We use cookies to enhance the usability of our website. If you continue, we'll assume that you are happy to receive all cookies. More information. Don't show this again.
HDAC5
HPA
RESOURCES
  • TISSUE
  • BRAIN
  • SINGLE CELL
  • SUBCELLULAR
  • CANCER
  • BLOOD
  • CELL LINE
  • STRUCTURE & INTERACTION
ABOUT
  • INTRODUCTION
  • HISTORY
  • ORGANIZATION
  • PUBLICATIONS
  • ANTIBODY SUBMISSION
  • ANTIBODY AVAILABILITY
  • ACKNOWLEDGMENTS
  • CONTACT
NEWS
  • NEWS ARTICLES
  • PRESS ROOM
LEARN
  • DICTIONARY
  • PROTEIN CLASSES
  • PROTEIN EVIDENCE
  • METHODS
  • EDUCATIONAL VIDEOS
DATA
  • DOWNLOADABLE DATA
  • PUBLICATION DATA
  • RELEASE HISTORY
HELP
  • ANTIBODY VALIDATION
  • ASSAYS & ANNOTATION
  • DISCLAIMER
  • HELP & FAQ
  • PRIVACY STATEMENT
  • LICENCE & CITATION
Fields »
Search result

Field
Term
Gene name
Class
Subclass
Class
Keyword
Chromosome
External id
Tissue
Cell type
Expression
Antibody panel
Tissue
Main location
Patient ID
Annotation
Tissue
Category
Tau score
Cluster
Reliability
Brain region
Category
Tau score
Brain region
Category
Tau score
Brain region
Category
Tau score
Cluster
Reliability
Tissue
Cell type
Enrichment
Cell type
Category
Tau score
Cell type
Category
Tau score
Cell type
Category
Tau score
Cell lineage
Category
Tau score
Cluster
Cluster
Location
Searches
Location
Cell line
Class
Type
Phase
Reliability
Cancer
Prognosis
Cancer
Category
Cancer
Category
Tau score
Cluster
Variants
Interacting gene (ensg_id)
Type
Number of interactions
Pathway
Category
Score
Score
Score
Validation
Validation
Validation
Validation
Antibodies
Data type
Column


  • SUMMARY

  • TISSUE

  • BRAIN

  • SINGLE CELL

  • SUBCELL

  • CANCER

  • BLOOD

  • CELL LINE

  • STRUCT & INT

  • HDAC5
BRAIN CEREBELLUM Show tissue menu
AMYGDALA BASAL GANGLIA CEREBELLUM CEREBRAL CORTEX CHOROID PLEXUS HIPPOCAMPAL FORMATION HYPOTHALAMUS MEDULLA OBLONGATA
MIDBRAIN OLFACTORY BULB PITUITARY GLAND PONS RETINA SPINAL CORD THALAMUS WHITE MATTER
ANTIBODIES
AND
VALIDATION
Brain proteome
Cerebellum
CEREBELLUM - Expression summary
Protein expression
Cerebellumi

On the top, protein expression in current human tissue, based on all annotated cell types, is reported with the units not detected (n), low (l), medium (m) and high (h). Underneath, protein expression in each annotated cell type are reported using the same units.

Protein expression data is based on knowledge-based annotation. For genes where more than one antibody has been used, a collective score is set.

If knowledge-based annotation could not be performed for a gene, no data is displayed here. View antibody staining data further down this page.

h
m
l
n
Cells in granular layer: Medium
Cells in molecular layer: Not detected
Purkinje cells: Medium
RNA expressioni

A summary of mRNA expression data available for current tissue based on several datasets. The mRNA expression levels in human tissues are based on RNA-seq data generated by the Human Protein Atlas (HPA), Genotype-Tissue Expression (GTEx) portal and CAGE data generated by the FANTOM5 consortium. Consensus normalized expression levels for human tissues was created by combining the data from HPA and GTEx datasets.

The mRNA expression levels in pig are based on RNA-seq data generated by the Human Protein Atlas (HPA), and for mouse, HPA data and in situ hybridization generated by the Allen brain atlas are reported.

Scroll down to view mRNA expression data in more detail.
Consensus:49.8 nTPM
HPA Brain:143.5 nTPM
GTEx:49.8 nTPM
FANTOM5:94.2 Scaled Tags Per Million
Pig:44.2 nTPM
Mouse:31.2 nTPM
Allen mouse:1.5 Expression energy

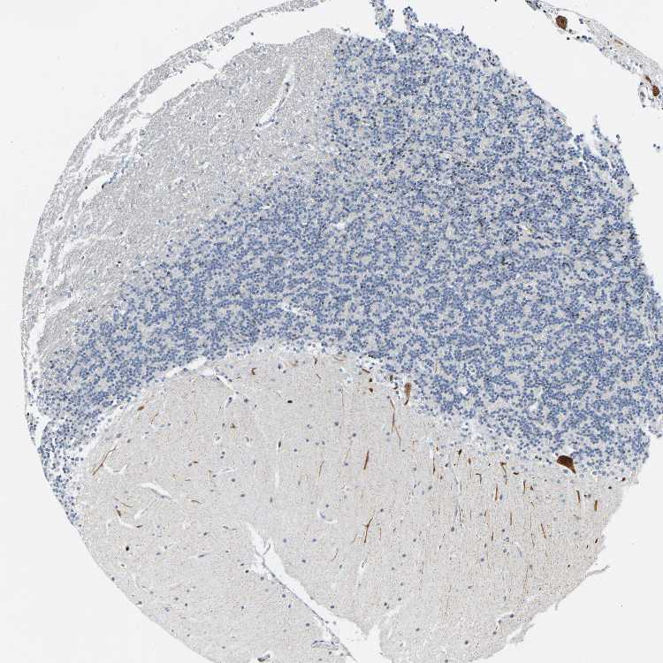
CEREBELLUM - Antibody stainingi

Antibody staining in the annotated cell types in the current human tissue is reported as not detected, low, medium, or high, based on conventional immunohistochemistry profiling in selected tissues. This score is based on the combination of the staining intensity and fraction of stained cells.

Each image is clickable and will lead to virtual microscopy that enables deeper exploration of all samples and also displays staining intensity scores, fraction scores and subcellular localization as well as patient and tissue information for each sample.

Antibody HPA030991Antibody HPA076420Antibody CAB019400
Purkinje cells MediumLowMedium
Cells in granular layer MediumNot detectedNot detected
Cells in molecular layer Not detectedNot detectedNot detected






CEREBELLUM - HPA Brain RNA-seq
Max subtype nTPMi

Max subtype nTPM is the value for the subtype with the largest average nTPM across the subtype samples.

