We use cookies to enhance the usability of our website. If you continue, we'll assume that you are happy to receive all cookies. More information. Don't show this again.
SULT1E1
HPA
RESOURCES
  • TISSUE
  • BRAIN
  • SINGLE CELL
  • SUBCELLULAR
  • CANCER
  • BLOOD
  • CELL LINE
  • STRUCTURE & INTERACTION
ABOUT
  • INTRODUCTION
  • HISTORY
  • ORGANIZATION
  • PUBLICATIONS
  • ANTIBODY SUBMISSION
  • ANTIBODY AVAILABILITY
  • ACKNOWLEDGMENTS
  • CONTACT
NEWS
  • NEWS ARTICLES
  • PRESS ROOM
LEARN
  • DICTIONARY
  • PROTEIN CLASSES
  • PROTEIN EVIDENCE
  • METHODS
  • EDUCATIONAL VIDEOS
DATA
  • DOWNLOADABLE DATA
  • PUBLICATION DATA
  • RELEASE HISTORY
HELP
  • ANTIBODY VALIDATION
  • ASSAYS & ANNOTATION
  • DISCLAIMER
  • HELP & FAQ
  • PRIVACY STATEMENT
  • LICENCE & CITATION
Fields »
Search result

Field
Term
Gene name
Class
Subclass
Class
Keyword
Chromosome
External id
Tissue
Cell type
Expression
Antibody panel
Tissue
Main location
Patient ID
Annotation
Tissue
Category
Tau score
Cluster
Reliability
Brain region
Category
Tau score
Brain region
Category
Tau score
Brain region
Category
Tau score
Cluster
Reliability
Tissue
Cell type
Enrichment
Cell type
Category
Tau score
Cell type
Category
Tau score
Cell type
Category
Tau score
Cell lineage
Category
Tau score
Cluster
Cluster
Location
Searches
Location
Cell line
Class
Type
Phase
Reliability
Cancer
Prognosis
Cancer
Category
Cancer
Category
Tau score
Cluster
Variants
Interacting gene (ensg_id)
Type
Number of interactions
Pathway
Category
Score
Score
Score
Validation
Validation
Validation
Validation
Antibodies
Data type
Column


  • SUMMARY

  • TISSUE

  • BRAIN

  • SINGLE CELL

  • SUBCELL

  • CANCER

  • BLOOD

  • CELL LINE

  • STRUCT & INT

  • SULT1E1
TISSUE PRIMARY DATA ADRENAL GLAND Show tissue menu
ADIPOSE TISSUE ADRENAL GLAND AMYGDALA APPENDIX BASAL GANGLIA BONE MARROW BREAST BRONCHUS CEREBELLUM CEREBRAL CORTEX CERVIX CHOROID PLEXUS COLON DUODENUM
ENDOMETRIUM EPIDIDYMIS ESOPHAGUS FALLOPIAN TUBE GALLBLADDER HEART MUSCLE HIPPOCAMPAL FORMATION HYPOTHALAMUS KIDNEY LIVER LUNG LYMPH NODE MIDBRAIN NASOPHARYNX
ORAL MUCOSA OVARY PANCREAS PARATHYROID GLAND PITUITARY GLAND PLACENTA PROSTATE RECTUM RETINA SALIVARY GLAND SEMINAL VESICLE SKELETAL MUSCLE SKIN SMALL INTESTINE
SMOOTH MUSCLE SOFT TISSUE SPINAL CORD SPLEEN STOMACH TESTIS THYMUS THYROID GLAND TONGUE TONSIL URINARY BLADDER VAGINA
ANTIBODIES
AND
VALIDATION
Dictionary
Adrenal gland
Tissue proteome
Adrenal gland
ADRENAL GLAND - Expression summary
Protein expression
Adrenal glandi

On the top, protein expression in current human tissue, based on all annotated cell types, is reported with the units not detected (n), low (l), medium (m) and high (h). Underneath, protein expression in each annotated cell type are reported using the same units.

Protein expression data is based on knowledge-based annotation. For genes where more than one antibody has been used, a collective score is set.

