We use cookies to enhance the usability of our website. If you continue, we'll assume that you are happy to receive all cookies. More information. Don't show this again.
LGALS3BP
HPA
RESOURCES
  • TISSUE
  • BRAIN
  • SINGLE CELL
  • SUBCELLULAR
  • CANCER
  • BLOOD
  • CELL LINE
  • STRUCTURE & INTERACTION
ABOUT
  • INTRODUCTION
  • HISTORY
  • ORGANIZATION
  • PUBLICATIONS
  • ANTIBODY SUBMISSION
  • ANTIBODY AVAILABILITY
  • ACKNOWLEDGMENTS
  • CONTACT
NEWS
  • NEWS ARTICLES
  • PRESS ROOM
LEARN
  • DICTIONARY
  • PROTEIN CLASSES
  • PROTEIN EVIDENCE
  • METHODS
  • EDUCATIONAL VIDEOS
DATA
  • DOWNLOADABLE DATA
  • PUBLICATION DATA
  • RELEASE HISTORY
HELP
  • ANTIBODY VALIDATION
  • ASSAYS & ANNOTATION
  • DISCLAIMER
  • HELP & FAQ
  • PRIVACY STATEMENT
  • LICENCE & CITATION
Fields »
Search result

Field
Term
Gene name
Class
Subclass
Class
Keyword
Chromosome
External id
Tissue
Cell type
Expression
Antibody panel
Tissue
Main location
Patient ID
Annotation
Tissue
Category
Tau score
Cluster
Reliability
Brain region
Category
Tau score
Brain region
Category
Tau score
Brain region
Category
Tau score
Cluster
Reliability
Tissue
Cell type
Enrichment
Cell type
Category
Tau score
Cell type
Category
Tau score
Cell type
Category
Tau score
Cell lineage
Category
Tau score
Cluster
Cluster
Location
Searches
Location
Cell line
Class
Type
Phase
Reliability
Cancer
Prognosis
Cancer
Category
Cancer
Category
Tau score
Cluster
Variants
Interacting gene (ensg_id)
Type
Number of interactions
Pathway
Category
Score
Score
Score
Validation
Validation
Validation
Validation
Antibodies
Data type
Column


  • SUMMARY

  • TISSUE

  • BRAIN

  • SINGLE CELL

  • SUBCELL

  • CANCER

  • BLOOD

  • CELL LINE

  • STRUCT & INT

  • LGALS3BP
TISSUE PRIMARY DATA STOMACH Show tissue menu
ADIPOSE TISSUE ADRENAL GLAND AMYGDALA APPENDIX BASAL GANGLIA BONE MARROW BREAST BRONCHUS CEREBELLUM CEREBRAL CORTEX CERVIX CHOROID PLEXUS COLON DUODENUM
ENDOMETRIUM EPIDIDYMIS ESOPHAGUS FALLOPIAN TUBE GALLBLADDER HEART MUSCLE HIPPOCAMPAL FORMATION HYPOTHALAMUS KIDNEY LIVER LUNG LYMPH NODE MIDBRAIN NASOPHARYNX
ORAL MUCOSA OVARY PANCREAS PARATHYROID GLAND PITUITARY GLAND PLACENTA PROSTATE RECTUM RETINA SALIVARY GLAND SEMINAL VESICLE SKELETAL MUSCLE SKIN SMALL INTESTINE
SMOOTH MUSCLE SOFT TISSUE SPINAL CORD SPLEEN STOMACH TESTIS THYMUS THYROID GLAND TONGUE TONSIL URINARY BLADDER VAGINA
ANTIBODIES
AND
VALIDATION
Dictionary
Tissue proteome
Stomach
STOMACH - Expression summary
Protein expression
Stomachi

On the top, protein expression in current human tissue, based on all annotated cell types, is reported with the units not detected (n), low (l), medium (m) and high (h). Underneath, protein expression in each annotated cell type are reported using the same units.

Protein expression data is based on knowledge-based annotation. For genes where more than one antibody has been used, a collective score is set.

If knowledge-based annotation could not be performed for a gene, no data is displayed here. View antibody staining data further down this page.

h
m
l
n
Glandular cells: High
RNA expressioni

A summary of mRNA expression data available for current tissue based on several datasets. The mRNA expression levels in human tissues are based on RNA-seq data generated by the Human Protein Atlas (HPA), Genotype-Tissue Expression (GTEx) portal and CAGE data generated by the FANTOM5 consortium. Consensus normalized expression levels for human tissues was created by combining the data from HPA and GTEx datasets.

The mRNA expression levels in pig are based on RNA-seq data generated by the Human Protein Atlas (HPA), and for mouse, HPA data and in situ hybridization generated by the Allen brain atlas are reported.

