We use cookies to enhance the usability of our website. If you continue, we'll assume that you are happy to receive all cookies. More information. Don't show this again.
CRYAB
HPA
RESOURCES
  • TISSUE
  • BRAIN
  • SINGLE CELL
  • SUBCELLULAR
  • CANCER
  • BLOOD
  • CELL LINE
  • STRUCTURE & INTERACTION
ABOUT
  • INTRODUCTION
  • HISTORY
  • ORGANIZATION
  • PUBLICATIONS
  • ANTIBODY SUBMISSION
  • ANTIBODY AVAILABILITY
  • ACKNOWLEDGMENTS
  • CONTACT
NEWS
  • NEWS ARTICLES
  • PRESS ROOM
LEARN
  • DICTIONARY
  • PROTEIN CLASSES
  • PROTEIN EVIDENCE
  • METHODS
  • EDUCATIONAL VIDEOS
DATA
  • DOWNLOADABLE DATA
  • PUBLICATION DATA
  • RELEASE HISTORY
HELP
  • ANTIBODY VALIDATION
  • ASSAYS & ANNOTATION
  • DISCLAIMER
  • HELP & FAQ
  • PRIVACY STATEMENT
  • LICENCE & CITATION
Fields »
Search result

Field
Term
Gene name
Class
Subclass
Class
Keyword
Chromosome
External id
Tissue
Cell type
Expression
Antibody panel
Tissue
Main location
Patient ID
Annotation
Tissue
Category
Tau score
Cluster
Reliability
Brain region
Category
Tau score
Brain region
Category
Tau score
Brain region
Category
Tau score
Cluster
Reliability
Tissue
Cell type
Enrichment
Cell type
Category
Tau score
Cell type
Category
Tau score
Cell type
Category
Tau score
Cell lineage
Category
Tau score
Cluster
Cluster
Location
Searches
Location
Cell line
Class
Type
Phase
Reliability
Cancer
Prognosis
Cancer
Category
Cancer
Category
Tau score
Cluster
Variants
Interacting gene (ensg_id)
Type
Number of interactions
Pathway
Category
Score
Score
Score
Validation
Validation
Validation
Validation
Antibodies
Data type
Column


  • SUMMARY

  • TISSUE

  • BRAIN

  • SINGLE CELL

  • SUBCELL

  • CANCER

  • BLOOD

  • CELL LINE

  • STRUCT & INT

  • CRYAB
TISSUE PRIMARY DATA SALIVARY GLAND Show tissue menu
ADIPOSE TISSUE ADRENAL GLAND AMYGDALA APPENDIX BASAL GANGLIA BONE MARROW BREAST BRONCHUS CEREBELLUM CEREBRAL CORTEX CERVIX CHOROID PLEXUS COLON DUODENUM
ENDOMETRIUM EPIDIDYMIS ESOPHAGUS EYE FALLOPIAN TUBE GALLBLADDER HEART MUSCLE HIPPOCAMPAL FORMATION HYPOTHALAMUS KIDNEY LIVER LUNG LYMPH NODE MIDBRAIN
ORAL MUCOSA OVARY PANCREAS PARATHYROID GLAND PITUITARY GLAND PLACENTA PROSTATE RECTUM RETINA SALIVARY GLAND SEMINAL VESICLE SKELETAL MUSCLE SKIN SMALL INTESTINE
SMOOTH MUSCLE SOFT TISSUE SPINAL CORD SPLEEN STOMACH TESTIS THYMUS THYROID GLAND TONGUE TONSIL URINARY BLADDER VAGINA
ANTIBODIES
AND
VALIDATION
Dictionary
Salivary gland
Tissue proteome
Salivary gland
SALIVARY GLAND - Expression summary
Protein expression
Salivary glandi

On the top, protein expression in current human tissue, based on all annotated cell types, is reported with the units not detected (n), low (l), medium (m) and high (h). Underneath, protein expression in each annotated cell type are reported using the same units.

Protein expression data is based on knowledge-based annotation. For genes where more than one antibody has been used, a collective score is set.