143.5
Sample id Sample description nTPM
Cerebellar cortex
nTPM: 101.0
1769 Male, age 76, right hemisphere 167.9
1774 Male, age 80, left hemisphere 108.3
1788 Male, age 55, unknown 99.6
2003 Female, age 85, right hemisphere 94.7
2055 Female, age 91, right hemisphere 93.8
2006 Male, age 61, right hemisphere 93.4
1768 Female, age 72, unknown 85.2
2101 Male, age 74, right hemisphere 65.4
Cerebellar nuclei
nTPM: 90.5
2175 Male, age 61, right hemisphere 101.3
2005 Male, age 80, left hemisphere 101.2
2882 Male, age 76, left hemisphere 100.8
1879 Male, age 55, unknown 99.8
1966 Female, age 91, left hemisphere 92.4
1871 Male, age 74, unknown 83.7
2177 Female, age 85, both hemispheres 83.7
2783 Female, age 72, unknown 77.2
2318 Male, age 74, left hemisphere 74.2
Flocculonodular lobe
nTPM: 143.5
2004 Male, age 61, right hemisphere 293.8
1767 Male, age 76, left hemisphere 169.4
1792 Male, age 74, unknown 126.4
1771 Male, age 80, left hemisphere 115.3
1765 Male, age 55, unknown 103.7
2176 Female, age 91, right hemisphere 100.6
1835 Female, age 85, right hemisphere 95.3
Vermis
nTPM: 106.5
1770 Male, age 76, left hemisphere 164.7
2460 Male, age 61, both hemispheres 138.9
1988 Female, age 85, left hemisphere 114.9
1825 Male, age 74, unknown 103.4
1778 Female, age 91, left hemisphere 103.2
2834 Male, age 80, left hemisphere 96.7
1766 Male, age 55, unknown 89.6
1928 Female, age 72, unknown 83.9
1751 Male, age 74, right hemisphere 63.2

CEREBELLUM - GTEx RNA-seqi

RNA-Seq data generated by the Genotype-Tissue Expression (GTEx) project from human tissues is reported as mean nTPM. More information can be found on the GTEx portal.

Distribution across the dataset is visualized with box plots, shown as median and 25th and 75th percentiles. Points are displayed as outliers if they are above or below 1.5 times the interquartile range. nTPM values of the individual samples are presented next to the box plot.
Max subtype nTPMi

Max subtype nTPM is the value for the subtype with the largest average nTPM across the subtype samples.