Scroll down to view mRNA expression data in more detail.
Consensus:307.3 nTPM
HPA:307.3 nTPM
GTEx:140.2 nTPM

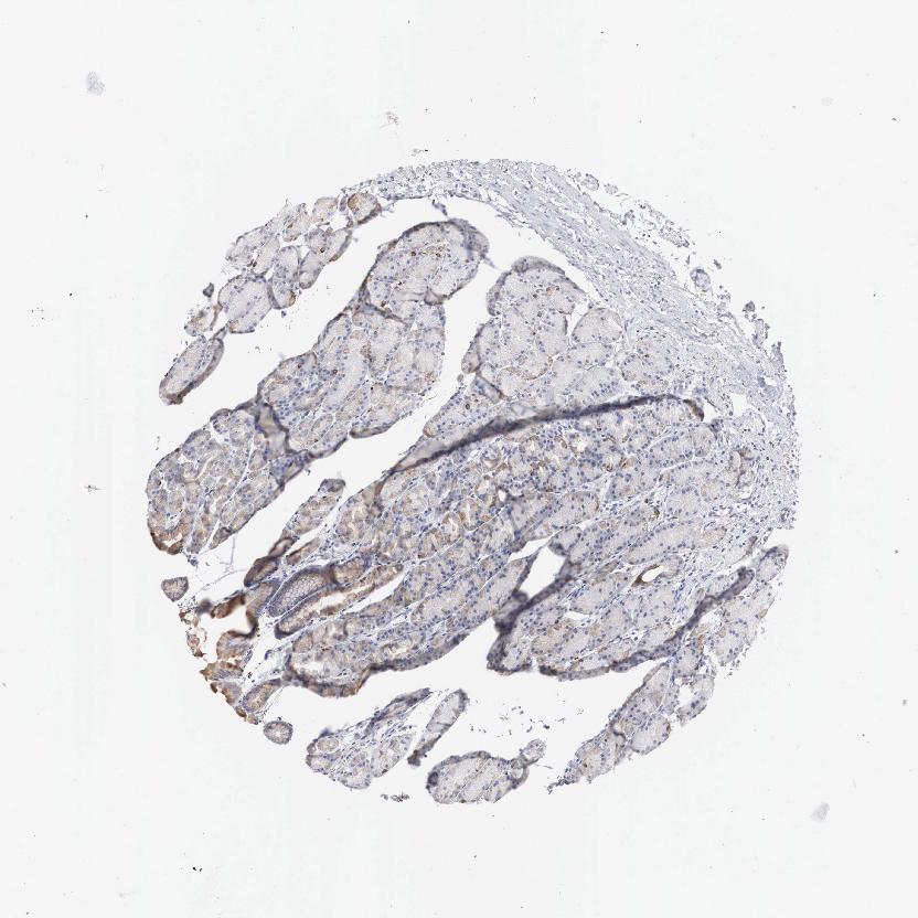
STOMACH 1 - Antibody stainingi

Antibody staining in the annotated cell types in the current human tissue is reported as not detected, low, medium, or high, based on conventional immunohistochemistry profiling in selected tissues. This score is based on the combination of the staining intensity and fraction of stained cells.

Each image is clickable and will lead to virtual microscopy that enables deeper exploration of all samples and also displays staining intensity scores, fraction scores and subcellular localization as well as patient and tissue information for each sample.

Antibody HPA000410Antibody HPA000554
Glandular cells MediumNot detected




STOMACH 2 - Antibody stainingi

Antibody staining in the annotated cell types in the current human tissue is reported as not detected, low, medium, or high, based on conventional immunohistochemistry profiling in selected tissues. This score is based on the combination of the staining intensity and fraction of stained cells.

Each image is clickable and will lead to virtual microscopy that enables deeper exploration of all samples and also displays staining intensity scores, fraction scores and subcellular localization as well as patient and tissue information for each sample.

Antibody HPA000410Antibody HPA000554
Glandular cells MediumMedium





STOMACH - HPA RNA-seqi

The RNA-seq details section shows detailed information about the individual samples used for the transcript profiling and results of the RNA-seq analysis.

Information about each individual sample is listed below, including gender, age, a tissue section image and estimated fractions of cell types. nTPM (normalized transcripts per million) values give a quantification of the gene abundance which is comparable between different genes and samples.
Average nTPMi

Max subtype nTPM is the value for the subtype with the largest average nTPM across the subtype samples.

307.3
overview
Female, age 33
Stomach sample 61
nTPM: 197.9
Cell types%
Glandular cells:
60

Smooth muscle cells:
5

Other cell types:
35

N/A
Male, age 82
Stomach sample 240
nTPM: 356
Cell types%
Glandular cells:
65

Smooth muscle cells:
5

Other cell types:
30

overview
Male, age 71
Stomach sample 241
nTPM: 565.1
Cell types%
Glandular cells:
50

Smooth muscle cells:
5

Other cell types:
45

overview
Female, age 66
Stomach sample 369
nTPM: 110.2
Cell types%
Glandular cells:
50

Smooth muscle cells:
10

Other cell types:
40


STOMACH - GTEx RNA-seqi

RNA-Seq data generated by the Genotype-Tissue Expression (GTEx) project from human tissues is reported as mean nTPM. More information can be found on the GTEx portal.

Distribution across the dataset is visualized with box plots, shown as median and 25th and 75th percentiles. Points are displayed as outliers if they are above or below 1.5 times the interquartile range. nTPM values of the individual samples are presented next to the box plot.
Max subtype nTPMi

Max subtype nTPM is the value for the subtype with the largest average nTPM across the subtype samples.