If knowledge-based annotation could not be performed for a gene, no data is displayed here. View antibody staining data further down this page.

h
m
l
n
Glandular cells: Not detected
RNA expressioni

A summary of mRNA expression data available for current tissue based on several datasets. The mRNA expression levels in human tissues are based on RNA-seq data generated by the Human Protein Atlas (HPA), Genotype-Tissue Expression (GTEx) portal and CAGE data generated by the FANTOM5 consortium. Consensus normalized expression levels for human tissues was created by combining the data from HPA and GTEx datasets.

The mRNA expression levels in pig are based on RNA-seq data generated by the Human Protein Atlas (HPA), and for mouse, HPA data and in situ hybridization generated by the Allen brain atlas are reported.

Scroll down to view mRNA expression data in more detail.
Consensus:14.0 nTPM
HPA:2.3 nTPM
GTEx:14.0 nTPM

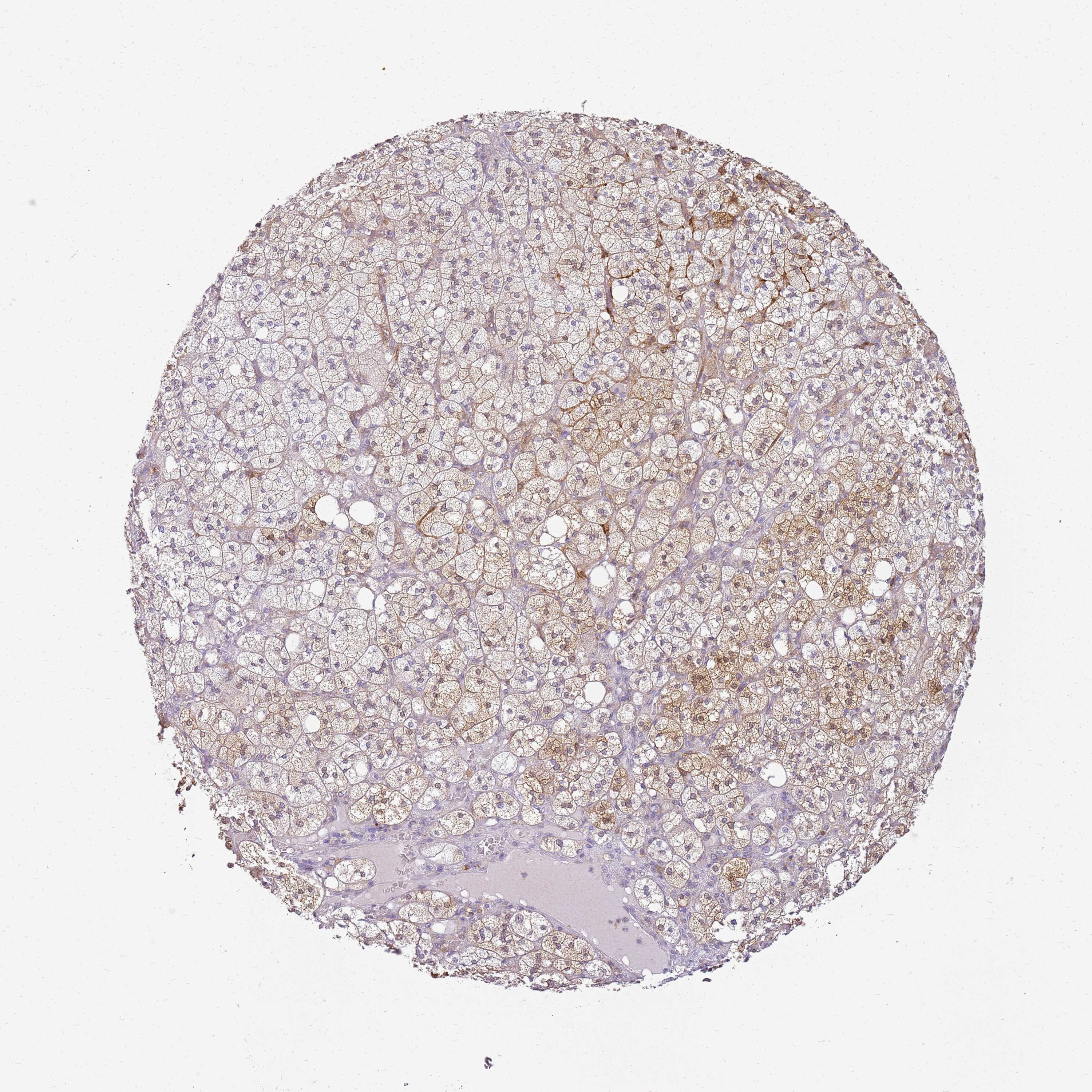
ADRENAL GLAND - Antibody stainingi

Antibody staining in the annotated cell types in the current human tissue is reported as not detected, low, medium, or high, based on conventional immunohistochemistry profiling in selected tissues. This score is based on the combination of the staining intensity and fraction of stained cells.

Each image is clickable and will lead to virtual microscopy that enables deeper exploration of all samples and also displays staining intensity scores, fraction scores and subcellular localization as well as patient and tissue information for each sample.

Antibody HPA028213Antibody HPA028728Antibody CAB047344
