We use cookies to enhance the usability of our website. If you continue, we'll assume that you are happy to receive all cookies. More information. Don't show this again.
SCNN1A
HPA
RESOURCES
  • TISSUE
  • BRAIN
  • SINGLE CELL
  • SUBCELLULAR
  • CANCER
  • BLOOD
  • CELL LINE
  • STRUCTURE & INTERACTION
ABOUT
  • INTRODUCTION
  • HISTORY
  • ORGANIZATION
  • PUBLICATIONS
  • ANTIBODY SUBMISSION
  • ANTIBODY AVAILABILITY
  • ACKNOWLEDGMENTS
  • CONTACT
NEWS
  • NEWS ARTICLES
  • PRESS ROOM
LEARN
  • DICTIONARY
  • PROTEIN CLASSES
  • PROTEIN EVIDENCE
  • METHODS
  • EDUCATIONAL VIDEOS
DATA
  • DOWNLOADABLE DATA
  • PUBLICATION DATA
  • RELEASE HISTORY
HELP
  • ANTIBODY VALIDATION
  • ASSAYS & ANNOTATION
  • DISCLAIMER
  • HELP & FAQ
  • PRIVACY STATEMENT
  • LICENCE & CITATION
Fields »
Search result

Field
Term
Gene name
Class
Subclass
Class
Keyword
Chromosome
External id
Tissue
Cell type
Expression
Antibody panel
Tissue
Main location
Patient ID
Annotation
Tissue
Category
Tau score
Cluster
Reliability
Brain region
Category
Tau score
Brain region
Category
Tau score
Brain region
Category
Tau score
Cluster
Reliability
Tissue
Cell type
Enrichment
Cell type
Category
Tau score
Cell type
Category
Tau score
Cell type
Category
Tau score
Cell lineage
Category
Tau score
Cluster
Cluster
Location
Searches
Location
Cell line
Class
Type
Phase
Reliability
Cancer
Prognosis
Cancer
Category
Cancer
Category
Tau score
Cluster
Variants
Interacting gene (ensg_id)
Type
Number of interactions
Pathway
Category
Score
Score
Score
Validation
Validation
Validation
Validation
Antibodies
Data type
Column


  • SUMMARY

  • TISSUE

  • BRAIN

  • SINGLE CELL

  • SUBCELL

  • CANCER

  • BLOOD

  • CELL LINE

  • STRUCT & INT

  • SCNN1A
TISSUE PRIMARY DATA BREAST Show tissue menu
ADIPOSE TISSUE ADRENAL GLAND AMYGDALA APPENDIX BASAL GANGLIA BONE MARROW BREAST BRONCHUS CEREBELLUM CEREBRAL CORTEX CERVIX CHOROID PLEXUS COLON DUODENUM
ENDOMETRIUM EPIDIDYMIS ESOPHAGUS FALLOPIAN TUBE GALLBLADDER HEART MUSCLE HIPPOCAMPAL FORMATION HYPOTHALAMUS KIDNEY LIVER LUNG LYMPH NODE MIDBRAIN NASOPHARYNX
ORAL MUCOSA OVARY PANCREAS PARATHYROID GLAND PITUITARY GLAND PLACENTA PROSTATE RECTUM RETINA SALIVARY GLAND SEMINAL VESICLE SKELETAL MUSCLE SKIN SMALL INTESTINE
SMOOTH MUSCLE SOFT TISSUE SPINAL CORD SPLEEN STOMACH TESTIS THYMUS THYROID GLAND TONGUE TONSIL URINARY BLADDER VAGINA
ANTIBODIES
AND
VALIDATION
Dictionary
Breast
Tissue proteome
Breast
BREAST - Expression summary
Protein expression
Breasti

On the top, protein expression in current human tissue, based on all annotated cell types, is reported with the units not detected (n), low (l), medium (m) and high (h). Underneath, protein expression in each annotated cell type are reported using the same units.

Protein expression data is based on knowledge-based annotation. For genes where more than one antibody has been used, a collective score is set.

If knowledge-based annotation could not be performed for a gene, no data is displayed here. View antibody staining data further down this page.

h
m
l
n
Adipocytes: Not detected
Glandular cells: Low
Myoepithelial cells: Not detected
RNA expressioni

A summary of mRNA expression data available for current tissue based on several datasets. The mRNA expression levels in human tissues are based on RNA-seq data generated by the Human Protein Atlas (HPA), Genotype-Tissue Expression (GTEx) portal and CAGE data generated by the FANTOM5 consortium. Consensus normalized expression levels for human tissues was created by combining the data from HPA and GTEx datasets.

The mRNA expression levels in pig are based on RNA-seq data generated by the Human Protein Atlas (HPA), and for mouse, HPA data and in situ hybridization generated by the Allen brain atlas are reported.

Scroll down to view mRNA expression data in more detail.
Consensus:19.9 nTPM
HPA:19.1 nTPM
GTEx:19.9 nTPM
FANTOM5:35.0 Scaled Tags Per Million

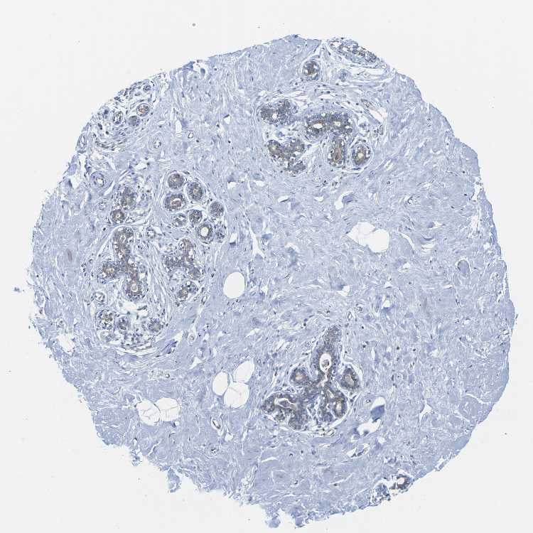
BREAST - Antibody stainingi

Antibody staining in the annotated cell types in the current human tissue is reported as not detected, low, medium, or high, based on conventional immunohistochemistry profiling in selected tissues. This score is based on the combination of the staining intensity and fraction of stained cells.

