We use cookies to enhance the usability of our website. If you continue, we'll assume that you are happy to receive all cookies. More information. Don't show this again.
GAR1
HPA
RESOURCES
  • TISSUE
  • BRAIN
  • SINGLE CELL
  • SUBCELLULAR
  • CANCER
  • BLOOD
  • CELL LINE
  • STRUCTURE & INTERACTION
ABOUT
  • INTRODUCTION
  • HISTORY
  • ORGANIZATION
  • PUBLICATIONS
  • ANTIBODY SUBMISSION
  • ANTIBODY AVAILABILITY
  • ACKNOWLEDGMENTS
  • CONTACT
NEWS
  • NEWS ARTICLES
  • PRESS ROOM
LEARN
  • DICTIONARY
  • PROTEIN CLASSES
  • PROTEIN EVIDENCE
  • METHODS
  • EDUCATIONAL VIDEOS
DATA
  • DOWNLOADABLE DATA
  • PUBLICATION DATA
  • RELEASE HISTORY
HELP
  • ANTIBODY VALIDATION
  • ASSAYS & ANNOTATION
  • DISCLAIMER
  • HELP & FAQ
  • PRIVACY STATEMENT
  • LICENCE & CITATION
Fields »
Search result

Field
Term
Gene name
Class
Subclass
Class
Keyword
Chromosome
External id
Tissue
Cell type
Expression
Antibody panel
Tissue
Main location
Patient ID
Annotation
Tissue
Category
Tau score
Cluster
Reliability
Brain region
Category
Tau score
Brain region
Category
Tau score
Brain region
Category
Tau score
Cluster
Reliability
Tissue
Cell type
Enrichment
Cell type
Category
Tau score
Cell type
Category
Tau score
Cell type
Category
Tau score
Cell lineage
Category
Tau score
Cluster
Cluster
Location
Searches
Location
Cell line
Class
Type
Phase
Reliability
Cancer
Prognosis
Cancer
Category
Cancer
Category
Tau score
Cluster
Variants
Interacting gene (ensg_id)
Type
Number of interactions
Pathway
Category
Score
Score
Score
Validation
Validation
Validation
Validation
Antibodies
Data type
Column


  • SUMMARY

  • TISSUE

  • BRAIN

  • SINGLE CELL

  • SUBCELL

  • CANCER

  • BLOOD

  • CELL LINE

  • STRUCT & INT

  • GAR1
TISSUE PRIMARY DATA SKELETAL MUSCLE Show tissue menu
ADIPOSE TISSUE ADRENAL GLAND AMYGDALA APPENDIX BASAL GANGLIA BONE MARROW BREAST BRONCHUS CEREBELLUM CEREBRAL CORTEX CERVIX CHOROID PLEXUS COLON DUODENUM
ENDOMETRIUM EPIDIDYMIS ESOPHAGUS FALLOPIAN TUBE GALLBLADDER HEART MUSCLE HIPPOCAMPAL FORMATION HYPOTHALAMUS KIDNEY LIVER LUNG LYMPH NODE MIDBRAIN NASOPHARYNX
ORAL MUCOSA OVARY PANCREAS PARATHYROID GLAND PITUITARY GLAND PLACENTA PROSTATE RECTUM RETINA SALIVARY GLAND SEMINAL VESICLE SKELETAL MUSCLE SKIN SMALL INTESTINE
SMOOTH MUSCLE SOFT TISSUE SPINAL CORD SPLEEN STOMACH TESTIS THYMUS THYROID GLAND TONGUE TONSIL URINARY BLADDER VAGINA
ANTIBODIES
AND
VALIDATION
Dictionary
Skeletal muscle
Tissue proteome
Skeletal muscle
SKELETAL MUSCLE - Expression summary
Protein expression
Skeletal musclei

On the top, protein expression in current human tissue, based on all annotated cell types, is reported with the units not detected (n), low (l), medium (m) and high (h). Underneath, protein expression in each annotated cell type are reported using the same units.

Protein expression data is based on knowledge-based annotation. For genes where more than one antibody has been used, a collective score is set.

If knowledge-based annotation could not be performed for a gene, no data is displayed here. View antibody staining data further down this page.

h
m
l
n
Myocytes: Medium
RNA expressioni

A summary of mRNA expression data available for current tissue based on several datasets. The mRNA expression levels in human tissues are based on RNA-seq data generated by the Human Protein Atlas (HPA), Genotype-Tissue Expression (GTEx) portal and CAGE data generated by the FANTOM5 consortium. Consensus normalized expression levels for human tissues was created by combining the data from HPA and GTEx datasets.

The mRNA expression levels in pig are based on RNA-seq data generated by the Human Protein Atlas (HPA), and for mouse, HPA data and in situ hybridization generated by the Allen brain atlas are reported.

Scroll down to view mRNA expression data in more detail.
Consensus:11.8 nTPM
HPA:7.8 nTPM
GTEx:11.8 nTPM
FANTOM5:34.7 Scaled Tags Per Million

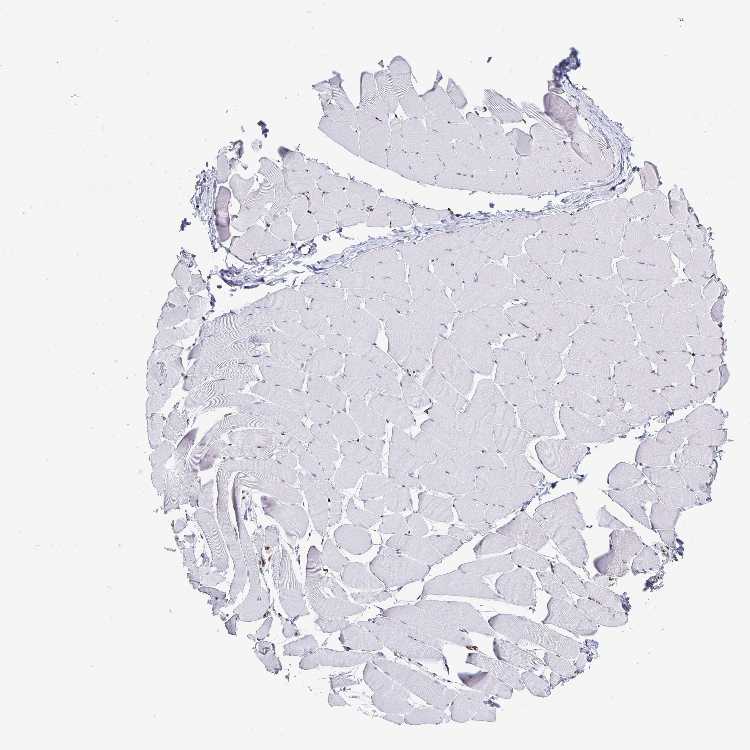
SKELETAL MUSCLE - Antibody stainingi

Antibody staining in the annotated cell types in the current human tissue is reported as not detected, low, medium, or high, based on conventional immunohistochemistry profiling in selected tissues. This score is based on the combination of the staining intensity and fraction of stained cells.

Each image is clickable and will lead to virtual microscopy that enables deeper exploration of all samples and also displays staining intensity scores, fraction scores and subcellular localization as well as patient and tissue information for each sample.

Antibody HPA059098
Myocytes Medium



SKELETAL MUSCLE - HPA RNA-seqi

The RNA-seq details section shows detailed information about the individual samples used for the transcript profiling and results of the RNA-seq analysis.

Information about each individual sample is listed below, including gender, age, a tissue section image and estimated fractions of cell types. nTPM (normalized transcripts per million) values give a quantification of the gene abundance which is comparable between different genes and samples.
Average nTPMi

Max subtype nTPM is the value for the subtype with the largest average nTPM across the subtype samples.

7.8
N/A
Male, age 23
Skeletal muscle sample 339
nTPM: 5.9
N/A
Female, age 25
Skeletal muscle sample 340
nTPM: 9
N/A
Female, age -
Skeletal muscle sample 341
nTPM: 9
N/A
Female, age 22
Skeletal muscle sample 342
nTPM: 6.9
N/A
Male, age 29
Skeletal muscle sample 343
nTPM: 7.9

SKELETAL MUSCLE - GTEx RNA-seqi

RNA-Seq data generated by the Genotype-Tissue Expression (GTEx) project from human tissues is reported as mean nTPM. More information can be found on the GTEx portal.

Distribution across the dataset is visualized with box plots, shown as median and 25th and 75th percentiles. Points are displayed as outliers if they are above or below 1.5 times the interquartile range. nTPM values of the individual samples are presented next to the box plot.
Max subtype nTPMi

Max subtype nTPM is the value for the subtype with the largest average nTPM across the subtype samples.

