-18D9A-1926-SM-7LG6P 30-39 years, female 39.5
GTEX-14E6D-0126-SM-62LDV 50-59 years, male 39.4
GTEX-16NPX-0226-SM-79OMT 50-59 years, male 39.1
GTEX-Y3IK-2426-SM-4WWDU 50-59 years, female 39.0
GTEX-13OW8-1326-SM-5J1OW 60-69 years, male 38.9
GTEX-1E2YA-0126-SM-9KNUC 50-59 years, male 38.9
GTEX-YB5E-2026-SM-5IFIS 40-49 years, male 38.8
GTEX-16GPK-0126-SM-7DHLE 60-69 years, male 38.2
GTEX-16AAH-1726-SM-7939C 50-59 years, male 38.1
GTEX-11EI6-0126-SM-5985R 60-69 years, male 38.0
GTEX-1399U-2326-SM-5K7WY 50-59 years, female 37.9
GTEX-18A7B-0126-SM-7LG64 70-79 years, male 37.9
GTEX-WQUQ-0426-SM-3MJFU 60-69 years, male 37.9
GTEX-1GZHY-0326-SM-9QEHI 50-59 years, female 37.9
GTEX-13SLW-0126-SM-5SI6C 70-79 years, male 37.8
GTEX-15SHU-0126-SM-7KUEH 40-49 years, female 37.8
GTEX-ZDTS-0126-SM-4WAY5 60-69 years, male 37.8
GTEX-1F6IF-0726-SM-7P8TW 60-69 years, male 37.8
GTEX-1QEPI-0126-SM-EWRMQ 60-69 years, female 37.8
GTEX-1B8KZ-2026-SM-7DHMB 50-59 years, male 37.7
GTEX-1QP66-1726-SM-E8VO1 50-59 years, male 37.7
GTEX-11XUK-2026-SM-5EQLF 40-49 years, female 37.6
GTEX-13VXU-0126-SM-5SI9F 50-59 years, male 37.6
GTEX-ZGAY-0526-SM-4WWBB 40-49 years, female 37.6
GTEX-11DXZ-2326-SM-5EGGV 50-59 years, male 37.5
GTEX-Y5V6-2426-SM-4VDSB 60-69 years, male 37.5
GTEX-14BIN-0626-SM-793DP 50-59 years, female 37.4
GTEX-17HHY-0126-SM-7LG5D 50-59 years, male 37.3
GTEX-ZYY3-0126-SM-5GZY5 60-69 years, female 37.3
GTEX-1AX8Z-0126-SM-7DHM6 60-69 years, male 37.2
GTEX-1GF9U-2126-SM-7SB7L 40-49 years, female 36.9
GTEX-WI4N-1026-SM-3LK7N 40-49 years, female 36.8
GTEX-13FH7-2026-SM-E9J4I 50-59 years, female 36.6
GTEX-12WSJ-1826-SM-5GCNY 40-49 years, female 36.1
GTEX-12584-0126-SM-5EGKQ 40-49 years, male 35.9
GTEX-1H4P4-0726-SM-9YFLR 50-59 years, male 35.8
GTEX-QVJO-1626-SM-2S1QW 60-69 years, female 35.6
GTEX-11GS4-2726-SM-5A5LE 60-69 years, male 35.5
GTEX-133LE-1826-SM-5J1MV 20-29 years, female 35.5
GTEX-11O72-0126-SM-59887 40-49 years, male 35.4
GTEX-13G51-2526-SM-5LZYK 60-69 years, male 35.2
GTEX-183FY-0126-SM-7LT9P 20-29 years, male 35.1
GTEX-11OF3-2626-SM-5GU7F 60-69 years, male 35.0
GTEX-1C4CL-0526-SM-73KVK 30-39 years, male 35.0
GTEX-13FHO-0226-SM-5IFGY 60-69 years, male 34.8
GTEX-13N1W-0126-SM-5K7VT 70-79 years, male 34.4
GTEX-15EU6-0426-SM-6PAN5 50-59 years, male 34.3
GTEX-132NY-0326-SM-5IJBL 60-69 years, male 34.2
GTEX-P44H-0226-SM-2XCEU 40-49 years, male 33.9
GTEX-1JJEA-0326-SM-CNPOT 60-69 years, male 33.9
GTEX-12696-2426-SM-5EQ6H 60-69 years, male 33.7
GTEX-13FTY-0526-SM-5L3EV 40-49 years, female 33.5
GTEX-1H1DG-0126-SM-9WYU2 70-79 years, male 33.4
GTEX-13IVO-0126-SM-5J1NG 70-79 years, male 33.3
GTEX-WYVS-2126-SM-3NMA3 40-49 years, female 33.2
GTEX-VJYA-1126-SM-3GIJU 60-69 years, male 33.1
GTEX-RNOR-0126-SM-E9J4R 50-59 years, female 33.0
GTEX-Y114-2426-SM-4TT8A 50-59 years, female 32.9
GTEX-ZE9C-2726-SM-57WB5 60-69 years, male 32.9
GTEX-S7SE-0126-SM-2XCD5 50-59 years, male 32.8
GTEX-15F5U-1526-SM-6PANO 40-49 years, male 32.7
GTEX-XYKS-2126-SM-4E3IB 60-69 years, female 32.5
GTEX-12ZZZ-0626-SM-5DUXI 60-69 years, male 32.4
GTEX-14PHX-2326-SM-62LEM 50-59 years, male 32.3
GTEX-14PJ3-1826-SM-62LEX 50-59 years, male 32.1
GTEX-17HII-0226-SM-7LG4E 50-59 years, male 32.1
