We use cookies to enhance the usability of our website. If you continue, we'll assume that you are happy to receive all cookies. More information. Don't show this again.
AREG
HPA
RESOURCES
  • TISSUE
  • BRAIN
  • SINGLE CELL
  • SUBCELLULAR
  • CANCER
  • BLOOD
  • CELL LINE
  • STRUCTURE & INTERACTION
ABOUT
  • INTRODUCTION
  • HISTORY
  • ORGANIZATION
  • PUBLICATIONS
  • ANTIBODY SUBMISSION
  • ANTIBODY AVAILABILITY
  • ACKNOWLEDGMENTS
  • CONTACT
NEWS
  • NEWS ARTICLES
  • PRESS ROOM
LEARN
  • DICTIONARY
  • PROTEIN CLASSES
  • PROTEIN EVIDENCE
  • METHODS
  • EDUCATIONAL VIDEOS
DATA
  • DOWNLOADABLE DATA
  • PUBLICATION DATA
  • RELEASE HISTORY
HELP
  • ANTIBODY VALIDATION
  • ASSAYS & ANNOTATION
  • DISCLAIMER
  • HELP & FAQ
  • PRIVACY STATEMENT
  • LICENCE & CITATION
Fields »
Search result

Field
Term
Gene name
Class
Subclass
Class
Keyword
Chromosome
External id
Tissue
Cell type
Expression
Antibody panel
Tissue
Main location
Patient ID
Annotation
Tissue
Category
Tau score
Cluster
Reliability
Brain region
Category
Tau score
Brain region
Category
Tau score
Brain region
Category
Tau score
Cluster
Reliability
Tissue
Cell type
Enrichment
Cell type
Category
Tau score
Cell type
Category
Tau score
Cell type
Category
Tau score
Cell lineage
Category
Tau score
Cluster
Cluster
Location
Searches
Location
Cell line
Class
Type
Phase
Reliability
Cancer
Prognosis
Cancer
Category
Cancer
Category
Tau score
Cluster
Variants
Interacting gene (ensg_id)
Type
Number of interactions
Pathway
Category
Score
Score
Score
Validation
Validation
Validation
Validation
Antibodies
Data type
Column


  • SUMMARY

  • TISSUE

  • BRAIN

  • SINGLE CELL

  • SUBCELL

  • CANCER

  • BLOOD

  • CELL LINE

  • STRUCT & INT

  • AREG
TISSUE PRIMARY DATA SKIN Show tissue menu
ADIPOSE TISSUE ADRENAL GLAND AMYGDALA APPENDIX BASAL GANGLIA BONE MARROW BREAST BRONCHUS CEREBELLUM CEREBRAL CORTEX CERVIX CHOROID PLEXUS COLON DUODENUM
ENDOMETRIUM EPIDIDYMIS ESOPHAGUS FALLOPIAN TUBE GALLBLADDER HEART MUSCLE HIPPOCAMPAL FORMATION HYPOTHALAMUS KIDNEY LIVER LUNG LYMPH NODE MIDBRAIN NASOPHARYNX
ORAL MUCOSA OVARY PANCREAS PARATHYROID GLAND PITUITARY GLAND PLACENTA PROSTATE RECTUM RETINA SALIVARY GLAND SEMINAL VESICLE SKELETAL MUSCLE SKIN SMALL INTESTINE
SMOOTH MUSCLE SOFT TISSUE SPINAL CORD SPLEEN STOMACH TESTIS THYMUS THYROID GLAND TONGUE TONSIL URINARY BLADDER VAGINA
ANTIBODIES
AND
VALIDATION
Dictionary
Skin
Tissue proteome
Skin
SKIN - Expression summary
Protein expression
Skini

On the top, protein expression in current human tissue, based on all annotated cell types, is reported with the units not detected (n), low (l), medium (m) and high (h). Underneath, protein expression in each annotated cell type are reported using the same units.

Protein expression data is based on knowledge-based annotation. For genes where more than one antibody has been used, a collective score is set.

If knowledge-based annotation could not be performed for a gene, no data is displayed here. View antibody staining data further down this page.

h
m
l
n
Epidermal cells: Not detected
Fibroblasts: Not detected
Keratinocytes: Not detected
Langerhans: Not detected
Melanocytes: Not detected
RNA expressioni

A summary of mRNA expression data available for current tissue based on several datasets. The mRNA expression levels in human tissues are based on RNA-seq data generated by the Human Protein Atlas (HPA), Genotype-Tissue Expression (GTEx) portal and CAGE data generated by the FANTOM5 consortium. Consensus normalized expression levels for human tissues was created by combining the data from HPA and GTEx datasets.

The mRNA expression levels in pig are based on RNA-seq data generated by the Human Protein Atlas (HPA), and for mouse, HPA data and in situ hybridization generated by the Allen brain atlas are reported.

Scroll down to view mRNA expression data in more detail.
Consensus:14.8 nTPM
HPA:1.9 nTPM
GTEx:14.8 nTPM

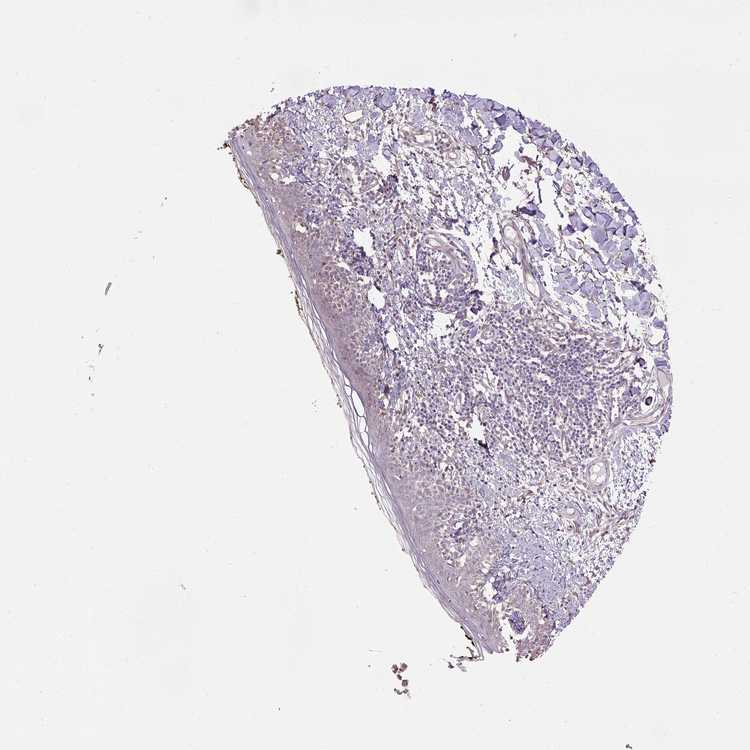
SKIN 1 - Antibody stainingi

Antibody staining in the annotated cell types in the current human tissue is reported as not detected, low, medium, or high, based on conventional immunohistochemistry profiling in selected tissues. This score is based on the combination of the staining intensity and fraction of stained cells.

Each image is clickable and will lead to virtual microscopy that enables deeper exploration of all samples and also displays staining intensity scores, fraction scores and subcellular localization as well as patient and tissue information for each sample.

Antibody HPA008720
Langerhans Medium
Fibroblasts Medium
Keratinocytes Not detected
Melanocytes Not detected

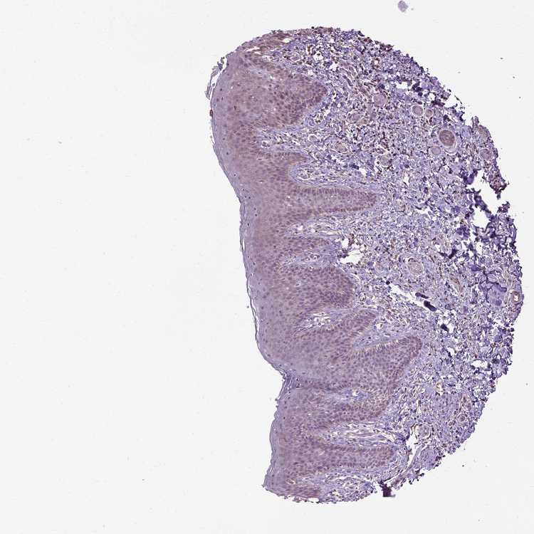
SKIN 2 - Antibody stainingi

Antibody staining in the annotated cell types in the current human tissue is reported as not detected, low, medium, or high, based on conventional immunohistochemistry profiling in selected tissues. This score is based on the combination of the staining intensity and fraction of stained cells.

Each image is clickable and will lead to virtual microscopy that enables deeper exploration of all samples and also displays staining intensity scores, fraction scores and subcellular localization as well as patient and tissue information for each sample.

Antibody HPA008720
Epidermal cells Low
 
 
 



SKIN - HPA RNA-seqi

The RNA-seq details section shows detailed information about the individual samples used for the transcript profiling and results of the RNA-seq analysis.

Information about each individual sample is listed below, including gender, age, a tissue section image and estimated fractions of cell types. nTPM (normalized transcripts per million) values give a quantification of the gene abundance which is comparable between different genes and samples.
Average nTPMi

Max subtype nTPM is the value for the subtype with the largest average nTPM across the subtype samples.

1.9
overview
Female, age 34
Skin sample 225
nTPM: 2.5
Cell types%
Keratinocytes:
60

Other cell types:
40

overview
Female, age 30
Skin sample 226
nTPM: 1.9
Cell types%
Keratinocytes:
55

Other cell types:
45

N/A
Male, age 57
Skin sample 227
nTPM: 1.2

SKIN - GTEx RNA-seqi

RNA-Seq data generated by the Genotype-Tissue Expression (GTEx) project from human tissues is reported as mean nTPM. More information can be found on the GTEx portal.

Distribution across the dataset is visualized with box plots, shown as median and 25th and 75th percentiles. Points are displayed as outliers if they are above or below 1.5 times the interquartile range. nTPM values of the individual samples are presented next to the box plot.
Max subtype nTPMi

Max subtype nTPM is the value for the subtype with the largest average nTPM across the subtype samples.