If knowledge-based annotation could not be performed for a gene, no data is displayed here. View antibody staining data further down this page.

h
m
l
n
Glandular cells: Medium
RNA expressioni

A summary of mRNA expression data available for current tissue based on several datasets. The mRNA expression levels in human tissues are based on RNA-seq data generated by the Human Protein Atlas (HPA), Genotype-Tissue Expression (GTEx) portal and CAGE data generated by the FANTOM5 consortium. Consensus normalized expression levels for human tissues was created by combining the data from HPA and GTEx datasets.

The mRNA expression levels in pig are based on RNA-seq data generated by the Human Protein Atlas (HPA), and for mouse, HPA data and in situ hybridization generated by the Allen brain atlas are reported.

Scroll down to view mRNA expression data in more detail.
Consensus:415.8 nTPM
HPA:225.4 nTPM
GTEx:415.8 nTPM
FANTOM5:871.6 Scaled Tags Per Million

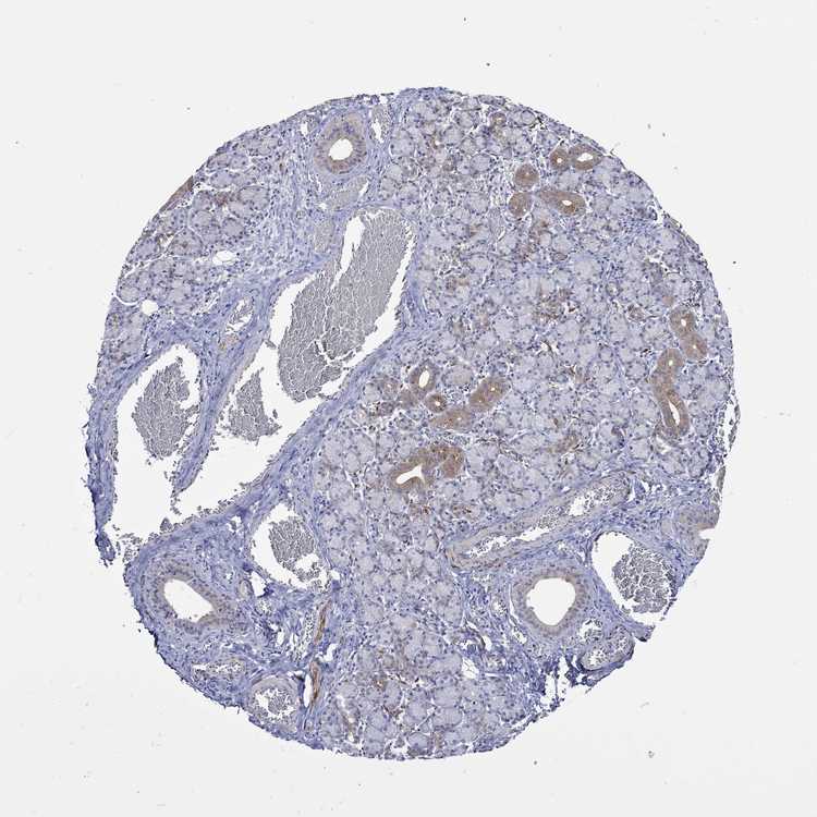
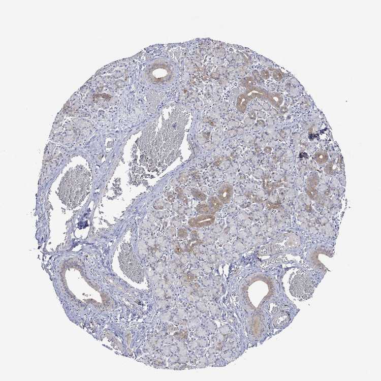
SALIVARY GLAND - Antibody stainingi

Antibody staining in the annotated cell types in the current human tissue is reported as not detected, low, medium, or high, based on conventional immunohistochemistry profiling in selected tissues. This score is based on the combination of the staining intensity and fraction of stained cells.

Each image is clickable and will lead to virtual microscopy that enables deeper exploration of all samples and also displays staining intensity scores, fraction scores and subcellular localization as well as patient and tissue information for each sample.

Antibody HPA057100Antibody CAB002053Antibody CAB040560
Glandular cells MediumMediumMedium







SALIVARY GLAND - HPA RNA-seqi

The RNA-seq details section shows detailed information about the individual samples used for the transcript profiling and results of the RNA-seq analysis.