GTEX-X4EO-0326-SM-3P5YO 60-69 years, female 32.0
GTEX-1GN2E-0426-SM-9MQKX 60-69 years, male 32.0
GTEX-1I1GS-0126-SM-B2LVW 60-69 years, male 32.0
GTEX-XBEW-0626-SM-4QASP 40-49 years, male 31.8
GTEX-1C6VR-2426-SM-79OLD 60-69 years, male 31.7
GTEX-1LG7Z-1726-SM-D3LA4 30-39 years, male 31.3
GTEX-15DCD-0126-SM-7KUEK 70-79 years, female 31.2
GTEX-WFG8-2226-SM-3GIL9 20-29 years, male 31.1
GTEX-ZXG5-0126-SM-5GIEU 60-69 years, male 31.1
GTEX-11ZTS-0126-SM-5EQ6M 60-69 years, female 31.0
GTEX-144GL-0126-SM-5TDE2 50-59 years, male 31.0
GTEX-1E1VI-0126-SM-7DHMZ 50-59 years, male 31.0
GTEX-ZTX8-1426-SM-5DUVO 20-29 years, male 30.9
GTEX-13YAN-0326-SM-5O9DF 60-69 years, male 30.8
GTEX-13NZB-2526-SM-5J1OM 30-39 years, male 30.7
GTEX-RVPV-0126-SM-EAZAW 60-69 years, male 30.7
GTEX-16YQH-0126-SM-7DUFJ 30-39 years, male 30.6
GTEX-Y8E4-0626-SM-4WWDL 40-49 years, male 30.6
GTEX-YFC4-0126-SM-5CVLY 40-49 years, female 30.6
GTEX-1NV5F-0226-SM-E8VNY 60-69 years, female 30.6
GTEX-1PPH8-0226-SM-E8VND 20-29 years, male 30.6
GTEX-PLZ6-1426-SM-DKPOT 30-39 years, male 30.5
GTEX-148VI-1626-SM-5SI6E 60-69 years, female 30.4
GTEX-1PDJ9-0326-SM-DTX95 20-29 years, male 30.2
GTEX-145MO-0326-SM-5Q5B3 60-69 years, male 30.1
GTEX-18A7A-0226-SM-718BH 50-59 years, female 30.1
GTEX-1IL2V-0126-SM-CM2TX 70-79 years, male 30.1
GTEX-13W46-0226-SM-5SIAG 50-59 years, male 30.0
GTEX-145LS-0126-SM-5QGP1 60-69 years, female 30.0
GTEX-1H3O1-0426-SM-9YFKY 60-69 years, male 30.0
GTEX-QCQG-1726-SM-3GIJ9 50-59 years, female 29.8
GTEX-11UD2-0226-SM-5EQKY 50-59 years, male 29.7
GTEX-13SLX-0526-SM-5S2ON 50-59 years, female 29.7
GTEX-1IDJF-0126-SM-CM2RS 20-29 years, male 29.7
GTEX-1C6VS-0526-SM-7DUEN 60-69 years, male 29.4
GTEX-T5JC-0426-SM-32PLO 20-29 years, male 29.3
GTEX-ZV6S-2326-SM-4YCEY 40-49 years, female 29.3
GTEX-1IE54-0126-SM-CMKHW 40-49 years, female 29.3
GTEX-17F97-0326-SM-7LG5B 50-59 years, male 29.2
GTEX-QV44-1926-SM-2S1RF 50-59 years, male 29.2
GTEX-113JC-2326-SM-5EQ4E 50-59 years, female 29.1
GTEX-1QP9N-1426-SM-DTXFL 30-39 years, male 29.1
GTEX-13O3P-0126-SM-5KM4S 50-59 years, male 29.0
GTEX-T6MO-1626-SM-32QOM 40-49 years, female 29.0
GTEX-XUZC-1726-SM-4BRWS 30-39 years, female 29.0
GTEX-Z93T-0126-SM-5HL5N 50-59 years, male 29.0
GTEX-117YW-2626-SM-5GZZH 50-59 years, male 28.9
GTEX-SIU8-0126-SM-2XCDT 50-59 years, male 28.9
GTEX-T5JW-1626-SM-3GADZ 20-29 years, female 28.9
GTEX-1EKGG-0226-SM-9WYTH 60-69 years, male 28.8
GTEX-1K2DA-1826-SM-CGQGT 50-59 years, male 28.8
GTEX-PW2O-1526-SM-7RHHB 20-29 years, male 28.7
GTEX-11DZ1-0126-SM-5985Q 50-59 years, male 28.6
GTEX-1S83E-0126-SM-EWRO4 40-49 years, male 28.4
GTEX-11EMC-2926-SM-5EQ4F 60-69 years, female 28.3
GTEX-17EVP-0326-SM-7DHLG 40-49 years, male 28.3
GTEX-1F88F-2726-SM-7PBZZ 60-69 years, female 28.3
GTEX-1IKOH-0226-SM-COH4E 60-69 years, female 28.3
GTEX-15RIG-0226-SM-7KFTL 40-49 years, male 28.1
GTEX-XUYS-0126-SM-47JWZ 50-59 years, male 28.1
GTEX-ZDYS-2026-SM-5HL5L 50-59 years, male 28.1
GTEX-1JKYR-0126-SM-CNPOJ 20-29 years, male 27.8
GTEX-XXEK-2226-SM-4BRUM 50-59 years, male 27.7
GTEX-ZEX8-2426-SM-4WKG4 50-59 years, male 27.7
GTEX-16MT8-0426-SM-7KUEY 60-69 years, female 27.6
GTEX-13CF3-2426-SM-5IFGX 60-69 years, female 27.4