14.8
GTEx sample id Sample description nTPM
Skin - Not Sun Exposed (Suprapubic)
Average nTPM: 14.8
Samples: 604

Max nTPM: 228.5
Min nTPM: 0.8
Std nTPM: 18.3
Median nTPM: 9.8
GTEX-1ICLZ-0326-SM-ARL82 60-69 years, male 228.5
GTEX-ZYFD-0626-SM-5E44E 50-59 years, male 152.5
GTEX-13QBU-1226-SM-5LU4G 40-49 years, female 134.9
GTEX-1J8JJ-0626-SM-ARZMQ 60-69 years, female 113.9
GTEX-131YS-2826-SM-5EQ47 60-69 years, female 100.1
GTEX-1313W-0626-SM-5EQ4H 50-59 years, female 99.6
GTEX-14A5H-0826-SM-5QGPJ 60-69 years, male 97.2
GTEX-11DZ1-2426-SM-5GZZX 50-59 years, male 94.6
GTEX-1NSGN-0726-SM-DTXEF 50-59 years, male 93.2
GTEX-WHSE-0126-SM-3NMBT 20-29 years, male 93.1
GTEX-13NYC-0126-SM-5L3F4 60-69 years, male 90.4
GTEX-144GL-0626-SM-5LU4D 50-59 years, male 82.9
GTEX-1F6RS-2026-SM-7RHHC 60-69 years, female 69.1
GTEX-XBED-1926-SM-47JYP 60-69 years, male 60.3
GTEX-15UF6-1926-SM-7KUDV 70-79 years, female 56.8
GTEX-1R46S-2426-SM-E76QA 60-69 years, female 56.3
GTEX-1H2FU-0926-SM-9WPPT 60-69 years, female 55.0
GTEX-ZY6K-1426-SM-5GZX2 50-59 years, male 53.5
GTEX-U8XE-0226-SM-4E3J3 30-39 years, male 52.1
GTEX-1F5PK-2226-SM-7SB6N 50-59 years, male 51.9
GTEX-12WSK-2126-SM-5CVNC 40-49 years, female 50.8
GTEX-ZLV1-1526-SM-DO91J 60-69 years, female 50.0
GTEX-12584-0726-SM-5FQTK 40-49 years, male 49.5
GTEX-1F48J-0726-SM-7RHGS 50-59 years, female 49.0
GTEX-1R9K4-2826-SM-DTX8F 60-69 years, male 48.5
GTEX-XQ8I-0926-SM-4BOOF 50-59 years, male 48.0
GTEX-1J8Q3-0526-SM-ARL8U 60-69 years, male 48.0
GTEX-13FTW-0326-SM-5K7UW 40-49 years, male 45.5
GTEX-15G1A-1626-SM-7KUKN 30-39 years, male 44.1
GTEX-ZA64-1026-SM-5HL8R 20-29 years, male 44.1
GTEX-1S82U-1026-SM-E6CJK 30-39 years, female 43.6
GTEX-11TUW-0626-SM-5LU9M 60-69 years, male 43.5
GTEX-1JMQL-2226-SM-CNPP4 50-59 years, female 42.6
GTEX-1S83E-1326-SM-E6CJM 40-49 years, male 41.8
GTEX-1C2JI-1026-SM-73KY1 50-59 years, male 39.4
GTEX-13OVK-1426-SM-6PAN7 40-49 years, male 36.7
GTEX-1CAV2-0126-SM-7IGN7 40-49 years, female 36.7
GTEX-1M4P7-0726-SM-E6CJ3 60-69 years, male 35.1
GTEX-ZAJG-1526-SM-5CVML 50-59 years, female 34.8
GTEX-13NYS-0626-SM-5L3F1 60-69 years, male 34.7
GTEX-1ICLY-0826-SM-CMKG1 50-59 years, male 34.6
GTEX-145MO-2826-SM-5LU96 60-69 years, male 34.5
GTEX-1JKYR-0626-SM-ARL8R 20-29 years, male 34.4
GTEX-ZLFU-1826-SM-4WWBV 40-49 years, male 34.3
GTEX-1I1GS-2626-SM-B2LY3 60-69 years, male 33.1
GTEX-13X6H-0926-SM-5SIB2 50-59 years, female 32.5
GTEX-1LVAO-2726-SM-E9TJ8 60-69 years, male 32.0
GTEX-1HB9E-0126-SM-CM2S5 50-59 years, male 31.8
GTEX-144GM-0526-SM-79OJO 20-29 years, male 31.6
GTEX-14E6C-2426-SM-5S2NF 40-49 years, male 31.5
GTEX-11O72-0626-SM-5PNYE 40-49 years, male 31.1
GTEX-ZE7O-2726-SM-51MT5 50-59 years, female 30.5
GTEX-1R9PN-0426-SM-DTXDT 40-49 years, female 30.4
GTEX-13YAN-0226-SM-5TDC6 60-69 years, male 30.3
GTEX-1I1GU-0926-SM-ACKVS 40-49 years, male 30.0
GTEX-11WQK-1026-SM-5EQLX 50-59 years, male 29.5
GTEX-1HKZK-0726-SM-ACKW2 40-49 years, male 28.5
GTEX-13W3W-0726-SM-5IJDQ 60-69 years, female 28.2
GTEX-ZYFG-1526-SM-5GZYM 60-69 years, female 28.2
GTEX-13OW8-1026-SM-5J1NQ 60-69 years, male 27.4
GTEX-1IDJH-0126-SM-D3L92 70-79 years, male 27.2
GTEX-13O3O-2326-SM-5IJD6 60-69 years, female 27.1
GTEX-1MCYP-0526-SM-E9U6Q 20-29 years, female 27.0
GTEX-145LS-0626-SM-7EPG7 60-69 years, female 26.9
GTEX-12KS4-2126-SM-5FQUT 30-39 years, male 26.4
GTEX-1JN6P-2926-SM-CL54D 60-69 years, male 26.3
GTEX-1C64N-2626-SM-7PC2N 50-59 years, male 26.2
GTEX-1F88E-1626-SM-7SB8Z 60-69 years, female 25.5
GTEX-1GN2E-0226-SM-9WG6K 60-69 years, male 25.5
GTEX-WYBS-0626-SM-3NMAS 60-69 years, female 25.1
GTEX-1HBPM-0726-SM-9YFL7 60-69 years, female 24.6
GTEX-13OVG-1626-SM-5J1NF 60-69 years, male 24.5
GTEX-15CHQ-0326-SM-69LQD 60-69 years, male 24.4
GTEX-147JS-0226-SM-5S2U9 60-69 years, male 24.3
GTEX-ZYW4-0626-SM-59HJR 60-69 years, male 24.3
GTEX-ZYY3-2926-SM-5GIEB 60-69 years, female 24.3
GTEX-117YX-1926-SM-5GIEC 50-59 years, male 23.9
GTEX-ZZ64-1026-SM-5GZXG 20-29 years, male 23.8
GTEX-YF7O-1526-SM-5IFI6 50-59 years, male 23.7
GTEX-1C6VQ-1226-SM-73KYD 50-59 years, male 23.6
GTEX-14BMU-1226-SM-5S2OR 20-29 years, female 23.5
GTEX-1H23P-0626-SM-9WG6T 60-69 years, male 23.1
GTEX-ZWKS-0626-SM-5GIDV 30-39 years, male 23.0
GTEX-1GL5R-1326-SM-7RHHF 50-59 years, male 22.7
GTEX-1N5O9-0926-SM-E9J3C 60-69 years, male 22.5
GTEX-13QJC-0126-SM-5ZZWJ 60-69 years, female 22.3
GTEX-1I1GT-1026-SM-ARZLV 60-69 years, female 22.2
GTEX-1QPFJ-1926-SM-EVYBD 30-39 years, female 22.0
GTEX-1O9I2-0226-SM-EYYXD 50-59 years, male 21.7
GTEX-WI4N-2726-SM-3LK7Y 40-49 years, female 21.5
GTEX-1N2EE-0626-SM-E76PW 60-69 years, male 21.4
GTEX-1211K-1526-SM-5FQU4 60-69 years, female 21.2
GTEX-1314G-1326-SM-5BC6E 30-39 years, male 21.2
GTEX-1GMR3-0126-SM-A9SLW 40-49 years, male 21.1
GTEX-1PPH8-0126-SM-EWRN8 20-29 years, male 20.7
GTEX-X8HC-0626-SM-4E3HQ 50-59 years, female 20.4
GTEX-13N1W-2426-SM-5IJD1 70-79 years, male 20.2
GTEX-VUSG-2326-SM-4KL1U 50-59 years, male 20.2
GTEX-XK95-0226-SM-4AT58 40-49 years, male 20.1
GTEX-ZGAY-1826-SM-DO91Q 40-49 years, female 20.1
GTEX-1269C-0126-SM-5EQ5L 60-69 years, female 19.9
GTEX-14XAO-1226-SM-6EU1C 60-69 years, female 19.9
GTEX-15SKB-2826-SM-6PAMH 60-69 years, male 19.9
GTEX-17EVQ-0126-SM-7IGLR 70-79 years, male 19.9
GTEX-13JUV-2026-SM-5K7UA 40-49 years, female 19.8
GTEX-1LKK1-2626-SM-DKPQE 50-59 years, female 19.7
GTEX-1HUB1-1426-SM-CGQF5 60-69 years, male 19.6
GTEX-13PVQ-0626-SM-5LU47 50-59 years, male 19.5
GTEX-1EMGI-2326-SM-7PBYA 60-69 years, male 19.5
GTEX-11P82-1426-SM-DTXFY 20-29 years, male 19.4
GTEX-1QP29-1826-SM-DTX9S 50-59 years, male 19.4
GTEX-13FTX-1526-SM-5K7VJ 20-29 years, female 19.2
GTEX-13O61-1426-SM-5KM3D 60-69 years, male 19.0
GTEX-14C38-0726-SM-5SI6M 50-59 years, male 18.7
GTEX-15SHW-0226-SM-7LTAT 60-69 years, male 18.7
GTEX-1EH9U-2826-SM-7DUGT 60-69 years, male 18.7
GTEX-1H1DF-1126-SM-9WG7G 40-49 years, female 18.7
GTEX-1IE54-1126-SM-A9G2Z 40-49 years, female 18.7
GTEX-12BJ1-0926-SM-5EQ62 60-69 years, male 18.6
GTEX-1PIIG-2326-SM-DTXFR 30-39 years, male 18.4
GTEX-XMD2-2126-SM-4YCF8 60-69 years, female 18.2
GTEX-1I1HK-2326-SM-CKZOH 60-69 years, male 18.2
GTEX-1399U-1126-SM-5L3DB 50-59 years, female 18.1
GTEX-ZT9W-1126-SM-57WDR 50-59 years, male 18.1
GTEX-1H3NZ-2726-SM-9WYTQ 60-69 years, male 18.0
GTEX-17JCI-2926-SM-7DUFF 60-69 years, female 17.9
GTEX-14ICL-1626-SM-5YYAO 30-39 years, male 17.7
GTEX-14PKU-0126-SM-6LLHV 40-49 years, female 17.7
GTEX-1A32A-0626-SM-731AQ 50-59 years, female 17.7
GTEX-1GZ4H-0526-SM-9KNU9 50-59 years, female 17.6
GTEX-1A8G7-1326-SM-73KVM 60-69 years, male 17.4
GTEX-1J1OQ-0126-SM-D4P2N 40-49 years, female 17.4
GTEX-1K2DU-1226-SM-CYPT4 20-29 years, male 17.3
GTEX-1F88F-0126-SM-9WYSZ 60-69 years, female 17.2
GTEX-1RLM8-2926-SM-E8VON 50-59 years, male 17.1
GTEX-145LT-0526-SM-5LUB2 40-49 years, male 17.0
GTEX-1PBJJ-1026-SM-E76OS 30-39 years, male 17.0
GTEX-1LVAM-0726-SM-E6CIL 50-59 years, female 16.8
GTEX-13OVJ-0826-SM-5J1OK 50-59 years, female 16.7
GTEX-YECK-0326-SM-4W1YS 60-69 years, male 16.7
GTEX-16XZZ-0726-SM-7KUF2 60-69 years, male 16.5
GTEX-1CB4H-1126-SM-7MKGL 60-69 years, female 16.5
GTEX-1KD5A-0126-SM-E9U54 50-59 years, male 16.5
GTEX-11DXW-0826-SM-5H118 40-49 years, male 16.4
GTEX-YFCO-1226-SM-5LUAT 40-49 years, male 16.4
GTEX-ZVE2-2826-SM-5GU51 50-59 years, male 16.3
GTEX-1F5PL-0926-SM-7PC2W 40-49 years, female 16.2
GTEX-1IDFM-0326-SM-ARL7V 60-69 years, male 16.2
GTEX-Y5LM-0926-SM-6LLJG 40-49 years, female 15.9
GTEX-ZAB4-2126-SM-5HL8U 40-49 years, male 15.9
GTEX-1KXAM-1626-SM-D3LAD 60-69 years, male 15.9
GTEX-18A7B-2726-SM-7LG56 70-79 years, male 15.8
GTEX-13N2G-0226-SM-5K7VF 60-69 years, male 15.7
GTEX-1PPH7-1126-SM-DTX9A 40-49 years, male 15.7
GTEX-15RIE-1926-SM-7KUKJ 60-69 years, male 15.5
GTEX-12WSD-0626-SM-5GCMW 60-69 years, female 15.4
GTEX-WK11-2726-SM-3NMAQ 50-59 years, male 15.4
GTEX-139UW-0326-SM-5J1ML 60-69 years, male 15.3
GTEX-14DAQ-0626-SM-793DS 60-69 years, female 15.1
GTEX-1RAZA-2226-SM-E9U4X 20-29 years, male 15.1
GTEX-15G19-2426-SM-7KUMR 60-69 years, male 15.0
GTEX-1F75W-2726-SM-7SB8H 60-69 years, male 15.0
GTEX-15DDE-2926-SM-6LLJ3 50-59 years, female 14.9
GTEX-1A3MV-1826-SM-731CD 30-39 years, male 14.9
GTEX-1QAET-0326-SM-EVR3U 50-59 years, male 14.9
GTEX-13OVH-0526-SM-5L3E6 70-79 years, male 14.8
GTEX-13RTJ-0126-SM-5S2NN 60-69 years, male 14.8
GTEX-1CAMQ-1326-SM-7P8RV 40-49 years, male 14.8
GTEX-1CAMS-2226-SM-7PBXQ 40-49 years, female 14.8
GTEX-14753-0726-SM-5QGQO 60-69 years, male 14.6
GTEX-16MT8-2926-SM-7DUFO 60-69 years, female 14.6
GTEX-145LU-1926-SM-79OJN 50-59 years, male 14.5
GTEX-13PL6-1126-SM-5L3IE 40-49 years, female 14.4
GTEX-13X6I-1826-SM-5SIAO 60-69 years, male 14.4
GTEX-14PHY-1226-SM-5ZZWK 60-69 years, female 14.4
GTEX-1EN7A-2426-SM-793DB 40-49 years, male 14.4
GTEX-WEY5-2326-SM-3GIKK 40-49 years, female 14.3
GTEX-ZLWG-0826-SM-59888 50-59 years, female 14.3
GTEX-ZTSS-1426-SM-5985P 40-49 years, male 14.3
GTEX-1I1CD-0626-SM-CE6SW 60-69 years, female 14.3
GTEX-1F75B-0726-SM-7PC3R 50-59 years, male 14.2
GTEX-WFG8-2126-SM-3GIKQ 20-29 years, male 14.1
GTEX-ZVE1-0726-SM-51MRN 50-59 years, female 14.1
GTEX-1JMOU-1026-SM-CYPSS 60-69 years, female 14.1
GTEX-13OVL-0126-SM-5L3GJ 50-59 years, male 14.0
GTEX-1A3MW-0626-SM-731CB 60-69 years, female 14.0
GTEX-1HCU7-0726-SM-A9SL1 50-59 years, male 14.0
GTEX-X4EO-2926-SM-4E3JH 60-69 years, female 13.9
GTEX-ZVZP-1226-SM-5GID7 50-59 years, male 13.9
GTEX-1J8Q2-2626-SM-ACKWQ 60-69 years, male 13.9
GTEX-1L5NE-1126-SM-D3L9P 50-59 years, male 13.9
GTEX-1LVAN-0626-SM-CNPOQ 50-59 years, female 13.9
GTEX-17F97-2626-SM-7IGM5 50-59 years, male 13.8
GTEX-ZDXO-3126-SM-5IJDF 60-69 years, male 13.8
GTEX-11DXY-0126-SM-5H11Q 60-69 years, male 13.7
GTEX-11EQ9-1626-SM-5PNY8 30-39 years, male 13.7
GTEX-14C5O-0326-SM-5ZZUX 60-69 years, male 13.7