Glandular cells MediumLowMedium







ADRENAL GLAND - HPA RNA-seqi

The RNA-seq details section shows detailed information about the individual samples used for the transcript profiling and results of the RNA-seq analysis.

Information about each individual sample is listed below, including gender, age, a tissue section image and estimated fractions of cell types. nTPM (normalized transcripts per million) values give a quantification of the gene abundance which is comparable between different genes and samples.
Average nTPMi

Max subtype nTPM is the value for the subtype with the largest average nTPM across the subtype samples.

2.3
overview
Female, age 62
Adrenal gland sample 87
nTPM: 3.5
Cell types%
Cortical cells:
50

Medullary cells:
40

Other cell types:
10

overview
Female, age 36
Adrenal gland sample 88
nTPM: 2.5
Cell types%
Cortical cells:
50

Medullary cells:
40

Other cell types:
10

overview
Female, age 63
Adrenal gland sample 89
nTPM: 0.9
Cell types%
Cortical cells:
50

Medullary cells:
40

Other cell types:
10


ADRENAL GLAND - GTEx RNA-seqi

RNA-Seq data generated by the Genotype-Tissue Expression (GTEx) project from human tissues is reported as mean nTPM. More information can be found on the GTEx portal.

Distribution across the dataset is visualized with box plots, shown as median and 25th and 75th percentiles. Points are displayed as outliers if they are above or below 1.5 times the interquartile range. nTPM values of the individual samples are presented next to the box plot.
Max subtype nTPMi

Max subtype nTPM is the value for the subtype with the largest average nTPM across the subtype samples.