49.8
GTEx sample id Sample description nTPM
Brain - Cerebellar Hemisphere
Average nTPM: 48.3
Samples: 215

Max nTPM: 75.4
Min nTPM: 25.9
Std nTPM: 7.9
Median nTPM: 48.6
GTEX-XMD1-0011-R11A-SM-4AT5J 60-69 years, male 75.4
GTEX-1I19N-0011-R11b-SM-ARU6Y 70-79 years, male 71.2
GTEX-X4EP-0011-R11B-SM-4QASK 60-69 years, female 70.5
GTEX-NPJ8-0011-R11A-SM-2YUMS 40-49 years, male 69.9
GTEX-132Q8-0011-R11b-SM-5DUW9 60-69 years, male 68.2
GTEX-1B933-0011-R11a-SM-7P8PM 50-59 years, female 66.9
GTEX-T5JC-0011-R11A-SM-32PMB 20-29 years, male 65.9
GTEX-13NYS-0011-R11b-SM-5MR4P 60-69 years, male 64.8
GTEX-13SLX-0011-R11b-SM-5O9C8 50-59 years, female 61.7
GTEX-WL46-0011-R11A-SM-3MJFT 50-59 years, male 60.6
GTEX-1LSVX-0011-R11b-SM-EXOIA 60-69 years, male 60.6
GTEX-145LU-0011-R11b-SM-5P9JX 50-59 years, male 60.4
GTEX-1ICLZ-0011-R11a-SM-CJI3N 60-69 years, male 60.2
GTEX-12ZZZ-0011-R11a-SM-5EGLC 60-69 years, male 59.7
GTEX-13FLV-0011-R11a-SM-5LZZ7 50-59 years, male 59.7
GTEX-NPJ7-0011-R11A-SM-2I3E8 60-69 years, female 59.4
GTEX-145MH-0011-R11a-SM-5P9HQ 50-59 years, male 59.1
GTEX-1E1VI-0011-R11a-SM-9OSWI 50-59 years, male 58.9
GTEX-NL4W-0011-R11A-SM-2I3DW 50-59 years, male 58.8
GTEX-12WSD-0011-R11a-SM-9OSVC 60-69 years, female 58.8
GTEX-13PVQ-0011-R11a-SM-5O9DU 50-59 years, male 58.7
GTEX-13X6I-0011-R11a-SM-5P9HN 60-69 years, male 58.7
GTEX-N7MS-0011-R11A-SM-2HMJS 60-69 years, male 58.5
GTEX-14C5O-0011-R11b-SM-6872H 60-69 years, male 58.4
GTEX-X585-0011-R11B-SM-46MUZ 50-59 years, male 58.1
GTEX-13JUV-0011-R11a-SM-5LZYH 40-49 years, female 57.7
GTEX-1H3VE-0011-R11b-SM-C1YRP 40-49 years, male 56.5
GTEX-1F52S-0011-R11a-SM-CJI23 60-69 years, female 56.3
GTEX-1HFI6-0011-R11b-SM-A96RU 40-49 years, male 56.3
GTEX-1J1OQ-0011-R11a-SM-A96S3 40-49 years, female 56.3
GTEX-13RTJ-0011-R11a-SM-5O9CK 60-69 years, male 56.0
GTEX-1313W-0011-R11a-SM-5DUXN 50-59 years, female 55.8
GTEX-13FXS-0011-R11a-SM-5L3DM 50-59 years, male 55.8
GTEX-X261-0011-R11A-SM-4E3JY 50-59 years, male 55.8
GTEX-11DZ1-0011-R11b-SM-DO11W 50-59 years, male 55.8
GTEX-131XH-0011-R11a-SM-5EGLN 50-59 years, male 55.6
GTEX-13JVG-0011-R11a-SM-5KM53 60-69 years, male 55.6
GTEX-12WSM-0011-R11a-SM-5DUX8 60-69 years, male 55.3
GTEX-13OVH-0011-R11b-SM-5KM4X 70-79 years, male 55.0
GTEX-13OVJ-0011-R11a-SM-5P9H8 50-59 years, female 54.8
GTEX-1I1GV-0011-R11a-SM-CJI3Z 60-69 years, male 54.8
GTEX-12WSI-0011-R11b-SM-5P9EZ 50-59 years, male 54.6
GTEX-NL3H-0011-R11A-SM-2I3E6 60-69 years, male 54.6
GTEX-11WQC-0011-R11b-SM-57WD6 60-69 years, male 54.4
GTEX-1KD4Q-0011-R11b-SM-EXOIE 40-49 years, male 54.4
GTEX-11EMC-0011-R11b-SM-DNZZK 60-69 years, female 54.3
GTEX-14BIM-0011-R11b-SM-5S2RN 60-69 years, female 54.0
GTEX-1F75W-0011-R11b-SM-AHZ34 60-69 years, male 53.6
GTEX-11TTK-0011-R11b-SM-DO112 60-69 years, female 53.3
GTEX-15G19-0011-R11b-SM-6LPIH 60-69 years, male 53.1
GTEX-1LVAO-0011-R11b-SM-EXOI8 60-69 years, male 53.1
GTEX-17JCI-0011-R11a-SM-7189Y 60-69 years, female 52.9
GTEX-11DYG-0011-R11a-SM-DNZZP 60-69 years, male 52.7
GTEX-17EVQ-0011-R11a-SM-7LT9C 70-79 years, male 52.3
GTEX-ZF28-0011-R11a-SM-4WWEI 60-69 years, male 52.3
GTEX-12WSH-0011-R11a-SM-5LZVM 50-59 years, male 52.2
GTEX-1HGF4-0011-R11a-SM-C1YRR 60-69 years, male 52.2
GTEX-13O3O-0011-R11b-SM-5KM4G 60-69 years, female 52.0
GTEX-P44G-0011-R11A-SM-2I3FD 30-39 years, male 52.0
GTEX-ZE9C-0011-R11a-SM-4WKGG 60-69 years, male 52.0
GTEX-131YS-0011-R11b-SM-5EGLM 60-69 years, female 51.7
GTEX-14ASI-0011-R11b-SM-6AJBJ 60-69 years, male 51.7
GTEX-13FHO-0011-R11b-SM-5LZYQ 60-69 years, male 51.6
GTEX-13OW5-0011-R11b-SM-5L3GG 60-69 years, male 51.6
GTEX-13OW6-0011-R11a-SM-5L3H2 50-59 years, male 51.5
GTEX-13FTY-0011-R11a-SM-5IJEA 40-49 years, female 51.4
GTEX-145MI-0011-R11a-SM-5P9JZ 60-69 years, female 51.4
GTEX-15CHQ-0011-R11b-SM-686ZZ 60-69 years, male 51.3
GTEX-1GMRU-0011-R11b-SM-C1YQ4 50-59 years, male 51.2
GTEX-1H1CY-0011-R11a-SM-C1YQR 60-69 years, female 51.0