11.8
GTEx sample id Sample description nTPM
Muscle - Skeletal
Average nTPM: 11.8
Samples: 803

Max nTPM: 39.5
Min nTPM: 3.3
Std nTPM: 4.4
Median nTPM: 10.9
GTEX-ZQUD-1726-SM-7P8ON 30-39 years, male 39.5
GTEX-1339X-2426-SM-5KLYU 40-49 years, male 38.7
GTEX-1IDJD-1326-SM-CM2TQ 30-39 years, male 36.3
GTEX-13NYC-0726-SM-5J2NQ 60-69 years, male 35.9
GTEX-14XAO-2226-SM-6LLHU 60-69 years, female 30.8
GTEX-X261-0326-SM-3NMD4 50-59 years, male 29.5
GTEX-15G1A-2026-SM-7KUFG 30-39 years, male 27.7
GTEX-11TT1-2326-SM-5GU6N 20-29 years, male 27.3
GTEX-QDVJ-1926-SM-2S1PJ 50-59 years, male 26.7
GTEX-1JMQI-2126-SM-CM2SC 50-59 years, male 26.7
GTEX-13O1R-0526-SM-5K7XU 60-69 years, male 26.2
GTEX-1HCU7-0426-SM-D3L8Q 50-59 years, male 25.9
GTEX-1I1GU-2126-SM-CGQF9 40-49 years, male 25.6
GTEX-1ICG6-2726-SM-CKZPN 70-79 years, female 24.8
GTEX-145MI-0326-SM-5Q5EV 60-69 years, female 24.1
GTEX-15G19-0526-SM-6PAMT 60-69 years, male 24.0
GTEX-X4XY-0626-SM-4E3IN 60-69 years, male 23.8
GTEX-146FH-0526-SM-5QGQ3 50-59 years, female 23.4
GTEX-U8T8-1426-SM-3DB9H 60-69 years, male 23.4
GTEX-1IDJV-0426-SM-COH3Z 60-69 years, male 23.1
GTEX-Y5LM-2126-SM-4VDSY 40-49 years, female 23.0
GTEX-ZEX8-2526-SM-DO92M 50-59 years, male 22.7
GTEX-1LSNM-2326-SM-EWRO8 50-59 years, male 22.6
GTEX-13OVG-2126-SM-5KM1K 60-69 years, male 22.5
GTEX-WEY5-2026-SM-CYPRC 40-49 years, female 22.3
GTEX-1IE54-0326-SM-ARZMD 40-49 years, female 22.0
GTEX-11P82-1826-SM-5PNYJ 20-29 years, male 21.9
GTEX-1399S-2726-SM-5KM22 30-39 years, female 21.9
GTEX-17F96-2726-SM-7LT9F 70-79 years, male 21.9
GTEX-U8XE-0726-SM-3DB8O 30-39 years, male 21.8
GTEX-14C38-0426-SM-5TDDZ 50-59 years, male 21.6
GTEX-TML8-1826-SM-32QOR 40-49 years, female 21.3
GTEX-1QAET-2026-SM-E9J3S 50-59 years, male 20.6
GTEX-1K2DU-2526-SM-D3L8V 20-29 years, male 20.4
GTEX-WXYG-2526-SM-3NB3F 50-59 years, female 20.3
GTEX-1399Q-2426-SM-5J2MO 40-49 years, male 20.2
GTEX-13FTX-2026-SM-5L3D6 20-29 years, female 20.2
GTEX-13W3W-2626-SM-5SIA2 60-69 years, female 20.0
GTEX-14ICL-1926-SM-5RQIZ 30-39 years, male 20.0
GTEX-15UKP-0326-SM-7KUFP 20-29 years, male 19.6
GTEX-V1D1-2426-SM-3GAER 50-59 years, male 19.6
GTEX-WFG8-2426-SM-3GILL 20-29 years, male 19.6
GTEX-Q2AI-1526-SM-3GIJ3 40-49 years, male 19.5
GTEX-1F52S-0826-SM-7P8TQ 60-69 years, female 19.5
GTEX-1QP66-1626-SM-E76PC 50-59 years, male 19.4
GTEX-1LVAN-0526-SM-CNNQ1 50-59 years, female 19.3
GTEX-15RIF-2126-SM-7KUM8 20-29 years, male 19.2
GTEX-1IDJE-2426-SM-ACKWF 50-59 years, female 19.2
GTEX-15UF7-2226-SM-6PAMQ 40-49 years, male 18.9
GTEX-ZT9X-1826-SM-57WDU 40-49 years, male 18.9
GTEX-13S86-2326-SM-5RQK1 40-49 years, male 18.7
GTEX-14BMU-2026-SM-5S2W6 20-29 years, female 18.7
GTEX-U3ZN-2226-SM-3DB88 30-39 years, female 18.7
GTEX-1RAZR-0326-SM-EWRNM 40-49 years, male 18.7
GTEX-QEG5-0426-SM-2I5GJ 20-29 years, male 18.6
GTEX-XUZC-2126-SM-4BRW8 30-39 years, female 18.6
GTEX-1L5NE-2226-SM-CXZKS 50-59 years, male 18.5
GTEX-1MCYP-2026-SM-DTXE4 20-29 years, female 18.5
GTEX-XQ8I-0626-SM-4BOPT 50-59 years, male 18.4
GTEX-OHPN-2726-SM-2I5H4 60-69 years, female 18.3
GTEX-SNMC-1426-SM-2XCFM 20-29 years, male 18.3
GTEX-11EQ9-2126-SM-5PNVW 30-39 years, male 18.2
GTEX-1QPFJ-0326-SM-E8VO2 30-39 years, female 18.2
GTEX-1S5ZA-0526-SM-EWRO1 20-29 years, male 18.2
GTEX-13NZ9-0626-SM-5IJCO 50-59 years, male 18.1
GTEX-1K2DA-2226-SM-CGQGM 50-59 years, male 18.1
GTEX-144GM-2026-SM-5LU3D 20-29 years, male 17.9
GTEX-1JKYN-1826-SM-ARZMZ 30-39 years, male 17.9
GTEX-1LBAC-0326-SM-DIPF1 20-29 years, male 17.9
GTEX-R55C-1726-SM-3GADJ 40-49 years, male 17.7
GTEX-ZVZP-2526-SM-57WBR 50-59 years, male 17.6
GTEX-131XF-2326-SM-5BC6B 60-69 years, male 17.5
GTEX-1GF9W-0526-SM-9MQJP 60-69 years, male 17.5
GTEX-132AR-1026-SM-5PNVL 50-59 years, female 17.4
GTEX-1F5PK-2626-SM-7RHH6 50-59 years, male 17.4
GTEX-13CF3-1826-SM-5J1NK 60-69 years, female 17.3
GTEX-14A5H-0326-SM-5RQIB 60-69 years, male 17.3
GTEX-15SDE-2326-SM-6PAL4 50-59 years, female 17.3
GTEX-17EUY-0626-SM-793BE 20-29 years, male 17.2
GTEX-YEC3-2126-SM-4YCDB 50-59 years, male 17.2
GTEX-1PPH8-0326-SM-E76PR 20-29 years, male 17.2
GTEX-1H2FU-0526-SM-ACKXO 60-69 years, female 17.0
GTEX-1LC47-0626-SM-DIPFE 60-69 years, male 17.0
GTEX-1MJK3-1426-SM-E9TK1 20-29 years, male 17.0
GTEX-145LV-2326-SM-5LU8Z 50-59 years, male 16.9
GTEX-SNOS-1526-SM-32PLW 40-49 years, male 16.9
GTEX-1H23P-0526-SM-9WG6S 60-69 years, male 16.9
GTEX-ZC5H-0326-SM-5HL9F 40-49 years, female 16.8
GTEX-15RIE-2426-SM-7KUDS 60-69 years, male 16.7
GTEX-1J8Q3-1426-SM-CKZPU 60-69 years, male 16.7
GTEX-QVJO-0126-SM-3GIK4 60-69 years, female 16.6
GTEX-S95S-1426-SM-2XCDM 60-69 years, male 16.6
GTEX-TKQ1-1426-SM-4GICK 30-39 years, male 16.6
GTEX-WOFM-1326-SM-3MJFR 20-29 years, male 16.6
GTEX-O5YT-1626-SM-32PK6 20-29 years, male 16.5
GTEX-WWTW-0626-SM-4MVNS 50-59 years, male 16.4
GTEX-1HC8U-2626-SM-CNPPH 40-49 years, female 16.4
GTEX-1497J-2626-SM-5SI9K 60-69 years, male 16.3
GTEX-15CHR-2426-SM-7DUFX 50-59 years, male 16.3
GTEX-14C39-2426-SM-5S2U5 40-49 years, male 16.2
GTEX-P78B-1626-SM-5SI85 40-49 years, female 16.2
GTEX-T5JW-1826-SM-3GAE1 20-29 years, female 16.2
GTEX-1AMEY-1526-SM-73KYW 30-39 years, female 16.1
GTEX-OHPL-1626-SM-2HMIR 60-69 years, female 16.1
GTEX-13QBU-2426-SM-5LU4L 40-49 years, female 16.0
GTEX-18D9U-0626-SM-7LTA4 40-49 years, male 16.0
GTEX-1A3MV-2026-SM-718BU 30-39 years, male 16.0
GTEX-S32W-2326-SM-2XCAW 50-59 years, female 16.0
GTEX-SUCS-1626-SM-32PLS 70-79 years, male 16.0
GTEX-14PJN-2126-SM-6AJBM 30-39 years, male 15.9
GTEX-14PJO-0526-SM-6EU2O 60-69 years, male 15.9
GTEX-14PJ6-2326-SM-6ETZR 60-69 years, female 15.7
GTEX-14PQA-0526-SM-7KUFS 50-59 years, female 15.7
GTEX-O5YV-2026-SM-2D7VS 60-69 years, female 15.7