Each image is clickable and will lead to virtual microscopy that enables deeper exploration of all samples and also displays staining intensity scores, fraction scores and subcellular localization as well as patient and tissue information for each sample.

Antibody HPA012743
Adipocytes Not detected
Glandular cells Low
Myoepithelial cells Not detected


BREAST - HPA RNA-seqi

The RNA-seq details section shows detailed information about the individual samples used for the transcript profiling and results of the RNA-seq analysis.

Information about each individual sample is listed below, including gender, age, a tissue section image and estimated fractions of cell types. nTPM (normalized transcripts per million) values give a quantification of the gene abundance which is comparable between different genes and samples.
Average nTPMi

Max subtype nTPM is the value for the subtype with the largest average nTPM across the subtype samples.

19.1
overview
Female, age 52
Breast sample 373
nTPM: 12.2
Cell types%
Glandular cells:
15

Adipocytes:
5

Other cell types:
80

overview
Female, age 80
Breast sample 390
nTPM: 26.5
Cell types%
Glandular cells:
5

Adipocytes:
15

Other cell types:
80

overview
Female, age 47
Breast sample 405
nTPM: 22.6
Cell types%
Glandular cells:
5

Adipocytes:
5

Other cell types:
90

overview
Female, age 38
Breast sample 410
nTPM: 15.4
Cell types%
Glandular cells:
40

Adipocytes:
5

Other cell types:
55


BREAST - GTEx RNA-seqi

RNA-Seq data generated by the Genotype-Tissue Expression (GTEx) project from human tissues is reported as mean nTPM. More information can be found on the GTEx portal.

Distribution across the dataset is visualized with box plots, shown as median and 25th and 75th percentiles. Points are displayed as outliers if they are above or below 1.5 times the interquartile range. nTPM values of the individual samples are presented next to the box plot.
Max subtype nTPMi

Max subtype nTPM is the value for the subtype with the largest average nTPM across the subtype samples.