Information about each individual sample is listed below, including gender, age, a tissue section image and estimated fractions of cell types. nTPM (normalized transcripts per million) values give a quantification of the gene abundance which is comparable between different genes and samples.
Average nTPMi

Max subtype nTPM is the value for the subtype with the largest average nTPM across the subtype samples.

225.4
overview
Female, age 68
Salivary gland sample 216
nTPM: 140.7
Cell types%
Glandular cells:
45

Ductal cells:
25

Adipocytes:
5

Other cell types:
25

overview
Male, age 60
Salivary gland sample 217
nTPM: 288.9
Cell types%
Glandular cells:
55

Ductal cells:
20

Adipocytes:
5

Endothelial cells:
5

Other cell types:
15

overview
Female, age 21
Salivary gland sample 218
nTPM: 246.6
Cell types%
Glandular cells:
55

Ductal cells:
15

Adipocytes:
5

Endothelial cells:
5

Other cell types:
20


SALIVARY GLAND - GTEx RNA-seqi

RNA-Seq data generated by the Genotype-Tissue Expression (GTEx) project from human tissues is reported as mean nTPM. More information can be found on the GTEx portal.

Distribution across the dataset is visualized with box plots, shown as median and 25th and 75th percentiles. Points are displayed as outliers if they are above or below 1.5 times the interquartile range. nTPM values of the individual samples are presented next to the box plot.
Max subtype nTPMi

Max subtype nTPM is the value for the subtype with the largest average nTPM across the subtype samples.