140.2
GTEx sample id Sample description nTPM
Stomach
Average nTPM: 140.2
Samples: 359

Max nTPM: 345.9
Min nTPM: 39.0
Std nTPM: 52.5
Median nTPM: 131.0
GTEX-QCQG-0526-SM-48U2A 50-59 years, female 345.9
GTEX-WHPG-0426-SM-4M1XW 50-59 years, male 338.2
GTEX-1RQEC-2126-SM-DPS15 60-69 years, male 329.8
GTEX-15G19-1526-SM-6LPKP 60-69 years, male 303.0
GTEX-13OW6-2526-SM-5IJEC 50-59 years, male 293.7
GTEX-Y3IK-1426-SM-4YCES 50-59 years, female 292.2
GTEX-ZYY3-1726-SM-5EGH3 60-69 years, female 277.4
GTEX-WFG8-1326-SM-4LVN3 20-29 years, male 275.4
GTEX-13FTX-0726-SM-5N9BI 20-29 years, female 271.7
GTEX-13PVQ-2126-SM-5L3FW 50-59 years, male 267.1
GTEX-1CAMR-0726-SM-7EPIE 20-29 years, male 264.1
GTEX-1B8KZ-1226-SM-793CP 50-59 years, male 264.0
GTEX-14PHX-1026-SM-664OL 50-59 years, male 260.4
GTEX-1JKYN-1726-SM-AHZ48 30-39 years, male 259.4
GTEX-11NUK-2426-SM-5BC4U 50-59 years, male 250.2
GTEX-P4PP-1526-SM-3P61M 30-39 years, female 247.3
GTEX-TMMY-1626-SM-4DXTY 40-49 years, female 238.3
GTEX-QDVJ-1426-SM-48U1Y 50-59 years, male 231.7
GTEX-1399S-1626-SM-5P9GI 30-39 years, female 228.7
GTEX-15DZA-1126-SM-6LPK8 30-39 years, female 228.3
GTEX-SNMC-0626-SM-4DM6H 20-29 years, male 227.3
GTEX-WY7C-1726-SM-4ONCC 50-59 years, male 225.1
GTEX-QDVN-1226-SM-48TZ5 50-59 years, male 225.0
GTEX-OOBJ-1526-SM-3NB1Q 60-69 years, male 224.4
GTEX-18A67-2626-SM-718AD 50-59 years, male 223.2
GTEX-17F98-1526-SM-7EWD8 40-49 years, female 222.9
GTEX-11DXX-1326-SM-5GIDZ 60-69 years, female 222.7
GTEX-WFG7-1326-SM-4LMK1 20-29 years, male 220.2
GTEX-13O21-0926-SM-5IFGT 50-59 years, male 218.8
GTEX-POMQ-0826-SM-3P61H 20-29 years, female 218.3
GTEX-ZVP2-1626-SM-5GU5D 50-59 years, male 216.9
GTEX-14PKV-1826-SM-69LO9 20-29 years, female 216.6
GTEX-145ME-1026-SM-5O9B4 40-49 years, female 216.2
GTEX-13FTW-1726-SM-5KM2B 40-49 years, male 215.0
GTEX-XV7Q-1326-SM-4BRWM 40-49 years, female 213.6
GTEX-14PJ6-0826-SM-686Z9 60-69 years, female 213.4
GTEX-117YX-1026-SM-5H11V 50-59 years, male 211.2
GTEX-1F5PL-1426-SM-7MKFH 40-49 years, female 211.0
GTEX-1MJIX-1126-SM-EV7AO 40-49 years, male 210.2
GTEX-14PJ5-0826-SM-6AJAR 60-69 years, female 208.8
GTEX-1KANA-1126-SM-D3L9M 20-29 years, male 208.3
GTEX-13S7M-1826-SM-5RQK6 60-69 years, female 205.7
GTEX-YEC4-1426-SM-5IFHS 40-49 years, male 205.4
GTEX-PWN1-1526-SM-48TDA 40-49 years, female 205.1
GTEX-1GL5R-1926-SM-9WG7U 50-59 years, male 203.7
GTEX-1HBPI-0726-SM-9WG7Z 50-59 years, male 198.0
GTEX-WRHK-0626-SM-4MVOE 20-29 years, female 197.4
GTEX-WFON-1126-SM-4LVMA 40-49 years, male 196.4
GTEX-1HBPN-1626-SM-9WPNP 50-59 years, male 194.7
GTEX-1B97J-1826-SM-7IGPP 50-59 years, female 194.5
GTEX-PX3G-1526-SM-48U11 20-29 years, female 193.4
GTEX-18A66-2226-SM-7189E 60-69 years, male 192.9
GTEX-S95S-0826-SM-4B64N 60-69 years, male 191.5
GTEX-1KXAM-0926-SM-CXZKA 60-69 years, male 191.2
GTEX-1RB15-1026-SM-E9U6V 60-69 years, male 188.2
GTEX-145MN-1326-SM-5NQ9S 30-39 years, male 187.8
GTEX-VJYA-1026-SM-4KL21 60-69 years, male 186.2
GTEX-111CU-0926-SM-5EGIK 50-59 years, male 184.9
