We use cookies to enhance the usability of our website. If you continue, we'll assume that you are happy to receive all cookies. More information. Don't show this again.
RFC5
HPA
RESOURCES
  • TISSUE
  • BRAIN
  • SINGLE CELL
  • SUBCELLULAR
  • CANCER
  • BLOOD
  • CELL LINE
  • STRUCTURE & INTERACTION
ABOUT
  • INTRODUCTION
  • HISTORY
  • ORGANIZATION
  • PUBLICATIONS
  • ANTIBODY SUBMISSION
  • ANTIBODY AVAILABILITY
  • ACKNOWLEDGMENTS
  • CONTACT
NEWS
  • NEWS ARTICLES
  • PRESS ROOM
LEARN
  • DICTIONARY
  • PROTEIN CLASSES
  • PROTEIN EVIDENCE
  • METHODS
  • EDUCATIONAL VIDEOS
DATA
  • DOWNLOADABLE DATA
  • PUBLICATION DATA
  • RELEASE HISTORY
HELP
  • ANTIBODY VALIDATION
  • ASSAYS & ANNOTATION
  • DISCLAIMER
  • HELP & FAQ
  • PRIVACY STATEMENT
  • LICENCE & CITATION
Fields »
Search result

Field
Term
Gene name
Class
Subclass
Class
Keyword
Chromosome
External id
Tissue
Cell type
Expression
Antibody panel
Tissue
Main location
Patient ID
Annotation
Tissue
Category
Tau score
Cluster
Reliability
Brain region
Category
Tau score
Brain region
Category
Tau score
Brain region
Category
Tau score
Cluster
Reliability
Tissue
Cell type
Enrichment
Cell type
Category
Tau score
Cell type
Category
Tau score
Cell type
Category
Tau score
Cell lineage
Category
Tau score
Cluster
Cluster
Location
Searches
Location
Cell line
Class
Type
Phase
Reliability
Cancer
Prognosis
Cancer
Category
Cancer
Category
Tau score
Cluster
Variants
Interacting gene (ensg_id)
Type
Number of interactions
Pathway
Category
Score
Score
Score
Validation
Validation
Validation
Validation
Antibodies
Data type
Column


  • SUMMARY

  • TISSUE

  • BRAIN

  • SINGLE CELL

  • SUBCELL

  • CANCER

  • BLOOD

  • CELL LINE

  • STRUCT & INT

  • RFC5
TISSUE PRIMARY DATA ADRENAL GLAND Show tissue menu
ADIPOSE TISSUE ADRENAL GLAND AMYGDALA APPENDIX BASAL GANGLIA BONE MARROW BREAST BRONCHUS CEREBELLUM CEREBRAL CORTEX CERVIX CHOROID PLEXUS COLON DUODENUM
ENDOMETRIUM EPIDIDYMIS ESOPHAGUS FALLOPIAN TUBE GALLBLADDER HEART MUSCLE HIPPOCAMPAL FORMATION HYPOTHALAMUS KIDNEY LIVER LUNG LYMPH NODE MIDBRAIN NASOPHARYNX
ORAL MUCOSA OVARY PANCREAS PARATHYROID GLAND PITUITARY GLAND PLACENTA PROSTATE RECTUM RETINA SALIVARY GLAND SEMINAL VESICLE SKELETAL MUSCLE SKIN SMALL INTESTINE
SMOOTH MUSCLE SOFT TISSUE SPINAL CORD SPLEEN STOMACH TESTIS THYMUS THYROID GLAND TONGUE TONSIL URINARY BLADDER VAGINA
ANTIBODIES
AND
VALIDATION
Dictionary
Adrenal gland
Tissue proteome
Adrenal gland
ADRENAL GLAND - Expression summary
Protein expression
Adrenal glandi

On the top, protein expression in current human tissue, based on all annotated cell types, is reported with the units not detected (n), low (l), medium (m) and high (h). Underneath, protein expression in each annotated cell type are reported using the same units.

Protein expression data is based on knowledge-based annotation. For genes where more than one antibody has been used, a collective score is set.

If knowledge-based annotation could not be performed for a gene, no data is displayed here. View antibody staining data further down this page.

h
m
l
n
Glandular cells: Medium
RNA expressioni

A summary of mRNA expression data available for current tissue based on several datasets. The mRNA expression levels in human tissues are based on RNA-seq data generated by the Human Protein Atlas (HPA), Genotype-Tissue Expression (GTEx) portal and CAGE data generated by the FANTOM5 consortium. Consensus normalized expression levels for human tissues was created by combining the data from HPA and GTEx datasets.