415.8
GTEx sample id Sample description nTPM
Minor Salivary Gland
Average nTPM: 415.8
Samples: 162

Max nTPM: 4747.7
Min nTPM: 60.8
Std nTPM: 656.6
Median nTPM: 232.0
GTEX-14JIY-3026-SM-6EU1R 60-69 years, male 4747.7
GTEX-1R9PM-1726-SM-E8VOA 20-29 years, male 4514.6
GTEX-13CF2-2426-SM-5LZYL 60-69 years, male 4050.6
GTEX-131XF-2826-SM-5EGKH 60-69 years, male 2423.4
GTEX-1B932-0626-SM-731EM 40-49 years, female 2222.3
GTEX-ZC5H-2726-SM-5KLZW 40-49 years, female 2205.8
GTEX-13QBU-2126-SM-5KLZN 40-49 years, female 1751.8
GTEX-1R9PO-2626-SM-E6CPU 60-69 years, female 1082.6
GTEX-1S83E-0626-SM-E9TKC 40-49 years, male 1025.0
GTEX-ZLWG-2026-SM-DO11F 50-59 years, female 994.2
GTEX-ZE7O-2926-SM-51MSG 50-59 years, female 939.1
GTEX-11EQ9-2026-SM-5P9JI 30-39 years, male 849.6
GTEX-ZLFU-2226-SM-EXUS7 40-49 years, male 806.1
GTEX-131XH-2626-SM-5GCNP 50-59 years, male 796.8
GTEX-XV7Q-2426-SM-4BRV8 40-49 years, female 792.2
GTEX-1GPI7-0326-SM-7MKH6 20-29 years, male 790.2
GTEX-1AMEY-1126-SM-72D79 30-39 years, female 711.2
GTEX-1192X-2926-SM-5N9BA 50-59 years, male 676.0
GTEX-1HCU7-0126-SM-C1YR3 50-59 years, male 583.0
GTEX-11WQK-2926-SM-5EQKT 50-59 years, male 579.6
GTEX-YF7O-2226-SM-5CVN8 50-59 years, male 563.5
GTEX-11EMC-2526-SM-5PNVU 60-69 years, female 556.8
GTEX-15EU6-2626-SM-7KUN4 50-59 years, male 554.9
GTEX-XMK1-2626-SM-4B65R 40-49 years, male 536.8
GTEX-1J8EW-2826-SM-A96T9 60-69 years, female 536.7
GTEX-1QP9N-2026-SM-DPRZT 30-39 years, male 514.5
GTEX-ZQG8-2126-SM-4YCF1 60-69 years, female 503.2
GTEX-1OJC3-1026-SM-E6CQK 20-29 years, male 498.7
GTEX-WH7G-2126-SM-4M1XU 40-49 years, male 490.0
GTEX-ZA64-1726-SM-5CVMF 20-29 years, male 483.6
GTEX-18QFQ-0626-SM-718AW 30-39 years, male 482.1
GTEX-1PIEJ-0626-SM-DTX99 20-29 years, female 480.8
GTEX-1JKYR-0726-SM-AHZ3K 20-29 years, male 472.0
GTEX-1QMI2-0426-SM-EWRND 60-69 years, male 454.1
GTEX-1QCLZ-2526-SM-EXUST 60-69 years, female 446.9
GTEX-1I4MK-1326-SM-B2LWT 50-59 years, female 439.6
GTEX-18D9U-2226-SM-7KFTN 40-49 years, male 437.8
GTEX-13OVI-2326-SM-5KM47 60-69 years, female 431.1
GTEX-13111-2326-SM-5LZUQ 50-59 years, male 421.0
GTEX-1PPH8-1526-SM-E6CQO 20-29 years, male 418.7
GTEX-1H4P4-2026-SM-9WPNV 50-59 years, male 389.8
GTEX-1C64O-0626-SM-7DHL1 60-69 years, male 388.5
GTEX-1I6K7-0926-SM-A96SV 40-49 years, male 377.8
GTEX-Y5V6-2226-SM-4VDTC 60-69 years, male 375.8
GTEX-15CHC-1226-SM-686ZH 60-69 years, female 366.6
GTEX-12WSN-2226-SM-5DUXT 40-49 years, male 356.5
GTEX-YB5K-1726-SM-5IFIZ 40-49 years, female 355.0
GTEX-ZG7Y-2426-SM-DO11H 50-59 years, male 352.8
GTEX-17MFQ-1626-SM-7938Z 20-29 years, male 347.7
GTEX-18A67-0626-SM-7KFSL 50-59 years, male 342.8
GTEX-11P81-2026-SM-5P9GT 30-39 years, female 340.4
GTEX-X5EB-1726-SM-4E3J7 40-49 years, male 339.7
GTEX-17KNJ-2726-SM-7KFRE 50-59 years, male 332.1
GTEX-1GF9X-0226-SM-7P8SM 40-49 years, female 331.6
GTEX-ZP4G-1926-SM-57WDZ 20-29 years, female 330.6
GTEX-1LKK1-2926-SM-EVR4Z 50-59 years, female 326.6
GTEX-Y3I4-1926-SM-4TT8L 50-59 years, male 316.9
GTEX-WY7C-1426-SM-4OND1 50-59 years, male 313.8