19.9
GTEx sample id Sample description nTPM
Breast - Mammary Tissue
Average nTPM: 19.9
Samples: 459

Max nTPM: 172.8
Min nTPM: 0.2
Std nTPM: 21.6
Median nTPM: 14.5
GTEX-1HBPN-2326-SM-9WPPU 50-59 years, male 172.8
GTEX-ZTPG-2826-SM-57WGA 20-29 years, female 102.5
GTEX-1NUQO-2226-SM-E9U68 20-29 years, female 101.1
GTEX-11EM3-1326-SM-5N9C6 20-29 years, female 94.2
GTEX-RU1J-0626-SM-4WAWY 20-29 years, female 84.0
GTEX-1MA7W-1026-SM-DKPQK 20-29 years, female 83.8
GTEX-ZVT2-1826-SM-5NQ8W 50-59 years, female 81.4
GTEX-XUZC-1626-SM-4BRVP 30-39 years, female 80.0
GTEX-1LVAN-1326-SM-CNPQE 50-59 years, female 79.0
GTEX-ZXES-0826-SM-5E43C 30-39 years, female 77.1
GTEX-14H4A-2526-SM-5YYAY 40-49 years, female 76.9
GTEX-14LLW-0626-SM-62LFC 70-79 years, female 73.6
GTEX-11EMC-2026-SM-5A5JV 60-69 years, female 67.6
GTEX-1CB4J-1826-SM-7EWF9 60-69 years, male 67.0
GTEX-1LVAM-0926-SM-E9TJ2 50-59 years, female 66.9
GTEX-14BMU-1626-SM-5TDE7 20-29 years, female 66.6
GTEX-132Q8-1426-SM-5EGK7 60-69 years, male 64.6
GTEX-Y5LM-1726-SM-4VDSX 40-49 years, female 64.3
GTEX-1I1GT-1126-SM-ARL7J 60-69 years, female 63.2
GTEX-1GN1U-0526-SM-9KNTT 50-59 years, female 62.1
GTEX-1HSGN-1526-SM-A9SMO 40-49 years, female 61.6
GTEX-1399U-1826-SM-5PNZ1 50-59 years, female 60.0
GTEX-14PHY-1926-SM-5YY95 60-69 years, female 59.4
GTEX-VJWN-0726-SM-3GIJ8 50-59 years, female 59.1
GTEX-ZGAY-1726-SM-DO91P 40-49 years, female 58.3
GTEX-ZZPU-0626-SM-5E43T 50-59 years, female 57.4
GTEX-WYBS-0926-SM-3NM94 60-69 years, female 57.3
GTEX-1HCUA-0726-SM-ACKVU 50-59 years, female 56.8
GTEX-X15G-1626-SM-3NMB3 50-59 years, female 56.1
GTEX-1GMR8-0726-SM-9KNVI 50-59 years, female 55.6
GTEX-ZLV1-1426-SM-DO92Z 60-69 years, female 54.8
GTEX-1RAZQ-1226-SM-EWRNL 30-39 years, male 54.5
GTEX-1M5QR-2526-SM-E9U5P 40-49 years, male 54.3
GTEX-1GN1W-1926-SM-7P8TH 50-59 years, female 53.3
GTEX-16NGA-0826-SM-718AF 40-49 years, female 53.1
GTEX-15ETS-0626-SM-7KUMX 40-49 years, female 53.0
GTEX-T6MO-0326-SM-32QOK 40-49 years, female 52.6
GTEX-1CAMS-1426-SM-7IGPM 40-49 years, female 52.1
GTEX-1I4MK-1626-SM-CM2TJ 50-59 years, female 51.5
GTEX-1C6VS-0726-SM-7EPHF 60-69 years, male 51.4
GTEX-13FTY-2226-SM-5J1ND 40-49 years, female 51.0
GTEX-ZF29-1926-SM-5S2P1 60-69 years, female 49.8
GTEX-S341-1526-SM-4AD6K 40-49 years, female 49.3
GTEX-1LGRB-1826-SM-CNPQL 50-59 years, female 49.2
GTEX-133LE-1726-SM-5K7VQ 20-29 years, female 49.1
GTEX-UJHI-1426-SM-3DB9C 50-59 years, female 47.6
GTEX-S4P3-1326-SM-4AD6V 50-59 years, female 47.1
GTEX-13PVR-2226-SM-7DHKP 60-69 years, female 47.0
GTEX-1IKOE-1326-SM-CE6T6 30-39 years, female 46.6
GTEX-RWS6-1926-SM-47JXY 60-69 years, female 46.5
GTEX-1B97J-0426-SM-79OLQ 50-59 years, female 46.2
GTEX-15UF6-0126-SM-6PAMB 70-79 years, female 45.9
GTEX-S4UY-0726-SM-4AD6X 40-49 years, female 45.8
GTEX-U412-1826-SM-4DXTJ 60-69 years, male 45.3
GTEX-14PN4-0626-SM-62LFP 50-59 years, male 45.2
GTEX-13D11-1026-SM-5IJFB 50-59 years, female 45.0
GTEX-111YS-1926-SM-5GICC 60-69 years, male 44.5
GTEX-SE5C-2126-SM-4BRUJ 40-49 years, female 44.3
GTEX-T5JC-2126-SM-32PMO 20-29 years, male 43.9
GTEX-X4EP-2926-SM-3P5YQ 60-69 years, female 43.8
GTEX-1GZ4H-0326-SM-7P8QX 50-59 years, female 43.8
GTEX-1RAZS-1226-SM-E8VMT 50-59 years, male 43.6
GTEX-XBED-1626-SM-47JYN 60-69 years, male 43.2
GTEX-1F75I-2026-SM-7SB7N 40-49 years, male 42.9
GTEX-1BAJH-0826-SM-7EWEF 70-79 years, male 42.5
GTEX-XMD2-0926-SM-4WWEF 60-69 years, female 42.1
GTEX-1MCC2-2126-SM-EWRON 30-39 years, female 42.1
GTEX-17EUY-1926-SM-7DUF6 20-29 years, male 41.9
GTEX-QDT8-0626-SM-48TYW 30-39 years, female 41.9
GTEX-WI4N-1426-SM-3LK7H 40-49 years, female 41.9
GTEX-TMMY-0726-SM-33HBE 40-49 years, female 41.8
GTEX-XUW1-2326-SM-4BOO5 50-59 years, female 41.8
GTEX-ZY6K-1626-SM-5GZWV 50-59 years, male 41.6
GTEX-1HCVE-2626-SM-ADEJ8 50-59 years, male 41.2
GTEX-14ABY-2126-SM-5QGQZ 50-59 years, male 41.1