The mRNA expression levels in pig are based on RNA-seq data generated by the Human Protein Atlas (HPA), and for mouse, HPA data and in situ hybridization generated by the Allen brain atlas are reported.

Scroll down to view mRNA expression data in more detail.
Consensus:5.1 nTPM
HPA:5.1 nTPM
GTEx:5.1 nTPM

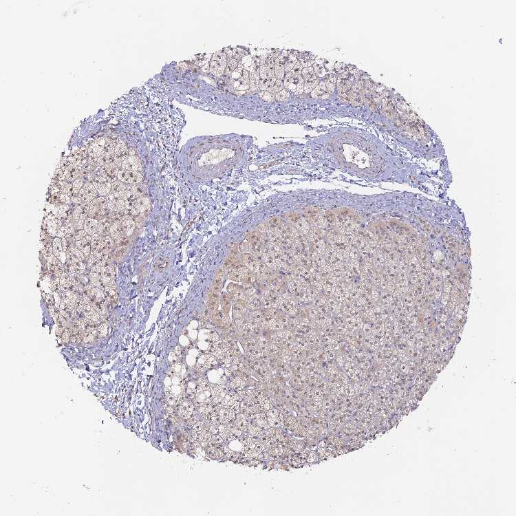
ADRENAL GLAND - Antibody stainingi

Antibody staining in the annotated cell types in the current human tissue is reported as not detected, low, medium, or high, based on conventional immunohistochemistry profiling in selected tissues. This score is based on the combination of the staining intensity and fraction of stained cells.

Each image is clickable and will lead to virtual microscopy that enables deeper exploration of all samples and also displays staining intensity scores, fraction scores and subcellular localization as well as patient and tissue information for each sample.

Antibody HPA041037
Glandular cells Medium



ADRENAL GLAND - HPA RNA-seqi

The RNA-seq details section shows detailed information about the individual samples used for the transcript profiling and results of the RNA-seq analysis.

Information about each individual sample is listed below, including gender, age, a tissue section image and estimated fractions of cell types. nTPM (normalized transcripts per million) values give a quantification of the gene abundance which is comparable between different genes and samples.
Average nTPMi

Max subtype nTPM is the value for the subtype with the largest average nTPM across the subtype samples.

5.1
overview
Female, age 62
Adrenal gland sample 87
nTPM: 5.3
Cell types%
Cortical cells:
50

Medullary cells:
40

Other cell types:
10

overview
Female, age 36
Adrenal gland sample 88
nTPM: 5.7
Cell types%
Cortical cells:
50

Medullary cells:
40

Other cell types:
10

overview
Female, age 63
Adrenal gland sample 89
nTPM: 4.2
Cell types%
Cortical cells:
50

Medullary cells:
40

Other cell types:
10


ADRENAL GLAND - GTEx RNA-seqi

RNA-Seq data generated by the Genotype-Tissue Expression (GTEx) project from human tissues is reported as mean nTPM. More information can be found on the GTEx portal.

Distribution across the dataset is visualized with box plots, shown as median and 25th and 75th percentiles. Points are displayed as outliers if they are above or below 1.5 times the interquartile range. nTPM values of the individual samples are presented next to the box plot.
Max subtype nTPMi

Max subtype nTPM is the value for the subtype with the largest average nTPM across the subtype samples.