GTEX-R3RS-0526-SM-3GADG 40-49 years, female 15.7
GTEX-1QP9N-1926-SM-E6CPY 30-39 years, male 15.7
GTEX-ZV6S-2126-SM-4YCEM 40-49 years, female 15.6
GTEX-139YR-2526-SM-5IJC6 50-59 years, male 15.5
GTEX-13RTK-1626-SM-5QGQS 20-29 years, male 15.5
GTEX-15RIG-0426-SM-7KUF4 40-49 years, male 15.4
GTEX-15SKB-2526-SM-6PALP 60-69 years, male 15.4
GTEX-R55G-2326-SM-2TC61 40-49 years, female 15.4
GTEX-1H3VY-0326-SM-9WYU6 50-59 years, male 15.4
GTEX-1J8QM-2226-SM-CYPSK 60-69 years, female 15.4
GTEX-117YX-2526-SM-5EQ4Q 50-59 years, male 15.3
GTEX-QV31-1426-SM-2S1QD 30-39 years, male 15.3
GTEX-XPT6-2026-SM-4B64V 20-29 years, male 15.3
GTEX-1I1GT-0726-SM-B2LWN 60-69 years, female 15.3
GTEX-1CAMR-1726-SM-793CU 20-29 years, male 15.2
GTEX-PX3G-1626-SM-2S1PT 20-29 years, female 15.2
GTEX-WHSB-1826-SM-3TW8M 50-59 years, male 15.1
GTEX-Y114-2526-SM-4TT8M 50-59 years, female 15.1
GTEX-16XZZ-0526-SM-7KUF1 60-69 years, male 15.0
GTEX-QV44-2026-SM-2S1RD 50-59 years, male 15.0
GTEX-SE5C-1826-SM-2XCE4 40-49 years, female 15.0
GTEX-WFG7-2226-SM-3GIKP 20-29 years, male 15.0
GTEX-1H4P4-0626-SM-9YFKZ 50-59 years, male 15.0
GTEX-14JG6-2126-SM-6EU2F 30-39 years, female 14.9
GTEX-1H1DE-1726-SM-A9G3G 20-29 years, male 14.9
GTEX-1JKYR-0326-SM-CNPOL 20-29 years, male 14.9
GTEX-1122O-2426-SM-5GIDN 60-69 years, female 14.8
GTEX-13PL7-0626-SM-5IJCD 60-69 years, female 14.8
GTEX-1AX8Z-5004-SM-ARZLD 60-69 years, male 14.8
GTEX-1HSMP-0326-SM-A9SMC 70-79 years, male 14.8
GTEX-1QP28-0526-SM-E8VNR 50-59 years, female 14.8
GTEX-NFK9-0626-SM-2HMIV 40-49 years, male 14.7
GTEX-Y8E5-0326-SM-57WBM 60-69 years, male 14.7
GTEX-1HCU9-1926-SM-9WYSE 20-29 years, male 14.7
GTEX-1PIEJ-0326-SM-EVYB5 20-29 years, female 14.7
GTEX-1R46S-0326-SM-EWRNE 60-69 years, female 14.7
GTEX-OIZF-1626-SM-2YUNE 60-69 years, male 14.7
GTEX-YFCO-1926-SM-4W212 40-49 years, male 14.6
GTEX-11DZ1-0926-SM-5EQ5R 50-59 years, male 14.5
GTEX-1C4CL-0326-SM-7DHMH 30-39 years, male 14.5
GTEX-ZYY3-0526-SM-5E45G 60-69 years, female 14.5
GTEX-1QP67-1826-SM-DTX8D 40-49 years, female 14.5
GTEX-13OVK-1926-SM-6M48G 40-49 years, male 14.4
GTEX-Q2AH-1826-SM-2S1Q2 40-49 years, male 14.4
GTEX-QLQW-1326-SM-2S1QS 30-39 years, male 14.4
GTEX-Y8E4-1026-SM-4VBQ5 40-49 years, male 14.4
GTEX-ZVP2-2126-SM-5GU6E 50-59 years, male 14.4
GTEX-1JN1M-0526-SM-CJI3D 60-69 years, female 14.4
GTEX-1MA7W-1826-SM-DIPFP 20-29 years, female 14.4
GTEX-QEL4-0626-SM-3GIJM 50-59 years, male 14.3
GTEX-V955-2426-SM-3GAEF 60-69 years, male 14.3
GTEX-ZZPU-2626-SM-5E45Y 50-59 years, female 14.3
GTEX-1H11D-0326-SM-9WG71 40-49 years, male 14.3
GTEX-1M5QR-1326-SM-EWROC 40-49 years, male 14.3
GTEX-1PWST-0426-SM-E76QV 70-79 years, male 14.3
GTEX-13FH7-2126-SM-5L3DJ 50-59 years, female 14.2
GTEX-18D9A-1826-SM-718BK 30-39 years, female 14.2
GTEX-XMD2-0526-SM-4YCDI 60-69 years, female 14.2
GTEX-1CB4J-1226-SM-7P8P3 60-69 years, male 14.2
GTEX-1R9PO-2426-SM-EVYBS 60-69 years, female 14.2
GTEX-14PJ4-2426-SM-6EU1U 60-69 years, male 14.1
GTEX-ZE7O-0326-SM-51MTH 50-59 years, female 14.1
GTEX-1H1E6-2126-SM-9KNVM 30-39 years, male 14.1
GTEX-1PBJJ-0326-SM-E8VNT 30-39 years, male 14.1
GTEX-ZVE2-0626-SM-5GU7I 50-59 years, male 14.0
GTEX-1JK1U-2226-SM-CNNPL 60-69 years, male 14.0
GTEX-1PDJ9-0526-SM-DTXDL 20-29 years, male 14.0
GTEX-U3ZM-1226-SM-3DB9G 40-49 years, male 13.9
GTEX-VJYA-1926-SM-3GIJJ 60-69 years, male 13.9
GTEX-1C64N-0326-SM-7P8QC 50-59 years, male 13.9
GTEX-ZGAY-0726-SM-DO91O 40-49 years, female 13.9
GTEX-111CU-2026-SM-5GZZC 50-59 years, male 13.8
GTEX-117YW-2426-SM-5Q5AE 50-59 years, male 13.8
GTEX-145ME-2026-SM-5SIA5 40-49 years, female 13.8
GTEX-17F9E-0226-SM-79OKK 50-59 years, male 13.8
GTEX-U4B1-1626-SM-3DB8N 40-49 years, male 13.8
GTEX-ZP4G-2026-SM-57WEH 20-29 years, female 13.8
GTEX-11VI4-1926-SM-5CVLI 40-49 years, female 13.7
GTEX-139D8-0726-SM-5P9GJ 30-39 years, female 13.7
GTEX-14ASI-0526-SM-5QGQP 60-69 years, male 13.7
GTEX-SSA3-0326-SM-32QPS 60-69 years, male 13.7
GTEX-1H1ZS-0626-SM-CNPPU 70-79 years, male 13.7
GTEX-1IGQW-0526-SM-CKZO3 60-69 years, male 13.7
GTEX-1P4AB-0326-SM-EXUT3 50-59 years, male 13.7
GTEX-1QW4Y-1726-SM-EWRN1 30-39 years, male 13.7
GTEX-1R7EV-2026-SM-DTX83 40-49 years, male 13.7
GTEX-11EI6-0326-SM-5EQ6G 60-69 years, male 13.6
GTEX-11P81-2526-SM-5GU6H 30-39 years, female 13.6
GTEX-133LE-2026-SM-5K7WM 20-29 years, female 13.6
GTEX-15DZA-2026-SM-6PANE 30-39 years, female 13.6
GTEX-1HB9E-0326-SM-D3LA5 50-59 years, male 13.6
GTEX-1HBPM-0426-SM-CKZOO 60-69 years, female 13.6
GTEX-1MUQO-0226-SM-E9TJL 60-69 years, male 13.6
GTEX-14H4A-0926-SM-5ZZUU 40-49 years, female 13.5
GTEX-POYW-0526-SM-2XCEY 60-69 years, male 13.5
GTEX-X88G-0326-SM-47JZ4 30-39 years, male 13.5
GTEX-ZLV1-2126-SM-4WWD2 60-69 years, female 13.5
GTEX-16MTA-2026-SM-7KUL3 50-59 years, male 13.4
GTEX-17KNJ-2426-SM-7DHLR 50-59 years, male 13.4
GTEX-1B8SF-0426-SM-79OL4 60-69 years, male 13.4
GTEX-1H1DG-0326-SM-9QEHK 70-79 years, male 13.4
GTEX-1JMPY-1226-SM-CJI3A 30-39 years, male 13.4
GTEX-1JMQK-0326-SM-ARZN5 60-69 years, male 13.4
GTEX-1LGRB-2626-SM-CNPPR 50-59 years, female 13.4
GTEX-1QCLZ-0326-SM-DTXG2 60-69 years, female 13.4
GTEX-13NYS-0326-SM-5MR4L 60-69 years, male 13.3
GTEX-XV7Q-2926-SM-4BRUL 40-49 years, female 13.3
GTEX-1HKZK-0226-SM-9WYUG 40-49 years, male 13.3
GTEX-11P7K-1926-SM-5GU6R 30-39 years, male 13.2
GTEX-16AAH-1826-SM-7939D 50-59 years, male 13.2
GTEX-1KXAM-2426-SM-DIPFC 60-69 years, male 13.2
GTEX-1B932-0526-SM-73KU7 40-49 years, female 13.1
GTEX-P4PQ-1626-SM-2HMKK 60-69 years, male 13.1
GTEX-Q734-2026-SM-3GADA 40-49 years, female 13.1
GTEX-WRHK-1626-SM-3MJFH 20-29 years, female 13.1
GTEX-1N2DV-0526-SM-DTX8W 40-49 years, male 13.1
GTEX-15SHW-0726-SM-7KUEI 60-69 years, male 13.0