14.0
GTEx sample id Sample description nTPM
Adrenal Gland
Average nTPM: 14.0
Samples: 258

Max nTPM: 52.2
Min nTPM: 0.3
Std nTPM: 9.0
Median nTPM: 12.0
GTEX-YB5E-0226-SM-5IFHI 40-49 years, male 52.2
GTEX-1H1E6-1026-SM-9JGFZ 30-39 years, male 47.1
GTEX-O5YT-1326-SM-3MJGR 20-29 years, male 45.7
GTEX-QEG5-1826-SM-CE6QW 20-29 years, male 45.4
GTEX-ZT9W-0126-SM-4YCFD 50-59 years, male 41.8
GTEX-145LT-0126-SM-5S2QJ 40-49 years, male 40.1
GTEX-1CAMR-0126-SM-79391 20-29 years, male 39.7
GTEX-ZUA1-1926-SM-5E45E 40-49 years, male 39.1
GTEX-V955-0126-SM-4JBH5 60-69 years, male 38.3
GTEX-1I1GU-0226-SM-AHZ2J 40-49 years, male 36.5
GTEX-Q2AH-0126-SM-48U2B 40-49 years, male 32.5
GTEX-1339X-0826-SM-5J2O6 40-49 years, male 30.9
GTEX-PWCY-0226-SM-48TD8 20-29 years, female 30.6
GTEX-1K2DU-0826-SM-DHXKA 20-29 years, male 30.3
GTEX-11TT1-0126-SM-5LUAA 20-29 years, male 29.9
GTEX-OHPK-1326-SM-3MJGN 50-59 years, female 29.1
GTEX-1F75I-0126-SM-9WPPW 40-49 years, male 28.0
GTEX-1AX8Z-2426-SM-72D7D 60-69 years, male 27.6
GTEX-1J8Q3-0326-SM-CE6TD 60-69 years, male 27.6
GTEX-139YR-0126-SM-5IJEY 50-59 years, male 27.4
GTEX-1AMFI-0626-SM-731DR 50-59 years, female 27.4
GTEX-R55E-1826-SM-EXOHD 20-29 years, male 27.0
GTEX-16AAH-0226-SM-793A8 50-59 years, male 26.2
GTEX-1R7EV-1726-SM-E6CR8 40-49 years, male 26.2
GTEX-13OW6-1726-SM-5IJGI 50-59 years, male 25.8
GTEX-ZA64-0226-SM-5HL9C 20-29 years, male 25.8
GTEX-PLZ6-0226-SM-3P61I 30-39 years, male 25.7
GTEX-ZT9X-0126-SM-4YCFC 40-49 years, male 24.5
GTEX-ZLV1-0226-SM-4WWC1 60-69 years, female 24.4
GTEX-131XG-1326-SM-5DUX4 50-59 years, female 23.9
GTEX-W5WG-1126-SM-4LMK4 50-59 years, female 23.5
GTEX-13QBU-0526-SM-5IJFE 40-49 years, female 23.3
GTEX-ZVP2-0126-SM-5NQ7D 50-59 years, male 22.9
GTEX-15EU6-0326-SM-6M48I 50-59 years, male 22.8
GTEX-17HGU-0126-SM-7DHLV 50-59 years, male 22.7
GTEX-PW2O-0226-SM-48TC7 20-29 years, male 22.7
GTEX-Q2AI-0226-SM-48U1D 40-49 years, male 22.7
GTEX-11EM3-0326-SM-5A5KJ 20-29 years, female 22.5
GTEX-1ICG6-0226-SM-AHZ2P 70-79 years, female 22.4
GTEX-14PKV-0726-SM-686ZF 20-29 years, female 22.2
GTEX-QCQG-0126-SM-48U27 50-59 years, female 21.9
GTEX-S3XE-0126-SM-4AD4R 50-59 years, male 21.9
GTEX-ZLFU-0826-SM-4WWBP 40-49 years, male 21.7
GTEX-ZTSS-0326-SM-5987M 40-49 years, male 21.7
GTEX-13W3W-1326-SM-5LU4T 60-69 years, female 21.5
GTEX-XUZC-0226-SM-4BOO7 30-39 years, female 21.5
GTEX-1CAMS-0226-SM-79397 40-49 years, female 21.3
GTEX-1JMLX-1126-SM-CXZJN 50-59 years, male 21.0
GTEX-1PPH8-0826-SM-DTX9T 20-29 years, male 20.9
GTEX-14DAR-1726-SM-664MZ 50-59 years, male 20.8