GTEX-14E1K-2626-SM-664OJ 50-59 years, male 312.2
GTEX-WOFM-2126-SM-4OOSR 20-29 years, male 311.4
GTEX-ZXG5-2826-SM-5NQ8T 60-69 years, male 305.0
GTEX-1MCC2-2226-SM-EV7AJ 30-39 years, female 296.9
GTEX-1CB4I-2526-SM-7MKG1 50-59 years, male 293.6
GTEX-1R9K4-0526-SM-E76P1 60-69 years, male 286.2
GTEX-11ZTS-3026-SM-5EQM7 60-69 years, female 285.7
GTEX-1B8KZ-1726-SM-73KV7 50-59 years, male 284.7
GTEX-ZPU1-2326-SM-57WEP 40-49 years, male 279.9
GTEX-1HSEH-1826-SM-A96SA 60-69 years, male 275.5
GTEX-1MGNQ-1926-SM-DTX8L 40-49 years, male 274.5
GTEX-X15G-2126-SM-4PQZR 50-59 years, female 271.2
GTEX-1HFI7-2426-SM-B2LXV 50-59 years, female 266.7
GTEX-1LVA9-2526-SM-EVR5H 50-59 years, male 257.7
GTEX-13VXT-1726-SM-5IFF5 20-29 years, female 253.4
GTEX-X261-2426-SM-4PQZU 50-59 years, male 252.8
GTEX-178AV-1426-SM-6LLID 40-49 years, male 248.9
GTEX-1NSGN-0626-SM-E9J35 50-59 years, male 248.3
GTEX-WFJO-2026-SM-4LVM3 30-39 years, male 244.8
GTEX-14PJ3-1526-SM-664O9 50-59 years, male 242.9
GTEX-12BJ1-2226-SM-5BC6G 60-69 years, male 233.5
GTEX-ZF29-2126-SM-DNZYX 60-69 years, female 233.5
GTEX-146FR-1226-SM-5SIA7 60-69 years, female 233.4
GTEX-13113-1526-SM-5EGHV 60-69 years, female 230.6
GTEX-1IDJC-1626-SM-AHZ2R 50-59 years, male 230.6
GTEX-1HSMQ-0926-SM-A96SI 50-59 years, male 229.4
GTEX-ZT9W-2126-SM-51MSF 50-59 years, male 228.3
GTEX-13JVG-2926-SM-5J2N9 60-69 years, male 227.3
GTEX-14PJN-1726-SM-69LO7 30-39 years, male 223.6
GTEX-11ZTT-2226-SM-5CVLP 60-69 years, female 221.3
GTEX-Y5LM-1826-SM-4VDT9 40-49 years, female 218.0
GTEX-13QJC-2326-SM-5Q5CD 60-69 years, female 215.5
GTEX-1EH9U-2926-SM-7DHLX 60-69 years, male 214.6
GTEX-1RAZA-0626-SM-EAZ4H 20-29 years, male 208.7
GTEX-1C6VR-0726-SM-7P8OV 60-69 years, male 207.6
GTEX-1S82P-0726-SM-EVR4O 60-69 years, female 207.3
GTEX-12WSL-2126-SM-5GCNG 50-59 years, male 206.3
GTEX-1OJC4-3126-SM-EXOJK 50-59 years, female 203.8
GTEX-11P82-0926-SM-5986X 20-29 years, male 202.6
GTEX-1IE54-0826-SM-AHZ2Z 40-49 years, female 202.0
GTEX-1GMR2-2026-SM-7MKHK 50-59 years, male 200.7
GTEX-1314G-2026-SM-5LZUM 30-39 years, male 200.6
GTEX-1JN1M-2426-SM-ARU93 60-69 years, female 199.9
GTEX-1I6K6-0626-SM-ARU7J 30-39 years, male 199.1
GTEX-1R9K5-0626-SM-DPRZB 50-59 years, male 198.4
GTEX-1J8QM-1826-SM-A96TA 60-69 years, female 194.4
GTEX-WHSB-2326-SM-4M1XK 50-59 years, male 192.9
GTEX-14B4R-1426-SM-5Q5CG 30-39 years, male 192.5
GTEX-1B97J-2126-SM-79OL6 50-59 years, female 191.9
GTEX-1339X-2326-SM-5HL5B 40-49 years, male 187.2
GTEX-ZQUD-2126-SM-51MSY 30-39 years, male 183.5
GTEX-1GN1W-2526-SM-9JGHX 50-59 years, female 183.1
GTEX-1HSGN-0626-SM-A9G2E 40-49 years, female 182.7
GTEX-18A7B-2826-SM-7KFTK 70-79 years, male 181.6
GTEX-1AX8Z-0626-SM-731EH 60-69 years, male 175.8
GTEX-145ME-1626-SM-5RQI3 40-49 years, female 173.7
GTEX-1KANC-1326-SM-CYPT8 50-59 years, female 170.8
GTEX-1POEN-2226-SM-DPRXV 30-39 years, female 168.5
GTEX-WYVS-2026-SM-4RGNS 40-49 years, female 168.1
GTEX-11TUW-2426-SM-5EQKB 60-69 years, male 163.1
GTEX-1GZ2Q-2526-SM-9KNVW 40-49 years, male 160.3
GTEX-1LVAO-2626-SM-EVR4S 60-69 years, male 159.5