GTEX-15FZZ-0526-SM-7KUGD 30-39 years, female 13.7
GTEX-13PVR-0426-SM-5RQK2 60-69 years, female 13.6
GTEX-13VXT-1926-SM-5K7UO 20-29 years, female 13.6
GTEX-1JMPZ-0726-SM-CY8HZ 30-39 years, male 13.6
GTEX-1EKGG-0626-SM-7DUGJ 60-69 years, male 13.5
GTEX-Y5V5-0126-SM-5S2NW 60-69 years, female 13.5
GTEX-1RB15-1326-SM-E76Q9 60-69 years, male 13.5
GTEX-1IKOE-1426-SM-CE6T7 30-39 years, female 13.4
GTEX-11EM3-1226-SM-5N9DD 20-29 years, female 13.3
GTEX-1AMEY-0826-SM-72D65 30-39 years, female 13.3
GTEX-1JJ6O-2726-SM-CNPOG 60-69 years, male 13.3
GTEX-1R7EU-1626-SM-DTXG3 60-69 years, male 13.3
GTEX-111VG-1626-SM-5EGIO 60-69 years, male 13.2
GTEX-144FL-0626-SM-5LU43 50-59 years, male 13.2
GTEX-17HII-1426-SM-7EPGG 50-59 years, male 13.2
GTEX-16GPK-0626-SM-7KFSF 60-69 years, male 13.1
GTEX-1B996-0426-SM-7EWF8 60-69 years, male 13.1
GTEX-11EQ8-0926-SM-5H12V 60-69 years, male 13.0
GTEX-13113-1626-SM-5EQ4I 60-69 years, female 13.0
GTEX-Y9LG-1126-SM-4VBQ7 30-39 years, male 13.0
GTEX-13OW7-0426-SM-5K7VK 50-59 years, male 12.7
GTEX-1E1VI-0326-SM-793D1 50-59 years, male 12.7
GTEX-14JG6-1426-SM-9WG7C 30-39 years, female 12.7
GTEX-1QW4Y-1126-SM-DTXE3 30-39 years, male 12.7
GTEX-XBEC-0726-SM-4QARZ 50-59 years, male 12.6
GTEX-ZVT4-2426-SM-5GIEI 50-59 years, female 12.6
GTEX-1NV5F-0626-SM-DTXEG 60-69 years, female 12.6
GTEX-1HGF4-0126-SM-CNPPX 60-69 years, male 12.5
GTEX-1LG7Y-2526-SM-EWRO7 50-59 years, male 12.5
GTEX-1HSKV-1226-SM-ADEI4 60-69 years, male 12.4
GTEX-1RMOY-1326-SM-E9TIH 50-59 years, male 12.4
GTEX-146FQ-2126-SM-5RQHU 30-39 years, male 12.2
GTEX-15ER7-0626-SM-6PANF 20-29 years, female 12.2
GTEX-16YQH-2226-SM-7IGM2 30-39 years, male 12.2
GTEX-UPK5-0426-SM-3GAEK 40-49 years, male 12.2
GTEX-12WSL-2026-SM-5GCML 50-59 years, male 12.1
GTEX-16NPX-0726-SM-7KULC 50-59 years, male 12.1
GTEX-1JMQK-1226-SM-D4P2S 60-69 years, male 12.1
GTEX-V1D1-2026-SM-3GAF4 50-59 years, male 12.0
GTEX-13FLV-0126-SM-5K7WT 50-59 years, male 11.9
GTEX-14PJ2-0626-SM-6LLII 50-59 years, male 11.9
GTEX-11LCK-2226-SM-5HL4Q 30-39 years, male 11.8
GTEX-13NZ8-1226-SM-5KM4A 60-69 years, female 11.8
GTEX-14PJ4-0226-SM-5YY92 60-69 years, male 11.8
GTEX-1HCU6-2526-SM-ADEHL 60-69 years, female 11.8
GTEX-1ICG6-1226-SM-A9SLN 70-79 years, female 11.8
GTEX-1212Z-0126-SM-59HK4 60-69 years, male 11.7
GTEX-17F9E-2326-SM-79OKD 50-59 years, male 11.7
GTEX-139D8-1126-SM-5LU8W 30-39 years, female 11.6
GTEX-1LSNL-2726-SM-E9TKJ 50-59 years, male 11.6
GTEX-18A66-0626-SM-7LT8Z 60-69 years, male 11.5
GTEX-1AYD5-2626-SM-7PBXY 50-59 years, male 11.5
GTEX-1HR9M-2226-SM-CNPPY 60-69 years, male 11.5
GTEX-1IDJE-1426-SM-ADEIW 50-59 years, female 11.5
GTEX-1S5ZU-2526-SM-E6CIF 20-29 years, female 11.5
GTEX-13OW6-2726-SM-5J2OE 50-59 years, male 11.4
GTEX-1B8KZ-0326-SM-73KY4 50-59 years, male 11.4
GTEX-WYJK-0526-SM-3NM8Z 50-59 years, male 11.4
GTEX-1JK1U-0226-SM-ARZMX 60-69 years, male 11.4
GTEX-13SLW-0626-SM-5Q5ER 70-79 years, male 11.3
GTEX-13X6J-0626-SM-5LU5F 50-59 years, male 11.3
GTEX-16AAH-0626-SM-793C9 50-59 years, male 11.3
GTEX-ZYVF-0926-SM-5E44J 50-59 years, female 11.3
GTEX-12WSF-1626-SM-7KUG5 70-79 years, male 11.1
GTEX-13FTY-2126-SM-5IFFB 40-49 years, female 11.1
GTEX-1A8G6-2726-SM-731AR 60-69 years, male 11.1
GTEX-1IDJI-0126-SM-CMKHS 50-59 years, female 11.1
GTEX-1GF9V-0826-SM-9KNUV 60-69 years, male 11.0
GTEX-1I4MK-0126-SM-CY8G6 50-59 years, female 11.0
GTEX-1PIGE-1826-SM-E8VOU 20-29 years, male 11.0
GTEX-1117F-2926-SM-5GZYI 60-69 years, female 10.9
GTEX-Y8LW-1526-SM-5IFHL 50-59 years, female 10.9
GTEX-1GN73-0726-SM-7P8TJ 60-69 years, male 10.9
GTEX-1J8QM-2426-SM-A9SLS 60-69 years, female 10.9
GTEX-12696-0126-SM-5EQ4L 60-69 years, male 10.8
GTEX-15EO6-2426-SM-6PALZ 50-59 years, male 10.8
GTEX-1AX9J-1326-SM-731BJ 60-69 years, male 10.8
GTEX-1HSMO-0626-SM-ACKXC 60-69 years, male 10.8
GTEX-1S82P-2126-SM-E6CI5 60-69 years, female 10.6
GTEX-145MI-0626-SM-5SI8S 60-69 years, female 10.5
GTEX-178AV-1726-SM-7KUL8 40-49 years, male 10.5
GTEX-ZTTD-2826-SM-4YCFA 50-59 years, male 10.4
GTEX-16MT9-0126-SM-7EPI8 60-69 years, female 10.3
GTEX-17F9Y-0126-SM-79OKX 70-79 years, female 10.3
GTEX-WRHU-2826-SM-3MJG8 50-59 years, female 10.3
GTEX-ZUA1-2626-SM-5NQ92 40-49 years, male 10.3
GTEX-1E2YA-2126-SM-7MXUO 50-59 years, male 10.3
GTEX-1QP66-1226-SM-DTX7U 50-59 years, male 10.3
GTEX-11EI6-2826-SM-5H11D 60-69 years, male 10.2
GTEX-11ZTT-2126-SM-5CVLO 60-69 years, female 10.2
GTEX-1HT8W-0626-SM-A9G2H 30-39 years, male 10.2
GTEX-1QMI2-2526-SM-E8VNZ 60-69 years, male 10.2
GTEX-13X6K-0626-SM-5LU5D 60-69 years, female 10.1
GTEX-14PK6-0226-SM-62LF5 70-79 years, female 10.1
GTEX-1CB4J-1326-SM-7P8RX 60-69 years, male 10.1
GTEX-1HR98-2226-SM-ADEI2 60-69 years, male 10.1
GTEX-1K2DA-1026-SM-CGQGF 50-59 years, male 10.1
GTEX-1KAFJ-0126-SM-DIPEK 50-59 years, male 10.1
GTEX-14PJ6-2626-SM-6EU2T 60-69 years, female 10.0
GTEX-WFON-1926-SM-3LK7L 40-49 years, male 10.0
GTEX-1A8FM-0626-SM-7PC25 50-59 years, female 10.0
GTEX-1192X-2726-SM-5N9DN 50-59 years, male 9.9
GTEX-1H1DG-2426-SM-9QEHJ 70-79 years, male 9.9
GTEX-1QCLZ-2426-SM-EVYBW 60-69 years, female 9.9
GTEX-139YR-1026-SM-5LZYN 50-59 years, male 9.8
GTEX-13FHO-0426-SM-5L3F5 60-69 years, male 9.8
GTEX-14E6E-0526-SM-793DN 30-39 years, male 9.8
GTEX-1H4P4-2126-SM-9WYSL 50-59 years, male 9.8
GTEX-139T8-0626-SM-5KLZX 60-69 years, male 9.7
GTEX-14LZ3-0126-SM-69LPM 60-69 years, female 9.7
GTEX-14PJ3-1126-SM-5ZZVX 50-59 years, male 9.7
GTEX-18D9B-0926-SM-7LG4U 60-69 years, male 9.7
GTEX-1JN1M-2726-SM-CY8I4 60-69 years, female 9.7
GTEX-ZC5H-1526-SM-5HL9Y 40-49 years, female 9.6
GTEX-1RAZS-2526-SM-E6CHT 50-59 years, male 9.6
GTEX-XV7Q-1826-SM-4BRUV 40-49 years, female 9.5
GTEX-12126-0826-SM-5FQTZ 20-29 years, male 9.4
GTEX-12WSC-2826-SM-5BC5Y 50-59 years, male 9.4
GTEX-14PJ5-1526-SM-6LLIL 60-69 years, female 9.4
GTEX-1AX9I-2226-SM-73KUO 60-69 years, male 9.4
GTEX-1I6K6-1726-SM-CGQFD 30-39 years, male 9.4
GTEX-14E1K-2026-SM-7DUEI 50-59 years, male 9.3
GTEX-1C475-1326-SM-7SB73 40-49 years, female 9.3
GTEX-1GF9U-2026-SM-7SB92 40-49 years, female 9.3
GTEX-1HCU8-2526-SM-CE6RX 60-69 years, female 9.3
GTEX-1KANA-1326-SM-DIPFA 20-29 years, male 9.3
GTEX-1S831-1826-SM-EWROF 20-29 years, male 9.3
GTEX-11TT1-1826-SM-5EQLV 20-29 years, male 9.2
GTEX-1B8L1-2226-SM-7P8PT 60-69 years, male 9.2
GTEX-1IDJV-0126-SM-COH3Y 60-69 years, male 9.2
GTEX-ZF3C-0626-SM-DO92O 50-59 years, female 9.2
GTEX-111YS-1526-SM-5GZYW 60-69 years, male 9.1
GTEX-12ZZY-0726-SM-5EQ66 60-69 years, male 9.1
GTEX-16NGA-0726-SM-731AO 40-49 years, female 9.1
GTEX-17F98-1326-SM-7DUEP 40-49 years, female 9.1
GTEX-ZDTS-0826-SM-4WKHL 60-69 years, male 9.1
GTEX-1CAMR-1326-SM-7PC1F 20-29 years, male 9.1
GTEX-1B933-2426-SM-7DHMD 50-59 years, female 9.0
GTEX-1CB4F-1026-SM-7DUH1 60-69 years, male 9.0
GTEX-1PDJ9-1226-SM-EXUSX 20-29 years, male 9.0
GTEX-1C6WA-2626-SM-7MKGM 60-69 years, male 8.9
GTEX-ZE9C-2526-SM-5IJDR 60-69 years, male 8.9
GTEX-18D9A-1426-SM-7LT8M 30-39 years, female 8.9
GTEX-17HG3-2626-SM-7DUF2 30-39 years, female 8.8
GTEX-WHSB-1326-SM-3LK6W 50-59 years, male 8.8
GTEX-XUW1-0926-SM-4BONX 50-59 years, female 8.8
GTEX-1HCU9-0426-SM-9WYSD 20-29 years, male 8.8
GTEX-1OJC4-2726-SM-E76PJ 50-59 years, female 8.8
GTEX-111FC-2526-SM-5GZXU 60-69 years, male 8.7
GTEX-11UD2-2526-SM-5CVNU 50-59 years, male 8.7
GTEX-14C39-1726-SM-5RQIL 40-49 years, male 8.7
GTEX-14DAR-1226-SM-73KYV 50-59 years, male 8.7
GTEX-X5EB-1926-SM-4E3IW 40-49 years, male 8.7
GTEX-15D1Q-2826-SM-6LLH7 40-49 years, male 8.6
GTEX-17F96-0126-SM-7EWDU 70-79 years, male 8.6
GTEX-ZP4G-1426-SM-4WWCL 20-29 years, female 8.6
GTEX-1GF9X-1326-SM-7PC2Y 40-49 years, female 8.6
GTEX-1I6K7-1926-SM-B2LXR 40-49 years, male 8.6
GTEX-1IDJU-1726-SM-CMKHU 60-69 years, female 8.6
GTEX-1JJEA-1826-SM-ARU8P 60-69 years, male 8.6
GTEX-139TU-0726-SM-5L3EK 60-69 years, male 8.5
GTEX-1HSMP-0926-SM-A9SKX 70-79 years, male 8.5
GTEX-131XW-0626-SM-5PNVD 50-59 years, female 8.4
GTEX-14BIN-1126-SM-5RQJZ 50-59 years, female 8.4
GTEX-15CHR-1126-SM-7EWF4 50-59 years, male 8.4
GTEX-1JMLX-0626-SM-ARL8T 50-59 years, male 8.4
GTEX-12WSJ-1126-SM-5LZVJ 40-49 years, female 8.3
GTEX-1F75I-2226-SM-7SB8U 40-49 years, male 8.3
GTEX-13FH7-1126-SM-5K7UG 50-59 years, female 8.2
GTEX-14JG1-1526-SM-5YY9X 40-49 years, male 8.2
GTEX-148VJ-0626-SM-5LUAW 70-79 years, male 8.1
GTEX-1497J-0226-SM-5QGPU 60-69 years, male 8.1
GTEX-ZU9S-1826-SM-5NQ9E 30-39 years, male 8.1
GTEX-ZZPU-0826-SM-5GZX5 50-59 years, female 8.1
GTEX-1JMQJ-0826-SM-CNPP7 50-59 years, male 8.1
GTEX-13NZ9-2626-SM-5L3FK 50-59 years, male 8.0
GTEX-13PDP-0726-SM-5L3HP 60-69 years, male 8.0
GTEX-16MTA-0926-SM-6M47Z 50-59 years, male 8.0
GTEX-183FY-1026-SM-7939A 20-29 years, male 8.0
GTEX-1AMFI-1326-SM-7939R 50-59 years, female 8.0
GTEX-1QEPI-2626-SM-DTXF4 60-69 years, female 8.0
GTEX-1JJE9-2626-SM-ARZMT 70-79 years, male 7.9
GTEX-1477Z-0326-SM-7IGLA 60-69 years, male 7.8
GTEX-14LLW-2626-SM-62LDZ 70-79 years, female 7.8
GTEX-14PJO-2526-SM-6AJBQ 60-69 years, male 7.8
GTEX-17MF6-2626-SM-79OKQ 40-49 years, male 7.8
GTEX-XYKS-1426-SM-4BRUO 60-69 years, female 7.8
GTEX-YB5K-2026-SM-4VDT3 40-49 years, female 7.8
GTEX-1GMR8-0626-SM-7RHI7 50-59 years, female 7.8
GTEX-1H1CY-0126-SM-9YFLY 60-69 years, female 7.8
GTEX-13112-0126-SM-5P9IU 50-59 years, male 7.7
GTEX-147GR-2426-SM-5ZZWQ 60-69 years, male 7.7
GTEX-17EVP-2626-SM-7IGMA 40-49 years, male 7.7
GTEX-WY7C-2126-SM-3NB2R 50-59 years, male 7.7
GTEX-YEC4-1826-SM-4W1YP 40-49 years, male 7.7
GTEX-1122O-1026-SM-9WYSF 60-69 years, female 7.7
GTEX-1HBPN-0126-SM-CGQEF 50-59 years, male 7.7
GTEX-14PKV-1126-SM-6LLJ1 20-29 years, female 7.6
GTEX-1C64O-1326-SM-7MGWR 60-69 years, male 7.6
GTEX-1I1GP-1326-SM-A9G28 50-59 years, male 7.6
GTEX-1LSVX-2526-SM-DIPEU 60-69 years, male 7.6
GTEX-13IVO-0726-SM-5LZYV 70-79 years, male 7.5
GTEX-1I1GV-0626-SM-ARL7M 60-69 years, male 7.5