GTEX-13SLX-2326-SM-5ZZWE 50-59 years, female 41.0
GTEX-WXYG-2226-SM-4E3IM 50-59 years, female 40.8
GTEX-1HKZK-1826-SM-ADEJ2 40-49 years, male 40.8
GTEX-14ICK-2426-SM-6EU27 40-49 years, male 40.7
GTEX-13W3W-1226-SM-5LU4H 60-69 years, female 40.4
GTEX-ZAJG-0626-SM-5HL8X 50-59 years, female 40.2
GTEX-14PKU-0426-SM-6EU1P 40-49 years, female 40.0
GTEX-ZF3C-2326-SM-5S2NC 50-59 years, female 40.0
GTEX-13PL6-2926-SM-5L3I2 40-49 years, female 39.9
GTEX-14A5I-0726-SM-5TDEB 50-59 years, female 39.4
GTEX-1R9PN-0326-SM-DTX85 40-49 years, female 38.6
GTEX-1IKOH-2326-SM-CM2TW 60-69 years, female 38.1
GTEX-145LT-0726-SM-5S2VM 40-49 years, male 38.0
GTEX-1LSNM-1326-SM-E9TJ1 50-59 years, male 37.0
GTEX-R3RS-0626-SM-48FE1 40-49 years, female 36.9
GTEX-1IE54-0626-SM-ARL8D 40-49 years, female 36.8
GTEX-13N11-1726-SM-5J1OJ 50-59 years, female 36.7
GTEX-1F5PL-1026-SM-7RHI1 40-49 years, female 36.4
GTEX-1JMPY-0526-SM-CL54O 30-39 years, male 36.0
GTEX-YFC4-1426-SM-5IFJG 40-49 years, female 35.9
GTEX-1JMQK-2626-SM-COH2W 60-69 years, male 35.9
GTEX-1P4AB-1826-SM-E76PU 50-59 years, male 35.9
GTEX-1J8Q2-2726-SM-A9G2X 60-69 years, male 35.4
GTEX-13O3O-0826-SM-5K7WE 60-69 years, female 35.3
GTEX-ZVE2-1226-SM-5NQ8R 50-59 years, male 35.3
GTEX-1H1E6-0926-SM-9YFLT 30-39 years, male 35.3
GTEX-1QCLY-1626-SM-DTXDW 30-39 years, male 35.3
GTEX-1J8QM-2026-SM-ARZMW 60-69 years, female 35.2
GTEX-131XW-0726-SM-5EGK3 50-59 years, female 35.1
GTEX-RU72-0626-SM-46MUI 50-59 years, female 35.1
GTEX-XYKS-1326-SM-4BRUN 60-69 years, female 34.8
GTEX-Y3IK-2326-SM-4WWDT 50-59 years, female 34.6
GTEX-WFG8-2026-SM-EXOHO 20-29 years, male 34.3
GTEX-12ZZX-1126-SM-5EGKB 40-49 years, female 34.1
GTEX-13NZ8-0126-SM-5IJCT 60-69 years, female 33.8
GTEX-1RQEC-2026-SM-DTXDM 60-69 years, male 33.7
GTEX-XOT4-0726-SM-4GIAW 60-69 years, female 33.1
GTEX-1CB4E-0226-SM-79OLW 60-69 years, male 32.7
GTEX-XMD1-0826-SM-4AT52 60-69 years, male 32.6
GTEX-11P7K-0726-SM-5EGKX 30-39 years, male 32.5
GTEX-Y114-2026-SM-4TT7L 50-59 years, female 32.5
GTEX-13QIC-2326-SM-5LU5N 60-69 years, female 32.4
GTEX-1IDJE-0826-SM-CKZNZ 50-59 years, female 32.3
GTEX-17F98-0526-SM-79OK5 40-49 years, female 32.0
GTEX-1QPFJ-2026-SM-EVYBE 30-39 years, female 31.8
GTEX-11PRG-0826-SM-5EQ6A 50-59 years, male 31.6
GTEX-13NZB-2126-SM-5MR4Y 30-39 years, male 31.5
GTEX-1R7EU-1226-SM-E8VMR 60-69 years, male 31.0
GTEX-ZV7C-1826-SM-5NQ83 50-59 years, male 30.9
GTEX-Y8LW-1626-SM-5IFHX 50-59 years, female 30.2
GTEX-1GZ4I-2826-SM-9MQK5 50-59 years, male 29.1
GTEX-ZF2S-2026-SM-5E461 50-59 years, female 28.9
GTEX-1GF9X-1026-SM-ACKX2 40-49 years, female 28.9
GTEX-11GS4-2126-SM-5A5KR 60-69 years, male 28.8
GTEX-1211K-1926-SM-5EQLB 60-69 years, female 28.8
GTEX-T5JW-2026-SM-4DM63 20-29 years, female 28.8
GTEX-13O3P-0826-SM-5L3DH 50-59 years, male 28.6
GTEX-1LNCM-0226-SM-DIPF4 50-59 years, female 28.6
GTEX-1H1CY-2226-SM-9WG7E 60-69 years, female 28.2
GTEX-1POEN-0926-SM-DTX88 30-39 years, female 28.1
GTEX-1R46S-2526-SM-E8VN2 60-69 years, female 28.0
GTEX-T2IS-1526-SM-32QPR 20-29 years, female 27.7
GTEX-ZU9S-1926-SM-5NQBP 30-39 years, male 27.7
GTEX-1HUB1-1626-SM-CM2SL 60-69 years, male 27.0
GTEX-1QCLZ-2326-SM-DTXDO 60-69 years, female 26.5
GTEX-17HG3-0126-SM-7IGNH 30-39 years, female 26.4
GTEX-1N5O9-1126-SM-DTXEQ 60-69 years, male 26.4
GTEX-QEG5-0726-SM-D4P1T 20-29 years, male 26.4
GTEX-1192X-2326-SM-5987X 50-59 years, male 26.3
GTEX-14PJO-0726-SM-69LO8 60-69 years, male 26.3
GTEX-1B8SG-1226-SM-7IGPF 50-59 years, male 26.3
GTEX-1122O-1226-SM-5H113 60-69 years, female 26.0
GTEX-147F4-2826-SM-5NQBN 50-59 years, male 25.9
GTEX-11I78-2226-SM-5PNYA 50-59 years, female 25.6
GTEX-13FHO-0826-SM-5L3E8 60-69 years, male 25.4
GTEX-13NZ9-1026-SM-5MR5K 50-59 years, male 25.3
GTEX-1CB4G-2326-SM-79OOI 60-69 years, male 25.2
GTEX-1B97I-0426-SM-79OL7 40-49 years, male 25.0