GTEX-1R9K4-0011-R11a-SM-EZ6N9 60-69 years, male 51.0
GTEX-139TT-0011-R11b-SM-5LZV1 60-69 years, male 50.9
GTEX-18464-0011-R11a-SM-72D76 50-59 years, male 50.9
GTEX-17EVP-0011-R11a-SM-7EWDL 40-49 years, male 50.8
GTEX-1B8SF-0011-R11a-SM-79OOP 60-69 years, male 50.8
GTEX-N7MT-0011-R11A-SM-2I3DZ 60-69 years, female 50.8
GTEX-13G51-0011-R11b-SM-5J2NE 60-69 years, male 50.7
GTEX-1I1GR-0011-R11a-SM-CM2T5 60-69 years, male 50.7
GTEX-12WSC-0011-R11a-SM-5GU5J 50-59 years, male 50.3
GTEX-12WSF-0011-R11a-SM-5LZVT 70-79 years, male 50.3
GTEX-YJ89-0011-R11a-SM-4SOKA 60-69 years, male 50.3
GTEX-ZVZQ-0011-R11a-SM-51MS6 60-69 years, female 50.1
GTEX-1F75A-0011-R11a-SM-AHZ35 50-59 years, male 50.1
GTEX-13VXU-0011-R11b-SM-5O9DJ 50-59 years, male 50.0
GTEX-13X6J-0011-R11a-SM-5P9HE 50-59 years, male 50.0
GTEX-16XZZ-0011-R11a-SM-7EPI3 60-69 years, male 50.0
GTEX-13NZA-0011-R11b-SM-5KM4W 60-69 years, male 49.9
GTEX-11OF3-0011-R11a-SM-57WCR 60-69 years, male 49.8
GTEX-15ER7-0011-R11a-SM-6LPIL 20-29 years, female 49.8
GTEX-WWYW-0011-R11A-SM-3NB38 50-59 years, female 49.8
GTEX-1JJ6O-0011-R11b-SM-EXUS2 60-69 years, male 49.8
GTEX-1GMR8-0011-R11b-SM-9OSX2 50-59 years, female 49.7
GTEX-1H4P4-0011-R11b-SM-CE6S8 50-59 years, male 49.6
GTEX-18465-0011-R11a-SM-72D78 50-59 years, male 49.4
GTEX-1IKK5-0011-R11a-SM-C1YRX 60-69 years, male 49.3
GTEX-11ZUS-0011-R11b-SM-5BC7B 30-39 years, male 49.2
GTEX-13S7M-0011-R11b-SM-5P9HU 60-69 years, female 49.2
GTEX-13O3Q-0011-R11b-SM-5KM2W 50-59 years, male 49.1
GTEX-1J8Q2-0011-R11a-SM-A9SKI 60-69 years, male 49.1
GTEX-18A6Q-0011-R11a-SM-72D6H 60-69 years, male 49.0
GTEX-11GSP-0011-R11b-SM-5NQ7V 60-69 years, female 48.9
GTEX-13FHP-0011-R11b-SM-5LZXP 50-59 years, male 48.8
GTEX-15DYW-0011-R11a-SM-6LPIT 60-69 years, female 48.8
GTEX-11EI6-0011-R11a-SM-DO11V 60-69 years, male 48.8
GTEX-WZTO-0011-R11A-SM-4E3K9 40-49 years, male 48.7
GTEX-X4XX-0011-R11A-SM-46MWQ 60-69 years, male 48.7
GTEX-1F7RK-0011-R11b-SM-9QEI2 20-29 years, female 48.6
GTEX-1IL2V-0011-R11a-SM-ARU6T 70-79 years, male 48.6
GTEX-1HBPI-0011-R11b-SM-CE6SH 50-59 years, male 48.5
GTEX-1I1HK-0011-R11a-SM-B2LVN 60-69 years, male 48.4
GTEX-1IY9M-0011-R11b-SM-A96TI 60-69 years, male 48.4
GTEX-ZE7O-0011-R11a-SM-57WBC 50-59 years, female 48.2
GTEX-ZVT3-0011-R11b-SM-57WBI 60-69 years, female 48.1
GTEX-1LG7Y-0011-R11a-SM-EXOIH 50-59 years, male 48.1
GTEX-1IDJH-0011-R11b-SM-C1YRT 70-79 years, male 48.0
GTEX-13CF2-0011-R11b-SM-5LZXO 60-69 years, male 47.9
GTEX-1B8L1-0011-R11b-SM-793DJ 60-69 years, male 47.8
GTEX-11ZTS-0011-R11a-SM-DO113 60-69 years, female 47.7
GTEX-1GZHY-0011-R11a-SM-C1YRQ 50-59 years, female 47.5
GTEX-12WSE-0011-R11b-SM-5P9JW 20-29 years, male 47.4
GTEX-144GL-0011-R11b-SM-5P9F6 50-59 years, male 47.4
GTEX-183WM-0011-R11a-SM-718A5 70-79 years, female 47.2
GTEX-1H3O1-0011-R11a-SM-A96RV 60-69 years, male 47.2
GTEX-WHSE-0011-R11A-SM-3P5YY 20-29 years, male 47.1
GTEX-16NPV-0011-R11a-SM-7IGMK 50-59 years, female 47.1
GTEX-13OW8-0011-R11a-SM-5L3GT 60-69 years, male 47.0
GTEX-Z93S-0011-R11a-SM-4RGNN 50-59 years, male 46.9
GTEX-11DXY-0011-R11a-SM-DNZZN 60-69 years, male 46.7
GTEX-11H98-0011-R11b-SM-5NQ6U 50-59 years, male 46.6
GTEX-13NYB-0011-R11a-SM-5KM3Q 40-49 years, male 46.6
GTEX-1F48J-0011-R11b-SM-9OSWV 50-59 years, female 46.6
GTEX-Q2AG-0011-R11A-SM-2HMKZ 40-49 years, female 46.4
GTEX-1HB9E-0011-R11b-SM-ARU79 50-59 years, male 46.2
GTEX-1JMQJ-0011-R11a-SM-EXOJY 50-59 years, male 46.0
GTEX-12ZZX-0011-R11a-SM-5DUVJ 40-49 years, female 45.6
GTEX-13OVL-0011-R11b-SM-5L3G7 50-59 years, male 45.6
GTEX-13N2G-0011-R11a-SM-5MR3F 60-69 years, male 45.5
GTEX-11PRG-0011-R11b-SM-DNZZY 50-59 years, male 45.5
GTEX-13OW7-0011-R11a-SM-5O9DY 50-59 years, male 45.4
GTEX-1IGQW-0011-R11a-SM-C1YRV 60-69 years, male 45.4
GTEX-1N2EE-0011-R11b-SM-EXOIJ 60-69 years, male 45.4
GTEX-16GPK-0011-R11b-SM-7MKFF 60-69 years, male 45.2
GTEX-1M4P7-0011-R11b-SM-EXOIK 60-69 years, male 45.2