GTEX-145MG-1526-SM-5Q5EM 50-59 years, male 7.4
GTEX-1F6IF-0926-SM-7SB7M 60-69 years, male 7.4
GTEX-1H1E6-0426-SM-9WYUS 30-39 years, male 7.4
GTEX-1H3VE-0726-SM-9YFL5 40-49 years, male 7.4
GTEX-1IDJF-2026-SM-CL53V 20-29 years, male 7.4
GTEX-1PPGY-1626-SM-EVYBL 60-69 years, male 7.4
GTEX-12ZZX-2426-SM-5GCOE 40-49 years, female 7.3
GTEX-13D11-0926-SM-5J2NC 50-59 years, female 7.3
GTEX-XPVG-2126-SM-4B667 50-59 years, male 7.3
GTEX-1GTWX-2026-SM-9YFLM 60-69 years, male 7.3
GTEX-11NUK-2726-SM-5A5MC 50-59 years, male 7.2
GTEX-11WQC-1826-SM-5GU59 60-69 years, male 7.2
GTEX-1EX96-1026-SM-7MKG2 50-59 years, male 7.2
GTEX-WH7G-2026-SM-3NMBL 40-49 years, male 7.2
GTEX-Z93S-1626-SM-5CVMB 50-59 years, male 7.2
GTEX-1IL2V-1926-SM-B2LW8 70-79 years, male 7.2
GTEX-18A7A-0126-SM-731AH 50-59 years, female 7.1
GTEX-1A3MX-2626-SM-7PC24 60-69 years, male 7.1
GTEX-1LSNM-0826-SM-DIPG8 50-59 years, male 7.1
GTEX-1F52S-2926-SM-7MKGA 60-69 years, female 7.0
GTEX-1H1DE-1326-SM-9KNUG 20-29 years, male 7.0
GTEX-1J8EW-2726-SM-CY8HR 60-69 years, female 7.0
GTEX-ZPIC-0526-SM-DO91W 40-49 years, female 7.0
GTEX-133LE-2326-SM-5K7W3 20-29 years, female 6.9
GTEX-1I19N-0126-SM-CYPSF 70-79 years, male 6.9
GTEX-1JMPY-0226-SM-CKZOK 30-39 years, male 6.9
GTEX-1LGOU-1326-SM-D3L8M 20-29 years, female 6.9
GTEX-145MF-0926-SM-5Q5EA 50-59 years, male 6.8
GTEX-14BMV-2826-SM-5TDED 50-59 years, male 6.8
GTEX-1POEN-2326-SM-E9J2L 30-39 years, female 6.8
GTEX-12WSA-0426-SM-5EQ5X 60-69 years, male 6.7
GTEX-12WSH-1526-SM-5BC5W 50-59 years, male 6.7
GTEX-131XG-0326-SM-5L3DX 50-59 years, female 6.7
GTEX-1BAJH-2426-SM-7IGP8 70-79 years, male 6.7
GTEX-WFG7-2026-SM-5SI7P 20-29 years, male 6.7
GTEX-WXYG-2026-SM-4E3IY 50-59 years, female 6.7
GTEX-1JKYN-0826-SM-ARU8S 30-39 years, male 6.7
GTEX-1399S-0126-SM-5IJCF 30-39 years, female 6.6
GTEX-13SLX-2226-SM-62LEP 50-59 years, female 6.6
GTEX-X4EP-0626-SM-3P621 60-69 years, female 6.6
GTEX-11VI4-1126-SM-5EQMD 40-49 years, female 6.5
GTEX-17HGU-2326-SM-7DUFE 50-59 years, male 6.5
GTEX-183WM-0326-SM-72D5V 70-79 years, female 6.5
GTEX-1CB4E-0926-SM-7EPHT 60-69 years, male 6.5
GTEX-W5X1-2526-SM-3GILC 40-49 years, female 6.5
GTEX-ZDTT-0426-SM-4WKFL 60-69 years, male 6.5
GTEX-1F6I4-2326-SM-7RHGL 60-69 years, male 6.5
GTEX-1QP28-1126-SM-EVYC4 50-59 years, female 6.5
GTEX-12WSM-1926-SM-5BC65 60-69 years, male 6.4
GTEX-139TT-2126-SM-5LZWC 60-69 years, male 6.4
GTEX-13N11-2326-SM-5IJBF 50-59 years, female 6.4
GTEX-1B932-2326-SM-79OL5 40-49 years, female 6.4
GTEX-1GZ4I-2626-SM-9KNU3 50-59 years, male 6.4
GTEX-1JN76-0626-SM-CKZOQ 20-29 years, female 6.4
GTEX-1AX8Z-0726-SM-73KTS 60-69 years, male 6.3
GTEX-YJ8O-2526-SM-5HL85 40-49 years, female 6.3
GTEX-13U4I-2226-SM-5LU5H 40-49 years, female 6.2
GTEX-17HHY-0426-SM-7DHLC 50-59 years, male 6.2
GTEX-14JFF-0626-SM-5ZZVT 60-69 years, male 6.2
GTEX-1GN1V-2826-SM-9JGIA 60-69 years, male 6.2
GTEX-1N2DV-1526-SM-DTXEP 40-49 years, male 6.2
GTEX-111CU-1126-SM-5EGIM 50-59 years, male 6.1
GTEX-14PHX-2226-SM-6EU2P 50-59 years, male 6.1
GTEX-XOT4-0626-SM-4B66L 60-69 years, female 6.1
GTEX-Y114-2126-SM-4TT8B 50-59 years, female 6.1
GTEX-139TS-2126-SM-5K7XC 60-69 years, male 6.0
GTEX-17KNJ-2126-SM-718AM 50-59 years, male 6.0
GTEX-15CHC-1126-SM-6LLHQ 60-69 years, female 5.9
GTEX-UPJH-0226-SM-3GADV 50-59 years, male 5.9
GTEX-ZF29-0926-SM-4WKFZ 60-69 years, female 5.9
GTEX-11GSP-2326-SM-5HL63 60-69 years, female 5.8
GTEX-1B8SF-0126-SM-7DUG3 60-69 years, male 5.8
GTEX-YEC3-1326-SM-DO92X 50-59 years, male 5.8
GTEX-13OW5-2326-SM-5L3HO 60-69 years, male 5.7
GTEX-144GO-2026-SM-5O99P 60-69 years, male 5.7
GTEX-14B4R-1326-SM-5Q5EZ 30-39 years, male 5.7
GTEX-12ZZZ-0726-SM-5GCNZ 60-69 years, male 5.6
GTEX-18QFQ-1826-SM-72D52 30-39 years, male 5.6
GTEX-ZVT2-0126-SM-5GIDQ 50-59 years, female 5.6
GTEX-1H11D-1826-SM-9QEHM 40-49 years, male 5.6
GTEX-1RAZR-2126-SM-E9U6T 40-49 years, male 5.6
GTEX-131XH-0126-SM-5LZUY 50-59 years, male 5.5
GTEX-13NYB-0126-SM-5J1MD 40-49 years, male 5.5
GTEX-14PJN-1826-SM-6AJ98 30-39 years, male 5.5
GTEX-18D9U-0126-SM-731BM 40-49 years, male 5.5
GTEX-1B8KE-1126-SM-7EPHI 50-59 years, male 5.5
GTEX-ZAK1-0626-SM-5HL8E 50-59 years, female 5.5
GTEX-1HC8U-1326-SM-9YFMJ 40-49 years, female 5.5
GTEX-1KWVE-1026-SM-D3L9O 30-39 years, male 5.5
GTEX-147F3-1726-SM-5SIAW 50-59 years, female 5.4
GTEX-14PII-0726-SM-6EU2B 60-69 years, male 5.4
GTEX-11DXX-2126-SM-5PNYR 60-69 years, female 5.3
GTEX-11ZU8-0126-SM-5EQ58 60-69 years, male 5.3
GTEX-1GN1W-2426-SM-9KNUU 50-59 years, female 5.3
GTEX-1IKJJ-2226-SM-CJI4C 60-69 years, male 5.3
GTEX-WYVS-1626-SM-3NM9R 40-49 years, female 5.2
GTEX-ZTX8-1326-SM-4YCEL 20-29 years, male 5.2
GTEX-ZVP2-0326-SM-57WBP 50-59 years, male 5.2
GTEX-1RAZQ-1326-SM-E9TK6 30-39 years, male 5.2
GTEX-15EU6-2226-SM-6EU2L 50-59 years, male 5.1
GTEX-XAJ8-1426-SM-47JYM 40-49 years, male 5.1
GTEX-Y5V6-2326-SM-4VDSA 60-69 years, male 5.1
GTEX-1GN1U-0626-SM-9MQL9 50-59 years, female 5.1
GTEX-1H1ZS-2726-SM-9WG75 70-79 years, male 5.1
GTEX-1JMQI-1726-SM-ARL93 50-59 years, male 5.1
GTEX-1LGRB-0926-SM-COH3K 50-59 years, female 5.1
GTEX-1LB8K-0726-SM-D5OV2 50-59 years, male 5.0
GTEX-1399Q-2326-SM-5KM2X 40-49 years, male 4.9
GTEX-XXEK-1626-SM-4BRUZ 50-59 years, male 4.9
GTEX-1GF9W-1426-SM-7PBYM 60-69 years, male 4.9
GTEX-1GZHY-0626-SM-9KNVC 50-59 years, female 4.9
GTEX-1IDJC-1526-SM-B2LW4 50-59 years, male 4.9
GTEX-1MCC2-1826-SM-DIPEX 30-39 years, female 4.9
GTEX-1S3DN-2126-SM-E9TIN 50-59 years, male 4.9
GTEX-11OF3-0126-SM-5PNYF 60-69 years, male 4.8
GTEX-ZDYS-2426-SM-4WKGI 50-59 years, male 4.8
GTEX-ZPCL-1126-SM-4WWFE 60-69 years, female 4.8
GTEX-1HCUA-0826-SM-ADEHM 50-59 years, female 4.8
GTEX-1HFI7-2326-SM-CGQFS 50-59 years, female 4.8
GTEX-1IOXB-2726-SM-CM2RI 50-59 years, male 4.8
GTEX-12C56-1526-SM-5FQUQ 20-29 years, male 4.7
GTEX-13O3Q-0126-SM-5KM34 50-59 years, male 4.7
GTEX-14ABY-2026-SM-62LDL 50-59 years, male 4.7
GTEX-XBEW-1126-SM-4QARW 40-49 years, male 4.7
GTEX-ZF2S-1626-SM-57WES 50-59 years, female 4.7
GTEX-ZXG5-2126-SM-59HKD 60-69 years, male 4.7
GTEX-1GPI7-1826-SM-9KNU1 20-29 years, male 4.7
GTEX-1HCVE-2726-SM-CL54F 50-59 years, male 4.7
GTEX-14A6H-2026-SM-5Q5DD 30-39 years, male 4.6
GTEX-11P81-2226-SM-5PNYI 30-39 years, female 4.5
GTEX-131XF-2626-SM-5EQ6K 60-69 years, male 4.5
GTEX-13G51-1826-SM-5KLZH 60-69 years, male 4.5
GTEX-1B97I-0626-SM-73KUZ 40-49 years, male 4.4
GTEX-Y3I4-1726-SM-4TT89 50-59 years, male 4.4
GTEX-1K9T9-1526-SM-DIPFR 50-59 years, female 4.4
GTEX-1KANB-2826-SM-CY8I6 50-59 years, male 4.4
GTEX-1QP2A-1726-SM-E76QC 50-59 years, male 4.4
GTEX-1MJK3-0726-SM-E6CJC 20-29 years, male 4.3
GTEX-1OJC3-1226-SM-DTXER 20-29 years, male 4.3
GTEX-1QP9N-1226-SM-E76QN 30-39 years, male 4.3
GTEX-11GS4-0226-SM-5HL77 60-69 years, male 4.2
GTEX-11ZUS-2626-SM-5FQUR 30-39 years, male 4.2
GTEX-145ME-1726-SM-5Q5EU 40-49 years, female 4.2
GTEX-ZVTK-0226-SM-51MRG 20-29 years, male 4.2
GTEX-1GMR2-0826-SM-7PC3V 50-59 years, male 4.2
GTEX-1HSMQ-2626-SM-A9SML 50-59 years, male 4.2
GTEX-1LG7Z-1626-SM-CXKYR 30-39 years, male 4.2
GTEX-15RJ7-2126-SM-6PAMD 40-49 years, male 4.1
GTEX-17MFQ-1526-SM-7KFRR 20-29 years, male 4.1
GTEX-18465-2826-SM-7LT9J 50-59 years, male 4.1
GTEX-1GMRU-2126-SM-7P8RA 50-59 years, male 4.1
GTEX-15RJE-2826-SM-7KUM9 40-49 years, male 4.0
GTEX-132AR-0326-SM-5KM2C 50-59 years, female 3.9
GTEX-16Z82-2626-SM-7KULU 60-69 years, male 3.9
GTEX-18A6Q-0626-SM-7KFRP 60-69 years, male 3.9
GTEX-VJYA-1526-SM-3GIJV 60-69 years, male 3.9
GTEX-WHWD-1826-SM-3LK6I 50-59 years, male 3.9
GTEX-1HSGN-0826-SM-ACKW3 40-49 years, female 3.9
GTEX-1KANC-1226-SM-CYPT7 50-59 years, female 3.9
GTEX-1R9PM-1926-SM-EVR3O 20-29 years, male 3.9
GTEX-147F4-0726-SM-5TDDD 50-59 years, male 3.8
GTEX-17HHE-1326-SM-7EWDZ 50-59 years, male 3.8
GTEX-1HBPI-2126-SM-ARL9K 50-59 years, male 3.8
GTEX-1IDJD-2326-SM-ACKWX 30-39 years, male 3.8
GTEX-1QCLY-0226-SM-EWRNH 30-39 years, male 3.7
GTEX-1EU9M-1426-SM-793AI 60-69 years, male 3.6
GTEX-1H3O1-1326-SM-9MQLD 60-69 years, male 3.6
GTEX-1HFI6-0126-SM-CNPPI 40-49 years, male 3.6
GTEX-1GZ2Q-0126-SM-9WG6M 40-49 years, male 3.5
GTEX-13JVG-0726-SM-5KM16 60-69 years, male 3.4
GTEX-1J1R8-2026-SM-CL53Y 40-49 years, male 3.4
GTEX-1399R-1326-SM-5PNYS 30-39 years, male 3.3
GTEX-X585-2426-SM-46MW2 50-59 years, male 3.3
GTEX-1GPI6-1926-SM-9KNV7 60-69 years, male 3.3
GTEX-13VXU-0626-SM-5L3F9 50-59 years, male 3.2
GTEX-15RIG-0726-SM-7KUM7 40-49 years, male 3.2
GTEX-1CB4I-0126-SM-7RHGG 50-59 years, male 3.2
GTEX-1IY9M-2826-SM-ARU8H 60-69 years, male 3.2
GTEX-11PRG-0726-SM-5EGL1 50-59 years, male 3.1
GTEX-14AS3-1526-SM-5Q5ED 40-49 years, female 3.0
GTEX-15DYW-2726-SM-6EU2I 60-69 years, female 3.0
GTEX-ZT9X-1526-SM-5DUXD 40-49 years, male 3.0
GTEX-ZPU1-1126-SM-4YCF3 40-49 years, male 2.9
GTEX-1C6VR-0126-SM-7RHGB 60-69 years, male 2.9
GTEX-1LVA9-2626-SM-EVYD4 50-59 years, male 2.8
GTEX-11DXZ-2026-SM-5987S 50-59 years, male 2.7
GTEX-11P7K-1126-SM-5HL4L 30-39 years, male 2.7
GTEX-X3Y1-2026-SM-3P5YM 40-49 years, male 2.7
GTEX-XQ3S-1426-SM-4BOPR 20-29 years, male 2.7
GTEX-11DYG-1526-SM-5A5JS 60-69 years, male 2.6
GTEX-18A67-1626-SM-7LT9T 50-59 years, male 2.6
GTEX-Y3IK-1626-SM-4YCF5 50-59 years, female 2.6
GTEX-Y8E4-2026-SM-5IFJB 40-49 years, male 2.6
GTEX-16BQI-1326-SM-6M486 30-39 years, female 2.5
GTEX-ZYFC-0426-SM-5GICQ 50-59 years, male 2.5
GTEX-1EWIQ-0326-SM-7DHMQ 70-79 years, female 2.3
GTEX-WHPG-2626-SM-3NMBR 50-59 years, male 2.1
GTEX-ZYT6-2326-SM-5GZY3 30-39 years, male 2.1
GTEX-1LBAC-0826-SM-CY8IJ 20-29 years, male 2.1
GTEX-145MH-2826-SM-5RQJF 50-59 years, male 2.0
GTEX-145MN-1526-SM-5SI9T 30-39 years, male 2.0
GTEX-1F75A-0726-SM-7RHHD 50-59 years, male 1.4
GTEX-11NSD-0626-SM-5A5LU 20-29 years, male 1.1
GTEX-Y111-0626-SM-4SOIT 50-59 years, male 0.8
Show allShow less
Skin - Sun Exposed (Lower leg)
Average nTPM: 9.5
Samples: 701

