We use cookies to enhance the usability of our website. If you continue, we'll assume that you are happy to receive all cookies. More information. Don't show this again.
GAPDH
HPA
RESOURCES
  • TISSUE
  • BRAIN
  • SINGLE CELL
  • SUBCELLULAR
  • CANCER
  • BLOOD
  • CELL LINE
  • STRUCTURE & INTERACTION
ABOUT
  • INTRODUCTION
  • HISTORY
  • ORGANIZATION
  • PUBLICATIONS
  • ANTIBODY SUBMISSION
  • ANTIBODY AVAILABILITY
  • ACKNOWLEDGMENTS
  • CONTACT
NEWS
  • NEWS ARTICLES
  • PRESS ROOM
LEARN
  • DICTIONARY
  • PROTEIN CLASSES
  • PROTEIN EVIDENCE
  • METHODS
  • EDUCATIONAL VIDEOS
DATA
  • DOWNLOADABLE DATA
  • PUBLICATION DATA
  • RELEASE HISTORY
HELP
  • ANTIBODY VALIDATION
  • ASSAYS & ANNOTATION
  • DISCLAIMER
  • HELP & FAQ
  • PRIVACY STATEMENT
  • LICENCE & CITATION
Fields »
Search result

Field
Term
Gene name
Class
Subclass
Class
Keyword
Chromosome
External id
Tissue
Cell type
Expression
Antibody panel
Tissue
Main location
Patient ID
Annotation
Tissue
Category
Tau score
Cluster
Reliability
Brain region
Category
Tau score
Brain region
Category
Tau score
Brain region
Category
Tau score
Cluster
Reliability
Tissue
Cell type
Enrichment
Cell type
Category
Tau score
Cell type
Category
Tau score
Cell type
Category
Tau score
Cell lineage
Category
Tau score
Cluster
Cluster
Location
Searches
Location
Cell line
Class
Type
Phase
Reliability
Cancer
Prognosis
Cancer
Category
Cancer
Category
Tau score
Cluster
Variants
Interacting gene (ensg_id)
Type
Number of interactions
Pathway
Category
Score
Score
Score
Validation
Validation
Validation
Validation
Antibodies
Data type
Column


  • SUMMARY

  • TISSUE

  • BRAIN

  • SINGLE CELL

  • SUBCELL

  • CANCER

  • BLOOD

  • CELL LINE

  • STRUCT & INT

  • GAPDH
CANCER STOMACH CANCER Show tissue menu
BREAST CANCER CARCINOID CERVICAL CANCER COLORECTAL CANCER ENDOMETRIAL CANCER GLIOMA HEAD AND NECK CANCER LIVER CANCER LUNG CANCER LYMPHOMA
MELANOMA OVARIAN CANCER PANCREATIC CANCER PROSTATE CANCER RENAL CANCER SKIN CANCER STOMACH CANCER TESTIS CANCER THYROID CANCER UROTHELIAL CANCER
STAD TCGA PROTEIN EXPRESSION
ANTIBODIES
AND
VALIDATION
Dictionary
Stomach cancer
Human cancer
Stomach adenocarcinoma
STOMACH ADENOCARCINOMA (TCGA) - Interactive survival scatter ploti

The Survival Scatter plot shows the clinical status (i.e. dead or alive) for all individuals in the patient cohort, based on the same data that underlies the corresponding Kaplan-Meier plots. Patients that are alive at last time for follow-up are shown in blue and patients who have died during the study are shown in red.

The x-axis shows the expression levels (FPKM) of the investigated gene in the tumor tissue at the time of diagnosis. The y-axis shows the follow-up time after diagnosis (years). Both axes are complimented with kernel density curves demonstrating the data density over the axes. The top density plot shows the expression levels (FPKM) distribution among dead (red) and alive patients (blue). The right density plot shows the data density of the survived years of dead patients with high and low expression levels respectively, stratified using the cutoff indicated by the vertical dashed line through the Survival Scatter plot. This cutoff is automatically defined based on the FPKM cutoff that minimizes the p-score. The cutoff can be changed by dragging the vertical line or by entering a cutoff value in the square labeled "Current cut-off".

Under the Survival Scatter plot the p-score landscape (black curve; left axis) is shown together with dead median separation (red curve; right axis). Dead median separation is the difference in median mRNA expression between patients who have died with high and low expression, respectively. It is calculated as follows: median FPKM expression of dead patients with high expression - median FPKM expression of dead patients with low expression. This is intended to aid the user in visually exploring custom cutoffs and the associated p-scores and dead median separation.

Individual patient data is displayed and can be filtered by clicking on one or more of the category buttons on the top of the page. Categories describing expression level and patient information include: high, low, alive, dead, female, male and tumor stages. The scale of the x-axis can be toggled between linear and log-scale by clicking on the "x log" button. Mouse-over function shows TCGA ID, patient information and mRNA expression (FPKM) for each patient.

& Survival analysisi

Kaplan-Meier plots summarize results from analysis of correlation between mRNA expression level and patient survival. Patients were divided based on level of expression into one of the two groups "low" (under cut off) or "high" (over cut off). X-axis shows time for survival (years) and y-axis shows the probability of survival, where 1.0 corresponds to 100 percent.

GAPDH is not prognostic in Stomach Adenocarcinoma (TCGA)


Stage:


Survival analysis
Current cut offi

Current cut-off shows the cut-off (FPKM) currently selected. It may be changed manually. When the current cut-off is changed, the vertical dashed line indicating cut-off, the interactive survival scatter plot and the Kaplan-Meier curve will be automatically adjusted to show results accordingly.

:
Best expression cut offi

Based on the FPKM value of each gene, patients were classified into two groups and association between prognosis (survival) and gene expression (FPKM) was examined. The best expression cut-off refers the FPKM value that yields maximal difference with regard to survival between the two groups at the lowest log-rank P-value. Best expression cut-off was selected based on survival analysis .

When clicking on this number, the vertical dashed line indicating cut-off, the interactive survival plot, and the Kaplan-Meier curve will be adjusted to show results based on the best expression cut-off.

: 2981.14
Median expressioni

Median expression refers to the median FPKM value calculated based on the gene expression (FPKM) data from all patients in this dataset. When clicking on this number, the vertical dashed line indicating cut-off, the interactive survival plot, and the Kaplan-Meier curve will be adjusted to show results based on the median expression.

: N/A
Median follow up timei

Median follow up time refers to the median time (years) after diagnosis with this type of cancer, based on clinical data from all patients in this dataset.

: N/A
P scorei

Log-rank P value for Kaplan-Meier plot showing results from analysis of correlation between mRNA expression level and patient survival.

N/A
5-year survival highi

5-year survival for patients with higher expression than the expression cutoff.

For melanoma and glioma, 3-year survival is shown.

N/A
5-year survival lowi

5-year survival for patients with lower expression than the expression cutoff.

For melanoma and glioma, 3-year survival is shown.

N/A
TCGA RNA samplesi

RNA-seq data is reported as average FPKM (number Fragments Per Kilobase of exon per Million reads), generated by the The Cancer Genome Atlas (TCGA) .

Normal distribution across the dataset is visualized with box plots, shown as median and 25th and 75th percentiles. Points are displayed as outliers if they are above or below 1.5 times the interquartile range. FPKM values of the individual samples are presented next to the box plot.