GTEX-WZTO-0126-SM-3NM95 40-49 years, male 27.4
GTEX-ZU9S-0226-SM-5E441 30-39 years, male 27.4
GTEX-1GN73-0226-SM-9WG67 60-69 years, male 27.3
GTEX-1IKK5-0626-SM-ARL8A 60-69 years, male 27.3
GTEX-QEG4-0226-SM-2S1PY 30-39 years, male 27.2
GTEX-1IKJJ-0126-SM-CNPQB 60-69 years, male 27.2
GTEX-1S82Y-2026-SM-EVYCM 40-49 years, male 27.2
GTEX-1399R-2726-SM-5IJBA 30-39 years, male 27.1
GTEX-TKQ1-1026-SM-4GICL 30-39 years, male 27.0
GTEX-1GMR8-0126-SM-9WYTM 50-59 years, female 26.8
GTEX-13NYB-2526-SM-5K7Z6 40-49 years, male 26.7
GTEX-1M4P7-0226-SM-DIPEV 60-69 years, male 26.6
GTEX-1N2EF-0226-SM-EYYXB 60-69 years, male 26.5
GTEX-13O1R-0126-SM-5L3EH 60-69 years, male 26.4
GTEX-14753-0426-SM-5NQAM 60-69 years, male 26.4
GTEX-1C6WA-0126-SM-7PC2B 60-69 years, male 26.4
GTEX-147F3-0526-SM-5SI98 50-59 years, female 26.3
GTEX-1HSGN-0226-SM-CGQFV 40-49 years, female 26.3
GTEX-13S7M-0126-SM-5SI6A 60-69 years, female 26.2
GTEX-11UD1-0126-SM-5PNYG 40-49 years, female 26.0
GTEX-1F75B-0126-SM-9KNVL 50-59 years, male 26.0
GTEX-11GSO-2426-SM-5A5LY 60-69 years, male 25.9
GTEX-1CAMQ-0226-SM-7IGPK 40-49 years, male 25.8
GTEX-WXYG-2326-SM-4E3I6 50-59 years, female 25.7
GTEX-1GF9W-0326-SM-9KNUN 60-69 years, male 25.6
GTEX-1GL5R-1826-SM-9KNUY 50-59 years, male 25.6
GTEX-131XH-2226-SM-5DUXJ 50-59 years, male 25.5
GTEX-146FH-0126-SM-5QGPP 50-59 years, female 25.5
GTEX-15DYW-0126-SM-7KULE 60-69 years, female 25.4
GTEX-18A66-0226-SM-718BD 60-69 years, male 25.4
GTEX-17EUY-0426-SM-793BD 20-29 years, male 25.2
GTEX-1AX9I-0126-SM-7SB74 60-69 years, male 25.2
GTEX-SN8G-0126-SM-32PLI 50-59 years, female 25.1
GTEX-XUW1-0426-SM-4BOOT 50-59 years, female 25.1
GTEX-ZAB4-0226-SM-5N9F5 40-49 years, male 25.0
GTEX-1AMFI-2026-SM-731BH 50-59 years, female 24.9
GTEX-VJWN-0126-SM-3GIK7 50-59 years, female 24.8
GTEX-ZYW4-0126-SM-5E44A 60-69 years, male 24.8
GTEX-OXRP-0126-SM-3NB32 60-69 years, female 24.7
GTEX-QESD-1426-SM-2S1R9 20-29 years, male 24.7
GTEX-RN64-0126-SM-2TC68 50-59 years, male 24.7
GTEX-1ICG6-2526-SM-CGQFZ 70-79 years, female 24.7
GTEX-1JK1U-2026-SM-CM2RZ 60-69 years, male 24.7
GTEX-1211K-2026-SM-5EQ4Z 60-69 years, female 24.6
GTEX-1M5QR-1226-SM-EWROB 40-49 years, male 24.6
GTEX-1LGOU-2026-SM-DIPFF 20-29 years, female 24.5
GTEX-1LVAN-0226-SM-COH3S 50-59 years, female 24.5
GTEX-11OC5-0126-SM-5HL6A 60-69 years, male 24.4
GTEX-1A8FM-0226-SM-7SB7Q 50-59 years, female 24.4
GTEX-WYJK-0126-SM-3NMAB 50-59 years, male 24.3
GTEX-XBED-2226-SM-47JYQ 60-69 years, male 24.2
GTEX-13U4I-0126-SM-5LU38 40-49 years, female 24.1
GTEX-UPJH-0326-SM-3GADU 50-59 years, male 24.1
GTEX-1I6K6-0126-SM-A9SLE 30-39 years, male 24.1
GTEX-12WSG-2826-SM-E9J4H 50-59 years, female 23.9
GTEX-12WSK-2326-SM-5GCOH 40-49 years, female 23.6
GTEX-15ETS-0126-SM-7KUMW 40-49 years, female 23.6
GTEX-169BO-1326-SM-9MQK2 50-59 years, male 23.6
GTEX-13OW7-0126-SM-5MR3B 50-59 years, male 23.5
GTEX-11H98-0126-SM-5EGHG 50-59 years, male 23.4
GTEX-1HCUA-2426-SM-ADEIS 50-59 years, female 23.4
GTEX-V1D1-2226-SM-3NMAX 50-59 years, male 23.3
GTEX-X8HC-0126-SM-4E3JW 50-59 years, female 23.3
GTEX-SJXC-0126-SM-2XCFF 60-69 years, male 23.2
GTEX-Z9EW-1626-SM-5CVMN 40-49 years, male 23.2
GTEX-ZWKS-0126-SM-5SIAA 30-39 years, male 23.2