GTEX-S3XE-1026-SM-4AD4O 50-59 years, male 184.7
GTEX-11NSD-1426-SM-5HL67 20-29 years, male 184.4
GTEX-ZE7O-3026-SM-51MS4 50-59 years, female 184.3
GTEX-1A3MV-1226-SM-718BW 30-39 years, male 183.3
GTEX-15DCE-1626-SM-6LPJM 20-29 years, male 182.7
GTEX-12WSD-2326-SM-59HKQ 60-69 years, female 179.9
GTEX-14JG6-1226-SM-664O6 30-39 years, female 179.4
GTEX-ZP4G-1226-SM-4WWCJ 20-29 years, female 178.1
GTEX-1LG7Z-1226-SM-DHXK4 30-39 years, male 178.1
GTEX-13U4I-2526-SM-5SI8Z 40-49 years, female 178.0
GTEX-OHPK-1526-SM-3MJGM 50-59 years, female 177.7
GTEX-RWS6-0926-SM-47JXE 60-69 years, female 176.8
GTEX-1HCU8-1326-SM-C1YQQ 60-69 years, female 176.6
GTEX-1GMRU-2526-SM-9WG7T 50-59 years, male 176.2
GTEX-1I6K7-1726-SM-B2LXQ 40-49 years, male 176.2
GTEX-1IDJU-1526-SM-CNNR3 60-69 years, female 176.1
GTEX-18A7A-2726-SM-7LG6U 50-59 years, female 173.2
GTEX-T8EM-1226-SM-4DM5J 40-49 years, male 173.0
GTEX-ZEX8-1626-SM-4WKG7 50-59 years, male 173.0
GTEX-13OVK-0926-SM-7KUFX 40-49 years, male 172.1
GTEX-T5JW-0926-SM-4DM5K 20-29 years, female 171.9
GTEX-ZYFG-1326-SM-5GICJ 60-69 years, female 170.8
GTEX-1F75I-1826-SM-7MKGX 40-49 years, male 170.7
GTEX-WHSB-1226-SM-4M1XR 50-59 years, male 170.6
GTEX-1LBAC-1426-SM-CXZKT 20-29 years, male 170.3
GTEX-P78B-1826-SM-3P5YX 40-49 years, female 169.8
GTEX-131XG-1226-SM-5EGH9 50-59 years, female 169.3
GTEX-13113-0726-SM-5LZUF 60-69 years, female 169.2
GTEX-1399R-1126-SM-5IFIO 30-39 years, male 169.2
GTEX-17F9E-2226-SM-7IGNC 50-59 years, male 169.2
GTEX-ZLWG-1526-SM-DO12F 50-59 years, female 168.7
GTEX-S4UY-1626-SM-4AD55 40-49 years, female 168.5
GTEX-Q734-1026-SM-48U16 40-49 years, female 168.4
GTEX-S341-0626-SM-4AD5T 40-49 years, female 168.1
GTEX-133LE-1326-SM-5IFGO 20-29 years, female 167.7
GTEX-14BMV-2226-SM-5RQHX 50-59 years, male 167.0
GTEX-14ICL-0826-SM-5YY9W 30-39 years, male 166.8
GTEX-1C475-1026-SM-7MKFJ 40-49 years, female 166.7
GTEX-18D9A-0626-SM-7KFTY 30-39 years, female 165.4
GTEX-ZVZP-1726-SM-5GZWY 50-59 years, male 165.1
GTEX-15CHR-1326-SM-79OLT 50-59 years, male 165.0
GTEX-1H3VY-2326-SM-9WG81 50-59 years, male 164.5
GTEX-1J8JJ-1726-SM-C1YQG 60-69 years, female 163.9
GTEX-Y9LG-1026-SM-5IFJN 30-39 years, male 163.1
GTEX-U3ZN-2026-SM-4DXUC 30-39 years, female 162.9
GTEX-V1D1-1726-SM-4JBHB 50-59 years, male 162.5
GTEX-1MUQO-1926-SM-EAZ59 60-69 years, male 162.1
GTEX-13N1W-2026-SM-5K7YU 70-79 years, male 159.7
GTEX-1HFI7-1526-SM-9WG7W 50-59 years, female 159.6
GTEX-YB5E-1126-SM-664NU 40-49 years, male 159.5
GTEX-1J8Q3-1926-SM-C1YSJ 60-69 years, male 159.5
GTEX-1QPFJ-1526-SM-DPRXT 30-39 years, female 158.5
GTEX-ZXES-1426-SM-5NQ8S 30-39 years, female 158.3
GTEX-1MGNQ-1826-SM-DPRYI 40-49 years, male 158.2
GTEX-13RTK-0226-SM-5RQHR 20-29 years, male 157.8
GTEX-ZF2S-1426-SM-57WET 50-59 years, female 157.8
GTEX-T6MO-0726-SM-4DM58 40-49 years, female 157.5
GTEX-13CF3-1926-SM-5K7WF 60-69 years, female 157.4
GTEX-XUZC-0726-SM-4BOPH 30-39 years, female 157.1
GTEX-YFCO-0826-SM-5LUAG 40-49 years, male 156.9
GTEX-14PJ3-1426-SM-664O8 50-59 years, male 156.8