GTEX-11P7K-0126-SM-5986E 30-39 years, male 20.5
GTEX-1A3MW-2126-SM-731DO 60-69 years, female 20.3
GTEX-T6MO-0126-SM-4DM6X 40-49 years, female 20.3
GTEX-13D11-0426-SM-5LZYA 50-59 years, female 20.0
GTEX-14PJ6-0126-SM-686Z5 60-69 years, female 19.9
GTEX-1S82P-1126-SM-EV79M 60-69 years, female 19.6
GTEX-14H4A-0226-SM-5SI6Q 40-49 years, female 19.5
GTEX-1JKYN-0126-SM-AHZ4C 30-39 years, male 19.4
GTEX-U3ZM-0226-SM-4DXTA 40-49 years, male 19.3
GTEX-WYVS-0226-SM-4ONDK 40-49 years, female 19.1
GTEX-12WSG-0726-SM-5EGIG 50-59 years, female 19.0
GTEX-S4Q7-0226-SM-4AD5O 20-29 years, male 19.0
GTEX-QDVJ-1126-SM-48U1U 50-59 years, male 18.9
GTEX-17HHE-0226-SM-79399 50-59 years, male 18.8
GTEX-V1D1-0226-SM-4JBHG 50-59 years, male 18.8
GTEX-1F5PK-0826-SM-7MXVI 50-59 years, male 18.7
GTEX-13FTW-0126-SM-5IJED 40-49 years, male 18.5
GTEX-1399S-0426-SM-5IFG5 30-39 years, female 18.1
GTEX-ZLWG-0126-SM-4WWC5 50-59 years, female 18.0
GTEX-1399U-0226-SM-5P9J2 50-59 years, female 17.8
GTEX-13O21-0126-SM-5IJE8 50-59 years, male 17.8
GTEX-132NY-2226-SM-5J2LZ 60-69 years, male 17.7
GTEX-O5YV-1126-SM-3LK73 60-69 years, female 17.6
GTEX-14JG6-0126-SM-68726 30-39 years, female 17.5
GTEX-13N11-0826-SM-5IJFP 50-59 years, female 17.4
GTEX-1F5PL-2326-SM-7MKFC 40-49 years, female 17.3
GTEX-1HKZK-0126-SM-B2LWF 40-49 years, male 17.3
GTEX-VUSG-1526-SM-4KKZH 50-59 years, male 17.1
GTEX-13PVR-0226-SM-5RQJI 60-69 years, female 16.6
GTEX-1LGRB-0326-SM-CNPQC 50-59 years, female 16.6
GTEX-132QS-0126-SM-5IFH9 60-69 years, male 16.4
GTEX-S4Z8-0126-SM-4GICC 60-69 years, male 16.3
GTEX-145MN-0226-SM-5QGPY 30-39 years, male 16.2
GTEX-WY7C-0326-SM-4OND5 50-59 years, male 16.2
GTEX-Y5LM-0126-SM-4VBRL 40-49 years, female 16.2
GTEX-132AR-1726-SM-5EGHQ 50-59 years, female 16.1
GTEX-1H11D-2426-SM-9JGGN 40-49 years, male 16.0
GTEX-1RAZQ-0226-SM-EV7BK 30-39 years, male 15.9
GTEX-111CU-0126-SM-5GZWZ 50-59 years, male 15.7
GTEX-WHPG-1526-SM-4M1ZK 50-59 years, male 15.7
GTEX-OXRK-0126-SM-3NB1E 50-59 years, female 15.6
GTEX-1PIIG-1426-SM-EXOIS 30-39 years, male 15.6
GTEX-WFG8-0126-SM-4LVMH 20-29 years, male 15.4
GTEX-13CF3-0126-SM-5IFFM 60-69 years, female 15.3
GTEX-Y5V5-1326-SM-4V6G9 60-69 years, female 15.3
GTEX-16MT8-1626-SM-7EWDW 60-69 years, female 15.2
GTEX-14BMU-0126-SM-5S2Q9 20-29 years, female 15.1
GTEX-ZVT2-0826-SM-5GIEO 50-59 years, female 14.9
GTEX-17HHY-2226-SM-7KFS4 50-59 years, male 14.7
GTEX-1B8L1-1326-SM-7MKG6 60-69 years, male 14.5
GTEX-Y9LG-0126-SM-5Q59W 30-39 years, male 14.5
GTEX-12WSL-0326-SM-5CVMK 50-59 years, male 14.4
GTEX-P4QS-1326-SM-3NMCD 60-69 years, male 14.4