5.1
GTEx sample id Sample description nTPM
Adrenal Gland
Average nTPM: 5.1
Samples: 258

Max nTPM: 8.8
Min nTPM: 2.0
Std nTPM: 1.0
Median nTPM: 5.2
GTEX-1B996-2026-SM-7MKG7 60-69 years, male 8.8
GTEX-17HHE-0226-SM-79399 50-59 years, male 7.6
GTEX-14H4A-0226-SM-5SI6Q 40-49 years, female 7.5
GTEX-17HGU-0126-SM-7DHLV 50-59 years, male 7.5
GTEX-145MN-0226-SM-5QGPY 30-39 years, male 7.4
GTEX-14BMU-0126-SM-5S2Q9 20-29 years, female 7.3
GTEX-S32W-0126-SM-4AD61 50-59 years, female 7.3
GTEX-132QS-0126-SM-5IFH9 60-69 years, male 7.1
GTEX-14PKV-0726-SM-686ZF 20-29 years, female 7.1
GTEX-S4Z8-0126-SM-4GICC 60-69 years, male 7.1
GTEX-ZT9W-0126-SM-4YCFD 50-59 years, male 7.1
GTEX-XYKS-0926-SM-4BRVG 60-69 years, female 6.9
GTEX-WY7C-0326-SM-4OND5 50-59 years, male 6.8
GTEX-15EU6-0326-SM-6M48I 50-59 years, male 6.7
GTEX-1399U-0226-SM-5P9J2 50-59 years, female 6.6
GTEX-13PVR-0226-SM-5RQJI 60-69 years, female 6.6
GTEX-13W3W-1326-SM-5LU4T 60-69 years, female 6.6
GTEX-U3ZM-0226-SM-4DXTA 40-49 years, male 6.6
GTEX-ZLV1-0226-SM-4WWC1 60-69 years, female 6.6
GTEX-1PPH8-0826-SM-DTX9T 20-29 years, male 6.6
GTEX-1S82P-1126-SM-EV79M 60-69 years, female 6.6
GTEX-14PJ4-0426-SM-6871F 60-69 years, male 6.5
GTEX-V955-0126-SM-4JBH5 60-69 years, male 6.5
GTEX-ZF2S-0126-SM-4WKFO 50-59 years, female 6.5
GTEX-1QP29-0326-SM-E6CQ4 50-59 years, male 6.5
GTEX-12BJ1-0526-SM-5FQUD 60-69 years, male 6.4
GTEX-12WSN-0926-SM-5GCN1 40-49 years, male 6.4
GTEX-111YS-0126-SM-5987T 60-69 years, male 6.3
GTEX-11TT1-0126-SM-5LUAA 20-29 years, male 6.3
GTEX-1A3MV-0226-SM-731FS 30-39 years, male 6.3
GTEX-OIZH-1326-SM-3NB1H 50-59 years, male 6.3
GTEX-1J8Q3-0326-SM-CE6TD 60-69 years, male 6.3
GTEX-11EM3-0326-SM-5A5KJ 20-29 years, female 6.2
GTEX-12WSK-0326-SM-5GCOJ 40-49 years, female 6.2
GTEX-1F5PL-2326-SM-7MKFC 40-49 years, female 6.2
GTEX-PWCY-0226-SM-48TD8 20-29 years, female 6.2
GTEX-S3XE-0126-SM-4AD4R 50-59 years, male 6.2
GTEX-SUCS-0526-SM-4DM56 70-79 years, male 6.2
GTEX-TKQ2-0226-SM-4DM6V 50-59 years, male 6.2
GTEX-1K2DA-0226-SM-CGQGW 50-59 years, male 6.2
GTEX-131XF-0126-SM-5DUVF 60-69 years, male 6.1
GTEX-13FTW-0126-SM-5IJED 40-49 years, male 6.1
GTEX-14XAO-0326-SM-6ETZN 60-69 years, female 6.1
GTEX-U4B1-0126-SM-4DXSN 40-49 years, male 6.1
GTEX-W5WG-1126-SM-4LMK4 50-59 years, female 6.1
GTEX-11XUK-0126-SM-5CVLK 40-49 years, female 6.0
GTEX-1211K-0126-SM-59HJE 60-69 years, female 6.0
GTEX-13OVI-1226-SM-5J2ME 60-69 years, female 6.0
GTEX-OXRK-0126-SM-3NB1E 50-59 years, female 6.0
GTEX-XMK1-0226-SM-4B65D 40-49 years, male 6.0