Average pTPM 3231.9
Number of samples 346
Samples
Sample Description pTPM
TCGA-CD-8531-01A 66 years, female, asian, stage:Stage IIIA, alive, 383 days 11338.0
TCGA-CG-5724-01A 59 years, male, stage:Stage IV, dead, 366 days 10938.1
TCGA-VQ-AA69-01A 35 years, male, white, stage:Stage IIIA, alive, 864 days 10203.1
TCGA-CG-4440-01A 68 years, female, stage:Stage IV, dead, 122 days 9546.7
TCGA-D7-6525-01A 58 years, male, white, stage:Stage IIIA, dead, 406 days 9329.5
TCGA-B7-5818-01A 62 years, male, white, stage:Stage IB, alive, 356 days 9228.0
TCGA-CD-5799-01A 45 years, male, asian, stage:Stage II, alive, 396 days 8817.3
TCGA-CG-5723-01A 83 years, male, stage:Stage II, alive, 2496 days 7985.9
TCGA-FP-7829-01A 69 years, male, white, stage:Stage IIB, alive, 594 days 7695.2
TCGA-CG-5721-01A 58 years, male, stage:Stage IV, alive, 183 days 7565.5
TCGA-D7-A74A-01A 61 years, female, white, stage:Stage IIIA, alive, 607 days 7106.9
TCGA-BR-4280-01A 78 years, female, white, stage:Stage III, dead, 201 days 7090.0
TCGA-VQ-A94T-01A 73 years, male, stage:Stage IIIB, dead, 342 days 6844.3
TCGA-BR-6566-01A 64 years, female, white, stage:Stage IIA, alive, 997 days 6830.7
TCGA-HF-A5NB-01A 75 years, female, stage:Stage IIIC, alive, 928 days 6409.9
TCGA-D7-5578-01A 80 years, male, white, stage:Stage IIIA, alive, 385 days 6367.3
TCGA-CG-4465-01A 69 years, female, stage:Stage IV, dead, 274 days 6324.2
TCGA-BR-8372-01A 63 years, male, white, stage:Stage IIIC, alive, 951 days 6191.7
TCGA-HU-8249-01A 76 years, male, asian, stage:Stage IIIA, alive, 881 days 6156.4
TCGA-CD-8526-01A 73 years, female, asian, stage:Stage IIIA, alive, 381 days 6136.8
TCGA-D7-A6EZ-01A 66 years, male, white, stage:Stage IIIA, dead, 618 days 6103.5
TCGA-HF-7133-01A female, stage:Stage IV, alive, 1918 days 6028.4
TCGA-BR-6801-01A 70 years, male, white, stage:Stage IIA, alive, 1223 days 5965.3
TCGA-BR-6455-01A 59 years, male, white, stage:Stage IIB, dead, 422 days 5921.6
TCGA-HU-A4GT-01A 71 years, female, asian, stage:Stage IIA, alive, 198 days 5877.9
TCGA-HU-A4GU-01A 73 years, male, asian, stage:Stage IIB, alive, 200 days 5826.0
TCGA-BR-7851-01A 74 years, male, white, stage:Stage IIB, dead, 574 days 5777.7
TCGA-BR-4257-01A 79 years, female, white, stage:'--, dead, 294 days 5764.8
TCGA-CG-4441-01A 83 years, male, stage:Stage IIIA, dead, 426 days 5669.3
TCGA-BR-7707-01A 69 years, female, white, stage:Stage IB, alive, 1090 days 5566.1
TCGA-CG-5726-01A 73 years, male, stage:Stage IA, dead, 881 days 5466.6
TCGA-BR-8081-01A 71 years, female, white, stage:Stage IIB, alive, 981 days 5442.9
TCGA-BR-6452-01A 78 years, female, white, stage:Stage IIA, alive, 1055 days 5427.3
TCGA-VQ-A8PP-01A 76 years, male, stage:Stage IV, dead, 712 days 5383.9
TCGA-D7-6818-01A 53 years, male, white, stage:Stage IIIA, dead, 376 days 5365.5
TCGA-CG-4437-01A 83 years, male, stage:Stage II, alive, 245 days 5358.4
TCGA-VQ-A8P2-01A 68 years, male, white, stage:Stage IIIA, alive, 1160 days 5311.5
TCGA-HJ-7597-01A 71 years, female, white, stage:Stage IB, dead, 805 days 5282.3
TCGA-VQ-A8PU-01A 72 years, female, white, stage:Stage IIIA, dead, 832 days 5270.1
TCGA-BR-4256-01A 80 years, male, white, stage:'--, dead, 284 days 5166.3
TCGA-BR-8059-01A 72 years, male, white, stage:Stage III, dead, 439 days 5164.4
TCGA-CG-4438-01A 56 years, male, stage:Stage IV, alive, 1645 days 5093.7
TCGA-D7-8573-01A 57 years, male, white, stage:Stage IIA, alive, 593 days 5088.6
TCGA-BR-8361-01A 71 years, female, white, stage:Stage IIIC, alive, 946 days 5032.9
TCGA-CG-4460-01A 66 years, female, stage:Stage IV, dead, 669 days 5006.4
TCGA-IN-7806-01A 50 years, male, white, stage:Stage IIB, alive, 1106 days 4961.0
TCGA-CG-5720-01A 71 years, male, stage:Stage IB, dead, 30 days 4936.3
TCGA-BR-8368-01A 84 years, female, white, stage:Stage IB, alive, 131 days 4851.5
TCGA-D7-6815-01A 70 years, female, white, stage:Stage IIB, alive, 486 days 4838.6
TCGA-HU-A4H3-01A 56 years, female, asian, stage:Stage IIIC, alive, 882 days 4808.8
TCGA-HU-A4H5-01A 71 years, male, asian, stage:Stage IB, alive, 724 days 4752.8
TCGA-HU-8602-01A 58 years, female, asian, stage:Stage IIB, alive, 679 days 4747.7
TCGA-VQ-A924-01A 69 years, male, stage:Stage II, dead, 1686 days 4720.9
TCGA-BR-8295-01A 60 years, female, white, stage:Stage IIB, dead, 67 days 4680.2
TCGA-BR-8589-01A 56 years, male, white, stage:Stage IIIB, alive, 825 days 4644.9
TCGA-HF-7134-01A male, stage:Stage IA, alive, 1588 days 4624.8
TCGA-BR-8680-01A 45 years, male, asian, stage:Stage IV, alive, 972 days 4598.1
TCGA-CG-4475-01A 76 years, male, stage:Stage IIB, alive, 699 days 4576.0
TCGA-BR-4201-01A 66 years, female, white, stage:'--, dead, 940 days 4565.5