GTEX-13OW5-2226-SM-5L3HC 60-69 years, male 24.8
GTEX-1GMR2-1926-SM-9MQLZ 50-59 years, male 24.8
GTEX-1269C-2426-SM-5FQSN 60-69 years, female 24.6
GTEX-1GMRU-0826-SM-9WYT7 50-59 years, male 24.5
GTEX-1JJE9-2326-SM-ARL8Q 70-79 years, male 24.5
GTEX-1K2DA-1726-SM-CGQGS 50-59 years, male 24.3
GTEX-13CF2-2026-SM-5K7VI 60-69 years, male 24.2
GTEX-1MCYP-0126-SM-E6CIS 20-29 years, female 24.1
GTEX-1QP29-1726-SM-E8VMQ 50-59 years, male 24.1
GTEX-11P81-1926-SM-5BC53 30-39 years, female 23.9
GTEX-14AS3-1626-SM-5S2OY 40-49 years, female 23.9
GTEX-WYVS-1726-SM-3NMAY 40-49 years, female 23.8
GTEX-T6MN-0726-SM-32PML 50-59 years, male 23.7
GTEX-13SLW-2526-SM-62LDQ 70-79 years, male 23.6
GTEX-1JK1U-1826-SM-ARL8W 60-69 years, male 23.1
GTEX-1IY9M-2726-SM-CMKG5 60-69 years, male 23.0
GTEX-1N2EE-2126-SM-E8VNN 60-69 years, male 23.0
GTEX-131YS-0626-SM-5EGKL 60-69 years, female 22.8
GTEX-15ER7-1626-SM-6PAMZ 20-29 years, female 22.8
GTEX-ZTX8-1226-SM-4YCE9 20-29 years, male 22.6
GTEX-15FZZ-0726-SM-7KUFZ 30-39 years, female 22.5
GTEX-1IKJJ-2326-SM-COH3U 60-69 years, male 22.2
GTEX-QEL4-2126-SM-447AE 50-59 years, male 21.9
GTEX-1F6I4-2526-SM-7SB8F 60-69 years, male 21.9
GTEX-13113-5013-SM-7SB7G 60-69 years, female 21.7
GTEX-15EOM-5019-SM-793DK 20-29 years, female 21.6
GTEX-1GPI6-0626-SM-7RHHJ 60-69 years, male 21.6
GTEX-1K9T9-1426-SM-DIPFQ 50-59 years, female 21.5
GTEX-U3ZN-1926-SM-4DXSG 30-39 years, female 21.3
GTEX-ZVTK-0326-SM-51MRR 20-29 years, male 21.1
GTEX-1C64O-0726-SM-7DUFU 60-69 years, male 20.9
GTEX-1313W-0826-SM-5EQ4T 50-59 years, female 20.8
GTEX-ZC5H-2626-SM-5J2MG 40-49 years, female 20.8
GTEX-1I6K7-1026-SM-A9SLK 40-49 years, male 20.7
GTEX-1GMR3-2626-SM-7RHHG 40-49 years, male 20.5
GTEX-11EI6-0626-SM-5985T 60-69 years, male 20.4
GTEX-11WQC-1726-SM-5GU4W 60-69 years, male 20.4
GTEX-Q2AG-0326-SM-48U1O 40-49 years, female 20.4
GTEX-18QFQ-0826-SM-718AX 30-39 years, male 20.1
GTEX-1GN2E-2226-SM-9WG6J 60-69 years, male 20.1
GTEX-TML8-1226-SM-32QON 40-49 years, female 19.9
GTEX-18A7A-0726-SM-7LTAI 50-59 years, female 19.8
GTEX-1A3MV-1626-SM-731C1 30-39 years, male 19.8
GTEX-ZAK1-1326-SM-EVYAS 50-59 years, female 19.5
GTEX-Y5V5-2126-SM-4WWFO 60-69 years, female 19.4
GTEX-1KANA-2026-SM-DIPFB 20-29 years, male 19.4
GTEX-1I1HK-2426-SM-ADEHX 60-69 years, male 19.1
GTEX-1117F-2826-SM-5GZXL 60-69 years, female 18.9
GTEX-17JCI-0726-SM-7EPH1 60-69 years, female 18.9
GTEX-16BQI-1026-SM-7KUEA 30-39 years, female 18.8
GTEX-1H1DG-0526-SM-9YFLN 70-79 years, male 18.7
GTEX-11TT1-2126-SM-5GU5Y 20-29 years, male 17.5
GTEX-WYJK-1326-SM-3NB2T 50-59 years, male 17.5
GTEX-U3ZH-1426-SM-4DXSR 30-39 years, male 17.4
GTEX-YB5K-1626-SM-5IFIN 40-49 years, female 17.2
GTEX-1KAFJ-0226-SM-DIPEL 50-59 years, male 17.1
GTEX-UPK5-2326-SM-3P5Z8 40-49 years, male 17.0
GTEX-1B933-2526-SM-7IGO5 50-59 years, female 16.9
GTEX-T2YK-2226-SM-32QPT 50-59 years, male 16.9
GTEX-Y111-2026-SM-4SOJA 50-59 years, male 16.7
GTEX-WRHU-0326-SM-3MJFY 50-59 years, female 16.4
GTEX-ZPIC-1126-SM-5BC7F 40-49 years, female 16.3
GTEX-ZTTD-1026-SM-51MRD 50-59 years, male 16.3
GTEX-1JMPZ-1626-SM-COH31 30-39 years, male 16.3
GTEX-17EVP-0226-SM-79OND 40-49 years, male 16.2
GTEX-1B8KE-1226-SM-73KWK 50-59 years, male 16.1
GTEX-17HHE-1426-SM-7EPH4 50-59 years, male 15.8
GTEX-1AX8Z-0926-SM-731AW 60-69 years, male 15.7
GTEX-139T8-0826-SM-5L3DE 60-69 years, male 15.6
GTEX-11GSP-0926-SM-9WYSG 60-69 years, female 15.6
GTEX-1GZ2Q-2626-SM-7MXV9 40-49 years, male 15.6
GTEX-11LCK-2426-SM-5HL5F 30-39 years, male 15.4
GTEX-139TU-0626-SM-5KM3X 60-69 years, male 15.4
GTEX-1QEPI-0926-SM-DTXF3 60-69 years, female 15.4
GTEX-1S82U-1126-SM-E9U6I 30-39 years, female 15.4
GTEX-1HSKV-2026-SM-CMKGX 60-69 years, male 15.3
GTEX-1HBPM-0126-SM-ARL9E 60-69 years, female 14.5
GTEX-VUSG-2226-SM-4KKZO 50-59 years, male 14.4
GTEX-1B932-0826-SM-73KXG 40-49 years, female 14.0