GTEX-14PJ4-1626-SM-664OB 60-69 years, male 156.1
GTEX-QLQ7-0826-SM-447B3 60-69 years, male 154.5
GTEX-1JK1U-1326-SM-AHZ45 60-69 years, male 154.4
GTEX-UJMC-1226-SM-4IHLI 50-59 years, male 153.9
GTEX-XMK1-1526-SM-EYYVO 40-49 years, male 153.9
GTEX-TKQ2-0926-SM-4DXU5 50-59 years, male 153.8
GTEX-11GSP-2126-SM-5HL5E 60-69 years, female 153.4
GTEX-17GQL-1226-SM-7KFTS 60-69 years, male 153.4
GTEX-ZPIC-2026-SM-57WG3 40-49 years, female 153.4
GTEX-1122O-1926-SM-5EGIQ 60-69 years, female 153.0
GTEX-1R9K5-1026-SM-EAZ4F 50-59 years, male 153.0
GTEX-1RAZR-1526-SM-EAZ4U 40-49 years, male 152.7
GTEX-WXYG-1626-SM-4ONCR 50-59 years, female 152.6
GTEX-16AAH-1226-SM-79OO9 50-59 years, male 152.1
GTEX-131XF-1226-SM-5HL8V 60-69 years, male 151.4
GTEX-17HHE-1026-SM-79ON6 50-59 years, male 151.3
GTEX-1CB4H-2426-SM-7PBYR 60-69 years, female 150.4
GTEX-1JMLX-2426-SM-CXZJQ 50-59 years, male 149.8
GTEX-1JMPZ-1826-SM-CXZJT 30-39 years, male 149.8
GTEX-ZPU1-1626-SM-4WWB2 40-49 years, male 149.2
GTEX-ZGAY-1626-SM-DNZZ3 40-49 years, female 149.2
GTEX-1A8G6-1426-SM-731EZ 60-69 years, male 148.8
GTEX-1AYCT-1326-SM-7MKHB 50-59 years, male 148.5
GTEX-QXCU-1926-SM-48FE4 50-59 years, male 148.2
GTEX-15UF7-1226-SM-6M46G 40-49 years, male 146.8
GTEX-14BMU-1126-SM-5RQJ8 20-29 years, female 146.7
GTEX-1F5PK-1826-SM-7RHHX 50-59 years, male 146.5
GTEX-Y5LM-1326-SM-5RQIS 40-49 years, female 146.4
GTEX-OIZF-1526-SM-2I5GR 60-69 years, male 146.3
GTEX-15SHW-2126-SM-6M46Y 60-69 years, male 146.1
GTEX-Y5V6-1326-SM-4VDTF 60-69 years, male 145.9
GTEX-14PHY-0926-SM-5ZZWL 60-69 years, female 145.7
GTEX-U4B1-1026-SM-4DXT1 40-49 years, male 145.5
GTEX-1QCLY-1126-SM-EAZ4J 30-39 years, male 145.0
GTEX-1I4MK-0926-SM-A9SLD 50-59 years, female 144.7
GTEX-QV31-0626-SM-447C5 30-39 years, male 144.5
GTEX-1LGRB-1726-SM-CNNRA 50-59 years, female 144.0
GTEX-ZA64-0826-SM-5HL9U 20-29 years, male 142.3
GTEX-ZLV1-0826-SM-DO11P 60-69 years, female 142.2
GTEX-QV44-1226-SM-CJI1S 50-59 years, male 141.7
GTEX-ZVT2-1626-SM-51MRC 50-59 years, female 140.5
GTEX-14BIL-1926-SM-73KYI 50-59 years, male 140.4
GTEX-1HT8W-2326-SM-A9SLA 30-39 years, male 140.4
GTEX-ZZ64-0426-SM-5E43F 20-29 years, male 140.2
GTEX-PWCY-0926-SM-48TD7 20-29 years, female 140.0
GTEX-1AMEY-1226-SM-731DU 30-39 years, female 139.6
GTEX-139YR-1926-SM-5LZXM 50-59 years, male 139.0
GTEX-ZDYS-1926-SM-5HL59 50-59 years, male 138.8
GTEX-O5YW-1526-SM-3MJGL 50-59 years, male 137.1
GTEX-1AMFI-1226-SM-731CZ 50-59 years, female 136.5
GTEX-QDT8-2026-SM-EZ6LS 30-39 years, female 136.4
GTEX-12WSK-1426-SM-5CVNN 40-49 years, female 136.0
GTEX-QMRM-1126-SM-447BN 50-59 years, male 135.9
GTEX-Q2AI-0826-SM-48TZO 40-49 years, male 134.9
GTEX-1B97I-1226-SM-7MGWQ 40-49 years, male 134.8
GTEX-144GN-1226-SM-5O991 50-59 years, male 133.4
GTEX-ZVT3-2126-SM-59HL2 60-69 years, female 132.7
GTEX-17HGU-2126-SM-7IGOV 50-59 years, male 132.5
GTEX-Y8LW-0826-SM-4WWDO 50-59 years, female 132.4
GTEX-1B8L1-1526-SM-79OLK 60-69 years, male 131.3
GTEX-1L5NE-1526-SM-DIPFW 50-59 years, male 131.0