TCGA-D7-5577-01A 53 years, female, white, stage:Stage IIIA, dead, 782 days 4562.3
TCGA-BR-7716-01A 62 years, female, white, stage:Stage IIB, alive, 1210 days 4529.2
TCGA-FP-7735-01A 77 years, male, black or african american, stage:Stage IB, dead, 106 days 4514.8
TCGA-D7-A4YX-01A 63 years, male, white, stage:Stage IIB, alive, 1108 days 4462.9
TCGA-D7-6526-01A 67 years, female, white, stage:Stage IIIA, alive, 523 days 4458.8
TCGA-VQ-A8P5-01A 67 years, male, white, stage:Stage IIA, dead, 235 days 4453.8
TCGA-VQ-A91A-01A 67 years, male, white, stage:Stage IIIB, alive, 1200 days 4441.5
TCGA-VQ-A8PO-01A 74 years, male, white, stage:Stage IIB, dead, 282 days 4414.2
TCGA-R5-A7ZF-01A 65 years, female, black or african american, stage:Stage IV, dead, 259 days 4372.7
TCGA-HU-A4H0-01A 72 years, male, asian, stage:Stage IIIC, alive, 64 days 4352.1
TCGA-BR-A4J4-01A 39 years, male, asian, stage:Stage IIIB, alive, 16 days 4332.7
TCGA-CD-5803-01A 78 years, female, asian, stage:Stage II, dead, 341 days 4309.2
TCGA-CD-5798-01A 82 years, male, asian, stage:Stage II, alive, 408 days 4303.5
TCGA-BR-6707-01A 75 years, male, white, stage:Stage IIA, dead, 605 days 4301.8
TCGA-BR-6852-01A 64 years, female, white, stage:Stage IIA, alive, 1367 days 4279.8
TCGA-D7-6528-01A 70 years, female, white, stage:Stage IB, alive, 463 days 4257.6
TCGA-VQ-A91E-01A 67 years, female, white, stage:Stage IIIB, alive, 664 days 4234.9
TCGA-CD-8528-01A 43 years, female, asian, stage:Stage IIIA, alive, 375 days 4233.5
TCGA-D7-6527-01A 62 years, male, white, stage:Stage II, dead, 312 days 4181.0
TCGA-BR-4267-01A 51 years, male, white, stage:Stage IB, dead, 188 days 4174.1
TCGA-VQ-AA6G-01A 68 years, male, white, stage:Stage IIA, dead, 792 days 4162.0
TCGA-F1-6874-01A 79 years, male, white, stage:Stage IB, alive, 440 days 4146.1
TCGA-CG-4306-01A 90 years, male, stage:Stage IV, dead, 1 days 4108.5
TCGA-CD-8533-01A 48 years, male, asian, stage:Stage II, alive, 468 days 4104.5
TCGA-BR-6565-01A 67 years, male, white, stage:Stage IIB, dead, 279 days 4101.6
TCGA-VQ-A91K-01A 69 years, male, white, stage:Stage IIIA, alive, 1862 days 4100.5
TCGA-KB-A6F7-01A 54 years, female, stage:Stage IB, alive, 1935 days 4060.2
TCGA-CD-5801-01A 69 years, male, asian, stage:Stage IIIA, dead, 401 days 4050.0
TCGA-VQ-A8E0-01A 68 years, male, black or african american, stage:Stage IIIA, dead, 562 days 4028.0
TCGA-BR-6456-01A 74 years, female, white, stage:Stage IIB, dead, 526 days 4016.4
TCGA-HU-8608-01A 70 years, male, asian, stage:Stage IIIB, alive, 641 days 3994.6
TCGA-BR-6802-01A 65 years, male, white, stage:Stage IIIA, alive, 940 days 3946.7
TCGA-BR-7901-01A 74 years, male, white, stage:Stage IIB, dead, 105 days 3944.4
TCGA-CG-5718-01A 78 years, female, stage:Stage II, dead, 1095 days 3935.1
TCGA-VQ-A8E3-01A 79 years, male, white, stage:Stage IIA, dead, 661 days 3934.5
TCGA-BR-7957-01A 50 years, female, white, stage:Stage IV, dead, 276 days 3919.4
TCGA-R5-A7ZR-01A 70 years, female, black or african american, stage:Stage III, dead, 185 days 3889.9
TCGA-CG-5722-01A 67 years, female, stage:Stage IV, alive, 30 days 3888.0
TCGA-IN-8663-01A 68 years, male, white, stage:Stage IIB, dead, 103 days 3849.6
TCGA-R5-A7ZI-01A 44 years, female, white, stage:Stage IV, alive, 2267 days 3834.8
TCGA-BR-4253-01A 80 years, female, white, stage:Stage IIIA, dead, 124 days 3809.9
TCGA-HU-8604-01A 82 years, female, asian, stage:Stage IIA, alive, 694 days 3789.6
TCGA-HU-A4G2-01A 45 years, male, asian, stage:Stage IIB, alive, 739 days 3768.2
TCGA-F1-A72C-01A 68 years, male, asian, stage:Stage IIA, alive, 346 days 3760.6
TCGA-CG-4444-01A 76 years, male, stage:Stage IIIA, alive, 1431 days 3744.7
TCGA-D7-6524-01A 53 years, male, white, stage:Stage II, alive, 543 days 3740.0
TCGA-BR-8687-01A 67 years, female, white, stage:Stage IIIC, dead, 250 days 3734.7
TCGA-VQ-A8P3-01A 72 years, male, white, stage:Stage IIIA, alive, 1132 days 3719.8
TCGA-CG-5719-01A 54 years, female, stage:Stage IV, alive, 31 days 3719.5
TCGA-BR-8591-01A 79 years, male, white, stage:Stage IIIC, alive, 856 days 3697.0
TCGA-BR-8366-01A 80 years, female, white, stage:Stage IIA, alive, 29 days 3669.4
TCGA-D7-A6F2-01A 62 years, male, white, stage:Stage IB, alive, 476 days 3664.6
TCGA-VQ-A92D-01A 67 years, male, white, stage:Stage IB, alive, 2032 days 3663.5
TCGA-VQ-AA6K-01A 59 years, male, white, stage:Stage IIIC, dead, 378 days 3653.8
TCGA-SW-A7EA-01A 61 years, female, white, stage:Stage IB, alive, 579 days 3651.0
TCGA-HU-A4HD-01A 73 years, male, asian, stage:Stage IIIA, alive, 1016 days 3649.5
TCGA-BR-6564-01A 46 years, female, white, stage:Stage IIIA, dead, 794 days 3643.4