GTEX-16NGA-1926-SM-7LTA6 40-49 years, female 13.0
GTEX-1OFPY-2526-SM-DTXEK 60-69 years, male 13.0
GTEX-11O72-0326-SM-5986D 40-49 years, male 12.9
GTEX-13X6K-0326-SM-5Q5D6 60-69 years, female 12.9
GTEX-144GN-2426-SM-5LU4R 50-59 years, male 12.9
GTEX-17GQL-1926-SM-718B9 60-69 years, male 12.9
GTEX-OIZH-1626-SM-2HMKI 50-59 years, male 12.9
GTEX-T8EM-1326-SM-3DB7G 40-49 years, male 12.9
GTEX-WYVS-2326-SM-3NMAI 40-49 years, female 12.9
GTEX-YBZK-0326-SM-59HLN 50-59 years, female 12.9
GTEX-1GMR2-2126-SM-7P8TX 50-59 years, male 12.9
GTEX-1QP2A-0526-SM-E8VN5 50-59 years, male 12.9
GTEX-1R9PM-2226-SM-E8VOC 20-29 years, male 12.9
GTEX-1RB15-2226-SM-DTXFZ 60-69 years, male 12.9
GTEX-OOBK-1626-SM-2HMKG 40-49 years, male 12.8
GTEX-P44H-0426-SM-2XCEZ 40-49 years, male 12.8
GTEX-WY7C-2526-SM-3NB2N 50-59 years, male 12.8
GTEX-YF7O-2526-SM-5IFJX 50-59 years, male 12.8
GTEX-169BO-1526-SM-9KNVR 50-59 years, male 12.8
GTEX-1MCC2-2726-SM-EWRN3 30-39 years, female 12.8
GTEX-1NHNU-1226-SM-DTX8I 50-59 years, male 12.8
GTEX-11TUW-2526-SM-5EQKN 60-69 years, male 12.7
GTEX-15ETS-0326-SM-6PANH 40-49 years, female 12.7
GTEX-1C64O-0326-SM-73KVW 60-69 years, male 12.7
GTEX-PSDG-0426-SM-5SI86 50-59 years, male 12.7
GTEX-ZZPT-0626-SM-5GZXT 50-59 years, male 12.7
GTEX-1H3VE-0126-SM-9WYTW 40-49 years, male 12.7
GTEX-1JJ6O-0926-SM-CYPT1 60-69 years, male 12.7
GTEX-1LVAO-0526-SM-EWRNS 60-69 years, male 12.7
GTEX-13PVR-2526-SM-5RQIT 60-69 years, female 12.6
GTEX-13U4I-1826-SM-5IJD2 40-49 years, female 12.6
GTEX-147F3-0226-SM-5NQBV 50-59 years, female 12.6
GTEX-1AMFI-2226-SM-731C6 50-59 years, female 12.6
GTEX-P4PP-1626-SM-2HMJF 30-39 years, female 12.6
GTEX-RUSQ-1726-SM-2TF68 50-59 years, male 12.6
GTEX-XBEW-1026-SM-4QARV 40-49 years, male 12.6
GTEX-ZVE1-0526-SM-5NQ71 50-59 years, female 12.6
GTEX-13OVJ-0226-SM-5L3GK 50-59 years, female 12.5
GTEX-14E1K-2326-SM-664MP 50-59 years, male 12.5
GTEX-14PN4-0326-SM-6EU2N 50-59 years, male 12.5
GTEX-15EO6-2826-SM-6PANB 50-59 years, male 12.5
GTEX-15SHV-2526-SM-6PAMG 60-69 years, male 12.5
GTEX-1S83E-2126-SM-EWRO6 40-49 years, male 12.5
GTEX-ZLFU-2526-SM-DO91K 40-49 years, male 12.5
GTEX-12WSG-5016-SM-7SB84 50-59 years, female 12.4
GTEX-1LGOU-2126-SM-DIPFG 20-29 years, female 12.4
GTEX-1S82P-0326-SM-E9TIR 60-69 years, female 12.4
GTEX-13O61-2326-SM-5J1NJ 60-69 years, male 12.3
GTEX-14BIM-0326-SM-5SI9B 60-69 years, female 12.3
GTEX-OXRL-1626-SM-2YUMU 50-59 years, male 12.3
GTEX-13N11-2726-SM-5L3ER 50-59 years, female 12.2
GTEX-13O21-1726-SM-5MR5A 50-59 years, male 12.2
GTEX-13PVQ-0326-SM-5K7YF 50-59 years, male 12.2
GTEX-13SLX-0326-SM-5Q5E4 50-59 years, female 12.2
GTEX-1477Z-1626-SM-5SIA8 60-69 years, male 12.2
GTEX-14PJ2-0326-SM-6EU2Q 50-59 years, male 12.2
GTEX-16BQI-0326-SM-6PAM4 30-39 years, female 12.2
GTEX-183FY-0226-SM-7LG54 20-29 years, male 12.2
GTEX-1AX9K-2726-SM-7DHMA 50-59 years, male 12.2
GTEX-1NUQO-0726-SM-E9J3K 20-29 years, female 12.2
GTEX-1R9K5-0326-SM-EWRNG 50-59 years, male 12.2
GTEX-1128S-2426-SM-5H11B 60-69 years, female 12.1
GTEX-11DXX-2726-SM-5PNXO 60-69 years, female 12.1
GTEX-147GR-0126-SM-62LER 60-69 years, male 12.1
GTEX-1A3MW-0526-SM-731BY 60-69 years, female 12.1
GTEX-1IDFM-1526-SM-ARL7U 60-69 years, male 12.1
GTEX-XMD1-0626-SM-EZ6MC 60-69 years, male 12.1
GTEX-146FQ-0326-SM-5NQAX 30-39 years, male 12.0
GTEX-15DDE-0526-SM-6ETZQ 50-59 years, female 12.0
GTEX-PLZ6-1526-SM-2S1OC 30-39 years, male 12.0
GTEX-VJWN-0426-SM-3GIJI 50-59 years, female 12.0
GTEX-XGQ4-2326-SM-4AT53 50-59 years, male 12.0
GTEX-ZTPG-0126-SM-5O9AL 20-29 years, female 12.0
GTEX-1FIGZ-1726-SM-9MQKS 40-49 years, male 12.0
GTEX-1O9I2-0526-SM-EYYXI 50-59 years, male 12.0
GTEX-11OC5-0326-SM-5PNW5 60-69 years, male 11.9
GTEX-131XE-2726-SM-5P9G7 50-59 years, male 11.9
GTEX-1399R-2526-SM-5IFG2 30-39 years, male 11.9
GTEX-13OVH-0626-SM-5L3EI 70-79 years, male 11.9
GTEX-13X6H-2326-SM-7EWEB 50-59 years, female 11.9
GTEX-14JIY-0426-SM-62LF7 60-69 years, male 11.9
GTEX-15CHQ-0726-SM-6EU18 60-69 years, male 11.9
GTEX-QDT8-0526-SM-3NMD8 30-39 years, female 11.9
GTEX-1HUB1-0526-SM-CL54N 60-69 years, male 11.9
GTEX-1I6K7-0326-SM-B2LXO 40-49 years, male 11.9
GTEX-1JN76-0326-SM-ARZNJ 20-29 years, female 11.9
GTEX-1N2DW-0426-SM-E9TK4 50-59 years, male 11.9
GTEX-12WSL-2726-SM-5CVNL 50-59 years, male 11.8
GTEX-15F5U-1826-SM-6LLJF 40-49 years, male 11.8
GTEX-ZVT2-2426-SM-57WCQ 50-59 years, female 11.8
GTEX-1F75B-0526-SM-7P8T5 50-59 years, male 11.8
GTEX-P4QT-1626-SM-DHXIR 50-59 years, female 11.8
GTEX-S33H-2226-SM-DKPOP 30-39 years, male 11.8
GTEX-111YS-2326-SM-5987L 60-69 years, male 11.7
GTEX-145MN-2426-SM-5NQA5 30-39 years, male 11.7
GTEX-15UF6-1026-SM-7KUF7 70-79 years, female 11.7
GTEX-QVUS-0226-SM-3GIJY 60-69 years, female 11.7
GTEX-WFON-2326-SM-3LK7M 40-49 years, male 11.7
GTEX-1HSMO-0526-SM-ACKXB 60-69 years, male 11.7
GTEX-12WSJ-1726-SM-5LZVV 40-49 years, female 11.6
GTEX-146FR-1726-SM-5Q5DT 60-69 years, female 11.6
GTEX-18A66-0126-SM-731CQ 60-69 years, male 11.6
GTEX-XAJ8-1026-SM-47JY9 40-49 years, male 11.6
GTEX-ZDXO-0326-SM-4WKHJ 60-69 years, male 11.6
GTEX-1GN1W-0726-SM-9KNTV 50-59 years, female 11.6
GTEX-1I4MK-2326-SM-ADEHR 50-59 years, female 11.6
GTEX-1IDJF-0326-SM-ADEIG 20-29 years, male 11.6
GTEX-1IL2U-0726-SM-EAZ2Y 60-69 years, male 11.6
GTEX-1KANA-0926-SM-D3L9K 20-29 years, male 11.6
GTEX-13PDP-0326-SM-5K7XP 60-69 years, male 11.5
GTEX-145LU-2026-SM-5Q5E8 50-59 years, male 11.5
GTEX-QDVN-2426-SM-2S1Q4 50-59 years, male 11.5
GTEX-U3ZH-1926-SM-4DXTR 30-39 years, male 11.5
GTEX-1F75I-0526-SM-7RHI3 40-49 years, male 11.5
GTEX-1JMPZ-0126-SM-CNPOZ 30-39 years, male 11.5
GTEX-13G51-2726-SM-5LZZ9 60-69 years, male 11.4
GTEX-13O3P-0626-SM-5L3D5 50-59 years, male 11.4