GTEX-1F75A-0126-SM-7RHGM 50-59 years, male 23.2
GTEX-12WSA-0226-SM-5BC5V 60-69 years, male 23.0
GTEX-WVJS-0126-SM-4MVOT 50-59 years, male 23.0
GTEX-1I1CD-0126-SM-CM2TK 60-69 years, female 23.0
GTEX-1KAFJ-2026-SM-CY8ID 50-59 years, male 23.0
GTEX-1O97I-0326-SM-EYYX7 60-69 years, male 23.0
GTEX-1HR98-0126-SM-B2LWI 60-69 years, male 22.8
GTEX-1KANC-1526-SM-D3LAB 50-59 years, female 22.8
GTEX-1399T-2826-SM-5KLYZ 60-69 years, male 22.7
GTEX-14BIL-0126-SM-5SI92 50-59 years, male 22.7
GTEX-183WM-0126-SM-7LTAB 70-79 years, female 22.7
GTEX-QLQ7-1626-SM-2S1R8 60-69 years, male 22.6
GTEX-13X6H-2126-SM-7EWD5 50-59 years, female 22.5
GTEX-W5WG-1826-SM-4KL2Y 50-59 years, female 22.5
GTEX-1H3VY-0126-SM-ACKXD 50-59 years, male 22.5
GTEX-1J8JJ-0226-SM-CL53I 60-69 years, female 22.5
GTEX-13RTK-1426-SM-5QGQJ 20-29 years, male 22.4
GTEX-WRHK-1426-SM-3MJF9 20-29 years, female 22.4
GTEX-1R9K4-0126-SM-DTX9X 60-69 years, male 22.4
GTEX-Q2AI-1326-SM-2S1PL 40-49 years, male 22.3
GTEX-15SHW-0326-SM-6PAML 60-69 years, male 22.2
GTEX-ZVT3-0126-SM-5GU6I 60-69 years, female 22.2
GTEX-1GZ2Q-0226-SM-7P8TL 40-49 years, male 22.2
GTEX-131XW-0426-SM-5LZWP 50-59 years, female 22.1
GTEX-P4PP-0126-SM-3LK69 30-39 years, female 22.1
GTEX-QDT8-0126-SM-48TZ1 30-39 years, female 22.0
GTEX-1R7EU-0226-SM-EVR4G 60-69 years, male 22.0
GTEX-12C56-1726-SM-5EQ61 20-29 years, male 21.9
GTEX-1F48J-0126-SM-7P8TT 50-59 years, female 21.9
GTEX-ZPIC-1726-SM-DHXIU 40-49 years, female 21.8
GTEX-18D9U-0226-SM-718BP 40-49 years, male 21.7
GTEX-1HSMQ-1226-SM-CGQFX 50-59 years, male 21.7
GTEX-1POEN-0126-SM-EYYXJ 30-39 years, female 21.7
GTEX-Y3I4-2126-SM-4TT7C 50-59 years, male 21.4
GTEX-15G19-0126-SM-6PANQ 60-69 years, male 21.3
GTEX-1B8KE-2126-SM-73KYX 50-59 years, male 21.3
GTEX-Q2AH-1626-SM-3GAF8 40-49 years, male 21.3
GTEX-Q734-1926-SM-2I5EV 40-49 years, female 21.3
GTEX-11TT1-2526-SM-5EGIB 20-29 years, male 21.0
GTEX-145MI-0526-SM-5O9A8 60-69 years, female 20.9
GTEX-ZAK1-0126-SM-5IJD3 50-59 years, female 20.9
GTEX-1H1DE-2126-SM-9WG6R 20-29 years, male 20.9
GTEX-SSA3-0126-SM-32QPU 60-69 years, male 20.8
GTEX-1JMQI-2226-SM-CM2SD 50-59 years, male 20.7
GTEX-1F5PL-0326-SM-7P8PQ 40-49 years, female 20.6
GTEX-X585-0226-SM-4QAS2 50-59 years, male 20.5
GTEX-ZZ64-1726-SM-5GZYB 20-29 years, male 20.4
GTEX-16XZY-2126-SM-79OK1 70-79 years, male 20.1
GTEX-1ICLY-0126-SM-D4P36 50-59 years, male 20.1
GTEX-1RAZA-0126-SM-E6CI3 20-29 years, male 20.1
GTEX-1F52S-0126-SM-9MQJU 60-69 years, female 20.0
GTEX-1LB8K-0226-SM-EWRNW 50-59 years, male 19.9
GTEX-U8T8-0126-SM-3DB94 60-69 years, male 19.8
GTEX-1MUQO-0126-SM-EAZ58 60-69 years, male 19.8
GTEX-15SB6-1726-SM-6PAME 50-59 years, female 19.7
GTEX-R55G-2526-SM-2TC6D 40-49 years, female 19.6
GTEX-XPVG-2626-SM-4B669 50-59 years, male 19.6
GTEX-14E7W-0126-SM-6LLJ9 70-79 years, male 19.5
GTEX-R55E-0126-SM-2TC5Y 20-29 years, male 19.5
GTEX-ZVE2-0226-SM-59HJB 50-59 years, male 19.5
GTEX-1192W-2626-SM-5Q5AF 60-69 years, male 19.4
GTEX-14E6E-1826-SM-5S2R7 30-39 years, male 19.4
GTEX-SUCS-1926-SM-32PM3 70-79 years, male 19.4
GTEX-13QJ3-0326-SM-5S2RA 50-59 years, male 19.2
GTEX-Y5V5-2326-SM-4V6GA 60-69 years, female 19.2
GTEX-11DXY-2626-SM-5GIE7 60-69 years, male 19.1