GTEX-144GM-1726-SM-5O9AS 20-29 years, male 130.9
GTEX-ZLFU-1326-SM-DO11R 40-49 years, male 130.9
GTEX-1LGOU-1526-SM-D3LAJ 20-29 years, female 130.8
GTEX-1R7EU-1126-SM-EAZ4M 60-69 years, male 130.7
GTEX-PW2O-1226-SM-48TCH 20-29 years, male 130.6
GTEX-1QCLZ-1826-SM-DPRXP 60-69 years, female 130.4
GTEX-UPK5-2126-SM-4JBJK 40-49 years, male 130.0
GTEX-R53T-1226-SM-48FCT 50-59 years, female 129.7
GTEX-1RMOY-1126-SM-EV79E 50-59 years, male 128.9
GTEX-111YS-1126-SM-5GZYQ 60-69 years, male 128.7
GTEX-PLZ5-1226-SM-EXOHA 50-59 years, male 128.6
GTEX-RM2N-0826-SM-48FD3 50-59 years, male 128.5
GTEX-13X6J-2126-SM-5TDCV 50-59 years, male 128.3
GTEX-RTLS-2626-SM-46MUJ 60-69 years, female 128.0
GTEX-OHPM-1526-SM-EV796 50-59 years, male 127.3
GTEX-11EM3-1026-SM-5A5KL 20-29 years, female 127.0
GTEX-1HR9M-2326-SM-CNPPZ 60-69 years, male 126.9
GTEX-13FH7-1026-SM-5IJGF 50-59 years, female 126.5
GTEX-1QMI2-2126-SM-DPRXQ 60-69 years, male 126.5
GTEX-1E2YA-2426-SM-7EPIG 50-59 years, male 126.4
GTEX-1QP2A-2126-SM-DPRZ7 50-59 years, male 126.3
GTEX-14DAQ-2826-SM-664MU 60-69 years, female 126.0
GTEX-132QS-1826-SM-5IFFN 60-69 years, male 125.7
GTEX-17JCI-2226-SM-7LTA1 60-69 years, female 125.5
GTEX-ZF29-1526-SM-4WKF7 60-69 years, female 125.3
GTEX-11EI6-2426-SM-5PNVS 60-69 years, male 125.1
GTEX-OXRL-1526-SM-E6CHQ 50-59 years, male 124.9
GTEX-1N2DV-0926-SM-E9TJT 40-49 years, male 124.3
GTEX-S4Q7-0726-SM-4AD5F 20-29 years, male 123.9
GTEX-1QW4Y-0726-SM-DTX8E 30-39 years, male 123.6
GTEX-WEY5-1226-SM-4LMIQ 40-49 years, female 123.5
GTEX-1S831-1126-SM-EWROI 20-29 years, male 122.9
GTEX-QLQW-0726-SM-447AA 30-39 years, male 122.0
GTEX-XQ8I-2026-SM-4BOOL 50-59 years, male 121.8
GTEX-14B4R-0726-SM-5TDDR 30-39 years, male 121.5
GTEX-XBED-1226-SM-4AT5V 60-69 years, male 121.3
GTEX-SUCS-0926-SM-4DM4Z 70-79 years, male 121.0
GTEX-14E6E-0926-SM-664N8 30-39 years, male 120.7
GTEX-ZQUD-0826-SM-57WDQ 30-39 years, male 120.5
GTEX-1E1VI-2826-SM-7MGWU 50-59 years, male 120.4
GTEX-1J8QM-1126-SM-C1YQB 60-69 years, female 120.2
GTEX-11VI4-0326-SM-5EQ6L 40-49 years, female 120.1
GTEX-1CB4E-1326-SM-7DUGD 60-69 years, male 120.1
GTEX-18QFQ-1226-SM-718AE 30-39 years, male 120.0
GTEX-1HKZK-1526-SM-B2LWG 40-49 years, male 119.3
GTEX-ZV7C-1626-SM-5NQ7E 50-59 years, male 119.2
GTEX-ZZPU-1426-SM-5GZZ6 50-59 years, female 119.1
GTEX-12BJ1-1726-SM-5HL9B 60-69 years, male 118.5
GTEX-1H1DG-2126-SM-9WPPB 70-79 years, male 118.4
GTEX-145LT-1426-SM-5O9B3 40-49 years, male 117.4
GTEX-Y3I4-1626-SM-4TT7W 50-59 years, male 117.3
GTEX-12C56-0526-SM-5FQST 20-29 years, male 117.2
GTEX-1S3DN-1526-SM-EVYCB 50-59 years, male 116.5
GTEX-14E1K-1526-SM-664MN 50-59 years, male 115.9
GTEX-R55G-1126-SM-48FDG 40-49 years, female 115.6
GTEX-WFJO-1126-SM-4LVLZ 30-39 years, male 115.5
GTEX-11TT1-0726-SM-5GU5A 20-29 years, male 113.9
GTEX-13QJ3-2726-SM-5SI6L 50-59 years, male 113.8
GTEX-X15G-1126-SM-4PQZG 50-59 years, female 112.9
GTEX-W5WG-1726-SM-4LMI5 50-59 years, female 112.8
GTEX-UJHI-1026-SM-4IHJP 50-59 years, female 112.7
GTEX-13QBU-1126-SM-5LU44 40-49 years, female 112.4