GTEX-14PN4-0011-R11a-SM-686ZW 50-59 years, male 44.9
GTEX-1I1GQ-0011-R11b-SM-CKZPA 50-59 years, male 44.9
GTEX-14ABY-0011-R11a-SM-5SI7C 50-59 years, male 44.7
GTEX-14DAQ-0011-R11a-SM-664NO 60-69 years, female 44.7
GTEX-12126-0011-R11a-SM-5BC6X 20-29 years, male 44.6
GTEX-1A3MX-0011-R11b-SM-7DUGP 60-69 years, male 44.6
GTEX-14E6D-0011-R11b-SM-664NP 50-59 years, male 44.5
GTEX-13SLW-0011-R11a-SM-5SI8Q 70-79 years, male 44.4
GTEX-ZAB4-0011-R11a-SM-4SOKI 40-49 years, male 44.1
GTEX-13CZV-0011-R11b-SM-5N9FN 60-69 years, male 44.0
GTEX-1BAJH-0011-R11b-SM-7IGLM 70-79 years, male 44.0
GTEX-1C64N-0011-R11b-SM-7P8Q6 50-59 years, male 44.0
GTEX-1H1DG-0011-R11a-SM-C1YQK 70-79 years, male 43.9
GTEX-ZDXO-0011-R11a-SM-4WWD9 60-69 years, male 43.6
GTEX-13PLJ-0011-R11b-SM-5O9BS 60-69 years, female 43.5
GTEX-RVPV-0011-R11A-SM-2TF6F 60-69 years, male 43.4
GTEX-1CB4G-0011-R11a-SM-9OSWG 60-69 years, male 43.4
GTEX-1HSKV-0011-R11b-SM-AHZ2E 60-69 years, male 43.4
GTEX-1N2DW-0011-R11b-SM-EXOIL 50-59 years, male 43.4
GTEX-Y8DK-0011-R11A-SM-4SOK2 60-69 years, male 43.2
GTEX-131XW-0011-R11a-SM-5DUV9 50-59 years, female 42.6
GTEX-1GF9W-0011-R11b-SM-9OSXG 60-69 years, male 42.6
GTEX-14BIN-0011-R11a-SM-5SI79 50-59 years, female 42.5
GTEX-1EMGI-0011-R11b-SM-9OSWX 60-69 years, male 42.5
GTEX-RU72-0011-R11A-SM-CM2U1 50-59 years, female 42.4
GTEX-1GZ4I-0011-R11b-SM-9OSWR 50-59 years, male 42.1
GTEX-1AX9I-0011-R11b-SM-7DHN4 60-69 years, male 42.0
GTEX-1F6I4-0011-R11b-SM-9OSWS 60-69 years, male 42.0
GTEX-1LKK1-0011-R11a-SM-EXOIG 50-59 years, female 42.0
GTEX-WVLH-0011-R11A-SM-3MJFO 50-59 years, male 41.6
GTEX-R55E-0011-R11A-SM-2TC6I 20-29 years, male 41.4
GTEX-13QIC-0011-R11b-SM-5O9BU 60-69 years, female 41.3
GTEX-1JMOU-0011-R11b-SM-EXUTA 60-69 years, female 41.1
GTEX-1399T-0011-R11a-SM-5J2O1 60-69 years, male 41.0
GTEX-T2IS-0011-R11A-SM-32QPC 20-29 years, female 41.0
GTEX-17HII-0011-R11b-SM-7KFSX 50-59 years, male 40.6
GTEX-YFC4-0011-R11a-SM-4SOK6 40-49 years, female 40.5
GTEX-1H3NZ-0011-R11b-SM-CE6SF 60-69 years, male 40.4
GTEX-16YQH-0011-R11b-SM-7LT98 30-39 years, male 40.2
GTEX-1I1GS-0011-R11a-SM-C1YRU 60-69 years, male 39.9
GTEX-14E7W-0011-R11a-SM-5ZZVA 70-79 years, male 39.6
GTEX-1GTWX-0011-R11b-SM-C1YQJ 60-69 years, male 39.6
GTEX-1IL2U-0011-R11a-SM-CE6SO 60-69 years, male 39.5
GTEX-1IOXB-0011-R11a-SM-A9G1X 50-59 years, male 39.2
GTEX-1J8EW-0011-R11a-SM-AHZ37 60-69 years, female 39.2
GTEX-1JJEA-0011-R11a-SM-EXUTE 60-69 years, male 39.2
GTEX-16Z82-0011-R11a-SM-79OKJ 60-69 years, male 39.1
GTEX-UTHO-0011-R11A-SM-3GIJE 60-69 years, male 39.1
GTEX-1EKGG-0011-R11a-SM-9QEHZ 60-69 years, male 39.1
GTEX-15EO6-0011-R11b-SM-6M47M 50-59 years, male 39.0
GTEX-17F97-0011-R11b-SM-7KFRQ 50-59 years, male 38.8
GTEX-15DCD-0011-R11a-SM-D4P1R 70-79 years, female 38.8
GTEX-ZUA1-0011-R11b-SM-51MTI 40-49 years, male 38.6
GTEX-1GN73-0011-R11b-SM-9OSX4 60-69 years, male 38.1
GTEX-S7SE-0011-R11A-SM-2XCDD 50-59 years, male 37.7
GTEX-1H1ZS-0011-R11a-SM-C1YQM 70-79 years, male 37.7
GTEX-139UW-0011-R11a-SM-5IJGN 60-69 years, male 37.6
GTEX-1B8SG-0011-R11a-SM-7P8PF 50-59 years, male 37.2
GTEX-1HUB1-0011-R11b-SM-CE6SC 60-69 years, male 37.1
GTEX-13X6K-0011-R11a-SM-5P9F5 60-69 years, female 36.9
GTEX-TSE9-0011-R11A-SM-3DB7N 60-69 years, female 36.0
GTEX-T6MN-0011-R11A-SM-32QOX 50-59 years, male 34.8
GTEX-1CAV2-0011-R11a-SM-ARU8D 40-49 years, female 34.8
GTEX-1R9PO-0011-R11b-SM-EZ6NB 60-69 years, female 34.5
GTEX-1HCU6-0011-R11b-SM-AHZ2F 60-69 years, female 34.2
GTEX-OHPN-0011-R11A-SM-2I5FM 60-69 years, female 34.0
GTEX-1IKOH-0011-R11a-SM-AHZ38 60-69 years, female 33.9
GTEX-17HG3-0011-R11b-SM-7KFT4 30-39 years, female 33.1
GTEX-14C39-0011-R11b-SM-5YYAF 40-49 years, male 31.8
GTEX-QDT8-0011-R11A-SM-32PKD 30-39 years, female 28.4
GTEX-QMR6-0011-R11A-SM-32PKK 50-59 years, male 27.3
GTEX-P44H-0011-R11A-SM-2XCER 40-49 years, male 25.9
Show allShow less
Brain - Cerebellum
Average nTPM: 49.8
Samples: 241