GTEX-13O21-1426-SM-5K7XI 50-59 years, male 19.1
GTEX-11P82-1626-SM-59879 20-29 years, male 19.0
GTEX-11WQC-2526-SM-5CVLE 60-69 years, male 19.0
GTEX-ZYFC-0226-SM-5NQ75 50-59 years, male 19.0
GTEX-1KXAM-2226-SM-CYPTC 60-69 years, male 19.0
GTEX-1IGQW-0126-SM-COH42 60-69 years, male 18.9
GTEX-147GR-0526-SM-5S2MY 60-69 years, male 18.8
GTEX-14A5I-0126-SM-5TDEA 50-59 years, female 18.7
GTEX-1I1GP-2226-SM-CGQFK 50-59 years, male 18.7
GTEX-NPJ8-0126-SM-2YUNR 40-49 years, male 18.6
GTEX-1GTWX-0126-SM-9YFLK 60-69 years, male 18.5
GTEX-11EM3-2426-SM-59861 20-29 years, female 18.4
GTEX-11NUK-0126-SM-5A5L3 50-59 years, male 18.4
GTEX-14DAQ-0126-SM-5S2MQ 60-69 years, female 18.3
GTEX-1128S-2326-SM-5GZZY 60-69 years, female 18.2
GTEX-ZUA1-0126-SM-5GU76 40-49 years, male 18.1
GTEX-ZAB5-1826-SM-5HL7C 50-59 years, male 18.0
GTEX-1KANB-0526-SM-E6CJH 50-59 years, male 18.0
GTEX-13PVR-2326-SM-5QGR1 60-69 years, female 17.9
GTEX-ZC5H-0226-SM-4WAY9 40-49 years, female 17.8
GTEX-ZY6K-1826-SM-5GZXK 50-59 years, male 17.8
GTEX-1S82Z-0826-SM-E6CHY 30-39 years, female 17.8
GTEX-S32W-2126-SM-2XCB1 50-59 years, female 17.7
GTEX-1IDFM-0126-SM-COH2V 60-69 years, male 17.7
GTEX-1A3MX-0126-SM-731BR 60-69 years, male 17.5
GTEX-1GPI6-0126-SM-9WG69 60-69 years, male 17.5
GTEX-1IOXB-0126-SM-ARL8G 50-59 years, male 17.5
GTEX-13D11-2426-SM-5KM1V 50-59 years, female 17.4
GTEX-13OVK-2026-SM-7KUEO 40-49 years, male 17.4
GTEX-18QFQ-0126-SM-731BE 30-39 years, male 17.4
GTEX-1192X-0226-SM-5H12D 50-59 years, male 17.3
GTEX-17MF6-0126-SM-7LG4F 40-49 years, male 17.3
GTEX-ZF2S-2326-SM-4WWCE 50-59 years, female 17.2
GTEX-1HBPN-0226-SM-9YFM1 50-59 years, male 17.1
GTEX-1HCU9-1526-SM-A9SL7 20-29 years, male 17.1
GTEX-1JJ6O-0126-SM-E6CI8 60-69 years, male 17.1
GTEX-YB5K-2126-SM-4WWDJ 40-49 years, female 17.0
GTEX-1HSMO-0126-SM-CL547 60-69 years, male 17.0
GTEX-XAJ8-0826-SM-47JY6 40-49 years, male 16.9
GTEX-11TTK-0126-SM-5987B 60-69 years, female 16.8
GTEX-ZYFG-2326-SM-5E44B 60-69 years, female 16.6
GTEX-ZTPG-0326-SM-5O9AX 20-29 years, female 16.5
GTEX-1F6RS-0126-SM-9MQKZ 60-69 years, female 16.4
GTEX-1I1GQ-0126-SM-COH3H 50-59 years, male 16.4
GTEX-OIZF-0126-SM-7SB8I 60-69 years, male 16.4
GTEX-147F4-0226-SM-5QGPW 50-59 years, male 16.3
GTEX-17HHE-2026-SM-79OKF 50-59 years, male 16.3
GTEX-12WSL-2526-SM-5GCNJ 50-59 years, male 16.2
GTEX-15SDE-2226-SM-7IGLO 50-59 years, female 16.2
GTEX-U3ZN-2326-SM-3DB7W 30-39 years, female 16.2
GTEX-WH7G-2326-SM-3NMBC 40-49 years, male 16.2
GTEX-1JMOU-1526-SM-CL54I 60-69 years, female 16.2
GTEX-OOBJ-0126-SM-E6CJW 60-69 years, male 16.2
GTEX-11EQ9-2426-SM-5HL5T 30-39 years, male 16.1
GTEX-11LCK-1026-SM-5A5KB 30-39 years, male 16.1
GTEX-17F98-0626-SM-79OMX 40-49 years, female 16.1
GTEX-Q2AG-0126-SM-33HBV 40-49 years, female 16.1
GTEX-1LG7Y-0526-SM-DKPQC 50-59 years, male 16.1
GTEX-1122O-2126-SM-5EGIR 60-69 years, female 16.0
GTEX-1L5NE-2526-SM-E6CIE 50-59 years, male 16.0
GTEX-13PDP-0126-SM-5L3HD 60-69 years, male 15.9
GTEX-PLZ5-2026-SM-2S1O4 50-59 years, male 15.9
GTEX-1J1R8-1726-SM-ARL8M 40-49 years, male 15.9
GTEX-1R7EV-2426-SM-EVYBG 40-49 years, male 15.9
GTEX-PWO3-1526-SM-48TCM 60-69 years, female 15.8
GTEX-TMZS-0126-SM-3DB9Q 60-69 years, male 15.8