TCGA-VQ-A8PB-01A 65 years, female, white, stage:Stage II, dead, 1043 days 3608.6
TCGA-FP-A8CX-01A 60 years, male, white, stage:Stage IIIC, alive, 7 days 3603.7
TCGA-HF-7132-01A male, stage:Stage II, alive, 2351 days 3554.4
TCGA-D7-A6EX-01A 72 years, female, white, stage:Stage IIIA, alive, 344 days 3553.2
TCGA-IN-A6RJ-01A 64 years, male, white, stage:Stage IA, alive, 379 days 3535.0
TCGA-VQ-A91Q-01A 61 years, male, stage:Stage IV, dead, 633 days 3525.2
TCGA-D7-A6F0-01A 79 years, female, white, stage:Stage IB, alive, 678 days 3475.1
TCGA-BR-7717-01A 63 years, male, white, stage:Stage IV, dead, 552 days 3456.1
TCGA-CG-4466-01A 81 years, female, stage:Stage IB, alive, 577 days 3441.4
TCGA-D7-6522-01A 58 years, male, white, stage:Stage IB, alive, 566 days 3429.6
TCGA-BR-6457-01A 69 years, male, white, stage:Stage IIA, alive, 416 days 3405.9
TCGA-IN-A6RI-01A 45 years, male, white, stage:Stage I, alive, 559 days 3391.0
TCGA-D7-8572-01A 57 years, male, white, stage:Stage IIB, alive, 511 days 3357.6
TCGA-CD-8529-01A 65 years, male, asian, stage:Stage IV, alive, 374 days 3352.9
TCGA-D7-6520-01A 53 years, male, white, stage:Stage IIIA, alive, 573 days 3321.5
TCGA-D7-A6EY-01A 72 years, female, white, stage:Stage IIIB, dead, 348 days 3314.3
TCGA-BR-6705-01A 68 years, female, white, stage:Stage IIIB, dead, 779 days 3299.7
TCGA-IN-A6RS-01A 76 years, male, white, stage:Stage IA, alive, 383 days 3295.7
TCGA-CD-A4MG-01A 76 years, male, asian, stage:Stage IIA, dead, 200 days 3293.7
TCGA-FP-8211-01A 62 years, male, white, stage:Stage IIB, alive, 413 days 3275.4
TCGA-D7-8576-01A 54 years, female, white, stage:Stage IIIB, dead, 446 days 3235.2
TCGA-BR-6803-01A 54 years, female, white, stage:Stage IIA, alive, 949 days 3218.0
TCGA-VQ-A8E2-01A 57 years, male, asian, stage:Stage IIIB, alive, 1319 days 3201.6
TCGA-HU-A4GF-01A 69 years, male, asian, stage:Stage IIA, alive, 785 days 3144.1
TCGA-BR-6458-01A 57 years, female, white, stage:Stage IIB, dead, 588 days 3133.8
TCGA-IN-A7NT-01A 73 years, female, white, stage:Stage IIB, alive, 323 days 3111.6
TCGA-CG-4436-01A 57 years, male, stage:Stage IB, alive, 243 days 3110.1
TCGA-HU-8244-01A 77 years, female, asian, stage:Stage IA, alive, 742 days 3102.6
TCGA-IN-AB1X-01A 78 years, female, white, stage:Stage IIA, alive, 411 days 3097.4
TCGA-KB-A93G-01A 68 years, male, white, stage:Stage IB, alive, 613 days 3073.0
TCGA-HU-A4GQ-01A 71 years, male, asian, stage:Stage IIIC, dead, 3 days 3056.1
TCGA-CG-4305-01A 69 years, male, stage:Stage II, alive, 485 days 3050.0
TCGA-CG-4477-01A 58 years, female, stage:Stage IB, alive, 942 days 3049.2
TCGA-VQ-A8PE-01A 78 years, male, white, stage:Stage IIIB, dead, 675 days 3043.2
TCGA-BR-8678-01A 76 years, male, white, stage:Stage IB, alive, 754 days 3041.1
TCGA-HU-A4GC-01A 74 years, male, asian, stage:Stage IIIB, alive, 99 days 3037.7
TCGA-BR-8676-01A 59 years, male, white, stage:Stage IIIB, alive, 229 days 3031.8
TCGA-CG-5717-01A 58 years, male, stage:Stage II, dead, 212 days 3005.4
TCGA-B7-A5TK-01A 51 years, male, white, stage:Stage IIIA, alive, 288 days 2998.9
TCGA-D7-A6EV-01A 71 years, female, white, stage:Stage IIB, alive, 342 days 2997.0
TCGA-MX-A5UJ-01A 86 years, female, white, stage:Stage IIIA, alive, 600 days 2981.1
TCGA-CD-5813-01A 60 years, male, asian, stage:Stage II, dead, 377 days 2979.2
TCGA-RD-A7C1-01A 82 years, male, white, stage:Stage IB, dead, 507 days 2976.2
TCGA-SW-A7EB-01A 45 years, male, white, stage:Stage IIIA, alive, 176 days 2953.0
TCGA-CG-5725-01A 72 years, male, stage:Stage IB, dead, 457 days 2910.8
TCGA-BR-A4QL-01A 75 years, female, white, stage:Stage IIIB, dead, 491 days 2901.5
TCGA-VQ-AA6F-01A 57 years, male, white, stage:Stage IIB, alive, 1646 days 2875.4
TCGA-BR-8367-01A 55 years, male, white, stage:Stage IIIB, dead, 801 days 2872.8
TCGA-D7-6519-01A 64 years, female, white, stage:'--, alive, 625 days 2852.6
TCGA-BR-7959-01A 59 years, male, white, stage:Stage IIIA, alive, 1010 days 2851.8
TCGA-CD-8527-01A 72 years, female, asian, stage:Stage II, dead, 218 days 2842.4
TCGA-D7-8578-01A 72 years, male, white, stage:Stage IB, alive, 643 days 2836.4
TCGA-VQ-AA6D-01A 52 years, female, stage:Stage IIIA, alive, 521 days 2813.1
TCGA-VQ-AA64-01A 68 years, male, white, stage:Stage IIIB, dead, 560 days 2811.4
TCGA-BR-7723-01A 59 years, male, white, stage:Stage IIIB, dead, 874 days 2803.0
TCGA-VQ-A91Z-01A 67 years, female, white, stage:Stage IIIA, alive, 1690 days 2801.0
TCGA-EQ-8122-01A 71 years, female, white, stage:Stage IIB, dead, 243 days 2789.9
TCGA-BR-8286-01A 49 years, male, white, stage:Stage II, alive, 895 days 2772.1
TCGA-HU-A4GP-01A 62 years, female, asian, stage:Stage IIA, alive, 273 days 2754.5