GTEX-1J1R8-1826-SM-AHZ3B 40-49 years, male 159.0
GTEX-X3Y1-1926-SM-4PQZO 40-49 years, male 157.2
GTEX-1LBAC-0626-SM-D3L9T 20-29 years, male 154.7
GTEX-1MCQQ-2226-SM-DLHC4 60-69 years, male 152.4
GTEX-15SHV-2226-SM-6M464 60-69 years, male 151.7
GTEX-XGQ4-2626-SM-4AT6B 50-59 years, male 150.3
GTEX-1IDJD-2526-SM-C1YSA 30-39 years, male 149.0
GTEX-1A3MV-1726-SM-72D68 30-39 years, male 148.9
GTEX-13OVK-1826-SM-6PALE 40-49 years, male 148.5
GTEX-1LC47-2426-SM-DHXKK 60-69 years, male 147.2
GTEX-14PN4-2526-SM-686ZG 50-59 years, male 142.3
GTEX-1QEPI-0626-SM-E76QE 60-69 years, female 141.8
GTEX-1AYD5-2726-SM-7MXVG 50-59 years, male 136.4
GTEX-1AX9K-2126-SM-72D7K 50-59 years, male 133.0
GTEX-1C64N-2926-SM-79OLM 50-59 years, male 127.8
GTEX-13O21-1926-SM-5MR39 50-59 years, male 125.4
GTEX-1C4CL-2026-SM-731EB 30-39 years, male 122.0
GTEX-1KD5A-2226-SM-EV79U 50-59 years, male 121.5
GTEX-1445S-2926-SM-5O993 60-69 years, male 120.8
GTEX-1GN1V-2926-SM-9JGI3 60-69 years, male 115.2
GTEX-1B8SF-1826-SM-731DJ 60-69 years, male 114.8
GTEX-111FC-2926-SM-5GZY7 60-69 years, male 114.2
GTEX-1KD4Q-2526-SM-CXZKL 40-49 years, male 113.8
GTEX-1I1HK-2526-SM-A96SM 60-69 years, male 112.8
GTEX-15RJE-2726-SM-6LPJ1 40-49 years, male 109.6
GTEX-1LSNL-2626-SM-EV7AT 50-59 years, male 109.6
GTEX-ZAB5-2326-SM-5IJFR 50-59 years, male 109.5
GTEX-1117F-3026-SM-5GZYU 60-69 years, female 106.1
GTEX-1GTWX-2526-SM-9JGHG 60-69 years, male 104.9
GTEX-13OVL-2926-SM-5IFG3 50-59 years, male 104.7
GTEX-12WSM-1826-SM-5BC64 60-69 years, male 103.9
GTEX-1IY9M-2926-SM-A96TH 60-69 years, male 96.2
GTEX-1JN6P-2526-SM-CNNPX 60-69 years, male 95.3
GTEX-1P4AB-2926-SM-EXOJR 50-59 years, male 92.3
GTEX-Y111-2626-SM-4TT24 50-59 years, male 92.1
GTEX-13NYB-2426-SM-5IFF4 40-49 years, male 87.4
GTEX-11NV4-1926-SM-5N9D4 60-69 years, male 87.3
GTEX-1RNSC-2926-SM-EV79L 60-69 years, male 80.5
GTEX-1IOXB-2826-SM-AHZ32 50-59 years, male 75.3
GTEX-13G51-2426-SM-5LZY8 60-69 years, male 66.9
GTEX-1H1CY-2326-SM-9OSXW 60-69 years, female 65.3
GTEX-1HR9M-2526-SM-A9G3J 60-69 years, male 60.8
Show allShow less

SALIVARY GLAND - FANTOM5 CAGEi

RNA expression in human tissues obtained through Cap Analysis of Gene Expression (CAGE) generated by the FANTOM5 project are reported as Scaled Tags Per Million.

Max subtype Scaled Tags Per Millioni

Max subtype Scaled Tags Per Million is the value for the subtype with the largest average Scaled Tags Per Million across the subtype samples.

871.6
FANTOM5 sample id Sample description Scaled Tags Per Million
Parotid gland
Scaled Tags Per Million: 654.9
FF:10199-103F1 23 years, male 654.9
Salivary gland
Scaled Tags Per Million: 871.6
FF:10093-102C3 16-60 years, mixed 871.6
Submaxillary gland
Scaled Tags Per Million: 714.4
FF:10202-103F4 24 years, male 714.4

Contact

  • NEWS ARTICLES
  • PRESS ROOM

The Project

  • INTRODUCTION
  • ORGANIZATION
  • PUBLICATIONS

The Human Protein Atlas

  • DOWNLOADABLE DATA
  • LICENCE & CITATION
  • HELP & FAQ
The Human Protein Atlas project is funded
by the Knut & Alice Wallenberg Foundation.


contact@proteinatlas.org