GTEX-YJ8A-0426-SM-5IFID 20-29 years, male 15.8
GTEX-ZE7O-0126-SM-57WC1 50-59 years, female 15.8
GTEX-1F6I4-0126-SM-9MQL2 60-69 years, male 15.7
GTEX-1IY9M-0126-SM-D3L8S 60-69 years, male 15.7
GTEX-1RB15-2126-SM-E9TIM 60-69 years, male 15.7
GTEX-13RTJ-2426-SM-5S2Q2 60-69 years, male 15.6
GTEX-13X6I-0626-SM-5QGP9 60-69 years, male 15.6
GTEX-145LT-1726-SM-5QGP3 40-49 years, male 15.6
GTEX-13NZ8-0826-SM-5MR3I 60-69 years, female 15.5
GTEX-T8EM-1026-SM-3DB7M 40-49 years, male 15.5
GTEX-1A3MV-1926-SM-718BT 30-39 years, male 15.3
GTEX-1C2JI-1826-SM-73KXC 50-59 years, male 15.3
GTEX-Y5LM-1926-SM-5RQJH 40-49 years, female 15.1
GTEX-1MA7X-2226-SM-E6CIY 60-69 years, male 15.1
GTEX-1PFEY-1526-SM-E76PP 30-39 years, male 15.1
GTEX-QDVN-2026-SM-3GAEP 50-59 years, male 15.0
GTEX-1RQEC-0426-SM-E6CHU 60-69 years, male 15.0
GTEX-14ABY-0226-SM-5TDCQ 50-59 years, male 14.8
GTEX-1J8Q2-0526-SM-CM2RW 60-69 years, male 14.8
GTEX-145LV-2126-SM-5LU8N 50-59 years, male 14.6
GTEX-RTLS-0126-SM-447CA 60-69 years, female 14.6
GTEX-X638-0126-SM-47JZ8 70-79 years, female 14.6
GTEX-12WSD-0126-SM-59HKN 60-69 years, female 14.5
GTEX-1KD5A-0226-SM-D5OV3 50-59 years, male 14.5
GTEX-OHPL-0126-SM-2HMJ7 60-69 years, female 14.4
GTEX-1B933-0126-SM-7PC29 50-59 years, female 14.4
GTEX-1GPI7-0126-SM-9MQL8 20-29 years, male 14.3
GTEX-OXRO-0126-SM-2YUN4 60-69 years, female 14.2
GTEX-PWCY-1826-SM-DHXIZ 20-29 years, female 14.2
GTEX-18A67-0126-SM-7LG5P 50-59 years, male 14.1
GTEX-1R46S-0626-SM-E9J41 60-69 years, female 14.1
GTEX-1RLM8-2326-SM-EWRN4 50-59 years, male 14.1
GTEX-ZTSS-1926-SM-57WEW 40-49 years, male 14.0
GTEX-U3ZM-1526-SM-3DB9D 40-49 years, male 13.9
GTEX-14A5H-0426-SM-5QGQF 60-69 years, male 13.8
GTEX-1GN1V-0126-SM-9WPOS 60-69 years, male 13.7
GTEX-1JMPY-1326-SM-ARL8Y 30-39 years, male 13.7
GTEX-1JN1M-0326-SM-CYPT3 60-69 years, female 13.6
GTEX-13OVI-1426-SM-5L3EY 60-69 years, female 13.5
GTEX-T2YK-0526-SM-32QPJ 50-59 years, male 13.5
GTEX-1HBPM-0226-SM-ARL9F 60-69 years, female 13.5
GTEX-15UF6-0826-SM-6PALJ 70-79 years, female 13.4
GTEX-14DAR-2026-SM-5S2O3 50-59 years, male 13.3
GTEX-1HCU7-0226-SM-CL545 50-59 years, male 13.3
GTEX-X4EP-0126-SM-3P5YV 60-69 years, female 13.2
GTEX-OHPM-0126-SM-2YUN9 50-59 years, male 13.1
GTEX-ZAJG-0126-SM-5HL94 50-59 years, female 13.0
GTEX-145MN-2226-SM-5SIAU 30-39 years, male 12.9
GTEX-14BMU-2226-SM-5TDE9 20-29 years, female 12.9
GTEX-P4PQ-0126-SM-2S1NM 60-69 years, male 12.9
GTEX-14LLW-0126-SM-6LLIO 70-79 years, female 12.8
GTEX-ZVZP-2426-SM-59HKJ 50-59 years, male 12.8
GTEX-1CB4I-0226-SM-79OLH 50-59 years, male 12.6
GTEX-13NYC-0326-SM-E9J4S 60-69 years, male 12.6
GTEX-1PIGE-0126-SM-EVYBJ 20-29 years, male 12.6
GTEX-O5YW-0126-SM-3LK6D 50-59 years, male 12.5
GTEX-14LZ3-0226-SM-62LET 60-69 years, female 12.4
GTEX-X261-0126-SM-3NMD6 50-59 years, male 12.4
GTEX-111VG-2426-SM-5GZXD 60-69 years, male 12.2
GTEX-16XZZ-0126-SM-793DV 60-69 years, male 12.2
GTEX-1HUB1-0426-SM-E9U4U 60-69 years, male 12.2
GTEX-13OVG-1926-SM-5L3DK 60-69 years, male 12.1
GTEX-15D1Q-0126-SM-7KUG6 40-49 years, male 12.1
GTEX-17GQL-2026-SM-718BA 60-69 years, male 12.1
GTEX-1CB4J-0626-SM-7DHMP 60-69 years, male 12.1
GTEX-RU72-0926-SM-2TF6B 50-59 years, female 12.1