TCGA-BR-4191-01A 72 years, male, white, stage:'--, dead, 558 days 2754.1
TCGA-VQ-A8DV-01A 48 years, male, white, stage:Stage IB, dead, 403 days 2749.4
TCGA-IN-A7NR-01A 64 years, female, white, stage:Stage IV, alive, 198 days 2738.2
TCGA-BR-6709-01A 57 years, female, white, stage:Stage IIIB, dead, 370 days 2735.6
TCGA-BR-8058-01A 53 years, female, white, stage:Stage IIIB, alive, 1133 days 2711.1
TCGA-BR-4187-01A 56 years, male, white, stage:'--, dead, 141 days 2710.9
TCGA-IN-7808-01A 59 years, male, white, stage:'--, dead, 105 days 2706.6
TCGA-BR-8485-01A 68 years, female, white, stage:Stage IIIC, alive, 280 days 2706.5
TCGA-CD-A48C-01A 79 years, female, asian, stage:Stage IIB, dead, 353 days 2701.3
TCGA-BR-7715-01A 65 years, male, white, stage:Stage IIA, alive, 1023 days 2700.2
TCGA-BR-6453-01A 54 years, male, white, stage:Stage IIA, alive, 485 days 2695.9
TCGA-B7-A5TI-01A 52 years, male, white, stage:Stage IIIC, alive, 595 days 2691.7
TCGA-BR-8380-01A 55 years, male, white, stage:Stage IIIC, dead, 21 days 2670.9
TCGA-CG-4469-01A 70 years, male, stage:Stage IV, dead, 215 days 2665.6
TCGA-IN-A7NU-01A 69 years, male, white, stage:Stage IIIB, alive, 356 days 2648.6
TCGA-BR-7197-01A 69 years, male, white, stage:Stage II, alive, 280 days 2647.5
TCGA-FP-8099-01A 79 years, male, white, stage:Stage IIA, alive, 519 days 2638.8
TCGA-VQ-A8PF-01A 76 years, male, stage:Stage IIIB, dead, 76 days 2630.8
TCGA-VQ-A8DT-01A 43 years, male, stage:Stage IIIB, alive, 1484 days 2628.0
TCGA-BR-8297-01A 58 years, male, white, stage:Stage IIIC, alive, 225 days 2615.6
TCGA-VQ-AA6A-01A 56 years, male, white, stage:Stage IIIC, alive, 1184 days 2603.6
TCGA-D7-6521-01A 65 years, male, white, stage:'--, alive, 564 days 2602.0
TCGA-IN-AB1V-01A 63 years, male, white, stage:Stage IA, alive, 479 days 2588.2
TCGA-VQ-A94R-01A 63 years, male, white, stage:'--, dead, 1294 days 2578.2
TCGA-BR-7958-01A 60 years, male, white, stage:Stage IIIB, alive, 899 days 2572.9
TCGA-BR-8487-01A 64 years, female, white, stage:Stage IIA, alive, 34 days 2572.2
TCGA-RD-A7BW-01A 68 years, female, white, stage:Stage IB, dead, 156 days 2567.9
TCGA-VQ-A928-01A 49 years, male, white, stage:Stage IV, dead, 174 days 2565.9
TCGA-CG-4443-01A 68 years, male, stage:Stage IA, alive, 912 days 2543.6
TCGA-CD-5800-01A 51 years, female, asian, stage:Stage II, alive, 400 days 2533.2
TCGA-BR-8284-01A 72 years, female, white, stage:Stage IIIC, dead, 245 days 2528.8
TCGA-VQ-A8PC-01A 65 years, male, white, stage:Stage IIIA, dead, 1407 days 2525.5
TCGA-HU-A4G8-01A 71 years, female, asian, stage:Stage IIB, alive, 690 days 2523.2
TCGA-BR-8060-01A 75 years, female, white, stage:Stage IIB, dead, 348 days 2522.1
TCGA-CG-5734-01A 68 years, male, stage:Stage IIIA, dead, 243 days 2517.7
TCGA-D7-A4YU-01A 73 years, male, white, stage:Stage IIIB, alive, 500 days 2504.5
TCGA-CD-A4MH-01A 86 years, female, asian, stage:Stage IIA, alive, 371 days 2495.1
TCGA-VQ-A91N-01A 59 years, female, stage:Stage IV, dead, 570 days 2488.2
TCGA-BR-8677-01A 74 years, female, white, stage:Stage IIIB, alive, 813 days 2486.0
TCGA-HU-A4GX-01A 70 years, female, asian, stage:Stage IIIC, alive, 616 days 2472.0
TCGA-BR-7704-01A 69 years, female, white, stage:Stage II, alive, 1072 days 2457.5
TCGA-BR-4279-01A 43 years, male, white, stage:Stage II, dead, 291 days 2452.7
TCGA-KB-A93H-01A 79 years, female, asian, stage:Stage IIB, alive, 1145 days 2440.5
TCGA-RD-A8MW-01A 72 years, male, white, stage:Stage IIIB, dead, 1153 days 2429.5
TCGA-D7-A748-01A 41 years, female, white, stage:Stage IV, dead, 132 days 2415.6
TCGA-HU-8610-01A 75 years, male, asian, stage:Stage IA, alive, 23 days 2404.4
TCGA-CD-8532-01A 52 years, male, asian, stage:Stage II, dead, 354 days 2400.3
TCGA-MX-A663-01A 66 years, male, white, stage:Stage IIA, dead, 300 days 2389.7
TCGA-CD-8535-01A 59 years, male, asian, stage:Stage IIIA, alive, 390 days 2358.0
TCGA-BR-8381-01A 51 years, male, white, stage:Stage IIB, alive, 224 days 2354.4
TCGA-VQ-A8PJ-01A 53 years, male, stage:Stage IV, dead, 82 days 2351.0
TCGA-BR-8289-01A 57 years, male, white, stage:Stage IV, dead, 81 days 2347.1
TCGA-VQ-A922-01A 70 years, male, stage:Stage IV, dead, 275 days 2344.2
TCGA-BR-6563-01A 60 years, male, white, stage:Stage IIB, alive, 1190 days 2336.6
TCGA-HU-A4GH-01A 75 years, male, asian, stage:Stage IA, alive, 358 days 2327.6
TCGA-VQ-A94U-01A 70 years, male, white, stage:Stage IIB, alive, 819 days 2322.0
TCGA-VQ-A8PK-01A 58 years, male, white, stage:Stage IIIB, dead, 543 days 2315.7
TCGA-RD-A7BS-01A 46 years, male, white, stage:Stage IIIA, dead, 336 days 2313.5
TCGA-VQ-A94O-01A 74 years, male, black or african american, stage:Stage IIIC, dead, 640 days 2308.8