GTEX-1B8KZ-1526-SM-7DUG7 50-59 years, male 13.8
GTEX-1F75A-1826-SM-7SB8G 50-59 years, male 13.6
GTEX-15SHW-1326-SM-6PAL8 60-69 years, male 13.5
GTEX-X261-0626-SM-3NMD9 50-59 years, male 12.9
GTEX-1HCU8-0126-SM-ADEHH 60-69 years, female 12.9
GTEX-1J8EW-2626-SM-CL53E 60-69 years, female 12.6
GTEX-ZVT4-1026-SM-57WC4 50-59 years, female 12.3
GTEX-1JJEA-2726-SM-ARL8V 60-69 years, male 12.2
GTEX-1QP28-1226-SM-E9J2M 50-59 years, female 12.2
GTEX-ZVZQ-0826-SM-51MRF 60-69 years, female 12.0
GTEX-1J8Q3-1326-SM-CMKI1 60-69 years, male 12.0
GTEX-1A8G7-2426-SM-731AK 60-69 years, male 11.7
GTEX-11DXW-0626-SM-5N9ER 40-49 years, male 11.4
GTEX-1HR9M-2426-SM-ACKXI 60-69 years, male 11.4
GTEX-1HC8U-0826-SM-ADEIL 40-49 years, female 11.3
GTEX-17HHY-0926-SM-793C1 50-59 years, male 11.2
GTEX-145MO-0826-SM-5NQBL 60-69 years, male 11.1
GTEX-146FH-0826-SM-5SI8T 50-59 years, female 10.8
GTEX-ZEX8-2226-SM-57WC6 50-59 years, male 10.8
GTEX-1ICG6-1326-SM-ACKWR 70-79 years, female 10.3
GTEX-1PDJ9-1126-SM-EXUSW 20-29 years, male 10.2
GTEX-1IDJU-1826-SM-CMKHV 60-69 years, female 9.9
GTEX-1314G-1226-SM-5BC6D 30-39 years, male 9.2
GTEX-1GZHY-0726-SM-9WG6B 50-59 years, female 9.2
GTEX-1JMOU-2026-SM-CMKGU 60-69 years, female 9.2
GTEX-11NSD-0926-SM-5N9DR 20-29 years, male 9.0
GTEX-1E2YA-2726-SM-7IGPW 50-59 years, male 9.0
GTEX-1KANC-1426-SM-CYPT9 50-59 years, female 9.0
GTEX-Y3I4-1526-SM-4TT7K 50-59 years, male 8.6
GTEX-1MJK2-2226-SM-EVYCR 50-59 years, male 8.5
GTEX-12WSK-2226-SM-5GCO5 40-49 years, female 8.2
GTEX-139T6-1626-SM-5PNYZ 50-59 years, male 8.0
GTEX-1HCU9-0326-SM-9WYSC 20-29 years, male 7.8
GTEX-1KXAM-1026-SM-CY8IA 60-69 years, male 7.8
GTEX-17KNJ-2026-SM-7LG53 50-59 years, male 7.7
GTEX-QVJO-1826-SM-447C9 60-69 years, female 7.6
GTEX-WOFL-0826-SM-3MJG1 60-69 years, male 7.6
GTEX-1EU9M-2826-SM-7EWFH 60-69 years, male 7.5
GTEX-W5X1-2326-SM-3GIL6 40-49 years, female 7.4
GTEX-12WSN-1326-SM-5GCNT 40-49 years, male 7.3
GTEX-1C475-1226-SM-7SB72 40-49 years, female 7.3
GTEX-1I1GU-1026-SM-ADEHJ 40-49 years, male 6.8
GTEX-ZV6S-1826-SM-5NQ8D 40-49 years, female 6.3
GTEX-1F75B-0626-SM-7SB8A 50-59 years, male 5.6
GTEX-12BJ1-1826-SM-5HL9N 60-69 years, male 5.5
GTEX-15G19-2126-SM-6M48J 60-69 years, male 5.5
GTEX-11EQ9-1826-SM-5Q5AJ 30-39 years, male 5.4
GTEX-1I19N-2826-SM-CL55D 70-79 years, male 5.4
GTEX-ZLWG-1926-SM-DO92J 50-59 years, female 5.1
GTEX-ZYW4-0826-SM-5GIDG 60-69 years, male 4.8
GTEX-ZDTT-2126-SM-DKPOM 60-69 years, male 4.8
GTEX-Z9EW-1526-SM-EZ6LU 40-49 years, male 4.7
GTEX-13OW8-0226-SM-5K7UP 60-69 years, male 4.6
GTEX-R53T-1526-SM-48FEK 50-59 years, female 4.6
GTEX-1HFI7-0126-SM-CGQFQ 50-59 years, female 4.3
GTEX-117XS-1926-SM-5GICO 60-69 years, male 4.2
GTEX-1B8L1-2426-SM-9WYTE 60-69 years, male 4.2
GTEX-14B4R-1226-SM-5TDDT 30-39 years, male 4.0
GTEX-1EWIQ-1726-SM-7SB7T 70-79 years, female 3.5
GTEX-14E6C-1326-SM-62LEQ 40-49 years, male 3.3
GTEX-145MN-1926-SM-5SIAI 30-39 years, male 3.0
GTEX-17EVQ-0426-SM-7LG57 70-79 years, male 3.0
GTEX-14PJ4-2126-SM-6ETZJ 60-69 years, male 2.9
GTEX-1A3MX-2726-SM-718B6 60-69 years, male 2.9
GTEX-1GPI7-0926-SM-7PC3J 20-29 years, male 2.9
GTEX-18A7B-2626-SM-7LG55 70-79 years, male 2.8
GTEX-S4Q7-1126-SM-4AD6R 20-29 years, male 2.8
GTEX-145ME-1526-SM-5Q5F2 40-49 years, female 2.7
GTEX-1EN7A-1426-SM-7PBY4 40-49 years, male 2.7
GTEX-14753-2426-SM-5LU8U 60-69 years, male 2.6
GTEX-S33H-0326-SM-4AD6N 30-39 years, male 2.6
GTEX-XV7Q-2326-SM-4BRVZ 40-49 years, female 2.6
GTEX-15RJE-2626-SM-7KFT1 40-49 years, male 2.5
GTEX-17MF6-0326-SM-7EPH5 40-49 years, male 2.5
GTEX-YB5E-1726-SM-5IFJ3 40-49 years, male 2.5
GTEX-1QP9N-1826-SM-E8VMP 30-39 years, male 2.5
GTEX-169BO-1126-SM-7MGWN 50-59 years, male 2.4
GTEX-ZQUD-1926-SM-51MSA 30-39 years, male 2.3
GTEX-17F9E-2526-SM-7MGW2 50-59 years, male 2.3
GTEX-1H1ZS-0126-SM-9YFKQ 70-79 years, male 2.3
GTEX-1R9JW-0326-SM-EAZ45 30-39 years, female 2.3