GTEX-Y5V5-1326-SM-4V6G9 60-69 years, female 6.0
GTEX-ZVP2-0126-SM-5NQ7D 50-59 years, male 6.0
GTEX-ZVT2-0826-SM-5GIEO 50-59 years, female 6.0
GTEX-ZYFG-0926-SM-5BC5U 60-69 years, female 6.0
GTEX-1I1GT-0126-SM-B2LWM 60-69 years, female 6.0
GTEX-1R7EV-1726-SM-E6CR8 40-49 years, male 6.0
GTEX-13O21-0126-SM-5IJE8 50-59 years, male 5.9
GTEX-13QBU-0526-SM-5IJFE 40-49 years, female 5.9
GTEX-15SHU-1926-SM-7KUMO 40-49 years, female 5.9
GTEX-OHPL-1326-SM-3MJGG 60-69 years, female 5.9
GTEX-UJMC-0226-SM-4IHLH 50-59 years, male 5.9
GTEX-1GL5R-1026-SM-7P8U1 50-59 years, male 5.9
GTEX-QLQ7-0126-SM-CL55R 60-69 years, male 5.9
GTEX-12WSJ-0126-SM-5GCOM 40-49 years, female 5.8
GTEX-1399R-0326-SM-5KM1X 30-39 years, male 5.8
GTEX-OOBK-3125-SM-3LK5R 40-49 years, male 5.8
GTEX-P4QS-1326-SM-3NMCD 60-69 years, male 5.8
GTEX-Q2AH-0126-SM-48U2B 40-49 years, male 5.8
GTEX-T6MO-0126-SM-4DM6X 40-49 years, female 5.8
GTEX-VUSG-1526-SM-4KKZH 50-59 years, male 5.8
GTEX-ZDTT-0126-SM-4WKHA 60-69 years, male 5.8
GTEX-1AX9K-0126-SM-7PC1B 50-59 years, male 5.8
GTEX-1H1E6-1026-SM-9JGFZ 30-39 years, male 5.8
GTEX-1ICG6-0226-SM-AHZ2P 70-79 years, female 5.8
GTEX-1NUQO-0626-SM-E6CQT 20-29 years, female 5.8
GTEX-13OW7-2726-SM-5L3HN 50-59 years, male 5.7
GTEX-13PL7-1026-SM-5MR5C 60-69 years, female 5.7
GTEX-14PJ6-0126-SM-686Z5 60-69 years, female 5.7
GTEX-15DYW-2126-SM-6M47B 60-69 years, female 5.7
GTEX-OHPK-1326-SM-3MJGN 50-59 years, female 5.7
GTEX-R55C-0226-SM-48FEO 40-49 years, male 5.7
GTEX-Y5V6-1926-SM-5IFIL 60-69 years, male 5.7
GTEX-YF7O-0126-SM-5IFIR 50-59 years, male 5.7
GTEX-1I1GU-0226-SM-AHZ2J 40-49 years, male 5.7
GTEX-ZPCL-0826-SM-DNZZ7 60-69 years, female 5.7
GTEX-111CU-0126-SM-5GZWZ 50-59 years, male 5.6
GTEX-11EQ9-0126-SM-5986I 30-39 years, male 5.6
GTEX-12ZZZ-0926-SM-5N9EQ 60-69 years, male 5.6
GTEX-146FR-1526-SM-5SIB8 60-69 years, female 5.6
GTEX-14E1K-0626-SM-5S2PG 50-59 years, male 5.6
GTEX-18A6Q-1826-SM-72D6I 60-69 years, male 5.6
GTEX-18D9B-1926-SM-7KFSV 60-69 years, male 5.6
GTEX-1B8L1-1326-SM-7MKG6 60-69 years, male 5.6
GTEX-O5YT-1326-SM-3MJGR 20-29 years, male 5.6
GTEX-YB5E-0226-SM-5IFHI 40-49 years, male 5.6
GTEX-1F75I-0126-SM-9WPPW 40-49 years, male 5.6
GTEX-11P7K-0126-SM-5986E 30-39 years, male 5.5
GTEX-14A5I-2126-SM-5NQA8 50-59 years, female 5.5
GTEX-14PN3-1426-SM-686Z8 60-69 years, female 5.5
GTEX-16NGA-0126-SM-72D6U 40-49 years, female 5.5
GTEX-PLZ6-0226-SM-3P61I 30-39 years, male 5.5
GTEX-QDVN-0426-SM-48TZ6 50-59 years, male 5.5
GTEX-V1D1-0226-SM-4JBHG 50-59 years, male 5.5
GTEX-WHPG-1526-SM-4M1ZK 50-59 years, male 5.5