GTEX-OXRK-1626-SM-3NB17 50-59 years, female 112.3
GTEX-14DAR-0926-SM-73KUQ 50-59 years, male 112.0
GTEX-V955-1326-SM-4JBHR 60-69 years, male 112.0
GTEX-12696-1726-SM-5EQLH 60-69 years, male 111.3
GTEX-13O3Q-2126-SM-5KM4C 50-59 years, male 111.3
GTEX-13D11-2126-SM-5IFH2 50-59 years, female 111.1
GTEX-12WSG-2026-SM-5FQUU 50-59 years, female 109.8
GTEX-13111-1226-SM-5GCNC 50-59 years, male 109.5
GTEX-1ICG6-1826-SM-AHZ2O 70-79 years, female 109.4
GTEX-16NGA-1526-SM-72D56 40-49 years, female 109.3
GTEX-15RIF-1126-SM-7KUG2 20-29 years, male 108.8
GTEX-SNOS-0826-SM-4DM5N 40-49 years, male 108.7
GTEX-P4QT-1526-SM-3NMCT 50-59 years, female 108.4
GTEX-Y114-1226-SM-4TT88 50-59 years, female 108.1
GTEX-117YW-2226-SM-5N9DB 50-59 years, male 107.7
GTEX-S4P3-0726-SM-4AD57 50-59 years, female 107.6
GTEX-11I78-1726-SM-5A5M3 50-59 years, female 107.4
GTEX-1IDJD-2426-SM-C1YS6 30-39 years, male 107.1
GTEX-T5JC-1926-SM-4DM6Q 20-29 years, male 107.0
GTEX-145MO-2226-SM-5Q5BN 60-69 years, male 106.9
GTEX-1B8KE-1326-SM-73KVI 50-59 years, male 106.6
GTEX-1NSGN-1926-SM-E9J36 50-59 years, male 104.7
GTEX-1HSEH-1526-SM-B2LXG 60-69 years, male 104.0
GTEX-1GN1W-2126-SM-9JGI7 50-59 years, female 103.3
GTEX-132AR-2426-SM-5IFFD 50-59 years, female 102.7
GTEX-17KNJ-1526-SM-7LTA9 50-59 years, male 102.5
GTEX-WYVS-1326-SM-4ONCQ 40-49 years, female 101.5
GTEX-Y8E4-1526-SM-4WWDI 40-49 years, male 101.4
GTEX-1MCYP-1126-SM-E9J2P 20-29 years, female 100.8
GTEX-1H1E6-1626-SM-9OSWC 30-39 years, male 100.7
GTEX-WHWD-1426-SM-4OORU 50-59 years, male 99.8
GTEX-13O61-1126-SM-5L3FI 60-69 years, male 99.4
GTEX-1GF9U-1126-SM-AHZ4H 40-49 years, female 99.2
GTEX-XBEW-1826-SM-4RTWX 40-49 years, male 99.0
GTEX-146FR-2026-SM-5NQAI 60-69 years, female 97.9
GTEX-ZT9W-1526-SM-4YCDE 50-59 years, male 97.5
GTEX-1LSNM-1026-SM-DHXL2 50-59 years, male 97.2
GTEX-S7SF-0626-SM-4AD4V 20-29 years, female 97.1
GTEX-OIZH-1526-SM-3NB1J 50-59 years, male 97.0
GTEX-1AX9J-2626-SM-731EK 60-69 years, male 95.6
GTEX-17MF6-2126-SM-7KFS7 40-49 years, male 95.3
GTEX-ZAB4-1526-SM-5CVN7 40-49 years, male 95.3
GTEX-1LVAN-2426-SM-CNNPZ 50-59 years, female 95.2
GTEX-1IL2V-2026-SM-ARZMA 70-79 years, male 95.0
GTEX-1I1HK-2026-SM-CNNRB 60-69 years, male 94.9
GTEX-11P7K-1726-SM-5GU6F 30-39 years, male 94.8
GTEX-14PN3-1326-SM-6AJ9U 60-69 years, female 94.7
GTEX-131XE-2226-SM-5PNYX 50-59 years, male 94.4
GTEX-1GZ4H-1026-SM-9OSXL 50-59 years, female 94.1
GTEX-1PIGE-1126-SM-EWRMV 20-29 years, male 93.0
GTEX-17HII-2426-SM-7KFTT 50-59 years, male 92.6
GTEX-1J8EW-2226-SM-AHZ3T 60-69 years, female 92.6
GTEX-1K2DA-0826-SM-CGQGD 50-59 years, male 92.5
GTEX-13PVR-2126-SM-73KVR 60-69 years, female 91.8
GTEX-1JMQJ-1326-SM-D4P3B 50-59 years, male 91.5
GTEX-1JMPY-0926-SM-ARL92 30-39 years, male 88.6
GTEX-1JN76-0926-SM-ARZNH 20-29 years, female 88.3
GTEX-1H3NZ-2226-SM-9WYUT 60-69 years, male 88.1
GTEX-P4PQ-1526-SM-3NMCK 60-69 years, male 87.6
GTEX-1H11D-2226-SM-9OSXN 40-49 years, male 86.9
GTEX-1211K-1426-SM-5FQTF 60-69 years, female 86.6