GTEX-1HFI7-1826-SM-ACKXH 50-59 years, female 12.1
GTEX-1MGNQ-0126-SM-EVYCJ 40-49 years, male 12.1
GTEX-1OJC4-0126-SM-E9J2E 50-59 years, female 12.1
GTEX-131XG-2626-SM-5KM17 50-59 years, female 12.0
GTEX-15UKP-0426-SM-7KUFQ 20-29 years, male 12.0
GTEX-1HCVE-0126-SM-CGQEU 50-59 years, male 11.9
GTEX-1I4MK-2226-SM-ACKWD 50-59 years, female 11.9
GTEX-144GN-2326-SM-5LU4F 50-59 years, male 11.8
GTEX-SNMC-1226-SM-2XCFP 20-29 years, male 11.8
GTEX-13OVH-0126-SM-5MR4B 70-79 years, male 11.7
GTEX-18D9B-0526-SM-7LTAS 60-69 years, male 11.7
GTEX-ZDTT-2726-SM-4WKF8 60-69 years, male 11.7
GTEX-13W3W-2426-SM-5LU5B 60-69 years, female 11.6
GTEX-1H2FU-0126-SM-9WYSI 60-69 years, female 11.6
GTEX-1LNCM-1126-SM-E9U5E 50-59 years, female 11.6
GTEX-1CAMR-1926-SM-7EPI2 20-29 years, male 11.4
GTEX-131XF-5016-SM-7MGWE 60-69 years, male 11.4
GTEX-VUSG-2526-SM-4KL1V 50-59 years, male 11.3
GTEX-1N2DV-0226-SM-E6CJ6 40-49 years, male 11.3
GTEX-1J8Q3-1626-SM-CMKGC 60-69 years, male 11.2
GTEX-13O3Q-2426-SM-5IJBR 50-59 years, male 11.1
GTEX-ZXES-1826-SM-5E43S 30-39 years, female 11.1
GTEX-ZF29-2326-SM-DO92K 60-69 years, female 11.0
GTEX-RM2N-1426-SM-2TF4H 50-59 years, male 10.8
GTEX-WY7C-2326-SM-3NB2U 50-59 years, male 10.8
GTEX-ZVT2-2526-SM-51MT1 50-59 years, female 10.8
GTEX-1K2DU-2326-SM-E9TIV 20-29 years, male 10.8
GTEX-1JN76-0126-SM-CNPPE 20-29 years, female 10.7
GTEX-11P7K-2126-SM-5GU7G 30-39 years, male 10.6
GTEX-QLQW-1126-SM-2S1Q8 30-39 years, male 10.6
GTEX-14PJ6-2126-SM-6EU1V 60-69 years, female 10.5
GTEX-16BQI-0226-SM-7KUEX 30-39 years, female 10.4
GTEX-YEC4-2126-SM-5IFJH 40-49 years, male 10.4
GTEX-11VI4-1726-SM-5CVLH 40-49 years, female 10.3
GTEX-NFK9-0226-SM-2HMKQ 40-49 years, male 10.3
GTEX-1LH75-2426-SM-E9TJE 50-59 years, female 10.3
GTEX-TSE9-0126-SM-3DB83 60-69 years, female 10.2
GTEX-13O3O-0126-SM-E9J49 60-69 years, female 10.0
GTEX-1LGRB-2526-SM-CNPPQ 50-59 years, female 10.0
GTEX-1JJE9-0326-SM-CL53Z 70-79 years, male 9.9
GTEX-15CHC-2126-SM-6EU21 60-69 years, female 9.8
GTEX-1H23P-0126-SM-ADEJ3 60-69 years, male 9.8
GTEX-1AX9K-2326-SM-73KWU 50-59 years, male 9.7
GTEX-ZDXO-3026-SM-5J1N5 60-69 years, male 9.7
GTEX-1F5PK-2426-SM-7RHHY 50-59 years, male 9.7
GTEX-X62O-0126-SM-4E3JN 50-59 years, male 9.6
GTEX-1HKZK-0326-SM-9WYUH 40-49 years, male 9.6
GTEX-14ICK-0226-SM-6EU25 40-49 years, male 9.3
GTEX-1KANA-0726-SM-D3L9I 20-29 years, male 9.3
GTEX-14C5O-0126-SM-5SI6N 60-69 years, male 9.2
GTEX-1GF9X-2026-SM-7PC3A 40-49 years, female 9.2
GTEX-1I19N-0326-SM-ACKVX 70-79 years, male 9.2
GTEX-1GZ4H-1726-SM-7PBZJ 50-59 years, female 9.1
GTEX-1LSNM-1926-SM-E6CII 50-59 years, male 9.1
GTEX-1K9T9-0126-SM-EVYCF 50-59 years, female 9.0
GTEX-1H1E6-1726-SM-ACKVK 30-39 years, male 8.9
GTEX-OXRL-0126-SM-2YUMP 50-59 years, male 8.8
GTEX-S95S-1226-SM-4GICG 60-69 years, male 8.7
GTEX-14JG6-2226-SM-6EU2G 30-39 years, female 8.6
GTEX-XV7Q-2526-SM-4BRV9 40-49 years, female 8.6
GTEX-1GN1W-0526-SM-9MQJQ 50-59 years, female 8.6
GTEX-11DXX-2426-SM-5GZZW 60-69 years, female 8.5
GTEX-OXRK-0226-SM-3NB2G 50-59 years, female 8.4
GTEX-1QP29-0626-SM-EWRMX 50-59 years, male 8.3
GTEX-13N2G-2626-SM-5J1OT 60-69 years, male 8.2
GTEX-14PN3-2426-SM-6LLHS 60-69 years, female 8.2
GTEX-1LC47-0326-SM-E9TJP 60-69 years, male 8.2