GTEX-1IDJH-1726-SM-A96T3 70-79 years, male 5.5
GTEX-1LVAN-0826-SM-CNNPG 50-59 years, female 5.5
GTEX-1PIIG-1426-SM-EXOIS 30-39 years, male 5.5
GTEX-14JG6-0126-SM-68726 30-39 years, female 5.4
GTEX-NFK9-1726-SM-3TW8P 40-49 years, male 5.4
GTEX-RM2N-0126-SM-48FDD 50-59 years, male 5.4
GTEX-ZLWG-0126-SM-4WWC5 50-59 years, female 5.4
GTEX-ZTSS-0326-SM-5987M 40-49 years, male 5.4
GTEX-ZY6K-0126-SM-5SIAM 50-59 years, male 5.4
GTEX-1IDJU-0126-SM-CNNR2 60-69 years, female 5.4
GTEX-1LG7Z-0426-SM-D4P47 30-39 years, male 5.4
GTEX-1QP2A-2626-SM-EAZ3L 50-59 years, male 5.4
GTEX-117YX-0126-SM-5EGH5 50-59 years, male 5.3
GTEX-14DAR-1726-SM-664MZ 50-59 years, male 5.3
GTEX-15CHR-0626-SM-7938V 50-59 years, male 5.3
GTEX-1CAMS-0226-SM-79397 40-49 years, female 5.3
GTEX-R53T-0226-SM-48FEH 50-59 years, female 5.3
GTEX-1HKZK-0126-SM-B2LWF 40-49 years, male 5.3
GTEX-1RQEC-1926-SM-DTX7M 60-69 years, male 5.3
GTEX-13FH7-0226-SM-5IFGG 50-59 years, female 5.2
GTEX-1B8KE-0926-SM-7189I 50-59 years, male 5.2
GTEX-O5YV-1126-SM-3LK73 60-69 years, female 5.2
GTEX-P4QT-1326-SM-3NMD3 50-59 years, female 5.2
GTEX-Q734-0126-SM-48U1E 40-49 years, female 5.2
GTEX-R55G-0126-SM-48FDS 40-49 years, female 5.2
GTEX-S33H-1326-SM-4AD6A 30-39 years, male 5.2
GTEX-XUZC-0226-SM-4BOO7 30-39 years, female 5.2
GTEX-Y114-0526-SM-4TT8V 50-59 years, female 5.2
GTEX-ZZPU-1226-SM-5N9CK 50-59 years, female 5.2
GTEX-OIZF-1326-SM-3MJGU 60-69 years, male 5.2
GTEX-1122O-0326-SM-5H124 60-69 years, female 5.1
GTEX-145LT-0126-SM-5S2QJ 40-49 years, male 5.1
GTEX-1CAMR-0126-SM-79391 20-29 years, male 5.1
GTEX-S341-0126-SM-4AD64 40-49 years, female 5.1
GTEX-ZLFU-0826-SM-4WWBP 40-49 years, male 5.1
GTEX-1I1GQ-2026-SM-ARU7F 50-59 years, male 5.1
GTEX-11DXX-0126-SM-5EGH7 60-69 years, female 5.0
GTEX-11I78-1826-SM-5A5M4 50-59 years, female 5.0
GTEX-13CF3-0126-SM-5IFFM 60-69 years, female 5.0
GTEX-1A3MW-2126-SM-731DO 60-69 years, female 5.0
GTEX-1AX8Z-2426-SM-72D7D 60-69 years, male 5.0
GTEX-1AX9J-0626-SM-72D7L 60-69 years, male 5.0
GTEX-Q2AI-0226-SM-48U1D 40-49 years, male 5.0
GTEX-YFCO-0126-SM-4W1YT 40-49 years, male 5.0
GTEX-1I1GV-1826-SM-CNNR8 60-69 years, male 5.0
GTEX-1QMI2-1926-SM-EAZ4B 60-69 years, male 5.0
GTEX-11EMC-0526-SM-5EGJN 60-69 years, female 4.9
GTEX-12WSG-0726-SM-5EGIG 50-59 years, female 4.9
GTEX-13O61-0126-SM-5KM4P 60-69 years, male 4.9
GTEX-1A32A-2126-SM-718AZ 50-59 years, female 4.9
GTEX-1AMFI-0626-SM-731DR 50-59 years, female 4.9
GTEX-Y5LM-0126-SM-4VBRL 40-49 years, female 4.9
GTEX-Y9LG-0126-SM-5Q59W 30-39 years, male 4.9
GTEX-ZP4G-0126-SM-4YCE3 20-29 years, female 4.9