TCGA-IN-A6RR-01A 84 years, male, white, stage:'--, dead, 205 days 2290.6
TCGA-BR-7196-01A 64 years, male, white, stage:Stage IV, alive, 666 days 2271.0
TCGA-VQ-AA6J-01A 75 years, male, black or african american, stage:Stage IIIB, alive, 838 days 2267.9
TCGA-HU-A4G9-01A 67 years, female, asian, stage:Stage IA, alive, 736 days 2260.8
TCGA-BR-A4PF-01A 72 years, male, white, stage:Stage IIIB, alive, 35 days 2258.2
TCGA-VQ-A8DZ-01A 70 years, male, black or african american, stage:Stage IV, dead, 396 days 2233.3
TCGA-RD-A7BT-01A 66 years, male, native hawaiian or other pacific islander, stage:Stage IV, dead, 262 days 2218.2
TCGA-VQ-A8PX-01A 51 years, male, stage:Stage IA, alive, 1964 days 2211.6
TCGA-BR-8371-01A 62 years, male, white, stage:Stage IIIB, dead, 359 days 2195.3
TCGA-RD-A8N6-01A 78 years, female, white, stage:Stage IIIA, dead, 272 days 2195.0
TCGA-FP-7998-01A 77 years, male, white, stage:Stage IIIC, alive, 678 days 2163.1
TCGA-CD-8525-01A 82 years, female, asian, stage:Stage IIIA, alive, 383 days 2157.2
TCGA-RD-A8NB-01A 80 years, female, white, stage:Stage IIIA, dead, 513 days 2152.3
TCGA-BR-8690-01A 54 years, female, white, stage:Stage IIIB, alive, 325 days 2148.1
TCGA-VQ-A91S-01A 63 years, male, black or african american, stage:Stage IIIB, alive, 1000 days 2143.4
TCGA-F1-A448-01A 70 years, male, white, stage:Stage IIIB, alive, 647 days 2138.4
TCGA-RD-A8N5-01A 78 years, male, white, stage:Stage IIIA, dead, 1747 days 2116.2
TCGA-HU-A4G3-01A 54 years, male, asian, stage:Stage IIB, alive, 170 days 2101.3
TCGA-B7-A5TN-01A 60 years, male, white, stage:Stage IIB, alive, 287 days 2079.5
TCGA-ZA-A8F6-01A 71 years, male, white, stage:Stage IB, alive, 525 days 2076.5
TCGA-F1-6875-01A 79 years, male, black or african american, stage:Stage IA, dead, 2197 days 2063.6
TCGA-CD-A486-01A 68 years, male, asian, stage:Stage IIA, dead, 192 days 2062.4
TCGA-VQ-A91Y-01A 67 years, male, white, stage:Stage IIIC, dead, 296 days 2059.2
TCGA-CD-8534-01A 41 years, male, asian, stage:Stage II, alive, 367 days 2037.9
TCGA-BR-8588-01A 55 years, female, white, stage:Stage IIB, alive, 389 days 2018.9
TCGA-CD-8524-01A 61 years, female, asian, stage:Stage II, alive, 388 days 2012.1
TCGA-VQ-A8PD-01A 69 years, male, white, stage:Stage IIIC, dead, 496 days 2006.0
TCGA-CG-5732-01A 66 years, male, stage:Stage IV, dead, 2100 days 1993.6
TCGA-FP-7916-01A 77 years, male, asian, stage:Stage IIIC, dead, 428 days 1990.7
TCGA-ZQ-A9CR-01A 79 years, female, white, stage:Stage IIIC, dead, 24 days 1973.9
TCGA-BR-8382-01A 67 years, female, white, stage:Stage IIIC, dead, 762 days 1973.2
TCGA-VQ-A925-01A 66 years, male, white, stage:Stage IIIA, dead, 138 days 1969.9
TCGA-BR-8080-01A 72 years, female, white, stage:Stage IIIC, dead, 292 days 1969.5
TCGA-BR-8077-01A 58 years, female, white, stage:Stage IIIB, alive, 21 days 1948.1
TCGA-BR-A44U-01A 70 years, male, white, stage:Stage IIIB, dead, 422 days 1944.7
TCGA-R5-A7O7-01A 51 years, male, white, stage:Stage IV, alive, 1389 days 1940.6
TCGA-FP-A4BF-01A 68 years, male, white, stage:Stage IIIA, dead, 168 days 1936.7
TCGA-FP-A9TM-01A 77 years, male, white, stage:'--, alive, 189 days 1934.7
TCGA-HU-8238-01A 56 years, male, asian, stage:'--, alive, 46 days 1927.6
TCGA-D7-6822-01A 77 years, male, white, stage:Stage IB, alive, 375 days 1914.3
TCGA-BR-8291-01A 61 years, male, white, stage:Stage IIB, dead, 607 days 1900.6
TCGA-IN-A6RL-01A 84 years, male, white, stage:'--, dead, 406 days 1893.5
TCGA-MX-A666-01A 61 years, male, white, stage:Stage IIA, alive, 427 days 1889.0
TCGA-R5-A805-01A 71 years, male, white, stage:Stage IIIB, dead, 281 days 1880.5
TCGA-CD-8530-01A 51 years, male, asian, stage:Stage II, alive, 377 days 1871.8
TCGA-VQ-A91X-01A 74 years, male, white, stage:Stage IIIB, dead, 289 days 1864.2
TCGA-BR-8296-01A 58 years, female, white, stage:Stage IIIC, dead, 474 days 1847.3
TCGA-BR-A4J6-01A 69 years, female, white, stage:Stage IIA, alive, 20 days 1841.7
TCGA-D7-8570-01A 44 years, male, white, stage:Stage IIIB, alive, 752 days 1828.6
TCGA-HU-A4HB-01A 68 years, male, asian, stage:Stage IIB, dead, 477 days 1817.8
TCGA-FP-8631-01A 68 years, male, white, stage:Stage IIIA, alive, 17 days 1810.3
TCGA-VQ-A8PQ-01A 50 years, female, white, stage:Stage IV, dead, 476 days 1801.8
TCGA-CD-A487-01A 51 years, male, asian, stage:Stage IIB, alive, 374 days 1797.8
TCGA-HU-A4H6-01A 72 years, female, asian, stage:Stage IIIA, alive, 644 days 1787.9
TCGA-D7-8575-01A 75 years, male, white, stage:Stage IIIA, dead, 554 days 1787.5
TCGA-VQ-AA68-01A 52 years, female, white, stage:Stage IIIC, alive, 1328 days 1786.8
TCGA-RD-A8N9-01A 63 years, female, asian, stage:Stage II, alive, 1083 days 1786.1