Max nTPM: 80.4
Min nTPM: 24.8
Std nTPM: 8.0
Median nTPM: 50.0
GTEX-XMD1-2826-SM-4AT5F 60-69 years, male 80.4
GTEX-1LSVX-2826-SM-EVR58 60-69 years, male 74.9
GTEX-WL46-2826-SM-3LK81 50-59 years, male 72.5
GTEX-X4EP-3026-SM-3P5YP 60-69 years, female 72.4
GTEX-T5JC-2326-SM-32PMR 20-29 years, male 70.2
GTEX-Y111-2826-SM-4TT3O 50-59 years, male 66.5
GTEX-11OC5-0626-SM-5HL6M 60-69 years, male 66.2
GTEX-16XZZ-2926-SM-6LPK4 60-69 years, male 66.0
GTEX-1E1VI-2926-SM-7IGLT 50-59 years, male 64.4
GTEX-11O72-2826-SM-5HL6W 40-49 years, male 64.1
GTEX-12WSM-2126-SM-5GCOC 60-69 years, male 63.4
GTEX-1C6WA-3326-SM-7MKGN 60-69 years, male 63.4
GTEX-NPJ8-2626-SM-2D7W2 40-49 years, male 62.5
GTEX-N7MS-2526-SM-2D7W3 60-69 years, male 62.1
GTEX-11DZ1-2926-SM-5A5KI 50-59 years, male 61.8
GTEX-WWYW-3026-SM-3NB36 50-59 years, female 61.8
GTEX-131XH-2926-SM-5LZU4 50-59 years, male 61.4
GTEX-12ZZZ-3126-SM-5LZU6 60-69 years, male 61.2
GTEX-13SLX-3226-SM-5YYA6 50-59 years, female 60.9
GTEX-1192X-3226-SM-5987D 50-59 years, male 60.8
GTEX-13OW5-3126-SM-5MR3Y 60-69 years, male 60.8
GTEX-13OW7-2926-SM-5MR3Z 50-59 years, male 60.7
GTEX-14JIY-2326-SM-6AJAJ 60-69 years, male 60.0
GTEX-1MJK2-3026-SM-EV7A5 50-59 years, male 59.3
GTEX-ZAJG-3026-SM-5HL92 50-59 years, female 58.9
GTEX-13FXS-3026-SM-5LZYO 50-59 years, male 58.5
GTEX-13JVG-3226-SM-5IJGJ 60-69 years, male 58.1
GTEX-13O3O-3026-SM-5KM42 60-69 years, female 58.1
GTEX-UTHO-2926-SM-3P5Z9 60-69 years, male 58.1
GTEX-14E6D-2926-SM-664OP 50-59 years, male 57.9
GTEX-13NYB-3226-SM-5J2ND 40-49 years, male 57.8
GTEX-1B933-3026-SM-731DB 50-59 years, female 57.8
GTEX-13112-2926-SM-5DUWT 50-59 years, male 57.5
GTEX-13RTJ-3126-SM-5S2Q4 60-69 years, male 57.4
GTEX-17F97-2926-SM-7DUEQ 50-59 years, male 57.4
GTEX-1EU9M-2926-SM-793DF 60-69 years, male 57.1
GTEX-11EMC-3326-SM-5P9JH 60-69 years, female 57.0
GTEX-15ER7-3026-SM-6M47W 20-29 years, female 57.0
GTEX-ZYFD-2926-SM-5GID9 50-59 years, male 56.9
GTEX-1C64N-3126-SM-79OO3 50-59 years, male 56.6
GTEX-1JN1M-3126-SM-AHZ4E 60-69 years, female 56.4
GTEX-12ZZY-2926-SM-5DUXO 60-69 years, male 56.1
GTEX-ZAK1-2926-SM-5HL9S 50-59 years, female 56.1
GTEX-1128S-2826-SM-5N9DI 60-69 years, female 56.0
GTEX-12WSH-3126-SM-5LZW8 50-59 years, male 56.0
GTEX-14BIM-3126-SM-5Q5C7 60-69 years, female 55.9
GTEX-131YS-3026-SM-5EGHY 60-69 years, female 55.8
GTEX-11ZTS-3226-SM-5EGID 60-69 years, female 55.6
GTEX-13VXU-3026-SM-5LU3K 50-59 years, male 55.5
GTEX-YJ89-2926-SM-5P9IT 60-69 years, male 55.5
GTEX-11DXY-3126-SM-5N9BT 60-69 years, male 54.9
GTEX-1EX96-3126-SM-9JGGC 50-59 years, male 54.9
GTEX-11ZUS-2826-SM-5EQKW 30-39 years, male 54.8
GTEX-1313W-3026-SM-5LZUZ 50-59 years, female 54.8
GTEX-14C5O-2926-SM-5RQI1 60-69 years, male 54.8
GTEX-T6MN-2526-SM-32PMN 50-59 years, male 54.6
GTEX-ZF28-2926-SM-4WKG1 60-69 years, male 54.6
GTEX-1F75A-2926-SM-7MXVN 50-59 years, male 54.6
GTEX-145MF-2826-SM-7EPGU 50-59 years, male 54.2
GTEX-1HBPI-2726-SM-9WPPF 50-59 years, male 54.1
GTEX-17HII-2926-SM-79OMK 50-59 years, male 54.0
GTEX-1A3MX-2926-SM-718B7 60-69 years, male 54.0
GTEX-X261-3126-SM-4PQZC 50-59 years, male 54.0
GTEX-X4XX-2926-SM-3NMB1 60-69 years, male 54.0
GTEX-1PIIG-2826-SM-DTX7O 30-39 years, male 54.0
GTEX-Z93S-2826-SM-57WBL 50-59 years, male 53.8
GTEX-13OVH-2926-SM-5IJFH 70-79 years, male 53.7
GTEX-13PVQ-2926-SM-5L3HJ 50-59 years, male 53.6
GTEX-1F6IF-3026-SM-7P8QN 60-69 years, male 53.6
GTEX-11GSP-3126-SM-5A5LL 60-69 years, female 53.5
GTEX-1HSKV-2926-SM-B2LWJ 60-69 years, male 53.5
GTEX-1H4P4-2726-SM-9JGGB 50-59 years, male 53.3
GTEX-13O3Q-3026-SM-5IJGD 50-59 years, male 53.2
GTEX-13FHO-2926-SM-5L3ES 60-69 years, male 53.1
GTEX-16YQH-2926-SM-6LPJE 30-39 years, male 53.0
GTEX-1I1CD-2926-SM-A96SJ 60-69 years, female 53.0
GTEX-1JMQK-2926-SM-D4P2T 60-69 years, male 53.0
GTEX-14ABY-3026-SM-664NE 50-59 years, male 52.9
GTEX-13G51-3126-SM-5IJG7 60-69 years, male 52.8
GTEX-13FHP-2926-SM-5IJG9 50-59 years, male 52.7
GTEX-1JMLX-3026-SM-EV79Q 50-59 years, male 52.7
GTEX-1KD4Q-3026-SM-EV7A7 40-49 years, male 52.7
GTEX-12126-0926-SM-5FQTW 20-29 years, male 52.6
GTEX-13OVJ-2726-SM-5IJG6 50-59 years, female 52.6
GTEX-1JMQJ-3126-SM-EV79G 50-59 years, male 52.6
GTEX-132Q8-2926-SM-5IFFP 60-69 years, male 52.2
GTEX-145LU-2626-SM-5LU9Z 50-59 years, male 52.2
GTEX-1F52S-3026-SM-7P8PV 60-69 years, female 52.2
GTEX-1I1GV-3026-SM-CNNR9 60-69 years, male 52.2
GTEX-14BIN-3326-SM-5Q5E6 50-59 years, female 52.1
GTEX-1H1CY-3026-SM-9OSW7 60-69 years, female 52.0
GTEX-1J1OQ-3126-SM-D4P2O 40-49 years, female 52.0
GTEX-15G19-2826-SM-6M48K 60-69 years, male 51.8
GTEX-1IL2V-3026-SM-CYPSA 70-79 years, male 51.8
GTEX-111FC-3326-SM-5GZYV 60-69 years, male 51.6
GTEX-12WSC-2926-SM-5BC5Z 50-59 years, male 51.6
GTEX-1JJ6O-3026-SM-C1YQH 60-69 years, male 51.6
GTEX-11EI6-2926-SM-5985U 60-69 years, male 51.4
GTEX-1C6VR-3026-SM-7IGLW 60-69 years, male 51.3
GTEX-13N2G-3126-SM-5IJGL 60-69 years, male 51.2
GTEX-14BMV-2926-SM-5TDEE 50-59 years, male 51.2
GTEX-WVLH-2926-SM-3MJG5 50-59 years, male 51.2
GTEX-ZUA1-2926-SM-59HL3 40-49 years, male 51.2
GTEX-139TS-3126-SM-5LZWX 60-69 years, male 50.9
GTEX-13JUV-3026-SM-5K7WX 40-49 years, female 50.9
GTEX-1B8SG-1926-SM-73KUB 50-59 years, male 50.8
GTEX-11GSO-3026-SM-5Q5AL 60-69 years, male 50.6
GTEX-14ASI-2926-SM-5Q5DG 60-69 years, male 50.6
GTEX-Q2AG-2826-SM-2HMJQ 40-49 years, female 50.5
GTEX-ZAB4-2926-SM-57WCV 40-49 years, male 50.5
GTEX-1B8L1-3226-SM-7P8OX 60-69 years, male 50.5
GTEX-147GR-3126-SM-5S2PM 60-69 years, male 50.4
GTEX-1GTWX-2926-SM-7MXV4 60-69 years, male 50.4
GTEX-1GZHY-3026-SM-7MXVA 50-59 years, female 50.4
GTEX-13OW6-2926-SM-5KM29 50-59 years, male 50.3
GTEX-13OVL-3026-SM-5IJF1 50-59 years, male 50.2
GTEX-1A8G6-3126-SM-731D8 60-69 years, male 50.2
GTEX-PWO3-1026-SM-2I5F2 60-69 years, female 50.2
GTEX-1LG7Y-3126-SM-EV7AS 50-59 years, male 50.2
GTEX-1B996-2926-SM-7MXUH 60-69 years, male 50.0