GTEX-1CB4F-0126-SM-9JGGZ 60-69 years, male 4.9
GTEX-1LGRB-0326-SM-CNPQC 50-59 years, female 4.9
GTEX-12696-0626-SM-5EGGD 60-69 years, male 4.8
GTEX-144GL-1826-SM-79OMB 50-59 years, male 4.8
GTEX-1B8KZ-0126-SM-7DHM5 50-59 years, male 4.8
GTEX-1C475-0126-SM-731DC 40-49 years, female 4.8
GTEX-PW2O-0226-SM-48TC7 20-29 years, male 4.8
GTEX-WFG8-0126-SM-4LVMH 20-29 years, male 4.8
GTEX-XQ3S-1726-SM-4BOOD 20-29 years, male 4.8
GTEX-1F75A-2026-SM-9KNTR 50-59 years, male 4.8
GTEX-13111-0326-SM-5DUXF 50-59 years, male 4.7
GTEX-14PK6-0126-SM-664O1 70-79 years, female 4.7
GTEX-16AAH-0226-SM-793A8 50-59 years, male 4.7
GTEX-QCQG-0126-SM-48U27 50-59 years, female 4.7
GTEX-TMMY-0126-SM-4DXTP 40-49 years, female 4.7
GTEX-X4LF-0126-SM-4QAS7 50-59 years, male 4.7
GTEX-Y3IK-0226-SM-51MRJ 50-59 years, female 4.7
GTEX-1KWVE-0726-SM-D4P3O 30-39 years, male 4.7
GTEX-1RAZQ-0226-SM-EV7BK 30-39 years, male 4.7
GTEX-11DXY-1626-SM-5H12L 60-69 years, male 4.6
GTEX-12WSL-0326-SM-5CVMK 50-59 years, male 4.6
GTEX-132NY-2226-SM-5J2LZ 60-69 years, male 4.6
GTEX-1399S-0426-SM-5IFG5 30-39 years, female 4.6
GTEX-PLZ5-0326-SM-3P614 50-59 years, male 4.6
GTEX-ZA64-0226-SM-5HL9C 20-29 years, male 4.6
GTEX-ZUA1-1926-SM-5E45E 40-49 years, male 4.6
GTEX-1A8FM-1926-SM-7MXTX 50-59 years, female 4.6
GTEX-1F5PK-0826-SM-7MXVI 50-59 years, male 4.6
GTEX-1HBPI-1926-SM-CE6RT 50-59 years, male 4.6
GTEX-1I1GP-1826-SM-C1YS1 50-59 years, male 4.6
GTEX-1KANB-2626-SM-EV7BF 50-59 years, male 4.6
GTEX-1PWST-2126-SM-DPRZ5 70-79 years, male 4.6
GTEX-131XG-1326-SM-5DUX4 50-59 years, female 4.5
GTEX-13OW6-1726-SM-5IJGI 50-59 years, male 4.5
GTEX-S4Q7-0226-SM-4AD5O 20-29 years, male 4.5
GTEX-ZT9X-0126-SM-4YCFC 40-49 years, male 4.5
GTEX-1H11D-2426-SM-9JGGN 40-49 years, male 4.5
GTEX-1JKYN-0126-SM-AHZ4C 30-39 years, male 4.5
GTEX-11GSP-0326-SM-5A5KW 60-69 years, female 4.4
GTEX-11NSD-0226-SM-5A5LR 20-29 years, male 4.4
GTEX-14E6E-0126-SM-73KXH 30-39 years, male 4.4
GTEX-17HHY-2226-SM-7KFS4 50-59 years, male 4.4
GTEX-QLQW-0226-SM-447BJ 30-39 years, male 4.4
GTEX-1H3VY-1826-SM-9JGI4 50-59 years, male 4.4
GTEX-1QPFJ-2526-SM-EXOJX 30-39 years, female 4.4
GTEX-ZEX8-0626-SM-DO118 50-59 years, male 4.4
GTEX-18A7A-1826-SM-7KFTU 50-59 years, female 4.3
GTEX-1EKGG-2126-SM-7MKFT 60-69 years, male 4.3
GTEX-RWSA-1726-SM-47JX7 40-49 years, male 4.3
GTEX-WQUQ-0126-SM-4OOSS 60-69 years, male 4.3
GTEX-1HC8U-0226-SM-9WG7Q 40-49 years, female 4.3
GTEX-1HCU6-1826-SM-C1YRN 60-69 years, female 4.3
GTEX-1JMLX-1126-SM-CXZJN 50-59 years, male 4.3