TCGA-BR-8590-01A 62 years, male, white, stage:Stage IIIC, dead, 284 days 1784.0
TCGA-KB-A93J-01A 78 years, male, white, stage:Stage II, alive, 1124 days 1750.8
TCGA-VQ-A8P8-01A 72 years, female, black or african american, stage:Stage IIB, alive, 942 days 1736.3
TCGA-RD-A8N4-01A 58 years, female, white, stage:Stage IIIA, alive, 2171 days 1732.6
TCGA-HU-A4H2-01A 58 years, female, asian, stage:Stage IIIB, alive, 394 days 1718.0
TCGA-RD-A8N1-01A 70 years, male, white, stage:Stage IIIB, alive, 3519 days 1703.5
TCGA-MX-A5UG-01A 78 years, male, asian, stage:Stage IIIA, dead, 113 days 1690.5
TCGA-BR-8683-01A 75 years, male, asian, stage:Stage IIIB, dead, 300 days 1684.8
TCGA-CG-4301-01A 75 years, female, stage:Stage IV, alive, 92 days 1682.9
TCGA-D7-A747-01A 57 years, male, white, stage:Stage IIB, dead, 255 days 1680.1
TCGA-CD-A489-01A 58 years, male, asian, stage:Stage IIA, dead, 344 days 1678.9
TCGA-VQ-A94P-01A 57 years, male, white, stage:'--, dead, 81 days 1674.2
TCGA-IN-8462-01A 80 years, male, white, stage:Stage IIB, alive, 572 days 1670.2
TCGA-BR-8592-01A 63 years, female, white, stage:Stage IIIB, dead, 191 days 1655.6
TCGA-BR-A4J9-01A 55 years, male, white, stage:Stage IIA, alive, 14 days 1655.3
TCGA-VQ-A8DU-01A 63 years, male, white, stage:Stage IIIA, dead, 166 days 1653.7
TCGA-FP-8209-01A 49 years, male, white, stage:Stage IB, dead, 1811 days 1641.9
TCGA-VQ-A8PH-01A 62 years, male, white, stage:Stage IIIB, dead, 389 days 1640.9
TCGA-D7-8579-01A 66 years, female, white, stage:Stage IIB, alive, 636 days 1633.4
TCGA-BR-8365-01A 70 years, female, white, stage:Stage IIA, dead, 533 days 1619.2
TCGA-BR-8364-01A 42 years, female, white, stage:Stage IIIC, alive, 675 days 1573.1
TCGA-BR-8682-01A 52 years, male, asian, stage:Stage IIB, alive, 991 days 1563.2
TCGA-BR-8384-01A 69 years, male, white, stage:Stage IIIC, alive, 113 days 1552.7
TCGA-HU-A4GJ-01A 60 years, female, asian, stage:Stage IIIC, alive, 650 days 1541.6
TCGA-CD-A48A-01A 57 years, male, asian, stage:Stage IIA, alive, 378 days 1496.2
TCGA-IP-7968-01A 74 years, male, white, stage:Stage IIIB, alive, 77 days 1467.7
TCGA-HU-A4GD-01A 56 years, male, asian, stage:Stage IIB, alive, 692 days 1453.6
TCGA-BR-8373-01A 65 years, female, white, stage:Stage IIIA, alive, 450 days 1433.5
TCGA-BR-A4J8-01A 71 years, female, white, stage:Stage IIIB, alive, 411 days 1422.6
TCGA-BR-A4J7-01A 49 years, male, asian, stage:Stage IIB, alive, 989 days 1413.3
TCGA-BR-8484-01A 61 years, male, white, stage:Stage IIIA, dead, 766 days 1395.2
TCGA-D7-A4Z0-01A 60 years, female, white, stage:Stage IIB, alive, 449 days 1372.7
TCGA-BR-8369-01A 76 years, female, white, stage:Stage IIIB, alive, 427 days 1354.8
TCGA-BR-A4CS-01A 77 years, male, white, stage:Stage IIIC, dead, 45 days 1341.0
TCGA-BR-A4IV-01A 47 years, male, asian, stage:Stage IIIB, dead, 869 days 1333.9
TCGA-RD-A8N2-01A 59 years, female, white, stage:Stage IB, alive, 3540 days 1328.6
TCGA-BR-8483-01A 59 years, male, white, stage:Stage IIIA, alive, 164 days 1300.8
TCGA-VQ-A927-01A 81 years, male, white, stage:Stage IIIB, dead, 200 days 1263.5
TCGA-FP-8210-01A 48 years, male, asian, stage:Stage IIIA, dead, 153 days 1262.9
TCGA-BR-A4J5-01A 56 years, male, asian, stage:Stage IIIA, alive, 862 days 1247.3
TCGA-RD-A8MV-01A 56 years, male, white, stage:Stage IIIB, alive, 3720 days 1241.0
TCGA-B7-A5TJ-01A 74 years, male, white, stage:Stage IIB, alive, 335 days 1236.4
TCGA-BR-7722-01A 62 years, male, white, stage:Stage IIB, dead, 466 days 1231.8
TCGA-HU-A4H4-01A 53 years, female, asian, stage:Stage IIB, alive, 725 days 1187.8
TCGA-VQ-A91U-01A 78 years, male, asian, stage:Stage IIIA, dead, 52 days 1180.1
TCGA-VQ-A91V-01A 58 years, male, stage:Stage IIIA, alive, 1297 days 1157.6
TCGA-D7-8574-01A 72 years, male, white, stage:Stage IIIA, alive, 523 days 1115.3
TCGA-VQ-A8PM-01A 56 years, male, white, stage:Stage IV, dead, 57 days 1114.7
TCGA-BR-A44T-01A 53 years, female, white, stage:Stage IIA, alive, 1038 days 1109.2
TCGA-3M-AB46-01A 70 years, male, white, stage:Stage IB, alive, 1765 days 1089.9
TCGA-BR-8686-01A 69 years, male, asian, stage:Stage IIIB, dead, 635 days 945.4
TCGA-HU-A4GY-01A 76 years, female, asian, stage:Stage IIIA, alive, 8 days 899.3
TCGA-IN-A6RN-01A 72 years, female, white, stage:Stage IIA, alive, 594 days 837.0
TCGA-RD-A8N0-01A 53 years, female, white, stage:Stage IIIB, alive, 1236 days 752.4
TCGA-BR-6710-01A 41 years, male, white, stage:Stage IB, alive, 273 days 553.6
Show allShow less
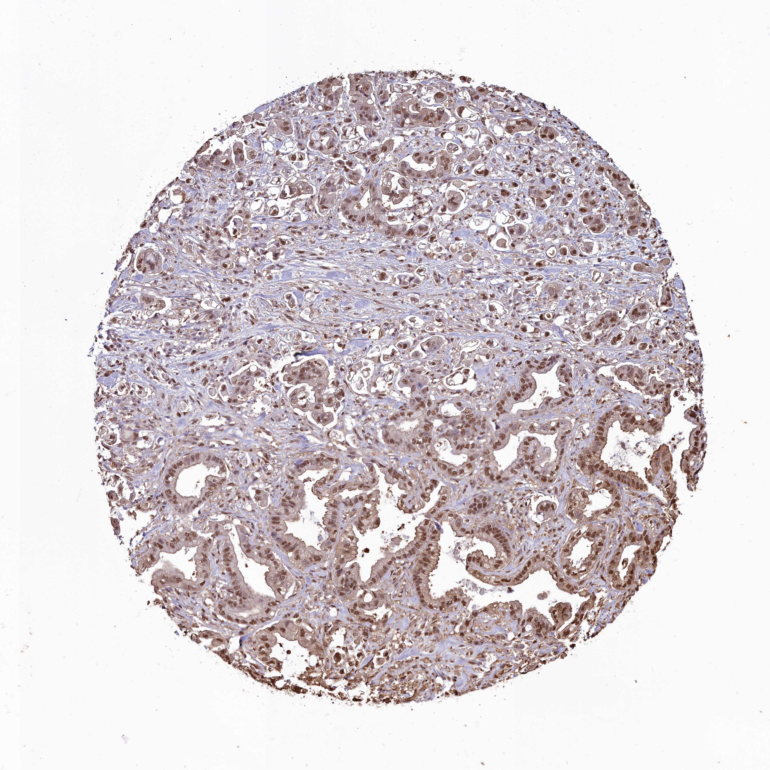
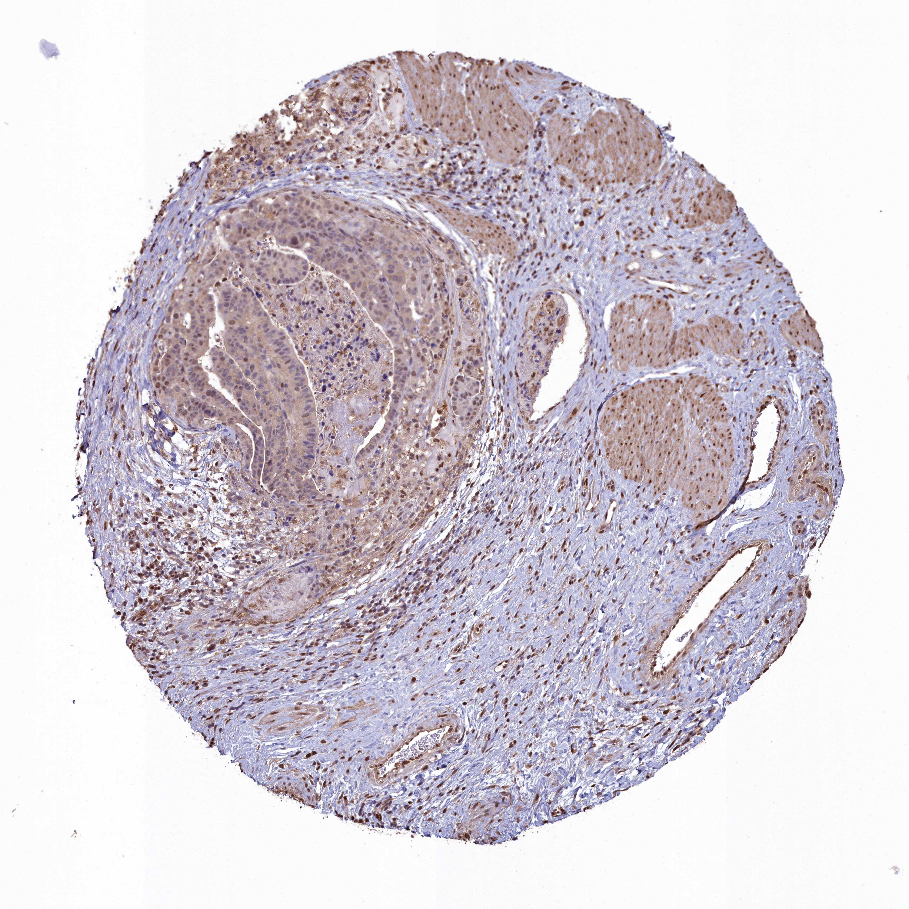
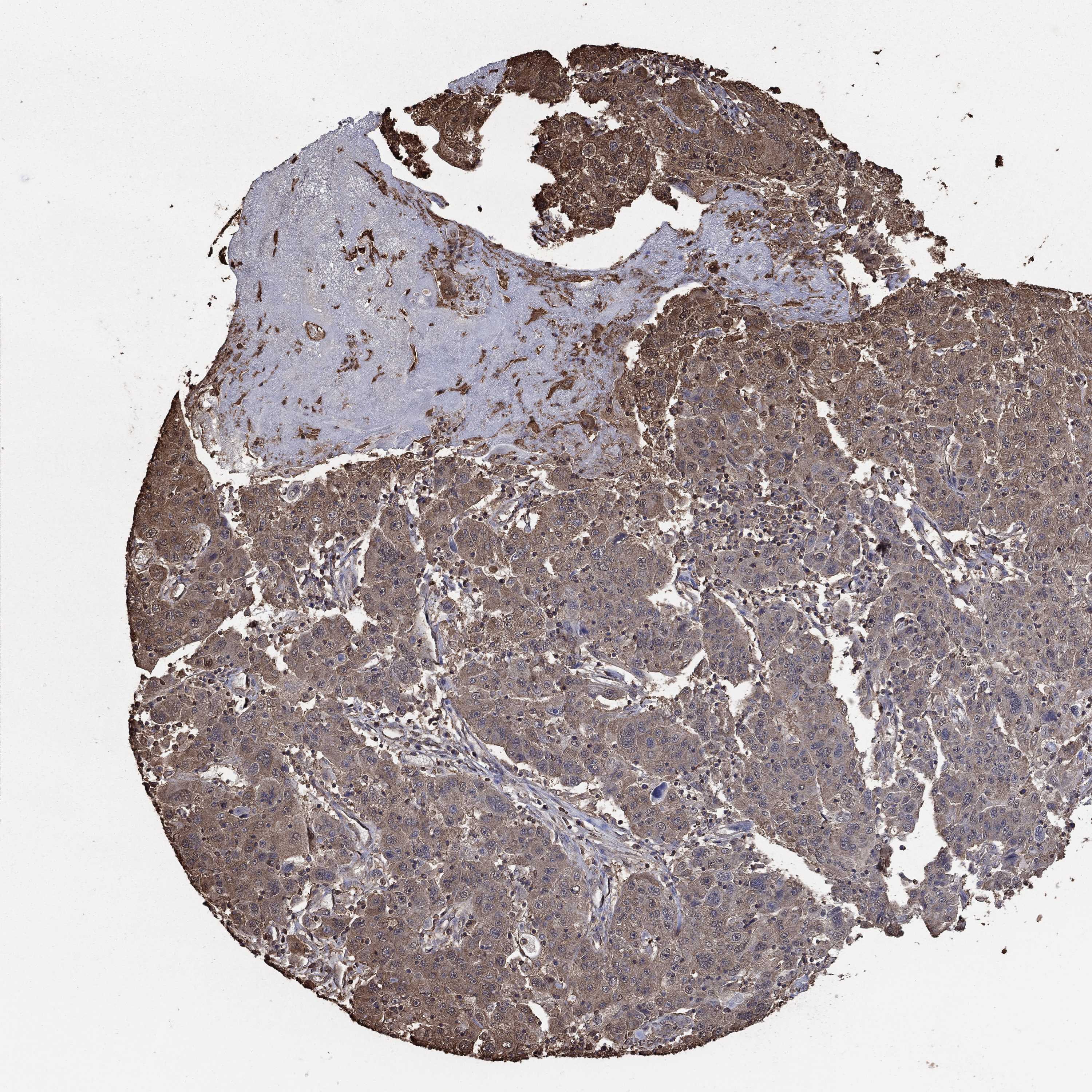
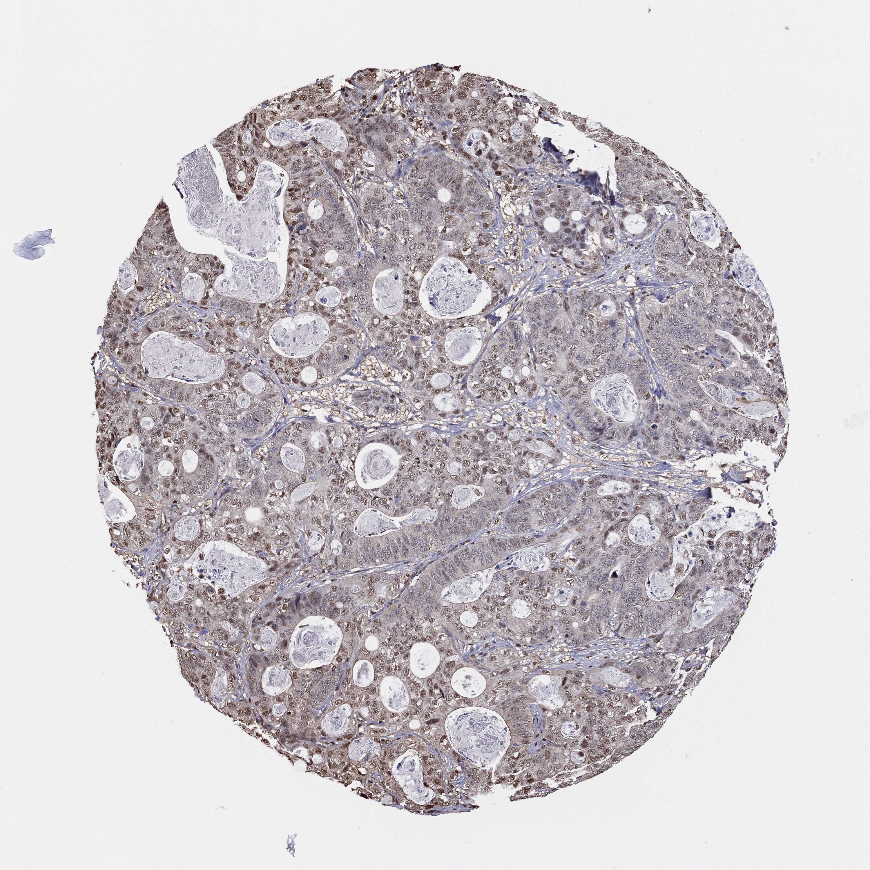
STOMACH CANCER - Protein expressioni