Max nTPM: 158.4
Min nTPM: 1.0
Std nTPM: 9.3
Median nTPM: 7.5
GTEX-14E6C-0126-SM-5RQIP 40-49 years, male 158.4
GTEX-1QMI2-0226-SM-EVYBX 60-69 years, male 67.9
GTEX-ZYFD-0126-SM-5GIDL 50-59 years, male 60.2
GTEX-1N2EF-0226-SM-EYYXB 60-69 years, male 52.8
GTEX-15UF6-0826-SM-6PALJ 70-79 years, female 48.9
GTEX-11TUW-2726-SM-E9J4M 60-69 years, male 44.2
GTEX-1R9K4-0126-SM-DTX9X 60-69 years, male 42.4
GTEX-YJ8A-0426-SM-5IFID 20-29 years, male 40.9
GTEX-183WM-0126-SM-7LTAB 70-79 years, female 40.8
GTEX-132NY-0326-SM-5IJBL 60-69 years, male 37.5
GTEX-X4XY-0226-SM-4E3IZ 60-69 years, male 35.9
GTEX-11H98-0126-SM-5EGHG 50-59 years, male 34.4
GTEX-ZU9S-0226-SM-5E441 30-39 years, male 33.3
GTEX-1ICLZ-0126-SM-CKZPO 60-69 years, male 33.3
GTEX-ZF3C-0126-SM-DO92D 50-59 years, female 31.8
GTEX-1JMOU-1526-SM-CL54I 60-69 years, female 31.6
GTEX-11P82-1626-SM-59879 20-29 years, male 31.5
GTEX-15UKP-0426-SM-7KUFQ 20-29 years, male 30.5
GTEX-13N1W-0126-SM-5K7VT 70-79 years, male 30.2
GTEX-13NYC-0326-SM-E9J4S 60-69 years, male 29.7
GTEX-13RTJ-2426-SM-5S2Q2 60-69 years, male 29.6
GTEX-11WQK-0526-SM-5EQLD 50-59 years, male 29.4
GTEX-13O1R-0126-SM-5L3EH 60-69 years, male 28.8
GTEX-13OVJ-0126-SM-5KM36 50-59 years, female 28.8
GTEX-U8XE-0326-SM-3DB8P 30-39 years, male 28.1
GTEX-R3RS-0126-SM-3GIJL 40-49 years, female 26.0
GTEX-ZVT4-0126-SM-DTXFN 50-59 years, female 26.0
GTEX-1B996-0226-SM-7RHGO 60-69 years, male 25.7
GTEX-14753-0426-SM-5NQAM 60-69 years, male 25.0
GTEX-1MCQQ-0826-SM-DLHC2 60-69 years, male 23.9
GTEX-18A7B-0126-SM-7LG64 70-79 years, male 23.5
GTEX-1PDJ9-0326-SM-DTX95 20-29 years, male 23.5
GTEX-S32W-2126-SM-2XCB1 50-59 years, female 23.4
GTEX-1GN2E-0426-SM-9MQKX 60-69 years, male 23.4
GTEX-1A3MX-0126-SM-731BR 60-69 years, male 23.1
GTEX-1A32A-0126-SM-718B1 50-59 years, female 22.8
GTEX-1ICLY-0126-SM-D4P36 50-59 years, male 22.3
GTEX-1399T-2826-SM-5KLYZ 60-69 years, male 22.2
GTEX-P4PP-0126-SM-3LK69 30-39 years, female 22.2
GTEX-T6MO-1626-SM-32QOM 40-49 years, female 21.9
GTEX-1QAET-0926-SM-E76QM 50-59 years, male 21.8
GTEX-12ZZZ-0626-SM-5DUXI 60-69 years, male 21.7
GTEX-11O72-0126-SM-59887 40-49 years, male 21.6
GTEX-Y5LM-1926-SM-5RQJH 40-49 years, female 21.4
GTEX-148VJ-0126-SM-5TDDN 70-79 years, male 21.2
GTEX-1LH75-2426-SM-E9TJE 50-59 years, female 20.9
GTEX-1PBJI-0526-SM-E8VNK 20-29 years, female 20.3
GTEX-1GMR3-1926-SM-9KNUZ 40-49 years, male 20.2
GTEX-12584-0126-SM-5EGKQ 40-49 years, male 20.0
GTEX-14ICK-0226-SM-6EU25 40-49 years, male 19.9
GTEX-1QP29-0626-SM-EWRMX 50-59 years, male 19.8
GTEX-1QPFJ-0226-SM-E76PB 30-39 years, female 19.8
GTEX-1R46S-0626-SM-E9J41 60-69 years, female 19.7
GTEX-1192W-2626-SM-5Q5AF 60-69 years, male 19.6
GTEX-13CF3-2426-SM-5IFGX 60-69 years, female 19.5
GTEX-14A5I-0126-SM-5TDEA 50-59 years, female 19.2
GTEX-17JCI-0126-SM-7LG5G 60-69 years, female 19.1
GTEX-13OVH-0126-SM-5MR4B 70-79 years, male 18.9
GTEX-QDVN-2026-SM-3GAEP 50-59 years, male 18.9
GTEX-ZTX8-1426-SM-5DUVO 20-29 years, male 18.5
GTEX-1RAZQ-0726-SM-EAZ43 30-39 years, male 18.3
GTEX-11NUK-0126-SM-5A5L3 50-59 years, male 18.2
GTEX-1PWST-0226-SM-E76QJ 70-79 years, male 17.8
GTEX-145MO-0326-SM-5Q5B3 60-69 years, male 17.7
GTEX-1JMPZ-0226-SM-CNPP1 30-39 years, male 17.6
GTEX-1H4P4-0726-SM-9YFLR 50-59 years, male 17.5
GTEX-1128S-2326-SM-5GZZY 60-69 years, female 17.0
GTEX-1HCU8-0626-SM-A9SM9 60-69 years, female 17.0
GTEX-131XW-0426-SM-5LZWP 50-59 years, female 16.8
GTEX-117YW-2626-SM-5GZZH 50-59 years, male 16.7
GTEX-1JN1M-0326-SM-CYPT3 60-69 years, female 16.7
GTEX-1GZHY-0326-SM-9QEHI 50-59 years, female 16.6
GTEX-1R7EV-2426-SM-EVYBG 40-49 years, male 16.6
GTEX-14A5H-0426-SM-5QGQF 60-69 years, male 16.5
GTEX-OXRP-0126-SM-3NB32 60-69 years, female 16.4
GTEX-1497J-2426-SM-7IGNX 60-69 years, male 16.3
GTEX-15EOM-0126-SM-7KUGG 20-29 years, female 16.3
GTEX-1F5PK-2426-SM-7RHHY 50-59 years, male 16.3
GTEX-1F88F-2726-SM-7PBZZ 60-69 years, female 16.3
GTEX-1RDX4-0126-SM-E9J4P 50-59 years, female 16.3
GTEX-OXRO-0126-SM-2YUN4 60-69 years, female 16.2
GTEX-ZE7O-0126-SM-57WC1 50-59 years, female 16.2
GTEX-1QP67-1626-SM-EAZ3X 40-49 years, female 16.2
GTEX-111VG-2426-SM-5GZXD 60-69 years, male 16.0
GTEX-1C6VS-0526-SM-7DUEN 60-69 years, male 16.0
GTEX-POMQ-2226-SM-2I5FK 20-29 years, female 16.0
GTEX-1KD5A-0226-SM-D5OV3 50-59 years, male 16.0
GTEX-1I1GU-2226-SM-CGQFA 40-49 years, male 15.7
GTEX-13NYS-0126-SM-5MR3W 60-69 years, male 15.6
GTEX-WOFL-0126-SM-3MJG2 60-69 years, male 15.6
GTEX-1399R-2726-SM-5IJBA 30-39 years, male 15.5
GTEX-1H1E6-1726-SM-ACKVK 30-39 years, male 15.5
GTEX-12WSN-5019-SM-79OM6 40-49 years, male 15.4
GTEX-17MF6-0126-SM-7LG4F 40-49 years, male 15.4
GTEX-14E6E-1826-SM-5S2R7 30-39 years, male 15.3
GTEX-14PN4-0126-SM-6EU2V 50-59 years, male 15.3
GTEX-1H23P-0126-SM-ADEJ3 60-69 years, male 15.3
GTEX-13FTX-1826-SM-5J1NX 20-29 years, female 15.1
GTEX-14BIL-0126-SM-5SI92 50-59 years, male 15.1
GTEX-ZYW4-0126-SM-5E44A 60-69 years, male 15.0
GTEX-131XF-5016-SM-7MGWE 60-69 years, male 15.0
GTEX-1CB4H-0226-SM-7PBXM 60-69 years, female 15.0
GTEX-1IL2V-0126-SM-CM2TX 70-79 years, male 14.9
GTEX-1E1VI-0126-SM-7DHMZ 50-59 years, male 14.6
GTEX-1PPH7-2326-SM-EVYB8 40-49 years, male 14.6
GTEX-1BAJH-0526-SM-793CQ 70-79 years, male 14.4
GTEX-1IL2U-0226-SM-CE6T8 60-69 years, male 14.4
GTEX-1MUQO-0126-SM-EAZ58 60-69 years, male 14.4
GTEX-16MT8-0426-SM-7KUEY 60-69 years, female 14.3
GTEX-Z93T-0126-SM-5HL5N 50-59 years, male 14.3
GTEX-144FL-0126-SM-5TDC8 50-59 years, male 14.2
GTEX-17HII-0226-SM-7LG4E 50-59 years, male 14.2
GTEX-1B8KZ-2026-SM-7DHMB 50-59 years, male 14.2
GTEX-1QCLY-0326-SM-E8VOG 30-39 years, male 14.2
GTEX-145LU-0126-SM-5TDCB 50-59 years, male 14.1
GTEX-XQ8I-0426-SM-4BOPO 50-59 years, male 14.0
GTEX-ZV68-0126-SM-59HKS 50-59 years, female 14.0
GTEX-1E2YA-0126-SM-9KNUC 50-59 years, male 14.0
GTEX-TSE9-0126-SM-3DB83 60-69 years, female 13.9
GTEX-1GL5R-1826-SM-9KNUY 50-59 years, male 13.9
GTEX-11DZ1-0126-SM-5985Q 50-59 years, male 13.8
GTEX-X8HC-0126-SM-4E3JW 50-59 years, female 13.8
GTEX-1QW4Y-1526-SM-EAZ3Z 30-39 years, male 13.8
GTEX-11UD1-0126-SM-5PNYG 40-49 years, female 13.6
GTEX-14XAO-2326-SM-6EU1B 60-69 years, female 13.6
GTEX-TMMY-0226-SM-33HBA 40-49 years, female 13.6
GTEX-11TTK-0126-SM-5987B 60-69 years, female 13.4
GTEX-14LZ3-0226-SM-62LET 60-69 years, female 13.4
GTEX-1NHNU-1026-SM-E9J2A 50-59 years, male 13.4
GTEX-ZZPT-0226-SM-5E43X 50-59 years, male 13.3
GTEX-1C64O-0126-SM-7SB8P 60-69 years, male 13.3
GTEX-S95S-1226-SM-4GICG 60-69 years, male 13.2
GTEX-ZY6K-1826-SM-5GZXK 50-59 years, male 13.2
GTEX-1HUB1-0426-SM-E9U4U 60-69 years, male 13.2
GTEX-117YX-2326-SM-5H12W 50-59 years, male 13.1
GTEX-1AX9K-2326-SM-73KWU 50-59 years, male 13.1
GTEX-16XZZ-0126-SM-793DV 60-69 years, male 13.0
GTEX-17EUY-0426-SM-793BD 20-29 years, male 13.0
GTEX-1JJE9-0326-SM-CL53Z 70-79 years, male 13.0
GTEX-14BIN-0626-SM-793DP 50-59 years, female 12.9
GTEX-1HBPM-0226-SM-ARL9F 60-69 years, female 12.8
GTEX-1J8Q2-0526-SM-CM2RW 60-69 years, male 12.8
GTEX-1LC47-0326-SM-E9TJP 60-69 years, male 12.8
GTEX-1211K-2026-SM-5EQ4Z 60-69 years, female 12.7
GTEX-1HSMO-0126-SM-CL547 60-69 years, male 12.7
GTEX-11WQC-2526-SM-5CVLE 60-69 years, male 12.6
GTEX-XPVG-2626-SM-4B669 50-59 years, male 12.6
GTEX-ZDTT-2726-SM-4WKF8 60-69 years, male 12.6
GTEX-1I1GT-0626-SM-CGQER 60-69 years, female 12.6
GTEX-1QP2A-0126-SM-E9J43 50-59 years, male 12.6
GTEX-1HB9E-0226-SM-E9U4R 50-59 years, male 12.4
GTEX-14PHW-0126-SM-6LLJI 60-69 years, female 12.3
GTEX-11TT1-2526-SM-5EGIB 20-29 years, male 12.2
GTEX-133LE-1826-SM-5J1MV 20-29 years, female 12.2
GTEX-SSA3-0126-SM-32QPU 60-69 years, male 12.2
GTEX-ZTPG-0326-SM-5O9AX 20-29 years, female 12.2
GTEX-ZWKS-0126-SM-5SIAA 30-39 years, male 12.2
GTEX-1JJEA-0326-SM-CNPOT 60-69 years, male 12.2
GTEX-1O97I-0326-SM-EYYX7 60-69 years, male 12.2
GTEX-11EI6-0126-SM-5985R 60-69 years, male 12.1
GTEX-11ZU8-2526-SM-5EQKI 60-69 years, male 12.1
GTEX-14PK6-1926-SM-6ETZU 70-79 years, female 12.0
GTEX-1CAMQ-0226-SM-7IGPK 40-49 years, male 12.0
GTEX-1CAMS-0426-SM-7P8T2 40-49 years, female 12.0
GTEX-1GF9X-2026-SM-7PC3A 40-49 years, female 12.0
GTEX-1J8Q3-1626-SM-CMKGC 60-69 years, male 12.0
GTEX-1JMQL-0226-SM-CNPP5 50-59 years, female 11.8
GTEX-1GF9V-0326-SM-7RHI5 60-69 years, male 11.7
GTEX-1RLM8-2326-SM-EWRN4 50-59 years, male 11.7
GTEX-1GN73-0226-SM-9WG67 60-69 years, male 11.6
GTEX-13NZ8-0826-SM-5MR3I 60-69 years, female 11.5
GTEX-P44H-0226-SM-2XCEU 40-49 years, male 11.5
GTEX-WVJS-0126-SM-4MVOT 50-59 years, male 11.5