GTEX-1LNCM-0826-SM-DHXL6 50-59 years, female 4.3
GTEX-R55E-1826-SM-EXOHD 20-29 years, male 4.3
GTEX-11DXZ-0226-SM-5EGGZ 50-59 years, male 4.2
GTEX-17KNJ-0326-SM-7KFS5 50-59 years, male 4.2
GTEX-1BAJH-2626-SM-7EPG6 70-79 years, male 4.2
GTEX-VJYA-0526-SM-4KL1R 60-69 years, male 4.2
GTEX-1KXAM-0326-SM-EV7AQ 60-69 years, male 4.2
GTEX-QMRM-0126-SM-CJI1R 50-59 years, male 4.2
GTEX-RNOR-1626-SM-EZ6MM 50-59 years, female 4.2
GTEX-U3ZN-0826-SM-4DXSZ 30-39 years, female 4.1
GTEX-WYVS-0226-SM-4ONDK 40-49 years, female 4.1
GTEX-1339X-0826-SM-5J2O6 40-49 years, male 4.0
GTEX-QDVJ-1126-SM-48U1U 50-59 years, male 4.0
GTEX-QXCU-1326-SM-48FE2 50-59 years, male 4.0
GTEX-15ER7-1126-SM-6M47F 20-29 years, female 3.9
GTEX-12WSD-2126-SM-5LZWK 60-69 years, female 3.8
GTEX-131YS-2026-SM-5P9J8 60-69 years, female 3.8
GTEX-13N11-0826-SM-5IJFP 50-59 years, female 3.8
GTEX-PX3G-1326-SM-48U18 20-29 years, female 3.8
GTEX-1K2DU-0826-SM-DHXKA 20-29 years, male 3.8
GTEX-1M5QR-1726-SM-EV7AU 40-49 years, male 3.8
GTEX-QEG5-1826-SM-CE6QW 20-29 years, male 3.8
GTEX-13D11-0426-SM-5LZYA 50-59 years, female 3.7
GTEX-RUSQ-0226-SM-47JWT 50-59 years, male 3.7
GTEX-1GMR3-0926-SM-9WPP9 40-49 years, male 3.7
GTEX-14DAQ-1826-SM-5S2VV 60-69 years, female 3.5
GTEX-ZYVF-1626-SM-5N9EH 50-59 years, female 3.5
GTEX-1EH9U-1726-SM-7P8QK 60-69 years, male 3.5
GTEX-13O1R-2326-SM-5IJF9 60-69 years, male 3.3
GTEX-14C38-1726-SM-5RQJC 50-59 years, male 3.3
GTEX-16MT8-1626-SM-7EWDW 60-69 years, female 3.3
GTEX-REY6-1726-SM-48FDL 60-69 years, male 3.3
GTEX-1F88F-1526-SM-9JGG1 60-69 years, female 3.3
GTEX-132AR-1726-SM-5EGHQ 50-59 years, female 3.2
GTEX-13O3O-1626-SM-5KM1O 60-69 years, female 3.2
GTEX-147F4-2526-SM-5NQBB 50-59 years, male 3.2
GTEX-139YR-0126-SM-5IJEY 50-59 years, male 3.1
GTEX-14A5H-2126-SM-7IGNV 60-69 years, male 3.1
GTEX-X4EO-1726-SM-4QARN 60-69 years, female 3.1
GTEX-1J8EW-1826-SM-C1YQW 60-69 years, female 2.8
GTEX-1GN73-1526-SM-9WPP1 60-69 years, male 2.7
GTEX-XV7Q-0226-SM-4BRVL 40-49 years, female 2.6
GTEX-1GF9V-2026-SM-9JGHS 60-69 years, male 2.6
GTEX-1KD4Q-1826-SM-DIPFV 40-49 years, male 2.4
GTEX-14753-1726-SM-5NQ9X 60-69 years, male 2.3
GTEX-14PJM-2226-SM-6AJAT 50-59 years, female 2.0
GTEX-1GN1V-1626-SM-7PBZF 60-69 years, male 2.0
Show allShow less

Contact

  • NEWS ARTICLES
  • PRESS ROOM

The Project

  • INTRODUCTION
  • ORGANIZATION
  • PUBLICATIONS

The Human Protein Atlas

  • DOWNLOADABLE DATA
  • LICENCE & CITATION
  • HELP & FAQ
The Human Protein Atlas project is funded
by the Knut & Alice Wallenberg Foundation.


contact@proteinatlas.org