GTEX-12WSM-1726-SM-5BC6J 60-69 years, male 2.2
GTEX-14DAR-1326-SM-7DUEG 50-59 years, male 2.2
GTEX-1AX9J-1126-SM-731B7 60-69 years, male 2.2
GTEX-WFON-1826-SM-3GILG 40-49 years, male 2.2
GTEX-Y9LG-1426-SM-5IFJZ 30-39 years, male 2.2
GTEX-WHSB-1926-SM-EXOHH 50-59 years, male 2.2
GTEX-1CAMR-1426-SM-793BO 20-29 years, male 2.0
GTEX-XGQ4-0926-SM-4AT4U 50-59 years, male 2.0
GTEX-ZZ64-1226-SM-5E43R 20-29 years, male 2.0
GTEX-1JKYR-0926-SM-CMKGJ 20-29 years, male 2.0
GTEX-1OKEX-0826-SM-E9J2B 60-69 years, male 2.0
GTEX-13FTW-1426-SM-5LZWZ 40-49 years, male 1.9
GTEX-YFCO-1826-SM-4W1YH 40-49 years, male 1.9
GTEX-1MJK3-1126-SM-E9J3F 20-29 years, male 1.9
GTEX-11GSO-1926-SM-5A5K3 60-69 years, male 1.8
GTEX-11NV4-2026-SM-5N9DG 60-69 years, male 1.8
GTEX-132NY-0826-SM-5K7Y7 60-69 years, male 1.8
GTEX-13O3Q-2226-SM-5KM4O 50-59 years, male 1.8
GTEX-17GQL-0326-SM-7LG5U 60-69 years, male 1.8
GTEX-PSDG-1626-SM-48TCQ 50-59 years, male 1.8
GTEX-TKQ1-0226-SM-33HB5 30-39 years, male 1.8
GTEX-WY7C-2726-SM-3NB3P 50-59 years, male 1.8
GTEX-Y5V6-2126-SM-4WWFX 60-69 years, male 1.8
GTEX-ZA64-1526-SM-5CVMD 20-29 years, male 1.8
GTEX-1C6WA-2426-SM-7SB86 60-69 years, male 1.8
GTEX-1JN6P-2426-SM-ARL99 60-69 years, male 1.8
GTEX-13QJ3-0826-SM-7DHKK 50-59 years, male 1.7
GTEX-145MF-2226-SM-7EPIR 50-59 years, male 1.7
GTEX-18465-2026-SM-718AP 50-59 years, male 1.7
GTEX-1JKYN-0726-SM-ARZMY 30-39 years, male 1.7
GTEX-1KD4Q-2326-SM-D4P3M 40-49 years, male 1.7
GTEX-1R9PM-1826-SM-EVYBH 20-29 years, male 1.7
GTEX-ZYFC-0826-SM-5E44K 50-59 years, male 1.6
GTEX-1JMLX-2026-SM-CMKGN 50-59 years, male 1.6
GTEX-117YX-1426-SM-5H12H 50-59 years, male 1.5
GTEX-11DXZ-1926-SM-5GZZL 50-59 years, male 1.5
GTEX-11ONC-2126-SM-5HL6E 60-69 years, male 1.5
GTEX-13VXU-2826-SM-664MA 50-59 years, male 1.5
GTEX-17MFQ-0926-SM-7LG4S 20-29 years, male 1.5
GTEX-1GF9U-1726-SM-7MGY5 40-49 years, female 1.5
GTEX-1I6K6-0826-SM-ARL7Z 30-39 years, male 1.5
GTEX-1IDJH-2226-SM-E6CJV 70-79 years, male 1.5
GTEX-1LG7Z-0726-SM-CXKYD 30-39 years, male 1.5
GTEX-1NHNU-0926-SM-E9J2T 50-59 years, male 1.5
GTEX-11DXY-2326-SM-5GICW 60-69 years, male 1.4
GTEX-13N1W-0626-SM-5MR4U 70-79 years, male 1.4
GTEX-144GM-0926-SM-5O994 20-29 years, male 1.4
GTEX-ZAB4-2526-SM-5HL8M 40-49 years, male 1.4
GTEX-1I1GV-2426-SM-CGQFM 60-69 years, male 1.4
GTEX-1IOXB-1926-SM-ARL8E 50-59 years, male 1.4
GTEX-1N2EF-2226-SM-E9J33 60-69 years, male 1.4
GTEX-1PPH7-0826-SM-E8VNX 40-49 years, male 1.4
GTEX-13PVQ-1026-SM-5KM3M 50-59 years, male 1.3
GTEX-18D9A-1526-SM-7LG4J 30-39 years, female 1.3
GTEX-TKQ2-1826-SM-33HB2 50-59 years, male 1.3
GTEX-XMK1-1126-SM-4IHJ8 40-49 years, male 1.3
GTEX-YEC3-1026-SM-5IFI5 50-59 years, male 1.3
GTEX-1H3VY-0926-SM-ACKXE 50-59 years, male 1.3
GTEX-1H4P4-2226-SM-9MQKQ 50-59 years, male 1.3
GTEX-1HCU7-1026-SM-ADEIP 50-59 years, male 1.3
GTEX-1IDJF-2326-SM-ARL86 20-29 years, male 1.3
GTEX-1LBAC-0926-SM-CXKY9 20-29 years, male 1.3
GTEX-1LSVX-2426-SM-E6CJX 60-69 years, male 1.3
GTEX-1M4P7-2626-SM-E9U5F 60-69 years, male 1.3
GTEX-1PPGY-1526-SM-EVYBK 60-69 years, male 1.3
GTEX-1S82Z-0726-SM-E6CHX 30-39 years, female 1.3
GTEX-QMRM-1626-SM-D4P1U 50-59 years, male 1.3
GTEX-11ZTT-2326-SM-5EQLG 60-69 years, female 1.2
GTEX-13CF3-2126-SM-5IFJP 60-69 years, female 1.2
GTEX-13O61-1826-SM-5KM4I 60-69 years, male 1.2
GTEX-1AX9I-0726-SM-73KWV 60-69 years, male 1.2
GTEX-R55D-0826-SM-48FEA 50-59 years, male 1.2
GTEX-S32W-2026-SM-4AD6E 50-59 years, female 1.2
GTEX-ZQG8-0726-SM-5P9H9 60-69 years, female 1.2
GTEX-ZT9W-2026-SM-51MRA 50-59 years, male 1.2
GTEX-ZYT6-0126-SM-5E45J 30-39 years, male 1.2
GTEX-1HT8W-2226-SM-CGQEC 30-39 years, male 1.2
GTEX-1LC47-1226-SM-D4P44 60-69 years, male 1.2
GTEX-1QW4Y-1026-SM-DTXE2 30-39 years, male 1.2
GTEX-1R7EV-1526-SM-E8VOD 40-49 years, male 1.2
GTEX-ZLFU-2126-SM-DO931 40-49 years, male 1.2
GTEX-14BMV-0626-SM-793AU 50-59 years, male 1.1