GTEX-OIZG-1326-SM-2HMIQ 50-59 years, male 11.4
GTEX-WHSE-0526-SM-5GZZD 20-29 years, male 11.4
GTEX-XPVG-2526-SM-4B66D 50-59 years, male 11.4
GTEX-1N2EF-0526-SM-E76OK 60-69 years, male 11.4
GTEX-11EM3-2126-SM-5H11M 20-29 years, female 11.3
GTEX-11WQC-2626-SM-5CVLF 60-69 years, male 11.3
GTEX-13VXT-0326-SM-5LU4U 20-29 years, female 11.3
GTEX-14DAR-1826-SM-664N1 50-59 years, male 11.3
GTEX-15CHC-2426-SM-6EU22 60-69 years, female 11.3
GTEX-ZTX8-1626-SM-51MRY 20-29 years, male 11.3
GTEX-1KD4Q-0326-SM-E9TJA 40-49 years, male 11.3
GTEX-1PPH7-2526-SM-E76OJ 40-49 years, male 11.3
GTEX-ZF29-2426-SM-DO92G 60-69 years, female 11.3
GTEX-132NY-0726-SM-5KLZM 60-69 years, male 11.2
GTEX-14753-0526-SM-5QGPR 60-69 years, male 11.2
GTEX-14A6H-5019-SM-793DH 30-39 years, male 11.2
GTEX-14PJ3-2026-SM-5ZZVK 50-59 years, male 11.2
GTEX-183WM-0426-SM-731B1 70-79 years, female 11.2
GTEX-18D9B-0426-SM-7LTAR 60-69 years, male 11.2
GTEX-RWS6-2126-SM-2XCAV 60-69 years, female 11.2
GTEX-TKQ2-0826-SM-33HB6 50-59 years, male 11.2
GTEX-ZF28-0526-SM-4WKGW 60-69 years, male 11.2
GTEX-ZQG8-1226-SM-51MRX 60-69 years, female 11.2
GTEX-1B97J-1226-SM-7PBZR 50-59 years, female 11.2
GTEX-1F88F-2526-SM-7PC2R 60-69 years, female 11.2
GTEX-1GF9V-0126-SM-9WYT2 60-69 years, male 11.2
GTEX-1HGF4-2626-SM-CM2SJ 60-69 years, male 11.2
GTEX-1I1GV-0126-SM-CL55G 60-69 years, male 11.2
GTEX-13NYB-2726-SM-5J2MT 40-49 years, male 11.1
GTEX-UJHI-1726-SM-3DB9B 50-59 years, female 11.1
GTEX-WYJK-1726-SM-3NM9U 50-59 years, male 11.1
GTEX-Y3IK-2626-SM-4WWDK 50-59 years, female 11.1
GTEX-ZA64-2026-SM-5PNXT 20-29 years, male 11.1
GTEX-1EH9U-0326-SM-7P8S2 60-69 years, male 11.1
GTEX-1GPI7-0426-SM-7RHHP 20-29 years, male 11.1
GTEX-1HFI7-1926-SM-A96TQ 50-59 years, female 11.1
GTEX-1R9K4-0626-SM-E76OZ 60-69 years, male 11.1
GTEX-11NV4-0326-SM-5HL58 60-69 years, male 11.0
GTEX-1211K-2126-SM-59HJZ 60-69 years, female 11.0
GTEX-13FHO-0726-SM-5IJDG 60-69 years, male 11.0
GTEX-15RJ7-2426-SM-6M48L 40-49 years, male 11.0
GTEX-17F97-0526-SM-7DUF8 50-59 years, male 11.0
GTEX-17F98-1626-SM-7938R 40-49 years, female 11.0
GTEX-WK11-2526-SM-3NM9Y 50-59 years, male 11.0
GTEX-ZAJG-0526-SM-5S2MT 50-59 years, female 11.0
GTEX-1M4P7-0126-SM-DKPQF 60-69 years, male 11.0
GTEX-11XUK-2226-SM-5CVLL 40-49 years, female 10.9
GTEX-12126-0526-SM-5PNW4 20-29 years, male 10.9
GTEX-13D11-2526-SM-5KM28 50-59 years, female 10.9
GTEX-13PL6-0326-SM-5IJCP 40-49 years, female 10.9
GTEX-14JG1-0126-SM-5ZZUP 40-49 years, male 10.9
GTEX-1CAMS-0126-SM-79396 40-49 years, female 10.9
GTEX-PWCY-2026-SM-5SI8R 20-29 years, female 10.9
GTEX-YFC4-1026-SM-5RQJM 40-49 years, female 10.9
GTEX-ZXG5-0326-SM-5GICH 60-69 years, male 10.9
GTEX-1EN7A-0326-SM-7P8T1 40-49 years, male 10.9
GTEX-1KAFJ-2326-SM-D3L8Z 50-59 years, male 10.9
GTEX-13N2G-2326-SM-5J1ON 60-69 years, male 10.8
GTEX-14A5I-0326-SM-5NQ9J 50-59 years, female 10.8
GTEX-16XZY-2226-SM-7938N 70-79 years, male 10.8
GTEX-18465-0326-SM-7LTAD 50-59 years, male 10.8
GTEX-XBEC-0626-SM-4QARY 50-59 years, male 10.8
GTEX-1HSEH-0326-SM-A9G26 60-69 years, male 10.8
GTEX-1ICLY-0326-SM-ARL7S 50-59 years, male 10.8
GTEX-1J1R8-2326-SM-CKZPS 40-49 years, male 10.8
GTEX-ZLWG-2126-SM-DO91M 50-59 years, female 10.8
GTEX-1399U-2526-SM-5L3DL 50-59 years, female 10.7
GTEX-139T4-0326-SM-5K7XN 50-59 years, female 10.7
GTEX-145LT-1626-SM-5O992 40-49 years, male 10.7
GTEX-14LZ3-0626-SM-5ZZWP 60-69 years, female 10.7
GTEX-OXRO-1726-SM-3LK6C 60-69 years, female 10.7
GTEX-R55D-0626-SM-3GAD5 50-59 years, male 10.7
GTEX-XYKS-2426-SM-4AT43 60-69 years, female 10.7
GTEX-ZVT3-0526-SM-5GIE9 60-69 years, female 10.7
GTEX-1CAMQ-0326-SM-7MXUI 40-49 years, male 10.7
GTEX-1F7RK-0326-SM-7RHH7 20-29 years, female 10.7
GTEX-1GN1V-0326-SM-9WYTO 60-69 years, male 10.7
GTEX-1HCUA-2326-SM-ACKVJ 50-59 years, female 10.7
GTEX-1LVAM-0326-SM-DIPFL 50-59 years, female 10.7
GTEX-13FTW-2326-SM-5K7YS 40-49 years, male 10.6
GTEX-13FXS-0326-SM-5K7TV 50-59 years, male 10.6
GTEX-R53T-1826-SM-3GIJX 50-59 years, female 10.6
GTEX-SIU8-0526-SM-2XCDP 50-59 years, male 10.6
GTEX-1F75A-0626-SM-7PBYI 50-59 years, male 10.6
GTEX-1HBPN-0526-SM-A9SM6 50-59 years, male 10.6
GTEX-1HCVE-0326-SM-CGQEW 50-59 years, male 10.6
GTEX-1I1GR-0326-SM-CKZPI 60-69 years, male 10.6
GTEX-1IDJU-2426-SM-ARZM9 60-69 years, female 10.6
GTEX-1QEPI-0526-SM-E76QF 60-69 years, female 10.6
GTEX-13FHP-0526-SM-5K7UY 50-59 years, male 10.5
GTEX-1B8L1-2726-SM-793AL 60-69 years, male 10.5
GTEX-OOBJ-1626-SM-2I3F7 60-69 years, male 10.5
GTEX-PWN1-1626-SM-2S1OL 40-49 years, female 10.5
GTEX-XOT4-0526-SM-4B66O 60-69 years, female 10.5
GTEX-1IDJH-0226-SM-CYPSB 70-79 years, male 10.5
GTEX-1QMI2-0526-SM-DTXFU 60-69 years, male 10.5
GTEX-131XG-2326-SM-5HL8F 50-59 years, female 10.4
GTEX-14E6D-0326-SM-62LDX 50-59 years, male 10.4
GTEX-PLZ5-1726-SM-2I5F6 50-59 years, male 10.4
GTEX-SJXC-0526-SM-2XCFG 60-69 years, male 10.4
GTEX-WHPG-2226-SM-3NMBO 50-59 years, male 10.4
GTEX-XBED-2626-SM-4E3J5 60-69 years, male 10.4
GTEX-1GMR8-0326-SM-9KNUO 50-59 years, female 10.4
GTEX-1K9T9-0326-SM-EWRNQ 50-59 years, female 10.4
GTEX-1R9JW-2426-SM-DTXFI 30-39 years, female 10.4
GTEX-1RAZA-0526-SM-E76R2 20-29 years, male 10.4
GTEX-111VG-2626-SM-5GZY2 60-69 years, male 10.3
GTEX-11NUK-0226-SM-5A5L4 50-59 years, male 10.3
GTEX-13111-2226-SM-5LZUE 50-59 years, male 10.3
GTEX-139UW-2626-SM-5K7W1 60-69 years, male 10.3
GTEX-13OW5-0326-SM-5L3HK 60-69 years, male 10.3
GTEX-13PLJ-0326-SM-5L3I7 60-69 years, female 10.3
GTEX-14PJM-0426-SM-5ZZVN 50-59 years, female 10.3
GTEX-T2IS-2626-SM-32QPP 20-29 years, female 10.3
GTEX-X638-0326-SM-47JY1 70-79 years, female 10.3
GTEX-ZY6K-2026-SM-5GZXQ 50-59 years, male 10.3
GTEX-1GZ4I-0526-SM-9YFLX 50-59 years, male 10.3