GTEX-1AMEY-1326-SM-73KYK 30-39 years, female 8.1
GTEX-ZQUD-1426-SM-57WER 30-39 years, male 8.1
GTEX-14PHW-0126-SM-6LLJI 60-69 years, female 8.0
GTEX-1IDJU-2626-SM-CM2RT 60-69 years, female 8.0
GTEX-R45C-0126-SM-EAZ2R 60-69 years, female 8.0
GTEX-1QCLY-0326-SM-E8VOG 30-39 years, male 7.8
GTEX-139D8-0226-SM-5KLZO 30-39 years, female 7.7
GTEX-PLZ4-0126-SM-5SI8O 50-59 years, female 7.7
GTEX-XQ8I-0426-SM-4BOPO 50-59 years, male 7.6
GTEX-1H3NZ-0126-SM-ACKX7 60-69 years, male 7.6
GTEX-139T8-0126-SM-5K7XZ 60-69 years, male 7.4
GTEX-1MCYP-1926-SM-E9J2R 20-29 years, female 7.3
GTEX-1NHNU-1026-SM-E9J2A 50-59 years, male 7.1
GTEX-RWS6-2026-SM-2XCB5 60-69 years, female 6.9
GTEX-1HSMP-0126-SM-E6CJS 70-79 years, male 6.8
GTEX-13VXT-0126-SM-5LU4I 20-29 years, female 6.5
GTEX-1PBJI-0526-SM-E8VNK 20-29 years, female 6.5
GTEX-113IC-0126-SM-5HL6T 60-69 years, male 6.4
GTEX-11NSD-2226-SM-5986V 20-29 years, male 6.4
GTEX-117YX-2326-SM-5H12W 50-59 years, male 6.3
GTEX-TMMY-0226-SM-33HBA 40-49 years, female 6.3
GTEX-1I1GT-0626-SM-CGQER 60-69 years, female 6.3
GTEX-1JKYN-1326-SM-CGQG9 30-39 years, male 6.3
GTEX-1LBAC-0126-SM-DIPEZ 20-29 years, male 6.3
GTEX-1I1HK-0126-SM-COH49 60-69 years, male 6.2
GTEX-1H1ZS-0426-SM-9WG6G 70-79 years, male 6.0
GTEX-11ZTT-2426-SM-5EQLS 60-69 years, female 5.9
GTEX-X4XY-0226-SM-4E3IZ 60-69 years, male 5.9
GTEX-1J8QM-2126-SM-CYPSJ 60-69 years, female 5.9
GTEX-16NGA-1726-SM-731B4 40-49 years, female 5.8
GTEX-ZZPT-0226-SM-5E43X 50-59 years, male 5.6
GTEX-1PPH7-2326-SM-EVYB8 40-49 years, male 5.4
GTEX-1C64O-0126-SM-7SB8P 60-69 years, male 5.3
GTEX-RUSQ-1526-SM-2TF62 50-59 years, male 5.0
GTEX-1HSEH-0126-SM-ACKXN 60-69 years, male 4.9
GTEX-1AYCT-2426-SM-7IGQ3 50-59 years, male 4.7
GTEX-1QP2A-0126-SM-E9J43 50-59 years, male 4.7
GTEX-12WSN-5019-SM-79OM6 40-49 years, male 4.6
GTEX-ZF28-0126-SM-4WKGK 60-69 years, male 4.6
GTEX-1I1GU-2226-SM-CGQFA 40-49 years, male 4.6
GTEX-17F96-1626-SM-7DUFL 70-79 years, male 4.5
GTEX-14XAO-2326-SM-6EU1B 60-69 years, female 4.2
GTEX-1A3MW-0126-SM-73KXX 60-69 years, female 4.2
GTEX-1QW4Y-1526-SM-EAZ3Z 30-39 years, male 4.2
GTEX-139T4-0226-SM-5HL5S 50-59 years, female 4.1
GTEX-15EOM-0126-SM-7KUGG 20-29 years, female 3.9
GTEX-Y8LW-1826-SM-5S2MV 50-59 years, female 3.8
GTEX-13NYS-0126-SM-5MR3W 60-69 years, male 3.7
GTEX-1F75I-0326-SM-9YFLU 40-49 years, male 3.6
GTEX-14PK6-1926-SM-6ETZU 70-79 years, female 3.3
GTEX-11ZUS-0626-SM-59885 30-39 years, male 3.2
GTEX-SE5C-1626-SM-2XCE3 40-49 years, female 2.3
GTEX-11WQK-0526-SM-5EQLD 50-59 years, male 1.9
GTEX-1QP67-1626-SM-EAZ3X 40-49 years, female 1.6
GTEX-1R9PO-2126-SM-E9J4O 60-69 years, female 1.2
GTEX-1HBPH-0426-SM-B2LW5 40-49 years, female 0.9
GTEX-14JIY-0126-SM-6LLH6 60-69 years, male 0.8
GTEX-146FR-1326-SM-E9J48 60-69 years, female 0.8
GTEX-U4B1-1826-SM-4DXSU 40-49 years, male 0.6
GTEX-1RAZQ-0726-SM-EAZ43 30-39 years, male 0.6
Show allShow less

Contact

  • NEWS ARTICLES
  • PRESS ROOM

The Project

  • INTRODUCTION
  • ORGANIZATION
  • PUBLICATIONS

The Human Protein Atlas

  • DOWNLOADABLE DATA
  • LICENCE & CITATION
  • HELP & FAQ
The Human Protein Atlas project is funded
by the Knut & Alice Wallenberg Foundation.


contact@proteinatlas.org