GTEX-UJMC-0226-SM-4IHLH 50-59 years, male 14.4
GTEX-VJYA-0526-SM-4KL1R 60-69 years, male 14.2
GTEX-13111-0326-SM-5DUXF 50-59 years, male 14.1
GTEX-16NGA-0126-SM-72D6U 40-49 years, female 13.9
GTEX-1HC8U-0226-SM-9WG7Q 40-49 years, female 13.8
GTEX-1LVAN-0826-SM-CNNPG 50-59 years, female 13.8
GTEX-11XUK-0126-SM-5CVLK 40-49 years, female 13.7
GTEX-ZPCL-0826-SM-DNZZ7 60-69 years, female 13.7
GTEX-14E6E-0126-SM-73KXH 30-39 years, male 13.6
GTEX-14E1K-0626-SM-5S2PG 50-59 years, male 13.5
GTEX-XQ3S-1726-SM-4BOOD 20-29 years, male 13.3
GTEX-OOBK-3125-SM-3LK5R 40-49 years, male 13.2
GTEX-QDVN-0426-SM-48TZ6 50-59 years, male 13.1
GTEX-QLQW-0226-SM-447BJ 30-39 years, male 13.1
GTEX-14PJM-2226-SM-6AJAT 50-59 years, female 13.0
GTEX-131YS-2026-SM-5P9J8 60-69 years, female 12.9
GTEX-1LNCM-0826-SM-DHXL6 50-59 years, female 12.9
GTEX-14PJ4-0426-SM-6871F 60-69 years, male 12.8
GTEX-P4QT-1326-SM-3NMD3 50-59 years, female 12.5
GTEX-Y5V6-1926-SM-5IFIL 60-69 years, male 12.4
GTEX-ZZPU-1226-SM-5N9CK 50-59 years, female 12.4
GTEX-Y114-0526-SM-4TT8V 50-59 years, female 12.3
GTEX-ZY6K-0126-SM-5SIAM 50-59 years, male 12.3
GTEX-12WSJ-0126-SM-5GCOM 40-49 years, female 12.2
GTEX-11EQ9-0126-SM-5986I 30-39 years, male 12.1
GTEX-11NSD-0226-SM-5A5LR 20-29 years, male 12.1
GTEX-13FH7-0226-SM-5IFGG 50-59 years, female 12.0
GTEX-1A3MV-0226-SM-731FS 30-39 years, male 12.0
GTEX-S33H-1326-SM-4AD6A 30-39 years, male 12.0
GTEX-15DYW-2126-SM-6M47B 60-69 years, female 11.8
GTEX-1B8KZ-0126-SM-7DHM5 50-59 years, male 11.7
GTEX-OHPL-1326-SM-3MJGG 60-69 years, female 11.7
GTEX-ZYFG-0926-SM-5BC5U 60-69 years, female 11.7
GTEX-131XF-0126-SM-5DUVF 60-69 years, male 11.6
GTEX-12WSK-0326-SM-5GCOJ 40-49 years, female 11.5
GTEX-146FR-1526-SM-5SIB8 60-69 years, female 11.5
GTEX-ZEX8-0626-SM-DO118 50-59 years, male 11.5
GTEX-ZP4G-0126-SM-4YCE3 20-29 years, female 11.4
GTEX-117YX-0126-SM-5EGH5 50-59 years, male 11.3
GTEX-12696-0626-SM-5EGGD 60-69 years, male 11.3
GTEX-1LG7Z-0426-SM-D4P47 30-39 years, male 11.3
GTEX-QLQ7-0126-SM-CL55R 60-69 years, male 11.3
GTEX-15SHU-1926-SM-7KUMO 40-49 years, female 11.2
GTEX-NFK9-1726-SM-3TW8P 40-49 years, male 11.2
GTEX-1AX9K-0126-SM-7PC1B 50-59 years, male 11.2
GTEX-1122O-0326-SM-5H124 60-69 years, female 11.0
GTEX-RM2N-0126-SM-48FDD 50-59 years, male 10.9
GTEX-R55G-0126-SM-48FDS 40-49 years, female 10.8
GTEX-YFCO-0126-SM-4W1YT 40-49 years, male 10.8
GTEX-1C475-0126-SM-731DC 40-49 years, female 10.6
GTEX-TMMY-0126-SM-4DXTP 40-49 years, female 10.5
GTEX-1IDJU-0126-SM-CNNR2 60-69 years, female 10.5
GTEX-1QMI2-1926-SM-EAZ4B 60-69 years, male 10.3