GTEX-16YQH-2826-SM-6PAMY 30-39 years, male 1.1
GTEX-17F97-2526-SM-7EWDV 50-59 years, male 1.1
GTEX-183FY-1126-SM-7DHLJ 20-29 years, male 1.1
GTEX-1EKGG-2626-SM-7IGPY 60-69 years, male 1.1
GTEX-V955-2026-SM-3GAFA 60-69 years, male 1.1
GTEX-XQ3S-1326-SM-4BOPQ 20-29 years, male 1.1
GTEX-XQ8I-2426-SM-4WAXY 50-59 years, male 1.1
GTEX-1QMI2-0726-SM-E9J4F 60-69 years, male 1.1
GTEX-YECK-0726-SM-EZ6LV 60-69 years, male 1.1
GTEX-11TUW-1826-SM-5BC5D 60-69 years, male 1.0
GTEX-11ZUS-0826-SM-5FQUY 30-39 years, male 1.0
GTEX-13FTX-1126-SM-5N9EN 20-29 years, female 1.0
GTEX-144GL-2026-SM-5LU3O 50-59 years, male 1.0
GTEX-15UF7-0726-SM-6M46D 40-49 years, male 1.0
GTEX-17F96-2426-SM-7IGLN 70-79 years, male 1.0
GTEX-17HGU-1326-SM-79OKB 50-59 years, male 1.0
GTEX-18A6Q-0926-SM-7LG4N 60-69 years, male 1.0
GTEX-YJ8O-2226-SM-5IFHW 40-49 years, female 1.0
GTEX-ZDYS-1126-SM-5K7UB 50-59 years, male 1.0
GTEX-ZUA1-1526-SM-59HLS 40-49 years, male 1.0
GTEX-1ICLZ-0426-SM-B2LW2 60-69 years, male 1.0
GTEX-1NV8Z-2826-SM-E8VME 60-69 years, male 1.0
GTEX-11O72-2126-SM-5N9FO 40-49 years, male 0.9
GTEX-11OF3-1926-SM-59889 60-69 years, male 0.9
GTEX-14E6E-1326-SM-5S2NR 30-39 years, male 0.9
GTEX-1AMEY-1026-SM-718AA 30-39 years, female 0.9
GTEX-X4XY-0926-SM-4E3JD 60-69 years, male 0.9
GTEX-1GF9V-2526-SM-7SB8K 60-69 years, male 0.9
GTEX-1H11D-1526-SM-9MQJY 40-49 years, male 0.9
GTEX-1I1GP-0426-SM-COH3N 50-59 years, male 0.9
GTEX-1LSNL-2826-SM-E9U5L 50-59 years, male 0.9
GTEX-1MA7X-1626-SM-E9U5B 60-69 years, male 0.9
GTEX-14E7W-0826-SM-62LEJ 70-79 years, male 0.8
GTEX-1C6VQ-0426-SM-79OOX 50-59 years, male 0.8
GTEX-S7SE-0826-SM-4AT4D 50-59 years, male 0.8
GTEX-Y8E4-1626-SM-5S2MW 40-49 years, male 0.8
GTEX-1H23P-0726-SM-9WG7K 60-69 years, male 0.8
GTEX-1RLM8-2226-SM-EVYD1 50-59 years, male 0.8
GTEX-1F5PK-2126-SM-7PC28 50-59 years, male 0.7
GTEX-1HR98-0426-SM-COH36 60-69 years, male 0.7
GTEX-1HSMO-0826-SM-ADEIV 60-69 years, male 0.7
GTEX-1ICLY-1726-SM-B2LVT 50-59 years, male 0.7
GTEX-1JN1M-3026-SM-CMKGK 60-69 years, female 0.7
GTEX-1KD5A-1926-SM-DKPQA 50-59 years, male 0.7
GTEX-1L5NE-2126-SM-CY8IH 50-59 years, male 0.7
GTEX-13W46-0826-SM-5LU3H 50-59 years, male 0.6
GTEX-ZWKS-2826-SM-5NQ74 30-39 years, male 0.6
GTEX-18A66-1726-SM-7LG5N 60-69 years, male 0.6
GTEX-1HSEH-2026-SM-ADEHN 60-69 years, male 0.6
GTEX-1IDFM-0426-SM-B2LVV 60-69 years, male 0.6
GTEX-X62O-0526-SM-EWRMA 50-59 years, male 0.6
GTEX-11DZ1-0326-SM-5N9BN 50-59 years, male 0.5
GTEX-11P82-1326-SM-5HL62 20-29 years, male 0.5
GTEX-11WQK-2426-SM-5GU5C 50-59 years, male 0.5
GTEX-12KS4-0126-SM-5Q5A5 30-39 years, male 0.5
GTEX-13S86-1226-SM-5S2OA 40-49 years, male 0.5
GTEX-183WM-0726-SM-7LTAA 70-79 years, female 0.5
GTEX-RUSQ-2026-SM-4GIAK 50-59 years, male 0.5
GTEX-U8XE-0826-SM-4E3J1 30-39 years, male 0.5
GTEX-ZDXO-0126-SM-5S2ND 60-69 years, male 0.5
GTEX-1IGQW-0926-SM-ADEH6 60-69 years, male 0.5
GTEX-132AR-0826-SM-5EGK6 50-59 years, female 0.4
GTEX-REY6-2426-SM-48FF5 60-69 years, male 0.3
GTEX-UTHO-1026-SM-3GAF7 60-69 years, male 0.2
Show allShow less

BREAST - FANTOM5 CAGEi

RNA expression in human tissues obtained through Cap Analysis of Gene Expression (CAGE) generated by the FANTOM5 project are reported as Scaled Tags Per Million.

Max subtype Scaled Tags Per Millioni

Max subtype Scaled Tags Per Million is the value for the subtype with the largest average Scaled Tags Per Million across the subtype samples.

35.0
FANTOM5 sample id Sample description Scaled Tags Per Million
Breast
Scaled Tags Per Million: 35.0
FF:10080-102A8 77 years, female 35.0

Contact

  • NEWS ARTICLES
  • PRESS ROOM

The Project

  • INTRODUCTION
  • ORGANIZATION
  • PUBLICATIONS

The Human Protein Atlas

  • DOWNLOADABLE DATA
  • LICENCE & CITATION
  • HELP & FAQ
The Human Protein Atlas project is funded
by the Knut & Alice Wallenberg Foundation.


contact@proteinatlas.org