GTEX-1PIGE-0226-SM-E76OT 20-29 years, male 10.3
GTEX-11NSD-2026-SM-5HL5U 20-29 years, male 10.2
GTEX-12WSF-0926-SM-6PALU 70-79 years, male 10.2
GTEX-W5WG-1926-SM-4KKZK 50-59 years, female 10.2
GTEX-WWYW-0526-SM-3NB2W 50-59 years, female 10.2
GTEX-1IOXB-0326-SM-CL55M 50-59 years, male 10.2
GTEX-1LSNL-0126-SM-EWRNR 50-59 years, male 10.2
GTEX-1LVA9-0326-SM-DLHBU 50-59 years, male 10.2
GTEX-11ZTS-0526-SM-5CVL9 60-69 years, female 10.1
GTEX-13SLW-0326-SM-5RQK5 70-79 years, male 10.1
GTEX-14PK6-2126-SM-6ETZV 70-79 years, female 10.1
GTEX-17EVQ-1226-SM-7LG59 70-79 years, male 10.1
GTEX-YECK-0626-SM-4W1ZE 60-69 years, male 10.1
GTEX-Z9EW-1726-SM-5CVMO 40-49 years, male 10.1
GTEX-ZV68-0526-SM-59HKI 50-59 years, female 10.1
GTEX-ZYFD-0326-SM-5NQ8I 50-59 years, male 10.1
GTEX-1GF9X-2126-SM-7PBXN 40-49 years, female 10.1
GTEX-1I1GS-0326-SM-ARL7X 60-69 years, male 10.1
GTEX-1IY9M-0326-SM-ARZMN 60-69 years, male 10.1
GTEX-14BMV-0326-SM-5RQHW 50-59 years, male 10.0
GTEX-RU72-1326-SM-2TF6T 50-59 years, female 10.0
GTEX-XUW1-0826-SM-4BOP6 50-59 years, female 10.0
GTEX-1F88E-1826-SM-9MQLV 60-69 years, female 10.0
GTEX-1KANC-1626-SM-E6CIA 50-59 years, female 10.0
GTEX-1LG7Z-2126-SM-CXKYU 30-39 years, male 10.0
GTEX-15DCD-0626-SM-7KUG7 70-79 years, female 9.9
GTEX-OIZI-0626-SM-2XCEH 40-49 years, male 9.9
GTEX-Y5V6-2626-SM-5IFIX 60-69 years, male 9.9
GTEX-1GN73-0126-SM-CNPPT 60-69 years, male 9.9
GTEX-1HT8W-0326-SM-CM2SG 30-39 years, male 9.9
GTEX-1I1HK-0326-SM-ACKW5 60-69 years, male 9.9
GTEX-1JJEA-0126-SM-D3L8A 60-69 years, male 9.9
GTEX-11PRG-0326-SM-5GU53 50-59 years, male 9.8
GTEX-11UD1-0326-SM-5EQKX 40-49 years, female 9.8
GTEX-12696-2826-SM-5FQTY 60-69 years, male 9.8
GTEX-139TU-0526-SM-5J2M8 60-69 years, male 9.8
GTEX-13O3O-0526-SM-5J1NL 60-69 years, female 9.8
GTEX-13W46-0726-SM-5LU3Z 50-59 years, male 9.8
GTEX-14PJ5-2026-SM-6LLIN 60-69 years, female 9.8
GTEX-16NPV-2426-SM-6M482 50-59 years, female 9.8
GTEX-P44G-0526-SM-2XCD1 30-39 years, male 9.8
GTEX-PLZ4-0926-SM-2S1OI 50-59 years, female 9.8
GTEX-R55E-0526-SM-2TC6B 20-29 years, male 9.8
GTEX-ZF3C-0326-SM-4WWBF 50-59 years, female 9.8
GTEX-1EWIQ-0626-SM-7PBYW 70-79 years, female 9.8
GTEX-1J8EW-0326-SM-CYPSX 60-69 years, female 9.8
GTEX-1MJIX-2126-SM-E9J3A 40-49 years, male 9.8
GTEX-1192X-0426-SM-5GIEE 50-59 years, male 9.7
GTEX-11GS4-2526-SM-5A5KT 60-69 years, male 9.7
GTEX-13113-5019-SM-7EPH2 60-69 years, female 9.7
GTEX-14AS3-2126-SM-5S2MK 40-49 years, female 9.7
GTEX-18QFQ-0326-SM-731C3 30-39 years, male 9.7
GTEX-RN64-0326-SM-2TC5J 50-59 years, male 9.7
GTEX-Y9LG-1926-SM-5IFHY 30-39 years, male 9.7
GTEX-ZPIC-2526-SM-57WDP 40-49 years, female 9.7
GTEX-1CAV2-2426-SM-7P8QF 40-49 years, female 9.7
GTEX-1F6IF-0226-SM-7PBZ6 60-69 years, male 9.7
GTEX-12WSA-0726-SM-5FQU2 60-69 years, male 9.6
GTEX-144FL-0326-SM-5O99O 50-59 years, male 9.6
GTEX-15SB6-1826-SM-6PALN 50-59 years, female 9.6
GTEX-15SHU-0626-SM-7KUFH 40-49 years, female 9.6
GTEX-VUSG-2626-SM-4KKZI 50-59 years, male 9.6
GTEX-WRHU-0826-SM-3MJFN 50-59 years, female 9.6
GTEX-Y5V5-2526-SM-4VBQ4 60-69 years, female 9.6
GTEX-ZAB5-2126-SM-5K7UN 50-59 years, male 9.6
GTEX-1CB4F-0326-SM-9MQKD 60-69 years, male 9.6
GTEX-1F75W-0326-SM-7PC2Q 60-69 years, male 9.6
GTEX-111FC-0326-SM-5GZZ1 60-69 years, male 9.5
GTEX-11LCK-1226-SM-5Q5AM 30-39 years, male 9.5
GTEX-12WSN-2526-SM-5LZU8 40-49 years, male 9.5
GTEX-1313W-0526-SM-5P9FZ 50-59 years, female 9.5
GTEX-145LS-0526-SM-5LU8Y 60-69 years, female 9.5
GTEX-16NPX-0626-SM-7KULB 50-59 years, male 9.5
GTEX-ZAKK-0326-SM-5EGHA 70-79 years, male 9.5
GTEX-1HR9M-0326-SM-CL549 60-69 years, male 9.5
GTEX-1IKJJ-0326-SM-CL55L 60-69 years, male 9.5
GTEX-1RAZQ-0426-SM-DTXFQ 30-39 years, male 9.5
GTEX-1RQEC-0126-SM-E9J2H 60-69 years, male 9.5
GTEX-12WSH-2526-SM-5CVNH 50-59 years, male 9.4
GTEX-1A32A-0526-SM-731B9 50-59 years, female 9.4
GTEX-OHPK-1626-SM-2YUN3 50-59 years, female 9.4
GTEX-YB5E-2226-SM-5IFJ5 40-49 years, male 9.4
GTEX-ZWKS-0326-SM-5NQ7G 30-39 years, male 9.4
GTEX-1GF9U-2326-SM-7RHH9 40-49 years, female 9.4
GTEX-1GZ4H-1626-SM-7PC3F 50-59 years, female 9.4
GTEX-1GZHY-0126-SM-9WYUQ 50-59 years, female 9.4
GTEX-1IDJC-2026-SM-ADEIK 50-59 years, male 9.4
GTEX-113JC-2726-SM-5EGIS 50-59 years, female 9.3
GTEX-13NZB-2626-SM-5J2M7 30-39 years, male 9.3
GTEX-13RTJ-2726-SM-73KVG 60-69 years, male 9.3
GTEX-18A6Q-0326-SM-718AT 60-69 years, male 9.3
GTEX-1CB4I-0326-SM-7DHMM 50-59 years, male 9.3
GTEX-ZV7C-2426-SM-5NQ7Q 50-59 years, male 9.3
GTEX-1CB4G-0426-SM-7MXUN 60-69 years, male 9.3
GTEX-1JMQL-0126-SM-CY8HN 50-59 years, female 9.3
GTEX-1JN6P-0526-SM-COH33 60-69 years, male 9.3
GTEX-1KWVE-0926-SM-CXZKP 30-39 years, male 9.3
GTEX-1LB8K-0126-SM-EVYCN 50-59 years, male 9.3
GTEX-11DXW-0726-SM-5H12J 40-49 years, male 9.2
GTEX-1399T-2426-SM-5L3FJ 60-69 years, male 9.2
GTEX-13QIC-1226-SM-5K7YR 60-69 years, female 9.2
GTEX-14LLW-0526-SM-62LFB 70-79 years, female 9.2
GTEX-N7MS-0426-SM-2YUN6 60-69 years, male 9.2
GTEX-RNOR-0526-SM-2TF4O 50-59 years, female 9.2
GTEX-U3ZG-0326-SM-47JXN 50-59 years, male 9.2
GTEX-UJMC-1826-SM-3GADT 50-59 years, male 9.2
GTEX-1117F-0426-SM-5EGHI 60-69 years, female 9.1
GTEX-11GSO-2526-SM-5PNVX 60-69 years, male 9.1
GTEX-12WSC-0326-SM-5EQ5E 50-59 years, male 9.1
GTEX-13NZA-0526-SM-5L3D7 60-69 years, male 9.1
GTEX-13OW6-0626-SM-5L3IB 50-59 years, male 9.1
GTEX-15ER7-0226-SM-7KUEU 20-29 years, female 9.1
GTEX-PW2O-1726-SM-2S1OO 20-29 years, male 9.1
GTEX-RM2N-1626-SM-2TF5N 50-59 years, male 9.1
GTEX-TMMY-0426-SM-33HBB 40-49 years, female 9.1
GTEX-ZYFG-2426-SM-5GIE8 60-69 years, female 9.1
GTEX-ZYT6-1626-SM-5E45R 30-39 years, male 9.1
GTEX-1QP6S-0426-SM-DTXG4 40-49 years, male 9.1