GTEX-12ZZZ-0926-SM-5N9EQ 60-69 years, male 10.2
GTEX-1QPFJ-2526-SM-EXOJX 30-39 years, female 10.2
GTEX-S32W-0126-SM-4AD61 50-59 years, female 10.0
GTEX-15CHR-0626-SM-7938V 50-59 years, male 9.9
GTEX-RUSQ-0226-SM-47JWT 50-59 years, male 9.9
GTEX-S341-0126-SM-4AD64 40-49 years, female 9.7
GTEX-U4B1-0126-SM-4DXSN 40-49 years, male 9.7
GTEX-1GN1V-1626-SM-7PBZF 60-69 years, male 9.6
GTEX-12BJ1-0526-SM-5FQUD 60-69 years, male 9.5
GTEX-17KNJ-0326-SM-7KFS5 50-59 years, male 9.4
GTEX-XMK1-0226-SM-4B65D 40-49 years, male 9.2
GTEX-XV7Q-0226-SM-4BRVL 40-49 years, female 9.2
GTEX-13O3O-1626-SM-5KM1O 60-69 years, female 9.1
GTEX-13O61-0126-SM-5KM4P 60-69 years, male 9.0
GTEX-14A5I-2126-SM-5NQA8 50-59 years, female 9.0
GTEX-14PN3-1426-SM-686Z8 60-69 years, female 9.0
GTEX-REY6-1726-SM-48FDL 60-69 years, male 9.0
GTEX-1H3VY-1826-SM-9JGI4 50-59 years, male 9.0
GTEX-11EMC-0526-SM-5EGJN 60-69 years, female 8.8
GTEX-14753-1726-SM-5NQ9X 60-69 years, male 8.8
GTEX-1IDJH-1726-SM-A96T3 70-79 years, male 8.7
GTEX-1K2DA-0226-SM-CGQGW 50-59 years, male 8.7
GTEX-14XAO-0326-SM-6ETZN 60-69 years, female 8.6
GTEX-1GN73-1526-SM-9WPP1 60-69 years, male 8.5
GTEX-R53T-0226-SM-48FEH 50-59 years, female 8.3
GTEX-ZDTT-0126-SM-4WKHA 60-69 years, male 8.3
GTEX-WQUQ-0126-SM-4OOSS 60-69 years, male 8.2
GTEX-13OVI-1226-SM-5J2ME 60-69 years, female 8.1
GTEX-1211K-0126-SM-59HJE 60-69 years, female 8.0
GTEX-1QP29-0326-SM-E6CQ4 50-59 years, male 7.9
GTEX-1KXAM-0326-SM-EV7AQ 60-69 years, male 7.8
GTEX-1AX9J-0626-SM-72D7L 60-69 years, male 7.7
GTEX-PLZ5-0326-SM-3P614 50-59 years, male 7.7
GTEX-12WSN-0926-SM-5GCN1 40-49 years, male 7.6
GTEX-1B8KE-0926-SM-7189I 50-59 years, male 7.6
GTEX-11I78-1826-SM-5A5M4 50-59 years, female 7.5
GTEX-OIZH-1326-SM-3NB1H 50-59 years, male 7.5
GTEX-18D9B-1926-SM-7KFSV 60-69 years, male 7.2
GTEX-1M5QR-1726-SM-EV7AU 40-49 years, male 7.2
GTEX-11GSP-0326-SM-5A5KW 60-69 years, female 7.1
GTEX-13OW7-2726-SM-5L3HN 50-59 years, male 7.1
GTEX-SUCS-0526-SM-4DM56 70-79 years, male 7.1
GTEX-1GMR3-0926-SM-9WPP9 40-49 years, male 7.1
GTEX-R55C-0226-SM-48FEO 40-49 years, male 7.0
GTEX-X4LF-0126-SM-4QAS7 50-59 years, male 7.0
GTEX-13PL7-1026-SM-5MR5C 60-69 years, female 6.8
GTEX-1CB4F-0126-SM-9JGGZ 60-69 years, male 6.7
GTEX-1PWST-2126-SM-DPRZ5 70-79 years, male 6.6
GTEX-ZF2S-0126-SM-4WKFO 50-59 years, female 6.5
GTEX-1BAJH-2626-SM-7EPG6 70-79 years, male 6.4
GTEX-1QP2A-2626-SM-EAZ3L 50-59 years, male 6.4
GTEX-11DXZ-0226-SM-5EGGZ 50-59 years, male 6.3
GTEX-12WSD-2126-SM-5LZWK 60-69 years, female 6.3
GTEX-1GL5R-1026-SM-7P8U1 50-59 years, male 6.3
GTEX-1I1GT-0126-SM-B2LWM 60-69 years, female 6.1