GTEX-1IDFM-0126-SM-COH2V 60-69 years, male 11.5
GTEX-VJWN-0126-SM-3GIK7 50-59 years, female 11.4
GTEX-139T4-0226-SM-5HL5S 50-59 years, female 11.3
GTEX-13S7M-0126-SM-5SI6A 60-69 years, female 11.3
GTEX-1RAZA-0126-SM-E6CI3 20-29 years, male 11.3
GTEX-13IVO-0126-SM-5J1NG 70-79 years, male 11.2
GTEX-15D1Q-0126-SM-7KUG6 40-49 years, male 11.2
GTEX-13O3O-0126-SM-E9J49 60-69 years, female 11.2
GTEX-13YAN-0326-SM-5O9DF 60-69 years, male 11.1
GTEX-14E6D-0126-SM-62LDV 50-59 years, male 11.1
GTEX-17F97-0326-SM-7LG5B 50-59 years, male 11.1
GTEX-U412-0426-SM-3DB9O 60-69 years, male 11.1
GTEX-1C6VQ-0126-SM-7P8RI 50-59 years, male 11.1
GTEX-1I1GR-0126-SM-CL55F 60-69 years, male 11.1
GTEX-13OVL-0226-SM-5L3E9 50-59 years, male 11.0
GTEX-16AAH-1726-SM-7939C 50-59 years, male 11.0
GTEX-U4B1-1826-SM-4DXSU 40-49 years, male 11.0
GTEX-ZF28-0126-SM-4WKGK 60-69 years, male 11.0
GTEX-1JKYN-1326-SM-CGQG9 30-39 years, male 11.0
GTEX-U8T8-0126-SM-3DB94 60-69 years, male 10.9
GTEX-1JJ6O-0126-SM-E6CI8 60-69 years, male 10.9
GTEX-1C2JI-1826-SM-73KXC 50-59 years, male 10.8
GTEX-11EMC-2926-SM-5EQ4F 60-69 years, female 10.7
GTEX-145LT-1726-SM-5QGP3 40-49 years, male 10.7
GTEX-1M5QR-1226-SM-EWROB 40-49 years, male 10.7
GTEX-139TS-2826-SM-5J1OO 60-69 years, male 10.6
GTEX-15G19-0126-SM-6PANQ 60-69 years, male 10.6
GTEX-1F6RS-0126-SM-9MQKZ 60-69 years, female 10.6
GTEX-1HSMQ-1226-SM-CGQFX 50-59 years, male 10.6
GTEX-1212Z-2526-SM-5EGKP 60-69 years, male 10.5
GTEX-13FHP-0126-SM-5IJBG 50-59 years, male 10.5
GTEX-145LS-0126-SM-5QGP1 60-69 years, female 10.5
GTEX-Q2AI-1326-SM-2S1PL 40-49 years, male 10.5
GTEX-1CAV2-2226-SM-7P8P2 40-49 years, female 10.5
GTEX-1EKGG-0226-SM-9WYTH 60-69 years, male 10.5
GTEX-1GN1V-0126-SM-9WPOS 60-69 years, male 10.5
GTEX-1J8QM-2126-SM-CYPSJ 60-69 years, female 10.5
GTEX-13OW8-1326-SM-5J1OW 60-69 years, male 10.4
GTEX-13X6H-2126-SM-7EWD5 50-59 years, female 10.4
GTEX-14DAQ-0126-SM-5S2MQ 60-69 years, female 10.4
GTEX-X62O-0126-SM-4E3JN 50-59 years, male 10.4
GTEX-ZE9C-2726-SM-57WB5 60-69 years, male 10.4
GTEX-1HCU7-0226-SM-CL545 50-59 years, male 10.4
GTEX-1MA7X-2226-SM-E6CIY 60-69 years, male 10.4
GTEX-17EVQ-0226-SM-7LG4P 70-79 years, male 10.3
GTEX-1R9PO-2126-SM-E9J4O 60-69 years, female 10.3
GTEX-PWCY-1826-SM-DHXIZ 20-29 years, female 10.3
GTEX-12KS4-0326-SM-5EQ41 30-39 years, male 10.2
GTEX-17KNJ-2326-SM-7DHLQ 50-59 years, male 10.2
GTEX-ZVE2-0226-SM-59HJB 50-59 years, male 10.2
GTEX-1HSMP-0126-SM-E6CJS 70-79 years, male 10.2
GTEX-1I1CD-0126-SM-CM2TK 60-69 years, female 10.2
GTEX-11GSO-2426-SM-5A5LY 60-69 years, male 10.1
GTEX-12WSL-2526-SM-5GCNJ 50-59 years, male 10.1
GTEX-1M4P7-0226-SM-DIPEV 60-69 years, male 10.1
GTEX-P4PQ-0126-SM-2S1NM 60-69 years, male 10.0
GTEX-1I1GS-0126-SM-B2LVW 60-69 years, male 10.0
GTEX-RVPV-0126-SM-EAZAW 60-69 years, male 10.0
GTEX-ZQG8-1626-SM-DHXIT 60-69 years, female 10.0
GTEX-12696-2426-SM-5EQ6H 60-69 years, male 9.9
GTEX-13SLX-0526-SM-5S2ON 50-59 years, female 9.9
GTEX-UJHI-1526-SM-3DB99 50-59 years, female 9.9
GTEX-XV7Q-2526-SM-4BRV9 40-49 years, female 9.9
GTEX-1POEN-0126-SM-EYYXJ 30-39 years, female 9.9
GTEX-1HSKV-0226-SM-A9SKJ 60-69 years, male 9.8
GTEX-1J1OQ-0226-SM-CYPSH 40-49 years, female 9.8
GTEX-13O3Q-2426-SM-5IJBR 50-59 years, male 9.7
GTEX-17GQL-2026-SM-718BA 60-69 years, male 9.7
GTEX-1IDJF-0126-SM-CM2RS 20-29 years, male 9.7
GTEX-1IGQW-0126-SM-COH42 60-69 years, male 9.7
GTEX-1LG7Y-0526-SM-DKPQC 50-59 years, male 9.7
GTEX-13OVK-2026-SM-7KUEO 40-49 years, male 9.6
GTEX-16NPX-0226-SM-79OMT 50-59 years, male 9.6
GTEX-ZVZP-2426-SM-59HKJ 50-59 years, male 9.6
GTEX-1R7EU-0226-SM-EVR4G 60-69 years, male 9.6
GTEX-1L5NE-2526-SM-E6CIE 50-59 years, male 9.5
GTEX-15EU6-0426-SM-6PAN5 50-59 years, male 9.4
GTEX-ZAJG-0126-SM-5HL94 50-59 years, female 9.4
GTEX-18A66-0226-SM-718BD 60-69 years, male 9.3
GTEX-OXRN-0126-SM-48TDM 50-59 years, male 9.3
GTEX-1A8FM-0226-SM-7SB7Q 50-59 years, female 9.3
GTEX-1EX96-1626-SM-7PBXR 50-59 years, male 9.3
GTEX-1F75I-0326-SM-9YFLU 40-49 years, male 9.3
GTEX-1H3NZ-0126-SM-ACKX7 60-69 years, male 9.3
GTEX-15SHW-0326-SM-6PAML 60-69 years, male 9.2
GTEX-WRHK-1426-SM-3MJF9 20-29 years, female 9.2
GTEX-ZV6S-2326-SM-4YCEY 40-49 years, female 9.2
GTEX-1HCU6-0126-SM-CL54K 60-69 years, female 9.2
GTEX-13W3W-2426-SM-5LU5B 60-69 years, female 9.1
GTEX-XMD2-0126-SM-4YCDU 60-69 years, female 9.1
GTEX-1HBPH-0426-SM-B2LW5 40-49 years, female 9.1
GTEX-ZF29-2326-SM-DO92K 60-69 years, female 9.1
GTEX-139TU-0126-SM-5K7WH 60-69 years, male 9.0
GTEX-17EVP-0326-SM-7DHLG 40-49 years, male 9.0
GTEX-OXRK-0226-SM-3NB2G 50-59 years, female 9.0
GTEX-S7PM-0126-SM-4AD6S 60-69 years, male 9.0
GTEX-T8EM-1026-SM-3DB7M 40-49 years, male 9.0
GTEX-X261-0126-SM-3NMD6 50-59 years, male 9.0
GTEX-1H3VE-0326-SM-9YFLH 40-49 years, male 9.0
GTEX-1F48J-0126-SM-7P8TT 50-59 years, female 8.9
GTEX-SE5C-1626-SM-2XCE3 40-49 years, female 8.9
GTEX-139UW-2826-SM-5L3E7 60-69 years, male 8.8
GTEX-146FH-0126-SM-5QGPP 50-59 years, female 8.8
GTEX-1A3MV-1926-SM-718BT 30-39 years, male 8.8
GTEX-1B8SG-0126-SM-73KZ3 50-59 years, male 8.8
GTEX-OOBK-0126-SM-2YUND 40-49 years, male 8.8
GTEX-U3ZM-1526-SM-3DB9D 40-49 years, male 8.8
GTEX-ZVT2-2526-SM-51MT1 50-59 years, female 8.8
GTEX-R45C-0126-SM-EAZ2R 60-69 years, female 8.8
GTEX-11ZVC-2526-SM-5FQTE 50-59 years, female 8.7
GTEX-WFG8-2226-SM-3GIL9 20-29 years, male 8.7
GTEX-ZDXO-3026-SM-5J1N5 60-69 years, male 8.7
GTEX-1399U-2326-SM-5K7WY 50-59 years, female 8.6
GTEX-13N2G-2626-SM-5J1OT 60-69 years, male 8.6
GTEX-13U4I-0126-SM-5LU38 40-49 years, female 8.5
GTEX-15DCD-0126-SM-7KUEK 70-79 years, female 8.5
GTEX-X638-0126-SM-47JZ8 70-79 years, female 8.5
GTEX-1HGF4-2426-SM-ACKXM 60-69 years, male 8.5
GTEX-1HKZK-0326-SM-9WYUH 40-49 years, male 8.5
GTEX-1IE54-0126-SM-CMKHW 40-49 years, female 8.5
GTEX-1N2DV-0226-SM-E6CJ6 40-49 years, male 8.5
GTEX-1313W-0126-SM-5LZUN 50-59 years, female 8.4
GTEX-13NZA-0226-SM-5K7Z7 60-69 years, male 8.4
GTEX-13OW7-0126-SM-5MR3B 50-59 years, male 8.4
GTEX-13VXU-0126-SM-5SI9F 50-59 years, male 8.4
GTEX-1IKOH-0226-SM-COH4E 60-69 years, female 8.4
GTEX-12ZZY-0226-SM-5LZVE 60-69 years, male 8.3
GTEX-139T8-0126-SM-5K7XZ 60-69 years, male 8.3
GTEX-14BMU-2226-SM-5TDE9 20-29 years, female 8.3
GTEX-1CAMR-1926-SM-7EPI2 20-29 years, male 8.3
GTEX-113JC-2326-SM-5EQ4E 50-59 years, female 8.2
GTEX-11ZTS-0126-SM-5EQ6M 60-69 years, female 8.2
GTEX-11ZUS-0626-SM-59885 30-39 years, male 8.2
GTEX-13O21-1426-SM-5K7XI 50-59 years, male 8.2
GTEX-13PVR-2326-SM-5QGR1 60-69 years, female 8.2
GTEX-146FR-1326-SM-E9J48 60-69 years, female 8.2
GTEX-1LGOU-2026-SM-DIPFF 20-29 years, female 8.2
GTEX-13113-5016-SM-7EPIP 60-69 years, female 8.1
GTEX-13X6I-0626-SM-5QGP9 60-69 years, male 8.1
GTEX-14A6H-0126-SM-5QGPK 30-39 years, male 8.1
GTEX-14C5O-0126-SM-5SI6N 60-69 years, male 8.1
GTEX-SNMC-1226-SM-2XCFP 20-29 years, male 8.1
GTEX-XYKS-2126-SM-4E3IB 60-69 years, female 8.1
GTEX-YB5E-2026-SM-5IFIS 40-49 years, male 8.0
GTEX-1HBPN-0226-SM-9YFM1 50-59 years, male 8.0
GTEX-12WSA-0226-SM-5BC5V 60-69 years, male 7.9
GTEX-16YQH-0126-SM-7DUFJ 30-39 years, male 7.9
GTEX-RN64-0126-SM-2TC68 50-59 years, male 7.9
GTEX-SN8G-0126-SM-32PLI 50-59 years, female 7.9
GTEX-SUCS-1926-SM-32PM3 70-79 years, male 7.9
GTEX-11EM3-2426-SM-59861 20-29 years, female 7.8
GTEX-1314G-1526-SM-5EGK2 30-39 years, male 7.8
GTEX-18QFQ-0126-SM-731BE 30-39 years, male 7.8
GTEX-1AMEY-1326-SM-73KYK 30-39 years, female 7.8
GTEX-ZQUD-1426-SM-57WER 30-39 years, male 7.8
GTEX-ZTSS-1926-SM-57WEW 40-49 years, male 7.8
GTEX-1HSEH-0126-SM-ACKXN 60-69 years, male 7.8
GTEX-1JMQI-2226-SM-CM2SD 50-59 years, male 7.8
GTEX-1K2DU-2326-SM-E9TIV 20-29 years, male 7.8
GTEX-1NV5F-0226-SM-E8VNY 60-69 years, female 7.8
GTEX-145ME-1826-SM-5SI9G 40-49 years, female 7.7
GTEX-1B8SF-1426-SM-7DUGL 60-69 years, male 7.7
GTEX-Y8LW-1826-SM-5S2MV 50-59 years, female 7.7
GTEX-1F6IF-0726-SM-7P8TW 60-69 years, male 7.7
GTEX-1ICG6-2526-SM-CGQFZ 70-79 years, female 7.7
GTEX-1J1R8-1726-SM-ARL8M 40-49 years, male 7.7
GTEX-11GSP-2526-SM-5N9BP 60-69 years, female 7.6
GTEX-13X6J-0126-SM-5QGOU 50-59 years, male 7.6
GTEX-145LV-2126-SM-5LU8N 50-59 years, male 7.6
GTEX-1AMFI-2026-SM-731BH 50-59 years, female 7.6
GTEX-RUSQ-1526-SM-2TF62 50-59 years, male 7.6
GTEX-1GPI6-0126-SM-9WG69 60-69 years, male 7.6
GTEX-1HR98-0126-SM-B2LWI 60-69 years, male 7.6
GTEX-1IKK5-0626-SM-ARL8A 60-69 years, male 7.6
GTEX-1S3DN-2226-SM-EVYCD 50-59 years, male 7.6
GTEX-13PDP-0126-SM-5L3HD 60-69 years, male 7.5
GTEX-1A3MW-0126-SM-73KXX 60-69 years, female 7.5