GTEX-1F48J-2726-SM-7P8PW 50-59 years, female 50.0
GTEX-11NUK-3026-SM-5986K 50-59 years, male 49.7
GTEX-12WSD-3026-SM-5LZU7 60-69 years, female 49.7
GTEX-145MG-3126-SM-5Q5D3 50-59 years, male 49.7
GTEX-144GL-2926-SM-5O99F 50-59 years, male 49.6
GTEX-17HG3-2826-SM-7EPGO 30-39 years, female 49.6
GTEX-145MH-2926-SM-5Q5D2 50-59 years, male 49.3
GTEX-14PN4-3026-SM-664O4 50-59 years, male 49.3
GTEX-1GZ2Q-3026-SM-9JGG3 40-49 years, male 49.3
GTEX-1HB9E-3126-SM-AHZ4M 50-59 years, male 49.3
GTEX-1NV8Z-3026-SM-DTX8Z 60-69 years, male 49.3
GTEX-1H3O1-1826-SM-A96TO 60-69 years, male 49.2
GTEX-11TTK-2826-SM-5GU5K 60-69 years, female 49.1
GTEX-T2IS-2926-SM-32QPO 20-29 years, female 49.1
GTEX-1F75W-3126-SM-7P8SJ 60-69 years, male 48.8
GTEX-1POEN-2726-SM-E9U6B 30-39 years, female 48.8
GTEX-15DYW-3026-SM-7KFRM 60-69 years, female 48.7
GTEX-12WSE-2926-SM-5RQJ9 20-29 years, male 48.6
GTEX-1A8G7-3026-SM-73KTT 60-69 years, male 48.6
GTEX-1H1DG-2826-SM-9JGHB 70-79 years, male 48.6
GTEX-11DXW-1026-SM-5H11K 40-49 years, male 48.5
GTEX-11ONC-3026-SM-5985W 60-69 years, male 48.5
GTEX-1IDJH-3126-SM-C1YQS 70-79 years, male 48.5
GTEX-145LS-3026-SM-5O99S 60-69 years, female 48.4
GTEX-17JCI-3026-SM-7EWDR 60-69 years, female 48.4
GTEX-139TT-2626-SM-5LZUB 60-69 years, male 48.3
GTEX-YFC4-3026-SM-5IFJK 40-49 years, female 48.3
GTEX-1JMPZ-2826-SM-C1YRA 30-39 years, male 48.3
GTEX-ZVT3-2926-SM-5GU6M 60-69 years, female 48.2
GTEX-1HSMO-2926-SM-C1YR5 60-69 years, male 48.2
GTEX-1QEPI-3026-SM-EXOIW 60-69 years, female 48.2
GTEX-117XS-3126-SM-5GIDP 60-69 years, male 48.1
GTEX-1399T-3126-SM-5IJFS 60-69 years, male 48.1
GTEX-18465-2926-SM-7KFSE 50-59 years, male 48.1
GTEX-13CF2-3026-SM-5IFFX 60-69 years, male 48.0
GTEX-11NV4-2226-SM-5BC4T 60-69 years, male 47.6
GTEX-ZDXO-2926-SM-4WKFM 60-69 years, male 47.6
GTEX-14JFF-2826-SM-6871Q 60-69 years, male 47.5
GTEX-ZYY3-3026-SM-5GIEJ 60-69 years, female 47.5
GTEX-1EMGI-3126-SM-7MXUR 60-69 years, male 47.3
GTEX-183WM-2726-SM-7KFRF 70-79 years, female 47.2
GTEX-1GF9V-3026-SM-7P8R8 60-69 years, male 47.1
GTEX-1IKOH-2826-SM-CNNRC 60-69 years, female 46.9
GTEX-N7MT-1226-SM-DKPOK 60-69 years, female 46.9
GTEX-12ZZX-2826-SM-5BC6K 40-49 years, female 46.7
GTEX-13QIC-3026-SM-5LU58 60-69 years, female 46.6
GTEX-1CB4H-3026-SM-79OLX 60-69 years, female 46.5
GTEX-13S7M-3026-SM-5S2QQ 60-69 years, female 46.4
GTEX-1EKGG-3126-SM-9WPO5 60-69 years, male 46.4
GTEX-1B8SF-3026-SM-731DX 60-69 years, male 46.2
GTEX-1HBPH-3026-SM-9WPNY 40-49 years, female 46.2
GTEX-11PRG-2826-SM-5BC54 50-59 years, male 46.1
GTEX-14E7W-2926-SM-5S2R8 70-79 years, male 45.9
GTEX-RU72-2926-SM-2TF66 50-59 years, female 45.9
GTEX-1QP6S-3026-SM-EAZ4N 40-49 years, male 45.8
GTEX-Y8DK-0726-SM-4TT3S 60-69 years, male 45.7
GTEX-17EVQ-2726-SM-7EWDT 70-79 years, male 45.6
GTEX-XLM4-2926-SM-4AT59 60-69 years, male 45.6
GTEX-15EO6-2926-SM-6M48D 50-59 years, male 45.5
GTEX-11DYG-2926-SM-5H132 60-69 years, male 45.4
GTEX-16Z82-2926-SM-6LPJJ 60-69 years, male 45.3
GTEX-1GN73-3026-SM-7MXV8 60-69 years, male 45.3
GTEX-17HHY-2926-SM-79OJW 50-59 years, male 45.2
GTEX-1CB4G-2926-SM-7MKFQ 60-69 years, male 45.2
GTEX-1RNSC-3126-SM-EVR4V 60-69 years, male 45.2
GTEX-15SHU-3026-SM-6LPIB 40-49 years, female 44.8
GTEX-13OW8-2926-SM-5L3FV 60-69 years, male 44.6
GTEX-11ZVC-3026-SM-59HJM 50-59 years, female 44.2
GTEX-ZZPT-2926-SM-5EQ5S 50-59 years, male 44.1
GTEX-1IY9M-3126-SM-AHZ3A 60-69 years, male 44.1
GTEX-RNOR-2226-SM-2TF5O 50-59 years, female 44.0
GTEX-14DAQ-3026-SM-5S2QZ 60-69 years, female 43.9
GTEX-13X6I-2926-SM-5Q5C3 60-69 years, male 43.6
GTEX-17EVP-2926-SM-793BU 40-49 years, male 43.4
GTEX-WZTO-2826-SM-3NM8P 40-49 years, male 43.4
GTEX-1BAJH-3126-SM-7MGXY 70-79 years, male 43.1
GTEX-14JG1-2926-SM-686ZK 40-49 years, male 43.0
GTEX-S7SE-2526-SM-2XCDL 50-59 years, male 42.8
GTEX-1F6I4-3026-SM-7P8SI 60-69 years, male 42.7
GTEX-1H3VE-2826-SM-9WPOL 40-49 years, male 42.7
GTEX-R55E-2526-SM-2TC6H 20-29 years, male 42.6
GTEX-14C39-3026-SM-5S2QE 40-49 years, male 42.4
GTEX-1RDX4-3226-SM-DPS14 50-59 years, female 42.4
GTEX-13X6K-2826-SM-5O9DS 60-69 years, female 42.2
GTEX-1EWIQ-3026-SM-7IGOJ 70-79 years, female 42.0
GTEX-18A6Q-2826-SM-7LTAO 60-69 years, male 41.9
GTEX-1HCVE-2926-SM-9WPPJ 50-59 years, male 41.9
GTEX-1R9PO-2826-SM-E6CPV 60-69 years, female 41.9
GTEX-1JJEA-2926-SM-C1YSK 60-69 years, male 41.8
GTEX-1269C-3126-SM-5EGI6 60-69 years, female 41.7
GTEX-1KWVE-2226-SM-CXZKN 30-39 years, male 41.4
GTEX-1GZ4I-2926-SM-9JGGO 50-59 years, male 41.3
GTEX-TSE9-2926-SM-3DB77 60-69 years, female 41.2
GTEX-1GF9W-2726-SM-9JGGW 60-69 years, male 40.9
GTEX-1I1HK-2726-SM-AHZ2M 60-69 years, male 40.9
GTEX-QVJO-1325-SM-2S1QX 60-69 years, female 40.7
GTEX-147F4-3026-SM-5Q5BJ 50-59 years, male 40.5
GTEX-1P4AB-3026-SM-EXOJS 50-59 years, male 40.2
GTEX-P44G-2526-SM-2I5EK 30-39 years, male 40.1
GTEX-1H1ZS-2926-SM-9WPP2 70-79 years, male 40.1
GTEX-14PJM-3026-SM-6LLHM 50-59 years, female 39.2
GTEX-NPJ7-2826-SM-2I3FU 60-69 years, female 39.2
GTEX-1JMOU-2826-SM-EV79R 60-69 years, female 39.2
GTEX-1EH9U-3126-SM-7MXU5 60-69 years, male 38.5
GTEX-1R46S-3126-SM-DPRZ9 60-69 years, female 38.4
GTEX-QDT8-3026-SM-32PKB 30-39 years, female 37.6
GTEX-1RQEC-3026-SM-DPRXM 60-69 years, male 37.5
GTEX-1JJE9-3026-SM-CNNPA 70-79 years, male 37.0
GTEX-1PWST-3026-SM-EAZ3H 70-79 years, male 36.5
GTEX-13X6J-2926-SM-7EPGP 50-59 years, male 35.4
GTEX-1KANB-3226-SM-D4P3G 50-59 years, male 35.3
GTEX-1E2YA-2926-SM-7MGWX 50-59 years, male 34.9
GTEX-QVUS-2926-SM-3GIJB 60-69 years, female 34.6
GTEX-WHSE-2926-SM-3NMBG 20-29 years, male 34.4
GTEX-14A5I-2826-SM-5SIBF 50-59 years, female 33.8
GTEX-PVOW-2626-SM-32PL8 40-49 years, male 33.6
GTEX-14PJO-2926-SM-686ZI 60-69 years, male 31.2
GTEX-OHPN-2626-SM-2I5H1 60-69 years, female 30.0
GTEX-QMR6-1326-SM-32PLB 50-59 years, male 29.9
GTEX-1H3NZ-2926-SM-9WPQ8 60-69 years, male 27.8
GTEX-P44H-2426-SM-2XCEJ 40-49 years, male 24.8
Show allShow less