GTEX-1C64O-2226-SM-73KTV 60-69 years, male 86.2
GTEX-ZYVF-2726-SM-5GID4 50-59 years, female 86.2
GTEX-1I1GT-1726-SM-C1YS3 60-69 years, female 86.0
GTEX-15G1A-1226-SM-7KUF3 30-39 years, male 85.6
GTEX-ZY6K-0726-SM-5A5L8 50-59 years, male 85.5
GTEX-15RIE-1026-SM-6LPJQ 60-69 years, male 85.3
GTEX-11P82-0726-SM-5PNYL 20-29 years, male 84.9
GTEX-18D9B-2226-SM-718BM 60-69 years, male 84.9
GTEX-WYJK-2526-SM-4ONDF 50-59 years, male 84.8
GTEX-XPVG-1526-SM-4B66C 50-59 years, male 84.8
GTEX-R55D-1526-SM-48FEJ 50-59 years, male 84.4
GTEX-YJ8A-1526-SM-5P9FT 20-29 years, male 84.3
GTEX-WZTO-2126-SM-4PQYW 40-49 years, male 83.9
GTEX-17EUY-1526-SM-793CA 20-29 years, male 83.8
GTEX-146FH-2126-SM-5SI9U 50-59 years, female 83.6
GTEX-1QP29-2326-SM-EXOJO 50-59 years, male 82.8
GTEX-15EU6-2526-SM-7KUGB 50-59 years, male 82.7
GTEX-1HSMQ-2426-SM-CE6RY 50-59 years, male 82.4
GTEX-1LVAM-1426-SM-E9TJ4 50-59 years, female 82.1
GTEX-XAJ8-0326-SM-47JYI 40-49 years, male 81.9
GTEX-RUSQ-1126-SM-EAZAU 50-59 years, male 81.7
GTEX-YEC3-1426-SM-D4P1S 50-59 years, male 80.3
GTEX-Q2AH-1126-SM-48TZM 40-49 years, male 79.9
GTEX-XXEK-0826-SM-4BRWG 50-59 years, male 78.8
GTEX-1GPI7-1326-SM-9KNVA 20-29 years, male 78.6
GTEX-1H23P-2726-SM-9JGHN 60-69 years, male 77.3
GTEX-PLZ6-0826-SM-3P61K 30-39 years, male 76.7
GTEX-1IDJF-1426-SM-ACKWK 20-29 years, male 75.6
GTEX-NFK9-1526-SM-3LK7B 40-49 years, male 75.1
GTEX-1KD5A-1426-SM-D4P3V 50-59 years, male 74.7
GTEX-11WQK-2626-SM-5EQ4K 50-59 years, male 74.6
GTEX-1HCUA-1626-SM-A9SMG 50-59 years, female 74.5
GTEX-1PPH8-1326-SM-DTXFO 20-29 years, male 73.4
GTEX-ZV6S-0926-SM-57WGB 40-49 years, female 73.3
GTEX-12WSJ-0926-SM-5P9JD 40-49 years, female 72.8
GTEX-139D8-2326-SM-5IFGE 30-39 years, female 72.1
GTEX-1A3MX-1926-SM-72D7F 60-69 years, male 71.7
GTEX-ZTX8-0426-SM-59HLG 20-29 years, male 70.9
GTEX-14PKU-1126-SM-69LOU 40-49 years, female 70.6
GTEX-1S82Z-1726-SM-E6CHZ 30-39 years, female 69.4
GTEX-13X6H-1626-SM-5Q5CT 50-59 years, female 68.8
GTEX-TKQ1-0526-SM-4DXTG 30-39 years, male 67.6
GTEX-1399U-1626-SM-5P9J3 50-59 years, female 67.0
GTEX-1H1DE-1226-SM-9JGHH 20-29 years, male 66.3
GTEX-1JN1M-2926-SM-CNNPJ 60-69 years, female 65.7
GTEX-R55C-1026-SM-48FCM 40-49 years, male 65.2
GTEX-RU1J-0526-SM-46MUT 20-29 years, female 62.3
GTEX-1EH9U-2226-SM-7PBXX 60-69 years, male 62.3
GTEX-WH7G-1526-SM-4LVMX 40-49 years, male 55.7
GTEX-O5YV-1926-SM-EV797 60-69 years, female 54.4
GTEX-1QP28-2126-SM-DTX8B 50-59 years, female 54.2
GTEX-1QP67-1026-SM-EVR47 40-49 years, female 50.8
GTEX-13OVI-2426-SM-5KM4J 60-69 years, female 49.4
GTEX-S4Z8-1226-SM-4AD6W 60-69 years, male 48.7
GTEX-1339X-1426-SM-5K7YO 40-49 years, male 41.5
GTEX-11EQ9-1226-SM-5987E 30-39 years, male 39.0
Show allShow less

Contact

  • NEWS ARTICLES
  • PRESS ROOM

The Project

  • INTRODUCTION
  • ORGANIZATION
  • PUBLICATIONS

The Human Protein Atlas

  • DOWNLOADABLE DATA
  • LICENCE & CITATION
  • HELP & FAQ
The Human Protein Atlas project is funded
by the Knut & Alice Wallenberg Foundation.


contact@proteinatlas.org