GTEX-12BJ1-2526-SM-5FQUE 60-69 years, male 9.0
GTEX-12C56-1926-SM-5FQUG 20-29 years, male 9.0
GTEX-13JVG-0126-SM-5L3D3 60-69 years, male 9.0
GTEX-13OW7-0326-SM-5J1MP 50-59 years, male 9.0
GTEX-13VXU-0326-SM-5LU36 50-59 years, male 9.0
GTEX-1A3MX-0526-SM-718A9 60-69 years, male 9.0
GTEX-1AX9J-0126-SM-73KY2 60-69 years, male 9.0
GTEX-Y8LW-2026-SM-4V6G8 50-59 years, female 9.0
GTEX-1EMGI-0326-SM-9MQM5 60-69 years, male 9.0
GTEX-1HBPI-0226-SM-ADEJ7 50-59 years, male 9.0
GTEX-1I19N-2026-SM-ACKXJ 70-79 years, male 9.0
GTEX-1J8JJ-0126-SM-D3L93 60-69 years, female 9.0
GTEX-117XS-2526-SM-5H11G 60-69 years, male 8.9
GTEX-11GSP-2726-SM-5A5LJ 60-69 years, female 8.9
GTEX-13IVO-0626-SM-5LZYJ 70-79 years, male 8.9
GTEX-13OW8-1426-SM-5IJDT 60-69 years, male 8.9
GTEX-18A67-0326-SM-7LG5X 50-59 years, male 8.9
GTEX-1B933-0426-SM-7DHMC 50-59 years, female 8.9
GTEX-1C6WA-0326-SM-7DUGE 60-69 years, male 8.9
GTEX-XUYS-0326-SM-47JX2 50-59 years, male 8.9
GTEX-ZAB4-0426-SM-5HL7N 40-49 years, male 8.9
GTEX-ZDTS-0526-SM-4WKH9 60-69 years, male 8.9
GTEX-ZDYS-1726-SM-5HL4Y 50-59 years, male 8.9
GTEX-ZPCL-2026-SM-57WFD 60-69 years, female 8.9
GTEX-ZUA1-0326-SM-5NQA3 40-49 years, male 8.9
GTEX-ZVT4-0326-SM-51MS5 50-59 years, female 8.9
GTEX-1F6I4-0326-SM-7P8T8 60-69 years, male 8.9
GTEX-1GTWX-0326-SM-9WYTP 60-69 years, male 8.9
GTEX-1HFI6-0426-SM-B2LXB 40-49 years, male 8.9
GTEX-12ZZZ-0226-SM-59HKU 60-69 years, male 8.8
GTEX-YEC4-2226-SM-5IFJT 40-49 years, male 8.8
GTEX-11EMC-2626-SM-59864 60-69 years, female 8.7
GTEX-11EQ8-0526-SM-5N9BC 60-69 years, male 8.7
GTEX-11UD2-0326-SM-5EQLE 50-59 years, male 8.7
GTEX-12WSM-0326-SM-5LZVI 60-69 years, male 8.7
GTEX-1B97I-2026-SM-7DHN2 40-49 years, male 8.7
GTEX-OXRN-1326-SM-3LK5V 50-59 years, male 8.7
GTEX-WOFL-0626-SM-3MJG3 60-69 years, male 8.7
GTEX-1CB4H-0426-SM-7MXTL 60-69 years, female 8.7
GTEX-1GMRU-0326-SM-9WYT6 50-59 years, male 8.7
GTEX-1HSGN-0326-SM-ACKXQ 40-49 years, female 8.7
GTEX-1JMLX-0326-SM-CM2RP 50-59 years, male 8.7
GTEX-1269C-2626-SM-5EQ5C 60-69 years, female 8.6
GTEX-1AYD5-2226-SM-73KX3 50-59 years, male 8.6
GTEX-1B996-0326-SM-7DHMU 60-69 years, male 8.6
GTEX-1C2JI-2126-SM-793CG 50-59 years, male 8.6
GTEX-RU1J-1726-SM-2TF5S 20-29 years, female 8.6
GTEX-1A8FM-0526-SM-7P8SF 50-59 years, female 8.6
GTEX-139TS-2626-SM-5J1MT 60-69 years, male 8.5
GTEX-14E6E-2026-SM-664N5 30-39 years, male 8.5
GTEX-17MF6-2026-SM-7LG5I 40-49 years, male 8.5
GTEX-OXRK-1826-SM-2HMJE 50-59 years, female 8.5
GTEX-X4EO-0526-SM-3P5Z3 60-69 years, female 8.5
GTEX-Y8DK-0326-SM-4TT3P 60-69 years, male 8.5
GTEX-ZF2S-2126-SM-4WWAY 50-59 years, female 8.5
GTEX-1S82Y-2226-SM-EWRNV 40-49 years, male 8.5
GTEX-13O3Q-2726-SM-5KM51 50-59 years, male 8.4
GTEX-15D79-0526-SM-6ETZP 50-59 years, male 8.4
GTEX-17JCI-0326-SM-7LG5H 60-69 years, female 8.4
GTEX-18A7B-0326-SM-7LG65 70-79 years, male 8.4
GTEX-1I1GP-2126-SM-CKZPJ 50-59 years, male 8.4
GTEX-131XH-2726-SM-5GCO2 50-59 years, male 8.3
GTEX-139T6-2026-SM-5IFFL 50-59 years, male 8.3
GTEX-13FTY-0226-SM-5IJBW 40-49 years, female 8.3
GTEX-1A8G7-0326-SM-72D5B 60-69 years, male 8.3
GTEX-1C475-1726-SM-73KVX 40-49 years, female 8.3
GTEX-P4QS-1626-SM-2S1NH 60-69 years, male 8.3
GTEX-QLQ7-1726-SM-2S1QQ 60-69 years, male 8.3
GTEX-U412-0326-SM-3DB9L 60-69 years, male 8.3
GTEX-WZTO-0826-SM-3NM8Q 40-49 years, male 8.3
GTEX-X5EB-2326-SM-46MW5 40-49 years, male 8.3
GTEX-ZAK1-0526-SM-5K7X4 50-59 years, female 8.3
GTEX-ZVZO-0326-SM-5HL4N 40-49 years, male 8.3
GTEX-1KD5A-0726-SM-DIPEO 50-59 years, male 8.3
GTEX-1LH75-2626-SM-E9TKL 50-59 years, female 8.3
GTEX-1LNCM-1226-SM-E9U5C 50-59 years, female 8.3
GTEX-11ZVC-2726-SM-5FQSZ 50-59 years, female 8.2
GTEX-12584-0526-SM-5FQTS 40-49 years, male 8.2
GTEX-131XW-0326-SM-5KM1J 50-59 years, female 8.2
GTEX-16YQH-0426-SM-7KUL7 30-39 years, male 8.2
GTEX-18A7A-0626-SM-718BJ 50-59 years, female 8.2
GTEX-RTLS-0526-SM-2TF64 60-69 years, female 8.2
GTEX-TSE9-0526-SM-3DB7Z 60-69 years, female 8.2
GTEX-1IKOH-0126-SM-COH4D 60-69 years, female 8.2
GTEX-1PIIG-0126-SM-E9J46 30-39 years, male 8.2
GTEX-11DXY-2726-SM-5GID2 60-69 years, male 8.1
GTEX-13112-2626-SM-5BC66 50-59 years, male 8.1
GTEX-147JS-0526-SM-5TDD3 60-69 years, male 8.1
GTEX-1B8KE-2226-SM-7939K 50-59 years, male 8.1
GTEX-1B8KZ-2126-SM-73KYG 50-59 years, male 8.1
GTEX-YJ8O-2826-SM-5CVM4 40-49 years, female 8.1
GTEX-QCQG-2126-SM-DTXFV 50-59 years, female 8.1
GTEX-11H98-0326-SM-5HL4S 50-59 years, male 8.0
GTEX-11ZU8-2326-SM-5EQMJ 60-69 years, male 8.0
GTEX-13JUV-2326-SM-5IJCE 40-49 years, female 8.0
GTEX-17HGU-0626-SM-7939Y 50-59 years, male 8.0
GTEX-1AX9I-0326-SM-73KXQ 60-69 years, male 8.0
GTEX-ZE9C-2326-SM-5J1NT 60-69 years, male 8.0
GTEX-1J1OQ-0426-SM-A9SLI 40-49 years, female 8.0
GTEX-1J8Q2-0126-SM-E9J2G 60-69 years, male 8.0
GTEX-12WSD-0526-SM-5EQ6F 60-69 years, female 7.9
GTEX-13YAN-0526-SM-5O9BE 60-69 years, male 7.9
GTEX-144GL-0326-SM-5QGOY 50-59 years, male 7.9
GTEX-144GO-1326-SM-5Q5EL 60-69 years, male 7.9
GTEX-145MH-0326-SM-5LU8H 50-59 years, male 7.9
GTEX-16GPK-0526-SM-7KUER 60-69 years, male 7.9
GTEX-17HG3-2726-SM-7DHL5 30-39 years, female 7.9
GTEX-17MFQ-1926-SM-793A6 20-29 years, male 7.9
GTEX-QXCU-1726-SM-2TC6L 50-59 years, male 7.9
GTEX-1PPGY-0426-SM-DTXFE 60-69 years, male 7.9
GTEX-11OF3-2526-SM-5P9JL 60-69 years, male 7.8
GTEX-13QJ3-0726-SM-5SI68 50-59 years, male 7.8
GTEX-147F4-0326-SM-5TDCK 50-59 years, male 7.8
GTEX-16Z82-0126-SM-7DHLF 60-69 years, male 7.8
GTEX-1C6VR-2526-SM-7DHMT 60-69 years, male 7.8
GTEX-RWSA-0726-SM-2XCBE 40-49 years, male 7.8
GTEX-Y111-0326-SM-4SOIX 50-59 years, male 7.8
GTEX-ZZ64-1526-SM-5E43K 20-29 years, male 7.8
GTEX-1F5PL-0426-SM-7P8PR 40-49 years, female 7.8
GTEX-1H3NZ-0326-SM-9MQL6 60-69 years, male 7.8