GTEX-1KD4Q-1826-SM-DIPFV 40-49 years, male 6.0
GTEX-RWSA-1726-SM-47JX7 40-49 years, male 5.9
GTEX-QMRM-0126-SM-CJI1R 50-59 years, male 5.9
GTEX-111YS-0126-SM-5987T 60-69 years, male 5.8
GTEX-1I1GV-1826-SM-CNNR8 60-69 years, male 5.8
GTEX-TKQ2-0226-SM-4DM6V 50-59 years, male 5.4
GTEX-X4EO-1726-SM-4QARN 60-69 years, female 5.4
GTEX-QXCU-1326-SM-48FE2 50-59 years, male 5.3
GTEX-U3ZN-0826-SM-4DXSZ 30-39 years, female 5.3
GTEX-1F88F-1526-SM-9JGG1 60-69 years, female 5.3
GTEX-1I1GQ-2026-SM-ARU7F 50-59 years, male 5.3
GTEX-1EH9U-1726-SM-7P8QK 60-69 years, male 5.2
GTEX-1NUQO-0626-SM-E6CQT 20-29 years, female 5.2
GTEX-1399R-0326-SM-5KM1X 30-39 years, male 5.1
GTEX-18A6Q-1826-SM-72D6I 60-69 years, male 5.1
GTEX-1F75A-2026-SM-9KNTR 50-59 years, male 5.1
GTEX-1B996-2026-SM-7MKG7 60-69 years, male 5.0
GTEX-YF7O-0126-SM-5IFIR 50-59 years, male 5.0
GTEX-RNOR-1626-SM-EZ6MM 50-59 years, female 4.9
GTEX-Q734-0126-SM-48U1E 40-49 years, female 4.7
GTEX-14PK6-0126-SM-664O1 70-79 years, female 4.6
GTEX-OIZF-1326-SM-3MJGU 60-69 years, male 4.6
GTEX-1GF9V-2026-SM-9JGHS 60-69 years, male 4.4
GTEX-1EKGG-2126-SM-7MKFT 60-69 years, male 4.3
GTEX-ZYVF-1626-SM-5N9EH 50-59 years, female 4.3
GTEX-14C38-1726-SM-5RQJC 50-59 years, male 4.2
GTEX-1A32A-2126-SM-718AZ 50-59 years, female 4.2
GTEX-18A7A-1826-SM-7KFTU 50-59 years, female 4.1
GTEX-Y3IK-0226-SM-51MRJ 50-59 years, female 4.1
GTEX-14DAQ-1826-SM-5S2VV 60-69 years, female 4.0
GTEX-1KWVE-0726-SM-D4P3O 30-39 years, male 3.8
GTEX-1HBPI-1926-SM-CE6RT 50-59 years, male 3.7
GTEX-11DXX-0126-SM-5EGH7 60-69 years, female 3.5
GTEX-1KANB-2626-SM-EV7BF 50-59 years, male 3.5
GTEX-1J8EW-1826-SM-C1YQW 60-69 years, female 3.3
GTEX-XYKS-0926-SM-4BRVG 60-69 years, female 3.0
GTEX-11DXY-1626-SM-5H12L 60-69 years, male 2.9
GTEX-147F4-2526-SM-5NQBB 50-59 years, male 2.9
GTEX-144GL-1826-SM-79OMB 50-59 years, male 2.5
GTEX-PX3G-1326-SM-48U18 20-29 years, female 2.3
GTEX-1A8FM-1926-SM-7MXTX 50-59 years, female 2.2
GTEX-15ER7-1126-SM-6M47F 20-29 years, female 1.7
GTEX-1RQEC-1926-SM-DTX7M 60-69 years, male 1.7
GTEX-1HCU6-1826-SM-C1YRN 60-69 years, female 1.3
GTEX-14A5H-2126-SM-7IGNV 60-69 years, male 0.5
GTEX-1I1GP-1826-SM-C1YS1 50-59 years, male 0.5
GTEX-13O1R-2326-SM-5IJF9 60-69 years, male 0.3
Show allShow less

Contact

  • NEWS ARTICLES
  • PRESS ROOM

The Project

  • INTRODUCTION
  • ORGANIZATION
  • PUBLICATIONS

The Human Protein Atlas

  • DOWNLOADABLE DATA
  • LICENCE & CITATION
  • HELP & FAQ
The Human Protein Atlas project is funded
by the Knut & Alice Wallenberg Foundation.


contact@proteinatlas.org