CEREBELLUM - FANTOM5 CAGEi

RNA expression in human tissues obtained through Cap Analysis of Gene Expression (CAGE) generated by the FANTOM5 project are reported as Scaled Tags Per Million.

Max subtype Scaled Tags Per Millioni

Max subtype Scaled Tags Per Million is the value for the subtype with the largest average Scaled Tags Per Million across the subtype samples.

94.2
FANTOM5 sample id Sample description Scaled Tags Per Million
Cerebellum
Scaled Tags Per Million: 94.2
FF:10166-103B4 76 years, female 118.4
FF:10083-102B2 22-68 years, mixed 70.0

CEREBELLUM - Pig RNA-seqi

RNA-seq data obtained from pig brain is reported as nTPM .

Normal distribution across the dataset is visualized with box plots, shown as median and 25th and 75th percentiles. Points are displayed as outliers if they are above or below 1.5 times the interquartile range. nTPM values of the individual samples are presented next to the box plot.
Max subtype nTPMi

Max subtype nTPM is the value for the subtype with the largest average nTPM across the subtype samples.

44.2
Pig sample Sample description nTPM
Cerebellum
nTPM: 44.2
Samples: 4

Max nTPM: 62.3
Min nTPM: 35.0
Sample A Female 62.3
Sample B Female 39.5
Sample C Male 35.0
Sample D Male 40.0

CEREBELLUM - Mouse RNA-seqi

RNA-seq data obtained from mouse brain is reported as nTPM .

Normal distribution across the dataset is visualized with box plots, shown as median and 25th and 75th percentiles. Points are displayed as outliers if they are above or below 1.5 times the interquartile range. nTPM values of the individual samples are presented next to the box plot.
Max subtype nTPMi

Max subtype nTPM is the value for the subtype with the largest average nTPM across the subtype samples.

31.2
Mouse sample Sample description nTPM
Cerebellum
nTPM: 31.2
Samples: 4

Max nTPM: 35.8
Min nTPM: 27.4
Sample A Male 35.8
Sample B Male 32.0
Sample C Female 27.4
Sample D Female 29.7

CEREBELLUM - Allen Mouse ISHi

In situ hybridization (ISH) data generated by the Allen brain atlas from mouse brain is reported as expression energy. For more details about a particular experiment, click on the corresponding Allen experiment ID.

Max subtype Expression energyi

Max subtype Expression energy is the value for the subtype with the largest average Expression energy across the subtype samples.

1.5
Allen experiment id Experiment description Expression energy
Cerebellum
Expression energy: 1.5
69734965 Antisense, RP_050503_01_G09, Mouse strain C57BL/6J (56 days, male) 1.5

Contact

  • NEWS ARTICLES
  • PRESS ROOM

The Project

  • INTRODUCTION
  • ORGANIZATION
  • PUBLICATIONS

The Human Protein Atlas

  • DOWNLOADABLE DATA
  • LICENCE & CITATION
  • HELP & FAQ
The Human Protein Atlas project is funded
by the Knut & Alice Wallenberg Foundation.


contact@proteinatlas.org