A mouse-over function shows sample information and annotation data. Click on an image to view it in a full screen mode. Samples can be filtered based on level of antibody staining by selecting one or several of the following categories: high, medium, low and not detected. The assay and annotation is described here.

Note that samples used for immunohistochemistry by the Human Protein Atlas do not correspond to samples in the TCGA dataset.

 

Antibody stainingi

Antibody staining in the annotated cell types in the current human tissue is reported as not detected, low, medium, or high, based on conventional immunohistochemistry profiling in selected tissues. This score is based on the combination of the staining intensity and fraction of stained cells.

Each image is clickable and will lead to virtual microscopy that enables deeper exploration of all samples and also displays staining intensity scores, fraction scores and subcellular localization as well as patient and tissue information for each sample.


HPA040067

HPA061280

CAB005197

CAB016392

CAB079968
 Staining
  High
  Medium
  Low
  Not detected
 Intensity
  Strong
  Moderate
  Weak
  Negative
 Quantity
  >75%
  75%-25%
  <25%
  None
 Location
  Nuclear
  Cytoplasmic/membranous
  Cytoplasmic/membranous,nuclear
  None
Adenocarcinoma, NOS
Adenocarcinoma, NOS
Adenocarcinoma, High grade

Contact

  • NEWS ARTICLES
  • PRESS ROOM

The Project

  • INTRODUCTION
  • ORGANIZATION
  • PUBLICATIONS

The Human Protein Atlas

  • DOWNLOADABLE DATA
  • LICENCE & CITATION
  • HELP & FAQ
The Human Protein Atlas project is funded
by the Knut & Alice Wallenberg Foundation.


contact@proteinatlas.org