GTEX-T2YK-0526-SM-32QPJ 50-59 years, male 7.5
GTEX-ZAB5-1826-SM-5HL7C 50-59 years, male 7.5
GTEX-ZAK1-0126-SM-5IJD3 50-59 years, female 7.5
GTEX-1EN7A-0126-SM-7SB81 40-49 years, male 7.5
GTEX-1H3O1-0426-SM-9YFKY 60-69 years, male 7.5
GTEX-17MFQ-1726-SM-793C7 20-29 years, male 7.4
GTEX-V1D1-2226-SM-3NMAX 50-59 years, male 7.4
GTEX-1GZ2Q-0226-SM-7P8TL 40-49 years, male 7.4
GTEX-1H2FU-0126-SM-9WYSI 60-69 years, female 7.4
GTEX-1LSNM-1926-SM-E6CII 50-59 years, male 7.4
GTEX-1RB15-2126-SM-E9TIM 60-69 years, male 7.4
GTEX-SJXC-0126-SM-2XCFF 60-69 years, male 7.3
GTEX-1OFPY-2426-SM-DTXEJ 60-69 years, male 7.3
GTEX-13O3P-0126-SM-5KM4S 50-59 years, male 7.2
GTEX-15CHC-2126-SM-6EU21 60-69 years, female 7.2
GTEX-15SB6-1726-SM-6PAME 50-59 years, female 7.1
GTEX-1B8KE-2126-SM-73KYX 50-59 years, male 7.1
GTEX-X585-0226-SM-4QAS2 50-59 years, male 7.1
GTEX-1EU9M-0226-SM-7P8SP 60-69 years, male 7.1
GTEX-OIZF-0126-SM-7SB8I 60-69 years, male 7.1
GTEX-11ZTT-2426-SM-5EQLS 60-69 years, female 7.0
GTEX-144GN-2326-SM-5LU4F 50-59 years, male 7.0
GTEX-16NGA-1726-SM-731B4 40-49 years, female 7.0
GTEX-NPJ8-0126-SM-2YUNR 40-49 years, male 7.0
GTEX-OHPM-0126-SM-2YUN9 50-59 years, male 7.0
GTEX-ZDTS-0126-SM-4WAY5 60-69 years, male 7.0
GTEX-PLZ6-1426-SM-DKPOT 30-39 years, male 7.0
GTEX-147F4-0226-SM-5QGPW 50-59 years, male 6.9
GTEX-14BIM-0226-SM-7IGLD 60-69 years, female 6.9
GTEX-QDVJ-1726-SM-2I5FX 50-59 years, male 6.9
GTEX-X4EO-0326-SM-3P5YO 60-69 years, female 6.9
GTEX-1HCUA-2426-SM-ADEIS 50-59 years, female 6.9
GTEX-1KWVE-1426-SM-E9TJO 30-39 years, male 6.9
GTEX-1S82Z-0826-SM-E6CHY 30-39 years, female 6.9
GTEX-1CB4J-0626-SM-7DHMP 60-69 years, male 6.8
GTEX-1GZ4H-1726-SM-7PBZJ 50-59 years, female 6.8
GTEX-1LGRB-2526-SM-CNPPQ 50-59 years, female 6.8
GTEX-11LCK-1026-SM-5A5KB 30-39 years, male 6.7
GTEX-11NSD-2226-SM-5986V 20-29 years, male 6.7
GTEX-OHPL-0126-SM-2HMJ7 60-69 years, female 6.7
GTEX-1HFI7-1826-SM-ACKXH 50-59 years, female 6.7
GTEX-14PII-0226-SM-6EU1T 60-69 years, male 6.6
GTEX-14PN3-2426-SM-6LLHS 60-69 years, female 6.6
GTEX-PLZ4-0126-SM-5SI8O 50-59 years, female 6.6
GTEX-Y5V6-2426-SM-4VDSB 60-69 years, male 6.6
GTEX-ZYY3-0126-SM-5GZY5 60-69 years, female 6.6
GTEX-1LVAN-0226-SM-COH3S 50-59 years, female 6.6
GTEX-14LLW-0126-SM-6LLIO 70-79 years, female 6.5
GTEX-18465-0126-SM-731BN 50-59 years, male 6.5
GTEX-1HCVE-0126-SM-CGQEU 50-59 years, male 6.5
GTEX-1QP9N-1426-SM-DTXFL 30-39 years, male 6.5
GTEX-1122O-2126-SM-5EGIR 60-69 years, female 6.4
GTEX-O5YT-0126-SM-48TBW 20-29 years, male 6.4
GTEX-PWO3-1526-SM-48TCM 60-69 years, female 6.4
GTEX-ZPIC-1726-SM-DHXIU 40-49 years, female 6.4
GTEX-11DXW-0226-SM-5H122 40-49 years, male 6.3
GTEX-13QJ3-0326-SM-5S2RA 50-59 years, male 6.3
GTEX-144GL-0126-SM-5TDE2 50-59 years, male 6.3
GTEX-XUW1-0426-SM-4BOOT 50-59 years, female 6.3
GTEX-ZAB4-0226-SM-5N9F5 40-49 years, male 6.3
GTEX-1H1DG-0126-SM-9WYU2 70-79 years, male 6.3
GTEX-17F98-0626-SM-79OMX 40-49 years, female 6.2
GTEX-OIZH-0126-SM-2HMIS 50-59 years, male 6.2
GTEX-P4QT-0126-SM-2I3FL 50-59 years, female 6.2
GTEX-Y3IK-2426-SM-4WWDU 50-59 years, female 6.2
GTEX-1KANC-1526-SM-D3LAB 50-59 years, female 6.2
GTEX-1RQEC-0426-SM-E6CHU 60-69 years, male 6.2
GTEX-131XE-2326-SM-5PNZ2 50-59 years, male 6.1
GTEX-14JG6-2226-SM-6EU2G 30-39 years, female 6.1
GTEX-1F7RK-0126-SM-7PC2S 20-29 years, female 6.1
GTEX-1GF9U-2126-SM-7SB7L 40-49 years, female 6.1
GTEX-1HSGN-0226-SM-CGQFV 40-49 years, female 6.1
GTEX-1IOXB-0126-SM-ARL8G 50-59 years, male 6.1
GTEX-113IC-0126-SM-5HL6T 60-69 years, male 6.0
GTEX-12WSD-0126-SM-59HKN 60-69 years, female 6.0
GTEX-13RTL-0126-SM-7LG5S 40-49 years, male 6.0
GTEX-WI4N-1026-SM-3LK7N 40-49 years, female 6.0
GTEX-1IDJU-2626-SM-CM2RT 60-69 years, female 6.0
GTEX-13VXT-0126-SM-5LU4I 20-29 years, female 5.9
GTEX-14BMV-0126-SM-5S2PO 50-59 years, male 5.9
GTEX-18A7A-0226-SM-718BH 50-59 years, female 5.9
GTEX-1AX9J-0226-SM-73KXM 60-69 years, male 5.9
GTEX-O5YW-0126-SM-3LK6D 50-59 years, male 5.9
GTEX-X4XX-0126-SM-3NMC2 60-69 years, male 5.9
GTEX-YEC4-2126-SM-5IFJH 40-49 years, male 5.9
GTEX-ZDYS-2026-SM-5HL5L 50-59 years, male 5.9
GTEX-12ZZX-0126-SM-5EGK9 40-49 years, female 5.8
GTEX-Y114-2426-SM-4TT8A 50-59 years, female 5.8
GTEX-ZZ64-1726-SM-5GZYB 20-29 years, male 5.8
GTEX-1AX9I-0126-SM-7SB74 60-69 years, male 5.8
GTEX-1H1CY-2826-SM-9MQM3 60-69 years, female 5.8
GTEX-1LBAC-0126-SM-DIPEZ 20-29 years, male 5.8
GTEX-1PIIG-0226-SM-EWRN6 30-39 years, male 5.8
GTEX-13OVG-1926-SM-5L3DK 60-69 years, male 5.7
GTEX-13RTK-1426-SM-5QGQJ 20-29 years, male 5.7
GTEX-14PJ6-2126-SM-6EU1V 60-69 years, female 5.7
GTEX-17F96-1626-SM-7DUFL 70-79 years, male 5.7
GTEX-R55G-2526-SM-2TC6D 40-49 years, female 5.7
GTEX-1C6WA-0126-SM-7PC2B 60-69 years, male 5.7
GTEX-1F75B-0126-SM-9KNVL 50-59 years, male 5.7
GTEX-1JN76-0126-SM-CNPPE 20-29 years, female 5.7
GTEX-131XH-2226-SM-5DUXJ 50-59 years, male 5.6
GTEX-13OVI-1426-SM-5L3EY 60-69 years, female 5.6
GTEX-13W46-0226-SM-5SIAG 50-59 years, male 5.6
GTEX-147F3-0526-SM-5SI98 50-59 years, female 5.6
GTEX-16GPK-0126-SM-7DHLE 60-69 years, male 5.6
GTEX-OIZG-0726-SM-33HBL 50-59 years, male 5.6
GTEX-QLQ7-1626-SM-2S1R8 60-69 years, male 5.6
GTEX-WYVS-2126-SM-3NMA3 40-49 years, female 5.6
GTEX-1HT8W-0126-SM-CNPPP 30-39 years, male 5.6
GTEX-1JN6P-0126-SM-D3L98 60-69 years, male 5.6
GTEX-11GS4-2726-SM-5A5LE 60-69 years, male 5.5
GTEX-13FHO-0226-SM-5IFGY 60-69 years, male 5.5
GTEX-147GR-0526-SM-5S2MY 60-69 years, male 5.5
GTEX-14PJ3-1826-SM-62LEX 50-59 years, male 5.5
GTEX-183FY-0126-SM-7LT9P 20-29 years, male 5.5
GTEX-1KAFJ-2026-SM-CY8ID 50-59 years, male 5.5
GTEX-11OF3-2626-SM-5GU7F 60-69 years, male 5.4
GTEX-11P7K-2126-SM-5GU7G 30-39 years, male 5.4
GTEX-11P81-2326-SM-59875 30-39 years, female 5.4
GTEX-RU72-0926-SM-2TF6B 50-59 years, female 5.4
GTEX-1I19N-0326-SM-ACKVX 70-79 years, male 5.4
GTEX-11EQ9-2426-SM-5HL5T 30-39 years, male 5.3
GTEX-12WSK-2326-SM-5GCOH 40-49 years, female 5.3
GTEX-14ABY-0226-SM-5TDCQ 50-59 years, male 5.3
GTEX-15DDE-0126-SM-6LPKH 50-59 years, female 5.3
GTEX-S7SE-0126-SM-2XCD5 50-59 years, male 5.3
GTEX-TKQ1-1026-SM-4GICL 30-39 years, male 5.3
GTEX-13FH7-2026-SM-E9J4I 50-59 years, female 5.3
GTEX-1HBPI-1526-SM-C1YQ1 50-59 years, male 5.3
GTEX-13JUV-2726-SM-5LZZ8 40-49 years, female 5.2
GTEX-17HHE-2026-SM-79OKF 50-59 years, male 5.2
GTEX-X88G-0126-SM-47JZ3 30-39 years, male 5.2
GTEX-ZYFG-2326-SM-5E44B 60-69 years, female 5.2
GTEX-1H1DE-2126-SM-9WG6R 20-29 years, male 5.2
GTEX-1IKJJ-0126-SM-CNPQB 60-69 years, male 5.2
GTEX-1JMQK-0226-SM-CL543 60-69 years, male 5.2
GTEX-1PFEY-1526-SM-E76PP 30-39 years, male 5.2
GTEX-1QEPI-0126-SM-EWRMQ 60-69 years, female 5.2
GTEX-1QP66-1726-SM-E8VO1 50-59 years, male 5.2
GTEX-WYJK-0126-SM-3NMAB 50-59 years, male 5.1
GTEX-WZTO-0126-SM-3NM95 40-49 years, male 5.1
GTEX-1F75A-0126-SM-7RHGM 50-59 years, male 5.1
GTEX-1I1HK-0126-SM-COH49 60-69 years, male 5.1
GTEX-1IDJH-0326-SM-A9SLQ 70-79 years, male 5.1
GTEX-1JK1U-2026-SM-CM2RZ 60-69 years, male 5.1
GTEX-11DXY-2626-SM-5GIE7 60-69 years, male 5.0
GTEX-13D11-2426-SM-5KM1V 50-59 years, female 5.0
GTEX-13FTY-0526-SM-5L3EV 40-49 years, female 5.0
GTEX-1C6VR-2426-SM-79OLD 60-69 years, male 5.0
GTEX-XBEW-0626-SM-4QASP 40-49 years, male 5.0
GTEX-12WSG-2826-SM-E9J4H 50-59 years, female 5.0
GTEX-1GMR8-0126-SM-9WYTM 50-59 years, female 5.0
GTEX-1JMQJ-0526-SM-CYPSU 50-59 years, male 5.0
GTEX-1KANA-0726-SM-D3L9I 20-29 years, male 5.0
GTEX-PSDG-0226-SM-DKPOZ 50-59 years, male 5.0
GTEX-131XG-2626-SM-5KM17 50-59 years, female 4.9
GTEX-145MI-0526-SM-5O9A8 60-69 years, female 4.9
GTEX-18D9A-1926-SM-7LG6P 30-39 years, female 4.9
GTEX-1HCU9-1526-SM-A9SL7 20-29 years, male 4.9
GTEX-1LB8K-0226-SM-EWRNW 50-59 years, male 4.9
GTEX-1OJC3-0126-SM-E76QX 20-29 years, male 4.9
GTEX-1PPH8-0226-SM-E8VND 20-29 years, male 4.9
GTEX-13NYB-2526-SM-5K7Z6 40-49 years, male 4.8
GTEX-14JIY-0126-SM-6LLH6 60-69 years, male 4.8
GTEX-QDT8-0126-SM-48TZ1 30-39 years, female 4.8
GTEX-QV44-1926-SM-2S1RF 50-59 years, male 4.8
GTEX-ZVT3-0126-SM-5GU6I 60-69 years, female 4.8
GTEX-14PJM-0226-SM-62LF1 50-59 years, female 4.7
GTEX-RTLS-0126-SM-447CA 60-69 years, female 4.7
GTEX-T5JC-0426-SM-32PLO 20-29 years, male 4.7
GTEX-X4EP-0126-SM-3P5YV 60-69 years, female 4.7
GTEX-ZC5H-0226-SM-4WAY9 40-49 years, female 4.7
GTEX-1GPI7-0126-SM-9MQL8 20-29 years, male 4.7
GTEX-1J8JJ-0226-SM-CL53I 60-69 years, female 4.7
GTEX-PW2O-1526-SM-7RHHB 20-29 years, male 4.7
GTEX-11UD2-0226-SM-5EQKY 50-59 years, male 4.6
GTEX-1269C-2526-SM-5EGJ3 60-69 years, female 4.6
GTEX-12WSJ-1826-SM-5GCNY 40-49 years, female 4.6