GTEX-1I1GQ-0326-SM-A9SKS 50-59 years, male 7.8
GTEX-1ICLZ-0626-SM-ARL83 60-69 years, male 7.8
GTEX-1IKK5-0426-SM-CL53X 60-69 years, male 7.8
GTEX-1212Z-2626-SM-5YY8P 60-69 years, male 7.7
GTEX-13FTZ-2226-SM-5LZXI 60-69 years, male 7.7
GTEX-14BIL-0326-SM-5SI9Q 50-59 years, male 7.7
GTEX-17HII-0426-SM-793A3 50-59 years, male 7.7
GTEX-1C6VQ-0326-SM-7DHMS 50-59 years, male 7.7
GTEX-Q2AG-0426-SM-2S1PU 40-49 years, female 7.7
GTEX-SN8G-0326-SM-32PLG 50-59 years, female 7.7
GTEX-Y3I4-2326-SM-4TT81 50-59 years, male 7.7
GTEX-Z93S-1326-SM-5CVMR 50-59 years, male 7.7
GTEX-1EX96-1526-SM-7PBXK 50-59 years, male 7.7
GTEX-1GN1U-2226-SM-9MQK1 50-59 years, female 7.7
GTEX-1GPI6-0326-SM-9MQM6 60-69 years, male 7.7
GTEX-13OVL-1426-SM-5IJC1 50-59 years, male 7.6
GTEX-13X6I-0526-SM-5QGP8 60-69 years, male 7.6
GTEX-1H1CY-2726-SM-9MQLR 60-69 years, female 7.6
GTEX-1R7EU-0626-SM-DTX9N 60-69 years, male 7.6
GTEX-132Q8-0626-SM-5L3F3 60-69 years, male 7.5
GTEX-X8HC-0526-SM-4E3JA 50-59 years, female 7.5
GTEX-ZVTK-0626-SM-5GU6Y 20-29 years, male 7.5
GTEX-ZYFC-0526-SM-5GIDF 50-59 years, male 7.5
GTEX-1F48J-0526-SM-9WYSX 50-59 years, female 7.5
GTEX-11DXZ-2426-SM-5N9DT 50-59 years, male 7.4
GTEX-139TT-0426-SM-5IJFA 60-69 years, male 7.4
GTEX-13RTL-0326-SM-7LT89 40-49 years, male 7.4
GTEX-145MO-0726-SM-5NQB9 60-69 years, male 7.4
GTEX-14DAQ-0326-SM-664MR 60-69 years, female 7.4
GTEX-UPJH-0526-SM-4IHK8 50-59 years, male 7.4
GTEX-1GZ2Q-0426-SM-9WPOU 40-49 years, male 7.4
GTEX-145MG-0226-SM-5TDDB 50-59 years, male 7.3
GTEX-1A8G6-0126-SM-7DUFY 60-69 years, male 7.3
GTEX-S7PM-0526-SM-3NM92 60-69 years, male 7.3
GTEX-1C6VS-0126-SM-7PC2H 60-69 years, male 7.3
GTEX-1I6K6-0326-SM-CJI4A 30-39 years, male 7.3
GTEX-11WQK-0726-SM-5GU71 50-59 years, male 7.2
GTEX-13N1W-0526-SM-5MR4I 70-79 years, male 7.2
GTEX-XQ3S-0426-SM-4BOOA 20-29 years, male 7.2
GTEX-1E1VI-0426-SM-7DHN1 50-59 years, male 7.1
GTEX-QESD-1626-SM-2S1RB 20-29 years, male 7.1
GTEX-1MCQQ-0626-SM-E9U5Q 60-69 years, male 7.1
GTEX-11I78-2426-SM-5A5K9 50-59 years, female 7.0
GTEX-11TTK-0326-SM-5BC5N 60-69 years, female 7.0
GTEX-14C5O-0626-SM-664N2 60-69 years, male 7.0
GTEX-17EVP-1326-SM-7DHMR 40-49 years, male 7.0
GTEX-ZYW4-0526-SM-5GZZ5 60-69 years, male 7.0
GTEX-QEG4-0626-SM-2S1OY 30-39 years, male 6.9
GTEX-REY6-0826-SM-2TF4S 60-69 years, male 6.9
GTEX-1HCU6-0526-SM-A9SKU 60-69 years, female 6.9
GTEX-1HSMQ-1326-SM-ADEHS 50-59 years, male 6.9
GTEX-11ZUS-1426-SM-5FQSP 30-39 years, male 6.8
GTEX-1314G-1726-SM-5LZUX 30-39 years, male 6.8
GTEX-131YS-0526-SM-5EGKJ 60-69 years, female 6.8
GTEX-148VJ-0326-SM-5QGQE 70-79 years, male 6.8
GTEX-16MT8-0326-SM-6PAM5 60-69 years, female 6.8
GTEX-17HHE-2126-SM-7DHLO 50-59 years, male 6.8
GTEX-1GN2E-0726-SM-9MQLU 60-69 years, male 6.8
GTEX-11ZTT-2626-SM-5EQKK 60-69 years, female 6.7
GTEX-14E6C-1526-SM-664ND 40-49 years, male 6.6
GTEX-14PII-0626-SM-69LPY 60-69 years, male 6.6
GTEX-1GMR3-2126-SM-9WYTZ 40-49 years, male 6.6
GTEX-1E2YA-0526-SM-7P8RY 50-59 years, male 6.5
GTEX-11ONC-2426-SM-5GU7H 60-69 years, male 6.4
GTEX-13CF2-2726-SM-5LZWW 60-69 years, male 6.4
GTEX-UTHO-0726-SM-3GAEN 60-69 years, male 6.4
GTEX-1EU9M-0126-SM-7P8P8 60-69 years, male 6.4
GTEX-WL46-0626-SM-3LK7R 50-59 years, male 6.3
GTEX-13OVI-1726-SM-5L3DW 60-69 years, female 6.2
GTEX-OXRP-2326-SM-2S1NL 60-69 years, female 6.2
GTEX-YB5K-2326-SM-5IFHD 40-49 years, female 6.2
GTEX-12KS4-0826-SM-5BC5R 30-39 years, male 6.1
GTEX-139T8-0526-SM-5KLZL 60-69 years, male 6.1
GTEX-T5JC-0626-SM-3NMA6 20-29 years, male 6.1
GTEX-1IL2V-0526-SM-ARL8B 70-79 years, male 6.1
GTEX-POMQ-1926-SM-3NB1Y 20-29 years, female 6.0
GTEX-T6MN-0526-SM-32PMS 50-59 years, male 6.0
GTEX-X4XX-0626-SM-3NMC1 60-69 years, male 6.0
GTEX-12ZZX-0326-SM-5DUVH 40-49 years, female 5.9
GTEX-1445S-0626-SM-5LU3C 60-69 years, male 5.9
GTEX-TMZS-0326-SM-3DB9P 60-69 years, male 5.9
GTEX-12ZZY-0626-SM-5EQ5T 60-69 years, male 5.8
GTEX-13S7M-0326-SM-5S2PH 60-69 years, female 5.8
GTEX-14ABY-0126-SM-62LDI 50-59 years, male 5.7
GTEX-17HHY-0326-SM-7938H 50-59 years, male 5.7
GTEX-1B8SG-0326-SM-73KXW 50-59 years, male 5.7
GTEX-1CB4E-2126-SM-793AP 60-69 years, male 5.6
GTEX-1HBPH-0826-SM-ARZNB 40-49 years, female 5.4
GTEX-1JMQJ-0126-SM-E6CI2 50-59 years, male 5.4
GTEX-1S5VW-0526-SM-E6CHL 60-69 years, male 5.4
GTEX-1BAJH-0126-SM-7DHMF 70-79 years, male 5.2
GTEX-13X6J-0326-SM-7EPGD 50-59 years, male 5.1
GTEX-1R9PN-1826-SM-E8VO4 40-49 years, female 5.1
GTEX-1KANB-0126-SM-E6CJT 50-59 years, male 5.0
GTEX-1QCLY-0426-SM-E8VOH 30-39 years, male 5.0
GTEX-1HSKV-0126-SM-E6CI1 60-69 years, male 4.8
GTEX-1RQED-0426-SM-E6CJP 60-69 years, male 4.8
GTEX-1LG7Y-0126-SM-E6CJ8 50-59 years, male 3.9
GTEX-1S82U-1426-SM-E6CJL 30-39 years, female 3.9
GTEX-1H3O1-0626-SM-9MQM4 60-69 years, male 3.3
Show allShow less

SKELETAL MUSCLE - FANTOM5 CAGEi

RNA expression in human tissues obtained through Cap Analysis of Gene Expression (CAGE) generated by the FANTOM5 project are reported as Scaled Tags Per Million.

Max subtype Scaled Tags Per Millioni

Max subtype Scaled Tags Per Million is the value for the subtype with the largest average Scaled Tags Per Million across the subtype samples.

34.7
FANTOM5 sample id Sample description Scaled Tags Per Million
Skeletal muscle
Scaled Tags Per Million: 31.8
FF:10023-101D5 55,79,79 years, mixed 31.8
Skeletal muscle - soleus muscle
Scaled Tags Per Million: 34.7
FF:10282-104F3 male 34.7

Contact

  • NEWS ARTICLES
  • PRESS ROOM

The Project

  • INTRODUCTION
  • ORGANIZATION
  • PUBLICATIONS

The Human Protein Atlas

  • DOWNLOADABLE DATA
  • LICENCE & CITATION
  • HELP & FAQ
The Human Protein Atlas project is funded
by the Knut & Alice Wallenberg Foundation.


contact@proteinatlas.org