GTEX-14DAR-2026-SM-5S2O3 50-59 years, male 4.6
GTEX-OXRL-0126-SM-2YUMP 50-59 years, male 4.6
GTEX-1B933-0126-SM-7PC29 50-59 years, female 4.6
GTEX-1I1GV-0526-SM-A9G29 60-69 years, male 4.6
GTEX-1KANB-0526-SM-E6CJH 50-59 years, male 4.6
GTEX-11VI4-1726-SM-5CVLH 40-49 years, female 4.5
GTEX-139D8-0226-SM-5KLZO 30-39 years, female 4.5
GTEX-14PHX-2326-SM-62LEM 50-59 years, male 4.5
GTEX-XXEK-2226-SM-4BRUM 50-59 years, male 4.5
GTEX-13OW5-0126-SM-DTXFS 60-69 years, male 4.5
GTEX-1JMPY-1326-SM-ARL8Y 30-39 years, male 4.5
GTEX-1KXAM-2226-SM-CYPTC 60-69 years, male 4.5
GTEX-11DXX-2426-SM-5GZZW 60-69 years, female 4.4
GTEX-12126-0326-SM-5PNW3 20-29 years, male 4.4
GTEX-SIU8-0126-SM-2XCDT 50-59 years, male 4.4
GTEX-XBED-2226-SM-47JYQ 60-69 years, male 4.4
GTEX-1H3VY-0126-SM-ACKXD 50-59 years, male 4.4
GTEX-1I6K6-0126-SM-A9SLE 30-39 years, male 4.4
GTEX-1LNCM-1126-SM-E9U5E 50-59 years, female 4.4
GTEX-1N2DW-0226-SM-E9TK2 50-59 years, male 4.4
GTEX-111FC-0126-SM-5N9DL 60-69 years, male 4.3
GTEX-12WSC-0126-SM-5EQ4P 50-59 years, male 4.3
GTEX-13G51-2526-SM-5LZYK 60-69 years, male 4.3
GTEX-14JG1-0426-SM-6ETZZ 40-49 years, male 4.3
GTEX-Y3I4-2126-SM-4TT7C 50-59 years, male 4.3
GTEX-1F5PL-0326-SM-7P8PQ 40-49 years, female 4.3
GTEX-1MCYP-1926-SM-E9J2R 20-29 years, female 4.3
GTEX-OOBJ-0126-SM-E6CJW 60-69 years, male 4.3
GTEX-YFC4-0126-SM-5CVLY 40-49 years, female 4.2
GTEX-1I4MK-2226-SM-ACKWD 50-59 years, female 4.2
GTEX-1S5ZA-0126-SM-EVYCV 20-29 years, male 4.2
GTEX-1C64N-0126-SM-793D7 50-59 years, male 4.1
GTEX-YJ89-0126-SM-4TT3X 60-69 years, male 4.1
GTEX-1S82Y-2026-SM-EVYCM 40-49 years, male 4.1
GTEX-12C56-1726-SM-5EQ61 20-29 years, male 4.0
GTEX-RM2N-1426-SM-2TF4H 50-59 years, male 4.0
GTEX-WY7C-2326-SM-3NB2U 50-59 years, male 4.0
GTEX-1EMGI-0126-SM-9KNUE 60-69 years, male 4.0
GTEX-1GN1U-0126-SM-7PBZK 50-59 years, female 4.0
GTEX-1I1GP-2226-SM-CGQFK 50-59 years, male 4.0
GTEX-11OC5-0126-SM-5HL6A 60-69 years, male 3.9
GTEX-139TT-0126-SM-5K7Y5 60-69 years, male 3.9
GTEX-13N11-2526-SM-5K7UE 50-59 years, female 3.9
GTEX-ZXES-1826-SM-5E43S 30-39 years, female 3.9
GTEX-1MGNQ-0126-SM-EVYCJ 40-49 years, male 3.9
GTEX-12WSE-0526-SM-793B2 20-29 years, male 3.8
GTEX-14E7W-0126-SM-6LLJ9 70-79 years, male 3.8
GTEX-15SHU-0126-SM-7KUEH 40-49 years, female 3.8
GTEX-1AX8Z-0126-SM-7DHM6 60-69 years, male 3.8
GTEX-U3ZN-2326-SM-3DB7W 30-39 years, female 3.8
GTEX-Z9EW-1626-SM-5CVMN 40-49 years, male 3.8
GTEX-ZXG5-0126-SM-5GIEU 60-69 years, male 3.8
GTEX-1J8EW-0126-SM-CJI4F 60-69 years, female 3.8
GTEX-1K2DA-1826-SM-CGQGT 50-59 years, male 3.8
GTEX-13FTW-2626-SM-5K7WL 40-49 years, male 3.7
GTEX-148VI-1626-SM-5SI6E 60-69 years, female 3.7
GTEX-17HG3-2226-SM-7938L 30-39 years, female 3.7
GTEX-QLQW-1126-SM-2S1Q8 30-39 years, male 3.7
GTEX-W5WG-1826-SM-4KL2Y 50-59 years, female 3.7
GTEX-1JKYR-0126-SM-CNPOJ 20-29 years, male 3.7
GTEX-11XUK-2026-SM-5EQLF 40-49 years, female 3.6
GTEX-13SLW-0126-SM-5SI6C 70-79 years, male 3.6
GTEX-145MF-0626-SM-5LUAI 50-59 years, male 3.6
GTEX-NFK9-0226-SM-2HMKQ 40-49 years, male 3.6
GTEX-QCQG-1726-SM-3GIJ9 50-59 years, female 3.6
GTEX-VUSG-2526-SM-4KL1V 50-59 years, male 3.6
GTEX-146FQ-0126-SM-5NQA9 30-39 years, male 3.5
GTEX-15F5U-1526-SM-6PANO 40-49 years, male 3.5
GTEX-PLZ5-2026-SM-2S1O4 50-59 years, male 3.5
GTEX-1CB4F-0426-SM-9KNV4 60-69 years, male 3.5
GTEX-1K9T9-0126-SM-EVYCF 50-59 years, female 3.5
GTEX-13FXS-0226-SM-5IJCK 50-59 years, male 3.4
GTEX-ZGAY-0526-SM-4WWBB 40-49 years, female 3.4
GTEX-1F52S-0126-SM-9MQJU 60-69 years, female 3.4
GTEX-1HFI6-0226-SM-ADEHZ 40-49 years, male 3.4
GTEX-W5X1-3026-SM-EAZAX 40-49 years, female 3.4
GTEX-16XZY-2126-SM-79OK1 70-79 years, male 3.3
GTEX-X5EB-2226-SM-46MW4 40-49 years, male 3.3
GTEX-XAJ8-0826-SM-47JY6 40-49 years, male 3.3
GTEX-1B8L1-2526-SM-9WYTF 60-69 years, male 3.3
GTEX-1192X-0226-SM-5H12D 50-59 years, male 3.2
GTEX-13NZB-2526-SM-5J1OM 30-39 years, male 3.2
GTEX-1CB4E-2226-SM-793DC 60-69 years, male 3.2
GTEX-XQ3S-1526-SM-4BOOC 20-29 years, male 3.2
GTEX-1PIGE-0126-SM-EVYBJ 20-29 years, male 3.2
GTEX-11DYG-0126-SM-59883 60-69 years, male 3.1
GTEX-18D9B-0526-SM-7LTAS 60-69 years, male 3.1
GTEX-Q734-1926-SM-2I5EV 40-49 years, female 3.1
GTEX-169BO-1326-SM-9MQK2 50-59 years, male 3.1
GTEX-1GN1W-0526-SM-9MQJQ 50-59 years, female 3.1
GTEX-1JMLX-0226-SM-CM2RO 50-59 years, male 3.1
GTEX-13CF2-2526-SM-5LZYX 60-69 years, male 3.0
GTEX-Q2AG-0126-SM-33HBV 40-49 years, female 3.0
GTEX-QESD-1426-SM-2S1R9 20-29 years, male 3.0
GTEX-TML8-1926-SM-32QOS 40-49 years, female 3.0
GTEX-WXYG-2326-SM-4E3I6 50-59 years, female 3.0
GTEX-1GTWX-0126-SM-9YFLK 60-69 years, male 3.0
GTEX-11DXZ-2326-SM-5EGGV 50-59 years, male 2.9
GTEX-15ETS-0126-SM-7KUMW 40-49 years, female 2.9
GTEX-17HHY-0126-SM-7LG5D 50-59 years, male 2.9
GTEX-18D9U-0226-SM-718BP 40-49 years, male 2.9
GTEX-1B97I-1626-SM-73KYO 40-49 years, male 2.9
GTEX-PVOW-0126-SM-2XCFA 40-49 years, male 2.9
GTEX-WQUQ-0426-SM-3MJFU 60-69 years, male 2.9
GTEX-Y8DK-0126-SM-4TT3L 60-69 years, male 2.9
GTEX-Y8E4-0626-SM-4WWDL 40-49 years, male 2.9
GTEX-U3ZH-2026-SM-3DB78 30-39 years, male 2.8
GTEX-1H11D-0226-SM-9WG6Z 40-49 years, male 2.8
GTEX-1MA7W-2026-SM-E9TJ6 20-29 years, female 2.8
GTEX-13112-2826-SM-5DUWH 50-59 years, male 2.7
GTEX-1C475-1826-SM-73KWA 40-49 years, female 2.7
GTEX-R55E-0126-SM-2TC5Y 20-29 years, male 2.7
GTEX-TMZS-0126-SM-3DB9Q 60-69 years, male 2.7
GTEX-YB5K-2126-SM-4WWDJ 40-49 years, female 2.7
GTEX-ZF2S-2326-SM-4WWCE 50-59 years, female 2.7
GTEX-ZVZO-0126-SM-5A5L9 40-49 years, male 2.7
GTEX-1CB4G-0226-SM-7PC3O 60-69 years, male 2.7
GTEX-1R9PM-2026-SM-E76OY 20-29 years, male 2.7
GTEX-13OW6-0426-SM-5L3HM 50-59 years, male 2.6
GTEX-RWS6-2026-SM-2XCB5 60-69 years, female 2.6
GTEX-T6MN-0126-SM-32PLP 50-59 years, male 2.6
GTEX-Y5V5-2326-SM-4V6GA 60-69 years, female 2.6
GTEX-ZYFC-0226-SM-5NQ75 50-59 years, male 2.6
GTEX-1F6I4-0126-SM-9MQL2 60-69 years, male 2.6
GTEX-1GMRU-0126-SM-9YFLV 50-59 years, male 2.6
GTEX-RNOR-0126-SM-E9J4R 50-59 years, female 2.6
GTEX-1I1GQ-0126-SM-COH3H 50-59 years, male 2.5
GTEX-1LG7Z-1726-SM-D3LA4 30-39 years, male 2.5
GTEX-S33H-1026-SM-EZ6L6 30-39 years, male 2.5
GTEX-145MN-2226-SM-5SIAU 30-39 years, male 2.4
GTEX-QEG4-0226-SM-2S1PY 30-39 years, male 2.4
GTEX-UPJH-0326-SM-3GADU 50-59 years, male 2.4
GTEX-ZEX8-2426-SM-4WKG4 50-59 years, male 2.4
GTEX-1S83E-0126-SM-EWRO4 40-49 years, male 2.4
GTEX-15DYW-0126-SM-7KULE 60-69 years, female 2.3
GTEX-15ER7-0326-SM-7KUEV 20-29 years, female 2.3
GTEX-1AYD5-2426-SM-73KXR 50-59 years, male 2.3
GTEX-1CB4I-0226-SM-79OLH 50-59 years, male 2.3
GTEX-Q2AH-1626-SM-3GAF8 40-49 years, male 2.3
GTEX-QVJO-1626-SM-2S1QW 60-69 years, female 2.3
GTEX-13111-1626-SM-5EGJY 50-59 years, male 2.2
GTEX-15RIG-0226-SM-7KFTL 40-49 years, male 2.2
GTEX-T5JW-1626-SM-3GADZ 20-29 years, female 2.2
GTEX-WFON-2126-SM-3LK7O 40-49 years, male 2.2
GTEX-1GF9W-0326-SM-9KNUN 60-69 years, male 2.2
GTEX-1KD4Q-0226-SM-E9TJ9 40-49 years, male 2.2
GTEX-1MJK2-0426-SM-DTXE5 50-59 years, male 2.2
GTEX-17HGU-0226-SM-7DHKV 50-59 years, male 2.1
GTEX-1OJC4-0126-SM-E9J2E 50-59 years, female 2.1
GTEX-16BQI-0226-SM-7KUEX 30-39 years, female 2.0
GTEX-1AYCT-2426-SM-7IGQ3 50-59 years, male 2.0
GTEX-T2IS-0126-SM-4DM6O 20-29 years, female 2.0
GTEX-XUYS-0126-SM-47JWZ 50-59 years, male 2.0
GTEX-18A67-0126-SM-7LG5P 50-59 years, male 1.9
GTEX-1C4CL-0526-SM-73KVK 30-39 years, male 1.9
GTEX-Y111-0126-SM-4SOIV 50-59 years, male 1.9
GTEX-ZVTK-0426-SM-51MRS 20-29 years, male 1.9
GTEX-131YS-0126-SM-5KM1M 60-69 years, female 1.8
GTEX-15SDE-2226-SM-7IGLO 50-59 years, female 1.8
GTEX-18A6Q-0126-SM-731BZ 60-69 years, male 1.8
GTEX-VJYA-1126-SM-3GIJU 60-69 years, male 1.8
GTEX-1IY9M-0126-SM-D3L8S 60-69 years, male 1.8
GTEX-Z93S-0126-SM-5HL7M 50-59 years, male 1.7
GTEX-ZUA1-0126-SM-5GU76 40-49 years, male 1.7
GTEX-117XS-2726-SM-5N9BL 60-69 years, male 1.4
GTEX-XUZC-1726-SM-4BRWS 30-39 years, female 1.4
GTEX-1H1ZS-0426-SM-9WG6G 70-79 years, male 1.4
GTEX-1EWIQ-0126-SM-7RHH2 70-79 years, female 1.3
GTEX-ZYT6-0226-SM-5NQ6T 30-39 years, male 1.2
GTEX-PX3G-0126-SM-2I3EN 20-29 years, female 1.0
GTEX-RWSA-0126-SM-2XCBB 40-49 years, male 1.0
GTEX-WH7G-2326-SM-3NMBC 40-49 years, male 1.0
Show allShow less

Contact

  • NEWS ARTICLES
  • PRESS ROOM

The Project

  • INTRODUCTION
  • ORGANIZATION
  • PUBLICATIONS

The Human Protein Atlas

  • DOWNLOADABLE DATA
  • LICENCE & CITATION
  • HELP & FAQ
The Human Protein Atlas project is funded
by the Knut & Alice Wallenberg Foundation.


contact@proteinatlas.org